We use cookies to enhance the usability of our website. If you continue, we'll assume that you are happy to receive all cookies. More information. Don't show this again.
SLC23A2
HPA
RESOURCES
  • TISSUE
  • BRAIN
  • SINGLE CELL
  • SUBCELLULAR
  • CANCER
  • BLOOD
  • CELL LINE
  • STRUCTURE & INTERACTION
ABOUT
  • INTRODUCTION
  • HISTORY
  • ORGANIZATION
  • PUBLICATIONS
  • ANTIBODY SUBMISSION
  • ANTIBODY AVAILABILITY
  • ACKNOWLEDGMENTS
  • CONTACT
NEWS
  • NEWS ARTICLES
  • PRESS ROOM
LEARN
  • DICTIONARY
  • PROTEIN CLASSES
  • PROTEIN EVIDENCE
  • METHODS
  • EDUCATIONAL VIDEOS
DATA
  • DOWNLOADABLE DATA
  • PUBLICATION DATA
  • RELEASE HISTORY
HELP
  • ANTIBODY VALIDATION
  • ASSAYS & ANNOTATION
  • DISCLAIMER
  • HELP & FAQ
  • PRIVACY STATEMENT
  • LICENCE & CITATION
Fields »
Search result

Field
Term
Gene name
Class
Subclass
Class
Keyword
Chromosome
External id
Tissue
Cell type
Expression
Antibody panel
Tissue
Main location
Patient ID
Annotation
Tissue
Category
Tau score
Cluster
Reliability
Brain region
Category
Tau score
Brain region
Category
Tau score
Brain region
Category
Tau score
Cluster
Reliability
Tissue
Cell type
Enrichment
Cell type
Category
Tau score
Cell type
Category
Tau score
Cell type
Category
Tau score
Cell lineage
Category
Tau score
Cluster
Cluster
Location
Searches
Location
Cell line
Class
Type
Phase
Reliability
Cancer
Prognosis
Cancer
Category
Cancer
Category
Tau score
Cluster
Variants
Interacting gene (ensg_id)
Type
Number of interactions
Pathway
Category
Score
Score
Score
Validation
Validation
Validation
Validation
Antibodies
Data type
Column


  • SUMMARY

  • TISSUE

  • BRAIN

  • SINGLE CELL

  • SUBCELL

  • CANCER

  • BLOOD

  • CELL LINE

  • STRUCT & INT

  • SLC23A2
TISSUE PRIMARY DATA SALIVARY GLAND Show tissue menu
ADIPOSE TISSUE ADRENAL GLAND AMYGDALA APPENDIX BASAL GANGLIA BONE MARROW BREAST BRONCHUS CEREBELLUM CEREBRAL CORTEX CERVIX CHOROID PLEXUS COLON DUODENUM
ENDOMETRIUM EPIDIDYMIS ESOPHAGUS FALLOPIAN TUBE GALLBLADDER HEART MUSCLE HIPPOCAMPAL FORMATION HYPOTHALAMUS KIDNEY LIVER LUNG LYMPH NODE MIDBRAIN NASOPHARYNX
OVARY PANCREAS PARATHYROID GLAND PITUITARY GLAND PLACENTA PROSTATE RECTUM RETINA SALIVARY GLAND SEMINAL VESICLE SKELETAL MUSCLE SKIN SMALL INTESTINE SMOOTH MUSCLE
SOFT TISSUE SPINAL CORD SPLEEN STOMACH TESTIS THYMUS THYROID GLAND TONGUE TONSIL URINARY BLADDER VAGINA
ANTIBODIES
AND
VALIDATION
Dictionary
Salivary gland
Tissue proteome
Salivary gland
SALIVARY GLAND - Expression summary
Protein expression
Salivary glandi

On the top, protein expression in current human tissue, based on all annotated cell types, is reported with the units not detected (n), low (l), medium (m) and high (h). Underneath, protein expression in each annotated cell type are reported using the same units.

Protein expression data is based on knowledge-based annotation. For genes where more than one antibody has been used, a collective score is set.

If knowledge-based annotation could not be performed for a gene, no data is displayed here. View antibody staining data further down this page.

h
m
l
n
Glandular cells: Not detected
RNA expressioni

A summary of mRNA expression data available for current tissue based on several datasets. The mRNA expression levels in human tissues are based on RNA-seq data generated by the Human Protein Atlas (HPA), Genotype-Tissue Expression (GTEx) portal and CAGE data generated by the FANTOM5 consortium. Consensus normalized expression levels for human tissues was created by combining the data from HPA and GTEx datasets.

The mRNA expression levels in pig are based on RNA-seq data generated by the Human Protein Atlas (HPA), and for mouse, HPA data and in situ hybridization generated by the Allen brain atlas are reported.

Scroll down to view mRNA expression data in more detail.
Consensus:5.7 nTPM
HPA:5.1 nTPM
GTEx:5.7 nTPM
FANTOM5:13.8 Scaled Tags Per Million

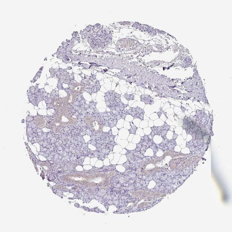
SALIVARY GLAND - Antibody stainingi

Antibody staining in the annotated cell types in the current human tissue is reported as not detected, low, medium, or high, based on conventional immunohistochemistry profiling in selected tissues. This score is based on the combination of the staining intensity and fraction of stained cells.

Each image is clickable and will lead to virtual microscopy that enables deeper exploration of all samples and also displays staining intensity scores, fraction scores and subcellular localization as well as patient and tissue information for each sample.

Antibody HPA052825
Glandular cells Not detected



SALIVARY GLAND - HPA RNA-seqi

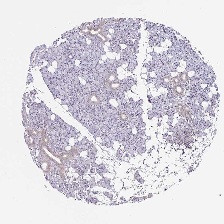
The RNA-seq details section shows detailed information about the individual samples used for the transcript profiling and results of the RNA-seq analysis.

Information about each individual sample is listed below, including gender, age, a tissue section image and estimated fractions of cell types. nTPM (normalized transcripts per million) values give a quantification of the gene abundance which is comparable between different genes and samples.
Average nTPMi

Max subtype nTPM is the value for the subtype with the largest average nTPM across the subtype samples.

5.1
overview
Female, age 68
Salivary gland sample 216
nTPM: 5.5
Cell types%
Glandular cells:
45

Ductal cells:
25

Adipocytes:
5

Other cell types:
25

overview
Male, age 60
Salivary gland sample 217
nTPM: 5.3
Cell types%
Glandular cells:
55

Ductal cells:
20

Adipocytes:
5

Endothelial cells:
5

Other cell types:
15

overview
Female, age 21
Salivary gland sample 218
nTPM: 4.6
Cell types%
Glandular cells:
55

Ductal cells:
15

Adipocytes:
5

Endothelial cells:
5

Other cell types:
20


SALIVARY GLAND - GTEx RNA-seqi

RNA-Seq data generated by the Genotype-Tissue Expression (GTEx) project from human tissues is reported as mean nTPM. More information can be found on the GTEx portal.

Distribution across the dataset is visualized with box plots, shown as median and 25th and 75th percentiles. Points are displayed as outliers if they are above or below 1.5 times the interquartile range. nTPM values of the individual samples are presented next to the box plot.
Max subtype nTPMi

Max subtype nTPM is the value for the subtype with the largest average nTPM across the subtype samples.

5.7
GTEx sample id Sample description nTPM
Minor Salivary Gland
Average nTPM: 5.7
Samples: 162

Max nTPM: 10.8
Min nTPM: 2.9
Std nTPM: 1.2
Median nTPM: 5.7
GTEX-1JN6P-2526-SM-CNNPX 60-69 years, male 10.8
GTEX-ZF29-2126-SM-DNZYX 60-69 years, female 9.6
GTEX-1GN1V-2926-SM-9JGI3 60-69 years, male 9.3
GTEX-1GTWX-2526-SM-9JGHG 60-69 years, male 9.3
GTEX-1117F-3026-SM-5GZYU 60-69 years, female 8.3
GTEX-1HR9M-2526-SM-A9G3J 60-69 years, male 8.3
GTEX-WOFM-2126-SM-4OOSR 20-29 years, male 7.9
GTEX-ZAB5-2326-SM-5IJFR 50-59 years, male 7.9
GTEX-14PN4-2526-SM-686ZG 50-59 years, male 7.8
GTEX-1QMI2-0426-SM-EWRND 60-69 years, male 7.7
GTEX-1J8EW-2826-SM-A96T9 60-69 years, female 7.6
GTEX-13OVI-2326-SM-5KM47 60-69 years, female 7.5
GTEX-1J1R8-1826-SM-AHZ3B 40-49 years, male 7.5
GTEX-1R9PO-2626-SM-E6CPU 60-69 years, female 7.5
GTEX-11TUW-2426-SM-5EQKB 60-69 years, male 7.4
GTEX-1P4AB-2926-SM-EXOJR 50-59 years, male 7.4
GTEX-145ME-1626-SM-5RQI3 40-49 years, female 7.3
GTEX-18A67-0626-SM-7KFSL 50-59 years, male 7.2
GTEX-1I1HK-2526-SM-A96SM 60-69 years, male 7.2
GTEX-1J8QM-1826-SM-A96TA 60-69 years, female 7.2
GTEX-13JVG-2926-SM-5J2N9 60-69 years, male 7.1
GTEX-1445S-2926-SM-5O993 60-69 years, male 7.1
GTEX-1AX8Z-0626-SM-731EH 60-69 years, male 7.1
GTEX-146FR-1226-SM-5SIA7 60-69 years, female 6.9
GTEX-1GMR2-2026-SM-7MKHK 50-59 years, male 6.9
GTEX-17MFQ-1626-SM-7938Z 20-29 years, male 6.8
GTEX-1AYD5-2726-SM-7MXVG 50-59 years, male 6.8
GTEX-1H1CY-2326-SM-9OSXW 60-69 years, female 6.8
GTEX-1KD4Q-2526-SM-CXZKL 40-49 years, male 6.8
GTEX-131XH-2626-SM-5GCNP 50-59 years, male 6.7
GTEX-1LVAO-2626-SM-EVR4S 60-69 years, male 6.7
GTEX-1RNSC-2926-SM-EV79L 60-69 years, male 6.7
GTEX-111FC-2926-SM-5GZY7 60-69 years, male 6.6
GTEX-Y3I4-1926-SM-4TT8L 50-59 years, male 6.6
GTEX-1H4P4-2026-SM-9WPNV 50-59 years, male 6.6
GTEX-1HSGN-0626-SM-A9G2E 40-49 years, female 6.6
GTEX-13113-1526-SM-5EGHV 60-69 years, female 6.5
GTEX-1GZ2Q-2526-SM-9KNVW 40-49 years, male 6.5
GTEX-1JN1M-2426-SM-ARU93 60-69 years, female 6.5
GTEX-1LC47-2426-SM-DHXKK 60-69 years, male 6.5
GTEX-1C64N-2926-SM-79OLM 50-59 years, male 6.4
GTEX-XMK1-2626-SM-4B65R 40-49 years, male 6.4
GTEX-ZA64-1726-SM-5CVMF 20-29 years, male 6.4
GTEX-1HFI7-2426-SM-B2LXV 50-59 years, female 6.4
GTEX-1OJC3-1026-SM-E6CQK 20-29 years, male 6.4
GTEX-1R9K5-0626-SM-DPRZB 50-59 years, male 6.4
GTEX-17KNJ-2726-SM-7KFRE 50-59 years, male 6.3
GTEX-ZC5H-2726-SM-5KLZW 40-49 years, female 6.2
GTEX-1I4MK-1326-SM-B2LWT 50-59 years, female 6.2
GTEX-1I6K6-0626-SM-ARU7J 30-39 years, male 6.2
GTEX-11WQK-2926-SM-5EQKT 50-59 years, male 6.1
GTEX-13111-2326-SM-5LZUQ 50-59 years, male 6.1
GTEX-131XF-2826-SM-5EGKH 60-69 years, male 6.1
GTEX-Y111-2626-SM-4TT24 50-59 years, male 6.1
GTEX-1HSEH-1826-SM-A96SA 60-69 years, male 6.1
GTEX-1PPH8-1526-SM-E6CQO 20-29 years, male 6.1
GTEX-1S83E-0626-SM-E9TKC 40-49 years, male 6.1
GTEX-X5EB-1726-SM-4E3J7 40-49 years, male 6.0
GTEX-1I6K7-0926-SM-A96SV 40-49 years, male 6.0
GTEX-1JKYR-0726-SM-AHZ3K 20-29 years, male 6.0
GTEX-13OVL-2926-SM-5IFG3 50-59 years, male 5.9
GTEX-14PJN-1726-SM-69LO7 30-39 years, male 5.9
GTEX-XV7Q-2426-SM-4BRV8 40-49 years, female 5.9
GTEX-ZE7O-2926-SM-51MSG 50-59 years, female 5.9
GTEX-ZPU1-2326-SM-57WEP 40-49 years, male 5.9
GTEX-1HSMQ-0926-SM-A96SI 50-59 years, male 5.9
GTEX-1LKK1-2926-SM-EVR4Z 50-59 years, female 5.9
GTEX-1RAZA-0626-SM-EAZ4H 20-29 years, male 5.9
GTEX-11EQ9-2026-SM-5P9JI 30-39 years, male 5.8
GTEX-11P82-0926-SM-5986X 20-29 years, male 5.8
GTEX-11ZTS-3026-SM-5EQM7 60-69 years, female 5.8
GTEX-12BJ1-2226-SM-5BC6G 60-69 years, male 5.8
GTEX-15RJE-2726-SM-6LPJ1 40-49 years, male 5.8
GTEX-1C4CL-2026-SM-731EB 30-39 years, male 5.8
GTEX-1IY9M-2926-SM-A96TH 60-69 years, male 5.8
GTEX-1OJC4-3126-SM-EXOJK 50-59 years, female 5.8
GTEX-15CHC-1226-SM-686ZH 60-69 years, female 5.7
GTEX-1AX9K-2126-SM-72D7K 50-59 years, male 5.7
GTEX-1B8KZ-1726-SM-73KV7 50-59 years, male 5.7
GTEX-WHSB-2326-SM-4M1XK 50-59 years, male 5.7
GTEX-1QCLZ-2526-SM-EXUST 60-69 years, female 5.7
GTEX-1QEPI-0626-SM-E76QE 60-69 years, female 5.7
GTEX-1B8SF-1826-SM-731DJ 60-69 years, male 5.6
GTEX-1GPI7-0326-SM-7MKH6 20-29 years, male 5.6
GTEX-11NV4-1926-SM-5N9D4 60-69 years, male 5.5
GTEX-13CF2-2426-SM-5LZYL 60-69 years, male 5.5
GTEX-X3Y1-1926-SM-4PQZO 40-49 years, male 5.5
GTEX-1314G-2026-SM-5LZUM 30-39 years, male 5.4
GTEX-14PJ3-1526-SM-664O9 50-59 years, male 5.4
GTEX-15EU6-2626-SM-7KUN4 50-59 years, male 5.4
GTEX-ZQUD-2126-SM-51MSY 30-39 years, male 5.4
GTEX-1MCQQ-2226-SM-DLHC4 60-69 years, male 5.4
GTEX-1PIEJ-0626-SM-DTX99 20-29 years, female 5.4
GTEX-1C64O-0626-SM-7DHL1 60-69 years, male 5.3
GTEX-1CB4I-2526-SM-7MKG1 50-59 years, male 5.3
GTEX-ZXG5-2826-SM-5NQ8T 60-69 years, male 5.3
GTEX-1IOXB-2826-SM-AHZ32 50-59 years, male 5.3
GTEX-1S82P-0726-SM-EVR4O 60-69 years, female 5.3
GTEX-11ZTT-2226-SM-5CVLP 60-69 years, female 5.2
GTEX-13O21-1926-SM-5MR39 50-59 years, male 5.2
GTEX-1GF9X-0226-SM-7P8SM 40-49 years, female 5.2
GTEX-12WSM-1826-SM-5BC64 60-69 years, male 5.1
GTEX-13OVK-1826-SM-6PALE 40-49 years, male 5.1
GTEX-14E1K-2626-SM-664OJ 50-59 years, male 5.1
GTEX-18D9U-2226-SM-7KFTN 40-49 years, male 5.1
GTEX-WH7G-2126-SM-4M1XU 40-49 years, male 5.1
GTEX-1MCC2-2226-SM-EV7AJ 30-39 years, female 5.1
GTEX-1MGNQ-1926-SM-DTX8L 40-49 years, male 5.1
GTEX-13G51-2426-SM-5LZY8 60-69 years, male 5.0
GTEX-178AV-1426-SM-6LLID 40-49 years, male 5.0
GTEX-1GN1W-2526-SM-9JGHX 50-59 years, female 5.0
GTEX-1LSNL-2626-SM-EV7AT 50-59 years, male 5.0
GTEX-11EMC-2526-SM-5PNVU 60-69 years, female 4.9
GTEX-18QFQ-0626-SM-718AW 30-39 years, male 4.9
GTEX-1EH9U-2926-SM-7DHLX 60-69 years, male 4.9
GTEX-X15G-2126-SM-4PQZR 50-59 years, female 4.9
GTEX-YF7O-2226-SM-5CVN8 50-59 years, male 4.9
GTEX-ZP4G-1926-SM-57WDZ 20-29 years, female 4.9
GTEX-1IE54-0826-SM-AHZ2Z 40-49 years, female 4.9
GTEX-1LBAC-0626-SM-D3L9T 20-29 years, male 4.9
GTEX-1POEN-2226-SM-DPRXV 30-39 years, female 4.9
GTEX-12WSN-2226-SM-5DUXT 40-49 years, male 4.8
GTEX-14B4R-1426-SM-5Q5CG 30-39 years, male 4.8
GTEX-1AMEY-1126-SM-72D79 30-39 years, female 4.8
GTEX-WFJO-2026-SM-4LVM3 30-39 years, male 4.8
GTEX-WY7C-1426-SM-4OND1 50-59 years, male 4.8
GTEX-WYVS-2026-SM-4RGNS 40-49 years, female 4.8
GTEX-XGQ4-2626-SM-4AT6B 50-59 years, male 4.8
GTEX-1C6VR-0726-SM-7P8OV 60-69 years, male 4.8
GTEX-1LVA9-2526-SM-EVR5H 50-59 years, male 4.8
GTEX-11P81-2026-SM-5P9GT 30-39 years, female 4.7
GTEX-13VXT-1726-SM-5IFF5 20-29 years, female 4.7
GTEX-ZT9W-2126-SM-51MSF 50-59 years, male 4.7
GTEX-12WSL-2126-SM-5GCNG 50-59 years, male 4.6
GTEX-YB5K-1726-SM-5IFIZ 40-49 years, female 4.6
GTEX-1IDJC-1626-SM-AHZ2R 50-59 years, male 4.6
GTEX-1339X-2326-SM-5HL5B 40-49 years, male 4.5
GTEX-13QJC-2326-SM-5Q5CD 60-69 years, female 4.5
GTEX-14JIY-3026-SM-6EU1R 60-69 years, male 4.5
GTEX-1KD5A-2226-SM-EV79U 50-59 years, male 4.5
GTEX-1A3MV-1726-SM-72D68 30-39 years, male 4.3
GTEX-1R9PM-1726-SM-E8VOA 20-29 years, male 4.3
GTEX-13NYB-2426-SM-5IFF4 40-49 years, male 4.2
GTEX-15SHV-2226-SM-6M464 60-69 years, male 4.2
GTEX-18A7B-2826-SM-7KFTK 70-79 years, male 4.2
GTEX-ZG7Y-2426-SM-DO11H 50-59 years, male 4.2
GTEX-ZLFU-2226-SM-EXUS7 40-49 years, male 4.2
GTEX-X261-2426-SM-4PQZU 50-59 years, male 4.1
GTEX-1IDJD-2526-SM-C1YSA 30-39 years, male 4.1
GTEX-1R9K4-0526-SM-E76P1 60-69 years, male 4.1
GTEX-ZLWG-2026-SM-DO11F 50-59 years, female 4.1
GTEX-1QP9N-2026-SM-DPRZT 30-39 years, male 4.0
GTEX-13QBU-2126-SM-5KLZN 40-49 years, female 3.8
GTEX-Y5V6-2226-SM-4VDTC 60-69 years, male 3.8
GTEX-1192X-2926-SM-5N9BA 50-59 years, male 3.7
GTEX-1B97J-2126-SM-79OL6 50-59 years, female 3.6
GTEX-1KANC-1326-SM-CYPT8 50-59 years, female 3.5
GTEX-Y5LM-1826-SM-4VDT9 40-49 years, female 3.3
GTEX-ZQG8-2126-SM-4YCF1 60-69 years, female 3.3
GTEX-1B932-0626-SM-731EM 40-49 years, female 3.2
GTEX-1NSGN-0626-SM-E9J35 50-59 years, male 3.2
GTEX-1HCU7-0126-SM-C1YR3 50-59 years, male 2.9
Show allShow less

SALIVARY GLAND - FANTOM5 CAGEi

RNA expression in human tissues obtained through Cap Analysis of Gene Expression (CAGE) generated by the FANTOM5 project are reported as Scaled Tags Per Million.

Max subtype Scaled Tags Per Millioni

Max subtype Scaled Tags Per Million is the value for the subtype with the largest average Scaled Tags Per Million across the subtype samples.

13.8
FANTOM5 sample id Sample description Scaled Tags Per Million
Parotid gland
Scaled Tags Per Million: 8.3
FF:10199-103F1 23 years, male 8.3
Salivary gland
Scaled Tags Per Million: 13.8
FF:10093-102C3 16-60 years, mixed 13.8
Submaxillary gland
Scaled Tags Per Million: 10.1
FF:10202-103F4 24 years, male 10.1

Contact

  • NEWS ARTICLES
  • PRESS ROOM

The Project

  • INTRODUCTION
  • ORGANIZATION
  • PUBLICATIONS

The Human Protein Atlas

  • DOWNLOADABLE DATA
  • LICENCE & CITATION
  • HELP & FAQ
The Human Protein Atlas project is funded
by the Knut & Alice Wallenberg Foundation.


contact@proteinatlas.org