We use cookies to enhance the usability of our website. If you continue, we'll assume that you are happy to receive all cookies. More information. Don't show this again.
PHGDH
HPA
RESOURCES
  • TISSUE
  • BRAIN
  • SINGLE CELL
  • SUBCELLULAR
  • CANCER
  • BLOOD
  • CELL LINE
  • STRUCTURE & INTERACTION
ABOUT
  • INTRODUCTION
  • HISTORY
  • ORGANIZATION
  • PUBLICATIONS
  • ANTIBODY SUBMISSION
  • ANTIBODY AVAILABILITY
  • ACKNOWLEDGMENTS
  • CONTACT
NEWS
  • NEWS ARTICLES
  • PRESS ROOM
LEARN
  • DICTIONARY
  • PROTEIN CLASSES
  • PROTEIN EVIDENCE
  • METHODS
  • EDUCATIONAL VIDEOS
DATA
  • DOWNLOADABLE DATA
  • PUBLICATION DATA
  • RELEASE HISTORY
HELP
  • ANTIBODY VALIDATION
  • ASSAYS & ANNOTATION
  • DISCLAIMER
  • HELP & FAQ
  • PRIVACY STATEMENT
  • LICENCE & CITATION
Fields »
Search result

Field
Term
Gene name
Class
Subclass
Class
Keyword
Chromosome
External id
Tissue
Cell type
Expression
Antibody panel
Tissue
Main location
Patient ID
Annotation
Tissue
Category
Tau score
Cluster
Reliability
Brain region
Category
Tau score
Brain region
Category
Tau score
Brain region
Category
Tau score
Cluster
Reliability
Tissue
Cell type
Enrichment
Cell type
Category
Tau score
Cell type
Category
Tau score
Cell type
Category
Tau score
Cell lineage
Category
Tau score
Cluster
Cluster
Location
Searches
Location
Cell line
Class
Type
Phase
Reliability
Cancer
Prognosis
Cancer
Category
Cancer
Category
Tau score
Cluster
Variants
Interacting gene (ensg_id)
Type
Number of interactions
Pathway
Category
Score
Score
Score
Validation
Validation
Validation
Validation
Antibodies
Data type
Column


  • SUMMARY

  • TISSUE

  • BRAIN

  • SINGLE CELL

  • SUBCELL

  • CANCER

  • BLOOD

  • CELL LINE

  • STRUCT & INT

  • PHGDH
TISSUE PRIMARY DATA SKIN Show tissue menu
ADIPOSE TISSUE ADRENAL GLAND AMYGDALA APPENDIX BASAL GANGLIA BONE MARROW BREAST BRONCHUS CEREBELLUM CEREBRAL CORTEX CERVIX CHOROID PLEXUS COLON DUODENUM
ENDOMETRIUM EPIDIDYMIS ESOPHAGUS FALLOPIAN TUBE GALLBLADDER HEART MUSCLE HIPPOCAMPAL FORMATION HYPOTHALAMUS KIDNEY LIVER LUNG LYMPH NODE MIDBRAIN NASOPHARYNX
ORAL MUCOSA OVARY PANCREAS PARATHYROID GLAND PITUITARY GLAND PLACENTA PROSTATE RECTUM RETINA SALIVARY GLAND SEMINAL VESICLE SKELETAL MUSCLE SKIN SMALL INTESTINE
SMOOTH MUSCLE SOFT TISSUE SPINAL CORD SPLEEN STOMACH TESTIS THYMUS THYROID GLAND TONGUE TONSIL URINARY BLADDER VAGINA
ANTIBODIES
AND
VALIDATION
Dictionary
Skin
Tissue proteome
Skin
SKIN - Expression summary
Protein expression
Skini

On the top, protein expression in current human tissue, based on all annotated cell types, is reported with the units not detected (n), low (l), medium (m) and high (h). Underneath, protein expression in each annotated cell type are reported using the same units.

Protein expression data is based on knowledge-based annotation. For genes where more than one antibody has been used, a collective score is set.

If knowledge-based annotation could not be performed for a gene, no data is displayed here. View antibody staining data further down this page.

h
m
l
n
Epidermal cells: High
Fibroblasts: Medium
Keratinocytes: High
Langerhans: High
Melanocytes: High
RNA expressioni

A summary of mRNA expression data available for current tissue based on several datasets. The mRNA expression levels in human tissues are based on RNA-seq data generated by the Human Protein Atlas (HPA), Genotype-Tissue Expression (GTEx) portal and CAGE data generated by the FANTOM5 consortium. Consensus normalized expression levels for human tissues was created by combining the data from HPA and GTEx datasets.

The mRNA expression levels in pig are based on RNA-seq data generated by the Human Protein Atlas (HPA), and for mouse, HPA data and in situ hybridization generated by the Allen brain atlas are reported.

Scroll down to view mRNA expression data in more detail.
Consensus:89.6 nTPM
HPA:87.6 nTPM
GTEx:89.6 nTPM

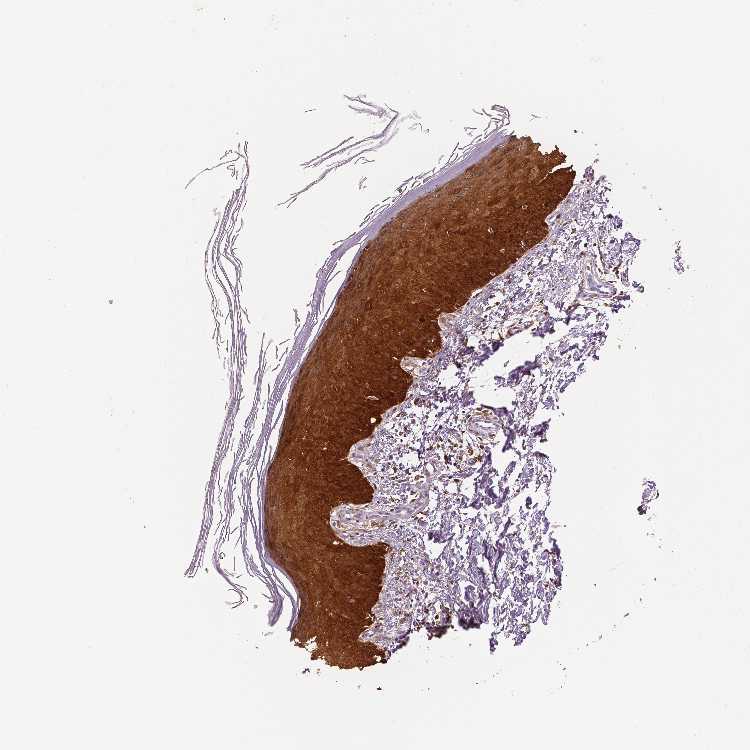
SKIN 1 - Antibody stainingi

Antibody staining in the annotated cell types in the current human tissue is reported as not detected, low, medium, or high, based on conventional immunohistochemistry profiling in selected tissues. This score is based on the combination of the staining intensity and fraction of stained cells.

Each image is clickable and will lead to virtual microscopy that enables deeper exploration of all samples and also displays staining intensity scores, fraction scores and subcellular localization as well as patient and tissue information for each sample.

Antibody HPA021241Antibody HPA024031Antibody CAB003681Antibody CAB068216
Langerhans Not detectedMediumMediumHigh
Fibroblasts MediumMediumNot detectedMedium
Keratinocytes HighHighMediumHigh
Melanocytes HighHighNot detectedHigh







SKIN 2 - Antibody stainingi

Antibody staining in the annotated cell types in the current human tissue is reported as not detected, low, medium, or high, based on conventional immunohistochemistry profiling in selected tissues. This score is based on the combination of the staining intensity and fraction of stained cells.

Each image is clickable and will lead to virtual microscopy that enables deeper exploration of all samples and also displays staining intensity scores, fraction scores and subcellular localization as well as patient and tissue information for each sample.

Antibody HPA021241Antibody HPA024031Antibody CAB003681Antibody CAB068216
Epidermal cells HighHighMediumHigh
    
    
    








SKIN - HPA RNA-seqi

The RNA-seq details section shows detailed information about the individual samples used for the transcript profiling and results of the RNA-seq analysis.

Information about each individual sample is listed below, including gender, age, a tissue section image and estimated fractions of cell types. nTPM (normalized transcripts per million) values give a quantification of the gene abundance which is comparable between different genes and samples.
Average nTPMi

Max subtype nTPM is the value for the subtype with the largest average nTPM across the subtype samples.

87.6
overview
Female, age 34
Skin sample 225
nTPM: 101.3
Cell types%
Keratinocytes:
60

Other cell types:
40

overview
Female, age 30
Skin sample 226
nTPM: 60.7
Cell types%
Keratinocytes:
55

Other cell types:
45

N/A
Male, age 57
Skin sample 227
nTPM: 100.9

SKIN - GTEx RNA-seqi

RNA-Seq data generated by the Genotype-Tissue Expression (GTEx) project from human tissues is reported as mean nTPM. More information can be found on the GTEx portal.

Distribution across the dataset is visualized with box plots, shown as median and 25th and 75th percentiles. Points are displayed as outliers if they are above or below 1.5 times the interquartile range. nTPM values of the individual samples are presented next to the box plot.
Max subtype nTPMi

Max subtype nTPM is the value for the subtype with the largest average nTPM across the subtype samples.

89.6
GTEx sample id Sample description nTPM
Skin - Not Sun Exposed (Suprapubic)
Average nTPM: 89.6
Samples: 604

Max nTPM: 294.3
Min nTPM: 15.2
Std nTPM: 45.2
Median nTPM: 83.0
GTEX-11DYG-1526-SM-5A5JS 60-69 years, male 294.3
GTEX-1F6I4-2326-SM-7RHGL 60-69 years, male 253.4
GTEX-1399Q-2326-SM-5KM2X 40-49 years, male 247.6
GTEX-13NYB-0126-SM-5J1MD 40-49 years, male 242.3
GTEX-16MT9-0126-SM-7EPI8 60-69 years, female 238.8
GTEX-1OJC3-1226-SM-DTXER 20-29 years, male 236.8
GTEX-11PRG-0726-SM-5EGL1 50-59 years, male 220.9
GTEX-15RJ7-2126-SM-6PAMD 40-49 years, male 220.8
GTEX-YECK-0326-SM-4W1YS 60-69 years, male 215.0
GTEX-X585-2426-SM-46MW2 50-59 years, male 213.4
GTEX-1E2YA-2126-SM-7MXUO 50-59 years, male 211.3
GTEX-11OF3-0126-SM-5PNYF 60-69 years, male 208.6
GTEX-1I1GP-1326-SM-A9G28 50-59 years, male 208.3
GTEX-12126-0826-SM-5FQTZ 20-29 years, male 202.4
GTEX-1H1CY-0126-SM-9YFLY 60-69 years, female 202.3
GTEX-1EX96-1026-SM-7MKG2 50-59 years, male 200.5
GTEX-1JJEA-1826-SM-ARU8P 60-69 years, male 196.6
GTEX-15DDE-2926-SM-6LLJ3 50-59 years, female 196.5
GTEX-ZYT6-2326-SM-5GZY3 30-39 years, male 194.0
GTEX-1IKJJ-2226-SM-CJI4C 60-69 years, male 190.6
GTEX-1AX9J-1326-SM-731BJ 60-69 years, male 189.5
GTEX-14BIN-1126-SM-5RQJZ 50-59 years, female 186.8
GTEX-13PL6-1126-SM-5L3IE 40-49 years, female 186.1
GTEX-1PIIG-2326-SM-DTXFR 30-39 years, male 185.3
GTEX-139UW-0326-SM-5J1ML 60-69 years, male 185.0
GTEX-1GN1V-2826-SM-9JGIA 60-69 years, male 179.0
GTEX-15DYW-2726-SM-6EU2I 60-69 years, female 178.3
GTEX-18A6Q-0626-SM-7KFRP 60-69 years, male 176.6
GTEX-1R9PM-1926-SM-EVR3O 20-29 years, male 176.5
GTEX-13G51-1826-SM-5KLZH 60-69 years, male 176.1
GTEX-11O72-0626-SM-5PNYE 40-49 years, male 174.3
GTEX-1GMRU-2126-SM-7P8RA 50-59 years, male 171.9
GTEX-147F4-0726-SM-5TDDD 50-59 years, male 171.8
GTEX-1IY9M-2826-SM-ARU8H 60-69 years, male 170.5
GTEX-ZUA1-2626-SM-5NQ92 40-49 years, male 169.9
GTEX-1N2EE-0626-SM-E76PW 60-69 years, male 168.8
GTEX-1AYD5-2626-SM-7PBXY 50-59 years, male 168.6
GTEX-1B933-2426-SM-7DHMD 50-59 years, female 168.2
GTEX-1IL2V-1926-SM-B2LW8 70-79 years, male 167.9
GTEX-ZT9X-1526-SM-5DUXD 40-49 years, male 166.4
GTEX-11WQC-1826-SM-5GU59 60-69 years, male 165.4
GTEX-1HCU6-2526-SM-ADEHL 60-69 years, female 162.6
GTEX-16GPK-0626-SM-7KFSF 60-69 years, male 162.4
GTEX-1A8G6-2726-SM-731AR 60-69 years, male 162.3
GTEX-13112-0126-SM-5P9IU 50-59 years, male 160.9
GTEX-13JVG-0726-SM-5KM16 60-69 years, male 160.9
GTEX-15SHW-0226-SM-7LTAT 60-69 years, male 160.9
GTEX-ZDTS-0826-SM-4WKHL 60-69 years, male 160.2
GTEX-14JFF-0626-SM-5ZZVT 60-69 years, male 159.8
GTEX-1GZ4I-2626-SM-9KNU3 50-59 years, male 158.7
GTEX-1HGF4-0126-SM-CNPPX 60-69 years, male 158.7
GTEX-1GPI6-1926-SM-9KNV7 60-69 years, male 158.6
GTEX-13SLX-2226-SM-62LEP 50-59 years, female 158.1
GTEX-15SKB-2826-SM-6PAMH 60-69 years, male 156.2
GTEX-12ZZX-2426-SM-5GCOE 40-49 years, female 156.1
GTEX-13OVL-0126-SM-5L3GJ 50-59 years, male 155.9
GTEX-1IOXB-2726-SM-CM2RI 50-59 years, male 155.7
GTEX-1C64N-2626-SM-7PC2N 50-59 years, male 155.2
GTEX-UPJH-0226-SM-3GADV 50-59 years, male 152.3
GTEX-1C6VR-0126-SM-7RHGB 60-69 years, male 151.7
GTEX-WHPG-2626-SM-3NMBR 50-59 years, male 151.6
GTEX-17F97-2626-SM-7IGM5 50-59 years, male 151.3
GTEX-12KS4-2126-SM-5FQUT 30-39 years, male 149.8
GTEX-1F75A-0726-SM-7RHHD 50-59 years, male 149.0
GTEX-11NUK-2726-SM-5A5MC 50-59 years, male 148.4
GTEX-14JG1-1526-SM-5YY9X 40-49 years, male 147.7
GTEX-1QAET-0326-SM-EVR3U 50-59 years, male 145.6
GTEX-17HG3-2626-SM-7DUF2 30-39 years, female 145.1
GTEX-Y111-0626-SM-4SOIT 50-59 years, male 144.9
GTEX-17EVP-2626-SM-7IGMA 40-49 years, male 144.2
GTEX-13OW6-2726-SM-5J2OE 50-59 years, male 144.0
GTEX-XQ3S-1426-SM-4BOPR 20-29 years, male 143.9
GTEX-12WSD-0626-SM-5GCMW 60-69 years, female 143.8
GTEX-1BAJH-2426-SM-7IGP8 70-79 years, male 143.7
GTEX-139TU-0726-SM-5L3EK 60-69 years, male 143.6
GTEX-1EMGI-2326-SM-7PBYA 60-69 years, male 143.0
GTEX-145MF-0926-SM-5Q5EA 50-59 years, male 141.1
GTEX-1313W-0626-SM-5EQ4H 50-59 years, female 140.7
GTEX-12ZZY-0726-SM-5EQ66 60-69 years, male 140.3
GTEX-18A66-0626-SM-7LT8Z 60-69 years, male 139.0
GTEX-131XW-0626-SM-5PNVD 50-59 years, female 138.9
GTEX-11ZUS-2626-SM-5FQUR 30-39 years, male 138.4
GTEX-1RB15-1326-SM-E76Q9 60-69 years, male 137.0
GTEX-1B8KZ-0326-SM-73KY4 50-59 years, male 136.6
GTEX-1GF9X-1326-SM-7PC2Y 40-49 years, female 136.6
GTEX-15ER7-0626-SM-6PANF 20-29 years, female 136.5
GTEX-Y114-2126-SM-4TT8B 50-59 years, female 136.2
GTEX-1OJC4-2726-SM-E76PJ 50-59 years, female 135.8
GTEX-17HHY-0426-SM-7DHLC 50-59 years, male 135.1
GTEX-14BMV-2826-SM-5TDED 50-59 years, male 134.7
GTEX-1269C-0126-SM-5EQ5L 60-69 years, female 134.3
GTEX-14PJO-2526-SM-6AJBQ 60-69 years, male 133.8
GTEX-1H3O1-1326-SM-9MQLD 60-69 years, male 133.8
GTEX-11DXZ-2026-SM-5987S 50-59 years, male 133.4
GTEX-12WSF-1626-SM-7KUG5 70-79 years, male 133.2
GTEX-ZF3C-0626-SM-DO92O 50-59 years, female 132.9
GTEX-144GL-0626-SM-5LU4D 50-59 years, male 132.2
GTEX-14LZ3-0126-SM-69LPM 60-69 years, female 131.9
GTEX-14PII-0726-SM-6EU2B 60-69 years, male 131.6
GTEX-15G19-2426-SM-7KUMR 60-69 years, male 131.6
GTEX-139TT-2126-SM-5LZWC 60-69 years, male 131.2
GTEX-1H4P4-2126-SM-9WYSL 50-59 years, male 131.0
GTEX-14A6H-2026-SM-5Q5DD 30-39 years, male 130.7
GTEX-WRHU-2826-SM-3MJG8 50-59 years, female 130.3
GTEX-ZTX8-1326-SM-4YCEL 20-29 years, male 129.6
GTEX-1HR98-2226-SM-ADEI2 60-69 years, male 129.6
GTEX-1JMQI-1726-SM-ARL93 50-59 years, male 128.9
GTEX-1LSNL-2726-SM-E9TKJ 50-59 years, male 128.5
GTEX-1PIGE-1826-SM-E8VOU 20-29 years, male 128.0
GTEX-1HFI6-0126-SM-CNPPI 40-49 years, male 127.9
GTEX-11GS4-0226-SM-5HL77 60-69 years, male 127.5
GTEX-1A8FM-0626-SM-7PC25 50-59 years, female 127.3
GTEX-1QP9N-1226-SM-E76QN 30-39 years, male 127.3
GTEX-1KANB-2826-SM-CY8I6 50-59 years, male 127.1
GTEX-1RAZS-2526-SM-E6CHT 50-59 years, male 126.9
GTEX-1LB8K-0726-SM-D5OV2 50-59 years, male 126.7
GTEX-1IKOE-1426-SM-CE6T7 30-39 years, female 126.6
GTEX-WH7G-2026-SM-3NMBL 40-49 years, male 126.5
GTEX-X4EO-2926-SM-4E3JH 60-69 years, female 125.9
GTEX-13VXU-0626-SM-5L3F9 50-59 years, male 125.7
GTEX-1J8JJ-0626-SM-ARZMQ 60-69 years, female 125.3
GTEX-145MH-2826-SM-5RQJF 50-59 years, male 124.7
GTEX-ZYVF-0926-SM-5E44J 50-59 years, female 124.6
GTEX-14ICL-1626-SM-5YYAO 30-39 years, male 124.5
GTEX-1CB4E-0926-SM-7EPHT 60-69 years, male 124.4
GTEX-WHWD-1826-SM-3LK6I 50-59 years, male 124.2
GTEX-ZE7O-2726-SM-51MT5 50-59 years, female 124.2
GTEX-ZXG5-2126-SM-59HKD 60-69 years, male 123.7
GTEX-1J8EW-2726-SM-CY8HR 60-69 years, female 123.3
GTEX-145MG-1526-SM-5Q5EM 50-59 years, male 123.1
GTEX-11DXW-0826-SM-5H118 40-49 years, male 122.9
GTEX-ZC5H-1526-SM-5HL9Y 40-49 years, female 122.9
GTEX-145LU-1926-SM-79OJN 50-59 years, male 121.4
GTEX-1EU9M-1426-SM-793AI 60-69 years, male 121.3
GTEX-1I1GV-0626-SM-ARL7M 60-69 years, male 121.3
GTEX-18A7A-0126-SM-731AH 50-59 years, female 120.6
GTEX-ZE9C-2526-SM-5IJDR 60-69 years, male 120.4
GTEX-16YQH-2226-SM-7IGM2 30-39 years, male 120.3
GTEX-13N1W-2426-SM-5IJD1 70-79 years, male 120.0
GTEX-13X6K-0626-SM-5LU5D 60-69 years, female 119.3
GTEX-14PJ3-1126-SM-5ZZVX 50-59 years, male 119.0
GTEX-15RIE-1926-SM-7KUKJ 60-69 years, male 119.0
GTEX-ZTTD-2826-SM-4YCFA 50-59 years, male 118.3
GTEX-WFON-1926-SM-3LK7L 40-49 years, male 118.2
GTEX-ZAK1-0626-SM-5HL8E 50-59 years, female 118.2
GTEX-1JMLX-0626-SM-ARL8T 50-59 years, male 117.9
GTEX-13JUV-2026-SM-5K7UA 40-49 years, female 117.5
GTEX-1PPGY-1626-SM-EVYBL 60-69 years, male 117.5
GTEX-145MO-2826-SM-5LU96 60-69 years, male 117.3
GTEX-ZYFC-0426-SM-5GICQ 50-59 years, male 116.6
GTEX-1PBJJ-1026-SM-E76OS 30-39 years, male 116.5
GTEX-13NZ9-2626-SM-5L3FK 50-59 years, male 116.2
GTEX-14ABY-2026-SM-62LDL 50-59 years, male 116.2
GTEX-1C64O-1326-SM-7MGWR 60-69 years, male 116.1
GTEX-1S5ZU-2526-SM-E6CIF 20-29 years, female 115.4
GTEX-13OW7-0426-SM-5K7VK 50-59 years, male 115.3
GTEX-1C6WA-2626-SM-7MKGM 60-69 years, male 115.3
GTEX-XYKS-1426-SM-4BRUO 60-69 years, female 114.9
GTEX-1GF9U-2026-SM-7SB92 40-49 years, female 114.9
GTEX-131XH-0126-SM-5LZUY 50-59 years, male 113.8
GTEX-1H1DE-1326-SM-9KNUG 20-29 years, male 112.0
GTEX-12WSC-2826-SM-5BC5Y 50-59 years, male 111.6
GTEX-1QMI2-2526-SM-E8VNZ 60-69 years, male 111.5
GTEX-13X6J-0626-SM-5LU5F 50-59 years, male 111.2
GTEX-1B8L1-2226-SM-7P8PT 60-69 years, male 110.6
GTEX-17F9Y-0126-SM-79OKX 70-79 years, female 110.0
GTEX-1N5O9-0926-SM-E9J3C 60-69 years, male 109.9
GTEX-12584-0726-SM-5FQTK 40-49 years, male 109.8
GTEX-1B8SF-0126-SM-7DUG3 60-69 years, male 109.4
GTEX-1HR9M-2226-SM-CNPPY 60-69 years, male 108.9
GTEX-1I1HK-2326-SM-CKZOH 60-69 years, male 108.8
GTEX-1LVA9-2626-SM-EVYD4 50-59 years, male 108.7
GTEX-13FTY-2126-SM-5IFFB 40-49 years, female 108.6
GTEX-18A7B-2726-SM-7LG56 70-79 years, male 108.3
GTEX-1HC8U-1326-SM-9YFMJ 40-49 years, female 108.3
GTEX-11TUW-0626-SM-5LU9M 60-69 years, male 107.8
GTEX-1A8G7-1326-SM-73KVM 60-69 years, male 107.7
GTEX-139TS-2126-SM-5K7XC 60-69 years, male 107.4
GTEX-1F88F-0126-SM-9WYSZ 60-69 years, female 106.7
GTEX-11EI6-2826-SM-5H11D 60-69 years, male 106.6
GTEX-11P81-2226-SM-5PNYI 30-39 years, female 106.4
GTEX-13FLV-0126-SM-5K7WT 50-59 years, male 106.3
GTEX-1GN73-0726-SM-7P8TJ 60-69 years, male 106.2
GTEX-17MFQ-1526-SM-7KFRR 20-29 years, male 105.9
GTEX-1CB4F-1026-SM-7DUH1 60-69 years, male 105.3
GTEX-1KD5A-0126-SM-E9U54 50-59 years, male 105.3
GTEX-1LSVX-2526-SM-DIPEU 60-69 years, male 105.3
GTEX-17F9E-2326-SM-79OKD 50-59 years, male 104.9
GTEX-15RJE-2826-SM-7KUM9 40-49 years, male 104.4
GTEX-16NPX-0726-SM-7KULC 50-59 years, male 104.2
GTEX-1AX9I-2226-SM-73KUO 60-69 years, male 104.1
GTEX-1PDJ9-1226-SM-EXUSX 20-29 years, male 104.1
GTEX-UPK5-0426-SM-3GAEK 40-49 years, male 103.8
GTEX-14JG6-1426-SM-9WG7C 30-39 years, female 103.7
GTEX-13O3Q-0126-SM-5KM34 50-59 years, male 103.6
GTEX-ZF2S-1626-SM-57WES 50-59 years, female 103.6
GTEX-14E1K-2026-SM-7DUEI 50-59 years, male 103.2
GTEX-1HT8W-0626-SM-A9G2H 30-39 years, male 103.2
GTEX-1JN6P-2926-SM-CL54D 60-69 years, male 103.2
GTEX-1M4P7-0726-SM-E6CJ3 60-69 years, male 102.9
GTEX-15CHR-1126-SM-7EWF4 50-59 years, male 102.7
GTEX-18465-2826-SM-7LT9J 50-59 years, male 102.7
GTEX-1GMR3-0126-SM-A9SLW 40-49 years, male 102.7
GTEX-1GZ2Q-0126-SM-9WG6M 40-49 years, male 102.7
GTEX-Y8E4-2026-SM-5IFJB 40-49 years, male 102.5
GTEX-145LS-0626-SM-7EPG7 60-69 years, female 102.4
GTEX-11P7K-1126-SM-5HL4L 30-39 years, male 102.1
GTEX-YJ8O-2526-SM-5HL85 40-49 years, female 102.1
GTEX-ZDXO-3126-SM-5IJDF 60-69 years, male 101.8
GTEX-VJYA-1526-SM-3GIJV 60-69 years, male 101.7
GTEX-1S82U-1026-SM-E6CJK 30-39 years, female 101.5
GTEX-16Z82-2626-SM-7KULU 60-69 years, male 101.4
GTEX-1NSGN-0726-SM-DTXEF 50-59 years, male 101.4
GTEX-183FY-1026-SM-7939A 20-29 years, male 101.2
GTEX-13U4I-2226-SM-5LU5H 40-49 years, female 100.9
GTEX-Z93S-1626-SM-5CVMB 50-59 years, male 100.8
GTEX-1H11D-1826-SM-9QEHM 40-49 years, male 100.7
GTEX-1C6VQ-1226-SM-73KYD 50-59 years, male 100.0
GTEX-1JMPY-0226-SM-CKZOK 30-39 years, male 99.7
GTEX-144GO-2026-SM-5O99P 60-69 years, male 99.6
GTEX-1JMQJ-0826-SM-CNPP7 50-59 years, male 99.6
GTEX-18D9A-1426-SM-7LT8M 30-39 years, female 99.5
GTEX-1E1VI-0326-SM-793D1 50-59 years, male 98.8
GTEX-17KNJ-2126-SM-718AM 50-59 years, male 98.5
GTEX-13O3O-2326-SM-5IJD6 60-69 years, female 98.3
GTEX-1S83E-1326-SM-E6CJM 40-49 years, male 98.2
GTEX-111VG-1626-SM-5EGIO 60-69 years, male 98.0
GTEX-12WSH-1526-SM-5BC5W 50-59 years, male 98.0
GTEX-W5X1-2526-SM-3GILC 40-49 years, female 97.6
GTEX-18QFQ-1826-SM-72D52 30-39 years, male 96.8
GTEX-ZYFD-0626-SM-5E44E 50-59 years, male 96.8
GTEX-147GR-2426-SM-5ZZWQ 60-69 years, male 96.1
GTEX-WYJK-0526-SM-3NM8Z 50-59 years, male 96.1
GTEX-1AX8Z-0726-SM-73KTS 60-69 years, male 95.7
GTEX-YEC3-1326-SM-DO92X 50-59 years, male 95.2
GTEX-13FHO-0426-SM-5L3F5 60-69 years, male 94.6
GTEX-1I1CD-0626-SM-CE6SW 60-69 years, female 94.3
GTEX-1R9K4-2826-SM-DTX8F 60-69 years, male 94.3
GTEX-Y3IK-1626-SM-4YCF5 50-59 years, female 94.1
GTEX-11UD2-2526-SM-5CVNU 50-59 years, male 94.0
GTEX-13OW5-2326-SM-5L3HO 60-69 years, male 93.7
GTEX-ZU9S-1826-SM-5NQ9E 30-39 years, male 93.5
GTEX-13PVQ-0626-SM-5LU47 50-59 years, male 93.3
GTEX-ZVT4-2426-SM-5GIEI 50-59 years, female 93.2
GTEX-XOT4-0626-SM-4B66L 60-69 years, female 92.8
GTEX-1IDFM-0326-SM-ARL7V 60-69 years, male 92.6
GTEX-Y5V6-2326-SM-4VDSA 60-69 years, male 92.5
GTEX-XK95-0226-SM-4AT58 40-49 years, male 92.4
GTEX-13D11-0926-SM-5J2NC 50-59 years, female 92.2
GTEX-1HBPI-2126-SM-ARL9K 50-59 years, male 92.2
GTEX-1N2DV-1526-SM-DTXEP 40-49 years, male 92.2
GTEX-1A32A-0626-SM-731AQ 50-59 years, female 92.0
GTEX-17EVQ-0126-SM-7IGLR 70-79 years, male 91.8
GTEX-1EWIQ-0326-SM-7DHMQ 70-79 years, female 91.7
GTEX-1GN1W-2426-SM-9KNUU 50-59 years, female 91.7
GTEX-1GF9W-1426-SM-7PBYM 60-69 years, male 91.4
GTEX-17HHE-1326-SM-7EWDZ 50-59 years, male 91.2
GTEX-13YAN-0226-SM-5TDC6 60-69 years, male 91.0
GTEX-1I6K7-1926-SM-B2LXR 40-49 years, male 90.9
GTEX-11EQ8-0926-SM-5H12V 60-69 years, male 90.6
GTEX-1QW4Y-1126-SM-DTXE3 30-39 years, male 90.6
GTEX-12ZZZ-0726-SM-5GCNZ 60-69 years, male 90.3
GTEX-1PPH8-0126-SM-EWRN8 20-29 years, male 90.2
GTEX-1B97I-0626-SM-73KUZ 40-49 years, male 90.1
GTEX-1QCLY-0226-SM-EWRNH 30-39 years, male 90.1
GTEX-XMD2-2126-SM-4YCF8 60-69 years, female 90.0
GTEX-1EN7A-2426-SM-793DB 40-49 years, male 89.8
GTEX-WY7C-2126-SM-3NB2R 50-59 years, male 89.4
GTEX-1GF9V-0826-SM-9KNUV 60-69 years, male 89.4
GTEX-1192X-2726-SM-5N9DN 50-59 years, male 88.9
GTEX-XBEW-1126-SM-4QARW 40-49 years, male 88.8
GTEX-1GN2E-0226-SM-9WG6K 60-69 years, male 88.8
GTEX-1QEPI-2626-SM-DTXF4 60-69 years, female 88.8
GTEX-17HGU-2326-SM-7DUFE 50-59 years, male 88.5
GTEX-11GSP-2326-SM-5HL63 60-69 years, female 88.2
GTEX-WFG7-2026-SM-5SI7P 20-29 years, male 88.2
GTEX-1GZHY-0626-SM-9KNVC 50-59 years, female 88.2
GTEX-1F6IF-0926-SM-7SB7M 60-69 years, male 88.1
GTEX-ZVE1-0726-SM-51MRN 50-59 years, female 87.7
GTEX-1RAZQ-1326-SM-E9TK6 30-39 years, male 87.6
GTEX-111YS-1526-SM-5GZYW 60-69 years, male 87.4
GTEX-11DXX-2126-SM-5PNYR 60-69 years, female 87.3
GTEX-13SLW-0626-SM-5Q5ER 70-79 years, male 87.1
GTEX-WYVS-1626-SM-3NM9R 40-49 years, female 86.2
GTEX-1HSKV-1226-SM-ADEI4 60-69 years, male 86.0
GTEX-1HCU8-2526-SM-CE6RX 60-69 years, female 85.7
GTEX-111FC-2526-SM-5GZXU 60-69 years, male 85.5
GTEX-1212Z-0126-SM-59HK4 60-69 years, male 85.5
GTEX-1CB4I-0126-SM-7RHGG 50-59 years, male 85.5
GTEX-WHSE-0126-SM-3NMBT 20-29 years, male 85.4
GTEX-ZZ64-1026-SM-5GZXG 20-29 years, male 85.3
GTEX-1LG7Y-2526-SM-EWRO7 50-59 years, male 85.2
GTEX-WK11-2726-SM-3NMAQ 50-59 years, male 85.1
GTEX-ZWKS-0626-SM-5GIDV 30-39 years, male 85.0
GTEX-17JCI-2926-SM-7DUFF 60-69 years, female 84.9
GTEX-1IE54-1126-SM-A9G2Z 40-49 years, female 84.9
GTEX-1CAMQ-1326-SM-7P8RV 40-49 years, male 84.5
GTEX-14PJ2-0626-SM-6LLII 50-59 years, male 84.3
GTEX-15RIG-0726-SM-7KUM7 40-49 years, male 83.9
GTEX-1IDJF-2026-SM-CL53V 20-29 years, male 83.4
GTEX-14753-0726-SM-5QGQO 60-69 years, male 83.3
GTEX-11P82-1426-SM-DTXFY 20-29 years, male 83.1
GTEX-1MJK3-0726-SM-E6CJC 20-29 years, male 82.9
GTEX-Y3I4-1726-SM-4TT89 50-59 years, male 82.7
GTEX-11DXY-0126-SM-5H11Q 60-69 years, male 82.1
GTEX-1POEN-2326-SM-E9J2L 30-39 years, female 81.9
GTEX-139D8-1126-SM-5LU8W 30-39 years, female 81.2
GTEX-1CAMS-2226-SM-7PBXQ 40-49 years, female 81.1
GTEX-145MI-0626-SM-5SI8S 60-69 years, female 80.8
GTEX-131YS-2826-SM-5EQ47 60-69 years, female 80.6
GTEX-ZPU1-1126-SM-4YCF3 40-49 years, male 80.6
GTEX-WYBS-0626-SM-3NMAS 60-69 years, female 80.1
GTEX-1QP66-1226-SM-DTX7U 50-59 years, male 80.1
GTEX-144FL-0626-SM-5LU43 50-59 years, male 80.0
GTEX-ZY6K-1426-SM-5GZX2 50-59 years, male 79.7
GTEX-YF7O-1526-SM-5IFI6 50-59 years, male 79.6
GTEX-1RAZA-2226-SM-E9U4X 20-29 years, male 79.6
GTEX-ZT9W-1126-SM-57WDR 50-59 years, male 79.0
GTEX-1CAMR-1326-SM-7PC1F 20-29 years, male 79.0
GTEX-14PHY-1226-SM-5ZZWK 60-69 years, female 78.8
GTEX-183WM-0326-SM-72D5V 70-79 years, female 78.5
GTEX-1I19N-0126-SM-CYPSF 70-79 years, male 78.5
GTEX-XBEC-0726-SM-4QARZ 50-59 years, male 78.1
GTEX-11TT1-1826-SM-5EQLV 20-29 years, male 78.0
GTEX-13NZ8-1226-SM-5KM4A 60-69 years, female 77.8
GTEX-Y9LG-1126-SM-4VBQ7 30-39 years, male 77.7
GTEX-1MCYP-0526-SM-E9U6Q 20-29 years, female 77.7
GTEX-1S831-1826-SM-EWROF 20-29 years, male 77.2
GTEX-1HSMQ-2626-SM-A9SML 50-59 years, male 76.8
GTEX-13PDP-0726-SM-5L3HP 60-69 years, male 76.0
GTEX-11NSD-0626-SM-5A5LU 20-29 years, male 75.9
GTEX-1EKGG-0626-SM-7DUGJ 60-69 years, male 75.6
GTEX-1F75B-0726-SM-7PC3R 50-59 years, male 75.3
GTEX-16MT8-2926-SM-7DUFO 60-69 years, female 74.9
GTEX-14PKV-1126-SM-6LLJ1 20-29 years, female 74.8
GTEX-1GN1U-0626-SM-9MQL9 50-59 years, female 74.7
GTEX-18A67-1626-SM-7LT9T 50-59 years, male 74.4
GTEX-1I1GS-2626-SM-B2LY3 60-69 years, male 74.1
GTEX-1IDJE-1426-SM-ADEIW 50-59 years, female 74.0
GTEX-15UF6-1926-SM-7KUDV 70-79 years, female 73.4
GTEX-1HSMP-0926-SM-A9SKX 70-79 years, male 73.4
GTEX-178AV-1726-SM-7KUL8 40-49 years, male 73.1
GTEX-1EH9U-2826-SM-7DUGT 60-69 years, male 72.8
GTEX-146FQ-2126-SM-5RQHU 30-39 years, male 72.7
GTEX-1F5PL-0926-SM-7PC2W 40-49 years, female 72.6
GTEX-1KAFJ-0126-SM-DIPEK 50-59 years, male 72.2
GTEX-1IDJC-1526-SM-B2LW4 50-59 years, male 71.9
GTEX-ZVP2-0326-SM-57WBP 50-59 years, male 71.8
GTEX-1F75W-2726-SM-7SB8H 60-69 years, male 71.8
GTEX-ZDYS-2426-SM-4WKGI 50-59 years, male 71.6
GTEX-ZF29-0926-SM-4WKFZ 60-69 years, female 71.3
GTEX-1ICLZ-0326-SM-ARL82 60-69 years, male 71.1
GTEX-1KANA-1326-SM-DIPFA 20-29 years, male 71.0
GTEX-144GM-0526-SM-79OJO 20-29 years, male 70.6
GTEX-1IDJH-0126-SM-D3L92 70-79 years, male 70.5
GTEX-14DAQ-0626-SM-793DS 60-69 years, female 70.4
GTEX-V1D1-2026-SM-3GAF4 50-59 years, male 70.4
GTEX-1JMPZ-0726-SM-CY8HZ 30-39 years, male 70.4
GTEX-145MN-1526-SM-5SI9T 30-39 years, male 70.2
GTEX-1HCU9-0426-SM-9WYSD 20-29 years, male 70.2
GTEX-YEC4-1826-SM-4W1YP 40-49 years, male 70.1
GTEX-ZDTT-0426-SM-4WKFL 60-69 years, male 69.9
GTEX-1LBAC-0826-SM-CY8IJ 20-29 years, male 69.3
GTEX-1RAZR-2126-SM-E9U6T 40-49 years, male 68.7
GTEX-147JS-0226-SM-5S2U9 60-69 years, male 68.6
GTEX-13NYC-0126-SM-5L3F4 60-69 years, male 68.2
GTEX-XXEK-1626-SM-4BRUZ 50-59 years, male 68.0
GTEX-1HCUA-0826-SM-ADEHM 50-59 years, female 68.0
GTEX-1O9I2-0226-SM-EYYXD 50-59 years, male 67.9
GTEX-1122O-1026-SM-9WYSF 60-69 years, female 67.8
GTEX-148VJ-0626-SM-5LUAW 70-79 years, male 67.6
GTEX-17F96-0126-SM-7EWDU 70-79 years, male 67.4
GTEX-ZYW4-0626-SM-59HJR 60-69 years, male 67.4
GTEX-1LVAM-0726-SM-E6CIL 50-59 years, female 67.1
GTEX-1KXAM-1626-SM-D3LAD 60-69 years, male 66.9
GTEX-1F52S-2926-SM-7MKGA 60-69 years, female 66.8
GTEX-1314G-1326-SM-5BC6E 30-39 years, male 66.3
GTEX-1J1OQ-0126-SM-D4P2N 40-49 years, female 66.3
GTEX-16BQI-1326-SM-6M486 30-39 years, female 66.2
GTEX-1JN76-0626-SM-CKZOQ 20-29 years, female 66.2
GTEX-15CHQ-0326-SM-69LQD 60-69 years, male 66.1
GTEX-Y5V5-0126-SM-5S2NW 60-69 years, female 65.9
GTEX-1211K-1526-SM-5FQU4 60-69 years, female 65.7
GTEX-1F75I-2226-SM-7SB8U 40-49 years, male 65.6
GTEX-11ZU8-0126-SM-5EQ58 60-69 years, male 65.5
GTEX-14PK6-0226-SM-62LF5 70-79 years, female 65.5
GTEX-1LG7Z-1626-SM-CXKYR 30-39 years, male 65.4
GTEX-1H1DG-2426-SM-9QEHJ 70-79 years, male 65.3
GTEX-1A3MV-1826-SM-731CD 30-39 years, male 65.0
GTEX-13N11-2326-SM-5IJBF 50-59 years, female 64.9
GTEX-VUSG-2326-SM-4KL1U 50-59 years, male 64.8
GTEX-X8HC-0626-SM-4E3HQ 50-59 years, female 64.6
GTEX-13RTJ-0126-SM-5S2NN 60-69 years, male 64.5
GTEX-1B932-2326-SM-79OL5 40-49 years, female 64.2
GTEX-WXYG-2026-SM-4E3IY 50-59 years, female 63.9
GTEX-ZVE2-2826-SM-5GU51 50-59 years, male 63.9
GTEX-1ICLY-0826-SM-CMKG1 50-59 years, male 63.9
GTEX-15D1Q-2826-SM-6LLH7 40-49 years, male 63.7
GTEX-1ICG6-1226-SM-A9SLN 70-79 years, female 63.6
GTEX-1JN1M-2726-SM-CY8I4 60-69 years, female 63.6
GTEX-16AAH-0626-SM-793C9 50-59 years, male 63.5
GTEX-11EQ9-1626-SM-5PNY8 30-39 years, male 63.3
GTEX-1JJE9-2626-SM-ARZMT 70-79 years, male 63.1
GTEX-13QJC-0126-SM-5ZZWJ 60-69 years, female 62.4
GTEX-13X6I-1826-SM-5SIAO 60-69 years, male 62.4
GTEX-145ME-1726-SM-5Q5EU 40-49 years, female 62.3
GTEX-1HCVE-2726-SM-CL54F 50-59 years, male 62.1
GTEX-1S3DN-2126-SM-E9TIN 50-59 years, male 61.8
GTEX-15FZZ-0526-SM-7KUGD 30-39 years, female 61.7
GTEX-12WSM-1926-SM-5BC65 60-69 years, male 61.5
GTEX-ZAJG-1526-SM-5CVML 50-59 years, female 61.5
GTEX-13PVR-0426-SM-5RQK2 60-69 years, female 61.2
GTEX-15EO6-2426-SM-6PALZ 50-59 years, male 61.2
GTEX-1JMQK-1226-SM-D4P2S 60-69 years, male 60.8
GTEX-1K9T9-1526-SM-DIPFR 50-59 years, female 60.7
GTEX-15EU6-2226-SM-6EU2L 50-59 years, male 60.6
GTEX-14AS3-1526-SM-5Q5ED 40-49 years, female 60.5
GTEX-1CAV2-0126-SM-7IGN7 40-49 years, female 60.4
GTEX-1GMR8-0626-SM-7RHI7 50-59 years, female 60.2
GTEX-13IVO-0726-SM-5LZYV 70-79 years, male 60.1
GTEX-ZZPU-0826-SM-5GZX5 50-59 years, female 59.9
GTEX-14A5H-0826-SM-5QGPJ 60-69 years, male 59.7
GTEX-1PPH7-1126-SM-DTX9A 40-49 years, male 59.7
GTEX-17MF6-2626-SM-79OKQ 40-49 years, male 59.5
GTEX-13OW8-1026-SM-5J1NQ 60-69 years, male 59.4
GTEX-1GTWX-2026-SM-9YFLM 60-69 years, male 59.4
GTEX-1F5PK-2226-SM-7SB6N 50-59 years, male 59.3
GTEX-16NGA-0726-SM-731AO 40-49 years, female 59.1
GTEX-1QP28-1126-SM-EVYC4 50-59 years, female 58.9
GTEX-1LSNM-0826-SM-DIPG8 50-59 years, male 58.7
GTEX-131XG-0326-SM-5L3DX 50-59 years, female 58.6
GTEX-147F3-1726-SM-5SIAW 50-59 years, female 58.6
GTEX-1CB4H-1126-SM-7MKGL 60-69 years, female 58.3
GTEX-11WQK-1026-SM-5EQLX 50-59 years, male 58.0
GTEX-1B996-0426-SM-7EWF8 60-69 years, male 58.0
GTEX-ZPIC-0526-SM-DO91W 40-49 years, female 58.0
GTEX-1J8QM-2426-SM-A9SLS 60-69 years, female 57.8
GTEX-14LLW-2626-SM-62LDZ 70-79 years, female 57.7
GTEX-14PHX-2226-SM-6EU2P 50-59 years, male 57.5
GTEX-WHSB-1326-SM-3LK6W 50-59 years, male 57.2
GTEX-1JKYR-0626-SM-ARL8R 20-29 years, male 57.2
GTEX-145LT-0526-SM-5LUB2 40-49 years, male 57.1
GTEX-11ZTT-2126-SM-5CVLO 60-69 years, female 56.9
GTEX-1IDJD-2326-SM-ACKWX 30-39 years, male 56.6
GTEX-1L5NE-1126-SM-D3L9P 50-59 years, male 56.6
GTEX-1NV5F-0626-SM-DTXEG 60-69 years, female 56.5
GTEX-1H2FU-0926-SM-9WPPT 60-69 years, female 56.3
GTEX-WI4N-2726-SM-3LK7Y 40-49 years, female 56.1
GTEX-1HSGN-0826-SM-ACKW3 40-49 years, female 55.5
GTEX-12C56-1526-SM-5FQUQ 20-29 years, male 55.3
GTEX-12696-0126-SM-5EQ4L 60-69 years, male 55.2
GTEX-1J8Q3-0526-SM-ARL8U 60-69 years, male 55.1
GTEX-1H1E6-0426-SM-9WYUS 30-39 years, male 54.9
GTEX-12WSA-0426-SM-5EQ5X 60-69 years, male 54.7
GTEX-1KANC-1226-SM-CYPT7 50-59 years, female 54.4
GTEX-1JK1U-0226-SM-ARZMX 60-69 years, male 54.3
GTEX-1399R-1326-SM-5PNYS 30-39 years, male 54.2
GTEX-YFCO-1226-SM-5LUAT 40-49 years, male 54.1
GTEX-1497J-0226-SM-5QGPU 60-69 years, male 54.0
GTEX-XPVG-2126-SM-4B667 50-59 years, male 54.0
GTEX-14DAR-1226-SM-73KYV 50-59 years, male 53.8
GTEX-1QCLZ-2426-SM-EVYBW 60-69 years, female 53.8
GTEX-1GPI7-1826-SM-9KNU1 20-29 years, male 53.7
GTEX-14PJ6-2626-SM-6EU2T 60-69 years, female 53.3
GTEX-12WSJ-1126-SM-5LZVJ 40-49 years, female 53.2
GTEX-1399S-0126-SM-5IJCF 30-39 years, female 53.1
GTEX-ZVTK-0226-SM-51MRG 20-29 years, male 53.1
GTEX-1H1DF-1126-SM-9WG7G 40-49 years, female 52.6
GTEX-1HCU7-0726-SM-A9SL1 50-59 years, male 52.6
GTEX-1RLM8-2926-SM-E8VON 50-59 years, male 52.6
GTEX-1GMR2-0826-SM-7PC3V 50-59 years, male 52.4
GTEX-1B8KE-1126-SM-7EPHI 50-59 years, male 52.1
GTEX-133LE-2326-SM-5K7W3 20-29 years, female 51.8
GTEX-14B4R-1326-SM-5Q5EZ 30-39 years, male 51.5
GTEX-1RMOY-1326-SM-E9TIH 50-59 years, male 51.4
GTEX-XBED-1926-SM-47JYP 60-69 years, male 51.3
GTEX-1C475-1326-SM-7SB73 40-49 years, female 51.3
GTEX-14E6E-0526-SM-793DN 30-39 years, male 51.2
GTEX-1J8Q2-2626-SM-ACKWQ 60-69 years, male 51.1
GTEX-11LCK-2226-SM-5HL4Q 30-39 years, male 51.0
GTEX-1HB9E-0126-SM-CM2S5 50-59 years, male 50.8
GTEX-139YR-1026-SM-5LZYN 50-59 years, male 50.7
GTEX-13OVK-1426-SM-6PAN7 40-49 years, male 50.7
GTEX-X3Y1-2026-SM-3P5YM 40-49 years, male 50.2
GTEX-WEY5-2326-SM-3GIKK 40-49 years, female 50.1
GTEX-17HII-1426-SM-7EPGG 50-59 years, male 50.0
GTEX-13FTX-1526-SM-5K7VJ 20-29 years, female 49.9
GTEX-1399U-1126-SM-5L3DB 50-59 years, female 49.8
GTEX-15CHC-1126-SM-6LLHQ 60-69 years, female 49.6
GTEX-XAJ8-1426-SM-47JYM 40-49 years, male 49.5
GTEX-1C2JI-1026-SM-73KY1 50-59 years, male 49.4
GTEX-1H3NZ-2726-SM-9WYTQ 60-69 years, male 49.4
GTEX-1HBPN-0126-SM-CGQEF 50-59 years, male 49.3
GTEX-14PJ5-1526-SM-6LLIL 60-69 years, female 49.0
GTEX-1F6RS-2026-SM-7RHHC 60-69 years, female 48.7
GTEX-131XF-2626-SM-5EQ6K 60-69 years, male 48.4
GTEX-1H3VE-0726-SM-9YFL5 40-49 years, male 48.3
GTEX-111CU-1126-SM-5EGIM 50-59 years, male 48.2
GTEX-12WSK-2126-SM-5CVNC 40-49 years, female 48.2
GTEX-YB5K-2026-SM-4VDT3 40-49 years, female 48.0
GTEX-14C5O-0326-SM-5ZZUX 60-69 years, male 47.8
GTEX-18D9U-0126-SM-731BM 40-49 years, male 47.6
GTEX-1IDJV-0126-SM-COH3Y 60-69 years, male 47.6
GTEX-1R7EU-1626-SM-DTXG3 60-69 years, male 47.5
GTEX-1I6K6-1726-SM-CGQFD 30-39 years, male 47.3
GTEX-ZPCL-1126-SM-4WWFE 60-69 years, female 47.2
GTEX-1HUB1-1426-SM-CGQF5 60-69 years, male 47.1
GTEX-1MCC2-1826-SM-DIPEX 30-39 years, female 47.1
GTEX-1J1R8-2026-SM-CL53Y 40-49 years, male 46.8
GTEX-1QP2A-1726-SM-E76QC 50-59 years, male 46.8
GTEX-1R46S-2426-SM-E76QA 60-69 years, female 46.7
GTEX-17F98-1326-SM-7DUEP 40-49 years, female 46.5
GTEX-1JJ6O-2726-SM-CNPOG 60-69 years, male 46.3
GTEX-1LVAO-2726-SM-E9TJ8 60-69 years, male 45.9
GTEX-1S82P-2126-SM-E6CI5 60-69 years, female 45.8
GTEX-1K2DU-1226-SM-CYPT4 20-29 years, male 45.4
GTEX-1HSMO-0626-SM-ACKXC 60-69 years, male 44.7
GTEX-1117F-2926-SM-5GZYI 60-69 years, female 44.4
GTEX-ZAB4-2126-SM-5HL8U 40-49 years, male 44.4
GTEX-13N2G-0226-SM-5K7VF 60-69 years, male 44.1
GTEX-1LGOU-1326-SM-D3L8M 20-29 years, female 44.0
GTEX-14PJ4-0226-SM-5YY92 60-69 years, male 43.7
GTEX-1I1GT-1026-SM-ARZLV 60-69 years, female 43.7
GTEX-ZYY3-2926-SM-5GIEB 60-69 years, female 43.6
GTEX-1JMOU-1026-SM-CYPSS 60-69 years, female 43.6
GTEX-14PJN-1826-SM-6AJ98 30-39 years, male 43.4
GTEX-1K2DA-1026-SM-CGQGF 50-59 years, male 43.4
GTEX-14C39-1726-SM-5RQIL 40-49 years, male 43.3
GTEX-132AR-0326-SM-5KM2C 50-59 years, female 42.9
GTEX-WFG8-2126-SM-3GIKQ 20-29 years, male 42.3
GTEX-13OVJ-0826-SM-5J1OK 50-59 years, female 42.2
GTEX-ZLV1-1526-SM-DO91J 60-69 years, female 41.9
GTEX-ZP4G-1426-SM-4WWCL 20-29 years, female 41.7
GTEX-13NYS-0626-SM-5L3F1 60-69 years, male 41.6
GTEX-X5EB-1926-SM-4E3IW 40-49 years, male 41.6
GTEX-13W3W-0726-SM-5IJDQ 60-69 years, female 41.4
GTEX-1KWVE-1026-SM-D3L9O 30-39 years, male 40.7
GTEX-ZYFG-1526-SM-5GZYM 60-69 years, female 39.4
GTEX-13VXT-1926-SM-5K7UO 20-29 years, female 39.3
GTEX-ZVZP-1226-SM-5GID7 50-59 years, male 39.1
GTEX-11VI4-1126-SM-5EQMD 40-49 years, female 39.0
GTEX-1H1ZS-2726-SM-9WG75 70-79 years, male 38.8
GTEX-1HKZK-0726-SM-ACKW2 40-49 years, male 38.8
GTEX-ZLWG-0826-SM-59888 50-59 years, female 38.6
GTEX-X4EP-0626-SM-3P621 60-69 years, female 38.4
GTEX-1R9PN-0426-SM-DTXDT 40-49 years, female 38.3
GTEX-1JKYN-0826-SM-ARU8S 30-39 years, male 37.8
GTEX-12BJ1-0926-SM-5EQ62 60-69 years, male 37.7
GTEX-1F88E-1626-SM-7SB8Z 60-69 years, female 37.7
GTEX-Y8LW-1526-SM-5IFHL 50-59 years, female 37.6
GTEX-13FTW-0326-SM-5K7UW 40-49 years, male 37.5
GTEX-13OVG-1626-SM-5J1NF 60-69 years, male 37.5
GTEX-13FH7-1126-SM-5K7UG 50-59 years, female 37.3
GTEX-1GL5R-1326-SM-7RHHF 50-59 years, male 36.0
GTEX-1H23P-0626-SM-9WG6T 60-69 years, male 35.9
GTEX-1LVAN-0626-SM-CNPOQ 50-59 years, female 35.9
GTEX-14PKU-0126-SM-6LLHV 40-49 years, female 35.8
GTEX-13OVH-0526-SM-5L3E6 70-79 years, male 35.6
GTEX-XV7Q-1826-SM-4BRUV 40-49 years, female 35.2
GTEX-1HFI7-2326-SM-CGQFS 50-59 years, female 35.1
GTEX-16MTA-0926-SM-6M47Z 50-59 years, male 34.9
GTEX-1AMFI-1326-SM-7939R 50-59 years, female 34.8
GTEX-139T8-0626-SM-5KLZX 60-69 years, male 34.5
GTEX-U8XE-0226-SM-4E3J3 30-39 years, male 34.4
GTEX-1I1GU-0926-SM-ACKVS 40-49 years, male 34.4
GTEX-18D9B-0926-SM-7LG4U 60-69 years, male 33.9
GTEX-ZA64-1026-SM-5HL8R 20-29 years, male 33.5
GTEX-1IDJU-1726-SM-CMKHU 60-69 years, female 33.2
GTEX-1GZ4H-0526-SM-9KNU9 50-59 years, female 33.0
GTEX-117YX-1926-SM-5GIEC 50-59 years, male 32.5
GTEX-12WSL-2026-SM-5GCML 50-59 years, male 32.2
GTEX-XQ8I-0926-SM-4BOOF 50-59 years, male 32.2
GTEX-1LKK1-2626-SM-DKPQE 50-59 years, female 32.1
GTEX-1477Z-0326-SM-7IGLA 60-69 years, male 31.8
GTEX-1LGRB-0926-SM-COH3K 50-59 years, female 31.8
GTEX-1CB4J-1326-SM-7P8RX 60-69 years, male 31.6
GTEX-1JMQL-2226-SM-CNPP4 50-59 years, female 31.5
GTEX-ZGAY-1826-SM-DO91Q 40-49 years, female 31.5
GTEX-13X6H-0926-SM-5SIB2 50-59 years, female 31.3
GTEX-11DZ1-2426-SM-5GZZX 50-59 years, male 30.9
GTEX-11EM3-1226-SM-5N9DD 20-29 years, female 30.6
GTEX-XUW1-0926-SM-4BONX 50-59 years, female 30.5
GTEX-16XZZ-0726-SM-7KUF2 60-69 years, male 30.4
GTEX-ZLFU-1826-SM-4WWBV 40-49 years, male 30.4
GTEX-1IDJI-0126-SM-CMKHS 50-59 years, female 29.5
GTEX-14C38-0726-SM-5SI6M 50-59 years, male 29.3
GTEX-1QPFJ-1926-SM-EVYBD 30-39 years, female 29.0
GTEX-1A3MW-0626-SM-731CB 60-69 years, female 28.9
GTEX-ZVT2-0126-SM-5GIDQ 50-59 years, female 27.9
GTEX-13O61-1426-SM-5KM3D 60-69 years, male 27.7
GTEX-15G1A-1626-SM-7KUKN 30-39 years, male 26.7
GTEX-1F48J-0726-SM-7RHGS 50-59 years, female 26.7
GTEX-14BMU-1226-SM-5S2OR 20-29 years, female 26.3
GTEX-1QP29-1826-SM-DTX9S 50-59 years, male 26.2
GTEX-ZTSS-1426-SM-5985P 40-49 years, male 25.7
GTEX-1I4MK-0126-SM-CY8G6 50-59 years, female 25.4
GTEX-14E6C-2426-SM-5S2NF 40-49 years, male 24.1
GTEX-13113-1626-SM-5EQ4I 60-69 years, female 21.8
GTEX-1AMEY-0826-SM-72D65 30-39 years, female 21.2
GTEX-1A3MX-2626-SM-7PC24 60-69 years, male 20.2
GTEX-Y5LM-0926-SM-6LLJG 40-49 years, female 19.1
GTEX-13QBU-1226-SM-5LU4G 40-49 years, female 18.4
GTEX-14XAO-1226-SM-6EU1C 60-69 years, female 17.7
GTEX-1HBPM-0726-SM-9YFL7 60-69 years, female 15.2
Show allShow less
Skin - Sun Exposed (Lower leg)
Average nTPM: 79.4
Samples: 701

Max nTPM: 272.8
Min nTPM: 8.8
Std nTPM: 42.9
Median nTPM: 69.5
GTEX-T6MN-0126-SM-32PLP 50-59 years, male 272.8
GTEX-13FXS-0226-SM-5IJCK 50-59 years, male 255.0
GTEX-PX3G-0126-SM-2I3EN 20-29 years, female 249.9
GTEX-1EMGI-0126-SM-9KNUE 60-69 years, male 243.6
GTEX-11DYG-0126-SM-59883 60-69 years, male 235.3
GTEX-13FHP-0126-SM-5IJBG 50-59 years, male 220.1
GTEX-OIZG-0726-SM-33HBL 50-59 years, male 217.6
GTEX-17JCI-0126-SM-7LG5G 60-69 years, female 215.1
GTEX-Y3IK-2426-SM-4WWDU 50-59 years, female 214.4
GTEX-139UW-2826-SM-5L3E7 60-69 years, male 201.0
GTEX-POMQ-2226-SM-2I5FK 20-29 years, female 197.6
GTEX-1PIIG-0226-SM-EWRN6 30-39 years, male 196.7
GTEX-12126-0326-SM-5PNW3 20-29 years, male 193.3
GTEX-Y8DK-0126-SM-4TT3L 60-69 years, male 191.7
GTEX-1H1CY-2826-SM-9MQM3 60-69 years, female 189.8
GTEX-1I1GV-0526-SM-A9G29 60-69 years, male 189.8
GTEX-X88G-0126-SM-47JZ3 30-39 years, male 187.8
GTEX-YJ89-0126-SM-4TT3X 60-69 years, male 187.4
GTEX-1EWIQ-0126-SM-7RHH2 70-79 years, female 181.4
GTEX-139TS-2826-SM-5J1OO 60-69 years, male 174.4
GTEX-1HR98-0126-SM-B2LWI 60-69 years, male 173.7
GTEX-1CB4F-0426-SM-9KNV4 60-69 years, male 171.8
GTEX-1CAV2-2226-SM-7P8P2 40-49 years, female 169.2
GTEX-S7SE-0126-SM-2XCD5 50-59 years, male 168.9
GTEX-1JJEA-0326-SM-CNPOT 60-69 years, male 167.5
GTEX-15ER7-0326-SM-7KUEV 20-29 years, female 166.9
GTEX-14E6D-0126-SM-62LDV 50-59 years, male 164.2
GTEX-1313W-0126-SM-5LZUN 50-59 years, female 163.9
GTEX-1BAJH-0526-SM-793CQ 70-79 years, male 163.1
GTEX-1MJK2-0426-SM-DTXE5 50-59 years, male 162.3
GTEX-1JMLX-0226-SM-CM2RO 50-59 years, male 162.2
GTEX-1IDJH-0326-SM-A9SLQ 70-79 years, male 162.0
GTEX-13111-1626-SM-5EGJY 50-59 years, male 161.9
GTEX-18A6Q-0126-SM-731BZ 60-69 years, male 160.8
GTEX-13NYB-2526-SM-5K7Z6 40-49 years, male 159.8
GTEX-15SB6-1726-SM-6PAME 50-59 years, female 159.4
GTEX-13CF2-2526-SM-5LZYX 60-69 years, male 157.1
GTEX-1R9PM-2026-SM-E76OY 20-29 years, male 157.0
GTEX-S33H-1026-SM-EZ6L6 30-39 years, male 156.7
GTEX-1LB8K-0226-SM-EWRNW 50-59 years, male 155.4
GTEX-1GMRU-0126-SM-9YFLV 50-59 years, male 155.1
GTEX-14PII-0226-SM-6EU1T 60-69 years, male 154.9
GTEX-12WSE-0526-SM-793B2 20-29 years, male 153.9
GTEX-ZYFD-0126-SM-5GIDL 50-59 years, male 153.9
GTEX-1GZHY-0326-SM-9QEHI 50-59 years, female 153.8
GTEX-17EVP-0326-SM-7DHLG 40-49 years, male 153.6
GTEX-OIZH-0126-SM-2HMIS 50-59 years, male 153.3
GTEX-ZE9C-2726-SM-57WB5 60-69 years, male 152.9
GTEX-ZAK1-0126-SM-5IJD3 50-59 years, female 151.7
GTEX-ZTX8-1426-SM-5DUVO 20-29 years, male 151.6
GTEX-ZVZO-0126-SM-5A5L9 40-49 years, male 149.7
GTEX-1J8EW-0126-SM-CJI4F 60-69 years, female 149.5
GTEX-17HG3-2226-SM-7938L 30-39 years, female 148.9
GTEX-1B8SF-1426-SM-7DUGL 60-69 years, male 147.9
GTEX-QEG4-0226-SM-2S1PY 30-39 years, male 146.7
GTEX-1JN6P-0126-SM-D3L98 60-69 years, male 146.4
GTEX-1QAET-0926-SM-E76QM 50-59 years, male 145.9
GTEX-1OJC3-0126-SM-E76QX 20-29 years, male 144.3
GTEX-111FC-0126-SM-5N9DL 60-69 years, male 143.6
GTEX-12ZZX-0126-SM-5EGK9 40-49 years, female 143.1
GTEX-13OW6-0426-SM-5L3HM 50-59 years, male 143.1
GTEX-1IKK5-0626-SM-ARL8A 60-69 years, male 142.9
GTEX-131XH-2226-SM-5DUXJ 50-59 years, male 142.4
GTEX-1GF9V-0326-SM-7RHI5 60-69 years, male 142.4
GTEX-TML8-1926-SM-32QOS 40-49 years, female 142.1
GTEX-144GL-0126-SM-5TDE2 50-59 years, male 141.3
GTEX-15DDE-0126-SM-6LPKH 50-59 years, female 141.1
GTEX-1C64N-0126-SM-793D7 50-59 years, male 140.8
GTEX-1HT8W-0126-SM-CNPPP 30-39 years, male 140.5
GTEX-S7PM-0126-SM-4AD6S 60-69 years, male 140.2
GTEX-1LG7Z-1726-SM-D3LA4 30-39 years, male 139.9
GTEX-13X6J-0126-SM-5QGOU 50-59 years, male 139.6
GTEX-117XS-2726-SM-5N9BL 60-69 years, male 139.3
GTEX-1HFI6-0226-SM-ADEHZ 40-49 years, male 139.2
GTEX-11DXZ-2326-SM-5EGGV 50-59 years, male 138.4
GTEX-14JG1-0426-SM-6ETZZ 40-49 years, male 138.3
GTEX-ZDTS-0126-SM-4WAY5 60-69 years, male 137.7
GTEX-1N2DW-0226-SM-E9TK2 50-59 years, male 137.2
GTEX-RVPV-0126-SM-EAZAW 60-69 years, male 137.2
GTEX-11OF3-2626-SM-5GU7F 60-69 years, male 135.2
GTEX-1EX96-1626-SM-7PBXR 50-59 years, male 135.1
GTEX-1HCU6-0126-SM-CL54K 60-69 years, female 134.0
GTEX-131YS-0126-SM-5KM1M 60-69 years, female 133.9
GTEX-1269C-2526-SM-5EGJ3 60-69 years, female 133.6
GTEX-16GPK-0126-SM-7DHLE 60-69 years, male 133.6
GTEX-ZF2S-2326-SM-4WWCE 50-59 years, female 133.5
GTEX-1CB4G-0226-SM-7PC3O 60-69 years, male 132.6
GTEX-13SLX-0526-SM-5S2ON 50-59 years, female 132.4
GTEX-17HHY-0126-SM-7LG5D 50-59 years, male 131.6
GTEX-1J8JJ-0226-SM-CL53I 60-69 years, female 131.0
GTEX-T5JC-0426-SM-32PLO 20-29 years, male 130.6
GTEX-1IOXB-0126-SM-ARL8G 50-59 years, male 130.6
GTEX-1212Z-2526-SM-5EGKP 60-69 years, male 130.1
GTEX-14BMV-0126-SM-5S2PO 50-59 years, male 129.7
GTEX-1F5PL-0326-SM-7P8PQ 40-49 years, female 129.3
GTEX-ZYFC-0226-SM-5NQ75 50-59 years, male 129.0
GTEX-1LBAC-0126-SM-DIPEZ 20-29 years, male 128.3
GTEX-13G51-2526-SM-5LZYK 60-69 years, male 127.1
GTEX-14PJM-0226-SM-62LF1 50-59 years, female 126.8
GTEX-O5YT-0126-SM-48TBW 20-29 years, male 126.7
GTEX-U412-0426-SM-3DB9O 60-69 years, male 126.7
GTEX-139TU-0126-SM-5K7WH 60-69 years, male 126.4
GTEX-1C6VR-2426-SM-79OLD 60-69 years, male 126.0
GTEX-PVOW-0126-SM-2XCFA 40-49 years, male 125.8
GTEX-145MF-0626-SM-5LUAI 50-59 years, male 125.2
GTEX-1HSKV-0226-SM-A9SKJ 60-69 years, male 124.9
GTEX-13OW5-0126-SM-DTXFS 60-69 years, male 124.6
GTEX-131XW-0426-SM-5LZWP 50-59 years, female 124.2
GTEX-1F75A-0126-SM-7RHGM 50-59 years, male 123.5
GTEX-VJYA-1126-SM-3GIJU 60-69 years, male 123.1
GTEX-ZVTK-0426-SM-51MRS 20-29 years, male 122.8
GTEX-13OVK-2026-SM-7KUEO 40-49 years, male 122.3
GTEX-XYKS-2126-SM-4E3IB 60-69 years, female 122.0
GTEX-ZVT4-0126-SM-DTXFN 50-59 years, female 121.9
GTEX-1B8KZ-2026-SM-7DHMB 50-59 years, male 121.8
GTEX-11DXW-0226-SM-5H122 40-49 years, male 121.3
GTEX-1M5QR-1226-SM-EWROB 40-49 years, male 121.2
GTEX-1QMI2-0226-SM-EVYBX 60-69 years, male 121.2
GTEX-SIU8-0126-SM-2XCDT 50-59 years, male 120.1
GTEX-ZF3C-0126-SM-DO92D 50-59 years, female 120.0
GTEX-ZYT6-0226-SM-5NQ6T 30-39 years, male 119.9
GTEX-13VXU-0126-SM-5SI9F 50-59 years, male 119.1
GTEX-1I1GQ-0126-SM-COH3H 50-59 years, male 119.0
GTEX-1399R-2726-SM-5IJBA 30-39 years, male 118.9
GTEX-ZV68-0126-SM-59HKS 50-59 years, female 118.5
GTEX-1KD4Q-0226-SM-E9TJ9 40-49 years, male 117.7
GTEX-1F6IF-0726-SM-7P8TW 60-69 years, male 117.3
GTEX-T2IS-0126-SM-4DM6O 20-29 years, female 117.0
GTEX-12ZZY-0226-SM-5LZVE 60-69 years, male 116.9
GTEX-1F75B-0126-SM-9KNVL 50-59 years, male 116.6
GTEX-1IKOH-0226-SM-COH4E 60-69 years, female 116.6
GTEX-Y111-0126-SM-4SOIV 50-59 years, male 116.4
GTEX-13112-2826-SM-5DUWH 50-59 years, male 116.0
GTEX-1F7RK-0126-SM-7PC2S 20-29 years, female 115.8
GTEX-Z93S-0126-SM-5HL7M 50-59 years, male 115.7
GTEX-XQ3S-1526-SM-4BOOC 20-29 years, male 115.5
GTEX-UPJH-0326-SM-3GADU 50-59 years, male 115.2
GTEX-1GF9W-0326-SM-9KNUN 60-69 years, male 115.2
GTEX-1GN2E-0426-SM-9MQKX 60-69 years, male 115.1
GTEX-18A7A-0226-SM-718BH 50-59 years, female 114.6
GTEX-11TUW-2726-SM-E9J4M 60-69 years, male 114.1
GTEX-1I1GR-0126-SM-CL55F 60-69 years, male 113.0
GTEX-1IKJJ-0126-SM-CNPQB 60-69 years, male 112.3
GTEX-13OVL-0226-SM-5L3E9 50-59 years, male 112.1
GTEX-1GMR3-1926-SM-9KNUZ 40-49 years, male 111.6
GTEX-1PDJ9-0326-SM-DTX95 20-29 years, male 110.9
GTEX-1H4P4-0726-SM-9YFLR 50-59 years, male 110.6
GTEX-1B8L1-2526-SM-9WYTF 60-69 years, male 110.2
GTEX-11XUK-2026-SM-5EQLF 40-49 years, female 109.4
GTEX-1KAFJ-2026-SM-CY8ID 50-59 years, male 109.4
GTEX-13JUV-2726-SM-5LZZ8 40-49 years, female 109.3
GTEX-1B8SG-0126-SM-73KZ3 50-59 years, male 109.0
GTEX-WFON-2126-SM-3LK7O 40-49 years, male 108.7
GTEX-1F6I4-0126-SM-9MQL2 60-69 years, male 108.7
GTEX-1B933-0126-SM-7PC29 50-59 years, female 108.4
GTEX-1GZ2Q-0226-SM-7P8TL 40-49 years, male 108.2
GTEX-18D9A-1926-SM-7LG6P 30-39 years, female 108.1
GTEX-1C475-1826-SM-73KWA 40-49 years, female 108.0
GTEX-12ZZZ-0626-SM-5DUXI 60-69 years, male 107.5
GTEX-1HBPI-1526-SM-C1YQ1 50-59 years, male 106.8
GTEX-11UD2-0226-SM-5EQKY 50-59 years, male 106.7
GTEX-145LS-0126-SM-5QGP1 60-69 years, female 106.7
GTEX-1GN73-0226-SM-9WG67 60-69 years, male 106.5
GTEX-1IGQW-0126-SM-COH42 60-69 years, male 106.0
GTEX-1A32A-0126-SM-718B1 50-59 years, female 105.9
GTEX-WVJS-0126-SM-4MVOT 50-59 years, male 105.6
GTEX-WYVS-2126-SM-3NMA3 40-49 years, female 105.5
GTEX-PSDG-0226-SM-DKPOZ 50-59 years, male 105.2
GTEX-Y8E4-0626-SM-4WWDL 40-49 years, male 105.0
GTEX-1R9K4-0126-SM-DTX9X 60-69 years, male 104.8
GTEX-1399T-2826-SM-5KLYZ 60-69 years, male 104.4
GTEX-1KANB-0526-SM-E6CJH 50-59 years, male 104.3
GTEX-RWSA-0126-SM-2XCBB 40-49 years, male 104.0
GTEX-14LZ3-0226-SM-62LET 60-69 years, female 103.6
GTEX-12KS4-0326-SM-5EQ41 30-39 years, male 103.3
GTEX-145LU-0126-SM-5TDCB 50-59 years, male 103.1
GTEX-U8XE-0326-SM-3DB8P 30-39 years, male 103.1
GTEX-W5X1-3026-SM-EAZAX 40-49 years, female 102.9
GTEX-117YW-2626-SM-5GZZH 50-59 years, male 102.2
GTEX-P4QT-0126-SM-2I3FL 50-59 years, female 102.1
GTEX-17HII-0226-SM-7LG4E 50-59 years, male 101.4
GTEX-1F88F-2726-SM-7PBZZ 60-69 years, female 101.4
GTEX-1KANC-1526-SM-D3LAB 50-59 years, female 101.1
GTEX-13S7M-0126-SM-5SI6A 60-69 years, female 101.0
GTEX-1RDX4-0126-SM-E9J4P 50-59 years, female 100.6
GTEX-13O21-1426-SM-5K7XI 50-59 years, male 100.3
GTEX-1JMQI-2226-SM-CM2SD 50-59 years, male 100.3
GTEX-14BIN-0626-SM-793DP 50-59 years, female 100.2
GTEX-OOBK-0126-SM-2YUND 40-49 years, male 99.9
GTEX-11UD1-0126-SM-5PNYG 40-49 years, female 99.7
GTEX-QESD-1426-SM-2S1R9 20-29 years, male 99.6
GTEX-1POEN-0126-SM-EYYXJ 30-39 years, female 98.8
GTEX-11GS4-2726-SM-5A5LE 60-69 years, male 98.7
GTEX-YFC4-0126-SM-5CVLY 40-49 years, female 98.7
GTEX-1EU9M-0226-SM-7P8SP 60-69 years, male 98.5
GTEX-OXRN-0126-SM-48TDM 50-59 years, male 98.3
GTEX-132NY-0326-SM-5IJBL 60-69 years, male 98.0
GTEX-15DYW-0126-SM-7KULE 60-69 years, female 97.9
GTEX-11ZTS-0126-SM-5EQ6M 60-69 years, female 97.8
GTEX-1CB4E-2226-SM-793DC 60-69 years, male 97.7
GTEX-1RQEC-0426-SM-E6CHU 60-69 years, male 97.6
GTEX-145ME-1826-SM-5SI9G 40-49 years, female 97.4
GTEX-11O72-0126-SM-59887 40-49 years, male 97.1
GTEX-14A5I-0126-SM-5TDEA 50-59 years, female 97.1
GTEX-113JC-2326-SM-5EQ4E 50-59 years, female 96.9
GTEX-1HCU8-0626-SM-A9SM9 60-69 years, female 96.8
GTEX-13FHO-0226-SM-5IFGY 60-69 years, male 96.7
GTEX-OOBJ-0126-SM-E6CJW 60-69 years, male 96.7
GTEX-1JMQJ-0526-SM-CYPSU 50-59 years, male 96.3
GTEX-Y114-2426-SM-4TT8A 50-59 years, female 96.2
GTEX-SJXC-0126-SM-2XCFF 60-69 years, male 96.0
GTEX-11GSP-2526-SM-5N9BP 60-69 years, female 95.7
GTEX-WZTO-0126-SM-3NM95 40-49 years, male 95.7
GTEX-1KXAM-2226-SM-CYPTC 60-69 years, male 95.2
GTEX-TMZS-0126-SM-3DB9Q 60-69 years, male 94.9
GTEX-11EI6-0126-SM-5985R 60-69 years, male 94.7
GTEX-1EKGG-0226-SM-9WYTH 60-69 years, male 94.1
GTEX-1IL2U-0226-SM-CE6T8 60-69 years, male 94.1
GTEX-1399U-2326-SM-5K7WY 50-59 years, female 93.9
GTEX-QV44-1926-SM-2S1RF 50-59 years, male 93.8
GTEX-1LG7Y-0526-SM-DKPQC 50-59 years, male 93.4
GTEX-11NUK-0126-SM-5A5L3 50-59 years, male 92.6
GTEX-13O3Q-2426-SM-5IJBR 50-59 years, male 92.4
GTEX-X4XX-0126-SM-3NMC2 60-69 years, male 92.0
GTEX-1QP9N-1426-SM-DTXFL 30-39 years, male 91.8
GTEX-RNOR-0126-SM-E9J4R 50-59 years, female 91.6
GTEX-1GN1U-0126-SM-7PBZK 50-59 years, female 91.5
GTEX-12WSC-0126-SM-5EQ4P 50-59 years, male 91.4
GTEX-18465-0126-SM-731BN 50-59 years, male 91.4
GTEX-13YAN-0326-SM-5O9DF 60-69 years, male 91.0
GTEX-TKQ1-1026-SM-4GICL 30-39 years, male 90.8
GTEX-13U4I-0126-SM-5LU38 40-49 years, female 90.7
GTEX-1HCUA-2426-SM-ADEIS 50-59 years, female 90.7
GTEX-ZQUD-1426-SM-57WER 30-39 years, male 90.5
GTEX-1HGF4-2426-SM-ACKXM 60-69 years, male 90.4
GTEX-U3ZH-2026-SM-3DB78 30-39 years, male 90.3
GTEX-16YQH-0126-SM-7DUFJ 30-39 years, male 90.2
GTEX-X4EO-0326-SM-3P5YO 60-69 years, female 89.9
GTEX-1I19N-0326-SM-ACKVX 70-79 years, male 89.7
GTEX-QDVJ-1726-SM-2I5FX 50-59 years, male 89.3
GTEX-S32W-2126-SM-2XCB1 50-59 years, female 88.9
GTEX-Y5V6-2426-SM-4VDSB 60-69 years, male 88.8
GTEX-ZC5H-0226-SM-4WAY9 40-49 years, female 88.5
GTEX-13FTW-2626-SM-5K7WL 40-49 years, male 88.4
GTEX-12WSD-0126-SM-59HKN 60-69 years, female 88.3
GTEX-11WQC-2526-SM-5CVLE 60-69 years, male 88.1
GTEX-ZWKS-0126-SM-5SIAA 30-39 years, male 88.1
GTEX-RN64-0126-SM-2TC68 50-59 years, male 87.9
GTEX-1H3VE-0326-SM-9YFLH 40-49 years, male 87.2
GTEX-1IL2V-0126-SM-CM2TX 70-79 years, male 87.1
GTEX-145MO-0326-SM-5Q5B3 60-69 years, male 87.0
GTEX-QLQW-1126-SM-2S1Q8 30-39 years, male 87.0
GTEX-QVJO-1626-SM-2S1QW 60-69 years, female 86.8
GTEX-15F5U-1526-SM-6PANO 40-49 years, male 86.5
GTEX-16NPX-0226-SM-79OMT 50-59 years, male 86.5
GTEX-UJHI-1526-SM-3DB99 50-59 years, female 86.2
GTEX-Y5V5-2326-SM-4V6GA 60-69 years, female 86.1
GTEX-1AX9I-0126-SM-7SB74 60-69 years, male 85.9
GTEX-1H11D-0226-SM-9WG6Z 40-49 years, male 85.9
GTEX-XUYS-0126-SM-47JWZ 50-59 years, male 85.6
GTEX-14753-0426-SM-5NQAM 60-69 years, male 85.3
GTEX-131XE-2326-SM-5PNZ2 50-59 years, male 85.2
GTEX-1H3O1-0426-SM-9YFKY 60-69 years, male 84.4
GTEX-1AYD5-2426-SM-73KXR 50-59 years, male 84.2
GTEX-12WSG-2826-SM-E9J4H 50-59 years, female 84.1
GTEX-1122O-2126-SM-5EGIR 60-69 years, female 83.9
GTEX-1N2EF-0226-SM-EYYXB 60-69 years, male 83.7
GTEX-1ICLZ-0126-SM-CKZPO 60-69 years, male 83.6
GTEX-1QEPI-0126-SM-EWRMQ 60-69 years, female 83.5
GTEX-1IDJF-0126-SM-CM2RS 20-29 years, male 83.2
GTEX-QCQG-1726-SM-3GIJ9 50-59 years, female 82.9
GTEX-ZU9S-0226-SM-5E441 30-39 years, male 82.9
GTEX-1OFPY-2426-SM-DTXEJ 60-69 years, male 82.9
GTEX-147F4-0226-SM-5QGPW 50-59 years, male 82.7
GTEX-1C6WA-0126-SM-7PC2B 60-69 years, male 82.7
GTEX-1M4P7-0226-SM-DIPEV 60-69 years, male 82.6
GTEX-WH7G-2326-SM-3NMBC 40-49 years, male 81.7
GTEX-15DCD-0126-SM-7KUEK 70-79 years, female 81.6
GTEX-1I1GP-2226-SM-CGQFK 50-59 years, male 81.5
GTEX-1GF9X-2026-SM-7PC3A 40-49 years, female 81.4
GTEX-1HSGN-0226-SM-CGQFV 40-49 years, female 81.4
GTEX-17F98-0626-SM-79OMX 40-49 years, female 81.3
GTEX-ZVT3-0126-SM-5GU6I 60-69 years, female 81.0
GTEX-14A5H-0426-SM-5QGQF 60-69 years, male 80.8
GTEX-1ICG6-2526-SM-CGQFZ 70-79 years, female 80.3
GTEX-XMD2-0126-SM-4YCDU 60-69 years, female 79.7
GTEX-1CAMR-1926-SM-7EPI2 20-29 years, male 79.6
GTEX-X8HC-0126-SM-4E3JW 50-59 years, female 79.6
GTEX-1S83E-0126-SM-EWRO4 40-49 years, male 79.5
GTEX-14ABY-0226-SM-5TDCQ 50-59 years, male 79.2
GTEX-W5WG-1826-SM-4KL2Y 50-59 years, female 79.1
GTEX-ZGAY-0526-SM-4WWBB 40-49 years, female 79.1
GTEX-11P81-2326-SM-59875 30-39 years, female 78.9
GTEX-17MFQ-1726-SM-793C7 20-29 years, male 78.0
GTEX-U8T8-0126-SM-3DB94 60-69 years, male 77.8
GTEX-1HB9E-0226-SM-E9U4R 50-59 years, male 77.8
GTEX-13NYC-0326-SM-E9J4S 60-69 years, male 77.4
GTEX-13O3P-0126-SM-5KM4S 50-59 years, male 77.0
GTEX-1CB4I-0226-SM-79OLH 50-59 years, male 76.8
GTEX-1JMPY-1326-SM-ARL8Y 30-39 years, male 76.3
GTEX-1PIGE-0126-SM-EVYBJ 20-29 years, male 76.2
GTEX-17KNJ-2326-SM-7DHLQ 50-59 years, male 75.9
GTEX-1E1VI-0126-SM-7DHMZ 50-59 years, male 75.8
GTEX-131XF-5016-SM-7MGWE 60-69 years, male 75.8
GTEX-OXRO-0126-SM-2YUN4 60-69 years, female 75.6
GTEX-ZDXO-3026-SM-5J1N5 60-69 years, male 75.4
GTEX-Z93T-0126-SM-5HL5N 50-59 years, male 75.3
GTEX-ZTSS-1926-SM-57WEW 40-49 years, male 75.0
GTEX-15G19-0126-SM-6PANQ 60-69 years, male 74.8
GTEX-14DAQ-0126-SM-5S2MQ 60-69 years, female 74.7
GTEX-WYJK-0126-SM-3NMAB 50-59 years, male 74.7
GTEX-T5JW-1626-SM-3GADZ 20-29 years, female 74.6
GTEX-NFK9-0226-SM-2HMKQ 40-49 years, male 74.4
GTEX-144FL-0126-SM-5TDC8 50-59 years, male 74.2
GTEX-1LGOU-2026-SM-DIPFF 20-29 years, female 74.2
GTEX-13O3O-0126-SM-E9J49 60-69 years, female 74.1
GTEX-13PDP-0126-SM-5L3HD 60-69 years, male 74.0
GTEX-PW2O-1526-SM-7RHHB 20-29 years, male 74.0
GTEX-1CB4H-0226-SM-7PBXM 60-69 years, female 73.8
GTEX-13OW8-1326-SM-5J1OW 60-69 years, male 73.7
GTEX-T2YK-0526-SM-32QPJ 50-59 years, male 73.5
GTEX-1CAMS-0426-SM-7P8T2 40-49 years, female 73.5
GTEX-1314G-1526-SM-5EGK2 30-39 years, male 73.3
GTEX-ZZ64-1726-SM-5GZYB 20-29 years, male 73.3
GTEX-183FY-0126-SM-7LT9P 20-29 years, male 73.2
GTEX-1L5NE-2526-SM-E6CIE 50-59 years, male 73.2
GTEX-Q2AG-0126-SM-33HBV 40-49 years, female 73.0
GTEX-OXRP-0126-SM-3NB32 60-69 years, female 72.9
GTEX-1A3MV-1926-SM-718BT 30-39 years, male 72.8
GTEX-1MA7X-2226-SM-E6CIY 60-69 years, male 72.7
GTEX-YB5K-2126-SM-4WWDJ 40-49 years, female 72.4
GTEX-13OW7-0126-SM-5MR3B 50-59 years, male 72.3
GTEX-1GPI6-0126-SM-9WG69 60-69 years, male 71.9
GTEX-1F6RS-0126-SM-9MQKZ 60-69 years, female 71.7
GTEX-13NZ8-0826-SM-5MR3I 60-69 years, female 71.3
GTEX-1IY9M-0126-SM-D3L8S 60-69 years, male 71.3
GTEX-13FTY-0526-SM-5L3EV 40-49 years, female 71.2
GTEX-15CHC-2126-SM-6EU21 60-69 years, female 71.2
GTEX-147F3-0526-SM-5SI98 50-59 years, female 71.0
GTEX-R55E-0126-SM-2TC5Y 20-29 years, male 70.9
GTEX-Z9EW-1626-SM-5CVMN 40-49 years, male 70.9
GTEX-1O97I-0326-SM-EYYX7 60-69 years, male 70.9
GTEX-139TT-0126-SM-5K7Y5 60-69 years, male 70.8
GTEX-1KANA-0726-SM-D3L9I 20-29 years, male 70.7
GTEX-12696-2426-SM-5EQ6H 60-69 years, male 70.0
GTEX-SUCS-1926-SM-32PM3 70-79 years, male 70.0
GTEX-R3RS-0126-SM-3GIJL 40-49 years, female 69.8
GTEX-ZXG5-0126-SM-5GIEU 60-69 years, male 69.7
GTEX-13PVR-2326-SM-5QGR1 60-69 years, female 69.6
GTEX-13NZA-0226-SM-5K7Z7 60-69 years, male 69.5
GTEX-17HHE-2026-SM-79OKF 50-59 years, male 69.5
GTEX-1IDFM-0126-SM-COH2V 60-69 years, male 69.5
GTEX-1PBJI-0526-SM-E8VNK 20-29 years, female 68.9
GTEX-17HGU-0226-SM-7DHKV 50-59 years, male 68.8
GTEX-1GF9U-2126-SM-7SB7L 40-49 years, female 68.8
GTEX-148VI-1626-SM-5SI6E 60-69 years, female 68.7
GTEX-145LT-1726-SM-5QGP3 40-49 years, male 68.6
GTEX-1I6K6-0126-SM-A9SLE 30-39 years, male 68.4
GTEX-1I1CD-0126-SM-CM2TK 60-69 years, female 68.2
GTEX-X585-0226-SM-4QAS2 50-59 years, male 68.0
GTEX-11GSO-2426-SM-5A5LY 60-69 years, male 67.8
GTEX-RTLS-0126-SM-447CA 60-69 years, female 67.8
GTEX-XBEW-0626-SM-4QASP 40-49 years, male 67.6
GTEX-145MI-0526-SM-5O9A8 60-69 years, female 67.5
GTEX-OIZF-0126-SM-7SB8I 60-69 years, male 67.3
GTEX-12584-0126-SM-5EGKQ 40-49 years, male 67.2
GTEX-1A8FM-0226-SM-7SB7Q 50-59 years, female 67.2
GTEX-1NV5F-0226-SM-E8VNY 60-69 years, female 67.2
GTEX-16AAH-1726-SM-7939C 50-59 years, male 67.1
GTEX-ZE7O-0126-SM-57WC1 50-59 years, female 67.1
GTEX-1MCQQ-0826-SM-DLHC2 60-69 years, male 67.1
GTEX-VUSG-2526-SM-4KL1V 50-59 years, male 66.8
GTEX-1HCVE-0126-SM-CGQEU 50-59 years, male 66.6
GTEX-13W46-0226-SM-5SIAG 50-59 years, male 66.4
GTEX-15SDE-2226-SM-7IGLO 50-59 years, female 66.3
GTEX-18QFQ-0126-SM-731BE 30-39 years, male 66.3
GTEX-1JMPZ-0226-SM-CNPP1 30-39 years, male 66.3
GTEX-14PJ3-1826-SM-62LEX 50-59 years, male 66.2
GTEX-ZY6K-1826-SM-5GZXK 50-59 years, male 66.1
GTEX-1RB15-2126-SM-E9TIM 60-69 years, male 66.0
GTEX-14C5O-0126-SM-5SI6N 60-69 years, male 65.7
GTEX-1HSMQ-1226-SM-CGQFX 50-59 years, male 65.7
GTEX-15SHW-0326-SM-6PAML 60-69 years, male 65.6
GTEX-1AX9J-0226-SM-73KXM 60-69 years, male 65.6
GTEX-1JMQL-0226-SM-CNPP5 50-59 years, female 65.4
GTEX-1JKYR-0126-SM-CNPOJ 20-29 years, male 65.3
GTEX-1B97I-1626-SM-73KYO 40-49 years, male 65.2
GTEX-1AYCT-2426-SM-7IGQ3 50-59 years, male 65.1
GTEX-1C4CL-0526-SM-73KVK 30-39 years, male 65.1
GTEX-146FQ-0126-SM-5NQA9 30-39 years, male 64.9
GTEX-P4PP-0126-SM-3LK69 30-39 years, female 64.5
GTEX-V1D1-2226-SM-3NMAX 50-59 years, male 64.4
GTEX-WFG8-2226-SM-3GIL9 20-29 years, male 64.4
GTEX-15SHU-0126-SM-7KUEH 40-49 years, female 64.3
GTEX-SSA3-0126-SM-32QPU 60-69 years, male 64.2
GTEX-1QCLY-0326-SM-E8VOG 30-39 years, male 63.9
GTEX-XBED-2226-SM-47JYQ 60-69 years, male 63.6
GTEX-13D11-2426-SM-5KM1V 50-59 years, female 63.1
GTEX-1EN7A-0126-SM-7SB81 40-49 years, male 63.1
GTEX-X638-0126-SM-47JZ8 70-79 years, female 62.9
GTEX-1KWVE-1426-SM-E9TJO 30-39 years, male 62.7
GTEX-11ZVC-2526-SM-5FQTE 50-59 years, female 62.6
GTEX-WY7C-2326-SM-3NB2U 50-59 years, male 62.6
GTEX-WQUQ-0426-SM-3MJFU 60-69 years, male 62.5
GTEX-XPVG-2626-SM-4B669 50-59 years, male 62.5
GTEX-12WSA-0226-SM-5BC5V 60-69 years, male 62.3
GTEX-1LNCM-1126-SM-E9U5E 50-59 years, female 62.2
GTEX-1B8KE-2126-SM-73KYX 50-59 years, male 62.1
GTEX-XXEK-2226-SM-4BRUM 50-59 years, male 62.1
GTEX-1PPH7-2326-SM-EVYB8 40-49 years, male 61.9
GTEX-1S82Y-2026-SM-EVYCM 40-49 years, male 61.9
GTEX-17F97-0326-SM-7LG5B 50-59 years, male 61.6
GTEX-1HCU9-1526-SM-A9SL7 20-29 years, male 61.6
GTEX-11OC5-0126-SM-5HL6A 60-69 years, male 61.5
GTEX-1J1OQ-0226-SM-CYPSH 40-49 years, female 61.5
GTEX-ZDYS-2026-SM-5HL5L 50-59 years, male 61.2
GTEX-18A7B-0126-SM-7LG64 70-79 years, male 61.1
GTEX-1R7EU-0226-SM-EVR4G 60-69 years, male 61.0
GTEX-13N2G-2626-SM-5J1OT 60-69 years, male 60.8
GTEX-XUZC-1726-SM-4BRWS 30-39 years, female 60.4
GTEX-1PPH8-0226-SM-E8VND 20-29 years, male 60.4
GTEX-11P7K-2126-SM-5GU7G 30-39 years, male 60.3
GTEX-1B996-0226-SM-7RHGO 60-69 years, male 60.2
GTEX-1GN1V-0126-SM-9WPOS 60-69 years, male 60.1
GTEX-1C6VQ-0126-SM-7P8RI 50-59 years, male 60.0
GTEX-1MGNQ-0126-SM-EVYCJ 40-49 years, male 59.7
GTEX-1OJC4-0126-SM-E9J2E 50-59 years, female 59.7
GTEX-1CAMQ-0226-SM-7IGPK 40-49 years, male 59.3
GTEX-11TT1-2526-SM-5EGIB 20-29 years, male 59.2
GTEX-147GR-0526-SM-5S2MY 60-69 years, male 59.1
GTEX-X5EB-2226-SM-46MW4 40-49 years, male 59.0
GTEX-RM2N-1426-SM-2TF4H 50-59 years, male 58.9
GTEX-146FH-0126-SM-5QGPP 50-59 years, female 58.8
GTEX-17MF6-0126-SM-7LG4F 40-49 years, male 58.4
GTEX-133LE-1826-SM-5J1MV 20-29 years, female 58.3
GTEX-ZPIC-1726-SM-DHXIU 40-49 years, female 58.0
GTEX-11ZU8-2526-SM-5EQKI 60-69 years, male 57.8
GTEX-13CF3-2426-SM-5IFGX 60-69 years, female 57.7
GTEX-14PN4-0126-SM-6EU2V 50-59 years, male 57.6
GTEX-1E2YA-0126-SM-9KNUC 50-59 years, male 57.6
GTEX-1IE54-0126-SM-CMKHW 40-49 years, female 57.6
GTEX-O5YW-0126-SM-3LK6D 50-59 years, male 57.4
GTEX-T8EM-1026-SM-3DB7M 40-49 years, male 57.4
GTEX-1J8Q2-0526-SM-CM2RW 60-69 years, male 57.2
GTEX-1JN76-0126-SM-CNPPE 20-29 years, female 57.2
GTEX-1192W-2626-SM-5Q5AF 60-69 years, male 57.0
GTEX-PWCY-1826-SM-DHXIZ 20-29 years, female 56.9
GTEX-Q734-1926-SM-2I5EV 40-49 years, female 56.7
GTEX-13OVH-0126-SM-5MR4B 70-79 years, male 56.6
GTEX-T6MO-1626-SM-32QOM 40-49 years, female 56.6
GTEX-13RTL-0126-SM-7LG5S 40-49 years, male 56.4
GTEX-ZUA1-0126-SM-5GU76 40-49 years, male 56.3
GTEX-11DXY-2626-SM-5GIE7 60-69 years, male 55.7
GTEX-12WSL-2526-SM-5GCNJ 50-59 years, male 55.6
GTEX-14PJ6-2126-SM-6EU1V 60-69 years, female 55.4
GTEX-ZYW4-0126-SM-5E44A 60-69 years, male 55.2
GTEX-X4EP-0126-SM-3P5YV 60-69 years, female 54.7
GTEX-1RAZA-0126-SM-E6CI3 20-29 years, male 54.7
GTEX-12WSK-2326-SM-5GCOH 40-49 years, female 54.4
GTEX-13NZB-2526-SM-5J1OM 30-39 years, male 54.3
GTEX-18D9U-0226-SM-718BP 40-49 years, male 54.3
GTEX-YB5E-2026-SM-5IFIS 40-49 years, male 54.3
GTEX-1PFEY-1526-SM-E76PP 30-39 years, male 54.3
GTEX-ZVT2-2526-SM-51MT1 50-59 years, female 54.1
GTEX-1KD5A-0226-SM-D5OV3 50-59 years, male 53.5
GTEX-OXRK-0226-SM-3NB2G 50-59 years, female 53.4
GTEX-QLQ7-1626-SM-2S1R8 60-69 years, male 53.2
GTEX-13N1W-0126-SM-5K7VT 70-79 years, male 52.9
GTEX-145MN-2226-SM-5SIAU 30-39 years, male 52.9
GTEX-13SLW-0126-SM-5SI6C 70-79 years, male 52.8
GTEX-14E7W-0126-SM-6LLJ9 70-79 years, male 52.8
GTEX-1C2JI-1826-SM-73KXC 50-59 years, male 52.8
GTEX-QDT8-0126-SM-48TZ1 30-39 years, female 52.8
GTEX-VJWN-0126-SM-3GIK7 50-59 years, female 52.8
GTEX-111VG-2426-SM-5GZXD 60-69 years, male 52.7
GTEX-13113-5016-SM-7EPIP 60-69 years, female 52.5
GTEX-1GMR8-0126-SM-9WYTM 50-59 years, female 52.2
GTEX-16MT8-0426-SM-7KUEY 60-69 years, female 52.0
GTEX-PLZ6-1426-SM-DKPOT 30-39 years, male 52.0
GTEX-1211K-2026-SM-5EQ4Z 60-69 years, female 51.9
GTEX-1HSMO-0126-SM-CL547 60-69 years, male 51.8
GTEX-OHPL-0126-SM-2HMJ7 60-69 years, female 51.7
GTEX-1LH75-2426-SM-E9TJE 50-59 years, female 51.6
GTEX-13N11-2526-SM-5K7UE 50-59 years, female 51.5
GTEX-1HKZK-0326-SM-9WYUH 40-49 years, male 51.5
GTEX-16NGA-1726-SM-731B4 40-49 years, female 51.3
GTEX-14BMU-2226-SM-5TDE9 20-29 years, female 51.2
GTEX-1QP66-1726-SM-E8VO1 50-59 years, male 51.0
GTEX-S95S-1226-SM-4GICG 60-69 years, male 50.9
GTEX-1H1DE-2126-SM-9WG6R 20-29 years, male 50.9
GTEX-U3ZN-2326-SM-3DB7W 30-39 years, female 50.8
GTEX-1ICLY-0126-SM-D4P36 50-59 years, male 50.8
GTEX-1AX8Z-0126-SM-7DHM6 60-69 years, male 50.7
GTEX-PWO3-1526-SM-48TCM 60-69 years, female 50.5
GTEX-1H2FU-0126-SM-9WYSI 60-69 years, female 50.5
GTEX-16BQI-0226-SM-7KUEX 30-39 years, female 50.4
GTEX-1C6VS-0526-SM-7DUEN 60-69 years, male 50.4
GTEX-1J1R8-1726-SM-ARL8M 40-49 years, male 50.4
GTEX-1H3VY-0126-SM-ACKXD 50-59 years, male 50.1
GTEX-15D1Q-0126-SM-7KUG6 40-49 years, male 49.9
GTEX-1LGRB-2526-SM-CNPPQ 50-59 years, female 49.9
GTEX-1C64O-0126-SM-7SB8P 60-69 years, male 49.8
GTEX-13OVJ-0126-SM-5KM36 50-59 years, female 49.6
GTEX-1GZ4H-1726-SM-7PBZJ 50-59 years, female 49.3
GTEX-1I4MK-2226-SM-ACKWD 50-59 years, female 49.2
GTEX-11DXX-2426-SM-5GZZW 60-69 years, female 49.0
GTEX-13QJ3-0326-SM-5S2RA 50-59 years, male 49.0
GTEX-18A66-0226-SM-718BD 60-69 years, male 48.8
GTEX-P44H-0226-SM-2XCEU 40-49 years, male 48.8
GTEX-12WSJ-1826-SM-5GCNY 40-49 years, female 48.7
GTEX-14DAR-2026-SM-5S2O3 50-59 years, male 48.3
GTEX-PLZ4-0126-SM-5SI8O 50-59 years, female 48.3
GTEX-1192X-0226-SM-5H12D 50-59 years, male 48.1
GTEX-139T8-0126-SM-5K7XZ 60-69 years, male 48.1
GTEX-ZEX8-2426-SM-4WKG4 50-59 years, male 48.1
GTEX-15EU6-0426-SM-6PAN5 50-59 years, male 48.0
GTEX-WXYG-2326-SM-4E3I6 50-59 years, female 47.8
GTEX-14E6C-0126-SM-5RQIP 40-49 years, male 47.5
GTEX-ZVE2-0226-SM-59HJB 50-59 years, male 47.4
GTEX-1GPI7-0126-SM-9MQL8 20-29 years, male 47.3
GTEX-Y3I4-2126-SM-4TT7C 50-59 years, male 47.1
GTEX-1GL5R-1826-SM-9KNUY 50-59 years, male 47.1
GTEX-14JG6-2226-SM-6EU2G 30-39 years, female 47.0
GTEX-17EUY-0426-SM-793BD 20-29 years, male 46.9
GTEX-ZAB5-1826-SM-5HL7C 50-59 years, male 46.7
GTEX-13O1R-0126-SM-5L3EH 60-69 years, male 46.6
GTEX-SNMC-1226-SM-2XCFP 20-29 years, male 46.5
GTEX-14PHX-2326-SM-62LEM 50-59 years, male 46.3
GTEX-X261-0126-SM-3NMD6 50-59 years, male 46.3
GTEX-YEC4-2126-SM-5IFJH 40-49 years, male 46.1
GTEX-1R9PO-2126-SM-E9J4O 60-69 years, female 46.0
GTEX-1GN1W-0526-SM-9MQJQ 50-59 years, female 45.7
GTEX-1JN1M-0326-SM-CYPT3 60-69 years, female 45.7
GTEX-18D9B-0526-SM-7LTAS 60-69 years, male 45.6
GTEX-14A6H-0126-SM-5QGPK 30-39 years, male 45.4
GTEX-RU72-0926-SM-2TF6B 50-59 years, female 45.3
GTEX-YJ8A-0426-SM-5IFID 20-29 years, male 45.3
GTEX-13IVO-0126-SM-5J1NG 70-79 years, male 45.1
GTEX-1128S-2326-SM-5GZZY 60-69 years, female 45.0
GTEX-12C56-1726-SM-5EQ61 20-29 years, male 45.0
GTEX-13FH7-2026-SM-E9J4I 50-59 years, female 45.0
GTEX-1S5ZA-0126-SM-EVYCV 20-29 years, male 45.0
GTEX-11P82-1626-SM-59879 20-29 years, male 44.9
GTEX-1NHNU-1026-SM-E9J2A 50-59 years, male 44.9
GTEX-ZQG8-1626-SM-DHXIT 60-69 years, female 44.8
GTEX-RWS6-2026-SM-2XCB5 60-69 years, female 44.6
GTEX-1K2DU-2326-SM-E9TIV 20-29 years, male 44.5
GTEX-1HSEH-0126-SM-ACKXN 60-69 years, male 44.3
GTEX-ZF29-2326-SM-DO92K 60-69 years, female 44.3
GTEX-1GTWX-0126-SM-9YFLK 60-69 years, male 44.2
GTEX-11EM3-2426-SM-59861 20-29 years, female 44.1
GTEX-NPJ8-0126-SM-2YUNR 40-49 years, male 44.1
GTEX-U3ZM-1526-SM-3DB9D 40-49 years, male 44.1
GTEX-14BIM-0226-SM-7IGLD 60-69 years, female 44.0
GTEX-1I1GS-0126-SM-B2LVW 60-69 years, male 43.8
GTEX-17EVQ-0226-SM-7LG4P 70-79 years, male 43.5
GTEX-1JJ6O-0126-SM-E6CI8 60-69 years, male 43.4
GTEX-1QPFJ-0226-SM-E76PB 30-39 years, female 43.3
GTEX-1JJE9-0326-SM-CL53Z 70-79 years, male 43.2
GTEX-Q2AH-1626-SM-3GAF8 40-49 years, male 43.1
GTEX-1K9T9-0126-SM-EVYCF 50-59 years, female 43.1
GTEX-1F52S-0126-SM-9MQJU 60-69 years, female 43.0
GTEX-11ZTT-2426-SM-5EQLS 60-69 years, female 42.8
GTEX-148VJ-0126-SM-5TDDN 70-79 years, male 42.6
GTEX-SN8G-0126-SM-32PLI 50-59 years, female 42.6
GTEX-1S3DN-2226-SM-EVYCD 50-59 years, male 42.6
GTEX-X62O-0126-SM-4E3JN 50-59 years, male 42.4
GTEX-ZAJG-0126-SM-5HL94 50-59 years, female 42.4
GTEX-QDVN-2026-SM-3GAEP 50-59 years, male 42.3
GTEX-139T4-0226-SM-5HL5S 50-59 years, female 42.0
GTEX-14PK6-1926-SM-6ETZU 70-79 years, female 41.8
GTEX-1AX9K-2326-SM-73KWU 50-59 years, male 41.8
GTEX-1LSNM-1926-SM-E6CII 50-59 years, male 41.8
GTEX-1HUB1-0426-SM-E9U4U 60-69 years, male 41.7
GTEX-183WM-0126-SM-7LTAB 70-79 years, female 41.6
GTEX-1J8Q3-1626-SM-CMKGC 60-69 years, male 41.6
GTEX-11LCK-1026-SM-5A5KB 30-39 years, male 41.4
GTEX-1AMFI-2026-SM-731BH 50-59 years, female 41.3
GTEX-XQ8I-0426-SM-4BOPO 50-59 years, male 41.2
GTEX-14LLW-0126-SM-6LLIO 70-79 years, female 41.0
GTEX-ZAB4-0226-SM-5N9F5 40-49 years, male 40.9
GTEX-14BIL-0126-SM-5SI92 50-59 years, male 40.7
GTEX-15RIG-0226-SM-7KFTL 40-49 years, male 40.6
GTEX-18A67-0126-SM-7LG5P 50-59 years, male 40.6
GTEX-1QP29-0626-SM-EWRMX 50-59 years, male 40.5
GTEX-TSE9-0126-SM-3DB83 60-69 years, female 40.4
GTEX-XAJ8-0826-SM-47JY6 40-49 years, male 40.3
GTEX-1K2DA-1826-SM-CGQGT 50-59 years, male 40.2
GTEX-16XZZ-0126-SM-793DV 60-69 years, male 40.1
GTEX-11EQ9-2426-SM-5HL5T 30-39 years, male 39.9
GTEX-1CB4J-0626-SM-7DHMP 60-69 years, male 39.9
GTEX-1S82Z-0826-SM-E6CHY 30-39 years, female 39.7
GTEX-1J8QM-2126-SM-CYPSJ 60-69 years, female 39.6
GTEX-1I1GT-0626-SM-CGQER 60-69 years, female 39.5
GTEX-13RTK-1426-SM-5QGQJ 20-29 years, male 39.3
GTEX-14E6E-1826-SM-5S2R7 30-39 years, male 39.2
GTEX-1MA7W-2026-SM-E9TJ6 20-29 years, female 39.1
GTEX-WRHK-1426-SM-3MJF9 20-29 years, female 38.7
GTEX-11H98-0126-SM-5EGHG 50-59 years, male 38.6
GTEX-17F96-1626-SM-7DUFL 70-79 years, male 38.6
GTEX-11DZ1-0126-SM-5985Q 50-59 years, male 38.4
GTEX-13FTX-1826-SM-5J1NX 20-29 years, female 38.2
GTEX-1F5PK-2426-SM-7RHHY 50-59 years, male 38.1
GTEX-ZVZP-2426-SM-59HKJ 50-59 years, male 37.8
GTEX-1I1HK-0126-SM-COH49 60-69 years, male 37.7
GTEX-1AMEY-1326-SM-73KYK 30-39 years, female 37.5
GTEX-P4PQ-0126-SM-2S1NM 60-69 years, male 37.3
GTEX-1HBPN-0226-SM-9YFM1 50-59 years, male 37.3
GTEX-131XG-2626-SM-5KM17 50-59 years, female 36.9
GTEX-117YX-2326-SM-5H12W 50-59 years, male 36.7
GTEX-14PN3-2426-SM-6LLHS 60-69 years, female 36.1
GTEX-1MUQO-0126-SM-EAZ58 60-69 years, male 36.1
GTEX-WI4N-1026-SM-3LK7N 40-49 years, female 36.0
GTEX-13RTJ-2426-SM-5S2Q2 60-69 years, male 35.7
GTEX-14ICK-0226-SM-6EU25 40-49 years, male 35.7
GTEX-ZYFG-2326-SM-5E44B 60-69 years, female 35.6
GTEX-1QP2A-0126-SM-E9J43 50-59 years, male 35.6
GTEX-XUW1-0426-SM-4BOOT 50-59 years, female 35.5
GTEX-Q2AI-1326-SM-2S1PL 40-49 years, male 35.4
GTEX-1MCYP-1926-SM-E9J2R 20-29 years, female 35.3
GTEX-16XZY-2126-SM-79OK1 70-79 years, male 35.2
GTEX-1F75I-0326-SM-9YFLU 40-49 years, male 35.2
GTEX-13X6I-0626-SM-5QGP9 60-69 years, male 35.0
GTEX-144GN-2326-SM-5LU4F 50-59 years, male 35.0
GTEX-ZDTT-2726-SM-4WKF8 60-69 years, male 35.0
GTEX-Y5LM-1926-SM-5RQJH 40-49 years, female 34.9
GTEX-11ZUS-0626-SM-59885 30-39 years, male 34.8
GTEX-17GQL-2026-SM-718BA 60-69 years, male 34.8
GTEX-OHPM-0126-SM-2YUN9 50-59 years, male 34.4
GTEX-12WSN-5019-SM-79OM6 40-49 years, male 34.0
GTEX-15UF6-0826-SM-6PALJ 70-79 years, female 33.6
GTEX-ZV6S-2326-SM-4YCEY 40-49 years, female 33.6
GTEX-13NYS-0126-SM-5MR3W 60-69 years, male 33.3
GTEX-1A3MX-0126-SM-731BR 60-69 years, male 33.3
GTEX-R55G-2526-SM-2TC6D 40-49 years, female 33.1
GTEX-11NSD-2226-SM-5986V 20-29 years, male 33.0
GTEX-15ETS-0126-SM-7KUMW 40-49 years, female 32.8
GTEX-TMMY-0226-SM-33HBA 40-49 years, female 32.8
GTEX-113IC-0126-SM-5HL6T 60-69 years, male 32.5
GTEX-13OVI-1426-SM-5L3EY 60-69 years, female 32.4
GTEX-169BO-1326-SM-9MQK2 50-59 years, male 32.4
GTEX-1HSMP-0126-SM-E6CJS 70-79 years, male 32.0
GTEX-139D8-0226-SM-5KLZO 30-39 years, female 31.6
GTEX-1JK1U-2026-SM-CM2RZ 60-69 years, male 31.6
GTEX-XV7Q-2526-SM-4BRV9 40-49 years, female 31.1
GTEX-1HBPH-0426-SM-B2LW5 40-49 years, female 31.1
GTEX-1LVAN-0226-SM-COH3S 50-59 years, female 30.9
GTEX-ZYY3-0126-SM-5GZY5 60-69 years, female 30.8
GTEX-R45C-0126-SM-EAZ2R 60-69 years, female 30.6
GTEX-14JIY-0126-SM-6LLH6 60-69 years, male 30.4
GTEX-ZTPG-0326-SM-5O9AX 20-29 years, female 30.4
GTEX-Y8LW-1826-SM-5S2MV 50-59 years, female 30.1
GTEX-11EMC-2926-SM-5EQ4F 60-69 years, female 29.9
GTEX-1HFI7-1826-SM-ACKXH 50-59 years, female 29.7
GTEX-1JKYN-1326-SM-CGQG9 30-39 years, male 29.4
GTEX-1H1E6-1726-SM-ACKVK 30-39 years, male 29.3
GTEX-1JMQK-0226-SM-CL543 60-69 years, male 29.3
GTEX-1497J-2426-SM-7IGNX 60-69 years, male 29.2
GTEX-1QW4Y-1526-SM-EAZ3Z 30-39 years, male 29.0
GTEX-1IDJU-2626-SM-CM2RT 60-69 years, female 28.9
GTEX-11TTK-0126-SM-5987B 60-69 years, female 28.6
GTEX-1H1DG-0126-SM-9WYU2 70-79 years, male 28.6
GTEX-1JMOU-1526-SM-CL54I 60-69 years, female 28.6
GTEX-ZZPT-0226-SM-5E43X 50-59 years, male 28.3
GTEX-OXRL-0126-SM-2YUMP 50-59 years, male 28.2
GTEX-PLZ5-2026-SM-2S1O4 50-59 years, male 28.2
GTEX-13W3W-2426-SM-5LU5B 60-69 years, female 28.0
GTEX-1H3NZ-0126-SM-ACKX7 60-69 years, male 27.7
GTEX-1N2DV-0226-SM-E6CJ6 40-49 years, male 27.6
GTEX-1R7EV-2426-SM-EVYBG 40-49 years, male 27.4
GTEX-X4XY-0226-SM-4E3IZ 60-69 years, male 27.0
GTEX-ZXES-1826-SM-5E43S 30-39 years, female 27.0
GTEX-14PHW-0126-SM-6LLJI 60-69 years, female 26.9
GTEX-1HBPM-0226-SM-ARL9F 60-69 years, female 26.6
GTEX-RUSQ-1526-SM-2TF62 50-59 years, male 26.3
GTEX-145LV-2126-SM-5LU8N 50-59 years, male 25.8
GTEX-1RLM8-2326-SM-EWRN4 50-59 years, male 25.6
GTEX-1HCU7-0226-SM-CL545 50-59 years, male 24.1
GTEX-15UKP-0426-SM-7KUFQ 20-29 years, male 23.6
GTEX-1PWST-0226-SM-E76QJ 70-79 years, male 23.6
GTEX-13X6H-2126-SM-7EWD5 50-59 years, female 23.5
GTEX-11VI4-1726-SM-5CVLH 40-49 years, female 23.2
GTEX-13OVG-1926-SM-5L3DK 60-69 years, male 22.9
GTEX-1H1ZS-0426-SM-9WG6G 70-79 years, male 22.9
GTEX-11WQK-0526-SM-5EQLD 50-59 years, male 22.5
GTEX-1R46S-0626-SM-E9J41 60-69 years, female 21.6
GTEX-ZF28-0126-SM-4WKGK 60-69 years, male 21.4
GTEX-1RAZQ-0726-SM-EAZ43 30-39 years, male 21.2
GTEX-WOFL-0126-SM-3MJG2 60-69 years, male 20.7
GTEX-13VXT-0126-SM-5LU4I 20-29 years, female 20.6
GTEX-1I1GU-2226-SM-CGQFA 40-49 years, male 20.4
GTEX-146FR-1326-SM-E9J48 60-69 years, female 19.7
GTEX-1F48J-0126-SM-7P8TT 50-59 years, female 19.4
GTEX-1QP67-1626-SM-EAZ3X 40-49 years, female 18.4
GTEX-15EOM-0126-SM-7KUGG 20-29 years, female 17.8
GTEX-1A3MW-0126-SM-73KXX 60-69 years, female 17.8
GTEX-U4B1-1826-SM-4DXSU 40-49 years, male 15.9
GTEX-1LC47-0326-SM-E9TJP 60-69 years, male 15.7
GTEX-1H23P-0126-SM-ADEJ3 60-69 years, male 15.0
GTEX-14XAO-2326-SM-6EU1B 60-69 years, female 14.8
GTEX-SE5C-1626-SM-2XCE3 40-49 years, female 8.8
Show allShow less

Contact

  • NEWS ARTICLES
  • PRESS ROOM

The Project

  • INTRODUCTION
  • ORGANIZATION
  • PUBLICATIONS

The Human Protein Atlas

  • DOWNLOADABLE DATA
  • LICENCE & CITATION
  • HELP & FAQ
The Human Protein Atlas project is funded
by the Knut & Alice Wallenberg Foundation.


contact@proteinatlas.org