We use cookies to enhance the usability of our website. If you continue, we'll assume that you are happy to receive all cookies. More information. Don't show this again.
TSPAN15
HPA
RESOURCES
  • TISSUE
  • BRAIN
  • SINGLE CELL
  • SUBCELLULAR
  • CANCER
  • BLOOD
  • CELL LINE
  • STRUCTURE & INTERACTION
ABOUT
  • INTRODUCTION
  • HISTORY
  • ORGANIZATION
  • PUBLICATIONS
  • ANTIBODY SUBMISSION
  • ANTIBODY AVAILABILITY
  • ACKNOWLEDGMENTS
  • CONTACT
NEWS
  • NEWS ARTICLES
  • PRESS ROOM
LEARN
  • DICTIONARY
  • PROTEIN CLASSES
  • PROTEIN EVIDENCE
  • METHODS
  • EDUCATIONAL VIDEOS
DATA
  • DOWNLOADABLE DATA
  • PUBLICATION DATA
  • RELEASE HISTORY
HELP
  • ANTIBODY VALIDATION
  • ASSAYS & ANNOTATION
  • DISCLAIMER
  • HELP & FAQ
  • PRIVACY STATEMENT
  • LICENCE & CITATION
Fields »
Search result

Field
Term
Gene name
Class
Subclass
Class
Keyword
Chromosome
External id
Tissue
Cell type
Expression
Antibody panel
Tissue
Main location
Patient ID
Annotation
Tissue
Category
Tau score
Cluster
Reliability
Brain region
Category
Tau score
Brain region
Category
Tau score
Brain region
Category
Tau score
Cluster
Reliability
Tissue
Cell type
Enrichment
Cell type
Category
Tau score
Cell type
Category
Tau score
Cell type
Category
Tau score
Cell lineage
Category
Tau score
Cluster
Cluster
Location
Searches
Location
Cell line
Class
Type
Phase
Reliability
Cancer
Prognosis
Cancer
Category
Cancer
Category
Tau score
Cluster
Variants
Interacting gene (ensg_id)
Type
Number of interactions
Pathway
Category
Score
Score
Score
Validation
Validation
Validation
Validation
Antibodies
Data type
Column


  • SUMMARY

  • TISSUE

  • BRAIN

  • SINGLE CELL

  • SUBCELL

  • CANCER

  • BLOOD

  • CELL LINE

  • STRUCT & INT

  • TSPAN15
TISSUE PRIMARY DATA SKIN Show tissue menu
ADIPOSE TISSUE ADRENAL GLAND AMYGDALA APPENDIX BASAL GANGLIA BONE MARROW BREAST BRONCHUS CEREBELLUM CEREBRAL CORTEX CERVIX CHOROID PLEXUS COLON DUODENUM
ENDOMETRIUM EPIDIDYMIS ESOPHAGUS FALLOPIAN TUBE GALLBLADDER HEART MUSCLE HIPPOCAMPAL FORMATION HYPOTHALAMUS KIDNEY LIVER LUNG LYMPH NODE MIDBRAIN NASOPHARYNX
ORAL MUCOSA OVARY PANCREAS PARATHYROID GLAND PITUITARY GLAND PLACENTA PROSTATE RECTUM RETINA SALIVARY GLAND SEMINAL VESICLE SKELETAL MUSCLE SKIN SMALL INTESTINE
SMOOTH MUSCLE SOFT TISSUE SPINAL CORD SPLEEN STOMACH TESTIS THYMUS THYROID GLAND TONGUE TONSIL URINARY BLADDER VAGINA
ANTIBODIES
AND
VALIDATION
Dictionary
Skin
Tissue proteome
Skin
SKIN - Expression summary
Protein expression
Skini

On the top, protein expression in current human tissue, based on all annotated cell types, is reported with the units not detected (n), low (l), medium (m) and high (h). Underneath, protein expression in each annotated cell type are reported using the same units.

Protein expression data is based on knowledge-based annotation. For genes where more than one antibody has been used, a collective score is set.

If knowledge-based annotation could not be performed for a gene, no data is displayed here. View antibody staining data further down this page.

h
m
l
n
Epidermal cells: Low
Fibroblasts: Low
Keratinocytes: Not detected
Langerhans: Low
Melanocytes: Not detected
RNA expressioni

A summary of mRNA expression data available for current tissue based on several datasets. The mRNA expression levels in human tissues are based on RNA-seq data generated by the Human Protein Atlas (HPA), Genotype-Tissue Expression (GTEx) portal and CAGE data generated by the FANTOM5 consortium. Consensus normalized expression levels for human tissues was created by combining the data from HPA and GTEx datasets.

The mRNA expression levels in pig are based on RNA-seq data generated by the Human Protein Atlas (HPA), and for mouse, HPA data and in situ hybridization generated by the Allen brain atlas are reported.

Scroll down to view mRNA expression data in more detail.
Consensus:10.3 nTPM
HPA:6.3 nTPM
GTEx:10.3 nTPM

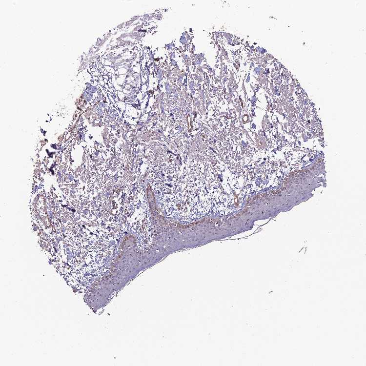
SKIN 1 - Antibody stainingi

Antibody staining in the annotated cell types in the current human tissue is reported as not detected, low, medium, or high, based on conventional immunohistochemistry profiling in selected tissues. This score is based on the combination of the staining intensity and fraction of stained cells.

Each image is clickable and will lead to virtual microscopy that enables deeper exploration of all samples and also displays staining intensity scores, fraction scores and subcellular localization as well as patient and tissue information for each sample.

Antibody HPA044657
Langerhans Low
Fibroblasts Low
Keratinocytes Not detected
Melanocytes Not detected

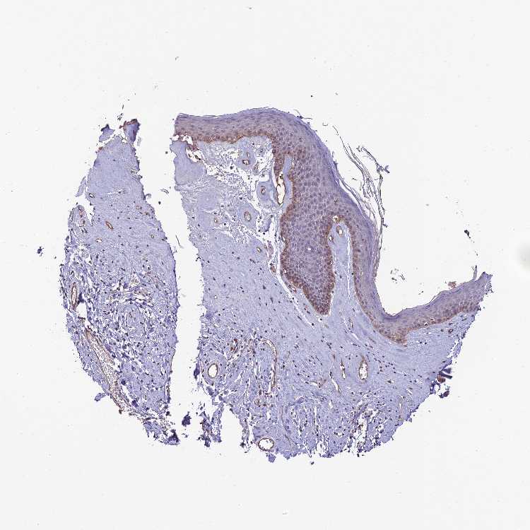
SKIN 2 - Antibody stainingi

Antibody staining in the annotated cell types in the current human tissue is reported as not detected, low, medium, or high, based on conventional immunohistochemistry profiling in selected tissues. This score is based on the combination of the staining intensity and fraction of stained cells.

Each image is clickable and will lead to virtual microscopy that enables deeper exploration of all samples and also displays staining intensity scores, fraction scores and subcellular localization as well as patient and tissue information for each sample.

Antibody HPA044657
Epidermal cells Low
 
 
 


SKIN - HPA RNA-seqi

The RNA-seq details section shows detailed information about the individual samples used for the transcript profiling and results of the RNA-seq analysis.

Information about each individual sample is listed below, including gender, age, a tissue section image and estimated fractions of cell types. nTPM (normalized transcripts per million) values give a quantification of the gene abundance which is comparable between different genes and samples.
Average nTPMi

Max subtype nTPM is the value for the subtype with the largest average nTPM across the subtype samples.

6.3
overview
Female, age 34
Skin sample 225
nTPM: 7.4
Cell types%
Keratinocytes:
60

Other cell types:
40

overview
Female, age 30
Skin sample 226
nTPM: 3.5
Cell types%
Keratinocytes:
55

Other cell types:
45

N/A
Male, age 57
Skin sample 227
nTPM: 8

SKIN - GTEx RNA-seqi

RNA-Seq data generated by the Genotype-Tissue Expression (GTEx) project from human tissues is reported as mean nTPM. More information can be found on the GTEx portal.

Distribution across the dataset is visualized with box plots, shown as median and 25th and 75th percentiles. Points are displayed as outliers if they are above or below 1.5 times the interquartile range. nTPM values of the individual samples are presented next to the box plot.
Max subtype nTPMi

Max subtype nTPM is the value for the subtype with the largest average nTPM across the subtype samples.

10.3
GTEx sample id Sample description nTPM
Skin - Not Sun Exposed (Suprapubic)
Average nTPM: 8.9
Samples: 604

Max nTPM: 42.5
Min nTPM: 1.8
Std nTPM: 4.1
Median nTPM: 8.0
GTEX-1I4MK-0126-SM-CY8G6 50-59 years, female 42.5
GTEX-WEY5-2326-SM-3GIKK 40-49 years, female 28.3
GTEX-YB5K-2026-SM-4VDT3 40-49 years, female 26.3
GTEX-14E6C-2426-SM-5S2NF 40-49 years, male 23.7
GTEX-WFG8-2126-SM-3GIKQ 20-29 years, male 23.7
GTEX-1RB15-1326-SM-E76Q9 60-69 years, male 23.0
GTEX-1399R-1326-SM-5PNYS 30-39 years, male 21.6
GTEX-1H1CY-0126-SM-9YFLY 60-69 years, female 21.5
GTEX-111FC-2526-SM-5GZXU 60-69 years, male 20.1
GTEX-1HR98-2226-SM-ADEI2 60-69 years, male 20.0
GTEX-1GF9U-2026-SM-7SB92 40-49 years, female 19.7
GTEX-1JMQK-1226-SM-D4P2S 60-69 years, male 19.4
GTEX-13SLX-2226-SM-62LEP 50-59 years, female 19.2
GTEX-11NSD-0626-SM-5A5LU 20-29 years, male 19.1
GTEX-11TT1-1826-SM-5EQLV 20-29 years, male 18.6
GTEX-X8HC-0626-SM-4E3HQ 50-59 years, female 18.1
GTEX-1F75W-2726-SM-7SB8H 60-69 years, male 18.0
GTEX-1NSGN-0726-SM-DTXEF 50-59 years, male 18.0
GTEX-11DZ1-2426-SM-5GZZX 50-59 years, male 17.8
GTEX-11DYG-1526-SM-5A5JS 60-69 years, male 17.6
GTEX-1F6IF-0926-SM-7SB7M 60-69 years, male 17.3
GTEX-16Z82-2626-SM-7KULU 60-69 years, male 17.2
GTEX-11EI6-2826-SM-5H11D 60-69 years, male 17.1
GTEX-17EVQ-0126-SM-7IGLR 70-79 years, male 17.1
GTEX-1KANC-1226-SM-CYPT7 50-59 years, female 17.0
GTEX-14DAQ-0626-SM-793DS 60-69 years, female 16.8
GTEX-17JCI-2926-SM-7DUFF 60-69 years, female 16.7
GTEX-12WSL-2026-SM-5GCML 50-59 years, male 16.6
GTEX-14JG6-1426-SM-9WG7C 30-39 years, female 16.5
GTEX-1192X-2726-SM-5N9DN 50-59 years, male 16.3
GTEX-1HC8U-1326-SM-9YFMJ 40-49 years, female 16.3
GTEX-VJYA-1526-SM-3GIJV 60-69 years, male 16.2
GTEX-13OVJ-0826-SM-5J1OK 50-59 years, female 16.1
GTEX-146FQ-2126-SM-5RQHU 30-39 years, male 16.0
GTEX-15CHQ-0326-SM-69LQD 60-69 years, male 15.8
GTEX-UPK5-0426-SM-3GAEK 40-49 years, male 15.8
GTEX-ZUA1-2626-SM-5NQ92 40-49 years, male 15.8
GTEX-ZVTK-0226-SM-51MRG 20-29 years, male 15.7
GTEX-ZDTS-0826-SM-4WKHL 60-69 years, male 15.6
GTEX-1IDJE-1426-SM-ADEIW 50-59 years, female 15.2
GTEX-15SHW-0226-SM-7LTAT 60-69 years, male 15.1
GTEX-18A7B-2726-SM-7LG56 70-79 years, male 15.0
GTEX-1A32A-0626-SM-731AQ 50-59 years, female 15.0
GTEX-1HUB1-1426-SM-CGQF5 60-69 years, male 15.0
GTEX-1LG7Z-1626-SM-CXKYR 30-39 years, male 15.0
GTEX-139TS-2126-SM-5K7XC 60-69 years, male 14.8
GTEX-XOT4-0626-SM-4B66L 60-69 years, female 14.7
GTEX-16GPK-0626-SM-7KFSF 60-69 years, male 14.6
GTEX-1LSNM-0826-SM-DIPG8 50-59 years, male 14.6
GTEX-1PIGE-1826-SM-E8VOU 20-29 years, male 14.5
GTEX-1J8JJ-0626-SM-ARZMQ 60-69 years, female 14.4
GTEX-1QP66-1226-SM-DTX7U 50-59 years, male 14.4
GTEX-14PJO-2526-SM-6AJBQ 60-69 years, male 14.2
GTEX-13N2G-0226-SM-5K7VF 60-69 years, male 14.1
GTEX-16MT8-2926-SM-7DUFO 60-69 years, female 14.1
GTEX-14PJ5-1526-SM-6LLIL 60-69 years, female 14.0
GTEX-U8XE-0226-SM-4E3J3 30-39 years, male 13.9
GTEX-1AX8Z-0726-SM-73KTS 60-69 years, male 13.7
GTEX-ZAJG-1526-SM-5CVML 50-59 years, female 13.7
GTEX-1GMR2-0826-SM-7PC3V 50-59 years, male 13.7
GTEX-12BJ1-0926-SM-5EQ62 60-69 years, male 13.6
GTEX-139YR-1026-SM-5LZYN 50-59 years, male 13.6
GTEX-18465-2826-SM-7LT9J 50-59 years, male 13.6
GTEX-1A3MW-0626-SM-731CB 60-69 years, female 13.6
GTEX-1H1ZS-2726-SM-9WG75 70-79 years, male 13.6
GTEX-11NUK-2726-SM-5A5MC 50-59 years, male 13.5
GTEX-16XZZ-0726-SM-7KUF2 60-69 years, male 13.5
GTEX-1CAV2-0126-SM-7IGN7 40-49 years, female 13.5
GTEX-ZYW4-0626-SM-59HJR 60-69 years, male 13.5
GTEX-14BMU-1226-SM-5S2OR 20-29 years, female 13.3
GTEX-WHPG-2626-SM-3NMBR 50-59 years, male 13.3
GTEX-13FH7-1126-SM-5K7UG 50-59 years, female 13.2
GTEX-145MG-1526-SM-5Q5EM 50-59 years, male 13.2
GTEX-1LVA9-2626-SM-EVYD4 50-59 years, male 13.2
GTEX-13JUV-2026-SM-5K7UA 40-49 years, female 13.1
GTEX-ZDXO-3126-SM-5IJDF 60-69 years, male 13.1
GTEX-ZLWG-0826-SM-59888 50-59 years, female 13.1
GTEX-ZT9W-1126-SM-57WDR 50-59 years, male 13.1
GTEX-1OJC3-1226-SM-DTXER 20-29 years, male 13.1
GTEX-12KS4-2126-SM-5FQUT 30-39 years, male 13.0
GTEX-13X6I-1826-SM-5SIAO 60-69 years, male 12.8
GTEX-1IL2V-1926-SM-B2LW8 70-79 years, male 12.8
GTEX-15CHR-1126-SM-7EWF4 50-59 years, male 12.7
GTEX-15DYW-2726-SM-6EU2I 60-69 years, female 12.7
GTEX-Y3IK-1626-SM-4YCF5 50-59 years, female 12.7
GTEX-1QCLZ-2426-SM-EVYBW 60-69 years, female 12.7
GTEX-15RJ7-2126-SM-6PAMD 40-49 years, male 12.6
GTEX-17HGU-2326-SM-7DUFE 50-59 years, male 12.6
GTEX-13X6K-0626-SM-5LU5D 60-69 years, female 12.5
GTEX-14PJ2-0626-SM-6LLII 50-59 years, male 12.5
GTEX-1AX9J-1326-SM-731BJ 60-69 years, male 12.5
GTEX-YJ8O-2526-SM-5HL85 40-49 years, female 12.5
GTEX-ZYFG-1526-SM-5GZYM 60-69 years, female 12.5
GTEX-1HCU8-2526-SM-CE6RX 60-69 years, female 12.5
GTEX-1KWVE-1026-SM-D3L9O 30-39 years, male 12.5
GTEX-117YX-1926-SM-5GIEC 50-59 years, male 12.4
GTEX-WI4N-2726-SM-3LK7Y 40-49 years, female 12.4
GTEX-1I19N-0126-SM-CYPSF 70-79 years, male 12.4
GTEX-1I6K7-1926-SM-B2LXR 40-49 years, male 12.4
GTEX-139T8-0626-SM-5KLZX 60-69 years, male 12.3
GTEX-16BQI-1326-SM-6M486 30-39 years, female 12.3
GTEX-11O72-0626-SM-5PNYE 40-49 years, male 12.2
GTEX-YF7O-1526-SM-5IFI6 50-59 years, male 12.2
GTEX-ZC5H-1526-SM-5HL9Y 40-49 years, female 12.2
GTEX-ZYFC-0426-SM-5GICQ 50-59 years, male 12.2
GTEX-15EO6-2426-SM-6PALZ 50-59 years, male 12.1
GTEX-1L5NE-1126-SM-D3L9P 50-59 years, male 12.1
GTEX-1O9I2-0226-SM-EYYXD 50-59 years, male 12.1
GTEX-1RAZA-2226-SM-E9U4X 20-29 years, male 12.1
GTEX-145MO-2826-SM-5LU96 60-69 years, male 12.0
GTEX-WH7G-2026-SM-3NMBL 40-49 years, male 12.0
GTEX-1IDJF-2026-SM-CL53V 20-29 years, male 12.0
GTEX-1N5O9-0926-SM-E9J3C 60-69 years, male 12.0
GTEX-1211K-1526-SM-5FQU4 60-69 years, female 11.9
GTEX-Z93S-1626-SM-5CVMB 50-59 years, male 11.9
GTEX-1F75B-0726-SM-7PC3R 50-59 years, male 11.9
GTEX-1HFI6-0126-SM-CNPPI 40-49 years, male 11.9
GTEX-1269C-0126-SM-5EQ5L 60-69 years, female 11.8
GTEX-15UF6-1926-SM-7KUDV 70-79 years, female 11.8
GTEX-X4EO-2926-SM-4E3JH 60-69 years, female 11.8
GTEX-1JN6P-2926-SM-CL54D 60-69 years, male 11.8
GTEX-11DXW-0826-SM-5H118 40-49 years, male 11.7
GTEX-14ABY-2026-SM-62LDL 50-59 years, male 11.7
GTEX-1GZ2Q-0126-SM-9WG6M 40-49 years, male 11.7
GTEX-147GR-2426-SM-5ZZWQ 60-69 years, male 11.6
GTEX-14A5H-0826-SM-5QGPJ 60-69 years, male 11.6
GTEX-Y8E4-2026-SM-5IFJB 40-49 years, male 11.6
GTEX-ZF3C-0626-SM-DO92O 50-59 years, female 11.6
GTEX-XQ3S-1426-SM-4BOPR 20-29 years, male 11.5
GTEX-1HSMO-0626-SM-ACKXC 60-69 years, male 11.5
GTEX-1LVAO-2726-SM-E9TJ8 60-69 years, male 11.5
GTEX-18A66-0626-SM-7LT8Z 60-69 years, male 11.4
GTEX-XK95-0226-SM-4AT58 40-49 years, male 11.4
GTEX-13FTW-0326-SM-5K7UW 40-49 years, male 11.3
GTEX-13NZ9-2626-SM-5L3FK 50-59 years, male 11.3
GTEX-17MF6-2626-SM-79OKQ 40-49 years, male 11.3
GTEX-X585-2426-SM-46MW2 50-59 years, male 11.3
GTEX-1A8FM-0626-SM-7PC25 50-59 years, female 11.3
GTEX-1C64N-2626-SM-7PC2N 50-59 years, male 11.3
GTEX-1KD5A-0126-SM-E9U54 50-59 years, male 11.3
GTEX-132AR-0326-SM-5KM2C 50-59 years, female 11.2
GTEX-18A7A-0126-SM-731AH 50-59 years, female 11.2
GTEX-1C6WA-2626-SM-7MKGM 60-69 years, male 11.2
GTEX-1EN7A-2426-SM-793DB 40-49 years, male 11.2
GTEX-11P82-1426-SM-DTXFY 20-29 years, male 11.2
GTEX-16YQH-2226-SM-7IGM2 30-39 years, male 11.1
GTEX-1C64O-1326-SM-7MGWR 60-69 years, male 11.1
GTEX-1K9T9-1526-SM-DIPFR 50-59 years, female 11.1
GTEX-1QMI2-2526-SM-E8VNZ 60-69 years, male 11.1
GTEX-11OF3-0126-SM-5PNYF 60-69 years, male 11.0
GTEX-14PHY-1226-SM-5ZZWK 60-69 years, female 11.0
GTEX-XBEC-0726-SM-4QARZ 50-59 years, male 11.0
GTEX-1H3NZ-2726-SM-9WYTQ 60-69 years, male 11.0
GTEX-1QEPI-2626-SM-DTXF4 60-69 years, female 11.0
GTEX-13112-0126-SM-5P9IU 50-59 years, male 10.9
GTEX-13N11-2326-SM-5IJBF 50-59 years, female 10.9
GTEX-13U4I-2226-SM-5LU5H 40-49 years, female 10.9
GTEX-13YAN-0226-SM-5TDC6 60-69 years, male 10.9
GTEX-ZVE2-2826-SM-5GU51 50-59 years, male 10.9
GTEX-12584-0726-SM-5FQTK 40-49 years, male 10.8
GTEX-13X6J-0626-SM-5LU5F 50-59 years, male 10.8
GTEX-1E1VI-0326-SM-793D1 50-59 years, male 10.8
GTEX-1EWIQ-0326-SM-7DHMQ 70-79 years, female 10.8
GTEX-1M4P7-0726-SM-E6CJ3 60-69 years, male 10.8
GTEX-1212Z-0126-SM-59HK4 60-69 years, male 10.7
GTEX-14JG1-1526-SM-5YY9X 40-49 years, male 10.7
GTEX-17HHY-0426-SM-7DHLC 50-59 years, male 10.7
GTEX-XMD2-2126-SM-4YCF8 60-69 years, female 10.7
GTEX-XYKS-1426-SM-4BRUO 60-69 years, female 10.7
GTEX-13OW8-1026-SM-5J1NQ 60-69 years, male 10.6
GTEX-145LS-0626-SM-7EPG7 60-69 years, female 10.6
GTEX-16NPX-0726-SM-7KULC 50-59 years, male 10.6
GTEX-1I1GP-1326-SM-A9G28 50-59 years, male 10.6
GTEX-1IY9M-2826-SM-ARU8H 60-69 years, male 10.6
GTEX-13OVG-1626-SM-5J1NF 60-69 years, male 10.5
GTEX-ZLFU-1826-SM-4WWBV 40-49 years, male 10.5
GTEX-ZU9S-1826-SM-5NQ9E 30-39 years, male 10.5
GTEX-1KANA-1326-SM-DIPFA 20-29 years, male 10.5
GTEX-131YS-2826-SM-5EQ47 60-69 years, female 10.4
GTEX-1A8G6-2726-SM-731AR 60-69 years, male 10.4
GTEX-WXYG-2026-SM-4E3IY 50-59 years, female 10.4
GTEX-Y8LW-1526-SM-5IFHL 50-59 years, female 10.4
GTEX-1E2YA-2126-SM-7MXUO 50-59 years, male 10.4
GTEX-1F48J-0726-SM-7RHGS 50-59 years, female 10.4
GTEX-1LBAC-0826-SM-CY8IJ 20-29 years, male 10.3
GTEX-1LGRB-0926-SM-COH3K 50-59 years, female 10.3
GTEX-12WSF-1626-SM-7KUG5 70-79 years, male 10.2
GTEX-17HG3-2626-SM-7DUF2 30-39 years, female 10.2
GTEX-WYJK-0526-SM-3NM8Z 50-59 years, male 10.2
GTEX-ZE7O-2726-SM-51MT5 50-59 years, female 10.2
GTEX-12C56-1526-SM-5FQUQ 20-29 years, male 10.1
GTEX-13OVL-0126-SM-5L3GJ 50-59 years, male 10.1
GTEX-X4EP-0626-SM-3P621 60-69 years, female 10.1
GTEX-Y5V5-0126-SM-5S2NW 60-69 years, female 10.1
GTEX-1S3DN-2126-SM-E9TIN 50-59 years, male 10.1
GTEX-12WSA-0426-SM-5EQ5X 60-69 years, male 10.0
GTEX-144GO-2026-SM-5O99P 60-69 years, male 10.0
GTEX-1477Z-0326-SM-7IGLA 60-69 years, male 10.0
GTEX-1JKYN-0826-SM-ARU8S 30-39 years, male 10.0
GTEX-1R9K4-2826-SM-DTX8F 60-69 years, male 10.0
GTEX-12126-0826-SM-5FQTZ 20-29 years, male 9.9
GTEX-1HFI7-2326-SM-CGQFS 50-59 years, female 9.9
GTEX-1IDJU-1726-SM-CMKHU 60-69 years, female 9.9
GTEX-1JMOU-1026-SM-CYPSS 60-69 years, female 9.9
GTEX-ZAK1-0626-SM-5HL8E 50-59 years, female 9.8
GTEX-1GMR8-0626-SM-7RHI7 50-59 years, female 9.8
GTEX-1H3O1-1326-SM-9MQLD 60-69 years, male 9.8
GTEX-1I6K6-1726-SM-CGQFD 30-39 years, male 9.8
GTEX-1ICLZ-0326-SM-ARL82 60-69 years, male 9.8
GTEX-1IDJC-1526-SM-B2LW4 50-59 years, male 9.8
GTEX-1HCU9-0426-SM-9WYSD 20-29 years, male 9.7
GTEX-15RIE-1926-SM-7KUKJ 60-69 years, male 9.6
GTEX-1A3MV-1826-SM-731CD 30-39 years, male 9.6
GTEX-ZYY3-2926-SM-5GIEB 60-69 years, female 9.6
GTEX-1GN2E-0226-SM-9WG6K 60-69 years, male 9.6
GTEX-1IDJD-2326-SM-ACKWX 30-39 years, male 9.6
GTEX-1JMPZ-0726-SM-CY8HZ 30-39 years, male 9.6
GTEX-11VI4-1126-SM-5EQMD 40-49 years, female 9.5
GTEX-12WSC-2826-SM-5BC5Y 50-59 years, male 9.5
GTEX-12WSH-1526-SM-5BC5W 50-59 years, male 9.5
GTEX-1AX9I-2226-SM-73KUO 60-69 years, male 9.5
GTEX-1F6I4-2326-SM-7RHGL 60-69 years, male 9.5
GTEX-1H23P-0626-SM-9WG6T 60-69 years, male 9.5
GTEX-1I1HK-2326-SM-CKZOH 60-69 years, male 9.5
GTEX-131XW-0626-SM-5PNVD 50-59 years, female 9.4
GTEX-183FY-1026-SM-7939A 20-29 years, male 9.4
GTEX-1I1CD-0626-SM-CE6SW 60-69 years, female 9.4
GTEX-139TT-2126-SM-5LZWC 60-69 years, male 9.3
GTEX-YFCO-1226-SM-5LUAT 40-49 years, male 9.3
GTEX-1H1DG-2426-SM-9QEHJ 70-79 years, male 9.3
GTEX-1HBPI-2126-SM-ARL9K 50-59 years, male 9.3
GTEX-13OW5-2326-SM-5L3HO 60-69 years, male 9.2
GTEX-1AYD5-2626-SM-7PBXY 50-59 years, male 9.2
GTEX-1LGOU-1326-SM-D3L8M 20-29 years, female 9.2
GTEX-1RAZR-2126-SM-E9U6T 40-49 years, male 9.2
GTEX-131XH-0126-SM-5LZUY 50-59 years, male 9.1
GTEX-183WM-0326-SM-72D5V 70-79 years, female 9.1
GTEX-ZWKS-0626-SM-5GIDV 30-39 years, male 9.1
GTEX-1PBJJ-1026-SM-E76OS 30-39 years, male 9.1
GTEX-YEC3-1326-SM-DO92X 50-59 years, male 9.1
GTEX-1F52S-2926-SM-7MKGA 60-69 years, female 9.0
GTEX-1JN1M-2726-SM-CY8I4 60-69 years, female 9.0
GTEX-1R9PN-0426-SM-DTXDT 40-49 years, female 9.0
GTEX-12WSD-0626-SM-5GCMW 60-69 years, female 8.9
GTEX-1399U-1126-SM-5L3DB 50-59 years, female 8.9
GTEX-WK11-2726-SM-3NMAQ 50-59 years, male 8.9
GTEX-1GF9W-1426-SM-7PBYM 60-69 years, male 8.9
GTEX-1I1GV-0626-SM-ARL7M 60-69 years, male 8.9
GTEX-1LKK1-2626-SM-DKPQE 50-59 years, female 8.9
GTEX-12ZZX-2426-SM-5GCOE 40-49 years, female 8.8
GTEX-139TU-0726-SM-5L3EK 60-69 years, male 8.8
GTEX-14LLW-2626-SM-62LDZ 70-79 years, female 8.8
GTEX-15G19-2426-SM-7KUMR 60-69 years, male 8.8
GTEX-14JFF-0626-SM-5ZZVT 60-69 years, male 8.8
GTEX-1IDJH-0126-SM-D3L92 70-79 years, male 8.8
GTEX-1LSNL-2726-SM-E9TKJ 50-59 years, male 8.8
GTEX-131XG-0326-SM-5L3DX 50-59 years, female 8.7
GTEX-144FL-0626-SM-5LU43 50-59 years, male 8.7
GTEX-145ME-1726-SM-5Q5EU 40-49 years, female 8.7
GTEX-18A6Q-0626-SM-7KFRP 60-69 years, male 8.7
GTEX-1B932-2326-SM-79OL5 40-49 years, female 8.7
GTEX-1H1E6-0426-SM-9WYUS 30-39 years, male 8.7
GTEX-1HSKV-1226-SM-ADEI4 60-69 years, male 8.7
GTEX-11EQ9-1626-SM-5PNY8 30-39 years, male 8.6
GTEX-11UD2-2526-SM-5CVNU 50-59 years, male 8.6
GTEX-11ZU8-0126-SM-5EQ58 60-69 years, male 8.6
GTEX-139UW-0326-SM-5J1ML 60-69 years, male 8.6
GTEX-17F96-0126-SM-7EWDU 70-79 years, male 8.6
GTEX-1K2DA-1026-SM-CGQGF 50-59 years, male 8.6
GTEX-145LT-0526-SM-5LUB2 40-49 years, male 8.5
GTEX-18D9U-0126-SM-731BM 40-49 years, male 8.5
GTEX-13PVQ-0626-SM-5LU47 50-59 years, male 8.4
GTEX-WHSE-0126-SM-3NMBT 20-29 years, male 8.4
GTEX-XUW1-0926-SM-4BONX 50-59 years, female 8.4
GTEX-17F97-2626-SM-7IGM5 50-59 years, male 8.3
GTEX-17F9E-2326-SM-79OKD 50-59 years, male 8.3
GTEX-WRHU-2826-SM-3MJG8 50-59 years, female 8.3
GTEX-WYBS-0626-SM-3NMAS 60-69 years, female 8.3
GTEX-WYVS-1626-SM-3NM9R 40-49 years, female 8.3
GTEX-1JMQL-2226-SM-CNPP4 50-59 years, female 8.3
GTEX-1PIIG-2326-SM-DTXFR 30-39 years, male 8.3
GTEX-1QP28-1126-SM-EVYC4 50-59 years, female 8.3
GTEX-13OW7-0426-SM-5K7VK 50-59 years, male 8.2
GTEX-14AS3-1526-SM-5Q5ED 40-49 years, female 8.2
GTEX-14DAR-1226-SM-73KYV 50-59 years, male 8.2
GTEX-15D1Q-2826-SM-6LLH7 40-49 years, male 8.2
GTEX-VUSG-2326-SM-4KL1U 50-59 years, male 8.2
GTEX-WHWD-1826-SM-3LK6I 50-59 years, male 8.2
GTEX-XXEK-1626-SM-4BRUZ 50-59 years, male 8.2
GTEX-ZYFD-0626-SM-5E44E 50-59 years, male 8.2
GTEX-1F88E-1626-SM-7SB8Z 60-69 years, female 8.2
GTEX-1QW4Y-1126-SM-DTXE3 30-39 years, male 8.2
GTEX-147JS-0226-SM-5S2U9 60-69 years, male 8.1
GTEX-Y3I4-1726-SM-4TT89 50-59 years, male 8.1
GTEX-1A3MX-2626-SM-7PC24 60-69 years, male 8.1
GTEX-1F75I-2226-SM-7SB8U 40-49 years, male 8.1
GTEX-1HB9E-0126-SM-CM2S5 50-59 years, male 8.1
GTEX-1MJK3-0726-SM-E6CJC 20-29 years, male 8.1
GTEX-145MN-1526-SM-5SI9T 30-39 years, male 8.0
GTEX-15RIG-0726-SM-7KUM7 40-49 years, male 8.0
GTEX-16NGA-0726-SM-731AO 40-49 years, female 8.0
GTEX-1CB4F-1026-SM-7DUH1 60-69 years, male 8.0
GTEX-XPVG-2126-SM-4B667 50-59 years, male 8.0
GTEX-1117F-2926-SM-5GZYI 60-69 years, female 7.9
GTEX-11EM3-1226-SM-5N9DD 20-29 years, female 7.9
GTEX-11GSP-2326-SM-5HL63 60-69 years, female 7.9
GTEX-11WQC-1826-SM-5GU59 60-69 years, male 7.9
GTEX-12ZZY-0726-SM-5EQ66 60-69 years, male 7.9
GTEX-13OVH-0526-SM-5L3E6 70-79 years, male 7.9
GTEX-17MFQ-1526-SM-7KFRR 20-29 years, male 7.9
GTEX-1BAJH-2426-SM-7IGP8 70-79 years, male 7.9
GTEX-Y114-2126-SM-4TT8B 50-59 years, female 7.9
GTEX-1H4P4-2126-SM-9WYSL 50-59 years, male 7.9
GTEX-1PPGY-1626-SM-EVYBL 60-69 years, male 7.9
GTEX-1314G-1326-SM-5BC6E 30-39 years, male 7.8
GTEX-17F98-1326-SM-7DUEP 40-49 years, female 7.8
GTEX-1B933-2426-SM-7DHMD 50-59 years, female 7.8
GTEX-1B996-0426-SM-7EWF8 60-69 years, male 7.8
GTEX-ZPU1-1126-SM-4YCF3 40-49 years, male 7.8
GTEX-1I1GT-1026-SM-ARZLV 60-69 years, female 7.8
GTEX-1POEN-2326-SM-E9J2L 30-39 years, female 7.8
GTEX-14PKV-1126-SM-6LLJ1 20-29 years, female 7.7
GTEX-15G1A-1626-SM-7KUKN 30-39 years, male 7.7
GTEX-1HCU6-2526-SM-ADEHL 60-69 years, female 7.7
GTEX-1LVAN-0626-SM-CNPOQ 50-59 years, female 7.7
GTEX-11DXY-0126-SM-5H11Q 60-69 years, male 7.6
GTEX-13VXU-0626-SM-5L3F9 50-59 years, male 7.6
GTEX-14A6H-2026-SM-5Q5DD 30-39 years, male 7.6
GTEX-17HII-1426-SM-7EPGG 50-59 years, male 7.6
GTEX-X3Y1-2026-SM-3P5YM 40-49 years, male 7.6
GTEX-Y5V6-2326-SM-4VDSA 60-69 years, male 7.6
GTEX-1ICLY-0826-SM-CMKG1 50-59 years, male 7.6
GTEX-1JMQI-1726-SM-ARL93 50-59 years, male 7.6
GTEX-1LG7Y-2526-SM-EWRO7 50-59 years, male 7.6
GTEX-11P81-2226-SM-5PNYI 30-39 years, female 7.5
GTEX-12696-0126-SM-5EQ4L 60-69 years, male 7.5
GTEX-1399Q-2326-SM-5KM2X 40-49 years, male 7.5
GTEX-13PL6-1126-SM-5L3IE 40-49 years, female 7.5
GTEX-147F4-0726-SM-5TDDD 50-59 years, male 7.5
GTEX-14E1K-2026-SM-7DUEI 50-59 years, male 7.5
GTEX-14LZ3-0126-SM-69LPM 60-69 years, female 7.5
GTEX-UPJH-0226-SM-3GADV 50-59 years, male 7.5
GTEX-XV7Q-1826-SM-4BRUV 40-49 years, female 7.5
GTEX-1H1DF-1126-SM-9WG7G 40-49 years, female 7.5
GTEX-1HSMP-0926-SM-A9SKX 70-79 years, male 7.5
GTEX-1IKOE-1426-SM-CE6T7 30-39 years, female 7.5
GTEX-1RLM8-2926-SM-E8VON 50-59 years, male 7.5
GTEX-11DXZ-2026-SM-5987S 50-59 years, male 7.4
GTEX-WFON-1926-SM-3LK7L 40-49 years, male 7.4
GTEX-ZTSS-1426-SM-5985P 40-49 years, male 7.4
GTEX-1JJE9-2626-SM-ARZMT 70-79 years, male 7.4
GTEX-1QP9N-1226-SM-E76QN 30-39 years, male 7.4
GTEX-13G51-1826-SM-5KLZH 60-69 years, male 7.3
GTEX-14BMV-2826-SM-5TDED 50-59 years, male 7.3
GTEX-14PK6-0226-SM-62LF5 70-79 years, female 7.3
GTEX-Y5LM-0926-SM-6LLJG 40-49 years, female 7.3
GTEX-ZAB4-2126-SM-5HL8U 40-49 years, male 7.3
GTEX-1CAMQ-1326-SM-7P8RV 40-49 years, male 7.3
GTEX-1F88F-0126-SM-9WYSZ 60-69 years, female 7.3
GTEX-1GTWX-2026-SM-9YFLM 60-69 years, male 7.3
GTEX-1IKJJ-2226-SM-CJI4C 60-69 years, male 7.3
GTEX-111YS-1526-SM-5GZYW 60-69 years, male 7.2
GTEX-147F3-1726-SM-5SIAW 50-59 years, female 7.2
GTEX-18D9B-0926-SM-7LG4U 60-69 years, male 7.2
GTEX-ZVP2-0326-SM-57WBP 50-59 years, male 7.2
GTEX-1F5PL-0926-SM-7PC2W 40-49 years, female 7.2
GTEX-1HT8W-0626-SM-A9G2H 30-39 years, male 7.2
GTEX-1J1R8-2026-SM-CL53Y 40-49 years, male 7.2
GTEX-1JMQJ-0826-SM-CNPP7 50-59 years, male 7.2
GTEX-1KANB-2826-SM-CY8I6 50-59 years, male 7.2
GTEX-13N1W-2426-SM-5IJD1 70-79 years, male 7.1
GTEX-13QBU-1226-SM-5LU4G 40-49 years, female 7.1
GTEX-1497J-0226-SM-5QGPU 60-69 years, male 7.1
GTEX-14E6E-0526-SM-793DN 30-39 years, male 7.1
GTEX-15ER7-0626-SM-6PANF 20-29 years, female 7.1
GTEX-XAJ8-1426-SM-47JYM 40-49 years, male 7.1
GTEX-1GZ4H-0526-SM-9KNU9 50-59 years, female 7.1
GTEX-11P7K-1126-SM-5HL4L 30-39 years, male 7.0
GTEX-133LE-2326-SM-5K7W3 20-29 years, female 7.0
GTEX-1B8SF-0126-SM-7DUG3 60-69 years, male 7.0
GTEX-ZVZP-1226-SM-5GID7 50-59 years, male 7.0
GTEX-1CB4J-1326-SM-7P8RX 60-69 years, male 7.0
GTEX-1LSVX-2526-SM-DIPEU 60-69 years, male 7.0
GTEX-13NYC-0126-SM-5L3F4 60-69 years, male 6.9
GTEX-14XAO-1226-SM-6EU1C 60-69 years, female 6.9
GTEX-WY7C-2126-SM-3NB2R 50-59 years, male 6.9
GTEX-1CAMS-2226-SM-7PBXQ 40-49 years, female 6.9
GTEX-1HCU7-0726-SM-A9SL1 50-59 years, male 6.9
GTEX-1PPH8-0126-SM-EWRN8 20-29 years, male 6.9
GTEX-1R7EU-1626-SM-DTXG3 60-69 years, male 6.9
GTEX-1S5ZU-2526-SM-E6CIF 20-29 years, female 6.9
GTEX-13113-1626-SM-5EQ4I 60-69 years, female 6.8
GTEX-ZDYS-2426-SM-4WKGI 50-59 years, male 6.8
GTEX-1CB4I-0126-SM-7RHGG 50-59 years, male 6.8
GTEX-1MCC2-1826-SM-DIPEX 30-39 years, female 6.8
GTEX-11ZUS-2626-SM-5FQUR 30-39 years, male 6.7
GTEX-13NYB-0126-SM-5J1MD 40-49 years, male 6.7
GTEX-13O3O-2326-SM-5IJD6 60-69 years, female 6.7
GTEX-13OW6-2726-SM-5J2OE 50-59 years, male 6.7
GTEX-13PVR-0426-SM-5RQK2 60-69 years, female 6.7
GTEX-13RTJ-0126-SM-5S2NN 60-69 years, male 6.7
GTEX-YEC4-1826-SM-4W1YP 40-49 years, male 6.7
GTEX-ZZ64-1026-SM-5GZXG 20-29 years, male 6.7
GTEX-1GPI6-1926-SM-9KNV7 60-69 years, male 6.7
GTEX-1ICG6-1226-SM-A9SLN 70-79 years, female 6.7
GTEX-13FTX-1526-SM-5K7VJ 20-29 years, female 6.6
GTEX-14PJ6-2626-SM-6EU2T 60-69 years, female 6.6
GTEX-16AAH-0626-SM-793C9 50-59 years, male 6.6
GTEX-16MT9-0126-SM-7EPI8 60-69 years, female 6.6
GTEX-17EVP-2626-SM-7IGMA 40-49 years, male 6.6
GTEX-V1D1-2026-SM-3GAF4 50-59 years, male 6.6
GTEX-ZTTD-2826-SM-4YCFA 50-59 years, male 6.6
GTEX-1F75A-0726-SM-7RHHD 50-59 years, male 6.6
GTEX-1GZHY-0626-SM-9KNVC 50-59 years, female 6.6
GTEX-1HCVE-2726-SM-CL54F 50-59 years, male 6.6
GTEX-1KAFJ-0126-SM-DIPEK 50-59 years, male 6.6
GTEX-11DXX-2126-SM-5PNYR 60-69 years, female 6.5
GTEX-13FLV-0126-SM-5K7WT 50-59 years, male 6.5
GTEX-15DDE-2926-SM-6LLJ3 50-59 years, female 6.5
GTEX-15EU6-2226-SM-6EU2L 50-59 years, male 6.5
GTEX-178AV-1726-SM-7KUL8 40-49 years, male 6.5
GTEX-17HHE-1326-SM-7EWDZ 50-59 years, male 6.5
GTEX-1B8KZ-0326-SM-73KY4 50-59 years, male 6.5
GTEX-1I1GS-2626-SM-B2LY3 60-69 years, male 6.5
GTEX-1IDJV-0126-SM-COH3Y 60-69 years, male 6.5
GTEX-1JMLX-0626-SM-ARL8T 50-59 years, male 6.5
GTEX-1QP29-1826-SM-DTX9S 50-59 years, male 6.5
GTEX-13QJC-0126-SM-5ZZWJ 60-69 years, female 6.4
GTEX-1H2FU-0926-SM-9WPPT 60-69 years, female 6.4
GTEX-13NYS-0626-SM-5L3F1 60-69 years, male 6.3
GTEX-13SLW-0626-SM-5Q5ER 70-79 years, male 6.3
GTEX-145MH-2826-SM-5RQJF 50-59 years, male 6.3
GTEX-15CHC-1126-SM-6LLHQ 60-69 years, female 6.3
GTEX-1EU9M-1426-SM-793AI 60-69 years, male 6.3
GTEX-ZXG5-2126-SM-59HKD 60-69 years, male 6.3
GTEX-ZYVF-0926-SM-5E44J 50-59 years, female 6.3
GTEX-1RAZS-2526-SM-E6CHT 50-59 years, male 6.3
GTEX-1S82P-2126-SM-E6CI5 60-69 years, female 6.3
GTEX-11TUW-0626-SM-5LU9M 60-69 years, male 6.2
GTEX-13NZ8-1226-SM-5KM4A 60-69 years, female 6.2
GTEX-13X6H-0926-SM-5SIB2 50-59 years, female 6.2
GTEX-144GM-0526-SM-79OJO 20-29 years, male 6.2
GTEX-16MTA-0926-SM-6M47Z 50-59 years, male 6.2
GTEX-ZDTT-0426-SM-4WKFL 60-69 years, male 6.2
GTEX-1GPI7-1826-SM-9KNU1 20-29 years, male 6.2
GTEX-11WQK-1026-SM-5EQLX 50-59 years, male 6.1
GTEX-18A67-1626-SM-7LT9T 50-59 years, male 6.1
GTEX-1C6VQ-1226-SM-73KYD 50-59 years, male 6.1
GTEX-ZA64-1026-SM-5HL8R 20-29 years, male 6.1
GTEX-1IOXB-2726-SM-CM2RI 50-59 years, male 6.1
GTEX-1JK1U-0226-SM-ARZMX 60-69 years, male 6.1
GTEX-1JKYR-0626-SM-ARL8R 20-29 years, male 6.1
GTEX-12WSJ-1126-SM-5LZVJ 40-49 years, female 6.0
GTEX-13W3W-0726-SM-5IJDQ 60-69 years, female 6.0
GTEX-14PHX-2226-SM-6EU2P 50-59 years, male 6.0
GTEX-14PJN-1826-SM-6AJ98 30-39 years, male 6.0
GTEX-1EH9U-2826-SM-7DUGT 60-69 years, male 6.0
GTEX-ZVE1-0726-SM-51MRN 50-59 years, female 6.0
GTEX-ZY6K-1426-SM-5GZX2 50-59 years, male 6.0
GTEX-1CAMR-1326-SM-7PC1F 20-29 years, male 6.0
GTEX-1HKZK-0726-SM-ACKW2 40-49 years, male 5.9
GTEX-1IE54-1126-SM-A9G2Z 40-49 years, female 5.9
GTEX-1LB8K-0726-SM-D5OV2 50-59 years, male 5.9
GTEX-131XF-2626-SM-5EQ6K 60-69 years, male 5.8
GTEX-145MI-0626-SM-5SI8S 60-69 years, female 5.8
GTEX-17KNJ-2126-SM-718AM 50-59 years, male 5.8
GTEX-1A8G7-1326-SM-73KVM 60-69 years, male 5.8
GTEX-1EKGG-0626-SM-7DUGJ 60-69 years, male 5.8
GTEX-1EX96-1026-SM-7MKG2 50-59 years, male 5.8
GTEX-1C475-1326-SM-7SB73 40-49 years, female 5.8
GTEX-1S831-1826-SM-EWROF 20-29 years, male 5.8
GTEX-1B8KE-1126-SM-7EPHI 50-59 years, male 5.7
GTEX-Y111-0626-SM-4SOIT 50-59 years, male 5.7
GTEX-1GMR3-0126-SM-A9SLW 40-49 years, male 5.7
GTEX-1K2DU-1226-SM-CYPT4 20-29 years, male 5.7
GTEX-111CU-1126-SM-5EGIM 50-59 years, male 5.6
GTEX-13O3Q-0126-SM-5KM34 50-59 years, male 5.6
GTEX-145LU-1926-SM-79OJN 50-59 years, male 5.6
GTEX-14PKU-0126-SM-6LLHV 40-49 years, female 5.6
GTEX-15RJE-2826-SM-7KUM9 40-49 years, male 5.6
GTEX-1CB4H-1126-SM-7MKGL 60-69 years, female 5.6
GTEX-XBED-1926-SM-47JYP 60-69 years, male 5.6
GTEX-1HBPN-0126-SM-CGQEF 50-59 years, male 5.6
GTEX-1HGF4-0126-SM-CNPPX 60-69 years, male 5.6
GTEX-11ZTT-2126-SM-5CVLO 60-69 years, female 5.5
GTEX-139D8-1126-SM-5LU8W 30-39 years, female 5.5
GTEX-ZYT6-2326-SM-5GZY3 30-39 years, male 5.5
GTEX-1HBPM-0726-SM-9YFL7 60-69 years, female 5.5
GTEX-12WSM-1926-SM-5BC65 60-69 years, male 5.4
GTEX-13FHO-0426-SM-5L3F5 60-69 years, male 5.4
GTEX-13OVK-1426-SM-6PAN7 40-49 years, male 5.4
GTEX-13VXT-1926-SM-5K7UO 20-29 years, female 5.4
GTEX-14BIN-1126-SM-5RQJZ 50-59 years, female 5.4
GTEX-W5X1-2526-SM-3GILC 40-49 years, female 5.4
GTEX-18D9A-1426-SM-7LT8M 30-39 years, female 5.4
GTEX-1GN1W-2426-SM-9KNUU 50-59 years, female 5.4
GTEX-1GZ4I-2626-SM-9KNU3 50-59 years, male 5.4
GTEX-1J8Q2-2626-SM-ACKWQ 60-69 years, male 5.4
GTEX-1J8QM-2426-SM-A9SLS 60-69 years, female 5.4
GTEX-1JN76-0626-SM-CKZOQ 20-29 years, female 5.4
GTEX-1QAET-0326-SM-EVR3U 50-59 years, male 5.4
GTEX-11EQ8-0926-SM-5H12V 60-69 years, male 5.3
GTEX-13D11-0926-SM-5J2NC 50-59 years, female 5.3
GTEX-14C38-0726-SM-5SI6M 50-59 years, male 5.3
GTEX-14PJ3-1126-SM-5ZZVX 50-59 years, male 5.3
GTEX-1H11D-1826-SM-9QEHM 40-49 years, male 5.3
GTEX-1J8EW-2726-SM-CY8HR 60-69 years, female 5.3
GTEX-1S82U-1026-SM-E6CJK 30-39 years, female 5.3
GTEX-ZPIC-0526-SM-DO91W 40-49 years, female 5.3
GTEX-ZVT4-2426-SM-5GIEI 50-59 years, female 5.2
GTEX-1GMRU-2126-SM-7P8RA 50-59 years, male 5.2
GTEX-1QCLY-0226-SM-EWRNH 30-39 years, male 5.2
GTEX-1R46S-2426-SM-E76QA 60-69 years, female 5.2
GTEX-1H1DE-1326-SM-9KNUG 20-29 years, male 5.1
GTEX-1HCUA-0826-SM-ADEHM 50-59 years, female 5.1
GTEX-ZGAY-1826-SM-DO91Q 40-49 years, female 5.1
GTEX-13O61-1426-SM-5KM3D 60-69 years, male 5.0
GTEX-145MF-0926-SM-5Q5EA 50-59 years, male 5.0
GTEX-15FZZ-0526-SM-7KUGD 30-39 years, female 5.0
GTEX-ZE9C-2526-SM-5IJDR 60-69 years, male 5.0
GTEX-ZT9X-1526-SM-5DUXD 40-49 years, male 5.0
GTEX-1GF9V-0826-SM-9KNUV 60-69 years, male 5.0
GTEX-1LVAM-0726-SM-E6CIL 50-59 years, female 5.0
GTEX-WFG7-2026-SM-5SI7P 20-29 years, male 4.9
GTEX-ZF2S-1626-SM-57WES 50-59 years, female 4.9
GTEX-1HSGN-0826-SM-ACKW3 40-49 years, female 4.9
GTEX-1KXAM-1626-SM-D3LAD 60-69 years, male 4.9
GTEX-1N2EE-0626-SM-E76PW 60-69 years, male 4.9
GTEX-1313W-0626-SM-5EQ4H 50-59 years, female 4.8
GTEX-ZP4G-1426-SM-4WWCL 20-29 years, female 4.8
GTEX-1HSMQ-2626-SM-A9SML 50-59 years, male 4.8
GTEX-1JJ6O-2726-SM-CNPOG 60-69 years, male 4.8
GTEX-1NV5F-0626-SM-DTXEG 60-69 years, female 4.8
GTEX-1R9PM-1926-SM-EVR3O 20-29 years, male 4.8
GTEX-144GL-0626-SM-5LU4D 50-59 years, male 4.7
GTEX-14PII-0726-SM-6EU2B 60-69 years, male 4.7
GTEX-X5EB-1926-SM-4E3IW 40-49 years, male 4.7
GTEX-XBEW-1126-SM-4QARW 40-49 years, male 4.7
GTEX-YECK-0326-SM-4W1YS 60-69 years, male 4.7
GTEX-1F6RS-2026-SM-7RHHC 60-69 years, female 4.7
GTEX-1GN73-0726-SM-7P8TJ 60-69 years, male 4.7
GTEX-1IDJI-0126-SM-CMKHS 50-59 years, female 4.7
GTEX-1PPH7-1126-SM-DTX9A 40-49 years, male 4.7
GTEX-1RMOY-1326-SM-E9TIH 50-59 years, male 4.7
GTEX-1GN1U-0626-SM-9MQL9 50-59 years, female 4.6
GTEX-12ZZZ-0726-SM-5GCNZ 60-69 years, male 4.5
GTEX-148VJ-0626-SM-5LUAW 70-79 years, male 4.5
GTEX-18QFQ-1826-SM-72D52 30-39 years, male 4.5
GTEX-Y9LG-1126-SM-4VBQ7 30-39 years, male 4.5
GTEX-ZVT2-0126-SM-5GIDQ 50-59 years, female 4.5
GTEX-1I1GU-0926-SM-ACKVS 40-49 years, male 4.5
GTEX-1OJC4-2726-SM-E76PJ 50-59 years, female 4.5
GTEX-13FTY-2126-SM-5IFFB 40-49 years, female 4.4
GTEX-15SKB-2826-SM-6PAMH 60-69 years, male 4.4
GTEX-1CB4E-0926-SM-7EPHT 60-69 years, male 4.4
GTEX-1JMPY-0226-SM-CKZOK 30-39 years, male 4.4
GTEX-1N2DV-1526-SM-DTXEP 40-49 years, male 4.4
GTEX-1PDJ9-1226-SM-EXUSX 20-29 years, male 4.4
GTEX-1B97I-0626-SM-73KUZ 40-49 years, male 4.2
GTEX-XQ8I-0926-SM-4BOOF 50-59 years, male 4.2
GTEX-1GL5R-1326-SM-7RHHF 50-59 years, male 4.2
GTEX-1J1OQ-0126-SM-D4P2N 40-49 years, female 4.2
GTEX-1QPFJ-1926-SM-EVYBD 30-39 years, female 4.2
GTEX-111VG-1626-SM-5EGIO 60-69 years, male 4.1
GTEX-1399S-0126-SM-5IJCF 30-39 years, female 4.1
GTEX-14753-0726-SM-5QGQO 60-69 years, male 4.1
GTEX-14B4R-1326-SM-5Q5EZ 30-39 years, male 4.1
GTEX-1MCYP-0526-SM-E9U6Q 20-29 years, female 4.1
GTEX-1RAZQ-1326-SM-E9TK6 30-39 years, male 4.1
GTEX-11LCK-2226-SM-5HL4Q 30-39 years, male 4.0
GTEX-1C2JI-1026-SM-73KY1 50-59 years, male 4.0
GTEX-ZPCL-1126-SM-4WWFE 60-69 years, female 4.0
GTEX-ZTX8-1326-SM-4YCEL 20-29 years, male 4.0
GTEX-1J8Q3-0526-SM-ARL8U 60-69 years, male 4.0
GTEX-12WSK-2126-SM-5CVNC 40-49 years, female 3.9
GTEX-13JVG-0726-SM-5KM16 60-69 years, male 3.9
GTEX-1IDFM-0326-SM-ARL7V 60-69 years, male 3.9
GTEX-1B8L1-2226-SM-7P8PT 60-69 years, male 3.8
GTEX-11GS4-0226-SM-5HL77 60-69 years, male 3.7
GTEX-ZZPU-0826-SM-5GZX5 50-59 years, female 3.7
GTEX-1H3VE-0726-SM-9YFL5 40-49 years, male 3.7
GTEX-13IVO-0726-SM-5LZYV 70-79 years, male 3.6
GTEX-1JJEA-1826-SM-ARU8P 60-69 years, male 3.6
GTEX-1AMFI-1326-SM-7939R 50-59 years, female 3.5
GTEX-1EMGI-2326-SM-7PBYA 60-69 years, male 3.5
GTEX-1GF9X-1326-SM-7PC2Y 40-49 years, female 3.5
GTEX-11PRG-0726-SM-5EGL1 50-59 years, male 3.4
GTEX-13PDP-0726-SM-5L3HP 60-69 years, male 3.4
GTEX-1HR9M-2226-SM-CNPPY 60-69 years, male 3.4
GTEX-14C39-1726-SM-5RQIL 40-49 years, male 3.3
GTEX-14C5O-0326-SM-5ZZUX 60-69 years, male 3.2
GTEX-14ICL-1626-SM-5YYAO 30-39 years, male 3.2
GTEX-ZF29-0926-SM-4WKFZ 60-69 years, female 3.2
GTEX-1122O-1026-SM-9WYSF 60-69 years, female 3.2
GTEX-14PJ4-0226-SM-5YY92 60-69 years, male 3.1
GTEX-1C6VR-0126-SM-7RHGB 60-69 years, male 3.1
GTEX-1F5PK-2226-SM-7SB6N 50-59 years, male 3.1
GTEX-ZLV1-1526-SM-DO91J 60-69 years, female 2.9
GTEX-1QP2A-1726-SM-E76QC 50-59 years, male 2.7
GTEX-1S83E-1326-SM-E6CJM 40-49 years, male 2.7
GTEX-17F9Y-0126-SM-79OKX 70-79 years, female 2.6
GTEX-WHSB-1326-SM-3LK6W 50-59 years, male 2.6
GTEX-1AMEY-0826-SM-72D65 30-39 years, female 2.0
GTEX-1GN1V-2826-SM-9JGIA 60-69 years, male 1.8
Show allShow less
Skin - Sun Exposed (Lower leg)
Average nTPM: 10.3
Samples: 701

Max nTPM: 46.1
Min nTPM: 1.7
Std nTPM: 4.3
Median nTPM: 9.6
GTEX-1QP67-1626-SM-EAZ3X 40-49 years, female 46.1
GTEX-1RAZQ-0726-SM-EAZ43 30-39 years, male 33.4
GTEX-1R9PO-2126-SM-E9J4O 60-69 years, female 28.5
GTEX-1HUB1-0426-SM-E9U4U 60-69 years, male 25.7
GTEX-NPJ8-0126-SM-2YUNR 40-49 years, male 24.0
GTEX-ZTPG-0326-SM-5O9AX 20-29 years, female 23.2
GTEX-1I1HK-0126-SM-COH49 60-69 years, male 23.1
GTEX-PWCY-1826-SM-DHXIZ 20-29 years, female 22.9
GTEX-1MCYP-1926-SM-E9J2R 20-29 years, female 22.5
GTEX-14JIY-0126-SM-6LLH6 60-69 years, male 22.3
GTEX-14A6H-0126-SM-5QGPK 30-39 years, male 22.0
GTEX-139T4-0226-SM-5HL5S 50-59 years, female 21.7
GTEX-P4PQ-0126-SM-2S1NM 60-69 years, male 21.5
GTEX-1H3O1-0426-SM-9YFKY 60-69 years, male 21.4
GTEX-X638-0126-SM-47JZ8 70-79 years, female 21.3
GTEX-1AYD5-2426-SM-73KXR 50-59 years, male 21.2
GTEX-16YQH-0126-SM-7DUFJ 30-39 years, male 21.0
GTEX-1399U-2326-SM-5K7WY 50-59 years, female 20.9
GTEX-1QW4Y-1526-SM-EAZ3Z 30-39 years, male 20.6
GTEX-QEG4-0226-SM-2S1PY 30-39 years, male 20.3
GTEX-139T8-0126-SM-5K7XZ 60-69 years, male 20.2
GTEX-1OJC4-0126-SM-E9J2E 50-59 years, female 19.9
GTEX-1AYCT-2426-SM-7IGQ3 50-59 years, male 19.8
GTEX-12WSG-2826-SM-E9J4H 50-59 years, female 19.8
GTEX-1RLM8-2326-SM-EWRN4 50-59 years, male 19.7
GTEX-1N2DV-0226-SM-E6CJ6 40-49 years, male 19.5
GTEX-146FQ-0126-SM-5NQA9 30-39 years, male 19.4
GTEX-QDT8-0126-SM-48TZ1 30-39 years, female 19.2
GTEX-1LC47-0326-SM-E9TJP 60-69 years, male 19.0
GTEX-132NY-0326-SM-5IJBL 60-69 years, male 18.9
GTEX-11H98-0126-SM-5EGHG 50-59 years, male 18.7
GTEX-ZDTS-0126-SM-4WAY5 60-69 years, male 18.5
GTEX-13N1W-0126-SM-5K7VT 70-79 years, male 18.4
GTEX-X4XY-0226-SM-4E3IZ 60-69 years, male 18.3
GTEX-15SB6-1726-SM-6PAME 50-59 years, female 18.2
GTEX-11P82-1626-SM-59879 20-29 years, male 18.1
GTEX-YJ8A-0426-SM-5IFID 20-29 years, male 18.0
GTEX-1PBJI-0526-SM-E8VNK 20-29 years, female 18.0
GTEX-SIU8-0126-SM-2XCDT 50-59 years, male 17.9
GTEX-1F6I4-0126-SM-9MQL2 60-69 years, male 17.9
GTEX-1HR98-0126-SM-B2LWI 60-69 years, male 17.9
GTEX-11ZUS-0626-SM-59885 30-39 years, male 17.7
GTEX-16XZY-2126-SM-79OK1 70-79 years, male 17.7
GTEX-S33H-1026-SM-EZ6L6 30-39 years, male 17.7
GTEX-1C6WA-0126-SM-7PC2B 60-69 years, male 17.5
GTEX-117YW-2626-SM-5GZZH 50-59 years, male 17.2
GTEX-11UD1-0126-SM-5PNYG 40-49 years, female 17.2
GTEX-X8HC-0126-SM-4E3JW 50-59 years, female 17.1
GTEX-ZE7O-0126-SM-57WC1 50-59 years, female 17.1
GTEX-1LNCM-1126-SM-E9U5E 50-59 years, female 17.1
GTEX-13N11-2526-SM-5K7UE 50-59 years, female 16.9
GTEX-ZUA1-0126-SM-5GU76 40-49 years, male 16.9
GTEX-11DZ1-0126-SM-5985Q 50-59 years, male 16.8
GTEX-15SDE-2226-SM-7IGLO 50-59 years, female 16.7
GTEX-1H1ZS-0426-SM-9WG6G 70-79 years, male 16.7
GTEX-1HBPM-0226-SM-ARL9F 60-69 years, female 16.7
GTEX-146FH-0126-SM-5QGPP 50-59 years, female 16.6
GTEX-1HBPI-1526-SM-C1YQ1 50-59 years, male 16.6
GTEX-1HSMP-0126-SM-E6CJS 70-79 years, male 16.6
GTEX-OOBJ-0126-SM-E6CJW 60-69 years, male 16.5
GTEX-13FXS-0226-SM-5IJCK 50-59 years, male 16.4
GTEX-11GSP-2526-SM-5N9BP 60-69 years, female 16.3
GTEX-1H1CY-2826-SM-9MQM3 60-69 years, female 16.3
GTEX-W5X1-3026-SM-EAZAX 40-49 years, female 16.3
GTEX-11NUK-0126-SM-5A5L3 50-59 years, male 16.2
GTEX-13CF2-2526-SM-5LZYX 60-69 years, male 16.2
GTEX-QV44-1926-SM-2S1RF 50-59 years, male 16.2
GTEX-WVJS-0126-SM-4MVOT 50-59 years, male 16.2
GTEX-13OW7-0126-SM-5MR3B 50-59 years, male 16.1
GTEX-131XW-0426-SM-5LZWP 50-59 years, female 16.0
GTEX-17F98-0626-SM-79OMX 40-49 years, female 16.0
GTEX-X585-0226-SM-4QAS2 50-59 years, male 16.0
GTEX-131XG-2626-SM-5KM17 50-59 years, female 15.9
GTEX-1A32A-0126-SM-718B1 50-59 years, female 15.9
GTEX-RTLS-0126-SM-447CA 60-69 years, female 15.9
GTEX-11ZVC-2526-SM-5FQTE 50-59 years, female 15.8
GTEX-1HCU6-0126-SM-CL54K 60-69 years, female 15.8
GTEX-1KD5A-0226-SM-D5OV3 50-59 years, male 15.8
GTEX-1F75A-0126-SM-7RHGM 50-59 years, male 15.7
GTEX-1A3MW-0126-SM-73KXX 60-69 years, female 15.6
GTEX-V1D1-2226-SM-3NMAX 50-59 years, male 15.6
GTEX-ZEX8-2426-SM-4WKG4 50-59 years, male 15.5
GTEX-1MA7W-2026-SM-E9TJ6 20-29 years, female 15.5
GTEX-1N2DW-0226-SM-E9TK2 50-59 years, male 15.5
GTEX-17HHE-2026-SM-79OKF 50-59 years, male 15.4
GTEX-1192W-2626-SM-5Q5AF 60-69 years, male 15.3
GTEX-147F4-0226-SM-5QGPW 50-59 years, male 15.3
GTEX-X62O-0126-SM-4E3JN 50-59 years, male 15.3
GTEX-113IC-0126-SM-5HL6T 60-69 years, male 15.2
GTEX-1F6IF-0726-SM-7P8TW 60-69 years, male 15.2
GTEX-14DAQ-0126-SM-5S2MQ 60-69 years, female 15.0
GTEX-ZF28-0126-SM-4WKGK 60-69 years, male 15.0
GTEX-1B933-0126-SM-7PC29 50-59 years, female 15.0
GTEX-11GSO-2426-SM-5A5LY 60-69 years, male 14.9
GTEX-11P7K-2126-SM-5GU7G 30-39 years, male 14.9
GTEX-12WSN-5019-SM-79OM6 40-49 years, male 14.8
GTEX-PLZ4-0126-SM-5SI8O 50-59 years, female 14.8
GTEX-1B8KZ-2026-SM-7DHMB 50-59 years, male 14.6
GTEX-T2IS-0126-SM-4DM6O 20-29 years, female 14.6
GTEX-14ABY-0226-SM-5TDCQ 50-59 years, male 14.5
GTEX-X4EO-0326-SM-3P5YO 60-69 years, female 14.5
GTEX-ZYFC-0226-SM-5NQ75 50-59 years, male 14.5
GTEX-13QJ3-0326-SM-5S2RA 50-59 years, male 14.4
GTEX-1ICLY-0126-SM-D4P36 50-59 years, male 14.4
GTEX-1IKK5-0626-SM-ARL8A 60-69 years, male 14.4
GTEX-WXYG-2326-SM-4E3I6 50-59 years, female 14.3
GTEX-1IL2V-0126-SM-CM2TX 70-79 years, male 14.3
GTEX-147GR-0526-SM-5S2MY 60-69 years, male 14.2
GTEX-Y111-0126-SM-4SOIV 50-59 years, male 14.2
GTEX-1HBPH-0426-SM-B2LW5 40-49 years, female 14.2
GTEX-1POEN-0126-SM-EYYXJ 30-39 years, female 14.2
GTEX-146FR-1326-SM-E9J48 60-69 years, female 14.1
GTEX-1GN73-0226-SM-9WG67 60-69 years, male 14.1
GTEX-1IGQW-0126-SM-COH42 60-69 years, male 14.1
GTEX-13OVL-0226-SM-5L3E9 50-59 years, male 14.0
GTEX-1C2JI-1826-SM-73KXC 50-59 years, male 14.0
GTEX-WZTO-0126-SM-3NM95 40-49 years, male 14.0
GTEX-1S82Y-2026-SM-EVYCM 40-49 years, male 13.9
GTEX-1192X-0226-SM-5H12D 50-59 years, male 13.7
GTEX-12ZZX-0126-SM-5EGK9 40-49 years, female 13.7
GTEX-RN64-0126-SM-2TC68 50-59 years, male 13.7
GTEX-U8XE-0326-SM-3DB8P 30-39 years, male 13.7
GTEX-1RB15-2126-SM-E9TIM 60-69 years, male 13.7
GTEX-145LV-2126-SM-5LU8N 50-59 years, male 13.6
GTEX-1AX8Z-0126-SM-7DHM6 60-69 years, male 13.6
GTEX-1EKGG-0226-SM-9WYTH 60-69 years, male 13.6
GTEX-11ZU8-2526-SM-5EQKI 60-69 years, male 13.5
GTEX-13OVJ-0126-SM-5KM36 50-59 years, female 13.5
GTEX-1C4CL-0526-SM-73KVK 30-39 years, male 13.5
GTEX-OOBK-0126-SM-2YUND 40-49 years, male 13.5
GTEX-SUCS-1926-SM-32PM3 70-79 years, male 13.4
GTEX-YFC4-0126-SM-5CVLY 40-49 years, female 13.4
GTEX-1HSEH-0126-SM-ACKXN 60-69 years, male 13.4
GTEX-1IDFM-0126-SM-COH2V 60-69 years, male 13.4
GTEX-11OC5-0126-SM-5HL6A 60-69 years, male 13.3
GTEX-SSA3-0126-SM-32QPU 60-69 years, male 13.3
GTEX-ZE9C-2726-SM-57WB5 60-69 years, male 13.3
GTEX-ZZPT-0226-SM-5E43X 50-59 years, male 13.3
GTEX-1I1CD-0126-SM-CM2TK 60-69 years, female 13.3
GTEX-S7PM-0126-SM-4AD6S 60-69 years, male 13.2
GTEX-1F7RK-0126-SM-7PC2S 20-29 years, female 13.2
GTEX-11EMC-2926-SM-5EQ4F 60-69 years, female 13.1
GTEX-11GS4-2726-SM-5A5LE 60-69 years, male 13.1
GTEX-13U4I-0126-SM-5LU38 40-49 years, female 13.1
GTEX-13X6I-0626-SM-5QGP9 60-69 years, male 13.1
GTEX-18A7A-0226-SM-718BH 50-59 years, female 13.1
GTEX-1AMEY-1326-SM-73KYK 30-39 years, female 13.1
GTEX-Y3IK-2426-SM-4WWDU 50-59 years, female 13.1
GTEX-1GN1W-0526-SM-9MQJQ 50-59 years, female 13.1
GTEX-1I1GP-2226-SM-CGQFK 50-59 years, male 13.1
GTEX-131YS-0126-SM-5KM1M 60-69 years, female 13.0
GTEX-14E6C-0126-SM-5RQIP 40-49 years, male 13.0
GTEX-PLZ6-1426-SM-DKPOT 30-39 years, male 13.0
GTEX-11DXW-0226-SM-5H122 40-49 years, male 12.9
GTEX-12126-0326-SM-5PNW3 20-29 years, male 12.9
GTEX-17MF6-0126-SM-7LG4F 40-49 years, male 12.9
GTEX-XV7Q-2526-SM-4BRV9 40-49 years, female 12.9
GTEX-1GPI6-0126-SM-9WG69 60-69 years, male 12.9
GTEX-1RAZA-0126-SM-E6CI3 20-29 years, male 12.9
GTEX-1313W-0126-SM-5LZUN 50-59 years, female 12.8
GTEX-1B8L1-2526-SM-9WYTF 60-69 years, male 12.8
GTEX-1C6VQ-0126-SM-7P8RI 50-59 years, male 12.8
GTEX-1GN1V-0126-SM-9WPOS 60-69 years, male 12.8
GTEX-1I1GS-0126-SM-B2LVW 60-69 years, male 12.8
GTEX-TMZS-0126-SM-3DB9Q 60-69 years, male 12.7
GTEX-13X6J-0126-SM-5QGOU 50-59 years, male 12.6
GTEX-17HHY-0126-SM-7LG5D 50-59 years, male 12.6
GTEX-Y5V6-2426-SM-4VDSB 60-69 years, male 12.6
GTEX-1IKOH-0226-SM-COH4E 60-69 years, female 12.6
GTEX-1R46S-0626-SM-E9J41 60-69 years, female 12.6
GTEX-18QFQ-0126-SM-731BE 30-39 years, male 12.5
GTEX-Q734-1926-SM-2I5EV 40-49 years, female 12.5
GTEX-QLQ7-1626-SM-2S1R8 60-69 years, male 12.5
GTEX-U4B1-1826-SM-4DXSU 40-49 years, male 12.5
GTEX-17HGU-0226-SM-7DHKV 50-59 years, male 12.4
GTEX-WOFL-0126-SM-3MJG2 60-69 years, male 12.4
GTEX-XYKS-2126-SM-4E3IB 60-69 years, female 12.4
GTEX-ZVT3-0126-SM-5GU6I 60-69 years, female 12.4
GTEX-1JMQK-0226-SM-CL543 60-69 years, male 12.4
GTEX-13OW8-1326-SM-5J1OW 60-69 years, male 12.3
GTEX-14E7W-0126-SM-6LLJ9 70-79 years, male 12.3
GTEX-1HKZK-0326-SM-9WYUH 40-49 years, male 12.3
GTEX-RVPV-0126-SM-EAZAW 60-69 years, male 12.3
GTEX-13YAN-0326-SM-5O9DF 60-69 years, male 12.2
GTEX-XUYS-0126-SM-47JWZ 50-59 years, male 12.2
GTEX-1J1R8-1726-SM-ARL8M 40-49 years, male 12.2
GTEX-1PIGE-0126-SM-EVYBJ 20-29 years, male 12.2
GTEX-15DYW-0126-SM-7KULE 60-69 years, female 12.1
GTEX-17F97-0326-SM-7LG5B 50-59 years, male 12.1
GTEX-PWO3-1526-SM-48TCM 60-69 years, female 12.1
GTEX-RUSQ-1526-SM-2TF62 50-59 years, male 12.1
GTEX-1F48J-0126-SM-7P8TT 50-59 years, female 12.1
GTEX-13NZ8-0826-SM-5MR3I 60-69 years, female 12.0
GTEX-14PN4-0126-SM-6EU2V 50-59 years, male 12.0
GTEX-WH7G-2326-SM-3NMBC 40-49 years, male 12.0
GTEX-1I19N-0326-SM-ACKVX 70-79 years, male 12.0
GTEX-1NV5F-0226-SM-E8VNY 60-69 years, female 12.0
GTEX-1RQEC-0426-SM-E6CHU 60-69 years, male 12.0
GTEX-13O3Q-2426-SM-5IJBR 50-59 years, male 11.9
GTEX-Q2AH-1626-SM-3GAF8 40-49 years, male 11.9
GTEX-1CB4F-0426-SM-9KNV4 60-69 years, male 11.9
GTEX-1LG7Y-0526-SM-DKPQC 50-59 years, male 11.9
GTEX-1OJC3-0126-SM-E76QX 20-29 years, male 11.9
GTEX-1S3DN-2226-SM-EVYCD 50-59 years, male 11.9
GTEX-PW2O-1526-SM-7RHHB 20-29 years, male 11.9
GTEX-113JC-2326-SM-5EQ4E 50-59 years, female 11.8
GTEX-14BIM-0226-SM-7IGLD 60-69 years, female 11.8
GTEX-1CB4J-0626-SM-7DHMP 60-69 years, male 11.8
GTEX-Q2AI-1326-SM-2S1PL 40-49 years, male 11.8
GTEX-R55E-0126-SM-2TC5Y 20-29 years, male 11.8
GTEX-1JMOU-1526-SM-CL54I 60-69 years, female 11.8
GTEX-1MA7X-2226-SM-E6CIY 60-69 years, male 11.8
GTEX-1PWST-0226-SM-E76QJ 70-79 years, male 11.8
GTEX-144FL-0126-SM-5TDC8 50-59 years, male 11.7
GTEX-T2YK-0526-SM-32QPJ 50-59 years, male 11.7
GTEX-XAJ8-0826-SM-47JY6 40-49 years, male 11.7
GTEX-ZAB4-0226-SM-5N9F5 40-49 years, male 11.7
GTEX-1AX9I-0126-SM-7SB74 60-69 years, male 11.7
GTEX-1GF9U-2126-SM-7SB7L 40-49 years, female 11.7
GTEX-RNOR-0126-SM-E9J4R 50-59 years, female 11.7
GTEX-13FTW-2626-SM-5K7WL 40-49 years, male 11.6
GTEX-13O1R-0126-SM-5L3EH 60-69 years, male 11.6
GTEX-17EVQ-0226-SM-7LG4P 70-79 years, male 11.6
GTEX-ZDXO-3026-SM-5J1N5 60-69 years, male 11.6
GTEX-1IY9M-0126-SM-D3L8S 60-69 years, male 11.6
GTEX-1399R-2726-SM-5IJBA 30-39 years, male 11.5
GTEX-13VXU-0126-SM-5SI9F 50-59 years, male 11.5
GTEX-18A6Q-0126-SM-731BZ 60-69 years, male 11.5
GTEX-WI4N-1026-SM-3LK7N 40-49 years, female 11.5
GTEX-XQ3S-1526-SM-4BOOC 20-29 years, male 11.5
GTEX-ZAB5-1826-SM-5HL7C 50-59 years, male 11.5
GTEX-1H3VY-0126-SM-ACKXD 50-59 years, male 11.5
GTEX-1QP66-1726-SM-E8VO1 50-59 years, male 11.5
GTEX-16MT8-0426-SM-7KUEY 60-69 years, female 11.4
GTEX-16NGA-1726-SM-731B4 40-49 years, female 11.4
GTEX-U3ZN-2326-SM-3DB7W 30-39 years, female 11.4
GTEX-1J8QM-2126-SM-CYPSJ 60-69 years, female 11.4
GTEX-13FHO-0226-SM-5IFGY 60-69 years, male 11.3
GTEX-13G51-2526-SM-5LZYK 60-69 years, male 11.3
GTEX-15SHU-0126-SM-7KUEH 40-49 years, female 11.3
GTEX-15SHW-0326-SM-6PAML 60-69 years, male 11.3
GTEX-183FY-0126-SM-7LT9P 20-29 years, male 11.3
GTEX-OIZG-0726-SM-33HBL 50-59 years, male 11.3
GTEX-X88G-0126-SM-47JZ3 30-39 years, male 11.3
GTEX-1HFI6-0226-SM-ADEHZ 40-49 years, male 11.3
GTEX-1HSMO-0126-SM-CL547 60-69 years, male 11.3
GTEX-11VI4-1726-SM-5CVLH 40-49 years, female 11.2
GTEX-1314G-1526-SM-5EGK2 30-39 years, male 11.2
GTEX-14BMU-2226-SM-5TDE9 20-29 years, female 11.2
GTEX-1JN6P-0126-SM-D3L98 60-69 years, male 11.2
GTEX-16XZZ-0126-SM-793DV 60-69 years, male 11.1
GTEX-169BO-1326-SM-9MQK2 50-59 years, male 11.1
GTEX-1F6RS-0126-SM-9MQKZ 60-69 years, female 11.1
GTEX-ZF29-2326-SM-DO92K 60-69 years, female 11.1
GTEX-111VG-2426-SM-5GZXD 60-69 years, male 11.0
GTEX-11ZTS-0126-SM-5EQ6M 60-69 years, female 11.0
GTEX-13W46-0226-SM-5SIAG 50-59 years, male 11.0
GTEX-ZDYS-2026-SM-5HL5L 50-59 years, male 11.0
GTEX-1J8JJ-0226-SM-CL53I 60-69 years, female 11.0
GTEX-14BIL-0126-SM-5SI92 50-59 years, male 10.9
GTEX-13FH7-2026-SM-E9J4I 50-59 years, female 10.9
GTEX-1OFPY-2426-SM-DTXEJ 60-69 years, male 10.9
GTEX-139TT-0126-SM-5K7Y5 60-69 years, male 10.8
GTEX-139TU-0126-SM-5K7WH 60-69 years, male 10.8
GTEX-13NZA-0226-SM-5K7Z7 60-69 years, male 10.8
GTEX-183WM-0126-SM-7LTAB 70-79 years, female 10.8
GTEX-18465-0126-SM-731BN 50-59 years, male 10.8
GTEX-Y3I4-2126-SM-4TT7C 50-59 years, male 10.8
GTEX-YB5K-2126-SM-4WWDJ 40-49 years, female 10.8
GTEX-Z93T-0126-SM-5HL5N 50-59 years, male 10.8
GTEX-1GZ4H-1726-SM-7PBZJ 50-59 years, female 10.8
GTEX-1PPH7-2326-SM-EVYB8 40-49 years, male 10.8
GTEX-15D1Q-0126-SM-7KUG6 40-49 years, male 10.7
GTEX-1BAJH-0526-SM-793CQ 70-79 years, male 10.7
GTEX-1NHNU-1026-SM-E9J2A 50-59 years, male 10.7
GTEX-11P81-2326-SM-59875 30-39 years, female 10.6
GTEX-13IVO-0126-SM-5J1NG 70-79 years, male 10.6
GTEX-13O3P-0126-SM-5KM4S 50-59 years, male 10.6
GTEX-13VXT-0126-SM-5LU4I 20-29 years, female 10.6
GTEX-15CHC-2126-SM-6EU21 60-69 years, female 10.6
GTEX-18A67-0126-SM-7LG5P 50-59 years, male 10.6
GTEX-WY7C-2326-SM-3NB2U 50-59 years, male 10.6
GTEX-1GZ2Q-0226-SM-7P8TL 40-49 years, male 10.6
GTEX-1M4P7-0226-SM-DIPEV 60-69 years, male 10.6
GTEX-12C56-1726-SM-5EQ61 20-29 years, male 10.5
GTEX-13113-5016-SM-7EPIP 60-69 years, female 10.5
GTEX-1AX9K-2326-SM-73KWU 50-59 years, male 10.5
GTEX-1HSKV-0226-SM-A9SKJ 60-69 years, male 10.5
GTEX-SE5C-1626-SM-2XCE3 40-49 years, female 10.5
GTEX-12KS4-0326-SM-5EQ41 30-39 years, male 10.4
GTEX-12WSD-0126-SM-59HKN 60-69 years, female 10.4
GTEX-14LLW-0126-SM-6LLIO 70-79 years, female 10.4
GTEX-X4XX-0126-SM-3NMC2 60-69 years, male 10.4
GTEX-1GZHY-0326-SM-9QEHI 50-59 years, female 10.4
GTEX-1HGF4-2426-SM-ACKXM 60-69 years, male 10.4
GTEX-13SLW-0126-SM-5SI6C 70-79 years, male 10.3
GTEX-OHPM-0126-SM-2YUN9 50-59 years, male 10.3
GTEX-S95S-1226-SM-4GICG 60-69 years, male 10.3
GTEX-WQUQ-0426-SM-3MJFU 60-69 years, male 10.3
GTEX-XQ8I-0426-SM-4BOPO 50-59 years, male 10.3
GTEX-1H3NZ-0126-SM-ACKX7 60-69 years, male 10.3
GTEX-1KANB-0526-SM-E6CJH 50-59 years, male 10.3
GTEX-1MCQQ-0826-SM-DLHC2 60-69 years, male 10.3
GTEX-139UW-2826-SM-5L3E7 60-69 years, male 10.2
GTEX-14PK6-1926-SM-6ETZU 70-79 years, female 10.2
GTEX-14XAO-2326-SM-6EU1B 60-69 years, female 10.2
GTEX-WYVS-2126-SM-3NMA3 40-49 years, female 10.2
GTEX-1128S-2326-SM-5GZZY 60-69 years, female 10.1
GTEX-1399T-2826-SM-5KLYZ 60-69 years, male 10.1
GTEX-RWSA-0126-SM-2XCBB 40-49 years, male 10.1
GTEX-1F88F-2726-SM-7PBZZ 60-69 years, female 10.1
GTEX-1LB8K-0226-SM-EWRNW 50-59 years, male 10.1
GTEX-11WQC-2526-SM-5CVLE 60-69 years, male 10.0
GTEX-1211K-2026-SM-5EQ4Z 60-69 years, female 10.0
GTEX-13O21-1426-SM-5K7XI 50-59 years, male 10.0
GTEX-X4EP-0126-SM-3P5YV 60-69 years, female 10.0
GTEX-131XF-5016-SM-7MGWE 60-69 years, male 10.0
GTEX-1ICLZ-0126-SM-CKZPO 60-69 years, male 10.0
GTEX-1RDX4-0126-SM-E9J4P 50-59 years, female 10.0
GTEX-1122O-2126-SM-5EGIR 60-69 years, female 9.9
GTEX-Z93S-0126-SM-5HL7M 50-59 years, male 9.9
GTEX-ZQUD-1426-SM-57WER 30-39 years, male 9.9
GTEX-1F75I-0326-SM-9YFLU 40-49 years, male 9.9
GTEX-1JJE9-0326-SM-CL53Z 70-79 years, male 9.9
GTEX-1269C-2526-SM-5EGJ3 60-69 years, female 9.8
GTEX-13OVI-1426-SM-5L3EY 60-69 years, female 9.8
GTEX-14PN3-2426-SM-6LLHS 60-69 years, female 9.8
GTEX-15DDE-0126-SM-6LPKH 50-59 years, female 9.8
GTEX-17HII-0226-SM-7LG4E 50-59 years, male 9.8
GTEX-18A66-0226-SM-718BD 60-69 years, male 9.8
GTEX-1A3MV-1926-SM-718BT 30-39 years, male 9.8
GTEX-O5YW-0126-SM-3LK6D 50-59 years, male 9.8
GTEX-UPJH-0326-SM-3GADU 50-59 years, male 9.8
GTEX-13O3O-0126-SM-E9J49 60-69 years, female 9.8
GTEX-1GMRU-0126-SM-9YFLV 50-59 years, male 9.8
GTEX-1HBPN-0226-SM-9YFM1 50-59 years, male 9.8
GTEX-1IDJF-0126-SM-CM2RS 20-29 years, male 9.8
GTEX-1LGRB-2526-SM-CNPPQ 50-59 years, female 9.8
GTEX-11OF3-2626-SM-5GU7F 60-69 years, male 9.7
GTEX-14PJ3-1826-SM-62LEX 50-59 years, male 9.7
GTEX-QDVN-2026-SM-3GAEP 50-59 years, male 9.7
GTEX-WYJK-0126-SM-3NMAB 50-59 years, male 9.7
GTEX-1C64O-0126-SM-7SB8P 60-69 years, male 9.7
GTEX-1EU9M-0226-SM-7P8SP 60-69 years, male 9.7
GTEX-1LSNM-1926-SM-E6CII 50-59 years, male 9.7
GTEX-13OVK-2026-SM-7KUEO 40-49 years, male 9.6
GTEX-15EOM-0126-SM-7KUGG 20-29 years, female 9.6
GTEX-OXRL-0126-SM-2YUMP 50-59 years, male 9.6
GTEX-Y8LW-1826-SM-5S2MV 50-59 years, female 9.6
GTEX-1GN2E-0426-SM-9MQKX 60-69 years, male 9.6
GTEX-1JMQJ-0526-SM-CYPSU 50-59 years, male 9.6
GTEX-13RTK-1426-SM-5QGQJ 20-29 years, male 9.5
GTEX-14ICK-0226-SM-6EU25 40-49 years, male 9.5
GTEX-15UF6-0826-SM-6PALJ 70-79 years, female 9.5
GTEX-Y8DK-0126-SM-4TT3L 60-69 years, male 9.5
GTEX-1J8EW-0126-SM-CJI4F 60-69 years, female 9.5
GTEX-1LBAC-0126-SM-DIPEZ 20-29 years, male 9.5
GTEX-1MUQO-0126-SM-EAZ58 60-69 years, male 9.5
GTEX-13PDP-0126-SM-5L3HD 60-69 years, male 9.4
GTEX-144GN-2326-SM-5LU4F 50-59 years, male 9.4
GTEX-18A7B-0126-SM-7LG64 70-79 years, male 9.4
GTEX-QLQW-1126-SM-2S1Q8 30-39 years, male 9.4
GTEX-W5WG-1826-SM-4KL2Y 50-59 years, female 9.4
GTEX-ZVT2-2526-SM-51MT1 50-59 years, female 9.4
GTEX-ZYY3-0126-SM-5GZY5 60-69 years, female 9.4
GTEX-11DXX-2426-SM-5GZZW 60-69 years, female 9.3
GTEX-11O72-0126-SM-59887 40-49 years, male 9.3
GTEX-11TTK-0126-SM-5987B 60-69 years, female 9.3
GTEX-13FTX-1826-SM-5J1NX 20-29 years, female 9.3
GTEX-14PJM-0226-SM-62LF1 50-59 years, female 9.3
GTEX-16GPK-0126-SM-7DHLE 60-69 years, male 9.3
GTEX-OXRP-0126-SM-3NB32 60-69 years, female 9.3
GTEX-XXEK-2226-SM-4BRUM 50-59 years, male 9.3
GTEX-1H2FU-0126-SM-9WYSI 60-69 years, female 9.3
GTEX-13RTJ-2426-SM-5S2Q2 60-69 years, male 9.2
GTEX-1A3MX-0126-SM-731BR 60-69 years, male 9.2
GTEX-1B8SG-0126-SM-73KZ3 50-59 years, male 9.2
GTEX-XUW1-0426-SM-4BOOT 50-59 years, female 9.2
GTEX-ZAK1-0126-SM-5IJD3 50-59 years, female 9.2
GTEX-1CB4G-0226-SM-7PC3O 60-69 years, male 9.2
GTEX-1H23P-0126-SM-ADEJ3 60-69 years, male 9.2
GTEX-148VJ-0126-SM-5TDDN 70-79 years, male 9.1
GTEX-15UKP-0426-SM-7KUFQ 20-29 years, male 9.1
GTEX-QDVJ-1726-SM-2I5FX 50-59 years, male 9.1
GTEX-1E2YA-0126-SM-9KNUC 50-59 years, male 9.1
GTEX-1QEPI-0126-SM-EWRMQ 60-69 years, female 9.1
GTEX-1QP2A-0126-SM-E9J43 50-59 years, male 9.1
GTEX-14E6D-0126-SM-62LDV 50-59 years, male 9.0
GTEX-1CAMQ-0226-SM-7IGPK 40-49 years, male 9.0
GTEX-1H3VE-0326-SM-9YFLH 40-49 years, male 9.0
GTEX-1I1GV-0526-SM-A9G29 60-69 years, male 9.0
GTEX-1I4MK-2226-SM-ACKWD 50-59 years, female 9.0
GTEX-11TT1-2526-SM-5EGIB 20-29 years, male 8.9
GTEX-12ZZY-0226-SM-5LZVE 60-69 years, male 8.9
GTEX-139TS-2826-SM-5J1OO 60-69 years, male 8.9
GTEX-13NYS-0126-SM-5MR3W 60-69 years, male 8.9
GTEX-13RTL-0126-SM-7LG5S 40-49 years, male 8.9
GTEX-13SLX-0526-SM-5S2ON 50-59 years, female 8.9
GTEX-14A5H-0426-SM-5QGQF 60-69 years, male 8.9
GTEX-QVJO-1626-SM-2S1QW 60-69 years, female 8.9
GTEX-WRHK-1426-SM-3MJF9 20-29 years, female 8.9
GTEX-Y5LM-1926-SM-5RQJH 40-49 years, female 8.9
GTEX-1H1DE-2126-SM-9WG6R 20-29 years, male 8.9
GTEX-1QP29-0626-SM-EWRMX 50-59 years, male 8.9
GTEX-ZVT4-0126-SM-DTXFN 50-59 years, female 8.9
GTEX-145MO-0326-SM-5Q5B3 60-69 years, male 8.8
GTEX-15DCD-0126-SM-7KUEK 70-79 years, female 8.8
GTEX-OXRO-0126-SM-2YUN4 60-69 years, female 8.8
GTEX-1EX96-1626-SM-7PBXR 50-59 years, male 8.8
GTEX-1J8Q3-1626-SM-CMKGC 60-69 years, male 8.8
GTEX-1JKYN-1326-SM-CGQG9 30-39 years, male 8.8
GTEX-11ZTT-2426-SM-5EQLS 60-69 years, female 8.7
GTEX-13W3W-2426-SM-5LU5B 60-69 years, female 8.7
GTEX-145MF-0626-SM-5LUAI 50-59 years, male 8.7
GTEX-14PHW-0126-SM-6LLJI 60-69 years, female 8.7
GTEX-QCQG-1726-SM-3GIJ9 50-59 years, female 8.7
GTEX-SJXC-0126-SM-2XCFF 60-69 years, male 8.7
GTEX-ZWKS-0126-SM-5SIAA 30-39 years, male 8.7
GTEX-1A8FM-0226-SM-7SB7Q 50-59 years, female 8.7
GTEX-1GTWX-0126-SM-9YFLK 60-69 years, male 8.7
GTEX-1JKYR-0126-SM-CNPOJ 20-29 years, male 8.7
GTEX-12584-0126-SM-5EGKQ 40-49 years, male 8.6
GTEX-13FTY-0526-SM-5L3EV 40-49 years, female 8.6
GTEX-14JG6-2226-SM-6EU2G 30-39 years, female 8.6
GTEX-OXRK-0226-SM-3NB2G 50-59 years, female 8.6
GTEX-TML8-1926-SM-32QOS 40-49 years, female 8.6
GTEX-XMD2-0126-SM-4YCDU 60-69 years, female 8.6
GTEX-ZGAY-0526-SM-4WWBB 40-49 years, female 8.6
GTEX-1HT8W-0126-SM-CNPPP 30-39 years, male 8.6
GTEX-ZQG8-1626-SM-DHXIT 60-69 years, female 8.6
GTEX-139D8-0226-SM-5KLZO 30-39 years, female 8.5
GTEX-13NZB-2526-SM-5J1OM 30-39 years, male 8.5
GTEX-14PII-0226-SM-6EU1T 60-69 years, male 8.5
GTEX-15RIG-0226-SM-7KFTL 40-49 years, male 8.5
GTEX-1CB4I-0226-SM-79OLH 50-59 years, male 8.5
GTEX-Q2AG-0126-SM-33HBV 40-49 years, female 8.5
GTEX-RU72-0926-SM-2TF6B 50-59 years, female 8.5
GTEX-T5JC-0426-SM-32PLO 20-29 years, male 8.5
GTEX-ZXES-1826-SM-5E43S 30-39 years, female 8.5
GTEX-ZYFD-0126-SM-5GIDL 50-59 years, male 8.5
GTEX-ZYW4-0126-SM-5E44A 60-69 years, male 8.5
GTEX-1QCLY-0326-SM-E8VOG 30-39 years, male 8.5
GTEX-145LT-1726-SM-5QGP3 40-49 years, male 8.4
GTEX-ZVTK-0426-SM-51MRS 20-29 years, male 8.4
GTEX-ZVZP-2426-SM-59HKJ 50-59 years, male 8.4
GTEX-1CAV2-2226-SM-7P8P2 40-49 years, female 8.4
GTEX-1KWVE-1426-SM-E9TJO 30-39 years, male 8.4
GTEX-1GF9W-0326-SM-9KNUN 60-69 years, male 8.3
GTEX-1K2DU-2326-SM-E9TIV 20-29 years, male 8.3
GTEX-1KD4Q-0226-SM-E9TJ9 40-49 years, male 8.3
GTEX-13S7M-0126-SM-5SI6A 60-69 years, female 8.2
GTEX-16NPX-0226-SM-79OMT 50-59 years, male 8.2
GTEX-P44H-0226-SM-2XCEU 40-49 years, male 8.2
GTEX-ZVE2-0226-SM-59HJB 50-59 years, male 8.2
GTEX-13NYC-0326-SM-E9J4S 60-69 years, male 8.2
GTEX-1EWIQ-0126-SM-7RHH2 70-79 years, female 8.2
GTEX-1H1DG-0126-SM-9WYU2 70-79 years, male 8.2
GTEX-12WSL-2526-SM-5GCNJ 50-59 years, male 8.1
GTEX-148VI-1626-SM-5SI6E 60-69 years, female 8.1
GTEX-X5EB-2226-SM-46MW4 40-49 years, male 8.1
GTEX-ZYFG-2326-SM-5E44B 60-69 years, female 8.1
GTEX-1HCVE-0126-SM-CGQEU 50-59 years, male 8.1
GTEX-1KAFJ-2026-SM-CY8ID 50-59 years, male 8.1
GTEX-1S82Z-0826-SM-E6CHY 30-39 years, female 8.1
GTEX-ZPIC-1726-SM-DHXIU 40-49 years, female 8.1
GTEX-11EM3-2426-SM-59861 20-29 years, female 8.0
GTEX-12WSJ-1826-SM-5GCNY 40-49 years, female 8.0
GTEX-R55G-2526-SM-2TC6D 40-49 years, female 8.0
GTEX-SN8G-0126-SM-32PLI 50-59 years, female 8.0
GTEX-U3ZH-2026-SM-3DB78 30-39 years, male 8.0
GTEX-U412-0426-SM-3DB9O 60-69 years, male 8.0
GTEX-VJYA-1126-SM-3GIJU 60-69 years, male 8.0
GTEX-XPVG-2626-SM-4B669 50-59 years, male 8.0
GTEX-1I1GU-2226-SM-CGQFA 40-49 years, male 8.0
GTEX-1QP9N-1426-SM-DTXFL 30-39 years, male 8.0
GTEX-R45C-0126-SM-EAZ2R 60-69 years, female 8.0
GTEX-131XH-2226-SM-5DUXJ 50-59 years, male 7.9
GTEX-P4QT-0126-SM-2I3FL 50-59 years, female 7.9
GTEX-RWS6-2026-SM-2XCB5 60-69 years, female 7.9
GTEX-XBEW-0626-SM-4QASP 40-49 years, male 7.9
GTEX-1HCUA-2426-SM-ADEIS 50-59 years, female 7.9
GTEX-1I1GT-0626-SM-CGQER 60-69 years, female 7.9
GTEX-1JMQI-2226-SM-CM2SD 50-59 years, male 7.9
GTEX-14PJ6-2126-SM-6EU1V 60-69 years, female 7.8
GTEX-1F75B-0126-SM-9KNVL 50-59 years, male 7.8
GTEX-1HSMQ-1226-SM-CGQFX 50-59 years, male 7.8
GTEX-1ICG6-2526-SM-CGQFZ 70-79 years, female 7.8
GTEX-13OVG-1926-SM-5L3DK 60-69 years, male 7.7
GTEX-17HG3-2226-SM-7938L 30-39 years, female 7.7
GTEX-P4PP-0126-SM-3LK69 30-39 years, female 7.7
GTEX-S7SE-0126-SM-2XCD5 50-59 years, male 7.7
GTEX-XBED-2226-SM-47JYQ 60-69 years, male 7.7
GTEX-Y114-2426-SM-4TT8A 50-59 years, female 7.7
GTEX-1GPI7-0126-SM-9MQL8 20-29 years, male 7.7
GTEX-1IE54-0126-SM-CMKHW 40-49 years, female 7.7
GTEX-1QMI2-0226-SM-EVYBX 60-69 years, male 7.7
GTEX-12696-2426-SM-5EQ6H 60-69 years, male 7.6
GTEX-145LU-0126-SM-5TDCB 50-59 years, male 7.6
GTEX-17EUY-0426-SM-793BD 20-29 years, male 7.6
GTEX-17KNJ-2326-SM-7DHLQ 50-59 years, male 7.6
GTEX-1C6VS-0526-SM-7DUEN 60-69 years, male 7.6
GTEX-Y8E4-0626-SM-4WWDL 40-49 years, male 7.6
GTEX-ZC5H-0226-SM-4WAY9 40-49 years, female 7.6
GTEX-1B996-0226-SM-7RHGO 60-69 years, male 7.6
GTEX-1JN1M-0326-SM-CYPT3 60-69 years, female 7.6
GTEX-1R7EV-2426-SM-EVYBG 40-49 years, male 7.6
GTEX-11DXY-2626-SM-5GIE7 60-69 years, male 7.5
GTEX-147F3-0526-SM-5SI98 50-59 years, female 7.5
GTEX-17MFQ-1726-SM-793C7 20-29 years, male 7.5
GTEX-NFK9-0226-SM-2HMKQ 40-49 years, male 7.5
GTEX-ZAJG-0126-SM-5HL94 50-59 years, female 7.5
GTEX-ZY6K-1826-SM-5GZXK 50-59 years, male 7.5
GTEX-1I1GR-0126-SM-CL55F 60-69 years, male 7.5
GTEX-1KXAM-2226-SM-CYPTC 60-69 years, male 7.5
GTEX-13N2G-2626-SM-5J1OT 60-69 years, male 7.4
GTEX-14JG1-0426-SM-6ETZZ 40-49 years, male 7.4
GTEX-18D9B-0526-SM-7LTAS 60-69 years, male 7.4
GTEX-VUSG-2526-SM-4KL1V 50-59 years, male 7.4
GTEX-11TUW-2726-SM-E9J4M 60-69 years, male 7.4
GTEX-1H1E6-1726-SM-ACKVK 30-39 years, male 7.4
GTEX-OIZF-0126-SM-7SB8I 60-69 years, male 7.4
GTEX-111FC-0126-SM-5N9DL 60-69 years, male 7.3
GTEX-13X6H-2126-SM-7EWD5 50-59 years, female 7.3
GTEX-14BMV-0126-SM-5S2PO 50-59 years, male 7.3
GTEX-1CAMS-0426-SM-7P8T2 40-49 years, female 7.3
GTEX-1F52S-0126-SM-9MQJU 60-69 years, female 7.3
GTEX-1H4P4-0726-SM-9YFLR 50-59 years, male 7.3
GTEX-1PPH8-0226-SM-E8VND 20-29 years, male 7.3
GTEX-1QAET-0926-SM-E76QM 50-59 years, male 7.3
GTEX-13FHP-0126-SM-5IJBG 50-59 years, male 7.2
GTEX-14753-0426-SM-5NQAM 60-69 years, male 7.2
GTEX-T6MN-0126-SM-32PLP 50-59 years, male 7.2
GTEX-1EN7A-0126-SM-7SB81 40-49 years, male 7.2
GTEX-1I6K6-0126-SM-A9SLE 30-39 years, male 7.2
GTEX-1PFEY-1526-SM-E76PP 30-39 years, male 7.2
GTEX-18D9U-0226-SM-718BP 40-49 years, male 7.1
GTEX-O5YT-0126-SM-48TBW 20-29 years, male 7.1
GTEX-TKQ1-1026-SM-4GICL 30-39 years, male 7.1
GTEX-ZDTT-2726-SM-4WKF8 60-69 years, male 7.1
GTEX-1GF9X-2026-SM-7PC3A 40-49 years, female 7.1
GTEX-1LH75-2426-SM-E9TJE 50-59 years, female 7.1
GTEX-11NSD-2226-SM-5986V 20-29 years, male 7.0
GTEX-13112-2826-SM-5DUWH 50-59 years, male 7.0
GTEX-15G19-0126-SM-6PANQ 60-69 years, male 7.0
GTEX-POMQ-2226-SM-2I5FK 20-29 years, female 7.0
GTEX-1GN1U-0126-SM-7PBZK 50-59 years, female 7.0
GTEX-1HCU8-0626-SM-A9SM9 60-69 years, female 7.0
GTEX-1IDJH-0326-SM-A9SLQ 70-79 years, male 7.0
GTEX-1JMPZ-0226-SM-CNPP1 30-39 years, male 7.0
GTEX-1K9T9-0126-SM-EVYCF 50-59 years, female 7.0
GTEX-12ZZZ-0626-SM-5DUXI 60-69 years, male 6.9
GTEX-1HCU7-0226-SM-CL545 50-59 years, male 6.9
GTEX-1JMPY-1326-SM-ARL8Y 30-39 years, male 6.9
GTEX-13OVH-0126-SM-5MR4B 70-79 years, male 6.8
GTEX-145MI-0526-SM-5O9A8 60-69 years, female 6.8
GTEX-14BIN-0626-SM-793DP 50-59 years, female 6.8
GTEX-VJWN-0126-SM-3GIK7 50-59 years, female 6.8
GTEX-ZTSS-1926-SM-57WEW 40-49 years, male 6.8
GTEX-1H11D-0226-SM-9WG6Z 40-49 years, male 6.8
GTEX-1J8Q2-0526-SM-CM2RW 60-69 years, male 6.8
GTEX-1JK1U-2026-SM-CM2RZ 60-69 years, male 6.8
GTEX-1N2EF-0226-SM-EYYXB 60-69 years, male 6.8
GTEX-14E6E-1826-SM-5S2R7 30-39 years, male 6.7
GTEX-14PHX-2326-SM-62LEM 50-59 years, male 6.7
GTEX-RM2N-1426-SM-2TF4H 50-59 years, male 6.7
GTEX-1HCU9-1526-SM-A9SL7 20-29 years, male 6.7
GTEX-ZF3C-0126-SM-DO92D 50-59 years, female 6.7
GTEX-13PVR-2326-SM-5QGR1 60-69 years, female 6.6
GTEX-1497J-2426-SM-7IGNX 60-69 years, male 6.6
GTEX-ZU9S-0226-SM-5E441 30-39 years, male 6.6
GTEX-1JN76-0126-SM-CNPPE 20-29 years, female 6.6
GTEX-1KANA-0726-SM-D3L9I 20-29 years, male 6.6
GTEX-131XE-2326-SM-5PNZ2 50-59 years, male 6.5
GTEX-133LE-1826-SM-5J1MV 20-29 years, female 6.5
GTEX-14A5I-0126-SM-5TDEA 50-59 years, female 6.5
GTEX-PLZ5-2026-SM-2S1O4 50-59 years, male 6.5
GTEX-1R7EU-0226-SM-EVR4G 60-69 years, male 6.5
GTEX-11XUK-2026-SM-5EQLF 40-49 years, female 6.4
GTEX-12WSK-2326-SM-5GCOH 40-49 years, female 6.4
GTEX-15F5U-1526-SM-6PANO 40-49 years, male 6.4
GTEX-1AMFI-2026-SM-731BH 50-59 years, female 6.4
GTEX-T6MO-1626-SM-32QOM 40-49 years, female 6.4
GTEX-1IKJJ-0126-SM-CNPQB 60-69 years, male 6.4
GTEX-1J1OQ-0226-SM-CYPSH 40-49 years, female 6.4
GTEX-117YX-2326-SM-5H12W 50-59 years, male 6.3
GTEX-13NYB-2526-SM-5K7Z6 40-49 years, male 6.3
GTEX-145ME-1826-SM-5SI9G 40-49 years, female 6.3
GTEX-1HFI7-1826-SM-ACKXH 50-59 years, female 6.3
GTEX-117XS-2726-SM-5N9BL 60-69 years, male 6.2
GTEX-12WSA-0226-SM-5BC5V 60-69 years, male 6.2
GTEX-145MN-2226-SM-5SIAU 30-39 years, male 6.2
GTEX-14DAR-2026-SM-5S2O3 50-59 years, male 6.2
GTEX-1C6VR-2426-SM-79OLD 60-69 years, male 6.2
GTEX-PX3G-0126-SM-2I3EN 20-29 years, female 6.2
GTEX-UJHI-1526-SM-3DB99 50-59 years, female 6.2
GTEX-1EMGI-0126-SM-9KNUE 60-69 years, male 6.2
GTEX-1JMQL-0226-SM-CNPP5 50-59 years, female 6.2
GTEX-13OW6-0426-SM-5L3HM 50-59 years, male 6.1
GTEX-144GL-0126-SM-5TDE2 50-59 years, male 6.1
GTEX-1B8SF-1426-SM-7DUGL 60-69 years, male 6.1
GTEX-YB5E-2026-SM-5IFIS 40-49 years, male 6.1
GTEX-11DYG-0126-SM-59883 60-69 years, male 6.0
GTEX-11EI6-0126-SM-5985R 60-69 years, male 6.0
GTEX-SNMC-1226-SM-2XCFP 20-29 years, male 6.0
GTEX-1GMR8-0126-SM-9WYTM 50-59 years, female 6.0
GTEX-1IDJU-2626-SM-CM2RT 60-69 years, female 6.0
GTEX-11DXZ-2326-SM-5EGGV 50-59 years, male 5.9
GTEX-17GQL-2026-SM-718BA 60-69 years, male 5.9
GTEX-1E1VI-0126-SM-7DHMZ 50-59 years, male 5.9
GTEX-X261-0126-SM-3NMD6 50-59 years, male 5.9
GTEX-1F5PL-0326-SM-7P8PQ 40-49 years, female 5.9
GTEX-1HB9E-0226-SM-E9U4R 50-59 years, male 5.9
GTEX-1IL2U-0226-SM-CE6T8 60-69 years, male 5.9
GTEX-1IOXB-0126-SM-ARL8G 50-59 years, male 5.9
GTEX-1MGNQ-0126-SM-EVYCJ 40-49 years, male 5.9
GTEX-13CF3-2426-SM-5IFGX 60-69 years, female 5.8
GTEX-15ETS-0126-SM-7KUMW 40-49 years, female 5.8
GTEX-16AAH-1726-SM-7939C 50-59 years, male 5.8
GTEX-R3RS-0126-SM-3GIJL 40-49 years, female 5.8
GTEX-XUZC-1726-SM-4BRWS 30-39 years, female 5.8
GTEX-Y5V5-2326-SM-4V6GA 60-69 years, female 5.8
GTEX-1GMR3-1926-SM-9KNUZ 40-49 years, male 5.8
GTEX-13D11-2426-SM-5KM1V 50-59 years, female 5.7
GTEX-14C5O-0126-SM-5SI6N 60-69 years, male 5.7
GTEX-1AX9J-0226-SM-73KXM 60-69 years, male 5.7
GTEX-OHPL-0126-SM-2HMJ7 60-69 years, female 5.7
GTEX-OXRN-0126-SM-48TDM 50-59 years, male 5.7
GTEX-QESD-1426-SM-2S1R9 20-29 years, male 5.7
GTEX-1O97I-0326-SM-EYYX7 60-69 years, male 5.7
GTEX-14LZ3-0226-SM-62LET 60-69 years, female 5.6
GTEX-1CAMR-1926-SM-7EPI2 20-29 years, male 5.6
GTEX-U3ZM-1526-SM-3DB9D 40-49 years, male 5.6
GTEX-ZVZO-0126-SM-5A5L9 40-49 years, male 5.6
GTEX-13OW5-0126-SM-DTXFS 60-69 years, male 5.6
GTEX-1K2DA-1826-SM-CGQGT 50-59 years, male 5.6
GTEX-17EVP-0326-SM-7DHLG 40-49 years, male 5.5
GTEX-YEC4-2126-SM-5IFJH 40-49 years, male 5.5
GTEX-1LGOU-2026-SM-DIPFF 20-29 years, female 5.5
GTEX-11UD2-0226-SM-5EQKY 50-59 years, male 5.4
GTEX-11WQK-0526-SM-5EQLD 50-59 years, male 5.4
GTEX-1C64N-0126-SM-793D7 50-59 years, male 5.4
GTEX-S32W-2126-SM-2XCB1 50-59 years, female 5.4
GTEX-1GF9V-0326-SM-7RHI5 60-69 years, male 5.4
GTEX-1S5ZA-0126-SM-EVYCV 20-29 years, male 5.3
GTEX-12WSC-0126-SM-5EQ4P 50-59 years, male 5.2
GTEX-1I1GQ-0126-SM-COH3H 50-59 years, male 5.2
GTEX-1JMLX-0226-SM-CM2RO 50-59 years, male 5.2
GTEX-PSDG-0226-SM-DKPOZ 50-59 years, male 5.2
GTEX-11EQ9-2426-SM-5HL5T 30-39 years, male 5.1
GTEX-17F96-1626-SM-7DUFL 70-79 years, male 5.1
GTEX-11LCK-1026-SM-5A5KB 30-39 years, male 5.0
GTEX-15EU6-0426-SM-6PAN5 50-59 years, male 5.0
GTEX-1B8KE-2126-SM-73KYX 50-59 years, male 5.0
GTEX-1CB4E-2226-SM-793DC 60-69 years, male 5.0
GTEX-OIZH-0126-SM-2HMIS 50-59 years, male 5.0
GTEX-Z9EW-1626-SM-5CVMN 40-49 years, male 5.0
GTEX-1F5PK-2426-SM-7RHHY 50-59 years, male 5.0
GTEX-1HSGN-0226-SM-CGQFV 40-49 years, female 5.0
GTEX-1LG7Z-1726-SM-D3LA4 30-39 years, male 5.0
GTEX-1MJK2-0426-SM-DTXE5 50-59 years, male 5.0
GTEX-1PIIG-0226-SM-EWRN6 30-39 years, male 5.0
GTEX-PVOW-0126-SM-2XCFA 40-49 years, male 4.9
GTEX-T5JW-1626-SM-3GADZ 20-29 years, female 4.9
GTEX-T8EM-1026-SM-3DB7M 40-49 years, male 4.9
GTEX-WFG8-2226-SM-3GIL9 20-29 years, male 4.9
GTEX-ZV68-0126-SM-59HKS 50-59 years, female 4.9
GTEX-ZXG5-0126-SM-5GIEU 60-69 years, male 4.8
GTEX-1PDJ9-0326-SM-DTX95 20-29 years, male 4.8
GTEX-16BQI-0226-SM-7KUEX 30-39 years, female 4.7
GTEX-U8T8-0126-SM-3DB94 60-69 years, male 4.7
GTEX-13JUV-2726-SM-5LZZ8 40-49 years, female 4.6
GTEX-ZV6S-2326-SM-4YCEY 40-49 years, female 4.6
GTEX-ZYT6-0226-SM-5NQ6T 30-39 years, male 4.6
GTEX-1CB4H-0226-SM-7PBXM 60-69 years, female 4.6
GTEX-1QPFJ-0226-SM-E76PB 30-39 years, female 4.6
GTEX-145LS-0126-SM-5QGP1 60-69 years, female 4.5
GTEX-TMMY-0226-SM-33HBA 40-49 years, female 4.5
GTEX-1R9K4-0126-SM-DTX9X 60-69 years, male 4.5
GTEX-YJ89-0126-SM-4TT3X 60-69 years, male 4.4
GTEX-ZZ64-1726-SM-5GZYB 20-29 years, male 4.4
GTEX-15ER7-0326-SM-7KUEV 20-29 years, female 4.3
GTEX-18D9A-1926-SM-7LG6P 30-39 years, female 4.3
GTEX-1212Z-2526-SM-5EGKP 60-69 years, male 4.2
GTEX-1M5QR-1226-SM-EWROB 40-49 years, male 4.2
GTEX-WFON-2126-SM-3LK7O 40-49 years, male 4.1
GTEX-1KANC-1526-SM-D3LAB 50-59 years, female 4.1
GTEX-1R9PM-2026-SM-E76OY 20-29 years, male 4.1
GTEX-12WSE-0526-SM-793B2 20-29 years, male 3.9
GTEX-13111-1626-SM-5EGJY 50-59 years, male 3.8
GTEX-17JCI-0126-SM-7LG5G 60-69 years, female 3.8
GTEX-TSE9-0126-SM-3DB83 60-69 years, female 3.8
GTEX-1JJ6O-0126-SM-E6CI8 60-69 years, male 3.8
GTEX-1JJEA-0326-SM-CNPOT 60-69 years, male 3.8
GTEX-1LVAN-0226-SM-COH3S 50-59 years, female 3.8
GTEX-ZF2S-2326-SM-4WWCE 50-59 years, female 3.7
GTEX-1B97I-1626-SM-73KYO 40-49 years, male 3.5
GTEX-1S83E-0126-SM-EWRO4 40-49 years, male 3.5
GTEX-1GL5R-1826-SM-9KNUY 50-59 years, male 3.2
GTEX-ZTX8-1426-SM-5DUVO 20-29 years, male 3.0
GTEX-1C475-1826-SM-73KWA 40-49 years, female 2.5
GTEX-1L5NE-2526-SM-E6CIE 50-59 years, male 1.7
Show allShow less

Contact

  • NEWS ARTICLES
  • PRESS ROOM

The Project

  • INTRODUCTION
  • ORGANIZATION
  • PUBLICATIONS

The Human Protein Atlas

  • DOWNLOADABLE DATA
  • LICENCE & CITATION
  • HELP & FAQ
The Human Protein Atlas project is funded
by the Knut & Alice Wallenberg Foundation.


contact@proteinatlas.org