We use cookies to enhance the usability of our website. If you continue, we'll assume that you are happy to receive all cookies. More information. Don't show this again.
DNAJA1
HPA
RESOURCES
  • TISSUE
  • BRAIN
  • SINGLE CELL
  • SUBCELLULAR
  • CANCER
  • BLOOD
  • CELL LINE
  • STRUCTURE & INTERACTION
ABOUT
  • INTRODUCTION
  • HISTORY
  • ORGANIZATION
  • PUBLICATIONS
  • ANTIBODY SUBMISSION
  • ANTIBODY AVAILABILITY
  • ACKNOWLEDGMENTS
  • CONTACT
NEWS
  • NEWS ARTICLES
  • PRESS ROOM
LEARN
  • DICTIONARY
  • PROTEIN CLASSES
  • PROTEIN EVIDENCE
  • METHODS
  • EDUCATIONAL VIDEOS
DATA
  • DOWNLOADABLE DATA
  • PUBLICATION DATA
  • RELEASE HISTORY
HELP
  • ANTIBODY VALIDATION
  • ASSAYS & ANNOTATION
  • DISCLAIMER
  • HELP & FAQ
  • PRIVACY STATEMENT
  • LICENCE & CITATION
Fields »
Search result

Field
Term
Gene name
Class
Subclass
Class
Keyword
Chromosome
External id
Tissue
Cell type
Expression
Antibody panel
Tissue
Main location
Patient ID
Annotation
Tissue
Category
Tau score
Cluster
Reliability
Brain region
Category
Tau score
Brain region
Category
Tau score
Brain region
Category
Tau score
Cluster
Reliability
Tissue
Cell type
Enrichment
Cell type
Category
Tau score
Cell type
Category
Tau score
Cell type
Category
Tau score
Cell lineage
Category
Tau score
Cluster
Cluster
Location
Searches
Location
Cell line
Class
Type
Phase
Reliability
Cancer
Prognosis
Cancer
Category
Cancer
Category
Tau score
Cluster
Variants
Interacting gene (ensg_id)
Type
Number of interactions
Pathway
Category
Score
Score
Score
Validation
Validation
Validation
Validation
Antibodies
Data type
Column


  • SUMMARY

  • TISSUE

  • BRAIN

  • SINGLE CELL

  • SUBCELL

  • CANCER

  • BLOOD

  • CELL LINE

  • STRUCT & INT

  • DNAJA1
TISSUE PRIMARY DATA THYROID GLAND Show tissue menu
ADIPOSE TISSUE ADRENAL GLAND AMYGDALA APPENDIX BASAL GANGLIA BONE MARROW BREAST BRONCHUS CEREBELLUM CEREBRAL CORTEX CERVIX CHOROID PLEXUS COLON DUODENUM
ENDOMETRIUM EPIDIDYMIS ESOPHAGUS FALLOPIAN TUBE GALLBLADDER HEART MUSCLE HIPPOCAMPAL FORMATION HYPOTHALAMUS KIDNEY LIVER LUNG LYMPH NODE MIDBRAIN ORAL MUCOSA
OVARY PANCREAS PARATHYROID GLAND PITUITARY GLAND PLACENTA PROSTATE RECTUM RETINA SALIVARY GLAND SEMINAL VESICLE SKELETAL MUSCLE SKIN SMALL INTESTINE SMOOTH MUSCLE
SOFT TISSUE SPINAL CORD SPLEEN STOMACH TESTIS THYMUS THYROID GLAND TONGUE TONSIL URINARY BLADDER VAGINA
ANTIBODIES
AND
VALIDATION
Dictionary
Thyroid gland
Tissue proteome
Thyroid gland
THYROID GLAND - Expression summary
Protein expression
Thyroid glandi

On the top, protein expression in current human tissue, based on all annotated cell types, is reported with the units not detected (n), low (l), medium (m) and high (h). Underneath, protein expression in each annotated cell type are reported using the same units.

Protein expression data is based on knowledge-based annotation. For genes where more than one antibody has been used, a collective score is set.

If knowledge-based annotation could not be performed for a gene, no data is displayed here. View antibody staining data further down this page.

h
m
l
n
Glandular cells: High
RNA expressioni

A summary of mRNA expression data available for current tissue based on several datasets. The mRNA expression levels in human tissues are based on RNA-seq data generated by the Human Protein Atlas (HPA), Genotype-Tissue Expression (GTEx) portal and CAGE data generated by the FANTOM5 consortium. Consensus normalized expression levels for human tissues was created by combining the data from HPA and GTEx datasets.

The mRNA expression levels in pig are based on RNA-seq data generated by the Human Protein Atlas (HPA), and for mouse, HPA data and in situ hybridization generated by the Allen brain atlas are reported.

Scroll down to view mRNA expression data in more detail.
Consensus:64.0 nTPM
HPA:64.0 nTPM
GTEx:59.7 nTPM
FANTOM5:421.4 Scaled Tags Per Million

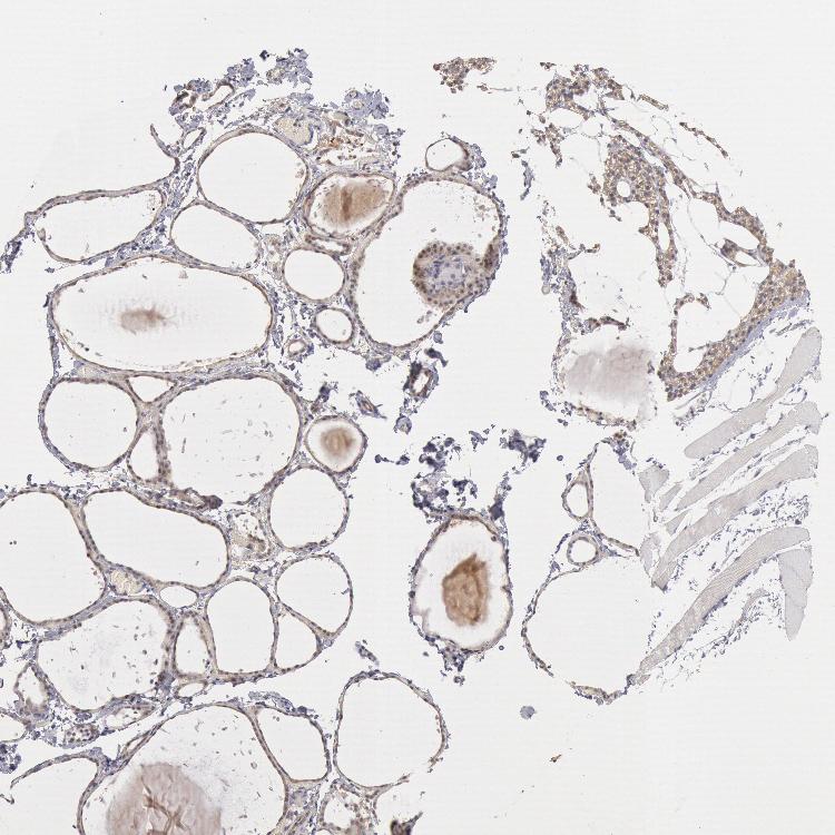
THYROID GLAND - Antibody stainingi

Antibody staining in the annotated cell types in the current human tissue is reported as not detected, low, medium, or high, based on conventional immunohistochemistry profiling in selected tissues. This score is based on the combination of the staining intensity and fraction of stained cells.

Each image is clickable and will lead to virtual microscopy that enables deeper exploration of all samples and also displays staining intensity scores, fraction scores and subcellular localization as well as patient and tissue information for each sample.

Antibody HPA001306Antibody CAB033665
Glandular cells MediumHigh





THYROID GLAND - HPA RNA-seqi

The RNA-seq details section shows detailed information about the individual samples used for the transcript profiling and results of the RNA-seq analysis.

Information about each individual sample is listed below, including gender, age, a tissue section image and estimated fractions of cell types. nTPM (normalized transcripts per million) values give a quantification of the gene abundance which is comparable between different genes and samples.
Average nTPMi

Max subtype nTPM is the value for the subtype with the largest average nTPM across the subtype samples.

64.0
overview
Female, age 20
Thyroid gland sample 249
nTPM: 58.4
Cell types%
Glandular cells:
70

Endothelial cells:
20

Other cell types:
10

overview
Female, age 55
Thyroid gland sample 250
nTPM: 50.8
Cell types%
Glandular cells:
70

Endothelial cells:
20

Other cell types:
10

overview
Female, age 58
Thyroid gland sample 251
nTPM: 52.4
Cell types%
Glandular cells:
70

Endothelial cells:
15

Other cell types:
15

overview
Female, age 48
Thyroid gland sample 252
nTPM: 79
Cell types%
Glandular cells:
70

Endothelial cells:
20

Other cell types:
10

overview
Male, age 21
Thyroid gland sample 363
nTPM: 79.5
Cell types%
Glandular cells:
75

Endothelial cells:
10

Other cell types:
15


THYROID GLAND - GTEx RNA-seqi

RNA-Seq data generated by the Genotype-Tissue Expression (GTEx) project from human tissues is reported as mean nTPM. More information can be found on the GTEx portal.

Distribution across the dataset is visualized with box plots, shown as median and 25th and 75th percentiles. Points are displayed as outliers if they are above or below 1.5 times the interquartile range. nTPM values of the individual samples are presented next to the box plot.
Max subtype nTPMi

Max subtype nTPM is the value for the subtype with the largest average nTPM across the subtype samples.

59.7
GTEx sample id Sample description nTPM
Thyroid
Average nTPM: 59.7
Samples: 653

Max nTPM: 499.6
Min nTPM: 21.4
Std nTPM: 42.4
Median nTPM: 50.8
GTEX-15DDE-0626-SM-69LOK 50-59 years, female 499.6
GTEX-OXRO-1226-SM-48TDL 60-69 years, female 495.1
GTEX-13PDP-1026-SM-5L3FA 60-69 years, male 422.2
GTEX-145MI-1126-SM-5O9AK 60-69 years, female 350.4
GTEX-13IVO-0926-SM-5KLZP 70-79 years, male 309.6
GTEX-11EQ8-0826-SM-5N9FG 60-69 years, male 288.5
GTEX-13NZ8-0226-SM-5J2OK 60-69 years, female 276.9
GTEX-1399T-0126-SM-5KM15 60-69 years, male 270.8
GTEX-132AR-1126-SM-5P9GA 50-59 years, female 237.6
GTEX-ZYFD-0826-SM-5NQ9A 50-59 years, male 237.4
GTEX-1GN1V-0626-SM-7P8QU 60-69 years, male 221.8
GTEX-1IKOH-0626-SM-CJI35 60-69 years, female 195.1
GTEX-12WSH-0226-SM-5GCOG 50-59 years, male 160.6
GTEX-OXRN-1526-SM-E6CHM 50-59 years, male 157.8
GTEX-WWYW-0826-SM-3NB2X 50-59 years, female 141.5
GTEX-Q734-0526-SM-2I3EH 40-49 years, female 141.4
GTEX-131XE-0126-SM-5LZVC 50-59 years, male 138.9
GTEX-15G19-0626-SM-6M474 60-69 years, male 137.1
GTEX-RN5K-2826-SM-EZ6L3 50-59 years, female 135.6
GTEX-P44G-0626-SM-2I5EO 30-39 years, male 129.8
GTEX-1GF9W-0626-SM-7MXVJ 60-69 years, male 127.6
GTEX-1H1DG-0726-SM-A96TN 70-79 years, male 124.0
GTEX-ZAJG-0726-SM-5HL9A 50-59 years, female 121.4
GTEX-17F9Y-0526-SM-7EWDC 70-79 years, female 119.3
GTEX-13S86-1126-SM-5RQJX 40-49 years, male 116.8
GTEX-QEG5-0826-SM-2I5GF 20-29 years, male 116.6
GTEX-ZTPG-0826-SM-5DUVC 20-29 years, female 115.9
GTEX-1H2FU-0626-SM-9WPPS 60-69 years, female 113.7
GTEX-RUSQ-1026-SM-2TF6V 50-59 years, male 112.5
GTEX-15RIF-0326-SM-7KUFR 20-29 years, male 110.5
GTEX-13FLW-0326-SM-5J2M4 50-59 years, male 101.9
GTEX-R53T-0526-SM-3GADL 50-59 years, female 101.5
GTEX-1I1GP-0326-SM-CNPQ4 50-59 years, male 100.5
GTEX-1H1DF-1026-SM-9QEJ1 40-49 years, female 100.2
GTEX-XV7Q-0326-SM-4BRVM 40-49 years, female 99.8
GTEX-11DYG-0826-SM-5N9GH 60-69 years, male 99.7
GTEX-144GM-0226-SM-5Q5CB 20-29 years, male 98.2
GTEX-ZF28-0826-SM-4WKGJ 60-69 years, male 96.3
GTEX-11EMC-0226-SM-5EGLP 60-69 years, female 95.6
GTEX-1F6IF-1126-SM-9KNV2 60-69 years, male 95.0
GTEX-1HSMO-0726-SM-A96TM 60-69 years, male 94.9
GTEX-OXRK-0626-SM-2HMJ5 50-59 years, female 94.4
GTEX-ZY6K-0226-SM-5SIAY 50-59 years, male 93.3
GTEX-1NV5F-0726-SM-DTXEH 60-69 years, female 92.0
GTEX-VUSG-0426-SM-3GIKD 50-59 years, male 91.2
GTEX-1269C-0226-SM-5EGKS 60-69 years, female 90.7
GTEX-ZDTS-0926-SM-5YY9D 60-69 years, male 90.5
GTEX-13PL6-1026-SM-5L3E5 40-49 years, female 90.0
GTEX-11O72-2326-SM-5BC7H 40-49 years, male 89.1
GTEX-1IE54-0926-SM-A9G2Y 40-49 years, female 88.5
GTEX-1KD5A-0426-SM-D4P3X 50-59 years, male 87.5
GTEX-1CB4J-1426-SM-7MKFR 60-69 years, male 87.0
GTEX-14A5H-0726-SM-5Q5DW 60-69 years, male 86.7
GTEX-139TS-0126-SM-5K7XJ 60-69 years, male 86.4
GTEX-111CU-0226-SM-5GZXC 50-59 years, male 85.7
GTEX-1RAZR-1126-SM-E6CRC 40-49 years, male 85.7
GTEX-139YR-1226-SM-5IFEU 50-59 years, male 85.2
GTEX-1HSMQ-0526-SM-A96TY 50-59 years, male 85.2
GTEX-14PK6-0426-SM-6EU1J 70-79 years, female 84.9
GTEX-VJYA-0426-SM-3GIJK 60-69 years, male 84.7
GTEX-X261-0726-SM-EZ6MH 50-59 years, male 84.7
GTEX-1GMR8-0826-SM-9KNUR 50-59 years, female 84.5
GTEX-183WM-2626-SM-7KFRY 70-79 years, female 84.2
GTEX-11GS4-0826-SM-5986J 60-69 years, male 83.6
GTEX-1B8KZ-0426-SM-731DP 50-59 years, male 83.4
GTEX-1HCU9-0226-SM-9WPNT 20-29 years, male 83.1
GTEX-Q2AI-0326-SM-2I3EK 40-49 years, male 82.9
GTEX-1HR98-0326-SM-CGQEL 60-69 years, male 82.6
GTEX-13FTY-0726-SM-5J2OH 40-49 years, female 82.2
GTEX-XYKS-0826-SM-4BRVF 60-69 years, female 82.1
GTEX-O5YV-1526-SM-EV799 60-69 years, female 82.0
GTEX-QLQ7-0726-SM-2I5G2 60-69 years, male 81.9
GTEX-1HCU7-0826-SM-B2LX7 50-59 years, male 81.2
GTEX-1HUB1-1226-SM-B2LWX 60-69 years, male 81.2
GTEX-OXRP-0326-SM-33HBJ 60-69 years, female 80.3
GTEX-12ZZZ-1226-SM-59HK1 60-69 years, male 80.2
GTEX-13NYC-2426-SM-5MR3K 60-69 years, male 79.8
GTEX-XGQ4-0426-SM-4AT4I 50-59 years, male 79.8
GTEX-12ZZX-1226-SM-5EGHS 40-49 years, female 77.5
GTEX-1M4P7-0626-SM-EVR51 60-69 years, male 76.2
GTEX-11DZ1-2726-SM-5A5KH 50-59 years, male 75.5
GTEX-WYVS-0326-SM-3NM9V 40-49 years, female 75.4
GTEX-178AV-0726-SM-6LPJI 40-49 years, male 75.2
GTEX-13OVK-0226-SM-6M472 40-49 years, male 75.1
GTEX-1OJC4-0526-SM-E6CQV 50-59 years, female 74.6
GTEX-SJXC-0726-SM-2XCFJ 60-69 years, male 74.0
GTEX-13OW5-0626-SM-5J2N2 60-69 years, male 73.9
GTEX-P4QS-2626-SM-2I3EV 60-69 years, male 73.9
GTEX-1S5ZU-0726-SM-EWROH 20-29 years, female 73.9
GTEX-ZXG5-0926-SM-5NQ8H 60-69 years, male 73.6
GTEX-1QP66-0326-SM-DTX7V 50-59 years, male 73.3
GTEX-113JC-0126-SM-5EGJW 50-59 years, female 73.1
GTEX-13D11-0226-SM-5LZXL 50-59 years, female 73.0
GTEX-14C39-0226-SM-5TDDW 40-49 years, male 73.0
GTEX-13NYB-0726-SM-5MR4J 40-49 years, male 72.4
GTEX-1QAET-0226-SM-EVR3T 50-59 years, male 72.4
GTEX-11OF3-0626-SM-5BC4Y 60-69 years, male 72.1
GTEX-17HG3-0226-SM-7EWEA 30-39 years, female 71.8
GTEX-1B932-0926-SM-73KUP 40-49 years, female 71.6
GTEX-11DXX-0226-SM-5P9HL 60-69 years, female 70.9
GTEX-1F75B-0826-SM-9QEIT 50-59 years, male 70.7
GTEX-13FXS-0726-SM-5LZXJ 50-59 years, male 70.6
GTEX-Y5V6-0526-SM-4VBRV 60-69 years, male 70.5
GTEX-13VXU-0826-SM-5KLZ2 50-59 years, male 70.4
GTEX-13NZ9-1126-SM-5MR37 50-59 years, male 70.2
GTEX-17F97-0626-SM-7IGOH 50-59 years, male 69.9
GTEX-RU72-0126-SM-2TF6Z 50-59 years, female 69.7
GTEX-QEL4-0726-SM-3GIJ5 50-59 years, male 69.6
GTEX-146FR-0326-SM-5SI8U 60-69 years, female 69.5
GTEX-1IDJH-0826-SM-CE6SY 70-79 years, male 69.5
GTEX-WHSE-0626-SM-4RGNF 20-29 years, male 69.4
GTEX-1GMR3-0726-SM-9WPOF 40-49 years, male 69.4
GTEX-14C38-0826-SM-5S2U8 50-59 years, male 69.3
GTEX-17HII-1926-SM-79OLB 50-59 years, male 69.3
GTEX-1EX96-0126-SM-9KNVH 50-59 years, male 69.0
GTEX-1KXAM-1726-SM-D3LAE 60-69 years, male 69.0
GTEX-1MJK2-0826-SM-DTXE8 50-59 years, male 69.0
GTEX-YFC4-2626-SM-5P9FQ 40-49 years, female 68.9
GTEX-18A66-0826-SM-72D5Z 60-69 years, male 68.8
GTEX-1F5PL-0826-SM-7MXU7 40-49 years, female 68.7
GTEX-1GZ2Q-0826-SM-7P8TK 40-49 years, male 68.5
GTEX-11TT1-1126-SM-5P9GV 20-29 years, male 68.3
GTEX-1AYCT-0226-SM-73KVB 50-59 years, male 68.0
GTEX-1LB8K-0626-SM-D4P3Z 50-59 years, male 67.7
GTEX-XXEK-1326-SM-4BRV1 50-59 years, male 67.3
GTEX-QV44-0826-SM-2S1RG 50-59 years, male 67.1
GTEX-1GF9V-0926-SM-9KNW7 60-69 years, male 67.0
GTEX-1K9T9-0826-SM-EAZ4X 50-59 years, female 67.0
GTEX-1KANC-0826-SM-D3LA8 50-59 years, female 66.7
GTEX-145MG-0826-SM-5Q5C2 50-59 years, male 66.6
GTEX-1O97I-1026-SM-E76PI 60-69 years, male 66.5
GTEX-1FIGZ-0226-SM-7P8QR 40-49 years, male 66.4
GTEX-WVLH-0626-SM-3MJG7 50-59 years, male 66.3
GTEX-1RQEC-1026-SM-EVR5B 60-69 years, male 66.2
GTEX-ZV7C-0126-SM-57WDE 50-59 years, male 66.0
GTEX-1HB9E-0826-SM-CNNQJ 50-59 years, male 65.9
GTEX-11I78-0526-SM-5986A 50-59 years, female 65.8
GTEX-11UD2-0626-SM-5GU6L 50-59 years, male 65.8
GTEX-S32W-0726-SM-2XCBL 50-59 years, female 65.8
GTEX-ZAB5-0726-SM-5P9JG 50-59 years, male 65.8
GTEX-14ABY-0926-SM-5Q5DY 50-59 years, male 65.7
GTEX-P4QT-2626-SM-2I3FM 50-59 years, female 65.7
GTEX-1I6K7-1126-SM-A96SW 40-49 years, male 65.5
GTEX-1B8SF-0626-SM-73KVV 60-69 years, male 65.1
GTEX-R55E-0826-SM-2TC5M 20-29 years, male 65.1
GTEX-13O1R-0826-SM-5J2MB 60-69 years, male 64.8
GTEX-14XAO-0426-SM-6AJB6 60-69 years, female 64.5
GTEX-1F52S-0526-SM-7P8TP 60-69 years, female 64.3
GTEX-147GR-0726-SM-5S2PL 60-69 years, male 64.1
GTEX-12WSL-0626-SM-5GCOY 50-59 years, male 64.0
GTEX-U3ZN-0326-SM-3DB86 30-39 years, female 64.0
GTEX-15CHQ-0826-SM-69LOT 60-69 years, male 63.9
GTEX-14ASI-0726-SM-5Q5DC 60-69 years, male 63.8
GTEX-13O3P-0726-SM-5J2OM 50-59 years, male 63.7
GTEX-Q2AG-0826-SM-2HMKF 40-49 years, female 63.6
GTEX-15SHV-0426-SM-6M476 60-69 years, male 63.5
GTEX-1QP9N-0126-SM-DPRZS 30-39 years, male 62.8
GTEX-1399R-0126-SM-5IFEV 30-39 years, male 62.7
GTEX-UJMC-0326-SM-3GAE2 50-59 years, male 62.6
GTEX-1RMOY-0126-SM-EWRNN 50-59 years, male 62.6
GTEX-1EN7A-1026-SM-7IGPZ 40-49 years, male 62.5
GTEX-1QP28-0626-SM-E76P5 50-59 years, female 62.5
GTEX-15EO6-0126-SM-6LPKJ 50-59 years, male 62.4
GTEX-15SB6-1526-SM-7KUMQ 50-59 years, female 62.3
GTEX-169BO-0326-SM-7EPIM 50-59 years, male 62.3
GTEX-POYW-0826-SM-2XCEM 60-69 years, male 62.3
GTEX-ZT9X-0226-SM-51MT2 40-49 years, male 62.3
GTEX-17KNJ-1026-SM-79ONK 50-59 years, male 62.2
GTEX-139UW-0126-SM-5KM1B 60-69 years, male 61.6
GTEX-16AAH-0326-SM-7DHML 50-59 years, male 61.6
GTEX-1JJE9-0226-SM-CY8HU 70-79 years, male 61.6
GTEX-X4XX-0926-SM-46MV7 60-69 years, male 61.5
GTEX-XUZC-0126-SM-4BOO6 30-39 years, female 61.5
GTEX-1EWIQ-0826-SM-7MXTH 70-79 years, female 61.5
GTEX-13N2G-0726-SM-5MR38 60-69 years, male 61.3
GTEX-YF7O-0726-SM-4W213 50-59 years, male 61.3
GTEX-ZYFC-0926-SM-5GZWW 50-59 years, male 61.1
GTEX-WFG7-0326-SM-DKPO8 20-29 years, male 61.0
GTEX-V955-0426-SM-3GAEL 60-69 years, male 60.9
GTEX-1211K-0726-SM-5FQUW 60-69 years, female 60.8
GTEX-P78B-0526-SM-2I5F7 40-49 years, female 60.5
GTEX-1PPGY-1426-SM-EVR3R 60-69 years, male 60.5
GTEX-11DXY-0426-SM-5H12R 60-69 years, male 60.4
GTEX-13FTW-0626-SM-5IFEX 40-49 years, male 60.4
GTEX-13W46-0926-SM-5LU3T 50-59 years, male 60.4
GTEX-TKQ1-0126-SM-33HB3 30-39 years, male 60.4
GTEX-1H3VE-0826-SM-9KNVQ 40-49 years, male 60.4
GTEX-17HGU-0826-SM-7EWE5 50-59 years, male 60.3
GTEX-OHPL-2626-SM-2HMJA 60-69 years, female 60.3
GTEX-ZTSS-0226-SM-59877 40-49 years, male 60.3
GTEX-14PJ4-0326-SM-664OT 60-69 years, male 60.2
GTEX-13OW8-0126-SM-5IJE5 60-69 years, male 60.0
GTEX-ZPCL-0126-SM-4WWC8 60-69 years, female 60.0
GTEX-1IDJU-1626-SM-CJI4B 60-69 years, female 60.0
GTEX-16GPK-0926-SM-6LPJ9 60-69 years, male 59.9
GTEX-1GF9X-0126-SM-A9G38 40-49 years, female 59.8
GTEX-1LGRB-1226-SM-CNNPS 50-59 years, female 59.8
GTEX-15RIE-0426-SM-7KUMH 60-69 years, male 59.6
GTEX-1JK1U-0326-SM-CXZJH 60-69 years, male 59.6
GTEX-N7MS-2326-SM-2HMLD 60-69 years, male 59.4
GTEX-XUW1-1026-SM-4BONY 50-59 years, female 59.3
GTEX-Z9EW-0226-SM-5CVM7 40-49 years, male 59.3
GTEX-17F9E-0626-SM-79ON5 50-59 years, male 59.2
GTEX-TMMY-0826-SM-33HB9 40-49 years, female 59.2
GTEX-1LBAC-0726-SM-D3L9U 20-29 years, male 59.2
GTEX-12696-0326-SM-5EGL4 60-69 years, male 59.1
GTEX-14JIY-1226-SM-6871R 60-69 years, male 59.0
GTEX-1LSVX-0726-SM-E9TJG 60-69 years, male 58.9
GTEX-11NSD-0126-SM-5987F 20-29 years, male 58.7
GTEX-ZLWG-0526-SM-4WWFB 50-59 years, female 58.7
GTEX-17GQL-0226-SM-7LTAK 60-69 years, male 58.7
GTEX-1O9I2-1226-SM-E6CQC 50-59 years, male 58.7
GTEX-16XZZ-0826-SM-7IGM3 60-69 years, male 58.6
GTEX-1K2DA-1526-SM-CGQGQ 50-59 years, male 58.6
GTEX-117XS-0526-SM-5987Q 60-69 years, male 58.3
GTEX-1KD4Q-1026-SM-CXZKJ 40-49 years, male 58.3
GTEX-1C6VS-0826-SM-7EWEI 60-69 years, male 58.1
GTEX-U4B1-0626-SM-3DB8L 40-49 years, male 58.1
GTEX-1GZ4H-0226-SM-9JGGJ 50-59 years, female 58.1
GTEX-1HBPI-0826-SM-9WYTX 50-59 years, male 57.9
GTEX-1I1GQ-0826-SM-CNNQR 50-59 years, male 57.9
GTEX-14BIN-0126-SM-5TDCG 50-59 years, female 57.8
GTEX-RU1J-0226-SM-2TF5Y 20-29 years, female 57.8
GTEX-U3ZH-0226-SM-3DB7B 30-39 years, male 57.6
GTEX-QV31-0726-SM-3GAEG 30-39 years, male 57.4
GTEX-15CHR-1726-SM-7DUGW 50-59 years, male 57.3
GTEX-13FH7-0126-SM-5KLZ1 50-59 years, female 57.2
GTEX-R55C-0626-SM-2TF4Q 40-49 years, male 57.2
GTEX-ZE7O-1126-SM-57WC8 50-59 years, female 57.1
GTEX-18A6Q-0726-SM-7LT8Y 60-69 years, male 56.9
GTEX-YEC4-0626-SM-5CVLU 40-49 years, male 56.7
GTEX-146FQ-0726-SM-5LUA7 30-39 years, male 56.6
GTEX-14PQA-1226-SM-6M47A 50-59 years, female 56.5
GTEX-WEY5-0526-SM-3GIKZ 40-49 years, female 56.5
GTEX-1E1VI-0726-SM-7P8QJ 50-59 years, male 56.3
GTEX-1IGQW-0626-SM-C1YR9 60-69 years, male 56.3
GTEX-1RAZS-1026-SM-E9TID 50-59 years, male 56.3
GTEX-15G1A-0326-SM-6M467 30-39 years, male 56.2
GTEX-1F75A-0326-SM-7MXTR 50-59 years, male 56.2
GTEX-1IL2U-0826-SM-CL53Q 60-69 years, male 56.2
GTEX-1H11D-0626-SM-9WPQ1 40-49 years, male 56.1
GTEX-1QEPI-0726-SM-E76QG 60-69 years, female 56.1
GTEX-1R9PM-0226-SM-DPRY7 20-29 years, male 56.1
GTEX-13111-0226-SM-5EQ55 50-59 years, male 56.0
GTEX-15UF6-1126-SM-6LPJ3 70-79 years, female 56.0
GTEX-WK11-0926-SM-3NMAU 50-59 years, male 56.0
GTEX-1I19N-0226-SM-CE6ST 70-79 years, male 56.0
GTEX-1JKYN-1126-SM-CGQG5 30-39 years, male 56.0
GTEX-111YS-0726-SM-5GZY8 60-69 years, male 55.9
GTEX-WHPG-0226-SM-3NMB9 50-59 years, male 55.8
GTEX-11NV4-0626-SM-5N9BR 60-69 years, male 55.7
GTEX-W5WG-1426-SM-4KKZP 50-59 years, female 55.7
GTEX-1B933-1026-SM-7P8RO 50-59 years, female 55.7
GTEX-1R9JW-0226-SM-EVR4K 30-39 years, female 55.7
GTEX-14PN3-0826-SM-69LOS 60-69 years, female 55.6
GTEX-OIZF-2626-SM-7P8QZ 60-69 years, male 55.6
GTEX-14JG6-1326-SM-9OSXU 30-39 years, female 55.4
GTEX-1AX8Z-0826-SM-7DUFZ 60-69 years, male 55.3
GTEX-1PIIG-2026-SM-EVR43 30-39 years, male 55.3
GTEX-1212Z-0426-SM-5FQT6 60-69 years, male 55.2
GTEX-U412-0726-SM-EVR2Y 60-69 years, male 55.1
GTEX-1CB4F-0826-SM-793CV 60-69 years, male 54.9
GTEX-1HBPH-0926-SM-A9SME 40-49 years, female 54.9
GTEX-13CF3-0926-SM-5LZZC 60-69 years, female 54.8
GTEX-1497J-0126-SM-5Q5BK 60-69 years, male 54.7
GTEX-Y5V5-0326-SM-5RQJG 60-69 years, female 54.7
GTEX-ZT9W-0226-SM-7SB6H 50-59 years, male 54.7
GTEX-14PJ3-0126-SM-69LQP 50-59 years, male 54.5
GTEX-1AMFI-0526-SM-7189M 50-59 years, female 54.5
GTEX-14PJ6-0326-SM-6871H 60-69 years, female 54.4
GTEX-1LVAN-0726-SM-CNNPF 50-59 years, female 54.4
GTEX-14DAQ-0826-SM-73KWT 60-69 years, female 54.3
GTEX-11GSP-0126-SM-5A5KU 60-69 years, female 54.1
GTEX-11TUW-0226-SM-5LU8X 60-69 years, male 54.1
GTEX-13OW6-0726-SM-5L3FX 50-59 years, male 54.1
GTEX-YB5E-0626-SM-4VDSE 40-49 years, male 54.1
GTEX-17HHY-0826-SM-7EPID 50-59 years, male 54.0
GTEX-PX3G-2626-SM-2I3EG 20-29 years, female 54.0
GTEX-1QP2A-0626-SM-DTX9C 50-59 years, male 54.0
GTEX-1R9K5-0726-SM-EAZ4E 50-59 years, male 54.0
GTEX-Y111-1926-SM-4SOIS 50-59 years, male 53.9
GTEX-1JMQL-0926-SM-CJI3F 50-59 years, female 53.9
GTEX-131XG-0226-SM-5IFG1 50-59 years, female 53.8
GTEX-1BAJH-0926-SM-79OO6 70-79 years, male 53.8
GTEX-1RAZA-0826-SM-EAZ4I 20-29 years, male 53.8
GTEX-YFCO-0326-SM-4W1ZP 40-49 years, male 53.7
GTEX-145ME-0126-SM-5S2QM 40-49 years, female 53.6
GTEX-YB5K-0526-SM-5LUAS 40-49 years, female 53.2
GTEX-1F88F-0726-SM-7P8R7 60-69 years, female 53.2
GTEX-U3ZM-0126-SM-3DB8M 40-49 years, male 53.1
GTEX-1R46S-0426-SM-EVR48 60-69 years, female 53.1
GTEX-1QP67-0326-SM-EVR45 40-49 years, female 53.0
GTEX-X15G-0526-SM-3NMB7 50-59 years, female 52.9
GTEX-1HT8W-1526-SM-CE6S3 30-39 years, male 52.9
GTEX-1HR9M-0626-SM-A96S6 60-69 years, male 52.8
GTEX-12WSE-1226-SM-73KUF 20-29 years, male 52.7
GTEX-13O61-0226-SM-5KM52 60-69 years, male 52.6
GTEX-11P82-0226-SM-5HL4O 20-29 years, male 52.5
GTEX-1ICLY-0726-SM-A96TB 50-59 years, male 52.5
GTEX-1HSEH-0826-SM-B2LXE 60-69 years, male 52.4
GTEX-1MCC2-0526-SM-DHXJS 30-39 years, female 52.4
GTEX-OHPM-2626-SM-33HC5 50-59 years, male 52.3
GTEX-T8EM-0226-SM-3DB7C 40-49 years, male 52.3
GTEX-11ZVC-0126-SM-5986G 50-59 years, female 52.0
GTEX-1A8G7-1026-SM-73KVA 60-69 years, male 52.0
GTEX-1I1GU-0826-SM-ARZM5 40-49 years, male 52.0
GTEX-1KAFJ-0426-SM-DHXJH 50-59 years, male 52.0
GTEX-145MH-0426-SM-5LU8T 50-59 years, male 51.9
GTEX-1B97J-0626-SM-7P8RU 50-59 years, female 51.9
GTEX-1GN73-0826-SM-9OSW4 60-69 years, male 51.9
GTEX-1MA7X-0926-SM-DIPEJ 60-69 years, male 51.9
GTEX-ZC5H-0626-SM-5LU9K 40-49 years, female 51.8
GTEX-1PBJI-0726-SM-EXUSQ 20-29 years, female 51.8
GTEX-ZYVF-1126-SM-5E458 50-59 years, female 51.7
GTEX-1GF9U-0226-SM-7P8TY 40-49 years, female 51.6
GTEX-1AMEY-0126-SM-73KTX 30-39 years, female 51.5
GTEX-XMK1-0626-SM-4B65A 40-49 years, male 51.5
GTEX-1LVAM-0826-SM-EV79X 50-59 years, female 51.4
GTEX-13N11-1026-SM-5K7XQ 50-59 years, female 51.3
GTEX-131XF-1826-SM-5EGKG 60-69 years, male 51.2
GTEX-11ZTS-1126-SM-5LU9X 60-69 years, female 51.1
GTEX-12ZZY-0826-SM-5EQMT 60-69 years, male 51.1
GTEX-1I1GT-0826-SM-B2LWO 60-69 years, female 51.0
GTEX-16Z82-0426-SM-7EPGX 60-69 years, male 50.9
GTEX-T2IS-0626-SM-32QP6 20-29 years, female 50.9
GTEX-ZVZP-1026-SM-5GICI 50-59 years, male 50.9
GTEX-132QS-0326-SM-5IJFN 60-69 years, male 50.8
GTEX-WYJK-1626-SM-3NM9J 50-59 years, male 50.8
GTEX-14PN4-1526-SM-6871V 50-59 years, male 50.7
GTEX-1GPI7-0726-SM-9WG84 20-29 years, male 50.6
GTEX-14B4R-0126-SM-5TDE4 30-39 years, male 50.5
GTEX-TSE9-0626-SM-3DB8B 60-69 years, female 50.5
GTEX-1LGOU-0126-SM-EV79W 20-29 years, female 50.5
GTEX-Y5LM-0626-SM-4V6G4 40-49 years, female 50.4
GTEX-183FY-0626-SM-79OKR 20-29 years, male 50.3
GTEX-ZVP2-0426-SM-57WC2 50-59 years, male 50.3
GTEX-1HKZK-0826-SM-A9G2C 40-49 years, male 50.3
GTEX-1J8Q3-0226-SM-C1YR4 60-69 years, male 50.2
GTEX-131XH-0526-SM-5DUX7 50-59 years, male 50.1
GTEX-14PKU-0326-SM-6AJA7 40-49 years, female 50.1
GTEX-16BQI-0726-SM-6LPJZ 30-39 years, female 50.0
GTEX-PWN1-2626-SM-2I3FH 40-49 years, female 50.0
GTEX-1CAMR-0226-SM-7DUGO 20-29 years, male 49.9
GTEX-1GL5R-0626-SM-7PBZY 50-59 years, male 49.9
GTEX-S341-0226-SM-D4P1Y 40-49 years, female 49.9
GTEX-OHPK-2626-SM-2HMK9 50-59 years, female 49.8
GTEX-ZZ64-0126-SM-5GZXA 20-29 years, male 49.8
GTEX-1H1E6-0326-SM-9OSWE 30-39 years, male 49.8
GTEX-1I1GV-0726-SM-ARZLY 60-69 years, male 49.8
GTEX-14E6E-0326-SM-73KY6 30-39 years, male 49.7
GTEX-16MTA-0726-SM-7KUL4 50-59 years, male 49.7
GTEX-111FC-1026-SM-5GZX1 60-69 years, male 49.6
GTEX-117YX-1226-SM-5H11S 50-59 years, male 49.6
GTEX-1C4CL-0726-SM-7IGP9 30-39 years, male 49.6
GTEX-P4PQ-2626-SM-33HC9 60-69 years, male 49.5
GTEX-1CB4E-0326-SM-7MXT3 60-69 years, male 49.5
GTEX-1313W-0726-SM-5EGK1 50-59 years, female 49.3
GTEX-1QP6S-2526-SM-DTX9Z 40-49 years, male 49.2
GTEX-1CB4I-0726-SM-7DUGS 50-59 years, male 49.1
GTEX-144GO-0126-SM-5LUAO 60-69 years, male 49.0
GTEX-1HFI7-0326-SM-9WPOX 50-59 years, female 49.0
GTEX-1J8JJ-0726-SM-AHZ3E 60-69 years, female 49.0
GTEX-16NGA-0326-SM-718AJ 40-49 years, female 48.9
GTEX-1AX9K-0626-SM-73KVD 50-59 years, male 48.9
GTEX-Q2AH-0726-SM-2I3EA 40-49 years, male 48.9
GTEX-ZTX8-0626-SM-59HKC 20-29 years, male 48.9
GTEX-R3RS-0726-SM-3GIJR 40-49 years, female 48.8
GTEX-1QW4Y-0226-SM-EAZ3U 30-39 years, male 48.8
GTEX-1B8KE-0626-SM-7189H 50-59 years, male 48.7
GTEX-YJ89-0726-SM-5P9F7 60-69 years, male 48.7
GTEX-1128S-0126-SM-5H12S 60-69 years, female 48.6
GTEX-14ICL-0426-SM-5RQJ3 30-39 years, male 48.6
GTEX-1ICLZ-0526-SM-ARZM8 60-69 years, male 48.5
GTEX-WYBS-1926-SM-3NM8N 60-69 years, female 48.4
GTEX-13112-0326-SM-5P9IW 50-59 years, male 48.3
GTEX-1CAMQ-1126-SM-7EWFE 40-49 years, male 48.2
GTEX-11EQ9-0626-SM-5A5K1 30-39 years, male 48.1
GTEX-12WSN-0726-SM-5GCMS 40-49 years, male 48.1
GTEX-WFG8-0426-SM-3GILD 20-29 years, male 48.1
GTEX-1EU9M-0626-SM-7MXUT 60-69 years, male 47.9
GTEX-132NY-1026-SM-5P9IY 60-69 years, male 47.8
GTEX-13X6J-0826-SM-5LU32 50-59 years, male 47.8
GTEX-11LCK-0526-SM-5A5M9 30-39 years, male 47.7
GTEX-145LU-0426-SM-5O9AH 50-59 years, male 47.7
GTEX-14BMU-0226-SM-5S2QA 20-29 years, female 47.7
GTEX-1AX9J-2126-SM-731DD 60-69 years, male 47.7
GTEX-YEC3-0826-SM-4WWFP 50-59 years, male 47.6
GTEX-1HGF4-0726-SM-9WYU9 60-69 years, male 47.6
GTEX-13OVJ-0626-SM-5J2O2 50-59 years, female 47.5
GTEX-1JMPY-0126-SM-CJI39 30-39 years, male 47.5
GTEX-1JMQJ-2026-SM-CNPP9 50-59 years, male 47.5
GTEX-RWS6-0626-SM-2XCAS 60-69 years, female 47.4
GTEX-1GN1W-0126-SM-7MXV7 50-59 years, female 47.3
GTEX-139T6-0326-SM-5J2LY 50-59 years, male 47.2
GTEX-13FLV-0226-SM-5J2OF 50-59 years, male 47.2
GTEX-OIZG-0226-SM-2TC5L 50-59 years, male 47.2
GTEX-11EI6-0726-SM-59866 60-69 years, male 47.1
GTEX-14ICK-1626-SM-6ETZX 40-49 years, male 47.1
GTEX-15EU6-1426-SM-6M48E 50-59 years, male 47.1
GTEX-ZV6S-0226-SM-59HJT 40-49 years, female 47.1
GTEX-13O21-2226-SM-5MR3L 50-59 years, male 47.0
GTEX-1C2JI-0326-SM-7EWFD 50-59 years, male 47.0
GTEX-1192X-1126-SM-5EGGU 50-59 years, male 46.9
GTEX-ZQG8-0926-SM-57WFF 60-69 years, female 46.8
GTEX-13QJC-0826-SM-5RQKC 60-69 years, female 46.7
GTEX-1HSGN-0726-SM-A9G2F 40-49 years, female 46.7
GTEX-1HCUA-0126-SM-B2LWC 50-59 years, female 46.6
GTEX-ZUA1-0926-SM-4YCDX 40-49 years, male 46.5
GTEX-1A3MV-0326-SM-73KW7 30-39 years, male 46.4
GTEX-ZVZQ-0626-SM-59HJU 60-69 years, female 46.3
GTEX-1CB4G-1526-SM-7P8QG 60-69 years, male 46.2
GTEX-REY6-0526-SM-2TF5M 60-69 years, male 46.1
GTEX-16XZY-0726-SM-79OMU 70-79 years, male 46.0
GTEX-11ZTT-1026-SM-5EQKF 60-69 years, female 45.9
GTEX-1P4AB-1126-SM-DTX94 50-59 years, male 45.9
GTEX-15RJ7-0326-SM-6M47H 40-49 years, male 45.8
GTEX-1C6VR-0426-SM-7IGN6 60-69 years, male 45.8
GTEX-1PIGE-0726-SM-DPRZD 20-29 years, male 45.7
GTEX-13O3O-0926-SM-5KM1F 60-69 years, female 45.5
GTEX-17JCI-0626-SM-7IGM7 60-69 years, female 45.5
GTEX-15CHC-0126-SM-5YYBA 60-69 years, female 45.4
GTEX-S7SF-0226-SM-5SI7H 20-29 years, female 45.4
GTEX-1OFPY-1526-SM-DTX8R 60-69 years, male 45.4
GTEX-1S83E-0726-SM-EV7B6 40-49 years, male 45.4
GTEX-11NUK-1026-SM-5HL5J 50-59 years, male 45.3
GTEX-1A8G6-0626-SM-7IGNB 60-69 years, male 45.3
GTEX-1C64N-1026-SM-79ONM 50-59 years, male 45.3
GTEX-1EMGI-0826-SM-7EPHY 60-69 years, male 45.3
GTEX-1MGNQ-0726-SM-DPRYH 40-49 years, male 45.3
GTEX-13PVQ-0726-SM-5L3GI 50-59 years, male 45.2
GTEX-1PFEY-0226-SM-EVR3M 30-39 years, male 45.2
GTEX-1PWST-0726-SM-EWRMO 70-79 years, male 45.2
GTEX-QDVJ-0226-SM-2I5FV 50-59 years, male 45.0
GTEX-RM2N-0526-SM-2TF4N 50-59 years, male 44.9
GTEX-S7SE-0726-SM-2XCD7 50-59 years, male 44.9
GTEX-Y8E4-0126-SM-4VBQ2 40-49 years, male 44.9
GTEX-1CB4H-0126-SM-7IGN2 60-69 years, female 44.7
GTEX-13X6H-0526-SM-5LU4Q 50-59 years, female 44.6
GTEX-1B8L1-1626-SM-7IGMH 60-69 years, male 44.6
GTEX-1I6K6-0726-SM-B2LX4 30-39 years, male 44.6
GTEX-14PII-0826-SM-6871S 60-69 years, male 44.5
GTEX-15SHU-0726-SM-7KUFI 40-49 years, female 44.5
GTEX-16NPX-1426-SM-6LPK3 50-59 years, male 44.5
GTEX-1GMRU-1126-SM-9KNV1 50-59 years, male 44.5
GTEX-SNOS-0226-SM-32PLR 40-49 years, male 44.3
GTEX-1JMQK-2126-SM-CY8I2 60-69 years, male 44.3
GTEX-1OJC3-0626-SM-E8VMO 20-29 years, male 44.3
GTEX-1HFI6-1326-SM-A9SL8 40-49 years, male 44.2
GTEX-11P81-0126-SM-5HL5Y 30-39 years, female 44.1
GTEX-1IKOE-0926-SM-ARU7X 30-39 years, female 44.1
GTEX-13QJ3-0926-SM-73KX5 50-59 years, male 44.0
GTEX-1122O-0226-SM-5N9DA 60-69 years, female 43.9
GTEX-1399U-0326-SM-5P9G5 50-59 years, female 43.8
GTEX-18QFQ-0726-SM-7LG6D 30-39 years, male 43.8
GTEX-T6MO-0226-SM-32QOL 40-49 years, female 43.8
GTEX-WRHU-0926-SM-4E3IG 50-59 years, female 43.8
GTEX-1F75I-0926-SM-7MXUU 40-49 years, male 43.8
GTEX-1R9K4-0726-SM-EWRN2 60-69 years, male 43.8
GTEX-ZYFG-0626-SM-5GZYA 60-69 years, female 43.7
GTEX-14BMV-0726-SM-73KVE 50-59 years, male 43.6
GTEX-1RQED-0926-SM-EWRNZ 60-69 years, male 43.6
GTEX-12WSC-0826-SM-5EQ5Q 50-59 years, male 43.5
GTEX-T5JW-1226-SM-3GACY 20-29 years, female 43.5
GTEX-1QMI2-0826-SM-EXUT4 60-69 years, male 43.5
GTEX-13VXT-0626-SM-5SIA1 20-29 years, female 43.3
GTEX-15DZA-0226-SM-7KFS6 30-39 years, female 43.3
GTEX-OOBJ-2626-SM-2I3F6 60-69 years, male 43.3
GTEX-ZYT6-0426-SM-5GID3 30-39 years, male 43.3
GTEX-17EVP-0126-SM-7EPHW 40-49 years, male 43.2
GTEX-W5X1-0426-SM-3GILB 40-49 years, female 43.2
GTEX-ZDXO-1726-SM-5HL6L 60-69 years, male 43.2
GTEX-13FHO-0926-SM-5N9EW 60-69 years, male 43.0
GTEX-1GZHY-1426-SM-9WG5H 50-59 years, female 43.0
GTEX-13PVR-0626-SM-5S2RC 60-69 years, female 42.9
GTEX-XBED-0126-SM-47JY7 60-69 years, male 42.9
GTEX-ZQUD-0126-SM-7EPIS 30-39 years, male 42.9
GTEX-1IY9M-1026-SM-A96TG 60-69 years, male 42.9
GTEX-ZF3C-0826-SM-DO11E 50-59 years, female 42.9
GTEX-1K2DU-0126-SM-E9TIU 20-29 years, male 42.7
GTEX-1B97I-0326-SM-7DUGB 40-49 years, male 42.6
GTEX-12WSJ-0326-SM-5GCMT 40-49 years, female 42.5
GTEX-13G51-1226-SM-5K7Z3 60-69 years, male 42.5
GTEX-18D9B-0726-SM-72D6K 60-69 years, male 42.5
GTEX-Y3I4-0226-SM-4TT27 50-59 years, male 42.5
GTEX-11GSO-0626-SM-5A5LW 60-69 years, male 42.4
GTEX-1F48J-0926-SM-7P8PZ 50-59 years, female 42.3
GTEX-1LH75-0626-SM-DIPG3 50-59 years, female 42.3
GTEX-ZF29-0726-SM-DO92H 60-69 years, female 42.3
GTEX-133LE-0326-SM-5P9G4 20-29 years, female 42.2
GTEX-13U4I-0526-SM-5LU59 40-49 years, female 42.2
GTEX-WXYG-0226-SM-3NB2Y 50-59 years, female 42.2
GTEX-1I1GR-1126-SM-A9G2I 60-69 years, male 42.1
GTEX-1J1OQ-0526-SM-A9G2P 40-49 years, female 42.1
GTEX-SIU8-0626-SM-2XCDN 50-59 years, male 42.0
GTEX-1GN2E-0826-SM-9WYT8 60-69 years, male 42.0
GTEX-15FZZ-0226-SM-6LLI4 30-39 years, female 41.9
GTEX-RVPV-1226-SM-2TF73 60-69 years, male 41.9
GTEX-144GL-1226-SM-5O9A4 50-59 years, male 41.8
GTEX-13O3Q-0626-SM-5IJG1 50-59 years, male 41.7
GTEX-17F96-0526-SM-79OLE 70-79 years, male 41.7
GTEX-14E7W-0926-SM-5YYA4 70-79 years, male 41.6
GTEX-18A7A-0826-SM-7KFTJ 50-59 years, female 41.6
GTEX-XLM4-0726-SM-4AT64 60-69 years, male 41.6
GTEX-ZPIC-0226-SM-DO91T 40-49 years, female 41.5
GTEX-13NZA-1026-SM-5MR48 60-69 years, male 41.4
GTEX-1IL2V-0626-SM-ARU7S 70-79 years, male 41.4
GTEX-XOT4-1526-SM-EAZ2W 60-69 years, female 41.4
GTEX-13YAN-0926-SM-5O9C3 60-69 years, male 41.3
GTEX-14A6H-2426-SM-5Q5BO 30-39 years, male 41.3
GTEX-1C6VQ-0526-SM-7MGWD 50-59 years, male 41.3
GTEX-1JN6P-0626-SM-ARZN6 60-69 years, male 41.3
GTEX-ZPU1-0426-SM-4WWCA 40-49 years, male 41.2
GTEX-1HBPM-0926-SM-ARL9C 60-69 years, female 41.2
GTEX-1LG7Z-0526-SM-D4P3Q 30-39 years, male 41.2
GTEX-14PKV-0626-SM-6AJA2 20-29 years, female 41.1
GTEX-WOFL-0726-SM-3MJG4 60-69 years, male 41.1
GTEX-1HCVE-0726-SM-A96SH 50-59 years, male 41.1
GTEX-WL46-0126-SM-3TW8I 50-59 years, male 41.0
GTEX-ZAK1-0726-SM-5HL8Q 50-59 years, female 41.0
GTEX-18A67-0826-SM-7KFTI 50-59 years, male 40.9
GTEX-T6MN-0626-SM-32PM9 50-59 years, male 40.9
GTEX-1MUQO-0726-SM-E9TJM 60-69 years, male 40.9
GTEX-1C475-0226-SM-7MGXM 40-49 years, female 40.7
GTEX-147F4-0826-SM-5QGRB 50-59 years, male 40.6
GTEX-17HHE-0426-SM-79OK3 50-59 years, male 40.6
GTEX-R55G-0726-SM-2TC6J 40-49 years, female 40.6
GTEX-1H1DE-0226-SM-ARZN8 20-29 years, male 40.6
GTEX-WH7G-0526-SM-3NMBI 40-49 years, male 40.5
GTEX-WY7C-0226-SM-3NB37 50-59 years, male 40.4
GTEX-ZA64-0426-SM-5HL96 20-29 years, male 40.4
GTEX-1IOXB-1026-SM-CJI4D 50-59 years, male 40.3
GTEX-11EM3-0126-SM-5985K 20-29 years, female 40.2
GTEX-12BJ1-0426-SM-5FQSO 60-69 years, male 40.2
GTEX-14753-0926-SM-5Q5BI 60-69 years, male 40.2
GTEX-1IKJJ-1026-SM-A96SQ 60-69 years, male 40.2
GTEX-ZZPU-1326-SM-5GZWS 50-59 years, female 40.1
GTEX-1CAMS-0826-SM-7P8P1 40-49 years, female 40.1
GTEX-1GZ4I-0626-SM-9WPPN 50-59 years, male 40.1
GTEX-13OVG-0226-SM-5LU93 60-69 years, male 40.0
GTEX-14PJM-1326-SM-664NX 50-59 years, female 39.9
GTEX-Y9LG-0426-SM-4VBRT 30-39 years, male 39.9
GTEX-1JJEA-0626-SM-D3L96 60-69 years, male 39.9
GTEX-1RDX4-0926-SM-E9U6D 50-59 years, female 39.7
GTEX-18D9U-1026-SM-72D5R 40-49 years, male 39.6
GTEX-148VI-0526-SM-5TDDG 60-69 years, female 39.5
GTEX-WHSB-1626-SM-3LK6J 50-59 years, male 39.5
GTEX-1QPFJ-0626-SM-DTX7Y 30-39 years, female 39.4
GTEX-13RTK-0326-SM-5RQHS 20-29 years, male 39.3
GTEX-1B8SG-1126-SM-7IGMT 50-59 years, male 39.3
GTEX-OIZI-0726-SM-2XCEI 40-49 years, male 39.3
GTEX-1PBJJ-1926-SM-DTX8T 30-39 years, male 39.3
GTEX-14E6C-2626-SM-5RQJP 40-49 years, male 39.2
GTEX-PWCY-2326-SM-2I3EQ 20-29 years, female 39.2
GTEX-U8T8-2326-SM-3DB96 60-69 years, male 39.2
GTEX-1NUQO-0926-SM-DTXEX 20-29 years, female 39.2
GTEX-11TTK-0826-SM-5N9EG 60-69 years, female 39.1
GTEX-SE5C-0726-SM-4BRWY 40-49 years, female 39.1
GTEX-1H1CY-0726-SM-9OSXX 60-69 years, female 39.1
GTEX-15ETS-0526-SM-6PAN3 40-49 years, female 38.9
GTEX-RWSA-0826-SM-2XCBF 40-49 years, male 38.9
GTEX-1IDJC-1026-SM-A96T2 50-59 years, male 38.9
GTEX-13OW7-0826-SM-5L3EL 50-59 years, male 38.7
GTEX-18465-1426-SM-7KFTF 50-59 years, male 38.7
GTEX-SN8G-1526-SM-4DM79 50-59 years, female 38.6
GTEX-1JMPZ-0626-SM-CY8HY 30-39 years, male 38.6
GTEX-14AS3-0226-SM-5Q5B6 40-49 years, female 38.4
GTEX-X5EB-0726-SM-46MVR 40-49 years, male 38.4
GTEX-12WSD-0926-SM-5GCNL 60-69 years, female 38.3
GTEX-1EKGG-0726-SM-7IGPX 60-69 years, male 38.3
GTEX-1RNSC-1126-SM-E9TIP 60-69 years, male 38.3
GTEX-NFK9-0726-SM-2HMJW 40-49 years, male 38.1
GTEX-13FHP-0926-SM-5L3EC 50-59 years, male 38.0
GTEX-15ER7-0726-SM-7KUMF 20-29 years, female 37.9
GTEX-PLZ4-1226-SM-2I5FE 50-59 years, female 37.9
GTEX-OXRL-2626-SM-2I3F1 50-59 years, male 37.8
GTEX-Y114-0626-SM-4TT98 50-59 years, female 37.6
GTEX-ZDYS-0626-SM-5J2N5 50-59 years, male 37.6
GTEX-1I1GS-0726-SM-C1YS7 60-69 years, male 37.6
GTEX-14PJO-0626-SM-6LLHH 60-69 years, male 37.5
GTEX-RN64-0626-SM-2TC5V 50-59 years, male 37.5
GTEX-1AX9I-0626-SM-72D54 60-69 years, male 37.4
GTEX-1J8QM-0726-SM-CE6RF 60-69 years, female 37.4
GTEX-1JKYR-0826-SM-ARU8L 20-29 years, male 37.4
GTEX-1HSKV-1026-SM-B2LWK 60-69 years, male 37.2
GTEX-1QCLZ-0626-SM-E6CR2 60-69 years, female 37.1
GTEX-1JJ6O-0626-SM-AHZ3H 60-69 years, male 36.8
GTEX-QDVN-0626-SM-2I3FP 50-59 years, male 36.7
GTEX-X4LF-0426-SM-3NMB5 50-59 years, male 36.7
GTEX-1N5O9-1026-SM-DTX8Y 60-69 years, male 36.7
GTEX-RNOR-0926-SM-2TF56 50-59 years, female 36.6
GTEX-13OVI-0826-SM-5KLZ8 60-69 years, female 36.5
GTEX-18D9A-0126-SM-7KFSI 30-39 years, female 36.5
GTEX-ZLFU-0626-SM-4WWBO 40-49 years, male 36.5
GTEX-15D1Q-0626-SM-6AJAZ 40-49 years, male 36.2
GTEX-Z93S-0526-SM-EVYB4 50-59 years, male 36.2
GTEX-SUCS-0226-SM-32PLQ 70-79 years, male 36.1
GTEX-1J8EW-1126-SM-A96T8 60-69 years, female 35.9
GTEX-111VG-0526-SM-5N9BW 60-69 years, male 35.6
GTEX-148VJ-0726-SM-5LU8J 70-79 years, male 35.5
GTEX-ZLV1-0126-SM-4WWBZ 60-69 years, female 35.5
GTEX-1192W-0126-SM-5EGGS 60-69 years, male 35.3
GTEX-145LT-0226-SM-5S2QK 40-49 years, male 35.3
GTEX-14PHW-2926-SM-6AJBA 60-69 years, female 35.2
GTEX-1HBPN-1226-SM-B2LW9 50-59 years, male 35.2
GTEX-1A8FM-0726-SM-7DUGK 50-59 years, female 35.0
GTEX-12584-0826-SM-5FQSK 40-49 years, male 34.6
GTEX-11VI4-0226-SM-5GU6C 40-49 years, female 34.4
GTEX-1H1ZS-0726-SM-A9G3K 70-79 years, male 34.4
GTEX-117YW-0126-SM-5EGGN 50-59 years, male 34.2
GTEX-11P7K-0226-SM-5986Z 30-39 years, male 34.0
GTEX-1QCLY-0826-SM-DTX8A 30-39 years, male 33.9
GTEX-13JVG-0926-SM-5IJE1 60-69 years, male 33.8
GTEX-1GN1U-0826-SM-9WPPX 50-59 years, female 33.8
GTEX-1RAZQ-0926-SM-EAZ4Q 30-39 years, male 33.7
GTEX-1ICG6-0426-SM-ARU7M 70-79 years, female 33.5
GTEX-V1D1-0926-SM-4JBHQ 50-59 years, male 33.4
GTEX-1GTWX-0726-SM-9WPPA 60-69 years, male 33.4
GTEX-QDT8-1226-SM-EVR35 30-39 years, female 33.4
GTEX-11DXZ-0926-SM-5N9CG 50-59 years, male 33.3
GTEX-131YS-0726-SM-5P9G9 60-69 years, female 33.2
GTEX-1477Z-0226-SM-5TDCI 60-69 years, male 33.2
GTEX-XBEW-0126-SM-4AT66 40-49 years, male 32.8
GTEX-ZGAY-1026-SM-4WWBR 40-49 years, female 32.6
GTEX-17MF6-0626-SM-7LT8D 40-49 years, male 32.5
GTEX-ZYY3-1926-SM-5GZXS 60-69 years, female 32.2
GTEX-WFJO-0226-SM-3GIKW 30-39 years, male 31.8
GTEX-RTLS-0626-SM-5SI7Z 60-69 years, female 31.7
GTEX-1JMLX-0826-SM-CNNPP 50-59 years, male 31.7
GTEX-ZVT3-0726-SM-5GICN 60-69 years, female 31.6
GTEX-11XUK-0226-SM-5EQLW 40-49 years, female 31.5
GTEX-ZYW4-1126-SM-5SI99 60-69 years, male 31.3
GTEX-13113-0126-SM-5LZVX 60-69 years, female 31.1
GTEX-14C5O-0826-SM-5TDEG 60-69 years, male 31.1
GTEX-1HC8U-1226-SM-9WYUW 40-49 years, female 31.1
GTEX-1J1R8-0126-SM-CJI36 40-49 years, male 30.9
GTEX-1PPH8-0926-SM-DTX9U 20-29 years, male 30.6
GTEX-1EH9U-0926-SM-7EWF1 60-69 years, male 30.3
GTEX-15RJE-1326-SM-6LPI6 40-49 years, male 30.2
GTEX-Y3IK-0526-SM-4WWE3 50-59 years, female 30.2
GTEX-12WSG-0226-SM-5EGIF 50-59 years, female 30.0
GTEX-X4XY-0826-SM-4E3JM 60-69 years, male 30.0
GTEX-QXCU-0326-SM-2TC63 50-59 years, male 29.9
GTEX-13RTJ-0326-SM-5YYAE 60-69 years, male 29.8
GTEX-1LG7Y-0626-SM-DHXJM 50-59 years, male 29.8
GTEX-X8HC-0726-SM-46MWG 50-59 years, female 29.1
GTEX-1PDJ9-0826-SM-E76PS 20-29 years, male 28.9
GTEX-12WSK-0926-SM-5CVNQ 40-49 years, female 28.1
GTEX-16YQH-0326-SM-6LPJV 30-39 years, male 28.0
GTEX-16MT8-0626-SM-6M47Q 60-69 years, female 27.4
GTEX-1MJK3-0326-SM-DTX96 20-29 years, male 27.3
GTEX-13QBU-0626-SM-5J2OG 40-49 years, female 26.8
GTEX-13N1W-0826-SM-5MR5J 70-79 years, male 22.6
GTEX-17EVQ-0526-SM-7KFSK 70-79 years, male 21.4
Show allShow less

THYROID GLAND - FANTOM5 CAGEi

RNA expression in human tissues obtained through Cap Analysis of Gene Expression (CAGE) generated by the FANTOM5 project are reported as Scaled Tags Per Million.

Max subtype Scaled Tags Per Millioni

Max subtype Scaled Tags Per Million is the value for the subtype with the largest average Scaled Tags Per Million across the subtype samples.

421.4
FANTOM5 sample id Sample description Scaled Tags Per Million
Thyroid
Scaled Tags Per Million: 421.4
FF:10028-101E1 67,68,78 years, mixed 421.4

Contact

  • NEWS ARTICLES
  • PRESS ROOM

The Project

  • INTRODUCTION
  • ORGANIZATION
  • PUBLICATIONS

The Human Protein Atlas

  • DOWNLOADABLE DATA
  • LICENCE & CITATION
  • HELP & FAQ
The Human Protein Atlas project is funded
by the Knut & Alice Wallenberg Foundation.


contact@proteinatlas.org