We use cookies to enhance the usability of our website. If you continue, we'll assume that you are happy to receive all cookies. More information. Don't show this again.
SULT2B1
HPA
RESOURCES
  • TISSUE
  • BRAIN
  • SINGLE CELL
  • SUBCELLULAR
  • CANCER
  • BLOOD
  • CELL LINE
  • STRUCTURE & INTERACTION
ABOUT
  • INTRODUCTION
  • HISTORY
  • ORGANIZATION
  • PUBLICATIONS
  • ANTIBODY SUBMISSION
  • ANTIBODY AVAILABILITY
  • ACKNOWLEDGMENTS
  • CONTACT
NEWS
  • NEWS ARTICLES
  • PRESS ROOM
LEARN
  • DICTIONARY
  • PROTEIN CLASSES
  • PROTEIN EVIDENCE
  • METHODS
  • EDUCATIONAL VIDEOS
DATA
  • DOWNLOADABLE DATA
  • PUBLICATION DATA
  • RELEASE HISTORY
HELP
  • ANTIBODY VALIDATION
  • ASSAYS & ANNOTATION
  • DISCLAIMER
  • HELP & FAQ
  • PRIVACY STATEMENT
  • LICENCE & CITATION
Fields »
Search result

Field
Term
Gene name
Class
Subclass
Class
Keyword
Chromosome
External id
Tissue
Cell type
Expression
Antibody panel
Tissue
Main location
Patient ID
Annotation
Tissue
Category
Tau score
Cluster
Reliability
Brain region
Category
Tau score
Brain region
Category
Tau score
Brain region
Category
Tau score
Cluster
Reliability
Tissue
Cell type
Enrichment
Cell type
Category
Tau score
Cell type
Category
Tau score
Cell type
Category
Tau score
Cell lineage
Category
Tau score
Cluster
Cluster
Location
Searches
Location
Cell line
Class
Type
Phase
Reliability
Cancer
Prognosis
Cancer
Category
Cancer
Category
Tau score
Cluster
Variants
Interacting gene (ensg_id)
Type
Number of interactions
Pathway
Category
Score
Score
Score
Validation
Validation
Validation
Validation
Antibodies
Data type
Column


  • SUMMARY

  • TISSUE

  • BRAIN

  • SINGLE CELL

  • SUBCELL

  • CANCER

  • BLOOD

  • CELL LINE

  • STRUCT & INT

  • SULT2B1
TISSUE PRIMARY DATA SKIN Show tissue menu
ADIPOSE TISSUE ADRENAL GLAND AMYGDALA APPENDIX BASAL GANGLIA BONE MARROW BREAST BRONCHUS CEREBELLUM CEREBRAL CORTEX CERVIX CHOROID PLEXUS COLON DUODENUM
ENDOMETRIUM EPIDIDYMIS ESOPHAGUS FALLOPIAN TUBE GALLBLADDER HEART MUSCLE HIPPOCAMPAL FORMATION HYPOTHALAMUS KIDNEY LIVER LUNG LYMPH NODE MIDBRAIN NASOPHARYNX
ORAL MUCOSA OVARY PANCREAS PARATHYROID GLAND PITUITARY GLAND PLACENTA PROSTATE RECTUM RETINA SALIVARY GLAND SEMINAL VESICLE SKELETAL MUSCLE SKIN SMALL INTESTINE
SMOOTH MUSCLE SOFT TISSUE SPINAL CORD SPLEEN STOMACH TESTIS THYMUS THYROID GLAND TONGUE TONSIL URINARY BLADDER VAGINA
ANTIBODIES
AND
VALIDATION
Dictionary
Skin
Tissue proteome
Skin
SKIN - Expression summary
Protein expression
Skini

On the top, protein expression in current human tissue, based on all annotated cell types, is reported with the units not detected (n), low (l), medium (m) and high (h). Underneath, protein expression in each annotated cell type are reported using the same units.

Protein expression data is based on knowledge-based annotation. For genes where more than one antibody has been used, a collective score is set.

If knowledge-based annotation could not be performed for a gene, no data is displayed here. View antibody staining data further down this page.

h
m
l
n
Cells in basal layer: Not detected
Cells in corneal layer: Not detected
Cells in granular layer: High
Cells in spinous layer: Medium
Eccrine glands: Low
Endothelial cells: Not detected
Extracellular matrix: Not detected
Fibrohistiocytic cells: Not detected
Hair follicles: High
Langerhans cells: Not detected
Lymphocytes: Not detected
Melanocytes: Not detected
Sebaceous glands: High
Vascular mural cells: Not detected
RNA expressioni

A summary of mRNA expression data available for current tissue based on several datasets. The mRNA expression levels in human tissues are based on RNA-seq data generated by the Human Protein Atlas (HPA), Genotype-Tissue Expression (GTEx) portal and CAGE data generated by the FANTOM5 consortium. Consensus normalized expression levels for human tissues was created by combining the data from HPA and GTEx datasets.

The mRNA expression levels in pig are based on RNA-seq data generated by the Human Protein Atlas (HPA), and for mouse, HPA data and in situ hybridization generated by the Allen brain atlas are reported.

Scroll down to view mRNA expression data in more detail.
Consensus:180.7 nTPM
HPA:139.5 nTPM
GTEx:180.7 nTPM

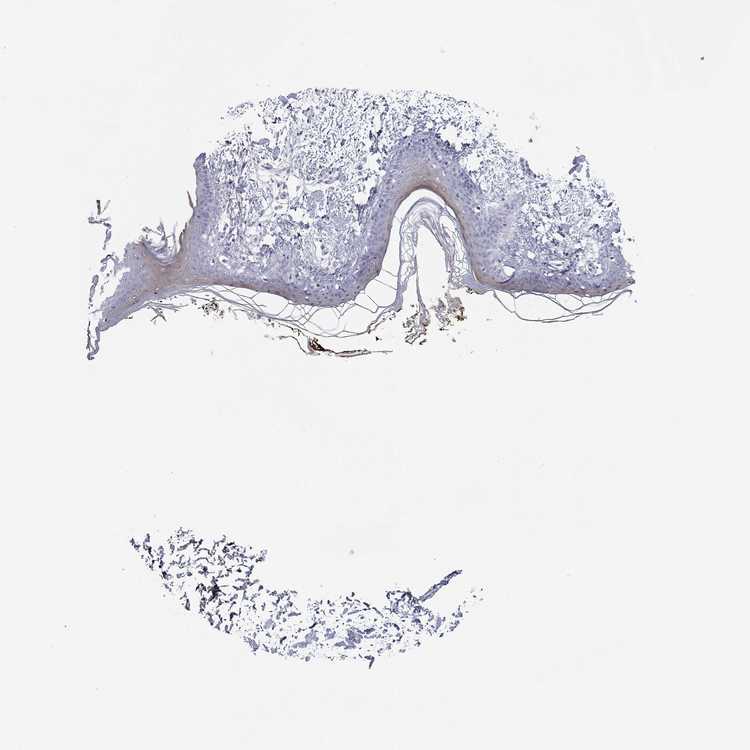
SKIN 1 - Antibody stainingi

Antibody staining in the annotated cell types in the current human tissue is reported as not detected, low, medium, or high, based on conventional immunohistochemistry profiling in selected tissues. This score is based on the combination of the staining intensity and fraction of stained cells.

Each image is clickable and will lead to virtual microscopy that enables deeper exploration of all samples and also displays staining intensity scores, fraction scores and subcellular localization as well as patient and tissue information for each sample.

Antibody HPA041724Antibody HPA043539Antibody HPA076510
Langerhans -Not detectedNot detected
Cells in basal layer Not detected--
Cells in corneal layer Not detected--
Cells in granular layer High--
Cells in spinous layer Not detected--
Eccrine glands Low--
Endothelial cells Not detected--
Extracellular matrix Not detected--
Fibroblasts -Not detectedNot detected
Fibrohistiocytic cells Not detected--
Hair follicles High--
Keratinocytes -LowMedium
Langerhans cells Not detected--
Lymphocytes Not detected--
Melanocytes Not detectedNot detectedNot detected
Sebaceous glands High--
Vascular mural cells Not detected--





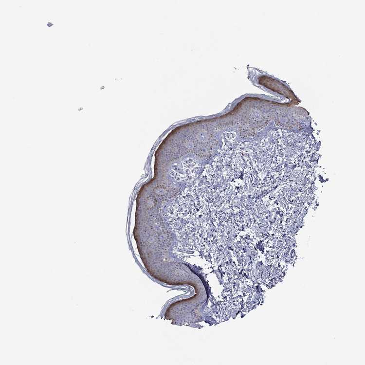
SKIN 2 - Antibody stainingi

Antibody staining in the annotated cell types in the current human tissue is reported as not detected, low, medium, or high, based on conventional immunohistochemistry profiling in selected tissues. This score is based on the combination of the staining intensity and fraction of stained cells.

Each image is clickable and will lead to virtual microscopy that enables deeper exploration of all samples and also displays staining intensity scores, fraction scores and subcellular localization as well as patient and tissue information for each sample.

Antibody HPA041724Antibody HPA043539Antibody HPA076510
Cells in basal layer Not detected--
Cells in corneal layer Not detected--
Cells in granular layer High--
Cells in spinous layer Medium--
Endothelial cells Not detected--
Epidermal cells -MediumHigh
Extracellular matrix Not detected--
Fibrohistiocytic cells Not detected--
Langerhans cells Not detected--
Lymphocytes Not detected--
Melanocytes Not detected--
Vascular mural cells Not detected--
   
   
   
   
   






SKIN - HPA RNA-seqi

The RNA-seq details section shows detailed information about the individual samples used for the transcript profiling and results of the RNA-seq analysis.

Information about each individual sample is listed below, including gender, age, a tissue section image and estimated fractions of cell types. nTPM (normalized transcripts per million) values give a quantification of the gene abundance which is comparable between different genes and samples.
Average nTPMi

Max subtype nTPM is the value for the subtype with the largest average nTPM across the subtype samples.

139.5
overview
Female, age 34
Skin sample 225
nTPM: 175.7
Cell types%
Keratinocytes:
60

Other cell types:
40

overview
Female, age 30
Skin sample 226
nTPM: 103.3
Cell types%
Keratinocytes:
55

Other cell types:
45

N/A
Male, age 57
Skin sample 227
nTPM: 139.6

SKIN - GTEx RNA-seqi

RNA-Seq data generated by the Genotype-Tissue Expression (GTEx) project from human tissues is reported as mean nTPM. More information can be found on the GTEx portal.

Distribution across the dataset is visualized with box plots, shown as median and 25th and 75th percentiles. Points are displayed as outliers if they are above or below 1.5 times the interquartile range. nTPM values of the individual samples are presented next to the box plot.
Max subtype nTPMi

Max subtype nTPM is the value for the subtype with the largest average nTPM across the subtype samples.

180.7
GTEx sample id Sample description nTPM
Skin - Not Sun Exposed (Suprapubic)
Average nTPM: 180.7
Samples: 604

Max nTPM: 698.3
Min nTPM: 14.6
Std nTPM: 100.5
Median nTPM: 160.3
GTEX-1PPH8-0126-SM-EWRN8 20-29 years, male 698.3
GTEX-12WSK-2126-SM-5CVNC 40-49 years, female 562.3
GTEX-15RIG-0726-SM-7KUM7 40-49 years, male 559.2
GTEX-1IKOE-1426-SM-CE6T7 30-39 years, female 558.5
GTEX-YFCO-1226-SM-5LUAT 40-49 years, male 534.8
GTEX-WFG7-2026-SM-5SI7P 20-29 years, male 527.1
GTEX-1OJC3-1226-SM-DTXER 20-29 years, male 518.1
GTEX-Y114-2126-SM-4TT8B 50-59 years, female 508.4
GTEX-ZTX8-1326-SM-4YCEL 20-29 years, male 507.2
GTEX-ZPCL-1126-SM-4WWFE 60-69 years, female 490.3
GTEX-17F97-2626-SM-7IGM5 50-59 years, male 485.4
GTEX-1399S-0126-SM-5IJCF 30-39 years, female 483.6
GTEX-111VG-1626-SM-5EGIO 60-69 years, male 472.3
GTEX-1JMPY-0226-SM-CKZOK 30-39 years, male 467.5
GTEX-14PJ3-1126-SM-5ZZVX 50-59 years, male 456.7
GTEX-1PBJJ-1026-SM-E76OS 30-39 years, male 453.4
GTEX-13O61-1426-SM-5KM3D 60-69 years, male 451.5
GTEX-XBEW-1126-SM-4QARW 40-49 years, male 450.6
GTEX-ZLFU-1826-SM-4WWBV 40-49 years, male 447.8
GTEX-1QP2A-1726-SM-E76QC 50-59 years, male 446.6
GTEX-1GZ4H-0526-SM-9KNU9 50-59 years, female 441.7
GTEX-ZP4G-1426-SM-4WWCL 20-29 years, female 433.3
GTEX-1N2DV-1526-SM-DTXEP 40-49 years, male 429.7
GTEX-1PIGE-1826-SM-E8VOU 20-29 years, male 404.3
GTEX-WHSB-1326-SM-3LK6W 50-59 years, male 403.4
GTEX-1HBPN-0126-SM-CGQEF 50-59 years, male 403.2
GTEX-1MJK3-0726-SM-E6CJC 20-29 years, male 402.2
GTEX-YECK-0326-SM-4W1YS 60-69 years, male 398.5
GTEX-1H11D-1826-SM-9QEHM 40-49 years, male 398.5
GTEX-14E1K-2026-SM-7DUEI 50-59 years, male 398.0
GTEX-1R9PM-1926-SM-EVR3O 20-29 years, male 395.3
GTEX-13PDP-0726-SM-5L3HP 60-69 years, male 393.4
GTEX-1NSGN-0726-SM-DTXEF 50-59 years, male 391.0
GTEX-17F9E-2326-SM-79OKD 50-59 years, male 384.3
GTEX-14ICL-1626-SM-5YYAO 30-39 years, male 379.1
GTEX-18QFQ-1826-SM-72D52 30-39 years, male 378.5
GTEX-1RMOY-1326-SM-E9TIH 50-59 years, male 370.9
GTEX-X585-2426-SM-46MW2 50-59 years, male 366.1
GTEX-17F9Y-0126-SM-79OKX 70-79 years, female 364.1
GTEX-ZLV1-1526-SM-DO91J 60-69 years, female 361.0
GTEX-1MCYP-0526-SM-E9U6Q 20-29 years, female 347.2
GTEX-13OVK-1426-SM-6PAN7 40-49 years, male 341.9
GTEX-12WSJ-1126-SM-5LZVJ 40-49 years, female 337.5
GTEX-18A67-1626-SM-7LT9T 50-59 years, male 334.1
GTEX-1CAMS-2226-SM-7PBXQ 40-49 years, female 334.1
GTEX-1LBAC-0826-SM-CY8IJ 20-29 years, male 330.1
GTEX-1H2FU-0926-SM-9WPPT 60-69 years, female 327.9
GTEX-1CAMQ-1326-SM-7P8RV 40-49 years, male 327.2
GTEX-ZY6K-1426-SM-5GZX2 50-59 years, male 325.8
GTEX-1QPFJ-1926-SM-EVYBD 30-39 years, female 323.8
GTEX-16AAH-0626-SM-793C9 50-59 years, male 321.9
GTEX-15RJE-2826-SM-7KUM9 40-49 years, male 321.2
GTEX-1OJC4-2726-SM-E76PJ 50-59 years, female 320.9
GTEX-17HHE-1326-SM-7EWDZ 50-59 years, male 314.8
GTEX-13IVO-0726-SM-5LZYV 70-79 years, male 312.0
GTEX-1RAZQ-1326-SM-E9TK6 30-39 years, male 311.2
GTEX-1GPI7-1826-SM-9KNU1 20-29 years, male 310.9
GTEX-111CU-1126-SM-5EGIM 50-59 years, male 309.2
GTEX-16MTA-0926-SM-6M47Z 50-59 years, male 306.4
GTEX-15CHR-1126-SM-7EWF4 50-59 years, male 304.8
GTEX-1JMQJ-0826-SM-CNPP7 50-59 years, male 303.3
GTEX-14PJ6-2626-SM-6EU2T 60-69 years, female 300.9
GTEX-1399Q-2326-SM-5KM2X 40-49 years, male 300.8
GTEX-13G51-1826-SM-5KLZH 60-69 years, male 300.6
GTEX-1JMLX-0626-SM-ARL8T 50-59 years, male 298.9
GTEX-1QP28-1126-SM-EVYC4 50-59 years, female 297.8
GTEX-1E2YA-2126-SM-7MXUO 50-59 years, male 296.5
GTEX-1I1GT-1026-SM-ARZLV 60-69 years, female 296.4
GTEX-144GL-0626-SM-5LU4D 50-59 years, male 294.3
GTEX-17F96-0126-SM-7EWDU 70-79 years, male 294.1
GTEX-Y5V6-2326-SM-4VDSA 60-69 years, male 292.6
GTEX-14PII-0726-SM-6EU2B 60-69 years, male 292.4
GTEX-1HCUA-0826-SM-ADEHM 50-59 years, female 292.3
GTEX-14PHY-1226-SM-5ZZWK 60-69 years, female 291.3
GTEX-1CAMR-1326-SM-7PC1F 20-29 years, male 290.7
GTEX-1LVAN-0626-SM-CNPOQ 50-59 years, female 290.1
GTEX-1S82P-2126-SM-E6CI5 60-69 years, female 288.4
GTEX-1HCU7-0726-SM-A9SL1 50-59 years, male 287.8
GTEX-ZT9X-1526-SM-5DUXD 40-49 years, male 287.4
GTEX-15RIE-1926-SM-7KUKJ 60-69 years, male 285.3
GTEX-1HB9E-0126-SM-CM2S5 50-59 years, male 283.2
GTEX-13QJC-0126-SM-5ZZWJ 60-69 years, female 282.0
GTEX-Y9LG-1126-SM-4VBQ7 30-39 years, male 281.2
GTEX-13NYB-0126-SM-5J1MD 40-49 years, male 280.2
GTEX-12WSH-1526-SM-5BC5W 50-59 years, male 279.3
GTEX-1J8EW-2726-SM-CY8HR 60-69 years, female 277.3
GTEX-1192X-2726-SM-5N9DN 50-59 years, male 276.1
GTEX-131XG-0326-SM-5L3DX 50-59 years, female 274.8
GTEX-ZDTT-0426-SM-4WKFL 60-69 years, male 273.6
GTEX-1S82U-1026-SM-E6CJK 30-39 years, female 270.8
GTEX-ZWKS-0626-SM-5GIDV 30-39 years, male 270.4
GTEX-11DZ1-2426-SM-5GZZX 50-59 years, male 270.3
GTEX-1LKK1-2626-SM-DKPQE 50-59 years, female 269.2
GTEX-1B8KE-1126-SM-7EPHI 50-59 years, male 268.7
GTEX-1313W-0626-SM-5EQ4H 50-59 years, female 268.2
GTEX-14PJ4-0226-SM-5YY92 60-69 years, male 267.4
GTEX-18D9A-1426-SM-7LT8M 30-39 years, female 265.2
GTEX-1GF9X-1326-SM-7PC2Y 40-49 years, female 263.3
GTEX-1PIIG-2326-SM-DTXFR 30-39 years, male 263.3
GTEX-13PL6-1126-SM-5L3IE 40-49 years, female 262.6
GTEX-1QCLY-0226-SM-EWRNH 30-39 years, male 262.0
GTEX-ZZPU-0826-SM-5GZX5 50-59 years, female 261.0
GTEX-1JJEA-1826-SM-ARU8P 60-69 years, male 259.6
GTEX-1S3DN-2126-SM-E9TIN 50-59 years, male 259.6
GTEX-1R9PN-0426-SM-DTXDT 40-49 years, female 258.6
GTEX-1CB4E-0926-SM-7EPHT 60-69 years, male 258.0
GTEX-1399U-1126-SM-5L3DB 50-59 years, female 257.7
GTEX-11WQC-1826-SM-5GU59 60-69 years, male 256.3
GTEX-11P7K-1126-SM-5HL4L 30-39 years, male 255.4
GTEX-15ER7-0626-SM-6PANF 20-29 years, female 254.9
GTEX-17KNJ-2126-SM-718AM 50-59 years, male 253.3
GTEX-1H3O1-1326-SM-9MQLD 60-69 years, male 253.0
GTEX-1HCVE-2726-SM-CL54F 50-59 years, male 250.8
GTEX-11DXZ-2026-SM-5987S 50-59 years, male 249.8
GTEX-1MCC2-1826-SM-DIPEX 30-39 years, female 249.1
GTEX-ZVP2-0326-SM-57WBP 50-59 years, male 248.0
GTEX-11GSP-2326-SM-5HL63 60-69 years, female 247.1
GTEX-15EO6-2426-SM-6PALZ 50-59 years, male 246.9
GTEX-14LZ3-0126-SM-69LPM 60-69 years, female 246.6
GTEX-ZF2S-1626-SM-57WES 50-59 years, female 246.2
GTEX-139D8-1126-SM-5LU8W 30-39 years, female 245.5
GTEX-1F52S-2926-SM-7MKGA 60-69 years, female 245.4
GTEX-ZF29-0926-SM-4WKFZ 60-69 years, female 243.6
GTEX-ZE9C-2526-SM-5IJDR 60-69 years, male 243.4
GTEX-147F4-0726-SM-5TDDD 50-59 years, male 243.1
GTEX-17F98-1326-SM-7DUEP 40-49 years, female 242.3
GTEX-12ZZX-2426-SM-5GCOE 40-49 years, female 240.6
GTEX-15SKB-2826-SM-6PAMH 60-69 years, male 240.6
GTEX-13OW6-2726-SM-5J2OE 50-59 years, male 240.5
GTEX-1KAFJ-0126-SM-DIPEK 50-59 years, male 240.1
GTEX-1QP9N-1226-SM-E76QN 30-39 years, male 240.1
GTEX-1C6VQ-1226-SM-73KYD 50-59 years, male 239.3
GTEX-1F6RS-2026-SM-7RHHC 60-69 years, female 238.9
GTEX-139UW-0326-SM-5J1ML 60-69 years, male 238.2
GTEX-14C39-1726-SM-5RQIL 40-49 years, male 237.6
GTEX-1LSNM-0826-SM-DIPG8 50-59 years, male 236.5
GTEX-1J1OQ-0126-SM-D4P2N 40-49 years, female 236.2
GTEX-11ZU8-0126-SM-5EQ58 60-69 years, male 236.1
GTEX-148VJ-0626-SM-5LUAW 70-79 years, male 235.4
GTEX-147GR-2426-SM-5ZZWQ 60-69 years, male 235.0
GTEX-1KANB-2826-SM-CY8I6 50-59 years, male 233.8
GTEX-14PJ5-1526-SM-6LLIL 60-69 years, female 232.8
GTEX-1HSMP-0926-SM-A9SKX 70-79 years, male 231.9
GTEX-11P81-2226-SM-5PNYI 30-39 years, female 231.8
GTEX-1HSMQ-2626-SM-A9SML 50-59 years, male 231.5
GTEX-11OF3-0126-SM-5PNYF 60-69 years, male 231.1
GTEX-1HGF4-0126-SM-CNPPX 60-69 years, male 230.6
GTEX-ZVZP-1226-SM-5GID7 50-59 years, male 230.5
GTEX-13FHO-0426-SM-5L3F5 60-69 years, male 230.1
GTEX-11DXX-2126-SM-5PNYR 60-69 years, female 228.0
GTEX-1R7EU-1626-SM-DTXG3 60-69 years, male 225.2
GTEX-XOT4-0626-SM-4B66L 60-69 years, female 224.5
GTEX-ZA64-1026-SM-5HL8R 20-29 years, male 223.9
GTEX-11DXY-0126-SM-5H11Q 60-69 years, male 222.9
GTEX-1GN1U-0626-SM-9MQL9 50-59 years, female 222.4
GTEX-16YQH-2226-SM-7IGM2 30-39 years, male 222.3
GTEX-1S831-1826-SM-EWROF 20-29 years, male 222.2
GTEX-11DYG-1526-SM-5A5JS 60-69 years, male 221.3
GTEX-17HII-1426-SM-7EPGG 50-59 years, male 221.2
GTEX-ZDYS-2426-SM-4WKGI 50-59 years, male 220.7
GTEX-17MFQ-1526-SM-7KFRR 20-29 years, male 220.3
GTEX-UPJH-0226-SM-3GADV 50-59 years, male 219.8
GTEX-131XF-2626-SM-5EQ6K 60-69 years, male 218.8
GTEX-1C64O-1326-SM-7MGWR 60-69 years, male 218.3
GTEX-13JVG-0726-SM-5KM16 60-69 years, male 218.0
GTEX-13YAN-0226-SM-5TDC6 60-69 years, male 218.0
GTEX-145MN-1526-SM-5SI9T 30-39 years, male 217.6
GTEX-13OW5-2326-SM-5L3HO 60-69 years, male 216.7
GTEX-1LGRB-0926-SM-COH3K 50-59 years, female 216.1
GTEX-1F5PK-2226-SM-7SB6N 50-59 years, male 215.8
GTEX-1EMGI-2326-SM-7PBYA 60-69 years, male 215.3
GTEX-13SLX-2226-SM-62LEP 50-59 years, female 213.9
GTEX-1POEN-2326-SM-E9J2L 30-39 years, female 212.2
GTEX-14C5O-0326-SM-5ZZUX 60-69 years, male 212.0
GTEX-1BAJH-2426-SM-7IGP8 70-79 years, male 212.0
GTEX-11EQ8-0926-SM-5H12V 60-69 years, male 211.5
GTEX-11GS4-0226-SM-5HL77 60-69 years, male 210.6
GTEX-1F6I4-2326-SM-7RHGL 60-69 years, male 210.2
GTEX-18A6Q-0626-SM-7KFRP 60-69 years, male 208.9
GTEX-14PJN-1826-SM-6AJ98 30-39 years, male 208.7
GTEX-1269C-0126-SM-5EQ5L 60-69 years, female 208.5
GTEX-1IKJJ-2226-SM-CJI4C 60-69 years, male 207.5
GTEX-ZXG5-2126-SM-59HKD 60-69 years, male 207.4
GTEX-14753-0726-SM-5QGQO 60-69 years, male 207.3
GTEX-13FTX-1526-SM-5K7VJ 20-29 years, female 206.8
GTEX-1R9K4-2826-SM-DTX8F 60-69 years, male 206.2
GTEX-1JN76-0626-SM-CKZOQ 20-29 years, female 205.4
GTEX-ZC5H-1526-SM-5HL9Y 40-49 years, female 204.8
GTEX-139YR-1026-SM-5LZYN 50-59 years, male 204.1
GTEX-WH7G-2026-SM-3NMBL 40-49 years, male 203.2
GTEX-13NZ8-1226-SM-5KM4A 60-69 years, female 202.6
GTEX-1PPGY-1626-SM-EVYBL 60-69 years, male 202.5
GTEX-1QP29-1826-SM-DTX9S 50-59 years, male 202.0
GTEX-1JKYR-0626-SM-ARL8R 20-29 years, male 201.9
GTEX-13O3O-2326-SM-5IJD6 60-69 years, female 201.7
GTEX-145MH-2826-SM-5RQJF 50-59 years, male 200.7
GTEX-13SLW-0626-SM-5Q5ER 70-79 years, male 199.9
GTEX-1NV5F-0626-SM-DTXEG 60-69 years, female 197.6
GTEX-YEC3-1326-SM-DO92X 50-59 years, male 196.4
GTEX-1C6VR-0126-SM-7RHGB 60-69 years, male 195.6
GTEX-1EKGG-0626-SM-7DUGJ 60-69 years, male 195.5
GTEX-14PHX-2226-SM-6EU2P 50-59 years, male 195.4
GTEX-WXYG-2026-SM-4E3IY 50-59 years, female 195.4
GTEX-11PRG-0726-SM-5EGL1 50-59 years, male 195.3
GTEX-1HT8W-0626-SM-A9G2H 30-39 years, male 194.5
GTEX-17EVP-2626-SM-7IGMA 40-49 years, male 193.8
GTEX-12WSD-0626-SM-5GCMW 60-69 years, female 193.7
GTEX-1RAZS-2526-SM-E6CHT 50-59 years, male 192.7
GTEX-1CB4H-1126-SM-7MKGL 60-69 years, female 192.6
GTEX-Y8E4-2026-SM-5IFJB 40-49 years, male 192.3
GTEX-1GN1V-2826-SM-9JGIA 60-69 years, male 192.0
GTEX-13FTY-2126-SM-5IFFB 40-49 years, female 191.8
GTEX-1GMRU-2126-SM-7P8RA 50-59 years, male 191.2
GTEX-14DAR-1226-SM-73KYV 50-59 years, male 191.0
GTEX-145LS-0626-SM-7EPG7 60-69 years, female 190.9
GTEX-WHPG-2626-SM-3NMBR 50-59 years, male 189.8
GTEX-13NYS-0626-SM-5L3F1 60-69 years, male 189.6
GTEX-11NUK-2726-SM-5A5MC 50-59 years, male 187.4
GTEX-1GN73-0726-SM-7P8TJ 60-69 years, male 187.4
GTEX-1I1GV-0626-SM-ARL7M 60-69 years, male 187.3
GTEX-1A3MV-1826-SM-731CD 30-39 years, male 187.2
GTEX-139TU-0726-SM-5L3EK 60-69 years, male 186.4
GTEX-ZTTD-2826-SM-4YCFA 50-59 years, male 186.2
GTEX-ZAB4-2126-SM-5HL8U 40-49 years, male 185.3
GTEX-133LE-2326-SM-5K7W3 20-29 years, female 185.2
GTEX-ZVT4-2426-SM-5GIEI 50-59 years, female 185.0
GTEX-11ZTT-2126-SM-5CVLO 60-69 years, female 184.8
GTEX-13W3W-0726-SM-5IJDQ 60-69 years, female 184.4
GTEX-1122O-1026-SM-9WYSF 60-69 years, female 184.3
GTEX-11LCK-2226-SM-5HL4Q 30-39 years, male 183.6
GTEX-16BQI-1326-SM-6M486 30-39 years, female 183.6
GTEX-1B97I-0626-SM-73KUZ 40-49 years, male 183.1
GTEX-ZE7O-2726-SM-51MT5 50-59 years, female 182.7
GTEX-13RTJ-0126-SM-5S2NN 60-69 years, male 182.2
GTEX-13FLV-0126-SM-5K7WT 50-59 years, male 181.0
GTEX-1C2JI-1026-SM-73KY1 50-59 years, male 181.0
GTEX-Y3I4-1726-SM-4TT89 50-59 years, male 180.3
GTEX-ZYT6-2326-SM-5GZY3 30-39 years, male 180.3
GTEX-1R46S-2426-SM-E76QA 60-69 years, female 180.3
GTEX-X5EB-1926-SM-4E3IW 40-49 years, male 180.0
GTEX-147F3-1726-SM-5SIAW 50-59 years, female 178.1
GTEX-1J8Q2-2626-SM-ACKWQ 60-69 years, male 178.0
GTEX-VUSG-2326-SM-4KL1U 50-59 years, male 177.8
GTEX-1LB8K-0726-SM-D5OV2 50-59 years, male 176.8
GTEX-1K2DA-1026-SM-CGQGF 50-59 years, male 176.6
GTEX-ZF3C-0626-SM-DO92O 50-59 years, female 176.2
GTEX-1K2DU-1226-SM-CYPT4 20-29 years, male 176.0
GTEX-XPVG-2126-SM-4B667 50-59 years, male 175.8
GTEX-1JMQK-1226-SM-D4P2S 60-69 years, male 175.7
GTEX-139T8-0626-SM-5KLZX 60-69 years, male 175.6
GTEX-XAJ8-1426-SM-47JYM 40-49 years, male 175.1
GTEX-Y111-0626-SM-4SOIT 50-59 years, male 174.9
GTEX-1117F-2926-SM-5GZYI 60-69 years, female 174.5
GTEX-XQ8I-0926-SM-4BOOF 50-59 years, male 174.4
GTEX-1JK1U-0226-SM-ARZMX 60-69 years, male 174.4
GTEX-XUW1-0926-SM-4BONX 50-59 years, female 173.8
GTEX-12126-0826-SM-5FQTZ 20-29 years, male 173.4
GTEX-1GF9V-0826-SM-9KNUV 60-69 years, male 173.1
GTEX-1CB4F-1026-SM-7DUH1 60-69 years, male 172.8
GTEX-ZPU1-1126-SM-4YCF3 40-49 years, male 172.7
GTEX-1IL2V-1926-SM-B2LW8 70-79 years, male 172.7
GTEX-1GZ4I-2626-SM-9KNU3 50-59 years, male 172.2
GTEX-ZAK1-0626-SM-5HL8E 50-59 years, female 171.9
GTEX-18A7A-0126-SM-731AH 50-59 years, female 171.8
GTEX-1KXAM-1626-SM-D3LAD 60-69 years, male 171.6
GTEX-1I1HK-2326-SM-CKZOH 60-69 years, male 171.3
GTEX-15DDE-2926-SM-6LLJ3 50-59 years, female 171.1
GTEX-1C64N-2626-SM-7PC2N 50-59 years, male 171.0
GTEX-ZTSS-1426-SM-5985P 40-49 years, male 169.3
GTEX-1EU9M-1426-SM-793AI 60-69 years, male 168.7
GTEX-ZYVF-0926-SM-5E44J 50-59 years, female 168.7
GTEX-1B8SF-0126-SM-7DUG3 60-69 years, male 168.4
GTEX-12ZZY-0726-SM-5EQ66 60-69 years, male 167.5
GTEX-1A8G6-2726-SM-731AR 60-69 years, male 167.3
GTEX-1LVAM-0726-SM-E6CIL 50-59 years, female 167.1
GTEX-14PK6-0226-SM-62LF5 70-79 years, female 167.0
GTEX-144FL-0626-SM-5LU43 50-59 years, male 166.7
GTEX-1JKYN-0826-SM-ARU8S 30-39 years, male 166.3
GTEX-1KD5A-0126-SM-E9U54 50-59 years, male 166.2
GTEX-1EN7A-2426-SM-793DB 40-49 years, male 165.9
GTEX-14B4R-1326-SM-5Q5EZ 30-39 years, male 165.5
GTEX-15DYW-2726-SM-6EU2I 60-69 years, female 165.2
GTEX-WYVS-1626-SM-3NM9R 40-49 years, female 165.1
GTEX-1JMOU-1026-SM-CYPSS 60-69 years, female 165.1
GTEX-ZYY3-2926-SM-5GIEB 60-69 years, female 164.9
GTEX-1AYD5-2626-SM-7PBXY 50-59 years, male 164.8
GTEX-14AS3-1526-SM-5Q5ED 40-49 years, female 164.5
GTEX-WY7C-2126-SM-3NB2R 50-59 years, male 164.4
GTEX-1IDJU-1726-SM-CMKHU 60-69 years, female 164.0
GTEX-131XH-0126-SM-5LZUY 50-59 years, male 163.9
GTEX-13OVH-0526-SM-5L3E6 70-79 years, male 163.9
GTEX-YEC4-1826-SM-4W1YP 40-49 years, male 163.9
GTEX-145MG-1526-SM-5Q5EM 50-59 years, male 163.7
GTEX-1F88F-0126-SM-9WYSZ 60-69 years, female 163.4
GTEX-1HSKV-1226-SM-ADEI4 60-69 years, male 163.2
GTEX-145ME-1726-SM-5Q5EU 40-49 years, female 162.6
GTEX-ZZ64-1026-SM-5GZXG 20-29 years, male 162.3
GTEX-1IE54-1126-SM-A9G2Z 40-49 years, female 161.4
GTEX-1PDJ9-1226-SM-EXUSX 20-29 years, male 161.1
GTEX-1HBPM-0726-SM-9YFL7 60-69 years, female 161.0
GTEX-WHSE-0126-SM-3NMBT 20-29 years, male 160.6
GTEX-1C6WA-2626-SM-7MKGM 60-69 years, male 160.3
GTEX-1B8L1-2226-SM-7P8PT 60-69 years, male 160.3
GTEX-ZYW4-0626-SM-59HJR 60-69 years, male 160.0
GTEX-12ZZZ-0726-SM-5GCNZ 60-69 years, male 159.7
GTEX-1S83E-1326-SM-E6CJM 40-49 years, male 159.5
GTEX-12584-0726-SM-5FQTK 40-49 years, male 159.2
GTEX-144GM-0526-SM-79OJO 20-29 years, male 158.9
GTEX-ZDTS-0826-SM-4WKHL 60-69 years, male 158.8
GTEX-1H4P4-2126-SM-9WYSL 50-59 years, male 158.4
GTEX-15RJ7-2126-SM-6PAMD 40-49 years, male 158.0
GTEX-14BIN-1126-SM-5RQJZ 50-59 years, female 156.7
GTEX-1F75I-2226-SM-7SB8U 40-49 years, male 156.7
GTEX-1LSNL-2726-SM-E9TKJ 50-59 years, male 156.3
GTEX-13OW7-0426-SM-5K7VK 50-59 years, male 155.9
GTEX-12WSM-1926-SM-5BC65 60-69 years, male 155.3
GTEX-Z93S-1626-SM-5CVMB 50-59 years, male 155.1
GTEX-15G19-2426-SM-7KUMR 60-69 years, male 154.7
GTEX-111YS-1526-SM-5GZYW 60-69 years, male 154.2
GTEX-XYKS-1426-SM-4BRUO 60-69 years, female 154.0
GTEX-145LU-1926-SM-79OJN 50-59 years, male 153.5
GTEX-1H1DE-1326-SM-9KNUG 20-29 years, male 153.3
GTEX-WHWD-1826-SM-3LK6I 50-59 years, male 152.9
GTEX-11NSD-0626-SM-5A5LU 20-29 years, male 152.8
GTEX-XQ3S-1426-SM-4BOPR 20-29 years, male 152.5
GTEX-15CHC-1126-SM-6LLHQ 60-69 years, female 151.9
GTEX-12KS4-2126-SM-5FQUT 30-39 years, male 151.8
GTEX-1LSVX-2526-SM-DIPEU 60-69 years, male 151.8
GTEX-15FZZ-0526-SM-7KUGD 30-39 years, female 151.2
GTEX-1I4MK-0126-SM-CY8G6 50-59 years, female 151.0
GTEX-1CB4I-0126-SM-7RHGG 50-59 years, male 150.8
GTEX-1GN2E-0226-SM-9WG6K 60-69 years, male 150.7
GTEX-1QMI2-2526-SM-E8VNZ 60-69 years, male 150.3
GTEX-12C56-1526-SM-5FQUQ 20-29 years, male 148.7
GTEX-1KANA-1326-SM-DIPFA 20-29 years, male 148.6
GTEX-1EWIQ-0326-SM-7DHMQ 70-79 years, female 148.5
GTEX-1N2EE-0626-SM-E76PW 60-69 years, male 147.9
GTEX-1QEPI-2626-SM-DTXF4 60-69 years, female 147.8
GTEX-17HHY-0426-SM-7DHLC 50-59 years, male 147.6
GTEX-1IY9M-2826-SM-ARU8H 60-69 years, male 147.3
GTEX-13O3Q-0126-SM-5KM34 50-59 years, male 147.1
GTEX-X4EO-2926-SM-4E3JH 60-69 years, female 146.9
GTEX-139TS-2126-SM-5K7XC 60-69 years, male 146.7
GTEX-14PKU-0126-SM-6LLHV 40-49 years, female 146.7
GTEX-144GO-2026-SM-5O99P 60-69 years, male 146.6
GTEX-1J1R8-2026-SM-CL53Y 40-49 years, male 146.4
GTEX-14LLW-2626-SM-62LDZ 70-79 years, female 146.1
GTEX-11P82-1426-SM-DTXFY 20-29 years, male 146.1
GTEX-18A66-0626-SM-7LT8Z 60-69 years, male 143.9
GTEX-XBEC-0726-SM-4QARZ 50-59 years, male 143.9
GTEX-1GN1W-2426-SM-9KNUU 50-59 years, female 143.9
GTEX-13112-0126-SM-5P9IU 50-59 years, male 143.7
GTEX-Y8LW-1526-SM-5IFHL 50-59 years, female 143.5
GTEX-183WM-0326-SM-72D5V 70-79 years, female 143.4
GTEX-13FTW-0326-SM-5K7UW 40-49 years, male 142.8
GTEX-1EX96-1026-SM-7MKG2 50-59 years, male 142.8
GTEX-1HSGN-0826-SM-ACKW3 40-49 years, female 142.8
GTEX-16MT9-0126-SM-7EPI8 60-69 years, female 142.5
GTEX-1IDFM-0326-SM-ARL7V 60-69 years, male 141.6
GTEX-15UF6-1926-SM-7KUDV 70-79 years, female 141.5
GTEX-17MF6-2626-SM-79OKQ 40-49 years, male 141.4
GTEX-1JJ6O-2726-SM-CNPOG 60-69 years, male 141.1
GTEX-1F75A-0726-SM-7RHHD 50-59 years, male 140.6
GTEX-1A8G7-1326-SM-73KVM 60-69 years, male 140.5
GTEX-1AX9I-2226-SM-73KUO 60-69 years, male 140.4
GTEX-1HBPI-2126-SM-ARL9K 50-59 years, male 140.1
GTEX-Y5LM-0926-SM-6LLJG 40-49 years, female 139.7
GTEX-1H1ZS-2726-SM-9WG75 70-79 years, male 139.0
GTEX-W5X1-2526-SM-3GILC 40-49 years, female 138.5
GTEX-1RLM8-2926-SM-E8VON 50-59 years, male 138.1
GTEX-1C475-1326-SM-7SB73 40-49 years, female 137.6
GTEX-16NGA-0726-SM-731AO 40-49 years, female 137.3
GTEX-11WQK-1026-SM-5EQLX 50-59 years, male 137.2
GTEX-178AV-1726-SM-7KUL8 40-49 years, male 137.2
GTEX-ZPIC-0526-SM-DO91W 40-49 years, female 137.0
GTEX-18D9U-0126-SM-731BM 40-49 years, male 136.6
GTEX-1QW4Y-1126-SM-DTXE3 30-39 years, male 136.6
GTEX-1HCU6-2526-SM-ADEHL 60-69 years, female 136.2
GTEX-1JMPZ-0726-SM-CY8HZ 30-39 years, male 136.0
GTEX-X3Y1-2026-SM-3P5YM 40-49 years, male 135.9
GTEX-ZVT2-0126-SM-5GIDQ 50-59 years, female 135.8
GTEX-1S5ZU-2526-SM-E6CIF 20-29 years, female 135.5
GTEX-13VXT-1926-SM-5K7UO 20-29 years, female 135.2
GTEX-13OVJ-0826-SM-5J1OK 50-59 years, female 135.1
GTEX-1IOXB-2726-SM-CM2RI 50-59 years, male 135.0
GTEX-1LG7Y-2526-SM-EWRO7 50-59 years, male 134.8
GTEX-18465-2826-SM-7LT9J 50-59 years, male 134.6
GTEX-1HFI7-2326-SM-CGQFS 50-59 years, female 134.3
GTEX-1JMQI-1726-SM-ARL93 50-59 years, male 134.0
GTEX-XXEK-1626-SM-4BRUZ 50-59 years, male 132.4
GTEX-1I1GP-1326-SM-A9G28 50-59 years, male 132.4
GTEX-17HGU-2326-SM-7DUFE 50-59 years, male 132.2
GTEX-11EQ9-1626-SM-5PNY8 30-39 years, male 131.9
GTEX-139TT-2126-SM-5LZWC 60-69 years, male 131.5
GTEX-11VI4-1126-SM-5EQMD 40-49 years, female 131.3
GTEX-1HR9M-2226-SM-CNPPY 60-69 years, male 130.9
GTEX-1212Z-0126-SM-59HK4 60-69 years, male 130.7
GTEX-Y3IK-1626-SM-4YCF5 50-59 years, female 130.6
GTEX-14JFF-0626-SM-5ZZVT 60-69 years, male 130.1
GTEX-ZVE2-2826-SM-5GU51 50-59 years, male 128.7
GTEX-146FQ-2126-SM-5RQHU 30-39 years, male 127.7
GTEX-15SHW-0226-SM-7LTAT 60-69 years, male 127.3
GTEX-16XZZ-0726-SM-7KUF2 60-69 years, male 127.0
GTEX-13D11-0926-SM-5J2NC 50-59 years, female 126.8
GTEX-14ABY-2026-SM-62LDL 50-59 years, male 126.0
GTEX-1AX8Z-0726-SM-73KTS 60-69 years, male 125.8
GTEX-1JN1M-2726-SM-CY8I4 60-69 years, female 125.6
GTEX-1F88E-1626-SM-7SB8Z 60-69 years, female 125.0
GTEX-15CHQ-0326-SM-69LQD 60-69 years, male 124.6
GTEX-1HR98-2226-SM-ADEI2 60-69 years, male 124.5
GTEX-13X6I-1826-SM-5SIAO 60-69 years, male 123.0
GTEX-1HC8U-1326-SM-9YFMJ 40-49 years, female 123.0
GTEX-1AMEY-0826-SM-72D65 30-39 years, female 122.5
GTEX-14JG1-1526-SM-5YY9X 40-49 years, male 122.4
GTEX-ZGAY-1826-SM-DO91Q 40-49 years, female 122.4
GTEX-XV7Q-1826-SM-4BRUV 40-49 years, female 121.6
GTEX-WI4N-2726-SM-3LK7Y 40-49 years, female 121.5
GTEX-1GPI6-1926-SM-9KNV7 60-69 years, male 120.6
GTEX-13X6H-0926-SM-5SIB2 50-59 years, female 120.3
GTEX-XBED-1926-SM-47JYP 60-69 years, male 120.1
GTEX-1IDJV-0126-SM-COH3Y 60-69 years, male 119.0
GTEX-1H23P-0626-SM-9WG6T 60-69 years, male 118.8
GTEX-14PJO-2526-SM-6AJBQ 60-69 years, male 118.7
GTEX-ZYFC-0426-SM-5GICQ 50-59 years, male 118.3
GTEX-1I1GS-2626-SM-B2LY3 60-69 years, male 117.9
GTEX-ZDXO-3126-SM-5IJDF 60-69 years, male 117.8
GTEX-16MT8-2926-SM-7DUFO 60-69 years, female 117.6
GTEX-1K9T9-1526-SM-DIPFR 50-59 years, female 117.2
GTEX-1211K-1526-SM-5FQU4 60-69 years, female 117.0
GTEX-1H1E6-0426-SM-9WYUS 30-39 years, male 116.9
GTEX-131XW-0626-SM-5PNVD 50-59 years, female 116.7
GTEX-11O72-0626-SM-5PNYE 40-49 years, male 116.4
GTEX-1ICLZ-0326-SM-ARL82 60-69 years, male 116.3
GTEX-1GMR2-0826-SM-7PC3V 50-59 years, male 116.2
GTEX-1IDJH-0126-SM-D3L92 70-79 years, male 116.0
GTEX-1B8KZ-0326-SM-73KY4 50-59 years, male 115.8
GTEX-1477Z-0326-SM-7IGLA 60-69 years, male 115.4
GTEX-ZYFG-1526-SM-5GZYM 60-69 years, female 114.9
GTEX-1HCU8-2526-SM-CE6RX 60-69 years, female 114.8
GTEX-1IDJC-1526-SM-B2LW4 50-59 years, male 114.8
GTEX-183FY-1026-SM-7939A 20-29 years, male 114.5
GTEX-WRHU-2826-SM-3MJG8 50-59 years, female 114.1
GTEX-X4EP-0626-SM-3P621 60-69 years, female 113.9
GTEX-1I6K7-1926-SM-B2LXR 40-49 years, male 113.7
GTEX-13OW8-1026-SM-5J1NQ 60-69 years, male 113.6
GTEX-1AMFI-1326-SM-7939R 50-59 years, female 113.4
GTEX-13N11-2326-SM-5IJBF 50-59 years, female 112.2
GTEX-YJ8O-2526-SM-5HL85 40-49 years, female 112.1
GTEX-14BMU-1226-SM-5S2OR 20-29 years, female 111.9
GTEX-1GL5R-1326-SM-7RHHF 50-59 years, male 111.4
GTEX-1IDJF-2026-SM-CL53V 20-29 years, male 111.3
GTEX-1N5O9-0926-SM-E9J3C 60-69 years, male 110.7
GTEX-13X6K-0626-SM-5LU5D 60-69 years, female 110.6
GTEX-1ICLY-0826-SM-CMKG1 50-59 years, male 110.2
GTEX-1KWVE-1026-SM-D3L9O 30-39 years, male 109.8
GTEX-1QAET-0326-SM-EVR3U 50-59 years, male 109.3
GTEX-13OVG-1626-SM-5J1NF 60-69 years, male 108.8
GTEX-16Z82-2626-SM-7KULU 60-69 years, male 108.5
GTEX-12696-0126-SM-5EQ4L 60-69 years, male 108.0
GTEX-1H1DG-2426-SM-9QEHJ 70-79 years, male 107.6
GTEX-14A6H-2026-SM-5Q5DD 30-39 years, male 107.5
GTEX-12BJ1-0926-SM-5EQ62 60-69 years, male 107.0
GTEX-11UD2-2526-SM-5CVNU 50-59 years, male 106.8
GTEX-14PKV-1126-SM-6LLJ1 20-29 years, female 105.8
GTEX-1HCU9-0426-SM-9WYSD 20-29 years, male 105.8
GTEX-ZLWG-0826-SM-59888 50-59 years, female 105.6
GTEX-13N1W-2426-SM-5IJD1 70-79 years, male 105.5
GTEX-1F75B-0726-SM-7PC3R 50-59 years, male 105.4
GTEX-1497J-0226-SM-5QGPU 60-69 years, male 105.3
GTEX-15EU6-2226-SM-6EU2L 50-59 years, male 105.2
GTEX-XMD2-2126-SM-4YCF8 60-69 years, female 103.9
GTEX-WEY5-2326-SM-3GIKK 40-49 years, female 103.5
GTEX-12WSC-2826-SM-5BC5Y 50-59 years, male 103.1
GTEX-V1D1-2026-SM-3GAF4 50-59 years, male 102.8
GTEX-145MI-0626-SM-5SI8S 60-69 years, female 102.6
GTEX-1H1CY-0126-SM-9YFLY 60-69 years, female 102.4
GTEX-13N2G-0226-SM-5K7VF 60-69 years, male 101.7
GTEX-1GMR8-0626-SM-7RHI7 50-59 years, female 101.7
GTEX-1B933-2426-SM-7DHMD 50-59 years, female 101.6
GTEX-14JG6-1426-SM-9WG7C 30-39 years, female 101.3
GTEX-1GMR3-0126-SM-A9SLW 40-49 years, male 100.6
GTEX-ZAJG-1526-SM-5CVML 50-59 years, female 100.5
GTEX-15D1Q-2826-SM-6LLH7 40-49 years, male 100.4
GTEX-1GF9W-1426-SM-7PBYM 60-69 years, male 100.3
GTEX-ZVE1-0726-SM-51MRN 50-59 years, female 100.2
GTEX-ZU9S-1826-SM-5NQ9E 30-39 years, male 100.1
GTEX-13PVQ-0626-SM-5LU47 50-59 years, male 99.9
GTEX-1JJE9-2626-SM-ARZMT 70-79 years, male 99.9
GTEX-1B932-2326-SM-79OL5 40-49 years, female 99.1
GTEX-1I6K6-1726-SM-CGQFD 30-39 years, male 98.9
GTEX-1LVA9-2626-SM-EVYD4 50-59 years, male 98.8
GTEX-13PVR-0426-SM-5RQK2 60-69 years, female 98.6
GTEX-ZYFD-0626-SM-5E44E 50-59 years, male 98.1
GTEX-13VXU-0626-SM-5L3F9 50-59 years, male 97.9
GTEX-12WSF-1626-SM-7KUG5 70-79 years, male 97.5
GTEX-1IDJI-0126-SM-CMKHS 50-59 years, female 97.1
GTEX-15G1A-1626-SM-7KUKN 30-39 years, male 96.9
GTEX-1CB4J-1326-SM-7P8RX 60-69 years, male 96.9
GTEX-1PPH7-1126-SM-DTX9A 40-49 years, male 96.9
GTEX-1F48J-0726-SM-7RHGS 50-59 years, female 96.8
GTEX-1RB15-1326-SM-E76Q9 60-69 years, male 96.2
GTEX-1IDJD-2326-SM-ACKWX 30-39 years, male 95.7
GTEX-1RAZR-2126-SM-E9U6T 40-49 years, male 95.6
GTEX-1KANC-1226-SM-CYPT7 50-59 years, female 95.4
GTEX-18D9B-0926-SM-7LG4U 60-69 years, male 94.7
GTEX-11TUW-0626-SM-5LU9M 60-69 years, male 94.6
GTEX-1HKZK-0726-SM-ACKW2 40-49 years, male 94.2
GTEX-1LVAO-2726-SM-E9TJ8 60-69 years, male 94.2
GTEX-1ICG6-1226-SM-A9SLN 70-79 years, female 93.3
GTEX-1EH9U-2826-SM-7DUGT 60-69 years, male 93.1
GTEX-WFON-1926-SM-3LK7L 40-49 years, male 91.3
GTEX-145MF-0926-SM-5Q5EA 50-59 years, male 91.2
GTEX-X8HC-0626-SM-4E3HQ 50-59 years, female 91.0
GTEX-1I1GU-0926-SM-ACKVS 40-49 years, male 90.9
GTEX-11ZUS-2626-SM-5FQUR 30-39 years, male 90.5
GTEX-12WSA-0426-SM-5EQ5X 60-69 years, male 90.2
GTEX-XK95-0226-SM-4AT58 40-49 years, male 89.5
GTEX-13OVL-0126-SM-5L3GJ 50-59 years, male 89.4
GTEX-1JMQL-2226-SM-CNPP4 50-59 years, female 89.4
GTEX-117YX-1926-SM-5GIEC 50-59 years, male 89.3
GTEX-1J8QM-2426-SM-A9SLS 60-69 years, female 88.7
GTEX-1GZHY-0626-SM-9KNVC 50-59 years, female 88.3
GTEX-13X6J-0626-SM-5LU5F 50-59 years, male 87.9
GTEX-14BMV-2826-SM-5TDED 50-59 years, male 87.8
GTEX-1I1CD-0626-SM-CE6SW 60-69 years, female 87.5
GTEX-1AX9J-1326-SM-731BJ 60-69 years, male 87.0
GTEX-13NYC-0126-SM-5L3F4 60-69 years, male 86.8
GTEX-14A5H-0826-SM-5QGPJ 60-69 years, male 86.6
GTEX-145LT-0526-SM-5LUB2 40-49 years, male 86.5
GTEX-1H3VE-0726-SM-9YFL5 40-49 years, male 86.0
GTEX-WYJK-0526-SM-3NM8Z 50-59 years, male 85.3
GTEX-16NPX-0726-SM-7KULC 50-59 years, male 85.0
GTEX-14DAQ-0626-SM-793DS 60-69 years, female 82.7
GTEX-Y5V5-0126-SM-5S2NW 60-69 years, female 82.2
GTEX-1O9I2-0226-SM-EYYXD 50-59 years, male 81.6
GTEX-131YS-2826-SM-5EQ47 60-69 years, female 81.5
GTEX-13NZ9-2626-SM-5L3FK 50-59 years, male 81.5
GTEX-1GTWX-2026-SM-9YFLM 60-69 years, male 81.2
GTEX-1A8FM-0626-SM-7PC25 50-59 years, female 80.7
GTEX-1A3MW-0626-SM-731CB 60-69 years, female 80.2
GTEX-13U4I-2226-SM-5LU5H 40-49 years, female 79.9
GTEX-1H1DF-1126-SM-9WG7G 40-49 years, female 79.5
GTEX-1HFI6-0126-SM-CNPPI 40-49 years, male 79.3
GTEX-U8XE-0226-SM-4E3J3 30-39 years, male 79.2
GTEX-1F5PL-0926-SM-7PC2W 40-49 years, female 79.2
GTEX-1IDJE-1426-SM-ADEIW 50-59 years, female 79.1
GTEX-1J8Q3-0526-SM-ARL8U 60-69 years, male 78.4
GTEX-18A7B-2726-SM-7LG56 70-79 years, male 78.3
GTEX-WK11-2726-SM-3NMAQ 50-59 years, male 77.5
GTEX-11EM3-1226-SM-5N9DD 20-29 years, female 77.2
GTEX-1QCLZ-2426-SM-EVYBW 60-69 years, female 77.2
GTEX-1314G-1326-SM-5BC6E 30-39 years, male 76.3
GTEX-145MO-2826-SM-5LU96 60-69 years, male 75.7
GTEX-1LG7Z-1626-SM-CXKYR 30-39 years, male 75.7
GTEX-1M4P7-0726-SM-E6CJ3 60-69 years, male 75.3
GTEX-1A3MX-2626-SM-7PC24 60-69 years, male 74.6
GTEX-UPK5-0426-SM-3GAEK 40-49 years, male 74.3
GTEX-1E1VI-0326-SM-793D1 50-59 years, male 74.2
GTEX-14E6E-0526-SM-793DN 30-39 years, male 73.3
GTEX-11DXW-0826-SM-5H118 40-49 years, male 72.2
GTEX-1B996-0426-SM-7EWF8 60-69 years, male 71.8
GTEX-14XAO-1226-SM-6EU1C 60-69 years, female 71.1
GTEX-WYBS-0626-SM-3NMAS 60-69 years, female 70.5
GTEX-1RAZA-2226-SM-E9U4X 20-29 years, male 69.8
GTEX-17HG3-2626-SM-7DUF2 30-39 years, female 68.9
GTEX-1HSMO-0626-SM-ACKXC 60-69 years, male 67.8
GTEX-1H3NZ-2726-SM-9WYTQ 60-69 years, male 67.7
GTEX-11EI6-2826-SM-5H11D 60-69 years, male 67.1
GTEX-YB5K-2026-SM-4VDT3 40-49 years, female 66.0
GTEX-1CAV2-0126-SM-7IGN7 40-49 years, female 64.5
GTEX-12WSL-2026-SM-5GCML 50-59 years, male 64.0
GTEX-13FH7-1126-SM-5K7UG 50-59 years, female 63.3
GTEX-1J8JJ-0626-SM-ARZMQ 60-69 years, female 63.3
GTEX-14C38-0726-SM-5SI6M 50-59 years, male 63.1
GTEX-17JCI-2926-SM-7DUFF 60-69 years, female 62.9
GTEX-VJYA-1526-SM-3GIJV 60-69 years, male 62.8
GTEX-1A32A-0626-SM-731AQ 50-59 years, female 62.6
GTEX-147JS-0226-SM-5S2U9 60-69 years, male 62.2
GTEX-WFG8-2126-SM-3GIKQ 20-29 years, male 59.7
GTEX-14E6C-2426-SM-5S2NF 40-49 years, male 59.4
GTEX-1QP66-1226-SM-DTX7U 50-59 years, male 57.8
GTEX-YF7O-1526-SM-5IFI6 50-59 years, male 56.8
GTEX-132AR-0326-SM-5KM2C 50-59 years, female 56.7
GTEX-17EVQ-0126-SM-7IGLR 70-79 years, male 55.9
GTEX-1JN6P-2926-SM-CL54D 60-69 years, male 54.3
GTEX-1LGOU-1326-SM-D3L8M 20-29 years, female 53.7
GTEX-ZT9W-1126-SM-57WDR 50-59 years, male 53.0
GTEX-13113-1626-SM-5EQ4I 60-69 years, female 51.1
GTEX-11TT1-1826-SM-5EQLV 20-29 years, male 50.5
GTEX-14PJ2-0626-SM-6LLII 50-59 years, male 49.1
GTEX-13QBU-1226-SM-5LU4G 40-49 years, female 46.1
GTEX-16GPK-0626-SM-7KFSF 60-69 years, male 44.6
GTEX-13JUV-2026-SM-5K7UA 40-49 years, female 44.2
GTEX-1GZ2Q-0126-SM-9WG6M 40-49 years, male 41.7
GTEX-ZUA1-2626-SM-5NQ92 40-49 years, male 37.6
GTEX-1F6IF-0926-SM-7SB7M 60-69 years, male 37.4
GTEX-111FC-2526-SM-5GZXU 60-69 years, male 33.6
GTEX-1I19N-0126-SM-CYPSF 70-79 years, male 31.5
GTEX-1HUB1-1426-SM-CGQF5 60-69 years, male 28.6
GTEX-1GF9U-2026-SM-7SB92 40-49 years, female 27.0
GTEX-1L5NE-1126-SM-D3L9P 50-59 years, male 23.8
GTEX-1399R-1326-SM-5PNYS 30-39 years, male 19.1
GTEX-1F75W-2726-SM-7SB8H 60-69 years, male 17.2
GTEX-ZVTK-0226-SM-51MRG 20-29 years, male 14.6
Show allShow less
Skin - Sun Exposed (Lower leg)
Average nTPM: 168.7
Samples: 701

Max nTPM: 830.5
Min nTPM: 1.2
Std nTPM: 98.5
Median nTPM: 146.0
GTEX-P4QT-0126-SM-2I3FL 50-59 years, female 830.5
GTEX-1R9PM-2026-SM-E76OY 20-29 years, male 538.3
GTEX-XUZC-1726-SM-4BRWS 30-39 years, female 507.8
GTEX-1MJK2-0426-SM-DTXE5 50-59 years, male 499.8
GTEX-18D9A-1926-SM-7LG6P 30-39 years, female 496.8
GTEX-PSDG-0226-SM-DKPOZ 50-59 years, male 492.9
GTEX-1122O-2126-SM-5EGIR 60-69 years, female 489.9
GTEX-1K2DA-1826-SM-CGQGT 50-59 years, male 481.5
GTEX-ZXES-1826-SM-5E43S 30-39 years, female 468.0
GTEX-145MN-2226-SM-5SIAU 30-39 years, male 463.7
GTEX-ZVTK-0426-SM-51MRS 20-29 years, male 459.9
GTEX-1L5NE-2526-SM-E6CIE 50-59 years, male 457.9
GTEX-1GF9X-2026-SM-7PC3A 40-49 years, female 451.3
GTEX-WYJK-0126-SM-3NMAB 50-59 years, male 443.2
GTEX-1JMLX-0226-SM-CM2RO 50-59 years, male 443.1
GTEX-ZGAY-0526-SM-4WWBB 40-49 years, female 440.0
GTEX-1399U-2326-SM-5K7WY 50-59 years, female 438.1
GTEX-Y3IK-2426-SM-4WWDU 50-59 years, female 434.1
GTEX-1CAV2-2226-SM-7P8P2 40-49 years, female 431.3
GTEX-OOBJ-0126-SM-E6CJW 60-69 years, male 429.5
GTEX-17JCI-0126-SM-7LG5G 60-69 years, female 425.7
GTEX-12WSK-2326-SM-5GCOH 40-49 years, female 419.6
GTEX-1LG7Z-1726-SM-D3LA4 30-39 years, male 407.5
GTEX-1JMPY-1326-SM-ARL8Y 30-39 years, male 405.1
GTEX-T2YK-0526-SM-32QPJ 50-59 years, male 405.0
GTEX-13FTW-2626-SM-5K7WL 40-49 years, male 391.7
GTEX-POMQ-2226-SM-2I5FK 20-29 years, female 380.8
GTEX-OIZH-0126-SM-2HMIS 50-59 years, male 380.7
GTEX-1S3DN-2226-SM-EVYCD 50-59 years, male 367.2
GTEX-11DXZ-2326-SM-5EGGV 50-59 years, male 364.9
GTEX-15ER7-0326-SM-7KUEV 20-29 years, female 364.5
GTEX-U412-0426-SM-3DB9O 60-69 years, male 364.2
GTEX-YB5E-2026-SM-5IFIS 40-49 years, male 364.2
GTEX-UJHI-1526-SM-3DB99 50-59 years, female 364.0
GTEX-X88G-0126-SM-47JZ3 30-39 years, male 362.3
GTEX-ZTX8-1426-SM-5DUVO 20-29 years, male 359.9
GTEX-1KANC-1526-SM-D3LAB 50-59 years, female 356.9
GTEX-1OJC3-0126-SM-E76QX 20-29 years, male 356.8
GTEX-1LBAC-0126-SM-DIPEZ 20-29 years, male 356.1
GTEX-17F96-1626-SM-7DUFL 70-79 years, male 346.1
GTEX-15ETS-0126-SM-7KUMW 40-49 years, female 343.5
GTEX-Y114-2426-SM-4TT8A 50-59 years, female 342.8
GTEX-ZVT2-2526-SM-51MT1 50-59 years, female 341.8
GTEX-1I1GV-0526-SM-A9G29 60-69 years, male 341.3
GTEX-15SB6-1726-SM-6PAME 50-59 years, female 337.6
GTEX-13FXS-0226-SM-5IJCK 50-59 years, male 337.2
GTEX-18QFQ-0126-SM-731BE 30-39 years, male 337.2
GTEX-P4PP-0126-SM-3LK69 30-39 years, female 336.0
GTEX-XBEW-0626-SM-4QASP 40-49 years, male 335.8
GTEX-Y8E4-0626-SM-4WWDL 40-49 years, male 334.9
GTEX-1PIGE-0126-SM-EVYBJ 20-29 years, male 331.8
GTEX-1QPFJ-0226-SM-E76PB 30-39 years, female 331.3
GTEX-1I1GT-0626-SM-CGQER 60-69 years, female 329.5
GTEX-1PIIG-0226-SM-EWRN6 30-39 years, male 328.2
GTEX-111FC-0126-SM-5N9DL 60-69 years, male 323.7
GTEX-15RIG-0226-SM-7KFTL 40-49 years, male 323.1
GTEX-NFK9-0226-SM-2HMKQ 40-49 years, male 321.6
GTEX-T6MN-0126-SM-32PLP 50-59 years, male 321.6
GTEX-ZF2S-2326-SM-4WWCE 50-59 years, female 321.1
GTEX-139UW-2826-SM-5L3E7 60-69 years, male 319.1
GTEX-RTLS-0126-SM-447CA 60-69 years, female 315.6
GTEX-1399R-2726-SM-5IJBA 30-39 years, male 315.5
GTEX-ZWKS-0126-SM-5SIAA 30-39 years, male 310.2
GTEX-13OVH-0126-SM-5MR4B 70-79 years, male 309.6
GTEX-1B8KE-2126-SM-73KYX 50-59 years, male 307.8
GTEX-ZYT6-0226-SM-5NQ6T 30-39 years, male 307.3
GTEX-13NYB-2526-SM-5K7Z6 40-49 years, male 303.0
GTEX-14PII-0226-SM-6EU1T 60-69 years, male 303.0
GTEX-1EWIQ-0126-SM-7RHH2 70-79 years, female 300.9
GTEX-1C475-1826-SM-73KWA 40-49 years, female 299.9
GTEX-O5YW-0126-SM-3LK6D 50-59 years, male 299.9
GTEX-13OVK-2026-SM-7KUEO 40-49 years, male 297.9
GTEX-1LGRB-2526-SM-CNPPQ 50-59 years, female 297.3
GTEX-1B8SF-1426-SM-7DUGL 60-69 years, male 296.2
GTEX-PX3G-0126-SM-2I3EN 20-29 years, female 296.2
GTEX-1MA7W-2026-SM-E9TJ6 20-29 years, female 295.7
GTEX-1HCUA-2426-SM-ADEIS 50-59 years, female 295.4
GTEX-ZV68-0126-SM-59HKS 50-59 years, female 295.1
GTEX-117XS-2726-SM-5N9BL 60-69 years, male 294.4
GTEX-YB5K-2126-SM-4WWDJ 40-49 years, female 287.9
GTEX-1CB4I-0226-SM-79OLH 50-59 years, male 287.3
GTEX-1H11D-0226-SM-9WG6Z 40-49 years, male 287.3
GTEX-W5X1-3026-SM-EAZAX 40-49 years, female 287.2
GTEX-SUCS-1926-SM-32PM3 70-79 years, male 286.1
GTEX-12WSJ-1826-SM-5GCNY 40-49 years, female 285.6
GTEX-1GZ4H-1726-SM-7PBZJ 50-59 years, female 285.2
GTEX-T5JW-1626-SM-3GADZ 20-29 years, female 284.8
GTEX-139TS-2826-SM-5J1OO 60-69 years, male 284.0
GTEX-1KXAM-2226-SM-CYPTC 60-69 years, male 282.2
GTEX-Y5V6-2426-SM-4VDSB 60-69 years, male 282.0
GTEX-1OFPY-2426-SM-DTXEJ 60-69 years, male 281.1
GTEX-13FHP-0126-SM-5IJBG 50-59 years, male 279.8
GTEX-14PJ6-2126-SM-6EU1V 60-69 years, female 278.6
GTEX-SNMC-1226-SM-2XCFP 20-29 years, male 278.4
GTEX-1E2YA-0126-SM-9KNUC 50-59 years, male 277.7
GTEX-1F6RS-0126-SM-9MQKZ 60-69 years, female 276.6
GTEX-1PPH8-0226-SM-E8VND 20-29 years, male 276.5
GTEX-15F5U-1526-SM-6PANO 40-49 years, male 275.7
GTEX-17GQL-2026-SM-718BA 60-69 years, male 274.3
GTEX-1HCU7-0226-SM-CL545 50-59 years, male 270.4
GTEX-1I4MK-2226-SM-ACKWD 50-59 years, female 270.1
GTEX-1LSNM-1926-SM-E6CII 50-59 years, male 269.8
GTEX-11DYG-0126-SM-59883 60-69 years, male 267.2
GTEX-145LV-2126-SM-5LU8N 50-59 years, male 266.2
GTEX-1AX9J-0226-SM-73KXM 60-69 years, male 265.6
GTEX-1J8QM-2126-SM-CYPSJ 60-69 years, female 265.6
GTEX-1H4P4-0726-SM-9YFLR 50-59 years, male 263.8
GTEX-1QCLY-0326-SM-E8VOG 30-39 years, male 262.9
GTEX-11EQ9-2426-SM-5HL5T 30-39 years, male 262.4
GTEX-131XE-2326-SM-5PNZ2 50-59 years, male 262.1
GTEX-1LVAN-0226-SM-COH3S 50-59 years, female 260.9
GTEX-18A67-0126-SM-7LG5P 50-59 years, male 260.3
GTEX-1S83E-0126-SM-EWRO4 40-49 years, male 260.3
GTEX-YJ89-0126-SM-4TT3X 60-69 years, male 256.1
GTEX-ZYFG-2326-SM-5E44B 60-69 years, female 255.1
GTEX-1PFEY-1526-SM-E76PP 30-39 years, male 255.0
GTEX-1LB8K-0226-SM-EWRNW 50-59 years, male 253.8
GTEX-17KNJ-2326-SM-7DHLQ 50-59 years, male 253.1
GTEX-14LZ3-0226-SM-62LET 60-69 years, female 252.4
GTEX-139D8-0226-SM-5KLZO 30-39 years, female 251.3
GTEX-Y8DK-0126-SM-4TT3L 60-69 years, male 250.9
GTEX-16BQI-0226-SM-7KUEX 30-39 years, female 250.0
GTEX-1HSGN-0226-SM-CGQFV 40-49 years, female 249.7
GTEX-1J1OQ-0226-SM-CYPSH 40-49 years, female 249.2
GTEX-WQUQ-0426-SM-3MJFU 60-69 years, male 248.6
GTEX-1QP9N-1426-SM-DTXFL 30-39 years, male 246.6
GTEX-XAJ8-0826-SM-47JY6 40-49 years, male 245.9
GTEX-14PN3-2426-SM-6LLHS 60-69 years, female 245.7
GTEX-ZDTT-2726-SM-4WKF8 60-69 years, male 245.2
GTEX-1HSEH-0126-SM-ACKXN 60-69 years, male 242.6
GTEX-18A6Q-0126-SM-731BZ 60-69 years, male 242.2
GTEX-1KANA-0726-SM-D3L9I 20-29 years, male 241.0
GTEX-1KD4Q-0226-SM-E9TJ9 40-49 years, male 239.5
GTEX-1CB4E-2226-SM-793DC 60-69 years, male 239.2
GTEX-14ICK-0226-SM-6EU25 40-49 years, male 238.4
GTEX-16GPK-0126-SM-7DHLE 60-69 years, male 237.6
GTEX-1H1CY-2826-SM-9MQM3 60-69 years, female 237.0
GTEX-ZF3C-0126-SM-DO92D 50-59 years, female 234.9
GTEX-1IL2U-0226-SM-CE6T8 60-69 years, male 234.0
GTEX-14JG1-0426-SM-6ETZZ 40-49 years, male 233.6
GTEX-13PDP-0126-SM-5L3HD 60-69 years, male 230.9
GTEX-ZAK1-0126-SM-5IJD3 50-59 years, female 230.0
GTEX-Z93T-0126-SM-5HL5N 50-59 years, male 229.2
GTEX-1H1DG-0126-SM-9WYU2 70-79 years, male 229.2
GTEX-ZV6S-2326-SM-4YCEY 40-49 years, female 227.5
GTEX-1GN1U-0126-SM-7PBZK 50-59 years, female 227.3
GTEX-TMMY-0226-SM-33HBA 40-49 years, female 227.0
GTEX-1BAJH-0526-SM-793CQ 70-79 years, male 226.6
GTEX-1GMR3-1926-SM-9KNUZ 40-49 years, male 225.5
GTEX-131XH-2226-SM-5DUXJ 50-59 years, male 223.3
GTEX-1QP66-1726-SM-E8VO1 50-59 years, male 222.3
GTEX-131YS-0126-SM-5KM1M 60-69 years, female 221.9
GTEX-ZYFD-0126-SM-5GIDL 50-59 years, male 221.7
GTEX-17F97-0326-SM-7LG5B 50-59 years, male 221.2
GTEX-OIZG-0726-SM-33HBL 50-59 years, male 221.0
GTEX-16NGA-1726-SM-731B4 40-49 years, female 220.8
GTEX-Z93S-0126-SM-5HL7M 50-59 years, male 219.6
GTEX-1M5QR-1226-SM-EWROB 40-49 years, male 219.3
GTEX-111VG-2426-SM-5GZXD 60-69 years, male 218.5
GTEX-1IOXB-0126-SM-ARL8G 50-59 years, male 218.4
GTEX-1497J-2426-SM-7IGNX 60-69 years, male 216.9
GTEX-1GZHY-0326-SM-9QEHI 50-59 years, female 216.0
GTEX-146FQ-0126-SM-5NQA9 30-39 years, male 215.4
GTEX-1GF9V-0326-SM-7RHI5 60-69 years, male 215.4
GTEX-ZTSS-1926-SM-57WEW 40-49 years, male 215.3
GTEX-1GPI7-0126-SM-9MQL8 20-29 years, male 214.4
GTEX-133LE-1826-SM-5J1MV 20-29 years, female 213.2
GTEX-1GN2E-0426-SM-9MQKX 60-69 years, male 212.8
GTEX-18A7A-0226-SM-718BH 50-59 years, female 212.5
GTEX-Y5LM-1926-SM-5RQJH 40-49 years, female 211.2
GTEX-ZU9S-0226-SM-5E441 30-39 years, male 210.9
GTEX-14PHX-2326-SM-62LEM 50-59 years, male 210.7
GTEX-13IVO-0126-SM-5J1NG 70-79 years, male 210.5
GTEX-1IDJH-0326-SM-A9SLQ 70-79 years, male 210.5
GTEX-TKQ1-1026-SM-4GICL 30-39 years, male 210.2
GTEX-1KWVE-1426-SM-E9TJO 30-39 years, male 209.4
GTEX-15SHU-0126-SM-7KUEH 40-49 years, female 208.2
GTEX-1JMQJ-0526-SM-CYPSU 50-59 years, male 208.2
GTEX-18D9U-0226-SM-718BP 40-49 years, male 208.1
GTEX-1B8L1-2526-SM-9WYTF 60-69 years, male 207.3
GTEX-1HBPN-0226-SM-9YFM1 50-59 years, male 206.8
GTEX-ZE9C-2726-SM-57WB5 60-69 years, male 206.7
GTEX-1JKYR-0126-SM-CNPOJ 20-29 years, male 206.7
GTEX-13111-1626-SM-5EGJY 50-59 years, male 206.0
GTEX-1F5PL-0326-SM-7P8PQ 40-49 years, female 205.7
GTEX-13NZB-2526-SM-5J1OM 30-39 years, male 205.5
GTEX-13SLW-0126-SM-5SI6C 70-79 years, male 204.2
GTEX-1S5ZA-0126-SM-EVYCV 20-29 years, male 204.1
GTEX-RNOR-0126-SM-E9J4R 50-59 years, female 203.2
GTEX-TMZS-0126-SM-3DB9Q 60-69 years, male 202.9
GTEX-12696-2426-SM-5EQ6H 60-69 years, male 202.0
GTEX-1R7EU-0226-SM-EVR4G 60-69 years, male 201.9
GTEX-145LS-0126-SM-5QGP1 60-69 years, female 201.8
GTEX-13JUV-2726-SM-5LZZ8 40-49 years, female 201.1
GTEX-ZDTS-0126-SM-4WAY5 60-69 years, male 200.6
GTEX-S7SE-0126-SM-2XCD5 50-59 years, male 200.5
GTEX-1NV5F-0226-SM-E8VNY 60-69 years, female 200.4
GTEX-QVJO-1626-SM-2S1QW 60-69 years, female 200.2
GTEX-WYVS-2126-SM-3NMA3 40-49 years, female 200.0
GTEX-ZVZP-2426-SM-59HKJ 50-59 years, male 199.6
GTEX-11UD1-0126-SM-5PNYG 40-49 years, female 199.0
GTEX-1J1R8-1726-SM-ARL8M 40-49 years, male 198.9
GTEX-14E6C-0126-SM-5RQIP 40-49 years, male 198.5
GTEX-13OW6-0426-SM-5L3HM 50-59 years, male 197.7
GTEX-14BIN-0626-SM-793DP 50-59 years, female 196.9
GTEX-X4XX-0126-SM-3NMC2 60-69 years, male 196.8
GTEX-1CB4H-0226-SM-7PBXM 60-69 years, female 196.2
GTEX-17F98-0626-SM-79OMX 40-49 years, female 195.2
GTEX-XQ8I-0426-SM-4BOPO 50-59 years, male 194.9
GTEX-1J8EW-0126-SM-CJI4F 60-69 years, female 194.0
GTEX-13RTJ-2426-SM-5S2Q2 60-69 years, male 193.7
GTEX-S33H-1026-SM-EZ6L6 30-39 years, male 193.7
GTEX-U8T8-0126-SM-3DB94 60-69 years, male 193.5
GTEX-XUW1-0426-SM-4BOOT 50-59 years, female 193.3
GTEX-1QMI2-0226-SM-EVYBX 60-69 years, male 192.9
GTEX-12WSE-0526-SM-793B2 20-29 years, male 192.7
GTEX-1JN1M-0326-SM-CYPT3 60-69 years, female 192.4
GTEX-1C64N-0126-SM-793D7 50-59 years, male 192.1
GTEX-13FTY-0526-SM-5L3EV 40-49 years, female 191.8
GTEX-14DAR-2026-SM-5S2O3 50-59 years, male 191.8
GTEX-145MO-0326-SM-5Q5B3 60-69 years, male 191.1
GTEX-YFC4-0126-SM-5CVLY 40-49 years, female 191.0
GTEX-1JJEA-0326-SM-CNPOT 60-69 years, male 190.5
GTEX-14C5O-0126-SM-5SI6N 60-69 years, male 190.3
GTEX-13CF2-2526-SM-5LZYX 60-69 years, male 189.2
GTEX-12C56-1726-SM-5EQ61 20-29 years, male 189.0
GTEX-1313W-0126-SM-5LZUN 50-59 years, female 188.3
GTEX-12126-0326-SM-5PNW3 20-29 years, male 188.0
GTEX-11P7K-2126-SM-5GU7G 30-39 years, male 187.9
GTEX-14E6D-0126-SM-62LDV 50-59 years, male 187.0
GTEX-12ZZX-0126-SM-5EGK9 40-49 years, female 186.7
GTEX-WI4N-1026-SM-3LK7N 40-49 years, female 186.3
GTEX-ZAB5-1826-SM-5HL7C 50-59 years, male 186.3
GTEX-ZQG8-1626-SM-DHXIT 60-69 years, female 186.2
GTEX-13OW5-0126-SM-DTXFS 60-69 years, male 185.5
GTEX-13N11-2526-SM-5K7UE 50-59 years, female 184.7
GTEX-11XUK-2026-SM-5EQLF 40-49 years, female 184.5
GTEX-Y5V5-2326-SM-4V6GA 60-69 years, female 183.5
GTEX-1192W-2626-SM-5Q5AF 60-69 years, male 183.4
GTEX-X4EO-0326-SM-3P5YO 60-69 years, female 183.4
GTEX-1RAZA-0126-SM-E6CI3 20-29 years, male 183.3
GTEX-12ZZY-0226-SM-5LZVE 60-69 years, male 183.2
GTEX-1JMQI-2226-SM-CM2SD 50-59 years, male 183.2
GTEX-1KAFJ-2026-SM-CY8ID 50-59 years, male 183.2
GTEX-14PJM-0226-SM-62LF1 50-59 years, female 182.3
GTEX-ZVE2-0226-SM-59HJB 50-59 years, male 182.3
GTEX-1CAMR-1926-SM-7EPI2 20-29 years, male 181.6
GTEX-1EX96-1626-SM-7PBXR 50-59 years, male 181.6
GTEX-1HR98-0126-SM-B2LWI 60-69 years, male 181.5
GTEX-1JMPZ-0226-SM-CNPP1 30-39 years, male 181.5
GTEX-1269C-2526-SM-5EGJ3 60-69 years, female 181.3
GTEX-1PDJ9-0326-SM-DTX95 20-29 years, male 181.3
GTEX-1EMGI-0126-SM-9KNUE 60-69 years, male 180.9
GTEX-132NY-0326-SM-5IJBL 60-69 years, male 180.6
GTEX-13G51-2526-SM-5LZYK 60-69 years, male 180.5
GTEX-1CB4F-0426-SM-9KNV4 60-69 years, male 179.1
GTEX-QV44-1926-SM-2S1RF 50-59 years, male 178.4
GTEX-NPJ8-0126-SM-2YUNR 40-49 years, male 178.3
GTEX-14753-0426-SM-5NQAM 60-69 years, male 177.8
GTEX-131XF-5016-SM-7MGWE 60-69 years, male 177.8
GTEX-PLZ6-1426-SM-DKPOT 30-39 years, male 177.8
GTEX-OHPM-0126-SM-2YUN9 50-59 years, male 177.6
GTEX-ZZ64-1726-SM-5GZYB 20-29 years, male 177.1
GTEX-11NSD-2226-SM-5986V 20-29 years, male 176.1
GTEX-17EVP-0326-SM-7DHLG 40-49 years, male 175.8
GTEX-1HSKV-0226-SM-A9SKJ 60-69 years, male 174.4
GTEX-ZPIC-1726-SM-DHXIU 40-49 years, female 174.2
GTEX-1H2FU-0126-SM-9WYSI 60-69 years, female 173.9
GTEX-139T8-0126-SM-5K7XZ 60-69 years, male 173.6
GTEX-1IL2V-0126-SM-CM2TX 70-79 years, male 173.3
GTEX-1HCU9-1526-SM-A9SL7 20-29 years, male 173.2
GTEX-O5YT-0126-SM-48TBW 20-29 years, male 173.1
GTEX-14BMU-2226-SM-5TDE9 20-29 years, female 173.0
GTEX-RM2N-1426-SM-2TF4H 50-59 years, male 172.3
GTEX-13NZ8-0826-SM-5MR3I 60-69 years, female 172.1
GTEX-ZVZO-0126-SM-5A5L9 40-49 years, male 171.7
GTEX-RWS6-2026-SM-2XCB5 60-69 years, female 171.5
GTEX-QDVJ-1726-SM-2I5FX 50-59 years, male 170.7
GTEX-ZDYS-2026-SM-5HL5L 50-59 years, male 170.7
GTEX-13YAN-0326-SM-5O9DF 60-69 years, male 170.5
GTEX-1LH75-2426-SM-E9TJE 50-59 years, female 169.8
GTEX-1F52S-0126-SM-9MQJU 60-69 years, female 169.2
GTEX-131XG-2626-SM-5KM17 50-59 years, female 169.1
GTEX-1IKK5-0626-SM-ARL8A 60-69 years, male 169.1
GTEX-R3RS-0126-SM-3GIJL 40-49 years, female 168.8
GTEX-1J8JJ-0226-SM-CL53I 60-69 years, female 168.6
GTEX-13VXU-0126-SM-5SI9F 50-59 years, male 168.5
GTEX-T2IS-0126-SM-4DM6O 20-29 years, female 168.1
GTEX-1C6VR-2426-SM-79OLD 60-69 years, male 167.1
GTEX-13D11-2426-SM-5KM1V 50-59 years, female 167.0
GTEX-PWO3-1526-SM-48TCM 60-69 years, female 166.7
GTEX-1S82Z-0826-SM-E6CHY 30-39 years, female 166.7
GTEX-1JJ6O-0126-SM-E6CI8 60-69 years, male 166.2
GTEX-1HCU8-0626-SM-A9SM9 60-69 years, female 166.1
GTEX-1IDJU-2626-SM-CM2RT 60-69 years, female 165.9
GTEX-ZF29-2326-SM-DO92K 60-69 years, female 165.6
GTEX-11GSP-2526-SM-5N9BP 60-69 years, female 164.4
GTEX-SJXC-0126-SM-2XCFF 60-69 years, male 164.4
GTEX-13X6J-0126-SM-5QGOU 50-59 years, male 164.3
GTEX-1A32A-0126-SM-718B1 50-59 years, female 164.3
GTEX-1MCQQ-0826-SM-DLHC2 60-69 years, male 164.3
GTEX-1GZ2Q-0226-SM-7P8TL 40-49 years, male 163.8
GTEX-1399T-2826-SM-5KLYZ 60-69 years, male 163.3
GTEX-17MFQ-1726-SM-793C7 20-29 years, male 162.5
GTEX-ZEX8-2426-SM-4WKG4 50-59 years, male 162.1
GTEX-13PVR-2326-SM-5QGR1 60-69 years, female 161.4
GTEX-1CAMQ-0226-SM-7IGPK 40-49 years, male 161.3
GTEX-13O3P-0126-SM-5KM4S 50-59 years, male 160.4
GTEX-144FL-0126-SM-5TDC8 50-59 years, male 160.3
GTEX-1O97I-0326-SM-EYYX7 60-69 years, male 160.1
GTEX-RVPV-0126-SM-EAZAW 60-69 years, male 160.0
GTEX-14BMV-0126-SM-5S2PO 50-59 years, male 159.7
GTEX-13N2G-2626-SM-5J1OT 60-69 years, male 159.6
GTEX-12WSD-0126-SM-59HKN 60-69 years, female 159.5
GTEX-17HG3-2226-SM-7938L 30-39 years, female 158.9
GTEX-1HBPM-0226-SM-ARL9F 60-69 years, female 158.9
GTEX-145ME-1826-SM-5SI9G 40-49 years, female 158.8
GTEX-1211K-2026-SM-5EQ4Z 60-69 years, female 157.9
GTEX-15G19-0126-SM-6PANQ 60-69 years, male 157.8
GTEX-13RTK-1426-SM-5QGQJ 20-29 years, male 157.6
GTEX-1C4CL-0526-SM-73KVK 30-39 years, male 156.3
GTEX-1HFI6-0226-SM-ADEHZ 40-49 years, male 155.9
GTEX-1212Z-2526-SM-5EGKP 60-69 years, male 155.6
GTEX-1F6I4-0126-SM-9MQL2 60-69 years, male 155.3
GTEX-U8XE-0326-SM-3DB8P 30-39 years, male 155.0
GTEX-1I6K6-0126-SM-A9SLE 30-39 years, male 154.2
GTEX-W5WG-1826-SM-4KL2Y 50-59 years, female 153.1
GTEX-TML8-1926-SM-32QOS 40-49 years, female 152.6
GTEX-117YX-2326-SM-5H12W 50-59 years, male 152.3
GTEX-1HCU6-0126-SM-CL54K 60-69 years, female 152.1
GTEX-1GN73-0226-SM-9WG67 60-69 years, male 152.0
GTEX-1R7EV-2426-SM-EVYBG 40-49 years, male 151.8
GTEX-14A5I-0126-SM-5TDEA 50-59 years, female 151.2
GTEX-13SLX-0526-SM-5S2ON 50-59 years, female 149.8
GTEX-12ZZZ-0626-SM-5DUXI 60-69 years, male 149.5
GTEX-1GMRU-0126-SM-9YFLV 50-59 years, male 149.4
GTEX-11P81-2326-SM-59875 30-39 years, female 149.2
GTEX-S95S-1226-SM-4GICG 60-69 years, male 149.2
GTEX-1MGNQ-0126-SM-EVYCJ 40-49 years, male 149.2
GTEX-1IDJF-0126-SM-CM2RS 20-29 years, male 148.9
GTEX-PVOW-0126-SM-2XCFA 40-49 years, male 148.7
GTEX-11ZTS-0126-SM-5EQ6M 60-69 years, female 148.4
GTEX-14PN4-0126-SM-6EU2V 50-59 years, male 147.8
GTEX-1CAMS-0426-SM-7P8T2 40-49 years, female 147.3
GTEX-WFON-2126-SM-3LK7O 40-49 years, male 147.0
GTEX-VUSG-2526-SM-4KL1V 50-59 years, male 146.8
GTEX-1MUQO-0126-SM-EAZ58 60-69 years, male 146.8
GTEX-1IKJJ-0126-SM-CNPQB 60-69 years, male 146.5
GTEX-UPJH-0326-SM-3GADU 50-59 years, male 146.4
GTEX-WVJS-0126-SM-4MVOT 50-59 years, male 146.2
GTEX-11EI6-0126-SM-5985R 60-69 years, male 146.0
GTEX-1JMQK-0226-SM-CL543 60-69 years, male 145.8
GTEX-14A5H-0426-SM-5QGQF 60-69 years, male 145.7
GTEX-1RB15-2126-SM-E9TIM 60-69 years, male 145.7
GTEX-1JN6P-0126-SM-D3L98 60-69 years, male 145.6
GTEX-1QP2A-0126-SM-E9J43 50-59 years, male 145.5
GTEX-XPVG-2626-SM-4B669 50-59 years, male 145.0
GTEX-QCQG-1726-SM-3GIJ9 50-59 years, female 144.7
GTEX-1F75B-0126-SM-9KNVL 50-59 years, male 144.5
GTEX-1C64O-0126-SM-7SB8P 60-69 years, male 143.7
GTEX-11GSO-2426-SM-5A5LY 60-69 years, male 143.3
GTEX-1ICG6-2526-SM-CGQFZ 70-79 years, female 143.3
GTEX-X4EP-0126-SM-3P5YV 60-69 years, female 142.9
GTEX-18465-0126-SM-731BN 50-59 years, male 142.8
GTEX-OXRK-0226-SM-3NB2G 50-59 years, female 142.3
GTEX-12KS4-0326-SM-5EQ41 30-39 years, male 142.1
GTEX-148VI-1626-SM-5SI6E 60-69 years, female 142.1
GTEX-1IDFM-0126-SM-COH2V 60-69 years, male 142.1
GTEX-PWCY-1826-SM-DHXIZ 20-29 years, female 142.0
GTEX-12WSC-0126-SM-5EQ4P 50-59 years, male 141.9
GTEX-1EU9M-0226-SM-7P8SP 60-69 years, male 141.0
GTEX-169BO-1326-SM-9MQK2 50-59 years, male 140.6
GTEX-1GMR8-0126-SM-9WYTM 50-59 years, female 140.1
GTEX-11UD2-0226-SM-5EQKY 50-59 years, male 139.7
GTEX-1RDX4-0126-SM-E9J4P 50-59 years, female 139.5
GTEX-17HHE-2026-SM-79OKF 50-59 years, male 139.0
GTEX-13O3O-0126-SM-E9J49 60-69 years, female 138.6
GTEX-1JMQL-0226-SM-CNPP5 50-59 years, female 138.1
GTEX-18A66-0226-SM-718BD 60-69 years, male 137.2
GTEX-OHPL-0126-SM-2HMJ7 60-69 years, female 136.8
GTEX-X261-0126-SM-3NMD6 50-59 years, male 136.8
GTEX-11H98-0126-SM-5EGHG 50-59 years, male 136.7
GTEX-12WSG-2826-SM-E9J4H 50-59 years, female 136.4
GTEX-X5EB-2226-SM-46MW4 40-49 years, male 136.2
GTEX-18D9B-0526-SM-7LTAS 60-69 years, male 136.0
GTEX-Y111-0126-SM-4SOIV 50-59 years, male 135.5
GTEX-15CHC-2126-SM-6EU21 60-69 years, female 135.3
GTEX-U3ZN-2326-SM-3DB7W 30-39 years, female 134.8
GTEX-XQ3S-1526-SM-4BOOC 20-29 years, male 134.4
GTEX-12WSA-0226-SM-5BC5V 60-69 years, male 134.2
GTEX-13113-5016-SM-7EPIP 60-69 years, female 133.9
GTEX-1HBPI-1526-SM-C1YQ1 50-59 years, male 133.9
GTEX-WXYG-2326-SM-4E3I6 50-59 years, female 133.7
GTEX-T8EM-1026-SM-3DB7M 40-49 years, male 133.4
GTEX-QEG4-0226-SM-2S1PY 30-39 years, male 133.2
GTEX-11DXW-0226-SM-5H122 40-49 years, male 133.1
GTEX-SN8G-0126-SM-32PLI 50-59 years, female 132.6
GTEX-1B97I-1626-SM-73KYO 40-49 years, male 132.4
GTEX-WH7G-2326-SM-3NMBC 40-49 years, male 132.4
GTEX-WRHK-1426-SM-3MJF9 20-29 years, female 132.3
GTEX-16MT8-0426-SM-7KUEY 60-69 years, female 132.2
GTEX-ZQUD-1426-SM-57WER 30-39 years, male 131.5
GTEX-11EM3-2426-SM-59861 20-29 years, female 130.4
GTEX-13112-2826-SM-5DUWH 50-59 years, male 130.3
GTEX-15DYW-0126-SM-7KULE 60-69 years, female 130.3
GTEX-13QJ3-0326-SM-5S2RA 50-59 years, male 130.0
GTEX-XXEK-2226-SM-4BRUM 50-59 years, male 129.5
GTEX-1H3VE-0326-SM-9YFLH 40-49 years, male 129.3
GTEX-11DXX-2426-SM-5GZZW 60-69 years, female 128.8
GTEX-1192X-0226-SM-5H12D 50-59 years, male 128.6
GTEX-13OW8-1326-SM-5J1OW 60-69 years, male 128.4
GTEX-1HGF4-2426-SM-ACKXM 60-69 years, male 127.8
GTEX-X8HC-0126-SM-4E3JW 50-59 years, female 127.7
GTEX-1R46S-0626-SM-E9J41 60-69 years, female 127.5
GTEX-ZVT4-0126-SM-DTXFN 50-59 years, female 127.4
GTEX-13O21-1426-SM-5K7XI 50-59 years, male 127.1
GTEX-1LGOU-2026-SM-DIPFF 20-29 years, female 127.0
GTEX-1K2DU-2326-SM-E9TIV 20-29 years, male 126.6
GTEX-RU72-0926-SM-2TF6B 50-59 years, female 126.3
GTEX-11TUW-2726-SM-E9J4M 60-69 years, male 126.3
GTEX-14PK6-1926-SM-6ETZU 70-79 years, female 126.2
GTEX-1B996-0226-SM-7RHGO 60-69 years, male 126.0
GTEX-WY7C-2326-SM-3NB2U 50-59 years, male 125.9
GTEX-1KD5A-0226-SM-D5OV3 50-59 years, male 125.9
GTEX-1RQEC-0426-SM-E6CHU 60-69 years, male 125.9
GTEX-ZYFC-0226-SM-5NQ75 50-59 years, male 125.0
GTEX-13CF3-2426-SM-5IFGX 60-69 years, female 124.9
GTEX-15EU6-0426-SM-6PAN5 50-59 years, male 124.8
GTEX-RWSA-0126-SM-2XCBB 40-49 years, male 124.8
GTEX-T6MO-1626-SM-32QOM 40-49 years, female 124.7
GTEX-1314G-1526-SM-5EGK2 30-39 years, male 124.5
GTEX-1HFI7-1826-SM-ACKXH 50-59 years, female 124.5
GTEX-1HT8W-0126-SM-CNPPP 30-39 years, male 124.5
GTEX-ZAB4-0226-SM-5N9F5 40-49 years, male 124.2
GTEX-1S82Y-2026-SM-EVYCM 40-49 years, male 123.4
GTEX-11DXY-2626-SM-5GIE7 60-69 years, male 122.8
GTEX-147GR-0526-SM-5S2MY 60-69 years, male 122.8
GTEX-PLZ5-2026-SM-2S1O4 50-59 years, male 122.8
GTEX-16AAH-1726-SM-7939C 50-59 years, male 122.7
GTEX-13FHO-0226-SM-5IFGY 60-69 years, male 122.6
GTEX-1IKOH-0226-SM-COH4E 60-69 years, female 122.6
GTEX-1E1VI-0126-SM-7DHMZ 50-59 years, male 122.0
GTEX-X585-0226-SM-4QAS2 50-59 years, male 121.9
GTEX-13OVL-0226-SM-5L3E9 50-59 years, male 121.8
GTEX-15SDE-2226-SM-7IGLO 50-59 years, female 121.8
GTEX-139TU-0126-SM-5K7WH 60-69 years, male 121.6
GTEX-Q2AH-1626-SM-3GAF8 40-49 years, male 121.6
GTEX-145LU-0126-SM-5TDCB 50-59 years, male 121.5
GTEX-QESD-1426-SM-2S1R9 20-29 years, male 121.5
GTEX-1HSMQ-1226-SM-CGQFX 50-59 years, male 121.5
GTEX-1128S-2326-SM-5GZZY 60-69 years, female 120.6
GTEX-14PJ3-1826-SM-62LEX 50-59 years, male 120.6
GTEX-1AMFI-2026-SM-731BH 50-59 years, female 120.6
GTEX-1QEPI-0126-SM-EWRMQ 60-69 years, female 120.4
GTEX-XYKS-2126-SM-4E3IB 60-69 years, female 120.3
GTEX-Z9EW-1626-SM-5CVMN 40-49 years, male 120.2
GTEX-OOBK-0126-SM-2YUND 40-49 years, male 120.1
GTEX-ZAJG-0126-SM-5HL94 50-59 years, female 120.0
GTEX-1HCVE-0126-SM-CGQEU 50-59 years, male 120.0
GTEX-1JN76-0126-SM-CNPPE 20-29 years, female 119.8
GTEX-1A3MV-1926-SM-718BT 30-39 years, male 119.5
GTEX-1H3NZ-0126-SM-ACKX7 60-69 years, male 119.5
GTEX-SIU8-0126-SM-2XCDT 50-59 years, male 119.3
GTEX-WZTO-0126-SM-3NM95 40-49 years, male 119.0
GTEX-1I1GQ-0126-SM-COH3H 50-59 years, male 118.9
GTEX-13X6H-2126-SM-7EWD5 50-59 years, female 118.8
GTEX-14JG6-2226-SM-6EU2G 30-39 years, female 118.8
GTEX-1I1CD-0126-SM-CM2TK 60-69 years, female 118.7
GTEX-1CB4G-0226-SM-7PC3O 60-69 years, male 118.2
GTEX-11OF3-2626-SM-5GU7F 60-69 years, male 118.1
GTEX-R45C-0126-SM-EAZ2R 60-69 years, female 117.5
GTEX-18A7B-0126-SM-7LG64 70-79 years, male 117.1
GTEX-1QP29-0626-SM-EWRMX 50-59 years, male 117.0
GTEX-145MF-0626-SM-5LUAI 50-59 years, male 116.9
GTEX-1GL5R-1826-SM-9KNUY 50-59 years, male 116.3
GTEX-11GS4-2726-SM-5A5LE 60-69 years, male 115.9
GTEX-13S7M-0126-SM-5SI6A 60-69 years, female 115.8
GTEX-13FH7-2026-SM-E9J4I 50-59 years, female 115.6
GTEX-1I1GR-0126-SM-CL55F 60-69 years, male 115.1
GTEX-15DCD-0126-SM-7KUEK 70-79 years, female 114.8
GTEX-15DDE-0126-SM-6LPKH 50-59 years, female 114.6
GTEX-TSE9-0126-SM-3DB83 60-69 years, female 114.0
GTEX-VJYA-1126-SM-3GIJU 60-69 years, male 113.8
GTEX-YEC4-2126-SM-5IFJH 40-49 years, male 113.8
GTEX-11OC5-0126-SM-5HL6A 60-69 years, male 113.7
GTEX-1F6IF-0726-SM-7P8TW 60-69 years, male 113.4
GTEX-Q2AI-1326-SM-2S1PL 40-49 years, male 113.3
GTEX-XV7Q-2526-SM-4BRV9 40-49 years, female 113.3
GTEX-11LCK-1026-SM-5A5KB 30-39 years, male 112.8
GTEX-PLZ4-0126-SM-5SI8O 50-59 years, female 112.5
GTEX-13FTX-1826-SM-5J1NX 20-29 years, female 112.2
GTEX-1EN7A-0126-SM-7SB81 40-49 years, male 111.9
GTEX-WFG8-2226-SM-3GIL9 20-29 years, male 111.3
GTEX-13OVJ-0126-SM-5KM36 50-59 years, female 111.1
GTEX-13NYC-0326-SM-E9J4S 60-69 years, male 110.6
GTEX-17EUY-0426-SM-793BD 20-29 years, male 110.5
GTEX-1AX9I-0126-SM-7SB74 60-69 years, male 110.5
GTEX-1JKYN-1326-SM-CGQG9 30-39 years, male 110.1
GTEX-13X6I-0626-SM-5QGP9 60-69 years, male 110.0
GTEX-1C2JI-1826-SM-73KXC 50-59 years, male 109.8
GTEX-11WQC-2526-SM-5CVLE 60-69 years, male 109.4
GTEX-15UKP-0426-SM-7KUFQ 20-29 years, male 109.4
GTEX-1B933-0126-SM-7PC29 50-59 years, female 109.2
GTEX-ZYY3-0126-SM-5GZY5 60-69 years, female 109.0
GTEX-XUYS-0126-SM-47JWZ 50-59 years, male 108.9
GTEX-1MCYP-1926-SM-E9J2R 20-29 years, female 108.8
GTEX-145MI-0526-SM-5O9A8 60-69 years, female 108.7
GTEX-OXRN-0126-SM-48TDM 50-59 years, male 108.6
GTEX-16NPX-0226-SM-79OMT 50-59 years, male 108.5
GTEX-1EKGG-0226-SM-9WYTH 60-69 years, male 108.5
GTEX-11DZ1-0126-SM-5985Q 50-59 years, male 108.1
GTEX-13NYS-0126-SM-5MR3W 60-69 years, male 107.9
GTEX-13W46-0226-SM-5SIAG 50-59 years, male 107.5
GTEX-1F75A-0126-SM-7RHGM 50-59 years, male 107.1
GTEX-P4PQ-0126-SM-2S1NM 60-69 years, male 106.5
GTEX-16YQH-0126-SM-7DUFJ 30-39 years, male 106.4
GTEX-11TT1-2526-SM-5EGIB 20-29 years, male 106.3
GTEX-139TT-0126-SM-5K7Y5 60-69 years, male 106.2
GTEX-117YW-2626-SM-5GZZH 50-59 years, male 105.7
GTEX-17HHY-0126-SM-7LG5D 50-59 years, male 105.6
GTEX-1K9T9-0126-SM-EVYCF 50-59 years, female 105.5
GTEX-ZE7O-0126-SM-57WC1 50-59 years, female 105.3
GTEX-13O3Q-2426-SM-5IJBR 50-59 years, male 104.9
GTEX-1POEN-0126-SM-EYYXJ 30-39 years, female 104.8
GTEX-1QAET-0926-SM-E76QM 50-59 years, male 104.6
GTEX-ZXG5-0126-SM-5GIEU 60-69 years, male 104.5
GTEX-1B8SG-0126-SM-73KZ3 50-59 years, male 103.9
GTEX-1KANB-0526-SM-E6CJH 50-59 years, male 103.6
GTEX-1LG7Y-0526-SM-DKPQC 50-59 years, male 103.5
GTEX-11VI4-1726-SM-5CVLH 40-49 years, female 103.2
GTEX-PW2O-1526-SM-7RHHB 20-29 years, male 103.1
GTEX-183FY-0126-SM-7LT9P 20-29 years, male 102.6
GTEX-1H3O1-0426-SM-9YFKY 60-69 years, male 102.3
GTEX-XMD2-0126-SM-4YCDU 60-69 years, female 101.8
GTEX-1A3MX-0126-SM-731BR 60-69 years, male 101.6
GTEX-1A8FM-0226-SM-7SB7Q 50-59 years, female 101.3
GTEX-1JK1U-2026-SM-CM2RZ 60-69 years, male 101.3
GTEX-131XW-0426-SM-5LZWP 50-59 years, female 100.9
GTEX-14LLW-0126-SM-6LLIO 70-79 years, female 100.0
GTEX-148VJ-0126-SM-5TDDN 70-79 years, male 99.8
GTEX-ZVT3-0126-SM-5GU6I 60-69 years, female 99.7
GTEX-1GF9U-2126-SM-7SB7L 40-49 years, female 99.5
GTEX-OIZF-0126-SM-7SB8I 60-69 years, male 99.4
GTEX-U3ZM-1526-SM-3DB9D 40-49 years, male 99.3
GTEX-16XZZ-0126-SM-793DV 60-69 years, male 99.2
GTEX-1N2EF-0226-SM-EYYXB 60-69 years, male 99.1
GTEX-ZDXO-3026-SM-5J1N5 60-69 years, male 98.9
GTEX-147F3-0526-SM-5SI98 50-59 years, female 98.8
GTEX-17EVQ-0226-SM-7LG4P 70-79 years, male 98.7
GTEX-144GL-0126-SM-5TDE2 50-59 years, male 97.9
GTEX-ZF28-0126-SM-4WKGK 60-69 years, male 97.9
GTEX-S32W-2126-SM-2XCB1 50-59 years, female 97.6
GTEX-13U4I-0126-SM-5LU38 40-49 years, female 97.4
GTEX-14XAO-2326-SM-6EU1B 60-69 years, female 97.4
GTEX-1HSMP-0126-SM-E6CJS 70-79 years, male 97.4
GTEX-17MF6-0126-SM-7LG4F 40-49 years, male 97.3
GTEX-1HB9E-0226-SM-E9U4R 50-59 years, male 97.2
GTEX-1N2DW-0226-SM-E9TK2 50-59 years, male 96.8
GTEX-ZTPG-0326-SM-5O9AX 20-29 years, female 95.9
GTEX-15UF6-0826-SM-6PALJ 70-79 years, female 95.8
GTEX-Y8LW-1826-SM-5S2MV 50-59 years, female 95.6
GTEX-183WM-0126-SM-7LTAB 70-79 years, female 95.4
GTEX-1ICLY-0126-SM-D4P36 50-59 years, male 95.4
GTEX-U3ZH-2026-SM-3DB78 30-39 years, male 94.8
GTEX-1J8Q2-0526-SM-CM2RW 60-69 years, male 94.2
GTEX-XBED-2226-SM-47JYQ 60-69 years, male 93.8
GTEX-13NZA-0226-SM-5K7Z7 60-69 years, male 93.1
GTEX-14DAQ-0126-SM-5S2MQ 60-69 years, female 93.1
GTEX-S7PM-0126-SM-4AD6S 60-69 years, male 92.8
GTEX-1B8KZ-2026-SM-7DHMB 50-59 years, male 92.0
GTEX-11ZVC-2526-SM-5FQTE 50-59 years, female 91.6
GTEX-T5JC-0426-SM-32PLO 20-29 years, male 91.6
GTEX-Q2AG-0126-SM-33HBV 40-49 years, female 91.4
GTEX-1H23P-0126-SM-ADEJ3 60-69 years, male 91.3
GTEX-1J8Q3-1626-SM-CMKGC 60-69 years, male 90.4
GTEX-14E6E-1826-SM-5S2R7 30-39 years, male 90.1
GTEX-145LT-1726-SM-5QGP3 40-49 years, male 89.8
GTEX-1F88F-2726-SM-7PBZZ 60-69 years, female 89.6
GTEX-QDVN-2026-SM-3GAEP 50-59 years, male 89.5
GTEX-1JJE9-0326-SM-CL53Z 70-79 years, male 89.2
GTEX-11WQK-0526-SM-5EQLD 50-59 years, male 88.9
GTEX-Y3I4-2126-SM-4TT7C 50-59 years, male 88.7
GTEX-1H1ZS-0426-SM-9WG6G 70-79 years, male 87.8
GTEX-13RTL-0126-SM-7LG5S 40-49 years, male 87.7
GTEX-17HII-0226-SM-7LG4E 50-59 years, male 87.7
GTEX-1C6VQ-0126-SM-7P8RI 50-59 years, male 87.6
GTEX-1GF9W-0326-SM-9KNUN 60-69 years, male 87.3
GTEX-1N2DV-0226-SM-E6CJ6 40-49 years, male 86.9
GTEX-OXRP-0126-SM-3NB32 60-69 years, female 86.0
GTEX-1I1GP-2226-SM-CGQFK 50-59 years, male 85.7
GTEX-1F5PK-2426-SM-7RHHY 50-59 years, male 85.5
GTEX-13OVI-1426-SM-5L3EY 60-69 years, female 85.0
GTEX-QLQW-1126-SM-2S1Q8 30-39 years, male 84.0
GTEX-113JC-2326-SM-5EQ4E 50-59 years, female 83.8
GTEX-11EMC-2926-SM-5EQ4F 60-69 years, female 83.7
GTEX-1C6VS-0526-SM-7DUEN 60-69 years, male 83.6
GTEX-R55G-2526-SM-2TC6D 40-49 years, female 83.6
GTEX-1LC47-0326-SM-E9TJP 60-69 years, male 83.5
GTEX-1IY9M-0126-SM-D3L8S 60-69 years, male 83.1
GTEX-VJWN-0126-SM-3GIK7 50-59 years, female 83.0
GTEX-1F7RK-0126-SM-7PC2S 20-29 years, female 83.0
GTEX-1PWST-0226-SM-E76QJ 70-79 years, male 82.7
GTEX-WOFL-0126-SM-3MJG2 60-69 years, male 81.9
GTEX-ZY6K-1826-SM-5GZXK 50-59 years, male 81.8
GTEX-13VXT-0126-SM-5LU4I 20-29 years, female 81.2
GTEX-13OVG-1926-SM-5L3DK 60-69 years, male 81.0
GTEX-11NUK-0126-SM-5A5L3 50-59 years, male 80.1
GTEX-12584-0126-SM-5EGKQ 40-49 years, male 79.9
GTEX-1HKZK-0326-SM-9WYUH 40-49 years, male 79.6
GTEX-1I1GS-0126-SM-B2LVW 60-69 years, male 79.0
GTEX-1IGQW-0126-SM-COH42 60-69 years, male 79.0
GTEX-1M4P7-0226-SM-DIPEV 60-69 years, male 78.6
GTEX-R55E-0126-SM-2TC5Y 20-29 years, male 78.3
GTEX-14E7W-0126-SM-6LLJ9 70-79 years, male 78.2
GTEX-13O1R-0126-SM-5L3EH 60-69 years, male 78.1
GTEX-1H3VY-0126-SM-ACKXD 50-59 years, male 77.6
GTEX-1ICLZ-0126-SM-CKZPO 60-69 years, male 75.8
GTEX-X638-0126-SM-47JZ8 70-79 years, female 75.4
GTEX-1F48J-0126-SM-7P8TT 50-59 years, female 74.2
GTEX-17HGU-0226-SM-7DHKV 50-59 years, male 73.5
GTEX-12WSL-2526-SM-5GCNJ 50-59 years, male 73.4
GTEX-OXRO-0126-SM-2YUN4 60-69 years, female 73.4
GTEX-13N1W-0126-SM-5K7VT 70-79 years, male 72.6
GTEX-14PHW-0126-SM-6LLJI 60-69 years, female 72.3
GTEX-1AYCT-2426-SM-7IGQ3 50-59 years, male 71.6
GTEX-1GTWX-0126-SM-9YFLK 60-69 years, male 71.0
GTEX-1H1E6-1726-SM-ACKVK 30-39 years, male 68.7
GTEX-ZC5H-0226-SM-4WAY9 40-49 years, female 68.6
GTEX-1I1HK-0126-SM-COH49 60-69 years, male 66.7
GTEX-ZZPT-0226-SM-5E43X 50-59 years, male 65.7
GTEX-QLQ7-1626-SM-2S1R8 60-69 years, male 64.9
GTEX-1GN1V-0126-SM-9WPOS 60-69 years, male 64.7
GTEX-RN64-0126-SM-2TC68 50-59 years, male 64.4
GTEX-14BIM-0226-SM-7IGLD 60-69 years, female 64.0
GTEX-1C6WA-0126-SM-7PC2B 60-69 years, male 63.2
GTEX-11ZTT-2426-SM-5EQLS 60-69 years, female 63.0
GTEX-11O72-0126-SM-59887 40-49 years, male 62.4
GTEX-11P82-1626-SM-59879 20-29 years, male 62.2
GTEX-1R9K4-0126-SM-DTX9X 60-69 years, male 62.2
GTEX-YJ8A-0426-SM-5IFID 20-29 years, male 62.1
GTEX-QDT8-0126-SM-48TZ1 30-39 years, female 61.9
GTEX-14ABY-0226-SM-5TDCQ 50-59 years, male 61.8
GTEX-13W3W-2426-SM-5LU5B 60-69 years, female 59.5
GTEX-Q734-1926-SM-2I5EV 40-49 years, female 59.5
GTEX-1I19N-0326-SM-ACKVX 70-79 years, male 59.3
GTEX-147F4-0226-SM-5QGPW 50-59 years, male 58.4
GTEX-1AMEY-1326-SM-73KYK 30-39 years, female 58.2
GTEX-1NHNU-1026-SM-E9J2A 50-59 years, male 58.2
GTEX-1CB4J-0626-SM-7DHMP 60-69 years, male 58.0
GTEX-1MA7X-2226-SM-E6CIY 60-69 years, male 58.0
GTEX-V1D1-2226-SM-3NMAX 50-59 years, male 57.9
GTEX-1GPI6-0126-SM-9WG69 60-69 years, male 57.0
GTEX-1AX8Z-0126-SM-7DHM6 60-69 years, male 56.9
GTEX-P44H-0226-SM-2XCEU 40-49 years, male 55.9
GTEX-13OW7-0126-SM-5MR3B 50-59 years, male 55.8
GTEX-12WSN-5019-SM-79OM6 40-49 years, male 54.6
GTEX-X4XY-0226-SM-4E3IZ 60-69 years, male 54.2
GTEX-1H1DE-2126-SM-9WG6R 20-29 years, male 53.7
GTEX-1OJC4-0126-SM-E9J2E 50-59 years, female 53.6
GTEX-SSA3-0126-SM-32QPU 60-69 years, male 53.3
GTEX-144GN-2326-SM-5LU4F 50-59 years, male 53.1
GTEX-1LNCM-1126-SM-E9U5E 50-59 years, female 52.6
GTEX-1GN1W-0526-SM-9MQJQ 50-59 years, female 51.6
GTEX-1IE54-0126-SM-CMKHW 40-49 years, female 48.9
GTEX-11ZU8-2526-SM-5EQKI 60-69 years, male 47.8
GTEX-ZUA1-0126-SM-5GU76 40-49 years, male 47.7
GTEX-15EOM-0126-SM-7KUGG 20-29 years, female 46.8
GTEX-1JMOU-1526-SM-CL54I 60-69 years, female 45.4
GTEX-15SHW-0326-SM-6PAML 60-69 years, male 45.0
GTEX-1AX9K-2326-SM-73KWU 50-59 years, male 43.6
GTEX-1AYD5-2426-SM-73KXR 50-59 years, male 43.1
GTEX-1PPH7-2326-SM-EVYB8 40-49 years, male 42.7
GTEX-146FH-0126-SM-5QGPP 50-59 years, female 42.1
GTEX-ZYW4-0126-SM-5E44A 60-69 years, male 41.9
GTEX-1I1GU-2226-SM-CGQFA 40-49 years, male 39.4
GTEX-14A6H-0126-SM-5QGPK 30-39 years, male 39.0
GTEX-16XZY-2126-SM-79OK1 70-79 years, male 38.8
GTEX-11TTK-0126-SM-5987B 60-69 years, female 37.5
GTEX-1RLM8-2326-SM-EWRN4 50-59 years, male 37.1
GTEX-14BIL-0126-SM-5SI92 50-59 years, male 36.9
GTEX-15D1Q-0126-SM-7KUG6 40-49 years, male 36.3
GTEX-OXRL-0126-SM-2YUMP 50-59 years, male 34.9
GTEX-RUSQ-1526-SM-2TF62 50-59 years, male 33.8
GTEX-1HSMO-0126-SM-CL547 60-69 years, male 33.3
GTEX-1PBJI-0526-SM-E8VNK 20-29 years, female 32.8
GTEX-113IC-0126-SM-5HL6T 60-69 years, male 29.1
GTEX-1A3MW-0126-SM-73KXX 60-69 years, female 25.9
GTEX-SE5C-1626-SM-2XCE3 40-49 years, female 25.1
GTEX-139T4-0226-SM-5HL5S 50-59 years, female 23.2
GTEX-1F75I-0326-SM-9YFLU 40-49 years, male 21.4
GTEX-X62O-0126-SM-4E3JN 50-59 years, male 19.8
GTEX-1HUB1-0426-SM-E9U4U 60-69 years, male 17.0
GTEX-1R9PO-2126-SM-E9J4O 60-69 years, female 10.1
GTEX-1QP67-1626-SM-EAZ3X 40-49 years, female 4.0
GTEX-11ZUS-0626-SM-59885 30-39 years, male 3.6
GTEX-14JIY-0126-SM-6LLH6 60-69 years, male 1.9
GTEX-146FR-1326-SM-E9J48 60-69 years, female 1.9
GTEX-1RAZQ-0726-SM-EAZ43 30-39 years, male 1.9
GTEX-U4B1-1826-SM-4DXSU 40-49 years, male 1.5
GTEX-1QW4Y-1526-SM-EAZ3Z 30-39 years, male 1.5
GTEX-1HBPH-0426-SM-B2LW5 40-49 years, female 1.2
Show allShow less

Contact

  • NEWS ARTICLES
  • PRESS ROOM

The Project

  • INTRODUCTION
  • ORGANIZATION
  • PUBLICATIONS

The Human Protein Atlas

  • DOWNLOADABLE DATA
  • LICENCE & CITATION
  • HELP & FAQ
The Human Protein Atlas project is funded
by the Knut & Alice Wallenberg Foundation.


contact@proteinatlas.org