We use cookies to enhance the usability of our website. If you continue, we'll assume that you are happy to receive all cookies. More information. Don't show this again.
TFAP4
HPA
RESOURCES
  • TISSUE
  • BRAIN
  • SINGLE CELL
  • SUBCELLULAR
  • CANCER
  • BLOOD
  • CELL LINE
  • STRUCTURE & INTERACTION
ABOUT
  • INTRODUCTION
  • HISTORY
  • ORGANIZATION
  • PUBLICATIONS
  • ANTIBODY SUBMISSION
  • ANTIBODY AVAILABILITY
  • ACKNOWLEDGMENTS
  • CONTACT
NEWS
  • NEWS ARTICLES
  • PRESS ROOM
LEARN
  • DICTIONARY
  • PROTEIN CLASSES
  • PROTEIN EVIDENCE
  • METHODS
  • EDUCATIONAL VIDEOS
DATA
  • DOWNLOADABLE DATA
  • PUBLICATION DATA
  • RELEASE HISTORY
HELP
  • ANTIBODY VALIDATION
  • ASSAYS & ANNOTATION
  • DISCLAIMER
  • HELP & FAQ
  • PRIVACY STATEMENT
  • LICENCE & CITATION
Fields »
Search result

Field
Term
Gene name
Class
Subclass
Class
Keyword
Chromosome
External id
Tissue
Cell type
Expression
Antibody panel
Tissue
Main location
Patient ID
Annotation
Tissue
Category
Tau score
Cluster
Reliability
Brain region
Category
Tau score
Brain region
Category
Tau score
Brain region
Category
Tau score
Cluster
Reliability
Tissue
Cell type
Enrichment
Cell type
Category
Tau score
Cell type
Category
Tau score
Cell type
Category
Tau score
Cell lineage
Category
Tau score
Cluster
Cluster
Location
Searches
Location
Cell line
Class
Type
Phase
Reliability
Cancer
Prognosis
Cancer
Category
Cancer
Category
Tau score
Cluster
Variants
Interacting gene (ensg_id)
Type
Number of interactions
Pathway
Category
Score
Score
Score
Validation
Validation
Validation
Validation
Antibodies
Data type
Column


  • SUMMARY

  • TISSUE

  • BRAIN

  • SINGLE CELL

  • SUBCELL

  • CANCER

  • BLOOD

  • CELL LINE

  • STRUCT & INT

  • TFAP4
TISSUE PRIMARY DATA SKIN Show tissue menu
ADIPOSE TISSUE ADRENAL GLAND AMYGDALA APPENDIX BASAL GANGLIA BONE MARROW BREAST BRONCHUS CEREBELLUM CEREBRAL CORTEX CERVIX CHOROID PLEXUS COLON DUODENUM
ENDOMETRIUM EPIDIDYMIS ESOPHAGUS FALLOPIAN TUBE GALLBLADDER HEART MUSCLE HIPPOCAMPAL FORMATION HYPOTHALAMUS KIDNEY LIVER LUNG LYMPH NODE MIDBRAIN NASOPHARYNX
ORAL MUCOSA OVARY PANCREAS PARATHYROID GLAND PITUITARY GLAND PLACENTA PROSTATE RECTUM RETINA SALIVARY GLAND SEMINAL VESICLE SKELETAL MUSCLE SKIN SMALL INTESTINE
SMOOTH MUSCLE SOFT TISSUE SPINAL CORD SPLEEN STOMACH TESTIS THYMUS THYROID GLAND TONGUE TONSIL URINARY BLADDER VAGINA
ANTIBODIES
AND
VALIDATION
Dictionary
Skin
Tissue proteome
Skin
SKIN - Expression summary
Protein expression
Skini

On the top, protein expression in current human tissue, based on all annotated cell types, is reported with the units not detected (n), low (l), medium (m) and high (h). Underneath, protein expression in each annotated cell type are reported using the same units.

Protein expression data is based on knowledge-based annotation. For genes where more than one antibody has been used, a collective score is set.

If knowledge-based annotation could not be performed for a gene, no data is displayed here. View antibody staining data further down this page.

h
m
l
n
Epidermal cells: High
Fibroblasts: Low
Keratinocytes: Medium
Langerhans: Medium
Melanocytes: Low
RNA expressioni

A summary of mRNA expression data available for current tissue based on several datasets. The mRNA expression levels in human tissues are based on RNA-seq data generated by the Human Protein Atlas (HPA), Genotype-Tissue Expression (GTEx) portal and CAGE data generated by the FANTOM5 consortium. Consensus normalized expression levels for human tissues was created by combining the data from HPA and GTEx datasets.

The mRNA expression levels in pig are based on RNA-seq data generated by the Human Protein Atlas (HPA), and for mouse, HPA data and in situ hybridization generated by the Allen brain atlas are reported.

Scroll down to view mRNA expression data in more detail.
Consensus:10.2 nTPM
HPA:5.7 nTPM
GTEx:10.2 nTPM

SKIN 1 - Antibody stainingi

Antibody staining in the annotated cell types in the current human tissue is reported as not detected, low, medium, or high, based on conventional immunohistochemistry profiling in selected tissues. This score is based on the combination of the staining intensity and fraction of stained cells.

Each image is clickable and will lead to virtual microscopy that enables deeper exploration of all samples and also displays staining intensity scores, fraction scores and subcellular localization as well as patient and tissue information for each sample.

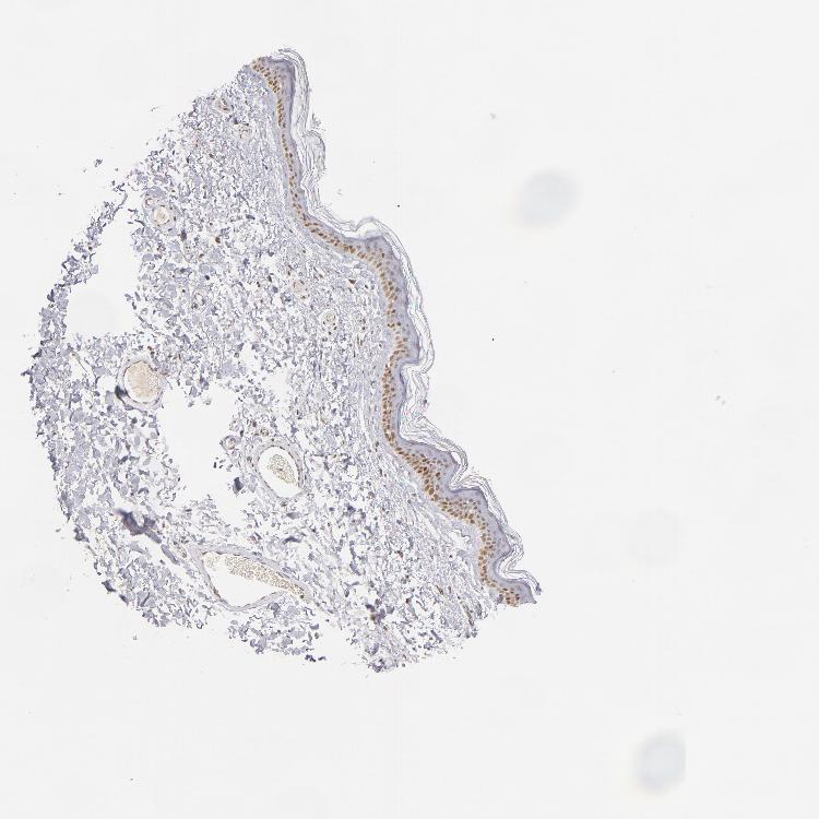
Antibody HPA001912
Langerhans Medium
Fibroblasts Low
Keratinocytes Medium
Melanocytes Low

SKIN 2 - Antibody stainingi

Antibody staining in the annotated cell types in the current human tissue is reported as not detected, low, medium, or high, based on conventional immunohistochemistry profiling in selected tissues. This score is based on the combination of the staining intensity and fraction of stained cells.

Each image is clickable and will lead to virtual microscopy that enables deeper exploration of all samples and also displays staining intensity scores, fraction scores and subcellular localization as well as patient and tissue information for each sample.

Antibody HPA001912
Epidermal cells High
 
 
 


SKIN - HPA RNA-seqi

The RNA-seq details section shows detailed information about the individual samples used for the transcript profiling and results of the RNA-seq analysis.

Information about each individual sample is listed below, including gender, age, a tissue section image and estimated fractions of cell types. nTPM (normalized transcripts per million) values give a quantification of the gene abundance which is comparable between different genes and samples.
Average nTPMi

Max subtype nTPM is the value for the subtype with the largest average nTPM across the subtype samples.

5.7
overview
Female, age 34
Skin sample 225
nTPM: 6.1
Cell types%
Keratinocytes:
60

Other cell types:
40

overview
Female, age 30
Skin sample 226
nTPM: 3.7
Cell types%
Keratinocytes:
55

Other cell types:
45

N/A
Male, age 57
Skin sample 227
nTPM: 7.4

SKIN - GTEx RNA-seqi

RNA-Seq data generated by the Genotype-Tissue Expression (GTEx) project from human tissues is reported as mean nTPM. More information can be found on the GTEx portal.

Distribution across the dataset is visualized with box plots, shown as median and 25th and 75th percentiles. Points are displayed as outliers if they are above or below 1.5 times the interquartile range. nTPM values of the individual samples are presented next to the box plot.
Max subtype nTPMi

Max subtype nTPM is the value for the subtype with the largest average nTPM across the subtype samples.

10.2
GTEx sample id Sample description nTPM
Skin - Not Sun Exposed (Suprapubic)
Average nTPM: 9.8
Samples: 604

Max nTPM: 25.7
Min nTPM: 2.5
Std nTPM: 3.6
Median nTPM: 9.2
GTEX-1CB4J-1326-SM-7P8RX 60-69 years, male 25.7
GTEX-ZTX8-1326-SM-4YCEL 20-29 years, male 24.7
GTEX-1H3VE-0726-SM-9YFL5 40-49 years, male 22.1
GTEX-X585-2426-SM-46MW2 50-59 years, male 21.5
GTEX-11DYG-1526-SM-5A5JS 60-69 years, male 20.9
GTEX-1497J-0226-SM-5QGPU 60-69 years, male 20.4
GTEX-WFG7-2026-SM-5SI7P 20-29 years, male 20.1
GTEX-1HCU6-2526-SM-ADEHL 60-69 years, female 20.1
GTEX-131XF-2626-SM-5EQ6K 60-69 years, male 19.6
GTEX-1NV5F-0626-SM-DTXEG 60-69 years, female 19.6
GTEX-139D8-1126-SM-5LU8W 30-39 years, female 19.5
GTEX-1OJC3-1226-SM-DTXER 20-29 years, male 19.5
GTEX-13YAN-0226-SM-5TDC6 60-69 years, male 19.0
GTEX-1HCU7-0726-SM-A9SL1 50-59 years, male 19.0
GTEX-13PL6-1126-SM-5L3IE 40-49 years, female 18.6
GTEX-14C38-0726-SM-5SI6M 50-59 years, male 18.5
GTEX-1PBJJ-1026-SM-E76OS 30-39 years, male 18.3
GTEX-11ZU8-0126-SM-5EQ58 60-69 years, male 18.2
GTEX-13SLW-0626-SM-5Q5ER 70-79 years, male 18.1
GTEX-1F75I-2226-SM-7SB8U 40-49 years, male 18.0
GTEX-Y111-0626-SM-4SOIT 50-59 years, male 17.9
GTEX-148VJ-0626-SM-5LUAW 70-79 years, male 17.7
GTEX-1IE54-1126-SM-A9G2Z 40-49 years, female 17.7
GTEX-11WQC-1826-SM-5GU59 60-69 years, male 17.6
GTEX-1PPH8-0126-SM-EWRN8 20-29 years, male 17.6
GTEX-1HSMO-0626-SM-ACKXC 60-69 years, male 17.5
GTEX-1JN1M-2726-SM-CY8I4 60-69 years, female 17.4
GTEX-Y114-2126-SM-4TT8B 50-59 years, female 17.2
GTEX-1F75B-0726-SM-7PC3R 50-59 years, male 17.2
GTEX-XBEW-1126-SM-4QARW 40-49 years, male 17.1
GTEX-1I1GU-0926-SM-ACKVS 40-49 years, male 17.1
GTEX-1N2DV-1526-SM-DTXEP 40-49 years, male 17.1
GTEX-139UW-0326-SM-5J1ML 60-69 years, male 17.0
GTEX-1LSVX-2526-SM-DIPEU 60-69 years, male 17.0
GTEX-144FL-0626-SM-5LU43 50-59 years, male 16.9
GTEX-WHSE-0126-SM-3NMBT 20-29 years, male 16.6
GTEX-XXEK-1626-SM-4BRUZ 50-59 years, male 16.6
GTEX-139TS-2126-SM-5K7XC 60-69 years, male 16.5
GTEX-145MI-0626-SM-5SI8S 60-69 years, female 16.4
GTEX-17F9Y-0126-SM-79OKX 70-79 years, female 16.3
GTEX-13QJC-0126-SM-5ZZWJ 60-69 years, female 16.2
GTEX-1EX96-1026-SM-7MKG2 50-59 years, male 16.2
GTEX-14LLW-2626-SM-62LDZ 70-79 years, female 15.9
GTEX-15G1A-1626-SM-7KUKN 30-39 years, male 15.9
GTEX-15SKB-2826-SM-6PAMH 60-69 years, male 15.9
GTEX-1GMR8-0626-SM-7RHI7 50-59 years, female 15.9
GTEX-1JMLX-0626-SM-ARL8T 50-59 years, male 15.9
GTEX-13OW5-2326-SM-5L3HO 60-69 years, male 15.7
GTEX-1E2YA-2126-SM-7MXUO 50-59 years, male 15.6
GTEX-131XG-0326-SM-5L3DX 50-59 years, female 15.5
GTEX-13PDP-0726-SM-5L3HP 60-69 years, male 15.5
GTEX-15G19-2426-SM-7KUMR 60-69 years, male 15.4
GTEX-1R46S-2426-SM-E76QA 60-69 years, female 15.4
GTEX-13OVH-0526-SM-5L3E6 70-79 years, male 15.3
GTEX-11PRG-0726-SM-5EGL1 50-59 years, male 15.2
GTEX-12ZZY-0726-SM-5EQ66 60-69 years, male 15.2
GTEX-1PPH7-1126-SM-DTX9A 40-49 years, male 15.1
GTEX-14ICL-1626-SM-5YYAO 30-39 years, male 15.0
GTEX-1A3MW-0626-SM-731CB 60-69 years, female 15.0
GTEX-1B97I-0626-SM-73KUZ 40-49 years, male 14.9
GTEX-ZYVF-0926-SM-5E44J 50-59 years, female 14.8
GTEX-14C39-1726-SM-5RQIL 40-49 years, male 14.7
GTEX-13IVO-0726-SM-5LZYV 70-79 years, male 14.6
GTEX-ZF29-0926-SM-4WKFZ 60-69 years, female 14.6
GTEX-1H1DF-1126-SM-9WG7G 40-49 years, female 14.6
GTEX-13D11-0926-SM-5J2NC 50-59 years, female 14.5
GTEX-13NYC-0126-SM-5L3F4 60-69 years, male 14.5
GTEX-1H2FU-0926-SM-9WPPT 60-69 years, female 14.5
GTEX-ZXG5-2126-SM-59HKD 60-69 years, male 14.4
GTEX-13112-0126-SM-5P9IU 50-59 years, male 14.3
GTEX-13G51-1826-SM-5KLZH 60-69 years, male 14.3
GTEX-1HBPI-2126-SM-ARL9K 50-59 years, male 14.2
GTEX-1JKYR-0626-SM-ARL8R 20-29 years, male 14.2
GTEX-13FTX-1526-SM-5K7VJ 20-29 years, female 14.1
GTEX-144GO-2026-SM-5O99P 60-69 years, male 14.1
GTEX-14753-0726-SM-5QGQO 60-69 years, male 14.1
GTEX-15DDE-2926-SM-6LLJ3 50-59 years, female 14.1
GTEX-WHWD-1826-SM-3LK6I 50-59 years, male 14.1
GTEX-1399U-1126-SM-5L3DB 50-59 years, female 14.0
GTEX-1HR9M-2226-SM-CNPPY 60-69 years, male 14.0
GTEX-ZC5H-1526-SM-5HL9Y 40-49 years, female 13.9
GTEX-13113-1626-SM-5EQ4I 60-69 years, female 13.8
GTEX-1AX9I-2226-SM-73KUO 60-69 years, male 13.8
GTEX-133LE-2326-SM-5K7W3 20-29 years, female 13.7
GTEX-13RTJ-0126-SM-5S2NN 60-69 years, male 13.7
GTEX-14PJ5-1526-SM-6LLIL 60-69 years, female 13.7
GTEX-13NYB-0126-SM-5J1MD 40-49 years, male 13.6
GTEX-WYBS-0626-SM-3NMAS 60-69 years, female 13.6
GTEX-XYKS-1426-SM-4BRUO 60-69 years, female 13.6
GTEX-ZY6K-1426-SM-5GZX2 50-59 years, male 13.6
GTEX-1HGF4-0126-SM-CNPPX 60-69 years, male 13.6
GTEX-14PII-0726-SM-6EU2B 60-69 years, male 13.5
GTEX-1KAFJ-0126-SM-DIPEK 50-59 years, male 13.5
GTEX-1211K-1526-SM-5FQU4 60-69 years, female 13.4
GTEX-1JMQI-1726-SM-ARL93 50-59 years, male 13.4
GTEX-12ZZX-2426-SM-5GCOE 40-49 years, female 13.3
GTEX-12WSJ-1126-SM-5LZVJ 40-49 years, female 13.2
GTEX-18D9U-0126-SM-731BM 40-49 years, male 13.1
GTEX-1CAMQ-1326-SM-7P8RV 40-49 years, male 13.1
GTEX-1GPI6-1926-SM-9KNV7 60-69 years, male 13.1
GTEX-ZPIC-0526-SM-DO91W 40-49 years, female 13.0
GTEX-1399Q-2326-SM-5KM2X 40-49 years, male 12.9
GTEX-1EH9U-2826-SM-7DUGT 60-69 years, male 12.9
GTEX-1HSMQ-2626-SM-A9SML 50-59 years, male 12.9
GTEX-1R9K4-2826-SM-DTX8F 60-69 years, male 12.9
GTEX-ZYY3-2926-SM-5GIEB 60-69 years, female 12.8
GTEX-1GTWX-2026-SM-9YFLM 60-69 years, male 12.8
GTEX-11DXX-2126-SM-5PNYR 60-69 years, female 12.7
GTEX-131XH-0126-SM-5LZUY 50-59 years, male 12.7
GTEX-1JMQL-2226-SM-CNPP4 50-59 years, female 12.7
GTEX-13FHO-0426-SM-5L3F5 60-69 years, male 12.6
GTEX-13X6K-0626-SM-5LU5D 60-69 years, female 12.6
GTEX-14XAO-1226-SM-6EU1C 60-69 years, female 12.6
GTEX-15RJE-2826-SM-7KUM9 40-49 years, male 12.6
GTEX-1F88E-1626-SM-7SB8Z 60-69 years, female 12.6
GTEX-14LZ3-0126-SM-69LPM 60-69 years, female 12.5
GTEX-17F97-2626-SM-7IGM5 50-59 years, male 12.5
GTEX-1GN73-0726-SM-7P8TJ 60-69 years, male 12.5
GTEX-13OW6-2726-SM-5J2OE 50-59 years, male 12.4
GTEX-1C6VR-0126-SM-7RHGB 60-69 years, male 12.4
GTEX-11TUW-0626-SM-5LU9M 60-69 years, male 12.3
GTEX-1F48J-0726-SM-7RHGS 50-59 years, female 12.3
GTEX-1OJC4-2726-SM-E76PJ 50-59 years, female 12.3
GTEX-12KS4-2126-SM-5FQUT 30-39 years, male 12.2
GTEX-14C5O-0326-SM-5ZZUX 60-69 years, male 12.2
GTEX-1HT8W-0626-SM-A9G2H 30-39 years, male 12.2
GTEX-1IDJV-0126-SM-COH3Y 60-69 years, male 12.2
GTEX-14PJO-2526-SM-6AJBQ 60-69 years, male 12.1
GTEX-15SHW-0226-SM-7LTAT 60-69 years, male 12.1
GTEX-11DXZ-2026-SM-5987S 50-59 years, male 12.0
GTEX-1J1OQ-0126-SM-D4P2N 40-49 years, female 12.0
GTEX-1JMQK-1226-SM-D4P2S 60-69 years, male 12.0
GTEX-15EU6-2226-SM-6EU2L 50-59 years, male 11.9
GTEX-16MT9-0126-SM-7EPI8 60-69 years, female 11.9
GTEX-18A6Q-0626-SM-7KFRP 60-69 years, male 11.9
GTEX-1F88F-0126-SM-9WYSZ 60-69 years, female 11.9
GTEX-1GZ4I-2626-SM-9KNU3 50-59 years, male 11.9
GTEX-1H3O1-1326-SM-9MQLD 60-69 years, male 11.9
GTEX-1HBPN-0126-SM-CGQEF 50-59 years, male 11.9
GTEX-1JK1U-0226-SM-ARZMX 60-69 years, male 11.9
GTEX-13NZ8-1226-SM-5KM4A 60-69 years, female 11.8
GTEX-U8XE-0226-SM-4E3J3 30-39 years, male 11.7
GTEX-X8HC-0626-SM-4E3HQ 50-59 years, female 11.7
GTEX-1A8FM-0626-SM-7PC25 50-59 years, female 11.7
GTEX-1IKJJ-2226-SM-CJI4C 60-69 years, male 11.7
GTEX-1PDJ9-1226-SM-EXUSX 20-29 years, male 11.7
GTEX-12WSH-1526-SM-5BC5W 50-59 years, male 11.6
GTEX-1GF9X-1326-SM-7PC2Y 40-49 years, female 11.6
GTEX-1MJK3-0726-SM-E6CJC 20-29 years, male 11.6
GTEX-1QCLY-0226-SM-EWRNH 30-39 years, male 11.6
GTEX-147F4-0726-SM-5TDDD 50-59 years, male 11.5
GTEX-14PJN-1826-SM-6AJ98 30-39 years, male 11.5
GTEX-XK95-0226-SM-4AT58 40-49 years, male 11.5
GTEX-1GMR3-0126-SM-A9SLW 40-49 years, male 11.5
GTEX-1HBPM-0726-SM-9YFL7 60-69 years, female 11.5
GTEX-1ICLZ-0326-SM-ARL82 60-69 years, male 11.5
GTEX-11NSD-0626-SM-5A5LU 20-29 years, male 11.4
GTEX-13VXT-1926-SM-5K7UO 20-29 years, female 11.4
GTEX-13X6I-1826-SM-5SIAO 60-69 years, male 11.4
GTEX-147GR-2426-SM-5ZZWQ 60-69 years, male 11.4
GTEX-16BQI-1326-SM-6M486 30-39 years, female 11.4
GTEX-16MT8-2926-SM-7DUFO 60-69 years, female 11.4
GTEX-1F6I4-2326-SM-7RHGL 60-69 years, male 11.4
GTEX-11DXW-0826-SM-5H118 40-49 years, male 11.3
GTEX-1A8G7-1326-SM-73KVM 60-69 years, male 11.3
GTEX-ZTTD-2826-SM-4YCFA 50-59 years, male 11.3
GTEX-11P82-1426-SM-DTXFY 20-29 years, male 11.3
GTEX-1GZHY-0626-SM-9KNVC 50-59 years, female 11.3
GTEX-12696-0126-SM-5EQ4L 60-69 years, male 11.2
GTEX-17HII-1426-SM-7EPGG 50-59 years, male 11.2
GTEX-1CB4H-1126-SM-7MKGL 60-69 years, female 11.2
GTEX-ZVT4-2426-SM-5GIEI 50-59 years, female 11.2
GTEX-1J8Q2-2626-SM-ACKWQ 60-69 years, male 11.2
GTEX-1MCC2-1826-SM-DIPEX 30-39 years, female 11.2
GTEX-144GL-0626-SM-5LU4D 50-59 years, male 11.1
GTEX-1QP9N-1226-SM-E76QN 30-39 years, male 11.1
GTEX-13X6H-0926-SM-5SIB2 50-59 years, female 11.0
GTEX-145ME-1726-SM-5Q5EU 40-49 years, female 11.0
GTEX-14PHX-2226-SM-6EU2P 50-59 years, male 11.0
GTEX-1B933-2426-SM-7DHMD 50-59 years, female 11.0
GTEX-1E1VI-0326-SM-793D1 50-59 years, male 11.0
GTEX-1JJE9-2626-SM-ARZMT 70-79 years, male 11.0
GTEX-1JMPY-0226-SM-CKZOK 30-39 years, male 11.0
GTEX-11DXY-0126-SM-5H11Q 60-69 years, male 10.9
GTEX-15EO6-2426-SM-6PALZ 50-59 years, male 10.9
GTEX-18A7A-0126-SM-731AH 50-59 years, female 10.9
GTEX-XQ3S-1426-SM-4BOPR 20-29 years, male 10.9
GTEX-1117F-2926-SM-5GZYI 60-69 years, female 10.8
GTEX-145MH-2826-SM-5RQJF 50-59 years, male 10.8
GTEX-14PJ3-1126-SM-5ZZVX 50-59 years, male 10.8
GTEX-Y5V5-0126-SM-5S2NW 60-69 years, female 10.8
GTEX-1H11D-1826-SM-9QEHM 40-49 years, male 10.8
GTEX-ZF3C-0626-SM-DO92O 50-59 years, female 10.8
GTEX-17HGU-2326-SM-7DUFE 50-59 years, male 10.7
GTEX-183WM-0326-SM-72D5V 70-79 years, female 10.7
GTEX-1122O-1026-SM-9WYSF 60-69 years, female 10.7
GTEX-1H1DE-1326-SM-9KNUG 20-29 years, male 10.7
GTEX-1HB9E-0126-SM-CM2S5 50-59 years, male 10.7
GTEX-1J8QM-2426-SM-A9SLS 60-69 years, female 10.7
GTEX-1477Z-0326-SM-7IGLA 60-69 years, male 10.6
GTEX-15RIG-0726-SM-7KUM7 40-49 years, male 10.6
GTEX-WI4N-2726-SM-3LK7Y 40-49 years, female 10.6
GTEX-Y8E4-2026-SM-5IFJB 40-49 years, male 10.6
GTEX-Y8LW-1526-SM-5IFHL 50-59 years, female 10.6
GTEX-17F96-0126-SM-7EWDU 70-79 years, male 10.5
GTEX-XMD2-2126-SM-4YCF8 60-69 years, female 10.5
GTEX-ZF2S-1626-SM-57WES 50-59 years, female 10.5
GTEX-1GZ2Q-0126-SM-9WG6M 40-49 years, male 10.5
GTEX-1K2DU-1226-SM-CYPT4 20-29 years, male 10.5
GTEX-1LKK1-2626-SM-DKPQE 50-59 years, female 10.5
GTEX-1QP28-1126-SM-EVYC4 50-59 years, female 10.5
GTEX-18A66-0626-SM-7LT8Z 60-69 years, male 10.4
GTEX-1EU9M-1426-SM-793AI 60-69 years, male 10.4
GTEX-1F52S-2926-SM-7MKGA 60-69 years, female 10.4
GTEX-1HFI7-2326-SM-CGQFS 50-59 years, female 10.4
GTEX-1QAET-0326-SM-EVR3U 50-59 years, male 10.4
GTEX-11ZUS-2626-SM-5FQUR 30-39 years, male 10.3
GTEX-14PHY-1226-SM-5ZZWK 60-69 years, female 10.3
GTEX-1B8KE-1126-SM-7EPHI 50-59 years, male 10.3
GTEX-ZYW4-0626-SM-59HJR 60-69 years, male 10.3
GTEX-11NUK-2726-SM-5A5MC 50-59 years, male 10.2
GTEX-11OF3-0126-SM-5PNYF 60-69 years, male 10.2
GTEX-15UF6-1926-SM-7KUDV 70-79 years, female 10.2
GTEX-WHSB-1326-SM-3LK6W 50-59 years, male 10.2
GTEX-1H1DG-2426-SM-9QEHJ 70-79 years, male 10.2
GTEX-1S5ZU-2526-SM-E6CIF 20-29 years, female 10.2
GTEX-12126-0826-SM-5FQTZ 20-29 years, male 10.1
GTEX-132AR-0326-SM-5KM2C 50-59 years, female 10.1
GTEX-14BIN-1126-SM-5RQJZ 50-59 years, female 10.1
GTEX-1GF9W-1426-SM-7PBYM 60-69 years, male 10.1
GTEX-1GN1V-2826-SM-9JGIA 60-69 years, male 10.1
GTEX-1H3NZ-2726-SM-9WYTQ 60-69 years, male 10.1
GTEX-1IL2V-1926-SM-B2LW8 70-79 years, male 10.1
GTEX-139TU-0726-SM-5L3EK 60-69 years, male 10.0
GTEX-14PJ2-0626-SM-6LLII 50-59 years, male 10.0
GTEX-1C6WA-2626-SM-7MKGM 60-69 years, male 10.0
GTEX-X4EO-2926-SM-4E3JH 60-69 years, female 10.0
GTEX-ZPU1-1126-SM-4YCF3 40-49 years, male 10.0
GTEX-1J8Q3-0526-SM-ARL8U 60-69 years, male 10.0
GTEX-1LGRB-0926-SM-COH3K 50-59 years, female 10.0
GTEX-1LVA9-2626-SM-EVYD4 50-59 years, male 10.0
GTEX-11UD2-2526-SM-5CVNU 50-59 years, male 9.9
GTEX-13NYS-0626-SM-5L3F1 60-69 years, male 9.9
GTEX-ZVE2-2826-SM-5GU51 50-59 years, male 9.9
GTEX-1HSMP-0926-SM-A9SKX 70-79 years, male 9.9
GTEX-1I1GS-2626-SM-B2LY3 60-69 years, male 9.9
GTEX-1ICLY-0826-SM-CMKG1 50-59 years, male 9.9
GTEX-1IDFM-0326-SM-ARL7V 60-69 years, male 9.9
GTEX-12584-0726-SM-5FQTK 40-49 years, male 9.8
GTEX-12ZZZ-0726-SM-5GCNZ 60-69 years, male 9.8
GTEX-16YQH-2226-SM-7IGM2 30-39 years, male 9.8
GTEX-1BAJH-2426-SM-7IGP8 70-79 years, male 9.8
GTEX-VUSG-2326-SM-4KL1U 50-59 years, male 9.8
GTEX-WH7G-2026-SM-3NMBL 40-49 years, male 9.8
GTEX-WY7C-2126-SM-3NB2R 50-59 years, male 9.8
GTEX-XV7Q-1826-SM-4BRUV 40-49 years, female 9.8
GTEX-1HFI6-0126-SM-CNPPI 40-49 years, male 9.8
GTEX-1RAZR-2126-SM-E9U6T 40-49 years, male 9.8
GTEX-111YS-1526-SM-5GZYW 60-69 years, male 9.7
GTEX-131XW-0626-SM-5PNVD 50-59 years, female 9.7
GTEX-18D9B-0926-SM-7LG4U 60-69 years, male 9.7
GTEX-1AYD5-2626-SM-7PBXY 50-59 years, male 9.7
GTEX-1GMRU-2126-SM-7P8RA 50-59 years, male 9.7
GTEX-11EQ8-0926-SM-5H12V 60-69 years, male 9.6
GTEX-12WSD-0626-SM-5GCMW 60-69 years, female 9.6
GTEX-139TT-2126-SM-5LZWC 60-69 years, male 9.6
GTEX-144GM-0526-SM-79OJO 20-29 years, male 9.6
GTEX-146FQ-2126-SM-5RQHU 30-39 years, male 9.6
GTEX-17HG3-2626-SM-7DUF2 30-39 years, female 9.6
GTEX-18A67-1626-SM-7LT9T 50-59 years, male 9.6
GTEX-WEY5-2326-SM-3GIKK 40-49 years, female 9.6
GTEX-XAJ8-1426-SM-47JYM 40-49 years, male 9.6
GTEX-ZPCL-1126-SM-4WWFE 60-69 years, female 9.6
GTEX-14JFF-0626-SM-5ZZVT 60-69 years, male 9.6
GTEX-1F75A-0726-SM-7RHHD 50-59 years, male 9.6
GTEX-1GPI7-1826-SM-9KNU1 20-29 years, male 9.6
GTEX-1192X-2726-SM-5N9DN 50-59 years, male 9.5
GTEX-12WSA-0426-SM-5EQ5X 60-69 years, male 9.5
GTEX-1399S-0126-SM-5IJCF 30-39 years, female 9.5
GTEX-139T8-0626-SM-5KLZX 60-69 years, male 9.5
GTEX-13N2G-0226-SM-5K7VF 60-69 years, male 9.5
GTEX-14E1K-2026-SM-7DUEI 50-59 years, male 9.5
GTEX-17HHY-0426-SM-7DHLC 50-59 years, male 9.5
GTEX-1A8G6-2726-SM-731AR 60-69 years, male 9.5
GTEX-UPJH-0226-SM-3GADV 50-59 years, male 9.5
GTEX-1LG7Y-2526-SM-EWRO7 50-59 years, male 9.5
GTEX-13PVQ-0626-SM-5LU47 50-59 years, male 9.4
GTEX-17HHE-1326-SM-7EWDZ 50-59 years, male 9.4
GTEX-1A3MV-1826-SM-731CD 30-39 years, male 9.4
GTEX-1EN7A-2426-SM-793DB 40-49 years, male 9.4
GTEX-11O72-0626-SM-5PNYE 40-49 years, male 9.3
GTEX-11P81-2226-SM-5PNYI 30-39 years, female 9.3
GTEX-145LS-0626-SM-7EPG7 60-69 years, female 9.3
GTEX-17MFQ-1526-SM-7KFRR 20-29 years, male 9.3
GTEX-1F5PL-0926-SM-7PC2W 40-49 years, female 9.3
GTEX-1GN1W-2426-SM-9KNUU 50-59 years, female 9.3
GTEX-1H23P-0626-SM-9WG6T 60-69 years, male 9.3
GTEX-1LVAO-2726-SM-E9TJ8 60-69 years, male 9.3
GTEX-1PPGY-1626-SM-EVYBL 60-69 years, male 9.3
GTEX-11P7K-1126-SM-5HL4L 30-39 years, male 9.2
GTEX-13PVR-0426-SM-5RQK2 60-69 years, female 9.2
GTEX-147F3-1726-SM-5SIAW 50-59 years, female 9.2
GTEX-16AAH-0626-SM-793C9 50-59 years, male 9.2
GTEX-X4EP-0626-SM-3P621 60-69 years, female 9.2
GTEX-YFCO-1226-SM-5LUAT 40-49 years, male 9.2
GTEX-1JN76-0626-SM-CKZOQ 20-29 years, female 9.2
GTEX-1KANA-1326-SM-DIPFA 20-29 years, male 9.2
GTEX-1MCYP-0526-SM-E9U6Q 20-29 years, female 9.2
GTEX-1S82U-1026-SM-E6CJK 30-39 years, female 9.2
GTEX-14JG1-1526-SM-5YY9X 40-49 years, male 9.1
GTEX-1EKGG-0626-SM-7DUGJ 60-69 years, male 9.1
GTEX-WYVS-1626-SM-3NM9R 40-49 years, female 9.1
GTEX-1F6RS-2026-SM-7RHHC 60-69 years, female 9.1
GTEX-1I19N-0126-SM-CYPSF 70-79 years, male 9.1
GTEX-1LSNL-2726-SM-E9TKJ 50-59 years, male 9.1
GTEX-1QEPI-2626-SM-DTXF4 60-69 years, female 9.1
GTEX-13FTY-2126-SM-5IFFB 40-49 years, female 9.0
GTEX-13VXU-0626-SM-5L3F9 50-59 years, male 9.0
GTEX-14AS3-1526-SM-5Q5ED 40-49 years, female 9.0
GTEX-XBEC-0726-SM-4QARZ 50-59 years, male 9.0
GTEX-1GN1U-0626-SM-9MQL9 50-59 years, female 9.0
GTEX-1KWVE-1026-SM-D3L9O 30-39 years, male 9.0
GTEX-1QP29-1826-SM-DTX9S 50-59 years, male 9.0
GTEX-12WSM-1926-SM-5BC65 60-69 years, male 8.9
GTEX-16MTA-0926-SM-6M47Z 50-59 years, male 8.9
GTEX-1EWIQ-0326-SM-7DHMQ 70-79 years, female 8.9
GTEX-WFON-1926-SM-3LK7L 40-49 years, male 8.9
GTEX-ZAK1-0626-SM-5HL8E 50-59 years, female 8.9
GTEX-ZYFC-0426-SM-5GICQ 50-59 years, male 8.9
GTEX-1A3MX-2626-SM-7PC24 60-69 years, male 8.9
GTEX-1H1E6-0426-SM-9WYUS 30-39 years, male 8.9
GTEX-1H1ZS-2726-SM-9WG75 70-79 years, male 8.9
GTEX-1I1HK-2326-SM-CKZOH 60-69 years, male 8.9
GTEX-14PJ6-2626-SM-6EU2T 60-69 years, female 8.8
GTEX-15CHR-1126-SM-7EWF4 50-59 years, male 8.8
GTEX-Z93S-1626-SM-5CVMB 50-59 years, male 8.8
GTEX-1J8EW-2726-SM-CY8HR 60-69 years, female 8.8
GTEX-1LVAM-0726-SM-E6CIL 50-59 years, female 8.8
GTEX-1313W-0626-SM-5EQ4H 50-59 years, female 8.7
GTEX-1314G-1326-SM-5BC6E 30-39 years, male 8.7
GTEX-13OW7-0426-SM-5K7VK 50-59 years, male 8.7
GTEX-145MF-0926-SM-5Q5EA 50-59 years, male 8.7
GTEX-14PJ4-0226-SM-5YY92 60-69 years, male 8.7
GTEX-17F98-1326-SM-7DUEP 40-49 years, female 8.7
GTEX-1JMQJ-0826-SM-CNPP7 50-59 years, male 8.7
GTEX-131YS-2826-SM-5EQ47 60-69 years, female 8.6
GTEX-15DYW-2726-SM-6EU2I 60-69 years, female 8.6
GTEX-18465-2826-SM-7LT9J 50-59 years, male 8.6
GTEX-W5X1-2526-SM-3GILC 40-49 years, female 8.6
GTEX-ZA64-1026-SM-5HL8R 20-29 years, male 8.6
GTEX-1HR98-2226-SM-ADEI2 60-69 years, male 8.6
GTEX-1I1GT-1026-SM-ARZLV 60-69 years, female 8.6
GTEX-1J8JJ-0626-SM-ARZMQ 60-69 years, female 8.6
GTEX-1JMPZ-0726-SM-CY8HZ 30-39 years, male 8.6
GTEX-1KANB-2826-SM-CY8I6 50-59 years, male 8.6
GTEX-1QPFJ-1926-SM-EVYBD 30-39 years, female 8.6
GTEX-17MF6-2626-SM-79OKQ 40-49 years, male 8.5
GTEX-1C6VQ-1226-SM-73KYD 50-59 years, male 8.5
GTEX-1HC8U-1326-SM-9YFMJ 40-49 years, female 8.5
GTEX-1IKOE-1426-SM-CE6T7 30-39 years, female 8.5
GTEX-1R7EU-1626-SM-DTXG3 60-69 years, male 8.5
GTEX-13O61-1426-SM-5KM3D 60-69 years, male 8.4
GTEX-15RJ7-2126-SM-6PAMD 40-49 years, male 8.4
GTEX-XPVG-2126-SM-4B667 50-59 years, male 8.4
GTEX-ZAB4-2126-SM-5HL8U 40-49 years, male 8.4
GTEX-ZVP2-0326-SM-57WBP 50-59 years, male 8.4
GTEX-1I1GV-0626-SM-ARL7M 60-69 years, male 8.4
GTEX-1K9T9-1526-SM-DIPFR 50-59 years, female 8.4
GTEX-11WQK-1026-SM-5EQLX 50-59 years, male 8.3
GTEX-11ZTT-2126-SM-5CVLO 60-69 years, female 8.3
GTEX-ZE9C-2526-SM-5IJDR 60-69 years, male 8.3
GTEX-1HCVE-2726-SM-CL54F 50-59 years, male 8.3
GTEX-1J1R8-2026-SM-CL53Y 40-49 years, male 8.3
GTEX-1JJEA-1826-SM-ARU8P 60-69 years, male 8.3
GTEX-13JUV-2026-SM-5K7UA 40-49 years, female 8.2
GTEX-13JVG-0726-SM-5KM16 60-69 years, male 8.2
GTEX-13O3Q-0126-SM-5KM34 50-59 years, male 8.2
GTEX-14DAR-1226-SM-73KYV 50-59 years, male 8.2
GTEX-Y3IK-1626-SM-4YCF5 50-59 years, female 8.2
GTEX-ZZ64-1026-SM-5GZXG 20-29 years, male 8.2
GTEX-1I1GP-1326-SM-A9G28 50-59 years, male 8.2
GTEX-1RLM8-2926-SM-E8VON 50-59 years, male 8.2
GTEX-1RMOY-1326-SM-E9TIH 50-59 years, male 8.2
GTEX-13FTW-0326-SM-5K7UW 40-49 years, male 8.1
GTEX-16XZZ-0726-SM-7KUF2 60-69 years, male 8.1
GTEX-XBED-1926-SM-47JYP 60-69 years, male 8.1
GTEX-1HCUA-0826-SM-ADEHM 50-59 years, female 8.1
GTEX-14B4R-1326-SM-5Q5EZ 30-39 years, male 8.0
GTEX-15ER7-0626-SM-6PANF 20-29 years, female 8.0
GTEX-1B8SF-0126-SM-7DUG3 60-69 years, male 8.0
GTEX-WHPG-2626-SM-3NMBR 50-59 years, male 8.0
GTEX-WXYG-2026-SM-4E3IY 50-59 years, female 8.0
GTEX-ZT9X-1526-SM-5DUXD 40-49 years, male 8.0
GTEX-ZYT6-2326-SM-5GZY3 30-39 years, male 8.0
GTEX-1JJ6O-2726-SM-CNPOG 60-69 years, male 8.0
GTEX-13NZ9-2626-SM-5L3FK 50-59 years, male 7.9
GTEX-13SLX-2226-SM-62LEP 50-59 years, female 7.9
GTEX-13U4I-2226-SM-5LU5H 40-49 years, female 7.9
GTEX-14A6H-2026-SM-5Q5DD 30-39 years, male 7.9
GTEX-14PKU-0126-SM-6LLHV 40-49 years, female 7.9
GTEX-17EVP-2626-SM-7IGMA 40-49 years, male 7.9
GTEX-WK11-2726-SM-3NMAQ 50-59 years, male 7.9
GTEX-ZVT2-0126-SM-5GIDQ 50-59 years, female 7.9
GTEX-1PIIG-2326-SM-DTXFR 30-39 years, male 7.9
GTEX-ZLV1-1526-SM-DO91J 60-69 years, female 7.9
GTEX-12WSK-2126-SM-5CVNC 40-49 years, female 7.8
GTEX-13FLV-0126-SM-5K7WT 50-59 years, male 7.8
GTEX-14ABY-2026-SM-62LDL 50-59 years, male 7.8
GTEX-1KANC-1226-SM-CYPT7 50-59 years, female 7.8
GTEX-1LSNM-0826-SM-DIPG8 50-59 years, male 7.8
GTEX-1N2EE-0626-SM-E76PW 60-69 years, male 7.8
GTEX-1R9PN-0426-SM-DTXDT 40-49 years, female 7.8
GTEX-14BMV-2826-SM-5TDED 50-59 years, male 7.7
GTEX-1CB4E-0926-SM-7EPHT 60-69 years, male 7.7
GTEX-XOT4-0626-SM-4B66L 60-69 years, female 7.7
GTEX-12WSF-1626-SM-7KUG5 70-79 years, male 7.6
GTEX-13OVJ-0826-SM-5J1OK 50-59 years, female 7.6
GTEX-183FY-1026-SM-7939A 20-29 years, male 7.6
GTEX-1B932-2326-SM-79OL5 40-49 years, female 7.6
GTEX-1B8L1-2226-SM-7P8PT 60-69 years, male 7.6
GTEX-1CAMS-2226-SM-7PBXQ 40-49 years, female 7.6
GTEX-1I1CD-0626-SM-CE6SW 60-69 years, female 7.6
GTEX-1KXAM-1626-SM-D3LAD 60-69 years, male 7.6
GTEX-1QCLZ-2426-SM-EVYBW 60-69 years, female 7.6
GTEX-1S831-1826-SM-EWROF 20-29 years, male 7.6
GTEX-13OVK-1426-SM-6PAN7 40-49 years, male 7.5
GTEX-15CHC-1126-SM-6LLHQ 60-69 years, female 7.5
GTEX-XUW1-0926-SM-4BONX 50-59 years, female 7.5
GTEX-Y3I4-1726-SM-4TT89 50-59 years, male 7.5
GTEX-ZE7O-2726-SM-51MT5 50-59 years, female 7.5
GTEX-ZZPU-0826-SM-5GZX5 50-59 years, female 7.5
GTEX-1H1CY-0126-SM-9YFLY 60-69 years, female 7.5
GTEX-1H4P4-2126-SM-9WYSL 50-59 years, male 7.5
GTEX-1JMOU-1026-SM-CYPSS 60-69 years, female 7.5
GTEX-1M4P7-0726-SM-E6CJ3 60-69 years, male 7.5
GTEX-11VI4-1126-SM-5EQMD 40-49 years, female 7.4
GTEX-15D1Q-2826-SM-6LLH7 40-49 years, male 7.4
GTEX-16NGA-0726-SM-731AO 40-49 years, female 7.4
GTEX-17F9E-2326-SM-79OKD 50-59 years, male 7.4
GTEX-18QFQ-1826-SM-72D52 30-39 years, male 7.4
GTEX-1B996-0426-SM-7EWF8 60-69 years, male 7.4
GTEX-ZYFD-0626-SM-5E44E 50-59 years, male 7.4
GTEX-1S83E-1326-SM-E6CJM 40-49 years, male 7.4
GTEX-13X6J-0626-SM-5LU5F 50-59 years, male 7.3
GTEX-145MN-1526-SM-5SI9T 30-39 years, male 7.3
GTEX-Y5LM-0926-SM-6LLJG 40-49 years, female 7.3
GTEX-YECK-0326-SM-4W1YS 60-69 years, male 7.3
GTEX-ZP4G-1426-SM-4WWCL 20-29 years, female 7.3
GTEX-1S3DN-2126-SM-E9TIN 50-59 years, male 7.3
GTEX-1269C-0126-SM-5EQ5L 60-69 years, female 7.2
GTEX-13O3O-2326-SM-5IJD6 60-69 years, female 7.2
GTEX-14E6C-2426-SM-5S2NF 40-49 years, male 7.2
GTEX-16Z82-2626-SM-7KULU 60-69 years, male 7.2
GTEX-18A7B-2726-SM-7LG56 70-79 years, male 7.2
GTEX-WFG8-2126-SM-3GIKQ 20-29 years, male 7.2
GTEX-ZDXO-3126-SM-5IJDF 60-69 years, male 7.2
GTEX-1IDJC-1526-SM-B2LW4 50-59 years, male 7.2
GTEX-1KD5A-0126-SM-E9U54 50-59 years, male 7.2
GTEX-1R9PM-1926-SM-EVR3O 20-29 years, male 7.2
GTEX-1RAZQ-1326-SM-E9TK6 30-39 years, male 7.2
GTEX-1RAZS-2526-SM-E6CHT 50-59 years, male 7.2
GTEX-111VG-1626-SM-5EGIO 60-69 years, male 7.1
GTEX-11GS4-0226-SM-5HL77 60-69 years, male 7.1
GTEX-139YR-1026-SM-5LZYN 50-59 years, male 7.1
GTEX-13N11-2326-SM-5IJBF 50-59 years, female 7.1
GTEX-145MG-1526-SM-5Q5EM 50-59 years, male 7.1
GTEX-1RB15-1326-SM-E76Q9 60-69 years, male 7.1
GTEX-13N1W-2426-SM-5IJD1 70-79 years, male 7.0
GTEX-1AMFI-1326-SM-7939R 50-59 years, female 7.0
GTEX-1CAV2-0126-SM-7IGN7 40-49 years, female 7.0
GTEX-X5EB-1926-SM-4E3IW 40-49 years, male 7.0
GTEX-Y9LG-1126-SM-4VBQ7 30-39 years, male 7.0
GTEX-ZUA1-2626-SM-5NQ92 40-49 years, male 7.0
GTEX-1CB4I-0126-SM-7RHGG 50-59 years, male 7.0
GTEX-1IY9M-2826-SM-ARU8H 60-69 years, male 7.0
GTEX-1LGOU-1326-SM-D3L8M 20-29 years, female 7.0
GTEX-1QW4Y-1126-SM-DTXE3 30-39 years, male 7.0
GTEX-13OVG-1626-SM-5J1NF 60-69 years, male 6.9
GTEX-16NPX-0726-SM-7KULC 50-59 years, male 6.9
GTEX-ZDTS-0826-SM-4WKHL 60-69 years, male 6.9
GTEX-ZU9S-1826-SM-5NQ9E 30-39 years, male 6.9
GTEX-ZVZP-1226-SM-5GID7 50-59 years, male 6.9
GTEX-1C64N-2626-SM-7PC2N 50-59 years, male 6.9
GTEX-1CAMR-1326-SM-7PC1F 20-29 years, male 6.9
GTEX-1I6K7-1926-SM-B2LXR 40-49 years, male 6.9
GTEX-13QBU-1226-SM-5LU4G 40-49 years, female 6.8
GTEX-X3Y1-2026-SM-3P5YM 40-49 years, male 6.8
GTEX-1GF9V-0826-SM-9KNUV 60-69 years, male 6.8
GTEX-1HCU9-0426-SM-9WYSD 20-29 years, male 6.8
GTEX-1IDJH-0126-SM-D3L92 70-79 years, male 6.8
GTEX-1IDJU-1726-SM-CMKHU 60-69 years, female 6.8
GTEX-ZGAY-1826-SM-DO91Q 40-49 years, female 6.8
GTEX-13OVL-0126-SM-5L3GJ 50-59 years, male 6.7
GTEX-1AMEY-0826-SM-72D65 30-39 years, female 6.7
GTEX-1GZ4H-0526-SM-9KNU9 50-59 years, female 6.7
GTEX-1ICG6-1226-SM-A9SLN 70-79 years, female 6.7
GTEX-11LCK-2226-SM-5HL4Q 30-39 years, male 6.6
GTEX-12BJ1-0926-SM-5EQ62 60-69 years, male 6.6
GTEX-1399R-1326-SM-5PNYS 30-39 years, male 6.6
GTEX-17KNJ-2126-SM-718AM 50-59 years, male 6.6
GTEX-ZDYS-2426-SM-4WKGI 50-59 years, male 6.6
GTEX-1LBAC-0826-SM-CY8IJ 20-29 years, male 6.6
GTEX-1N5O9-0926-SM-E9J3C 60-69 years, male 6.6
GTEX-1S82P-2126-SM-E6CI5 60-69 years, female 6.6
GTEX-111CU-1126-SM-5EGIM 50-59 years, male 6.5
GTEX-13FH7-1126-SM-5K7UG 50-59 years, female 6.5
GTEX-13W3W-0726-SM-5IJDQ 60-69 years, female 6.5
GTEX-147JS-0226-SM-5S2U9 60-69 years, male 6.5
GTEX-15RIE-1926-SM-7KUKJ 60-69 years, male 6.5
GTEX-1CB4F-1026-SM-7DUH1 60-69 years, male 6.5
GTEX-ZLWG-0826-SM-59888 50-59 years, female 6.5
GTEX-ZT9W-1126-SM-57WDR 50-59 years, male 6.5
GTEX-1PIGE-1826-SM-E8VOU 20-29 years, male 6.5
GTEX-12WSL-2026-SM-5GCML 50-59 years, male 6.4
GTEX-145LT-0526-SM-5LUB2 40-49 years, male 6.4
GTEX-1F5PK-2226-SM-7SB6N 50-59 years, male 6.4
GTEX-1F6IF-0926-SM-7SB7M 60-69 years, male 6.4
GTEX-1IDJI-0126-SM-CMKHS 50-59 years, female 6.4
GTEX-1NSGN-0726-SM-DTXEF 50-59 years, male 6.4
GTEX-YB5K-2026-SM-4VDT3 40-49 years, female 6.3
GTEX-1K2DA-1026-SM-CGQGF 50-59 years, male 6.3
GTEX-1POEN-2326-SM-E9J2L 30-39 years, female 6.3
GTEX-1QP2A-1726-SM-E76QC 50-59 years, male 6.3
GTEX-145MO-2826-SM-5LU96 60-69 years, male 6.2
GTEX-YEC4-1826-SM-4W1YP 40-49 years, male 6.2
GTEX-ZVE1-0726-SM-51MRN 50-59 years, female 6.2
GTEX-14DAQ-0626-SM-793DS 60-69 years, female 6.1
GTEX-ZVTK-0226-SM-51MRG 20-29 years, male 6.1
GTEX-1EMGI-2326-SM-7PBYA 60-69 years, male 6.1
GTEX-1LB8K-0726-SM-D5OV2 50-59 years, male 6.1
GTEX-11GSP-2326-SM-5HL63 60-69 years, female 6.0
GTEX-178AV-1726-SM-7KUL8 40-49 years, male 6.0
GTEX-1C2JI-1026-SM-73KY1 50-59 years, male 6.0
GTEX-ZWKS-0626-SM-5GIDV 30-39 years, male 6.0
GTEX-1C64O-1326-SM-7MGWR 60-69 years, male 6.0
GTEX-1HSGN-0826-SM-ACKW3 40-49 years, female 6.0
GTEX-1IOXB-2726-SM-CM2RI 50-59 years, male 6.0
GTEX-1RAZA-2226-SM-E9U4X 20-29 years, male 6.0
GTEX-11DZ1-2426-SM-5GZZX 50-59 years, male 5.9
GTEX-11EI6-2826-SM-5H11D 60-69 years, male 5.9
GTEX-14E6E-0526-SM-793DN 30-39 years, male 5.9
GTEX-ZLFU-1826-SM-4WWBV 40-49 years, male 5.9
GTEX-ZYFG-1526-SM-5GZYM 60-69 years, female 5.9
GTEX-1GMR2-0826-SM-7PC3V 50-59 years, male 5.9
GTEX-YEC3-1326-SM-DO92X 50-59 years, male 5.9
GTEX-14PKV-1126-SM-6LLJ1 20-29 years, female 5.8
GTEX-17EVQ-0126-SM-7IGLR 70-79 years, male 5.8
GTEX-1GF9U-2026-SM-7SB92 40-49 years, female 5.8
GTEX-YJ8O-2526-SM-5HL85 40-49 years, female 5.7
GTEX-ZDTT-0426-SM-4WKFL 60-69 years, male 5.7
GTEX-1C475-1326-SM-7SB73 40-49 years, female 5.7
GTEX-1GL5R-1326-SM-7RHHF 50-59 years, male 5.7
GTEX-1LG7Z-1626-SM-CXKYR 30-39 years, male 5.7
GTEX-1212Z-0126-SM-59HK4 60-69 years, male 5.6
GTEX-15CHQ-0326-SM-69LQD 60-69 years, male 5.6
GTEX-1AX8Z-0726-SM-73KTS 60-69 years, male 5.6
GTEX-1HKZK-0726-SM-ACKW2 40-49 years, male 5.6
GTEX-1HUB1-1426-SM-CGQF5 60-69 years, male 5.6
GTEX-1JN6P-2926-SM-CL54D 60-69 years, male 5.6
GTEX-1QP66-1226-SM-DTX7U 50-59 years, male 5.6
GTEX-111FC-2526-SM-5GZXU 60-69 years, male 5.5
GTEX-12C56-1526-SM-5FQUQ 20-29 years, male 5.5
GTEX-12WSC-2826-SM-5BC5Y 50-59 years, male 5.5
GTEX-18D9A-1426-SM-7LT8M 30-39 years, female 5.5
GTEX-1GN2E-0226-SM-9WG6K 60-69 years, male 5.5
GTEX-1IDJD-2326-SM-ACKWX 30-39 years, male 5.5
GTEX-13OW8-1026-SM-5J1NQ 60-69 years, male 5.4
GTEX-14PK6-0226-SM-62LF5 70-79 years, female 5.4
GTEX-1B8KZ-0326-SM-73KY4 50-59 years, male 5.4
GTEX-ZTSS-1426-SM-5985P 40-49 years, male 5.4
GTEX-1IDJE-1426-SM-ADEIW 50-59 years, female 5.4
GTEX-1O9I2-0226-SM-EYYXD 50-59 years, male 5.4
GTEX-1A32A-0626-SM-731AQ 50-59 years, female 5.3
GTEX-1HCU8-2526-SM-CE6RX 60-69 years, female 5.3
GTEX-16GPK-0626-SM-7KFSF 60-69 years, male 5.0
GTEX-1AX9J-1326-SM-731BJ 60-69 years, male 5.0
GTEX-1HSKV-1226-SM-ADEI4 60-69 years, male 5.0
GTEX-1I6K6-1726-SM-CGQFD 30-39 years, male 5.0
GTEX-1IDJF-2026-SM-CL53V 20-29 years, male 5.0
GTEX-14BMU-1226-SM-5S2OR 20-29 years, female 4.9
GTEX-1LVAN-0626-SM-CNPOQ 50-59 years, female 4.8
GTEX-11EQ9-1626-SM-5PNY8 30-39 years, male 4.7
GTEX-WRHU-2826-SM-3MJG8 50-59 years, female 4.7
GTEX-XQ8I-0926-SM-4BOOF 50-59 years, male 4.7
GTEX-1QMI2-2526-SM-E8VNZ 60-69 years, male 4.6
GTEX-145LU-1926-SM-79OJN 50-59 years, male 4.4
GTEX-14A5H-0826-SM-5QGPJ 60-69 years, male 4.4
GTEX-YF7O-1526-SM-5IFI6 50-59 years, male 4.4
GTEX-ZAJG-1526-SM-5CVML 50-59 years, female 4.4
GTEX-14JG6-1426-SM-9WG7C 30-39 years, female 4.4
GTEX-1F75W-2726-SM-7SB8H 60-69 years, male 4.4
GTEX-15FZZ-0526-SM-7KUGD 30-39 years, female 4.2
GTEX-WYJK-0526-SM-3NM8Z 50-59 years, male 4.2
GTEX-11EM3-1226-SM-5N9DD 20-29 years, female 3.9
GTEX-117YX-1926-SM-5GIEC 50-59 years, male 3.8
GTEX-17JCI-2926-SM-7DUFF 60-69 years, female 3.5
GTEX-UPK5-0426-SM-3GAEK 40-49 years, male 3.4
GTEX-1I4MK-0126-SM-CY8G6 50-59 years, female 3.3
GTEX-1JKYN-0826-SM-ARU8S 30-39 years, male 3.3
GTEX-11TT1-1826-SM-5EQLV 20-29 years, male 3.2
GTEX-Y5V6-2326-SM-4VDSA 60-69 years, male 3.1
GTEX-1L5NE-1126-SM-D3L9P 50-59 years, male 3.1
GTEX-VJYA-1526-SM-3GIJV 60-69 years, male 2.7
GTEX-V1D1-2026-SM-3GAF4 50-59 years, male 2.5
Show allShow less
Skin - Sun Exposed (Lower leg)
Average nTPM: 10.2
Samples: 701

Max nTPM: 29.1
Min nTPM: 3.3
Std nTPM: 3.3
Median nTPM: 9.5
GTEX-13X6H-2126-SM-7EWD5 50-59 years, female 29.1
GTEX-ZTX8-1426-SM-5DUVO 20-29 years, male 24.6
GTEX-W5X1-3026-SM-EAZAX 40-49 years, female 23.0
GTEX-1GMR3-1926-SM-9KNUZ 40-49 years, male 21.5
GTEX-1B8SG-0126-SM-73KZ3 50-59 years, male 20.4
GTEX-Q2AI-1326-SM-2S1PL 40-49 years, male 20.2
GTEX-Y114-2426-SM-4TT8A 50-59 years, female 20.2
GTEX-P4QT-0126-SM-2I3FL 50-59 years, female 20.1
GTEX-S32W-2126-SM-2XCB1 50-59 years, female 20.1
GTEX-WFON-2126-SM-3LK7O 40-49 years, male 20.0
GTEX-139TS-2826-SM-5J1OO 60-69 years, male 19.7
GTEX-13PVR-2326-SM-5QGR1 60-69 years, female 19.7
GTEX-13NYC-0326-SM-E9J4S 60-69 years, male 19.0
GTEX-139UW-2826-SM-5L3E7 60-69 years, male 18.8
GTEX-ZYFD-0126-SM-5GIDL 50-59 years, male 18.6
GTEX-12WSJ-1826-SM-5GCNY 40-49 years, female 18.4
GTEX-13113-5016-SM-7EPIP 60-69 years, female 18.0
GTEX-1QAET-0926-SM-E76QM 50-59 years, male 17.9
GTEX-X261-0126-SM-3NMD6 50-59 years, male 17.7
GTEX-Y3IK-2426-SM-4WWDU 50-59 years, female 17.5
GTEX-1JMQL-0226-SM-CNPP5 50-59 years, female 17.4
GTEX-1B8KE-2126-SM-73KYX 50-59 years, male 17.3
GTEX-11DXZ-2326-SM-5EGGV 50-59 years, male 17.1
GTEX-XUZC-1726-SM-4BRWS 30-39 years, female 17.1
GTEX-1PDJ9-0326-SM-DTX95 20-29 years, male 17.0
GTEX-1L5NE-2526-SM-E6CIE 50-59 years, male 16.9
GTEX-14PHX-2326-SM-62LEM 50-59 years, male 16.7
GTEX-1OJC3-0126-SM-E76QX 20-29 years, male 16.7
GTEX-ZV68-0126-SM-59HKS 50-59 years, female 16.6
GTEX-13O3P-0126-SM-5KM4S 50-59 years, male 16.5
GTEX-14PN4-0126-SM-6EU2V 50-59 years, male 16.3
GTEX-X5EB-2226-SM-46MW4 40-49 years, male 16.3
GTEX-PLZ6-1426-SM-DKPOT 30-39 years, male 16.3
GTEX-1HGF4-2426-SM-ACKXM 60-69 years, male 16.1
GTEX-1211K-2026-SM-5EQ4Z 60-69 years, female 16.0
GTEX-12696-2426-SM-5EQ6H 60-69 years, male 16.0
GTEX-1HFI7-1826-SM-ACKXH 50-59 years, female 15.9
GTEX-1GL5R-1826-SM-9KNUY 50-59 years, male 15.8
GTEX-1GMR8-0126-SM-9WYTM 50-59 years, female 15.8
GTEX-O5YW-0126-SM-3LK6D 50-59 years, male 15.7
GTEX-17GQL-2026-SM-718BA 60-69 years, male 15.6
GTEX-1B97I-1626-SM-73KYO 40-49 years, male 15.6
GTEX-1IOXB-0126-SM-ARL8G 50-59 years, male 15.6
GTEX-1C4CL-0526-SM-73KVK 30-39 years, male 15.4
GTEX-1HCUA-2426-SM-ADEIS 50-59 years, female 15.4
GTEX-13PDP-0126-SM-5L3HD 60-69 years, male 15.3
GTEX-1LGOU-2026-SM-DIPFF 20-29 years, female 15.3
GTEX-O5YT-0126-SM-48TBW 20-29 years, male 15.2
GTEX-TKQ1-1026-SM-4GICL 30-39 years, male 15.2
GTEX-1C475-1826-SM-73KWA 40-49 years, female 15.1
GTEX-ZGAY-0526-SM-4WWBB 40-49 years, female 15.1
GTEX-1GF9W-0326-SM-9KNUN 60-69 years, male 15.1
GTEX-1GZ2Q-0226-SM-7P8TL 40-49 years, male 15.1
GTEX-13FTX-1826-SM-5J1NX 20-29 years, female 15.0
GTEX-11DYG-0126-SM-59883 60-69 years, male 14.9
GTEX-OOBK-0126-SM-2YUND 40-49 years, male 14.9
GTEX-ZY6K-1826-SM-5GZXK 50-59 years, male 14.9
GTEX-1HFI6-0226-SM-ADEHZ 40-49 years, male 14.9
GTEX-1JN76-0126-SM-CNPPE 20-29 years, female 14.9
GTEX-11LCK-1026-SM-5A5KB 30-39 years, male 14.8
GTEX-T5JW-1626-SM-3GADZ 20-29 years, female 14.8
GTEX-1IKK5-0626-SM-ARL8A 60-69 years, male 14.8
GTEX-1NV5F-0226-SM-E8VNY 60-69 years, female 14.8
GTEX-1RB15-2126-SM-E9TIM 60-69 years, male 14.8
GTEX-13111-1626-SM-5EGJY 50-59 years, male 14.7
GTEX-13YAN-0326-SM-5O9DF 60-69 years, male 14.7
GTEX-ZF2S-2326-SM-4WWCE 50-59 years, female 14.7
GTEX-1F75B-0126-SM-9KNVL 50-59 years, male 14.7
GTEX-1H3VE-0326-SM-9YFLH 40-49 years, male 14.7
GTEX-1J1R8-1726-SM-ARL8M 40-49 years, male 14.7
GTEX-1LC47-0326-SM-E9TJP 60-69 years, male 14.7
GTEX-YJ89-0126-SM-4TT3X 60-69 years, male 14.6
GTEX-145LS-0126-SM-5QGP1 60-69 years, female 14.5
GTEX-OHPL-0126-SM-2HMJ7 60-69 years, female 14.5
GTEX-11P82-1626-SM-59879 20-29 years, male 14.4
GTEX-13FHP-0126-SM-5IJBG 50-59 years, male 14.4
GTEX-14E6E-1826-SM-5S2R7 30-39 years, male 14.4
GTEX-X585-0226-SM-4QAS2 50-59 years, male 14.4
GTEX-1JMQK-0226-SM-CL543 60-69 years, male 14.4
GTEX-ZPIC-1726-SM-DHXIU 40-49 years, female 14.4
GTEX-145MN-2226-SM-5SIAU 30-39 years, male 14.3
GTEX-XYKS-2126-SM-4E3IB 60-69 years, female 14.3
GTEX-117XS-2726-SM-5N9BL 60-69 years, male 14.2
GTEX-13U4I-0126-SM-5LU38 40-49 years, female 14.2
GTEX-ZTSS-1926-SM-57WEW 40-49 years, male 14.2
GTEX-11P81-2326-SM-59875 30-39 years, female 14.1
GTEX-13112-2826-SM-5DUWH 50-59 years, male 14.1
GTEX-11UD1-0126-SM-5PNYG 40-49 years, female 14.0
GTEX-13OVK-2026-SM-7KUEO 40-49 years, male 14.0
GTEX-1AX9J-0226-SM-73KXM 60-69 years, male 14.0
GTEX-UJHI-1526-SM-3DB99 50-59 years, female 13.9
GTEX-ZF3C-0126-SM-DO92D 50-59 years, female 13.9
GTEX-12WSL-2526-SM-5GCNJ 50-59 years, male 13.8
GTEX-1399U-2326-SM-5K7WY 50-59 years, female 13.8
GTEX-13NYS-0126-SM-5MR3W 60-69 years, male 13.8
GTEX-QDVN-2026-SM-3GAEP 50-59 years, male 13.8
GTEX-1H1E6-1726-SM-ACKVK 30-39 years, male 13.8
GTEX-13RTK-1426-SM-5QGQJ 20-29 years, male 13.7
GTEX-148VJ-0126-SM-5TDDN 70-79 years, male 13.7
GTEX-14XAO-2326-SM-6EU1B 60-69 years, female 13.7
GTEX-ZC5H-0226-SM-4WAY9 40-49 years, female 13.7
GTEX-1CB4G-0226-SM-7PC3O 60-69 years, male 13.6
GTEX-15DDE-0126-SM-6LPKH 50-59 years, female 13.5
GTEX-1CB4E-2226-SM-793DC 60-69 years, male 13.5
GTEX-OIZH-0126-SM-2HMIS 50-59 years, male 13.5
GTEX-PWO3-1526-SM-48TCM 60-69 years, female 13.5
GTEX-1JMQI-2226-SM-CM2SD 50-59 years, male 13.5
GTEX-OXRO-0126-SM-2YUN4 60-69 years, female 13.4
GTEX-U8XE-0326-SM-3DB8P 30-39 years, male 13.4
GTEX-12ZZX-0126-SM-5EGK9 40-49 years, female 13.3
GTEX-XMD2-0126-SM-4YCDU 60-69 years, female 13.3
GTEX-1EMGI-0126-SM-9KNUE 60-69 years, male 13.3
GTEX-1HBPM-0226-SM-ARL9F 60-69 years, female 13.3
GTEX-1HCU7-0226-SM-CL545 50-59 years, male 13.3
GTEX-1QP9N-1426-SM-DTXFL 30-39 years, male 13.3
GTEX-1S3DN-2226-SM-EVYCD 50-59 years, male 13.3
GTEX-1192X-0226-SM-5H12D 50-59 years, male 13.2
GTEX-1269C-2526-SM-5EGJ3 60-69 years, female 13.2
GTEX-14BMU-2226-SM-5TDE9 20-29 years, female 13.2
GTEX-17HGU-0226-SM-7DHKV 50-59 years, male 13.2
GTEX-17HII-0226-SM-7LG4E 50-59 years, male 13.2
GTEX-TML8-1926-SM-32QOS 40-49 years, female 13.2
GTEX-1JMPY-1326-SM-ARL8Y 30-39 years, male 13.2
GTEX-1N2DW-0226-SM-E9TK2 50-59 years, male 13.2
GTEX-ZF29-2326-SM-DO92K 60-69 years, female 13.2
GTEX-11UD2-0226-SM-5EQKY 50-59 years, male 13.1
GTEX-12WSK-2326-SM-5GCOH 40-49 years, female 13.1
GTEX-13JUV-2726-SM-5LZZ8 40-49 years, female 13.1
GTEX-13X6I-0626-SM-5QGP9 60-69 years, male 13.1
GTEX-148VI-1626-SM-5SI6E 60-69 years, female 13.1
GTEX-ZU9S-0226-SM-5E441 30-39 years, male 13.1
GTEX-1H1CY-2826-SM-9MQM3 60-69 years, female 13.1
GTEX-145MO-0326-SM-5Q5B3 60-69 years, male 13.0
GTEX-YB5E-2026-SM-5IFIS 40-49 years, male 13.0
GTEX-1F48J-0126-SM-7P8TT 50-59 years, female 13.0
GTEX-1HCU9-1526-SM-A9SL7 20-29 years, male 13.0
GTEX-16XZZ-0126-SM-793DV 60-69 years, male 12.9
GTEX-18D9A-1926-SM-7LG6P 30-39 years, female 12.9
GTEX-1HSGN-0226-SM-CGQFV 40-49 years, female 12.9
GTEX-1CB4J-0626-SM-7DHMP 60-69 years, male 12.8
GTEX-SUCS-1926-SM-32PM3 70-79 years, male 12.8
GTEX-16AAH-1726-SM-7939C 50-59 years, male 12.7
GTEX-18D9U-0226-SM-718BP 40-49 years, male 12.7
GTEX-XUW1-0426-SM-4BOOT 50-59 years, female 12.7
GTEX-13FTW-2626-SM-5K7WL 40-49 years, male 12.6
GTEX-1AX9K-2326-SM-73KWU 50-59 years, male 12.6
GTEX-1CB4I-0226-SM-79OLH 50-59 years, male 12.6
GTEX-SN8G-0126-SM-32PLI 50-59 years, female 12.6
GTEX-ZAK1-0126-SM-5IJD3 50-59 years, female 12.6
GTEX-1GZ4H-1726-SM-7PBZJ 50-59 years, female 12.6
GTEX-1LBAC-0126-SM-DIPEZ 20-29 years, male 12.6
GTEX-131XE-2326-SM-5PNZ2 50-59 years, male 12.5
GTEX-WYJK-0126-SM-3NMAB 50-59 years, male 12.5
GTEX-XBEW-0626-SM-4QASP 40-49 years, male 12.5
GTEX-XQ8I-0426-SM-4BOPO 50-59 years, male 12.5
GTEX-1AX9I-0126-SM-7SB74 60-69 years, male 12.5
GTEX-17EVQ-0226-SM-7LG4P 70-79 years, male 12.4
GTEX-11O72-0126-SM-59887 40-49 years, male 12.3
GTEX-13NYB-2526-SM-5K7Z6 40-49 years, male 12.3
GTEX-1497J-2426-SM-7IGNX 60-69 years, male 12.3
GTEX-14PII-0226-SM-6EU1T 60-69 years, male 12.3
GTEX-15SB6-1726-SM-6PAME 50-59 years, female 12.3
GTEX-YB5K-2126-SM-4WWDJ 40-49 years, female 12.3
GTEX-ZZ64-1726-SM-5GZYB 20-29 years, male 12.3
GTEX-1I6K6-0126-SM-A9SLE 30-39 years, male 12.3
GTEX-11DXX-2426-SM-5GZZW 60-69 years, female 12.2
GTEX-NPJ8-0126-SM-2YUNR 40-49 years, male 12.2
GTEX-WXYG-2326-SM-4E3I6 50-59 years, female 12.2
GTEX-XPVG-2626-SM-4B669 50-59 years, male 12.2
GTEX-1CB4H-0226-SM-7PBXM 60-69 years, female 12.2
GTEX-1EX96-1626-SM-7PBXR 50-59 years, male 12.2
GTEX-1I4MK-2226-SM-ACKWD 50-59 years, female 12.2
GTEX-13OVI-1426-SM-5L3EY 60-69 years, female 12.1
GTEX-15EU6-0426-SM-6PAN5 50-59 years, male 12.1
GTEX-1AX8Z-0126-SM-7DHM6 60-69 years, male 12.1
GTEX-1B8SF-1426-SM-7DUGL 60-69 years, male 12.1
GTEX-QESD-1426-SM-2S1R9 20-29 years, male 12.1
GTEX-X88G-0126-SM-47JZ3 30-39 years, male 12.1
GTEX-13OW5-0126-SM-DTXFS 60-69 years, male 12.1
GTEX-1I19N-0326-SM-ACKVX 70-79 years, male 12.1
GTEX-1R7EU-0226-SM-EVR4G 60-69 years, male 12.1
GTEX-13SLW-0126-SM-5SI6C 70-79 years, male 12.0
GTEX-15G19-0126-SM-6PANQ 60-69 years, male 12.0
GTEX-18A66-0226-SM-718BD 60-69 years, male 12.0
GTEX-P4PP-0126-SM-3LK69 30-39 years, female 12.0
GTEX-ZE7O-0126-SM-57WC1 50-59 years, female 12.0
GTEX-1F6RS-0126-SM-9MQKZ 60-69 years, female 12.0
GTEX-15F5U-1526-SM-6PANO 40-49 years, male 11.9
GTEX-1C6VR-2426-SM-79OLD 60-69 years, male 11.9
GTEX-WRHK-1426-SM-3MJF9 20-29 years, female 11.9
GTEX-XXEK-2226-SM-4BRUM 50-59 years, male 11.9
GTEX-13D11-2426-SM-5KM1V 50-59 years, female 11.8
GTEX-14753-0426-SM-5NQAM 60-69 years, male 11.8
GTEX-1H1DG-0126-SM-9WYU2 70-79 years, male 11.8
GTEX-1OFPY-2426-SM-DTXEJ 60-69 years, male 11.8
GTEX-OIZF-0126-SM-7SB8I 60-69 years, male 11.8
GTEX-17HHE-2026-SM-79OKF 50-59 years, male 11.7
GTEX-Y8E4-0626-SM-4WWDL 40-49 years, male 11.7
GTEX-1H2FU-0126-SM-9WYSI 60-69 years, female 11.7
GTEX-1IDJH-0326-SM-A9SLQ 70-79 years, male 11.7
GTEX-1KANC-1526-SM-D3LAB 50-59 years, female 11.7
GTEX-1LG7Z-1726-SM-D3LA4 30-39 years, male 11.7
GTEX-13G51-2526-SM-5LZYK 60-69 years, male 11.6
GTEX-QLQ7-1626-SM-2S1R8 60-69 years, male 11.6
GTEX-1GMRU-0126-SM-9YFLV 50-59 years, male 11.6
GTEX-1IDJF-0126-SM-CM2RS 20-29 years, male 11.6
GTEX-1KAFJ-2026-SM-CY8ID 50-59 years, male 11.6
GTEX-1LGRB-2526-SM-CNPPQ 50-59 years, female 11.6
GTEX-13FXS-0226-SM-5IJCK 50-59 years, male 11.5
GTEX-13S7M-0126-SM-5SI6A 60-69 years, female 11.5
GTEX-14A5I-0126-SM-5TDEA 50-59 years, female 11.5
GTEX-OXRK-0226-SM-3NB2G 50-59 years, female 11.5
GTEX-U412-0426-SM-3DB9O 60-69 years, male 11.5
GTEX-1H3O1-0426-SM-9YFKY 60-69 years, male 11.5
GTEX-1ICLZ-0126-SM-CKZPO 60-69 years, male 11.5
GTEX-15ER7-0326-SM-7KUEV 20-29 years, female 11.4
GTEX-18A7A-0226-SM-718BH 50-59 years, female 11.4
GTEX-1F5PK-2426-SM-7RHHY 50-59 years, male 11.4
GTEX-1JN6P-0126-SM-D3L98 60-69 years, male 11.4
GTEX-1MGNQ-0126-SM-EVYCJ 40-49 years, male 11.4
GTEX-1PWST-0226-SM-E76QJ 70-79 years, male 11.4
GTEX-1S83E-0126-SM-EWRO4 40-49 years, male 11.4
GTEX-1314G-1526-SM-5EGK2 30-39 years, male 11.3
GTEX-18A6Q-0126-SM-731BZ 60-69 years, male 11.3
GTEX-WQUQ-0426-SM-3MJFU 60-69 years, male 11.3
GTEX-ZVTK-0426-SM-51MRS 20-29 years, male 11.3
GTEX-1GN1U-0126-SM-7PBZK 50-59 years, female 11.3
GTEX-1H1DE-2126-SM-9WG6R 20-29 years, male 11.3
GTEX-1LNCM-1126-SM-E9U5E 50-59 years, female 11.3
GTEX-146FH-0126-SM-5QGPP 50-59 years, female 11.2
GTEX-15UF6-0826-SM-6PALJ 70-79 years, female 11.2
GTEX-RU72-0926-SM-2TF6B 50-59 years, female 11.2
GTEX-S7PM-0126-SM-4AD6S 60-69 years, male 11.2
GTEX-SIU8-0126-SM-2XCDT 50-59 years, male 11.2
GTEX-U8T8-0126-SM-3DB94 60-69 years, male 11.2
GTEX-UPJH-0326-SM-3GADU 50-59 years, male 11.2
GTEX-145ME-1826-SM-5SI9G 40-49 years, female 11.1
GTEX-PX3G-0126-SM-2I3EN 20-29 years, female 11.1
GTEX-RUSQ-1526-SM-2TF62 50-59 years, male 11.1
GTEX-TMZS-0126-SM-3DB9Q 60-69 years, male 11.1
GTEX-TSE9-0126-SM-3DB83 60-69 years, female 11.1
GTEX-W5WG-1826-SM-4KL2Y 50-59 years, female 11.1
GTEX-1GF9U-2126-SM-7SB7L 40-49 years, female 11.1
GTEX-13CF3-2426-SM-5IFGX 60-69 years, female 11.0
GTEX-1A3MX-0126-SM-731BR 60-69 years, male 11.0
GTEX-RTLS-0126-SM-447CA 60-69 years, female 11.0
GTEX-1B8L1-2526-SM-9WYTF 60-69 years, male 11.0
GTEX-1F5PL-0326-SM-7P8PQ 40-49 years, female 11.0
GTEX-13W3W-2426-SM-5LU5B 60-69 years, female 10.9
GTEX-17F98-0626-SM-79OMX 40-49 years, female 10.9
GTEX-Y111-0126-SM-4SOIV 50-59 years, male 10.9
GTEX-1JMPZ-0226-SM-CNPP1 30-39 years, male 10.9
GTEX-1QP29-0626-SM-EWRMX 50-59 years, male 10.9
GTEX-1A3MW-0126-SM-73KXX 60-69 years, female 10.8
GTEX-1AMFI-2026-SM-731BH 50-59 years, female 10.8
GTEX-R3RS-0126-SM-3GIJL 40-49 years, female 10.8
GTEX-131XF-5016-SM-7MGWE 60-69 years, male 10.8
GTEX-1HT8W-0126-SM-CNPPP 30-39 years, male 10.8
GTEX-1MUQO-0126-SM-EAZ58 60-69 years, male 10.8
GTEX-1S82Y-2026-SM-EVYCM 40-49 years, male 10.8
GTEX-11ZVC-2526-SM-5FQTE 50-59 years, female 10.7
GTEX-POMQ-2226-SM-2I5FK 20-29 years, female 10.7
GTEX-WI4N-1026-SM-3LK7N 40-49 years, female 10.7
GTEX-1PPH8-0226-SM-E8VND 20-29 years, male 10.7
GTEX-1399R-2726-SM-5IJBA 30-39 years, male 10.6
GTEX-14DAR-2026-SM-5S2O3 50-59 years, male 10.6
GTEX-1CAMR-1926-SM-7EPI2 20-29 years, male 10.6
GTEX-PLZ5-2026-SM-2S1O4 50-59 years, male 10.6
GTEX-SNMC-1226-SM-2XCFP 20-29 years, male 10.6
GTEX-TMMY-0226-SM-33HBA 40-49 years, female 10.6
GTEX-Y5V5-2326-SM-4V6GA 60-69 years, female 10.6
GTEX-11TUW-2726-SM-E9J4M 60-69 years, male 10.6
GTEX-1JJ6O-0126-SM-E6CI8 60-69 years, male 10.6
GTEX-1JKYN-1326-SM-CGQG9 30-39 years, male 10.6
GTEX-S33H-1026-SM-EZ6L6 30-39 years, male 10.6
GTEX-13O21-1426-SM-5K7XI 50-59 years, male 10.5
GTEX-Z93S-0126-SM-5HL7M 50-59 years, male 10.5
GTEX-1CAMS-0426-SM-7P8T2 40-49 years, female 10.5
GTEX-1H3VY-0126-SM-ACKXD 50-59 years, male 10.5
GTEX-131XG-2626-SM-5KM17 50-59 years, female 10.4
GTEX-131XH-2226-SM-5DUXJ 50-59 years, male 10.4
GTEX-15D1Q-0126-SM-7KUG6 40-49 years, male 10.4
GTEX-15SHU-0126-SM-7KUEH 40-49 years, female 10.4
GTEX-ZTPG-0326-SM-5O9AX 20-29 years, female 10.4
GTEX-1JMLX-0226-SM-CM2RO 50-59 years, male 10.4
GTEX-1K2DA-1826-SM-CGQGT 50-59 years, male 10.4
GTEX-1PIIG-0226-SM-EWRN6 30-39 years, male 10.4
GTEX-11EQ9-2426-SM-5HL5T 30-39 years, male 10.3
GTEX-12WSE-0526-SM-793B2 20-29 years, male 10.3
GTEX-1399T-2826-SM-5KLYZ 60-69 years, male 10.3
GTEX-Q2AG-0126-SM-33HBV 40-49 years, female 10.3
GTEX-ZYY3-0126-SM-5GZY5 60-69 years, female 10.3
GTEX-11ZTS-0126-SM-5EQ6M 60-69 years, female 10.2
GTEX-14BMV-0126-SM-5S2PO 50-59 years, male 10.2
GTEX-QV44-1926-SM-2S1RF 50-59 years, male 10.2
GTEX-X4XX-0126-SM-3NMC2 60-69 years, male 10.2
GTEX-YFC4-0126-SM-5CVLY 40-49 years, female 10.2
GTEX-14PJM-0226-SM-62LF1 50-59 years, female 10.1
GTEX-183FY-0126-SM-7LT9P 20-29 years, male 10.1
GTEX-R55G-2526-SM-2TC6D 40-49 years, female 10.1
GTEX-ZVZO-0126-SM-5A5L9 40-49 years, male 10.1
GTEX-ZVZP-2426-SM-59HKJ 50-59 years, male 10.1
GTEX-1B933-0126-SM-7PC29 50-59 years, female 10.1
GTEX-1GF9X-2026-SM-7PC3A 40-49 years, female 10.1
GTEX-1HCU8-0626-SM-A9SM9 60-69 years, female 10.1
GTEX-1MCYP-1926-SM-E9J2R 20-29 years, female 10.1
GTEX-1R7EV-2426-SM-EVYBG 40-49 years, male 10.1
GTEX-11WQC-2526-SM-5CVLE 60-69 years, male 10.0
GTEX-14LZ3-0226-SM-62LET 60-69 years, female 10.0
GTEX-18D9B-0526-SM-7LTAS 60-69 years, male 10.0
GTEX-XBED-2226-SM-47JYQ 60-69 years, male 10.0
GTEX-ZYT6-0226-SM-5NQ6T 30-39 years, male 10.0
GTEX-1GF9V-0326-SM-7RHI5 60-69 years, male 10.0
GTEX-1HR98-0126-SM-B2LWI 60-69 years, male 10.0
GTEX-OOBJ-0126-SM-E6CJW 60-69 years, male 10.0
GTEX-11GSP-2526-SM-5N9BP 60-69 years, female 9.9
GTEX-145LT-1726-SM-5QGP3 40-49 years, male 9.9
GTEX-145MF-0626-SM-5LUAI 50-59 years, male 9.9
GTEX-1A3MV-1926-SM-718BT 30-39 years, male 9.9
GTEX-WVJS-0126-SM-4MVOT 50-59 years, male 9.9
GTEX-ZWKS-0126-SM-5SIAA 30-39 years, male 9.9
GTEX-1EWIQ-0126-SM-7RHH2 70-79 years, female 9.9
GTEX-1HB9E-0226-SM-E9U4R 50-59 years, male 9.9
GTEX-1I1GV-0526-SM-A9G29 60-69 years, male 9.9
GTEX-17EVP-0326-SM-7DHLG 40-49 years, male 9.8
GTEX-1C2JI-1826-SM-73KXC 50-59 years, male 9.8
GTEX-P44H-0226-SM-2XCEU 40-49 years, male 9.8
GTEX-ZDYS-2026-SM-5HL5L 50-59 years, male 9.8
GTEX-ZQUD-1426-SM-57WER 30-39 years, male 9.8
GTEX-1EU9M-0226-SM-7P8SP 60-69 years, male 9.8
GTEX-1PFEY-1526-SM-E76PP 30-39 years, male 9.8
GTEX-139TU-0126-SM-5K7WH 60-69 years, male 9.7
GTEX-13OVH-0126-SM-5MR4B 70-79 years, male 9.7
GTEX-15SHW-0326-SM-6PAML 60-69 years, male 9.7
GTEX-16MT8-0426-SM-7KUEY 60-69 years, female 9.7
GTEX-U3ZH-2026-SM-3DB78 30-39 years, male 9.7
GTEX-ZV6S-2326-SM-4YCEY 40-49 years, female 9.7
GTEX-1JJEA-0326-SM-CNPOT 60-69 years, male 9.7
GTEX-1MCQQ-0826-SM-DLHC2 60-69 years, male 9.7
GTEX-11OC5-0126-SM-5HL6A 60-69 years, male 9.6
GTEX-131YS-0126-SM-5KM1M 60-69 years, female 9.6
GTEX-147GR-0526-SM-5S2MY 60-69 years, male 9.6
GTEX-1CAMQ-0226-SM-7IGPK 40-49 years, male 9.6
GTEX-P4PQ-0126-SM-2S1NM 60-69 years, male 9.6
GTEX-WY7C-2326-SM-3NB2U 50-59 years, male 9.6
GTEX-1F75I-0326-SM-9YFLU 40-49 years, male 9.6
GTEX-1HBPN-0226-SM-9YFM1 50-59 years, male 9.6
GTEX-1JK1U-2026-SM-CM2RZ 60-69 years, male 9.6
GTEX-1KANB-0526-SM-E6CJH 50-59 years, male 9.6
GTEX-1S82Z-0826-SM-E6CHY 30-39 years, female 9.6
GTEX-11OF3-2626-SM-5GU7F 60-69 years, male 9.5
GTEX-12ZZY-0226-SM-5LZVE 60-69 years, male 9.5
GTEX-17KNJ-2326-SM-7DHLQ 50-59 years, male 9.5
GTEX-U3ZM-1526-SM-3DB9D 40-49 years, male 9.5
GTEX-WFG8-2226-SM-3GIL9 20-29 years, male 9.5
GTEX-1KXAM-2226-SM-CYPTC 60-69 years, male 9.5
GTEX-1O97I-0326-SM-EYYX7 60-69 years, male 9.5
GTEX-11NUK-0126-SM-5A5L3 50-59 years, male 9.4
GTEX-12C56-1726-SM-5EQ61 20-29 years, male 9.4
GTEX-139D8-0226-SM-5KLZO 30-39 years, female 9.4
GTEX-13N11-2526-SM-5K7UE 50-59 years, female 9.4
GTEX-18A67-0126-SM-7LG5P 50-59 years, male 9.4
GTEX-T6MO-1626-SM-32QOM 40-49 years, female 9.4
GTEX-Z9EW-1626-SM-5CVMN 40-49 years, male 9.4
GTEX-1GTWX-0126-SM-9YFLK 60-69 years, male 9.4
GTEX-1H1ZS-0426-SM-9WG6G 70-79 years, male 9.4
GTEX-1IKJJ-0126-SM-CNPQB 60-69 years, male 9.4
GTEX-1IY9M-0126-SM-D3L8S 60-69 years, male 9.4
GTEX-1LB8K-0226-SM-EWRNW 50-59 years, male 9.4
GTEX-1122O-2126-SM-5EGIR 60-69 years, female 9.3
GTEX-117YX-2326-SM-5H12W 50-59 years, male 9.3
GTEX-132NY-0326-SM-5IJBL 60-69 years, male 9.3
GTEX-T8EM-1026-SM-3DB7M 40-49 years, male 9.3
GTEX-ZDTT-2726-SM-4WKF8 60-69 years, male 9.3
GTEX-ZVE2-0226-SM-59HJB 50-59 years, male 9.3
GTEX-12WSG-2826-SM-E9J4H 50-59 years, female 9.3
GTEX-13FH7-2026-SM-E9J4I 50-59 years, female 9.3
GTEX-1E2YA-0126-SM-9KNUC 50-59 years, male 9.3
GTEX-1LSNM-1926-SM-E6CII 50-59 years, male 9.3
GTEX-PSDG-0226-SM-DKPOZ 50-59 years, male 9.3
GTEX-12KS4-0326-SM-5EQ41 30-39 years, male 9.2
GTEX-13W46-0226-SM-5SIAG 50-59 years, male 9.2
GTEX-16GPK-0126-SM-7DHLE 60-69 years, male 9.2
GTEX-17HG3-2226-SM-7938L 30-39 years, female 9.2
GTEX-QDT8-0126-SM-48TZ1 30-39 years, female 9.2
GTEX-XQ3S-1526-SM-4BOOC 20-29 years, male 9.2
GTEX-ZYFG-2326-SM-5E44B 60-69 years, female 9.2
GTEX-1RAZA-0126-SM-E6CI3 20-29 years, male 9.2
GTEX-11WQK-0526-SM-5EQLD 50-59 years, male 9.1
GTEX-12WSA-0226-SM-5BC5V 60-69 years, male 9.1
GTEX-12ZZZ-0626-SM-5DUXI 60-69 years, male 9.1
GTEX-OXRL-0126-SM-2YUMP 50-59 years, male 9.1
GTEX-T2IS-0126-SM-4DM6O 20-29 years, female 9.1
GTEX-X4EP-0126-SM-3P5YV 60-69 years, female 9.1
GTEX-1CAV2-2226-SM-7P8P2 40-49 years, female 9.1
GTEX-1IDJU-2626-SM-CM2RT 60-69 years, female 9.1
GTEX-1J8Q2-0526-SM-CM2RW 60-69 years, male 9.1
GTEX-1MA7W-2026-SM-E9TJ6 20-29 years, female 9.1
GTEX-11VI4-1726-SM-5CVLH 40-49 years, female 9.0
GTEX-14PN3-2426-SM-6LLHS 60-69 years, female 9.0
GTEX-1AYCT-2426-SM-7IGQ3 50-59 years, male 9.0
GTEX-QEG4-0226-SM-2S1PY 30-39 years, male 9.0
GTEX-1C6WA-0126-SM-7PC2B 60-69 years, male 9.0
GTEX-1GPI6-0126-SM-9WG69 60-69 years, male 9.0
GTEX-11EMC-2926-SM-5EQ4F 60-69 years, female 8.9
GTEX-1313W-0126-SM-5LZUN 50-59 years, female 8.9
GTEX-14A5H-0426-SM-5QGQF 60-69 years, male 8.9
GTEX-15DCD-0126-SM-7KUEK 70-79 years, female 8.9
GTEX-15DYW-0126-SM-7KULE 60-69 years, female 8.9
GTEX-1BAJH-0526-SM-793CQ 70-79 years, male 8.9
GTEX-OXRN-0126-SM-48TDM 50-59 years, male 8.9
GTEX-S7SE-0126-SM-2XCD5 50-59 years, male 8.9
GTEX-X8HC-0126-SM-4E3JW 50-59 years, female 8.9
GTEX-Y3I4-2126-SM-4TT7C 50-59 years, male 8.9
GTEX-Y8DK-0126-SM-4TT3L 60-69 years, male 8.9
GTEX-YEC4-2126-SM-5IFJH 40-49 years, male 8.9
GTEX-1HKZK-0326-SM-9WYUH 40-49 years, male 8.9
GTEX-1KWVE-1426-SM-E9TJO 30-39 years, male 8.9
GTEX-1LH75-2426-SM-E9TJE 50-59 years, female 8.9
GTEX-1RLM8-2326-SM-EWRN4 50-59 years, male 8.9
GTEX-PWCY-1826-SM-DHXIZ 20-29 years, female 8.9
GTEX-13VXU-0126-SM-5SI9F 50-59 years, male 8.8
GTEX-1AYD5-2426-SM-73KXR 50-59 years, male 8.8
GTEX-1E1VI-0126-SM-7DHMZ 50-59 years, male 8.8
GTEX-XAJ8-0826-SM-47JY6 40-49 years, male 8.8
GTEX-1GN1V-0126-SM-9WPOS 60-69 years, male 8.8
GTEX-1HBPI-1526-SM-C1YQ1 50-59 years, male 8.8
GTEX-1HSMP-0126-SM-E6CJS 70-79 years, male 8.8
GTEX-1JMQJ-0526-SM-CYPSU 50-59 years, male 8.8
GTEX-1M5QR-1226-SM-EWROB 40-49 years, male 8.8
GTEX-12WSC-0126-SM-5EQ4P 50-59 years, male 8.7
GTEX-14BIL-0126-SM-5SI92 50-59 years, male 8.7
GTEX-15RIG-0226-SM-7KFTL 40-49 years, male 8.7
GTEX-17EUY-0426-SM-793BD 20-29 years, male 8.7
GTEX-ZZPT-0226-SM-5E43X 50-59 years, male 8.7
GTEX-1HSMQ-1226-SM-CGQFX 50-59 years, male 8.7
GTEX-1I1GS-0126-SM-B2LVW 60-69 years, male 8.7
GTEX-1J1OQ-0226-SM-CYPSH 40-49 years, female 8.7
GTEX-1M4P7-0226-SM-DIPEV 60-69 years, male 8.7
GTEX-11H98-0126-SM-5EGHG 50-59 years, male 8.6
GTEX-139TT-0126-SM-5K7Y5 60-69 years, male 8.6
GTEX-13X6J-0126-SM-5QGOU 50-59 years, male 8.6
GTEX-144GN-2326-SM-5LU4F 50-59 years, male 8.6
GTEX-14BIN-0626-SM-793DP 50-59 years, female 8.6
GTEX-T6MN-0126-SM-32PLP 50-59 years, male 8.6
GTEX-1J8Q3-1626-SM-CMKGC 60-69 years, male 8.6
GTEX-1KD4Q-0226-SM-E9TJ9 40-49 years, male 8.6
GTEX-1LVAN-0226-SM-COH3S 50-59 years, female 8.6
GTEX-1QCLY-0326-SM-E8VOG 30-39 years, male 8.6
GTEX-ZQG8-1626-SM-DHXIT 60-69 years, female 8.6
GTEX-11EI6-0126-SM-5985R 60-69 years, male 8.5
GTEX-12584-0126-SM-5EGKQ 40-49 years, male 8.5
GTEX-13NZB-2526-SM-5J1OM 30-39 years, male 8.5
GTEX-13VXT-0126-SM-5LU4I 20-29 years, female 8.5
GTEX-145LV-2126-SM-5LU8N 50-59 years, male 8.5
GTEX-183WM-0126-SM-7LTAB 70-79 years, female 8.5
GTEX-V1D1-2226-SM-3NMAX 50-59 years, male 8.5
GTEX-ZAB4-0226-SM-5N9F5 40-49 years, male 8.5
GTEX-1ICLY-0126-SM-D4P36 50-59 years, male 8.5
GTEX-1KANA-0726-SM-D3L9I 20-29 years, male 8.5
GTEX-1R9PM-2026-SM-E76OY 20-29 years, male 8.5
GTEX-13NZ8-0826-SM-5MR3I 60-69 years, female 8.4
GTEX-13OVL-0226-SM-5L3E9 50-59 years, male 8.4
GTEX-14E6D-0126-SM-62LDV 50-59 years, male 8.4
GTEX-16BQI-0226-SM-7KUEX 30-39 years, female 8.4
GTEX-16YQH-0126-SM-7DUFJ 30-39 years, male 8.4
GTEX-17F96-1626-SM-7DUFL 70-79 years, male 8.4
GTEX-17HHY-0126-SM-7LG5D 50-59 years, male 8.4
GTEX-1C64N-0126-SM-793D7 50-59 years, male 8.4
GTEX-NFK9-0226-SM-2HMKQ 40-49 years, male 8.4
GTEX-VJWN-0126-SM-3GIK7 50-59 years, female 8.4
GTEX-1EN7A-0126-SM-7SB81 40-49 years, male 8.4
GTEX-1F6I4-0126-SM-9MQL2 60-69 years, male 8.4
GTEX-1IDFM-0126-SM-COH2V 60-69 years, male 8.4
GTEX-1J8JJ-0226-SM-CL53I 60-69 years, female 8.4
GTEX-RVPV-0126-SM-EAZAW 60-69 years, male 8.4
GTEX-111FC-0126-SM-5N9DL 60-69 years, male 8.3
GTEX-113JC-2326-SM-5EQ4E 50-59 years, female 8.3
GTEX-133LE-1826-SM-5J1MV 20-29 years, female 8.3
GTEX-13IVO-0126-SM-5J1NG 70-79 years, male 8.3
GTEX-145MI-0526-SM-5O9A8 60-69 years, female 8.3
GTEX-147F4-0226-SM-5QGPW 50-59 years, male 8.3
GTEX-PVOW-0126-SM-2XCFA 40-49 years, male 8.3
GTEX-WH7G-2326-SM-3NMBC 40-49 years, male 8.3
GTEX-ZE9C-2726-SM-57WB5 60-69 years, male 8.3
GTEX-1C6VQ-0126-SM-7P8RI 50-59 years, male 8.3
GTEX-1F6IF-0726-SM-7P8TW 60-69 years, male 8.3
GTEX-1IGQW-0126-SM-COH42 60-69 years, male 8.3
GTEX-1QP2A-0126-SM-E9J43 50-59 years, male 8.3
GTEX-139T8-0126-SM-5K7XZ 60-69 years, male 8.2
GTEX-146FQ-0126-SM-5NQA9 30-39 years, male 8.2
GTEX-1B8KZ-2026-SM-7DHMB 50-59 years, male 8.2
GTEX-Y5LM-1926-SM-5RQJH 40-49 years, female 8.2
GTEX-ZAB5-1826-SM-5HL7C 50-59 years, male 8.2
GTEX-169BO-1326-SM-9MQK2 50-59 years, male 8.2
GTEX-1GN2E-0426-SM-9MQKX 60-69 years, male 8.2
GTEX-1MJK2-0426-SM-DTXE5 50-59 years, male 8.2
GTEX-11GSO-2426-SM-5A5LY 60-69 years, male 8.1
GTEX-13RTL-0126-SM-7LG5S 40-49 years, male 8.1
GTEX-14PHW-0126-SM-6LLJI 60-69 years, female 8.1
GTEX-14PJ3-1826-SM-62LEX 50-59 years, male 8.1
GTEX-15EOM-0126-SM-7KUGG 20-29 years, female 8.1
GTEX-17MF6-0126-SM-7LG4F 40-49 years, male 8.1
GTEX-18465-0126-SM-731BN 50-59 years, male 8.1
GTEX-1H23P-0126-SM-ADEJ3 60-69 years, male 8.1
GTEX-1JN1M-0326-SM-CYPT3 60-69 years, female 8.1
GTEX-1KD5A-0226-SM-D5OV3 50-59 years, male 8.1
GTEX-1NHNU-1026-SM-E9J2A 50-59 years, male 8.1
GTEX-11DZ1-0126-SM-5985Q 50-59 years, male 8.0
GTEX-11TTK-0126-SM-5987B 60-69 years, female 8.0
GTEX-13QJ3-0326-SM-5S2RA 50-59 years, male 8.0
GTEX-14JG1-0426-SM-6ETZZ 40-49 years, male 8.0
GTEX-16NPX-0226-SM-79OMT 50-59 years, male 8.0
GTEX-OHPM-0126-SM-2YUN9 50-59 years, male 8.0
GTEX-OIZG-0726-SM-33HBL 50-59 years, male 8.0
GTEX-Y8LW-1826-SM-5S2MV 50-59 years, female 8.0
GTEX-1EKGG-0226-SM-9WYTH 60-69 years, male 8.0
GTEX-1H3NZ-0126-SM-ACKX7 60-69 years, male 8.0
GTEX-1QEPI-0126-SM-EWRMQ 60-69 years, female 8.0
GTEX-11ZU8-2526-SM-5EQKI 60-69 years, male 7.9
GTEX-12126-0326-SM-5PNW3 20-29 years, male 7.9
GTEX-15UKP-0426-SM-7KUFQ 20-29 years, male 7.9
GTEX-18QFQ-0126-SM-731BE 30-39 years, male 7.9
GTEX-RM2N-1426-SM-2TF4H 50-59 years, male 7.9
GTEX-ZXG5-0126-SM-5GIEU 60-69 years, male 7.9
GTEX-1HUB1-0426-SM-E9U4U 60-69 years, male 7.9
GTEX-1JMOU-1526-SM-CL54I 60-69 years, female 7.9
GTEX-1PIGE-0126-SM-EVYBJ 20-29 years, male 7.9
GTEX-ZVT4-0126-SM-DTXFN 50-59 years, female 7.9
GTEX-11ZUS-0626-SM-59885 30-39 years, male 7.8
GTEX-14JG6-2226-SM-6EU2G 30-39 years, female 7.8
GTEX-15CHC-2126-SM-6EU21 60-69 years, female 7.8
GTEX-16NGA-1726-SM-731B4 40-49 years, female 7.8
GTEX-ZDTS-0126-SM-4WAY5 60-69 years, male 7.8
GTEX-1J8EW-0126-SM-CJI4F 60-69 years, female 7.8
GTEX-1N2DV-0226-SM-E6CJ6 40-49 years, male 7.8
GTEX-1QMI2-0226-SM-EVYBX 60-69 years, male 7.8
GTEX-1QPFJ-0226-SM-E76PB 30-39 years, female 7.8
GTEX-PW2O-1526-SM-7RHHB 20-29 years, male 7.8
GTEX-11EM3-2426-SM-59861 20-29 years, female 7.7
GTEX-11TT1-2526-SM-5EGIB 20-29 years, male 7.7
GTEX-13OVG-1926-SM-5L3DK 60-69 years, male 7.7
GTEX-144FL-0126-SM-5TDC8 50-59 years, male 7.7
GTEX-15SDE-2226-SM-7IGLO 50-59 years, female 7.7
GTEX-X4EO-0326-SM-3P5YO 60-69 years, female 7.7
GTEX-1GZHY-0326-SM-9QEHI 50-59 years, female 7.7
GTEX-1J8QM-2126-SM-CYPSJ 60-69 years, female 7.7
GTEX-1JKYR-0126-SM-CNPOJ 20-29 years, male 7.7
GTEX-RWS6-2026-SM-2XCB5 60-69 years, female 7.6
GTEX-1I1CD-0126-SM-CM2TK 60-69 years, female 7.6
GTEX-1POEN-0126-SM-EYYXJ 30-39 years, female 7.6
GTEX-1QP67-1626-SM-EAZ3X 40-49 years, female 7.6
GTEX-1RQEC-0426-SM-E6CHU 60-69 years, male 7.6
GTEX-13FHO-0226-SM-5IFGY 60-69 years, male 7.5
GTEX-14BIM-0226-SM-7IGLD 60-69 years, female 7.5
GTEX-1AMEY-1326-SM-73KYK 30-39 years, female 7.5
GTEX-VUSG-2526-SM-4KL1V 50-59 years, male 7.5
GTEX-ZYFC-0226-SM-5NQ75 50-59 years, male 7.5
GTEX-1F52S-0126-SM-9MQJU 60-69 years, female 7.5
GTEX-1F7RK-0126-SM-7PC2S 20-29 years, female 7.5
GTEX-1HBPH-0426-SM-B2LW5 40-49 years, female 7.5
GTEX-1R9K4-0126-SM-DTX9X 60-69 years, male 7.5
GTEX-117YW-2626-SM-5GZZH 50-59 years, male 7.4
GTEX-11DXW-0226-SM-5H122 40-49 years, male 7.4
GTEX-13N2G-2626-SM-5J1OT 60-69 years, male 7.4
GTEX-13O1R-0126-SM-5L3EH 60-69 years, male 7.4
GTEX-18A7B-0126-SM-7LG64 70-79 years, male 7.4
GTEX-OXRP-0126-SM-3NB32 60-69 years, female 7.4
GTEX-T5JC-0426-SM-32PLO 20-29 years, male 7.4
GTEX-XUYS-0126-SM-47JWZ 50-59 years, male 7.4
GTEX-1F88F-2726-SM-7PBZZ 60-69 years, female 7.4
GTEX-1HSKV-0226-SM-A9SKJ 60-69 years, male 7.4
GTEX-1N2EF-0226-SM-EYYXB 60-69 years, male 7.4
GTEX-11P7K-2126-SM-5GU7G 30-39 years, male 7.3
GTEX-13NZA-0226-SM-5K7Z7 60-69 years, male 7.3
GTEX-U4B1-1826-SM-4DXSU 40-49 years, male 7.3
GTEX-1GN73-0226-SM-9WG67 60-69 years, male 7.3
GTEX-1IL2U-0226-SM-CE6T8 60-69 years, male 7.3
GTEX-1JJE9-0326-SM-CL53Z 70-79 years, male 7.3
GTEX-1K9T9-0126-SM-EVYCF 50-59 years, female 7.3
GTEX-11GS4-2726-SM-5A5LE 60-69 years, male 7.2
GTEX-11XUK-2026-SM-5EQLF 40-49 years, female 7.2
GTEX-13RTJ-2426-SM-5S2Q2 60-69 years, male 7.2
GTEX-17JCI-0126-SM-7LG5G 60-69 years, female 7.2
GTEX-1A8FM-0226-SM-7SB7Q 50-59 years, female 7.2
GTEX-1CB4F-0426-SM-9KNV4 60-69 years, male 7.2
GTEX-1HSEH-0126-SM-ACKXN 60-69 years, male 7.2
GTEX-T2YK-0526-SM-32QPJ 50-59 years, male 7.1
GTEX-X62O-0126-SM-4E3JN 50-59 years, male 7.1
GTEX-1GPI7-0126-SM-9MQL8 20-29 years, male 7.1
GTEX-1H4P4-0726-SM-9YFLR 50-59 years, male 7.1
GTEX-1I1GQ-0126-SM-COH3H 50-59 years, male 7.1
GTEX-1IKOH-0226-SM-COH4E 60-69 years, female 7.1
GTEX-1128S-2326-SM-5GZZY 60-69 years, female 7.0
GTEX-13CF2-2526-SM-5LZYX 60-69 years, male 7.0
GTEX-14PJ6-2126-SM-6EU1V 60-69 years, female 7.0
GTEX-SJXC-0126-SM-2XCFF 60-69 years, male 7.0
GTEX-ZXES-1826-SM-5E43S 30-39 years, female 7.0
GTEX-1B996-0226-SM-7RHGO 60-69 years, male 7.0
GTEX-1HCVE-0126-SM-CGQEU 50-59 years, male 7.0
GTEX-1I1GT-0626-SM-CGQER 60-69 years, female 7.0
GTEX-1S5ZA-0126-SM-EVYCV 20-29 years, male 7.0
GTEX-11NSD-2226-SM-5986V 20-29 years, male 6.9
GTEX-11ZTT-2426-SM-5EQLS 60-69 years, female 6.9
GTEX-13OW6-0426-SM-5L3HM 50-59 years, male 6.9
GTEX-13SLX-0526-SM-5S2ON 50-59 years, female 6.9
GTEX-YJ8A-0426-SM-5IFID 20-29 years, male 6.9
GTEX-Z93T-0126-SM-5HL5N 50-59 years, male 6.9
GTEX-1H11D-0226-SM-9WG6Z 40-49 years, male 6.9
GTEX-1LG7Y-0526-SM-DKPQC 50-59 years, male 6.9
GTEX-1PPH7-2326-SM-EVYB8 40-49 years, male 6.9
GTEX-RNOR-0126-SM-E9J4R 50-59 years, female 6.9
GTEX-11DXY-2626-SM-5GIE7 60-69 years, male 6.8
GTEX-12WSD-0126-SM-59HKN 60-69 years, female 6.8
GTEX-QVJO-1626-SM-2S1QW 60-69 years, female 6.8
GTEX-1HCU6-0126-SM-CL54K 60-69 years, female 6.8
GTEX-1HSMO-0126-SM-CL547 60-69 years, male 6.8
GTEX-1I1GP-2226-SM-CGQFK 50-59 years, male 6.8
GTEX-1IE54-0126-SM-CMKHW 40-49 years, female 6.8
GTEX-1R46S-0626-SM-E9J41 60-69 years, female 6.8
GTEX-131XW-0426-SM-5LZWP 50-59 years, female 6.7
GTEX-WYVS-2126-SM-3NMA3 40-49 years, female 6.7
GTEX-1R9PO-2126-SM-E9J4O 60-69 years, female 6.7
GTEX-14C5O-0126-SM-5SI6N 60-69 years, male 6.6
GTEX-RN64-0126-SM-2TC68 50-59 years, male 6.6
GTEX-RWSA-0126-SM-2XCBB 40-49 years, male 6.6
GTEX-WOFL-0126-SM-3MJG2 60-69 years, male 6.6
GTEX-1I1GU-2226-SM-CGQFA 40-49 years, male 6.6
GTEX-1212Z-2526-SM-5EGKP 60-69 years, male 6.5
GTEX-1A32A-0126-SM-718B1 50-59 years, female 6.5
GTEX-QLQW-1126-SM-2S1Q8 30-39 years, male 6.5
GTEX-WZTO-0126-SM-3NM95 40-49 years, male 6.5
GTEX-1K2DU-2326-SM-E9TIV 20-29 years, male 6.5
GTEX-111VG-2426-SM-5GZXD 60-69 years, male 6.4
GTEX-13OW8-1326-SM-5J1OW 60-69 years, male 6.4
GTEX-ZYW4-0126-SM-5E44A 60-69 years, male 6.4
GTEX-1F75A-0126-SM-7RHGM 50-59 years, male 6.4
GTEX-1I1HK-0126-SM-COH49 60-69 years, male 6.4
GTEX-1ICG6-2526-SM-CGQFZ 70-79 years, female 6.4
GTEX-1RDX4-0126-SM-E9J4P 50-59 years, female 6.4
GTEX-14PK6-1926-SM-6ETZU 70-79 years, female 6.3
GTEX-15ETS-0126-SM-7KUMW 40-49 years, female 6.3
GTEX-QDVJ-1726-SM-2I5FX 50-59 years, male 6.3
GTEX-SSA3-0126-SM-32QPU 60-69 years, male 6.3
GTEX-ZUA1-0126-SM-5GU76 40-49 years, male 6.3
GTEX-13OW7-0126-SM-5MR3B 50-59 years, male 6.2
GTEX-14DAQ-0126-SM-5S2MQ 60-69 years, female 6.2
GTEX-14ICK-0226-SM-6EU25 40-49 years, male 6.2
GTEX-1C6VS-0526-SM-7DUEN 60-69 years, male 6.2
GTEX-ZVT3-0126-SM-5GU6I 60-69 years, female 6.2
GTEX-1C64O-0126-SM-7SB8P 60-69 years, male 6.2
GTEX-144GL-0126-SM-5TDE2 50-59 years, male 6.1
GTEX-X638-0126-SM-47JZ8 70-79 years, female 6.1
GTEX-1QW4Y-1526-SM-EAZ3Z 30-39 years, male 6.1
GTEX-12WSN-5019-SM-79OM6 40-49 years, male 6.0
GTEX-13N1W-0126-SM-5K7VT 70-79 years, male 6.0
GTEX-ZEX8-2426-SM-4WKG4 50-59 years, male 6.0
GTEX-1QP66-1726-SM-E8VO1 50-59 years, male 6.0
GTEX-13O3O-0126-SM-E9J49 60-69 years, female 5.9
GTEX-1192W-2626-SM-5Q5AF 60-69 years, male 5.8
GTEX-Q734-1926-SM-2I5EV 40-49 years, female 5.8
GTEX-Y5V6-2426-SM-4VDSB 60-69 years, male 5.8
GTEX-147F3-0526-SM-5SI98 50-59 years, female 5.7
GTEX-S95S-1226-SM-4GICG 60-69 years, male 5.7
GTEX-X4XY-0226-SM-4E3IZ 60-69 years, male 5.7
GTEX-1GN1W-0526-SM-9MQJQ 50-59 years, female 5.7
GTEX-14LLW-0126-SM-6LLIO 70-79 years, female 5.6
GTEX-ZVT2-2526-SM-51MT1 50-59 years, female 5.6
GTEX-1I1GR-0126-SM-CL55F 60-69 years, male 5.6
GTEX-R45C-0126-SM-EAZ2R 60-69 years, female 5.6
GTEX-16XZY-2126-SM-79OK1 70-79 years, male 5.5
GTEX-PLZ4-0126-SM-5SI8O 50-59 years, female 5.5
GTEX-R55E-0126-SM-2TC5Y 20-29 years, male 5.5
GTEX-ZAJG-0126-SM-5HL94 50-59 years, female 5.5
GTEX-17MFQ-1726-SM-793C7 20-29 years, male 5.4
GTEX-VJYA-1126-SM-3GIJU 60-69 years, male 5.4
GTEX-14E7W-0126-SM-6LLJ9 70-79 years, male 5.3
GTEX-1IL2V-0126-SM-CM2TX 70-79 years, male 5.3
GTEX-139T4-0226-SM-5HL5S 50-59 years, female 5.2
GTEX-14ABY-0226-SM-5TDCQ 50-59 years, male 5.2
GTEX-U3ZN-2326-SM-3DB7W 30-39 years, female 5.2
GTEX-XV7Q-2526-SM-4BRV9 40-49 years, female 5.2
GTEX-1OJC4-0126-SM-E9J2E 50-59 years, female 5.2
GTEX-145LU-0126-SM-5TDCB 50-59 years, male 5.1
GTEX-14A6H-0126-SM-5QGPK 30-39 years, male 5.1
GTEX-13OVJ-0126-SM-5KM36 50-59 years, female 5.0
GTEX-113IC-0126-SM-5HL6T 60-69 years, male 4.9
GTEX-13O3Q-2426-SM-5IJBR 50-59 years, male 4.9
GTEX-QCQG-1726-SM-3GIJ9 50-59 years, female 4.9
GTEX-ZDXO-3026-SM-5J1N5 60-69 years, male 4.9
GTEX-1MA7X-2226-SM-E6CIY 60-69 years, male 4.9
GTEX-17F97-0326-SM-7LG5B 50-59 years, male 4.8
GTEX-13FTY-0526-SM-5L3EV 40-49 years, female 4.7
GTEX-ZF28-0126-SM-4WKGK 60-69 years, male 4.7
GTEX-146FR-1326-SM-E9J48 60-69 years, female 4.7
GTEX-14JIY-0126-SM-6LLH6 60-69 years, male 4.5
GTEX-1RAZQ-0726-SM-EAZ43 30-39 years, male 4.3
GTEX-Q2AH-1626-SM-3GAF8 40-49 years, male 4.2
GTEX-14E6C-0126-SM-5RQIP 40-49 years, male 4.1
GTEX-1PBJI-0526-SM-E8VNK 20-29 years, female 3.8
GTEX-SE5C-1626-SM-2XCE3 40-49 years, female 3.3
Show allShow less

Contact

  • NEWS ARTICLES
  • PRESS ROOM

The Project

  • INTRODUCTION
  • ORGANIZATION
  • PUBLICATIONS

The Human Protein Atlas

  • DOWNLOADABLE DATA
  • LICENCE & CITATION
  • HELP & FAQ
The Human Protein Atlas project is funded
by the Knut & Alice Wallenberg Foundation.


contact@proteinatlas.org