We use cookies to enhance the usability of our website. If you continue, we'll assume that you are happy to receive all cookies. More information. Don't show this again.
ITGA8
HPA
RESOURCES
  • TISSUE
  • BRAIN
  • SINGLE CELL
  • SUBCELLULAR
  • CANCER
  • BLOOD
  • CELL LINE
  • STRUCTURE & INTERACTION
ABOUT
  • INTRODUCTION
  • HISTORY
  • ORGANIZATION
  • PUBLICATIONS
  • ANTIBODY SUBMISSION
  • ANTIBODY AVAILABILITY
  • ACKNOWLEDGMENTS
  • CONTACT
NEWS
  • NEWS ARTICLES
  • PRESS ROOM
LEARN
  • DICTIONARY
  • PROTEIN CLASSES
  • PROTEIN EVIDENCE
  • METHODS
  • EDUCATIONAL VIDEOS
DATA
  • DOWNLOADABLE DATA
  • PUBLICATION DATA
  • RELEASE HISTORY
HELP
  • ANTIBODY VALIDATION
  • ASSAYS & ANNOTATION
  • DISCLAIMER
  • HELP & FAQ
  • PRIVACY STATEMENT
  • LICENCE & CITATION
Fields »
Search result

Field
Term
Gene name
Class
Subclass
Class
Keyword
Chromosome
External id
Tissue
Cell type
Expression
Antibody panel
Tissue
Main location
Patient ID
Annotation
Tissue
Category
Tau score
Cluster
Reliability
Brain region
Category
Tau score
Brain region
Category
Tau score
Brain region
Category
Tau score
Cluster
Reliability
Tissue
Cell type
Enrichment
Cell type
Category
Tau score
Cell type
Category
Tau score
Cell type
Category
Tau score
Cell lineage
Category
Tau score
Cluster
Cluster
Location
Searches
Location
Cell line
Class
Type
Phase
Reliability
Cancer
Prognosis
Cancer
Category
Cancer
Category
Tau score
Cluster
Variants
Interacting gene (ensg_id)
Type
Number of interactions
Pathway
Category
Score
Score
Score
Validation
Validation
Validation
Validation
Antibodies
Data type
Column


  • SUMMARY

  • TISSUE

  • BRAIN

  • SINGLE CELL

  • SUBCELL

  • CANCER

  • BLOOD

  • CELL LINE

  • STRUCT & INT

  • ITGA8
TISSUE PRIMARY DATA STOMACH Show tissue menu
ADIPOSE TISSUE ADRENAL GLAND AMYGDALA APPENDIX BASAL GANGLIA BONE MARROW BREAST BRONCHUS CEREBELLUM CEREBRAL CORTEX CERVIX CHOROID PLEXUS COLON DUODENUM
ENDOMETRIUM EPIDIDYMIS ESOPHAGUS FALLOPIAN TUBE GALLBLADDER HEART MUSCLE HIPPOCAMPAL FORMATION HYPOTHALAMUS KIDNEY LIVER LUNG LYMPH NODE MIDBRAIN NASOPHARYNX
ORAL MUCOSA OVARY PANCREAS PARATHYROID GLAND PITUITARY GLAND PLACENTA PROSTATE RECTUM RETINA SALIVARY GLAND SEMINAL VESICLE SKELETAL MUSCLE SKIN SMALL INTESTINE
SMOOTH MUSCLE SOFT TISSUE SPINAL CORD SPLEEN STOMACH TESTIS THYMUS THYROID GLAND TONGUE TONSIL URINARY BLADDER VAGINA
ANTIBODIES
AND
VALIDATION
Dictionary
Tissue proteome
Stomach
STOMACH - Expression summary
Protein expression
Stomachi

On the top, protein expression in current human tissue, based on all annotated cell types, is reported with the units not detected (n), low (l), medium (m) and high (h). Underneath, protein expression in each annotated cell type are reported using the same units.

Protein expression data is based on knowledge-based annotation. For genes where more than one antibody has been used, a collective score is set.

If knowledge-based annotation could not be performed for a gene, no data is displayed here. View antibody staining data further down this page.

h
m
l
n
Glandular cells: Not detected
RNA expressioni

A summary of mRNA expression data available for current tissue based on several datasets. The mRNA expression levels in human tissues are based on RNA-seq data generated by the Human Protein Atlas (HPA), Genotype-Tissue Expression (GTEx) portal and CAGE data generated by the FANTOM5 consortium. Consensus normalized expression levels for human tissues was created by combining the data from HPA and GTEx datasets.

The mRNA expression levels in pig are based on RNA-seq data generated by the Human Protein Atlas (HPA), and for mouse, HPA data and in situ hybridization generated by the Allen brain atlas are reported.

Scroll down to view mRNA expression data in more detail.
Consensus:18.7 nTPM
HPA:6.0 nTPM
GTEx:18.7 nTPM

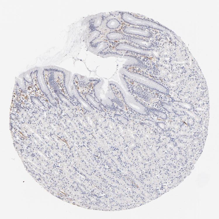
STOMACH 1 - Antibody stainingi

Antibody staining in the annotated cell types in the current human tissue is reported as not detected, low, medium, or high, based on conventional immunohistochemistry profiling in selected tissues. This score is based on the combination of the staining intensity and fraction of stained cells.

Each image is clickable and will lead to virtual microscopy that enables deeper exploration of all samples and also displays staining intensity scores, fraction scores and subcellular localization as well as patient and tissue information for each sample.

Antibody HPA003432
Glandular cells Not detected


STOMACH 2 - Antibody stainingi

Antibody staining in the annotated cell types in the current human tissue is reported as not detected, low, medium, or high, based on conventional immunohistochemistry profiling in selected tissues. This score is based on the combination of the staining intensity and fraction of stained cells.

Each image is clickable and will lead to virtual microscopy that enables deeper exploration of all samples and also displays staining intensity scores, fraction scores and subcellular localization as well as patient and tissue information for each sample.

Antibody HPA003432
Glandular cells Not detected



STOMACH - HPA RNA-seqi

The RNA-seq details section shows detailed information about the individual samples used for the transcript profiling and results of the RNA-seq analysis.

Information about each individual sample is listed below, including gender, age, a tissue section image and estimated fractions of cell types. nTPM (normalized transcripts per million) values give a quantification of the gene abundance which is comparable between different genes and samples.
Average nTPMi

Max subtype nTPM is the value for the subtype with the largest average nTPM across the subtype samples.

6.0
overview
Female, age 33
Stomach sample 61
nTPM: 5.9
Cell types%
Glandular cells:
60

Smooth muscle cells:
5

Other cell types:
35

N/A
Male, age 82
Stomach sample 240
nTPM: 5.6
Cell types%
Glandular cells:
65

Smooth muscle cells:
5

Other cell types:
30

overview
Male, age 71
Stomach sample 241
nTPM: 4.1
Cell types%
Glandular cells:
50

Smooth muscle cells:
5

Other cell types:
45

overview
Female, age 66
Stomach sample 369
nTPM: 8.3
Cell types%
Glandular cells:
50

Smooth muscle cells:
10

Other cell types:
40


STOMACH - GTEx RNA-seqi

RNA-Seq data generated by the Genotype-Tissue Expression (GTEx) project from human tissues is reported as mean nTPM. More information can be found on the GTEx portal.

Distribution across the dataset is visualized with box plots, shown as median and 25th and 75th percentiles. Points are displayed as outliers if they are above or below 1.5 times the interquartile range. nTPM values of the individual samples are presented next to the box plot.
Max subtype nTPMi

Max subtype nTPM is the value for the subtype with the largest average nTPM across the subtype samples.

18.7
GTEx sample id Sample description nTPM
Stomach
Average nTPM: 18.7
Samples: 359

Max nTPM: 179.2
Min nTPM: 1.3
Std nTPM: 24.7
Median nTPM: 8.4
GTEX-13OVI-2426-SM-5KM4J 60-69 years, female 179.2
GTEX-WH7G-1526-SM-4LVMX 40-49 years, male 149.0
GTEX-1QP67-1026-SM-EVR47 40-49 years, female 132.9
GTEX-1S82Z-1726-SM-E6CHZ 30-39 years, female 124.9
GTEX-146FR-2026-SM-5NQAI 60-69 years, female 117.5
GTEX-17EUY-1526-SM-793CA 20-29 years, male 109.8
GTEX-WFJO-1126-SM-4LVLZ 30-39 years, male 99.8
GTEX-13X6H-1626-SM-5Q5CT 50-59 years, female 98.5
GTEX-12WSJ-0926-SM-5P9JD 40-49 years, female 94.3
GTEX-17KNJ-1526-SM-7LTA9 50-59 years, male 93.5
GTEX-1399U-1626-SM-5P9J3 50-59 years, female 87.0
GTEX-14PKU-1126-SM-69LOU 40-49 years, female 84.9
GTEX-13O61-1126-SM-5L3FI 60-69 years, male 83.2
GTEX-1JN76-0926-SM-ARZNH 20-29 years, female 82.1
GTEX-1JMPY-0926-SM-ARL92 30-39 years, male 79.3
GTEX-XAJ8-0326-SM-47JYI 40-49 years, male 76.7
GTEX-14E1K-1526-SM-664MN 50-59 years, male 75.4
GTEX-1KD5A-1426-SM-D4P3V 50-59 years, male 74.2
GTEX-1N2DV-0926-SM-E9TJT 40-49 years, male 68.0
GTEX-1NSGN-1926-SM-E9J36 50-59 years, male 64.4
GTEX-1GPI7-1326-SM-9KNVA 20-29 years, male 62.7
GTEX-ZTX8-0426-SM-59HLG 20-29 years, male 60.9
GTEX-1PPH8-1326-SM-DTXFO 20-29 years, male 60.4
GTEX-11P7K-1726-SM-5GU6F 30-39 years, male 59.6
GTEX-14PN3-1326-SM-6AJ9U 60-69 years, female 58.8
GTEX-1QW4Y-0726-SM-DTX8E 30-39 years, male 56.9
GTEX-QDT8-2026-SM-EZ6LS 30-39 years, female 55.0
GTEX-1HSEH-1526-SM-B2LXG 60-69 years, male 53.4
GTEX-O5YW-1526-SM-3MJGL 50-59 years, male 52.6
GTEX-1IDJF-1426-SM-ACKWK 20-29 years, male 52.4
GTEX-1H1DE-1226-SM-9JGHH 20-29 years, male 52.1
GTEX-OIZH-1526-SM-3NB1J 50-59 years, male 51.8
GTEX-15EU6-2526-SM-7KUGB 50-59 years, male 51.4
GTEX-1B8L1-1526-SM-79OLK 60-69 years, male 51.4
GTEX-14PHY-0926-SM-5ZZWL 60-69 years, female 50.6
GTEX-15RIF-1126-SM-7KUG2 20-29 years, male 49.4
GTEX-1K2DA-0826-SM-CGQGD 50-59 years, male 49.0
GTEX-1AX9J-2626-SM-731EK 60-69 years, male 48.9
GTEX-1C64O-2226-SM-73KTV 60-69 years, male 48.6
GTEX-1211K-1426-SM-5FQTF 60-69 years, female 47.2
GTEX-1S831-1126-SM-EWROI 20-29 years, male 45.4
GTEX-ZV6S-0926-SM-57WGB 40-49 years, female 45.0
GTEX-UJHI-1026-SM-4IHJP 50-59 years, female 43.4
GTEX-1LSNM-1026-SM-DHXL2 50-59 years, male 43.1
GTEX-WZTO-2126-SM-4PQYW 40-49 years, male 42.8
GTEX-P4QT-1526-SM-3NMCT 50-59 years, female 42.3
GTEX-11P82-0726-SM-5PNYL 20-29 years, male 42.0
GTEX-1EH9U-2226-SM-7PBXX 60-69 years, male 41.0
GTEX-18D9B-2226-SM-718BM 60-69 years, male 40.8
GTEX-1LVAM-1426-SM-E9TJ4 50-59 years, female 40.5
GTEX-1H3NZ-2226-SM-9WYUT 60-69 years, male 40.3
GTEX-14JG6-1226-SM-664O6 30-39 years, female 39.2
GTEX-1HSMQ-2426-SM-CE6RY 50-59 years, male 39.2
GTEX-NFK9-1526-SM-3LK7B 40-49 years, male 38.6
GTEX-13QJ3-2726-SM-5SI6L 50-59 years, male 38.3
GTEX-1S3DN-1526-SM-EVYCB 50-59 years, male 38.2
GTEX-ZGAY-1626-SM-DNZZ3 40-49 years, female 37.7
GTEX-1CB4E-1326-SM-7DUGD 60-69 years, male 37.1
GTEX-UPK5-2126-SM-4JBJK 40-49 years, male 36.6
GTEX-1MCYP-1126-SM-E9J2P 20-29 years, female 35.6
GTEX-11EQ9-1226-SM-5987E 30-39 years, male 35.3
GTEX-1H11D-2226-SM-9OSXN 40-49 years, male 34.0
GTEX-15SHW-2126-SM-6M46Y 60-69 years, male 33.9
GTEX-16NGA-1526-SM-72D56 40-49 years, female 33.1
GTEX-13O3Q-2126-SM-5KM4C 50-59 years, male 32.2
GTEX-1339X-1426-SM-5K7YO 40-49 years, male 31.9
GTEX-TKQ1-0526-SM-4DXTG 30-39 years, male 31.8
GTEX-S4P3-0726-SM-4AD57 50-59 years, female 30.8
GTEX-PLZ6-0826-SM-3P61K 30-39 years, male 30.4
GTEX-12C56-0526-SM-5FQST 20-29 years, male 29.7
GTEX-O5YV-1926-SM-EV797 60-69 years, female 28.6
GTEX-1QP29-2326-SM-EXOJO 50-59 years, male 28.0
GTEX-13N1W-2026-SM-5K7YU 70-79 years, male 27.8
GTEX-11VI4-0326-SM-5EQ6L 40-49 years, female 27.7
GTEX-13FH7-1026-SM-5IJGF 50-59 years, female 27.1
GTEX-R55C-1026-SM-48FCM 40-49 years, male 26.5
GTEX-TKQ2-0926-SM-4DXU5 50-59 years, male 26.5
GTEX-1AMEY-1226-SM-731DU 30-39 years, female 26.4
GTEX-QMRM-1126-SM-447BN 50-59 years, male 25.8
GTEX-PLZ5-1226-SM-EXOHA 50-59 years, male 25.7
GTEX-RUSQ-1126-SM-EAZAU 50-59 years, male 25.3
GTEX-1B8KE-1326-SM-73KVI 50-59 years, male 24.7
GTEX-131XE-2226-SM-5PNYX 50-59 years, male 24.4
GTEX-18D9A-0626-SM-7KFTY 30-39 years, female 24.4
GTEX-Y3I4-1626-SM-4TT7W 50-59 years, male 24.2
GTEX-SNOS-0826-SM-4DM5N 40-49 years, male 23.7
GTEX-146FH-2126-SM-5SI9U 50-59 years, female 22.8
GTEX-XPVG-1526-SM-4B66C 50-59 years, male 22.3
GTEX-1HCUA-1626-SM-A9SMG 50-59 years, female 22.0
GTEX-P4PQ-1526-SM-3NMCK 60-69 years, male 21.4
GTEX-1L5NE-1526-SM-DIPFW 50-59 years, male 21.4
GTEX-1PIGE-1126-SM-EWRMV 20-29 years, male 20.4
GTEX-1E2YA-2426-SM-7EPIG 50-59 years, male 20.2
GTEX-1A3MX-1926-SM-72D7F 60-69 years, male 19.1
GTEX-15G1A-1226-SM-7KUF3 30-39 years, male 18.9
GTEX-1JKYN-1726-SM-AHZ48 30-39 years, male 18.6
GTEX-1HR9M-2326-SM-CNPPZ 60-69 years, male 18.4
GTEX-14BMV-2226-SM-5RQHX 50-59 years, male 17.9
GTEX-14DAR-0926-SM-73KUQ 50-59 years, male 17.6
GTEX-R55G-1126-SM-48FDG 40-49 years, female 17.5
GTEX-1I4MK-0926-SM-A9SLD 50-59 years, female 17.4
GTEX-18A66-2226-SM-7189E 60-69 years, male 17.0
GTEX-RTLS-2626-SM-46MUJ 60-69 years, female 16.5
GTEX-WEY5-1226-SM-4LMIQ 40-49 years, female 16.5
GTEX-Y5V6-1326-SM-4VDTF 60-69 years, male 16.2
GTEX-12WSD-2326-SM-59HKQ 60-69 years, female 16.1
GTEX-YEC3-1426-SM-D4P1S 50-59 years, male 15.9
GTEX-XBEW-1826-SM-4RTWX 40-49 years, male 15.8
GTEX-ZVZP-1726-SM-5GZWY 50-59 years, male 15.8
GTEX-Y8E4-1526-SM-4WWDI 40-49 years, male 15.3
GTEX-13111-1226-SM-5GCNC 50-59 years, male 14.3
GTEX-1CB4H-2426-SM-7PBYR 60-69 years, female 14.0
GTEX-1JMLX-2426-SM-CXZJQ 50-59 years, male 14.0
GTEX-139D8-2326-SM-5IFGE 30-39 years, female 13.9
GTEX-13S7M-1826-SM-5RQK6 60-69 years, female 13.8
GTEX-QXCU-1926-SM-48FE4 50-59 years, male 13.8
GTEX-1JMQJ-1326-SM-D4P3B 50-59 years, male 13.8
GTEX-T5JC-1926-SM-4DM6Q 20-29 years, male 13.6
GTEX-WRHK-0626-SM-4MVOE 20-29 years, female 13.6
GTEX-145MO-2226-SM-5Q5BN 60-69 years, male 13.5
GTEX-1A3MV-1226-SM-718BW 30-39 years, male 13.5
GTEX-1MUQO-1926-SM-EAZ59 60-69 years, male 13.5
GTEX-1H1E6-1626-SM-9OSWC 30-39 years, male 13.4
GTEX-1HKZK-1526-SM-B2LWG 40-49 years, male 13.3
GTEX-139YR-1926-SM-5LZXM 50-59 years, male 13.1
GTEX-Y114-1226-SM-4TT88 50-59 years, female 13.1
GTEX-13QBU-1126-SM-5LU44 40-49 years, female 12.6
GTEX-1IDJU-1526-SM-CNNR3 60-69 years, female 12.0
GTEX-T8EM-1226-SM-4DM5J 40-49 years, male 11.9
GTEX-17F98-1526-SM-7EWD8 40-49 years, female 11.8
GTEX-ZP4G-1226-SM-4WWCJ 20-29 years, female 11.8
GTEX-OHPK-1526-SM-3MJGM 50-59 years, female 11.7
GTEX-13RTK-0226-SM-5RQHR 20-29 years, male 11.6
GTEX-ZXES-1426-SM-5NQ8S 30-39 years, female 11.6
GTEX-1RAZR-1526-SM-EAZ4U 40-49 years, male 11.6
GTEX-1J8Q3-1926-SM-C1YSJ 60-69 years, male 11.4
GTEX-13X6J-2126-SM-5TDCV 50-59 years, male 11.3
GTEX-145LT-1426-SM-5O9B3 40-49 years, male 11.2
GTEX-S4Z8-1226-SM-4AD6W 60-69 years, male 11.2
GTEX-1I1GT-1726-SM-C1YS3 60-69 years, female 11.2
GTEX-TMMY-1626-SM-4DXTY 40-49 years, female 11.1
GTEX-1GZ4H-1026-SM-9OSXL 50-59 years, female 11.0
GTEX-WFG7-1326-SM-4LMK1 20-29 years, male 10.9
GTEX-1JMPZ-1826-SM-CXZJT 30-39 years, male 10.7
GTEX-16AAH-1226-SM-79OO9 50-59 years, male 10.6
GTEX-1GN1W-2126-SM-9JGI7 50-59 years, female 10.6
GTEX-1HFI7-1526-SM-9WG7W 50-59 years, female 10.6
GTEX-117YX-1026-SM-5H11V 50-59 years, male 10.3
GTEX-ZVT2-1626-SM-51MRC 50-59 years, female 10.1
GTEX-1B97J-1826-SM-7IGPP 50-59 years, female 10.0
GTEX-OXRK-1626-SM-3NB17 50-59 years, female 9.9
GTEX-WHSB-1226-SM-4M1XR 50-59 years, male 9.9
GTEX-WHWD-1426-SM-4OORU 50-59 years, male 9.9
GTEX-1LVAN-2426-SM-CNNPZ 50-59 years, female 9.9
GTEX-1J8QM-1126-SM-C1YQB 60-69 years, female 9.8
GTEX-ZYFG-1326-SM-5GICJ 60-69 years, female 9.7
GTEX-ZZPU-1426-SM-5GZZ6 50-59 years, female 9.7
GTEX-WYJK-2526-SM-4ONDF 50-59 years, male 9.6
GTEX-1F5PK-1826-SM-7RHHX 50-59 years, male 9.6
GTEX-133LE-1326-SM-5IFGO 20-29 years, female 9.5
GTEX-1IL2V-2026-SM-ARZMA 70-79 years, male 9.5
GTEX-111YS-1126-SM-5GZYQ 60-69 years, male 9.4
GTEX-ZPIC-2026-SM-57WG3 40-49 years, female 9.4
GTEX-1H23P-2726-SM-9JGHN 60-69 years, male 9.4
GTEX-1C475-1026-SM-7MKFJ 40-49 years, female 9.3
GTEX-PW2O-1226-SM-48TCH 20-29 years, male 9.2
GTEX-14ICL-0826-SM-5YY9W 30-39 years, male 9.0
GTEX-1RQEC-2126-SM-DPS15 60-69 years, male 9.0
GTEX-1QCLY-1126-SM-EAZ4J 30-39 years, male 8.9
GTEX-ZVT3-2126-SM-59HL2 60-69 years, female 8.8
GTEX-OXRL-1526-SM-E6CHQ 50-59 years, male 8.8
GTEX-ZLV1-0826-SM-DO11P 60-69 years, female 8.8
GTEX-S4UY-1626-SM-4AD55 40-49 years, female 8.7
GTEX-XQ8I-2026-SM-4BOOL 50-59 years, male 8.7
GTEX-ZEX8-1626-SM-4WKG7 50-59 years, male 8.7
GTEX-1HCU8-1326-SM-C1YQQ 60-69 years, female 8.6
GTEX-YB5E-1126-SM-664NU 40-49 years, male 8.5
GTEX-18QFQ-1226-SM-718AE 30-39 years, male 8.4
GTEX-WY7C-1726-SM-4ONCC 50-59 years, male 8.4
GTEX-1JN1M-2926-SM-CNNPJ 60-69 years, female 8.4
GTEX-1RMOY-1126-SM-EV79E 50-59 years, male 8.4
GTEX-14DAQ-2826-SM-664MU 60-69 years, female 8.2
GTEX-PWCY-0926-SM-48TD7 20-29 years, female 8.2
GTEX-RM2N-0826-SM-48FD3 50-59 years, male 8.2
GTEX-117YW-2226-SM-5N9DB 50-59 years, male 8.1
GTEX-WYVS-1326-SM-4ONCQ 40-49 years, female 8.1
GTEX-ZYY3-1726-SM-5EGH3 60-69 years, female 8.1
GTEX-18A7A-2726-SM-7LG6U 50-59 years, female 8.0
GTEX-R53T-1226-SM-48FCT 50-59 years, female 8.0
GTEX-1B97I-1226-SM-7MGWQ 40-49 years, male 8.0
GTEX-14B4R-0726-SM-5TDDR 30-39 years, male 7.8
GTEX-1MGNQ-1826-SM-DPRYI 40-49 years, male 7.8
GTEX-1CAMR-0726-SM-7EPIE 20-29 years, male 7.7
GTEX-1HBPN-1626-SM-9WPNP 50-59 years, male 7.7
GTEX-1QCLZ-1826-SM-DPRXP 60-69 years, female 7.7
GTEX-132AR-2426-SM-5IFFD 50-59 years, female 7.6
GTEX-14PJ3-1426-SM-664O8 50-59 years, male 7.6
GTEX-P4PP-1526-SM-3P61M 30-39 years, female 7.6
GTEX-QCQG-0526-SM-48U2A 50-59 years, female 7.6
GTEX-T6MO-0726-SM-4DM58 40-49 years, female 7.5
GTEX-ZLWG-1526-SM-DO12F 50-59 years, female 7.5
GTEX-1AMFI-1226-SM-731CZ 50-59 years, female 7.4
GTEX-1KXAM-0926-SM-CXZKA 60-69 years, male 7.4
GTEX-W5WG-1726-SM-4LMI5 50-59 years, female 7.3
GTEX-1F75I-1826-SM-7MKGX 40-49 years, male 7.2
GTEX-11WQK-2626-SM-5EQ4K 50-59 years, male 7.1
GTEX-15DZA-1126-SM-6LPK8 30-39 years, female 7.1
GTEX-1LG7Z-1226-SM-DHXK4 30-39 years, male 7.1
GTEX-1QP28-2126-SM-DTX8B 50-59 years, female 7.1
GTEX-11DXX-1326-SM-5GIDZ 60-69 years, female 7.0
GTEX-S4Q7-0726-SM-4AD5F 20-29 years, male 7.0
GTEX-UJMC-1226-SM-4IHLI 50-59 years, male 7.0
GTEX-1H3VY-2326-SM-9WG81 50-59 years, male 7.0
GTEX-1QPFJ-1526-SM-DPRXT 30-39 years, female 7.0
GTEX-1JK1U-1326-SM-AHZ45 60-69 years, male 6.9
GTEX-1F5PL-1426-SM-7MKFH 40-49 years, female 6.8
GTEX-1399R-1126-SM-5IFIO 30-39 years, male 6.7
GTEX-144GN-1226-SM-5O991 50-59 years, male 6.7
GTEX-1MJIX-1126-SM-EV7AO 40-49 years, male 6.7
GTEX-145ME-1026-SM-5O9B4 40-49 years, female 6.6
GTEX-WHPG-0426-SM-4M1XW 50-59 years, male 6.6
GTEX-131XF-1226-SM-5HL8V 60-69 years, male 6.5
GTEX-QDVJ-1426-SM-48U1Y 50-59 years, male 6.5
GTEX-1HT8W-2326-SM-A9SLA 30-39 years, male 6.5
GTEX-OHPM-1526-SM-EV796 50-59 years, male 6.5
GTEX-12WSK-1426-SM-5CVNN 40-49 years, female 6.4
GTEX-1IDJD-2426-SM-C1YS6 30-39 years, male 6.4
GTEX-11I78-1726-SM-5A5M3 50-59 years, female 6.3
GTEX-14PJ4-1626-SM-664OB 60-69 years, male 6.3
GTEX-ZV7C-1626-SM-5NQ7E 50-59 years, male 6.3
GTEX-QV44-1226-SM-CJI1S 50-59 years, male 6.3
GTEX-13FTW-1726-SM-5KM2B 40-49 years, male 6.2
GTEX-1I6K7-1726-SM-B2LXQ 40-49 years, male 6.2
GTEX-1QP2A-2126-SM-DPRZ7 50-59 years, male 6.2
GTEX-131XG-1226-SM-5EGH9 50-59 years, female 6.1
GTEX-14PJ6-0826-SM-686Z9 60-69 years, female 6.1
GTEX-Y9LG-1026-SM-5IFJN 30-39 years, male 6.1
GTEX-XMK1-1526-SM-EYYVO 40-49 years, male 6.1
GTEX-13CF3-1926-SM-5K7WF 60-69 years, female 6.0
GTEX-ZA64-0826-SM-5HL9U 20-29 years, male 6.0
GTEX-OIZF-1526-SM-2I5GR 60-69 years, male 6.0
GTEX-1122O-1926-SM-5EGIQ 60-69 years, female 5.9
GTEX-13PVR-2126-SM-73KVR 60-69 years, female 5.9
GTEX-XBED-1226-SM-4AT5V 60-69 years, male 5.9
GTEX-1GF9U-1126-SM-AHZ4H 40-49 years, female 5.9
GTEX-1LBAC-1426-SM-CXZKT 20-29 years, male 5.9
GTEX-14BMU-1126-SM-5RQJ8 20-29 years, female 5.8
GTEX-14PKV-1826-SM-69LO9 20-29 years, female 5.8
GTEX-15UF7-1226-SM-6M46G 40-49 years, male 5.8
GTEX-S95S-0826-SM-4B64N 60-69 years, male 5.8
GTEX-SNMC-0626-SM-4DM6H 20-29 years, male 5.7
GTEX-SUCS-0926-SM-4DM4Z 70-79 years, male 5.7
GTEX-ZF29-1526-SM-4WKF7 60-69 years, female 5.7
GTEX-ZZ64-0426-SM-5E43F 20-29 years, male 5.7
GTEX-1HBPI-0726-SM-9WG7Z 50-59 years, male 5.7
GTEX-132QS-1826-SM-5IFFN 60-69 years, male 5.6
GTEX-V955-1326-SM-4JBHR 60-69 years, male 5.6
GTEX-1GMRU-2526-SM-9WG7T 50-59 years, male 5.6
GTEX-OOBJ-1526-SM-3NB1Q 60-69 years, male 5.5
GTEX-QLQ7-0826-SM-447B3 60-69 years, male 5.5
GTEX-V1D1-1726-SM-4JBHB 50-59 years, male 5.5
GTEX-XV7Q-1326-SM-4BRWM 40-49 years, female 5.5
GTEX-11EM3-1026-SM-5A5KL 20-29 years, female 5.4
GTEX-15DCE-1626-SM-6LPJM 20-29 years, male 5.4
GTEX-YFCO-0826-SM-5LUAG 40-49 years, male 5.4
GTEX-ZQUD-0826-SM-57WDQ 30-39 years, male 5.4
GTEX-13D11-2126-SM-5IFH2 50-59 years, female 5.3
GTEX-17F9E-2226-SM-7IGNC 50-59 years, male 5.3
GTEX-ZT9W-1526-SM-4YCDE 50-59 years, male 5.3
GTEX-13113-0726-SM-5LZUF 60-69 years, female 5.2
GTEX-17HII-2426-SM-7KFTT 50-59 years, male 5.2
GTEX-1QMI2-2126-SM-DPRXQ 60-69 years, male 5.2
GTEX-17HHE-1026-SM-79ON6 50-59 years, male 5.1
GTEX-Q2AH-1126-SM-48TZM 40-49 years, male 5.1
GTEX-Y8LW-0826-SM-4WWDO 50-59 years, female 5.1
GTEX-14PHX-1026-SM-664OL 50-59 years, male 5.0
GTEX-1R7EU-1126-SM-EAZ4M 60-69 years, male 5.0
GTEX-13O21-0926-SM-5IFGT 50-59 years, male 4.9
GTEX-1E1VI-2826-SM-7MGWU 50-59 years, male 4.9
GTEX-17GQL-1226-SM-7KFTS 60-69 years, male 4.8
GTEX-QDVN-1226-SM-48TZ5 50-59 years, male 4.8
GTEX-1ICG6-1826-SM-AHZ2O 70-79 years, female 4.8
GTEX-11GSP-2126-SM-5HL5E 60-69 years, female 4.6
GTEX-VJYA-1026-SM-4KL21 60-69 years, male 4.6
GTEX-YEC4-1426-SM-5IFHS 40-49 years, male 4.6
GTEX-14E6E-0926-SM-664N8 30-39 years, male 4.5
GTEX-POMQ-0826-SM-3P61H 20-29 years, female 4.5
GTEX-WFG8-1326-SM-4LVN3 20-29 years, male 4.5
GTEX-ZLFU-1326-SM-DO11R 40-49 years, male 4.5
GTEX-1399S-1626-SM-5P9GI 30-39 years, female 4.4
GTEX-T5JW-0926-SM-4DM5K 20-29 years, female 4.4
GTEX-RU1J-0526-SM-46MUT 20-29 years, female 4.3
GTEX-S341-0626-SM-4AD5T 40-49 years, female 4.3
GTEX-U3ZN-2026-SM-4DXUC 30-39 years, female 4.3
GTEX-ZVP2-1626-SM-5GU5D 50-59 years, male 4.3
GTEX-Q734-1026-SM-48U16 40-49 years, female 4.2
GTEX-ZE7O-3026-SM-51MS4 50-59 years, female 4.2
GTEX-ZF2S-1426-SM-57WET 50-59 years, female 4.2
GTEX-1LGOU-1526-SM-D3LAJ 20-29 years, female 4.2
GTEX-13OVK-0926-SM-7KUFX 40-49 years, male 4.1
GTEX-145MN-1326-SM-5NQ9S 30-39 years, male 4.1
GTEX-XUZC-0726-SM-4BOPH 30-39 years, female 4.1
GTEX-13OW6-2526-SM-5IJEC 50-59 years, male 4.0
GTEX-1A8G6-1426-SM-731EZ 60-69 years, male 4.0
GTEX-P78B-1826-SM-3P5YX 40-49 years, female 4.0
GTEX-RWS6-0926-SM-47JXE 60-69 years, female 4.0
GTEX-1LGRB-1726-SM-CNNRA 50-59 years, female 4.0
GTEX-WXYG-1626-SM-4ONCR 50-59 years, female 3.9
GTEX-111CU-0926-SM-5EGIK 50-59 years, male 3.8
GTEX-14PJ5-0826-SM-6AJAR 60-69 years, female 3.8
GTEX-13U4I-2526-SM-5SI8Z 40-49 years, female 3.7
GTEX-11EI6-2426-SM-5PNVS 60-69 years, male 3.6
GTEX-14BIL-1926-SM-73KYI 50-59 years, male 3.6
GTEX-18A67-2626-SM-718AD 50-59 years, male 3.6
GTEX-Q2AI-0826-SM-48TZO 40-49 years, male 3.6
GTEX-QLQW-0726-SM-447AA 30-39 years, male 3.6
GTEX-XXEK-0826-SM-4BRWG 50-59 years, male 3.6
GTEX-ZY6K-0726-SM-5A5L8 50-59 years, male 3.6
GTEX-12BJ1-1726-SM-5HL9B 60-69 years, male 3.5
GTEX-1B8KZ-1226-SM-793CP 50-59 years, male 3.5
GTEX-S3XE-1026-SM-4AD4O 50-59 years, male 3.5
GTEX-17JCI-2226-SM-7LTA1 60-69 years, female 3.4
GTEX-PX3G-1526-SM-48U11 20-29 years, female 3.4
GTEX-11NUK-2426-SM-5BC4U 50-59 years, male 3.3
GTEX-WFON-1126-SM-4LVMA 40-49 years, male 3.3
GTEX-Y5LM-1326-SM-5RQIS 40-49 years, female 3.3
GTEX-ZDYS-1926-SM-5HL59 50-59 years, male 3.3
GTEX-1H1DG-2126-SM-9WPPB 70-79 years, male 3.3
GTEX-1KANA-1126-SM-D3L9M 20-29 years, male 3.3
GTEX-1R9K5-1026-SM-EAZ4F 50-59 years, male 3.3
GTEX-12696-1726-SM-5EQLH 60-69 years, male 3.2
GTEX-1AYCT-1326-SM-7MKHB 50-59 years, male 3.2
GTEX-X15G-1126-SM-4PQZG 50-59 years, female 3.2
GTEX-1GL5R-1926-SM-9WG7U 50-59 years, male 3.2
GTEX-11NSD-1426-SM-5HL67 20-29 years, male 3.1
GTEX-PWN1-1526-SM-48TDA 40-49 years, female 3.1
GTEX-11TT1-0726-SM-5GU5A 20-29 years, male 3.0
GTEX-17MF6-2126-SM-7KFS7 40-49 years, male 3.0
GTEX-1J8JJ-1726-SM-C1YQG 60-69 years, female 3.0
GTEX-15CHR-1326-SM-79OLT 50-59 years, male 2.9
GTEX-QV31-0626-SM-447C5 30-39 years, male 2.9
GTEX-1J8EW-2226-SM-AHZ3T 60-69 years, female 2.9
GTEX-17HGU-2126-SM-7IGOV 50-59 years, male 2.8
GTEX-13PVQ-2126-SM-5L3FW 50-59 years, male 2.7
GTEX-ZAB4-1526-SM-5CVN7 40-49 years, male 2.7
GTEX-15G19-1526-SM-6LPKP 60-69 years, male 2.6
GTEX-Y3IK-1426-SM-4YCES 50-59 years, female 2.6
GTEX-ZYVF-2726-SM-5GID4 50-59 years, female 2.5
GTEX-1RB15-1026-SM-E9U6V 60-69 years, male 2.5
GTEX-R55D-1526-SM-48FEJ 50-59 years, male 2.4
GTEX-ZPU1-1626-SM-4WWB2 40-49 years, male 2.4
GTEX-U4B1-1026-SM-4DXT1 40-49 years, male 2.3
GTEX-12WSG-2026-SM-5FQUU 50-59 years, female 2.1
GTEX-13FTX-0726-SM-5N9BI 20-29 years, female 2.1
GTEX-YJ8A-1526-SM-5P9FT 20-29 years, male 2.1
GTEX-1I1HK-2026-SM-CNNRB 60-69 years, male 2.0
GTEX-15RIE-1026-SM-6LPJQ 60-69 years, male 1.9
GTEX-S7SF-0626-SM-4AD4V 20-29 years, female 1.7
GTEX-144GM-1726-SM-5O9AS 20-29 years, male 1.3
Show allShow less

Contact

  • NEWS ARTICLES
  • PRESS ROOM

The Project

  • INTRODUCTION
  • ORGANIZATION
  • PUBLICATIONS

The Human Protein Atlas

  • DOWNLOADABLE DATA
  • LICENCE & CITATION
  • HELP & FAQ
The Human Protein Atlas project is funded
by the Knut & Alice Wallenberg Foundation.


contact@proteinatlas.org