We use cookies to enhance the usability of our website. If you continue, we'll assume that you are happy to receive all cookies. More information. Don't show this again.
SLC15A1
HPA
RESOURCES
  • TISSUE
  • BRAIN
  • SINGLE CELL
  • SUBCELLULAR
  • CANCER
  • BLOOD
  • CELL LINE
  • STRUCTURE & INTERACTION
ABOUT
  • INTRODUCTION
  • HISTORY
  • ORGANIZATION
  • PUBLICATIONS
  • ANTIBODY SUBMISSION
  • ANTIBODY AVAILABILITY
  • ACKNOWLEDGMENTS
  • CONTACT
NEWS
  • NEWS ARTICLES
  • PRESS ROOM
LEARN
  • DICTIONARY
  • PROTEIN CLASSES
  • PROTEIN EVIDENCE
  • METHODS
  • EDUCATIONAL VIDEOS
DATA
  • DOWNLOADABLE DATA
  • PUBLICATION DATA
  • RELEASE HISTORY
HELP
  • ANTIBODY VALIDATION
  • ASSAYS & ANNOTATION
  • DISCLAIMER
  • HELP & FAQ
  • PRIVACY STATEMENT
  • LICENCE & CITATION
Fields »
Search result

Field
Term
Gene name
Class
Subclass
Class
Keyword
Chromosome
External id
Tissue
Cell type
Expression
Antibody panel
Tissue
Main location
Patient ID
Annotation
Tissue
Category
Tau score
Cluster
Reliability
Brain region
Category
Tau score
Brain region
Category
Tau score
Brain region
Category
Tau score
Cluster
Reliability
Tissue
Cell type
Enrichment
Cell type
Category
Tau score
Cell type
Category
Tau score
Cell type
Category
Tau score
Cell lineage
Category
Tau score
Cluster
Cluster
Location
Searches
Location
Cell line
Class
Type
Phase
Reliability
Cancer
Prognosis
Cancer
Category
Cancer
Category
Tau score
Cluster
Variants
Interacting gene (ensg_id)
Type
Number of interactions
Pathway
Category
Score
Score
Score
Validation
Validation
Validation
Validation
Antibodies
Data type
Column


  • SUMMARY

  • TISSUE

  • BRAIN

  • SINGLE CELL

  • SUBCELL

  • CANCER

  • BLOOD

  • CELL LINE

  • STRUCT & INT

  • SLC15A1
TISSUE PRIMARY DATA SKIN Show tissue menu
ADIPOSE TISSUE ADRENAL GLAND AMYGDALA APPENDIX BASAL GANGLIA BONE MARROW BREAST BRONCHUS CEREBELLUM CEREBRAL CORTEX CERVIX CHOROID PLEXUS COLON DUODENUM
ENDOMETRIUM EPIDIDYMIS ESOPHAGUS FALLOPIAN TUBE GALLBLADDER HEART MUSCLE HIPPOCAMPAL FORMATION HYPOTHALAMUS KIDNEY LIVER LUNG LYMPH NODE MIDBRAIN NASOPHARYNX
ORAL MUCOSA OVARY PANCREAS PARATHYROID GLAND PITUITARY GLAND PLACENTA PROSTATE RECTUM RETINA SALIVARY GLAND SEMINAL VESICLE SKELETAL MUSCLE SKIN SMALL INTESTINE
SMOOTH MUSCLE SOFT TISSUE SPINAL CORD SPLEEN STOMACH TESTIS THYMUS THYROID GLAND TONGUE TONSIL URINARY BLADDER VAGINA
ANTIBODIES
AND
VALIDATION
Dictionary
Skin
Tissue proteome
Skin
SKIN - Expression summary
Protein expression
Skini

On the top, protein expression in current human tissue, based on all annotated cell types, is reported with the units not detected (n), low (l), medium (m) and high (h). Underneath, protein expression in each annotated cell type are reported using the same units.

Protein expression data is based on knowledge-based annotation. For genes where more than one antibody has been used, a collective score is set.

If knowledge-based annotation could not be performed for a gene, no data is displayed here. View antibody staining data further down this page.

h
m
l
n
Epidermal cells: Not detected
Fibroblasts: Not detected
Keratinocytes: Not detected
Langerhans: Not detected
Melanocytes: Not detected
RNA expressioni

A summary of mRNA expression data available for current tissue based on several datasets. The mRNA expression levels in human tissues are based on RNA-seq data generated by the Human Protein Atlas (HPA), Genotype-Tissue Expression (GTEx) portal and CAGE data generated by the FANTOM5 consortium. Consensus normalized expression levels for human tissues was created by combining the data from HPA and GTEx datasets.

The mRNA expression levels in pig are based on RNA-seq data generated by the Human Protein Atlas (HPA), and for mouse, HPA data and in situ hybridization generated by the Allen brain atlas are reported.

Scroll down to view mRNA expression data in more detail.
Consensus:22.6 nTPM
HPA:22.6 nTPM
GTEx:20.7 nTPM

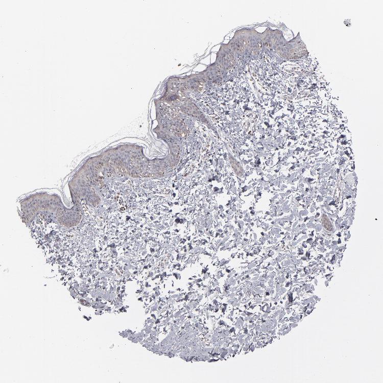
SKIN 1 - Antibody stainingi

Antibody staining in the annotated cell types in the current human tissue is reported as not detected, low, medium, or high, based on conventional immunohistochemistry profiling in selected tissues. This score is based on the combination of the staining intensity and fraction of stained cells.

Each image is clickable and will lead to virtual microscopy that enables deeper exploration of all samples and also displays staining intensity scores, fraction scores and subcellular localization as well as patient and tissue information for each sample.

Antibody HPA002827
Langerhans Low
Fibroblasts Medium
Keratinocytes Low
Melanocytes Medium


SKIN 2 - Antibody stainingi

Antibody staining in the annotated cell types in the current human tissue is reported as not detected, low, medium, or high, based on conventional immunohistochemistry profiling in selected tissues. This score is based on the combination of the staining intensity and fraction of stained cells.

Each image is clickable and will lead to virtual microscopy that enables deeper exploration of all samples and also displays staining intensity scores, fraction scores and subcellular localization as well as patient and tissue information for each sample.

Antibody HPA002827
Epidermal cells Medium
 
 
 


SKIN - HPA RNA-seqi

The RNA-seq details section shows detailed information about the individual samples used for the transcript profiling and results of the RNA-seq analysis.

Information about each individual sample is listed below, including gender, age, a tissue section image and estimated fractions of cell types. nTPM (normalized transcripts per million) values give a quantification of the gene abundance which is comparable between different genes and samples.
Average nTPMi

Max subtype nTPM is the value for the subtype with the largest average nTPM across the subtype samples.

22.6
overview
Female, age 34
Skin sample 225
nTPM: 26.6
Cell types%
Keratinocytes:
60

Other cell types:
40

overview
Female, age 30
Skin sample 226
nTPM: 20.1
Cell types%
Keratinocytes:
55

Other cell types:
45

N/A
Male, age 57
Skin sample 227
nTPM: 21.1

SKIN - GTEx RNA-seqi

RNA-Seq data generated by the Genotype-Tissue Expression (GTEx) project from human tissues is reported as mean nTPM. More information can be found on the GTEx portal.

Distribution across the dataset is visualized with box plots, shown as median and 25th and 75th percentiles. Points are displayed as outliers if they are above or below 1.5 times the interquartile range. nTPM values of the individual samples are presented next to the box plot.
Max subtype nTPMi

Max subtype nTPM is the value for the subtype with the largest average nTPM across the subtype samples.

20.7
GTEx sample id Sample description nTPM
Skin - Not Sun Exposed (Suprapubic)
Average nTPM: 20.7
Samples: 604

Max nTPM: 80.9
Min nTPM: 1.2
Std nTPM: 11.5
Median nTPM: 18.3
GTEX-14PKV-1126-SM-6LLJ1 20-29 years, female 80.9
GTEX-111YS-1526-SM-5GZYW 60-69 years, male 65.7
GTEX-18D9A-1426-SM-7LT8M 30-39 years, female 61.4
GTEX-15RIE-1926-SM-7KUKJ 60-69 years, male 60.7
GTEX-1S3DN-2126-SM-E9TIN 50-59 years, male 60.2
GTEX-XPVG-2126-SM-4B667 50-59 years, male 59.7
GTEX-13U4I-2226-SM-5LU5H 40-49 years, female 57.3
GTEX-1PIGE-1826-SM-E8VOU 20-29 years, male 56.7
GTEX-14PJ3-1126-SM-5ZZVX 50-59 years, male 56.0
GTEX-YEC3-1326-SM-DO92X 50-59 years, male 53.7
GTEX-V1D1-2026-SM-3GAF4 50-59 years, male 52.5
GTEX-1RMOY-1326-SM-E9TIH 50-59 years, male 52.2
GTEX-Y5LM-0926-SM-6LLJG 40-49 years, female 51.2
GTEX-14B4R-1326-SM-5Q5EZ 30-39 years, male 49.7
GTEX-ZP4G-1426-SM-4WWCL 20-29 years, female 48.3
GTEX-11TT1-1826-SM-5EQLV 20-29 years, male 48.1
GTEX-1H2FU-0926-SM-9WPPT 60-69 years, female 48.1
GTEX-1399S-0126-SM-5IJCF 30-39 years, female 47.1
GTEX-1QP9N-1226-SM-E76QN 30-39 years, male 47.1
GTEX-ZT9W-1126-SM-57WDR 50-59 years, male 47.0
GTEX-12BJ1-0926-SM-5EQ62 60-69 years, male 46.3
GTEX-178AV-1726-SM-7KUL8 40-49 years, male 46.1
GTEX-1GZ4H-0526-SM-9KNU9 50-59 years, female 45.9
GTEX-13PVR-0426-SM-5RQK2 60-69 years, female 45.6
GTEX-1JMPY-0226-SM-CKZOK 30-39 years, male 45.3
GTEX-1R7EU-1626-SM-DTXG3 60-69 years, male 44.9
GTEX-15RIG-0726-SM-7KUM7 40-49 years, male 44.8
GTEX-YEC4-1826-SM-4W1YP 40-49 years, male 44.8
GTEX-ZTTD-2826-SM-4YCFA 50-59 years, male 44.6
GTEX-ZY6K-1426-SM-5GZX2 50-59 years, male 44.5
GTEX-ZZ64-1026-SM-5GZXG 20-29 years, male 44.3
GTEX-1HBPN-0126-SM-CGQEF 50-59 years, male 43.0
GTEX-ZDTT-0426-SM-4WKFL 60-69 years, male 42.9
GTEX-WFON-1926-SM-3LK7L 40-49 years, male 42.6
GTEX-1GMR3-0126-SM-A9SLW 40-49 years, male 42.5
GTEX-1IDJF-2026-SM-CL53V 20-29 years, male 42.3
GTEX-11DXX-2126-SM-5PNYR 60-69 years, female 42.2
GTEX-13OVG-1626-SM-5J1NF 60-69 years, male 42.2
GTEX-1S5ZU-2526-SM-E6CIF 20-29 years, female 42.1
GTEX-14C5O-0326-SM-5ZZUX 60-69 years, male 41.9
GTEX-14PJ4-0226-SM-5YY92 60-69 years, male 41.7
GTEX-1B8KE-1126-SM-7EPHI 50-59 years, male 41.0
GTEX-ZWKS-0626-SM-5GIDV 30-39 years, male 40.6
GTEX-ZVZP-1226-SM-5GID7 50-59 years, male 40.4
GTEX-ZPCL-1126-SM-4WWFE 60-69 years, female 40.3
GTEX-13PDP-0726-SM-5L3HP 60-69 years, male 40.1
GTEX-11LCK-2226-SM-5HL4Q 30-39 years, male 39.7
GTEX-17F96-0126-SM-7EWDU 70-79 years, male 39.7
GTEX-18A66-0626-SM-7LT8Z 60-69 years, male 39.7
GTEX-1N2EE-0626-SM-E76PW 60-69 years, male 39.6
GTEX-Y5V6-2326-SM-4VDSA 60-69 years, male 39.5
GTEX-1CAMS-2226-SM-7PBXQ 40-49 years, female 39.3
GTEX-1C64O-1326-SM-7MGWR 60-69 years, male 38.5
GTEX-1AX8Z-0726-SM-73KTS 60-69 years, male 38.4
GTEX-1KXAM-1626-SM-D3LAD 60-69 years, male 38.3
GTEX-1I6K7-1926-SM-B2LXR 40-49 years, male 38.0
GTEX-1J1OQ-0126-SM-D4P2N 40-49 years, female 37.5
GTEX-ZT9X-1526-SM-5DUXD 40-49 years, male 36.9
GTEX-1HSMP-0926-SM-A9SKX 70-79 years, male 36.9
GTEX-1JKYN-0826-SM-ARU8S 30-39 years, male 36.9
GTEX-147F3-1726-SM-5SIAW 50-59 years, female 36.8
GTEX-183FY-1026-SM-7939A 20-29 years, male 36.8
GTEX-1QPFJ-1926-SM-EVYBD 30-39 years, female 36.8
GTEX-1IDJU-1726-SM-CMKHU 60-69 years, female 36.5
GTEX-XAJ8-1426-SM-47JYM 40-49 years, male 35.9
GTEX-1F5PK-2226-SM-7SB6N 50-59 years, male 35.9
GTEX-1N2DV-1526-SM-DTXEP 40-49 years, male 35.9
GTEX-1QCLY-0226-SM-EWRNH 30-39 years, male 35.5
GTEX-1I1GT-1026-SM-ARZLV 60-69 years, female 35.2
GTEX-13PVQ-0626-SM-5LU47 50-59 years, male 35.1
GTEX-ZPU1-1126-SM-4YCF3 40-49 years, male 35.0
GTEX-1RAZA-2226-SM-E9U4X 20-29 years, male 34.7
GTEX-1R46S-2426-SM-E76QA 60-69 years, female 34.6
GTEX-1QAET-0326-SM-EVR3U 50-59 years, male 34.4
GTEX-1AYD5-2626-SM-7PBXY 50-59 years, male 34.3
GTEX-14PHX-2226-SM-6EU2P 50-59 years, male 34.2
GTEX-1HCU7-0726-SM-A9SL1 50-59 years, male 34.1
GTEX-1LGRB-0926-SM-COH3K 50-59 years, female 34.1
GTEX-111CU-1126-SM-5EGIM 50-59 years, male 34.0
GTEX-12WSF-1626-SM-7KUG5 70-79 years, male 33.9
GTEX-14ICL-1626-SM-5YYAO 30-39 years, male 33.9
GTEX-18A67-1626-SM-7LT9T 50-59 years, male 33.3
GTEX-17F9Y-0126-SM-79OKX 70-79 years, female 33.2
GTEX-WFG7-2026-SM-5SI7P 20-29 years, male 33.2
GTEX-1QP2A-1726-SM-E76QC 50-59 years, male 33.2
GTEX-145MO-2826-SM-5LU96 60-69 years, male 32.7
GTEX-1R9PM-1926-SM-EVR3O 20-29 years, male 32.7
GTEX-ZAB4-2126-SM-5HL8U 40-49 years, male 32.6
GTEX-15CHR-1126-SM-7EWF4 50-59 years, male 32.5
GTEX-16MTA-0926-SM-6M47Z 50-59 years, male 32.3
GTEX-ZVT4-2426-SM-5GIEI 50-59 years, female 32.3
GTEX-1HCVE-2726-SM-CL54F 50-59 years, male 32.0
GTEX-14JG6-1426-SM-9WG7C 30-39 years, female 31.8
GTEX-17KNJ-2126-SM-718AM 50-59 years, male 31.6
GTEX-12WSA-0426-SM-5EQ5X 60-69 years, male 31.5
GTEX-131XG-0326-SM-5L3DX 50-59 years, female 31.5
GTEX-YECK-0326-SM-4W1YS 60-69 years, male 31.5
GTEX-13OW6-2726-SM-5J2OE 50-59 years, male 31.4
GTEX-1J1R8-2026-SM-CL53Y 40-49 years, male 31.4
GTEX-1GF9X-1326-SM-7PC2Y 40-49 years, female 31.1
GTEX-Y9LG-1126-SM-4VBQ7 30-39 years, male 30.8
GTEX-1IY9M-2826-SM-ARU8H 60-69 years, male 30.8
GTEX-1GF9V-0826-SM-9KNUV 60-69 years, male 30.5
GTEX-145MN-1526-SM-5SI9T 30-39 years, male 30.4
GTEX-1PBJJ-1026-SM-E76OS 30-39 years, male 30.4
GTEX-1H23P-0626-SM-9WG6T 60-69 years, male 30.3
GTEX-ZLV1-1526-SM-DO91J 60-69 years, female 30.3
GTEX-WHSB-1326-SM-3LK6W 50-59 years, male 30.1
GTEX-14BIN-1126-SM-5RQJZ 50-59 years, female 30.0
GTEX-1MJK3-0726-SM-E6CJC 20-29 years, male 30.0
GTEX-13O61-1426-SM-5KM3D 60-69 years, male 29.9
GTEX-145LT-0526-SM-5LUB2 40-49 years, male 29.9
GTEX-1I4MK-0126-SM-CY8G6 50-59 years, female 29.6
GTEX-17HHE-1326-SM-7EWDZ 50-59 years, male 29.5
GTEX-UPJH-0226-SM-3GADV 50-59 years, male 29.5
GTEX-1GMR2-0826-SM-7PC3V 50-59 years, male 29.5
GTEX-1GN1U-0626-SM-9MQL9 50-59 years, female 29.5
GTEX-1C2JI-1026-SM-73KY1 50-59 years, male 29.2
GTEX-ZVT2-0126-SM-5GIDQ 50-59 years, female 29.2
GTEX-13X6I-1826-SM-5SIAO 60-69 years, male 29.0
GTEX-1JN6P-2926-SM-CL54D 60-69 years, male 28.4
GTEX-11EI6-2826-SM-5H11D 60-69 years, male 28.1
GTEX-1399U-1126-SM-5L3DB 50-59 years, female 28.1
GTEX-13NYS-0626-SM-5L3F1 60-69 years, male 28.0
GTEX-13NZ9-2626-SM-5L3FK 50-59 years, male 28.0
GTEX-12696-0126-SM-5EQ4L 60-69 years, male 27.8
GTEX-YFCO-1226-SM-5LUAT 40-49 years, male 27.8
GTEX-ZUA1-2626-SM-5NQ92 40-49 years, male 27.6
GTEX-1HBPM-0726-SM-9YFL7 60-69 years, female 27.5
GTEX-1CB4I-0126-SM-7RHGG 50-59 years, male 27.3
GTEX-13O3O-2326-SM-5IJD6 60-69 years, female 27.2
GTEX-1K2DA-1026-SM-CGQGF 50-59 years, male 27.2
GTEX-1192X-2726-SM-5N9DN 50-59 years, male 27.1
GTEX-WHWD-1826-SM-3LK6I 50-59 years, male 27.1
GTEX-14AS3-1526-SM-5Q5ED 40-49 years, female 27.0
GTEX-17F97-2626-SM-7IGM5 50-59 years, male 27.0
GTEX-13OW8-1026-SM-5J1NQ 60-69 years, male 26.9
GTEX-1HGF4-0126-SM-CNPPX 60-69 years, male 26.9
GTEX-XV7Q-1826-SM-4BRUV 40-49 years, female 26.6
GTEX-14PJ5-1526-SM-6LLIL 60-69 years, female 26.4
GTEX-15UF6-1926-SM-7KUDV 70-79 years, female 26.4
GTEX-1CB4F-1026-SM-7DUH1 60-69 years, male 26.4
GTEX-1IOXB-2726-SM-CM2RI 50-59 years, male 26.4
GTEX-1PIIG-2326-SM-DTXFR 30-39 years, male 26.4
GTEX-1AMEY-0826-SM-72D65 30-39 years, female 26.3
GTEX-1AX9I-2226-SM-73KUO 60-69 years, male 26.3
GTEX-XBEC-0726-SM-4QARZ 50-59 years, male 26.3
GTEX-17MFQ-1526-SM-7KFRR 20-29 years, male 26.2
GTEX-14E6E-0526-SM-793DN 30-39 years, male 26.1
GTEX-1LVAM-0726-SM-E6CIL 50-59 years, female 26.1
GTEX-14PJN-1826-SM-6AJ98 30-39 years, male 26.0
GTEX-15FZZ-0526-SM-7KUGD 30-39 years, female 26.0
GTEX-1H4P4-2126-SM-9WYSL 50-59 years, male 25.9
GTEX-144GM-0526-SM-79OJO 20-29 years, male 25.7
GTEX-XUW1-0926-SM-4BONX 50-59 years, female 25.7
GTEX-16NPX-0726-SM-7KULC 50-59 years, male 25.6
GTEX-1B8KZ-0326-SM-73KY4 50-59 years, male 25.6
GTEX-1LSNM-0826-SM-DIPG8 50-59 years, male 25.6
GTEX-11P7K-1126-SM-5HL4L 30-39 years, male 25.5
GTEX-14BMV-2826-SM-5TDED 50-59 years, male 25.5
GTEX-1QW4Y-1126-SM-DTXE3 30-39 years, male 25.5
GTEX-13IVO-0726-SM-5LZYV 70-79 years, male 25.3
GTEX-17F98-1326-SM-7DUEP 40-49 years, female 25.3
GTEX-UPK5-0426-SM-3GAEK 40-49 years, male 25.3
GTEX-1I1GS-2626-SM-B2LY3 60-69 years, male 25.3
GTEX-1GL5R-1326-SM-7RHHF 50-59 years, male 25.1
GTEX-1LKK1-2626-SM-DKPQE 50-59 years, female 25.0
GTEX-18A7B-2726-SM-7LG56 70-79 years, male 24.9
GTEX-1CB4E-0926-SM-7EPHT 60-69 years, male 24.9
GTEX-1GN1W-2426-SM-9KNUU 50-59 years, female 24.9
GTEX-1J8Q2-2626-SM-ACKWQ 60-69 years, male 24.9
GTEX-139T8-0626-SM-5KLZX 60-69 years, male 24.8
GTEX-13JUV-2026-SM-5K7UA 40-49 years, female 24.8
GTEX-ZTX8-1326-SM-4YCEL 20-29 years, male 24.8
GTEX-Y114-2126-SM-4TT8B 50-59 years, female 24.7
GTEX-1M4P7-0726-SM-E6CJ3 60-69 years, male 24.7
GTEX-1GZHY-0626-SM-9KNVC 50-59 years, female 24.6
GTEX-12WSD-0626-SM-5GCMW 60-69 years, female 24.5
GTEX-1F52S-2926-SM-7MKGA 60-69 years, female 24.4
GTEX-11TUW-0626-SM-5LU9M 60-69 years, male 24.3
GTEX-139TT-2126-SM-5LZWC 60-69 years, male 24.3
GTEX-139TU-0726-SM-5L3EK 60-69 years, male 24.3
GTEX-14A5H-0826-SM-5QGPJ 60-69 years, male 24.3
GTEX-1JMQK-1226-SM-D4P2S 60-69 years, male 24.2
GTEX-11VI4-1126-SM-5EQMD 40-49 years, female 24.1
GTEX-1GPI7-1826-SM-9KNU1 20-29 years, male 23.9
GTEX-1QP28-1126-SM-EVYC4 50-59 years, female 23.9
GTEX-15ER7-0626-SM-6PANF 20-29 years, female 23.8
GTEX-1F6RS-2026-SM-7RHHC 60-69 years, female 23.8
GTEX-13OVK-1426-SM-6PAN7 40-49 years, male 23.7
GTEX-1JMOU-1026-SM-CYPSS 60-69 years, female 23.7
GTEX-WYJK-0526-SM-3NM8Z 50-59 years, male 23.6
GTEX-YJ8O-2526-SM-5HL85 40-49 years, female 23.3
GTEX-Z93S-1626-SM-5CVMB 50-59 years, male 23.3
GTEX-14JFF-0626-SM-5ZZVT 60-69 years, male 23.2
GTEX-11DZ1-2426-SM-5GZZX 50-59 years, male 23.1
GTEX-1HB9E-0126-SM-CM2S5 50-59 years, male 23.0
GTEX-1KAFJ-0126-SM-DIPEK 50-59 years, male 22.9
GTEX-13PL6-1126-SM-5L3IE 40-49 years, female 22.8
GTEX-15SKB-2826-SM-6PAMH 60-69 years, male 22.7
GTEX-WFG8-2126-SM-3GIKQ 20-29 years, male 22.7
GTEX-1GZ4I-2626-SM-9KNU3 50-59 years, male 22.7
GTEX-1399Q-2326-SM-5KM2X 40-49 years, male 22.6
GTEX-111VG-1626-SM-5EGIO 60-69 years, male 22.5
GTEX-12WSM-1926-SM-5BC65 60-69 years, male 22.4
GTEX-ZVE2-2826-SM-5GU51 50-59 years, male 22.4
GTEX-1NV5F-0626-SM-DTXEG 60-69 years, female 22.4
GTEX-16NGA-0726-SM-731AO 40-49 years, female 22.3
GTEX-1A3MV-1826-SM-731CD 30-39 years, male 22.3
GTEX-ZDTS-0826-SM-4WKHL 60-69 years, male 22.3
GTEX-1314G-1326-SM-5BC6E 30-39 years, male 22.2
GTEX-1I6K6-1726-SM-CGQFD 30-39 years, male 22.2
GTEX-11EQ8-0926-SM-5H12V 60-69 years, male 22.1
GTEX-1RB15-1326-SM-E76Q9 60-69 years, male 22.1
GTEX-18QFQ-1826-SM-72D52 30-39 years, male 21.9
GTEX-15RJ7-2126-SM-6PAMD 40-49 years, male 21.8
GTEX-ZYY3-2926-SM-5GIEB 60-69 years, female 21.7
GTEX-1F88F-0126-SM-9WYSZ 60-69 years, female 21.7
GTEX-131XF-2626-SM-5EQ6K 60-69 years, male 21.6
GTEX-1269C-0126-SM-5EQ5L 60-69 years, female 21.5
GTEX-15SHW-0226-SM-7LTAT 60-69 years, male 21.5
GTEX-VUSG-2326-SM-4KL1U 50-59 years, male 21.4
GTEX-1GMRU-2126-SM-7P8RA 50-59 years, male 21.4
GTEX-13G51-1826-SM-5KLZH 60-69 years, male 21.3
GTEX-18465-2826-SM-7LT9J 50-59 years, male 21.3
GTEX-13SLW-0626-SM-5Q5ER 70-79 years, male 21.2
GTEX-XQ3S-1426-SM-4BOPR 20-29 years, male 21.2
GTEX-1JN76-0626-SM-CKZOQ 20-29 years, female 21.2
GTEX-1RLM8-2926-SM-E8VON 50-59 years, male 21.2
GTEX-1IDJE-1426-SM-ADEIW 50-59 years, female 21.0
GTEX-1RAZS-2526-SM-E6CHT 50-59 years, male 21.0
GTEX-11DXZ-2026-SM-5987S 50-59 years, male 20.9
GTEX-1CAMQ-1326-SM-7P8RV 40-49 years, male 20.9
GTEX-1CAMR-1326-SM-7PC1F 20-29 years, male 20.9
GTEX-1IKOE-1426-SM-CE6T7 30-39 years, female 20.9
GTEX-1JK1U-0226-SM-ARZMX 60-69 years, male 20.9
GTEX-ZPIC-0526-SM-DO91W 40-49 years, female 20.9
GTEX-14PJO-2526-SM-6AJBQ 60-69 years, male 20.7
GTEX-WH7G-2026-SM-3NMBL 40-49 years, male 20.7
GTEX-1JMQJ-0826-SM-CNPP7 50-59 years, male 20.7
GTEX-16XZZ-0726-SM-7KUF2 60-69 years, male 20.6
GTEX-1GF9W-1426-SM-7PBYM 60-69 years, male 20.6
GTEX-1LVAO-2726-SM-E9TJ8 60-69 years, male 20.6
GTEX-1R9PN-0426-SM-DTXDT 40-49 years, female 20.6
GTEX-14LZ3-0126-SM-69LPM 60-69 years, female 20.5
GTEX-Y8LW-1526-SM-5IFHL 50-59 years, female 20.5
GTEX-1JKYR-0626-SM-ARL8R 20-29 years, male 20.5
GTEX-1OJC4-2726-SM-E76PJ 50-59 years, female 20.5
GTEX-1EN7A-2426-SM-793DB 40-49 years, male 20.4
GTEX-1HSKV-1226-SM-ADEI4 60-69 years, male 20.4
GTEX-13QJC-0126-SM-5ZZWJ 60-69 years, female 20.3
GTEX-15RJE-2826-SM-7KUM9 40-49 years, male 20.3
GTEX-1K9T9-1526-SM-DIPFR 50-59 years, female 20.3
GTEX-1MCC2-1826-SM-DIPEX 30-39 years, female 20.3
GTEX-14PJ6-2626-SM-6EU2T 60-69 years, female 20.2
GTEX-17F9E-2326-SM-79OKD 50-59 years, male 20.2
GTEX-1B8L1-2226-SM-7P8PT 60-69 years, male 20.1
GTEX-13FLV-0126-SM-5K7WT 50-59 years, male 20.0
GTEX-Y8E4-2026-SM-5IFJB 40-49 years, male 20.0
GTEX-1PPH8-0126-SM-EWRN8 20-29 years, male 20.0
GTEX-1S82P-2126-SM-E6CI5 60-69 years, female 20.0
GTEX-131YS-2826-SM-5EQ47 60-69 years, female 19.9
GTEX-14PHY-1226-SM-5ZZWK 60-69 years, female 19.9
GTEX-13D11-0926-SM-5J2NC 50-59 years, female 19.8
GTEX-14PKU-0126-SM-6LLHV 40-49 years, female 19.8
GTEX-VJYA-1526-SM-3GIJV 60-69 years, male 19.7
GTEX-ZE9C-2526-SM-5IJDR 60-69 years, male 19.7
GTEX-1F88E-1626-SM-7SB8Z 60-69 years, female 19.7
GTEX-1GN73-0726-SM-7P8TJ 60-69 years, male 19.7
GTEX-11UD2-2526-SM-5CVNU 50-59 years, male 19.6
GTEX-1S831-1826-SM-EWROF 20-29 years, male 19.5
GTEX-11GSP-2326-SM-5HL63 60-69 years, female 19.4
GTEX-11ZTT-2126-SM-5CVLO 60-69 years, female 19.4
GTEX-15CHC-1126-SM-6LLHQ 60-69 years, female 19.4
GTEX-1E1VI-0326-SM-793D1 50-59 years, male 19.4
GTEX-X3Y1-2026-SM-3P5YM 40-49 years, male 19.4
GTEX-1GN2E-0226-SM-9WG6K 60-69 years, male 19.4
GTEX-1HCU8-2526-SM-CE6RX 60-69 years, female 19.4
GTEX-1IE54-1126-SM-A9G2Z 40-49 years, female 19.4
GTEX-12WSH-1526-SM-5BC5W 50-59 years, male 19.3
GTEX-1477Z-0326-SM-7IGLA 60-69 years, male 19.3
GTEX-16MT8-2926-SM-7DUFO 60-69 years, female 19.2
GTEX-ZF29-0926-SM-4WKFZ 60-69 years, female 19.2
GTEX-ZVP2-0326-SM-57WBP 50-59 years, male 19.2
GTEX-WY7C-2126-SM-3NB2R 50-59 years, male 19.1
GTEX-13FTW-0326-SM-5K7UW 40-49 years, male 18.8
GTEX-146FQ-2126-SM-5RQHU 30-39 years, male 18.8
GTEX-14ABY-2026-SM-62LDL 50-59 years, male 18.8
GTEX-ZDYS-2426-SM-4WKGI 50-59 years, male 18.8
GTEX-1PDJ9-1226-SM-EXUSX 20-29 years, male 18.7
GTEX-11P81-2226-SM-5PNYI 30-39 years, female 18.6
GTEX-W5X1-2526-SM-3GILC 40-49 years, female 18.6
GTEX-1S83E-1326-SM-E6CJM 40-49 years, male 18.6
GTEX-12ZZZ-0726-SM-5GCNZ 60-69 years, male 18.5
GTEX-X4EO-2926-SM-4E3JH 60-69 years, female 18.5
GTEX-1K2DU-1226-SM-CYPT4 20-29 years, male 18.5
GTEX-145LS-0626-SM-7EPG7 60-69 years, female 18.4
GTEX-1B933-2426-SM-7DHMD 50-59 years, female 18.4
GTEX-1NSGN-0726-SM-DTXEF 50-59 years, male 18.4
GTEX-X4EP-0626-SM-3P621 60-69 years, female 18.3
GTEX-1H1E6-0426-SM-9WYUS 30-39 years, male 18.3
GTEX-1HSGN-0826-SM-ACKW3 40-49 years, female 18.3
GTEX-1IDJV-0126-SM-COH3Y 60-69 years, male 18.3
GTEX-1POEN-2326-SM-E9J2L 30-39 years, female 18.2
GTEX-13N11-2326-SM-5IJBF 50-59 years, female 18.1
GTEX-1B996-0426-SM-7EWF8 60-69 years, male 18.1
GTEX-ZC5H-1526-SM-5HL9Y 40-49 years, female 18.1
GTEX-1F75B-0726-SM-7PC3R 50-59 years, male 18.1
GTEX-1H1ZS-2726-SM-9WG75 70-79 years, male 18.1
GTEX-1212Z-0126-SM-59HK4 60-69 years, male 18.0
GTEX-14DAR-1226-SM-73KYV 50-59 years, male 18.0
GTEX-1LG7Y-2526-SM-EWRO7 50-59 years, male 18.0
GTEX-1A8G7-1326-SM-73KVM 60-69 years, male 17.9
GTEX-WK11-2726-SM-3NMAQ 50-59 years, male 17.9
GTEX-13X6K-0626-SM-5LU5D 60-69 years, female 17.8
GTEX-1CB4H-1126-SM-7MKGL 60-69 years, female 17.8
GTEX-12ZZY-0726-SM-5EQ66 60-69 years, male 17.7
GTEX-1EH9U-2826-SM-7DUGT 60-69 years, male 17.7
GTEX-ZLFU-1826-SM-4WWBV 40-49 years, male 17.7
GTEX-132AR-0326-SM-5KM2C 50-59 years, female 17.6
GTEX-X8HC-0626-SM-4E3HQ 50-59 years, female 17.6
GTEX-1LVAN-0626-SM-CNPOQ 50-59 years, female 17.6
GTEX-139D8-1126-SM-5LU8W 30-39 years, female 17.5
GTEX-18A6Q-0626-SM-7KFRP 60-69 years, male 17.5
GTEX-1B8SF-0126-SM-7DUG3 60-69 years, male 17.5
GTEX-XK95-0226-SM-4AT58 40-49 years, male 17.5
GTEX-144GL-0626-SM-5LU4D 50-59 years, male 17.4
GTEX-13FHO-0426-SM-5L3F5 60-69 years, male 17.2
GTEX-13OVH-0526-SM-5L3E6 70-79 years, male 17.2
GTEX-1GPI6-1926-SM-9KNV7 60-69 years, male 17.2
GTEX-WYVS-1626-SM-3NM9R 40-49 years, female 17.1
GTEX-1LB8K-0726-SM-D5OV2 50-59 years, male 17.1
GTEX-1LSNL-2726-SM-E9TKJ 50-59 years, male 17.1
GTEX-13112-0126-SM-5P9IU 50-59 years, male 17.0
GTEX-16BQI-1326-SM-6M486 30-39 years, female 17.0
GTEX-WXYG-2026-SM-4E3IY 50-59 years, female 17.0
GTEX-1CB4J-1326-SM-7P8RX 60-69 years, male 17.0
GTEX-1I1HK-2326-SM-CKZOH 60-69 years, male 17.0
GTEX-1I1GV-0626-SM-ARL7M 60-69 years, male 16.9
GTEX-1JN1M-2726-SM-CY8I4 60-69 years, female 16.9
GTEX-1211K-1526-SM-5FQU4 60-69 years, female 16.8
GTEX-12C56-1526-SM-5FQUQ 20-29 years, male 16.8
GTEX-15G19-2426-SM-7KUMR 60-69 years, male 16.8
GTEX-1A8G6-2726-SM-731AR 60-69 years, male 16.8
GTEX-1EU9M-1426-SM-793AI 60-69 years, male 16.8
GTEX-WI4N-2726-SM-3LK7Y 40-49 years, female 16.8
GTEX-ZXG5-2126-SM-59HKD 60-69 years, male 16.8
GTEX-1F48J-0726-SM-7RHGS 50-59 years, female 16.8
GTEX-131XW-0626-SM-5PNVD 50-59 years, female 16.7
GTEX-ZTSS-1426-SM-5985P 40-49 years, male 16.7
GTEX-11EQ9-1626-SM-5PNY8 30-39 years, male 16.6
GTEX-13RTJ-0126-SM-5S2NN 60-69 years, male 16.6
GTEX-14PII-0726-SM-6EU2B 60-69 years, male 16.6
GTEX-WHPG-2626-SM-3NMBR 50-59 years, male 16.6
GTEX-X5EB-1926-SM-4E3IW 40-49 years, male 16.6
GTEX-XMD2-2126-SM-4YCF8 60-69 years, female 16.6
GTEX-1E2YA-2126-SM-7MXUO 50-59 years, male 16.6
GTEX-12KS4-2126-SM-5FQUT 30-39 years, male 16.5
GTEX-15EO6-2426-SM-6PALZ 50-59 years, male 16.5
GTEX-WYBS-0626-SM-3NMAS 60-69 years, female 16.5
GTEX-1LG7Z-1626-SM-CXKYR 30-39 years, male 16.5
GTEX-XBEW-1126-SM-4QARW 40-49 years, male 16.4
GTEX-1HSMQ-2626-SM-A9SML 50-59 years, male 16.4
GTEX-144GO-2026-SM-5O99P 60-69 years, male 16.3
GTEX-1ICG6-1226-SM-A9SLN 70-79 years, female 16.3
GTEX-1IDFM-0326-SM-ARL7V 60-69 years, male 16.3
GTEX-13NYC-0126-SM-5L3F4 60-69 years, male 16.2
GTEX-1HT8W-0626-SM-A9G2H 30-39 years, male 16.1
GTEX-16AAH-0626-SM-793C9 50-59 years, male 16.0
GTEX-17HII-1426-SM-7EPGG 50-59 years, male 16.0
GTEX-1IKJJ-2226-SM-CJI4C 60-69 years, male 16.0
GTEX-12WSC-2826-SM-5BC5Y 50-59 years, male 15.9
GTEX-ZZPU-0826-SM-5GZX5 50-59 years, female 15.9
GTEX-13NZ8-1226-SM-5KM4A 60-69 years, female 15.8
GTEX-13OW7-0426-SM-5K7VK 50-59 years, male 15.8
GTEX-15CHQ-0326-SM-69LQD 60-69 years, male 15.7
GTEX-1PPGY-1626-SM-EVYBL 60-69 years, male 15.7
GTEX-14E1K-2026-SM-7DUEI 50-59 years, male 15.6
GTEX-15DYW-2726-SM-6EU2I 60-69 years, female 15.6
GTEX-1HFI7-2326-SM-CGQFS 50-59 years, female 15.6
GTEX-1IDJI-0126-SM-CMKHS 50-59 years, female 15.6
GTEX-11WQK-1026-SM-5EQLX 50-59 years, male 15.5
GTEX-WEY5-2326-SM-3GIKK 40-49 years, female 15.4
GTEX-1HCUA-0826-SM-ADEHM 50-59 years, female 15.4
GTEX-1HFI6-0126-SM-CNPPI 40-49 years, male 15.4
GTEX-14PJ2-0626-SM-6LLII 50-59 years, male 15.3
GTEX-ZF2S-1626-SM-57WES 50-59 years, female 15.3
GTEX-1EMGI-2326-SM-7PBYA 60-69 years, male 15.3
GTEX-1GMR8-0626-SM-7RHI7 50-59 years, female 15.3
GTEX-ZF3C-0626-SM-DO92O 50-59 years, female 15.3
GTEX-1JJEA-1826-SM-ARU8P 60-69 years, male 15.2
GTEX-1OJC3-1226-SM-DTXER 20-29 years, male 15.2
GTEX-133LE-2326-SM-5K7W3 20-29 years, female 15.1
GTEX-1F5PL-0926-SM-7PC2W 40-49 years, female 15.1
GTEX-1JJ6O-2726-SM-CNPOG 60-69 years, male 15.1
GTEX-17JCI-2926-SM-7DUFF 60-69 years, female 15.0
GTEX-WRHU-2826-SM-3MJG8 50-59 years, female 15.0
GTEX-1IDJD-2326-SM-ACKWX 30-39 years, male 15.0
GTEX-1PPH7-1126-SM-DTX9A 40-49 years, male 15.0
GTEX-1MCYP-0526-SM-E9U6Q 20-29 years, female 14.9
GTEX-12ZZX-2426-SM-5GCOE 40-49 years, female 14.6
GTEX-13VXU-0626-SM-5L3F9 50-59 years, male 14.6
GTEX-145LU-1926-SM-79OJN 50-59 years, male 14.6
GTEX-18D9U-0126-SM-731BM 40-49 years, male 14.6
GTEX-U8XE-0226-SM-4E3J3 30-39 years, male 14.6
GTEX-13W3W-0726-SM-5IJDQ 60-69 years, female 14.5
GTEX-1I1GP-1326-SM-A9G28 50-59 years, male 14.5
GTEX-1QP29-1826-SM-DTX9S 50-59 years, male 14.5
GTEX-13N1W-2426-SM-5IJD1 70-79 years, male 14.4
GTEX-1AMFI-1326-SM-7939R 50-59 years, female 14.4
GTEX-1HR9M-2226-SM-CNPPY 60-69 years, male 14.4
GTEX-1KD5A-0126-SM-E9U54 50-59 years, male 14.4
GTEX-1N5O9-0926-SM-E9J3C 60-69 years, male 14.4
GTEX-1QEPI-2626-SM-DTXF4 60-69 years, female 14.4
GTEX-11NSD-0626-SM-5A5LU 20-29 years, male 14.3
GTEX-13OW5-2326-SM-5L3HO 60-69 years, male 14.3
GTEX-1H1DE-1326-SM-9KNUG 20-29 years, male 14.3
GTEX-1A3MX-2626-SM-7PC24 60-69 years, male 14.1
GTEX-1H11D-1826-SM-9QEHM 40-49 years, male 14.1
GTEX-1RAZQ-1326-SM-E9TK6 30-39 years, male 14.1
GTEX-145MH-2826-SM-5RQJF 50-59 years, male 14.0
GTEX-1EKGG-0626-SM-7DUGJ 60-69 years, male 14.0
GTEX-1ICLY-0826-SM-CMKG1 50-59 years, male 14.0
GTEX-1ICLZ-0326-SM-ARL82 60-69 years, male 14.0
GTEX-13YAN-0226-SM-5TDC6 60-69 years, male 13.9
GTEX-17HGU-2326-SM-7DUFE 50-59 years, male 13.9
GTEX-147F4-0726-SM-5TDDD 50-59 years, male 13.8
GTEX-16Z82-2626-SM-7KULU 60-69 years, male 13.8
GTEX-1C6VR-0126-SM-7RHGB 60-69 years, male 13.8
GTEX-1HBPI-2126-SM-ARL9K 50-59 years, male 13.8
GTEX-145MF-0926-SM-5Q5EA 50-59 years, male 13.7
GTEX-1R9K4-2826-SM-DTX8F 60-69 years, male 13.7
GTEX-11GS4-0226-SM-5HL77 60-69 years, male 13.6
GTEX-ZYFD-0626-SM-5E44E 50-59 years, male 13.6
GTEX-17HHY-0426-SM-7DHLC 50-59 years, male 13.5
GTEX-14C38-0726-SM-5SI6M 50-59 years, male 13.4
GTEX-17EVP-2626-SM-7IGMA 40-49 years, male 13.4
GTEX-14753-0726-SM-5QGQO 60-69 years, male 13.3
GTEX-17MF6-2626-SM-79OKQ 40-49 years, male 13.3
GTEX-ZYW4-0626-SM-59HJR 60-69 years, male 13.3
GTEX-1313W-0626-SM-5EQ4H 50-59 years, female 13.2
GTEX-13FTY-2126-SM-5IFFB 40-49 years, female 13.2
GTEX-14A6H-2026-SM-5Q5DD 30-39 years, male 13.2
GTEX-18A7A-0126-SM-731AH 50-59 years, female 13.2
GTEX-1C64N-2626-SM-7PC2N 50-59 years, male 13.2
GTEX-1J8EW-2726-SM-CY8HR 60-69 years, female 13.2
GTEX-16YQH-2226-SM-7IGM2 30-39 years, male 13.1
GTEX-ZAK1-0626-SM-5HL8E 50-59 years, female 13.1
GTEX-144FL-0626-SM-5LU43 50-59 years, male 13.0
GTEX-1JJE9-2626-SM-ARZMT 70-79 years, male 13.0
GTEX-11DXY-0126-SM-5H11Q 60-69 years, male 12.9
GTEX-1H3O1-1326-SM-9MQLD 60-69 years, male 12.9
GTEX-1KANC-1226-SM-CYPT7 50-59 years, female 12.9
GTEX-139UW-0326-SM-5J1ML 60-69 years, male 12.8
GTEX-1C6VQ-1226-SM-73KYD 50-59 years, male 12.8
GTEX-ZDXO-3126-SM-5IJDF 60-69 years, male 12.8
GTEX-13SLX-2226-SM-62LEP 50-59 years, female 12.7
GTEX-Y3I4-1726-SM-4TT89 50-59 years, male 12.7
GTEX-ZA64-1026-SM-5HL8R 20-29 years, male 12.7
GTEX-1I1GU-0926-SM-ACKVS 40-49 years, male 12.7
GTEX-1A3MW-0626-SM-731CB 60-69 years, female 12.6
GTEX-XXEK-1626-SM-4BRUZ 50-59 years, male 12.6
GTEX-11P82-1426-SM-DTXFY 20-29 years, male 12.6
GTEX-11NUK-2726-SM-5A5MC 50-59 years, male 12.5
GTEX-14JG1-1526-SM-5YY9X 40-49 years, male 12.5
GTEX-1GN1V-2826-SM-9JGIA 60-69 years, male 12.5
GTEX-12WSJ-1126-SM-5LZVJ 40-49 years, female 12.4
GTEX-15D1Q-2826-SM-6LLH7 40-49 years, male 12.4
GTEX-1H3NZ-2726-SM-9WYTQ 60-69 years, male 12.4
GTEX-13O3Q-0126-SM-5KM34 50-59 years, male 12.3
GTEX-13VXT-1926-SM-5K7UO 20-29 years, female 12.3
GTEX-13FTX-1526-SM-5K7VJ 20-29 years, female 12.2
GTEX-1F75W-2726-SM-7SB8H 60-69 years, male 12.2
GTEX-1QCLZ-2426-SM-EVYBW 60-69 years, female 12.2
GTEX-1JMQI-1726-SM-ARL93 50-59 years, male 11.9
GTEX-11OF3-0126-SM-5PNYF 60-69 years, male 11.8
GTEX-147GR-2426-SM-5ZZWQ 60-69 years, male 11.8
GTEX-ZE7O-2726-SM-51MT5 50-59 years, female 11.8
GTEX-15G1A-1626-SM-7KUKN 30-39 years, male 11.7
GTEX-WHSE-0126-SM-3NMBT 20-29 years, male 11.7
GTEX-1J8QM-2426-SM-A9SLS 60-69 years, female 11.7
GTEX-1399R-1326-SM-5PNYS 30-39 years, male 11.6
GTEX-1BAJH-2426-SM-7IGP8 70-79 years, male 11.6
GTEX-Y5V5-0126-SM-5S2NW 60-69 years, female 11.6
GTEX-ZGAY-1826-SM-DO91Q 40-49 years, female 11.5
GTEX-Y111-0626-SM-4SOIT 50-59 years, male 11.3
GTEX-1122O-1026-SM-9WYSF 60-69 years, female 11.3
GTEX-X585-2426-SM-46MW2 50-59 years, male 11.2
GTEX-ZLWG-0826-SM-59888 50-59 years, female 11.2
GTEX-14C39-1726-SM-5RQIL 40-49 years, male 11.0
GTEX-1HCU6-2526-SM-ADEHL 60-69 years, female 11.0
GTEX-XBED-1926-SM-47JYP 60-69 years, male 10.9
GTEX-1F6IF-0926-SM-7SB7M 60-69 years, male 10.8
GTEX-1H1DG-2426-SM-9QEHJ 70-79 years, male 10.8
GTEX-139TS-2126-SM-5K7XC 60-69 years, male 10.7
GTEX-16GPK-0626-SM-7KFSF 60-69 years, male 10.7
GTEX-145MI-0626-SM-5SI8S 60-69 years, female 10.6
GTEX-1B932-2326-SM-79OL5 40-49 years, female 10.6
GTEX-XOT4-0626-SM-4B66L 60-69 years, female 10.6
GTEX-139YR-1026-SM-5LZYN 50-59 years, male 10.5
GTEX-1A8FM-0626-SM-7PC25 50-59 years, female 10.5
GTEX-1HKZK-0726-SM-ACKW2 40-49 years, male 10.5
GTEX-13NYB-0126-SM-5J1MD 40-49 years, male 10.4
GTEX-13X6H-0926-SM-5SIB2 50-59 years, female 10.4
GTEX-13QBU-1226-SM-5LU4G 40-49 years, female 10.3
GTEX-ZU9S-1826-SM-5NQ9E 30-39 years, male 10.3
GTEX-1KANA-1326-SM-DIPFA 20-29 years, male 10.3
GTEX-1HUB1-1426-SM-CGQF5 60-69 years, male 10.2
GTEX-1J8JJ-0626-SM-ARZMQ 60-69 years, female 10.2
GTEX-12584-0726-SM-5FQTK 40-49 years, male 10.1
GTEX-1IDJH-0126-SM-D3L92 70-79 years, male 10.1
GTEX-1KWVE-1026-SM-D3L9O 30-39 years, male 10.1
GTEX-11DYG-1526-SM-5A5JS 60-69 years, male 10.0
GTEX-1O9I2-0226-SM-EYYXD 50-59 years, male 10.0
GTEX-13X6J-0626-SM-5LU5F 50-59 years, male 9.9
GTEX-1JMPZ-0726-SM-CY8HZ 30-39 years, male 9.9
GTEX-14PK6-0226-SM-62LF5 70-79 years, female 9.8
GTEX-ZYT6-2326-SM-5GZY3 30-39 years, male 9.8
GTEX-1F75I-2226-SM-7SB8U 40-49 years, male 9.8
GTEX-1KANB-2826-SM-CY8I6 50-59 years, male 9.8
GTEX-11WQC-1826-SM-5GU59 60-69 years, male 9.6
GTEX-1EWIQ-0326-SM-7DHMQ 70-79 years, female 9.6
GTEX-11DXW-0826-SM-5H118 40-49 years, male 9.5
GTEX-15DDE-2926-SM-6LLJ3 50-59 years, female 9.5
GTEX-1C6WA-2626-SM-7MKGM 60-69 years, male 9.5
GTEX-1HC8U-1326-SM-9YFMJ 40-49 years, female 9.5
GTEX-1B97I-0626-SM-73KUZ 40-49 years, male 9.4
GTEX-ZYFC-0426-SM-5GICQ 50-59 years, male 9.4
GTEX-13OVJ-0826-SM-5J1OK 50-59 years, female 9.3
GTEX-1GTWX-2026-SM-9YFLM 60-69 years, male 9.3
GTEX-1JMLX-0626-SM-ARL8T 50-59 years, male 9.3
GTEX-1LBAC-0826-SM-CY8IJ 20-29 years, male 9.3
GTEX-14LLW-2626-SM-62LDZ 70-79 years, female 9.2
GTEX-1F6I4-2326-SM-7RHGL 60-69 years, male 9.2
GTEX-1H1CY-0126-SM-9YFLY 60-69 years, female 9.2
GTEX-1117F-2926-SM-5GZYI 60-69 years, female 9.1
GTEX-11O72-0626-SM-5PNYE 40-49 years, male 9.1
GTEX-1F75A-0726-SM-7RHHD 50-59 years, male 9.1
GTEX-145MG-1526-SM-5Q5EM 50-59 years, male 9.0
GTEX-1QMI2-2526-SM-E8VNZ 60-69 years, male 9.0
GTEX-1I1CD-0626-SM-CE6SW 60-69 years, female 8.9
GTEX-183WM-0326-SM-72D5V 70-79 years, female 8.8
GTEX-YF7O-1526-SM-5IFI6 50-59 years, male 8.7
GTEX-1C475-1326-SM-7SB73 40-49 years, female 8.6
GTEX-12WSK-2126-SM-5CVNC 40-49 years, female 8.5
GTEX-145ME-1726-SM-5Q5EU 40-49 years, female 8.5
GTEX-ZVTK-0226-SM-51MRG 20-29 years, male 8.4
GTEX-18D9B-0926-SM-7LG4U 60-69 years, male 8.3
GTEX-14XAO-1226-SM-6EU1C 60-69 years, female 8.2
GTEX-13N2G-0226-SM-5K7VF 60-69 years, male 8.1
GTEX-13OVL-0126-SM-5L3GJ 50-59 years, male 8.1
GTEX-16MT9-0126-SM-7EPI8 60-69 years, female 8.0
GTEX-1I19N-0126-SM-CYPSF 70-79 years, male 8.0
GTEX-1J8Q3-0526-SM-ARL8U 60-69 years, male 8.0
GTEX-1HCU9-0426-SM-9WYSD 20-29 years, male 7.9
GTEX-Y3IK-1626-SM-4YCF5 50-59 years, female 7.8
GTEX-1QP66-1226-SM-DTX7U 50-59 years, male 7.8
GTEX-12WSL-2026-SM-5GCML 50-59 years, male 7.7
GTEX-147JS-0226-SM-5S2U9 60-69 years, male 7.7
GTEX-11ZU8-0126-SM-5EQ58 60-69 years, male 7.5
GTEX-ZAJG-1526-SM-5CVML 50-59 years, female 7.5
GTEX-1HSMO-0626-SM-ACKXC 60-69 years, male 7.4
GTEX-12126-0826-SM-5FQTZ 20-29 years, male 7.3
GTEX-14BMU-1226-SM-5S2OR 20-29 years, female 7.3
GTEX-13FH7-1126-SM-5K7UG 50-59 years, female 7.2
GTEX-1IL2V-1926-SM-B2LW8 70-79 years, male 7.2
GTEX-XQ8I-0926-SM-4BOOF 50-59 years, male 6.9
GTEX-1JMQL-2226-SM-CNPP4 50-59 years, female 6.9
GTEX-14E6C-2426-SM-5S2NF 40-49 years, male 6.8
GTEX-1LSVX-2526-SM-DIPEU 60-69 years, male 6.8
GTEX-1497J-0226-SM-5QGPU 60-69 years, male 6.7
GTEX-YB5K-2026-SM-4VDT3 40-49 years, female 6.7
GTEX-11EM3-1226-SM-5N9DD 20-29 years, female 6.6
GTEX-15EU6-2226-SM-6EU2L 50-59 years, male 6.6
GTEX-ZYFG-1526-SM-5GZYM 60-69 years, female 6.6
GTEX-1EX96-1026-SM-7MKG2 50-59 years, male 6.5
GTEX-XYKS-1426-SM-4BRUO 60-69 years, female 6.5
GTEX-1H1DF-1126-SM-9WG7G 40-49 years, female 6.5
GTEX-1GZ2Q-0126-SM-9WG6M 40-49 years, male 6.4
GTEX-111FC-2526-SM-5GZXU 60-69 years, male 5.8
GTEX-117YX-1926-SM-5GIEC 50-59 years, male 5.7
GTEX-1A32A-0626-SM-731AQ 50-59 years, female 5.7
GTEX-1RAZR-2126-SM-E9U6T 40-49 years, male 5.7
GTEX-11PRG-0726-SM-5EGL1 50-59 years, male 5.2
GTEX-14DAQ-0626-SM-793DS 60-69 years, female 5.2
GTEX-ZYVF-0926-SM-5E44J 50-59 years, female 4.7
GTEX-11ZUS-2626-SM-5FQUR 30-39 years, male 4.2
GTEX-1CAV2-0126-SM-7IGN7 40-49 years, female 4.1
GTEX-13113-1626-SM-5EQ4I 60-69 years, female 4.0
GTEX-13JVG-0726-SM-5KM16 60-69 years, male 4.0
GTEX-1IDJC-1526-SM-B2LW4 50-59 years, male 4.0
GTEX-ZVE1-0726-SM-51MRN 50-59 years, female 3.6
GTEX-1LGOU-1326-SM-D3L8M 20-29 years, female 3.6
GTEX-148VJ-0626-SM-5LUAW 70-79 years, male 3.5
GTEX-17HG3-2626-SM-7DUF2 30-39 years, female 3.4
GTEX-1S82U-1026-SM-E6CJK 30-39 years, female 3.2
GTEX-1AX9J-1326-SM-731BJ 60-69 years, male 2.5
GTEX-1LVA9-2626-SM-EVYD4 50-59 years, male 2.3
GTEX-17EVQ-0126-SM-7IGLR 70-79 years, male 2.2
GTEX-1GF9U-2026-SM-7SB92 40-49 years, female 1.8
GTEX-1L5NE-1126-SM-D3L9P 50-59 years, male 1.7
GTEX-131XH-0126-SM-5LZUY 50-59 years, male 1.5
GTEX-1HR98-2226-SM-ADEI2 60-69 years, male 1.4
GTEX-1H3VE-0726-SM-9YFL5 40-49 years, male 1.2
Show allShow less
Skin - Sun Exposed (Lower leg)
Average nTPM: 17.3
Samples: 701

Max nTPM: 68.2
Min nTPM: 0.0
Std nTPM: 9.1
Median nTPM: 16.0
GTEX-ZXES-1826-SM-5E43S 30-39 years, female 68.2
GTEX-1LH75-2426-SM-E9TJE 50-59 years, female 61.1
GTEX-1K2DA-1826-SM-CGQGT 50-59 years, male 60.4
GTEX-1HCVE-0126-SM-CGQEU 50-59 years, male 53.5
GTEX-12WSA-0226-SM-5BC5V 60-69 years, male 52.1
GTEX-P4QT-0126-SM-2I3FL 50-59 years, female 50.5
GTEX-1R7EU-0226-SM-EVR4G 60-69 years, male 49.4
GTEX-NFK9-0226-SM-2HMKQ 40-49 years, male 48.6
GTEX-11TT1-2526-SM-5EGIB 20-29 years, male 48.3
GTEX-1I1GT-0626-SM-CGQER 60-69 years, female 46.2
GTEX-13OW8-1326-SM-5J1OW 60-69 years, male 45.5
GTEX-ZWKS-0126-SM-5SIAA 30-39 years, male 43.9
GTEX-14C5O-0126-SM-5SI6N 60-69 years, male 42.1
GTEX-1L5NE-2526-SM-E6CIE 50-59 years, male 41.7
GTEX-1J8QM-2126-SM-CYPSJ 60-69 years, female 41.5
GTEX-1AX9J-0226-SM-73KXM 60-69 years, male 40.6
GTEX-131XF-5016-SM-7MGWE 60-69 years, male 40.5
GTEX-12696-2426-SM-5EQ6H 60-69 years, male 40.3
GTEX-17F96-1626-SM-7DUFL 70-79 years, male 40.0
GTEX-1122O-2126-SM-5EGIR 60-69 years, female 39.1
GTEX-1KANA-0726-SM-D3L9I 20-29 years, male 38.3
GTEX-1KXAM-2226-SM-CYPTC 60-69 years, male 38.1
GTEX-1R9PM-2026-SM-E76OY 20-29 years, male 38.1
GTEX-T8EM-1026-SM-3DB7M 40-49 years, male 37.5
GTEX-17EUY-0426-SM-793BD 20-29 years, male 36.9
GTEX-PSDG-0226-SM-DKPOZ 50-59 years, male 36.8
GTEX-ZVZP-2426-SM-59HKJ 50-59 years, male 36.4
GTEX-WYJK-0126-SM-3NMAB 50-59 years, male 35.5
GTEX-Y8LW-1826-SM-5S2MV 50-59 years, female 35.1
GTEX-SNMC-1226-SM-2XCFP 20-29 years, male 35.0
GTEX-YB5E-2026-SM-5IFIS 40-49 years, male 35.0
GTEX-U8XE-0326-SM-3DB8P 30-39 years, male 34.9
GTEX-1CB4H-0226-SM-7PBXM 60-69 years, female 34.9
GTEX-1QPFJ-0226-SM-E76PB 30-39 years, female 34.9
GTEX-13OVH-0126-SM-5MR4B 70-79 years, male 33.3
GTEX-1S3DN-2226-SM-EVYCD 50-59 years, male 33.3
GTEX-1JJ6O-0126-SM-E6CI8 60-69 years, male 33.2
GTEX-1OJC3-0126-SM-E76QX 20-29 years, male 33.1
GTEX-15CHC-2126-SM-6EU21 60-69 years, female 32.5
GTEX-17F98-0626-SM-79OMX 40-49 years, female 32.3
GTEX-1JMPY-1326-SM-ARL8Y 30-39 years, male 32.2
GTEX-1S82Z-0826-SM-E6CHY 30-39 years, female 32.2
GTEX-15RIG-0226-SM-7KFTL 40-49 years, male 32.1
GTEX-1C475-1826-SM-73KWA 40-49 years, female 31.8
GTEX-ZGAY-0526-SM-4WWBB 40-49 years, female 31.4
GTEX-Y5V6-2426-SM-4VDSB 60-69 years, male 31.3
GTEX-PWCY-1826-SM-DHXIZ 20-29 years, female 31.3
GTEX-T5JW-1626-SM-3GADZ 20-29 years, female 31.2
GTEX-1H2FU-0126-SM-9WYSI 60-69 years, female 31.2
GTEX-PLZ5-2026-SM-2S1O4 50-59 years, male 30.6
GTEX-ZVT2-2526-SM-51MT1 50-59 years, female 30.6
GTEX-1KANC-1526-SM-D3LAB 50-59 years, female 30.4
GTEX-ZQG8-1626-SM-DHXIT 60-69 years, female 30.3
GTEX-1J1R8-1726-SM-ARL8M 40-49 years, male 30.2
GTEX-1R46S-0626-SM-E9J41 60-69 years, female 30.2
GTEX-1JKYR-0126-SM-CNPOJ 20-29 years, male 30.1
GTEX-1LGRB-2526-SM-CNPPQ 50-59 years, female 29.5
GTEX-17MFQ-1726-SM-793C7 20-29 years, male 29.4
GTEX-12C56-1726-SM-5EQ61 20-29 years, male 29.3
GTEX-13PDP-0126-SM-5L3HD 60-69 years, male 29.3
GTEX-1HFI7-1826-SM-ACKXH 50-59 years, female 29.3
GTEX-18D9U-0226-SM-718BP 40-49 years, male 29.2
GTEX-ZV6S-2326-SM-4YCEY 40-49 years, female 29.2
GTEX-OIZG-0726-SM-33HBL 50-59 years, male 29.1
GTEX-XAJ8-0826-SM-47JY6 40-49 years, male 29.1
GTEX-1F6RS-0126-SM-9MQKZ 60-69 years, female 29.1
GTEX-14JG1-0426-SM-6ETZZ 40-49 years, male 28.8
GTEX-1E2YA-0126-SM-9KNUC 50-59 years, male 28.8
GTEX-WYVS-2126-SM-3NMA3 40-49 years, female 28.7
GTEX-OOBJ-0126-SM-E6CJW 60-69 years, male 28.5
GTEX-117XS-2726-SM-5N9BL 60-69 years, male 28.4
GTEX-ZTX8-1426-SM-5DUVO 20-29 years, male 28.3
GTEX-169BO-1326-SM-9MQK2 50-59 years, male 28.2
GTEX-1GL5R-1826-SM-9KNUY 50-59 years, male 28.2
GTEX-1J1OQ-0226-SM-CYPSH 40-49 years, female 28.1
GTEX-18D9A-1926-SM-7LG6P 30-39 years, female 27.9
GTEX-XUZC-1726-SM-4BRWS 30-39 years, female 27.9
GTEX-1EN7A-0126-SM-7SB81 40-49 years, male 27.9
GTEX-1I1GR-0126-SM-CL55F 60-69 years, male 27.9
GTEX-13W46-0226-SM-5SIAG 50-59 years, male 27.7
GTEX-15DCD-0126-SM-7KUEK 70-79 years, female 27.7
GTEX-1A3MV-1926-SM-718BT 30-39 years, male 27.7
GTEX-13IVO-0126-SM-5J1NG 70-79 years, male 27.5
GTEX-Q2AH-1626-SM-3GAF8 40-49 years, male 27.5
GTEX-139D8-0226-SM-5KLZO 30-39 years, female 27.4
GTEX-145LV-2126-SM-5LU8N 50-59 years, male 27.4
GTEX-14A5H-0426-SM-5QGQF 60-69 years, male 27.2
GTEX-17F97-0326-SM-7LG5B 50-59 years, male 27.2
GTEX-17JCI-0126-SM-7LG5G 60-69 years, female 27.2
GTEX-1MA7W-2026-SM-E9TJ6 20-29 years, female 27.2
GTEX-1QCLY-0326-SM-E8VOG 30-39 years, male 27.2
GTEX-X88G-0126-SM-47JZ3 30-39 years, male 27.0
GTEX-Q2AG-0126-SM-33HBV 40-49 years, female 26.8
GTEX-13NZB-2526-SM-5J1OM 30-39 years, male 26.7
GTEX-S32W-2126-SM-2XCB1 50-59 years, female 26.6
GTEX-1CB4F-0426-SM-9KNV4 60-69 years, male 26.5
GTEX-1GF9V-0326-SM-7RHI5 60-69 years, male 26.5
GTEX-OIZH-0126-SM-2HMIS 50-59 years, male 26.3
GTEX-QDVJ-1726-SM-2I5FX 50-59 years, male 26.2
GTEX-17KNJ-2326-SM-7DHLQ 50-59 years, male 26.1
GTEX-TKQ1-1026-SM-4GICL 30-39 years, male 26.1
GTEX-U412-0426-SM-3DB9O 60-69 years, male 26.1
GTEX-1LB8K-0226-SM-EWRNW 50-59 years, male 25.8
GTEX-11LCK-1026-SM-5A5KB 30-39 years, male 25.7
GTEX-16YQH-0126-SM-7DUFJ 30-39 years, male 25.7
GTEX-QLQW-1126-SM-2S1Q8 30-39 years, male 25.6
GTEX-UJHI-1526-SM-3DB99 50-59 years, female 25.6
GTEX-1QP9N-1426-SM-DTXFL 30-39 years, male 25.6
GTEX-1399R-2726-SM-5IJBA 30-39 years, male 25.5
GTEX-13FTW-2626-SM-5K7WL 40-49 years, male 25.4
GTEX-PWO3-1526-SM-48TCM 60-69 years, female 25.4
GTEX-11DXX-2426-SM-5GZZW 60-69 years, female 25.2
GTEX-14DAR-2026-SM-5S2O3 50-59 years, male 25.2
GTEX-RWSA-0126-SM-2XCBB 40-49 years, male 24.8
GTEX-1JJEA-0326-SM-CNPOT 60-69 years, male 24.7
GTEX-X4XX-0126-SM-3NMC2 60-69 years, male 24.4
GTEX-17GQL-2026-SM-718BA 60-69 years, male 24.3
GTEX-1I6K6-0126-SM-A9SLE 30-39 years, male 24.3
GTEX-1KAFJ-2026-SM-CY8ID 50-59 years, male 24.3
GTEX-14PJ3-1826-SM-62LEX 50-59 years, male 24.2
GTEX-14PJ6-2126-SM-6EU1V 60-69 years, female 24.2
GTEX-1128S-2326-SM-5GZZY 60-69 years, female 24.1
GTEX-11EQ9-2426-SM-5HL5T 30-39 years, male 24.1
GTEX-1JMLX-0226-SM-CM2RO 50-59 years, male 24.1
GTEX-13OW6-0426-SM-5L3HM 50-59 years, male 23.9
GTEX-18QFQ-0126-SM-731BE 30-39 years, male 23.8
GTEX-X585-0226-SM-4QAS2 50-59 years, male 23.7
GTEX-14PHX-2326-SM-62LEM 50-59 years, male 23.6
GTEX-13JUV-2726-SM-5LZZ8 40-49 years, female 23.5
GTEX-13QJ3-0326-SM-5S2RA 50-59 years, male 23.5
GTEX-13X6I-0626-SM-5QGP9 60-69 years, male 23.4
GTEX-145MN-2226-SM-5SIAU 30-39 years, male 23.4
GTEX-Y8E4-0626-SM-4WWDL 40-49 years, male 23.4
GTEX-ZVE2-0226-SM-59HJB 50-59 years, male 23.4
GTEX-1HSEH-0126-SM-ACKXN 60-69 years, male 23.4
GTEX-1ICG6-2526-SM-CGQFZ 70-79 years, female 23.4
GTEX-18A67-0126-SM-7LG5P 50-59 years, male 23.2
GTEX-SN8G-0126-SM-32PLI 50-59 years, female 23.0
GTEX-YJ89-0126-SM-4TT3X 60-69 years, male 23.0
GTEX-ZU9S-0226-SM-5E441 30-39 years, male 23.0
GTEX-1S83E-0126-SM-EWRO4 40-49 years, male 23.0
GTEX-14BMV-0126-SM-5S2PO 50-59 years, male 22.9
GTEX-1HSKV-0226-SM-A9SKJ 60-69 years, male 22.9
GTEX-15ETS-0126-SM-7KUMW 40-49 years, female 22.8
GTEX-1B8SF-1426-SM-7DUGL 60-69 years, male 22.8
GTEX-SIU8-0126-SM-2XCDT 50-59 years, male 22.8
GTEX-VJYA-1126-SM-3GIJU 60-69 years, male 22.8
GTEX-ZDTT-2726-SM-4WKF8 60-69 years, male 22.8
GTEX-1GF9X-2026-SM-7PC3A 40-49 years, female 22.8
GTEX-13YAN-0326-SM-5O9DF 60-69 years, male 22.7
GTEX-QV44-1926-SM-2S1RF 50-59 years, male 22.7
GTEX-ZYFC-0226-SM-5NQ75 50-59 years, male 22.7
GTEX-13NZ8-0826-SM-5MR3I 60-69 years, female 22.6
GTEX-14JG6-2226-SM-6EU2G 30-39 years, female 22.6
GTEX-ZF2S-2326-SM-4WWCE 50-59 years, female 22.6
GTEX-1NV5F-0226-SM-E8VNY 60-69 years, female 22.6
GTEX-111FC-0126-SM-5N9DL 60-69 years, male 22.5
GTEX-1QEPI-0126-SM-EWRMQ 60-69 years, female 22.5
GTEX-1HT8W-0126-SM-CNPPP 30-39 years, male 22.4
GTEX-1PIGE-0126-SM-EVYBJ 20-29 years, male 22.4
GTEX-139T8-0126-SM-5K7XZ 60-69 years, male 22.3
GTEX-1C64N-0126-SM-793D7 50-59 years, male 22.3
GTEX-XBEW-0626-SM-4QASP 40-49 years, male 22.3
GTEX-15F5U-1526-SM-6PANO 40-49 years, male 22.1
GTEX-1K9T9-0126-SM-EVYCF 50-59 years, female 22.0
GTEX-1OFPY-2426-SM-DTXEJ 60-69 years, male 22.0
GTEX-1314G-1526-SM-5EGK2 30-39 years, male 21.9
GTEX-13CF3-2426-SM-5IFGX 60-69 years, female 21.9
GTEX-TMMY-0226-SM-33HBA 40-49 years, female 21.9
GTEX-1IKJJ-0126-SM-CNPQB 60-69 years, male 21.8
GTEX-1399T-2826-SM-5KLYZ 60-69 years, male 21.7
GTEX-14LLW-0126-SM-6LLIO 70-79 years, female 21.6
GTEX-15UKP-0426-SM-7KUFQ 20-29 years, male 21.6
GTEX-QESD-1426-SM-2S1R9 20-29 years, male 21.6
GTEX-1H4P4-0726-SM-9YFLR 50-59 years, male 21.6
GTEX-1HSGN-0226-SM-CGQFV 40-49 years, female 21.6
GTEX-1I4MK-2226-SM-ACKWD 50-59 years, female 21.6
GTEX-12ZZY-0226-SM-5LZVE 60-69 years, male 21.5
GTEX-148VI-1626-SM-5SI6E 60-69 years, female 21.5
GTEX-ZVTK-0426-SM-51MRS 20-29 years, male 21.5
GTEX-1H3VY-0126-SM-ACKXD 50-59 years, male 21.4
GTEX-P4PP-0126-SM-3LK69 30-39 years, female 21.3
GTEX-U3ZH-2026-SM-3DB78 30-39 years, male 21.3
GTEX-ZAB5-1826-SM-5HL7C 50-59 years, male 21.3
GTEX-S33H-1026-SM-EZ6L6 30-39 years, male 21.3
GTEX-1C2JI-1826-SM-73KXC 50-59 years, male 21.2
GTEX-1IL2V-0126-SM-CM2TX 70-79 years, male 21.0
GTEX-1LBAC-0126-SM-DIPEZ 20-29 years, male 21.0
GTEX-131XE-2326-SM-5PNZ2 50-59 years, male 20.9
GTEX-13NYB-2526-SM-5K7Z6 40-49 years, male 20.9
GTEX-1H1DG-0126-SM-9WYU2 70-79 years, male 20.9
GTEX-1LG7Z-1726-SM-D3LA4 30-39 years, male 20.9
GTEX-13OVJ-0126-SM-5KM36 50-59 years, female 20.8
GTEX-ZYT6-0226-SM-5NQ6T 30-39 years, male 20.8
GTEX-13O3O-0126-SM-E9J49 60-69 years, female 20.8
GTEX-1JK1U-2026-SM-CM2RZ 60-69 years, male 20.8
GTEX-PW2O-1526-SM-7RHHB 20-29 years, male 20.8
GTEX-WQUQ-0426-SM-3MJFU 60-69 years, male 20.7
GTEX-1EU9M-0226-SM-7P8SP 60-69 years, male 20.7
GTEX-11NUK-0126-SM-5A5L3 50-59 years, male 20.6
GTEX-WZTO-0126-SM-3NM95 40-49 years, male 20.6
GTEX-1HCU7-0226-SM-CL545 50-59 years, male 20.5
GTEX-1LSNM-1926-SM-E6CII 50-59 years, male 20.5
GTEX-ZPIC-1726-SM-DHXIU 40-49 years, female 20.5
GTEX-17EVP-0326-SM-7DHLG 40-49 years, male 20.3
GTEX-144GL-0126-SM-5TDE2 50-59 years, male 20.2
GTEX-18A66-0226-SM-718BD 60-69 years, male 20.2
GTEX-ZZ64-1726-SM-5GZYB 20-29 years, male 20.1
GTEX-14753-0426-SM-5NQAM 60-69 years, male 19.9
GTEX-16NPX-0226-SM-79OMT 50-59 years, male 19.9
GTEX-1IDJU-2626-SM-CM2RT 60-69 years, female 19.9
GTEX-11DZ1-0126-SM-5985Q 50-59 years, male 19.8
GTEX-11EM3-2426-SM-59861 20-29 years, female 19.8
GTEX-145LT-1726-SM-5QGP3 40-49 years, male 19.8
GTEX-183WM-0126-SM-7LTAB 70-79 years, female 19.8
GTEX-R3RS-0126-SM-3GIJL 40-49 years, female 19.8
GTEX-1QP66-1726-SM-E8VO1 50-59 years, male 19.8
GTEX-1B8KE-2126-SM-73KYX 50-59 years, male 19.7
GTEX-YB5K-2126-SM-4WWDJ 40-49 years, female 19.7
GTEX-ZF28-0126-SM-4WKGK 60-69 years, male 19.7
GTEX-1F5PL-0326-SM-7P8PQ 40-49 years, female 19.7
GTEX-1F88F-2726-SM-7PBZZ 60-69 years, female 19.7
GTEX-1S5ZA-0126-SM-EVYCV 20-29 years, male 19.7
GTEX-QVJO-1626-SM-2S1QW 60-69 years, female 19.6
GTEX-O5YW-0126-SM-3LK6D 50-59 years, male 19.4
GTEX-R55E-0126-SM-2TC5Y 20-29 years, male 19.4
GTEX-PLZ6-1426-SM-DKPOT 30-39 years, male 19.4
GTEX-13N11-2526-SM-5K7UE 50-59 years, female 19.3
GTEX-13OVL-0226-SM-5L3E9 50-59 years, male 19.3
GTEX-14PII-0226-SM-6EU1T 60-69 years, male 19.3
GTEX-17MF6-0126-SM-7LG4F 40-49 years, male 19.3
GTEX-11VI4-1726-SM-5CVLH 40-49 years, female 19.2
GTEX-14BIN-0626-SM-793DP 50-59 years, female 19.2
GTEX-1JMPZ-0226-SM-CNPP1 30-39 years, male 19.2
GTEX-13N1W-0126-SM-5K7VT 70-79 years, male 19.1
GTEX-RWS6-2026-SM-2XCB5 60-69 years, female 19.1
GTEX-ZYY3-0126-SM-5GZY5 60-69 years, female 19.1
GTEX-14LZ3-0226-SM-62LET 60-69 years, female 19.0
GTEX-QLQ7-1626-SM-2S1R8 60-69 years, male 19.0
GTEX-Y5LM-1926-SM-5RQJH 40-49 years, female 19.0
GTEX-1GPI7-0126-SM-9MQL8 20-29 years, male 19.0
GTEX-111VG-2426-SM-5GZXD 60-69 years, male 18.9
GTEX-13SLW-0126-SM-5SI6C 70-79 years, male 18.9
GTEX-144FL-0126-SM-5TDC8 50-59 years, male 18.9
GTEX-XV7Q-2526-SM-4BRV9 40-49 years, female 18.9
GTEX-1M5QR-1226-SM-EWROB 40-49 years, male 18.9
GTEX-1H1DE-2126-SM-9WG6R 20-29 years, male 18.8
GTEX-1HR98-0126-SM-B2LWI 60-69 years, male 18.8
GTEX-1PIIG-0226-SM-EWRN6 30-39 years, male 18.8
GTEX-ZF3C-0126-SM-DO92D 50-59 years, female 18.8
GTEX-145LU-0126-SM-5TDCB 50-59 years, male 18.7
GTEX-18A7B-0126-SM-7LG64 70-79 years, male 18.7
GTEX-T6MN-0126-SM-32PLP 50-59 years, male 18.7
GTEX-13S7M-0126-SM-5SI6A 60-69 years, female 18.6
GTEX-146FQ-0126-SM-5NQA9 30-39 years, male 18.6
GTEX-WI4N-1026-SM-3LK7N 40-49 years, female 18.6
GTEX-1GZ4H-1726-SM-7PBZJ 50-59 years, female 18.6
GTEX-1H3NZ-0126-SM-ACKX7 60-69 years, male 18.6
GTEX-139TT-0126-SM-5K7Y5 60-69 years, male 18.4
GTEX-SUCS-1926-SM-32PM3 70-79 years, male 18.4
GTEX-1MUQO-0126-SM-EAZ58 60-69 years, male 18.4
GTEX-16AAH-1726-SM-7939C 50-59 years, male 18.3
GTEX-YEC4-2126-SM-5IFJH 40-49 years, male 18.3
GTEX-1HCU8-0626-SM-A9SM9 60-69 years, female 18.3
GTEX-1IL2U-0226-SM-CE6T8 60-69 years, male 18.3
GTEX-18465-0126-SM-731BN 50-59 years, male 18.2
GTEX-ZAJG-0126-SM-5HL94 50-59 years, female 18.2
GTEX-1GN1U-0126-SM-7PBZK 50-59 years, female 18.2
GTEX-1PDJ9-0326-SM-DTX95 20-29 years, male 18.2
GTEX-1R7EV-2426-SM-EVYBG 40-49 years, male 18.2
GTEX-S95S-1226-SM-4GICG 60-69 years, male 18.1
GTEX-1CAMR-1926-SM-7EPI2 20-29 years, male 18.0
GTEX-1GMR3-1926-SM-9KNUZ 40-49 years, male 18.0
GTEX-1J8Q2-0526-SM-CM2RW 60-69 years, male 18.0
GTEX-13O3Q-2426-SM-5IJBR 50-59 years, male 17.9
GTEX-13OVI-1426-SM-5L3EY 60-69 years, female 17.9
GTEX-15SHU-0126-SM-7KUEH 40-49 years, female 17.9
GTEX-1A3MX-0126-SM-731BR 60-69 years, male 17.9
GTEX-1CB4I-0226-SM-79OLH 50-59 years, male 17.9
GTEX-Z93S-0126-SM-5HL7M 50-59 years, male 17.9
GTEX-ZDTS-0126-SM-4WAY5 60-69 years, male 17.9
GTEX-13113-5016-SM-7EPIP 60-69 years, female 17.8
GTEX-13FTY-0526-SM-5L3EV 40-49 years, female 17.7
GTEX-14ICK-0226-SM-6EU25 40-49 years, male 17.7
GTEX-VUSG-2526-SM-4KL1V 50-59 years, male 17.7
GTEX-1GZ2Q-0226-SM-7P8TL 40-49 years, male 17.7
GTEX-13N2G-2626-SM-5J1OT 60-69 years, male 17.6
GTEX-RN64-0126-SM-2TC68 50-59 years, male 17.6
GTEX-1EKGG-0226-SM-9WYTH 60-69 years, male 17.6
GTEX-13NYC-0326-SM-E9J4S 60-69 years, male 17.5
GTEX-1EX96-1626-SM-7PBXR 50-59 years, male 17.5
GTEX-1GN2E-0426-SM-9MQKX 60-69 years, male 17.5
GTEX-1F5PK-2426-SM-7RHHY 50-59 years, male 17.4
GTEX-X5EB-2226-SM-46MW4 40-49 years, male 17.3
GTEX-11DXW-0226-SM-5H122 40-49 years, male 17.2
GTEX-15SDE-2226-SM-7IGLO 50-59 years, female 17.2
GTEX-16BQI-0226-SM-7KUEX 30-39 years, female 17.2
GTEX-SJXC-0126-SM-2XCFF 60-69 years, male 17.2
GTEX-WVJS-0126-SM-4MVOT 50-59 years, male 17.2
GTEX-1HBPM-0226-SM-ARL9F 60-69 years, female 17.2
GTEX-1ICLY-0126-SM-D4P36 50-59 years, male 17.2
GTEX-1LVAN-0226-SM-COH3S 50-59 years, female 17.2
GTEX-1RAZA-0126-SM-E6CI3 20-29 years, male 17.2
GTEX-ZF29-2326-SM-DO92K 60-69 years, female 17.2
GTEX-1HSMQ-1226-SM-CGQFX 50-59 years, male 17.1
GTEX-12ZZX-0126-SM-5EGK9 40-49 years, female 17.0
GTEX-14E6D-0126-SM-62LDV 50-59 years, male 17.0
GTEX-183FY-0126-SM-7LT9P 20-29 years, male 17.0
GTEX-1C6VR-2426-SM-79OLD 60-69 years, male 17.0
GTEX-POMQ-2226-SM-2I5FK 20-29 years, female 17.0
GTEX-1JMQK-0226-SM-CL543 60-69 years, male 17.0
GTEX-13RTK-1426-SM-5QGQJ 20-29 years, male 16.9
GTEX-13SLX-0526-SM-5S2ON 50-59 years, female 16.9
GTEX-1E1VI-0126-SM-7DHMZ 50-59 years, male 16.9
GTEX-T2YK-0526-SM-32QPJ 50-59 years, male 16.9
GTEX-WRHK-1426-SM-3MJF9 20-29 years, female 16.9
GTEX-OXRN-0126-SM-48TDM 50-59 years, male 16.8
GTEX-ZAB4-0226-SM-5N9F5 40-49 years, male 16.8
GTEX-1F6IF-0726-SM-7P8TW 60-69 years, male 16.8
GTEX-1MGNQ-0126-SM-EVYCJ 40-49 years, male 16.8
GTEX-12ZZZ-0626-SM-5DUXI 60-69 years, male 16.7
GTEX-U3ZM-1526-SM-3DB9D 40-49 years, male 16.7
GTEX-Y114-2426-SM-4TT8A 50-59 years, female 16.7
GTEX-ZE9C-2726-SM-57WB5 60-69 years, male 16.7
GTEX-1MCQQ-0826-SM-DLHC2 60-69 years, male 16.7
GTEX-1O97I-0326-SM-EYYX7 60-69 years, male 16.7
GTEX-S7SE-0126-SM-2XCD5 50-59 years, male 16.6
GTEX-YJ8A-0426-SM-5IFID 20-29 years, male 16.6
GTEX-1IKK5-0626-SM-ARL8A 60-69 years, male 16.6
GTEX-13NYS-0126-SM-5MR3W 60-69 years, male 16.5
GTEX-OXRO-0126-SM-2YUN4 60-69 years, female 16.5
GTEX-XUW1-0426-SM-4BOOT 50-59 years, female 16.5
GTEX-ZTSS-1926-SM-57WEW 40-49 years, male 16.5
GTEX-1H11D-0226-SM-9WG6Z 40-49 years, male 16.5
GTEX-1HGF4-2426-SM-ACKXM 60-69 years, male 16.5
GTEX-11GSO-2426-SM-5A5LY 60-69 years, male 16.4
GTEX-Y3IK-2426-SM-4WWDU 50-59 years, female 16.4
GTEX-1IDJF-0126-SM-CM2RS 20-29 years, male 16.4
GTEX-15G19-0126-SM-6PANQ 60-69 years, male 16.3
GTEX-WOFL-0126-SM-3MJG2 60-69 years, male 16.3
GTEX-1H23P-0126-SM-ADEJ3 60-69 years, male 16.3
GTEX-1HSMP-0126-SM-E6CJS 70-79 years, male 16.3
GTEX-16NGA-1726-SM-731B4 40-49 years, female 16.2
GTEX-139TS-2826-SM-5J1OO 60-69 years, male 16.1
GTEX-14A5I-0126-SM-5TDEA 50-59 years, female 16.1
GTEX-NPJ8-0126-SM-2YUNR 40-49 years, male 16.1
GTEX-ZXG5-0126-SM-5GIEU 60-69 years, male 16.1
GTEX-1IGQW-0126-SM-COH42 60-69 years, male 16.1
GTEX-RU72-0926-SM-2TF6B 50-59 years, female 16.0
GTEX-1JMQJ-0526-SM-CYPSU 50-59 years, male 16.0
GTEX-1KWVE-1426-SM-E9TJO 30-39 years, male 16.0
GTEX-RVPV-0126-SM-EAZAW 60-69 years, male 16.0
GTEX-11DYG-0126-SM-59883 60-69 years, male 15.9
GTEX-U8T8-0126-SM-3DB94 60-69 years, male 15.9
GTEX-1I1GP-2226-SM-CGQFK 50-59 years, male 15.9
GTEX-1IOXB-0126-SM-ARL8G 50-59 years, male 15.9
GTEX-1399U-2326-SM-5K7WY 50-59 years, female 15.8
GTEX-13U4I-0126-SM-5LU38 40-49 years, female 15.7
GTEX-17HG3-2226-SM-7938L 30-39 years, female 15.7
GTEX-T5JC-0426-SM-32PLO 20-29 years, male 15.7
GTEX-U3ZN-2326-SM-3DB7W 30-39 years, female 15.7
GTEX-13111-1626-SM-5EGJY 50-59 years, male 15.6
GTEX-1B8SG-0126-SM-73KZ3 50-59 years, male 15.6
GTEX-Y8DK-0126-SM-4TT3L 60-69 years, male 15.6
GTEX-1GN73-0226-SM-9WG67 60-69 years, male 15.6
GTEX-1HBPN-0226-SM-9YFM1 50-59 years, male 15.6
GTEX-1JN76-0126-SM-CNPPE 20-29 years, female 15.6
GTEX-1LG7Y-0526-SM-DKPQC 50-59 years, male 15.6
GTEX-1MJK2-0426-SM-DTXE5 50-59 years, male 15.6
GTEX-1PFEY-1526-SM-E76PP 30-39 years, male 15.6
GTEX-13VXU-0126-SM-5SI9F 50-59 years, male 15.5
GTEX-145LS-0126-SM-5QGP1 60-69 years, female 15.5
GTEX-WY7C-2326-SM-3NB2U 50-59 years, male 15.5
GTEX-ZQUD-1426-SM-57WER 30-39 years, male 15.5
GTEX-1RQEC-0426-SM-E6CHU 60-69 years, male 15.5
GTEX-1212Z-2526-SM-5EGKP 60-69 years, male 15.4
GTEX-13G51-2526-SM-5LZYK 60-69 years, male 15.4
GTEX-14PN3-2426-SM-6LLHS 60-69 years, female 15.4
GTEX-1BAJH-0526-SM-793CQ 70-79 years, male 15.4
GTEX-OHPM-0126-SM-2YUN9 50-59 years, male 15.4
GTEX-132NY-0326-SM-5IJBL 60-69 years, male 15.3
GTEX-147GR-0526-SM-5S2MY 60-69 years, male 15.3
GTEX-14PHW-0126-SM-6LLJI 60-69 years, female 15.3
GTEX-1EWIQ-0126-SM-7RHH2 70-79 years, female 15.3
GTEX-Y5V5-2326-SM-4V6GA 60-69 years, female 15.2
GTEX-13FH7-2026-SM-E9J4I 50-59 years, female 15.2
GTEX-1JN1M-0326-SM-CYPT3 60-69 years, female 15.2
GTEX-11ZTS-0126-SM-5EQ6M 60-69 years, female 15.1
GTEX-1CAV2-2226-SM-7P8P2 40-49 years, female 15.1
GTEX-1K2DU-2326-SM-E9TIV 20-29 years, male 15.1
GTEX-131YS-0126-SM-5KM1M 60-69 years, female 15.0
GTEX-13O3P-0126-SM-5KM4S 50-59 years, male 15.0
GTEX-13OVK-2026-SM-7KUEO 40-49 years, male 15.0
GTEX-ZV68-0126-SM-59HKS 50-59 years, female 15.0
GTEX-1N2EF-0226-SM-EYYXB 60-69 years, male 14.9
GTEX-1PWST-0226-SM-E76QJ 70-79 years, male 14.9
GTEX-W5X1-3026-SM-EAZAX 40-49 years, female 14.9
GTEX-13FXS-0226-SM-5IJCK 50-59 years, male 14.8
GTEX-12WSC-0126-SM-5EQ4P 50-59 years, male 14.7
GTEX-147F3-0526-SM-5SI98 50-59 years, female 14.7
GTEX-1MCYP-1926-SM-E9J2R 20-29 years, female 14.7
GTEX-11NSD-2226-SM-5986V 20-29 years, male 14.6
GTEX-1JN6P-0126-SM-D3L98 60-69 years, male 14.6
GTEX-11XUK-2026-SM-5EQLF 40-49 years, female 14.5
GTEX-13CF2-2526-SM-5LZYX 60-69 years, male 14.5
GTEX-1F75B-0126-SM-9KNVL 50-59 years, male 14.5
GTEX-1JKYN-1326-SM-CGQG9 30-39 years, male 14.5
GTEX-XPVG-2626-SM-4B669 50-59 years, male 14.4
GTEX-1F52S-0126-SM-9MQJU 60-69 years, female 14.4
GTEX-1HCUA-2426-SM-ADEIS 50-59 years, female 14.4
GTEX-15ER7-0326-SM-7KUEV 20-29 years, female 14.3
GTEX-RM2N-1426-SM-2TF4H 50-59 years, male 14.3
GTEX-117YW-2626-SM-5GZZH 50-59 years, male 14.2
GTEX-1192W-2626-SM-5Q5AF 60-69 years, male 14.2
GTEX-PX3G-0126-SM-2I3EN 20-29 years, female 14.2
GTEX-12WSG-2826-SM-E9J4H 50-59 years, female 14.2
GTEX-1GMR8-0126-SM-9WYTM 50-59 years, female 14.2
GTEX-1IDFM-0126-SM-COH2V 60-69 years, male 14.2
GTEX-1313W-0126-SM-5LZUN 50-59 years, female 14.1
GTEX-139TU-0126-SM-5K7WH 60-69 years, male 14.1
GTEX-13FHP-0126-SM-5IJBG 50-59 years, male 14.1
GTEX-1CB4E-2226-SM-793DC 60-69 years, male 14.1
GTEX-T6MO-1626-SM-32QOM 40-49 years, female 14.1
GTEX-131XG-2626-SM-5KM17 50-59 years, female 14.0
GTEX-13D11-2426-SM-5KM1V 50-59 years, female 14.0
GTEX-1I1CD-0126-SM-CM2TK 60-69 years, female 14.0
GTEX-1I1GV-0526-SM-A9G29 60-69 years, male 14.0
GTEX-11WQK-0526-SM-5EQLD 50-59 years, male 13.9
GTEX-17HHE-2026-SM-79OKF 50-59 years, male 13.9
GTEX-WH7G-2326-SM-3NMBC 40-49 years, male 13.9
GTEX-ZDYS-2026-SM-5HL5L 50-59 years, male 13.9
GTEX-1QMI2-0226-SM-EVYBX 60-69 years, male 13.9
GTEX-1S82Y-2026-SM-EVYCM 40-49 years, male 13.9
GTEX-ZVT4-0126-SM-DTXFN 50-59 years, female 13.9
GTEX-T2IS-0126-SM-4DM6O 20-29 years, female 13.8
GTEX-1GMRU-0126-SM-9YFLV 50-59 years, male 13.8
GTEX-13RTJ-2426-SM-5S2Q2 60-69 years, male 13.7
GTEX-15DYW-0126-SM-7KULE 60-69 years, female 13.7
GTEX-PLZ4-0126-SM-5SI8O 50-59 years, female 13.7
GTEX-XXEK-2226-SM-4BRUM 50-59 years, male 13.7
GTEX-1HBPI-1526-SM-C1YQ1 50-59 years, male 13.7
GTEX-12WSD-0126-SM-59HKN 60-69 years, female 13.6
GTEX-13OVG-1926-SM-5L3DK 60-69 years, male 13.6
GTEX-145MI-0526-SM-5O9A8 60-69 years, female 13.6
GTEX-1CAMQ-0226-SM-7IGPK 40-49 years, male 13.6
GTEX-1HCU6-0126-SM-CL54K 60-69 years, female 13.6
GTEX-11O72-0126-SM-59887 40-49 years, male 13.5
GTEX-12WSN-5019-SM-79OM6 40-49 years, male 13.5
GTEX-RTLS-0126-SM-447CA 60-69 years, female 13.5
GTEX-UPJH-0326-SM-3GADU 50-59 years, male 13.5
GTEX-XQ3S-1526-SM-4BOOC 20-29 years, male 13.5
GTEX-Z93T-0126-SM-5HL5N 50-59 years, male 13.5
GTEX-11GSP-2526-SM-5N9BP 60-69 years, female 13.4
GTEX-133LE-1826-SM-5J1MV 20-29 years, female 13.4
GTEX-16XZZ-0126-SM-793DV 60-69 years, male 13.4
GTEX-QDVN-2026-SM-3GAEP 50-59 years, male 13.4
GTEX-S7PM-0126-SM-4AD6S 60-69 years, male 13.4
GTEX-X4EO-0326-SM-3P5YO 60-69 years, female 13.4
GTEX-1J8EW-0126-SM-CJI4F 60-69 years, female 13.4
GTEX-TML8-1926-SM-32QOS 40-49 years, female 13.3
GTEX-13OW5-0126-SM-DTXFS 60-69 years, male 13.3
GTEX-16MT8-0426-SM-7KUEY 60-69 years, female 13.2
GTEX-1AMFI-2026-SM-731BH 50-59 years, female 13.2
GTEX-X8HC-0126-SM-4E3JW 50-59 years, female 13.2
GTEX-Y111-0126-SM-4SOIV 50-59 years, male 13.2
GTEX-1B8L1-2526-SM-9WYTF 60-69 years, male 13.2
GTEX-1KD4Q-0226-SM-E9TJ9 40-49 years, male 13.2
GTEX-1POEN-0126-SM-EYYXJ 30-39 years, female 13.2
GTEX-13NZA-0226-SM-5K7Z7 60-69 years, male 13.1
GTEX-145ME-1826-SM-5SI9G 40-49 years, female 13.1
GTEX-TMZS-0126-SM-3DB9Q 60-69 years, male 13.1
GTEX-1H1E6-1726-SM-ACKVK 30-39 years, male 13.1
GTEX-14PJM-0226-SM-62LF1 50-59 years, female 13.0
GTEX-15SB6-1726-SM-6PAME 50-59 years, female 13.0
GTEX-1B8KZ-2026-SM-7DHMB 50-59 years, male 13.0
GTEX-1H3O1-0426-SM-9YFKY 60-69 years, male 13.0
GTEX-13O21-1426-SM-5K7XI 50-59 years, male 12.9
GTEX-16GPK-0126-SM-7DHLE 60-69 years, male 12.9
GTEX-XUYS-0126-SM-47JWZ 50-59 years, male 12.9
GTEX-1HFI6-0226-SM-ADEHZ 40-49 years, male 12.9
GTEX-11P7K-2126-SM-5GU7G 30-39 years, male 12.8
GTEX-14XAO-2326-SM-6EU1B 60-69 years, female 12.8
GTEX-1HCU9-1526-SM-A9SL7 20-29 years, male 12.8
GTEX-1IKOH-0226-SM-COH4E 60-69 years, female 12.8
GTEX-12WSJ-1826-SM-5GCNY 40-49 years, female 12.7
GTEX-13X6J-0126-SM-5QGOU 50-59 years, male 12.7
GTEX-145MF-0626-SM-5LUAI 50-59 years, male 12.7
GTEX-1I1GQ-0126-SM-COH3H 50-59 years, male 12.7
GTEX-1PPH8-0226-SM-E8VND 20-29 years, male 12.7
GTEX-11DXZ-2326-SM-5EGGV 50-59 years, male 12.6
GTEX-11UD2-0226-SM-5EQKY 50-59 years, male 12.6
GTEX-14BMU-2226-SM-5TDE9 20-29 years, female 12.5
GTEX-1F7RK-0126-SM-7PC2S 20-29 years, female 12.5
GTEX-1N2DV-0226-SM-E6CJ6 40-49 years, male 12.5
GTEX-13FHO-0226-SM-5IFGY 60-69 years, male 12.4
GTEX-1497J-2426-SM-7IGNX 60-69 years, male 12.4
GTEX-PVOW-0126-SM-2XCFA 40-49 years, male 12.4
GTEX-1GN1V-0126-SM-9WPOS 60-69 years, male 12.4
GTEX-WFG8-2226-SM-3GIL9 20-29 years, male 12.3
GTEX-ZAK1-0126-SM-5IJD3 50-59 years, female 12.3
GTEX-11P81-2326-SM-59875 30-39 years, female 12.2
GTEX-1A32A-0126-SM-718B1 50-59 years, female 12.2
GTEX-SSA3-0126-SM-32QPU 60-69 years, male 12.2
GTEX-ZDXO-3026-SM-5J1N5 60-69 years, male 12.2
GTEX-1CAMS-0426-SM-7P8T2 40-49 years, female 12.2
GTEX-12WSE-0526-SM-793B2 20-29 years, male 12.1
GTEX-X4EP-0126-SM-3P5YV 60-69 years, female 12.1
GTEX-1EMGI-0126-SM-9KNUE 60-69 years, male 12.1
GTEX-ZY6K-1826-SM-5GZXK 50-59 years, male 12.0
GTEX-ZYFD-0126-SM-5GIDL 50-59 years, male 12.0
GTEX-1GF9U-2126-SM-7SB7L 40-49 years, female 12.0
GTEX-1H3VE-0326-SM-9YFLH 40-49 years, male 12.0
GTEX-12WSL-2526-SM-5GCNJ 50-59 years, male 11.9
GTEX-131XH-2226-SM-5DUXJ 50-59 years, male 11.9
GTEX-15EU6-0426-SM-6PAN5 50-59 years, male 11.9
GTEX-1AX8Z-0126-SM-7DHM6 60-69 years, male 11.9
GTEX-1GPI6-0126-SM-9WG69 60-69 years, male 11.9
GTEX-OXRL-0126-SM-2YUMP 50-59 years, male 11.8
GTEX-RNOR-0126-SM-E9J4R 50-59 years, female 11.8
GTEX-1J8Q3-1626-SM-CMKGC 60-69 years, male 11.7
GTEX-R45C-0126-SM-EAZ2R 60-69 years, female 11.7
GTEX-11DXY-2626-SM-5GIE7 60-69 years, male 11.6
GTEX-TSE9-0126-SM-3DB83 60-69 years, female 11.6
GTEX-1GZHY-0326-SM-9QEHI 50-59 years, female 11.6
GTEX-15DDE-0126-SM-6LPKH 50-59 years, female 11.2
GTEX-18D9B-0526-SM-7LTAS 60-69 years, male 11.2
GTEX-ZEX8-2426-SM-4WKG4 50-59 years, male 11.2
GTEX-1ICLZ-0126-SM-CKZPO 60-69 years, male 11.2
GTEX-13RTL-0126-SM-7LG5S 40-49 years, male 11.1
GTEX-1JMOU-1526-SM-CL54I 60-69 years, female 11.1
GTEX-1JMQI-2226-SM-CM2SD 50-59 years, male 11.1
GTEX-1269C-2526-SM-5EGJ3 60-69 years, female 10.9
GTEX-1H1ZS-0426-SM-9WG6G 70-79 years, male 10.9
GTEX-1KANB-0526-SM-E6CJH 50-59 years, male 10.9
GTEX-11EMC-2926-SM-5EQ4F 60-69 years, female 10.8
GTEX-12WSK-2326-SM-5GCOH 40-49 years, female 10.8
GTEX-QEG4-0226-SM-2S1PY 30-39 years, male 10.8
GTEX-XBED-2226-SM-47JYQ 60-69 years, male 10.8
GTEX-ZC5H-0226-SM-4WAY9 40-49 years, female 10.8
GTEX-1JJE9-0326-SM-CL53Z 70-79 years, male 10.8
GTEX-1QP2A-0126-SM-E9J43 50-59 years, male 10.8
GTEX-ZZPT-0226-SM-5E43X 50-59 years, male 10.7
GTEX-11TUW-2726-SM-E9J4M 60-69 years, male 10.7
GTEX-1B933-0126-SM-7PC29 50-59 years, female 10.7
GTEX-1I19N-0326-SM-ACKVX 70-79 years, male 10.7
GTEX-1QAET-0926-SM-E76QM 50-59 years, male 10.7
GTEX-13VXT-0126-SM-5LU4I 20-29 years, female 10.6
GTEX-1AMEY-1326-SM-73KYK 30-39 years, female 10.6
GTEX-QCQG-1726-SM-3GIJ9 50-59 years, female 10.6
GTEX-14PN4-0126-SM-6EU2V 50-59 years, male 10.5
GTEX-17EVQ-0226-SM-7LG4P 70-79 years, male 10.5
GTEX-1A8FM-0226-SM-7SB7Q 50-59 years, female 10.5
GTEX-11OC5-0126-SM-5HL6A 60-69 years, male 10.4
GTEX-13OW7-0126-SM-5MR3B 50-59 years, male 10.4
GTEX-14E7W-0126-SM-6LLJ9 70-79 years, male 10.4
GTEX-18A7A-0226-SM-718BH 50-59 years, female 10.4
GTEX-1AX9I-0126-SM-7SB74 60-69 years, male 10.4
GTEX-1B996-0226-SM-7RHGO 60-69 years, male 10.4
GTEX-1KD5A-0226-SM-D5OV3 50-59 years, male 10.4
GTEX-131XW-0426-SM-5LZWP 50-59 years, female 10.3
GTEX-18A6Q-0126-SM-731BZ 60-69 years, male 10.3
GTEX-1C6VS-0526-SM-7DUEN 60-69 years, male 10.3
GTEX-14PK6-1926-SM-6ETZU 70-79 years, female 10.2
GTEX-R55G-2526-SM-2TC6D 40-49 years, female 10.2
GTEX-XYKS-2126-SM-4E3IB 60-69 years, female 10.2
GTEX-11ZU8-2526-SM-5EQKI 60-69 years, male 10.1
GTEX-13112-2826-SM-5DUWH 50-59 years, male 10.1
GTEX-1LC47-0326-SM-E9TJP 60-69 years, male 10.1
GTEX-12126-0326-SM-5PNW3 20-29 years, male 10.0
GTEX-OOBK-0126-SM-2YUND 40-49 years, male 10.0
GTEX-1C64O-0126-SM-7SB8P 60-69 years, male 10.0
GTEX-139UW-2826-SM-5L3E7 60-69 years, male 9.9
GTEX-147F4-0226-SM-5QGPW 50-59 years, male 9.9
GTEX-1J8JJ-0226-SM-CL53I 60-69 years, female 9.9
GTEX-117YX-2326-SM-5H12W 50-59 years, male 9.8
GTEX-X261-0126-SM-3NMD6 50-59 years, male 9.8
GTEX-1HKZK-0326-SM-9WYUH 40-49 years, male 9.8
GTEX-14A6H-0126-SM-5QGPK 30-39 years, male 9.6
GTEX-RUSQ-1526-SM-2TF62 50-59 years, male 9.6
GTEX-17HGU-0226-SM-7DHKV 50-59 years, male 9.5
GTEX-ZTPG-0326-SM-5O9AX 20-29 years, female 9.5
GTEX-11WQC-2526-SM-5CVLE 60-69 years, male 9.4
GTEX-P4PQ-0126-SM-2S1NM 60-69 years, male 9.4
GTEX-Q2AI-1326-SM-2S1PL 40-49 years, male 9.4
GTEX-Q734-1926-SM-2I5EV 40-49 years, female 9.4
GTEX-1GF9W-0326-SM-9KNUN 60-69 years, male 9.4
GTEX-1I1HK-0126-SM-COH49 60-69 years, male 9.4
GTEX-1RB15-2126-SM-E9TIM 60-69 years, male 9.4
GTEX-17HHY-0126-SM-7LG5D 50-59 years, male 9.3
GTEX-ZVT3-0126-SM-5GU6I 60-69 years, female 9.3
GTEX-1IDJH-0326-SM-A9SLQ 70-79 years, male 9.3
GTEX-11EI6-0126-SM-5985R 60-69 years, male 9.2
GTEX-14DAQ-0126-SM-5S2MQ 60-69 years, female 9.2
GTEX-OHPL-0126-SM-2HMJ7 60-69 years, female 9.2
GTEX-1HB9E-0226-SM-E9U4R 50-59 years, male 9.2
GTEX-1RDX4-0126-SM-E9J4P 50-59 years, female 9.2
GTEX-145MO-0326-SM-5Q5B3 60-69 years, male 9.1
GTEX-1MA7X-2226-SM-E6CIY 60-69 years, male 9.1
GTEX-11GS4-2726-SM-5A5LE 60-69 years, male 9.0
GTEX-113JC-2326-SM-5EQ4E 50-59 years, female 8.9
GTEX-11H98-0126-SM-5EGHG 50-59 years, male 8.9
GTEX-WFON-2126-SM-3LK7O 40-49 years, male 8.8
GTEX-XQ8I-0426-SM-4BOPO 50-59 years, male 8.8
GTEX-1QP29-0626-SM-EWRMX 50-59 years, male 8.8
GTEX-OXRK-0226-SM-3NB2G 50-59 years, female 8.7
GTEX-1F6I4-0126-SM-9MQL2 60-69 years, male 8.7
GTEX-1F75A-0126-SM-7RHGM 50-59 years, male 8.7
GTEX-1H1CY-2826-SM-9MQM3 60-69 years, female 8.7
GTEX-1IY9M-0126-SM-D3L8S 60-69 years, male 8.7
GTEX-1C4CL-0526-SM-73KVK 30-39 years, male 8.6
GTEX-V1D1-2226-SM-3NMAX 50-59 years, male 8.6
GTEX-13PVR-2326-SM-5QGR1 60-69 years, female 8.5
GTEX-14E6E-1826-SM-5S2R7 30-39 years, male 8.5
GTEX-Y3I4-2126-SM-4TT7C 50-59 years, male 8.5
GTEX-1A3MW-0126-SM-73KXX 60-69 years, female 8.4
GTEX-11ZVC-2526-SM-5FQTE 50-59 years, female 8.3
GTEX-13O1R-0126-SM-5L3EH 60-69 years, male 8.3
GTEX-O5YT-0126-SM-48TBW 20-29 years, male 8.3
GTEX-X4XY-0226-SM-4E3IZ 60-69 years, male 8.3
GTEX-1C6VQ-0126-SM-7P8RI 50-59 years, male 8.3
GTEX-OXRP-0126-SM-3NB32 60-69 years, female 8.2
GTEX-ZVZO-0126-SM-5A5L9 40-49 years, male 8.2
GTEX-1NHNU-1026-SM-E9J2A 50-59 years, male 8.2
GTEX-11P82-1626-SM-59879 20-29 years, male 8.1
GTEX-14ABY-0226-SM-5TDCQ 50-59 years, male 8.1
GTEX-1192X-0226-SM-5H12D 50-59 years, male 8.0
GTEX-ZE7O-0126-SM-57WC1 50-59 years, female 8.0
GTEX-11UD1-0126-SM-5PNYG 40-49 years, female 7.9
GTEX-1F48J-0126-SM-7P8TT 50-59 years, female 7.8
GTEX-1HSMO-0126-SM-CL547 60-69 years, male 7.7
GTEX-13FTX-1826-SM-5J1NX 20-29 years, female 7.6
GTEX-YFC4-0126-SM-5CVLY 40-49 years, female 7.6
GTEX-OIZF-0126-SM-7SB8I 60-69 years, male 7.6
GTEX-12584-0126-SM-5EGKQ 40-49 years, male 7.4
GTEX-17HII-0226-SM-7LG4E 50-59 years, male 7.4
GTEX-1CB4G-0226-SM-7PC3O 60-69 years, male 7.4
GTEX-1211K-2026-SM-5EQ4Z 60-69 years, female 7.3
GTEX-ZUA1-0126-SM-5GU76 40-49 years, male 7.3
GTEX-12KS4-0326-SM-5EQ41 30-39 years, male 7.2
GTEX-1PPH7-2326-SM-EVYB8 40-49 years, male 7.1
GTEX-146FH-0126-SM-5QGPP 50-59 years, female 7.0
GTEX-14E6C-0126-SM-5RQIP 40-49 years, male 6.9
GTEX-16XZY-2126-SM-79OK1 70-79 years, male 6.7
GTEX-W5WG-1826-SM-4KL2Y 50-59 years, female 6.7
GTEX-ZYW4-0126-SM-5E44A 60-69 years, male 6.7
GTEX-1I1GU-2226-SM-CGQFA 40-49 years, male 6.7
GTEX-1B97I-1626-SM-73KYO 40-49 years, male 6.6
GTEX-1CB4J-0626-SM-7DHMP 60-69 years, male 6.5
GTEX-148VJ-0126-SM-5TDDN 70-79 years, male 6.3
GTEX-15EOM-0126-SM-7KUGG 20-29 years, female 6.3
GTEX-1JMQL-0226-SM-CNPP5 50-59 years, female 6.3
GTEX-Z9EW-1626-SM-5CVMN 40-49 years, male 6.2
GTEX-1LGOU-2026-SM-DIPFF 20-29 years, female 6.2
GTEX-113IC-0126-SM-5HL6T 60-69 years, male 6.1
GTEX-15D1Q-0126-SM-7KUG6 40-49 years, male 6.0
GTEX-WXYG-2326-SM-4E3I6 50-59 years, female 6.0
GTEX-1PBJI-0526-SM-E8VNK 20-29 years, female 6.0
GTEX-11OF3-2626-SM-5GU7F 60-69 years, male 5.7
GTEX-13W3W-2426-SM-5LU5B 60-69 years, female 5.7
GTEX-1C6WA-0126-SM-7PC2B 60-69 years, male 5.7
GTEX-11ZTT-2426-SM-5EQLS 60-69 years, female 5.6
GTEX-ZYFG-2326-SM-5E44B 60-69 years, female 5.6
GTEX-1GN1W-0526-SM-9MQJQ 50-59 years, female 5.6
GTEX-15SHW-0326-SM-6PAML 60-69 years, male 5.5
GTEX-P44H-0226-SM-2XCEU 40-49 years, male 5.4
GTEX-QDT8-0126-SM-48TZ1 30-39 years, female 5.4
GTEX-X638-0126-SM-47JZ8 70-79 years, female 5.1
GTEX-13X6H-2126-SM-7EWD5 50-59 years, female 5.0
GTEX-1IE54-0126-SM-CMKHW 40-49 years, female 5.0
GTEX-1OJC4-0126-SM-E9J2E 50-59 years, female 5.0
GTEX-XMD2-0126-SM-4YCDU 60-69 years, female 4.8
GTEX-1N2DW-0226-SM-E9TK2 50-59 years, male 4.7
GTEX-144GN-2326-SM-5LU4F 50-59 years, male 4.6
GTEX-1I1GS-0126-SM-B2LVW 60-69 years, male 4.6
GTEX-14BIM-0226-SM-7IGLD 60-69 years, female 4.5
GTEX-1AYD5-2426-SM-73KXR 50-59 years, male 4.4
GTEX-1HUB1-0426-SM-E9U4U 60-69 years, male 4.4
GTEX-139T4-0226-SM-5HL5S 50-59 years, female 4.1
GTEX-VJWN-0126-SM-3GIK7 50-59 years, female 4.1
GTEX-1AX9K-2326-SM-73KWU 50-59 years, male 4.0
GTEX-15UF6-0826-SM-6PALJ 70-79 years, female 3.9
GTEX-14BIL-0126-SM-5SI92 50-59 years, male 3.6
GTEX-1AYCT-2426-SM-7IGQ3 50-59 years, male 3.2
GTEX-1GTWX-0126-SM-9YFLK 60-69 years, male 3.2
GTEX-1R9K4-0126-SM-DTX9X 60-69 years, male 3.2
GTEX-SE5C-1626-SM-2XCE3 40-49 years, female 3.1
GTEX-X62O-0126-SM-4E3JN 50-59 years, male 3.0
GTEX-1LNCM-1126-SM-E9U5E 50-59 years, female 2.8
GTEX-1F75I-0326-SM-9YFLU 40-49 years, male 2.7
GTEX-11TTK-0126-SM-5987B 60-69 years, female 2.6
GTEX-1RLM8-2326-SM-EWRN4 50-59 years, male 2.2
GTEX-1M4P7-0226-SM-DIPEV 60-69 years, male 1.5
GTEX-11ZUS-0626-SM-59885 30-39 years, male 0.9
GTEX-1R9PO-2126-SM-E9J4O 60-69 years, female 0.7
GTEX-1QP67-1626-SM-EAZ3X 40-49 years, female 0.5
GTEX-1QW4Y-1526-SM-EAZ3Z 30-39 years, male 0.1
GTEX-14JIY-0126-SM-6LLH6 60-69 years, male 0.0
GTEX-U4B1-1826-SM-4DXSU 40-49 years, male 0.0
GTEX-146FR-1326-SM-E9J48 60-69 years, female 0.0
GTEX-1HBPH-0426-SM-B2LW5 40-49 years, female 0.0
GTEX-1RAZQ-0726-SM-EAZ43 30-39 years, male 0.0
Show allShow less

Contact

  • NEWS ARTICLES
  • PRESS ROOM

The Project

  • INTRODUCTION
  • ORGANIZATION
  • PUBLICATIONS

The Human Protein Atlas

  • DOWNLOADABLE DATA
  • LICENCE & CITATION
  • HELP & FAQ
The Human Protein Atlas project is funded
by the Knut & Alice Wallenberg Foundation.


contact@proteinatlas.org