We use cookies to enhance the usability of our website. If you continue, we'll assume that you are happy to receive all cookies. More information. Don't show this again.
MRPS34
HPA
RESOURCES
  • TISSUE
  • BRAIN
  • SINGLE CELL
  • SUBCELLULAR
  • CANCER
  • BLOOD
  • CELL LINE
  • STRUCTURE & INTERACTION
ABOUT
  • INTRODUCTION
  • HISTORY
  • ORGANIZATION
  • PUBLICATIONS
  • ANTIBODY SUBMISSION
  • ANTIBODY AVAILABILITY
  • ACKNOWLEDGMENTS
  • CONTACT
NEWS
  • NEWS ARTICLES
  • PRESS ROOM
LEARN
  • DICTIONARY
  • PROTEIN CLASSES
  • PROTEIN EVIDENCE
  • METHODS
  • EDUCATIONAL VIDEOS
DATA
  • DOWNLOADABLE DATA
  • PUBLICATION DATA
  • RELEASE HISTORY
HELP
  • ANTIBODY VALIDATION
  • ASSAYS & ANNOTATION
  • DISCLAIMER
  • HELP & FAQ
  • PRIVACY STATEMENT
  • LICENCE & CITATION
Fields »
Search result

Field
Term
Gene name
Class
Subclass
Class
Keyword
Chromosome
External id
Tissue
Cell type
Expression
Antibody panel
Tissue
Main location
Patient ID
Annotation
Tissue
Category
Tau score
Cluster
Reliability
Brain region
Category
Tau score
Brain region
Category
Tau score
Brain region
Category
Tau score
Cluster
Reliability
Tissue
Cell type
Enrichment
Cell type
Category
Tau score
Cell type
Category
Tau score
Cell type
Category
Tau score
Cell lineage
Category
Tau score
Cluster
Cluster
Location
Searches
Location
Cell line
Class
Type
Phase
Reliability
Cancer
Prognosis
Cancer
Category
Cancer
Category
Tau score
Cluster
Variants
Interacting gene (ensg_id)
Type
Number of interactions
Pathway
Category
Score
Score
Score
Validation
Validation
Validation
Validation
Antibodies
Data type
Column


  • SUMMARY

  • TISSUE

  • BRAIN

  • SINGLE CELL

  • SUBCELL

  • CANCER

  • BLOOD

  • CELL LINE

  • STRUCT & INT

  • MRPS34
TISSUE PRIMARY DATA THYROID GLAND Show tissue menu
ADIPOSE TISSUE ADRENAL GLAND AMYGDALA APPENDIX BASAL GANGLIA BONE MARROW BREAST BRONCHUS CEREBELLUM CEREBRAL CORTEX CERVIX CHOROID PLEXUS COLON DUODENUM
ENDOMETRIUM EPIDIDYMIS ESOPHAGUS FALLOPIAN TUBE GALLBLADDER HEART MUSCLE HIPPOCAMPAL FORMATION HYPOTHALAMUS KIDNEY LIVER LUNG LYMPH NODE MIDBRAIN NASOPHARYNX
ORAL MUCOSA OVARY PANCREAS PARATHYROID GLAND PITUITARY GLAND PLACENTA PROSTATE RECTUM RETINA SALIVARY GLAND SEMINAL VESICLE SKELETAL MUSCLE SKIN SMALL INTESTINE
SMOOTH MUSCLE SOFT TISSUE SPINAL CORD SPLEEN STOMACH TESTIS THYMUS THYROID GLAND TONGUE TONSIL URINARY BLADDER VAGINA
ANTIBODIES
AND
VALIDATION
Dictionary
Thyroid gland
Tissue proteome
Thyroid gland
THYROID GLAND - Expression summary
Protein expression
Thyroid glandi

On the top, protein expression in current human tissue, based on all annotated cell types, is reported with the units not detected (n), low (l), medium (m) and high (h). Underneath, protein expression in each annotated cell type are reported using the same units.

Protein expression data is based on knowledge-based annotation. For genes where more than one antibody has been used, a collective score is set.

If knowledge-based annotation could not be performed for a gene, no data is displayed here. View antibody staining data further down this page.

h
m
l
n
Glandular cells: High
RNA expressioni

A summary of mRNA expression data available for current tissue based on several datasets. The mRNA expression levels in human tissues are based on RNA-seq data generated by the Human Protein Atlas (HPA), Genotype-Tissue Expression (GTEx) portal and CAGE data generated by the FANTOM5 consortium. Consensus normalized expression levels for human tissues was created by combining the data from HPA and GTEx datasets.

The mRNA expression levels in pig are based on RNA-seq data generated by the Human Protein Atlas (HPA), and for mouse, HPA data and in situ hybridization generated by the Allen brain atlas are reported.

Scroll down to view mRNA expression data in more detail.
Consensus:34.2 nTPM
HPA:3.5 nTPM
GTEx:34.2 nTPM
FANTOM5:99.9 Scaled Tags Per Million

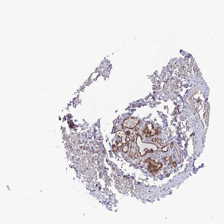
THYROID GLAND - Antibody stainingi

Antibody staining in the annotated cell types in the current human tissue is reported as not detected, low, medium, or high, based on conventional immunohistochemistry profiling in selected tissues. This score is based on the combination of the staining intensity and fraction of stained cells.

Each image is clickable and will lead to virtual microscopy that enables deeper exploration of all samples and also displays staining intensity scores, fraction scores and subcellular localization as well as patient and tissue information for each sample.

Antibody HPA042112
Glandular cells High



THYROID GLAND - HPA RNA-seqi

The RNA-seq details section shows detailed information about the individual samples used for the transcript profiling and results of the RNA-seq analysis.

Information about each individual sample is listed below, including gender, age, a tissue section image and estimated fractions of cell types. nTPM (normalized transcripts per million) values give a quantification of the gene abundance which is comparable between different genes and samples.
Average nTPMi

Max subtype nTPM is the value for the subtype with the largest average nTPM across the subtype samples.

3.5
overview
Female, age 20
Thyroid gland sample 249
nTPM: 0.6
Cell types%
Glandular cells:
70

Endothelial cells:
20

Other cell types:
10

overview
Female, age 55
Thyroid gland sample 250
nTPM: 3.4
Cell types%
Glandular cells:
70

Endothelial cells:
20

Other cell types:
10

overview
Female, age 58
Thyroid gland sample 251
nTPM: 9.5
Cell types%
Glandular cells:
70

Endothelial cells:
15

Other cell types:
15

overview
Female, age 48
Thyroid gland sample 252
nTPM: 1.4
Cell types%
Glandular cells:
70

Endothelial cells:
20

Other cell types:
10

overview
Male, age 21
Thyroid gland sample 363
nTPM: 2.4
Cell types%
Glandular cells:
75

Endothelial cells:
10

Other cell types:
15


THYROID GLAND - GTEx RNA-seqi

RNA-Seq data generated by the Genotype-Tissue Expression (GTEx) project from human tissues is reported as mean nTPM. More information can be found on the GTEx portal.

Distribution across the dataset is visualized with box plots, shown as median and 25th and 75th percentiles. Points are displayed as outliers if they are above or below 1.5 times the interquartile range. nTPM values of the individual samples are presented next to the box plot.
Max subtype nTPMi

Max subtype nTPM is the value for the subtype with the largest average nTPM across the subtype samples.

34.2
GTEx sample id Sample description nTPM
Thyroid
Average nTPM: 34.2
Samples: 653

Max nTPM: 137.1
Min nTPM: 6.4
Std nTPM: 11.4
Median nTPM: 34.2
GTEX-15RIF-0326-SM-7KUFR 20-29 years, male 137.1
GTEX-XYKS-0826-SM-4BRVF 60-69 years, female 82.1
GTEX-YB5E-0626-SM-4VDSE 40-49 years, male 75.6
GTEX-1MJK2-0826-SM-DTXE8 50-59 years, male 72.5
GTEX-1GZ4H-0226-SM-9JGGJ 50-59 years, female 69.6
GTEX-OXRO-1226-SM-48TDL 60-69 years, female 68.2
GTEX-1MCC2-0526-SM-DHXJS 30-39 years, female 66.4
GTEX-13D11-0226-SM-5LZXL 50-59 years, female 65.6
GTEX-15DDE-0626-SM-69LOK 50-59 years, female 65.2
GTEX-ZPCL-0126-SM-4WWC8 60-69 years, female 64.2
GTEX-YFCO-0326-SM-4W1ZP 40-49 years, male 63.7
GTEX-1PIGE-0726-SM-DPRZD 20-29 years, male 60.8
GTEX-13O3Q-0626-SM-5IJG1 50-59 years, male 58.0
GTEX-XGQ4-0426-SM-4AT4I 50-59 years, male 56.9
GTEX-13IVO-0926-SM-5KLZP 70-79 years, male 55.1
GTEX-Y111-1926-SM-4SOIS 50-59 years, male 54.8
GTEX-11NSD-0126-SM-5987F 20-29 years, male 54.7
GTEX-132QS-0326-SM-5IJFN 60-69 years, male 54.6
GTEX-ZLWG-0526-SM-4WWFB 50-59 years, female 54.6
GTEX-1OFPY-1526-SM-DTX8R 60-69 years, male 54.2
GTEX-YF7O-0726-SM-4W213 50-59 years, male 53.6
GTEX-1QP2A-0626-SM-DTX9C 50-59 years, male 53.6
GTEX-1C6VQ-0526-SM-7MGWD 50-59 years, male 53.4
GTEX-11TT1-1126-SM-5P9GV 20-29 years, male 53.3
GTEX-14E7W-0926-SM-5YYA4 70-79 years, male 53.1
GTEX-1K2DU-0126-SM-E9TIU 20-29 years, male 53.1
GTEX-15RIE-0426-SM-7KUMH 60-69 years, male 52.8
GTEX-ZV6S-0226-SM-59HJT 40-49 years, female 52.6
GTEX-145MG-0826-SM-5Q5C2 50-59 years, male 52.3
GTEX-1RAZA-0826-SM-EAZ4I 20-29 years, male 52.1
GTEX-17HGU-0826-SM-7EWE5 50-59 years, male 51.5
GTEX-13FXS-0726-SM-5LZXJ 50-59 years, male 51.3
GTEX-132AR-1126-SM-5P9GA 50-59 years, female 51.1
GTEX-1LG7Y-0626-SM-DHXJM 50-59 years, male 51.0
GTEX-131XE-0126-SM-5LZVC 50-59 years, male 50.9
GTEX-ZY6K-0226-SM-5SIAY 50-59 years, male 50.9
GTEX-17HHY-0826-SM-7EPID 50-59 years, male 50.8
GTEX-1GF9X-0126-SM-A9G38 40-49 years, female 50.7
GTEX-11I78-0526-SM-5986A 50-59 years, female 50.5
GTEX-1192X-1126-SM-5EGGU 50-59 years, male 50.3
GTEX-1PPGY-1426-SM-EVR3R 60-69 years, male 50.3
GTEX-147GR-0726-SM-5S2PL 60-69 years, male 50.2
GTEX-13PL6-1026-SM-5L3E5 40-49 years, female 50.0
GTEX-1F75A-0326-SM-7MXTR 50-59 years, male 49.9
GTEX-1NV5F-0726-SM-DTXEH 60-69 years, female 49.7
GTEX-11EQ8-0826-SM-5N9FG 60-69 years, male 49.4
GTEX-15G19-0626-SM-6M474 60-69 years, male 49.2
GTEX-1MUQO-0726-SM-E9TJM 60-69 years, male 49.1
GTEX-11DZ1-2726-SM-5A5KH 50-59 years, male 49.0
GTEX-13NZA-1026-SM-5MR48 60-69 years, male 48.9
GTEX-ZLV1-0126-SM-4WWBZ 60-69 years, female 48.9
GTEX-15CHQ-0826-SM-69LOT 60-69 years, male 48.4
GTEX-14BMU-0226-SM-5S2QA 20-29 years, female 48.3
GTEX-14ASI-0726-SM-5Q5DC 60-69 years, male 48.2
GTEX-1F5PL-0826-SM-7MXU7 40-49 years, female 48.2
GTEX-1313W-0726-SM-5EGK1 50-59 years, female 47.7
GTEX-1RQED-0926-SM-EWRNZ 60-69 years, male 47.7
GTEX-1I6K6-0726-SM-B2LX4 30-39 years, male 47.4
GTEX-1CAMR-0226-SM-7DUGO 20-29 years, male 47.3
GTEX-16GPK-0926-SM-6LPJ9 60-69 years, male 47.2
GTEX-145MI-1126-SM-5O9AK 60-69 years, female 47.1
GTEX-ZT9X-0226-SM-51MT2 40-49 years, male 47.1
GTEX-13FLW-0326-SM-5J2M4 50-59 years, male 47.0
GTEX-14JIY-1226-SM-6871R 60-69 years, male 47.0
GTEX-15SB6-1526-SM-7KUMQ 50-59 years, female 47.0
GTEX-1IGQW-0626-SM-C1YR9 60-69 years, male 47.0
GTEX-1P4AB-1126-SM-DTX94 50-59 years, male 46.8
GTEX-13NYB-0726-SM-5MR4J 40-49 years, male 46.7
GTEX-1H1E6-0326-SM-9OSWE 30-39 years, male 46.7
GTEX-1QP67-0326-SM-EVR45 40-49 years, female 46.7
GTEX-ZYY3-1926-SM-5GZXS 60-69 years, female 46.6
GTEX-ZF28-0826-SM-4WKGJ 60-69 years, male 46.4
GTEX-1JK1U-0326-SM-CXZJH 60-69 years, male 46.4
GTEX-1122O-0226-SM-5N9DA 60-69 years, female 46.3
GTEX-131YS-0726-SM-5P9G9 60-69 years, female 46.3
GTEX-1497J-0126-SM-5Q5BK 60-69 years, male 46.3
GTEX-1HSGN-0726-SM-A9G2F 40-49 years, female 46.2
GTEX-13NYC-2426-SM-5MR3K 60-69 years, male 46.1
GTEX-WHSB-1626-SM-3LK6J 50-59 years, male 45.9
GTEX-Y5V6-0526-SM-4VBRV 60-69 years, male 45.8
GTEX-1H2FU-0626-SM-9WPPS 60-69 years, female 45.5
GTEX-1HSMQ-0526-SM-A96TY 50-59 years, male 45.5
GTEX-11DXZ-0926-SM-5N9CG 50-59 years, male 45.4
GTEX-145ME-0126-SM-5S2QM 40-49 years, female 45.3
GTEX-1R9K5-0726-SM-EAZ4E 50-59 years, male 45.3
GTEX-1OJC4-0526-SM-E6CQV 50-59 years, female 45.2
GTEX-Z9EW-0226-SM-5CVM7 40-49 years, male 45.1
GTEX-ZYFG-0626-SM-5GZYA 60-69 years, female 45.1
GTEX-YEC3-0826-SM-4WWFP 50-59 years, male 44.9
GTEX-14PK6-0426-SM-6EU1J 70-79 years, female 44.8
GTEX-1C64N-1026-SM-79ONM 50-59 years, male 44.8
GTEX-11DXX-0226-SM-5P9HL 60-69 years, female 44.7
GTEX-1LBAC-0726-SM-D3L9U 20-29 years, male 44.7
GTEX-12ZZX-1226-SM-5EGHS 40-49 years, female 44.6
GTEX-144GO-0126-SM-5LUAO 60-69 years, male 44.5
GTEX-ZGAY-1026-SM-4WWBR 40-49 years, female 44.5
GTEX-1A8FM-0726-SM-7DUGK 50-59 years, female 44.4
GTEX-1CB4H-0126-SM-7IGN2 60-69 years, female 44.4
GTEX-XMK1-0626-SM-4B65A 40-49 years, male 44.4
GTEX-1I6K7-1126-SM-A96SW 40-49 years, male 44.3
GTEX-1IKOE-0926-SM-ARU7X 30-39 years, female 44.3
GTEX-Y3IK-0526-SM-4WWE3 50-59 years, female 44.2
GTEX-1CB4G-1526-SM-7P8QG 60-69 years, male 44.1
GTEX-1EU9M-0626-SM-7MXUT 60-69 years, male 44.1
GTEX-X4XX-0926-SM-46MV7 60-69 years, male 43.9
GTEX-12696-0326-SM-5EGL4 60-69 years, male 43.7
GTEX-131XF-1826-SM-5EGKG 60-69 years, male 43.7
GTEX-Y3I4-0226-SM-4TT27 50-59 years, male 43.7
GTEX-11EI6-0726-SM-59866 60-69 years, male 43.6
GTEX-1MA7X-0926-SM-DIPEJ 60-69 years, male 43.5
GTEX-1B933-1026-SM-7P8RO 50-59 years, female 43.4
GTEX-ZPU1-0426-SM-4WWCA 40-49 years, male 43.3
GTEX-ZTX8-0626-SM-59HKC 20-29 years, male 43.3
GTEX-1HCU9-0226-SM-9WPNT 20-29 years, male 43.3
GTEX-1EWIQ-0826-SM-7MXTH 70-79 years, female 43.2
GTEX-18A67-0826-SM-7KFTI 50-59 years, male 43.1
GTEX-1FIGZ-0226-SM-7P8QR 40-49 years, male 43.1
GTEX-1MJK3-0326-SM-DTX96 20-29 years, male 43.0
GTEX-16MTA-0726-SM-7KUL4 50-59 years, male 42.9
GTEX-1R9PM-0226-SM-DPRY7 20-29 years, male 42.9
GTEX-13112-0326-SM-5P9IW 50-59 years, male 42.8
GTEX-ZTSS-0226-SM-59877 40-49 years, male 42.8
GTEX-1LGRB-1226-SM-CNNPS 50-59 years, female 42.6
GTEX-12WSC-0826-SM-5EQ5Q 50-59 years, male 42.5
GTEX-14PJ6-0326-SM-6871H 60-69 years, female 42.5
GTEX-SN8G-1526-SM-4DM79 50-59 years, female 42.5
GTEX-1KAFJ-0426-SM-DHXJH 50-59 years, male 42.5
GTEX-1LVAM-0826-SM-EV79X 50-59 years, female 42.4
GTEX-XUZC-0126-SM-4BOO6 30-39 years, female 42.3
GTEX-1IKOH-0626-SM-CJI35 60-69 years, female 42.3
GTEX-131XH-0526-SM-5DUX7 50-59 years, male 42.2
GTEX-13OW5-0626-SM-5J2N2 60-69 years, male 42.1
GTEX-16AAH-0326-SM-7DHML 50-59 years, male 42.0
GTEX-1S83E-0726-SM-EV7B6 40-49 years, male 41.9
GTEX-11TTK-0826-SM-5N9EG 60-69 years, female 41.8
GTEX-145LT-0226-SM-5S2QK 40-49 years, male 41.8
GTEX-WY7C-0226-SM-3NB37 50-59 years, male 41.8
GTEX-11P81-0126-SM-5HL5Y 30-39 years, female 41.7
GTEX-14E6E-0326-SM-73KY6 30-39 years, male 41.7
GTEX-1B8KE-0626-SM-7189H 50-59 years, male 41.7
GTEX-14JG6-1326-SM-9OSXU 30-39 years, female 41.6
GTEX-1GN1W-0126-SM-7MXV7 50-59 years, female 41.6
GTEX-YJ89-0726-SM-5P9F7 60-69 years, male 41.5
GTEX-14BMV-0726-SM-73KVE 50-59 years, male 41.4
GTEX-178AV-0726-SM-6LPJI 40-49 years, male 41.4
GTEX-WL46-0126-SM-3TW8I 50-59 years, male 41.4
GTEX-14PJM-1326-SM-664NX 50-59 years, female 41.3
GTEX-14PQA-1226-SM-6M47A 50-59 years, female 41.3
GTEX-1LVAN-0726-SM-CNNPF 50-59 years, female 41.1
GTEX-15CHR-1726-SM-7DUGW 50-59 years, male 41.0
GTEX-1RMOY-0126-SM-EWRNN 50-59 years, male 41.0
GTEX-R55E-0826-SM-2TC5M 20-29 years, male 40.9
GTEX-14PHW-2926-SM-6AJBA 60-69 years, female 40.8
GTEX-16XZY-0726-SM-79OMU 70-79 years, male 40.8
GTEX-1C2JI-0326-SM-7EWFD 50-59 years, male 40.6
GTEX-1KANC-0826-SM-D3LA8 50-59 years, female 40.6
GTEX-16XZZ-0826-SM-7IGM3 60-69 years, male 40.5
GTEX-1B97J-0626-SM-7P8RU 50-59 years, female 40.5
GTEX-1QEPI-0726-SM-E76QG 60-69 years, female 40.5
GTEX-17F9Y-0526-SM-7EWDC 70-79 years, female 40.4
GTEX-1B97I-0326-SM-7DUGB 40-49 years, male 40.4
GTEX-13FHP-0926-SM-5L3EC 50-59 years, male 40.3
GTEX-1GZ4I-0626-SM-9WPPN 50-59 years, male 40.3
GTEX-1QAET-0226-SM-EVR3T 50-59 years, male 40.3
GTEX-11GS4-0826-SM-5986J 60-69 years, male 40.1
GTEX-1C6VS-0826-SM-7EWEI 60-69 years, male 40.1
GTEX-1HBPN-1226-SM-B2LW9 50-59 years, male 40.1
GTEX-1PBJJ-1926-SM-DTX8T 30-39 years, male 40.1
GTEX-13S86-1126-SM-5RQJX 40-49 years, male 40.0
GTEX-1J8JJ-0726-SM-AHZ3E 60-69 years, female 40.0
GTEX-13VXT-0626-SM-5SIA1 20-29 years, female 39.9
GTEX-14A6H-2426-SM-5Q5BO 30-39 years, male 39.8
GTEX-ZLFU-0626-SM-4WWBO 40-49 years, male 39.7
GTEX-ZXG5-0926-SM-5NQ8H 60-69 years, male 39.7
GTEX-1M4P7-0626-SM-EVR51 60-69 years, male 39.7
GTEX-1QP9N-0126-SM-DPRZS 30-39 years, male 39.7
GTEX-YB5K-0526-SM-5LUAS 40-49 years, female 39.6
GTEX-ZVP2-0426-SM-57WC2 50-59 years, male 39.6
GTEX-1PIIG-2026-SM-EVR43 30-39 years, male 39.6
GTEX-14XAO-0426-SM-6AJB6 60-69 years, female 39.5
GTEX-XV7Q-0326-SM-4BRVM 40-49 years, female 39.5
GTEX-1GMRU-1126-SM-9KNV1 50-59 years, male 39.5
GTEX-11NV4-0626-SM-5N9BR 60-69 years, male 39.4
GTEX-132NY-1026-SM-5P9IY 60-69 years, male 39.4
GTEX-YFC4-2626-SM-5P9FQ 40-49 years, female 39.4
GTEX-1F88F-0726-SM-7P8R7 60-69 years, female 39.3
GTEX-117YX-1226-SM-5H11S 50-59 years, male 39.2
GTEX-XBEW-0126-SM-4AT66 40-49 years, male 39.2
GTEX-1HCVE-0726-SM-A96SH 50-59 years, male 39.2
GTEX-1QP28-0626-SM-E76P5 50-59 years, female 39.2
GTEX-ZQG8-0926-SM-57WFF 60-69 years, female 39.1
GTEX-ZUA1-0926-SM-4YCDX 40-49 years, male 39.1
GTEX-11P7K-0226-SM-5986Z 30-39 years, male 39.0
GTEX-13OW7-0826-SM-5L3EL 50-59 years, male 39.0
GTEX-SE5C-0726-SM-4BRWY 40-49 years, female 39.0
GTEX-ZYT6-0426-SM-5GID3 30-39 years, male 39.0
GTEX-1MGNQ-0726-SM-DPRYH 40-49 years, male 39.0
GTEX-11ZVC-0126-SM-5986G 50-59 years, female 38.9
GTEX-15D1Q-0626-SM-6AJAZ 40-49 years, male 38.9
GTEX-1C475-0226-SM-7MGXM 40-49 years, female 38.9
GTEX-1JJEA-0626-SM-D3L96 60-69 years, male 38.8
GTEX-14PJ4-0326-SM-664OT 60-69 years, male 38.7
GTEX-14PKU-0326-SM-6AJA7 40-49 years, female 38.7
GTEX-18A6Q-0726-SM-7LT8Y 60-69 years, male 38.7
GTEX-13RTJ-0326-SM-5YYAE 60-69 years, male 38.6
GTEX-131XG-0226-SM-5IFG1 50-59 years, female 38.5
GTEX-14AS3-0226-SM-5Q5B6 40-49 years, female 38.5
GTEX-XLM4-0726-SM-4AT64 60-69 years, male 38.5
GTEX-1HKZK-0826-SM-A9G2C 40-49 years, male 38.5
GTEX-1HR9M-0626-SM-A96S6 60-69 years, male 38.5
GTEX-X4XY-0826-SM-4E3JM 60-69 years, male 38.4
GTEX-1H1DG-0726-SM-A96TN 70-79 years, male 38.4
GTEX-1HCUA-0126-SM-B2LWC 50-59 years, female 38.4
GTEX-Z93S-0526-SM-EVYB4 50-59 years, male 38.4
GTEX-111VG-0526-SM-5N9BW 60-69 years, male 38.3
GTEX-13PVR-0626-SM-5S2RC 60-69 years, female 38.3
GTEX-1ICG6-0426-SM-ARU7M 70-79 years, female 38.3
GTEX-12ZZZ-1226-SM-59HK1 60-69 years, male 38.2
GTEX-139TS-0126-SM-5K7XJ 60-69 years, male 38.2
GTEX-17GQL-0226-SM-7LTAK 60-69 years, male 38.2
GTEX-13N11-1026-SM-5K7XQ 50-59 years, female 38.1
GTEX-148VI-0526-SM-5TDDG 60-69 years, female 38.1
GTEX-1I19N-0226-SM-CE6ST 70-79 years, male 38.1
GTEX-1JMQJ-2026-SM-CNPP9 50-59 years, male 38.1
GTEX-12WSJ-0326-SM-5GCMT 40-49 years, female 38.0
GTEX-14ABY-0926-SM-5Q5DY 50-59 years, male 38.0
GTEX-15SHV-0426-SM-6M476 60-69 years, male 38.0
GTEX-1JJE9-0226-SM-CY8HU 70-79 years, male 38.0
GTEX-1JKYR-0826-SM-ARU8L 20-29 years, male 38.0
GTEX-X261-0726-SM-EZ6MH 50-59 years, male 38.0
GTEX-13113-0126-SM-5LZVX 60-69 years, female 37.9
GTEX-1AX8Z-0826-SM-7DUFZ 60-69 years, male 37.9
GTEX-RN5K-2826-SM-EZ6L3 50-59 years, female 37.9
GTEX-117YW-0126-SM-5EGGN 50-59 years, male 37.8
GTEX-1J8Q3-0226-SM-C1YR4 60-69 years, male 37.8
GTEX-ZAJG-0726-SM-5HL9A 50-59 years, female 37.7
GTEX-1HB9E-0826-SM-CNNQJ 50-59 years, male 37.7
GTEX-1HSEH-0826-SM-B2LXE 60-69 years, male 37.7
GTEX-1IY9M-1026-SM-A96TG 60-69 years, male 37.7
GTEX-16YQH-0326-SM-6LPJV 30-39 years, male 37.6
GTEX-1AX9K-0626-SM-73KVD 50-59 years, male 37.6
GTEX-S7SF-0226-SM-5SI7H 20-29 years, female 37.6
GTEX-ZYVF-1126-SM-5E458 50-59 years, female 37.6
GTEX-13VXU-0826-SM-5KLZ2 50-59 years, male 37.5
GTEX-13W46-0926-SM-5LU3T 50-59 years, male 37.5
GTEX-169BO-0326-SM-7EPIM 50-59 years, male 37.5
GTEX-16Z82-0426-SM-7EPGX 60-69 years, male 37.5
GTEX-1CB4F-0826-SM-793CV 60-69 years, male 37.5
GTEX-V1D1-0926-SM-4JBHQ 50-59 years, male 37.5
GTEX-ZTPG-0826-SM-5DUVC 20-29 years, female 37.5
GTEX-1GN1V-0626-SM-7P8QU 60-69 years, male 37.5
GTEX-1QCLZ-0626-SM-E6CR2 60-69 years, female 37.5
GTEX-15UF6-1126-SM-6LPJ3 70-79 years, female 37.4
GTEX-ZAB5-0726-SM-5P9JG 50-59 years, male 37.4
GTEX-1LSVX-0726-SM-E9TJG 60-69 years, male 37.4
GTEX-1JKYN-1126-SM-CGQG5 30-39 years, male 37.3
GTEX-RN64-0626-SM-2TC5V 50-59 years, male 37.2
GTEX-WXYG-0226-SM-3NB2Y 50-59 years, female 37.2
GTEX-1ICLZ-0526-SM-ARZM8 60-69 years, male 37.1
GTEX-1AMEY-0126-SM-73KTX 30-39 years, female 37.0
GTEX-1CAMS-0826-SM-7P8P1 40-49 years, female 37.0
GTEX-14ICL-0426-SM-5RQJ3 30-39 years, male 36.9
GTEX-1K9T9-0826-SM-EAZ4X 50-59 years, female 36.9
GTEX-13111-0226-SM-5EQ55 50-59 years, male 36.8
GTEX-1IE54-0926-SM-A9G2Y 40-49 years, female 36.8
GTEX-13OVJ-0626-SM-5J2O2 50-59 years, female 36.7
GTEX-1J1OQ-0526-SM-A9G2P 40-49 years, female 36.7
GTEX-S341-0226-SM-D4P1Y 40-49 years, female 36.7
GTEX-17HG3-0226-SM-7EWEA 30-39 years, female 36.6
GTEX-WWYW-0826-SM-3NB2X 50-59 years, female 36.6
GTEX-145MH-0426-SM-5LU8T 50-59 years, male 36.5
GTEX-15RJ7-0326-SM-6M47H 40-49 years, male 36.5
GTEX-15ER7-0726-SM-7KUMF 20-29 years, female 36.3
GTEX-OIZG-0226-SM-2TC5L 50-59 years, male 36.3
GTEX-YEC4-0626-SM-5CVLU 40-49 years, male 36.3
GTEX-ZV7C-0126-SM-57WDE 50-59 years, male 36.3
GTEX-1F75I-0926-SM-7MXUU 40-49 years, male 36.3
GTEX-OIZF-2626-SM-7P8QZ 60-69 years, male 36.2
GTEX-133LE-0326-SM-5P9G4 20-29 years, female 36.1
GTEX-13X6J-0826-SM-5LU32 50-59 years, male 36.1
GTEX-146FQ-0726-SM-5LUA7 30-39 years, male 36.1
GTEX-1B8SG-1126-SM-7IGMT 50-59 years, male 36.1
GTEX-XBED-0126-SM-47JY7 60-69 years, male 36.1
GTEX-1HCU7-0826-SM-B2LX7 50-59 years, male 36.1
GTEX-12WSH-0226-SM-5GCOG 50-59 years, male 36.0
GTEX-11GSP-0126-SM-5A5KU 60-69 years, female 35.9
GTEX-1399T-0126-SM-5KM15 60-69 years, male 35.9
GTEX-117XS-0526-SM-5987Q 60-69 years, male 35.8
GTEX-1HSMO-0726-SM-A96TM 60-69 years, male 35.8
GTEX-1CB4J-1426-SM-7MKFR 60-69 years, male 35.7
GTEX-X5EB-0726-SM-46MVR 40-49 years, male 35.7
GTEX-1GMR8-0826-SM-9KNUR 50-59 years, female 35.7
GTEX-1NUQO-0926-SM-DTXEX 20-29 years, female 35.7
GTEX-1QW4Y-0226-SM-EAZ3U 30-39 years, male 35.7
GTEX-145LU-0426-SM-5O9AH 50-59 years, male 35.6
GTEX-1192W-0126-SM-5EGGS 60-69 years, male 35.5
GTEX-1HFI6-1326-SM-A9SL8 40-49 years, male 35.5
GTEX-13QJ3-0926-SM-73KX5 50-59 years, male 35.4
GTEX-15SHU-0726-SM-7KUFI 40-49 years, female 35.4
GTEX-Y9LG-0426-SM-4VBRT 30-39 years, male 35.4
GTEX-ZA64-0426-SM-5HL96 20-29 years, male 35.4
GTEX-17F97-0626-SM-7IGOH 50-59 years, male 35.3
GTEX-17KNJ-1026-SM-79ONK 50-59 years, male 35.3
GTEX-1CB4I-0726-SM-7DUGS 50-59 years, male 35.3
GTEX-R3RS-0726-SM-3GIJR 40-49 years, female 35.3
GTEX-18A66-0826-SM-72D5Z 60-69 years, male 35.2
GTEX-Y5LM-0626-SM-4V6G4 40-49 years, female 35.2
GTEX-1E1VI-0726-SM-7P8QJ 50-59 years, male 35.2
GTEX-11XUK-0226-SM-5EQLW 40-49 years, female 35.1
GTEX-U8T8-2326-SM-3DB96 60-69 years, male 35.1
GTEX-1H3VE-0826-SM-9KNVQ 40-49 years, male 35.1
GTEX-1EH9U-0926-SM-7EWF1 60-69 years, male 35.0
GTEX-1I1GT-0826-SM-B2LWO 60-69 years, female 35.0
GTEX-139UW-0126-SM-5KM1B 60-69 years, male 34.9
GTEX-11GSO-0626-SM-5A5LW 60-69 years, male 34.8
GTEX-183WM-2626-SM-7KFRY 70-79 years, female 34.8
GTEX-13NZ9-1126-SM-5MR37 50-59 years, male 34.7
GTEX-13FTY-0726-SM-5J2OH 40-49 years, female 34.6
GTEX-ZVZP-1026-SM-5GICI 50-59 years, male 34.6
GTEX-O5YV-1526-SM-EV799 60-69 years, female 34.6
GTEX-111FC-1026-SM-5GZX1 60-69 years, male 34.5
GTEX-144GM-0226-SM-5Q5CB 20-29 years, male 34.5
GTEX-Y5V5-0326-SM-5RQJG 60-69 years, female 34.5
GTEX-13O3O-0926-SM-5KM1F 60-69 years, female 34.4
GTEX-144GL-1226-SM-5O9A4 50-59 years, male 34.3
GTEX-1B932-0926-SM-73KUP 40-49 years, female 34.3
GTEX-1KXAM-1726-SM-D3LAE 60-69 years, male 34.2
GTEX-ZDXO-1726-SM-5HL6L 60-69 years, male 34.2
GTEX-11NUK-1026-SM-5HL5J 50-59 years, male 34.1
GTEX-18465-1426-SM-7KFTF 50-59 years, male 34.1
GTEX-13N2G-0726-SM-5MR38 60-69 years, male 34.0
GTEX-1AYCT-0226-SM-73KVB 50-59 years, male 34.0
GTEX-ZC5H-0626-SM-5LU9K 40-49 years, female 34.0
GTEX-1EX96-0126-SM-9KNVH 50-59 years, male 34.0
GTEX-1F48J-0926-SM-7P8PZ 50-59 years, female 34.0
GTEX-1RQEC-1026-SM-EVR5B 60-69 years, male 34.0
GTEX-111CU-0226-SM-5GZXC 50-59 years, male 33.9
GTEX-18A7A-0826-SM-7KFTJ 50-59 years, female 33.9
GTEX-12WSG-0226-SM-5EGIF 50-59 years, female 33.8
GTEX-1BAJH-0926-SM-79OO6 70-79 years, male 33.8
GTEX-ZVZQ-0626-SM-59HJU 60-69 years, female 33.8
GTEX-11VI4-0226-SM-5GU6C 40-49 years, female 33.7
GTEX-U3ZH-0226-SM-3DB7B 30-39 years, male 33.6
GTEX-1QMI2-0826-SM-EXUT4 60-69 years, male 33.6
GTEX-1N5O9-1026-SM-DTX8Y 60-69 years, male 33.5
GTEX-16BQI-0726-SM-6LPJZ 30-39 years, female 33.4
GTEX-15DZA-0226-SM-7KFS6 30-39 years, female 33.2
GTEX-W5WG-1426-SM-4KKZP 50-59 years, female 33.2
GTEX-1HBPI-0826-SM-9WYTX 50-59 years, male 33.2
GTEX-13PDP-1026-SM-5L3FA 60-69 years, male 33.1
GTEX-16NGA-0326-SM-718AJ 40-49 years, female 33.1
GTEX-1IDJC-1026-SM-A96T2 50-59 years, male 33.1
GTEX-ZF3C-0826-SM-DO11E 50-59 years, female 33.1
GTEX-1A8G7-1026-SM-73KVA 60-69 years, male 33.0
GTEX-1LG7Z-0526-SM-D4P3Q 30-39 years, male 33.0
GTEX-11EM3-0126-SM-5985K 20-29 years, female 32.9
GTEX-13O61-0226-SM-5KM52 60-69 years, male 32.9
GTEX-1H1CY-0726-SM-9OSXX 60-69 years, female 32.9
GTEX-1RAZQ-0926-SM-EAZ4Q 30-39 years, male 32.9
GTEX-1F75B-0826-SM-9QEIT 50-59 years, male 32.8
GTEX-1I1GU-0826-SM-ARZM5 40-49 years, male 32.8
GTEX-18D9B-0726-SM-72D6K 60-69 years, male 32.7
GTEX-1F6IF-1126-SM-9KNV2 60-69 years, male 32.7
GTEX-1GZ2Q-0826-SM-7P8TK 40-49 years, male 32.7
GTEX-1J1R8-0126-SM-CJI36 40-49 years, male 32.7
GTEX-1PPH8-0926-SM-DTX9U 20-29 years, male 32.6
GTEX-13X6H-0526-SM-5LU4Q 50-59 years, female 32.4
GTEX-1B8L1-1626-SM-7IGMH 60-69 years, male 32.3
GTEX-1PFEY-0226-SM-EVR3M 30-39 years, male 32.3
GTEX-139T6-0326-SM-5J2LY 50-59 years, male 32.2
GTEX-1LGOU-0126-SM-EV79W 20-29 years, female 32.1
GTEX-1RNSC-1126-SM-E9TIP 60-69 years, male 32.1
GTEX-14C38-0826-SM-5S2U8 50-59 years, male 32.0
GTEX-ZAK1-0726-SM-5HL8Q 50-59 years, female 32.0
GTEX-1O97I-1026-SM-E76PI 60-69 years, male 32.0
GTEX-18QFQ-0726-SM-7LG6D 30-39 years, male 31.9
GTEX-ZDTS-0926-SM-5YY9D 60-69 years, male 31.9
GTEX-1HT8W-1526-SM-CE6S3 30-39 years, male 31.9
GTEX-1HUB1-1226-SM-B2LWX 60-69 years, male 31.9
GTEX-1JMPZ-0626-SM-CY8HY 30-39 years, male 31.9
GTEX-1QPFJ-0626-SM-DTX7Y 30-39 years, female 31.9
GTEX-13OVK-0226-SM-6M472 40-49 years, male 31.8
GTEX-111YS-0726-SM-5GZY8 60-69 years, male 31.6
GTEX-1H1DF-1026-SM-9QEJ1 40-49 years, female 31.6
GTEX-1EMGI-0826-SM-7EPHY 60-69 years, male 31.5
GTEX-1JMQL-0926-SM-CJI3F 50-59 years, female 31.5
GTEX-1RAZS-1026-SM-E9TID 50-59 years, male 31.5
GTEX-1KD5A-0426-SM-D4P3X 50-59 years, male 31.4
GTEX-WYBS-1926-SM-3NM8N 60-69 years, female 31.3
GTEX-ZDYS-0626-SM-5J2N5 50-59 years, male 31.3
GTEX-1R9JW-0226-SM-EVR4K 30-39 years, female 31.3
GTEX-1399R-0126-SM-5IFEV 30-39 years, male 31.2
GTEX-1399U-0326-SM-5P9G5 50-59 years, female 31.2
GTEX-1AX9I-0626-SM-72D54 60-69 years, male 31.2
GTEX-13RTK-0326-SM-5RQHS 20-29 years, male 31.1
GTEX-18D9A-0126-SM-7KFSI 30-39 years, female 31.1
GTEX-13O1R-0826-SM-5J2MB 60-69 years, male 31.0
GTEX-WH7G-0526-SM-3NMBI 40-49 years, male 31.0
GTEX-1HR98-0326-SM-CGQEL 60-69 years, male 30.9
GTEX-14PII-0826-SM-6871S 60-69 years, male 30.8
GTEX-1I1GR-1126-SM-A9G2I 60-69 years, male 30.8
GTEX-11ZTT-1026-SM-5EQKF 60-69 years, female 30.6
GTEX-1H1DE-0226-SM-ARZN8 20-29 years, male 30.6
GTEX-1IOXB-1026-SM-CJI4D 50-59 years, male 30.6
GTEX-1IL2V-0626-SM-ARU7S 70-79 years, male 30.5
GTEX-1JMPY-0126-SM-CJI39 30-39 years, male 30.5
GTEX-S7SE-0726-SM-2XCD7 50-59 years, male 30.4
GTEX-WRHU-0926-SM-4E3IG 50-59 years, female 30.4
GTEX-1H11D-0626-SM-9WPQ1 40-49 years, male 30.4
GTEX-1K2DA-1526-SM-CGQGQ 50-59 years, male 30.4
GTEX-1RAZR-1126-SM-E6CRC 40-49 years, male 30.4
GTEX-12ZZY-0826-SM-5EQMT 60-69 years, male 30.3
GTEX-ZF29-0726-SM-DO92H 60-69 years, female 30.3
GTEX-ZVT3-0726-SM-5GICN 60-69 years, female 30.2
GTEX-13O21-2226-SM-5MR3L 50-59 years, male 30.1
GTEX-1J8EW-1126-SM-A96T8 60-69 years, female 30.1
GTEX-14PN3-0826-SM-69LOS 60-69 years, female 30.0
GTEX-15FZZ-0226-SM-6LLI4 30-39 years, female 30.0
GTEX-1C4CL-0726-SM-7IGP9 30-39 years, male 30.0
GTEX-XXEK-1326-SM-4BRV1 50-59 years, male 30.0
GTEX-Y8E4-0126-SM-4VBQ2 40-49 years, male 30.0
GTEX-11DXY-0426-SM-5H12R 60-69 years, male 29.9
GTEX-1212Z-0426-SM-5FQT6 60-69 years, male 29.8
GTEX-OHPL-2626-SM-2HMJA 60-69 years, female 29.8
GTEX-ZZ64-0126-SM-5GZXA 20-29 years, male 29.8
GTEX-P4QT-2626-SM-2I3FM 50-59 years, female 29.7
GTEX-1HFI7-0326-SM-9WPOX 50-59 years, female 29.7
GTEX-11LCK-0526-SM-5A5M9 30-39 years, male 29.6
GTEX-17F96-0526-SM-79OLE 70-79 years, male 29.5
GTEX-1EKGG-0726-SM-7IGPX 60-69 years, male 29.5
GTEX-ZYFC-0926-SM-5GZWW 50-59 years, male 29.5
GTEX-12WSD-0926-SM-5GCNL 60-69 years, female 29.4
GTEX-13NZ8-0226-SM-5J2OK 60-69 years, female 29.4
GTEX-14753-0926-SM-5Q5BI 60-69 years, male 29.3
GTEX-1GTWX-0726-SM-9WPPA 60-69 years, male 29.3
GTEX-139YR-1226-SM-5IFEU 50-59 years, male 29.1
GTEX-1IDJH-0826-SM-CE6SY 70-79 years, male 29.1
GTEX-1IKJJ-1026-SM-A96SQ 60-69 years, male 29.1
GTEX-WFG7-0326-SM-DKPO8 20-29 years, male 29.1
GTEX-1477Z-0226-SM-5TDCI 60-69 years, male 29.0
GTEX-1PDJ9-0826-SM-E76PS 20-29 years, male 29.0
GTEX-146FR-0326-SM-5SI8U 60-69 years, female 28.9
GTEX-SNOS-0226-SM-32PLR 40-49 years, male 28.9
GTEX-1J8QM-0726-SM-CE6RF 60-69 years, female 28.9
GTEX-OXRK-0626-SM-2HMJ5 50-59 years, female 28.8
GTEX-QDT8-1226-SM-EVR35 30-39 years, female 28.7
GTEX-17EVP-0126-SM-7EPHW 40-49 years, male 28.6
GTEX-18D9U-1026-SM-72D5R 40-49 years, male 28.6
GTEX-1C6VR-0426-SM-7IGN6 60-69 years, male 28.5
GTEX-1JJ6O-0626-SM-AHZ3H 60-69 years, male 28.5
GTEX-11ZTS-1126-SM-5LU9X 60-69 years, female 28.4
GTEX-14B4R-0126-SM-5TDE4 30-39 years, male 28.4
GTEX-15CHC-0126-SM-5YYBA 60-69 years, female 28.3
GTEX-P78B-0526-SM-2I5F7 40-49 years, female 28.3
GTEX-R55G-0726-SM-2TC6J 40-49 years, female 28.3
GTEX-RTLS-0626-SM-5SI7Z 60-69 years, female 28.3
GTEX-1CB4E-0326-SM-7MXT3 60-69 years, male 28.2
GTEX-13N1W-0826-SM-5MR5J 70-79 years, male 28.1
GTEX-1269C-0226-SM-5EGKS 60-69 years, female 28.0
GTEX-183FY-0626-SM-79OKR 20-29 years, male 28.0
GTEX-1LH75-0626-SM-DIPG3 50-59 years, female 28.0
GTEX-1I1GS-0726-SM-C1YS7 60-69 years, male 27.9
GTEX-1I1GV-0726-SM-ARZLY 60-69 years, male 27.9
GTEX-147F4-0826-SM-5QGRB 50-59 years, male 27.8
GTEX-1A8G6-0626-SM-7IGNB 60-69 years, male 27.8
GTEX-X15G-0526-SM-3NMB7 50-59 years, female 27.8
GTEX-1R46S-0426-SM-EVR48 60-69 years, female 27.8
GTEX-XUW1-1026-SM-4BONY 50-59 years, female 27.7
GTEX-1I1GQ-0826-SM-CNNQR 50-59 years, male 27.7
GTEX-12WSE-1226-SM-73KUF 20-29 years, male 27.6
GTEX-1B8KZ-0426-SM-731DP 50-59 years, male 27.6
GTEX-13OW8-0126-SM-5IJE5 60-69 years, male 27.5
GTEX-14PJO-0626-SM-6LLHH 60-69 years, male 27.5
GTEX-17HHE-0426-SM-79OK3 50-59 years, male 27.4
GTEX-12BJ1-0426-SM-5FQSO 60-69 years, male 27.3
GTEX-ZE7O-1126-SM-57WC8 50-59 years, female 27.3
GTEX-1PBJI-0726-SM-EXUSQ 20-29 years, female 27.3
GTEX-13QBU-0626-SM-5J2OG 40-49 years, female 27.2
GTEX-15G1A-0326-SM-6M467 30-39 years, male 27.2
GTEX-SUCS-0226-SM-32PLQ 70-79 years, male 27.2
GTEX-14BIN-0126-SM-5TDCG 50-59 years, female 27.1
GTEX-15EU6-1426-SM-6M48E 50-59 years, male 27.1
GTEX-1GF9W-0626-SM-7MXVJ 60-69 years, male 27.1
GTEX-1GN73-0826-SM-9OSW4 60-69 years, male 27.1
GTEX-1ICLY-0726-SM-A96TB 50-59 years, male 27.1
GTEX-1JMQK-2126-SM-CY8I2 60-69 years, male 27.1
GTEX-1GMR3-0726-SM-9WPOF 40-49 years, male 27.0
GTEX-1KD4Q-1026-SM-CXZKJ 40-49 years, male 27.0
GTEX-1B8SF-0626-SM-73KVV 60-69 years, male 26.9
GTEX-Q734-0526-SM-2I3EH 40-49 years, female 26.9
GTEX-1IL2U-0826-SM-CL53Q 60-69 years, male 26.8
GTEX-13U4I-0526-SM-5LU59 40-49 years, female 26.7
GTEX-13OW6-0726-SM-5L3FX 50-59 years, male 26.5
GTEX-T2IS-0626-SM-32QP6 20-29 years, female 26.5
GTEX-1JMLX-0826-SM-CNNPP 50-59 years, male 26.5
GTEX-1S5ZU-0726-SM-EWROH 20-29 years, female 26.5
GTEX-17JCI-0626-SM-7IGM7 60-69 years, female 26.4
GTEX-1IDJU-1626-SM-CJI4B 60-69 years, female 26.4
GTEX-11TUW-0226-SM-5LU8X 60-69 years, male 26.3
GTEX-13OVI-0826-SM-5KLZ8 60-69 years, female 26.2
GTEX-13PVQ-0726-SM-5L3GI 50-59 years, male 26.2
GTEX-11EQ9-0626-SM-5A5K1 30-39 years, male 26.1
GTEX-U3ZM-0126-SM-3DB8M 40-49 years, male 26.1
GTEX-WYJK-1626-SM-3NM9J 50-59 years, male 26.1
GTEX-1QP6S-2526-SM-DTX9Z 40-49 years, male 26.1
GTEX-13FHO-0926-SM-5N9EW 60-69 years, male 26.0
GTEX-13FH7-0126-SM-5KLZ1 50-59 years, female 25.9
GTEX-17F9E-0626-SM-79ON5 50-59 years, male 25.8
GTEX-Q2AI-0326-SM-2I3EK 40-49 years, male 25.7
GTEX-WOFL-0726-SM-3MJG4 60-69 years, male 25.7
GTEX-XOT4-1526-SM-EAZ2W 60-69 years, female 25.7
GTEX-14PN4-1526-SM-6871V 50-59 years, male 25.6
GTEX-T6MN-0626-SM-32PM9 50-59 years, male 25.5
GTEX-1QCLY-0826-SM-DTX8A 30-39 years, male 25.5
GTEX-TMMY-0826-SM-33HB9 40-49 years, female 25.4
GTEX-1F52S-0526-SM-7P8TP 60-69 years, female 25.4
GTEX-1GF9U-0226-SM-7P8TY 40-49 years, female 25.3
GTEX-15EO6-0126-SM-6LPKJ 50-59 years, male 25.2
GTEX-11P82-0226-SM-5HL4O 20-29 years, male 25.1
GTEX-1A3MV-0326-SM-73KW7 30-39 years, male 25.1
GTEX-ZPIC-0226-SM-DO91T 40-49 years, female 25.1
GTEX-13CF3-0926-SM-5LZZC 60-69 years, female 25.0
GTEX-13FLV-0226-SM-5J2OF 50-59 years, male 25.0
GTEX-14C5O-0826-SM-5TDEG 60-69 years, male 25.0
GTEX-WHPG-0226-SM-3NMB9 50-59 years, male 25.0
GTEX-WK11-0926-SM-3NMAU 50-59 years, male 24.9
GTEX-1HBPM-0926-SM-ARL9C 60-69 years, female 24.9
GTEX-11UD2-0626-SM-5GU6L 50-59 years, male 24.8
GTEX-13YAN-0926-SM-5O9C3 60-69 years, male 24.8
GTEX-1GPI7-0726-SM-9WG84 20-29 years, male 24.8
GTEX-RNOR-0926-SM-2TF56 50-59 years, female 24.6
GTEX-12WSN-0726-SM-5GCMS 40-49 years, male 24.5
GTEX-1QP66-0326-SM-DTX7V 50-59 years, male 24.5
GTEX-1GN2E-0826-SM-9WYT8 60-69 years, male 24.4
GTEX-14PJ3-0126-SM-69LQP 50-59 years, male 24.3
GTEX-OXRL-2626-SM-2I3F1 50-59 years, male 24.3
GTEX-Y114-0626-SM-4TT98 50-59 years, female 24.2
GTEX-WVLH-0626-SM-3MJG7 50-59 years, male 24.1
GTEX-1GZHY-1426-SM-9WG5H 50-59 years, female 24.1
GTEX-17HII-1926-SM-79OLB 50-59 years, male 24.0
GTEX-1HSKV-1026-SM-B2LWK 60-69 years, male 24.0
GTEX-NFK9-0726-SM-2HMJW 40-49 years, male 23.9
GTEX-12WSL-0626-SM-5GCOY 50-59 years, male 23.6
GTEX-OHPK-2626-SM-2HMK9 50-59 years, female 23.6
GTEX-13FTW-0626-SM-5IFEX 40-49 years, male 23.5
GTEX-PWCY-2326-SM-2I3EQ 20-29 years, female 23.5
GTEX-13JVG-0926-SM-5IJE1 60-69 years, male 23.4
GTEX-RVPV-1226-SM-2TF73 60-69 years, male 23.4
GTEX-SIU8-0626-SM-2XCDN 50-59 years, male 23.4
GTEX-1OJC3-0626-SM-E8VMO 20-29 years, male 23.3
GTEX-Q2AH-0726-SM-2I3EA 40-49 years, male 23.1
GTEX-R53T-0526-SM-3GADL 50-59 years, female 23.1
GTEX-1JN6P-0626-SM-ARZN6 60-69 years, male 23.0
GTEX-OOBJ-2626-SM-2I3F6 60-69 years, male 22.9
GTEX-X8HC-0726-SM-46MWG 50-59 years, female 22.9
GTEX-1HGF4-0726-SM-9WYU9 60-69 years, male 22.9
GTEX-16NPX-1426-SM-6LPK3 50-59 years, male 22.7
GTEX-ZZPU-1326-SM-5GZWS 50-59 years, female 22.7
GTEX-QDVN-0626-SM-2I3FP 50-59 years, male 22.5
GTEX-WYVS-0326-SM-3NM9V 40-49 years, female 22.5
GTEX-QEG5-0826-SM-2I5GF 20-29 years, male 22.4
GTEX-ZT9W-0226-SM-7SB6H 50-59 years, male 22.4
GTEX-14ICK-1626-SM-6ETZX 40-49 years, male 22.3
GTEX-U412-0726-SM-EVR2Y 60-69 years, male 22.2
GTEX-ZYW4-1126-SM-5SI99 60-69 years, male 22.1
GTEX-12WSK-0926-SM-5CVNQ 40-49 years, female 22.0
GTEX-1HC8U-1226-SM-9WYUW 40-49 years, female 21.9
GTEX-QDVJ-0226-SM-2I5FV 50-59 years, male 21.7
GTEX-14PKV-0626-SM-6AJA2 20-29 years, female 21.6
GTEX-W5X1-0426-SM-3GILB 40-49 years, female 21.5
GTEX-ZQUD-0126-SM-7EPIS 30-39 years, male 21.5
GTEX-1R9K4-0726-SM-EWRN2 60-69 years, male 21.4
GTEX-11DYG-0826-SM-5N9GH 60-69 years, male 21.3
GTEX-U4B1-0626-SM-3DB8L 40-49 years, male 21.3
GTEX-14C39-0226-SM-5TDDW 40-49 years, male 21.2
GTEX-13G51-1226-SM-5K7Z3 60-69 years, male 21.1
GTEX-WEY5-0526-SM-3GIKZ 40-49 years, female 21.1
GTEX-1I1GP-0326-SM-CNPQ4 50-59 years, male 21.0
GTEX-1211K-0726-SM-5FQUW 60-69 years, female 20.8
GTEX-RUSQ-1026-SM-2TF6V 50-59 years, male 20.8
GTEX-13OVG-0226-SM-5LU93 60-69 years, male 20.7
GTEX-S32W-0726-SM-2XCBL 50-59 years, female 20.7
GTEX-1H1ZS-0726-SM-A9G3K 70-79 years, male 20.7
GTEX-17EVQ-0526-SM-7KFSK 70-79 years, male 20.5
GTEX-OHPM-2626-SM-33HC5 50-59 years, male 20.5
GTEX-QEL4-0726-SM-3GIJ5 50-59 years, male 20.4
GTEX-Q2AG-0826-SM-2HMKF 40-49 years, female 20.3
GTEX-1LB8K-0626-SM-D4P3Z 50-59 years, male 20.3
GTEX-RU1J-0226-SM-2TF5Y 20-29 years, female 20.2
GTEX-X4LF-0426-SM-3NMB5 50-59 years, male 20.2
GTEX-11EMC-0226-SM-5EGLP 60-69 years, female 20.1
GTEX-13O3P-0726-SM-5J2OM 50-59 years, male 20.0
GTEX-T6MO-0226-SM-32QOL 40-49 years, female 20.0
GTEX-V955-0426-SM-3GAEL 60-69 years, male 20.0
GTEX-VUSG-0426-SM-3GIKD 50-59 years, male 19.8
GTEX-17MF6-0626-SM-7LT8D 40-49 years, male 19.6
GTEX-OXRP-0326-SM-33HBJ 60-69 years, female 19.5
GTEX-PX3G-2626-SM-2I3EG 20-29 years, female 19.5
GTEX-12584-0826-SM-5FQSK 40-49 years, male 19.1
GTEX-T8EM-0226-SM-3DB7C 40-49 years, male 19.0
GTEX-1GF9V-0926-SM-9KNW7 60-69 years, male 19.0
GTEX-ZYFD-0826-SM-5NQ9A 50-59 years, male 18.9
GTEX-1PWST-0726-SM-EWRMO 70-79 years, male 18.9
GTEX-OXRN-1526-SM-E6CHM 50-59 years, male 18.9
GTEX-13QJC-0826-SM-5RQKC 60-69 years, female 18.7
GTEX-113JC-0126-SM-5EGJW 50-59 years, female 18.5
GTEX-11OF3-0626-SM-5BC4Y 60-69 years, male 18.5
GTEX-VJYA-0426-SM-3GIJK 60-69 years, male 18.5
GTEX-15RJE-1326-SM-6LPI6 40-49 years, male 18.4
GTEX-RWS6-0626-SM-2XCAS 60-69 years, female 18.3
GTEX-TKQ1-0126-SM-33HB3 30-39 years, male 18.3
GTEX-15ETS-0526-SM-6PAN3 40-49 years, female 18.2
GTEX-1CAMQ-1126-SM-7EWFE 40-49 years, male 18.1
GTEX-N7MS-2326-SM-2HMLD 60-69 years, male 18.1
GTEX-U3ZN-0326-SM-3DB86 30-39 years, female 18.0
GTEX-1GL5R-0626-SM-7PBZY 50-59 years, male 18.0
GTEX-1O9I2-1226-SM-E6CQC 50-59 years, male 17.9
GTEX-POYW-0826-SM-2XCEM 60-69 years, male 17.8
GTEX-PLZ4-1226-SM-2I5FE 50-59 years, female 17.4
GTEX-1EN7A-1026-SM-7IGPZ 40-49 years, male 17.3
GTEX-P4QS-2626-SM-2I3EV 60-69 years, male 17.2
GTEX-1128S-0126-SM-5H12S 60-69 years, female 17.1
GTEX-14DAQ-0826-SM-73KWT 60-69 years, female 17.1
GTEX-1RDX4-0926-SM-E9U6D 50-59 years, female 17.0
GTEX-QLQ7-0726-SM-2I5G2 60-69 years, male 16.8
GTEX-RM2N-0526-SM-2TF4N 50-59 years, male 16.7
GTEX-1HBPH-0926-SM-A9SME 40-49 years, female 16.2
GTEX-WFG8-0426-SM-3GILD 20-29 years, male 15.8
GTEX-14A5H-0726-SM-5Q5DW 60-69 years, male 15.4
GTEX-1AMFI-0526-SM-7189M 50-59 years, female 15.4
GTEX-QV31-0726-SM-3GAEG 30-39 years, male 15.2
GTEX-T5JW-1226-SM-3GACY 20-29 years, female 15.0
GTEX-WHSE-0626-SM-4RGNF 20-29 years, male 14.9
GTEX-14E6C-2626-SM-5RQJP 40-49 years, male 14.3
GTEX-TSE9-0626-SM-3DB8B 60-69 years, female 14.3
GTEX-UJMC-0326-SM-3GAE2 50-59 years, male 14.3
GTEX-QV44-0826-SM-2S1RG 50-59 years, male 14.1
GTEX-16MT8-0626-SM-6M47Q 60-69 years, female 13.7
GTEX-148VJ-0726-SM-5LU8J 70-79 years, male 13.4
GTEX-P44G-0626-SM-2I5EO 30-39 years, male 13.4
GTEX-R55C-0626-SM-2TF4Q 40-49 years, male 13.3
GTEX-11O72-2326-SM-5BC7H 40-49 years, male 13.1
GTEX-QXCU-0326-SM-2TC63 50-59 years, male 13.0
GTEX-PWN1-2626-SM-2I3FH 40-49 years, female 12.9
GTEX-RWSA-0826-SM-2XCBF 40-49 years, male 12.9
GTEX-WFJO-0226-SM-3GIKW 30-39 years, male 12.8
GTEX-1GN1U-0826-SM-9WPPX 50-59 years, female 11.9
GTEX-P4PQ-2626-SM-33HC9 60-69 years, male 11.7
GTEX-SJXC-0726-SM-2XCFJ 60-69 years, male 11.5
GTEX-1AX9J-2126-SM-731DD 60-69 years, male 11.1
GTEX-RU72-0126-SM-2TF6Z 50-59 years, female 9.0
GTEX-REY6-0526-SM-2TF5M 60-69 years, male 8.9
GTEX-OIZI-0726-SM-2XCEI 40-49 years, male 6.4
Show allShow less

THYROID GLAND - FANTOM5 CAGEi

RNA expression in human tissues obtained through Cap Analysis of Gene Expression (CAGE) generated by the FANTOM5 project are reported as Scaled Tags Per Million.

Max subtype Scaled Tags Per Millioni

Max subtype Scaled Tags Per Million is the value for the subtype with the largest average Scaled Tags Per Million across the subtype samples.

99.9
FANTOM5 sample id Sample description Scaled Tags Per Million
Thyroid
Scaled Tags Per Million: 99.9
FF:10028-101E1 67,68,78 years, mixed 99.9

Contact

  • NEWS ARTICLES
  • PRESS ROOM

The Project

  • INTRODUCTION
  • ORGANIZATION
  • PUBLICATIONS

The Human Protein Atlas

  • DOWNLOADABLE DATA
  • LICENCE & CITATION
  • HELP & FAQ
The Human Protein Atlas project is funded
by the Knut & Alice Wallenberg Foundation.


contact@proteinatlas.org