We use cookies to enhance the usability of our website. If you continue, we'll assume that you are happy to receive all cookies. More information. Don't show this again.
GOLGA3
HPA
RESOURCES
  • TISSUE
  • BRAIN
  • SINGLE CELL
  • SUBCELLULAR
  • CANCER
  • BLOOD
  • CELL LINE
  • STRUCTURE & INTERACTION
ABOUT
  • INTRODUCTION
  • HISTORY
  • ORGANIZATION
  • PUBLICATIONS
  • ANTIBODY SUBMISSION
  • ANTIBODY AVAILABILITY
  • ACKNOWLEDGMENTS
  • CONTACT
NEWS
  • NEWS ARTICLES
  • PRESS ROOM
LEARN
  • DICTIONARY
  • PROTEIN CLASSES
  • PROTEIN EVIDENCE
  • METHODS
  • EDUCATIONAL VIDEOS
DATA
  • DOWNLOADABLE DATA
  • PUBLICATION DATA
  • RELEASE HISTORY
HELP
  • ANTIBODY VALIDATION
  • ASSAYS & ANNOTATION
  • DISCLAIMER
  • HELP & FAQ
  • PRIVACY STATEMENT
  • LICENCE & CITATION
Fields »
Search result

Field
Term
Gene name
Class
Subclass
Class
Keyword
Chromosome
External id
Tissue
Cell type
Expression
Antibody panel
Tissue
Main location
Patient ID
Annotation
Tissue
Category
Tau score
Cluster
Reliability
Brain region
Category
Tau score
Brain region
Category
Tau score
Brain region
Category
Tau score
Cluster
Reliability
Tissue
Cell type
Enrichment
Cell type
Category
Tau score
Cell type
Category
Tau score
Cell type
Category
Tau score
Cell lineage
Category
Tau score
Cluster
Cluster
Location
Searches
Location
Cell line
Class
Type
Phase
Reliability
Cancer
Prognosis
Cancer
Category
Cancer
Category
Tau score
Cluster
Variants
Interacting gene (ensg_id)
Type
Number of interactions
Pathway
Category
Score
Score
Score
Validation
Validation
Validation
Validation
Antibodies
Data type
Column


  • SUMMARY

  • TISSUE

  • BRAIN

  • SINGLE CELL

  • SUBCELL

  • CANCER

  • BLOOD

  • CELL LINE

  • STRUCT & INT

  • GOLGA3
TISSUE PRIMARY DATA SALIVARY GLAND Show tissue menu
ADIPOSE TISSUE ADRENAL GLAND AMYGDALA APPENDIX BASAL GANGLIA BONE MARROW BREAST BRONCHUS CEREBELLUM CEREBRAL CORTEX CERVIX CHOROID PLEXUS COLON DUODENUM
ENDOMETRIUM EPIDIDYMIS ESOPHAGUS FALLOPIAN TUBE GALLBLADDER HEART MUSCLE HIPPOCAMPAL FORMATION HYPOTHALAMUS KIDNEY LIVER LUNG LYMPH NODE MIDBRAIN NASOPHARYNX
ORAL MUCOSA OVARY PANCREAS PARATHYROID GLAND PITUITARY GLAND PLACENTA PROSTATE RECTUM RETINA SALIVARY GLAND SEMINAL VESICLE SKELETAL MUSCLE SKIN SMALL INTESTINE
SMOOTH MUSCLE SOFT TISSUE SPINAL CORD SPLEEN STOMACH TESTIS THYMUS THYROID GLAND TONGUE TONSIL URINARY BLADDER VAGINA
ANTIBODIES
AND
VALIDATION
Dictionary
Salivary gland
Tissue proteome
Salivary gland
SALIVARY GLAND - Expression summary
Protein expression
Salivary glandi

On the top, protein expression in current human tissue, based on all annotated cell types, is reported with the units not detected (n), low (l), medium (m) and high (h). Underneath, protein expression in each annotated cell type are reported using the same units.

Protein expression data is based on knowledge-based annotation. For genes where more than one antibody has been used, a collective score is set.

If knowledge-based annotation could not be performed for a gene, no data is displayed here. View antibody staining data further down this page.

h
m
l
n
Glandular cells: Medium
RNA expressioni

A summary of mRNA expression data available for current tissue based on several datasets. The mRNA expression levels in human tissues are based on RNA-seq data generated by the Human Protein Atlas (HPA), Genotype-Tissue Expression (GTEx) portal and CAGE data generated by the FANTOM5 consortium. Consensus normalized expression levels for human tissues was created by combining the data from HPA and GTEx datasets.

The mRNA expression levels in pig are based on RNA-seq data generated by the Human Protein Atlas (HPA), and for mouse, HPA data and in situ hybridization generated by the Allen brain atlas are reported.

Scroll down to view mRNA expression data in more detail.
Consensus:18.8 nTPM
HPA:18.8 nTPM
GTEx:14.7 nTPM
FANTOM5:97.1 Scaled Tags Per Million

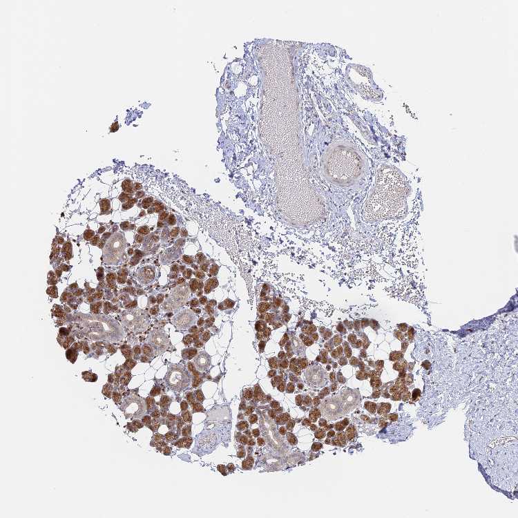
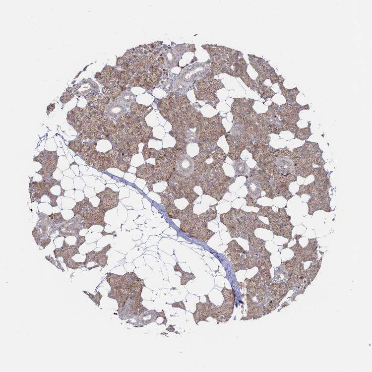
SALIVARY GLAND - Antibody stainingi

Antibody staining in the annotated cell types in the current human tissue is reported as not detected, low, medium, or high, based on conventional immunohistochemistry profiling in selected tissues. This score is based on the combination of the staining intensity and fraction of stained cells.

Each image is clickable and will lead to virtual microscopy that enables deeper exploration of all samples and also displays staining intensity scores, fraction scores and subcellular localization as well as patient and tissue information for each sample.

Antibody HPA039809Antibody HPA040044
Glandular cells MediumHigh





SALIVARY GLAND - HPA RNA-seqi

The RNA-seq details section shows detailed information about the individual samples used for the transcript profiling and results of the RNA-seq analysis.

Information about each individual sample is listed below, including gender, age, a tissue section image and estimated fractions of cell types. nTPM (normalized transcripts per million) values give a quantification of the gene abundance which is comparable between different genes and samples.
Average nTPMi

Max subtype nTPM is the value for the subtype with the largest average nTPM across the subtype samples.

18.8
overview
Female, age 68
Salivary gland sample 216
nTPM: 12.1
Cell types%
Glandular cells:
45

Ductal cells:
25

Adipocytes:
5

Other cell types:
25

overview
Male, age 60
Salivary gland sample 217
nTPM: 22.7
Cell types%
Glandular cells:
55

Ductal cells:
20

Adipocytes:
5

Endothelial cells:
5

Other cell types:
15

overview
Female, age 21
Salivary gland sample 218
nTPM: 21.8
Cell types%
Glandular cells:
55

Ductal cells:
15

Adipocytes:
5

Endothelial cells:
5

Other cell types:
20


SALIVARY GLAND - GTEx RNA-seqi

RNA-Seq data generated by the Genotype-Tissue Expression (GTEx) project from human tissues is reported as mean nTPM. More information can be found on the GTEx portal.

Distribution across the dataset is visualized with box plots, shown as median and 25th and 75th percentiles. Points are displayed as outliers if they are above or below 1.5 times the interquartile range. nTPM values of the individual samples are presented next to the box plot.
Max subtype nTPMi

Max subtype nTPM is the value for the subtype with the largest average nTPM across the subtype samples.

14.7
GTEx sample id Sample description nTPM
Minor Salivary Gland
Average nTPM: 14.7
Samples: 162

Max nTPM: 26.0
Min nTPM: 7.5
Std nTPM: 4.1
Median nTPM: 13.8
GTEX-1LSNL-2626-SM-EV7AT 50-59 years, male 26.0
GTEX-Y111-2626-SM-4TT24 50-59 years, male 25.7
GTEX-1B8KZ-1726-SM-73KV7 50-59 years, male 24.6
GTEX-11WQK-2926-SM-5EQKT 50-59 years, male 23.6
GTEX-1H4P4-2026-SM-9WPNV 50-59 years, male 23.6
GTEX-1H1CY-2326-SM-9OSXW 60-69 years, female 23.5
GTEX-1IOXB-2826-SM-AHZ32 50-59 years, male 23.3
GTEX-13OVL-2926-SM-5IFG3 50-59 years, male 22.7
GTEX-13NYB-2426-SM-5IFF4 40-49 years, male 22.5
GTEX-X261-2426-SM-4PQZU 50-59 years, male 22.2
GTEX-111FC-2926-SM-5GZY7 60-69 years, male 21.7
GTEX-WYVS-2026-SM-4RGNS 40-49 years, female 21.7
GTEX-1B8SF-1826-SM-731DJ 60-69 years, male 21.6
GTEX-1IY9M-2926-SM-A96TH 60-69 years, male 21.6
GTEX-13JVG-2926-SM-5J2N9 60-69 years, male 21.5
GTEX-1OJC4-3126-SM-EXOJK 50-59 years, female 21.4
GTEX-13VXT-1726-SM-5IFF5 20-29 years, female 21.1
GTEX-1IE54-0826-SM-AHZ2Z 40-49 years, female 21.1
GTEX-1C4CL-2026-SM-731EB 30-39 years, male 21.0
GTEX-1KD5A-2226-SM-EV79U 50-59 years, male 20.7
GTEX-1A3MV-1726-SM-72D68 30-39 years, male 20.6
GTEX-12WSM-1826-SM-5BC64 60-69 years, male 20.5
GTEX-1RAZA-0626-SM-EAZ4H 20-29 years, male 20.4
GTEX-13OVK-1826-SM-6PALE 40-49 years, male 20.1
GTEX-ZE7O-2926-SM-51MSG 50-59 years, female 20.1
GTEX-X3Y1-1926-SM-4PQZO 40-49 years, male 19.6
GTEX-1MCQQ-2226-SM-DLHC4 60-69 years, male 19.5
GTEX-12WSN-2226-SM-5DUXT 40-49 years, male 19.4
GTEX-1C64N-2926-SM-79OLM 50-59 years, male 19.4
GTEX-1LVA9-2526-SM-EVR5H 50-59 years, male 19.4
GTEX-1C6VR-0726-SM-7P8OV 60-69 years, male 19.3
GTEX-1GZ2Q-2526-SM-9KNVW 40-49 years, male 19.2
GTEX-1HSGN-0626-SM-A9G2E 40-49 years, female 19.2
GTEX-ZQUD-2126-SM-51MSY 30-39 years, male 18.8
GTEX-1LBAC-0626-SM-D3L9T 20-29 years, male 18.7
GTEX-1POEN-2226-SM-DPRXV 30-39 years, female 18.6
GTEX-11NV4-1926-SM-5N9D4 60-69 years, male 18.2
GTEX-15RJE-2726-SM-6LPJ1 40-49 years, male 18.0
GTEX-1KD4Q-2526-SM-CXZKL 40-49 years, male 17.8
GTEX-1HCU7-0126-SM-C1YR3 50-59 years, male 17.7
GTEX-1I6K6-0626-SM-ARU7J 30-39 years, male 17.7
GTEX-1R9PM-1726-SM-E8VOA 20-29 years, male 17.7
GTEX-14PJN-1726-SM-69LO7 30-39 years, male 17.6
GTEX-11TUW-2426-SM-5EQKB 60-69 years, male 17.5
GTEX-178AV-1426-SM-6LLID 40-49 years, male 17.5
GTEX-1IDJD-2526-SM-C1YSA 30-39 years, male 16.9
GTEX-11EQ9-2026-SM-5P9JI 30-39 years, male 16.8
GTEX-1I1HK-2526-SM-A96SM 60-69 years, male 16.6
GTEX-13G51-2426-SM-5LZY8 60-69 years, male 16.3
GTEX-1445S-2926-SM-5O993 60-69 years, male 16.3
GTEX-15SHV-2226-SM-6M464 60-69 years, male 16.0
GTEX-1LVAO-2626-SM-EVR4S 60-69 years, male 15.8
GTEX-XGQ4-2626-SM-4AT6B 50-59 years, male 15.7
GTEX-1GTWX-2526-SM-9JGHG 60-69 years, male 15.7
GTEX-1HSMQ-0926-SM-A96SI 50-59 years, male 15.6
GTEX-1QEPI-0626-SM-E76QE 60-69 years, female 15.6
GTEX-14E1K-2626-SM-664OJ 50-59 years, male 15.4
GTEX-14PN4-2526-SM-686ZG 50-59 years, male 15.4
GTEX-XV7Q-2426-SM-4BRV8 40-49 years, female 15.2
GTEX-11P82-0926-SM-5986X 20-29 years, male 15.0
GTEX-1AMEY-1126-SM-72D79 30-39 years, female 15.0
GTEX-1RNSC-2926-SM-EV79L 60-69 years, male 15.0
GTEX-14B4R-1426-SM-5Q5CG 30-39 years, male 14.9
GTEX-13QJC-2326-SM-5Q5CD 60-69 years, female 14.8
GTEX-ZAB5-2326-SM-5IJFR 50-59 years, male 14.7
GTEX-1C64O-0626-SM-7DHL1 60-69 years, male 14.6
GTEX-1GF9X-0226-SM-7P8SM 40-49 years, female 14.6
GTEX-1HR9M-2526-SM-A9G3J 60-69 years, male 14.6
GTEX-1J8EW-2826-SM-A96T9 60-69 years, female 14.6
GTEX-1KANC-1326-SM-CYPT8 50-59 years, female 14.6
GTEX-1QP9N-2026-SM-DPRZT 30-39 years, male 14.5
GTEX-1314G-2026-SM-5LZUM 30-39 years, male 14.4
GTEX-1MCC2-2226-SM-EV7AJ 30-39 years, female 14.4
GTEX-1B932-0626-SM-731EM 40-49 years, female 14.3
GTEX-17MFQ-1626-SM-7938Z 20-29 years, male 14.2
GTEX-ZP4G-1926-SM-57WDZ 20-29 years, female 14.2
GTEX-1HSEH-1826-SM-A96SA 60-69 years, male 14.2
GTEX-1IDJC-1626-SM-AHZ2R 50-59 years, male 14.2
GTEX-1LC47-2426-SM-DHXKK 60-69 years, male 14.2
GTEX-1GN1V-2926-SM-9JGI3 60-69 years, male 13.9
GTEX-1B97J-2126-SM-79OL6 50-59 years, female 13.8
GTEX-1J8QM-1826-SM-A96TA 60-69 years, female 13.8
GTEX-1LKK1-2926-SM-EVR4Z 50-59 years, female 13.8
GTEX-1P4AB-2926-SM-EXOJR 50-59 years, male 13.8
GTEX-11ZTS-3026-SM-5EQM7 60-69 years, female 13.7
GTEX-1PPH8-1526-SM-E6CQO 20-29 years, male 13.6
GTEX-14PJ3-1526-SM-664O9 50-59 years, male 13.4
GTEX-15CHC-1226-SM-686ZH 60-69 years, female 13.4
GTEX-ZXG5-2826-SM-5NQ8T 60-69 years, male 13.4
GTEX-YB5K-1726-SM-5IFIZ 40-49 years, female 13.3
GTEX-X15G-2126-SM-4PQZR 50-59 years, female 13.2
GTEX-1S82P-0726-SM-EVR4O 60-69 years, female 13.1
GTEX-WOFM-2126-SM-4OOSR 20-29 years, male 13.0
GTEX-X5EB-1726-SM-4E3J7 40-49 years, male 13.0
GTEX-1CB4I-2526-SM-7MKG1 50-59 years, male 12.9
GTEX-1EH9U-2926-SM-7DHLX 60-69 years, male 12.9
GTEX-ZF29-2126-SM-DNZYX 60-69 years, female 12.9
GTEX-1192X-2926-SM-5N9BA 50-59 years, male 12.8
GTEX-1GN1W-2526-SM-9JGHX 50-59 years, female 12.8
GTEX-ZLFU-2226-SM-EXUS7 40-49 years, male 12.8
GTEX-1GMR2-2026-SM-7MKHK 50-59 years, male 12.7
GTEX-Y3I4-1926-SM-4TT8L 50-59 years, male 12.7
GTEX-Y5LM-1826-SM-4VDT9 40-49 years, female 12.7
GTEX-1GPI7-0326-SM-7MKH6 20-29 years, male 12.6
GTEX-18QFQ-0626-SM-718AW 30-39 years, male 12.5
GTEX-11EMC-2526-SM-5PNVU 60-69 years, female 12.4
GTEX-12WSL-2126-SM-5GCNG 50-59 years, male 12.4
GTEX-ZC5H-2726-SM-5KLZW 40-49 years, female 12.4
GTEX-131XH-2626-SM-5GCNP 50-59 years, male 12.1
GTEX-1MGNQ-1926-SM-DTX8L 40-49 years, male 12.0
GTEX-12BJ1-2226-SM-5BC6G 60-69 years, male 11.9
GTEX-ZPU1-2326-SM-57WEP 40-49 years, male 11.9
GTEX-1J1R8-1826-SM-AHZ3B 40-49 years, male 11.9
GTEX-1JKYR-0726-SM-AHZ3K 20-29 years, male 11.8
GTEX-1I6K7-0926-SM-A96SV 40-49 years, male 11.7
GTEX-XMK1-2626-SM-4B65R 40-49 years, male 11.6
GTEX-YF7O-2226-SM-5CVN8 50-59 years, male 11.5
GTEX-1JN1M-2426-SM-ARU93 60-69 years, female 11.4
GTEX-11P81-2026-SM-5P9GT 30-39 years, female 11.3
GTEX-13CF2-2426-SM-5LZYL 60-69 years, male 11.3
GTEX-1JN6P-2526-SM-CNNPX 60-69 years, male 11.3
GTEX-ZG7Y-2426-SM-DO11H 50-59 years, male 11.3
GTEX-ZLWG-2026-SM-DO11F 50-59 years, female 11.3
GTEX-1AX8Z-0626-SM-731EH 60-69 years, male 11.2
GTEX-1R9K5-0626-SM-DPRZB 50-59 years, male 11.2
GTEX-13O21-1926-SM-5MR39 50-59 years, male 11.1
GTEX-ZT9W-2126-SM-51MSF 50-59 years, male 11.1
GTEX-1R9K4-0526-SM-E76P1 60-69 years, male 11.1
GTEX-WY7C-1426-SM-4OND1 50-59 years, male 11.0
GTEX-Y5V6-2226-SM-4VDTC 60-69 years, male 11.0
GTEX-ZA64-1726-SM-5CVMF 20-29 years, male 11.0
GTEX-1HFI7-2426-SM-B2LXV 50-59 years, female 11.0
GTEX-1OJC3-1026-SM-E6CQK 20-29 years, male 11.0
GTEX-131XF-2826-SM-5EGKH 60-69 years, male 10.8
GTEX-WFJO-2026-SM-4LVM3 30-39 years, male 10.8
GTEX-WHSB-2326-SM-4M1XK 50-59 years, male 10.8
GTEX-1PIEJ-0626-SM-DTX99 20-29 years, female 10.8
GTEX-1339X-2326-SM-5HL5B 40-49 years, male 10.7
GTEX-1AYD5-2726-SM-7MXVG 50-59 years, male 10.7
GTEX-18D9U-2226-SM-7KFTN 40-49 years, male 10.5
GTEX-145ME-1626-SM-5RQI3 40-49 years, female 10.4
GTEX-1I4MK-1326-SM-B2LWT 50-59 years, female 10.3
GTEX-1QMI2-0426-SM-EWRND 60-69 years, male 10.3
GTEX-11ZTT-2226-SM-5CVLP 60-69 years, female 10.1
GTEX-14JIY-3026-SM-6EU1R 60-69 years, male 10.1
GTEX-1117F-3026-SM-5GZYU 60-69 years, female 10.0
GTEX-15EU6-2626-SM-7KUN4 50-59 years, male 10.0
GTEX-17KNJ-2726-SM-7KFRE 50-59 years, male 9.9
GTEX-1S83E-0626-SM-E9TKC 40-49 years, male 9.8
GTEX-13OVI-2326-SM-5KM47 60-69 years, female 9.7
GTEX-13QBU-2126-SM-5KLZN 40-49 years, female 9.7
GTEX-18A7B-2826-SM-7KFTK 70-79 years, male 9.7
GTEX-13111-2326-SM-5LZUQ 50-59 years, male 9.6
GTEX-1AX9K-2126-SM-72D7K 50-59 years, male 9.6
GTEX-146FR-1226-SM-5SIA7 60-69 years, female 9.5
GTEX-WH7G-2126-SM-4M1XU 40-49 years, male 9.2
GTEX-1QCLZ-2526-SM-EXUST 60-69 years, female 9.2
GTEX-18A67-0626-SM-7KFSL 50-59 years, male 8.7
GTEX-1NSGN-0626-SM-E9J35 50-59 years, male 8.7
GTEX-13113-1526-SM-5EGHV 60-69 years, female 8.5
GTEX-ZQG8-2126-SM-4YCF1 60-69 years, female 8.1
GTEX-1R9PO-2626-SM-E6CPU 60-69 years, female 7.5
Show allShow less

SALIVARY GLAND - FANTOM5 CAGEi

RNA expression in human tissues obtained through Cap Analysis of Gene Expression (CAGE) generated by the FANTOM5 project are reported as Scaled Tags Per Million.

Max subtype Scaled Tags Per Millioni

Max subtype Scaled Tags Per Million is the value for the subtype with the largest average Scaled Tags Per Million across the subtype samples.

97.1
FANTOM5 sample id Sample description Scaled Tags Per Million
Parotid gland
Scaled Tags Per Million: 97.1
FF:10199-103F1 23 years, male 97.1
Salivary gland
Scaled Tags Per Million: 55.3
FF:10093-102C3 16-60 years, mixed 55.3
Submaxillary gland
Scaled Tags Per Million: 62.0
FF:10202-103F4 24 years, male 62.0

Contact

  • NEWS ARTICLES
  • PRESS ROOM

The Project

  • INTRODUCTION
  • ORGANIZATION
  • PUBLICATIONS

The Human Protein Atlas

  • DOWNLOADABLE DATA
  • LICENCE & CITATION
  • HELP & FAQ
The Human Protein Atlas project is funded
by the Knut & Alice Wallenberg Foundation.


contact@proteinatlas.org