We use cookies to enhance the usability of our website. If you continue, we'll assume that you are happy to receive all cookies. More information. Don't show this again.
MAOB
HPA
RESOURCES
  • TISSUE
  • BRAIN
  • SINGLE CELL
  • SUBCELLULAR
  • CANCER
  • BLOOD
  • CELL LINE
  • STRUCTURE & INTERACTION
ABOUT
  • INTRODUCTION
  • HISTORY
  • ORGANIZATION
  • PUBLICATIONS
  • ANTIBODY SUBMISSION
  • ANTIBODY AVAILABILITY
  • ACKNOWLEDGMENTS
  • CONTACT
NEWS
  • NEWS ARTICLES
  • PRESS ROOM
LEARN
  • DICTIONARY
  • PROTEIN CLASSES
  • PROTEIN EVIDENCE
  • METHODS
  • EDUCATIONAL VIDEOS
DATA
  • DOWNLOADABLE DATA
  • PUBLICATION DATA
  • RELEASE HISTORY
HELP
  • ANTIBODY VALIDATION
  • ASSAYS & ANNOTATION
  • DISCLAIMER
  • HELP & FAQ
  • PRIVACY STATEMENT
  • LICENCE & CITATION
Fields »
Search result

Field
Term
Gene name
Class
Subclass
Class
Keyword
Chromosome
External id
Tissue
Cell type
Expression
Antibody panel
Tissue
Main location
Patient ID
Annotation
Tissue
Category
Tau score
Cluster
Reliability
Brain region
Category
Tau score
Brain region
Category
Tau score
Brain region
Category
Tau score
Cluster
Reliability
Tissue
Cell type
Enrichment
Cell type
Category
Tau score
Cell type
Category
Tau score
Cell type
Category
Tau score
Cell lineage
Category
Tau score
Cluster
Cluster
Location
Searches
Location
Cell line
Class
Type
Phase
Reliability
Cancer
Prognosis
Cancer
Category
Cancer
Category
Tau score
Cluster
Variants
Interacting gene (ensg_id)
Type
Number of interactions
Pathway
Category
Score
Score
Score
Validation
Validation
Validation
Validation
Antibodies
Data type
Column


  • SUMMARY

  • TISSUE

  • BRAIN

  • SINGLE CELL

  • SUBCELL

  • CANCER

  • BLOOD

  • CELL LINE

  • STRUCT & INT

  • MAOB
TISSUE PRIMARY DATA STOMACH Show tissue menu
ADIPOSE TISSUE ADRENAL GLAND AMYGDALA APPENDIX BASAL GANGLIA BONE MARROW BREAST BRONCHUS CEREBELLUM CEREBRAL CORTEX CERVIX CHOROID PLEXUS COLON DUODENUM
ENDOMETRIUM EPIDIDYMIS ESOPHAGUS FALLOPIAN TUBE GALLBLADDER HEART MUSCLE HIPPOCAMPAL FORMATION HYPOTHALAMUS KIDNEY LIVER LUNG LYMPH NODE MIDBRAIN NASOPHARYNX
ORAL MUCOSA OVARY PANCREAS PARATHYROID GLAND PITUITARY GLAND PLACENTA PROSTATE RECTUM RETINA SALIVARY GLAND SEMINAL VESICLE SKELETAL MUSCLE SKIN SMALL INTESTINE
SMOOTH MUSCLE SOFT TISSUE SPINAL CORD SPLEEN STOMACH TESTIS THYMUS THYROID GLAND TONGUE TONSIL URINARY BLADDER VAGINA
ANTIBODIES
AND
VALIDATION
Dictionary
Tissue proteome
Stomach
STOMACH - Expression summary
Protein expression
Stomachi

On the top, protein expression in current human tissue, based on all annotated cell types, is reported with the units not detected (n), low (l), medium (m) and high (h). Underneath, protein expression in each annotated cell type are reported using the same units.

Protein expression data is based on knowledge-based annotation. For genes where more than one antibody has been used, a collective score is set.

If knowledge-based annotation could not be performed for a gene, no data is displayed here. View antibody staining data further down this page.

h
m
l
n
Glandular cells: High
RNA expressioni

A summary of mRNA expression data available for current tissue based on several datasets. The mRNA expression levels in human tissues are based on RNA-seq data generated by the Human Protein Atlas (HPA), Genotype-Tissue Expression (GTEx) portal and CAGE data generated by the FANTOM5 consortium. Consensus normalized expression levels for human tissues was created by combining the data from HPA and GTEx datasets.

The mRNA expression levels in pig are based on RNA-seq data generated by the Human Protein Atlas (HPA), and for mouse, HPA data and in situ hybridization generated by the Allen brain atlas are reported.

Scroll down to view mRNA expression data in more detail.
Consensus:23.1 nTPM
HPA:23.1 nTPM
GTEx:22.3 nTPM

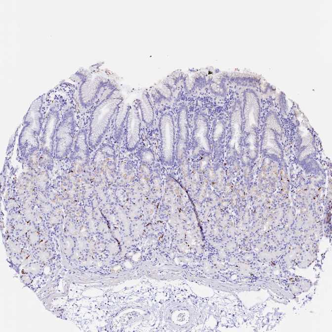
STOMACH 1 - Antibody stainingi

Antibody staining in the annotated cell types in the current human tissue is reported as not detected, low, medium, or high, based on conventional immunohistochemistry profiling in selected tissues. This score is based on the combination of the staining intensity and fraction of stained cells.

Each image is clickable and will lead to virtual microscopy that enables deeper exploration of all samples and also displays staining intensity scores, fraction scores and subcellular localization as well as patient and tissue information for each sample.

Antibody HPA002328Antibody CAB037200
Glandular cells HighMedium




STOMACH 2 - Antibody stainingi

Antibody staining in the annotated cell types in the current human tissue is reported as not detected, low, medium, or high, based on conventional immunohistochemistry profiling in selected tissues. This score is based on the combination of the staining intensity and fraction of stained cells.

Each image is clickable and will lead to virtual microscopy that enables deeper exploration of all samples and also displays staining intensity scores, fraction scores and subcellular localization as well as patient and tissue information for each sample.

Antibody HPA002328Antibody CAB037200
Glandular cells HighNot detected




STOMACH - HPA RNA-seqi

The RNA-seq details section shows detailed information about the individual samples used for the transcript profiling and results of the RNA-seq analysis.

Information about each individual sample is listed below, including gender, age, a tissue section image and estimated fractions of cell types. nTPM (normalized transcripts per million) values give a quantification of the gene abundance which is comparable between different genes and samples.
Average nTPMi

Max subtype nTPM is the value for the subtype with the largest average nTPM across the subtype samples.

23.1
overview
Female, age 33
Stomach sample 61
nTPM: 23.3
Cell types%
Glandular cells:
60

Smooth muscle cells:
5

Other cell types:
35

N/A
Male, age 82
Stomach sample 240
nTPM: 28.7
Cell types%
Glandular cells:
65

Smooth muscle cells:
5

Other cell types:
30

overview
Male, age 71
Stomach sample 241
nTPM: 15.3
Cell types%
Glandular cells:
50

Smooth muscle cells:
5

Other cell types:
45

overview
Female, age 66
Stomach sample 369
nTPM: 25.2
Cell types%
Glandular cells:
50

Smooth muscle cells:
10

Other cell types:
40


STOMACH - GTEx RNA-seqi

RNA-Seq data generated by the Genotype-Tissue Expression (GTEx) project from human tissues is reported as mean nTPM. More information can be found on the GTEx portal.

Distribution across the dataset is visualized with box plots, shown as median and 25th and 75th percentiles. Points are displayed as outliers if they are above or below 1.5 times the interquartile range. nTPM values of the individual samples are presented next to the box plot.
Max subtype nTPMi

Max subtype nTPM is the value for the subtype with the largest average nTPM across the subtype samples.

22.3
GTEx sample id Sample description nTPM
Stomach
Average nTPM: 22.3
Samples: 359

Max nTPM: 79.3
Min nTPM: 4.4
Std nTPM: 14.6
Median nTPM: 17.0
GTEX-TKQ2-0926-SM-4DXU5 50-59 years, male 79.3
GTEX-OIZH-1526-SM-3NB1J 50-59 years, male 78.3
GTEX-1GPI7-1326-SM-9KNVA 20-29 years, male 68.5
GTEX-146FR-2026-SM-5NQAI 60-69 years, female 65.2
GTEX-Y114-1226-SM-4TT88 50-59 years, female 64.1
GTEX-1QW4Y-0726-SM-DTX8E 30-39 years, male 63.5
GTEX-1JN76-0926-SM-ARZNH 20-29 years, female 62.8
GTEX-15RIF-1126-SM-7KUG2 20-29 years, male 62.7
GTEX-14BMV-2226-SM-5RQHX 50-59 years, male 61.6
GTEX-13111-1226-SM-5GCNC 50-59 years, male 61.4
GTEX-1K2DA-0826-SM-CGQGD 50-59 years, male 61.4
GTEX-YEC3-1426-SM-D4P1S 50-59 years, male 59.9
GTEX-1CB4E-1326-SM-7DUGD 60-69 years, male 59.7
GTEX-UJHI-1026-SM-4IHJP 50-59 years, female 57.1
GTEX-RU1J-0526-SM-46MUT 20-29 years, female 56.8
GTEX-1S3DN-1526-SM-EVYCB 50-59 years, male 55.7
GTEX-13O61-1126-SM-5L3FI 60-69 years, male 55.1
GTEX-S4P3-0726-SM-4AD57 50-59 years, female 54.7
GTEX-1QP67-1026-SM-EVR47 40-49 years, female 54.0
GTEX-13113-0726-SM-5LZUF 60-69 years, female 52.6
GTEX-1H1DE-1226-SM-9JGHH 20-29 years, male 51.7
GTEX-XPVG-1526-SM-4B66C 50-59 years, male 50.3
GTEX-13O3Q-2126-SM-5KM4C 50-59 years, male 50.2
GTEX-S4Z8-1226-SM-4AD6W 60-69 years, male 50.0
GTEX-11P7K-1726-SM-5GU6F 30-39 years, male 48.9
GTEX-14PN3-1326-SM-6AJ9U 60-69 years, female 48.0
GTEX-1B8L1-1526-SM-79OLK 60-69 years, male 47.9
GTEX-1NSGN-1926-SM-E9J36 50-59 years, male 47.1
GTEX-R55D-1526-SM-48FEJ 50-59 years, male 46.9
GTEX-145MO-2226-SM-5Q5BN 60-69 years, male 46.5
GTEX-ZV6S-0926-SM-57WGB 40-49 years, female 46.1
GTEX-WZTO-2126-SM-4PQYW 40-49 years, male 45.9
GTEX-ZYFG-1326-SM-5GICJ 60-69 years, female 45.9
GTEX-1211K-1426-SM-5FQTF 60-69 years, female 45.1
GTEX-13OVI-2426-SM-5KM4J 60-69 years, female 45.0
GTEX-QDT8-2026-SM-EZ6LS 30-39 years, female 45.0
GTEX-S7SF-0626-SM-4AD4V 20-29 years, female 44.3
GTEX-1KD5A-1426-SM-D4P3V 50-59 years, male 44.2
GTEX-1E2YA-2426-SM-7EPIG 50-59 years, male 43.7
GTEX-1AX9J-2626-SM-731EK 60-69 years, male 43.3
GTEX-1E1VI-2826-SM-7MGWU 50-59 years, male 43.2
GTEX-1HR9M-2326-SM-CNPPZ 60-69 years, male 43.2
GTEX-V1D1-1726-SM-4JBHB 50-59 years, male 43.0
GTEX-WFJO-1126-SM-4LVLZ 30-39 years, male 42.6
GTEX-146FH-2126-SM-5SI9U 50-59 years, female 41.5
GTEX-U3ZN-2026-SM-4DXUC 30-39 years, female 41.1
GTEX-14E1K-1526-SM-664MN 50-59 years, male 40.7
GTEX-12WSD-2326-SM-59HKQ 60-69 years, female 40.5
GTEX-15EU6-2526-SM-7KUGB 50-59 years, male 39.8
GTEX-1PIGE-1126-SM-EWRMV 20-29 years, male 38.9
GTEX-1J8EW-2226-SM-AHZ3T 60-69 years, female 38.4
GTEX-1IL2V-2026-SM-ARZMA 70-79 years, male 38.3
GTEX-1RQEC-2126-SM-DPS15 60-69 years, male 38.3
GTEX-13QJ3-2726-SM-5SI6L 50-59 years, male 38.2
GTEX-1H11D-2226-SM-9OSXN 40-49 years, male 37.4
GTEX-14PJ6-0826-SM-686Z9 60-69 years, female 37.3
GTEX-1A8G6-1426-SM-731EZ 60-69 years, male 36.6
GTEX-11P82-0726-SM-5PNYL 20-29 years, male 36.5
GTEX-17JCI-2226-SM-7LTA1 60-69 years, female 36.4
GTEX-11VI4-0326-SM-5EQ6L 40-49 years, female 36.0
GTEX-ZPIC-2026-SM-57WG3 40-49 years, female 35.9
GTEX-1LVAM-1426-SM-E9TJ4 50-59 years, female 35.8
GTEX-131XE-2226-SM-5PNYX 50-59 years, male 35.7
GTEX-RTLS-2626-SM-46MUJ 60-69 years, female 35.4
GTEX-1F5PK-1826-SM-7RHHX 50-59 years, male 35.2
GTEX-TKQ1-0526-SM-4DXTG 30-39 years, male 35.0
GTEX-1H1DG-2126-SM-9WPPB 70-79 years, male 34.6
GTEX-1JMQJ-1326-SM-D4P3B 50-59 years, male 34.5
GTEX-1399U-1626-SM-5P9J3 50-59 years, female 34.2
GTEX-1HT8W-2326-SM-A9SLA 30-39 years, male 34.1
GTEX-T5JC-1926-SM-4DM6Q 20-29 years, male 34.0
GTEX-14PKU-1126-SM-69LOU 40-49 years, female 33.7
GTEX-XAJ8-0326-SM-47JYI 40-49 years, male 33.5
GTEX-1IDJF-1426-SM-ACKWK 20-29 years, male 33.1
GTEX-1399S-1626-SM-5P9GI 30-39 years, female 32.9
GTEX-Y8E4-1526-SM-4WWDI 40-49 years, male 32.8
GTEX-1QP28-2126-SM-DTX8B 50-59 years, female 32.7
GTEX-17KNJ-1526-SM-7LTA9 50-59 years, male 32.4
GTEX-1H3NZ-2226-SM-9WYUT 60-69 years, male 32.4
GTEX-1C64O-2226-SM-73KTV 60-69 years, male 32.1
GTEX-OHPM-1526-SM-EV796 50-59 years, male 32.1
GTEX-11EI6-2426-SM-5PNVS 60-69 years, male 31.5
GTEX-1EH9U-2226-SM-7PBXX 60-69 years, male 31.4
GTEX-1HSMQ-2426-SM-CE6RY 50-59 years, male 30.9
GTEX-139D8-2326-SM-5IFGE 30-39 years, female 30.6
GTEX-1AMEY-1226-SM-731DU 30-39 years, female 30.6
GTEX-13X6J-2126-SM-5TDCV 50-59 years, male 30.5
GTEX-1PPH8-1326-SM-DTXFO 20-29 years, male 30.5
GTEX-1MCYP-1126-SM-E9J2P 20-29 years, female 30.4
GTEX-14DAQ-2826-SM-664MU 60-69 years, female 30.0
GTEX-P4PP-1526-SM-3P61M 30-39 years, female 29.7
GTEX-ZYY3-1726-SM-5EGH3 60-69 years, female 29.3
GTEX-13N1W-2026-SM-5K7YU 70-79 years, male 29.1
GTEX-WYVS-1326-SM-4ONCQ 40-49 years, female 29.0
GTEX-P4PQ-1526-SM-3NMCK 60-69 years, male 28.7
GTEX-UPK5-2126-SM-4JBJK 40-49 years, male 28.7
GTEX-RUSQ-1126-SM-EAZAU 50-59 years, male 28.7
GTEX-WH7G-1526-SM-4LVMX 40-49 years, male 28.6
GTEX-13U4I-2526-SM-5SI8Z 40-49 years, female 27.8
GTEX-18A7A-2726-SM-7LG6U 50-59 years, female 27.8
GTEX-1N2DV-0926-SM-E9TJT 40-49 years, male 27.7
GTEX-QV44-1226-SM-CJI1S 50-59 years, male 27.7
GTEX-1GMRU-2526-SM-9WG7T 50-59 years, male 27.4
GTEX-12WSK-1426-SM-5CVNN 40-49 years, female 27.3
GTEX-O5YW-1526-SM-3MJGL 50-59 years, male 27.2
GTEX-ZE7O-3026-SM-51MS4 50-59 years, female 27.0
GTEX-14BIL-1926-SM-73KYI 50-59 years, male 26.8
GTEX-15SHW-2126-SM-6M46Y 60-69 years, male 26.8
GTEX-1J8JJ-1726-SM-C1YQG 60-69 years, female 26.5
GTEX-1RAZR-1526-SM-EAZ4U 40-49 years, male 26.3
GTEX-ZZPU-1426-SM-5GZZ6 50-59 years, female 25.6
GTEX-PLZ6-0826-SM-3P61K 30-39 years, male 25.5
GTEX-ZGAY-1626-SM-DNZZ3 40-49 years, female 25.2
GTEX-W5WG-1726-SM-4LMI5 50-59 years, female 25.1
GTEX-ZEX8-1626-SM-4WKG7 50-59 years, male 24.8
GTEX-OIZF-1526-SM-2I5GR 60-69 years, male 24.8
GTEX-OXRK-1626-SM-3NB17 50-59 years, female 24.6
GTEX-14PHY-0926-SM-5ZZWL 60-69 years, female 24.2
GTEX-1I1GT-1726-SM-C1YS3 60-69 years, female 23.5
GTEX-139YR-1926-SM-5LZXM 50-59 years, male 23.2
GTEX-13FH7-1026-SM-5IJGF 50-59 years, female 23.2
GTEX-PLZ5-1226-SM-EXOHA 50-59 years, male 23.2
GTEX-1HSEH-1526-SM-B2LXG 60-69 years, male 22.9
GTEX-18D9B-2226-SM-718BM 60-69 years, male 22.7
GTEX-18D9A-0626-SM-7KFTY 30-39 years, female 22.5
GTEX-1LSNM-1026-SM-DHXL2 50-59 years, male 22.5
GTEX-TMMY-1626-SM-4DXTY 40-49 years, female 22.4
GTEX-VJYA-1026-SM-4KL21 60-69 years, male 22.1
GTEX-ZAB4-1526-SM-5CVN7 40-49 years, male 21.7
GTEX-1QP2A-2126-SM-DPRZ7 50-59 years, male 21.7
GTEX-11GSP-2126-SM-5HL5E 60-69 years, female 21.4
GTEX-133LE-1326-SM-5IFGO 20-29 years, female 21.4
GTEX-1HFI7-1526-SM-9WG7W 50-59 years, female 21.3
GTEX-ZLV1-0826-SM-DO11P 60-69 years, female 21.3
GTEX-12C56-0526-SM-5FQST 20-29 years, male 21.2
GTEX-14ICL-0826-SM-5YY9W 30-39 years, male 20.9
GTEX-ZF2S-1426-SM-57WET 50-59 years, female 20.9
GTEX-17MF6-2126-SM-7KFS7 40-49 years, male 20.8
GTEX-R55C-1026-SM-48FCM 40-49 years, male 20.8
GTEX-R53T-1226-SM-48FCT 50-59 years, female 20.4
GTEX-ZLWG-1526-SM-DO12F 50-59 years, female 20.3
GTEX-14DAR-0926-SM-73KUQ 50-59 years, male 20.2
GTEX-XV7Q-1326-SM-4BRWM 40-49 years, female 20.2
GTEX-ZP4G-1226-SM-4WWCJ 20-29 years, female 20.2
GTEX-1S831-1126-SM-EWROI 20-29 years, male 20.2
GTEX-16NGA-1526-SM-72D56 40-49 years, female 19.9
GTEX-1R9K5-1026-SM-EAZ4F 50-59 years, male 19.9
GTEX-17HII-2426-SM-7KFTT 50-59 years, male 19.8
GTEX-P4QT-1526-SM-3NMCT 50-59 years, female 19.7
GTEX-1S82Z-1726-SM-E6CHZ 30-39 years, female 19.5
GTEX-Q734-1026-SM-48U16 40-49 years, female 19.3
GTEX-R55G-1126-SM-48FDG 40-49 years, female 19.3
GTEX-1QCLZ-1826-SM-DPRXP 60-69 years, female 19.2
GTEX-13CF3-1926-SM-5K7WF 60-69 years, female 19.1
GTEX-144GN-1226-SM-5O991 50-59 years, male 19.1
GTEX-15CHR-1326-SM-79OLT 50-59 years, male 19.1
GTEX-17GQL-1226-SM-7KFTS 60-69 years, male 19.1
GTEX-S4UY-1626-SM-4AD55 40-49 years, female 19.1
GTEX-WEY5-1226-SM-4LMIQ 40-49 years, female 19.1
GTEX-1HBPI-0726-SM-9WG7Z 50-59 years, male 19.0
GTEX-17HHE-1026-SM-79ON6 50-59 years, male 18.8
GTEX-18QFQ-1226-SM-718AE 30-39 years, male 18.7
GTEX-11EM3-1026-SM-5A5KL 20-29 years, female 18.5
GTEX-1H3VY-2326-SM-9WG81 50-59 years, male 18.5
GTEX-11EQ9-1226-SM-5987E 30-39 years, male 18.4
GTEX-PX3G-1526-SM-48U11 20-29 years, female 18.4
GTEX-13OVK-0926-SM-7KUFX 40-49 years, male 18.3
GTEX-14PJ5-0826-SM-6AJAR 60-69 years, female 18.0
GTEX-QMRM-1126-SM-447BN 50-59 years, male 17.8
GTEX-1QMI2-2126-SM-DPRXQ 60-69 years, male 17.7
GTEX-SUCS-0926-SM-4DM4Z 70-79 years, male 17.6
GTEX-ZVT3-2126-SM-59HL2 60-69 years, female 17.6
GTEX-1CB4H-2426-SM-7PBYR 60-69 years, female 17.6
GTEX-QXCU-1926-SM-48FE4 50-59 years, male 17.5
GTEX-1QP29-2326-SM-EXOJO 50-59 years, male 17.4
GTEX-18A66-2226-SM-7189E 60-69 years, male 17.2
GTEX-XQ8I-2026-SM-4BOOL 50-59 years, male 17.2
GTEX-13X6H-1626-SM-5Q5CT 50-59 years, female 17.1
GTEX-1B97J-1826-SM-7IGPP 50-59 years, female 17.1
GTEX-XBEW-1826-SM-4RTWX 40-49 years, male 17.0
GTEX-Y5V6-1326-SM-4VDTF 60-69 years, male 17.0
GTEX-PW2O-1226-SM-48TCH 20-29 years, male 16.9
GTEX-WRHK-0626-SM-4MVOE 20-29 years, female 16.8
GTEX-111YS-1126-SM-5GZYQ 60-69 years, male 16.7
GTEX-13QBU-1126-SM-5LU44 40-49 years, female 16.7
GTEX-13S7M-1826-SM-5RQK6 60-69 years, female 16.6
GTEX-RM2N-0826-SM-48FD3 50-59 years, male 16.6
GTEX-ZTX8-0426-SM-59HLG 20-29 years, male 16.6
GTEX-1H1E6-1626-SM-9OSWC 30-39 years, male 16.6
GTEX-T8EM-1226-SM-4DM5J 40-49 years, male 16.5
GTEX-OXRL-1526-SM-E6CHQ 50-59 years, male 16.5
GTEX-1IDJU-1526-SM-CNNR3 60-69 years, female 16.4
GTEX-1J8QM-1126-SM-C1YQB 60-69 years, female 16.4
GTEX-1JN1M-2926-SM-CNNPJ 60-69 years, female 16.4
GTEX-1QCLY-1126-SM-EAZ4J 30-39 years, male 16.4
GTEX-WHWD-1426-SM-4OORU 50-59 years, male 16.2
GTEX-18A67-2626-SM-718AD 50-59 years, male 16.1
GTEX-1A3MX-1926-SM-72D7F 60-69 years, male 16.0
GTEX-1QPFJ-1526-SM-DPRXT 30-39 years, female 16.0
GTEX-SNOS-0826-SM-4DM5N 40-49 years, male 15.9
GTEX-Y3I4-1626-SM-4TT7W 50-59 years, male 15.9
GTEX-1L5NE-1526-SM-DIPFW 50-59 years, male 15.9
GTEX-132AR-2426-SM-5IFFD 50-59 years, female 15.8
GTEX-1AYCT-1326-SM-7MKHB 50-59 years, male 15.8
GTEX-15RIE-1026-SM-6LPJQ 60-69 years, male 15.7
GTEX-S4Q7-0726-SM-4AD5F 20-29 years, male 15.6
GTEX-11I78-1726-SM-5A5M3 50-59 years, female 15.5
GTEX-1ICG6-1826-SM-AHZ2O 70-79 years, female 15.5
GTEX-YJ8A-1526-SM-5P9FT 20-29 years, male 15.4
GTEX-P78B-1826-SM-3P5YX 40-49 years, female 15.3
GTEX-1IDJD-2426-SM-C1YS6 30-39 years, male 15.3
GTEX-14PJ3-1426-SM-664O8 50-59 years, male 15.2
GTEX-X15G-1126-SM-4PQZG 50-59 years, female 15.0
GTEX-1LVAN-2426-SM-CNNPZ 50-59 years, female 15.0
GTEX-T5JW-0926-SM-4DM5K 20-29 years, female 14.9
GTEX-1GF9U-1126-SM-AHZ4H 40-49 years, female 14.9
GTEX-1HCU8-1326-SM-C1YQQ 60-69 years, female 14.9
GTEX-131XF-1226-SM-5HL8V 60-69 years, male 14.8
GTEX-13OW6-2526-SM-5IJEC 50-59 years, male 14.7
GTEX-WFON-1126-SM-4LVMA 40-49 years, male 14.6
GTEX-YB5E-1126-SM-664NU 40-49 years, male 14.6
GTEX-145LT-1426-SM-5O9B3 40-49 years, male 14.5
GTEX-11NUK-2426-SM-5BC4U 50-59 years, male 14.3
GTEX-QLQW-0726-SM-447AA 30-39 years, male 14.3
GTEX-1A3MV-1226-SM-718BW 30-39 years, male 14.2
GTEX-WYJK-2526-SM-4ONDF 50-59 years, male 14.2
GTEX-17HGU-2126-SM-7IGOV 50-59 years, male 14.1
GTEX-144GM-1726-SM-5O9AS 20-29 years, male 14.0
GTEX-OOBJ-1526-SM-3NB1Q 60-69 years, male 14.0
GTEX-ZVZP-1726-SM-5GZWY 50-59 years, male 14.0
GTEX-1I4MK-0926-SM-A9SLD 50-59 years, female 14.0
GTEX-PWCY-0926-SM-48TD7 20-29 years, female 13.8
GTEX-12WSJ-0926-SM-5P9JD 40-49 years, female 13.7
GTEX-1JMPZ-1826-SM-CXZJT 30-39 years, male 13.7
GTEX-1122O-1926-SM-5EGIQ 60-69 years, female 13.6
GTEX-1H23P-2726-SM-9JGHN 60-69 years, male 13.6
GTEX-1JK1U-1326-SM-AHZ45 60-69 years, male 13.6
GTEX-1MGNQ-1826-SM-DPRYI 40-49 years, male 13.6
GTEX-1I1HK-2026-SM-CNNRB 60-69 years, male 13.5
GTEX-1JMLX-2426-SM-CXZJQ 50-59 years, male 13.5
GTEX-1B97I-1226-SM-7MGWQ 40-49 years, male 13.4
GTEX-S95S-0826-SM-4B64N 60-69 years, male 13.3
GTEX-12WSG-2026-SM-5FQUU 50-59 years, female 13.2
GTEX-13RTK-0226-SM-5RQHR 20-29 years, male 13.2
GTEX-1AMFI-1226-SM-731CZ 50-59 years, female 13.2
GTEX-1LGOU-1526-SM-D3LAJ 20-29 years, female 13.2
GTEX-11NSD-1426-SM-5HL67 20-29 years, male 13.1
GTEX-1JMPY-0926-SM-ARL92 30-39 years, male 13.0
GTEX-WHPG-0426-SM-4M1XW 50-59 years, male 12.9
GTEX-1GZ4H-1026-SM-9OSXL 50-59 years, female 12.9
GTEX-NFK9-1526-SM-3LK7B 40-49 years, male 12.8
GTEX-ZXES-1426-SM-5NQ8S 30-39 years, female 12.8
GTEX-1JKYN-1726-SM-AHZ48 30-39 years, male 12.8
GTEX-1HBPN-1626-SM-9WPNP 50-59 years, male 12.7
GTEX-O5YV-1926-SM-EV797 60-69 years, female 12.7
GTEX-117YW-2226-SM-5N9DB 50-59 years, male 12.6
GTEX-14PJ4-1626-SM-664OB 60-69 years, male 12.6
GTEX-1GL5R-1926-SM-9WG7U 50-59 years, male 12.6
GTEX-14B4R-0726-SM-5TDDR 30-39 years, male 12.5
GTEX-QDVJ-1426-SM-48U1Y 50-59 years, male 12.5
GTEX-RWS6-0926-SM-47JXE 60-69 years, female 12.5
GTEX-13PVQ-2126-SM-5L3FW 50-59 years, male 12.4
GTEX-14PKV-1826-SM-69LO9 20-29 years, female 12.4
GTEX-1GN1W-2126-SM-9JGI7 50-59 years, female 12.4
GTEX-14JG6-1226-SM-664O6 30-39 years, female 12.3
GTEX-SNMC-0626-SM-4DM6H 20-29 years, male 12.1
GTEX-V955-1326-SM-4JBHR 60-69 years, male 12.0
GTEX-1HCUA-1626-SM-A9SMG 50-59 years, female 12.0
GTEX-XMK1-1526-SM-EYYVO 40-49 years, male 12.0
GTEX-QV31-0626-SM-447C5 30-39 years, male 11.9
GTEX-1RMOY-1126-SM-EV79E 50-59 years, male 11.8
GTEX-ZT9W-1526-SM-4YCDE 50-59 years, male 11.7
GTEX-13FTX-0726-SM-5N9BI 20-29 years, female 11.6
GTEX-15G19-1526-SM-6LPKP 60-69 years, male 11.6
GTEX-145ME-1026-SM-5O9B4 40-49 years, female 11.5
GTEX-1B8KE-1326-SM-73KVI 50-59 years, male 11.5
GTEX-1HKZK-1526-SM-B2LWG 40-49 years, male 11.5
GTEX-1MUQO-1926-SM-EAZ59 60-69 years, male 11.4
GTEX-13O21-0926-SM-5IFGT 50-59 years, male 11.3
GTEX-14E6E-0926-SM-664N8 30-39 years, male 11.2
GTEX-Y8LW-0826-SM-4WWDO 50-59 years, female 11.1
GTEX-15DCE-1626-SM-6LPJM 20-29 years, male 11.0
GTEX-17EUY-1526-SM-793CA 20-29 years, male 11.0
GTEX-WHSB-1226-SM-4M1XR 50-59 years, male 10.9
GTEX-POMQ-0826-SM-3P61H 20-29 years, female 10.7
GTEX-YEC4-1426-SM-5IFHS 40-49 years, male 10.7
GTEX-UJMC-1226-SM-4IHLI 50-59 years, male 10.6
GTEX-ZQUD-0826-SM-57WDQ 30-39 years, male 10.6
GTEX-ZLFU-1326-SM-DO11R 40-49 years, male 10.6
GTEX-ZPU1-1626-SM-4WWB2 40-49 years, male 10.5
GTEX-1399R-1126-SM-5IFIO 30-39 years, male 10.4
GTEX-XUZC-0726-SM-4BOPH 30-39 years, female 10.4
GTEX-1I6K7-1726-SM-B2LXQ 40-49 years, male 10.3
GTEX-14PHX-1026-SM-664OL 50-59 years, male 10.2
GTEX-15UF7-1226-SM-6M46G 40-49 years, male 10.2
GTEX-OHPK-1526-SM-3MJGM 50-59 years, female 10.2
GTEX-111CU-0926-SM-5EGIK 50-59 years, male 10.1
GTEX-ZY6K-0726-SM-5A5L8 50-59 years, male 10.1
GTEX-1R7EU-1126-SM-EAZ4M 60-69 years, male 10.1
GTEX-T6MO-0726-SM-4DM58 40-49 years, female 10.0
GTEX-ZZ64-0426-SM-5E43F 20-29 years, male 10.0
GTEX-17F98-1526-SM-7EWD8 40-49 years, female 9.9
GTEX-WXYG-1626-SM-4ONCR 50-59 years, female 9.9
GTEX-YFCO-0826-SM-5LUAG 40-49 years, male 9.9
GTEX-ZDYS-1926-SM-5HL59 50-59 years, male 9.8
GTEX-14BMU-1126-SM-5RQJ8 20-29 years, female 9.7
GTEX-S341-0626-SM-4AD5T 40-49 years, female 9.6
GTEX-ZF29-1526-SM-4WKF7 60-69 years, female 9.6
GTEX-13D11-2126-SM-5IFH2 50-59 years, female 9.5
GTEX-1CAMR-0726-SM-7EPIE 20-29 years, male 9.5
GTEX-WY7C-1726-SM-4ONCC 50-59 years, male 9.5
GTEX-13PVR-2126-SM-73KVR 60-69 years, female 9.4
GTEX-1J8Q3-1926-SM-C1YSJ 60-69 years, male 9.4
GTEX-117YX-1026-SM-5H11V 50-59 years, male 9.2
GTEX-1339X-1426-SM-5K7YO 40-49 years, male 9.2
GTEX-145MN-1326-SM-5NQ9S 30-39 years, male 9.1
GTEX-Y5LM-1326-SM-5RQIS 40-49 years, female 9.1
GTEX-1F5PL-1426-SM-7MKFH 40-49 years, female 8.9
GTEX-1RB15-1026-SM-E9U6V 60-69 years, male 8.9
GTEX-15DZA-1126-SM-6LPK8 30-39 years, female 8.8
GTEX-XBED-1226-SM-4AT5V 60-69 years, male 8.8
GTEX-PWN1-1526-SM-48TDA 40-49 years, female 8.7
GTEX-1LBAC-1426-SM-CXZKT 20-29 years, male 8.7
GTEX-XXEK-0826-SM-4BRWG 50-59 years, male 8.6
GTEX-1B8KZ-1226-SM-793CP 50-59 years, male 8.4
GTEX-11DXX-1326-SM-5GIDZ 60-69 years, female 8.3
GTEX-QLQ7-0826-SM-447B3 60-69 years, male 8.3
GTEX-1C475-1026-SM-7MKFJ 40-49 years, female 8.1
GTEX-ZVT2-1626-SM-51MRC 50-59 years, female 8.1
GTEX-15G1A-1226-SM-7KUF3 30-39 years, male 8.0
GTEX-S3XE-1026-SM-4AD4O 50-59 years, male 7.9
GTEX-132QS-1826-SM-5IFFN 60-69 years, male 7.8
GTEX-Q2AI-0826-SM-48TZO 40-49 years, male 7.8
GTEX-1LGRB-1726-SM-CNNRA 50-59 years, female 7.8
GTEX-QDVN-1226-SM-48TZ5 50-59 years, male 7.7
GTEX-1LG7Z-1226-SM-DHXK4 30-39 years, male 7.7
GTEX-17F9E-2226-SM-7IGNC 50-59 years, male 7.5
GTEX-Y9LG-1026-SM-5IFJN 30-39 years, male 7.5
GTEX-ZA64-0826-SM-5HL9U 20-29 years, male 7.5
GTEX-1KXAM-0926-SM-CXZKA 60-69 years, male 7.5
GTEX-QCQG-0526-SM-48U2A 50-59 years, female 7.4
GTEX-16AAH-1226-SM-79OO9 50-59 years, male 7.3
GTEX-ZV7C-1626-SM-5NQ7E 50-59 years, male 7.3
GTEX-U4B1-1026-SM-4DXT1 40-49 years, male 7.1
GTEX-13FTW-1726-SM-5KM2B 40-49 years, male 7.0
GTEX-WFG7-1326-SM-4LMK1 20-29 years, male 7.0
GTEX-1MJIX-1126-SM-EV7AO 40-49 years, male 7.0
GTEX-ZYVF-2726-SM-5GID4 50-59 years, female 6.8
GTEX-Y3IK-1426-SM-4YCES 50-59 years, female 6.7
GTEX-131XG-1226-SM-5EGH9 50-59 years, female 6.6
GTEX-12BJ1-1726-SM-5HL9B 60-69 years, male 6.4
GTEX-1KANA-1126-SM-D3L9M 20-29 years, male 6.3
GTEX-12696-1726-SM-5EQLH 60-69 years, male 6.1
GTEX-Q2AH-1126-SM-48TZM 40-49 years, male 5.9
GTEX-11TT1-0726-SM-5GU5A 20-29 years, male 5.8
GTEX-WFG8-1326-SM-4LVN3 20-29 years, male 5.6
GTEX-1F75I-1826-SM-7MKGX 40-49 years, male 5.4
GTEX-11WQK-2626-SM-5EQ4K 50-59 years, male 4.7
GTEX-ZVP2-1626-SM-5GU5D 50-59 years, male 4.4
Show allShow less

Contact

  • NEWS ARTICLES
  • PRESS ROOM

The Project

  • INTRODUCTION
  • ORGANIZATION
  • PUBLICATIONS

The Human Protein Atlas

  • DOWNLOADABLE DATA
  • LICENCE & CITATION
  • HELP & FAQ
The Human Protein Atlas project is funded
by the Knut & Alice Wallenberg Foundation.


contact@proteinatlas.org