We use cookies to enhance the usability of our website. If you continue, we'll assume that you are happy to receive all cookies. More information. Don't show this again.
TTC39A
HPA
RESOURCES
  • TISSUE
  • BRAIN
  • SINGLE CELL
  • SUBCELLULAR
  • CANCER
  • BLOOD
  • CELL LINE
  • STRUCTURE & INTERACTION
ABOUT
  • INTRODUCTION
  • HISTORY
  • ORGANIZATION
  • PUBLICATIONS
  • ANTIBODY SUBMISSION
  • ANTIBODY AVAILABILITY
  • ACKNOWLEDGMENTS
  • CONTACT
NEWS
  • NEWS ARTICLES
  • PRESS ROOM
LEARN
  • DICTIONARY
  • PROTEIN CLASSES
  • PROTEIN EVIDENCE
  • METHODS
  • EDUCATIONAL VIDEOS
DATA
  • DOWNLOADABLE DATA
  • PUBLICATION DATA
  • RELEASE HISTORY
HELP
  • ANTIBODY VALIDATION
  • ASSAYS & ANNOTATION
  • DISCLAIMER
  • HELP & FAQ
  • PRIVACY STATEMENT
  • LICENCE & CITATION
Fields »
Search result

Field
Term
Gene name
Class
Subclass
Class
Keyword
Chromosome
External id
Tissue
Cell type
Expression
Antibody panel
Tissue
Main location
Patient ID
Annotation
Tissue
Category
Tau score
Cluster
Reliability
Brain region
Category
Tau score
Brain region
Category
Tau score
Brain region
Category
Tau score
Cluster
Reliability
Tissue
Cell type
Enrichment
Cell type
Category
Tau score
Cell type
Category
Tau score
Cell type
Category
Tau score
Cell lineage
Category
Tau score
Cluster
Cluster
Location
Searches
Location
Cell line
Class
Type
Phase
Reliability
Cancer
Prognosis
Cancer
Category
Cancer
Category
Tau score
Cluster
Variants
Interacting gene (ensg_id)
Type
Number of interactions
Pathway
Category
Score
Score
Score
Validation
Validation
Validation
Validation
Antibodies
Data type
Column


  • SUMMARY

  • TISSUE

  • BRAIN

  • SINGLE CELL

  • SUBCELL

  • CANCER

  • BLOOD

  • CELL LINE

  • STRUCT & INT

  • TTC39A
TISSUE PRIMARY DATA BREAST Show tissue menu
ADIPOSE TISSUE ADRENAL GLAND AMYGDALA APPENDIX BASAL GANGLIA BONE MARROW BREAST BRONCHUS CEREBELLUM CEREBRAL CORTEX CERVIX CHOROID PLEXUS COLON DUODENUM
ENDOMETRIUM EPIDIDYMIS ESOPHAGUS FALLOPIAN TUBE GALLBLADDER HEART MUSCLE HIPPOCAMPAL FORMATION HYPOTHALAMUS KIDNEY LIVER LUNG LYMPH NODE MIDBRAIN NASOPHARYNX
ORAL MUCOSA OVARY PANCREAS PARATHYROID GLAND PITUITARY GLAND PLACENTA PROSTATE RECTUM RETINA SALIVARY GLAND SEMINAL VESICLE SKELETAL MUSCLE SKIN SMALL INTESTINE
SMOOTH MUSCLE SOFT TISSUE SPINAL CORD SPLEEN STOMACH TESTIS THYMUS THYROID GLAND TONGUE TONSIL URINARY BLADDER VAGINA
ANTIBODIES
AND
VALIDATION
Dictionary
Breast
Tissue proteome
Breast
BREAST - Expression summary
Protein expression
Breasti

On the top, protein expression in current human tissue, based on all annotated cell types, is reported with the units not detected (n), low (l), medium (m) and high (h). Underneath, protein expression in each annotated cell type are reported using the same units.

Protein expression data is based on knowledge-based annotation. For genes where more than one antibody has been used, a collective score is set.

If knowledge-based annotation could not be performed for a gene, no data is displayed here. View antibody staining data further down this page.

h
m
l
n
Adipocytes: Low
Glandular cells: Medium
Myoepithelial cells: Not detected
RNA expressioni

A summary of mRNA expression data available for current tissue based on several datasets. The mRNA expression levels in human tissues are based on RNA-seq data generated by the Human Protein Atlas (HPA), Genotype-Tissue Expression (GTEx) portal and CAGE data generated by the FANTOM5 consortium. Consensus normalized expression levels for human tissues was created by combining the data from HPA and GTEx datasets.

The mRNA expression levels in pig are based on RNA-seq data generated by the Human Protein Atlas (HPA), and for mouse, HPA data and in situ hybridization generated by the Allen brain atlas are reported.

Scroll down to view mRNA expression data in more detail.
Consensus:34.9 nTPM
HPA:34.9 nTPM
GTEx:15.2 nTPM
FANTOM5:21.6 Scaled Tags Per Million

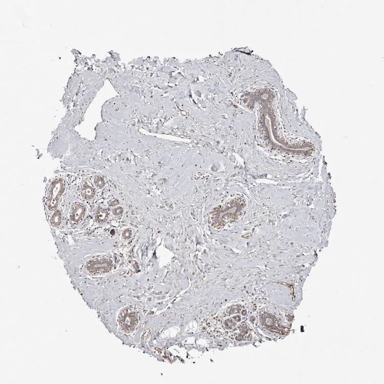
BREAST - Antibody stainingi

Antibody staining in the annotated cell types in the current human tissue is reported as not detected, low, medium, or high, based on conventional immunohistochemistry profiling in selected tissues. This score is based on the combination of the staining intensity and fraction of stained cells.

Each image is clickable and will lead to virtual microscopy that enables deeper exploration of all samples and also displays staining intensity scores, fraction scores and subcellular localization as well as patient and tissue information for each sample.

Antibody HPA028098
Adipocytes Low
Glandular cells Medium
Myoepithelial cells Not detected


BREAST - HPA RNA-seqi

The RNA-seq details section shows detailed information about the individual samples used for the transcript profiling and results of the RNA-seq analysis.

Information about each individual sample is listed below, including gender, age, a tissue section image and estimated fractions of cell types. nTPM (normalized transcripts per million) values give a quantification of the gene abundance which is comparable between different genes and samples.
Average nTPMi

Max subtype nTPM is the value for the subtype with the largest average nTPM across the subtype samples.

34.9
overview
Female, age 52
Breast sample 373
nTPM: 15
Cell types%
Glandular cells:
15

Adipocytes:
5

Other cell types:
80

overview
Female, age 80
Breast sample 390
nTPM: 49.6
Cell types%
Glandular cells:
5

Adipocytes:
15

Other cell types:
80

overview
Female, age 47
Breast sample 405
nTPM: 70.2
Cell types%
Glandular cells:
5

Adipocytes:
5

Other cell types:
90

overview
Female, age 38
Breast sample 410
nTPM: 4.6
Cell types%
Glandular cells:
40

Adipocytes:
5

Other cell types:
55


BREAST - GTEx RNA-seqi

RNA-Seq data generated by the Genotype-Tissue Expression (GTEx) project from human tissues is reported as mean nTPM. More information can be found on the GTEx portal.

Distribution across the dataset is visualized with box plots, shown as median and 25th and 75th percentiles. Points are displayed as outliers if they are above or below 1.5 times the interquartile range. nTPM values of the individual samples are presented next to the box plot.
Max subtype nTPMi

Max subtype nTPM is the value for the subtype with the largest average nTPM across the subtype samples.

15.2
GTEx sample id Sample description nTPM
Breast - Mammary Tissue
Average nTPM: 15.2
Samples: 459

Max nTPM: 143.7
Min nTPM: 0.0
Std nTPM: 20.9
Median nTPM: 5.6
GTEX-14PN4-0626-SM-62LFP 50-59 years, male 143.7
GTEX-1QP29-1726-SM-E8VMQ 50-59 years, male 113.4
GTEX-1RAZQ-1226-SM-EWRNL 30-39 years, male 107.1
GTEX-14ABY-2126-SM-5QGQZ 50-59 years, male 101.2
GTEX-1F75I-2026-SM-7SB7N 40-49 years, male 93.6
GTEX-1R7EU-1226-SM-E8VMR 60-69 years, male 82.4
GTEX-QEL4-2126-SM-447AE 50-59 years, male 77.7
GTEX-QEG5-0726-SM-D4P1T 20-29 years, male 75.8
GTEX-1QCLY-1626-SM-DTXDW 30-39 years, male 74.2
GTEX-WFG8-2026-SM-EXOHO 20-29 years, male 71.3
GTEX-1LSNM-1326-SM-E9TJ1 50-59 years, male 68.8
GTEX-1C6VS-0726-SM-7EPHF 60-69 years, male 67.5
GTEX-13NZB-2126-SM-5MR4Y 30-39 years, male 64.9
GTEX-1B8SG-1226-SM-7IGPF 50-59 years, male 64.9
GTEX-1A8G7-2426-SM-731AK 60-69 years, male 63.9
GTEX-1RQEC-2026-SM-DTXDM 60-69 years, male 63.9
GTEX-1JMQK-2626-SM-COH2W 60-69 years, male 63.3
GTEX-1N5O9-1126-SM-DTXEQ 60-69 years, male 61.5
GTEX-145LT-0726-SM-5S2VM 40-49 years, male 60.8
GTEX-1KANA-2026-SM-DIPFB 20-29 years, male 60.8
GTEX-11TT1-2126-SM-5GU5Y 20-29 years, male 59.8
GTEX-1BAJH-0826-SM-7EWEF 70-79 years, male 59.7
GTEX-1IKJJ-2326-SM-COH3U 60-69 years, male 59.7
GTEX-T6MN-0726-SM-32PML 50-59 years, male 59.6
GTEX-1JJEA-2726-SM-ARL8V 60-69 years, male 59.5
GTEX-15G19-2126-SM-6M48J 60-69 years, male 58.7
GTEX-1J8Q2-2726-SM-A9G2X 60-69 years, male 58.7
GTEX-1GN2E-2226-SM-9WG6J 60-69 years, male 58.3
GTEX-1N2EE-2126-SM-E8VNN 60-69 years, male 56.9
GTEX-1HSKV-2026-SM-CMKGX 60-69 years, male 56.5
GTEX-1CB4E-0226-SM-79OLW 60-69 years, male 56.0
GTEX-1IY9M-2726-SM-CMKG5 60-69 years, male 56.0
GTEX-14ICK-2426-SM-6EU27 40-49 years, male 55.8
GTEX-11EMC-2026-SM-5A5JV 60-69 years, female 54.8
GTEX-T5JC-2126-SM-32PMO 20-29 years, male 53.5
GTEX-14LLW-0626-SM-62LFC 70-79 years, female 52.6
GTEX-1CB4J-1826-SM-7EWF9 60-69 years, male 52.4
GTEX-14PJO-0726-SM-69LO8 60-69 years, male 50.5
GTEX-T2YK-2226-SM-32QPT 50-59 years, male 50.1
GTEX-ZVT2-1826-SM-5NQ8W 50-59 years, female 50.0
GTEX-17EUY-1926-SM-7DUF6 20-29 years, male 49.1
GTEX-1RAZS-1226-SM-E8VMT 50-59 years, male 48.9
GTEX-1GMR3-2626-SM-7RHHG 40-49 years, male 48.8
GTEX-1GZ4I-2826-SM-9MQK5 50-59 years, male 47.0
GTEX-1GPI6-0626-SM-7RHHJ 60-69 years, male 46.8
GTEX-1B97I-0426-SM-79OL7 40-49 years, male 46.1
GTEX-ZVTK-0326-SM-51MRR 20-29 years, male 45.3
GTEX-1M5QR-2526-SM-E9U5P 40-49 years, male 45.1
GTEX-VUSG-2226-SM-4KKZO 50-59 years, male 43.4
GTEX-1HKZK-1826-SM-ADEJ2 40-49 years, male 43.1
GTEX-1JMPY-0526-SM-CL54O 30-39 years, male 42.9
GTEX-1HUB1-1626-SM-CM2SL 60-69 years, male 42.8
GTEX-1I6K7-1026-SM-A9SLK 40-49 years, male 42.8
GTEX-1I1HK-2426-SM-ADEHX 60-69 years, male 42.5
GTEX-1H1E6-0926-SM-9YFLT 30-39 years, male 42.4
GTEX-U412-1826-SM-4DXTJ 60-69 years, male 41.8
GTEX-1MJK2-2226-SM-EVYCR 50-59 years, male 41.8
GTEX-11GS4-2126-SM-5A5KR 60-69 years, male 41.5
GTEX-1CB4G-2326-SM-79OOI 60-69 years, male 40.9
GTEX-13SLW-2526-SM-62LDQ 70-79 years, male 40.2
GTEX-ZU9S-1926-SM-5NQBP 30-39 years, male 40.1
GTEX-17EVP-0226-SM-79OND 40-49 years, male 39.7
GTEX-11PRG-0826-SM-5EQ6A 50-59 years, male 39.5
GTEX-ZY6K-1626-SM-5GZWV 50-59 years, male 38.7
GTEX-1B8KZ-1526-SM-7DUG7 50-59 years, male 37.5
GTEX-1LVAM-0926-SM-E9TJ2 50-59 years, female 37.0
GTEX-111YS-1926-SM-5GICC 60-69 years, male 35.3
GTEX-11DXW-0626-SM-5N9ER 40-49 years, male 35.3
GTEX-UPK5-2326-SM-3P5Z8 40-49 years, male 35.0
GTEX-1192X-2326-SM-5987X 50-59 years, male 34.7
GTEX-1EU9M-2826-SM-7EWFH 60-69 years, male 34.2
GTEX-ZV7C-1826-SM-5NQ83 50-59 years, male 33.7
GTEX-ZF2S-2026-SM-5E461 50-59 years, female 33.6
GTEX-ZTTD-1026-SM-51MRD 50-59 years, male 33.4
GTEX-1C64O-0726-SM-7DUFU 60-69 years, male 33.2
GTEX-1IDJE-0826-SM-CKZNZ 50-59 years, female 32.9
GTEX-1A3MV-1626-SM-731C1 30-39 years, male 32.4
GTEX-13CF2-2026-SM-5K7VI 60-69 years, male 32.2
GTEX-1HCVE-2626-SM-ADEJ8 50-59 years, male 31.7
GTEX-WYJK-1326-SM-3NB2T 50-59 years, male 31.5
GTEX-XBED-1626-SM-47JYN 60-69 years, male 31.5
GTEX-145MO-0826-SM-5NQBL 60-69 years, male 31.4
GTEX-147F4-2826-SM-5NQBN 50-59 years, male 31.4
GTEX-17HHY-0926-SM-793C1 50-59 years, male 31.2
GTEX-1KAFJ-0226-SM-DIPEL 50-59 years, male 31.0
GTEX-13FTY-2226-SM-5J1ND 40-49 years, female 30.4
GTEX-11P7K-0726-SM-5EGKX 30-39 years, male 30.2
GTEX-1H1DG-0526-SM-9YFLN 70-79 years, male 29.7
GTEX-YFC4-1426-SM-5IFJG 40-49 years, female 29.2
GTEX-1GMR8-0726-SM-9KNVI 50-59 years, female 29.1
GTEX-1MA7W-1026-SM-DKPQK 20-29 years, female 29.1
GTEX-13NZ9-1026-SM-5MR5K 50-59 years, male 29.0
GTEX-ZTX8-1226-SM-4YCE9 20-29 years, male 28.8
GTEX-17KNJ-2026-SM-7LG53 50-59 years, male 28.7
GTEX-14AS3-1626-SM-5S2OY 40-49 years, female 28.5
GTEX-1JMPZ-1626-SM-COH31 30-39 years, male 28.4
GTEX-1KXAM-1026-SM-CY8IA 60-69 years, male 28.4
GTEX-1HCU9-0326-SM-9WYSC 20-29 years, male 27.2
GTEX-13FHO-0826-SM-5L3E8 60-69 years, male 27.1
GTEX-1I4MK-1626-SM-CM2TJ 50-59 years, female 27.1
GTEX-1K2DA-1726-SM-CGQGS 50-59 years, male 27.0
GTEX-U3ZH-1426-SM-4DXSR 30-39 years, male 26.9
GTEX-X15G-1626-SM-3NMB3 50-59 years, female 26.9
GTEX-1314G-1226-SM-5BC6D 30-39 years, male 26.5
GTEX-13OW5-2226-SM-5L3HC 60-69 years, male 26.4
GTEX-1AX8Z-0926-SM-731AW 60-69 years, male 25.7
GTEX-18QFQ-0826-SM-718AX 30-39 years, male 25.5
GTEX-Y111-2026-SM-4SOJA 50-59 years, male 25.2
GTEX-1F6I4-2526-SM-7SB8F 60-69 years, male 24.6
GTEX-S341-1526-SM-4AD6K 40-49 years, female 24.0
GTEX-VJWN-0726-SM-3GIJ8 50-59 years, female 23.8
GTEX-139TU-0626-SM-5KM3X 60-69 years, male 23.6
GTEX-1PDJ9-1126-SM-EXUSW 20-29 years, male 23.2
GTEX-1B8KE-1226-SM-73KWK 50-59 years, male 23.0
GTEX-11EI6-0626-SM-5985T 60-69 years, male 22.8
GTEX-1JJE9-2326-SM-ARL8Q 70-79 years, male 21.5
GTEX-1JK1U-1826-SM-ARL8W 60-69 years, male 21.4
GTEX-1F75A-1826-SM-7SB8G 50-59 years, male 21.3
GTEX-1GMRU-0826-SM-9WYT7 50-59 years, male 21.3
GTEX-13113-5013-SM-7SB7G 60-69 years, female 21.1
GTEX-17HHE-1426-SM-7EPH4 50-59 years, male 21.0
GTEX-1LNCM-0226-SM-DIPF4 50-59 years, female 19.9
GTEX-13NZ8-0126-SM-5IJCT 60-69 years, female 19.1
GTEX-1HSGN-1526-SM-A9SMO 40-49 years, female 19.1
GTEX-131YS-0626-SM-5EGKL 60-69 years, female 18.6
GTEX-15SHW-1326-SM-6PAL8 60-69 years, male 18.2
GTEX-11LCK-2426-SM-5HL5F 30-39 years, male 18.1
GTEX-Y3IK-2326-SM-4WWDT 50-59 years, female 18.1
GTEX-1313W-0826-SM-5EQ4T 50-59 years, female 17.9
GTEX-15EOM-5019-SM-793DK 20-29 years, female 17.9
GTEX-1J8Q3-1326-SM-CMKI1 60-69 years, male 17.6
GTEX-Q2AG-0326-SM-48U1O 40-49 years, female 17.4
GTEX-XMD2-0926-SM-4WWEF 60-69 years, female 17.4
GTEX-11WQC-1726-SM-5GU4W 60-69 years, male 16.7
GTEX-1NUQO-2226-SM-E9U68 20-29 years, female 16.6
GTEX-ZF29-1926-SM-5S2P1 60-69 years, female 16.4
GTEX-13SLX-2326-SM-5ZZWE 50-59 years, female 16.1
GTEX-ZXES-0826-SM-5E43C 30-39 years, female 16.1
GTEX-YB5K-1626-SM-5IFIN 40-49 years, female 15.8
GTEX-ZTPG-2826-SM-57WGA 20-29 years, female 15.8
GTEX-1I1GU-1026-SM-ADEHJ 40-49 years, male 15.7
GTEX-1POEN-0926-SM-DTX88 30-39 years, female 15.7
GTEX-XMD1-0826-SM-4AT52 60-69 years, male 15.6
GTEX-1GZ2Q-2626-SM-7MXV9 40-49 years, male 15.6
GTEX-1HR9M-2426-SM-ACKXI 60-69 years, male 15.3
GTEX-1ICG6-1326-SM-ACKWR 70-79 years, female 15.3
GTEX-RU72-0626-SM-46MUI 50-59 years, female 14.9
GTEX-14A5I-0726-SM-5TDEB 50-59 years, female 14.6
GTEX-XYKS-1326-SM-4BRUN 60-69 years, female 14.5
GTEX-T5JW-2026-SM-4DM63 20-29 years, female 14.3
GTEX-1QCLZ-2326-SM-DTXDO 60-69 years, female 14.1
GTEX-ZVE2-1226-SM-5NQ8R 50-59 years, male 14.0
GTEX-13QIC-2326-SM-5LU5N 60-69 years, female 13.9
GTEX-133LE-1726-SM-5K7VQ 20-29 years, female 13.8
GTEX-1GN1W-1926-SM-7P8TH 50-59 years, female 13.7
GTEX-WYBS-0926-SM-3NM94 60-69 years, female 13.6
GTEX-1E2YA-2726-SM-7IGPW 50-59 years, male 13.4
GTEX-13N11-1726-SM-5J1OJ 50-59 years, female 13.3
GTEX-ZEX8-2226-SM-57WC6 50-59 years, male 13.3
GTEX-WRHU-0326-SM-3MJFY 50-59 years, female 13.2
GTEX-15ETS-0626-SM-7KUMX 40-49 years, female 12.7
GTEX-17HG3-0126-SM-7IGNH 30-39 years, female 12.3
GTEX-1LVAN-1326-SM-CNPQE 50-59 years, female 12.1
GTEX-X261-0626-SM-3NMD9 50-59 years, male 11.7
GTEX-1J8QM-2026-SM-ARZMW 60-69 years, female 11.7
GTEX-1B8L1-2426-SM-9WYTE 60-69 years, male 11.4
GTEX-ZF3C-2326-SM-5S2NC 50-59 years, female 11.4
GTEX-1LGRB-1826-SM-CNPQL 50-59 years, female 11.3
GTEX-13O3O-0826-SM-5K7WE 60-69 years, female 10.9
GTEX-WYVS-1726-SM-3NMAY 40-49 years, female 10.7
GTEX-1IE54-0626-SM-ARL8D 40-49 years, female 10.7
GTEX-13PL6-2926-SM-5L3I2 40-49 years, female 10.6
GTEX-16NGA-0826-SM-718AF 40-49 years, female 10.6
GTEX-14PHY-1926-SM-5YY95 60-69 years, female 10.5
GTEX-S4UY-0726-SM-4AD6X 40-49 years, female 10.5
GTEX-1H1CY-2226-SM-9WG7E 60-69 years, female 10.4
GTEX-1399U-1826-SM-5PNZ1 50-59 years, female 10.3
GTEX-13W3W-1226-SM-5LU4H 60-69 years, female 10.2
GTEX-17F98-0526-SM-79OK5 40-49 years, female 10.1
GTEX-XOT4-0726-SM-4GIAW 60-69 years, female 10.1
GTEX-1IKOH-2326-SM-CM2TW 60-69 years, female 9.9
GTEX-15UF6-0126-SM-6PAMB 70-79 years, female 9.7
GTEX-Y8LW-1626-SM-5IFHX 50-59 years, female 9.5
GTEX-T2IS-1526-SM-32QPR 20-29 years, female 9.4
GTEX-Y114-2026-SM-4TT7L 50-59 years, female 9.4
GTEX-1211K-1926-SM-5EQLB 60-69 years, female 9.1
GTEX-1R46S-2526-SM-E8VN2 60-69 years, female 9.1
GTEX-Y5LM-1726-SM-4VDSX 40-49 years, female 8.9
GTEX-ZC5H-2626-SM-5J2MG 40-49 years, female 8.8
GTEX-1GMR2-1926-SM-9MQLZ 50-59 years, male 8.4
GTEX-11I78-2226-SM-5PNYA 50-59 years, female 8.2
GTEX-R53T-1526-SM-48FEK 50-59 years, female 8.1
GTEX-1B97J-0426-SM-79OLQ 50-59 years, female 8.0
GTEX-13D11-1026-SM-5IJFB 50-59 years, female 7.9
GTEX-ZAJG-0626-SM-5HL8X 50-59 years, female 7.9
GTEX-1IKOE-1326-SM-CE6T6 30-39 years, female 7.9
GTEX-1117F-2826-SM-5GZXL 60-69 years, female 7.8
GTEX-13PVR-2226-SM-7DHKP 60-69 years, female 7.6
GTEX-1MCC2-2126-SM-EWRON 30-39 years, female 7.5
GTEX-146FH-0826-SM-5SI8T 50-59 years, female 7.4
GTEX-14PKU-0426-SM-6EU1P 40-49 years, female 7.4
GTEX-S33H-0326-SM-4AD6N 30-39 years, male 7.4
GTEX-1I19N-2826-SM-CL55D 70-79 years, male 7.4
GTEX-Y3I4-1526-SM-4TT7K 50-59 years, male 7.1
GTEX-14BMU-1626-SM-5TDE7 20-29 years, female 7.0
GTEX-14H4A-2526-SM-5YYAY 40-49 years, female 6.9
GTEX-SE5C-2126-SM-4BRUJ 40-49 years, female 6.9
GTEX-1GN1U-0526-SM-9KNTT 50-59 years, female 6.9
GTEX-12WSN-1326-SM-5GCNT 40-49 years, male 6.8
GTEX-1B933-2526-SM-7IGO5 50-59 years, female 6.8
GTEX-139T8-0826-SM-5L3DE 60-69 years, male 6.6
GTEX-TML8-1226-SM-32QON 40-49 years, female 6.6
GTEX-1I1GT-1126-SM-ARL7J 60-69 years, female 6.6
GTEX-TMMY-0726-SM-33HBE 40-49 years, female 6.5
GTEX-QDT8-0626-SM-48TYW 30-39 years, female 6.4
GTEX-ZAK1-1326-SM-EVYAS 50-59 years, female 6.4
GTEX-18A7A-0726-SM-7LTAI 50-59 years, female 6.3
GTEX-1K9T9-1426-SM-DIPFQ 50-59 years, female 6.3
GTEX-ZGAY-1726-SM-DO91P 40-49 years, female 6.3
GTEX-RWS6-1926-SM-47JXY 60-69 years, female 6.2
GTEX-1HBPM-0126-SM-ARL9E 60-69 years, female 6.2
GTEX-17JCI-0726-SM-7EPH1 60-69 years, female 6.1
GTEX-UJHI-1426-SM-3DB9C 50-59 years, female 6.1
GTEX-1F5PL-1026-SM-7RHI1 40-49 years, female 6.1
GTEX-1QPFJ-2026-SM-EVYBE 30-39 years, female 6.0
GTEX-1J8EW-2626-SM-CL53E 60-69 years, female 5.8
GTEX-1MCYP-0126-SM-E6CIS 20-29 years, female 5.8
GTEX-131XW-0726-SM-5EGK3 50-59 years, female 5.7
GTEX-132Q8-1426-SM-5EGK7 60-69 years, male 5.6
GTEX-Z9EW-1526-SM-EZ6LU 40-49 years, male 5.6
GTEX-1B932-0826-SM-73KXG 40-49 years, female 5.5
GTEX-X4XY-0926-SM-4E3JD 60-69 years, male 5.5
GTEX-1122O-1226-SM-5H113 60-69 years, female 5.4
GTEX-1CAMS-1426-SM-7IGPM 40-49 years, female 5.4
GTEX-1IDJU-1826-SM-CMKHV 60-69 years, female 5.3
GTEX-11NSD-0926-SM-5N9DR 20-29 years, male 5.2
GTEX-13CF3-2126-SM-5IFJP 60-69 years, female 5.2
GTEX-R3RS-0626-SM-48FE1 40-49 years, female 5.2
GTEX-XUW1-2326-SM-4BOO5 50-59 years, female 5.1
GTEX-13O3P-0826-SM-5L3DH 50-59 years, male 5.0
GTEX-X4EP-2926-SM-3P5YQ 60-69 years, female 4.7
GTEX-ZVZQ-0826-SM-51MRF 60-69 years, female 4.7
GTEX-ZZPU-0626-SM-5E43T 50-59 years, female 4.7
GTEX-1GZ4H-0326-SM-7P8QX 50-59 years, female 4.7
GTEX-QVJO-1826-SM-447C9 60-69 years, female 4.6
GTEX-1R9PN-0326-SM-DTX85 40-49 years, female 4.5
GTEX-13OW8-0226-SM-5K7UP 60-69 years, male 4.4
GTEX-145ME-1526-SM-5Q5F2 40-49 years, female 4.4
GTEX-RUSQ-2026-SM-4GIAK 50-59 years, male 4.4
GTEX-1C475-1226-SM-7SB72 40-49 years, female 4.4
GTEX-1269C-2426-SM-5FQSN 60-69 years, female 4.3
GTEX-1F75B-0626-SM-7SB8A 50-59 years, male 4.3
GTEX-WOFL-0826-SM-3MJG1 60-69 years, male 4.2
GTEX-11P81-1926-SM-5BC53 30-39 years, female 4.0
GTEX-U3ZN-1926-SM-4DXSG 30-39 years, female 4.0
GTEX-12ZZX-1126-SM-5EGKB 40-49 years, female 3.9
GTEX-1GZHY-0726-SM-9WG6B 50-59 years, female 3.8
GTEX-15FZZ-0726-SM-7KUFZ 30-39 years, female 3.7
GTEX-WXYG-2226-SM-4E3IM 50-59 years, female 3.6
GTEX-ZDYS-1126-SM-5K7UB 50-59 years, male 3.6
GTEX-1HC8U-0826-SM-ADEIL 40-49 years, female 3.6
GTEX-1KD4Q-2326-SM-D4P3M 40-49 years, male 3.6
GTEX-T6MO-0326-SM-32QOK 40-49 years, female 3.5
GTEX-U8XE-0826-SM-4E3J1 30-39 years, male 3.5
GTEX-WY7C-2726-SM-3NB3P 50-59 years, male 3.5
GTEX-S4P3-1326-SM-4AD6V 50-59 years, female 3.4
GTEX-11GSO-1926-SM-5A5K3 60-69 years, male 3.3
GTEX-14E6C-1326-SM-62LEQ 40-49 years, male 3.3
GTEX-11EM3-1326-SM-5N9C6 20-29 years, female 3.2
GTEX-1GF9X-1026-SM-ACKX2 40-49 years, female 3.2
GTEX-ZLWG-1926-SM-DO92J 50-59 years, female 3.2
GTEX-11EQ9-1826-SM-5Q5AJ 30-39 years, male 3.1
GTEX-ZVT4-1026-SM-57WC4 50-59 years, female 3.1
GTEX-1HFI7-0126-SM-CGQFQ 50-59 years, female 3.1
GTEX-1JN1M-3026-SM-CMKGK 60-69 years, female 3.1
GTEX-Y5V5-2126-SM-4WWFO 60-69 years, female 3.0
GTEX-11ONC-2126-SM-5HL6E 60-69 years, male 2.9
GTEX-1A3MX-2726-SM-718B6 60-69 years, male 2.9
GTEX-1JMOU-2026-SM-CMKGU 60-69 years, female 2.9
GTEX-11GSP-0926-SM-9WYSG 60-69 years, female 2.8
GTEX-1CAMR-1426-SM-793BO 20-29 years, male 2.7
GTEX-ZDXO-0126-SM-5S2ND 60-69 years, male 2.7
GTEX-ZT9W-2026-SM-51MRA 50-59 years, male 2.7
GTEX-1P4AB-1826-SM-E76PU 50-59 years, male 2.7
GTEX-144GM-0926-SM-5O994 20-29 years, male 2.6
GTEX-1EWIQ-1726-SM-7SB7T 70-79 years, female 2.6
GTEX-PSDG-1626-SM-48TCQ 50-59 years, male 2.5
GTEX-ZYW4-0826-SM-5GIDG 60-69 years, male 2.5
GTEX-1HBPN-2326-SM-9WPPU 50-59 years, male 2.5
GTEX-1H4P4-2226-SM-9MQKQ 50-59 years, male 2.4
GTEX-1IDJF-2326-SM-ARL86 20-29 years, male 2.4
GTEX-1L5NE-2126-SM-CY8IH 50-59 years, male 2.4
GTEX-WHSB-1926-SM-EXOHH 50-59 years, male 2.4
GTEX-132AR-0826-SM-5EGK6 50-59 years, female 2.3
GTEX-15ER7-1626-SM-6PAMZ 20-29 years, female 2.3
GTEX-WI4N-1426-SM-3LK7H 40-49 years, female 2.2
GTEX-ZPIC-1126-SM-5BC7F 40-49 years, female 2.2
GTEX-ZQG8-0726-SM-5P9H9 60-69 years, female 2.2
GTEX-1R9JW-0326-SM-EAZ45 30-39 years, female 2.2
GTEX-1S82U-1126-SM-E9U6I 30-39 years, female 2.2
GTEX-XQ3S-1326-SM-4BOPQ 20-29 years, male 2.1
GTEX-1HSEH-2026-SM-ADEHN 60-69 years, male 2.1
GTEX-1KANC-1426-SM-CYPT9 50-59 years, female 2.1
GTEX-ZLFU-2126-SM-DO931 40-49 years, male 2.1
GTEX-XV7Q-2326-SM-4BRVZ 40-49 years, female 2.0
GTEX-ZAB4-2526-SM-5HL8M 40-49 years, male 2.0
GTEX-ZYFC-0826-SM-5E44K 50-59 years, male 2.0
GTEX-1HCU8-0126-SM-ADEHH 60-69 years, female 2.0
GTEX-11ZTT-2326-SM-5EQLG 60-69 years, female 1.9
GTEX-18D9A-1526-SM-7LG4J 30-39 years, female 1.9
GTEX-1HCUA-0726-SM-ACKVU 50-59 years, female 1.9
GTEX-1MJK3-1126-SM-E9J3F 20-29 years, male 1.9
GTEX-1N2EF-2226-SM-E9J33 60-69 years, male 1.9
GTEX-YECK-0726-SM-EZ6LV 60-69 years, male 1.9
GTEX-1IOXB-1926-SM-ARL8E 50-59 years, male 1.8
GTEX-16BQI-1026-SM-7KUEA 30-39 years, female 1.7
GTEX-S32W-2026-SM-4AD6E 50-59 years, female 1.7
GTEX-1GF9U-1726-SM-7MGY5 40-49 years, female 1.7
GTEX-1LBAC-0926-SM-CXKY9 20-29 years, male 1.7
GTEX-12BJ1-1826-SM-5HL9N 60-69 years, male 1.6
GTEX-UTHO-1026-SM-3GAF7 60-69 years, male 1.6
GTEX-XGQ4-0926-SM-4AT4U 50-59 years, male 1.6
GTEX-QMRM-1626-SM-D4P1U 50-59 years, male 1.6
GTEX-ZLV1-1426-SM-DO92Z 60-69 years, female 1.6
GTEX-11TUW-1826-SM-5BC5D 60-69 years, male 1.5
GTEX-W5X1-2326-SM-3GIL6 40-49 years, female 1.5
GTEX-ZQUD-1926-SM-51MSA 30-39 years, male 1.5
GTEX-1F5PK-2126-SM-7PC28 50-59 years, male 1.5
GTEX-1QP28-1226-SM-E9J2M 50-59 years, female 1.5
GTEX-12WSK-2226-SM-5GCO5 40-49 years, female 1.4
GTEX-13FTX-1126-SM-5N9EN 20-29 years, female 1.4
GTEX-13S86-1226-SM-5S2OA 40-49 years, male 1.4
GTEX-14B4R-1226-SM-5TDDT 30-39 years, male 1.4
GTEX-16YQH-2826-SM-6PAMY 30-39 years, male 1.4
GTEX-XQ8I-2426-SM-4WAXY 50-59 years, male 1.4
GTEX-XUZC-1626-SM-4BRVP 30-39 years, female 1.4
GTEX-ZV6S-1826-SM-5NQ8D 40-49 years, female 1.4
GTEX-1ICLY-1726-SM-B2LVT 50-59 years, male 1.4
GTEX-14PJ4-2126-SM-6ETZJ 60-69 years, male 1.3
GTEX-183WM-0726-SM-7LTAA 70-79 years, female 1.3
GTEX-18A66-1726-SM-7LG5N 60-69 years, male 1.3
GTEX-11P82-1326-SM-5HL62 20-29 years, male 1.2
GTEX-13FTW-1426-SM-5LZWZ 40-49 years, male 1.2
GTEX-14DAR-1326-SM-7DUEG 50-59 years, male 1.2
GTEX-17F97-2526-SM-7EWDV 50-59 years, male 1.2
GTEX-1H11D-1526-SM-9MQJY 40-49 years, male 1.2
GTEX-1QW4Y-1026-SM-DTXE2 30-39 years, male 1.2
GTEX-117YX-1426-SM-5H12H 50-59 years, male 1.1
GTEX-R55D-0826-SM-48FEA 50-59 years, male 1.1
GTEX-RU1J-0626-SM-4WAWY 20-29 years, female 1.1
GTEX-S4Q7-1126-SM-4AD6R 20-29 years, male 1.1
GTEX-TKQ2-1826-SM-33HB2 50-59 years, male 1.1
GTEX-1I1GP-0426-SM-COH3N 50-59 years, male 1.1
GTEX-1R7EV-1526-SM-E8VOD 40-49 years, male 1.1
GTEX-117XS-1926-SM-5GICO 60-69 years, male 1.0
GTEX-13N1W-0626-SM-5MR4U 70-79 years, male 1.0
GTEX-14E6E-1326-SM-5S2NR 30-39 years, male 1.0
GTEX-15RJE-2626-SM-7KFT1 40-49 years, male 1.0
GTEX-XMK1-1126-SM-4IHJ8 40-49 years, male 1.0
GTEX-1RLM8-2226-SM-EVYD1 50-59 years, male 1.0
GTEX-13PVQ-1026-SM-5KM3M 50-59 years, male 0.9
GTEX-15UF7-0726-SM-6M46D 40-49 years, male 0.9
GTEX-17GQL-0326-SM-7LG5U 60-69 years, male 0.9
GTEX-18A6Q-0926-SM-7LG4N 60-69 years, male 0.9
GTEX-V955-2026-SM-3GAFA 60-69 years, male 0.9
GTEX-Y8E4-1626-SM-5S2MW 40-49 years, male 0.9
GTEX-1H1ZS-0126-SM-9YFKQ 70-79 years, male 0.9
GTEX-1H23P-0726-SM-9WG7K 60-69 years, male 0.9
GTEX-1HCU7-1026-SM-ADEIP 50-59 years, male 0.9
GTEX-1I1GV-2426-SM-CGQFM 60-69 years, male 0.9
GTEX-1ICLZ-0426-SM-B2LW2 60-69 years, male 0.9
GTEX-1LSNL-2826-SM-E9U5L 50-59 years, male 0.9
GTEX-1LSVX-2426-SM-E6CJX 60-69 years, male 0.9
GTEX-1MA7X-1626-SM-E9U5B 60-69 years, male 0.9
GTEX-1S82Z-0726-SM-E6CHX 30-39 years, female 0.9
GTEX-11O72-2126-SM-5N9FO 40-49 years, male 0.8
GTEX-12KS4-0126-SM-5Q5A5 30-39 years, male 0.8
GTEX-17F96-2426-SM-7IGLN 70-79 years, male 0.8
GTEX-183FY-1126-SM-7DHLJ 20-29 years, male 0.8
GTEX-REY6-2426-SM-48FF5 60-69 years, male 0.8
GTEX-WFON-1826-SM-3GILG 40-49 years, male 0.8
GTEX-Y5V6-2126-SM-4WWFX 60-69 years, male 0.8
GTEX-Y9LG-1426-SM-5IFJZ 30-39 years, male 0.8
GTEX-ZZ64-1226-SM-5E43R 20-29 years, male 0.8
GTEX-1JMLX-2026-SM-CMKGN 50-59 years, male 0.8
GTEX-1LC47-1226-SM-D4P44 60-69 years, male 0.8
GTEX-1QEPI-0926-SM-DTXF3 60-69 years, female 0.8
GTEX-18465-2026-SM-718AP 50-59 years, male 0.7
GTEX-1AMEY-1026-SM-718AA 30-39 years, female 0.7
GTEX-1AX9J-1126-SM-731B7 60-69 years, male 0.7
GTEX-TKQ1-0226-SM-33HB5 30-39 years, male 0.7
GTEX-YEC3-1026-SM-5IFI5 50-59 years, male 0.7
GTEX-YJ8O-2226-SM-5IFHW 40-49 years, female 0.7
GTEX-1HR98-0426-SM-COH36 60-69 years, male 0.7
GTEX-1NHNU-0926-SM-E9J2T 50-59 years, male 0.7
GTEX-1OKEX-0826-SM-E9J2B 60-69 years, male 0.7
GTEX-11OF3-1926-SM-59889 60-69 years, male 0.6
GTEX-11ZUS-0826-SM-5FQUY 30-39 years, male 0.6
GTEX-13O3Q-2226-SM-5KM4O 50-59 years, male 0.6
GTEX-144GL-2026-SM-5LU3O 50-59 years, male 0.6
GTEX-ZA64-1526-SM-5CVMD 20-29 years, male 0.6
GTEX-ZUA1-1526-SM-59HLS 40-49 years, male 0.6
GTEX-ZYT6-0126-SM-5E45J 30-39 years, male 0.6
GTEX-1GPI7-0926-SM-7PC3J 20-29 years, male 0.6
GTEX-1H3VY-0926-SM-ACKXE 50-59 years, male 0.6
GTEX-1HSMO-0826-SM-ADEIV 60-69 years, male 0.6
GTEX-1JKYN-0726-SM-ARZMY 30-39 years, male 0.6
GTEX-1LG7Z-0726-SM-CXKYD 30-39 years, male 0.6
GTEX-1M4P7-2626-SM-E9U5F 60-69 years, male 0.6
GTEX-1PPH7-0826-SM-E8VNX 40-49 years, male 0.6
GTEX-1R9PM-1826-SM-EVYBH 20-29 years, male 0.6
GTEX-11DXY-2326-SM-5GICW 60-69 years, male 0.5
GTEX-11DZ1-0326-SM-5N9BN 50-59 years, male 0.5
GTEX-11NV4-2026-SM-5N9DG 60-69 years, male 0.5
GTEX-132NY-0826-SM-5K7Y7 60-69 years, male 0.5
GTEX-139T6-1626-SM-5PNYZ 50-59 years, male 0.5
GTEX-13VXU-2826-SM-664MA 50-59 years, male 0.5
GTEX-145MN-1926-SM-5SIAI 30-39 years, male 0.5
GTEX-14E7W-0826-SM-62LEJ 70-79 years, male 0.5
GTEX-17MF6-0326-SM-7EPH5 40-49 years, male 0.5
GTEX-YFCO-1826-SM-4W1YH 40-49 years, male 0.5
GTEX-1C6WA-2426-SM-7SB86 60-69 years, male 0.5
GTEX-1KD5A-1926-SM-DKPQA 50-59 years, male 0.5
GTEX-1NV8Z-2826-SM-E8VME 60-69 years, male 0.5
GTEX-1QP9N-1826-SM-E8VMP 30-39 years, male 0.5
GTEX-ZDTT-2126-SM-DKPOM 60-69 years, male 0.5
GTEX-12WSM-1726-SM-5BC6J 60-69 years, male 0.4
GTEX-13O61-1826-SM-5KM4I 60-69 years, male 0.4
GTEX-14753-2426-SM-5LU8U 60-69 years, male 0.4
GTEX-17EVQ-0426-SM-7LG57 70-79 years, male 0.4
GTEX-17MFQ-0926-SM-7LG4S 20-29 years, male 0.4
GTEX-18A7B-2626-SM-7LG55 70-79 years, male 0.4
GTEX-1EKGG-2626-SM-7IGPY 60-69 years, male 0.4
GTEX-S7SE-0826-SM-4AT4D 50-59 years, male 0.4
GTEX-YB5E-1726-SM-5IFJ3 40-49 years, male 0.4
GTEX-169BO-1126-SM-7MGWN 50-59 years, male 0.4
GTEX-1JN6P-2426-SM-ARL99 60-69 years, male 0.4
GTEX-1QMI2-0726-SM-E9J4F 60-69 years, male 0.4
GTEX-11DXZ-1926-SM-5GZZL 50-59 years, male 0.3
GTEX-13QJ3-0826-SM-7DHKK 50-59 years, male 0.3
GTEX-13W46-0826-SM-5LU3H 50-59 years, male 0.3
GTEX-145MF-2226-SM-7EPIR 50-59 years, male 0.3
GTEX-14BMV-0626-SM-793AU 50-59 years, male 0.3
GTEX-17HGU-1326-SM-79OKB 50-59 years, male 0.3
GTEX-1AX9I-0726-SM-73KWV 60-69 years, male 0.3
GTEX-1C6VQ-0426-SM-79OOX 50-59 years, male 0.3
GTEX-1GF9V-2526-SM-7SB8K 60-69 years, male 0.3
GTEX-1HT8W-2226-SM-CGQEC 30-39 years, male 0.3
GTEX-1IGQW-0926-SM-ADEH6 60-69 years, male 0.3
GTEX-1PPGY-1526-SM-EVYBK 60-69 years, male 0.3
GTEX-X62O-0526-SM-EWRMA 50-59 years, male 0.3
GTEX-11WQK-2426-SM-5GU5C 50-59 years, male 0.2
GTEX-ZWKS-2826-SM-5NQ74 30-39 years, male 0.2
GTEX-1IDFM-0426-SM-B2LVV 60-69 years, male 0.2
GTEX-1IDJH-2226-SM-E6CJV 70-79 years, male 0.2
GTEX-17F9E-2526-SM-7MGW2 50-59 years, male 0.1
GTEX-1I6K6-0826-SM-ARL7Z 30-39 years, male 0.1
GTEX-1EN7A-1426-SM-7PBY4 40-49 years, male 0.0
GTEX-1JKYR-0926-SM-CMKGJ 20-29 years, male 0.0
Show allShow less

BREAST - FANTOM5 CAGEi

RNA expression in human tissues obtained through Cap Analysis of Gene Expression (CAGE) generated by the FANTOM5 project are reported as Scaled Tags Per Million.

Max subtype Scaled Tags Per Millioni

Max subtype Scaled Tags Per Million is the value for the subtype with the largest average Scaled Tags Per Million across the subtype samples.

21.6
FANTOM5 sample id Sample description Scaled Tags Per Million
Breast
Scaled Tags Per Million: 21.6
FF:10080-102A8 77 years, female 21.6

Contact

  • NEWS ARTICLES
  • PRESS ROOM

The Project

  • INTRODUCTION
  • ORGANIZATION
  • PUBLICATIONS

The Human Protein Atlas

  • DOWNLOADABLE DATA
  • LICENCE & CITATION
  • HELP & FAQ
The Human Protein Atlas project is funded
by the Knut & Alice Wallenberg Foundation.


contact@proteinatlas.org