We use cookies to enhance the usability of our website. If you continue, we'll assume that you are happy to receive all cookies. More information. Don't show this again.
ATP1B3
HPA
RESOURCES
  • TISSUE
  • BRAIN
  • SINGLE CELL
  • SUBCELLULAR
  • CANCER
  • BLOOD
  • CELL LINE
  • STRUCTURE & INTERACTION
ABOUT
  • INTRODUCTION
  • HISTORY
  • ORGANIZATION
  • PUBLICATIONS
  • ANTIBODY SUBMISSION
  • ANTIBODY AVAILABILITY
  • ACKNOWLEDGMENTS
  • CONTACT
NEWS
  • NEWS ARTICLES
  • PRESS ROOM
LEARN
  • DICTIONARY
  • PROTEIN CLASSES
  • PROTEIN EVIDENCE
  • METHODS
  • EDUCATIONAL VIDEOS
DATA
  • DOWNLOADABLE DATA
  • PUBLICATION DATA
  • RELEASE HISTORY
HELP
  • ANTIBODY VALIDATION
  • ASSAYS & ANNOTATION
  • DISCLAIMER
  • HELP & FAQ
  • PRIVACY STATEMENT
  • LICENCE & CITATION
Fields »
Search result

Field
Term
Gene name
Class
Subclass
Class
Keyword
Chromosome
External id
Tissue
Cell type
Expression
Antibody panel
Tissue
Main location
Patient ID
Annotation
Tissue
Category
Tau score
Cluster
Reliability
Brain region
Category
Tau score
Brain region
Category
Tau score
Brain region
Category
Tau score
Cluster
Reliability
Tissue
Cell type
Enrichment
Cell type
Category
Tau score
Cell type
Category
Tau score
Cell type
Category
Tau score
Cell lineage
Category
Tau score
Cluster
Cluster
Location
Searches
Location
Cell line
Class
Type
Phase
Reliability
Cancer
Prognosis
Cancer
Category
Cancer
Category
Tau score
Cluster
Variants
Interacting gene (ensg_id)
Type
Number of interactions
Pathway
Category
Score
Score
Score
Validation
Validation
Validation
Validation
Antibodies
Data type
Column


  • SUMMARY

  • TISSUE

  • BRAIN

  • SINGLE CELL

  • SUBCELL

  • CANCER

  • BLOOD

  • CELL LINE

  • STRUCT & INT

  • ATP1B3
TISSUE PRIMARY DATA SKIN Show tissue menu
ADIPOSE TISSUE ADRENAL GLAND AMYGDALA APPENDIX BASAL GANGLIA BONE MARROW BREAST BRONCHUS CEREBELLUM CEREBRAL CORTEX CERVIX CHOROID PLEXUS COLON DUODENUM
ENDOMETRIUM EPIDIDYMIS ESOPHAGUS FALLOPIAN TUBE GALLBLADDER HEART MUSCLE HIPPOCAMPAL FORMATION HYPOTHALAMUS KIDNEY LIVER LUNG LYMPH NODE MIDBRAIN NASOPHARYNX
ORAL MUCOSA OVARY PANCREAS PARATHYROID GLAND PITUITARY GLAND PLACENTA PROSTATE RECTUM RETINA SALIVARY GLAND SEMINAL VESICLE SKELETAL MUSCLE SKIN SMALL INTESTINE
SMOOTH MUSCLE SOFT TISSUE SPINAL CORD SPLEEN STOMACH TESTIS THYMUS THYROID GLAND TONGUE TONSIL URINARY BLADDER VAGINA
ANTIBODIES
AND
VALIDATION
Dictionary
Skin
Tissue proteome
Skin
SKIN - Expression summary
Protein expression
Skini

On the top, protein expression in current human tissue, based on all annotated cell types, is reported with the units not detected (n), low (l), medium (m) and high (h). Underneath, protein expression in each annotated cell type are reported using the same units.

Protein expression data is based on knowledge-based annotation. For genes where more than one antibody has been used, a collective score is set.

If knowledge-based annotation could not be performed for a gene, no data is displayed here. View antibody staining data further down this page.

h
m
l
n
Cells in basal layer: Medium
Cells in corneal layer: Not detected
Cells in granular layer: Not detected
Cells in spinous layer: Low
Endothelial cells: Medium
Extracellular matrix: Not detected
Fibrohistiocytic cells: Medium
Langerhans cells: Medium
Lymphocytes: Medium
Melanocytes: Medium
Vascular mural cells: Not detected
RNA expressioni

A summary of mRNA expression data available for current tissue based on several datasets. The mRNA expression levels in human tissues are based on RNA-seq data generated by the Human Protein Atlas (HPA), Genotype-Tissue Expression (GTEx) portal and CAGE data generated by the FANTOM5 consortium. Consensus normalized expression levels for human tissues was created by combining the data from HPA and GTEx datasets.

The mRNA expression levels in pig are based on RNA-seq data generated by the Human Protein Atlas (HPA), and for mouse, HPA data and in situ hybridization generated by the Allen brain atlas are reported.

Scroll down to view mRNA expression data in more detail.
Consensus:252.3 nTPM
HPA:252.3 nTPM
GTEx:217.6 nTPM

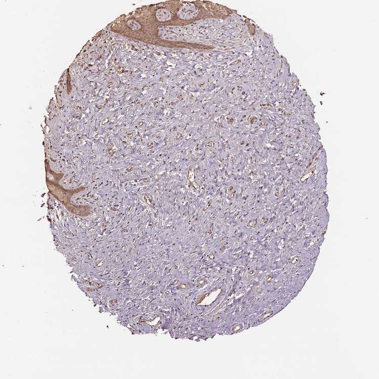
SKIN 1 - Antibody stainingi

Antibody staining in the annotated cell types in the current human tissue is reported as not detected, low, medium, or high, based on conventional immunohistochemistry profiling in selected tissues. This score is based on the combination of the staining intensity and fraction of stained cells.

Each image is clickable and will lead to virtual microscopy that enables deeper exploration of all samples and also displays staining intensity scores, fraction scores and subcellular localization as well as patient and tissue information for each sample.

Antibody HPA048963Antibody CAB020697
Langerhans Not detected-
Cells in basal layer -Medium
Cells in corneal layer -Not detected
Cells in granular layer -Not detected
Cells in spinous layer -Low
Endothelial cells -Low
Extracellular matrix -Not detected
Fibroblasts Not detected-
Fibrohistiocytic cells -Low
Keratinocytes Low-
Langerhans cells -Medium
Lymphocytes -Low
Melanocytes LowMedium
Vascular mural cells -Not detected




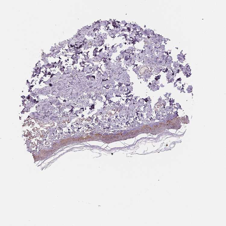
SKIN 2 - Antibody stainingi

Antibody staining in the annotated cell types in the current human tissue is reported as not detected, low, medium, or high, based on conventional immunohistochemistry profiling in selected tissues. This score is based on the combination of the staining intensity and fraction of stained cells.

Each image is clickable and will lead to virtual microscopy that enables deeper exploration of all samples and also displays staining intensity scores, fraction scores and subcellular localization as well as patient and tissue information for each sample.

Antibody HPA048963Antibody CAB020697
Cells in basal layer -Medium
Cells in corneal layer -Not detected
Cells in granular layer -Not detected
Cells in spinous layer -Low
Endothelial cells -Medium
Epidermal cells Low-
Extracellular matrix -Not detected
Fibrohistiocytic cells -Medium
Langerhans cells -Low
Lymphocytes -Medium
Melanocytes -Medium
Vascular mural cells -Not detected
  
  



SKIN - HPA RNA-seqi

The RNA-seq details section shows detailed information about the individual samples used for the transcript profiling and results of the RNA-seq analysis.

Information about each individual sample is listed below, including gender, age, a tissue section image and estimated fractions of cell types. nTPM (normalized transcripts per million) values give a quantification of the gene abundance which is comparable between different genes and samples.
Average nTPMi

Max subtype nTPM is the value for the subtype with the largest average nTPM across the subtype samples.

252.3
overview
Female, age 34
Skin sample 225
nTPM: 252.6
Cell types%
Keratinocytes:
60

Other cell types:
40

overview
Female, age 30
Skin sample 226
nTPM: 240.8
Cell types%
Keratinocytes:
55

Other cell types:
45

N/A
Male, age 57
Skin sample 227
nTPM: 263.5

SKIN - GTEx RNA-seqi

RNA-Seq data generated by the Genotype-Tissue Expression (GTEx) project from human tissues is reported as mean nTPM. More information can be found on the GTEx portal.

Distribution across the dataset is visualized with box plots, shown as median and 25th and 75th percentiles. Points are displayed as outliers if they are above or below 1.5 times the interquartile range. nTPM values of the individual samples are presented next to the box plot.
Max subtype nTPMi

Max subtype nTPM is the value for the subtype with the largest average nTPM across the subtype samples.

217.6
GTEx sample id Sample description nTPM
Skin - Not Sun Exposed (Suprapubic)
Average nTPM: 217.6
Samples: 604

Max nTPM: 572.3
Min nTPM: 78.1
Std nTPM: 64.1
Median nTPM: 208.6
GTEX-1399Q-2326-SM-5KM2X 40-49 years, male 572.3
GTEX-ZWKS-0626-SM-5GIDV 30-39 years, male 460.6
GTEX-1GF9X-1326-SM-7PC2Y 40-49 years, female 428.8
GTEX-1GN1V-2826-SM-9JGIA 60-69 years, male 421.4
GTEX-ZYT6-2326-SM-5GZY3 30-39 years, male 417.1
GTEX-1NSGN-0726-SM-DTXEF 50-59 years, male 417.1
GTEX-VUSG-2326-SM-4KL1U 50-59 years, male 410.3
GTEX-16YQH-2226-SM-7IGM2 30-39 years, male 403.1
GTEX-16MT9-0126-SM-7EPI8 60-69 years, female 401.4
GTEX-14A5H-0826-SM-5QGPJ 60-69 years, male 392.7
GTEX-1HR98-2226-SM-ADEI2 60-69 years, male 388.0
GTEX-ZYFC-0426-SM-5GICQ 50-59 years, male 374.6
GTEX-13112-0126-SM-5P9IU 50-59 years, male 372.5
GTEX-ZAJG-1526-SM-5CVML 50-59 years, female 370.0
GTEX-W5X1-2526-SM-3GILC 40-49 years, female 366.8
GTEX-1E2YA-2126-SM-7MXUO 50-59 years, male 364.4
GTEX-11WQK-1026-SM-5EQLX 50-59 years, male 361.1
GTEX-ZU9S-1826-SM-5NQ9E 30-39 years, male 355.0
GTEX-144GO-2026-SM-5O99P 60-69 years, male 352.7
GTEX-1HT8W-0626-SM-A9G2H 30-39 years, male 348.6
GTEX-ZY6K-1426-SM-5GZX2 50-59 years, male 347.5
GTEX-1HCU6-2526-SM-ADEHL 60-69 years, female 345.8
GTEX-1HFI6-0126-SM-CNPPI 40-49 years, male 345.6
GTEX-1C6WA-2626-SM-7MKGM 60-69 years, male 339.5
GTEX-11EQ8-0926-SM-5H12V 60-69 years, male 337.1
GTEX-1I19N-0126-SM-CYPSF 70-79 years, male 336.8
GTEX-11DXY-0126-SM-5H11Q 60-69 years, male 334.3
GTEX-11ZUS-2626-SM-5FQUR 30-39 years, male 333.6
GTEX-ZF3C-0626-SM-DO92O 50-59 years, female 333.1
GTEX-17HG3-2626-SM-7DUF2 30-39 years, female 332.4
GTEX-144GL-0626-SM-5LU4D 50-59 years, male 329.5
GTEX-13NZ8-1226-SM-5KM4A 60-69 years, female 328.4
GTEX-ZYVF-0926-SM-5E44J 50-59 years, female 327.4
GTEX-15ER7-0626-SM-6PANF 20-29 years, female 326.5
GTEX-WHSE-0126-SM-3NMBT 20-29 years, male 323.7
GTEX-13NYB-0126-SM-5J1MD 40-49 years, male 322.4
GTEX-13G51-1826-SM-5KLZH 60-69 years, male 321.3
GTEX-15DDE-2926-SM-6LLJ3 50-59 years, female 319.3
GTEX-11DYG-1526-SM-5A5JS 60-69 years, male 318.7
GTEX-ZE9C-2526-SM-5IJDR 60-69 years, male 318.4
GTEX-17MFQ-1526-SM-7KFRR 20-29 years, male 318.1
GTEX-147F4-0726-SM-5TDDD 50-59 years, male 317.5
GTEX-1I1CD-0626-SM-CE6SW 60-69 years, female 317.2
GTEX-18A67-1626-SM-7LT9T 50-59 years, male 316.7
GTEX-UPK5-0426-SM-3GAEK 40-49 years, male 315.3
GTEX-111VG-1626-SM-5EGIO 60-69 years, male 313.9
GTEX-1C64N-2626-SM-7PC2N 50-59 years, male 312.5
GTEX-12126-0826-SM-5FQTZ 20-29 years, male 312.2
GTEX-17F9Y-0126-SM-79OKX 70-79 years, female 311.9
GTEX-13N1W-2426-SM-5IJD1 70-79 years, male 311.0
GTEX-131XH-0126-SM-5LZUY 50-59 years, male 310.7
GTEX-1GN73-0726-SM-7P8TJ 60-69 years, male 308.5
GTEX-1212Z-0126-SM-59HK4 60-69 years, male 307.6
GTEX-1BAJH-2426-SM-7IGP8 70-79 years, male 305.5
GTEX-13PDP-0726-SM-5L3HP 60-69 years, male 305.4
GTEX-11UD2-2526-SM-5CVNU 50-59 years, male 304.7
GTEX-Z93S-1626-SM-5CVMB 50-59 years, male 304.0
GTEX-14DAQ-0626-SM-793DS 60-69 years, female 303.4
GTEX-18A6Q-0626-SM-7KFRP 60-69 years, male 303.3
GTEX-11PRG-0726-SM-5EGL1 50-59 years, male 301.9
GTEX-147GR-2426-SM-5ZZWQ 60-69 years, male 301.2
GTEX-1IOXB-2726-SM-CM2RI 50-59 years, male 300.9
GTEX-13PL6-1126-SM-5L3IE 40-49 years, female 300.5
GTEX-14A6H-2026-SM-5Q5DD 30-39 years, male 300.3
GTEX-1F88F-0126-SM-9WYSZ 60-69 years, female 299.6
GTEX-17HHE-1326-SM-7EWDZ 50-59 years, male 299.3
GTEX-X585-2426-SM-46MW2 50-59 years, male 298.3
GTEX-ZVE1-0726-SM-51MRN 50-59 years, female 297.3
GTEX-1IL2V-1926-SM-B2LW8 70-79 years, male 297.1
GTEX-1313W-0626-SM-5EQ4H 50-59 years, female 296.3
GTEX-1B932-2326-SM-79OL5 40-49 years, female 295.2
GTEX-139UW-0326-SM-5J1ML 60-69 years, male 294.5
GTEX-14E1K-2026-SM-7DUEI 50-59 years, male 293.6
GTEX-11OF3-0126-SM-5PNYF 60-69 years, male 293.0
GTEX-1PIGE-1826-SM-E8VOU 20-29 years, male 292.9
GTEX-1C6VR-0126-SM-7RHGB 60-69 years, male 291.9
GTEX-YECK-0326-SM-4W1YS 60-69 years, male 290.8
GTEX-1J8JJ-0626-SM-ARZMQ 60-69 years, female 290.1
GTEX-1LVAM-0726-SM-E6CIL 50-59 years, female 289.2
GTEX-1LVA9-2626-SM-EVYD4 50-59 years, male 288.8
GTEX-13OVL-0126-SM-5L3GJ 50-59 years, male 287.6
GTEX-1PPH8-0126-SM-EWRN8 20-29 years, male 287.0
GTEX-15SHW-0226-SM-7LTAT 60-69 years, male 284.7
GTEX-1S5ZU-2526-SM-E6CIF 20-29 years, female 284.3
GTEX-1RAZS-2526-SM-E6CHT 50-59 years, male 283.8
GTEX-1QP2A-1726-SM-E76QC 50-59 years, male 283.5
GTEX-11P7K-1126-SM-5HL4L 30-39 years, male 281.3
GTEX-1H3O1-1326-SM-9MQLD 60-69 years, male 281.1
GTEX-1H11D-1826-SM-9QEHM 40-49 years, male 281.0
GTEX-U8XE-0226-SM-4E3J3 30-39 years, male 280.1
GTEX-13O3O-2326-SM-5IJD6 60-69 years, female 278.9
GTEX-ZDXO-3126-SM-5IJDF 60-69 years, male 278.6
GTEX-13FTY-2126-SM-5IFFB 40-49 years, female 278.3
GTEX-ZPCL-1126-SM-4WWFE 60-69 years, female 278.1
GTEX-12ZZX-2426-SM-5GCOE 40-49 years, female 278.0
GTEX-14JFF-0626-SM-5ZZVT 60-69 years, male 277.9
GTEX-15DYW-2726-SM-6EU2I 60-69 years, female 277.6
GTEX-139TS-2126-SM-5K7XC 60-69 years, male 276.6
GTEX-15RIE-1926-SM-7KUKJ 60-69 years, male 275.9
GTEX-XQ3S-1426-SM-4BOPR 20-29 years, male 275.8
GTEX-1EKGG-0626-SM-7DUGJ 60-69 years, male 275.7
GTEX-139D8-1126-SM-5LU8W 30-39 years, female 274.7
GTEX-13SLW-0626-SM-5Q5ER 70-79 years, male 274.7
GTEX-1S82U-1026-SM-E6CJK 30-39 years, female 274.3
GTEX-1399S-0126-SM-5IJCF 30-39 years, female 272.0
GTEX-1OJC4-2726-SM-E76PJ 50-59 years, female 271.5
GTEX-1JMQL-2226-SM-CNPP4 50-59 years, female 271.3
GTEX-16XZZ-0726-SM-7KUF2 60-69 years, male 271.0
GTEX-ZVZP-1226-SM-5GID7 50-59 years, male 270.3
GTEX-15SKB-2826-SM-6PAMH 60-69 years, male 269.9
GTEX-1I1GP-1326-SM-A9G28 50-59 years, male 269.9
GTEX-1IKJJ-2226-SM-CJI4C 60-69 years, male 268.7
GTEX-13O3Q-0126-SM-5KM34 50-59 years, male 268.3
GTEX-1S83E-1326-SM-E6CJM 40-49 years, male 268.2
GTEX-1A8FM-0626-SM-7PC25 50-59 years, female 267.8
GTEX-1JN6P-2926-SM-CL54D 60-69 years, male 267.5
GTEX-1K9T9-1526-SM-DIPFR 50-59 years, female 267.3
GTEX-1GN2E-0226-SM-9WG6K 60-69 years, male 266.8
GTEX-ZYW4-0626-SM-59HJR 60-69 years, male 266.4
GTEX-ZLV1-1526-SM-DO91J 60-69 years, female 265.9
GTEX-14PJ2-0626-SM-6LLII 50-59 years, male 265.7
GTEX-WHWD-1826-SM-3LK6I 50-59 years, male 265.4
GTEX-131XW-0626-SM-5PNVD 50-59 years, female 265.1
GTEX-1IDJH-0126-SM-D3L92 70-79 years, male 264.4
GTEX-1GZ2Q-0126-SM-9WG6M 40-49 years, male 264.3
GTEX-144GM-0526-SM-79OJO 20-29 years, male 264.1
GTEX-147JS-0226-SM-5S2U9 60-69 years, male 263.9
GTEX-1F75A-0726-SM-7RHHD 50-59 years, male 263.8
GTEX-1J8EW-2726-SM-CY8HR 60-69 years, female 263.8
GTEX-11DXZ-2026-SM-5987S 50-59 years, male 263.6
GTEX-145MH-2826-SM-5RQJF 50-59 years, male 263.3
GTEX-14LZ3-0126-SM-69LPM 60-69 years, female 263.2
GTEX-15RJE-2826-SM-7KUM9 40-49 years, male 263.2
GTEX-1H4P4-2126-SM-9WYSL 50-59 years, male 262.9
GTEX-1IDJV-0126-SM-COH3Y 60-69 years, male 262.1
GTEX-ZXG5-2126-SM-59HKD 60-69 years, male 261.9
GTEX-145LU-1926-SM-79OJN 50-59 years, male 261.7
GTEX-1GMRU-2126-SM-7P8RA 50-59 years, male 261.6
GTEX-13RTJ-0126-SM-5S2NN 60-69 years, male 261.3
GTEX-13X6J-0626-SM-5LU5F 50-59 years, male 261.1
GTEX-ZE7O-2726-SM-51MT5 50-59 years, female 261.0
GTEX-1JJE9-2626-SM-ARZMT 70-79 years, male 261.0
GTEX-ZF2S-1626-SM-57WES 50-59 years, female 260.8
GTEX-1E1VI-0326-SM-793D1 50-59 years, male 260.7
GTEX-1I1GV-0626-SM-ARL7M 60-69 years, male 258.5
GTEX-12WSC-2826-SM-5BC5Y 50-59 years, male 258.3
GTEX-1LB8K-0726-SM-D5OV2 50-59 years, male 257.9
GTEX-1B8L1-2226-SM-7P8PT 60-69 years, male 257.7
GTEX-1269C-0126-SM-5EQ5L 60-69 years, female 257.1
GTEX-1B933-2426-SM-7DHMD 50-59 years, female 256.8
GTEX-1GZ4I-2626-SM-9KNU3 50-59 years, male 256.8
GTEX-1J1OQ-0126-SM-D4P2N 40-49 years, female 256.4
GTEX-1ICLZ-0326-SM-ARL82 60-69 years, male 256.3
GTEX-1O9I2-0226-SM-EYYXD 50-59 years, male 256.3
GTEX-1POEN-2326-SM-E9J2L 30-39 years, female 254.7
GTEX-131YS-2826-SM-5EQ47 60-69 years, female 254.4
GTEX-1R9K4-2826-SM-DTX8F 60-69 years, male 253.9
GTEX-1RAZQ-1326-SM-E9TK6 30-39 years, male 253.6
GTEX-1H1DG-2426-SM-9QEHJ 70-79 years, male 253.5
GTEX-1EX96-1026-SM-7MKG2 50-59 years, male 253.4
GTEX-1GF9V-0826-SM-9KNUV 60-69 years, male 253.1
GTEX-1B8SF-0126-SM-7DUG3 60-69 years, male 252.8
GTEX-ZPU1-1126-SM-4YCF3 40-49 years, male 251.5
GTEX-1CB4F-1026-SM-7DUH1 60-69 years, male 250.8
GTEX-1GTWX-2026-SM-9YFLM 60-69 years, male 250.7
GTEX-1HR9M-2226-SM-CNPPY 60-69 years, male 250.7
GTEX-1LBAC-0826-SM-CY8IJ 20-29 years, male 250.6
GTEX-1PBJJ-1026-SM-E76OS 30-39 years, male 250.6
GTEX-1HBPI-2126-SM-ARL9K 50-59 years, male 250.2
GTEX-1C2JI-1026-SM-73KY1 50-59 years, male 250.1
GTEX-12WSK-2126-SM-5CVNC 40-49 years, female 249.0
GTEX-14BIN-1126-SM-5RQJZ 50-59 years, female 249.0
GTEX-14ICL-1626-SM-5YYAO 30-39 years, male 249.0
GTEX-12696-0126-SM-5EQ4L 60-69 years, male 248.2
GTEX-15RIG-0726-SM-7KUM7 40-49 years, male 247.8
GTEX-12ZZY-0726-SM-5EQ66 60-69 years, male 247.6
GTEX-11GS4-0226-SM-5HL77 60-69 years, male 247.5
GTEX-13VXU-0626-SM-5L3F9 50-59 years, male 247.2
GTEX-13OW7-0426-SM-5K7VK 50-59 years, male 246.7
GTEX-14ABY-2026-SM-62LDL 50-59 years, male 246.4
GTEX-148VJ-0626-SM-5LUAW 70-79 years, male 245.6
GTEX-1EU9M-1426-SM-793AI 60-69 years, male 245.1
GTEX-1H3VE-0726-SM-9YFL5 40-49 years, male 244.9
GTEX-13NZ9-2626-SM-5L3FK 50-59 years, male 244.8
GTEX-12WSD-0626-SM-5GCMW 60-69 years, female 244.6
GTEX-XMD2-2126-SM-4YCF8 60-69 years, female 244.1
GTEX-13IVO-0726-SM-5LZYV 70-79 years, male 243.7
GTEX-145MI-0626-SM-5SI8S 60-69 years, female 243.7
GTEX-1F88E-1626-SM-7SB8Z 60-69 years, female 243.6
GTEX-14753-0726-SM-5QGQO 60-69 years, male 243.4
GTEX-15RJ7-2126-SM-6PAMD 40-49 years, male 243.2
GTEX-1M4P7-0726-SM-E6CJ3 60-69 years, male 242.8
GTEX-17HHY-0426-SM-7DHLC 50-59 years, male 241.9
GTEX-ZT9X-1526-SM-5DUXD 40-49 years, male 240.9
GTEX-1HC8U-1326-SM-9YFMJ 40-49 years, female 240.9
GTEX-13NYC-0126-SM-5L3F4 60-69 years, male 240.6
GTEX-1KANB-2826-SM-CY8I6 50-59 years, male 240.6
GTEX-1KWVE-1026-SM-D3L9O 30-39 years, male 240.6
GTEX-13QBU-1226-SM-5LU4G 40-49 years, female 240.3
GTEX-1I1HK-2326-SM-CKZOH 60-69 years, male 240.1
GTEX-1PPGY-1626-SM-EVYBL 60-69 years, male 240.0
GTEX-1A8G6-2726-SM-731AR 60-69 years, male 239.9
GTEX-1R9PM-1926-SM-EVR3O 20-29 years, male 239.4
GTEX-183WM-0326-SM-72D5V 70-79 years, female 239.3
GTEX-1JJEA-1826-SM-ARU8P 60-69 years, male 239.3
GTEX-117YX-1926-SM-5GIEC 50-59 years, male 238.7
GTEX-1IDFM-0326-SM-ARL7V 60-69 years, male 238.7
GTEX-11NUK-2726-SM-5A5MC 50-59 years, male 238.5
GTEX-13SLX-2226-SM-62LEP 50-59 years, female 238.3
GTEX-YFCO-1226-SM-5LUAT 40-49 years, male 237.5
GTEX-1F75W-2726-SM-7SB8H 60-69 years, male 237.5
GTEX-13YAN-0226-SM-5TDC6 60-69 years, male 237.3
GTEX-1LSNL-2726-SM-E9TKJ 50-59 years, male 236.6
GTEX-XAJ8-1426-SM-47JYM 40-49 years, male 236.1
GTEX-1QEPI-2626-SM-DTXF4 60-69 years, female 235.5
GTEX-13FLV-0126-SM-5K7WT 50-59 years, male 235.0
GTEX-1IKOE-1426-SM-CE6T7 30-39 years, female 235.0
GTEX-ZVT4-2426-SM-5GIEI 50-59 years, female 234.8
GTEX-12WSH-1526-SM-5BC5W 50-59 years, male 234.0
GTEX-ZC5H-1526-SM-5HL9Y 40-49 years, female 234.0
GTEX-11P81-2226-SM-5PNYI 30-39 years, female 233.4
GTEX-14LLW-2626-SM-62LDZ 70-79 years, female 233.0
GTEX-1GPI6-1926-SM-9KNV7 60-69 years, male 232.9
GTEX-111FC-2526-SM-5GZXU 60-69 years, male 232.6
GTEX-145LS-0626-SM-7EPG7 60-69 years, female 232.4
GTEX-ZYY3-2926-SM-5GIEB 60-69 years, female 231.8
GTEX-14JG1-1526-SM-5YY9X 40-49 years, male 231.7
GTEX-1A3MW-0626-SM-731CB 60-69 years, female 231.4
GTEX-1IDJE-1426-SM-ADEIW 50-59 years, female 231.4
GTEX-1GZHY-0626-SM-9KNVC 50-59 years, female 231.1
GTEX-1AYD5-2626-SM-7PBXY 50-59 years, male 230.6
GTEX-11WQC-1826-SM-5GU59 60-69 years, male 230.4
GTEX-144FL-0626-SM-5LU43 50-59 years, male 230.4
GTEX-1IE54-1126-SM-A9G2Z 40-49 years, female 229.6
GTEX-1HSKV-1226-SM-ADEI4 60-69 years, male 229.3
GTEX-17F9E-2326-SM-79OKD 50-59 years, male 228.6
GTEX-WRHU-2826-SM-3MJG8 50-59 years, female 228.3
GTEX-ZTTD-2826-SM-4YCFA 50-59 years, male 228.3
GTEX-1CAMS-2226-SM-7PBXQ 40-49 years, female 228.0
GTEX-14E6C-2426-SM-5S2NF 40-49 years, male 227.9
GTEX-13OW6-2726-SM-5J2OE 50-59 years, male 227.7
GTEX-1QMI2-2526-SM-E8VNZ 60-69 years, male 227.5
GTEX-ZYFD-0626-SM-5E44E 50-59 years, male 227.1
GTEX-1A32A-0626-SM-731AQ 50-59 years, female 226.9
GTEX-14PHY-1226-SM-5ZZWK 60-69 years, female 226.6
GTEX-1JMQJ-0826-SM-CNPP7 50-59 years, male 226.6
GTEX-1GN1U-0626-SM-9MQL9 50-59 years, female 226.4
GTEX-1N2EE-0626-SM-E76PW 60-69 years, male 225.9
GTEX-XK95-0226-SM-4AT58 40-49 years, male 225.4
GTEX-1RAZR-2126-SM-E9U6T 40-49 years, male 225.1
GTEX-15UF6-1926-SM-7KUDV 70-79 years, female 224.9
GTEX-ZAK1-0626-SM-5HL8E 50-59 years, female 224.9
GTEX-11TUW-0626-SM-5LU9M 60-69 years, male 224.4
GTEX-13FTW-0326-SM-5K7UW 40-49 years, male 224.4
GTEX-17EVP-2626-SM-7IGMA 40-49 years, male 223.5
GTEX-1F48J-0726-SM-7RHGS 50-59 years, female 222.9
GTEX-1J8Q2-2626-SM-ACKWQ 60-69 years, male 222.8
GTEX-WHPG-2626-SM-3NMBR 50-59 years, male 222.7
GTEX-1PPH7-1126-SM-DTX9A 40-49 years, male 222.7
GTEX-14BMV-2826-SM-5TDED 50-59 years, male 222.6
GTEX-12BJ1-0926-SM-5EQ62 60-69 years, male 222.5
GTEX-12ZZZ-0726-SM-5GCNZ 60-69 years, male 222.3
GTEX-1C475-1326-SM-7SB73 40-49 years, female 222.1
GTEX-15D1Q-2826-SM-6LLH7 40-49 years, male 221.9
GTEX-1A8G7-1326-SM-73KVM 60-69 years, male 221.8
GTEX-16Z82-2626-SM-7KULU 60-69 years, male 221.5
GTEX-15G19-2426-SM-7KUMR 60-69 years, male 221.3
GTEX-1J8QM-2426-SM-A9SLS 60-69 years, female 221.2
GTEX-11GSP-2326-SM-5HL63 60-69 years, female 221.1
GTEX-1OJC3-1226-SM-DTXER 20-29 years, male 221.0
GTEX-1EN7A-2426-SM-793DB 40-49 years, male 220.4
GTEX-1HSMP-0926-SM-A9SKX 70-79 years, male 220.4
GTEX-1F6RS-2026-SM-7RHHC 60-69 years, female 219.0
GTEX-WK11-2726-SM-3NMAQ 50-59 years, male 218.9
GTEX-1JMPZ-0726-SM-CY8HZ 30-39 years, male 218.4
GTEX-139TT-2126-SM-5LZWC 60-69 years, male 217.9
GTEX-13OW5-2326-SM-5L3HO 60-69 years, male 217.9
GTEX-17HGU-2326-SM-7DUFE 50-59 years, male 217.7
GTEX-1CB4J-1326-SM-7P8RX 60-69 years, male 216.9
GTEX-1RB15-1326-SM-E76Q9 60-69 years, male 216.9
GTEX-1LVAN-0626-SM-CNPOQ 50-59 years, female 216.8
GTEX-14PII-0726-SM-6EU2B 60-69 years, male 215.9
GTEX-14C5O-0326-SM-5ZZUX 60-69 years, male 215.5
GTEX-139TU-0726-SM-5L3EK 60-69 years, male 215.1
GTEX-1H1DF-1126-SM-9WG7G 40-49 years, female 214.9
GTEX-V1D1-2026-SM-3GAF4 50-59 years, male 214.8
GTEX-11DZ1-2426-SM-5GZZX 50-59 years, male 214.4
GTEX-1B97I-0626-SM-73KUZ 40-49 years, male 214.2
GTEX-18QFQ-1826-SM-72D52 30-39 years, male 214.1
GTEX-X4EO-2926-SM-4E3JH 60-69 years, female 213.8
GTEX-1KAFJ-0126-SM-DIPEK 50-59 years, male 213.8
GTEX-145MF-0926-SM-5Q5EA 50-59 years, male 213.5
GTEX-Y114-2126-SM-4TT8B 50-59 years, female 213.5
GTEX-145MO-2826-SM-5LU96 60-69 years, male 212.0
GTEX-18A7A-0126-SM-731AH 50-59 years, female 211.6
GTEX-WI4N-2726-SM-3LK7Y 40-49 years, female 211.0
GTEX-Y111-0626-SM-4SOIT 50-59 years, male 210.5
GTEX-XXEK-1626-SM-4BRUZ 50-59 years, male 210.1
GTEX-WH7G-2026-SM-3NMBL 40-49 years, male 209.6
GTEX-1314G-1326-SM-5BC6E 30-39 years, male 209.2
GTEX-13W3W-0726-SM-5IJDQ 60-69 years, female 208.9
GTEX-13OW8-1026-SM-5J1NQ 60-69 years, male 208.8
GTEX-1JN76-0626-SM-CKZOQ 20-29 years, female 208.5
GTEX-139T8-0626-SM-5KLZX 60-69 years, male 208.4
GTEX-13JVG-0726-SM-5KM16 60-69 years, male 208.2
GTEX-11EI6-2826-SM-5H11D 60-69 years, male 208.0
GTEX-13PVQ-0626-SM-5LU47 50-59 years, male 207.9
GTEX-18465-2826-SM-7LT9J 50-59 years, male 207.9
GTEX-1QP9N-1226-SM-E76QN 30-39 years, male 207.9
GTEX-1EMGI-2326-SM-7PBYA 60-69 years, male 207.7
GTEX-1PIIG-2326-SM-DTXFR 30-39 years, male 207.6
GTEX-1LKK1-2626-SM-DKPQE 50-59 years, female 207.4
GTEX-13X6I-1826-SM-5SIAO 60-69 years, male 207.2
GTEX-1HCU9-0426-SM-9WYSD 20-29 years, male 207.1
GTEX-1GMR3-0126-SM-A9SLW 40-49 years, male 206.6
GTEX-1GPI7-1826-SM-9KNU1 20-29 years, male 206.2
GTEX-Y5LM-0926-SM-6LLJG 40-49 years, female 206.1
GTEX-WHSB-1326-SM-3LK6W 50-59 years, male 204.9
GTEX-ZDTS-0826-SM-4WKHL 60-69 years, male 204.6
GTEX-11DXW-0826-SM-5H118 40-49 years, male 203.8
GTEX-1I6K6-1726-SM-CGQFD 30-39 years, male 203.6
GTEX-13OVK-1426-SM-6PAN7 40-49 years, male 203.3
GTEX-16MTA-0926-SM-6M47Z 50-59 years, male 203.3
GTEX-1HBPM-0726-SM-9YFL7 60-69 years, female 203.2
GTEX-ZVTK-0226-SM-51MRG 20-29 years, male 203.1
GTEX-1CAMQ-1326-SM-7P8RV 40-49 years, male 202.9
GTEX-146FQ-2126-SM-5RQHU 30-39 years, male 202.6
GTEX-ZF29-0926-SM-4WKFZ 60-69 years, female 202.5
GTEX-X4EP-0626-SM-3P621 60-69 years, female 201.9
GTEX-XBEC-0726-SM-4QARZ 50-59 years, male 201.8
GTEX-1QW4Y-1126-SM-DTXE3 30-39 years, male 201.4
GTEX-X8HC-0626-SM-4E3HQ 50-59 years, female 201.3
GTEX-1GMR8-0626-SM-7RHI7 50-59 years, female 201.3
GTEX-1H23P-0626-SM-9WG6T 60-69 years, male 201.3
GTEX-1LG7Y-2526-SM-EWRO7 50-59 years, male 200.4
GTEX-1EH9U-2826-SM-7DUGT 60-69 years, male 198.8
GTEX-131XG-0326-SM-5L3DX 50-59 years, female 198.7
GTEX-12WSF-1626-SM-7KUG5 70-79 years, male 198.6
GTEX-1MJK3-0726-SM-E6CJC 20-29 years, male 198.0
GTEX-14AS3-1526-SM-5Q5ED 40-49 years, female 197.8
GTEX-1HGF4-0126-SM-CNPPX 60-69 years, male 197.8
GTEX-1HBPN-0126-SM-CGQEF 50-59 years, male 197.7
GTEX-1LSVX-2526-SM-DIPEU 60-69 years, male 197.7
GTEX-13JUV-2026-SM-5K7UA 40-49 years, female 197.2
GTEX-1JJ6O-2726-SM-CNPOG 60-69 years, male 197.1
GTEX-1H1CY-0126-SM-9YFLY 60-69 years, female 196.9
GTEX-17F97-2626-SM-7IGM5 50-59 years, male 196.8
GTEX-12584-0726-SM-5FQTK 40-49 years, male 195.6
GTEX-1JKYR-0626-SM-ARL8R 20-29 years, male 195.6
GTEX-YJ8O-2526-SM-5HL85 40-49 years, female 195.5
GTEX-1HCU7-0726-SM-A9SL1 50-59 years, male 195.5
GTEX-17HII-1426-SM-7EPGG 50-59 years, male 194.7
GTEX-13N2G-0226-SM-5K7VF 60-69 years, male 194.5
GTEX-178AV-1726-SM-7KUL8 40-49 years, male 194.5
GTEX-1CB4E-0926-SM-7EPHT 60-69 years, male 194.4
GTEX-ZTSS-1426-SM-5985P 40-49 years, male 194.4
GTEX-1R9PN-0426-SM-DTXDT 40-49 years, female 194.3
GTEX-12KS4-2126-SM-5FQUT 30-39 years, male 194.1
GTEX-XYKS-1426-SM-4BRUO 60-69 years, female 193.3
GTEX-111CU-1126-SM-5EGIM 50-59 years, male 193.0
GTEX-1C64O-1326-SM-7MGWR 60-69 years, male 193.0
GTEX-1JMQI-1726-SM-ARL93 50-59 years, male 192.9
GTEX-14PKU-0126-SM-6LLHV 40-49 years, female 192.5
GTEX-Y8E4-2026-SM-5IFJB 40-49 years, male 192.5
GTEX-1H2FU-0926-SM-9WPPT 60-69 years, female 192.1
GTEX-1ICLY-0826-SM-CMKG1 50-59 years, male 191.8
GTEX-16NPX-0726-SM-7KULC 50-59 years, male 191.5
GTEX-ZAB4-2126-SM-5HL8U 40-49 years, male 191.2
GTEX-VJYA-1526-SM-3GIJV 60-69 years, male 191.0
GTEX-1H1DE-1326-SM-9KNUG 20-29 years, male 191.0
GTEX-13FHO-0426-SM-5L3F5 60-69 years, male 190.7
GTEX-18A66-0626-SM-7LT8Z 60-69 years, male 190.6
GTEX-1477Z-0326-SM-7IGLA 60-69 years, male 190.5
GTEX-1AX9I-2226-SM-73KUO 60-69 years, male 190.2
GTEX-YB5K-2026-SM-4VDT3 40-49 years, female 190.1
GTEX-18D9A-1426-SM-7LT8M 30-39 years, female 189.6
GTEX-1C6VQ-1226-SM-73KYD 50-59 years, male 188.5
GTEX-13OVH-0526-SM-5L3E6 70-79 years, male 188.3
GTEX-11EQ9-1626-SM-5PNY8 30-39 years, male 188.1
GTEX-WFG7-2026-SM-5SI7P 20-29 years, male 188.0
GTEX-15CHQ-0326-SM-69LQD 60-69 years, male 187.8
GTEX-1GZ4H-0526-SM-9KNU9 50-59 years, female 187.7
GTEX-16BQI-1326-SM-6M486 30-39 years, female 187.4
GTEX-11EM3-1226-SM-5N9DD 20-29 years, female 186.8
GTEX-WXYG-2026-SM-4E3IY 50-59 years, female 186.3
GTEX-ZVT2-0126-SM-5GIDQ 50-59 years, female 186.3
GTEX-14PJ4-0226-SM-5YY92 60-69 years, male 186.1
GTEX-1192X-2726-SM-5N9DN 50-59 years, male 185.8
GTEX-1R46S-2426-SM-E76QA 60-69 years, female 185.6
GTEX-183FY-1026-SM-7939A 20-29 years, male 184.8
GTEX-1R7EU-1626-SM-DTXG3 60-69 years, male 184.7
GTEX-18A7B-2726-SM-7LG56 70-79 years, male 184.2
GTEX-133LE-2326-SM-5K7W3 20-29 years, female 184.0
GTEX-1EWIQ-0326-SM-7DHMQ 70-79 years, female 184.0
GTEX-1HSMQ-2626-SM-A9SML 50-59 years, male 183.9
GTEX-139YR-1026-SM-5LZYN 50-59 years, male 183.3
GTEX-1QP28-1126-SM-EVYC4 50-59 years, female 183.3
GTEX-1JK1U-0226-SM-ARZMX 60-69 years, male 183.1
GTEX-15FZZ-0526-SM-7KUGD 30-39 years, female 182.7
GTEX-14C39-1726-SM-5RQIL 40-49 years, male 182.3
GTEX-11O72-0626-SM-5PNYE 40-49 years, male 182.2
GTEX-17JCI-2926-SM-7DUFF 60-69 years, female 181.9
GTEX-1LVAO-2726-SM-E9TJ8 60-69 years, male 181.1
GTEX-15CHR-1126-SM-7EWF4 50-59 years, male 180.9
GTEX-1LGRB-0926-SM-COH3K 50-59 years, female 180.7
GTEX-18D9B-0926-SM-7LG4U 60-69 years, male 180.2
GTEX-1I1GT-1026-SM-ARZLV 60-69 years, female 180.2
GTEX-14PJ6-2626-SM-6EU2T 60-69 years, female 180.1
GTEX-1F5PL-0926-SM-7PC2W 40-49 years, female 180.1
GTEX-XOT4-0626-SM-4B66L 60-69 years, female 179.9
GTEX-1MCYP-0526-SM-E9U6Q 20-29 years, female 179.8
GTEX-1QPFJ-1926-SM-EVYBD 30-39 years, female 179.8
GTEX-1A3MX-2626-SM-7PC24 60-69 years, male 178.5
GTEX-1JN1M-2726-SM-CY8I4 60-69 years, female 178.1
GTEX-1CAMR-1326-SM-7PC1F 20-29 years, male 177.7
GTEX-1F52S-2926-SM-7MKGA 60-69 years, female 177.5
GTEX-13FTX-1526-SM-5K7VJ 20-29 years, female 177.1
GTEX-15CHC-1126-SM-6LLHQ 60-69 years, female 177.1
GTEX-WYBS-0626-SM-3NMAS 60-69 years, female 177.0
GTEX-1H3NZ-2726-SM-9WYTQ 60-69 years, male 176.9
GTEX-1HCU8-2526-SM-CE6RX 60-69 years, female 176.7
GTEX-1HSMO-0626-SM-ACKXC 60-69 years, male 176.4
GTEX-ZVE2-2826-SM-5GU51 50-59 years, male 176.2
GTEX-11DXX-2126-SM-5PNYR 60-69 years, female 175.8
GTEX-13VXT-1926-SM-5K7UO 20-29 years, female 175.7
GTEX-14PJ5-1526-SM-6LLIL 60-69 years, female 175.7
GTEX-1KANC-1226-SM-CYPT7 50-59 years, female 175.4
GTEX-1N5O9-0926-SM-E9J3C 60-69 years, male 175.4
GTEX-1IY9M-2826-SM-ARU8H 60-69 years, male 175.3
GTEX-1CB4H-1126-SM-7MKGL 60-69 years, female 174.7
GTEX-1MCC2-1826-SM-DIPEX 30-39 years, female 174.7
GTEX-1HUB1-1426-SM-CGQF5 60-69 years, male 174.6
GTEX-1HCVE-2726-SM-CL54F 50-59 years, male 174.5
GTEX-XQ8I-0926-SM-4BOOF 50-59 years, male 174.2
GTEX-145MG-1526-SM-5Q5EM 50-59 years, male 174.1
GTEX-1F75B-0726-SM-7PC3R 50-59 years, male 174.1
GTEX-13NYS-0626-SM-5L3F1 60-69 years, male 174.0
GTEX-1RMOY-1326-SM-E9TIH 50-59 years, male 173.9
GTEX-ZDTT-0426-SM-4WKFL 60-69 years, male 173.7
GTEX-14PHX-2226-SM-6EU2P 50-59 years, male 173.6
GTEX-XV7Q-1826-SM-4BRUV 40-49 years, female 173.1
GTEX-14XAO-1226-SM-6EU1C 60-69 years, female 173.0
GTEX-17F98-1326-SM-7DUEP 40-49 years, female 172.8
GTEX-1F6I4-2326-SM-7RHGL 60-69 years, male 172.3
GTEX-1GF9W-1426-SM-7PBYM 60-69 years, male 172.1
GTEX-1AMFI-1326-SM-7939R 50-59 years, female 172.0
GTEX-131XF-2626-SM-5EQ6K 60-69 years, male 171.9
GTEX-1122O-1026-SM-9WYSF 60-69 years, female 171.5
GTEX-1LGOU-1326-SM-D3L8M 20-29 years, female 171.5
GTEX-ZGAY-1826-SM-DO91Q 40-49 years, female 171.4
GTEX-ZP4G-1426-SM-4WWCL 20-29 years, female 170.6
GTEX-Y9LG-1126-SM-4VBQ7 30-39 years, male 170.5
GTEX-1H1ZS-2726-SM-9WG75 70-79 years, male 170.5
GTEX-1LSNM-0826-SM-DIPG8 50-59 years, male 170.5
GTEX-Y5V6-2326-SM-4VDSA 60-69 years, male 170.4
GTEX-14C38-0726-SM-5SI6M 50-59 years, male 170.1
GTEX-1B996-0426-SM-7EWF8 60-69 years, male 170.1
GTEX-1GN1W-2426-SM-9KNUU 50-59 years, female 170.1
GTEX-1IDJU-1726-SM-CMKHU 60-69 years, female 170.1
GTEX-1J1R8-2026-SM-CL53Y 40-49 years, male 169.4
GTEX-1F6IF-0926-SM-7SB7M 60-69 years, male 169.3
GTEX-1HKZK-0726-SM-ACKW2 40-49 years, male 169.1
GTEX-1CB4I-0126-SM-7RHGG 50-59 years, male 168.7
GTEX-13X6K-0626-SM-5LU5D 60-69 years, female 168.3
GTEX-XBED-1926-SM-47JYP 60-69 years, male 167.8
GTEX-12WSA-0426-SM-5EQ5X 60-69 years, male 167.4
GTEX-ZYFG-1526-SM-5GZYM 60-69 years, female 167.2
GTEX-1F5PK-2226-SM-7SB6N 50-59 years, male 166.9
GTEX-11ZU8-0126-SM-5EQ58 60-69 years, male 166.0
GTEX-12WSJ-1126-SM-5LZVJ 40-49 years, female 166.0
GTEX-17KNJ-2126-SM-718AM 50-59 years, male 165.8
GTEX-1GL5R-1326-SM-7RHHF 50-59 years, male 165.6
GTEX-1K2DU-1226-SM-CYPT4 20-29 years, male 165.6
GTEX-11NSD-0626-SM-5A5LU 20-29 years, male 165.2
GTEX-14PK6-0226-SM-62LF5 70-79 years, female 164.8
GTEX-1S3DN-2126-SM-E9TIN 50-59 years, male 164.8
GTEX-1KD5A-0126-SM-E9U54 50-59 years, male 164.4
GTEX-1K2DA-1026-SM-CGQGF 50-59 years, male 163.9
GTEX-UPJH-0226-SM-3GADV 50-59 years, male 163.6
GTEX-ZVP2-0326-SM-57WBP 50-59 years, male 163.3
GTEX-14PJ3-1126-SM-5ZZVX 50-59 years, male 162.6
GTEX-ZLFU-1826-SM-4WWBV 40-49 years, male 162.4
GTEX-1IDJD-2326-SM-ACKWX 30-39 years, male 162.2
GTEX-ZZ64-1026-SM-5GZXG 20-29 years, male 161.9
GTEX-1QP66-1226-SM-DTX7U 50-59 years, male 161.7
GTEX-13N11-2326-SM-5IJBF 50-59 years, female 161.4
GTEX-1399U-1126-SM-5L3DB 50-59 years, female 161.1
GTEX-1NV5F-0626-SM-DTXEG 60-69 years, female 161.1
GTEX-1117F-2926-SM-5GZYI 60-69 years, female 160.5
GTEX-1I1GS-2626-SM-B2LY3 60-69 years, male 160.4
GTEX-XBEW-1126-SM-4QARW 40-49 years, male 160.2
GTEX-ZDYS-2426-SM-4WKGI 50-59 years, male 160.2
GTEX-11LCK-2226-SM-5HL4Q 30-39 years, male 159.8
GTEX-1S831-1826-SM-EWROF 20-29 years, male 159.7
GTEX-1B8KE-1126-SM-7EPHI 50-59 years, male 159.6
GTEX-WYVS-1626-SM-3NM9R 40-49 years, female 159.6
GTEX-13QJC-0126-SM-5ZZWJ 60-69 years, female 159.4
GTEX-XPVG-2126-SM-4B667 50-59 years, male 159.2
GTEX-ZZPU-0826-SM-5GZX5 50-59 years, female 159.1
GTEX-13OVJ-0826-SM-5J1OK 50-59 years, female 159.0
GTEX-Y3I4-1726-SM-4TT89 50-59 years, male 158.7
GTEX-1S82P-2126-SM-E6CI5 60-69 years, female 158.6
GTEX-12WSM-1926-SM-5BC65 60-69 years, male 158.2
GTEX-132AR-0326-SM-5KM2C 50-59 years, female 158.2
GTEX-1JMPY-0226-SM-CKZOK 30-39 years, male 158.2
GTEX-1KANA-1326-SM-DIPFA 20-29 years, male 157.9
GTEX-1JKYN-0826-SM-ARU8S 30-39 years, male 157.5
GTEX-15EO6-2426-SM-6PALZ 50-59 years, male 157.4
GTEX-YEC3-1326-SM-DO92X 50-59 years, male 157.4
GTEX-1A3MV-1826-SM-731CD 30-39 years, male 156.3
GTEX-14DAR-1226-SM-73KYV 50-59 years, male 156.2
GTEX-WY7C-2126-SM-3NB2R 50-59 years, male 155.9
GTEX-1JMLX-0626-SM-ARL8T 50-59 years, male 155.4
GTEX-13U4I-2226-SM-5LU5H 40-49 years, female 154.5
GTEX-1H1E6-0426-SM-9WYUS 30-39 years, male 154.1
GTEX-111YS-1526-SM-5GZYW 60-69 years, male 153.3
GTEX-1F75I-2226-SM-7SB8U 40-49 years, male 153.2
GTEX-11VI4-1126-SM-5EQMD 40-49 years, female 153.1
GTEX-ZTX8-1326-SM-4YCEL 20-29 years, male 152.5
GTEX-1RAZA-2226-SM-E9U4X 20-29 years, male 152.1
GTEX-15EU6-2226-SM-6EU2L 50-59 years, male 151.9
GTEX-1B8KZ-0326-SM-73KY4 50-59 years, male 151.6
GTEX-14PKV-1126-SM-6LLJ1 20-29 years, female 151.5
GTEX-1N2DV-1526-SM-DTXEP 40-49 years, male 151.2
GTEX-13X6H-0926-SM-5SIB2 50-59 years, female 150.5
GTEX-12C56-1526-SM-5FQUQ 20-29 years, male 150.2
GTEX-1HFI7-2326-SM-CGQFS 50-59 years, female 149.6
GTEX-1KXAM-1626-SM-D3LAD 60-69 years, male 149.5
GTEX-1QCLY-0226-SM-EWRNH 30-39 years, male 149.2
GTEX-WEY5-2326-SM-3GIKK 40-49 years, female 149.1
GTEX-17MF6-2626-SM-79OKQ 40-49 years, male 148.8
GTEX-13O61-1426-SM-5KM3D 60-69 years, male 148.4
GTEX-12WSL-2026-SM-5GCML 50-59 years, male 147.1
GTEX-1PDJ9-1226-SM-EXUSX 20-29 years, male 146.8
GTEX-1QP29-1826-SM-DTX9S 50-59 years, male 146.6
GTEX-Y5V5-0126-SM-5S2NW 60-69 years, female 146.4
GTEX-1ICG6-1226-SM-A9SLN 70-79 years, female 146.3
GTEX-1JMQK-1226-SM-D4P2S 60-69 years, male 145.5
GTEX-16GPK-0626-SM-7KFSF 60-69 years, male 145.2
GTEX-1399R-1326-SM-5PNYS 30-39 years, male 144.6
GTEX-ZUA1-2626-SM-5NQ92 40-49 years, male 144.6
GTEX-11P82-1426-SM-DTXFY 20-29 years, male 144.6
GTEX-1J8Q3-0526-SM-ARL8U 60-69 years, male 144.4
GTEX-WFG8-2126-SM-3GIKQ 20-29 years, male 144.0
GTEX-13PVR-0426-SM-5RQK2 60-69 years, female 143.6
GTEX-1L5NE-1126-SM-D3L9P 50-59 years, male 143.5
GTEX-YEC4-1826-SM-4W1YP 40-49 years, male 143.2
GTEX-11ZTT-2126-SM-5CVLO 60-69 years, female 142.9
GTEX-14E6E-0526-SM-793DN 30-39 years, male 142.7
GTEX-15G1A-1626-SM-7KUKN 30-39 years, male 142.4
GTEX-16MT8-2926-SM-7DUFO 60-69 years, female 141.7
GTEX-17F96-0126-SM-7EWDU 70-79 years, male 141.5
GTEX-1HCUA-0826-SM-ADEHM 50-59 years, female 141.5
GTEX-14PJN-1826-SM-6AJ98 30-39 years, male 140.6
GTEX-Y3IK-1626-SM-4YCF5 50-59 years, female 140.5
GTEX-16AAH-0626-SM-793C9 50-59 years, male 140.4
GTEX-ZLWG-0826-SM-59888 50-59 years, female 140.4
GTEX-WYJK-0526-SM-3NM8Z 50-59 years, male 139.9
GTEX-1AMEY-0826-SM-72D65 30-39 years, female 139.4
GTEX-145LT-0526-SM-5LUB2 40-49 years, male 139.3
GTEX-1JMOU-1026-SM-CYPSS 60-69 years, female 139.2
GTEX-145ME-1726-SM-5Q5EU 40-49 years, female 138.6
GTEX-1LG7Z-1626-SM-CXKYR 30-39 years, male 138.3
GTEX-1IDJF-2026-SM-CL53V 20-29 years, male 138.0
GTEX-X5EB-1926-SM-4E3IW 40-49 years, male 137.4
GTEX-13D11-0926-SM-5J2NC 50-59 years, female 135.2
GTEX-1AX8Z-0726-SM-73KTS 60-69 years, male 135.2
GTEX-1IDJC-1526-SM-B2LW4 50-59 years, male 134.9
GTEX-147F3-1726-SM-5SIAW 50-59 years, female 134.8
GTEX-1I1GU-0926-SM-ACKVS 40-49 years, male 133.8
GTEX-11TT1-1826-SM-5EQLV 20-29 years, male 133.6
GTEX-ZA64-1026-SM-5HL8R 20-29 years, male 133.0
GTEX-1I6K7-1926-SM-B2LXR 40-49 years, male 132.1
GTEX-14PJO-2526-SM-6AJBQ 60-69 years, male 131.6
GTEX-18D9U-0126-SM-731BM 40-49 years, male 131.1
GTEX-XUW1-0926-SM-4BONX 50-59 years, female 131.1
GTEX-1HB9E-0126-SM-CM2S5 50-59 years, male 130.5
GTEX-13113-1626-SM-5EQ4I 60-69 years, female 129.7
GTEX-1QAET-0326-SM-EVR3U 50-59 years, male 129.1
GTEX-1IDJI-0126-SM-CMKHS 50-59 years, female 127.6
GTEX-ZPIC-0526-SM-DO91W 40-49 years, female 127.5
GTEX-1HSGN-0826-SM-ACKW3 40-49 years, female 127.2
GTEX-1497J-0226-SM-5QGPU 60-69 years, male 127.1
GTEX-17EVQ-0126-SM-7IGLR 70-79 years, male 126.6
GTEX-1RLM8-2926-SM-E8VON 50-59 years, male 126.5
GTEX-WFON-1926-SM-3LK7L 40-49 years, male 124.8
GTEX-13OVG-1626-SM-5J1NF 60-69 years, male 122.2
GTEX-14B4R-1326-SM-5Q5EZ 30-39 years, male 121.1
GTEX-ZT9W-1126-SM-57WDR 50-59 years, male 120.8
GTEX-1CAV2-0126-SM-7IGN7 40-49 years, female 119.5
GTEX-1I4MK-0126-SM-CY8G6 50-59 years, female 117.0
GTEX-14BMU-1226-SM-5S2OR 20-29 years, female 116.3
GTEX-145MN-1526-SM-5SI9T 30-39 years, male 116.0
GTEX-1211K-1526-SM-5FQU4 60-69 years, female 114.4
GTEX-1GMR2-0826-SM-7PC3V 50-59 years, male 110.4
GTEX-1GF9U-2026-SM-7SB92 40-49 years, female 109.1
GTEX-Y8LW-1526-SM-5IFHL 50-59 years, female 106.9
GTEX-14JG6-1426-SM-9WG7C 30-39 years, female 106.1
GTEX-1QCLZ-2426-SM-EVYBW 60-69 years, female 105.4
GTEX-13FH7-1126-SM-5K7UG 50-59 years, female 101.2
GTEX-16NGA-0726-SM-731AO 40-49 years, female 98.1
GTEX-YF7O-1526-SM-5IFI6 50-59 years, male 97.4
GTEX-X3Y1-2026-SM-3P5YM 40-49 years, male 96.7
GTEX-1AX9J-1326-SM-731BJ 60-69 years, male 78.1
Show allShow less
Skin - Sun Exposed (Lower leg)
Average nTPM: 208.5
Samples: 701

Max nTPM: 465.1
Min nTPM: 35.3
Std nTPM: 60.7
Median nTPM: 201.2
GTEX-POMQ-2226-SM-2I5FK 20-29 years, female 465.1
GTEX-QESD-1426-SM-2S1R9 20-29 years, male 430.0
GTEX-WVJS-0126-SM-4MVOT 50-59 years, male 424.6
GTEX-1B8SF-1426-SM-7DUGL 60-69 years, male 395.7
GTEX-R3RS-0126-SM-3GIJL 40-49 years, female 384.5
GTEX-RVPV-0126-SM-EAZAW 60-69 years, male 377.6
GTEX-13O3Q-2426-SM-5IJBR 50-59 years, male 376.8
GTEX-OIZG-0726-SM-33HBL 50-59 years, male 366.9
GTEX-1JJEA-0326-SM-CNPOT 60-69 years, male 365.6
GTEX-OXRP-0126-SM-3NB32 60-69 years, female 363.2
GTEX-1GF9V-0326-SM-7RHI5 60-69 years, male 359.8
GTEX-S7PM-0126-SM-4AD6S 60-69 years, male 354.9
GTEX-13RTJ-2426-SM-5S2Q2 60-69 years, male 353.2
GTEX-13OVK-2026-SM-7KUEO 40-49 years, male 352.8
GTEX-PVOW-0126-SM-2XCFA 40-49 years, male 352.5
GTEX-1B933-0126-SM-7PC29 50-59 years, female 349.6
GTEX-S7SE-0126-SM-2XCD5 50-59 years, male 347.5
GTEX-1GN2E-0426-SM-9MQKX 60-69 years, male 347.3
GTEX-Z93S-0126-SM-5HL7M 50-59 years, male 339.5
GTEX-1IDJH-0326-SM-A9SLQ 70-79 years, male 338.3
GTEX-14753-0426-SM-5NQAM 60-69 years, male 338.2
GTEX-13G51-2526-SM-5LZYK 60-69 years, male 337.4
GTEX-1R9PM-2026-SM-E76OY 20-29 years, male 337.3
GTEX-11OC5-0126-SM-5HL6A 60-69 years, male 336.4
GTEX-139UW-2826-SM-5L3E7 60-69 years, male 335.8
GTEX-17JCI-0126-SM-7LG5G 60-69 years, female 333.9
GTEX-1F7RK-0126-SM-7PC2S 20-29 years, female 333.5
GTEX-1JN1M-0326-SM-CYPT3 60-69 years, female 333.2
GTEX-12WSE-0526-SM-793B2 20-29 years, male 331.9
GTEX-131XW-0426-SM-5LZWP 50-59 years, female 329.5
GTEX-ZYT6-0226-SM-5NQ6T 30-39 years, male 327.0
GTEX-13NYB-2526-SM-5K7Z6 40-49 years, male 326.0
GTEX-15SB6-1726-SM-6PAME 50-59 years, female 324.9
GTEX-OIZH-0126-SM-2HMIS 50-59 years, male 324.7
GTEX-XQ3S-1526-SM-4BOOC 20-29 years, male 322.4
GTEX-1IKJJ-0126-SM-CNPQB 60-69 years, male 318.9
GTEX-P4QT-0126-SM-2I3FL 50-59 years, female 318.6
GTEX-15ER7-0326-SM-7KUEV 20-29 years, female 318.4
GTEX-14A5H-0426-SM-5QGQF 60-69 years, male 316.6
GTEX-1CB4F-0426-SM-9KNV4 60-69 years, male 316.3
GTEX-1MJK2-0426-SM-DTXE5 50-59 years, male 316.2
GTEX-1EWIQ-0126-SM-7RHH2 70-79 years, female 313.7
GTEX-X4XX-0126-SM-3NMC2 60-69 years, male 313.6
GTEX-ZU9S-0226-SM-5E441 30-39 years, male 312.1
GTEX-VUSG-2526-SM-4KL1V 50-59 years, male 311.1
GTEX-1O97I-0326-SM-EYYX7 60-69 years, male 308.8
GTEX-13112-2826-SM-5DUWH 50-59 years, male 308.6
GTEX-144GL-0126-SM-5TDE2 50-59 years, male 308.3
GTEX-1PIIG-0226-SM-EWRN6 30-39 years, male 307.7
GTEX-13OW6-0426-SM-5L3HM 50-59 years, male 306.2
GTEX-1C64N-0126-SM-793D7 50-59 years, male 305.7
GTEX-1J8JJ-0226-SM-CL53I 60-69 years, female 305.2
GTEX-11ZUS-0626-SM-59885 30-39 years, male 304.6
GTEX-1JN6P-0126-SM-D3L98 60-69 years, male 303.1
GTEX-T2IS-0126-SM-4DM6O 20-29 years, female 302.6
GTEX-1212Z-2526-SM-5EGKP 60-69 years, male 300.5
GTEX-12126-0326-SM-5PNW3 20-29 years, male 299.4
GTEX-Y8DK-0126-SM-4TT3L 60-69 years, male 298.8
GTEX-1F88F-2726-SM-7PBZZ 60-69 years, female 298.8
GTEX-11DYG-0126-SM-59883 60-69 years, male 298.7
GTEX-147F4-0226-SM-5QGPW 50-59 years, male 298.0
GTEX-13NZB-2526-SM-5J1OM 30-39 years, male 296.3
GTEX-1L5NE-2526-SM-E6CIE 50-59 years, male 295.1
GTEX-11DXW-0226-SM-5H122 40-49 years, male 293.9
GTEX-1GZ2Q-0226-SM-7P8TL 40-49 years, male 293.0
GTEX-1LBAC-0126-SM-DIPEZ 20-29 years, male 292.4
GTEX-1AX9I-0126-SM-7SB74 60-69 years, male 292.2
GTEX-ZWKS-0126-SM-5SIAA 30-39 years, male 291.6
GTEX-13FHP-0126-SM-5IJBG 50-59 years, male 289.6
GTEX-1HT8W-0126-SM-CNPPP 30-39 years, male 289.4
GTEX-T6MN-0126-SM-32PLP 50-59 years, male 289.0
GTEX-OOBJ-0126-SM-E6CJW 60-69 years, male 288.5
GTEX-1I1GP-2226-SM-CGQFK 50-59 years, male 287.2
GTEX-1H3VY-0126-SM-ACKXD 50-59 years, male 286.8
GTEX-PX3G-0126-SM-2I3EN 20-29 years, female 285.8
GTEX-131XE-2326-SM-5PNZ2 50-59 years, male 285.6
GTEX-12WSC-0126-SM-5EQ4P 50-59 years, male 285.2
GTEX-11DXY-2626-SM-5GIE7 60-69 years, male 284.1
GTEX-11WQC-2526-SM-5CVLE 60-69 years, male 282.8
GTEX-1I1GV-0526-SM-A9G29 60-69 years, male 282.6
GTEX-1C6VR-2426-SM-79OLD 60-69 years, male 282.4
GTEX-ZAK1-0126-SM-5IJD3 50-59 years, female 281.1
GTEX-X8HC-0126-SM-4E3JW 50-59 years, female 280.3
GTEX-131XF-5016-SM-7MGWE 60-69 years, male 280.3
GTEX-15DDE-0126-SM-6LPKH 50-59 years, female 279.8
GTEX-1IOXB-0126-SM-ARL8G 50-59 years, male 279.4
GTEX-1KD4Q-0226-SM-E9TJ9 40-49 years, male 278.2
GTEX-QV44-1926-SM-2S1RF 50-59 years, male 278.0
GTEX-1N2EF-0226-SM-EYYXB 60-69 years, male 277.5
GTEX-1399R-2726-SM-5IJBA 30-39 years, male 277.0
GTEX-1HCU6-0126-SM-CL54K 60-69 years, female 277.0
GTEX-U8XE-0326-SM-3DB8P 30-39 years, male 276.0
GTEX-11ZTS-0126-SM-5EQ6M 60-69 years, female 275.9
GTEX-ZVT2-2526-SM-51MT1 50-59 years, female 275.9
GTEX-1H1CY-2826-SM-9MQM3 60-69 years, female 275.4
GTEX-1E1VI-0126-SM-7DHMZ 50-59 years, male 275.3
GTEX-1GMR3-1926-SM-9KNUZ 40-49 years, male 275.2
GTEX-12ZZY-0226-SM-5LZVE 60-69 years, male 274.7
GTEX-13X6J-0126-SM-5QGOU 50-59 years, male 274.0
GTEX-SJXC-0126-SM-2XCFF 60-69 years, male 273.8
GTEX-W5X1-3026-SM-EAZAX 40-49 years, female 273.6
GTEX-18A6Q-0126-SM-731BZ 60-69 years, male 273.2
GTEX-TMZS-0126-SM-3DB9Q 60-69 years, male 273.0
GTEX-S33H-1026-SM-EZ6L6 30-39 years, male 272.2
GTEX-111FC-0126-SM-5N9DL 60-69 years, male 271.8
GTEX-131YS-0126-SM-5KM1M 60-69 years, female 270.6
GTEX-145LS-0126-SM-5QGP1 60-69 years, female 270.5
GTEX-11OF3-2626-SM-5GU7F 60-69 years, male 270.4
GTEX-1122O-2126-SM-5EGIR 60-69 years, female 270.1
GTEX-1CB4G-0226-SM-7PC3O 60-69 years, male 269.6
GTEX-YJ89-0126-SM-4TT3X 60-69 years, male 268.5
GTEX-ZE9C-2726-SM-57WB5 60-69 years, male 268.4
GTEX-1C6WA-0126-SM-7PC2B 60-69 years, male 268.2
GTEX-SIU8-0126-SM-2XCDT 50-59 years, male 267.9
GTEX-1GN1U-0126-SM-7PBZK 50-59 years, female 267.7
GTEX-14E6D-0126-SM-62LDV 50-59 years, male 267.1
GTEX-12ZZZ-0626-SM-5DUXI 60-69 years, male 266.2
GTEX-13PDP-0126-SM-5L3HD 60-69 years, male 266.2
GTEX-1F75A-0126-SM-7RHGM 50-59 years, male 266.0
GTEX-12ZZX-0126-SM-5EGK9 40-49 years, female 265.6
GTEX-117XS-2726-SM-5N9BL 60-69 years, male 265.5
GTEX-13NZ8-0826-SM-5MR3I 60-69 years, female 265.3
GTEX-1A32A-0126-SM-718B1 50-59 years, female 264.7
GTEX-X88G-0126-SM-47JZ3 30-39 years, male 264.5
GTEX-X4XY-0226-SM-4E3IZ 60-69 years, male 264.1
GTEX-1HFI6-0226-SM-ADEHZ 40-49 years, male 264.0
GTEX-1J8EW-0126-SM-CJI4F 60-69 years, female 263.4
GTEX-11WQK-0526-SM-5EQLD 50-59 years, male 262.6
GTEX-1QW4Y-1526-SM-EAZ3Z 30-39 years, male 262.3
GTEX-YJ8A-0426-SM-5IFID 20-29 years, male 261.9
GTEX-14JG1-0426-SM-6ETZZ 40-49 years, male 261.8
GTEX-RU72-0926-SM-2TF6B 50-59 years, female 261.7
GTEX-ZVZP-2426-SM-59HKJ 50-59 years, male 260.6
GTEX-131XH-2226-SM-5DUXJ 50-59 years, male 260.2
GTEX-139TS-2826-SM-5J1OO 60-69 years, male 260.2
GTEX-13FXS-0226-SM-5IJCK 50-59 years, male 259.9
GTEX-ZVT4-0126-SM-DTXFN 50-59 years, female 259.0
GTEX-14PII-0226-SM-6EU1T 60-69 years, male 258.9
GTEX-1EU9M-0226-SM-7P8SP 60-69 years, male 258.8
GTEX-1H4P4-0726-SM-9YFLR 50-59 years, male 258.4
GTEX-111VG-2426-SM-5GZXD 60-69 years, male 258.2
GTEX-1KWVE-1426-SM-E9TJO 30-39 years, male 257.6
GTEX-145MO-0326-SM-5Q5B3 60-69 years, male 257.5
GTEX-1GZHY-0326-SM-9QEHI 50-59 years, female 257.2
GTEX-1R9PO-2126-SM-E9J4O 60-69 years, female 256.9
GTEX-14BMV-0126-SM-5S2PO 50-59 years, male 256.8
GTEX-13OW8-1326-SM-5J1OW 60-69 years, male 256.7
GTEX-1GN73-0226-SM-9WG67 60-69 years, male 256.5
GTEX-16GPK-0126-SM-7DHLE 60-69 years, male 255.4
GTEX-X62O-0126-SM-4E3JN 50-59 years, male 254.6
GTEX-YFC4-0126-SM-5CVLY 40-49 years, female 254.2
GTEX-UJHI-1526-SM-3DB99 50-59 years, female 254.0
GTEX-15D1Q-0126-SM-7KUG6 40-49 years, male 253.9
GTEX-13W46-0226-SM-5SIAG 50-59 years, male 253.6
GTEX-113JC-2326-SM-5EQ4E 50-59 years, female 252.4
GTEX-13FTY-0526-SM-5L3EV 40-49 years, female 252.0
GTEX-14PJM-0226-SM-62LF1 50-59 years, female 252.0
GTEX-1B996-0226-SM-7RHGO 60-69 years, male 251.9
GTEX-11UD2-0226-SM-5EQKY 50-59 years, male 251.6
GTEX-SNMC-1226-SM-2XCFP 20-29 years, male 251.1
GTEX-XAJ8-0826-SM-47JY6 40-49 years, male 250.9
GTEX-1GF9X-2026-SM-7PC3A 40-49 years, female 250.9
GTEX-1EMGI-0126-SM-9KNUE 60-69 years, male 250.5
GTEX-WQUQ-0426-SM-3MJFU 60-69 years, male 250.3
GTEX-1LB8K-0226-SM-EWRNW 50-59 years, male 250.1
GTEX-16NPX-0226-SM-79OMT 50-59 years, male 249.4
GTEX-T5JC-0426-SM-32PLO 20-29 years, male 249.1
GTEX-11NSD-2226-SM-5986V 20-29 years, male 248.7
GTEX-12WSG-2826-SM-E9J4H 50-59 years, female 248.6
GTEX-13CF2-2526-SM-5LZYX 60-69 years, male 248.4
GTEX-148VI-1626-SM-5SI6E 60-69 years, female 248.4
GTEX-17MFQ-1726-SM-793C7 20-29 years, male 248.3
GTEX-1ICLY-0126-SM-D4P36 50-59 years, male 248.2
GTEX-1I19N-0326-SM-ACKVX 70-79 years, male 248.1
GTEX-1OJC3-0126-SM-E76QX 20-29 years, male 248.0
GTEX-17HG3-2226-SM-7938L 30-39 years, female 247.6
GTEX-145LU-0126-SM-5TDCB 50-59 years, male 247.5
GTEX-1RQEC-0426-SM-E6CHU 60-69 years, male 247.5
GTEX-1B8SG-0126-SM-73KZ3 50-59 years, male 247.3
GTEX-1PBJI-0526-SM-E8VNK 20-29 years, female 247.0
GTEX-1F75B-0126-SM-9KNVL 50-59 years, male 246.4
GTEX-1269C-2526-SM-5EGJ3 60-69 years, female 246.3
GTEX-VJYA-1126-SM-3GIJU 60-69 years, male 246.0
GTEX-17EVP-0326-SM-7DHLG 40-49 years, male 245.3
GTEX-1I6K6-0126-SM-A9SLE 30-39 years, male 245.3
GTEX-1IKK5-0626-SM-ARL8A 60-69 years, male 245.1
GTEX-QVJO-1626-SM-2S1QW 60-69 years, female 244.0
GTEX-VJWN-0126-SM-3GIK7 50-59 years, female 244.0
GTEX-RWSA-0126-SM-2XCBB 40-49 years, male 243.9
GTEX-1RB15-2126-SM-E9TIM 60-69 years, male 243.7
GTEX-11TUW-2726-SM-E9J4M 60-69 years, male 243.6
GTEX-14DAQ-0126-SM-5S2MQ 60-69 years, female 243.5
GTEX-NFK9-0226-SM-2HMKQ 40-49 years, male 243.0
GTEX-1JMQJ-0526-SM-CYPSU 50-59 years, male 242.5
GTEX-13OW5-0126-SM-DTXFS 60-69 years, male 242.0
GTEX-1C4CL-0526-SM-73KVK 30-39 years, male 241.5
GTEX-X585-0226-SM-4QAS2 50-59 years, male 241.5
GTEX-S32W-2126-SM-2XCB1 50-59 years, female 241.4
GTEX-1313W-0126-SM-5LZUN 50-59 years, female 240.3
GTEX-1192W-2626-SM-5Q5AF 60-69 years, male 239.9
GTEX-11GS4-2726-SM-5A5LE 60-69 years, male 239.9
GTEX-ZYFD-0126-SM-5GIDL 50-59 years, male 239.9
GTEX-1QMI2-0226-SM-EVYBX 60-69 years, male 239.5
GTEX-ZYFC-0226-SM-5NQ75 50-59 years, male 238.9
GTEX-131XG-2626-SM-5KM17 50-59 years, female 238.3
GTEX-14BIN-0626-SM-793DP 50-59 years, female 238.2
GTEX-1I1GQ-0126-SM-COH3H 50-59 years, male 237.9
GTEX-13O1R-0126-SM-5L3EH 60-69 years, male 237.4
GTEX-12696-2426-SM-5EQ6H 60-69 years, male 236.8
GTEX-1KANB-0526-SM-E6CJH 50-59 years, male 236.6
GTEX-1BAJH-0526-SM-793CQ 70-79 years, male 236.2
GTEX-1GMRU-0126-SM-9YFLV 50-59 years, male 236.2
GTEX-17HHE-2026-SM-79OKF 50-59 years, male 235.7
GTEX-11EI6-0126-SM-5985R 60-69 years, male 234.2
GTEX-1RAZA-0126-SM-E6CI3 20-29 years, male 234.0
GTEX-15EOM-0126-SM-7KUGG 20-29 years, female 233.8
GTEX-ZV68-0126-SM-59HKS 50-59 years, female 233.8
GTEX-1C6VQ-0126-SM-7P8RI 50-59 years, male 233.8
GTEX-TML8-1926-SM-32QOS 40-49 years, female 232.9
GTEX-1N2DW-0226-SM-E9TK2 50-59 years, male 231.0
GTEX-11DXZ-2326-SM-5EGGV 50-59 years, male 230.9
GTEX-13NYS-0126-SM-5MR3W 60-69 years, male 230.9
GTEX-1HSKV-0226-SM-A9SKJ 60-69 years, male 230.6
GTEX-1LSNM-1926-SM-E6CII 50-59 years, male 229.8
GTEX-O5YT-0126-SM-48TBW 20-29 years, male 229.6
GTEX-1B8L1-2526-SM-9WYTF 60-69 years, male 228.9
GTEX-1K9T9-0126-SM-EVYCF 50-59 years, female 228.8
GTEX-13O3P-0126-SM-5KM4S 50-59 years, male 228.4
GTEX-WFG8-2226-SM-3GIL9 20-29 years, male 228.3
GTEX-1MA7X-2226-SM-E6CIY 60-69 years, male 228.2
GTEX-1M4P7-0226-SM-DIPEV 60-69 years, male 227.8
GTEX-1PDJ9-0326-SM-DTX95 20-29 years, male 227.8
GTEX-13VXU-0126-SM-5SI9F 50-59 years, male 227.7
GTEX-P4PP-0126-SM-3LK69 30-39 years, female 227.6
GTEX-1CAMS-0426-SM-7P8T2 40-49 years, female 227.5
GTEX-11DZ1-0126-SM-5985Q 50-59 years, male 226.9
GTEX-R55E-0126-SM-2TC5Y 20-29 years, male 226.0
GTEX-14LZ3-0226-SM-62LET 60-69 years, female 225.8
GTEX-1JMPZ-0226-SM-CNPP1 30-39 years, male 225.8
GTEX-TMMY-0226-SM-33HBA 40-49 years, female 225.2
GTEX-11P7K-2126-SM-5GU7G 30-39 years, male 225.0
GTEX-ZXG5-0126-SM-5GIEU 60-69 years, male 225.0
GTEX-11P81-2326-SM-59875 30-39 years, female 224.7
GTEX-13QJ3-0326-SM-5S2RA 50-59 years, male 224.7
GTEX-16BQI-0226-SM-7KUEX 30-39 years, female 224.5
GTEX-18D9A-1926-SM-7LG6P 30-39 years, female 224.4
GTEX-15RIG-0226-SM-7KFTL 40-49 years, male 224.3
GTEX-OHPL-0126-SM-2HMJ7 60-69 years, female 224.2
GTEX-1MCQQ-0826-SM-DLHC2 60-69 years, male 224.0
GTEX-1IL2V-0126-SM-CM2TX 70-79 years, male 223.7
GTEX-13113-5016-SM-7EPIP 60-69 years, female 223.5
GTEX-ZF3C-0126-SM-DO92D 50-59 years, female 223.2
GTEX-14ABY-0226-SM-5TDCQ 50-59 years, male 223.0
GTEX-14E6C-0126-SM-5RQIP 40-49 years, male 222.5
GTEX-1I1GT-0626-SM-CGQER 60-69 years, female 222.4
GTEX-1B8KE-2126-SM-73KYX 50-59 years, male 221.9
GTEX-1JMQI-2226-SM-CM2SD 50-59 years, male 221.5
GTEX-14PK6-1926-SM-6ETZU 70-79 years, female 221.4
GTEX-139D8-0226-SM-5KLZO 30-39 years, female 221.3
GTEX-14A5I-0126-SM-5TDEA 50-59 years, female 221.3
GTEX-1HBPI-1526-SM-C1YQ1 50-59 years, male 221.2
GTEX-11GSO-2426-SM-5A5LY 60-69 years, male 221.1
GTEX-18A67-0126-SM-7LG5P 50-59 years, male 221.1
GTEX-1H1DE-2126-SM-9WG6R 20-29 years, male 221.1
GTEX-WFON-2126-SM-3LK7O 40-49 years, male 221.0
GTEX-WZTO-0126-SM-3NM95 40-49 years, male 221.0
GTEX-1F6IF-0726-SM-7P8TW 60-69 years, male 220.3
GTEX-1POEN-0126-SM-EYYXJ 30-39 years, female 220.2
GTEX-145MF-0626-SM-5LUAI 50-59 years, male 220.1
GTEX-17KNJ-2326-SM-7DHLQ 50-59 years, male 219.5
GTEX-1K2DA-1826-SM-CGQGT 50-59 years, male 219.3
GTEX-QEG4-0226-SM-2S1PY 30-39 years, male 219.1
GTEX-1EKGG-0226-SM-9WYTH 60-69 years, male 218.4
GTEX-X261-0126-SM-3NMD6 50-59 years, male 217.9
GTEX-1JMQL-0226-SM-CNPP5 50-59 years, female 217.5
GTEX-12WSA-0226-SM-5BC5V 60-69 years, male 216.6
GTEX-1314G-1526-SM-5EGK2 30-39 years, male 216.0
GTEX-117YW-2626-SM-5GZZH 50-59 years, male 215.8
GTEX-ZF2S-2326-SM-4WWCE 50-59 years, female 215.7
GTEX-1F6RS-0126-SM-9MQKZ 60-69 years, female 215.6
GTEX-U3ZH-2026-SM-3DB78 30-39 years, male 215.4
GTEX-13FTX-1826-SM-5J1NX 20-29 years, female 215.2
GTEX-XPVG-2626-SM-4B669 50-59 years, male 215.0
GTEX-1LNCM-1126-SM-E9U5E 50-59 years, female 215.0
GTEX-1H3O1-0426-SM-9YFKY 60-69 years, male 214.9
GTEX-18A7A-0226-SM-718BH 50-59 years, female 214.8
GTEX-1I1GR-0126-SM-CL55F 60-69 years, male 214.8
GTEX-11NUK-0126-SM-5A5L3 50-59 years, male 214.7
GTEX-13N1W-0126-SM-5K7VT 70-79 years, male 214.7
GTEX-1R9K4-0126-SM-DTX9X 60-69 years, male 214.7
GTEX-1PIGE-0126-SM-EVYBJ 20-29 years, male 214.6
GTEX-1RDX4-0126-SM-E9J4P 50-59 years, female 214.6
GTEX-145MI-0526-SM-5O9A8 60-69 years, female 214.4
GTEX-1C475-1826-SM-73KWA 40-49 years, female 214.3
GTEX-ZAJG-0126-SM-5HL94 50-59 years, female 214.0
GTEX-ZC5H-0226-SM-4WAY9 40-49 years, female 214.0
GTEX-1KXAM-2226-SM-CYPTC 60-69 years, male 213.8
GTEX-13S7M-0126-SM-5SI6A 60-69 years, female 213.5
GTEX-Y3IK-2426-SM-4WWDU 50-59 years, female 213.5
GTEX-1IGQW-0126-SM-COH42 60-69 years, male 213.0
GTEX-117YX-2326-SM-5H12W 50-59 years, male 212.9
GTEX-WYVS-2126-SM-3NMA3 40-49 years, female 212.9
GTEX-1EX96-1626-SM-7PBXR 50-59 years, male 212.7
GTEX-1LG7Z-1726-SM-D3LA4 30-39 years, male 212.7
GTEX-17HHY-0126-SM-7LG5D 50-59 years, male 212.3
GTEX-13111-1626-SM-5EGJY 50-59 years, male 212.1
GTEX-17HII-0226-SM-7LG4E 50-59 years, male 212.0
GTEX-1GF9U-2126-SM-7SB7L 40-49 years, female 212.0
GTEX-1399T-2826-SM-5KLYZ 60-69 years, male 211.4
GTEX-14ICK-0226-SM-6EU25 40-49 years, male 211.0
GTEX-15DCD-0126-SM-7KUEK 70-79 years, female 210.9
GTEX-X4EO-0326-SM-3P5YO 60-69 years, female 210.5
GTEX-13OVL-0226-SM-5L3E9 50-59 years, male 210.3
GTEX-1128S-2326-SM-5GZZY 60-69 years, female 210.2
GTEX-183WM-0126-SM-7LTAB 70-79 years, female 209.9
GTEX-PW2O-1526-SM-7RHHB 20-29 years, male 209.8
GTEX-QDVN-2026-SM-3GAEP 50-59 years, male 209.4
GTEX-T5JW-1626-SM-3GADZ 20-29 years, female 209.4
GTEX-13IVO-0126-SM-5J1NG 70-79 years, male 209.0
GTEX-145LT-1726-SM-5QGP3 40-49 years, male 208.9
GTEX-1HR98-0126-SM-B2LWI 60-69 years, male 208.6
GTEX-1GF9W-0326-SM-9KNUN 60-69 years, male 208.3
GTEX-1F5PL-0326-SM-7P8PQ 40-49 years, female 208.1
GTEX-1HCU7-0226-SM-CL545 50-59 years, male 208.1
GTEX-183FY-0126-SM-7LT9P 20-29 years, male 208.0
GTEX-U4B1-1826-SM-4DXSU 40-49 years, male 207.9
GTEX-V1D1-2226-SM-3NMAX 50-59 years, male 207.6
GTEX-ZE7O-0126-SM-57WC1 50-59 years, female 207.5
GTEX-12KS4-0326-SM-5EQ41 30-39 years, male 206.9
GTEX-13X6I-0626-SM-5QGP9 60-69 years, male 206.9
GTEX-1GN1V-0126-SM-9WPOS 60-69 years, male 206.9
GTEX-1HCU8-0626-SM-A9SM9 60-69 years, female 206.4
GTEX-YB5K-2126-SM-4WWDJ 40-49 years, female 205.8
GTEX-13YAN-0326-SM-5O9DF 60-69 years, male 205.5
GTEX-132NY-0326-SM-5IJBL 60-69 years, male 205.2
GTEX-1JKYN-1326-SM-CGQG9 30-39 years, male 205.2
GTEX-1GPI6-0126-SM-9WG69 60-69 years, male 204.5
GTEX-14C5O-0126-SM-5SI6N 60-69 years, male 204.1
GTEX-1JJ6O-0126-SM-E6CI8 60-69 years, male 204.1
GTEX-11O72-0126-SM-59887 40-49 years, male 203.9
GTEX-144FL-0126-SM-5TDC8 50-59 years, male 203.9
GTEX-ZGAY-0526-SM-4WWBB 40-49 years, female 203.9
GTEX-WOFL-0126-SM-3MJG2 60-69 years, male 203.5
GTEX-ZVE2-0226-SM-59HJB 50-59 years, male 203.5
GTEX-1H11D-0226-SM-9WG6Z 40-49 years, male 203.3
GTEX-1CAV2-2226-SM-7P8P2 40-49 years, female 203.0
GTEX-1GPI7-0126-SM-9MQL8 20-29 years, male 202.6
GTEX-18465-0126-SM-731BN 50-59 years, male 202.4
GTEX-1GTWX-0126-SM-9YFLK 60-69 years, male 202.2
GTEX-PWO3-1526-SM-48TCM 60-69 years, female 201.8
GTEX-14BIM-0226-SM-7IGLD 60-69 years, female 201.2
GTEX-1IKOH-0226-SM-COH4E 60-69 years, female 201.1
GTEX-XUYS-0126-SM-47JWZ 50-59 years, male 200.3
GTEX-16YQH-0126-SM-7DUFJ 30-39 years, male 200.1
GTEX-XBEW-0626-SM-4QASP 40-49 years, male 199.0
GTEX-1J8Q2-0526-SM-CM2RW 60-69 years, male 198.9
GTEX-1IL2U-0226-SM-CE6T8 60-69 years, male 198.8
GTEX-1S82Z-0826-SM-E6CHY 30-39 years, female 198.4
GTEX-1EN7A-0126-SM-7SB81 40-49 years, male 198.2
GTEX-WYJK-0126-SM-3NMAB 50-59 years, male 197.9
GTEX-P44H-0226-SM-2XCEU 40-49 years, male 197.5
GTEX-OXRL-0126-SM-2YUMP 50-59 years, male 197.0
GTEX-1JKYR-0126-SM-CNPOJ 20-29 years, male 196.4
GTEX-14PJ6-2126-SM-6EU1V 60-69 years, female 196.2
GTEX-1GMR8-0126-SM-9WYTM 50-59 years, female 195.6
GTEX-1LGRB-2526-SM-CNPPQ 50-59 years, female 195.6
GTEX-139T8-0126-SM-5K7XZ 60-69 years, male 195.4
GTEX-13FHO-0226-SM-5IFGY 60-69 years, male 195.4
GTEX-12WSD-0126-SM-59HKN 60-69 years, female 195.3
GTEX-13SLX-0526-SM-5S2ON 50-59 years, female 195.1
GTEX-14PN4-0126-SM-6EU2V 50-59 years, male 195.1
GTEX-1HFI7-1826-SM-ACKXH 50-59 years, female 195.1
GTEX-ZDTS-0126-SM-4WAY5 60-69 years, male 194.5
GTEX-1QEPI-0126-SM-EWRMQ 60-69 years, female 194.3
GTEX-X4EP-0126-SM-3P5YV 60-69 years, female 194.2
GTEX-UPJH-0326-SM-3GADU 50-59 years, male 194.1
GTEX-146FH-0126-SM-5QGPP 50-59 years, female 194.0
GTEX-13NYC-0326-SM-E9J4S 60-69 years, male 194.0
GTEX-XMD2-0126-SM-4YCDU 60-69 years, female 193.7
GTEX-U412-0426-SM-3DB9O 60-69 years, male 193.2
GTEX-Y5V5-2326-SM-4V6GA 60-69 years, female 193.1
GTEX-12584-0126-SM-5EGKQ 40-49 years, male 192.8
GTEX-1JN76-0126-SM-CNPPE 20-29 years, female 192.2
GTEX-W5WG-1826-SM-4KL2Y 50-59 years, female 192.1
GTEX-1E2YA-0126-SM-9KNUC 50-59 years, male 192.1
GTEX-13FTW-2626-SM-5K7WL 40-49 years, male 191.9
GTEX-1LH75-2426-SM-E9TJE 50-59 years, female 191.9
GTEX-S95S-1226-SM-4GICG 60-69 years, male 191.8
GTEX-1S83E-0126-SM-EWRO4 40-49 years, male 191.8
GTEX-15SHU-0126-SM-7KUEH 40-49 years, female 191.4
GTEX-1KANA-0726-SM-D3L9I 20-29 years, male 191.4
GTEX-13OVH-0126-SM-5MR4B 70-79 years, male 191.2
GTEX-147GR-0526-SM-5S2MY 60-69 years, male 191.2
GTEX-1IDFM-0126-SM-COH2V 60-69 years, male 190.7
GTEX-17GQL-2026-SM-718BA 60-69 years, male 190.6
GTEX-1C64O-0126-SM-7SB8P 60-69 years, male 190.5
GTEX-13O3O-0126-SM-E9J49 60-69 years, female 190.3
GTEX-1I1CD-0126-SM-CM2TK 60-69 years, female 190.1
GTEX-ZV6S-2326-SM-4YCEY 40-49 years, female 189.7
GTEX-Y111-0126-SM-4SOIV 50-59 years, male 189.4
GTEX-QCQG-1726-SM-3GIJ9 50-59 years, female 189.3
GTEX-PSDG-0226-SM-DKPOZ 50-59 years, male 189.1
GTEX-SN8G-0126-SM-32PLI 50-59 years, female 188.9
GTEX-ZAB5-1826-SM-5HL7C 50-59 years, male 188.9
GTEX-XUZC-1726-SM-4BRWS 30-39 years, female 188.6
GTEX-11EQ9-2426-SM-5HL5T 30-39 years, male 188.5
GTEX-13JUV-2726-SM-5LZZ8 40-49 years, female 188.5
GTEX-1C2JI-1826-SM-73KXC 50-59 years, male 188.4
GTEX-1CB4E-2226-SM-793DC 60-69 years, male 188.1
GTEX-18A7B-0126-SM-7LG64 70-79 years, male 187.8
GTEX-1CB4H-0226-SM-7PBXM 60-69 years, female 187.7
GTEX-1KAFJ-2026-SM-CY8ID 50-59 years, male 187.6
GTEX-1192X-0226-SM-5H12D 50-59 years, male 187.5
GTEX-11UD1-0126-SM-5PNYG 40-49 years, female 187.4
GTEX-ZZ64-1726-SM-5GZYB 20-29 years, male 187.3
GTEX-13SLW-0126-SM-5SI6C 70-79 years, male 187.2
GTEX-16XZZ-0126-SM-793DV 60-69 years, male 186.7
GTEX-15DYW-0126-SM-7KULE 60-69 years, female 186.6
GTEX-1HGF4-2426-SM-ACKXM 60-69 years, male 186.6
GTEX-1H1DG-0126-SM-9WYU2 70-79 years, male 186.5
GTEX-15EU6-0426-SM-6PAN5 50-59 years, male 186.3
GTEX-OIZF-0126-SM-7SB8I 60-69 years, male 186.0
GTEX-1F52S-0126-SM-9MQJU 60-69 years, female 185.3
GTEX-13O21-1426-SM-5K7XI 50-59 years, male 185.2
GTEX-1HCU9-1526-SM-A9SL7 20-29 years, male 185.1
GTEX-Y114-2426-SM-4TT8A 50-59 years, female 184.9
GTEX-11ZVC-2526-SM-5FQTE 50-59 years, female 184.2
GTEX-X638-0126-SM-47JZ8 70-79 years, female 184.0
GTEX-139TU-0126-SM-5K7WH 60-69 years, male 183.8
GTEX-XQ8I-0426-SM-4BOPO 50-59 years, male 183.8
GTEX-1ICG6-2526-SM-CGQFZ 70-79 years, female 183.8
GTEX-1F6I4-0126-SM-9MQL2 60-69 years, male 183.3
GTEX-14A6H-0126-SM-5QGPK 30-39 years, male 183.1
GTEX-12WSL-2526-SM-5GCNJ 50-59 years, male 182.9
GTEX-17EVQ-0226-SM-7LG4P 70-79 years, male 182.9
GTEX-1B97I-1626-SM-73KYO 40-49 years, male 182.7
GTEX-1AYCT-2426-SM-7IGQ3 50-59 years, male 182.6
GTEX-1R7EU-0226-SM-EVR4G 60-69 years, male 182.6
GTEX-1HSMQ-1226-SM-CGQFX 50-59 years, male 182.5
GTEX-SSA3-0126-SM-32QPU 60-69 years, male 182.1
GTEX-17F96-1626-SM-7DUFL 70-79 years, male 181.9
GTEX-1R46S-0626-SM-E9J41 60-69 years, female 181.8
GTEX-Y8E4-0626-SM-4WWDL 40-49 years, male 181.7
GTEX-1HCUA-2426-SM-ADEIS 50-59 years, female 181.7
GTEX-11XUK-2026-SM-5EQLF 40-49 years, female 181.3
GTEX-1A3MX-0126-SM-731BR 60-69 years, male 181.3
GTEX-OXRN-0126-SM-48TDM 50-59 years, male 181.1
GTEX-1IY9M-0126-SM-D3L8S 60-69 years, male 180.6
GTEX-XXEK-2226-SM-4BRUM 50-59 years, male 180.5
GTEX-13NZA-0226-SM-5K7Z7 60-69 years, male 180.1
GTEX-U8T8-0126-SM-3DB94 60-69 years, male 179.9
GTEX-Z93T-0126-SM-5HL5N 50-59 years, male 179.6
GTEX-13N2G-2626-SM-5J1OT 60-69 years, male 179.5
GTEX-13W3W-2426-SM-5LU5B 60-69 years, female 179.3
GTEX-ZQG8-1626-SM-DHXIT 60-69 years, female 179.3
GTEX-1QP9N-1426-SM-DTXFL 30-39 years, male 179.2
GTEX-11ZU8-2526-SM-5EQKI 60-69 years, male 179.1
GTEX-1A8FM-0226-SM-7SB7Q 50-59 years, female 179.0
GTEX-1KANC-1526-SM-D3LAB 50-59 years, female 178.8
GTEX-1IE54-0126-SM-CMKHW 40-49 years, female 178.6
GTEX-Q2AG-0126-SM-33HBV 40-49 years, female 178.5
GTEX-Z9EW-1626-SM-5CVMN 40-49 years, male 178.2
GTEX-15SHW-0326-SM-6PAML 60-69 years, male 177.8
GTEX-11GSP-2526-SM-5N9BP 60-69 years, female 177.1
GTEX-1JJE9-0326-SM-CL53Z 70-79 years, male 177.1
GTEX-13U4I-0126-SM-5LU38 40-49 years, female 176.6
GTEX-1I4MK-2226-SM-ACKWD 50-59 years, female 176.5
GTEX-Y5V6-2426-SM-4VDSB 60-69 years, male 176.4
GTEX-11DXX-2426-SM-5GZZW 60-69 years, female 176.1
GTEX-16MT8-0426-SM-7KUEY 60-69 years, female 176.1
GTEX-1GZ4H-1726-SM-7PBZJ 50-59 years, female 175.8
GTEX-OXRO-0126-SM-2YUN4 60-69 years, female 175.5
GTEX-1JMLX-0226-SM-CM2RO 50-59 years, male 175.4
GTEX-1AX8Z-0126-SM-7DHM6 60-69 years, male 175.3
GTEX-1B8KZ-2026-SM-7DHMB 50-59 years, male 175.3
GTEX-T2YK-0526-SM-32QPJ 50-59 years, male 175.0
GTEX-ZVZO-0126-SM-5A5L9 40-49 years, male 174.9
GTEX-RTLS-0126-SM-447CA 60-69 years, female 174.5
GTEX-1IDJU-2626-SM-CM2RT 60-69 years, female 174.4
GTEX-139T4-0226-SM-5HL5S 50-59 years, female 173.6
GTEX-1H3VE-0326-SM-9YFLH 40-49 years, male 173.6
GTEX-1N2DV-0226-SM-E6CJ6 40-49 years, male 172.9
GTEX-1QAET-0926-SM-E76QM 50-59 years, male 172.7
GTEX-OHPM-0126-SM-2YUN9 50-59 years, male 172.3
GTEX-ZY6K-1826-SM-5GZXK 50-59 years, male 172.3
GTEX-1OFPY-2426-SM-DTXEJ 60-69 years, male 172.3
GTEX-U3ZM-1526-SM-3DB9D 40-49 years, male 171.9
GTEX-ZVT3-0126-SM-5GU6I 60-69 years, female 171.9
GTEX-15G19-0126-SM-6PANQ 60-69 years, male 171.7
GTEX-18QFQ-0126-SM-731BE 30-39 years, male 171.1
GTEX-1HCVE-0126-SM-CGQEU 50-59 years, male 171.0
GTEX-1JMQK-0226-SM-CL543 60-69 years, male 170.8
GTEX-1JK1U-2026-SM-CM2RZ 60-69 years, male 170.4
GTEX-1QPFJ-0226-SM-E76PB 30-39 years, female 170.1
GTEX-1ICLZ-0126-SM-CKZPO 60-69 years, male 170.0
GTEX-139TT-0126-SM-5K7Y5 60-69 years, male 169.7
GTEX-PWCY-1826-SM-DHXIZ 20-29 years, female 169.5
GTEX-13RTK-1426-SM-5QGQJ 20-29 years, male 169.1
GTEX-17HGU-0226-SM-7DHKV 50-59 years, male 168.5
GTEX-14LLW-0126-SM-6LLIO 70-79 years, female 168.3
GTEX-145LV-2126-SM-5LU8N 50-59 years, male 168.2
GTEX-1IDJF-0126-SM-CM2RS 20-29 years, male 168.2
GTEX-T6MO-1626-SM-32QOM 40-49 years, female 167.9
GTEX-146FQ-0126-SM-5NQA9 30-39 years, male 167.6
GTEX-XYKS-2126-SM-4E3IB 60-69 years, female 167.5
GTEX-1PWST-0226-SM-E76QJ 70-79 years, male 167.5
GTEX-ZXES-1826-SM-5E43S 30-39 years, female 167.2
GTEX-1CB4J-0626-SM-7DHMP 60-69 years, male 166.8
GTEX-133LE-1826-SM-5J1MV 20-29 years, female 166.7
GTEX-OXRK-0226-SM-3NB2G 50-59 years, female 166.7
GTEX-WXYG-2326-SM-4E3I6 50-59 years, female 166.7
GTEX-1NHNU-1026-SM-E9J2A 50-59 years, male 166.3
GTEX-18D9B-0526-SM-7LTAS 60-69 years, male 166.1
GTEX-QDVJ-1726-SM-2I5FX 50-59 years, male 166.0
GTEX-1M5QR-1226-SM-EWROB 40-49 years, male 165.8
GTEX-1JMPY-1326-SM-ARL8Y 30-39 years, male 165.6
GTEX-1J1OQ-0226-SM-CYPSH 40-49 years, female 165.5
GTEX-1CAMQ-0226-SM-7IGPK 40-49 years, male 165.4
GTEX-13OW7-0126-SM-5MR3B 50-59 years, male 164.7
GTEX-NPJ8-0126-SM-2YUNR 40-49 years, male 164.6
GTEX-RNOR-0126-SM-E9J4R 50-59 years, female 164.1
GTEX-14PHX-2326-SM-62LEM 50-59 years, male 164.0
GTEX-Q2AH-1626-SM-3GAF8 40-49 years, male 164.0
GTEX-ZVTK-0426-SM-51MRS 20-29 years, male 163.9
GTEX-1H3NZ-0126-SM-ACKX7 60-69 years, male 163.8
GTEX-14E7W-0126-SM-6LLJ9 70-79 years, male 163.4
GTEX-X5EB-2226-SM-46MW4 40-49 years, male 163.4
GTEX-1QP2A-0126-SM-E9J43 50-59 years, male 163.3
GTEX-YB5E-2026-SM-5IFIS 40-49 years, male 163.2
GTEX-XBED-2226-SM-47JYQ 60-69 years, male 162.7
GTEX-PLZ5-2026-SM-2S1O4 50-59 years, male 162.6
GTEX-1HBPH-0426-SM-B2LW5 40-49 years, female 162.2
GTEX-YEC4-2126-SM-5IFJH 40-49 years, male 162.1
GTEX-13PVR-2326-SM-5QGR1 60-69 years, female 161.9
GTEX-17F98-0626-SM-79OMX 40-49 years, female 161.7
GTEX-11H98-0126-SM-5EGHG 50-59 years, male 161.5
GTEX-ZAB4-0226-SM-5N9F5 40-49 years, male 161.4
GTEX-Y8LW-1826-SM-5S2MV 50-59 years, female 161.2
GTEX-1LG7Y-0526-SM-DKPQC 50-59 years, male 161.1
GTEX-1KD5A-0226-SM-D5OV3 50-59 years, male 161.0
GTEX-1HSMP-0126-SM-E6CJS 70-79 years, male 160.6
GTEX-1MUQO-0126-SM-EAZ58 60-69 years, male 160.5
GTEX-11TT1-2526-SM-5EGIB 20-29 years, male 160.2
GTEX-QLQ7-1626-SM-2S1R8 60-69 years, male 160.2
GTEX-14BMU-2226-SM-5TDE9 20-29 years, female 160.0
GTEX-1AMFI-2026-SM-731BH 50-59 years, female 159.5
GTEX-ZEX8-2426-SM-4WKG4 50-59 years, male 159.4
GTEX-PLZ4-0126-SM-5SI8O 50-59 years, female 159.3
GTEX-15F5U-1526-SM-6PANO 40-49 years, male 158.4
GTEX-1H1E6-1726-SM-ACKVK 30-39 years, male 158.2
GTEX-15SDE-2226-SM-7IGLO 50-59 years, female 158.0
GTEX-14DAR-2026-SM-5S2O3 50-59 years, male 157.7
GTEX-169BO-1326-SM-9MQK2 50-59 years, male 157.4
GTEX-15UKP-0426-SM-7KUFQ 20-29 years, male 157.2
GTEX-1CAMR-1926-SM-7EPI2 20-29 years, male 157.2
GTEX-ZTSS-1926-SM-57WEW 40-49 years, male 157.1
GTEX-ZF29-2326-SM-DO92K 60-69 years, female 157.0
GTEX-O5YW-0126-SM-3LK6D 50-59 years, male 156.8
GTEX-1LVAN-0226-SM-COH3S 50-59 years, female 156.7
GTEX-15UF6-0826-SM-6PALJ 70-79 years, female 156.6
GTEX-147F3-0526-SM-5SI98 50-59 years, female 156.4
GTEX-1H2FU-0126-SM-9WYSI 60-69 years, female 156.4
GTEX-17EUY-0426-SM-793BD 20-29 years, male 156.2
GTEX-1A3MV-1926-SM-718BT 30-39 years, male 156.1
GTEX-15CHC-2126-SM-6EU21 60-69 years, female 156.0
GTEX-ZDYS-2026-SM-5HL5L 50-59 years, male 156.0
GTEX-1CB4I-0226-SM-79OLH 50-59 years, male 155.2
GTEX-P4PQ-0126-SM-2S1NM 60-69 years, male 155.2
GTEX-OOBK-0126-SM-2YUND 40-49 years, male 155.1
GTEX-ZTPG-0326-SM-5O9AX 20-29 years, female 155.1
GTEX-1497J-2426-SM-7IGNX 60-69 years, male 154.5
GTEX-13X6H-2126-SM-7EWD5 50-59 years, female 154.1
GTEX-1QP66-1726-SM-E8VO1 50-59 years, male 154.1
GTEX-1HBPN-0226-SM-9YFM1 50-59 years, male 153.8
GTEX-1HSEH-0126-SM-ACKXN 60-69 years, male 153.8
GTEX-ZYY3-0126-SM-5GZY5 60-69 years, female 153.6
GTEX-1S3DN-2226-SM-EVYCD 50-59 years, male 153.4
GTEX-17MF6-0126-SM-7LG4F 40-49 years, male 152.9
GTEX-ZYW4-0126-SM-5E44A 60-69 years, male 152.8
GTEX-1MA7W-2026-SM-E9TJ6 20-29 years, female 152.8
GTEX-1LGOU-2026-SM-DIPFF 20-29 years, female 152.3
GTEX-14XAO-2326-SM-6EU1B 60-69 years, female 152.1
GTEX-148VJ-0126-SM-5TDDN 70-79 years, male 151.8
GTEX-1GL5R-1826-SM-9KNUY 50-59 years, male 151.7
GTEX-Y5LM-1926-SM-5RQJH 40-49 years, female 151.5
GTEX-13CF3-2426-SM-5IFGX 60-69 years, female 150.2
GTEX-QLQW-1126-SM-2S1Q8 30-39 years, male 149.3
GTEX-13D11-2426-SM-5KM1V 50-59 years, female 148.6
GTEX-145ME-1826-SM-5SI9G 40-49 years, female 148.4
GTEX-1QCLY-0326-SM-E8VOG 30-39 years, male 148.3
GTEX-15ETS-0126-SM-7KUMW 40-49 years, female 147.8
GTEX-1H23P-0126-SM-ADEJ3 60-69 years, male 147.8
GTEX-12WSK-2326-SM-5GCOH 40-49 years, female 147.7
GTEX-ZDXO-3026-SM-5J1N5 60-69 years, male 147.6
GTEX-1HUB1-0426-SM-E9U4U 60-69 years, male 147.3
GTEX-SUCS-1926-SM-32PM3 70-79 years, male 147.0
GTEX-1J8Q3-1626-SM-CMKGC 60-69 years, male 146.8
GTEX-Q734-1926-SM-2I5EV 40-49 years, female 145.7
GTEX-WY7C-2326-SM-3NB2U 50-59 years, male 145.5
GTEX-1J8QM-2126-SM-CYPSJ 60-69 years, female 145.0
GTEX-1QP29-0626-SM-EWRMX 50-59 years, male 144.7
GTEX-ZPIC-1726-SM-DHXIU 40-49 years, female 144.6
GTEX-T8EM-1026-SM-3DB7M 40-49 years, male 143.8
GTEX-1RAZQ-0726-SM-EAZ43 30-39 years, male 143.7
GTEX-1PPH7-2326-SM-EVYB8 40-49 years, male 143.4
GTEX-1R7EV-2426-SM-EVYBG 40-49 years, male 143.3
GTEX-11TTK-0126-SM-5987B 60-69 years, female 143.1
GTEX-ZYFG-2326-SM-5E44B 60-69 years, female 143.1
GTEX-1I1GS-0126-SM-B2LVW 60-69 years, male 143.1
GTEX-U3ZN-2326-SM-3DB7W 30-39 years, female 142.6
GTEX-11P82-1626-SM-59879 20-29 years, male 142.3
GTEX-13OVJ-0126-SM-5KM36 50-59 years, female 142.3
GTEX-1AX9K-2326-SM-73KWU 50-59 years, male 142.3
GTEX-1S5ZA-0126-SM-EVYCV 20-29 years, male 142.1
GTEX-1S82Y-2026-SM-EVYCM 40-49 years, male 142.1
GTEX-13VXT-0126-SM-5LU4I 20-29 years, female 141.8
GTEX-11EMC-2926-SM-5EQ4F 60-69 years, female 140.9
GTEX-12WSN-5019-SM-79OM6 40-49 years, male 140.8
GTEX-Q2AI-1326-SM-2S1PL 40-49 years, male 140.5
GTEX-18D9U-0226-SM-718BP 40-49 years, male 140.2
GTEX-16XZY-2126-SM-79OK1 70-79 years, male 139.2
GTEX-RN64-0126-SM-2TC68 50-59 years, male 138.9
GTEX-18A66-0226-SM-718BD 60-69 years, male 138.8
GTEX-1A3MW-0126-SM-73KXX 60-69 years, female 138.8
GTEX-ZTX8-1426-SM-5DUVO 20-29 years, male 138.7
GTEX-RM2N-1426-SM-2TF4H 50-59 years, male 138.5
GTEX-1JMOU-1526-SM-CL54I 60-69 years, female 138.5
GTEX-14JG6-2226-SM-6EU2G 30-39 years, female 138.4
GTEX-1HSGN-0226-SM-CGQFV 40-49 years, female 138.4
GTEX-1I1HK-0126-SM-COH49 60-69 years, male 138.2
GTEX-TSE9-0126-SM-3DB83 60-69 years, female 138.1
GTEX-13RTL-0126-SM-7LG5S 40-49 years, male 138.0
GTEX-1F75I-0326-SM-9YFLU 40-49 years, male 137.5
GTEX-1211K-2026-SM-5EQ4Z 60-69 years, female 137.1
GTEX-1F48J-0126-SM-7P8TT 50-59 years, female 137.0
GTEX-14BIL-0126-SM-5SI92 50-59 years, male 136.6
GTEX-WI4N-1026-SM-3LK7N 40-49 years, female 136.5
GTEX-1NV5F-0226-SM-E8VNY 60-69 years, female 136.5
GTEX-1AX9J-0226-SM-73KXM 60-69 years, male 136.3
GTEX-WRHK-1426-SM-3MJF9 20-29 years, female 135.2
GTEX-1K2DU-2326-SM-E9TIV 20-29 years, male 135.2
GTEX-1C6VS-0526-SM-7DUEN 60-69 years, male 134.9
GTEX-11EM3-2426-SM-59861 20-29 years, female 134.7
GTEX-PLZ6-1426-SM-DKPOT 30-39 years, male 134.7
GTEX-RWS6-2026-SM-2XCB5 60-69 years, female 134.2
GTEX-1HB9E-0226-SM-E9U4R 50-59 years, male 133.9
GTEX-1AMEY-1326-SM-73KYK 30-39 years, female 133.4
GTEX-QDT8-0126-SM-48TZ1 30-39 years, female 133.4
GTEX-TKQ1-1026-SM-4GICL 30-39 years, male 133.4
GTEX-1PPH8-0226-SM-E8VND 20-29 years, male 133.1
GTEX-ZDTT-2726-SM-4WKF8 60-69 years, male 133.0
GTEX-14E6E-1826-SM-5S2R7 30-39 years, male 132.7
GTEX-ZUA1-0126-SM-5GU76 40-49 years, male 132.0
GTEX-1MCYP-1926-SM-E9J2R 20-29 years, female 131.5
GTEX-1HSMO-0126-SM-CL547 60-69 years, male 131.4
GTEX-13N11-2526-SM-5K7UE 50-59 years, female 130.9
GTEX-XUW1-0426-SM-4BOOT 50-59 years, female 129.9
GTEX-145MN-2226-SM-5SIAU 30-39 years, male 129.8
GTEX-14PN3-2426-SM-6LLHS 60-69 years, female 129.8
GTEX-14JIY-0126-SM-6LLH6 60-69 years, male 129.5
GTEX-1F5PK-2426-SM-7RHHY 50-59 years, male 129.3
GTEX-1PFEY-1526-SM-E76PP 30-39 years, male 129.3
GTEX-1MGNQ-0126-SM-EVYCJ 40-49 years, male 127.4
GTEX-17F97-0326-SM-7LG5B 50-59 years, male 127.3
GTEX-12C56-1726-SM-5EQ61 20-29 years, male 127.2
GTEX-WH7G-2326-SM-3NMBC 40-49 years, male 126.6
GTEX-16AAH-1726-SM-7939C 50-59 years, male 126.0
GTEX-1J1R8-1726-SM-ARL8M 40-49 years, male 125.6
GTEX-ZZPT-0226-SM-5E43X 50-59 years, male 124.3
GTEX-1GN1W-0526-SM-9MQJQ 50-59 years, female 124.2
GTEX-R55G-2526-SM-2TC6D 40-49 years, female 124.0
GTEX-R45C-0126-SM-EAZ2R 60-69 years, female 122.9
GTEX-14PJ3-1826-SM-62LEX 50-59 years, male 122.8
GTEX-11ZTT-2426-SM-5EQLS 60-69 years, female 122.0
GTEX-13OVI-1426-SM-5L3EY 60-69 years, female 121.4
GTEX-12WSJ-1826-SM-5GCNY 40-49 years, female 120.7
GTEX-11VI4-1726-SM-5CVLH 40-49 years, female 118.7
GTEX-144GN-2326-SM-5LU4F 50-59 years, male 118.7
GTEX-1HKZK-0326-SM-9WYUH 40-49 years, male 118.7
GTEX-14PHW-0126-SM-6LLJI 60-69 years, female 118.4
GTEX-11LCK-1026-SM-5A5KB 30-39 years, male 118.0
GTEX-1399U-2326-SM-5K7WY 50-59 years, female 117.1
GTEX-1I1GU-2226-SM-CGQFA 40-49 years, male 116.2
GTEX-XV7Q-2526-SM-4BRV9 40-49 years, female 116.1
GTEX-RUSQ-1526-SM-2TF62 50-59 years, male 112.9
GTEX-1HBPM-0226-SM-ARL9F 60-69 years, female 109.4
GTEX-1H1ZS-0426-SM-9WG6G 70-79 years, male 106.4
GTEX-ZQUD-1426-SM-57WER 30-39 years, male 104.5
GTEX-1AYD5-2426-SM-73KXR 50-59 years, male 103.7
GTEX-1RLM8-2326-SM-EWRN4 50-59 years, male 103.2
GTEX-Y3I4-2126-SM-4TT7C 50-59 years, male 100.7
GTEX-1OJC4-0126-SM-E9J2E 50-59 years, female 97.4
GTEX-16NGA-1726-SM-731B4 40-49 years, female 96.2
GTEX-13OVG-1926-SM-5L3DK 60-69 years, male 96.0
GTEX-1LC47-0326-SM-E9TJP 60-69 years, male 95.6
GTEX-ZF28-0126-SM-4WKGK 60-69 years, male 93.1
GTEX-1QP67-1626-SM-EAZ3X 40-49 years, female 86.1
GTEX-113IC-0126-SM-5HL6T 60-69 years, male 84.6
GTEX-13FH7-2026-SM-E9J4I 50-59 years, female 84.6
GTEX-146FR-1326-SM-E9J48 60-69 years, female 81.6
GTEX-SE5C-1626-SM-2XCE3 40-49 years, female 35.3
Show allShow less

Contact

  • NEWS ARTICLES
  • PRESS ROOM

The Project

  • INTRODUCTION
  • ORGANIZATION
  • PUBLICATIONS

The Human Protein Atlas

  • DOWNLOADABLE DATA
  • LICENCE & CITATION
  • HELP & FAQ
The Human Protein Atlas project is funded
by the Knut & Alice Wallenberg Foundation.


contact@proteinatlas.org