We use cookies to enhance the usability of our website. If you continue, we'll assume that you are happy to receive all cookies. More information. Don't show this again.
SLC4A4
HPA
RESOURCES
  • TISSUE
  • BRAIN
  • SINGLE CELL
  • SUBCELLULAR
  • CANCER
  • BLOOD
  • CELL LINE
  • STRUCTURE & INTERACTION
ABOUT
  • INTRODUCTION
  • HISTORY
  • ORGANIZATION
  • PUBLICATIONS
  • ANTIBODY SUBMISSION
  • ANTIBODY AVAILABILITY
  • ACKNOWLEDGMENTS
  • CONTACT
NEWS
  • NEWS ARTICLES
  • PRESS ROOM
LEARN
  • DICTIONARY
  • PROTEIN CLASSES
  • PROTEIN EVIDENCE
  • METHODS
  • EDUCATIONAL VIDEOS
DATA
  • DOWNLOADABLE DATA
  • PUBLICATION DATA
  • RELEASE HISTORY
HELP
  • ANTIBODY VALIDATION
  • ASSAYS & ANNOTATION
  • DISCLAIMER
  • HELP & FAQ
  • PRIVACY STATEMENT
  • LICENCE & CITATION
Fields »
Search result

Field
Term
Gene name
Class
Subclass
Class
Keyword
Chromosome
External id
Tissue
Cell type
Expression
Antibody panel
Tissue
Main location
Patient ID
Annotation
Tissue
Category
Tau score
Cluster
Reliability
Brain region
Category
Tau score
Brain region
Category
Tau score
Brain region
Category
Tau score
Cluster
Reliability
Tissue
Cell type
Enrichment
Cell type
Category
Tau score
Cell type
Category
Tau score
Cell type
Category
Tau score
Cell lineage
Category
Tau score
Cluster
Cluster
Location
Searches
Location
Cell line
Class
Type
Phase
Reliability
Cancer
Prognosis
Cancer
Category
Cancer
Category
Tau score
Cluster
Variants
Interacting gene (ensg_id)
Type
Number of interactions
Pathway
Category
Score
Score
Score
Validation
Validation
Validation
Validation
Antibodies
Data type
Column


  • SUMMARY

  • TISSUE

  • BRAIN

  • SINGLE CELL

  • SUBCELL

  • CANCER

  • BLOOD

  • CELL LINE

  • STRUCT & INT

  • SLC4A4
TISSUE PRIMARY DATA PANCREAS Show tissue menu
ADIPOSE TISSUE ADRENAL GLAND AMYGDALA APPENDIX BASAL GANGLIA BONE MARROW BREAST BRONCHUS CEREBELLUM CEREBRAL CORTEX CERVIX CHOROID PLEXUS COLON DUODENUM
ENDOMETRIUM EPIDIDYMIS ESOPHAGUS FALLOPIAN TUBE GALLBLADDER HEART MUSCLE HIPPOCAMPAL FORMATION HYPOTHALAMUS KIDNEY LIVER LUNG LYMPH NODE MIDBRAIN NASOPHARYNX
ORAL MUCOSA OVARY PANCREAS PARATHYROID GLAND PITUITARY GLAND PLACENTA PROSTATE RECTUM RETINA SALIVARY GLAND SEMINAL VESICLE SKELETAL MUSCLE SKIN SMALL INTESTINE
SMOOTH MUSCLE SOFT TISSUE SPINAL CORD SPLEEN STOMACH TESTIS THYMUS THYROID GLAND TONGUE TONSIL URINARY BLADDER VAGINA
ANTIBODIES
AND
VALIDATION
Dictionary
Pancreas
Tissue proteome
Pancreas
PANCREAS - Expression summary
Protein expression
Pancreasi

On the top, protein expression in current human tissue, based on all annotated cell types, is reported with the units not detected (n), low (l), medium (m) and high (h). Underneath, protein expression in each annotated cell type are reported using the same units.

Protein expression data is based on knowledge-based annotation. For genes where more than one antibody has been used, a collective score is set.

If knowledge-based annotation could not be performed for a gene, no data is displayed here. View antibody staining data further down this page.

h
m
l
n
Exocrine glandular cells: High
Pancreatic endocrine cells: Not detected
RNA expressioni

A summary of mRNA expression data available for current tissue based on several datasets. The mRNA expression levels in human tissues are based on RNA-seq data generated by the Human Protein Atlas (HPA), Genotype-Tissue Expression (GTEx) portal and CAGE data generated by the FANTOM5 consortium. Consensus normalized expression levels for human tissues was created by combining the data from HPA and GTEx datasets.

The mRNA expression levels in pig are based on RNA-seq data generated by the Human Protein Atlas (HPA), and for mouse, HPA data and in situ hybridization generated by the Allen brain atlas are reported.

Scroll down to view mRNA expression data in more detail.
Consensus:252.0 nTPM
HPA:252.0 nTPM
GTEx:100.9 nTPM
FANTOM5:1322.6 Scaled Tags Per Million

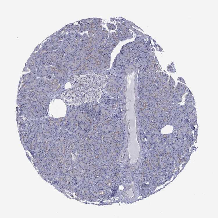
PANCREAS - Antibody stainingi

Antibody staining in the annotated cell types in the current human tissue is reported as not detected, low, medium, or high, based on conventional immunohistochemistry profiling in selected tissues. This score is based on the combination of the staining intensity and fraction of stained cells.

Each image is clickable and will lead to virtual microscopy that enables deeper exploration of all samples and also displays staining intensity scores, fraction scores and subcellular localization as well as patient and tissue information for each sample.

Antibody HPA035628Antibody HPA035629Antibody HPA079220Antibody CAB022493
Exocrine glandular cells HighHighLowHigh
Pancreatic endocrine cells Not detectedLowNot detectedMedium








PANCREAS - HPA RNA-seqi

The RNA-seq details section shows detailed information about the individual samples used for the transcript profiling and results of the RNA-seq analysis.

Information about each individual sample is listed below, including gender, age, a tissue section image and estimated fractions of cell types. nTPM (normalized transcripts per million) values give a quantification of the gene abundance which is comparable between different genes and samples.
Average nTPMi

Max subtype nTPM is the value for the subtype with the largest average nTPM across the subtype samples.

252.0
overview
Female, age 59
Pancreas sample 194
nTPM: 239.1
Cell types%
Exocrine glandular cells:
75

Pancreatic endocrine cells:
10

Ductal cells:
5

Other cell types:
10

overview
Male, age 60
Pancreas sample 195
nTPM: 264.9
Cell types%
Exocrine glandular cells:
90

Pancreatic endocrine cells:
5

Ductal cells:
5


PANCREAS - GTEx RNA-seqi

RNA-Seq data generated by the Genotype-Tissue Expression (GTEx) project from human tissues is reported as mean nTPM. More information can be found on the GTEx portal.

Distribution across the dataset is visualized with box plots, shown as median and 25th and 75th percentiles. Points are displayed as outliers if they are above or below 1.5 times the interquartile range. nTPM values of the individual samples are presented next to the box plot.
Max subtype nTPMi

Max subtype nTPM is the value for the subtype with the largest average nTPM across the subtype samples.

100.9
GTEx sample id Sample description nTPM
Pancreas
Average nTPM: 100.9
Samples: 328

Max nTPM: 237.1
Min nTPM: 31.7
Std nTPM: 32.4
Median nTPM: 99.4
GTEX-1JMPZ-1026-SM-CXZJS 30-39 years, male 237.1
GTEX-1O97I-1726-SM-EXOIP 60-69 years, male 216.1
GTEX-1128S-0826-SM-5GZZI 60-69 years, female 204.9
GTEX-1QEPI-1626-SM-EAZ3I 60-69 years, female 202.5
GTEX-1HSGN-1426-SM-A8NAA 40-49 years, female 199.8
GTEX-ZF3C-2026-SM-4WWB5 50-59 years, female 192.8
GTEX-1B8KZ-0926-SM-731D7 50-59 years, male 175.8
GTEX-WYVS-0926-SM-4SOJV 40-49 years, female 172.2
GTEX-12WSK-0226-SM-5BC62 40-49 years, female 171.7
GTEX-1HSMO-2026-SM-CNNQO 60-69 years, male 166.8
GTEX-15SB6-0226-SM-6LLIA 50-59 years, female 165.5
GTEX-1A8FM-1826-SM-7MGXO 50-59 years, female 160.6
GTEX-ZVZP-0626-SM-59HL5 50-59 years, male 159.4
GTEX-13PL7-2226-SM-5L3IC 60-69 years, female 156.7
GTEX-14PJ3-0426-SM-6LLHF 50-59 years, male 156.5
GTEX-14PJ2-1526-SM-686Z4 50-59 years, male 155.2
GTEX-17KNJ-1926-SM-7KFRV 50-59 years, male 154.9
GTEX-ZYT6-1326-SM-5E453 30-39 years, male 154.2
GTEX-146FR-0126-SM-5Q5F3 60-69 years, female 153.0
GTEX-145MN-1426-SM-5SI9H 30-39 years, male 152.9
GTEX-1CB4G-1826-SM-7MKGO 60-69 years, male 152.7
GTEX-NFK9-1626-SM-3LK5J 40-49 years, male 152.0
GTEX-PW2O-0826-SM-48TC5 20-29 years, male 150.3
GTEX-1CB4F-1226-SM-7DHKU 60-69 years, male 149.9
GTEX-11P7K-0526-SM-5BC5I 30-39 years, male 147.8
GTEX-VUSG-0326-SM-3GIJ7 50-59 years, male 146.7
GTEX-11GSP-0426-SM-5A5KX 60-69 years, female 146.6
GTEX-14PJ4-0726-SM-6872E 60-69 years, male 146.3
GTEX-YFCO-1026-SM-5LU9S 40-49 years, male 145.8
GTEX-11ONC-0526-SM-5BC57 60-69 years, male 145.5
GTEX-14AS3-0326-SM-5Q5DB 40-49 years, female 145.5
GTEX-1QP28-1026-SM-EAZ4K 50-59 years, female 143.7
GTEX-R53T-0426-SM-48FEM 50-59 years, female 143.5
GTEX-1KANA-1526-SM-CXZKG 20-29 years, male 142.7
GTEX-131XF-1426-SM-5BC68 60-69 years, male 141.6
GTEX-178AV-0226-SM-793B7 40-49 years, male 140.2
GTEX-1C2JI-0926-SM-731F1 50-59 years, male 138.9
GTEX-14BMU-0726-SM-73KXS 20-29 years, female 137.6
GTEX-15RIF-0626-SM-6LLI3 20-29 years, male 137.4
GTEX-W5WG-0826-SM-4RGNE 50-59 years, female 137.1
GTEX-1IL2U-2326-SM-CNNQV 60-69 years, male 135.8
GTEX-UJMC-1126-SM-3GADP 50-59 years, male 134.9
GTEX-QLQ7-0626-SM-CE6QX 60-69 years, male 134.9
GTEX-XQ8I-1926-SM-4BOOK 50-59 years, male 134.8
GTEX-14DAR-0526-SM-664MX 50-59 years, male 134.5
GTEX-11TT1-0326-SM-5LUAY 20-29 years, male 134.0
GTEX-145MO-2126-SM-5Q5CZ 60-69 years, male 133.0
GTEX-17HGU-2026-SM-79OKS 50-59 years, male 133.0
GTEX-146FQ-1526-SM-5Q5CX 30-39 years, male 132.4
GTEX-OHPM-1026-SM-3LK74 50-59 years, male 131.5
GTEX-1QP2A-1326-SM-EAZ3K 50-59 years, male 131.4
GTEX-14PK6-1026-SM-664NZ 70-79 years, female 131.3
GTEX-1AX9K-2026-SM-731D1 50-59 years, male 129.8
GTEX-ZAB5-0826-SM-5P9FU 50-59 years, male 129.7
GTEX-1399R-0426-SM-5IJE3 30-39 years, male 128.9
GTEX-15RJ7-0826-SM-6LLI8 40-49 years, male 127.7
GTEX-13SLX-1326-SM-5S2QS 50-59 years, female 127.6
GTEX-Y8E4-1326-SM-5IFIY 40-49 years, male 127.4
GTEX-14C39-1026-SM-73KWG 40-49 years, male 126.9
GTEX-1B933-1726-SM-731FC 50-59 years, female 126.5
GTEX-RM2N-0326-SM-48FD8 50-59 years, male 126.1
GTEX-XXEK-1726-SM-4BRVB 50-59 years, male 125.9
GTEX-144GN-0826-SM-5LU5G 50-59 years, male 125.1
GTEX-1GZ4H-0626-SM-9OSXJ 50-59 years, female 124.8
GTEX-YF7O-1326-SM-4W1ZR 50-59 years, male 124.6
GTEX-Y3IK-0426-SM-4WWE2 50-59 years, female 124.2
GTEX-ZLWG-0326-SM-4WWC7 50-59 years, female 124.1
GTEX-ZDTT-1126-SM-4WKFW 60-69 years, male 123.5
GTEX-ZVP2-0726-SM-59HKY 50-59 years, male 123.2
GTEX-OOBJ-1026-SM-3NB2L 60-69 years, male 123.1
GTEX-1H1E6-0826-SM-9WG83 30-39 years, male 123.1
GTEX-14PJM-2126-SM-6AJAS 50-59 years, female 122.4
GTEX-T5JW-0226-SM-4DM7I 20-29 years, female 122.3
GTEX-1S83E-1426-SM-EV7B8 40-49 years, male 121.3
GTEX-1CAMS-1926-SM-7DUEU 40-49 years, female 120.9
GTEX-ZYFG-0826-SM-5BC5T 60-69 years, female 120.8
GTEX-15SDE-0826-SM-6M463 50-59 years, female 120.6
GTEX-ZVT2-2026-SM-5NQ8Q 50-59 years, female 120.1
GTEX-P4PP-1026-SM-3NM9O 30-39 years, female 119.6
GTEX-145ME-0326-SM-5S2QO 40-49 years, female 119.4
GTEX-14PHX-2026-SM-6872C 50-59 years, male 119.3
GTEX-S4P3-0626-SM-4AD59 50-59 years, female 119.2
GTEX-13FLV-0626-SM-5IFEY 50-59 years, male 118.9
GTEX-1JKYR-1026-SM-CGQGI 20-29 years, male 118.9
GTEX-14E6E-1426-SM-5RQI2 30-39 years, male 118.8
GTEX-1R9K5-1226-SM-E6CPQ 50-59 years, male 118.7
GTEX-17HHE-0526-SM-7DUGR 50-59 years, male 118.0
GTEX-1MUQO-1426-SM-DPRYJ 60-69 years, male 118.0
GTEX-12WSD-1626-SM-5GCNR 60-69 years, female 117.9
GTEX-1AYD5-0326-SM-7EWEO 50-59 years, male 117.6
GTEX-16MT8-1726-SM-7EWE7 60-69 years, female 117.2
GTEX-1S82P-1026-SM-EAZ4W 60-69 years, female 117.0
GTEX-1AX9J-1726-SM-731FF 60-69 years, male 116.2
GTEX-1IDJC-0526-SM-AHZ2Q 50-59 years, male 116.1
GTEX-ZYY3-0826-SM-5E44R 60-69 years, female 115.9
GTEX-WH7G-0826-SM-4LVMR 40-49 years, male 115.2
GTEX-S3XE-0526-SM-4AD4G 50-59 years, male 115.0
GTEX-1HKZK-1126-SM-9WG82 40-49 years, male 114.7
GTEX-1I4MK-1026-SM-AHZ2H 50-59 years, female 114.6
GTEX-1JK1U-1026-SM-AHZ44 60-69 years, male 114.6
GTEX-13FTX-1226-SM-5IFGN 20-29 years, female 114.2
GTEX-QLQW-0326-SM-447A8 30-39 years, male 114.2
GTEX-TML8-0526-SM-32QOQ 40-49 years, female 113.7
GTEX-Q2AI-0426-SM-48U13 40-49 years, male 113.4
GTEX-15ER7-1326-SM-6LPK9 20-29 years, female 113.2
GTEX-Q734-0426-SM-48TZX 40-49 years, female 112.7
GTEX-13D11-2226-SM-5IFEO 50-59 years, female 112.4
GTEX-R55D-1426-SM-48FEN 50-59 years, male 112.3
GTEX-OOBK-1026-SM-48TC2 40-49 years, male 111.8
GTEX-V955-0326-SM-4JBGV 60-69 years, male 111.8
GTEX-11EQ9-1026-SM-5H134 30-39 years, male 111.6
GTEX-1C4CL-0926-SM-79OL2 30-39 years, male 111.5
GTEX-WXYG-0826-SM-4ONC7 50-59 years, female 111.5
GTEX-XUW1-1726-SM-4BOOZ 50-59 years, female 111.4
GTEX-1H11D-0926-SM-9OSXO 40-49 years, male 111.4
GTEX-1GF9X-1126-SM-7MKHC 40-49 years, female 111.2
GTEX-1S831-0626-SM-EV79N 20-29 years, male 111.1
GTEX-15UF7-0826-SM-6M46E 40-49 years, male 111.0
GTEX-14PN4-1626-SM-6AJB5 50-59 years, male 110.9
GTEX-ZV7C-0726-SM-59HKH 50-59 years, male 110.1
GTEX-S33H-1226-SM-4AD69 30-39 years, male 109.9
GTEX-13PVR-0726-SM-5S2PX 60-69 years, female 109.8
GTEX-1I1GU-0326-SM-AHZ2K 40-49 years, male 109.1
GTEX-ZLFU-0726-SM-57WF6 40-49 years, male 108.5
GTEX-1N2DV-1726-SM-DPRYR 40-49 years, male 108.3
GTEX-11NSD-0526-SM-5A5LT 20-29 years, male 108.2
GTEX-X4LF-0326-SM-4QAS9 50-59 years, male 107.9
GTEX-1AMFI-0726-SM-731D9 50-59 years, female 107.7
GTEX-1B996-1326-SM-731EO 60-69 years, male 107.7
GTEX-PSDG-1526-SM-48TCY 50-59 years, male 107.4
GTEX-14JG6-0426-SM-68715 30-39 years, female 107.2
GTEX-14PN3-0126-SM-6AJAU 60-69 years, female 107.1
GTEX-1B97J-1526-SM-79ONI 50-59 years, female 107.0
GTEX-1LVAN-1226-SM-CNNQY 50-59 years, female 107.0
GTEX-ZAB4-1726-SM-5HL8C 40-49 years, male 106.5
GTEX-ZYW4-2126-SM-59HJ9 60-69 years, male 106.5
GTEX-WHPG-0326-SM-4M1XV 50-59 years, male 105.8
GTEX-15DYW-1626-SM-6LLI1 60-69 years, female 105.5
GTEX-14PJ6-0926-SM-686ZA 60-69 years, female 105.2
GTEX-18A6Q-1726-SM-7LT9A 60-69 years, male 104.9
GTEX-11I78-0626-SM-5A5LZ 50-59 years, female 104.8
GTEX-PX3G-1026-SM-48TZW 20-29 years, female 104.8
GTEX-1I1GQ-2226-SM-B2LX1 50-59 years, male 104.5
GTEX-WFJO-0626-SM-4LVMC 30-39 years, male 104.1
GTEX-WQUQ-2126-SM-4OOSO 60-69 years, male 104.1
GTEX-12WSL-0426-SM-5GCNX 50-59 years, male 103.7
GTEX-1GN1U-1126-SM-9WPPZ 50-59 years, female 103.4
GTEX-QEL4-1326-SM-447AD 50-59 years, male 103.1
GTEX-15CHR-2026-SM-7MXU2 50-59 years, male 103.1
GTEX-1OFPY-0626-SM-EXOJ4 60-69 years, male 103.1
GTEX-1AYCT-1226-SM-7EPGH 50-59 years, male 103.0
GTEX-1K2DA-0326-SM-CGQGX 50-59 years, male 102.3
GTEX-ZEX8-1026-SM-4WKHE 50-59 years, male 102.1
GTEX-RWS6-1126-SM-47JXC 60-69 years, female 101.7
GTEX-ZPU1-0226-SM-4WWC9 40-49 years, male 101.7
GTEX-1211K-1126-SM-5EGGB 60-69 years, female 101.6
GTEX-1GN1W-1126-SM-9OSW3 50-59 years, female 101.6
GTEX-X15G-0726-SM-4PQZ5 50-59 years, female 101.5
GTEX-XBED-0226-SM-47JY8 60-69 years, male 101.3
GTEX-ZPCL-0726-SM-DO91S 60-69 years, female 101.3
GTEX-1GMR3-1226-SM-7MGY1 40-49 years, male 101.1
GTEX-ZP4G-0426-SM-4YCER 20-29 years, female 100.2
GTEX-1CAMQ-1626-SM-7MGXG 40-49 years, male 99.9
GTEX-WYJK-2426-SM-4ONDQ 50-59 years, male 99.6
GTEX-16Z82-1726-SM-7MGX3 60-69 years, male 99.3
GTEX-XGQ4-0226-SM-4GIDS 50-59 years, male 98.6
GTEX-111CU-0526-SM-5EGHK 50-59 years, male 97.9
GTEX-XV7Q-0926-SM-4BRVQ 40-49 years, female 97.9
GTEX-15SHV-1526-SM-6LLIB 60-69 years, male 97.8
GTEX-X3Y1-0726-SM-3P5YU 40-49 years, male 97.5
GTEX-1497J-0426-SM-5Q5CO 60-69 years, male 97.2
GTEX-S32W-0826-SM-4AD5Z 50-59 years, female 97.0
GTEX-Y8LW-1026-SM-5IFJY 50-59 years, female 97.0
GTEX-QV44-0426-SM-4R1KF 50-59 years, male 96.8
GTEX-XBEW-1626-SM-4SOJP 40-49 years, male 96.8
GTEX-OXRK-1526-SM-E6CHJ 50-59 years, female 96.8
GTEX-131XG-1426-SM-5GCMO 50-59 years, female 96.0
GTEX-1R7EU-0726-SM-DPRZM 60-69 years, male 95.8
GTEX-13O61-2126-SM-5IJEO 60-69 years, male 95.4
GTEX-18D9U-1626-SM-7KFTW 40-49 years, male 95.4
GTEX-PLZ6-0726-SM-3P619 30-39 years, male 95.2
GTEX-1MGNQ-1226-SM-EV7BM 40-49 years, male 94.7
GTEX-18A7A-1726-SM-7LT93 50-59 years, female 94.6
GTEX-TKQ2-0426-SM-4DXUO 50-59 years, male 94.0
GTEX-1RAZA-1626-SM-EV79I 20-29 years, male 94.0
GTEX-1QPFJ-2226-SM-EXOJW 30-39 years, female 93.8
GTEX-13CF3-1026-SM-5LZWY 60-69 years, female 93.7
GTEX-17F98-0426-SM-79ONZ 40-49 years, female 93.3
GTEX-15FZZ-0626-SM-7KFTO 30-39 years, female 93.0
GTEX-1399U-0926-SM-5IFHA 50-59 years, female 92.4
GTEX-14ICL-1126-SM-5S2RE 30-39 years, male 92.4
GTEX-XYKS-1226-SM-4BRVI 60-69 years, female 92.4
GTEX-13FH7-1426-SM-5IFIC 50-59 years, female 92.0
GTEX-13W3W-1026-SM-5IFG4 60-69 years, female 92.0
GTEX-N7MT-1626-SM-3LK71 60-69 years, female 92.0
GTEX-11DXX-0926-SM-5H112 60-69 years, female 91.9
GTEX-WFG7-0426-SM-4LMK5 20-29 years, male 91.9
GTEX-ZDYS-2526-SM-4WKGU 50-59 years, male 91.9
GTEX-1OKEX-1726-SM-E9U4F 60-69 years, male 91.6
GTEX-Y5LM-0526-SM-4V6G3 40-49 years, female 91.1
GTEX-11XUK-0626-SM-5N9ES 40-49 years, female 90.8
GTEX-17F9E-1426-SM-793BG 50-59 years, male 90.8
GTEX-VJYA-0826-SM-4KL1M 60-69 years, male 90.6
GTEX-131XE-1926-SM-5IFER 50-59 years, male 90.3
GTEX-1B8KE-0726-SM-72D7G 50-59 years, male 90.3
GTEX-ZZPU-0726-SM-5N9C8 50-59 years, female 89.7
GTEX-WHWD-0726-SM-4OORX 50-59 years, male 89.5
GTEX-111YS-1226-SM-5EGGJ 60-69 years, male 89.3
GTEX-1QP29-1926-SM-DPRZO 50-59 years, male 89.3
GTEX-1C6VQ-1726-SM-7IGLQ 50-59 years, male 89.1
GTEX-14PKU-0626-SM-6EU1Q 40-49 years, female 88.9
GTEX-P4PQ-1026-SM-3NMCN 60-69 years, male 88.8
GTEX-ZT9W-0926-SM-57WFS 50-59 years, male 88.8
GTEX-117YX-0226-SM-5EGH6 50-59 years, male 88.7
GTEX-1AX8Z-1726-SM-731DE 60-69 years, male 88.5
GTEX-144FL-1526-SM-5Q5CA 50-59 years, male 87.1
GTEX-14PHY-1126-SM-664OR 60-69 years, female 86.2
GTEX-ZF29-1126-SM-4WKGO 60-69 years, female 85.6
GTEX-12BJ1-1126-SM-5EGGG 60-69 years, male 85.2
GTEX-WHSB-0726-SM-4M1XQ 50-59 years, male 85.2
GTEX-XMK1-0326-SM-4B652 40-49 years, male 84.3
GTEX-148VI-0826-SM-5TDDI 60-69 years, female 84.1
GTEX-QMRM-0326-SM-CKZNB 50-59 years, male 83.8
GTEX-1QW4Y-0926-SM-DPRY2 30-39 years, male 83.7
GTEX-UJHI-0626-SM-3DB8T 50-59 years, female 83.3
GTEX-1J8Q3-0626-SM-AHZ3V 60-69 years, male 83.1
GTEX-11LCK-0226-SM-5A5M6 30-39 years, male 82.7
GTEX-ZC5H-0826-SM-5N9FH 40-49 years, female 82.4
GTEX-ZTPG-1026-SM-5DUWP 20-29 years, female 82.2
GTEX-14PJN-1526-SM-6AJBP 30-39 years, male 82.1
GTEX-1KXAM-0226-SM-EV7AP 60-69 years, male 82.0
GTEX-1J8EW-1926-SM-CGQGR 60-69 years, female 81.3
GTEX-ZAK1-2326-SM-5CVMY 50-59 years, female 81.2
GTEX-15UKP-1326-SM-6LPI8 20-29 years, male 80.8
GTEX-1PFEY-1126-SM-DPRZ3 30-39 years, male 80.8
GTEX-SNOS-0926-SM-4DM7A 40-49 years, male 80.7
GTEX-YB5K-1826-SM-5IFJC 40-49 years, female 80.7
GTEX-YEC3-0626-SM-CMKFG 50-59 years, male 80.2
GTEX-1R7EV-1126-SM-DPRXU 40-49 years, male 79.9
GTEX-X5EB-0526-SM-46MVP 40-49 years, male 79.8
GTEX-QCQG-0426-SM-48U29 50-59 years, female 79.7
GTEX-XPVG-0326-SM-4B653 50-59 years, male 79.7
GTEX-R55G-0326-SM-48FDM 40-49 years, female 79.4
GTEX-1K9T9-1726-SM-CXZK1 50-59 years, female 78.4
GTEX-QV31-0226-SM-447BO 30-39 years, male 78.3
GTEX-O5YT-1026-SM-3MJGF 20-29 years, male 77.2
GTEX-12WSN-0826-SM-5GCOF 40-49 years, male 76.4
GTEX-ZPIC-0926-SM-4WWFK 40-49 years, female 76.3
GTEX-1M5QR-0926-SM-DHXK8 40-49 years, male 76.3
GTEX-Y3I4-0826-SM-4TT2A 50-59 years, male 76.0
GTEX-15EU6-1126-SM-68721 50-59 years, male 75.9
GTEX-OHPL-1026-SM-3MJGI 60-69 years, female 75.8
GTEX-WFG8-0326-SM-4LVN4 20-29 years, male 75.8
GTEX-1LG7Z-0326-SM-DHXK3 30-39 years, male 75.7
GTEX-1F5PL-0726-SM-7MKH8 40-49 years, female 75.0
GTEX-144GM-0726-SM-79OJQ 20-29 years, male 74.8
GTEX-1RAZQ-1426-SM-EV7B2 30-39 years, male 74.6
GTEX-OIZI-1526-SM-E6CHI 40-49 years, male 74.3
GTEX-U4B1-0726-SM-4DXUA 40-49 years, male 74.0
GTEX-1I1GT-0926-SM-AHZ2G 60-69 years, female 73.8
GTEX-YEC4-1326-SM-5IFHG 40-49 years, male 73.2
GTEX-P4QS-1026-SM-3NMCW 60-69 years, male 72.9
GTEX-1LGRB-0426-SM-CNNRD 50-59 years, female 72.9
GTEX-14PJO-1826-SM-69LPR 60-69 years, male 72.8
GTEX-1GL5R-0926-SM-9JGFO 50-59 years, male 72.2
GTEX-13U4I-1526-SM-5IFFF 40-49 years, female 71.9
GTEX-V1D1-0726-SM-4JBH7 50-59 years, male 71.6
GTEX-13FTW-0526-SM-5IFIP 40-49 years, male 71.5
GTEX-18A66-2126-SM-7189D 60-69 years, male 71.5
GTEX-1IDJU-0326-SM-CGQEE 60-69 years, female 71.3
GTEX-14PKV-0926-SM-6AJB4 20-29 years, female 71.1
GTEX-YB5E-0526-SM-4VDSD 40-49 years, male 71.0
GTEX-17MF6-1426-SM-7IGOX 40-49 years, male 70.8
GTEX-1C64O-1426-SM-7EWER 60-69 years, male 70.5
GTEX-OIZF-1026-SM-2HML5 60-69 years, male 70.3
GTEX-13OVI-0526-SM-5IFFQ 60-69 years, female 70.1
GTEX-ZG7Y-0326-SM-4WWEY 50-59 years, male 69.9
GTEX-1NSGN-1726-SM-EXOJG 50-59 years, male 69.7
GTEX-1122O-0726-SM-5GIEV 60-69 years, female 69.0
GTEX-132QS-0926-SM-5P9GB 60-69 years, male 69.0
GTEX-SUCS-1426-SM-4DM5W 70-79 years, male 67.9
GTEX-1B932-1626-SM-731EA 40-49 years, female 67.7
GTEX-18A67-1726-SM-7KFT9 50-59 years, male 67.6
GTEX-1QAET-1326-SM-E9U64 50-59 years, male 67.0
GTEX-WY7C-1026-SM-4OND3 50-59 years, male 66.8
GTEX-1H23P-2026-SM-9OSXY 60-69 years, male 66.6
GTEX-11VI4-0426-SM-5EGHZ 40-49 years, female 66.3
GTEX-13X6H-0626-SM-5LU53 50-59 years, female 66.3
GTEX-1CB4I-1326-SM-79OLY 50-59 years, male 66.2
GTEX-T8EM-0826-SM-4DM76 40-49 years, male 65.8
GTEX-13YAN-2126-SM-5Q5C4 60-69 years, male 65.7
GTEX-132AR-1826-SM-5EGHR 50-59 years, female 65.5
GTEX-13N11-0226-SM-5KM3C 50-59 years, female 65.3
GTEX-WRHK-0226-SM-4MVOH 20-29 years, female 62.2
GTEX-139YR-1526-SM-5IFJ1 50-59 years, male 61.2
GTEX-QDVJ-1226-SM-48U1V 50-59 years, male 61.0
GTEX-TMMY-1326-SM-4DXU9 40-49 years, female 61.0
GTEX-12WSG-1026-SM-5EGII 50-59 years, female 59.9
GTEX-1NUQO-0826-SM-DPS16 20-29 years, female 59.5
GTEX-15UF6-1826-SM-6LLI9 70-79 years, female 58.7
GTEX-QDVN-0926-SM-2I5GL 50-59 years, male 57.7
GTEX-Y114-0826-SM-4TT77 50-59 years, female 57.6
GTEX-1LSNM-0726-SM-DHXL1 50-59 years, male 57.2
GTEX-SE5C-0326-SM-4BRWX 40-49 years, female 57.0
GTEX-S95S-0726-SM-4B64H 60-69 years, male 56.2
GTEX-Q2AH-0926-SM-48TZK 40-49 years, male 56.1
GTEX-1PPH8-2326-SM-EAZ48 20-29 years, male 56.0
GTEX-1H1DG-1426-SM-9OSXP 70-79 years, male 55.7
GTEX-NPJ8-2126-SM-3MJGK 40-49 years, male 54.0
GTEX-1K2DU-1026-SM-DHXKC 20-29 years, male 53.4
GTEX-1PBJI-2126-SM-DPRYG 20-29 years, female 53.3
GTEX-1IDJD-0126-SM-C1YQZ 30-39 years, male 52.2
GTEX-QESD-0226-SM-447BH 20-29 years, male 51.7
GTEX-1CAMR-1126-SM-7MGXF 20-29 years, male 51.2
GTEX-1399S-0326-SM-5IFFS 30-39 years, female 48.9
GTEX-1L5NE-0826-SM-DHXKU 50-59 years, male 48.6
GTEX-WFON-0626-SM-4LVLX 40-49 years, male 46.0
GTEX-U8XE-2026-SM-3DB8S 30-39 years, male 45.3
GTEX-1R46S-1426-SM-EXOJD 60-69 years, female 45.1
GTEX-1JKYN-0426-SM-CGQG2 30-39 years, male 43.1
GTEX-WI4N-1826-SM-4OOSF 40-49 years, female 41.8
GTEX-1A3MW-1926-SM-7IGM8 60-69 years, female 40.8
GTEX-Y9LG-0726-SM-4VDS3 30-39 years, male 39.9
GTEX-1339X-1026-SM-5IFH5 40-49 years, male 39.2
GTEX-1N2EF-2126-SM-DPRYL 60-69 years, male 39.0
GTEX-13VXT-1226-SM-5LU3M 20-29 years, female 37.7
GTEX-13O1R-1826-SM-5KM3B 60-69 years, male 33.5
GTEX-1PWST-1526-SM-EXOIT 70-79 years, male 31.7
Show allShow less

PANCREAS - FANTOM5 CAGEi

RNA expression in human tissues obtained through Cap Analysis of Gene Expression (CAGE) generated by the FANTOM5 project are reported as Scaled Tags Per Million.

Max subtype Scaled Tags Per Millioni

Max subtype Scaled Tags Per Million is the value for the subtype with the largest average Scaled Tags Per Million across the subtype samples.

1322.6
FANTOM5 sample id Sample description Scaled Tags Per Million
Pancreas
Scaled Tags Per Million: 1322.6
FF:10049-101G4 52 years, male 1322.6

Contact

  • NEWS ARTICLES
  • PRESS ROOM

The Project

  • INTRODUCTION
  • ORGANIZATION
  • PUBLICATIONS

The Human Protein Atlas

  • DOWNLOADABLE DATA
  • LICENCE & CITATION
  • HELP & FAQ
The Human Protein Atlas project is funded
by the Knut & Alice Wallenberg Foundation.


contact@proteinatlas.org