We use cookies to enhance the usability of our website. If you continue, we'll assume that you are happy to receive all cookies. More information. Don't show this again.
SOX10
HPA
RESOURCES
  • TISSUE
  • BRAIN
  • SINGLE CELL
  • SUBCELLULAR
  • CANCER
  • BLOOD
  • CELL LINE
  • STRUCTURE & INTERACTION
ABOUT
  • INTRODUCTION
  • HISTORY
  • ORGANIZATION
  • PUBLICATIONS
  • ANTIBODY SUBMISSION
  • ANTIBODY AVAILABILITY
  • ACKNOWLEDGMENTS
  • CONTACT
NEWS
  • NEWS ARTICLES
  • PRESS ROOM
LEARN
  • DICTIONARY
  • PROTEIN CLASSES
  • PROTEIN EVIDENCE
  • METHODS
  • EDUCATIONAL VIDEOS
DATA
  • DOWNLOADABLE DATA
  • PUBLICATION DATA
  • RELEASE HISTORY
HELP
  • ANTIBODY VALIDATION
  • ASSAYS & ANNOTATION
  • DISCLAIMER
  • HELP & FAQ
  • PRIVACY STATEMENT
  • LICENCE & CITATION
Fields »
Search result

Field
Term
Gene name
Class
Subclass
Class
Keyword
Chromosome
External id
Tissue
Cell type
Expression
Antibody panel
Tissue
Main location
Patient ID
Annotation
Tissue
Category
Tau score
Cluster
Reliability
Brain region
Category
Tau score
Brain region
Category
Tau score
Brain region
Category
Tau score
Cluster
Reliability
Tissue
Cell type
Enrichment
Cell type
Category
Tau score
Cell type
Category
Tau score
Cell type
Category
Tau score
Cell lineage
Category
Tau score
Cluster
Cluster
Location
Searches
Location
Cell line
Class
Type
Phase
Reliability
Cancer
Prognosis
Cancer
Category
Cancer
Category
Tau score
Cluster
Variants
Interacting gene (ensg_id)
Type
Number of interactions
Pathway
Category
Score
Score
Score
Validation
Validation
Validation
Validation
Antibodies
Data type
Column


  • SUMMARY

  • TISSUE

  • BRAIN

  • SINGLE CELL

  • SUBCELL

  • CANCER

  • BLOOD

  • CELL LINE

  • STRUCT & INT

  • SOX10
TISSUE PRIMARY DATA SKIN Show tissue menu
ADIPOSE TISSUE ADRENAL GLAND AMYGDALA APPENDIX BASAL GANGLIA BONE MARROW BREAST BRONCHUS CEREBELLUM CEREBRAL CORTEX CERVIX CHOROID PLEXUS COLON DUODENUM
ENDOMETRIUM EPIDIDYMIS ESOPHAGUS FALLOPIAN TUBE GALLBLADDER HEART MUSCLE HIPPOCAMPAL FORMATION HYPOTHALAMUS KIDNEY LIVER LUNG LYMPH NODE MIDBRAIN NASOPHARYNX
ORAL MUCOSA OVARY PANCREAS PARATHYROID GLAND PITUITARY GLAND PLACENTA PROSTATE RECTUM RETINA SALIVARY GLAND SEMINAL VESICLE SKELETAL MUSCLE SKIN SMALL INTESTINE
SMOOTH MUSCLE SOFT TISSUE SPINAL CORD SPLEEN STOMACH TESTIS THYMUS THYROID GLAND TONGUE TONSIL URINARY BLADDER VAGINA
ANTIBODIES
AND
VALIDATION
Dictionary
Skin
Tissue proteome
Skin
SKIN - Expression summary
Protein expression
Skini

On the top, protein expression in current human tissue, based on all annotated cell types, is reported with the units not detected (n), low (l), medium (m) and high (h). Underneath, protein expression in each annotated cell type are reported using the same units.

Protein expression data is based on knowledge-based annotation. For genes where more than one antibody has been used, a collective score is set.

If knowledge-based annotation could not be performed for a gene, no data is displayed here. View antibody staining data further down this page.

h
m
l
n
Cells in basal layer: Not detected
Cells in corneal layer: Not detected
Cells in granular layer: Not detected
Cells in spinous layer: Not detected
Endothelial cells: Not detected
Extracellular matrix: Not detected
Fibrohistiocytic cells: Not detected
Langerhans cells: Not detected
Lymphocytes: Not detected
Melanocytes: Medium
Vascular mural cells: Not detected
RNA expressioni

A summary of mRNA expression data available for current tissue based on several datasets. The mRNA expression levels in human tissues are based on RNA-seq data generated by the Human Protein Atlas (HPA), Genotype-Tissue Expression (GTEx) portal and CAGE data generated by the FANTOM5 consortium. Consensus normalized expression levels for human tissues was created by combining the data from HPA and GTEx datasets.

The mRNA expression levels in pig are based on RNA-seq data generated by the Human Protein Atlas (HPA), and for mouse, HPA data and in situ hybridization generated by the Allen brain atlas are reported.

Scroll down to view mRNA expression data in more detail.
Consensus:16.4 nTPM
HPA:15.7 nTPM
GTEx:16.4 nTPM

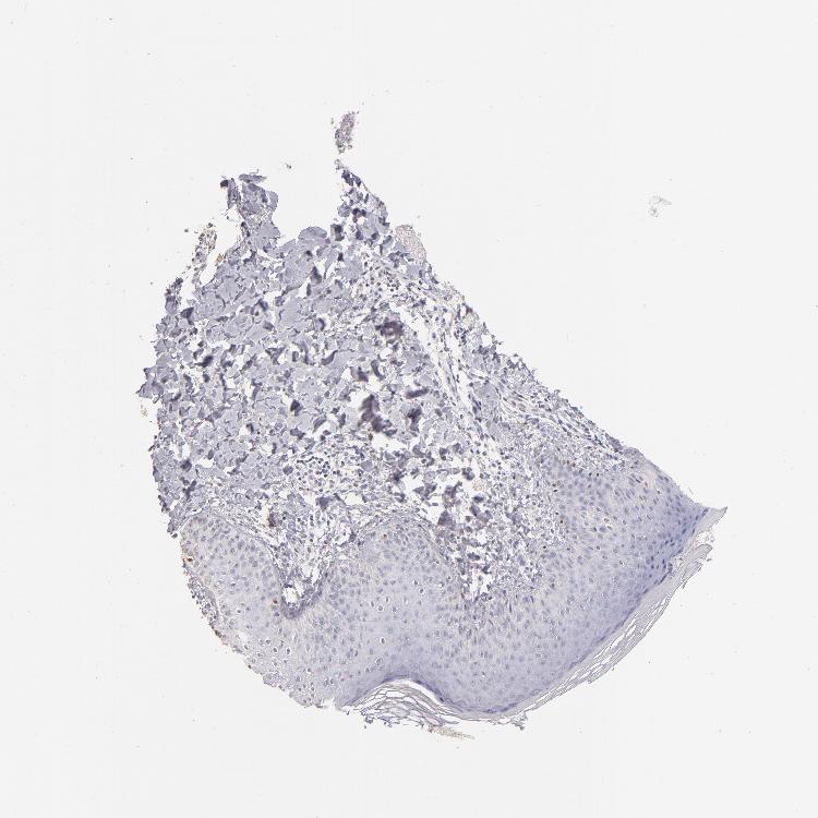
SKIN 1 - Antibody stainingi

Antibody staining in the annotated cell types in the current human tissue is reported as not detected, low, medium, or high, based on conventional immunohistochemistry profiling in selected tissues. This score is based on the combination of the staining intensity and fraction of stained cells.

Each image is clickable and will lead to virtual microscopy that enables deeper exploration of all samples and also displays staining intensity scores, fraction scores and subcellular localization as well as patient and tissue information for each sample.

Antibody HPA068898Antibody CAB003171
Langerhans Not detected-
Cells in basal layer -Not detected
Cells in corneal layer -Not detected
Cells in granular layer -Not detected
Cells in spinous layer -Not detected
Endothelial cells -Not detected
Extracellular matrix -Not detected
Fibroblasts Not detected-
Fibrohistiocytic cells -Not detected
Keratinocytes Not detected-
Langerhans cells -Not detected
Lymphocytes -Not detected
Melanocytes HighMedium
Vascular mural cells -Not detected



SKIN 2 - Antibody stainingi

Antibody staining in the annotated cell types in the current human tissue is reported as not detected, low, medium, or high, based on conventional immunohistochemistry profiling in selected tissues. This score is based on the combination of the staining intensity and fraction of stained cells.

Each image is clickable and will lead to virtual microscopy that enables deeper exploration of all samples and also displays staining intensity scores, fraction scores and subcellular localization as well as patient and tissue information for each sample.

Antibody HPA068898Antibody CAB003171
Cells in basal layer -Not detected
Cells in corneal layer -Not detected
Cells in granular layer -Not detected
Cells in spinous layer -Not detected
Endothelial cells -Not detected
Epidermal cells Not detected-
Extracellular matrix -Not detected
Fibrohistiocytic cells -Not detected
Langerhans cells -Not detected
Lymphocytes -Not detected
Melanocytes -Medium
Vascular mural cells -Not detected
  
  





SKIN - HPA RNA-seqi

The RNA-seq details section shows detailed information about the individual samples used for the transcript profiling and results of the RNA-seq analysis.

Information about each individual sample is listed below, including gender, age, a tissue section image and estimated fractions of cell types. nTPM (normalized transcripts per million) values give a quantification of the gene abundance which is comparable between different genes and samples.
Average nTPMi

Max subtype nTPM is the value for the subtype with the largest average nTPM across the subtype samples.

15.7
overview
Female, age 34
Skin sample 225
nTPM: 11.7
Cell types%
Keratinocytes:
60

Other cell types:
40

overview
Female, age 30
Skin sample 226
nTPM: 5.9
Cell types%
Keratinocytes:
55

Other cell types:
45

N/A
Male, age 57
Skin sample 227
nTPM: 29.7

SKIN - GTEx RNA-seqi

RNA-Seq data generated by the Genotype-Tissue Expression (GTEx) project from human tissues is reported as mean nTPM. More information can be found on the GTEx portal.

Distribution across the dataset is visualized with box plots, shown as median and 25th and 75th percentiles. Points are displayed as outliers if they are above or below 1.5 times the interquartile range. nTPM values of the individual samples are presented next to the box plot.
Max subtype nTPMi

Max subtype nTPM is the value for the subtype with the largest average nTPM across the subtype samples.

16.4
GTEx sample id Sample description nTPM
Skin - Not Sun Exposed (Suprapubic)
Average nTPM: 13.2
Samples: 604

Max nTPM: 49.2
Min nTPM: 0.7
Std nTPM: 7.5
Median nTPM: 11.2
GTEX-1QP66-1226-SM-DTX7U 50-59 years, male 49.2
GTEX-1F52S-2926-SM-7MKGA 60-69 years, female 46.4
GTEX-17F96-0126-SM-7EWDU 70-79 years, male 38.7
GTEX-UPK5-0426-SM-3GAEK 40-49 years, male 37.4
GTEX-XOT4-0626-SM-4B66L 60-69 years, female 37.4
GTEX-1F75I-2226-SM-7SB8U 40-49 years, male 35.9
GTEX-12BJ1-0926-SM-5EQ62 60-69 years, male 35.3
GTEX-13FH7-1126-SM-5K7UG 50-59 years, female 35.1
GTEX-18A7B-2726-SM-7LG56 70-79 years, male 34.3
GTEX-1C64O-1326-SM-7MGWR 60-69 years, male 33.4
GTEX-14E6C-2426-SM-5S2NF 40-49 years, male 32.2
GTEX-1HCU9-0426-SM-9WYSD 20-29 years, male 32.2
GTEX-12696-0126-SM-5EQ4L 60-69 years, male 32.0
GTEX-1CAV2-0126-SM-7IGN7 40-49 years, female 31.9
GTEX-1L5NE-1126-SM-D3L9P 50-59 years, male 31.5
GTEX-14DAQ-0626-SM-793DS 60-69 years, female 31.4
GTEX-12WSL-2026-SM-5GCML 50-59 years, male 31.2
GTEX-1RAZA-2226-SM-E9U4X 20-29 years, male 31.0
GTEX-147GR-2426-SM-5ZZWQ 60-69 years, male 30.9
GTEX-131XH-0126-SM-5LZUY 50-59 years, male 30.8
GTEX-XMD2-2126-SM-4YCF8 60-69 years, female 30.7
GTEX-117YX-1926-SM-5GIEC 50-59 years, male 30.4
GTEX-139TS-2126-SM-5K7XC 60-69 years, male 30.4
GTEX-13JUV-2026-SM-5K7UA 40-49 years, female 30.4
GTEX-12WSF-1626-SM-7KUG5 70-79 years, male 30.2
GTEX-1KWVE-1026-SM-D3L9O 30-39 years, male 29.2
GTEX-1LGOU-1326-SM-D3L8M 20-29 years, female 29.1
GTEX-1R9K4-2826-SM-DTX8F 60-69 years, male 29.0
GTEX-16Z82-2626-SM-7KULU 60-69 years, male 28.9
GTEX-1IDJC-1526-SM-B2LW4 50-59 years, male 28.7
GTEX-1IDJE-1426-SM-ADEIW 50-59 years, female 28.6
GTEX-13NZ9-2626-SM-5L3FK 50-59 years, male 28.3
GTEX-1LSNM-0826-SM-DIPG8 50-59 years, male 28.2
GTEX-14PJO-2526-SM-6AJBQ 60-69 years, male 28.0
GTEX-1212Z-0126-SM-59HK4 60-69 years, male 27.8
GTEX-145LS-0626-SM-7EPG7 60-69 years, female 27.8
GTEX-YF7O-1526-SM-5IFI6 50-59 years, male 27.3
GTEX-139YR-1026-SM-5LZYN 50-59 years, male 27.1
GTEX-12WSA-0426-SM-5EQ5X 60-69 years, male 27.0
GTEX-ZLWG-0826-SM-59888 50-59 years, female 26.7
GTEX-14PJ2-0626-SM-6LLII 50-59 years, male 26.2
GTEX-ZUA1-2626-SM-5NQ92 40-49 years, male 26.1
GTEX-1QEPI-2626-SM-DTXF4 60-69 years, female 25.9
GTEX-ZAJG-1526-SM-5CVML 50-59 years, female 25.5
GTEX-17JCI-2926-SM-7DUFF 60-69 years, female 25.4
GTEX-XK95-0226-SM-4AT58 40-49 years, male 25.3
GTEX-1I6K6-1726-SM-CGQFD 30-39 years, male 25.3
GTEX-ZT9W-1126-SM-57WDR 50-59 years, male 25.1
GTEX-ZTX8-1326-SM-4YCEL 20-29 years, male 25.1
GTEX-1KANC-1226-SM-CYPT7 50-59 years, female 25.1
GTEX-1B996-0426-SM-7EWF8 60-69 years, male 25.0
GTEX-1MCYP-0526-SM-E9U6Q 20-29 years, female 25.0
GTEX-14BMU-1226-SM-5S2OR 20-29 years, female 23.9
GTEX-1H3NZ-2726-SM-9WYTQ 60-69 years, male 23.9
GTEX-16MT8-2926-SM-7DUFO 60-69 years, female 23.7
GTEX-1CAMR-1326-SM-7PC1F 20-29 years, male 23.7
GTEX-145MO-2826-SM-5LU96 60-69 years, male 23.6
GTEX-11EM3-1226-SM-5N9DD 20-29 years, female 23.5
GTEX-13SLX-2226-SM-62LEP 50-59 years, female 23.5
GTEX-1H1CY-0126-SM-9YFLY 60-69 years, female 23.5
GTEX-1H1E6-0426-SM-9WYUS 30-39 years, male 23.4
GTEX-WFG7-2026-SM-5SI7P 20-29 years, male 23.2
GTEX-11TT1-1826-SM-5EQLV 20-29 years, male 23.1
GTEX-16NGA-0726-SM-731AO 40-49 years, female 23.1
GTEX-1A32A-0626-SM-731AQ 50-59 years, female 23.1
GTEX-ZDTS-0826-SM-4WKHL 60-69 years, male 23.0
GTEX-1I19N-0126-SM-CYPSF 70-79 years, male 23.0
GTEX-11NSD-0626-SM-5A5LU 20-29 years, male 22.9
GTEX-WHPG-2626-SM-3NMBR 50-59 years, male 22.9
GTEX-1LBAC-0826-SM-CY8IJ 20-29 years, male 22.9
GTEX-Y8E4-2026-SM-5IFJB 40-49 years, male 22.8
GTEX-YB5K-2026-SM-4VDT3 40-49 years, female 22.8
GTEX-1IL2V-1926-SM-B2LW8 70-79 years, male 22.7
GTEX-WHWD-1826-SM-3LK6I 50-59 years, male 22.5
GTEX-132AR-0326-SM-5KM2C 50-59 years, female 22.3
GTEX-145MG-1526-SM-5Q5EM 50-59 years, male 22.3
GTEX-1KANA-1326-SM-DIPFA 20-29 years, male 22.3
GTEX-1NSGN-0726-SM-DTXEF 50-59 years, male 22.3
GTEX-1K2DA-1026-SM-CGQGF 50-59 years, male 22.2
GTEX-WHSE-0126-SM-3NMBT 20-29 years, male 22.1
GTEX-111FC-2526-SM-5GZXU 60-69 years, male 22.0
GTEX-X4EP-0626-SM-3P621 60-69 years, female 21.9
GTEX-11DYG-1526-SM-5A5JS 60-69 years, male 21.5
GTEX-VJYA-1526-SM-3GIJV 60-69 years, male 21.4
GTEX-WFG8-2126-SM-3GIKQ 20-29 years, male 21.3
GTEX-X8HC-0626-SM-4E3HQ 50-59 years, female 21.3
GTEX-1F6I4-2326-SM-7RHGL 60-69 years, male 21.2
GTEX-1RAZR-2126-SM-E9U6T 40-49 years, male 21.2
GTEX-ZYW4-0626-SM-59HJR 60-69 years, male 21.1
GTEX-12584-0726-SM-5FQTK 40-49 years, male 21.0
GTEX-11DXW-0826-SM-5H118 40-49 years, male 20.9
GTEX-13OVL-0126-SM-5L3GJ 50-59 years, male 20.9
GTEX-13RTJ-0126-SM-5S2NN 60-69 years, male 20.8
GTEX-1497J-0226-SM-5QGPU 60-69 years, male 20.8
GTEX-1F75B-0726-SM-7PC3R 50-59 years, male 20.7
GTEX-1RAZS-2526-SM-E6CHT 50-59 years, male 20.7
GTEX-1S82P-2126-SM-E6CI5 60-69 years, female 20.6
GTEX-1KD5A-0126-SM-E9U54 50-59 years, male 20.5
GTEX-1QP9N-1226-SM-E76QN 30-39 years, male 20.4
GTEX-1J8JJ-0626-SM-ARZMQ 60-69 years, female 20.3
GTEX-146FQ-2126-SM-5RQHU 30-39 years, male 20.2
GTEX-1IY9M-2826-SM-ARU8H 60-69 years, male 20.2
GTEX-1IDJF-2026-SM-CL53V 20-29 years, male 20.1
GTEX-1LVAN-0626-SM-CNPOQ 50-59 years, female 20.1
GTEX-ZWKS-0626-SM-5GIDV 30-39 years, male 20.0
GTEX-1F75W-2726-SM-7SB8H 60-69 years, male 20.0
GTEX-13N2G-0226-SM-5K7VF 60-69 years, male 19.8
GTEX-1OJC3-1226-SM-DTXER 20-29 years, male 19.8
GTEX-14E1K-2026-SM-7DUEI 50-59 years, male 19.7
GTEX-YFCO-1226-SM-5LUAT 40-49 years, male 19.7
GTEX-13FTX-1526-SM-5K7VJ 20-29 years, female 19.6
GTEX-XXEK-1626-SM-4BRUZ 50-59 years, male 19.6
GTEX-1PIGE-1826-SM-E8VOU 20-29 years, male 19.6
GTEX-11NUK-2726-SM-5A5MC 50-59 years, male 19.4
GTEX-1192X-2726-SM-5N9DN 50-59 years, male 19.3
GTEX-15SHW-0226-SM-7LTAT 60-69 years, male 19.3
GTEX-ZVE1-0726-SM-51MRN 50-59 years, female 19.3
GTEX-1JMLX-0626-SM-ARL8T 50-59 years, male 19.3
GTEX-ZVP2-0326-SM-57WBP 50-59 years, male 19.0
GTEX-14PHY-1226-SM-5ZZWK 60-69 years, female 18.6
GTEX-15RJE-2826-SM-7KUM9 40-49 years, male 18.6
GTEX-Y5V6-2326-SM-4VDSA 60-69 years, male 18.6
GTEX-11WQC-1826-SM-5GU59 60-69 years, male 18.5
GTEX-12C56-1526-SM-5FQUQ 20-29 years, male 18.5
GTEX-139TU-0726-SM-5L3EK 60-69 years, male 18.5
GTEX-Y114-2126-SM-4TT8B 50-59 years, female 18.5
GTEX-1GMR2-0826-SM-7PC3V 50-59 years, male 18.5
GTEX-14LLW-2626-SM-62LDZ 70-79 years, female 18.4
GTEX-16MTA-0926-SM-6M47Z 50-59 years, male 18.4
GTEX-1GZ2Q-0126-SM-9WG6M 40-49 years, male 18.3
GTEX-11EI6-2826-SM-5H11D 60-69 years, male 18.2
GTEX-13OW5-2326-SM-5L3HO 60-69 years, male 18.2
GTEX-18A66-0626-SM-7LT8Z 60-69 years, male 18.2
GTEX-Y8LW-1526-SM-5IFHL 50-59 years, female 18.2
GTEX-1K9T9-1526-SM-DIPFR 50-59 years, female 18.2
GTEX-11OF3-0126-SM-5PNYF 60-69 years, male 18.1
GTEX-13X6I-1826-SM-5SIAO 60-69 years, male 18.1
GTEX-15DDE-2926-SM-6LLJ3 50-59 years, female 18.1
GTEX-WY7C-2126-SM-3NB2R 50-59 years, male 18.1
GTEX-ZDTT-0426-SM-4WKFL 60-69 years, male 17.8
GTEX-11P82-1426-SM-DTXFY 20-29 years, male 17.8
GTEX-1LVAM-0726-SM-E6CIL 50-59 years, female 17.8
GTEX-17F9E-2326-SM-79OKD 50-59 years, male 17.7
GTEX-1211K-1526-SM-5FQU4 60-69 years, female 17.5
GTEX-ZXG5-2126-SM-59HKD 60-69 years, male 17.5
GTEX-12126-0826-SM-5FQTZ 20-29 years, male 17.4
GTEX-1B932-2326-SM-79OL5 40-49 years, female 17.4
GTEX-1JJ6O-2726-SM-CNPOG 60-69 years, male 17.4
GTEX-13W3W-0726-SM-5IJDQ 60-69 years, female 17.3
GTEX-1A3MW-0626-SM-731CB 60-69 years, female 17.3
GTEX-1MJK3-0726-SM-E6CJC 20-29 years, male 17.1
GTEX-VUSG-2326-SM-4KL1U 50-59 years, male 17.0
GTEX-11EQ8-0926-SM-5H12V 60-69 years, male 16.9
GTEX-14DAR-1226-SM-73KYV 50-59 years, male 16.9
GTEX-1AX8Z-0726-SM-73KTS 60-69 years, male 16.9
GTEX-ZAK1-0626-SM-5HL8E 50-59 years, female 16.9
GTEX-1ICG6-1226-SM-A9SLN 70-79 years, female 16.9
GTEX-11P7K-1126-SM-5HL4L 30-39 years, male 16.8
GTEX-14JG1-1526-SM-5YY9X 40-49 years, male 16.8
GTEX-16GPK-0626-SM-7KFSF 60-69 years, male 16.8
GTEX-1LG7Z-1626-SM-CXKYR 30-39 years, male 16.8
GTEX-1N5O9-0926-SM-E9J3C 60-69 years, male 16.8
GTEX-15G1A-1626-SM-7KUKN 30-39 years, male 16.7
GTEX-18A7A-0126-SM-731AH 50-59 years, female 16.7
GTEX-WEY5-2326-SM-3GIKK 40-49 years, female 16.7
GTEX-1J8Q2-2626-SM-ACKWQ 60-69 years, male 16.7
GTEX-11DXY-0126-SM-5H11Q 60-69 years, male 16.6
GTEX-ZA64-1026-SM-5HL8R 20-29 years, male 16.6
GTEX-13OVH-0526-SM-5L3E6 70-79 years, male 16.5
GTEX-18A6Q-0626-SM-7KFRP 60-69 years, male 16.5
GTEX-1IDJH-0126-SM-D3L92 70-79 years, male 16.2
GTEX-139TT-2126-SM-5LZWC 60-69 years, male 16.1
GTEX-1GF9W-1426-SM-7PBYM 60-69 years, male 16.1
GTEX-14PKV-1126-SM-6LLJ1 20-29 years, female 16.0
GTEX-18D9U-0126-SM-731BM 40-49 years, male 16.0
GTEX-WI4N-2726-SM-3LK7Y 40-49 years, female 16.0
GTEX-1I6K7-1926-SM-B2LXR 40-49 years, male 16.0
GTEX-ZVTK-0226-SM-51MRG 20-29 years, male 15.9
GTEX-1HR98-2226-SM-ADEI2 60-69 years, male 15.9
GTEX-1N2DV-1526-SM-DTXEP 40-49 years, male 15.8
GTEX-ZYFG-1526-SM-5GZYM 60-69 years, female 15.7
GTEX-1IDJU-1726-SM-CMKHU 60-69 years, female 15.7
GTEX-1JN76-0626-SM-CKZOQ 20-29 years, female 15.7
GTEX-1LVAO-2726-SM-E9TJ8 60-69 years, male 15.7
GTEX-1S5ZU-2526-SM-E6CIF 20-29 years, female 15.7
GTEX-11EQ9-1626-SM-5PNY8 30-39 years, male 15.6
GTEX-16XZZ-0726-SM-7KUF2 60-69 years, male 15.6
GTEX-17MFQ-1526-SM-7KFRR 20-29 years, male 15.6
GTEX-1EH9U-2826-SM-7DUGT 60-69 years, male 15.6
GTEX-1IDJV-0126-SM-COH3Y 60-69 years, male 15.6
GTEX-12ZZY-0726-SM-5EQ66 60-69 years, male 15.5
GTEX-XYKS-1426-SM-4BRUO 60-69 years, female 15.5
GTEX-18QFQ-1826-SM-72D52 30-39 years, male 15.4
GTEX-1JKYN-0826-SM-ARU8S 30-39 years, male 15.4
GTEX-1JMPZ-0726-SM-CY8HZ 30-39 years, male 15.4
GTEX-111CU-1126-SM-5EGIM 50-59 years, male 15.3
GTEX-15UF6-1926-SM-7KUDV 70-79 years, female 15.3
GTEX-1QCLZ-2426-SM-EVYBW 60-69 years, female 15.1
GTEX-147F4-0726-SM-5TDDD 50-59 years, male 15.0
GTEX-14ABY-2026-SM-62LDL 50-59 years, male 15.0
GTEX-1O9I2-0226-SM-EYYXD 50-59 years, male 15.0
GTEX-YEC3-1326-SM-DO92X 50-59 years, male 15.0
GTEX-1HCU6-2526-SM-ADEHL 60-69 years, female 14.9
GTEX-14AS3-1526-SM-5Q5ED 40-49 years, female 14.8
GTEX-ZC5H-1526-SM-5HL9Y 40-49 years, female 14.8
GTEX-1JKYR-0626-SM-ARL8R 20-29 years, male 14.8
GTEX-1JMQI-1726-SM-ARL93 50-59 years, male 14.8
GTEX-1314G-1326-SM-5BC6E 30-39 years, male 14.7
GTEX-1399R-1326-SM-5PNYS 30-39 years, male 14.7
GTEX-1GMR8-0626-SM-7RHI7 50-59 years, female 14.7
GTEX-1GZ4I-2626-SM-9KNU3 50-59 years, male 14.7
GTEX-1H1ZS-2726-SM-9WG75 70-79 years, male 14.7
GTEX-1HSMQ-2626-SM-A9SML 50-59 years, male 14.6
GTEX-1IKOE-1426-SM-CE6T7 30-39 years, female 14.6
GTEX-1JN1M-2726-SM-CY8I4 60-69 years, female 14.6
GTEX-WH7G-2026-SM-3NMBL 40-49 years, male 14.5
GTEX-1POEN-2326-SM-E9J2L 30-39 years, female 14.5
GTEX-13FLV-0126-SM-5K7WT 50-59 years, male 14.4
GTEX-1HSMO-0626-SM-ACKXC 60-69 years, male 14.4
GTEX-148VJ-0626-SM-5LUAW 70-79 years, male 14.3
GTEX-1C475-1326-SM-7SB73 40-49 years, female 14.3
GTEX-1F6IF-0926-SM-7SB7M 60-69 years, male 14.3
GTEX-1E1VI-0326-SM-793D1 50-59 years, male 14.2
GTEX-ZVE2-2826-SM-5GU51 50-59 years, male 14.2
GTEX-1H1DF-1126-SM-9WG7G 40-49 years, female 14.2
GTEX-12KS4-2126-SM-5FQUT 30-39 years, male 14.0
GTEX-17F97-2626-SM-7IGM5 50-59 years, male 14.0
GTEX-WHSB-1326-SM-3LK6W 50-59 years, male 14.0
GTEX-ZYFD-0626-SM-5E44E 50-59 years, male 14.0
GTEX-1CAMQ-1326-SM-7P8RV 40-49 years, male 14.0
GTEX-1CAMS-2226-SM-7PBXQ 40-49 years, female 14.0
GTEX-1LG7Y-2526-SM-EWRO7 50-59 years, male 13.9
GTEX-13NZ8-1226-SM-5KM4A 60-69 years, female 13.8
GTEX-18D9A-1426-SM-7LT8M 30-39 years, female 13.8
GTEX-1A3MX-2626-SM-7PC24 60-69 years, male 13.8
GTEX-1H1DE-1326-SM-9KNUG 20-29 years, male 13.7
GTEX-1QMI2-2526-SM-E8VNZ 60-69 years, male 13.6
GTEX-WYJK-0526-SM-3NM8Z 50-59 years, male 13.4
GTEX-X4EO-2926-SM-4E3JH 60-69 years, female 13.4
GTEX-1GTWX-2026-SM-9YFLM 60-69 years, male 13.4
GTEX-1IDJD-2326-SM-ACKWX 30-39 years, male 13.4
GTEX-17HGU-2326-SM-7DUFE 50-59 years, male 13.3
GTEX-X585-2426-SM-46MW2 50-59 years, male 13.3
GTEX-1HUB1-1426-SM-CGQF5 60-69 years, male 13.3
GTEX-13X6H-0926-SM-5SIB2 50-59 years, female 13.2
GTEX-15EU6-2226-SM-6EU2L 50-59 years, male 13.2
GTEX-WK11-2726-SM-3NMAQ 50-59 years, male 13.2
GTEX-ZLFU-1826-SM-4WWBV 40-49 years, male 13.2
GTEX-12ZZX-2426-SM-5GCOE 40-49 years, female 13.1
GTEX-XBED-1926-SM-47JYP 60-69 years, male 13.1
GTEX-ZYFC-0426-SM-5GICQ 50-59 years, male 13.1
GTEX-14E6E-0526-SM-793DN 30-39 years, male 13.0
GTEX-ZPU1-1126-SM-4YCF3 40-49 years, male 12.9
GTEX-1QCLY-0226-SM-EWRNH 30-39 years, male 12.9
GTEX-145LT-0526-SM-5LUB2 40-49 years, male 12.8
GTEX-147F3-1726-SM-5SIAW 50-59 years, female 12.8
GTEX-1GF9U-2026-SM-7SB92 40-49 years, female 12.8
GTEX-1M4P7-0726-SM-E6CJ3 60-69 years, male 12.8
GTEX-1S831-1826-SM-EWROF 20-29 years, male 12.8
GTEX-12WSC-2826-SM-5BC5Y 50-59 years, male 12.7
GTEX-13N11-2326-SM-5IJBF 50-59 years, female 12.7
GTEX-WXYG-2026-SM-4E3IY 50-59 years, female 12.7
GTEX-X3Y1-2026-SM-3P5YM 40-49 years, male 12.7
GTEX-1HFI7-2326-SM-CGQFS 50-59 years, female 12.7
GTEX-1JMQL-2226-SM-CNPP4 50-59 years, female 12.7
GTEX-13NYS-0626-SM-5L3F1 60-69 years, male 12.6
GTEX-18D9B-0926-SM-7LG4U 60-69 years, male 12.6
GTEX-1A8FM-0626-SM-7PC25 50-59 years, female 12.6
GTEX-Y5V5-0126-SM-5S2NW 60-69 years, female 12.5
GTEX-ZP4G-1426-SM-4WWCL 20-29 years, female 12.5
GTEX-1A3MV-1826-SM-731CD 30-39 years, male 12.4
GTEX-17EVQ-0126-SM-7IGLR 70-79 years, male 12.3
GTEX-17HHY-0426-SM-7DHLC 50-59 years, male 12.3
GTEX-13D11-0926-SM-5J2NC 50-59 years, female 12.2
GTEX-14BMV-2826-SM-5TDED 50-59 years, male 12.2
GTEX-15G19-2426-SM-7KUMR 60-69 years, male 12.2
GTEX-1GF9X-1326-SM-7PC2Y 40-49 years, female 12.2
GTEX-1PPH7-1126-SM-DTX9A 40-49 years, male 12.2
GTEX-1S82U-1026-SM-E6CJK 30-39 years, female 12.2
GTEX-183FY-1026-SM-7939A 20-29 years, male 12.1
GTEX-XPVG-2126-SM-4B667 50-59 years, male 12.1
GTEX-1F88E-1626-SM-7SB8Z 60-69 years, female 12.1
GTEX-1GN1W-2426-SM-9KNUU 50-59 years, female 12.1
GTEX-1I1GU-0926-SM-ACKVS 40-49 years, male 12.1
GTEX-ZDYS-2426-SM-4WKGI 50-59 years, male 11.9
GTEX-XQ3S-1426-SM-4BOPR 20-29 years, male 11.8
GTEX-ZTTD-2826-SM-4YCFA 50-59 years, male 11.8
GTEX-1RB15-1326-SM-E76Q9 60-69 years, male 11.8
GTEX-1R9PM-1926-SM-EVR3O 20-29 years, male 11.7
GTEX-17MF6-2626-SM-79OKQ 40-49 years, male 11.6
GTEX-1B8KE-1126-SM-7EPHI 50-59 years, male 11.6
GTEX-12WSM-1926-SM-5BC65 60-69 years, male 11.5
GTEX-13PVR-0426-SM-5RQK2 60-69 years, female 11.5
GTEX-1C64N-2626-SM-7PC2N 50-59 years, male 11.5
GTEX-1K2DU-1226-SM-CYPT4 20-29 years, male 11.5
GTEX-14ICL-1626-SM-5YYAO 30-39 years, male 11.4
GTEX-11O72-0626-SM-5PNYE 40-49 years, male 11.3
GTEX-18465-2826-SM-7LT9J 50-59 years, male 11.3
GTEX-1KANB-2826-SM-CY8I6 50-59 years, male 11.3
GTEX-11GSP-2326-SM-5HL63 60-69 years, female 11.2
GTEX-13OW8-1026-SM-5J1NQ 60-69 years, male 11.2
GTEX-ZDXO-3126-SM-5IJDF 60-69 years, male 11.2
GTEX-13FTY-2126-SM-5IFFB 40-49 years, female 11.1
GTEX-14PHX-2226-SM-6EU2P 50-59 years, male 11.1
GTEX-16AAH-0626-SM-793C9 50-59 years, male 11.1
GTEX-18A67-1626-SM-7LT9T 50-59 years, male 11.1
GTEX-YJ8O-2526-SM-5HL85 40-49 years, female 11.1
GTEX-ZU9S-1826-SM-5NQ9E 30-39 years, male 11.1
GTEX-1F48J-0726-SM-7RHGS 50-59 years, female 11.1
GTEX-1H11D-1826-SM-9QEHM 40-49 years, male 11.1
GTEX-1HGF4-0126-SM-CNPPX 60-69 years, male 11.1
GTEX-1R9PN-0426-SM-DTXDT 40-49 years, female 11.1
GTEX-13112-0126-SM-5P9IU 50-59 years, male 11.0
GTEX-1LKK1-2626-SM-DKPQE 50-59 years, female 11.0
GTEX-15CHQ-0326-SM-69LQD 60-69 years, male 10.9
GTEX-15DYW-2726-SM-6EU2I 60-69 years, female 10.9
GTEX-1EWIQ-0326-SM-7DHMQ 70-79 years, female 10.9
GTEX-1HBPI-2126-SM-ARL9K 50-59 years, male 10.9
GTEX-1HSGN-0826-SM-ACKW3 40-49 years, female 10.9
GTEX-1J1R8-2026-SM-CL53Y 40-49 years, male 10.9
GTEX-1PPGY-1626-SM-EVYBL 60-69 years, male 10.9
GTEX-12WSK-2126-SM-5CVNC 40-49 years, female 10.8
GTEX-1JJE9-2626-SM-ARZMT 70-79 years, male 10.8
GTEX-1JMQK-1226-SM-D4P2S 60-69 years, male 10.8
GTEX-1RLM8-2926-SM-E8VON 50-59 years, male 10.8
GTEX-XQ8I-0926-SM-4BOOF 50-59 years, male 10.7
GTEX-1IDFM-0326-SM-ARL7V 60-69 years, male 10.7
GTEX-1RMOY-1326-SM-E9TIH 50-59 years, male 10.7
GTEX-12WSD-0626-SM-5GCMW 60-69 years, female 10.6
GTEX-145MN-1526-SM-5SI9T 30-39 years, male 10.6
GTEX-16NPX-0726-SM-7KULC 50-59 years, male 10.5
GTEX-Z93S-1626-SM-5CVMB 50-59 years, male 10.5
GTEX-ZTSS-1426-SM-5985P 40-49 years, male 10.5
GTEX-1S83E-1326-SM-E6CJM 40-49 years, male 10.5
GTEX-11TUW-0626-SM-5LU9M 60-69 years, male 10.4
GTEX-1477Z-0326-SM-7IGLA 60-69 years, male 10.4
GTEX-WRHU-2826-SM-3MJG8 50-59 years, female 10.4
GTEX-WYVS-1626-SM-3NM9R 40-49 years, female 10.4
GTEX-Y5LM-0926-SM-6LLJG 40-49 years, female 10.4
GTEX-1IE54-1126-SM-A9G2Z 40-49 years, female 10.4
GTEX-11UD2-2526-SM-5CVNU 50-59 years, male 10.3
GTEX-131XF-2626-SM-5EQ6K 60-69 years, male 10.3
GTEX-1JMPY-0226-SM-CKZOK 30-39 years, male 10.3
GTEX-14JFF-0626-SM-5ZZVT 60-69 years, male 10.2
GTEX-1HBPN-0126-SM-CGQEF 50-59 years, male 10.2
GTEX-1HCVE-2726-SM-CL54F 50-59 years, male 10.2
GTEX-1B97I-0626-SM-73KUZ 40-49 years, male 10.1
GTEX-UPJH-0226-SM-3GADV 50-59 years, male 10.1
GTEX-1GPI7-1826-SM-9KNU1 20-29 years, male 10.1
GTEX-1LSVX-2526-SM-DIPEU 60-69 years, male 10.1
GTEX-14BIN-1126-SM-5RQJZ 50-59 years, female 10.0
GTEX-15RIG-0726-SM-7KUM7 40-49 years, male 10.0
GTEX-15RJ7-2126-SM-6PAMD 40-49 years, male 10.0
GTEX-1EU9M-1426-SM-793AI 60-69 years, male 10.0
GTEX-U8XE-0226-SM-4E3J3 30-39 years, male 10.0
GTEX-WYBS-0626-SM-3NMAS 60-69 years, female 10.0
GTEX-1I1GP-1326-SM-A9G28 50-59 years, male 10.0
GTEX-11DXZ-2026-SM-5987S 50-59 years, male 9.9
GTEX-145MF-0926-SM-5Q5EA 50-59 years, male 9.9
GTEX-XBEC-0726-SM-4QARZ 50-59 years, male 9.9
GTEX-1HC8U-1326-SM-9YFMJ 40-49 years, female 9.9
GTEX-1I4MK-0126-SM-CY8G6 50-59 years, female 9.9
GTEX-1J8EW-2726-SM-CY8HR 60-69 years, female 9.9
GTEX-131XG-0326-SM-5L3DX 50-59 years, female 9.8
GTEX-13OW6-2726-SM-5J2OE 50-59 years, male 9.8
GTEX-ZE9C-2526-SM-5IJDR 60-69 years, male 9.8
GTEX-1CB4I-0126-SM-7RHGG 50-59 years, male 9.8
GTEX-1HSMP-0926-SM-A9SKX 70-79 years, male 9.8
GTEX-1LSNL-2726-SM-E9TKJ 50-59 years, male 9.8
GTEX-1QW4Y-1126-SM-DTXE3 30-39 years, male 9.8
GTEX-1H2FU-0926-SM-9WPPT 60-69 years, female 9.7
GTEX-131YS-2826-SM-5EQ47 60-69 years, female 9.6
GTEX-1F75A-0726-SM-7RHHD 50-59 years, male 9.6
GTEX-1JN6P-2926-SM-CL54D 60-69 years, male 9.6
GTEX-133LE-2326-SM-5K7W3 20-29 years, female 9.5
GTEX-Y3IK-1626-SM-4YCF5 50-59 years, female 9.5
GTEX-ZY6K-1426-SM-5GZX2 50-59 years, male 9.5
GTEX-1F6RS-2026-SM-7RHHC 60-69 years, female 9.5
GTEX-1GN1U-0626-SM-9MQL9 50-59 years, female 9.5
GTEX-1H23P-0626-SM-9WG6T 60-69 years, male 9.5
GTEX-1MCC2-1826-SM-DIPEX 30-39 years, female 9.5
GTEX-1PBJJ-1026-SM-E76OS 30-39 years, male 9.5
GTEX-144GO-2026-SM-5O99P 60-69 years, male 9.4
GTEX-Y111-0626-SM-4SOIT 50-59 years, male 9.4
GTEX-ZAB4-2126-SM-5HL8U 40-49 years, male 9.4
GTEX-ZF2S-1626-SM-57WES 50-59 years, female 9.4
GTEX-ZZ64-1026-SM-5GZXG 20-29 years, male 9.4
GTEX-14753-0726-SM-5QGQO 60-69 years, male 9.3
GTEX-1HB9E-0126-SM-CM2S5 50-59 years, male 9.3
GTEX-13NYC-0126-SM-5L3F4 60-69 years, male 9.2
GTEX-1C2JI-1026-SM-73KY1 50-59 years, male 9.2
GTEX-1GMR3-0126-SM-A9SLW 40-49 years, male 9.2
GTEX-131XW-0626-SM-5PNVD 50-59 years, female 9.1
GTEX-13VXT-1926-SM-5K7UO 20-29 years, female 9.1
GTEX-13YAN-0226-SM-5TDC6 60-69 years, male 9.1
GTEX-17HG3-2626-SM-7DUF2 30-39 years, female 9.1
GTEX-1J1OQ-0126-SM-D4P2N 40-49 years, female 9.1
GTEX-1JMQJ-0826-SM-CNPP7 50-59 years, male 9.1
GTEX-13OVG-1626-SM-5J1NF 60-69 years, male 9.0
GTEX-11DZ1-2426-SM-5GZZX 50-59 years, male 8.9
GTEX-V1D1-2026-SM-3GAF4 50-59 years, male 8.9
GTEX-YECK-0326-SM-4W1YS 60-69 years, male 8.9
GTEX-1CB4J-1326-SM-7P8RX 60-69 years, male 8.9
GTEX-13N1W-2426-SM-5IJD1 70-79 years, male 8.8
GTEX-1EMGI-2326-SM-7PBYA 60-69 years, male 8.8
GTEX-1GF9V-0826-SM-9KNUV 60-69 years, male 8.8
GTEX-139T8-0626-SM-5KLZX 60-69 years, male 8.7
GTEX-15D1Q-2826-SM-6LLH7 40-49 years, male 8.7
GTEX-ZF3C-0626-SM-DO92O 50-59 years, female 8.7
GTEX-11LCK-2226-SM-5HL4Q 30-39 years, male 8.6
GTEX-144GM-0526-SM-79OJO 20-29 years, male 8.6
GTEX-14PII-0726-SM-6EU2B 60-69 years, male 8.6
GTEX-1F5PL-0926-SM-7PC2W 40-49 years, female 8.6
GTEX-13U4I-2226-SM-5LU5H 40-49 years, female 8.5
GTEX-15EO6-2426-SM-6PALZ 50-59 years, male 8.5
GTEX-17HII-1426-SM-7EPGG 50-59 years, male 8.5
GTEX-1CB4F-1026-SM-7DUH1 60-69 years, male 8.5
GTEX-1I1GS-2626-SM-B2LY3 60-69 years, male 8.5
GTEX-1I1GV-0626-SM-ARL7M 60-69 years, male 8.5
GTEX-11ZU8-0126-SM-5EQ58 60-69 years, male 8.4
GTEX-11ZUS-2626-SM-5FQUR 30-39 years, male 8.4
GTEX-1399S-0126-SM-5IJCF 30-39 years, female 8.4
GTEX-13PL6-1126-SM-5L3IE 40-49 years, female 8.4
GTEX-144FL-0626-SM-5LU43 50-59 years, male 8.4
GTEX-14PK6-0226-SM-62LF5 70-79 years, female 8.4
GTEX-14LZ3-0126-SM-69LPM 60-69 years, female 8.3
GTEX-1B933-2426-SM-7DHMD 50-59 years, female 8.3
GTEX-1BAJH-2426-SM-7IGP8 70-79 years, male 8.3
GTEX-1EN7A-2426-SM-793DB 40-49 years, male 8.3
GTEX-ZYT6-2326-SM-5GZY3 30-39 years, male 8.3
GTEX-1H1DG-2426-SM-9QEHJ 70-79 years, male 8.3
GTEX-1399U-1126-SM-5L3DB 50-59 years, female 8.2
GTEX-139UW-0326-SM-5J1ML 60-69 years, male 8.2
GTEX-13G51-1826-SM-5KLZH 60-69 years, male 8.2
GTEX-1S3DN-2126-SM-E9TIN 50-59 years, male 8.2
GTEX-16BQI-1326-SM-6M486 30-39 years, female 8.1
GTEX-17HHE-1326-SM-7EWDZ 50-59 years, male 8.1
GTEX-1GMRU-2126-SM-7P8RA 50-59 years, male 8.1
GTEX-1PIIG-2326-SM-DTXFR 30-39 years, male 8.1
GTEX-13OVJ-0826-SM-5J1OK 50-59 years, female 8.0
GTEX-145ME-1726-SM-5Q5EU 40-49 years, female 8.0
GTEX-14JG6-1426-SM-9WG7C 30-39 years, female 8.0
GTEX-1HKZK-0726-SM-ACKW2 40-49 years, male 8.0
GTEX-1QP28-1126-SM-EVYC4 50-59 years, female 8.0
GTEX-13VXU-0626-SM-5L3F9 50-59 years, male 7.9
GTEX-16YQH-2226-SM-7IGM2 30-39 years, male 7.9
GTEX-183WM-0326-SM-72D5V 70-79 years, female 7.9
GTEX-XAJ8-1426-SM-47JYM 40-49 years, male 7.9
GTEX-XBEW-1126-SM-4QARW 40-49 years, male 7.9
GTEX-ZVT4-2426-SM-5GIEI 50-59 years, female 7.9
GTEX-1F88F-0126-SM-9WYSZ 60-69 years, female 7.9
GTEX-13NYB-0126-SM-5J1MD 40-49 years, male 7.8
GTEX-13X6J-0626-SM-5LU5F 50-59 years, male 7.8
GTEX-XUW1-0926-SM-4BONX 50-59 years, female 7.8
GTEX-1PDJ9-1226-SM-EXUSX 20-29 years, male 7.8
GTEX-ZPIC-0526-SM-DO91W 40-49 years, female 7.8
GTEX-11DXX-2126-SM-5PNYR 60-69 years, female 7.7
GTEX-12WSH-1526-SM-5BC5W 50-59 years, male 7.7
GTEX-15CHC-1126-SM-6LLHQ 60-69 years, female 7.7
GTEX-15ER7-0626-SM-6PANF 20-29 years, female 7.7
GTEX-17KNJ-2126-SM-718AM 50-59 years, male 7.7
GTEX-1GL5R-1326-SM-7RHHF 50-59 years, male 7.7
GTEX-1HCU7-0726-SM-A9SL1 50-59 years, male 7.7
GTEX-1HFI6-0126-SM-CNPPI 40-49 years, male 7.6
GTEX-13PVQ-0626-SM-5LU47 50-59 years, male 7.5
GTEX-15CHR-1126-SM-7EWF4 50-59 years, male 7.5
GTEX-13IVO-0726-SM-5LZYV 70-79 years, male 7.4
GTEX-1H4P4-2126-SM-9WYSL 50-59 years, male 7.4
GTEX-147JS-0226-SM-5S2U9 60-69 years, male 7.2
GTEX-14C38-0726-SM-5SI6M 50-59 years, male 7.2
GTEX-1CB4H-1126-SM-7MKGL 60-69 years, female 7.2
GTEX-139D8-1126-SM-5LU8W 30-39 years, female 7.1
GTEX-17F98-1326-SM-7DUEP 40-49 years, female 7.1
GTEX-1E2YA-2126-SM-7MXUO 50-59 years, male 7.1
GTEX-14PJN-1826-SM-6AJ98 30-39 years, male 7.0
GTEX-1AX9I-2226-SM-73KUO 60-69 years, male 7.0
GTEX-1B8SF-0126-SM-7DUG3 60-69 years, male 7.0
GTEX-1I1CD-0626-SM-CE6SW 60-69 years, female 7.0
GTEX-1LVA9-2626-SM-EVYD4 50-59 years, male 7.0
GTEX-14PJ5-1526-SM-6LLIL 60-69 years, female 6.9
GTEX-1OJC4-2726-SM-E76PJ 50-59 years, female 6.9
GTEX-1R7EU-1626-SM-DTXG3 60-69 years, male 6.9
GTEX-ZGAY-1826-SM-DO91Q 40-49 years, female 6.9
GTEX-145LU-1926-SM-79OJN 50-59 years, male 6.8
GTEX-1CB4E-0926-SM-7EPHT 60-69 years, male 6.8
GTEX-YEC4-1826-SM-4W1YP 40-49 years, male 6.8
GTEX-ZYVF-0926-SM-5E44J 50-59 years, female 6.8
GTEX-1AYD5-2626-SM-7PBXY 50-59 years, male 6.8
GTEX-13OW7-0426-SM-5K7VK 50-59 years, male 6.7
GTEX-ZYY3-2926-SM-5GIEB 60-69 years, female 6.7
GTEX-ZZPU-0826-SM-5GZX5 50-59 years, female 6.7
GTEX-1JK1U-0226-SM-ARZMX 60-69 years, male 6.7
GTEX-13FTW-0326-SM-5K7UW 40-49 years, male 6.6
GTEX-17F9Y-0126-SM-79OKX 70-79 years, female 6.6
GTEX-ZT9X-1526-SM-5DUXD 40-49 years, male 6.6
GTEX-1I1HK-2326-SM-CKZOH 60-69 years, male 6.6
GTEX-1RAZQ-1326-SM-E9TK6 30-39 years, male 6.6
GTEX-11VI4-1126-SM-5EQMD 40-49 years, female 6.5
GTEX-12WSJ-1126-SM-5LZVJ 40-49 years, female 6.5
GTEX-1AMFI-1326-SM-7939R 50-59 years, female 6.5
GTEX-11P81-2226-SM-5PNYI 30-39 years, female 6.4
GTEX-13O3O-2326-SM-5IJD6 60-69 years, female 6.4
GTEX-13O61-1426-SM-5KM3D 60-69 years, male 6.4
GTEX-14PJ3-1126-SM-5ZZVX 50-59 years, male 6.4
GTEX-14XAO-1226-SM-6EU1C 60-69 years, female 6.4
GTEX-X5EB-1926-SM-4E3IW 40-49 years, male 6.4
GTEX-1PPH8-0126-SM-EWRN8 20-29 years, male 6.4
GTEX-1C6WA-2626-SM-7MKGM 60-69 years, male 6.3
GTEX-1GZ4H-0526-SM-9KNU9 50-59 years, female 6.3
GTEX-13O3Q-0126-SM-5KM34 50-59 years, male 6.2
GTEX-13QBU-1226-SM-5LU4G 40-49 years, female 6.2
GTEX-13X6K-0626-SM-5LU5D 60-69 years, female 6.2
GTEX-14C5O-0326-SM-5ZZUX 60-69 years, male 6.2
GTEX-13QJC-0126-SM-5ZZWJ 60-69 years, female 6.1
GTEX-1EKGG-0626-SM-7DUGJ 60-69 years, male 6.1
GTEX-1ICLY-0826-SM-CMKG1 50-59 years, male 6.1
GTEX-17EVP-2626-SM-7IGMA 40-49 years, male 6.0
GTEX-1C6VQ-1226-SM-73KYD 50-59 years, male 6.0
GTEX-1B8L1-2226-SM-7P8PT 60-69 years, male 5.9
GTEX-1IKJJ-2226-SM-CJI4C 60-69 years, male 5.9
GTEX-111YS-1526-SM-5GZYW 60-69 years, male 5.8
GTEX-Y3I4-1726-SM-4TT89 50-59 years, male 5.8
GTEX-1LGRB-0926-SM-COH3K 50-59 years, female 5.8
GTEX-1N2EE-0626-SM-E76PW 60-69 years, male 5.8
GTEX-1R46S-2426-SM-E76QA 60-69 years, female 5.8
GTEX-14A5H-0826-SM-5QGPJ 60-69 years, male 5.7
GTEX-15RIE-1926-SM-7KUKJ 60-69 years, male 5.7
GTEX-1J8Q3-0526-SM-ARL8U 60-69 years, male 5.5
GTEX-1KXAM-1626-SM-D3LAD 60-69 years, male 5.5
GTEX-11GS4-0226-SM-5HL77 60-69 years, male 5.4
GTEX-13SLW-0626-SM-5Q5ER 70-79 years, male 5.4
GTEX-14A6H-2026-SM-5Q5DD 30-39 years, male 5.4
GTEX-1B8KZ-0326-SM-73KY4 50-59 years, male 5.4
GTEX-Y9LG-1126-SM-4VBQ7 30-39 years, male 5.4
GTEX-1LB8K-0726-SM-D5OV2 50-59 years, male 5.4
GTEX-1313W-0626-SM-5EQ4H 50-59 years, female 5.3
GTEX-178AV-1726-SM-7KUL8 40-49 years, male 5.3
GTEX-ZPCL-1126-SM-4WWFE 60-69 years, female 5.3
GTEX-1KAFJ-0126-SM-DIPEK 50-59 years, male 5.3
GTEX-1269C-0126-SM-5EQ5L 60-69 years, female 5.2
GTEX-144GL-0626-SM-5LU4D 50-59 years, male 5.2
GTEX-14PJ6-2626-SM-6EU2T 60-69 years, female 5.2
GTEX-ZE7O-2726-SM-51MT5 50-59 years, female 5.2
GTEX-1HBPM-0726-SM-9YFL7 60-69 years, female 5.2
GTEX-13113-1626-SM-5EQ4I 60-69 years, female 5.1
GTEX-13OVK-1426-SM-6PAN7 40-49 years, male 5.1
GTEX-14B4R-1326-SM-5Q5EZ 30-39 years, male 5.1
GTEX-14PKU-0126-SM-6LLHV 40-49 years, female 5.1
GTEX-W5X1-2526-SM-3GILC 40-49 years, female 5.1
GTEX-ZVT2-0126-SM-5GIDQ 50-59 years, female 5.1
GTEX-1GPI6-1926-SM-9KNV7 60-69 years, male 5.1
GTEX-1H3O1-1326-SM-9MQLD 60-69 years, male 5.1
GTEX-1117F-2926-SM-5GZYI 60-69 years, female 5.0
GTEX-11ZTT-2126-SM-5CVLO 60-69 years, female 5.0
GTEX-XV7Q-1826-SM-4BRUV 40-49 years, female 5.0
GTEX-1QP2A-1726-SM-E76QC 50-59 years, male 5.0
GTEX-12ZZZ-0726-SM-5GCNZ 60-69 years, male 4.9
GTEX-11WQK-1026-SM-5EQLX 50-59 years, male 4.8
GTEX-1399Q-2326-SM-5KM2X 40-49 years, male 4.8
GTEX-14C39-1726-SM-5RQIL 40-49 years, male 4.8
GTEX-1A8G7-1326-SM-73KVM 60-69 years, male 4.8
GTEX-1GZHY-0626-SM-9KNVC 50-59 years, female 4.8
GTEX-1HCUA-0826-SM-ADEHM 50-59 years, female 4.8
GTEX-11PRG-0726-SM-5EGL1 50-59 years, male 4.6
GTEX-145MI-0626-SM-5SI8S 60-69 years, female 4.6
GTEX-1GN73-0726-SM-7P8TJ 60-69 years, male 4.6
GTEX-13FHO-0426-SM-5L3F5 60-69 years, male 4.5
GTEX-1QPFJ-1926-SM-EVYBD 30-39 years, female 4.5
GTEX-1EX96-1026-SM-7MKG2 50-59 years, male 4.4
GTEX-1GN2E-0226-SM-9WG6K 60-69 years, male 4.4
GTEX-15FZZ-0526-SM-7KUGD 30-39 years, female 4.3
GTEX-1GN1V-2826-SM-9JGIA 60-69 years, male 4.3
GTEX-1AMEY-0826-SM-72D65 30-39 years, female 4.2
GTEX-1HR9M-2226-SM-CNPPY 60-69 years, male 4.2
GTEX-1HSKV-1226-SM-ADEI4 60-69 years, male 4.2
GTEX-1122O-1026-SM-9WYSF 60-69 years, female 4.1
GTEX-145MH-2826-SM-5RQJF 50-59 years, male 4.0
GTEX-WFON-1926-SM-3LK7L 40-49 years, male 4.0
GTEX-1HT8W-0626-SM-A9G2H 30-39 years, male 4.0
GTEX-1HCU8-2526-SM-CE6RX 60-69 years, female 3.9
GTEX-111VG-1626-SM-5EGIO 60-69 years, male 3.7
GTEX-1QAET-0326-SM-EVR3U 50-59 years, male 3.6
GTEX-1ICLZ-0326-SM-ARL82 60-69 years, male 3.5
GTEX-1JMOU-1026-SM-CYPSS 60-69 years, female 3.5
GTEX-ZF29-0926-SM-4WKFZ 60-69 years, female 3.4
GTEX-ZVZP-1226-SM-5GID7 50-59 years, male 3.4
GTEX-1A8G6-2726-SM-731AR 60-69 years, male 3.3
GTEX-13PDP-0726-SM-5L3HP 60-69 years, male 3.1
GTEX-ZLV1-1526-SM-DO91J 60-69 years, female 3.1
GTEX-1J8QM-2426-SM-A9SLS 60-69 years, female 2.9
GTEX-13JVG-0726-SM-5KM16 60-69 years, male 2.8
GTEX-1C6VR-0126-SM-7RHGB 60-69 years, male 2.8
GTEX-1QP29-1826-SM-DTX9S 50-59 years, male 2.8
GTEX-15SKB-2826-SM-6PAMH 60-69 years, male 2.6
GTEX-16MT9-0126-SM-7EPI8 60-69 years, female 2.6
GTEX-1F5PK-2226-SM-7SB6N 50-59 years, male 2.6
GTEX-1I1GT-1026-SM-ARZLV 60-69 years, female 2.6
GTEX-1IOXB-2726-SM-CM2RI 50-59 years, male 2.6
GTEX-1IDJI-0126-SM-CMKHS 50-59 years, female 2.4
GTEX-1JJEA-1826-SM-ARU8P 60-69 years, male 2.3
GTEX-1H3VE-0726-SM-9YFL5 40-49 years, male 2.2
GTEX-1NV5F-0626-SM-DTXEG 60-69 years, female 2.1
GTEX-14PJ4-0226-SM-5YY92 60-69 years, male 1.9
GTEX-1AX9J-1326-SM-731BJ 60-69 years, male 0.7
Show allShow less
Skin - Sun Exposed (Lower leg)
Average nTPM: 16.4
Samples: 701

Max nTPM: 52.8
Min nTPM: 3.5
Std nTPM: 7.3
Median nTPM: 15.7
GTEX-1F75I-0326-SM-9YFLU 40-49 years, male 52.8
GTEX-1GPI6-0126-SM-9WG69 60-69 years, male 46.2
GTEX-XQ8I-0426-SM-4BOPO 50-59 years, male 43.0
GTEX-1IKK5-0626-SM-ARL8A 60-69 years, male 43.0
GTEX-1F6RS-0126-SM-9MQKZ 60-69 years, female 41.7
GTEX-139T4-0226-SM-5HL5S 50-59 years, female 40.0
GTEX-1NHNU-1026-SM-E9J2A 50-59 years, male 38.6
GTEX-17HHE-2026-SM-79OKF 50-59 years, male 38.5
GTEX-OHPM-0126-SM-2YUN9 50-59 years, male 38.3
GTEX-ZXES-1826-SM-5E43S 30-39 years, female 37.9
GTEX-11UD1-0126-SM-5PNYG 40-49 years, female 37.8
GTEX-11ZUS-0626-SM-59885 30-39 years, male 37.8
GTEX-U4B1-1826-SM-4DXSU 40-49 years, male 36.3
GTEX-1H1CY-2826-SM-9MQM3 60-69 years, female 35.9
GTEX-1QP2A-0126-SM-E9J43 50-59 years, male 35.6
GTEX-1R9PO-2126-SM-E9J4O 60-69 years, female 35.4
GTEX-X4XY-0226-SM-4E3IZ 60-69 years, male 34.9
GTEX-OXRO-0126-SM-2YUN4 60-69 years, female 34.4
GTEX-O5YW-0126-SM-3LK6D 50-59 years, male 34.0
GTEX-1C2JI-1826-SM-73KXC 50-59 years, male 33.8
GTEX-QEG4-0226-SM-2S1PY 30-39 years, male 33.8
GTEX-11P7K-2126-SM-5GU7G 30-39 years, male 33.7
GTEX-1HSEH-0126-SM-ACKXN 60-69 years, male 33.7
GTEX-1QW4Y-1526-SM-EAZ3Z 30-39 years, male 33.0
GTEX-WRHK-1426-SM-3MJF9 20-29 years, female 32.7
GTEX-14ICK-0226-SM-6EU25 40-49 years, male 32.5
GTEX-139T8-0126-SM-5K7XZ 60-69 years, male 32.4
GTEX-ZYFD-0126-SM-5GIDL 50-59 years, male 31.8
GTEX-12WSK-2326-SM-5GCOH 40-49 years, female 31.7
GTEX-1F75B-0126-SM-9KNVL 50-59 years, male 31.5
GTEX-1QP9N-1426-SM-DTXFL 30-39 years, male 31.2
GTEX-15SB6-1726-SM-6PAME 50-59 years, female 31.1
GTEX-1LSNM-1926-SM-E6CII 50-59 years, male 30.9
GTEX-1AYCT-2426-SM-7IGQ3 50-59 years, male 30.7
GTEX-1HBPH-0426-SM-B2LW5 40-49 years, female 30.5
GTEX-14E6C-0126-SM-5RQIP 40-49 years, male 30.4
GTEX-1AMEY-1326-SM-73KYK 30-39 years, female 30.4
GTEX-1IDJF-0126-SM-CM2RS 20-29 years, male 29.9
GTEX-1NV5F-0226-SM-E8VNY 60-69 years, female 29.9
GTEX-W5X1-3026-SM-EAZAX 40-49 years, female 29.9
GTEX-1ICLY-0126-SM-D4P36 50-59 years, male 29.8
GTEX-X62O-0126-SM-4E3JN 50-59 years, male 29.6
GTEX-OXRK-0226-SM-3NB2G 50-59 years, female 29.5
GTEX-YB5K-2126-SM-4WWDJ 40-49 years, female 29.2
GTEX-1LG7Y-0526-SM-DKPQC 50-59 years, male 29.0
GTEX-1N2DV-0226-SM-E6CJ6 40-49 years, male 28.3
GTEX-T5JC-0426-SM-32PLO 20-29 years, male 28.2
GTEX-WI4N-1026-SM-3LK7N 40-49 years, female 28.0
GTEX-WVJS-0126-SM-4MVOT 50-59 years, male 27.9
GTEX-QESD-1426-SM-2S1R9 20-29 years, male 27.8
GTEX-13FTW-2626-SM-5K7WL 40-49 years, male 27.7
GTEX-13FH7-2026-SM-E9J4I 50-59 years, female 27.4
GTEX-1F75A-0126-SM-7RHGM 50-59 years, male 27.2
GTEX-1I1GP-2226-SM-CGQFK 50-59 years, male 27.2
GTEX-1PPH7-2326-SM-EVYB8 40-49 years, male 27.1
GTEX-12WSD-0126-SM-59HKN 60-69 years, female 26.8
GTEX-OXRL-0126-SM-2YUMP 50-59 years, male 26.8
GTEX-1PBJI-0526-SM-E8VNK 20-29 years, female 26.8
GTEX-12126-0326-SM-5PNW3 20-29 years, male 26.4
GTEX-X4XX-0126-SM-3NMC2 60-69 years, male 26.4
GTEX-ZE9C-2726-SM-57WB5 60-69 years, male 26.4
GTEX-1J1R8-1726-SM-ARL8M 40-49 years, male 26.1
GTEX-14E7W-0126-SM-6LLJ9 70-79 years, male 25.9
GTEX-R55E-0126-SM-2TC5Y 20-29 years, male 25.8
GTEX-1B996-0226-SM-7RHGO 60-69 years, male 25.8
GTEX-13FTX-1826-SM-5J1NX 20-29 years, female 25.7
GTEX-13NZ8-0826-SM-5MR3I 60-69 years, female 25.6
GTEX-RN64-0126-SM-2TC68 50-59 years, male 25.6
GTEX-1MCYP-1926-SM-E9J2R 20-29 years, female 25.6
GTEX-146FQ-0126-SM-5NQA9 30-39 years, male 25.5
GTEX-14DAQ-0126-SM-5S2MQ 60-69 years, female 25.5
GTEX-WOFL-0126-SM-3MJG2 60-69 years, male 25.5
GTEX-11NSD-2226-SM-5986V 20-29 years, male 25.4
GTEX-XMD2-0126-SM-4YCDU 60-69 years, female 25.4
GTEX-1F6I4-0126-SM-9MQL2 60-69 years, male 25.4
GTEX-1IGQW-0126-SM-COH42 60-69 years, male 25.4
GTEX-1GN1V-0126-SM-9WPOS 60-69 years, male 25.3
GTEX-1H23P-0126-SM-ADEJ3 60-69 years, male 25.3
GTEX-WYJK-0126-SM-3NMAB 50-59 years, male 25.1
GTEX-RUSQ-1526-SM-2TF62 50-59 years, male 24.9
GTEX-1211K-2026-SM-5EQ4Z 60-69 years, female 24.8
GTEX-ZTPG-0326-SM-5O9AX 20-29 years, female 24.8
GTEX-1H3VY-0126-SM-ACKXD 50-59 years, male 24.8
GTEX-PX3G-0126-SM-2I3EN 20-29 years, female 24.7
GTEX-U3ZM-1526-SM-3DB9D 40-49 years, male 24.7
GTEX-1I19N-0326-SM-ACKVX 70-79 years, male 24.6
GTEX-PW2O-1526-SM-7RHHB 20-29 years, male 24.6
GTEX-13OW7-0126-SM-5MR3B 50-59 years, male 24.4
GTEX-WQUQ-0426-SM-3MJFU 60-69 years, male 24.3
GTEX-1KD5A-0226-SM-D5OV3 50-59 years, male 24.3
GTEX-1I6K6-0126-SM-A9SLE 30-39 years, male 24.0
GTEX-X8HC-0126-SM-4E3JW 50-59 years, female 23.9
GTEX-1C64O-0126-SM-7SB8P 60-69 years, male 23.8
GTEX-QDVN-2026-SM-3GAEP 50-59 years, male 23.7
GTEX-1H3O1-0426-SM-9YFKY 60-69 years, male 23.7
GTEX-117YX-2326-SM-5H12W 50-59 years, male 23.5
GTEX-1HKZK-0326-SM-9WYUH 40-49 years, male 23.5
GTEX-1J8QM-2126-SM-CYPSJ 60-69 years, female 23.5
GTEX-113JC-2326-SM-5EQ4E 50-59 years, female 23.4
GTEX-ZDTS-0126-SM-4WAY5 60-69 years, male 23.4
GTEX-15SHU-0126-SM-7KUEH 40-49 years, female 23.3
GTEX-13PVR-2326-SM-5QGR1 60-69 years, female 23.2
GTEX-RTLS-0126-SM-447CA 60-69 years, female 23.2
GTEX-131XF-5016-SM-7MGWE 60-69 years, male 23.2
GTEX-1H1E6-1726-SM-ACKVK 30-39 years, male 23.2
GTEX-1PFEY-1526-SM-E76PP 30-39 years, male 23.0
GTEX-11WQC-2526-SM-5CVLE 60-69 years, male 22.9
GTEX-RM2N-1426-SM-2TF4H 50-59 years, male 22.9
GTEX-17HGU-0226-SM-7DHKV 50-59 years, male 22.7
GTEX-1K2DA-1826-SM-CGQGT 50-59 years, male 22.7
GTEX-1IDFM-0126-SM-COH2V 60-69 years, male 22.6
GTEX-1AX8Z-0126-SM-7DHM6 60-69 years, male 22.5
GTEX-11TTK-0126-SM-5987B 60-69 years, female 22.4
GTEX-1HGF4-2426-SM-ACKXM 60-69 years, male 22.4
GTEX-13IVO-0126-SM-5J1NG 70-79 years, male 22.3
GTEX-13W3W-2426-SM-5LU5B 60-69 years, female 22.3
GTEX-RU72-0926-SM-2TF6B 50-59 years, female 22.3
GTEX-14JIY-0126-SM-6LLH6 60-69 years, male 22.2
GTEX-T2YK-0526-SM-32QPJ 50-59 years, male 22.2
GTEX-YEC4-2126-SM-5IFJH 40-49 years, male 22.2
GTEX-1CAV2-2226-SM-7P8P2 40-49 years, female 22.2
GTEX-13NZB-2526-SM-5J1OM 30-39 years, male 22.1
GTEX-1BAJH-0526-SM-793CQ 70-79 years, male 22.1
GTEX-O5YT-0126-SM-48TBW 20-29 years, male 22.1
GTEX-1C6WA-0126-SM-7PC2B 60-69 years, male 22.1
GTEX-131YS-0126-SM-5KM1M 60-69 years, female 21.9
GTEX-16MT8-0426-SM-7KUEY 60-69 years, female 21.9
GTEX-16XZZ-0126-SM-793DV 60-69 years, male 21.9
GTEX-18QFQ-0126-SM-731BE 30-39 years, male 21.9
GTEX-P4PQ-0126-SM-2S1NM 60-69 years, male 21.9
GTEX-1B933-0126-SM-7PC29 50-59 years, female 21.9
GTEX-PWCY-1826-SM-DHXIZ 20-29 years, female 21.9
GTEX-13RTJ-2426-SM-5S2Q2 60-69 years, male 21.8
GTEX-NPJ8-0126-SM-2YUNR 40-49 years, male 21.8
GTEX-SIU8-0126-SM-2XCDT 50-59 years, male 21.8
GTEX-Y111-0126-SM-4SOIV 50-59 years, male 21.8
GTEX-1JN6P-0126-SM-D3L98 60-69 years, male 21.8
GTEX-1N2EF-0226-SM-EYYXB 60-69 years, male 21.8
GTEX-RNOR-0126-SM-E9J4R 50-59 years, female 21.8
GTEX-PWO3-1526-SM-48TCM 60-69 years, female 21.7
GTEX-1HCU9-1526-SM-A9SL7 20-29 years, male 21.7
GTEX-1HSMQ-1226-SM-CGQFX 50-59 years, male 21.7
GTEX-13X6J-0126-SM-5QGOU 50-59 years, male 21.6
GTEX-1B8KZ-2026-SM-7DHMB 50-59 years, male 21.6
GTEX-XQ3S-1526-SM-4BOOC 20-29 years, male 21.6
GTEX-1MA7X-2226-SM-E6CIY 60-69 years, male 21.6
GTEX-11GS4-2726-SM-5A5LE 60-69 years, male 21.5
GTEX-12WSN-5019-SM-79OM6 40-49 years, male 21.5
GTEX-12ZZX-0126-SM-5EGK9 40-49 years, female 21.5
GTEX-1LGOU-2026-SM-DIPFF 20-29 years, female 21.5
GTEX-14BIM-0226-SM-7IGLD 60-69 years, female 21.3
GTEX-18A7A-0226-SM-718BH 50-59 years, female 21.3
GTEX-1A3MV-1926-SM-718BT 30-39 years, male 21.3
GTEX-11ZTT-2426-SM-5EQLS 60-69 years, female 21.2
GTEX-TMZS-0126-SM-3DB9Q 60-69 years, male 21.2
GTEX-X4EP-0126-SM-3P5YV 60-69 years, female 21.2
GTEX-1GF9X-2026-SM-7PC3A 40-49 years, female 21.2
GTEX-1HBPM-0226-SM-ARL9F 60-69 years, female 21.2
GTEX-146FH-0126-SM-5QGPP 50-59 years, female 21.1
GTEX-VJWN-0126-SM-3GIK7 50-59 years, female 21.1
GTEX-13O3Q-2426-SM-5IJBR 50-59 years, male 21.0
GTEX-Q2AI-1326-SM-2S1PL 40-49 years, male 21.0
GTEX-R55G-2526-SM-2TC6D 40-49 years, female 21.0
GTEX-1RAZA-0126-SM-E6CI3 20-29 years, male 21.0
GTEX-1A32A-0126-SM-718B1 50-59 years, female 20.9
GTEX-1AMFI-2026-SM-731BH 50-59 years, female 20.9
GTEX-1AX9I-0126-SM-7SB74 60-69 years, male 20.9
GTEX-1MUQO-0126-SM-EAZ58 60-69 years, male 20.9
GTEX-1PPH8-0226-SM-E8VND 20-29 years, male 20.9
GTEX-1C4CL-0526-SM-73KVK 30-39 years, male 20.8
GTEX-WXYG-2326-SM-4E3I6 50-59 years, female 20.8
GTEX-X4EO-0326-SM-3P5YO 60-69 years, female 20.8
GTEX-14DAR-2026-SM-5S2O3 50-59 years, male 20.7
GTEX-1H2FU-0126-SM-9WYSI 60-69 years, female 20.6
GTEX-1JKYN-1326-SM-CGQG9 30-39 years, male 20.6
GTEX-ZVT2-2526-SM-51MT1 50-59 years, female 20.5
GTEX-1H1DE-2126-SM-9WG6R 20-29 years, male 20.5
GTEX-1I1GS-0126-SM-B2LVW 60-69 years, male 20.5
GTEX-1JMQI-2226-SM-CM2SD 50-59 years, male 20.5
GTEX-13O3P-0126-SM-5KM4S 50-59 years, male 20.4
GTEX-OHPL-0126-SM-2HMJ7 60-69 years, female 20.4
GTEX-XYKS-2126-SM-4E3IB 60-69 years, female 20.4
GTEX-1QP66-1726-SM-E8VO1 50-59 years, male 20.4
GTEX-117YW-2626-SM-5GZZH 50-59 years, male 20.3
GTEX-13G51-2526-SM-5LZYK 60-69 years, male 20.3
GTEX-1F52S-0126-SM-9MQJU 60-69 years, female 20.3
GTEX-1GZ2Q-0226-SM-7P8TL 40-49 years, male 20.3
GTEX-1IE54-0126-SM-CMKHW 40-49 years, female 20.3
GTEX-13NYS-0126-SM-5MR3W 60-69 years, male 20.2
GTEX-1I1GU-2226-SM-CGQFA 40-49 years, male 20.2
GTEX-1JN76-0126-SM-CNPPE 20-29 years, female 20.2
GTEX-1MCQQ-0826-SM-DLHC2 60-69 years, male 20.2
GTEX-X261-0126-SM-3NMD6 50-59 years, male 20.1
GTEX-1QP67-1626-SM-EAZ3X 40-49 years, female 20.1
GTEX-1128S-2326-SM-5GZZY 60-69 years, female 20.0
GTEX-OXRP-0126-SM-3NB32 60-69 years, female 20.0
GTEX-1399U-2326-SM-5K7WY 50-59 years, female 19.9
GTEX-U412-0426-SM-3DB9O 60-69 years, male 19.9
GTEX-1GN1U-0126-SM-7PBZK 50-59 years, female 19.9
GTEX-11OF3-2626-SM-5GU7F 60-69 years, male 19.8
GTEX-1HFI6-0226-SM-ADEHZ 40-49 years, male 19.8
GTEX-OOBJ-0126-SM-E6CJW 60-69 years, male 19.8
GTEX-13X6H-2126-SM-7EWD5 50-59 years, female 19.6
GTEX-14PN3-2426-SM-6LLHS 60-69 years, female 19.6
GTEX-1J8JJ-0226-SM-CL53I 60-69 years, female 19.5
GTEX-13PDP-0126-SM-5L3HD 60-69 years, male 19.4
GTEX-QVJO-1626-SM-2S1QW 60-69 years, female 19.4
GTEX-1S82Y-2026-SM-EVYCM 40-49 years, male 19.4
GTEX-14A5H-0426-SM-5QGQF 60-69 years, male 19.3
GTEX-Y5LM-1926-SM-5RQJH 40-49 years, female 19.3
GTEX-11TUW-2726-SM-E9J4M 60-69 years, male 19.3
GTEX-1I1GV-0526-SM-A9G29 60-69 years, male 19.3
GTEX-144GN-2326-SM-5LU4F 50-59 years, male 19.2
GTEX-18465-0126-SM-731BN 50-59 years, male 19.2
GTEX-XUZC-1726-SM-4BRWS 30-39 years, female 19.2
GTEX-PLZ6-1426-SM-DKPOT 30-39 years, male 19.2
GTEX-XAJ8-0826-SM-47JY6 40-49 years, male 19.1
GTEX-11EM3-2426-SM-59861 20-29 years, female 19.0
GTEX-11TT1-2526-SM-5EGIB 20-29 years, male 19.0
GTEX-PLZ4-0126-SM-5SI8O 50-59 years, female 19.0
GTEX-XBED-2226-SM-47JYQ 60-69 years, male 19.0
GTEX-1GPI7-0126-SM-9MQL8 20-29 years, male 19.0
GTEX-11ZU8-2526-SM-5EQKI 60-69 years, male 18.9
GTEX-131XH-2226-SM-5DUXJ 50-59 years, male 18.9
GTEX-147GR-0526-SM-5S2MY 60-69 years, male 18.9
GTEX-S95S-1226-SM-4GICG 60-69 years, male 18.9
GTEX-1B8L1-2526-SM-9WYTF 60-69 years, male 18.9
GTEX-1497J-2426-SM-7IGNX 60-69 years, male 18.8
GTEX-1HSMP-0126-SM-E6CJS 70-79 years, male 18.8
GTEX-1MA7W-2026-SM-E9TJ6 20-29 years, female 18.8
GTEX-11EMC-2926-SM-5EQ4F 60-69 years, female 18.7
GTEX-13RTK-1426-SM-5QGQJ 20-29 years, male 18.7
GTEX-1CB4I-0226-SM-79OLH 50-59 years, male 18.7
GTEX-S7PM-0126-SM-4AD6S 60-69 years, male 18.7
GTEX-Y8E4-0626-SM-4WWDL 40-49 years, male 18.7
GTEX-QLQ7-1626-SM-2S1R8 60-69 years, male 18.6
GTEX-ZAB5-1826-SM-5HL7C 50-59 years, male 18.6
GTEX-139TS-2826-SM-5J1OO 60-69 years, male 18.5
GTEX-1B8KE-2126-SM-73KYX 50-59 years, male 18.5
GTEX-Q2AH-1626-SM-3GAF8 40-49 years, male 18.5
GTEX-146FR-1326-SM-E9J48 60-69 years, female 18.5
GTEX-1313W-0126-SM-5LZUN 50-59 years, female 18.4
GTEX-147F4-0226-SM-5QGPW 50-59 years, male 18.4
GTEX-1CB4G-0226-SM-7PC3O 60-69 years, male 18.4
GTEX-1RB15-2126-SM-E9TIM 60-69 years, male 18.4
GTEX-11P81-2326-SM-59875 30-39 years, female 18.3
GTEX-ZGAY-0526-SM-4WWBB 40-49 years, female 18.3
GTEX-169BO-1326-SM-9MQK2 50-59 years, male 18.3
GTEX-1J8Q2-0526-SM-CM2RW 60-69 years, male 18.3
GTEX-1OFPY-2426-SM-DTXEJ 60-69 years, male 18.3
GTEX-11OC5-0126-SM-5HL6A 60-69 years, male 18.2
GTEX-UPJH-0326-SM-3GADU 50-59 years, male 18.2
GTEX-ZAB4-0226-SM-5N9F5 40-49 years, male 18.2
GTEX-1KANB-0526-SM-E6CJH 50-59 years, male 18.2
GTEX-145LV-2126-SM-5LU8N 50-59 years, male 18.1
GTEX-15F5U-1526-SM-6PANO 40-49 years, male 18.1
GTEX-18A6Q-0126-SM-731BZ 60-69 years, male 18.1
GTEX-W5WG-1826-SM-4KL2Y 50-59 years, female 18.1
GTEX-1269C-2526-SM-5EGJ3 60-69 years, female 18.0
GTEX-14PHX-2326-SM-62LEM 50-59 years, male 18.0
GTEX-18D9A-1926-SM-7LG6P 30-39 years, female 18.0
GTEX-1GN1W-0526-SM-9MQJQ 50-59 years, female 18.0
GTEX-1RLM8-2326-SM-EWRN4 50-59 years, male 18.0
GTEX-11DZ1-0126-SM-5985Q 50-59 years, male 17.9
GTEX-13O21-1426-SM-5K7XI 50-59 years, male 17.9
GTEX-15EU6-0426-SM-6PAN5 50-59 years, male 17.9
GTEX-1AX9K-2326-SM-73KWU 50-59 years, male 17.9
GTEX-1IY9M-0126-SM-D3L8S 60-69 years, male 17.8
GTEX-YFC4-0126-SM-5CVLY 40-49 years, female 17.7
GTEX-1ICG6-2526-SM-CGQFZ 70-79 years, female 17.7
GTEX-Y114-2426-SM-4TT8A 50-59 years, female 17.6
GTEX-17EUY-0426-SM-793BD 20-29 years, male 17.5
GTEX-1CB4J-0626-SM-7DHMP 60-69 years, male 17.5
GTEX-QV44-1926-SM-2S1RF 50-59 years, male 17.5
GTEX-ZE7O-0126-SM-57WC1 50-59 years, female 17.5
GTEX-13O1R-0126-SM-5L3EH 60-69 years, male 17.4
GTEX-RWSA-0126-SM-2XCBB 40-49 years, male 17.4
GTEX-T6MO-1626-SM-32QOM 40-49 years, female 17.4
GTEX-1PIGE-0126-SM-EVYBJ 20-29 years, male 17.4
GTEX-1RAZQ-0726-SM-EAZ43 30-39 years, male 17.4
GTEX-139D8-0226-SM-5KLZO 30-39 years, female 17.3
GTEX-14E6E-1826-SM-5S2R7 30-39 years, male 17.3
GTEX-15D1Q-0126-SM-7KUG6 40-49 years, male 17.3
GTEX-1LNCM-1126-SM-E9U5E 50-59 years, female 17.3
GTEX-12C56-1726-SM-5EQ61 20-29 years, male 17.2
GTEX-13FHP-0126-SM-5IJBG 50-59 years, male 17.2
GTEX-18D9U-0226-SM-718BP 40-49 years, male 17.2
GTEX-17F96-1626-SM-7DUFL 70-79 years, male 17.1
GTEX-1399R-2726-SM-5IJBA 30-39 years, male 17.0
GTEX-15UKP-0426-SM-7KUFQ 20-29 years, male 17.0
GTEX-17F98-0626-SM-79OMX 40-49 years, female 17.0
GTEX-1EWIQ-0126-SM-7RHH2 70-79 years, female 17.0
GTEX-1IKOH-0226-SM-COH4E 60-69 years, female 17.0
GTEX-1MGNQ-0126-SM-EVYCJ 40-49 years, male 17.0
GTEX-1R7EV-2426-SM-EVYBG 40-49 years, male 17.0
GTEX-13U4I-0126-SM-5LU38 40-49 years, female 16.9
GTEX-13YAN-0326-SM-5O9DF 60-69 years, male 16.9
GTEX-15SHW-0326-SM-6PAML 60-69 years, male 16.9
GTEX-17MFQ-1726-SM-793C7 20-29 years, male 16.9
GTEX-UJHI-1526-SM-3DB99 50-59 years, female 16.9
GTEX-1LGRB-2526-SM-CNPPQ 50-59 years, female 16.9
GTEX-13D11-2426-SM-5KM1V 50-59 years, female 16.8
GTEX-Y5V6-2426-SM-4VDSB 60-69 years, male 16.8
GTEX-ZC5H-0226-SM-4WAY9 40-49 years, female 16.8
GTEX-ZQUD-1426-SM-57WER 30-39 years, male 16.8
GTEX-1GZ4H-1726-SM-7PBZJ 50-59 years, female 16.8
GTEX-TMMY-0226-SM-33HBA 40-49 years, female 16.7
GTEX-Y8DK-0126-SM-4TT3L 60-69 years, male 16.7
GTEX-1CB4F-0426-SM-9KNV4 60-69 years, male 16.7
GTEX-1PDJ9-0326-SM-DTX95 20-29 years, male 16.6
GTEX-11GSP-2526-SM-5N9BP 60-69 years, female 16.5
GTEX-13VXT-0126-SM-5LU4I 20-29 years, female 16.5
GTEX-14PHW-0126-SM-6LLJI 60-69 years, female 16.5
GTEX-18A7B-0126-SM-7LG64 70-79 years, male 16.5
GTEX-S7SE-0126-SM-2XCD5 50-59 years, male 16.5
GTEX-11ZVC-2526-SM-5FQTE 50-59 years, female 16.4
GTEX-139TU-0126-SM-5K7WH 60-69 years, male 16.4
GTEX-18D9B-0526-SM-7LTAS 60-69 years, male 16.4
GTEX-SUCS-1926-SM-32PM3 70-79 years, male 16.4
GTEX-1R7EU-0226-SM-EVR4G 60-69 years, male 16.4
GTEX-13FHO-0226-SM-5IFGY 60-69 years, male 16.3
GTEX-13W46-0226-SM-5SIAG 50-59 years, male 16.3
GTEX-148VJ-0126-SM-5TDDN 70-79 years, male 16.3
GTEX-15DDE-0126-SM-6LPKH 50-59 years, female 16.3
GTEX-15ETS-0126-SM-7KUMW 40-49 years, female 16.3
GTEX-183FY-0126-SM-7LT9P 20-29 years, male 16.3
GTEX-1EU9M-0226-SM-7P8SP 60-69 years, male 16.3
GTEX-139UW-2826-SM-5L3E7 60-69 years, male 16.2
GTEX-14A6H-0126-SM-5QGPK 30-39 years, male 16.2
GTEX-1HBPI-1526-SM-C1YQ1 50-59 years, male 16.2
GTEX-1RQEC-0426-SM-E6CHU 60-69 years, male 16.2
GTEX-11P82-1626-SM-59879 20-29 years, male 16.1
GTEX-T2IS-0126-SM-4DM6O 20-29 years, female 16.1
GTEX-1GN2E-0426-SM-9MQKX 60-69 years, male 16.1
GTEX-111FC-0126-SM-5N9DL 60-69 years, male 16.0
GTEX-1KWVE-1426-SM-E9TJO 30-39 years, male 16.0
GTEX-111VG-2426-SM-5GZXD 60-69 years, male 15.9
GTEX-12WSA-0226-SM-5BC5V 60-69 years, male 15.9
GTEX-1CAMR-1926-SM-7EPI2 20-29 years, male 15.9
GTEX-XXEK-2226-SM-4BRUM 50-59 years, male 15.9
GTEX-Y3I4-2126-SM-4TT7C 50-59 years, male 15.9
GTEX-S33H-1026-SM-EZ6L6 30-39 years, male 15.9
GTEX-11NUK-0126-SM-5A5L3 50-59 years, male 15.8
GTEX-14753-0426-SM-5NQAM 60-69 years, male 15.8
GTEX-1R9PM-2026-SM-E76OY 20-29 years, male 15.8
GTEX-14A5I-0126-SM-5TDEA 50-59 years, female 15.7
GTEX-15ER7-0326-SM-7KUEV 20-29 years, female 15.7
GTEX-YJ8A-0426-SM-5IFID 20-29 years, male 15.7
GTEX-Z93T-0126-SM-5HL5N 50-59 years, male 15.7
GTEX-1EN7A-0126-SM-7SB81 40-49 years, male 15.7
GTEX-1IL2V-0126-SM-CM2TX 70-79 years, male 15.7
GTEX-13FTY-0526-SM-5L3EV 40-49 years, female 15.6
GTEX-14ABY-0226-SM-5TDCQ 50-59 years, male 15.6
GTEX-14BIL-0126-SM-5SI92 50-59 years, male 15.6
GTEX-16XZY-2126-SM-79OK1 70-79 years, male 15.6
GTEX-1JMQJ-0526-SM-CYPSU 50-59 years, male 15.6
GTEX-1A3MX-0126-SM-731BR 60-69 years, male 15.5
GTEX-U8T8-0126-SM-3DB94 60-69 years, male 15.5
GTEX-1HCU6-0126-SM-CL54K 60-69 years, female 15.5
GTEX-OIZF-0126-SM-7SB8I 60-69 years, male 15.5
GTEX-NFK9-0226-SM-2HMKQ 40-49 years, male 15.4
GTEX-WZTO-0126-SM-3NM95 40-49 years, male 15.4
GTEX-1JMOU-1526-SM-CL54I 60-69 years, female 15.4
GTEX-11ZTS-0126-SM-5EQ6M 60-69 years, female 15.3
GTEX-145MO-0326-SM-5Q5B3 60-69 years, male 15.3
GTEX-QDVJ-1726-SM-2I5FX 50-59 years, male 15.3
GTEX-1J8Q3-1626-SM-CMKGC 60-69 years, male 15.3
GTEX-131XG-2626-SM-5KM17 50-59 years, female 15.2
GTEX-16NGA-1726-SM-731B4 40-49 years, female 15.2
GTEX-17HG3-2226-SM-7938L 30-39 years, female 15.2
GTEX-V1D1-2226-SM-3NMAX 50-59 years, male 15.2
GTEX-1F7RK-0126-SM-7PC2S 20-29 years, female 15.2
GTEX-16AAH-1726-SM-7939C 50-59 years, male 15.1
GTEX-XUW1-0426-SM-4BOOT 50-59 years, female 15.1
GTEX-13OW6-0426-SM-5L3HM 50-59 years, male 15.0
GTEX-PVOW-0126-SM-2XCFA 40-49 years, male 15.0
GTEX-1JJ6O-0126-SM-E6CI8 60-69 years, male 15.0
GTEX-1K9T9-0126-SM-EVYCF 50-59 years, female 15.0
GTEX-ZZ64-1726-SM-5GZYB 20-29 years, male 14.9
GTEX-13O3O-0126-SM-E9J49 60-69 years, female 14.9
GTEX-T6MN-0126-SM-32PLP 50-59 years, male 14.8
GTEX-YB5E-2026-SM-5IFIS 40-49 years, male 14.8
GTEX-11DXY-2626-SM-5GIE7 60-69 years, male 14.7
GTEX-13CF2-2526-SM-5LZYX 60-69 years, male 14.7
GTEX-14PJ3-1826-SM-62LEX 50-59 years, male 14.7
GTEX-16NPX-0226-SM-79OMT 50-59 years, male 14.7
GTEX-1OJC3-0126-SM-E76QX 20-29 years, male 14.7
GTEX-1QCLY-0326-SM-E8VOG 30-39 years, male 14.7
GTEX-1S5ZA-0126-SM-EVYCV 20-29 years, male 14.7
GTEX-131XW-0426-SM-5LZWP 50-59 years, female 14.6
GTEX-13RTL-0126-SM-7LG5S 40-49 years, male 14.6
GTEX-14XAO-2326-SM-6EU1B 60-69 years, female 14.6
GTEX-1I4MK-2226-SM-ACKWD 50-59 years, female 14.6
GTEX-13QJ3-0326-SM-5S2RA 50-59 years, male 14.4
GTEX-U8XE-0326-SM-3DB8P 30-39 years, male 14.4
GTEX-ZVZP-2426-SM-59HKJ 50-59 years, male 14.4
GTEX-1H1ZS-0426-SM-9WG6G 70-79 years, male 14.4
GTEX-1HCUA-2426-SM-ADEIS 50-59 years, female 14.4
GTEX-1QP29-0626-SM-EWRMX 50-59 years, male 14.4
GTEX-17F97-0326-SM-7LG5B 50-59 years, male 14.3
GTEX-TML8-1926-SM-32QOS 40-49 years, female 14.3
GTEX-11UD2-0226-SM-5EQKY 50-59 years, male 14.2
GTEX-1314G-1526-SM-5EGK2 30-39 years, male 14.2
GTEX-14BMU-2226-SM-5TDE9 20-29 years, female 14.2
GTEX-RVPV-0126-SM-EAZAW 60-69 years, male 14.2
GTEX-14PK6-1926-SM-6ETZU 70-79 years, female 14.1
GTEX-1EKGG-0226-SM-9WYTH 60-69 years, male 14.1
GTEX-133LE-1826-SM-5J1MV 20-29 years, female 14.0
GTEX-1EMGI-0126-SM-9KNUE 60-69 years, male 14.0
GTEX-1GF9W-0326-SM-9KNUN 60-69 years, male 14.0
GTEX-1GTWX-0126-SM-9YFLK 60-69 years, male 14.0
GTEX-15DYW-0126-SM-7KULE 60-69 years, female 13.9
GTEX-Y3IK-2426-SM-4WWDU 50-59 years, female 13.9
GTEX-1LC47-0326-SM-E9TJP 60-69 years, male 13.9
GTEX-13S7M-0126-SM-5SI6A 60-69 years, female 13.8
GTEX-145MN-2226-SM-5SIAU 30-39 years, male 13.8
GTEX-1JJE9-0326-SM-CL53Z 70-79 years, male 13.8
GTEX-1JKYR-0126-SM-CNPOJ 20-29 years, male 13.8
GTEX-1POEN-0126-SM-EYYXJ 30-39 years, female 13.8
GTEX-XPVG-2626-SM-4B669 50-59 years, male 13.7
GTEX-ZAK1-0126-SM-5IJD3 50-59 years, female 13.7
GTEX-1GZHY-0326-SM-9QEHI 50-59 years, female 13.7
GTEX-1JMQL-0226-SM-CNPP5 50-59 years, female 13.7
GTEX-12WSJ-1826-SM-5GCNY 40-49 years, female 13.6
GTEX-13OVK-2026-SM-7KUEO 40-49 years, male 13.6
GTEX-145LT-1726-SM-5QGP3 40-49 years, male 13.6
GTEX-1IDJU-2626-SM-CM2RT 60-69 years, female 13.6
GTEX-1S82Z-0826-SM-E6CHY 30-39 years, female 13.6
GTEX-145MF-0626-SM-5LUAI 50-59 years, male 13.5
GTEX-15UF6-0826-SM-6PALJ 70-79 years, female 13.5
GTEX-XBEW-0626-SM-4QASP 40-49 years, male 13.5
GTEX-1GN73-0226-SM-9WG67 60-69 years, male 13.5
GTEX-1JN1M-0326-SM-CYPT3 60-69 years, female 13.5
GTEX-1LB8K-0226-SM-EWRNW 50-59 years, male 13.5
GTEX-ZF3C-0126-SM-DO92D 50-59 years, female 13.5
GTEX-132NY-0326-SM-5IJBL 60-69 years, male 13.4
GTEX-13VXU-0126-SM-5SI9F 50-59 years, male 13.4
GTEX-1GMRU-0126-SM-9YFLV 50-59 years, male 13.4
GTEX-1HSGN-0226-SM-CGQFV 40-49 years, female 13.4
GTEX-14LZ3-0226-SM-62LET 60-69 years, female 13.3
GTEX-14PN4-0126-SM-6EU2V 50-59 years, male 13.3
GTEX-1F88F-2726-SM-7PBZZ 60-69 years, female 13.3
GTEX-15DCD-0126-SM-7KUEK 70-79 years, female 13.1
GTEX-X585-0226-SM-4QAS2 50-59 years, male 13.1
GTEX-PSDG-0226-SM-DKPOZ 50-59 years, male 13.1
GTEX-12584-0126-SM-5EGKQ 40-49 years, male 13.0
GTEX-148VI-1626-SM-5SI6E 60-69 years, female 13.0
GTEX-14LLW-0126-SM-6LLIO 70-79 years, female 13.0
GTEX-139TT-0126-SM-5K7Y5 60-69 years, male 12.8
GTEX-WY7C-2326-SM-3NB2U 50-59 years, male 12.8
GTEX-1JMPY-1326-SM-ARL8Y 30-39 years, male 12.8
GTEX-OIZG-0726-SM-33HBL 50-59 years, male 12.7
GTEX-P4PP-0126-SM-3LK69 30-39 years, female 12.7
GTEX-1I1CD-0126-SM-CM2TK 60-69 years, female 12.7
GTEX-1S83E-0126-SM-EWRO4 40-49 years, male 12.7
GTEX-ZVTK-0426-SM-51MRS 20-29 years, male 12.6
GTEX-1KD4Q-0226-SM-E9TJ9 40-49 years, male 12.6
GTEX-18A66-0226-SM-718BD 60-69 years, male 12.5
GTEX-1ICLZ-0126-SM-CKZPO 60-69 years, male 12.5
GTEX-P4QT-0126-SM-2I3FL 50-59 years, female 12.4
GTEX-U3ZH-2026-SM-3DB78 30-39 years, male 12.4
GTEX-1HR98-0126-SM-B2LWI 60-69 years, male 12.4
GTEX-17HII-0226-SM-7LG4E 50-59 years, male 12.3
GTEX-1GF9V-0326-SM-7RHI5 60-69 years, male 12.3
GTEX-13OVH-0126-SM-5MR4B 70-79 years, male 12.2
GTEX-15G19-0126-SM-6PANQ 60-69 years, male 12.2
GTEX-ZVT3-0126-SM-5GU6I 60-69 years, female 12.2
GTEX-1KANA-0726-SM-D3L9I 20-29 years, male 12.2
GTEX-1MJK2-0426-SM-DTXE5 50-59 years, male 12.2
GTEX-11XUK-2026-SM-5EQLF 40-49 years, female 12.1
GTEX-U3ZN-2326-SM-3DB7W 30-39 years, female 12.1
GTEX-117XS-2726-SM-5N9BL 60-69 years, male 12.0
GTEX-1192X-0226-SM-5H12D 50-59 years, male 12.0
GTEX-144FL-0126-SM-5TDC8 50-59 years, male 12.0
GTEX-1B8SG-0126-SM-73KZ3 50-59 years, male 12.0
GTEX-YJ89-0126-SM-4TT3X 60-69 years, male 12.0
GTEX-ZWKS-0126-SM-5SIAA 30-39 years, male 12.0
GTEX-1CAMS-0426-SM-7P8T2 40-49 years, female 12.0
GTEX-1J8EW-0126-SM-CJI4F 60-69 years, female 12.0
GTEX-13OVI-1426-SM-5L3EY 60-69 years, female 11.9
GTEX-145MI-0526-SM-5O9A8 60-69 years, female 11.9
GTEX-15EOM-0126-SM-7KUGG 20-29 years, female 11.9
GTEX-13NYC-0326-SM-E9J4S 60-69 years, male 11.9
GTEX-13OW5-0126-SM-DTXFS 60-69 years, male 11.9
GTEX-1A8FM-0226-SM-7SB7Q 50-59 years, female 11.9
GTEX-1K2DU-2326-SM-E9TIV 20-29 years, male 11.9
GTEX-14C5O-0126-SM-5SI6N 60-69 years, male 11.8
GTEX-XV7Q-2526-SM-4BRV9 40-49 years, female 11.8
GTEX-Z9EW-1626-SM-5CVMN 40-49 years, male 11.8
GTEX-1H3NZ-0126-SM-ACKX7 60-69 years, male 11.8
GTEX-14PII-0226-SM-6EU1T 60-69 years, male 11.7
GTEX-17EVQ-0226-SM-7LG4P 70-79 years, male 11.7
GTEX-TKQ1-1026-SM-4GICL 30-39 years, male 11.7
GTEX-WFG8-2226-SM-3GIL9 20-29 years, male 11.7
GTEX-1GF9U-2126-SM-7SB7L 40-49 years, female 11.7
GTEX-12KS4-0326-SM-5EQ41 30-39 years, male 11.6
GTEX-18A67-0126-SM-7LG5P 50-59 years, male 11.6
GTEX-ZF28-0126-SM-4WKGK 60-69 years, male 11.6
GTEX-1F5PL-0326-SM-7P8PQ 40-49 years, female 11.6
GTEX-13FXS-0226-SM-5IJCK 50-59 years, male 11.5
GTEX-17KNJ-2326-SM-7DHLQ 50-59 years, male 11.5
GTEX-T8EM-1026-SM-3DB7M 40-49 years, male 11.5
GTEX-1F48J-0126-SM-7P8TT 50-59 years, female 11.5
GTEX-SN8G-0126-SM-32PLI 50-59 years, female 11.4
GTEX-1H11D-0226-SM-9WG6Z 40-49 years, male 11.4
GTEX-T5JW-1626-SM-3GADZ 20-29 years, female 11.3
GTEX-ZDXO-3026-SM-5J1N5 60-69 years, male 11.3
GTEX-11DXX-2426-SM-5GZZW 60-69 years, female 11.2
GTEX-17HHY-0126-SM-7LG5D 50-59 years, male 11.2
GTEX-1B8SF-1426-SM-7DUGL 60-69 years, male 11.2
GTEX-1HBPN-0226-SM-9YFM1 50-59 years, male 11.2
GTEX-1RDX4-0126-SM-E9J4P 50-59 years, female 11.2
GTEX-13X6I-0626-SM-5QGP9 60-69 years, male 11.1
GTEX-VJYA-1126-SM-3GIJU 60-69 years, male 11.1
GTEX-13OVL-0226-SM-5L3E9 50-59 years, male 11.0
GTEX-17GQL-2026-SM-718BA 60-69 years, male 11.0
GTEX-OXRN-0126-SM-48TDM 50-59 years, male 11.0
GTEX-1I1GT-0626-SM-CGQER 60-69 years, female 11.0
GTEX-1KANC-1526-SM-D3LAB 50-59 years, female 11.0
GTEX-16BQI-0226-SM-7KUEX 30-39 years, female 10.9
GTEX-VUSG-2526-SM-4KL1V 50-59 years, male 10.9
GTEX-1S3DN-2226-SM-EVYCD 50-59 years, male 10.9
GTEX-QLQW-1126-SM-2S1Q8 30-39 years, male 10.8
GTEX-1GMR3-1926-SM-9KNUZ 40-49 years, male 10.8
GTEX-1IDJH-0326-SM-A9SLQ 70-79 years, male 10.8
GTEX-13JUV-2726-SM-5LZZ8 40-49 years, female 10.7
GTEX-ZV6S-2326-SM-4YCEY 40-49 years, female 10.7
GTEX-1F6IF-0726-SM-7P8TW 60-69 years, male 10.7
GTEX-1HUB1-0426-SM-E9U4U 60-69 years, male 10.7
GTEX-14E6D-0126-SM-62LDV 50-59 years, male 10.6
GTEX-14PJM-0226-SM-62LF1 50-59 years, female 10.6
GTEX-1AYD5-2426-SM-73KXR 50-59 years, male 10.6
GTEX-Q734-1926-SM-2I5EV 40-49 years, female 10.6
GTEX-WH7G-2326-SM-3NMBC 40-49 years, male 10.6
GTEX-XUYS-0126-SM-47JWZ 50-59 years, male 10.6
GTEX-Y5V5-2326-SM-4V6GA 60-69 years, female 10.6
GTEX-ZUA1-0126-SM-5GU76 40-49 years, male 10.6
GTEX-1H1DG-0126-SM-9WYU2 70-79 years, male 10.6
GTEX-11GSO-2426-SM-5A5LY 60-69 years, male 10.5
GTEX-14BIN-0626-SM-793DP 50-59 years, female 10.5
GTEX-OOBK-0126-SM-2YUND 40-49 years, male 10.5
GTEX-1QMI2-0226-SM-EVYBX 60-69 years, male 10.5
GTEX-144GL-0126-SM-5TDE2 50-59 years, male 10.4
GTEX-1PIIG-0226-SM-EWRN6 30-39 years, male 10.4
GTEX-113IC-0126-SM-5HL6T 60-69 years, male 10.3
GTEX-16GPK-0126-SM-7DHLE 60-69 years, male 10.3
GTEX-17EVP-0326-SM-7DHLG 40-49 years, male 10.3
GTEX-QCQG-1726-SM-3GIJ9 50-59 years, female 10.3
GTEX-WFON-2126-SM-3LK7O 40-49 years, male 10.3
GTEX-X5EB-2226-SM-46MW4 40-49 years, male 10.3
GTEX-1GL5R-1826-SM-9KNUY 50-59 years, male 10.3
GTEX-1QAET-0926-SM-E76QM 50-59 years, male 10.3
GTEX-ZPIC-1726-SM-DHXIU 40-49 years, female 10.3
GTEX-11VI4-1726-SM-5CVLH 40-49 years, female 10.2
GTEX-12ZZY-0226-SM-5LZVE 60-69 years, male 10.2
GTEX-1IOXB-0126-SM-ARL8G 50-59 years, male 10.2
GTEX-1JMQK-0226-SM-CL543 60-69 years, male 10.2
GTEX-1QEPI-0126-SM-EWRMQ 60-69 years, female 10.2
GTEX-13CF3-2426-SM-5IFGX 60-69 years, female 10.1
GTEX-1HFI7-1826-SM-ACKXH 50-59 years, female 10.1
GTEX-1HT8W-0126-SM-CNPPP 30-39 years, male 10.1
GTEX-147F3-0526-SM-5SI98 50-59 years, female 10.0
GTEX-1N2DW-0226-SM-E9TK2 50-59 years, male 10.0
GTEX-11EQ9-2426-SM-5HL5T 30-39 years, male 9.9
GTEX-12ZZZ-0626-SM-5DUXI 60-69 years, male 9.9
GTEX-RWS6-2026-SM-2XCB5 60-69 years, female 9.9
GTEX-1HSMO-0126-SM-CL547 60-69 years, male 9.9
GTEX-12696-2426-SM-5EQ6H 60-69 years, male 9.8
GTEX-13113-5016-SM-7EPIP 60-69 years, female 9.8
GTEX-11H98-0126-SM-5EGHG 50-59 years, male 9.7
GTEX-QDT8-0126-SM-48TZ1 30-39 years, female 9.7
GTEX-1J1OQ-0226-SM-CYPSH 40-49 years, female 9.7
GTEX-13NZA-0226-SM-5K7Z7 60-69 years, male 9.6
GTEX-14BMV-0126-SM-5S2PO 50-59 years, male 9.6
GTEX-17MF6-0126-SM-7LG4F 40-49 years, male 9.6
GTEX-WYVS-2126-SM-3NMA3 40-49 years, female 9.6
GTEX-1IL2U-0226-SM-CE6T8 60-69 years, male 9.6
GTEX-14JG1-0426-SM-6ETZZ 40-49 years, male 9.5
GTEX-16YQH-0126-SM-7DUFJ 30-39 years, male 9.5
GTEX-1C64N-0126-SM-793D7 50-59 years, male 9.5
GTEX-TSE9-0126-SM-3DB83 60-69 years, female 9.5
GTEX-ZU9S-0226-SM-5E441 30-39 years, male 9.5
GTEX-1C6VQ-0126-SM-7P8RI 50-59 years, male 9.5
GTEX-1I1HK-0126-SM-COH49 60-69 years, male 9.5
GTEX-1KXAM-2226-SM-CYPTC 60-69 years, male 9.5
GTEX-ZF29-2326-SM-DO92K 60-69 years, female 9.5
GTEX-12WSE-0526-SM-793B2 20-29 years, male 9.4
GTEX-ZVZO-0126-SM-5A5L9 40-49 years, male 9.4
GTEX-11LCK-1026-SM-5A5KB 30-39 years, male 9.3
GTEX-13112-2826-SM-5DUWH 50-59 years, male 9.3
GTEX-13N11-2526-SM-5K7UE 50-59 years, female 9.3
GTEX-13SLX-0526-SM-5S2ON 50-59 years, female 9.3
GTEX-15SDE-2226-SM-7IGLO 50-59 years, female 9.3
GTEX-P44H-0226-SM-2XCEU 40-49 years, male 9.3
GTEX-Z93S-0126-SM-5HL7M 50-59 years, male 9.2
GTEX-1QPFJ-0226-SM-E76PB 30-39 years, female 9.2
GTEX-1AX9J-0226-SM-73KXM 60-69 years, male 9.1
GTEX-ZDYS-2026-SM-5HL5L 50-59 years, male 9.1
GTEX-1M5QR-1226-SM-EWROB 40-49 years, male 9.1
GTEX-13111-1626-SM-5EGJY 50-59 years, male 9.0
GTEX-13N2G-2626-SM-5J1OT 60-69 years, male 9.0
GTEX-ZZPT-0226-SM-5E43X 50-59 years, male 9.0
GTEX-1HCU8-0626-SM-A9SM9 60-69 years, female 9.0
GTEX-1R46S-0626-SM-E9J41 60-69 years, female 9.0
GTEX-13N1W-0126-SM-5K7VT 70-79 years, male 8.9
GTEX-1A3MW-0126-SM-73KXX 60-69 years, female 8.9
GTEX-1I1GR-0126-SM-CL55F 60-69 years, male 8.9
GTEX-11DYG-0126-SM-59883 60-69 years, male 8.7
GTEX-13SLW-0126-SM-5SI6C 70-79 years, male 8.7
GTEX-15CHC-2126-SM-6EU21 60-69 years, female 8.7
GTEX-11O72-0126-SM-59887 40-49 years, male 8.6
GTEX-1399T-2826-SM-5KLYZ 60-69 years, male 8.6
GTEX-1B97I-1626-SM-73KYO 40-49 years, male 8.6
GTEX-ZAJG-0126-SM-5HL94 50-59 years, female 8.6
GTEX-12WSC-0126-SM-5EQ4P 50-59 years, male 8.5
GTEX-X88G-0126-SM-47JZ3 30-39 years, male 8.5
GTEX-1HCVE-0126-SM-CGQEU 50-59 years, male 8.5
GTEX-1C475-1826-SM-73KWA 40-49 years, female 8.4
GTEX-1HCU7-0226-SM-CL545 50-59 years, male 8.4
GTEX-145ME-1826-SM-5SI9G 40-49 years, female 8.3
GTEX-S32W-2126-SM-2XCB1 50-59 years, female 8.3
GTEX-ZDTT-2726-SM-4WKF8 60-69 years, male 8.3
GTEX-15RIG-0226-SM-7KFTL 40-49 years, male 8.2
GTEX-17JCI-0126-SM-7LG5G 60-69 years, female 8.2
GTEX-1PWST-0226-SM-E76QJ 70-79 years, male 8.2
GTEX-ZVT4-0126-SM-DTXFN 50-59 years, female 8.2
GTEX-OIZH-0126-SM-2HMIS 50-59 years, male 8.1
GTEX-SSA3-0126-SM-32QPU 60-69 years, male 8.1
GTEX-ZYW4-0126-SM-5E44A 60-69 years, male 8.1
GTEX-R3RS-0126-SM-3GIJL 40-49 years, female 8.0
GTEX-ZVE2-0226-SM-59HJB 50-59 years, male 8.0
GTEX-1LH75-2426-SM-E9TJE 50-59 years, female 8.0
GTEX-ZYY3-0126-SM-5GZY5 60-69 years, female 7.9
GTEX-1EX96-1626-SM-7PBXR 50-59 years, male 7.9
GTEX-SNMC-1226-SM-2XCFP 20-29 years, male 7.8
GTEX-11DXZ-2326-SM-5EGGV 50-59 years, male 7.7
GTEX-ZYFG-2326-SM-5E44B 60-69 years, female 7.7
GTEX-1JK1U-2026-SM-CM2RZ 60-69 years, male 7.7
GTEX-ZQG8-1626-SM-DHXIT 60-69 years, female 7.7
GTEX-PLZ5-2026-SM-2S1O4 50-59 years, male 7.6
GTEX-Q2AG-0126-SM-33HBV 40-49 years, female 7.6
GTEX-SJXC-0126-SM-2XCFF 60-69 years, male 7.6
GTEX-ZF2S-2326-SM-4WWCE 50-59 years, female 7.6
GTEX-1C6VR-2426-SM-79OLD 60-69 years, male 7.5
GTEX-1E2YA-0126-SM-9KNUC 50-59 years, male 7.5
GTEX-1I1GQ-0126-SM-COH3H 50-59 years, male 7.5
GTEX-X638-0126-SM-47JZ8 70-79 years, female 7.4
GTEX-ZY6K-1826-SM-5GZXK 50-59 years, male 7.4
GTEX-1GMR8-0126-SM-9WYTM 50-59 years, female 7.4
GTEX-1JMPZ-0226-SM-CNPP1 30-39 years, male 7.4
GTEX-1LVAN-0226-SM-COH3S 50-59 years, female 7.4
GTEX-1E1VI-0126-SM-7DHMZ 50-59 years, male 7.3
GTEX-ZTX8-1426-SM-5DUVO 20-29 years, male 7.3
GTEX-12WSG-2826-SM-E9J4H 50-59 years, female 7.3
GTEX-13OVJ-0126-SM-5KM36 50-59 years, female 7.2
GTEX-14JG6-2226-SM-6EU2G 30-39 years, female 7.2
GTEX-1JMLX-0226-SM-CM2RO 50-59 years, male 7.2
GTEX-R45C-0126-SM-EAZ2R 60-69 years, female 7.2
GTEX-ZYT6-0226-SM-5NQ6T 30-39 years, male 7.1
GTEX-1F5PK-2426-SM-7RHHY 50-59 years, male 7.1
GTEX-1H3VE-0326-SM-9YFLH 40-49 years, male 7.1
GTEX-1212Z-2526-SM-5EGKP 60-69 years, male 7.0
GTEX-145LS-0126-SM-5QGP1 60-69 years, female 6.9
GTEX-1C6VS-0526-SM-7DUEN 60-69 years, male 6.9
GTEX-ZXG5-0126-SM-5GIEU 60-69 years, male 6.9
GTEX-12WSL-2526-SM-5GCNJ 50-59 years, male 6.8
GTEX-ZEX8-2426-SM-4WKG4 50-59 years, male 6.8
GTEX-11WQK-0526-SM-5EQLD 50-59 years, male 6.6
GTEX-145LU-0126-SM-5TDCB 50-59 years, male 6.6
GTEX-1192W-2626-SM-5Q5AF 60-69 years, male 6.5
GTEX-1CB4H-0226-SM-7PBXM 60-69 years, female 6.5
GTEX-1KAFJ-2026-SM-CY8ID 50-59 years, male 6.5
GTEX-13OW8-1326-SM-5J1OW 60-69 years, male 6.3
GTEX-1R9K4-0126-SM-DTX9X 60-69 years, male 6.3
GTEX-ZV68-0126-SM-59HKS 50-59 years, female 6.2
GTEX-1L5NE-2526-SM-E6CIE 50-59 years, male 6.2
GTEX-1OJC4-0126-SM-E9J2E 50-59 years, female 6.2
GTEX-11EI6-0126-SM-5985R 60-69 years, male 6.0
GTEX-131XE-2326-SM-5PNZ2 50-59 years, male 5.9
GTEX-ZTSS-1926-SM-57WEW 40-49 years, male 5.8
GTEX-1LG7Z-1726-SM-D3LA4 30-39 years, male 5.8
GTEX-1HSKV-0226-SM-A9SKJ 60-69 years, male 5.7
GTEX-1CAMQ-0226-SM-7IGPK 40-49 years, male 5.6
GTEX-1O97I-0326-SM-EYYX7 60-69 years, male 5.6
GTEX-ZYFC-0226-SM-5NQ75 50-59 years, male 5.4
GTEX-Y8LW-1826-SM-5S2MV 50-59 years, female 5.3
GTEX-1M4P7-0226-SM-DIPEV 60-69 years, male 5.3
GTEX-POMQ-2226-SM-2I5FK 20-29 years, female 5.0
GTEX-1IKJJ-0126-SM-CNPQB 60-69 years, male 5.0
GTEX-1LBAC-0126-SM-DIPEZ 20-29 years, male 5.0
GTEX-11DXW-0226-SM-5H122 40-49 years, male 4.8
GTEX-13OVG-1926-SM-5L3DK 60-69 years, male 4.6
GTEX-14PJ6-2126-SM-6EU1V 60-69 years, female 4.5
GTEX-13NYB-2526-SM-5K7Z6 40-49 years, male 4.4
GTEX-1CB4E-2226-SM-793DC 60-69 years, male 4.4
GTEX-1H4P4-0726-SM-9YFLR 50-59 years, male 3.8
GTEX-1HB9E-0226-SM-E9U4R 50-59 years, male 3.8
GTEX-1JJEA-0326-SM-CNPOT 60-69 years, male 3.8
GTEX-SE5C-1626-SM-2XCE3 40-49 years, female 3.8
GTEX-1122O-2126-SM-5EGIR 60-69 years, female 3.6
GTEX-183WM-0126-SM-7LTAB 70-79 years, female 3.5
Show allShow less

Contact

  • NEWS ARTICLES
  • PRESS ROOM

The Project

  • INTRODUCTION
  • ORGANIZATION
  • PUBLICATIONS

The Human Protein Atlas

  • DOWNLOADABLE DATA
  • LICENCE & CITATION
  • HELP & FAQ
The Human Protein Atlas project is funded
by the Knut & Alice Wallenberg Foundation.


contact@proteinatlas.org