We use cookies to enhance the usability of our website. If you continue, we'll assume that you are happy to receive all cookies. More information. Don't show this again.
CDC42
HPA
RESOURCES
  • TISSUE
  • BRAIN
  • SINGLE CELL
  • SUBCELLULAR
  • CANCER
  • BLOOD
  • CELL LINE
  • STRUCTURE & INTERACTION
ABOUT
  • INTRODUCTION
  • HISTORY
  • ORGANIZATION
  • PUBLICATIONS
  • ANTIBODY SUBMISSION
  • ANTIBODY AVAILABILITY
  • ACKNOWLEDGMENTS
  • CONTACT
NEWS
  • NEWS ARTICLES
  • PRESS ROOM
LEARN
  • DICTIONARY
  • PROTEIN CLASSES
  • PROTEIN EVIDENCE
  • METHODS
  • EDUCATIONAL VIDEOS
DATA
  • DOWNLOADABLE DATA
  • PUBLICATION DATA
  • RELEASE HISTORY
HELP
  • ANTIBODY VALIDATION
  • ASSAYS & ANNOTATION
  • DISCLAIMER
  • HELP & FAQ
  • PRIVACY STATEMENT
  • LICENCE & CITATION
Fields »
Search result

Field
Term
Gene name
Class
Subclass
Class
Keyword
Chromosome
External id
Tissue
Cell type
Expression
Antibody panel
Tissue
Main location
Patient ID
Annotation
Tissue
Category
Tau score
Cluster
Reliability
Brain region
Category
Tau score
Brain region
Category
Tau score
Brain region
Category
Tau score
Cluster
Reliability
Tissue
Cell type
Enrichment
Cell type
Category
Tau score
Cell type
Category
Tau score
Cell type
Category
Tau score
Cell lineage
Category
Tau score
Cluster
Cluster
Location
Searches
Location
Cell line
Class
Type
Phase
Reliability
Cancer
Prognosis
Cancer
Category
Cancer
Category
Tau score
Cluster
Variants
Interacting gene (ensg_id)
Type
Number of interactions
Pathway
Category
Score
Score
Score
Validation
Validation
Validation
Validation
Antibodies
Data type
Column


  • SUMMARY

  • TISSUE

  • BRAIN

  • SINGLE CELL

  • SUBCELL

  • CANCER

  • BLOOD

  • CELL LINE

  • STRUCT & INT

  • CDC42
TISSUE PRIMARY DATA SKIN Show tissue menu
ADIPOSE TISSUE ADRENAL GLAND AMYGDALA APPENDIX BASAL GANGLIA BONE MARROW BREAST BRONCHUS CEREBELLUM CEREBRAL CORTEX CERVIX CHOROID PLEXUS COLON DUODENUM
ENDOMETRIUM EPIDIDYMIS ESOPHAGUS FALLOPIAN TUBE GALLBLADDER HEART MUSCLE HIPPOCAMPAL FORMATION HYPOTHALAMUS KIDNEY LIVER LUNG LYMPH NODE MIDBRAIN ORAL MUCOSA
OVARY PANCREAS PARATHYROID GLAND PITUITARY GLAND PLACENTA PROSTATE RECTUM RETINA SALIVARY GLAND SEMINAL VESICLE SKELETAL MUSCLE SKIN SMALL INTESTINE SMOOTH MUSCLE
SOFT TISSUE SPINAL CORD SPLEEN STOMACH TESTIS THYMUS THYROID GLAND TONGUE TONSIL URINARY BLADDER VAGINA
ANTIBODIES
AND
VALIDATION
Dictionary
Skin
Tissue proteome
Skin
SKIN - Expression summary
Protein expression
Skini

On the top, protein expression in current human tissue, based on all annotated cell types, is reported with the units not detected (n), low (l), medium (m) and high (h). Underneath, protein expression in each annotated cell type are reported using the same units.

Protein expression data is based on knowledge-based annotation. For genes where more than one antibody has been used, a collective score is set.

If knowledge-based annotation could not be performed for a gene, no data is displayed here. View antibody staining data further down this page.

h
m
l
n
Epidermal cells: Low
Fibroblasts: Low
Keratinocytes: Not detected
Langerhans: Not detected
Melanocytes: Not detected
RNA expressioni

A summary of mRNA expression data available for current tissue based on several datasets. The mRNA expression levels in human tissues are based on RNA-seq data generated by the Human Protein Atlas (HPA), Genotype-Tissue Expression (GTEx) portal and CAGE data generated by the FANTOM5 consortium. Consensus normalized expression levels for human tissues was created by combining the data from HPA and GTEx datasets.

The mRNA expression levels in pig are based on RNA-seq data generated by the Human Protein Atlas (HPA), and for mouse, HPA data and in situ hybridization generated by the Allen brain atlas are reported.

Scroll down to view mRNA expression data in more detail.
Consensus:127.9 nTPM
HPA:59.8 nTPM
GTEx:127.9 nTPM

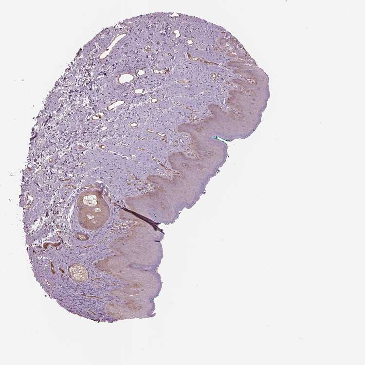
SKIN 1 - Antibody stainingi

Antibody staining in the annotated cell types in the current human tissue is reported as not detected, low, medium, or high, based on conventional immunohistochemistry profiling in selected tissues. This score is based on the combination of the staining intensity and fraction of stained cells.

Each image is clickable and will lead to virtual microscopy that enables deeper exploration of all samples and also displays staining intensity scores, fraction scores and subcellular localization as well as patient and tissue information for each sample.

Antibody HPA069590Antibody CAB004360
Langerhans Not detectedMedium
Fibroblasts Not detectedMedium
Keratinocytes Not detectedMedium
Melanocytes Not detectedMedium



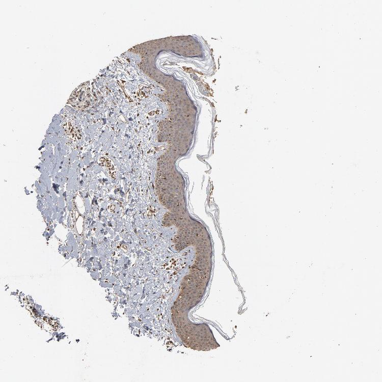
SKIN 2 - Antibody stainingi

Antibody staining in the annotated cell types in the current human tissue is reported as not detected, low, medium, or high, based on conventional immunohistochemistry profiling in selected tissues. This score is based on the combination of the staining intensity and fraction of stained cells.

Each image is clickable and will lead to virtual microscopy that enables deeper exploration of all samples and also displays staining intensity scores, fraction scores and subcellular localization as well as patient and tissue information for each sample.

Antibody HPA069590Antibody CAB004360
Epidermal cells Not detectedMedium
  
  
  





SKIN - HPA RNA-seqi

The RNA-seq details section shows detailed information about the individual samples used for the transcript profiling and results of the RNA-seq analysis.

Information about each individual sample is listed below, including gender, age, a tissue section image and estimated fractions of cell types. nTPM (normalized transcripts per million) values give a quantification of the gene abundance which is comparable between different genes and samples.
Average nTPMi

Max subtype nTPM is the value for the subtype with the largest average nTPM across the subtype samples.

59.8
overview
Female, age 34
Skin sample 225
nTPM: 73.1
Cell types%
Keratinocytes:
60

Other cell types:
40

overview
Female, age 30
Skin sample 226
nTPM: 67.5
Cell types%
Keratinocytes:
55

Other cell types:
45

N/A
Male, age 57
Skin sample 227
nTPM: 38.6

SKIN - GTEx RNA-seqi

RNA-Seq data generated by the Genotype-Tissue Expression (GTEx) project from human tissues is reported as mean nTPM. More information can be found on the GTEx portal.

Distribution across the dataset is visualized with box plots, shown as median and 25th and 75th percentiles. Points are displayed as outliers if they are above or below 1.5 times the interquartile range. nTPM values of the individual samples are presented next to the box plot.
Max subtype nTPMi

Max subtype nTPM is the value for the subtype with the largest average nTPM across the subtype samples.

127.9
GTEx sample id Sample description nTPM
Skin - Not Sun Exposed (Suprapubic)
Average nTPM: 127.9
Samples: 604

Max nTPM: 259.3
Min nTPM: 76.2
Std nTPM: 23.2
Median nTPM: 125.4
GTEX-1F6RS-2026-SM-7RHHC 60-69 years, female 259.3
GTEX-13NZ8-1226-SM-5KM4A 60-69 years, female 221.9
GTEX-15ER7-0626-SM-6PANF 20-29 years, female 219.7
GTEX-15UF6-1926-SM-7KUDV 70-79 years, female 216.9
GTEX-13YAN-0226-SM-5TDC6 60-69 years, male 211.5
GTEX-1C64N-2626-SM-7PC2N 50-59 years, male 209.2
GTEX-139UW-0326-SM-5J1ML 60-69 years, male 207.8
GTEX-1IDFM-0326-SM-ARL7V 60-69 years, male 201.3
GTEX-13PL6-1126-SM-5L3IE 40-49 years, female 200.7
GTEX-1ICLZ-0326-SM-ARL82 60-69 years, male 198.9
GTEX-1PBJJ-1026-SM-E76OS 30-39 years, male 197.9
GTEX-14ICL-1626-SM-5YYAO 30-39 years, male 194.2
GTEX-144GL-0626-SM-5LU4D 50-59 years, male 192.7
GTEX-148VJ-0626-SM-5LUAW 70-79 years, male 188.9
GTEX-13PDP-0726-SM-5L3HP 60-69 years, male 187.5
GTEX-1PIGE-1826-SM-E8VOU 20-29 years, male 184.6
GTEX-1IKJJ-2226-SM-CJI4C 60-69 years, male 181.9
GTEX-1GMRU-2126-SM-7P8RA 50-59 years, male 180.8
GTEX-18A67-1626-SM-7LT9T 50-59 years, male 180.4
GTEX-12WSK-2126-SM-5CVNC 40-49 years, female 177.8
GTEX-1GN1V-2826-SM-9JGIA 60-69 years, male 175.0
GTEX-1399Q-2326-SM-5KM2X 40-49 years, male 174.8
GTEX-1EMGI-2326-SM-7PBYA 60-69 years, male 174.7
GTEX-1HCU6-2526-SM-ADEHL 60-69 years, female 173.1
GTEX-145MH-2826-SM-5RQJF 50-59 years, male 172.5
GTEX-1BAJH-2426-SM-7IGP8 70-79 years, male 171.5
GTEX-1E2YA-2126-SM-7MXUO 50-59 years, male 170.6
GTEX-13112-0126-SM-5P9IU 50-59 years, male 169.0
GTEX-14PII-0726-SM-6EU2B 60-69 years, male 168.9
GTEX-YECK-0326-SM-4W1YS 60-69 years, male 168.8
GTEX-11DXY-0126-SM-5H11Q 60-69 years, male 168.2
GTEX-1HBPI-2126-SM-ARL9K 50-59 years, male 167.8
GTEX-WH7G-2026-SM-3NMBL 40-49 years, male 166.1
GTEX-1JJEA-1826-SM-ARU8P 60-69 years, male 165.7
GTEX-1GF9X-1326-SM-7PC2Y 40-49 years, female 165.2
GTEX-11EQ8-0926-SM-5H12V 60-69 years, male 165.1
GTEX-13X6K-0626-SM-5LU5D 60-69 years, female 164.4
GTEX-15SKB-2826-SM-6PAMH 60-69 years, male 164.1
GTEX-13FTY-2126-SM-5IFFB 40-49 years, female 164.0
GTEX-UPJH-0226-SM-3GADV 50-59 years, male 163.5
GTEX-1J8Q2-2626-SM-ACKWQ 60-69 years, male 162.1
GTEX-ZYT6-2326-SM-5GZY3 30-39 years, male 161.6
GTEX-1PPH8-0126-SM-EWRN8 20-29 years, male 159.9
GTEX-1313W-0626-SM-5EQ4H 50-59 years, female 159.7
GTEX-1HT8W-0626-SM-A9G2H 30-39 years, male 159.7
GTEX-ZVT4-2426-SM-5GIEI 50-59 years, female 159.5
GTEX-13NYB-0126-SM-5J1MD 40-49 years, male 158.9
GTEX-1HSKV-1226-SM-ADEI4 60-69 years, male 158.7
GTEX-1F48J-0726-SM-7RHGS 50-59 years, female 158.1
GTEX-1I1GV-0626-SM-ARL7M 60-69 years, male 158.1
GTEX-1PDJ9-1226-SM-EXUSX 20-29 years, male 157.8
GTEX-15G1A-1626-SM-7KUKN 30-39 years, male 157.1
GTEX-1NV5F-0626-SM-DTXEG 60-69 years, female 156.9
GTEX-15RIE-1926-SM-7KUKJ 60-69 years, male 156.6
GTEX-1H2FU-0926-SM-9WPPT 60-69 years, female 156.3
GTEX-12WSH-1526-SM-5BC5W 50-59 years, male 155.4
GTEX-144FL-0626-SM-5LU43 50-59 years, male 155.4
GTEX-ZY6K-1426-SM-5GZX2 50-59 years, male 154.7
GTEX-1H4P4-2126-SM-9WYSL 50-59 years, male 154.7
GTEX-VJYA-1526-SM-3GIJV 60-69 years, male 154.4
GTEX-1B8L1-2226-SM-7P8PT 60-69 years, male 154.4
GTEX-12WSM-1926-SM-5BC65 60-69 years, male 154.2
GTEX-15RJE-2826-SM-7KUM9 40-49 years, male 154.2
GTEX-11WQC-1826-SM-5GU59 60-69 years, male 154.1
GTEX-13G51-1826-SM-5KLZH 60-69 years, male 154.1
GTEX-1QPFJ-1926-SM-EVYBD 30-39 years, female 153.6
GTEX-14PJ3-1126-SM-5ZZVX 50-59 years, male 153.5
GTEX-1GF9V-0826-SM-9KNUV 60-69 years, male 153.2
GTEX-12WSD-0626-SM-5GCMW 60-69 years, female 152.7
GTEX-13OW5-2326-SM-5L3HO 60-69 years, male 152.2
GTEX-1IKOE-1426-SM-CE6T7 30-39 years, female 152.2
GTEX-17EVP-2626-SM-7IGMA 40-49 years, male 152.0
GTEX-YEC4-1826-SM-4W1YP 40-49 years, male 152.0
GTEX-ZTTD-2826-SM-4YCFA 50-59 years, male 151.9
GTEX-111VG-1626-SM-5EGIO 60-69 years, male 151.8
GTEX-11DZ1-2426-SM-5GZZX 50-59 years, male 151.7
GTEX-WXYG-2026-SM-4E3IY 50-59 years, female 151.4
GTEX-1GN73-0726-SM-7P8TJ 60-69 years, male 151.3
GTEX-1269C-0126-SM-5EQ5L 60-69 years, female 151.1
GTEX-14LZ3-0126-SM-69LPM 60-69 years, female 151.1
GTEX-11PRG-0726-SM-5EGL1 50-59 years, male 150.9
GTEX-YFCO-1226-SM-5LUAT 40-49 years, male 150.9
GTEX-13IVO-0726-SM-5LZYV 70-79 years, male 150.6
GTEX-15G19-2426-SM-7KUMR 60-69 years, male 150.5
GTEX-15RIG-0726-SM-7KUM7 40-49 years, male 150.4
GTEX-1F75A-0726-SM-7RHHD 50-59 years, male 150.3
GTEX-13X6J-0626-SM-5LU5F 50-59 years, male 149.8
GTEX-13SLW-0626-SM-5Q5ER 70-79 years, male 149.7
GTEX-ZE7O-2726-SM-51MT5 50-59 years, female 149.7
GTEX-ZXG5-2126-SM-59HKD 60-69 years, male 149.7
GTEX-1CAMS-2226-SM-7PBXQ 40-49 years, female 149.7
GTEX-1R9PM-1926-SM-EVR3O 20-29 years, male 149.7
GTEX-1HSMP-0926-SM-A9SKX 70-79 years, male 149.5
GTEX-1GN1U-0626-SM-9MQL9 50-59 years, female 149.4
GTEX-1JMQJ-0826-SM-CNPP7 50-59 years, male 149.0
GTEX-147F4-0726-SM-5TDDD 50-59 years, male 148.8
GTEX-15DYW-2726-SM-6EU2I 60-69 years, female 148.8
GTEX-17MFQ-1526-SM-7KFRR 20-29 years, male 148.6
GTEX-1I1GP-1326-SM-A9G28 50-59 years, male 148.4
GTEX-1J8EW-2726-SM-CY8HR 60-69 years, female 147.9
GTEX-1QCLY-0226-SM-EWRNH 30-39 years, male 147.5
GTEX-13O61-1426-SM-5KM3D 60-69 years, male 147.1
GTEX-1NSGN-0726-SM-DTXEF 50-59 years, male 147.1
GTEX-13NYS-0626-SM-5L3F1 60-69 years, male 146.8
GTEX-ZYVF-0926-SM-5E44J 50-59 years, female 146.7
GTEX-14B4R-1326-SM-5Q5EZ 30-39 years, male 146.5
GTEX-1EU9M-1426-SM-793AI 60-69 years, male 146.4
GTEX-1F75B-0726-SM-7PC3R 50-59 years, male 146.2
GTEX-1C6VQ-1226-SM-73KYD 50-59 years, male 146.0
GTEX-XMD2-2126-SM-4YCF8 60-69 years, female 145.6
GTEX-ZLV1-1526-SM-DO91J 60-69 years, female 145.6
GTEX-1AYD5-2626-SM-7PBXY 50-59 years, male 145.5
GTEX-18A6Q-0626-SM-7KFRP 60-69 years, male 145.2
GTEX-14A6H-2026-SM-5Q5DD 30-39 years, male 145.1
GTEX-14PHY-1226-SM-5ZZWK 60-69 years, female 144.9
GTEX-1QP28-1126-SM-EVYC4 50-59 years, female 144.9
GTEX-1F5PL-0926-SM-7PC2W 40-49 years, female 144.8
GTEX-1QP2A-1726-SM-E76QC 50-59 years, male 144.8
GTEX-13JVG-0726-SM-5KM16 60-69 years, male 144.5
GTEX-13O3O-2326-SM-5IJD6 60-69 years, female 144.4
GTEX-W5X1-2526-SM-3GILC 40-49 years, female 144.3
GTEX-Y3I4-1726-SM-4TT89 50-59 years, male 144.2
GTEX-15SHW-0226-SM-7LTAT 60-69 years, male 144.0
GTEX-1A8G6-2726-SM-731AR 60-69 years, male 144.0
GTEX-12ZZX-2426-SM-5GCOE 40-49 years, female 143.9
GTEX-1RLM8-2926-SM-E8VON 50-59 years, male 143.9
GTEX-139D8-1126-SM-5LU8W 30-39 years, female 143.8
GTEX-1H3O1-1326-SM-9MQLD 60-69 years, male 143.6
GTEX-1GPI6-1926-SM-9KNV7 60-69 years, male 143.5
GTEX-1PIIG-2326-SM-DTXFR 30-39 years, male 143.3
GTEX-178AV-1726-SM-7KUL8 40-49 years, male 142.7
GTEX-1192X-2726-SM-5N9DN 50-59 years, male 142.5
GTEX-1LKK1-2626-SM-DKPQE 50-59 years, female 142.4
GTEX-17HII-1426-SM-7EPGG 50-59 years, male 142.3
GTEX-1H11D-1826-SM-9QEHM 40-49 years, male 142.2
GTEX-17F97-2626-SM-7IGM5 50-59 years, male 142.1
GTEX-18D9A-1426-SM-7LT8M 30-39 years, female 142.0
GTEX-14C39-1726-SM-5RQIL 40-49 years, male 141.9
GTEX-1LG7Y-2526-SM-EWRO7 50-59 years, male 141.9
GTEX-1GF9W-1426-SM-7PBYM 60-69 years, male 141.7
GTEX-11DXX-2126-SM-5PNYR 60-69 years, female 141.6
GTEX-11LCK-2226-SM-5HL4Q 30-39 years, male 141.5
GTEX-12ZZZ-0726-SM-5GCNZ 60-69 years, male 141.5
GTEX-1F5PK-2226-SM-7SB6N 50-59 years, male 141.1
GTEX-13OVK-1426-SM-6PAN7 40-49 years, male 140.9
GTEX-1GPI7-1826-SM-9KNU1 20-29 years, male 140.9
GTEX-XQ8I-0926-SM-4BOOF 50-59 years, male 140.8
GTEX-1RAZQ-1326-SM-E9TK6 30-39 years, male 140.8
GTEX-14PHX-2226-SM-6EU2P 50-59 years, male 140.6
GTEX-1R9K4-2826-SM-DTX8F 60-69 years, male 140.6
GTEX-13OW6-2726-SM-5J2OE 50-59 years, male 140.3
GTEX-1A8FM-0626-SM-7PC25 50-59 years, female 140.3
GTEX-1AX9I-2226-SM-73KUO 60-69 years, male 139.4
GTEX-1HCU7-0726-SM-A9SL1 50-59 years, male 139.3
GTEX-12KS4-2126-SM-5FQUT 30-39 years, male 139.2
GTEX-1IE54-1126-SM-A9G2Z 40-49 years, female 138.7
GTEX-17KNJ-2126-SM-718AM 50-59 years, male 138.5
GTEX-1I1CD-0626-SM-CE6SW 60-69 years, female 138.5
GTEX-1IDJH-0126-SM-D3L92 70-79 years, male 138.5
GTEX-1R9PN-0426-SM-DTXDT 40-49 years, female 138.4
GTEX-1HBPN-0126-SM-CGQEF 50-59 years, male 138.3
GTEX-1J1OQ-0126-SM-D4P2N 40-49 years, female 138.3
GTEX-WEY5-2326-SM-3GIKK 40-49 years, female 138.2
GTEX-ZDYS-2426-SM-4WKGI 50-59 years, male 137.9
GTEX-1I1GU-0926-SM-ACKVS 40-49 years, male 137.9
GTEX-1LB8K-0726-SM-D5OV2 50-59 years, male 137.8
GTEX-X4EO-2926-SM-4E3JH 60-69 years, female 137.7
GTEX-14A5H-0826-SM-5QGPJ 60-69 years, male 137.6
GTEX-11ZU8-0126-SM-5EQ58 60-69 years, male 137.5
GTEX-1HR9M-2226-SM-CNPPY 60-69 years, male 137.5
GTEX-1JJ6O-2726-SM-CNPOG 60-69 years, male 137.4
GTEX-14753-0726-SM-5QGQO 60-69 years, male 137.3
GTEX-1C2JI-1026-SM-73KY1 50-59 years, male 137.3
GTEX-1F88F-0126-SM-9WYSZ 60-69 years, female 137.0
GTEX-14PJ5-1526-SM-6LLIL 60-69 years, female 136.7
GTEX-1HCVE-2726-SM-CL54F 50-59 years, male 136.6
GTEX-1I1GS-2626-SM-B2LY3 60-69 years, male 136.5
GTEX-14BMV-2826-SM-5TDED 50-59 years, male 136.3
GTEX-1POEN-2326-SM-E9J2L 30-39 years, female 136.2
GTEX-11WQK-1026-SM-5EQLX 50-59 years, male 136.1
GTEX-145LU-1926-SM-79OJN 50-59 years, male 136.1
GTEX-17F98-1326-SM-7DUEP 40-49 years, female 136.1
GTEX-1GZHY-0626-SM-9KNVC 50-59 years, female 136.1
GTEX-1HKZK-0726-SM-ACKW2 40-49 years, male 136.1
GTEX-14XAO-1226-SM-6EU1C 60-69 years, female 135.9
GTEX-14JG1-1526-SM-5YY9X 40-49 years, male 135.8
GTEX-1C6WA-2626-SM-7MKGM 60-69 years, male 135.7
GTEX-11NUK-2726-SM-5A5MC 50-59 years, male 135.6
GTEX-18465-2826-SM-7LT9J 50-59 years, male 135.6
GTEX-YJ8O-2526-SM-5HL85 40-49 years, female 135.5
GTEX-14E1K-2026-SM-7DUEI 50-59 years, male 135.4
GTEX-13NYC-0126-SM-5L3F4 60-69 years, male 135.3
GTEX-ZVZP-1226-SM-5GID7 50-59 years, male 135.3
GTEX-13SLX-2226-SM-62LEP 50-59 years, female 135.2
GTEX-14PJ4-0226-SM-5YY92 60-69 years, male 135.2
GTEX-14JFF-0626-SM-5ZZVT 60-69 years, male 135.2
GTEX-ZYW4-0626-SM-59HJR 60-69 years, male 135.0
GTEX-1GZ4I-2626-SM-9KNU3 50-59 years, male 135.0
GTEX-ZYFC-0426-SM-5GICQ 50-59 years, male 134.7
GTEX-ZAJG-1526-SM-5CVML 50-59 years, female 134.6
GTEX-1HSMQ-2626-SM-A9SML 50-59 years, male 134.6
GTEX-16NPX-0726-SM-7KULC 50-59 years, male 134.4
GTEX-1A32A-0626-SM-731AQ 50-59 years, female 134.3
GTEX-ZDTT-0426-SM-4WKFL 60-69 years, male 134.3
GTEX-15DDE-2926-SM-6LLJ3 50-59 years, female 134.1
GTEX-1A8G7-1326-SM-73KVM 60-69 years, male 134.1
GTEX-ZPCL-1126-SM-4WWFE 60-69 years, female 133.9
GTEX-1KXAM-1626-SM-D3LAD 60-69 years, male 133.9
GTEX-X585-2426-SM-46MW2 50-59 years, male 133.8
GTEX-1KANB-2826-SM-CY8I6 50-59 years, male 133.7
GTEX-X8HC-0626-SM-4E3HQ 50-59 years, female 133.6
GTEX-1HC8U-1326-SM-9YFMJ 40-49 years, female 133.6
GTEX-XBEW-1126-SM-4QARW 40-49 years, male 133.5
GTEX-1IOXB-2726-SM-CM2RI 50-59 years, male 133.2
GTEX-1R46S-2426-SM-E76QA 60-69 years, female 133.0
GTEX-1GZ4H-0526-SM-9KNU9 50-59 years, female 132.9
GTEX-17F9Y-0126-SM-79OKX 70-79 years, female 132.7
GTEX-13N1W-2426-SM-5IJD1 70-79 years, male 132.6
GTEX-1JN76-0626-SM-CKZOQ 20-29 years, female 132.6
GTEX-1N2DV-1526-SM-DTXEP 40-49 years, male 132.6
GTEX-Y9LG-1126-SM-4VBQ7 30-39 years, male 132.5
GTEX-1399U-1126-SM-5L3DB 50-59 years, female 132.0
GTEX-16BQI-1326-SM-6M486 30-39 years, female 131.9
GTEX-144GO-2026-SM-5O99P 60-69 years, male 131.8
GTEX-ZE9C-2526-SM-5IJDR 60-69 years, male 131.8
GTEX-13FTX-1526-SM-5K7VJ 20-29 years, female 131.7
GTEX-ZZ64-1026-SM-5GZXG 20-29 years, male 131.6
GTEX-147GR-2426-SM-5ZZWQ 60-69 years, male 131.5
GTEX-1F88E-1626-SM-7SB8Z 60-69 years, female 131.5
GTEX-WHSB-1326-SM-3LK6W 50-59 years, male 131.3
GTEX-1122O-1026-SM-9WYSF 60-69 years, female 131.2
GTEX-1C6VR-0126-SM-7RHGB 60-69 years, male 131.2
GTEX-1117F-2926-SM-5GZYI 60-69 years, female 131.0
GTEX-1CB4J-1326-SM-7P8RX 60-69 years, male 131.0
GTEX-16AAH-0626-SM-793C9 50-59 years, male 130.9
GTEX-1CB4F-1026-SM-7DUH1 60-69 years, male 130.8
GTEX-1LSNL-2726-SM-E9TKJ 50-59 years, male 130.8
GTEX-1399S-0126-SM-5IJCF 30-39 years, female 130.7
GTEX-144GM-0526-SM-79OJO 20-29 years, male 130.7
GTEX-1B933-2426-SM-7DHMD 50-59 years, female 130.7
GTEX-16YQH-2226-SM-7IGM2 30-39 years, male 130.6
GTEX-14BIN-1126-SM-5RQJZ 50-59 years, female 130.4
GTEX-147JS-0226-SM-5S2U9 60-69 years, male 130.3
GTEX-11ZTT-2126-SM-5CVLO 60-69 years, female 130.1
GTEX-1B8KZ-0326-SM-73KY4 50-59 years, male 130.1
GTEX-1JN1M-2726-SM-CY8I4 60-69 years, female 130.1
GTEX-XYKS-1426-SM-4BRUO 60-69 years, female 129.8
GTEX-WYBS-0626-SM-3NMAS 60-69 years, female 129.6
GTEX-1IDJF-2026-SM-CL53V 20-29 years, male 129.6
GTEX-1PPGY-1626-SM-EVYBL 60-69 years, male 129.6
GTEX-11P81-2226-SM-5PNYI 30-39 years, female 129.5
GTEX-15EO6-2426-SM-6PALZ 50-59 years, male 129.5
GTEX-1HR98-2226-SM-ADEI2 60-69 years, male 129.5
GTEX-1F52S-2926-SM-7MKGA 60-69 years, female 129.4
GTEX-1LVA9-2626-SM-EVYD4 50-59 years, male 129.4
GTEX-Z93S-1626-SM-5CVMB 50-59 years, male 129.3
GTEX-1LGRB-0926-SM-COH3K 50-59 years, female 129.3
GTEX-11GS4-0226-SM-5HL77 60-69 years, male 129.2
GTEX-14AS3-1526-SM-5Q5ED 40-49 years, female 129.2
GTEX-WHSE-0126-SM-3NMBT 20-29 years, male 129.2
GTEX-1QMI2-2526-SM-E8VNZ 60-69 years, male 129.2
GTEX-13FLV-0126-SM-5K7WT 50-59 years, male 129.1
GTEX-13VXU-0626-SM-5L3F9 50-59 years, male 129.1
GTEX-1HBPM-0726-SM-9YFL7 60-69 years, female 129.1
GTEX-1OJC4-2726-SM-E76PJ 50-59 years, female 129.1
GTEX-1LSVX-2526-SM-DIPEU 60-69 years, male 128.9
GTEX-1H3VE-0726-SM-9YFL5 40-49 years, male 128.8
GTEX-131XH-0126-SM-5LZUY 50-59 years, male 128.5
GTEX-1B932-2326-SM-79OL5 40-49 years, female 128.5
GTEX-WHWD-1826-SM-3LK6I 50-59 years, male 128.5
GTEX-V1D1-2026-SM-3GAF4 50-59 years, male 128.4
GTEX-1J8QM-2426-SM-A9SLS 60-69 years, female 128.4
GTEX-1KAFJ-0126-SM-DIPEK 50-59 years, male 128.3
GTEX-145MI-0626-SM-5SI8S 60-69 years, female 128.2
GTEX-ZF3C-0626-SM-DO92O 50-59 years, female 128.2
GTEX-133LE-2326-SM-5K7W3 20-29 years, female 128.1
GTEX-1IL2V-1926-SM-B2LW8 70-79 years, male 128.0
GTEX-13OVJ-0826-SM-5J1OK 50-59 years, female 127.9
GTEX-13VXT-1926-SM-5K7UO 20-29 years, female 127.8
GTEX-1R7EU-1626-SM-DTXG3 60-69 years, male 127.6
GTEX-12ZZY-0726-SM-5EQ66 60-69 years, male 127.5
GTEX-11UD2-2526-SM-5CVNU 50-59 years, male 127.4
GTEX-14PJN-1826-SM-6AJ98 30-39 years, male 127.4
GTEX-1RB15-1326-SM-E76Q9 60-69 years, male 127.4
GTEX-13OW7-0426-SM-5K7VK 50-59 years, male 127.3
GTEX-15RJ7-2126-SM-6PAMD 40-49 years, male 127.3
GTEX-1RAZR-2126-SM-E9U6T 40-49 years, male 127.3
GTEX-1HFI6-0126-SM-CNPPI 40-49 years, male 127.2
GTEX-1PPH7-1126-SM-DTX9A 40-49 years, male 127.0
GTEX-1I1HK-2326-SM-CKZOH 60-69 years, male 126.8
GTEX-1ICLY-0826-SM-CMKG1 50-59 years, male 126.4
GTEX-11TUW-0626-SM-5LU9M 60-69 years, male 126.2
GTEX-ZDTS-0826-SM-4WKHL 60-69 years, male 126.2
GTEX-1H1DG-2426-SM-9QEHJ 70-79 years, male 126.1
GTEX-ZT9X-1526-SM-5DUXD 40-49 years, male 126.0
GTEX-147F3-1726-SM-5SIAW 50-59 years, female 125.9
GTEX-1QP9N-1226-SM-E76QN 30-39 years, male 125.8
GTEX-14PKU-0126-SM-6LLHV 40-49 years, female 125.7
GTEX-15D1Q-2826-SM-6LLH7 40-49 years, male 125.7
GTEX-1A3MV-1826-SM-731CD 30-39 years, male 125.7
GTEX-131XW-0626-SM-5PNVD 50-59 years, female 125.6
GTEX-Y8E4-2026-SM-5IFJB 40-49 years, male 125.5
GTEX-XAJ8-1426-SM-47JYM 40-49 years, male 125.2
GTEX-11GSP-2326-SM-5HL63 60-69 years, female 125.0
GTEX-13QJC-0126-SM-5ZZWJ 60-69 years, female 125.0
GTEX-14PJ6-2626-SM-6EU2T 60-69 years, female 125.0
GTEX-XQ3S-1426-SM-4BOPR 20-29 years, male 125.0
GTEX-1B8SF-0126-SM-7DUG3 60-69 years, male 124.8
GTEX-1CAMR-1326-SM-7PC1F 20-29 years, male 124.8
GTEX-145MN-1526-SM-5SI9T 30-39 years, male 124.7
GTEX-1JK1U-0226-SM-ARZMX 60-69 years, male 124.7
GTEX-1QAET-0326-SM-EVR3U 50-59 years, male 124.7
GTEX-131XG-0326-SM-5L3DX 50-59 years, female 124.6
GTEX-14DAR-1226-SM-73KYV 50-59 years, male 124.6
GTEX-15EU6-2226-SM-6EU2L 50-59 years, male 124.6
GTEX-18A66-0626-SM-7LT8Z 60-69 years, male 124.5
GTEX-18QFQ-1826-SM-72D52 30-39 years, male 124.4
GTEX-ZF2S-1626-SM-57WES 50-59 years, female 124.4
GTEX-ZYY3-2926-SM-5GIEB 60-69 years, female 124.4
GTEX-139T8-0626-SM-5KLZX 60-69 years, male 124.2
GTEX-1AMFI-1326-SM-7939R 50-59 years, female 124.2
GTEX-14C5O-0326-SM-5ZZUX 60-69 years, male 124.1
GTEX-1F6IF-0926-SM-7SB7M 60-69 years, male 124.0
GTEX-1JMPY-0226-SM-CKZOK 30-39 years, male 124.0
GTEX-1JMQK-1226-SM-D4P2S 60-69 years, male 124.0
GTEX-WRHU-2826-SM-3MJG8 50-59 years, female 123.9
GTEX-1GN2E-0226-SM-9WG6K 60-69 years, male 123.9
GTEX-Y111-0626-SM-4SOIT 50-59 years, male 123.7
GTEX-ZP4G-1426-SM-4WWCL 20-29 years, female 123.7
GTEX-ZF29-0926-SM-4WKFZ 60-69 years, female 123.6
GTEX-17HHY-0426-SM-7DHLC 50-59 years, male 123.5
GTEX-18A7A-0126-SM-731AH 50-59 years, female 123.4
GTEX-1H1DE-1326-SM-9KNUG 20-29 years, male 123.3
GTEX-111YS-1526-SM-5GZYW 60-69 years, male 123.0
GTEX-17MF6-2626-SM-79OKQ 40-49 years, male 122.9
GTEX-1B97I-0626-SM-73KUZ 40-49 years, male 122.9
GTEX-1H1DF-1126-SM-9WG7G 40-49 years, female 122.9
GTEX-1HB9E-0126-SM-CM2S5 50-59 years, male 122.8
GTEX-14JG6-1426-SM-9WG7C 30-39 years, female 122.7
GTEX-145MF-0926-SM-5Q5EA 50-59 years, male 122.6
GTEX-12WSC-2826-SM-5BC5Y 50-59 years, male 122.5
GTEX-1CB4H-1126-SM-7MKGL 60-69 years, female 122.5
GTEX-111CU-1126-SM-5EGIM 50-59 years, male 122.3
GTEX-145ME-1726-SM-5Q5EU 40-49 years, female 122.3
GTEX-14E6C-2426-SM-5S2NF 40-49 years, male 122.2
GTEX-U8XE-0226-SM-4E3J3 30-39 years, male 122.2
GTEX-X5EB-1926-SM-4E3IW 40-49 years, male 122.2
GTEX-11O72-0626-SM-5PNYE 40-49 years, male 122.1
GTEX-13X6H-0926-SM-5SIB2 50-59 years, female 122.0
GTEX-1KWVE-1026-SM-D3L9O 30-39 years, male 121.8
GTEX-139TU-0726-SM-5L3EK 60-69 years, male 121.7
GTEX-17F9E-2326-SM-79OKD 50-59 years, male 121.7
GTEX-UPK5-0426-SM-3GAEK 40-49 years, male 121.5
GTEX-12126-0826-SM-5FQTZ 20-29 years, male 121.4
GTEX-1O9I2-0226-SM-EYYXD 50-59 years, male 121.1
GTEX-15CHC-1126-SM-6LLHQ 60-69 years, female 121.0
GTEX-1JKYR-0626-SM-ARL8R 20-29 years, male 121.0
GTEX-1GN1W-2426-SM-9KNUU 50-59 years, female 120.9
GTEX-1JN6P-2926-SM-CL54D 60-69 years, male 120.9
GTEX-11DYG-1526-SM-5A5JS 60-69 years, male 120.7
GTEX-13FHO-0426-SM-5L3F5 60-69 years, male 120.6
GTEX-1I1GT-1026-SM-ARZLV 60-69 years, female 120.6
GTEX-1MJK3-0726-SM-E6CJC 20-29 years, male 120.6
GTEX-1S5ZU-2526-SM-E6CIF 20-29 years, female 120.4
GTEX-1F75I-2226-SM-7SB8U 40-49 years, male 120.2
GTEX-1IY9M-2826-SM-ARU8H 60-69 years, male 120.2
GTEX-1CB4I-0126-SM-7RHGG 50-59 years, male 120.0
GTEX-1IDJI-0126-SM-CMKHS 50-59 years, female 120.0
GTEX-1EKGG-0626-SM-7DUGJ 60-69 years, male 119.8
GTEX-1JMQL-2226-SM-CNPP4 50-59 years, female 119.7
GTEX-ZPU1-1126-SM-4YCF3 40-49 years, male 119.6
GTEX-14ABY-2026-SM-62LDL 50-59 years, male 119.5
GTEX-1GF9U-2026-SM-7SB92 40-49 years, female 119.5
GTEX-VUSG-2326-SM-4KL1U 50-59 years, male 119.4
GTEX-131XF-2626-SM-5EQ6K 60-69 years, male 119.3
GTEX-13QBU-1226-SM-5LU4G 40-49 years, female 119.2
GTEX-1K2DU-1226-SM-CYPT4 20-29 years, male 119.2
GTEX-WY7C-2126-SM-3NB2R 50-59 years, male 118.9
GTEX-1S3DN-2126-SM-E9TIN 50-59 years, male 118.9
GTEX-WK11-2726-SM-3NMAQ 50-59 years, male 118.8
GTEX-ZTX8-1326-SM-4YCEL 20-29 years, male 118.8
GTEX-13O3Q-0126-SM-5KM34 50-59 years, male 118.7
GTEX-1RMOY-1326-SM-E9TIH 50-59 years, male 118.6
GTEX-1HSMO-0626-SM-ACKXC 60-69 years, male 118.5
GTEX-131YS-2826-SM-5EQ47 60-69 years, female 118.3
GTEX-146FQ-2126-SM-5RQHU 30-39 years, male 118.3
GTEX-183FY-1026-SM-7939A 20-29 years, male 118.3
GTEX-ZGAY-1826-SM-DO91Q 40-49 years, female 118.1
GTEX-1CAMQ-1326-SM-7P8RV 40-49 years, male 118.0
GTEX-11EQ9-1626-SM-5PNY8 30-39 years, male 117.8
GTEX-YF7O-1526-SM-5IFI6 50-59 years, male 117.6
GTEX-1H1ZS-2726-SM-9WG75 70-79 years, male 117.6
GTEX-16MT9-0126-SM-7EPI8 60-69 years, female 117.5
GTEX-XBED-1926-SM-47JYP 60-69 years, male 117.5
GTEX-YEC3-1326-SM-DO92X 50-59 years, male 117.5
GTEX-15CHQ-0326-SM-69LQD 60-69 years, male 117.4
GTEX-1EX96-1026-SM-7MKG2 50-59 years, male 117.2
GTEX-1GMR8-0626-SM-7RHI7 50-59 years, female 117.2
GTEX-18D9B-0926-SM-7LG4U 60-69 years, male 117.1
GTEX-1IDJV-0126-SM-COH3Y 60-69 years, male 117.1
GTEX-1OJC3-1226-SM-DTXER 20-29 years, male 117.1
GTEX-ZLFU-1826-SM-4WWBV 40-49 years, male 117.0
GTEX-XOT4-0626-SM-4B66L 60-69 years, female 116.9
GTEX-ZZPU-0826-SM-5GZX5 50-59 years, female 116.9
GTEX-1ICG6-1226-SM-A9SLN 70-79 years, female 116.9
GTEX-1J8JJ-0626-SM-ARZMQ 60-69 years, female 116.9
GTEX-Y3IK-1626-SM-4YCF5 50-59 years, female 116.8
GTEX-ZWKS-0626-SM-5GIDV 30-39 years, male 116.8
GTEX-16XZZ-0726-SM-7KUF2 60-69 years, male 116.4
GTEX-1EH9U-2826-SM-7DUGT 60-69 years, male 116.4
GTEX-13D11-0926-SM-5J2NC 50-59 years, female 116.2
GTEX-1EN7A-2426-SM-793DB 40-49 years, male 116.2
GTEX-WFG7-2026-SM-5SI7P 20-29 years, male 116.2
GTEX-14C38-0726-SM-5SI6M 50-59 years, male 116.1
GTEX-1GMR3-0126-SM-A9SLW 40-49 years, male 116.1
GTEX-1I6K7-1926-SM-B2LXR 40-49 years, male 115.8
GTEX-13RTJ-0126-SM-5S2NN 60-69 years, male 115.7
GTEX-1RAZA-2226-SM-E9U4X 20-29 years, male 115.7
GTEX-13PVQ-0626-SM-5LU47 50-59 years, male 115.6
GTEX-ZVE2-2826-SM-5GU51 50-59 years, male 115.6
GTEX-14PK6-0226-SM-62LF5 70-79 years, female 115.5
GTEX-ZC5H-1526-SM-5HL9Y 40-49 years, female 115.5
GTEX-11DXW-0826-SM-5H118 40-49 years, male 115.2
GTEX-139TT-2126-SM-5LZWC 60-69 years, male 115.1
GTEX-13X6I-1826-SM-5SIAO 60-69 years, male 115.1
GTEX-1N2EE-0626-SM-E76PW 60-69 years, male 114.9
GTEX-XXEK-1626-SM-4BRUZ 50-59 years, male 114.7
GTEX-Y5V6-2326-SM-4VDSA 60-69 years, male 114.7
GTEX-11P7K-1126-SM-5HL4L 30-39 years, male 114.6
GTEX-17HHE-1326-SM-7EWDZ 50-59 years, male 114.6
GTEX-WHPG-2626-SM-3NMBR 50-59 years, male 114.6
GTEX-145LS-0626-SM-7EPG7 60-69 years, female 114.3
GTEX-XK95-0226-SM-4AT58 40-49 years, male 114.2
GTEX-11VI4-1126-SM-5EQMD 40-49 years, female 114.1
GTEX-145MG-1526-SM-5Q5EM 50-59 years, male 114.0
GTEX-1I6K6-1726-SM-CGQFD 30-39 years, male 114.0
GTEX-1M4P7-0726-SM-E6CJ3 60-69 years, male 114.0
GTEX-11EM3-1226-SM-5N9DD 20-29 years, female 113.9
GTEX-1JMPZ-0726-SM-CY8HZ 30-39 years, male 113.9
GTEX-17HG3-2626-SM-7DUF2 30-39 years, female 113.8
GTEX-17HGU-2326-SM-7DUFE 50-59 years, male 113.8
GTEX-1H1CY-0126-SM-9YFLY 60-69 years, female 113.6
GTEX-XUW1-0926-SM-4BONX 50-59 years, female 113.4
GTEX-11DXZ-2026-SM-5987S 50-59 years, male 113.3
GTEX-1IDJC-1526-SM-B2LW4 50-59 years, male 113.3
GTEX-1HCUA-0826-SM-ADEHM 50-59 years, female 113.2
GTEX-1QEPI-2626-SM-DTXF4 60-69 years, female 113.1
GTEX-12584-0726-SM-5FQTK 40-49 years, male 113.0
GTEX-WFG8-2126-SM-3GIKQ 20-29 years, male 113.0
GTEX-1QW4Y-1126-SM-DTXE3 30-39 years, male 112.9
GTEX-183WM-0326-SM-72D5V 70-79 years, female 112.8
GTEX-1EWIQ-0326-SM-7DHMQ 70-79 years, female 112.5
GTEX-WFON-1926-SM-3LK7L 40-49 years, male 112.5
GTEX-ZYFD-0626-SM-5E44E 50-59 years, male 112.4
GTEX-Y114-2126-SM-4TT8B 50-59 years, female 112.3
GTEX-1HGF4-0126-SM-CNPPX 60-69 years, male 112.3
GTEX-1GL5R-1326-SM-7RHHF 50-59 years, male 112.1
GTEX-13FTW-0326-SM-5K7UW 40-49 years, male 112.0
GTEX-1HCU9-0426-SM-9WYSD 20-29 years, male 111.9
GTEX-ZVE1-0726-SM-51MRN 50-59 years, female 111.7
GTEX-Y5LM-0926-SM-6LLJG 40-49 years, female 111.6
GTEX-1QP29-1826-SM-DTX9S 50-59 years, male 111.6
GTEX-1A3MW-0626-SM-731CB 60-69 years, female 111.5
GTEX-1N5O9-0926-SM-E9J3C 60-69 years, male 111.5
GTEX-ZVT2-0126-SM-5GIDQ 50-59 years, female 111.4
GTEX-1CB4E-0926-SM-7EPHT 60-69 years, male 111.3
GTEX-11ZUS-2626-SM-5FQUR 30-39 years, male 111.2
GTEX-1AX8Z-0726-SM-73KTS 60-69 years, male 111.0
GTEX-1QP66-1226-SM-DTX7U 50-59 years, male 110.9
GTEX-1HUB1-1426-SM-CGQF5 60-69 years, male 110.7
GTEX-1314G-1326-SM-5BC6E 30-39 years, male 110.4
GTEX-WYJK-0526-SM-3NM8Z 50-59 years, male 110.3
GTEX-145MO-2826-SM-5LU96 60-69 years, male 110.2
GTEX-XPVG-2126-SM-4B667 50-59 years, male 110.2
GTEX-139YR-1026-SM-5LZYN 50-59 years, male 110.1
GTEX-16GPK-0626-SM-7KFSF 60-69 years, male 110.1
GTEX-12C56-1526-SM-5FQUQ 20-29 years, male 110.0
GTEX-1LBAC-0826-SM-CY8IJ 20-29 years, male 110.0
GTEX-1AX9J-1326-SM-731BJ 60-69 years, male 109.9
GTEX-139TS-2126-SM-5K7XC 60-69 years, male 109.7
GTEX-1CAV2-0126-SM-7IGN7 40-49 years, female 109.7
GTEX-ZAK1-0626-SM-5HL8E 50-59 years, female 109.7
GTEX-12WSL-2026-SM-5GCML 50-59 years, male 109.6
GTEX-13PVR-0426-SM-5RQK2 60-69 years, female 109.4
GTEX-1HSGN-0826-SM-ACKW3 40-49 years, female 109.4
GTEX-117YX-1926-SM-5GIEC 50-59 years, male 109.3
GTEX-13W3W-0726-SM-5IJDQ 60-69 years, female 109.1
GTEX-16MTA-0926-SM-6M47Z 50-59 years, male 109.1
GTEX-1JMLX-0626-SM-ARL8T 50-59 years, male 109.1
GTEX-1LVAN-0626-SM-CNPOQ 50-59 years, female 109.0
GTEX-1B8KE-1126-SM-7EPHI 50-59 years, male 108.4
GTEX-WYVS-1626-SM-3NM9R 40-49 years, female 108.0
GTEX-1J1R8-2026-SM-CL53Y 40-49 years, male 108.0
GTEX-12WSF-1626-SM-7KUG5 70-79 years, male 107.9
GTEX-18D9U-0126-SM-731BM 40-49 years, male 107.9
GTEX-1JKYN-0826-SM-ARU8S 30-39 years, male 107.9
GTEX-1LVAM-0726-SM-E6CIL 50-59 years, female 107.7
GTEX-11OF3-0126-SM-5PNYF 60-69 years, male 107.5
GTEX-14PKV-1126-SM-6LLJ1 20-29 years, female 107.4
GTEX-16NGA-0726-SM-731AO 40-49 years, female 107.4
GTEX-1GTWX-2026-SM-9YFLM 60-69 years, male 107.4
GTEX-15FZZ-0526-SM-7KUGD 30-39 years, female 107.1
GTEX-1JMOU-1026-SM-CYPSS 60-69 years, female 106.9
GTEX-1S83E-1326-SM-E6CJM 40-49 years, male 106.5
GTEX-14LLW-2626-SM-62LDZ 70-79 years, female 106.4
GTEX-1MCYP-0526-SM-E9U6Q 20-29 years, female 106.4
GTEX-WI4N-2726-SM-3LK7Y 40-49 years, female 106.3
GTEX-1497J-0226-SM-5QGPU 60-69 years, male 106.2
GTEX-13113-1626-SM-5EQ4I 60-69 years, female 106.1
GTEX-1E1VI-0326-SM-793D1 50-59 years, male 105.6
GTEX-12696-0126-SM-5EQ4L 60-69 years, male 105.3
GTEX-1HFI7-2326-SM-CGQFS 50-59 years, female 105.1
GTEX-1KANA-1326-SM-DIPFA 20-29 years, male 104.9
GTEX-13OVH-0526-SM-5L3E6 70-79 years, male 104.7
GTEX-ZA64-1026-SM-5HL8R 20-29 years, male 104.7
GTEX-1KD5A-0126-SM-E9U54 50-59 years, male 104.7
GTEX-145LT-0526-SM-5LUB2 40-49 years, male 104.5
GTEX-1IDJE-1426-SM-ADEIW 50-59 years, female 104.5
GTEX-1S82P-2126-SM-E6CI5 60-69 years, female 104.1
GTEX-1MCC2-1826-SM-DIPEX 30-39 years, female 103.9
GTEX-16Z82-2626-SM-7KULU 60-69 years, male 103.8
GTEX-X4EP-0626-SM-3P621 60-69 years, female 103.7
GTEX-YB5K-2026-SM-4VDT3 40-49 years, female 103.7
GTEX-1KANC-1226-SM-CYPT7 50-59 years, female 103.6
GTEX-1AMEY-0826-SM-72D65 30-39 years, female 103.5
GTEX-13N11-2326-SM-5IJBF 50-59 years, female 103.3
GTEX-13NZ9-2626-SM-5L3FK 50-59 years, male 103.3
GTEX-13OVG-1626-SM-5J1NF 60-69 years, male 103.3
GTEX-ZDXO-3126-SM-5IJDF 60-69 years, male 103.3
GTEX-ZPIC-0526-SM-DO91W 40-49 years, female 103.3
GTEX-12WSJ-1126-SM-5LZVJ 40-49 years, female 103.2
GTEX-1JJE9-2626-SM-ARZMT 70-79 years, male 103.2
GTEX-1B996-0426-SM-7EWF8 60-69 years, male 103.0
GTEX-1S831-1826-SM-EWROF 20-29 years, male 102.9
GTEX-12BJ1-0926-SM-5EQ62 60-69 years, male 102.8
GTEX-1C64O-1326-SM-7MGWR 60-69 years, male 102.8
GTEX-1211K-1526-SM-5FQU4 60-69 years, female 102.7
GTEX-1RAZS-2526-SM-E6CHT 50-59 years, male 102.2
GTEX-15CHR-1126-SM-7EWF4 50-59 years, male 102.1
GTEX-1S82U-1026-SM-E6CJK 30-39 years, female 102.0
GTEX-14PJO-2526-SM-6AJBQ 60-69 years, male 101.8
GTEX-1H23P-0626-SM-9WG6T 60-69 years, male 101.7
GTEX-Y8LW-1526-SM-5IFHL 50-59 years, female 101.6
GTEX-1F6I4-2326-SM-7RHGL 60-69 years, male 101.5
GTEX-1JMQI-1726-SM-ARL93 50-59 years, male 101.3
GTEX-XBEC-0726-SM-4QARZ 50-59 years, male 101.2
GTEX-13OVL-0126-SM-5L3GJ 50-59 years, male 100.9
GTEX-1H1E6-0426-SM-9WYUS 30-39 years, male 100.7
GTEX-13U4I-2226-SM-5LU5H 40-49 years, female 100.6
GTEX-1K9T9-1526-SM-DIPFR 50-59 years, female 100.4
GTEX-1LGOU-1326-SM-D3L8M 20-29 years, female 100.4
GTEX-ZLWG-0826-SM-59888 50-59 years, female 100.3
GTEX-1QCLZ-2426-SM-EVYBW 60-69 years, female 100.2
GTEX-14DAQ-0626-SM-793DS 60-69 years, female 100.0
GTEX-1212Z-0126-SM-59HK4 60-69 years, male 99.7
GTEX-1C475-1326-SM-7SB73 40-49 years, female 99.6
GTEX-11EI6-2826-SM-5H11D 60-69 years, male 99.3
GTEX-1L5NE-1126-SM-D3L9P 50-59 years, male 98.7
GTEX-X3Y1-2026-SM-3P5YM 40-49 years, male 98.6
GTEX-ZT9W-1126-SM-57WDR 50-59 years, male 98.6
GTEX-ZUA1-2626-SM-5NQ92 40-49 years, male 98.6
GTEX-16MT8-2926-SM-7DUFO 60-69 years, female 98.5
GTEX-ZAB4-2126-SM-5HL8U 40-49 years, male 98.2
GTEX-12WSA-0426-SM-5EQ5X 60-69 years, male 98.1
GTEX-11TT1-1826-SM-5EQLV 20-29 years, male 98.0
GTEX-11NSD-0626-SM-5A5LU 20-29 years, male 97.9
GTEX-1F75W-2726-SM-7SB8H 60-69 years, male 97.8
GTEX-1GMR2-0826-SM-7PC3V 50-59 years, male 97.8
GTEX-13OW8-1026-SM-5J1NQ 60-69 years, male 97.5
GTEX-14E6E-0526-SM-793DN 30-39 years, male 97.3
GTEX-1J8Q3-0526-SM-ARL8U 60-69 years, male 97.2
GTEX-14PJ2-0626-SM-6LLII 50-59 years, male 97.1
GTEX-1LVAO-2726-SM-E9TJ8 60-69 years, male 96.9
GTEX-ZU9S-1826-SM-5NQ9E 30-39 years, male 96.7
GTEX-11P82-1426-SM-DTXFY 20-29 years, male 96.1
GTEX-1IDJU-1726-SM-CMKHU 60-69 years, female 95.7
GTEX-18A7B-2726-SM-7LG56 70-79 years, male 95.5
GTEX-17F96-0126-SM-7EWDU 70-79 years, male 95.4
GTEX-132AR-0326-SM-5KM2C 50-59 years, female 94.7
GTEX-ZVP2-0326-SM-57WBP 50-59 years, male 94.5
GTEX-13JUV-2026-SM-5K7UA 40-49 years, female 94.4
GTEX-XV7Q-1826-SM-4BRUV 40-49 years, female 94.4
GTEX-1K2DA-1026-SM-CGQGF 50-59 years, male 93.9
GTEX-14BMU-1226-SM-5S2OR 20-29 years, female 93.5
GTEX-1477Z-0326-SM-7IGLA 60-69 years, male 93.1
GTEX-1LSNM-0826-SM-DIPG8 50-59 years, male 93.0
GTEX-1IDJD-2326-SM-ACKWX 30-39 years, male 92.6
GTEX-1LG7Z-1626-SM-CXKYR 30-39 years, male 92.1
GTEX-1GZ2Q-0126-SM-9WG6M 40-49 years, male 91.7
GTEX-13N2G-0226-SM-5K7VF 60-69 years, male 91.6
GTEX-ZYFG-1526-SM-5GZYM 60-69 years, female 91.4
GTEX-1H3NZ-2726-SM-9WYTQ 60-69 years, male 90.6
GTEX-17EVQ-0126-SM-7IGLR 70-79 years, male 90.5
GTEX-1A3MX-2626-SM-7PC24 60-69 years, male 89.8
GTEX-13FH7-1126-SM-5K7UG 50-59 years, female 89.2
GTEX-17JCI-2926-SM-7DUFF 60-69 years, female 88.5
GTEX-1399R-1326-SM-5PNYS 30-39 years, male 86.8
GTEX-1I4MK-0126-SM-CY8G6 50-59 years, female 86.2
GTEX-1I19N-0126-SM-CYPSF 70-79 years, male 85.5
GTEX-ZTSS-1426-SM-5985P 40-49 years, male 85.3
GTEX-Y5V5-0126-SM-5S2NW 60-69 years, female 82.2
GTEX-ZVTK-0226-SM-51MRG 20-29 years, male 81.7
GTEX-1HCU8-2526-SM-CE6RX 60-69 years, female 81.0
GTEX-111FC-2526-SM-5GZXU 60-69 years, male 76.2
Show allShow less
Skin - Sun Exposed (Lower leg)
Average nTPM: 121.3
Samples: 701

Max nTPM: 247.1
Min nTPM: 68.8
Std nTPM: 22.7
Median nTPM: 119.0
GTEX-POMQ-2226-SM-2I5FK 20-29 years, female 247.1
GTEX-14E6C-0126-SM-5RQIP 40-49 years, male 225.7
GTEX-1JJEA-0326-SM-CNPOT 60-69 years, male 209.6
GTEX-183WM-0126-SM-7LTAB 70-79 years, female 204.6
GTEX-15ER7-0326-SM-7KUEV 20-29 years, female 196.4
GTEX-WFG8-2226-SM-3GIL9 20-29 years, male 188.2
GTEX-1R9PM-2026-SM-E76OY 20-29 years, male 182.5
GTEX-ZYT6-0226-SM-5NQ6T 30-39 years, male 176.6
GTEX-1GN1U-0126-SM-7PBZK 50-59 years, female 176.6
GTEX-OIZH-0126-SM-2HMIS 50-59 years, male 175.8
GTEX-1EWIQ-0126-SM-7RHH2 70-79 years, female 175.0
GTEX-18D9A-1926-SM-7LG6P 30-39 years, female 174.1
GTEX-SJXC-0126-SM-2XCFF 60-69 years, male 173.8
GTEX-1122O-2126-SM-5EGIR 60-69 years, female 171.9
GTEX-S32W-2126-SM-2XCB1 50-59 years, female 171.3
GTEX-14A5I-0126-SM-5TDEA 50-59 years, female 170.7
GTEX-T2YK-0526-SM-32QPJ 50-59 years, male 170.7
GTEX-15UF6-0826-SM-6PALJ 70-79 years, female 170.5
GTEX-13OW5-0126-SM-DTXFS 60-69 years, male 169.5
GTEX-139UW-2826-SM-5L3E7 60-69 years, male 169.4
GTEX-1MJK2-0426-SM-DTXE5 50-59 years, male 169.3
GTEX-1HCU6-0126-SM-CL54K 60-69 years, female 167.6
GTEX-UPJH-0326-SM-3GADU 50-59 years, male 167.4
GTEX-15ETS-0126-SM-7KUMW 40-49 years, female 167.3
GTEX-1PIIG-0226-SM-EWRN6 30-39 years, male 167.3
GTEX-PSDG-0226-SM-DKPOZ 50-59 years, male 167.3
GTEX-1B8SF-1426-SM-7DUGL 60-69 years, male 166.1
GTEX-1IKJJ-0126-SM-CNPQB 60-69 years, male 165.0
GTEX-13YAN-0326-SM-5O9DF 60-69 years, male 164.4
GTEX-S7SE-0126-SM-2XCD5 50-59 years, male 164.4
GTEX-145MO-0326-SM-5Q5B3 60-69 years, male 164.1
GTEX-1GF9V-0326-SM-7RHI5 60-69 years, male 164.1
GTEX-QESD-1426-SM-2S1R9 20-29 years, male 162.8
GTEX-PVOW-0126-SM-2XCFA 40-49 years, male 162.5
GTEX-1C475-1826-SM-73KWA 40-49 years, female 162.2
GTEX-O5YT-0126-SM-48TBW 20-29 years, male 160.8
GTEX-1ICLZ-0126-SM-CKZPO 60-69 years, male 160.0
GTEX-1C64N-0126-SM-793D7 50-59 years, male 159.9
GTEX-ZTX8-1426-SM-5DUVO 20-29 years, male 159.9
GTEX-1JN6P-0126-SM-D3L98 60-69 years, male 159.8
GTEX-XBEW-0626-SM-4QASP 40-49 years, male 159.4
GTEX-1K2DA-1826-SM-CGQGT 50-59 years, male 159.3
GTEX-1IDJH-0326-SM-A9SLQ 70-79 years, male 159.2
GTEX-14PII-0226-SM-6EU1T 60-69 years, male 159.1
GTEX-ZVZO-0126-SM-5A5L9 40-49 years, male 158.6
GTEX-P4QT-0126-SM-2I3FL 50-59 years, female 158.3
GTEX-1L5NE-2526-SM-E6CIE 50-59 years, male 158.2
GTEX-T8EM-1026-SM-3DB7M 40-49 years, male 157.9
GTEX-11DXZ-2326-SM-5EGGV 50-59 years, male 157.7
GTEX-1LG7Z-1726-SM-D3LA4 30-39 years, male 157.5
GTEX-1POEN-0126-SM-EYYXJ 30-39 years, female 157.5
GTEX-11DYG-0126-SM-59883 60-69 years, male 157.2
GTEX-QCQG-1726-SM-3GIJ9 50-59 years, female 157.2
GTEX-1H4P4-0726-SM-9YFLR 50-59 years, male 155.3
GTEX-X88G-0126-SM-47JZ3 30-39 years, male 155.1
GTEX-1PDJ9-0326-SM-DTX95 20-29 years, male 153.8
GTEX-U412-0426-SM-3DB9O 60-69 years, male 153.7
GTEX-145LS-0126-SM-5QGP1 60-69 years, female 153.2
GTEX-1KD4Q-0226-SM-E9TJ9 40-49 years, male 152.7
GTEX-14BIN-0626-SM-793DP 50-59 years, female 152.4
GTEX-TML8-1926-SM-32QOS 40-49 years, female 152.0
GTEX-1C6VQ-0126-SM-7P8RI 50-59 years, male 151.0
GTEX-16XZZ-0126-SM-793DV 60-69 years, male 150.6
GTEX-T5JW-1626-SM-3GADZ 20-29 years, female 150.4
GTEX-1LVAN-0226-SM-COH3S 50-59 years, female 150.4
GTEX-1GMR3-1926-SM-9KNUZ 40-49 years, male 150.3
GTEX-1CB4G-0226-SM-7PC3O 60-69 years, male 150.1
GTEX-QDVJ-1726-SM-2I5FX 50-59 years, male 149.9
GTEX-17JCI-0126-SM-7LG5G 60-69 years, female 149.8
GTEX-148VJ-0126-SM-5TDDN 70-79 years, male 149.7
GTEX-X4XY-0226-SM-4E3IZ 60-69 years, male 149.7
GTEX-X261-0126-SM-3NMD6 50-59 years, male 149.4
GTEX-131XE-2326-SM-5PNZ2 50-59 years, male 149.3
GTEX-PX3G-0126-SM-2I3EN 20-29 years, female 149.2
GTEX-17HII-0226-SM-7LG4E 50-59 years, male 149.1
GTEX-1HBPI-1526-SM-C1YQ1 50-59 years, male 149.1
GTEX-131YS-0126-SM-5KM1M 60-69 years, female 148.5
GTEX-1JMPZ-0226-SM-CNPP1 30-39 years, male 148.5
GTEX-111FC-0126-SM-5N9DL 60-69 years, male 148.1
GTEX-1QMI2-0226-SM-EVYBX 60-69 years, male 148.0
GTEX-1HCU7-0226-SM-CL545 50-59 years, male 147.6
GTEX-1F5PL-0326-SM-7P8PQ 40-49 years, female 147.5
GTEX-1B8L1-2526-SM-9WYTF 60-69 years, male 147.4
GTEX-1HT8W-0126-SM-CNPPP 30-39 years, male 147.0
GTEX-RVPV-0126-SM-EAZAW 60-69 years, male 146.9
GTEX-11DZ1-0126-SM-5985Q 50-59 years, male 146.8
GTEX-1CAV2-2226-SM-7P8P2 40-49 years, female 146.6
GTEX-U8T8-0126-SM-3DB94 60-69 years, male 146.5
GTEX-17GQL-2026-SM-718BA 60-69 years, male 146.3
GTEX-14PJM-0226-SM-62LF1 50-59 years, female 146.2
GTEX-ZV6S-2326-SM-4YCEY 40-49 years, female 146.2
GTEX-13N2G-2626-SM-5J1OT 60-69 years, male 145.9
GTEX-13OVH-0126-SM-5MR4B 70-79 years, male 145.8
GTEX-131XW-0426-SM-5LZWP 50-59 years, female 145.4
GTEX-13D11-2426-SM-5KM1V 50-59 years, female 144.7
GTEX-13CF2-2526-SM-5LZYX 60-69 years, male 144.6
GTEX-1R46S-0626-SM-E9J41 60-69 years, female 144.5
GTEX-17EVP-0326-SM-7DHLG 40-49 years, male 144.3
GTEX-NFK9-0226-SM-2HMKQ 40-49 years, male 144.3
GTEX-1E2YA-0126-SM-9KNUC 50-59 years, male 144.2
GTEX-1J8JJ-0226-SM-CL53I 60-69 years, female 144.2
GTEX-1I1GV-0526-SM-A9G29 60-69 years, male 144.1
GTEX-1JMQK-0226-SM-CL543 60-69 years, male 144.1
GTEX-1I4MK-2226-SM-ACKWD 50-59 years, female 143.9
GTEX-1N2EF-0226-SM-EYYXB 60-69 years, male 143.9
GTEX-144FL-0126-SM-5TDC8 50-59 years, male 143.8
GTEX-SNMC-1226-SM-2XCFP 20-29 years, male 143.8
GTEX-1GZHY-0326-SM-9QEHI 50-59 years, female 143.8
GTEX-1BAJH-0526-SM-793CQ 70-79 years, male 143.7
GTEX-139D8-0226-SM-5KLZO 30-39 years, female 143.3
GTEX-13NZ8-0826-SM-5MR3I 60-69 years, female 143.3
GTEX-1HSKV-0226-SM-A9SKJ 60-69 years, male 143.3
GTEX-14753-0426-SM-5NQAM 60-69 years, male 143.2
GTEX-18A6Q-0126-SM-731BZ 60-69 years, male 143.0
GTEX-11H98-0126-SM-5EGHG 50-59 years, male 142.7
GTEX-T6MN-0126-SM-32PLP 50-59 years, male 142.6
GTEX-P44H-0226-SM-2XCEU 40-49 years, male 142.4
GTEX-1F6RS-0126-SM-9MQKZ 60-69 years, female 142.3
GTEX-YJ89-0126-SM-4TT3X 60-69 years, male 142.2
GTEX-1R7EU-0226-SM-EVR4G 60-69 years, male 142.0
GTEX-OIZG-0726-SM-33HBL 50-59 years, male 141.8
GTEX-VJYA-1126-SM-3GIJU 60-69 years, male 141.8
GTEX-ZU9S-0226-SM-5E441 30-39 years, male 141.8
GTEX-117XS-2726-SM-5N9BL 60-69 years, male 141.7
GTEX-1PIGE-0126-SM-EVYBJ 20-29 years, male 141.7
GTEX-16GPK-0126-SM-7DHLE 60-69 years, male 141.6
GTEX-1KANC-1526-SM-D3LAB 50-59 years, female 141.6
GTEX-UJHI-1526-SM-3DB99 50-59 years, female 141.5
GTEX-1399R-2726-SM-5IJBA 30-39 years, male 141.2
GTEX-1GF9X-2026-SM-7PC3A 40-49 years, female 141.1
GTEX-1GMRU-0126-SM-9YFLV 50-59 years, male 141.1
GTEX-XQ3S-1526-SM-4BOOC 20-29 years, male 141.0
GTEX-1I1GR-0126-SM-CL55F 60-69 years, male 140.7
GTEX-13X6J-0126-SM-5QGOU 50-59 years, male 140.6
GTEX-15G19-0126-SM-6PANQ 60-69 years, male 140.6
GTEX-X4EO-0326-SM-3P5YO 60-69 years, female 140.5
GTEX-ZWKS-0126-SM-5SIAA 30-39 years, male 140.5
GTEX-1HCU8-0626-SM-A9SM9 60-69 years, female 140.5
GTEX-RWSA-0126-SM-2XCBB 40-49 years, male 140.2
GTEX-S7PM-0126-SM-4AD6S 60-69 years, male 140.0
GTEX-XUYS-0126-SM-47JWZ 50-59 years, male 139.9
GTEX-1EMGI-0126-SM-9KNUE 60-69 years, male 139.5
GTEX-1192W-2626-SM-5Q5AF 60-69 years, male 139.0
GTEX-13NYB-2526-SM-5K7Z6 40-49 years, male 138.9
GTEX-SSA3-0126-SM-32QPU 60-69 years, male 138.7
GTEX-1313W-0126-SM-5LZUN 50-59 years, female 138.5
GTEX-PLZ6-1426-SM-DKPOT 30-39 years, male 138.4
GTEX-11DXW-0226-SM-5H122 40-49 years, male 138.3
GTEX-13FHP-0126-SM-5IJBG 50-59 years, male 138.2
GTEX-13G51-2526-SM-5LZYK 60-69 years, male 138.2
GTEX-13PDP-0126-SM-5L3HD 60-69 years, male 137.9
GTEX-14PN4-0126-SM-6EU2V 50-59 years, male 137.9
GTEX-1GN2E-0426-SM-9MQKX 60-69 years, male 137.5
GTEX-13113-5016-SM-7EPIP 60-69 years, female 137.4
GTEX-ZYFD-0126-SM-5GIDL 50-59 years, male 137.4
GTEX-13FTW-2626-SM-5K7WL 40-49 years, male 137.1
GTEX-14E6E-1826-SM-5S2R7 30-39 years, male 136.8
GTEX-1H1CY-2826-SM-9MQM3 60-69 years, female 136.8
GTEX-13S7M-0126-SM-5SI6A 60-69 years, female 136.6
GTEX-14ICK-0226-SM-6EU25 40-49 years, male 136.5
GTEX-1EX96-1626-SM-7PBXR 50-59 years, male 136.5
GTEX-1IOXB-0126-SM-ARL8G 50-59 years, male 136.4
GTEX-1JN76-0126-SM-CNPPE 20-29 years, female 136.4
GTEX-15EU6-0426-SM-6PAN5 50-59 years, male 136.1
GTEX-WYVS-2126-SM-3NMA3 40-49 years, female 135.8
GTEX-1HGF4-2426-SM-ACKXM 60-69 years, male 135.8
GTEX-13OW6-0426-SM-5L3HM 50-59 years, male 135.7
GTEX-14XAO-2326-SM-6EU1B 60-69 years, female 135.6
GTEX-1LGRB-2526-SM-CNPPQ 50-59 years, female 135.3
GTEX-13112-2826-SM-5DUWH 50-59 years, male 135.2
GTEX-1QPFJ-0226-SM-E76PB 30-39 years, female 135.1
GTEX-17F96-1626-SM-7DUFL 70-79 years, male 135.0
GTEX-Y3IK-2426-SM-4WWDU 50-59 years, female 135.0
GTEX-1F75A-0126-SM-7RHGM 50-59 years, male 135.0
GTEX-1B97I-1626-SM-73KYO 40-49 years, male 134.8
GTEX-131XF-5016-SM-7MGWE 60-69 years, male 134.8
GTEX-1HSMO-0126-SM-CL547 60-69 years, male 134.7
GTEX-Z93S-0126-SM-5HL7M 50-59 years, male 134.5
GTEX-145MN-2226-SM-5SIAU 30-39 years, male 134.3
GTEX-R3RS-0126-SM-3GIJL 40-49 years, female 134.2
GTEX-1GZ4H-1726-SM-7PBZJ 50-59 years, female 134.2
GTEX-1JMQJ-0526-SM-CYPSU 50-59 years, male 134.2
GTEX-14JG1-0426-SM-6ETZZ 40-49 years, male 133.9
GTEX-1LBAC-0126-SM-DIPEZ 20-29 years, male 133.9
GTEX-OXRP-0126-SM-3NB32 60-69 years, female 133.7
GTEX-1HCUA-2426-SM-ADEIS 50-59 years, female 133.6
GTEX-11TUW-2726-SM-E9J4M 60-69 years, male 133.5
GTEX-15DDE-0126-SM-6LPKH 50-59 years, female 133.4
GTEX-13SLX-0526-SM-5S2ON 50-59 years, female 133.3
GTEX-1KANA-0726-SM-D3L9I 20-29 years, male 133.3
GTEX-145ME-1826-SM-5SI9G 40-49 years, female 133.1
GTEX-13OVK-2026-SM-7KUEO 40-49 years, male 132.8
GTEX-ZE9C-2726-SM-57WB5 60-69 years, male 132.8
GTEX-ZF2S-2326-SM-4WWCE 50-59 years, female 132.8
GTEX-1M5QR-1226-SM-EWROB 40-49 years, male 132.8
GTEX-1N2DW-0226-SM-E9TK2 50-59 years, male 132.6
GTEX-17HG3-2226-SM-7938L 30-39 years, female 132.3
GTEX-WYJK-0126-SM-3NMAB 50-59 years, male 132.3
GTEX-1KAFJ-2026-SM-CY8ID 50-59 years, male 132.2
GTEX-1QP66-1726-SM-E8VO1 50-59 years, male 132.2
GTEX-15F5U-1526-SM-6PANO 40-49 years, male 132.1
GTEX-1JMQI-2226-SM-CM2SD 50-59 years, male 131.8
GTEX-12KS4-0326-SM-5EQ41 30-39 years, male 131.7
GTEX-XAJ8-0826-SM-47JY6 40-49 years, male 131.7
GTEX-Q2AH-1626-SM-3GAF8 40-49 years, male 131.5
GTEX-ZV68-0126-SM-59HKS 50-59 years, female 131.5
GTEX-ZXES-1826-SM-5E43S 30-39 years, female 131.2
GTEX-18A7A-0226-SM-718BH 50-59 years, female 131.1
GTEX-Y8DK-0126-SM-4TT3L 60-69 years, male 131.1
GTEX-1F6IF-0726-SM-7P8TW 60-69 years, male 131.1
GTEX-12WSE-0526-SM-793B2 20-29 years, male 131.0
GTEX-1JN1M-0326-SM-CYPT3 60-69 years, female 131.0
GTEX-1LB8K-0226-SM-EWRNW 50-59 years, male 130.9
GTEX-ZDYS-2026-SM-5HL5L 50-59 years, male 130.7
GTEX-1GN73-0226-SM-9WG67 60-69 years, male 130.7
GTEX-1H2FU-0126-SM-9WYSI 60-69 years, female 130.7
GTEX-1MUQO-0126-SM-EAZ58 60-69 years, male 130.6
GTEX-SN8G-0126-SM-32PLI 50-59 years, female 130.5
GTEX-1CB4H-0226-SM-7PBXM 60-69 years, female 130.5
GTEX-S33H-1026-SM-EZ6L6 30-39 years, male 130.3
GTEX-12ZZX-0126-SM-5EGK9 40-49 years, female 130.2
GTEX-1I1GT-0626-SM-CGQER 60-69 years, female 130.2
GTEX-WVJS-0126-SM-4MVOT 50-59 years, male 129.8
GTEX-WQUQ-0426-SM-3MJFU 60-69 years, male 129.7
GTEX-ZGAY-0526-SM-4WWBB 40-49 years, female 129.7
GTEX-1AX9J-0226-SM-73KXM 60-69 years, male 129.5
GTEX-1KXAM-2226-SM-CYPTC 60-69 years, male 129.5
GTEX-12ZZY-0226-SM-5LZVE 60-69 years, male 129.4
GTEX-ZAK1-0126-SM-5IJD3 50-59 years, female 129.3
GTEX-14E6D-0126-SM-62LDV 50-59 years, male 129.2
GTEX-14LLW-0126-SM-6LLIO 70-79 years, female 129.2
GTEX-1B8SG-0126-SM-73KZ3 50-59 years, male 129.1
GTEX-WRHK-1426-SM-3MJF9 20-29 years, female 129.0
GTEX-QVJO-1626-SM-2S1QW 60-69 years, female 128.9
GTEX-11WQC-2526-SM-5CVLE 60-69 years, male 128.7
GTEX-139TS-2826-SM-5J1OO 60-69 years, male 128.7
GTEX-12WSN-5019-SM-79OM6 40-49 years, male 128.3
GTEX-ZVT4-0126-SM-DTXFN 50-59 years, female 128.3
GTEX-1RB15-2126-SM-E9TIM 60-69 years, male 128.2
GTEX-1RDX4-0126-SM-E9J4P 50-59 years, female 128.2
GTEX-145MI-0526-SM-5O9A8 60-69 years, female 128.1
GTEX-U3ZH-2026-SM-3DB78 30-39 years, male 128.1
GTEX-111VG-2426-SM-5GZXD 60-69 years, male 127.9
GTEX-145LV-2126-SM-5LU8N 50-59 years, male 127.9
GTEX-14PHX-2326-SM-62LEM 50-59 years, male 127.9
GTEX-X8HC-0126-SM-4E3JW 50-59 years, female 127.8
GTEX-183FY-0126-SM-7LT9P 20-29 years, male 127.7
GTEX-12696-2426-SM-5EQ6H 60-69 years, male 127.5
GTEX-131XH-2226-SM-5DUXJ 50-59 years, male 127.5
GTEX-1H1DG-0126-SM-9WYU2 70-79 years, male 127.3
GTEX-ZVT2-2526-SM-51MT1 50-59 years, female 127.2
GTEX-11EM3-2426-SM-59861 20-29 years, female 127.1
GTEX-14BMV-0126-SM-5S2PO 50-59 years, male 127.1
GTEX-14JG6-2226-SM-6EU2G 30-39 years, female 127.1
GTEX-U8XE-0326-SM-3DB8P 30-39 years, male 127.1
GTEX-12WSA-0226-SM-5BC5V 60-69 years, male 127.0
GTEX-18465-0126-SM-731BN 50-59 years, male 126.7
GTEX-1A3MV-1926-SM-718BT 30-39 years, male 126.6
GTEX-11WQK-0526-SM-5EQLD 50-59 years, male 126.5
GTEX-139TU-0126-SM-5K7WH 60-69 years, male 126.5
GTEX-TMMY-0226-SM-33HBA 40-49 years, female 126.5
GTEX-1J8EW-0126-SM-CJI4F 60-69 years, female 126.5
GTEX-1JKYR-0126-SM-CNPOJ 20-29 years, male 126.5
GTEX-VJWN-0126-SM-3GIK7 50-59 years, female 126.2
GTEX-1HB9E-0226-SM-E9U4R 50-59 years, male 126.2
GTEX-12584-0126-SM-5EGKQ 40-49 years, male 126.1
GTEX-1399T-2826-SM-5KLYZ 60-69 years, male 126.1
GTEX-145LU-0126-SM-5TDCB 50-59 years, male 125.9
GTEX-1OJC3-0126-SM-E76QX 20-29 years, male 125.8
GTEX-1F75B-0126-SM-9KNVL 50-59 years, male 125.6
GTEX-13RTK-1426-SM-5QGQJ 20-29 years, male 125.5
GTEX-ZF3C-0126-SM-DO92D 50-59 years, female 125.5
GTEX-11XUK-2026-SM-5EQLF 40-49 years, female 125.3
GTEX-TSE9-0126-SM-3DB83 60-69 years, female 125.3
GTEX-ZF29-2326-SM-DO92K 60-69 years, female 125.3
GTEX-14BMU-2226-SM-5TDE9 20-29 years, female 125.2
GTEX-11O72-0126-SM-59887 40-49 years, male 125.1
GTEX-1F88F-2726-SM-7PBZZ 60-69 years, female 124.9
GTEX-1O97I-0326-SM-EYYX7 60-69 years, male 124.7
GTEX-13O1R-0126-SM-5L3EH 60-69 years, male 124.6
GTEX-1B8KE-2126-SM-73KYX 50-59 years, male 124.6
GTEX-1A32A-0126-SM-718B1 50-59 years, female 124.5
GTEX-T2IS-0126-SM-4DM6O 20-29 years, female 124.5
GTEX-1HR98-0126-SM-B2LWI 60-69 years, male 124.5
GTEX-11OF3-2626-SM-5GU7F 60-69 years, male 124.4
GTEX-ZVE2-0226-SM-59HJB 50-59 years, male 124.4
GTEX-11EI6-0126-SM-5985R 60-69 years, male 124.1
GTEX-17KNJ-2326-SM-7DHLQ 50-59 years, male 124.1
GTEX-1J8QM-2126-SM-CYPSJ 60-69 years, female 124.1
GTEX-OXRN-0126-SM-48TDM 50-59 years, male 124.0
GTEX-145LT-1726-SM-5QGP3 40-49 years, male 123.9
GTEX-ZVZP-2426-SM-59HKJ 50-59 years, male 123.9
GTEX-13OVJ-0126-SM-5KM36 50-59 years, female 123.8
GTEX-YB5K-2126-SM-4WWDJ 40-49 years, female 123.8
GTEX-RWS6-2026-SM-2XCB5 60-69 years, female 123.6
GTEX-1GZ2Q-0226-SM-7P8TL 40-49 years, male 123.6
GTEX-1MA7W-2026-SM-E9TJ6 20-29 years, female 123.6
GTEX-1IL2U-0226-SM-CE6T8 60-69 years, male 123.5
GTEX-1IDFM-0126-SM-COH2V 60-69 years, male 123.4
GTEX-11UD2-0226-SM-5EQKY 50-59 years, male 123.2
GTEX-1ICG6-2526-SM-CGQFZ 70-79 years, female 123.2
GTEX-1F48J-0126-SM-7P8TT 50-59 years, female 123.1
GTEX-WXYG-2326-SM-4E3I6 50-59 years, female 123.0
GTEX-W5X1-3026-SM-EAZAX 40-49 years, female 122.9
GTEX-Y8E4-0626-SM-4WWDL 40-49 years, male 122.7
GTEX-11GSP-2526-SM-5N9BP 60-69 years, female 122.5
GTEX-148VI-1626-SM-5SI6E 60-69 years, female 122.4
GTEX-1HFI6-0226-SM-ADEHZ 40-49 years, male 122.4
GTEX-13NZB-2526-SM-5J1OM 30-39 years, male 122.1
GTEX-1C6VR-2426-SM-79OLD 60-69 years, male 122.1
GTEX-12ZZZ-0626-SM-5DUXI 60-69 years, male 122.0
GTEX-13JUV-2726-SM-5LZZ8 40-49 years, female 121.9
GTEX-ZTSS-1926-SM-57WEW 40-49 years, male 121.9
GTEX-13IVO-0126-SM-5J1NG 70-79 years, male 121.7
GTEX-1PWST-0226-SM-E76QJ 70-79 years, male 121.7
GTEX-PWCY-1826-SM-DHXIZ 20-29 years, female 121.7
GTEX-ZYFC-0226-SM-5NQ75 50-59 years, male 121.6
GTEX-1HSGN-0226-SM-CGQFV 40-49 years, female 121.6
GTEX-1EU9M-0226-SM-7P8SP 60-69 years, male 121.5
GTEX-1F7RK-0126-SM-7PC2S 20-29 years, female 121.3
GTEX-17MF6-0126-SM-7LG4F 40-49 years, male 121.2
GTEX-1I1CD-0126-SM-CM2TK 60-69 years, female 121.2
GTEX-XMD2-0126-SM-4YCDU 60-69 years, female 121.0
GTEX-1GF9W-0326-SM-9KNUN 60-69 years, male 120.9
GTEX-113JC-2326-SM-5EQ4E 50-59 years, female 120.8
GTEX-XPVG-2626-SM-4B669 50-59 years, male 120.8
GTEX-ZQG8-1626-SM-DHXIT 60-69 years, female 120.8
GTEX-ZDTS-0126-SM-4WAY5 60-69 years, male 120.7
GTEX-X585-0226-SM-4QAS2 50-59 years, male 120.6
GTEX-1S3DN-2226-SM-EVYCD 50-59 years, male 120.6
GTEX-P4PP-0126-SM-3LK69 30-39 years, female 120.4
GTEX-1GMR8-0126-SM-9WYTM 50-59 years, female 120.4
GTEX-1IKOH-0226-SM-COH4E 60-69 years, female 120.4
GTEX-1S83E-0126-SM-EWRO4 40-49 years, male 120.4
GTEX-QV44-1926-SM-2S1RF 50-59 years, male 120.3
GTEX-13FXS-0226-SM-5IJCK 50-59 years, male 120.2
GTEX-1H3VE-0326-SM-9YFLH 40-49 years, male 120.1
GTEX-1HSMQ-1226-SM-CGQFX 50-59 years, male 120.1
GTEX-133LE-1826-SM-5J1MV 20-29 years, female 119.9
GTEX-14LZ3-0226-SM-62LET 60-69 years, female 119.9
GTEX-11ZTS-0126-SM-5EQ6M 60-69 years, female 119.8
GTEX-145MF-0626-SM-5LUAI 50-59 years, male 119.8
GTEX-16BQI-0226-SM-7KUEX 30-39 years, female 119.8
GTEX-YFC4-0126-SM-5CVLY 40-49 years, female 119.8
GTEX-12126-0326-SM-5PNW3 20-29 years, male 119.5
GTEX-Y5V6-2426-SM-4VDSB 60-69 years, male 119.5
GTEX-13NYS-0126-SM-5MR3W 60-69 years, male 119.4
GTEX-144GL-0126-SM-5TDE2 50-59 years, male 119.4
GTEX-15SB6-1726-SM-6PAME 50-59 years, female 119.2
GTEX-14C5O-0126-SM-5SI6N 60-69 years, male 119.1
GTEX-13CF3-2426-SM-5IFGX 60-69 years, female 119.0
GTEX-WI4N-1026-SM-3LK7N 40-49 years, female 119.0
GTEX-1HBPN-0226-SM-9YFM1 50-59 years, male 118.9
GTEX-13NYC-0326-SM-E9J4S 60-69 years, male 118.8
GTEX-14PK6-1926-SM-6ETZU 70-79 years, female 118.7
GTEX-ZZ64-1726-SM-5GZYB 20-29 years, male 118.7
GTEX-SIU8-0126-SM-2XCDT 50-59 years, male 118.6
GTEX-1GL5R-1826-SM-9KNUY 50-59 years, male 118.5
GTEX-1F5PK-2426-SM-7RHHY 50-59 years, male 118.4
GTEX-14PJ6-2126-SM-6EU1V 60-69 years, female 118.0
GTEX-15RIG-0226-SM-7KFTL 40-49 years, male 118.0
GTEX-11EQ9-2426-SM-5HL5T 30-39 years, male 117.9
GTEX-15DYW-0126-SM-7KULE 60-69 years, female 117.9
GTEX-1IDJF-0126-SM-CM2RS 20-29 years, male 117.9
GTEX-14DAR-2026-SM-5S2O3 50-59 years, male 117.8
GTEX-R45C-0126-SM-EAZ2R 60-69 years, female 117.8
GTEX-PWO3-1526-SM-48TCM 60-69 years, female 117.7
GTEX-146FH-0126-SM-5QGPP 50-59 years, female 117.2
GTEX-OHPL-0126-SM-2HMJ7 60-69 years, female 117.1
GTEX-OXRO-0126-SM-2YUN4 60-69 years, female 117.1
GTEX-139TT-0126-SM-5K7Y5 60-69 years, male 116.9
GTEX-ZXG5-0126-SM-5GIEU 60-69 years, male 116.9
GTEX-13OVL-0226-SM-5L3E9 50-59 years, male 116.8
GTEX-1A3MX-0126-SM-731BR 60-69 years, male 116.8
GTEX-1GPI7-0126-SM-9MQL8 20-29 years, male 116.8
GTEX-1JMQL-0226-SM-CNPP5 50-59 years, female 116.8
GTEX-1AX9I-0126-SM-7SB74 60-69 years, male 116.6
GTEX-1R9K4-0126-SM-DTX9X 60-69 years, male 116.5
GTEX-1CB4F-0426-SM-9KNV4 60-69 years, male 116.4
GTEX-Z93T-0126-SM-5HL5N 50-59 years, male 116.3
GTEX-1B996-0226-SM-7RHGO 60-69 years, male 116.3
GTEX-13PVR-2326-SM-5QGR1 60-69 years, female 116.2
GTEX-T6MO-1626-SM-32QOM 40-49 years, female 116.2
GTEX-1CB4I-0226-SM-79OLH 50-59 years, male 116.1
GTEX-13SLW-0126-SM-5SI6C 70-79 years, male 116.0
GTEX-1IGQW-0126-SM-COH42 60-69 years, male 115.9
GTEX-15SHU-0126-SM-7KUEH 40-49 years, female 115.7
GTEX-Y111-0126-SM-4SOIV 50-59 years, male 115.7
GTEX-ZDTT-2726-SM-4WKF8 60-69 years, male 115.7
GTEX-ZPIC-1726-SM-DHXIU 40-49 years, female 115.7
GTEX-11LCK-1026-SM-5A5KB 30-39 years, male 115.6
GTEX-Q2AG-0126-SM-33HBV 40-49 years, female 115.5
GTEX-WH7G-2326-SM-3NMBC 40-49 years, male 115.4
GTEX-X4XX-0126-SM-3NMC2 60-69 years, male 115.3
GTEX-ZTPG-0326-SM-5O9AX 20-29 years, female 115.3
GTEX-12WSG-2826-SM-E9J4H 50-59 years, female 115.3
GTEX-1CAMS-0426-SM-7P8T2 40-49 years, female 115.3
GTEX-12WSK-2326-SM-5GCOH 40-49 years, female 115.2
GTEX-V1D1-2226-SM-3NMAX 50-59 years, male 115.2
GTEX-11GS4-2726-SM-5A5LE 60-69 years, male 115.1
GTEX-12WSC-0126-SM-5EQ4P 50-59 years, male 115.1
GTEX-XUW1-0426-SM-4BOOT 50-59 years, female 115.1
GTEX-1399U-2326-SM-5K7WY 50-59 years, female 115.0
GTEX-QEG4-0226-SM-2S1PY 30-39 years, male 115.0
GTEX-13VXU-0126-SM-5SI9F 50-59 years, male 114.9
GTEX-SUCS-1926-SM-32PM3 70-79 years, male 114.9
GTEX-1H3O1-0426-SM-9YFKY 60-69 years, male 114.9
GTEX-14PN3-2426-SM-6LLHS 60-69 years, female 114.8
GTEX-YJ8A-0426-SM-5IFID 20-29 years, male 114.8
GTEX-139T8-0126-SM-5K7XZ 60-69 years, male 114.7
GTEX-13X6I-0626-SM-5QGP9 60-69 years, male 114.7
GTEX-WFON-2126-SM-3LK7O 40-49 years, male 114.7
GTEX-14DAQ-0126-SM-5S2MQ 60-69 years, female 114.6
GTEX-1CAMQ-0226-SM-7IGPK 40-49 years, male 114.4
GTEX-ZVTK-0426-SM-51MRS 20-29 years, male 114.4
GTEX-1KD5A-0226-SM-D5OV3 50-59 years, male 114.4
GTEX-PLZ4-0126-SM-5SI8O 50-59 years, female 114.2
GTEX-T5JC-0426-SM-32PLO 20-29 years, male 114.0
GTEX-1JMOU-1526-SM-CL54I 60-69 years, female 114.0
GTEX-OOBK-0126-SM-2YUND 40-49 years, male 113.7
GTEX-1J1OQ-0226-SM-CYPSH 40-49 years, female 113.7
GTEX-13O3P-0126-SM-5KM4S 50-59 years, male 113.6
GTEX-1K2DU-2326-SM-E9TIV 20-29 years, male 113.5
GTEX-13FTX-1826-SM-5J1NX 20-29 years, female 113.4
GTEX-VUSG-2526-SM-4KL1V 50-59 years, male 113.4
GTEX-1M4P7-0226-SM-DIPEV 60-69 years, male 113.4
GTEX-YB5E-2026-SM-5IFIS 40-49 years, male 113.3
GTEX-1JMPY-1326-SM-ARL8Y 30-39 years, male 113.3
GTEX-1F52S-0126-SM-9MQJU 60-69 years, female 113.2
GTEX-1PPH8-0226-SM-E8VND 20-29 years, male 113.2
GTEX-1QCLY-0326-SM-E8VOG 30-39 years, male 113.2
GTEX-1212Z-2526-SM-5EGKP 60-69 years, male 113.1
GTEX-RTLS-0126-SM-447CA 60-69 years, female 113.1
GTEX-1HFI7-1826-SM-ACKXH 50-59 years, female 113.1
GTEX-1QP9N-1426-SM-DTXFL 30-39 years, male 113.0
GTEX-15UKP-0426-SM-7KUFQ 20-29 years, male 112.8
GTEX-1I1GQ-0126-SM-COH3H 50-59 years, male 112.7
GTEX-ZYFG-2326-SM-5E44B 60-69 years, female 112.6
GTEX-XYKS-2126-SM-4E3IB 60-69 years, female 112.4
GTEX-1I1GU-2226-SM-CGQFA 40-49 years, male 112.4
GTEX-1J1R8-1726-SM-ARL8M 40-49 years, male 112.3
GTEX-117YW-2626-SM-5GZZH 50-59 years, male 112.2
GTEX-TMZS-0126-SM-3DB9Q 60-69 years, male 112.1
GTEX-1A8FM-0226-SM-7SB7Q 50-59 years, female 112.1
GTEX-1H1DE-2126-SM-9WG6R 20-29 years, male 112.1
GTEX-14ABY-0226-SM-5TDCQ 50-59 years, male 112.0
GTEX-1HCU9-1526-SM-A9SL7 20-29 years, male 112.0
GTEX-13QJ3-0326-SM-5S2RA 50-59 years, male 111.9
GTEX-15D1Q-0126-SM-7KUG6 40-49 years, male 111.9
GTEX-131XG-2626-SM-5KM17 50-59 years, female 111.8
GTEX-13X6H-2126-SM-7EWD5 50-59 years, female 111.7
GTEX-1IY9M-0126-SM-D3L8S 60-69 years, male 111.7
GTEX-1S5ZA-0126-SM-EVYCV 20-29 years, male 111.7
GTEX-11OC5-0126-SM-5HL6A 60-69 years, male 111.6
GTEX-16AAH-1726-SM-7939C 50-59 years, male 111.6
GTEX-1KWVE-1426-SM-E9TJO 30-39 years, male 111.6
GTEX-1C2JI-1826-SM-73KXC 50-59 years, male 111.3
GTEX-1OFPY-2426-SM-DTXEJ 60-69 years, male 111.3
GTEX-1269C-2526-SM-5EGJ3 60-69 years, female 111.2
GTEX-13FHO-0226-SM-5IFGY 60-69 years, male 111.2
GTEX-1IDJU-2626-SM-CM2RT 60-69 years, female 111.1
GTEX-Y5LM-1926-SM-5RQJH 40-49 years, female 111.0
GTEX-Y5V5-2326-SM-4V6GA 60-69 years, female 111.0
GTEX-Z9EW-1626-SM-5CVMN 40-49 years, male 111.0
GTEX-W5WG-1826-SM-4KL2Y 50-59 years, female 110.9
GTEX-1J8Q2-0526-SM-CM2RW 60-69 years, male 110.8
GTEX-1IL2V-0126-SM-CM2TX 70-79 years, male 110.5
GTEX-RNOR-0126-SM-E9J4R 50-59 years, female 110.4
GTEX-1E1VI-0126-SM-7DHMZ 50-59 years, male 110.3
GTEX-18A67-0126-SM-7LG5P 50-59 years, male 110.2
GTEX-RM2N-1426-SM-2TF4H 50-59 years, male 110.2
GTEX-13111-1626-SM-5EGJY 50-59 years, male 110.1
GTEX-13N1W-0126-SM-5K7VT 70-79 years, male 110.1
GTEX-17EVQ-0226-SM-7LG4P 70-79 years, male 110.1
GTEX-S95S-1226-SM-4GICG 60-69 years, male 110.0
GTEX-1H11D-0226-SM-9WG6Z 40-49 years, male 109.9
GTEX-1AX8Z-0126-SM-7DHM6 60-69 years, male 109.7
GTEX-1QEPI-0126-SM-EWRMQ 60-69 years, female 109.7
GTEX-WZTO-0126-SM-3NM95 40-49 years, male 109.5
GTEX-1GF9U-2126-SM-7SB7L 40-49 years, female 109.4
GTEX-17HHY-0126-SM-7LG5D 50-59 years, male 109.2
GTEX-1LG7Y-0526-SM-DKPQC 50-59 years, male 109.2
GTEX-1211K-2026-SM-5EQ4Z 60-69 years, female 109.1
GTEX-1HSEH-0126-SM-ACKXN 60-69 years, male 109.1
GTEX-16YQH-0126-SM-7DUFJ 30-39 years, male 109.0
GTEX-17HHE-2026-SM-79OKF 50-59 years, male 109.0
GTEX-1EKGG-0226-SM-9WYTH 60-69 years, male 108.5
GTEX-1S82Z-0826-SM-E6CHY 30-39 years, female 108.4
GTEX-1192X-0226-SM-5H12D 50-59 years, male 108.2
GTEX-117YX-2326-SM-5H12W 50-59 years, male 108.0
GTEX-147F3-0526-SM-5SI98 50-59 years, female 107.9
GTEX-XBED-2226-SM-47JYQ 60-69 years, male 107.9
GTEX-1S82Y-2026-SM-EVYCM 40-49 years, male 107.9
GTEX-11P81-2326-SM-59875 30-39 years, female 107.7
GTEX-Y3I4-2126-SM-4TT7C 50-59 years, male 107.7
GTEX-X4EP-0126-SM-3P5YV 60-69 years, female 107.5
GTEX-1CB4E-2226-SM-793DC 60-69 years, male 107.4
GTEX-14BIL-0126-SM-5SI92 50-59 years, male 107.3
GTEX-1A3MW-0126-SM-73KXX 60-69 years, female 107.3
GTEX-1I1GP-2226-SM-CGQFK 50-59 years, male 107.3
GTEX-14A5H-0426-SM-5QGQF 60-69 years, male 107.1
GTEX-15SHW-0326-SM-6PAML 60-69 years, male 107.1
GTEX-X638-0126-SM-47JZ8 70-79 years, female 107.1
GTEX-13O3Q-2426-SM-5IJBR 50-59 years, male 106.9
GTEX-12WSL-2526-SM-5GCNJ 50-59 years, male 106.8
GTEX-18A66-0226-SM-718BD 60-69 years, male 106.8
GTEX-X5EB-2226-SM-46MW4 40-49 years, male 106.7
GTEX-11TTK-0126-SM-5987B 60-69 years, female 106.6
GTEX-1LGOU-2026-SM-DIPFF 20-29 years, female 106.6
GTEX-1128S-2326-SM-5GZZY 60-69 years, female 106.4
GTEX-18D9U-0226-SM-718BP 40-49 years, male 106.4
GTEX-18QFQ-0126-SM-731BE 30-39 years, male 106.4
GTEX-1HBPM-0226-SM-ARL9F 60-69 years, female 106.4
GTEX-1B933-0126-SM-7PC29 50-59 years, female 106.3
GTEX-1QAET-0926-SM-E76QM 50-59 years, male 106.3
GTEX-1R7EV-2426-SM-EVYBG 40-49 years, male 106.3
GTEX-13VXT-0126-SM-5LU4I 20-29 years, female 106.2
GTEX-17MFQ-1726-SM-793C7 20-29 years, male 106.2
GTEX-YEC4-2126-SM-5IFJH 40-49 years, male 106.2
GTEX-132NY-0326-SM-5IJBL 60-69 years, male 106.1
GTEX-1ICLY-0126-SM-D4P36 50-59 years, male 105.9
GTEX-146FQ-0126-SM-5NQA9 30-39 years, male 105.8
GTEX-16MT8-0426-SM-7KUEY 60-69 years, female 105.7
GTEX-1H3NZ-0126-SM-ACKX7 60-69 years, male 105.3
GTEX-1JMLX-0226-SM-CM2RO 50-59 years, male 105.3
GTEX-1C4CL-0526-SM-73KVK 30-39 years, male 105.2
GTEX-1RAZQ-0726-SM-EAZ43 30-39 years, male 105.2
GTEX-11GSO-2426-SM-5A5LY 60-69 years, male 105.1
GTEX-R55E-0126-SM-2TC5Y 20-29 years, male 105.0
GTEX-1H3VY-0126-SM-ACKXD 50-59 years, male 105.0
GTEX-ZYW4-0126-SM-5E44A 60-69 years, male 104.8
GTEX-1JK1U-2026-SM-CM2RZ 60-69 years, male 104.8
GTEX-17EUY-0426-SM-793BD 20-29 years, male 104.7
GTEX-1HUB1-0426-SM-E9U4U 60-69 years, male 104.7
GTEX-14E7W-0126-SM-6LLJ9 70-79 years, male 104.6
GTEX-1C6WA-0126-SM-7PC2B 60-69 years, male 104.4
GTEX-XXEK-2226-SM-4BRUM 50-59 years, male 104.3
GTEX-17F98-0626-SM-79OMX 40-49 years, female 104.2
GTEX-1JJ6O-0126-SM-E6CI8 60-69 years, male 104.1
GTEX-15CHC-2126-SM-6EU21 60-69 years, female 103.8
GTEX-1RLM8-2326-SM-EWRN4 50-59 years, male 103.8
GTEX-18D9B-0526-SM-7LTAS 60-69 years, male 103.7
GTEX-Q734-1926-SM-2I5EV 40-49 years, female 103.7
GTEX-11DXX-2426-SM-5GZZW 60-69 years, female 103.3
GTEX-1H23P-0126-SM-ADEJ3 60-69 years, male 103.3
GTEX-1MGNQ-0126-SM-EVYCJ 40-49 years, male 103.3
GTEX-11DXY-2626-SM-5GIE7 60-69 years, male 103.1
GTEX-13W46-0226-SM-5SIAG 50-59 years, male 103.1
GTEX-ZAB4-0226-SM-5N9F5 40-49 years, male 102.9
GTEX-16NPX-0226-SM-79OMT 50-59 years, male 102.8
GTEX-TKQ1-1026-SM-4GICL 30-39 years, male 102.8
GTEX-WY7C-2326-SM-3NB2U 50-59 years, male 102.8
GTEX-13U4I-0126-SM-5LU38 40-49 years, female 102.5
GTEX-QLQ7-1626-SM-2S1R8 60-69 years, male 102.5
GTEX-1F6I4-0126-SM-9MQL2 60-69 years, male 102.5
GTEX-1MCQQ-0826-SM-DLHC2 60-69 years, male 102.5
GTEX-11TT1-2526-SM-5EGIB 20-29 years, male 102.4
GTEX-1EN7A-0126-SM-7SB81 40-49 years, male 102.4
GTEX-1B8KZ-2026-SM-7DHMB 50-59 years, male 102.3
GTEX-13OW7-0126-SM-5MR3B 50-59 years, male 102.2
GTEX-11ZU8-2526-SM-5EQKI 60-69 years, male 102.0
GTEX-RN64-0126-SM-2TC68 50-59 years, male 101.9
GTEX-13NZA-0226-SM-5K7Z7 60-69 years, male 101.8
GTEX-1497J-2426-SM-7IGNX 60-69 years, male 101.7
GTEX-OXRK-0226-SM-3NB2G 50-59 years, female 101.7
GTEX-11NUK-0126-SM-5A5L3 50-59 years, male 101.5
GTEX-13OVI-1426-SM-5L3EY 60-69 years, female 101.5
GTEX-PLZ5-2026-SM-2S1O4 50-59 years, male 101.5
GTEX-16NGA-1726-SM-731B4 40-49 years, female 101.4
GTEX-ZUA1-0126-SM-5GU76 40-49 years, male 101.4
GTEX-13FH7-2026-SM-E9J4I 50-59 years, female 101.4
GTEX-144GN-2326-SM-5LU4F 50-59 years, male 101.3
GTEX-147GR-0526-SM-5S2MY 60-69 years, male 101.3
GTEX-11P82-1626-SM-59879 20-29 years, male 101.2
GTEX-18A7B-0126-SM-7LG64 70-79 years, male 101.2
GTEX-ZQUD-1426-SM-57WER 30-39 years, male 101.1
GTEX-1I1HK-0126-SM-COH49 60-69 years, male 101.1
GTEX-17HGU-0226-SM-7DHKV 50-59 years, male 101.0
GTEX-14BIM-0226-SM-7IGLD 60-69 years, female 100.8
GTEX-QLQW-1126-SM-2S1Q8 30-39 years, male 100.8
GTEX-1I6K6-0126-SM-A9SLE 30-39 years, male 100.7
GTEX-ZVT3-0126-SM-5GU6I 60-69 years, female 100.5
GTEX-1JKYN-1326-SM-CGQG9 30-39 years, male 100.5
GTEX-1J8Q3-1626-SM-CMKGC 60-69 years, male 100.2
GTEX-XQ8I-0426-SM-4BOPO 50-59 years, male 100.1
GTEX-13O3O-0126-SM-E9J49 60-69 years, female 100.1
GTEX-1LC47-0326-SM-E9TJP 60-69 years, male 100.0
GTEX-1LH75-2426-SM-E9TJE 50-59 years, female 100.0
GTEX-1C6VS-0526-SM-7DUEN 60-69 years, male 99.9
GTEX-13FTY-0526-SM-5L3EV 40-49 years, female 99.8
GTEX-17F97-0326-SM-7LG5B 50-59 years, male 99.8
GTEX-1QP67-1626-SM-EAZ3X 40-49 years, female 99.8
GTEX-1CB4J-0626-SM-7DHMP 60-69 years, male 99.7
GTEX-1LSNM-1926-SM-E6CII 50-59 years, male 99.7
GTEX-13OW8-1326-SM-5J1OW 60-69 years, male 99.5
GTEX-NPJ8-0126-SM-2YUNR 40-49 years, male 99.2
GTEX-1C64O-0126-SM-7SB8P 60-69 years, male 99.1
GTEX-13RTJ-2426-SM-5S2Q2 60-69 years, male 99.0
GTEX-1PPH7-2326-SM-EVYB8 40-49 years, male 99.0
GTEX-11NSD-2226-SM-5986V 20-29 years, male 98.9
GTEX-1314G-1526-SM-5EGK2 30-39 years, male 98.9
GTEX-1CAMR-1926-SM-7EPI2 20-29 years, male 98.8
GTEX-ZY6K-1826-SM-5GZXK 50-59 years, male 98.4
GTEX-ZZPT-0226-SM-5E43X 50-59 years, male 98.3
GTEX-16XZY-2126-SM-79OK1 70-79 years, male 98.0
GTEX-1PFEY-1526-SM-E76PP 30-39 years, male 98.0
GTEX-13N11-2526-SM-5K7UE 50-59 years, female 97.8
GTEX-ZE7O-0126-SM-57WC1 50-59 years, female 97.8
GTEX-14PHW-0126-SM-6LLJI 60-69 years, female 97.7
GTEX-1AMFI-2026-SM-731BH 50-59 years, female 97.6
GTEX-1I19N-0326-SM-ACKVX 70-79 years, male 97.6
GTEX-14PJ3-1826-SM-62LEX 50-59 years, male 97.5
GTEX-1HCVE-0126-SM-CGQEU 50-59 years, male 97.5
GTEX-ZC5H-0226-SM-4WAY9 40-49 years, female 97.3
GTEX-1AYD5-2426-SM-73KXR 50-59 years, male 97.0
GTEX-1AX9K-2326-SM-73KWU 50-59 years, male 96.9
GTEX-1OJC4-0126-SM-E9J2E 50-59 years, female 96.9
GTEX-OIZF-0126-SM-7SB8I 60-69 years, male 96.8
GTEX-P4PQ-0126-SM-2S1NM 60-69 years, male 96.7
GTEX-1R9PO-2126-SM-E9J4O 60-69 years, female 96.5
GTEX-1H1E6-1726-SM-ACKVK 30-39 years, male 96.3
GTEX-1MA7X-2226-SM-E6CIY 60-69 years, male 96.3
GTEX-12WSJ-1826-SM-5GCNY 40-49 years, female 96.2
GTEX-ZAJG-0126-SM-5HL94 50-59 years, female 95.7
GTEX-ZAB5-1826-SM-5HL7C 50-59 years, male 95.5
GTEX-11ZTT-2426-SM-5EQLS 60-69 years, female 95.2
GTEX-XV7Q-2526-SM-4BRV9 40-49 years, female 95.0
GTEX-12WSD-0126-SM-59HKN 60-69 years, female 94.7
GTEX-1AMEY-1326-SM-73KYK 30-39 years, female 94.5
GTEX-QDVN-2026-SM-3GAEP 50-59 years, male 94.2
GTEX-14JIY-0126-SM-6LLH6 60-69 years, male 94.1
GTEX-RUSQ-1526-SM-2TF62 50-59 years, male 94.1
GTEX-11UD1-0126-SM-5PNYG 40-49 years, female 93.7
GTEX-Y114-2426-SM-4TT8A 50-59 years, female 93.6
GTEX-15SDE-2226-SM-7IGLO 50-59 years, female 93.5
GTEX-RU72-0926-SM-2TF6B 50-59 years, female 93.3
GTEX-OOBJ-0126-SM-E6CJW 60-69 years, male 93.3
GTEX-1MCYP-1926-SM-E9J2R 20-29 years, female 93.2
GTEX-ZDXO-3026-SM-5J1N5 60-69 years, male 92.8
GTEX-13O21-1426-SM-5K7XI 50-59 years, male 92.6
GTEX-15DCD-0126-SM-7KUEK 70-79 years, female 92.5
GTEX-O5YW-0126-SM-3LK6D 50-59 years, male 92.5
GTEX-1GN1V-0126-SM-9WPOS 60-69 years, male 92.5
GTEX-11EMC-2926-SM-5EQ4F 60-69 years, female 92.4
GTEX-1K9T9-0126-SM-EVYCF 50-59 years, female 92.3
GTEX-1GN1W-0526-SM-9MQJQ 50-59 years, female 92.1
GTEX-11ZVC-2526-SM-5FQTE 50-59 years, female 91.8
GTEX-147F4-0226-SM-5QGPW 50-59 years, male 91.8
GTEX-PW2O-1526-SM-7RHHB 20-29 years, male 91.8
GTEX-13W3W-2426-SM-5LU5B 60-69 years, female 91.5
GTEX-15EOM-0126-SM-7KUGG 20-29 years, female 91.5
GTEX-1HKZK-0326-SM-9WYUH 40-49 years, male 91.5
GTEX-11VI4-1726-SM-5CVLH 40-49 years, female 91.4
GTEX-1NV5F-0226-SM-E8VNY 60-69 years, female 91.4
GTEX-QDT8-0126-SM-48TZ1 30-39 years, female 90.9
GTEX-1QP2A-0126-SM-E9J43 50-59 years, male 90.8
GTEX-ZEX8-2426-SM-4WKG4 50-59 years, male 90.7
GTEX-1LNCM-1126-SM-E9U5E 50-59 years, female 90.7
GTEX-1RAZA-0126-SM-E6CI3 20-29 years, male 90.7
GTEX-OHPM-0126-SM-2YUN9 50-59 years, male 90.4
GTEX-1GPI6-0126-SM-9WG69 60-69 years, male 90.2
GTEX-1H1ZS-0426-SM-9WG6G 70-79 years, male 90.2
GTEX-1QP29-0626-SM-EWRMX 50-59 years, male 90.2
GTEX-R55G-2526-SM-2TC6D 40-49 years, female 89.9
GTEX-146FR-1326-SM-E9J48 60-69 years, female 89.8
GTEX-1NHNU-1026-SM-E9J2A 50-59 years, male 89.8
GTEX-1IE54-0126-SM-CMKHW 40-49 years, female 89.7
GTEX-ZYY3-0126-SM-5GZY5 60-69 years, female 89.5
GTEX-XUZC-1726-SM-4BRWS 30-39 years, female 89.0
GTEX-WOFL-0126-SM-3MJG2 60-69 years, male 88.9
GTEX-12C56-1726-SM-5EQ61 20-29 years, male 88.7
GTEX-Y8LW-1826-SM-5S2MV 50-59 years, female 88.7
GTEX-Q2AI-1326-SM-2S1PL 40-49 years, male 88.3
GTEX-U3ZM-1526-SM-3DB9D 40-49 years, male 88.1
GTEX-14A6H-0126-SM-5QGPK 30-39 years, male 87.8
GTEX-1JJE9-0326-SM-CL53Z 70-79 years, male 87.2
GTEX-1QW4Y-1526-SM-EAZ3Z 30-39 years, male 87.2
GTEX-X62O-0126-SM-4E3JN 50-59 years, male 86.9
GTEX-1AYCT-2426-SM-7IGQ3 50-59 years, male 86.5
GTEX-1N2DV-0226-SM-E6CJ6 40-49 years, male 85.9
GTEX-1PBJI-0526-SM-E8VNK 20-29 years, female 85.6
GTEX-13OVG-1926-SM-5L3DK 60-69 years, male 85.2
GTEX-1RQEC-0426-SM-E6CHU 60-69 years, male 84.6
GTEX-169BO-1326-SM-9MQK2 50-59 years, male 84.1
GTEX-1GTWX-0126-SM-9YFLK 60-69 years, male 83.1
GTEX-ZF28-0126-SM-4WKGK 60-69 years, male 82.1
GTEX-1F75I-0326-SM-9YFLU 40-49 years, male 81.6
GTEX-1IKK5-0626-SM-ARL8A 60-69 years, male 81.4
GTEX-1I1GS-0126-SM-B2LVW 60-69 years, male 80.8
GTEX-139T4-0226-SM-5HL5S 50-59 years, female 80.1
GTEX-1KANB-0526-SM-E6CJH 50-59 years, male 79.5
GTEX-13RTL-0126-SM-7LG5S 40-49 years, male 79.0
GTEX-U4B1-1826-SM-4DXSU 40-49 years, male 77.8
GTEX-1HSMP-0126-SM-E6CJS 70-79 years, male 77.8
GTEX-U3ZN-2326-SM-3DB7W 30-39 years, female 77.5
GTEX-11ZUS-0626-SM-59885 30-39 years, male 75.6
GTEX-113IC-0126-SM-5HL6T 60-69 years, male 73.6
GTEX-OXRL-0126-SM-2YUMP 50-59 years, male 71.0
GTEX-11P7K-2126-SM-5GU7G 30-39 years, male 70.5
GTEX-SE5C-1626-SM-2XCE3 40-49 years, female 70.0
GTEX-1HBPH-0426-SM-B2LW5 40-49 years, female 68.8
Show allShow less

Contact

  • NEWS ARTICLES
  • PRESS ROOM

The Project

  • INTRODUCTION
  • ORGANIZATION
  • PUBLICATIONS

The Human Protein Atlas

  • DOWNLOADABLE DATA
  • LICENCE & CITATION
  • HELP & FAQ
The Human Protein Atlas project is funded
by the Knut & Alice Wallenberg Foundation.


contact@proteinatlas.org