We use cookies to enhance the usability of our website. If you continue, we'll assume that you are happy to receive all cookies. More information. Don't show this again.
PTGS1
HPA
RESOURCES
  • TISSUE
  • BRAIN
  • SINGLE CELL
  • SUBCELLULAR
  • CANCER
  • BLOOD
  • CELL LINE
  • STRUCTURE & INTERACTION
ABOUT
  • INTRODUCTION
  • HISTORY
  • ORGANIZATION
  • PUBLICATIONS
  • ANTIBODY SUBMISSION
  • ANTIBODY AVAILABILITY
  • ACKNOWLEDGMENTS
  • CONTACT
NEWS
  • NEWS ARTICLES
  • PRESS ROOM
LEARN
  • DICTIONARY
  • PROTEIN CLASSES
  • PROTEIN EVIDENCE
  • METHODS
  • EDUCATIONAL VIDEOS
DATA
  • DOWNLOADABLE DATA
  • PUBLICATION DATA
  • RELEASE HISTORY
HELP
  • ANTIBODY VALIDATION
  • ASSAYS & ANNOTATION
  • DISCLAIMER
  • HELP & FAQ
  • PRIVACY STATEMENT
  • LICENCE & CITATION
Fields »
Search result

Field
Term
Gene name
Class
Subclass
Class
Keyword
Chromosome
External id
Tissue
Cell type
Expression
Antibody panel
Tissue
Main location
Patient ID
Annotation
Tissue
Category
Tau score
Cluster
Reliability
Brain region
Category
Tau score
Brain region
Category
Tau score
Brain region
Category
Tau score
Cluster
Reliability
Tissue
Cell type
Enrichment
Cell type
Category
Tau score
Cell type
Category
Tau score
Cell type
Category
Tau score
Cell lineage
Category
Tau score
Cluster
Cluster
Location
Searches
Location
Cell line
Class
Type
Phase
Reliability
Cancer
Prognosis
Cancer
Category
Cancer
Category
Tau score
Cluster
Variants
Interacting gene (ensg_id)
Type
Number of interactions
Pathway
Category
Score
Score
Score
Validation
Validation
Validation
Validation
Antibodies
Data type
Column


  • SUMMARY

  • TISSUE

  • BRAIN

  • SINGLE CELL

  • SUBCELL

  • CANCER

  • BLOOD

  • CELL LINE

  • STRUCT & INT

  • PTGS1
TISSUE PRIMARY DATA SKIN Show tissue menu
ADIPOSE TISSUE ADRENAL GLAND AMYGDALA APPENDIX BASAL GANGLIA BONE MARROW BREAST BRONCHUS CEREBELLUM CEREBRAL CORTEX CERVIX CHOROID PLEXUS COLON DUODENUM
ENDOMETRIUM EPIDIDYMIS ESOPHAGUS FALLOPIAN TUBE GALLBLADDER HEART MUSCLE HIPPOCAMPAL FORMATION HYPOTHALAMUS KIDNEY LIVER LUNG LYMPH NODE MIDBRAIN NASOPHARYNX
ORAL MUCOSA OVARY PANCREAS PARATHYROID GLAND PITUITARY GLAND PLACENTA PROSTATE RECTUM RETINA SALIVARY GLAND SEMINAL VESICLE SKELETAL MUSCLE SKIN SMALL INTESTINE
SMOOTH MUSCLE SOFT TISSUE SPINAL CORD SPLEEN STOMACH TESTIS THYMUS THYROID GLAND TONGUE TONSIL URINARY BLADDER VAGINA
ANTIBODIES
AND
VALIDATION
Dictionary
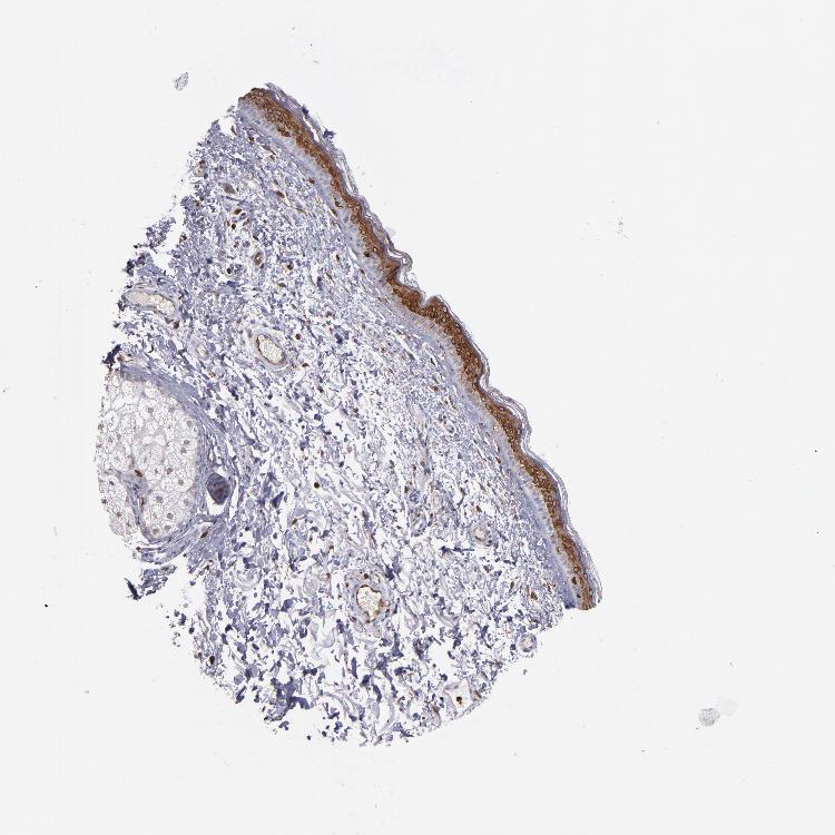
Skin
Tissue proteome
Skin
SKIN - Expression summary
Protein expression
Skini

On the top, protein expression in current human tissue, based on all annotated cell types, is reported with the units not detected (n), low (l), medium (m) and high (h). Underneath, protein expression in each annotated cell type are reported using the same units.

Protein expression data is based on knowledge-based annotation. For genes where more than one antibody has been used, a collective score is set.

If knowledge-based annotation could not be performed for a gene, no data is displayed here. View antibody staining data further down this page.

h
m
l
n
Cells in basal layer: Not detected
Cells in corneal layer: Not detected
Cells in granular layer: High
Cells in spinous layer: High
Eccrine glands: Not detected
Endothelial cells: High
Extracellular matrix: Not detected
Fibrohistiocytic cells: High
Langerhans cells: High
Lymphocytes: High
Melanocytes: Medium
Sebaceous glands: Not detected
Vascular mural cells: Not detected
RNA expressioni

A summary of mRNA expression data available for current tissue based on several datasets. The mRNA expression levels in human tissues are based on RNA-seq data generated by the Human Protein Atlas (HPA), Genotype-Tissue Expression (GTEx) portal and CAGE data generated by the FANTOM5 consortium. Consensus normalized expression levels for human tissues was created by combining the data from HPA and GTEx datasets.

The mRNA expression levels in pig are based on RNA-seq data generated by the Human Protein Atlas (HPA), and for mouse, HPA data and in situ hybridization generated by the Allen brain atlas are reported.

Scroll down to view mRNA expression data in more detail.
Consensus:148.5 nTPM
HPA:148.5 nTPM
GTEx:71.6 nTPM

SKIN 1 - Antibody stainingi

Antibody staining in the annotated cell types in the current human tissue is reported as not detected, low, medium, or high, based on conventional immunohistochemistry profiling in selected tissues. This score is based on the combination of the staining intensity and fraction of stained cells.

Each image is clickable and will lead to virtual microscopy that enables deeper exploration of all samples and also displays staining intensity scores, fraction scores and subcellular localization as well as patient and tissue information for each sample.

Antibody HPA002834Antibody CAB020315
Langerhans -High
Cells in basal layer Not detected-
Cells in corneal layer Not detected-
Cells in granular layer High-
Cells in spinous layer High-
Eccrine glands Not detected-
Endothelial cells High-
Extracellular matrix Not detected-
Fibroblasts -Not detected
Fibrohistiocytic cells High-
Keratinocytes -High
Langerhans cells High-
Lymphocytes High-
Melanocytes MediumHigh
Sebaceous glands Not detected-
Vascular mural cells Not detected-



SKIN 2 - Antibody stainingi

Antibody staining in the annotated cell types in the current human tissue is reported as not detected, low, medium, or high, based on conventional immunohistochemistry profiling in selected tissues. This score is based on the combination of the staining intensity and fraction of stained cells.

Each image is clickable and will lead to virtual microscopy that enables deeper exploration of all samples and also displays staining intensity scores, fraction scores and subcellular localization as well as patient and tissue information for each sample.

Antibody HPA002834Antibody CAB020315
Cells in basal layer Not detected-
Cells in corneal layer Not detected-
Cells in granular layer High-
Cells in spinous layer High-
Endothelial cells High-
Epidermal cells -High
Extracellular matrix Not detected-
Fibrohistiocytic cells High-
Langerhans cells High-
Lymphocytes High-
Melanocytes Not detected-
Vascular mural cells Not detected-
  
  
  
  

SKIN - HPA RNA-seqi

The RNA-seq details section shows detailed information about the individual samples used for the transcript profiling and results of the RNA-seq analysis.

Information about each individual sample is listed below, including gender, age, a tissue section image and estimated fractions of cell types. nTPM (normalized transcripts per million) values give a quantification of the gene abundance which is comparable between different genes and samples.
Average nTPMi

Max subtype nTPM is the value for the subtype with the largest average nTPM across the subtype samples.

148.5
overview
Female, age 34
Skin sample 225
nTPM: 140.9
Cell types%
Keratinocytes:
60

Other cell types:
40

overview
Female, age 30
Skin sample 226
nTPM: 176.3
Cell types%
Keratinocytes:
55

Other cell types:
45

N/A
Male, age 57
Skin sample 227
nTPM: 128.3

SKIN - GTEx RNA-seqi

RNA-Seq data generated by the Genotype-Tissue Expression (GTEx) project from human tissues is reported as mean nTPM. More information can be found on the GTEx portal.

Distribution across the dataset is visualized with box plots, shown as median and 25th and 75th percentiles. Points are displayed as outliers if they are above or below 1.5 times the interquartile range. nTPM values of the individual samples are presented next to the box plot.
Max subtype nTPMi

Max subtype nTPM is the value for the subtype with the largest average nTPM across the subtype samples.

71.6
GTEx sample id Sample description nTPM
Skin - Not Sun Exposed (Suprapubic)
Average nTPM: 66.1
Samples: 604

Max nTPM: 205.2
Min nTPM: 1.2
Std nTPM: 31.4
Median nTPM: 62.5
GTEX-14PJ4-0226-SM-5YY92 60-69 years, male 205.2
GTEX-1OJC3-1226-SM-DTXER 20-29 years, male 173.3
GTEX-11PRG-0726-SM-5EGL1 50-59 years, male 159.3
GTEX-WI4N-2726-SM-3LK7Y 40-49 years, female 158.8
GTEX-1C6WA-2626-SM-7MKGM 60-69 years, male 154.7
GTEX-1OJC4-2726-SM-E76PJ 50-59 years, female 147.2
GTEX-ZPCL-1126-SM-4WWFE 60-69 years, female 146.7
GTEX-111VG-1626-SM-5EGIO 60-69 years, male 146.0
GTEX-18A67-1626-SM-7LT9T 50-59 years, male 144.5
GTEX-1399Q-2326-SM-5KM2X 40-49 years, male 144.2
GTEX-17HII-1426-SM-7EPGG 50-59 years, male 140.3
GTEX-1JMPY-0226-SM-CKZOK 30-39 years, male 139.6
GTEX-1LB8K-0726-SM-D5OV2 50-59 years, male 139.0
GTEX-1HSKV-1226-SM-ADEI4 60-69 years, male 138.0
GTEX-1GMRU-2126-SM-7P8RA 50-59 years, male 137.3
GTEX-1PIIG-2326-SM-DTXFR 30-39 years, male 135.3
GTEX-144GM-0526-SM-79OJO 20-29 years, male 135.2
GTEX-ZTX8-1326-SM-4YCEL 20-29 years, male 134.5
GTEX-1C2JI-1026-SM-73KY1 50-59 years, male 133.8
GTEX-12ZZY-0726-SM-5EQ66 60-69 years, male 129.6
GTEX-1399S-0126-SM-5IJCF 30-39 years, female 129.0
GTEX-1B8SF-0126-SM-7DUG3 60-69 years, male 128.9
GTEX-1313W-0626-SM-5EQ4H 50-59 years, female 128.5
GTEX-1GN1V-2826-SM-9JGIA 60-69 years, male 128.3
GTEX-1LGRB-0926-SM-COH3K 50-59 years, female 127.5
GTEX-15RIG-0726-SM-7KUM7 40-49 years, male 127.1
GTEX-W5X1-2526-SM-3GILC 40-49 years, female 126.8
GTEX-1GN1U-0626-SM-9MQL9 50-59 years, female 126.7
GTEX-WFG7-2026-SM-5SI7P 20-29 years, male 123.5
GTEX-1GN2E-0226-SM-9WG6K 60-69 years, male 123.1
GTEX-1MJK3-0726-SM-E6CJC 20-29 years, male 121.8
GTEX-1GPI6-1926-SM-9KNV7 60-69 years, male 121.5
GTEX-1CB4J-1326-SM-7P8RX 60-69 years, male 121.3
GTEX-ZVT2-0126-SM-5GIDQ 50-59 years, female 119.2
GTEX-17HHE-1326-SM-7EWDZ 50-59 years, male 118.0
GTEX-1QP2A-1726-SM-E76QC 50-59 years, male 118.0
GTEX-1C6VR-0126-SM-7RHGB 60-69 years, male 117.7
GTEX-1RAZQ-1326-SM-E9TK6 30-39 years, male 117.4
GTEX-1RMOY-1326-SM-E9TIH 50-59 years, male 117.4
GTEX-145MH-2826-SM-5RQJF 50-59 years, male 117.2
GTEX-1IKOE-1426-SM-CE6T7 30-39 years, female 117.2
GTEX-1GN73-0726-SM-7P8TJ 60-69 years, male 117.1
GTEX-1IKJJ-2226-SM-CJI4C 60-69 years, male 116.7
GTEX-15FZZ-0526-SM-7KUGD 30-39 years, female 115.9
GTEX-Y111-0626-SM-4SOIT 50-59 years, male 115.9
GTEX-ZYFC-0426-SM-5GICQ 50-59 years, male 115.8
GTEX-1QW4Y-1126-SM-DTXE3 30-39 years, male 115.3
GTEX-13OW7-0426-SM-5K7VK 50-59 years, male 115.1
GTEX-12ZZZ-0726-SM-5GCNZ 60-69 years, male 114.7
GTEX-WHSB-1326-SM-3LK6W 50-59 years, male 113.3
GTEX-15RJ7-2126-SM-6PAMD 40-49 years, male 113.0
GTEX-1HT8W-0626-SM-A9G2H 30-39 years, male 112.6
GTEX-17F9Y-0126-SM-79OKX 70-79 years, female 111.8
GTEX-YECK-0326-SM-4W1YS 60-69 years, male 111.5
GTEX-1H4P4-2126-SM-9WYSL 50-59 years, male 110.9
GTEX-1HBPI-2126-SM-ARL9K 50-59 years, male 110.6
GTEX-1LBAC-0826-SM-CY8IJ 20-29 years, male 110.6
GTEX-1GF9V-0826-SM-9KNUV 60-69 years, male 110.4
GTEX-1AYD5-2626-SM-7PBXY 50-59 years, male 109.9
GTEX-11GS4-0226-SM-5HL77 60-69 years, male 108.7
GTEX-15ER7-0626-SM-6PANF 20-29 years, female 108.7
GTEX-11ZU8-0126-SM-5EQ58 60-69 years, male 108.6
GTEX-UPJH-0226-SM-3GADV 50-59 years, male 108.5
GTEX-1H2FU-0926-SM-9WPPT 60-69 years, female 108.2
GTEX-1POEN-2326-SM-E9J2L 30-39 years, female 108.1
GTEX-1J8EW-2726-SM-CY8HR 60-69 years, female 107.8
GTEX-147F4-0726-SM-5TDDD 50-59 years, male 107.7
GTEX-1GZHY-0626-SM-9KNVC 50-59 years, female 107.1
GTEX-Y9LG-1126-SM-4VBQ7 30-39 years, male 106.9
GTEX-1JJEA-1826-SM-ARU8P 60-69 years, male 106.9
GTEX-1QP28-1126-SM-EVYC4 50-59 years, female 106.3
GTEX-1HCUA-0826-SM-ADEHM 50-59 years, female 106.2
GTEX-13FTY-2126-SM-5IFFB 40-49 years, female 105.9
GTEX-ZF29-0926-SM-4WKFZ 60-69 years, female 104.7
GTEX-1PPH8-0126-SM-EWRN8 20-29 years, male 104.3
GTEX-1B8KE-1126-SM-7EPHI 50-59 years, male 104.2
GTEX-12ZZX-2426-SM-5GCOE 40-49 years, female 103.4
GTEX-1PBJJ-1026-SM-E76OS 30-39 years, male 103.4
GTEX-WHPG-2626-SM-3NMBR 50-59 years, male 103.3
GTEX-1H3O1-1326-SM-9MQLD 60-69 years, male 103.0
GTEX-13SLX-2226-SM-62LEP 50-59 years, female 102.8
GTEX-1CB4F-1026-SM-7DUH1 60-69 years, male 102.8
GTEX-1R9PM-1926-SM-EVR3O 20-29 years, male 102.0
GTEX-1EMGI-2326-SM-7PBYA 60-69 years, male 101.3
GTEX-1EU9M-1426-SM-793AI 60-69 years, male 101.2
GTEX-1H11D-1826-SM-9QEHM 40-49 years, male 101.2
GTEX-1GPI7-1826-SM-9KNU1 20-29 years, male 100.0
GTEX-ZE9C-2526-SM-5IJDR 60-69 years, male 99.6
GTEX-145LU-1926-SM-79OJN 50-59 years, male 99.3
GTEX-13PDP-0726-SM-5L3HP 60-69 years, male 98.8
GTEX-1QP9N-1226-SM-E76QN 30-39 years, male 98.4
GTEX-1GZ4H-0526-SM-9KNU9 50-59 years, female 98.2
GTEX-15DYW-2726-SM-6EU2I 60-69 years, female 98.1
GTEX-16MTA-0926-SM-6M47Z 50-59 years, male 97.7
GTEX-ZYT6-2326-SM-5GZY3 30-39 years, male 97.3
GTEX-1QAET-0326-SM-EVR3U 50-59 years, male 97.1
GTEX-1IE54-1126-SM-A9G2Z 40-49 years, female 96.9
GTEX-1N2DV-1526-SM-DTXEP 40-49 years, male 96.5
GTEX-1JMLX-0626-SM-ARL8T 50-59 years, male 96.4
GTEX-1CAMS-2226-SM-7PBXQ 40-49 years, female 95.9
GTEX-1PPGY-1626-SM-EVYBL 60-69 years, male 95.7
GTEX-1S82U-1026-SM-E6CJK 30-39 years, female 95.5
GTEX-11GSP-2326-SM-5HL63 60-69 years, female 95.2
GTEX-1C64N-2626-SM-7PC2N 50-59 years, male 95.0
GTEX-1QCLY-0226-SM-EWRNH 30-39 years, male 94.4
GTEX-11WQC-1826-SM-5GU59 60-69 years, male 94.3
GTEX-1B932-2326-SM-79OL5 40-49 years, female 94.3
GTEX-1F75A-0726-SM-7RHHD 50-59 years, male 94.0
GTEX-131XF-2626-SM-5EQ6K 60-69 years, male 93.9
GTEX-1QPFJ-1926-SM-EVYBD 30-39 years, female 93.5
GTEX-1I1GV-0626-SM-ARL7M 60-69 years, male 93.3
GTEX-16MT9-0126-SM-7EPI8 60-69 years, female 92.8
GTEX-1LVA9-2626-SM-EVYD4 50-59 years, male 92.7
GTEX-1N2EE-0626-SM-E76PW 60-69 years, male 92.7
GTEX-1F88F-0126-SM-9WYSZ 60-69 years, female 92.5
GTEX-14PII-0726-SM-6EU2B 60-69 years, male 92.3
GTEX-Y114-2126-SM-4TT8B 50-59 years, female 92.2
GTEX-1EX96-1026-SM-7MKG2 50-59 years, male 92.1
GTEX-1RAZS-2526-SM-E6CHT 50-59 years, male 92.0
GTEX-XAJ8-1426-SM-47JYM 40-49 years, male 91.7
GTEX-13G51-1826-SM-5KLZH 60-69 years, male 91.4
GTEX-Z93S-1626-SM-5CVMB 50-59 years, male 91.4
GTEX-1JMQJ-0826-SM-CNPP7 50-59 years, male 91.2
GTEX-WHWD-1826-SM-3LK6I 50-59 years, male 91.1
GTEX-17F97-2626-SM-7IGM5 50-59 years, male 90.9
GTEX-11DXZ-2026-SM-5987S 50-59 years, male 90.8
GTEX-YFCO-1226-SM-5LUAT 40-49 years, male 90.2
GTEX-111CU-1126-SM-5EGIM 50-59 years, male 90.0
GTEX-1QMI2-2526-SM-E8VNZ 60-69 years, male 90.0
GTEX-1ICLY-0826-SM-CMKG1 50-59 years, male 89.7
GTEX-1122O-1026-SM-9WYSF 60-69 years, female 89.6
GTEX-1269C-0126-SM-5EQ5L 60-69 years, female 89.5
GTEX-14ABY-2026-SM-62LDL 50-59 years, male 89.1
GTEX-1KANB-2826-SM-CY8I6 50-59 years, male 88.9
GTEX-18QFQ-1826-SM-72D52 30-39 years, male 88.7
GTEX-14XAO-1226-SM-6EU1C 60-69 years, female 88.5
GTEX-1CB4E-0926-SM-7EPHT 60-69 years, male 88.5
GTEX-183WM-0326-SM-72D5V 70-79 years, female 88.0
GTEX-X585-2426-SM-46MW2 50-59 years, male 87.9
GTEX-13X6J-0626-SM-5LU5F 50-59 years, male 87.7
GTEX-12WSH-1526-SM-5BC5W 50-59 years, male 87.6
GTEX-17EVP-2626-SM-7IGMA 40-49 years, male 87.5
GTEX-1GF9X-1326-SM-7PC2Y 40-49 years, female 87.4
GTEX-14PJ6-2626-SM-6EU2T 60-69 years, female 87.3
GTEX-1I1GU-0926-SM-ACKVS 40-49 years, male 87.3
GTEX-1KWVE-1026-SM-D3L9O 30-39 years, male 87.3
GTEX-12WSJ-1126-SM-5LZVJ 40-49 years, female 86.9
GTEX-1I1GT-1026-SM-ARZLV 60-69 years, female 86.7
GTEX-14C5O-0326-SM-5ZZUX 60-69 years, male 86.6
GTEX-1JK1U-0226-SM-ARZMX 60-69 years, male 86.3
GTEX-1F6I4-2326-SM-7RHGL 60-69 years, male 86.0
GTEX-1IOXB-2726-SM-CM2RI 50-59 years, male 85.5
GTEX-1HBPN-0126-SM-CGQEF 50-59 years, male 85.1
GTEX-1HSMQ-2626-SM-A9SML 50-59 years, male 85.1
GTEX-WYVS-1626-SM-3NM9R 40-49 years, female 84.8
GTEX-ZF2S-1626-SM-57WES 50-59 years, female 84.8
GTEX-13OVK-1426-SM-6PAN7 40-49 years, male 84.7
GTEX-U8XE-0226-SM-4E3J3 30-39 years, male 84.7
GTEX-1JMQL-2226-SM-CNPP4 50-59 years, female 84.7
GTEX-1EKGG-0626-SM-7DUGJ 60-69 years, male 84.5
GTEX-1S82P-2126-SM-E6CI5 60-69 years, female 84.5
GTEX-1J1OQ-0126-SM-D4P2N 40-49 years, female 84.4
GTEX-13PL6-1126-SM-5L3IE 40-49 years, female 84.2
GTEX-17MFQ-1526-SM-7KFRR 20-29 years, male 84.0
GTEX-1LSNL-2726-SM-E9TKJ 50-59 years, male 83.7
GTEX-13NYB-0126-SM-5J1MD 40-49 years, male 83.3
GTEX-15RJE-2826-SM-7KUM9 40-49 years, male 82.7
GTEX-13112-0126-SM-5P9IU 50-59 years, male 82.4
GTEX-1HCU8-2526-SM-CE6RX 60-69 years, female 82.3
GTEX-ZY6K-1426-SM-5GZX2 50-59 years, male 82.1
GTEX-131XW-0626-SM-5PNVD 50-59 years, female 82.0
GTEX-16YQH-2226-SM-7IGM2 30-39 years, male 81.9
GTEX-1HCU6-2526-SM-ADEHL 60-69 years, female 81.9
GTEX-1HB9E-0126-SM-CM2S5 50-59 years, male 81.8
GTEX-WHSE-0126-SM-3NMBT 20-29 years, male 81.5
GTEX-1HR9M-2226-SM-CNPPY 60-69 years, male 81.4
GTEX-15CHR-1126-SM-7EWF4 50-59 years, male 80.6
GTEX-1JN76-0626-SM-CKZOQ 20-29 years, female 80.5
GTEX-1KAFJ-0126-SM-DIPEK 50-59 years, male 80.5
GTEX-14ICL-1626-SM-5YYAO 30-39 years, male 80.4
GTEX-1BAJH-2426-SM-7IGP8 70-79 years, male 79.7
GTEX-131YS-2826-SM-5EQ47 60-69 years, female 79.4
GTEX-147GR-2426-SM-5ZZWQ 60-69 years, male 79.4
GTEX-1HCVE-2726-SM-CL54F 50-59 years, male 79.3
GTEX-11OF3-0126-SM-5PNYF 60-69 years, male 79.2
GTEX-1B8L1-2226-SM-7P8PT 60-69 years, male 79.2
GTEX-1K9T9-1526-SM-DIPFR 50-59 years, female 79.2
GTEX-13O61-1426-SM-5KM3D 60-69 years, male 79.0
GTEX-ZE7O-2726-SM-51MT5 50-59 years, female 78.8
GTEX-1IDJH-0126-SM-D3L92 70-79 years, male 78.7
GTEX-18A6Q-0626-SM-7KFRP 60-69 years, male 78.6
GTEX-1IDJU-1726-SM-CMKHU 60-69 years, female 78.5
GTEX-18465-2826-SM-7LT9J 50-59 years, male 78.0
GTEX-1LVAN-0626-SM-CNPOQ 50-59 years, female 77.9
GTEX-1GL5R-1326-SM-7RHHF 50-59 years, male 77.5
GTEX-1GTWX-2026-SM-9YFLM 60-69 years, male 77.4
GTEX-15G1A-1626-SM-7KUKN 30-39 years, male 77.2
GTEX-14BIN-1126-SM-5RQJZ 50-59 years, female 77.1
GTEX-17HHY-0426-SM-7DHLC 50-59 years, male 77.0
GTEX-1AMFI-1326-SM-7939R 50-59 years, female 77.0
GTEX-X8HC-0626-SM-4E3HQ 50-59 years, female 76.3
GTEX-13QJC-0126-SM-5ZZWJ 60-69 years, female 76.2
GTEX-1LVAM-0726-SM-E6CIL 50-59 years, female 76.0
GTEX-17F98-1326-SM-7DUEP 40-49 years, female 75.9
GTEX-18A7A-0126-SM-731AH 50-59 years, female 75.6
GTEX-ZZPU-0826-SM-5GZX5 50-59 years, female 75.6
GTEX-XOT4-0626-SM-4B66L 60-69 years, female 75.5
GTEX-ZC5H-1526-SM-5HL9Y 40-49 years, female 75.5
GTEX-1I1HK-2326-SM-CKZOH 60-69 years, male 75.5
GTEX-1R7EU-1626-SM-DTXG3 60-69 years, male 75.3
GTEX-1EWIQ-0326-SM-7DHMQ 70-79 years, female 75.2
GTEX-V1D1-2026-SM-3GAF4 50-59 years, male 75.0
GTEX-11TUW-0626-SM-5LU9M 60-69 years, male 74.9
GTEX-1212Z-0126-SM-59HK4 60-69 years, male 74.9
GTEX-13FHO-0426-SM-5L3F5 60-69 years, male 74.9
GTEX-XQ3S-1426-SM-4BOPR 20-29 years, male 74.8
GTEX-ZYVF-0926-SM-5E44J 50-59 years, female 74.7
GTEX-ZT9X-1526-SM-5DUXD 40-49 years, male 74.6
GTEX-13OW6-2726-SM-5J2OE 50-59 years, male 74.3
GTEX-13VXU-0626-SM-5L3F9 50-59 years, male 74.3
GTEX-1JKYR-0626-SM-ARL8R 20-29 years, male 74.3
GTEX-1HGF4-0126-SM-CNPPX 60-69 years, male 73.9
GTEX-14LLW-2626-SM-62LDZ 70-79 years, female 73.3
GTEX-ZDTS-0826-SM-4WKHL 60-69 years, male 72.8
GTEX-ZWKS-0626-SM-5GIDV 30-39 years, male 72.7
GTEX-17KNJ-2126-SM-718AM 50-59 years, male 72.6
GTEX-133LE-2326-SM-5K7W3 20-29 years, female 72.3
GTEX-14PHX-2226-SM-6EU2P 50-59 years, male 72.0
GTEX-1HC8U-1326-SM-9YFMJ 40-49 years, female 72.0
GTEX-1MCYP-0526-SM-E9U6Q 20-29 years, female 72.0
GTEX-1S83E-1326-SM-E6CJM 40-49 years, male 72.0
GTEX-1IDJV-0126-SM-COH3Y 60-69 years, male 71.9
GTEX-11P81-2226-SM-5PNYI 30-39 years, female 71.7
GTEX-Y3IK-1626-SM-4YCF5 50-59 years, female 71.5
GTEX-144GL-0626-SM-5LU4D 50-59 years, male 71.4
GTEX-YJ8O-2526-SM-5HL85 40-49 years, female 71.3
GTEX-14A6H-2026-SM-5Q5DD 30-39 years, male 71.0
GTEX-14B4R-1326-SM-5Q5EZ 30-39 years, male 71.0
GTEX-1HFI7-2326-SM-CGQFS 50-59 years, female 70.9
GTEX-ZDTT-0426-SM-4WKFL 60-69 years, male 70.8
GTEX-1NSGN-0726-SM-DTXEF 50-59 years, male 70.8
GTEX-1GF9W-1426-SM-7PBYM 60-69 years, male 70.7
GTEX-1HCU7-0726-SM-A9SL1 50-59 years, male 70.6
GTEX-139TU-0726-SM-5L3EK 60-69 years, male 70.4
GTEX-1AX9I-2226-SM-73KUO 60-69 years, male 70.4
GTEX-1H1DE-1326-SM-9KNUG 20-29 years, male 70.4
GTEX-1399U-1126-SM-5L3DB 50-59 years, female 70.3
GTEX-13O3Q-0126-SM-5KM34 50-59 years, male 69.9
GTEX-ZVZP-1226-SM-5GID7 50-59 years, male 69.9
GTEX-XBEW-1126-SM-4QARW 40-49 years, male 69.6
GTEX-14JG1-1526-SM-5YY9X 40-49 years, male 69.5
GTEX-1GZ4I-2626-SM-9KNU3 50-59 years, male 69.4
GTEX-1IY9M-2826-SM-ARU8H 60-69 years, male 69.4
GTEX-139UW-0326-SM-5J1ML 60-69 years, male 69.2
GTEX-13FTW-0326-SM-5K7UW 40-49 years, male 68.9
GTEX-1EN7A-2426-SM-793DB 40-49 years, male 68.9
GTEX-1S5ZU-2526-SM-E6CIF 20-29 years, female 68.9
GTEX-ZAK1-0626-SM-5HL8E 50-59 years, female 68.7
GTEX-1LSNM-0826-SM-DIPG8 50-59 years, male 68.4
GTEX-131XG-0326-SM-5L3DX 50-59 years, female 68.3
GTEX-15SKB-2826-SM-6PAMH 60-69 years, male 68.3
GTEX-1C6VQ-1226-SM-73KYD 50-59 years, male 68.3
GTEX-Y8E4-2026-SM-5IFJB 40-49 years, male 68.3
GTEX-14PKU-0126-SM-6LLHV 40-49 years, female 68.2
GTEX-11DXX-2126-SM-5PNYR 60-69 years, female 68.0
GTEX-11NUK-2726-SM-5A5MC 50-59 years, male 68.0
GTEX-ZVP2-0326-SM-57WBP 50-59 years, male 67.8
GTEX-1R46S-2426-SM-E76QA 60-69 years, female 67.6
GTEX-ZYY3-2926-SM-5GIEB 60-69 years, female 67.5
GTEX-14C38-0726-SM-5SI6M 50-59 years, male 67.4
GTEX-11UD2-2526-SM-5CVNU 50-59 years, male 67.2
GTEX-14AS3-1526-SM-5Q5ED 40-49 years, female 67.2
GTEX-131XH-0126-SM-5LZUY 50-59 years, male 67.1
GTEX-ZTTD-2826-SM-4YCFA 50-59 years, male 66.9
GTEX-12126-0826-SM-5FQTZ 20-29 years, male 66.6
GTEX-1S3DN-2126-SM-E9TIN 50-59 years, male 66.3
GTEX-12WSA-0426-SM-5EQ5X 60-69 years, male 66.2
GTEX-ZP4G-1426-SM-4WWCL 20-29 years, female 66.0
GTEX-11DYG-1526-SM-5A5JS 60-69 years, male 65.8
GTEX-XXEK-1626-SM-4BRUZ 50-59 years, male 65.7
GTEX-11DXY-0126-SM-5H11Q 60-69 years, male 65.5
GTEX-14PK6-0226-SM-62LF5 70-79 years, female 65.5
GTEX-1B97I-0626-SM-73KUZ 40-49 years, male 65.4
GTEX-12WSD-0626-SM-5GCMW 60-69 years, female 65.2
GTEX-14PHY-1226-SM-5ZZWK 60-69 years, female 65.2
GTEX-11NSD-0626-SM-5A5LU 20-29 years, male 65.1
GTEX-13NYC-0126-SM-5L3F4 60-69 years, male 65.0
GTEX-1HR98-2226-SM-ADEI2 60-69 years, male 64.8
GTEX-1LSVX-2526-SM-DIPEU 60-69 years, male 64.8
GTEX-11ZTT-2126-SM-5CVLO 60-69 years, female 64.6
GTEX-139TS-2126-SM-5K7XC 60-69 years, male 64.6
GTEX-17F9E-2326-SM-79OKD 50-59 years, male 64.6
GTEX-1CAMQ-1326-SM-7P8RV 40-49 years, male 64.4
GTEX-13FLV-0126-SM-5K7WT 50-59 years, male 64.1
GTEX-12WSM-1926-SM-5BC65 60-69 years, male 64.0
GTEX-11LCK-2226-SM-5HL4Q 30-39 years, male 63.6
GTEX-ZPU1-1126-SM-4YCF3 40-49 years, male 63.6
GTEX-15CHQ-0326-SM-69LQD 60-69 years, male 63.5
GTEX-12WSC-2826-SM-5BC5Y 50-59 years, male 63.2
GTEX-1ICLZ-0326-SM-ARL82 60-69 years, male 62.9
GTEX-1GMR8-0626-SM-7RHI7 50-59 years, female 62.8
GTEX-1IL2V-1926-SM-B2LW8 70-79 years, male 62.6
GTEX-14753-0726-SM-5QGQO 60-69 years, male 62.4
GTEX-15DDE-2926-SM-6LLJ3 50-59 years, female 62.3
GTEX-1IDJI-0126-SM-CMKHS 50-59 years, female 62.3
GTEX-1JMQK-1226-SM-D4P2S 60-69 years, male 62.3
GTEX-11O72-0626-SM-5PNYE 40-49 years, male 62.1
GTEX-ZAB4-2126-SM-5HL8U 40-49 years, male 62.1
GTEX-13FTX-1526-SM-5K7VJ 20-29 years, female 62.0
GTEX-Y3I4-1726-SM-4TT89 50-59 years, male 62.0
GTEX-14DAR-1226-SM-73KYV 50-59 years, male 61.8
GTEX-1QEPI-2626-SM-DTXF4 60-69 years, female 61.8
GTEX-1M4P7-0726-SM-E6CJ3 60-69 years, male 61.7
GTEX-1B933-2426-SM-7DHMD 50-59 years, female 61.6
GTEX-1I1GP-1326-SM-A9G28 50-59 years, male 61.6
GTEX-1JJ6O-2726-SM-CNPOG 60-69 years, male 61.5
GTEX-13OW5-2326-SM-5L3HO 60-69 years, male 61.4
GTEX-14LZ3-0126-SM-69LPM 60-69 years, female 61.3
GTEX-ZPIC-0526-SM-DO91W 40-49 years, female 61.3
GTEX-1IDJD-2326-SM-ACKWX 30-39 years, male 60.8
GTEX-1S831-1826-SM-EWROF 20-29 years, male 60.7
GTEX-1R9PN-0426-SM-DTXDT 40-49 years, female 60.6
GTEX-13113-1626-SM-5EQ4I 60-69 years, female 60.4
GTEX-14PJ5-1526-SM-6LLIL 60-69 years, female 60.2
GTEX-17HGU-2326-SM-7DUFE 50-59 years, male 60.2
GTEX-13U4I-2226-SM-5LU5H 40-49 years, female 60.1
GTEX-147JS-0226-SM-5S2U9 60-69 years, male 60.1
GTEX-WRHU-2826-SM-3MJG8 50-59 years, female 60.1
GTEX-ZVT4-2426-SM-5GIEI 50-59 years, female 60.1
GTEX-1LG7Y-2526-SM-EWRO7 50-59 years, male 59.7
GTEX-1I4MK-0126-SM-CY8G6 50-59 years, female 59.5
GTEX-1J1R8-2026-SM-CL53Y 40-49 years, male 59.4
GTEX-13D11-0926-SM-5J2NC 50-59 years, female 59.2
GTEX-11ZUS-2626-SM-5FQUR 30-39 years, male 59.0
GTEX-15EU6-2226-SM-6EU2L 50-59 years, male 59.0
GTEX-148VJ-0626-SM-5LUAW 70-79 years, male 58.9
GTEX-XPVG-2126-SM-4B667 50-59 years, male 58.9
GTEX-14JFF-0626-SM-5ZZVT 60-69 years, male 58.8
GTEX-1CAMR-1326-SM-7PC1F 20-29 years, male 58.8
GTEX-1477Z-0326-SM-7IGLA 60-69 years, male 58.7
GTEX-13OW8-1026-SM-5J1NQ 60-69 years, male 58.6
GTEX-1AMEY-0826-SM-72D65 30-39 years, female 58.3
GTEX-1J8Q2-2626-SM-ACKWQ 60-69 years, male 58.3
GTEX-139D8-1126-SM-5LU8W 30-39 years, female 58.2
GTEX-13JVG-0726-SM-5KM16 60-69 years, male 58.2
GTEX-111YS-1526-SM-5GZYW 60-69 years, male 57.8
GTEX-13NYS-0626-SM-5L3F1 60-69 years, male 57.8
GTEX-VUSG-2326-SM-4KL1U 50-59 years, male 57.7
GTEX-X4EO-2926-SM-4E3JH 60-69 years, female 57.6
GTEX-14C39-1726-SM-5RQIL 40-49 years, male 57.5
GTEX-16BQI-1326-SM-6M486 30-39 years, female 57.5
GTEX-13SLW-0626-SM-5Q5ER 70-79 years, male 57.4
GTEX-1JJE9-2626-SM-ARZMT 70-79 years, male 57.4
GTEX-16Z82-2626-SM-7KULU 60-69 years, male 57.3
GTEX-ZLV1-1526-SM-DO91J 60-69 years, female 57.1
GTEX-14BMV-2826-SM-5TDED 50-59 years, male 57.0
GTEX-ZXG5-2126-SM-59HKD 60-69 years, male 56.9
GTEX-145MF-0926-SM-5Q5EA 50-59 years, male 56.6
GTEX-1IDFM-0326-SM-ARL7V 60-69 years, male 56.6
GTEX-145ME-1726-SM-5Q5EU 40-49 years, female 56.5
GTEX-1N5O9-0926-SM-E9J3C 60-69 years, male 56.5
GTEX-144FL-0626-SM-5LU43 50-59 years, male 56.3
GTEX-1A8G6-2726-SM-731AR 60-69 years, male 56.3
GTEX-X5EB-1926-SM-4E3IW 40-49 years, male 56.3
GTEX-13X6K-0626-SM-5LU5D 60-69 years, female 56.1
GTEX-18D9A-1426-SM-7LT8M 30-39 years, female 56.1
GTEX-12C56-1526-SM-5FQUQ 20-29 years, male 56.0
GTEX-1KXAM-1626-SM-D3LAD 60-69 years, male 55.8
GTEX-1NV5F-0626-SM-DTXEG 60-69 years, female 55.6
GTEX-1K2DU-1226-SM-CYPT4 20-29 years, male 55.5
GTEX-1E2YA-2126-SM-7MXUO 50-59 years, male 55.2
GTEX-18D9U-0126-SM-731BM 40-49 years, male 55.1
GTEX-11EQ8-0926-SM-5H12V 60-69 years, male 54.9
GTEX-145MG-1526-SM-5Q5EM 50-59 years, male 54.9
GTEX-XV7Q-1826-SM-4BRUV 40-49 years, female 54.6
GTEX-11P82-1426-SM-DTXFY 20-29 years, male 54.5
GTEX-1C475-1326-SM-7SB73 40-49 years, female 54.4
GTEX-1I1CD-0626-SM-CE6SW 60-69 years, female 54.4
GTEX-14PJN-1826-SM-6AJ98 30-39 years, male 53.8
GTEX-1LKK1-2626-SM-DKPQE 50-59 years, female 53.8
GTEX-139TT-2126-SM-5LZWC 60-69 years, male 53.6
GTEX-1RLM8-2926-SM-E8VON 50-59 years, male 53.5
GTEX-ZDXO-3126-SM-5IJDF 60-69 years, male 53.2
GTEX-ZVE2-2826-SM-5GU51 50-59 years, male 53.2
GTEX-1RAZR-2126-SM-E9U6T 40-49 years, male 53.1
GTEX-ZF3C-0626-SM-DO92O 50-59 years, female 52.8
GTEX-11DZ1-2426-SM-5GZZX 50-59 years, male 52.6
GTEX-1PDJ9-1226-SM-EXUSX 20-29 years, male 52.5
GTEX-1497J-0226-SM-5QGPU 60-69 years, male 52.4
GTEX-1JN6P-2926-SM-CL54D 60-69 years, male 52.2
GTEX-178AV-1726-SM-7KUL8 40-49 years, male 51.8
GTEX-13N1W-2426-SM-5IJD1 70-79 years, male 51.7
GTEX-14PKV-1126-SM-6LLJ1 20-29 years, female 51.6
GTEX-11WQK-1026-SM-5EQLX 50-59 years, male 51.0
GTEX-1J8QM-2426-SM-A9SLS 60-69 years, female 51.0
GTEX-1192X-2726-SM-5N9DN 50-59 years, male 50.7
GTEX-1PIGE-1826-SM-E8VOU 20-29 years, male 50.7
GTEX-1R9K4-2826-SM-DTX8F 60-69 years, male 50.7
GTEX-15CHC-1126-SM-6LLHQ 60-69 years, female 50.5
GTEX-1A8G7-1326-SM-73KVM 60-69 years, male 50.4
GTEX-145MN-1526-SM-5SI9T 30-39 years, male 50.1
GTEX-14E1K-2026-SM-7DUEI 50-59 years, male 49.8
GTEX-1CB4H-1126-SM-7MKGL 60-69 years, female 49.8
GTEX-14DAQ-0626-SM-793DS 60-69 years, female 49.7
GTEX-ZDYS-2426-SM-4WKGI 50-59 years, male 49.7
GTEX-1F52S-2926-SM-7MKGA 60-69 years, female 49.6
GTEX-183FY-1026-SM-7939A 20-29 years, male 49.5
GTEX-ZLFU-1826-SM-4WWBV 40-49 years, male 49.3
GTEX-11P7K-1126-SM-5HL4L 30-39 years, male 48.9
GTEX-13PVQ-0626-SM-5LU47 50-59 years, male 48.9
GTEX-1CB4I-0126-SM-7RHGG 50-59 years, male 48.8
GTEX-1F75I-2226-SM-7SB8U 40-49 years, male 48.7
GTEX-13O3O-2326-SM-5IJD6 60-69 years, female 48.6
GTEX-1HBPM-0726-SM-9YFL7 60-69 years, female 48.6
GTEX-16AAH-0626-SM-793C9 50-59 years, male 48.5
GTEX-139YR-1026-SM-5LZYN 50-59 years, male 48.4
GTEX-1JMPZ-0726-SM-CY8HZ 30-39 years, male 47.5
GTEX-15G19-2426-SM-7KUMR 60-69 years, male 47.4
GTEX-ZTSS-1426-SM-5985P 40-49 years, male 47.4
GTEX-1F6RS-2026-SM-7RHHC 60-69 years, female 47.3
GTEX-1H1ZS-2726-SM-9WG75 70-79 years, male 47.1
GTEX-13X6H-0926-SM-5SIB2 50-59 years, female 47.0
GTEX-Y5V5-0126-SM-5S2NW 60-69 years, female 47.0
GTEX-1HKZK-0726-SM-ACKW2 40-49 years, male 46.9
GTEX-WEY5-2326-SM-3GIKK 40-49 years, female 46.8
GTEX-13RTJ-0126-SM-5S2NN 60-69 years, male 46.7
GTEX-1QP29-1826-SM-DTX9S 50-59 years, male 46.7
GTEX-11EQ9-1626-SM-5PNY8 30-39 years, male 46.6
GTEX-XBEC-0726-SM-4QARZ 50-59 years, male 46.6
GTEX-1I6K7-1926-SM-B2LXR 40-49 years, male 46.6
GTEX-1HSGN-0826-SM-ACKW3 40-49 years, female 46.4
GTEX-XUW1-0926-SM-4BONX 50-59 years, female 46.3
GTEX-1F75B-0726-SM-7PC3R 50-59 years, male 46.2
GTEX-13N11-2326-SM-5IJBF 50-59 years, female 46.1
GTEX-1F88E-1626-SM-7SB8Z 60-69 years, female 45.9
GTEX-17HG3-2626-SM-7DUF2 30-39 years, female 45.8
GTEX-1J8Q3-0526-SM-ARL8U 60-69 years, male 45.7
GTEX-1117F-2926-SM-5GZYI 60-69 years, female 45.6
GTEX-13W3W-0726-SM-5IJDQ 60-69 years, female 45.5
GTEX-1B8KZ-0326-SM-73KY4 50-59 years, male 45.5
GTEX-11VI4-1126-SM-5EQMD 40-49 years, female 45.4
GTEX-16NPX-0726-SM-7KULC 50-59 years, male 45.2
GTEX-VJYA-1526-SM-3GIJV 60-69 years, male 45.2
GTEX-13X6I-1826-SM-5SIAO 60-69 years, male 45.1
GTEX-1A3MV-1826-SM-731CD 30-39 years, male 44.8
GTEX-13OVL-0126-SM-5L3GJ 50-59 years, male 44.5
GTEX-12WSF-1626-SM-7KUG5 70-79 years, male 44.4
GTEX-145LS-0626-SM-7EPG7 60-69 years, female 44.4
GTEX-17MF6-2626-SM-79OKQ 40-49 years, male 44.4
GTEX-ZGAY-1826-SM-DO91Q 40-49 years, female 44.4
GTEX-Y5V6-2326-SM-4VDSA 60-69 years, male 43.9
GTEX-147F3-1726-SM-5SIAW 50-59 years, female 43.2
GTEX-1B996-0426-SM-7EWF8 60-69 years, male 43.2
GTEX-13IVO-0726-SM-5LZYV 70-79 years, male 42.8
GTEX-15RIE-1926-SM-7KUKJ 60-69 years, male 42.8
GTEX-15EO6-2426-SM-6PALZ 50-59 years, male 42.4
GTEX-13N2G-0226-SM-5K7VF 60-69 years, male 42.3
GTEX-145MI-0626-SM-5SI8S 60-69 years, female 42.3
GTEX-1H1E6-0426-SM-9WYUS 30-39 years, male 42.2
GTEX-13OVJ-0826-SM-5J1OK 50-59 years, female 42.1
GTEX-ZYW4-0626-SM-59HJR 60-69 years, male 42.1
GTEX-1GN1W-2426-SM-9KNUU 50-59 years, female 41.6
GTEX-1HCU9-0426-SM-9WYSD 20-29 years, male 41.5
GTEX-1A8FM-0626-SM-7PC25 50-59 years, female 41.3
GTEX-12KS4-2126-SM-5FQUT 30-39 years, male 41.2
GTEX-11DXW-0826-SM-5H118 40-49 years, male 40.9
GTEX-1PPH7-1126-SM-DTX9A 40-49 years, male 40.3
GTEX-ZU9S-1826-SM-5NQ9E 30-39 years, male 40.1
GTEX-1KD5A-0126-SM-E9U54 50-59 years, male 39.9
GTEX-YEC4-1826-SM-4W1YP 40-49 years, male 39.6
GTEX-1HSMP-0926-SM-A9SKX 70-79 years, male 39.4
GTEX-WH7G-2026-SM-3NMBL 40-49 years, male 39.3
GTEX-1I1GS-2626-SM-B2LY3 60-69 years, male 39.2
GTEX-13OVH-0526-SM-5L3E6 70-79 years, male 39.0
GTEX-11EI6-2826-SM-5H11D 60-69 years, male 38.9
GTEX-Y8LW-1526-SM-5IFHL 50-59 years, female 38.9
GTEX-13NZ8-1226-SM-5KM4A 60-69 years, female 38.5
GTEX-XBED-1926-SM-47JYP 60-69 years, male 38.3
GTEX-YEC3-1326-SM-DO92X 50-59 years, male 38.3
GTEX-Y5LM-0926-SM-6LLJG 40-49 years, female 37.9
GTEX-16MT8-2926-SM-7DUFO 60-69 years, female 37.7
GTEX-18D9B-0926-SM-7LG4U 60-69 years, male 37.7
GTEX-15D1Q-2826-SM-6LLH7 40-49 years, male 37.6
GTEX-13VXT-1926-SM-5K7UO 20-29 years, female 37.5
GTEX-1GMR3-0126-SM-A9SLW 40-49 years, male 37.4
GTEX-ZA64-1026-SM-5HL8R 20-29 years, male 37.3
GTEX-1KANC-1226-SM-CYPT7 50-59 years, female 37.3
GTEX-WYBS-0626-SM-3NMAS 60-69 years, female 37.0
GTEX-1H1DG-2426-SM-9QEHJ 70-79 years, male 37.0
GTEX-1JMOU-1026-SM-CYPSS 60-69 years, female 37.0
GTEX-1F5PL-0926-SM-7PC2W 40-49 years, female 36.7
GTEX-1H1CY-0126-SM-9YFLY 60-69 years, female 36.7
GTEX-1IDJF-2026-SM-CL53V 20-29 years, male 36.6
GTEX-1A32A-0626-SM-731AQ 50-59 years, female 36.5
GTEX-1EH9U-2826-SM-7DUGT 60-69 years, male 36.2
GTEX-1F48J-0726-SM-7RHGS 50-59 years, female 36.2
GTEX-15SHW-0226-SM-7LTAT 60-69 years, male 36.1
GTEX-ZVE1-0726-SM-51MRN 50-59 years, female 35.8
GTEX-1F5PK-2226-SM-7SB6N 50-59 years, male 35.8
GTEX-12696-0126-SM-5EQ4L 60-69 years, male 35.6
GTEX-1HSMO-0626-SM-ACKXC 60-69 years, male 35.6
GTEX-1KANA-1326-SM-DIPFA 20-29 years, male 35.6
GTEX-1JKYN-0826-SM-ARU8S 30-39 years, male 35.2
GTEX-1JMQI-1726-SM-ARL93 50-59 years, male 35.1
GTEX-14PJ3-1126-SM-5ZZVX 50-59 years, male 35.0
GTEX-1H23P-0626-SM-9WG6T 60-69 years, male 34.8
GTEX-14PJ2-0626-SM-6LLII 50-59 years, male 34.2
GTEX-1314G-1326-SM-5BC6E 30-39 years, male 34.1
GTEX-1GMR2-0826-SM-7PC3V 50-59 years, male 34.1
GTEX-1HFI6-0126-SM-CNPPI 40-49 years, male 34.0
GTEX-1I6K6-1726-SM-CGQFD 30-39 years, male 34.0
GTEX-1A3MW-0626-SM-731CB 60-69 years, female 33.5
GTEX-17F96-0126-SM-7EWDU 70-79 years, male 33.0
GTEX-1AX8Z-0726-SM-73KTS 60-69 years, male 32.9
GTEX-X3Y1-2026-SM-3P5YM 40-49 years, male 32.5
GTEX-1K2DA-1026-SM-CGQGF 50-59 years, male 32.5
GTEX-1H1DF-1126-SM-9WG7G 40-49 years, female 32.4
GTEX-WK11-2726-SM-3NMAQ 50-59 years, male 32.3
GTEX-16NGA-0726-SM-731AO 40-49 years, female 32.2
GTEX-1H3NZ-2726-SM-9WYTQ 60-69 years, male 32.2
GTEX-14A5H-0826-SM-5QGPJ 60-69 years, male 32.0
GTEX-ZAJG-1526-SM-5CVML 50-59 years, female 31.9
GTEX-ZLWG-0826-SM-59888 50-59 years, female 31.8
GTEX-UPK5-0426-SM-3GAEK 40-49 years, male 31.4
GTEX-144GO-2026-SM-5O99P 60-69 years, male 31.3
GTEX-13PVR-0426-SM-5RQK2 60-69 years, female 31.2
GTEX-1LG7Z-1626-SM-CXKYR 30-39 years, male 31.2
GTEX-X4EP-0626-SM-3P621 60-69 years, female 31.1
GTEX-13FH7-1126-SM-5K7UG 50-59 years, female 30.9
GTEX-16XZZ-0726-SM-7KUF2 60-69 years, male 30.9
GTEX-1LVAO-2726-SM-E9TJ8 60-69 years, male 30.8
GTEX-1HUB1-1426-SM-CGQF5 60-69 years, male 30.7
GTEX-XMD2-2126-SM-4YCF8 60-69 years, female 30.6
GTEX-1CAV2-0126-SM-7IGN7 40-49 years, female 30.4
GTEX-WXYG-2026-SM-4E3IY 50-59 years, female 30.4
GTEX-WY7C-2126-SM-3NB2R 50-59 years, male 30.0
GTEX-139T8-0626-SM-5KLZX 60-69 years, male 29.4
GTEX-1GZ2Q-0126-SM-9WG6M 40-49 years, male 29.4
GTEX-1JN1M-2726-SM-CY8I4 60-69 years, female 29.4
GTEX-1MCC2-1826-SM-DIPEX 30-39 years, female 29.3
GTEX-1RB15-1326-SM-E76Q9 60-69 years, male 29.2
GTEX-ZZ64-1026-SM-5GZXG 20-29 years, male 29.0
GTEX-12WSK-2126-SM-5CVNC 40-49 years, female 28.9
GTEX-13OVG-1626-SM-5J1NF 60-69 years, male 28.8
GTEX-18A66-0626-SM-7LT8Z 60-69 years, male 28.7
GTEX-14JG6-1426-SM-9WG7C 30-39 years, female 28.7
GTEX-12584-0726-SM-5FQTK 40-49 years, male 28.6
GTEX-ZYFG-1526-SM-5GZYM 60-69 years, female 28.6
GTEX-1J8JJ-0626-SM-ARZMQ 60-69 years, female 28.4
GTEX-1211K-1526-SM-5FQU4 60-69 years, female 28.1
GTEX-14PJO-2526-SM-6AJBQ 60-69 years, male 27.9
GTEX-13NZ9-2626-SM-5L3FK 50-59 years, male 27.4
GTEX-1QCLZ-2426-SM-EVYBW 60-69 years, female 27.4
GTEX-12BJ1-0926-SM-5EQ62 60-69 years, male 27.3
GTEX-18A7B-2726-SM-7LG56 70-79 years, male 27.2
GTEX-WFON-1926-SM-3LK7L 40-49 years, male 26.9
GTEX-1IDJE-1426-SM-ADEIW 50-59 years, female 26.6
GTEX-14E6E-0526-SM-793DN 30-39 years, male 26.4
GTEX-WYJK-0526-SM-3NM8Z 50-59 years, male 25.8
GTEX-13YAN-0226-SM-5TDC6 60-69 years, male 25.6
GTEX-WFG8-2126-SM-3GIKQ 20-29 years, male 25.5
GTEX-1H3VE-0726-SM-9YFL5 40-49 years, male 25.3
GTEX-1ICG6-1226-SM-A9SLN 70-79 years, female 25.3
GTEX-1O9I2-0226-SM-EYYXD 50-59 years, male 24.9
GTEX-15UF6-1926-SM-7KUDV 70-79 years, female 24.3
GTEX-17JCI-2926-SM-7DUFF 60-69 years, female 24.3
GTEX-1IDJC-1526-SM-B2LW4 50-59 years, male 24.3
GTEX-XYKS-1426-SM-4BRUO 60-69 years, female 24.2
GTEX-146FQ-2126-SM-5RQHU 30-39 years, male 23.9
GTEX-1C64O-1326-SM-7MGWR 60-69 years, male 23.9
GTEX-13QBU-1226-SM-5LU4G 40-49 years, female 23.4
GTEX-14BMU-1226-SM-5S2OR 20-29 years, female 22.8
GTEX-ZYFD-0626-SM-5E44E 50-59 years, male 22.6
GTEX-1LGOU-1326-SM-D3L8M 20-29 years, female 21.3
GTEX-11EM3-1226-SM-5N9DD 20-29 years, female 21.0
GTEX-XQ8I-0926-SM-4BOOF 50-59 years, male 20.4
GTEX-145LT-0526-SM-5LUB2 40-49 years, male 20.2
GTEX-13JUV-2026-SM-5K7UA 40-49 years, female 20.1
GTEX-1A3MX-2626-SM-7PC24 60-69 years, male 20.1
GTEX-XK95-0226-SM-4AT58 40-49 years, male 19.4
GTEX-1F6IF-0926-SM-7SB7M 60-69 years, male 19.3
GTEX-YB5K-2026-SM-4VDT3 40-49 years, female 19.1
GTEX-1RAZA-2226-SM-E9U4X 20-29 years, male 18.4
GTEX-145MO-2826-SM-5LU96 60-69 years, male 17.8
GTEX-132AR-0326-SM-5KM2C 50-59 years, female 17.2
GTEX-12WSL-2026-SM-5GCML 50-59 years, male 16.2
GTEX-14E6C-2426-SM-5S2NF 40-49 years, male 16.0
GTEX-117YX-1926-SM-5GIEC 50-59 years, male 15.3
GTEX-11TT1-1826-SM-5EQLV 20-29 years, male 15.1
GTEX-1QP66-1226-SM-DTX7U 50-59 years, male 13.5
GTEX-1E1VI-0326-SM-793D1 50-59 years, male 13.2
GTEX-ZT9W-1126-SM-57WDR 50-59 years, male 12.4
GTEX-1399R-1326-SM-5PNYS 30-39 years, male 12.0
GTEX-1I19N-0126-SM-CYPSF 70-79 years, male 11.3
GTEX-1F75W-2726-SM-7SB8H 60-69 years, male 8.0
GTEX-ZVTK-0226-SM-51MRG 20-29 years, male 5.6
GTEX-ZUA1-2626-SM-5NQ92 40-49 years, male 3.3
GTEX-1GF9U-2026-SM-7SB92 40-49 years, female 2.8
GTEX-111FC-2526-SM-5GZXU 60-69 years, male 2.7
GTEX-17EVQ-0126-SM-7IGLR 70-79 years, male 2.5
GTEX-16GPK-0626-SM-7KFSF 60-69 years, male 1.8
GTEX-1L5NE-1126-SM-D3L9P 50-59 years, male 1.7
GTEX-YF7O-1526-SM-5IFI6 50-59 years, male 1.3
GTEX-1AX9J-1326-SM-731BJ 60-69 years, male 1.2
Show allShow less
Skin - Sun Exposed (Lower leg)
Average nTPM: 71.6
Samples: 701

Max nTPM: 243.0
Min nTPM: 1.3
Std nTPM: 33.1
Median nTPM: 68.1
GTEX-1JMLX-0226-SM-CM2RO 50-59 years, male 243.0
GTEX-117XS-2726-SM-5N9BL 60-69 years, male 212.3
GTEX-1PIIG-0226-SM-EWRN6 30-39 years, male 200.1
GTEX-P4QT-0126-SM-2I3FL 50-59 years, female 192.3
GTEX-PX3G-0126-SM-2I3EN 20-29 years, female 174.9
GTEX-12WSA-0226-SM-5BC5V 60-69 years, male 168.4
GTEX-1R9PM-2026-SM-E76OY 20-29 years, male 160.0
GTEX-T6MN-0126-SM-32PLP 50-59 years, male 158.7
GTEX-15ER7-0326-SM-7KUEV 20-29 years, female 155.2
GTEX-1HT8W-0126-SM-CNPPP 30-39 years, male 150.3
GTEX-13111-1626-SM-5EGJY 50-59 years, male 150.1
GTEX-1B8KE-2126-SM-73KYX 50-59 years, male 148.4
GTEX-1HSKV-0226-SM-A9SKJ 60-69 years, male 147.4
GTEX-15F5U-1526-SM-6PANO 40-49 years, male 146.2
GTEX-18D9A-1926-SM-7LG6P 30-39 years, female 145.2
GTEX-17HG3-2226-SM-7938L 30-39 years, female 144.3
GTEX-ZYFC-0226-SM-5NQ75 50-59 years, male 144.0
GTEX-144GL-0126-SM-5TDE2 50-59 years, male 143.9
GTEX-ZVTK-0426-SM-51MRS 20-29 years, male 140.8
GTEX-13FTY-0526-SM-5L3EV 40-49 years, female 139.7
GTEX-WI4N-1026-SM-3LK7N 40-49 years, female 139.5
GTEX-ZVZO-0126-SM-5A5L9 40-49 years, male 138.6
GTEX-ZYT6-0226-SM-5NQ6T 30-39 years, male 138.6
GTEX-14JG1-0426-SM-6ETZZ 40-49 years, male 137.8
GTEX-1GF9V-0326-SM-7RHI5 60-69 years, male 136.7
GTEX-1MA7W-2026-SM-E9TJ6 20-29 years, female 136.5
GTEX-13X6J-0126-SM-5QGOU 50-59 years, male 135.6
GTEX-ZXES-1826-SM-5E43S 30-39 years, female 134.9
GTEX-1JMQL-0226-SM-CNPP5 50-59 years, female 134.3
GTEX-1C64N-0126-SM-793D7 50-59 years, male 133.9
GTEX-ZF3C-0126-SM-DO92D 50-59 years, female 133.8
GTEX-1C475-1826-SM-73KWA 40-49 years, female 133.0
GTEX-OIZH-0126-SM-2HMIS 50-59 years, male 132.6
GTEX-1IKJJ-0126-SM-CNPQB 60-69 years, male 132.5
GTEX-1ICLZ-0126-SM-CKZPO 60-69 years, male 132.3
GTEX-YJ89-0126-SM-4TT3X 60-69 years, male 132.2
GTEX-1KANC-1526-SM-D3LAB 50-59 years, female 131.7
GTEX-1EWIQ-0126-SM-7RHH2 70-79 years, female 129.4
GTEX-1HCU8-0626-SM-A9SM9 60-69 years, female 129.0
GTEX-POMQ-2226-SM-2I5FK 20-29 years, female 128.4
GTEX-NFK9-0226-SM-2HMKQ 40-49 years, male 128.3
GTEX-13OW8-1326-SM-5J1OW 60-69 years, male 127.3
GTEX-1KWVE-1426-SM-E9TJO 30-39 years, male 127.1
GTEX-12WSE-0526-SM-793B2 20-29 years, male 126.9
GTEX-17JCI-0126-SM-7LG5G 60-69 years, female 126.9
GTEX-11DXW-0226-SM-5H122 40-49 years, male 126.5
GTEX-1I1GV-0526-SM-A9G29 60-69 years, male 126.3
GTEX-1GN1U-0126-SM-7PBZK 50-59 years, female 125.7
GTEX-1B8SF-1426-SM-7DUGL 60-69 years, male 125.4
GTEX-QESD-1426-SM-2S1R9 20-29 years, male 124.9
GTEX-131XE-2326-SM-5PNZ2 50-59 years, male 124.1
GTEX-1CB4F-0426-SM-9KNV4 60-69 years, male 123.7
GTEX-12WSC-0126-SM-5EQ4P 50-59 years, male 123.2
GTEX-13CF2-2526-SM-5LZYX 60-69 years, male 123.0
GTEX-1QAET-0926-SM-E76QM 50-59 years, male 122.3
GTEX-13FXS-0226-SM-5IJCK 50-59 years, male 122.1
GTEX-1IDJH-0326-SM-A9SLQ 70-79 years, male 121.7
GTEX-Z93S-0126-SM-5HL7M 50-59 years, male 121.3
GTEX-X8HC-0126-SM-4E3JW 50-59 years, female 120.7
GTEX-1H1CY-2826-SM-9MQM3 60-69 years, female 120.4
GTEX-1212Z-2526-SM-5EGKP 60-69 years, male 120.2
GTEX-Y3IK-2426-SM-4WWDU 50-59 years, female 119.9
GTEX-1OJC3-0126-SM-E76QX 20-29 years, male 119.9
GTEX-XUZC-1726-SM-4BRWS 30-39 years, female 119.2
GTEX-11DXZ-2326-SM-5EGGV 50-59 years, male 118.6
GTEX-1LGRB-2526-SM-CNPPQ 50-59 years, female 118.3
GTEX-PSDG-0226-SM-DKPOZ 50-59 years, male 118.3
GTEX-1JJEA-0326-SM-CNPOT 60-69 years, male 118.1
GTEX-13NYB-2526-SM-5K7Z6 40-49 years, male 117.3
GTEX-11DYG-0126-SM-59883 60-69 years, male 117.2
GTEX-139TS-2826-SM-5J1OO 60-69 years, male 117.2
GTEX-1QP9N-1426-SM-DTXFL 30-39 years, male 117.0
GTEX-1I1GQ-0126-SM-COH3H 50-59 years, male 116.5
GTEX-ZWKS-0126-SM-5SIAA 30-39 years, male 116.3
GTEX-ZVT2-2526-SM-51MT1 50-59 years, female 114.4
GTEX-1LB8K-0226-SM-EWRNW 50-59 years, male 114.2
GTEX-S33H-1026-SM-EZ6L6 30-39 years, male 114.0
GTEX-1BAJH-0526-SM-793CQ 70-79 years, male 113.0
GTEX-1CB4G-0226-SM-7PC3O 60-69 years, male 112.6
GTEX-1JN6P-0126-SM-D3L98 60-69 years, male 111.8
GTEX-1GMR3-1926-SM-9KNUZ 40-49 years, male 111.7
GTEX-13JUV-2726-SM-5LZZ8 40-49 years, female 111.6
GTEX-1JJ6O-0126-SM-E6CI8 60-69 years, male 110.8
GTEX-1MJK2-0426-SM-DTXE5 50-59 years, male 110.8
GTEX-13FTW-2626-SM-5K7WL 40-49 years, male 110.1
GTEX-ZV68-0126-SM-59HKS 50-59 years, female 109.2
GTEX-U8XE-0326-SM-3DB8P 30-39 years, male 109.1
GTEX-1I1GT-0626-SM-CGQER 60-69 years, female 109.0
GTEX-Y8DK-0126-SM-4TT3L 60-69 years, male 108.8
GTEX-1GMRU-0126-SM-9YFLV 50-59 years, male 108.6
GTEX-1H4P4-0726-SM-9YFLR 50-59 years, male 108.5
GTEX-13OW6-0426-SM-5L3HM 50-59 years, male 108.4
GTEX-RWSA-0126-SM-2XCBB 40-49 years, male 108.4
GTEX-18A6Q-0126-SM-731BZ 60-69 years, male 108.0
GTEX-ZDTS-0126-SM-4WAY5 60-69 years, male 107.8
GTEX-139UW-2826-SM-5L3E7 60-69 years, male 107.4
GTEX-WFG8-2226-SM-3GIL9 20-29 years, male 107.3
GTEX-PVOW-0126-SM-2XCFA 40-49 years, male 107.2
GTEX-1JMQJ-0526-SM-CYPSU 50-59 years, male 106.9
GTEX-ZAJG-0126-SM-5HL94 50-59 years, female 106.6
GTEX-1GZHY-0326-SM-9QEHI 50-59 years, female 106.0
GTEX-ZF2S-2326-SM-4WWCE 50-59 years, female 105.6
GTEX-18A67-0126-SM-7LG5P 50-59 years, male 105.5
GTEX-1L5NE-2526-SM-E6CIE 50-59 years, male 105.5
GTEX-1HB9E-0226-SM-E9U4R 50-59 years, male 105.3
GTEX-1EN7A-0126-SM-7SB81 40-49 years, male 105.1
GTEX-1CAV2-2226-SM-7P8P2 40-49 years, female 104.8
GTEX-17MFQ-1726-SM-793C7 20-29 years, male 104.7
GTEX-ZGAY-0526-SM-4WWBB 40-49 years, female 104.7
GTEX-1GN2E-0426-SM-9MQKX 60-69 years, male 104.7
GTEX-T5JW-1626-SM-3GADZ 20-29 years, female 104.3
GTEX-1EMGI-0126-SM-9KNUE 60-69 years, male 104.1
GTEX-1GF9W-0326-SM-9KNUN 60-69 years, male 104.1
GTEX-1LG7Z-1726-SM-D3LA4 30-39 years, male 103.8
GTEX-131YS-0126-SM-5KM1M 60-69 years, female 103.5
GTEX-1QMI2-0226-SM-EVYBX 60-69 years, male 103.4
GTEX-OIZG-0726-SM-33HBL 50-59 years, male 103.1
GTEX-U412-0426-SM-3DB9O 60-69 years, male 103.1
GTEX-1LBAC-0126-SM-DIPEZ 20-29 years, male 102.8
GTEX-X88G-0126-SM-47JZ3 30-39 years, male 102.5
GTEX-1269C-2526-SM-5EGJ3 60-69 years, female 102.1
GTEX-14PII-0226-SM-6EU1T 60-69 years, male 101.5
GTEX-1399R-2726-SM-5IJBA 30-39 years, male 101.1
GTEX-13NZB-2526-SM-5J1OM 30-39 years, male 101.1
GTEX-W5X1-3026-SM-EAZAX 40-49 years, female 101.1
GTEX-13FHP-0126-SM-5IJBG 50-59 years, male 100.9
GTEX-17EVP-0326-SM-7DHLG 40-49 years, male 100.9
GTEX-SN8G-0126-SM-32PLI 50-59 years, female 100.9
GTEX-1HGF4-2426-SM-ACKXM 60-69 years, male 100.9
GTEX-1H1DG-0126-SM-9WYU2 70-79 years, male 100.8
GTEX-17HHY-0126-SM-7LG5D 50-59 years, male 100.6
GTEX-1EX96-1626-SM-7PBXR 50-59 years, male 100.5
GTEX-WQUQ-0426-SM-3MJFU 60-69 years, male 100.1
GTEX-12ZZY-0226-SM-5LZVE 60-69 years, male 99.7
GTEX-ZPIC-1726-SM-DHXIU 40-49 years, female 99.6
GTEX-14E6D-0126-SM-62LDV 50-59 years, male 99.4
GTEX-UJHI-1526-SM-3DB99 50-59 years, female 99.2
GTEX-1313W-0126-SM-5LZUN 50-59 years, female 99.1
GTEX-1C6VR-2426-SM-79OLD 60-69 years, male 98.8
GTEX-1PIGE-0126-SM-EVYBJ 20-29 years, male 98.5
GTEX-RNOR-0126-SM-E9J4R 50-59 years, female 98.2
GTEX-RU72-0926-SM-2TF6B 50-59 years, female 98.1
GTEX-Y8E4-0626-SM-4WWDL 40-49 years, male 97.6
GTEX-1O97I-0326-SM-EYYX7 60-69 years, male 97.3
GTEX-1LSNM-1926-SM-E6CII 50-59 years, male 97.2
GTEX-16YQH-0126-SM-7DUFJ 30-39 years, male 96.7
GTEX-13112-2826-SM-5DUWH 50-59 years, male 96.6
GTEX-15RIG-0226-SM-7KFTL 40-49 years, male 96.5
GTEX-1HCUA-2426-SM-ADEIS 50-59 years, female 96.5
GTEX-1IOXB-0126-SM-ARL8G 50-59 years, male 96.4
GTEX-17GQL-2026-SM-718BA 60-69 years, male 96.0
GTEX-1QCLY-0326-SM-E8VOG 30-39 years, male 95.5
GTEX-S7SE-0126-SM-2XCD5 50-59 years, male 95.4
GTEX-14A5H-0426-SM-5QGQF 60-69 years, male 95.3
GTEX-1C4CL-0526-SM-73KVK 30-39 years, male 95.2
GTEX-YFC4-0126-SM-5CVLY 40-49 years, female 95.2
GTEX-14PN4-0126-SM-6EU2V 50-59 years, male 94.8
GTEX-113JC-2326-SM-5EQ4E 50-59 years, female 94.2
GTEX-SUCS-1926-SM-32PM3 70-79 years, male 93.6
GTEX-WYJK-0126-SM-3NMAB 50-59 years, male 93.6
GTEX-1LH75-2426-SM-E9TJE 50-59 years, female 93.5
GTEX-15ETS-0126-SM-7KUMW 40-49 years, female 93.1
GTEX-14XAO-2326-SM-6EU1B 60-69 years, female 92.8
GTEX-QEG4-0226-SM-2S1PY 30-39 years, male 92.8
GTEX-1HBPI-1526-SM-C1YQ1 50-59 years, male 92.8
GTEX-11ZTS-0126-SM-5EQ6M 60-69 years, female 92.7
GTEX-1LVAN-0226-SM-COH3S 50-59 years, female 92.5
GTEX-1KAFJ-2026-SM-CY8ID 50-59 years, male 92.4
GTEX-11EQ9-2426-SM-5HL5T 30-39 years, male 91.8
GTEX-16GPK-0126-SM-7DHLE 60-69 years, male 91.7
GTEX-17HII-0226-SM-7LG4E 50-59 years, male 91.6
GTEX-13S7M-0126-SM-5SI6A 60-69 years, female 91.5
GTEX-148VI-1626-SM-5SI6E 60-69 years, female 91.5
GTEX-Q734-1926-SM-2I5EV 40-49 years, female 91.1
GTEX-OOBJ-0126-SM-E6CJW 60-69 years, male 91.1
GTEX-ZTX8-1426-SM-5DUVO 20-29 years, male 91.0
GTEX-14BMV-0126-SM-5S2PO 50-59 years, male 90.7
GTEX-14PJM-0226-SM-62LF1 50-59 years, female 90.5
GTEX-T2IS-0126-SM-4DM6O 20-29 years, female 90.5
GTEX-1HCU9-1526-SM-A9SL7 20-29 years, male 90.5
GTEX-14DAQ-0126-SM-5S2MQ 60-69 years, female 90.4
GTEX-15DYW-0126-SM-7KULE 60-69 years, female 90.4
GTEX-XUYS-0126-SM-47JWZ 50-59 years, male 90.3
GTEX-1E1VI-0126-SM-7DHMZ 50-59 years, male 90.2
GTEX-XQ3S-1526-SM-4BOOC 20-29 years, male 89.7
GTEX-11UD2-0226-SM-5EQKY 50-59 years, male 89.6
GTEX-1MCQQ-0826-SM-DLHC2 60-69 years, male 89.6
GTEX-111FC-0126-SM-5N9DL 60-69 years, male 89.4
GTEX-1JMPY-1326-SM-ARL8Y 30-39 years, male 89.4
GTEX-12ZZZ-0626-SM-5DUXI 60-69 years, male 89.3
GTEX-13PDP-0126-SM-5L3HD 60-69 years, male 88.9
GTEX-X4XX-0126-SM-3NMC2 60-69 years, male 88.7
GTEX-18A7B-0126-SM-7LG64 70-79 years, male 88.6
GTEX-1IL2U-0226-SM-CE6T8 60-69 years, male 88.5
GTEX-1J8EW-0126-SM-CJI4F 60-69 years, female 88.3
GTEX-1S83E-0126-SM-EWRO4 40-49 years, male 88.3
GTEX-1R7EU-0226-SM-EVR4G 60-69 years, male 88.2
GTEX-1RDX4-0126-SM-E9J4P 50-59 years, female 88.2
GTEX-1EU9M-0226-SM-7P8SP 60-69 years, male 88.0
GTEX-1I4MK-2226-SM-ACKWD 50-59 years, female 87.7
GTEX-VJYA-1126-SM-3GIJU 60-69 years, male 87.3
GTEX-1N2DW-0226-SM-E9TK2 50-59 years, male 87.2
GTEX-1399T-2826-SM-5KLYZ 60-69 years, male 87.0
GTEX-ZVZP-2426-SM-59HKJ 50-59 years, male 87.0
GTEX-T5JC-0426-SM-32PLO 20-29 years, male 86.7
GTEX-183WM-0126-SM-7LTAB 70-79 years, female 86.2
GTEX-1QPFJ-0226-SM-E76PB 30-39 years, female 85.8
GTEX-13OVH-0126-SM-5MR4B 70-79 years, male 85.6
GTEX-1JMPZ-0226-SM-CNPP1 30-39 years, male 85.5
GTEX-1POEN-0126-SM-EYYXJ 30-39 years, female 85.5
GTEX-133LE-1826-SM-5J1MV 20-29 years, female 85.1
GTEX-13SLW-0126-SM-5SI6C 70-79 years, male 85.0
GTEX-YB5E-2026-SM-5IFIS 40-49 years, male 84.9
GTEX-12ZZX-0126-SM-5EGK9 40-49 years, female 84.6
GTEX-15UF6-0826-SM-6PALJ 70-79 years, female 84.3
GTEX-1IL2V-0126-SM-CM2TX 70-79 years, male 84.1
GTEX-1AX9J-0226-SM-73KXM 60-69 years, male 84.0
GTEX-1CAMS-0426-SM-7P8T2 40-49 years, female 83.7
GTEX-WYVS-2126-SM-3NMA3 40-49 years, female 83.5
GTEX-1E2YA-0126-SM-9KNUC 50-59 years, male 83.5
GTEX-132NY-0326-SM-5IJBL 60-69 years, male 83.4
GTEX-TSE9-0126-SM-3DB83 60-69 years, female 83.2
GTEX-1JKYR-0126-SM-CNPOJ 20-29 years, male 83.0
GTEX-12WSG-2826-SM-E9J4H 50-59 years, female 82.1
GTEX-1M5QR-1226-SM-EWROB 40-49 years, male 82.1
GTEX-1PFEY-1526-SM-E76PP 30-39 years, male 82.1
GTEX-1MUQO-0126-SM-EAZ58 60-69 years, male 81.9
GTEX-ZAK1-0126-SM-5IJD3 50-59 years, female 81.7
GTEX-1I1GR-0126-SM-CL55F 60-69 years, male 81.7
GTEX-139TU-0126-SM-5K7WH 60-69 years, male 81.6
GTEX-18D9U-0226-SM-718BP 40-49 years, male 81.6
GTEX-1HCVE-0126-SM-CGQEU 50-59 years, male 81.5
GTEX-145ME-1826-SM-5SI9G 40-49 years, female 81.1
GTEX-1B8L1-2526-SM-9WYTF 60-69 years, male 81.1
GTEX-T2YK-0526-SM-32QPJ 50-59 years, male 80.9
GTEX-ZYFG-2326-SM-5E44B 60-69 years, female 80.4
GTEX-ZTSS-1926-SM-57WEW 40-49 years, male 80.3
GTEX-15EU6-0426-SM-6PAN5 50-59 years, male 80.1
GTEX-SNMC-1226-SM-2XCFP 20-29 years, male 80.1
GTEX-145MF-0626-SM-5LUAI 50-59 years, male 80.0
GTEX-ZV6S-2326-SM-4YCEY 40-49 years, female 80.0
GTEX-ZZ64-1726-SM-5GZYB 20-29 years, male 79.5
GTEX-1JMQK-0226-SM-CL543 60-69 years, male 79.3
GTEX-139D8-0226-SM-5KLZO 30-39 years, female 79.2
GTEX-1PDJ9-0326-SM-DTX95 20-29 years, male 79.2
GTEX-U3ZH-2026-SM-3DB78 30-39 years, male 78.9
GTEX-1OFPY-2426-SM-DTXEJ 60-69 years, male 78.6
GTEX-ZE9C-2726-SM-57WB5 60-69 years, male 78.5
GTEX-1K2DA-1826-SM-CGQGT 50-59 years, male 78.4
GTEX-1IKOH-0226-SM-COH4E 60-69 years, female 78.2
GTEX-15DCD-0126-SM-7KUEK 70-79 years, female 78.1
GTEX-14C5O-0126-SM-5SI6N 60-69 years, male 78.0
GTEX-14PHX-2326-SM-62LEM 50-59 years, male 78.0
GTEX-Y114-2426-SM-4TT8A 50-59 years, female 77.9
GTEX-Z93T-0126-SM-5HL5N 50-59 years, male 77.3
GTEX-1LGOU-2026-SM-DIPFF 20-29 years, female 77.3
GTEX-1PWST-0226-SM-E76QJ 70-79 years, male 77.3
GTEX-1KANA-0726-SM-D3L9I 20-29 years, male 77.2
GTEX-1KD4Q-0226-SM-E9TJ9 40-49 years, male 77.2
GTEX-1N2EF-0226-SM-EYYXB 60-69 years, male 77.1
GTEX-13VXU-0126-SM-5SI9F 50-59 years, male 77.0
GTEX-16NPX-0226-SM-79OMT 50-59 years, male 77.0
GTEX-13RTL-0126-SM-7LG5S 40-49 years, male 76.8
GTEX-O5YW-0126-SM-3LK6D 50-59 years, male 76.8
GTEX-WFON-2126-SM-3LK7O 40-49 years, male 76.8
GTEX-1HCU6-0126-SM-CL54K 60-69 years, female 76.8
GTEX-U8T8-0126-SM-3DB94 60-69 years, male 76.7
GTEX-11NSD-2226-SM-5986V 20-29 years, male 76.6
GTEX-1F7RK-0126-SM-7PC2S 20-29 years, female 76.6
GTEX-Q2AH-1626-SM-3GAF8 40-49 years, male 76.5
GTEX-Y111-0126-SM-4SOIV 50-59 years, male 76.5
GTEX-ZXG5-0126-SM-5GIEU 60-69 years, male 76.3
GTEX-12696-2426-SM-5EQ6H 60-69 years, male 76.2
GTEX-XBEW-0626-SM-4QASP 40-49 years, male 76.1
GTEX-1S82Z-0826-SM-E6CHY 30-39 years, female 76.1
GTEX-1CB4E-2226-SM-793DC 60-69 years, male 76.0
GTEX-145LU-0126-SM-5TDCB 50-59 years, male 75.9
GTEX-15DDE-0126-SM-6LPKH 50-59 years, female 75.9
GTEX-11EI6-0126-SM-5985R 60-69 years, male 75.7
GTEX-11OC5-0126-SM-5HL6A 60-69 years, male 75.7
GTEX-1JN1M-0326-SM-CYPT3 60-69 years, female 75.6
GTEX-1F6IF-0726-SM-7P8TW 60-69 years, male 75.5
GTEX-1128S-2326-SM-5GZZY 60-69 years, female 75.4
GTEX-13O3P-0126-SM-5KM4S 50-59 years, male 75.4
GTEX-1GN73-0226-SM-9WG67 60-69 years, male 75.4
GTEX-1IDJU-2626-SM-CM2RT 60-69 years, female 75.4
GTEX-1B97I-1626-SM-73KYO 40-49 years, male 75.3
GTEX-ZAB4-0226-SM-5N9F5 40-49 years, male 75.2
GTEX-1H11D-0226-SM-9WG6Z 40-49 years, male 75.2
GTEX-1J1OQ-0226-SM-CYPSH 40-49 years, female 75.2
GTEX-R3RS-0126-SM-3GIJL 40-49 years, female 75.1
GTEX-Y5V5-2326-SM-4V6GA 60-69 years, female 75.1
GTEX-RVPV-0126-SM-EAZAW 60-69 years, male 75.0
GTEX-13SLX-0526-SM-5S2ON 50-59 years, female 74.9
GTEX-VUSG-2526-SM-4KL1V 50-59 years, male 74.9
GTEX-14PJ6-2126-SM-6EU1V 60-69 years, female 74.7
GTEX-1HSEH-0126-SM-ACKXN 60-69 years, male 74.5
GTEX-145MN-2226-SM-5SIAU 30-39 years, male 73.9
GTEX-18465-0126-SM-731BN 50-59 years, male 73.8
GTEX-1CB4H-0226-SM-7PBXM 60-69 years, female 73.7
GTEX-QCQG-1726-SM-3GIJ9 50-59 years, female 73.6
GTEX-ZYY3-0126-SM-5GZY5 60-69 years, female 73.5
GTEX-X5EB-2226-SM-46MW4 40-49 years, male 73.2
GTEX-1IKK5-0626-SM-ARL8A 60-69 years, male 73.2
GTEX-17KNJ-2326-SM-7DHLQ 50-59 years, male 72.9
GTEX-11TUW-2726-SM-E9J4M 60-69 years, male 72.9
GTEX-UPJH-0326-SM-3GADU 50-59 years, male 72.8
GTEX-1122O-2126-SM-5EGIR 60-69 years, female 72.7
GTEX-18A66-0226-SM-718BD 60-69 years, male 72.7
GTEX-ZYFD-0126-SM-5GIDL 50-59 years, male 72.6
GTEX-14753-0426-SM-5NQAM 60-69 years, male 72.1
GTEX-1GL5R-1826-SM-9KNUY 50-59 years, male 72.1
GTEX-18A7A-0226-SM-718BH 50-59 years, female 72.0
GTEX-X4EO-0326-SM-3P5YO 60-69 years, female 72.0
GTEX-O5YT-0126-SM-48TBW 20-29 years, male 71.8
GTEX-SJXC-0126-SM-2XCFF 60-69 years, male 71.7
GTEX-TML8-1926-SM-32QOS 40-49 years, female 71.7
GTEX-1GZ4H-1726-SM-7PBZJ 50-59 years, female 71.7
GTEX-1J8JJ-0226-SM-CL53I 60-69 years, female 71.7
GTEX-14E6E-1826-SM-5S2R7 30-39 years, male 71.6
GTEX-QV44-1926-SM-2S1RF 50-59 years, male 71.6
GTEX-PLZ6-1426-SM-DKPOT 30-39 years, male 71.6
GTEX-13U4I-0126-SM-5LU38 40-49 years, female 71.5
GTEX-QVJO-1626-SM-2S1QW 60-69 years, female 71.3
GTEX-TMZS-0126-SM-3DB9Q 60-69 years, male 71.3
GTEX-1AX9I-0126-SM-7SB74 60-69 years, male 70.9
GTEX-1S82Y-2026-SM-EVYCM 40-49 years, male 70.7
GTEX-17HGU-0226-SM-7DHKV 50-59 years, male 70.6
GTEX-11GS4-2726-SM-5A5LE 60-69 years, male 70.5
GTEX-13YAN-0326-SM-5O9DF 60-69 years, male 70.4
GTEX-147GR-0526-SM-5S2MY 60-69 years, male 70.3
GTEX-17F97-0326-SM-7LG5B 50-59 years, male 70.2
GTEX-1RQEC-0426-SM-E6CHU 60-69 years, male 70.1
GTEX-1S3DN-2226-SM-EVYCD 50-59 years, male 70.0
GTEX-11GSO-2426-SM-5A5LY 60-69 years, male 69.9
GTEX-13W46-0226-SM-5SIAG 50-59 years, male 69.8
GTEX-1C2JI-1826-SM-73KXC 50-59 years, male 69.5
GTEX-11ZU8-2526-SM-5EQKI 60-69 years, male 69.4
GTEX-11P81-2326-SM-59875 30-39 years, female 69.1
GTEX-XPVG-2626-SM-4B669 50-59 years, male 69.1
GTEX-ZDTT-2726-SM-4WKF8 60-69 years, male 69.0
GTEX-13G51-2526-SM-5LZYK 60-69 years, male 68.9
GTEX-13OVK-2026-SM-7KUEO 40-49 years, male 68.9
GTEX-131XH-2226-SM-5DUXJ 50-59 years, male 68.8
GTEX-169BO-1326-SM-9MQK2 50-59 years, male 68.8
GTEX-QDVJ-1726-SM-2I5FX 50-59 years, male 68.7
GTEX-1HFI7-1826-SM-ACKXH 50-59 years, female 68.6
GTEX-13O3Q-2426-SM-5IJBR 50-59 years, male 68.5
GTEX-145LS-0126-SM-5QGP1 60-69 years, female 68.5
GTEX-SSA3-0126-SM-32QPU 60-69 years, male 68.1
GTEX-1F75B-0126-SM-9KNVL 50-59 years, male 68.1
GTEX-14ICK-0226-SM-6EU25 40-49 years, male 67.9
GTEX-ZF29-2326-SM-DO92K 60-69 years, female 67.8
GTEX-1B933-0126-SM-7PC29 50-59 years, female 67.6
GTEX-17F96-1626-SM-7DUFL 70-79 years, male 67.3
GTEX-1B8SG-0126-SM-73KZ3 50-59 years, male 67.3
GTEX-14BIN-0626-SM-793DP 50-59 years, female 67.1
GTEX-17HHE-2026-SM-79OKF 50-59 years, male 67.1
GTEX-11WQK-0526-SM-5EQLD 50-59 years, male 67.0
GTEX-1KXAM-2226-SM-CYPTC 60-69 years, male 66.8
GTEX-12WSD-0126-SM-59HKN 60-69 years, female 66.6
GTEX-XXEK-2226-SM-4BRUM 50-59 years, male 66.6
GTEX-1H3VE-0326-SM-9YFLH 40-49 years, male 66.5
GTEX-ZY6K-1826-SM-5GZXK 50-59 years, male 66.4
GTEX-1GTWX-0126-SM-9YFLK 60-69 years, male 66.4
GTEX-OXRN-0126-SM-48TDM 50-59 years, male 66.3
GTEX-ZU9S-0226-SM-5E441 30-39 years, male 66.3
GTEX-1A8FM-0226-SM-7SB7Q 50-59 years, female 66.3
GTEX-OHPM-0126-SM-2YUN9 50-59 years, male 65.7
GTEX-S7PM-0126-SM-4AD6S 60-69 years, male 65.3
GTEX-1192W-2626-SM-5Q5AF 60-69 years, male 65.2
GTEX-139TT-0126-SM-5K7Y5 60-69 years, male 65.1
GTEX-145MO-0326-SM-5Q5B3 60-69 years, male 65.0
GTEX-14E7W-0126-SM-6LLJ9 70-79 years, male 65.0
GTEX-1F5PL-0326-SM-7P8PQ 40-49 years, female 65.0
GTEX-13CF3-2426-SM-5IFGX 60-69 years, female 64.7
GTEX-131XG-2626-SM-5KM17 50-59 years, female 64.6
GTEX-1HFI6-0226-SM-ADEHZ 40-49 years, male 64.6
GTEX-1RAZA-0126-SM-E6CI3 20-29 years, male 64.4
GTEX-18QFQ-0126-SM-731BE 30-39 years, male 64.3
GTEX-1PPH8-0226-SM-E8VND 20-29 years, male 64.2
GTEX-YB5K-2126-SM-4WWDJ 40-49 years, female 64.0
GTEX-1F6RS-0126-SM-9MQKZ 60-69 years, female 63.9
GTEX-1GPI7-0126-SM-9MQL8 20-29 years, male 63.8
GTEX-1GF9X-2026-SM-7PC3A 40-49 years, female 63.7
GTEX-1314G-1526-SM-5EGK2 30-39 years, male 63.5
GTEX-WRHK-1426-SM-3MJF9 20-29 years, female 63.5
GTEX-145MI-0526-SM-5O9A8 60-69 years, female 63.4
GTEX-WZTO-0126-SM-3NM95 40-49 years, male 62.9
GTEX-15SHU-0126-SM-7KUEH 40-49 years, female 62.7
GTEX-1QEPI-0126-SM-EWRMQ 60-69 years, female 62.6
GTEX-1QP66-1726-SM-E8VO1 50-59 years, male 62.6
GTEX-U3ZN-2326-SM-3DB7W 30-39 years, female 62.5
GTEX-13113-5016-SM-7EPIP 60-69 years, female 62.3
GTEX-183FY-0126-SM-7LT9P 20-29 years, male 62.3
GTEX-1CAMQ-0226-SM-7IGPK 40-49 years, male 62.2
GTEX-SIU8-0126-SM-2XCDT 50-59 years, male 62.1
GTEX-11DZ1-0126-SM-5985Q 50-59 years, male 61.9
GTEX-12126-0326-SM-5PNW3 20-29 years, male 61.8
GTEX-ZEX8-2426-SM-4WKG4 50-59 years, male 61.8
GTEX-1IGQW-0126-SM-COH42 60-69 years, male 61.8
GTEX-13X6H-2126-SM-7EWD5 50-59 years, female 61.6
GTEX-RM2N-1426-SM-2TF4H 50-59 years, male 61.6
GTEX-1A32A-0126-SM-718B1 50-59 years, female 61.5
GTEX-T8EM-1026-SM-3DB7M 40-49 years, male 61.5
GTEX-1F88F-2726-SM-7PBZZ 60-69 years, female 61.5
GTEX-VJWN-0126-SM-3GIK7 50-59 years, female 61.3
GTEX-13FH7-2026-SM-E9J4I 50-59 years, female 61.1
GTEX-1HSMP-0126-SM-E6CJS 70-79 years, male 61.1
GTEX-14LZ3-0226-SM-62LET 60-69 years, female 61.0
GTEX-Q2AG-0126-SM-33HBV 40-49 years, female 61.0
GTEX-ZVT4-0126-SM-DTXFN 50-59 years, female 61.0
GTEX-1A3MW-0126-SM-73KXX 60-69 years, female 60.9
GTEX-13NYC-0326-SM-E9J4S 60-69 years, male 60.8
GTEX-PW2O-1526-SM-7RHHB 20-29 years, male 60.7
GTEX-12KS4-0326-SM-5EQ41 30-39 years, male 60.6
GTEX-16MT8-0426-SM-7KUEY 60-69 years, female 60.6
GTEX-1GPI6-0126-SM-9WG69 60-69 years, male 60.6
GTEX-1NV5F-0226-SM-E8VNY 60-69 years, female 60.6
GTEX-1RB15-2126-SM-E9TIM 60-69 years, male 60.6
GTEX-16BQI-0226-SM-7KUEX 30-39 years, female 60.5
GTEX-13NZA-0226-SM-5K7Z7 60-69 years, male 60.4
GTEX-1GN1V-0126-SM-9WPOS 60-69 years, male 60.4
GTEX-145LV-2126-SM-5LU8N 50-59 years, male 60.3
GTEX-1J8Q2-0526-SM-CM2RW 60-69 years, male 60.1
GTEX-111VG-2426-SM-5GZXD 60-69 years, male 60.0
GTEX-13OW7-0126-SM-5MR3B 50-59 years, male 59.9
GTEX-13OW5-0126-SM-DTXFS 60-69 years, male 59.8
GTEX-11DXY-2626-SM-5GIE7 60-69 years, male 59.7
GTEX-11GSP-2526-SM-5N9BP 60-69 years, female 59.7
GTEX-T6MO-1626-SM-32QOM 40-49 years, female 59.7
GTEX-XAJ8-0826-SM-47JY6 40-49 years, male 59.7
GTEX-1GF9U-2126-SM-7SB7L 40-49 years, female 59.5
GTEX-1HCU7-0226-SM-CL545 50-59 years, male 59.3
GTEX-P4PP-0126-SM-3LK69 30-39 years, female 59.1
GTEX-13O3O-0126-SM-E9J49 60-69 years, female 59.0
GTEX-1399U-2326-SM-5K7WY 50-59 years, female 58.9
GTEX-1HR98-0126-SM-B2LWI 60-69 years, male 58.9
GTEX-OXRO-0126-SM-2YUN4 60-69 years, female 58.8
GTEX-144FL-0126-SM-5TDC8 50-59 years, male 58.4
GTEX-1H3VY-0126-SM-ACKXD 50-59 years, male 58.4
GTEX-1MGNQ-0126-SM-EVYCJ 40-49 years, male 58.3
GTEX-12C56-1726-SM-5EQ61 20-29 years, male 57.8
GTEX-13N2G-2626-SM-5J1OT 60-69 years, male 57.8
GTEX-13X6I-0626-SM-5QGP9 60-69 years, male 57.7
GTEX-12WSJ-1826-SM-5GCNY 40-49 years, female 57.6
GTEX-1KANB-0526-SM-E6CJH 50-59 years, male 57.6
GTEX-WOFL-0126-SM-3MJG2 60-69 years, male 57.2
GTEX-OHPL-0126-SM-2HMJ7 60-69 years, female 57.1
GTEX-TKQ1-1026-SM-4GICL 30-39 years, male 56.8
GTEX-13D11-2426-SM-5KM1V 50-59 years, female 56.6
GTEX-13OVI-1426-SM-5L3EY 60-69 years, female 56.6
GTEX-1AYD5-2426-SM-73KXR 50-59 years, male 56.6
GTEX-1H1ZS-0426-SM-9WG6G 70-79 years, male 56.3
GTEX-1S5ZA-0126-SM-EVYCV 20-29 years, male 56.3
GTEX-1GMR8-0126-SM-9WYTM 50-59 years, female 56.1
GTEX-17EUY-0426-SM-793BD 20-29 years, male 56.0
GTEX-TMMY-0226-SM-33HBA 40-49 years, female 56.0
GTEX-13NZ8-0826-SM-5MR3I 60-69 years, female 55.9
GTEX-RTLS-0126-SM-447CA 60-69 years, female 55.7
GTEX-1I1CD-0126-SM-CM2TK 60-69 years, female 55.7
GTEX-1AMFI-2026-SM-731BH 50-59 years, female 55.6
GTEX-Q2AI-1326-SM-2S1PL 40-49 years, male 55.5
GTEX-1C6WA-0126-SM-7PC2B 60-69 years, male 55.5
GTEX-14PHW-0126-SM-6LLJI 60-69 years, female 55.4
GTEX-R55E-0126-SM-2TC5Y 20-29 years, male 55.4
GTEX-ZAB5-1826-SM-5HL7C 50-59 years, male 54.9
GTEX-1A3MV-1926-SM-718BT 30-39 years, male 54.7
GTEX-1GZ2Q-0226-SM-7P8TL 40-49 years, male 54.7
GTEX-131XW-0426-SM-5LZWP 50-59 years, female 54.6
GTEX-WH7G-2326-SM-3NMBC 40-49 years, male 54.6
GTEX-R55G-2526-SM-2TC6D 40-49 years, female 54.4
GTEX-Z9EW-1626-SM-5CVMN 40-49 years, male 54.4
GTEX-1CB4I-0226-SM-79OLH 50-59 years, male 54.3
GTEX-14DAR-2026-SM-5S2O3 50-59 years, male 54.2
GTEX-1F52S-0126-SM-9MQJU 60-69 years, female 54.1
GTEX-X261-0126-SM-3NMD6 50-59 years, male 53.9
GTEX-131XF-5016-SM-7MGWE 60-69 years, male 53.9
GTEX-ZVE2-0226-SM-59HJB 50-59 years, male 53.3
GTEX-1I6K6-0126-SM-A9SLE 30-39 years, male 53.2
GTEX-13FHO-0226-SM-5IFGY 60-69 years, male 53.1
GTEX-ZDXO-3026-SM-5J1N5 60-69 years, male 53.1
GTEX-12584-0126-SM-5EGKQ 40-49 years, male 53.0
GTEX-1EKGG-0226-SM-9WYTH 60-69 years, male 53.0
GTEX-1F75A-0126-SM-7RHGM 50-59 years, male 53.0
GTEX-XUW1-0426-SM-4BOOT 50-59 years, female 52.9
GTEX-1B996-0226-SM-7RHGO 60-69 years, male 52.9
GTEX-1H3O1-0426-SM-9YFKY 60-69 years, male 52.9
GTEX-1ICLY-0126-SM-D4P36 50-59 years, male 52.9
GTEX-R45C-0126-SM-EAZ2R 60-69 years, female 52.8
GTEX-17EVQ-0226-SM-7LG4P 70-79 years, male 52.7
GTEX-14JG6-2226-SM-6EU2G 30-39 years, female 52.6
GTEX-1J1R8-1726-SM-ARL8M 40-49 years, male 52.6
GTEX-13OVJ-0126-SM-5KM36 50-59 years, female 52.5
GTEX-OXRP-0126-SM-3NB32 60-69 years, female 52.4
GTEX-13IVO-0126-SM-5J1NG 70-79 years, male 52.0
GTEX-11ZVC-2526-SM-5FQTE 50-59 years, female 51.8
GTEX-X4EP-0126-SM-3P5YV 60-69 years, female 51.5
GTEX-14ABY-0226-SM-5TDCQ 50-59 years, male 51.4
GTEX-1JN76-0126-SM-CNPPE 20-29 years, female 51.4
GTEX-11H98-0126-SM-5EGHG 50-59 years, male 51.2
GTEX-1HSGN-0226-SM-CGQFV 40-49 years, female 51.1
GTEX-1K9T9-0126-SM-EVYCF 50-59 years, female 51.1
GTEX-1HSMQ-1226-SM-CGQFX 50-59 years, male 50.9
GTEX-1LG7Y-0526-SM-DKPQC 50-59 years, male 50.9
GTEX-11OF3-2626-SM-5GU7F 60-69 years, male 50.8
GTEX-PWO3-1526-SM-48TCM 60-69 years, female 50.8
GTEX-S32W-2126-SM-2XCB1 50-59 years, female 50.7
GTEX-W5WG-1826-SM-4KL2Y 50-59 years, female 50.7
GTEX-13O1R-0126-SM-5L3EH 60-69 years, male 50.6
GTEX-13RTJ-2426-SM-5S2Q2 60-69 years, male 50.6
GTEX-148VJ-0126-SM-5TDDN 70-79 years, male 50.6
GTEX-11XUK-2026-SM-5EQLF 40-49 years, female 50.4
GTEX-YJ8A-0426-SM-5IFID 20-29 years, male 50.4
GTEX-ZDYS-2026-SM-5HL5L 50-59 years, male 50.3
GTEX-Y5V6-2426-SM-4VDSB 60-69 years, male 50.2
GTEX-1K2DU-2326-SM-E9TIV 20-29 years, male 50.2
GTEX-1C6VQ-0126-SM-7P8RI 50-59 years, male 50.1
GTEX-11EMC-2926-SM-5EQ4F 60-69 years, female 49.9
GTEX-13O21-1426-SM-5K7XI 50-59 years, male 49.9
GTEX-13OVG-1926-SM-5L3DK 60-69 years, male 49.9
GTEX-XBED-2226-SM-47JYQ 60-69 years, male 49.9
GTEX-PWCY-1826-SM-DHXIZ 20-29 years, female 49.9
GTEX-1IDFM-0126-SM-COH2V 60-69 years, male 49.8
GTEX-13OVL-0226-SM-5L3E9 50-59 years, male 49.6
GTEX-11LCK-1026-SM-5A5KB 30-39 years, male 49.5
GTEX-14PN3-2426-SM-6LLHS 60-69 years, female 49.5
GTEX-RN64-0126-SM-2TC68 50-59 years, male 49.5
GTEX-1JMQI-2226-SM-CM2SD 50-59 years, male 49.5
GTEX-1H1DE-2126-SM-9WG6R 20-29 years, male 49.4
GTEX-1211K-2026-SM-5EQ4Z 60-69 years, female 49.2
GTEX-1H23P-0126-SM-ADEJ3 60-69 years, male 49.1
GTEX-ZC5H-0226-SM-4WAY9 40-49 years, female 49.0
GTEX-1F6I4-0126-SM-9MQL2 60-69 years, male 48.7
GTEX-S95S-1226-SM-4GICG 60-69 years, male 48.3
GTEX-1192X-0226-SM-5H12D 50-59 years, male 48.1
GTEX-14A5I-0126-SM-5TDEA 50-59 years, female 48.1
GTEX-ZVT3-0126-SM-5GU6I 60-69 years, female 48.0
GTEX-14LLW-0126-SM-6LLIO 70-79 years, female 47.9
GTEX-17MF6-0126-SM-7LG4F 40-49 years, male 47.6
GTEX-OOBK-0126-SM-2YUND 40-49 years, male 47.2
GTEX-1IDJF-0126-SM-CM2RS 20-29 years, male 47.1
GTEX-1IY9M-0126-SM-D3L8S 60-69 years, male 46.8
GTEX-ZE7O-0126-SM-57WC1 50-59 years, female 46.7
GTEX-ZQG8-1626-SM-DHXIT 60-69 years, female 46.6
GTEX-117YW-2626-SM-5GZZH 50-59 years, male 46.5
GTEX-14PK6-1926-SM-6ETZU 70-79 years, female 46.5
GTEX-13N11-2526-SM-5K7UE 50-59 years, female 46.4
GTEX-13PVR-2326-SM-5QGR1 60-69 years, female 46.4
GTEX-1J8QM-2126-SM-CYPSJ 60-69 years, female 46.4
GTEX-11WQC-2526-SM-5CVLE 60-69 years, male 46.2
GTEX-16XZZ-0126-SM-793DV 60-69 years, male 45.7
GTEX-X585-0226-SM-4QAS2 50-59 years, male 45.6
GTEX-11UD1-0126-SM-5PNYG 40-49 years, female 45.5
GTEX-RWS6-2026-SM-2XCB5 60-69 years, female 45.4
GTEX-WVJS-0126-SM-4MVOT 50-59 years, male 45.2
GTEX-XMD2-0126-SM-4YCDU 60-69 years, female 45.2
GTEX-11VI4-1726-SM-5CVLH 40-49 years, female 45.0
GTEX-1HBPN-0226-SM-9YFM1 50-59 years, male 44.9
GTEX-15SB6-1726-SM-6PAME 50-59 years, female 44.6
GTEX-1B8KZ-2026-SM-7DHMB 50-59 years, male 44.6
GTEX-1I1GP-2226-SM-CGQFK 50-59 years, male 44.1
GTEX-1M4P7-0226-SM-DIPEV 60-69 years, male 44.1
GTEX-15SDE-2226-SM-7IGLO 50-59 years, female 44.0
GTEX-1H3NZ-0126-SM-ACKX7 60-69 years, male 44.0
GTEX-1JK1U-2026-SM-CM2RZ 60-69 years, male 43.5
GTEX-1HBPM-0226-SM-ARL9F 60-69 years, female 43.4
GTEX-18D9B-0526-SM-7LTAS 60-69 years, male 43.0
GTEX-QDVN-2026-SM-3GAEP 50-59 years, male 43.0
GTEX-1MA7X-2226-SM-E6CIY 60-69 years, male 43.0
GTEX-QLQ7-1626-SM-2S1R8 60-69 years, male 42.8
GTEX-PLZ5-2026-SM-2S1O4 50-59 years, male 42.7
GTEX-1R46S-0626-SM-E9J41 60-69 years, female 42.7
GTEX-13QJ3-0326-SM-5S2RA 50-59 years, male 42.6
GTEX-1OJC4-0126-SM-E9J2E 50-59 years, female 42.6
GTEX-15G19-0126-SM-6PANQ 60-69 years, male 42.4
GTEX-U3ZM-1526-SM-3DB9D 40-49 years, male 42.4
GTEX-Y5LM-1926-SM-5RQJH 40-49 years, female 42.3
GTEX-1R9K4-0126-SM-DTX9X 60-69 years, male 42.0
GTEX-16AAH-1726-SM-7939C 50-59 years, male 41.8
GTEX-X638-0126-SM-47JZ8 70-79 years, female 41.8
GTEX-12WSL-2526-SM-5GCNJ 50-59 years, male 41.7
GTEX-ZYW4-0126-SM-5E44A 60-69 years, male 41.7
GTEX-13RTK-1426-SM-5QGQJ 20-29 years, male 41.4
GTEX-146FH-0126-SM-5QGPP 50-59 years, female 41.4
GTEX-P44H-0226-SM-2XCEU 40-49 years, male 41.4
GTEX-1QP2A-0126-SM-E9J43 50-59 years, male 41.1
GTEX-11DXX-2426-SM-5GZZW 60-69 years, female 40.9
GTEX-1R7EV-2426-SM-EVYBG 40-49 years, male 40.5
GTEX-14E6C-0126-SM-5RQIP 40-49 years, male 40.3
GTEX-1JJE9-0326-SM-CL53Z 70-79 years, male 40.3
GTEX-1J8Q3-1626-SM-CMKGC 60-69 years, male 40.0
GTEX-1AX8Z-0126-SM-7DHM6 60-69 years, male 39.7
GTEX-1HSMO-0126-SM-CL547 60-69 years, male 39.5
GTEX-1MCYP-1926-SM-E9J2R 20-29 years, female 39.2
GTEX-17F98-0626-SM-79OMX 40-49 years, female 39.1
GTEX-ZUA1-0126-SM-5GU76 40-49 years, male 39.0
GTEX-12WSK-2326-SM-5GCOH 40-49 years, female 38.9
GTEX-1H2FU-0126-SM-9WYSI 60-69 years, female 38.9
GTEX-1F48J-0126-SM-7P8TT 50-59 years, female 38.8
GTEX-1I1HK-0126-SM-COH49 60-69 years, male 38.5
GTEX-Y3I4-2126-SM-4TT7C 50-59 years, male 38.4
GTEX-1CB4J-0626-SM-7DHMP 60-69 years, male 37.9
GTEX-1I1GS-0126-SM-B2LVW 60-69 years, male 37.7
GTEX-16NGA-1726-SM-731B4 40-49 years, female 37.6
GTEX-Y8LW-1826-SM-5S2MV 50-59 years, female 37.4
GTEX-13FTX-1826-SM-5J1NX 20-29 years, female 37.0
GTEX-14BIM-0226-SM-7IGLD 60-69 years, female 36.8
GTEX-1HKZK-0326-SM-9WYUH 40-49 years, male 36.8
GTEX-13NYS-0126-SM-5MR3W 60-69 years, male 36.7
GTEX-11TT1-2526-SM-5EGIB 20-29 years, male 36.4
GTEX-13N1W-0126-SM-5K7VT 70-79 years, male 36.3
GTEX-14A6H-0126-SM-5QGPK 30-39 years, male 36.3
GTEX-11O72-0126-SM-59887 40-49 years, male 36.2
GTEX-OIZF-0126-SM-7SB8I 60-69 years, male 36.1
GTEX-1KD5A-0226-SM-D5OV3 50-59 years, male 36.0
GTEX-14BMU-2226-SM-5TDE9 20-29 years, female 35.5
GTEX-1HUB1-0426-SM-E9U4U 60-69 years, male 35.0
GTEX-11NUK-0126-SM-5A5L3 50-59 years, male 34.8
GTEX-1A3MX-0126-SM-731BR 60-69 years, male 34.8
GTEX-1CAMR-1926-SM-7EPI2 20-29 years, male 34.5
GTEX-145LT-1726-SM-5QGP3 40-49 years, male 34.2
GTEX-WXYG-2326-SM-4E3I6 50-59 years, female 34.1
GTEX-15SHW-0326-SM-6PAML 60-69 years, male 34.0
GTEX-QDT8-0126-SM-48TZ1 30-39 years, female 34.0
GTEX-QLQW-1126-SM-2S1Q8 30-39 years, male 33.6
GTEX-NPJ8-0126-SM-2YUNR 40-49 years, male 33.3
GTEX-147F4-0226-SM-5QGPW 50-59 years, male 33.1
GTEX-11EM3-2426-SM-59861 20-29 years, female 32.9
GTEX-1AMEY-1326-SM-73KYK 30-39 years, female 32.9
GTEX-V1D1-2226-SM-3NMAX 50-59 years, male 32.9
GTEX-YEC4-2126-SM-5IFJH 40-49 years, male 32.9
GTEX-1I19N-0326-SM-ACKVX 70-79 years, male 32.6
GTEX-1C6VS-0526-SM-7DUEN 60-69 years, male 32.5
GTEX-146FQ-0126-SM-5NQA9 30-39 years, male 32.2
GTEX-XV7Q-2526-SM-4BRV9 40-49 years, female 32.2
GTEX-144GN-2326-SM-5LU4F 50-59 years, male 32.1
GTEX-147F3-0526-SM-5SI98 50-59 years, female 32.0
GTEX-15CHC-2126-SM-6EU21 60-69 years, female 31.3
GTEX-1IE54-0126-SM-CMKHW 40-49 years, female 31.3
GTEX-XYKS-2126-SM-4E3IB 60-69 years, female 31.0
GTEX-14BIL-0126-SM-5SI92 50-59 years, male 30.7
GTEX-1AYCT-2426-SM-7IGQ3 50-59 years, male 30.5
GTEX-1I1GU-2226-SM-CGQFA 40-49 years, male 30.1
GTEX-1JKYN-1326-SM-CGQG9 30-39 years, male 29.9
GTEX-1F5PK-2426-SM-7RHHY 50-59 years, male 29.8
GTEX-15EOM-0126-SM-7KUGG 20-29 years, female 28.9
GTEX-15UKP-0426-SM-7KUFQ 20-29 years, male 28.9
GTEX-11P7K-2126-SM-5GU7G 30-39 years, male 28.6
GTEX-ZQUD-1426-SM-57WER 30-39 years, male 28.2
GTEX-1H1E6-1726-SM-ACKVK 30-39 years, male 27.9
GTEX-11P82-1626-SM-59879 20-29 years, male 27.8
GTEX-1LNCM-1126-SM-E9U5E 50-59 years, female 27.7
GTEX-13W3W-2426-SM-5LU5B 60-69 years, female 27.6
GTEX-1QP29-0626-SM-EWRMX 50-59 years, male 27.3
GTEX-ZTPG-0326-SM-5O9AX 20-29 years, female 27.0
GTEX-PLZ4-0126-SM-5SI8O 50-59 years, female 26.6
GTEX-ZF28-0126-SM-4WKGK 60-69 years, male 26.5
GTEX-12WSN-5019-SM-79OM6 40-49 years, male 26.4
GTEX-16XZY-2126-SM-79OK1 70-79 years, male 26.1
GTEX-RUSQ-1526-SM-2TF62 50-59 years, male 25.7
GTEX-117YX-2326-SM-5H12W 50-59 years, male 24.9
GTEX-1ICG6-2526-SM-CGQFZ 70-79 years, female 24.9
GTEX-ZZPT-0226-SM-5E43X 50-59 years, male 24.8
GTEX-WY7C-2326-SM-3NB2U 50-59 years, male 24.5
GTEX-1497J-2426-SM-7IGNX 60-69 years, male 24.2
GTEX-139T8-0126-SM-5K7XZ 60-69 years, male 24.0
GTEX-13VXT-0126-SM-5LU4I 20-29 years, female 24.0
GTEX-OXRL-0126-SM-2YUMP 50-59 years, male 24.0
GTEX-1GN1W-0526-SM-9MQJQ 50-59 years, female 23.8
GTEX-113IC-0126-SM-5HL6T 60-69 years, male 23.5
GTEX-1JMOU-1526-SM-CL54I 60-69 years, female 23.4
GTEX-1N2DV-0226-SM-E6CJ6 40-49 years, male 23.0
GTEX-11ZTT-2426-SM-5EQLS 60-69 years, female 22.9
GTEX-1C64O-0126-SM-7SB8P 60-69 years, male 22.8
GTEX-P4PQ-0126-SM-2S1NM 60-69 years, male 21.8
GTEX-OXRK-0226-SM-3NB2G 50-59 years, female 20.6
GTEX-X4XY-0226-SM-4E3IZ 60-69 years, male 19.7
GTEX-1AX9K-2326-SM-73KWU 50-59 years, male 18.8
GTEX-14PJ3-1826-SM-62LEX 50-59 years, male 18.1
GTEX-XQ8I-0426-SM-4BOPO 50-59 years, male 17.8
GTEX-1RLM8-2326-SM-EWRN4 50-59 years, male 17.2
GTEX-15D1Q-0126-SM-7KUG6 40-49 years, male 17.1
GTEX-11TTK-0126-SM-5987B 60-69 years, female 16.3
GTEX-1PPH7-2326-SM-EVYB8 40-49 years, male 15.8
GTEX-1NHNU-1026-SM-E9J2A 50-59 years, male 15.6
GTEX-1PBJI-0526-SM-E8VNK 20-29 years, female 15.6
GTEX-1LC47-0326-SM-E9TJP 60-69 years, male 13.9
GTEX-139T4-0226-SM-5HL5S 50-59 years, female 11.9
GTEX-SE5C-1626-SM-2XCE3 40-49 years, female 11.9
GTEX-X62O-0126-SM-4E3JN 50-59 years, male 11.0
GTEX-1F75I-0326-SM-9YFLU 40-49 years, male 8.2
GTEX-1QP67-1626-SM-EAZ3X 40-49 years, female 6.5
GTEX-14JIY-0126-SM-6LLH6 60-69 years, male 4.4
GTEX-1R9PO-2126-SM-E9J4O 60-69 years, female 3.8
GTEX-U4B1-1826-SM-4DXSU 40-49 years, male 3.4
GTEX-1HBPH-0426-SM-B2LW5 40-49 years, female 2.9
GTEX-1RAZQ-0726-SM-EAZ43 30-39 years, male 2.8
GTEX-1QW4Y-1526-SM-EAZ3Z 30-39 years, male 2.5
GTEX-146FR-1326-SM-E9J48 60-69 years, female 2.0
GTEX-11ZUS-0626-SM-59885 30-39 years, male 1.3
Show allShow less

Contact

  • NEWS ARTICLES
  • PRESS ROOM

The Project

  • INTRODUCTION
  • ORGANIZATION
  • PUBLICATIONS

The Human Protein Atlas

  • DOWNLOADABLE DATA
  • LICENCE & CITATION
  • HELP & FAQ
The Human Protein Atlas project is funded
by the Knut & Alice Wallenberg Foundation.


contact@proteinatlas.org