We use cookies to enhance the usability of our website. If you continue, we'll assume that you are happy to receive all cookies. More information. Don't show this again.
HUWE1
HPA
RESOURCES
  • TISSUE
  • BRAIN
  • SINGLE CELL
  • SUBCELLULAR
  • CANCER
  • BLOOD
  • CELL LINE
  • STRUCTURE & INTERACTION
ABOUT
  • INTRODUCTION
  • HISTORY
  • ORGANIZATION
  • PUBLICATIONS
  • ANTIBODY SUBMISSION
  • ANTIBODY AVAILABILITY
  • ACKNOWLEDGMENTS
  • CONTACT
NEWS
  • NEWS ARTICLES
  • PRESS ROOM
LEARN
  • DICTIONARY
  • PROTEIN CLASSES
  • PROTEIN EVIDENCE
  • METHODS
  • EDUCATIONAL VIDEOS
DATA
  • DOWNLOADABLE DATA
  • PUBLICATION DATA
  • RELEASE HISTORY
HELP
  • ANTIBODY VALIDATION
  • ASSAYS & ANNOTATION
  • DISCLAIMER
  • HELP & FAQ
  • PRIVACY STATEMENT
  • LICENCE & CITATION
Fields »
Search result

Field
Term
Gene name
Class
Subclass
Class
Keyword
Chromosome
External id
Tissue
Cell type
Expression
Antibody panel
Tissue
Main location
Patient ID
Annotation
Tissue
Category
Tau score
Cluster
Reliability
Brain region
Category
Tau score
Brain region
Category
Tau score
Brain region
Category
Tau score
Cluster
Reliability
Tissue
Cell type
Enrichment
Cell type
Category
Tau score
Cell type
Category
Tau score
Cell type
Category
Tau score
Cell lineage
Category
Tau score
Cluster
Cluster
Location
Searches
Location
Cell line
Class
Type
Phase
Reliability
Cancer
Prognosis
Cancer
Category
Cancer
Category
Tau score
Cluster
Variants
Interacting gene (ensg_id)
Type
Number of interactions
Pathway
Category
Score
Score
Score
Validation
Validation
Validation
Validation
Antibodies
Data type
Column


  • SUMMARY

  • TISSUE

  • BRAIN

  • SINGLE CELL

  • SUBCELL

  • CANCER

  • BLOOD

  • CELL LINE

  • STRUCT & INT

  • HUWE1
TISSUE PRIMARY DATA THYROID GLAND Show tissue menu
ADIPOSE TISSUE ADRENAL GLAND AMYGDALA APPENDIX BASAL GANGLIA BONE MARROW BREAST BRONCHUS CEREBELLUM CEREBRAL CORTEX CERVIX CHOROID PLEXUS COLON DUODENUM
ENDOMETRIUM EPIDIDYMIS ESOPHAGUS FALLOPIAN TUBE GALLBLADDER HEART MUSCLE HIPPOCAMPAL FORMATION HYPOTHALAMUS KIDNEY LIVER LUNG LYMPH NODE MIDBRAIN NASOPHARYNX
ORAL MUCOSA OVARY PANCREAS PARATHYROID GLAND PITUITARY GLAND PLACENTA PROSTATE RECTUM RETINA SALIVARY GLAND SEMINAL VESICLE SKELETAL MUSCLE SKIN SMALL INTESTINE
SMOOTH MUSCLE SOFT TISSUE SPINAL CORD SPLEEN STOMACH TESTIS THYMUS THYROID GLAND TONGUE TONSIL URINARY BLADDER VAGINA
ANTIBODIES
AND
VALIDATION
Dictionary
Thyroid gland
Tissue proteome
Thyroid gland
THYROID GLAND - Expression summary
Protein expression
Thyroid glandi

On the top, protein expression in current human tissue, based on all annotated cell types, is reported with the units not detected (n), low (l), medium (m) and high (h). Underneath, protein expression in each annotated cell type are reported using the same units.

Protein expression data is based on knowledge-based annotation. For genes where more than one antibody has been used, a collective score is set.

If knowledge-based annotation could not be performed for a gene, no data is displayed here. View antibody staining data further down this page.

h
m
l
n
Glandular cells: Medium
RNA expressioni

A summary of mRNA expression data available for current tissue based on several datasets. The mRNA expression levels in human tissues are based on RNA-seq data generated by the Human Protein Atlas (HPA), Genotype-Tissue Expression (GTEx) portal and CAGE data generated by the FANTOM5 consortium. Consensus normalized expression levels for human tissues was created by combining the data from HPA and GTEx datasets.

The mRNA expression levels in pig are based on RNA-seq data generated by the Human Protein Atlas (HPA), and for mouse, HPA data and in situ hybridization generated by the Allen brain atlas are reported.

Scroll down to view mRNA expression data in more detail.
Consensus:41.6 nTPM
HPA:27.9 nTPM
GTEx:41.6 nTPM
FANTOM5:114.9 Scaled Tags Per Million

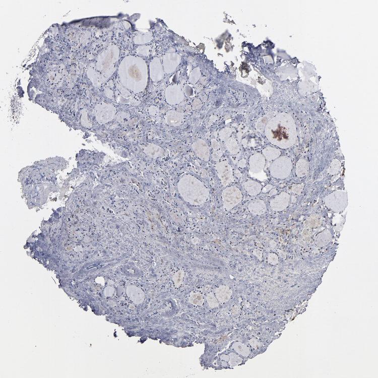
THYROID GLAND - Antibody stainingi

Antibody staining in the annotated cell types in the current human tissue is reported as not detected, low, medium, or high, based on conventional immunohistochemistry profiling in selected tissues. This score is based on the combination of the staining intensity and fraction of stained cells.

Each image is clickable and will lead to virtual microscopy that enables deeper exploration of all samples and also displays staining intensity scores, fraction scores and subcellular localization as well as patient and tissue information for each sample.

Antibody HPA002548Antibody CAB022718
Glandular cells MediumMedium




THYROID GLAND - HPA RNA-seqi

The RNA-seq details section shows detailed information about the individual samples used for the transcript profiling and results of the RNA-seq analysis.

Information about each individual sample is listed below, including gender, age, a tissue section image and estimated fractions of cell types. nTPM (normalized transcripts per million) values give a quantification of the gene abundance which is comparable between different genes and samples.
Average nTPMi

Max subtype nTPM is the value for the subtype with the largest average nTPM across the subtype samples.

27.9
overview
Female, age 20
Thyroid gland sample 249
nTPM: 24.1
Cell types%
Glandular cells:
70

Endothelial cells:
20

Other cell types:
10

overview
Female, age 55
Thyroid gland sample 250
nTPM: 28.9
Cell types%
Glandular cells:
70

Endothelial cells:
20

Other cell types:
10

overview
Female, age 58
Thyroid gland sample 251
nTPM: 26.5
Cell types%
Glandular cells:
70

Endothelial cells:
15

Other cell types:
15

overview
Female, age 48
Thyroid gland sample 252
nTPM: 22.6
Cell types%
Glandular cells:
70

Endothelial cells:
20

Other cell types:
10

overview
Male, age 21
Thyroid gland sample 363
nTPM: 37.3
Cell types%
Glandular cells:
75

Endothelial cells:
10

Other cell types:
15


THYROID GLAND - GTEx RNA-seqi

RNA-Seq data generated by the Genotype-Tissue Expression (GTEx) project from human tissues is reported as mean nTPM. More information can be found on the GTEx portal.

Distribution across the dataset is visualized with box plots, shown as median and 25th and 75th percentiles. Points are displayed as outliers if they are above or below 1.5 times the interquartile range. nTPM values of the individual samples are presented next to the box plot.
Max subtype nTPMi

Max subtype nTPM is the value for the subtype with the largest average nTPM across the subtype samples.

41.6
GTEx sample id Sample description nTPM
Thyroid
Average nTPM: 41.6
Samples: 653

Max nTPM: 65.3
Min nTPM: 23.9
Std nTPM: 5.9
Median nTPM: 41.2
GTEX-11GSO-0626-SM-5A5LW 60-69 years, male 65.3
GTEX-ZYFD-0826-SM-5NQ9A 50-59 years, male 64.5
GTEX-1F52S-0526-SM-7P8TP 60-69 years, female 63.2
GTEX-R55E-0826-SM-2TC5M 20-29 years, male 59.4
GTEX-QEG5-0826-SM-2I5GF 20-29 years, male 58.8
GTEX-17HHY-0826-SM-7EPID 50-59 years, male 58.6
GTEX-1H3VE-0826-SM-9KNVQ 40-49 years, male 58.5
GTEX-WL46-0126-SM-3TW8I 50-59 years, male 58.0
GTEX-111FC-1026-SM-5GZX1 60-69 years, male 57.3
GTEX-13N1W-0826-SM-5MR5J 70-79 years, male 56.6
GTEX-11TTK-0826-SM-5N9EG 60-69 years, female 56.0
GTEX-1HSMO-0726-SM-A96TM 60-69 years, male 56.0
GTEX-1IY9M-1026-SM-A96TG 60-69 years, male 55.8
GTEX-P44G-0626-SM-2I5EO 30-39 years, male 55.5
GTEX-14JIY-1226-SM-6871R 60-69 years, male 55.4
GTEX-ZAJG-0726-SM-5HL9A 50-59 years, female 55.4
GTEX-ZXG5-0926-SM-5NQ8H 60-69 years, male 55.3
GTEX-1LG7Y-0626-SM-DHXJM 50-59 years, male 55.3
GTEX-13OVJ-0626-SM-5J2O2 50-59 years, female 55.2
GTEX-U412-0726-SM-EVR2Y 60-69 years, male 54.5
GTEX-X261-0726-SM-EZ6MH 50-59 years, male 54.5
GTEX-R3RS-0726-SM-3GIJR 40-49 years, female 54.4
GTEX-Y111-1926-SM-4SOIS 50-59 years, male 54.4
GTEX-13RTJ-0326-SM-5YYAE 60-69 years, male 54.0
GTEX-15DDE-0626-SM-69LOK 50-59 years, female 53.5
GTEX-17F97-0626-SM-7IGOH 50-59 years, male 53.5
GTEX-PLZ4-1226-SM-2I5FE 50-59 years, female 53.2
GTEX-1GF9W-0626-SM-7MXVJ 60-69 years, male 53.0
GTEX-1IE54-0926-SM-A9G2Y 40-49 years, female 52.8
GTEX-1AMFI-0526-SM-7189M 50-59 years, female 52.5
GTEX-12WSH-0226-SM-5GCOG 50-59 years, male 52.4
GTEX-Q2AG-0826-SM-2HMKF 40-49 years, female 52.4
GTEX-WHSE-0626-SM-4RGNF 20-29 years, male 52.1
GTEX-1IOXB-1026-SM-CJI4D 50-59 years, male 52.1
GTEX-13QJ3-0926-SM-73KX5 50-59 years, male 52.0
GTEX-OXRP-0326-SM-33HBJ 60-69 years, female 51.7
GTEX-1MJK2-0826-SM-DTXE8 50-59 years, male 51.7
GTEX-144GO-0126-SM-5LUAO 60-69 years, male 51.6
GTEX-U8T8-2326-SM-3DB96 60-69 years, male 51.6
GTEX-1JJE9-0226-SM-CY8HU 70-79 years, male 51.6
GTEX-1F75A-0326-SM-7MXTR 50-59 years, male 51.4
GTEX-OHPL-2626-SM-2HMJA 60-69 years, female 51.2
GTEX-ZYVF-1126-SM-5E458 50-59 years, female 50.9
GTEX-15UF6-1126-SM-6LPJ3 70-79 years, female 50.8
GTEX-RN5K-2826-SM-EZ6L3 50-59 years, female 50.7
GTEX-13OW5-0626-SM-5J2N2 60-69 years, male 50.6
GTEX-1C6VQ-0526-SM-7MGWD 50-59 years, male 50.6
GTEX-1HR98-0326-SM-CGQEL 60-69 years, male 50.5
GTEX-11O72-2326-SM-5BC7H 40-49 years, male 50.4
GTEX-13O61-0226-SM-5KM52 60-69 years, male 50.4
GTEX-ZYT6-0426-SM-5GID3 30-39 years, male 50.4
GTEX-1H1DF-1026-SM-9QEJ1 40-49 years, female 50.4
GTEX-QV31-0726-SM-3GAEG 30-39 years, male 50.3
GTEX-1N5O9-1026-SM-DTX8Y 60-69 years, male 50.3
GTEX-1IDJU-1626-SM-CJI4B 60-69 years, female 50.0
GTEX-1J1OQ-0526-SM-A9G2P 40-49 years, female 50.0
GTEX-1192X-1126-SM-5EGGU 50-59 years, male 49.9
GTEX-13IVO-0926-SM-5KLZP 70-79 years, male 49.9
GTEX-13VXU-0826-SM-5KLZ2 50-59 years, male 49.8
GTEX-Q2AI-0326-SM-2I3EK 40-49 years, male 49.6
GTEX-11DYG-0826-SM-5N9GH 60-69 years, male 49.5
GTEX-14XAO-0426-SM-6AJB6 60-69 years, female 49.4
GTEX-13NYC-2426-SM-5MR3K 60-69 years, male 49.2
GTEX-14PJ3-0126-SM-69LQP 50-59 years, male 49.2
GTEX-16AAH-0326-SM-7DHML 50-59 years, male 49.1
GTEX-1C6VS-0826-SM-7EWEI 60-69 years, male 49.1
GTEX-11DZ1-2726-SM-5A5KH 50-59 years, male 49.0
GTEX-11EQ8-0826-SM-5N9FG 60-69 years, male 49.0
GTEX-1211K-0726-SM-5FQUW 60-69 years, female 49.0
GTEX-13CF3-0926-SM-5LZZC 60-69 years, female 49.0
GTEX-16YQH-0326-SM-6LPJV 30-39 years, male 49.0
GTEX-RN64-0626-SM-2TC5V 50-59 years, male 48.8
GTEX-SNOS-0226-SM-32PLR 40-49 years, male 48.7
GTEX-1GZ4I-0626-SM-9WPPN 50-59 years, male 48.6
GTEX-131XH-0526-SM-5DUX7 50-59 years, male 48.4
GTEX-146FR-0326-SM-5SI8U 60-69 years, female 48.4
GTEX-13NZ8-0226-SM-5J2OK 60-69 years, female 48.3
GTEX-145MH-0426-SM-5LU8T 50-59 years, male 48.3
GTEX-14PJ4-0326-SM-664OT 60-69 years, male 48.2
GTEX-WYBS-1926-SM-3NM8N 60-69 years, female 48.2
GTEX-1F5PL-0826-SM-7MXU7 40-49 years, female 48.2
GTEX-1H1DG-0726-SM-A96TN 70-79 years, male 48.2
GTEX-14PN3-0826-SM-69LOS 60-69 years, female 47.9
GTEX-RVPV-1226-SM-2TF73 60-69 years, male 47.9
GTEX-WWYW-0826-SM-3NB2X 50-59 years, female 47.9
GTEX-1HSMQ-0526-SM-A96TY 50-59 years, male 47.9
GTEX-1OJC4-0526-SM-E6CQV 50-59 years, female 47.9
GTEX-13FTW-0626-SM-5IFEX 40-49 years, male 47.8
GTEX-1313W-0726-SM-5EGK1 50-59 years, female 47.6
GTEX-13PL6-1026-SM-5L3E5 40-49 years, female 47.6
GTEX-OXRL-2626-SM-2I3F1 50-59 years, male 47.6
GTEX-15G19-0626-SM-6M474 60-69 years, male 47.5
GTEX-RNOR-0926-SM-2TF56 50-59 years, female 47.5
GTEX-XLM4-0726-SM-4AT64 60-69 years, male 47.5
GTEX-13N2G-0726-SM-5MR38 60-69 years, male 47.4
GTEX-13RTK-0326-SM-5RQHS 20-29 years, male 47.4
GTEX-PWCY-2326-SM-2I3EQ 20-29 years, female 47.3
GTEX-T2IS-0626-SM-32QP6 20-29 years, female 47.3
GTEX-1I19N-0226-SM-CE6ST 70-79 years, male 47.3
GTEX-1PPGY-1426-SM-EVR3R 60-69 years, male 47.3
GTEX-14PII-0826-SM-6871S 60-69 years, male 47.2
GTEX-18QFQ-0726-SM-7LG6D 30-39 years, male 47.1
GTEX-1B8KE-0626-SM-7189H 50-59 years, male 47.1
GTEX-14ASI-0726-SM-5Q5DC 60-69 years, male 47.0
GTEX-1CB4H-0126-SM-7IGN2 60-69 years, female 46.9
GTEX-U3ZM-0126-SM-3DB8M 40-49 years, male 46.9
GTEX-WK11-0926-SM-3NMAU 50-59 years, male 46.9
GTEX-131YS-0726-SM-5P9G9 60-69 years, female 46.8
GTEX-QDVN-0626-SM-2I3FP 50-59 years, male 46.8
GTEX-T6MO-0226-SM-32QOL 40-49 years, female 46.8
GTEX-111CU-0226-SM-5GZXC 50-59 years, male 46.7
GTEX-PWN1-2626-SM-2I3FH 40-49 years, female 46.7
GTEX-1PIIG-2026-SM-EVR43 30-39 years, male 46.7
GTEX-1KANC-0826-SM-D3LA8 50-59 years, female 46.6
GTEX-RU1J-0226-SM-2TF5Y 20-29 years, female 46.4
GTEX-XGQ4-0426-SM-4AT4I 50-59 years, male 46.4
GTEX-ZT9W-0226-SM-7SB6H 50-59 years, male 46.3
GTEX-1BAJH-0926-SM-79OO6 70-79 years, male 46.2
GTEX-QEL4-0726-SM-3GIJ5 50-59 years, male 46.2
GTEX-1H1E6-0326-SM-9OSWE 30-39 years, male 46.2
GTEX-1CB4I-0726-SM-7DUGS 50-59 years, male 46.1
GTEX-OXRO-1226-SM-48TDL 60-69 years, female 46.1
GTEX-XYKS-0826-SM-4BRVF 60-69 years, female 46.1
GTEX-1QP9N-0126-SM-DPRZS 30-39 years, male 46.1
GTEX-1E1VI-0726-SM-7P8QJ 50-59 years, male 46.0
GTEX-13X6H-0526-SM-5LU4Q 50-59 years, female 45.9
GTEX-16BQI-0726-SM-6LPJZ 30-39 years, female 45.9
GTEX-16XZZ-0826-SM-7IGM3 60-69 years, male 45.9
GTEX-183WM-2626-SM-7KFRY 70-79 years, female 45.9
GTEX-OHPK-2626-SM-2HMK9 50-59 years, female 45.9
GTEX-YB5E-0626-SM-4VDSE 40-49 years, male 45.9
GTEX-YEC4-0626-SM-5CVLU 40-49 years, male 45.9
GTEX-ZTX8-0626-SM-59HKC 20-29 years, male 45.9
GTEX-13FH7-0126-SM-5KLZ1 50-59 years, female 45.8
GTEX-139T6-0326-SM-5J2LY 50-59 years, male 45.7
GTEX-15SHV-0426-SM-6M476 60-69 years, male 45.7
GTEX-P4QT-2626-SM-2I3FM 50-59 years, female 45.7
GTEX-TKQ1-0126-SM-33HB3 30-39 years, male 45.7
GTEX-113JC-0126-SM-5EGJW 50-59 years, female 45.6
GTEX-132QS-0326-SM-5IJFN 60-69 years, male 45.6
GTEX-15D1Q-0626-SM-6AJAZ 40-49 years, male 45.6
GTEX-1H2FU-0626-SM-9WPPS 60-69 years, female 45.6
GTEX-1HSGN-0726-SM-A9G2F 40-49 years, female 45.6
GTEX-1KAFJ-0426-SM-DHXJH 50-59 years, male 45.6
GTEX-1KD4Q-1026-SM-CXZKJ 40-49 years, male 45.6
GTEX-11EI6-0726-SM-59866 60-69 years, male 45.5
GTEX-145MI-1126-SM-5O9AK 60-69 years, female 45.5
GTEX-14E7W-0926-SM-5YYA4 70-79 years, male 45.5
GTEX-14PQA-1226-SM-6M47A 50-59 years, female 45.5
GTEX-RM2N-0526-SM-2TF4N 50-59 years, male 45.5
GTEX-ZZ64-0126-SM-5GZXA 20-29 years, male 45.5
GTEX-1I1GU-0826-SM-ARZM5 40-49 years, male 45.5
GTEX-11TT1-1126-SM-5P9GV 20-29 years, male 45.4
GTEX-1399U-0326-SM-5P9G5 50-59 years, female 45.4
GTEX-1B97J-0626-SM-7P8RU 50-59 years, female 45.4
GTEX-15CHQ-0826-SM-69LOT 60-69 years, male 45.3
GTEX-17F96-0526-SM-79OLE 70-79 years, male 45.3
GTEX-16NGA-0326-SM-718AJ 40-49 years, female 45.1
GTEX-WXYG-0226-SM-3NB2Y 50-59 years, female 45.1
GTEX-13X6J-0826-SM-5LU32 50-59 years, male 45.0
GTEX-1C2JI-0326-SM-7EWFD 50-59 years, male 45.0
GTEX-OHPM-2626-SM-33HC5 50-59 years, male 45.0
GTEX-SJXC-0726-SM-2XCFJ 60-69 years, male 45.0
GTEX-1GN1V-0626-SM-7P8QU 60-69 years, male 45.0
GTEX-1JN6P-0626-SM-ARZN6 60-69 years, male 45.0
GTEX-11I78-0526-SM-5986A 50-59 years, female 44.9
GTEX-13FTY-0726-SM-5J2OH 40-49 years, female 44.9
GTEX-14PKV-0626-SM-6AJA2 20-29 years, female 44.9
GTEX-15EO6-0126-SM-6LPKJ 50-59 years, male 44.9
GTEX-WHSB-1626-SM-3LK6J 50-59 years, male 44.9
GTEX-ZVZP-1026-SM-5GICI 50-59 years, male 44.9
GTEX-1MCC2-0526-SM-DHXJS 30-39 years, female 44.9
GTEX-U4B1-0626-SM-3DB8L 40-49 years, male 44.8
GTEX-ZA64-0426-SM-5HL96 20-29 years, male 44.8
GTEX-11EM3-0126-SM-5985K 20-29 years, female 44.7
GTEX-131XE-0126-SM-5LZVC 50-59 years, male 44.7
GTEX-NFK9-0726-SM-2HMJW 40-49 years, male 44.7
GTEX-P78B-0526-SM-2I5F7 40-49 years, female 44.7
GTEX-1HCVE-0726-SM-A96SH 50-59 years, male 44.7
GTEX-14BMU-0226-SM-5S2QA 20-29 years, female 44.6
GTEX-1I6K7-1126-SM-A96SW 40-49 years, male 44.6
GTEX-13NYB-0726-SM-5MR4J 40-49 years, male 44.5
GTEX-147GR-0726-SM-5S2PL 60-69 years, male 44.5
GTEX-16GPK-0926-SM-6LPJ9 60-69 years, male 44.5
GTEX-WVLH-0626-SM-3MJG7 50-59 years, male 44.5
GTEX-1HFI7-0326-SM-9WPOX 50-59 years, female 44.5
GTEX-1QP2A-0626-SM-DTX9C 50-59 years, male 44.5
GTEX-11P81-0126-SM-5HL5Y 30-39 years, female 44.4
GTEX-TSE9-0626-SM-3DB8B 60-69 years, female 44.4
GTEX-1PPH8-0926-SM-DTX9U 20-29 years, male 44.4
GTEX-P4QS-2626-SM-2I3EV 60-69 years, male 44.3
GTEX-VJYA-0426-SM-3GIJK 60-69 years, male 44.3
GTEX-14JG6-1326-SM-9OSXU 30-39 years, female 44.3
GTEX-1CB4G-1526-SM-7P8QG 60-69 years, male 44.3
GTEX-1GMR8-0826-SM-9KNUR 50-59 years, female 44.3
GTEX-1HB9E-0826-SM-CNNQJ 50-59 years, male 44.3
GTEX-1P4AB-1126-SM-DTX94 50-59 years, male 44.3
GTEX-ZTSS-0226-SM-59877 40-49 years, male 44.2
GTEX-ZYFG-0626-SM-5GZYA 60-69 years, female 44.2
GTEX-1GN1W-0126-SM-7MXV7 50-59 years, female 44.2
GTEX-11VI4-0226-SM-5GU6C 40-49 years, female 44.1
GTEX-QDVJ-0226-SM-2I5FV 50-59 years, male 44.1
GTEX-1HR9M-0626-SM-A96S6 60-69 years, male 44.1
GTEX-Z9EW-0226-SM-5CVM7 40-49 years, male 44.0
GTEX-1EX96-0126-SM-9KNVH 50-59 years, male 44.0
GTEX-1ICLZ-0526-SM-ARZM8 60-69 years, male 44.0
GTEX-1QPFJ-0626-SM-DTX7Y 30-39 years, female 44.0
GTEX-14PKU-0326-SM-6AJA7 40-49 years, female 43.9
GTEX-1AX9I-0626-SM-72D54 60-69 years, male 43.9
GTEX-YF7O-0726-SM-4W213 50-59 years, male 43.9
GTEX-ZY6K-0226-SM-5SIAY 50-59 years, male 43.9
GTEX-1C64N-1026-SM-79ONM 50-59 years, male 43.8
GTEX-N7MS-2326-SM-2HMLD 60-69 years, male 43.8
GTEX-1QMI2-0826-SM-EXUT4 60-69 years, male 43.8
GTEX-147F4-0826-SM-5QGRB 50-59 years, male 43.7
GTEX-1B8SG-1126-SM-7IGMT 50-59 years, male 43.7
GTEX-XUZC-0126-SM-4BOO6 30-39 years, female 43.7
GTEX-1GMR3-0726-SM-9WPOF 40-49 years, male 43.7
GTEX-12WSE-1226-SM-73KUF 20-29 years, male 43.5
GTEX-13PVR-0626-SM-5S2RC 60-69 years, female 43.5
GTEX-YJ89-0726-SM-5P9F7 60-69 years, male 43.5
GTEX-12WSJ-0326-SM-5GCMT 40-49 years, female 43.4
GTEX-13NZ9-1126-SM-5MR37 50-59 years, male 43.4
GTEX-145MG-0826-SM-5Q5C2 50-59 years, male 43.4
GTEX-UJMC-0326-SM-3GAE2 50-59 years, male 43.4
GTEX-1I1GV-0726-SM-ARZLY 60-69 years, male 43.4
GTEX-1JKYN-1126-SM-CGQG5 30-39 years, male 43.4
GTEX-1K2DA-1526-SM-CGQGQ 50-59 years, male 43.4
GTEX-OXRN-1526-SM-E6CHM 50-59 years, male 43.4
GTEX-16XZY-0726-SM-79OMU 70-79 years, male 43.3
GTEX-1GPI7-0726-SM-9WG84 20-29 years, male 43.3
GTEX-11EQ9-0626-SM-5A5K1 30-39 years, male 43.2
GTEX-11GS4-0826-SM-5986J 60-69 years, male 43.2
GTEX-131XG-0226-SM-5IFG1 50-59 years, female 43.2
GTEX-139YR-1226-SM-5IFEU 50-59 years, male 43.2
GTEX-14B4R-0126-SM-5TDE4 30-39 years, male 43.2
GTEX-OIZG-0226-SM-2TC5L 50-59 years, male 43.2
GTEX-1JMPY-0126-SM-CJI39 30-39 years, male 43.1
GTEX-11DXX-0226-SM-5P9HL 60-69 years, female 43.0
GTEX-11NSD-0126-SM-5987F 20-29 years, male 43.0
GTEX-14PN4-1526-SM-6871V 50-59 years, male 43.0
GTEX-1I1GT-0826-SM-B2LWO 60-69 years, female 43.0
GTEX-12ZZZ-1226-SM-59HK1 60-69 years, male 42.9
GTEX-1B97I-0326-SM-7DUGB 40-49 years, male 42.9
GTEX-X4XY-0826-SM-4E3JM 60-69 years, male 42.8
GTEX-1HBPH-0926-SM-A9SME 40-49 years, female 42.8
GTEX-1HKZK-0826-SM-A9G2C 40-49 years, male 42.8
GTEX-1JKYR-0826-SM-ARU8L 20-29 years, male 42.8
GTEX-11ZTT-1026-SM-5EQKF 60-69 years, female 42.7
GTEX-132AR-1126-SM-5P9GA 50-59 years, female 42.7
GTEX-1AMEY-0126-SM-73KTX 30-39 years, female 42.7
GTEX-1B8KZ-0426-SM-731DP 50-59 years, male 42.7
GTEX-X4LF-0426-SM-3NMB5 50-59 years, male 42.6
GTEX-16Z82-0426-SM-7EPGX 60-69 years, male 42.5
GTEX-17F9Y-0526-SM-7EWDC 70-79 years, female 42.5
GTEX-T5JW-1226-SM-3GACY 20-29 years, female 42.5
GTEX-1KXAM-1726-SM-D3LAE 60-69 years, male 42.5
GTEX-131XF-1826-SM-5EGKG 60-69 years, male 42.4
GTEX-13OW7-0826-SM-5L3EL 50-59 years, male 42.4
GTEX-15EU6-1426-SM-6M48E 50-59 years, male 42.4
GTEX-OXRK-0626-SM-2HMJ5 50-59 years, female 42.4
GTEX-PX3G-2626-SM-2I3EG 20-29 years, female 42.4
GTEX-WY7C-0226-SM-3NB37 50-59 years, male 42.4
GTEX-ZQUD-0126-SM-7EPIS 30-39 years, male 42.4
GTEX-11LCK-0526-SM-5A5M9 30-39 years, male 42.3
GTEX-12WSC-0826-SM-5EQ5Q 50-59 years, male 42.3
GTEX-QLQ7-0726-SM-2I5G2 60-69 years, male 42.3
GTEX-RWSA-0826-SM-2XCBF 40-49 years, male 42.3
GTEX-ZZPU-1326-SM-5GZWS 50-59 years, female 42.3
GTEX-17GQL-0226-SM-7LTAK 60-69 years, male 42.3
GTEX-1B933-1026-SM-7P8RO 50-59 years, female 42.3
GTEX-1HBPI-0826-SM-9WYTX 50-59 years, male 42.3
GTEX-12696-0326-SM-5EGL4 60-69 years, male 42.2
GTEX-14A6H-2426-SM-5Q5BO 30-39 years, male 42.2
GTEX-1CAMR-0226-SM-7DUGO 20-29 years, male 42.2
GTEX-ZYW4-1126-SM-5SI99 60-69 years, male 42.2
GTEX-1IGQW-0626-SM-C1YR9 60-69 years, male 42.2
GTEX-13O21-2226-SM-5MR3L 50-59 years, male 42.1
GTEX-13OW8-0126-SM-5IJE5 60-69 years, male 42.1
GTEX-Q2AH-0726-SM-2I3EA 40-49 years, male 42.1
GTEX-XUW1-1026-SM-4BONY 50-59 years, female 42.1
GTEX-Y5V5-0326-SM-5RQJG 60-69 years, female 42.1
GTEX-ZLWG-0526-SM-4WWFB 50-59 years, female 42.1
GTEX-1QW4Y-0226-SM-EAZ3U 30-39 years, male 42.1
GTEX-13FLW-0326-SM-5J2M4 50-59 years, male 42.0
GTEX-13PDP-1026-SM-5L3FA 60-69 years, male 42.0
GTEX-17HG3-0226-SM-7EWEA 30-39 years, female 42.0
GTEX-1AX9J-2126-SM-731DD 60-69 years, male 42.0
GTEX-1MGNQ-0726-SM-DPRYH 40-49 years, male 42.0
GTEX-12BJ1-0426-SM-5FQSO 60-69 years, male 41.9
GTEX-12WSK-0926-SM-5CVNQ 40-49 years, female 41.9
GTEX-14C39-0226-SM-5TDDW 40-49 years, male 41.9
GTEX-14ICL-0426-SM-5RQJ3 30-39 years, male 41.9
GTEX-1IKOE-0926-SM-ARU7X 30-39 years, female 41.9
GTEX-13FHP-0926-SM-5L3EC 50-59 years, male 41.8
GTEX-13NZA-1026-SM-5MR48 60-69 years, male 41.8
GTEX-1CB4J-1426-SM-7MKFR 60-69 years, male 41.8
GTEX-ZV7C-0126-SM-57WDE 50-59 years, male 41.8
GTEX-13OVK-0226-SM-6M472 40-49 years, male 41.7
GTEX-S32W-0726-SM-2XCBL 50-59 years, female 41.7
GTEX-ZAK1-0726-SM-5HL8Q 50-59 years, female 41.7
GTEX-ZYFC-0926-SM-5GZWW 50-59 years, male 41.7
GTEX-1CB4E-0326-SM-7MXT3 60-69 years, male 41.7
GTEX-1J1R8-0126-SM-CJI36 40-49 years, male 41.7
GTEX-1QCLY-0826-SM-DTX8A 30-39 years, male 41.7
GTEX-15RJ7-0326-SM-6M47H 40-49 years, male 41.6
GTEX-OIZI-0726-SM-2XCEI 40-49 years, male 41.6
GTEX-1HCU7-0826-SM-B2LX7 50-59 years, male 41.6
GTEX-1AX9K-0626-SM-73KVD 50-59 years, male 41.5
GTEX-Q734-0526-SM-2I3EH 40-49 years, female 41.5
GTEX-ZDYS-0626-SM-5J2N5 50-59 years, male 41.5
GTEX-1ICLY-0726-SM-A96TB 50-59 years, male 41.5
GTEX-1QP66-0326-SM-DTX7V 50-59 years, male 41.5
GTEX-11P7K-0226-SM-5986Z 30-39 years, male 41.4
GTEX-148VJ-0726-SM-5LU8J 70-79 years, male 41.4
GTEX-1GZ2Q-0826-SM-7P8TK 40-49 years, male 41.4
GTEX-1HSKV-1026-SM-B2LWK 60-69 years, male 41.4
GTEX-14E6E-0326-SM-73KY6 30-39 years, male 41.3
GTEX-SE5C-0726-SM-4BRWY 40-49 years, female 41.3
GTEX-YFCO-0326-SM-4W1ZP 40-49 years, male 41.3
GTEX-1HT8W-1526-SM-CE6S3 30-39 years, male 41.3
GTEX-1JMQK-2126-SM-CY8I2 60-69 years, male 41.3
GTEX-117YX-1226-SM-5H11S 50-59 years, male 41.2
GTEX-12WSL-0626-SM-5GCOY 50-59 years, male 41.2
GTEX-V955-0426-SM-3GAEL 60-69 years, male 41.2
GTEX-1HBPN-1226-SM-B2LW9 50-59 years, male 41.2
GTEX-1PIGE-0726-SM-DPRZD 20-29 years, male 41.2
GTEX-144GM-0226-SM-5Q5CB 20-29 years, male 41.1
GTEX-14PJ6-0326-SM-6871H 60-69 years, female 41.1
GTEX-15CHC-0126-SM-5YYBA 60-69 years, female 41.1
GTEX-VUSG-0426-SM-3GIKD 50-59 years, male 41.1
GTEX-ZVP2-0426-SM-57WC2 50-59 years, male 41.1
GTEX-1C475-0226-SM-7MGXM 40-49 years, female 41.1
GTEX-1GTWX-0726-SM-9WPPA 60-69 years, male 41.1
GTEX-1R9K5-0726-SM-EAZ4E 50-59 years, male 41.1
GTEX-12WSN-0726-SM-5GCMS 40-49 years, male 41.0
GTEX-13JVG-0926-SM-5IJE1 60-69 years, male 41.0
GTEX-1IKOH-0626-SM-CJI35 60-69 years, female 41.0
GTEX-1LVAM-0826-SM-EV79X 50-59 years, female 41.0
GTEX-1LVAN-0726-SM-CNNPF 50-59 years, female 41.0
GTEX-1M4P7-0626-SM-EVR51 60-69 years, male 41.0
GTEX-1PFEY-0226-SM-EVR3M 30-39 years, male 41.0
GTEX-13VXT-0626-SM-5SIA1 20-29 years, female 40.9
GTEX-RWS6-0626-SM-2XCAS 60-69 years, female 40.9
GTEX-Y9LG-0426-SM-4VBRT 30-39 years, male 40.9
GTEX-Y5V6-0526-SM-4VBRV 60-69 years, male 40.8
GTEX-1FIGZ-0226-SM-7P8QR 40-49 years, male 40.8
GTEX-1GMRU-1126-SM-9KNV1 50-59 years, male 40.8
GTEX-1HCUA-0126-SM-B2LWC 50-59 years, female 40.8
GTEX-1OFPY-1526-SM-DTX8R 60-69 years, male 40.8
GTEX-ZPIC-0226-SM-DO91T 40-49 years, female 40.8
GTEX-145LT-0226-SM-5S2QK 40-49 years, male 40.7
GTEX-1J8Q3-0226-SM-C1YR4 60-69 years, male 40.7
GTEX-ZTPG-0826-SM-5DUVC 20-29 years, female 40.6
GTEX-14C38-0826-SM-5S2U8 50-59 years, male 40.5
GTEX-17F9E-0626-SM-79ON5 50-59 years, male 40.5
GTEX-Y5LM-0626-SM-4V6G4 40-49 years, female 40.5
GTEX-1122O-0226-SM-5N9DA 60-69 years, female 40.4
GTEX-1ICG6-0426-SM-ARU7M 70-79 years, female 40.4
GTEX-QDT8-1226-SM-EVR35 30-39 years, female 40.4
GTEX-18A66-0826-SM-72D5Z 60-69 years, male 40.3
GTEX-ZV6S-0226-SM-59HJT 40-49 years, female 40.3
GTEX-14BMV-0726-SM-73KVE 50-59 years, male 40.2
GTEX-169BO-0326-SM-7EPIM 50-59 years, male 40.2
GTEX-S7SE-0726-SM-2XCD7 50-59 years, male 40.2
GTEX-T8EM-0226-SM-3DB7C 40-49 years, male 40.2
GTEX-1R9PM-0226-SM-DPRY7 20-29 years, male 40.2
GTEX-11XUK-0226-SM-5EQLW 40-49 years, female 40.1
GTEX-WH7G-0526-SM-3NMBI 40-49 years, male 40.1
GTEX-XXEK-1326-SM-4BRV1 50-59 years, male 40.1
GTEX-Y3I4-0226-SM-4TT27 50-59 years, male 40.1
GTEX-1RAZQ-0926-SM-EAZ4Q 30-39 years, male 40.1
GTEX-15SB6-1526-SM-7KUMQ 50-59 years, female 40.0
GTEX-18D9B-0726-SM-72D6K 60-69 years, male 40.0
GTEX-P4PQ-2626-SM-33HC9 60-69 years, male 40.0
GTEX-WFJO-0226-SM-3GIKW 30-39 years, male 40.0
GTEX-1O9I2-1226-SM-E6CQC 50-59 years, male 40.0
GTEX-11NUK-1026-SM-5HL5J 50-59 years, male 39.9
GTEX-13112-0326-SM-5P9IW 50-59 years, male 39.9
GTEX-15G1A-0326-SM-6M467 30-39 years, male 39.9
GTEX-R55C-0626-SM-2TF4Q 40-49 years, male 39.9
GTEX-14ABY-0926-SM-5Q5DY 50-59 years, male 39.8
GTEX-Y114-0626-SM-4TT98 50-59 years, female 39.8
GTEX-ZQG8-0926-SM-57WFF 60-69 years, female 39.8
GTEX-1EWIQ-0826-SM-7MXTH 70-79 years, female 39.8
GTEX-1A3MV-0326-SM-73KW7 30-39 years, male 39.7
GTEX-WHPG-0226-SM-3NMB9 50-59 years, male 39.7
GTEX-1GN2E-0826-SM-9WYT8 60-69 years, male 39.7
GTEX-1MUQO-0726-SM-E9TJM 60-69 years, male 39.7
GTEX-139UW-0126-SM-5KM1B 60-69 years, male 39.6
GTEX-13YAN-0926-SM-5O9C3 60-69 years, male 39.6
GTEX-ZUA1-0926-SM-4YCDX 40-49 years, male 39.6
GTEX-1HCU9-0226-SM-9WPNT 20-29 years, male 39.6
GTEX-1IKJJ-1026-SM-A96SQ 60-69 years, male 39.6
GTEX-1JJEA-0626-SM-D3L96 60-69 years, male 39.6
GTEX-1JMLX-0826-SM-CNNPP 50-59 years, male 39.6
GTEX-ZF29-0726-SM-DO92H 60-69 years, female 39.6
GTEX-13113-0126-SM-5LZVX 60-69 years, female 39.5
GTEX-133LE-0326-SM-5P9G4 20-29 years, female 39.5
GTEX-14A5H-0726-SM-5Q5DW 60-69 years, male 39.5
GTEX-17JCI-0626-SM-7IGM7 60-69 years, female 39.5
GTEX-1EMGI-0826-SM-7EPHY 60-69 years, male 39.5
GTEX-1IDJH-0826-SM-CE6SY 70-79 years, male 39.5
GTEX-ZPCL-0126-SM-4WWC8 60-69 years, female 39.4
GTEX-1LGOU-0126-SM-EV79W 20-29 years, female 39.4
GTEX-1NUQO-0926-SM-DTXEX 20-29 years, female 39.4
GTEX-1QP28-0626-SM-E76P5 50-59 years, female 39.4
GTEX-18465-1426-SM-7KFTF 50-59 years, male 39.3
GTEX-1EH9U-0926-SM-7EWF1 60-69 years, male 39.3
GTEX-W5WG-1426-SM-4KKZP 50-59 years, female 39.3
GTEX-XBED-0126-SM-47JY7 60-69 years, male 39.3
GTEX-1F75B-0826-SM-9QEIT 50-59 years, male 39.3
GTEX-1H1DE-0226-SM-ARZN8 20-29 years, male 39.3
GTEX-13O3Q-0626-SM-5IJG1 50-59 years, male 39.2
GTEX-X5EB-0726-SM-46MVR 40-49 years, male 39.2
GTEX-1IDJC-1026-SM-A96T2 50-59 years, male 39.2
GTEX-S341-0226-SM-D4P1Y 40-49 years, female 39.2
GTEX-18A6Q-0726-SM-7LT8Y 60-69 years, male 39.1
GTEX-T6MN-0626-SM-32PM9 50-59 years, male 39.1
GTEX-ZF28-0826-SM-4WKGJ 60-69 years, male 39.1
GTEX-ZVT3-0726-SM-5GICN 60-69 years, female 39.1
GTEX-1F48J-0926-SM-7P8PZ 50-59 years, female 39.1
GTEX-1LH75-0626-SM-DIPG3 50-59 years, female 39.1
GTEX-Z93S-0526-SM-EVYB4 50-59 years, male 39.1
GTEX-15RIE-0426-SM-7KUMH 60-69 years, male 39.0
GTEX-16NPX-1426-SM-6LPK3 50-59 years, male 39.0
GTEX-YEC3-0826-SM-4WWFP 50-59 years, male 39.0
GTEX-ZGAY-1026-SM-4WWBR 40-49 years, female 39.0
GTEX-1GL5R-0626-SM-7PBZY 50-59 years, male 39.0
GTEX-15CHR-1726-SM-7DUGW 50-59 years, male 38.9
GTEX-1AYCT-0226-SM-73KVB 50-59 years, male 38.9
GTEX-QXCU-0326-SM-2TC63 50-59 years, male 38.9
GTEX-1H11D-0626-SM-9WPQ1 40-49 years, male 38.9
GTEX-1128S-0126-SM-5H12S 60-69 years, female 38.8
GTEX-RU72-0126-SM-2TF6Z 50-59 years, female 38.8
GTEX-1PBJI-0726-SM-EXUSQ 20-29 years, female 38.8
GTEX-1S83E-0726-SM-EV7B6 40-49 years, male 38.8
GTEX-1HBPM-0926-SM-ARL9C 60-69 years, female 38.7
GTEX-1I1GR-1126-SM-A9G2I 60-69 years, male 38.7
GTEX-1I1GS-0726-SM-C1YS7 60-69 years, male 38.7
GTEX-1PDJ9-0826-SM-E76PS 20-29 years, male 38.7
GTEX-S7SF-0226-SM-5SI7H 20-29 years, female 38.6
GTEX-1EU9M-0626-SM-7MXUT 60-69 years, male 38.6
GTEX-1GN73-0826-SM-9OSW4 60-69 years, male 38.6
GTEX-17KNJ-1026-SM-79ONK 50-59 years, male 38.5
GTEX-1A8G7-1026-SM-73KVA 60-69 years, male 38.5
GTEX-ZLFU-0626-SM-4WWBO 40-49 years, male 38.5
GTEX-ZLV1-0126-SM-4WWBZ 60-69 years, female 38.5
GTEX-OIZF-2626-SM-7P8QZ 60-69 years, male 38.5
GTEX-11DXZ-0926-SM-5N9CG 50-59 years, male 38.4
GTEX-TMMY-0826-SM-33HB9 40-49 years, female 38.4
GTEX-X4XX-0926-SM-46MV7 60-69 years, male 38.4
GTEX-13O1R-0826-SM-5J2MB 60-69 years, male 38.3
GTEX-13OVG-0226-SM-5LU93 60-69 years, male 38.3
GTEX-13OVI-0826-SM-5KLZ8 60-69 years, female 38.3
GTEX-14PHW-2926-SM-6AJBA 60-69 years, female 38.3
GTEX-1LBAC-0726-SM-D3L9U 20-29 years, male 38.3
GTEX-1RAZR-1126-SM-E6CRC 40-49 years, male 38.3
GTEX-O5YV-1526-SM-EV799 60-69 years, female 38.3
GTEX-WFG7-0326-SM-DKPO8 20-29 years, male 38.2
GTEX-117YW-0126-SM-5EGGN 50-59 years, male 38.1
GTEX-13FXS-0726-SM-5LZXJ 50-59 years, male 38.1
GTEX-13QBU-0626-SM-5J2OG 40-49 years, female 38.1
GTEX-14PJM-1326-SM-664NX 50-59 years, female 38.1
GTEX-178AV-0726-SM-6LPJI 40-49 years, male 38.1
GTEX-1A8FM-0726-SM-7DUGK 50-59 years, female 38.1
GTEX-1CB4F-0826-SM-793CV 60-69 years, male 38.1
GTEX-RTLS-0626-SM-5SI7Z 60-69 years, female 38.1
GTEX-XMK1-0626-SM-4B65A 40-49 years, male 38.1
GTEX-11P82-0226-SM-5HL4O 20-29 years, male 38.0
GTEX-1CAMS-0826-SM-7P8P1 40-49 years, female 38.0
GTEX-1RAZA-0826-SM-EAZ4I 20-29 years, male 38.0
GTEX-13FLV-0226-SM-5J2OF 50-59 years, male 37.9
GTEX-13OW6-0726-SM-5L3FX 50-59 years, male 37.9
GTEX-145ME-0126-SM-5S2QM 40-49 years, female 37.9
GTEX-14E6C-2626-SM-5RQJP 40-49 years, male 37.9
GTEX-1B8SF-0626-SM-73KVV 60-69 years, male 37.9
GTEX-YFC4-2626-SM-5P9FQ 40-49 years, female 37.9
GTEX-117XS-0526-SM-5987Q 60-69 years, male 37.8
GTEX-18D9U-1026-SM-72D5R 40-49 years, male 37.8
GTEX-SN8G-1526-SM-4DM79 50-59 years, female 37.8
GTEX-XBEW-0126-SM-4AT66 40-49 years, male 37.8
GTEX-1GF9X-0126-SM-A9G38 40-49 years, female 37.8
GTEX-111YS-0726-SM-5GZY8 60-69 years, male 37.7
GTEX-1192W-0126-SM-5EGGS 60-69 years, male 37.7
GTEX-ZVZQ-0626-SM-59HJU 60-69 years, female 37.7
GTEX-1F75I-0926-SM-7MXUU 40-49 years, male 37.7
GTEX-1JMQL-0926-SM-CJI3F 50-59 years, female 37.7
GTEX-14ICK-1626-SM-6ETZX 40-49 years, male 37.6
GTEX-1H1ZS-0726-SM-A9G3K 70-79 years, male 37.6
GTEX-1LB8K-0626-SM-D4P3Z 50-59 years, male 37.6
GTEX-13FHO-0926-SM-5N9EW 60-69 years, male 37.5
GTEX-WFG8-0426-SM-3GILD 20-29 years, male 37.5
GTEX-X8HC-0726-SM-46MWG 50-59 years, female 37.5
GTEX-1GF9V-0926-SM-9KNW7 60-69 years, male 37.5
GTEX-ZDXO-1726-SM-5HL6L 60-69 years, male 37.5
GTEX-1QEPI-0726-SM-E76QG 60-69 years, female 37.4
GTEX-11TUW-0226-SM-5LU8X 60-69 years, male 37.3
GTEX-13PVQ-0726-SM-5L3GI 50-59 years, male 37.3
GTEX-17EVP-0126-SM-7EPHW 40-49 years, male 37.3
GTEX-WEY5-0526-SM-3GIKZ 40-49 years, female 37.3
GTEX-13D11-0226-SM-5LZXL 50-59 years, female 37.2
GTEX-U3ZN-0326-SM-3DB86 30-39 years, female 37.2
GTEX-ZDTS-0926-SM-5YY9D 60-69 years, male 37.2
GTEX-1B8L1-1626-SM-7IGMH 60-69 years, male 37.1
GTEX-1K2DU-0126-SM-E9TIU 20-29 years, male 37.1
GTEX-14753-0926-SM-5Q5BI 60-69 years, male 37.0
GTEX-17HHE-0426-SM-79OK3 50-59 years, male 37.0
GTEX-1I1GP-0326-SM-CNPQ4 50-59 years, male 37.0
GTEX-11EMC-0226-SM-5EGLP 60-69 years, female 36.9
GTEX-12584-0826-SM-5FQSK 40-49 years, male 36.9
GTEX-R53T-0526-SM-3GADL 50-59 years, female 36.9
GTEX-SUCS-0226-SM-32PLQ 70-79 years, male 36.9
GTEX-ZE7O-1126-SM-57WC8 50-59 years, female 36.9
GTEX-1F6IF-1126-SM-9KNV2 60-69 years, male 36.9
GTEX-1GZHY-1426-SM-9WG5H 50-59 years, female 36.9
GTEX-11DXY-0426-SM-5H12R 60-69 years, male 36.8
GTEX-12ZZX-1226-SM-5EGHS 40-49 years, female 36.8
GTEX-16MTA-0726-SM-7KUL4 50-59 years, male 36.8
GTEX-W5X1-0426-SM-3GILB 40-49 years, female 36.8
GTEX-18D9A-0126-SM-7KFSI 30-39 years, female 36.7
GTEX-OOBJ-2626-SM-2I3F6 60-69 years, male 36.7
GTEX-RUSQ-1026-SM-2TF6V 50-59 years, male 36.7
GTEX-WYJK-1626-SM-3NM9J 50-59 years, male 36.7
GTEX-1GF9U-0226-SM-7P8TY 40-49 years, female 36.7
GTEX-13S86-1126-SM-5RQJX 40-49 years, male 36.6
GTEX-14C5O-0826-SM-5TDEG 60-69 years, male 36.6
GTEX-1HGF4-0726-SM-9WYU9 60-69 years, male 36.6
GTEX-1399R-0126-SM-5IFEV 30-39 years, male 36.5
GTEX-1H1CY-0726-SM-9OSXX 60-69 years, female 36.5
GTEX-1LG7Z-0526-SM-D4P3Q 30-39 years, male 36.5
GTEX-15RIF-0326-SM-7KUFR 20-29 years, male 36.4
GTEX-1LGRB-1226-SM-CNNPS 50-59 years, female 36.4
GTEX-1MJK3-0326-SM-DTX96 20-29 years, male 36.4
GTEX-1RQED-0926-SM-EWRNZ 60-69 years, male 36.4
GTEX-13N11-1026-SM-5K7XQ 50-59 years, female 36.3
GTEX-15DZA-0226-SM-7KFS6 30-39 years, female 36.3
GTEX-R55G-0726-SM-2TC6J 40-49 years, female 36.3
GTEX-1HFI6-1326-SM-A9SL8 40-49 years, male 36.3
GTEX-1K9T9-0826-SM-EAZ4X 50-59 years, female 36.3
GTEX-15ETS-0526-SM-6PAN3 40-49 years, female 36.2
GTEX-1AX8Z-0826-SM-7DUFZ 60-69 years, male 36.2
GTEX-1JK1U-0326-SM-CXZJH 60-69 years, male 36.1
GTEX-1QP67-0326-SM-EVR45 40-49 years, female 36.1
GTEX-11UD2-0626-SM-5GU6L 50-59 years, male 36.0
GTEX-1212Z-0426-SM-5FQT6 60-69 years, male 35.9
GTEX-12WSG-0226-SM-5EGIF 50-59 years, female 35.9
GTEX-15FZZ-0226-SM-6LLI4 30-39 years, female 35.9
GTEX-15SHU-0726-SM-7KUFI 40-49 years, female 35.9
GTEX-QV44-0826-SM-2S1RG 50-59 years, male 35.9
GTEX-YB5K-0526-SM-5LUAS 40-49 years, female 35.9
GTEX-ZT9X-0226-SM-51MT2 40-49 years, male 35.9
GTEX-1C4CL-0726-SM-7IGP9 30-39 years, male 35.8
GTEX-Y8E4-0126-SM-4VBQ2 40-49 years, male 35.8
GTEX-WOFL-0726-SM-3MJG4 60-69 years, male 35.7
GTEX-XV7Q-0326-SM-4BRVM 40-49 years, female 35.7
GTEX-ZAB5-0726-SM-5P9JG 50-59 years, male 35.7
GTEX-1J8JJ-0726-SM-AHZ3E 60-69 years, female 35.7
GTEX-1I6K6-0726-SM-B2LX4 30-39 years, male 35.6
GTEX-1RQEC-1026-SM-EVR5B 60-69 years, male 35.5
GTEX-1S5ZU-0726-SM-EWROH 20-29 years, female 35.5
GTEX-1497J-0126-SM-5Q5BK 60-69 years, male 35.4
GTEX-1GZ4H-0226-SM-9JGGJ 50-59 years, female 35.4
GTEX-1J8QM-0726-SM-CE6RF 60-69 years, female 35.4
GTEX-1R46S-0426-SM-EVR48 60-69 years, female 35.4
GTEX-13111-0226-SM-5EQ55 50-59 years, male 35.3
GTEX-1O97I-1026-SM-E76PI 60-69 years, male 35.3
GTEX-1A8G6-0626-SM-7IGNB 60-69 years, male 35.2
GTEX-1HSEH-0826-SM-B2LXE 60-69 years, male 35.2
GTEX-ZF3C-0826-SM-DO11E 50-59 years, female 35.2
GTEX-11ZVC-0126-SM-5986G 50-59 years, female 35.1
GTEX-13O3O-0926-SM-5KM1F 60-69 years, female 35.0
GTEX-1QCLZ-0626-SM-E6CR2 60-69 years, female 34.9
GTEX-132NY-1026-SM-5P9IY 60-69 years, male 34.8
GTEX-15ER7-0726-SM-7KUMF 20-29 years, female 34.8
GTEX-17HII-1926-SM-79OLB 50-59 years, male 34.8
GTEX-139TS-0126-SM-5K7XJ 60-69 years, male 34.7
GTEX-13O3P-0726-SM-5J2OM 50-59 years, male 34.7
GTEX-1HUB1-1226-SM-B2LWX 60-69 years, male 34.7
GTEX-REY6-0526-SM-2TF5M 60-69 years, male 34.6
GTEX-1MA7X-0926-SM-DIPEJ 60-69 years, male 34.6
GTEX-1PBJJ-1926-SM-DTX8T 30-39 years, male 34.6
GTEX-144GL-1226-SM-5O9A4 50-59 years, male 34.5
GTEX-1OJC3-0626-SM-E8VMO 20-29 years, male 34.5
GTEX-1PWST-0726-SM-EWRMO 70-79 years, male 34.5
GTEX-13U4I-0526-SM-5LU59 40-49 years, female 34.4
GTEX-18A67-0826-SM-7KFTI 50-59 years, male 34.4
GTEX-1IL2V-0626-SM-ARU7S 70-79 years, male 34.4
GTEX-12WSD-0926-SM-5GCNL 60-69 years, female 34.3
GTEX-1CAMQ-1126-SM-7EWFE 40-49 years, male 34.3
GTEX-V1D1-0926-SM-4JBHQ 50-59 years, male 34.3
GTEX-WYVS-0326-SM-3NM9V 40-49 years, female 34.3
GTEX-ZPU1-0426-SM-4WWCA 40-49 years, male 34.3
GTEX-Y3IK-0526-SM-4WWE3 50-59 years, female 34.2
GTEX-1QP6S-2526-SM-DTX9Z 40-49 years, male 34.2
GTEX-146FQ-0726-SM-5LUA7 30-39 years, male 34.1
GTEX-1B932-0926-SM-73KUP 40-49 years, female 34.1
GTEX-11GSP-0126-SM-5A5KU 60-69 years, female 34.0
GTEX-14PJO-0626-SM-6LLHH 60-69 years, male 33.8
GTEX-17HGU-0826-SM-7EWE5 50-59 years, male 33.8
GTEX-XOT4-1526-SM-EAZ2W 60-69 years, female 33.8
GTEX-13QJC-0826-SM-5RQKC 60-69 years, female 33.7
GTEX-183FY-0626-SM-79OKR 20-29 years, male 33.7
GTEX-1NV5F-0726-SM-DTXEH 60-69 years, female 33.7
GTEX-11OF3-0626-SM-5BC4Y 60-69 years, male 33.6
GTEX-1R9JW-0226-SM-EVR4K 30-39 years, female 33.6
GTEX-13G51-1226-SM-5K7Z3 60-69 years, male 33.4
GTEX-1LSVX-0726-SM-E9TJG 60-69 years, male 33.4
GTEX-15RJE-1326-SM-6LPI6 40-49 years, male 33.3
GTEX-145LU-0426-SM-5O9AH 50-59 years, male 33.1
GTEX-14AS3-0226-SM-5Q5B6 40-49 years, female 33.1
GTEX-1RMOY-0126-SM-EWRNN 50-59 years, male 33.1
GTEX-14DAQ-0826-SM-73KWT 60-69 years, female 33.0
GTEX-18A7A-0826-SM-7KFTJ 50-59 years, female 33.0
GTEX-1EKGG-0726-SM-7IGPX 60-69 years, male 32.9
GTEX-WRHU-0926-SM-4E3IG 50-59 years, female 32.9
GTEX-X15G-0526-SM-3NMB7 50-59 years, female 32.9
GTEX-1RAZS-1026-SM-E9TID 50-59 years, male 32.9
GTEX-1477Z-0226-SM-5TDCI 60-69 years, male 32.8
GTEX-U3ZH-0226-SM-3DB7B 30-39 years, male 32.8
GTEX-ZC5H-0626-SM-5LU9K 40-49 years, female 32.8
GTEX-POYW-0826-SM-2XCEM 60-69 years, male 32.7
GTEX-17EVQ-0526-SM-7KFSK 70-79 years, male 32.6
GTEX-17MF6-0626-SM-7LT8D 40-49 years, male 32.6
GTEX-1I1GQ-0826-SM-CNNQR 50-59 years, male 32.6
GTEX-13W46-0926-SM-5LU3T 50-59 years, male 32.4
GTEX-1C6VR-0426-SM-7IGN6 60-69 years, male 32.3
GTEX-SIU8-0626-SM-2XCDN 50-59 years, male 32.3
GTEX-1RNSC-1126-SM-E9TIP 60-69 years, male 32.3
GTEX-1F88F-0726-SM-7P8R7 60-69 years, female 32.1
GTEX-1EN7A-1026-SM-7IGPZ 40-49 years, male 32.0
GTEX-1HC8U-1226-SM-9WYUW 40-49 years, female 32.0
GTEX-1J8EW-1126-SM-A96T8 60-69 years, female 32.0
GTEX-1JMQJ-2026-SM-CNPP9 50-59 years, male 32.0
GTEX-1RDX4-0926-SM-E9U6D 50-59 years, female 31.8
GTEX-ZYY3-1926-SM-5GZXS 60-69 years, female 31.6
GTEX-1JMPZ-0626-SM-CY8HY 30-39 years, male 31.6
GTEX-12ZZY-0826-SM-5EQMT 60-69 years, male 31.5
GTEX-1IL2U-0826-SM-CL53Q 60-69 years, male 31.4
GTEX-16MT8-0626-SM-6M47Q 60-69 years, female 31.3
GTEX-11NV4-0626-SM-5N9BR 60-69 years, male 31.1
GTEX-14BIN-0126-SM-5TDCG 50-59 years, female 31.1
GTEX-148VI-0526-SM-5TDDG 60-69 years, female 31.0
GTEX-1JJ6O-0626-SM-AHZ3H 60-69 years, male 30.6
GTEX-1QAET-0226-SM-EVR3T 50-59 years, male 30.4
GTEX-1R9K4-0726-SM-EWRN2 60-69 years, male 30.2
GTEX-1269C-0226-SM-5EGKS 60-69 years, female 29.9
GTEX-1399T-0126-SM-5KM15 60-69 years, male 29.4
GTEX-1KD5A-0426-SM-D4P3X 50-59 years, male 29.3
GTEX-14PK6-0426-SM-6EU1J 70-79 years, female 28.5
GTEX-1GN1U-0826-SM-9WPPX 50-59 years, female 28.1
GTEX-11ZTS-1126-SM-5LU9X 60-69 years, female 27.2
GTEX-111VG-0526-SM-5N9BW 60-69 years, male 23.9
Show allShow less

THYROID GLAND - FANTOM5 CAGEi

RNA expression in human tissues obtained through Cap Analysis of Gene Expression (CAGE) generated by the FANTOM5 project are reported as Scaled Tags Per Million.

Max subtype Scaled Tags Per Millioni

Max subtype Scaled Tags Per Million is the value for the subtype with the largest average Scaled Tags Per Million across the subtype samples.

114.9
FANTOM5 sample id Sample description Scaled Tags Per Million
Thyroid
Scaled Tags Per Million: 114.9
FF:10028-101E1 67,68,78 years, mixed 114.9

Contact

  • NEWS ARTICLES
  • PRESS ROOM

The Project

  • INTRODUCTION
  • ORGANIZATION
  • PUBLICATIONS

The Human Protein Atlas

  • DOWNLOADABLE DATA
  • LICENCE & CITATION
  • HELP & FAQ
The Human Protein Atlas project is funded
by the Knut & Alice Wallenberg Foundation.


contact@proteinatlas.org