We use cookies to enhance the usability of our website. If you continue, we'll assume that you are happy to receive all cookies. More information. Don't show this again.
CDK13
HPA
RESOURCES
  • TISSUE
  • BRAIN
  • SINGLE CELL
  • SUBCELLULAR
  • CANCER
  • BLOOD
  • CELL LINE
  • STRUCTURE & INTERACTION
ABOUT
  • INTRODUCTION
  • HISTORY
  • ORGANIZATION
  • PUBLICATIONS
  • ANTIBODY SUBMISSION
  • ANTIBODY AVAILABILITY
  • ACKNOWLEDGMENTS
  • CONTACT
NEWS
  • NEWS ARTICLES
  • PRESS ROOM
LEARN
  • DICTIONARY
  • PROTEIN CLASSES
  • PROTEIN EVIDENCE
  • METHODS
  • EDUCATIONAL VIDEOS
DATA
  • DOWNLOADABLE DATA
  • PUBLICATION DATA
  • RELEASE HISTORY
HELP
  • ANTIBODY VALIDATION
  • ASSAYS & ANNOTATION
  • DISCLAIMER
  • HELP & FAQ
  • PRIVACY STATEMENT
  • LICENCE & CITATION
Fields »
Search result

Field
Term
Gene name
Class
Subclass
Class
Keyword
Chromosome
External id
Tissue
Cell type
Expression
Antibody panel
Tissue
Main location
Patient ID
Annotation
Tissue
Category
Tau score
Cluster
Reliability
Brain region
Category
Tau score
Brain region
Category
Tau score
Brain region
Category
Tau score
Cluster
Reliability
Tissue
Cell type
Enrichment
Cell type
Category
Tau score
Cell type
Category
Tau score
Cell type
Category
Tau score
Cell lineage
Category
Tau score
Cluster
Cluster
Location
Searches
Location
Cell line
Class
Type
Phase
Reliability
Cancer
Prognosis
Cancer
Category
Cancer
Category
Tau score
Cluster
Variants
Interacting gene (ensg_id)
Type
Number of interactions
Pathway
Category
Score
Score
Score
Validation
Validation
Validation
Validation
Antibodies
Data type
Column


  • SUMMARY

  • TISSUE

  • BRAIN

  • SINGLE CELL

  • SUBCELL

  • CANCER

  • BLOOD

  • CELL LINE

  • STRUCT & INT

  • CDK13
BRAIN CEREBELLUM Show tissue menu
AMYGDALA BASAL GANGLIA CEREBELLUM CEREBRAL CORTEX CHOROID PLEXUS HIPPOCAMPAL FORMATION HYPOTHALAMUS MEDULLA OBLONGATA
MIDBRAIN OLFACTORY BULB PITUITARY GLAND PONS RETINA SPINAL CORD THALAMUS WHITE MATTER
ANTIBODIES
AND
VALIDATION
Brain proteome
Cerebellum
CEREBELLUM - Expression summary
Protein expression
Cerebellumi

On the top, protein expression in current human tissue, based on all annotated cell types, is reported with the units not detected (n), low (l), medium (m) and high (h). Underneath, protein expression in each annotated cell type are reported using the same units.

Protein expression data is based on knowledge-based annotation. For genes where more than one antibody has been used, a collective score is set.

If knowledge-based annotation could not be performed for a gene, no data is displayed here. View antibody staining data further down this page.

h
m
l
n
Cells in granular layer: Not detected
Cells in molecular layer: Not detected
Purkinje cells: Not detected
RNA expressioni

A summary of mRNA expression data available for current tissue based on several datasets. The mRNA expression levels in human tissues are based on RNA-seq data generated by the Human Protein Atlas (HPA), Genotype-Tissue Expression (GTEx) portal and CAGE data generated by the FANTOM5 consortium. Consensus normalized expression levels for human tissues was created by combining the data from HPA and GTEx datasets.

The mRNA expression levels in pig are based on RNA-seq data generated by the Human Protein Atlas (HPA), and for mouse, HPA data and in situ hybridization generated by the Allen brain atlas are reported.

Scroll down to view mRNA expression data in more detail.
Consensus:11.6 nTPM
HPA Brain:79.2 nTPM
GTEx:11.6 nTPM
FANTOM5:35.9 Scaled Tags Per Million
Pig:109.0 nTPM
Mouse:11.9 nTPM
Allen mouse:2.8 Expression energy

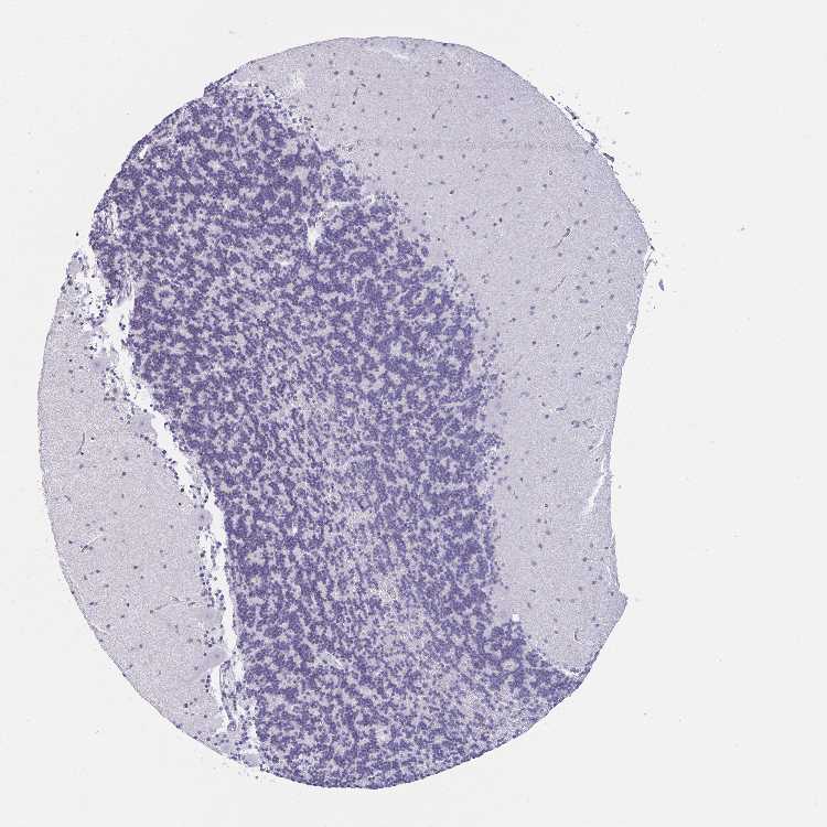
CEREBELLUM - Antibody stainingi

Antibody staining in the annotated cell types in the current human tissue is reported as not detected, low, medium, or high, based on conventional immunohistochemistry profiling in selected tissues. This score is based on the combination of the staining intensity and fraction of stained cells.

Each image is clickable and will lead to virtual microscopy that enables deeper exploration of all samples and also displays staining intensity scores, fraction scores and subcellular localization as well as patient and tissue information for each sample.

Antibody HPA059241
Purkinje cells Not detected
Cells in granular layer Not detected
Cells in molecular layer Not detected


CEREBELLUM - HPA Brain RNA-seq
Max subtype nTPMi

Max subtype nTPM is the value for the subtype with the largest average nTPM across the subtype samples.

79.2
Sample id Sample description nTPM
Cerebellar cortex
nTPM: 77.5
2006 Male, age 61, right hemisphere 83.5
1769 Male, age 76, right hemisphere 82.3
2101 Male, age 74, right hemisphere 82.0
1788 Male, age 55, unknown 79.9
1774 Male, age 80, left hemisphere 76.9
1768 Female, age 72, unknown 74.0
2003 Female, age 85, right hemisphere 71.8
2055 Female, age 91, right hemisphere 69.2
Cerebellar nuclei
nTPM: 51.6
2318 Male, age 74, left hemisphere 64.6
2175 Male, age 61, right hemisphere 57.0
1879 Male, age 55, unknown 53.0
2005 Male, age 80, left hemisphere 52.5
1966 Female, age 91, left hemisphere 51.8
1871 Male, age 74, unknown 50.3
2882 Male, age 76, left hemisphere 48.5
2177 Female, age 85, both hemispheres 46.1
2783 Female, age 72, unknown 40.6
Flocculonodular lobe
nTPM: 79.2
1767 Male, age 76, left hemisphere 87.2
1771 Male, age 80, left hemisphere 81.5
1765 Male, age 55, unknown 80.4
1792 Male, age 74, unknown 78.7
1835 Female, age 85, right hemisphere 77.8
2176 Female, age 91, right hemisphere 77.6
2004 Male, age 61, right hemisphere 71.4
Vermis
nTPM: 77.7
1988 Female, age 85, left hemisphere 89.8
1928 Female, age 72, unknown 81.3
1751 Male, age 74, right hemisphere 80.4
2460 Male, age 61, both hemispheres 79.8
1770 Male, age 76, left hemisphere 79.4
1825 Male, age 74, unknown 75.8
1778 Female, age 91, left hemisphere 73.6
1766 Male, age 55, unknown 71.1
2834 Male, age 80, left hemisphere 67.8

CEREBELLUM - GTEx RNA-seqi

RNA-Seq data generated by the Genotype-Tissue Expression (GTEx) project from human tissues is reported as mean nTPM. More information can be found on the GTEx portal.

Distribution across the dataset is visualized with box plots, shown as median and 25th and 75th percentiles. Points are displayed as outliers if they are above or below 1.5 times the interquartile range. nTPM values of the individual samples are presented next to the box plot.
Max subtype nTPMi

Max subtype nTPM is the value for the subtype with the largest average nTPM across the subtype samples.

11.6
GTEx sample id Sample description nTPM
Brain - Cerebellar Hemisphere
Average nTPM: 10.7
Samples: 215

Max nTPM: 19.4
Min nTPM: 5.2
Std nTPM: 1.6
Median nTPM: 10.9
GTEX-XMD1-0011-R11A-SM-4AT5J 60-69 years, male 19.4
GTEX-14C5O-0011-R11b-SM-6872H 60-69 years, male 14.3
GTEX-P44H-0011-R11A-SM-2XCER 40-49 years, male 14.3
GTEX-X4EP-0011-R11B-SM-4QASK 60-69 years, female 14.1
GTEX-T6MN-0011-R11A-SM-32QOX 50-59 years, male 13.9
GTEX-145LU-0011-R11b-SM-5P9JX 50-59 years, male 13.8
GTEX-QDT8-0011-R11A-SM-32PKD 30-39 years, female 13.8
GTEX-1HB9E-0011-R11b-SM-ARU79 50-59 years, male 13.2
GTEX-145MI-0011-R11a-SM-5P9JZ 60-69 years, female 13.1
GTEX-1B8SF-0011-R11a-SM-79OOP 60-69 years, male 13.1
GTEX-QMR6-0011-R11A-SM-32PKK 50-59 years, male 13.1
GTEX-P44G-0011-R11A-SM-2I3FD 30-39 years, male 13.0
GTEX-11OF3-0011-R11a-SM-57WCR 60-69 years, male 12.9
GTEX-WVLH-0011-R11A-SM-3MJFO 50-59 years, male 12.9
GTEX-13O3O-0011-R11b-SM-5KM4G 60-69 years, female 12.8
GTEX-13SLX-0011-R11b-SM-5O9C8 50-59 years, female 12.8
GTEX-UTHO-0011-R11A-SM-3GIJE 60-69 years, male 12.7
GTEX-1GZHY-0011-R11a-SM-C1YRQ 50-59 years, female 12.7
GTEX-13OVL-0011-R11b-SM-5L3G7 50-59 years, male 12.6
GTEX-1N2DW-0011-R11b-SM-EXOIL 50-59 years, male 12.6
GTEX-14DAQ-0011-R11a-SM-664NO 60-69 years, female 12.5
GTEX-17HG3-0011-R11b-SM-7KFT4 30-39 years, female 12.5
GTEX-RVPV-0011-R11A-SM-2TF6F 60-69 years, male 12.5
GTEX-TSE9-0011-R11A-SM-3DB7N 60-69 years, female 12.5
GTEX-1HFI6-0011-R11b-SM-A96RU 40-49 years, male 12.5
GTEX-1ICLZ-0011-R11a-SM-CJI3N 60-69 years, male 12.5
GTEX-1IKOH-0011-R11a-SM-AHZ38 60-69 years, female 12.5
GTEX-12WSE-0011-R11b-SM-5P9JW 20-29 years, male 12.4
GTEX-18464-0011-R11a-SM-72D76 50-59 years, male 12.4
GTEX-X4XX-0011-R11A-SM-46MWQ 60-69 years, male 12.4
GTEX-1I1GR-0011-R11a-SM-CM2T5 60-69 years, male 12.4
GTEX-1I1HK-0011-R11a-SM-B2LVN 60-69 years, male 12.4
GTEX-RU72-0011-R11A-SM-CM2U1 50-59 years, female 12.3
GTEX-1A3MX-0011-R11b-SM-7DUGP 60-69 years, male 12.2
GTEX-13OW7-0011-R11a-SM-5O9DY 50-59 years, male 12.1
GTEX-11PRG-0011-R11b-SM-DNZZY 50-59 years, male 12.1
GTEX-1HCU6-0011-R11b-SM-AHZ2F 60-69 years, female 12.1
GTEX-1IKK5-0011-R11a-SM-C1YRX 60-69 years, male 12.1
GTEX-13NYB-0011-R11a-SM-5KM3Q 40-49 years, male 12.0
GTEX-131YS-0011-R11b-SM-5EGLM 60-69 years, female 11.9
GTEX-13SLW-0011-R11a-SM-5SI8Q 70-79 years, male 11.9
GTEX-R55E-0011-R11A-SM-2TC6I 20-29 years, male 11.9
GTEX-ZDXO-0011-R11a-SM-4WWD9 60-69 years, male 11.9
GTEX-11DYG-0011-R11a-SM-DNZZP 60-69 years, male 11.9
GTEX-1H1ZS-0011-R11a-SM-C1YQM 70-79 years, male 11.9
GTEX-1IL2V-0011-R11a-SM-ARU6T 70-79 years, male 11.9
GTEX-1LVAO-0011-R11b-SM-EXOI8 60-69 years, male 11.9
GTEX-13FHP-0011-R11b-SM-5LZXP 50-59 years, male 11.8
GTEX-13S7M-0011-R11b-SM-5P9HU 60-69 years, female 11.8
GTEX-17F97-0011-R11b-SM-7KFRQ 50-59 years, male 11.8
GTEX-NL3H-0011-R11A-SM-2I3E6 60-69 years, male 11.8
GTEX-1H1CY-0011-R11a-SM-C1YQR 60-69 years, female 11.8
GTEX-1H4P4-0011-R11b-SM-CE6S8 50-59 years, male 11.8
GTEX-1J8EW-0011-R11a-SM-AHZ37 60-69 years, female 11.8
GTEX-12126-0011-R11a-SM-5BC6X 20-29 years, male 11.7
GTEX-13OW8-0011-R11a-SM-5L3GT 60-69 years, male 11.7
GTEX-13PVQ-0011-R11a-SM-5O9DU 50-59 years, male 11.7
GTEX-13VXU-0011-R11b-SM-5O9DJ 50-59 years, male 11.7
GTEX-Q2AG-0011-R11A-SM-2HMKZ 40-49 years, female 11.7
GTEX-1399T-0011-R11a-SM-5J2O1 60-69 years, male 11.6
GTEX-13FTY-0011-R11a-SM-5IJEA 40-49 years, female 11.6
GTEX-13JVG-0011-R11a-SM-5KM53 60-69 years, male 11.6
GTEX-13NYS-0011-R11b-SM-5MR4P 60-69 years, male 11.6
GTEX-13NZA-0011-R11b-SM-5KM4W 60-69 years, male 11.6
GTEX-13OW6-0011-R11a-SM-5L3H2 50-59 years, male 11.6
GTEX-17JCI-0011-R11a-SM-7189Y 60-69 years, female 11.6
GTEX-1KD4Q-0011-R11b-SM-EXOIE 40-49 years, male 11.6
GTEX-13OVJ-0011-R11a-SM-5P9H8 50-59 years, female 11.5
GTEX-T2IS-0011-R11A-SM-32QPC 20-29 years, female 11.5
GTEX-1GN73-0011-R11b-SM-9OSX4 60-69 years, male 11.5
GTEX-1JMQJ-0011-R11a-SM-EXOJY 50-59 years, male 11.5
GTEX-11GSP-0011-R11b-SM-5NQ7V 60-69 years, female 11.4
GTEX-17HII-0011-R11b-SM-7KFSX 50-59 years, male 11.4
GTEX-Z93S-0011-R11a-SM-4RGNN 50-59 years, male 11.4
GTEX-1GMRU-0011-R11b-SM-C1YQ4 50-59 years, male 11.4
GTEX-1I1GV-0011-R11a-SM-CJI3Z 60-69 years, male 11.4
GTEX-12ZZX-0011-R11a-SM-5DUVJ 40-49 years, female 11.3
GTEX-131XH-0011-R11a-SM-5EGLN 50-59 years, male 11.3
GTEX-14BIN-0011-R11a-SM-5SI79 50-59 years, female 11.3
GTEX-15EO6-0011-R11b-SM-6M47M 50-59 years, male 11.3
GTEX-1AX9I-0011-R11b-SM-7DHN4 60-69 years, male 11.3
GTEX-ZAB4-0011-R11a-SM-4SOKI 40-49 years, male 11.3
GTEX-1H3O1-0011-R11a-SM-A96RV 60-69 years, male 11.3
GTEX-1J1OQ-0011-R11a-SM-A96S3 40-49 years, female 11.3
GTEX-12ZZZ-0011-R11a-SM-5EGLC 60-69 years, male 11.1
GTEX-13O3Q-0011-R11b-SM-5KM2W 50-59 years, male 11.1
GTEX-16YQH-0011-R11b-SM-7LT98 30-39 years, male 11.1
GTEX-11TTK-0011-R11b-SM-DO112 60-69 years, female 11.1
GTEX-1H3NZ-0011-R11b-SM-CE6SF 60-69 years, male 11.1
GTEX-1IDJH-0011-R11b-SM-C1YRT 70-79 years, male 11.1
GTEX-1LG7Y-0011-R11a-SM-EXOIH 50-59 years, male 11.1
GTEX-1N2EE-0011-R11b-SM-EXOIJ 60-69 years, male 11.1
GTEX-13QIC-0011-R11b-SM-5O9BU 60-69 years, female 11.0
GTEX-14PN4-0011-R11a-SM-686ZW 50-59 years, male 11.0
GTEX-183WM-0011-R11a-SM-718A5 70-79 years, female 11.0
GTEX-NPJ7-0011-R11A-SM-2I3E8 60-69 years, female 11.0
GTEX-Y8DK-0011-R11A-SM-4SOK2 60-69 years, male 11.0
GTEX-YFC4-0011-R11a-SM-4SOK6 40-49 years, female 11.0
GTEX-1E1VI-0011-R11a-SM-9OSWI 50-59 years, male 11.0
GTEX-1I19N-0011-R11b-SM-ARU6Y 70-79 years, male 11.0
GTEX-1I1GS-0011-R11a-SM-C1YRU 60-69 years, male 11.0
GTEX-1M4P7-0011-R11b-SM-EXOIK 60-69 years, male 11.0
GTEX-1R9PO-0011-R11b-SM-EZ6NB 60-69 years, female 11.0
GTEX-11WQC-0011-R11b-SM-57WD6 60-69 years, male 10.9
GTEX-13CF2-0011-R11b-SM-5LZXO 60-69 years, male 10.9
GTEX-13OW5-0011-R11b-SM-5L3GG 60-69 years, male 10.9
GTEX-14ABY-0011-R11a-SM-5SI7C 50-59 years, male 10.9
GTEX-15DYW-0011-R11a-SM-6LPIT 60-69 years, female 10.9
GTEX-18465-0011-R11a-SM-72D78 50-59 years, male 10.9
GTEX-11DXY-0011-R11a-SM-DNZZN 60-69 years, male 10.9
GTEX-11DZ1-0011-R11b-SM-DO11W 50-59 years, male 10.9
GTEX-144GL-0011-R11b-SM-5P9F6 50-59 years, male 10.8
GTEX-1BAJH-0011-R11b-SM-7IGLM 70-79 years, male 10.8
GTEX-WZTO-0011-R11A-SM-4E3K9 40-49 years, male 10.8
GTEX-13PLJ-0011-R11b-SM-5O9BS 60-69 years, female 10.7
GTEX-OHPN-0011-R11A-SM-2I5FM 60-69 years, female 10.7
GTEX-YJ89-0011-R11a-SM-4SOKA 60-69 years, male 10.7
GTEX-1F7RK-0011-R11b-SM-9QEI2 20-29 years, female 10.7
GTEX-1JMOU-0011-R11b-SM-EXUTA 60-69 years, female 10.7
GTEX-1LSVX-0011-R11b-SM-EXOIA 60-69 years, male 10.7
GTEX-13FHO-0011-R11b-SM-5LZYQ 60-69 years, male 10.6
GTEX-13OVH-0011-R11b-SM-5KM4X 70-79 years, male 10.6
GTEX-14BIM-0011-R11b-SM-5S2RN 60-69 years, female 10.6
GTEX-NPJ8-0011-R11A-SM-2YUMS 40-49 years, male 10.6
GTEX-X261-0011-R11A-SM-4E3JY 50-59 years, male 10.6
GTEX-ZUA1-0011-R11b-SM-51MTI 40-49 years, male 10.6
GTEX-N7MS-0011-R11A-SM-2HMJS 60-69 years, male 10.5
GTEX-ZVZQ-0011-R11a-SM-51MS6 60-69 years, female 10.5
GTEX-1F52S-0011-R11a-SM-CJI23 60-69 years, female 10.5
GTEX-1GTWX-0011-R11b-SM-C1YQJ 60-69 years, male 10.5
GTEX-1IL2U-0011-R11a-SM-CE6SO 60-69 years, male 10.5
GTEX-1J8Q2-0011-R11a-SM-A9SKI 60-69 years, male 10.5
GTEX-139UW-0011-R11a-SM-5IJGN 60-69 years, male 10.4
GTEX-WHSE-0011-R11A-SM-3P5YY 20-29 years, male 10.4
GTEX-ZVT3-0011-R11b-SM-57WBI 60-69 years, female 10.4
GTEX-11EI6-0011-R11a-SM-DO11V 60-69 years, male 10.4
GTEX-11H98-0011-R11b-SM-5NQ6U 50-59 years, male 10.3
GTEX-ZE9C-0011-R11a-SM-4WKGG 60-69 years, male 10.3
GTEX-1GZ4I-0011-R11b-SM-9OSWR 50-59 years, male 10.3
GTEX-13FXS-0011-R11a-SM-5L3DM 50-59 years, male 10.2
GTEX-13RTJ-0011-R11a-SM-5O9CK 60-69 years, male 10.2
GTEX-145MH-0011-R11a-SM-5P9HQ 50-59 years, male 10.2
GTEX-14E6D-0011-R11b-SM-664NP 50-59 years, male 10.2
GTEX-15ER7-0011-R11a-SM-6LPIL 20-29 years, female 10.2
GTEX-1HGF4-0011-R11a-SM-C1YRR 60-69 years, male 10.2
GTEX-11EMC-0011-R11b-SM-DNZZK 60-69 years, female 10.1
GTEX-15DCD-0011-R11a-SM-D4P1R 70-79 years, female 10.1
GTEX-1H1DG-0011-R11a-SM-C1YQK 70-79 years, male 10.1
GTEX-1I1GQ-0011-R11b-SM-CKZPA 50-59 years, male 10.1
GTEX-1B8L1-0011-R11b-SM-793DJ 60-69 years, male 10.0
GTEX-WL46-0011-R11A-SM-3MJFT 50-59 years, male 10.0
GTEX-1EMGI-0011-R11b-SM-9OSWX 60-69 years, male 10.0
GTEX-1H3VE-0011-R11b-SM-C1YRP 40-49 years, male 10.0
GTEX-11ZUS-0011-R11b-SM-5BC7B 30-39 years, male 9.9
GTEX-ZE7O-0011-R11a-SM-57WBC 50-59 years, female 9.9
GTEX-1F75A-0011-R11a-SM-AHZ35 50-59 years, male 9.9
GTEX-1F75W-0011-R11b-SM-AHZ34 60-69 years, male 9.9
GTEX-1HUB1-0011-R11b-SM-CE6SC 60-69 years, male 9.9
GTEX-1IGQW-0011-R11a-SM-C1YRV 60-69 years, male 9.9
GTEX-X585-0011-R11B-SM-46MUZ 50-59 years, male 9.8
GTEX-1F48J-0011-R11b-SM-9OSWV 50-59 years, female 9.8
GTEX-12WSC-0011-R11a-SM-5GU5J 50-59 years, male 9.7
GTEX-12WSI-0011-R11b-SM-5P9EZ 50-59 years, male 9.7
GTEX-131XW-0011-R11a-SM-5DUV9 50-59 years, female 9.7
GTEX-139TT-0011-R11b-SM-5LZV1 60-69 years, male 9.7
GTEX-13N2G-0011-R11a-SM-5MR3F 60-69 years, male 9.7
GTEX-1B8SG-0011-R11a-SM-7P8PF 50-59 years, male 9.7
GTEX-1JJEA-0011-R11a-SM-EXUTE 60-69 years, male 9.7
GTEX-12WSM-0011-R11a-SM-5DUX8 60-69 years, male 9.6
GTEX-14ASI-0011-R11b-SM-6AJBJ 60-69 years, male 9.6
GTEX-1C64N-0011-R11b-SM-7P8Q6 50-59 years, male 9.6
GTEX-13G51-0011-R11b-SM-5J2NE 60-69 years, male 9.5
GTEX-12WSD-0011-R11a-SM-9OSVC 60-69 years, female 9.5
GTEX-1EKGG-0011-R11a-SM-9QEHZ 60-69 years, male 9.5
GTEX-1F6I4-0011-R11b-SM-9OSWS 60-69 years, male 9.5
GTEX-1IOXB-0011-R11a-SM-A9G1X 50-59 years, male 9.5
GTEX-12WSF-0011-R11a-SM-5LZVT 70-79 years, male 9.4
GTEX-13X6I-0011-R11a-SM-5P9HN 60-69 years, male 9.4
GTEX-15G19-0011-R11b-SM-6LPIH 60-69 years, male 9.4
GTEX-16XZZ-0011-R11a-SM-7EPI3 60-69 years, male 9.4
GTEX-17EVQ-0011-R11a-SM-7LT9C 70-79 years, male 9.4
GTEX-1HSKV-0011-R11b-SM-AHZ2E 60-69 years, male 9.4
GTEX-12WSH-0011-R11a-SM-5LZVM 50-59 years, male 9.3
GTEX-S7SE-0011-R11A-SM-2XCDD 50-59 years, male 9.3
GTEX-11ZTS-0011-R11a-SM-DO113 60-69 years, female 9.3
GTEX-13X6K-0011-R11a-SM-5P9F5 60-69 years, female 9.2
GTEX-18A6Q-0011-R11a-SM-72D6H 60-69 years, male 9.2
GTEX-1CAV2-0011-R11a-SM-ARU8D 40-49 years, female 9.0
GTEX-1IY9M-0011-R11b-SM-A96TI 60-69 years, male 9.0
GTEX-16GPK-0011-R11b-SM-7MKFF 60-69 years, male 8.9
GTEX-15CHQ-0011-R11b-SM-686ZZ 60-69 years, male 8.8
GTEX-1CB4G-0011-R11a-SM-9OSWG 60-69 years, male 8.8
GTEX-ZF28-0011-R11a-SM-4WWEI 60-69 years, male 8.7
GTEX-13CZV-0011-R11b-SM-5N9FN 60-69 years, male 8.6
GTEX-1HBPI-0011-R11b-SM-CE6SH 50-59 years, male 8.6
GTEX-T5JC-0011-R11A-SM-32PMB 20-29 years, male 8.5
GTEX-14C39-0011-R11b-SM-5YYAF 40-49 years, male 8.4
GTEX-1JJ6O-0011-R11b-SM-EXUS2 60-69 years, male 8.3
GTEX-WWYW-0011-R11A-SM-3NB38 50-59 years, female 8.2
GTEX-16NPV-0011-R11a-SM-7IGMK 50-59 years, female 8.2
GTEX-132Q8-0011-R11b-SM-5DUW9 60-69 years, male 8.1
GTEX-13X6J-0011-R11a-SM-5P9HE 50-59 years, male 8.1
GTEX-1LKK1-0011-R11a-SM-EXOIG 50-59 years, female 8.1
GTEX-1R9K4-0011-R11a-SM-EZ6N9 60-69 years, male 8.1
GTEX-1313W-0011-R11a-SM-5DUXN 50-59 years, female 8.0
GTEX-16Z82-0011-R11a-SM-79OKJ 60-69 years, male 8.0
GTEX-13JUV-0011-R11a-SM-5LZYH 40-49 years, female 7.9
GTEX-1GMR8-0011-R11b-SM-9OSX2 50-59 years, female 7.8
GTEX-14E7W-0011-R11a-SM-5ZZVA 70-79 years, male 7.6
GTEX-17EVP-0011-R11a-SM-7EWDL 40-49 years, male 7.6
GTEX-1B933-0011-R11a-SM-7P8PM 50-59 years, female 7.6
GTEX-1GF9W-0011-R11b-SM-9OSXG 60-69 years, male 7.5
GTEX-NL4W-0011-R11A-SM-2I3DW 50-59 years, male 6.5
GTEX-13FLV-0011-R11a-SM-5LZZ7 50-59 years, male 5.2
GTEX-N7MT-0011-R11A-SM-2I3DZ 60-69 years, female 5.2
Show allShow less
Brain - Cerebellum
Average nTPM: 11.6
Samples: 241

Max nTPM: 15.8
Min nTPM: 6.9
Std nTPM: 1.3
Median nTPM: 11.6
GTEX-14C5O-2926-SM-5RQI1 60-69 years, male 15.8
GTEX-P44H-2426-SM-2XCEJ 40-49 years, male 15.1
GTEX-1B8SG-1926-SM-73KUB 50-59 years, male 14.8
GTEX-QMR6-1326-SM-32PLB 50-59 years, male 14.8
GTEX-XMD1-2826-SM-4AT5F 60-69 years, male 14.8
GTEX-1P4AB-3026-SM-EXOJS 50-59 years, male 14.7
GTEX-11DYG-2926-SM-5H132 60-69 years, male 14.6
GTEX-13SLX-3226-SM-5YYA6 50-59 years, female 14.6
GTEX-11NV4-2226-SM-5BC4T 60-69 years, male 14.2
GTEX-1GN73-3026-SM-7MXV8 60-69 years, male 14.2
GTEX-1R9PO-2826-SM-E6CPV 60-69 years, female 14.2
GTEX-QDT8-3026-SM-32PKB 30-39 years, female 14.0
GTEX-13O3O-3026-SM-5KM42 60-69 years, female 13.9
GTEX-13X6J-2926-SM-7EPGP 50-59 years, male 13.9
GTEX-ZZPT-2926-SM-5EQ5S 50-59 years, male 13.9
GTEX-T2IS-2926-SM-32QPO 20-29 years, female 13.7
GTEX-1I1CD-2926-SM-A96SJ 60-69 years, female 13.7
GTEX-11PRG-2826-SM-5BC54 50-59 years, male 13.6
GTEX-PVOW-2626-SM-32PL8 40-49 years, male 13.6
GTEX-1H3NZ-2926-SM-9WPQ8 60-69 years, male 13.6
GTEX-1JMLX-3026-SM-EV79Q 50-59 years, male 13.6
GTEX-1H4P4-2726-SM-9JGGB 50-59 years, male 13.5
GTEX-1IY9M-3126-SM-AHZ3A 60-69 years, male 13.5
GTEX-11OC5-0626-SM-5HL6M 60-69 years, male 13.4
GTEX-12ZZX-2826-SM-5BC6K 40-49 years, female 13.4
GTEX-1I1HK-2726-SM-AHZ2M 60-69 years, male 13.4
GTEX-1KWVE-2226-SM-CXZKN 30-39 years, male 13.4
GTEX-1LG7Y-3126-SM-EV7AS 50-59 years, male 13.4
GTEX-14ABY-3026-SM-664NE 50-59 years, male 13.3
GTEX-1A8G6-3126-SM-731D8 60-69 years, male 13.3
GTEX-1EU9M-2926-SM-793DF 60-69 years, male 13.3
GTEX-12WSC-2926-SM-5BC5Z 50-59 years, male 13.2
GTEX-12WSE-2926-SM-5RQJ9 20-29 years, male 13.2
GTEX-Z93S-2826-SM-57WBL 50-59 years, male 13.2
GTEX-145LU-2626-SM-5LU9Z 50-59 years, male 13.1
GTEX-ZDXO-2926-SM-4WKFM 60-69 years, male 13.1
GTEX-X4XX-2926-SM-3NMB1 60-69 years, male 13.0
GTEX-13S7M-3026-SM-5S2QQ 60-69 years, female 12.9
GTEX-14ASI-2926-SM-5Q5DG 60-69 years, male 12.9
GTEX-17EVQ-2726-SM-7EWDT 70-79 years, male 12.9
GTEX-1JJEA-2926-SM-C1YSK 60-69 years, male 12.9
GTEX-132Q8-2926-SM-5IFFP 60-69 years, male 12.8
GTEX-1A3MX-2926-SM-718B7 60-69 years, male 12.8
GTEX-1F52S-3026-SM-7P8PV 60-69 years, female 12.8
GTEX-131XH-2926-SM-5LZU4 50-59 years, male 12.7
GTEX-17JCI-3026-SM-7EWDR 60-69 years, female 12.7
GTEX-1B8SF-3026-SM-731DX 60-69 years, male 12.7
GTEX-Q2AG-2826-SM-2HMJQ 40-49 years, female 12.7
GTEX-1H1CY-3026-SM-9OSW7 60-69 years, female 12.7
GTEX-1J1OQ-3126-SM-D4P2O 40-49 years, female 12.7
GTEX-1JMQK-2926-SM-D4P2T 60-69 years, male 12.7
GTEX-12126-0926-SM-5FQTW 20-29 years, male 12.6
GTEX-12ZZZ-3126-SM-5LZU6 60-69 years, male 12.6
GTEX-16YQH-2926-SM-6LPJE 30-39 years, male 12.6
GTEX-17EVP-2926-SM-793BU 40-49 years, male 12.6
GTEX-P44G-2526-SM-2I5EK 30-39 years, male 12.6
GTEX-QVUS-2926-SM-3GIJB 60-69 years, female 12.6
GTEX-TSE9-2926-SM-3DB77 60-69 years, female 12.6
GTEX-147GR-3126-SM-5S2PM 60-69 years, male 12.5
GTEX-14BIN-3326-SM-5Q5E6 50-59 years, female 12.5
GTEX-1JMQJ-3126-SM-EV79G 50-59 years, male 12.5
GTEX-1POEN-2726-SM-E9U6B 30-39 years, female 12.5
GTEX-145LS-3026-SM-5O99S 60-69 years, female 12.4
GTEX-ZUA1-2926-SM-59HL3 40-49 years, male 12.4
GTEX-1B996-2926-SM-7MXUH 60-69 years, male 12.4
GTEX-11ZUS-2826-SM-5EQKW 30-39 years, male 12.3
GTEX-13NYB-3226-SM-5J2ND 40-49 years, male 12.3
GTEX-1EX96-3126-SM-9JGGC 50-59 years, male 12.3
GTEX-1JN1M-3126-SM-AHZ4E 60-69 years, female 12.3
GTEX-11ZTS-3226-SM-5EGID 60-69 years, female 12.2
GTEX-13O3Q-3026-SM-5IJGD 50-59 years, male 12.2
GTEX-N7MS-2526-SM-2D7W3 60-69 years, male 12.2
GTEX-Y8DK-0726-SM-4TT3S 60-69 years, male 12.2
GTEX-1HSKV-2926-SM-B2LWJ 60-69 years, male 12.2
GTEX-1IKOH-2826-SM-CNNRC 60-69 years, female 12.2
GTEX-1PIIG-2826-SM-DTX7O 30-39 years, male 12.2
GTEX-11DXW-1026-SM-5H11K 40-49 years, male 12.1
GTEX-13FXS-3026-SM-5LZYO 50-59 years, male 12.1
GTEX-14JFF-2826-SM-6871Q 60-69 years, male 12.1
GTEX-1GZ4I-2926-SM-9JGGO 50-59 years, male 12.1
GTEX-1IDJH-3126-SM-C1YQS 70-79 years, male 12.1
GTEX-1KANB-3226-SM-D4P3G 50-59 years, male 12.1
GTEX-1313W-3026-SM-5LZUZ 50-59 years, female 12.0
GTEX-13VXU-3026-SM-5LU3K 50-59 years, male 12.0
GTEX-145MH-2926-SM-5Q5D2 50-59 years, male 12.0
GTEX-14JIY-2326-SM-6AJAJ 60-69 years, male 12.0
GTEX-1B933-3026-SM-731DB 50-59 years, female 12.0
GTEX-1EKGG-3126-SM-9WPO5 60-69 years, male 12.0
GTEX-1HBPI-2726-SM-9WPPF 50-59 years, male 12.0
GTEX-1I1GV-3026-SM-CNNR9 60-69 years, male 12.0
GTEX-1NV8Z-3026-SM-DTX8Z 60-69 years, male 12.0
GTEX-12ZZY-2926-SM-5DUXO 60-69 years, male 11.9
GTEX-14PN4-3026-SM-664O4 50-59 years, male 11.9
GTEX-15EO6-2926-SM-6M48D 50-59 years, male 11.9
GTEX-18A6Q-2826-SM-7LTAO 60-69 years, male 11.9
GTEX-1QP6S-3026-SM-EAZ4N 40-49 years, male 11.9
GTEX-117XS-3126-SM-5GIDP 60-69 years, male 11.8
GTEX-13G51-3126-SM-5IJG7 60-69 years, male 11.8
GTEX-13OW8-2926-SM-5L3FV 60-69 years, male 11.8
GTEX-18465-2926-SM-7KFSE 50-59 years, male 11.8
GTEX-ZAK1-2926-SM-5HL9S 50-59 years, female 11.8
GTEX-1JJ6O-3026-SM-C1YQH 60-69 years, male 11.8
GTEX-1MJK2-3026-SM-EV7A5 50-59 years, male 11.8
GTEX-14PJM-3026-SM-6LLHM 50-59 years, female 11.7
GTEX-17F97-2926-SM-7DUEQ 50-59 years, male 11.7
GTEX-1GZ2Q-3026-SM-9JGG3 40-49 years, male 11.7
GTEX-1IL2V-3026-SM-CYPSA 70-79 years, male 11.7
GTEX-1JMOU-2826-SM-EV79R 60-69 years, female 11.7
GTEX-1KD4Q-3026-SM-EV7A7 40-49 years, male 11.7
GTEX-1QEPI-3026-SM-EXOIW 60-69 years, female 11.7
GTEX-1192X-3226-SM-5987D 50-59 years, male 11.6
GTEX-11DZ1-2926-SM-5A5KI 50-59 years, male 11.6
GTEX-12WSH-3126-SM-5LZW8 50-59 years, male 11.6
GTEX-1399T-3126-SM-5IJFS 60-69 years, male 11.6
GTEX-13JVG-3226-SM-5IJGJ 60-69 years, male 11.6
GTEX-13RTJ-3126-SM-5S2Q4 60-69 years, male 11.6
GTEX-147F4-3026-SM-5Q5BJ 50-59 years, male 11.6
GTEX-14E7W-2926-SM-5S2R8 70-79 years, male 11.6
GTEX-1C64N-3126-SM-79OO3 50-59 years, male 11.6
GTEX-WL46-2826-SM-3LK81 50-59 years, male 11.6
GTEX-X4EP-3026-SM-3P5YP 60-69 years, female 11.6
GTEX-1HBPH-3026-SM-9WPNY 40-49 years, female 11.6
GTEX-11DXY-3126-SM-5N9BT 60-69 years, male 11.5
GTEX-11GSO-3026-SM-5Q5AL 60-69 years, male 11.5
GTEX-13QIC-3026-SM-5LU58 60-69 years, female 11.5
GTEX-13X6I-2926-SM-5Q5C3 60-69 years, male 11.5
GTEX-14DAQ-3026-SM-5S2QZ 60-69 years, female 11.5
GTEX-14JG1-2926-SM-686ZK 40-49 years, male 11.5
GTEX-17HHY-2926-SM-79OJW 50-59 years, male 11.5
GTEX-1EMGI-3126-SM-7MXUR 60-69 years, male 11.5
GTEX-1HB9E-3126-SM-AHZ4M 50-59 years, male 11.5
GTEX-1128S-2826-SM-5N9DI 60-69 years, female 11.4
GTEX-14E6D-2926-SM-664OP 50-59 years, male 11.4
GTEX-1A8G7-3026-SM-73KTT 60-69 years, male 11.4
GTEX-QVJO-1325-SM-2S1QX 60-69 years, female 11.4
GTEX-RNOR-2226-SM-2TF5O 50-59 years, female 11.4
GTEX-YJ89-2926-SM-5P9IT 60-69 years, male 11.4
GTEX-ZAB4-2926-SM-57WCV 40-49 years, male 11.4
GTEX-1F75W-3126-SM-7P8SJ 60-69 years, male 11.4
GTEX-1HCVE-2926-SM-9WPPJ 50-59 years, male 11.4
GTEX-11NUK-3026-SM-5986K 50-59 years, male 11.3
GTEX-13PVQ-2926-SM-5L3HJ 50-59 years, male 11.3
GTEX-14BMV-2926-SM-5TDEE 50-59 years, male 11.3
GTEX-Y111-2826-SM-4TT3O 50-59 years, male 11.3
GTEX-1B8L1-3226-SM-7P8OX 60-69 years, male 11.3
GTEX-1F75A-2926-SM-7MXVN 50-59 years, male 11.3
GTEX-11O72-2826-SM-5HL6W 40-49 years, male 11.2
GTEX-13OW6-2926-SM-5KM29 50-59 years, male 11.2
GTEX-14BIM-3126-SM-5Q5C7 60-69 years, female 11.2
GTEX-15ER7-3026-SM-6M47W 20-29 years, female 11.2
GTEX-1CB4G-2926-SM-7MKFQ 60-69 years, male 11.2
GTEX-1CB4H-3026-SM-79OLX 60-69 years, female 11.2
GTEX-S7SE-2526-SM-2XCDL 50-59 years, male 11.2
GTEX-1GF9V-3026-SM-7P8R8 60-69 years, male 11.2
GTEX-1H1DG-2826-SM-9JGHB 70-79 years, male 11.2
GTEX-1JMPZ-2826-SM-C1YRA 30-39 years, male 11.2
GTEX-13CF2-3026-SM-5IFFX 60-69 years, male 11.1
GTEX-OHPN-2626-SM-2I5H1 60-69 years, female 11.1
GTEX-UTHO-2926-SM-3P5Z9 60-69 years, male 11.1
GTEX-WVLH-2926-SM-3MJG5 50-59 years, male 11.1
GTEX-WZTO-2826-SM-3NM8P 40-49 years, male 11.1
GTEX-ZAJG-3026-SM-5HL92 50-59 years, female 11.1
GTEX-ZVT3-2926-SM-5GU6M 60-69 years, female 11.1
GTEX-1F6IF-3026-SM-7P8QN 60-69 years, male 11.1
GTEX-1RDX4-3226-SM-DPS14 50-59 years, female 11.1
GTEX-13112-2926-SM-5DUWT 50-59 years, male 11.0
GTEX-17HG3-2826-SM-7EPGO 30-39 years, female 11.0
GTEX-T6MN-2526-SM-32PMN 50-59 years, male 11.0
GTEX-YFC4-3026-SM-5IFJK 40-49 years, female 11.0
GTEX-1GZHY-3026-SM-7MXVA 50-59 years, female 11.0
GTEX-11ONC-3026-SM-5985W 60-69 years, male 10.9
GTEX-131YS-3026-SM-5EGHY 60-69 years, female 10.9
GTEX-13OVL-3026-SM-5IJF1 50-59 years, male 10.9
GTEX-144GL-2926-SM-5O99F 50-59 years, male 10.9
GTEX-1GTWX-2926-SM-7MXV4 60-69 years, male 10.9
GTEX-1H3O1-1826-SM-A96TO 60-69 years, male 10.9
GTEX-1HSMO-2926-SM-C1YR5 60-69 years, male 10.9
GTEX-1R46S-3126-SM-DPRZ9 60-69 years, female 10.9
GTEX-1RQEC-3026-SM-DPRXM 60-69 years, male 10.9
GTEX-11GSP-3126-SM-5A5LL 60-69 years, female 10.8
GTEX-12WSD-3026-SM-5LZU7 60-69 years, female 10.8
GTEX-12WSM-2126-SM-5GCOC 60-69 years, male 10.8
GTEX-1C6VR-3026-SM-7IGLW 60-69 years, male 10.8
GTEX-X261-3126-SM-4PQZC 50-59 years, male 10.8
GTEX-13FHP-2926-SM-5IJG9 50-59 years, male 10.7
GTEX-13OVH-2926-SM-5IJFH 70-79 years, male 10.7
GTEX-1EWIQ-3026-SM-7IGOJ 70-79 years, female 10.7
GTEX-111FC-3326-SM-5GZYV 60-69 years, male 10.6
GTEX-13N2G-3126-SM-5IJGL 60-69 years, male 10.6
GTEX-13X6K-2826-SM-5O9DS 60-69 years, female 10.6
GTEX-145MF-2826-SM-7EPGU 50-59 years, male 10.6
GTEX-145MG-3126-SM-5Q5D3 50-59 years, male 10.6
GTEX-14C39-3026-SM-5S2QE 40-49 years, male 10.6
GTEX-1C6WA-3326-SM-7MKGN 60-69 years, male 10.6
GTEX-NPJ8-2626-SM-2D7W2 40-49 years, male 10.6
GTEX-13OW7-2926-SM-5MR3Z 50-59 years, male 10.5
GTEX-1F6I4-3026-SM-7P8SI 60-69 years, male 10.5
GTEX-1LSVX-2826-SM-EVR58 60-69 years, male 10.5
GTEX-1PWST-3026-SM-EAZ3H 70-79 years, male 10.5
GTEX-11EMC-3326-SM-5P9JH 60-69 years, female 10.4
GTEX-11EI6-2926-SM-5985U 60-69 years, male 10.3
GTEX-139TT-2626-SM-5LZUB 60-69 years, male 10.3
GTEX-15G19-2826-SM-6M48K 60-69 years, male 10.3
GTEX-PWO3-1026-SM-2I5F2 60-69 years, female 10.3
GTEX-ZYFD-2926-SM-5GID9 50-59 years, male 10.3
GTEX-1RNSC-3126-SM-EVR4V 60-69 years, male 10.3
GTEX-N7MT-1226-SM-DKPOK 60-69 years, female 10.3
GTEX-15DYW-3026-SM-7KFRM 60-69 years, female 10.2
GTEX-16Z82-2926-SM-6LPJJ 60-69 years, male 10.2
GTEX-139TS-3126-SM-5LZWX 60-69 years, male 10.1
GTEX-13FHO-2926-SM-5L3ES 60-69 years, male 10.1
GTEX-13JUV-3026-SM-5K7WX 40-49 years, female 10.1
GTEX-11ZVC-3026-SM-59HJM 50-59 years, female 10.0
GTEX-13OW5-3126-SM-5MR3Y 60-69 years, male 10.0
GTEX-15SHU-3026-SM-6LPIB 40-49 years, female 10.0
GTEX-T5JC-2326-SM-32PMR 20-29 years, male 10.0
GTEX-XLM4-2926-SM-4AT59 60-69 years, male 10.0
GTEX-1E2YA-2926-SM-7MGWX 50-59 years, male 10.0
GTEX-1F48J-2726-SM-7P8PW 50-59 years, female 10.0
GTEX-1H1ZS-2926-SM-9WPP2 70-79 years, male 10.0
GTEX-13OVJ-2726-SM-5IJG6 50-59 years, female 9.9
GTEX-17HII-2926-SM-79OMK 50-59 years, male 9.9
GTEX-ZF28-2926-SM-4WKG1 60-69 years, male 9.9
GTEX-11TTK-2826-SM-5GU5K 60-69 years, female 9.8
GTEX-183WM-2726-SM-7KFRF 70-79 years, female 9.8
GTEX-ZYY3-3026-SM-5GIEJ 60-69 years, female 9.8
GTEX-1JJE9-3026-SM-CNNPA 70-79 years, male 9.8
GTEX-R55E-2526-SM-2TC6H 20-29 years, male 9.7
GTEX-1E1VI-2926-SM-7IGLT 50-59 years, male 9.6
GTEX-NPJ7-2826-SM-2I3FU 60-69 years, female 9.6
GTEX-WHSE-2926-SM-3NMBG 20-29 years, male 9.5
GTEX-RU72-2926-SM-2TF66 50-59 years, female 9.4
GTEX-16XZZ-2926-SM-6LPK4 60-69 years, male 9.3
GTEX-1BAJH-3126-SM-7MGXY 70-79 years, male 9.1
GTEX-14A5I-2826-SM-5SIBF 50-59 years, female 9.0
GTEX-1269C-3126-SM-5EGI6 60-69 years, female 8.8
GTEX-14PJO-2926-SM-686ZI 60-69 years, male 8.8
GTEX-1H3VE-2826-SM-9WPOL 40-49 years, male 7.9
GTEX-1GF9W-2726-SM-9JGGW 60-69 years, male 7.6
GTEX-WWYW-3026-SM-3NB36 50-59 years, female 7.3
GTEX-1EH9U-3126-SM-7MXU5 60-69 years, male 6.9
Show allShow less

CEREBELLUM - FANTOM5 CAGEi

RNA expression in human tissues obtained through Cap Analysis of Gene Expression (CAGE) generated by the FANTOM5 project are reported as Scaled Tags Per Million.

Max subtype Scaled Tags Per Millioni

Max subtype Scaled Tags Per Million is the value for the subtype with the largest average Scaled Tags Per Million across the subtype samples.

35.9
FANTOM5 sample id Sample description Scaled Tags Per Million
Cerebellum
Scaled Tags Per Million: 35.9
FF:10166-103B4 76 years, female 44.7
FF:10083-102B2 22-68 years, mixed 27.2

CEREBELLUM - Pig RNA-seqi

RNA-seq data obtained from pig brain is reported as nTPM .

Normal distribution across the dataset is visualized with box plots, shown as median and 25th and 75th percentiles. Points are displayed as outliers if they are above or below 1.5 times the interquartile range. nTPM values of the individual samples are presented next to the box plot.
Max subtype nTPMi

Max subtype nTPM is the value for the subtype with the largest average nTPM across the subtype samples.

109.0
Pig sample Sample description nTPM
Cerebellum
nTPM: 108.9
Samples: 4

Max nTPM: 145.2
Min nTPM: 95.7
Sample A Female 145.2
Sample B Female 97.4
Sample C Male 97.4
Sample D Male 95.7

CEREBELLUM - Mouse RNA-seqi

RNA-seq data obtained from mouse brain is reported as nTPM .

Normal distribution across the dataset is visualized with box plots, shown as median and 25th and 75th percentiles. Points are displayed as outliers if they are above or below 1.5 times the interquartile range. nTPM values of the individual samples are presented next to the box plot.
Max subtype nTPMi

Max subtype nTPM is the value for the subtype with the largest average nTPM across the subtype samples.

11.9
Mouse sample Sample description nTPM
Cerebellum
nTPM: 11.9
Samples: 4

Max nTPM: 12.3
Min nTPM: 11.5
Sample A Male 12.3
Sample B Male 11.6
Sample C Female 12.1
Sample D Female 11.5

CEREBELLUM - Allen Mouse ISHi

In situ hybridization (ISH) data generated by the Allen brain atlas from mouse brain is reported as expression energy. For more details about a particular experiment, click on the corresponding Allen experiment ID.

Max subtype Expression energyi

Max subtype Expression energy is the value for the subtype with the largest average Expression energy across the subtype samples.

2.8
Allen experiment id Experiment description Expression energy
Cerebellum
Expression energy: 2.8
71021144 Antisense, RP_050526_02_G06, Mouse strain C57BL/6J (56 days, male) 2.8

Contact

  • NEWS ARTICLES
  • PRESS ROOM

The Project

  • INTRODUCTION
  • ORGANIZATION
  • PUBLICATIONS

The Human Protein Atlas

  • DOWNLOADABLE DATA
  • LICENCE & CITATION
  • HELP & FAQ
The Human Protein Atlas project is funded
by the Knut & Alice Wallenberg Foundation.


contact@proteinatlas.org