We use cookies to enhance the usability of our website. If you continue, we'll assume that you are happy to receive all cookies. More information. Don't show this again.
IDH3G
HPA
RESOURCES
  • TISSUE
  • BRAIN
  • SINGLE CELL
  • SUBCELLULAR
  • CANCER
  • BLOOD
  • CELL LINE
  • STRUCTURE & INTERACTION
ABOUT
  • INTRODUCTION
  • HISTORY
  • ORGANIZATION
  • PUBLICATIONS
  • ANTIBODY SUBMISSION
  • ANTIBODY AVAILABILITY
  • ACKNOWLEDGMENTS
  • CONTACT
NEWS
  • NEWS ARTICLES
  • PRESS ROOM
LEARN
  • DICTIONARY
  • PROTEIN CLASSES
  • PROTEIN EVIDENCE
  • METHODS
  • EDUCATIONAL VIDEOS
DATA
  • DOWNLOADABLE DATA
  • PUBLICATION DATA
  • RELEASE HISTORY
HELP
  • ANTIBODY VALIDATION
  • ASSAYS & ANNOTATION
  • DISCLAIMER
  • HELP & FAQ
  • PRIVACY STATEMENT
  • LICENCE & CITATION
Fields »
Search result

Field
Term
Gene name
Class
Subclass
Class
Keyword
Chromosome
External id
Tissue
Cell type
Expression
Antibody panel
Tissue
Main location
Patient ID
Annotation
Tissue
Category
Tau score
Cluster
Reliability
Brain region
Category
Tau score
Brain region
Category
Tau score
Brain region
Category
Tau score
Cluster
Reliability
Tissue
Cell type
Enrichment
Cell type
Category
Tau score
Cell type
Category
Tau score
Cell type
Category
Tau score
Cell lineage
Category
Tau score
Cluster
Cluster
Location
Searches
Location
Cell line
Class
Type
Phase
Reliability
Cancer
Prognosis
Cancer
Category
Cancer
Category
Tau score
Cluster
Variants
Interacting gene (ensg_id)
Type
Number of interactions
Pathway
Category
Score
Score
Score
Validation
Validation
Validation
Validation
Antibodies
Data type
Column


  • SUMMARY

  • TISSUE

  • BRAIN

  • SINGLE CELL

  • SUBCELL

  • CANCER

  • BLOOD

  • CELL LINE

  • STRUCT & INT

  • IDH3G
TISSUE PRIMARY DATA SKIN Show tissue menu
ADIPOSE TISSUE ADRENAL GLAND AMYGDALA APPENDIX BASAL GANGLIA BONE MARROW BREAST BRONCHUS CEREBELLUM CEREBRAL CORTEX CERVIX CHOROID PLEXUS COLON DUODENUM
ENDOMETRIUM EPIDIDYMIS ESOPHAGUS FALLOPIAN TUBE GALLBLADDER HEART MUSCLE HIPPOCAMPAL FORMATION HYPOTHALAMUS KIDNEY LIVER LUNG LYMPH NODE MIDBRAIN NASOPHARYNX
ORAL MUCOSA OVARY PANCREAS PARATHYROID GLAND PITUITARY GLAND PLACENTA PROSTATE RECTUM RETINA SALIVARY GLAND SEMINAL VESICLE SKELETAL MUSCLE SKIN SMALL INTESTINE
SMOOTH MUSCLE SOFT TISSUE SPINAL CORD SPLEEN STOMACH TESTIS THYMUS THYROID GLAND TONGUE TONSIL URINARY BLADDER VAGINA
ANTIBODIES
AND
VALIDATION
Dictionary
Skin
Tissue proteome
Skin
SKIN - Expression summary
Protein expression
Skini

On the top, protein expression in current human tissue, based on all annotated cell types, is reported with the units not detected (n), low (l), medium (m) and high (h). Underneath, protein expression in each annotated cell type are reported using the same units.

Protein expression data is based on knowledge-based annotation. For genes where more than one antibody has been used, a collective score is set.

If knowledge-based annotation could not be performed for a gene, no data is displayed here. View antibody staining data further down this page.

h
m
l
n
Epidermal cells: High
Fibroblasts: Not detected
Keratinocytes: Low
Langerhans: Not detected
Melanocytes: Medium
RNA expressioni

A summary of mRNA expression data available for current tissue based on several datasets. The mRNA expression levels in human tissues are based on RNA-seq data generated by the Human Protein Atlas (HPA), Genotype-Tissue Expression (GTEx) portal and CAGE data generated by the FANTOM5 consortium. Consensus normalized expression levels for human tissues was created by combining the data from HPA and GTEx datasets.

The mRNA expression levels in pig are based on RNA-seq data generated by the Human Protein Atlas (HPA), and for mouse, HPA data and in situ hybridization generated by the Allen brain atlas are reported.

Scroll down to view mRNA expression data in more detail.
Consensus:50.3 nTPM
HPA:50.3 nTPM
GTEx:48.1 nTPM

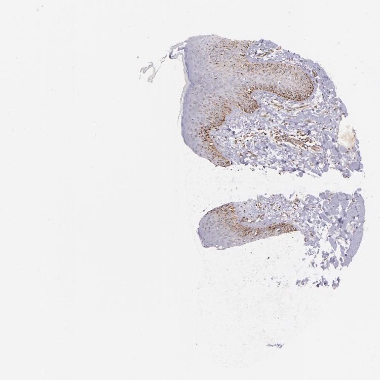
SKIN 1 - Antibody stainingi

Antibody staining in the annotated cell types in the current human tissue is reported as not detected, low, medium, or high, based on conventional immunohistochemistry profiling in selected tissues. This score is based on the combination of the staining intensity and fraction of stained cells.

Each image is clickable and will lead to virtual microscopy that enables deeper exploration of all samples and also displays staining intensity scores, fraction scores and subcellular localization as well as patient and tissue information for each sample.

Antibody HPA000425Antibody HPA002017
Langerhans Not detectedNot detected
Fibroblasts Not detectedNot detected
Keratinocytes LowLow
Melanocytes MediumMedium

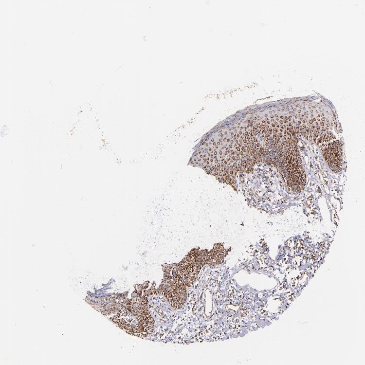
SKIN 2 - Antibody stainingi

Antibody staining in the annotated cell types in the current human tissue is reported as not detected, low, medium, or high, based on conventional immunohistochemistry profiling in selected tissues. This score is based on the combination of the staining intensity and fraction of stained cells.

Each image is clickable and will lead to virtual microscopy that enables deeper exploration of all samples and also displays staining intensity scores, fraction scores and subcellular localization as well as patient and tissue information for each sample.

Antibody HPA000425Antibody HPA002017
Epidermal cells MediumHigh
  
  
  



SKIN - HPA RNA-seqi

The RNA-seq details section shows detailed information about the individual samples used for the transcript profiling and results of the RNA-seq analysis.

Information about each individual sample is listed below, including gender, age, a tissue section image and estimated fractions of cell types. nTPM (normalized transcripts per million) values give a quantification of the gene abundance which is comparable between different genes and samples.
Average nTPMi

Max subtype nTPM is the value for the subtype with the largest average nTPM across the subtype samples.

50.3
overview
Female, age 34
Skin sample 225
nTPM: 52.4
Cell types%
Keratinocytes:
60

Other cell types:
40

overview
Female, age 30
Skin sample 226
nTPM: 45.8
Cell types%
Keratinocytes:
55

Other cell types:
45

N/A
Male, age 57
Skin sample 227
nTPM: 52.8

SKIN - GTEx RNA-seqi

RNA-Seq data generated by the Genotype-Tissue Expression (GTEx) project from human tissues is reported as mean nTPM. More information can be found on the GTEx portal.

Distribution across the dataset is visualized with box plots, shown as median and 25th and 75th percentiles. Points are displayed as outliers if they are above or below 1.5 times the interquartile range. nTPM values of the individual samples are presented next to the box plot.
Max subtype nTPMi

Max subtype nTPM is the value for the subtype with the largest average nTPM across the subtype samples.

48.1
GTEx sample id Sample description nTPM
Skin - Not Sun Exposed (Suprapubic)
Average nTPM: 48.1
Samples: 604

Max nTPM: 98.2
Min nTPM: 28.4
Std nTPM: 8.8
Median nTPM: 47.0
GTEX-1OJC3-1226-SM-DTXER 20-29 years, male 98.2
GTEX-11DYG-1526-SM-5A5JS 60-69 years, male 86.9
GTEX-Y114-2126-SM-4TT8B 50-59 years, female 86.6
GTEX-WFG7-2026-SM-5SI7P 20-29 years, male 81.5
GTEX-17F97-2626-SM-7IGM5 50-59 years, male 80.9
GTEX-X585-2426-SM-46MW2 50-59 years, male 78.8
GTEX-ZTX8-1326-SM-4YCEL 20-29 years, male 77.6
GTEX-15RIG-0726-SM-7KUM7 40-49 years, male 77.2
GTEX-Y5V6-2326-SM-4VDSA 60-69 years, male 75.8
GTEX-11WQC-1826-SM-5GU59 60-69 years, male 73.9
GTEX-ZYW4-0626-SM-59HJR 60-69 years, male 73.4
GTEX-WI4N-2726-SM-3LK7Y 40-49 years, female 71.9
GTEX-1E2YA-2126-SM-7MXUO 50-59 years, male 70.4
GTEX-1PPH8-0126-SM-EWRN8 20-29 years, male 70.1
GTEX-1IKOE-1426-SM-CE6T7 30-39 years, female 68.8
GTEX-1N2DV-1526-SM-DTXEP 40-49 years, male 68.7
GTEX-ZVP2-0326-SM-57WBP 50-59 years, male 68.6
GTEX-14PHY-1226-SM-5ZZWK 60-69 years, female 68.0
GTEX-1HCU6-2526-SM-ADEHL 60-69 years, female 67.5
GTEX-ZDTS-0826-SM-4WKHL 60-69 years, male 67.4
GTEX-1QP9N-1226-SM-E76QN 30-39 years, male 67.1
GTEX-12WSJ-1126-SM-5LZVJ 40-49 years, female 66.6
GTEX-15RJ7-2126-SM-6PAMD 40-49 years, male 66.4
GTEX-1F6I4-2326-SM-7RHGL 60-69 years, male 66.0
GTEX-1EX96-1026-SM-7MKG2 50-59 years, male 65.7
GTEX-14PJ3-1126-SM-5ZZVX 50-59 years, male 65.3
GTEX-11OF3-0126-SM-5PNYF 60-69 years, male 64.6
GTEX-ZF3C-0626-SM-DO92O 50-59 years, female 64.5
GTEX-13G51-1826-SM-5KLZH 60-69 years, male 63.6
GTEX-YB5K-2026-SM-4VDT3 40-49 years, female 63.5
GTEX-11PRG-0726-SM-5EGL1 50-59 years, male 63.2
GTEX-ZPCL-1126-SM-4WWFE 60-69 years, female 63.0
GTEX-1F75I-2226-SM-7SB8U 40-49 years, male 63.0
GTEX-139UW-0326-SM-5J1ML 60-69 years, male 62.7
GTEX-1S82U-1026-SM-E6CJK 30-39 years, female 62.6
GTEX-16YQH-2226-SM-7IGM2 30-39 years, male 62.5
GTEX-131XH-0126-SM-5LZUY 50-59 years, male 62.4
GTEX-ZE7O-2726-SM-51MT5 50-59 years, female 62.4
GTEX-11P7K-1126-SM-5HL4L 30-39 years, male 62.2
GTEX-14PJO-2526-SM-6AJBQ 60-69 years, male 62.1
GTEX-13112-0126-SM-5P9IU 50-59 years, male 62.0
GTEX-1PIGE-1826-SM-E8VOU 20-29 years, male 61.9
GTEX-1HCUA-0826-SM-ADEHM 50-59 years, female 61.4
GTEX-139TS-2126-SM-5K7XC 60-69 years, male 60.7
GTEX-1497J-0226-SM-5QGPU 60-69 years, male 60.5
GTEX-14ICL-1626-SM-5YYAO 30-39 years, male 60.5
GTEX-YFCO-1226-SM-5LUAT 40-49 years, male 60.5
GTEX-ZT9X-1526-SM-5DUXD 40-49 years, male 60.5
GTEX-1LVAN-0626-SM-CNPOQ 50-59 years, female 60.2
GTEX-1IKJJ-2226-SM-CJI4C 60-69 years, male 60.1
GTEX-ZYT6-2326-SM-5GZY3 30-39 years, male 59.7
GTEX-148VJ-0626-SM-5LUAW 70-79 years, male 59.6
GTEX-ZLFU-1826-SM-4WWBV 40-49 years, male 59.6
GTEX-13FTX-1526-SM-5K7VJ 20-29 years, female 59.5
GTEX-1399Q-2326-SM-5KM2X 40-49 years, male 59.4
GTEX-12126-0826-SM-5FQTZ 20-29 years, male 58.9
GTEX-WH7G-2026-SM-3NMBL 40-49 years, male 58.8
GTEX-145MH-2826-SM-5RQJF 50-59 years, male 58.7
GTEX-11DXZ-2026-SM-5987S 50-59 years, male 58.5
GTEX-131XF-2626-SM-5EQ6K 60-69 years, male 58.4
GTEX-139TU-0726-SM-5L3EK 60-69 years, male 58.4
GTEX-1IY9M-2826-SM-ARU8H 60-69 years, male 58.2
GTEX-15UF6-1926-SM-7KUDV 70-79 years, female 58.1
GTEX-Y9LG-1126-SM-4VBQ7 30-39 years, male 58.1
GTEX-1JJEA-1826-SM-ARU8P 60-69 years, male 58.0
GTEX-WXYG-2026-SM-4E3IY 50-59 years, female 57.3
GTEX-1GN73-0726-SM-7P8TJ 60-69 years, male 57.1
GTEX-1JMLX-0626-SM-ARL8T 50-59 years, male 57.1
GTEX-15DYW-2726-SM-6EU2I 60-69 years, female 56.7
GTEX-1B8SF-0126-SM-7DUG3 60-69 years, male 56.7
GTEX-YECK-0326-SM-4W1YS 60-69 years, male 56.7
GTEX-1HSMP-0926-SM-A9SKX 70-79 years, male 56.7
GTEX-1RAZQ-1326-SM-E9TK6 30-39 years, male 56.7
GTEX-11DXX-2126-SM-5PNYR 60-69 years, female 56.6
GTEX-XBEW-1126-SM-4QARW 40-49 years, male 56.6
GTEX-1NSGN-0726-SM-DTXEF 50-59 years, male 56.6
GTEX-13OVJ-0826-SM-5J1OK 50-59 years, female 56.5
GTEX-13YAN-0226-SM-5TDC6 60-69 years, male 56.5
GTEX-14E6C-2426-SM-5S2NF 40-49 years, male 56.5
GTEX-U8XE-0226-SM-4E3J3 30-39 years, male 56.5
GTEX-1QCLY-0226-SM-EWRNH 30-39 years, male 56.5
GTEX-XYKS-1426-SM-4BRUO 60-69 years, female 56.4
GTEX-13NYB-0126-SM-5J1MD 40-49 years, male 56.3
GTEX-147F4-0726-SM-5TDDD 50-59 years, male 56.3
GTEX-ZXG5-2126-SM-59HKD 60-69 years, male 56.2
GTEX-WHWD-1826-SM-3LK6I 50-59 years, male 56.1
GTEX-13JVG-0726-SM-5KM16 60-69 years, male 55.9
GTEX-1GZHY-0626-SM-9KNVC 50-59 years, female 55.9
GTEX-1C64O-1326-SM-7MGWR 60-69 years, male 55.8
GTEX-15EU6-2226-SM-6EU2L 50-59 years, male 55.7
GTEX-1LVA9-2626-SM-EVYD4 50-59 years, male 55.7
GTEX-111VG-1626-SM-5EGIO 60-69 years, male 55.6
GTEX-13OW7-0426-SM-5K7VK 50-59 years, male 55.6
GTEX-1GPI7-1826-SM-9KNU1 20-29 years, male 55.6
GTEX-1399S-0126-SM-5IJCF 30-39 years, female 55.5
GTEX-18A6Q-0626-SM-7KFRP 60-69 years, male 55.4
GTEX-1CAMR-1326-SM-7PC1F 20-29 years, male 55.4
GTEX-13O61-1426-SM-5KM3D 60-69 years, male 55.3
GTEX-1C6WA-2626-SM-7MKGM 60-69 years, male 55.3
GTEX-WFG8-2126-SM-3GIKQ 20-29 years, male 55.3
GTEX-13PL6-1126-SM-5L3IE 40-49 years, female 55.1
GTEX-13SLX-2226-SM-62LEP 50-59 years, female 55.1
GTEX-1HGF4-0126-SM-CNPPX 60-69 years, male 55.1
GTEX-16AAH-0626-SM-793C9 50-59 years, male 55.0
GTEX-1GZ4I-2626-SM-9KNU3 50-59 years, male 55.0
GTEX-1H11D-1826-SM-9QEHM 40-49 years, male 55.0
GTEX-14XAO-1226-SM-6EU1C 60-69 years, female 54.9
GTEX-1IL2V-1926-SM-B2LW8 70-79 years, male 54.9
GTEX-14DAR-1226-SM-73KYV 50-59 years, male 54.7
GTEX-ZVZP-1226-SM-5GID7 50-59 years, male 54.7
GTEX-11P82-1426-SM-DTXFY 20-29 years, male 54.6
GTEX-12ZZY-0726-SM-5EQ66 60-69 years, male 54.5
GTEX-Y111-0626-SM-4SOIT 50-59 years, male 54.5
GTEX-1R9PN-0426-SM-DTXDT 40-49 years, female 54.5
GTEX-1CAV2-0126-SM-7IGN7 40-49 years, female 54.4
GTEX-XQ8I-0926-SM-4BOOF 50-59 years, male 54.3
GTEX-1CAMQ-1326-SM-7P8RV 40-49 years, male 54.3
GTEX-1GMRU-2126-SM-7P8RA 50-59 years, male 54.3
GTEX-14PHX-2226-SM-6EU2P 50-59 years, male 54.2
GTEX-11DXY-0126-SM-5H11Q 60-69 years, male 54.1
GTEX-17F9E-2326-SM-79OKD 50-59 years, male 54.1
GTEX-Y3IK-1626-SM-4YCF5 50-59 years, female 54.1
GTEX-1MCYP-0526-SM-E9U6Q 20-29 years, female 54.1
GTEX-11NSD-0626-SM-5A5LU 20-29 years, male 54.0
GTEX-1313W-0626-SM-5EQ4H 50-59 years, female 53.9
GTEX-ZF2S-1626-SM-57WES 50-59 years, female 53.8
GTEX-ZZPU-0826-SM-5GZX5 50-59 years, female 53.8
GTEX-11NUK-2726-SM-5A5MC 50-59 years, male 53.7
GTEX-13OW5-2326-SM-5L3HO 60-69 years, male 53.7
GTEX-WHSE-0126-SM-3NMBT 20-29 years, male 53.6
GTEX-13VXT-1926-SM-5K7UO 20-29 years, female 53.5
GTEX-WHSB-1326-SM-3LK6W 50-59 years, male 53.4
GTEX-1LSNM-0826-SM-DIPG8 50-59 years, male 53.4
GTEX-15G1A-1626-SM-7KUKN 30-39 years, male 53.3
GTEX-XQ3S-1426-SM-4BOPR 20-29 years, male 53.3
GTEX-ZPU1-1126-SM-4YCF3 40-49 years, male 53.3
GTEX-ZAK1-0626-SM-5HL8E 50-59 years, female 53.2
GTEX-1LSVX-2526-SM-DIPEU 60-69 years, male 53.2
GTEX-13X6H-0926-SM-5SIB2 50-59 years, female 53.1
GTEX-15DDE-2926-SM-6LLJ3 50-59 years, female 53.1
GTEX-1PIIG-2326-SM-DTXFR 30-39 years, male 53.1
GTEX-1117F-2926-SM-5GZYI 60-69 years, female 53.0
GTEX-13O3O-2326-SM-5IJD6 60-69 years, female 53.0
GTEX-144GO-2026-SM-5O99P 60-69 years, male 53.0
GTEX-1CB4E-0926-SM-7EPHT 60-69 years, male 52.9
GTEX-ZYVF-0926-SM-5E44J 50-59 years, female 52.9
GTEX-145ME-1726-SM-5Q5EU 40-49 years, female 52.8
GTEX-14E1K-2026-SM-7DUEI 50-59 years, male 52.8
GTEX-17HHE-1326-SM-7EWDZ 50-59 years, male 52.8
GTEX-WHPG-2626-SM-3NMBR 50-59 years, male 52.8
GTEX-1LBAC-0826-SM-CY8IJ 20-29 years, male 52.8
GTEX-15G19-2426-SM-7KUMR 60-69 years, male 52.7
GTEX-1HSMQ-2626-SM-A9SML 50-59 years, male 52.7
GTEX-144FL-0626-SM-5LU43 50-59 years, male 52.6
GTEX-17MFQ-1526-SM-7KFRR 20-29 years, male 52.6
GTEX-1H1CY-0126-SM-9YFLY 60-69 years, female 52.6
GTEX-13OVK-1426-SM-6PAN7 40-49 years, male 52.4
GTEX-XK95-0226-SM-4AT58 40-49 years, male 52.4
GTEX-ZTSS-1426-SM-5985P 40-49 years, male 52.4
GTEX-139YR-1026-SM-5LZYN 50-59 years, male 52.2
GTEX-12BJ1-0926-SM-5EQ62 60-69 years, male 52.1
GTEX-18QFQ-1826-SM-72D52 30-39 years, male 52.1
GTEX-1R9K4-2826-SM-DTX8F 60-69 years, male 52.1
GTEX-144GL-0626-SM-5LU4D 50-59 years, male 52.0
GTEX-16MTA-0926-SM-6M47Z 50-59 years, male 52.0
GTEX-ZVT4-2426-SM-5GIEI 50-59 years, female 52.0
GTEX-13113-1626-SM-5EQ4I 60-69 years, female 51.8
GTEX-16BQI-1326-SM-6M486 30-39 years, female 51.8
GTEX-1B8KE-1126-SM-7EPHI 50-59 years, male 51.8
GTEX-1HBPI-2126-SM-ARL9K 50-59 years, male 51.8
GTEX-13FH7-1126-SM-5K7UG 50-59 years, female 51.7
GTEX-15RIE-1926-SM-7KUKJ 60-69 years, male 51.7
GTEX-12WSK-2126-SM-5CVNC 40-49 years, female 51.6
GTEX-X8HC-0626-SM-4E3HQ 50-59 years, female 51.5
GTEX-1CAMS-2226-SM-7PBXQ 40-49 years, female 51.5
GTEX-133LE-2326-SM-5K7W3 20-29 years, female 51.3
GTEX-Y8LW-1526-SM-5IFHL 50-59 years, female 51.3
GTEX-ZC5H-1526-SM-5HL9Y 40-49 years, female 51.3
GTEX-1F75B-0726-SM-7PC3R 50-59 years, male 51.3
GTEX-15FZZ-0526-SM-7KUGD 30-39 years, female 51.2
GTEX-1KANA-1326-SM-DIPFA 20-29 years, male 51.2
GTEX-1S82P-2126-SM-E6CI5 60-69 years, female 51.2
GTEX-11TT1-1826-SM-5EQLV 20-29 years, male 51.1
GTEX-18A66-0626-SM-7LT8Z 60-69 years, male 51.1
GTEX-1AYD5-2626-SM-7PBXY 50-59 years, male 51.1
GTEX-1GZ4H-0526-SM-9KNU9 50-59 years, female 51.1
GTEX-12ZZZ-0726-SM-5GCNZ 60-69 years, male 51.0
GTEX-13RTJ-0126-SM-5S2NN 60-69 years, male 51.0
GTEX-17HG3-2626-SM-7DUF2 30-39 years, female 51.0
GTEX-1HC8U-1326-SM-9YFMJ 40-49 years, female 51.0
GTEX-1JK1U-0226-SM-ARZMX 60-69 years, male 51.0
GTEX-17HGU-2326-SM-7DUFE 50-59 years, male 50.9
GTEX-XOT4-0626-SM-4B66L 60-69 years, female 50.9
GTEX-ZY6K-1426-SM-5GZX2 50-59 years, male 50.9
GTEX-1PPGY-1626-SM-EVYBL 60-69 years, male 50.9
GTEX-1F75A-0726-SM-7RHHD 50-59 years, male 50.8
GTEX-146FQ-2126-SM-5RQHU 30-39 years, male 50.7
GTEX-1JKYN-0826-SM-ARU8S 30-39 years, male 50.7
GTEX-11VI4-1126-SM-5EQMD 40-49 years, female 50.6
GTEX-13FTY-2126-SM-5IFFB 40-49 years, female 50.6
GTEX-1A32A-0626-SM-731AQ 50-59 years, female 50.6
GTEX-1B97I-0626-SM-73KUZ 40-49 years, male 50.6
GTEX-1R9PM-1926-SM-EVR3O 20-29 years, male 50.6
GTEX-117YX-1926-SM-5GIEC 50-59 years, male 50.5
GTEX-12WSL-2026-SM-5GCML 50-59 years, male 50.5
GTEX-ZLWG-0826-SM-59888 50-59 years, female 50.5
GTEX-11P81-2226-SM-5PNYI 30-39 years, female 50.4
GTEX-14BIN-1126-SM-5RQJZ 50-59 years, female 50.4
GTEX-1ICLZ-0326-SM-ARL82 60-69 years, male 50.4
GTEX-1J8EW-2726-SM-CY8HR 60-69 years, female 50.4
GTEX-ZP4G-1426-SM-4WWCL 20-29 years, female 50.3
GTEX-1GTWX-2026-SM-9YFLM 60-69 years, male 50.3
GTEX-1JMPY-0226-SM-CKZOK 30-39 years, male 50.3
GTEX-1212Z-0126-SM-59HK4 60-69 years, male 50.2
GTEX-14PJ6-2626-SM-6EU2T 60-69 years, female 50.2
GTEX-15SHW-0226-SM-7LTAT 60-69 years, male 50.2
GTEX-Y8E4-2026-SM-5IFJB 40-49 years, male 50.2
GTEX-12WSD-0626-SM-5GCMW 60-69 years, female 50.1
GTEX-1A8FM-0626-SM-7PC25 50-59 years, female 50.1
GTEX-1LKK1-2626-SM-DKPQE 50-59 years, female 50.1
GTEX-YEC3-1326-SM-DO92X 50-59 years, male 50.1
GTEX-14PK6-0226-SM-62LF5 70-79 years, female 50.0
GTEX-15CHR-1126-SM-7EWF4 50-59 years, male 50.0
GTEX-16MT8-2926-SM-7DUFO 60-69 years, female 50.0
GTEX-1GF9V-0826-SM-9KNUV 60-69 years, male 50.0
GTEX-1NV5F-0626-SM-DTXEG 60-69 years, female 50.0
GTEX-14PJ4-0226-SM-5YY92 60-69 years, male 49.9
GTEX-18D9U-0126-SM-731BM 40-49 years, male 49.9
GTEX-11ZTT-2126-SM-5CVLO 60-69 years, female 49.8
GTEX-12ZZX-2426-SM-5GCOE 40-49 years, female 49.8
GTEX-13OW6-2726-SM-5J2OE 50-59 years, male 49.8
GTEX-1C64N-2626-SM-7PC2N 50-59 years, male 49.7
GTEX-1GN1V-2826-SM-9JGIA 60-69 years, male 49.7
GTEX-131XG-0326-SM-5L3DX 50-59 years, female 49.6
GTEX-147GR-2426-SM-5ZZWQ 60-69 years, male 49.6
GTEX-1JMQK-1226-SM-D4P2S 60-69 years, male 49.6
GTEX-XXEK-1626-SM-4BRUZ 50-59 years, male 49.5
GTEX-1LB8K-0726-SM-D5OV2 50-59 years, male 49.5
GTEX-1QW4Y-1126-SM-DTXE3 30-39 years, male 49.5
GTEX-ZYFG-1526-SM-5GZYM 60-69 years, female 49.4
GTEX-11EQ9-1626-SM-5PNY8 30-39 years, male 49.3
GTEX-12WSF-1626-SM-7KUG5 70-79 years, male 49.3
GTEX-14753-0726-SM-5QGQO 60-69 years, male 49.3
GTEX-17HII-1426-SM-7EPGG 50-59 years, male 49.3
GTEX-11ZU8-0126-SM-5EQ58 60-69 years, male 49.2
GTEX-1399U-1126-SM-5L3DB 50-59 years, female 49.2
GTEX-YEC4-1826-SM-4W1YP 40-49 years, male 49.2
GTEX-12584-0726-SM-5FQTK 40-49 years, male 49.1
GTEX-1HCU7-0726-SM-A9SL1 50-59 years, male 49.1
GTEX-12696-0126-SM-5EQ4L 60-69 years, male 49.0
GTEX-13OVH-0526-SM-5L3E6 70-79 years, male 49.0
GTEX-14LZ3-0126-SM-69LPM 60-69 years, female 49.0
GTEX-13OVG-1626-SM-5J1NF 60-69 years, male 48.9
GTEX-18A7B-2726-SM-7LG56 70-79 years, male 48.9
GTEX-1HR98-2226-SM-ADEI2 60-69 years, male 48.9
GTEX-X3Y1-2026-SM-3P5YM 40-49 years, male 48.8
GTEX-16MT9-0126-SM-7EPI8 60-69 years, female 48.7
GTEX-ZDYS-2426-SM-4WKGI 50-59 years, male 48.7
GTEX-ZYFC-0426-SM-5GICQ 50-59 years, male 48.7
GTEX-1H3O1-1326-SM-9MQLD 60-69 years, male 48.7
GTEX-15CHQ-0326-SM-69LQD 60-69 years, male 48.6
GTEX-15SKB-2826-SM-6PAMH 60-69 years, male 48.6
GTEX-13IVO-0726-SM-5LZYV 70-79 years, male 48.5
GTEX-131XW-0626-SM-5PNVD 50-59 years, female 48.4
GTEX-145MN-1526-SM-5SI9T 30-39 years, male 48.4
GTEX-15ER7-0626-SM-6PANF 20-29 years, female 48.4
GTEX-1QP2A-1726-SM-E76QC 50-59 years, male 48.4
GTEX-1192X-2726-SM-5N9DN 50-59 years, male 48.3
GTEX-1399R-1326-SM-5PNYS 30-39 years, male 48.3
GTEX-1EKGG-0626-SM-7DUGJ 60-69 years, male 48.3
GTEX-11O72-0626-SM-5PNYE 40-49 years, male 48.2
GTEX-14C38-0726-SM-5SI6M 50-59 years, male 48.2
GTEX-17EVP-2626-SM-7IGMA 40-49 years, male 48.2
GTEX-1GMR2-0826-SM-7PC3V 50-59 years, male 48.2
GTEX-111CU-1126-SM-5EGIM 50-59 years, male 48.1
GTEX-139TT-2126-SM-5LZWC 60-69 years, male 48.1
GTEX-18D9B-0926-SM-7LG4U 60-69 years, male 48.1
GTEX-1H23P-0626-SM-9WG6T 60-69 years, male 48.1
GTEX-1MJK3-0726-SM-E6CJC 20-29 years, male 48.1
GTEX-17F9Y-0126-SM-79OKX 70-79 years, female 48.0
GTEX-W5X1-2526-SM-3GILC 40-49 years, female 47.9
GTEX-Z93S-1626-SM-5CVMB 50-59 years, male 47.9
GTEX-1IDJE-1426-SM-ADEIW 50-59 years, female 47.9
GTEX-1JMQJ-0826-SM-CNPP7 50-59 years, male 47.9
GTEX-1S3DN-2126-SM-E9TIN 50-59 years, male 47.9
GTEX-14A5H-0826-SM-5QGPJ 60-69 years, male 47.7
GTEX-YJ8O-2526-SM-5HL85 40-49 years, female 47.7
GTEX-1GPI6-1926-SM-9KNV7 60-69 years, male 47.7
GTEX-1LG7Z-1626-SM-CXKYR 30-39 years, male 47.7
GTEX-11ZUS-2626-SM-5FQUR 30-39 years, male 47.6
GTEX-16XZZ-0726-SM-7KUF2 60-69 years, male 47.6
GTEX-17HHY-0426-SM-7DHLC 50-59 years, male 47.6
GTEX-1QPFJ-1926-SM-EVYBD 30-39 years, female 47.6
GTEX-1KANB-2826-SM-CY8I6 50-59 years, male 47.5
GTEX-ZZ64-1026-SM-5GZXG 20-29 years, male 47.4
GTEX-1F48J-0726-SM-7RHGS 50-59 years, female 47.4
GTEX-13OVL-0126-SM-5L3GJ 50-59 years, male 47.3
GTEX-1H1DE-1326-SM-9KNUG 20-29 years, male 47.3
GTEX-1OJC4-2726-SM-E76PJ 50-59 years, female 47.2
GTEX-12WSH-1526-SM-5BC5W 50-59 years, male 47.1
GTEX-17F98-1326-SM-7DUEP 40-49 years, female 47.1
GTEX-1PBJJ-1026-SM-E76OS 30-39 years, male 47.1
GTEX-1CB4F-1026-SM-7DUH1 60-69 years, male 47.0
GTEX-1IDJC-1526-SM-B2LW4 50-59 years, male 47.0
GTEX-1JMQL-2226-SM-CNPP4 50-59 years, female 47.0
GTEX-17EVQ-0126-SM-7IGLR 70-79 years, male 46.9
GTEX-X5EB-1926-SM-4E3IW 40-49 years, male 46.9
GTEX-ZA64-1026-SM-5HL8R 20-29 years, male 46.9
GTEX-ZTTD-2826-SM-4YCFA 50-59 years, male 46.9
GTEX-1QAET-0326-SM-EVR3U 50-59 years, male 46.9
GTEX-14ABY-2026-SM-62LDL 50-59 years, male 46.8
GTEX-1HFI6-0126-SM-CNPPI 40-49 years, male 46.8
GTEX-XBED-1926-SM-47JYP 60-69 years, male 46.7
GTEX-ZU9S-1826-SM-5NQ9E 30-39 years, male 46.7
GTEX-1N5O9-0926-SM-E9J3C 60-69 years, male 46.7
GTEX-1QP28-1126-SM-EVYC4 50-59 years, female 46.7
GTEX-14PKV-1126-SM-6LLJ1 20-29 years, female 46.6
GTEX-18A7A-0126-SM-731AH 50-59 years, female 46.6
GTEX-1C2JI-1026-SM-73KY1 50-59 years, male 46.5
GTEX-1A3MW-0626-SM-731CB 60-69 years, female 46.4
GTEX-1JN76-0626-SM-CKZOQ 20-29 years, female 46.4
GTEX-145MG-1526-SM-5Q5EM 50-59 years, male 46.3
GTEX-1HCU9-0426-SM-9WYSD 20-29 years, male 46.3
GTEX-1K2DA-1026-SM-CGQGF 50-59 years, male 46.3
GTEX-1R46S-2426-SM-E76QA 60-69 years, female 46.3
GTEX-1EMGI-2326-SM-7PBYA 60-69 years, male 46.2
GTEX-1I1GV-0626-SM-ARL7M 60-69 years, male 46.2
GTEX-1MCC2-1826-SM-DIPEX 30-39 years, female 46.2
GTEX-XUW1-0926-SM-4BONX 50-59 years, female 46.1
GTEX-ZF29-0926-SM-4WKFZ 60-69 years, female 46.1
GTEX-1GF9W-1426-SM-7PBYM 60-69 years, male 46.1
GTEX-1H1ZS-2726-SM-9WG75 70-79 years, male 46.1
GTEX-12KS4-2126-SM-5FQUT 30-39 years, male 46.0
GTEX-1I1GP-1326-SM-A9G28 50-59 years, male 46.0
GTEX-13N1W-2426-SM-5IJD1 70-79 years, male 45.9
GTEX-15RJE-2826-SM-7KUM9 40-49 years, male 45.9
GTEX-ZVTK-0226-SM-51MRG 20-29 years, male 45.9
GTEX-14JFF-0626-SM-5ZZVT 60-69 years, male 45.9
GTEX-1H4P4-2126-SM-9WYSL 50-59 years, male 45.9
GTEX-1GF9X-1326-SM-7PC2Y 40-49 years, female 45.8
GTEX-1I1GT-1026-SM-ARZLV 60-69 years, female 45.8
GTEX-13FTW-0326-SM-5K7UW 40-49 years, male 45.7
GTEX-WRHU-2826-SM-3MJG8 50-59 years, female 45.7
GTEX-1KANC-1226-SM-CYPT7 50-59 years, female 45.7
GTEX-1HFI7-2326-SM-CGQFS 50-59 years, female 45.6
GTEX-1N2EE-0626-SM-E76PW 60-69 years, male 45.6
GTEX-13PVQ-0626-SM-5LU47 50-59 years, male 45.5
GTEX-18A67-1626-SM-7LT9T 50-59 years, male 45.5
GTEX-111YS-1526-SM-5GZYW 60-69 years, male 45.4
GTEX-13SLW-0626-SM-5Q5ER 70-79 years, male 45.4
GTEX-ZDTT-0426-SM-4WKFL 60-69 years, male 45.4
GTEX-1HT8W-0626-SM-A9G2H 30-39 years, male 45.4
GTEX-1IE54-1126-SM-A9G2Z 40-49 years, female 45.4
GTEX-13D11-0926-SM-5J2NC 50-59 years, female 45.3
GTEX-13N11-2326-SM-5IJBF 50-59 years, female 45.3
GTEX-ZAJG-1526-SM-5CVML 50-59 years, female 45.3
GTEX-1GN1W-2426-SM-9KNUU 50-59 years, female 45.3
GTEX-11DXW-0826-SM-5H118 40-49 years, male 45.2
GTEX-1LGOU-1326-SM-D3L8M 20-29 years, female 45.2
GTEX-1S831-1826-SM-EWROF 20-29 years, male 45.2
GTEX-13FLV-0126-SM-5K7WT 50-59 years, male 45.1
GTEX-14BMV-2826-SM-5TDED 50-59 years, male 45.1
GTEX-VUSG-2326-SM-4KL1U 50-59 years, male 45.1
GTEX-1C475-1326-SM-7SB73 40-49 years, female 45.1
GTEX-1JMQI-1726-SM-ARL93 50-59 years, male 45.1
GTEX-1JN1M-2726-SM-CY8I4 60-69 years, female 45.1
GTEX-132AR-0326-SM-5KM2C 50-59 years, female 45.0
GTEX-13O3Q-0126-SM-5KM34 50-59 years, male 45.0
GTEX-1EU9M-1426-SM-793AI 60-69 years, male 45.0
GTEX-13VXU-0626-SM-5L3F9 50-59 years, male 44.9
GTEX-1H2FU-0926-SM-9WPPT 60-69 years, female 44.9
GTEX-1JKYR-0626-SM-ARL8R 20-29 years, male 44.9
GTEX-ZPIC-0526-SM-DO91W 40-49 years, female 44.9
GTEX-1IDFM-0326-SM-ARL7V 60-69 years, male 44.8
GTEX-Y5LM-0926-SM-6LLJG 40-49 years, female 44.7
GTEX-1KAFJ-0126-SM-DIPEK 50-59 years, male 44.7
GTEX-11WQK-1026-SM-5EQLX 50-59 years, male 44.6
GTEX-14C39-1726-SM-5RQIL 40-49 years, male 44.6
GTEX-ZE9C-2526-SM-5IJDR 60-69 years, male 44.6
GTEX-1CB4I-0126-SM-7RHGG 50-59 years, male 44.6
GTEX-1QEPI-2626-SM-DTXF4 60-69 years, female 44.6
GTEX-1QP66-1226-SM-DTX7U 50-59 years, male 44.6
GTEX-13NYC-0126-SM-5L3F4 60-69 years, male 44.5
GTEX-1RMOY-1326-SM-E9TIH 50-59 years, male 44.5
GTEX-13FHO-0426-SM-5L3F5 60-69 years, male 44.4
GTEX-13X6I-1826-SM-5SIAO 60-69 years, male 44.4
GTEX-X4EO-2926-SM-4E3JH 60-69 years, female 44.3
GTEX-Y3I4-1726-SM-4TT89 50-59 years, male 44.3
GTEX-ZDXO-3126-SM-5IJDF 60-69 years, male 44.3
GTEX-1122O-1026-SM-9WYSF 60-69 years, female 44.3
GTEX-1HKZK-0726-SM-ACKW2 40-49 years, male 44.3
GTEX-1J1OQ-0126-SM-D4P2N 40-49 years, female 44.3
GTEX-1JJE9-2626-SM-ARZMT 70-79 years, male 44.3
GTEX-11EM3-1226-SM-5N9DD 20-29 years, female 44.1
GTEX-139D8-1126-SM-5LU8W 30-39 years, female 44.1
GTEX-1AX8Z-0726-SM-73KTS 60-69 years, male 44.1
GTEX-1AX9I-2226-SM-73KUO 60-69 years, male 44.0
GTEX-1GL5R-1326-SM-7RHHF 50-59 years, male 44.0
GTEX-111FC-2526-SM-5GZXU 60-69 years, male 43.9
GTEX-145LS-0626-SM-7EPG7 60-69 years, female 43.9
GTEX-1C6VQ-1226-SM-73KYD 50-59 years, male 43.9
GTEX-1C6VR-0126-SM-7RHGB 60-69 years, male 43.8
GTEX-1I1GS-2626-SM-B2LY3 60-69 years, male 43.8
GTEX-13W3W-0726-SM-5IJDQ 60-69 years, female 43.7
GTEX-1EWIQ-0326-SM-7DHMQ 70-79 years, female 43.7
GTEX-1F52S-2926-SM-7MKGA 60-69 years, female 43.7
GTEX-1I6K7-1926-SM-B2LXR 40-49 years, male 43.7
GTEX-WEY5-2326-SM-3GIKK 40-49 years, female 43.6
GTEX-1H1DG-2426-SM-9QEHJ 70-79 years, male 43.6
GTEX-1LSNL-2726-SM-E9TKJ 50-59 years, male 43.6
GTEX-1LVAM-0726-SM-E6CIL 50-59 years, female 43.6
GTEX-1RLM8-2926-SM-E8VON 50-59 years, male 43.6
GTEX-11GS4-0226-SM-5HL77 60-69 years, male 43.5
GTEX-17F96-0126-SM-7EWDU 70-79 years, male 43.5
GTEX-WY7C-2126-SM-3NB2R 50-59 years, male 43.5
GTEX-ZT9W-1126-SM-57WDR 50-59 years, male 43.5
GTEX-1PPH7-1126-SM-DTX9A 40-49 years, male 43.5
GTEX-ZAB4-2126-SM-5HL8U 40-49 years, male 43.3
GTEX-11DZ1-2426-SM-5GZZX 50-59 years, male 43.2
GTEX-1269C-0126-SM-5EQ5L 60-69 years, female 43.2
GTEX-145MO-2826-SM-5LU96 60-69 years, male 43.2
GTEX-14C5O-0326-SM-5ZZUX 60-69 years, male 43.2
GTEX-ZYFD-0626-SM-5E44E 50-59 years, male 43.2
GTEX-1H3VE-0726-SM-9YFL5 40-49 years, male 43.2
GTEX-1I1GU-0926-SM-ACKVS 40-49 years, male 43.2
GTEX-1I4MK-0126-SM-CY8G6 50-59 years, female 43.2
GTEX-1J8JJ-0626-SM-ARZMQ 60-69 years, female 43.2
GTEX-14JG1-1526-SM-5YY9X 40-49 years, male 43.1
GTEX-XPVG-2126-SM-4B667 50-59 years, male 43.1
GTEX-1F88F-0126-SM-9WYSZ 60-69 years, female 43.1
GTEX-1I1HK-2326-SM-CKZOH 60-69 years, male 43.1
GTEX-1B933-2426-SM-7DHMD 50-59 years, female 43.0
GTEX-1BAJH-2426-SM-7IGP8 70-79 years, male 43.0
GTEX-1I19N-0126-SM-CYPSF 70-79 years, male 43.0
GTEX-UPK5-0426-SM-3GAEK 40-49 years, male 42.9
GTEX-14BMU-1226-SM-5S2OR 20-29 years, female 42.8
GTEX-X4EP-0626-SM-3P621 60-69 years, female 42.8
GTEX-YF7O-1526-SM-5IFI6 50-59 years, male 42.8
GTEX-1HSKV-1226-SM-ADEI4 60-69 years, male 42.8
GTEX-1QCLZ-2426-SM-EVYBW 60-69 years, female 42.8
GTEX-14PII-0726-SM-6EU2B 60-69 years, male 42.7
GTEX-17KNJ-2126-SM-718AM 50-59 years, male 42.7
GTEX-XV7Q-1826-SM-4BRUV 40-49 years, female 42.7
GTEX-1RB15-1326-SM-E76Q9 60-69 years, male 42.7
GTEX-14A6H-2026-SM-5Q5DD 30-39 years, male 42.6
GTEX-14B4R-1326-SM-5Q5EZ 30-39 years, male 42.6
GTEX-1EH9U-2826-SM-7DUGT 60-69 years, male 42.5
GTEX-14PJN-1826-SM-6AJ98 30-39 years, male 42.4
GTEX-XAJ8-1426-SM-47JYM 40-49 years, male 42.4
GTEX-1HSGN-0826-SM-ACKW3 40-49 years, female 42.4
GTEX-1QMI2-2526-SM-E8VNZ 60-69 years, male 42.4
GTEX-1A3MV-1826-SM-731CD 30-39 years, male 42.3
GTEX-18D9A-1426-SM-7LT8M 30-39 years, female 42.3
GTEX-1RAZS-2526-SM-E6CHT 50-59 years, male 42.3
GTEX-1B996-0426-SM-7EWF8 60-69 years, male 42.2
GTEX-13NZ9-2626-SM-5L3FK 50-59 years, male 42.1
GTEX-16Z82-2626-SM-7KULU 60-69 years, male 42.1
GTEX-ZVT2-0126-SM-5GIDQ 50-59 years, female 42.1
GTEX-145MI-0626-SM-5SI8S 60-69 years, female 42.0
GTEX-15D1Q-2826-SM-6LLH7 40-49 years, male 42.0
GTEX-16NPX-0726-SM-7KULC 50-59 years, male 42.0
GTEX-1R7EU-1626-SM-DTXG3 60-69 years, male 42.0
GTEX-ZYY3-2926-SM-5GIEB 60-69 years, female 41.9
GTEX-1QP29-1826-SM-DTX9S 50-59 years, male 41.9
GTEX-1CB4J-1326-SM-7P8RX 60-69 years, male 41.8
GTEX-1IDJD-2326-SM-ACKWX 30-39 years, male 41.8
GTEX-ZGAY-1826-SM-DO91Q 40-49 years, female 41.8
GTEX-1211K-1526-SM-5FQU4 60-69 years, female 41.7
GTEX-14DAQ-0626-SM-793DS 60-69 years, female 41.7
GTEX-15EO6-2426-SM-6PALZ 50-59 years, male 41.7
GTEX-1GN2E-0226-SM-9WG6K 60-69 years, male 41.7
GTEX-1KWVE-1026-SM-D3L9O 30-39 years, male 41.7
GTEX-1EN7A-2426-SM-793DB 40-49 years, male 41.6
GTEX-ZVE1-0726-SM-51MRN 50-59 years, female 41.6
GTEX-1IOXB-2726-SM-CM2RI 50-59 years, male 41.6
GTEX-1J8QM-2426-SM-A9SLS 60-69 years, female 41.6
GTEX-11TUW-0626-SM-5LU9M 60-69 years, male 41.5
GTEX-11UD2-2526-SM-5CVNU 50-59 years, male 41.5
GTEX-13NZ8-1226-SM-5KM4A 60-69 years, female 41.5
GTEX-13OW8-1026-SM-5J1NQ 60-69 years, male 41.4
GTEX-13QJC-0126-SM-5ZZWJ 60-69 years, female 41.4
GTEX-13X6J-0626-SM-5LU5F 50-59 years, male 41.4
GTEX-1H1E6-0426-SM-9WYUS 30-39 years, male 41.3
GTEX-1JMOU-1026-SM-CYPSS 60-69 years, female 41.2
GTEX-1O9I2-0226-SM-EYYXD 50-59 years, male 41.2
GTEX-1RAZR-2126-SM-E9U6T 40-49 years, male 41.2
GTEX-1S83E-1326-SM-E6CJM 40-49 years, male 41.2
GTEX-13NYS-0626-SM-5L3F1 60-69 years, male 41.1
GTEX-13PDP-0726-SM-5L3HP 60-69 years, male 41.1
GTEX-1A8G6-2726-SM-731AR 60-69 years, male 41.1
GTEX-11GSP-2326-SM-5HL63 60-69 years, female 41.0
GTEX-14AS3-1526-SM-5Q5ED 40-49 years, female 41.0
GTEX-1IDJH-0126-SM-D3L92 70-79 years, male 41.0
GTEX-1POEN-2326-SM-E9J2L 30-39 years, female 41.0
GTEX-144GM-0526-SM-79OJO 20-29 years, male 40.9
GTEX-147F3-1726-SM-5SIAW 50-59 years, female 40.9
GTEX-139T8-0626-SM-5KLZX 60-69 years, male 40.8
GTEX-13U4I-2226-SM-5LU5H 40-49 years, female 40.8
GTEX-1J8Q3-0526-SM-ARL8U 60-69 years, male 40.8
GTEX-1K9T9-1526-SM-DIPFR 50-59 years, female 40.8
GTEX-ZLV1-1526-SM-DO91J 60-69 years, female 40.8
GTEX-1E1VI-0326-SM-793D1 50-59 years, male 40.7
GTEX-1J1R8-2026-SM-CL53Y 40-49 years, male 40.7
GTEX-1JMPZ-0726-SM-CY8HZ 30-39 years, male 40.7
GTEX-1JN6P-2926-SM-CL54D 60-69 years, male 40.7
GTEX-1F6RS-2026-SM-7RHHC 60-69 years, female 40.6
GTEX-1HBPN-0126-SM-CGQEF 50-59 years, male 40.6
GTEX-1LG7Y-2526-SM-EWRO7 50-59 years, male 40.6
GTEX-11EI6-2826-SM-5H11D 60-69 years, male 40.5
GTEX-1CB4H-1126-SM-7MKGL 60-69 years, female 40.5
GTEX-12WSA-0426-SM-5EQ5X 60-69 years, male 40.4
GTEX-13JUV-2026-SM-5K7UA 40-49 years, female 40.4
GTEX-14PJ5-1526-SM-6LLIL 60-69 years, female 40.4
GTEX-16NGA-0726-SM-731AO 40-49 years, female 40.4
GTEX-1A3MX-2626-SM-7PC24 60-69 years, male 40.4
GTEX-1GZ2Q-0126-SM-9WG6M 40-49 years, male 40.4
GTEX-1HUB1-1426-SM-CGQF5 60-69 years, male 40.3
GTEX-1IDJU-1726-SM-CMKHU 60-69 years, female 40.3
GTEX-13N2G-0226-SM-5K7VF 60-69 years, male 40.0
GTEX-145LT-0526-SM-5LUB2 40-49 years, male 40.0
GTEX-1PDJ9-1226-SM-EXUSX 20-29 years, male 40.0
GTEX-11LCK-2226-SM-5HL4Q 30-39 years, male 39.9
GTEX-1F75W-2726-SM-7SB8H 60-69 years, male 39.9
GTEX-1H3NZ-2726-SM-9WYTQ 60-69 years, male 39.9
GTEX-15CHC-1126-SM-6LLHQ 60-69 years, female 39.8
GTEX-1F5PK-2226-SM-7SB6N 50-59 years, male 39.8
GTEX-1GN1U-0626-SM-9MQL9 50-59 years, female 39.8
GTEX-12WSM-1926-SM-5BC65 60-69 years, male 39.7
GTEX-1H1DF-1126-SM-9WG7G 40-49 years, female 39.7
GTEX-1ICG6-1226-SM-A9SLN 70-79 years, female 39.7
GTEX-1JJ6O-2726-SM-CNPOG 60-69 years, male 39.7
GTEX-17MF6-2626-SM-79OKQ 40-49 years, male 39.5
GTEX-WFON-1926-SM-3LK7L 40-49 years, male 39.4
GTEX-1GMR8-0626-SM-7RHI7 50-59 years, female 39.4
GTEX-1L5NE-1126-SM-D3L9P 50-59 years, male 39.4
GTEX-1J8Q2-2626-SM-ACKWQ 60-69 years, male 39.3
GTEX-12C56-1526-SM-5FQUQ 20-29 years, male 39.2
GTEX-14E6E-0526-SM-793DN 30-39 years, male 39.1
GTEX-17JCI-2926-SM-7DUFF 60-69 years, female 39.0
GTEX-1S5ZU-2526-SM-E6CIF 20-29 years, female 39.0
GTEX-16GPK-0626-SM-7KFSF 60-69 years, male 38.7
GTEX-1I1CD-0626-SM-CE6SW 60-69 years, female 38.7
GTEX-1I6K6-1726-SM-CGQFD 30-39 years, male 38.7
GTEX-145MF-0926-SM-5Q5EA 50-59 years, male 38.6
GTEX-18465-2826-SM-7LT9J 50-59 years, male 38.6
GTEX-1HB9E-0126-SM-CM2S5 50-59 years, male 38.6
GTEX-XBEC-0726-SM-4QARZ 50-59 years, male 38.5
GTEX-1HBPM-0726-SM-9YFL7 60-69 years, female 38.5
GTEX-ZUA1-2626-SM-5NQ92 40-49 years, male 38.4
GTEX-ZWKS-0626-SM-5GIDV 30-39 years, male 38.2
GTEX-13PVR-0426-SM-5RQK2 60-69 years, female 38.1
GTEX-14JG6-1426-SM-9WG7C 30-39 years, female 38.1
GTEX-131YS-2826-SM-5EQ47 60-69 years, female 37.9
GTEX-13X6K-0626-SM-5LU5D 60-69 years, female 37.8
GTEX-UPJH-0226-SM-3GADV 50-59 years, male 37.8
GTEX-1F6IF-0926-SM-7SB7M 60-69 years, male 37.8
GTEX-1HR9M-2226-SM-CNPPY 60-69 years, male 37.7
GTEX-1RAZA-2226-SM-E9U4X 20-29 years, male 37.7
GTEX-1B8L1-2226-SM-7P8PT 60-69 years, male 37.6
GTEX-1LVAO-2726-SM-E9TJ8 60-69 years, male 37.6
GTEX-14PKU-0126-SM-6LLHV 40-49 years, female 37.3
GTEX-183WM-0326-SM-72D5V 70-79 years, female 37.1
GTEX-1GMR3-0126-SM-A9SLW 40-49 years, male 37.1
GTEX-1IDJI-0126-SM-CMKHS 50-59 years, female 37.1
GTEX-145LU-1926-SM-79OJN 50-59 years, male 37.0
GTEX-178AV-1726-SM-7KUL8 40-49 years, male 37.0
GTEX-XMD2-2126-SM-4YCF8 60-69 years, female 37.0
GTEX-1A8G7-1326-SM-73KVM 60-69 years, male 36.8
GTEX-1AX9J-1326-SM-731BJ 60-69 years, male 36.8
GTEX-1KXAM-1626-SM-D3LAD 60-69 years, male 36.6
GTEX-1F5PL-0926-SM-7PC2W 40-49 years, female 36.5
GTEX-1K2DU-1226-SM-CYPT4 20-29 years, male 36.5
GTEX-147JS-0226-SM-5S2U9 60-69 years, male 36.3
GTEX-14LLW-2626-SM-62LDZ 70-79 years, female 35.9
GTEX-WK11-2726-SM-3NMAQ 50-59 years, male 35.9
GTEX-1HSMO-0626-SM-ACKXC 60-69 years, male 35.5
GTEX-183FY-1026-SM-7939A 20-29 years, male 35.4
GTEX-14PJ2-0626-SM-6LLII 50-59 years, male 35.1
GTEX-1B932-2326-SM-79OL5 40-49 years, female 35.0
GTEX-ZVE2-2826-SM-5GU51 50-59 years, male 34.8
GTEX-1KD5A-0126-SM-E9U54 50-59 years, male 34.7
GTEX-WYVS-1626-SM-3NM9R 40-49 years, female 34.6
GTEX-1IDJV-0126-SM-COH3Y 60-69 years, male 34.4
GTEX-1B8KZ-0326-SM-73KY4 50-59 years, male 34.2
GTEX-WYBS-0626-SM-3NMAS 60-69 years, female 33.8
GTEX-1HCU8-2526-SM-CE6RX 60-69 years, female 33.7
GTEX-1AMEY-0826-SM-72D65 30-39 years, female 33.6
GTEX-1M4P7-0726-SM-E6CJ3 60-69 years, male 33.5
GTEX-1314G-1326-SM-5BC6E 30-39 years, male 33.3
GTEX-1HCVE-2726-SM-CL54F 50-59 years, male 33.1
GTEX-1477Z-0326-SM-7IGLA 60-69 years, male 33.0
GTEX-1LGRB-0926-SM-COH3K 50-59 years, female 32.6
GTEX-11EQ8-0926-SM-5H12V 60-69 years, male 32.5
GTEX-1IDJF-2026-SM-CL53V 20-29 years, male 32.4
GTEX-1F88E-1626-SM-7SB8Z 60-69 years, female 31.7
GTEX-WYJK-0526-SM-3NM8Z 50-59 years, male 31.6
GTEX-1ICLY-0826-SM-CMKG1 50-59 years, male 31.4
GTEX-12WSC-2826-SM-5BC5Y 50-59 years, male 31.2
GTEX-13QBU-1226-SM-5LU4G 40-49 years, female 30.0
GTEX-Y5V5-0126-SM-5S2NW 60-69 years, female 29.4
GTEX-1GF9U-2026-SM-7SB92 40-49 years, female 28.9
GTEX-1AMFI-1326-SM-7939R 50-59 years, female 28.5
GTEX-V1D1-2026-SM-3GAF4 50-59 years, male 28.5
GTEX-VJYA-1526-SM-3GIJV 60-69 years, male 28.4
Show allShow less
Skin - Sun Exposed (Lower leg)
Average nTPM: 47.2
Samples: 701

Max nTPM: 84.0
Min nTPM: 28.2
Std nTPM: 8.9
Median nTPM: 46.0
GTEX-1399U-2326-SM-5K7WY 50-59 years, female 84.0
GTEX-11DXZ-2326-SM-5EGGV 50-59 years, male 80.8
GTEX-13CF2-2526-SM-5LZYX 60-69 years, male 79.8
GTEX-14E6C-0126-SM-5RQIP 40-49 years, male 77.9
GTEX-Y114-2426-SM-4TT8A 50-59 years, female 76.8
GTEX-Y3IK-2426-SM-4WWDU 50-59 years, female 76.5
GTEX-1CAV2-2226-SM-7P8P2 40-49 years, female 76.3
GTEX-139UW-2826-SM-5L3E7 60-69 years, male 75.9
GTEX-15SB6-1726-SM-6PAME 50-59 years, female 75.7
GTEX-WI4N-1026-SM-3LK7N 40-49 years, female 75.3
GTEX-RTLS-0126-SM-447CA 60-69 years, female 74.6
GTEX-P4PP-0126-SM-3LK69 30-39 years, female 73.9
GTEX-SE5C-1626-SM-2XCE3 40-49 years, female 73.4
GTEX-11DYG-0126-SM-59883 60-69 years, male 73.3
GTEX-S7PM-0126-SM-4AD6S 60-69 years, male 72.7
GTEX-W5X1-3026-SM-EAZAX 40-49 years, female 71.9
GTEX-ZYFD-0126-SM-5GIDL 50-59 years, male 71.2
GTEX-T6MN-0126-SM-32PLP 50-59 years, male 71.1
GTEX-1IKK5-0626-SM-ARL8A 60-69 years, male 70.4
GTEX-ZVTK-0426-SM-51MRS 20-29 years, male 69.2
GTEX-13FXS-0226-SM-5IJCK 50-59 years, male 69.1
GTEX-1QP9N-1426-SM-DTXFL 30-39 years, male 69.0
GTEX-139TS-2826-SM-5J1OO 60-69 years, male 68.9
GTEX-SN8G-0126-SM-32PLI 50-59 years, female 68.8
GTEX-1EMGI-0126-SM-9KNUE 60-69 years, male 68.8
GTEX-TMZS-0126-SM-3DB9Q 60-69 years, male 68.6
GTEX-13FTW-2626-SM-5K7WL 40-49 years, male 68.2
GTEX-S33H-1026-SM-EZ6L6 30-39 years, male 67.6
GTEX-PX3G-0126-SM-2I3EN 20-29 years, female 65.9
GTEX-11UD1-0126-SM-5PNYG 40-49 years, female 65.5
GTEX-YJ89-0126-SM-4TT3X 60-69 years, male 64.9
GTEX-O5YW-0126-SM-3LK6D 50-59 years, male 64.8
GTEX-XUZC-1726-SM-4BRWS 30-39 years, female 64.5
GTEX-1H1CY-2826-SM-9MQM3 60-69 years, female 64.3
GTEX-Y5V6-2426-SM-4VDSB 60-69 years, male 63.4
GTEX-P4QT-0126-SM-2I3FL 50-59 years, female 63.2
GTEX-Y8DK-0126-SM-4TT3L 60-69 years, male 63.1
GTEX-1IOXB-0126-SM-ARL8G 50-59 years, male 63.1
GTEX-ZDTS-0126-SM-4WAY5 60-69 years, male 63.0
GTEX-ZVT2-2526-SM-51MT1 50-59 years, female 63.0
GTEX-18A6Q-0126-SM-731BZ 60-69 years, male 62.8
GTEX-1KD4Q-0226-SM-E9TJ9 40-49 years, male 62.6
GTEX-POMQ-2226-SM-2I5FK 20-29 years, female 62.4
GTEX-1HGF4-2426-SM-ACKXM 60-69 years, male 62.4
GTEX-ZF3C-0126-SM-DO92D 50-59 years, female 62.4
GTEX-UJHI-1526-SM-3DB99 50-59 years, female 62.0
GTEX-1I1GV-0526-SM-A9G29 60-69 years, male 61.5
GTEX-X88G-0126-SM-47JZ3 30-39 years, male 61.4
GTEX-13X6H-2126-SM-7EWD5 50-59 years, female 61.2
GTEX-131XH-2226-SM-5DUXJ 50-59 years, male 61.0
GTEX-U8XE-0326-SM-3DB8P 30-39 years, male 61.0
GTEX-15ER7-0326-SM-7KUEV 20-29 years, female 60.9
GTEX-1JN6P-0126-SM-D3L98 60-69 years, male 60.8
GTEX-12126-0326-SM-5PNW3 20-29 years, male 60.6
GTEX-13YAN-0326-SM-5O9DF 60-69 years, male 60.4
GTEX-131YS-0126-SM-5KM1M 60-69 years, female 60.2
GTEX-1HFI6-0226-SM-ADEHZ 40-49 years, male 60.2
GTEX-ZVZO-0126-SM-5A5L9 40-49 years, male 60.1
GTEX-13111-1626-SM-5EGJY 50-59 years, male 59.3
GTEX-XQ3S-1526-SM-4BOOC 20-29 years, male 59.2
GTEX-13G51-2526-SM-5LZYK 60-69 years, male 59.1
GTEX-1NV5F-0226-SM-E8VNY 60-69 years, female 58.8
GTEX-1PIIG-0226-SM-EWRN6 30-39 years, male 58.7
GTEX-15UF6-0826-SM-6PALJ 70-79 years, female 58.6
GTEX-1IDJH-0326-SM-A9SLQ 70-79 years, male 58.6
GTEX-1JMLX-0226-SM-CM2RO 50-59 years, male 58.6
GTEX-1497J-2426-SM-7IGNX 60-69 years, male 58.4
GTEX-12WSK-2326-SM-5GCOH 40-49 years, female 58.2
GTEX-145MO-0326-SM-5Q5B3 60-69 years, male 58.2
GTEX-SIU8-0126-SM-2XCDT 50-59 years, male 58.2
GTEX-P4PQ-0126-SM-2S1NM 60-69 years, male 58.1
GTEX-ZPIC-1726-SM-DHXIU 40-49 years, female 58.1
GTEX-O5YT-0126-SM-48TBW 20-29 years, male 57.9
GTEX-13112-2826-SM-5DUWH 50-59 years, male 57.8
GTEX-13NYB-2526-SM-5K7Z6 40-49 years, male 57.8
GTEX-XYKS-2126-SM-4E3IB 60-69 years, female 57.6
GTEX-RU72-0926-SM-2TF6B 50-59 years, female 57.5
GTEX-1GN2E-0426-SM-9MQKX 60-69 years, male 57.5
GTEX-1313W-0126-SM-5LZUN 50-59 years, female 57.4
GTEX-14ICK-0226-SM-6EU25 40-49 years, male 57.4
GTEX-ZAB4-0226-SM-5N9F5 40-49 years, male 57.4
GTEX-1OJC3-0126-SM-E76QX 20-29 years, male 57.3
GTEX-YB5K-2126-SM-4WWDJ 40-49 years, female 57.2
GTEX-13OVK-2026-SM-7KUEO 40-49 years, male 57.1
GTEX-131XE-2326-SM-5PNZ2 50-59 years, male 56.9
GTEX-Z93S-0126-SM-5HL7M 50-59 years, male 56.9
GTEX-13113-5016-SM-7EPIP 60-69 years, female 56.8
GTEX-14753-0426-SM-5NQAM 60-69 years, male 56.8
GTEX-ZE7O-0126-SM-57WC1 50-59 years, female 56.7
GTEX-11P7K-2126-SM-5GU7G 30-39 years, male 56.6
GTEX-144GN-2326-SM-5LU4F 50-59 years, male 56.6
GTEX-OHPL-0126-SM-2HMJ7 60-69 years, female 56.6
GTEX-15RIG-0226-SM-7KFTL 40-49 years, male 56.4
GTEX-PSDG-0226-SM-DKPOZ 50-59 years, male 56.4
GTEX-17HII-0226-SM-7LG4E 50-59 years, male 56.1
GTEX-1C4CL-0526-SM-73KVK 30-39 years, male 56.0
GTEX-1EWIQ-0126-SM-7RHH2 70-79 years, female 56.0
GTEX-1F75B-0126-SM-9KNVL 50-59 years, male 55.9
GTEX-1J8EW-0126-SM-CJI4F 60-69 years, female 55.9
GTEX-X8HC-0126-SM-4E3JW 50-59 years, female 55.8
GTEX-131XF-5016-SM-7MGWE 60-69 years, male 55.8
GTEX-1MJK2-0426-SM-DTXE5 50-59 years, male 55.7
GTEX-132NY-0326-SM-5IJBL 60-69 years, male 55.6
GTEX-17HHY-0126-SM-7LG5D 50-59 years, male 55.6
GTEX-T5JW-1626-SM-3GADZ 20-29 years, female 55.6
GTEX-12WSD-0126-SM-59HKN 60-69 years, female 55.5
GTEX-X585-0226-SM-4QAS2 50-59 years, male 55.5
GTEX-1CAMS-0426-SM-7P8T2 40-49 years, female 55.4
GTEX-1GZHY-0326-SM-9QEHI 50-59 years, female 55.4
GTEX-13O21-1426-SM-5K7XI 50-59 years, male 55.3
GTEX-Y111-0126-SM-4SOIV 50-59 years, male 55.3
GTEX-ZAK1-0126-SM-5IJD3 50-59 years, female 55.3
GTEX-RVPV-0126-SM-EAZAW 60-69 years, male 55.3
GTEX-117YW-2626-SM-5GZZH 50-59 years, male 55.1
GTEX-13NZB-2526-SM-5J1OM 30-39 years, male 55.1
GTEX-14PJM-0226-SM-62LF1 50-59 years, female 55.1
GTEX-T2YK-0526-SM-32QPJ 50-59 years, male 55.1
GTEX-1LB8K-0226-SM-EWRNW 50-59 years, male 55.0
GTEX-1B8SF-1426-SM-7DUGL 60-69 years, male 54.9
GTEX-1PPH8-0226-SM-E8VND 20-29 years, male 54.9
GTEX-16GPK-0126-SM-7DHLE 60-69 years, male 54.6
GTEX-11GS4-2726-SM-5A5LE 60-69 years, male 54.5
GTEX-11TT1-2526-SM-5EGIB 20-29 years, male 54.5
GTEX-U412-0426-SM-3DB9O 60-69 years, male 54.4
GTEX-ZDYS-2026-SM-5HL5L 50-59 years, male 54.4
GTEX-PWCY-1826-SM-DHXIZ 20-29 years, female 54.4
GTEX-OXRO-0126-SM-2YUN4 60-69 years, female 54.2
GTEX-U8T8-0126-SM-3DB94 60-69 years, male 54.1
GTEX-1HCU6-0126-SM-CL54K 60-69 years, female 54.1
GTEX-1N2DW-0226-SM-E9TK2 50-59 years, male 54.1
GTEX-1HCUA-2426-SM-ADEIS 50-59 years, female 54.0
GTEX-13FHP-0126-SM-5IJBG 50-59 years, male 53.9
GTEX-14PN4-0126-SM-6EU2V 50-59 years, male 53.9
GTEX-12584-0126-SM-5EGKQ 40-49 years, male 53.7
GTEX-ZV68-0126-SM-59HKS 50-59 years, female 53.7
GTEX-OIZH-0126-SM-2HMIS 50-59 years, male 53.6
GTEX-ZGAY-0526-SM-4WWBB 40-49 years, female 53.6
GTEX-1JMQJ-0526-SM-CYPSU 50-59 years, male 53.6
GTEX-1JN1M-0326-SM-CYPT3 60-69 years, female 53.6
GTEX-12WSJ-1826-SM-5GCNY 40-49 years, female 53.5
GTEX-XQ8I-0426-SM-4BOPO 50-59 years, male 53.5
GTEX-1F6IF-0726-SM-7P8TW 60-69 years, male 53.4
GTEX-13X6J-0126-SM-5QGOU 50-59 years, male 53.3
GTEX-17JCI-0126-SM-7LG5G 60-69 years, female 53.3
GTEX-WH7G-2326-SM-3NMBC 40-49 years, male 53.3
GTEX-1211K-2026-SM-5EQ4Z 60-69 years, female 53.1
GTEX-1HBPM-0226-SM-ARL9F 60-69 years, female 53.1
GTEX-13OVI-1426-SM-5L3EY 60-69 years, female 53.0
GTEX-ZYT6-0226-SM-5NQ6T 30-39 years, male 53.0
GTEX-146FQ-0126-SM-5NQA9 30-39 years, male 52.9
GTEX-X4EP-0126-SM-3P5YV 60-69 years, female 52.9
GTEX-Z93T-0126-SM-5HL5N 50-59 years, male 52.7
GTEX-13N11-2526-SM-5K7UE 50-59 years, female 52.5
GTEX-1CB4G-0226-SM-7PC3O 60-69 years, male 52.5
GTEX-1GF9W-0326-SM-9KNUN 60-69 years, male 52.5
GTEX-1GZ4H-1726-SM-7PBZJ 50-59 years, female 52.5
GTEX-14PII-0226-SM-6EU1T 60-69 years, male 52.4
GTEX-WQUQ-0426-SM-3MJFU 60-69 years, male 52.4
GTEX-1MA7W-2026-SM-E9TJ6 20-29 years, female 52.4
GTEX-ZE9C-2726-SM-57WB5 60-69 years, male 52.3
GTEX-1269C-2526-SM-5EGJ3 60-69 years, female 52.2
GTEX-131XW-0426-SM-5LZWP 50-59 years, female 52.2
GTEX-ZAJG-0126-SM-5HL94 50-59 years, female 52.2
GTEX-1C6VQ-0126-SM-7P8RI 50-59 years, male 52.2
GTEX-1KANC-1526-SM-D3LAB 50-59 years, female 52.2
GTEX-13NZ8-0826-SM-5MR3I 60-69 years, female 52.1
GTEX-11GSO-2426-SM-5A5LY 60-69 years, male 52.0
GTEX-1GTWX-0126-SM-9YFLK 60-69 years, male 52.0
GTEX-14JIY-0126-SM-6LLH6 60-69 years, male 51.9
GTEX-1AX8Z-0126-SM-7DHM6 60-69 years, male 51.9
GTEX-1B933-0126-SM-7PC29 50-59 years, female 51.9
GTEX-1PDJ9-0326-SM-DTX95 20-29 years, male 51.9
GTEX-1R9PM-2026-SM-E76OY 20-29 years, male 51.9
GTEX-OOBJ-0126-SM-E6CJW 60-69 years, male 51.9
GTEX-1A3MX-0126-SM-731BR 60-69 years, male 51.8
GTEX-YB5E-2026-SM-5IFIS 40-49 years, male 51.8
GTEX-1HR98-0126-SM-B2LWI 60-69 years, male 51.8
GTEX-1I1GS-0126-SM-B2LVW 60-69 years, male 51.8
GTEX-1K2DA-1826-SM-CGQGT 50-59 years, male 51.7
GTEX-1I6K6-0126-SM-A9SLE 30-39 years, male 51.6
GTEX-1314G-1526-SM-5EGK2 30-39 years, male 51.5
GTEX-1LBAC-0126-SM-DIPEZ 20-29 years, male 51.5
GTEX-13OVH-0126-SM-5MR4B 70-79 years, male 51.4
GTEX-18A7A-0226-SM-718BH 50-59 years, female 51.4
GTEX-QDT8-0126-SM-48TZ1 30-39 years, female 51.3
GTEX-1GMRU-0126-SM-9YFLV 50-59 years, male 51.3
GTEX-11WQC-2526-SM-5CVLE 60-69 years, male 51.2
GTEX-14E6D-0126-SM-62LDV 50-59 years, male 51.2
GTEX-1B8KE-2126-SM-73KYX 50-59 years, male 51.2
GTEX-1C6WA-0126-SM-7PC2B 60-69 years, male 51.2
GTEX-1H3O1-0426-SM-9YFKY 60-69 years, male 51.2
GTEX-PLZ4-0126-SM-5SI8O 50-59 years, female 51.1
GTEX-113JC-2326-SM-5EQ4E 50-59 years, female 51.0
GTEX-1399R-2726-SM-5IJBA 30-39 years, male 51.0
GTEX-13VXU-0126-SM-5SI9F 50-59 years, male 50.9
GTEX-17EVQ-0226-SM-7LG4P 70-79 years, male 50.9
GTEX-1PWST-0226-SM-E76QJ 70-79 years, male 50.9
GTEX-145MN-2226-SM-5SIAU 30-39 years, male 50.8
GTEX-147F4-0226-SM-5QGPW 50-59 years, male 50.8
GTEX-OHPM-0126-SM-2YUN9 50-59 years, male 50.8
GTEX-11P82-1626-SM-59879 20-29 years, male 50.7
GTEX-W5WG-1826-SM-4KL2Y 50-59 years, female 50.7
GTEX-13U4I-0126-SM-5LU38 40-49 years, female 50.6
GTEX-S95S-1226-SM-4GICG 60-69 years, male 50.6
GTEX-SUCS-1926-SM-32PM3 70-79 years, male 50.6
GTEX-13OW7-0126-SM-5MR3B 50-59 years, male 50.5
GTEX-146FH-0126-SM-5QGPP 50-59 years, female 50.5
GTEX-14PHX-2326-SM-62LEM 50-59 years, male 50.5
GTEX-1CB4E-2226-SM-793DC 60-69 years, male 50.5
GTEX-1JMPY-1326-SM-ARL8Y 30-39 years, male 50.5
GTEX-1192X-0226-SM-5H12D 50-59 years, male 50.4
GTEX-11OF3-2626-SM-5GU7F 60-69 years, male 50.4
GTEX-13RTJ-2426-SM-5S2Q2 60-69 years, male 50.4
GTEX-OXRL-0126-SM-2YUMP 50-59 years, male 50.4
GTEX-WYJK-0126-SM-3NMAB 50-59 years, male 50.4
GTEX-ZYFG-2326-SM-5E44B 60-69 years, female 50.4
GTEX-1HSKV-0226-SM-A9SKJ 60-69 years, male 50.4
GTEX-13O1R-0126-SM-5L3EH 60-69 years, male 50.3
GTEX-18D9A-1926-SM-7LG6P 30-39 years, female 50.3
GTEX-OIZG-0726-SM-33HBL 50-59 years, male 50.3
GTEX-X4XX-0126-SM-3NMC2 60-69 years, male 50.3
GTEX-1HBPI-1526-SM-C1YQ1 50-59 years, male 50.3
GTEX-1HSMO-0126-SM-CL547 60-69 years, male 50.3
GTEX-1122O-2126-SM-5EGIR 60-69 years, female 50.2
GTEX-17MF6-0126-SM-7LG4F 40-49 years, male 50.2
GTEX-RWSA-0126-SM-2XCBB 40-49 years, male 50.2
GTEX-ZQG8-1626-SM-DHXIT 60-69 years, female 50.2
GTEX-12ZZX-0126-SM-5EGK9 40-49 years, female 50.1
GTEX-16MT8-0426-SM-7KUEY 60-69 years, female 50.1
GTEX-1JMQL-0226-SM-CNPP5 50-59 years, female 50.1
GTEX-144FL-0126-SM-5TDC8 50-59 years, male 50.0
GTEX-X5EB-2226-SM-46MW4 40-49 years, male 50.0
GTEX-1R7EU-0226-SM-EVR4G 60-69 years, male 50.0
GTEX-11DXW-0226-SM-5H122 40-49 years, male 49.9
GTEX-11P81-2326-SM-59875 30-39 years, female 49.9
GTEX-139TU-0126-SM-5K7WH 60-69 years, male 49.9
GTEX-T2IS-0126-SM-4DM6O 20-29 years, female 49.9
GTEX-1H4P4-0726-SM-9YFLR 50-59 years, male 49.9
GTEX-1I4MK-2226-SM-ACKWD 50-59 years, female 49.9
GTEX-11H98-0126-SM-5EGHG 50-59 years, male 49.8
GTEX-1I1GP-2226-SM-CGQFK 50-59 years, male 49.8
GTEX-UPJH-0326-SM-3GADU 50-59 years, male 49.7
GTEX-1H3VY-0126-SM-ACKXD 50-59 years, male 49.7
GTEX-XXEK-2226-SM-4BRUM 50-59 years, male 49.6
GTEX-17HG3-2226-SM-7938L 30-39 years, female 49.5
GTEX-183WM-0126-SM-7LTAB 70-79 years, female 49.5
GTEX-NFK9-0226-SM-2HMKQ 40-49 years, male 49.5
GTEX-11TTK-0126-SM-5987B 60-69 years, female 49.4
GTEX-17EVP-0326-SM-7DHLG 40-49 years, male 49.4
GTEX-11ZUS-0626-SM-59885 30-39 years, male 49.3
GTEX-RUSQ-1526-SM-2TF62 50-59 years, male 49.3
GTEX-1H3VE-0326-SM-9YFLH 40-49 years, male 49.3
GTEX-ZVT4-0126-SM-DTXFN 50-59 years, female 49.2
GTEX-1B8L1-2526-SM-9WYTF 60-69 years, male 49.1
GTEX-1GF9X-2026-SM-7PC3A 40-49 years, female 49.1
GTEX-1ICG6-2526-SM-CGQFZ 70-79 years, female 49.1
GTEX-X4EO-0326-SM-3P5YO 60-69 years, female 49.0
GTEX-YFC4-0126-SM-5CVLY 40-49 years, female 49.0
GTEX-169BO-1326-SM-9MQK2 50-59 years, male 49.0
GTEX-1F6RS-0126-SM-9MQKZ 60-69 years, female 49.0
GTEX-NPJ8-0126-SM-2YUNR 40-49 years, male 48.9
GTEX-ZTPG-0326-SM-5O9AX 20-29 years, female 48.9
GTEX-111VG-2426-SM-5GZXD 60-69 years, male 48.8
GTEX-12WSE-0526-SM-793B2 20-29 years, male 48.8
GTEX-145MF-0626-SM-5LUAI 50-59 years, male 48.8
GTEX-1QAET-0926-SM-E76QM 50-59 years, male 48.8
GTEX-ZTX8-1426-SM-5DUVO 20-29 years, male 48.7
GTEX-1S5ZA-0126-SM-EVYCV 20-29 years, male 48.7
GTEX-WXYG-2326-SM-4E3I6 50-59 years, female 48.6
GTEX-12696-2426-SM-5EQ6H 60-69 years, male 48.5
GTEX-15D1Q-0126-SM-7KUG6 40-49 years, male 48.5
GTEX-1F6I4-0126-SM-9MQL2 60-69 years, male 48.5
GTEX-11OC5-0126-SM-5HL6A 60-69 years, male 48.4
GTEX-13IVO-0126-SM-5J1NG 70-79 years, male 48.4
GTEX-13O3P-0126-SM-5KM4S 50-59 years, male 48.4
GTEX-16XZZ-0126-SM-793DV 60-69 years, male 48.4
GTEX-1LVAN-0226-SM-COH3S 50-59 years, female 48.4
GTEX-13D11-2426-SM-5KM1V 50-59 years, female 48.3
GTEX-1CB4F-0426-SM-9KNV4 60-69 years, male 48.3
GTEX-12ZZZ-0626-SM-5DUXI 60-69 years, male 48.2
GTEX-13RTK-1426-SM-5QGQJ 20-29 years, male 48.2
GTEX-15DDE-0126-SM-6LPKH 50-59 years, female 48.2
GTEX-1AYCT-2426-SM-7IGQ3 50-59 years, male 48.2
GTEX-1F75I-0326-SM-9YFLU 40-49 years, male 48.2
GTEX-PLZ6-1426-SM-DKPOT 30-39 years, male 48.2
GTEX-117XS-2726-SM-5N9BL 60-69 years, male 48.1
GTEX-1GZ2Q-0226-SM-7P8TL 40-49 years, male 48.1
GTEX-1PFEY-1526-SM-E76PP 30-39 years, male 48.0
GTEX-QESD-1426-SM-2S1R9 20-29 years, male 47.9
GTEX-1GF9V-0326-SM-7RHI5 60-69 years, male 47.9
GTEX-ZF29-2326-SM-DO92K 60-69 years, female 47.9
GTEX-13SLW-0126-SM-5SI6C 70-79 years, male 47.7
GTEX-1AX9I-0126-SM-7SB74 60-69 years, male 47.7
GTEX-1J8JJ-0226-SM-CL53I 60-69 years, female 47.7
GTEX-11ZVC-2526-SM-5FQTE 50-59 years, female 47.6
GTEX-13N1W-0126-SM-5K7VT 70-79 years, male 47.6
GTEX-17F98-0626-SM-79OMX 40-49 years, female 47.6
GTEX-18A7B-0126-SM-7LG64 70-79 years, male 47.6
GTEX-1PIGE-0126-SM-EVYBJ 20-29 years, male 47.6
GTEX-Y3I4-2126-SM-4TT7C 50-59 years, male 47.5
GTEX-145LT-1726-SM-5QGP3 40-49 years, male 47.4
GTEX-14JG1-0426-SM-6ETZZ 40-49 years, male 47.4
GTEX-ZY6K-1826-SM-5GZXK 50-59 years, male 47.4
GTEX-111FC-0126-SM-5N9DL 60-69 years, male 47.3
GTEX-16YQH-0126-SM-7DUFJ 30-39 years, male 47.3
GTEX-18D9U-0226-SM-718BP 40-49 years, male 47.3
GTEX-1JMQI-2226-SM-CM2SD 50-59 years, male 47.3
GTEX-1LG7Z-1726-SM-D3LA4 30-39 years, male 47.3
GTEX-RNOR-0126-SM-E9J4R 50-59 years, female 47.3
GTEX-117YX-2326-SM-5H12W 50-59 years, male 47.2
GTEX-QEG4-0226-SM-2S1PY 30-39 years, male 47.2
GTEX-1GMR3-1926-SM-9KNUZ 40-49 years, male 47.2
GTEX-1QCLY-0326-SM-E8VOG 30-39 years, male 47.2
GTEX-11DXY-2626-SM-5GIE7 60-69 years, male 47.1
GTEX-13PVR-2326-SM-5QGR1 60-69 years, female 47.1
GTEX-18465-0126-SM-731BN 50-59 years, male 47.1
GTEX-1HCU9-1526-SM-A9SL7 20-29 years, male 47.1
GTEX-1A32A-0126-SM-718B1 50-59 years, female 47.0
GTEX-XBEW-0626-SM-4QASP 40-49 years, male 46.9
GTEX-1QMI2-0226-SM-EVYBX 60-69 years, male 46.9
GTEX-131XG-2626-SM-5KM17 50-59 years, female 46.8
GTEX-YJ8A-0426-SM-5IFID 20-29 years, male 46.8
GTEX-1N2EF-0226-SM-EYYXB 60-69 years, male 46.8
GTEX-148VI-1626-SM-5SI6E 60-69 years, female 46.7
GTEX-S7SE-0126-SM-2XCD5 50-59 years, male 46.7
GTEX-1S82Y-2026-SM-EVYCM 40-49 years, male 46.7
GTEX-11GSP-2526-SM-5N9BP 60-69 years, female 46.6
GTEX-15DYW-0126-SM-7KULE 60-69 years, female 46.6
GTEX-18A67-0126-SM-7LG5P 50-59 years, male 46.6
GTEX-18QFQ-0126-SM-731BE 30-39 years, male 46.6
GTEX-11DZ1-0126-SM-5985Q 50-59 years, male 46.5
GTEX-139D8-0226-SM-5KLZO 30-39 years, female 46.5
GTEX-13OW6-0426-SM-5L3HM 50-59 years, male 46.5
GTEX-15F5U-1526-SM-6PANO 40-49 years, male 46.5
GTEX-X4XY-0226-SM-4E3IZ 60-69 years, male 46.5
GTEX-15EU6-0426-SM-6PAN5 50-59 years, male 46.4
GTEX-RM2N-1426-SM-2TF4H 50-59 years, male 46.4
GTEX-11ZTS-0126-SM-5EQ6M 60-69 years, female 46.3
GTEX-14PK6-1926-SM-6ETZU 70-79 years, female 46.3
GTEX-11EM3-2426-SM-59861 20-29 years, female 46.2
GTEX-13FTX-1826-SM-5J1NX 20-29 years, female 46.2
GTEX-14BMU-2226-SM-5TDE9 20-29 years, female 46.2
GTEX-1AYD5-2426-SM-73KXR 50-59 years, male 46.2
GTEX-1BAJH-0526-SM-793CQ 70-79 years, male 46.2
GTEX-TML8-1926-SM-32QOS 40-49 years, female 46.2
GTEX-WVJS-0126-SM-4MVOT 50-59 years, male 46.2
GTEX-ZWKS-0126-SM-5SIAA 30-39 years, male 46.2
GTEX-1HSEH-0126-SM-ACKXN 60-69 years, male 46.2
GTEX-1GN1U-0126-SM-7PBZK 50-59 years, female 46.1
GTEX-1LSNM-1926-SM-E6CII 50-59 years, male 46.1
GTEX-XAJ8-0826-SM-47JY6 40-49 years, male 46.0
GTEX-XBED-2226-SM-47JYQ 60-69 years, male 46.0
GTEX-ZXES-1826-SM-5E43S 30-39 years, female 46.0
GTEX-1RB15-2126-SM-E9TIM 60-69 years, male 46.0
GTEX-13QJ3-0326-SM-5S2RA 50-59 years, male 45.9
GTEX-1C64N-0126-SM-793D7 50-59 years, male 45.9
GTEX-1F75A-0126-SM-7RHGM 50-59 years, male 45.8
GTEX-13OVJ-0126-SM-5KM36 50-59 years, female 45.7
GTEX-16BQI-0226-SM-7KUEX 30-39 years, female 45.7
GTEX-T6MO-1626-SM-32QOM 40-49 years, female 45.7
GTEX-1H2FU-0126-SM-9WYSI 60-69 years, female 45.7
GTEX-1LGOU-2026-SM-DIPFF 20-29 years, female 45.7
GTEX-13OVG-1926-SM-5L3DK 60-69 years, male 45.6
GTEX-1H1DG-0126-SM-9WYU2 70-79 years, male 45.6
GTEX-1R46S-0626-SM-E9J41 60-69 years, female 45.6
GTEX-11ZTT-2426-SM-5EQLS 60-69 years, female 45.5
GTEX-13NYS-0126-SM-5MR3W 60-69 years, male 45.5
GTEX-13OVL-0226-SM-5L3E9 50-59 years, male 45.5
GTEX-1EU9M-0226-SM-7P8SP 60-69 years, male 45.5
GTEX-14BIL-0126-SM-5SI92 50-59 years, male 45.4
GTEX-14BMV-0126-SM-5S2PO 50-59 years, male 45.4
GTEX-15SHU-0126-SM-7KUEH 40-49 years, female 45.4
GTEX-1OFPY-2426-SM-DTXEJ 60-69 years, male 45.4
GTEX-1192W-2626-SM-5Q5AF 60-69 years, male 45.3
GTEX-1KD5A-0226-SM-D5OV3 50-59 years, male 45.3
GTEX-113IC-0126-SM-5HL6T 60-69 years, male 45.2
GTEX-14PJ3-1826-SM-62LEX 50-59 years, male 45.2
GTEX-15SDE-2226-SM-7IGLO 50-59 years, female 45.2
GTEX-WRHK-1426-SM-3MJF9 20-29 years, female 45.2
GTEX-17GQL-2026-SM-718BA 60-69 years, male 45.1
GTEX-1S83E-0126-SM-EWRO4 40-49 years, male 45.1
GTEX-U3ZM-1526-SM-3DB9D 40-49 years, male 45.0
GTEX-1212Z-2526-SM-5EGKP 60-69 years, male 44.9
GTEX-139T8-0126-SM-5K7XZ 60-69 years, male 44.9
GTEX-148VJ-0126-SM-5TDDN 70-79 years, male 44.9
GTEX-12WSG-2826-SM-E9J4H 50-59 years, female 44.9
GTEX-1F5PL-0326-SM-7P8PQ 40-49 years, female 44.9
GTEX-1GN73-0226-SM-9WG67 60-69 years, male 44.9
GTEX-1IL2U-0226-SM-CE6T8 60-69 years, male 44.9
GTEX-13VXT-0126-SM-5LU4I 20-29 years, female 44.8
GTEX-1H1ZS-0426-SM-9WG6G 70-79 years, male 44.8
GTEX-1JKYR-0126-SM-CNPOJ 20-29 years, male 44.8
GTEX-1MGNQ-0126-SM-EVYCJ 40-49 years, male 44.8
GTEX-13PDP-0126-SM-5L3HD 60-69 years, male 44.7
GTEX-1POEN-0126-SM-EYYXJ 30-39 years, female 44.7
GTEX-13S7M-0126-SM-5SI6A 60-69 years, female 44.6
GTEX-15ETS-0126-SM-7KUMW 40-49 years, female 44.6
GTEX-1B8SG-0126-SM-73KZ3 50-59 years, male 44.4
GTEX-ZZPT-0226-SM-5E43X 50-59 years, male 44.4
GTEX-1H1DE-2126-SM-9WG6R 20-29 years, male 44.4
GTEX-14DAQ-0126-SM-5S2MQ 60-69 years, female 44.3
GTEX-1R9PO-2126-SM-E9J4O 60-69 years, female 44.3
GTEX-11EQ9-2426-SM-5HL5T 30-39 years, male 44.2
GTEX-12WSC-0126-SM-5EQ4P 50-59 years, male 44.2
GTEX-133LE-1826-SM-5J1MV 20-29 years, female 44.2
GTEX-WFON-2126-SM-3LK7O 40-49 years, male 44.2
GTEX-1F48J-0126-SM-7P8TT 50-59 years, female 44.2
GTEX-13FTY-0526-SM-5L3EV 40-49 years, female 44.1
GTEX-14A6H-0126-SM-5QGPK 30-39 years, male 44.1
GTEX-TKQ1-1026-SM-4GICL 30-39 years, male 44.1
GTEX-13OW5-0126-SM-DTXFS 60-69 years, male 44.1
GTEX-11NUK-0126-SM-5A5L3 50-59 years, male 44.0
GTEX-VUSG-2526-SM-4KL1V 50-59 years, male 44.0
GTEX-1IGQW-0126-SM-COH42 60-69 years, male 44.0
GTEX-1IL2V-0126-SM-CM2TX 70-79 years, male 44.0
GTEX-12WSL-2526-SM-5GCNJ 50-59 years, male 43.9
GTEX-1B996-0226-SM-7RHGO 60-69 years, male 43.9
GTEX-1GPI7-0126-SM-9MQL8 20-29 years, male 43.9
GTEX-1JJ6O-0126-SM-E6CI8 60-69 years, male 43.9
GTEX-1RLM8-2326-SM-EWRN4 50-59 years, male 43.9
GTEX-14DAR-2026-SM-5S2O3 50-59 years, male 43.8
GTEX-T8EM-1026-SM-3DB7M 40-49 years, male 43.8
GTEX-ZVT3-0126-SM-5GU6I 60-69 years, female 43.8
GTEX-1F7RK-0126-SM-7PC2S 20-29 years, female 43.8
GTEX-1S3DN-2226-SM-EVYCD 50-59 years, male 43.7
GTEX-13NZA-0226-SM-5K7Z7 60-69 years, male 43.6
GTEX-1EKGG-0226-SM-9WYTH 60-69 years, male 43.6
GTEX-145LV-2126-SM-5LU8N 50-59 years, male 43.5
GTEX-14XAO-2326-SM-6EU1B 60-69 years, female 43.5
GTEX-Y8E4-0626-SM-4WWDL 40-49 years, male 43.5
GTEX-1J8QM-2126-SM-CYPSJ 60-69 years, female 43.5
GTEX-1KWVE-1426-SM-E9TJO 30-39 years, male 43.5
GTEX-11O72-0126-SM-59887 40-49 years, male 43.4
GTEX-15EOM-0126-SM-7KUGG 20-29 years, female 43.4
GTEX-17HGU-0226-SM-7DHKV 50-59 years, male 43.4
GTEX-ZEX8-2426-SM-4WKG4 50-59 years, male 43.4
GTEX-ZYFC-0226-SM-5NQ75 50-59 years, male 43.4
GTEX-1ICLY-0126-SM-D4P36 50-59 years, male 43.4
GTEX-1JMQK-0226-SM-CL543 60-69 years, male 43.4
GTEX-1OJC4-0126-SM-E9J2E 50-59 years, female 43.4
GTEX-11DXX-2426-SM-5GZZW 60-69 years, female 43.3
GTEX-17KNJ-2326-SM-7DHLQ 50-59 years, male 43.3
GTEX-1E1VI-0126-SM-7DHMZ 50-59 years, male 43.3
GTEX-Y5V5-2326-SM-4V6GA 60-69 years, female 43.3
GTEX-1HCU8-0626-SM-A9SM9 60-69 years, female 43.3
GTEX-1IDJF-0126-SM-CM2RS 20-29 years, male 43.3
GTEX-1RDX4-0126-SM-E9J4P 50-59 years, female 43.3
GTEX-1128S-2326-SM-5GZZY 60-69 years, female 43.2
GTEX-11VI4-1726-SM-5CVLH 40-49 years, female 43.2
GTEX-12KS4-0326-SM-5EQ41 30-39 years, male 43.2
GTEX-1I19N-0326-SM-ACKVX 70-79 years, male 43.2
GTEX-13SLX-0526-SM-5S2ON 50-59 years, female 43.0
GTEX-OXRK-0226-SM-3NB2G 50-59 years, female 43.0
GTEX-1J1OQ-0226-SM-CYPSH 40-49 years, female 43.0
GTEX-1MCQQ-0826-SM-DLHC2 60-69 years, male 43.0
GTEX-139T4-0226-SM-5HL5S 50-59 years, female 42.9
GTEX-13W46-0226-SM-5SIAG 50-59 years, male 42.9
GTEX-145MI-0526-SM-5O9A8 60-69 years, female 42.9
GTEX-15SHW-0326-SM-6PAML 60-69 years, male 42.9
GTEX-ZVE2-0226-SM-59HJB 50-59 years, male 42.9
GTEX-1LC47-0326-SM-E9TJP 60-69 years, male 42.9
GTEX-1399T-2826-SM-5KLYZ 60-69 years, male 42.8
GTEX-PWO3-1526-SM-48TCM 60-69 years, female 42.8
GTEX-ZU9S-0226-SM-5E441 30-39 years, male 42.8
GTEX-1I1CD-0126-SM-CM2TK 60-69 years, female 42.8
GTEX-1IY9M-0126-SM-D3L8S 60-69 years, male 42.8
GTEX-1QP66-1726-SM-E8VO1 50-59 years, male 42.8
GTEX-11UD2-0226-SM-5EQKY 50-59 years, male 42.7
GTEX-14BIN-0626-SM-793DP 50-59 years, female 42.7
GTEX-OOBK-0126-SM-2YUND 40-49 years, male 42.7
GTEX-ZVZP-2426-SM-59HKJ 50-59 years, male 42.7
GTEX-183FY-0126-SM-7LT9P 20-29 years, male 42.6
GTEX-1AX9J-0226-SM-73KXM 60-69 years, male 42.6
GTEX-YEC4-2126-SM-5IFJH 40-49 years, male 42.6
GTEX-1EX96-1626-SM-7PBXR 50-59 years, male 42.6
GTEX-1GPI6-0126-SM-9WG69 60-69 years, male 42.6
GTEX-1HSMP-0126-SM-E6CJS 70-79 years, male 42.6
GTEX-145LS-0126-SM-5QGP1 60-69 years, female 42.5
GTEX-1AX9K-2326-SM-73KWU 50-59 years, male 42.5
GTEX-1CB4I-0226-SM-79OLH 50-59 years, male 42.5
GTEX-R55G-2526-SM-2TC6D 40-49 years, female 42.5
GTEX-XUW1-0426-SM-4BOOT 50-59 years, female 42.5
GTEX-1JJEA-0326-SM-CNPOT 60-69 years, male 42.4
GTEX-1PBJI-0526-SM-E8VNK 20-29 years, female 42.4
GTEX-13RTL-0126-SM-7LG5S 40-49 years, male 42.3
GTEX-18A66-0226-SM-718BD 60-69 years, male 42.3
GTEX-ZZ64-1726-SM-5GZYB 20-29 years, male 42.3
GTEX-1HSGN-0226-SM-CGQFV 40-49 years, female 42.3
GTEX-1ICLZ-0126-SM-CKZPO 60-69 years, male 42.3
GTEX-1LNCM-1126-SM-E9U5E 50-59 years, female 42.3
GTEX-R45C-0126-SM-EAZ2R 60-69 years, female 42.3
GTEX-12ZZY-0226-SM-5LZVE 60-69 years, male 42.2
GTEX-15CHC-2126-SM-6EU21 60-69 years, female 42.2
GTEX-PVOW-0126-SM-2XCFA 40-49 years, male 42.2
GTEX-Y5LM-1926-SM-5RQJH 40-49 years, female 42.2
GTEX-17EUY-0426-SM-793BD 20-29 years, male 42.1
GTEX-OXRN-0126-SM-48TDM 50-59 years, male 42.1
GTEX-XUYS-0126-SM-47JWZ 50-59 years, male 42.0
GTEX-ZDXO-3026-SM-5J1N5 60-69 years, male 42.0
GTEX-11TUW-2726-SM-E9J4M 60-69 years, male 42.0
GTEX-1JN76-0126-SM-CNPPE 20-29 years, female 42.0
GTEX-QV44-1926-SM-2S1RF 50-59 years, male 41.9
GTEX-1GMR8-0126-SM-9WYTM 50-59 years, female 41.9
GTEX-1PPH7-2326-SM-EVYB8 40-49 years, male 41.9
GTEX-Q734-1926-SM-2I5EV 40-49 years, female 41.8
GTEX-1HFI7-1826-SM-ACKXH 50-59 years, female 41.8
GTEX-12C56-1726-SM-5EQ61 20-29 years, male 41.7
GTEX-13X6I-0626-SM-5QGP9 60-69 years, male 41.7
GTEX-145ME-1826-SM-5SI9G 40-49 years, female 41.7
GTEX-14A5H-0426-SM-5QGQF 60-69 years, male 41.7
GTEX-PLZ5-2026-SM-2S1O4 50-59 years, male 41.7
GTEX-V1D1-2226-SM-3NMAX 50-59 years, male 41.7
GTEX-1HUB1-0426-SM-E9U4U 60-69 years, male 41.7
GTEX-17HHE-2026-SM-79OKF 50-59 years, male 41.6
GTEX-OXRP-0126-SM-3NB32 60-69 years, female 41.6
GTEX-Y8LW-1826-SM-5S2MV 50-59 years, female 41.6
GTEX-1JMPZ-0226-SM-CNPP1 30-39 years, male 41.6
GTEX-1B8KZ-2026-SM-7DHMB 50-59 years, male 41.5
GTEX-ZYW4-0126-SM-5E44A 60-69 years, male 41.5
GTEX-1C64O-0126-SM-7SB8P 60-69 years, male 41.5
GTEX-1N2DV-0226-SM-E6CJ6 40-49 years, male 41.4
GTEX-14E6E-1826-SM-5S2R7 30-39 years, male 41.3
GTEX-ZF2S-2326-SM-4WWCE 50-59 years, female 41.3
GTEX-13O3O-0126-SM-E9J49 60-69 years, female 41.3
GTEX-139TT-0126-SM-5K7Y5 60-69 years, male 41.2
GTEX-QDVN-2026-SM-3GAEP 50-59 years, male 41.2
GTEX-ZV6S-2326-SM-4YCEY 40-49 years, female 41.1
GTEX-1RAZQ-0726-SM-EAZ43 30-39 years, male 41.1
GTEX-14BIM-0226-SM-7IGLD 60-69 years, female 41.0
GTEX-1C6VR-2426-SM-79OLD 60-69 years, male 41.0
GTEX-Q2AI-1326-SM-2S1PL 40-49 years, male 41.0
GTEX-1IDFM-0126-SM-COH2V 60-69 years, male 41.0
GTEX-1J1R8-1726-SM-ARL8M 40-49 years, male 41.0
GTEX-1KANB-0526-SM-E6CJH 50-59 years, male 41.0
GTEX-1HT8W-0126-SM-CNPPP 30-39 years, male 40.9
GTEX-1LG7Y-0526-SM-DKPQC 50-59 years, male 40.9
GTEX-X638-0126-SM-47JZ8 70-79 years, female 40.8
GTEX-ZYY3-0126-SM-5GZY5 60-69 years, female 40.8
GTEX-1MCYP-1926-SM-E9J2R 20-29 years, female 40.8
GTEX-1MUQO-0126-SM-EAZ58 60-69 years, male 40.8
GTEX-1HBPH-0426-SM-B2LW5 40-49 years, female 40.7
GTEX-13O3Q-2426-SM-5IJBR 50-59 years, male 40.6
GTEX-14A5I-0126-SM-5TDEA 50-59 years, female 40.6
GTEX-R55E-0126-SM-2TC5Y 20-29 years, male 40.6
GTEX-1QP67-1626-SM-EAZ3X 40-49 years, female 40.6
GTEX-11EMC-2926-SM-5EQ4F 60-69 years, female 40.5
GTEX-X261-0126-SM-3NMD6 50-59 years, male 40.5
GTEX-1CB4H-0226-SM-7PBXM 60-69 years, female 40.5
GTEX-1H23P-0126-SM-ADEJ3 60-69 years, male 40.5
GTEX-1A3MW-0126-SM-73KXX 60-69 years, female 40.4
GTEX-11XUK-2026-SM-5EQLF 40-49 years, female 40.3
GTEX-1AMEY-1326-SM-73KYK 30-39 years, female 40.3
GTEX-1GF9U-2126-SM-7SB7L 40-49 years, female 40.3
GTEX-13FHO-0226-SM-5IFGY 60-69 years, male 40.2
GTEX-145LU-0126-SM-5TDCB 50-59 years, male 40.2
GTEX-1A3MV-1926-SM-718BT 30-39 years, male 40.2
GTEX-11WQK-0526-SM-5EQLD 50-59 years, male 40.1
GTEX-1CAMR-1926-SM-7EPI2 20-29 years, male 40.1
GTEX-WY7C-2326-SM-3NB2U 50-59 years, male 40.1
GTEX-14C5O-0126-SM-5SI6N 60-69 years, male 40.0
GTEX-15DCD-0126-SM-7KUEK 70-79 years, female 40.0
GTEX-17F97-0326-SM-7LG5B 50-59 years, male 40.0
GTEX-1C475-1826-SM-73KWA 40-49 years, female 40.0
GTEX-XV7Q-2526-SM-4BRV9 40-49 years, female 40.0
GTEX-1GL5R-1826-SM-9KNUY 50-59 years, male 40.0
GTEX-13JUV-2726-SM-5LZZ8 40-49 years, female 39.9
GTEX-17F96-1626-SM-7DUFL 70-79 years, male 39.9
GTEX-VJWN-0126-SM-3GIK7 50-59 years, female 39.9
GTEX-1NHNU-1026-SM-E9J2A 50-59 years, male 39.9
GTEX-14PJ6-2126-SM-6EU1V 60-69 years, female 39.8
GTEX-1K2DU-2326-SM-E9TIV 20-29 years, male 39.8
GTEX-13CF3-2426-SM-5IFGX 60-69 years, female 39.7
GTEX-16NGA-1726-SM-731B4 40-49 years, female 39.7
GTEX-1MA7X-2226-SM-E6CIY 60-69 years, male 39.7
GTEX-ZF28-0126-SM-4WKGK 60-69 years, male 39.6
GTEX-1M4P7-0226-SM-DIPEV 60-69 years, male 39.3
GTEX-14ABY-0226-SM-5TDCQ 50-59 years, male 39.2
GTEX-1B97I-1626-SM-73KYO 40-49 years, male 39.2
GTEX-U3ZH-2026-SM-3DB78 30-39 years, male 39.2
GTEX-ZTSS-1926-SM-57WEW 40-49 years, male 39.2
GTEX-1QPFJ-0226-SM-E76PB 30-39 years, female 39.2
GTEX-1QW4Y-1526-SM-EAZ3Z 30-39 years, male 39.2
GTEX-15UKP-0426-SM-7KUFQ 20-29 years, male 39.1
GTEX-1AMFI-2026-SM-731BH 50-59 years, female 39.1
GTEX-1H3NZ-0126-SM-ACKX7 60-69 years, male 39.1
GTEX-T5JC-0426-SM-32PLO 20-29 years, male 39.0
GTEX-1QEPI-0126-SM-EWRMQ 60-69 years, female 39.0
GTEX-SSA3-0126-SM-32QPU 60-69 years, male 38.9
GTEX-1C2JI-1826-SM-73KXC 50-59 years, male 38.8
GTEX-WYVS-2126-SM-3NMA3 40-49 years, female 38.8
GTEX-X62O-0126-SM-4E3JN 50-59 years, male 38.8
GTEX-13FH7-2026-SM-E9J4I 50-59 years, female 38.8
GTEX-1IKOH-0226-SM-COH4E 60-69 years, female 38.8
GTEX-WFG8-2226-SM-3GIL9 20-29 years, male 38.7
GTEX-1GN1V-0126-SM-9WPOS 60-69 years, male 38.6
GTEX-1RQEC-0426-SM-E6CHU 60-69 years, male 38.6
GTEX-16NPX-0226-SM-79OMT 50-59 years, male 38.5
GTEX-QVJO-1626-SM-2S1QW 60-69 years, female 38.5
GTEX-144GL-0126-SM-5TDE2 50-59 years, male 38.4
GTEX-1IKJJ-0126-SM-CNPQB 60-69 years, male 38.4
GTEX-1L5NE-2526-SM-E6CIE 50-59 years, male 38.4
GTEX-147GR-0526-SM-5S2MY 60-69 years, male 38.3
GTEX-1KXAM-2226-SM-CYPTC 60-69 years, male 38.2
GTEX-QLQW-1126-SM-2S1Q8 30-39 years, male 38.1
GTEX-1I1GR-0126-SM-CL55F 60-69 years, male 38.1
GTEX-1R7EV-2426-SM-EVYBG 40-49 years, male 38.1
GTEX-1QP29-0626-SM-EWRMX 50-59 years, male 38.0
GTEX-14E7W-0126-SM-6LLJ9 70-79 years, male 37.9
GTEX-17MFQ-1726-SM-793C7 20-29 years, male 37.9
GTEX-QLQ7-1626-SM-2S1R8 60-69 years, male 37.9
GTEX-14LLW-0126-SM-6LLIO 70-79 years, female 37.8
GTEX-1HSMQ-1226-SM-CGQFX 50-59 years, male 37.8
GTEX-1J8Q2-0526-SM-CM2RW 60-69 years, male 37.8
GTEX-1JKYN-1326-SM-CGQG9 30-39 years, male 37.8
GTEX-11EI6-0126-SM-5985R 60-69 years, male 37.7
GTEX-14PN3-2426-SM-6LLHS 60-69 years, female 37.7
GTEX-1HB9E-0226-SM-E9U4R 50-59 years, male 37.7
GTEX-1QP2A-0126-SM-E9J43 50-59 years, male 37.7
GTEX-RN64-0126-SM-2TC68 50-59 years, male 37.6
GTEX-1HKZK-0326-SM-9WYUH 40-49 years, male 37.6
GTEX-TSE9-0126-SM-3DB83 60-69 years, female 37.5
GTEX-ZC5H-0226-SM-4WAY9 40-49 years, female 37.5
GTEX-ZDTT-2726-SM-4WKF8 60-69 years, male 37.5
GTEX-1E2YA-0126-SM-9KNUC 50-59 years, male 37.5
GTEX-13OW8-1326-SM-5J1OW 60-69 years, male 37.4
GTEX-1CB4J-0626-SM-7DHMP 60-69 years, male 37.4
GTEX-1H11D-0226-SM-9WG6Z 40-49 years, male 37.4
GTEX-1M5QR-1226-SM-EWROB 40-49 years, male 37.4
GTEX-PW2O-1526-SM-7RHHB 20-29 years, male 37.4
GTEX-14JG6-2226-SM-6EU2G 30-39 years, female 37.3
GTEX-1JK1U-2026-SM-CM2RZ 60-69 years, male 37.3
GTEX-13W3W-2426-SM-5LU5B 60-69 years, female 37.2
GTEX-QDVJ-1726-SM-2I5FX 50-59 years, male 37.2
GTEX-ZUA1-0126-SM-5GU76 40-49 years, male 37.2
GTEX-1KAFJ-2026-SM-CY8ID 50-59 years, male 37.2
GTEX-13N2G-2626-SM-5J1OT 60-69 years, male 37.1
GTEX-RWS6-2026-SM-2XCB5 60-69 years, female 37.1
GTEX-U4B1-1826-SM-4DXSU 40-49 years, male 37.1
GTEX-1LGRB-2526-SM-CNPPQ 50-59 years, female 37.1
GTEX-146FR-1326-SM-E9J48 60-69 years, female 37.0
GTEX-ZXG5-0126-SM-5GIEU 60-69 years, male 36.6
GTEX-1GN1W-0526-SM-9MQJQ 50-59 years, female 36.6
GTEX-ZQUD-1426-SM-57WER 30-39 years, male 36.5
GTEX-1C6VS-0526-SM-7DUEN 60-69 years, male 36.4
GTEX-11ZU8-2526-SM-5EQKI 60-69 years, male 36.3
GTEX-WZTO-0126-SM-3NM95 40-49 years, male 36.3
GTEX-XMD2-0126-SM-4YCDU 60-69 years, female 36.3
GTEX-1RAZA-0126-SM-E6CI3 20-29 years, male 36.3
GTEX-1A8FM-0226-SM-7SB7Q 50-59 years, female 36.2
GTEX-1F88F-2726-SM-7PBZZ 60-69 years, female 36.2
GTEX-1O97I-0326-SM-EYYX7 60-69 years, male 36.2
GTEX-Q2AH-1626-SM-3GAF8 40-49 years, male 36.1
GTEX-TMMY-0226-SM-33HBA 40-49 years, female 36.1
GTEX-12WSN-5019-SM-79OM6 40-49 years, male 36.0
GTEX-12WSA-0226-SM-5BC5V 60-69 years, male 35.8
GTEX-P44H-0226-SM-2XCEU 40-49 years, male 35.8
GTEX-U3ZN-2326-SM-3DB7W 30-39 years, female 35.8
GTEX-VJYA-1126-SM-3GIJU 60-69 years, male 35.8
GTEX-1K9T9-0126-SM-EVYCF 50-59 years, female 35.6
GTEX-15G19-0126-SM-6PANQ 60-69 years, male 35.4
GTEX-1IDJU-2626-SM-CM2RT 60-69 years, female 35.4
GTEX-1HBPN-0226-SM-9YFM1 50-59 years, male 35.3
GTEX-14PHW-0126-SM-6LLJI 60-69 years, female 35.2
GTEX-QCQG-1726-SM-3GIJ9 50-59 years, female 35.2
GTEX-SJXC-0126-SM-2XCFF 60-69 years, male 35.2
GTEX-ZAB5-1826-SM-5HL7C 50-59 years, male 35.2
GTEX-1R9K4-0126-SM-DTX9X 60-69 years, male 35.2
GTEX-11NSD-2226-SM-5986V 20-29 years, male 35.1
GTEX-16XZY-2126-SM-79OK1 70-79 years, male 35.1
GTEX-Q2AG-0126-SM-33HBV 40-49 years, female 35.1
GTEX-Z9EW-1626-SM-5CVMN 40-49 years, male 34.9
GTEX-16AAH-1726-SM-7939C 50-59 years, male 34.8
GTEX-1I1GU-2226-SM-CGQFA 40-49 years, male 34.4
GTEX-1HCVE-0126-SM-CGQEU 50-59 years, male 34.3
GTEX-1I1GQ-0126-SM-COH3H 50-59 years, male 34.3
GTEX-1LH75-2426-SM-E9TJE 50-59 years, female 34.3
GTEX-147F3-0526-SM-5SI98 50-59 years, female 34.0
GTEX-WOFL-0126-SM-3MJG2 60-69 years, male 34.0
GTEX-1I1GT-0626-SM-CGQER 60-69 years, female 34.0
GTEX-11LCK-1026-SM-5A5KB 30-39 years, male 33.9
GTEX-1J8Q3-1626-SM-CMKGC 60-69 years, male 33.8
GTEX-14LZ3-0226-SM-62LET 60-69 years, female 33.7
GTEX-1EN7A-0126-SM-7SB81 40-49 years, male 33.5
GTEX-1S82Z-0826-SM-E6CHY 30-39 years, female 33.3
GTEX-18D9B-0526-SM-7LTAS 60-69 years, male 33.1
GTEX-13NYC-0326-SM-E9J4S 60-69 years, male 33.1
GTEX-1H1E6-1726-SM-ACKVK 30-39 years, male 33.1
GTEX-S32W-2126-SM-2XCB1 50-59 years, female 33.0
GTEX-1HCU7-0226-SM-CL545 50-59 years, male 32.7
GTEX-1KANA-0726-SM-D3L9I 20-29 years, male 32.6
GTEX-1F52S-0126-SM-9MQJU 60-69 years, female 32.5
GTEX-1F5PK-2426-SM-7RHHY 50-59 years, male 32.2
GTEX-1JMOU-1526-SM-CL54I 60-69 years, female 32.2
GTEX-1I1HK-0126-SM-COH49 60-69 years, male 32.0
GTEX-1IE54-0126-SM-CMKHW 40-49 years, female 31.5
GTEX-1CAMQ-0226-SM-7IGPK 40-49 years, male 31.3
GTEX-SNMC-1226-SM-2XCFP 20-29 years, male 31.3
GTEX-OIZF-0126-SM-7SB8I 60-69 years, male 31.2
GTEX-R3RS-0126-SM-3GIJL 40-49 years, female 30.2
GTEX-1JJE9-0326-SM-CL53Z 70-79 years, male 29.4
GTEX-XPVG-2626-SM-4B669 50-59 years, male 28.2
Show allShow less

Contact

  • NEWS ARTICLES
  • PRESS ROOM

The Project

  • INTRODUCTION
  • ORGANIZATION
  • PUBLICATIONS

The Human Protein Atlas

  • DOWNLOADABLE DATA
  • LICENCE & CITATION
  • HELP & FAQ
The Human Protein Atlas project is funded
by the Knut & Alice Wallenberg Foundation.


contact@proteinatlas.org