We use cookies to enhance the usability of our website. If you continue, we'll assume that you are happy to receive all cookies. More information. Don't show this again.
ATG16L1
HPA
RESOURCES
  • TISSUE
  • BRAIN
  • SINGLE CELL
  • SUBCELLULAR
  • CANCER
  • BLOOD
  • CELL LINE
  • STRUCTURE & INTERACTION
ABOUT
  • INTRODUCTION
  • HISTORY
  • ORGANIZATION
  • PUBLICATIONS
  • ANTIBODY SUBMISSION
  • ANTIBODY AVAILABILITY
  • ACKNOWLEDGMENTS
  • CONTACT
NEWS
  • NEWS ARTICLES
  • PRESS ROOM
LEARN
  • DICTIONARY
  • PROTEIN CLASSES
  • PROTEIN EVIDENCE
  • METHODS
  • EDUCATIONAL VIDEOS
DATA
  • DOWNLOADABLE DATA
  • PUBLICATION DATA
  • RELEASE HISTORY
HELP
  • ANTIBODY VALIDATION
  • ASSAYS & ANNOTATION
  • DISCLAIMER
  • HELP & FAQ
  • PRIVACY STATEMENT
  • LICENCE & CITATION
Fields »
Search result

Field
Term
Gene name
Class
Subclass
Class
Keyword
Chromosome
External id
Tissue
Cell type
Expression
Antibody panel
Tissue
Main location
Patient ID
Annotation
Tissue
Category
Tau score
Cluster
Reliability
Brain region
Category
Tau score
Brain region
Category
Tau score
Brain region
Category
Tau score
Cluster
Reliability
Tissue
Cell type
Enrichment
Cell type
Category
Tau score
Cell type
Category
Tau score
Cell type
Category
Tau score
Cell lineage
Category
Tau score
Cluster
Cluster
Location
Searches
Location
Cell line
Class
Type
Phase
Reliability
Cancer
Prognosis
Cancer
Category
Cancer
Category
Tau score
Cluster
Variants
Interacting gene (ensg_id)
Type
Number of interactions
Pathway
Category
Score
Score
Score
Validation
Validation
Validation
Validation
Antibodies
Data type
Column


  • SUMMARY

  • TISSUE

  • BRAIN

  • SINGLE CELL

  • SUBCELL

  • CANCER

  • BLOOD

  • CELL LINE

  • STRUCT & INT

  • ATG16L1
TISSUE PRIMARY DATA SKIN Show tissue menu
ADIPOSE TISSUE ADRENAL GLAND AMYGDALA APPENDIX BASAL GANGLIA BONE MARROW BREAST BRONCHUS CEREBELLUM CEREBRAL CORTEX CERVIX CHOROID PLEXUS COLON DUODENUM
ENDOMETRIUM EPIDIDYMIS ESOPHAGUS FALLOPIAN TUBE GALLBLADDER HEART MUSCLE HIPPOCAMPAL FORMATION HYPOTHALAMUS KIDNEY LIVER LUNG LYMPH NODE MIDBRAIN NASOPHARYNX
ORAL MUCOSA OVARY PANCREAS PARATHYROID GLAND PITUITARY GLAND PLACENTA PROSTATE RECTUM RETINA SALIVARY GLAND SEMINAL VESICLE SKELETAL MUSCLE SKIN SMALL INTESTINE
SMOOTH MUSCLE SOFT TISSUE SPINAL CORD SPLEEN STOMACH TESTIS THYMUS THYROID GLAND TONGUE TONSIL URINARY BLADDER VAGINA
ANTIBODIES
AND
VALIDATION
Dictionary
Skin
Tissue proteome
Skin
SKIN - Expression summary
Protein expression
Skini

On the top, protein expression in current human tissue, based on all annotated cell types, is reported with the units not detected (n), low (l), medium (m) and high (h). Underneath, protein expression in each annotated cell type are reported using the same units.

Protein expression data is based on knowledge-based annotation. For genes where more than one antibody has been used, a collective score is set.

If knowledge-based annotation could not be performed for a gene, no data is displayed here. View antibody staining data further down this page.

h
m
l
n
Epidermal cells: Medium
Fibroblasts: Low
Keratinocytes: Medium
Langerhans: Low
Melanocytes: Medium
RNA expressioni

A summary of mRNA expression data available for current tissue based on several datasets. The mRNA expression levels in human tissues are based on RNA-seq data generated by the Human Protein Atlas (HPA), Genotype-Tissue Expression (GTEx) portal and CAGE data generated by the FANTOM5 consortium. Consensus normalized expression levels for human tissues was created by combining the data from HPA and GTEx datasets.

The mRNA expression levels in pig are based on RNA-seq data generated by the Human Protein Atlas (HPA), and for mouse, HPA data and in situ hybridization generated by the Allen brain atlas are reported.

Scroll down to view mRNA expression data in more detail.
Consensus:16.7 nTPM
HPA:5.1 nTPM
GTEx:16.7 nTPM

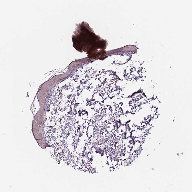
SKIN 1 - Antibody stainingi

Antibody staining in the annotated cell types in the current human tissue is reported as not detected, low, medium, or high, based on conventional immunohistochemistry profiling in selected tissues. This score is based on the combination of the staining intensity and fraction of stained cells.

Each image is clickable and will lead to virtual microscopy that enables deeper exploration of all samples and also displays staining intensity scores, fraction scores and subcellular localization as well as patient and tissue information for each sample.

Antibody HPA063900
Langerhans Low
Fibroblasts Low
Keratinocytes Medium
Melanocytes Medium

SKIN 2 - Antibody stainingi

Antibody staining in the annotated cell types in the current human tissue is reported as not detected, low, medium, or high, based on conventional immunohistochemistry profiling in selected tissues. This score is based on the combination of the staining intensity and fraction of stained cells.

Each image is clickable and will lead to virtual microscopy that enables deeper exploration of all samples and also displays staining intensity scores, fraction scores and subcellular localization as well as patient and tissue information for each sample.

Antibody HPA063900
Epidermal cells Medium
 
 
 



SKIN - HPA RNA-seqi

The RNA-seq details section shows detailed information about the individual samples used for the transcript profiling and results of the RNA-seq analysis.

Information about each individual sample is listed below, including gender, age, a tissue section image and estimated fractions of cell types. nTPM (normalized transcripts per million) values give a quantification of the gene abundance which is comparable between different genes and samples.
Average nTPMi

Max subtype nTPM is the value for the subtype with the largest average nTPM across the subtype samples.

5.1
overview
Female, age 34
Skin sample 225
nTPM: 4
Cell types%
Keratinocytes:
60

Other cell types:
40

overview
Female, age 30
Skin sample 226
nTPM: 5.8
Cell types%
Keratinocytes:
55

Other cell types:
45

N/A
Male, age 57
Skin sample 227
nTPM: 5.4

SKIN - GTEx RNA-seqi

RNA-Seq data generated by the Genotype-Tissue Expression (GTEx) project from human tissues is reported as mean nTPM. More information can be found on the GTEx portal.

Distribution across the dataset is visualized with box plots, shown as median and 25th and 75th percentiles. Points are displayed as outliers if they are above or below 1.5 times the interquartile range. nTPM values of the individual samples are presented next to the box plot.
Max subtype nTPMi

Max subtype nTPM is the value for the subtype with the largest average nTPM across the subtype samples.

16.7
GTEx sample id Sample description nTPM
Skin - Not Sun Exposed (Suprapubic)
Average nTPM: 14.9
Samples: 604

Max nTPM: 28.4
Min nTPM: 6.8
Std nTPM: 3.4
Median nTPM: 14.6
GTEX-1PPH8-0126-SM-EWRN8 20-29 years, male 28.4
GTEX-1IKJJ-2226-SM-CJI4C 60-69 years, male 25.8
GTEX-13PDP-0726-SM-5L3HP 60-69 years, male 25.3
GTEX-1QP2A-1726-SM-E76QC 50-59 years, male 24.7
GTEX-1HBPN-0126-SM-CGQEF 50-59 years, male 24.6
GTEX-1RAZS-2526-SM-E6CHT 50-59 years, male 24.4
GTEX-1IKOE-1426-SM-CE6T7 30-39 years, female 23.5
GTEX-11DZ1-2426-SM-5GZZX 50-59 years, male 23.4
GTEX-WHSE-0126-SM-3NMBT 20-29 years, male 23.3
GTEX-1399Q-2326-SM-5KM2X 40-49 years, male 23.0
GTEX-14PII-0726-SM-6EU2B 60-69 years, male 22.8
GTEX-1AYD5-2626-SM-7PBXY 50-59 years, male 22.8
GTEX-147GR-2426-SM-5ZZWQ 60-69 years, male 22.5
GTEX-1CAMS-2226-SM-7PBXQ 40-49 years, female 22.5
GTEX-1ICLZ-0326-SM-ARL82 60-69 years, male 22.5
GTEX-1JJEA-1826-SM-ARU8P 60-69 years, male 22.4
GTEX-11EQ8-0926-SM-5H12V 60-69 years, male 22.3
GTEX-1C6WA-2626-SM-7MKGM 60-69 years, male 22.3
GTEX-11PRG-0726-SM-5EGL1 50-59 years, male 22.0
GTEX-15SKB-2826-SM-6PAMH 60-69 years, male 21.7
GTEX-1F52S-2926-SM-7MKGA 60-69 years, female 21.7
GTEX-1OJC4-2726-SM-E76PJ 50-59 years, female 21.7
GTEX-14C39-1726-SM-5RQIL 40-49 years, male 21.6
GTEX-11WQK-1026-SM-5EQLX 50-59 years, male 21.4
GTEX-1GN1V-2826-SM-9JGIA 60-69 years, male 21.4
GTEX-1H11D-1826-SM-9QEHM 40-49 years, male 21.3
GTEX-1PBJJ-1026-SM-E76OS 30-39 years, male 21.3
GTEX-ZC5H-1526-SM-5HL9Y 40-49 years, female 21.1
GTEX-1LGRB-0926-SM-COH3K 50-59 years, female 21.0
GTEX-12ZZX-2426-SM-5GCOE 40-49 years, female 20.9
GTEX-1R46S-2426-SM-E76QA 60-69 years, female 20.9
GTEX-17HII-1426-SM-7EPGG 50-59 years, male 20.7
GTEX-1QP28-1126-SM-EVYC4 50-59 years, female 20.7
GTEX-111VG-1626-SM-5EGIO 60-69 years, male 20.6
GTEX-1CB4J-1326-SM-7P8RX 60-69 years, male 20.6
GTEX-1RAZQ-1326-SM-E9TK6 30-39 years, male 20.6
GTEX-1F88F-0126-SM-9WYSZ 60-69 years, female 20.5
GTEX-131XH-0126-SM-5LZUY 50-59 years, male 20.4
GTEX-1HCU7-0726-SM-A9SL1 50-59 years, male 20.4
GTEX-1R9PN-0426-SM-DTXDT 40-49 years, female 20.4
GTEX-11WQC-1826-SM-5GU59 60-69 years, male 20.3
GTEX-17F9Y-0126-SM-79OKX 70-79 years, female 20.3
GTEX-1GPI6-1926-SM-9KNV7 60-69 years, male 20.3
GTEX-1S83E-1326-SM-E6CJM 40-49 years, male 20.3
GTEX-13NYS-0626-SM-5L3F1 60-69 years, male 20.2
GTEX-13O3Q-0126-SM-5KM34 50-59 years, male 20.1
GTEX-15RJE-2826-SM-7KUM9 40-49 years, male 20.1
GTEX-ZPCL-1126-SM-4WWFE 60-69 years, female 20.1
GTEX-11ZU8-0126-SM-5EQ58 60-69 years, male 20.0
GTEX-13QJC-0126-SM-5ZZWJ 60-69 years, female 20.0
GTEX-17HHE-1326-SM-7EWDZ 50-59 years, male 20.0
GTEX-ZWKS-0626-SM-5GIDV 30-39 years, male 20.0
GTEX-1R9PM-1926-SM-EVR3O 20-29 years, male 20.0
GTEX-14LLW-2626-SM-62LDZ 70-79 years, female 19.9
GTEX-1H2FU-0926-SM-9WPPT 60-69 years, female 19.9
GTEX-1I1GU-0926-SM-ACKVS 40-49 years, male 19.8
GTEX-1KAFJ-0126-SM-DIPEK 50-59 years, male 19.8
GTEX-14753-0726-SM-5QGQO 60-69 years, male 19.7
GTEX-1GF9V-0826-SM-9KNUV 60-69 years, male 19.7
GTEX-1KANB-2826-SM-CY8I6 50-59 years, male 19.7
GTEX-14PHY-1226-SM-5ZZWK 60-69 years, female 19.6
GTEX-17KNJ-2126-SM-718AM 50-59 years, male 19.6
GTEX-ZYFC-0426-SM-5GICQ 50-59 years, male 19.6
GTEX-1EMGI-2326-SM-7PBYA 60-69 years, male 19.6
GTEX-1HSGN-0826-SM-ACKW3 40-49 years, female 19.6
GTEX-VUSG-2326-SM-4KL1U 50-59 years, male 19.5
GTEX-YECK-0326-SM-4W1YS 60-69 years, male 19.5
GTEX-1IDJV-0126-SM-COH3Y 60-69 years, male 19.5
GTEX-1497J-0226-SM-5QGPU 60-69 years, male 19.4
GTEX-1399S-0126-SM-5IJCF 30-39 years, female 19.2
GTEX-X585-2426-SM-46MW2 50-59 years, male 19.2
GTEX-YFCO-1226-SM-5LUAT 40-49 years, male 19.2
GTEX-ZF29-0926-SM-4WKFZ 60-69 years, female 19.2
GTEX-1C64N-2626-SM-7PC2N 50-59 years, male 19.1
GTEX-1GZ4I-2626-SM-9KNU3 50-59 years, male 19.1
GTEX-1HCUA-0826-SM-ADEHM 50-59 years, female 19.1
GTEX-1B8SF-0126-SM-7DUG3 60-69 years, male 19.0
GTEX-ZF3C-0626-SM-DO92O 50-59 years, female 19.0
GTEX-13RTJ-0126-SM-5S2NN 60-69 years, male 18.9
GTEX-18QFQ-1826-SM-72D52 30-39 years, male 18.9
GTEX-1GN2E-0226-SM-9WG6K 60-69 years, male 18.9
GTEX-ZVT2-0126-SM-5GIDQ 50-59 years, female 18.8
GTEX-1RMOY-1326-SM-E9TIH 50-59 years, male 18.8
GTEX-12126-0826-SM-5FQTZ 20-29 years, male 18.7
GTEX-139D8-1126-SM-5LU8W 30-39 years, female 18.7
GTEX-145LU-1926-SM-79OJN 50-59 years, male 18.7
GTEX-Y111-0626-SM-4SOIT 50-59 years, male 18.6
GTEX-1HR9M-2226-SM-CNPPY 60-69 years, male 18.6
GTEX-11GSP-2326-SM-5HL63 60-69 years, female 18.5
GTEX-13FTY-2126-SM-5IFFB 40-49 years, female 18.5
GTEX-1HBPM-0726-SM-9YFL7 60-69 years, female 18.5
GTEX-XBEW-1126-SM-4QARW 40-49 years, male 18.4
GTEX-13112-0126-SM-5P9IU 50-59 years, male 18.3
GTEX-WFG7-2026-SM-5SI7P 20-29 years, male 18.3
GTEX-1GN73-0726-SM-7P8TJ 60-69 years, male 18.3
GTEX-11DXX-2126-SM-5PNYR 60-69 years, female 18.2
GTEX-13FTX-1526-SM-5K7VJ 20-29 years, female 18.2
GTEX-15EO6-2426-SM-6PALZ 50-59 years, male 18.2
GTEX-18A67-1626-SM-7LT9T 50-59 years, male 18.2
GTEX-14ICL-1626-SM-5YYAO 30-39 years, male 18.1
GTEX-14PJ5-1526-SM-6LLIL 60-69 years, female 18.1
GTEX-ZTTD-2826-SM-4YCFA 50-59 years, male 18.1
GTEX-1J1OQ-0126-SM-D4P2N 40-49 years, female 18.1
GTEX-13FLV-0126-SM-5K7WT 50-59 years, male 18.0
GTEX-15DDE-2926-SM-6LLJ3 50-59 years, female 18.0
GTEX-XYKS-1426-SM-4BRUO 60-69 years, female 18.0
GTEX-ZXG5-2126-SM-59HKD 60-69 years, male 18.0
GTEX-1J8EW-2726-SM-CY8HR 60-69 years, female 18.0
GTEX-1LSVX-2526-SM-DIPEU 60-69 years, male 18.0
GTEX-1I1GT-1026-SM-ARZLV 60-69 years, female 17.9
GTEX-1JMQJ-0826-SM-CNPP7 50-59 years, male 17.9
GTEX-WH7G-2026-SM-3NMBL 40-49 years, male 17.8
GTEX-ZVZP-1226-SM-5GID7 50-59 years, male 17.8
GTEX-1OJC3-1226-SM-DTXER 20-29 years, male 17.8
GTEX-13OW7-0426-SM-5K7VK 50-59 years, male 17.7
GTEX-144GL-0626-SM-5LU4D 50-59 years, male 17.7
GTEX-1C6VR-0126-SM-7RHGB 60-69 years, male 17.7
GTEX-139TT-2126-SM-5LZWC 60-69 years, male 17.6
GTEX-145MI-0626-SM-5SI8S 60-69 years, female 17.6
GTEX-1HSKV-1226-SM-ADEI4 60-69 years, male 17.6
GTEX-13NYC-0126-SM-5L3F4 60-69 years, male 17.5
GTEX-14LZ3-0126-SM-69LPM 60-69 years, female 17.5
GTEX-1GMRU-2126-SM-7P8RA 50-59 years, male 17.5
GTEX-1QPFJ-1926-SM-EVYBD 30-39 years, female 17.5
GTEX-12ZZY-0726-SM-5EQ66 60-69 years, male 17.4
GTEX-13IVO-0726-SM-5LZYV 70-79 years, male 17.4
GTEX-13SLW-0626-SM-5Q5ER 70-79 years, male 17.4
GTEX-144FL-0626-SM-5LU43 50-59 years, male 17.4
GTEX-145MG-1526-SM-5Q5EM 50-59 years, male 17.4
GTEX-ZE9C-2526-SM-5IJDR 60-69 years, male 17.4
GTEX-1F75A-0726-SM-7RHHD 50-59 years, male 17.4
GTEX-1GL5R-1326-SM-7RHHF 50-59 years, male 17.4
GTEX-1HFI7-2326-SM-CGQFS 50-59 years, female 17.4
GTEX-1QMI2-2526-SM-E8VNZ 60-69 years, male 17.4
GTEX-1B97I-0626-SM-73KUZ 40-49 years, male 17.3
GTEX-Z93S-1626-SM-5CVMB 50-59 years, male 17.3
GTEX-1HB9E-0126-SM-CM2S5 50-59 years, male 17.3
GTEX-1IDJH-0126-SM-D3L92 70-79 years, male 17.3
GTEX-1NSGN-0726-SM-DTXEF 50-59 years, male 17.3
GTEX-1S82U-1026-SM-E6CJK 30-39 years, female 17.3
GTEX-11DXY-0126-SM-5H11Q 60-69 years, male 17.2
GTEX-13W3W-0726-SM-5IJDQ 60-69 years, female 17.2
GTEX-13X6H-0926-SM-5SIB2 50-59 years, female 17.2
GTEX-17EVP-2626-SM-7IGMA 40-49 years, male 17.2
GTEX-1IL2V-1926-SM-B2LW8 70-79 years, male 17.2
GTEX-1R7EU-1626-SM-DTXG3 60-69 years, male 17.2
GTEX-11NUK-2726-SM-5A5MC 50-59 years, male 17.1
GTEX-17F97-2626-SM-7IGM5 50-59 years, male 17.1
GTEX-1BAJH-2426-SM-7IGP8 70-79 years, male 17.1
GTEX-ZZPU-0826-SM-5GZX5 50-59 years, female 17.1
GTEX-1HT8W-0626-SM-A9G2H 30-39 years, male 17.1
GTEX-1JN1M-2726-SM-CY8I4 60-69 years, female 17.1
GTEX-147F4-0726-SM-5TDDD 50-59 years, male 17.0
GTEX-14PHX-2226-SM-6EU2P 50-59 years, male 17.0
GTEX-14PJ4-0226-SM-5YY92 60-69 years, male 17.0
GTEX-1E2YA-2126-SM-7MXUO 50-59 years, male 17.0
GTEX-1GF9X-1326-SM-7PC2Y 40-49 years, female 17.0
GTEX-1I1HK-2326-SM-CKZOH 60-69 years, male 17.0
GTEX-1K2DA-1026-SM-CGQGF 50-59 years, male 17.0
GTEX-11ZTT-2126-SM-5CVLO 60-69 years, female 16.9
GTEX-13G51-1826-SM-5KLZH 60-69 years, male 16.9
GTEX-148VJ-0626-SM-5LUAW 70-79 years, male 16.9
GTEX-ZTX8-1326-SM-4YCEL 20-29 years, male 16.9
GTEX-ZYT6-2326-SM-5GZY3 30-39 years, male 16.9
GTEX-1GZ4H-0526-SM-9KNU9 50-59 years, female 16.9
GTEX-12WSM-1926-SM-5BC65 60-69 years, male 16.8
GTEX-131XG-0326-SM-5L3DX 50-59 years, female 16.8
GTEX-Y9LG-1126-SM-4VBQ7 30-39 years, male 16.8
GTEX-ZLFU-1826-SM-4WWBV 40-49 years, male 16.8
GTEX-13PL6-1126-SM-5L3IE 40-49 years, female 16.7
GTEX-14PJ3-1126-SM-5ZZVX 50-59 years, male 16.7
GTEX-16MTA-0926-SM-6M47Z 50-59 years, male 16.7
GTEX-1B8KE-1126-SM-7EPHI 50-59 years, male 16.7
GTEX-13D11-0926-SM-5J2NC 50-59 years, female 16.6
GTEX-15FZZ-0526-SM-7KUGD 30-39 years, female 16.6
GTEX-1J8Q2-2626-SM-ACKWQ 60-69 years, male 16.6
GTEX-1LKK1-2626-SM-DKPQE 50-59 years, female 16.6
GTEX-1LSNM-0826-SM-DIPG8 50-59 years, male 16.6
GTEX-1M4P7-0726-SM-E6CJ3 60-69 years, male 16.6
GTEX-1QCLY-0226-SM-EWRNH 30-39 years, male 16.6
GTEX-14C5O-0326-SM-5ZZUX 60-69 years, male 16.5
GTEX-18465-2826-SM-7LT9J 50-59 years, male 16.5
GTEX-18A6Q-0626-SM-7KFRP 60-69 years, male 16.5
GTEX-ZYVF-0926-SM-5E44J 50-59 years, female 16.5
GTEX-ZYY3-2926-SM-5GIEB 60-69 years, female 16.5
GTEX-1HGF4-0126-SM-CNPPX 60-69 years, male 16.5
GTEX-131XW-0626-SM-5PNVD 50-59 years, female 16.4
GTEX-13OW6-2726-SM-5J2OE 50-59 years, male 16.4
GTEX-ZY6K-1426-SM-5GZX2 50-59 years, male 16.4
GTEX-1CAMQ-1326-SM-7P8RV 40-49 years, male 16.4
GTEX-ZVT4-2426-SM-5GIEI 50-59 years, female 16.3
GTEX-1GMR8-0626-SM-7RHI7 50-59 years, female 16.3
GTEX-1JK1U-0226-SM-ARZMX 60-69 years, male 16.3
GTEX-1PPGY-1626-SM-EVYBL 60-69 years, male 16.3
GTEX-11DXZ-2026-SM-5987S 50-59 years, male 16.2
GTEX-1212Z-0126-SM-59HK4 60-69 years, male 16.2
GTEX-15EU6-2226-SM-6EU2L 50-59 years, male 16.2
GTEX-1C6VQ-1226-SM-73KYD 50-59 years, male 16.2
GTEX-1HCVE-2726-SM-CL54F 50-59 years, male 16.2
GTEX-1LVAN-0626-SM-CNPOQ 50-59 years, female 16.2
GTEX-1QEPI-2626-SM-DTXF4 60-69 years, female 16.2
GTEX-145ME-1726-SM-5Q5EU 40-49 years, female 16.1
GTEX-14AS3-1526-SM-5Q5ED 40-49 years, female 16.1
GTEX-Y5V5-0126-SM-5S2NW 60-69 years, female 16.1
GTEX-1H3O1-1326-SM-9MQLD 60-69 years, male 16.1
GTEX-131XF-2626-SM-5EQ6K 60-69 years, male 16.0
GTEX-1H4P4-2126-SM-9WYSL 50-59 years, male 16.0
GTEX-1ICLY-0826-SM-CMKG1 50-59 years, male 16.0
GTEX-1MCC2-1826-SM-DIPEX 30-39 years, female 16.0
GTEX-1314G-1326-SM-5BC6E 30-39 years, male 15.9
GTEX-139TS-2126-SM-5K7XC 60-69 years, male 15.9
GTEX-14PJ6-2626-SM-6EU2T 60-69 years, female 15.9
GTEX-15RIG-0726-SM-7KUM7 40-49 years, male 15.9
GTEX-U8XE-0226-SM-4E3J3 30-39 years, male 15.9
GTEX-1122O-1026-SM-9WYSF 60-69 years, female 15.9
GTEX-12WSD-0626-SM-5GCMW 60-69 years, female 15.8
GTEX-13SLX-2226-SM-62LEP 50-59 years, female 15.8
GTEX-183WM-0326-SM-72D5V 70-79 years, female 15.8
GTEX-XUW1-0926-SM-4BONX 50-59 years, female 15.8
GTEX-1IOXB-2726-SM-CM2RI 50-59 years, male 15.8
GTEX-11UD2-2526-SM-5CVNU 50-59 years, male 15.7
GTEX-1313W-0626-SM-5EQ4H 50-59 years, female 15.7
GTEX-139TU-0726-SM-5L3EK 60-69 years, male 15.7
GTEX-14JG1-1526-SM-5YY9X 40-49 years, male 15.7
GTEX-18A7A-0126-SM-731AH 50-59 years, female 15.7
GTEX-1C2JI-1026-SM-73KY1 50-59 years, male 15.7
GTEX-1HR98-2226-SM-ADEI2 60-69 years, male 15.7
GTEX-1N2EE-0626-SM-E76PW 60-69 years, male 15.7
GTEX-13X6I-1826-SM-5SIAO 60-69 years, male 15.6
GTEX-1LVAM-0726-SM-E6CIL 50-59 years, female 15.6
GTEX-13FTW-0326-SM-5K7UW 40-49 years, male 15.5
GTEX-13N2G-0226-SM-5K7VF 60-69 years, male 15.5
GTEX-13OW5-2326-SM-5L3HO 60-69 years, male 15.5
GTEX-144GM-0526-SM-79OJO 20-29 years, male 15.5
GTEX-14A6H-2026-SM-5Q5DD 30-39 years, male 15.5
GTEX-15G19-2426-SM-7KUMR 60-69 years, male 15.5
GTEX-15SHW-0226-SM-7LTAT 60-69 years, male 15.5
GTEX-1A8G6-2726-SM-731AR 60-69 years, male 15.5
GTEX-1LVA9-2626-SM-EVYD4 50-59 years, male 15.5
GTEX-1POEN-2326-SM-E9J2L 30-39 years, female 15.5
GTEX-1R9K4-2826-SM-DTX8F 60-69 years, male 15.5
GTEX-12WSJ-1126-SM-5LZVJ 40-49 years, female 15.4
GTEX-13NZ9-2626-SM-5L3FK 50-59 years, male 15.4
GTEX-145MH-2826-SM-5RQJF 50-59 years, male 15.4
GTEX-16BQI-1326-SM-6M486 30-39 years, female 15.4
GTEX-18D9U-0126-SM-731BM 40-49 years, male 15.4
GTEX-1EKGG-0626-SM-7DUGJ 60-69 years, male 15.4
GTEX-XBEC-0726-SM-4QARZ 50-59 years, male 15.4
GTEX-1IDJU-1726-SM-CMKHU 60-69 years, female 15.4
GTEX-1PIIG-2326-SM-DTXFR 30-39 years, male 15.4
GTEX-1QAET-0326-SM-EVR3U 50-59 years, male 15.4
GTEX-1192X-2726-SM-5N9DN 50-59 years, male 15.3
GTEX-1269C-0126-SM-5EQ5L 60-69 years, female 15.3
GTEX-12WSK-2126-SM-5CVNC 40-49 years, female 15.3
GTEX-14A5H-0826-SM-5QGPJ 60-69 years, male 15.3
GTEX-16YQH-2226-SM-7IGM2 30-39 years, male 15.3
GTEX-ZDTT-0426-SM-4WKFL 60-69 years, male 15.3
GTEX-11P82-1426-SM-DTXFY 20-29 years, male 15.3
GTEX-1F6RS-2026-SM-7RHHC 60-69 years, female 15.3
GTEX-1IE54-1126-SM-A9G2Z 40-49 years, female 15.3
GTEX-11GS4-0226-SM-5HL77 60-69 years, male 15.2
GTEX-11OF3-0126-SM-5PNYF 60-69 years, male 15.2
GTEX-13O3O-2326-SM-5IJD6 60-69 years, female 15.2
GTEX-17HHY-0426-SM-7DHLC 50-59 years, male 15.2
GTEX-1EU9M-1426-SM-793AI 60-69 years, male 15.2
GTEX-1MJK3-0726-SM-E6CJC 20-29 years, male 15.2
GTEX-1S82P-2126-SM-E6CI5 60-69 years, female 15.2
GTEX-11O72-0626-SM-5PNYE 40-49 years, male 15.1
GTEX-13X6K-0626-SM-5LU5D 60-69 years, female 15.1
GTEX-14PJN-1826-SM-6AJ98 30-39 years, male 15.1
GTEX-14XAO-1226-SM-6EU1C 60-69 years, female 15.1
GTEX-XMD2-2126-SM-4YCF8 60-69 years, female 15.1
GTEX-ZF2S-1626-SM-57WES 50-59 years, female 15.1
GTEX-1F5PL-0926-SM-7PC2W 40-49 years, female 15.1
GTEX-ZLV1-1526-SM-DO91J 60-69 years, female 15.1
GTEX-13OVH-0526-SM-5L3E6 70-79 years, male 15.0
GTEX-16MT9-0126-SM-7EPI8 60-69 years, female 15.0
GTEX-X4EP-0626-SM-3P621 60-69 years, female 15.0
GTEX-XXEK-1626-SM-4BRUZ 50-59 years, male 14.9
GTEX-1IDFM-0326-SM-ARL7V 60-69 years, male 14.9
GTEX-1JMPY-0226-SM-CKZOK 30-39 years, male 14.9
GTEX-1KD5A-0126-SM-E9U54 50-59 years, male 14.9
GTEX-1KXAM-1626-SM-D3LAD 60-69 years, male 14.9
GTEX-1QP9N-1226-SM-E76QN 30-39 years, male 14.9
GTEX-13VXU-0626-SM-5L3F9 50-59 years, male 14.8
GTEX-1AMEY-0826-SM-72D65 30-39 years, female 14.8
GTEX-1B996-0426-SM-7EWF8 60-69 years, male 14.8
GTEX-Y114-2126-SM-4TT8B 50-59 years, female 14.8
GTEX-ZYW4-0626-SM-59HJR 60-69 years, male 14.8
GTEX-1B8L1-2226-SM-7P8PT 60-69 years, male 14.8
GTEX-1H3VE-0726-SM-9YFL5 40-49 years, male 14.8
GTEX-1HFI6-0126-SM-CNPPI 40-49 years, male 14.8
GTEX-1JMLX-0626-SM-ARL8T 50-59 years, male 14.8
GTEX-1JMQK-1226-SM-D4P2S 60-69 years, male 14.8
GTEX-1LSNL-2726-SM-E9TKJ 50-59 years, male 14.8
GTEX-12ZZZ-0726-SM-5GCNZ 60-69 years, male 14.7
GTEX-15DYW-2726-SM-6EU2I 60-69 years, female 14.7
GTEX-13NZ8-1226-SM-5KM4A 60-69 years, female 14.6
GTEX-1A3MV-1826-SM-731CD 30-39 years, male 14.6
GTEX-1EX96-1026-SM-7MKG2 50-59 years, male 14.6
GTEX-XOT4-0626-SM-4B66L 60-69 years, female 14.6
GTEX-1GPI7-1826-SM-9KNU1 20-29 years, male 14.6
GTEX-111CU-1126-SM-5EGIM 50-59 years, male 14.5
GTEX-13X6J-0626-SM-5LU5F 50-59 years, male 14.5
GTEX-17F9E-2326-SM-79OKD 50-59 years, male 14.5
GTEX-ZAK1-0626-SM-5HL8E 50-59 years, female 14.5
GTEX-1F5PK-2226-SM-7SB6N 50-59 years, male 14.5
GTEX-111YS-1526-SM-5GZYW 60-69 years, male 14.4
GTEX-13113-1626-SM-5EQ4I 60-69 years, female 14.4
GTEX-145LS-0626-SM-7EPG7 60-69 years, female 14.4
GTEX-14ABY-2026-SM-62LDL 50-59 years, male 14.4
GTEX-14C38-0726-SM-5SI6M 50-59 years, male 14.4
GTEX-17HGU-2326-SM-7DUFE 50-59 years, male 14.4
GTEX-WHSB-1326-SM-3LK6W 50-59 years, male 14.4
GTEX-XAJ8-1426-SM-47JYM 40-49 years, male 14.4
GTEX-1K9T9-1526-SM-DIPFR 50-59 years, female 14.4
GTEX-1NV5F-0626-SM-DTXEG 60-69 years, female 14.4
GTEX-13NYB-0126-SM-5J1MD 40-49 years, male 14.3
GTEX-14PKU-0126-SM-6LLHV 40-49 years, female 14.3
GTEX-1AX9J-1326-SM-731BJ 60-69 years, male 14.3
GTEX-WYJK-0526-SM-3NM8Z 50-59 years, male 14.3
GTEX-XQ3S-1426-SM-4BOPR 20-29 years, male 14.3
GTEX-XV7Q-1826-SM-4BRUV 40-49 years, female 14.3
GTEX-1F75I-2226-SM-7SB8U 40-49 years, male 14.3
GTEX-1JJ6O-2726-SM-CNPOG 60-69 years, male 14.3
GTEX-1399U-1126-SM-5L3DB 50-59 years, female 14.2
GTEX-14B4R-1326-SM-5Q5EZ 30-39 years, male 14.2
GTEX-14PK6-0226-SM-62LF5 70-79 years, female 14.2
GTEX-UPJH-0226-SM-3GADV 50-59 years, male 14.2
GTEX-WK11-2726-SM-3NMAQ 50-59 years, male 14.2
GTEX-1N5O9-0926-SM-E9J3C 60-69 years, male 14.2
GTEX-1S3DN-2126-SM-E9TIN 50-59 years, male 14.2
GTEX-13FHO-0426-SM-5L3F5 60-69 years, male 14.1
GTEX-1B932-2326-SM-79OL5 40-49 years, female 14.1
GTEX-1CB4H-1126-SM-7MKGL 60-69 years, female 14.1
GTEX-1HCU6-2526-SM-ADEHL 60-69 years, female 14.1
GTEX-1HSMO-0626-SM-ACKXC 60-69 years, male 14.1
GTEX-1LBAC-0826-SM-CY8IJ 20-29 years, male 14.1
GTEX-11TUW-0626-SM-5LU9M 60-69 years, male 14.0
GTEX-11ZUS-2626-SM-5FQUR 30-39 years, male 14.0
GTEX-14BIN-1126-SM-5RQJZ 50-59 years, female 14.0
GTEX-1A3MW-0626-SM-731CB 60-69 years, female 14.0
GTEX-WI4N-2726-SM-3LK7Y 40-49 years, female 14.0
GTEX-X4EO-2926-SM-4E3JH 60-69 years, female 14.0
GTEX-Y5V6-2326-SM-4VDSA 60-69 years, male 14.0
GTEX-13OVL-0126-SM-5L3GJ 50-59 years, male 13.9
GTEX-14PJ2-0626-SM-6LLII 50-59 years, male 13.9
GTEX-16NGA-0726-SM-731AO 40-49 years, female 13.9
GTEX-16Z82-2626-SM-7KULU 60-69 years, male 13.9
GTEX-17MFQ-1526-SM-7KFRR 20-29 years, male 13.9
GTEX-1LB8K-0726-SM-D5OV2 50-59 years, male 13.9
GTEX-1LG7Y-2526-SM-EWRO7 50-59 years, male 13.9
GTEX-1S831-1826-SM-EWROF 20-29 years, male 13.9
GTEX-11P81-2226-SM-5PNYI 30-39 years, female 13.8
GTEX-13PVQ-0626-SM-5LU47 50-59 years, male 13.8
GTEX-15G1A-1626-SM-7KUKN 30-39 years, male 13.8
GTEX-1AMFI-1326-SM-7939R 50-59 years, female 13.8
GTEX-1EWIQ-0326-SM-7DHMQ 70-79 years, female 13.8
GTEX-WYVS-1626-SM-3NM9R 40-49 years, female 13.8
GTEX-1C64O-1326-SM-7MGWR 60-69 years, male 13.8
GTEX-1H1DE-1326-SM-9KNUG 20-29 years, male 13.8
GTEX-1H1DG-2426-SM-9QEHJ 70-79 years, male 13.8
GTEX-1KWVE-1026-SM-D3L9O 30-39 years, male 13.8
GTEX-1117F-2926-SM-5GZYI 60-69 years, female 13.7
GTEX-11LCK-2226-SM-5HL4Q 30-39 years, male 13.6
GTEX-139YR-1026-SM-5LZYN 50-59 years, male 13.6
GTEX-14DAQ-0626-SM-793DS 60-69 years, female 13.6
GTEX-14E1K-2026-SM-7DUEI 50-59 years, male 13.6
GTEX-15CHR-1126-SM-7EWF4 50-59 years, male 13.6
GTEX-Y3I4-1726-SM-4TT89 50-59 years, male 13.6
GTEX-ZE7O-2726-SM-51MT5 50-59 years, female 13.6
GTEX-1GN1U-0626-SM-9MQL9 50-59 years, female 13.6
GTEX-1H23P-0626-SM-9WG6T 60-69 years, male 13.6
GTEX-1I1GV-0626-SM-ARL7M 60-69 years, male 13.6
GTEX-1JJE9-2626-SM-ARZMT 70-79 years, male 13.6
GTEX-1CB4E-0926-SM-7EPHT 60-69 years, male 13.5
GTEX-1EN7A-2426-SM-793DB 40-49 years, male 13.5
GTEX-X8HC-0626-SM-4E3HQ 50-59 years, female 13.5
GTEX-ZU9S-1826-SM-5NQ9E 30-39 years, male 13.5
GTEX-1GTWX-2026-SM-9YFLM 60-69 years, male 13.5
GTEX-1I1GP-1326-SM-A9G28 50-59 years, male 13.5
GTEX-1PDJ9-1226-SM-EXUSX 20-29 years, male 13.5
GTEX-11DYG-1526-SM-5A5JS 60-69 years, male 13.4
GTEX-139UW-0326-SM-5J1ML 60-69 years, male 13.4
GTEX-145MF-0926-SM-5Q5EA 50-59 years, male 13.4
GTEX-1477Z-0326-SM-7IGLA 60-69 years, male 13.4
GTEX-16NPX-0726-SM-7KULC 50-59 years, male 13.4
GTEX-1B933-2426-SM-7DHMD 50-59 years, female 13.4
GTEX-WY7C-2126-SM-3NB2R 50-59 years, male 13.4
GTEX-ZAJG-1526-SM-5CVML 50-59 years, female 13.4
GTEX-ZP4G-1426-SM-4WWCL 20-29 years, female 13.4
GTEX-1JKYN-0826-SM-ARU8S 30-39 years, male 13.4
GTEX-144GO-2026-SM-5O99P 60-69 years, male 13.3
GTEX-WHWD-1826-SM-3LK6I 50-59 years, male 13.3
GTEX-ZTSS-1426-SM-5985P 40-49 years, male 13.3
GTEX-1H1DF-1126-SM-9WG7G 40-49 years, female 13.3
GTEX-1HSMP-0926-SM-A9SKX 70-79 years, male 13.3
GTEX-1K2DU-1226-SM-CYPT4 20-29 years, male 13.3
GTEX-12696-0126-SM-5EQ4L 60-69 years, male 13.2
GTEX-13JVG-0726-SM-5KM16 60-69 years, male 13.2
GTEX-13OVK-1426-SM-6PAN7 40-49 years, male 13.2
GTEX-1B8KZ-0326-SM-73KY4 50-59 years, male 13.2
GTEX-1EH9U-2826-SM-7DUGT 60-69 years, male 13.2
GTEX-1GN1W-2426-SM-9KNUU 50-59 years, female 13.2
GTEX-1HBPI-2126-SM-ARL9K 50-59 years, male 13.2
GTEX-11DXW-0826-SM-5H118 40-49 years, male 13.1
GTEX-13VXT-1926-SM-5K7UO 20-29 years, female 13.1
GTEX-1A8G7-1326-SM-73KVM 60-69 years, male 13.1
GTEX-WXYG-2026-SM-4E3IY 50-59 years, female 13.1
GTEX-XQ8I-0926-SM-4BOOF 50-59 years, male 13.1
GTEX-14JFF-0626-SM-5ZZVT 60-69 years, male 13.1
GTEX-1JMPZ-0726-SM-CY8HZ 30-39 years, male 13.1
GTEX-139T8-0626-SM-5KLZX 60-69 years, male 13.0
GTEX-145MO-2826-SM-5LU96 60-69 years, male 13.0
GTEX-14PJO-2526-SM-6AJBQ 60-69 years, male 13.0
GTEX-15CHQ-0326-SM-69LQD 60-69 years, male 13.0
GTEX-15D1Q-2826-SM-6LLH7 40-49 years, male 13.0
GTEX-16AAH-0626-SM-793C9 50-59 years, male 13.0
GTEX-16XZZ-0726-SM-7KUF2 60-69 years, male 13.0
GTEX-17EVQ-0126-SM-7IGLR 70-79 years, male 13.0
GTEX-XPVG-2126-SM-4B667 50-59 years, male 13.0
GTEX-Y8LW-1526-SM-5IFHL 50-59 years, female 13.0
GTEX-ZT9X-1526-SM-5DUXD 40-49 years, male 13.0
GTEX-ZYFD-0626-SM-5E44E 50-59 years, male 13.0
GTEX-1JKYR-0626-SM-ARL8R 20-29 years, male 13.0
GTEX-12WSC-2826-SM-5BC5Y 50-59 years, male 12.9
GTEX-1CAV2-0126-SM-7IGN7 40-49 years, female 12.9
GTEX-WHPG-2626-SM-3NMBR 50-59 years, male 12.9
GTEX-1HSMQ-2626-SM-A9SML 50-59 years, male 12.9
GTEX-12C56-1526-SM-5FQUQ 20-29 years, male 12.8
GTEX-15CHC-1126-SM-6LLHQ 60-69 years, female 12.8
GTEX-WRHU-2826-SM-3MJG8 50-59 years, female 12.8
GTEX-XK95-0226-SM-4AT58 40-49 years, male 12.8
GTEX-YEC4-1826-SM-4W1YP 40-49 years, male 12.8
GTEX-ZPU1-1126-SM-4YCF3 40-49 years, male 12.8
GTEX-1GZHY-0626-SM-9KNVC 50-59 years, female 12.8
GTEX-Y5LM-0926-SM-6LLJG 40-49 years, female 12.7
GTEX-1C475-1326-SM-7SB73 40-49 years, female 12.7
GTEX-1J1R8-2026-SM-CL53Y 40-49 years, male 12.7
GTEX-1J8Q3-0526-SM-ARL8U 60-69 years, male 12.7
GTEX-13JUV-2026-SM-5K7UA 40-49 years, female 12.6
GTEX-147JS-0226-SM-5S2U9 60-69 years, male 12.6
GTEX-17F96-0126-SM-7EWDU 70-79 years, male 12.6
GTEX-Y8E4-2026-SM-5IFJB 40-49 years, male 12.6
GTEX-ZDYS-2426-SM-4WKGI 50-59 years, male 12.6
GTEX-14DAR-1226-SM-73KYV 50-59 years, male 12.5
GTEX-183FY-1026-SM-7939A 20-29 years, male 12.5
GTEX-1AX9I-2226-SM-73KUO 60-69 years, male 12.5
GTEX-ZAB4-2126-SM-5HL8U 40-49 years, male 12.5
GTEX-1GZ2Q-0126-SM-9WG6M 40-49 years, male 12.5
GTEX-1JMQI-1726-SM-ARL93 50-59 years, male 12.5
GTEX-1QW4Y-1126-SM-DTXE3 30-39 years, male 12.5
GTEX-11NSD-0626-SM-5A5LU 20-29 years, male 12.4
GTEX-1HCU8-2526-SM-CE6RX 60-69 years, female 12.4
GTEX-12KS4-2126-SM-5FQUT 30-39 years, male 12.3
GTEX-14E6C-2426-SM-5S2NF 40-49 years, male 12.3
GTEX-15ER7-0626-SM-6PANF 20-29 years, female 12.3
GTEX-16MT8-2926-SM-7DUFO 60-69 years, female 12.3
GTEX-VJYA-1526-SM-3GIJV 60-69 years, male 12.3
GTEX-ZVE1-0726-SM-51MRN 50-59 years, female 12.3
GTEX-ZVP2-0326-SM-57WBP 50-59 years, male 12.3
GTEX-1CB4I-0126-SM-7RHGG 50-59 years, male 12.3
GTEX-1H1E6-0426-SM-9WYUS 30-39 years, male 12.3
GTEX-1H3NZ-2726-SM-9WYTQ 60-69 years, male 12.3
GTEX-1HC8U-1326-SM-9YFMJ 40-49 years, female 12.2
GTEX-12WSA-0426-SM-5EQ5X 60-69 years, male 12.1
GTEX-147F3-1726-SM-5SIAW 50-59 years, female 12.1
GTEX-1CB4F-1026-SM-7DUH1 60-69 years, male 12.1
GTEX-ZPIC-0526-SM-DO91W 40-49 years, female 12.1
GTEX-ZZ64-1026-SM-5GZXG 20-29 years, male 12.0
GTEX-1I1CD-0626-SM-CE6SW 60-69 years, female 12.0
GTEX-1LG7Z-1626-SM-CXKYR 30-39 years, male 12.0
GTEX-1LVAO-2726-SM-E9TJ8 60-69 years, male 12.0
GTEX-111FC-2526-SM-5GZXU 60-69 years, male 11.9
GTEX-133LE-2326-SM-5K7W3 20-29 years, female 11.9
GTEX-1F75B-0726-SM-7PC3R 50-59 years, male 11.9
GTEX-1GMR3-0126-SM-A9SLW 40-49 years, male 11.9
GTEX-1JN6P-2926-SM-CL54D 60-69 years, male 11.9
GTEX-1PIGE-1826-SM-E8VOU 20-29 years, male 11.9
GTEX-1PPH7-1126-SM-DTX9A 40-49 years, male 11.9
GTEX-1QP66-1226-SM-DTX7U 50-59 years, male 11.9
GTEX-12BJ1-0926-SM-5EQ62 60-69 years, male 11.8
GTEX-15RIE-1926-SM-7KUKJ 60-69 years, male 11.8
GTEX-ZDXO-3126-SM-5IJDF 60-69 years, male 11.8
GTEX-ZVE2-2826-SM-5GU51 50-59 years, male 11.8
GTEX-12WSH-1526-SM-5BC5W 50-59 years, male 11.7
GTEX-13OW8-1026-SM-5J1NQ 60-69 years, male 11.7
GTEX-ZDTS-0826-SM-4WKHL 60-69 years, male 11.7
GTEX-1ICG6-1226-SM-A9SLN 70-79 years, female 11.7
GTEX-131YS-2826-SM-5EQ47 60-69 years, female 11.6
GTEX-13N1W-2426-SM-5IJD1 70-79 years, male 11.6
GTEX-1F88E-1626-SM-7SB8Z 60-69 years, female 11.6
GTEX-1GF9W-1426-SM-7PBYM 60-69 years, male 11.6
GTEX-1H1CY-0126-SM-9YFLY 60-69 years, female 11.6
GTEX-1IDJI-0126-SM-CMKHS 50-59 years, female 11.6
GTEX-1JMQL-2226-SM-CNPP4 50-59 years, female 11.6
GTEX-1RB15-1326-SM-E76Q9 60-69 years, male 11.6
GTEX-13QBU-1226-SM-5LU4G 40-49 years, female 11.5
GTEX-1F48J-0726-SM-7RHGS 50-59 years, female 11.5
GTEX-13OVG-1626-SM-5J1NF 60-69 years, male 11.4
GTEX-13PVR-0426-SM-5RQK2 60-69 years, female 11.4
GTEX-W5X1-2526-SM-3GILC 40-49 years, female 11.4
GTEX-ZLWG-0826-SM-59888 50-59 years, female 11.4
GTEX-18D9A-1426-SM-7LT8M 30-39 years, female 11.4
GTEX-1JN76-0626-SM-CKZOQ 20-29 years, female 11.4
GTEX-1KANC-1226-SM-CYPT7 50-59 years, female 11.4
GTEX-11TT1-1826-SM-5EQLV 20-29 years, male 11.3
GTEX-132AR-0326-SM-5KM2C 50-59 years, female 11.3
GTEX-14BMV-2826-SM-5TDED 50-59 years, male 11.3
GTEX-18A7B-2726-SM-7LG56 70-79 years, male 11.3
GTEX-X5EB-1926-SM-4E3IW 40-49 years, male 11.3
GTEX-YF7O-1526-SM-5IFI6 50-59 years, male 11.3
GTEX-1A3MX-2626-SM-7PC24 60-69 years, male 11.3
GTEX-1HCU9-0426-SM-9WYSD 20-29 years, male 11.3
GTEX-V1D1-2026-SM-3GAF4 50-59 years, male 11.2
GTEX-WFON-1926-SM-3LK7L 40-49 years, male 11.2
GTEX-14JG6-1426-SM-9WG7C 30-39 years, female 11.2
GTEX-1GMR2-0826-SM-7PC3V 50-59 years, male 11.2
GTEX-11VI4-1126-SM-5EQMD 40-49 years, female 11.1
GTEX-12WSF-1626-SM-7KUG5 70-79 years, male 11.1
GTEX-13YAN-0226-SM-5TDC6 60-69 years, male 11.1
GTEX-18A66-0626-SM-7LT8Z 60-69 years, male 11.1
GTEX-1E1VI-0326-SM-793D1 50-59 years, male 11.1
GTEX-1H1ZS-2726-SM-9WG75 70-79 years, male 11.1
GTEX-1J8QM-2426-SM-A9SLS 60-69 years, female 11.1
GTEX-1MCYP-0526-SM-E9U6Q 20-29 years, female 11.1
GTEX-1RAZR-2126-SM-E9U6T 40-49 years, male 11.1
GTEX-1211K-1526-SM-5FQU4 60-69 years, female 11.0
GTEX-14E6E-0526-SM-793DN 30-39 years, male 11.0
GTEX-WEY5-2326-SM-3GIKK 40-49 years, female 11.0
GTEX-XBED-1926-SM-47JYP 60-69 years, male 11.0
GTEX-ZYFG-1526-SM-5GZYM 60-69 years, female 11.0
GTEX-1I1GS-2626-SM-B2LY3 60-69 years, male 11.0
GTEX-1N2DV-1526-SM-DTXEP 40-49 years, male 11.0
GTEX-12WSL-2026-SM-5GCML 50-59 years, male 10.9
GTEX-13U4I-2226-SM-5LU5H 40-49 years, female 10.9
GTEX-17MF6-2626-SM-79OKQ 40-49 years, male 10.9
GTEX-WYBS-0626-SM-3NMAS 60-69 years, female 10.9
GTEX-1RLM8-2926-SM-E8VON 50-59 years, male 10.9
GTEX-17HG3-2626-SM-7DUF2 30-39 years, female 10.8
GTEX-1HKZK-0726-SM-ACKW2 40-49 years, male 10.8
GTEX-11EQ9-1626-SM-5PNY8 30-39 years, male 10.7
GTEX-1KANA-1326-SM-DIPFA 20-29 years, male 10.7
GTEX-1I6K6-1726-SM-CGQFD 30-39 years, male 10.6
GTEX-117YX-1926-SM-5GIEC 50-59 years, male 10.5
GTEX-146FQ-2126-SM-5RQHU 30-39 years, male 10.5
GTEX-1IY9M-2826-SM-ARU8H 60-69 years, male 10.5
GTEX-1LGOU-1326-SM-D3L8M 20-29 years, female 10.5
GTEX-13O61-1426-SM-5KM3D 60-69 years, male 10.4
GTEX-1AX8Z-0726-SM-73KTS 60-69 years, male 10.4
GTEX-11EM3-1226-SM-5N9DD 20-29 years, female 10.3
GTEX-14PKV-1126-SM-6LLJ1 20-29 years, female 10.3
GTEX-1F6I4-2326-SM-7RHGL 60-69 years, male 10.3
GTEX-1IDJF-2026-SM-CL53V 20-29 years, male 10.3
GTEX-11P7K-1126-SM-5HL4L 30-39 years, male 10.2
GTEX-12584-0726-SM-5FQTK 40-49 years, male 10.2
GTEX-18D9B-0926-SM-7LG4U 60-69 years, male 10.2
GTEX-ZUA1-2626-SM-5NQ92 40-49 years, male 10.1
GTEX-1QP29-1826-SM-DTX9S 50-59 years, male 10.1
GTEX-ZA64-1026-SM-5HL8R 20-29 years, male 10.0
GTEX-1GF9U-2026-SM-7SB92 40-49 years, female 10.0
GTEX-1I6K7-1926-SM-B2LXR 40-49 years, male 10.0
GTEX-1S5ZU-2526-SM-E6CIF 20-29 years, female 10.0
GTEX-ZGAY-1826-SM-DO91Q 40-49 years, female 10.0
GTEX-17JCI-2926-SM-7DUFF 60-69 years, female 9.9
GTEX-1I19N-0126-SM-CYPSF 70-79 years, male 9.9
GTEX-13N11-2326-SM-5IJBF 50-59 years, female 9.8
GTEX-1IDJD-2326-SM-ACKWX 30-39 years, male 9.8
GTEX-1F75W-2726-SM-7SB8H 60-69 years, male 9.7
GTEX-1I4MK-0126-SM-CY8G6 50-59 years, female 9.7
GTEX-1L5NE-1126-SM-D3L9P 50-59 years, male 9.7
GTEX-1QCLZ-2426-SM-EVYBW 60-69 years, female 9.7
GTEX-11EI6-2826-SM-5H11D 60-69 years, male 9.6
GTEX-13FH7-1126-SM-5K7UG 50-59 years, female 9.6
GTEX-17F98-1326-SM-7DUEP 40-49 years, female 9.6
GTEX-Y3IK-1626-SM-4YCF5 50-59 years, female 9.6
GTEX-YJ8O-2526-SM-5HL85 40-49 years, female 9.5
GTEX-1A8FM-0626-SM-7PC25 50-59 years, female 9.5
GTEX-16GPK-0626-SM-7KFSF 60-69 years, male 9.4
GTEX-ZVTK-0226-SM-51MRG 20-29 years, male 9.4
GTEX-178AV-1726-SM-7KUL8 40-49 years, male 9.3
GTEX-X3Y1-2026-SM-3P5YM 40-49 years, male 9.3
GTEX-1IDJE-1426-SM-ADEIW 50-59 years, female 9.3
GTEX-1HUB1-1426-SM-CGQF5 60-69 years, male 9.2
GTEX-145LT-0526-SM-5LUB2 40-49 years, male 9.1
GTEX-ZT9W-1126-SM-57WDR 50-59 years, male 9.1
GTEX-1IDJC-1526-SM-B2LW4 50-59 years, male 9.1
GTEX-1RAZA-2226-SM-E9U4X 20-29 years, male 9.1
GTEX-1F6IF-0926-SM-7SB7M 60-69 years, male 9.0
GTEX-1399R-1326-SM-5PNYS 30-39 years, male 8.9
GTEX-15RJ7-2126-SM-6PAMD 40-49 years, male 8.9
GTEX-UPK5-0426-SM-3GAEK 40-49 years, male 8.9
GTEX-YB5K-2026-SM-4VDT3 40-49 years, female 8.8
GTEX-13OVJ-0826-SM-5J1OK 50-59 years, female 8.7
GTEX-1A32A-0626-SM-731AQ 50-59 years, female 8.7
GTEX-145MN-1526-SM-5SI9T 30-39 years, male 8.5
GTEX-1J8JJ-0626-SM-ARZMQ 60-69 years, female 8.5
GTEX-WFG8-2126-SM-3GIKQ 20-29 years, male 8.1
GTEX-YEC3-1326-SM-DO92X 50-59 years, male 8.1
GTEX-1CAMR-1326-SM-7PC1F 20-29 years, male 8.0
GTEX-1O9I2-0226-SM-EYYXD 50-59 years, male 8.0
GTEX-14BMU-1226-SM-5S2OR 20-29 years, female 7.8
GTEX-1JMOU-1026-SM-CYPSS 60-69 years, female 6.9
GTEX-15UF6-1926-SM-7KUDV 70-79 years, female 6.8
Show allShow less
Skin - Sun Exposed (Lower leg)
Average nTPM: 16.7
Samples: 701

Max nTPM: 32.7
Min nTPM: 7.0
Std nTPM: 4.1
Median nTPM: 16.4
GTEX-1L5NE-2526-SM-E6CIE 50-59 years, male 32.7
GTEX-1122O-2126-SM-5EGIR 60-69 years, female 28.6
GTEX-14PHX-2326-SM-62LEM 50-59 years, male 28.6
GTEX-U412-0426-SM-3DB9O 60-69 years, male 28.6
GTEX-PSDG-0226-SM-DKPOZ 50-59 years, male 28.4
GTEX-1KANC-1526-SM-D3LAB 50-59 years, female 28.0
GTEX-1LGRB-2526-SM-CNPPQ 50-59 years, female 27.8
GTEX-T5JW-1626-SM-3GADZ 20-29 years, female 27.7
GTEX-1R9PM-2026-SM-E76OY 20-29 years, male 27.6
GTEX-17JCI-0126-SM-7LG5G 60-69 years, female 27.5
GTEX-1S83E-0126-SM-EWRO4 40-49 years, male 26.7
GTEX-1JJ6O-0126-SM-E6CI8 60-69 years, male 26.6
GTEX-1M5QR-1226-SM-EWROB 40-49 years, male 26.4
GTEX-13JUV-2726-SM-5LZZ8 40-49 years, female 26.3
GTEX-UJHI-1526-SM-3DB99 50-59 years, female 26.3
GTEX-1K2DA-1826-SM-CGQGT 50-59 years, male 25.9
GTEX-1CAMQ-0226-SM-7IGPK 40-49 years, male 25.7
GTEX-1LG7Z-1726-SM-D3LA4 30-39 years, male 25.5
GTEX-1C475-1826-SM-73KWA 40-49 years, female 25.1
GTEX-ZTX8-1426-SM-5DUVO 20-29 years, male 25.1
GTEX-17KNJ-2326-SM-7DHLQ 50-59 years, male 25.0
GTEX-ZV68-0126-SM-59HKS 50-59 years, female 25.0
GTEX-P4QT-0126-SM-2I3FL 50-59 years, female 24.9
GTEX-Y5V5-2326-SM-4V6GA 60-69 years, female 24.9
GTEX-1B8SF-1426-SM-7DUGL 60-69 years, male 24.8
GTEX-1HSGN-0226-SM-CGQFV 40-49 years, female 24.7
GTEX-1OJC3-0126-SM-E76QX 20-29 years, male 24.7
GTEX-1PDJ9-0326-SM-DTX95 20-29 years, male 24.6
GTEX-1KXAM-2226-SM-CYPTC 60-69 years, male 24.5
GTEX-145ME-1826-SM-5SI9G 40-49 years, female 24.4
GTEX-1B8KE-2126-SM-73KYX 50-59 years, male 24.4
GTEX-SUCS-1926-SM-32PM3 70-79 years, male 24.4
GTEX-1JMQL-0226-SM-CNPP5 50-59 years, female 24.4
GTEX-13OVK-2026-SM-7KUEO 40-49 years, male 24.2
GTEX-T2YK-0526-SM-32QPJ 50-59 years, male 24.2
GTEX-1H4P4-0726-SM-9YFLR 50-59 years, male 24.0
GTEX-18D9A-1926-SM-7LG6P 30-39 years, female 23.9
GTEX-131XE-2326-SM-5PNZ2 50-59 years, male 23.8
GTEX-14PN4-0126-SM-6EU2V 50-59 years, male 23.5
GTEX-XBEW-0626-SM-4QASP 40-49 years, male 23.4
GTEX-ZF2S-2326-SM-4WWCE 50-59 years, female 23.4
GTEX-131XF-5016-SM-7MGWE 60-69 years, male 23.4
GTEX-17GQL-2026-SM-718BA 60-69 years, male 23.3
GTEX-T6MN-0126-SM-32PLP 50-59 years, male 23.3
GTEX-1J8QM-2126-SM-CYPSJ 60-69 years, female 23.3
GTEX-1MJK2-0426-SM-DTXE5 50-59 years, male 23.2
GTEX-1B97I-1626-SM-73KYO 40-49 years, male 22.9
GTEX-ZVTK-0426-SM-51MRS 20-29 years, male 22.9
GTEX-11UD2-0226-SM-5EQKY 50-59 years, male 22.8
GTEX-13CF3-2426-SM-5IFGX 60-69 years, female 22.7
GTEX-1F5PK-2426-SM-7RHHY 50-59 years, male 22.7
GTEX-1GN1U-0126-SM-7PBZK 50-59 years, female 22.6
GTEX-1IKJJ-0126-SM-CNPQB 60-69 years, male 22.6
GTEX-13SLW-0126-SM-5SI6C 70-79 years, male 22.5
GTEX-YJ89-0126-SM-4TT3X 60-69 years, male 22.5
GTEX-13NYC-0326-SM-E9J4S 60-69 years, male 22.5
GTEX-1QAET-0926-SM-E76QM 50-59 years, male 22.5
GTEX-1IL2U-0226-SM-CE6T8 60-69 years, male 22.4
GTEX-1OFPY-2426-SM-DTXEJ 60-69 years, male 22.4
GTEX-1PIIG-0226-SM-EWRN6 30-39 years, male 22.4
GTEX-13111-1626-SM-5EGJY 50-59 years, male 22.3
GTEX-ZYT6-0226-SM-5NQ6T 30-39 years, male 22.3
GTEX-YB5E-2026-SM-5IFIS 40-49 years, male 22.2
GTEX-12WSG-2826-SM-E9J4H 50-59 years, female 22.2
GTEX-PVOW-0126-SM-2XCFA 40-49 years, male 22.1
GTEX-S32W-2126-SM-2XCB1 50-59 years, female 22.0
GTEX-1GL5R-1826-SM-9KNUY 50-59 years, male 22.0
GTEX-111FC-0126-SM-5N9DL 60-69 years, male 21.9
GTEX-1AX9J-0226-SM-73KXM 60-69 years, male 21.9
GTEX-OIZH-0126-SM-2HMIS 50-59 years, male 21.9
GTEX-1KANB-0526-SM-E6CJH 50-59 years, male 21.9
GTEX-1O97I-0326-SM-EYYX7 60-69 years, male 21.9
GTEX-1212Z-2526-SM-5EGKP 60-69 years, male 21.8
GTEX-15EU6-0426-SM-6PAN5 50-59 years, male 21.8
GTEX-1E2YA-0126-SM-9KNUC 50-59 years, male 21.8
GTEX-13FTW-2626-SM-5K7WL 40-49 years, male 21.7
GTEX-14E6E-1826-SM-5S2R7 30-39 years, male 21.7
GTEX-SNMC-1226-SM-2XCFP 20-29 years, male 21.7
GTEX-1HCU7-0226-SM-CL545 50-59 years, male 21.7
GTEX-13RTK-1426-SM-5QGQJ 20-29 years, male 21.6
GTEX-14PN3-2426-SM-6LLHS 60-69 years, female 21.6
GTEX-T8EM-1026-SM-3DB7M 40-49 years, male 21.6
GTEX-WFON-2126-SM-3LK7O 40-49 years, male 21.6
GTEX-ZVZP-2426-SM-59HKJ 50-59 years, male 21.6
GTEX-1MA7W-2026-SM-E9TJ6 20-29 years, female 21.6
GTEX-1RB15-2126-SM-E9TIM 60-69 years, male 21.6
GTEX-ZXES-1826-SM-5E43S 30-39 years, female 21.5
GTEX-1KAFJ-2026-SM-CY8ID 50-59 years, male 21.5
GTEX-133LE-1826-SM-5J1MV 20-29 years, female 21.4
GTEX-X261-0126-SM-3NMD6 50-59 years, male 21.4
GTEX-Y5LM-1926-SM-5RQJH 40-49 years, female 21.4
GTEX-ZTSS-1926-SM-57WEW 40-49 years, male 21.4
GTEX-11DXZ-2326-SM-5EGGV 50-59 years, male 21.3
GTEX-15SHU-0126-SM-7KUEH 40-49 years, female 21.3
GTEX-1F5PL-0326-SM-7P8PQ 40-49 years, female 21.3
GTEX-1GN2E-0426-SM-9MQKX 60-69 years, male 21.2
GTEX-1J1OQ-0226-SM-CYPSH 40-49 years, female 21.2
GTEX-139TS-2826-SM-5J1OO 60-69 years, male 21.1
GTEX-14LZ3-0226-SM-62LET 60-69 years, female 21.1
GTEX-17HII-0226-SM-7LG4E 50-59 years, male 21.1
GTEX-1CB4H-0226-SM-7PBXM 60-69 years, female 21.1
GTEX-1GZ2Q-0226-SM-7P8TL 40-49 years, male 21.1
GTEX-1S3DN-2226-SM-EVYCD 50-59 years, male 21.1
GTEX-12WSE-0526-SM-793B2 20-29 years, male 21.0
GTEX-NFK9-0226-SM-2HMKQ 40-49 years, male 21.0
GTEX-1CAV2-2226-SM-7P8P2 40-49 years, female 21.0
GTEX-1EWIQ-0126-SM-7RHH2 70-79 years, female 20.9
GTEX-1HSEH-0126-SM-ACKXN 60-69 years, male 20.9
GTEX-SE5C-1626-SM-2XCE3 40-49 years, female 20.9
GTEX-14BMU-2226-SM-5TDE9 20-29 years, female 20.8
GTEX-15RIG-0226-SM-7KFTL 40-49 years, male 20.8
GTEX-1S82Z-0826-SM-E6CHY 30-39 years, female 20.8
GTEX-131XH-2226-SM-5DUXJ 50-59 years, male 20.7
GTEX-13NYS-0126-SM-5MR3W 60-69 years, male 20.7
GTEX-13O3P-0126-SM-5KM4S 50-59 years, male 20.6
GTEX-XQ8I-0426-SM-4BOPO 50-59 years, male 20.6
GTEX-ZYFC-0226-SM-5NQ75 50-59 years, male 20.6
GTEX-1PPH8-0226-SM-E8VND 20-29 years, male 20.6
GTEX-1LSNM-1926-SM-E6CII 50-59 years, male 20.5
GTEX-17EVP-0326-SM-7DHLG 40-49 years, male 20.4
GTEX-12ZZX-0126-SM-5EGK9 40-49 years, female 20.3
GTEX-12ZZY-0226-SM-5LZVE 60-69 years, male 20.3
GTEX-13OVH-0126-SM-5MR4B 70-79 years, male 20.3
GTEX-1CB4E-2226-SM-793DC 60-69 years, male 20.3
GTEX-U8T8-0126-SM-3DB94 60-69 years, male 20.3
GTEX-ZWKS-0126-SM-5SIAA 30-39 years, male 20.3
GTEX-1JJEA-0326-SM-CNPOT 60-69 years, male 20.3
GTEX-18D9U-0226-SM-718BP 40-49 years, male 20.2
GTEX-XYKS-2126-SM-4E3IB 60-69 years, female 20.2
GTEX-ZAB5-1826-SM-5HL7C 50-59 years, male 20.2
GTEX-ZU9S-0226-SM-5E441 30-39 years, male 20.2
GTEX-1LGOU-2026-SM-DIPFF 20-29 years, female 20.2
GTEX-1RAZA-0126-SM-E6CI3 20-29 years, male 20.2
GTEX-13FXS-0226-SM-5IJCK 50-59 years, male 20.1
GTEX-PX3G-0126-SM-2I3EN 20-29 years, female 20.1
GTEX-ZZ64-1726-SM-5GZYB 20-29 years, male 20.1
GTEX-1F6RS-0126-SM-9MQKZ 60-69 years, female 20.1
GTEX-1IDJF-0126-SM-CM2RS 20-29 years, male 20.1
GTEX-1QPFJ-0226-SM-E76PB 30-39 years, female 20.1
GTEX-ZDTT-2726-SM-4WKF8 60-69 years, male 20.0
GTEX-1399U-2326-SM-5K7WY 50-59 years, female 19.9
GTEX-144GL-0126-SM-5TDE2 50-59 years, male 19.9
GTEX-14JG1-0426-SM-6ETZZ 40-49 years, male 19.9
GTEX-UPJH-0326-SM-3GADU 50-59 years, male 19.9
GTEX-ZGAY-0526-SM-4WWBB 40-49 years, female 19.9
GTEX-1RQEC-0426-SM-E6CHU 60-69 years, male 19.9
GTEX-1CB4I-0226-SM-79OLH 50-59 years, male 19.8
GTEX-OIZG-0726-SM-33HBL 50-59 years, male 19.8
GTEX-W5WG-1826-SM-4KL2Y 50-59 years, female 19.8
GTEX-WXYG-2326-SM-4E3I6 50-59 years, female 19.8
GTEX-X5EB-2226-SM-46MW4 40-49 years, male 19.8
GTEX-1GMR3-1926-SM-9KNUZ 40-49 years, male 19.8
GTEX-1HFI6-0226-SM-ADEHZ 40-49 years, male 19.8
GTEX-1IL2V-0126-SM-CM2TX 70-79 years, male 19.8
GTEX-1JMLX-0226-SM-CM2RO 50-59 years, male 19.8
GTEX-1JMQI-2226-SM-CM2SD 50-59 years, male 19.8
GTEX-11DXX-2426-SM-5GZZW 60-69 years, female 19.7
GTEX-132NY-0326-SM-5IJBL 60-69 years, male 19.7
GTEX-16NGA-1726-SM-731B4 40-49 years, female 19.7
GTEX-WYJK-0126-SM-3NMAB 50-59 years, male 19.7
GTEX-Z93S-0126-SM-5HL7M 50-59 years, male 19.7
GTEX-1GF9W-0326-SM-9KNUN 60-69 years, male 19.7
GTEX-1LVAN-0226-SM-COH3S 50-59 years, female 19.7
GTEX-13SLX-0526-SM-5S2ON 50-59 years, female 19.6
GTEX-1B8SG-0126-SM-73KZ3 50-59 years, male 19.6
GTEX-1LBAC-0126-SM-DIPEZ 20-29 years, male 19.6
GTEX-145MO-0326-SM-5Q5B3 60-69 years, male 19.5
GTEX-S7SE-0126-SM-2XCD5 50-59 years, male 19.5
GTEX-1HSKV-0226-SM-A9SKJ 60-69 years, male 19.5
GTEX-1KWVE-1426-SM-E9TJO 30-39 years, male 19.5
GTEX-1PFEY-1526-SM-E76PP 30-39 years, male 19.5
GTEX-11WQK-0526-SM-5EQLD 50-59 years, male 19.4
GTEX-13PVR-2326-SM-5QGR1 60-69 years, female 19.4
GTEX-18A67-0126-SM-7LG5P 50-59 years, male 19.4
GTEX-1I1GT-0626-SM-CGQER 60-69 years, female 19.4
GTEX-1IOXB-0126-SM-ARL8G 50-59 years, male 19.4
GTEX-14PJ6-2126-SM-6EU1V 60-69 years, female 19.3
GTEX-15G19-0126-SM-6PANQ 60-69 years, male 19.3
GTEX-TML8-1926-SM-32QOS 40-49 years, female 19.3
GTEX-XUW1-0426-SM-4BOOT 50-59 years, female 19.3
GTEX-Y114-2426-SM-4TT8A 50-59 years, female 19.3
GTEX-1GF9V-0326-SM-7RHI5 60-69 years, male 19.3
GTEX-1H1DG-0126-SM-9WYU2 70-79 years, male 19.3
GTEX-13113-5016-SM-7EPIP 60-69 years, female 19.2
GTEX-14PII-0226-SM-6EU1T 60-69 years, male 19.2
GTEX-15ETS-0126-SM-7KUMW 40-49 years, female 19.2
GTEX-16AAH-1726-SM-7939C 50-59 years, male 19.2
GTEX-18A66-0226-SM-718BD 60-69 years, male 19.2
GTEX-1BAJH-0526-SM-793CQ 70-79 years, male 19.2
GTEX-OXRK-0226-SM-3NB2G 50-59 years, female 19.2
GTEX-ZAK1-0126-SM-5IJD3 50-59 years, female 19.2
GTEX-ZV6S-2326-SM-4YCEY 40-49 years, female 19.2
GTEX-1GZ4H-1726-SM-7PBZJ 50-59 years, female 19.2
GTEX-1JMQK-0226-SM-CL543 60-69 years, male 19.2
GTEX-1QCLY-0326-SM-E8VOG 30-39 years, male 19.2
GTEX-11EQ9-2426-SM-5HL5T 30-39 years, male 19.1
GTEX-16XZZ-0126-SM-793DV 60-69 years, male 19.1
GTEX-18QFQ-0126-SM-731BE 30-39 years, male 19.1
GTEX-1EMGI-0126-SM-9KNUE 60-69 years, male 19.1
GTEX-1LB8K-0226-SM-EWRNW 50-59 years, male 19.1
GTEX-12WSC-0126-SM-5EQ4P 50-59 years, male 19.0
GTEX-1313W-0126-SM-5LZUN 50-59 years, female 19.0
GTEX-14A5H-0426-SM-5QGQF 60-69 years, male 19.0
GTEX-16GPK-0126-SM-7DHLE 60-69 years, male 19.0
GTEX-1C64N-0126-SM-793D7 50-59 years, male 19.0
GTEX-11DYG-0126-SM-59883 60-69 years, male 18.9
GTEX-14BIN-0626-SM-793DP 50-59 years, female 18.9
GTEX-Y8DK-0126-SM-4TT3L 60-69 years, male 18.9
GTEX-1H1CY-2826-SM-9MQM3 60-69 years, female 18.9
GTEX-1RDX4-0126-SM-E9J4P 50-59 years, female 18.9
GTEX-12WSJ-1826-SM-5GCNY 40-49 years, female 18.8
GTEX-14A5I-0126-SM-5TDEA 50-59 years, female 18.8
GTEX-1I4MK-2226-SM-ACKWD 50-59 years, female 18.8
GTEX-1KANA-0726-SM-D3L9I 20-29 years, male 18.8
GTEX-13S7M-0126-SM-5SI6A 60-69 years, female 18.7
GTEX-VJWN-0126-SM-3GIK7 50-59 years, female 18.7
GTEX-1H1E6-1726-SM-ACKVK 30-39 years, male 18.7
GTEX-1HFI7-1826-SM-ACKXH 50-59 years, female 18.7
GTEX-1I1GV-0526-SM-A9G29 60-69 years, male 18.7
GTEX-OOBJ-0126-SM-E6CJW 60-69 years, male 18.7
GTEX-12ZZZ-0626-SM-5DUXI 60-69 years, male 18.6
GTEX-18465-0126-SM-731BN 50-59 years, male 18.6
GTEX-ZDTS-0126-SM-4WAY5 60-69 years, male 18.6
GTEX-ZXG5-0126-SM-5GIEU 60-69 years, male 18.6
GTEX-1MGNQ-0126-SM-EVYCJ 40-49 years, male 18.6
GTEX-15ER7-0326-SM-7KUEV 20-29 years, female 18.5
GTEX-Y8E4-0626-SM-4WWDL 40-49 years, male 18.5
GTEX-1HCU9-1526-SM-A9SL7 20-29 years, male 18.5
GTEX-1QP9N-1426-SM-DTXFL 30-39 years, male 18.5
GTEX-1S5ZA-0126-SM-EVYCV 20-29 years, male 18.5
GTEX-13NYB-2526-SM-5K7Z6 40-49 years, male 18.4
GTEX-TMMY-0226-SM-33HBA 40-49 years, female 18.4
GTEX-WI4N-1026-SM-3LK7N 40-49 years, female 18.3
GTEX-11GSO-2426-SM-5A5LY 60-69 years, male 18.2
GTEX-11ZTS-0126-SM-5EQ6M 60-69 years, female 18.2
GTEX-12126-0326-SM-5PNW3 20-29 years, male 18.2
GTEX-145MN-2226-SM-5SIAU 30-39 years, male 18.2
GTEX-ZY6K-1826-SM-5GZXK 50-59 years, male 18.2
GTEX-13OW5-0126-SM-DTXFS 60-69 years, male 18.2
GTEX-1HBPI-1526-SM-C1YQ1 50-59 years, male 18.2
GTEX-1HBPN-0226-SM-9YFM1 50-59 years, male 18.2
GTEX-1JN6P-0126-SM-D3L98 60-69 years, male 18.2
GTEX-12KS4-0326-SM-5EQ41 30-39 years, male 18.1
GTEX-13VXU-0126-SM-5SI9F 50-59 years, male 18.1
GTEX-17HG3-2226-SM-7938L 30-39 years, female 18.1
GTEX-P44H-0226-SM-2XCEU 40-49 years, male 18.1
GTEX-VUSG-2526-SM-4KL1V 50-59 years, male 18.1
GTEX-1HSMP-0126-SM-E6CJS 70-79 years, male 18.1
GTEX-1HT8W-0126-SM-CNPPP 30-39 years, male 18.1
GTEX-1IDJH-0326-SM-A9SLQ 70-79 years, male 18.1
GTEX-1JMQJ-0526-SM-CYPSU 50-59 years, male 18.1
GTEX-1MCQQ-0826-SM-DLHC2 60-69 years, male 18.1
GTEX-1R7EV-2426-SM-EVYBG 40-49 years, male 18.1
GTEX-ZQUD-1426-SM-57WER 30-39 years, male 18.0
GTEX-ZYFG-2326-SM-5E44B 60-69 years, female 18.0
GTEX-1B996-0226-SM-7RHGO 60-69 years, male 18.0
GTEX-12696-2426-SM-5EQ6H 60-69 years, male 17.9
GTEX-139TU-0126-SM-5K7WH 60-69 years, male 17.9
GTEX-145MI-0526-SM-5O9A8 60-69 years, female 17.9
GTEX-T6MO-1626-SM-32QOM 40-49 years, female 17.9
GTEX-ZVT4-0126-SM-DTXFN 50-59 years, female 17.9
GTEX-13O3Q-2426-SM-5IJBR 50-59 years, male 17.8
GTEX-1C6VR-2426-SM-79OLD 60-69 years, male 17.8
GTEX-1R7EU-0226-SM-EVR4G 60-69 years, male 17.8
GTEX-PLZ6-1426-SM-DKPOT 30-39 years, male 17.8
GTEX-131XG-2626-SM-5KM17 50-59 years, female 17.7
GTEX-1AYD5-2426-SM-73KXR 50-59 years, male 17.7
GTEX-RWSA-0126-SM-2XCBB 40-49 years, male 17.7
GTEX-ZE9C-2726-SM-57WB5 60-69 years, male 17.7
GTEX-1CAMS-0426-SM-7P8T2 40-49 years, female 17.7
GTEX-1J8Q2-0526-SM-CM2RW 60-69 years, male 17.7
GTEX-1314G-1526-SM-5EGK2 30-39 years, male 17.6
GTEX-1399T-2826-SM-5KLYZ 60-69 years, male 17.6
GTEX-1E1VI-0126-SM-7DHMZ 50-59 years, male 17.6
GTEX-XQ3S-1526-SM-4BOOC 20-29 years, male 17.6
GTEX-11VI4-1726-SM-5CVLH 40-49 years, female 17.5
GTEX-1269C-2526-SM-5EGJ3 60-69 years, female 17.5
GTEX-12C56-1726-SM-5EQ61 20-29 years, male 17.5
GTEX-13FTY-0526-SM-5L3EV 40-49 years, female 17.5
GTEX-15F5U-1526-SM-6PANO 40-49 years, male 17.5
GTEX-17HHE-2026-SM-79OKF 50-59 years, male 17.5
GTEX-WZTO-0126-SM-3NM95 40-49 years, male 17.5
GTEX-Z93T-0126-SM-5HL5N 50-59 years, male 17.5
GTEX-1H11D-0226-SM-9WG6Z 40-49 years, male 17.5
GTEX-1399R-2726-SM-5IJBA 30-39 years, male 17.4
GTEX-139UW-2826-SM-5L3E7 60-69 years, male 17.4
GTEX-Q2AH-1626-SM-3GAF8 40-49 years, male 17.4
GTEX-X88G-0126-SM-47JZ3 30-39 years, male 17.4
GTEX-1QP2A-0126-SM-E9J43 50-59 years, male 17.4
GTEX-117YX-2326-SM-5H12W 50-59 years, male 17.3
GTEX-145LS-0126-SM-5QGP1 60-69 years, female 17.3
GTEX-1A3MX-0126-SM-731BR 60-69 years, male 17.3
GTEX-P4PP-0126-SM-3LK69 30-39 years, female 17.3
GTEX-QCQG-1726-SM-3GIJ9 50-59 years, female 17.3
GTEX-ZC5H-0226-SM-4WAY9 40-49 years, female 17.3
GTEX-1MUQO-0126-SM-EAZ58 60-69 years, male 17.3
GTEX-1QMI2-0226-SM-EVYBX 60-69 years, male 17.3
GTEX-13PDP-0126-SM-5L3HD 60-69 years, male 17.2
GTEX-147GR-0526-SM-5S2MY 60-69 years, male 17.2
GTEX-POMQ-2226-SM-2I5FK 20-29 years, female 17.2
GTEX-WYVS-2126-SM-3NMA3 40-49 years, female 17.2
GTEX-Y5V6-2426-SM-4VDSB 60-69 years, male 17.2
GTEX-ZYFD-0126-SM-5GIDL 50-59 years, male 17.2
GTEX-1F48J-0126-SM-7P8TT 50-59 years, female 17.2
GTEX-1I6K6-0126-SM-A9SLE 30-39 years, male 17.2
GTEX-S33H-1026-SM-EZ6L6 30-39 years, male 17.2
GTEX-13FHP-0126-SM-5IJBG 50-59 years, male 17.1
GTEX-13OW6-0426-SM-5L3HM 50-59 years, male 17.1
GTEX-1J8Q3-1626-SM-CMKGC 60-69 years, male 17.1
GTEX-139TT-0126-SM-5K7Y5 60-69 years, male 17.0
GTEX-13FTX-1826-SM-5J1NX 20-29 years, female 17.0
GTEX-15SB6-1726-SM-6PAME 50-59 years, female 17.0
GTEX-ZAJG-0126-SM-5HL94 50-59 years, female 17.0
GTEX-13O3O-0126-SM-E9J49 60-69 years, female 17.0
GTEX-1GN73-0226-SM-9WG67 60-69 years, male 17.0
GTEX-RVPV-0126-SM-EAZAW 60-69 years, male 17.0
GTEX-ZPIC-1726-SM-DHXIU 40-49 years, female 17.0
GTEX-11NSD-2226-SM-5986V 20-29 years, male 16.9
GTEX-NPJ8-0126-SM-2YUNR 40-49 years, male 16.9
GTEX-XXEK-2226-SM-4BRUM 50-59 years, male 16.9
GTEX-1B933-0126-SM-7PC29 50-59 years, female 16.9
GTEX-W5X1-3026-SM-EAZAX 40-49 years, female 16.9
GTEX-11DXW-0226-SM-5H122 40-49 years, male 16.8
GTEX-13112-2826-SM-5DUWH 50-59 years, male 16.8
GTEX-139T8-0126-SM-5K7XZ 60-69 years, male 16.8
GTEX-X4XX-0126-SM-3NMC2 60-69 years, male 16.8
GTEX-1J1R8-1726-SM-ARL8M 40-49 years, male 16.8
GTEX-1JMPZ-0226-SM-CNPP1 30-39 years, male 16.8
GTEX-11ZVC-2526-SM-5FQTE 50-59 years, female 16.7
GTEX-1AMFI-2026-SM-731BH 50-59 years, female 16.7
GTEX-PWO3-1526-SM-48TCM 60-69 years, female 16.7
GTEX-1ICLY-0126-SM-D4P36 50-59 years, male 16.7
GTEX-1N2DW-0226-SM-E9TK2 50-59 years, male 16.7
GTEX-13NZ8-0826-SM-5MR3I 60-69 years, female 16.6
GTEX-15DYW-0126-SM-7KULE 60-69 years, female 16.6
GTEX-R3RS-0126-SM-3GIJL 40-49 years, female 16.6
GTEX-Y3IK-2426-SM-4WWDU 50-59 years, female 16.6
GTEX-1HCUA-2426-SM-ADEIS 50-59 years, female 16.6
GTEX-1KD4Q-0226-SM-E9TJ9 40-49 years, male 16.6
GTEX-13U4I-0126-SM-5LU38 40-49 years, female 16.5
GTEX-OOBK-0126-SM-2YUND 40-49 years, male 16.5
GTEX-U8XE-0326-SM-3DB8P 30-39 years, male 16.5
GTEX-11TUW-2726-SM-E9J4M 60-69 years, male 16.5
GTEX-1GMRU-0126-SM-9YFLV 50-59 years, male 16.5
GTEX-17EUY-0426-SM-793BD 20-29 years, male 16.4
GTEX-18A7B-0126-SM-7LG64 70-79 years, male 16.4
GTEX-T2IS-0126-SM-4DM6O 20-29 years, female 16.4
GTEX-X8HC-0126-SM-4E3JW 50-59 years, female 16.4
GTEX-1GZHY-0326-SM-9QEHI 50-59 years, female 16.4
GTEX-1I1GR-0126-SM-CL55F 60-69 years, male 16.4
GTEX-1N2DV-0226-SM-E6CJ6 40-49 years, male 16.4
GTEX-11DXY-2626-SM-5GIE7 60-69 years, male 16.3
GTEX-11WQC-2526-SM-5CVLE 60-69 years, male 16.3
GTEX-TKQ1-1026-SM-4GICL 30-39 years, male 16.3
GTEX-YB5K-2126-SM-4WWDJ 40-49 years, female 16.3
GTEX-1EX96-1626-SM-7PBXR 50-59 years, male 16.3
GTEX-1IE54-0126-SM-CMKHW 40-49 years, female 16.3
GTEX-1JJE9-0326-SM-CL53Z 70-79 years, male 16.3
GTEX-1JKYR-0126-SM-CNPOJ 20-29 years, male 16.3
GTEX-ZF29-2326-SM-DO92K 60-69 years, female 16.3
GTEX-11P82-1626-SM-59879 20-29 years, male 16.2
GTEX-11ZTT-2426-SM-5EQLS 60-69 years, female 16.2
GTEX-13D11-2426-SM-5KM1V 50-59 years, female 16.2
GTEX-148VI-1626-SM-5SI6E 60-69 years, female 16.2
GTEX-14BMV-0126-SM-5S2PO 50-59 years, male 16.2
GTEX-17F98-0626-SM-79OMX 40-49 years, female 16.2
GTEX-SN8G-0126-SM-32PLI 50-59 years, female 16.2
GTEX-1GMR8-0126-SM-9WYTM 50-59 years, female 16.2
GTEX-1H3NZ-0126-SM-ACKX7 60-69 years, male 16.2
GTEX-1HCVE-0126-SM-CGQEU 50-59 years, male 16.2
GTEX-1IKK5-0626-SM-ARL8A 60-69 years, male 16.2
GTEX-1IKOH-0226-SM-COH4E 60-69 years, female 16.2
GTEX-17F96-1626-SM-7DUFL 70-79 years, male 16.1
GTEX-1CB4G-0226-SM-7PC3O 60-69 years, male 16.1
GTEX-PWCY-1826-SM-DHXIZ 20-29 years, female 16.1
GTEX-ZF3C-0126-SM-DO92D 50-59 years, female 16.1
GTEX-11EI6-0126-SM-5985R 60-69 years, male 16.0
GTEX-QV44-1926-SM-2S1RF 50-59 years, male 16.0
GTEX-13FH7-2026-SM-E9J4I 50-59 years, female 16.0
GTEX-1GPI7-0126-SM-9MQL8 20-29 years, male 16.0
GTEX-1HR98-0126-SM-B2LWI 60-69 years, male 16.0
GTEX-1I1GQ-0126-SM-COH3H 50-59 years, male 16.0
GTEX-14PK6-1926-SM-6ETZU 70-79 years, female 15.9
GTEX-17HHY-0126-SM-7LG5D 50-59 years, male 15.9
GTEX-1GF9U-2126-SM-7SB7L 40-49 years, female 15.9
GTEX-1H3VE-0326-SM-9YFLH 40-49 years, male 15.9
GTEX-11OF3-2626-SM-5GU7F 60-69 years, male 15.8
GTEX-11UD1-0126-SM-5PNYG 40-49 years, female 15.8
GTEX-13O21-1426-SM-5K7XI 50-59 years, male 15.8
GTEX-1H3VY-0126-SM-ACKXD 50-59 years, male 15.8
GTEX-1128S-2326-SM-5GZZY 60-69 years, female 15.7
GTEX-13X6J-0126-SM-5QGOU 50-59 years, male 15.7
GTEX-14E6D-0126-SM-62LDV 50-59 years, male 15.7
GTEX-15DDE-0126-SM-6LPKH 50-59 years, female 15.7
GTEX-17HGU-0226-SM-7DHKV 50-59 years, male 15.7
GTEX-1C4CL-0526-SM-73KVK 30-39 years, male 15.7
GTEX-WVJS-0126-SM-4MVOT 50-59 years, male 15.7
GTEX-X585-0226-SM-4QAS2 50-59 years, male 15.7
GTEX-1H23P-0126-SM-ADEJ3 60-69 years, male 15.7
GTEX-1PIGE-0126-SM-EVYBJ 20-29 years, male 15.7
GTEX-OIZF-0126-SM-7SB8I 60-69 years, male 15.7
GTEX-PW2O-1526-SM-7RHHB 20-29 years, male 15.7
GTEX-131YS-0126-SM-5KM1M 60-69 years, female 15.6
GTEX-13NZB-2526-SM-5J1OM 30-39 years, male 15.6
GTEX-14E7W-0126-SM-6LLJ9 70-79 years, male 15.6
GTEX-1B8KZ-2026-SM-7DHMB 50-59 years, male 15.6
GTEX-RWS6-2026-SM-2XCB5 60-69 years, female 15.6
GTEX-X4EP-0126-SM-3P5YV 60-69 years, female 15.6
GTEX-1F88F-2726-SM-7PBZZ 60-69 years, female 15.6
GTEX-1HSMQ-1226-SM-CGQFX 50-59 years, male 15.6
GTEX-117XS-2726-SM-5N9BL 60-69 years, male 15.5
GTEX-11P81-2326-SM-59875 30-39 years, female 15.5
GTEX-13O1R-0126-SM-5L3EH 60-69 years, male 15.5
GTEX-13X6H-2126-SM-7EWD5 50-59 years, female 15.5
GTEX-145MF-0626-SM-5LUAI 50-59 years, male 15.5
GTEX-1A8FM-0226-SM-7SB7Q 50-59 years, female 15.5
GTEX-1I1GS-0126-SM-B2LVW 60-69 years, male 15.5
GTEX-1PWST-0226-SM-E76QJ 70-79 years, male 15.5
GTEX-14ICK-0226-SM-6EU25 40-49 years, male 15.4
GTEX-Q734-1926-SM-2I5EV 40-49 years, female 15.4
GTEX-1JN1M-0326-SM-CYPT3 60-69 years, female 15.4
GTEX-11LCK-1026-SM-5A5KB 30-39 years, male 15.3
GTEX-13N2G-2626-SM-5J1OT 60-69 years, male 15.3
GTEX-13OW8-1326-SM-5J1OW 60-69 years, male 15.3
GTEX-145LT-1726-SM-5QGP3 40-49 years, male 15.3
GTEX-14PHW-0126-SM-6LLJI 60-69 years, female 15.3
GTEX-14PJM-0226-SM-62LF1 50-59 years, female 15.3
GTEX-S95S-1226-SM-4GICG 60-69 years, male 15.3
GTEX-TMZS-0126-SM-3DB9Q 60-69 years, male 15.3
GTEX-VJYA-1126-SM-3GIJU 60-69 years, male 15.3
GTEX-Z9EW-1626-SM-5CVMN 40-49 years, male 15.3
GTEX-1IDJU-2626-SM-CM2RT 60-69 years, female 15.3
GTEX-11GS4-2726-SM-5A5LE 60-69 years, male 15.2
GTEX-13FHO-0226-SM-5IFGY 60-69 years, male 15.2
GTEX-14753-0426-SM-5NQAM 60-69 years, male 15.2
GTEX-OHPL-0126-SM-2HMJ7 60-69 years, female 15.2
GTEX-SJXC-0126-SM-2XCFF 60-69 years, male 15.2
GTEX-XMD2-0126-SM-4YCDU 60-69 years, female 15.2
GTEX-XUYS-0126-SM-47JWZ 50-59 years, male 15.2
GTEX-1B8L1-2526-SM-9WYTF 60-69 years, male 15.2
GTEX-1F75A-0126-SM-7RHGM 50-59 years, male 15.2
GTEX-1F75B-0126-SM-9KNVL 50-59 years, male 15.2
GTEX-14JG6-2226-SM-6EU2G 30-39 years, female 15.1
GTEX-16NPX-0226-SM-79OMT 50-59 years, male 15.1
GTEX-18A6Q-0126-SM-731BZ 60-69 years, male 15.1
GTEX-U3ZN-2326-SM-3DB7W 30-39 years, female 15.1
GTEX-1F52S-0126-SM-9MQJU 60-69 years, female 15.1
GTEX-1F7RK-0126-SM-7PC2S 20-29 years, female 15.1
GTEX-1I1CD-0126-SM-CM2TK 60-69 years, female 15.1
GTEX-12WSL-2526-SM-5GCNJ 50-59 years, male 15.0
GTEX-1CB4J-0626-SM-7DHMP 60-69 years, male 15.0
GTEX-XPVG-2626-SM-4B669 50-59 years, male 15.0
GTEX-YEC4-2126-SM-5IFJH 40-49 years, male 15.0
GTEX-1EU9M-0226-SM-7P8SP 60-69 years, male 15.0
GTEX-1GN1V-0126-SM-9WPOS 60-69 years, male 15.0
GTEX-145LV-2126-SM-5LU8N 50-59 years, male 14.9
GTEX-QVJO-1626-SM-2S1QW 60-69 years, female 14.9
GTEX-XUZC-1726-SM-4BRWS 30-39 years, female 14.9
GTEX-1AX9I-0126-SM-7SB74 60-69 years, male 14.9
GTEX-1H3O1-0426-SM-9YFKY 60-69 years, male 14.9
GTEX-RNOR-0126-SM-E9J4R 50-59 years, female 14.9
GTEX-11GSP-2526-SM-5N9BP 60-69 years, female 14.8
GTEX-1AX9K-2326-SM-73KWU 50-59 years, male 14.8
GTEX-RU72-0926-SM-2TF6B 50-59 years, female 14.8
GTEX-ZYY3-0126-SM-5GZY5 60-69 years, female 14.8
GTEX-1GF9X-2026-SM-7PC3A 40-49 years, female 14.8
GTEX-15UKP-0426-SM-7KUFQ 20-29 years, male 14.7
GTEX-SIU8-0126-SM-2XCDT 50-59 years, male 14.7
GTEX-Y111-0126-SM-4SOIV 50-59 years, male 14.7
GTEX-YFC4-0126-SM-5CVLY 40-49 years, female 14.7
GTEX-1K9T9-0126-SM-EVYCF 50-59 years, female 14.7
GTEX-117YW-2626-SM-5GZZH 50-59 years, male 14.6
GTEX-12WSD-0126-SM-59HKN 60-69 years, female 14.6
GTEX-ZVT2-2526-SM-51MT1 50-59 years, female 14.6
GTEX-1EN7A-0126-SM-7SB81 40-49 years, male 14.6
GTEX-1HCU6-0126-SM-CL54K 60-69 years, female 14.6
GTEX-1HKZK-0326-SM-9WYUH 40-49 years, male 14.6
GTEX-1QEPI-0126-SM-EWRMQ 60-69 years, female 14.6
GTEX-13NZA-0226-SM-5K7Z7 60-69 years, male 14.5
GTEX-13RTJ-2426-SM-5S2Q2 60-69 years, male 14.5
GTEX-QDVJ-1726-SM-2I5FX 50-59 years, male 14.5
GTEX-1H1DE-2126-SM-9WG6R 20-29 years, male 14.5
GTEX-1JN76-0126-SM-CNPPE 20-29 years, female 14.5
GTEX-131XW-0426-SM-5LZWP 50-59 years, female 14.4
GTEX-13OVL-0226-SM-5L3E9 50-59 years, male 14.4
GTEX-146FQ-0126-SM-5NQA9 30-39 years, male 14.4
GTEX-1AX8Z-0126-SM-7DHM6 60-69 years, male 14.4
GTEX-Q2AI-1326-SM-2S1PL 40-49 years, male 14.4
GTEX-U3ZM-1526-SM-3DB9D 40-49 years, male 14.4
GTEX-WQUQ-0426-SM-3MJFU 60-69 years, male 14.4
GTEX-1CB4F-0426-SM-9KNV4 60-69 years, male 14.4
GTEX-1IDFM-0126-SM-COH2V 60-69 years, male 14.4
GTEX-1J8JJ-0226-SM-CL53I 60-69 years, female 14.4
GTEX-1KD5A-0226-SM-D5OV3 50-59 years, male 14.4
GTEX-14BIM-0226-SM-7IGLD 60-69 years, female 14.3
GTEX-OXRO-0126-SM-2YUN4 60-69 years, female 14.3
GTEX-1JKYN-1326-SM-CGQG9 30-39 years, male 14.3
GTEX-RM2N-1426-SM-2TF4H 50-59 years, male 14.2
GTEX-1N2EF-0226-SM-EYYXB 60-69 years, male 14.2
GTEX-14C5O-0126-SM-5SI6N 60-69 years, male 14.1
GTEX-14DAQ-0126-SM-5S2MQ 60-69 years, female 14.1
GTEX-18A7A-0226-SM-718BH 50-59 years, female 14.1
GTEX-Y8LW-1826-SM-5S2MV 50-59 years, female 14.1
GTEX-1GN1W-0526-SM-9MQJQ 50-59 years, female 14.1
GTEX-1HCU8-0626-SM-A9SM9 60-69 years, female 14.1
GTEX-1J8EW-0126-SM-CJI4F 60-69 years, female 14.1
GTEX-113JC-2326-SM-5EQ4E 50-59 years, female 14.0
GTEX-15DCD-0126-SM-7KUEK 70-79 years, female 14.0
GTEX-WRHK-1426-SM-3MJF9 20-29 years, female 14.0
GTEX-1HB9E-0226-SM-E9U4R 50-59 years, male 14.0
GTEX-1POEN-0126-SM-EYYXJ 30-39 years, female 14.0
GTEX-11XUK-2026-SM-5EQLF 40-49 years, female 13.9
GTEX-14ABY-0226-SM-5TDCQ 50-59 years, male 13.9
GTEX-S7PM-0126-SM-4AD6S 60-69 years, male 13.9
GTEX-X4EO-0326-SM-3P5YO 60-69 years, female 13.9
GTEX-1EKGG-0226-SM-9WYTH 60-69 years, male 13.9
GTEX-1GTWX-0126-SM-9YFLK 60-69 years, male 13.9
GTEX-1I19N-0326-SM-ACKVX 70-79 years, male 13.9
GTEX-ZQG8-1626-SM-DHXIT 60-69 years, female 13.9
GTEX-13IVO-0126-SM-5J1NG 70-79 years, male 13.8
GTEX-16BQI-0226-SM-7KUEX 30-39 years, female 13.8
GTEX-17MFQ-1726-SM-793C7 20-29 years, male 13.8
GTEX-1A3MV-1926-SM-718BT 30-39 years, male 13.8
GTEX-WH7G-2326-SM-3NMBC 40-49 years, male 13.8
GTEX-XBED-2226-SM-47JYQ 60-69 years, male 13.8
GTEX-1JMPY-1326-SM-ARL8Y 30-39 years, male 13.8
GTEX-1QP29-0626-SM-EWRMX 50-59 years, male 13.8
GTEX-11P7K-2126-SM-5GU7G 30-39 years, male 13.7
GTEX-14DAR-2026-SM-5S2O3 50-59 years, male 13.7
GTEX-U3ZH-2026-SM-3DB78 30-39 years, male 13.7
GTEX-11OC5-0126-SM-5HL6A 60-69 years, male 13.6
GTEX-12584-0126-SM-5EGKQ 40-49 years, male 13.6
GTEX-QEG4-0226-SM-2S1PY 30-39 years, male 13.6
GTEX-QESD-1426-SM-2S1R9 20-29 years, male 13.6
GTEX-WFG8-2226-SM-3GIL9 20-29 years, male 13.6
GTEX-1F6I4-0126-SM-9MQL2 60-69 years, male 13.6
GTEX-Q2AG-0126-SM-33HBV 40-49 years, female 13.5
GTEX-ZVZO-0126-SM-5A5L9 40-49 years, male 13.5
GTEX-1ICLZ-0126-SM-CKZPO 60-69 years, male 13.5
GTEX-1192X-0226-SM-5H12D 50-59 years, male 13.4
GTEX-1211K-2026-SM-5EQ4Z 60-69 years, female 13.4
GTEX-183FY-0126-SM-7LT9P 20-29 years, male 13.4
GTEX-O5YW-0126-SM-3LK6D 50-59 years, male 13.4
GTEX-QDT8-0126-SM-48TZ1 30-39 years, female 13.4
GTEX-XAJ8-0826-SM-47JY6 40-49 years, male 13.4
GTEX-1C64O-0126-SM-7SB8P 60-69 years, male 13.4
GTEX-11H98-0126-SM-5EGHG 50-59 years, male 13.3
GTEX-13OVG-1926-SM-5L3DK 60-69 years, male 13.3
GTEX-1AMEY-1326-SM-73KYK 30-39 years, female 13.3
GTEX-1HBPM-0226-SM-ARL9F 60-69 years, female 13.3
GTEX-1MA7X-2226-SM-E6CIY 60-69 years, male 13.3
GTEX-1S82Y-2026-SM-EVYCM 40-49 years, male 13.3
GTEX-13OVI-1426-SM-5L3EY 60-69 years, female 13.2
GTEX-15CHC-2126-SM-6EU21 60-69 years, female 13.2
GTEX-OXRN-0126-SM-48TDM 50-59 years, male 13.2
GTEX-139D8-0226-SM-5KLZO 30-39 years, female 13.1
GTEX-13RTL-0126-SM-7LG5S 40-49 years, male 13.1
GTEX-13YAN-0326-SM-5O9DF 60-69 years, male 13.1
GTEX-15SHW-0326-SM-6PAML 60-69 years, male 13.1
GTEX-P4PQ-0126-SM-2S1NM 60-69 years, male 13.1
GTEX-QDVN-2026-SM-3GAEP 50-59 years, male 13.1
GTEX-1C6VQ-0126-SM-7P8RI 50-59 years, male 13.1
GTEX-1HUB1-0426-SM-E9U4U 60-69 years, male 13.1
GTEX-1JK1U-2026-SM-CM2RZ 60-69 years, male 13.1
GTEX-1M4P7-0226-SM-DIPEV 60-69 years, male 13.1
GTEX-1NV5F-0226-SM-E8VNY 60-69 years, female 13.1
GTEX-14PJ3-1826-SM-62LEX 50-59 years, male 13.0
GTEX-14XAO-2326-SM-6EU1B 60-69 years, female 13.0
GTEX-16YQH-0126-SM-7DUFJ 30-39 years, male 13.0
GTEX-TSE9-0126-SM-3DB83 60-69 years, female 13.0
GTEX-11EM3-2426-SM-59861 20-29 years, female 12.9
GTEX-11O72-0126-SM-59887 40-49 years, male 12.9
GTEX-13X6I-0626-SM-5QGP9 60-69 years, male 12.9
GTEX-O5YT-0126-SM-48TBW 20-29 years, male 12.9
GTEX-YJ8A-0426-SM-5IFID 20-29 years, male 12.9
GTEX-1F6IF-0726-SM-7P8TW 60-69 years, male 12.9
GTEX-13QJ3-0326-SM-5S2RA 50-59 years, male 12.8
GTEX-14BIL-0126-SM-5SI92 50-59 years, male 12.8
GTEX-RTLS-0126-SM-447CA 60-69 years, female 12.8
GTEX-ZF28-0126-SM-4WKGK 60-69 years, male 12.8
GTEX-169BO-1326-SM-9MQK2 50-59 years, male 12.8
GTEX-1HSMO-0126-SM-CL547 60-69 years, male 12.7
GTEX-1LG7Y-0526-SM-DKPQC 50-59 years, male 12.7
GTEX-1QP66-1726-SM-E8VO1 50-59 years, male 12.7
GTEX-13VXT-0126-SM-5LU4I 20-29 years, female 12.6
GTEX-17F97-0326-SM-7LG5B 50-59 years, male 12.6
GTEX-WY7C-2326-SM-3NB2U 50-59 years, male 12.6
GTEX-1NHNU-1026-SM-E9J2A 50-59 years, male 12.6
GTEX-1RLM8-2326-SM-EWRN4 50-59 years, male 12.6
GTEX-11DZ1-0126-SM-5985Q 50-59 years, male 12.5
GTEX-R55G-2526-SM-2TC6D 40-49 years, female 12.5
GTEX-1ICG6-2526-SM-CGQFZ 70-79 years, female 12.5
GTEX-1R46S-0626-SM-E9J41 60-69 years, female 12.5
GTEX-RUSQ-1526-SM-2TF62 50-59 years, male 12.4
GTEX-1192W-2626-SM-5Q5AF 60-69 years, male 12.3
GTEX-13OW7-0126-SM-5MR3B 50-59 years, male 12.3
GTEX-147F3-0526-SM-5SI98 50-59 years, female 12.3
GTEX-OXRL-0126-SM-2YUMP 50-59 years, male 12.3
GTEX-V1D1-2226-SM-3NMAX 50-59 years, male 12.3
GTEX-13G51-2526-SM-5LZYK 60-69 years, male 12.2
GTEX-147F4-0226-SM-5QGPW 50-59 years, male 12.2
GTEX-PLZ5-2026-SM-2S1O4 50-59 years, male 12.2
GTEX-T5JC-0426-SM-32PLO 20-29 years, male 12.2
GTEX-1LH75-2426-SM-E9TJE 50-59 years, female 12.2
GTEX-145LU-0126-SM-5TDCB 50-59 years, male 12.1
GTEX-1C2JI-1826-SM-73KXC 50-59 years, male 12.1
GTEX-1I1HK-0126-SM-COH49 60-69 years, male 12.1
GTEX-13W3W-2426-SM-5LU5B 60-69 years, female 12.0
GTEX-ZDYS-2026-SM-5HL5L 50-59 years, male 12.0
GTEX-ZE7O-0126-SM-57WC1 50-59 years, female 12.0
GTEX-ZEX8-2426-SM-4WKG4 50-59 years, male 12.0
GTEX-11EMC-2926-SM-5EQ4F 60-69 years, female 11.9
GTEX-12WSK-2326-SM-5GCOH 40-49 years, female 11.9
GTEX-144FL-0126-SM-5TDC8 50-59 years, male 11.9
GTEX-1K2DU-2326-SM-E9TIV 20-29 years, male 11.9
GTEX-11TT1-2526-SM-5EGIB 20-29 years, male 11.8
GTEX-146FH-0126-SM-5QGPP 50-59 years, female 11.8
GTEX-U4B1-1826-SM-4DXSU 40-49 years, male 11.8
GTEX-1I1GP-2226-SM-CGQFK 50-59 years, male 11.8
GTEX-ZVT3-0126-SM-5GU6I 60-69 years, female 11.7
GTEX-1I1GU-2226-SM-CGQFA 40-49 years, male 11.7
GTEX-1IY9M-0126-SM-D3L8S 60-69 years, male 11.7
GTEX-1497J-2426-SM-7IGNX 60-69 years, male 11.6
GTEX-1IGQW-0126-SM-COH42 60-69 years, male 11.6
GTEX-13N11-2526-SM-5K7UE 50-59 years, female 11.5
GTEX-144GN-2326-SM-5LU4F 50-59 years, male 11.5
GTEX-1C6VS-0526-SM-7DUEN 60-69 years, male 11.5
GTEX-13N1W-0126-SM-5K7VT 70-79 years, male 11.4
GTEX-ZVE2-0226-SM-59HJB 50-59 years, male 11.4
GTEX-1C6WA-0126-SM-7PC2B 60-69 years, male 11.4
GTEX-1F75I-0326-SM-9YFLU 40-49 years, male 11.4
GTEX-1LC47-0326-SM-E9TJP 60-69 years, male 11.4
GTEX-1OJC4-0126-SM-E9J2E 50-59 years, female 11.4
GTEX-11ZUS-0626-SM-59885 30-39 years, male 11.3
GTEX-17EVQ-0226-SM-7LG4P 70-79 years, male 11.3
GTEX-QLQ7-1626-SM-2S1R8 60-69 years, male 11.3
GTEX-12WSN-5019-SM-79OM6 40-49 years, male 11.2
GTEX-16XZY-2126-SM-79OK1 70-79 years, male 11.2
GTEX-1GPI6-0126-SM-9WG69 60-69 years, male 11.2
GTEX-1JMOU-1526-SM-CL54I 60-69 years, female 11.2
GTEX-1R9K4-0126-SM-DTX9X 60-69 years, male 11.2
GTEX-12WSA-0226-SM-5BC5V 60-69 years, male 11.0
GTEX-16MT8-0426-SM-7KUEY 60-69 years, female 11.0
GTEX-183WM-0126-SM-7LTAB 70-79 years, female 11.0
GTEX-1A3MW-0126-SM-73KXX 60-69 years, female 11.0
GTEX-X638-0126-SM-47JZ8 70-79 years, female 11.0
GTEX-1H2FU-0126-SM-9WYSI 60-69 years, female 11.0
GTEX-18D9B-0526-SM-7LTAS 60-69 years, male 10.9
GTEX-OXRP-0126-SM-3NB32 60-69 years, female 10.9
GTEX-SSA3-0126-SM-32QPU 60-69 years, male 10.9
GTEX-11ZU8-2526-SM-5EQKI 60-69 years, male 10.8
GTEX-14A6H-0126-SM-5QGPK 30-39 years, male 10.8
GTEX-QLQW-1126-SM-2S1Q8 30-39 years, male 10.8
GTEX-ZDXO-3026-SM-5J1N5 60-69 years, male 10.8
GTEX-11NUK-0126-SM-5A5L3 50-59 years, male 10.7
GTEX-13W46-0226-SM-5SIAG 50-59 years, male 10.7
GTEX-ZZPT-0226-SM-5E43X 50-59 years, male 10.7
GTEX-15SDE-2226-SM-7IGLO 50-59 years, female 10.6
GTEX-OHPM-0126-SM-2YUN9 50-59 years, male 10.6
GTEX-RN64-0126-SM-2TC68 50-59 years, male 10.6
GTEX-17MF6-0126-SM-7LG4F 40-49 years, male 10.5
GTEX-ZYW4-0126-SM-5E44A 60-69 years, male 10.5
GTEX-148VJ-0126-SM-5TDDN 70-79 years, male 10.4
GTEX-R55E-0126-SM-2TC5Y 20-29 years, male 10.4
GTEX-111VG-2426-SM-5GZXD 60-69 years, male 10.3
GTEX-1CAMR-1926-SM-7EPI2 20-29 years, male 10.3
GTEX-XV7Q-2526-SM-4BRV9 40-49 years, female 10.3
GTEX-1PBJI-0526-SM-E8VNK 20-29 years, female 10.3
GTEX-15EOM-0126-SM-7KUGG 20-29 years, female 10.2
GTEX-ZTPG-0326-SM-5O9AX 20-29 years, female 10.2
GTEX-1QW4Y-1526-SM-EAZ3Z 30-39 years, male 10.2
GTEX-11TTK-0126-SM-5987B 60-69 years, female 10.1
GTEX-WOFL-0126-SM-3MJG2 60-69 years, male 10.1
GTEX-1H1ZS-0426-SM-9WG6G 70-79 years, male 10.1
GTEX-13OVJ-0126-SM-5KM36 50-59 years, female 9.9
GTEX-14LLW-0126-SM-6LLIO 70-79 years, female 9.9
GTEX-15D1Q-0126-SM-7KUG6 40-49 years, male 9.9
GTEX-Y3I4-2126-SM-4TT7C 50-59 years, male 9.9
GTEX-1LNCM-1126-SM-E9U5E 50-59 years, female 9.7
GTEX-R45C-0126-SM-EAZ2R 60-69 years, female 9.7
GTEX-1PPH7-2326-SM-EVYB8 40-49 years, male 9.6
GTEX-13CF2-2526-SM-5LZYX 60-69 years, male 9.5
GTEX-15UF6-0826-SM-6PALJ 70-79 years, female 9.5
GTEX-1MCYP-1926-SM-E9J2R 20-29 years, female 9.4
GTEX-146FR-1326-SM-E9J48 60-69 years, female 9.3
GTEX-1AYCT-2426-SM-7IGQ3 50-59 years, male 9.2
GTEX-ZAB4-0226-SM-5N9F5 40-49 years, male 9.2
GTEX-1HGF4-2426-SM-ACKXM 60-69 years, male 9.1
GTEX-1R9PO-2126-SM-E9J4O 60-69 years, female 9.1
GTEX-14JIY-0126-SM-6LLH6 60-69 years, male 9.0
GTEX-X4XY-0226-SM-4E3IZ 60-69 years, male 8.4
GTEX-14E6C-0126-SM-5RQIP 40-49 years, male 8.1
GTEX-1A32A-0126-SM-718B1 50-59 years, female 8.1
GTEX-113IC-0126-SM-5HL6T 60-69 years, male 7.9
GTEX-139T4-0226-SM-5HL5S 50-59 years, female 7.6
GTEX-1HBPH-0426-SM-B2LW5 40-49 years, female 7.6
GTEX-ZUA1-0126-SM-5GU76 40-49 years, male 7.5
GTEX-1RAZQ-0726-SM-EAZ43 30-39 years, male 7.5
GTEX-PLZ4-0126-SM-5SI8O 50-59 years, female 7.3
GTEX-X62O-0126-SM-4E3JN 50-59 years, male 7.3
GTEX-1QP67-1626-SM-EAZ3X 40-49 years, female 7.0
Show allShow less

Contact

  • NEWS ARTICLES
  • PRESS ROOM

The Project

  • INTRODUCTION
  • ORGANIZATION
  • PUBLICATIONS

The Human Protein Atlas

  • DOWNLOADABLE DATA
  • LICENCE & CITATION
  • HELP & FAQ
The Human Protein Atlas project is funded
by the Knut & Alice Wallenberg Foundation.


contact@proteinatlas.org