We use cookies to enhance the usability of our website. If you continue, we'll assume that you are happy to receive all cookies. More information. Don't show this again.
RRN3
HPA
RESOURCES
  • TISSUE
  • BRAIN
  • SINGLE CELL
  • SUBCELLULAR
  • CANCER
  • BLOOD
  • CELL LINE
  • STRUCTURE & INTERACTION
ABOUT
  • INTRODUCTION
  • HISTORY
  • ORGANIZATION
  • PUBLICATIONS
  • ANTIBODY SUBMISSION
  • ANTIBODY AVAILABILITY
  • ACKNOWLEDGMENTS
  • CONTACT
NEWS
  • NEWS ARTICLES
  • PRESS ROOM
LEARN
  • DICTIONARY
  • PROTEIN CLASSES
  • PROTEIN EVIDENCE
  • METHODS
  • EDUCATIONAL VIDEOS
DATA
  • DOWNLOADABLE DATA
  • PUBLICATION DATA
  • RELEASE HISTORY
HELP
  • ANTIBODY VALIDATION
  • ASSAYS & ANNOTATION
  • DISCLAIMER
  • HELP & FAQ
  • PRIVACY STATEMENT
  • LICENCE & CITATION
Fields »
Search result

Field
Term
Gene name
Class
Subclass
Class
Keyword
Chromosome
External id
Tissue
Cell type
Expression
Antibody panel
Tissue
Main location
Patient ID
Annotation
Tissue
Category
Tau score
Cluster
Reliability
Brain region
Category
Tau score
Brain region
Category
Tau score
Brain region
Category
Tau score
Cluster
Reliability
Tissue
Cell type
Enrichment
Cell type
Category
Tau score
Cell type
Category
Tau score
Cell type
Category
Tau score
Cell lineage
Category
Tau score
Cluster
Cluster
Location
Searches
Location
Cell line
Class
Type
Phase
Reliability
Cancer
Prognosis
Cancer
Category
Cancer
Category
Tau score
Cluster
Variants
Interacting gene (ensg_id)
Type
Number of interactions
Pathway
Category
Score
Score
Score
Validation
Validation
Validation
Validation
Antibodies
Data type
Column


  • SUMMARY

  • TISSUE

  • BRAIN

  • SINGLE CELL

  • SUBCELL

  • CANCER

  • BLOOD

  • CELL LINE

  • STRUCT & INT

  • RRN3
BRAIN CEREBELLUM Show tissue menu
AMYGDALA BASAL GANGLIA CEREBELLUM CEREBRAL CORTEX CHOROID PLEXUS HIPPOCAMPAL FORMATION HYPOTHALAMUS MEDULLA OBLONGATA
MIDBRAIN OLFACTORY BULB PITUITARY GLAND PONS RETINA SPINAL CORD THALAMUS WHITE MATTER
ANTIBODIES
AND
VALIDATION
Brain proteome
Cerebellum
CEREBELLUM - Expression summary
Protein expression
Cerebellumi

On the top, protein expression in current human tissue, based on all annotated cell types, is reported with the units not detected (n), low (l), medium (m) and high (h). Underneath, protein expression in each annotated cell type are reported using the same units.

Protein expression data is based on knowledge-based annotation. For genes where more than one antibody has been used, a collective score is set.

If knowledge-based annotation could not be performed for a gene, no data is displayed here. View antibody staining data further down this page.

h
m
l
n
Cells in granular layer: Not detected
Cells in molecular layer: Medium
Purkinje cells: High
RNA expressioni

A summary of mRNA expression data available for current tissue based on several datasets. The mRNA expression levels in human tissues are based on RNA-seq data generated by the Human Protein Atlas (HPA), Genotype-Tissue Expression (GTEx) portal and CAGE data generated by the FANTOM5 consortium. Consensus normalized expression levels for human tissues was created by combining the data from HPA and GTEx datasets.

The mRNA expression levels in pig are based on RNA-seq data generated by the Human Protein Atlas (HPA), and for mouse, HPA data and in situ hybridization generated by the Allen brain atlas are reported.

Scroll down to view mRNA expression data in more detail.
Consensus:21.1 nTPM
HPA Brain:13.6 nTPM
GTEx:21.1 nTPM
Pig:26.2 nTPM
Mouse:29.5 nTPM
Allen mouse:3.4 Expression energy

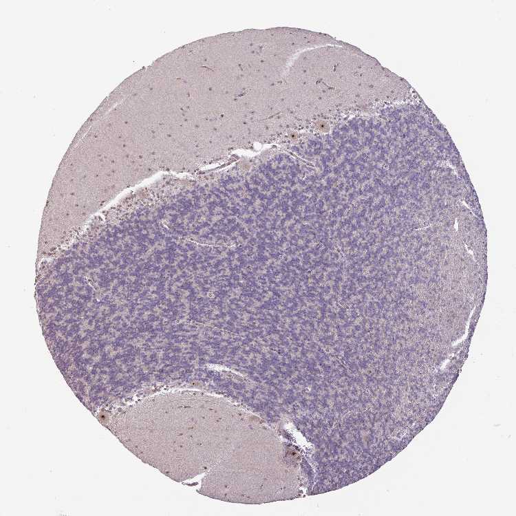
CEREBELLUM - Antibody stainingi

Antibody staining in the annotated cell types in the current human tissue is reported as not detected, low, medium, or high, based on conventional immunohistochemistry profiling in selected tissues. This score is based on the combination of the staining intensity and fraction of stained cells.

Each image is clickable and will lead to virtual microscopy that enables deeper exploration of all samples and also displays staining intensity scores, fraction scores and subcellular localization as well as patient and tissue information for each sample.

Antibody HPA049837
Purkinje cells High
Cells in granular layer Not detected
Cells in molecular layer Medium


CEREBELLUM - HPA Brain RNA-seq
Max subtype nTPMi

Max subtype nTPM is the value for the subtype with the largest average nTPM across the subtype samples.

13.6
Sample id Sample description nTPM
Cerebellar cortex
nTPM: 13.6
1768 Female, age 72, unknown 17.6
1788 Male, age 55, unknown 16.8
2101 Male, age 74, right hemisphere 16.7
2055 Female, age 91, right hemisphere 14.5
2006 Male, age 61, right hemisphere 13.7
2003 Female, age 85, right hemisphere 12.2
1774 Male, age 80, left hemisphere 10.4
1769 Male, age 76, right hemisphere 6.8
Cerebellar nuclei
nTPM: 8.1
2005 Male, age 80, left hemisphere 9.9
1966 Female, age 91, left hemisphere 9.1
2175 Male, age 61, right hemisphere 9.1
2882 Male, age 76, left hemisphere 9.0
1871 Male, age 74, unknown 8.8
2783 Female, age 72, unknown 8.4
2318 Male, age 74, left hemisphere 6.6
2177 Female, age 85, both hemispheres 6.1
1879 Male, age 55, unknown 5.7
Flocculonodular lobe
nTPM: 10.9
2004 Male, age 61, right hemisphere 13.2
1765 Male, age 55, unknown 12.5
1771 Male, age 80, left hemisphere 11.3
2176 Female, age 91, right hemisphere 10.7
1767 Male, age 76, left hemisphere 10.6
1835 Female, age 85, right hemisphere 10.2
1792 Male, age 74, unknown 7.7
Vermis
nTPM: 10.4
1751 Male, age 74, right hemisphere 14.4
1928 Female, age 72, unknown 13.0
1825 Male, age 74, unknown 11.8
1766 Male, age 55, unknown 10.5
2460 Male, age 61, both hemispheres 10.0
1778 Female, age 91, left hemisphere 9.7
2834 Male, age 80, left hemisphere 9.0
1988 Female, age 85, left hemisphere 8.0
1770 Male, age 76, left hemisphere 7.6

CEREBELLUM - GTEx RNA-seqi

RNA-Seq data generated by the Genotype-Tissue Expression (GTEx) project from human tissues is reported as mean nTPM. More information can be found on the GTEx portal.

Distribution across the dataset is visualized with box plots, shown as median and 25th and 75th percentiles. Points are displayed as outliers if they are above or below 1.5 times the interquartile range. nTPM values of the individual samples are presented next to the box plot.
Max subtype nTPMi

Max subtype nTPM is the value for the subtype with the largest average nTPM across the subtype samples.

21.1
GTEx sample id Sample description nTPM
Brain - Cerebellar Hemisphere
Average nTPM: 21.1
Samples: 215

Max nTPM: 31.0
Min nTPM: 12.1
Std nTPM: 2.6
Median nTPM: 21.0
GTEX-1JJEA-0011-R11a-SM-EXUTE 60-69 years, male 31.0
GTEX-P44H-0011-R11A-SM-2XCER 40-49 years, male 30.2
GTEX-QDT8-0011-R11A-SM-32PKD 30-39 years, female 29.7
GTEX-13JVG-0011-R11a-SM-5KM53 60-69 years, male 29.5
GTEX-NL3H-0011-R11A-SM-2I3E6 60-69 years, male 27.9
GTEX-1LSVX-0011-R11b-SM-EXOIA 60-69 years, male 27.9
GTEX-QMR6-0011-R11A-SM-32PKK 50-59 years, male 27.8
GTEX-UTHO-0011-R11A-SM-3GIJE 60-69 years, male 27.8
GTEX-X4EP-0011-R11B-SM-4QASK 60-69 years, female 26.1
GTEX-1HCU6-0011-R11b-SM-AHZ2F 60-69 years, female 26.0
GTEX-1IKOH-0011-R11a-SM-AHZ38 60-69 years, female 25.3
GTEX-1JMOU-0011-R11b-SM-EXUTA 60-69 years, female 25.2
GTEX-13SLW-0011-R11a-SM-5SI8Q 70-79 years, male 25.1
GTEX-TSE9-0011-R11A-SM-3DB7N 60-69 years, female 24.9
GTEX-132Q8-0011-R11b-SM-5DUW9 60-69 years, male 24.8
GTEX-12ZZX-0011-R11a-SM-5DUVJ 40-49 years, female 24.5
GTEX-NPJ7-0011-R11A-SM-2I3E8 60-69 years, female 24.5
GTEX-13QIC-0011-R11b-SM-5O9BU 60-69 years, female 24.4
GTEX-14C5O-0011-R11b-SM-6872H 60-69 years, male 24.4
GTEX-1I19N-0011-R11b-SM-ARU6Y 70-79 years, male 24.4
GTEX-11ZUS-0011-R11b-SM-5BC7B 30-39 years, male 24.3
GTEX-XMD1-0011-R11A-SM-4AT5J 60-69 years, male 24.3
GTEX-11H98-0011-R11b-SM-5NQ6U 50-59 years, male 24.2
GTEX-1I1HK-0011-R11a-SM-B2LVN 60-69 years, male 24.2
GTEX-12WSH-0011-R11a-SM-5LZVM 50-59 years, male 23.9
GTEX-1M4P7-0011-R11b-SM-EXOIK 60-69 years, male 23.9
GTEX-X4XX-0011-R11A-SM-46MWQ 60-69 years, male 23.8
GTEX-15G19-0011-R11b-SM-6LPIH 60-69 years, male 23.7
GTEX-WVLH-0011-R11A-SM-3MJFO 50-59 years, male 23.7
GTEX-ZDXO-0011-R11a-SM-4WWD9 60-69 years, male 23.7
GTEX-1H1ZS-0011-R11a-SM-C1YQM 70-79 years, male 23.7
GTEX-1H3NZ-0011-R11b-SM-CE6SF 60-69 years, male 23.7
GTEX-1F75W-0011-R11b-SM-AHZ34 60-69 years, male 23.6
GTEX-1R9K4-0011-R11a-SM-EZ6N9 60-69 years, male 23.5
GTEX-YFC4-0011-R11a-SM-4SOK6 40-49 years, female 23.4
GTEX-1N2DW-0011-R11b-SM-EXOIL 50-59 years, male 23.4
GTEX-13FHO-0011-R11b-SM-5LZYQ 60-69 years, male 23.2
GTEX-13FHP-0011-R11b-SM-5LZXP 50-59 years, male 23.2
GTEX-13S7M-0011-R11b-SM-5P9HU 60-69 years, female 23.2
GTEX-18464-0011-R11a-SM-72D76 50-59 years, male 23.1
GTEX-11PRG-0011-R11b-SM-DNZZY 50-59 years, male 23.1
GTEX-1F48J-0011-R11b-SM-9OSWV 50-59 years, female 23.1
GTEX-WZTO-0011-R11A-SM-4E3K9 40-49 years, male 23.0
GTEX-13CZV-0011-R11b-SM-5N9FN 60-69 years, male 22.9
GTEX-R55E-0011-R11A-SM-2TC6I 20-29 years, male 22.9
GTEX-1EKGG-0011-R11a-SM-9QEHZ 60-69 years, male 22.9
GTEX-YJ89-0011-R11a-SM-4SOKA 60-69 years, male 22.7
GTEX-ZVZQ-0011-R11a-SM-51MS6 60-69 years, female 22.7
GTEX-1JMQJ-0011-R11a-SM-EXOJY 50-59 years, male 22.7
GTEX-1LVAO-0011-R11b-SM-EXOI8 60-69 years, male 22.7
GTEX-17HG3-0011-R11b-SM-7KFT4 30-39 years, female 22.6
GTEX-Y8DK-0011-R11A-SM-4SOK2 60-69 years, male 22.6
GTEX-17HII-0011-R11b-SM-7KFSX 50-59 years, male 22.5
GTEX-1I1GS-0011-R11a-SM-C1YRU 60-69 years, male 22.5
GTEX-13X6K-0011-R11a-SM-5P9F5 60-69 years, female 22.4
GTEX-13OW7-0011-R11a-SM-5O9DY 50-59 years, male 22.3
GTEX-14DAQ-0011-R11a-SM-664NO 60-69 years, female 22.3
GTEX-11TTK-0011-R11b-SM-DO112 60-69 years, female 22.3
GTEX-1GN73-0011-R11b-SM-9OSX4 60-69 years, male 22.3
GTEX-13OVH-0011-R11b-SM-5KM4X 70-79 years, male 22.2
GTEX-T2IS-0011-R11A-SM-32QPC 20-29 years, female 22.2
GTEX-ZE9C-0011-R11a-SM-4WKGG 60-69 years, male 22.2
GTEX-1GZHY-0011-R11a-SM-C1YRQ 50-59 years, female 22.2
GTEX-15EO6-0011-R11b-SM-6M47M 50-59 years, male 22.1
GTEX-1HFI6-0011-R11b-SM-A96RU 40-49 years, male 22.1
GTEX-1IDJH-0011-R11b-SM-C1YRT 70-79 years, male 22.1
GTEX-1J8EW-0011-R11a-SM-AHZ37 60-69 years, female 22.1
GTEX-14ABY-0011-R11a-SM-5SI7C 50-59 years, male 22.0
GTEX-1F52S-0011-R11a-SM-CJI23 60-69 years, female 22.0
GTEX-1GZ4I-0011-R11b-SM-9OSWR 50-59 years, male 22.0
GTEX-12ZZZ-0011-R11a-SM-5EGLC 60-69 years, male 21.9
GTEX-13NZA-0011-R11b-SM-5KM4W 60-69 years, male 21.9
GTEX-13OVL-0011-R11b-SM-5L3G7 50-59 years, male 21.9
GTEX-13FTY-0011-R11a-SM-5IJEA 40-49 years, female 21.8
GTEX-13RTJ-0011-R11a-SM-5O9CK 60-69 years, male 21.8
GTEX-17F97-0011-R11b-SM-7KFRQ 50-59 years, male 21.8
GTEX-P44G-0011-R11A-SM-2I3FD 30-39 years, male 21.8
GTEX-ZAB4-0011-R11a-SM-4SOKI 40-49 years, male 21.8
GTEX-1IGQW-0011-R11a-SM-C1YRV 60-69 years, male 21.8
GTEX-1C64N-0011-R11b-SM-7P8Q6 50-59 years, male 21.7
GTEX-11WQC-0011-R11b-SM-57WD6 60-69 years, male 21.6
GTEX-1F75A-0011-R11a-SM-AHZ35 50-59 years, male 21.6
GTEX-1I1GQ-0011-R11b-SM-CKZPA 50-59 years, male 21.6
GTEX-1N2EE-0011-R11b-SM-EXOIJ 60-69 years, male 21.6
GTEX-1R9PO-0011-R11b-SM-EZ6NB 60-69 years, female 21.6
GTEX-1IKK5-0011-R11a-SM-C1YRX 60-69 years, male 21.5
GTEX-1J1OQ-0011-R11a-SM-A96S3 40-49 years, female 21.5
GTEX-131YS-0011-R11b-SM-5EGLM 60-69 years, female 21.4
GTEX-13CF2-0011-R11b-SM-5LZXO 60-69 years, male 21.4
GTEX-14BIN-0011-R11a-SM-5SI79 50-59 years, female 21.4
GTEX-1EMGI-0011-R11b-SM-9OSWX 60-69 years, male 21.4
GTEX-1IL2V-0011-R11a-SM-ARU6T 70-79 years, male 21.4
GTEX-T6MN-0011-R11A-SM-32QOX 50-59 years, male 21.3
GTEX-1GF9W-0011-R11b-SM-9OSXG 60-69 years, male 21.3
GTEX-1IL2U-0011-R11a-SM-CE6SO 60-69 years, male 21.3
GTEX-1399T-0011-R11a-SM-5J2O1 60-69 years, male 21.2
GTEX-15CHQ-0011-R11b-SM-686ZZ 60-69 years, male 21.2
GTEX-ZVT3-0011-R11b-SM-57WBI 60-69 years, female 21.2
GTEX-12126-0011-R11a-SM-5BC6X 20-29 years, male 21.1
GTEX-13O3Q-0011-R11b-SM-5KM2W 50-59 years, male 21.1
GTEX-1E1VI-0011-R11a-SM-9OSWI 50-59 years, male 21.1
GTEX-1H3O1-0011-R11a-SM-A96RV 60-69 years, male 21.1
GTEX-1HB9E-0011-R11b-SM-ARU79 50-59 years, male 21.1
GTEX-13FXS-0011-R11a-SM-5L3DM 50-59 years, male 21.0
GTEX-13NYB-0011-R11a-SM-5KM3Q 40-49 years, male 21.0
GTEX-X585-0011-R11B-SM-46MUZ 50-59 years, male 21.0
GTEX-ZE7O-0011-R11a-SM-57WBC 50-59 years, female 21.0
GTEX-11EI6-0011-R11a-SM-DO11V 60-69 years, male 21.0
GTEX-1F6I4-0011-R11b-SM-9OSWS 60-69 years, male 21.0
GTEX-RU72-0011-R11A-SM-CM2U1 50-59 years, female 21.0
GTEX-144GL-0011-R11b-SM-5P9F6 50-59 years, male 20.9
GTEX-1GMRU-0011-R11b-SM-C1YQ4 50-59 years, male 20.9
GTEX-14E6D-0011-R11b-SM-664NP 50-59 years, male 20.8
GTEX-N7MS-0011-R11A-SM-2HMJS 60-69 years, male 20.7
GTEX-1LG7Y-0011-R11a-SM-EXOIH 50-59 years, male 20.7
GTEX-11OF3-0011-R11a-SM-57WCR 60-69 years, male 20.6
GTEX-12WSC-0011-R11a-SM-5GU5J 50-59 years, male 20.6
GTEX-1B8SF-0011-R11a-SM-79OOP 60-69 years, male 20.6
GTEX-Q2AG-0011-R11A-SM-2HMKZ 40-49 years, female 20.6
GTEX-1H1CY-0011-R11a-SM-C1YQR 60-69 years, female 20.6
GTEX-11GSP-0011-R11b-SM-5NQ7V 60-69 years, female 20.5
GTEX-15DCD-0011-R11a-SM-D4P1R 70-79 years, female 20.5
GTEX-1B8SG-0011-R11a-SM-7P8PF 50-59 years, male 20.5
GTEX-1ICLZ-0011-R11a-SM-CJI3N 60-69 years, male 20.5
GTEX-11EMC-0011-R11b-SM-DNZZK 60-69 years, female 20.4
GTEX-1IY9M-0011-R11b-SM-A96TI 60-69 years, male 20.4
GTEX-1BAJH-0011-R11b-SM-7IGLM 70-79 years, male 20.3
GTEX-11DXY-0011-R11a-SM-DNZZN 60-69 years, male 20.3
GTEX-1CB4G-0011-R11a-SM-9OSWG 60-69 years, male 20.3
GTEX-1B8L1-0011-R11b-SM-793DJ 60-69 years, male 20.2
GTEX-S7SE-0011-R11A-SM-2XCDD 50-59 years, male 20.2
GTEX-ZUA1-0011-R11b-SM-51MTI 40-49 years, male 20.2
GTEX-1KD4Q-0011-R11b-SM-EXOIE 40-49 years, male 20.2
GTEX-15DYW-0011-R11a-SM-6LPIT 60-69 years, female 20.1
GTEX-NL4W-0011-R11A-SM-2I3DW 50-59 years, male 20.1
GTEX-1HGF4-0011-R11a-SM-C1YRR 60-69 years, male 20.1
GTEX-139TT-0011-R11b-SM-5LZV1 60-69 years, male 20.0
GTEX-13OW6-0011-R11a-SM-5L3H2 50-59 years, male 20.0
GTEX-145LU-0011-R11b-SM-5P9JX 50-59 years, male 20.0
GTEX-12WSD-0011-R11a-SM-9OSVC 60-69 years, female 20.0
GTEX-1HSKV-0011-R11b-SM-AHZ2E 60-69 years, male 20.0
GTEX-14PN4-0011-R11a-SM-686ZW 50-59 years, male 19.9
GTEX-183WM-0011-R11a-SM-718A5 70-79 years, female 19.9
GTEX-1JJ6O-0011-R11b-SM-EXUS2 60-69 years, male 19.9
GTEX-15ER7-0011-R11a-SM-6LPIL 20-29 years, female 19.8
GTEX-1GMR8-0011-R11b-SM-9OSX2 50-59 years, female 19.8
GTEX-12WSI-0011-R11b-SM-5P9EZ 50-59 years, male 19.7
GTEX-13SLX-0011-R11b-SM-5O9C8 50-59 years, female 19.7
GTEX-16Z82-0011-R11a-SM-79OKJ 60-69 years, male 19.7
GTEX-11ZTS-0011-R11a-SM-DO113 60-69 years, female 19.7
GTEX-1H1DG-0011-R11a-SM-C1YQK 70-79 years, male 19.7
GTEX-12WSF-0011-R11a-SM-5LZVT 70-79 years, male 19.6
GTEX-18A6Q-0011-R11a-SM-72D6H 60-69 years, male 19.6
GTEX-NPJ8-0011-R11A-SM-2YUMS 40-49 years, male 19.6
GTEX-11DZ1-0011-R11b-SM-DO11W 50-59 years, male 19.6
GTEX-1I1GR-0011-R11a-SM-CM2T5 60-69 years, male 19.6
GTEX-13VXU-0011-R11b-SM-5O9DJ 50-59 years, male 19.5
GTEX-145MH-0011-R11a-SM-5P9HQ 50-59 years, male 19.5
GTEX-17EVQ-0011-R11a-SM-7LT9C 70-79 years, male 19.5
GTEX-Z93S-0011-R11a-SM-4RGNN 50-59 years, male 19.5
GTEX-1H3VE-0011-R11b-SM-C1YRP 40-49 years, male 19.5
GTEX-12WSM-0011-R11a-SM-5DUX8 60-69 years, male 19.4
GTEX-131XW-0011-R11a-SM-5DUV9 50-59 years, female 19.4
GTEX-13PVQ-0011-R11a-SM-5O9DU 50-59 years, male 19.4
GTEX-WWYW-0011-R11A-SM-3NB38 50-59 years, female 19.4
GTEX-1F7RK-0011-R11b-SM-9QEI2 20-29 years, female 19.4
GTEX-13N2G-0011-R11a-SM-5MR3F 60-69 years, male 19.3
GTEX-1A3MX-0011-R11b-SM-7DUGP 60-69 years, male 19.3
GTEX-13PLJ-0011-R11b-SM-5O9BS 60-69 years, female 19.2
GTEX-18465-0011-R11a-SM-72D78 50-59 years, male 19.2
GTEX-13NYS-0011-R11b-SM-5MR4P 60-69 years, male 19.1
GTEX-1LKK1-0011-R11a-SM-EXOIG 50-59 years, female 19.1
GTEX-1313W-0011-R11a-SM-5DUXN 50-59 years, female 19.0
GTEX-13X6J-0011-R11a-SM-5P9HE 50-59 years, male 19.0
GTEX-T5JC-0011-R11A-SM-32PMB 20-29 years, male 19.0
GTEX-16GPK-0011-R11b-SM-7MKFF 60-69 years, male 18.9
GTEX-ZF28-0011-R11a-SM-4WWEI 60-69 years, male 18.9
GTEX-1H4P4-0011-R11b-SM-CE6S8 50-59 years, male 18.9
GTEX-1I1GV-0011-R11a-SM-CJI3Z 60-69 years, male 18.9
GTEX-1B933-0011-R11a-SM-7P8PM 50-59 years, female 18.8
GTEX-14ASI-0011-R11b-SM-6AJBJ 60-69 years, male 18.7
GTEX-17EVP-0011-R11a-SM-7EWDL 40-49 years, male 18.7
GTEX-X261-0011-R11A-SM-4E3JY 50-59 years, male 18.7
GTEX-1CAV2-0011-R11a-SM-ARU8D 40-49 years, female 18.7
GTEX-139UW-0011-R11a-SM-5IJGN 60-69 years, male 18.6
GTEX-13OW8-0011-R11a-SM-5L3GT 60-69 years, male 18.6
GTEX-16NPV-0011-R11a-SM-7IGMK 50-59 years, female 18.6
GTEX-1GTWX-0011-R11b-SM-C1YQJ 60-69 years, male 18.5
GTEX-131XH-0011-R11a-SM-5EGLN 50-59 years, male 18.4
GTEX-13JUV-0011-R11a-SM-5LZYH 40-49 years, female 18.4
GTEX-OHPN-0011-R11A-SM-2I5FM 60-69 years, female 18.4
GTEX-11DYG-0011-R11a-SM-DNZZP 60-69 years, male 18.4
GTEX-1IOXB-0011-R11a-SM-A9G1X 50-59 years, male 18.4
GTEX-13X6I-0011-R11a-SM-5P9HN 60-69 years, male 18.3
GTEX-13G51-0011-R11b-SM-5J2NE 60-69 years, male 18.2
GTEX-13OVJ-0011-R11a-SM-5P9H8 50-59 years, female 18.2
GTEX-14BIM-0011-R11b-SM-5S2RN 60-69 years, female 18.2
GTEX-13O3O-0011-R11b-SM-5KM4G 60-69 years, female 18.0
GTEX-1J8Q2-0011-R11a-SM-A9SKI 60-69 years, male 18.0
GTEX-1AX9I-0011-R11b-SM-7DHN4 60-69 years, male 17.9
GTEX-RVPV-0011-R11A-SM-2TF6F 60-69 years, male 17.8
GTEX-14C39-0011-R11b-SM-5YYAF 40-49 years, male 17.7
GTEX-16XZZ-0011-R11a-SM-7EPI3 60-69 years, male 17.7
GTEX-145MI-0011-R11a-SM-5P9JZ 60-69 years, female 17.5
GTEX-WL46-0011-R11A-SM-3MJFT 50-59 years, male 17.5
GTEX-1HBPI-0011-R11b-SM-CE6SH 50-59 years, male 17.5
GTEX-13OW5-0011-R11b-SM-5L3GG 60-69 years, male 17.4
GTEX-17JCI-0011-R11a-SM-7189Y 60-69 years, female 17.4
GTEX-1HUB1-0011-R11b-SM-CE6SC 60-69 years, male 17.4
GTEX-12WSE-0011-R11b-SM-5P9JW 20-29 years, male 17.3
GTEX-16YQH-0011-R11b-SM-7LT98 30-39 years, male 16.8
GTEX-14E7W-0011-R11a-SM-5ZZVA 70-79 years, male 16.7
GTEX-WHSE-0011-R11A-SM-3P5YY 20-29 years, male 16.5
GTEX-13FLV-0011-R11a-SM-5LZZ7 50-59 years, male 15.0
GTEX-N7MT-0011-R11A-SM-2I3DZ 60-69 years, female 12.1
Show allShow less
Brain - Cerebellum
Average nTPM: 18.4
Samples: 241

Max nTPM: 26.1
Min nTPM: 12.9
Std nTPM: 2.3
Median nTPM: 18.1
GTEX-1JJEA-2926-SM-C1YSK 60-69 years, male 26.1
GTEX-14JIY-2326-SM-6AJAJ 60-69 years, male 25.2
GTEX-13JVG-3226-SM-5IJGJ 60-69 years, male 24.6
GTEX-P44H-2426-SM-2XCEJ 40-49 years, male 24.6
GTEX-QDT8-3026-SM-32PKB 30-39 years, female 24.6
GTEX-1PWST-3026-SM-EAZ3H 70-79 years, male 24.5
GTEX-1H3NZ-2926-SM-9WPQ8 60-69 years, male 24.1
GTEX-1LSVX-2826-SM-EVR58 60-69 years, male 23.9
GTEX-QMR6-1326-SM-32PLB 50-59 years, male 23.8
GTEX-NPJ7-2826-SM-2I3FU 60-69 years, female 22.9
GTEX-132Q8-2926-SM-5IFFP 60-69 years, male 22.8
GTEX-147F4-3026-SM-5Q5BJ 50-59 years, male 22.5
GTEX-13S7M-3026-SM-5S2QQ 60-69 years, female 22.2
GTEX-1CB4H-3026-SM-79OLX 60-69 years, female 22.2
GTEX-1GN73-3026-SM-7MXV8 60-69 years, male 22.2
GTEX-ZAJG-3026-SM-5HL92 50-59 years, female 22.1
GTEX-1B996-2926-SM-7MXUH 60-69 years, male 22.1
GTEX-11PRG-2826-SM-5BC54 50-59 years, male 22.0
GTEX-17EVQ-2726-SM-7EWDT 70-79 years, male 21.9
GTEX-WZTO-2826-SM-3NM8P 40-49 years, male 21.8
GTEX-1I1HK-2726-SM-AHZ2M 60-69 years, male 21.8
GTEX-TSE9-2926-SM-3DB77 60-69 years, female 21.7
GTEX-ZZPT-2926-SM-5EQ5S 50-59 years, male 21.7
GTEX-1RNSC-3126-SM-EVR4V 60-69 years, male 21.7
GTEX-11NV4-2226-SM-5BC4T 60-69 years, male 21.6
GTEX-1IKOH-2826-SM-CNNRC 60-69 years, female 21.6
GTEX-1JMOU-2826-SM-EV79R 60-69 years, female 21.6
GTEX-12ZZX-2826-SM-5BC6K 40-49 years, female 21.5
GTEX-15EO6-2926-SM-6M48D 50-59 years, male 21.4
GTEX-1F52S-3026-SM-7P8PV 60-69 years, female 21.3
GTEX-QVUS-2926-SM-3GIJB 60-69 years, female 21.0
GTEX-1J1OQ-3126-SM-D4P2O 40-49 years, female 21.0
GTEX-1LG7Y-3126-SM-EV7AS 50-59 years, male 21.0
GTEX-11OC5-0626-SM-5HL6M 60-69 years, male 20.9
GTEX-12WSH-3126-SM-5LZW8 50-59 years, male 20.9
GTEX-PWO3-1026-SM-2I5F2 60-69 years, female 20.9
GTEX-QVJO-1325-SM-2S1QX 60-69 years, female 20.9
GTEX-1RDX4-3226-SM-DPS14 50-59 years, female 20.9
GTEX-1JMQK-2926-SM-D4P2T 60-69 years, male 20.8
GTEX-15G19-2826-SM-6M48K 60-69 years, male 20.7
GTEX-14C5O-2926-SM-5RQI1 60-69 years, male 20.6
GTEX-14JFF-2826-SM-6871Q 60-69 years, male 20.5
GTEX-P44G-2526-SM-2I5EK 30-39 years, male 20.5
GTEX-1P4AB-3026-SM-EXOJS 50-59 years, male 20.4
GTEX-T2IS-2926-SM-32QPO 20-29 years, female 20.3
GTEX-1IY9M-3126-SM-AHZ3A 60-69 years, male 20.3
GTEX-13QIC-3026-SM-5LU58 60-69 years, female 20.2
GTEX-X4EP-3026-SM-3P5YP 60-69 years, female 20.2
GTEX-14A5I-2826-SM-5SIBF 50-59 years, female 20.1
GTEX-14DAQ-3026-SM-5S2QZ 60-69 years, female 20.1
GTEX-13X6K-2826-SM-5O9DS 60-69 years, female 20.0
GTEX-14BIN-3326-SM-5Q5E6 50-59 years, female 20.0
GTEX-XLM4-2926-SM-4AT59 60-69 years, male 19.8
GTEX-1HSMO-2926-SM-C1YR5 60-69 years, male 19.8
GTEX-11EI6-2926-SM-5985U 60-69 years, male 19.7
GTEX-1EU9M-2926-SM-793DF 60-69 years, male 19.7
GTEX-X4XX-2926-SM-3NMB1 60-69 years, male 19.7
GTEX-ZF28-2926-SM-4WKG1 60-69 years, male 19.7
GTEX-1JMLX-3026-SM-EV79Q 50-59 years, male 19.7
GTEX-1KANB-3226-SM-D4P3G 50-59 years, male 19.7
GTEX-1R9PO-2826-SM-E6CPV 60-69 years, female 19.7
GTEX-13CF2-3026-SM-5IFFX 60-69 years, male 19.5
GTEX-14ASI-2926-SM-5Q5DG 60-69 years, male 19.5
GTEX-1A8G6-3126-SM-731D8 60-69 years, male 19.5
GTEX-1H4P4-2726-SM-9JGGB 50-59 years, male 19.5
GTEX-1I1CD-2926-SM-A96SJ 60-69 years, female 19.5
GTEX-1IL2V-3026-SM-CYPSA 70-79 years, male 19.4
GTEX-1A8G7-3026-SM-73KTT 60-69 years, male 19.3
GTEX-1POEN-2726-SM-E9U6B 30-39 years, female 19.3
GTEX-1128S-2826-SM-5N9DI 60-69 years, female 19.2
GTEX-13FHP-2926-SM-5IJG9 50-59 years, male 19.2
GTEX-145MG-3126-SM-5Q5D3 50-59 years, male 19.2
GTEX-1F48J-2726-SM-7P8PW 50-59 years, female 19.2
GTEX-11DXW-1026-SM-5H11K 40-49 years, male 19.1
GTEX-13SLX-3226-SM-5YYA6 50-59 years, female 19.1
GTEX-145LS-3026-SM-5O99S 60-69 years, female 19.1
GTEX-1GZ4I-2926-SM-9JGGO 50-59 years, male 19.1
GTEX-1H1ZS-2926-SM-9WPP2 70-79 years, male 19.1
GTEX-1269C-3126-SM-5EGI6 60-69 years, female 19.0
GTEX-139TS-3126-SM-5LZWX 60-69 years, male 19.0
GTEX-13NYB-3226-SM-5J2ND 40-49 years, male 19.0
GTEX-14E6D-2926-SM-664OP 50-59 years, male 19.0
GTEX-WL46-2826-SM-3LK81 50-59 years, male 19.0
GTEX-Z93S-2826-SM-57WBL 50-59 years, male 19.0
GTEX-1GZ2Q-3026-SM-9JGG3 40-49 years, male 19.0
GTEX-1GZHY-3026-SM-7MXVA 50-59 years, female 19.0
GTEX-12WSD-3026-SM-5LZU7 60-69 years, female 18.9
GTEX-14C39-3026-SM-5S2QE 40-49 years, male 18.9
GTEX-1I1GV-3026-SM-CNNR9 60-69 years, male 18.9
GTEX-1JJE9-3026-SM-CNNPA 70-79 years, male 18.9
GTEX-1QP6S-3026-SM-EAZ4N 40-49 years, male 18.9
GTEX-14PJM-3026-SM-6LLHM 50-59 years, female 18.8
GTEX-17HHY-2926-SM-79OJW 50-59 years, male 18.8
GTEX-YJ89-2926-SM-5P9IT 60-69 years, male 18.8
GTEX-1H1CY-3026-SM-9OSW7 60-69 years, female 18.8
GTEX-1H1DG-2826-SM-9JGHB 70-79 years, male 18.8
GTEX-17EVP-2926-SM-793BU 40-49 years, male 18.7
GTEX-PVOW-2626-SM-32PL8 40-49 years, male 18.7
GTEX-1F6IF-3026-SM-7P8QN 60-69 years, male 18.7
GTEX-1F75W-3126-SM-7P8SJ 60-69 years, male 18.7
GTEX-1MJK2-3026-SM-EV7A5 50-59 years, male 18.7
GTEX-183WM-2726-SM-7KFRF 70-79 years, female 18.6
GTEX-1C64N-3126-SM-79OO3 50-59 years, male 18.6
GTEX-1F6I4-3026-SM-7P8SI 60-69 years, male 18.6
GTEX-1F75A-2926-SM-7MXVN 50-59 years, male 18.6
GTEX-1C6WA-3326-SM-7MKGN 60-69 years, male 18.5
GTEX-1EKGG-3126-SM-9WPO5 60-69 years, male 18.4
GTEX-13X6J-2926-SM-7EPGP 50-59 years, male 18.3
GTEX-145MH-2926-SM-5Q5D2 50-59 years, male 18.3
GTEX-1B8SF-3026-SM-731DX 60-69 years, male 18.3
GTEX-ZYY3-3026-SM-5GIEJ 60-69 years, female 18.3
GTEX-1B8L1-3226-SM-7P8OX 60-69 years, male 18.3
GTEX-1H3O1-1826-SM-A96TO 60-69 years, male 18.3
GTEX-1KD4Q-3026-SM-EV7A7 40-49 years, male 18.3
GTEX-ZDXO-2926-SM-4WKFM 60-69 years, male 18.2
GTEX-ZVT3-2926-SM-5GU6M 60-69 years, female 18.2
GTEX-1R46S-3126-SM-DPRZ9 60-69 years, female 18.2
GTEX-13OVH-2926-SM-5IJFH 70-79 years, male 18.1
GTEX-14PJO-2926-SM-686ZI 60-69 years, male 18.1
GTEX-RU72-2926-SM-2TF66 50-59 years, female 18.1
GTEX-1EX96-3126-SM-9JGGC 50-59 years, male 18.1
GTEX-1GF9V-3026-SM-7P8R8 60-69 years, male 18.1
GTEX-11GSP-3126-SM-5A5LL 60-69 years, female 18.0
GTEX-12WSC-2926-SM-5BC5Z 50-59 years, male 18.0
GTEX-ZYFD-2926-SM-5GID9 50-59 years, male 18.0
GTEX-1IDJH-3126-SM-C1YQS 70-79 years, male 18.0
GTEX-14ABY-3026-SM-664NE 50-59 years, male 17.9
GTEX-11ZVC-3026-SM-59HJM 50-59 years, female 17.8
GTEX-12ZZY-2926-SM-5DUXO 60-69 years, male 17.8
GTEX-UTHO-2926-SM-3P5Z9 60-69 years, male 17.8
GTEX-1JMQJ-3126-SM-EV79G 50-59 years, male 17.8
GTEX-1QEPI-3026-SM-EXOIW 60-69 years, female 17.8
GTEX-14BIM-3126-SM-5Q5C7 60-69 years, female 17.7
GTEX-1B8SG-1926-SM-73KUB 50-59 years, male 17.7
GTEX-1KWVE-2226-SM-CXZKN 30-39 years, male 17.7
GTEX-N7MT-1226-SM-DKPOK 60-69 years, female 17.7
GTEX-13FHO-2926-SM-5L3ES 60-69 years, male 17.6
GTEX-13O3Q-3026-SM-5IJGD 50-59 years, male 17.6
GTEX-147GR-3126-SM-5S2PM 60-69 years, male 17.6
GTEX-RNOR-2226-SM-2TF5O 50-59 years, female 17.6
GTEX-X261-3126-SM-4PQZC 50-59 years, male 17.6
GTEX-1192X-3226-SM-5987D 50-59 years, male 17.5
GTEX-11O72-2826-SM-5HL6W 40-49 years, male 17.5
GTEX-OHPN-2626-SM-2I5H1 60-69 years, female 17.5
GTEX-ZAB4-2926-SM-57WCV 40-49 years, male 17.5
GTEX-11NUK-3026-SM-5986K 50-59 years, male 17.4
GTEX-13112-2926-SM-5DUWT 50-59 years, male 17.4
GTEX-13X6I-2926-SM-5Q5C3 60-69 years, male 17.4
GTEX-145LU-2626-SM-5LU9Z 50-59 years, male 17.4
GTEX-NPJ8-2626-SM-2D7W2 40-49 years, male 17.4
GTEX-1JJ6O-3026-SM-C1YQH 60-69 years, male 17.4
GTEX-11GSO-3026-SM-5Q5AL 60-69 years, male 17.3
GTEX-13VXU-3026-SM-5LU3K 50-59 years, male 17.3
GTEX-144GL-2926-SM-5O99F 50-59 years, male 17.3
GTEX-S7SE-2526-SM-2XCDL 50-59 years, male 17.3
GTEX-WVLH-2926-SM-3MJG5 50-59 years, male 17.3
GTEX-ZAK1-2926-SM-5HL9S 50-59 years, female 17.3
GTEX-1EMGI-3126-SM-7MXUR 60-69 years, male 17.3
GTEX-117XS-3126-SM-5GIDP 60-69 years, male 17.2
GTEX-14JG1-2926-SM-686ZK 40-49 years, male 17.2
GTEX-15SHU-3026-SM-6LPIB 40-49 years, female 17.2
GTEX-16Z82-2926-SM-6LPJJ 60-69 years, male 17.2
GTEX-18465-2926-SM-7KFSE 50-59 years, male 17.2
GTEX-N7MS-2526-SM-2D7W3 60-69 years, male 17.2
GTEX-R55E-2526-SM-2TC6H 20-29 years, male 17.1
GTEX-11EMC-3326-SM-5P9JH 60-69 years, female 17.0
GTEX-11TTK-2826-SM-5GU5K 60-69 years, female 17.0
GTEX-12126-0926-SM-5FQTW 20-29 years, male 17.0
GTEX-12ZZZ-3126-SM-5LZU6 60-69 years, male 17.0
GTEX-14BMV-2926-SM-5TDEE 50-59 years, male 17.0
GTEX-14PN4-3026-SM-664O4 50-59 years, male 17.0
GTEX-Q2AG-2826-SM-2HMJQ 40-49 years, female 17.0
GTEX-XMD1-2826-SM-4AT5F 60-69 years, male 17.0
GTEX-Y8DK-0726-SM-4TT3S 60-69 years, male 17.0
GTEX-ZUA1-2926-SM-59HL3 40-49 years, male 17.0
GTEX-1GF9W-2726-SM-9JGGW 60-69 years, male 17.0
GTEX-13FXS-3026-SM-5LZYO 50-59 years, male 16.9
GTEX-1HBPI-2726-SM-9WPPF 50-59 years, male 16.9
GTEX-1HCVE-2926-SM-9WPPJ 50-59 years, male 16.9
GTEX-1JMPZ-2826-SM-C1YRA 30-39 years, male 16.9
GTEX-11ONC-3026-SM-5985W 60-69 years, male 16.8
GTEX-139TT-2626-SM-5LZUB 60-69 years, male 16.8
GTEX-17F97-2926-SM-7DUEQ 50-59 years, male 16.8
GTEX-1HBPH-3026-SM-9WPNY 40-49 years, female 16.8
GTEX-1313W-3026-SM-5LZUZ 50-59 years, female 16.7
GTEX-131XH-2926-SM-5LZU4 50-59 years, male 16.7
GTEX-17JCI-3026-SM-7EWDR 60-69 years, female 16.7
GTEX-1A3MX-2926-SM-718B7 60-69 years, male 16.7
GTEX-11ZTS-3226-SM-5EGID 60-69 years, female 16.6
GTEX-13N2G-3126-SM-5IJGL 60-69 years, male 16.6
GTEX-16XZZ-2926-SM-6LPK4 60-69 years, male 16.6
GTEX-1C6VR-3026-SM-7IGLW 60-69 years, male 16.6
GTEX-1GTWX-2926-SM-7MXV4 60-69 years, male 16.6
GTEX-1399T-3126-SM-5IJFS 60-69 years, male 16.5
GTEX-14E7W-2926-SM-5S2R8 70-79 years, male 16.5
GTEX-15ER7-3026-SM-6M47W 20-29 years, female 16.4
GTEX-18A6Q-2826-SM-7LTAO 60-69 years, male 16.4
GTEX-1EWIQ-3026-SM-7IGOJ 70-79 years, female 16.4
GTEX-1RQEC-3026-SM-DPRXM 60-69 years, male 16.4
GTEX-11DZ1-2926-SM-5A5KI 50-59 years, male 16.3
GTEX-15DYW-3026-SM-7KFRM 60-69 years, female 16.3
GTEX-1CB4G-2926-SM-7MKFQ 60-69 years, male 16.3
GTEX-11DYG-2926-SM-5H132 60-69 years, male 16.2
GTEX-13O3O-3026-SM-5KM42 60-69 years, female 16.2
GTEX-13OW6-2926-SM-5KM29 50-59 years, male 16.2
GTEX-1B933-3026-SM-731DB 50-59 years, female 16.2
GTEX-1NV8Z-3026-SM-DTX8Z 60-69 years, male 16.2
GTEX-11ZUS-2826-SM-5EQKW 30-39 years, male 16.0
GTEX-12WSE-2926-SM-5RQJ9 20-29 years, male 16.0
GTEX-13RTJ-3126-SM-5S2Q4 60-69 years, male 16.0
GTEX-13G51-3126-SM-5IJG7 60-69 years, male 15.9
GTEX-WWYW-3026-SM-3NB36 50-59 years, female 15.9
GTEX-13OW7-2926-SM-5MR3Z 50-59 years, male 15.8
GTEX-T5JC-2326-SM-32PMR 20-29 years, male 15.7
GTEX-1H3VE-2826-SM-9WPOL 40-49 years, male 15.7
GTEX-1JN1M-3126-SM-AHZ4E 60-69 years, female 15.7
GTEX-17HII-2926-SM-79OMK 50-59 years, male 15.6
GTEX-1E1VI-2926-SM-7IGLT 50-59 years, male 15.6
GTEX-12WSM-2126-SM-5GCOC 60-69 years, male 15.5
GTEX-13OW8-2926-SM-5L3FV 60-69 years, male 15.5
GTEX-13PVQ-2926-SM-5L3HJ 50-59 years, male 15.5
GTEX-145MF-2826-SM-7EPGU 50-59 years, male 15.5
GTEX-17HG3-2826-SM-7EPGO 30-39 years, female 15.5
GTEX-13OVL-3026-SM-5IJF1 50-59 years, male 15.4
GTEX-1E2YA-2926-SM-7MGWX 50-59 years, male 15.4
GTEX-WHSE-2926-SM-3NMBG 20-29 years, male 15.3
GTEX-13JUV-3026-SM-5K7WX 40-49 years, female 15.2
GTEX-131YS-3026-SM-5EGHY 60-69 years, female 15.1
GTEX-YFC4-3026-SM-5IFJK 40-49 years, female 15.1
GTEX-1HSKV-2926-SM-B2LWJ 60-69 years, male 15.1
GTEX-1PIIG-2826-SM-DTX7O 30-39 years, male 15.1
GTEX-111FC-3326-SM-5GZYV 60-69 years, male 15.0
GTEX-11DXY-3126-SM-5N9BT 60-69 years, male 15.0
GTEX-Y111-2826-SM-4TT3O 50-59 years, male 14.9
GTEX-13OW5-3126-SM-5MR3Y 60-69 years, male 14.7
GTEX-T6MN-2526-SM-32PMN 50-59 years, male 14.7
GTEX-13OVJ-2726-SM-5IJG6 50-59 years, female 14.6
GTEX-1BAJH-3126-SM-7MGXY 70-79 years, male 14.3
GTEX-16YQH-2926-SM-6LPJE 30-39 years, male 13.5
GTEX-1EH9U-3126-SM-7MXU5 60-69 years, male 13.2
GTEX-1HB9E-3126-SM-AHZ4M 50-59 years, male 12.9
Show allShow less

CEREBELLUM - Pig RNA-seqi

RNA-seq data obtained from pig brain is reported as nTPM .

Normal distribution across the dataset is visualized with box plots, shown as median and 25th and 75th percentiles. Points are displayed as outliers if they are above or below 1.5 times the interquartile range. nTPM values of the individual samples are presented next to the box plot.
Max subtype nTPMi

Max subtype nTPM is the value for the subtype with the largest average nTPM across the subtype samples.

26.2
Pig sample Sample description nTPM
Cerebellum
nTPM: 26.2
Samples: 4

Max nTPM: 29.9
Min nTPM: 22.8
Sample A Female 29.9
Sample B Female 27.2
Sample C Male 22.8
Sample D Male 24.8

CEREBELLUM - Mouse RNA-seqi

RNA-seq data obtained from mouse brain is reported as nTPM .

Normal distribution across the dataset is visualized with box plots, shown as median and 25th and 75th percentiles. Points are displayed as outliers if they are above or below 1.5 times the interquartile range. nTPM values of the individual samples are presented next to the box plot.
Max subtype nTPMi

Max subtype nTPM is the value for the subtype with the largest average nTPM across the subtype samples.

29.5
Mouse sample Sample description nTPM
Cerebellum
nTPM: 29.5
Samples: 4

Max nTPM: 31.1
Min nTPM: 27.5
Sample A Male 31.1
Sample B Male 27.5
Sample C Female 28.7
Sample D Female 30.5

CEREBELLUM - Allen Mouse ISHi

In situ hybridization (ISH) data generated by the Allen brain atlas from mouse brain is reported as expression energy. For more details about a particular experiment, click on the corresponding Allen experiment ID.

Max subtype Expression energyi

Max subtype Expression energy is the value for the subtype with the largest average Expression energy across the subtype samples.

3.4
Allen experiment id Experiment description Expression energy
Cerebellum
Expression energy: 3.4
70565506 Antisense, RP_050628_01_B04, Mouse strain C57BL/6J (56 days, male) 3.4

Contact

  • NEWS ARTICLES
  • PRESS ROOM

The Project

  • INTRODUCTION
  • ORGANIZATION
  • PUBLICATIONS

The Human Protein Atlas

  • DOWNLOADABLE DATA
  • LICENCE & CITATION
  • HELP & FAQ
The Human Protein Atlas project is funded
by the Knut & Alice Wallenberg Foundation.


contact@proteinatlas.org