We use cookies to enhance the usability of our website. If you continue, we'll assume that you are happy to receive all cookies. More information. Don't show this again.
SDF4
HPA
RESOURCES
  • TISSUE
  • BRAIN
  • SINGLE CELL
  • SUBCELLULAR
  • CANCER
  • BLOOD
  • CELL LINE
  • STRUCTURE & INTERACTION
ABOUT
  • INTRODUCTION
  • HISTORY
  • ORGANIZATION
  • PUBLICATIONS
  • ANTIBODY SUBMISSION
  • ANTIBODY AVAILABILITY
  • ACKNOWLEDGMENTS
  • CONTACT
NEWS
  • NEWS ARTICLES
  • PRESS ROOM
LEARN
  • DICTIONARY
  • PROTEIN CLASSES
  • PROTEIN EVIDENCE
  • METHODS
  • EDUCATIONAL VIDEOS
DATA
  • DOWNLOADABLE DATA
  • PUBLICATION DATA
  • RELEASE HISTORY
HELP
  • ANTIBODY VALIDATION
  • ASSAYS & ANNOTATION
  • DISCLAIMER
  • HELP & FAQ
  • PRIVACY STATEMENT
  • LICENCE & CITATION
Fields »
Search result

Field
Term
Gene name
Class
Subclass
Class
Keyword
Chromosome
External id
Tissue
Cell type
Expression
Antibody panel
Tissue
Main location
Patient ID
Annotation
Tissue
Category
Tau score
Cluster
Reliability
Brain region
Category
Tau score
Brain region
Category
Tau score
Brain region
Category
Tau score
Cluster
Reliability
Tissue
Cell type
Enrichment
Cell type
Category
Tau score
Cell type
Category
Tau score
Cell type
Category
Tau score
Cell lineage
Category
Tau score
Cluster
Cluster
Location
Searches
Location
Cell line
Class
Type
Phase
Reliability
Cancer
Prognosis
Cancer
Category
Cancer
Category
Tau score
Cluster
Variants
Interacting gene (ensg_id)
Type
Number of interactions
Pathway
Category
Score
Score
Score
Validation
Validation
Validation
Validation
Antibodies
Data type
Column


  • SUMMARY

  • TISSUE

  • BRAIN

  • SINGLE CELL

  • SUBCELL

  • CANCER

  • BLOOD

  • CELL LINE

  • STRUCT & INT

  • SDF4
TISSUE PRIMARY DATA CEREBELLUM Show tissue menu
ADIPOSE TISSUE ADRENAL GLAND AMYGDALA APPENDIX BASAL GANGLIA BONE MARROW BREAST BRONCHUS CEREBELLUM CEREBRAL CORTEX CERVIX CHOROID PLEXUS COLON DUODENUM
ENDOMETRIUM EPIDIDYMIS ESOPHAGUS FALLOPIAN TUBE GALLBLADDER HEART MUSCLE HIPPOCAMPAL FORMATION HYPOTHALAMUS KIDNEY LIVER LUNG LYMPH NODE MIDBRAIN NASOPHARYNX
ORAL MUCOSA OVARY PANCREAS PARATHYROID GLAND PITUITARY GLAND PLACENTA PROSTATE RECTUM RETINA SALIVARY GLAND SEMINAL VESICLE SKELETAL MUSCLE SKIN SMALL INTESTINE
SMOOTH MUSCLE SOFT TISSUE SPINAL CORD SPLEEN STOMACH TESTIS THYMUS THYROID GLAND TONGUE TONSIL URINARY BLADDER VAGINA
ANTIBODIES
AND
VALIDATION
Dictionary
Cerebellum
Tissue proteome
Cerebellum
CEREBELLUM - Expression summary
Protein expression
Cerebellumi

On the top, protein expression in current human tissue, based on all annotated cell types, is reported with the units not detected (n), low (l), medium (m) and high (h). Underneath, protein expression in each annotated cell type are reported using the same units.

Protein expression data is based on knowledge-based annotation. For genes where more than one antibody has been used, a collective score is set.

If knowledge-based annotation could not be performed for a gene, no data is displayed here. View antibody staining data further down this page.

h
m
l
n
Bergmann glia - cytoplasm/membrane: Not detected
Bergmann glia - nucleus: Not detected
GLUC cells - cytoplasm/membrane: Not detected
GLUC cells - nucleus: Not detected
Granular cells - cytoplasm/membrane: Medium
Granular cells - nucleus: Not detected
Molecular layer - neuropil: Not detected
Molecular layer cells - cytoplasm/membrane: High
Molecular layer cells - nucleus: Not detected
Processes in granular layer: Not detected
Processes in molecular layer: Not detected
Processes in white matter: Not detected
Purkinje cells - cytoplasm/membrane: Not detected
Purkinje cells - dendrites: Not detected
Purkinje cells - nucleus: Not detected
Synaptic glomeruli - capsule: Not detected
Synaptic glomeruli - core: Not detected
White matter cells - cytoplasm/membrane: Not detected
White matter cells - nucleus: Not detected
Mouse brain, Intensity
Cerebellumi

Protein expression in mouse brain using immunofluorescence is reported as mean fluorescence intensity .

106.426
RNA expressioni

A summary of mRNA expression data available for current tissue based on several datasets. The mRNA expression levels in human tissues are based on RNA-seq data generated by the Human Protein Atlas (HPA), Genotype-Tissue Expression (GTEx) portal and CAGE data generated by the FANTOM5 consortium. Consensus normalized expression levels for human tissues was created by combining the data from HPA and GTEx datasets.

The mRNA expression levels in pig are based on RNA-seq data generated by the Human Protein Atlas (HPA), and for mouse, HPA data and in situ hybridization generated by the Allen brain atlas are reported.

Scroll down to view mRNA expression data in more detail.
Consensus:85.0 nTPM
HPA Brain:73.9 nTPM
GTEx:85.0 nTPM
FANTOM5:76.8 Scaled Tags Per Million
Pig:38.9 nTPM
Mouse:238.8 nTPM
Allen mouse:3.8 Expression energy

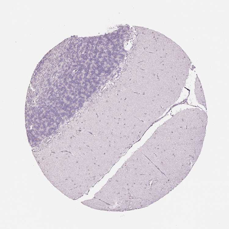
CEREBELLUM - Antibody stainingi

Antibody staining in the annotated cell types in the current human tissue is reported as not detected, low, medium, or high, based on conventional immunohistochemistry profiling in selected tissues. This score is based on the combination of the staining intensity and fraction of stained cells.

Each image is clickable and will lead to virtual microscopy that enables deeper exploration of all samples and also displays staining intensity scores, fraction scores and subcellular localization as well as patient and tissue information for each sample.

Antibody HPA011249Antibody CAB015227
Bergmann glia - cytoplasm/membrane Not detected-
Bergmann glia - nucleus Not detected-
GLUC cells - cytoplasm/membrane Not detected-
GLUC cells - nucleus Not detected-
Purkinje cells -Not detected
Purkinje cells - cytoplasm/membrane Not detected-
Purkinje cells - dendrites Not detected-
Purkinje cells - nucleus Not detected-
Cells in granular layer -Not detected
Cells in molecular layer -Not detected
Granular cells - cytoplasm/membrane Medium-
Granular cells - nucleus Not detected-
Molecular layer - neuropil Not detected-
Molecular layer cells - cytoplasm/membrane High-
Molecular layer cells - nucleus Not detected-
Processes in granular layer Not detected-
Processes in molecular layer Not detected-
Processes in white matter Not detected-
Synaptic glomeruli - capsule Not detected-
Synaptic glomeruli - core Not detected-
White matter cells - cytoplasm/membrane Not detected-
White matter cells - nucleus Not detected-



CEREBELLUM - Mouse brain profilei

Protein expression in mouse brain using immunofluorescence is reported as fluorescence intensity .

, antibody HPA011895
Cerebellum mean intensity 106.426
intensityi

Protein expression in mouse brain using immunofluorescence is reported as mean fluorescence intensity .

FRONT BACK
Vestibulocerebellar nucleus -
Moleuclar layer of the cerebellum 106.426
Purkinje layer of the cerebellum 105.195
Granular layer of the cerebellum 90.282

CEREBELLUM - HPA Brain RNA-seq
Max subtype nTPMi

Max subtype nTPM is the value for the subtype with the largest average nTPM across the subtype samples.

73.9
Sample id Sample description nTPM
Cerebellar cortex
nTPM: 62.2
1769 Male, age 76, right hemisphere 72.4
1774 Male, age 80, left hemisphere 64.5
1768 Female, age 72, unknown 64.4
2055 Female, age 91, right hemisphere 63.8
2006 Male, age 61, right hemisphere 62.2
2101 Male, age 74, right hemisphere 58.4
2003 Female, age 85, right hemisphere 57.1
1788 Male, age 55, unknown 55.1
Cerebellar nuclei
nTPM: 73.9
2783 Female, age 72, unknown 83.1
2882 Male, age 76, left hemisphere 82.2
2005 Male, age 80, left hemisphere 77.4
2177 Female, age 85, both hemispheres 76.8
1871 Male, age 74, unknown 75.9
1879 Male, age 55, unknown 74.2
1966 Female, age 91, left hemisphere 70.9
2175 Male, age 61, right hemisphere 66.2
2318 Male, age 74, left hemisphere 58.1
Flocculonodular lobe
nTPM: 66.9
1765 Male, age 55, unknown 74.6
1771 Male, age 80, left hemisphere 71.5
2004 Male, age 61, right hemisphere 71.3
1767 Male, age 76, left hemisphere 67.8
2176 Female, age 91, right hemisphere 65.1
1792 Male, age 74, unknown 63.9
1835 Female, age 85, right hemisphere 54.2
Vermis
nTPM: 68.1
2460 Male, age 61, both hemispheres 107.2
1770 Male, age 76, left hemisphere 76.3
1766 Male, age 55, unknown 74.8
1778 Female, age 91, left hemisphere 65.0
1751 Male, age 74, right hemisphere 63.0
1825 Male, age 74, unknown 60.3
2834 Male, age 80, left hemisphere 59.1
1988 Female, age 85, left hemisphere 54.6
1928 Female, age 72, unknown 52.9

CEREBELLUM - GTEx RNA-seqi

RNA-Seq data generated by the Genotype-Tissue Expression (GTEx) project from human tissues is reported as mean nTPM. More information can be found on the GTEx portal.

Distribution across the dataset is visualized with box plots, shown as median and 25th and 75th percentiles. Points are displayed as outliers if they are above or below 1.5 times the interquartile range. nTPM values of the individual samples are presented next to the box plot.
Max subtype nTPMi

Max subtype nTPM is the value for the subtype with the largest average nTPM across the subtype samples.

85.0
GTEx sample id Sample description nTPM
Brain - Cerebellar Hemisphere
Average nTPM: 77.4
Samples: 215

Max nTPM: 127.5
Min nTPM: 27.0
Std nTPM: 16.0
Median nTPM: 77.4
GTEX-13OVJ-0011-R11a-SM-5P9H8 50-59 years, female 127.5
GTEX-ZF28-0011-R11a-SM-4WWEI 60-69 years, male 120.0
GTEX-13FLV-0011-R11a-SM-5LZZ7 50-59 years, male 117.1
GTEX-11EI6-0011-R11a-SM-DO11V 60-69 years, male 113.3
GTEX-17EVQ-0011-R11a-SM-7LT9C 70-79 years, male 113.0
GTEX-13JVG-0011-R11a-SM-5KM53 60-69 years, male 108.3
GTEX-1I19N-0011-R11b-SM-ARU6Y 70-79 years, male 106.1
GTEX-1IOXB-0011-R11a-SM-A9G1X 50-59 years, male 105.6
GTEX-T5JC-0011-R11A-SM-32PMB 20-29 years, male 103.0
GTEX-13O3Q-0011-R11b-SM-5KM2W 50-59 years, male 102.4
GTEX-11WQC-0011-R11b-SM-57WD6 60-69 years, male 102.1
GTEX-145MH-0011-R11a-SM-5P9HQ 50-59 years, male 101.4
GTEX-11OF3-0011-R11a-SM-57WCR 60-69 years, male 100.7
GTEX-16XZZ-0011-R11a-SM-7EPI3 60-69 years, male 100.7
GTEX-1313W-0011-R11a-SM-5DUXN 50-59 years, female 99.5
GTEX-1CAV2-0011-R11a-SM-ARU8D 40-49 years, female 98.8
GTEX-1ICLZ-0011-R11a-SM-CJI3N 60-69 years, male 98.2
GTEX-17EVP-0011-R11a-SM-7EWDL 40-49 years, male 98.0
GTEX-1I1GV-0011-R11a-SM-CJI3Z 60-69 years, male 97.6
GTEX-WHSE-0011-R11A-SM-3P5YY 20-29 years, male 97.1
GTEX-1HFI6-0011-R11b-SM-A96RU 40-49 years, male 97.0
GTEX-11ZTS-0011-R11a-SM-DO113 60-69 years, female 96.6
GTEX-139TT-0011-R11b-SM-5LZV1 60-69 years, male 96.2
GTEX-132Q8-0011-R11b-SM-5DUW9 60-69 years, male 96.0
GTEX-17JCI-0011-R11a-SM-7189Y 60-69 years, female 95.0
GTEX-1J8Q2-0011-R11a-SM-A9SKI 60-69 years, male 94.9
GTEX-16YQH-0011-R11b-SM-7LT98 30-39 years, male 94.1
GTEX-1F6I4-0011-R11b-SM-9OSWS 60-69 years, male 94.1
GTEX-13SLX-0011-R11b-SM-5O9C8 50-59 years, female 93.9
GTEX-NL4W-0011-R11A-SM-2I3DW 50-59 years, male 93.8
GTEX-1F7RK-0011-R11b-SM-9QEI2 20-29 years, female 93.8
GTEX-12WSD-0011-R11a-SM-9OSVC 60-69 years, female 93.6
GTEX-1LG7Y-0011-R11a-SM-EXOIH 50-59 years, male 93.4
GTEX-13RTJ-0011-R11a-SM-5O9CK 60-69 years, male 92.8
GTEX-145LU-0011-R11b-SM-5P9JX 50-59 years, male 92.8
GTEX-16GPK-0011-R11b-SM-7MKFF 60-69 years, male 92.7
GTEX-1F75W-0011-R11b-SM-AHZ34 60-69 years, male 92.6
GTEX-ZE9C-0011-R11a-SM-4WKGG 60-69 years, male 92.1
GTEX-N7MS-0011-R11A-SM-2HMJS 60-69 years, male 91.6
GTEX-13X6I-0011-R11a-SM-5P9HN 60-69 years, male 90.5
GTEX-1GMR8-0011-R11b-SM-9OSX2 50-59 years, female 90.2
GTEX-11EMC-0011-R11b-SM-DNZZK 60-69 years, female 89.8
GTEX-NPJ8-0011-R11A-SM-2YUMS 40-49 years, male 89.7
GTEX-1F48J-0011-R11b-SM-9OSWV 50-59 years, female 89.5
GTEX-S7SE-0011-R11A-SM-2XCDD 50-59 years, male 89.2
GTEX-1HB9E-0011-R11b-SM-ARU79 50-59 years, male 89.2
GTEX-12WSE-0011-R11b-SM-5P9JW 20-29 years, male 88.9
GTEX-13NYS-0011-R11b-SM-5MR4P 60-69 years, male 88.9
GTEX-11DXY-0011-R11a-SM-DNZZN 60-69 years, male 88.9
GTEX-1CB4G-0011-R11a-SM-9OSWG 60-69 years, male 88.6
GTEX-1B933-0011-R11a-SM-7P8PM 50-59 years, female 88.3
GTEX-145MI-0011-R11a-SM-5P9JZ 60-69 years, female 88.0
GTEX-13VXU-0011-R11b-SM-5O9DJ 50-59 years, male 87.5
GTEX-X261-0011-R11A-SM-4E3JY 50-59 years, male 87.2
GTEX-1KD4Q-0011-R11b-SM-EXOIE 40-49 years, male 87.1
GTEX-1GF9W-0011-R11b-SM-9OSXG 60-69 years, male 86.9
GTEX-11DZ1-0011-R11b-SM-DO11W 50-59 years, male 86.7
GTEX-1HGF4-0011-R11a-SM-C1YRR 60-69 years, male 86.6
GTEX-12WSF-0011-R11a-SM-5LZVT 70-79 years, male 86.5
GTEX-13FHP-0011-R11b-SM-5LZXP 50-59 years, male 86.5
GTEX-1HSKV-0011-R11b-SM-AHZ2E 60-69 years, male 86.0
GTEX-13FHO-0011-R11b-SM-5LZYQ 60-69 years, male 85.8
GTEX-1EKGG-0011-R11a-SM-9QEHZ 60-69 years, male 85.8
GTEX-11DYG-0011-R11a-SM-DNZZP 60-69 years, male 85.4
GTEX-WZTO-0011-R11A-SM-4E3K9 40-49 years, male 85.3
GTEX-14C39-0011-R11b-SM-5YYAF 40-49 years, male 85.0
GTEX-Q2AG-0011-R11A-SM-2HMKZ 40-49 years, female 84.9
GTEX-12WSH-0011-R11a-SM-5LZVM 50-59 years, male 84.7
GTEX-13N2G-0011-R11a-SM-5MR3F 60-69 years, male 84.6
GTEX-ZE7O-0011-R11a-SM-57WBC 50-59 years, female 84.5
GTEX-13PVQ-0011-R11a-SM-5O9DU 50-59 years, male 84.4
GTEX-1GZHY-0011-R11a-SM-C1YRQ 50-59 years, female 84.3
GTEX-1E1VI-0011-R11a-SM-9OSWI 50-59 years, male 84.0
GTEX-15DYW-0011-R11a-SM-6LPIT 60-69 years, female 83.7
GTEX-18A6Q-0011-R11a-SM-72D6H 60-69 years, male 83.6
GTEX-1J8EW-0011-R11a-SM-AHZ37 60-69 years, female 83.5
GTEX-1IGQW-0011-R11a-SM-C1YRV 60-69 years, male 83.3
GTEX-1LKK1-0011-R11a-SM-EXOIG 50-59 years, female 82.9
GTEX-1I1GQ-0011-R11b-SM-CKZPA 50-59 years, male 82.7
GTEX-13NZA-0011-R11b-SM-5KM4W 60-69 years, male 82.2
GTEX-1H1DG-0011-R11a-SM-C1YQK 70-79 years, male 82.2
GTEX-1HBPI-0011-R11b-SM-CE6SH 50-59 years, male 82.1
GTEX-1C64N-0011-R11b-SM-7P8Q6 50-59 years, male 82.0
GTEX-13CF2-0011-R11b-SM-5LZXO 60-69 years, male 81.9
GTEX-17HII-0011-R11b-SM-7KFSX 50-59 years, male 81.4
GTEX-131XW-0011-R11a-SM-5DUV9 50-59 years, female 81.2
GTEX-1I1HK-0011-R11a-SM-B2LVN 60-69 years, male 81.0
GTEX-WWYW-0011-R11A-SM-3NB38 50-59 years, female 80.9
GTEX-13G51-0011-R11b-SM-5J2NE 60-69 years, male 80.8
GTEX-1GZ4I-0011-R11b-SM-9OSWR 50-59 years, male 80.8
GTEX-RU72-0011-R11A-SM-CM2U1 50-59 years, female 80.8
GTEX-1GN73-0011-R11b-SM-9OSX4 60-69 years, male 79.8
GTEX-1N2DW-0011-R11b-SM-EXOIL 50-59 years, male 79.8
GTEX-14E6D-0011-R11b-SM-664NP 50-59 years, male 79.5
GTEX-11TTK-0011-R11b-SM-DO112 60-69 years, female 79.5
GTEX-183WM-0011-R11a-SM-718A5 70-79 years, female 79.4
GTEX-14PN4-0011-R11a-SM-686ZW 50-59 years, male 79.1
GTEX-11ZUS-0011-R11b-SM-5BC7B 30-39 years, male 78.4
GTEX-131YS-0011-R11b-SM-5EGLM 60-69 years, female 78.4
GTEX-1BAJH-0011-R11b-SM-7IGLM 70-79 years, male 78.4
GTEX-1M4P7-0011-R11b-SM-EXOIK 60-69 years, male 78.4
GTEX-NL3H-0011-R11A-SM-2I3E6 60-69 years, male 78.1
GTEX-ZVT3-0011-R11b-SM-57WBI 60-69 years, female 78.1
GTEX-1EMGI-0011-R11b-SM-9OSWX 60-69 years, male 77.9
GTEX-13OW7-0011-R11a-SM-5O9DY 50-59 years, male 77.7
GTEX-1B8L1-0011-R11b-SM-793DJ 60-69 years, male 77.6
GTEX-1IKK5-0011-R11a-SM-C1YRX 60-69 years, male 77.6
GTEX-11GSP-0011-R11b-SM-5NQ7V 60-69 years, female 77.4
GTEX-NPJ7-0011-R11A-SM-2I3E8 60-69 years, female 77.2
GTEX-13FTY-0011-R11a-SM-5IJEA 40-49 years, female 76.9
GTEX-14DAQ-0011-R11a-SM-664NO 60-69 years, female 76.9
GTEX-15ER7-0011-R11a-SM-6LPIL 20-29 years, female 76.9
GTEX-14ABY-0011-R11a-SM-5SI7C 50-59 years, male 76.6
GTEX-14ASI-0011-R11b-SM-6AJBJ 60-69 years, male 76.6
GTEX-1F52S-0011-R11a-SM-CJI23 60-69 years, female 76.2
GTEX-13S7M-0011-R11b-SM-5P9HU 60-69 years, female 75.9
GTEX-1B8SF-0011-R11a-SM-79OOP 60-69 years, male 75.8
GTEX-18465-0011-R11a-SM-72D78 50-59 years, male 75.7
GTEX-13O3O-0011-R11b-SM-5KM4G 60-69 years, female 75.6
GTEX-15DCD-0011-R11a-SM-D4P1R 70-79 years, female 75.5
GTEX-13JUV-0011-R11a-SM-5LZYH 40-49 years, female 75.4
GTEX-RVPV-0011-R11A-SM-2TF6F 60-69 years, male 75.3
GTEX-11PRG-0011-R11b-SM-DNZZY 50-59 years, male 75.3
GTEX-15G19-0011-R11b-SM-6LPIH 60-69 years, male 75.2
GTEX-16NPV-0011-R11a-SM-7IGMK 50-59 years, female 75.2
GTEX-X4EP-0011-R11B-SM-4QASK 60-69 years, female 74.8
GTEX-1GMRU-0011-R11b-SM-C1YQ4 50-59 years, male 74.8
GTEX-13X6J-0011-R11a-SM-5P9HE 50-59 years, male 74.6
GTEX-ZVZQ-0011-R11a-SM-51MS6 60-69 years, female 74.6
GTEX-12126-0011-R11a-SM-5BC6X 20-29 years, male 74.3
GTEX-11H98-0011-R11b-SM-5NQ6U 50-59 years, male 74.1
GTEX-18464-0011-R11a-SM-72D76 50-59 years, male 74.0
GTEX-13OVH-0011-R11b-SM-5KM4X 70-79 years, male 73.9
GTEX-XMD1-0011-R11A-SM-4AT5J 60-69 years, male 73.9
GTEX-13FXS-0011-R11a-SM-5L3DM 50-59 years, male 73.8
GTEX-ZUA1-0011-R11b-SM-51MTI 40-49 years, male 73.8
GTEX-13OVL-0011-R11b-SM-5L3G7 50-59 years, male 73.6
GTEX-1H4P4-0011-R11b-SM-CE6S8 50-59 years, male 73.5
GTEX-144GL-0011-R11b-SM-5P9F6 50-59 years, male 73.4
GTEX-13OW6-0011-R11a-SM-5L3H2 50-59 years, male 73.2
GTEX-14BIN-0011-R11a-SM-5SI79 50-59 years, female 72.9
GTEX-WL46-0011-R11A-SM-3MJFT 50-59 years, male 72.7
GTEX-1AX9I-0011-R11b-SM-7DHN4 60-69 years, male 72.5
GTEX-1N2EE-0011-R11b-SM-EXOIJ 60-69 years, male 72.5
GTEX-1H3VE-0011-R11b-SM-C1YRP 40-49 years, male 72.3
GTEX-P44G-0011-R11A-SM-2I3FD 30-39 years, male 72.0
GTEX-Z93S-0011-R11a-SM-4RGNN 50-59 years, male 71.9
GTEX-13OW5-0011-R11b-SM-5L3GG 60-69 years, male 71.7
GTEX-1HCU6-0011-R11b-SM-AHZ2F 60-69 years, female 71.7
GTEX-1IY9M-0011-R11b-SM-A96TI 60-69 years, male 71.7
GTEX-1H3O1-0011-R11a-SM-A96RV 60-69 years, male 71.5
GTEX-1IDJH-0011-R11b-SM-C1YRT 70-79 years, male 71.5
GTEX-13X6K-0011-R11a-SM-5P9F5 60-69 years, female 70.9
GTEX-12WSM-0011-R11a-SM-5DUX8 60-69 years, male 70.6
GTEX-1HUB1-0011-R11b-SM-CE6SC 60-69 years, male 70.5
GTEX-1H1CY-0011-R11a-SM-C1YQR 60-69 years, female 70.1
GTEX-139UW-0011-R11a-SM-5IJGN 60-69 years, male 69.8
GTEX-1A3MX-0011-R11b-SM-7DUGP 60-69 years, male 68.9
GTEX-1B8SG-0011-R11a-SM-7P8PF 50-59 years, male 68.9
GTEX-13PLJ-0011-R11b-SM-5O9BS 60-69 years, female 68.7
GTEX-R55E-0011-R11A-SM-2TC6I 20-29 years, male 68.4
GTEX-X585-0011-R11B-SM-46MUZ 50-59 years, male 68.1
GTEX-13OW8-0011-R11a-SM-5L3GT 60-69 years, male 67.5
GTEX-1JMQJ-0011-R11a-SM-EXOJY 50-59 years, male 67.3
GTEX-14BIM-0011-R11b-SM-5S2RN 60-69 years, female 67.2
GTEX-1F75A-0011-R11a-SM-AHZ35 50-59 years, male 67.2
GTEX-1I1GR-0011-R11a-SM-CM2T5 60-69 years, male 67.1
GTEX-12ZZZ-0011-R11a-SM-5EGLC 60-69 years, male 66.9
GTEX-13CZV-0011-R11b-SM-5N9FN 60-69 years, male 66.7
GTEX-12WSI-0011-R11b-SM-5P9EZ 50-59 years, male 66.6
GTEX-1399T-0011-R11a-SM-5J2O1 60-69 years, male 66.5
GTEX-1LVAO-0011-R11b-SM-EXOI8 60-69 years, male 66.5
GTEX-1GTWX-0011-R11b-SM-C1YQJ 60-69 years, male 66.1
GTEX-15CHQ-0011-R11b-SM-686ZZ 60-69 years, male 65.7
GTEX-12ZZX-0011-R11a-SM-5DUVJ 40-49 years, female 65.6
GTEX-1LSVX-0011-R11b-SM-EXOIA 60-69 years, male 65.6
GTEX-14C5O-0011-R11b-SM-6872H 60-69 years, male 65.4
GTEX-13SLW-0011-R11a-SM-5SI8Q 70-79 years, male 64.9
GTEX-WVLH-0011-R11A-SM-3MJFO 50-59 years, male 62.9
GTEX-Y8DK-0011-R11A-SM-4SOK2 60-69 years, male 61.5
GTEX-13QIC-0011-R11b-SM-5O9BU 60-69 years, female 60.9
GTEX-1JJ6O-0011-R11b-SM-EXUS2 60-69 years, male 60.9
GTEX-X4XX-0011-R11A-SM-46MWQ 60-69 years, male 60.5
GTEX-14E7W-0011-R11a-SM-5ZZVA 70-79 years, male 60.2
GTEX-YFC4-0011-R11a-SM-4SOK6 40-49 years, female 59.9
GTEX-131XH-0011-R11a-SM-5EGLN 50-59 years, male 59.6
GTEX-1R9K4-0011-R11a-SM-EZ6N9 60-69 years, male 59.4
GTEX-15EO6-0011-R11b-SM-6M47M 50-59 years, male 59.1
GTEX-17HG3-0011-R11b-SM-7KFT4 30-39 years, female 58.8
GTEX-1R9PO-0011-R11b-SM-EZ6NB 60-69 years, female 58.8
GTEX-ZDXO-0011-R11a-SM-4WWD9 60-69 years, male 58.6
GTEX-13NYB-0011-R11a-SM-5KM3Q 40-49 years, male 58.5
GTEX-1IL2V-0011-R11a-SM-ARU6T 70-79 years, male 58.5
GTEX-1IL2U-0011-R11a-SM-CE6SO 60-69 years, male 58.1
GTEX-1J1OQ-0011-R11a-SM-A96S3 40-49 years, female 56.9
GTEX-1H3NZ-0011-R11b-SM-CE6SF 60-69 years, male 55.6
GTEX-12WSC-0011-R11a-SM-5GU5J 50-59 years, male 55.4
GTEX-16Z82-0011-R11a-SM-79OKJ 60-69 years, male 55.1
GTEX-1I1GS-0011-R11a-SM-C1YRU 60-69 years, male 54.8
GTEX-YJ89-0011-R11a-SM-4SOKA 60-69 years, male 54.6
GTEX-1IKOH-0011-R11a-SM-AHZ38 60-69 years, female 54.6
GTEX-N7MT-0011-R11A-SM-2I3DZ 60-69 years, female 54.3
GTEX-17F97-0011-R11b-SM-7KFRQ 50-59 years, male 53.5
GTEX-T6MN-0011-R11A-SM-32QOX 50-59 years, male 52.3
GTEX-1JMOU-0011-R11b-SM-EXUTA 60-69 years, female 50.6
GTEX-1H1ZS-0011-R11a-SM-C1YQM 70-79 years, male 49.2
GTEX-T2IS-0011-R11A-SM-32QPC 20-29 years, female 48.9
GTEX-ZAB4-0011-R11a-SM-4SOKI 40-49 years, male 48.9
GTEX-1JJEA-0011-R11a-SM-EXUTE 60-69 years, male 45.2
GTEX-TSE9-0011-R11A-SM-3DB7N 60-69 years, female 42.6
GTEX-OHPN-0011-R11A-SM-2I5FM 60-69 years, female 34.9
GTEX-UTHO-0011-R11A-SM-3GIJE 60-69 years, male 31.4
GTEX-QMR6-0011-R11A-SM-32PKK 50-59 years, male 31.1
GTEX-QDT8-0011-R11A-SM-32PKD 30-39 years, female 30.6
GTEX-P44H-0011-R11A-SM-2XCER 40-49 years, male 27.0
Show allShow less
Brain - Cerebellum
Average nTPM: 85.0
Samples: 241

Max nTPM: 136.6
Min nTPM: 25.7
Std nTPM: 17.5
Median nTPM: 84.7
GTEX-13O3Q-3026-SM-5IJGD 50-59 years, male 136.6
GTEX-11O72-2826-SM-5HL6W 40-49 years, male 134.5
GTEX-1MJK2-3026-SM-EV7A5 50-59 years, male 129.1
GTEX-11EI6-2926-SM-5985U 60-69 years, male 121.2
GTEX-11ZUS-2826-SM-5EQKW 30-39 years, male 119.3
GTEX-1192X-3226-SM-5987D 50-59 years, male 117.9
GTEX-13JVG-3226-SM-5IJGJ 60-69 years, male 117.1
GTEX-13FHO-2926-SM-5L3ES 60-69 years, male 116.3
GTEX-1LG7Y-3126-SM-EV7AS 50-59 years, male 115.6
GTEX-11ZTS-3226-SM-5EGID 60-69 years, female 115.0
GTEX-1POEN-2726-SM-E9U6B 30-39 years, female 115.0
GTEX-11ZVC-3026-SM-59HJM 50-59 years, female 114.5
GTEX-1C64N-3126-SM-79OO3 50-59 years, male 114.5
GTEX-13OW7-2926-SM-5MR3Z 50-59 years, male 114.2
GTEX-16YQH-2926-SM-6LPJE 30-39 years, male 113.0
GTEX-12WSM-2126-SM-5GCOC 60-69 years, male 111.7
GTEX-15ER7-3026-SM-6M47W 20-29 years, female 110.9
GTEX-13RTJ-3126-SM-5S2Q4 60-69 years, male 110.6
GTEX-ZAJG-3026-SM-5HL92 50-59 years, female 110.0
GTEX-1E1VI-2926-SM-7IGLT 50-59 years, male 109.5
GTEX-13OVJ-2726-SM-5IJG6 50-59 years, female 108.5
GTEX-ZUA1-2926-SM-59HL3 40-49 years, male 107.5
GTEX-12WSH-3126-SM-5LZW8 50-59 years, male 105.9
GTEX-17HII-2926-SM-79OMK 50-59 years, male 105.9
GTEX-13G51-3126-SM-5IJG7 60-69 years, male 105.8
GTEX-N7MT-1226-SM-DKPOK 60-69 years, female 104.8
GTEX-1RNSC-3126-SM-EVR4V 60-69 years, male 104.5
GTEX-14PJM-3026-SM-6LLHM 50-59 years, female 104.1
GTEX-ZAK1-2926-SM-5HL9S 50-59 years, female 104.0
GTEX-13N2G-3126-SM-5IJGL 60-69 years, male 103.9
GTEX-T5JC-2326-SM-32PMR 20-29 years, male 103.9
GTEX-1KD4Q-3026-SM-EV7A7 40-49 years, male 103.8
GTEX-Q2AG-2826-SM-2HMJQ 40-49 years, female 103.5
GTEX-11ONC-3026-SM-5985W 60-69 years, male 103.3
GTEX-1CB4G-2926-SM-7MKFQ 60-69 years, male 103.2
GTEX-11DXW-1026-SM-5H11K 40-49 years, male 102.7
GTEX-16Z82-2926-SM-6LPJJ 60-69 years, male 102.7
GTEX-1313W-3026-SM-5LZUZ 50-59 years, female 101.8
GTEX-14PN4-3026-SM-664O4 50-59 years, male 101.8
GTEX-1399T-3126-SM-5IJFS 60-69 years, male 101.7
GTEX-1HBPI-2726-SM-9WPPF 50-59 years, male 101.4
GTEX-1GZHY-3026-SM-7MXVA 50-59 years, female 101.1
GTEX-17JCI-3026-SM-7EWDR 60-69 years, female 100.8
GTEX-1C6VR-3026-SM-7IGLW 60-69 years, male 100.3
GTEX-1GTWX-2926-SM-7MXV4 60-69 years, male 100.3
GTEX-1HB9E-3126-SM-AHZ4M 50-59 years, male 100.1
GTEX-131YS-3026-SM-5EGHY 60-69 years, female 99.9
GTEX-X261-3126-SM-4PQZC 50-59 years, male 99.9
GTEX-Y111-2826-SM-4TT3O 50-59 years, male 99.9
GTEX-14BIN-3326-SM-5Q5E6 50-59 years, female 99.4
GTEX-WHSE-2926-SM-3NMBG 20-29 years, male 99.2
GTEX-1NV8Z-3026-SM-DTX8Z 60-69 years, male 99.2
GTEX-1JMLX-3026-SM-EV79Q 50-59 years, male 98.9
GTEX-1EH9U-3126-SM-7MXU5 60-69 years, male 98.8
GTEX-1JMQJ-3126-SM-EV79G 50-59 years, male 98.6
GTEX-WWYW-3026-SM-3NB36 50-59 years, female 98.2
GTEX-13OW5-3126-SM-5MR3Y 60-69 years, male 98.1
GTEX-11NUK-3026-SM-5986K 50-59 years, male 96.8
GTEX-1B996-2926-SM-7MXUH 60-69 years, male 96.4
GTEX-12ZZZ-3126-SM-5LZU6 60-69 years, male 96.2
GTEX-17HG3-2826-SM-7EPGO 30-39 years, female 96.0
GTEX-1I1GV-3026-SM-CNNR9 60-69 years, male 95.8
GTEX-14E6D-2926-SM-664OP 50-59 years, male 94.9
GTEX-1EKGG-3126-SM-9WPO5 60-69 years, male 94.9
GTEX-1128S-2826-SM-5N9DI 60-69 years, female 94.7
GTEX-14JIY-2326-SM-6AJAJ 60-69 years, male 94.5
GTEX-11EMC-3326-SM-5P9JH 60-69 years, female 93.9
GTEX-11GSP-3126-SM-5A5LL 60-69 years, female 93.9
GTEX-1269C-3126-SM-5EGI6 60-69 years, female 93.7
GTEX-12ZZY-2926-SM-5DUXO 60-69 years, male 93.4
GTEX-11DXY-3126-SM-5N9BT 60-69 years, male 93.3
GTEX-18A6Q-2826-SM-7LTAO 60-69 years, male 92.5
GTEX-1GF9V-3026-SM-7P8R8 60-69 years, male 92.5
GTEX-13PVQ-2926-SM-5L3HJ 50-59 years, male 92.3
GTEX-XMD1-2826-SM-4AT5F 60-69 years, male 92.2
GTEX-1H1DG-2826-SM-9JGHB 70-79 years, male 91.9
GTEX-1B8SG-1926-SM-73KUB 50-59 years, male 91.8
GTEX-131XH-2926-SM-5LZU4 50-59 years, male 91.7
GTEX-13112-2926-SM-5DUWT 50-59 years, male 91.0
GTEX-12126-0926-SM-5FQTW 20-29 years, male 90.4
GTEX-145LU-2626-SM-5LU9Z 50-59 years, male 90.1
GTEX-15G19-2826-SM-6M48K 60-69 years, male 90.1
GTEX-17EVP-2926-SM-793BU 40-49 years, male 90.1
GTEX-1A3MX-2926-SM-718B7 60-69 years, male 90.1
GTEX-1EX96-3126-SM-9JGGC 50-59 years, male 90.0
GTEX-13CF2-3026-SM-5IFFX 60-69 years, male 89.9
GTEX-1F48J-2726-SM-7P8PW 50-59 years, female 89.6
GTEX-15DYW-3026-SM-7KFRM 60-69 years, female 89.3
GTEX-1JN1M-3126-SM-AHZ4E 60-69 years, female 89.3
GTEX-11GSO-3026-SM-5Q5AL 60-69 years, male 89.2
GTEX-15SHU-3026-SM-6LPIB 40-49 years, female 89.2
GTEX-1PIIG-2826-SM-DTX7O 30-39 years, male 89.1
GTEX-1HSMO-2926-SM-C1YR5 60-69 years, male 89.0
GTEX-14C39-3026-SM-5S2QE 40-49 years, male 88.9
GTEX-N7MS-2526-SM-2D7W3 60-69 years, male 88.8
GTEX-YJ89-2926-SM-5P9IT 60-69 years, male 88.8
GTEX-1B8L1-3226-SM-7P8OX 60-69 years, male 88.8
GTEX-13SLX-3226-SM-5YYA6 50-59 years, female 88.6
GTEX-13OVL-3026-SM-5IJF1 50-59 years, male 88.4
GTEX-YFC4-3026-SM-5IFJK 40-49 years, female 88.4
GTEX-1HBPH-3026-SM-9WPNY 40-49 years, female 88.3
GTEX-145MG-3126-SM-5Q5D3 50-59 years, male 88.2
GTEX-R55E-2526-SM-2TC6H 20-29 years, male 88.1
GTEX-T6MN-2526-SM-32PMN 50-59 years, male 88.1
GTEX-12WSE-2926-SM-5RQJ9 20-29 years, male 88.0
GTEX-1KANB-3226-SM-D4P3G 50-59 years, male 86.7
GTEX-14ABY-3026-SM-664NE 50-59 years, male 86.4
GTEX-1F75W-3126-SM-7P8SJ 60-69 years, male 86.3
GTEX-14BMV-2926-SM-5TDEE 50-59 years, male 86.2
GTEX-X4EP-3026-SM-3P5YP 60-69 years, female 86.1
GTEX-1F6IF-3026-SM-7P8QN 60-69 years, male 86.0
GTEX-14JFF-2826-SM-6871Q 60-69 years, male 85.9
GTEX-Y8DK-0726-SM-4TT3S 60-69 years, male 85.9
GTEX-12WSC-2926-SM-5BC5Z 50-59 years, male 85.7
GTEX-1RQEC-3026-SM-DPRXM 60-69 years, male 85.7
GTEX-1I1CD-2926-SM-A96SJ 60-69 years, female 85.6
GTEX-13FHP-2926-SM-5IJG9 50-59 years, male 85.4
GTEX-12WSD-3026-SM-5LZU7 60-69 years, female 85.3
GTEX-ZDXO-2926-SM-4WKFM 60-69 years, male 85.0
GTEX-13OVH-2926-SM-5IJFH 70-79 years, male 84.7
GTEX-WL46-2826-SM-3LK81 50-59 years, male 84.7
GTEX-ZYFD-2926-SM-5GID9 50-59 years, male 84.7
GTEX-1R46S-3126-SM-DPRZ9 60-69 years, female 84.5
GTEX-183WM-2726-SM-7KFRF 70-79 years, female 84.4
GTEX-145MH-2926-SM-5Q5D2 50-59 years, male 84.2
GTEX-17F97-2926-SM-7DUEQ 50-59 years, male 84.2
GTEX-1QP6S-3026-SM-EAZ4N 40-49 years, male 84.1
GTEX-1LSVX-2826-SM-EVR58 60-69 years, male 84.0
GTEX-1GZ4I-2926-SM-9JGGO 50-59 years, male 83.7
GTEX-ZF28-2926-SM-4WKG1 60-69 years, male 83.3
GTEX-1EMGI-3126-SM-7MXUR 60-69 years, male 83.3
GTEX-1C6WA-3326-SM-7MKGN 60-69 years, male 83.2
GTEX-14DAQ-3026-SM-5S2QZ 60-69 years, female 82.8
GTEX-14ASI-2926-SM-5Q5DG 60-69 years, male 82.7
GTEX-11OC5-0626-SM-5HL6M 60-69 years, male 82.5
GTEX-1CB4H-3026-SM-79OLX 60-69 years, female 82.5
GTEX-UTHO-2926-SM-3P5Z9 60-69 years, male 82.4
GTEX-13VXU-3026-SM-5LU3K 50-59 years, male 82.3
GTEX-1EWIQ-3026-SM-7IGOJ 70-79 years, female 82.2
GTEX-11DZ1-2926-SM-5A5KI 50-59 years, male 82.1
GTEX-1GN73-3026-SM-7MXV8 60-69 years, male 81.9
GTEX-16XZZ-2926-SM-6LPK4 60-69 years, male 81.5
GTEX-1HCVE-2926-SM-9WPPJ 50-59 years, male 80.7
GTEX-ZVT3-2926-SM-5GU6M 60-69 years, female 80.6
GTEX-145MF-2826-SM-7EPGU 50-59 years, male 80.3
GTEX-1E2YA-2926-SM-7MGWX 50-59 years, male 80.3
GTEX-WVLH-2926-SM-3MJG5 50-59 years, male 80.2
GTEX-139TT-2626-SM-5LZUB 60-69 years, male 80.1
GTEX-14JG1-2926-SM-686ZK 40-49 years, male 80.1
GTEX-17EVQ-2726-SM-7EWDT 70-79 years, male 80.1
GTEX-1R9PO-2826-SM-E6CPV 60-69 years, female 80.1
GTEX-111FC-3326-SM-5GZYV 60-69 years, male 80.0
GTEX-13OW6-2926-SM-5KM29 50-59 years, male 80.0
GTEX-PWO3-1026-SM-2I5F2 60-69 years, female 79.5
GTEX-139TS-3126-SM-5LZWX 60-69 years, male 79.4
GTEX-1HSKV-2926-SM-B2LWJ 60-69 years, male 79.2
GTEX-11TTK-2826-SM-5GU5K 60-69 years, female 79.1
GTEX-17HHY-2926-SM-79OJW 50-59 years, male 79.0
GTEX-Z93S-2826-SM-57WBL 50-59 years, male 78.9
GTEX-1P4AB-3026-SM-EXOJS 50-59 years, male 78.9
GTEX-1F6I4-3026-SM-7P8SI 60-69 years, male 78.7
GTEX-14E7W-2926-SM-5S2R8 70-79 years, male 78.6
GTEX-14BIM-3126-SM-5Q5C7 60-69 years, female 78.5
GTEX-1GZ2Q-3026-SM-9JGG3 40-49 years, male 78.5
GTEX-1JMOU-2826-SM-EV79R 60-69 years, female 78.0
GTEX-13X6K-2826-SM-5O9DS 60-69 years, female 77.9
GTEX-13O3O-3026-SM-5KM42 60-69 years, female 77.4
GTEX-ZYY3-3026-SM-5GIEJ 60-69 years, female 77.2
GTEX-WZTO-2826-SM-3NM8P 40-49 years, male 77.1
GTEX-18465-2926-SM-7KFSE 50-59 years, male 77.0
GTEX-XLM4-2926-SM-4AT59 60-69 years, male 76.8
GTEX-1H4P4-2726-SM-9JGGB 50-59 years, male 76.4
GTEX-X4XX-2926-SM-3NMB1 60-69 years, male 76.2
GTEX-ZAB4-2926-SM-57WCV 40-49 years, male 76.0
GTEX-144GL-2926-SM-5O99F 50-59 years, male 75.8
GTEX-1JJE9-3026-SM-CNNPA 70-79 years, male 75.8
GTEX-1IY9M-3126-SM-AHZ3A 60-69 years, male 75.6
GTEX-13S7M-3026-SM-5S2QQ 60-69 years, female 75.5
GTEX-1H3O1-1826-SM-A96TO 60-69 years, male 75.5
GTEX-13NYB-3226-SM-5J2ND 40-49 years, male 75.4
GTEX-1I1HK-2726-SM-AHZ2M 60-69 years, male 75.4
GTEX-145LS-3026-SM-5O99S 60-69 years, female 75.3
GTEX-13X6I-2926-SM-5Q5C3 60-69 years, male 75.2
GTEX-1F52S-3026-SM-7P8PV 60-69 years, female 75.1
GTEX-T2IS-2926-SM-32QPO 20-29 years, female 75.0
GTEX-1QEPI-3026-SM-EXOIW 60-69 years, female 75.0
GTEX-13FXS-3026-SM-5LZYO 50-59 years, male 74.9
GTEX-1A8G7-3026-SM-73KTT 60-69 years, male 74.5
GTEX-1F75A-2926-SM-7MXVN 50-59 years, male 74.3
GTEX-NPJ8-2626-SM-2D7W2 40-49 years, male 74.2
GTEX-RU72-2926-SM-2TF66 50-59 years, female 74.1
GTEX-11PRG-2826-SM-5BC54 50-59 years, male 73.3
GTEX-14A5I-2826-SM-5SIBF 50-59 years, female 73.0
GTEX-1GF9W-2726-SM-9JGGW 60-69 years, male 73.0
GTEX-1JJEA-2926-SM-C1YSK 60-69 years, male 72.8
GTEX-1RDX4-3226-SM-DPS14 50-59 years, female 72.7
GTEX-12ZZX-2826-SM-5BC6K 40-49 years, female 72.6
GTEX-1B8SF-3026-SM-731DX 60-69 years, male 72.4
GTEX-1EU9M-2926-SM-793DF 60-69 years, male 72.3
GTEX-1JMQK-2926-SM-D4P2T 60-69 years, male 72.2
GTEX-11DYG-2926-SM-5H132 60-69 years, male 72.1
GTEX-1JJ6O-3026-SM-C1YQH 60-69 years, male 72.1
GTEX-13OW8-2926-SM-5L3FV 60-69 years, male 71.9
GTEX-1H1CY-3026-SM-9OSW7 60-69 years, female 71.7
GTEX-1BAJH-3126-SM-7MGXY 70-79 years, male 71.0
GTEX-1KWVE-2226-SM-CXZKN 30-39 years, male 70.0
GTEX-1H3VE-2826-SM-9WPOL 40-49 years, male 69.6
GTEX-11NV4-2226-SM-5BC4T 60-69 years, male 69.5
GTEX-1IKOH-2826-SM-CNNRC 60-69 years, female 69.0
GTEX-15EO6-2926-SM-6M48D 50-59 years, male 68.9
GTEX-117XS-3126-SM-5GIDP 60-69 years, male 68.4
GTEX-14C5O-2926-SM-5RQI1 60-69 years, male 68.2
GTEX-132Q8-2926-SM-5IFFP 60-69 years, male 68.0
GTEX-147F4-3026-SM-5Q5BJ 50-59 years, male 67.2
GTEX-1IL2V-3026-SM-CYPSA 70-79 years, male 67.1
GTEX-14PJO-2926-SM-686ZI 60-69 years, male 66.3
GTEX-1IDJH-3126-SM-C1YQS 70-79 years, male 66.3
GTEX-RNOR-2226-SM-2TF5O 50-59 years, female 66.0
GTEX-13JUV-3026-SM-5K7WX 40-49 years, female 65.6
GTEX-S7SE-2526-SM-2XCDL 50-59 years, male 64.2
GTEX-13QIC-3026-SM-5LU58 60-69 years, female 64.0
GTEX-QVJO-1325-SM-2S1QX 60-69 years, female 62.4
GTEX-147GR-3126-SM-5S2PM 60-69 years, male 61.5
GTEX-1JMPZ-2826-SM-C1YRA 30-39 years, male 60.5
GTEX-1B933-3026-SM-731DB 50-59 years, female 59.9
GTEX-13X6J-2926-SM-7EPGP 50-59 years, male 59.3
GTEX-1H3NZ-2926-SM-9WPQ8 60-69 years, male 59.3
GTEX-1H1ZS-2926-SM-9WPP2 70-79 years, male 58.0
GTEX-1J1OQ-3126-SM-D4P2O 40-49 years, female 57.3
GTEX-1A8G6-3126-SM-731D8 60-69 years, male 55.9
GTEX-1PWST-3026-SM-EAZ3H 70-79 years, male 54.4
GTEX-ZZPT-2926-SM-5EQ5S 50-59 years, male 49.1
GTEX-QDT8-3026-SM-32PKB 30-39 years, female 47.9
GTEX-NPJ7-2826-SM-2I3FU 60-69 years, female 47.5
GTEX-P44G-2526-SM-2I5EK 30-39 years, male 46.4
GTEX-TSE9-2926-SM-3DB77 60-69 years, female 41.8
GTEX-QVUS-2926-SM-3GIJB 60-69 years, female 38.3
GTEX-PVOW-2626-SM-32PL8 40-49 years, male 33.0
GTEX-OHPN-2626-SM-2I5H1 60-69 years, female 30.9
GTEX-QMR6-1326-SM-32PLB 50-59 years, male 29.0
GTEX-P44H-2426-SM-2XCEJ 40-49 years, male 25.7
Show allShow less

CEREBELLUM - FANTOM5 CAGEi

RNA expression in human tissues obtained through Cap Analysis of Gene Expression (CAGE) generated by the FANTOM5 project are reported as Scaled Tags Per Million.

Max subtype Scaled Tags Per Millioni

Max subtype Scaled Tags Per Million is the value for the subtype with the largest average Scaled Tags Per Million across the subtype samples.

76.8
FANTOM5 sample id Sample description Scaled Tags Per Million
Cerebellum
Scaled Tags Per Million: 76.8
FF:10083-102B2 22-68 years, mixed 98.0
FF:10166-103B4 76 years, female 55.6

CEREBELLUM - Pig RNA-seqi

RNA-seq data obtained from pig brain is reported as nTPM .

Normal distribution across the dataset is visualized with box plots, shown as median and 25th and 75th percentiles. Points are displayed as outliers if they are above or below 1.5 times the interquartile range. nTPM values of the individual samples are presented next to the box plot.
Max subtype nTPMi

Max subtype nTPM is the value for the subtype with the largest average nTPM across the subtype samples.

38.9
Pig sample Sample description nTPM
Cerebellum
nTPM: 38.9
Samples: 4

Max nTPM: 60.1
Min nTPM: 29.3
Sample A Female 60.1
Sample B Female 32.5
Sample C Male 29.3
Sample D Male 33.7

CEREBELLUM - Mouse RNA-seqi

RNA-seq data obtained from mouse brain is reported as nTPM .

Normal distribution across the dataset is visualized with box plots, shown as median and 25th and 75th percentiles. Points are displayed as outliers if they are above or below 1.5 times the interquartile range. nTPM values of the individual samples are presented next to the box plot.
Max subtype nTPMi

Max subtype nTPM is the value for the subtype with the largest average nTPM across the subtype samples.

238.8
Mouse sample Sample description nTPM
Cerebellum
nTPM: 238.8
Samples: 4

Max nTPM: 242.4
Min nTPM: 233.1
Sample A Male 233.1
Sample B Male 241.7
Sample C Female 238.0
Sample D Female 242.4

CEREBELLUM - Allen Mouse ISHi

In situ hybridization (ISH) data generated by the Allen brain atlas from mouse brain is reported as expression energy. For more details about a particular experiment, click on the corresponding Allen experiment ID.

Max subtype Expression energyi

Max subtype Expression energy is the value for the subtype with the largest average Expression energy across the subtype samples.

3.8
Allen experiment id Experiment description Expression energy
Cerebellum
Expression energy: 3.8
69873457 Antisense, RP_050512_01_C10, Mouse strain C57BL/6J (56 days, male) 3.8

Contact

  • NEWS ARTICLES
  • PRESS ROOM

The Project

  • INTRODUCTION
  • ORGANIZATION
  • PUBLICATIONS

The Human Protein Atlas

  • DOWNLOADABLE DATA
  • LICENCE & CITATION
  • HELP & FAQ
The Human Protein Atlas project is funded
by the Knut & Alice Wallenberg Foundation.


contact@proteinatlas.org