We use cookies to enhance the usability of our website. If you continue, we'll assume that you are happy to receive all cookies. More information. Don't show this again.
RAB27A
HPA
RESOURCES
  • TISSUE
  • BRAIN
  • SINGLE CELL
  • SUBCELLULAR
  • CANCER
  • BLOOD
  • CELL LINE
  • STRUCTURE & INTERACTION
ABOUT
  • INTRODUCTION
  • HISTORY
  • ORGANIZATION
  • PUBLICATIONS
  • ANTIBODY SUBMISSION
  • ANTIBODY AVAILABILITY
  • ACKNOWLEDGMENTS
  • CONTACT
NEWS
  • NEWS ARTICLES
  • PRESS ROOM
LEARN
  • DICTIONARY
  • PROTEIN CLASSES
  • PROTEIN EVIDENCE
  • METHODS
  • EDUCATIONAL VIDEOS
DATA
  • DOWNLOADABLE DATA
  • PUBLICATION DATA
  • RELEASE HISTORY
HELP
  • ANTIBODY VALIDATION
  • ASSAYS & ANNOTATION
  • DISCLAIMER
  • HELP & FAQ
  • PRIVACY STATEMENT
  • LICENCE & CITATION
Fields »
Search result

Field
Term
Gene name
Class
Subclass
Class
Keyword
Chromosome
External id
Tissue
Cell type
Expression
Antibody panel
Tissue
Main location
Patient ID
Annotation
Tissue
Category
Tau score
Cluster
Reliability
Brain region
Category
Tau score
Brain region
Category
Tau score
Brain region
Category
Tau score
Cluster
Reliability
Tissue
Cell type
Enrichment
Cell type
Category
Tau score
Cell type
Category
Tau score
Cell type
Category
Tau score
Cell lineage
Category
Tau score
Cluster
Cluster
Location
Searches
Location
Cell line
Class
Type
Phase
Reliability
Cancer
Prognosis
Cancer
Category
Cancer
Category
Tau score
Cluster
Variants
Interacting gene (ensg_id)
Type
Number of interactions
Pathway
Category
Score
Score
Score
Validation
Validation
Validation
Validation
Antibodies
Data type
Column


  • SUMMARY

  • TISSUE

  • BRAIN

  • SINGLE CELL

  • SUBCELL

  • CANCER

  • BLOOD

  • CELL LINE

  • STRUCT & INT

  • RAB27A
TISSUE PRIMARY DATA SKIN Show tissue menu
ADIPOSE TISSUE ADRENAL GLAND AMYGDALA APPENDIX BASAL GANGLIA BONE MARROW BREAST BRONCHUS CEREBELLUM CEREBRAL CORTEX CERVIX CHOROID PLEXUS COLON DUODENUM
ENDOMETRIUM EPIDIDYMIS ESOPHAGUS FALLOPIAN TUBE GALLBLADDER HEART MUSCLE HIPPOCAMPAL FORMATION HYPOTHALAMUS KIDNEY LIVER LUNG LYMPH NODE MIDBRAIN NASOPHARYNX
ORAL MUCOSA OVARY PANCREAS PARATHYROID GLAND PITUITARY GLAND PLACENTA PROSTATE RECTUM RETINA SALIVARY GLAND SEMINAL VESICLE SKELETAL MUSCLE SKIN SMALL INTESTINE
SMOOTH MUSCLE SOFT TISSUE SPINAL CORD SPLEEN STOMACH TESTIS THYMUS THYROID GLAND TONGUE TONSIL URINARY BLADDER VAGINA
ANTIBODIES
AND
VALIDATION
Dictionary
Skin
Tissue proteome
Skin
SKIN - Expression summary
Protein expression
Skini

On the top, protein expression in current human tissue, based on all annotated cell types, is reported with the units not detected (n), low (l), medium (m) and high (h). Underneath, protein expression in each annotated cell type are reported using the same units.

Protein expression data is based on knowledge-based annotation. For genes where more than one antibody has been used, a collective score is set.

If knowledge-based annotation could not be performed for a gene, no data is displayed here. View antibody staining data further down this page.

h
m
l
n
Epidermal cells: Not detected
Fibroblasts: Not detected
Keratinocytes: Not detected
Langerhans: Not detected
Melanocytes: Not detected
RNA expressioni

A summary of mRNA expression data available for current tissue based on several datasets. The mRNA expression levels in human tissues are based on RNA-seq data generated by the Human Protein Atlas (HPA), Genotype-Tissue Expression (GTEx) portal and CAGE data generated by the FANTOM5 consortium. Consensus normalized expression levels for human tissues was created by combining the data from HPA and GTEx datasets.

The mRNA expression levels in pig are based on RNA-seq data generated by the Human Protein Atlas (HPA), and for mouse, HPA data and in situ hybridization generated by the Allen brain atlas are reported.

Scroll down to view mRNA expression data in more detail.
Consensus:11.8 nTPM
HPA:11.8 nTPM
GTEx:9.2 nTPM

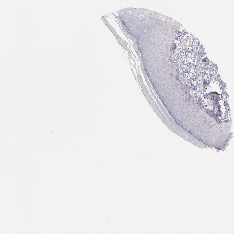
SKIN 1 - Antibody stainingi

Antibody staining in the annotated cell types in the current human tissue is reported as not detected, low, medium, or high, based on conventional immunohistochemistry profiling in selected tissues. This score is based on the combination of the staining intensity and fraction of stained cells.

Each image is clickable and will lead to virtual microscopy that enables deeper exploration of all samples and also displays staining intensity scores, fraction scores and subcellular localization as well as patient and tissue information for each sample.

Antibody HPA001333Antibody CAB034046
Langerhans Not detectedNot detected
Fibroblasts LowNot detected
Keratinocytes Not detectedNot detected
Melanocytes Not detectedNot detected


SKIN 2 - Antibody stainingi

Antibody staining in the annotated cell types in the current human tissue is reported as not detected, low, medium, or high, based on conventional immunohistochemistry profiling in selected tissues. This score is based on the combination of the staining intensity and fraction of stained cells.

Each image is clickable and will lead to virtual microscopy that enables deeper exploration of all samples and also displays staining intensity scores, fraction scores and subcellular localization as well as patient and tissue information for each sample.

Antibody HPA001333Antibody CAB034046
Epidermal cells Not detectedNot detected
  
  
  



SKIN - HPA RNA-seqi

The RNA-seq details section shows detailed information about the individual samples used for the transcript profiling and results of the RNA-seq analysis.

Information about each individual sample is listed below, including gender, age, a tissue section image and estimated fractions of cell types. nTPM (normalized transcripts per million) values give a quantification of the gene abundance which is comparable between different genes and samples.
Average nTPMi

Max subtype nTPM is the value for the subtype with the largest average nTPM across the subtype samples.

11.8
overview
Female, age 34
Skin sample 225
nTPM: 13.2
Cell types%
Keratinocytes:
60

Other cell types:
40

overview
Female, age 30
Skin sample 226
nTPM: 11.4
Cell types%
Keratinocytes:
55

Other cell types:
45

N/A
Male, age 57
Skin sample 227
nTPM: 10.6

SKIN - GTEx RNA-seqi

RNA-Seq data generated by the Genotype-Tissue Expression (GTEx) project from human tissues is reported as mean nTPM. More information can be found on the GTEx portal.

Distribution across the dataset is visualized with box plots, shown as median and 25th and 75th percentiles. Points are displayed as outliers if they are above or below 1.5 times the interquartile range. nTPM values of the individual samples are presented next to the box plot.
Max subtype nTPMi

Max subtype nTPM is the value for the subtype with the largest average nTPM across the subtype samples.

9.2
GTEx sample id Sample description nTPM
Skin - Not Sun Exposed (Suprapubic)
Average nTPM: 9.2
Samples: 604

Max nTPM: 20.5
Min nTPM: 4.6
Std nTPM: 2.5
Median nTPM: 8.8
GTEX-ZYFD-0626-SM-5E44E 50-59 years, male 20.5
GTEX-15SHW-0226-SM-7LTAT 60-69 years, male 19.9
GTEX-16MT9-0126-SM-7EPI8 60-69 years, female 19.8
GTEX-1JMQL-2226-SM-CNPP4 50-59 years, female 19.2
GTEX-14A5H-0826-SM-5QGPJ 60-69 years, male 18.8
GTEX-WHSE-0126-SM-3NMBT 20-29 years, male 18.6
GTEX-183FY-1026-SM-7939A 20-29 years, male 18.4
GTEX-1IDJF-2026-SM-CL53V 20-29 years, male 17.4
GTEX-11WQK-1026-SM-5EQLX 50-59 years, male 16.6
GTEX-1AYD5-2626-SM-7PBXY 50-59 years, male 16.6
GTEX-1399Q-2326-SM-5KM2X 40-49 years, male 16.2
GTEX-1LVAO-2726-SM-E9TJ8 60-69 years, male 16.2
GTEX-1F48J-0726-SM-7RHGS 50-59 years, female 15.5
GTEX-U8XE-0226-SM-4E3J3 30-39 years, male 15.3
GTEX-14E6C-2426-SM-5S2NF 40-49 years, male 15.0
GTEX-ZVE1-0726-SM-51MRN 50-59 years, female 14.9
GTEX-1HBPM-0726-SM-9YFL7 60-69 years, female 14.9
GTEX-1GF9X-1326-SM-7PC2Y 40-49 years, female 14.8
GTEX-1HCU8-2526-SM-CE6RX 60-69 years, female 14.8
GTEX-17HG3-2626-SM-7DUF2 30-39 years, female 14.7
GTEX-ZTTD-2826-SM-4YCFA 50-59 years, male 14.7
GTEX-1I6K7-1926-SM-B2LXR 40-49 years, male 14.7
GTEX-1ICLY-0826-SM-CMKG1 50-59 years, male 14.7
GTEX-1RAZA-2226-SM-E9U4X 20-29 years, male 14.5
GTEX-15G1A-1626-SM-7KUKN 30-39 years, male 14.3
GTEX-1J1OQ-0126-SM-D4P2N 40-49 years, female 14.3
GTEX-1A3MW-0626-SM-731CB 60-69 years, female 14.2
GTEX-144GM-0526-SM-79OJO 20-29 years, male 14.1
GTEX-14C38-0726-SM-5SI6M 50-59 years, male 14.1
GTEX-X8HC-0626-SM-4E3HQ 50-59 years, female 14.1
GTEX-1F52S-2926-SM-7MKGA 60-69 years, female 13.6
GTEX-18A67-1626-SM-7LT9T 50-59 years, male 13.4
GTEX-1A8FM-0626-SM-7PC25 50-59 years, female 13.4
GTEX-111YS-1526-SM-5GZYW 60-69 years, male 13.3
GTEX-15G19-2426-SM-7KUMR 60-69 years, male 13.3
GTEX-XXEK-1626-SM-4BRUZ 50-59 years, male 13.3
GTEX-ZAJG-1526-SM-5CVML 50-59 years, female 13.3
GTEX-1HR9M-2226-SM-CNPPY 60-69 years, male 13.3
GTEX-1PPH7-1126-SM-DTX9A 40-49 years, male 13.3
GTEX-1R9K4-2826-SM-DTX8F 60-69 years, male 13.3
GTEX-17MFQ-1526-SM-7KFRR 20-29 years, male 13.2
GTEX-1H23P-0626-SM-9WG6T 60-69 years, male 13.1
GTEX-1S5ZU-2526-SM-E6CIF 20-29 years, female 13.1
GTEX-15DDE-2926-SM-6LLJ3 50-59 years, female 13.0
GTEX-WI4N-2726-SM-3LK7Y 40-49 years, female 13.0
GTEX-1I1GP-1326-SM-A9G28 50-59 years, male 13.0
GTEX-1QAET-0326-SM-EVR3U 50-59 years, male 13.0
GTEX-11DZ1-2426-SM-5GZZX 50-59 years, male 12.9
GTEX-178AV-1726-SM-7KUL8 40-49 years, male 12.9
GTEX-1314G-1326-SM-5BC6E 30-39 years, male 12.8
GTEX-ZWKS-0626-SM-5GIDV 30-39 years, male 12.8
GTEX-1I1CD-0626-SM-CE6SW 60-69 years, female 12.8
GTEX-1PIGE-1826-SM-E8VOU 20-29 years, male 12.8
GTEX-12WSK-2126-SM-5CVNC 40-49 years, female 12.7
GTEX-12ZZX-2426-SM-5GCOE 40-49 years, female 12.7
GTEX-14BIN-1126-SM-5RQJZ 50-59 years, female 12.7
GTEX-18A66-0626-SM-7LT8Z 60-69 years, male 12.7
GTEX-WYBS-0626-SM-3NMAS 60-69 years, female 12.7
GTEX-1GF9W-1426-SM-7PBYM 60-69 years, male 12.7
GTEX-1HCU7-0726-SM-A9SL1 50-59 years, male 12.7
GTEX-1IDJV-0126-SM-COH3Y 60-69 years, male 12.6
GTEX-1HC8U-1326-SM-9YFMJ 40-49 years, female 12.5
GTEX-131YS-2826-SM-5EQ47 60-69 years, female 12.4
GTEX-13NYC-0126-SM-5L3F4 60-69 years, male 12.4
GTEX-ZT9W-1126-SM-57WDR 50-59 years, male 12.4
GTEX-11EI6-2826-SM-5H11D 60-69 years, male 12.3
GTEX-183WM-0326-SM-72D5V 70-79 years, female 12.3
GTEX-1H3VE-0726-SM-9YFL5 40-49 years, male 12.3
GTEX-14PJ4-0226-SM-5YY92 60-69 years, male 12.2
GTEX-15UF6-1926-SM-7KUDV 70-79 years, female 12.2
GTEX-1CAMS-2226-SM-7PBXQ 40-49 years, female 12.2
GTEX-13FHO-0426-SM-5L3F5 60-69 years, male 12.0
GTEX-ZXG5-2126-SM-59HKD 60-69 years, male 12.0
GTEX-1GMR3-0126-SM-A9SLW 40-49 years, male 12.0
GTEX-1RAZR-2126-SM-E9U6T 40-49 years, male 12.0
GTEX-14C5O-0326-SM-5ZZUX 60-69 years, male 11.9
GTEX-15RJ7-2126-SM-6PAMD 40-49 years, male 11.9
GTEX-YJ8O-2526-SM-5HL85 40-49 years, female 11.9
GTEX-1F6RS-2026-SM-7RHHC 60-69 years, female 11.9
GTEX-1PBJJ-1026-SM-E76OS 30-39 years, male 11.9
GTEX-144FL-0626-SM-5LU43 50-59 years, male 11.8
GTEX-14PJ2-0626-SM-6LLII 50-59 years, male 11.8
GTEX-ZVT4-2426-SM-5GIEI 50-59 years, female 11.8
GTEX-ZZ64-1026-SM-5GZXG 20-29 years, male 11.8
GTEX-1J8EW-2726-SM-CY8HR 60-69 years, female 11.8
GTEX-1AX8Z-0726-SM-73KTS 60-69 years, male 11.7
GTEX-ZVE2-2826-SM-5GU51 50-59 years, male 11.7
GTEX-1QP66-1226-SM-DTX7U 50-59 years, male 11.7
GTEX-145LU-1926-SM-79OJN 50-59 years, male 11.6
GTEX-1C6VQ-1226-SM-73KYD 50-59 years, male 11.6
GTEX-1C64O-1326-SM-7MGWR 60-69 years, male 11.6
GTEX-1AX9I-2226-SM-73KUO 60-69 years, male 11.5
GTEX-1GN1V-2826-SM-9JGIA 60-69 years, male 11.5
GTEX-1LSNL-2726-SM-E9TKJ 50-59 years, male 11.5
GTEX-15ER7-0626-SM-6PANF 20-29 years, female 11.4
GTEX-1B932-2326-SM-79OL5 40-49 years, female 11.4
GTEX-VJYA-1526-SM-3GIJV 60-69 years, male 11.4
GTEX-WFON-1926-SM-3LK7L 40-49 years, male 11.4
GTEX-1L5NE-1126-SM-D3L9P 50-59 years, male 11.4
GTEX-12KS4-2126-SM-5FQUT 30-39 years, male 11.3
GTEX-15RIE-1926-SM-7KUKJ 60-69 years, male 11.3
GTEX-1BAJH-2426-SM-7IGP8 70-79 years, male 11.3
GTEX-1EX96-1026-SM-7MKG2 50-59 years, male 11.3
GTEX-ZY6K-1426-SM-5GZX2 50-59 years, male 11.3
GTEX-1LGRB-0926-SM-COH3K 50-59 years, female 11.3
GTEX-1R9PM-1926-SM-EVR3O 20-29 years, male 11.3
GTEX-13NYS-0626-SM-5L3F1 60-69 years, male 11.2
GTEX-14A6H-2026-SM-5Q5DD 30-39 years, male 11.2
GTEX-17KNJ-2126-SM-718AM 50-59 years, male 11.2
GTEX-WRHU-2826-SM-3MJG8 50-59 years, female 11.2
GTEX-1H1DF-1126-SM-9WG7G 40-49 years, female 11.2
GTEX-1GMR8-0626-SM-7RHI7 50-59 years, female 11.1
GTEX-1HSMQ-2626-SM-A9SML 50-59 years, male 11.1
GTEX-14XAO-1226-SM-6EU1C 60-69 years, female 11.0
GTEX-17HGU-2326-SM-7DUFE 50-59 years, male 11.0
GTEX-1B933-2426-SM-7DHMD 50-59 years, female 11.0
GTEX-WH7G-2026-SM-3NMBL 40-49 years, male 11.0
GTEX-1H3O1-1326-SM-9MQLD 60-69 years, male 11.0
GTEX-1R9PN-0426-SM-DTXDT 40-49 years, female 11.0
GTEX-11TT1-1826-SM-5EQLV 20-29 years, male 10.9
GTEX-139YR-1026-SM-5LZYN 50-59 years, male 10.9
GTEX-1E1VI-0326-SM-793D1 50-59 years, male 10.9
GTEX-V1D1-2026-SM-3GAF4 50-59 years, male 10.9
GTEX-W5X1-2526-SM-3GILC 40-49 years, female 10.9
GTEX-1F88E-1626-SM-7SB8Z 60-69 years, female 10.9
GTEX-1RAZS-2526-SM-E6CHT 50-59 years, male 10.9
GTEX-12WSH-1526-SM-5BC5W 50-59 years, male 10.8
GTEX-139T8-0626-SM-5KLZX 60-69 years, male 10.8
GTEX-18465-2826-SM-7LT9J 50-59 years, male 10.8
GTEX-1CB4H-1126-SM-7MKGL 60-69 years, female 10.8
GTEX-WHWD-1826-SM-3LK6I 50-59 years, male 10.8
GTEX-ZAB4-2126-SM-5HL8U 40-49 years, male 10.8
GTEX-1I1GS-2626-SM-B2LY3 60-69 years, male 10.8
GTEX-18D9B-0926-SM-7LG4U 60-69 years, male 10.7
GTEX-1EN7A-2426-SM-793DB 40-49 years, male 10.7
GTEX-YECK-0326-SM-4W1YS 60-69 years, male 10.7
GTEX-1E2YA-2126-SM-7MXUO 50-59 years, male 10.7
GTEX-1GMRU-2126-SM-7P8RA 50-59 years, male 10.7
GTEX-1JMPY-0226-SM-CKZOK 30-39 years, male 10.7
GTEX-1RLM8-2926-SM-E8VON 50-59 years, male 10.7
GTEX-14753-0726-SM-5QGQO 60-69 years, male 10.6
GTEX-18A7B-2726-SM-7LG56 70-79 years, male 10.6
GTEX-UPJH-0226-SM-3GADV 50-59 years, male 10.6
GTEX-18D9A-1426-SM-7LT8M 30-39 years, female 10.6
GTEX-1F75W-2726-SM-7SB8H 60-69 years, male 10.6
GTEX-1NSGN-0726-SM-DTXEF 50-59 years, male 10.6
GTEX-14PJ6-2626-SM-6EU2T 60-69 years, female 10.5
GTEX-UPK5-0426-SM-3GAEK 40-49 years, male 10.5
GTEX-1F75B-0726-SM-7PC3R 50-59 years, male 10.5
GTEX-1J8JJ-0626-SM-ARZMQ 60-69 years, female 10.5
GTEX-1NV5F-0626-SM-DTXEG 60-69 years, female 10.5
GTEX-1OJC3-1226-SM-DTXER 20-29 years, male 10.5
GTEX-13NZ9-2626-SM-5L3FK 50-59 years, male 10.4
GTEX-13YAN-0226-SM-5TDC6 60-69 years, male 10.4
GTEX-1477Z-0326-SM-7IGLA 60-69 years, male 10.4
GTEX-147F3-1726-SM-5SIAW 50-59 years, female 10.4
GTEX-15RIG-0726-SM-7KUM7 40-49 years, male 10.4
GTEX-ZTX8-1326-SM-4YCEL 20-29 years, male 10.4
GTEX-1S831-1826-SM-EWROF 20-29 years, male 10.4
GTEX-11WQC-1826-SM-5GU59 60-69 years, male 10.3
GTEX-139D8-1126-SM-5LU8W 30-39 years, female 10.3
GTEX-1EU9M-1426-SM-793AI 60-69 years, male 10.3
GTEX-144GO-2026-SM-5O99P 60-69 years, male 10.2
GTEX-14PJO-2526-SM-6AJBQ 60-69 years, male 10.2
GTEX-16GPK-0626-SM-7KFSF 60-69 years, male 10.2
GTEX-1CAV2-0126-SM-7IGN7 40-49 years, female 10.2
GTEX-ZYVF-0926-SM-5E44J 50-59 years, female 10.2
GTEX-1LKK1-2626-SM-DKPQE 50-59 years, female 10.2
GTEX-1O9I2-0226-SM-EYYXD 50-59 years, male 10.2
GTEX-11EQ8-0926-SM-5H12V 60-69 years, male 10.1
GTEX-13X6I-1826-SM-5SIAO 60-69 years, male 10.1
GTEX-16NPX-0726-SM-7KULC 50-59 years, male 10.1
GTEX-ZT9X-1526-SM-5DUXD 40-49 years, male 10.1
GTEX-1QMI2-2526-SM-E8VNZ 60-69 years, male 10.1
GTEX-1S83E-1326-SM-E6CJM 40-49 years, male 10.1
GTEX-YEC3-1326-SM-DO92X 50-59 years, male 10.1
GTEX-11P7K-1126-SM-5HL4L 30-39 years, male 10.0
GTEX-13JUV-2026-SM-5K7UA 40-49 years, female 10.0
GTEX-145MO-2826-SM-5LU96 60-69 years, male 10.0
GTEX-14B4R-1326-SM-5Q5EZ 30-39 years, male 10.0
GTEX-14PK6-0226-SM-62LF5 70-79 years, female 10.0
GTEX-17F9Y-0126-SM-79OKX 70-79 years, female 10.0
GTEX-17JCI-2926-SM-7DUFF 60-69 years, female 10.0
GTEX-XBED-1926-SM-47JYP 60-69 years, male 10.0
GTEX-1GPI6-1926-SM-9KNV7 60-69 years, male 10.0
GTEX-1H1DG-2426-SM-9QEHJ 70-79 years, male 10.0
GTEX-1JJE9-2626-SM-ARZMT 70-79 years, male 10.0
GTEX-1JN1M-2726-SM-CY8I4 60-69 years, female 10.0
GTEX-1KXAM-1626-SM-D3LAD 60-69 years, male 10.0
GTEX-1R46S-2426-SM-E76QA 60-69 years, female 10.0
GTEX-1S82P-2126-SM-E6CI5 60-69 years, female 10.0
GTEX-13PVR-0426-SM-5RQK2 60-69 years, female 9.9
GTEX-16MT8-2926-SM-7DUFO 60-69 years, female 9.9
GTEX-WHSB-1326-SM-3LK6W 50-59 years, male 9.9
GTEX-ZYT6-2326-SM-5GZY3 30-39 years, male 9.9
GTEX-1F6I4-2326-SM-7RHGL 60-69 years, male 9.9
GTEX-1F75A-0726-SM-7RHHD 50-59 years, male 9.9
GTEX-1GL5R-1326-SM-7RHHF 50-59 years, male 9.9
GTEX-1GZHY-0626-SM-9KNVC 50-59 years, female 9.9
GTEX-1IE54-1126-SM-A9G2Z 40-49 years, female 9.9
GTEX-12WSF-1626-SM-7KUG5 70-79 years, male 9.8
GTEX-139UW-0326-SM-5J1ML 60-69 years, male 9.8
GTEX-14PJ5-1526-SM-6LLIL 60-69 years, female 9.8
GTEX-15SKB-2826-SM-6PAMH 60-69 years, male 9.8
GTEX-17F97-2626-SM-7IGM5 50-59 years, male 9.8
GTEX-1B8SF-0126-SM-7DUG3 60-69 years, male 9.8
GTEX-14JG6-1426-SM-9WG7C 30-39 years, female 9.8
GTEX-1C64N-2626-SM-7PC2N 50-59 years, male 9.8
GTEX-1F75I-2226-SM-7SB8U 40-49 years, male 9.8
GTEX-1KD5A-0126-SM-E9U54 50-59 years, male 9.8
GTEX-13PDP-0726-SM-5L3HP 60-69 years, male 9.7
GTEX-13VXU-0626-SM-5L3F9 50-59 years, male 9.7
GTEX-16Z82-2626-SM-7KULU 60-69 years, male 9.7
GTEX-XK95-0226-SM-4AT58 40-49 years, male 9.7
GTEX-1HT8W-0626-SM-A9G2H 30-39 years, male 9.7
GTEX-1HB9E-0126-SM-CM2S5 50-59 years, male 9.6
GTEX-1HSMO-0626-SM-ACKXC 60-69 years, male 9.6
GTEX-1JN76-0626-SM-CKZOQ 20-29 years, female 9.6
GTEX-1192X-2726-SM-5N9DN 50-59 years, male 9.5
GTEX-11O72-0626-SM-5PNYE 40-49 years, male 9.5
GTEX-144GL-0626-SM-5LU4D 50-59 years, male 9.5
GTEX-WK11-2726-SM-3NMAQ 50-59 years, male 9.5
GTEX-ZYW4-0626-SM-59HJR 60-69 years, male 9.5
GTEX-1I6K6-1726-SM-CGQFD 30-39 years, male 9.5
GTEX-1JJ6O-2726-SM-CNPOG 60-69 years, male 9.5
GTEX-1JMQJ-0826-SM-CNPP7 50-59 years, male 9.5
GTEX-1KANB-2826-SM-CY8I6 50-59 years, male 9.5
GTEX-1LVA9-2626-SM-EVYD4 50-59 years, male 9.5
GTEX-1N2DV-1526-SM-DTXEP 40-49 years, male 9.5
GTEX-1PIIG-2326-SM-DTXFR 30-39 years, male 9.5
GTEX-11PRG-0726-SM-5EGL1 50-59 years, male 9.4
GTEX-12WSC-2826-SM-5BC5Y 50-59 years, male 9.4
GTEX-139TU-0726-SM-5L3EK 60-69 years, male 9.4
GTEX-13RTJ-0126-SM-5S2NN 60-69 years, male 9.4
GTEX-WFG7-2026-SM-5SI7P 20-29 years, male 9.4
GTEX-WXYG-2026-SM-4E3IY 50-59 years, female 9.4
GTEX-1GN73-0726-SM-7P8TJ 60-69 years, male 9.4
GTEX-1HR98-2226-SM-ADEI2 60-69 years, male 9.4
GTEX-1JMQK-1226-SM-D4P2S 60-69 years, male 9.4
GTEX-11DYG-1526-SM-5A5JS 60-69 years, male 9.3
GTEX-12WSA-0426-SM-5EQ5X 60-69 years, male 9.3
GTEX-13SLX-2226-SM-62LEP 50-59 years, female 9.3
GTEX-1B8KZ-0326-SM-73KY4 50-59 years, male 9.3
GTEX-1CB4F-1026-SM-7DUH1 60-69 years, male 9.3
GTEX-X4EP-0626-SM-3P621 60-69 years, female 9.3
GTEX-1CB4J-1326-SM-7P8RX 60-69 years, male 9.3
GTEX-1JKYR-0626-SM-ARL8R 20-29 years, male 9.3
GTEX-1PPH8-0126-SM-EWRN8 20-29 years, male 9.3
GTEX-1QP2A-1726-SM-E76QC 50-59 years, male 9.3
GTEX-13O61-1426-SM-5KM3D 60-69 years, male 9.2
GTEX-13OVJ-0826-SM-5J1OK 50-59 years, female 9.2
GTEX-14PHY-1226-SM-5ZZWK 60-69 years, female 9.2
GTEX-16NGA-0726-SM-731AO 40-49 years, female 9.2
GTEX-17HHY-0426-SM-7DHLC 50-59 years, male 9.2
GTEX-WHPG-2626-SM-3NMBR 50-59 years, male 9.2
GTEX-1F5PL-0926-SM-7PC2W 40-49 years, female 9.2
GTEX-1H11D-1826-SM-9QEHM 40-49 years, male 9.2
GTEX-1IDJD-2326-SM-ACKWX 30-39 years, male 9.2
GTEX-1IL2V-1926-SM-B2LW8 70-79 years, male 9.2
GTEX-1RB15-1326-SM-E76Q9 60-69 years, male 9.2
GTEX-12126-0826-SM-5FQTZ 20-29 years, male 9.1
GTEX-12C56-1526-SM-5FQUQ 20-29 years, male 9.1
GTEX-13O3O-2326-SM-5IJD6 60-69 years, female 9.1
GTEX-13OW5-2326-SM-5L3HO 60-69 years, male 9.1
GTEX-145MI-0626-SM-5SI8S 60-69 years, female 9.1
GTEX-14AS3-1526-SM-5Q5ED 40-49 years, female 9.1
GTEX-14LLW-2626-SM-62LDZ 70-79 years, female 9.1
GTEX-16BQI-1326-SM-6M486 30-39 years, female 9.1
GTEX-YF7O-1526-SM-5IFI6 50-59 years, male 9.1
GTEX-1HBPI-2126-SM-ARL9K 50-59 years, male 9.1
GTEX-1IDJC-1526-SM-B2LW4 50-59 years, male 9.1
GTEX-1JMOU-1026-SM-CYPSS 60-69 years, female 9.1
GTEX-1JN6P-2926-SM-CL54D 60-69 years, male 9.1
GTEX-1117F-2926-SM-5GZYI 60-69 years, female 9.0
GTEX-11LCK-2226-SM-5HL4Q 30-39 years, male 9.0
GTEX-132AR-0326-SM-5KM2C 50-59 years, female 9.0
GTEX-13G51-1826-SM-5KLZH 60-69 years, male 9.0
GTEX-13SLW-0626-SM-5Q5ER 70-79 years, male 9.0
GTEX-13X6H-0926-SM-5SIB2 50-59 years, female 9.0
GTEX-15EU6-2226-SM-6EU2L 50-59 years, male 9.0
GTEX-1HFI6-0126-SM-CNPPI 40-49 years, male 9.0
GTEX-1HSKV-1226-SM-ADEI4 60-69 years, male 9.0
GTEX-1J8Q2-2626-SM-ACKWQ 60-69 years, male 9.0
GTEX-11NSD-0626-SM-5A5LU 20-29 years, male 8.9
GTEX-12WSD-0626-SM-5GCMW 60-69 years, female 8.9
GTEX-12WSL-2026-SM-5GCML 50-59 years, male 8.9
GTEX-14ABY-2026-SM-62LDL 50-59 years, male 8.9
GTEX-15EO6-2426-SM-6PALZ 50-59 years, male 8.9
GTEX-1A8G7-1326-SM-73KVM 60-69 years, male 8.9
GTEX-1H2FU-0926-SM-9WPPT 60-69 years, female 8.9
GTEX-1I1GU-0926-SM-ACKVS 40-49 years, male 8.9
GTEX-1IOXB-2726-SM-CM2RI 50-59 years, male 8.9
GTEX-1QP28-1126-SM-EVYC4 50-59 years, female 8.9
GTEX-13FLV-0126-SM-5K7WT 50-59 years, male 8.8
GTEX-13IVO-0726-SM-5LZYV 70-79 years, male 8.8
GTEX-13PVQ-0626-SM-5LU47 50-59 years, male 8.8
GTEX-17F9E-2326-SM-79OKD 50-59 years, male 8.8
GTEX-1F6IF-0926-SM-7SB7M 60-69 years, male 8.8
GTEX-1GF9U-2026-SM-7SB92 40-49 years, female 8.8
GTEX-1H1E6-0426-SM-9WYUS 30-39 years, male 8.8
GTEX-1IDJI-0126-SM-CMKHS 50-59 years, female 8.8
GTEX-1JMPZ-0726-SM-CY8HZ 30-39 years, male 8.8
GTEX-1QEPI-2626-SM-DTXF4 60-69 years, female 8.8
GTEX-11ZUS-2626-SM-5FQUR 30-39 years, male 8.7
GTEX-13U4I-2226-SM-5LU5H 40-49 years, female 8.7
GTEX-145MF-0926-SM-5Q5EA 50-59 years, male 8.7
GTEX-14JG1-1526-SM-5YY9X 40-49 years, male 8.7
GTEX-16XZZ-0726-SM-7KUF2 60-69 years, male 8.7
GTEX-1A8G6-2726-SM-731AR 60-69 years, male 8.7
GTEX-1K9T9-1526-SM-DIPFR 50-59 years, female 8.7
GTEX-1LB8K-0726-SM-D5OV2 50-59 years, male 8.7
GTEX-1M4P7-0726-SM-E6CJ3 60-69 years, male 8.7
GTEX-1N2EE-0626-SM-E76PW 60-69 years, male 8.7
GTEX-13NYB-0126-SM-5J1MD 40-49 years, male 8.6
GTEX-14PJN-1826-SM-6AJ98 30-39 years, male 8.6
GTEX-14PKU-0126-SM-6LLHV 40-49 years, female 8.6
GTEX-15RJE-2826-SM-7KUM9 40-49 years, male 8.6
GTEX-Y5V6-2326-SM-4VDSA 60-69 years, male 8.6
GTEX-11TUW-0626-SM-5LU9M 60-69 years, male 8.5
GTEX-131XW-0626-SM-5PNVD 50-59 years, female 8.5
GTEX-14PJ3-1126-SM-5ZZVX 50-59 years, male 8.5
GTEX-VUSG-2326-SM-4KL1U 50-59 years, male 8.5
GTEX-XBEC-0726-SM-4QARZ 50-59 years, male 8.5
GTEX-ZPU1-1126-SM-4YCF3 40-49 years, male 8.5
GTEX-ZYFC-0426-SM-5GICQ 50-59 years, male 8.5
GTEX-1QPFJ-1926-SM-EVYBD 30-39 years, female 8.5
GTEX-11GS4-0226-SM-5HL77 60-69 years, male 8.4
GTEX-13FTY-2126-SM-5IFFB 40-49 years, female 8.4
GTEX-13OW6-2726-SM-5J2OE 50-59 years, male 8.4
GTEX-146FQ-2126-SM-5RQHU 30-39 years, male 8.4
GTEX-14BMV-2826-SM-5TDED 50-59 years, male 8.4
GTEX-14LZ3-0126-SM-69LPM 60-69 years, female 8.4
GTEX-17EVP-2626-SM-7IGMA 40-49 years, male 8.4
GTEX-17F98-1326-SM-7DUEP 40-49 years, female 8.4
GTEX-18QFQ-1826-SM-72D52 30-39 years, male 8.4
GTEX-1EKGG-0626-SM-7DUGJ 60-69 years, male 8.4
GTEX-XMD2-2126-SM-4YCF8 60-69 years, female 8.4
GTEX-Z93S-1626-SM-5CVMB 50-59 years, male 8.4
GTEX-1H3NZ-2726-SM-9WYTQ 60-69 years, male 8.4
GTEX-1HKZK-0726-SM-ACKW2 40-49 years, male 8.4
GTEX-1ICLZ-0326-SM-ARL82 60-69 years, male 8.4
GTEX-1N5O9-0926-SM-E9J3C 60-69 years, male 8.4
GTEX-13OVK-1426-SM-6PAN7 40-49 years, male 8.3
GTEX-ZAK1-0626-SM-5HL8E 50-59 years, female 8.3
GTEX-ZF2S-1626-SM-57WES 50-59 years, female 8.3
GTEX-1A3MX-2626-SM-7PC24 60-69 years, male 8.3
GTEX-1GN2E-0226-SM-9WG6K 60-69 years, male 8.3
GTEX-1GZ4H-0526-SM-9KNU9 50-59 years, female 8.3
GTEX-1HCVE-2726-SM-CL54F 50-59 years, male 8.3
GTEX-1I1HK-2326-SM-CKZOH 60-69 years, male 8.3
GTEX-1J1R8-2026-SM-CL53Y 40-49 years, male 8.3
GTEX-1269C-0126-SM-5EQ5L 60-69 years, female 8.2
GTEX-13PL6-1126-SM-5L3IE 40-49 years, female 8.2
GTEX-13W3W-0726-SM-5IJDQ 60-69 years, female 8.2
GTEX-14E1K-2026-SM-7DUEI 50-59 years, male 8.2
GTEX-16YQH-2226-SM-7IGM2 30-39 years, male 8.2
GTEX-X4EO-2926-SM-4E3JH 60-69 years, female 8.2
GTEX-XQ3S-1426-SM-4BOPR 20-29 years, male 8.2
GTEX-Y5LM-0926-SM-6LLJG 40-49 years, female 8.2
GTEX-ZE9C-2526-SM-5IJDR 60-69 years, male 8.2
GTEX-14JFF-0626-SM-5ZZVT 60-69 years, male 8.2
GTEX-1GZ2Q-0126-SM-9WG6M 40-49 years, male 8.2
GTEX-1IDJE-1426-SM-ADEIW 50-59 years, female 8.2
GTEX-1KAFJ-0126-SM-DIPEK 50-59 years, male 8.2
GTEX-145LT-0526-SM-5LUB2 40-49 years, male 8.1
GTEX-14E6E-0526-SM-793DN 30-39 years, male 8.1
GTEX-1B8KE-1126-SM-7EPHI 50-59 years, male 8.1
GTEX-XQ8I-0926-SM-4BOOF 50-59 years, male 8.1
GTEX-ZUA1-2626-SM-5NQ92 40-49 years, male 8.1
GTEX-1H1DE-1326-SM-9KNUG 20-29 years, male 8.1
GTEX-111VG-1626-SM-5EGIO 60-69 years, male 8.0
GTEX-13D11-0926-SM-5J2NC 50-59 years, female 8.0
GTEX-15D1Q-2826-SM-6LLH7 40-49 years, male 8.0
GTEX-18A6Q-0626-SM-7KFRP 60-69 years, male 8.0
GTEX-18A7A-0126-SM-731AH 50-59 years, female 8.0
GTEX-WY7C-2126-SM-3NB2R 50-59 years, male 8.0
GTEX-WYJK-0526-SM-3NM8Z 50-59 years, male 8.0
GTEX-ZC5H-1526-SM-5HL9Y 40-49 years, female 8.0
GTEX-1B8L1-2226-SM-7P8PT 60-69 years, male 8.0
GTEX-1EMGI-2326-SM-7PBYA 60-69 years, male 8.0
GTEX-1HSGN-0826-SM-ACKW3 40-49 years, female 8.0
GTEX-1IKOE-1426-SM-CE6T7 30-39 years, female 8.0
GTEX-1JJEA-1826-SM-ARU8P 60-69 years, male 8.0
GTEX-1KWVE-1026-SM-D3L9O 30-39 years, male 8.0
GTEX-1LG7Y-2526-SM-EWRO7 50-59 years, male 8.0
GTEX-1R7EU-1626-SM-DTXG3 60-69 years, male 8.0
GTEX-11EQ9-1626-SM-5PNY8 30-39 years, male 7.9
GTEX-11P81-2226-SM-5PNYI 30-39 years, female 7.9
GTEX-12584-0726-SM-5FQTK 40-49 years, male 7.9
GTEX-12BJ1-0926-SM-5EQ62 60-69 years, male 7.9
GTEX-14PHX-2226-SM-6EU2P 50-59 years, male 7.9
GTEX-16AAH-0626-SM-793C9 50-59 years, male 7.9
GTEX-17EVQ-0126-SM-7IGLR 70-79 years, male 7.9
GTEX-1AMFI-1326-SM-7939R 50-59 years, female 7.9
GTEX-X5EB-1926-SM-4E3IW 40-49 years, male 7.9
GTEX-YEC4-1826-SM-4W1YP 40-49 years, male 7.9
GTEX-ZLFU-1826-SM-4WWBV 40-49 years, male 7.9
GTEX-1GF9V-0826-SM-9KNUV 60-69 years, male 7.9
GTEX-12WSM-1926-SM-5BC65 60-69 years, male 7.8
GTEX-13QBU-1226-SM-5LU4G 40-49 years, female 7.8
GTEX-147JS-0226-SM-5S2U9 60-69 years, male 7.8
GTEX-14PII-0726-SM-6EU2B 60-69 years, male 7.8
GTEX-1AX9J-1326-SM-731BJ 60-69 years, male 7.8
GTEX-Y9LG-1126-SM-4VBQ7 30-39 years, male 7.8
GTEX-ZA64-1026-SM-5HL8R 20-29 years, male 7.8
GTEX-ZDTS-0826-SM-4WKHL 60-69 years, male 7.8
GTEX-1GN1W-2426-SM-9KNUU 50-59 years, female 7.8
GTEX-1HCU9-0426-SM-9WYSD 20-29 years, male 7.8
GTEX-1HUB1-1426-SM-CGQF5 60-69 years, male 7.8
GTEX-1JK1U-0226-SM-ARZMX 60-69 years, male 7.8
GTEX-1LVAM-0726-SM-E6CIL 50-59 years, female 7.8
GTEX-1LVAN-0626-SM-CNPOQ 50-59 years, female 7.8
GTEX-1OJC4-2726-SM-E76PJ 50-59 years, female 7.8
GTEX-1RMOY-1326-SM-E9TIH 50-59 years, male 7.8
GTEX-11NUK-2726-SM-5A5MC 50-59 years, male 7.7
GTEX-11VI4-1126-SM-5EQMD 40-49 years, female 7.7
GTEX-1211K-1526-SM-5FQU4 60-69 years, female 7.7
GTEX-13NZ8-1226-SM-5KM4A 60-69 years, female 7.7
GTEX-147F4-0726-SM-5TDDD 50-59 years, male 7.7
GTEX-14ICL-1626-SM-5YYAO 30-39 years, male 7.7
GTEX-16MTA-0926-SM-6M47Z 50-59 years, male 7.7
GTEX-XPVG-2126-SM-4B667 50-59 years, male 7.7
GTEX-XV7Q-1826-SM-4BRUV 40-49 years, female 7.7
GTEX-ZF29-0926-SM-4WKFZ 60-69 years, female 7.7
GTEX-1F88F-0126-SM-9WYSZ 60-69 years, female 7.7
GTEX-111FC-2526-SM-5GZXU 60-69 years, male 7.6
GTEX-1212Z-0126-SM-59HK4 60-69 years, male 7.6
GTEX-131XG-0326-SM-5L3DX 50-59 years, female 7.6
GTEX-13FTX-1526-SM-5K7VJ 20-29 years, female 7.6
GTEX-13N11-2326-SM-5IJBF 50-59 years, female 7.6
GTEX-13N1W-2426-SM-5IJD1 70-79 years, male 7.6
GTEX-145LS-0626-SM-7EPG7 60-69 years, female 7.6
GTEX-ZU9S-1826-SM-5NQ9E 30-39 years, male 7.6
GTEX-1CAMQ-1326-SM-7P8RV 40-49 years, male 7.6
GTEX-1IY9M-2826-SM-ARU8H 60-69 years, male 7.6
GTEX-1LBAC-0826-SM-CY8IJ 20-29 years, male 7.6
GTEX-1POEN-2326-SM-E9J2L 30-39 years, female 7.6
GTEX-1PPGY-1626-SM-EVYBL 60-69 years, male 7.6
GTEX-11DXX-2126-SM-5PNYR 60-69 years, female 7.5
GTEX-11GSP-2326-SM-5HL63 60-69 years, female 7.5
GTEX-11OF3-0126-SM-5PNYF 60-69 years, male 7.5
GTEX-11ZU8-0126-SM-5EQ58 60-69 years, male 7.5
GTEX-13JVG-0726-SM-5KM16 60-69 years, male 7.5
GTEX-13OW8-1026-SM-5J1NQ 60-69 years, male 7.5
GTEX-145ME-1726-SM-5Q5EU 40-49 years, female 7.5
GTEX-17MF6-2626-SM-79OKQ 40-49 years, male 7.5
GTEX-Y8E4-2026-SM-5IFJB 40-49 years, male 7.5
GTEX-ZDTT-0426-SM-4WKFL 60-69 years, male 7.5
GTEX-ZPCL-1126-SM-4WWFE 60-69 years, female 7.5
GTEX-1IDFM-0326-SM-ARL7V 60-69 years, male 7.5
GTEX-1K2DU-1226-SM-CYPT4 20-29 years, male 7.5
GTEX-12ZZY-0726-SM-5EQ66 60-69 years, male 7.4
GTEX-13112-0126-SM-5P9IU 50-59 years, male 7.4
GTEX-148VJ-0626-SM-5LUAW 70-79 years, male 7.4
GTEX-Y5V5-0126-SM-5S2NW 60-69 years, female 7.4
GTEX-1F5PK-2226-SM-7SB6N 50-59 years, male 7.4
GTEX-1GZ4I-2626-SM-9KNU3 50-59 years, male 7.4
GTEX-1HBPN-0126-SM-CGQEF 50-59 years, male 7.4
GTEX-1HCUA-0826-SM-ADEHM 50-59 years, female 7.4
GTEX-1IDJU-1726-SM-CMKHU 60-69 years, female 7.4
GTEX-1J8Q3-0526-SM-ARL8U 60-69 years, male 7.4
GTEX-1KANC-1226-SM-CYPT7 50-59 years, female 7.4
GTEX-11DXW-0826-SM-5H118 40-49 years, male 7.3
GTEX-11EM3-1226-SM-5N9DD 20-29 years, female 7.3
GTEX-11UD2-2526-SM-5CVNU 50-59 years, male 7.3
GTEX-133LE-2326-SM-5K7W3 20-29 years, female 7.3
GTEX-147GR-2426-SM-5ZZWQ 60-69 years, male 7.3
GTEX-1A32A-0626-SM-731AQ 50-59 years, female 7.3
GTEX-YFCO-1226-SM-5LUAT 40-49 years, male 7.3
GTEX-ZDXO-3126-SM-5IJDF 60-69 years, male 7.3
GTEX-1HCU6-2526-SM-ADEHL 60-69 years, female 7.3
GTEX-1JMQI-1726-SM-ARL93 50-59 years, male 7.3
GTEX-1QW4Y-1126-SM-DTXE3 30-39 years, male 7.3
GTEX-1S3DN-2126-SM-E9TIN 50-59 years, male 7.3
GTEX-13OVH-0526-SM-5L3E6 70-79 years, male 7.2
GTEX-13X6J-0626-SM-5LU5F 50-59 years, male 7.2
GTEX-145MH-2826-SM-5RQJF 50-59 years, male 7.2
GTEX-1497J-0226-SM-5QGPU 60-69 years, male 7.2
GTEX-1H1ZS-2726-SM-9WG75 70-79 years, male 7.2
GTEX-1JMLX-0626-SM-ARL8T 50-59 years, male 7.2
GTEX-13113-1626-SM-5EQ4I 60-69 years, female 7.1
GTEX-131XH-0126-SM-5LZUY 50-59 years, male 7.1
GTEX-13FTW-0326-SM-5K7UW 40-49 years, male 7.1
GTEX-13X6K-0626-SM-5LU5D 60-69 years, female 7.1
GTEX-145MG-1526-SM-5Q5EM 50-59 years, male 7.1
GTEX-15CHR-1126-SM-7EWF4 50-59 years, male 7.1
GTEX-1C6WA-2626-SM-7MKGM 60-69 years, male 7.1
GTEX-XAJ8-1426-SM-47JYM 40-49 years, male 7.1
GTEX-ZYY3-2926-SM-5GIEB 60-69 years, female 7.1
GTEX-1GMR2-0826-SM-7PC3V 50-59 years, male 7.1
GTEX-1QP29-1826-SM-DTX9S 50-59 years, male 7.1
GTEX-ZLV1-1526-SM-DO91J 60-69 years, female 7.1
GTEX-11ZTT-2126-SM-5CVLO 60-69 years, female 7.0
GTEX-13N2G-0226-SM-5K7VF 60-69 years, male 7.0
GTEX-14PKV-1126-SM-6LLJ1 20-29 years, female 7.0
GTEX-1A3MV-1826-SM-731CD 30-39 years, male 7.0
GTEX-1C2JI-1026-SM-73KY1 50-59 years, male 7.0
GTEX-ZVT2-0126-SM-5GIDQ 50-59 years, female 7.0
GTEX-1HSMP-0926-SM-A9SKX 70-79 years, male 7.0
GTEX-1IDJH-0126-SM-D3L92 70-79 years, male 7.0
GTEX-13FH7-1126-SM-5K7UG 50-59 years, female 6.9
GTEX-14BMU-1226-SM-5S2OR 20-29 years, female 6.9
GTEX-15FZZ-0526-SM-7KUGD 30-39 years, female 6.9
GTEX-1CB4E-0926-SM-7EPHT 60-69 years, male 6.9
GTEX-XOT4-0626-SM-4B66L 60-69 years, female 6.9
GTEX-1C6VR-0126-SM-7RHGB 60-69 years, male 6.9
GTEX-1CAMR-1326-SM-7PC1F 20-29 years, male 6.9
GTEX-1HGF4-0126-SM-CNPPX 60-69 years, male 6.9
GTEX-1I19N-0126-SM-CYPSF 70-79 years, male 6.9
GTEX-1IKJJ-2226-SM-CJI4C 60-69 years, male 6.9
GTEX-1QCLZ-2426-SM-EVYBW 60-69 years, female 6.9
GTEX-1QP9N-1226-SM-E76QN 30-39 years, male 6.9
GTEX-17F96-0126-SM-7EWDU 70-79 years, male 6.8
GTEX-Y3IK-1626-SM-4YCF5 50-59 years, female 6.8
GTEX-1GPI7-1826-SM-9KNU1 20-29 years, male 6.8
GTEX-1GTWX-2026-SM-9YFLM 60-69 years, male 6.8
GTEX-1H1CY-0126-SM-9YFLY 60-69 years, female 6.8
GTEX-1JKYN-0826-SM-ARU8S 30-39 years, male 6.8
GTEX-131XF-2626-SM-5EQ6K 60-69 years, male 6.7
GTEX-13OVL-0126-SM-5L3GJ 50-59 years, male 6.7
GTEX-145MN-1526-SM-5SI9T 30-39 years, male 6.7
GTEX-18D9U-0126-SM-731BM 40-49 years, male 6.7
GTEX-1AMEY-0826-SM-72D65 30-39 years, female 6.7
GTEX-1EWIQ-0326-SM-7DHMQ 70-79 years, female 6.7
GTEX-X3Y1-2026-SM-3P5YM 40-49 years, male 6.7
GTEX-ZVP2-0326-SM-57WBP 50-59 years, male 6.7
GTEX-Y8LW-1526-SM-5IFHL 50-59 years, female 6.6
GTEX-1LSVX-2526-SM-DIPEU 60-69 years, male 6.6
GTEX-1QCLY-0226-SM-EWRNH 30-39 years, male 6.6
GTEX-117YX-1926-SM-5GIEC 50-59 years, male 6.5
GTEX-1399U-1126-SM-5L3DB 50-59 years, female 6.5
GTEX-1EH9U-2826-SM-7DUGT 60-69 years, male 6.5
GTEX-YB5K-2026-SM-4VDT3 40-49 years, female 6.5
GTEX-ZDYS-2426-SM-4WKGI 50-59 years, male 6.5
GTEX-1H4P4-2126-SM-9WYSL 50-59 years, male 6.5
GTEX-1HFI7-2326-SM-CGQFS 50-59 years, female 6.5
GTEX-1KANA-1326-SM-DIPFA 20-29 years, male 6.5
GTEX-11DXY-0126-SM-5H11Q 60-69 years, male 6.4
GTEX-12WSJ-1126-SM-5LZVJ 40-49 years, female 6.4
GTEX-15CHQ-0326-SM-69LQD 60-69 years, male 6.4
GTEX-17HHE-1326-SM-7EWDZ 50-59 years, male 6.4
GTEX-1GN1U-0626-SM-9MQL9 50-59 years, female 6.4
GTEX-1J8QM-2426-SM-A9SLS 60-69 years, female 6.4
GTEX-1PDJ9-1226-SM-EXUSX 20-29 years, male 6.4
GTEX-1313W-0626-SM-5EQ4H 50-59 years, female 6.3
GTEX-1399S-0126-SM-5IJCF 30-39 years, female 6.3
GTEX-WYVS-1626-SM-3NM9R 40-49 years, female 6.3
GTEX-XYKS-1426-SM-4BRUO 60-69 years, female 6.3
GTEX-1I1GT-1026-SM-ARZLV 60-69 years, female 6.3
GTEX-1K2DA-1026-SM-CGQGF 50-59 years, male 6.3
GTEX-111CU-1126-SM-5EGIM 50-59 years, male 6.2
GTEX-12696-0126-SM-5EQ4L 60-69 years, male 6.2
GTEX-1399R-1326-SM-5PNYS 30-39 years, male 6.2
GTEX-139TT-2126-SM-5LZWC 60-69 years, male 6.2
GTEX-17HII-1426-SM-7EPGG 50-59 years, male 6.2
GTEX-1LGOU-1326-SM-D3L8M 20-29 years, female 6.2
GTEX-1LSNM-0826-SM-DIPG8 50-59 years, male 6.2
GTEX-1MCC2-1826-SM-DIPEX 30-39 years, female 6.2
GTEX-13OW7-0426-SM-5K7VK 50-59 years, male 6.1
GTEX-14C39-1726-SM-5RQIL 40-49 years, male 6.1
GTEX-WFG8-2126-SM-3GIKQ 20-29 years, male 6.1
GTEX-X585-2426-SM-46MW2 50-59 years, male 6.1
GTEX-Y111-0626-SM-4SOIT 50-59 years, male 6.1
GTEX-Y114-2126-SM-4TT8B 50-59 years, female 6.1
GTEX-ZE7O-2726-SM-51MT5 50-59 years, female 6.1
GTEX-ZVZP-1226-SM-5GID7 50-59 years, male 6.1
GTEX-1RAZQ-1326-SM-E9TK6 30-39 years, male 6.1
GTEX-15CHC-1126-SM-6LLHQ 60-69 years, female 6.0
GTEX-1B996-0426-SM-7EWF8 60-69 years, male 6.0
GTEX-11P82-1426-SM-DTXFY 20-29 years, male 6.0
GTEX-1MJK3-0726-SM-E6CJC 20-29 years, male 6.0
GTEX-11DXZ-2026-SM-5987S 50-59 years, male 5.9
GTEX-12ZZZ-0726-SM-5GCNZ 60-69 years, male 5.9
GTEX-14DAQ-0626-SM-793DS 60-69 years, female 5.9
GTEX-ZYFG-1526-SM-5GZYM 60-69 years, female 5.9
GTEX-13QJC-0126-SM-5ZZWJ 60-69 years, female 5.8
GTEX-ZZPU-0826-SM-5GZX5 50-59 years, female 5.8
GTEX-1MCYP-0526-SM-E9U6Q 20-29 years, female 5.8
GTEX-13VXT-1926-SM-5K7UO 20-29 years, female 5.7
GTEX-1122O-1026-SM-9WYSF 60-69 years, female 5.7
GTEX-1ICG6-1226-SM-A9SLN 70-79 years, female 5.7
GTEX-ZF3C-0626-SM-DO92O 50-59 years, female 5.7
GTEX-13O3Q-0126-SM-5KM34 50-59 years, male 5.6
GTEX-WEY5-2326-SM-3GIKK 40-49 years, female 5.6
GTEX-ZVTK-0226-SM-51MRG 20-29 years, male 5.6
GTEX-1CB4I-0126-SM-7RHGG 50-59 years, male 5.6
GTEX-139TS-2126-SM-5K7XC 60-69 years, male 5.5
GTEX-15DYW-2726-SM-6EU2I 60-69 years, female 5.5
GTEX-XUW1-0926-SM-4BONX 50-59 years, female 5.5
GTEX-1I4MK-0126-SM-CY8G6 50-59 years, female 5.5
GTEX-13OVG-1626-SM-5J1NF 60-69 years, male 5.4
GTEX-14DAR-1226-SM-73KYV 50-59 years, male 5.4
GTEX-XBEW-1126-SM-4QARW 40-49 years, male 5.4
GTEX-ZLWG-0826-SM-59888 50-59 years, female 5.4
GTEX-1C475-1326-SM-7SB73 40-49 years, female 5.2
GTEX-1S82U-1026-SM-E6CJK 30-39 years, female 5.2
GTEX-1B97I-0626-SM-73KUZ 40-49 years, male 5.1
GTEX-ZTSS-1426-SM-5985P 40-49 years, male 5.1
GTEX-1I1GV-0626-SM-ARL7M 60-69 years, male 5.1
GTEX-ZP4G-1426-SM-4WWCL 20-29 years, female 5.0
GTEX-ZGAY-1826-SM-DO91Q 40-49 years, female 5.0
GTEX-ZPIC-0526-SM-DO91W 40-49 years, female 4.9
GTEX-Y3I4-1726-SM-4TT89 50-59 years, male 4.8
GTEX-1LG7Z-1626-SM-CXKYR 30-39 years, male 4.6
Show allShow less
Skin - Sun Exposed (Lower leg)
Average nTPM: 9.0
Samples: 701

Max nTPM: 21.0
Min nTPM: 2.0
Std nTPM: 2.4
Median nTPM: 8.6
GTEX-183WM-0126-SM-7LTAB 70-79 years, female 21.0
GTEX-POMQ-2226-SM-2I5FK 20-29 years, female 20.8
GTEX-1A3MW-0126-SM-73KXX 60-69 years, female 19.5
GTEX-1JMQL-0226-SM-CNPP5 50-59 years, female 19.5
GTEX-11WQK-0526-SM-5EQLD 50-59 years, male 19.2
GTEX-15EOM-0126-SM-7KUGG 20-29 years, female 18.7
GTEX-1ICLZ-0126-SM-CKZPO 60-69 years, male 18.7
GTEX-1R9K4-0126-SM-DTX9X 60-69 years, male 16.9
GTEX-QESD-1426-SM-2S1R9 20-29 years, male 16.6
GTEX-13NYS-0126-SM-5MR3W 60-69 years, male 16.1
GTEX-ZF3C-0126-SM-DO92D 50-59 years, female 15.7
GTEX-14E6C-0126-SM-5RQIP 40-49 years, male 15.5
GTEX-11O72-0126-SM-59887 40-49 years, male 15.2
GTEX-QDVN-2026-SM-3GAEP 50-59 years, male 15.2
GTEX-U8XE-0326-SM-3DB8P 30-39 years, male 15.2
GTEX-WI4N-1026-SM-3LK7N 40-49 years, female 14.9
GTEX-145LU-0126-SM-5TDCB 50-59 years, male 14.5
GTEX-17JCI-0126-SM-7LG5G 60-69 years, female 14.5
GTEX-15G19-0126-SM-6PANQ 60-69 years, male 14.3
GTEX-RUSQ-1526-SM-2TF62 50-59 years, male 14.3
GTEX-1GZ2Q-0226-SM-7P8TL 40-49 years, male 14.3
GTEX-1HCU7-0226-SM-CL545 50-59 years, male 14.2
GTEX-1192W-2626-SM-5Q5AF 60-69 years, male 14.1
GTEX-1HUB1-0426-SM-E9U4U 60-69 years, male 14.1
GTEX-1N2EF-0226-SM-EYYXB 60-69 years, male 14.1
GTEX-1PWST-0226-SM-E76QJ 70-79 years, male 14.1
GTEX-1R9PM-2026-SM-E76OY 20-29 years, male 14.1
GTEX-13O1R-0126-SM-5L3EH 60-69 years, male 14.0
GTEX-13NYC-0326-SM-E9J4S 60-69 years, male 13.9
GTEX-15UF6-0826-SM-6PALJ 70-79 years, female 13.8
GTEX-12ZZX-0126-SM-5EGK9 40-49 years, female 13.7
GTEX-14E6E-1826-SM-5S2R7 30-39 years, male 13.7
GTEX-ZZPT-0226-SM-5E43X 50-59 years, male 13.7
GTEX-1H3VE-0326-SM-9YFLH 40-49 years, male 13.7
GTEX-YJ8A-0426-SM-5IFID 20-29 years, male 13.6
GTEX-1HB9E-0226-SM-E9U4R 50-59 years, male 13.6
GTEX-1F52S-0126-SM-9MQJU 60-69 years, female 13.4
GTEX-1H23P-0126-SM-ADEJ3 60-69 years, male 13.4
GTEX-1KAFJ-2026-SM-CY8ID 50-59 years, male 13.3
GTEX-183FY-0126-SM-7LT9P 20-29 years, male 13.2
GTEX-11TUW-2726-SM-E9J4M 60-69 years, male 13.2
GTEX-1ICLY-0126-SM-D4P36 50-59 years, male 13.1
GTEX-1JMQK-0226-SM-CL543 60-69 years, male 13.1
GTEX-ZTPG-0326-SM-5O9AX 20-29 years, female 13.0
GTEX-1N2DW-0226-SM-E9TK2 50-59 years, male 13.0
GTEX-ZAJG-0126-SM-5HL94 50-59 years, female 12.9
GTEX-1MJK2-0426-SM-DTXE5 50-59 years, male 12.9
GTEX-13O3P-0126-SM-5KM4S 50-59 years, male 12.8
GTEX-P44H-0226-SM-2XCEU 40-49 years, male 12.8
GTEX-1RLM8-2326-SM-EWRN4 50-59 years, male 12.8
GTEX-17EUY-0426-SM-793BD 20-29 years, male 12.7
GTEX-Q734-1926-SM-2I5EV 40-49 years, female 12.7
GTEX-1LBAC-0126-SM-DIPEZ 20-29 years, male 12.7
GTEX-14ABY-0226-SM-5TDCQ 50-59 years, male 12.6
GTEX-OOBK-0126-SM-2YUND 40-49 years, male 12.6
GTEX-146FR-1326-SM-E9J48 60-69 years, female 12.6
GTEX-1KANA-0726-SM-D3L9I 20-29 years, male 12.5
GTEX-18A67-0126-SM-7LG5P 50-59 years, male 12.4
GTEX-1BAJH-0526-SM-793CQ 70-79 years, male 12.4
GTEX-ZYFD-0126-SM-5GIDL 50-59 years, male 12.4
GTEX-1EX96-1626-SM-7PBXR 50-59 years, male 12.3
GTEX-1F88F-2726-SM-7PBZZ 60-69 years, female 12.3
GTEX-1MA7W-2026-SM-E9TJ6 20-29 years, female 12.3
GTEX-1QMI2-0226-SM-EVYBX 60-69 years, male 12.3
GTEX-14A5I-0126-SM-5TDEA 50-59 years, female 12.2
GTEX-14BIM-0226-SM-7IGLD 60-69 years, female 12.2
GTEX-11DZ1-0126-SM-5985Q 50-59 years, male 12.1
GTEX-1AYD5-2426-SM-73KXR 50-59 years, male 12.1
GTEX-13FHO-0226-SM-5IFGY 60-69 years, male 12.0
GTEX-14BIN-0626-SM-793DP 50-59 years, female 12.0
GTEX-16XZY-2126-SM-79OK1 70-79 years, male 12.0
GTEX-SJXC-0126-SM-2XCFF 60-69 years, male 12.0
GTEX-1F6IF-0726-SM-7P8TW 60-69 years, male 12.0
GTEX-1LSNM-1926-SM-E6CII 50-59 years, male 12.0
GTEX-144GN-2326-SM-5LU4F 50-59 years, male 11.9
GTEX-1C64N-0126-SM-793D7 50-59 years, male 11.9
GTEX-11TT1-2526-SM-5EGIB 20-29 years, male 11.8
GTEX-X8HC-0126-SM-4E3JW 50-59 years, female 11.8
GTEX-YEC4-2126-SM-5IFJH 40-49 years, male 11.7
GTEX-1GMR3-1926-SM-9KNUZ 40-49 years, male 11.7
GTEX-1NV5F-0226-SM-E8VNY 60-69 years, female 11.7
GTEX-13FHP-0126-SM-5IJBG 50-59 years, male 11.6
GTEX-15UKP-0426-SM-7KUFQ 20-29 years, male 11.6
GTEX-144FL-0126-SM-5TDC8 50-59 years, male 11.5
GTEX-14ICK-0226-SM-6EU25 40-49 years, male 11.5
GTEX-X88G-0126-SM-47JZ3 30-39 years, male 11.5
GTEX-ZY6K-1826-SM-5GZXK 50-59 years, male 11.5
GTEX-1GF9X-2026-SM-7PC3A 40-49 years, female 11.5
GTEX-1K9T9-0126-SM-EVYCF 50-59 years, female 11.5
GTEX-12WSA-0226-SM-5BC5V 60-69 years, male 11.4
GTEX-14XAO-2326-SM-6EU1B 60-69 years, female 11.4
GTEX-1B8SF-1426-SM-7DUGL 60-69 years, male 11.4
GTEX-ZWKS-0126-SM-5SIAA 30-39 years, male 11.4
GTEX-1F5PK-2426-SM-7RHHY 50-59 years, male 11.4
GTEX-1M5QR-1226-SM-EWROB 40-49 years, male 11.4
GTEX-1RAZQ-0726-SM-EAZ43 30-39 years, male 11.4
GTEX-Q2AH-1626-SM-3GAF8 40-49 years, male 11.3
GTEX-1GL5R-1826-SM-9KNUY 50-59 years, male 11.3
GTEX-1L5NE-2526-SM-E6CIE 50-59 years, male 11.3
GTEX-139T8-0126-SM-5K7XZ 60-69 years, male 11.2
GTEX-1CB4F-0426-SM-9KNV4 60-69 years, male 11.2
GTEX-1LC47-0326-SM-E9TJP 60-69 years, male 11.2
GTEX-18D9U-0226-SM-718BP 40-49 years, male 11.1
GTEX-1AX8Z-0126-SM-7DHM6 60-69 years, male 11.1
GTEX-1LNCM-1126-SM-E9U5E 50-59 years, female 11.1
GTEX-13G51-2526-SM-5LZYK 60-69 years, male 11.0
GTEX-14JG1-0426-SM-6ETZZ 40-49 years, male 11.0
GTEX-14PHW-0126-SM-6LLJI 60-69 years, female 11.0
GTEX-18QFQ-0126-SM-731BE 30-39 years, male 11.0
GTEX-NFK9-0226-SM-2HMKQ 40-49 years, male 11.0
GTEX-1O97I-0326-SM-EYYX7 60-69 years, male 11.0
GTEX-12WSN-5019-SM-79OM6 40-49 years, male 10.9
GTEX-14JG6-2226-SM-6EU2G 30-39 years, female 10.9
GTEX-1H3VY-0126-SM-ACKXD 50-59 years, male 10.9
GTEX-1I6K6-0126-SM-A9SLE 30-39 years, male 10.9
GTEX-1MA7X-2226-SM-E6CIY 60-69 years, male 10.9
GTEX-ZU9S-0226-SM-5E441 30-39 years, male 10.8
GTEX-13OW5-0126-SM-DTXFS 60-69 years, male 10.8
GTEX-1J8QM-2126-SM-CYPSJ 60-69 years, female 10.8
GTEX-1JJEA-0326-SM-CNPOT 60-69 years, male 10.8
GTEX-1KD4Q-0226-SM-E9TJ9 40-49 years, male 10.8
GTEX-1LGRB-2526-SM-CNPPQ 50-59 years, female 10.8
GTEX-15SDE-2226-SM-7IGLO 50-59 years, female 10.7
GTEX-PX3G-0126-SM-2I3EN 20-29 years, female 10.7
GTEX-1GMR8-0126-SM-9WYTM 50-59 years, female 10.7
GTEX-1H11D-0226-SM-9WG6Z 40-49 years, male 10.7
GTEX-1HT8W-0126-SM-CNPPP 30-39 years, male 10.7
GTEX-1IE54-0126-SM-CMKHW 40-49 years, female 10.7
GTEX-1IL2U-0226-SM-CE6T8 60-69 years, male 10.7
GTEX-13NZB-2526-SM-5J1OM 30-39 years, male 10.6
GTEX-145LT-1726-SM-5QGP3 40-49 years, male 10.6
GTEX-XBEW-0626-SM-4QASP 40-49 years, male 10.6
GTEX-1HCU8-0626-SM-A9SM9 60-69 years, female 10.6
GTEX-1I1GR-0126-SM-CL55F 60-69 years, male 10.6
GTEX-1JMPZ-0226-SM-CNPP1 30-39 years, male 10.6
GTEX-111FC-0126-SM-5N9DL 60-69 years, male 10.5
GTEX-146FH-0126-SM-5QGPP 50-59 years, female 10.5
GTEX-14A5H-0426-SM-5QGQF 60-69 years, male 10.5
GTEX-PWO3-1526-SM-48TCM 60-69 years, female 10.5
GTEX-W5X1-3026-SM-EAZAX 40-49 years, female 10.5
GTEX-12584-0126-SM-5EGKQ 40-49 years, male 10.4
GTEX-1C6VR-2426-SM-79OLD 60-69 years, male 10.4
GTEX-T5JC-0426-SM-32PLO 20-29 years, male 10.4
GTEX-WOFL-0126-SM-3MJG2 60-69 years, male 10.4
GTEX-1C6VQ-0126-SM-7P8RI 50-59 years, male 10.4
GTEX-1F48J-0126-SM-7P8TT 50-59 years, female 10.4
GTEX-1GF9V-0326-SM-7RHI5 60-69 years, male 10.4
GTEX-1H3NZ-0126-SM-ACKX7 60-69 years, male 10.4
GTEX-1MUQO-0126-SM-EAZ58 60-69 years, male 10.4
GTEX-1S82Z-0826-SM-E6CHY 30-39 years, female 10.4
GTEX-11NSD-2226-SM-5986V 20-29 years, male 10.3
GTEX-14PN4-0126-SM-6EU2V 50-59 years, male 10.3
GTEX-17F96-1626-SM-7DUFL 70-79 years, male 10.3
GTEX-1AX9K-2326-SM-73KWU 50-59 years, male 10.3
GTEX-NPJ8-0126-SM-2YUNR 40-49 years, male 10.3
GTEX-X4XY-0226-SM-4E3IZ 60-69 years, male 10.3
GTEX-1HBPI-1526-SM-C1YQ1 50-59 years, male 10.3
GTEX-1KANB-0526-SM-E6CJH 50-59 years, male 10.3
GTEX-1QAET-0926-SM-E76QM 50-59 years, male 10.3
GTEX-1R7EU-0226-SM-EVR4G 60-69 years, male 10.3
GTEX-13OW6-0426-SM-5L3HM 50-59 years, male 10.2
GTEX-16AAH-1726-SM-7939C 50-59 years, male 10.2
GTEX-18D9B-0526-SM-7LTAS 60-69 years, male 10.2
GTEX-1C475-1826-SM-73KWA 40-49 years, female 10.2
GTEX-WFON-2126-SM-3LK7O 40-49 years, male 10.2
GTEX-XAJ8-0826-SM-47JY6 40-49 years, male 10.2
GTEX-1CAMS-0426-SM-7P8T2 40-49 years, female 10.2
GTEX-1GN1W-0526-SM-9MQJQ 50-59 years, female 10.2
GTEX-1IDJU-2626-SM-CM2RT 60-69 years, female 10.2
GTEX-11UD2-0226-SM-5EQKY 50-59 years, male 10.1
GTEX-11WQC-2526-SM-5CVLE 60-69 years, male 10.1
GTEX-13W46-0226-SM-5SIAG 50-59 years, male 10.1
GTEX-1497J-2426-SM-7IGNX 60-69 years, male 10.1
GTEX-QDVJ-1726-SM-2I5FX 50-59 years, male 10.1
GTEX-R3RS-0126-SM-3GIJL 40-49 years, female 10.1
GTEX-ZC5H-0226-SM-4WAY9 40-49 years, female 10.1
GTEX-ZTX8-1426-SM-5DUVO 20-29 years, male 10.1
GTEX-1CB4H-0226-SM-7PBXM 60-69 years, female 10.1
GTEX-1HFI6-0226-SM-ADEHZ 40-49 years, male 10.1
GTEX-1JJ6O-0126-SM-E6CI8 60-69 years, male 10.1
GTEX-1JMOU-1526-SM-CL54I 60-69 years, female 10.1
GTEX-1K2DA-1826-SM-CGQGT 50-59 years, male 10.1
GTEX-1PBJI-0526-SM-E8VNK 20-29 years, female 10.1
GTEX-1QEPI-0126-SM-EWRMQ 60-69 years, female 10.1
GTEX-12WSC-0126-SM-5EQ4P 50-59 years, male 10.0
GTEX-15DDE-0126-SM-6LPKH 50-59 years, female 10.0
GTEX-XXEK-2226-SM-4BRUM 50-59 years, male 10.0
GTEX-1HSGN-0226-SM-CGQFV 40-49 years, female 10.0
GTEX-1HSKV-0226-SM-A9SKJ 60-69 years, male 10.0
GTEX-1JJE9-0326-SM-CL53Z 70-79 years, male 10.0
GTEX-11DYG-0126-SM-59883 60-69 years, male 9.9
GTEX-15SHU-0126-SM-7KUEH 40-49 years, female 9.9
GTEX-16NPX-0226-SM-79OMT 50-59 years, male 9.9
GTEX-1B8SG-0126-SM-73KZ3 50-59 years, male 9.9
GTEX-OIZH-0126-SM-2HMIS 50-59 years, male 9.9
GTEX-T2YK-0526-SM-32QPJ 50-59 years, male 9.9
GTEX-ZAB4-0226-SM-5N9F5 40-49 years, male 9.9
GTEX-1C6WA-0126-SM-7PC2B 60-69 years, male 9.9
GTEX-1H1E6-1726-SM-ACKVK 30-39 years, male 9.9
GTEX-1H2FU-0126-SM-9WYSI 60-69 years, female 9.9
GTEX-1HCUA-2426-SM-ADEIS 50-59 years, female 9.9
GTEX-1J1R8-1726-SM-ARL8M 40-49 years, male 9.9
GTEX-1JKYR-0126-SM-CNPOJ 20-29 years, male 9.9
GTEX-1R9PO-2126-SM-E9J4O 60-69 years, female 9.9
GTEX-11P81-2326-SM-59875 30-39 years, female 9.8
GTEX-131XG-2626-SM-5KM17 50-59 years, female 9.8
GTEX-1399T-2826-SM-5KLYZ 60-69 years, male 9.8
GTEX-13FTW-2626-SM-5K7WL 40-49 years, male 9.8
GTEX-13OVJ-0126-SM-5KM36 50-59 years, female 9.8
GTEX-S32W-2126-SM-2XCB1 50-59 years, female 9.8
GTEX-SNMC-1226-SM-2XCFP 20-29 years, male 9.8
GTEX-Y3IK-2426-SM-4WWDU 50-59 years, female 9.8
GTEX-1HR98-0126-SM-B2LWI 60-69 years, male 9.8
GTEX-1I4MK-2226-SM-ACKWD 50-59 years, female 9.8
GTEX-1JN1M-0326-SM-CYPT3 60-69 years, female 9.8
GTEX-12WSL-2526-SM-5GCNJ 50-59 years, male 9.7
GTEX-13SLX-0526-SM-5S2ON 50-59 years, female 9.7
GTEX-15EU6-0426-SM-6PAN5 50-59 years, male 9.7
GTEX-T8EM-1026-SM-3DB7M 40-49 years, male 9.7
GTEX-VJYA-1126-SM-3GIJU 60-69 years, male 9.7
GTEX-ZVT2-2526-SM-51MT1 50-59 years, female 9.7
GTEX-1HBPM-0226-SM-ARL9F 60-69 years, female 9.7
GTEX-13CF2-2526-SM-5LZYX 60-69 years, male 9.6
GTEX-13OVK-2026-SM-7KUEO 40-49 years, male 9.6
GTEX-13PDP-0126-SM-5L3HD 60-69 years, male 9.6
GTEX-13X6I-0626-SM-5QGP9 60-69 years, male 9.6
GTEX-14PII-0226-SM-6EU1T 60-69 years, male 9.6
GTEX-17MFQ-1726-SM-793C7 20-29 years, male 9.6
GTEX-18A7A-0226-SM-718BH 50-59 years, female 9.6
GTEX-OHPL-0126-SM-2HMJ7 60-69 years, female 9.6
GTEX-YJ89-0126-SM-4TT3X 60-69 years, male 9.6
GTEX-12WSG-2826-SM-E9J4H 50-59 years, female 9.6
GTEX-1EN7A-0126-SM-7SB81 40-49 years, male 9.6
GTEX-1H1DG-0126-SM-9WYU2 70-79 years, male 9.6
GTEX-1LB8K-0226-SM-EWRNW 50-59 years, male 9.6
GTEX-131XW-0426-SM-5LZWP 50-59 years, female 9.5
GTEX-VJWN-0126-SM-3GIK7 50-59 years, female 9.5
GTEX-1HSMQ-1226-SM-CGQFX 50-59 years, male 9.5
GTEX-1I19N-0326-SM-ACKVX 70-79 years, male 9.5
GTEX-113JC-2326-SM-5EQ4E 50-59 years, female 9.4
GTEX-11EQ9-2426-SM-5HL5T 30-39 years, male 9.4
GTEX-1269C-2526-SM-5EGJ3 60-69 years, female 9.4
GTEX-1A3MX-0126-SM-731BR 60-69 years, male 9.4
GTEX-OXRN-0126-SM-48TDM 50-59 years, male 9.4
GTEX-SIU8-0126-SM-2XCDT 50-59 years, male 9.4
GTEX-UJHI-1526-SM-3DB99 50-59 years, female 9.4
GTEX-X261-0126-SM-3NMD6 50-59 years, male 9.4
GTEX-ZF2S-2326-SM-4WWCE 50-59 years, female 9.4
GTEX-ZVE2-0226-SM-59HJB 50-59 years, male 9.4
GTEX-ZXES-1826-SM-5E43S 30-39 years, female 9.4
GTEX-1HFI7-1826-SM-ACKXH 50-59 years, female 9.4
GTEX-1J1OQ-0226-SM-CYPSH 40-49 years, female 9.4
GTEX-139D8-0226-SM-5KLZO 30-39 years, female 9.3
GTEX-145ME-1826-SM-5SI9G 40-49 years, female 9.3
GTEX-17F97-0326-SM-7LG5B 50-59 years, male 9.3
GTEX-O5YT-0126-SM-48TBW 20-29 years, male 9.3
GTEX-OXRK-0226-SM-3NB2G 50-59 years, female 9.3
GTEX-U4B1-1826-SM-4DXSU 40-49 years, male 9.3
GTEX-WFG8-2226-SM-3GIL9 20-29 years, male 9.3
GTEX-ZVZO-0126-SM-5A5L9 40-49 years, male 9.3
GTEX-ZYT6-0226-SM-5NQ6T 30-39 years, male 9.3
GTEX-1EMGI-0126-SM-9KNUE 60-69 years, male 9.3
GTEX-1EWIQ-0126-SM-7RHH2 70-79 years, female 9.3
GTEX-1HCU9-1526-SM-A9SL7 20-29 years, male 9.3
GTEX-1I1CD-0126-SM-CM2TK 60-69 years, female 9.3
GTEX-1IL2V-0126-SM-CM2TX 70-79 years, male 9.3
GTEX-1PDJ9-0326-SM-DTX95 20-29 years, male 9.3
GTEX-PSDG-0226-SM-DKPOZ 50-59 years, male 9.3
GTEX-11OC5-0126-SM-5HL6A 60-69 years, male 9.2
GTEX-12ZZZ-0626-SM-5DUXI 60-69 years, male 9.2
GTEX-131XE-2326-SM-5PNZ2 50-59 years, male 9.2
GTEX-139TU-0126-SM-5K7WH 60-69 years, male 9.2
GTEX-14753-0426-SM-5NQAM 60-69 years, male 9.2
GTEX-OIZG-0726-SM-33HBL 50-59 years, male 9.2
GTEX-WRHK-1426-SM-3MJF9 20-29 years, female 9.2
GTEX-ZE9C-2726-SM-57WB5 60-69 years, male 9.2
GTEX-1F75B-0126-SM-9KNVL 50-59 years, male 9.2
GTEX-1GPI6-0126-SM-9WG69 60-69 years, male 9.2
GTEX-ZQG8-1626-SM-DHXIT 60-69 years, female 9.2
GTEX-1314G-1526-SM-5EGK2 30-39 years, male 9.1
GTEX-1399R-2726-SM-5IJBA 30-39 years, male 9.1
GTEX-13N1W-0126-SM-5K7VT 70-79 years, male 9.1
GTEX-13YAN-0326-SM-5O9DF 60-69 years, male 9.1
GTEX-14C5O-0126-SM-5SI6N 60-69 years, male 9.1
GTEX-16YQH-0126-SM-7DUFJ 30-39 years, male 9.1
GTEX-1AX9J-0226-SM-73KXM 60-69 years, male 9.1
GTEX-Q2AI-1326-SM-2S1PL 40-49 years, male 9.1
GTEX-RWS6-2026-SM-2XCB5 60-69 years, female 9.1
GTEX-1EKGG-0226-SM-9WYTH 60-69 years, male 9.1
GTEX-1GZ4H-1726-SM-7PBZJ 50-59 years, female 9.1
GTEX-1JK1U-2026-SM-CM2RZ 60-69 years, male 9.1
GTEX-1PIIG-0226-SM-EWRN6 30-39 years, male 9.1
GTEX-1PPH8-0226-SM-E8VND 20-29 years, male 9.1
GTEX-13D11-2426-SM-5KM1V 50-59 years, female 9.0
GTEX-13JUV-2726-SM-5LZZ8 40-49 years, female 9.0
GTEX-14PHX-2326-SM-62LEM 50-59 years, male 9.0
GTEX-15F5U-1526-SM-6PANO 40-49 years, male 9.0
GTEX-1C2JI-1826-SM-73KXC 50-59 years, male 9.0
GTEX-QCQG-1726-SM-3GIJ9 50-59 years, female 9.0
GTEX-RN64-0126-SM-2TC68 50-59 years, male 9.0
GTEX-Z93S-0126-SM-5HL7M 50-59 years, male 9.0
GTEX-ZAK1-0126-SM-5IJD3 50-59 years, female 9.0
GTEX-1GN1V-0126-SM-9WPOS 60-69 years, male 9.0
GTEX-1IDJF-0126-SM-CM2RS 20-29 years, male 9.0
GTEX-1QP9N-1426-SM-DTXFL 30-39 years, male 9.0
GTEX-13OVL-0226-SM-5L3E9 50-59 years, male 8.9
GTEX-15DYW-0126-SM-7KULE 60-69 years, female 8.9
GTEX-18465-0126-SM-731BN 50-59 years, male 8.9
GTEX-18A66-0226-SM-718BD 60-69 years, male 8.9
GTEX-1A3MV-1926-SM-718BT 30-39 years, male 8.9
GTEX-XUYS-0126-SM-47JWZ 50-59 years, male 8.9
GTEX-Z93T-0126-SM-5HL5N 50-59 years, male 8.9
GTEX-1A8FM-0226-SM-7SB7Q 50-59 years, female 8.9
GTEX-1GF9U-2126-SM-7SB7L 40-49 years, female 8.9
GTEX-1GF9W-0326-SM-9KNUN 60-69 years, male 8.9
GTEX-1HSEH-0126-SM-ACKXN 60-69 years, male 8.9
GTEX-1I1GU-2226-SM-CGQFA 40-49 years, male 8.9
GTEX-1IDFM-0126-SM-COH2V 60-69 years, male 8.9
GTEX-13111-1626-SM-5EGJY 50-59 years, male 8.8
GTEX-13X6J-0126-SM-5QGOU 50-59 years, male 8.8
GTEX-14LLW-0126-SM-6LLIO 70-79 years, female 8.8
GTEX-QV44-1926-SM-2S1RF 50-59 years, male 8.8
GTEX-V1D1-2226-SM-3NMAX 50-59 years, male 8.8
GTEX-WH7G-2326-SM-3NMBC 40-49 years, male 8.8
GTEX-Y5V6-2426-SM-4VDSB 60-69 years, male 8.8
GTEX-1GN2E-0426-SM-9MQKX 60-69 years, male 8.8
GTEX-1H3O1-0426-SM-9YFKY 60-69 years, male 8.8
GTEX-1I1GS-0126-SM-B2LVW 60-69 years, male 8.8
GTEX-1IGQW-0126-SM-COH42 60-69 years, male 8.8
GTEX-1KD5A-0226-SM-D5OV3 50-59 years, male 8.8
GTEX-12ZZY-0226-SM-5LZVE 60-69 years, male 8.7
GTEX-139TT-0126-SM-5K7Y5 60-69 years, male 8.7
GTEX-13RTL-0126-SM-7LG5S 40-49 years, male 8.7
GTEX-17F98-0626-SM-79OMX 40-49 years, female 8.7
GTEX-PLZ5-2026-SM-2S1O4 50-59 years, male 8.7
GTEX-TKQ1-1026-SM-4GICL 30-39 years, male 8.7
GTEX-X4EP-0126-SM-3P5YV 60-69 years, female 8.7
GTEX-YB5E-2026-SM-5IFIS 40-49 years, male 8.7
GTEX-ZEX8-2426-SM-4WKG4 50-59 years, male 8.7
GTEX-131XF-5016-SM-7MGWE 60-69 years, male 8.7
GTEX-1GN1U-0126-SM-7PBZK 50-59 years, female 8.7
GTEX-1HSMO-0126-SM-CL547 60-69 years, male 8.7
GTEX-1IDJH-0326-SM-A9SLQ 70-79 years, male 8.7
GTEX-1JN6P-0126-SM-D3L98 60-69 years, male 8.7
GTEX-1S82Y-2026-SM-EVYCM 40-49 years, male 8.7
GTEX-13VXU-0126-SM-5SI9F 50-59 years, male 8.6
GTEX-147F3-0526-SM-5SI98 50-59 years, female 8.6
GTEX-14PK6-1926-SM-6ETZU 70-79 years, female 8.6
GTEX-15SHW-0326-SM-6PAML 60-69 years, male 8.6
GTEX-1B8KE-2126-SM-73KYX 50-59 years, male 8.6
GTEX-QLQW-1126-SM-2S1Q8 30-39 years, male 8.6
GTEX-WVJS-0126-SM-4MVOT 50-59 years, male 8.6
GTEX-X62O-0126-SM-4E3JN 50-59 years, male 8.6
GTEX-ZYW4-0126-SM-5E44A 60-69 years, male 8.6
GTEX-1OJC3-0126-SM-E76QX 20-29 years, male 8.6
GTEX-1QCLY-0326-SM-E8VOG 30-39 years, male 8.6
GTEX-1QP2A-0126-SM-E9J43 50-59 years, male 8.6
GTEX-1RDX4-0126-SM-E9J4P 50-59 years, female 8.6
GTEX-1S83E-0126-SM-EWRO4 40-49 years, male 8.6
GTEX-OIZF-0126-SM-7SB8I 60-69 years, male 8.6
GTEX-1192X-0226-SM-5H12D 50-59 years, male 8.5
GTEX-11NUK-0126-SM-5A5L3 50-59 years, male 8.5
GTEX-11VI4-1726-SM-5CVLH 40-49 years, female 8.5
GTEX-13FXS-0226-SM-5IJCK 50-59 years, male 8.5
GTEX-13N11-2526-SM-5K7UE 50-59 years, female 8.5
GTEX-13NZ8-0826-SM-5MR3I 60-69 years, female 8.5
GTEX-145MI-0526-SM-5O9A8 60-69 years, female 8.5
GTEX-14PN3-2426-SM-6LLHS 60-69 years, female 8.5
GTEX-17EVQ-0226-SM-7LG4P 70-79 years, male 8.5
GTEX-17HHY-0126-SM-7LG5D 50-59 years, male 8.5
GTEX-1B97I-1626-SM-73KYO 40-49 years, male 8.5
GTEX-1C4CL-0526-SM-73KVK 30-39 years, male 8.5
GTEX-OHPM-0126-SM-2YUN9 50-59 years, male 8.5
GTEX-VUSG-2526-SM-4KL1V 50-59 years, male 8.5
GTEX-WQUQ-0426-SM-3MJFU 60-69 years, male 8.5
GTEX-Y8DK-0126-SM-4TT3L 60-69 years, male 8.5
GTEX-ZDYS-2026-SM-5HL5L 50-59 years, male 8.5
GTEX-ZE7O-0126-SM-57WC1 50-59 years, female 8.5
GTEX-1B8L1-2526-SM-9WYTF 60-69 years, male 8.5
GTEX-1EU9M-0226-SM-7P8SP 60-69 years, male 8.5
GTEX-1HBPH-0426-SM-B2LW5 40-49 years, female 8.5
GTEX-1J8JJ-0226-SM-CL53I 60-69 years, female 8.5
GTEX-1LVAN-0226-SM-COH3S 50-59 years, female 8.5
GTEX-1M4P7-0226-SM-DIPEV 60-69 years, male 8.5
GTEX-1PIGE-0126-SM-EVYBJ 20-29 years, male 8.5
GTEX-1QW4Y-1526-SM-EAZ3Z 30-39 years, male 8.5
GTEX-1RAZA-0126-SM-E6CI3 20-29 years, male 8.5
GTEX-11EI6-0126-SM-5985R 60-69 years, male 8.4
GTEX-13112-2826-SM-5DUWH 50-59 years, male 8.4
GTEX-13FTX-1826-SM-5J1NX 20-29 years, female 8.4
GTEX-13OVI-1426-SM-5L3EY 60-69 years, female 8.4
GTEX-148VJ-0126-SM-5TDDN 70-79 years, male 8.4
GTEX-15DCD-0126-SM-7KUEK 70-79 years, female 8.4
GTEX-16MT8-0426-SM-7KUEY 60-69 years, female 8.4
GTEX-1A32A-0126-SM-718B1 50-59 years, female 8.4
GTEX-XV7Q-2526-SM-4BRV9 40-49 years, female 8.4
GTEX-Y3I4-2126-SM-4TT7C 50-59 years, male 8.4
GTEX-Y5V5-2326-SM-4V6GA 60-69 years, female 8.4
GTEX-ZYFC-0226-SM-5NQ75 50-59 years, male 8.4
GTEX-13FH7-2026-SM-E9J4I 50-59 years, female 8.4
GTEX-1F7RK-0126-SM-7PC2S 20-29 years, female 8.4
GTEX-1212Z-2526-SM-5EGKP 60-69 years, male 8.3
GTEX-13N2G-2626-SM-5J1OT 60-69 years, male 8.3
GTEX-13X6H-2126-SM-7EWD5 50-59 years, female 8.3
GTEX-14A6H-0126-SM-5QGPK 30-39 years, male 8.3
GTEX-14PJM-0226-SM-62LF1 50-59 years, female 8.3
GTEX-YFC4-0126-SM-5CVLY 40-49 years, female 8.3
GTEX-ZV6S-2326-SM-4YCEY 40-49 years, female 8.3
GTEX-1AX9I-0126-SM-7SB74 60-69 years, male 8.3
GTEX-1F6RS-0126-SM-9MQKZ 60-69 years, female 8.3
GTEX-1F75A-0126-SM-7RHGM 50-59 years, male 8.3
GTEX-1F75I-0326-SM-9YFLU 40-49 years, male 8.3
GTEX-1GMRU-0126-SM-9YFLV 50-59 years, male 8.3
GTEX-1H1DE-2126-SM-9WG6R 20-29 years, male 8.3
GTEX-1JN76-0126-SM-CNPPE 20-29 years, female 8.3
GTEX-1QP67-1626-SM-EAZ3X 40-49 years, female 8.3
GTEX-S33H-1026-SM-EZ6L6 30-39 years, male 8.3
GTEX-117YW-2626-SM-5GZZH 50-59 years, male 8.2
GTEX-11ZU8-2526-SM-5EQKI 60-69 years, male 8.2
GTEX-QVJO-1626-SM-2S1QW 60-69 years, female 8.2
GTEX-X4XX-0126-SM-3NMC2 60-69 years, male 8.2
GTEX-1HCVE-0126-SM-CGQEU 50-59 years, male 8.2
GTEX-1I1HK-0126-SM-COH49 60-69 years, male 8.2
GTEX-1JMQI-2226-SM-CM2SD 50-59 years, male 8.2
GTEX-1KXAM-2226-SM-CYPTC 60-69 years, male 8.2
GTEX-1LGOU-2026-SM-DIPFF 20-29 years, female 8.2
GTEX-1LH75-2426-SM-E9TJE 50-59 years, female 8.2
GTEX-1PPH7-2326-SM-EVYB8 40-49 years, male 8.2
GTEX-1QP29-0626-SM-EWRMX 50-59 years, male 8.2
GTEX-1R7EV-2426-SM-EVYBG 40-49 years, male 8.2
GTEX-13OVH-0126-SM-5MR4B 70-79 years, male 8.1
GTEX-17GQL-2026-SM-718BA 60-69 years, male 8.1
GTEX-17HHE-2026-SM-79OKF 50-59 years, male 8.1
GTEX-17KNJ-2326-SM-7DHLQ 50-59 years, male 8.1
GTEX-WXYG-2326-SM-4E3I6 50-59 years, female 8.1
GTEX-Y8E4-0626-SM-4WWDL 40-49 years, male 8.1
GTEX-1GPI7-0126-SM-9MQL8 20-29 years, male 8.1
GTEX-1H1ZS-0426-SM-9WG6G 70-79 years, male 8.1
GTEX-1HKZK-0326-SM-9WYUH 40-49 years, male 8.1
GTEX-1J8EW-0126-SM-CJI4F 60-69 years, female 8.1
GTEX-1J8Q3-1626-SM-CMKGC 60-69 years, male 8.1
GTEX-11OF3-2626-SM-5GU7F 60-69 years, male 8.0
GTEX-11ZUS-0626-SM-59885 30-39 years, male 8.0
GTEX-11ZVC-2526-SM-5FQTE 50-59 years, female 8.0
GTEX-12WSK-2326-SM-5GCOH 40-49 years, female 8.0
GTEX-147GR-0526-SM-5S2MY 60-69 years, male 8.0
GTEX-14DAQ-0126-SM-5S2MQ 60-69 years, female 8.0
GTEX-15D1Q-0126-SM-7KUG6 40-49 years, male 8.0
GTEX-OXRO-0126-SM-2YUN4 60-69 years, female 8.0
GTEX-S7PM-0126-SM-4AD6S 60-69 years, male 8.0
GTEX-T2IS-0126-SM-4DM6O 20-29 years, female 8.0
GTEX-Z9EW-1626-SM-5CVMN 40-49 years, male 8.0
GTEX-ZZ64-1726-SM-5GZYB 20-29 years, male 8.0
GTEX-1B996-0226-SM-7RHGO 60-69 years, male 8.0
GTEX-1J8Q2-0526-SM-CM2RW 60-69 years, male 8.0
GTEX-1KANC-1526-SM-D3LAB 50-59 years, female 8.0
GTEX-1128S-2326-SM-5GZZY 60-69 years, female 7.9
GTEX-11TTK-0126-SM-5987B 60-69 years, female 7.9
GTEX-147F4-0226-SM-5QGPW 50-59 years, male 7.9
GTEX-15ETS-0126-SM-7KUMW 40-49 years, female 7.9
GTEX-18D9A-1926-SM-7LG6P 30-39 years, female 7.9
GTEX-1AYCT-2426-SM-7IGQ3 50-59 years, male 7.9
GTEX-1CB4E-2226-SM-793DC 60-69 years, male 7.9
GTEX-1CAV2-2226-SM-7P8P2 40-49 years, female 7.9
GTEX-1LG7Z-1726-SM-D3LA4 30-39 years, male 7.9
GTEX-1MCQQ-0826-SM-DLHC2 60-69 years, male 7.9
GTEX-1RQEC-0426-SM-E6CHU 60-69 years, male 7.9
GTEX-PLZ6-1426-SM-DKPOT 30-39 years, male 7.9
GTEX-13W3W-2426-SM-5LU5B 60-69 years, female 7.8
GTEX-14BIL-0126-SM-5SI92 50-59 years, male 7.8
GTEX-16XZZ-0126-SM-793DV 60-69 years, male 7.8
GTEX-SUCS-1926-SM-32PM3 70-79 years, male 7.8
GTEX-TSE9-0126-SM-3DB83 60-69 years, female 7.8
GTEX-W5WG-1826-SM-4KL2Y 50-59 years, female 7.8
GTEX-1F6I4-0126-SM-9MQL2 60-69 years, male 7.8
GTEX-1IKOH-0226-SM-COH4E 60-69 years, female 7.8
GTEX-1JKYN-1326-SM-CGQG9 30-39 years, male 7.8
GTEX-1MGNQ-0126-SM-EVYCJ 40-49 years, male 7.8
GTEX-11GSP-2526-SM-5N9BP 60-69 years, female 7.7
GTEX-13SLW-0126-SM-5SI6C 70-79 years, male 7.7
GTEX-14BMV-0126-SM-5S2PO 50-59 years, male 7.7
GTEX-14JIY-0126-SM-6LLH6 60-69 years, male 7.7
GTEX-1AMEY-1326-SM-73KYK 30-39 years, female 7.7
GTEX-PVOW-0126-SM-2XCFA 40-49 years, male 7.7
GTEX-ZUA1-0126-SM-5GU76 40-49 years, male 7.7
GTEX-1CB4G-0226-SM-7PC3O 60-69 years, male 7.7
GTEX-1H4P4-0726-SM-9YFLR 50-59 years, male 7.7
GTEX-13113-5016-SM-7EPIP 60-69 years, female 7.6
GTEX-17EVP-0326-SM-7DHLG 40-49 years, male 7.6
GTEX-17MF6-0126-SM-7LG4F 40-49 years, male 7.6
GTEX-P4PP-0126-SM-3LK69 30-39 years, female 7.6
GTEX-XMD2-0126-SM-4YCDU 60-69 years, female 7.6
GTEX-XQ8I-0426-SM-4BOPO 50-59 years, male 7.6
GTEX-XUW1-0426-SM-4BOOT 50-59 years, female 7.6
GTEX-ZAB5-1826-SM-5HL7C 50-59 years, male 7.6
GTEX-1I1GV-0526-SM-A9G29 60-69 years, male 7.6
GTEX-1IKJJ-0126-SM-CNPQB 60-69 years, male 7.6
GTEX-1IY9M-0126-SM-D3L8S 60-69 years, male 7.6
GTEX-1POEN-0126-SM-EYYXJ 30-39 years, female 7.6
GTEX-13OW7-0126-SM-5MR3B 50-59 years, male 7.5
GTEX-14E6D-0126-SM-62LDV 50-59 years, male 7.5
GTEX-17HII-0226-SM-7LG4E 50-59 years, male 7.5
GTEX-R55G-2526-SM-2TC6D 40-49 years, female 7.5
GTEX-T5JW-1626-SM-3GADZ 20-29 years, female 7.5
GTEX-U3ZH-2026-SM-3DB78 30-39 years, male 7.5
GTEX-U8T8-0126-SM-3DB94 60-69 years, male 7.5
GTEX-XQ3S-1526-SM-4BOOC 20-29 years, male 7.5
GTEX-1C64O-0126-SM-7SB8P 60-69 years, male 7.5
GTEX-1GTWX-0126-SM-9YFLK 60-69 years, male 7.5
GTEX-1K2DU-2326-SM-E9TIV 20-29 years, male 7.5
GTEX-1OFPY-2426-SM-DTXEJ 60-69 years, male 7.5
GTEX-1RB15-2126-SM-E9TIM 60-69 years, male 7.5
GTEX-OOBJ-0126-SM-E6CJW 60-69 years, male 7.5
GTEX-11GS4-2726-SM-5A5LE 60-69 years, male 7.4
GTEX-13IVO-0126-SM-5J1NG 70-79 years, male 7.4
GTEX-1CAMR-1926-SM-7EPI2 20-29 years, male 7.4
GTEX-P4QT-0126-SM-2I3FL 50-59 years, female 7.4
GTEX-RWSA-0126-SM-2XCBB 40-49 years, male 7.4
GTEX-T6MN-0126-SM-32PLP 50-59 years, male 7.4
GTEX-1GN73-0226-SM-9WG67 60-69 years, male 7.4
GTEX-1I1GT-0626-SM-CGQER 60-69 years, female 7.4
GTEX-1MCYP-1926-SM-E9J2R 20-29 years, female 7.4
GTEX-ZPIC-1726-SM-DHXIU 40-49 years, female 7.4
GTEX-11EMC-2926-SM-5EQ4F 60-69 years, female 7.3
GTEX-11H98-0126-SM-5EGHG 50-59 years, male 7.3
GTEX-12KS4-0326-SM-5EQ41 30-39 years, male 7.3
GTEX-12WSE-0526-SM-793B2 20-29 years, male 7.3
GTEX-1313W-0126-SM-5LZUN 50-59 years, female 7.3
GTEX-148VI-1626-SM-5SI6E 60-69 years, female 7.3
GTEX-14LZ3-0226-SM-62LET 60-69 years, female 7.3
GTEX-14PJ3-1826-SM-62LEX 50-59 years, male 7.3
GTEX-16GPK-0126-SM-7DHLE 60-69 years, male 7.3
GTEX-X638-0126-SM-47JZ8 70-79 years, female 7.3
GTEX-1IOXB-0126-SM-ARL8G 50-59 years, male 7.3
GTEX-1211K-2026-SM-5EQ4Z 60-69 years, female 7.2
GTEX-13CF3-2426-SM-5IFGX 60-69 years, female 7.2
GTEX-13NYB-2526-SM-5K7Z6 40-49 years, male 7.2
GTEX-144GL-0126-SM-5TDE2 50-59 years, male 7.2
GTEX-16BQI-0226-SM-7KUEX 30-39 years, female 7.2
GTEX-17HGU-0226-SM-7DHKV 50-59 years, male 7.2
GTEX-OXRP-0126-SM-3NB32 60-69 years, female 7.2
GTEX-RM2N-1426-SM-2TF4H 50-59 years, male 7.2
GTEX-S7SE-0126-SM-2XCD5 50-59 years, male 7.2
GTEX-UPJH-0326-SM-3GADU 50-59 years, male 7.2
GTEX-WZTO-0126-SM-3NM95 40-49 years, male 7.2
GTEX-ZQUD-1426-SM-57WER 30-39 years, male 7.2
GTEX-1GZHY-0326-SM-9QEHI 50-59 years, female 7.2
GTEX-1JMPY-1326-SM-ARL8Y 30-39 years, male 7.2
GTEX-1LG7Y-0526-SM-DKPQC 50-59 years, male 7.2
GTEX-1R46S-0626-SM-E9J41 60-69 years, female 7.2
GTEX-113IC-0126-SM-5HL6T 60-69 years, male 7.1
GTEX-11P82-1626-SM-59879 20-29 years, male 7.1
GTEX-11ZTT-2426-SM-5EQLS 60-69 years, female 7.1
GTEX-139UW-2826-SM-5L3E7 60-69 years, male 7.1
GTEX-14DAR-2026-SM-5S2O3 50-59 years, male 7.1
GTEX-QDT8-0126-SM-48TZ1 30-39 years, female 7.1
GTEX-X4EO-0326-SM-3P5YO 60-69 years, female 7.1
GTEX-YB5K-2126-SM-4WWDJ 40-49 years, female 7.1
GTEX-1HCU6-0126-SM-CL54K 60-69 years, female 7.1
GTEX-1JMQJ-0526-SM-CYPSU 50-59 years, male 7.1
GTEX-1N2DV-0226-SM-E6CJ6 40-49 years, male 7.1
GTEX-1QP66-1726-SM-E8VO1 50-59 years, male 7.1
GTEX-PW2O-1526-SM-7RHHB 20-29 years, male 7.1
GTEX-RNOR-0126-SM-E9J4R 50-59 years, female 7.1
GTEX-11UD1-0126-SM-5PNYG 40-49 years, female 7.0
GTEX-131XH-2226-SM-5DUXJ 50-59 years, male 7.0
GTEX-14BMU-2226-SM-5TDE9 20-29 years, female 7.0
GTEX-15RIG-0226-SM-7KFTL 40-49 years, male 7.0
GTEX-T6MO-1626-SM-32QOM 40-49 years, female 7.0
GTEX-TML8-1926-SM-32QOS 40-49 years, female 7.0
GTEX-XYKS-2126-SM-4E3IB 60-69 years, female 7.0
GTEX-169BO-1326-SM-9MQK2 50-59 years, male 7.0
GTEX-1B933-0126-SM-7PC29 50-59 years, female 7.0
GTEX-1QPFJ-0226-SM-E76PB 30-39 years, female 7.0
GTEX-11DXY-2626-SM-5GIE7 60-69 years, male 6.9
GTEX-11DXZ-2326-SM-5EGGV 50-59 years, male 6.9
GTEX-11ZTS-0126-SM-5EQ6M 60-69 years, female 6.9
GTEX-13U4I-0126-SM-5LU38 40-49 years, female 6.9
GTEX-18A7B-0126-SM-7LG64 70-79 years, male 6.9
GTEX-1CAMQ-0226-SM-7IGPK 40-49 years, male 6.9
GTEX-PLZ4-0126-SM-5SI8O 50-59 years, female 6.9
GTEX-QLQ7-1626-SM-2S1R8 60-69 years, male 6.9
GTEX-SSA3-0126-SM-32QPU 60-69 years, male 6.9
GTEX-WYVS-2126-SM-3NMA3 40-49 years, female 6.9
GTEX-ZVZP-2426-SM-59HKJ 50-59 years, male 6.9
GTEX-ZXG5-0126-SM-5GIEU 60-69 years, male 6.9
GTEX-1H1CY-2826-SM-9MQM3 60-69 years, female 6.9
GTEX-111VG-2426-SM-5GZXD 60-69 years, male 6.8
GTEX-132NY-0326-SM-5IJBL 60-69 years, male 6.8
GTEX-145MN-2226-SM-5SIAU 30-39 years, male 6.8
GTEX-U3ZM-1526-SM-3DB9D 40-49 years, male 6.8
GTEX-1OJC4-0126-SM-E9J2E 50-59 years, female 6.8
GTEX-11DXW-0226-SM-5H122 40-49 years, male 6.7
GTEX-133LE-1826-SM-5J1MV 20-29 years, female 6.7
GTEX-13S7M-0126-SM-5SI6A 60-69 years, female 6.7
GTEX-WYJK-0126-SM-3NMAB 50-59 years, male 6.7
GTEX-ZV68-0126-SM-59HKS 50-59 years, female 6.7
GTEX-ZVT3-0126-SM-5GU6I 60-69 years, female 6.7
GTEX-1NHNU-1026-SM-E9J2A 50-59 years, male 6.7
GTEX-PWCY-1826-SM-DHXIZ 20-29 years, female 6.7
GTEX-R45C-0126-SM-EAZ2R 60-69 years, female 6.7
GTEX-139TS-2826-SM-5J1OO 60-69 years, male 6.6
GTEX-15ER7-0326-SM-7KUEV 20-29 years, female 6.6
GTEX-Q2AG-0126-SM-33HBV 40-49 years, female 6.6
GTEX-ZF28-0126-SM-4WKGK 60-69 years, male 6.6
GTEX-RVPV-0126-SM-EAZAW 60-69 years, male 6.6
GTEX-1122O-2126-SM-5EGIR 60-69 years, female 6.5
GTEX-117YX-2326-SM-5H12W 50-59 years, male 6.5
GTEX-12WSD-0126-SM-59HKN 60-69 years, female 6.5
GTEX-13NZA-0226-SM-5K7Z7 60-69 years, male 6.5
GTEX-13PVR-2326-SM-5QGR1 60-69 years, female 6.5
GTEX-13RTK-1426-SM-5QGQJ 20-29 years, male 6.5
GTEX-15CHC-2126-SM-6EU21 60-69 years, female 6.5
GTEX-17HG3-2226-SM-7938L 30-39 years, female 6.5
GTEX-1AMFI-2026-SM-731BH 50-59 years, female 6.5
GTEX-1CB4J-0626-SM-7DHMP 60-69 years, male 6.5
GTEX-XBED-2226-SM-47JYQ 60-69 years, male 6.5
GTEX-ZVTK-0426-SM-51MRS 20-29 years, male 6.5
GTEX-13O3O-0126-SM-E9J49 60-69 years, female 6.5
GTEX-ZF29-2326-SM-DO92K 60-69 years, female 6.5
GTEX-11EM3-2426-SM-59861 20-29 years, female 6.4
GTEX-12126-0326-SM-5PNW3 20-29 years, male 6.4
GTEX-QEG4-0226-SM-2S1PY 30-39 years, male 6.4
GTEX-RU72-0926-SM-2TF6B 50-59 years, female 6.4
GTEX-TMZS-0126-SM-3DB9Q 60-69 years, male 6.4
GTEX-Y8LW-1826-SM-5S2MV 50-59 years, female 6.4
GTEX-ZDTS-0126-SM-4WAY5 60-69 years, male 6.4
GTEX-1I1GQ-0126-SM-COH3H 50-59 years, male 6.4
GTEX-117XS-2726-SM-5N9BL 60-69 years, male 6.3
GTEX-139T4-0226-SM-5HL5S 50-59 years, female 6.3
GTEX-13RTJ-2426-SM-5S2Q2 60-69 years, male 6.3
GTEX-145LV-2126-SM-5LU8N 50-59 years, male 6.3
GTEX-14PJ6-2126-SM-6EU1V 60-69 years, female 6.3
GTEX-1B8KZ-2026-SM-7DHMB 50-59 years, male 6.3
GTEX-1F5PL-0326-SM-7P8PQ 40-49 years, female 6.3
GTEX-1KWVE-1426-SM-E9TJO 30-39 years, male 6.3
GTEX-ZVT4-0126-SM-DTXFN 50-59 years, female 6.3
GTEX-131YS-0126-SM-5KM1M 60-69 years, female 6.2
GTEX-13O3Q-2426-SM-5IJBR 50-59 years, male 6.2
GTEX-13OW8-1326-SM-5J1OW 60-69 years, male 6.2
GTEX-P4PQ-0126-SM-2S1NM 60-69 years, male 6.2
GTEX-R55E-0126-SM-2TC5Y 20-29 years, male 6.2
GTEX-Y5LM-1926-SM-5RQJH 40-49 years, female 6.2
GTEX-1HGF4-2426-SM-ACKXM 60-69 years, male 6.2
GTEX-1HSMP-0126-SM-E6CJS 70-79 years, male 6.2
GTEX-1JMLX-0226-SM-CM2RO 50-59 years, male 6.2
GTEX-1S3DN-2226-SM-EVYCD 50-59 years, male 6.2
GTEX-12WSJ-1826-SM-5GCNY 40-49 years, female 6.1
GTEX-13FTY-0526-SM-5L3EV 40-49 years, female 6.1
GTEX-145MF-0626-SM-5LUAI 50-59 years, male 6.1
GTEX-145MO-0326-SM-5Q5B3 60-69 years, male 6.1
GTEX-ZDTT-2726-SM-4WKF8 60-69 years, male 6.1
GTEX-1I1GP-2226-SM-CGQFK 50-59 years, male 6.1
GTEX-11XUK-2026-SM-5EQLF 40-49 years, female 6.0
GTEX-12C56-1726-SM-5EQ61 20-29 years, male 6.0
GTEX-13OVG-1926-SM-5L3DK 60-69 years, male 6.0
GTEX-16NGA-1726-SM-731B4 40-49 years, female 6.0
GTEX-1E1VI-0126-SM-7DHMZ 50-59 years, male 6.0
GTEX-SN8G-0126-SM-32PLI 50-59 years, female 6.0
GTEX-U3ZN-2326-SM-3DB7W 30-39 years, female 6.0
GTEX-1ICG6-2526-SM-CGQFZ 70-79 years, female 6.0
GTEX-11LCK-1026-SM-5A5KB 30-39 years, male 5.9
GTEX-TMMY-0226-SM-33HBA 40-49 years, female 5.9
GTEX-U412-0426-SM-3DB9O 60-69 years, male 5.9
GTEX-ZYY3-0126-SM-5GZY5 60-69 years, female 5.9
GTEX-1S5ZA-0126-SM-EVYCV 20-29 years, male 5.9
GTEX-13VXT-0126-SM-5LU4I 20-29 years, female 5.8
GTEX-ZGAY-0526-SM-4WWBB 40-49 years, female 5.8
GTEX-11DXX-2426-SM-5GZZW 60-69 years, female 5.7
GTEX-RTLS-0126-SM-447CA 60-69 years, female 5.7
GTEX-1E2YA-0126-SM-9KNUC 50-59 years, male 5.7
GTEX-1PFEY-1526-SM-E76PP 30-39 years, male 5.7
GTEX-13O21-1426-SM-5K7XI 50-59 years, male 5.6
GTEX-15SB6-1726-SM-6PAME 50-59 years, female 5.6
GTEX-18A6Q-0126-SM-731BZ 60-69 years, male 5.6
GTEX-S95S-1226-SM-4GICG 60-69 years, male 5.6
GTEX-ZYFG-2326-SM-5E44B 60-69 years, female 5.6
GTEX-1HBPN-0226-SM-9YFM1 50-59 years, male 5.6
GTEX-13QJ3-0326-SM-5S2RA 50-59 years, male 5.5
GTEX-145LS-0126-SM-5QGP1 60-69 years, female 5.5
GTEX-WY7C-2326-SM-3NB2U 50-59 years, male 5.5
GTEX-X585-0226-SM-4QAS2 50-59 years, male 5.5
GTEX-Y114-2426-SM-4TT8A 50-59 years, female 5.5
GTEX-ZDXO-3026-SM-5J1N5 60-69 years, male 5.5
GTEX-1IKK5-0626-SM-ARL8A 60-69 years, male 5.5
GTEX-X5EB-2226-SM-46MW4 40-49 years, male 5.4
GTEX-11P7K-2126-SM-5GU7G 30-39 years, male 5.3
GTEX-1CB4I-0226-SM-79OLH 50-59 years, male 5.3
GTEX-XPVG-2626-SM-4B669 50-59 years, male 5.3
GTEX-ZTSS-1926-SM-57WEW 40-49 years, male 5.3
GTEX-12696-2426-SM-5EQ6H 60-69 years, male 5.2
GTEX-146FQ-0126-SM-5NQA9 30-39 years, male 5.2
GTEX-14E7W-0126-SM-6LLJ9 70-79 years, male 5.2
GTEX-11GSO-2426-SM-5A5LY 60-69 years, male 4.9
GTEX-1C6VS-0526-SM-7DUEN 60-69 years, male 4.9
GTEX-Y111-0126-SM-4SOIV 50-59 years, male 4.9
GTEX-O5YW-0126-SM-3LK6D 50-59 years, male 4.7
GTEX-1399U-2326-SM-5K7WY 50-59 years, female 4.6
GTEX-OXRL-0126-SM-2YUMP 50-59 years, male 4.5
GTEX-XUZC-1726-SM-4BRWS 30-39 years, female 4.3
GTEX-SE5C-1626-SM-2XCE3 40-49 years, female 2.0
Show allShow less

Contact

  • NEWS ARTICLES
  • PRESS ROOM

The Project

  • INTRODUCTION
  • ORGANIZATION
  • PUBLICATIONS

The Human Protein Atlas

  • DOWNLOADABLE DATA
  • LICENCE & CITATION
  • HELP & FAQ
The Human Protein Atlas project is funded
by the Knut & Alice Wallenberg Foundation.


contact@proteinatlas.org