We use cookies to enhance the usability of our website. If you continue, we'll assume that you are happy to receive all cookies. More information. Don't show this again.
DHX32
HPA
RESOURCES
  • TISSUE
  • BRAIN
  • SINGLE CELL
  • SUBCELLULAR
  • CANCER
  • BLOOD
  • CELL LINE
  • STRUCTURE & INTERACTION
ABOUT
  • INTRODUCTION
  • HISTORY
  • ORGANIZATION
  • PUBLICATIONS
  • ANTIBODY SUBMISSION
  • ANTIBODY AVAILABILITY
  • ACKNOWLEDGMENTS
  • CONTACT
NEWS
  • NEWS ARTICLES
  • PRESS ROOM
LEARN
  • DICTIONARY
  • PROTEIN CLASSES
  • PROTEIN EVIDENCE
  • METHODS
  • EDUCATIONAL VIDEOS
DATA
  • DOWNLOADABLE DATA
  • PUBLICATION DATA
  • RELEASE HISTORY
HELP
  • ANTIBODY VALIDATION
  • ASSAYS & ANNOTATION
  • DISCLAIMER
  • HELP & FAQ
  • PRIVACY STATEMENT
  • LICENCE & CITATION
Fields »
Search result

Field
Term
Gene name
Class
Subclass
Class
Keyword
Chromosome
External id
Tissue
Cell type
Expression
Antibody panel
Tissue
Main location
Patient ID
Annotation
Tissue
Category
Tau score
Cluster
Reliability
Brain region
Category
Tau score
Brain region
Category
Tau score
Brain region
Category
Tau score
Cluster
Reliability
Tissue
Cell type
Enrichment
Cell type
Category
Tau score
Cell type
Category
Tau score
Cell type
Category
Tau score
Cell lineage
Category
Tau score
Cluster
Cluster
Location
Searches
Location
Cell line
Class
Type
Phase
Reliability
Cancer
Prognosis
Cancer
Category
Cancer
Category
Tau score
Cluster
Variants
Interacting gene (ensg_id)
Type
Number of interactions
Pathway
Category
Score
Score
Score
Validation
Validation
Validation
Validation
Antibodies
Data type
Column


  • SUMMARY

  • TISSUE

  • BRAIN

  • SINGLE CELL

  • SUBCELL

  • CANCER

  • BLOOD

  • CELL LINE

  • STRUCT & INT

  • DHX32
TISSUE PRIMARY DATA STOMACH Show tissue menu
ADIPOSE TISSUE ADRENAL GLAND AMYGDALA APPENDIX BASAL GANGLIA BONE MARROW BREAST BRONCHUS CEREBELLUM CEREBRAL CORTEX CERVIX CHOROID PLEXUS COLON DUODENUM
ENDOMETRIUM EPIDIDYMIS ESOPHAGUS FALLOPIAN TUBE GALLBLADDER HEART MUSCLE HIPPOCAMPAL FORMATION HYPOTHALAMUS KIDNEY LIVER LUNG LYMPH NODE MIDBRAIN NASOPHARYNX
ORAL MUCOSA OVARY PANCREAS PARATHYROID GLAND PITUITARY GLAND PLACENTA PROSTATE RECTUM RETINA SALIVARY GLAND SEMINAL VESICLE SKELETAL MUSCLE SKIN SMALL INTESTINE
SMOOTH MUSCLE SOFT TISSUE SPINAL CORD SPLEEN STOMACH TESTIS THYMUS THYROID GLAND TONGUE TONSIL URINARY BLADDER VAGINA
ANTIBODIES
AND
VALIDATION
Dictionary
Tissue proteome
Stomach
STOMACH - Expression summary
Protein expression
Stomachi

On the top, protein expression in current human tissue, based on all annotated cell types, is reported with the units not detected (n), low (l), medium (m) and high (h). Underneath, protein expression in each annotated cell type are reported using the same units.

Protein expression data is based on knowledge-based annotation. For genes where more than one antibody has been used, a collective score is set.

If knowledge-based annotation could not be performed for a gene, no data is displayed here. View antibody staining data further down this page.

h
m
l
n
Glandular cells: Medium
RNA expressioni

A summary of mRNA expression data available for current tissue based on several datasets. The mRNA expression levels in human tissues are based on RNA-seq data generated by the Human Protein Atlas (HPA), Genotype-Tissue Expression (GTEx) portal and CAGE data generated by the FANTOM5 consortium. Consensus normalized expression levels for human tissues was created by combining the data from HPA and GTEx datasets.

The mRNA expression levels in pig are based on RNA-seq data generated by the Human Protein Atlas (HPA), and for mouse, HPA data and in situ hybridization generated by the Allen brain atlas are reported.

Scroll down to view mRNA expression data in more detail.
Consensus:32.9 nTPM
HPA:32.9 nTPM
GTEx:23.9 nTPM

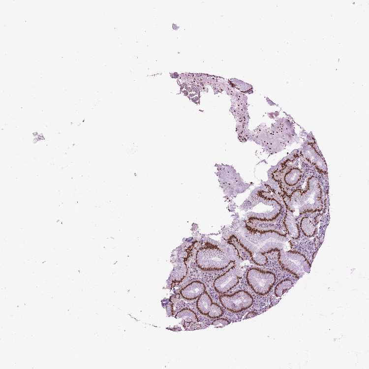
STOMACH 1 - Antibody stainingi

Antibody staining in the annotated cell types in the current human tissue is reported as not detected, low, medium, or high, based on conventional immunohistochemistry profiling in selected tissues. This score is based on the combination of the staining intensity and fraction of stained cells.

Each image is clickable and will lead to virtual microscopy that enables deeper exploration of all samples and also displays staining intensity scores, fraction scores and subcellular localization as well as patient and tissue information for each sample.

Antibody HPA048872
Glandular cells Medium


STOMACH 2 - Antibody stainingi

Antibody staining in the annotated cell types in the current human tissue is reported as not detected, low, medium, or high, based on conventional immunohistochemistry profiling in selected tissues. This score is based on the combination of the staining intensity and fraction of stained cells.

Each image is clickable and will lead to virtual microscopy that enables deeper exploration of all samples and also displays staining intensity scores, fraction scores and subcellular localization as well as patient and tissue information for each sample.

Antibody HPA048872
Glandular cells High



STOMACH - HPA RNA-seqi

The RNA-seq details section shows detailed information about the individual samples used for the transcript profiling and results of the RNA-seq analysis.

Information about each individual sample is listed below, including gender, age, a tissue section image and estimated fractions of cell types. nTPM (normalized transcripts per million) values give a quantification of the gene abundance which is comparable between different genes and samples.
Average nTPMi

Max subtype nTPM is the value for the subtype with the largest average nTPM across the subtype samples.

32.9
overview
Female, age 33
Stomach sample 61
nTPM: 24.1
Cell types%
Glandular cells:
60

Smooth muscle cells:
5

Other cell types:
35

N/A
Male, age 82
Stomach sample 240
nTPM: 28.8
Cell types%
Glandular cells:
65

Smooth muscle cells:
5

Other cell types:
30

overview
Male, age 71
Stomach sample 241
nTPM: 35.3
Cell types%
Glandular cells:
50

Smooth muscle cells:
5

Other cell types:
45

overview
Female, age 66
Stomach sample 369
nTPM: 43.3
Cell types%
Glandular cells:
50

Smooth muscle cells:
10

Other cell types:
40


STOMACH - GTEx RNA-seqi

RNA-Seq data generated by the Genotype-Tissue Expression (GTEx) project from human tissues is reported as mean nTPM. More information can be found on the GTEx portal.

Distribution across the dataset is visualized with box plots, shown as median and 25th and 75th percentiles. Points are displayed as outliers if they are above or below 1.5 times the interquartile range. nTPM values of the individual samples are presented next to the box plot.
Max subtype nTPMi

Max subtype nTPM is the value for the subtype with the largest average nTPM across the subtype samples.

23.9
GTEx sample id Sample description nTPM
Stomach
Average nTPM: 23.9
Samples: 359

Max nTPM: 52.6
Min nTPM: 6.6
Std nTPM: 10.2
Median nTPM: 25.4
GTEX-1B97J-1826-SM-7IGPP 50-59 years, female 52.6
GTEX-RWS6-0926-SM-47JXE 60-69 years, female 50.0
GTEX-WFON-1126-SM-4LVMA 40-49 years, male 48.7
GTEX-15RIE-1026-SM-6LPJQ 60-69 years, male 48.2
GTEX-1GL5R-1926-SM-9WG7U 50-59 years, male 46.4
GTEX-S95S-0826-SM-4B64N 60-69 years, male 44.0
GTEX-1MGNQ-1826-SM-DPRYI 40-49 years, male 41.7
GTEX-ZLFU-1326-SM-DO11R 40-49 years, male 41.5
GTEX-1ICG6-1826-SM-AHZ2O 70-79 years, female 41.4
GTEX-S3XE-1026-SM-4AD4O 50-59 years, male 41.1
GTEX-OOBJ-1526-SM-3NB1Q 60-69 years, male 40.7
GTEX-ZLV1-0826-SM-DO11P 60-69 years, female 40.6
GTEX-1399S-1626-SM-5P9GI 30-39 years, female 40.0
GTEX-1RB15-1026-SM-E9U6V 60-69 years, male 40.0
GTEX-13O21-0926-SM-5IFGT 50-59 years, male 39.7
GTEX-1B8KE-1326-SM-73KVI 50-59 years, male 39.4
GTEX-15CHR-1326-SM-79OLT 50-59 years, male 39.1
GTEX-QV31-0626-SM-447C5 30-39 years, male 39.1
GTEX-11I78-1726-SM-5A5M3 50-59 years, female 39.0
GTEX-15DCE-1626-SM-6LPJM 20-29 years, male 38.7
GTEX-1F5PL-1426-SM-7MKFH 40-49 years, female 38.7
GTEX-RM2N-0826-SM-48FD3 50-59 years, male 38.4
GTEX-T5JW-0926-SM-4DM5K 20-29 years, female 38.4
GTEX-17GQL-1226-SM-7KFTS 60-69 years, male 38.3
GTEX-SUCS-0926-SM-4DM4Z 70-79 years, male 38.3
GTEX-S341-0626-SM-4AD5T 40-49 years, female 38.2
GTEX-13FTX-0726-SM-5N9BI 20-29 years, female 37.4
GTEX-ZVZP-1726-SM-5GZWY 50-59 years, male 37.4
GTEX-QV44-1226-SM-CJI1S 50-59 years, male 37.3
GTEX-132QS-1826-SM-5IFFN 60-69 years, male 37.1
GTEX-ZVT2-1626-SM-51MRC 50-59 years, female 37.1
GTEX-T6MO-0726-SM-4DM58 40-49 years, female 36.9
GTEX-OHPM-1526-SM-EV796 50-59 years, male 36.9
GTEX-S4UY-1626-SM-4AD55 40-49 years, female 36.8
GTEX-XXEK-0826-SM-4BRWG 50-59 years, male 36.8
GTEX-YFCO-0826-SM-5LUAG 40-49 years, male 36.5
GTEX-1B8KZ-1226-SM-793CP 50-59 years, male 36.4
GTEX-ZZ64-0426-SM-5E43F 20-29 years, male 36.4
GTEX-ZVP2-1626-SM-5GU5D 50-59 years, male 36.1
GTEX-ZYFG-1326-SM-5GICJ 60-69 years, female 35.8
GTEX-OXRL-1526-SM-E6CHQ 50-59 years, male 35.8
GTEX-WXYG-1626-SM-4ONCR 50-59 years, female 35.7
GTEX-WYJK-2526-SM-4ONDF 50-59 years, male 35.7
GTEX-ZT9W-1526-SM-4YCDE 50-59 years, male 35.7
GTEX-ZLWG-1526-SM-DO12F 50-59 years, female 35.7
GTEX-14PJ4-1626-SM-664OB 60-69 years, male 35.4
GTEX-ZPU1-1626-SM-4WWB2 40-49 years, male 35.3
GTEX-1QP2A-2126-SM-DPRZ7 50-59 years, male 35.3
GTEX-1R9K5-1026-SM-EAZ4F 50-59 years, male 35.3
GTEX-13CF3-1926-SM-5K7WF 60-69 years, female 35.0
GTEX-18D9A-0626-SM-7KFTY 30-39 years, female 35.0
GTEX-16AAH-1226-SM-79OO9 50-59 years, male 34.9
GTEX-1R7EU-1126-SM-EAZ4M 60-69 years, male 34.7
GTEX-PX3G-1526-SM-48U11 20-29 years, female 34.6
GTEX-14PJ6-0826-SM-686Z9 60-69 years, female 34.5
GTEX-1LG7Z-1226-SM-DHXK4 30-39 years, male 34.5
GTEX-13FTW-1726-SM-5KM2B 40-49 years, male 34.4
GTEX-145MN-1326-SM-5NQ9S 30-39 years, male 34.4
GTEX-117YX-1026-SM-5H11V 50-59 years, male 34.1
GTEX-QCQG-0526-SM-48U2A 50-59 years, female 34.0
GTEX-ZF29-1526-SM-4WKF7 60-69 years, female 34.0
GTEX-1GZ4H-1026-SM-9OSXL 50-59 years, female 34.0
GTEX-X15G-1126-SM-4PQZG 50-59 years, female 33.9
GTEX-14PHX-1026-SM-664OL 50-59 years, male 33.8
GTEX-117YW-2226-SM-5N9DB 50-59 years, male 33.6
GTEX-1J8Q3-1926-SM-C1YSJ 60-69 years, male 33.6
GTEX-13OVK-0926-SM-7KUFX 40-49 years, male 33.5
GTEX-1C475-1026-SM-7MKFJ 40-49 years, female 33.5
GTEX-YB5E-1126-SM-664NU 40-49 years, male 33.4
GTEX-1AMFI-1226-SM-731CZ 50-59 years, female 33.2
GTEX-QDVJ-1426-SM-48U1Y 50-59 years, male 33.2
GTEX-131XF-1226-SM-5HL8V 60-69 years, male 33.1
GTEX-XBED-1226-SM-4AT5V 60-69 years, male 33.1
GTEX-12WSK-1426-SM-5CVNN 40-49 years, female 33.0
GTEX-11DXX-1326-SM-5GIDZ 60-69 years, female 32.8
GTEX-Y3IK-1426-SM-4YCES 50-59 years, female 32.8
GTEX-1KANA-1126-SM-D3L9M 20-29 years, male 32.8
GTEX-1RMOY-1126-SM-EV79E 50-59 years, male 32.8
GTEX-111YS-1126-SM-5GZYQ 60-69 years, male 32.7
GTEX-1JK1U-1326-SM-AHZ45 60-69 years, male 32.7
GTEX-1399R-1126-SM-5IFIO 30-39 years, male 32.6
GTEX-1122O-1926-SM-5EGIQ 60-69 years, female 32.5
GTEX-12WSD-2326-SM-59HKQ 60-69 years, female 32.4
GTEX-13113-0726-SM-5LZUF 60-69 years, female 32.4
GTEX-14E6E-0926-SM-664N8 30-39 years, male 32.3
GTEX-14PKV-1826-SM-69LO9 20-29 years, female 32.2
GTEX-U3ZN-2026-SM-4DXUC 30-39 years, female 32.2
GTEX-WY7C-1726-SM-4ONCC 50-59 years, male 32.2
GTEX-ZY6K-0726-SM-5A5L8 50-59 years, male 32.2
GTEX-1CAMR-0726-SM-7EPIE 20-29 years, male 32.1
GTEX-1LBAC-1426-SM-CXZKT 20-29 years, male 32.1
GTEX-15DZA-1126-SM-6LPK8 30-39 years, female 32.0
GTEX-1QPFJ-1526-SM-DPRXT 30-39 years, female 32.0
GTEX-ZDYS-1926-SM-5HL59 50-59 years, male 31.8
GTEX-13PVR-2126-SM-73KVR 60-69 years, female 31.7
GTEX-OHPK-1526-SM-3MJGM 50-59 years, female 31.7
GTEX-1KXAM-0926-SM-CXZKA 60-69 years, male 31.7
GTEX-17HHE-1026-SM-79ON6 50-59 years, male 31.6
GTEX-U4B1-1026-SM-4DXT1 40-49 years, male 31.6
GTEX-Q2AI-0826-SM-48TZO 40-49 years, male 31.5
GTEX-1AYCT-1326-SM-7MKHB 50-59 years, male 31.4
GTEX-PWCY-0926-SM-48TD7 20-29 years, female 31.4
GTEX-VJYA-1026-SM-4KL21 60-69 years, male 31.4
GTEX-11EM3-1026-SM-5A5KL 20-29 years, female 31.3
GTEX-12696-1726-SM-5EQLH 60-69 years, male 31.3
GTEX-144GN-1226-SM-5O991 50-59 years, male 31.2
GTEX-17F9E-2226-SM-7IGNC 50-59 years, male 31.2
GTEX-V955-1326-SM-4JBHR 60-69 years, male 31.2
GTEX-Y5LM-1326-SM-5RQIS 40-49 years, female 31.2
GTEX-1H3VY-2326-SM-9WG81 50-59 years, male 31.0
GTEX-11NSD-1426-SM-5HL67 20-29 years, male 30.9
GTEX-TMMY-1626-SM-4DXTY 40-49 years, female 30.9
GTEX-V1D1-1726-SM-4JBHB 50-59 years, male 30.9
GTEX-YEC4-1426-SM-5IFHS 40-49 years, male 30.9
GTEX-ZP4G-1226-SM-4WWCJ 20-29 years, female 30.9
GTEX-14PJ5-0826-SM-6AJAR 60-69 years, female 30.6
GTEX-QLQ7-0826-SM-447B3 60-69 years, male 30.6
GTEX-145LT-1426-SM-5O9B3 40-49 years, male 30.4
GTEX-1A3MV-1226-SM-718BW 30-39 years, male 30.4
GTEX-1H1E6-1626-SM-9OSWC 30-39 years, male 30.4
GTEX-Y8LW-0826-SM-4WWDO 50-59 years, female 30.3
GTEX-ZGAY-1626-SM-DNZZ3 40-49 years, female 30.2
GTEX-1HBPN-1626-SM-9WPNP 50-59 years, male 30.0
GTEX-12BJ1-1726-SM-5HL9B 60-69 years, male 29.9
GTEX-18QFQ-1226-SM-718AE 30-39 years, male 29.9
GTEX-ZXES-1426-SM-5NQ8S 30-39 years, female 29.8
GTEX-1B97I-1226-SM-7MGWQ 40-49 years, male 29.7
GTEX-111CU-0926-SM-5EGIK 50-59 years, male 29.6
GTEX-PWN1-1526-SM-48TDA 40-49 years, female 29.6
GTEX-14B4R-0726-SM-5TDDR 30-39 years, male 29.5
GTEX-14PJ3-1426-SM-664O8 50-59 years, male 29.5
GTEX-XQ8I-2026-SM-4BOOL 50-59 years, male 29.4
GTEX-1HFI7-1526-SM-9WG7W 50-59 years, female 29.4
GTEX-1J8QM-1126-SM-C1YQB 60-69 years, female 29.3
GTEX-QLQW-0726-SM-447AA 30-39 years, male 29.2
GTEX-ZQUD-0826-SM-57WDQ 30-39 years, male 29.2
GTEX-1LGOU-1526-SM-D3LAJ 20-29 years, female 29.2
GTEX-1MUQO-1926-SM-EAZ59 60-69 years, male 29.1
GTEX-14BMU-1126-SM-5RQJ8 20-29 years, female 29.0
GTEX-XUZC-0726-SM-4BOPH 30-39 years, female 29.0
GTEX-1QCLY-1126-SM-EAZ4J 30-39 years, male 28.9
GTEX-ZF2S-1426-SM-57WET 50-59 years, female 28.8
GTEX-UJMC-1226-SM-4IHLI 50-59 years, male 28.7
GTEX-ZV7C-1626-SM-5NQ7E 50-59 years, male 28.7
GTEX-12WSG-2026-SM-5FQUU 50-59 years, female 28.5
GTEX-P4PP-1526-SM-3P61M 30-39 years, female 28.5
GTEX-WHSB-1226-SM-4M1XR 50-59 years, male 28.5
GTEX-144GM-1726-SM-5O9AS 20-29 years, male 28.4
GTEX-Q734-1026-SM-48U16 40-49 years, female 28.1
GTEX-OIZF-1526-SM-2I5GR 60-69 years, male 28.1
GTEX-131XG-1226-SM-5EGH9 50-59 years, female 28.0
GTEX-W5WG-1726-SM-4LMI5 50-59 years, female 27.8
GTEX-11NUK-2426-SM-5BC4U 50-59 years, male 27.7
GTEX-11TT1-0726-SM-5GU5A 20-29 years, male 27.7
GTEX-PW2O-1226-SM-48TCH 20-29 years, male 27.7
GTEX-14ICL-0826-SM-5YY9W 30-39 years, male 27.6
GTEX-17HGU-2126-SM-7IGOV 50-59 years, male 27.6
GTEX-18A67-2626-SM-718AD 50-59 years, male 27.3
GTEX-WRHK-0626-SM-4MVOE 20-29 years, female 27.3
GTEX-1MJIX-1126-SM-EV7AO 40-49 years, male 27.2
GTEX-145ME-1026-SM-5O9B4 40-49 years, female 27.1
GTEX-QMRM-1126-SM-447BN 50-59 years, male 27.0
GTEX-SNMC-0626-SM-4DM6H 20-29 years, male 26.8
GTEX-14DAR-0926-SM-73KUQ 50-59 years, male 26.7
GTEX-P78B-1826-SM-3P5YX 40-49 years, female 26.4
GTEX-WFG7-1326-SM-4LMK1 20-29 years, male 26.4
GTEX-1IDJD-2426-SM-C1YS6 30-39 years, male 26.4
GTEX-1QCLZ-1826-SM-DPRXP 60-69 years, female 26.4
GTEX-S4Q7-0726-SM-4AD5F 20-29 years, male 26.3
GTEX-T8EM-1226-SM-4DM5J 40-49 years, male 26.3
GTEX-1LGRB-1726-SM-CNNRA 50-59 years, female 26.3
GTEX-Y5V6-1326-SM-4VDTF 60-69 years, male 26.2
GTEX-1AMEY-1226-SM-731DU 30-39 years, female 26.1
GTEX-SNOS-0826-SM-4DM5N 40-49 years, male 26.1
GTEX-13D11-2126-SM-5IFH2 50-59 years, female 26.0
GTEX-1LVAN-2426-SM-CNNPZ 50-59 years, female 25.9
GTEX-R53T-1226-SM-48FCT 50-59 years, female 25.7
GTEX-1IDJU-1526-SM-CNNR3 60-69 years, female 25.5
GTEX-1JMLX-2426-SM-CXZJQ 50-59 years, male 25.5
GTEX-XMK1-1526-SM-EYYVO 40-49 years, male 25.4
GTEX-QXCU-1926-SM-48FE4 50-59 years, male 25.3
GTEX-1F75I-1826-SM-7MKGX 40-49 years, male 25.2
GTEX-QDVN-1226-SM-48TZ5 50-59 years, male 25.1
GTEX-11GSP-2126-SM-5HL5E 60-69 years, female 25.0
GTEX-NFK9-1526-SM-3LK7B 40-49 years, male 24.8
GTEX-14BIL-1926-SM-73KYI 50-59 years, male 24.7
GTEX-WEY5-1226-SM-4LMIQ 40-49 years, female 24.7
GTEX-1HKZK-1526-SM-B2LWG 40-49 years, male 24.7
GTEX-13OW6-2526-SM-5IJEC 50-59 years, male 24.2
GTEX-Y9LG-1026-SM-5IFJN 30-39 years, male 24.2
GTEX-15UF7-1226-SM-6M46G 40-49 years, male 23.9
GTEX-18A7A-2726-SM-7LG6U 50-59 years, female 23.9
GTEX-1I6K7-1726-SM-B2LXQ 40-49 years, male 23.9
GTEX-O5YW-1526-SM-3MJGL 50-59 years, male 23.7
GTEX-1HBPI-0726-SM-9WG7Z 50-59 years, male 23.7
GTEX-17HII-2426-SM-7KFTT 50-59 years, male 23.5
GTEX-1QMI2-2126-SM-DPRXQ 60-69 years, male 23.5
GTEX-13PVQ-2126-SM-5L3FW 50-59 years, male 23.4
GTEX-YJ8A-1526-SM-5P9FT 20-29 years, male 23.4
GTEX-1A8G6-1426-SM-731EZ 60-69 years, male 23.3
GTEX-1I1HK-2026-SM-CNNRB 60-69 years, male 23.1
GTEX-17F98-1526-SM-7EWD8 40-49 years, female 22.9
GTEX-Q2AH-1126-SM-48TZM 40-49 years, male 22.6
GTEX-1I1GT-1726-SM-C1YS3 60-69 years, female 22.6
GTEX-18A66-2226-SM-7189E 60-69 years, male 22.4
GTEX-WHWD-1426-SM-4OORU 50-59 years, male 22.4
GTEX-WFG8-1326-SM-4LVN3 20-29 years, male 22.3
GTEX-OXRK-1626-SM-3NB17 50-59 years, female 22.2
GTEX-1GMRU-2526-SM-9WG7T 50-59 years, male 22.2
GTEX-13QBU-1126-SM-5LU44 40-49 years, female 22.1
GTEX-XBEW-1826-SM-4RTWX 40-49 years, male 22.0
GTEX-POMQ-0826-SM-3P61H 20-29 years, female 21.9
GTEX-13FH7-1026-SM-5IJGF 50-59 years, female 21.6
GTEX-ZEX8-1626-SM-4WKG7 50-59 years, male 21.5
GTEX-13U4I-2526-SM-5SI8Z 40-49 years, female 21.4
GTEX-1J8JJ-1726-SM-C1YQG 60-69 years, female 21.2
GTEX-1JKYN-1726-SM-AHZ48 30-39 years, male 21.0
GTEX-1AX9J-2626-SM-731EK 60-69 years, male 20.7
GTEX-WHPG-0426-SM-4M1XW 50-59 years, male 20.7
GTEX-ZZPU-1426-SM-5GZZ6 50-59 years, female 20.7
GTEX-ZAB4-1526-SM-5CVN7 40-49 years, male 20.3
GTEX-1I4MK-0926-SM-A9SLD 50-59 years, female 20.1
GTEX-ZYY3-1726-SM-5EGH3 60-69 years, female 19.9
GTEX-1GN1W-2126-SM-9JGI7 50-59 years, female 19.9
GTEX-1H1DG-2126-SM-9WPPB 70-79 years, male 19.9
GTEX-1LSNM-1026-SM-DHXL2 50-59 years, male 19.6
GTEX-133LE-1326-SM-5IFGO 20-29 years, female 19.5
GTEX-13RTK-0226-SM-5RQHR 20-29 years, male 19.5
GTEX-15G19-1526-SM-6LPKP 60-69 years, male 19.5
GTEX-ZA64-0826-SM-5HL9U 20-29 years, male 19.5
GTEX-14JG6-1226-SM-664O6 30-39 years, female 19.4
GTEX-1GF9U-1126-SM-AHZ4H 40-49 years, female 19.2
GTEX-1HSEH-1526-SM-B2LXG 60-69 years, male 19.0
GTEX-PLZ5-1226-SM-EXOHA 50-59 years, male 18.9
GTEX-13S7M-1826-SM-5RQK6 60-69 years, female 18.6
GTEX-ZVT3-2126-SM-59HL2 60-69 years, female 18.6
GTEX-1J8EW-2226-SM-AHZ3T 60-69 years, female 18.5
GTEX-14DAQ-2826-SM-664MU 60-69 years, female 18.4
GTEX-WYVS-1326-SM-4ONCQ 40-49 years, female 18.3
GTEX-1RQEC-2126-SM-DPS15 60-69 years, male 18.3
GTEX-RTLS-2626-SM-46MUJ 60-69 years, female 18.2
GTEX-1JMPZ-1826-SM-CXZJT 30-39 years, male 18.2
GTEX-17MF6-2126-SM-7KFS7 40-49 years, male 17.9
GTEX-1F5PK-1826-SM-7RHHX 50-59 years, male 17.5
GTEX-1RAZR-1526-SM-EAZ4U 40-49 years, male 17.5
GTEX-1H23P-2726-SM-9JGHN 60-69 years, male 17.0
GTEX-1A3MX-1926-SM-72D7F 60-69 years, male 16.7
GTEX-16NGA-1526-SM-72D56 40-49 years, female 16.5
GTEX-XV7Q-1326-SM-4BRWM 40-49 years, female 16.1
GTEX-Y8E4-1526-SM-4WWDI 40-49 years, male 16.0
GTEX-14E1K-1526-SM-664MN 50-59 years, male 15.5
GTEX-13X6J-2126-SM-5TDCV 50-59 years, male 15.3
GTEX-O5YV-1926-SM-EV797 60-69 years, female 15.3
GTEX-15RIF-1126-SM-7KUG2 20-29 years, male 15.1
GTEX-1H11D-2226-SM-9OSXN 40-49 years, male 15.1
GTEX-1JN1M-2926-SM-CNNPJ 60-69 years, female 14.6
GTEX-139D8-2326-SM-5IFGE 30-39 years, female 14.5
GTEX-139YR-1926-SM-5LZXM 50-59 years, male 14.4
GTEX-145MO-2226-SM-5Q5BN 60-69 years, male 14.3
GTEX-XAJ8-0326-SM-47JYI 40-49 years, male 14.3
GTEX-TKQ1-0526-SM-4DXTG 30-39 years, male 14.1
GTEX-132AR-2426-SM-5IFFD 50-59 years, female 13.8
GTEX-1E1VI-2826-SM-7MGWU 50-59 years, male 13.8
GTEX-18D9B-2226-SM-718BM 60-69 years, male 13.5
GTEX-1HCU8-1326-SM-C1YQQ 60-69 years, female 13.5
GTEX-Y3I4-1626-SM-4TT7W 50-59 years, male 13.4
GTEX-ZTX8-0426-SM-59HLG 20-29 years, male 13.4
GTEX-1QP29-2326-SM-EXOJO 50-59 years, male 13.4
GTEX-1339X-1426-SM-5K7YO 40-49 years, male 13.2
GTEX-1HSMQ-2426-SM-CE6RY 50-59 years, male 12.8
GTEX-1S82Z-1726-SM-E6CHZ 30-39 years, female 12.8
GTEX-S7SF-0626-SM-4AD4V 20-29 years, female 12.7
GTEX-1QW4Y-0726-SM-DTX8E 30-39 years, male 12.6
GTEX-RUSQ-1126-SM-EAZAU 50-59 years, male 12.5
GTEX-OIZH-1526-SM-3NB1J 50-59 years, male 12.4
GTEX-ZV6S-0926-SM-57WGB 40-49 years, female 12.4
GTEX-1399U-1626-SM-5P9J3 50-59 years, female 12.3
GTEX-14PKU-1126-SM-69LOU 40-49 years, female 12.3
GTEX-ZYVF-2726-SM-5GID4 50-59 years, female 12.3
GTEX-15G1A-1226-SM-7KUF3 30-39 years, male 12.2
GTEX-1CB4E-1326-SM-7DUGD 60-69 years, male 12.2
GTEX-1HCUA-1626-SM-A9SMG 50-59 years, female 12.2
GTEX-14PN3-1326-SM-6AJ9U 60-69 years, female 12.0
GTEX-WZTO-2126-SM-4PQYW 40-49 years, male 12.0
GTEX-1EH9U-2226-SM-7PBXX 60-69 years, male 12.0
GTEX-1PPH8-1326-SM-DTXFO 20-29 years, male 12.0
GTEX-15EU6-2526-SM-7KUGB 50-59 years, male 11.9
GTEX-17KNJ-1526-SM-7LTA9 50-59 years, male 11.9
GTEX-R55C-1026-SM-48FCM 40-49 years, male 11.9
GTEX-T5JC-1926-SM-4DM6Q 20-29 years, male 11.9
GTEX-1LVAM-1426-SM-E9TJ4 50-59 years, female 11.8
GTEX-1JMQJ-1326-SM-D4P3B 50-59 years, male 11.7
GTEX-12WSJ-0926-SM-5P9JD 40-49 years, female 11.6
GTEX-131XE-2226-SM-5PNYX 50-59 years, male 11.6
GTEX-13X6H-1626-SM-5Q5CT 50-59 years, female 11.6
GTEX-1GPI7-1326-SM-9KNVA 20-29 years, male 11.6
GTEX-1IDJF-1426-SM-ACKWK 20-29 years, male 11.6
GTEX-1S831-1126-SM-EWROI 20-29 years, male 11.5
GTEX-1L5NE-1526-SM-DIPFW 50-59 years, male 11.4
GTEX-1NSGN-1926-SM-E9J36 50-59 years, male 11.4
GTEX-1C64O-2226-SM-73KTV 60-69 years, male 11.3
GTEX-1JN76-0926-SM-ARZNH 20-29 years, female 11.3
GTEX-11P7K-1726-SM-5GU6F 30-39 years, male 11.2
GTEX-14BMV-2226-SM-5RQHX 50-59 years, male 11.1
GTEX-17EUY-1526-SM-793CA 20-29 years, male 11.1
GTEX-YEC3-1426-SM-D4P1S 50-59 years, male 11.0
GTEX-P4PQ-1526-SM-3NMCK 60-69 years, male 10.9
GTEX-S4Z8-1226-SM-4AD6W 60-69 years, male 10.9
GTEX-1H1DE-1226-SM-9JGHH 20-29 years, male 10.9
GTEX-1CB4H-2426-SM-7PBYR 60-69 years, female 10.8
GTEX-1QP67-1026-SM-EVR47 40-49 years, female 10.8
GTEX-WFJO-1126-SM-4LVLZ 30-39 years, male 10.7
GTEX-1N2DV-0926-SM-E9TJT 40-49 years, male 10.7
GTEX-1K2DA-0826-SM-CGQGD 50-59 years, male 10.6
GTEX-11WQK-2626-SM-5EQ4K 50-59 years, male 10.5
GTEX-Y114-1226-SM-4TT88 50-59 years, female 10.5
GTEX-14PHY-0926-SM-5ZZWL 60-69 years, female 10.4
GTEX-17JCI-2226-SM-7LTA1 60-69 years, female 10.4
GTEX-1MCYP-1126-SM-E9J2P 20-29 years, female 10.3
GTEX-1QP28-2126-SM-DTX8B 50-59 years, female 10.3
GTEX-11EI6-2426-SM-5PNVS 60-69 years, male 10.2
GTEX-146FH-2126-SM-5SI9U 50-59 years, female 10.2
GTEX-PLZ6-0826-SM-3P61K 30-39 years, male 10.2
GTEX-TKQ2-0926-SM-4DXU5 50-59 years, male 10.2
GTEX-13N1W-2026-SM-5K7YU 70-79 years, male 10.1
GTEX-R55D-1526-SM-48FEJ 50-59 years, male 10.0
GTEX-RU1J-0526-SM-46MUT 20-29 years, female 10.0
GTEX-13OVI-2426-SM-5KM4J 60-69 years, female 9.9
GTEX-R55G-1126-SM-48FDG 40-49 years, female 9.8
GTEX-WH7G-1526-SM-4LVMX 40-49 years, male 9.8
GTEX-1HT8W-2326-SM-A9SLA 30-39 years, male 9.8
GTEX-1KD5A-1426-SM-D4P3V 50-59 years, male 9.8
GTEX-QDT8-2026-SM-EZ6LS 30-39 years, female 9.8
GTEX-1211K-1426-SM-5FQTF 60-69 years, female 9.7
GTEX-13O3Q-2126-SM-5KM4C 50-59 years, male 9.5
GTEX-146FR-2026-SM-5NQAI 60-69 years, female 9.4
GTEX-P4QT-1526-SM-3NMCT 50-59 years, female 9.4
GTEX-1S3DN-1526-SM-EVYCB 50-59 years, male 9.4
GTEX-1E2YA-2426-SM-7EPIG 50-59 years, male 9.3
GTEX-XPVG-1526-SM-4B66C 50-59 years, male 9.3
GTEX-1PIGE-1126-SM-EWRMV 20-29 years, male 9.3
GTEX-S4P3-0726-SM-4AD57 50-59 years, female 9.2
GTEX-ZE7O-3026-SM-51MS4 50-59 years, female 9.2
GTEX-1H3NZ-2226-SM-9WYUT 60-69 years, male 9.2
GTEX-12C56-0526-SM-5FQST 20-29 years, male 9.1
GTEX-13QJ3-2726-SM-5SI6L 50-59 years, male 9.0
GTEX-1B8L1-1526-SM-79OLK 60-69 years, male 8.9
GTEX-UPK5-2126-SM-4JBJK 40-49 years, male 8.9
GTEX-1IL2V-2026-SM-ARZMA 70-79 years, male 8.8
GTEX-1HR9M-2326-SM-CNPPZ 60-69 years, male 8.5
GTEX-15SHW-2126-SM-6M46Y 60-69 years, male 8.1
GTEX-ZPIC-2026-SM-57WG3 40-49 years, female 8.0
GTEX-UJHI-1026-SM-4IHJP 50-59 years, female 7.8
GTEX-11VI4-0326-SM-5EQ6L 40-49 years, female 7.7
GTEX-1JMPY-0926-SM-ARL92 30-39 years, male 7.6
GTEX-11P82-0726-SM-5PNYL 20-29 years, male 7.2
GTEX-13111-1226-SM-5GCNC 50-59 years, male 6.9
GTEX-11EQ9-1226-SM-5987E 30-39 years, male 6.8
GTEX-13O61-1126-SM-5L3FI 60-69 years, male 6.6
Show allShow less

Contact

  • NEWS ARTICLES
  • PRESS ROOM

The Project

  • INTRODUCTION
  • ORGANIZATION
  • PUBLICATIONS

The Human Protein Atlas

  • DOWNLOADABLE DATA
  • LICENCE & CITATION
  • HELP & FAQ
The Human Protein Atlas project is funded
by the Knut & Alice Wallenberg Foundation.


contact@proteinatlas.org