We use cookies to enhance the usability of our website. If you continue, we'll assume that you are happy to receive all cookies. More information. Don't show this again.
AKR1B1
HPA
RESOURCES
  • TISSUE
  • BRAIN
  • SINGLE CELL
  • SUBCELLULAR
  • CANCER
  • BLOOD
  • CELL LINE
  • STRUCTURE & INTERACTION
ABOUT
  • INTRODUCTION
  • HISTORY
  • ORGANIZATION
  • PUBLICATIONS
  • ANTIBODY SUBMISSION
  • ANTIBODY AVAILABILITY
  • ACKNOWLEDGMENTS
  • CONTACT
NEWS
  • NEWS ARTICLES
  • PRESS ROOM
LEARN
  • DICTIONARY
  • PROTEIN CLASSES
  • PROTEIN EVIDENCE
  • METHODS
  • EDUCATIONAL VIDEOS
DATA
  • DOWNLOADABLE DATA
  • PUBLICATION DATA
  • RELEASE HISTORY
HELP
  • ANTIBODY VALIDATION
  • ASSAYS & ANNOTATION
  • DISCLAIMER
  • HELP & FAQ
  • PRIVACY STATEMENT
  • LICENCE & CITATION
Fields »
Search result

Field
Term
Gene name
Class
Subclass
Class
Keyword
Chromosome
External id
Tissue
Cell type
Expression
Antibody panel
Tissue
Main location
Patient ID
Annotation
Tissue
Category
Tau score
Cluster
Reliability
Brain region
Category
Tau score
Brain region
Category
Tau score
Brain region
Category
Tau score
Cluster
Reliability
Tissue
Cell type
Enrichment
Cell type
Category
Tau score
Cell type
Category
Tau score
Cell type
Category
Tau score
Cell lineage
Category
Tau score
Cluster
Cluster
Location
Searches
Location
Cell line
Class
Type
Phase
Reliability
Cancer
Prognosis
Cancer
Category
Cancer
Category
Tau score
Cluster
Variants
Interacting gene (ensg_id)
Type
Number of interactions
Pathway
Category
Score
Score
Score
Validation
Validation
Validation
Validation
Antibodies
Data type
Column


  • SUMMARY

  • TISSUE

  • BRAIN

  • SINGLE CELL

  • SUBCELL

  • CANCER

  • BLOOD

  • CELL LINE

  • STRUCT & INT

  • AKR1B1
TISSUE PRIMARY DATA SKIN Show tissue menu
ADIPOSE TISSUE ADRENAL GLAND AMYGDALA APPENDIX BASAL GANGLIA BONE MARROW BREAST BRONCHUS CEREBELLUM CEREBRAL CORTEX CERVIX CHOROID PLEXUS COLON DUODENUM
ENDOMETRIUM EPIDIDYMIS ESOPHAGUS FALLOPIAN TUBE GALLBLADDER HEART MUSCLE HIPPOCAMPAL FORMATION HYPOTHALAMUS KIDNEY LIVER LUNG LYMPH NODE MIDBRAIN NASOPHARYNX
ORAL MUCOSA OVARY PANCREAS PARATHYROID GLAND PITUITARY GLAND PLACENTA PROSTATE RECTUM RETINA SALIVARY GLAND SEMINAL VESICLE SKELETAL MUSCLE SKIN SMALL INTESTINE
SMOOTH MUSCLE SOFT TISSUE SPINAL CORD SPLEEN STOMACH TESTIS THYMUS THYROID GLAND TONGUE TONSIL URINARY BLADDER VAGINA
ANTIBODIES
AND
VALIDATION
Dictionary
Skin
Tissue proteome
Skin
SKIN - Expression summary
Protein expression
Skini

On the top, protein expression in current human tissue, based on all annotated cell types, is reported with the units not detected (n), low (l), medium (m) and high (h). Underneath, protein expression in each annotated cell type are reported using the same units.

Protein expression data is based on knowledge-based annotation. For genes where more than one antibody has been used, a collective score is set.

If knowledge-based annotation could not be performed for a gene, no data is displayed here. View antibody staining data further down this page.

h
m
l
n
Cells in basal layer: Medium
Cells in corneal layer: Not detected
Cells in granular layer: Not detected
Cells in spinous layer: Not detected
Eccrine glands: Medium
Endothelial cells: Not detected
Extracellular matrix: Not detected
Fibrohistiocytic cells: Not detected
Langerhans cells: Not detected
Lymphocytes: Not detected
Melanocytes: Not detected
Vascular mural cells: Not detected
RNA expressioni

A summary of mRNA expression data available for current tissue based on several datasets. The mRNA expression levels in human tissues are based on RNA-seq data generated by the Human Protein Atlas (HPA), Genotype-Tissue Expression (GTEx) portal and CAGE data generated by the FANTOM5 consortium. Consensus normalized expression levels for human tissues was created by combining the data from HPA and GTEx datasets.

The mRNA expression levels in pig are based on RNA-seq data generated by the Human Protein Atlas (HPA), and for mouse, HPA data and in situ hybridization generated by the Allen brain atlas are reported.

Scroll down to view mRNA expression data in more detail.
Consensus:25.7 nTPM
HPA:11.1 nTPM
GTEx:25.7 nTPM

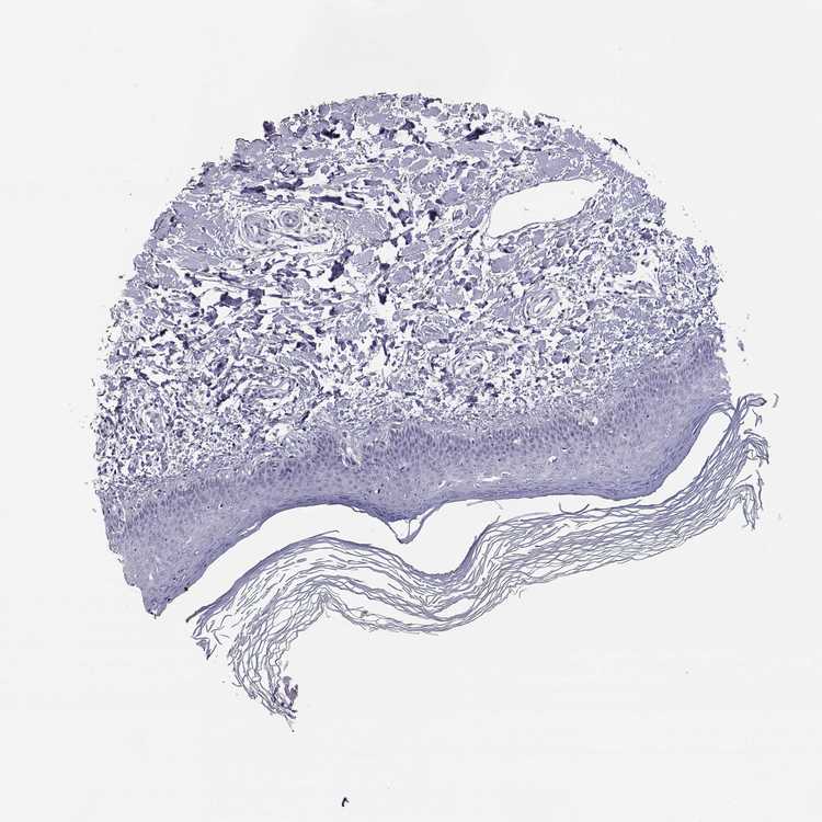
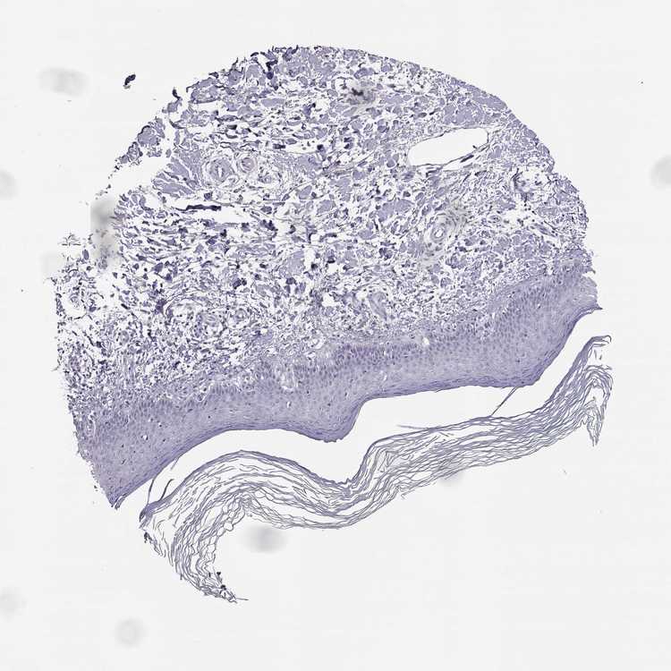
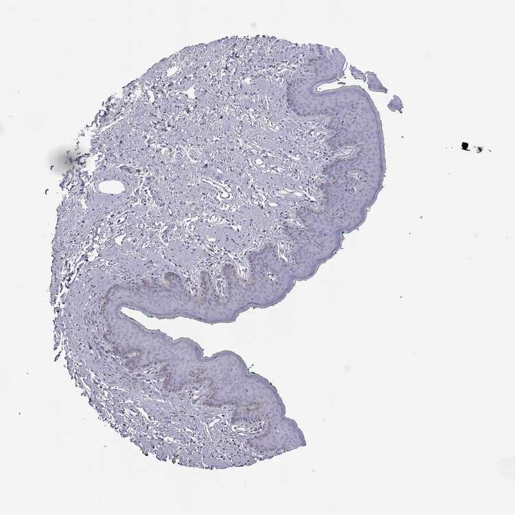
SKIN 1 - Antibody stainingi

Antibody staining in the annotated cell types in the current human tissue is reported as not detected, low, medium, or high, based on conventional immunohistochemistry profiling in selected tissues. This score is based on the combination of the staining intensity and fraction of stained cells.

Each image is clickable and will lead to virtual microscopy that enables deeper exploration of all samples and also displays staining intensity scores, fraction scores and subcellular localization as well as patient and tissue information for each sample.

Antibody HPA026425Antibody HPA052751Antibody CAB027391Antibody CAB047353
Langerhans Not detected-Not detectedNot detected
Cells in basal layer -Medium--
Cells in corneal layer -Not detected--
Cells in granular layer -Not detected--
Cells in spinous layer -Not detected--
Eccrine glands -Medium--
Endothelial cells -Not detected--
Extracellular matrix -Not detected--
Fibroblasts Not detected-Not detectedNot detected
Fibrohistiocytic cells -Not detected--
Keratinocytes Not detected-Not detectedNot detected
Langerhans cells -Not detected--
Lymphocytes -Not detected--
Melanocytes Not detectedNot detectedNot detectedNot detected
Vascular mural cells -Not detected--








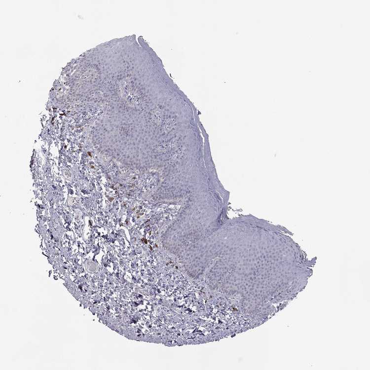
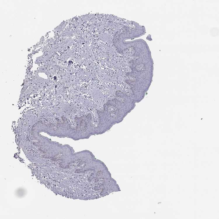
SKIN 2 - Antibody stainingi

Antibody staining in the annotated cell types in the current human tissue is reported as not detected, low, medium, or high, based on conventional immunohistochemistry profiling in selected tissues. This score is based on the combination of the staining intensity and fraction of stained cells.

Each image is clickable and will lead to virtual microscopy that enables deeper exploration of all samples and also displays staining intensity scores, fraction scores and subcellular localization as well as patient and tissue information for each sample.

Antibody HPA026425Antibody HPA052751Antibody CAB027391Antibody CAB047353
Cells in basal layer -Medium--
Cells in corneal layer -Not detected--
Cells in granular layer -Not detected--
Cells in spinous layer -Not detected--
Endothelial cells -Not detected--
Epidermal cells Not detected-Not detectedNot detected
Extracellular matrix -Not detected--
Fibrohistiocytic cells -Not detected--
Langerhans cells -Not detected--
Lymphocytes -Not detected--
Melanocytes -Not detected--
Vascular mural cells -Not detected--
    
    
    









SKIN - HPA RNA-seqi

The RNA-seq details section shows detailed information about the individual samples used for the transcript profiling and results of the RNA-seq analysis.

Information about each individual sample is listed below, including gender, age, a tissue section image and estimated fractions of cell types. nTPM (normalized transcripts per million) values give a quantification of the gene abundance which is comparable between different genes and samples.
Average nTPMi

Max subtype nTPM is the value for the subtype with the largest average nTPM across the subtype samples.

11.1
overview
Female, age 34
Skin sample 225
nTPM: 11.1
Cell types%
Keratinocytes:
60

Other cell types:
40

overview
Female, age 30
Skin sample 226
nTPM: 9.6
Cell types%
Keratinocytes:
55

Other cell types:
45

N/A
Male, age 57
Skin sample 227
nTPM: 12.5

SKIN - GTEx RNA-seqi

RNA-Seq data generated by the Genotype-Tissue Expression (GTEx) project from human tissues is reported as mean nTPM. More information can be found on the GTEx portal.

Distribution across the dataset is visualized with box plots, shown as median and 25th and 75th percentiles. Points are displayed as outliers if they are above or below 1.5 times the interquartile range. nTPM values of the individual samples are presented next to the box plot.
Max subtype nTPMi

Max subtype nTPM is the value for the subtype with the largest average nTPM across the subtype samples.

25.7
GTEx sample id Sample description nTPM
Skin - Not Sun Exposed (Suprapubic)
Average nTPM: 21.2
Samples: 604

Max nTPM: 67.9
Min nTPM: 5.4
Std nTPM: 8.6
Median nTPM: 19.4
GTEX-1399R-1326-SM-5PNYS 30-39 years, male 67.9
GTEX-14DAR-1226-SM-73KYV 50-59 years, male 56.0
GTEX-Y3IK-1626-SM-4YCF5 50-59 years, female 55.8
GTEX-14PK6-0226-SM-62LF5 70-79 years, female 55.6
GTEX-13113-1626-SM-5EQ4I 60-69 years, female 52.2
GTEX-WXYG-2026-SM-4E3IY 50-59 years, female 49.3
GTEX-18D9B-0926-SM-7LG4U 60-69 years, male 48.1
GTEX-X3Y1-2026-SM-3P5YM 40-49 years, male 47.2
GTEX-ZLWG-0826-SM-59888 50-59 years, female 45.7
GTEX-YB5K-2026-SM-4VDT3 40-49 years, female 45.2
GTEX-ZGAY-1826-SM-DO91Q 40-49 years, female 45.0
GTEX-ZYFG-1526-SM-5GZYM 60-69 years, female 44.7
GTEX-12WSL-2026-SM-5GCML 50-59 years, male 43.6
GTEX-XYKS-1426-SM-4BRUO 60-69 years, female 42.4
GTEX-ZLFU-1826-SM-4WWBV 40-49 years, male 42.3
GTEX-1497J-0226-SM-5QGPU 60-69 years, male 42.2
GTEX-1L5NE-1126-SM-D3L9P 50-59 years, male 41.0
GTEX-117YX-1926-SM-5GIEC 50-59 years, male 40.7
GTEX-11DYG-1526-SM-5A5JS 60-69 years, male 40.3
GTEX-14E6E-0526-SM-793DN 30-39 years, male 40.2
GTEX-1QP29-1826-SM-DTX9S 50-59 years, male 39.8
GTEX-14PKV-1126-SM-6LLJ1 20-29 years, female 39.5
GTEX-1B8KE-1126-SM-7EPHI 50-59 years, male 39.5
GTEX-145ME-1726-SM-5Q5EU 40-49 years, female 39.4
GTEX-139YR-1026-SM-5LZYN 50-59 years, male 39.3
GTEX-17F97-2626-SM-7IGM5 50-59 years, male 38.7
GTEX-16MTA-0926-SM-6M47Z 50-59 years, male 38.2
GTEX-VJYA-1526-SM-3GIJV 60-69 years, male 37.9
GTEX-14BMU-1226-SM-5S2OR 20-29 years, female 37.8
GTEX-1GMR2-0826-SM-7PC3V 50-59 years, male 37.6
GTEX-1GF9U-2026-SM-7SB92 40-49 years, female 37.5
GTEX-1IDJE-1426-SM-ADEIW 50-59 years, female 37.2
GTEX-1JMOU-1026-SM-CYPSS 60-69 years, female 37.1
GTEX-1LVAN-0626-SM-CNPOQ 50-59 years, female 37.0
GTEX-145MG-1526-SM-5Q5EM 50-59 years, male 36.9
GTEX-17EVQ-0126-SM-7IGLR 70-79 years, male 35.9
GTEX-1F6I4-2326-SM-7RHGL 60-69 years, male 35.9
GTEX-1LBAC-0826-SM-CY8IJ 20-29 years, male 35.9
GTEX-11DZ1-2426-SM-5GZZX 50-59 years, male 35.2
GTEX-146FQ-2126-SM-5RQHU 30-39 years, male 35.2
GTEX-1H1CY-0126-SM-9YFLY 60-69 years, female 35.1
GTEX-W5X1-2526-SM-3GILC 40-49 years, female 34.7
GTEX-1E2YA-2126-SM-7MXUO 50-59 years, male 34.7
GTEX-1PIGE-1826-SM-E8VOU 20-29 years, male 34.6
GTEX-XOT4-0626-SM-4B66L 60-69 years, female 34.3
GTEX-Y8LW-1526-SM-5IFHL 50-59 years, female 34.2
GTEX-15RJ7-2126-SM-6PAMD 40-49 years, male 34.0
GTEX-1AX9J-1326-SM-731BJ 60-69 years, male 33.7
GTEX-XV7Q-1826-SM-4BRUV 40-49 years, female 33.4
GTEX-1F75W-2726-SM-7SB8H 60-69 years, male 33.3
GTEX-11EM3-1226-SM-5N9DD 20-29 years, female 33.2
GTEX-1CAV2-0126-SM-7IGN7 40-49 years, female 33.2
GTEX-1IDJC-1526-SM-B2LW4 50-59 years, male 33.2
GTEX-WFG8-2126-SM-3GIKQ 20-29 years, male 33.1
GTEX-1C475-1326-SM-7SB73 40-49 years, female 32.9
GTEX-1JKYN-0826-SM-ARU8S 30-39 years, male 32.8
GTEX-16GPK-0626-SM-7KFSF 60-69 years, male 32.7
GTEX-1IDJI-0126-SM-CMKHS 50-59 years, female 32.6
GTEX-WY7C-2126-SM-3NB2R 50-59 years, male 32.1
GTEX-1LG7Z-1626-SM-CXKYR 30-39 years, male 32.1
GTEX-13FH7-1126-SM-5K7UG 50-59 years, female 31.9
GTEX-ZYW4-0626-SM-59HJR 60-69 years, male 31.9
GTEX-ZT9W-1126-SM-57WDR 50-59 years, male 31.8
GTEX-ZVP2-0326-SM-57WBP 50-59 years, male 31.8
GTEX-1H1ZS-2726-SM-9WG75 70-79 years, male 31.7
GTEX-YEC4-1826-SM-4W1YP 40-49 years, male 31.6
GTEX-11NSD-0626-SM-5A5LU 20-29 years, male 31.5
GTEX-ZZPU-0826-SM-5GZX5 50-59 years, female 31.4
GTEX-1S831-1826-SM-EWROF 20-29 years, male 31.4
GTEX-UPK5-0426-SM-3GAEK 40-49 years, male 31.3
GTEX-14PJO-2526-SM-6AJBQ 60-69 years, male 31.0
GTEX-1CAMR-1326-SM-7PC1F 20-29 years, male 31.0
GTEX-13FTX-1526-SM-5K7VJ 20-29 years, female 30.9
GTEX-1QCLZ-2426-SM-EVYBW 60-69 years, female 30.9
GTEX-1I19N-0126-SM-CYPSF 70-79 years, male 30.8
GTEX-1S82P-2126-SM-E6CI5 60-69 years, female 30.8
GTEX-XK95-0226-SM-4AT58 40-49 years, male 30.7
GTEX-ZAK1-0626-SM-5HL8E 50-59 years, female 30.7
GTEX-ZZ64-1026-SM-5GZXG 20-29 years, male 30.7
GTEX-12WSJ-1126-SM-5LZVJ 40-49 years, female 30.6
GTEX-X5EB-1926-SM-4E3IW 40-49 years, male 30.6
GTEX-145MN-1526-SM-5SI9T 30-39 years, male 30.5
GTEX-16BQI-1326-SM-6M486 30-39 years, female 30.5
GTEX-1A32A-0626-SM-731AQ 50-59 years, female 30.4
GTEX-1RLM8-2926-SM-E8VON 50-59 years, male 30.4
GTEX-13N11-2326-SM-5IJBF 50-59 years, female 30.2
GTEX-ZF3C-0626-SM-DO92O 50-59 years, female 30.2
GTEX-WH7G-2026-SM-3NMBL 40-49 years, male 30.1
GTEX-ZU9S-1826-SM-5NQ9E 30-39 years, male 30.1
GTEX-1I4MK-0126-SM-CY8G6 50-59 years, female 29.7
GTEX-1LSNM-0826-SM-DIPG8 50-59 years, male 29.7
GTEX-11P7K-1126-SM-5HL4L 30-39 years, male 29.5
GTEX-WEY5-2326-SM-3GIKK 40-49 years, female 29.4
GTEX-1MJK3-0726-SM-E6CJC 20-29 years, male 29.4
GTEX-131XH-0126-SM-5LZUY 50-59 years, male 29.3
GTEX-WYJK-0526-SM-3NM8Z 50-59 years, male 29.3
GTEX-YF7O-1526-SM-5IFI6 50-59 years, male 29.3
GTEX-1117F-2926-SM-5GZYI 60-69 years, female 29.2
GTEX-1211K-1526-SM-5FQU4 60-69 years, female 29.2
GTEX-ZVTK-0226-SM-51MRG 20-29 years, male 29.2
GTEX-1F6IF-0926-SM-7SB7M 60-69 years, male 29.2
GTEX-1HCU6-2526-SM-ADEHL 60-69 years, female 29.0
GTEX-1QP66-1226-SM-DTX7U 50-59 years, male 29.0
GTEX-14E1K-2026-SM-7DUEI 50-59 years, male 28.9
GTEX-18D9A-1426-SM-7LT8M 30-39 years, female 28.9
GTEX-18A66-0626-SM-7LT8Z 60-69 years, male 28.8
GTEX-WFON-1926-SM-3LK7L 40-49 years, male 28.8
GTEX-1KANC-1226-SM-CYPT7 50-59 years, female 28.6
GTEX-1K2DA-1026-SM-CGQGF 50-59 years, male 28.4
GTEX-111FC-2526-SM-5GZXU 60-69 years, male 28.2
GTEX-1IDJF-2026-SM-CL53V 20-29 years, male 28.2
GTEX-1IKOE-1426-SM-CE6T7 30-39 years, female 28.1
GTEX-13OVK-1426-SM-6PAN7 40-49 years, male 28.0
GTEX-15RIE-1926-SM-7KUKJ 60-69 years, male 28.0
GTEX-15RIG-0726-SM-7KUM7 40-49 years, male 28.0
GTEX-1IDJD-2326-SM-ACKWX 30-39 years, male 28.0
GTEX-YFCO-1226-SM-5LUAT 40-49 years, male 27.9
GTEX-1HC8U-1326-SM-9YFMJ 40-49 years, female 27.9
GTEX-1I1CD-0626-SM-CE6SW 60-69 years, female 27.9
GTEX-11ZTT-2126-SM-5CVLO 60-69 years, female 27.8
GTEX-17F96-0126-SM-7EWDU 70-79 years, male 27.7
GTEX-17F9E-2326-SM-79OKD 50-59 years, male 27.7
GTEX-17JCI-2926-SM-7DUFF 60-69 years, female 27.7
GTEX-ZPU1-1126-SM-4YCF3 40-49 years, male 27.7
GTEX-14JG6-1426-SM-9WG7C 30-39 years, female 27.7
GTEX-1IY9M-2826-SM-ARU8H 60-69 years, male 27.7
GTEX-1LVAO-2726-SM-E9TJ8 60-69 years, male 27.6
GTEX-12BJ1-0926-SM-5EQ62 60-69 years, male 27.5
GTEX-132AR-0326-SM-5KM2C 50-59 years, female 27.5
GTEX-1F75A-0726-SM-7RHHD 50-59 years, male 27.5
GTEX-1F48J-0726-SM-7RHGS 50-59 years, female 27.4
GTEX-12584-0726-SM-5FQTK 40-49 years, male 27.3
GTEX-14PHY-1226-SM-5ZZWK 60-69 years, female 27.2
GTEX-XXEK-1626-SM-4BRUZ 50-59 years, male 27.2
GTEX-1HCUA-0826-SM-ADEHM 50-59 years, female 27.1
GTEX-11VI4-1126-SM-5EQMD 40-49 years, female 26.9
GTEX-XUW1-0926-SM-4BONX 50-59 years, female 26.8
GTEX-X4EP-0626-SM-3P621 60-69 years, female 26.7
GTEX-1LGOU-1326-SM-D3L8M 20-29 years, female 26.7
GTEX-18D9U-0126-SM-731BM 40-49 years, male 26.6
GTEX-1MCC2-1826-SM-DIPEX 30-39 years, female 26.4
GTEX-15SHW-0226-SM-7LTAT 60-69 years, male 26.3
GTEX-1AX8Z-0726-SM-73KTS 60-69 years, male 26.3
GTEX-16MT9-0126-SM-7EPI8 60-69 years, female 26.2
GTEX-1EX96-1026-SM-7MKG2 50-59 years, male 26.2
GTEX-XBED-1926-SM-47JYP 60-69 years, male 26.2
GTEX-13X6H-0926-SM-5SIB2 50-59 years, female 26.0
GTEX-WI4N-2726-SM-3LK7Y 40-49 years, female 26.0
GTEX-1EWIQ-0326-SM-7DHMQ 70-79 years, female 25.8
GTEX-Y5V6-2326-SM-4VDSA 60-69 years, male 25.8
GTEX-1F75B-0726-SM-7PC3R 50-59 years, male 25.8
GTEX-139T8-0626-SM-5KLZX 60-69 years, male 25.4
GTEX-145LT-0526-SM-5LUB2 40-49 years, male 25.4
GTEX-X585-2426-SM-46MW2 50-59 years, male 25.4
GTEX-ZA64-1026-SM-5HL8R 20-29 years, male 25.4
GTEX-11DXW-0826-SM-5H118 40-49 years, male 25.3
GTEX-13OVJ-0826-SM-5J1OK 50-59 years, female 25.3
GTEX-1477Z-0326-SM-7IGLA 60-69 years, male 25.3
GTEX-16MT8-2926-SM-7DUFO 60-69 years, female 25.3
GTEX-1ICG6-1226-SM-A9SLN 70-79 years, female 25.3
GTEX-13QBU-1226-SM-5LU4G 40-49 years, female 25.2
GTEX-Y8E4-2026-SM-5IFJB 40-49 years, male 25.2
GTEX-1H3NZ-2726-SM-9WYTQ 60-69 years, male 25.2
GTEX-16AAH-0626-SM-793C9 50-59 years, male 25.1
GTEX-XBEW-1126-SM-4QARW 40-49 years, male 25.1
GTEX-Y3I4-1726-SM-4TT89 50-59 years, male 25.0
GTEX-1GZ4H-0526-SM-9KNU9 50-59 years, female 25.0
GTEX-1J8Q3-0526-SM-ARL8U 60-69 years, male 25.0
GTEX-ZUA1-2626-SM-5NQ92 40-49 years, male 24.9
GTEX-15UF6-1926-SM-7KUDV 70-79 years, female 24.8
GTEX-ZP4G-1426-SM-4WWCL 20-29 years, female 24.8
GTEX-ZDTS-0826-SM-4WKHL 60-69 years, male 24.7
GTEX-1RAZR-2126-SM-E9U6T 40-49 years, male 24.7
GTEX-16YQH-2226-SM-7IGM2 30-39 years, male 24.6
GTEX-XQ8I-0926-SM-4BOOF 50-59 years, male 24.6
GTEX-1JJ6O-2726-SM-CNPOG 60-69 years, male 24.6
GTEX-1RB15-1326-SM-E76Q9 60-69 years, male 24.6
GTEX-ZPIC-0526-SM-DO91W 40-49 years, female 24.5
GTEX-12C56-1526-SM-5FQUQ 20-29 years, male 24.4
GTEX-ZDXO-3126-SM-5IJDF 60-69 years, male 24.4
GTEX-13NYS-0626-SM-5L3F1 60-69 years, male 24.3
GTEX-1R9PN-0426-SM-DTXDT 40-49 years, female 24.2
GTEX-1HUB1-1426-SM-CGQF5 60-69 years, male 24.1
GTEX-Y5LM-0926-SM-6LLJG 40-49 years, female 24.0
GTEX-13N2G-0226-SM-5K7VF 60-69 years, male 23.9
GTEX-Y114-2126-SM-4TT8B 50-59 years, female 23.9
GTEX-1O9I2-0226-SM-EYYXD 50-59 years, male 23.6
GTEX-12WSF-1626-SM-7KUG5 70-79 years, male 23.5
GTEX-14A5H-0826-SM-5QGPJ 60-69 years, male 23.5
GTEX-13VXT-1926-SM-5K7UO 20-29 years, female 23.4
GTEX-18A6Q-0626-SM-7KFRP 60-69 years, male 23.4
GTEX-ZAJG-1526-SM-5CVML 50-59 years, female 23.4
GTEX-1F75I-2226-SM-7SB8U 40-49 years, male 23.4
GTEX-1I6K6-1726-SM-CGQFD 30-39 years, male 23.4
GTEX-11EQ9-1626-SM-5PNY8 30-39 years, male 23.3
GTEX-13JUV-2026-SM-5K7UA 40-49 years, female 23.3
GTEX-1KANA-1326-SM-DIPFA 20-29 years, male 23.3
GTEX-1QMI2-2526-SM-E8VNZ 60-69 years, male 23.3
GTEX-15DYW-2726-SM-6EU2I 60-69 years, female 23.2
GTEX-XPVG-2126-SM-4B667 50-59 years, male 23.2
GTEX-13FTW-0326-SM-5K7UW 40-49 years, male 23.1
GTEX-13NYB-0126-SM-5J1MD 40-49 years, male 23.1
GTEX-13YAN-0226-SM-5TDC6 60-69 years, male 23.1
GTEX-14PJ3-1126-SM-5ZZVX 50-59 years, male 23.1
GTEX-11TT1-1826-SM-5EQLV 20-29 years, male 23.0
GTEX-139TS-2126-SM-5K7XC 60-69 years, male 23.0
GTEX-XQ3S-1426-SM-4BOPR 20-29 years, male 23.0
GTEX-15G19-2426-SM-7KUMR 60-69 years, male 22.9
GTEX-1GZ2Q-0126-SM-9WG6M 40-49 years, male 22.9
GTEX-13OW5-2326-SM-5L3HO 60-69 years, male 22.8
GTEX-ZTSS-1426-SM-5985P 40-49 years, male 22.8
GTEX-ZVE1-0726-SM-51MRN 50-59 years, female 22.8
GTEX-1AYD5-2626-SM-7PBXY 50-59 years, male 22.8
GTEX-X4EO-2926-SM-4E3JH 60-69 years, female 22.7
GTEX-1JN1M-2726-SM-CY8I4 60-69 years, female 22.7
GTEX-15CHC-1126-SM-6LLHQ 60-69 years, female 22.6
GTEX-1B996-0426-SM-7EWF8 60-69 years, male 22.6
GTEX-16Z82-2626-SM-7KULU 60-69 years, male 22.5
GTEX-1C64O-1326-SM-7MGWR 60-69 years, male 22.5
GTEX-1R9PM-1926-SM-EVR3O 20-29 years, male 22.5
GTEX-147F3-1726-SM-5SIAW 50-59 years, female 22.4
GTEX-ZPCL-1126-SM-4WWFE 60-69 years, female 22.4
GTEX-12126-0826-SM-5FQTZ 20-29 years, male 22.3
GTEX-13OVG-1626-SM-5J1NF 60-69 years, male 22.3
GTEX-15CHQ-0326-SM-69LQD 60-69 years, male 22.3
GTEX-ZYT6-2326-SM-5GZY3 30-39 years, male 22.3
GTEX-11O72-0626-SM-5PNYE 40-49 years, male 22.2
GTEX-11OF3-0126-SM-5PNYF 60-69 years, male 22.2
GTEX-14AS3-1526-SM-5Q5ED 40-49 years, female 22.2
GTEX-1F52S-2926-SM-7MKGA 60-69 years, female 22.2
GTEX-1CAMS-2226-SM-7PBXQ 40-49 years, female 22.2
GTEX-1HKZK-0726-SM-ACKW2 40-49 years, male 22.1
GTEX-147F4-0726-SM-5TDDD 50-59 years, male 22.0
GTEX-18A7B-2726-SM-7LG56 70-79 years, male 22.0
GTEX-X8HC-0626-SM-4E3HQ 50-59 years, female 22.0
GTEX-1HFI6-0126-SM-CNPPI 40-49 years, male 22.0
GTEX-1HFI7-2326-SM-CGQFS 50-59 years, female 22.0
GTEX-17MF6-2626-SM-79OKQ 40-49 years, male 21.9
GTEX-WYVS-1626-SM-3NM9R 40-49 years, female 21.9
GTEX-131XG-0326-SM-5L3DX 50-59 years, female 21.8
GTEX-18A7A-0126-SM-731AH 50-59 years, female 21.8
GTEX-1H23P-0626-SM-9WG6T 60-69 years, male 21.8
GTEX-U8XE-0226-SM-4E3J3 30-39 years, male 21.7
GTEX-1HSMP-0926-SM-A9SKX 70-79 years, male 21.7
GTEX-1J8JJ-0626-SM-ARZMQ 60-69 years, female 21.7
GTEX-1OJC3-1226-SM-DTXER 20-29 years, male 21.7
GTEX-13O61-1426-SM-5KM3D 60-69 years, male 21.6
GTEX-1GMRU-2126-SM-7P8RA 50-59 years, male 21.6
GTEX-ZTX8-1326-SM-4YCEL 20-29 years, male 21.5
GTEX-13U4I-2226-SM-5LU5H 40-49 years, female 21.4
GTEX-1E1VI-0326-SM-793D1 50-59 years, male 21.4
GTEX-1R9K4-2826-SM-DTX8F 60-69 years, male 21.4
GTEX-1192X-2726-SM-5N9DN 50-59 years, male 21.3
GTEX-WHPG-2626-SM-3NMBR 50-59 years, male 21.3
GTEX-11P82-1426-SM-DTXFY 20-29 years, male 21.2
GTEX-145LS-0626-SM-7EPG7 60-69 years, female 21.0
GTEX-16NGA-0726-SM-731AO 40-49 years, female 21.0
GTEX-1M4P7-0726-SM-E6CJ3 60-69 years, male 21.0
GTEX-17HG3-2626-SM-7DUF2 30-39 years, female 20.9
GTEX-13X6I-1826-SM-5SIAO 60-69 years, male 20.8
GTEX-WYBS-0626-SM-3NMAS 60-69 years, female 20.7
GTEX-1JMPZ-0726-SM-CY8HZ 30-39 years, male 20.7
GTEX-1RAZA-2226-SM-E9U4X 20-29 years, male 20.7
GTEX-11NUK-2726-SM-5A5MC 50-59 years, male 20.6
GTEX-15FZZ-0526-SM-7KUGD 30-39 years, female 20.6
GTEX-1S3DN-2126-SM-E9TIN 50-59 years, male 20.6
GTEX-WFG7-2026-SM-5SI7P 20-29 years, male 20.5
GTEX-ZC5H-1526-SM-5HL9Y 40-49 years, female 20.5
GTEX-1QP9N-1226-SM-E76QN 30-39 years, male 20.5
GTEX-12ZZZ-0726-SM-5GCNZ 60-69 years, male 20.4
GTEX-13NZ9-2626-SM-5L3FK 50-59 years, male 20.4
GTEX-ZDYS-2426-SM-4WKGI 50-59 years, male 20.4
GTEX-1LSVX-2526-SM-DIPEU 60-69 years, male 20.4
GTEX-145MO-2826-SM-5LU96 60-69 years, male 20.3
GTEX-YJ8O-2526-SM-5HL85 40-49 years, female 20.3
GTEX-1S82U-1026-SM-E6CJK 30-39 years, female 20.3
GTEX-139D8-1126-SM-5LU8W 30-39 years, female 20.2
GTEX-14JG1-1526-SM-5YY9X 40-49 years, male 20.2
GTEX-111CU-1126-SM-5EGIM 50-59 years, male 20.1
GTEX-1GF9W-1426-SM-7PBYM 60-69 years, male 20.1
GTEX-1HCU9-0426-SM-9WYSD 20-29 years, male 20.1
GTEX-1JMQK-1226-SM-D4P2S 60-69 years, male 20.1
GTEX-1JN6P-2926-SM-CL54D 60-69 years, male 20.1
GTEX-1314G-1326-SM-5BC6E 30-39 years, male 20.0
GTEX-1CB4H-1126-SM-7MKGL 60-69 years, female 20.0
GTEX-XBEC-0726-SM-4QARZ 50-59 years, male 20.0
GTEX-1IL2V-1926-SM-B2LW8 70-79 years, male 20.0
GTEX-13SLX-2226-SM-62LEP 50-59 years, female 19.9
GTEX-17HGU-2326-SM-7DUFE 50-59 years, male 19.9
GTEX-WRHU-2826-SM-3MJG8 50-59 years, female 19.9
GTEX-1JMLX-0626-SM-ARL8T 50-59 years, male 19.9
GTEX-YEC3-1326-SM-DO92X 50-59 years, male 19.9
GTEX-14ABY-2026-SM-62LDL 50-59 years, male 19.7
GTEX-Y5V5-0126-SM-5S2NW 60-69 years, female 19.7
GTEX-ZVT2-0126-SM-5GIDQ 50-59 years, female 19.6
GTEX-1H1E6-0426-SM-9WYUS 30-39 years, male 19.6
GTEX-1I1GP-1326-SM-A9G28 50-59 years, male 19.6
GTEX-183FY-1026-SM-7939A 20-29 years, male 19.5
GTEX-1CB4I-0126-SM-7RHGG 50-59 years, male 19.5
GTEX-1IDJU-1726-SM-CMKHU 60-69 years, female 19.5
GTEX-13W3W-0726-SM-5IJDQ 60-69 years, female 19.4
GTEX-1HSMQ-2626-SM-A9SML 50-59 years, male 19.4
GTEX-1KD5A-0126-SM-E9U54 50-59 years, male 19.4
GTEX-12WSD-0626-SM-5GCMW 60-69 years, female 19.3
GTEX-1C64N-2626-SM-7PC2N 50-59 years, male 19.3
GTEX-11EI6-2826-SM-5H11D 60-69 years, male 19.2
GTEX-1A3MV-1826-SM-731CD 30-39 years, male 19.2
GTEX-1QW4Y-1126-SM-DTXE3 30-39 years, male 19.2
GTEX-12KS4-2126-SM-5FQUT 30-39 years, male 19.1
GTEX-139TU-0726-SM-5L3EK 60-69 years, male 19.1
GTEX-YECK-0326-SM-4W1YS 60-69 years, male 19.1
GTEX-11DXX-2126-SM-5PNYR 60-69 years, female 19.0
GTEX-11DXY-0126-SM-5H11Q 60-69 years, male 19.0
GTEX-12WSH-1526-SM-5BC5W 50-59 years, male 19.0
GTEX-17HHE-1326-SM-7EWDZ 50-59 years, male 19.0
GTEX-1I1GS-2626-SM-B2LY3 60-69 years, male 19.0
GTEX-1LVA9-2626-SM-EVYD4 50-59 years, male 19.0
GTEX-1N2DV-1526-SM-DTXEP 40-49 years, male 19.0
GTEX-1POEN-2326-SM-E9J2L 30-39 years, female 18.8
GTEX-1A8FM-0626-SM-7PC25 50-59 years, female 18.7
GTEX-1LGRB-0926-SM-COH3K 50-59 years, female 18.7
GTEX-1GMR8-0626-SM-7RHI7 50-59 years, female 18.6
GTEX-1N5O9-0926-SM-E9J3C 60-69 years, male 18.6
GTEX-1RAZS-2526-SM-E6CHT 50-59 years, male 18.6
GTEX-ZLV1-1526-SM-DO91J 60-69 years, female 18.6
GTEX-13D11-0926-SM-5J2NC 50-59 years, female 18.5
GTEX-1J1OQ-0126-SM-D4P2N 40-49 years, female 18.5
GTEX-1J8QM-2426-SM-A9SLS 60-69 years, female 18.5
GTEX-1KANB-2826-SM-CY8I6 50-59 years, male 18.5
GTEX-1A3MW-0626-SM-731CB 60-69 years, female 18.4
GTEX-1HSMO-0626-SM-ACKXC 60-69 years, male 18.4
GTEX-1I6K7-1926-SM-B2LXR 40-49 years, male 18.4
GTEX-144FL-0626-SM-5LU43 50-59 years, male 18.3
GTEX-13X6K-0626-SM-5LU5D 60-69 years, female 18.2
GTEX-VUSG-2326-SM-4KL1U 50-59 years, male 18.2
GTEX-WHWD-1826-SM-3LK6I 50-59 years, male 18.2
GTEX-13PVR-0426-SM-5RQK2 60-69 years, female 18.1
GTEX-1B97I-0626-SM-73KUZ 40-49 years, male 18.1
GTEX-1HCU8-2526-SM-CE6RX 60-69 years, female 18.1
GTEX-1N2EE-0626-SM-E76PW 60-69 years, male 18.1
GTEX-XAJ8-1426-SM-47JYM 40-49 years, male 18.0
GTEX-ZF2S-1626-SM-57WES 50-59 years, female 18.0
GTEX-15EO6-2426-SM-6PALZ 50-59 years, male 17.9
GTEX-ZVE2-2826-SM-5GU51 50-59 years, male 17.9
GTEX-11EQ8-0926-SM-5H12V 60-69 years, male 17.8
GTEX-131XF-2626-SM-5EQ6K 60-69 years, male 17.8
GTEX-133LE-2326-SM-5K7W3 20-29 years, female 17.8
GTEX-13RTJ-0126-SM-5S2NN 60-69 years, male 17.8
GTEX-14PJ2-0626-SM-6LLII 50-59 years, male 17.8
GTEX-17F98-1326-SM-7DUEP 40-49 years, female 17.8
GTEX-1F5PL-0926-SM-7PC2W 40-49 years, female 17.8
GTEX-1H1DG-2426-SM-9QEHJ 70-79 years, male 17.8
GTEX-131XW-0626-SM-5PNVD 50-59 years, female 17.7
GTEX-15RJE-2826-SM-7KUM9 40-49 years, male 17.7
GTEX-1BAJH-2426-SM-7IGP8 70-79 years, male 17.7
GTEX-139TT-2126-SM-5LZWC 60-69 years, male 17.6
GTEX-13JVG-0726-SM-5KM16 60-69 years, male 17.6
GTEX-144GO-2026-SM-5O99P 60-69 years, male 17.6
GTEX-1K9T9-1526-SM-DIPFR 50-59 years, female 17.6
GTEX-14PHX-2226-SM-6EU2P 50-59 years, male 17.5
GTEX-1KWVE-1026-SM-D3L9O 30-39 years, male 17.5
GTEX-11P81-2226-SM-5PNYI 30-39 years, female 17.4
GTEX-11WQC-1826-SM-5GU59 60-69 years, male 17.4
GTEX-13N1W-2426-SM-5IJD1 70-79 years, male 17.4
GTEX-145MF-0926-SM-5Q5EA 50-59 years, male 17.4
GTEX-15EU6-2226-SM-6EU2L 50-59 years, male 17.4
GTEX-16NPX-0726-SM-7KULC 50-59 years, male 17.4
GTEX-11LCK-2226-SM-5HL4Q 30-39 years, male 17.3
GTEX-12WSC-2826-SM-5BC5Y 50-59 years, male 17.3
GTEX-14PKU-0126-SM-6LLHV 40-49 years, female 17.3
GTEX-16XZZ-0726-SM-7KUF2 60-69 years, male 17.3
GTEX-WHSE-0126-SM-3NMBT 20-29 years, male 17.3
GTEX-ZXG5-2126-SM-59HKD 60-69 years, male 17.3
GTEX-ZYFD-0626-SM-5E44E 50-59 years, male 17.3
GTEX-1K2DU-1226-SM-CYPT4 20-29 years, male 17.3
GTEX-13OVL-0126-SM-5L3GJ 50-59 years, male 17.2
GTEX-15CHR-1126-SM-7EWF4 50-59 years, male 17.2
GTEX-1GZHY-0626-SM-9KNVC 50-59 years, female 17.2
GTEX-1HGF4-0126-SM-CNPPX 60-69 years, male 17.2
GTEX-1HR98-2226-SM-ADEI2 60-69 years, male 17.1
GTEX-1EN7A-2426-SM-793DB 40-49 years, male 17.0
GTEX-1EU9M-1426-SM-793AI 60-69 years, male 17.0
GTEX-1S5ZU-2526-SM-E6CIF 20-29 years, female 17.0
GTEX-13112-0126-SM-5P9IU 50-59 years, male 16.9
GTEX-14DAQ-0626-SM-793DS 60-69 years, female 16.9
GTEX-15G1A-1626-SM-7KUKN 30-39 years, male 16.9
GTEX-1C6WA-2626-SM-7MKGM 60-69 years, male 16.9
GTEX-1JK1U-0226-SM-ARZMX 60-69 years, male 16.9
GTEX-147JS-0226-SM-5S2U9 60-69 years, male 16.8
GTEX-ZT9X-1526-SM-5DUXD 40-49 years, male 16.8
GTEX-13OW8-1026-SM-5J1NQ 60-69 years, male 16.7
GTEX-14LZ3-0126-SM-69LPM 60-69 years, female 16.7
GTEX-ZDTT-0426-SM-4WKFL 60-69 years, male 16.7
GTEX-14PJN-1826-SM-6AJ98 30-39 years, male 16.6
GTEX-12WSA-0426-SM-5EQ5X 60-69 years, male 16.5
GTEX-12WSK-2126-SM-5CVNC 40-49 years, female 16.5
GTEX-14E6C-2426-SM-5S2NF 40-49 years, male 16.5
GTEX-15DDE-2926-SM-6LLJ3 50-59 years, female 16.5
GTEX-ZYVF-0926-SM-5E44J 50-59 years, female 16.5
GTEX-1HBPI-2126-SM-ARL9K 50-59 years, male 16.5
GTEX-1JJE9-2626-SM-ARZMT 70-79 years, male 16.4
GTEX-1JMQL-2226-SM-CNPP4 50-59 years, female 16.4
GTEX-1NSGN-0726-SM-DTXEF 50-59 years, male 16.4
GTEX-18465-2826-SM-7LT9J 50-59 years, male 16.3
GTEX-1H3VE-0726-SM-9YFL5 40-49 years, male 16.3
GTEX-1JMQJ-0826-SM-CNPP7 50-59 years, male 16.3
GTEX-1PDJ9-1226-SM-EXUSX 20-29 years, male 16.3
GTEX-1R7EU-1626-SM-DTXG3 60-69 years, male 16.3
GTEX-13PVQ-0626-SM-5LU47 50-59 years, male 16.2
GTEX-1B933-2426-SM-7DHMD 50-59 years, female 16.2
GTEX-1J1R8-2026-SM-CL53Y 40-49 years, male 16.2
GTEX-13IVO-0726-SM-5LZYV 70-79 years, male 16.1
GTEX-15D1Q-2826-SM-6LLH7 40-49 years, male 16.1
GTEX-17HHY-0426-SM-7DHLC 50-59 years, male 16.1
GTEX-WK11-2726-SM-3NMAQ 50-59 years, male 16.1
GTEX-1JJEA-1826-SM-ARU8P 60-69 years, male 16.1
GTEX-1LG7Y-2526-SM-EWRO7 50-59 years, male 16.1
GTEX-11UD2-2526-SM-5CVNU 50-59 years, male 16.0
GTEX-ZTTD-2826-SM-4YCFA 50-59 years, male 16.0
GTEX-1A3MX-2626-SM-7PC24 60-69 years, male 16.0
GTEX-15ER7-0626-SM-6PANF 20-29 years, female 15.9
GTEX-17MFQ-1526-SM-7KFRR 20-29 years, male 15.9
GTEX-1EKGG-0626-SM-7DUGJ 60-69 years, male 15.8
GTEX-ZE7O-2726-SM-51MT5 50-59 years, female 15.8
GTEX-1EMGI-2326-SM-7PBYA 60-69 years, male 15.8
GTEX-1GTWX-2026-SM-9YFLM 60-69 years, male 15.8
GTEX-1IKJJ-2226-SM-CJI4C 60-69 years, male 15.8
GTEX-1RMOY-1326-SM-E9TIH 50-59 years, male 15.8
GTEX-ZF29-0926-SM-4WKFZ 60-69 years, female 15.7
GTEX-11DXZ-2026-SM-5987S 50-59 years, male 15.6
GTEX-144GM-0526-SM-79OJO 20-29 years, male 15.6
GTEX-14PJ5-1526-SM-6LLIL 60-69 years, female 15.6
GTEX-17EVP-2626-SM-7IGMA 40-49 years, male 15.6
GTEX-18QFQ-1826-SM-72D52 30-39 years, male 15.6
GTEX-1KXAM-1626-SM-D3LAD 60-69 years, male 15.6
GTEX-1GL5R-1326-SM-7RHHF 50-59 years, male 15.5
GTEX-1212Z-0126-SM-59HK4 60-69 years, male 15.4
GTEX-1CB4F-1026-SM-7DUH1 60-69 years, male 15.4
GTEX-XMD2-2126-SM-4YCF8 60-69 years, female 15.4
GTEX-ZAB4-2126-SM-5HL8U 40-49 years, male 15.4
GTEX-1GPI7-1826-SM-9KNU1 20-29 years, male 15.4
GTEX-1PIIG-2326-SM-DTXFR 30-39 years, male 15.4
GTEX-13FTY-2126-SM-5IFFB 40-49 years, female 15.3
GTEX-1AX9I-2226-SM-73KUO 60-69 years, male 15.3
GTEX-1CAMQ-1326-SM-7P8RV 40-49 years, male 15.3
GTEX-1LKK1-2626-SM-DKPQE 50-59 years, female 15.3
GTEX-1QEPI-2626-SM-DTXF4 60-69 years, female 15.3
GTEX-1QP28-1126-SM-EVYC4 50-59 years, female 15.3
GTEX-12ZZY-0726-SM-5EQ66 60-69 years, male 15.2
GTEX-13OW6-2726-SM-5J2OE 50-59 years, male 15.2
GTEX-14ICL-1626-SM-5YYAO 30-39 years, male 15.2
GTEX-1EH9U-2826-SM-7DUGT 60-69 years, male 15.2
GTEX-ZYFC-0426-SM-5GICQ 50-59 years, male 15.2
GTEX-1IDJH-0126-SM-D3L92 70-79 years, male 15.2
GTEX-1QAET-0326-SM-EVR3U 50-59 years, male 15.2
GTEX-11ZU8-0126-SM-5EQ58 60-69 years, male 15.0
GTEX-14BMV-2826-SM-5TDED 50-59 years, male 15.0
GTEX-1H2FU-0926-SM-9WPPT 60-69 years, female 15.0
GTEX-1PPGY-1626-SM-EVYBL 60-69 years, male 15.0
GTEX-11GS4-0226-SM-5HL77 60-69 years, male 14.9
GTEX-17F9Y-0126-SM-79OKX 70-79 years, female 14.9
GTEX-1H3O1-1326-SM-9MQLD 60-69 years, male 14.9
GTEX-1HSGN-0826-SM-ACKW3 40-49 years, female 14.9
GTEX-1I1GV-0626-SM-ARL7M 60-69 years, male 14.9
GTEX-11WQK-1026-SM-5EQLX 50-59 years, male 14.8
GTEX-14PJ6-2626-SM-6EU2T 60-69 years, female 14.8
GTEX-1B8KZ-0326-SM-73KY4 50-59 years, male 14.8
GTEX-13PL6-1126-SM-5L3IE 40-49 years, female 14.7
GTEX-UPJH-0226-SM-3GADV 50-59 years, male 14.7
GTEX-Y111-0626-SM-4SOIT 50-59 years, male 14.7
GTEX-1H1DF-1126-SM-9WG7G 40-49 years, female 14.7
GTEX-14753-0726-SM-5QGQO 60-69 years, male 14.6
GTEX-183WM-0326-SM-72D5V 70-79 years, female 14.6
GTEX-1AMFI-1326-SM-7939R 50-59 years, female 14.6
GTEX-V1D1-2026-SM-3GAF4 50-59 years, male 14.6
GTEX-1JKYR-0626-SM-ARL8R 20-29 years, male 14.5
GTEX-13X6J-0626-SM-5LU5F 50-59 years, male 14.4
GTEX-14XAO-1226-SM-6EU1C 60-69 years, female 14.4
GTEX-178AV-1726-SM-7KUL8 40-49 years, male 14.4
GTEX-145MH-2826-SM-5RQJF 50-59 years, male 14.3
GTEX-11GSP-2326-SM-5HL63 60-69 years, female 14.2
GTEX-12696-0126-SM-5EQ4L 60-69 years, male 14.2
GTEX-14A6H-2026-SM-5Q5DD 30-39 years, male 14.2
GTEX-1F88E-1626-SM-7SB8Z 60-69 years, female 14.2
GTEX-1HB9E-0126-SM-CM2S5 50-59 years, male 14.2
GTEX-1J8Q2-2626-SM-ACKWQ 60-69 years, male 14.2
GTEX-147GR-2426-SM-5ZZWQ 60-69 years, male 14.1
GTEX-14C38-0726-SM-5SI6M 50-59 years, male 14.1
GTEX-12ZZX-2426-SM-5GCOE 40-49 years, female 14.0
GTEX-13FHO-0426-SM-5L3F5 60-69 years, male 13.9
GTEX-17HII-1426-SM-7EPGG 50-59 years, male 13.9
GTEX-111VG-1626-SM-5EGIO 60-69 years, male 13.8
GTEX-111YS-1526-SM-5GZYW 60-69 years, male 13.8
GTEX-1H1DE-1326-SM-9KNUG 20-29 years, male 13.8
GTEX-1J8EW-2726-SM-CY8HR 60-69 years, female 13.8
GTEX-1LSNL-2726-SM-E9TKJ 50-59 years, male 13.8
GTEX-1PBJJ-1026-SM-E76OS 30-39 years, male 13.8
GTEX-1CB4E-0926-SM-7EPHT 60-69 years, male 13.6
GTEX-1HSKV-1226-SM-ADEI4 60-69 years, male 13.6
GTEX-131YS-2826-SM-5EQ47 60-69 years, female 13.5
GTEX-145LU-1926-SM-79OJN 50-59 years, male 13.5
GTEX-1GMR3-0126-SM-A9SLW 40-49 years, male 13.5
GTEX-1GN1U-0626-SM-9MQL9 50-59 years, female 13.5
GTEX-1QPFJ-1926-SM-EVYBD 30-39 years, female 13.5
GTEX-1399U-1126-SM-5L3DB 50-59 years, female 13.4
GTEX-1LB8K-0726-SM-D5OV2 50-59 years, male 13.4
GTEX-Z93S-1626-SM-5CVMB 50-59 years, male 13.3
GTEX-1IOXB-2726-SM-CM2RI 50-59 years, male 13.3
GTEX-1JN76-0626-SM-CKZOQ 20-29 years, female 13.3
GTEX-1RAZQ-1326-SM-E9TK6 30-39 years, male 13.3
GTEX-11ZUS-2626-SM-5FQUR 30-39 years, male 13.2
GTEX-139UW-0326-SM-5J1ML 60-69 years, male 13.2
GTEX-13G51-1826-SM-5KLZH 60-69 years, male 13.2
GTEX-13OVH-0526-SM-5L3E6 70-79 years, male 13.2
GTEX-1I1HK-2326-SM-CKZOH 60-69 years, male 13.2
GTEX-1ICLZ-0326-SM-ARL82 60-69 years, male 13.2
GTEX-1GN1W-2426-SM-9KNUU 50-59 years, female 13.1
GTEX-14PII-0726-SM-6EU2B 60-69 years, male 12.9
GTEX-1B8SF-0126-SM-7DUG3 60-69 years, male 12.8
GTEX-14LLW-2626-SM-62LDZ 70-79 years, female 12.7
GTEX-1C6VQ-1226-SM-73KYD 50-59 years, male 12.7
GTEX-ZY6K-1426-SM-5GZX2 50-59 years, male 12.7
GTEX-1GF9X-1326-SM-7PC2Y 40-49 years, female 12.7
GTEX-1PPH8-0126-SM-EWRN8 20-29 years, male 12.7
GTEX-1399Q-2326-SM-5KM2X 40-49 years, male 12.6
GTEX-1H11D-1826-SM-9QEHM 40-49 years, male 12.6
GTEX-13O3O-2326-SM-5IJD6 60-69 years, female 12.5
GTEX-1GZ4I-2626-SM-9KNU3 50-59 years, male 12.5
GTEX-13FLV-0126-SM-5K7WT 50-59 years, male 12.4
GTEX-13O3Q-0126-SM-5KM34 50-59 years, male 12.4
GTEX-1A8G6-2726-SM-731AR 60-69 years, male 12.4
GTEX-1122O-1026-SM-9WYSF 60-69 years, female 12.4
GTEX-14JFF-0626-SM-5ZZVT 60-69 years, male 12.4
GTEX-1GN73-0726-SM-7P8TJ 60-69 years, male 12.4
GTEX-1HBPN-0126-SM-CGQEF 50-59 years, male 12.4
GTEX-1C2JI-1026-SM-73KY1 50-59 years, male 12.2
GTEX-1IDFM-0326-SM-ARL7V 60-69 years, male 12.2
GTEX-1IE54-1126-SM-A9G2Z 40-49 years, female 12.2
GTEX-1JMQI-1726-SM-ARL93 50-59 years, male 12.2
GTEX-148VJ-0626-SM-5LUAW 70-79 years, male 12.1
GTEX-1F5PK-2226-SM-7SB6N 50-59 years, male 12.1
GTEX-1H4P4-2126-SM-9WYSL 50-59 years, male 12.1
GTEX-1NV5F-0626-SM-DTXEG 60-69 years, female 12.1
GTEX-13PDP-0726-SM-5L3HP 60-69 years, male 12.0
GTEX-17KNJ-2126-SM-718AM 50-59 years, male 12.0
GTEX-1PPH7-1126-SM-DTX9A 40-49 years, male 12.0
GTEX-14BIN-1126-SM-5RQJZ 50-59 years, female 11.9
GTEX-ZWKS-0626-SM-5GIDV 30-39 years, male 11.9
GTEX-1HBPM-0726-SM-9YFL7 60-69 years, female 11.9
GTEX-1LVAM-0726-SM-E6CIL 50-59 years, female 11.9
GTEX-1B8L1-2226-SM-7P8PT 60-69 years, male 11.8
GTEX-1OJC4-2726-SM-E76PJ 50-59 years, female 11.8
GTEX-12WSM-1926-SM-5BC65 60-69 years, male 11.7
GTEX-1KAFJ-0126-SM-DIPEK 50-59 years, male 11.7
GTEX-11PRG-0726-SM-5EGL1 50-59 years, male 11.6
GTEX-1399S-0126-SM-5IJCF 30-39 years, female 11.6
GTEX-1A8G7-1326-SM-73KVM 60-69 years, male 11.6
GTEX-WHSB-1326-SM-3LK6W 50-59 years, male 11.6
GTEX-15SKB-2826-SM-6PAMH 60-69 years, male 11.5
GTEX-1HCVE-2726-SM-CL54F 50-59 years, male 11.5
GTEX-1QCLY-0226-SM-EWRNH 30-39 years, male 11.4
GTEX-14B4R-1326-SM-5Q5EZ 30-39 years, male 11.3
GTEX-1HT8W-0626-SM-A9G2H 30-39 years, male 11.3
GTEX-13VXU-0626-SM-5L3F9 50-59 years, male 11.2
GTEX-ZVT4-2426-SM-5GIEI 50-59 years, female 11.2
GTEX-1GF9V-0826-SM-9KNUV 60-69 years, male 11.2
GTEX-1GN2E-0226-SM-9WG6K 60-69 years, male 11.2
GTEX-1AMEY-0826-SM-72D65 30-39 years, female 11.1
GTEX-Y9LG-1126-SM-4VBQ7 30-39 years, male 10.9
GTEX-18A67-1626-SM-7LT9T 50-59 years, male 10.8
GTEX-1ICLY-0826-SM-CMKG1 50-59 years, male 10.8
GTEX-1JMPY-0226-SM-CKZOK 30-39 years, male 10.7
GTEX-1313W-0626-SM-5EQ4H 50-59 years, female 10.6
GTEX-1F88F-0126-SM-9WYSZ 60-69 years, female 10.6
GTEX-13OW7-0426-SM-5K7VK 50-59 years, male 10.4
GTEX-145MI-0626-SM-5SI8S 60-69 years, female 10.4
GTEX-13SLW-0626-SM-5Q5ER 70-79 years, male 10.3
GTEX-14C39-1726-SM-5RQIL 40-49 years, male 10.2
GTEX-1S83E-1326-SM-E6CJM 40-49 years, male 10.2
GTEX-1GN1V-2826-SM-9JGIA 60-69 years, male 10.0
GTEX-11TUW-0626-SM-5LU9M 60-69 years, male 9.9
GTEX-1R46S-2426-SM-E76QA 60-69 years, female 9.8
GTEX-ZE9C-2526-SM-5IJDR 60-69 years, male 9.7
GTEX-1CB4J-1326-SM-7P8RX 60-69 years, male 9.7
GTEX-1GPI6-1926-SM-9KNV7 60-69 years, male 9.6
GTEX-144GL-0626-SM-5LU4D 50-59 years, male 9.5
GTEX-14C5O-0326-SM-5ZZUX 60-69 years, male 9.3
GTEX-1MCYP-0526-SM-E9U6Q 20-29 years, female 9.1
GTEX-ZVZP-1226-SM-5GID7 50-59 years, male 9.0
GTEX-1HR9M-2226-SM-CNPPY 60-69 years, male 8.8
GTEX-1269C-0126-SM-5EQ5L 60-69 years, female 8.7
GTEX-13NYC-0126-SM-5L3F4 60-69 years, male 8.7
GTEX-1C6VR-0126-SM-7RHGB 60-69 years, male 8.7
GTEX-1HCU7-0726-SM-A9SL1 50-59 years, male 8.6
GTEX-1B932-2326-SM-79OL5 40-49 years, female 8.4
GTEX-13NZ8-1226-SM-5KM4A 60-69 years, female 8.3
GTEX-1I1GU-0926-SM-ACKVS 40-49 years, male 8.0
GTEX-14PJ4-0226-SM-5YY92 60-69 years, male 7.8
GTEX-1I1GT-1026-SM-ARZLV 60-69 years, female 7.8
GTEX-1IDJV-0126-SM-COH3Y 60-69 years, male 7.8
GTEX-1QP2A-1726-SM-E76QC 50-59 years, male 7.6
GTEX-ZYY3-2926-SM-5GIEB 60-69 years, female 7.5
GTEX-13QJC-0126-SM-5ZZWJ 60-69 years, female 7.3
GTEX-1F6RS-2026-SM-7RHHC 60-69 years, female 5.4
Show allShow less
Skin - Sun Exposed (Lower leg)
Average nTPM: 25.7
Samples: 701

Max nTPM: 190.1
Min nTPM: 7.7
Std nTPM: 11.1
Median nTPM: 24.2
GTEX-SE5C-1626-SM-2XCE3 40-49 years, female 190.1
GTEX-QCQG-1726-SM-3GIJ9 50-59 years, female 91.2
GTEX-1399U-2326-SM-5K7WY 50-59 years, female 66.3
GTEX-1H2FU-0126-SM-9WYSI 60-69 years, female 65.6
GTEX-PLZ4-0126-SM-5SI8O 50-59 years, female 57.8
GTEX-1211K-2026-SM-5EQ4Z 60-69 years, female 56.6
GTEX-X4EP-0126-SM-3P5YV 60-69 years, female 54.5
GTEX-1CAMS-0426-SM-7P8T2 40-49 years, female 54.1
GTEX-OXRL-0126-SM-2YUMP 50-59 years, male 53.7
GTEX-XV7Q-2526-SM-4BRV9 40-49 years, female 53.2
GTEX-15SB6-1726-SM-6PAME 50-59 years, female 52.2
GTEX-WY7C-2326-SM-3NB2U 50-59 years, male 50.9
GTEX-1QP67-1626-SM-EAZ3X 40-49 years, female 50.5
GTEX-14BIM-0226-SM-7IGLD 60-69 years, female 50.1
GTEX-11DXX-2426-SM-5GZZW 60-69 years, female 49.7
GTEX-Y3I4-2126-SM-4TT7C 50-59 years, male 49.0
GTEX-U4B1-1826-SM-4DXSU 40-49 years, male 48.8
GTEX-Q734-1926-SM-2I5EV 40-49 years, female 48.2
GTEX-ZF28-0126-SM-4WKGK 60-69 years, male 46.9
GTEX-13OVG-1926-SM-5L3DK 60-69 years, male 46.5
GTEX-NPJ8-0126-SM-2YUNR 40-49 years, male 46.3
GTEX-144GN-2326-SM-5LU4F 50-59 years, male 46.1
GTEX-Q2AI-1326-SM-2S1PL 40-49 years, male 45.8
GTEX-1ICG6-2526-SM-CGQFZ 70-79 years, female 45.7
GTEX-QDT8-0126-SM-48TZ1 30-39 years, female 45.6
GTEX-Y3IK-2426-SM-4WWDU 50-59 years, female 45.6
GTEX-Y114-2426-SM-4TT8A 50-59 years, female 45.4
GTEX-14PK6-1926-SM-6ETZU 70-79 years, female 44.1
GTEX-WI4N-1026-SM-3LK7N 40-49 years, female 43.8
GTEX-RTLS-0126-SM-447CA 60-69 years, female 43.7
GTEX-146FR-1326-SM-E9J48 60-69 years, female 43.5
GTEX-W5X1-3026-SM-EAZAX 40-49 years, female 43.3
GTEX-146FQ-0126-SM-5NQA9 30-39 years, male 43.2
GTEX-WH7G-2326-SM-3NMBC 40-49 years, male 43.2
GTEX-1RAZQ-0726-SM-EAZ43 30-39 years, male 43.0
GTEX-U8T8-0126-SM-3DB94 60-69 years, male 42.8
GTEX-R45C-0126-SM-EAZ2R 60-69 years, female 42.5
GTEX-QDVN-2026-SM-3GAEP 50-59 years, male 42.4
GTEX-YEC4-2126-SM-5IFJH 40-49 years, male 41.9
GTEX-XAJ8-0826-SM-47JY6 40-49 years, male 41.8
GTEX-ZTPG-0326-SM-5O9AX 20-29 years, female 41.8
GTEX-ZQG8-1626-SM-DHXIT 60-69 years, female 41.8
GTEX-S33H-1026-SM-EZ6L6 30-39 years, male 41.4
GTEX-13CF2-2526-SM-5LZYX 60-69 years, male 41.2
GTEX-R55G-2526-SM-2TC6D 40-49 years, female 41.1
GTEX-1497J-2426-SM-7IGNX 60-69 years, male 40.8
GTEX-11TTK-0126-SM-5987B 60-69 years, female 40.7
GTEX-11EMC-2926-SM-5EQ4F 60-69 years, female 40.1
GTEX-ZF29-2326-SM-DO92K 60-69 years, female 40.0
GTEX-O5YW-0126-SM-3LK6D 50-59 years, male 39.9
GTEX-XYKS-2126-SM-4E3IB 60-69 years, female 39.5
GTEX-113IC-0126-SM-5HL6T 60-69 years, male 39.2
GTEX-11ZTT-2426-SM-5EQLS 60-69 years, female 39.1
GTEX-12WSJ-1826-SM-5GCNY 40-49 years, female 39.1
GTEX-17EVQ-0226-SM-7LG4P 70-79 years, male 39.1
GTEX-WXYG-2326-SM-4E3I6 50-59 years, female 39.0
GTEX-OXRK-0226-SM-3NB2G 50-59 years, female 38.9
GTEX-P4PP-0126-SM-3LK69 30-39 years, female 38.9
GTEX-RUSQ-1526-SM-2TF62 50-59 years, male 38.9
GTEX-1192X-0226-SM-5H12D 50-59 years, male 38.8
GTEX-13O21-1426-SM-5K7XI 50-59 years, male 38.6
GTEX-PWCY-1826-SM-DHXIZ 20-29 years, female 38.6
GTEX-13VXT-0126-SM-5LU4I 20-29 years, female 38.2
GTEX-1A32A-0126-SM-718B1 50-59 years, female 38.0
GTEX-1F48J-0126-SM-7P8TT 50-59 years, female 38.0
GTEX-145LV-2126-SM-5LU8N 50-59 years, male 37.9
GTEX-ZDXO-3026-SM-5J1N5 60-69 years, male 37.9
GTEX-14753-0426-SM-5NQAM 60-69 years, male 37.8
GTEX-XUW1-0426-SM-4BOOT 50-59 years, female 37.8
GTEX-RWS6-2026-SM-2XCB5 60-69 years, female 37.7
GTEX-1N2DV-0226-SM-E6CJ6 40-49 years, male 37.7
GTEX-13NYS-0126-SM-5MR3W 60-69 years, male 37.6
GTEX-1J8EW-0126-SM-CJI4F 60-69 years, female 37.6
GTEX-P4PQ-0126-SM-2S1NM 60-69 years, male 37.5
GTEX-1HBPH-0426-SM-B2LW5 40-49 years, female 37.4
GTEX-11XUK-2026-SM-5EQLF 40-49 years, female 37.3
GTEX-ZVT2-2526-SM-51MT1 50-59 years, female 37.0
GTEX-XXEK-2226-SM-4BRUM 50-59 years, male 36.9
GTEX-1PWST-0226-SM-E76QJ 70-79 years, male 36.9
GTEX-1QW4Y-1526-SM-EAZ3Z 30-39 years, male 36.9
GTEX-1OJC4-0126-SM-E9J2E 50-59 years, female 36.8
GTEX-1HCU6-0126-SM-CL54K 60-69 years, female 36.7
GTEX-11P7K-2126-SM-5GU7G 30-39 years, male 36.5
GTEX-U3ZM-1526-SM-3DB9D 40-49 years, male 36.5
GTEX-1RLM8-2326-SM-EWRN4 50-59 years, male 36.3
GTEX-13D11-2426-SM-5KM1V 50-59 years, female 36.1
GTEX-15UF6-0826-SM-6PALJ 70-79 years, female 36.1
GTEX-1MGNQ-0126-SM-EVYCJ 40-49 years, male 36.1
GTEX-11UD1-0126-SM-5PNYG 40-49 years, female 36.0
GTEX-1CAV2-2226-SM-7P8P2 40-49 years, female 35.7
GTEX-1H3VE-0326-SM-9YFLH 40-49 years, male 35.7
GTEX-13G51-2526-SM-5LZYK 60-69 years, male 35.6
GTEX-117YW-2626-SM-5GZZH 50-59 years, male 35.5
GTEX-14BIL-0126-SM-5SI92 50-59 years, male 35.1
GTEX-1LNCM-1126-SM-E9U5E 50-59 years, female 35.1
GTEX-TMZS-0126-SM-3DB9Q 60-69 years, male 35.0
GTEX-117YX-2326-SM-5H12W 50-59 years, male 34.7
GTEX-X638-0126-SM-47JZ8 70-79 years, female 34.7
GTEX-1GZ4H-1726-SM-7PBZJ 50-59 years, female 34.7
GTEX-11VI4-1726-SM-5CVLH 40-49 years, female 34.6
GTEX-13OVJ-0126-SM-5KM36 50-59 years, female 34.6
GTEX-QLQW-1126-SM-2S1Q8 30-39 years, male 34.6
GTEX-Y5LM-1926-SM-5RQJH 40-49 years, female 34.6
GTEX-14BMU-2226-SM-5TDE9 20-29 years, female 34.4
GTEX-1JKYN-1326-SM-CGQG9 30-39 years, male 34.4
GTEX-11OF3-2626-SM-5GU7F 60-69 years, male 34.2
GTEX-ZVT3-0126-SM-5GU6I 60-69 years, female 34.2
GTEX-14JIY-0126-SM-6LLH6 60-69 years, male 34.1
GTEX-OIZG-0726-SM-33HBL 50-59 years, male 34.1
GTEX-OXRP-0126-SM-3NB32 60-69 years, female 34.0
GTEX-17F98-0626-SM-79OMX 40-49 years, female 33.8
GTEX-QDVJ-1726-SM-2I5FX 50-59 years, male 33.8
GTEX-145MN-2226-SM-5SIAU 30-39 years, male 33.6
GTEX-POMQ-2226-SM-2I5FK 20-29 years, female 33.6
GTEX-ZAB4-0226-SM-5N9F5 40-49 years, male 33.6
GTEX-14PJ3-1826-SM-62LEX 50-59 years, male 33.5
GTEX-18A67-0126-SM-7LG5P 50-59 years, male 33.5
GTEX-Q2AG-0126-SM-33HBV 40-49 years, female 33.5
GTEX-1HSEH-0126-SM-ACKXN 60-69 years, male 33.5
GTEX-1S82Z-0826-SM-E6CHY 30-39 years, female 33.3
GTEX-Y8LW-1826-SM-5S2MV 50-59 years, female 33.2
GTEX-1MA7X-2226-SM-E6CIY 60-69 years, male 33.2
GTEX-ZQUD-1426-SM-57WER 30-39 years, male 33.1
GTEX-12WSD-0126-SM-59HKN 60-69 years, female 32.9
GTEX-139T8-0126-SM-5K7XZ 60-69 years, male 32.9
GTEX-17F97-0326-SM-7LG5B 50-59 years, male 32.8
GTEX-1HSMP-0126-SM-E6CJS 70-79 years, male 32.8
GTEX-X4XX-0126-SM-3NMC2 60-69 years, male 32.6
GTEX-11GSP-2526-SM-5N9BP 60-69 years, female 32.5
GTEX-139D8-0226-SM-5KLZO 30-39 years, female 32.5
GTEX-16MT8-0426-SM-7KUEY 60-69 years, female 32.5
GTEX-17HHY-0126-SM-7LG5D 50-59 years, male 32.3
GTEX-SN8G-0126-SM-32PLI 50-59 years, female 32.3
GTEX-1J1OQ-0226-SM-CYPSH 40-49 years, female 32.3
GTEX-1AX8Z-0126-SM-7DHM6 60-69 years, male 32.2
GTEX-1GF9U-2126-SM-7SB7L 40-49 years, female 32.1
GTEX-X5EB-2226-SM-46MW4 40-49 years, male 32.0
GTEX-11DZ1-0126-SM-5985Q 50-59 years, male 31.9
GTEX-R55E-0126-SM-2TC5Y 20-29 years, male 31.9
GTEX-XBED-2226-SM-47JYQ 60-69 years, male 31.9
GTEX-1R46S-0626-SM-E9J41 60-69 years, female 31.9
GTEX-18D9B-0526-SM-7LTAS 60-69 years, male 31.8
GTEX-X88G-0126-SM-47JZ3 30-39 years, male 31.7
GTEX-145LT-1726-SM-5QGP3 40-49 years, male 31.6
GTEX-13N11-2526-SM-5K7UE 50-59 years, female 31.5
GTEX-18D9U-0226-SM-718BP 40-49 years, male 31.5
GTEX-1AYCT-2426-SM-7IGQ3 50-59 years, male 31.5
GTEX-13OW7-0126-SM-5MR3B 50-59 years, male 31.4
GTEX-RM2N-1426-SM-2TF4H 50-59 years, male 31.4
GTEX-1HFI6-0226-SM-ADEHZ 40-49 years, male 31.4
GTEX-1AYD5-2426-SM-73KXR 50-59 years, male 31.3
GTEX-S95S-1226-SM-4GICG 60-69 years, male 31.3
GTEX-Y111-0126-SM-4SOIV 50-59 years, male 31.3
GTEX-1C6VQ-0126-SM-7P8RI 50-59 years, male 31.3
GTEX-1IY9M-0126-SM-D3L8S 60-69 years, male 31.2
GTEX-139T4-0226-SM-5HL5S 50-59 years, female 31.1
GTEX-1JK1U-2026-SM-CM2RZ 60-69 years, male 31.1
GTEX-1HBPM-0226-SM-ARL9F 60-69 years, female 31.0
GTEX-1I1CD-0126-SM-CM2TK 60-69 years, female 31.0
GTEX-15SDE-2226-SM-7IGLO 50-59 years, female 30.9
GTEX-X62O-0126-SM-4E3JN 50-59 years, male 30.9
GTEX-XQ3S-1526-SM-4BOOC 20-29 years, male 30.9
GTEX-145MO-0326-SM-5Q5B3 60-69 years, male 30.8
GTEX-1F6IF-0726-SM-7P8TW 60-69 years, male 30.8
GTEX-13OVI-1426-SM-5L3EY 60-69 years, female 30.7
GTEX-1C64O-0126-SM-7SB8P 60-69 years, male 30.7
GTEX-Q2AH-1626-SM-3GAF8 40-49 years, male 30.6
GTEX-TMMY-0226-SM-33HBA 40-49 years, female 30.5
GTEX-12WSN-5019-SM-79OM6 40-49 years, male 30.4
GTEX-18A7A-0226-SM-718BH 50-59 years, female 30.4
GTEX-SIU8-0126-SM-2XCDT 50-59 years, male 30.3
GTEX-13PVR-2326-SM-5QGR1 60-69 years, female 30.2
GTEX-QV44-1926-SM-2S1RF 50-59 years, male 30.2
GTEX-1ICLZ-0126-SM-CKZPO 60-69 years, male 30.2
GTEX-YB5K-2126-SM-4WWDJ 40-49 years, female 30.1
GTEX-13O3O-0126-SM-E9J49 60-69 years, female 30.1
GTEX-WQUQ-0426-SM-3MJFU 60-69 years, male 30.0
GTEX-WYJK-0126-SM-3NMAB 50-59 years, male 30.0
GTEX-1AX9K-2326-SM-73KWU 50-59 years, male 29.9
GTEX-SSA3-0126-SM-32QPU 60-69 years, male 29.9
GTEX-1GN1W-0526-SM-9MQJQ 50-59 years, female 29.9
GTEX-W5WG-1826-SM-4KL2Y 50-59 years, female 29.8
GTEX-11P82-1626-SM-59879 20-29 years, male 29.7
GTEX-13FXS-0226-SM-5IJCK 50-59 years, male 29.7
GTEX-16GPK-0126-SM-7DHLE 60-69 years, male 29.7
GTEX-1I1GS-0126-SM-B2LVW 60-69 years, male 29.7
GTEX-O5YT-0126-SM-48TBW 20-29 years, male 29.6
GTEX-S7PM-0126-SM-4AD6S 60-69 years, male 29.6
GTEX-ZAJG-0126-SM-5HL94 50-59 years, female 29.6
GTEX-1HR98-0126-SM-B2LWI 60-69 years, male 29.5
GTEX-13FTX-1826-SM-5J1NX 20-29 years, female 29.4
GTEX-1F75A-0126-SM-7RHGM 50-59 years, male 29.4
GTEX-1H3NZ-0126-SM-ACKX7 60-69 years, male 29.4
GTEX-12126-0326-SM-5PNW3 20-29 years, male 29.3
GTEX-ZEX8-2426-SM-4WKG4 50-59 years, male 29.3
GTEX-T6MO-1626-SM-32QOM 40-49 years, female 29.1
GTEX-Z9EW-1626-SM-5CVMN 40-49 years, male 29.1
GTEX-OXRO-0126-SM-2YUN4 60-69 years, female 28.9
GTEX-QVJO-1626-SM-2S1QW 60-69 years, female 28.9
GTEX-16BQI-0226-SM-7KUEX 30-39 years, female 28.8
GTEX-ZUA1-0126-SM-5GU76 40-49 years, male 28.8
GTEX-1EKGG-0226-SM-9WYTH 60-69 years, male 28.8
GTEX-OOBK-0126-SM-2YUND 40-49 years, male 28.7
GTEX-1C6WA-0126-SM-7PC2B 60-69 years, male 28.7
GTEX-QEG4-0226-SM-2S1PY 30-39 years, male 28.6
GTEX-ZVE2-0226-SM-59HJB 50-59 years, male 28.6
GTEX-1R9PO-2126-SM-E9J4O 60-69 years, female 28.6
GTEX-OOBJ-0126-SM-E6CJW 60-69 years, male 28.6
GTEX-13X6H-2126-SM-7EWD5 50-59 years, female 28.5
GTEX-PLZ5-2026-SM-2S1O4 50-59 years, male 28.5
GTEX-1I1GU-2226-SM-CGQFA 40-49 years, male 28.5
GTEX-11GS4-2726-SM-5A5LE 60-69 years, male 28.4
GTEX-15SHU-0126-SM-7KUEH 40-49 years, female 28.4
GTEX-X585-0226-SM-4QAS2 50-59 years, male 28.4
GTEX-1HCUA-2426-SM-ADEIS 50-59 years, female 28.4
GTEX-T2IS-0126-SM-4DM6O 20-29 years, female 28.3
GTEX-U412-0426-SM-3DB9O 60-69 years, male 28.3
GTEX-1HKZK-0326-SM-9WYUH 40-49 years, male 28.3
GTEX-1MUQO-0126-SM-EAZ58 60-69 years, male 28.3
GTEX-1R7EV-2426-SM-EVYBG 40-49 years, male 28.3
GTEX-13FTW-2626-SM-5K7WL 40-49 years, male 28.2
GTEX-1J8JJ-0226-SM-CL53I 60-69 years, female 28.2
GTEX-VJYA-1126-SM-3GIJU 60-69 years, male 28.1
GTEX-ZDTT-2726-SM-4WKF8 60-69 years, male 28.1
GTEX-1JMOU-1526-SM-CL54I 60-69 years, female 28.1
GTEX-ZZPT-0226-SM-5E43X 50-59 years, male 28.0
GTEX-1F6I4-0126-SM-9MQL2 60-69 years, male 28.0
GTEX-1KD4Q-0226-SM-E9TJ9 40-49 years, male 28.0
GTEX-12WSK-2326-SM-5GCOH 40-49 years, female 27.9
GTEX-13NZ8-0826-SM-5MR3I 60-69 years, female 27.9
GTEX-18QFQ-0126-SM-731BE 30-39 years, male 27.9
GTEX-1B8L1-2526-SM-9WYTF 60-69 years, male 27.9
GTEX-1313W-0126-SM-5LZUN 50-59 years, female 27.8
GTEX-13RTJ-2426-SM-5S2Q2 60-69 years, male 27.8
GTEX-X4EO-0326-SM-3P5YO 60-69 years, female 27.8
GTEX-YFC4-0126-SM-5CVLY 40-49 years, female 27.8
GTEX-13VXU-0126-SM-5SI9F 50-59 years, male 27.7
GTEX-15DYW-0126-SM-7KULE 60-69 years, female 27.7
GTEX-1JKYR-0126-SM-CNPOJ 20-29 years, male 27.7
GTEX-1N2DW-0226-SM-E9TK2 50-59 years, male 27.7
GTEX-15EOM-0126-SM-7KUGG 20-29 years, female 27.6
GTEX-NFK9-0226-SM-2HMKQ 40-49 years, male 27.6
GTEX-13RTL-0126-SM-7LG5S 40-49 years, male 27.5
GTEX-RN64-0126-SM-2TC68 50-59 years, male 27.5
GTEX-Y8DK-0126-SM-4TT3L 60-69 years, male 27.5
GTEX-VUSG-2526-SM-4KL1V 50-59 years, male 27.4
GTEX-1GF9X-2026-SM-7PC3A 40-49 years, female 27.4
GTEX-1HGF4-2426-SM-ACKXM 60-69 years, male 27.3
GTEX-1PBJI-0526-SM-E8VNK 20-29 years, female 27.3
GTEX-1PPH7-2326-SM-EVYB8 40-49 years, male 27.3
GTEX-1QMI2-0226-SM-EVYBX 60-69 years, male 27.3
GTEX-RNOR-0126-SM-E9J4R 50-59 years, female 27.3
GTEX-132NY-0326-SM-5IJBL 60-69 years, male 27.2
GTEX-14LLW-0126-SM-6LLIO 70-79 years, female 27.2
GTEX-1MCYP-1926-SM-E9J2R 20-29 years, female 27.2
GTEX-1S5ZA-0126-SM-EVYCV 20-29 years, male 27.2
GTEX-13N1W-0126-SM-5K7VT 70-79 years, male 27.1
GTEX-ZYFD-0126-SM-5GIDL 50-59 years, male 27.1
GTEX-1KANB-0526-SM-E6CJH 50-59 years, male 27.1
GTEX-139TS-2826-SM-5J1OO 60-69 years, male 27.0
GTEX-13X6I-0626-SM-5QGP9 60-69 years, male 27.0
GTEX-1HSMQ-1226-SM-CGQFX 50-59 years, male 27.0
GTEX-1PFEY-1526-SM-E76PP 30-39 years, male 26.8
GTEX-14ABY-0226-SM-5TDCQ 50-59 years, male 26.7
GTEX-TML8-1926-SM-32QOS 40-49 years, female 26.7
GTEX-XMD2-0126-SM-4YCDU 60-69 years, female 26.6
GTEX-1B933-0126-SM-7PC29 50-59 years, female 26.6
GTEX-11ZVC-2526-SM-5FQTE 50-59 years, female 26.5
GTEX-131XG-2626-SM-5KM17 50-59 years, female 26.5
GTEX-13QJ3-0326-SM-5S2RA 50-59 years, male 26.5
GTEX-14PN3-2426-SM-6LLHS 60-69 years, female 26.5
GTEX-ZDYS-2026-SM-5HL5L 50-59 years, male 26.5
GTEX-14DAR-2026-SM-5S2O3 50-59 years, male 26.4
GTEX-1C6VS-0526-SM-7DUEN 60-69 years, male 26.4
GTEX-ZC5H-0226-SM-4WAY9 40-49 years, female 26.4
GTEX-U3ZN-2326-SM-3DB7W 30-39 years, female 26.3
GTEX-U8XE-0326-SM-3DB8P 30-39 years, male 26.3
GTEX-1EWIQ-0126-SM-7RHH2 70-79 years, female 26.3
GTEX-1IDJF-0126-SM-CM2RS 20-29 years, male 26.3
GTEX-1269C-2526-SM-5EGJ3 60-69 years, female 26.2
GTEX-13FHO-0226-SM-5IFGY 60-69 years, male 26.2
GTEX-1GF9W-0326-SM-9KNUN 60-69 years, male 26.2
GTEX-1LC47-0326-SM-E9TJP 60-69 years, male 26.2
GTEX-1GN73-0226-SM-9WG67 60-69 years, male 26.1
GTEX-ZF3C-0126-SM-DO92D 50-59 years, female 26.1
GTEX-Z93T-0126-SM-5HL5N 50-59 years, male 26.0
GTEX-1HUB1-0426-SM-E9U4U 60-69 years, male 26.0
GTEX-13CF3-2426-SM-5IFGX 60-69 years, female 25.9
GTEX-15SHW-0326-SM-6PAML 60-69 years, male 25.9
GTEX-PWO3-1526-SM-48TCM 60-69 years, female 25.9
GTEX-1GZ2Q-0226-SM-7P8TL 40-49 years, male 25.9
GTEX-1M4P7-0226-SM-DIPEV 60-69 years, male 25.9
GTEX-1QP29-0626-SM-EWRMX 50-59 years, male 25.9
GTEX-11ZTS-0126-SM-5EQ6M 60-69 years, female 25.8
GTEX-13SLX-0526-SM-5S2ON 50-59 years, female 25.8
GTEX-17HII-0226-SM-7LG4E 50-59 years, male 25.8
GTEX-WVJS-0126-SM-4MVOT 50-59 years, male 25.8
GTEX-12C56-1726-SM-5EQ61 20-29 years, male 25.7
GTEX-12KS4-0326-SM-5EQ41 30-39 years, male 25.7
GTEX-14PHW-0126-SM-6LLJI 60-69 years, female 25.7
GTEX-1IE54-0126-SM-CMKHW 40-49 years, female 25.7
GTEX-1QP66-1726-SM-E8VO1 50-59 years, male 25.7
GTEX-PW2O-1526-SM-7RHHB 20-29 years, male 25.6
GTEX-RVPV-0126-SM-EAZAW 60-69 years, male 25.6
GTEX-15UKP-0426-SM-7KUFQ 20-29 years, male 25.5
GTEX-1GMR8-0126-SM-9WYTM 50-59 years, female 25.5
GTEX-1NHNU-1026-SM-E9J2A 50-59 years, male 25.5
GTEX-11NUK-0126-SM-5A5L3 50-59 years, male 25.3
GTEX-WOFL-0126-SM-3MJG2 60-69 years, male 25.3
GTEX-X8HC-0126-SM-4E3JW 50-59 years, female 25.3
GTEX-ZYY3-0126-SM-5GZY5 60-69 years, female 25.3
GTEX-1314G-1526-SM-5EGK2 30-39 years, male 25.2
GTEX-13RTK-1426-SM-5QGQJ 20-29 years, male 25.2
GTEX-XQ8I-0426-SM-4BOPO 50-59 years, male 25.2
GTEX-1CB4G-0226-SM-7PC3O 60-69 years, male 25.2
GTEX-R3RS-0126-SM-3GIJL 40-49 years, female 25.1
GTEX-ZDTS-0126-SM-4WAY5 60-69 years, male 25.1
GTEX-1NV5F-0226-SM-E8VNY 60-69 years, female 25.1
GTEX-1RAZA-0126-SM-E6CI3 20-29 years, male 25.1
GTEX-14PJM-0226-SM-62LF1 50-59 years, female 25.0
GTEX-16XZY-2126-SM-79OK1 70-79 years, male 25.0
GTEX-OIZH-0126-SM-2HMIS 50-59 years, male 25.0
GTEX-1JN6P-0126-SM-D3L98 60-69 years, male 25.0
GTEX-11EM3-2426-SM-59861 20-29 years, female 24.9
GTEX-17HGU-0226-SM-7DHKV 50-59 years, male 24.9
GTEX-U3ZH-2026-SM-3DB78 30-39 years, male 24.9
GTEX-1S82Y-2026-SM-EVYCM 40-49 years, male 24.9
GTEX-13O1R-0126-SM-5L3EH 60-69 years, male 24.8
GTEX-13U4I-0126-SM-5LU38 40-49 years, female 24.8
GTEX-147F4-0226-SM-5QGPW 50-59 years, male 24.8
GTEX-18A6Q-0126-SM-731BZ 60-69 years, male 24.8
GTEX-1AMEY-1326-SM-73KYK 30-39 years, female 24.8
GTEX-UPJH-0326-SM-3GADU 50-59 years, male 24.7
GTEX-ZZ64-1726-SM-5GZYB 20-29 years, male 24.7
GTEX-1GN1U-0126-SM-7PBZK 50-59 years, female 24.7
GTEX-1RB15-2126-SM-E9TIM 60-69 years, male 24.7
GTEX-17MF6-0126-SM-7LG4F 40-49 years, male 24.6
GTEX-OHPM-0126-SM-2YUN9 50-59 years, male 24.6
GTEX-1H3O1-0426-SM-9YFKY 60-69 years, male 24.6
GTEX-1KD5A-0226-SM-D5OV3 50-59 years, male 24.6
GTEX-12ZZX-0126-SM-5EGK9 40-49 years, female 24.5
GTEX-WRHK-1426-SM-3MJF9 20-29 years, female 24.5
GTEX-XBEW-0626-SM-4QASP 40-49 years, male 24.5
GTEX-ZAK1-0126-SM-5IJD3 50-59 years, female 24.5
GTEX-14JG6-2226-SM-6EU2G 30-39 years, female 24.4
GTEX-SUCS-1926-SM-32PM3 70-79 years, male 24.4
GTEX-1EX96-1626-SM-7PBXR 50-59 years, male 24.4
GTEX-PVOW-0126-SM-2XCFA 40-49 years, male 24.3
GTEX-WZTO-0126-SM-3NM95 40-49 years, male 24.3
GTEX-1I19N-0326-SM-ACKVX 70-79 years, male 24.3
GTEX-113JC-2326-SM-5EQ4E 50-59 years, female 24.2
GTEX-13IVO-0126-SM-5J1NG 70-79 years, male 24.2
GTEX-13OVL-0226-SM-5L3E9 50-59 years, male 24.2
GTEX-OXRN-0126-SM-48TDM 50-59 years, male 24.2
GTEX-ZYW4-0126-SM-5E44A 60-69 years, male 24.2
GTEX-1F75B-0126-SM-9KNVL 50-59 years, male 24.2
GTEX-111VG-2426-SM-5GZXD 60-69 years, male 24.1
GTEX-1JN1M-0326-SM-CYPT3 60-69 years, female 24.1
GTEX-14A6H-0126-SM-5QGPK 30-39 years, male 24.0
GTEX-1CAMR-1926-SM-7EPI2 20-29 years, male 24.0
GTEX-1IDJU-2626-SM-CM2RT 60-69 years, female 24.0
GTEX-1QEPI-0126-SM-EWRMQ 60-69 years, female 23.9
GTEX-147F3-0526-SM-5SI98 50-59 years, female 23.8
GTEX-1B8KE-2126-SM-73KYX 50-59 years, male 23.8
GTEX-WYVS-2126-SM-3NMA3 40-49 years, female 23.8
GTEX-ZY6K-1826-SM-5GZXK 50-59 years, male 23.8
GTEX-12WSG-2826-SM-E9J4H 50-59 years, female 23.8
GTEX-1J8Q3-1626-SM-CMKGC 60-69 years, male 23.8
GTEX-1K9T9-0126-SM-EVYCF 50-59 years, female 23.8
GTEX-11DYG-0126-SM-59883 60-69 years, male 23.6
GTEX-1H3VY-0126-SM-ACKXD 50-59 years, male 23.6
GTEX-13W3W-2426-SM-5LU5B 60-69 years, female 23.5
GTEX-146FH-0126-SM-5QGPP 50-59 years, female 23.5
GTEX-1HCVE-0126-SM-CGQEU 50-59 years, male 23.5
GTEX-PSDG-0226-SM-DKPOZ 50-59 years, male 23.5
GTEX-14ICK-0226-SM-6EU25 40-49 years, male 23.4
GTEX-15ER7-0326-SM-7KUEV 20-29 years, female 23.4
GTEX-ZE9C-2726-SM-57WB5 60-69 years, male 23.4
GTEX-1MCQQ-0826-SM-DLHC2 60-69 years, male 23.4
GTEX-11DXW-0226-SM-5H122 40-49 years, male 23.3
GTEX-12584-0126-SM-5EGKQ 40-49 years, male 23.3
GTEX-145LU-0126-SM-5TDCB 50-59 years, male 23.3
GTEX-13FH7-2026-SM-E9J4I 50-59 years, female 23.3
GTEX-139TU-0126-SM-5K7WH 60-69 years, male 23.2
GTEX-14E6C-0126-SM-5RQIP 40-49 years, male 23.2
GTEX-1I6K6-0126-SM-A9SLE 30-39 years, male 23.1
GTEX-1JMQK-0226-SM-CL543 60-69 years, male 23.1
GTEX-11OC5-0126-SM-5HL6A 60-69 years, male 23.0
GTEX-1RQEC-0426-SM-E6CHU 60-69 years, male 23.0
GTEX-13NZA-0226-SM-5K7Z7 60-69 years, male 22.9
GTEX-15DCD-0126-SM-7KUEK 70-79 years, female 22.9
GTEX-Y8E4-0626-SM-4WWDL 40-49 years, male 22.9
GTEX-ZV6S-2326-SM-4YCEY 40-49 years, female 22.9
GTEX-1F75I-0326-SM-9YFLU 40-49 years, male 22.9
GTEX-1H1E6-1726-SM-ACKVK 30-39 years, male 22.9
GTEX-1MA7W-2026-SM-E9TJ6 20-29 years, female 22.9
GTEX-11DXY-2626-SM-5GIE7 60-69 years, male 22.8
GTEX-18A7B-0126-SM-7LG64 70-79 years, male 22.7
GTEX-1AX9J-0226-SM-73KXM 60-69 years, male 22.7
GTEX-OHPL-0126-SM-2HMJ7 60-69 years, female 22.7
GTEX-1LG7Y-0526-SM-DKPQC 50-59 years, male 22.7
GTEX-1A3MW-0126-SM-73KXX 60-69 years, female 22.6
GTEX-1I1GP-2226-SM-CGQFK 50-59 years, male 22.6
GTEX-11ZUS-0626-SM-59885 30-39 years, male 22.5
GTEX-13OW6-0426-SM-5L3HM 50-59 years, male 22.5
GTEX-X4XY-0226-SM-4E3IZ 60-69 years, male 22.5
GTEX-ZAB5-1826-SM-5HL7C 50-59 years, male 22.5
GTEX-ZE7O-0126-SM-57WC1 50-59 years, female 22.5
GTEX-1AX9I-0126-SM-7SB74 60-69 years, male 22.5
GTEX-1F5PK-2426-SM-7RHHY 50-59 years, male 22.5
GTEX-1GMRU-0126-SM-9YFLV 50-59 years, male 22.5
GTEX-1H1CY-2826-SM-9MQM3 60-69 years, female 22.5
GTEX-1IDFM-0126-SM-COH2V 60-69 years, male 22.5
GTEX-1JMPZ-0226-SM-CNPP1 30-39 years, male 22.5
GTEX-ZVT4-0126-SM-DTXFN 50-59 years, female 22.5
GTEX-1H23P-0126-SM-ADEJ3 60-69 years, male 22.4
GTEX-1122O-2126-SM-5EGIR 60-69 years, female 22.2
GTEX-11GSO-2426-SM-5A5LY 60-69 years, male 22.1
GTEX-11H98-0126-SM-5EGHG 50-59 years, male 22.1
GTEX-13YAN-0326-SM-5O9DF 60-69 years, male 22.1
GTEX-RU72-0926-SM-2TF6B 50-59 years, female 22.1
GTEX-ZGAY-0526-SM-4WWBB 40-49 years, female 22.1
GTEX-ZVTK-0426-SM-51MRS 20-29 years, male 22.1
GTEX-169BO-1326-SM-9MQK2 50-59 years, male 22.1
GTEX-1B8KZ-2026-SM-7DHMB 50-59 years, male 22.0
GTEX-1CB4J-0626-SM-7DHMP 60-69 years, male 22.0
GTEX-P44H-0226-SM-2XCEU 40-49 years, male 22.0
GTEX-1GTWX-0126-SM-9YFLK 60-69 years, male 22.0
GTEX-1GZHY-0326-SM-9QEHI 50-59 years, female 22.0
GTEX-14PII-0226-SM-6EU1T 60-69 years, male 21.9
GTEX-1CB4F-0426-SM-9KNV4 60-69 years, male 21.9
GTEX-1GN1V-0126-SM-9WPOS 60-69 years, male 21.9
GTEX-1J1R8-1726-SM-ARL8M 40-49 years, male 21.9
GTEX-17EUY-0426-SM-793BD 20-29 years, male 21.8
GTEX-T6MN-0126-SM-32PLP 50-59 years, male 21.8
GTEX-1N2EF-0226-SM-EYYXB 60-69 years, male 21.8
GTEX-1192W-2626-SM-5Q5AF 60-69 years, male 21.7
GTEX-1B8SF-1426-SM-7DUGL 60-69 years, male 21.7
GTEX-1H11D-0226-SM-9WG6Z 40-49 years, male 21.7
GTEX-1LVAN-0226-SM-COH3S 50-59 years, female 21.7
GTEX-1R9K4-0126-SM-DTX9X 60-69 years, male 21.7
GTEX-15G19-0126-SM-6PANQ 60-69 years, male 21.6
GTEX-1EU9M-0226-SM-7P8SP 60-69 years, male 21.6
GTEX-1F7RK-0126-SM-7PC2S 20-29 years, female 21.6
GTEX-1H1DG-0126-SM-9WYU2 70-79 years, male 21.6
GTEX-1K2DA-1826-SM-CGQGT 50-59 years, male 21.6
GTEX-11WQC-2526-SM-5CVLE 60-69 years, male 21.5
GTEX-13113-5016-SM-7EPIP 60-69 years, female 21.4
GTEX-ZYFG-2326-SM-5E44B 60-69 years, female 21.4
GTEX-11DXZ-2326-SM-5EGGV 50-59 years, male 21.3
GTEX-14PHX-2326-SM-62LEM 50-59 years, male 21.3
GTEX-15DDE-0126-SM-6LPKH 50-59 years, female 21.3
GTEX-TSE9-0126-SM-3DB83 60-69 years, female 21.3
GTEX-1EMGI-0126-SM-9KNUE 60-69 years, male 21.3
GTEX-1H1ZS-0426-SM-9WG6G 70-79 years, male 21.3
GTEX-1I1HK-0126-SM-COH49 60-69 years, male 21.3
GTEX-11WQK-0526-SM-5EQLD 50-59 years, male 21.2
GTEX-131YS-0126-SM-5KM1M 60-69 years, female 21.2
GTEX-13W46-0226-SM-5SIAG 50-59 years, male 21.2
GTEX-183FY-0126-SM-7LT9P 20-29 years, male 21.2
GTEX-18A66-0226-SM-718BD 60-69 years, male 21.2
GTEX-1CB4H-0226-SM-7PBXM 60-69 years, female 21.2
GTEX-1QPFJ-0226-SM-E76PB 30-39 years, female 21.2
GTEX-12WSL-2526-SM-5GCNJ 50-59 years, male 21.1
GTEX-1GN2E-0426-SM-9MQKX 60-69 years, male 21.1
GTEX-1I1GV-0526-SM-A9G29 60-69 years, male 21.1
GTEX-1HBPN-0226-SM-9YFM1 50-59 years, male 20.9
GTEX-1LBAC-0126-SM-DIPEZ 20-29 years, male 20.9
GTEX-ZPIC-1726-SM-DHXIU 40-49 years, female 20.9
GTEX-14PN4-0126-SM-6EU2V 50-59 years, male 20.8
GTEX-1C2JI-1826-SM-73KXC 50-59 years, male 20.8
GTEX-1F52S-0126-SM-9MQJU 60-69 years, female 20.8
GTEX-1JMPY-1326-SM-ARL8Y 30-39 years, male 20.8
GTEX-1RDX4-0126-SM-E9J4P 50-59 years, female 20.8
GTEX-148VI-1626-SM-5SI6E 60-69 years, female 20.7
GTEX-SJXC-0126-SM-2XCFF 60-69 years, male 20.7
GTEX-OIZF-0126-SM-7SB8I 60-69 years, male 20.7
GTEX-11TT1-2526-SM-5EGIB 20-29 years, male 20.6
GTEX-13PDP-0126-SM-5L3HD 60-69 years, male 20.6
GTEX-1POEN-0126-SM-EYYXJ 30-39 years, female 20.6
GTEX-14E6D-0126-SM-62LDV 50-59 years, male 20.5
GTEX-1A3MX-0126-SM-731BR 60-69 years, male 20.4
GTEX-ZVZP-2426-SM-59HKJ 50-59 years, male 20.4
GTEX-S7SE-0126-SM-2XCD5 50-59 years, male 20.3
GTEX-PLZ6-1426-SM-DKPOT 30-39 years, male 20.3
GTEX-14XAO-2326-SM-6EU1B 60-69 years, female 20.2
GTEX-15CHC-2126-SM-6EU21 60-69 years, female 20.2
GTEX-T2YK-0526-SM-32QPJ 50-59 years, male 20.2
GTEX-1JMLX-0226-SM-CM2RO 50-59 years, male 20.2
GTEX-1LGOU-2026-SM-DIPFF 20-29 years, female 20.2
GTEX-1I4MK-2226-SM-ACKWD 50-59 years, female 20.1
GTEX-1IOXB-0126-SM-ARL8G 50-59 years, male 20.1
GTEX-1R7EU-0226-SM-EVR4G 60-69 years, male 20.1
GTEX-11NSD-2226-SM-5986V 20-29 years, male 20.0
GTEX-18465-0126-SM-731BN 50-59 years, male 20.0
GTEX-1IGQW-0126-SM-COH42 60-69 years, male 20.0
GTEX-ZYFC-0226-SM-5NQ75 50-59 years, male 19.9
GTEX-131XF-5016-SM-7MGWE 60-69 years, male 19.9
GTEX-1F88F-2726-SM-7PBZZ 60-69 years, female 19.9
GTEX-131XW-0426-SM-5LZWP 50-59 years, female 19.8
GTEX-111FC-0126-SM-5N9DL 60-69 years, male 19.7
GTEX-13SLW-0126-SM-5SI6C 70-79 years, male 19.7
GTEX-13X6J-0126-SM-5QGOU 50-59 years, male 19.7
GTEX-144FL-0126-SM-5TDC8 50-59 years, male 19.7
GTEX-16YQH-0126-SM-7DUFJ 30-39 years, male 19.7
GTEX-1QAET-0926-SM-E76QM 50-59 years, male 19.7
GTEX-11P81-2326-SM-59875 30-39 years, female 19.6
GTEX-15ETS-0126-SM-7KUMW 40-49 years, female 19.6
GTEX-RWSA-0126-SM-2XCBB 40-49 years, male 19.6
GTEX-ZXES-1826-SM-5E43S 30-39 years, female 19.6
GTEX-131XE-2326-SM-5PNZ2 50-59 years, male 19.5
GTEX-148VJ-0126-SM-5TDDN 70-79 years, male 19.5
GTEX-16AAH-1726-SM-7939C 50-59 years, male 19.5
GTEX-UJHI-1526-SM-3DB99 50-59 years, female 19.5
GTEX-1PIGE-0126-SM-EVYBJ 20-29 years, male 19.5
GTEX-147GR-0526-SM-5S2MY 60-69 years, male 19.4
GTEX-T5JC-0426-SM-32PLO 20-29 years, male 19.4
GTEX-1GPI7-0126-SM-9MQL8 20-29 years, male 19.4
GTEX-1HCU8-0626-SM-A9SM9 60-69 years, female 19.4
GTEX-1PDJ9-0326-SM-DTX95 20-29 years, male 19.4
GTEX-117XS-2726-SM-5N9BL 60-69 years, male 19.3
GTEX-11EQ9-2426-SM-5HL5T 30-39 years, male 19.3
GTEX-139TT-0126-SM-5K7Y5 60-69 years, male 19.3
GTEX-1HBPI-1526-SM-C1YQ1 50-59 years, male 19.3
GTEX-1IKOH-0226-SM-COH4E 60-69 years, female 19.3
GTEX-1399R-2726-SM-5IJBA 30-39 years, male 19.2
GTEX-1B996-0226-SM-7RHGO 60-69 years, male 19.2
GTEX-1QP2A-0126-SM-E9J43 50-59 years, male 19.2
GTEX-XUYS-0126-SM-47JWZ 50-59 years, male 19.1
GTEX-YB5E-2026-SM-5IFIS 40-49 years, male 19.1
GTEX-ZVZO-0126-SM-5A5L9 40-49 years, male 19.1
GTEX-1F6RS-0126-SM-9MQKZ 60-69 years, female 19.1
GTEX-13O3P-0126-SM-5KM4S 50-59 years, male 19.0
GTEX-15D1Q-0126-SM-7KUG6 40-49 years, male 19.0
GTEX-1S3DN-2226-SM-EVYCD 50-59 years, male 19.0
GTEX-1BAJH-0526-SM-793CQ 70-79 years, male 18.9
GTEX-TKQ1-1026-SM-4GICL 30-39 years, male 18.9
GTEX-YJ8A-0426-SM-5IFID 20-29 years, male 18.9
GTEX-131XH-2226-SM-5DUXJ 50-59 years, male 18.8
GTEX-13112-2826-SM-5DUWH 50-59 years, male 18.7
GTEX-13FTY-0526-SM-5L3EV 40-49 years, female 18.6
GTEX-13OW5-0126-SM-DTXFS 60-69 years, male 18.6
GTEX-139UW-2826-SM-5L3E7 60-69 years, male 18.5
GTEX-P4QT-0126-SM-2I3FL 50-59 years, female 18.5
GTEX-Y5V5-2326-SM-4V6GA 60-69 years, female 18.5
GTEX-17HHE-2026-SM-79OKF 50-59 years, male 18.4
GTEX-T8EM-1026-SM-3DB7M 40-49 years, male 18.4
GTEX-1IL2U-0226-SM-CE6T8 60-69 years, male 18.4
GTEX-1M5QR-1226-SM-EWROB 40-49 years, male 18.4
GTEX-11ZU8-2526-SM-5EQKI 60-69 years, male 18.3
GTEX-133LE-1826-SM-5J1MV 20-29 years, female 18.3
GTEX-13JUV-2726-SM-5LZZ8 40-49 years, female 18.3
GTEX-145MF-0626-SM-5LUAI 50-59 years, male 18.3
GTEX-1CB4E-2226-SM-793DC 60-69 years, male 18.3
GTEX-ZTSS-1926-SM-57WEW 40-49 years, male 18.3
GTEX-1GMR3-1926-SM-9KNUZ 40-49 years, male 18.3
GTEX-13NYB-2526-SM-5K7Z6 40-49 years, male 18.2
GTEX-145LS-0126-SM-5QGP1 60-69 years, female 18.2
GTEX-1128S-2326-SM-5GZZY 60-69 years, female 18.1
GTEX-VJWN-0126-SM-3GIK7 50-59 years, female 18.1
GTEX-1HSMO-0126-SM-CL547 60-69 years, male 18.1
GTEX-11O72-0126-SM-59887 40-49 years, male 18.0
GTEX-12ZZZ-0626-SM-5DUXI 60-69 years, male 18.0
GTEX-1A8FM-0226-SM-7SB7Q 50-59 years, female 18.0
GTEX-1C64N-0126-SM-793D7 50-59 years, male 17.9
GTEX-1E1VI-0126-SM-7DHMZ 50-59 years, male 17.9
GTEX-1JN76-0126-SM-CNPPE 20-29 years, female 17.9
GTEX-13O3Q-2426-SM-5IJBR 50-59 years, male 17.8
GTEX-17JCI-0126-SM-7LG5G 60-69 years, female 17.8
GTEX-1JJE9-0326-SM-CL53Z 70-79 years, male 17.8
GTEX-14DAQ-0126-SM-5S2MQ 60-69 years, female 17.6
GTEX-1B8SG-0126-SM-73KZ3 50-59 years, male 17.6
GTEX-Y5V6-2426-SM-4VDSB 60-69 years, male 17.5
GTEX-183WM-0126-SM-7LTAB 70-79 years, female 17.4
GTEX-1I1GR-0126-SM-CL55F 60-69 years, male 17.4
GTEX-1ICLY-0126-SM-D4P36 50-59 years, male 17.4
GTEX-1IL2V-0126-SM-CM2TX 70-79 years, male 17.4
GTEX-1J8Q2-0526-SM-CM2RW 60-69 years, male 17.4
GTEX-1J8QM-2126-SM-CYPSJ 60-69 years, female 17.4
GTEX-1JMQJ-0526-SM-CYPSU 50-59 years, male 17.4
GTEX-13OVK-2026-SM-7KUEO 40-49 years, male 17.3
GTEX-16XZZ-0126-SM-793DV 60-69 years, male 17.3
GTEX-V1D1-2226-SM-3NMAX 50-59 years, male 17.3
GTEX-1F5PL-0326-SM-7P8PQ 40-49 years, female 17.3
GTEX-1PPH8-0226-SM-E8VND 20-29 years, male 17.3
GTEX-13FHP-0126-SM-5IJBG 50-59 years, male 17.2
GTEX-YJ89-0126-SM-4TT3X 60-69 years, male 17.2
GTEX-1OFPY-2426-SM-DTXEJ 60-69 years, male 17.2
GTEX-1A3MV-1926-SM-718BT 30-39 years, male 17.1
GTEX-QESD-1426-SM-2S1R9 20-29 years, male 17.1
GTEX-11TUW-2726-SM-E9J4M 60-69 years, male 17.1
GTEX-11LCK-1026-SM-5A5KB 30-39 years, male 17.0
GTEX-17F96-1626-SM-7DUFL 70-79 years, male 17.0
GTEX-1LSNM-1926-SM-E6CII 50-59 years, male 17.0
GTEX-16NPX-0226-SM-79OMT 50-59 years, male 16.9
GTEX-1IKK5-0626-SM-ARL8A 60-69 years, male 16.9
GTEX-1K2DU-2326-SM-E9TIV 20-29 years, male 16.8
GTEX-1AMFI-2026-SM-731BH 50-59 years, female 16.7
GTEX-WFG8-2226-SM-3GIL9 20-29 years, male 16.7
GTEX-1H1DE-2126-SM-9WG6R 20-29 years, male 16.7
GTEX-1HT8W-0126-SM-CNPPP 30-39 years, male 16.7
GTEX-1QP9N-1426-SM-DTXFL 30-39 years, male 16.7
GTEX-13NZB-2526-SM-5J1OM 30-39 years, male 16.6
GTEX-X261-0126-SM-3NMD6 50-59 years, male 16.6
GTEX-1GF9V-0326-SM-7RHI5 60-69 years, male 16.6
GTEX-14JG1-0426-SM-6ETZZ 40-49 years, male 16.4
GTEX-11EI6-0126-SM-5985R 60-69 years, male 16.3
GTEX-Z93S-0126-SM-5HL7M 50-59 years, male 16.3
GTEX-13S7M-0126-SM-5SI6A 60-69 years, female 16.2
GTEX-ZU9S-0226-SM-5E441 30-39 years, male 16.2
GTEX-1LGRB-2526-SM-CNPPQ 50-59 years, female 16.2
GTEX-12ZZY-0226-SM-5LZVE 60-69 years, male 16.1
GTEX-14E7W-0126-SM-6LLJ9 70-79 years, male 16.1
GTEX-PX3G-0126-SM-2I3EN 20-29 years, female 16.1
GTEX-SNMC-1226-SM-2XCFP 20-29 years, male 16.1
GTEX-14BIN-0626-SM-793DP 50-59 years, female 16.0
GTEX-1MJK2-0426-SM-DTXE5 50-59 years, male 16.0
GTEX-12696-2426-SM-5EQ6H 60-69 years, male 15.9
GTEX-ZXG5-0126-SM-5GIEU 60-69 years, male 15.9
GTEX-1HB9E-0226-SM-E9U4R 50-59 years, male 15.9
GTEX-14BMV-0126-SM-5S2PO 50-59 years, male 15.7
GTEX-18D9A-1926-SM-7LG6P 30-39 years, female 15.7
GTEX-1GPI6-0126-SM-9WG69 60-69 years, male 15.6
GTEX-1EN7A-0126-SM-7SB81 40-49 years, male 15.5
GTEX-1OJC3-0126-SM-E76QX 20-29 years, male 15.3
GTEX-1HSGN-0226-SM-CGQFV 40-49 years, female 15.2
GTEX-14A5H-0426-SM-5QGQF 60-69 years, male 15.1
GTEX-11UD2-0226-SM-5EQKY 50-59 years, male 15.0
GTEX-14C5O-0126-SM-5SI6N 60-69 years, male 15.0
GTEX-1C4CL-0526-SM-73KVK 30-39 years, male 15.0
GTEX-QLQ7-1626-SM-2S1R8 60-69 years, male 15.0
GTEX-XUZC-1726-SM-4BRWS 30-39 years, female 15.0
GTEX-12WSA-0226-SM-5BC5V 60-69 years, male 14.9
GTEX-1QCLY-0326-SM-E8VOG 30-39 years, male 14.9
GTEX-ZYT6-0226-SM-5NQ6T 30-39 years, male 14.8
GTEX-1KXAM-2226-SM-CYPTC 60-69 years, male 14.8
GTEX-1LG7Z-1726-SM-D3LA4 30-39 years, male 14.6
GTEX-1212Z-2526-SM-5EGKP 60-69 years, male 14.5
GTEX-17MFQ-1726-SM-793C7 20-29 years, male 14.5
GTEX-145MI-0526-SM-5O9A8 60-69 years, female 14.4
GTEX-1CB4I-0226-SM-79OLH 50-59 years, male 14.4
GTEX-ZV68-0126-SM-59HKS 50-59 years, female 14.4
GTEX-1JJEA-0326-SM-CNPOT 60-69 years, male 14.4
GTEX-1KANC-1526-SM-D3LAB 50-59 years, female 14.4
GTEX-1B97I-1626-SM-73KYO 40-49 years, male 14.2
GTEX-T5JW-1626-SM-3GADZ 20-29 years, female 14.2
GTEX-ZWKS-0126-SM-5SIAA 30-39 years, male 14.1
GTEX-1KWVE-1426-SM-E9TJO 30-39 years, male 14.1
GTEX-1O97I-0326-SM-EYYX7 60-69 years, male 14.1
GTEX-17HG3-2226-SM-7938L 30-39 years, female 14.0
GTEX-1HFI7-1826-SM-ACKXH 50-59 years, female 14.0
GTEX-1HSKV-0226-SM-A9SKJ 60-69 years, male 14.0
GTEX-1PIIG-0226-SM-EWRN6 30-39 years, male 14.0
GTEX-13OW8-1326-SM-5J1OW 60-69 years, male 13.9
GTEX-XPVG-2626-SM-4B669 50-59 years, male 13.9
GTEX-15RIG-0226-SM-7KFTL 40-49 years, male 13.8
GTEX-13N2G-2626-SM-5J1OT 60-69 years, male 13.7
GTEX-1E2YA-0126-SM-9KNUC 50-59 years, male 13.7
GTEX-16NGA-1726-SM-731B4 40-49 years, female 13.6
GTEX-1C6VR-2426-SM-79OLD 60-69 years, male 13.6
GTEX-1HCU9-1526-SM-A9SL7 20-29 years, male 13.6
GTEX-1JMQI-2226-SM-CM2SD 50-59 years, male 13.6
GTEX-12WSC-0126-SM-5EQ4P 50-59 years, male 13.5
GTEX-14LZ3-0226-SM-62LET 60-69 years, female 13.5
GTEX-1IDJH-0326-SM-A9SLQ 70-79 years, male 13.5
GTEX-1LB8K-0226-SM-EWRNW 50-59 years, male 13.4
GTEX-1R9PM-2026-SM-E76OY 20-29 years, male 13.4
GTEX-15F5U-1526-SM-6PANO 40-49 years, male 13.1
GTEX-1IKJJ-0126-SM-CNPQB 60-69 years, male 13.0
GTEX-1KAFJ-2026-SM-CY8ID 50-59 years, male 13.0
GTEX-S32W-2126-SM-2XCB1 50-59 years, female 12.9
GTEX-1I1GQ-0126-SM-COH3H 50-59 years, male 12.9
GTEX-WFON-2126-SM-3LK7O 40-49 years, male 12.8
GTEX-1399T-2826-SM-5KLYZ 60-69 years, male 12.7
GTEX-1LH75-2426-SM-E9TJE 50-59 years, female 12.7
GTEX-14PJ6-2126-SM-6EU1V 60-69 years, female 12.6
GTEX-12WSE-0526-SM-793B2 20-29 years, male 12.4
GTEX-17GQL-2026-SM-718BA 60-69 years, male 12.4
GTEX-17KNJ-2326-SM-7DHLQ 50-59 years, male 12.3
GTEX-ZF2S-2326-SM-4WWCE 50-59 years, female 12.1
GTEX-1CAMQ-0226-SM-7IGPK 40-49 years, male 12.0
GTEX-17EVP-0326-SM-7DHLG 40-49 years, male 11.9
GTEX-1I1GT-0626-SM-CGQER 60-69 years, female 11.9
GTEX-145ME-1826-SM-5SI9G 40-49 years, female 11.8
GTEX-15EU6-0426-SM-6PAN5 50-59 years, male 11.8
GTEX-14A5I-0126-SM-5TDEA 50-59 years, female 11.6
GTEX-1H4P4-0726-SM-9YFLR 50-59 years, male 11.6
GTEX-144GL-0126-SM-5TDE2 50-59 years, male 11.1
GTEX-14E6E-1826-SM-5S2R7 30-39 years, male 11.1
GTEX-1JJ6O-0126-SM-E6CI8 60-69 years, male 10.7
GTEX-13111-1626-SM-5EGJY 50-59 years, male 10.6
GTEX-1C475-1826-SM-73KWA 40-49 years, female 10.5
GTEX-1S83E-0126-SM-EWRO4 40-49 years, male 10.4
GTEX-13NYC-0326-SM-E9J4S 60-69 years, male 10.2
GTEX-1GL5R-1826-SM-9KNUY 50-59 years, male 10.2
GTEX-1KANA-0726-SM-D3L9I 20-29 years, male 10.1
GTEX-1JMQL-0226-SM-CNPP5 50-59 years, female 9.8
GTEX-13OVH-0126-SM-5MR4B 70-79 years, male 9.3
GTEX-1HCU7-0226-SM-CL545 50-59 years, male 8.7
GTEX-1L5NE-2526-SM-E6CIE 50-59 years, male 8.2
GTEX-ZTX8-1426-SM-5DUVO 20-29 years, male 7.7
Show allShow less

Contact

  • NEWS ARTICLES
  • PRESS ROOM

The Project

  • INTRODUCTION
  • ORGANIZATION
  • PUBLICATIONS

The Human Protein Atlas

  • DOWNLOADABLE DATA
  • LICENCE & CITATION
  • HELP & FAQ
The Human Protein Atlas project is funded
by the Knut & Alice Wallenberg Foundation.


contact@proteinatlas.org