We use cookies to enhance the usability of our website. If you continue, we'll assume that you are happy to receive all cookies. More information. Don't show this again.
KCNAB2
HPA
RESOURCES
  • TISSUE
  • BRAIN
  • SINGLE CELL
  • SUBCELLULAR
  • CANCER
  • BLOOD
  • CELL LINE
  • STRUCTURE & INTERACTION
ABOUT
  • INTRODUCTION
  • HISTORY
  • ORGANIZATION
  • PUBLICATIONS
  • ANTIBODY SUBMISSION
  • ANTIBODY AVAILABILITY
  • ACKNOWLEDGMENTS
  • CONTACT
NEWS
  • NEWS ARTICLES
  • PRESS ROOM
LEARN
  • DICTIONARY
  • PROTEIN CLASSES
  • PROTEIN EVIDENCE
  • METHODS
  • EDUCATIONAL VIDEOS
DATA
  • DOWNLOADABLE DATA
  • PUBLICATION DATA
  • RELEASE HISTORY
HELP
  • ANTIBODY VALIDATION
  • ASSAYS & ANNOTATION
  • DISCLAIMER
  • HELP & FAQ
  • PRIVACY STATEMENT
  • LICENCE & CITATION
Fields »
Search result

Field
Term
Gene name
Class
Subclass
Class
Keyword
Chromosome
External id
Tissue
Cell type
Expression
Antibody panel
Tissue
Main location
Patient ID
Annotation
Tissue
Category
Tau score
Cluster
Reliability
Brain region
Category
Tau score
Brain region
Category
Tau score
Brain region
Category
Tau score
Cluster
Reliability
Tissue
Cell type
Enrichment
Cell type
Category
Tau score
Cell type
Category
Tau score
Cell type
Category
Tau score
Cell lineage
Category
Tau score
Cluster
Cluster
Location
Searches
Location
Cell line
Class
Type
Phase
Reliability
Cancer
Prognosis
Cancer
Category
Cancer
Category
Tau score
Cluster
Variants
Interacting gene (ensg_id)
Type
Number of interactions
Pathway
Category
Score
Score
Score
Validation
Validation
Validation
Validation
Antibodies
Data type
Column


  • SUMMARY

  • TISSUE

  • BRAIN

  • SINGLE CELL

  • SUBCELL

  • CANCER

  • BLOOD

  • CELL LINE

  • STRUCT & INT

  • KCNAB2
TISSUE PRIMARY DATA SKIN Show tissue menu
ADIPOSE TISSUE ADRENAL GLAND AMYGDALA APPENDIX BASAL GANGLIA BONE MARROW BREAST BRONCHUS CEREBELLUM CEREBRAL CORTEX CERVIX CHOROID PLEXUS COLON DUODENUM
ENDOMETRIUM EPIDIDYMIS ESOPHAGUS FALLOPIAN TUBE GALLBLADDER HEART MUSCLE HIPPOCAMPAL FORMATION HYPOTHALAMUS KIDNEY LIVER LUNG LYMPH NODE MIDBRAIN NASOPHARYNX
ORAL MUCOSA OVARY PANCREAS PARATHYROID GLAND PITUITARY GLAND PLACENTA PROSTATE RECTUM RETINA SALIVARY GLAND SEMINAL VESICLE SKELETAL MUSCLE SKIN SMALL INTESTINE
SMOOTH MUSCLE SOFT TISSUE SPINAL CORD SPLEEN STOMACH TESTIS THYMUS THYROID GLAND TONGUE TONSIL URINARY BLADDER VAGINA
ANTIBODIES
AND
VALIDATION
Dictionary
Skin
Tissue proteome
Skin
SKIN - Expression summary
Protein expression
Skini

On the top, protein expression in current human tissue, based on all annotated cell types, is reported with the units not detected (n), low (l), medium (m) and high (h). Underneath, protein expression in each annotated cell type are reported using the same units.

Protein expression data is based on knowledge-based annotation. For genes where more than one antibody has been used, a collective score is set.

If knowledge-based annotation could not be performed for a gene, no data is displayed here. View antibody staining data further down this page.

h
m
l
n
Cells in basal layer: Not detected
Cells in corneal layer: Not detected
Cells in granular layer: Not detected
Cells in spinous layer: Not detected
Endothelial cells: Not detected
Extracellular matrix: Not detected
Fibrohistiocytic cells: Not detected
Langerhans cells: Not detected
Lymphocytes: Low
Melanocytes: Low
Vascular mural cells: Not detected
RNA expressioni

A summary of mRNA expression data available for current tissue based on several datasets. The mRNA expression levels in human tissues are based on RNA-seq data generated by the Human Protein Atlas (HPA), Genotype-Tissue Expression (GTEx) portal and CAGE data generated by the FANTOM5 consortium. Consensus normalized expression levels for human tissues was created by combining the data from HPA and GTEx datasets.

The mRNA expression levels in pig are based on RNA-seq data generated by the Human Protein Atlas (HPA), and for mouse, HPA data and in situ hybridization generated by the Allen brain atlas are reported.

Scroll down to view mRNA expression data in more detail.
Consensus:12.1 nTPM
HPA:12.1 nTPM
GTEx:8.4 nTPM

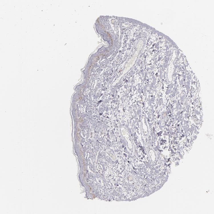
SKIN 1 - Antibody stainingi

Antibody staining in the annotated cell types in the current human tissue is reported as not detected, low, medium, or high, based on conventional immunohistochemistry profiling in selected tissues. This score is based on the combination of the staining intensity and fraction of stained cells.

Each image is clickable and will lead to virtual microscopy that enables deeper exploration of all samples and also displays staining intensity scores, fraction scores and subcellular localization as well as patient and tissue information for each sample.

Antibody CAB001975
Cells in basal layer Not detected
Cells in corneal layer Not detected
Cells in granular layer Not detected
Cells in spinous layer Not detected
Endothelial cells Not detected
Extracellular matrix Not detected
Fibrohistiocytic cells Not detected
Langerhans cells Not detected
Lymphocytes Not detected
Melanocytes Not detected
Vascular mural cells Not detected

SKIN 2 - Antibody stainingi

Antibody staining in the annotated cell types in the current human tissue is reported as not detected, low, medium, or high, based on conventional immunohistochemistry profiling in selected tissues. This score is based on the combination of the staining intensity and fraction of stained cells.

Each image is clickable and will lead to virtual microscopy that enables deeper exploration of all samples and also displays staining intensity scores, fraction scores and subcellular localization as well as patient and tissue information for each sample.

Antibody CAB001975
Cells in basal layer Not detected
Cells in corneal layer Not detected
Cells in granular layer Not detected
Cells in spinous layer Not detected
Endothelial cells Not detected
Extracellular matrix Not detected
Fibrohistiocytic cells Not detected
Langerhans cells Not detected
Lymphocytes Low
Melanocytes Low
Vascular mural cells Not detected



SKIN - HPA RNA-seqi

The RNA-seq details section shows detailed information about the individual samples used for the transcript profiling and results of the RNA-seq analysis.

Information about each individual sample is listed below, including gender, age, a tissue section image and estimated fractions of cell types. nTPM (normalized transcripts per million) values give a quantification of the gene abundance which is comparable between different genes and samples.
Average nTPMi

Max subtype nTPM is the value for the subtype with the largest average nTPM across the subtype samples.

12.1
overview
Female, age 34
Skin sample 225
nTPM: 8.3
Cell types%
Keratinocytes:
60

Other cell types:
40

overview
Female, age 30
Skin sample 226
nTPM: 9.7
Cell types%
Keratinocytes:
55

Other cell types:
45

N/A
Male, age 57
Skin sample 227
nTPM: 18.4

SKIN - GTEx RNA-seqi

RNA-Seq data generated by the Genotype-Tissue Expression (GTEx) project from human tissues is reported as mean nTPM. More information can be found on the GTEx portal.

Distribution across the dataset is visualized with box plots, shown as median and 25th and 75th percentiles. Points are displayed as outliers if they are above or below 1.5 times the interquartile range. nTPM values of the individual samples are presented next to the box plot.
Max subtype nTPMi

Max subtype nTPM is the value for the subtype with the largest average nTPM across the subtype samples.

8.4
GTEx sample id Sample description nTPM
Skin - Not Sun Exposed (Suprapubic)
Average nTPM: 8.4
Samples: 604

Max nTPM: 32.6
Min nTPM: 1.8
Std nTPM: 3.0
Median nTPM: 8.0
GTEX-WFG7-2026-SM-5SI7P 20-29 years, male 32.6
GTEX-ZTX8-1326-SM-4YCEL 20-29 years, male 18.6
GTEX-16MTA-0926-SM-6M47Z 50-59 years, male 18.5
GTEX-1J1OQ-0126-SM-D4P2N 40-49 years, female 18.4
GTEX-11LCK-2226-SM-5HL4Q 30-39 years, male 17.6
GTEX-147F4-0726-SM-5TDDD 50-59 years, male 17.0
GTEX-Y114-2126-SM-4TT8B 50-59 years, female 16.7
GTEX-15RJ7-2126-SM-6PAMD 40-49 years, male 16.5
GTEX-ZAB4-2126-SM-5HL8U 40-49 years, male 16.4
GTEX-X5EB-1926-SM-4E3IW 40-49 years, male 16.1
GTEX-1MCYP-0526-SM-E9U6Q 20-29 years, female 15.7
GTEX-1J8Q3-0526-SM-ARL8U 60-69 years, male 15.6
GTEX-WHPG-2626-SM-3NMBR 50-59 years, male 15.4
GTEX-12WSJ-1126-SM-5LZVJ 40-49 years, female 15.3
GTEX-13OVG-1626-SM-5J1NF 60-69 years, male 15.3
GTEX-13113-1626-SM-5EQ4I 60-69 years, female 15.1
GTEX-14PHY-1226-SM-5ZZWK 60-69 years, female 15.1
GTEX-ZY6K-1426-SM-5GZX2 50-59 years, male 15.0
GTEX-1CB4F-1026-SM-7DUH1 60-69 years, male 14.8
GTEX-1JMQL-2226-SM-CNPP4 50-59 years, female 14.8
GTEX-ZTSS-1426-SM-5985P 40-49 years, male 14.7
GTEX-1EU9M-1426-SM-793AI 60-69 years, male 14.6
GTEX-1HCU8-2526-SM-CE6RX 60-69 years, female 14.3
GTEX-1B996-0426-SM-7EWF8 60-69 years, male 14.0
GTEX-11NSD-0626-SM-5A5LU 20-29 years, male 13.9
GTEX-XBEW-1126-SM-4QARW 40-49 years, male 13.9
GTEX-Y3I4-1726-SM-4TT89 50-59 years, male 13.9
GTEX-Y8LW-1526-SM-5IFHL 50-59 years, female 13.9
GTEX-1PDJ9-1226-SM-EXUSX 20-29 years, male 13.9
GTEX-12C56-1526-SM-5FQUQ 20-29 years, male 13.8
GTEX-11P82-1426-SM-DTXFY 20-29 years, male 13.8
GTEX-1AYD5-2626-SM-7PBXY 50-59 years, male 13.8
GTEX-12WSK-2126-SM-5CVNC 40-49 years, female 13.4
GTEX-1J8EW-2726-SM-CY8HR 60-69 years, female 13.3
GTEX-17HG3-2626-SM-7DUF2 30-39 years, female 13.2
GTEX-X3Y1-2026-SM-3P5YM 40-49 years, male 13.2
GTEX-1F6I4-2326-SM-7RHGL 60-69 years, male 13.2
GTEX-1IDJI-0126-SM-CMKHS 50-59 years, female 13.2
GTEX-1H1DE-1326-SM-9KNUG 20-29 years, male 13.1
GTEX-11DYG-1526-SM-5A5JS 60-69 years, male 13.0
GTEX-12126-0826-SM-5FQTZ 20-29 years, male 13.0
GTEX-1497J-0226-SM-5QGPU 60-69 years, male 13.0
GTEX-1GTWX-2026-SM-9YFLM 60-69 years, male 13.0
GTEX-145MN-1526-SM-5SI9T 30-39 years, male 12.9
GTEX-1AX8Z-0726-SM-73KTS 60-69 years, male 12.9
GTEX-1I4MK-0126-SM-CY8G6 50-59 years, female 12.9
GTEX-ZYVF-0926-SM-5E44J 50-59 years, female 12.8
GTEX-WFG8-2126-SM-3GIKQ 20-29 years, male 12.7
GTEX-ZA64-1026-SM-5HL8R 20-29 years, male 12.7
GTEX-ZDYS-2426-SM-4WKGI 50-59 years, male 12.6
GTEX-1JKYN-0826-SM-ARU8S 30-39 years, male 12.6
GTEX-1OJC3-1226-SM-DTXER 20-29 years, male 12.6
GTEX-1S831-1826-SM-EWROF 20-29 years, male 12.6
GTEX-11ZTT-2126-SM-5CVLO 60-69 years, female 12.5
GTEX-XOT4-0626-SM-4B66L 60-69 years, female 12.5
GTEX-1JMLX-0626-SM-ARL8T 50-59 years, male 12.5
GTEX-1RAZQ-1326-SM-E9TK6 30-39 years, male 12.5
GTEX-1B8KE-1126-SM-7EPHI 50-59 years, male 12.4
GTEX-1HC8U-1326-SM-9YFMJ 40-49 years, female 12.4
GTEX-17HII-1426-SM-7EPGG 50-59 years, male 12.3
GTEX-XPVG-2126-SM-4B667 50-59 years, male 12.3
GTEX-1CAMS-2226-SM-7PBXQ 40-49 years, female 12.3
GTEX-1HKZK-0726-SM-ACKW2 40-49 years, male 12.3
GTEX-11ZU8-0126-SM-5EQ58 60-69 years, male 12.2
GTEX-12WSH-1526-SM-5BC5W 50-59 years, male 12.2
GTEX-1JMOU-1026-SM-CYPSS 60-69 years, female 12.2
GTEX-YEC4-1826-SM-4W1YP 40-49 years, male 12.1
GTEX-1EMGI-2326-SM-7PBYA 60-69 years, male 12.1
GTEX-1211K-1526-SM-5FQU4 60-69 years, female 12.0
GTEX-13FHO-0426-SM-5L3F5 60-69 years, male 12.0
GTEX-1H4P4-2126-SM-9WYSL 50-59 years, male 12.0
GTEX-1JKYR-0626-SM-ARL8R 20-29 years, male 12.0
GTEX-1CAMR-1326-SM-7PC1F 20-29 years, male 11.9
GTEX-1F75A-0726-SM-7RHHD 50-59 years, male 11.9
GTEX-1HCUA-0826-SM-ADEHM 50-59 years, female 11.9
GTEX-1EN7A-2426-SM-793DB 40-49 years, male 11.8
GTEX-Y9LG-1126-SM-4VBQ7 30-39 years, male 11.8
GTEX-1H3O1-1326-SM-9MQLD 60-69 years, male 11.8
GTEX-11GS4-0226-SM-5HL77 60-69 years, male 11.7
GTEX-1IDJD-2326-SM-ACKWX 30-39 years, male 11.7
GTEX-139YR-1026-SM-5LZYN 50-59 years, male 11.6
GTEX-17HGU-2326-SM-7DUFE 50-59 years, male 11.6
GTEX-13FTX-1526-SM-5K7VJ 20-29 years, female 11.5
GTEX-144FL-0626-SM-5LU43 50-59 years, male 11.5
GTEX-145LT-0526-SM-5LUB2 40-49 years, male 11.5
GTEX-17EVP-2626-SM-7IGMA 40-49 years, male 11.5
GTEX-Y3IK-1626-SM-4YCF5 50-59 years, female 11.5
GTEX-Y5V6-2326-SM-4VDSA 60-69 years, male 11.5
GTEX-ZDTS-0826-SM-4WKHL 60-69 years, male 11.5
GTEX-1F48J-0726-SM-7RHGS 50-59 years, female 11.5
GTEX-1H11D-1826-SM-9QEHM 40-49 years, male 11.5
GTEX-13PVQ-0626-SM-5LU47 50-59 years, male 11.4
GTEX-XAJ8-1426-SM-47JYM 40-49 years, male 11.4
GTEX-1R46S-2426-SM-E76QA 60-69 years, female 11.4
GTEX-1S3DN-2126-SM-E9TIN 50-59 years, male 11.4
GTEX-11O72-0626-SM-5PNYE 40-49 years, male 11.3
GTEX-15ER7-0626-SM-6PANF 20-29 years, female 11.3
GTEX-14DAR-1226-SM-73KYV 50-59 years, male 11.2
GTEX-W5X1-2526-SM-3GILC 40-49 years, female 11.2
GTEX-XQ3S-1426-SM-4BOPR 20-29 years, male 11.2
GTEX-1GMRU-2126-SM-7P8RA 50-59 years, male 11.2
GTEX-ZPIC-0526-SM-DO91W 40-49 years, female 11.2
GTEX-13OW5-2326-SM-5L3HO 60-69 years, male 11.1
GTEX-14ABY-2026-SM-62LDL 50-59 years, male 11.1
GTEX-ZVT4-2426-SM-5GIEI 50-59 years, female 11.1
GTEX-WYBS-0626-SM-3NMAS 60-69 years, female 11.0
GTEX-ZP4G-1426-SM-4WWCL 20-29 years, female 11.0
GTEX-1GL5R-1326-SM-7RHHF 50-59 years, male 11.0
GTEX-1IKJJ-2226-SM-CJI4C 60-69 years, male 11.0
GTEX-13QBU-1226-SM-5LU4G 40-49 years, female 10.9
GTEX-14E6E-0526-SM-793DN 30-39 years, male 10.9
GTEX-14PKV-1126-SM-6LLJ1 20-29 years, female 10.9
GTEX-1H23P-0626-SM-9WG6T 60-69 years, male 10.9
GTEX-1IY9M-2826-SM-ARU8H 60-69 years, male 10.9
GTEX-14B4R-1326-SM-5Q5EZ 30-39 years, male 10.8
GTEX-1I1CD-0626-SM-CE6SW 60-69 years, female 10.8
GTEX-144GM-0526-SM-79OJO 20-29 years, male 10.7
GTEX-14C5O-0326-SM-5ZZUX 60-69 years, male 10.7
GTEX-1GPI7-1826-SM-9KNU1 20-29 years, male 10.7
GTEX-11P7K-1126-SM-5HL4L 30-39 years, male 10.6
GTEX-11DXZ-2026-SM-5987S 50-59 years, male 10.5
GTEX-13OVJ-0826-SM-5J1OK 50-59 years, female 10.5
GTEX-1CB4H-1126-SM-7MKGL 60-69 years, female 10.5
GTEX-WXYG-2026-SM-4E3IY 50-59 years, female 10.5
GTEX-WYVS-1626-SM-3NM9R 40-49 years, female 10.5
GTEX-ZDXO-3126-SM-5IJDF 60-69 years, male 10.5
GTEX-1LVAO-2726-SM-E9TJ8 60-69 years, male 10.5
GTEX-1POEN-2326-SM-E9J2L 30-39 years, female 10.5
GTEX-1R9K4-2826-SM-DTX8F 60-69 years, male 10.5
GTEX-13N11-2326-SM-5IJBF 50-59 years, female 10.4
GTEX-17HHE-1326-SM-7EWDZ 50-59 years, male 10.4
GTEX-WY7C-2126-SM-3NB2R 50-59 years, male 10.4
GTEX-XXEK-1626-SM-4BRUZ 50-59 years, male 10.4
GTEX-ZVP2-0326-SM-57WBP 50-59 years, male 10.4
GTEX-1GZHY-0626-SM-9KNVC 50-59 years, female 10.4
GTEX-1JN6P-2926-SM-CL54D 60-69 years, male 10.4
GTEX-13O61-1426-SM-5KM3D 60-69 years, male 10.3
GTEX-ZAK1-0626-SM-5HL8E 50-59 years, female 10.3
GTEX-17MFQ-1526-SM-7KFRR 20-29 years, male 10.2
GTEX-XUW1-0926-SM-4BONX 50-59 years, female 10.2
GTEX-11WQC-1826-SM-5GU59 60-69 years, male 10.1
GTEX-13OW8-1026-SM-5J1NQ 60-69 years, male 10.1
GTEX-13SLX-2226-SM-62LEP 50-59 years, female 10.1
GTEX-13U4I-2226-SM-5LU5H 40-49 years, female 10.1
GTEX-145LU-1926-SM-79OJN 50-59 years, male 10.1
GTEX-XBED-1926-SM-47JYP 60-69 years, male 10.1
GTEX-YJ8O-2526-SM-5HL85 40-49 years, female 10.1
GTEX-1CB4J-1326-SM-7P8RX 60-69 years, male 10.1
GTEX-1JJE9-2626-SM-ARZMT 70-79 years, male 10.1
GTEX-1B97I-0626-SM-73KUZ 40-49 years, male 10.0
GTEX-WYJK-0526-SM-3NM8Z 50-59 years, male 10.0
GTEX-1IKOE-1426-SM-CE6T7 30-39 years, female 10.0
GTEX-145LS-0626-SM-7EPG7 60-69 years, female 9.9
GTEX-1A3MV-1826-SM-731CD 30-39 years, male 9.9
GTEX-1C6WA-2626-SM-7MKGM 60-69 years, male 9.9
GTEX-1I6K7-1926-SM-B2LXR 40-49 years, male 9.9
GTEX-11PRG-0726-SM-5EGL1 50-59 years, male 9.8
GTEX-11VI4-1126-SM-5EQMD 40-49 years, female 9.8
GTEX-12ZZZ-0726-SM-5GCNZ 60-69 years, male 9.8
GTEX-17F97-2626-SM-7IGM5 50-59 years, male 9.8
GTEX-1GF9V-0826-SM-9KNUV 60-69 years, male 9.8
GTEX-1JMPY-0226-SM-CKZOK 30-39 years, male 9.8
GTEX-1PBJJ-1026-SM-E76OS 30-39 years, male 9.8
GTEX-1313W-0626-SM-5EQ4H 50-59 years, female 9.7
GTEX-13RTJ-0126-SM-5S2NN 60-69 years, male 9.7
GTEX-14PKU-0126-SM-6LLHV 40-49 years, female 9.7
GTEX-15UF6-1926-SM-7KUDV 70-79 years, female 9.7
GTEX-1CB4E-0926-SM-7EPHT 60-69 years, male 9.7
GTEX-X8HC-0626-SM-4E3HQ 50-59 years, female 9.7
GTEX-1LG7Z-1626-SM-CXKYR 30-39 years, male 9.7
GTEX-1S83E-1326-SM-E6CJM 40-49 years, male 9.7
GTEX-1399R-1326-SM-5PNYS 30-39 years, male 9.6
GTEX-18D9B-0926-SM-7LG4U 60-69 years, male 9.6
GTEX-18D9U-0126-SM-731BM 40-49 years, male 9.6
GTEX-ZT9W-1126-SM-57WDR 50-59 years, male 9.6
GTEX-ZU9S-1826-SM-5NQ9E 30-39 years, male 9.6
GTEX-1GMR2-0826-SM-7PC3V 50-59 years, male 9.6
GTEX-1HFI7-2326-SM-CGQFS 50-59 years, female 9.6
GTEX-1HSMQ-2626-SM-A9SML 50-59 years, male 9.6
GTEX-1KXAM-1626-SM-D3LAD 60-69 years, male 9.6
GTEX-1LVA9-2626-SM-EVYD4 50-59 years, male 9.6
GTEX-13X6J-0626-SM-5LU5F 50-59 years, male 9.5
GTEX-147F3-1726-SM-5SIAW 50-59 years, female 9.5
GTEX-18QFQ-1826-SM-72D52 30-39 years, male 9.5
GTEX-VJYA-1526-SM-3GIJV 60-69 years, male 9.5
GTEX-1J8QM-2426-SM-A9SLS 60-69 years, female 9.5
GTEX-1PIIG-2326-SM-DTXFR 30-39 years, male 9.5
GTEX-16BQI-1326-SM-6M486 30-39 years, female 9.4
GTEX-16MT8-2926-SM-7DUFO 60-69 years, female 9.4
GTEX-183FY-1026-SM-7939A 20-29 years, male 9.4
GTEX-1JMPZ-0726-SM-CY8HZ 30-39 years, male 9.4
GTEX-1K2DA-1026-SM-CGQGF 50-59 years, male 9.4
GTEX-1QW4Y-1126-SM-DTXE3 30-39 years, male 9.4
GTEX-11TUW-0626-SM-5LU9M 60-69 years, male 9.3
GTEX-XV7Q-1826-SM-4BRUV 40-49 years, female 9.3
GTEX-Y5LM-0926-SM-6LLJG 40-49 years, female 9.3
GTEX-1I1GV-0626-SM-ARL7M 60-69 years, male 9.3
GTEX-1LBAC-0826-SM-CY8IJ 20-29 years, male 9.3
GTEX-15DDE-2926-SM-6LLJ3 50-59 years, female 9.2
GTEX-1EKGG-0626-SM-7DUGJ 60-69 years, male 9.2
GTEX-1HGF4-0126-SM-CNPPX 60-69 years, male 9.2
GTEX-1IDJF-2026-SM-CL53V 20-29 years, male 9.2
GTEX-1J8Q2-2626-SM-ACKWQ 60-69 years, male 9.2
GTEX-1JN76-0626-SM-CKZOQ 20-29 years, female 9.2
GTEX-1LVAN-0626-SM-CNPOQ 50-59 years, female 9.2
GTEX-1S82U-1026-SM-E6CJK 30-39 years, female 9.2
GTEX-131XH-0126-SM-5LZUY 50-59 years, male 9.1
GTEX-13FLV-0126-SM-5K7WT 50-59 years, male 9.1
GTEX-13O3Q-0126-SM-5KM34 50-59 years, male 9.1
GTEX-13VXU-0626-SM-5L3F9 50-59 years, male 9.1
GTEX-13X6H-0926-SM-5SIB2 50-59 years, female 9.1
GTEX-14C38-0726-SM-5SI6M 50-59 years, male 9.1
GTEX-WFON-1926-SM-3LK7L 40-49 years, male 9.1
GTEX-ZVT2-0126-SM-5GIDQ 50-59 years, female 9.1
GTEX-1QP29-1826-SM-DTX9S 50-59 years, male 9.1
GTEX-13112-0126-SM-5P9IU 50-59 years, male 9.0
GTEX-13N1W-2426-SM-5IJD1 70-79 years, male 9.0
GTEX-145ME-1726-SM-5Q5EU 40-49 years, female 9.0
GTEX-17JCI-2926-SM-7DUFF 60-69 years, female 9.0
GTEX-1AX9I-2226-SM-73KUO 60-69 years, male 9.0
GTEX-1EWIQ-0326-SM-7DHMQ 70-79 years, female 9.0
GTEX-WI4N-2726-SM-3LK7Y 40-49 years, female 9.0
GTEX-X4EO-2926-SM-4E3JH 60-69 years, female 9.0
GTEX-1GN1U-0626-SM-9MQL9 50-59 years, female 9.0
GTEX-1PPH7-1126-SM-DTX9A 40-49 years, male 9.0
GTEX-1RAZS-2526-SM-E6CHT 50-59 years, male 9.0
GTEX-12584-0726-SM-5FQTK 40-49 years, male 8.9
GTEX-14ICL-1626-SM-5YYAO 30-39 years, male 8.9
GTEX-1GZ4H-0526-SM-9KNU9 50-59 years, female 8.9
GTEX-1HCU6-2526-SM-ADEHL 60-69 years, female 8.9
GTEX-1HSGN-0826-SM-ACKW3 40-49 years, female 8.9
GTEX-1HUB1-1426-SM-CGQF5 60-69 years, male 8.9
GTEX-1J8JJ-0626-SM-ARZMQ 60-69 years, female 8.9
GTEX-ZGAY-1826-SM-DO91Q 40-49 years, female 8.9
GTEX-11OF3-0126-SM-5PNYF 60-69 years, male 8.8
GTEX-14PJ6-2626-SM-6EU2T 60-69 years, female 8.8
GTEX-16NPX-0726-SM-7KULC 50-59 years, male 8.8
GTEX-1ICLZ-0326-SM-ARL82 60-69 years, male 8.8
GTEX-111CU-1126-SM-5EGIM 50-59 years, male 8.7
GTEX-11NUK-2726-SM-5A5MC 50-59 years, male 8.7
GTEX-13D11-0926-SM-5J2NC 50-59 years, female 8.7
GTEX-14BMU-1226-SM-5S2OR 20-29 years, female 8.7
GTEX-14PK6-0226-SM-62LF5 70-79 years, female 8.7
GTEX-183WM-0326-SM-72D5V 70-79 years, female 8.7
GTEX-1B8KZ-0326-SM-73KY4 50-59 years, male 8.7
GTEX-XBEC-0726-SM-4QARZ 50-59 years, male 8.7
GTEX-1GN73-0726-SM-7P8TJ 60-69 years, male 8.7
GTEX-1MCC2-1826-SM-DIPEX 30-39 years, female 8.7
GTEX-1QP9N-1226-SM-E76QN 30-39 years, male 8.7
GTEX-12WSL-2026-SM-5GCML 50-59 years, male 8.6
GTEX-131XG-0326-SM-5L3DX 50-59 years, female 8.6
GTEX-13O3O-2326-SM-5IJD6 60-69 years, female 8.6
GTEX-147JS-0226-SM-5S2U9 60-69 years, male 8.6
GTEX-14A6H-2026-SM-5Q5DD 30-39 years, male 8.6
GTEX-15CHC-1126-SM-6LLHQ 60-69 years, female 8.6
GTEX-16NGA-0726-SM-731AO 40-49 years, female 8.6
GTEX-ZPU1-1126-SM-4YCF3 40-49 years, male 8.6
GTEX-1H1ZS-2726-SM-9WG75 70-79 years, male 8.6
GTEX-1JMQI-1726-SM-ARL93 50-59 years, male 8.6
GTEX-1S5ZU-2526-SM-E6CIF 20-29 years, female 8.6
GTEX-13FH7-1126-SM-5K7UG 50-59 years, female 8.5
GTEX-13FTY-2126-SM-5IFFB 40-49 years, female 8.5
GTEX-13OVK-1426-SM-6PAN7 40-49 years, male 8.5
GTEX-13VXT-1926-SM-5K7UO 20-29 years, female 8.5
GTEX-145MI-0626-SM-5SI8S 60-69 years, female 8.5
GTEX-ZYFC-0426-SM-5GICQ 50-59 years, male 8.5
GTEX-1H1E6-0426-SM-9WYUS 30-39 years, male 8.5
GTEX-1HBPN-0126-SM-CGQEF 50-59 years, male 8.5
GTEX-1MJK3-0726-SM-E6CJC 20-29 years, male 8.5
GTEX-11EQ9-1626-SM-5PNY8 30-39 years, male 8.4
GTEX-13OW6-2726-SM-5J2OE 50-59 years, male 8.4
GTEX-14PJ4-0226-SM-5YY92 60-69 years, male 8.4
GTEX-15EU6-2226-SM-6EU2L 50-59 years, male 8.4
GTEX-ZT9X-1526-SM-5DUXD 40-49 years, male 8.4
GTEX-1IL2V-1926-SM-B2LW8 70-79 years, male 8.4
GTEX-1KANA-1326-SM-DIPFA 20-29 years, male 8.4
GTEX-ZLV1-1526-SM-DO91J 60-69 years, female 8.4
GTEX-13OW7-0426-SM-5K7VK 50-59 years, male 8.3
GTEX-13X6K-0626-SM-5LU5D 60-69 years, female 8.3
GTEX-1477Z-0326-SM-7IGLA 60-69 years, male 8.3
GTEX-15DYW-2726-SM-6EU2I 60-69 years, female 8.3
GTEX-1HBPI-2126-SM-ARL9K 50-59 years, male 8.3
GTEX-1HFI6-0126-SM-CNPPI 40-49 years, male 8.3
GTEX-1KWVE-1026-SM-D3L9O 30-39 years, male 8.3
GTEX-1QAET-0326-SM-EVR3U 50-59 years, male 8.3
GTEX-13FTW-0326-SM-5K7UW 40-49 years, male 8.2
GTEX-15FZZ-0526-SM-7KUGD 30-39 years, female 8.2
GTEX-1IDJC-1526-SM-B2LW4 50-59 years, male 8.2
GTEX-1J1R8-2026-SM-CL53Y 40-49 years, male 8.2
GTEX-1JK1U-0226-SM-ARZMX 60-69 years, male 8.2
GTEX-1NSGN-0726-SM-DTXEF 50-59 years, male 8.2
GTEX-12WSC-2826-SM-5BC5Y 50-59 years, male 8.1
GTEX-146FQ-2126-SM-5RQHU 30-39 years, male 8.1
GTEX-14BMV-2826-SM-5TDED 50-59 years, male 8.1
GTEX-14E1K-2026-SM-7DUEI 50-59 years, male 8.1
GTEX-U8XE-0226-SM-4E3J3 30-39 years, male 8.1
GTEX-XQ8I-0926-SM-4BOOF 50-59 years, male 8.1
GTEX-ZZ64-1026-SM-5GZXG 20-29 years, male 8.1
GTEX-1S82P-2126-SM-E6CI5 60-69 years, female 8.1
GTEX-111VG-1626-SM-5EGIO 60-69 years, male 8.0
GTEX-131YS-2826-SM-5EQ47 60-69 years, female 8.0
GTEX-14PJO-2526-SM-6AJBQ 60-69 years, male 8.0
GTEX-WRHU-2826-SM-3MJG8 50-59 years, female 8.0
GTEX-ZC5H-1526-SM-5HL9Y 40-49 years, female 8.0
GTEX-1LB8K-0726-SM-D5OV2 50-59 years, male 8.0
GTEX-1N2EE-0626-SM-E76PW 60-69 years, male 8.0
GTEX-1PPH8-0126-SM-EWRN8 20-29 years, male 8.0
GTEX-1QMI2-2526-SM-E8VNZ 60-69 years, male 8.0
GTEX-13NYB-0126-SM-5J1MD 40-49 years, male 7.9
GTEX-13X6I-1826-SM-5SIAO 60-69 years, male 7.9
GTEX-16YQH-2226-SM-7IGM2 30-39 years, male 7.9
GTEX-17F9E-2326-SM-79OKD 50-59 years, male 7.9
GTEX-1C2JI-1026-SM-73KY1 50-59 years, male 7.9
GTEX-1C6VQ-1226-SM-73KYD 50-59 years, male 7.9
GTEX-XYKS-1426-SM-4BRUO 60-69 years, female 7.9
GTEX-1I1GP-1326-SM-A9G28 50-59 years, male 7.9
GTEX-1LSVX-2526-SM-DIPEU 60-69 years, male 7.9
GTEX-1QP28-1126-SM-EVYC4 50-59 years, female 7.9
GTEX-12WSD-0626-SM-5GCMW 60-69 years, female 7.8
GTEX-13PVR-0426-SM-5RQK2 60-69 years, female 7.8
GTEX-145MG-1526-SM-5Q5EM 50-59 years, male 7.8
GTEX-14PJN-1826-SM-6AJ98 30-39 years, male 7.8
GTEX-Y8E4-2026-SM-5IFJB 40-49 years, male 7.8
GTEX-ZPCL-1126-SM-4WWFE 60-69 years, female 7.8
GTEX-1GF9W-1426-SM-7PBYM 60-69 years, male 7.8
GTEX-1K9T9-1526-SM-DIPFR 50-59 years, female 7.8
GTEX-1RAZR-2126-SM-E9U6T 40-49 years, male 7.8
GTEX-139T8-0626-SM-5KLZX 60-69 years, male 7.7
GTEX-16XZZ-0726-SM-7KUF2 60-69 years, male 7.7
GTEX-1A32A-0626-SM-731AQ 50-59 years, female 7.7
GTEX-1B8SF-0126-SM-7DUG3 60-69 years, male 7.7
GTEX-1B933-2426-SM-7DHMD 50-59 years, female 7.7
GTEX-WH7G-2026-SM-3NMBL 40-49 years, male 7.7
GTEX-ZYW4-0626-SM-59HJR 60-69 years, male 7.7
GTEX-1122O-1026-SM-9WYSF 60-69 years, female 7.7
GTEX-1C64N-2626-SM-7PC2N 50-59 years, male 7.7
GTEX-1C64O-1326-SM-7MGWR 60-69 years, male 7.7
GTEX-1PPGY-1626-SM-EVYBL 60-69 years, male 7.7
GTEX-11GSP-2326-SM-5HL63 60-69 years, female 7.6
GTEX-1212Z-0126-SM-59HK4 60-69 years, male 7.6
GTEX-131XF-2626-SM-5EQ6K 60-69 years, male 7.6
GTEX-14BIN-1126-SM-5RQJZ 50-59 years, female 7.6
GTEX-18465-2826-SM-7LT9J 50-59 years, male 7.6
GTEX-18A7A-0126-SM-731AH 50-59 years, female 7.6
GTEX-1GN1W-2426-SM-9KNUU 50-59 years, female 7.6
GTEX-1HB9E-0126-SM-CM2S5 50-59 years, male 7.6
GTEX-1I1GU-0926-SM-ACKVS 40-49 years, male 7.6
GTEX-1JMQJ-0826-SM-CNPP7 50-59 years, male 7.6
GTEX-1N2DV-1526-SM-DTXEP 40-49 years, male 7.6
GTEX-1N5O9-0926-SM-E9J3C 60-69 years, male 7.6
GTEX-111YS-1526-SM-5GZYW 60-69 years, male 7.5
GTEX-11P81-2226-SM-5PNYI 30-39 years, female 7.5
GTEX-12KS4-2126-SM-5FQUT 30-39 years, male 7.5
GTEX-15D1Q-2826-SM-6LLH7 40-49 years, male 7.5
GTEX-WHSB-1326-SM-3LK6W 50-59 years, male 7.5
GTEX-ZLWG-0826-SM-59888 50-59 years, female 7.5
GTEX-1IDJE-1426-SM-ADEIW 50-59 years, female 7.5
GTEX-133LE-2326-SM-5K7W3 20-29 years, female 7.4
GTEX-14PJ5-1526-SM-6LLIL 60-69 years, female 7.4
GTEX-16Z82-2626-SM-7KULU 60-69 years, male 7.4
GTEX-1BAJH-2426-SM-7IGP8 70-79 years, male 7.4
GTEX-WHSE-0126-SM-3NMBT 20-29 years, male 7.4
GTEX-YFCO-1226-SM-5LUAT 40-49 years, male 7.4
GTEX-ZVTK-0226-SM-51MRG 20-29 years, male 7.4
GTEX-1GF9X-1326-SM-7PC2Y 40-49 years, female 7.4
GTEX-1JJEA-1826-SM-ARU8P 60-69 years, male 7.4
GTEX-1OJC4-2726-SM-E76PJ 50-59 years, female 7.4
GTEX-11EM3-1226-SM-5N9DD 20-29 years, female 7.3
GTEX-12WSM-1926-SM-5BC65 60-69 years, male 7.3
GTEX-139TU-0726-SM-5L3EK 60-69 years, male 7.3
GTEX-14PHX-2226-SM-6EU2P 50-59 years, male 7.3
GTEX-Z93S-1626-SM-5CVMB 50-59 years, male 7.3
GTEX-ZDTT-0426-SM-4WKFL 60-69 years, male 7.3
GTEX-ZYFD-0626-SM-5E44E 50-59 years, male 7.3
GTEX-1GN2E-0226-SM-9WG6K 60-69 years, male 7.3
GTEX-1I1GS-2626-SM-B2LY3 60-69 years, male 7.3
GTEX-1I1GT-1026-SM-ARZLV 60-69 years, female 7.3
GTEX-1399U-1126-SM-5L3DB 50-59 years, female 7.2
GTEX-147GR-2426-SM-5ZZWQ 60-69 years, male 7.2
GTEX-1A8G7-1326-SM-73KVM 60-69 years, male 7.2
GTEX-1EH9U-2826-SM-7DUGT 60-69 years, male 7.2
GTEX-ZZPU-0826-SM-5GZX5 50-59 years, female 7.2
GTEX-18D9A-1426-SM-7LT8M 30-39 years, female 7.2
GTEX-1LSNL-2726-SM-E9TKJ 50-59 years, male 7.2
GTEX-1RLM8-2926-SM-E8VON 50-59 years, male 7.2
GTEX-139UW-0326-SM-5J1ML 60-69 years, male 7.1
GTEX-17F98-1326-SM-7DUEP 40-49 years, female 7.1
GTEX-WHWD-1826-SM-3LK6I 50-59 years, male 7.1
GTEX-Y111-0626-SM-4SOIT 50-59 years, male 7.1
GTEX-1GN1V-2826-SM-9JGIA 60-69 years, male 7.1
GTEX-1QCLY-0226-SM-EWRNH 30-39 years, male 7.1
GTEX-13PL6-1126-SM-5L3IE 40-49 years, female 7.0
GTEX-17HHY-0426-SM-7DHLC 50-59 years, male 7.0
GTEX-X4EP-0626-SM-3P621 60-69 years, female 7.0
GTEX-ZVE2-2826-SM-5GU51 50-59 years, male 7.0
GTEX-1F6IF-0926-SM-7SB7M 60-69 years, male 7.0
GTEX-1GMR3-0126-SM-A9SLW 40-49 years, male 7.0
GTEX-1H1DF-1126-SM-9WG7G 40-49 years, female 7.0
GTEX-1LG7Y-2526-SM-EWRO7 50-59 years, male 7.0
GTEX-11TT1-1826-SM-5EQLV 20-29 years, male 6.9
GTEX-131XW-0626-SM-5PNVD 50-59 years, female 6.9
GTEX-145MF-0926-SM-5Q5EA 50-59 years, male 6.9
GTEX-16AAH-0626-SM-793C9 50-59 years, male 6.9
GTEX-17KNJ-2126-SM-718AM 50-59 years, male 6.9
GTEX-1CAV2-0126-SM-7IGN7 40-49 years, female 6.9
GTEX-1C475-1326-SM-7SB73 40-49 years, female 6.9
GTEX-1IE54-1126-SM-A9G2Z 40-49 years, female 6.9
GTEX-1KAFJ-0126-SM-DIPEK 50-59 years, male 6.9
GTEX-1LGOU-1326-SM-D3L8M 20-29 years, female 6.9
GTEX-11UD2-2526-SM-5CVNU 50-59 years, male 6.8
GTEX-144GL-0626-SM-5LU4D 50-59 years, male 6.8
GTEX-14JG1-1526-SM-5YY9X 40-49 years, male 6.8
GTEX-15CHQ-0326-SM-69LQD 60-69 years, male 6.8
GTEX-18A67-1626-SM-7LT9T 50-59 years, male 6.8
GTEX-WEY5-2326-SM-3GIKK 40-49 years, female 6.8
GTEX-ZF29-0926-SM-4WKFZ 60-69 years, female 6.8
GTEX-ZLFU-1826-SM-4WWBV 40-49 years, male 6.8
GTEX-1LKK1-2626-SM-DKPQE 50-59 years, female 6.8
GTEX-1QCLZ-2426-SM-EVYBW 60-69 years, female 6.8
GTEX-1QPFJ-1926-SM-EVYBD 30-39 years, female 6.8
GTEX-ZF3C-0626-SM-DO92O 50-59 years, female 6.8
GTEX-12BJ1-0926-SM-5EQ62 60-69 years, male 6.7
GTEX-1399S-0126-SM-5IJCF 30-39 years, female 6.7
GTEX-14PJ3-1126-SM-5ZZVX 50-59 years, male 6.7
GTEX-ZF2S-1626-SM-57WES 50-59 years, female 6.7
GTEX-14JG6-1426-SM-9WG7C 30-39 years, female 6.7
GTEX-1A3MX-2626-SM-7PC24 60-69 years, male 6.7
GTEX-1ICG6-1226-SM-A9SLN 70-79 years, female 6.7
GTEX-1JMQK-1226-SM-D4P2S 60-69 years, male 6.7
GTEX-1QP2A-1726-SM-E76QC 50-59 years, male 6.7
GTEX-1R9PM-1926-SM-EVR3O 20-29 years, male 6.7
GTEX-1117F-2926-SM-5GZYI 60-69 years, female 6.6
GTEX-132AR-0326-SM-5KM2C 50-59 years, female 6.6
GTEX-14PII-0726-SM-6EU2B 60-69 years, male 6.6
GTEX-15CHR-1126-SM-7EWF4 50-59 years, male 6.6
GTEX-15SHW-0226-SM-7LTAT 60-69 years, male 6.6
GTEX-ZYFG-1526-SM-5GZYM 60-69 years, female 6.6
GTEX-1JJ6O-2726-SM-CNPOG 60-69 years, male 6.6
GTEX-12ZZY-0726-SM-5EQ66 60-69 years, male 6.5
GTEX-13G51-1826-SM-5KLZH 60-69 years, male 6.5
GTEX-1F5PK-2226-SM-7SB6N 50-59 years, male 6.5
GTEX-1GPI6-1926-SM-9KNV7 60-69 years, male 6.5
GTEX-1HCU9-0426-SM-9WYSD 20-29 years, male 6.5
GTEX-1R9PN-0426-SM-DTXDT 40-49 years, female 6.5
GTEX-13JVG-0726-SM-5KM16 60-69 years, male 6.4
GTEX-14E6C-2426-SM-5S2NF 40-49 years, male 6.4
GTEX-16GPK-0626-SM-7KFSF 60-69 years, male 6.4
GTEX-1AX9J-1326-SM-731BJ 60-69 years, male 6.4
GTEX-YF7O-1526-SM-5IFI6 50-59 years, male 6.4
GTEX-1CB4I-0126-SM-7RHGG 50-59 years, male 6.4
GTEX-1F75I-2226-SM-7SB8U 40-49 years, male 6.4
GTEX-15RIG-0726-SM-7KUM7 40-49 years, male 6.3
GTEX-17F96-0126-SM-7EWDU 70-79 years, male 6.3
GTEX-1HSKV-1226-SM-ADEI4 60-69 years, male 6.3
GTEX-1K2DU-1226-SM-CYPT4 20-29 years, male 6.3
GTEX-1PIGE-1826-SM-E8VOU 20-29 years, male 6.3
GTEX-11WQK-1026-SM-5EQLX 50-59 years, male 6.2
GTEX-12696-0126-SM-5EQ4L 60-69 years, male 6.2
GTEX-139TT-2126-SM-5LZWC 60-69 years, male 6.2
GTEX-13NYC-0126-SM-5L3F4 60-69 years, male 6.2
GTEX-13NYS-0626-SM-5L3F1 60-69 years, male 6.2
GTEX-15EO6-2426-SM-6PALZ 50-59 years, male 6.2
GTEX-18A6Q-0626-SM-7KFRP 60-69 years, male 6.2
GTEX-ZE7O-2726-SM-51MT5 50-59 years, female 6.2
GTEX-1A8FM-0626-SM-7PC25 50-59 years, female 6.2
GTEX-1GZ4I-2626-SM-9KNU3 50-59 years, male 6.2
GTEX-1HT8W-0626-SM-A9G2H 30-39 years, male 6.2
GTEX-1IDJU-1726-SM-CMKHU 60-69 years, female 6.2
GTEX-139D8-1126-SM-5LU8W 30-39 years, female 6.1
GTEX-13SLW-0626-SM-5Q5ER 70-79 years, male 6.1
GTEX-14A5H-0826-SM-5QGPJ 60-69 years, male 6.1
GTEX-15G1A-1626-SM-7KUKN 30-39 years, male 6.1
GTEX-18A66-0626-SM-7LT8Z 60-69 years, male 6.1
GTEX-1EX96-1026-SM-7MKG2 50-59 years, male 6.1
GTEX-1269C-0126-SM-5EQ5L 60-69 years, female 6.0
GTEX-139TS-2126-SM-5K7XC 60-69 years, male 6.0
GTEX-13W3W-0726-SM-5IJDQ 60-69 years, female 6.0
GTEX-ZAJG-1526-SM-5CVML 50-59 years, female 6.0
GTEX-ZTTD-2826-SM-4YCFA 50-59 years, male 6.0
GTEX-1F5PL-0926-SM-7PC2W 40-49 years, female 6.0
GTEX-1H3NZ-2726-SM-9WYTQ 60-69 years, male 6.0
GTEX-1L5NE-1126-SM-D3L9P 50-59 years, male 6.0
GTEX-YEC3-1326-SM-DO92X 50-59 years, male 6.0
GTEX-11DXW-0826-SM-5H118 40-49 years, male 5.9
GTEX-11DXX-2126-SM-5PNYR 60-69 years, female 5.9
GTEX-1314G-1326-SM-5BC6E 30-39 years, male 5.9
GTEX-ZVZP-1226-SM-5GID7 50-59 years, male 5.9
GTEX-1CAMQ-1326-SM-7P8RV 40-49 years, male 5.9
GTEX-1GF9U-2026-SM-7SB92 40-49 years, female 5.9
GTEX-1HBPM-0726-SM-9YFL7 60-69 years, female 5.9
GTEX-1LSNM-0826-SM-DIPG8 50-59 years, male 5.9
GTEX-11ZUS-2626-SM-5FQUR 30-39 years, male 5.8
GTEX-145MH-2826-SM-5RQJF 50-59 years, male 5.8
GTEX-14XAO-1226-SM-6EU1C 60-69 years, female 5.8
GTEX-15RJE-2826-SM-7KUM9 40-49 years, male 5.8
GTEX-1R7EU-1626-SM-DTXG3 60-69 years, male 5.8
GTEX-14C39-1726-SM-5RQIL 40-49 years, male 5.7
GTEX-YB5K-2026-SM-4VDT3 40-49 years, female 5.7
GTEX-1F88F-0126-SM-9WYSZ 60-69 years, female 5.7
GTEX-1M4P7-0726-SM-E6CJ3 60-69 years, male 5.7
GTEX-1QP66-1226-SM-DTX7U 50-59 years, male 5.7
GTEX-13IVO-0726-SM-5LZYV 70-79 years, male 5.6
GTEX-V1D1-2026-SM-3GAF4 50-59 years, male 5.6
GTEX-ZYT6-2326-SM-5GZY3 30-39 years, male 5.6
GTEX-1B8L1-2226-SM-7P8PT 60-69 years, male 5.6
GTEX-1IDJH-0126-SM-D3L92 70-79 years, male 5.6
GTEX-1KANC-1226-SM-CYPT7 50-59 years, female 5.6
GTEX-13N2G-0226-SM-5K7VF 60-69 years, male 5.5
GTEX-1B932-2326-SM-79OL5 40-49 years, female 5.5
GTEX-14JFF-0626-SM-5ZZVT 60-69 years, male 5.5
GTEX-1RB15-1326-SM-E76Q9 60-69 years, male 5.5
GTEX-1RMOY-1326-SM-E9TIH 50-59 years, male 5.5
GTEX-Y5V5-0126-SM-5S2NW 60-69 years, female 5.4
GTEX-1HSMO-0626-SM-ACKXC 60-69 years, male 5.4
GTEX-1O9I2-0226-SM-EYYXD 50-59 years, male 5.4
GTEX-11DXY-0126-SM-5H11Q 60-69 years, male 5.3
GTEX-13YAN-0226-SM-5TDC6 60-69 years, male 5.3
GTEX-16MT9-0126-SM-7EPI8 60-69 years, female 5.3
GTEX-178AV-1726-SM-7KUL8 40-49 years, male 5.3
GTEX-1A3MW-0626-SM-731CB 60-69 years, female 5.3
GTEX-1AMEY-0826-SM-72D65 30-39 years, female 5.3
GTEX-ZYY3-2926-SM-5GIEB 60-69 years, female 5.3
GTEX-1HCVE-2726-SM-CL54F 50-59 years, male 5.3
GTEX-111FC-2526-SM-5GZXU 60-69 years, male 5.2
GTEX-1HSMP-0926-SM-A9SKX 70-79 years, male 5.2
GTEX-11EI6-2826-SM-5H11D 60-69 years, male 5.1
GTEX-12WSF-1626-SM-7KUG5 70-79 years, male 5.1
GTEX-12ZZX-2426-SM-5GCOE 40-49 years, female 5.1
GTEX-UPJH-0226-SM-3GADV 50-59 years, male 5.1
GTEX-ZXG5-2126-SM-59HKD 60-69 years, male 5.1
GTEX-1H1DG-2426-SM-9QEHJ 70-79 years, male 5.1
GTEX-1I1HK-2326-SM-CKZOH 60-69 years, male 5.1
GTEX-1I6K6-1726-SM-CGQFD 30-39 years, male 5.1
GTEX-1ICLY-0826-SM-CMKG1 50-59 years, male 5.1
GTEX-1LGRB-0926-SM-COH3K 50-59 years, female 5.1
GTEX-1QEPI-2626-SM-DTXF4 60-69 years, female 5.1
GTEX-X585-2426-SM-46MW2 50-59 years, male 5.0
GTEX-ZE9C-2526-SM-5IJDR 60-69 years, male 5.0
GTEX-1E2YA-2126-SM-7MXUO 50-59 years, male 5.0
GTEX-1F75B-0726-SM-7PC3R 50-59 years, male 5.0
GTEX-1HCU7-0726-SM-A9SL1 50-59 years, male 5.0
GTEX-1AMFI-1326-SM-7939R 50-59 years, female 4.9
GTEX-XK95-0226-SM-4AT58 40-49 years, male 4.9
GTEX-1F75W-2726-SM-7SB8H 60-69 years, male 4.9
GTEX-1HR9M-2226-SM-CNPPY 60-69 years, male 4.9
GTEX-1IDFM-0326-SM-ARL7V 60-69 years, male 4.9
GTEX-14AS3-1526-SM-5Q5ED 40-49 years, female 4.8
GTEX-1E1VI-0326-SM-793D1 50-59 years, male 4.8
GTEX-ZUA1-2626-SM-5NQ92 40-49 years, male 4.8
GTEX-1NV5F-0626-SM-DTXEG 60-69 years, female 4.8
GTEX-13OVH-0526-SM-5L3E6 70-79 years, male 4.7
GTEX-14LLW-2626-SM-62LDZ 70-79 years, female 4.7
GTEX-14LZ3-0126-SM-69LPM 60-69 years, female 4.7
GTEX-17F9Y-0126-SM-79OKX 70-79 years, female 4.7
GTEX-WK11-2726-SM-3NMAQ 50-59 years, male 4.7
GTEX-1C6VR-0126-SM-7RHGB 60-69 years, male 4.7
GTEX-1IOXB-2726-SM-CM2RI 50-59 years, male 4.7
GTEX-13JUV-2026-SM-5K7UA 40-49 years, female 4.6
GTEX-144GO-2026-SM-5O99P 60-69 years, male 4.6
GTEX-VUSG-2326-SM-4KL1U 50-59 years, male 4.6
GTEX-1GZ2Q-0126-SM-9WG6M 40-49 years, male 4.6
GTEX-11DZ1-2426-SM-5GZZX 50-59 years, male 4.5
GTEX-12WSA-0426-SM-5EQ5X 60-69 years, male 4.5
GTEX-1399Q-2326-SM-5KM2X 40-49 years, male 4.5
GTEX-14753-0726-SM-5QGQO 60-69 years, male 4.5
GTEX-1H1CY-0126-SM-9YFLY 60-69 years, female 4.5
GTEX-1JN1M-2726-SM-CY8I4 60-69 years, female 4.5
GTEX-1LVAM-0726-SM-E6CIL 50-59 years, female 4.5
GTEX-13QJC-0126-SM-5ZZWJ 60-69 years, female 4.4
GTEX-14PJ2-0626-SM-6LLII 50-59 years, male 4.4
GTEX-18A7B-2726-SM-7LG56 70-79 years, male 4.4
GTEX-1A8G6-2726-SM-731AR 60-69 years, male 4.3
GTEX-1GMR8-0626-SM-7RHI7 50-59 years, female 4.3
GTEX-1KANB-2826-SM-CY8I6 50-59 years, male 4.3
GTEX-1192X-2726-SM-5N9DN 50-59 years, male 4.2
GTEX-YECK-0326-SM-4W1YS 60-69 years, male 4.2
GTEX-145MO-2826-SM-5LU96 60-69 years, male 4.1
GTEX-15G19-2426-SM-7KUMR 60-69 years, male 4.1
GTEX-1F88E-1626-SM-7SB8Z 60-69 years, female 4.1
GTEX-117YX-1926-SM-5GIEC 50-59 years, male 4.0
GTEX-1I19N-0126-SM-CYPSF 70-79 years, male 4.0
GTEX-1KD5A-0126-SM-E9U54 50-59 years, male 4.0
GTEX-14DAQ-0626-SM-793DS 60-69 years, female 3.9
GTEX-ZWKS-0626-SM-5GIDV 30-39 years, male 3.9
GTEX-UPK5-0426-SM-3GAEK 40-49 years, male 3.8
GTEX-XMD2-2126-SM-4YCF8 60-69 years, female 3.8
GTEX-13NZ9-2626-SM-5L3FK 50-59 years, male 3.7
GTEX-13OVL-0126-SM-5L3GJ 50-59 years, male 3.7
GTEX-148VJ-0626-SM-5LUAW 70-79 years, male 3.6
GTEX-15RIE-1926-SM-7KUKJ 60-69 years, male 3.6
GTEX-1H3VE-0726-SM-9YFL5 40-49 years, male 3.6
GTEX-1RAZA-2226-SM-E9U4X 20-29 years, male 3.6
GTEX-13PDP-0726-SM-5L3HP 60-69 years, male 3.5
GTEX-17MF6-2626-SM-79OKQ 40-49 years, male 3.5
GTEX-1F52S-2926-SM-7MKGA 60-69 years, female 3.4
GTEX-1IDJV-0126-SM-COH3Y 60-69 years, male 3.4
GTEX-15SKB-2826-SM-6PAMH 60-69 years, male 3.3
GTEX-1H2FU-0926-SM-9WPPT 60-69 years, female 3.3
GTEX-17EVQ-0126-SM-7IGLR 70-79 years, male 3.1
GTEX-11EQ8-0926-SM-5H12V 60-69 years, male 2.8
GTEX-1HR98-2226-SM-ADEI2 60-69 years, male 2.8
GTEX-1F6RS-2026-SM-7RHHC 60-69 years, female 2.6
GTEX-ZVE1-0726-SM-51MRN 50-59 years, female 2.2
GTEX-13NZ8-1226-SM-5KM4A 60-69 years, female 1.8
Show allShow less
Skin - Sun Exposed (Lower leg)
Average nTPM: 8.1
Samples: 701

Max nTPM: 25.2
Min nTPM: 2.8
Std nTPM: 2.8
Median nTPM: 7.7
GTEX-ZXES-1826-SM-5E43S 30-39 years, female 25.2
GTEX-1GF9V-0326-SM-7RHI5 60-69 years, male 21.7
GTEX-13OVG-1926-SM-5L3DK 60-69 years, male 21.6
GTEX-13OVJ-0126-SM-5KM36 50-59 years, female 20.0
GTEX-1EN7A-0126-SM-7SB81 40-49 years, male 19.7
GTEX-WYJK-0126-SM-3NMAB 50-59 years, male 19.0
GTEX-113JC-2326-SM-5EQ4E 50-59 years, female 17.4
GTEX-13G51-2526-SM-5LZYK 60-69 years, male 16.6
GTEX-1PWST-0226-SM-E76QJ 70-79 years, male 16.5
GTEX-117XS-2726-SM-5N9BL 60-69 years, male 16.4
GTEX-1C64N-0126-SM-793D7 50-59 years, male 15.8
GTEX-1QMI2-0226-SM-EVYBX 60-69 years, male 15.7
GTEX-11EMC-2926-SM-5EQ4F 60-69 years, female 15.5
GTEX-X5EB-2226-SM-46MW4 40-49 years, male 15.4
GTEX-1269C-2526-SM-5EGJ3 60-69 years, female 15.3
GTEX-ZAB4-0226-SM-5N9F5 40-49 years, male 15.1
GTEX-SE5C-1626-SM-2XCE3 40-49 years, female 15.0
GTEX-13FTY-0526-SM-5L3EV 40-49 years, female 14.8
GTEX-OXRL-0126-SM-2YUMP 50-59 years, male 14.8
GTEX-11GSP-2526-SM-5N9BP 60-69 years, female 14.6
GTEX-XQ3S-1526-SM-4BOOC 20-29 years, male 14.5
GTEX-1192W-2626-SM-5Q5AF 60-69 years, male 14.4
GTEX-1N2DW-0226-SM-E9TK2 50-59 years, male 14.4
GTEX-13X6H-2126-SM-7EWD5 50-59 years, female 14.3
GTEX-1BAJH-0526-SM-793CQ 70-79 years, male 14.3
GTEX-1J8EW-0126-SM-CJI4F 60-69 years, female 14.3
GTEX-1J1OQ-0226-SM-CYPSH 40-49 years, female 14.2
GTEX-Y3I4-2126-SM-4TT7C 50-59 years, male 14.1
GTEX-T2IS-0126-SM-4DM6O 20-29 years, female 13.9
GTEX-17MFQ-1726-SM-793C7 20-29 years, male 13.8
GTEX-XUZC-1726-SM-4BRWS 30-39 years, female 13.8
GTEX-1MJK2-0426-SM-DTXE5 50-59 years, male 13.6
GTEX-1B8SF-1426-SM-7DUGL 60-69 years, male 13.4
GTEX-1M5QR-1226-SM-EWROB 40-49 years, male 13.4
GTEX-12WSJ-1826-SM-5GCNY 40-49 years, female 13.2
GTEX-13IVO-0126-SM-5J1NG 70-79 years, male 13.1
GTEX-13N1W-0126-SM-5K7VT 70-79 years, male 13.1
GTEX-13OW6-0426-SM-5L3HM 50-59 years, male 13.1
GTEX-1F6IF-0726-SM-7P8TW 60-69 years, male 13.1
GTEX-1A32A-0126-SM-718B1 50-59 years, female 13.0
GTEX-QDT8-0126-SM-48TZ1 30-39 years, female 13.0
GTEX-ZY6K-1826-SM-5GZXK 50-59 years, male 13.0
GTEX-1R9K4-0126-SM-DTX9X 60-69 years, male 12.9
GTEX-X8HC-0126-SM-4E3JW 50-59 years, female 12.7
GTEX-ZF28-0126-SM-4WKGK 60-69 years, male 12.7
GTEX-1JMLX-0226-SM-CM2RO 50-59 years, male 12.7
GTEX-11TUW-2726-SM-E9J4M 60-69 years, male 12.6
GTEX-PSDG-0226-SM-DKPOZ 50-59 years, male 12.6
GTEX-ZVT4-0126-SM-DTXFN 50-59 years, female 12.6
GTEX-12C56-1726-SM-5EQ61 20-29 years, male 12.5
GTEX-1I1GV-0526-SM-A9G29 60-69 years, male 12.5
GTEX-13CF2-2526-SM-5LZYX 60-69 years, male 12.4
GTEX-13N11-2526-SM-5K7UE 50-59 years, female 12.4
GTEX-11DYG-0126-SM-59883 60-69 years, male 12.3
GTEX-1H1DE-2126-SM-9WG6R 20-29 years, male 12.3
GTEX-1J8Q2-0526-SM-CM2RW 60-69 years, male 12.3
GTEX-1B8L1-2526-SM-9WYTF 60-69 years, male 12.1
GTEX-1EWIQ-0126-SM-7RHH2 70-79 years, female 12.1
GTEX-1GMRU-0126-SM-9YFLV 50-59 years, male 12.1
GTEX-Q734-1926-SM-2I5EV 40-49 years, female 12.0
GTEX-WQUQ-0426-SM-3MJFU 60-69 years, male 12.0
GTEX-1HGF4-2426-SM-ACKXM 60-69 years, male 12.0
GTEX-13NZA-0226-SM-5K7Z7 60-69 years, male 11.9
GTEX-144GN-2326-SM-5LU4F 50-59 years, male 11.9
GTEX-Y114-2426-SM-4TT8A 50-59 years, female 11.9
GTEX-ZYW4-0126-SM-5E44A 60-69 years, male 11.9
GTEX-1H1DG-0126-SM-9WYU2 70-79 years, male 11.8
GTEX-1LGOU-2026-SM-DIPFF 20-29 years, female 11.8
GTEX-1MCQQ-0826-SM-DLHC2 60-69 years, male 11.8
GTEX-ZQG8-1626-SM-DHXIT 60-69 years, female 11.8
GTEX-13FXS-0226-SM-5IJCK 50-59 years, male 11.7
GTEX-ZPIC-1726-SM-DHXIU 40-49 years, female 11.7
GTEX-1399U-2326-SM-5K7WY 50-59 years, female 11.6
GTEX-WH7G-2326-SM-3NMBC 40-49 years, male 11.6
GTEX-YEC4-2126-SM-5IFJH 40-49 years, male 11.6
GTEX-RNOR-0126-SM-E9J4R 50-59 years, female 11.6
GTEX-113IC-0126-SM-5HL6T 60-69 years, male 11.5
GTEX-11ZTS-0126-SM-5EQ6M 60-69 years, female 11.5
GTEX-1211K-2026-SM-5EQ4Z 60-69 years, female 11.5
GTEX-1GMR3-1926-SM-9KNUZ 40-49 years, male 11.5
GTEX-1H3VE-0326-SM-9YFLH 40-49 years, male 11.5
GTEX-11OC5-0126-SM-5HL6A 60-69 years, male 11.4
GTEX-12WSK-2326-SM-5GCOH 40-49 years, female 11.4
GTEX-13RTJ-2426-SM-5S2Q2 60-69 years, male 11.4
GTEX-U412-0426-SM-3DB9O 60-69 years, male 11.4
GTEX-ZYFD-0126-SM-5GIDL 50-59 years, male 11.4
GTEX-1EU9M-0226-SM-7P8SP 60-69 years, male 11.4
GTEX-1GF9W-0326-SM-9KNUN 60-69 years, male 11.4
GTEX-14ABY-0226-SM-5TDCQ 50-59 years, male 11.3
GTEX-U8XE-0326-SM-3DB8P 30-39 years, male 11.3
GTEX-WYVS-2126-SM-3NMA3 40-49 years, female 11.3
GTEX-1I1GS-0126-SM-B2LVW 60-69 years, male 11.2
GTEX-139TU-0126-SM-5K7WH 60-69 years, male 11.1
GTEX-13O3P-0126-SM-5KM4S 50-59 years, male 11.0
GTEX-13OW8-1326-SM-5J1OW 60-69 years, male 11.0
GTEX-13RTL-0126-SM-7LG5S 40-49 years, male 10.9
GTEX-16YQH-0126-SM-7DUFJ 30-39 years, male 10.9
GTEX-T6MN-0126-SM-32PLP 50-59 years, male 10.9
GTEX-XBED-2226-SM-47JYQ 60-69 years, male 10.9
GTEX-1J8JJ-0226-SM-CL53I 60-69 years, female 10.9
GTEX-1QP66-1726-SM-E8VO1 50-59 years, male 10.9
GTEX-17HII-0226-SM-7LG4E 50-59 years, male 10.8
GTEX-1GN2E-0426-SM-9MQKX 60-69 years, male 10.8
GTEX-X4EP-0126-SM-3P5YV 60-69 years, female 10.7
GTEX-Y3IK-2426-SM-4WWDU 50-59 years, female 10.7
GTEX-1HCU8-0626-SM-A9SM9 60-69 years, female 10.7
GTEX-1IKOH-0226-SM-COH4E 60-69 years, female 10.7
GTEX-14PII-0226-SM-6EU1T 60-69 years, male 10.6
GTEX-14PJ6-2126-SM-6EU1V 60-69 years, female 10.6
GTEX-SN8G-0126-SM-32PLI 50-59 years, female 10.6
GTEX-XXEK-2226-SM-4BRUM 50-59 years, male 10.6
GTEX-1JMPY-1326-SM-ARL8Y 30-39 years, male 10.6
GTEX-11OF3-2626-SM-5GU7F 60-69 years, male 10.5
GTEX-15SDE-2226-SM-7IGLO 50-59 years, female 10.5
GTEX-17HGU-0226-SM-7DHKV 50-59 years, male 10.5
GTEX-ZDYS-2026-SM-5HL5L 50-59 years, male 10.5
GTEX-11P81-2326-SM-59875 30-39 years, female 10.4
GTEX-147GR-0526-SM-5S2MY 60-69 years, male 10.4
GTEX-16MT8-0426-SM-7KUEY 60-69 years, female 10.4
GTEX-1AX9J-0226-SM-73KXM 60-69 years, male 10.4
GTEX-ZDXO-3026-SM-5J1N5 60-69 years, male 10.4
GTEX-13OW5-0126-SM-DTXFS 60-69 years, male 10.4
GTEX-1GZHY-0326-SM-9QEHI 50-59 years, female 10.4
GTEX-139TS-2826-SM-5J1OO 60-69 years, male 10.3
GTEX-13X6J-0126-SM-5QGOU 50-59 years, male 10.3
GTEX-PX3G-0126-SM-2I3EN 20-29 years, female 10.3
GTEX-U3ZM-1526-SM-3DB9D 40-49 years, male 10.3
GTEX-YB5K-2126-SM-4WWDJ 40-49 years, female 10.3
GTEX-ZAK1-0126-SM-5IJD3 50-59 years, female 10.3
GTEX-ZVTK-0426-SM-51MRS 20-29 years, male 10.3
GTEX-1EX96-1626-SM-7PBXR 50-59 years, male 10.3
GTEX-1HCVE-0126-SM-CGQEU 50-59 years, male 10.3
GTEX-111VG-2426-SM-5GZXD 60-69 years, male 10.2
GTEX-O5YW-0126-SM-3LK6D 50-59 years, male 10.2
GTEX-P4PQ-0126-SM-2S1NM 60-69 years, male 10.2
GTEX-WI4N-1026-SM-3LK7N 40-49 years, female 10.2
GTEX-Y111-0126-SM-4SOIV 50-59 years, male 10.2
GTEX-11NUK-0126-SM-5A5L3 50-59 years, male 10.1
GTEX-YJ89-0126-SM-4TT3X 60-69 years, male 10.1
GTEX-1MA7W-2026-SM-E9TJ6 20-29 years, female 10.1
GTEX-ZF3C-0126-SM-DO92D 50-59 years, female 10.1
GTEX-12126-0326-SM-5PNW3 20-29 years, male 10.0
GTEX-144FL-0126-SM-5TDC8 50-59 years, male 10.0
GTEX-OXRN-0126-SM-48TDM 50-59 years, male 10.0
GTEX-U8T8-0126-SM-3DB94 60-69 years, male 10.0
GTEX-WOFL-0126-SM-3MJG2 60-69 years, male 10.0
GTEX-1HBPM-0226-SM-ARL9F 60-69 years, female 10.0
GTEX-1JMQJ-0526-SM-CYPSU 50-59 years, male 10.0
GTEX-1JMQL-0226-SM-CNPP5 50-59 years, female 10.0
GTEX-16NPX-0226-SM-79OMT 50-59 years, male 9.9
GTEX-17EVP-0326-SM-7DHLG 40-49 years, male 9.9
GTEX-1B8KE-2126-SM-73KYX 50-59 years, male 9.9
GTEX-12KS4-0326-SM-5EQ41 30-39 years, male 9.8
GTEX-132NY-0326-SM-5IJBL 60-69 years, male 9.8
GTEX-QEG4-0226-SM-2S1PY 30-39 years, male 9.8
GTEX-X88G-0126-SM-47JZ3 30-39 years, male 9.8
GTEX-1GTWX-0126-SM-9YFLK 60-69 years, male 9.8
GTEX-1M4P7-0226-SM-DIPEV 60-69 years, male 9.8
GTEX-15DYW-0126-SM-7KULE 60-69 years, female 9.7
GTEX-QDVN-2026-SM-3GAEP 50-59 years, male 9.7
GTEX-TSE9-0126-SM-3DB83 60-69 years, female 9.7
GTEX-WFON-2126-SM-3LK7O 40-49 years, male 9.7
GTEX-ZVZO-0126-SM-5A5L9 40-49 years, male 9.7
GTEX-ZYFC-0226-SM-5NQ75 50-59 years, male 9.7
GTEX-1HFI6-0226-SM-ADEHZ 40-49 years, male 9.7
GTEX-11GSO-2426-SM-5A5LY 60-69 years, male 9.6
GTEX-13JUV-2726-SM-5LZZ8 40-49 years, female 9.6
GTEX-147F3-0526-SM-5SI98 50-59 years, female 9.6
GTEX-148VI-1626-SM-5SI6E 60-69 years, female 9.6
GTEX-18465-0126-SM-731BN 50-59 years, male 9.6
GTEX-R55G-2526-SM-2TC6D 40-49 years, female 9.6
GTEX-TMZS-0126-SM-3DB9Q 60-69 years, male 9.6
GTEX-1H3O1-0426-SM-9YFKY 60-69 years, male 9.6
GTEX-1HSMO-0126-SM-CL547 60-69 years, male 9.6
GTEX-1J8Q3-1626-SM-CMKGC 60-69 years, male 9.6
GTEX-1QAET-0926-SM-E76QM 50-59 years, male 9.6
GTEX-111FC-0126-SM-5N9DL 60-69 years, male 9.5
GTEX-11TTK-0126-SM-5987B 60-69 years, female 9.5
GTEX-14753-0426-SM-5NQAM 60-69 years, male 9.5
GTEX-17EVQ-0226-SM-7LG4P 70-79 years, male 9.5
GTEX-OOBK-0126-SM-2YUND 40-49 years, male 9.5
GTEX-ZYY3-0126-SM-5GZY5 60-69 years, female 9.5
GTEX-1JMQK-0226-SM-CL543 60-69 years, male 9.5
GTEX-17HG3-2226-SM-7938L 30-39 years, female 9.4
GTEX-QCQG-1726-SM-3GIJ9 50-59 years, female 9.4
GTEX-ZVT3-0126-SM-5GU6I 60-69 years, female 9.4
GTEX-1C6WA-0126-SM-7PC2B 60-69 years, male 9.4
GTEX-1CB4H-0226-SM-7PBXM 60-69 years, female 9.4
GTEX-1GN1U-0126-SM-7PBZK 50-59 years, female 9.4
GTEX-1IL2U-0226-SM-CE6T8 60-69 years, male 9.4
GTEX-1JN76-0126-SM-CNPPE 20-29 years, female 9.4
GTEX-1KD4Q-0226-SM-E9TJ9 40-49 years, male 9.4
GTEX-ZTSS-1926-SM-57WEW 40-49 years, male 9.3
GTEX-1HB9E-0226-SM-E9U4R 50-59 years, male 9.3
GTEX-117YW-2626-SM-5GZZH 50-59 years, male 9.2
GTEX-11ZVC-2526-SM-5FQTE 50-59 years, female 9.2
GTEX-14JG1-0426-SM-6ETZZ 40-49 years, male 9.2
GTEX-ZC5H-0226-SM-4WAY9 40-49 years, female 9.2
GTEX-1JMPZ-0226-SM-CNPP1 30-39 years, male 9.2
GTEX-1OFPY-2426-SM-DTXEJ 60-69 years, male 9.2
GTEX-11ZTT-2426-SM-5EQLS 60-69 years, female 9.1
GTEX-12584-0126-SM-5EGKQ 40-49 years, male 9.1
GTEX-1313W-0126-SM-5LZUN 50-59 years, female 9.1
GTEX-139TT-0126-SM-5K7Y5 60-69 years, male 9.1
GTEX-13PVR-2326-SM-5QGR1 60-69 years, female 9.1
GTEX-14E6C-0126-SM-5RQIP 40-49 years, male 9.1
GTEX-15ER7-0326-SM-7KUEV 20-29 years, female 9.1
GTEX-17F97-0326-SM-7LG5B 50-59 years, male 9.1
GTEX-S95S-1226-SM-4GICG 60-69 years, male 9.1
GTEX-U3ZH-2026-SM-3DB78 30-39 years, male 9.1
GTEX-ZAJG-0126-SM-5HL94 50-59 years, female 9.1
GTEX-1HCU6-0126-SM-CL54K 60-69 years, female 9.1
GTEX-1HCUA-2426-SM-ADEIS 50-59 years, female 9.1
GTEX-1HT8W-0126-SM-CNPPP 30-39 years, male 9.1
GTEX-11H98-0126-SM-5EGHG 50-59 years, male 9.0
GTEX-139UW-2826-SM-5L3E7 60-69 years, male 9.0
GTEX-147F4-0226-SM-5QGPW 50-59 years, male 9.0
GTEX-15SHW-0326-SM-6PAML 60-69 years, male 9.0
GTEX-1C475-1826-SM-73KWA 40-49 years, female 9.0
GTEX-NPJ8-0126-SM-2YUNR 40-49 years, male 9.0
GTEX-XAJ8-0826-SM-47JY6 40-49 years, male 9.0
GTEX-XBEW-0626-SM-4QASP 40-49 years, male 9.0
GTEX-1QP9N-1426-SM-DTXFL 30-39 years, male 9.0
GTEX-PLZ6-1426-SM-DKPOT 30-39 years, male 9.0
GTEX-11LCK-1026-SM-5A5KB 30-39 years, male 8.9
GTEX-11UD1-0126-SM-5PNYG 40-49 years, female 8.9
GTEX-12696-2426-SM-5EQ6H 60-69 years, male 8.9
GTEX-12WSC-0126-SM-5EQ4P 50-59 years, male 8.9
GTEX-13FHP-0126-SM-5IJBG 50-59 years, male 8.9
GTEX-145MI-0526-SM-5O9A8 60-69 years, female 8.9
GTEX-OXRO-0126-SM-2YUN4 60-69 years, female 8.9
GTEX-S7PM-0126-SM-4AD6S 60-69 years, male 8.9
GTEX-WZTO-0126-SM-3NM95 40-49 years, male 8.9
GTEX-Y8DK-0126-SM-4TT3L 60-69 years, male 8.9
GTEX-1CB4F-0426-SM-9KNV4 60-69 years, male 8.9
GTEX-1HBPI-1526-SM-C1YQ1 50-59 years, male 8.9
GTEX-1KXAM-2226-SM-CYPTC 60-69 years, male 8.9
GTEX-11EM3-2426-SM-59861 20-29 years, female 8.8
GTEX-148VJ-0126-SM-5TDDN 70-79 years, male 8.8
GTEX-14JG6-2226-SM-6EU2G 30-39 years, female 8.8
GTEX-R55E-0126-SM-2TC5Y 20-29 years, male 8.8
GTEX-RN64-0126-SM-2TC68 50-59 years, male 8.8
GTEX-Z93S-0126-SM-5HL7M 50-59 years, male 8.8
GTEX-1KANB-0526-SM-E6CJH 50-59 years, male 8.8
GTEX-12ZZX-0126-SM-5EGK9 40-49 years, female 8.7
GTEX-13OVL-0226-SM-5L3E9 50-59 years, male 8.7
GTEX-13S7M-0126-SM-5SI6A 60-69 years, female 8.7
GTEX-14E7W-0126-SM-6LLJ9 70-79 years, male 8.7
GTEX-PLZ4-0126-SM-5SI8O 50-59 years, female 8.7
GTEX-WRHK-1426-SM-3MJF9 20-29 years, female 8.7
GTEX-1HR98-0126-SM-B2LWI 60-69 years, male 8.7
GTEX-11TT1-2526-SM-5EGIB 20-29 years, male 8.6
GTEX-133LE-1826-SM-5J1MV 20-29 years, female 8.6
GTEX-14PJM-0226-SM-62LF1 50-59 years, female 8.6
GTEX-17HHY-0126-SM-7LG5D 50-59 years, male 8.6
GTEX-18A7A-0226-SM-718BH 50-59 years, female 8.6
GTEX-OXRP-0126-SM-3NB32 60-69 years, female 8.6
GTEX-X4XX-0126-SM-3NMC2 60-69 years, male 8.6
GTEX-Y8LW-1826-SM-5S2MV 50-59 years, female 8.6
GTEX-1EMGI-0126-SM-9KNUE 60-69 years, male 8.6
GTEX-1GN73-0226-SM-9WG67 60-69 years, male 8.6
GTEX-1JN6P-0126-SM-D3L98 60-69 years, male 8.6
GTEX-11GS4-2726-SM-5A5LE 60-69 years, male 8.5
GTEX-131YS-0126-SM-5KM1M 60-69 years, female 8.5
GTEX-1AYD5-2426-SM-73KXR 50-59 years, male 8.5
GTEX-1CB4J-0626-SM-7DHMP 60-69 years, male 8.5
GTEX-O5YT-0126-SM-48TBW 20-29 years, male 8.5
GTEX-Q2AI-1326-SM-2S1PL 40-49 years, male 8.5
GTEX-ZTPG-0326-SM-5O9AX 20-29 years, female 8.5
GTEX-1HUB1-0426-SM-E9U4U 60-69 years, male 8.5
GTEX-1LG7Y-0526-SM-DKPQC 50-59 years, male 8.5
GTEX-1MA7X-2226-SM-E6CIY 60-69 years, male 8.5
GTEX-1R46S-0626-SM-E9J41 60-69 years, female 8.5
GTEX-S33H-1026-SM-EZ6L6 30-39 years, male 8.5
GTEX-12ZZZ-0626-SM-5DUXI 60-69 years, male 8.4
GTEX-14LLW-0126-SM-6LLIO 70-79 years, female 8.4
GTEX-RWS6-2026-SM-2XCB5 60-69 years, female 8.4
GTEX-SIU8-0126-SM-2XCDT 50-59 years, male 8.4
GTEX-X4EO-0326-SM-3P5YO 60-69 years, female 8.4
GTEX-13O3O-0126-SM-E9J49 60-69 years, female 8.4
GTEX-1A8FM-0226-SM-7SB7Q 50-59 years, female 8.4
GTEX-1C6VQ-0126-SM-7P8RI 50-59 years, male 8.4
GTEX-P4QT-0126-SM-2I3FL 50-59 years, female 8.3
GTEX-PLZ5-2026-SM-2S1O4 50-59 years, male 8.3
GTEX-T5JC-0426-SM-32PLO 20-29 years, male 8.3
GTEX-WY7C-2326-SM-3NB2U 50-59 years, male 8.3
GTEX-ZWKS-0126-SM-5SIAA 30-39 years, male 8.3
GTEX-ZF29-2326-SM-DO92K 60-69 years, female 8.3
GTEX-131XH-2226-SM-5DUXJ 50-59 years, male 8.2
GTEX-13FTW-2626-SM-5K7WL 40-49 years, male 8.2
GTEX-13NZB-2526-SM-5J1OM 30-39 years, male 8.2
GTEX-145LS-0126-SM-5QGP1 60-69 years, female 8.2
GTEX-NFK9-0226-SM-2HMKQ 40-49 years, male 8.2
GTEX-YFC4-0126-SM-5CVLY 40-49 years, female 8.2
GTEX-1F88F-2726-SM-7PBZZ 60-69 years, female 8.2
GTEX-1JKYN-1326-SM-CGQG9 30-39 years, male 8.2
GTEX-1128S-2326-SM-5GZZY 60-69 years, female 8.1
GTEX-13O1R-0126-SM-5L3EH 60-69 years, male 8.1
GTEX-14C5O-0126-SM-5SI6N 60-69 years, male 8.1
GTEX-ZEX8-2426-SM-4WKG4 50-59 years, male 8.1
GTEX-ZUA1-0126-SM-5GU76 40-49 years, male 8.1
GTEX-1B933-0126-SM-7PC29 50-59 years, female 8.1
GTEX-1CAV2-2226-SM-7P8P2 40-49 years, female 8.1
GTEX-1H3NZ-0126-SM-ACKX7 60-69 years, male 8.1
GTEX-1QEPI-0126-SM-EWRMQ 60-69 years, female 8.1
GTEX-13111-1626-SM-5EGJY 50-59 years, male 8.0
GTEX-13O21-1426-SM-5K7XI 50-59 years, male 8.0
GTEX-145MN-2226-SM-5SIAU 30-39 years, male 8.0
GTEX-14BMU-2226-SM-5TDE9 20-29 years, female 8.0
GTEX-1AX8Z-0126-SM-7DHM6 60-69 years, male 8.0
GTEX-P44H-0226-SM-2XCEU 40-49 years, male 8.0
GTEX-QESD-1426-SM-2S1R9 20-29 years, male 8.0
GTEX-RM2N-1426-SM-2TF4H 50-59 years, male 8.0
GTEX-RTLS-0126-SM-447CA 60-69 years, female 8.0
GTEX-SSA3-0126-SM-32QPU 60-69 years, male 8.0
GTEX-169BO-1326-SM-9MQK2 50-59 years, male 8.0
GTEX-1I1HK-0126-SM-COH49 60-69 years, male 8.0
GTEX-1IY9M-0126-SM-D3L8S 60-69 years, male 8.0
GTEX-1NV5F-0226-SM-E8VNY 60-69 years, female 8.0
GTEX-1PDJ9-0326-SM-DTX95 20-29 years, male 8.0
GTEX-13OW7-0126-SM-5MR3B 50-59 years, male 7.9
GTEX-13YAN-0326-SM-5O9DF 60-69 years, male 7.9
GTEX-145LU-0126-SM-5TDCB 50-59 years, male 7.9
GTEX-146FQ-0126-SM-5NQA9 30-39 years, male 7.9
GTEX-14XAO-2326-SM-6EU1B 60-69 years, female 7.9
GTEX-16BQI-0226-SM-7KUEX 30-39 years, female 7.9
GTEX-1CAMQ-0226-SM-7IGPK 40-49 years, male 7.9
GTEX-OHPL-0126-SM-2HMJ7 60-69 years, female 7.9
GTEX-T6MO-1626-SM-32QOM 40-49 years, female 7.9
GTEX-1LB8K-0226-SM-EWRNW 50-59 years, male 7.9
GTEX-1QPFJ-0226-SM-E76PB 30-39 years, female 7.9
GTEX-W5X1-3026-SM-EAZAX 40-49 years, female 7.9
GTEX-11P7K-2126-SM-5GU7G 30-39 years, male 7.8
GTEX-13CF3-2426-SM-5IFGX 60-69 years, female 7.8
GTEX-QLQ7-1626-SM-2S1R8 60-69 years, male 7.8
GTEX-ZV68-0126-SM-59HKS 50-59 years, female 7.8
GTEX-1HSMP-0126-SM-E6CJS 70-79 years, male 7.8
GTEX-1ICLZ-0126-SM-CKZPO 60-69 years, male 7.8
GTEX-1JMOU-1526-SM-CL54I 60-69 years, female 7.8
GTEX-1LH75-2426-SM-E9TJE 50-59 years, female 7.8
GTEX-1LVAN-0226-SM-COH3S 50-59 years, female 7.8
GTEX-144GL-0126-SM-5TDE2 50-59 years, male 7.7
GTEX-17JCI-0126-SM-7LG5G 60-69 years, female 7.7
GTEX-18A7B-0126-SM-7LG64 70-79 years, male 7.7
GTEX-1AYCT-2426-SM-7IGQ3 50-59 years, male 7.7
GTEX-1C6VS-0526-SM-7DUEN 60-69 years, male 7.7
GTEX-OIZH-0126-SM-2HMIS 50-59 years, male 7.7
GTEX-ZVE2-0226-SM-59HJB 50-59 years, male 7.7
GTEX-ZZ64-1726-SM-5GZYB 20-29 years, male 7.7
GTEX-1F75A-0126-SM-7RHGM 50-59 years, male 7.7
GTEX-1JKYR-0126-SM-CNPOJ 20-29 years, male 7.7
GTEX-1LC47-0326-SM-E9TJP 60-69 years, male 7.7
GTEX-1RAZQ-0726-SM-EAZ43 30-39 years, male 7.7
GTEX-11DXZ-2326-SM-5EGGV 50-59 years, male 7.6
GTEX-1314G-1526-SM-5EGK2 30-39 years, male 7.6
GTEX-13D11-2426-SM-5KM1V 50-59 years, female 7.6
GTEX-14BIL-0126-SM-5SI92 50-59 years, male 7.6
GTEX-14PK6-1926-SM-6ETZU 70-79 years, female 7.6
GTEX-U3ZN-2326-SM-3DB7W 30-39 years, female 7.6
GTEX-XUYS-0126-SM-47JWZ 50-59 years, male 7.6
GTEX-YJ8A-0426-SM-5IFID 20-29 years, male 7.6
GTEX-Z9EW-1626-SM-5CVMN 40-49 years, male 7.6
GTEX-1H3VY-0126-SM-ACKXD 50-59 years, male 7.6
GTEX-1I1GR-0126-SM-CL55F 60-69 years, male 7.6
GTEX-11P82-1626-SM-59879 20-29 years, male 7.5
GTEX-131XE-2326-SM-5PNZ2 50-59 years, male 7.5
GTEX-131XG-2626-SM-5KM17 50-59 years, female 7.5
GTEX-13FHO-0226-SM-5IFGY 60-69 years, male 7.5
GTEX-13X6I-0626-SM-5QGP9 60-69 years, male 7.5
GTEX-145ME-1826-SM-5SI9G 40-49 years, female 7.5
GTEX-14BMV-0126-SM-5S2PO 50-59 years, male 7.5
GTEX-15DDE-0126-SM-6LPKH 50-59 years, female 7.5
GTEX-18QFQ-0126-SM-731BE 30-39 years, male 7.5
GTEX-1B8SG-0126-SM-73KZ3 50-59 years, male 7.5
GTEX-RUSQ-1526-SM-2TF62 50-59 years, male 7.5
GTEX-S32W-2126-SM-2XCB1 50-59 years, female 7.5
GTEX-S7SE-0126-SM-2XCD5 50-59 years, male 7.5
GTEX-TKQ1-1026-SM-4GICL 30-39 years, male 7.5
GTEX-VJYA-1126-SM-3GIJU 60-69 years, male 7.5
GTEX-12WSG-2826-SM-E9J4H 50-59 years, female 7.5
GTEX-1CB4G-0226-SM-7PC3O 60-69 years, male 7.5
GTEX-1HSMQ-1226-SM-CGQFX 50-59 years, male 7.5
GTEX-1IDJH-0326-SM-A9SLQ 70-79 years, male 7.5
GTEX-1OJC3-0126-SM-E76QX 20-29 years, male 7.5
GTEX-13112-2826-SM-5DUWH 50-59 years, male 7.4
GTEX-13SLX-0526-SM-5S2ON 50-59 years, female 7.4
GTEX-13U4I-0126-SM-5LU38 40-49 years, female 7.4
GTEX-15DCD-0126-SM-7KUEK 70-79 years, female 7.4
GTEX-RU72-0926-SM-2TF6B 50-59 years, female 7.4
GTEX-1F48J-0126-SM-7P8TT 50-59 years, female 7.4
GTEX-1H23P-0126-SM-ADEJ3 60-69 years, male 7.4
GTEX-1I1GP-2226-SM-CGQFK 50-59 years, male 7.4
GTEX-1IKK5-0626-SM-ARL8A 60-69 years, male 7.4
GTEX-1IL2V-0126-SM-CM2TX 70-79 years, male 7.4
GTEX-1JJE9-0326-SM-CL53Z 70-79 years, male 7.4
GTEX-1S5ZA-0126-SM-EVYCV 20-29 years, male 7.4
GTEX-RVPV-0126-SM-EAZAW 60-69 years, male 7.4
GTEX-1399R-2726-SM-5IJBA 30-39 years, male 7.3
GTEX-13QJ3-0326-SM-5S2RA 50-59 years, male 7.3
GTEX-13VXT-0126-SM-5LU4I 20-29 years, female 7.3
GTEX-183FY-0126-SM-7LT9P 20-29 years, male 7.3
GTEX-WFG8-2226-SM-3GIL9 20-29 years, male 7.3
GTEX-13FH7-2026-SM-E9J4I 50-59 years, female 7.3
GTEX-1F7RK-0126-SM-7PC2S 20-29 years, female 7.3
GTEX-1JJ6O-0126-SM-E6CI8 60-69 years, male 7.3
GTEX-1192X-0226-SM-5H12D 50-59 years, male 7.2
GTEX-13PDP-0126-SM-5L3HD 60-69 years, male 7.2
GTEX-14PHX-2326-SM-62LEM 50-59 years, male 7.2
GTEX-14PN4-0126-SM-6EU2V 50-59 years, male 7.2
GTEX-15SHU-0126-SM-7KUEH 40-49 years, female 7.2
GTEX-1CB4E-2226-SM-793DC 60-69 years, male 7.2
GTEX-U4B1-1826-SM-4DXSU 40-49 years, male 7.2
GTEX-XV7Q-2526-SM-4BRV9 40-49 years, female 7.2
GTEX-Y5LM-1926-SM-5RQJH 40-49 years, female 7.2
GTEX-1KWVE-1426-SM-E9TJO 30-39 years, male 7.2
GTEX-1N2EF-0226-SM-EYYXB 60-69 years, male 7.2
GTEX-1OJC4-0126-SM-E9J2E 50-59 years, female 7.2
GTEX-1POEN-0126-SM-EYYXJ 30-39 years, female 7.2
GTEX-1RDX4-0126-SM-E9J4P 50-59 years, female 7.2
GTEX-1S82Y-2026-SM-EVYCM 40-49 years, male 7.2
GTEX-R45C-0126-SM-EAZ2R 60-69 years, female 7.2
GTEX-11DXW-0226-SM-5H122 40-49 years, male 7.1
GTEX-139T4-0226-SM-5HL5S 50-59 years, female 7.1
GTEX-X638-0126-SM-47JZ8 70-79 years, female 7.1
GTEX-XUW1-0426-SM-4BOOT 50-59 years, female 7.1
GTEX-1AX9I-0126-SM-7SB74 60-69 years, male 7.1
GTEX-1GZ4H-1726-SM-7PBZJ 50-59 years, female 7.1
GTEX-1H11D-0226-SM-9WG6Z 40-49 years, male 7.1
GTEX-1HBPN-0226-SM-9YFM1 50-59 years, male 7.1
GTEX-1HKZK-0326-SM-9WYUH 40-49 years, male 7.1
GTEX-1I1GU-2226-SM-CGQFA 40-49 years, male 7.1
GTEX-13OVI-1426-SM-5L3EY 60-69 years, female 7.0
GTEX-13VXU-0126-SM-5SI9F 50-59 years, male 7.0
GTEX-1497J-2426-SM-7IGNX 60-69 years, male 7.0
GTEX-18D9B-0526-SM-7LTAS 60-69 years, male 7.0
GTEX-1E1VI-0126-SM-7DHMZ 50-59 years, male 7.0
GTEX-T5JW-1626-SM-3GADZ 20-29 years, female 7.0
GTEX-WXYG-2326-SM-4E3I6 50-59 years, female 7.0
GTEX-1EKGG-0226-SM-9WYTH 60-69 years, male 7.0
GTEX-1IDJF-0126-SM-CM2RS 20-29 years, male 7.0
GTEX-1IGQW-0126-SM-COH42 60-69 years, male 7.0
GTEX-139T8-0126-SM-5K7XZ 60-69 years, male 6.9
GTEX-13RTK-1426-SM-5QGQJ 20-29 years, male 6.9
GTEX-14A6H-0126-SM-5QGPK 30-39 years, male 6.9
GTEX-17F98-0626-SM-79OMX 40-49 years, female 6.9
GTEX-1C6VR-2426-SM-79OLD 60-69 years, male 6.9
GTEX-RWSA-0126-SM-2XCBB 40-49 years, male 6.9
GTEX-X4XY-0226-SM-4E3IZ 60-69 years, male 6.9
GTEX-1GF9U-2126-SM-7SB7L 40-49 years, female 6.9
GTEX-1HSKV-0226-SM-A9SKJ 60-69 years, male 6.9
GTEX-1JMQI-2226-SM-CM2SD 50-59 years, male 6.9
GTEX-1LNCM-1126-SM-E9U5E 50-59 years, female 6.9
GTEX-1R7EV-2426-SM-EVYBG 40-49 years, male 6.9
GTEX-11XUK-2026-SM-5EQLF 40-49 years, female 6.8
GTEX-18A6Q-0126-SM-731BZ 60-69 years, male 6.8
GTEX-YB5E-2026-SM-5IFIS 40-49 years, male 6.8
GTEX-ZE7O-0126-SM-57WC1 50-59 years, female 6.8
GTEX-1F5PL-0326-SM-7P8PQ 40-49 years, female 6.8
GTEX-1JK1U-2026-SM-CM2RZ 60-69 years, male 6.8
GTEX-1PPH7-2326-SM-EVYB8 40-49 years, male 6.8
GTEX-1QP2A-0126-SM-E9J43 50-59 years, male 6.8
GTEX-1QP67-1626-SM-EAZ3X 40-49 years, female 6.8
GTEX-1R9PM-2026-SM-E76OY 20-29 years, male 6.8
GTEX-11EQ9-2426-SM-5HL5T 30-39 years, male 6.7
GTEX-12WSL-2526-SM-5GCNJ 50-59 years, male 6.7
GTEX-14DAR-2026-SM-5S2O3 50-59 years, male 6.7
GTEX-16GPK-0126-SM-7DHLE 60-69 years, male 6.7
GTEX-18D9A-1926-SM-7LG6P 30-39 years, female 6.7
GTEX-1A3MV-1926-SM-718BT 30-39 years, male 6.7
GTEX-QLQW-1126-SM-2S1Q8 30-39 years, male 6.7
GTEX-TML8-1926-SM-32QOS 40-49 years, female 6.7
GTEX-XPVG-2626-SM-4B669 50-59 years, male 6.7
GTEX-ZGAY-0526-SM-4WWBB 40-49 years, female 6.7
GTEX-1HFI7-1826-SM-ACKXH 50-59 years, female 6.7
GTEX-1MUQO-0126-SM-EAZ58 60-69 years, male 6.7
GTEX-1PIIG-0226-SM-EWRN6 30-39 years, male 6.7
GTEX-1S83E-0126-SM-EWRO4 40-49 years, male 6.7
GTEX-PW2O-1526-SM-7RHHB 20-29 years, male 6.7
GTEX-PWCY-1826-SM-DHXIZ 20-29 years, female 6.7
GTEX-12WSE-0526-SM-793B2 20-29 years, male 6.6
GTEX-145LV-2126-SM-5LU8N 50-59 years, male 6.6
GTEX-183WM-0126-SM-7LTAB 70-79 years, female 6.6
GTEX-1B8KZ-2026-SM-7DHMB 50-59 years, male 6.6
GTEX-P4PP-0126-SM-3LK69 30-39 years, female 6.6
GTEX-Q2AH-1626-SM-3GAF8 40-49 years, male 6.6
GTEX-VUSG-2526-SM-4KL1V 50-59 years, male 6.6
GTEX-X62O-0126-SM-4E3JN 50-59 years, male 6.6
GTEX-ZDTS-0126-SM-4WAY5 60-69 years, male 6.6
GTEX-ZVT2-2526-SM-51MT1 50-59 years, female 6.6
GTEX-1F6I4-0126-SM-9MQL2 60-69 years, male 6.6
GTEX-1F75B-0126-SM-9KNVL 50-59 years, male 6.6
GTEX-1J1R8-1726-SM-ARL8M 40-49 years, male 6.6
GTEX-1MCYP-1926-SM-E9J2R 20-29 years, female 6.6
GTEX-1QP29-0626-SM-EWRMX 50-59 years, male 6.6
GTEX-1RQEC-0426-SM-E6CHU 60-69 years, male 6.6
GTEX-131XW-0426-SM-5LZWP 50-59 years, female 6.5
GTEX-145LT-1726-SM-5QGP3 40-49 years, male 6.5
GTEX-14PJ3-1826-SM-62LEX 50-59 years, male 6.5
GTEX-15UKP-0426-SM-7KUFQ 20-29 years, male 6.5
GTEX-16NGA-1726-SM-731B4 40-49 years, female 6.5
GTEX-1A3MW-0126-SM-73KXX 60-69 years, female 6.5
GTEX-OHPM-0126-SM-2YUN9 50-59 years, male 6.5
GTEX-QVJO-1626-SM-2S1QW 60-69 years, female 6.5
GTEX-R3RS-0126-SM-3GIJL 40-49 years, female 6.5
GTEX-ZXG5-0126-SM-5GIEU 60-69 years, male 6.5
GTEX-1PFEY-1526-SM-E76PP 30-39 years, male 6.5
GTEX-11VI4-1726-SM-5CVLH 40-49 years, female 6.4
GTEX-13SLW-0126-SM-5SI6C 70-79 years, male 6.4
GTEX-18D9U-0226-SM-718BP 40-49 years, male 6.4
GTEX-1A3MX-0126-SM-731BR 60-69 years, male 6.4
GTEX-1B97I-1626-SM-73KYO 40-49 years, male 6.4
GTEX-Q2AG-0126-SM-33HBV 40-49 years, female 6.4
GTEX-UJHI-1526-SM-3DB99 50-59 years, female 6.4
GTEX-Y5V5-2326-SM-4V6GA 60-69 years, female 6.4
GTEX-ZF2S-2326-SM-4WWCE 50-59 years, female 6.4
GTEX-ZYFG-2326-SM-5E44B 60-69 years, female 6.4
GTEX-1S82Z-0826-SM-E6CHY 30-39 years, female 6.4
GTEX-12WSN-5019-SM-79OM6 40-49 years, male 6.3
GTEX-13113-5016-SM-7EPIP 60-69 years, female 6.3
GTEX-145MF-0626-SM-5LUAI 50-59 years, male 6.3
GTEX-15SB6-1726-SM-6PAME 50-59 years, female 6.3
GTEX-1CAMS-0426-SM-7P8T2 40-49 years, female 6.3
GTEX-1GN1V-0126-SM-9WPOS 60-69 years, male 6.3
GTEX-1H2FU-0126-SM-9WYSI 60-69 years, female 6.3
GTEX-1MGNQ-0126-SM-EVYCJ 40-49 years, male 6.3
GTEX-12WSD-0126-SM-59HKN 60-69 years, female 6.2
GTEX-13O3Q-2426-SM-5IJBR 50-59 years, male 6.2
GTEX-QV44-1926-SM-2S1RF 50-59 years, male 6.2
GTEX-1GZ2Q-0226-SM-7P8TL 40-49 years, male 6.2
GTEX-OIZF-0126-SM-7SB8I 60-69 years, male 6.2
GTEX-14BIN-0626-SM-793DP 50-59 years, female 6.1
GTEX-14JIY-0126-SM-6LLH6 60-69 years, male 6.1
GTEX-15CHC-2126-SM-6EU21 60-69 years, female 6.1
GTEX-17EUY-0426-SM-793BD 20-29 years, male 6.1
GTEX-OIZG-0726-SM-33HBL 50-59 years, male 6.1
GTEX-ZE9C-2726-SM-57WB5 60-69 years, male 6.1
GTEX-ZU9S-0226-SM-5E441 30-39 years, male 6.1
GTEX-ZVZP-2426-SM-59HKJ 50-59 years, male 6.1
GTEX-11DXX-2426-SM-5GZZW 60-69 years, female 6.0
GTEX-139D8-0226-SM-5KLZO 30-39 years, female 6.0
GTEX-14E6D-0126-SM-62LDV 50-59 years, male 6.0
GTEX-QDVJ-1726-SM-2I5FX 50-59 years, male 6.0
GTEX-1B996-0226-SM-7RHGO 60-69 years, male 6.0
GTEX-1C64O-0126-SM-7SB8P 60-69 years, male 6.0
GTEX-1F6RS-0126-SM-9MQKZ 60-69 years, female 6.0
GTEX-1H1ZS-0426-SM-9WG6G 70-79 years, male 6.0
GTEX-1I6K6-0126-SM-A9SLE 30-39 years, male 6.0
GTEX-1IOXB-0126-SM-ARL8G 50-59 years, male 6.0
GTEX-1N2DV-0226-SM-E6CJ6 40-49 years, male 6.0
GTEX-1R7EU-0226-SM-EVR4G 60-69 years, male 6.0
GTEX-11DZ1-0126-SM-5985Q 50-59 years, male 5.9
GTEX-1CAMR-1926-SM-7EPI2 20-29 years, male 5.9
GTEX-SUCS-1926-SM-32PM3 70-79 years, male 5.9
GTEX-Y5V6-2426-SM-4VDSB 60-69 years, male 5.9
GTEX-ZTX8-1426-SM-5DUVO 20-29 years, male 5.9
GTEX-1I1GQ-0126-SM-COH3H 50-59 years, male 5.9
GTEX-1ICG6-2526-SM-CGQFZ 70-79 years, female 5.9
GTEX-1IKJJ-0126-SM-CNPQB 60-69 years, male 5.9
GTEX-11ZU8-2526-SM-5EQKI 60-69 years, male 5.8
GTEX-1399T-2826-SM-5KLYZ 60-69 years, male 5.8
GTEX-14A5H-0426-SM-5QGQF 60-69 years, male 5.8
GTEX-14A5I-0126-SM-5TDEA 50-59 years, female 5.8
GTEX-PVOW-0126-SM-2XCFA 40-49 years, male 5.8
GTEX-UPJH-0326-SM-3GADU 50-59 years, male 5.8
GTEX-XYKS-2126-SM-4E3IB 60-69 years, female 5.8
GTEX-1GPI6-0126-SM-9WG69 60-69 years, male 5.8
GTEX-1H1E6-1726-SM-ACKVK 30-39 years, male 5.8
GTEX-1HBPH-0426-SM-B2LW5 40-49 years, female 5.8
GTEX-1NHNU-1026-SM-E9J2A 50-59 years, male 5.8
GTEX-1PBJI-0526-SM-E8VNK 20-29 years, female 5.8
GTEX-11DXY-2626-SM-5GIE7 60-69 years, male 5.7
GTEX-11O72-0126-SM-59887 40-49 years, male 5.7
GTEX-16XZY-2126-SM-79OK1 70-79 years, male 5.7
GTEX-X261-0126-SM-3NMD6 50-59 years, male 5.7
GTEX-XQ8I-0426-SM-4BOPO 50-59 years, male 5.7
GTEX-ZQUD-1426-SM-57WER 30-39 years, male 5.7
GTEX-1I4MK-2226-SM-ACKWD 50-59 years, female 5.7
GTEX-146FH-0126-SM-5QGPP 50-59 years, female 5.6
GTEX-14LZ3-0226-SM-62LET 60-69 years, female 5.6
GTEX-15F5U-1526-SM-6PANO 40-49 years, male 5.6
GTEX-16XZZ-0126-SM-793DV 60-69 years, male 5.6
GTEX-18A67-0126-SM-7LG5P 50-59 years, male 5.6
GTEX-PWO3-1526-SM-48TCM 60-69 years, female 5.6
GTEX-Y8E4-0626-SM-4WWDL 40-49 years, male 5.6
GTEX-ZDTT-2726-SM-4WKF8 60-69 years, male 5.6
GTEX-ZYT6-0226-SM-5NQ6T 30-39 years, male 5.6
GTEX-1GMR8-0126-SM-9WYTM 50-59 years, female 5.6
GTEX-1GPI7-0126-SM-9MQL8 20-29 years, male 5.6
GTEX-1KANC-1526-SM-D3LAB 50-59 years, female 5.6
GTEX-1KD5A-0226-SM-D5OV3 50-59 years, male 5.6
GTEX-1LG7Z-1726-SM-D3LA4 30-39 years, male 5.6
GTEX-1AMFI-2026-SM-731BH 50-59 years, female 5.5
GTEX-T8EM-1026-SM-3DB7M 40-49 years, male 5.5
GTEX-W5WG-1826-SM-4KL2Y 50-59 years, female 5.5
GTEX-1F5PK-2426-SM-7RHHY 50-59 years, male 5.5
GTEX-1H1CY-2826-SM-9MQM3 60-69 years, female 5.5
GTEX-1JJEA-0326-SM-CNPOT 60-69 years, male 5.5
GTEX-11NSD-2226-SM-5986V 20-29 years, male 5.4
GTEX-15D1Q-0126-SM-7KUG6 40-49 years, male 5.4
GTEX-15EU6-0426-SM-6PAN5 50-59 years, male 5.4
GTEX-17MF6-0126-SM-7LG4F 40-49 years, male 5.4
GTEX-1AX9K-2326-SM-73KWU 50-59 years, male 5.4
GTEX-1I1CD-0126-SM-CM2TK 60-69 years, female 5.4
GTEX-1JN1M-0326-SM-CYPT3 60-69 years, female 5.4
GTEX-1K2DU-2326-SM-E9TIV 20-29 years, male 5.4
GTEX-1212Z-2526-SM-5EGKP 60-69 years, male 5.3
GTEX-13OVH-0126-SM-5MR4B 70-79 years, male 5.3
GTEX-1H4P4-0726-SM-9YFLR 50-59 years, male 5.3
GTEX-1HCU9-1526-SM-A9SL7 20-29 years, male 5.3
GTEX-1HSEH-0126-SM-ACKXN 60-69 years, male 5.3
GTEX-1PPH8-0226-SM-E8VND 20-29 years, male 5.3
GTEX-OOBJ-0126-SM-E6CJW 60-69 years, male 5.3
GTEX-14DAQ-0126-SM-5S2MQ 60-69 years, female 5.2
GTEX-1AMEY-1326-SM-73KYK 30-39 years, female 5.2
GTEX-Z93T-0126-SM-5HL5N 50-59 years, male 5.2
GTEX-1GL5R-1826-SM-9KNUY 50-59 years, male 5.2
GTEX-1GN1W-0526-SM-9MQJQ 50-59 years, female 5.2
GTEX-1K2DA-1826-SM-CGQGT 50-59 years, male 5.2
GTEX-11EI6-0126-SM-5985R 60-69 years, male 5.1
GTEX-13W3W-2426-SM-5LU5B 60-69 years, female 5.1
GTEX-17F96-1626-SM-7DUFL 70-79 years, male 5.1
GTEX-17GQL-2026-SM-718BA 60-69 years, male 5.1
GTEX-OXRK-0226-SM-3NB2G 50-59 years, female 5.1
GTEX-1ICLY-0126-SM-D4P36 50-59 years, male 5.1
GTEX-13FTX-1826-SM-5J1NX 20-29 years, female 5.0
GTEX-131XF-5016-SM-7MGWE 60-69 years, male 5.0
GTEX-1KAFJ-2026-SM-CY8ID 50-59 years, male 5.0
GTEX-1LSNM-1926-SM-E6CII 50-59 years, male 5.0
GTEX-1R9PO-2126-SM-E9J4O 60-69 years, female 5.0
GTEX-11UD2-0226-SM-5EQKY 50-59 years, male 4.9
GTEX-13NYS-0126-SM-5MR3W 60-69 years, male 4.9
GTEX-13NZ8-0826-SM-5MR3I 60-69 years, female 4.9
GTEX-145MO-0326-SM-5Q5B3 60-69 years, male 4.9
GTEX-17KNJ-2326-SM-7DHLQ 50-59 years, male 4.9
GTEX-SJXC-0126-SM-2XCFF 60-69 years, male 4.9
GTEX-TMMY-0226-SM-33HBA 40-49 years, female 4.9
GTEX-ZV6S-2326-SM-4YCEY 40-49 years, female 4.9
GTEX-1F52S-0126-SM-9MQJU 60-69 years, female 4.9
GTEX-117YX-2326-SM-5H12W 50-59 years, male 4.8
GTEX-14PN3-2426-SM-6LLHS 60-69 years, female 4.8
GTEX-17HHE-2026-SM-79OKF 50-59 years, male 4.8
GTEX-XMD2-0126-SM-4YCDU 60-69 years, female 4.8
GTEX-1HCU7-0226-SM-CL545 50-59 years, male 4.8
GTEX-1O97I-0326-SM-EYYX7 60-69 years, male 4.8
GTEX-18A66-0226-SM-718BD 60-69 years, male 4.7
GTEX-WVJS-0126-SM-4MVOT 50-59 years, male 4.7
GTEX-13NYC-0326-SM-E9J4S 60-69 years, male 4.7
GTEX-1E2YA-0126-SM-9KNUC 50-59 years, male 4.7
GTEX-1KANA-0726-SM-D3L9I 20-29 years, male 4.7
GTEX-1LBAC-0126-SM-DIPEZ 20-29 years, male 4.7
GTEX-12ZZY-0226-SM-5LZVE 60-69 years, male 4.6
GTEX-13NYB-2526-SM-5K7Z6 40-49 years, male 4.6
GTEX-15RIG-0226-SM-7KFTL 40-49 years, male 4.6
GTEX-15UF6-0826-SM-6PALJ 70-79 years, female 4.6
GTEX-1C4CL-0526-SM-73KVK 30-39 years, male 4.6
GTEX-X585-0226-SM-4QAS2 50-59 years, male 4.6
GTEX-146FR-1326-SM-E9J48 60-69 years, female 4.6
GTEX-1I1GT-0626-SM-CGQER 60-69 years, female 4.6
GTEX-1RB15-2126-SM-E9TIM 60-69 years, male 4.6
GTEX-14PHW-0126-SM-6LLJI 60-69 years, female 4.5
GTEX-1CB4I-0226-SM-79OLH 50-59 years, male 4.5
GTEX-1QCLY-0326-SM-E8VOG 30-39 years, male 4.5
GTEX-11WQC-2526-SM-5CVLE 60-69 years, male 4.4
GTEX-13W46-0226-SM-5SIAG 50-59 years, male 4.4
GTEX-1C2JI-1826-SM-73KXC 50-59 years, male 4.4
GTEX-1I19N-0326-SM-ACKVX 70-79 years, male 4.4
GTEX-1IDJU-2626-SM-CM2RT 60-69 years, female 4.4
GTEX-1RLM8-2326-SM-EWRN4 50-59 years, male 4.4
GTEX-15ETS-0126-SM-7KUMW 40-49 years, female 4.3
GTEX-V1D1-2226-SM-3NMAX 50-59 years, male 4.3
GTEX-1HSGN-0226-SM-CGQFV 40-49 years, female 4.3
GTEX-1IE54-0126-SM-CMKHW 40-49 years, female 4.3
GTEX-13N2G-2626-SM-5J1OT 60-69 years, male 4.2
GTEX-14ICK-0226-SM-6EU25 40-49 years, male 4.2
GTEX-1GF9X-2026-SM-7PC3A 40-49 years, female 4.2
GTEX-1J8QM-2126-SM-CYPSJ 60-69 years, female 4.2
GTEX-1PIGE-0126-SM-EVYBJ 20-29 years, male 4.2
GTEX-1F75I-0326-SM-9YFLU 40-49 years, male 4.1
GTEX-1K9T9-0126-SM-EVYCF 50-59 years, female 4.1
GTEX-1LGRB-2526-SM-CNPPQ 50-59 years, female 4.1
GTEX-11WQK-0526-SM-5EQLD 50-59 years, male 4.0
GTEX-16AAH-1726-SM-7939C 50-59 years, male 4.0
GTEX-1L5NE-2526-SM-E6CIE 50-59 years, male 4.0
GTEX-14BIM-0226-SM-7IGLD 60-69 years, female 3.9
GTEX-T2YK-0526-SM-32QPJ 50-59 years, male 3.9
GTEX-1RAZA-0126-SM-E6CI3 20-29 years, male 3.9
GTEX-11ZUS-0626-SM-59885 30-39 years, male 3.8
GTEX-1IDFM-0126-SM-COH2V 60-69 years, male 3.8
GTEX-15EOM-0126-SM-7KUGG 20-29 years, female 3.7
GTEX-15G19-0126-SM-6PANQ 60-69 years, male 3.7
GTEX-VJWN-0126-SM-3GIK7 50-59 years, female 3.7
GTEX-ZAB5-1826-SM-5HL7C 50-59 years, male 3.6
GTEX-ZZPT-0226-SM-5E43X 50-59 years, male 3.6
GTEX-1QW4Y-1526-SM-EAZ3Z 30-39 years, male 3.6
GTEX-12WSA-0226-SM-5BC5V 60-69 years, male 3.5
GTEX-POMQ-2226-SM-2I5FK 20-29 years, female 3.4
GTEX-1S3DN-2226-SM-EVYCD 50-59 years, male 3.4
GTEX-13OVK-2026-SM-7KUEO 40-49 years, male 3.3
GTEX-SNMC-1226-SM-2XCFP 20-29 years, male 3.0
GTEX-14E6E-1826-SM-5S2R7 30-39 years, male 2.9
GTEX-1122O-2126-SM-5EGIR 60-69 years, female 2.8
Show allShow less

Contact

  • NEWS ARTICLES
  • PRESS ROOM

The Project

  • INTRODUCTION
  • ORGANIZATION
  • PUBLICATIONS

The Human Protein Atlas

  • DOWNLOADABLE DATA
  • LICENCE & CITATION
  • HELP & FAQ
The Human Protein Atlas project is funded
by the Knut & Alice Wallenberg Foundation.


contact@proteinatlas.org