We use cookies to enhance the usability of our website. If you continue, we'll assume that you are happy to receive all cookies. More information. Don't show this again.
RANBP1
HPA
RESOURCES
  • TISSUE
  • BRAIN
  • SINGLE CELL
  • SUBCELLULAR
  • CANCER
  • BLOOD
  • CELL LINE
  • STRUCTURE & INTERACTION
ABOUT
  • INTRODUCTION
  • HISTORY
  • ORGANIZATION
  • PUBLICATIONS
  • ANTIBODY SUBMISSION
  • ANTIBODY AVAILABILITY
  • ACKNOWLEDGMENTS
  • CONTACT
NEWS
  • NEWS ARTICLES
  • PRESS ROOM
LEARN
  • DICTIONARY
  • PROTEIN CLASSES
  • PROTEIN EVIDENCE
  • METHODS
  • EDUCATIONAL VIDEOS
DATA
  • DOWNLOADABLE DATA
  • PUBLICATION DATA
  • RELEASE HISTORY
HELP
  • ANTIBODY VALIDATION
  • ASSAYS & ANNOTATION
  • DISCLAIMER
  • HELP & FAQ
  • PRIVACY STATEMENT
  • LICENCE & CITATION
Fields »
Search result

Field
Term
Gene name
Class
Subclass
Class
Keyword
Chromosome
External id
Tissue
Cell type
Expression
Antibody panel
Tissue
Main location
Patient ID
Annotation
Tissue
Category
Tau score
Cluster
Reliability
Brain region
Category
Tau score
Brain region
Category
Tau score
Brain region
Category
Tau score
Cluster
Reliability
Tissue
Cell type
Enrichment
Cell type
Category
Tau score
Cell type
Category
Tau score
Cell type
Category
Tau score
Cell lineage
Category
Tau score
Cluster
Cluster
Location
Searches
Location
Cell line
Class
Type
Phase
Reliability
Cancer
Prognosis
Cancer
Category
Cancer
Category
Tau score
Cluster
Variants
Interacting gene (ensg_id)
Type
Number of interactions
Pathway
Category
Score
Score
Score
Validation
Validation
Validation
Validation
Antibodies
Data type
Column


  • SUMMARY

  • TISSUE

  • BRAIN

  • SINGLE CELL

  • SUBCELL

  • CANCER

  • BLOOD

  • CELL LINE

  • STRUCT & INT

  • RANBP1
TISSUE PRIMARY DATA SKIN Show tissue menu
ADIPOSE TISSUE ADRENAL GLAND AMYGDALA APPENDIX BASAL GANGLIA BONE MARROW BREAST BRONCHUS CEREBELLUM CEREBRAL CORTEX CERVIX CHOROID PLEXUS COLON DUODENUM
ENDOMETRIUM EPIDIDYMIS ESOPHAGUS FALLOPIAN TUBE GALLBLADDER HEART MUSCLE HIPPOCAMPAL FORMATION HYPOTHALAMUS KIDNEY LIVER LUNG LYMPH NODE MIDBRAIN NASOPHARYNX
ORAL MUCOSA OVARY PANCREAS PARATHYROID GLAND PITUITARY GLAND PLACENTA PROSTATE RECTUM RETINA SALIVARY GLAND SEMINAL VESICLE SKELETAL MUSCLE SKIN SMALL INTESTINE
SMOOTH MUSCLE SOFT TISSUE SPINAL CORD SPLEEN STOMACH TESTIS THYMUS THYROID GLAND TONGUE TONSIL URINARY BLADDER VAGINA
ANTIBODIES
AND
VALIDATION
Dictionary
Skin
Tissue proteome
Skin
SKIN - Expression summary
Protein expression
Skini

On the top, protein expression in current human tissue, based on all annotated cell types, is reported with the units not detected (n), low (l), medium (m) and high (h). Underneath, protein expression in each annotated cell type are reported using the same units.

Protein expression data is based on knowledge-based annotation. For genes where more than one antibody has been used, a collective score is set.

If knowledge-based annotation could not be performed for a gene, no data is displayed here. View antibody staining data further down this page.

h
m
l
n
Cells in basal layer: Medium
Cells in corneal layer: Not detected
Cells in granular layer: Not detected
Cells in spinous layer: Low
Endothelial cells: Not detected
Extracellular matrix: Not detected
Fibrohistiocytic cells: Not detected
Hair follicles: Not detected
Langerhans cells: Not detected
Lymphocytes: Not detected
Melanocytes: Not detected
Vascular mural cells: Not detected
RNA expressioni

A summary of mRNA expression data available for current tissue based on several datasets. The mRNA expression levels in human tissues are based on RNA-seq data generated by the Human Protein Atlas (HPA), Genotype-Tissue Expression (GTEx) portal and CAGE data generated by the FANTOM5 consortium. Consensus normalized expression levels for human tissues was created by combining the data from HPA and GTEx datasets.

The mRNA expression levels in pig are based on RNA-seq data generated by the Human Protein Atlas (HPA), and for mouse, HPA data and in situ hybridization generated by the Allen brain atlas are reported.

Scroll down to view mRNA expression data in more detail.
Consensus:59.9 nTPM
HPA:38.0 nTPM
GTEx:59.9 nTPM

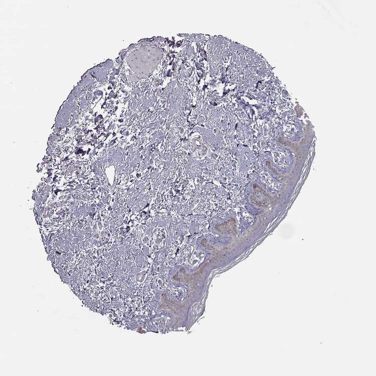
SKIN 1 - Antibody stainingi

Antibody staining in the annotated cell types in the current human tissue is reported as not detected, low, medium, or high, based on conventional immunohistochemistry profiling in selected tissues. This score is based on the combination of the staining intensity and fraction of stained cells.

Each image is clickable and will lead to virtual microscopy that enables deeper exploration of all samples and also displays staining intensity scores, fraction scores and subcellular localization as well as patient and tissue information for each sample.

Antibody HPA065931
Cells in basal layer Not detected
Cells in corneal layer Not detected
Cells in granular layer Not detected
Cells in spinous layer Not detected
Endothelial cells Not detected
Extracellular matrix Not detected
Fibrohistiocytic cells Not detected
Hair follicles Not detected
Langerhans cells Not detected
Lymphocytes Not detected
Melanocytes Not detected
Vascular mural cells Not detected

SKIN 2 - Antibody stainingi

Antibody staining in the annotated cell types in the current human tissue is reported as not detected, low, medium, or high, based on conventional immunohistochemistry profiling in selected tissues. This score is based on the combination of the staining intensity and fraction of stained cells.

Each image is clickable and will lead to virtual microscopy that enables deeper exploration of all samples and also displays staining intensity scores, fraction scores and subcellular localization as well as patient and tissue information for each sample.

Antibody HPA065931
Cells in basal layer Medium
Cells in corneal layer Not detected
Cells in granular layer Not detected
Cells in spinous layer Low
Endothelial cells Not detected
Extracellular matrix Not detected
Fibrohistiocytic cells Not detected
Langerhans cells Not detected
Lymphocytes Not detected
Melanocytes Not detected
Vascular mural cells Not detected
 

SKIN - HPA RNA-seqi

The RNA-seq details section shows detailed information about the individual samples used for the transcript profiling and results of the RNA-seq analysis.

Information about each individual sample is listed below, including gender, age, a tissue section image and estimated fractions of cell types. nTPM (normalized transcripts per million) values give a quantification of the gene abundance which is comparable between different genes and samples.
Average nTPMi

Max subtype nTPM is the value for the subtype with the largest average nTPM across the subtype samples.

38.0
overview
Female, age 34
Skin sample 225
nTPM: 40.9
Cell types%
Keratinocytes:
60

Other cell types:
40

overview
Female, age 30
Skin sample 226
nTPM: 28.1
Cell types%
Keratinocytes:
55

Other cell types:
45

N/A
Male, age 57
Skin sample 227
nTPM: 45.1

SKIN - GTEx RNA-seqi

RNA-Seq data generated by the Genotype-Tissue Expression (GTEx) project from human tissues is reported as mean nTPM. More information can be found on the GTEx portal.

Distribution across the dataset is visualized with box plots, shown as median and 25th and 75th percentiles. Points are displayed as outliers if they are above or below 1.5 times the interquartile range. nTPM values of the individual samples are presented next to the box plot.
Max subtype nTPMi

Max subtype nTPM is the value for the subtype with the largest average nTPM across the subtype samples.

59.9
GTEx sample id Sample description nTPM
Skin - Not Sun Exposed (Suprapubic)
Average nTPM: 59.9
Samples: 604

Max nTPM: 126.3
Min nTPM: 33.4
Std nTPM: 13.2
Median nTPM: 58.1
GTEX-14XAO-1226-SM-6EU1C 60-69 years, female 126.3
GTEX-1E2YA-2126-SM-7MXUO 50-59 years, male 119.8
GTEX-U8XE-0226-SM-4E3J3 30-39 years, male 113.6
GTEX-1HSMP-0926-SM-A9SKX 70-79 years, male 113.0
GTEX-1R9PN-0426-SM-DTXDT 40-49 years, female 107.3
GTEX-1PPH8-0126-SM-EWRN8 20-29 years, male 105.4
GTEX-ZY6K-1426-SM-5GZX2 50-59 years, male 104.3
GTEX-15G19-2426-SM-7KUMR 60-69 years, male 102.4
GTEX-WH7G-2026-SM-3NMBL 40-49 years, male 101.9
GTEX-11WQK-1026-SM-5EQLX 50-59 years, male 101.6
GTEX-1399Q-2326-SM-5KM2X 40-49 years, male 99.9
GTEX-1I1GU-0926-SM-ACKVS 40-49 years, male 97.5
GTEX-13NYC-0126-SM-5L3F4 60-69 years, male 95.3
GTEX-1MJK3-0726-SM-E6CJC 20-29 years, male 93.8
GTEX-1H1DG-2426-SM-9QEHJ 70-79 years, male 93.4
GTEX-11DXX-2126-SM-5PNYR 60-69 years, female 92.3
GTEX-144GL-0626-SM-5LU4D 50-59 years, male 91.7
GTEX-ZYVF-0926-SM-5E44J 50-59 years, female 91.4
GTEX-1PIGE-1826-SM-E8VOU 20-29 years, male 91.0
GTEX-ZYT6-2326-SM-5GZY3 30-39 years, male 90.1
GTEX-16MT9-0126-SM-7EPI8 60-69 years, female 90.0
GTEX-16YQH-2226-SM-7IGM2 30-39 years, male 89.9
GTEX-144GO-2026-SM-5O99P 60-69 years, male 89.7
GTEX-XYKS-1426-SM-4BRUO 60-69 years, female 88.7
GTEX-1JN1M-2726-SM-CY8I4 60-69 years, female 88.7
GTEX-1S82U-1026-SM-E6CJK 30-39 years, female 88.1
GTEX-1C6WA-2626-SM-7MKGM 60-69 years, male 86.5
GTEX-15RIE-1926-SM-7KUKJ 60-69 years, male 86.1
GTEX-11OF3-0126-SM-5PNYF 60-69 years, male 86.0
GTEX-XK95-0226-SM-4AT58 40-49 years, male 86.0
GTEX-11DZ1-2426-SM-5GZZX 50-59 years, male 85.7
GTEX-ZVE1-0726-SM-51MRN 50-59 years, female 84.3
GTEX-WHSE-0126-SM-3NMBT 20-29 years, male 84.1
GTEX-1IKOE-1426-SM-CE6T7 30-39 years, female 83.8
GTEX-13G51-1826-SM-5KLZH 60-69 years, male 82.8
GTEX-111VG-1626-SM-5EGIO 60-69 years, male 82.5
GTEX-11DXY-0126-SM-5H11Q 60-69 years, male 82.5
GTEX-1HFI6-0126-SM-CNPPI 40-49 years, male 82.4
GTEX-1HCU6-2526-SM-ADEHL 60-69 years, female 82.1
GTEX-131XH-0126-SM-5LZUY 50-59 years, male 81.6
GTEX-13FTY-2126-SM-5IFFB 40-49 years, female 81.1
GTEX-ZYFD-0626-SM-5E44E 50-59 years, male 80.7
GTEX-1JMQK-1226-SM-D4P2S 60-69 years, male 80.6
GTEX-WFON-1926-SM-3LK7L 40-49 years, male 80.5
GTEX-ZPCL-1126-SM-4WWFE 60-69 years, female 80.5
GTEX-13NYB-0126-SM-5J1MD 40-49 years, male 80.0
GTEX-16GPK-0626-SM-7KFSF 60-69 years, male 79.9
GTEX-14PHY-1226-SM-5ZZWK 60-69 years, female 79.8
GTEX-1OJC4-2726-SM-E76PJ 50-59 years, female 79.5
GTEX-ZF3C-0626-SM-DO92O 50-59 years, female 79.4
GTEX-1H11D-1826-SM-9QEHM 40-49 years, male 79.2
GTEX-1R9PM-1926-SM-EVR3O 20-29 years, male 79.1
GTEX-XQ3S-1426-SM-4BOPR 20-29 years, male 78.8
GTEX-14ICL-1626-SM-5YYAO 30-39 years, male 78.7
GTEX-1QAET-0326-SM-EVR3U 50-59 years, male 78.5
GTEX-148VJ-0626-SM-5LUAW 70-79 years, male 78.2
GTEX-1OJC3-1226-SM-DTXER 20-29 years, male 78.0
GTEX-18A67-1626-SM-7LT9T 50-59 years, male 77.9
GTEX-1I1GP-1326-SM-A9G28 50-59 years, male 77.6
GTEX-13112-0126-SM-5P9IU 50-59 years, male 77.5
GTEX-1399S-0126-SM-5IJCF 30-39 years, female 77.5
GTEX-15SHW-0226-SM-7LTAT 60-69 years, male 77.2
GTEX-1I1HK-2326-SM-CKZOH 60-69 years, male 77.2
GTEX-1A3MW-0626-SM-731CB 60-69 years, female 76.9
GTEX-11DXW-0826-SM-5H118 40-49 years, male 76.7
GTEX-X585-2426-SM-46MW2 50-59 years, male 76.6
GTEX-14A5H-0826-SM-5QGPJ 60-69 years, male 76.4
GTEX-12WSK-2126-SM-5CVNC 40-49 years, female 76.3
GTEX-15DYW-2726-SM-6EU2I 60-69 years, female 76.2
GTEX-1GZ4I-2626-SM-9KNU3 50-59 years, male 76.1
GTEX-Y5V6-2326-SM-4VDSA 60-69 years, male 75.5
GTEX-1RAZQ-1326-SM-E9TK6 30-39 years, male 75.5
GTEX-1S82P-2126-SM-E6CI5 60-69 years, female 75.1
GTEX-1E1VI-0326-SM-793D1 50-59 years, male 75.0
GTEX-ZVTK-0226-SM-51MRG 20-29 years, male 74.3
GTEX-1LVAM-0726-SM-E6CIL 50-59 years, female 74.2
GTEX-12126-0826-SM-5FQTZ 20-29 years, male 73.8
GTEX-14LZ3-0126-SM-69LPM 60-69 years, female 73.8
GTEX-1CB4J-1326-SM-7P8RX 60-69 years, male 73.8
GTEX-1I1GV-0626-SM-ARL7M 60-69 years, male 73.8
GTEX-145MF-0926-SM-5Q5EA 50-59 years, male 73.6
GTEX-18465-2826-SM-7LT9J 50-59 years, male 73.5
GTEX-11WQC-1826-SM-5GU59 60-69 years, male 73.0
GTEX-1JMQL-2226-SM-CNPP4 50-59 years, female 72.8
GTEX-VUSG-2326-SM-4KL1U 50-59 years, male 72.7
GTEX-1JN76-0626-SM-CKZOQ 20-29 years, female 72.6
GTEX-13O3O-2326-SM-5IJD6 60-69 years, female 72.5
GTEX-1I1CD-0626-SM-CE6SW 60-69 years, female 72.2
GTEX-1CB4I-0126-SM-7RHGG 50-59 years, male 72.1
GTEX-WXYG-2026-SM-4E3IY 50-59 years, female 72.0
GTEX-1NSGN-0726-SM-DTXEF 50-59 years, male 72.0
GTEX-11DYG-1526-SM-5A5JS 60-69 years, male 71.8
GTEX-1F6I4-2326-SM-7RHGL 60-69 years, male 71.8
GTEX-1LKK1-2626-SM-DKPQE 50-59 years, female 71.8
GTEX-1H1CY-0126-SM-9YFLY 60-69 years, female 71.6
GTEX-1313W-0626-SM-5EQ4H 50-59 years, female 71.3
GTEX-YECK-0326-SM-4W1YS 60-69 years, male 70.9
GTEX-1GPI7-1826-SM-9KNU1 20-29 years, male 70.9
GTEX-13OW6-2726-SM-5J2OE 50-59 years, male 70.8
GTEX-XBEW-1126-SM-4QARW 40-49 years, male 70.8
GTEX-1LVA9-2626-SM-EVYD4 50-59 years, male 70.8
GTEX-1IKJJ-2226-SM-CJI4C 60-69 years, male 70.6
GTEX-ZDXO-3126-SM-5IJDF 60-69 years, male 70.5
GTEX-ZT9X-1526-SM-5DUXD 40-49 years, male 70.4
GTEX-12ZZX-2426-SM-5GCOE 40-49 years, female 70.3
GTEX-1ICG6-1226-SM-A9SLN 70-79 years, female 70.1
GTEX-1J8EW-2726-SM-CY8HR 60-69 years, female 69.9
GTEX-1B8L1-2226-SM-7P8PT 60-69 years, male 69.7
GTEX-1HT8W-0626-SM-A9G2H 30-39 years, male 69.7
GTEX-1B97I-0626-SM-73KUZ 40-49 years, male 69.3
GTEX-1POEN-2326-SM-E9J2L 30-39 years, female 69.3
GTEX-1O9I2-0226-SM-EYYXD 50-59 years, male 69.2
GTEX-1KANA-1326-SM-DIPFA 20-29 years, male 68.9
GTEX-17HG3-2626-SM-7DUF2 30-39 years, female 68.7
GTEX-17MFQ-1526-SM-7KFRR 20-29 years, male 68.7
GTEX-1GN73-0726-SM-7P8TJ 60-69 years, male 68.6
GTEX-1RB15-1326-SM-E76Q9 60-69 years, male 68.5
GTEX-1J8QM-2426-SM-A9SLS 60-69 years, female 68.3
GTEX-15RJE-2826-SM-7KUM9 40-49 years, male 68.2
GTEX-1H3O1-1326-SM-9MQLD 60-69 years, male 68.0
GTEX-1JMQJ-0826-SM-CNPP7 50-59 years, male 68.0
GTEX-14A6H-2026-SM-5Q5DD 30-39 years, male 67.9
GTEX-1J1OQ-0126-SM-D4P2N 40-49 years, female 67.9
GTEX-145MG-1526-SM-5Q5EM 50-59 years, male 67.8
GTEX-14C38-0726-SM-5SI6M 50-59 years, male 67.7
GTEX-1S83E-1326-SM-E6CJM 40-49 years, male 67.6
GTEX-11PRG-0726-SM-5EGL1 50-59 years, male 67.5
GTEX-Y114-2126-SM-4TT8B 50-59 years, female 67.5
GTEX-1MCC2-1826-SM-DIPEX 30-39 years, female 67.5
GTEX-1PBJJ-1026-SM-E76OS 30-39 years, male 67.5
GTEX-12WSH-1526-SM-5BC5W 50-59 years, male 67.3
GTEX-14E1K-2026-SM-7DUEI 50-59 years, male 67.3
GTEX-ZAJG-1526-SM-5CVML 50-59 years, female 67.0
GTEX-13OVH-0526-SM-5L3E6 70-79 years, male 66.9
GTEX-13OW7-0426-SM-5K7VK 50-59 years, male 66.8
GTEX-145MH-2826-SM-5RQJF 50-59 years, male 66.6
GTEX-15G1A-1626-SM-7KUKN 30-39 years, male 66.6
GTEX-1IDJC-1526-SM-B2LW4 50-59 years, male 66.3
GTEX-1BAJH-2426-SM-7IGP8 70-79 years, male 66.2
GTEX-1JJEA-1826-SM-ARU8P 60-69 years, male 66.1
GTEX-11O72-0626-SM-5PNYE 40-49 years, male 66.0
GTEX-1AYD5-2626-SM-7PBXY 50-59 years, male 66.0
GTEX-1QPFJ-1926-SM-EVYBD 30-39 years, female 66.0
GTEX-15RIG-0726-SM-7KUM7 40-49 years, male 65.9
GTEX-139TU-0726-SM-5L3EK 60-69 years, male 65.8
GTEX-144FL-0626-SM-5LU43 50-59 years, male 65.6
GTEX-14C39-1726-SM-5RQIL 40-49 years, male 65.6
GTEX-18A6Q-0626-SM-7KFRP 60-69 years, male 65.6
GTEX-1EN7A-2426-SM-793DB 40-49 years, male 65.6
GTEX-1F48J-0726-SM-7RHGS 50-59 years, female 65.5
GTEX-1HB9E-0126-SM-CM2S5 50-59 years, male 65.5
GTEX-1HR9M-2226-SM-CNPPY 60-69 years, male 65.5
GTEX-1IDJH-0126-SM-D3L92 70-79 years, male 65.4
GTEX-11NUK-2726-SM-5A5MC 50-59 years, male 65.2
GTEX-132AR-0326-SM-5KM2C 50-59 years, female 65.2
GTEX-ZLFU-1826-SM-4WWBV 40-49 years, male 65.1
GTEX-1QP2A-1726-SM-E76QC 50-59 years, male 65.0
GTEX-1JMOU-1026-SM-CYPSS 60-69 years, female 64.9
GTEX-1F88F-0126-SM-9WYSZ 60-69 years, female 64.8
GTEX-1H2FU-0926-SM-9WPPT 60-69 years, female 64.8
GTEX-1RAZS-2526-SM-E6CHT 50-59 years, male 64.7
GTEX-ZF29-0926-SM-4WKFZ 60-69 years, female 64.5
GTEX-ZYW4-0626-SM-59HJR 60-69 years, male 64.5
GTEX-1LVAO-2726-SM-E9TJ8 60-69 years, male 64.5
GTEX-ZVZP-1226-SM-5GID7 50-59 years, male 64.3
GTEX-1S5ZU-2526-SM-E6CIF 20-29 years, female 64.3
GTEX-ZE7O-2726-SM-51MT5 50-59 years, female 64.2
GTEX-1LSVX-2526-SM-DIPEU 60-69 years, male 64.1
GTEX-1N2EE-0626-SM-E76PW 60-69 years, male 64.1
GTEX-147F4-0726-SM-5TDDD 50-59 years, male 64.0
GTEX-131XW-0626-SM-5PNVD 50-59 years, female 63.9
GTEX-1LG7Y-2526-SM-EWRO7 50-59 years, male 63.9
GTEX-ZTTD-2826-SM-4YCFA 50-59 years, male 63.8
GTEX-1H1DF-1126-SM-9WG7G 40-49 years, female 63.8
GTEX-131YS-2826-SM-5EQ47 60-69 years, female 63.7
GTEX-13SLX-2226-SM-62LEP 50-59 years, female 63.7
GTEX-14PJ3-1126-SM-5ZZVX 50-59 years, male 63.7
GTEX-17KNJ-2126-SM-718AM 50-59 years, male 63.7
GTEX-1JMPZ-0726-SM-CY8HZ 30-39 years, male 63.7
GTEX-1KD5A-0126-SM-E9U54 50-59 years, male 63.7
GTEX-1S3DN-2126-SM-E9TIN 50-59 years, male 63.7
GTEX-14JG1-1526-SM-5YY9X 40-49 years, male 63.6
GTEX-1L5NE-1126-SM-D3L9P 50-59 years, male 63.4
GTEX-X4EO-2926-SM-4E3JH 60-69 years, female 63.3
GTEX-Y3I4-1726-SM-4TT89 50-59 years, male 63.3
GTEX-13PL6-1126-SM-5L3IE 40-49 years, female 63.2
GTEX-1C64N-2626-SM-7PC2N 50-59 years, male 63.2
GTEX-13JVG-0726-SM-5KM16 60-69 years, male 63.0
GTEX-14PII-0726-SM-6EU2B 60-69 years, male 63.0
GTEX-13RTJ-0126-SM-5S2NN 60-69 years, male 62.8
GTEX-16MTA-0926-SM-6M47Z 50-59 years, male 62.8
GTEX-ZTX8-1326-SM-4YCEL 20-29 years, male 62.8
GTEX-1IL2V-1926-SM-B2LW8 70-79 years, male 62.8
GTEX-1QP9N-1226-SM-E76QN 30-39 years, male 62.8
GTEX-XV7Q-1826-SM-4BRUV 40-49 years, female 62.7
GTEX-15SKB-2826-SM-6PAMH 60-69 years, male 62.6
GTEX-1A8G7-1326-SM-73KVM 60-69 years, male 62.5
GTEX-11TUW-0626-SM-5LU9M 60-69 years, male 62.4
GTEX-1B933-2426-SM-7DHMD 50-59 years, female 62.4
GTEX-1PPH7-1126-SM-DTX9A 40-49 years, male 62.4
GTEX-1QCLY-0226-SM-EWRNH 30-39 years, male 62.4
GTEX-17HHY-0426-SM-7DHLC 50-59 years, male 62.3
GTEX-YFCO-1226-SM-5LUAT 40-49 years, male 62.3
GTEX-Y5LM-0926-SM-6LLJG 40-49 years, female 62.2
GTEX-1GZHY-0626-SM-9KNVC 50-59 years, female 62.2
GTEX-YB5K-2026-SM-4VDT3 40-49 years, female 62.1
GTEX-ZXG5-2126-SM-59HKD 60-69 years, male 62.1
GTEX-1JMLX-0626-SM-ARL8T 50-59 years, male 62.1
GTEX-1PPGY-1626-SM-EVYBL 60-69 years, male 62.1
GTEX-17F98-1326-SM-7DUEP 40-49 years, female 62.0
GTEX-ZWKS-0626-SM-5GIDV 30-39 years, male 62.0
GTEX-11ZUS-2626-SM-5FQUR 30-39 years, male 61.9
GTEX-17F9E-2326-SM-79OKD 50-59 years, male 61.9
GTEX-12WSC-2826-SM-5BC5Y 50-59 years, male 61.6
GTEX-1JK1U-0226-SM-ARZMX 60-69 years, male 61.6
GTEX-13IVO-0726-SM-5LZYV 70-79 years, male 61.5
GTEX-12WSD-0626-SM-5GCMW 60-69 years, female 61.4
GTEX-13X6K-0626-SM-5LU5D 60-69 years, female 61.4
GTEX-1ICLZ-0326-SM-ARL82 60-69 years, male 61.4
GTEX-1LVAN-0626-SM-CNPOQ 50-59 years, female 61.4
GTEX-1R9K4-2826-SM-DTX8F 60-69 years, male 61.4
GTEX-1EMGI-2326-SM-7PBYA 60-69 years, male 61.3
GTEX-1ICLY-0826-SM-CMKG1 50-59 years, male 61.2
GTEX-1117F-2926-SM-5GZYI 60-69 years, female 61.1
GTEX-Y111-0626-SM-4SOIT 50-59 years, male 61.1
GTEX-1A8FM-0626-SM-7PC25 50-59 years, female 61.1
GTEX-1F6IF-0926-SM-7SB7M 60-69 years, male 61.1
GTEX-13O3Q-0126-SM-5KM34 50-59 years, male 61.0
GTEX-1GN1V-2826-SM-9JGIA 60-69 years, male 61.0
GTEX-11VI4-1126-SM-5EQMD 40-49 years, female 60.9
GTEX-13SLW-0626-SM-5Q5ER 70-79 years, male 60.9
GTEX-16NPX-0726-SM-7KULC 50-59 years, male 60.9
GTEX-1KANB-2826-SM-CY8I6 50-59 years, male 60.9
GTEX-13PVQ-0626-SM-5LU47 50-59 years, male 60.8
GTEX-17HHE-1326-SM-7EWDZ 50-59 years, male 60.8
GTEX-1LB8K-0726-SM-D5OV2 50-59 years, male 60.8
GTEX-1A3MV-1826-SM-731CD 30-39 years, male 60.7
GTEX-1HR98-2226-SM-ADEI2 60-69 years, male 60.7
GTEX-WI4N-2726-SM-3LK7Y 40-49 years, female 60.6
GTEX-1KAFJ-0126-SM-DIPEK 50-59 years, male 60.6
GTEX-1N5O9-0926-SM-E9J3C 60-69 years, male 60.5
GTEX-17F97-2626-SM-7IGM5 50-59 years, male 60.4
GTEX-XAJ8-1426-SM-47JYM 40-49 years, male 60.4
GTEX-139T8-0626-SM-5KLZX 60-69 years, male 60.3
GTEX-XQ8I-0926-SM-4BOOF 50-59 years, male 60.3
GTEX-1GZ2Q-0126-SM-9WG6M 40-49 years, male 60.3
GTEX-1J8JJ-0626-SM-ARZMQ 60-69 years, female 60.3
GTEX-111FC-2526-SM-5GZXU 60-69 years, male 60.2
GTEX-139TT-2126-SM-5LZWC 60-69 years, male 60.2
GTEX-17EVQ-0126-SM-7IGLR 70-79 years, male 60.2
GTEX-1EKGG-0626-SM-7DUGJ 60-69 years, male 60.2
GTEX-1A3MX-2626-SM-7PC24 60-69 years, male 60.2
GTEX-13OW5-2326-SM-5L3HO 60-69 years, male 60.1
GTEX-ZVT4-2426-SM-5GIEI 50-59 years, female 60.1
GTEX-13FTX-1526-SM-5K7VJ 20-29 years, female 60.0
GTEX-ZPU1-1126-SM-4YCF3 40-49 years, male 60.0
GTEX-1CB4H-1126-SM-7MKGL 60-69 years, female 59.9
GTEX-1GF9V-0826-SM-9KNUV 60-69 years, male 59.9
GTEX-1IDFM-0326-SM-ARL7V 60-69 years, male 59.9
GTEX-13PDP-0726-SM-5L3HP 60-69 years, male 59.8
GTEX-YEC4-1826-SM-4W1YP 40-49 years, male 59.8
GTEX-1H4P4-2126-SM-9WYSL 50-59 years, male 59.8
GTEX-144GM-0526-SM-79OJO 20-29 years, male 59.7
GTEX-1F75I-2226-SM-7SB8U 40-49 years, male 59.7
GTEX-1LBAC-0826-SM-CY8IJ 20-29 years, male 59.7
GTEX-1N2DV-1526-SM-DTXEP 40-49 years, male 59.7
GTEX-16XZZ-0726-SM-7KUF2 60-69 years, male 59.5
GTEX-16Z82-2626-SM-7KULU 60-69 years, male 59.4
GTEX-ZAK1-0626-SM-5HL8E 50-59 years, female 59.4
GTEX-13O61-1426-SM-5KM3D 60-69 years, male 59.3
GTEX-11UD2-2526-SM-5CVNU 50-59 years, male 59.2
GTEX-1CAMR-1326-SM-7PC1F 20-29 years, male 59.2
GTEX-1JKYR-0626-SM-ARL8R 20-29 years, male 59.2
GTEX-1QEPI-2626-SM-DTXF4 60-69 years, female 59.2
GTEX-14PKU-0126-SM-6LLHV 40-49 years, female 59.1
GTEX-1AX9J-1326-SM-731BJ 60-69 years, male 59.1
GTEX-YJ8O-2526-SM-5HL85 40-49 years, female 59.1
GTEX-1QW4Y-1126-SM-DTXE3 30-39 years, male 59.1
GTEX-ZLV1-1526-SM-DO91J 60-69 years, female 59.1
GTEX-1B8SF-0126-SM-7DUG3 60-69 years, male 59.0
GTEX-1H1ZS-2726-SM-9WG75 70-79 years, male 59.0
GTEX-12WSJ-1126-SM-5LZVJ 40-49 years, female 58.9
GTEX-17F96-0126-SM-7EWDU 70-79 years, male 58.9
GTEX-1HC8U-1326-SM-9YFMJ 40-49 years, female 58.9
GTEX-1PIIG-2326-SM-DTXFR 30-39 years, male 58.9
GTEX-1QP29-1826-SM-DTX9S 50-59 years, male 58.8
GTEX-WFG7-2026-SM-5SI7P 20-29 years, male 58.7
GTEX-131XG-0326-SM-5L3DX 50-59 years, female 58.6
GTEX-WYJK-0526-SM-3NM8Z 50-59 years, male 58.6
GTEX-1GF9X-1326-SM-7PC2Y 40-49 years, female 58.6
GTEX-139D8-1126-SM-5LU8W 30-39 years, female 58.5
GTEX-13OW8-1026-SM-5J1NQ 60-69 years, male 58.5
GTEX-13W3W-0726-SM-5IJDQ 60-69 years, female 58.5
GTEX-ZP4G-1426-SM-4WWCL 20-29 years, female 58.5
GTEX-ZU9S-1826-SM-5NQ9E 30-39 years, male 58.5
GTEX-1B996-0426-SM-7EWF8 60-69 years, male 58.4
GTEX-139TS-2126-SM-5K7XC 60-69 years, male 58.3
GTEX-14DAR-1226-SM-73KYV 50-59 years, male 58.3
GTEX-1B932-2326-SM-79OL5 40-49 years, female 58.3
GTEX-1M4P7-0726-SM-E6CJ3 60-69 years, male 58.2
GTEX-12584-0726-SM-5FQTK 40-49 years, male 58.1
GTEX-1B8KZ-0326-SM-73KY4 50-59 years, male 58.1
GTEX-1HBPI-2126-SM-ARL9K 50-59 years, male 58.1
GTEX-133LE-2326-SM-5K7W3 20-29 years, female 58.0
GTEX-1MCYP-0526-SM-E9U6Q 20-29 years, female 58.0
GTEX-1QP66-1226-SM-DTX7U 50-59 years, male 58.0
GTEX-1R7EU-1626-SM-DTXG3 60-69 years, male 57.9
GTEX-13NZ8-1226-SM-5KM4A 60-69 years, female 57.8
GTEX-15ER7-0626-SM-6PANF 20-29 years, female 57.8
GTEX-11GSP-2326-SM-5HL63 60-69 years, female 57.7
GTEX-XXEK-1626-SM-4BRUZ 50-59 years, male 57.7
GTEX-14PJ6-2626-SM-6EU2T 60-69 years, female 57.6
GTEX-15DDE-2926-SM-6LLJ3 50-59 years, female 57.6
GTEX-14JFF-0626-SM-5ZZVT 60-69 years, male 57.6
GTEX-WHSB-1326-SM-3LK6W 50-59 years, male 57.5
GTEX-1A8G6-2726-SM-731AR 60-69 years, male 57.4
GTEX-1EX96-1026-SM-7MKG2 50-59 years, male 57.3
GTEX-1C64O-1326-SM-7MGWR 60-69 years, male 57.2
GTEX-1QP28-1126-SM-EVYC4 50-59 years, female 57.2
GTEX-13VXU-0626-SM-5L3F9 50-59 years, male 57.1
GTEX-1GMRU-2126-SM-7P8RA 50-59 years, male 57.1
GTEX-1J1R8-2026-SM-CL53Y 40-49 years, male 57.1
GTEX-1LGRB-0926-SM-COH3K 50-59 years, female 57.1
GTEX-1QMI2-2526-SM-E8VNZ 60-69 years, male 57.1
GTEX-YEC3-1326-SM-DO92X 50-59 years, male 57.1
GTEX-183FY-1026-SM-7939A 20-29 years, male 57.0
GTEX-1B8KE-1126-SM-7EPHI 50-59 years, male 57.0
GTEX-ZYFG-1526-SM-5GZYM 60-69 years, female 57.0
GTEX-13NYS-0626-SM-5L3F1 60-69 years, male 56.8
GTEX-ZDTS-0826-SM-4WKHL 60-69 years, male 56.8
GTEX-1399U-1126-SM-5L3DB 50-59 years, female 56.7
GTEX-145MN-1526-SM-5SI9T 30-39 years, male 56.7
GTEX-14LLW-2626-SM-62LDZ 70-79 years, female 56.7
GTEX-ZE9C-2526-SM-5IJDR 60-69 years, male 56.7
GTEX-1IOXB-2726-SM-CM2RI 50-59 years, male 56.7
GTEX-WK11-2726-SM-3NMAQ 50-59 years, male 56.6
GTEX-1F75W-2726-SM-7SB8H 60-69 years, male 56.6
GTEX-1GMR3-0126-SM-A9SLW 40-49 years, male 56.6
GTEX-1LSNL-2726-SM-E9TKJ 50-59 years, male 56.6
GTEX-13VXT-1926-SM-5K7UO 20-29 years, female 56.5
GTEX-13X6I-1826-SM-5SIAO 60-69 years, male 56.5
GTEX-145LS-0626-SM-7EPG7 60-69 years, female 56.5
GTEX-1RMOY-1326-SM-E9TIH 50-59 years, male 56.4
GTEX-14BMV-2826-SM-5TDED 50-59 years, male 56.3
GTEX-1HCUA-0826-SM-ADEHM 50-59 years, female 56.3
GTEX-14ABY-2026-SM-62LDL 50-59 years, male 56.2
GTEX-1F5PK-2226-SM-7SB6N 50-59 years, male 56.2
GTEX-1GZ4H-0526-SM-9KNU9 50-59 years, female 56.2
GTEX-WRHU-2826-SM-3MJG8 50-59 years, female 56.1
GTEX-139UW-0326-SM-5J1ML 60-69 years, male 55.9
GTEX-13OVL-0126-SM-5L3GJ 50-59 years, male 55.9
GTEX-1PDJ9-1226-SM-EXUSX 20-29 years, male 55.6
GTEX-XBEC-0726-SM-4QARZ 50-59 years, male 55.5
GTEX-13OVK-1426-SM-6PAN7 40-49 years, male 55.4
GTEX-15CHR-1126-SM-7EWF4 50-59 years, male 55.4
GTEX-1F75B-0726-SM-7PC3R 50-59 years, male 55.4
GTEX-X5EB-1926-SM-4E3IW 40-49 years, male 55.3
GTEX-1F75A-0726-SM-7RHHD 50-59 years, male 55.3
GTEX-13FTW-0326-SM-5K7UW 40-49 years, male 55.2
GTEX-18A66-0626-SM-7LT8Z 60-69 years, male 55.2
GTEX-1HBPN-0126-SM-CGQEF 50-59 years, male 55.2
GTEX-11EQ9-1626-SM-5PNY8 30-39 years, male 55.1
GTEX-14PK6-0226-SM-62LF5 70-79 years, female 55.1
GTEX-183WM-0326-SM-72D5V 70-79 years, female 55.1
GTEX-1F88E-1626-SM-7SB8Z 60-69 years, female 55.1
GTEX-1K2DU-1226-SM-CYPT4 20-29 years, male 55.1
GTEX-15CHC-1126-SM-6LLHQ 60-69 years, female 55.0
GTEX-Z93S-1626-SM-5CVMB 50-59 years, male 55.0
GTEX-1I6K6-1726-SM-CGQFD 30-39 years, male 55.0
GTEX-145ME-1726-SM-5Q5EU 40-49 years, female 54.9
GTEX-17EVP-2626-SM-7IGMA 40-49 years, male 54.9
GTEX-1C2JI-1026-SM-73KY1 50-59 years, male 54.8
GTEX-11P81-2226-SM-5PNYI 30-39 years, female 54.6
GTEX-18A7B-2726-SM-7LG56 70-79 years, male 54.6
GTEX-ZF2S-1626-SM-57WES 50-59 years, female 54.6
GTEX-18D9A-1426-SM-7LT8M 30-39 years, female 54.6
GTEX-1192X-2726-SM-5N9DN 50-59 years, male 54.5
GTEX-14BIN-1126-SM-5RQJZ 50-59 years, female 54.5
GTEX-17F9Y-0126-SM-79OKX 70-79 years, female 54.5
GTEX-11DXZ-2026-SM-5987S 50-59 years, male 54.3
GTEX-147GR-2426-SM-5ZZWQ 60-69 years, male 54.3
GTEX-1EWIQ-0326-SM-7DHMQ 70-79 years, female 54.3
GTEX-145MO-2826-SM-5LU96 60-69 years, male 54.2
GTEX-15EO6-2426-SM-6PALZ 50-59 years, male 54.2
GTEX-UPK5-0426-SM-3GAEK 40-49 years, male 54.2
GTEX-ZVP2-0326-SM-57WBP 50-59 years, male 54.2
GTEX-15RJ7-2126-SM-6PAMD 40-49 years, male 54.1
GTEX-1CAV2-0126-SM-7IGN7 40-49 years, female 53.8
GTEX-13NZ9-2626-SM-5L3FK 50-59 years, male 53.7
GTEX-17HGU-2326-SM-7DUFE 50-59 years, male 53.7
GTEX-18D9B-0926-SM-7LG4U 60-69 years, male 53.7
GTEX-1GTWX-2026-SM-9YFLM 60-69 years, male 53.7
GTEX-111YS-1526-SM-5GZYW 60-69 years, male 53.6
GTEX-1399R-1326-SM-5PNYS 30-39 years, male 53.6
GTEX-1CB4E-0926-SM-7EPHT 60-69 years, male 53.6
GTEX-XMD2-2126-SM-4YCF8 60-69 years, female 53.6
GTEX-1I19N-0126-SM-CYPSF 70-79 years, male 53.6
GTEX-XOT4-0626-SM-4B66L 60-69 years, female 53.5
GTEX-1CAMQ-1326-SM-7P8RV 40-49 years, male 53.5
GTEX-1JJ6O-2726-SM-CNPOG 60-69 years, male 53.5
GTEX-145LT-0526-SM-5LUB2 40-49 years, male 53.4
GTEX-16BQI-1326-SM-6M486 30-39 years, female 53.4
GTEX-X4EP-0626-SM-3P621 60-69 years, female 53.4
GTEX-1HGF4-0126-SM-CNPPX 60-69 years, male 53.4
GTEX-1NV5F-0626-SM-DTXEG 60-69 years, female 53.3
GTEX-11GS4-0226-SM-5HL77 60-69 years, male 53.2
GTEX-1HCU8-2526-SM-CE6RX 60-69 years, female 53.2
GTEX-1IDJF-2026-SM-CL53V 20-29 years, male 53.2
GTEX-1IE54-1126-SM-A9G2Z 40-49 years, female 53.2
GTEX-12WSM-1926-SM-5BC65 60-69 years, male 53.1
GTEX-YF7O-1526-SM-5IFI6 50-59 years, male 53.1
GTEX-1H3VE-0726-SM-9YFL5 40-49 years, male 53.1
GTEX-ZPIC-0526-SM-DO91W 40-49 years, female 53.1
GTEX-12WSF-1626-SM-7KUG5 70-79 years, male 53.0
GTEX-145MI-0626-SM-5SI8S 60-69 years, female 53.0
GTEX-1RAZA-2226-SM-E9U4X 20-29 years, male 53.0
GTEX-ZDYS-2426-SM-4WKGI 50-59 years, male 52.8
GTEX-1GN2E-0226-SM-9WG6K 60-69 years, male 52.8
GTEX-1IDJE-1426-SM-ADEIW 50-59 years, female 52.8
GTEX-14753-0726-SM-5QGQO 60-69 years, male 52.7
GTEX-1122O-1026-SM-9WYSF 60-69 years, female 52.7
GTEX-13OVJ-0826-SM-5J1OK 50-59 years, female 52.6
GTEX-1AX8Z-0726-SM-73KTS 60-69 years, male 52.6
GTEX-WHWD-1826-SM-3LK6I 50-59 years, male 52.6
GTEX-1JMQI-1726-SM-ARL93 50-59 years, male 52.6
GTEX-1GN1U-0626-SM-9MQL9 50-59 years, female 52.5
GTEX-1LG7Z-1626-SM-CXKYR 30-39 years, male 52.5
GTEX-XPVG-2126-SM-4B667 50-59 years, male 52.4
GTEX-14PKV-1126-SM-6LLJ1 20-29 years, female 52.3
GTEX-1HCU9-0426-SM-9WYSD 20-29 years, male 52.3
GTEX-14PJ5-1526-SM-6LLIL 60-69 years, female 52.1
GTEX-1S831-1826-SM-EWROF 20-29 years, male 52.1
GTEX-ZZ64-1026-SM-5GZXG 20-29 years, male 52.0
GTEX-1KANC-1226-SM-CYPT7 50-59 years, female 51.9
GTEX-111CU-1126-SM-5EGIM 50-59 years, male 51.8
GTEX-139YR-1026-SM-5LZYN 50-59 years, male 51.8
GTEX-13OVG-1626-SM-5J1NF 60-69 years, male 51.8
GTEX-14E6C-2426-SM-5S2NF 40-49 years, male 51.8
GTEX-14E6E-0526-SM-793DN 30-39 years, male 51.8
GTEX-15UF6-1926-SM-7KUDV 70-79 years, female 51.8
GTEX-ZUA1-2626-SM-5NQ92 40-49 years, male 51.8
GTEX-1F5PL-0926-SM-7PC2W 40-49 years, female 51.8
GTEX-1GPI6-1926-SM-9KNV7 60-69 years, male 51.8
GTEX-1C6VR-0126-SM-7RHGB 60-69 years, male 51.7
GTEX-1RLM8-2926-SM-E8VON 50-59 years, male 51.7
GTEX-14C5O-0326-SM-5ZZUX 60-69 years, male 51.6
GTEX-1JKYN-0826-SM-ARU8S 30-39 years, male 51.6
GTEX-14PHX-2226-SM-6EU2P 50-59 years, male 51.5
GTEX-1C6VQ-1226-SM-73KYD 50-59 years, male 51.5
GTEX-XBED-1926-SM-47JYP 60-69 years, male 51.5
GTEX-1LSNM-0826-SM-DIPG8 50-59 years, male 51.5
GTEX-14DAQ-0626-SM-793DS 60-69 years, female 51.3
GTEX-18QFQ-1826-SM-72D52 30-39 years, male 51.3
GTEX-1R46S-2426-SM-E76QA 60-69 years, female 51.3
GTEX-1212Z-0126-SM-59HK4 60-69 years, male 51.2
GTEX-13FLV-0126-SM-5K7WT 50-59 years, male 51.2
GTEX-14AS3-1526-SM-5Q5ED 40-49 years, female 51.2
GTEX-1KWVE-1026-SM-D3L9O 30-39 years, male 51.2
GTEX-1HSKV-1226-SM-ADEI4 60-69 years, male 51.1
GTEX-1JN6P-2926-SM-CL54D 60-69 years, male 50.9
GTEX-12WSA-0426-SM-5EQ5X 60-69 years, male 50.8
GTEX-12ZZY-0726-SM-5EQ66 60-69 years, male 50.8
GTEX-12ZZZ-0726-SM-5GCNZ 60-69 years, male 50.8
GTEX-15CHQ-0326-SM-69LQD 60-69 years, male 50.8
GTEX-1I1GT-1026-SM-ARZLV 60-69 years, female 50.8
GTEX-1K2DA-1026-SM-CGQGF 50-59 years, male 50.7
GTEX-1LGOU-1326-SM-D3L8M 20-29 years, female 50.7
GTEX-12KS4-2126-SM-5FQUT 30-39 years, male 50.6
GTEX-ZTSS-1426-SM-5985P 40-49 years, male 50.4
GTEX-11ZU8-0126-SM-5EQ58 60-69 years, male 50.3
GTEX-1AMEY-0826-SM-72D65 30-39 years, female 50.2
GTEX-1F52S-2926-SM-7MKGA 60-69 years, female 50.1
GTEX-13FH7-1126-SM-5K7UG 50-59 years, female 50.0
GTEX-1HCU7-0726-SM-A9SL1 50-59 years, male 50.0
GTEX-1I6K7-1926-SM-B2LXR 40-49 years, male 50.0
GTEX-13113-1626-SM-5EQ4I 60-69 years, female 49.9
GTEX-ZZPU-0826-SM-5GZX5 50-59 years, female 49.9
GTEX-1IDJV-0126-SM-COH3Y 60-69 years, male 49.6
GTEX-16AAH-0626-SM-793C9 50-59 years, male 49.5
GTEX-1H1DE-1326-SM-9KNUG 20-29 years, male 49.5
GTEX-11EI6-2826-SM-5H11D 60-69 years, male 49.4
GTEX-18D9U-0126-SM-731BM 40-49 years, male 49.4
GTEX-145LU-1926-SM-79OJN 50-59 years, male 49.3
GTEX-1AMFI-1326-SM-7939R 50-59 years, female 49.2
GTEX-Y3IK-1626-SM-4YCF5 50-59 years, female 49.2
GTEX-1GF9W-1426-SM-7PBYM 60-69 years, male 49.2
GTEX-1EH9U-2826-SM-7DUGT 60-69 years, male 49.1
GTEX-X8HC-0626-SM-4E3HQ 50-59 years, female 49.1
GTEX-13N1W-2426-SM-5IJD1 70-79 years, male 49.0
GTEX-1H1E6-0426-SM-9WYUS 30-39 years, male 49.0
GTEX-1K9T9-1526-SM-DIPFR 50-59 years, female 49.0
GTEX-146FQ-2126-SM-5RQHU 30-39 years, male 48.9
GTEX-11ZTT-2126-SM-5CVLO 60-69 years, female 48.8
GTEX-1HCVE-2726-SM-CL54F 50-59 years, male 48.8
GTEX-1JJE9-2626-SM-ARZMT 70-79 years, male 48.8
GTEX-11EQ8-0926-SM-5H12V 60-69 years, male 48.7
GTEX-1AX9I-2226-SM-73KUO 60-69 years, male 48.7
GTEX-11TT1-1826-SM-5EQLV 20-29 years, male 48.6
GTEX-1IDJD-2326-SM-ACKWX 30-39 years, male 48.6
GTEX-1314G-1326-SM-5BC6E 30-39 years, male 48.5
GTEX-13QJC-0126-SM-5ZZWJ 60-69 years, female 48.5
GTEX-1IDJI-0126-SM-CMKHS 50-59 years, female 48.5
GTEX-1KXAM-1626-SM-D3LAD 60-69 years, male 48.5
GTEX-1GMR2-0826-SM-7PC3V 50-59 years, male 48.4
GTEX-15D1Q-2826-SM-6LLH7 40-49 years, male 48.3
GTEX-13YAN-0226-SM-5TDC6 60-69 years, male 48.2
GTEX-12696-0126-SM-5EQ4L 60-69 years, male 48.1
GTEX-17MF6-2626-SM-79OKQ 40-49 years, male 48.1
GTEX-12WSL-2026-SM-5GCML 50-59 years, male 47.9
GTEX-13N11-2326-SM-5IJBF 50-59 years, female 47.8
GTEX-UPJH-0226-SM-3GADV 50-59 years, male 47.8
GTEX-1GF9U-2026-SM-7SB92 40-49 years, female 47.8
GTEX-1GMR8-0626-SM-7RHI7 50-59 years, female 47.7
GTEX-1269C-0126-SM-5EQ5L 60-69 years, female 47.6
GTEX-17JCI-2926-SM-7DUFF 60-69 years, female 47.6
GTEX-1EU9M-1426-SM-793AI 60-69 years, male 47.6
GTEX-1JMPY-0226-SM-CKZOK 30-39 years, male 47.6
GTEX-ZT9W-1126-SM-57WDR 50-59 years, male 47.5
GTEX-13X6J-0626-SM-5LU5F 50-59 years, male 47.4
GTEX-1CB4F-1026-SM-7DUH1 60-69 years, male 47.3
GTEX-WY7C-2126-SM-3NB2R 50-59 years, male 47.3
GTEX-1HKZK-0726-SM-ACKW2 40-49 years, male 47.3
GTEX-1497J-0226-SM-5QGPU 60-69 years, male 47.2
GTEX-ZGAY-1826-SM-DO91Q 40-49 years, female 47.2
GTEX-Y8E4-2026-SM-5IFJB 40-49 years, male 47.0
GTEX-ZYY3-2926-SM-5GIEB 60-69 years, female 47.0
GTEX-1HSMO-0626-SM-ACKXC 60-69 years, male 46.9
GTEX-117YX-1926-SM-5GIEC 50-59 years, male 46.8
GTEX-16MT8-2926-SM-7DUFO 60-69 years, female 46.8
GTEX-17HII-1426-SM-7EPGG 50-59 years, male 46.8
GTEX-13N2G-0226-SM-5K7VF 60-69 years, male 46.7
GTEX-1CAMS-2226-SM-7PBXQ 40-49 years, female 46.7
GTEX-1GN1W-2426-SM-9KNUU 50-59 years, female 46.7
GTEX-1HFI7-2326-SM-CGQFS 50-59 years, female 46.7
GTEX-13FHO-0426-SM-5L3F5 60-69 years, male 46.6
GTEX-1C475-1326-SM-7SB73 40-49 years, female 46.5
GTEX-Y9LG-1126-SM-4VBQ7 30-39 years, male 46.4
GTEX-1H3NZ-2726-SM-9WYTQ 60-69 years, male 46.4
GTEX-1F6RS-2026-SM-7RHHC 60-69 years, female 46.2
GTEX-1HSGN-0826-SM-ACKW3 40-49 years, female 46.2
GTEX-14PJN-1826-SM-6AJ98 30-39 years, male 46.1
GTEX-W5X1-2526-SM-3GILC 40-49 years, female 46.1
GTEX-1HUB1-1426-SM-CGQF5 60-69 years, male 46.1
GTEX-147F3-1726-SM-5SIAW 50-59 years, female 46.0
GTEX-15EU6-2226-SM-6EU2L 50-59 years, male 46.0
GTEX-18A7A-0126-SM-731AH 50-59 years, female 46.0
GTEX-WYVS-1626-SM-3NM9R 40-49 years, female 46.0
GTEX-1J8Q3-0526-SM-ARL8U 60-69 years, male 46.0
GTEX-ZDTT-0426-SM-4WKFL 60-69 years, male 45.8
GTEX-1J8Q2-2626-SM-ACKWQ 60-69 years, male 45.8
GTEX-178AV-1726-SM-7KUL8 40-49 years, male 45.7
GTEX-1A32A-0626-SM-731AQ 50-59 years, female 45.7
GTEX-ZYFC-0426-SM-5GICQ 50-59 years, male 45.6
GTEX-14B4R-1326-SM-5Q5EZ 30-39 years, male 45.5
GTEX-12BJ1-0926-SM-5EQ62 60-69 years, male 45.4
GTEX-ZC5H-1526-SM-5HL9Y 40-49 years, female 45.1
GTEX-14PJ2-0626-SM-6LLII 50-59 years, male 44.9
GTEX-1IY9M-2826-SM-ARU8H 60-69 years, male 44.9
GTEX-147JS-0226-SM-5S2U9 60-69 years, male 44.8
GTEX-ZVE2-2826-SM-5GU51 50-59 years, male 44.6
GTEX-14PJO-2526-SM-6AJBQ 60-69 years, male 44.4
GTEX-1I1GS-2626-SM-B2LY3 60-69 years, male 44.3
GTEX-XUW1-0926-SM-4BONX 50-59 years, female 44.1
GTEX-14PJ4-0226-SM-5YY92 60-69 years, male 44.0
GTEX-1QCLZ-2426-SM-EVYBW 60-69 years, female 44.0
GTEX-X3Y1-2026-SM-3P5YM 40-49 years, male 43.9
GTEX-1GL5R-1326-SM-7RHHF 50-59 years, male 43.8
GTEX-ZLWG-0826-SM-59888 50-59 years, female 43.7
GTEX-1H23P-0626-SM-9WG6T 60-69 years, male 43.7
GTEX-1477Z-0326-SM-7IGLA 60-69 years, male 43.4
GTEX-11EM3-1226-SM-5N9DD 20-29 years, female 43.3
GTEX-13D11-0926-SM-5J2NC 50-59 years, female 43.0
GTEX-11P82-1426-SM-DTXFY 20-29 years, male 43.0
GTEX-13QBU-1226-SM-5LU4G 40-49 years, female 42.7
GTEX-11NSD-0626-SM-5A5LU 20-29 years, male 42.6
GTEX-ZVT2-0126-SM-5GIDQ 50-59 years, female 42.5
GTEX-WFG8-2126-SM-3GIKQ 20-29 years, male 42.3
GTEX-ZAB4-2126-SM-5HL8U 40-49 years, male 42.2
GTEX-1RAZR-2126-SM-E9U6T 40-49 years, male 42.1
GTEX-VJYA-1526-SM-3GIJV 60-69 years, male 42.0
GTEX-1I4MK-0126-SM-CY8G6 50-59 years, female 41.8
GTEX-1IDJU-1726-SM-CMKHU 60-69 years, female 41.8
GTEX-13PVR-0426-SM-5RQK2 60-69 years, female 41.6
GTEX-13U4I-2226-SM-5LU5H 40-49 years, female 41.4
GTEX-16NGA-0726-SM-731AO 40-49 years, female 40.9
GTEX-11P7K-1126-SM-5HL4L 30-39 years, male 40.7
GTEX-15FZZ-0526-SM-7KUGD 30-39 years, female 40.7
GTEX-WEY5-2326-SM-3GIKK 40-49 years, female 40.7
GTEX-1HBPM-0726-SM-9YFL7 60-69 years, female 40.6
GTEX-13JUV-2026-SM-5K7UA 40-49 years, female 40.4
GTEX-14JG6-1426-SM-9WG7C 30-39 years, female 40.4
GTEX-1HSMQ-2626-SM-A9SML 50-59 years, male 39.9
GTEX-WHPG-2626-SM-3NMBR 50-59 years, male 39.8
GTEX-Y5V5-0126-SM-5S2NW 60-69 years, female 39.8
GTEX-13X6H-0926-SM-5SIB2 50-59 years, female 39.6
GTEX-1211K-1526-SM-5FQU4 60-69 years, female 39.0
GTEX-V1D1-2026-SM-3GAF4 50-59 years, male 39.0
GTEX-14BMU-1226-SM-5S2OR 20-29 years, female 38.1
GTEX-WYBS-0626-SM-3NMAS 60-69 years, female 37.9
GTEX-Y8LW-1526-SM-5IFHL 50-59 years, female 37.4
GTEX-11LCK-2226-SM-5HL4Q 30-39 years, male 36.5
GTEX-ZA64-1026-SM-5HL8R 20-29 years, male 36.5
GTEX-131XF-2626-SM-5EQ6K 60-69 years, male 35.8
GTEX-12C56-1526-SM-5FQUQ 20-29 years, male 33.4
Show allShow less
Skin - Sun Exposed (Lower leg)
Average nTPM: 53.3
Samples: 701

Max nTPM: 186.3
Min nTPM: 27.3
Std nTPM: 12.3
Median nTPM: 51.9
GTEX-POMQ-2226-SM-2I5FK 20-29 years, female 186.3
GTEX-X4XY-0226-SM-4E3IZ 60-69 years, male 122.8
GTEX-ZVZO-0126-SM-5A5L9 40-49 years, male 105.6
GTEX-W5X1-3026-SM-EAZAX 40-49 years, female 102.1
GTEX-ZU9S-0226-SM-5E441 30-39 years, male 100.8
GTEX-15SB6-1726-SM-6PAME 50-59 years, female 96.2
GTEX-O5YT-0126-SM-48TBW 20-29 years, male 93.5
GTEX-U8XE-0326-SM-3DB8P 30-39 years, male 93.2
GTEX-RVPV-0126-SM-EAZAW 60-69 years, male 89.9
GTEX-139UW-2826-SM-5L3E7 60-69 years, male 88.3
GTEX-1MJK2-0426-SM-DTXE5 50-59 years, male 86.0
GTEX-Y5V6-2426-SM-4VDSB 60-69 years, male 84.2
GTEX-183WM-0126-SM-7LTAB 70-79 years, female 83.4
GTEX-1KD4Q-0226-SM-E9TJ9 40-49 years, male 82.6
GTEX-1R9PM-2026-SM-E76OY 20-29 years, male 81.0
GTEX-1R9K4-0126-SM-DTX9X 60-69 years, male 80.8
GTEX-QESD-1426-SM-2S1R9 20-29 years, male 79.9
GTEX-1A3MX-0126-SM-731BR 60-69 years, male 79.2
GTEX-12WSL-2526-SM-5GCNJ 50-59 years, male 78.4
GTEX-14PK6-1926-SM-6ETZU 70-79 years, female 78.0
GTEX-1JMQL-0226-SM-CNPP5 50-59 years, female 77.6
GTEX-15UKP-0426-SM-7KUFQ 20-29 years, male 77.5
GTEX-1HSMP-0126-SM-E6CJS 70-79 years, male 76.7
GTEX-ZWKS-0126-SM-5SIAA 30-39 years, male 75.3
GTEX-1N2DW-0226-SM-E9TK2 50-59 years, male 74.9
GTEX-1B8SF-1426-SM-7DUGL 60-69 years, male 74.5
GTEX-ZVTK-0426-SM-51MRS 20-29 years, male 74.3
GTEX-1HR98-0126-SM-B2LWI 60-69 years, male 74.3
GTEX-1RQEC-0426-SM-E6CHU 60-69 years, male 74.2
GTEX-11O72-0126-SM-59887 40-49 years, male 74.1
GTEX-WVJS-0126-SM-4MVOT 50-59 years, male 73.9
GTEX-Y3IK-2426-SM-4WWDU 50-59 years, female 73.7
GTEX-12126-0326-SM-5PNW3 20-29 years, male 73.3
GTEX-OHPL-0126-SM-2HMJ7 60-69 years, female 73.3
GTEX-1399U-2326-SM-5K7WY 50-59 years, female 73.0
GTEX-14XAO-2326-SM-6EU1B 60-69 years, female 72.9
GTEX-1192W-2626-SM-5Q5AF 60-69 years, male 72.0
GTEX-15ER7-0326-SM-7KUEV 20-29 years, female 71.9
GTEX-1GZ2Q-0226-SM-7P8TL 40-49 years, male 71.8
GTEX-1I1GV-0526-SM-A9G29 60-69 years, male 71.6
GTEX-1L5NE-2526-SM-E6CIE 50-59 years, male 71.5
GTEX-OIZG-0726-SM-33HBL 50-59 years, male 71.1
GTEX-14E6E-1826-SM-5S2R7 30-39 years, male 71.0
GTEX-17JCI-0126-SM-7LG5G 60-69 years, female 70.9
GTEX-11WQK-0526-SM-5EQLD 50-59 years, male 70.7
GTEX-11DXW-0226-SM-5H122 40-49 years, male 70.1
GTEX-1K2DU-2326-SM-E9TIV 20-29 years, male 70.1
GTEX-14A5H-0426-SM-5QGQF 60-69 years, male 70.0
GTEX-1GMR3-1926-SM-9KNUZ 40-49 years, male 70.0
GTEX-1PIIG-0226-SM-EWRN6 30-39 years, male 69.9
GTEX-X88G-0126-SM-47JZ3 30-39 years, male 69.6
GTEX-111VG-2426-SM-5GZXD 60-69 years, male 69.4
GTEX-13G51-2526-SM-5LZYK 60-69 years, male 69.2
GTEX-1EWIQ-0126-SM-7RHH2 70-79 years, female 68.9
GTEX-1IDFM-0126-SM-COH2V 60-69 years, male 68.9
GTEX-146FH-0126-SM-5QGPP 50-59 years, female 68.4
GTEX-XAJ8-0826-SM-47JY6 40-49 years, male 68.4
GTEX-13OW6-0426-SM-5L3HM 50-59 years, male 68.3
GTEX-145MF-0626-SM-5LUAI 50-59 years, male 68.1
GTEX-1GN2E-0426-SM-9MQKX 60-69 years, male 68.1
GTEX-S33H-1026-SM-EZ6L6 30-39 years, male 67.8
GTEX-18A67-0126-SM-7LG5P 50-59 years, male 67.7
GTEX-Y8DK-0126-SM-4TT3L 60-69 years, male 67.7
GTEX-XBEW-0626-SM-4QASP 40-49 years, male 67.5
GTEX-Z93S-0126-SM-5HL7M 50-59 years, male 67.0
GTEX-1HFI6-0226-SM-ADEHZ 40-49 years, male 67.0
GTEX-15G19-0126-SM-6PANQ 60-69 years, male 66.9
GTEX-ZYFD-0126-SM-5GIDL 50-59 years, male 66.8
GTEX-XYKS-2126-SM-4E3IB 60-69 years, female 66.7
GTEX-14JG1-0426-SM-6ETZZ 40-49 years, male 66.5
GTEX-13NYS-0126-SM-5MR3W 60-69 years, male 66.4
GTEX-T2IS-0126-SM-4DM6O 20-29 years, female 66.4
GTEX-1J8JJ-0226-SM-CL53I 60-69 years, female 66.4
GTEX-1H1CY-2826-SM-9MQM3 60-69 years, female 66.3
GTEX-13IVO-0126-SM-5J1NG 70-79 years, male 66.2
GTEX-ZE7O-0126-SM-57WC1 50-59 years, female 66.2
GTEX-14E6D-0126-SM-62LDV 50-59 years, male 66.1
GTEX-1IKJJ-0126-SM-CNPQB 60-69 years, male 66.1
GTEX-1JJ6O-0126-SM-E6CI8 60-69 years, male 66.1
GTEX-1JJEA-0326-SM-CNPOT 60-69 years, male 66.1
GTEX-1JMQK-0226-SM-CL543 60-69 years, male 66.1
GTEX-18A7A-0226-SM-718BH 50-59 years, female 66.0
GTEX-XUZC-1726-SM-4BRWS 30-39 years, female 65.8
GTEX-1LBAC-0126-SM-DIPEZ 20-29 years, male 65.7
GTEX-1OFPY-2426-SM-DTXEJ 60-69 years, male 65.7
GTEX-14BMV-0126-SM-5S2PO 50-59 years, male 65.6
GTEX-T2YK-0526-SM-32QPJ 50-59 years, male 65.6
GTEX-X8HC-0126-SM-4E3JW 50-59 years, female 65.4
GTEX-1RLM8-2326-SM-EWRN4 50-59 years, male 65.3
GTEX-X585-0226-SM-4QAS2 50-59 years, male 65.2
GTEX-1HCU6-0126-SM-CL54K 60-69 years, female 65.2
GTEX-117YW-2626-SM-5GZZH 50-59 years, male 65.1
GTEX-13O3Q-2426-SM-5IJBR 50-59 years, male 65.1
GTEX-1LB8K-0226-SM-EWRNW 50-59 years, male 65.1
GTEX-117XS-2726-SM-5N9BL 60-69 years, male 64.9
GTEX-1KANB-0526-SM-E6CJH 50-59 years, male 64.9
GTEX-18465-0126-SM-731BN 50-59 years, male 64.5
GTEX-1ICG6-2526-SM-CGQFZ 70-79 years, female 64.5
GTEX-1J8Q2-0526-SM-CM2RW 60-69 years, male 64.4
GTEX-13RTJ-2426-SM-5S2Q2 60-69 years, male 64.3
GTEX-1O97I-0326-SM-EYYX7 60-69 years, male 64.1
GTEX-11DYG-0126-SM-59883 60-69 years, male 64.0
GTEX-1IDJH-0326-SM-A9SLQ 70-79 years, male 64.0
GTEX-1IOXB-0126-SM-ARL8G 50-59 years, male 64.0
GTEX-1B8L1-2526-SM-9WYTF 60-69 years, male 63.9
GTEX-U8T8-0126-SM-3DB94 60-69 years, male 63.8
GTEX-132NY-0326-SM-5IJBL 60-69 years, male 63.7
GTEX-Q734-1926-SM-2I5EV 40-49 years, female 63.7
GTEX-1F75A-0126-SM-7RHGM 50-59 years, male 63.7
GTEX-1C64N-0126-SM-793D7 50-59 years, male 63.6
GTEX-1HBPN-0226-SM-9YFM1 50-59 years, male 63.5
GTEX-NPJ8-0126-SM-2YUNR 40-49 years, male 63.4
GTEX-1122O-2126-SM-5EGIR 60-69 years, female 63.3
GTEX-145MO-0326-SM-5Q5B3 60-69 years, male 63.3
GTEX-17KNJ-2326-SM-7DHLQ 50-59 years, male 63.3
GTEX-11OC5-0126-SM-5HL6A 60-69 years, male 62.8
GTEX-XQ3S-1526-SM-4BOOC 20-29 years, male 62.8
GTEX-ZYT6-0226-SM-5NQ6T 30-39 years, male 62.8
GTEX-1B933-0126-SM-7PC29 50-59 years, female 62.7
GTEX-12584-0126-SM-5EGKQ 40-49 years, male 62.6
GTEX-12WSE-0526-SM-793B2 20-29 years, male 62.4
GTEX-13OVH-0126-SM-5MR4B 70-79 years, male 62.4
GTEX-RUSQ-1526-SM-2TF62 50-59 years, male 62.4
GTEX-1EKGG-0226-SM-9WYTH 60-69 years, male 62.4
GTEX-144GN-2326-SM-5LU4F 50-59 years, male 62.3
GTEX-14PII-0226-SM-6EU1T 60-69 years, male 62.3
GTEX-1M4P7-0226-SM-DIPEV 60-69 years, male 62.3
GTEX-13NYB-2526-SM-5K7Z6 40-49 years, male 62.2
GTEX-1GF9V-0326-SM-7RHI5 60-69 years, male 62.2
GTEX-13OVK-2026-SM-7KUEO 40-49 years, male 62.0
GTEX-1EMGI-0126-SM-9KNUE 60-69 years, male 62.0
GTEX-111FC-0126-SM-5N9DL 60-69 years, male 61.9
GTEX-14PJM-0226-SM-62LF1 50-59 years, female 61.9
GTEX-1QPFJ-0226-SM-E76PB 30-39 years, female 61.9
GTEX-13RTK-1426-SM-5QGQJ 20-29 years, male 61.8
GTEX-1GMRU-0126-SM-9YFLV 50-59 years, male 61.7
GTEX-OOBK-0126-SM-2YUND 40-49 years, male 61.6
GTEX-1A32A-0126-SM-718B1 50-59 years, female 61.4
GTEX-OIZH-0126-SM-2HMIS 50-59 years, male 61.4
GTEX-1S82Z-0826-SM-E6CHY 30-39 years, female 61.4
GTEX-13CF3-2426-SM-5IFGX 60-69 years, female 61.3
GTEX-1KANA-0726-SM-D3L9I 20-29 years, male 61.3
GTEX-U412-0426-SM-3DB9O 60-69 years, male 61.2
GTEX-Y114-2426-SM-4TT8A 50-59 years, female 61.2
GTEX-ZE9C-2726-SM-57WB5 60-69 years, male 61.0
GTEX-131XF-5016-SM-7MGWE 60-69 years, male 61.0
GTEX-1I1GU-2226-SM-CGQFA 40-49 years, male 61.0
GTEX-1F7RK-0126-SM-7PC2S 20-29 years, female 60.9
GTEX-11UD1-0126-SM-5PNYG 40-49 years, female 60.8
GTEX-139TS-2826-SM-5J1OO 60-69 years, male 60.8
GTEX-14BIM-0226-SM-7IGLD 60-69 years, female 60.8
GTEX-15CHC-2126-SM-6EU21 60-69 years, female 60.8
GTEX-1CAMS-0426-SM-7P8T2 40-49 years, female 60.8
GTEX-TMZS-0126-SM-3DB9Q 60-69 years, male 60.7
GTEX-XMD2-0126-SM-4YCDU 60-69 years, female 60.7
GTEX-ZVT4-0126-SM-DTXFN 50-59 years, female 60.7
GTEX-1399R-2726-SM-5IJBA 30-39 years, male 60.6
GTEX-XQ8I-0426-SM-4BOPO 50-59 years, male 60.6
GTEX-13PDP-0126-SM-5L3HD 60-69 years, male 60.5
GTEX-13X6I-0626-SM-5QGP9 60-69 years, male 60.5
GTEX-S7SE-0126-SM-2XCD5 50-59 years, male 60.5
GTEX-1MA7X-2226-SM-E6CIY 60-69 years, male 60.3
GTEX-1POEN-0126-SM-EYYXJ 30-39 years, female 60.1
GTEX-PWCY-1826-SM-DHXIZ 20-29 years, female 60.1
GTEX-T6MN-0126-SM-32PLP 50-59 years, male 60.0
GTEX-1LG7Y-0526-SM-DKPQC 50-59 years, male 60.0
GTEX-15EOM-0126-SM-7KUGG 20-29 years, female 59.5
GTEX-1JMQJ-0526-SM-CYPSU 50-59 years, male 59.5
GTEX-131XG-2626-SM-5KM17 50-59 years, female 59.3
GTEX-P4QT-0126-SM-2I3FL 50-59 years, female 59.3
GTEX-QDVN-2026-SM-3GAEP 50-59 years, male 59.3
GTEX-11DXX-2426-SM-5GZZW 60-69 years, female 59.2
GTEX-ZAK1-0126-SM-5IJD3 50-59 years, female 59.0
GTEX-183FY-0126-SM-7LT9P 20-29 years, male 58.9
GTEX-145LS-0126-SM-5QGP1 60-69 years, female 58.7
GTEX-11H98-0126-SM-5EGHG 50-59 years, male 58.6
GTEX-Z9EW-1626-SM-5CVMN 40-49 years, male 58.6
GTEX-WZTO-0126-SM-3NM95 40-49 years, male 58.5
GTEX-1GF9W-0326-SM-9KNUN 60-69 years, male 58.5
GTEX-SIU8-0126-SM-2XCDT 50-59 years, male 58.4
GTEX-UJHI-1526-SM-3DB99 50-59 years, female 58.4
GTEX-16XZY-2126-SM-79OK1 70-79 years, male 58.3
GTEX-1E2YA-0126-SM-9KNUC 50-59 years, male 58.3
GTEX-1LSNM-1926-SM-E6CII 50-59 years, male 58.3
GTEX-13112-2826-SM-5DUWH 50-59 years, male 58.2
GTEX-14PN4-0126-SM-6EU2V 50-59 years, male 58.2
GTEX-XUYS-0126-SM-47JWZ 50-59 years, male 58.2
GTEX-1LG7Z-1726-SM-D3LA4 30-39 years, male 58.2
GTEX-13OVL-0226-SM-5L3E9 50-59 years, male 58.1
GTEX-14BIN-0626-SM-793DP 50-59 years, female 58.1
GTEX-16BQI-0226-SM-7KUEX 30-39 years, female 58.1
GTEX-1EX96-1626-SM-7PBXR 50-59 years, male 58.1
GTEX-131YS-0126-SM-5KM1M 60-69 years, female 58.0
GTEX-15UF6-0826-SM-6PALJ 70-79 years, female 58.0
GTEX-ZDXO-3026-SM-5J1N5 60-69 years, male 57.9
GTEX-1C6VQ-0126-SM-7P8RI 50-59 years, male 57.9
GTEX-139T8-0126-SM-5K7XZ 60-69 years, male 57.8
GTEX-P4PQ-0126-SM-2S1NM 60-69 years, male 57.8
GTEX-X4EP-0126-SM-3P5YV 60-69 years, female 57.8
GTEX-1KWVE-1426-SM-E9TJO 30-39 years, male 57.8
GTEX-11NUK-0126-SM-5A5L3 50-59 years, male 57.7
GTEX-12ZZZ-0626-SM-5DUXI 60-69 years, male 57.7
GTEX-1QMI2-0226-SM-EVYBX 60-69 years, male 57.7
GTEX-147F4-0226-SM-5QGPW 50-59 years, male 57.6
GTEX-14E6C-0126-SM-5RQIP 40-49 years, male 57.6
GTEX-WI4N-1026-SM-3LK7N 40-49 years, female 57.5
GTEX-1B8SG-0126-SM-73KZ3 50-59 years, male 57.4
GTEX-PWO3-1526-SM-48TCM 60-69 years, female 57.4
GTEX-1HCVE-0126-SM-CGQEU 50-59 years, male 57.4
GTEX-1IDJF-0126-SM-CM2RS 20-29 years, male 57.4
GTEX-1PBJI-0526-SM-E8VNK 20-29 years, female 57.4
GTEX-139D8-0226-SM-5KLZO 30-39 years, female 57.3
GTEX-14ICK-0226-SM-6EU25 40-49 years, male 57.3
GTEX-1F5PL-0326-SM-7P8PQ 40-49 years, female 57.3
GTEX-11DXZ-2326-SM-5EGGV 50-59 years, male 57.2
GTEX-18A6Q-0126-SM-731BZ 60-69 years, male 57.2
GTEX-VUSG-2526-SM-4KL1V 50-59 years, male 57.2
GTEX-1C6WA-0126-SM-7PC2B 60-69 years, male 57.2
GTEX-1GN73-0226-SM-9WG67 60-69 years, male 57.1
GTEX-1JKYR-0126-SM-CNPOJ 20-29 years, male 57.1
GTEX-131XH-2226-SM-5DUXJ 50-59 years, male 57.0
GTEX-1AX8Z-0126-SM-7DHM6 60-69 years, male 57.0
GTEX-11TT1-2526-SM-5EGIB 20-29 years, male 56.9
GTEX-145MI-0526-SM-5O9A8 60-69 years, female 56.9
GTEX-17F98-0626-SM-79OMX 40-49 years, female 56.9
GTEX-ZVZP-2426-SM-59HKJ 50-59 years, male 56.9
GTEX-1GZHY-0326-SM-9QEHI 50-59 years, female 56.9
GTEX-1I1GP-2226-SM-CGQFK 50-59 years, male 56.9
GTEX-1MCYP-1926-SM-E9J2R 20-29 years, female 56.9
GTEX-1RAZA-0126-SM-E6CI3 20-29 years, male 56.9
GTEX-11UD2-0226-SM-5EQKY 50-59 years, male 56.8
GTEX-ZDYS-2026-SM-5HL5L 50-59 years, male 56.8
GTEX-1PDJ9-0326-SM-DTX95 20-29 years, male 56.8
GTEX-1399T-2826-SM-5KLYZ 60-69 years, male 56.7
GTEX-13VXU-0126-SM-5SI9F 50-59 years, male 56.7
GTEX-1N2DV-0226-SM-E6CJ6 40-49 years, male 56.7
GTEX-146FQ-0126-SM-5NQA9 30-39 years, male 56.6
GTEX-16GPK-0126-SM-7DHLE 60-69 years, male 56.6
GTEX-YFC4-0126-SM-5CVLY 40-49 years, female 56.6
GTEX-1CB4J-0626-SM-7DHMP 60-69 years, male 56.4
GTEX-WYVS-2126-SM-3NMA3 40-49 years, female 56.3
GTEX-1HSMO-0126-SM-CL547 60-69 years, male 56.3
GTEX-1ICLZ-0126-SM-CKZPO 60-69 years, male 56.3
GTEX-11OF3-2626-SM-5GU7F 60-69 years, male 56.2
GTEX-X4XX-0126-SM-3NMC2 60-69 years, male 56.2
GTEX-14753-0426-SM-5NQAM 60-69 years, male 56.1
GTEX-Y3I4-2126-SM-4TT7C 50-59 years, male 56.1
GTEX-1RB15-2126-SM-E9TIM 60-69 years, male 56.1
GTEX-1GF9X-2026-SM-7PC3A 40-49 years, female 56.0
GTEX-1HSKV-0226-SM-A9SKJ 60-69 years, male 56.0
GTEX-139TT-0126-SM-5K7Y5 60-69 years, male 55.9
GTEX-1CAMR-1926-SM-7EPI2 20-29 years, male 55.9
GTEX-1CAV2-2226-SM-7P8P2 40-49 years, female 55.9
GTEX-17HHY-0126-SM-7LG5D 50-59 years, male 55.8
GTEX-R3RS-0126-SM-3GIJL 40-49 years, female 55.8
GTEX-1J8EW-0126-SM-CJI4F 60-69 years, female 55.8
GTEX-1LVAN-0226-SM-COH3S 50-59 years, female 55.8
GTEX-1212Z-2526-SM-5EGKP 60-69 years, male 55.7
GTEX-13OW5-0126-SM-DTXFS 60-69 years, male 55.7
GTEX-1EU9M-0226-SM-7P8SP 60-69 years, male 55.6
GTEX-1JN1M-0326-SM-CYPT3 60-69 years, female 55.5
GTEX-13N1W-0126-SM-5K7VT 70-79 years, male 55.4
GTEX-1497J-2426-SM-7IGNX 60-69 years, male 55.4
GTEX-145ME-1826-SM-5SI9G 40-49 years, female 55.3
GTEX-145MN-2226-SM-5SIAU 30-39 years, male 55.3
GTEX-WY7C-2326-SM-3NB2U 50-59 years, male 55.3
GTEX-1F6RS-0126-SM-9MQKZ 60-69 years, female 55.3
GTEX-1KD5A-0226-SM-D5OV3 50-59 years, male 55.3
GTEX-ZF29-2326-SM-DO92K 60-69 years, female 55.3
GTEX-144FL-0126-SM-5TDC8 50-59 years, male 55.2
GTEX-145LU-0126-SM-5TDCB 50-59 years, male 55.2
GTEX-YJ89-0126-SM-4TT3X 60-69 years, male 55.2
GTEX-1PIGE-0126-SM-EVYBJ 20-29 years, male 55.2
GTEX-1QEPI-0126-SM-EWRMQ 60-69 years, female 55.2
GTEX-1H1DG-0126-SM-9WYU2 70-79 years, male 55.1
GTEX-12ZZY-0226-SM-5LZVE 60-69 years, male 54.9
GTEX-P4PP-0126-SM-3LK69 30-39 years, female 54.9
GTEX-1M5QR-1226-SM-EWROB 40-49 years, male 54.9
GTEX-13NZ8-0826-SM-5MR3I 60-69 years, female 54.8
GTEX-145LV-2126-SM-5LU8N 50-59 years, male 54.8
GTEX-169BO-1326-SM-9MQK2 50-59 years, male 54.8
GTEX-1GPI7-0126-SM-9MQL8 20-29 years, male 54.8
GTEX-12ZZX-0126-SM-5EGK9 40-49 years, female 54.7
GTEX-1OJC3-0126-SM-E76QX 20-29 years, male 54.6
GTEX-11WQC-2526-SM-5CVLE 60-69 years, male 54.5
GTEX-1314G-1526-SM-5EGK2 30-39 years, male 54.5
GTEX-13CF2-2526-SM-5LZYX 60-69 years, male 54.4
GTEX-WFON-2126-SM-3LK7O 40-49 years, male 54.4
GTEX-ZAJG-0126-SM-5HL94 50-59 years, female 54.4
GTEX-1IKOH-0226-SM-COH4E 60-69 years, female 54.3
GTEX-1HCUA-2426-SM-ADEIS 50-59 years, female 54.2
GTEX-SJXC-0126-SM-2XCFF 60-69 years, male 54.1
GTEX-1QP9N-1426-SM-DTXFL 30-39 years, male 54.1
GTEX-YJ8A-0426-SM-5IFID 20-29 years, male 54.0
GTEX-1GN1V-0126-SM-9WPOS 60-69 years, male 54.0
GTEX-1I1GR-0126-SM-CL55F 60-69 years, male 54.0
GTEX-1JMPY-1326-SM-ARL8Y 30-39 years, male 54.0
GTEX-1JMPZ-0226-SM-CNPP1 30-39 years, male 54.0
GTEX-1N2EF-0226-SM-EYYXB 60-69 years, male 54.0
GTEX-13FTX-1826-SM-5J1NX 20-29 years, female 53.9
GTEX-13O21-1426-SM-5K7XI 50-59 years, male 53.9
GTEX-ZVT2-2526-SM-51MT1 50-59 years, female 53.9
GTEX-QV44-1926-SM-2S1RF 50-59 years, male 53.8
GTEX-WYJK-0126-SM-3NMAB 50-59 years, male 53.7
GTEX-1PWST-0226-SM-E76QJ 70-79 years, male 53.7
GTEX-OOBJ-0126-SM-E6CJW 60-69 years, male 53.7
GTEX-13NZB-2526-SM-5J1OM 30-39 years, male 53.6
GTEX-18D9A-1926-SM-7LG6P 30-39 years, female 53.6
GTEX-ZTSS-1926-SM-57WEW 40-49 years, male 53.6
GTEX-ZVE2-0226-SM-59HJB 50-59 years, male 53.6
GTEX-1IL2V-0126-SM-CM2TX 70-79 years, male 53.6
GTEX-11EQ9-2426-SM-5HL5T 30-39 years, male 53.5
GTEX-RTLS-0126-SM-447CA 60-69 years, female 53.5
GTEX-1HT8W-0126-SM-CNPPP 30-39 years, male 53.5
GTEX-1JN6P-0126-SM-D3L98 60-69 years, male 53.5
GTEX-1R46S-0626-SM-E9J41 60-69 years, female 53.5
GTEX-1GTWX-0126-SM-9YFLK 60-69 years, male 53.4
GTEX-QDVJ-1726-SM-2I5FX 50-59 years, male 53.2
GTEX-WQUQ-0426-SM-3MJFU 60-69 years, male 53.2
GTEX-ZGAY-0526-SM-4WWBB 40-49 years, female 53.2
GTEX-1A8FM-0226-SM-7SB7Q 50-59 years, female 53.2
GTEX-1HB9E-0226-SM-E9U4R 50-59 years, male 53.2
GTEX-13N11-2526-SM-5K7UE 50-59 years, female 53.1
GTEX-15DCD-0126-SM-7KUEK 70-79 years, female 53.1
GTEX-XXEK-2226-SM-4BRUM 50-59 years, male 53.1
GTEX-ZZ64-1726-SM-5GZYB 20-29 years, male 53.1
GTEX-ZF3C-0126-SM-DO92D 50-59 years, female 53.1
GTEX-1313W-0126-SM-5LZUN 50-59 years, female 53.0
GTEX-13FXS-0226-SM-5IJCK 50-59 years, male 53.0
GTEX-1LNCM-1126-SM-E9U5E 50-59 years, female 53.0
GTEX-113JC-2326-SM-5EQ4E 50-59 years, female 52.9
GTEX-15DYW-0126-SM-7KULE 60-69 years, female 52.8
GTEX-1H1DE-2126-SM-9WG6R 20-29 years, male 52.7
GTEX-16MT8-0426-SM-7KUEY 60-69 years, female 52.6
GTEX-XV7Q-2526-SM-4BRV9 40-49 years, female 52.5
GTEX-12WSA-0226-SM-5BC5V 60-69 years, male 52.4
GTEX-14LZ3-0226-SM-62LET 60-69 years, female 52.3
GTEX-1AYCT-2426-SM-7IGQ3 50-59 years, male 52.3
GTEX-13SLX-0526-SM-5S2ON 50-59 years, female 52.2
GTEX-ZVT3-0126-SM-5GU6I 60-69 years, female 52.2
GTEX-1LGRB-2526-SM-CNPPQ 50-59 years, female 52.2
GTEX-1MCQQ-0826-SM-DLHC2 60-69 years, male 52.2
GTEX-11DZ1-0126-SM-5985Q 50-59 years, male 52.1
GTEX-15SHW-0326-SM-6PAML 60-69 years, male 52.1
GTEX-1C6VR-2426-SM-79OLD 60-69 years, male 52.0
GTEX-ZDTS-0126-SM-4WAY5 60-69 years, male 52.0
GTEX-1JK1U-2026-SM-CM2RZ 60-69 years, male 52.0
GTEX-1QP67-1626-SM-EAZ3X 40-49 years, female 52.0
GTEX-12WSC-0126-SM-5EQ4P 50-59 years, male 51.9
GTEX-16YQH-0126-SM-7DUFJ 30-39 years, male 51.9
GTEX-ZXES-1826-SM-5E43S 30-39 years, female 51.9
GTEX-14PJ6-2126-SM-6EU1V 60-69 years, female 51.8
GTEX-13S7M-0126-SM-5SI6A 60-69 years, female 51.6
GTEX-13NYC-0326-SM-E9J4S 60-69 years, male 51.6
GTEX-1PPH7-2326-SM-EVYB8 40-49 years, male 51.6
GTEX-TMMY-0226-SM-33HBA 40-49 years, female 51.5
GTEX-1H4P4-0726-SM-9YFLR 50-59 years, male 51.5
GTEX-1128S-2326-SM-5GZZY 60-69 years, female 51.4
GTEX-14PJ3-1826-SM-62LEX 50-59 years, male 51.4
GTEX-ZF2S-2326-SM-4WWCE 50-59 years, female 51.2
GTEX-1I19N-0326-SM-ACKVX 70-79 years, male 51.2
GTEX-SE5C-1626-SM-2XCE3 40-49 years, female 51.2
GTEX-1S3DN-2226-SM-EVYCD 50-59 years, male 51.1
GTEX-13FHP-0126-SM-5IJBG 50-59 years, male 51.0
GTEX-13RTL-0126-SM-7LG5S 40-49 years, male 51.0
GTEX-1QP2A-0126-SM-E9J43 50-59 years, male 51.0
GTEX-1MUQO-0126-SM-EAZ58 60-69 years, male 50.9
GTEX-1R7EU-0226-SM-EVR4G 60-69 years, male 50.9
GTEX-Y5LM-1926-SM-5RQJH 40-49 years, female 50.8
GTEX-1GF9U-2126-SM-7SB7L 40-49 years, female 50.8
GTEX-1HBPI-1526-SM-C1YQ1 50-59 years, male 50.8
GTEX-1IGQW-0126-SM-COH42 60-69 years, male 50.8
GTEX-1HCU8-0626-SM-A9SM9 60-69 years, female 50.7
GTEX-14ABY-0226-SM-5TDCQ 50-59 years, male 50.6
GTEX-ZQUD-1426-SM-57WER 30-39 years, male 50.6
GTEX-1H3VE-0326-SM-9YFLH 40-49 years, male 50.6
GTEX-1K2DA-1826-SM-CGQGT 50-59 years, male 50.6
GTEX-17EVP-0326-SM-7DHLG 40-49 years, male 50.5
GTEX-OXRP-0126-SM-3NB32 60-69 years, female 50.5
GTEX-Z93T-0126-SM-5HL5N 50-59 years, male 50.5
GTEX-1ICLY-0126-SM-D4P36 50-59 years, male 50.5
GTEX-1JMLX-0226-SM-CM2RO 50-59 years, male 50.5
GTEX-133LE-1826-SM-5J1MV 20-29 years, female 50.4
GTEX-1IKK5-0626-SM-ARL8A 60-69 years, male 50.4
GTEX-13VXT-0126-SM-5LU4I 20-29 years, female 50.3
GTEX-1NHNU-1026-SM-E9J2A 50-59 years, male 50.3
GTEX-11ZTS-0126-SM-5EQ6M 60-69 years, female 50.2
GTEX-131XW-0426-SM-5LZWP 50-59 years, female 50.2
GTEX-1CB4I-0226-SM-79OLH 50-59 years, male 50.2
GTEX-117YX-2326-SM-5H12W 50-59 years, male 50.0
GTEX-17F96-1626-SM-7DUFL 70-79 years, male 50.0
GTEX-1J1OQ-0226-SM-CYPSH 40-49 years, female 50.0
GTEX-11DXY-2626-SM-5GIE7 60-69 years, male 49.9
GTEX-1B996-0226-SM-7RHGO 60-69 years, male 49.9
GTEX-13W3W-2426-SM-5LU5B 60-69 years, female 49.8
GTEX-QVJO-1626-SM-2S1QW 60-69 years, female 49.8
GTEX-ZYFG-2326-SM-5E44B 60-69 years, female 49.8
GTEX-1CB4F-0426-SM-9KNV4 60-69 years, male 49.7
GTEX-11GS4-2726-SM-5A5LE 60-69 years, male 49.6
GTEX-13OW7-0126-SM-5MR3B 50-59 years, male 49.6
GTEX-PX3G-0126-SM-2I3EN 20-29 years, female 49.6
GTEX-S7PM-0126-SM-4AD6S 60-69 years, male 49.6
GTEX-SUCS-1926-SM-32PM3 70-79 years, male 49.6
GTEX-T5JW-1626-SM-3GADZ 20-29 years, female 49.6
GTEX-1I1GQ-0126-SM-COH3H 50-59 years, male 49.6
GTEX-1LC47-0326-SM-E9TJP 60-69 years, male 49.6
GTEX-RWSA-0126-SM-2XCBB 40-49 years, male 49.5
GTEX-X4EO-0326-SM-3P5YO 60-69 years, female 49.5
GTEX-1JJE9-0326-SM-CL53Z 70-79 years, male 49.5
GTEX-13113-5016-SM-7EPIP 60-69 years, female 49.4
GTEX-13U4I-0126-SM-5LU38 40-49 years, female 49.4
GTEX-PLZ4-0126-SM-5SI8O 50-59 years, female 49.4
GTEX-ZTPG-0326-SM-5O9AX 20-29 years, female 49.4
GTEX-1192X-0226-SM-5H12D 50-59 years, male 49.3
GTEX-X62O-0126-SM-4E3JN 50-59 years, male 49.3
GTEX-ZV6S-2326-SM-4YCEY 40-49 years, female 49.3
GTEX-1CB4H-0226-SM-7PBXM 60-69 years, female 49.3
GTEX-1RDX4-0126-SM-E9J4P 50-59 years, female 49.3
GTEX-U4B1-1826-SM-4DXSU 40-49 years, male 49.2
GTEX-V1D1-2226-SM-3NMAX 50-59 years, male 49.2
GTEX-11P82-1626-SM-59879 20-29 years, male 49.1
GTEX-139TU-0126-SM-5K7WH 60-69 years, male 49.1
GTEX-18A7B-0126-SM-7LG64 70-79 years, male 49.0
GTEX-1GZ4H-1726-SM-7PBZJ 50-59 years, female 49.0
GTEX-11GSO-2426-SM-5A5LY 60-69 years, male 48.9
GTEX-13PVR-2326-SM-5QGR1 60-69 years, female 48.9
GTEX-WH7G-2326-SM-3NMBC 40-49 years, male 48.9
GTEX-11TTK-0126-SM-5987B 60-69 years, female 48.7
GTEX-12WSD-0126-SM-59HKN 60-69 years, female 48.7
GTEX-144GL-0126-SM-5TDE2 50-59 years, male 48.7
GTEX-145LT-1726-SM-5QGP3 40-49 years, male 48.7
GTEX-1A3MV-1926-SM-718BT 30-39 years, male 48.7
GTEX-Y111-0126-SM-4SOIV 50-59 years, male 48.7
GTEX-TKQ1-1026-SM-4GICL 30-39 years, male 48.6
GTEX-ZV68-0126-SM-59HKS 50-59 years, female 48.6
GTEX-1F6IF-0726-SM-7P8TW 60-69 years, male 48.6
GTEX-1J8Q3-1626-SM-CMKGC 60-69 years, male 48.6
GTEX-X261-0126-SM-3NMD6 50-59 years, male 48.4
GTEX-1S82Y-2026-SM-EVYCM 40-49 years, male 48.4
GTEX-13FHO-0226-SM-5IFGY 60-69 years, male 48.3
GTEX-SSA3-0126-SM-32QPU 60-69 years, male 48.3
GTEX-12WSG-2826-SM-E9J4H 50-59 years, female 48.2
GTEX-1MGNQ-0126-SM-EVYCJ 40-49 years, male 48.2
GTEX-14BMU-2226-SM-5TDE9 20-29 years, female 48.1
GTEX-X638-0126-SM-47JZ8 70-79 years, female 48.1
GTEX-1KXAM-2226-SM-CYPTC 60-69 years, male 48.1
GTEX-ZPIC-1726-SM-DHXIU 40-49 years, female 48.1
GTEX-18QFQ-0126-SM-731BE 30-39 years, male 47.9
GTEX-1A3MW-0126-SM-73KXX 60-69 years, female 47.9
GTEX-1QCLY-0326-SM-E8VOG 30-39 years, male 47.9
GTEX-1S5ZA-0126-SM-EVYCV 20-29 years, male 47.9
GTEX-17MF6-0126-SM-7LG4F 40-49 years, male 47.8
GTEX-ZEX8-2426-SM-4WKG4 50-59 years, male 47.8
GTEX-13O1R-0126-SM-5L3EH 60-69 years, male 47.7
GTEX-YB5K-2126-SM-4WWDJ 40-49 years, female 47.7
GTEX-1C2JI-1826-SM-73KXC 50-59 years, male 47.6
GTEX-1NV5F-0226-SM-E8VNY 60-69 years, female 47.6
GTEX-1S83E-0126-SM-EWRO4 40-49 years, male 47.6
GTEX-14JG6-2226-SM-6EU2G 30-39 years, female 47.5
GTEX-1AX9I-0126-SM-7SB74 60-69 years, male 47.5
GTEX-1GN1U-0126-SM-7PBZK 50-59 years, female 47.4
GTEX-1JN76-0126-SM-CNPPE 20-29 years, female 47.4
GTEX-1R7EV-2426-SM-EVYBG 40-49 years, male 47.4
GTEX-PLZ6-1426-SM-DKPOT 30-39 years, male 47.3
GTEX-11XUK-2026-SM-5EQLF 40-49 years, female 47.2
GTEX-1H3O1-0426-SM-9YFKY 60-69 years, male 47.2
GTEX-QDT8-0126-SM-48TZ1 30-39 years, female 47.1
GTEX-13FH7-2026-SM-E9J4I 50-59 years, female 47.1
GTEX-1I4MK-2226-SM-ACKWD 50-59 years, female 47.1
GTEX-13X6J-0126-SM-5QGOU 50-59 years, male 47.0
GTEX-WXYG-2326-SM-4E3I6 50-59 years, female 47.0
GTEX-ZC5H-0226-SM-4WAY9 40-49 years, female 47.0
GTEX-11TUW-2726-SM-E9J4M 60-69 years, male 47.0
GTEX-15D1Q-0126-SM-7KUG6 40-49 years, male 46.9
GTEX-S95S-1226-SM-4GICG 60-69 years, male 46.9
GTEX-1QAET-0926-SM-E76QM 50-59 years, male 46.9
GTEX-13QJ3-0326-SM-5S2RA 50-59 years, male 46.8
GTEX-X5EB-2226-SM-46MW4 40-49 years, male 46.8
GTEX-1HSMQ-1226-SM-CGQFX 50-59 years, male 46.8
GTEX-1JMQI-2226-SM-CM2SD 50-59 years, male 46.8
GTEX-ZQG8-1626-SM-DHXIT 60-69 years, female 46.8
GTEX-14A6H-0126-SM-5QGPK 30-39 years, male 46.7
GTEX-1AX9K-2326-SM-73KWU 50-59 years, male 46.7
GTEX-1I1GT-0626-SM-CGQER 60-69 years, female 46.7
GTEX-1KAFJ-2026-SM-CY8ID 50-59 years, male 46.7
GTEX-1H11D-0226-SM-9WG6Z 40-49 years, male 46.6
GTEX-1I1HK-0126-SM-COH49 60-69 years, male 46.6
GTEX-14DAR-2026-SM-5S2O3 50-59 years, male 46.5
GTEX-1BAJH-0526-SM-793CQ 70-79 years, male 46.5
GTEX-13FTY-0526-SM-5L3EV 40-49 years, female 46.4
GTEX-1C475-1826-SM-73KWA 40-49 years, female 46.4
GTEX-Q2AI-1326-SM-2S1PL 40-49 years, male 46.3
GTEX-1JKYN-1326-SM-CGQG9 30-39 years, male 46.3
GTEX-18D9B-0526-SM-7LTAS 60-69 years, male 46.2
GTEX-1AX9J-0226-SM-73KXM 60-69 years, male 46.2
GTEX-1C6VS-0526-SM-7DUEN 60-69 years, male 46.2
GTEX-1CB4E-2226-SM-793DC 60-69 years, male 46.2
GTEX-1QW4Y-1526-SM-EAZ3Z 30-39 years, male 46.2
GTEX-11EM3-2426-SM-59861 20-29 years, female 46.1
GTEX-1269C-2526-SM-5EGJ3 60-69 years, female 46.1
GTEX-131XE-2326-SM-5PNZ2 50-59 years, male 46.1
GTEX-14C5O-0126-SM-5SI6N 60-69 years, male 46.1
GTEX-17HII-0226-SM-7LG4E 50-59 years, male 46.1
GTEX-13D11-2426-SM-5KM1V 50-59 years, female 46.0
GTEX-QEG4-0226-SM-2S1PY 30-39 years, male 46.0
GTEX-1PFEY-1526-SM-E76PP 30-39 years, male 46.0
GTEX-11ZTT-2426-SM-5EQLS 60-69 years, female 45.9
GTEX-13SLW-0126-SM-5SI6C 70-79 years, male 45.9
GTEX-17MFQ-1726-SM-793C7 20-29 years, male 45.9
GTEX-1H3VY-0126-SM-ACKXD 50-59 years, male 45.9
GTEX-11EI6-0126-SM-5985R 60-69 years, male 45.8
GTEX-15SDE-2226-SM-7IGLO 50-59 years, female 45.8
GTEX-1AMFI-2026-SM-731BH 50-59 years, female 45.8
GTEX-NFK9-0226-SM-2HMKQ 40-49 years, male 45.8
GTEX-1KANC-1526-SM-D3LAB 50-59 years, female 45.8
GTEX-OXRN-0126-SM-48TDM 50-59 years, male 45.7
GTEX-1I1CD-0126-SM-CM2TK 60-69 years, female 45.7
GTEX-12KS4-0326-SM-5EQ41 30-39 years, male 45.6
GTEX-16NPX-0226-SM-79OMT 50-59 years, male 45.6
GTEX-1HGF4-2426-SM-ACKXM 60-69 years, male 45.6
GTEX-1QP66-1726-SM-E8VO1 50-59 years, male 45.6
GTEX-139T4-0226-SM-5HL5S 50-59 years, female 45.5
GTEX-17F97-0326-SM-7LG5B 50-59 years, male 45.4
GTEX-1F48J-0126-SM-7P8TT 50-59 years, female 45.4
GTEX-1F75I-0326-SM-9YFLU 40-49 years, male 45.4
GTEX-1HCU9-1526-SM-A9SL7 20-29 years, male 45.4
GTEX-13JUV-2726-SM-5LZZ8 40-49 years, female 45.3
GTEX-W5WG-1826-SM-4KL2Y 50-59 years, female 45.3
GTEX-146FR-1326-SM-E9J48 60-69 years, female 45.3
GTEX-1F6I4-0126-SM-9MQL2 60-69 years, male 45.3
GTEX-12696-2426-SM-5EQ6H 60-69 years, male 45.1
GTEX-17HG3-2226-SM-7938L 30-39 years, female 45.1
GTEX-1E1VI-0126-SM-7DHMZ 50-59 years, male 45.1
GTEX-1HSGN-0226-SM-CGQFV 40-49 years, female 45.1
GTEX-13N2G-2626-SM-5J1OT 60-69 years, male 45.0
GTEX-XBED-2226-SM-47JYQ 60-69 years, male 45.0
GTEX-11GSP-2526-SM-5N9BP 60-69 years, female 44.9
GTEX-12WSJ-1826-SM-5GCNY 40-49 years, female 44.9
GTEX-1HCU7-0226-SM-CL545 50-59 years, male 44.9
GTEX-1IY9M-0126-SM-D3L8S 60-69 years, male 44.9
GTEX-O5YW-0126-SM-3LK6D 50-59 years, male 44.8
GTEX-1QP29-0626-SM-EWRMX 50-59 years, male 44.8
GTEX-1211K-2026-SM-5EQ4Z 60-69 years, female 44.7
GTEX-1B8KE-2126-SM-73KYX 50-59 years, male 44.7
GTEX-1K9T9-0126-SM-EVYCF 50-59 years, female 44.7
GTEX-17HGU-0226-SM-7DHKV 50-59 years, male 44.6
GTEX-ZAB5-1826-SM-5HL7C 50-59 years, male 44.6
GTEX-1HBPM-0226-SM-ARL9F 60-69 years, female 44.6
GTEX-1LH75-2426-SM-E9TJE 50-59 years, female 44.6
GTEX-RN64-0126-SM-2TC68 50-59 years, male 44.5
GTEX-1I6K6-0126-SM-A9SLE 30-39 years, male 44.5
GTEX-14JIY-0126-SM-6LLH6 60-69 years, male 44.4
GTEX-1CB4G-0226-SM-7PC3O 60-69 years, male 44.4
GTEX-1MA7W-2026-SM-E9TJ6 20-29 years, female 44.4
GTEX-T5JC-0426-SM-32PLO 20-29 years, male 44.3
GTEX-XUW1-0426-SM-4BOOT 50-59 years, female 44.3
GTEX-17EVQ-0226-SM-7LG4P 70-79 years, male 44.2
GTEX-17GQL-2026-SM-718BA 60-69 years, male 44.2
GTEX-13NZA-0226-SM-5K7Z7 60-69 years, male 44.1
GTEX-1JMOU-1526-SM-CL54I 60-69 years, female 44.1
GTEX-15DDE-0126-SM-6LPKH 50-59 years, female 43.9
GTEX-WFG8-2226-SM-3GIL9 20-29 years, male 43.9
GTEX-ZUA1-0126-SM-5GU76 40-49 years, male 43.9
GTEX-1HBPH-0426-SM-B2LW5 40-49 years, female 43.9
GTEX-11EMC-2926-SM-5EQ4F 60-69 years, female 43.8
GTEX-13O3O-0126-SM-E9J49 60-69 years, female 43.8
GTEX-1GPI6-0126-SM-9WG69 60-69 years, male 43.8
GTEX-OXRK-0226-SM-3NB2G 50-59 years, female 43.7
GTEX-1F75B-0126-SM-9KNVL 50-59 years, male 43.7
GTEX-1IL2U-0226-SM-CE6T8 60-69 years, male 43.7
GTEX-R45C-0126-SM-EAZ2R 60-69 years, female 43.7
GTEX-YB5E-2026-SM-5IFIS 40-49 years, male 43.6
GTEX-1J1R8-1726-SM-ARL8M 40-49 years, male 43.6
GTEX-1PPH8-0226-SM-E8VND 20-29 years, male 43.6
GTEX-PW2O-1526-SM-7RHHB 20-29 years, male 43.5
GTEX-15RIG-0226-SM-7KFTL 40-49 years, male 43.4
GTEX-15SHU-0126-SM-7KUEH 40-49 years, female 43.4
GTEX-1R9PO-2126-SM-E9J4O 60-69 years, female 43.4
GTEX-1CAMQ-0226-SM-7IGPK 40-49 years, male 43.3
GTEX-ZF28-0126-SM-4WKGK 60-69 years, male 43.2
GTEX-ZYW4-0126-SM-5E44A 60-69 years, male 43.2
GTEX-ZZPT-0226-SM-5E43X 50-59 years, male 43.2
GTEX-11ZUS-0626-SM-59885 30-39 years, male 43.1
GTEX-18D9U-0226-SM-718BP 40-49 years, male 43.1
GTEX-ZYY3-0126-SM-5GZY5 60-69 years, female 43.1
GTEX-ZTX8-1426-SM-5DUVO 20-29 years, male 43.0
GTEX-11NSD-2226-SM-5986V 20-29 years, male 42.9
GTEX-13OVG-1926-SM-5L3DK 60-69 years, male 42.8
GTEX-1LGOU-2026-SM-DIPFF 20-29 years, female 42.8
GTEX-11P81-2326-SM-59875 30-39 years, female 42.6
GTEX-13O3P-0126-SM-5KM4S 50-59 years, male 42.6
GTEX-Y8E4-0626-SM-4WWDL 40-49 years, male 42.6
GTEX-1HSEH-0126-SM-ACKXN 60-69 years, male 42.6
GTEX-147F3-0526-SM-5SI98 50-59 years, female 42.5
GTEX-14E7W-0126-SM-6LLJ9 70-79 years, male 42.5
GTEX-17EUY-0426-SM-793BD 20-29 years, male 42.5
GTEX-RWS6-2026-SM-2XCB5 60-69 years, female 42.5
GTEX-VJYA-1126-SM-3GIJU 60-69 years, male 42.4
GTEX-ZY6K-1826-SM-5GZXK 50-59 years, male 42.4
GTEX-1C4CL-0526-SM-73KVK 30-39 years, male 42.3
GTEX-ZYFC-0226-SM-5NQ75 50-59 years, male 42.2
GTEX-ZAB4-0226-SM-5N9F5 40-49 years, male 42.1
GTEX-1OJC4-0126-SM-E9J2E 50-59 years, female 42.1
GTEX-1HUB1-0426-SM-E9U4U 60-69 years, male 42.0
GTEX-XPVG-2626-SM-4B669 50-59 years, male 41.9
GTEX-1EN7A-0126-SM-7SB81 40-49 years, male 41.9
GTEX-1F52S-0126-SM-9MQJU 60-69 years, female 41.9
GTEX-1GN1W-0526-SM-9MQJQ 50-59 years, female 41.9
GTEX-13111-1626-SM-5EGJY 50-59 years, male 41.8
GTEX-WRHK-1426-SM-3MJF9 20-29 years, female 41.8
GTEX-11LCK-1026-SM-5A5KB 30-39 years, male 41.7
GTEX-12WSN-5019-SM-79OM6 40-49 years, male 41.7
GTEX-1H1ZS-0426-SM-9WG6G 70-79 years, male 41.7
GTEX-1RAZQ-0726-SM-EAZ43 30-39 years, male 41.7
GTEX-17HHE-2026-SM-79OKF 50-59 years, male 41.6
GTEX-1C64O-0126-SM-7SB8P 60-69 years, male 41.4
GTEX-16NGA-1726-SM-731B4 40-49 years, female 41.3
GTEX-1IDJU-2626-SM-CM2RT 60-69 years, female 41.3
GTEX-14LLW-0126-SM-6LLIO 70-79 years, female 41.2
GTEX-14PN3-2426-SM-6LLHS 60-69 years, female 41.2
GTEX-1H1E6-1726-SM-ACKVK 30-39 years, male 41.2
GTEX-13FTW-2626-SM-5K7WL 40-49 years, male 41.1
GTEX-OXRO-0126-SM-2YUN4 60-69 years, female 41.1
GTEX-SN8G-0126-SM-32PLI 50-59 years, female 41.0
GTEX-ZXG5-0126-SM-5GIEU 60-69 years, male 40.9
GTEX-12WSK-2326-SM-5GCOH 40-49 years, female 40.8
GTEX-15ETS-0126-SM-7KUMW 40-49 years, female 40.8
GTEX-1AMEY-1326-SM-73KYK 30-39 years, female 40.8
GTEX-1B97I-1626-SM-73KYO 40-49 years, male 40.8
GTEX-TML8-1926-SM-32QOS 40-49 years, female 40.8
GTEX-11ZVC-2526-SM-5FQTE 50-59 years, female 40.7
GTEX-13OW8-1326-SM-5J1OW 60-69 years, male 40.7
GTEX-PSDG-0226-SM-DKPOZ 50-59 years, male 40.7
GTEX-1HKZK-0326-SM-9WYUH 40-49 years, male 40.6
GTEX-RNOR-0126-SM-E9J4R 50-59 years, female 40.6
GTEX-1GL5R-1826-SM-9KNUY 50-59 years, male 40.5
GTEX-14PHX-2326-SM-62LEM 50-59 years, male 40.4
GTEX-1B8KZ-2026-SM-7DHMB 50-59 years, male 40.4
GTEX-U3ZH-2026-SM-3DB78 30-39 years, male 40.4
GTEX-1J8QM-2126-SM-CYPSJ 60-69 years, female 40.3
GTEX-ZDTT-2726-SM-4WKF8 60-69 years, male 40.1
GTEX-OIZF-0126-SM-7SB8I 60-69 years, male 40.1
GTEX-1F5PK-2426-SM-7RHHY 50-59 years, male 40.0
GTEX-11ZU8-2526-SM-5EQKI 60-69 years, male 39.9
GTEX-1H23P-0126-SM-ADEJ3 60-69 years, male 39.9
GTEX-1H3NZ-0126-SM-ACKX7 60-69 years, male 39.8
GTEX-148VI-1626-SM-5SI6E 60-69 years, female 39.7
GTEX-113IC-0126-SM-5HL6T 60-69 years, male 39.5
GTEX-13OVJ-0126-SM-5KM36 50-59 years, female 39.5
GTEX-Y5V5-2326-SM-4V6GA 60-69 years, female 39.5
GTEX-Q2AG-0126-SM-33HBV 40-49 years, female 39.4
GTEX-U3ZM-1526-SM-3DB9D 40-49 years, male 39.4
GTEX-YEC4-2126-SM-5IFJH 40-49 years, male 39.4
GTEX-13W46-0226-SM-5SIAG 50-59 years, male 39.3
GTEX-RM2N-1426-SM-2TF4H 50-59 years, male 39.1
GTEX-RU72-0926-SM-2TF6B 50-59 years, female 39.1
GTEX-15EU6-0426-SM-6PAN5 50-59 years, male 39.0
GTEX-1GMR8-0126-SM-9WYTM 50-59 years, female 39.0
GTEX-PVOW-0126-SM-2XCFA 40-49 years, male 38.8
GTEX-T6MO-1626-SM-32QOM 40-49 years, female 38.7
GTEX-14A5I-0126-SM-5TDEA 50-59 years, female 38.6
GTEX-OHPM-0126-SM-2YUN9 50-59 years, male 38.5
GTEX-QLQW-1126-SM-2S1Q8 30-39 years, male 38.5
GTEX-1F88F-2726-SM-7PBZZ 60-69 years, female 38.4
GTEX-1I1GS-0126-SM-B2LVW 60-69 years, male 38.2
GTEX-11VI4-1726-SM-5CVLH 40-49 years, female 37.8
GTEX-1AYD5-2426-SM-73KXR 50-59 years, male 37.7
GTEX-R55E-0126-SM-2TC5Y 20-29 years, male 37.6
GTEX-14DAQ-0126-SM-5S2MQ 60-69 years, female 37.5
GTEX-16AAH-1726-SM-7939C 50-59 years, male 37.5
GTEX-OXRL-0126-SM-2YUMP 50-59 years, male 37.2
GTEX-148VJ-0126-SM-5TDDN 70-79 years, male 37.1
GTEX-Y8LW-1826-SM-5S2MV 50-59 years, female 36.9
GTEX-18A66-0226-SM-718BD 60-69 years, male 36.8
GTEX-1IE54-0126-SM-CMKHW 40-49 years, female 36.6
GTEX-13X6H-2126-SM-7EWD5 50-59 years, female 36.4
GTEX-16XZZ-0126-SM-793DV 60-69 years, male 36.4
GTEX-12C56-1726-SM-5EQ61 20-29 years, male 36.2
GTEX-WOFL-0126-SM-3MJG2 60-69 years, male 36.2
GTEX-S32W-2126-SM-2XCB1 50-59 years, female 35.5
GTEX-13YAN-0326-SM-5O9DF 60-69 years, male 35.4
GTEX-QCQG-1726-SM-3GIJ9 50-59 years, female 35.3
GTEX-PLZ5-2026-SM-2S1O4 50-59 years, male 35.2
GTEX-QLQ7-1626-SM-2S1R8 60-69 years, male 35.2
GTEX-14BIL-0126-SM-5SI92 50-59 years, male 35.1
GTEX-T8EM-1026-SM-3DB7M 40-49 years, male 34.9
GTEX-Q2AH-1626-SM-3GAF8 40-49 years, male 34.6
GTEX-11P7K-2126-SM-5GU7G 30-39 years, male 34.4
GTEX-UPJH-0326-SM-3GADU 50-59 years, male 34.2
GTEX-14PHW-0126-SM-6LLJI 60-69 years, female 34.0
GTEX-1H2FU-0126-SM-9WYSI 60-69 years, female 33.7
GTEX-TSE9-0126-SM-3DB83 60-69 years, female 33.5
GTEX-15F5U-1526-SM-6PANO 40-49 years, male 33.4
GTEX-13OVI-1426-SM-5L3EY 60-69 years, female 32.8
GTEX-R55G-2526-SM-2TC6D 40-49 years, female 32.4
GTEX-U3ZN-2326-SM-3DB7W 30-39 years, female 32.3
GTEX-P44H-0226-SM-2XCEU 40-49 years, male 32.2
GTEX-VJWN-0126-SM-3GIK7 50-59 years, female 31.7
GTEX-147GR-0526-SM-5S2MY 60-69 years, male 30.8
GTEX-SNMC-1226-SM-2XCFP 20-29 years, male 29.1
GTEX-1HFI7-1826-SM-ACKXH 50-59 years, female 27.3
Show allShow less

Contact

  • NEWS ARTICLES
  • PRESS ROOM

The Project

  • INTRODUCTION
  • ORGANIZATION
  • PUBLICATIONS

The Human Protein Atlas

  • DOWNLOADABLE DATA
  • LICENCE & CITATION
  • HELP & FAQ
The Human Protein Atlas project is funded
by the Knut & Alice Wallenberg Foundation.


contact@proteinatlas.org