We use cookies to enhance the usability of our website. If you continue, we'll assume that you are happy to receive all cookies. More information. Don't show this again.
FRYL
HPA
RESOURCES
  • TISSUE
  • BRAIN
  • SINGLE CELL
  • SUBCELLULAR
  • CANCER
  • BLOOD
  • CELL LINE
  • STRUCTURE & INTERACTION
ABOUT
  • INTRODUCTION
  • HISTORY
  • ORGANIZATION
  • PUBLICATIONS
  • ANTIBODY SUBMISSION
  • ANTIBODY AVAILABILITY
  • ACKNOWLEDGMENTS
  • CONTACT
NEWS
  • NEWS ARTICLES
  • PRESS ROOM
LEARN
  • DICTIONARY
  • PROTEIN CLASSES
  • PROTEIN EVIDENCE
  • METHODS
  • EDUCATIONAL VIDEOS
DATA
  • DOWNLOADABLE DATA
  • PUBLICATION DATA
  • RELEASE HISTORY
HELP
  • ANTIBODY VALIDATION
  • ASSAYS & ANNOTATION
  • DISCLAIMER
  • HELP & FAQ
  • PRIVACY STATEMENT
  • LICENCE & CITATION
Fields »
Search result

Field
Term
Gene name
Class
Subclass
Class
Keyword
Chromosome
External id
Tissue
Cell type
Expression
Antibody panel
Tissue
Main location
Patient ID
Annotation
Tissue
Category
Tau score
Cluster
Reliability
Brain region
Category
Tau score
Brain region
Category
Tau score
Brain region
Category
Tau score
Cluster
Reliability
Tissue
Cell type
Enrichment
Cell type
Category
Tau score
Cell type
Category
Tau score
Cell type
Category
Tau score
Cell lineage
Category
Tau score
Cluster
Cluster
Location
Searches
Location
Cell line
Class
Type
Phase
Reliability
Cancer
Prognosis
Cancer
Category
Cancer
Category
Tau score
Cluster
Variants
Interacting gene (ensg_id)
Type
Number of interactions
Pathway
Category
Score
Score
Score
Validation
Validation
Validation
Validation
Antibodies
Data type
Column


  • SUMMARY

  • TISSUE

  • BRAIN

  • SINGLE CELL

  • SUBCELL

  • CANCER

  • BLOOD

  • CELL LINE

  • STRUCT & INT

  • FRYL
CANCER THYROID CANCER Show tissue menu
BREAST CANCER CARCINOID CERVICAL CANCER COLORECTAL CANCER ENDOMETRIAL CANCER GLIOMA HEAD AND NECK CANCER LIVER CANCER LUNG CANCER LYMPHOMA
MELANOMA OVARIAN CANCER PANCREATIC CANCER PROSTATE CANCER RENAL CANCER SKIN CANCER STOMACH CANCER TESTIS CANCER THYROID CANCER UROTHELIAL CANCER
THCA TCGA PROTEIN EXPRESSION
ANTIBODIES
AND
VALIDATION
Dictionary
Thyroid cancer
Human cancer
Thyroid carcinoma
THYROID CARCINOMA (TCGA) - Interactive survival scatter ploti

The Survival Scatter plot shows the clinical status (i.e. dead or alive) for all individuals in the patient cohort, based on the same data that underlies the corresponding Kaplan-Meier plots. Patients that are alive at last time for follow-up are shown in blue and patients who have died during the study are shown in red.

The x-axis shows the expression levels (FPKM) of the investigated gene in the tumor tissue at the time of diagnosis. The y-axis shows the follow-up time after diagnosis (years). Both axes are complimented with kernel density curves demonstrating the data density over the axes. The top density plot shows the expression levels (FPKM) distribution among dead (red) and alive patients (blue). The right density plot shows the data density of the survived years of dead patients with high and low expression levels respectively, stratified using the cutoff indicated by the vertical dashed line through the Survival Scatter plot. This cutoff is automatically defined based on the FPKM cutoff that minimizes the p-score. The cutoff can be changed by dragging the vertical line or by entering a cutoff value in the square labeled "Current cut-off".

Under the Survival Scatter plot the p-score landscape (black curve; left axis) is shown together with dead median separation (red curve; right axis). Dead median separation is the difference in median mRNA expression between patients who have died with high and low expression, respectively. It is calculated as follows: median FPKM expression of dead patients with high expression - median FPKM expression of dead patients with low expression. This is intended to aid the user in visually exploring custom cutoffs and the associated p-scores and dead median separation.

Individual patient data is displayed and can be filtered by clicking on one or more of the category buttons on the top of the page. Categories describing expression level and patient information include: high, low, alive, dead, female, male and tumor stages. The scale of the x-axis can be toggled between linear and log-scale by clicking on the "x log" button. Mouse-over function shows TCGA ID, patient information and mRNA expression (FPKM) for each patient.

& Survival analysisi

Kaplan-Meier plots summarize results from analysis of correlation between mRNA expression level and patient survival. Patients were divided based on level of expression into one of the two groups "low" (under cut off) or "high" (over cut off). X-axis shows time for survival (years) and y-axis shows the probability of survival, where 1.0 corresponds to 100 percent.

FRYL is not prognostic in Thyroid Carcinoma (TCGA)


Stage:

Survival analysis
Current cut offi

Current cut-off shows the cut-off (FPKM) currently selected. It may be changed manually. When the current cut-off is changed, the vertical dashed line indicating cut-off, the interactive survival scatter plot and the Kaplan-Meier curve will be automatically adjusted to show results accordingly.

:
Best expression cut offi

Based on the FPKM value of each gene, patients were classified into two groups and association between prognosis (survival) and gene expression (FPKM) was examined. The best expression cut-off refers the FPKM value that yields maximal difference with regard to survival between the two groups at the lowest log-rank P-value. Best expression cut-off was selected based on survival analysis .

When clicking on this number, the vertical dashed line indicating cut-off, the interactive survival plot, and the Kaplan-Meier curve will be adjusted to show results based on the best expression cut-off.

: 2.92
Median expressioni

Median expression refers to the median FPKM value calculated based on the gene expression (FPKM) data from all patients in this dataset. When clicking on this number, the vertical dashed line indicating cut-off, the interactive survival plot, and the Kaplan-Meier curve will be adjusted to show results based on the median expression.

: N/A
Median follow up timei

Median follow up time refers to the median time (years) after diagnosis with this type of cancer, based on clinical data from all patients in this dataset.

: N/A
P scorei

Log-rank P value for Kaplan-Meier plot showing results from analysis of correlation between mRNA expression level and patient survival.

N/A
5-year survival highi

5-year survival for patients with higher expression than the expression cutoff.

For melanoma and glioma, 3-year survival is shown.

N/A
5-year survival lowi

5-year survival for patients with lower expression than the expression cutoff.

For melanoma and glioma, 3-year survival is shown.

N/A
TCGA RNA samplesi

RNA-seq data is reported as average FPKM (number Fragments Per Kilobase of exon per Million reads), generated by the The Cancer Genome Atlas (TCGA) .

Normal distribution across the dataset is visualized with box plots, shown as median and 25th and 75th percentiles. Points are displayed as outliers if they are above or below 1.5 times the interquartile range. FPKM values of the individual samples are presented next to the box plot.

Average pTPM 4.0
Number of samples 495
Samples
Sample Description pTPM
TCGA-FY-A3WA-01A 52 years, female, white, stage:Stage I, alive, 519 days 13.0
TCGA-DJ-A2Q9-01A 65 years, female, white, stage:Stage III, alive, 1092 days 12.6
TCGA-EM-A1CS-01A 55 years, female, stage:Stage I, alive, 817 days 12.5
TCGA-EL-A3GR-01A 31 years, female, white, stage:Stage I, alive, 3501 days 12.2
TCGA-EL-A3GQ-01A 72 years, female, white, stage:Stage I, alive, 1528 days 12.0
TCGA-DJ-A2PV-01A 53 years, female, white, stage:Stage II, alive, 973 days 10.2
TCGA-EL-A3T2-01A 55 years, female, white, stage:Stage III, alive, 988 days 10.1
TCGA-ET-A3BV-01A 47 years, female, white, stage:Stage III, alive, 2294 days 9.9
TCGA-EM-A2CS-01A 51 years, female, stage:Stage IVA, alive, 841 days 9.9
TCGA-EM-A1YD-01A 53 years, female, stage:Stage II, alive, 1734 days 9.8
TCGA-EL-A3GO-01A 31 years, female, white, stage:Stage I, alive, 1973 days 9.8
TCGA-FY-A3NM-01A 48 years, female, white, stage:Stage III, alive, 885 days 9.6
TCGA-E8-A414-01A 45 years, female, asian, stage:Stage III, alive, 958 days 9.4
TCGA-EL-A3CY-01A 28 years, male, white, stage:Stage I, alive, 127 days 9.4
TCGA-ET-A3BW-01A 30 years, female, white, stage:Stage I, alive, 1419 days 9.3
TCGA-DJ-A1QF-01A 61 years, female, white, stage:Stage II, alive, 931 days 9.2
TCGA-EM-A3FK-01A 30 years, female, stage:Stage I, alive, 723 days 9.2
TCGA-EL-A3CV-01A 40 years, male, white, stage:Stage I, alive, 1154 days 9.1
TCGA-DJ-A13T-01A 37 years, female, white, stage:Stage I, alive, 1709 days 9.0
TCGA-EL-A3CZ-01A 37 years, female, white, stage:Stage I, alive, 2418 days 9.0
TCGA-DJ-A1QQ-01A 43 years, male, asian, stage:Stage I, alive, 534 days 9.0
TCGA-DJ-A2PU-01A 52 years, female, white, stage:Stage II, alive, 1033 days 8.9
TCGA-H2-A2K9-01A 25 years, male, white, stage:Stage I, alive, 659 days 8.9
TCGA-DE-A0Y2-01A 30 years, female, white, stage:Stage I, alive, 658 days 8.8
TCGA-EL-A3GV-01A 65 years, female, white, stage:Stage III, alive, 1532 days 8.8
TCGA-EL-A4K0-01A 54 years, female, white, stage:Stage I, alive, 944 days 8.7
TCGA-EM-A2P0-01A 33 years, male, stage:Stage I, alive, 535 days 8.7
TCGA-ET-A3BN-01A 33 years, female, asian, stage:Stage I, alive, 859 days 8.6
TCGA-DJ-A1QI-01A 63 years, female, white, stage:Stage II, alive, 455 days 8.6
TCGA-ET-A25P-01A 24 years, female, asian, stage:Stage I, alive, 559 days 8.5
TCGA-FK-A3SB-01A 28 years, female, asian, stage:Stage I, alive, 125 days 8.5
TCGA-DJ-A2Q2-01A 57 years, female, white, stage:Stage III, alive, 1337 days 8.4
TCGA-IM-A3ED-01A 58 years, female, white, stage:Stage I, alive, 1442 days 8.3
TCGA-ET-A25N-01A 28 years, female, white, stage:Stage I, alive, 1928 days 8.3
TCGA-EL-A3CU-01A 70 years, female, white, stage:Stage III, alive, 4780 days 8.1
TCGA-DJ-A13X-01A 51 years, female, stage:Stage III, alive, 253 days 8.1
TCGA-DJ-A2PO-01A 54 years, male, white, stage:Stage I, alive, 243 days 8.0
TCGA-EL-A3GS-01A 37 years, female, white, stage:Stage I, alive, 1989 days 8.0
TCGA-FY-A3R7-01A 50 years, female, white, stage:Stage III, alive, 495 days 7.9
TCGA-EL-A3H4-01A 46 years, female, black or african american, stage:Stage IVA, alive, 1512 days 7.9
TCGA-DE-A2OL-01A 44 years, female, white, stage:Stage I, alive, 1145 days 7.9
TCGA-EM-A1CV-01A 32 years, female, stage:Stage I, alive, 1475 days 7.9
TCGA-ET-A3DQ-01A 43 years, female, white, stage:Stage I, alive, 2581 days 7.8
TCGA-EL-A3CO-01A 88 years, male, white, stage:Stage III, dead, 726 days 7.8
TCGA-DJ-A2Q3-01A 61 years, female, asian, stage:Stage III, alive, 1224 days 7.7
TCGA-ET-A3DS-01A 33 years, female, white, stage:Stage I, alive, 2033 days 7.7
TCGA-EL-A3H8-01A 35 years, female, white, stage:Stage I, alive, 4577 days 7.7
TCGA-DJ-A3UK-01A 35 years, female, white, stage:Stage I, alive, 1123 days 7.7
TCGA-ET-A3DP-01A 43 years, female, black or african american, stage:Stage I, alive, 2877 days 7.7
TCGA-EM-A22L-01A 33 years, female, stage:Stage I, alive, 318 days 7.6
TCGA-DJ-A1QE-01A 62 years, female, white, stage:Stage III, alive, 4134 days 7.6
TCGA-DJ-A2PP-01A 47 years, male, stage:Stage II, alive, 930 days 7.6
TCGA-BJ-A0Z0-01A 55 years, male, stage:Stage II, alive, 419 days 7.6
TCGA-ET-A3BX-01A 24 years, male, white, stage:Stage I, alive, 1596 days 7.6
TCGA-EM-A3SX-01A 28 years, female, stage:Stage I, alive, 908 days 7.5
TCGA-FE-A233-01A 18 years, female, white, stage:Stage I, alive, 751 days 7.5
TCGA-EL-A3CP-01A 50 years, female, black or african american, stage:'--, alive, 4831 days 7.5
TCGA-H2-A26U-01A 54 years, female, white, stage:Stage III, alive, 517 days 7.4
TCGA-EM-A2CL-01A 31 years, male, stage:Stage I, alive, 401 days 7.4
TCGA-DJ-A2PN-01A 70 years, female, white, stage:Stage I, alive, 307 days 7.3
TCGA-ET-A2MZ-01A 39 years, male, white, stage:Stage I, alive, 1133 days 7.2
TCGA-DJ-A2Q6-01A 38 years, female, white, stage:Stage I, alive, 1109 days 7.2
TCGA-DO-A1K0-01A 30 years, female, white, stage:Stage I, alive, 655 days 7.1
TCGA-EM-A3AP-01A 31 years, female, stage:Stage I, alive, 254 days 7.1
TCGA-DJ-A1QN-01A 42 years, female, stage:Stage I, alive, 1295 days 7.0
TCGA-EM-A2P3-01A 47 years, female, stage:Stage I, alive, 444 days 7.0
TCGA-ET-A3BU-01A 28 years, male, white, stage:Stage I, alive, 2367 days 7.0
TCGA-FY-A3TY-01A 61 years, female, white, stage:Stage III, alive, 709 days 7.0
TCGA-EL-A3GY-01A 40 years, female, white, stage:Stage II, alive, 3076 days 6.9
TCGA-ET-A25O-01A 35 years, female, black or african american, stage:Stage I, alive, 1986 days 6.9
TCGA-EL-A3T0-01A 45 years, female, white, stage:Stage III, alive, 4335 days 6.9
TCGA-FY-A3NP-01A 69 years, male, white, stage:Stage I, alive, 491 days 6.9
TCGA-ET-A25M-01A 33 years, male, white, stage:Stage I, alive, 1831 days 6.8
TCGA-DJ-A3UU-01A 49 years, female, white, stage:Stage III, alive, 713 days 6.8
TCGA-DJ-A1QM-01A 42 years, male, white, stage:Stage I, alive, 183 days 6.7
TCGA-ET-A25K-01A 36 years, female, white, stage:Stage I, alive, 2142 days 6.7
TCGA-CE-A485-01A 32 years, male, asian, stage:Stage I, alive, 385 days 6.7
TCGA-ET-A39L-01A 20 years, female, stage:Stage I, alive, 3299 days 6.7
TCGA-DJ-A2PR-01A 27 years, male, asian, stage:Stage I, alive, 835 days 6.7
TCGA-EM-A2OV-01A 64 years, female, asian, stage:Stage II, alive, 674 days 6.7
TCGA-BJ-A28V-01A 80 years, female, white, stage:Stage III, alive, 987 days 6.6
TCGA-EL-A3T8-01A 36 years, male, asian, stage:Stage I, alive, 3269 days 6.6
TCGA-FY-A3ON-01A 20 years, male, white, stage:Stage I, alive, 595 days 6.6
TCGA-BJ-A0Z9-01A 57 years, female, white, stage:Stage III, alive, 1257 days 6.6
TCGA-DJ-A3VD-01A 32 years, female, white, stage:Stage I, alive, 1238 days 6.6
TCGA-BJ-A0ZC-01A 55 years, male, white, stage:Stage I, alive, 352 days 6.5
TCGA-BJ-A28T-01A 34 years, female, white, stage:Stage I, alive, 1081 days 6.4
TCGA-FE-A234-01A 26 years, female, white, stage:Stage I, alive, 2075 days 6.4
TCGA-BJ-A28X-01A 32 years, female, white, stage:Stage I, alive, 942 days 6.4
TCGA-DJ-A3UY-01A 32 years, female, white, stage:Stage I, alive, 1091 days 6.3
TCGA-DJ-A1QD-01A 20 years, female, white, stage:Stage I, alive, 1462 days 6.3
TCGA-ET-A3DR-01A 42 years, female, white, stage:Stage I, alive, 2451 days 6.3
TCGA-DJ-A2PS-01A 40 years, female, white, stage:Stage I, alive, 797 days 6.2
TCGA-EM-A2CP-01A 26 years, female, stage:Stage I, alive, 91 days 6.2
TCGA-FY-A76V-01A 54 years, male, black or african american, stage:Stage II, alive, 51 days 6.2
TCGA-DE-A69J-01A 34 years, female, black or african american, stage:Stage I, alive, 447 days 6.2
TCGA-EL-A3CW-01A 87 years, female, white, stage:Stage III, dead, 938 days 6.2
TCGA-EM-A22K-01A 46 years, female, stage:Stage IVA, alive, 479 days 6.2
TCGA-FE-A237-01A 19 years, female, white, stage:Stage I, alive, 3431 days 6.2
TCGA-H2-A422-01A 40 years, female, white, stage:Stage I, alive, 566 days 6.1
TCGA-FE-A230-01A 30 years, female, white, stage:Stage I, alive, 2173 days 6.1
TCGA-EM-A3AK-01A 62 years, female, stage:Stage I, alive, 477 days 6.1
TCGA-J8-A3O1-01A 33 years, female, white, stage:Stage I, alive, 827 days 6.0
TCGA-ET-A39I-01A 83 years, female, white, stage:Stage I, dead, 1011 days 6.0
TCGA-FY-A40N-01A 55 years, female, white, stage:Stage I, alive, 579 days 6.0
TCGA-BJ-A0ZG-01A 80 years, male, white, stage:Stage I, alive, 775 days 6.0
TCGA-EL-A3D5-01A 44 years, female, white, stage:Stage I, alive, 1737 days 6.0
TCGA-DJ-A3UX-01A 46 years, female, white, stage:Stage I, alive, 345 days 6.0
TCGA-DJ-A3V5-01A 76 years, female, white, stage:Stage III, alive, 584 days 6.0
TCGA-J8-A3O2-01A 39 years, male, white, stage:Stage I, alive, 342 days 5.9
TCGA-BJ-A190-01A 55 years, male, white, stage:Stage II, alive, 626 days 5.9
TCGA-DJ-A3UM-01A 45 years, female, asian, stage:Stage I, alive, 944 days 5.9
TCGA-EM-A2OZ-01A 66 years, male, stage:Stage I, alive, 1033 days 5.8
TCGA-DJ-A3UQ-01A 45 years, female, asian, stage:Stage III, alive, 595 days 5.8
TCGA-BJ-A0ZA-01A 67 years, female, white, stage:Stage II, alive, 574 days 5.8
TCGA-EL-A3CT-01A 78 years, female, white, stage:Stage IVA, dead, 1854 days 5.8
TCGA-DJ-A4V5-01A 55 years, male, white, stage:Stage IVA, alive, 1076 days 5.8
TCGA-J8-A4HW-01A 59 years, female, white, stage:Stage III, alive, 79 days 5.8
TCGA-EL-A3T1-01A 38 years, female, black or african american, stage:Stage I, alive, 3941 days 5.7
TCGA-DJ-A3V4-01A 60 years, female, white, stage:Stage III, alive, 1294 days 5.7
TCGA-DJ-A3US-01A 37 years, female, white, stage:Stage I, alive, 998 days 5.7
TCGA-J8-A3NZ-01A 52 years, female, white, stage:Stage III, alive, 524 days 5.7
TCGA-EM-A2CQ-01A 40 years, female, stage:Stage I, alive, 374 days 5.7
TCGA-BJ-A45K-01A 33 years, male, white, stage:Stage I, alive, 705 days 5.7
TCGA-EL-A3GX-01A 41 years, female, white, stage:Stage I, alive, 4494 days 5.7
TCGA-EM-A2OW-01A 37 years, female, stage:Stage I, alive, 1227 days 5.7
TCGA-FE-A236-01A 33 years, male, white, stage:Stage I, alive, 2031 days 5.7
TCGA-DE-A69K-01A 58 years, female, black or african american, stage:Stage III, alive, 434 days 5.6
TCGA-E8-A416-01A 51 years, female, asian, stage:Stage I, alive, 952 days 5.6
TCGA-E3-A3DY-01A 37 years, male, white, stage:Stage I, alive, 2815 days 5.6
TCGA-FY-A3I4-01A 34 years, female, white, stage:Stage I, alive, 542 days 5.6
TCGA-GE-A2C6-01A 33 years, female, white, stage:Stage I, alive, 381 days 5.5
TCGA-DJ-A2PY-01A 46 years, female, white, stage:Stage III, alive, 267 days 5.5
TCGA-FE-A239-01A 82 years, male, white, stage:Stage III, dead, 1023 days 5.5
TCGA-CE-A481-01A 41 years, female, asian, stage:Stage I, alive, 346 days 5.5
TCGA-EM-A2OX-01A 46 years, male, stage:Stage IVA, alive, 600 days 5.5
TCGA-EM-A3O8-01A 33 years, female, stage:Stage I, alive, 381 days 5.5
TCGA-DJ-A4V0-01A 36 years, female, asian, stage:Stage I, alive, 1081 days 5.5
TCGA-EM-A3AJ-01A 39 years, male, stage:Stage I, alive, 941 days 5.5
TCGA-ET-A39J-01A 23 years, female, white, stage:Stage I, alive, 3227 days 5.5
TCGA-DJ-A3VE-01A 50 years, male, white, stage:Stage I, alive, 577 days 5.5
TCGA-CE-A482-01A 27 years, female, asian, stage:Stage I, alive, 325 days 5.4
TCGA-DE-A4M9-01A 28 years, male, white, stage:Stage I, alive, 573 days 5.4
TCGA-CE-A483-01A 34 years, female, asian, stage:Stage I, alive, 457 days 5.4
TCGA-4C-A93U-01A 74 years, female, black or african american, stage:Stage IVA, alive, 129 days 5.4
TCGA-ET-A3BO-01A 44 years, female, white, stage:Stage I, alive, 1533 days 5.4
TCGA-FY-A40K-01A 46 years, female, white, stage:Stage I, alive, 461 days 5.4
TCGA-DJ-A3UP-01A 38 years, female, stage:Stage I, alive, 499 days 5.4
TCGA-DJ-A3UV-01A 18 years, female, white, stage:Stage I, alive, 1466 days 5.4
TCGA-E8-A432-01A 57 years, female, asian, stage:Stage II, alive, 931 days 5.4
TCGA-EM-A4FK-01A 33 years, female, stage:Stage I, alive, 649 days 5.4
TCGA-EM-A3AL-01A 45 years, female, stage:Stage I, alive, 430 days 5.4
TCGA-DJ-A3VF-01A 60 years, female, white, stage:Stage IVA, alive, 292 days 5.3
TCGA-FY-A4B0-01A 76 years, male, white, stage:Stage I, alive, 420 days 5.3
TCGA-ET-A4KQ-01A 45 years, female, white, stage:Stage II, alive, 955 days 5.3
TCGA-DO-A1JZ-01A 23 years, female, black or african american, stage:Stage I, alive, 1670 days 5.3
TCGA-EL-A3H1-01A 66 years, female, black or african american, stage:Stage I, dead, 1500 days 5.3
TCGA-EM-A22J-01A 56 years, female, stage:Stage II, alive, 441 days 5.3
TCGA-DJ-A3VA-01A 39 years, female, stage:Stage I, alive, 755 days 5.3
TCGA-BJ-A0Z3-01A 33 years, female, white, stage:Stage I, alive, 497 days 5.3
TCGA-DJ-A13P-01A 52 years, female, white, stage:Stage II, alive, 5150 days 5.3
TCGA-EL-A3CL-01A 70 years, female, white, stage:Stage II, dead, 963 days 5.2
TCGA-DJ-A3UZ-01A 70 years, female, white, stage:Stage III, alive, 1246 days 5.2
TCGA-EM-A4FV-01A 64 years, female, stage:Stage I, alive, 744 days 5.2
TCGA-FY-A3R6-01A 57 years, female, white, stage:Stage IVA, alive, 423 days 5.1
TCGA-EL-A3N2-01A 24 years, female, white, stage:Stage I, alive, 902 days 5.1
TCGA-DJ-A2Q5-01A 51 years, male, white, stage:Stage IVA, alive, 1140 days 5.1
TCGA-EM-A2CT-01A 20 years, female, stage:Stage I, alive, 1474 days 5.1
TCGA-DE-A0XZ-01A 65 years, female, white, stage:Stage III, alive, 1090 days 5.1
TCGA-DJ-A4V2-01A 38 years, female, stage:Stage I, alive, 95 days 5.1
TCGA-FY-A3W9-01A 66 years, female, white, stage:Stage II, alive, 658 days 5.1
TCGA-EL-A4JW-01A 38 years, female, white, stage:Stage I, alive, 1056 days 5.1
TCGA-MK-A4N6-01A 35 years, male, white, stage:Stage I, alive, 1098 days 5.1
TCGA-EM-A1CT-01A 76 years, male, stage:Stage IVA, alive, 553 days 5.1
TCGA-FY-A4B3-01A 51 years, male, white, stage:Stage III, alive, 427 days 5.1
TCGA-BJ-A4O8-01A 47 years, male, white, stage:Stage III, alive, 591 days 5.0
TCGA-EM-A22P-01A 64 years, male, stage:Stage IVA, alive, 1256 days 5.0
TCGA-EL-A3MY-01A 81 years, male, white, stage:Stage IVC, dead, 533 days 5.0
TCGA-QD-A8IV-01A 50 years, female, black or african american, stage:Stage IVA, alive, 392 days 5.0
TCGA-ET-A25G-01A 56 years, female, white, stage:Stage III, alive, 2492 days 5.0
TCGA-DJ-A2Q4-01A 53 years, male, white, stage:Stage III, alive, 1032 days 5.0
TCGA-ET-A25R-01A 51 years, female, white, stage:Stage III, alive, 1930 days 4.9
TCGA-DJ-A13U-01A 60 years, male, white, stage:Stage III, alive, 1590 days 4.9
TCGA-CE-A13K-01A 30 years, female, asian, stage:Stage I, alive, 385 days 4.9
TCGA-BJ-A2NA-01A 77 years, male, white, stage:Stage III, alive, 577 days 4.9
TCGA-ET-A40T-01A 26 years, female, white, stage:Stage I, alive, 1140 days 4.9
TCGA-BJ-A28S-01A 79 years, male, white, stage:Stage II, alive, 640 days 4.9
TCGA-BJ-A0YZ-01A 65 years, male, white, stage:Stage II, alive, 754 days 4.9
TCGA-FE-A231-01A 70 years, male, white, stage:Stage IVA, alive, 961 days 4.8
TCGA-DE-A7U5-01A 36 years, female, black or african american, stage:Stage I, alive, 84 days 4.8
TCGA-DJ-A1QH-01A 58 years, female, white, stage:Stage III, alive, 1293 days 4.8
TCGA-BJ-A28R-01A 38 years, female, white, stage:Stage I, alive, 1282 days 4.8
TCGA-ET-A25L-01A 52 years, female, white, stage:Stage IVA, alive, 1721 days 4.8
TCGA-EM-A3O7-01A 46 years, female, stage:Stage III, alive, 223 days 4.8
TCGA-BJ-A191-01A 49 years, female, white, stage:Stage I, alive, 147 days 4.7
TCGA-EL-A3GP-01A 70 years, male, black or african american, stage:Stage III, alive, 1506 days 4.7
TCGA-DE-A3KN-01A 49 years, female, white, stage:Stage IVA, alive, 831 days 4.7
TCGA-J8-A3YG-01A 54 years, female, white, stage:Stage III, alive, 678 days 4.7
TCGA-DJ-A4UT-01A 32 years, female, white, stage:Stage I, alive, 823 days 4.7
TCGA-EL-A3ZS-01A 22 years, female, white, stage:Stage I, alive, 215 days 4.7
TCGA-DJ-A3V9-01A 50 years, female, white, stage:Stage IVA, alive, 623 days 4.7
TCGA-MK-A4N7-01A 20 years, female, white, stage:Stage I, alive, 987 days 4.7
TCGA-DJ-A3VM-01A 68 years, female, white, stage:Stage II, alive, 840 days 4.7
TCGA-BJ-A45G-01A 48 years, female, white, stage:Stage III, alive, 725 days 4.6
TCGA-FY-A2QD-01A 61 years, female, black or african american, stage:'--, alive, 38 days 4.6
TCGA-EL-A3GZ-01A 34 years, female, white, stage:Stage I, alive, 4258 days 4.6
TCGA-FE-A22Z-01A 61 years, female, white, stage:Stage IVA, alive, 2243 days 4.6
TCGA-EM-A2P2-01A 46 years, male, stage:Stage III, alive, 526 days 4.6
TCGA-DJ-A3UN-01A 51 years, female, white, stage:Stage I, alive, 986 days 4.6
TCGA-EM-A22N-01A 68 years, female, stage:Stage I, alive, 324 days 4.5
TCGA-H2-A3RI-01A 29 years, female, white, stage:Stage I, alive, 335 days 4.5
TCGA-BJ-A18Y-01A 29 years, male, white, stage:Stage I, alive, 1563 days 4.5
TCGA-EL-A3CN-01A 47 years, female, white, stage:Stage II, alive, 4731 days 4.5
TCGA-EL-A3T9-01A 69 years, female, white, stage:Stage IV, dead, 174 days 4.5
TCGA-E3-A3DZ-01A 55 years, female, white, stage:Stage III, alive, 1436 days 4.5
TCGA-EL-A4K4-01A 33 years, female, white, stage:Stage I, alive, 1623 days 4.4
TCGA-DJ-A3UR-01A 51 years, female, white, stage:Stage III, alive, 1105 days 4.4
TCGA-J8-A3O0-01A 38 years, male, white, stage:Stage I, alive, 1313 days 4.4
TCGA-EL-A3H2-01A 58 years, male, white, stage:Stage II, dead, 1019 days 4.4
TCGA-EL-A3T7-01A 47 years, female, white, stage:Stage II, alive, 1256 days 4.4
TCGA-DJ-A2PX-01A 55 years, female, white, stage:Stage I, alive, 881 days 4.4
TCGA-EL-A4JV-01A 41 years, female, asian, stage:Stage I, alive, 1748 days 4.4
TCGA-FY-A3R8-01A 62 years, female, white, stage:Stage III, alive, 477 days 4.4
TCGA-EL-A3GW-01A 37 years, female, white, stage:Stage I, alive, 1527 days 4.3
TCGA-DJ-A4UP-01A 15 years, female, white, stage:Stage I, alive, 916 days 4.3
TCGA-EL-A3ZH-01A 42 years, female, white, stage:Stage I, alive, 2773 days 4.3
TCGA-EM-A3AR-01A 41 years, male, stage:Stage I, alive, 1133 days 4.3
TCGA-DJ-A2Q0-01A 57 years, female, white, stage:Stage II, alive, 1045 days 4.3
TCGA-EL-A3CM-01A 64 years, female, white, stage:Stage III, dead, 813 days 4.3
TCGA-E8-A413-01A 38 years, female, asian, stage:Stage I, alive, 912 days 4.2
TCGA-DJ-A4UQ-01A 60 years, male, asian, stage:Stage IVA, alive, 1005 days 4.2
TCGA-IM-A3U3-01A 55 years, female, white, stage:Stage I, alive, 514 days 4.2
TCGA-DJ-A13S-01A 19 years, female, white, stage:Stage I, alive, 265 days 4.2
TCGA-BJ-A3EZ-01A 51 years, male, white, stage:Stage IVA, alive, 487 days 4.2
TCGA-FK-A3SE-01A 31 years, female, asian, stage:Stage I, alive, 670 days 4.2
TCGA-H2-A3RH-01A 41 years, female, white, stage:Stage I, alive, 379 days 4.2
TCGA-EM-A1CU-01A 31 years, male, stage:Stage I, alive, 636 days 4.1
TCGA-FY-A3BL-01A 29 years, male, white, stage:Stage I, alive, 621 days 4.1
TCGA-EL-A3N3-01A 53 years, female, white, stage:Stage II, alive, 5423 days 4.1
TCGA-EM-A22I-01A 52 years, female, stage:Stage III, alive, 448 days 4.1
TCGA-J8-A3YD-01A 47 years, female, white, stage:Stage III, alive, 968 days 4.1
TCGA-FE-A238-01A 36 years, female, white, stage:Stage I, alive, 1215 days 4.1
TCGA-EL-A3ZK-01A 41 years, female, white, stage:Stage I, alive, 1575 days 4.0
TCGA-DJ-A3VI-01A 52 years, female, white, stage:Stage III, alive, 95 days 4.0
TCGA-FY-A4B4-01A 62 years, female, white, stage:Stage III, alive, 657 days 4.0
TCGA-DJ-A2Q7-01A 52 years, female, asian, stage:Stage III, alive, 1068 days 4.0
TCGA-BJ-A0Z2-01A 57 years, male, black or african american, stage:Stage IVC, alive, 1514 days 3.9
TCGA-EL-A3H7-01A 36 years, female, white, stage:Stage I, alive, 4228 days 3.9
TCGA-FY-A3RA-01A 21 years, female, white, stage:Stage I, alive, 550 days 3.9
TCGA-BJ-A0ZB-01A 66 years, male, white, stage:Stage IVA, alive, 122 days 3.9
TCGA-ET-A39T-01A 55 years, female, white, stage:Stage III, alive, 2987 days 3.9
TCGA-EL-A4KD-01A 41 years, male, white, stage:Stage I, alive, 1326 days 3.8
TCGA-IM-A3EB-01A 32 years, female, white, stage:Stage I, alive, 1488 days 3.8
TCGA-ET-A39S-01A 27 years, female, white, stage:Stage I, alive, 1676 days 3.8
TCGA-E8-A415-01A 39 years, female, asian, stage:Stage I, alive, 944 days 3.8
TCGA-DJ-A3VK-01A 63 years, male, white, stage:Stage III, alive, 753 days 3.8
TCGA-EL-A3GU-01A 72 years, female, white, stage:Stage III, alive, 4137 days 3.8
TCGA-FE-A232-01A 44 years, female, white, stage:Stage I, alive, 2424 days 3.8
TCGA-BJ-A3PR-01A 69 years, female, white, stage:Stage I, alive, 1107 days 3.8
TCGA-DJ-A2PZ-01A 63 years, male, white, stage:Stage III, alive, 256 days 3.8
TCGA-E8-A436-01A 53 years, female, asian, stage:Stage IVA, alive, 455 days 3.8
TCGA-BJ-A28Z-01A 46 years, female, white, stage:Stage III, alive, 337 days 3.7
TCGA-DJ-A1QO-01A 69 years, male, white, stage:Stage III, alive, 1442 days 3.7
TCGA-DJ-A2PQ-01A 26 years, male, white, stage:Stage I, alive, 1077 days 3.7
TCGA-EM-A3FQ-01A 19 years, female, stage:Stage I, alive, 492 days 3.7
TCGA-E8-A44M-01A 23 years, female, asian, stage:Stage I, alive, 917 days 3.7
TCGA-DJ-A1QL-01A 70 years, male, stage:Stage II, alive, 535 days 3.7
TCGA-ET-A39R-01A 24 years, female, white, stage:Stage I, alive, 2863 days 3.7
TCGA-DJ-A1QG-01A 62 years, male, white, stage:Stage I, alive, 1368 days 3.6
TCGA-EM-A1YA-01A 74 years, female, stage:Stage II, alive, 602 days 3.6
TCGA-EL-A4K9-01A 68 years, male, white, stage:Stage II, alive, 1455 days 3.6
TCGA-DJ-A3VJ-01A 22 years, male, white, stage:Stage I, alive, 1108 days 3.6
TCGA-DJ-A3UO-01A 63 years, male, white, stage:Stage IVA, alive, 957 days 3.6
TCGA-CE-A3ME-01A 51 years, female, asian, stage:Stage II, alive, 379 days 3.6
TCGA-ET-A39P-01A 73 years, female, black or african american, stage:Stage III, alive, 2900 days 3.5
TCGA-E8-A418-01A 75 years, female, white, stage:Stage IVA, alive, 92 days 3.4
TCGA-E8-A242-01A 56 years, female, white, stage:Stage III, alive, 950 days 3.4
TCGA-BJ-A45H-01A 45 years, male, white, stage:Stage III, alive, 865 days 3.4
TCGA-J8-A3YH-01A 39 years, male, white, stage:Stage I, alive, 175 days 3.4
TCGA-E3-A3E0-01A 34 years, female, white, stage:Stage I, alive, 2019 days 3.4
TCGA-E3-A3E1-01A 46 years, female, white, stage:Stage I, alive, 2449 days 3.4
TCGA-DJ-A3V6-01A 54 years, male, white, stage:Stage III, alive, 818 days 3.4
TCGA-EL-A3T6-01A 34 years, female, white, stage:Stage I, alive, 2988 days 3.4
TCGA-E8-A417-01A 38 years, female, asian, stage:Stage I, alive, 938 days 3.3
TCGA-ET-A39O-01A 39 years, male, white, stage:Stage I, alive, 3059 days 3.3
TCGA-EL-A4K2-01A 43 years, female, white, stage:Stage I, alive, 928 days 3.3
TCGA-IM-A41Z-01A 37 years, female, white, stage:Stage I, alive, 946 days 3.3
TCGA-DE-A4MD-01A 71 years, male, white, stage:Stage IVA, alive, 764 days 3.2
TCGA-J8-A3YE-01A 31 years, female, white, stage:Stage I, alive, 847 days 3.2
TCGA-BJ-A45C-01A 78 years, male, black or african american, stage:Stage III, dead, 243 days 3.2
TCGA-EM-A3FR-01A 55 years, female, stage:Stage III, alive, 457 days 3.2
TCGA-EM-A2CK-01A 28 years, male, stage:Stage I, alive, 544 days 3.2
TCGA-DE-A4M8-01A 61 years, female, white, stage:Stage III, alive, 564 days 3.2
TCGA-EL-A3D0-01A 61 years, male, white, stage:Stage III, alive, 4254 days 3.2
TCGA-BJ-A0ZJ-01A 36 years, male, white, stage:Stage I, alive, 1280 days 3.2
TCGA-EL-A3H3-01A 19 years, female, white, stage:Stage I, alive, 1319 days 3.2
TCGA-EM-A3OB-01A 33 years, female, stage:Stage I, alive, 1176 days 3.1
TCGA-EL-A3CS-01A 62 years, female, white, stage:Stage IVA, dead, 1385 days 3.1
TCGA-EM-A2CU-01A 47 years, female, stage:Stage III, alive, 400 days 3.1
TCGA-ET-A2MY-01A 72 years, female, black or african american, stage:Stage I, alive, 1787 days 3.1
TCGA-DJ-A13V-01A 21 years, female, stage:Stage I, alive, 1313 days 3.1
TCGA-EL-A3MW-01A 55 years, female, white, stage:Stage II, alive, 3305 days 3.1
TCGA-FY-A40M-01A 51 years, female, white, stage:Stage I, alive, 684 days 3.1
TCGA-DE-A4MC-01A 43 years, female, american indian or alaska native, stage:Stage I, alive, 913 days 3.1
TCGA-CE-A27D-01A 28 years, female, asian, stage:Stage I, alive, 374 days 3.1
TCGA-BJ-A18Z-01A 58 years, male, white, stage:Stage IVA, alive, 1263 days 3.1
TCGA-E8-A434-01A 56 years, female, asian, stage:Stage I, alive, 953 days 3.1
TCGA-EM-A4G1-01A 26 years, female, stage:Stage I, alive, 416 days 3.0
TCGA-EM-A1CW-01A 39 years, female, stage:Stage I, alive, 549 days 3.0
TCGA-ET-A2N4-01A 53 years, female, white, stage:Stage III, alive, 81 days 3.0
TCGA-DE-A4MB-01A 79 years, female, white, stage:Stage IVA, alive, 352 days 3.0
TCGA-BJ-A45F-01A 59 years, female, white, stage:Stage I, alive, 105 days 3.0
TCGA-BJ-A4O9-01A 51 years, female, white, stage:Stage II, alive, 714 days 3.0
TCGA-ET-A3BS-01A 42 years, male, asian, stage:Stage I, alive, 176 days 2.9
TCGA-BJ-A2N7-01A 30 years, female, white, stage:Stage I, alive, 559 days 2.9
TCGA-EL-A3MZ-01A 66 years, male, white, stage:Stage III, dead, 1597 days 2.9
TCGA-EL-A4JZ-01A 55 years, female, white, stage:Stage III, alive, 1856 days 2.9
TCGA-FY-A3R9-01A 66 years, female, white, stage:Stage I, alive, 504 days 2.9
TCGA-BJ-A192-01A 54 years, female, white, stage:Stage III, alive, 1349 days 2.9
TCGA-FY-A40L-01A 55 years, female, white, stage:Stage IVA, alive, 726 days 2.9
TCGA-ET-A3BT-01A 60 years, female, white, stage:Stage IVA, alive, 2665 days 2.9
TCGA-EM-A1YC-01A 71 years, female, stage:Stage III, alive, 2391 days 2.9
TCGA-EL-A3CX-01A 22 years, female, white, stage:Stage I, alive, 3243 days 2.9
TCGA-DJ-A2QB-01A 53 years, female, asian, stage:Stage IVA, alive, 1070 days 2.8
TCGA-BJ-A45I-01A 51 years, female, white, stage:Stage III, alive, 470 days 2.8
TCGA-E3-A3E2-01A 34 years, female, white, stage:Stage I, alive, 1922 days 2.8
TCGA-DJ-A3V2-01A 44 years, female, white, stage:Stage I, alive, 615 days 2.8
TCGA-ET-A2N5-01A 46 years, female, black or african american, stage:Stage III, alive, 2460 days 2.8
TCGA-ET-A3DO-01A 33 years, female, white, stage:Stage I, alive, 3552 days 2.7
TCGA-BJ-A291-01A 56 years, female, white, stage:Stage I, alive, 696 days 2.7
TCGA-EM-A3AI-01A 67 years, female, white, stage:Stage II, alive, 685 days 2.7
TCGA-KS-A4I3-01A 41 years, male, asian, stage:Stage I, alive, 1329 days 2.7
TCGA-E3-A3E3-01A 49 years, female, white, stage:Stage II, alive, 1595 days 2.7
TCGA-FK-A3S3-01A 43 years, female, black or african american, stage:Stage I, alive, 2162 days 2.7
TCGA-FY-A3YR-01A 64 years, female, white, stage:Stage III, alive, 528 days 2.7
TCGA-E8-A419-01A 30 years, female, white, stage:Stage I, alive, 774 days 2.7
TCGA-EM-A4FF-01A 40 years, female, stage:Stage I, alive, 2573 days 2.6
TCGA-EL-A4JX-01A 31 years, female, black or african american, stage:Stage I, alive, 1398 days 2.6
TCGA-EM-A3SZ-01A 42 years, female, stage:Stage I, alive, 389 days 2.6
TCGA-DJ-A13L-01A 85 years, male, white, stage:Stage I, alive, 303 days 2.6
TCGA-EL-A3ZT-01A 35 years, male, white, stage:Stage I, alive, 1808 days 2.5
TCGA-EL-A3ZP-01A 19 years, male, white, stage:Stage I, alive, 1992 days 2.5
TCGA-E8-A2JQ-01A 18 years, female, white, stage:Stage I, alive, 356 days 2.5
TCGA-BJ-A2N8-01A 30 years, female, white, stage:Stage I, alive, 504 days 2.5
TCGA-MK-A84Z-01A 74 years, male, black or african american, stage:Stage III, alive, 728 days 2.5
TCGA-E3-A3E5-01A 57 years, male, white, stage:Stage IVA, alive, 1215 days 2.5
TCGA-EM-A3O6-01A 54 years, female, stage:Stage II, alive, 458 days 2.5
TCGA-DJ-A3VG-01A 40 years, male, white, stage:Stage I, alive, 1085 days 2.5
TCGA-BJ-A290-01A 70 years, male, white, stage:Stage III, alive, 919 days 2.5
TCGA-EM-A3FL-01A 63 years, female, stage:Stage I, alive, 1441 days 2.4
TCGA-ET-A3DW-01A 64 years, male, asian, stage:Stage III, alive, 752 days 2.4
TCGA-EL-A3ZR-01A 46 years, female, white, stage:Stage II, alive, 1830 days 2.4
TCGA-EM-A3SY-01A 36 years, male, stage:Stage I, alive, 411 days 2.4
TCGA-J8-A3YF-01A 83 years, male, white, stage:Stage III, alive, 751 days 2.3
TCGA-MK-A4N9-01A 41 years, female, white, stage:Stage I, alive, 919 days 2.3
TCGA-EM-A22O-01A 75 years, male, asian, stage:Stage IVA, alive, 1344 days 2.3
TCGA-J8-A42S-01A 45 years, male, white, stage:Stage III, alive, 75 days 2.3
TCGA-CE-A3MD-01A 31 years, male, asian, stage:Stage I, alive, 389 days 2.3
TCGA-ET-A40Q-01A 38 years, male, white, stage:Stage I, alive, 1407 days 2.3
TCGA-DJ-A4UW-01A 34 years, female, asian, stage:Stage I, alive, 819 days 2.3
TCGA-DJ-A2PW-01A 65 years, male, white, stage:Stage III, alive, 1060 days 2.3
TCGA-EM-A4FH-01A 69 years, male, stage:Stage III, alive, 892 days 2.3
TCGA-EM-A2OY-01A 46 years, female, stage:Stage II, alive, 983 days 2.3
TCGA-EL-A3H5-01A 57 years, female, white, stage:Stage IVA, alive, 2542 days 2.2
TCGA-DJ-A3UW-01A 50 years, female, white, stage:Stage I, alive, 1812 days 2.2
TCGA-EL-A3D6-01A 51 years, female, white, stage:Stage III, alive, 3296 days 2.1
TCGA-DJ-A3V8-01A 28 years, female, white, stage:Stage I, alive, 647 days 2.1
TCGA-BJ-A0Z5-01A 58 years, male, white, stage:Stage III, alive, 448 days 2.1
TCGA-EL-A3TB-01A 47 years, female, white, stage:Stage III, alive, 2519 days 2.1
TCGA-EM-A2CO-01A 77 years, female, stage:Stage II, alive, 184 days 2.1
TCGA-BJ-A3F0-01A 64 years, female, white, stage:Stage I, alive, 424 days 2.1
TCGA-DJ-A3V3-01A 57 years, female, asian, stage:Stage II, alive, 931 days 2.1
TCGA-ET-A40S-01A 62 years, male, white, stage:Stage II, alive, 1223 days 2.0
TCGA-ET-A3BP-01A 34 years, female, white, stage:Stage I, alive, 2406 days 2.0
TCGA-EM-A4FO-01A 72 years, male, stage:Stage I, alive, 802 days 2.0
TCGA-EL-A3D4-01A 62 years, male, black or african american, stage:Stage IVA, alive, 2116 days 2.0
TCGA-ET-A25I-01A 37 years, female, white, stage:Stage I, alive, 2485 days 2.0
TCGA-ET-A3DU-01A 21 years, female, white, stage:Stage I, alive, 1911 days 2.0
TCGA-DJ-A3V7-01A 44 years, female, white, stage:Stage III, alive, 706 days 1.9
TCGA-ET-A3DV-01A 68 years, female, white, stage:Stage II, alive, 5068 days 1.9
TCGA-KS-A4IB-01A 41 years, female, asian, stage:Stage I, alive, 2577 days 1.9
TCGA-EM-A3AN-01A 36 years, female, stage:Stage I, alive, 1006 days 1.9
TCGA-BJ-A45J-01A 39 years, female, white, stage:Stage I, alive, 658 days 1.9
TCGA-EM-A1YB-01A 73 years, female, stage:Stage II, alive, 592 days 1.9
TCGA-FE-A23A-01A 27 years, female, white, stage:Stage I, alive, 2489 days 1.9
TCGA-EL-A3T3-01A 63 years, male, white, stage:Stage II, alive, 4017 days 1.8
TCGA-DJ-A3UT-01A 43 years, female, white, stage:Stage I, alive, 1105 days 1.8
TCGA-EL-A3ZN-01A 28 years, female, white, stage:Stage I, alive, 1614 days 1.8
TCGA-EM-A3OA-01A 55 years, female, stage:Stage II, alive, 822 days 1.8
TCGA-EM-A2CM-01A 62 years, female, stage:Stage III, alive, 1253 days 1.8
TCGA-EM-A4FU-01A 35 years, male, stage:Stage I, alive, 1840 days 1.8
TCGA-EM-A3AQ-01A 85 years, female, stage:Stage I, alive, 904 days 1.8
TCGA-EM-A3FJ-01A 24 years, female, stage:Stage I, alive, 850 days 1.7
TCGA-DJ-A3V0-01A 56 years, male, stage:Stage IVA, alive, 1125 days 1.7
TCGA-DJ-A4V4-01A 48 years, female, white, stage:Stage I, alive, 481 days 1.7
TCGA-J8-A4HY-01A 68 years, female, white, stage:Stage IVA, alive, 6 days 1.7
TCGA-EL-A3TA-01A 42 years, male, white, stage:Stage I, alive, 2035 days 1.6
TCGA-EL-A3ZG-01A 15 years, male, asian, stage:Stage I, alive, 2724 days 1.6
TCGA-BJ-A45E-01A 46 years, female, white, stage:Stage I, alive, 639 days 1.6
TCGA-DJ-A2PT-01A 70 years, female, white, stage:Stage III, alive, 1181 days 1.5
TCGA-EM-A2CJ-01A 49 years, female, stage:Stage I, alive, 1447 days 1.5
TCGA-H2-A421-01A 34 years, female, white, stage:Stage I, alive, 610 days 1.5
TCGA-KS-A4I9-01A 46 years, female, black or african american, stage:Stage I, alive, 2658 days 1.5
TCGA-BJ-A0ZE-01A 63 years, female, white, stage:Stage III, alive, 509 days 1.4
TCGA-E8-A44K-01A 50 years, female, asian, stage:Stage I, alive, 943 days 1.4
TCGA-BJ-A0ZF-01A 54 years, female, white, stage:Stage II, alive, 1217 days 1.4
TCGA-IM-A420-01A 39 years, female, white, stage:Stage I, alive, 250 days 1.4
TCGA-L6-A4EQ-01A 47 years, male, white, stage:Stage III, alive, 1228 days 1.4
TCGA-KS-A4IC-01A 45 years, female, white, stage:Stage III, alive, 1073 days 1.3
TCGA-EM-A2CN-01A 62 years, male, stage:Stage IVC, alive, 715 days 1.3
TCGA-FK-A3SG-01A 21 years, female, white, stage:Stage I, alive, 28 days 1.3
TCGA-IM-A41Y-01A 42 years, female, white, stage:Stage I, alive, 664 days 1.3
TCGA-BJ-A0ZH-01A 52 years, female, white, stage:Stage IVA, alive, 460 days 1.3
TCGA-EL-A4KG-01A 35 years, female, white, stage:Stage I, alive, 739 days 1.3
TCGA-DJ-A4UR-01A 36 years, female, asian, stage:Stage II, alive, 1058 days 1.3
TCGA-KS-A4I7-01A 61 years, female, white, stage:Stage I, alive, 987 days 1.2
TCGA-BJ-A3PT-01A 51 years, female, white, stage:Stage III, alive, 709 days 1.2
TCGA-EL-A3CR-01A 78 years, female, white, stage:Stage III, dead, 233 days 1.2
TCGA-E8-A438-01A 23 years, female, white, stage:Stage I, alive, 1019 days 1.2
TCGA-IM-A3U2-01A 89 years, female, white, stage:Stage IVA, alive, 190 days 1.1
TCGA-ET-A39N-01A 35 years, female, white, stage:Stage I, alive, 3751 days 1.1
TCGA-EM-A22M-01A 52 years, male, asian, stage:Stage I, alive, 442 days 1.1
TCGA-EM-A1YE-01A 47 years, female, stage:Stage II, alive, 1645 days 1.1
TCGA-EL-A3ZL-01A 34 years, female, white, stage:Stage I, alive, 1895 days 1.0
TCGA-ET-A40R-01A 24 years, female, white, stage:Stage I, alive, 1350 days 1.0
TCGA-FE-A3PD-01A 17 years, female, white, stage:Stage I, alive, 2396 days 1.0
TCGA-E8-A437-01A 57 years, female, white, stage:Stage I, alive, 1213 days 1.0
TCGA-L6-A4ET-01A 49 years, female, white, stage:Stage IVC, alive, 664 days 0.9
TCGA-EM-A4FM-01A 59 years, female, stage:Stage IVA, alive, 162 days 0.9
TCGA-DJ-A13O-01A 56 years, male, white, stage:Stage I, alive, 1161 days 0.9
TCGA-KS-A4I5-01A 49 years, female, white, stage:Stage IVA, alive, 567 days 0.9
TCGA-FK-A3SD-01A 61 years, female, white, stage:Stage I, alive, 32 days 0.9
TCGA-E8-A3X7-01A 57 years, female, white, stage:Stage IVA, alive, 951 days 0.9
TCGA-E8-A2EA-01A 52 years, female, white, stage:Stage I, alive, 1085 days 0.8
TCGA-EL-A3ZO-01A 79 years, female, white, stage:Stage III, alive, 2211 days 0.8
TCGA-EM-A4FQ-01A 42 years, female, stage:Stage I, alive, 683 days 0.8
TCGA-FE-A3PB-01A 33 years, female, white, stage:Stage I, alive, 2590 days 0.8
TCGA-IM-A4EB-01A 37 years, male, white, stage:Stage I, alive, 780 days 0.8
TCGA-EL-A4K6-01A 75 years, male, white, stage:Stage IV, alive, 1343 days 0.8
TCGA-EM-A3AO-01A 61 years, male, stage:Stage IVA, alive, 1354 days 0.7
TCGA-EM-A3FM-01A 57 years, male, stage:Stage IVA, alive, 639 days 0.7
TCGA-EM-A3FP-01A 71 years, female, stage:Stage II, alive, 529 days 0.7
TCGA-KS-A4ID-01A 55 years, female, white, stage:Stage I, alive, 1011 days 0.7
TCGA-ET-A2MX-01A 27 years, male, white, stage:Stage I, alive, 2689 days 0.6
TCGA-EL-A3MX-01A 66 years, female, white, stage:Stage IVC, dead, 1753 days 0.6
TCGA-EL-A4K1-01A 68 years, female, white, stage:Stage III, alive, 1046 days 0.6
TCGA-FK-A3SH-01A 50 years, female, white, stage:Stage III, alive, 1463 days 0.6
TCGA-CE-A484-01A 37 years, female, asian, stage:Stage I, alive, 378 days 0.6
TCGA-DJ-A3VL-01A 38 years, male, white, stage:Stage I, alive, 713 days 0.6
TCGA-DJ-A3VB-01A 52 years, male, stage:Stage III, alive, 697 days 0.6
TCGA-DJ-A13M-01A 28 years, female, white, stage:Stage I, alive, 1484 days 0.5
TCGA-DJ-A2QC-01A 70 years, female, stage:Stage II, alive, 1215 days 0.5
TCGA-EM-A3FO-01A 40 years, male, stage:Stage I, alive, 532 days 0.5
TCGA-BJ-A2P4-01A 29 years, female, white, stage:Stage I, alive, 390 days 0.5
TCGA-DJ-A2Q1-01A 44 years, female, white, stage:Stage I, alive, 1148 days 0.5
TCGA-EM-A3ST-01A 62 years, female, stage:Stage III, alive, 1182 days 0.5
TCGA-FE-A3PA-01A 16 years, male, white, stage:Stage II, alive, 3235 days 0.5
TCGA-ET-A40P-01A 32 years, female, white, stage:Stage I, alive, 1338 days 0.4
TCGA-EM-A4FR-01A 28 years, male, stage:Stage I, alive, 655 days 0.4
TCGA-FE-A235-01A 26 years, female, white, stage:Stage I, alive, 3571 days 0.4
TCGA-FK-A4UB-01A 51 years, male, white, stage:Stage III, alive, 3531 days 0.4
TCGA-BJ-A2N9-01A 42 years, female, white, stage:Stage I, alive, 623 days 0.4
TCGA-KS-A41L-01A 39 years, female, white, stage:Stage I, alive, 3463 days 0.4
TCGA-EM-A3O3-01A 83 years, female, stage:Stage III, alive, 441 days 0.4
TCGA-KS-A41F-01A 37 years, female, white, stage:Stage I, alive, 4367 days 0.3
TCGA-KS-A41J-01A 28 years, female, white, stage:Stage I, alive, 477 days 0.3
TCGA-L6-A4EP-01A 41 years, female, asian, stage:Stage I, alive, 1016 days 0.3
TCGA-L6-A4EU-01A 58 years, female, black or african american, stage:Stage III, alive, 289 days 0.3
TCGA-ET-A39K-01A 48 years, female, white, stage:Stage III, alive, 3267 days 0.3
TCGA-EM-A3FN-01A 42 years, female, stage:Stage I, alive, 367 days 0.3
TCGA-DJ-A4UL-01A 68 years, female, white, stage:Stage I, alive, 939 days 0.3
TCGA-DJ-A13R-01A 50 years, male, white, stage:Stage III, alive, 565 days 0.3
TCGA-E8-A433-01A 25 years, female, asian, stage:Stage I, alive, 951 days 0.3
TCGA-EL-A3ZM-01A 60 years, male, stage:Stage IVA, alive, 1096 days 0.3
TCGA-FE-A3PC-01A 37 years, female, white, stage:Stage I, alive, 2606 days 0.3
TCGA-BJ-A3PU-01A 52 years, male, white, stage:Stage III, alive, 567 days 0.3
TCGA-EL-A4KI-01A 63 years, male, white, stage:Stage III, alive, 727 days 0.2
TCGA-BJ-A28W-01A 32 years, female, white, stage:Stage I, alive, 344 days 0.2
TCGA-EL-A4K7-01A 74 years, male, white, stage:Stage III, alive, 1251 days 0.2
TCGA-BJ-A45D-01A 36 years, male, white, stage:Stage I, alive, 331 days 0.2
TCGA-EM-A4FN-01A 49 years, female, stage:Stage IVA, alive, 802 days 0.2
TCGA-DJ-A13W-01A 45 years, female, white, stage:Stage I, alive, 1593 days 0.2
TCGA-EM-A3SU-01A 43 years, female, stage:Stage I, alive, 911 days 0.2
TCGA-KS-A4I1-01A 37 years, female, asian, stage:Stage I, alive, 812 days 0.2
TCGA-ET-A39M-01A 34 years, male, white, stage:Stage I, alive, 2582 days 0.2
TCGA-DJ-A2QA-01A 56 years, female, asian, stage:Stage III, alive, 1020 days 0.2
TCGA-EL-A3ZQ-01A 78 years, female, white, stage:Stage II, alive, 1862 days 0.2
TCGA-EL-A3D1-01A 39 years, male, asian, stage:Stage I, alive, 2997 days 0.2
TCGA-EL-A4KH-01A 36 years, female, white, stage:Stage I, alive, 823 days 0.1
TCGA-EM-A2CR-01A 46 years, female, stage:Stage II, alive, 415 days 0.1
TCGA-KS-A41I-01A 47 years, female, white, stage:Stage I, alive, 486 days 0.1
TCGA-EM-A22Q-01A 36 years, male, stage:Stage I, alive, 433 days 0.1
TCGA-DE-A4MA-01A 52 years, female, black or african american, stage:Stage III, alive, 916 days 0.1
TCGA-ET-A2N0-01A 51 years, female, white, stage:Stage III, alive, 1600 days 0.1
TCGA-ET-A4KN-01A 51 years, female, white, stage:Stage III, alive, 1009 days 0.0
Show allShow less
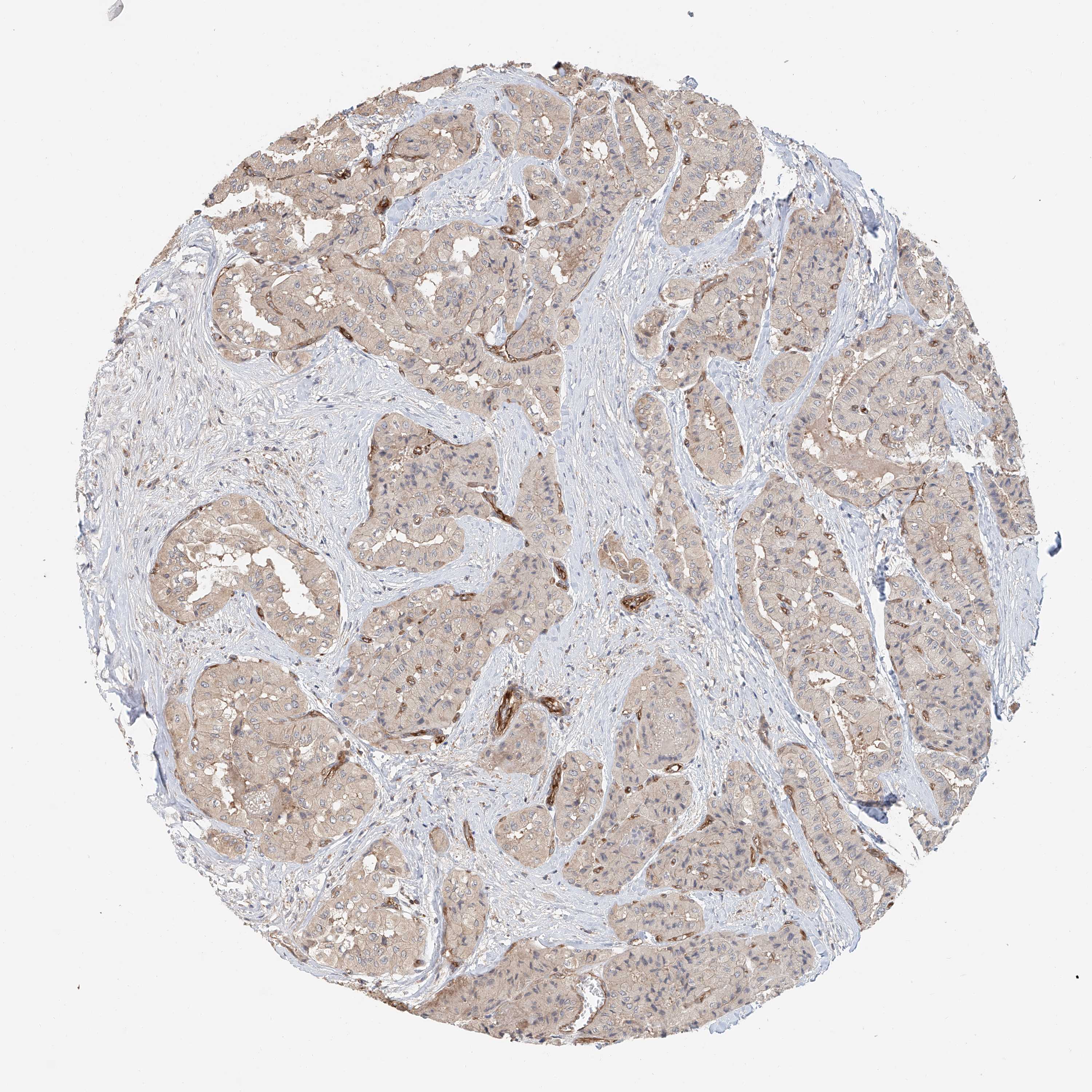
THYROID CANCER - Protein expressioni

A mouse-over function shows sample information and annotation data. Click on an image to view it in a full screen mode. Samples can be filtered based on level of antibody staining by selecting one or several of the following categories: high, medium, low and not detected. The assay and annotation is described here.

Note that samples used for immunohistochemistry by the Human Protein Atlas do not correspond to samples in the TCGA dataset.

 

Antibody stainingi

Antibody staining in the annotated cell types in the current human tissue is reported as not detected, low, medium, or high, based on conventional immunohistochemistry profiling in selected tissues. This score is based on the combination of the staining intensity and fraction of stained cells.

Each image is clickable and will lead to virtual microscopy that enables deeper exploration of all samples and also displays staining intensity scores, fraction scores and subcellular localization as well as patient and tissue information for each sample.


Antibody HPA031106

Antibody HPA031107
 Staining
  High
  Medium
  Low
  Not detected
 Intensity
  Strong
  Moderate
  Weak
  Negative
 Quantity
  >75%
  75%-25%
  <25%
  None
 Location
  Nuclear
  Cytoplasmic/membranous
  Cytoplasmic/membranous,nuclear
  None
Papillary adenocarcinoma, NOS
Follicular adenoma carcinoma, NOS

Contact

  • NEWS ARTICLES
  • PRESS ROOM

The Project

  • INTRODUCTION
  • ORGANIZATION
  • PUBLICATIONS

The Human Protein Atlas

  • DOWNLOADABLE DATA
  • LICENCE & CITATION
  • HELP & FAQ
The Human Protein Atlas project is funded
by the Knut & Alice Wallenberg Foundation.


contact@proteinatlas.org