We use cookies to enhance the usability of our website. If you continue, we'll assume that you are happy to receive all cookies. More information. Don't show this again.
PGM1
HPA
RESOURCES
  • TISSUE
  • BRAIN
  • SINGLE CELL
  • SUBCELLULAR
  • CANCER
  • BLOOD
  • CELL LINE
  • STRUCTURE & INTERACTION
ABOUT
  • INTRODUCTION
  • HISTORY
  • ORGANIZATION
  • PUBLICATIONS
  • ANTIBODY SUBMISSION
  • ANTIBODY AVAILABILITY
  • ACKNOWLEDGMENTS
  • CONTACT
NEWS
  • NEWS ARTICLES
  • PRESS ROOM
LEARN
  • DICTIONARY
  • PROTEIN CLASSES
  • PROTEIN EVIDENCE
  • METHODS
  • EDUCATIONAL VIDEOS
DATA
  • DOWNLOADABLE DATA
  • PUBLICATION DATA
  • RELEASE HISTORY
HELP
  • ANTIBODY VALIDATION
  • ASSAYS & ANNOTATION
  • DISCLAIMER
  • HELP & FAQ
  • PRIVACY STATEMENT
  • LICENCE & CITATION
Fields »
Search result

Field
Term
Gene name
Class
Subclass
Class
Keyword
Chromosome
External id
Tissue
Cell type
Expression
Antibody panel
Tissue
Main location
Patient ID
Annotation
Tissue
Category
Tau score
Cluster
Reliability
Brain region
Category
Tau score
Brain region
Category
Tau score
Brain region
Category
Tau score
Cluster
Reliability
Tissue
Cell type
Enrichment
Cell type
Category
Tau score
Cell type
Category
Tau score
Cell type
Category
Tau score
Cell lineage
Category
Tau score
Cluster
Cluster
Location
Searches
Location
Cell line
Class
Type
Phase
Reliability
Cancer
Prognosis
Cancer
Category
Cancer
Category
Tau score
Cluster
Variants
Interacting gene (ensg_id)
Type
Number of interactions
Pathway
Category
Score
Score
Score
Validation
Validation
Validation
Validation
Antibodies
Data type
Column


  • SUMMARY

  • TISSUE

  • BRAIN

  • SINGLE CELL

  • SUBCELL

  • CANCER

  • BLOOD

  • CELL LINE

  • STRUCT & INT

  • PGM1
TISSUE PRIMARY DATA HEART MUSCLE Show tissue menu
ADIPOSE TISSUE ADRENAL GLAND AMYGDALA APPENDIX BASAL GANGLIA BONE MARROW BREAST BRONCHUS CEREBELLUM CEREBRAL CORTEX CERVIX CHOROID PLEXUS COLON DUODENUM
ENDOMETRIUM EPIDIDYMIS ESOPHAGUS FALLOPIAN TUBE GALLBLADDER HEART MUSCLE HIPPOCAMPAL FORMATION HYPOTHALAMUS KIDNEY LIVER LUNG LYMPH NODE MIDBRAIN NASOPHARYNX
ORAL MUCOSA OVARY PANCREAS PARATHYROID GLAND PITUITARY GLAND PLACENTA PROSTATE RECTUM RETINA SALIVARY GLAND SEMINAL VESICLE SKELETAL MUSCLE SKIN SMALL INTESTINE
SMOOTH MUSCLE SOFT TISSUE SPINAL CORD SPLEEN STOMACH TESTIS THYMUS THYROID GLAND TONGUE TONSIL URINARY BLADDER VAGINA
ANTIBODIES
AND
VALIDATION
Dictionary
Heart muscle
Tissue proteome
Heart
HEART MUSCLE - Expression summary
Protein expression
Heart musclei

On the top, protein expression in current human tissue, based on all annotated cell types, is reported with the units not detected (n), low (l), medium (m) and high (h). Underneath, protein expression in each annotated cell type are reported using the same units.

Protein expression data is based on knowledge-based annotation. For genes where more than one antibody has been used, a collective score is set.

If knowledge-based annotation could not be performed for a gene, no data is displayed here. View antibody staining data further down this page.

h
m
l
n
Cardiomyocytes: Low
RNA expressioni

A summary of mRNA expression data available for current tissue based on several datasets. The mRNA expression levels in human tissues are based on RNA-seq data generated by the Human Protein Atlas (HPA), Genotype-Tissue Expression (GTEx) portal and CAGE data generated by the FANTOM5 consortium. Consensus normalized expression levels for human tissues was created by combining the data from HPA and GTEx datasets.

The mRNA expression levels in pig are based on RNA-seq data generated by the Human Protein Atlas (HPA), and for mouse, HPA data and in situ hybridization generated by the Allen brain atlas are reported.

Scroll down to view mRNA expression data in more detail.
Consensus:173.1 nTPM
HPA:138.7 nTPM
GTEx:173.1 nTPM
FANTOM5:406.9 Scaled Tags Per Million

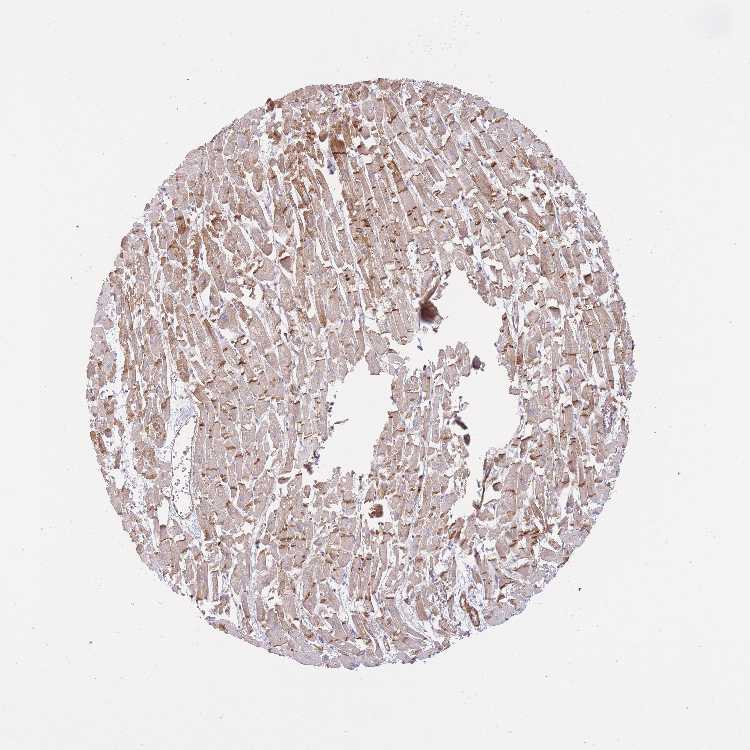
HEART MUSCLE - Antibody stainingi

Antibody staining in the annotated cell types in the current human tissue is reported as not detected, low, medium, or high, based on conventional immunohistochemistry profiling in selected tissues. This score is based on the combination of the staining intensity and fraction of stained cells.

Each image is clickable and will lead to virtual microscopy that enables deeper exploration of all samples and also displays staining intensity scores, fraction scores and subcellular localization as well as patient and tissue information for each sample.

Antibody HPA024190Antibody HPA024637Antibody HPA046329Antibody CAB004666
Cardiomyocytes MediumLowHighLow









HEART MUSCLE - HPA RNA-seqi

The RNA-seq details section shows detailed information about the individual samples used for the transcript profiling and results of the RNA-seq analysis.

Information about each individual sample is listed below, including gender, age, a tissue section image and estimated fractions of cell types. nTPM (normalized transcripts per million) values give a quantification of the gene abundance which is comparable between different genes and samples.
Average nTPMi

Max subtype nTPM is the value for the subtype with the largest average nTPM across the subtype samples.

138.7
overview
Female, age 48
Heart muscle sample 149
nTPM: 196.9
Cell types%
Myocytes:
15

Fibroblasts:
55

Endothelial cells:
25

Other cell types:
5

overview
Female, age 42
Heart muscle sample 150
nTPM: 150
Cell types%
Myocytes:
20

Fibroblasts:
45

Endothelial cells:
30

Other cell types:
5

overview
Male, age 53
Heart muscle sample 151
nTPM: 103.2
Cell types%
Myocytes:
20

Fibroblasts:
45

Endothelial cells:
30

Other cell types:
5

overview
Female, age 69
Heart muscle sample 152
nTPM: 104.7
Cell types%
Myocytes:
20

Fibroblasts:
45

Endothelial cells:
30

Other cell types:
5


HEART MUSCLE - GTEx RNA-seqi

RNA-Seq data generated by the Genotype-Tissue Expression (GTEx) project from human tissues is reported as mean nTPM. More information can be found on the GTEx portal.

Distribution across the dataset is visualized with box plots, shown as median and 25th and 75th percentiles. Points are displayed as outliers if they are above or below 1.5 times the interquartile range. nTPM values of the individual samples are presented next to the box plot.
Max subtype nTPMi

Max subtype nTPM is the value for the subtype with the largest average nTPM across the subtype samples.

173.1
GTEx sample id Sample description nTPM
Heart - Atrial Appendage
Average nTPM: 115.8
Samples: 429

Max nTPM: 286.4
Min nTPM: 17.5
Std nTPM: 47.9
Median nTPM: 116.3
GTEX-14PJM-0826-SM-6LLIW 50-59 years, female 286.4
GTEX-1GF9U-0526-SM-7P8SK 40-49 years, female 279.7
GTEX-1339X-0326-SM-5K7Z8 40-49 years, male 278.9
GTEX-11TT1-1426-SM-5EGIA 20-29 years, male 268.5
GTEX-145MN-0726-SM-5NQBH 30-39 years, male 249.4
GTEX-14PJ4-0926-SM-5YY98 60-69 years, male 236.7
GTEX-13O1R-0926-SM-5L3DS 60-69 years, male 233.3
GTEX-1GN1U-1426-SM-7P8TF 50-59 years, female 221.3
GTEX-YB5K-0226-SM-5IFJE 40-49 years, female 216.3
GTEX-13W3W-0526-SM-5LU3X 60-69 years, female 215.8
GTEX-13FH7-0826-SM-5J2NW 50-59 years, female 215.1
GTEX-1GZ4I-0826-SM-9WG6O 50-59 years, male 211.9
GTEX-13D11-1526-SM-5J2NA 50-59 years, female 209.7
GTEX-YEC4-0226-SM-4W1YG 40-49 years, male 208.8
GTEX-1IDJD-0226-SM-CKZOA 30-39 years, male 205.9
GTEX-14XAO-0926-SM-69LPZ 60-69 years, female 204.5
GTEX-1IKOE-0626-SM-A9G31 30-39 years, female 203.0
GTEX-131XG-0526-SM-5DUWF 50-59 years, female 202.2
GTEX-139TU-1926-SM-5J2OC 60-69 years, male 202.0
GTEX-1GMR3-0426-SM-7PC17 40-49 years, male 198.6
GTEX-14PN3-0726-SM-6EU14 60-69 years, female 196.0
GTEX-ZYFC-1026-SM-5GZX9 50-59 years, male 195.8
GTEX-X4EP-0326-SM-3P5Z6 60-69 years, female 194.9
GTEX-1B97J-0326-SM-7939H 50-59 years, female 194.8
GTEX-13NZB-0426-SM-5KM26 30-39 years, male 193.8
GTEX-1LSNM-0426-SM-E9TIZ 50-59 years, male 193.0
GTEX-1C2JI-0626-SM-7DHM1 50-59 years, male 191.3
GTEX-14PK6-0726-SM-6LLIX 70-79 years, female 190.6
GTEX-1NHNU-0626-SM-E6CP1 50-59 years, male 190.1
GTEX-11DXX-0526-SM-5PNVR 60-69 years, female 189.7
GTEX-17F9E-0726-SM-793A1 50-59 years, male 187.5
GTEX-1MJIX-0426-SM-DTXEN 40-49 years, male 186.5
GTEX-ZYFD-2026-SM-5E459 50-59 years, male 186.1
GTEX-14JG1-0826-SM-5ZZWR 40-49 years, male 185.2
GTEX-WH7G-0326-SM-3NMBH 40-49 years, male 184.4
GTEX-1I1GP-0626-SM-ARL7H 50-59 years, male 183.3
GTEX-ZF29-0426-SM-4WKFN 60-69 years, female 181.9
GTEX-13PVR-0926-SM-5S2RB 60-69 years, female 181.3
GTEX-ZDTS-1226-SM-4WKGL 60-69 years, male 180.8
GTEX-1OFPY-0926-SM-DTX8Q 60-69 years, male 180.6
GTEX-15EU6-1326-SM-6PANG 50-59 years, male 179.8
GTEX-1B8KE-0326-SM-73KTY 50-59 years, male 178.6
GTEX-1LGOU-0326-SM-D3LAM 20-29 years, female 177.4
GTEX-1399S-0826-SM-5KM23 30-39 years, female 176.5
GTEX-XGQ4-0526-SM-4AT6C 50-59 years, male 175.1
GTEX-1J1OQ-2226-SM-A96SS 40-49 years, female 174.8
GTEX-1122O-0626-SM-5N9B9 60-69 years, female 172.7
GTEX-18D9U-1426-SM-718BO 40-49 years, male 172.7
GTEX-1QCLZ-1126-SM-EWRNB 60-69 years, female 171.3
GTEX-1AYCT-0526-SM-7RHHS 50-59 years, male 171.1
GTEX-1LGRB-1026-SM-CNPQD 50-59 years, female 170.9
GTEX-12WSN-0226-SM-5DUXH 40-49 years, male 170.1
GTEX-14BMV-1026-SM-5SI6B 50-59 years, male 169.6
GTEX-ZYFG-0526-SM-5GZXX 60-69 years, female 168.8
GTEX-1L5NE-0526-SM-DIPG5 50-59 years, male 167.6
GTEX-ZTPG-1326-SM-51MSQ 20-29 years, female 166.4
GTEX-ZT9W-0526-SM-57WFG 50-59 years, male 166.1
GTEX-U8XE-0926-SM-3DB8V 30-39 years, male 165.2
GTEX-14PJO-0826-SM-6ETZK 60-69 years, male 164.9
GTEX-XLM4-2026-SM-4AT4X 60-69 years, male 164.6
GTEX-ZDYS-0326-SM-5HL4W 50-59 years, male 163.9
GTEX-1R9JW-0426-SM-E76QL 30-39 years, female 163.3
GTEX-13N1W-0926-SM-5MR36 70-79 years, male 163.2
GTEX-13QBU-0226-SM-5LU48 40-49 years, female 163.0
GTEX-1IDJU-0626-SM-CKZOG 60-69 years, female 163.0
GTEX-ZAK1-1126-SM-5PNXU 50-59 years, female 162.9
GTEX-1HSGN-0926-SM-CNNQM 40-49 years, female 162.9
GTEX-1MCC2-0226-SM-EVYD5 30-39 years, female 162.7
GTEX-11DYG-1026-SM-5A5JQ 60-69 years, male 162.6
GTEX-1KXAM-1426-SM-D3LAC 60-69 years, male 162.0
GTEX-132NY-1426-SM-5J1MJ 60-69 years, male 161.5
GTEX-13O3P-1426-SM-5L3DT 50-59 years, male 160.5
GTEX-17JCI-0826-SM-7LT8W 60-69 years, female 160.2
GTEX-Y114-0126-SM-4TT8K 50-59 years, female 159.8
GTEX-1GL5R-0426-SM-9WPOP 50-59 years, male 159.1
GTEX-1GMR2-1326-SM-9KNUT 50-59 years, male 159.0
GTEX-1GN73-2326-SM-9MQKV 60-69 years, male 158.6
GTEX-15DCE-0826-SM-7KULW 20-29 years, male 158.5
GTEX-ZYT6-0926-SM-5GIEM 30-39 years, male 157.6
GTEX-1HBPH-0226-SM-9WYSM 40-49 years, female 156.5
GTEX-11LCK-0826-SM-5PNYD 30-39 years, male 156.4
GTEX-1F75I-1326-SM-7PBZX 40-49 years, male 156.2
GTEX-18A7A-1226-SM-7LTAJ 50-59 years, female 155.9
GTEX-13OVI-0326-SM-5K7X1 60-69 years, female 155.6
GTEX-WEY5-0226-SM-3GIKN 40-49 years, female 155.4
GTEX-ZV7C-0526-SM-9WPNK 50-59 years, male 153.9
GTEX-1HCUA-0626-SM-ACKVT 50-59 years, female 153.3
GTEX-146FR-0926-SM-5QGPE 60-69 years, female 152.7
GTEX-14C5O-1226-SM-664N3 60-69 years, male 152.2
GTEX-ZYVF-1826-SM-5E44F 50-59 years, female 152.1
GTEX-1399U-0726-SM-5KM1D 50-59 years, female 151.9
GTEX-15RIE-1326-SM-6PAMM 60-69 years, male 151.9
GTEX-15ER7-0826-SM-6PALW 20-29 years, female 151.8
GTEX-ZLFU-0326-SM-4WWBK 40-49 years, male 151.3
GTEX-12WSK-0526-SM-5CVNA 40-49 years, female 150.9
GTEX-14PN4-0826-SM-69LON 50-59 years, male 150.7
GTEX-147JS-1326-SM-5SI6D 60-69 years, male 149.9
GTEX-1A32A-1326-SM-73KWW 50-59 years, female 149.6
GTEX-1QPFJ-0926-SM-EVR3K 30-39 years, female 149.6
GTEX-1HT8W-1326-SM-CGQEN 30-39 years, male 149.4
GTEX-YEC3-0426-SM-CYPS8 50-59 years, male 148.3
GTEX-X5EB-0626-SM-46MVQ 40-49 years, male 148.2
GTEX-VUSG-0726-SM-3GIK1 50-59 years, male 148.1
GTEX-183WM-0926-SM-718AN 70-79 years, female 147.1
GTEX-1211K-0226-SM-59HJY 60-69 years, female 146.3
GTEX-V955-0826-SM-CYPR5 60-69 years, male 146.2
GTEX-132Q8-1126-SM-5K7XS 60-69 years, male 145.3
GTEX-12BJ1-0326-SM-5FQUB 60-69 years, male 144.9
GTEX-1K2DU-0226-SM-DIPF6 20-29 years, male 144.5
GTEX-XBEC-1226-SM-4AT65 50-59 years, male 144.1
GTEX-13OW7-1626-SM-5IJDH 50-59 years, male 143.5
GTEX-1AX9K-0426-SM-73KUG 50-59 years, male 143.3
GTEX-WFG7-0826-SM-3GIKU 20-29 years, male 143.0
GTEX-11EM3-0426-SM-5N9BZ 20-29 years, female 142.1
GTEX-XPVG-0726-SM-4B658 50-59 years, male 142.0
GTEX-13X6K-1726-SM-7IGLG 60-69 years, female 141.6
GTEX-12ZZX-0726-SM-5EGKA 40-49 years, female 141.4
GTEX-XQ8I-0226-SM-4BOPM 50-59 years, male 140.2
GTEX-12WSC-1026-SM-5EQ5Y 50-59 years, male 140.1
GTEX-WFON-0226-SM-3GIKR 40-49 years, male 139.8
GTEX-1JK1U-0626-SM-CKZOJ 60-69 years, male 138.7
GTEX-14E1K-0826-SM-5ZZW9 50-59 years, male 138.2
GTEX-X3Y1-0226-SM-3P5Z5 40-49 years, male 138.0
GTEX-13OW5-0926-SM-5L3GZ 60-69 years, male 137.9
GTEX-144GL-1026-SM-5O99R 50-59 years, male 137.1
GTEX-11P81-0526-SM-59873 30-39 years, female 137.0
GTEX-1R7EV-0426-SM-DTX7Z 40-49 years, male 137.0
GTEX-13OW6-0926-SM-5L3GM 50-59 years, male 136.5
GTEX-16NPX-0826-SM-6M489 50-59 years, male 136.3
GTEX-1QMI2-1026-SM-DTX7T 60-69 years, male 136.2
GTEX-17F96-0826-SM-7DHLU 70-79 years, male 136.1
GTEX-ZVT3-0826-SM-5GIC8 60-69 years, female 135.9
GTEX-XOT4-1126-SM-4B66E 60-69 years, female 135.6
GTEX-W5X1-0826-SM-3GILN 40-49 years, female 135.2
GTEX-12WSD-1226-SM-5HL9Q 60-69 years, female 134.9
GTEX-ZPU1-0726-SM-5HL6O 40-49 years, male 134.7
GTEX-1J8QM-0326-SM-CL53D 60-69 years, female 134.7
GTEX-ZVT2-0926-SM-5GICE 50-59 years, female 134.1
GTEX-145LS-1326-SM-5Q5EP 60-69 years, female 133.8
GTEX-13NZ9-0126-SM-5K7XV 50-59 years, male 133.7
GTEX-131XF-0426-SM-5HL7U 60-69 years, male 133.5
GTEX-1CB4I-1526-SM-7DHMY 50-59 years, male 133.4
GTEX-1B996-1026-SM-793CF 60-69 years, male 133.2
GTEX-16XZZ-1026-SM-7DHKS 60-69 years, male 133.1
GTEX-132QS-0526-SM-5IJC7 60-69 years, male 133.0
GTEX-13FTW-0826-SM-5K7XR 40-49 years, male 132.8
GTEX-1CB4J-0226-SM-7P8T4 60-69 years, male 132.8
GTEX-13S86-0326-SM-5SI6K 40-49 years, male 131.8
GTEX-18465-0726-SM-7LG4L 50-59 years, male 131.7
GTEX-ZGAY-0226-SM-4WWAL 40-49 years, female 131.3
GTEX-ZG7Y-1426-SM-4WWBM 50-59 years, male 130.8
GTEX-1399R-1726-SM-5K7YJ 30-39 years, male 130.7
GTEX-14H4A-0426-SM-5ZZWO 40-49 years, female 130.7
GTEX-16XZY-0526-SM-7DHKY 70-79 years, male 130.6
GTEX-WK11-0626-SM-3NMAV 50-59 years, male 130.4
GTEX-1KANB-1126-SM-DHXJT 50-59 years, male 130.3
GTEX-13NYS-1926-SM-5IJCB 60-69 years, male 129.9
GTEX-1P4AB-0926-SM-E76PV 50-59 years, male 129.6
GTEX-1EU9M-1926-SM-7RHH4 60-69 years, male 129.2
GTEX-1HBPM-1026-SM-ARL9D 60-69 years, female 128.9
GTEX-ZPIC-0426-SM-DO91V 40-49 years, female 128.8
GTEX-12WSG-1226-SM-5EQ4C 50-59 years, female 128.7
GTEX-1E2YA-0626-SM-7P8P4 50-59 years, male 128.7
GTEX-132AR-1926-SM-5EGK5 50-59 years, female 128.6
GTEX-16MT8-0826-SM-7KULO 60-69 years, female 128.5
GTEX-1AX9J-0926-SM-73KXA 60-69 years, male 128.5
GTEX-1RB15-0426-SM-E9U4Y 60-69 years, male 128.5
GTEX-ZTTD-0626-SM-4YCCY 50-59 years, male 128.0
GTEX-13FHO-1226-SM-5L3EF 60-69 years, male 127.9
GTEX-146FH-1126-SM-5NQAT 50-59 years, female 127.9
GTEX-15UF7-1526-SM-6LPI7 40-49 years, male 127.9
GTEX-1E1VI-1426-SM-793CY 50-59 years, male 127.8
GTEX-1445S-1226-SM-5O9BF 60-69 years, male 127.7
GTEX-13JVG-1126-SM-5KM2M 60-69 years, male 127.6
GTEX-14DAQ-1026-SM-793B1 60-69 years, female 127.2
GTEX-XQ3S-0526-SM-4BOQA 20-29 years, male 126.9
GTEX-1LH75-0526-SM-DIPG2 50-59 years, female 126.8
GTEX-131YS-0826-SM-5PNYV 60-69 years, female 126.5
GTEX-111FC-0626-SM-5N9CU 60-69 years, male 126.1
GTEX-WFG8-0726-SM-3GILP 20-29 years, male 125.6
GTEX-13PL7-0726-SM-5KM1S 60-69 years, female 125.4
GTEX-YF7O-0526-SM-5P9IO 50-59 years, male 125.2
GTEX-12696-1226-SM-5FQSM 60-69 years, male 125.1
GTEX-Y8E4-0426-SM-4V6GB 40-49 years, male 125.1
GTEX-14ASI-0826-SM-5Q5EB 60-69 years, male 124.8
GTEX-14PJ6-0626-SM-686Z6 60-69 years, female 124.7
GTEX-16YQH-0726-SM-7IGM1 30-39 years, male 124.3
GTEX-11DXZ-0326-SM-5EGH1 50-59 years, male 124.2
GTEX-13O61-0426-SM-5L3ET 60-69 years, male 123.8
GTEX-1IY9M-0626-SM-D4P2L 60-69 years, male 123.7
GTEX-11ZTT-0526-SM-5EQLA 60-69 years, female 123.4
GTEX-WHWD-0326-SM-3LK6L 50-59 years, male 123.3
GTEX-ZEX8-0326-SM-DO92C 50-59 years, male 122.8
GTEX-ZZPU-1126-SM-5N9CW 50-59 years, female 122.6
GTEX-ZPCL-0526-SM-DO91R 60-69 years, female 122.4
GTEX-17KNJ-0626-SM-7LT9L 50-59 years, male 122.0
GTEX-13PVQ-1326-SM-5LU4J 50-59 years, male 121.8
GTEX-17GQL-0626-SM-731CN 60-69 years, male 121.8
GTEX-1CAMS-1126-SM-7MXUQ 40-49 years, female 121.3
GTEX-13NYB-0326-SM-5IJDP 40-49 years, male 120.7
GTEX-145LV-0226-SM-5S2QG 50-59 years, male 120.4
GTEX-14PHX-0626-SM-5YY8Z 50-59 years, male 120.4
GTEX-1GMR8-1026-SM-9MQLA 50-59 years, female 119.9
GTEX-18D9B-1126-SM-7KFSH 60-69 years, male 119.4
GTEX-XYKS-0226-SM-4BRW3 60-69 years, female 119.4
GTEX-1J8EW-0626-SM-CM2TY 60-69 years, female 119.0
GTEX-Y3I4-0526-SM-4TT6X 50-59 years, male 118.9
GTEX-1IDJH-1126-SM-COH3R 70-79 years, male 118.1
GTEX-WI4N-0726-SM-3TW93 40-49 years, female 118.0
GTEX-1RLM8-0226-SM-E6CJY 50-59 years, male 117.7
GTEX-WWYW-1126-SM-3NB2Q 50-59 years, female 117.5
GTEX-111YS-0326-SM-5GZZ3 60-69 years, male 117.2
GTEX-1EH9U-0626-SM-7PC33 60-69 years, male 116.7
GTEX-1192X-0726-SM-5987R 50-59 years, male 116.3
GTEX-WHSE-0826-SM-4SOJU 20-29 years, male 116.3
GTEX-13U4I-0626-SM-5LU5L 40-49 years, female 116.1
GTEX-1AX8Z-1126-SM-731CS 60-69 years, male 115.9
GTEX-1ICG6-0726-SM-B2LY5 70-79 years, female 115.7
GTEX-1IKK5-1726-SM-CM2RU 60-69 years, male 115.7
GTEX-Y3IK-1026-SM-51MR7 50-59 years, female 115.6
GTEX-1BAJH-1026-SM-7EWEG 70-79 years, male 115.5
GTEX-11GSP-1226-SM-5985M 60-69 years, female 114.8
GTEX-1J8Q3-1126-SM-ARU8N 60-69 years, male 114.7
GTEX-WY7C-1126-SM-3NB3A 50-59 years, male 114.6
GTEX-1CB4E-0626-SM-7DHMW 60-69 years, male 114.3
GTEX-11WQK-0226-SM-5EQLI 50-59 years, male 114.2
GTEX-13N11-0726-SM-5L3DP 50-59 years, female 113.4
GTEX-11UD2-0926-SM-5CVL6 50-59 years, male 113.2
GTEX-1JJEA-0926-SM-CYPSO 60-69 years, male 113.1
GTEX-13CF2-0226-SM-5L3DV 60-69 years, male 112.2
GTEX-15SDE-1826-SM-7KUFN 50-59 years, female 112.1
GTEX-1HBPN-0926-SM-CGQEG 50-59 years, male 111.8
GTEX-1A3MX-1226-SM-731B3 60-69 years, male 111.3
GTEX-1LVAN-1526-SM-CNPQN 50-59 years, female 111.0
GTEX-14PHY-0326-SM-62LE3 60-69 years, female 110.7
GTEX-117YX-0626-SM-5EGJI 50-59 years, male 110.4
GTEX-ZDTT-0326-SM-4WKF9 60-69 years, male 109.9
GTEX-1C64O-0926-SM-79OLN 60-69 years, male 109.8
GTEX-13O21-0326-SM-5J1N9 50-59 years, male 109.5
GTEX-1H11D-1026-SM-9QEIU 40-49 years, male 108.1
GTEX-ZF2S-0826-SM-4WWBI 50-59 years, female 106.9
GTEX-ZF3C-1126-SM-57WEG 50-59 years, female 106.9
GTEX-1H3VY-1126-SM-A96TP 50-59 years, male 106.9
GTEX-XV7Q-0726-SM-4BRV6 40-49 years, female 106.5
GTEX-XPT6-0226-SM-4B65L 20-29 years, male 106.4
GTEX-1QP29-1426-SM-DTX9Q 50-59 years, male 106.3
GTEX-12WSE-0926-SM-5S2VX 20-29 years, male 106.0
GTEX-YFC4-0426-SM-4TT3J 40-49 years, female 106.0
GTEX-1PPGY-0926-SM-DTXFF 60-69 years, male 105.8
GTEX-13VXT-0726-SM-5SIAD 20-29 years, female 105.7
GTEX-15RJE-0726-SM-7KUEG 40-49 years, male 105.6
GTEX-UPK5-0226-SM-3GAEV 40-49 years, male 105.1
GTEX-1NSGN-1226-SM-E76OL 50-59 years, male 104.1
GTEX-1QEPI-1126-SM-E8VN7 60-69 years, female 103.2
GTEX-1313W-1126-SM-5EQ5U 50-59 years, female 103.1
GTEX-WZTO-1226-SM-3NMAZ 40-49 years, male 103.0
GTEX-1KANC-0226-SM-E9TIW 50-59 years, female 102.5
GTEX-13FHP-0826-SM-5K7V5 50-59 years, male 102.2
GTEX-ZAB5-0126-SM-5CVMT 50-59 years, male 102.1
GTEX-13OVG-0426-SM-5KM2T 60-69 years, male 101.6
GTEX-XXEK-2026-SM-4BRVE 50-59 years, male 101.5
GTEX-ZZPT-0926-SM-5GICZ 50-59 years, male 101.4
GTEX-1GN2E-1426-SM-7RHHI 60-69 years, male 101.0
GTEX-14PII-1026-SM-5ZZVW 60-69 years, male 100.8
GTEX-18A67-1026-SM-731CE 50-59 years, male 100.7
GTEX-18A66-1126-SM-731C5 60-69 years, male 100.6
GTEX-131XE-0526-SM-5K7YT 50-59 years, male 100.5
GTEX-1GF9V-1726-SM-9KNW4 60-69 years, male 100.5
GTEX-1I1GQ-1226-SM-CL55J 50-59 years, male 100.3
GTEX-11NUK-0926-SM-5HL57 50-59 years, male 100.1
GTEX-1H3NZ-1026-SM-A9SM5 60-69 years, male 99.8
GTEX-15SHV-0526-SM-7KUEN 60-69 years, male 99.7
GTEX-X8HC-1026-SM-46MWH 50-59 years, female 99.2
GTEX-1EMGI-1126-SM-9KNUF 60-69 years, male 99.2
GTEX-1LB8K-0926-SM-D4P42 50-59 years, male 99.0
GTEX-VJWN-1026-SM-4M1ZN 50-59 years, female 98.8
GTEX-ZAB4-0926-SM-5CVN4 40-49 years, male 98.4
GTEX-1F75A-1026-SM-7PC3W 50-59 years, male 98.4
GTEX-1HSMQ-0426-SM-ADEIM 50-59 years, male 97.6
GTEX-14BIM-2726-SM-5Q5EG 60-69 years, female 96.8
GTEX-15SHU-0926-SM-6PAMK 40-49 years, female 96.6
GTEX-ZDXO-0426-SM-4WKF6 60-69 years, male 96.4
GTEX-1HFI7-0526-SM-A9SMA 50-59 years, female 96.3
GTEX-15CHC-0326-SM-5ZZVP 60-69 years, female 96.2
GTEX-1F88F-0326-SM-9KNV3 60-69 years, female 95.2
GTEX-1399T-0726-SM-5J1MH 60-69 years, male 95.0
GTEX-17F9Y-1226-SM-7EPGE 70-79 years, female 95.0
GTEX-ZE7O-0626-SM-57WCD 50-59 years, female 94.8
GTEX-1GN1W-0226-SM-7P8QY 50-59 years, female 94.1
GTEX-13RTJ-0526-SM-62LDP 60-69 years, male 93.8
GTEX-15CHQ-1326-SM-6871Z 60-69 years, male 93.6
GTEX-14PJ2-1126-SM-69LOD 50-59 years, male 92.8
GTEX-12ZZY-1226-SM-5GCNK 60-69 years, male 91.4
GTEX-11NV4-0826-SM-5BC4S 60-69 years, male 90.9
GTEX-1JMLX-1826-SM-CNPOX 50-59 years, male 90.6
GTEX-14A6H-0326-SM-5NQAN 30-39 years, male 90.4
GTEX-12WSI-0426-SM-5EQ5J 50-59 years, male 89.9
GTEX-148VJ-1426-SM-5TDE3 70-79 years, male 89.7
GTEX-1LVAO-0626-SM-EWRNT 60-69 years, male 89.3
GTEX-13YAN-1426-SM-7EPG8 60-69 years, male 89.2
GTEX-1CAMQ-0726-SM-7P8SG 40-49 years, male 88.0
GTEX-13SLX-0926-SM-5S2NM 50-59 years, female 87.9
GTEX-15SKB-0926-SM-7KUFC 60-69 years, male 87.8
GTEX-11ONC-1026-SM-5GU64 60-69 years, male 87.4
GTEX-1HSKV-0726-SM-ACKWE 60-69 years, male 87.4
GTEX-1CB4G-0726-SM-79OOJ 60-69 years, male 85.8
GTEX-15CHR-0326-SM-7DHN3 50-59 years, male 85.6
GTEX-WQUQ-1326-SM-3MJFF 60-69 years, male 85.5
GTEX-14C38-1326-SM-62LDK 50-59 years, male 84.9
GTEX-1H1DG-0826-SM-9QEIW 70-79 years, male 84.7
GTEX-WL46-0726-SM-3LK5Z 50-59 years, male 84.0
GTEX-X62O-0826-SM-46MW8 50-59 years, male 83.2
GTEX-Z93S-0326-SM-5HL84 50-59 years, male 82.4
GTEX-11EMC-0826-SM-59862 60-69 years, female 82.1
GTEX-17HGU-1126-SM-793BP 50-59 years, male 82.1
GTEX-YJ8O-0826-SM-5CVM3 40-49 years, female 81.7
GTEX-1GZ2Q-0926-SM-7RHHN 40-49 years, male 81.7
GTEX-12WSA-1126-SM-5EGKU 60-69 years, male 81.6
GTEX-14E6C-0326-SM-5Q5EE 40-49 years, male 81.6
GTEX-1I19N-0626-SM-A9SKY 70-79 years, male 81.5
GTEX-1I1HK-0626-SM-CNPQM 60-69 years, male 80.9
GTEX-1JJ6O-2226-SM-AHZ3I 60-69 years, male 80.9
GTEX-WHPG-1026-SM-3NMBA 50-59 years, male 80.7
GTEX-WYJK-1126-SM-3NM9Z 50-59 years, male 80.4
GTEX-13X6J-1226-SM-79OMF 50-59 years, male 79.8
GTEX-1HCVE-0826-SM-CM2SF 50-59 years, male 79.8
GTEX-13O3O-1426-SM-5KM2S 60-69 years, female 78.5
GTEX-1IL2U-1226-SM-CL53P 60-69 years, male 78.5
GTEX-1R9K4-1026-SM-EXUT1 60-69 years, male 77.6
GTEX-1B8SG-0726-SM-79ONS 50-59 years, male 77.5
GTEX-1H1ZS-1026-SM-9WG6E 70-79 years, male 76.8
GTEX-11O72-1026-SM-5986B 40-49 years, male 75.7
GTEX-1HC8U-0626-SM-B2LWB 40-49 years, female 75.7
GTEX-1I1CD-1326-SM-A9SMM 60-69 years, female 75.7
GTEX-1LG7Y-1426-SM-D4P31 50-59 years, male 74.7
GTEX-1GTWX-0926-SM-9MQKM 60-69 years, male 74.5
GTEX-1C6VQ-0826-SM-7PBZT 50-59 years, male 73.9
GTEX-1B8L1-0426-SM-7SB76 60-69 years, male 73.8
GTEX-14A5I-1026-SM-5Q5E3 50-59 years, female 73.7
GTEX-1EX96-2626-SM-9MQJV 50-59 years, male 73.1
GTEX-1IDJF-0826-SM-ARU7N 20-29 years, male 73.0
GTEX-1192W-0226-SM-5EGGT 60-69 years, male 72.4
GTEX-1B933-0826-SM-79OMW 50-59 years, female 72.4
GTEX-ZVZQ-0726-SM-51MR3 60-69 years, female 72.0
GTEX-V1D1-0626-SM-4JBHN 50-59 years, male 71.4
GTEX-X4XX-1126-SM-3NMBY 60-69 years, male 70.5
GTEX-UTHO-1226-SM-3GAEE 60-69 years, male 70.2
GTEX-1CB4H-0626-SM-7IGN3 60-69 years, female 69.5
GTEX-1JMQL-1026-SM-CMKGV 50-59 years, female 69.3
GTEX-1GMRU-1326-SM-9WYUI 50-59 years, male 69.1
GTEX-Y5V5-0726-SM-4VBPY 60-69 years, female 69.0
GTEX-11DXY-1026-SM-5987V 60-69 years, male 68.8
GTEX-1F48J-1126-SM-9WYSY 50-59 years, female 68.8
GTEX-11ZUS-0326-SM-5EQ4W 30-39 years, male 68.6
GTEX-1117F-0726-SM-5GIEN 60-69 years, female 68.2
GTEX-147F4-1126-SM-5TDDE 50-59 years, male 68.1
GTEX-117XS-0726-SM-5H131 60-69 years, male 67.6
GTEX-17MF6-0926-SM-7LTAL 40-49 years, male 67.1
GTEX-1I1GV-1426-SM-B2LXN 60-69 years, male 66.5
GTEX-1HSMO-1126-SM-CGQF2 60-69 years, male 66.2
GTEX-YECK-1226-SM-4W21G 60-69 years, male 66.0
GTEX-13112-0526-SM-5EQ4S 50-59 years, male 65.6
GTEX-1212Z-0726-SM-5EGI5 60-69 years, male 65.4
GTEX-1JMQK-0926-SM-ARL96 60-69 years, male 65.2
GTEX-111VG-0326-SM-5GZX7 60-69 years, male 64.0
GTEX-18A6Q-1526-SM-731CO 60-69 years, male 63.9
GTEX-1IKJJ-0626-SM-CY8GF 60-69 years, male 63.0
GTEX-11TUW-1126-SM-5EQKJ 60-69 years, male 62.4
GTEX-13FXS-1026-SM-62LFQ 50-59 years, male 61.9
GTEX-13O3Q-0326-SM-5L3FE 50-59 years, male 61.9
GTEX-13SLW-0826-SM-5QGP7 70-79 years, male 61.7
GTEX-13JUV-0226-SM-5IJCC 40-49 years, female 61.4
GTEX-1AX9I-1026-SM-73KYF 60-69 years, male 59.9
GTEX-1HR98-1026-SM-CKZOM 60-69 years, male 59.9
GTEX-13PDP-1326-SM-5K7U9 60-69 years, male 59.5
GTEX-1A8FM-1026-SM-7PC26 50-59 years, female 59.2
GTEX-1EWIQ-1126-SM-7EPIK 70-79 years, female 59.1
GTEX-1B932-1326-SM-79OM4 40-49 years, female 58.9
GTEX-14E7W-1126-SM-5ZZVS 70-79 years, male 58.4
GTEX-WYBS-1226-SM-3NM9N 60-69 years, female 57.9
GTEX-1J8Q2-1026-SM-ARU8I 60-69 years, male 56.7
GTEX-11GS4-0426-SM-5N9CD 60-69 years, male 56.5
GTEX-1A8G6-1826-SM-73KY8 60-69 years, male 56.2
GTEX-1F6I4-0826-SM-7RHGK 60-69 years, male 56.0
GTEX-1H2FU-0826-SM-9WYSU 60-69 years, female 55.4
GTEX-1B8SF-1326-SM-7IGQJ 60-69 years, male 55.3
GTEX-X261-0926-SM-3NMCY 50-59 years, male 53.6
GTEX-1HFI6-0826-SM-9YFM2 40-49 years, male 53.5
GTEX-ZVT4-1326-SM-5NQ8E 50-59 years, female 53.3
GTEX-139YR-0526-SM-5L3DG 50-59 years, male 53.1
GTEX-1H3O1-0226-SM-9WYSW 60-69 years, male 52.4
GTEX-1I1GR-1026-SM-A9SLC 60-69 years, male 52.0
GTEX-1JN6P-0826-SM-ARL97 60-69 years, male 50.8
GTEX-1POEN-0726-SM-DTXDU 30-39 years, female 49.2
GTEX-14BIL-0926-SM-7DHKN 50-59 years, male 48.4
GTEX-1C64N-0826-SM-7RHGQ 50-59 years, male 47.9
GTEX-WRHU-1026-SM-4E3ID 50-59 years, female 46.7
GTEX-11EQ8-1326-SM-5EGJQ 60-69 years, male 46.5
GTEX-1QP6S-1026-SM-DTXFW 40-49 years, male 46.2
GTEX-1477Z-1126-SM-5P9GK 60-69 years, male 45.9
GTEX-16GPK-1226-SM-7LTAU 60-69 years, male 45.5
GTEX-1HUB1-0726-SM-CGQF4 60-69 years, male 43.9
GTEX-ZAJG-0926-SM-5Q5AB 50-59 years, female 43.4
GTEX-1F75B-1126-SM-7RHGP 50-59 years, male 42.2
GTEX-13NZA-0826-SM-5K7WS 60-69 years, male 41.9
GTEX-1KD5A-0926-SM-D4P3U 50-59 years, male 40.8
GTEX-1IKOH-0926-SM-A9SLU 60-69 years, female 39.0
GTEX-13PL6-0826-SM-5IJBI 40-49 years, female 38.8
GTEX-1JMOU-0326-SM-ARL8X 60-69 years, female 37.7
GTEX-ZUA1-0726-SM-4YCD9 40-49 years, male 37.5
GTEX-13FTZ-0326-SM-5J1O1 60-69 years, male 36.7
GTEX-117YW-0426-SM-5GZZZ 50-59 years, male 35.5
GTEX-17EVP-0526-SM-7EPGY 40-49 years, male 35.0
GTEX-1IL2V-1126-SM-CMKGH 70-79 years, male 33.4
GTEX-15D1Q-0426-SM-6AJ9G 40-49 years, male 33.1
GTEX-1C6WA-0826-SM-7PBXS 60-69 years, male 32.8
GTEX-12584-1026-SM-59HK3 40-49 years, male 32.1
GTEX-14BIN-2126-SM-793AX 50-59 years, female 31.1
GTEX-14C39-0726-SM-5RQIK 40-49 years, male 31.1
GTEX-WOFL-1226-SM-4OOST 60-69 years, male 28.9
GTEX-1IOXB-0726-SM-A9G32 50-59 years, male 26.7
GTEX-1MJK2-1626-SM-EVYCQ 50-59 years, male 26.7
GTEX-1GN1V-1026-SM-CNPPS 60-69 years, male 26.3
GTEX-1LSNL-0626-SM-DIPFJ 50-59 years, male 26.2
GTEX-1M5QR-1626-SM-E9U5O 40-49 years, male 26.1
GTEX-1HCU7-1226-SM-B2LX8 50-59 years, male 25.2
GTEX-1H1CY-0426-SM-9KNVD 60-69 years, female 25.1
GTEX-11ZVC-0526-SM-5N9G1 50-59 years, female 24.5
GTEX-ZXG5-0626-SM-5NQ85 60-69 years, male 17.5
Show allShow less
Heart - Left Ventricle
Average nTPM: 173.1
Samples: 432

Max nTPM: 542.9
Min nTPM: 12.6
Std nTPM: 97.4
Median nTPM: 185.5
GTEX-QEG5-0926-SM-2TC64 20-29 years, male 542.9
GTEX-14C38-1426-SM-5RQHZ 50-59 years, male 537.1
GTEX-1AX8Z-5007-SM-AHZ36 60-69 years, male 455.9
GTEX-11TT1-1326-SM-5PNYM 20-29 years, male 442.9
GTEX-QDVN-0326-SM-2I3FS 50-59 years, male 439.3
GTEX-RUSQ-0526-SM-2TF72 50-59 years, male 433.5
GTEX-1LC47-1026-SM-D3LAH 60-69 years, male 426.8
GTEX-1LH75-0426-SM-E9TJF 50-59 years, female 423.1
GTEX-1CB4J-0326-SM-7PBZO 60-69 years, male 393.0
GTEX-ZG7Y-0926-SM-5EQ6O 50-59 years, male 371.5
GTEX-14PJ4-1126-SM-5YY91 60-69 years, male 358.2
GTEX-1339X-0426-SM-5KLZY 40-49 years, male 357.8
GTEX-15EOM-5007-SM-793DG 20-29 years, female 355.1
GTEX-SUCS-0326-SM-32PLL 70-79 years, male 342.7
GTEX-16XZY-0426-SM-793BI 70-79 years, male 339.0
GTEX-O5YT-0326-SM-32PKA 20-29 years, male 336.7
GTEX-QESD-0526-SM-2I5G5 20-29 years, male 328.2
GTEX-14PN3-0526-SM-69LQF 60-69 years, female 327.7
GTEX-13X6H-0426-SM-5LU4E 50-59 years, female 323.5
GTEX-XXEK-0926-SM-4BRWH 50-59 years, male 323.2
GTEX-1MUQO-1226-SM-E9TJK 60-69 years, male 321.2
GTEX-ZTPG-1226-SM-4YCDO 20-29 years, female 316.9
GTEX-11LCK-0926-SM-5A5KA 30-39 years, male 315.4
GTEX-1RQEC-0926-SM-EWROG 60-69 years, male 314.3
GTEX-1211K-0626-SM-5FQUZ 60-69 years, female 310.7
GTEX-ZPCL-0426-SM-DNZZ4 60-69 years, female 310.0
GTEX-13PVR-1026-SM-5QGQW 60-69 years, female 309.9
GTEX-132AR-2026-SM-5IJG4 50-59 years, female 307.9
GTEX-WHSE-0926-SM-3NMBS 20-29 years, male 307.2
GTEX-ZDTT-0726-SM-4WKFK 60-69 years, male 306.0
GTEX-12WSN-5001-SM-7DHMK 40-49 years, male 305.8
GTEX-13FH7-0926-SM-5J2MR 50-59 years, female 304.0
GTEX-12696-1126-SM-5FQTI 60-69 years, male 300.5
GTEX-13CF3-0726-SM-5J2MY 60-69 years, female 300.4
GTEX-OHPK-0326-SM-2HMJO 50-59 years, female 296.6
GTEX-Y3I4-0626-SM-4TT7A 50-59 years, male 295.4
GTEX-1QCLZ-0926-SM-E6CQZ 60-69 years, female 293.1
GTEX-S32W-0626-SM-2XCBG 50-59 years, female 292.2
GTEX-U8XE-1126-SM-3DB8W 30-39 years, male 290.0
GTEX-OHPL-0326-SM-33HC8 60-69 years, female 288.3
GTEX-1CB4I-1626-SM-7RHGV 50-59 years, male 288.3
GTEX-1AX9J-1026-SM-72D6E 60-69 years, male 287.1
GTEX-1R7EV-0326-SM-E76PA 40-49 years, male 286.8
GTEX-1399S-1026-SM-5KLZ9 30-39 years, female 286.1
GTEX-WHPG-0826-SM-3NMBF 50-59 years, male 285.7
GTEX-15RJ7-0226-SM-7KUMN 40-49 years, male 285.0
GTEX-146FR-0626-SM-5RQJ1 60-69 years, female 283.7
GTEX-QLQ7-0526-SM-2I5G3 60-69 years, male 283.6
GTEX-1KANC-0426-SM-CXZK5 50-59 years, female 282.5
GTEX-P4PQ-0326-SM-2HMJ8 60-69 years, male 278.2
GTEX-1LGOU-0726-SM-E9TIY 20-29 years, female 277.9
GTEX-1PWST-1026-SM-DTXF2 70-79 years, male 275.3
GTEX-1GMR2-1426-SM-7RHHK 50-59 years, male 275.1
GTEX-1AYCT-0426-SM-73KVZ 50-59 years, male 274.1
GTEX-XPVG-0826-SM-4B654 50-59 years, male 273.9
GTEX-Q2AH-0526-SM-2I3ED 40-49 years, male 272.8
GTEX-14PHY-0226-SM-5ZZWM 60-69 years, female 270.7
GTEX-1L5NE-0426-SM-E9TIX 50-59 years, male 270.4
GTEX-1HSGN-1126-SM-CJI4G 40-49 years, female 269.7
GTEX-145MN-0626-SM-5QGRH 30-39 years, male 268.6
GTEX-R55C-0326-SM-3GAF1 40-49 years, male 268.6
GTEX-132QS-0426-SM-5KLZ6 60-69 years, male 268.2
GTEX-OIZH-0326-SM-2HMKC 50-59 years, male 268.1
GTEX-1OFPY-1026-SM-EXUSO 60-69 years, male 267.0
GTEX-POMQ-0326-SM-2I5FO 20-29 years, female 265.9
GTEX-15CHC-0426-SM-6LLHI 60-69 years, female 262.3
GTEX-YEC4-0326-SM-4W216 40-49 years, male 260.6
GTEX-14PJ6-0726-SM-69LOL 60-69 years, female 260.1
GTEX-1GN73-2426-SM-7RHFQ 60-69 years, male 259.6
GTEX-12WSG-0526-SM-5FQTH 50-59 years, female 259.1
GTEX-QMRM-0526-SM-2I5GA 50-59 years, male 259.0
GTEX-U4B1-0326-SM-3DB8K 40-49 years, male 259.0
GTEX-11DXX-0326-SM-5PNWC 60-69 years, female 258.4
GTEX-ZYFG-0426-SM-5E43M 60-69 years, female 257.9
GTEX-18D9B-1226-SM-72D6V 60-69 years, male 257.1
GTEX-18D9U-1126-SM-72D5Y 40-49 years, male 257.1
GTEX-1OKEX-0726-SM-DPRYE 60-69 years, male 257.0
GTEX-WI4N-0626-SM-3TW8Z 40-49 years, female 256.6
GTEX-XQ3S-0626-SM-4BOOB 20-29 years, male 256.0
GTEX-Y114-0226-SM-4TT8W 50-59 years, female 255.8
GTEX-18A67-1226-SM-7KFRS 50-59 years, male 255.6
GTEX-1HCUA-0526-SM-A9SMH 50-59 years, female 255.4
GTEX-13O3O-1526-SM-5KM1C 60-69 years, female 254.5
GTEX-13O21-2326-SM-5MR3X 50-59 years, male 253.7
GTEX-ZF2S-1026-SM-9QEGK 50-59 years, female 253.2
GTEX-12BJ1-0226-SM-5LUA2 60-69 years, male 253.0
GTEX-14PK6-0826-SM-5ZZVO 70-79 years, female 252.6
GTEX-WFG7-0726-SM-3GIKO 20-29 years, male 252.4
GTEX-1LGRB-1126-SM-CNPP2 50-59 years, female 251.8
GTEX-RWS6-0326-SM-2XCAP 60-69 years, female 250.3
GTEX-13VXT-1126-SM-5LU3A 20-29 years, female 250.2
GTEX-1C2JI-0526-SM-7EWEQ 50-59 years, male 250.1
GTEX-SE5C-0626-SM-2XCDV 40-49 years, female 250.0
GTEX-15RIE-1726-SM-7KUMU 60-69 years, male 249.4
GTEX-1J8Q3-1226-SM-CKZPT 60-69 years, male 249.2
GTEX-13O61-0526-SM-5J2M1 60-69 years, male 248.9
GTEX-132NY-1726-SM-5EGKK 60-69 years, male 248.8
GTEX-XBED-0526-SM-47JY3 60-69 years, male 248.8
GTEX-YEC3-0726-SM-CMKFH 50-59 years, male 248.6
GTEX-Y5V6-0826-SM-4VBRU 60-69 years, male 245.9
GTEX-R55E-1026-SM-2TC5S 20-29 years, male 245.5
GTEX-ZF29-0226-SM-4WKHO 60-69 years, female 245.3
GTEX-OXRL-0326-SM-2I3F2 50-59 years, male 245.2
GTEX-1QPFJ-1026-SM-E6CR6 30-39 years, female 245.0
GTEX-13QBU-0426-SM-5J2O4 40-49 years, female 244.5
GTEX-1CB4E-0526-SM-7MXTK 60-69 years, male 244.2
GTEX-O5YW-0326-SM-2I5EI 50-59 years, male 244.0
GTEX-1IKOE-1026-SM-ARZMF 30-39 years, female 244.0
GTEX-1IDJF-0726-SM-CJI1U 20-29 years, male 243.1
GTEX-13S86-0226-SM-5S2PJ 40-49 years, male 242.4
GTEX-PWCY-0526-SM-5P9HG 20-29 years, female 241.6
GTEX-UJHI-0426-SM-3DB8Y 50-59 years, female 241.2
GTEX-1H11D-1226-SM-9WPQ2 40-49 years, male 240.1
GTEX-UJMC-0526-SM-3GAE3 50-59 years, male 240.0
GTEX-1B8KE-0126-SM-793AM 50-59 years, male 239.8
GTEX-13D11-1726-SM-5IFGQ 50-59 years, female 239.7
GTEX-1GMR3-0326-SM-7P8QT 40-49 years, male 236.3
GTEX-ZVZP-0226-SM-5NQ73 50-59 years, male 236.1
GTEX-WFON-0326-SM-3GIKX 40-49 years, male 235.7
GTEX-1122O-0826-SM-5GICV 60-69 years, female 234.6
GTEX-ZLFU-0226-SM-4WWFH 40-49 years, male 234.5
GTEX-WFG8-0626-SM-3GILJ 20-29 years, male 234.2
GTEX-11I78-0826-SM-5A5K4 50-59 years, female 234.0
GTEX-17F9E-0926-SM-7IGMG 50-59 years, male 233.7
GTEX-OXRK-0826-SM-2HMK7 50-59 years, female 232.8
GTEX-U3ZN-1426-SM-3DB87 30-39 years, female 232.7
GTEX-1LSNM-0526-SM-DIPG6 50-59 years, male 232.5
GTEX-1JK1U-0526-SM-CYPSQ 60-69 years, male 230.9
GTEX-1EU9M-1826-SM-7DUGU 60-69 years, male 230.1
GTEX-P4QS-0326-SM-2I3EU 60-69 years, male 229.9
GTEX-XGQ4-0326-SM-4GIEE 50-59 years, male 229.9
GTEX-11DXZ-0626-SM-5GU77 50-59 years, male 229.4
GTEX-1F75I-1126-SM-9WYUO 40-49 years, male 228.7
GTEX-P78B-0426-SM-2I5F5 40-49 years, female 228.4
GTEX-1RB15-0326-SM-E6CQB 60-69 years, male 226.0
GTEX-ZDXO-0726-SM-57WBT 60-69 years, male 225.9
GTEX-146FH-1026-SM-5RQIF 50-59 years, female 225.7
GTEX-1IDJU-0726-SM-CNPQ9 60-69 years, female 225.5
GTEX-ZV7C-0326-SM-57WB1 50-59 years, male 225.4
GTEX-1GL5R-0326-SM-9WYTJ 50-59 years, male 225.2
GTEX-1J8EW-0926-SM-A9G33 60-69 years, female 225.2
GTEX-OOBJ-0326-SM-33HBO 60-69 years, male 224.8
GTEX-Y8E4-0326-SM-4VBRR 40-49 years, male 224.3
GTEX-14PHX-2126-SM-6EU2U 50-59 years, male 223.9
GTEX-PX3G-0326-SM-2I3EO 20-29 years, female 223.8
GTEX-V955-0726-SM-3GAFG 60-69 years, male 223.7
GTEX-P4PP-0326-SM-33HC4 30-39 years, female 222.0
GTEX-1J8QM-0426-SM-AHZ3X 60-69 years, female 221.2
GTEX-1HC8U-0726-SM-ACKXL 40-49 years, female 221.0
GTEX-1RMOY-0626-SM-E9TIE 50-59 years, male 220.5
GTEX-ZEX8-0426-SM-DO92Y 50-59 years, male 219.4
GTEX-11ZUS-0226-SM-5FQT8 30-39 years, male 219.2
GTEX-ZDYS-0226-SM-5HL4K 50-59 years, male 218.5
GTEX-WHWD-0426-SM-3LK83 50-59 years, male 218.0
GTEX-WY7C-0526-SM-3NB3D 50-59 years, male 217.7
GTEX-1B97J-0726-SM-7RHG3 50-59 years, female 217.5
GTEX-1IDJI-1026-SM-A96TE 50-59 years, female 217.5
GTEX-QDVJ-0426-SM-2I5FW 50-59 years, male 216.9
GTEX-1KXAM-1326-SM-E9TJW 60-69 years, male 215.5
GTEX-1QP29-1526-SM-EXUSY 50-59 years, male 215.0
GTEX-SNMC-0126-SM-2XCFO 20-29 years, male 214.5
GTEX-13PVQ-1226-SM-5IJDC 50-59 years, male 214.1
GTEX-1A3MW-1326-SM-7189P 60-69 years, female 212.3
GTEX-OIZF-0326-SM-3MJGY 60-69 years, male 211.0
GTEX-13OVG-0526-SM-5K7YD 60-69 years, male 210.5
GTEX-14H4A-0626-SM-5ZZUT 40-49 years, female 210.5
GTEX-X3Y1-0426-SM-3P5Z4 40-49 years, male 210.4
GTEX-RNOR-0826-SM-2TF5C 50-59 years, female 210.1
GTEX-1399U-0526-SM-5K7YM 50-59 years, female 209.8
GTEX-OIZI-0926-SM-E6CHF 40-49 years, male 209.7
GTEX-17HGU-1026-SM-79OKL 50-59 years, male 209.6
GTEX-1GF9U-0426-SM-7RHHA 40-49 years, female 209.5
GTEX-1QP2A-1126-SM-EVR3H 50-59 years, male 209.5
GTEX-111YS-0426-SM-5987O 60-69 years, male 209.4
GTEX-13SLX-1026-SM-5ZZUQ 50-59 years, female 209.3
GTEX-1H23P-1226-SM-9QEJ2 60-69 years, male 208.6
GTEX-13FTW-1026-SM-5L3E3 40-49 years, male 208.2
GTEX-ZQUD-1526-SM-7IGO2 30-39 years, male 208.0
GTEX-WEY5-0426-SM-3GIKT 40-49 years, female 207.7
GTEX-117YX-1126-SM-5H128 50-59 years, male 206.8
GTEX-12WSK-0626-SM-5LZUJ 40-49 years, female 205.8
GTEX-WH7G-0426-SM-3NMBJ 40-49 years, male 205.1
GTEX-NFK9-0926-SM-2HMJU 40-49 years, male 203.5
GTEX-1F5PK-0326-SM-9KNUD 50-59 years, male 203.5
GTEX-ZAB5-0226-SM-5CVMH 50-59 years, male 203.4
GTEX-T6MN-0926-SM-32PLX 50-59 years, male 203.2
GTEX-13OVL-0526-SM-5KLZQ 50-59 years, male 202.2
GTEX-RU72-0326-SM-2TF5T 50-59 years, female 202.1
GTEX-WZTO-1326-SM-3NM8X 40-49 years, male 202.0
GTEX-1AX9K-0526-SM-73KV1 50-59 years, male 201.8
GTEX-ZGAY-0326-SM-57WF5 40-49 years, female 201.7
GTEX-O5YV-0326-SM-2I5H2 60-69 years, female 200.5
GTEX-1ICG6-0626-SM-ACKWS 70-79 years, female 200.5
GTEX-145LV-0326-SM-5Q5BW 50-59 years, male 198.9
GTEX-16BQI-0926-SM-6M485 30-39 years, female 198.3
GTEX-Y3IK-0826-SM-51MT8 50-59 years, female 198.2
GTEX-131XF-5001-SM-7DHLY 60-69 years, male 198.0
GTEX-1CAMS-1326-SM-79OJR 40-49 years, female 197.7
GTEX-1R9JW-0526-SM-EWRNK 30-39 years, female 197.3
GTEX-OHPM-0326-SM-33HCA 50-59 years, male 196.2
GTEX-1S3DN-0726-SM-E9TIO 50-59 years, male 194.6
GTEX-17KNJ-0826-SM-793A4 50-59 years, male 194.0
GTEX-1399R-1926-SM-5K7X8 30-39 years, male 193.8
GTEX-13NZB-0226-SM-5KM1T 30-39 years, male 193.3
GTEX-ZZPU-0926-SM-5GZYT 50-59 years, female 192.6
GTEX-WYJK-1026-SM-3NM8W 50-59 years, male 191.8
GTEX-X8HC-1626-SM-46MWE 50-59 years, female 190.7
GTEX-1HFI7-0826-SM-A9G23 50-59 years, female 190.7
GTEX-ZPU1-0626-SM-4YCDM 40-49 years, male 190.4
GTEX-14E1K-1026-SM-73KUR 50-59 years, male 189.4
GTEX-1MCC2-0326-SM-EV7AK 30-39 years, female 189.3
GTEX-1M5QR-1026-SM-DHXK9 40-49 years, male 188.5
GTEX-1HBPH-0126-SM-CNNQ7 40-49 years, female 188.0
GTEX-1R9K5-1326-SM-E6CPR 50-59 years, male 188.0
GTEX-XPT6-0126-SM-4B65S 20-29 years, male 187.7
GTEX-PLZ5-0626-SM-2I5F8 50-59 years, male 186.8
GTEX-131XG-0626-SM-5GCMP 50-59 years, female 184.3
GTEX-NPJ8-0426-SM-2HMK6 40-49 years, male 182.5
GTEX-PSDG-0926-SM-2I5FP 50-59 years, male 182.3
GTEX-ZVT2-1026-SM-5GU55 50-59 years, female 181.3
GTEX-QEG4-0426-SM-33HC3 30-39 years, male 180.9
GTEX-14A6H-0226-SM-5Q5DX 30-39 years, male 180.2
GTEX-12WSD-1126-SM-5EGJD 60-69 years, female 180.0
GTEX-148VI-0326-SM-5RQK7 60-69 years, female 179.5
GTEX-13U4I-0826-SM-5SIBD 40-49 years, female 179.4
GTEX-1O9I2-1126-SM-DTXEA 50-59 years, male 179.4
GTEX-14E6C-0426-SM-5YYA8 40-49 years, male 177.8
GTEX-1LVAN-1726-SM-CNNR1 50-59 years, female 177.7
GTEX-13FLV-0926-SM-5L3DZ 50-59 years, male 176.8
GTEX-X15G-0426-SM-4PQZ6 50-59 years, female 176.3
GTEX-QEL4-0926-SM-3GAD1 50-59 years, male 174.9
GTEX-YF7O-0426-SM-5P9FS 50-59 years, male 174.9
GTEX-1R9PO-0326-SM-DTXA1 60-69 years, female 174.3
GTEX-1KD5A-1026-SM-CY8I8 50-59 years, male 173.7
GTEX-14JG1-1026-SM-6ETZY 40-49 years, male 173.2
GTEX-16YQH-0926-SM-793BC 30-39 years, male 172.1
GTEX-1IDJE-0326-SM-CM2TD 50-59 years, female 169.2
GTEX-1GZ4I-1026-SM-9KNV5 50-59 years, male 169.1
GTEX-QV44-0526-SM-2S1RE 50-59 years, male 167.4
GTEX-131XE-0626-SM-5HL98 50-59 years, male 165.8
GTEX-1JMQK-0626-SM-D4P2R 60-69 years, male 165.5
GTEX-R55G-0526-SM-2TC5O 40-49 years, female 164.7
GTEX-1HSMQ-0226-SM-C1YQL 50-59 years, male 163.1
GTEX-ZDTS-1326-SM-6LLHE 60-69 years, male 160.3
GTEX-R53T-0926-SM-3GADH 50-59 years, female 160.2
GTEX-U3ZH-0326-SM-3DB7A 30-39 years, male 159.0
GTEX-XQ8I-0126-SM-4BOPL 50-59 years, male 156.1
GTEX-1I6K7-0626-SM-ARL7Q 40-49 years, male 156.1
GTEX-1EMGI-1226-SM-793DD 60-69 years, male 151.8
GTEX-1HBPM-1226-SM-A9SM8 60-69 years, female 151.4
GTEX-1N2EF-2826-SM-E6CQF 60-69 years, male 151.2
GTEX-V1D1-0526-SM-4JBGW 50-59 years, male 151.1
GTEX-OIZG-1126-SM-2HMIU 50-59 years, male 150.6
GTEX-1GN1W-0326-SM-9JGHF 50-59 years, female 149.4
GTEX-15CHR-0226-SM-7PC2Z 50-59 years, male 148.6
GTEX-1I1GQ-1426-SM-B2LWY 50-59 years, male 148.6
GTEX-17GQL-0526-SM-72D5N 60-69 years, male 147.2
GTEX-13N11-0426-SM-5KM3O 50-59 years, female 146.5
GTEX-13W3W-0426-SM-5SI9D 60-69 years, female 146.2
GTEX-YFC4-0526-SM-5ZZVI 40-49 years, female 144.2
GTEX-WQUQ-1426-SM-3MJFD 60-69 years, male 143.5
GTEX-13RTJ-0726-SM-5QGQN 60-69 years, male 141.6
GTEX-REY6-1026-SM-2TF4Y 60-69 years, male 140.7
GTEX-1JJEA-0826-SM-CL53T 60-69 years, male 140.1
GTEX-1IKK5-1526-SM-CKZPW 60-69 years, male 138.9
GTEX-1C64O-0826-SM-79OKZ 60-69 years, male 138.3
GTEX-13YAN-1326-SM-5Q5F1 60-69 years, male 136.2
GTEX-R45C-0926-SM-3GAD4 60-69 years, female 135.8
GTEX-18A66-1226-SM-7LT8G 60-69 years, male 134.1
GTEX-UPK5-0326-SM-CYPR4 40-49 years, male 131.6
GTEX-RWSA-0626-SM-2XCBD 40-49 years, male 129.1
GTEX-12WSC-1126-SM-5EQ4G 50-59 years, male 128.9
GTEX-N7MS-0826-SM-2HML4 60-69 years, male 128.2
GTEX-1R9K4-1326-SM-DTX8G 60-69 years, male 125.7
GTEX-1I1HK-0726-SM-B2LY4 60-69 years, male 125.1
GTEX-11ZVC-0426-SM-5CVLD 50-59 years, female 124.8
GTEX-1MJIX-0326-SM-EVR42 40-49 years, male 124.7
GTEX-1IL2U-1326-SM-A9G2O 60-69 years, male 124.0
GTEX-1CB4G-0826-SM-7DUGF 60-69 years, male 123.5
GTEX-WL46-0926-SM-3LK7T 50-59 years, male 123.2
GTEX-S33H-0526-SM-COH1W 30-39 years, male 122.4
GTEX-1JMLX-1626-SM-ARZMV 50-59 years, male 120.1
GTEX-1GMRU-1526-SM-9WYT5 50-59 years, male 119.9
GTEX-12ZZZ-1726-SM-59HK5 60-69 years, male 118.6
GTEX-Y5V5-0626-SM-4VBPX 60-69 years, female 118.3
GTEX-11TUW-1026-SM-5GU7D 60-69 years, male 116.0
GTEX-1AX9I-1126-SM-7EPHH 60-69 years, male 115.1
GTEX-YB5K-0126-SM-5IFJ2 40-49 years, female 115.0
GTEX-15ER7-1726-SM-6PAMX 20-29 years, female 114.0
GTEX-1B932-1026-SM-793CL 40-49 years, female 114.0
GTEX-13O1R-1226-SM-5J1NU 60-69 years, male 113.3
GTEX-11EM3-0626-SM-5H12Z 20-29 years, female 113.1
GTEX-1PPGY-1126-SM-E76OU 60-69 years, male 113.0
GTEX-1F6I4-0726-SM-7PC2P 60-69 years, male 112.7
GTEX-16NPX-0926-SM-7KUEZ 50-59 years, male 112.5
GTEX-1B996-1126-SM-73KWN 60-69 years, male 112.0
GTEX-11EMC-0726-SM-5EGJO 60-69 years, female 110.7
GTEX-1J8Q2-1226-SM-A9G2W 60-69 years, male 110.6
GTEX-1POEN-0626-SM-EVR4B 30-39 years, female 109.3
GTEX-15DDE-1126-SM-6LLHN 50-59 years, female 108.6
GTEX-13CF2-0426-SM-5KM1H 60-69 years, male 107.5
GTEX-13OW6-1126-SM-5L3HL 50-59 years, male 107.1
GTEX-1HCU6-1026-SM-A9G25 60-69 years, female 105.4
GTEX-1JMPZ-1426-SM-CJI3C 30-39 years, male 104.6
GTEX-1BAJH-1626-SM-73KUV 70-79 years, male 104.5
GTEX-139YR-0826-SM-5LZXY 50-59 years, male 104.4
GTEX-1212Z-0626-SM-5FQTB 60-69 years, male 103.7
GTEX-1H1ZS-1126-SM-9MQLJ 70-79 years, male 103.6
GTEX-1497J-1226-SM-5Q5BL 60-69 years, male 102.7
GTEX-11ONC-0126-SM-5PNW6 60-69 years, male 101.5
GTEX-ZAB4-1026-SM-5HL7T 40-49 years, male 101.4
GTEX-1314G-0126-SM-5LZUL 30-39 years, male 101.3
GTEX-1JJ6O-2126-SM-CNNP6 60-69 years, male 100.9
GTEX-111FC-0826-SM-5GZWO 60-69 years, male 100.7
GTEX-ZYFC-1126-SM-5E44W 50-59 years, male 99.8
GTEX-14XAO-1126-SM-6EU11 60-69 years, female 99.5
GTEX-1E1VI-1326-SM-7IGQD 50-59 years, male 99.5
GTEX-131XH-0226-SM-5LZVB 50-59 years, male 94.7
GTEX-1HCU7-1326-SM-CNPPW 50-59 years, male 94.7
GTEX-P44H-0726-SM-48TBT 40-49 years, male 94.0
GTEX-13112-0426-SM-5PNVC 50-59 years, male 93.6
GTEX-1F48J-1026-SM-7P8SO 50-59 years, female 93.4
GTEX-14DAQ-1126-SM-664MT 60-69 years, female 93.1
GTEX-ZPIC-0826-SM-4WWFJ 40-49 years, female 91.2
GTEX-1ICLY-1326-SM-CJI47 50-59 years, male 90.6
GTEX-15DYW-1126-SM-6LPK5 60-69 years, female 89.8
GTEX-13X6I-1426-SM-5SI9Z 60-69 years, male 89.5
GTEX-11GS4-0526-SM-5A5KQ 60-69 years, male 89.4
GTEX-12584-0926-SM-5FQTN 40-49 years, male 87.1
GTEX-1A3MX-1326-SM-72D58 60-69 years, male 86.5
GTEX-1GF9V-1626-SM-7PBXL 60-69 years, male 86.2
GTEX-17JCI-1126-SM-7IGMM 60-69 years, female 85.9
GTEX-18465-0926-SM-731AY 50-59 years, male 85.8
GTEX-RTLS-0826-SM-2TF5Q 60-69 years, female 85.6
GTEX-1313W-1426-SM-5KLZU 50-59 years, female 81.9
GTEX-15SHU-1126-SM-7KUMB 40-49 years, female 81.7
GTEX-1B8SG-0826-SM-7EWF7 50-59 years, male 80.0
GTEX-OXRO-2026-SM-2YUMZ 60-69 years, female 79.7
GTEX-13O3P-1626-SM-5K7X3 50-59 years, male 78.4
GTEX-1B8L1-0526-SM-79ONX 60-69 years, male 76.8
GTEX-13N1W-1026-SM-5IJC5 70-79 years, male 74.0
GTEX-145MO-1126-SM-5NQBX 60-69 years, male 73.7
GTEX-15RJE-0626-SM-7KUKR 40-49 years, male 73.7
GTEX-13FTZ-0226-SM-5K7X6 60-69 years, male 73.3
GTEX-17MF6-0726-SM-7LT8E 40-49 years, male 69.8
GTEX-PVOW-0426-SM-5MR5R 40-49 years, male 69.6
GTEX-147F4-1226-SM-5NQAY 50-59 years, male 69.3
GTEX-18A6Q-1626-SM-7KFTA 60-69 years, male 69.2
GTEX-WRHU-1226-SM-4E3IJ 50-59 years, female 69.2
GTEX-12ZZY-1126-SM-5DUWQ 60-69 years, male 67.5
GTEX-1F6IF-2526-SM-7P8TV 60-69 years, male 66.9
GTEX-13X6K-1826-SM-5O9CR 60-69 years, female 66.0
GTEX-ZYW4-0926-SM-59HJS 60-69 years, male 65.6
GTEX-WWYW-1326-SM-3NB2S 50-59 years, female 64.2
GTEX-1GN1V-0826-SM-9KNU6 60-69 years, male 61.7
GTEX-16MT8-0926-SM-6M487 60-69 years, female 61.4
GTEX-147JS-1526-SM-5ZZWF 60-69 years, male 59.6
GTEX-17F9Y-1326-SM-7MGW9 70-79 years, female 59.4
GTEX-11GSP-1326-SM-5A5KY 60-69 years, female 59.3
GTEX-XV7Q-0826-SM-4BRV7 40-49 years, female 58.7
GTEX-1A8G6-1626-SM-7MGWO 60-69 years, male 56.0
GTEX-11O72-1126-SM-5N9E2 40-49 years, male 55.3
GTEX-XBEC-1326-SM-4AT69 50-59 years, male 55.1
GTEX-RN64-0826-SM-2TC62 50-59 years, male 54.9
GTEX-YJ8O-0926-SM-EAZ2Z 40-49 years, female 54.7
GTEX-SIU8-0826-SM-2XCDQ 50-59 years, male 54.3
GTEX-11DXY-0826-SM-5EGGR 60-69 years, male 53.9
GTEX-1LB8K-1026-SM-DHXJJ 50-59 years, male 53.3
GTEX-17HHY-1426-SM-7EWDQ 50-59 years, male 52.7
GTEX-1JN1M-1026-SM-CNPOS 60-69 years, female 52.6
GTEX-1269C-0826-SM-5N9EM 60-69 years, female 51.2
GTEX-ZAJG-0826-SM-5PNVA 50-59 years, female 51.2
GTEX-P44G-0826-SM-2I5ES 30-39 years, male 51.0
GTEX-1EH9U-0826-SM-7IGPT 60-69 years, male 50.5
GTEX-1EN7A-0726-SM-7PBXT 40-49 years, male 50.4
GTEX-15SHW-1226-SM-6M46C 60-69 years, male 48.5
GTEX-13OW5-1126-SM-5J1NR 60-69 years, male 48.1
GTEX-14PJM-1126-SM-6LLHK 50-59 years, female 46.9
GTEX-T2IS-0426-SM-32QPE 20-29 years, female 46.9
GTEX-14C5O-1326-SM-5S2UW 60-69 years, male 46.8
GTEX-1LG7Y-1226-SM-CXZKD 50-59 years, male 46.6
GTEX-17HII-1326-SM-7IGOB 50-59 years, male 45.3
GTEX-ZF3C-1226-SM-4WWCB 50-59 years, female 45.3
GTEX-1EKGG-1126-SM-7MGXB 60-69 years, male 45.2
GTEX-1ICLZ-1026-SM-A9SLF 60-69 years, male 44.5
GTEX-1LVA9-0926-SM-EVR5G 50-59 years, male 44.5
GTEX-QVJO-1926-SM-2S1QZ 60-69 years, female 43.6
GTEX-148VJ-1526-SM-5Q5DU 70-79 years, male 43.5
GTEX-1I1GV-1326-SM-A96SE 60-69 years, male 43.5
GTEX-117YW-0326-SM-5N9CY 50-59 years, male 43.3
GTEX-13OW8-2126-SM-5J1OS 60-69 years, male 43.2
GTEX-1K9T9-1126-SM-D3L9E 50-59 years, female 39.5
GTEX-1GTWX-1026-SM-7P8QW 60-69 years, male 38.4
GTEX-14E7W-1226-SM-5RQIU 70-79 years, male 38.1
GTEX-N7MT-1326-SM-2I3FV 60-69 years, female 37.2
GTEX-14C39-0926-SM-5TDDV 40-49 years, male 35.7
GTEX-14PJ2-1026-SM-6EU1M 50-59 years, male 33.8
GTEX-1O97I-0826-SM-E8VNE 60-69 years, male 33.5
GTEX-1I1GP-0826-SM-A96SD 50-59 years, male 33.2
GTEX-1JN6P-1126-SM-CKZON 60-69 years, male 33.2
GTEX-1H3NZ-1126-SM-9WYT9 60-69 years, male 32.8
GTEX-1HT8W-1726-SM-CNNQB 30-39 years, male 32.8
GTEX-WK11-0826-SM-EZ6LH 50-59 years, male 32.3
GTEX-14A5I-1226-SM-5NQBW 50-59 years, female 32.0
GTEX-14E6D-0926-SM-5S2QV 50-59 years, male 32.0
GTEX-13JVG-1326-SM-5N9F8 60-69 years, male 31.6
GTEX-13FHP-1026-SM-5K7Y2 50-59 years, male 31.0
GTEX-1H1CY-0326-SM-9QEIZ 60-69 years, female 31.0
GTEX-1KD4Q-0726-SM-DIPGE 40-49 years, male 28.0
GTEX-1EWIQ-1426-SM-7IGOS 70-79 years, female 26.6
GTEX-1IDJH-1026-SM-E9TKH 70-79 years, male 26.1
GTEX-1HSMO-1226-SM-CL548 60-69 years, male 26.0
GTEX-1GN2E-1326-SM-9KNVG 60-69 years, male 25.1
GTEX-ZYT6-1726-SM-5E44P 30-39 years, male 24.0
GTEX-1JJE9-1426-SM-ARL8P 70-79 years, male 23.8
GTEX-1JMOU-0226-SM-CNNPD 60-69 years, female 23.0
GTEX-1399T-0426-SM-5PNVJ 60-69 years, male 22.3
GTEX-1PPH7-2026-SM-E9J3N 40-49 years, male 22.2
GTEX-15CHQ-1526-SM-69LPW 60-69 years, male 21.9
GTEX-1NV8Z-1526-SM-DTX8X 60-69 years, male 21.7
GTEX-1EX96-2526-SM-7RHGW 50-59 years, male 21.4
GTEX-1IKJJ-0826-SM-A96SP 60-69 years, male 20.9
GTEX-14JIY-1126-SM-6EU28 60-69 years, male 19.8
GTEX-14BIL-1126-SM-79OMC 50-59 years, male 19.4
GTEX-1RAZS-0826-SM-E76QP 50-59 years, male 19.0
GTEX-ZUA1-0826-SM-4YCDL 40-49 years, male 18.9
GTEX-14BIN-2226-SM-5YYA1 50-59 years, female 18.4
GTEX-1HCVE-1126-SM-9WPPG 50-59 years, male 17.8
GTEX-12ZZW-1026-SM-5GCMM 50-59 years, male 17.7
GTEX-1C6VQ-1126-SM-7EWET 50-59 years, male 16.2
GTEX-13NYB-0226-SM-5N9G4 40-49 years, male 13.9
GTEX-X261-1426-SM-4PQZ1 50-59 years, male 12.6
Show allShow less

HEART MUSCLE - FANTOM5 CAGEi

RNA expression in human tissues obtained through Cap Analysis of Gene Expression (CAGE) generated by the FANTOM5 project are reported as Scaled Tags Per Million.

Max subtype Scaled Tags Per Millioni

Max subtype Scaled Tags Per Million is the value for the subtype with the largest average Scaled Tags Per Million across the subtype samples.

406.9
FANTOM5 sample id Sample description Scaled Tags Per Million
Heart
Scaled Tags Per Million: 406.9
FF:10016-101C7 70,73,74 years, mixed 406.9
Left atrium
Scaled Tags Per Million: 192.4
FF:10079-102A7 40 years, male 192.4
Left ventricle
Scaled Tags Per Million: 326.8
FF:10078-102A6 73 years, female 326.8

Contact

  • NEWS ARTICLES
  • PRESS ROOM

The Project

  • INTRODUCTION
  • ORGANIZATION
  • PUBLICATIONS

The Human Protein Atlas

  • DOWNLOADABLE DATA
  • LICENCE & CITATION
  • HELP & FAQ
The Human Protein Atlas project is funded
by the Knut & Alice Wallenberg Foundation.


contact@proteinatlas.org