We use cookies to enhance the usability of our website. If you continue, we'll assume that you are happy to receive all cookies. More information. Don't show this again.
CENPM
HPA
RESOURCES
  • TISSUE
  • BRAIN
  • SINGLE CELL
  • SUBCELLULAR
  • CANCER
  • BLOOD
  • CELL LINE
  • STRUCTURE & INTERACTION
ABOUT
  • INTRODUCTION
  • HISTORY
  • ORGANIZATION
  • PUBLICATIONS
  • ANTIBODY SUBMISSION
  • ANTIBODY AVAILABILITY
  • ACKNOWLEDGMENTS
  • CONTACT
NEWS
  • NEWS ARTICLES
  • PRESS ROOM
LEARN
  • DICTIONARY
  • PROTEIN CLASSES
  • PROTEIN EVIDENCE
  • METHODS
  • EDUCATIONAL VIDEOS
DATA
  • DOWNLOADABLE DATA
  • PUBLICATION DATA
  • RELEASE HISTORY
HELP
  • ANTIBODY VALIDATION
  • ASSAYS & ANNOTATION
  • DISCLAIMER
  • HELP & FAQ
  • PRIVACY STATEMENT
  • LICENCE & CITATION
Fields »
Search result

Field
Term
Gene name
Class
Subclass
Class
Keyword
Chromosome
External id
Tissue
Cell type
Expression
Antibody panel
Tissue
Main location
Patient ID
Annotation
Tissue
Category
Tau score
Cluster
Reliability
Brain region
Category
Tau score
Brain region
Category
Tau score
Brain region
Category
Tau score
Cluster
Reliability
Tissue
Cell type
Enrichment
Cell type
Category
Tau score
Cell type
Category
Tau score
Cell type
Category
Tau score
Cell lineage
Category
Tau score
Cluster
Cluster
Location
Searches
Location
Cell line
Class
Type
Phase
Reliability
Cancer
Prognosis
Cancer
Category
Cancer
Category
Tau score
Cluster
Variants
Interacting gene (ensg_id)
Type
Number of interactions
Pathway
Category
Score
Score
Score
Validation
Validation
Validation
Validation
Antibodies
Data type
Column


  • SUMMARY

  • TISSUE

  • BRAIN

  • SINGLE CELL

  • SUBCELL

  • CANCER

  • BLOOD

  • CELL LINE

  • STRUCT & INT

  • CENPM
TISSUE PRIMARY DATA SKIN Show tissue menu
ADIPOSE TISSUE ADRENAL GLAND AMYGDALA APPENDIX BASAL GANGLIA BONE MARROW BREAST BRONCHUS CEREBELLUM CEREBRAL CORTEX CERVIX CHOROID PLEXUS COLON DUODENUM
ENDOMETRIUM EPIDIDYMIS ESOPHAGUS FALLOPIAN TUBE GALLBLADDER HEART MUSCLE HIPPOCAMPAL FORMATION HYPOTHALAMUS KIDNEY LIVER LUNG LYMPH NODE MIDBRAIN NASOPHARYNX
ORAL MUCOSA OVARY PANCREAS PARATHYROID GLAND PITUITARY GLAND PLACENTA PROSTATE RECTUM RETINA SALIVARY GLAND SEMINAL VESICLE SKELETAL MUSCLE SKIN SMALL INTESTINE
SMOOTH MUSCLE SOFT TISSUE SPINAL CORD SPLEEN STOMACH TESTIS THYMUS THYROID GLAND TONGUE TONSIL URINARY BLADDER VAGINA
ANTIBODIES
AND
VALIDATION
Dictionary
Skin
Tissue proteome
Skin
SKIN - Expression summary
Protein expression
Skini

On the top, protein expression in current human tissue, based on all annotated cell types, is reported with the units not detected (n), low (l), medium (m) and high (h). Underneath, protein expression in each annotated cell type are reported using the same units.

Protein expression data is based on knowledge-based annotation. For genes where more than one antibody has been used, a collective score is set.

If knowledge-based annotation could not be performed for a gene, no data is displayed here. View antibody staining data further down this page.

h
m
l
n
Arrector pili muscle cells: Not detected
Cells in basal layer: Not detected
Cells in corneal layer: Not detected
Cells in granular layer: Not detected
Cells in spinous layer: Not detected
Endothelial cells: Not detected
Extracellular matrix: Not detected
Fibrohistiocytic cells: Low
Langerhans cells: Not detected
Lymphocytes: Not detected
Melanocytes: Not detected
Vascular mural cells: Not detected
RNA expressioni

A summary of mRNA expression data available for current tissue based on several datasets. The mRNA expression levels in human tissues are based on RNA-seq data generated by the Human Protein Atlas (HPA), Genotype-Tissue Expression (GTEx) portal and CAGE data generated by the FANTOM5 consortium. Consensus normalized expression levels for human tissues was created by combining the data from HPA and GTEx datasets.

The mRNA expression levels in pig are based on RNA-seq data generated by the Human Protein Atlas (HPA), and for mouse, HPA data and in situ hybridization generated by the Allen brain atlas are reported.

Scroll down to view mRNA expression data in more detail.
Consensus:7.8 nTPM
HPA:5.4 nTPM
GTEx:7.8 nTPM

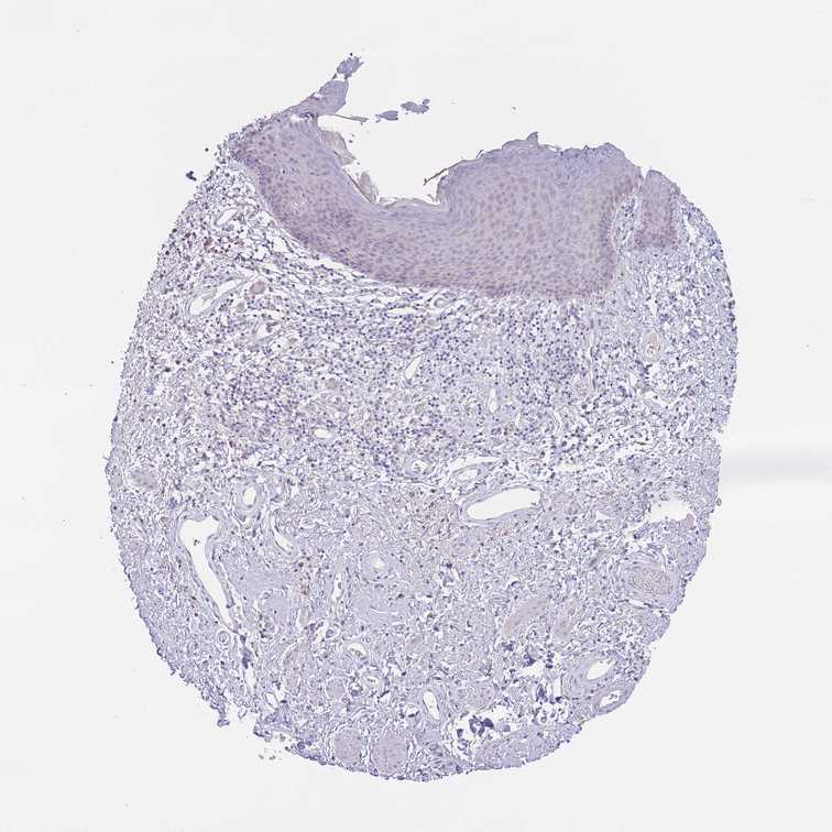
SKIN 1 - Antibody stainingi

Antibody staining in the annotated cell types in the current human tissue is reported as not detected, low, medium, or high, based on conventional immunohistochemistry profiling in selected tissues. This score is based on the combination of the staining intensity and fraction of stained cells.

Each image is clickable and will lead to virtual microscopy that enables deeper exploration of all samples and also displays staining intensity scores, fraction scores and subcellular localization as well as patient and tissue information for each sample.

Antibody HPA042404
Cells in basal layer Not detected
Cells in corneal layer Not detected
Cells in granular layer Not detected
Cells in spinous layer Not detected
Endothelial cells Not detected
Extracellular matrix Not detected
Fibrohistiocytic cells Not detected
Langerhans cells Not detected
Lymphocytes Not detected
Melanocytes Not detected
Vascular mural cells Not detected
 
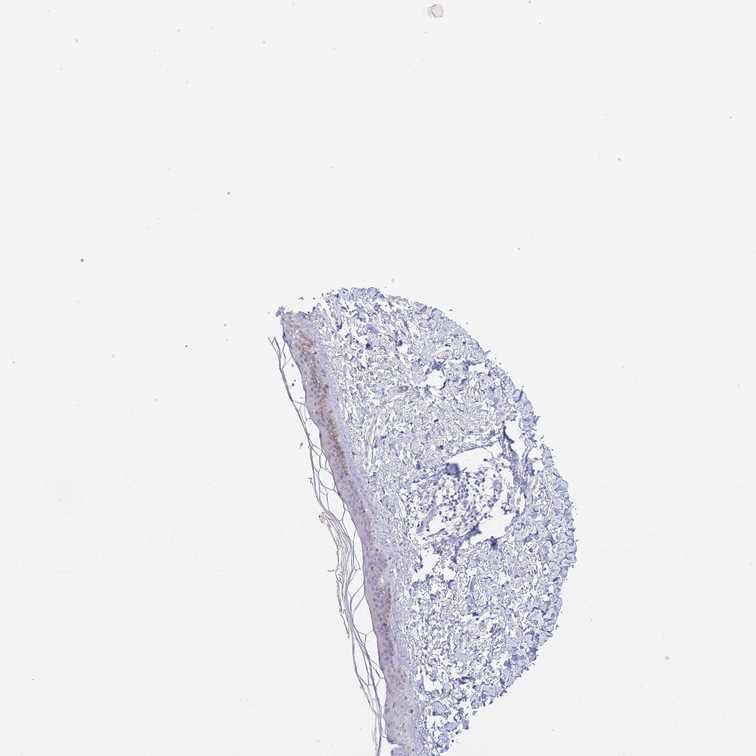
SKIN 2 - Antibody stainingi

Antibody staining in the annotated cell types in the current human tissue is reported as not detected, low, medium, or high, based on conventional immunohistochemistry profiling in selected tissues. This score is based on the combination of the staining intensity and fraction of stained cells.

Each image is clickable and will lead to virtual microscopy that enables deeper exploration of all samples and also displays staining intensity scores, fraction scores and subcellular localization as well as patient and tissue information for each sample.

Antibody HPA042404
Arrector pili muscle cells Not detected
Cells in basal layer Not detected
Cells in corneal layer Not detected
Cells in granular layer Not detected
Cells in spinous layer Not detected
Endothelial cells Not detected
Extracellular matrix Not detected
Fibrohistiocytic cells Low
Langerhans cells Not detected
Lymphocytes Not detected
Melanocytes Not detected
Vascular mural cells Not detected


SKIN - HPA RNA-seqi

The RNA-seq details section shows detailed information about the individual samples used for the transcript profiling and results of the RNA-seq analysis.

Information about each individual sample is listed below, including gender, age, a tissue section image and estimated fractions of cell types. nTPM (normalized transcripts per million) values give a quantification of the gene abundance which is comparable between different genes and samples.
Average nTPMi

Max subtype nTPM is the value for the subtype with the largest average nTPM across the subtype samples.

5.4
overview
Female, age 34
Skin sample 225
nTPM: 5.2
Cell types%
Keratinocytes:
60

Other cell types:
40

overview
Female, age 30
Skin sample 226
nTPM: 3.5
Cell types%
Keratinocytes:
55

Other cell types:
45

N/A
Male, age 57
Skin sample 227
nTPM: 7.6

SKIN - GTEx RNA-seqi

RNA-Seq data generated by the Genotype-Tissue Expression (GTEx) project from human tissues is reported as mean nTPM. More information can be found on the GTEx portal.

Distribution across the dataset is visualized with box plots, shown as median and 25th and 75th percentiles. Points are displayed as outliers if they are above or below 1.5 times the interquartile range. nTPM values of the individual samples are presented next to the box plot.
Max subtype nTPMi

Max subtype nTPM is the value for the subtype with the largest average nTPM across the subtype samples.

7.8
GTEx sample id Sample description nTPM
Skin - Not Sun Exposed (Suprapubic)
Average nTPM: 7.8
Samples: 604

Max nTPM: 39.5
Min nTPM: 1.2
Std nTPM: 4.3
Median nTPM: 6.9
GTEX-1IKOE-1426-SM-CE6T7 30-39 years, female 39.5
GTEX-WXYG-2026-SM-4E3IY 50-59 years, female 30.5
GTEX-1F6RS-2026-SM-7RHHC 60-69 years, female 24.8
GTEX-1PIGE-1826-SM-E8VOU 20-29 years, male 23.6
GTEX-1RMOY-1326-SM-E9TIH 50-59 years, male 22.6
GTEX-13IVO-0726-SM-5LZYV 70-79 years, male 21.7
GTEX-16MT9-0126-SM-7EPI8 60-69 years, female 21.4
GTEX-1OJC3-1226-SM-DTXER 20-29 years, male 21.3
GTEX-111VG-1626-SM-5EGIO 60-69 years, male 20.8
GTEX-1HCVE-2726-SM-CL54F 50-59 years, male 20.1
GTEX-13NZ8-1226-SM-5KM4A 60-69 years, female 19.9
GTEX-1R9PM-1926-SM-EVR3O 20-29 years, male 19.6
GTEX-Y114-2126-SM-4TT8B 50-59 years, female 18.9
GTEX-1J1OQ-0126-SM-D4P2N 40-49 years, female 18.9
GTEX-YECK-0326-SM-4W1YS 60-69 years, male 18.8
GTEX-ZTX8-1326-SM-4YCEL 20-29 years, male 18.5
GTEX-1JMQJ-0826-SM-CNPP7 50-59 years, male 18.2
GTEX-ZP4G-1426-SM-4WWCL 20-29 years, female 18.0
GTEX-13NYB-0126-SM-5J1MD 40-49 years, male 17.9
GTEX-ZPCL-1126-SM-4WWFE 60-69 years, female 17.8
GTEX-1EMGI-2326-SM-7PBYA 60-69 years, male 17.4
GTEX-ZVZP-1226-SM-5GID7 50-59 years, male 17.3
GTEX-1PBJJ-1026-SM-E76OS 30-39 years, male 17.3
GTEX-X585-2426-SM-46MW2 50-59 years, male 17.1
GTEX-1H2FU-0926-SM-9WPPT 60-69 years, female 17.0
GTEX-1RAZQ-1326-SM-E9TK6 30-39 years, male 16.7
GTEX-14E1K-2026-SM-7DUEI 50-59 years, male 16.6
GTEX-1MJK3-0726-SM-E6CJC 20-29 years, male 16.6
GTEX-1HCU7-0726-SM-A9SL1 50-59 years, male 16.5
GTEX-1RLM8-2926-SM-E8VON 50-59 years, male 16.4
GTEX-1HBPN-0126-SM-CGQEF 50-59 years, male 16.1
GTEX-11OF3-0126-SM-5PNYF 60-69 years, male 16.0
GTEX-14PII-0726-SM-6EU2B 60-69 years, male 15.7
GTEX-1AYD5-2626-SM-7PBXY 50-59 years, male 15.6
GTEX-YFCO-1226-SM-5LUAT 40-49 years, male 15.5
GTEX-14PJ3-1126-SM-5ZZVX 50-59 years, male 15.4
GTEX-13PL6-1126-SM-5L3IE 40-49 years, female 15.3
GTEX-1399Q-2326-SM-5KM2X 40-49 years, male 15.2
GTEX-1C2JI-1026-SM-73KY1 50-59 years, male 15.2
GTEX-1S82P-2126-SM-E6CI5 60-69 years, female 15.2
GTEX-12126-0826-SM-5FQTZ 20-29 years, male 15.0
GTEX-15SHW-0226-SM-7LTAT 60-69 years, male 15.0
GTEX-1HSMP-0926-SM-A9SKX 70-79 years, male 15.0
GTEX-ZE7O-2726-SM-51MT5 50-59 years, female 14.9
GTEX-1NSGN-0726-SM-DTXEF 50-59 years, male 14.8
GTEX-1313W-0626-SM-5EQ4H 50-59 years, female 14.6
GTEX-14PHY-1226-SM-5ZZWK 60-69 years, female 14.6
GTEX-17F97-2626-SM-7IGM5 50-59 years, male 14.5
GTEX-WFG7-2026-SM-5SI7P 20-29 years, male 14.5
GTEX-1JMPY-0226-SM-CKZOK 30-39 years, male 14.5
GTEX-11DXY-0126-SM-5H11Q 60-69 years, male 14.4
GTEX-1GF9X-1326-SM-7PC2Y 40-49 years, female 14.4
GTEX-13FTW-0326-SM-5K7UW 40-49 years, male 14.2
GTEX-1QPFJ-1926-SM-EVYBD 30-39 years, female 14.2
GTEX-11WQC-1826-SM-5GU59 60-69 years, male 13.8
GTEX-1LVAM-0726-SM-E6CIL 50-59 years, female 13.8
GTEX-1IDFM-0326-SM-ARL7V 60-69 years, male 13.4
GTEX-ZLV1-1526-SM-DO91J 60-69 years, female 13.4
GTEX-XYKS-1426-SM-4BRUO 60-69 years, female 13.3
GTEX-1I1GT-1026-SM-ARZLV 60-69 years, female 13.2
GTEX-1H3O1-1326-SM-9MQLD 60-69 years, male 13.1
GTEX-11VI4-1126-SM-5EQMD 40-49 years, female 13.0
GTEX-1J8EW-2726-SM-CY8HR 60-69 years, female 13.0
GTEX-1R9PN-0426-SM-DTXDT 40-49 years, female 12.8
GTEX-1192X-2726-SM-5N9DN 50-59 years, male 12.7
GTEX-11NSD-0626-SM-5A5LU 20-29 years, male 12.7
GTEX-144GL-0626-SM-5LU4D 50-59 years, male 12.7
GTEX-17HII-1426-SM-7EPGG 50-59 years, male 12.7
GTEX-XBEW-1126-SM-4QARW 40-49 years, male 12.7
GTEX-13FTY-2126-SM-5IFFB 40-49 years, female 12.5
GTEX-15SKB-2826-SM-6PAMH 60-69 years, male 12.5
GTEX-1LKK1-2626-SM-DKPQE 50-59 years, female 12.4
GTEX-1S83E-1326-SM-E6CJM 40-49 years, male 12.4
GTEX-11P7K-1126-SM-5HL4L 30-39 years, male 12.3
GTEX-15RIE-1926-SM-7KUKJ 60-69 years, male 12.3
GTEX-YEC4-1826-SM-4W1YP 40-49 years, male 12.3
GTEX-ZDTS-0826-SM-4WKHL 60-69 years, male 12.2
GTEX-1K2DU-1226-SM-CYPT4 20-29 years, male 12.2
GTEX-11DXX-2126-SM-5PNYR 60-69 years, female 12.1
GTEX-12WSH-1526-SM-5BC5W 50-59 years, male 12.1
GTEX-18A67-1626-SM-7LT9T 50-59 years, male 12.1
GTEX-1N2DV-1526-SM-DTXEP 40-49 years, male 12.1
GTEX-ZDYS-2426-SM-4WKGI 50-59 years, male 12.0
GTEX-1122O-1026-SM-9WYSF 60-69 years, female 12.0
GTEX-1F52S-2926-SM-7MKGA 60-69 years, female 11.9
GTEX-1269C-0126-SM-5EQ5L 60-69 years, female 11.7
GTEX-13PDP-0726-SM-5L3HP 60-69 years, male 11.7
GTEX-16YQH-2226-SM-7IGM2 30-39 years, male 11.7
GTEX-ZE9C-2526-SM-5IJDR 60-69 years, male 11.7
GTEX-13SLW-0626-SM-5Q5ER 70-79 years, male 11.6
GTEX-XPVG-2126-SM-4B667 50-59 years, male 11.6
GTEX-18D9A-1426-SM-7LT8M 30-39 years, female 11.6
GTEX-1399S-0126-SM-5IJCF 30-39 years, female 11.5
GTEX-14C39-1726-SM-5RQIL 40-49 years, male 11.5
GTEX-1N2EE-0626-SM-E76PW 60-69 years, male 11.5
GTEX-13NYS-0626-SM-5L3F1 60-69 years, male 11.4
GTEX-14PJ6-2626-SM-6EU2T 60-69 years, female 11.4
GTEX-18QFQ-1826-SM-72D52 30-39 years, male 11.4
GTEX-1I1HK-2326-SM-CKZOH 60-69 years, male 11.4
GTEX-ZTTD-2826-SM-4YCFA 50-59 years, male 11.3
GTEX-15RIG-0726-SM-7KUM7 40-49 years, male 11.2
GTEX-17F96-0126-SM-7EWDU 70-79 years, male 11.2
GTEX-XQ8I-0926-SM-4BOOF 50-59 years, male 11.1
GTEX-12WSD-0626-SM-5GCMW 60-69 years, female 11.0
GTEX-ZT9X-1526-SM-5DUXD 40-49 years, male 11.0
GTEX-15CHR-1126-SM-7EWF4 50-59 years, male 10.9
GTEX-WY7C-2126-SM-3NB2R 50-59 years, male 10.9
GTEX-1CAMS-2226-SM-7PBXQ 40-49 years, female 10.9
GTEX-1OJC4-2726-SM-E76PJ 50-59 years, female 10.9
GTEX-1QP9N-1226-SM-E76QN 30-39 years, male 10.9
GTEX-13SLX-2226-SM-62LEP 50-59 years, female 10.8
GTEX-1HSGN-0826-SM-ACKW3 40-49 years, female 10.8
GTEX-1K2DA-1026-SM-CGQGF 50-59 years, male 10.8
GTEX-1KANB-2826-SM-CY8I6 50-59 years, male 10.8
GTEX-111CU-1126-SM-5EGIM 50-59 years, male 10.7
GTEX-11P81-2226-SM-5PNYI 30-39 years, female 10.7
GTEX-1IDJU-1726-SM-CMKHU 60-69 years, female 10.7
GTEX-1IKJJ-2226-SM-CJI4C 60-69 years, male 10.7
GTEX-1IOXB-2726-SM-CM2RI 50-59 years, male 10.7
GTEX-147F4-0726-SM-5TDDD 50-59 years, male 10.6
GTEX-17KNJ-2126-SM-718AM 50-59 years, male 10.6
GTEX-1E2YA-2126-SM-7MXUO 50-59 years, male 10.6
GTEX-11DXZ-2026-SM-5987S 50-59 years, male 10.5
GTEX-1H1ZS-2726-SM-9WG75 70-79 years, male 10.5
GTEX-15RJ7-2126-SM-6PAMD 40-49 years, male 10.4
GTEX-1AMEY-0826-SM-72D65 30-39 years, female 10.4
GTEX-ZDTT-0426-SM-4WKFL 60-69 years, male 10.4
GTEX-1ICG6-1226-SM-A9SLN 70-79 years, female 10.4
GTEX-17MFQ-1526-SM-7KFRR 20-29 years, male 10.3
GTEX-1PPH8-0126-SM-EWRN8 20-29 years, male 10.3
GTEX-1QP28-1126-SM-EVYC4 50-59 years, female 10.3
GTEX-139TU-0726-SM-5L3EK 60-69 years, male 10.2
GTEX-145LU-1926-SM-79OJN 50-59 years, male 10.2
GTEX-1AX9I-2226-SM-73KUO 60-69 years, male 10.2
GTEX-WH7G-2026-SM-3NMBL 40-49 years, male 10.2
GTEX-1S3DN-2126-SM-E9TIN 50-59 years, male 10.2
GTEX-ZWKS-0626-SM-5GIDV 30-39 years, male 10.1
GTEX-ZYT6-2326-SM-5GZY3 30-39 years, male 10.1
GTEX-1H23P-0626-SM-9WG6T 60-69 years, male 10.1
GTEX-1KD5A-0126-SM-E9U54 50-59 years, male 10.1
GTEX-13O61-1426-SM-5KM3D 60-69 years, male 10.0
GTEX-17HG3-2626-SM-7DUF2 30-39 years, female 10.0
GTEX-Y3I4-1726-SM-4TT89 50-59 years, male 10.0
GTEX-ZVT4-2426-SM-5GIEI 50-59 years, female 10.0
GTEX-11LCK-2226-SM-5HL4Q 30-39 years, male 9.9
GTEX-13N11-2326-SM-5IJBF 50-59 years, female 9.9
GTEX-XV7Q-1826-SM-4BRUV 40-49 years, female 9.9
GTEX-XBEC-0726-SM-4QARZ 50-59 years, male 9.8
GTEX-145MH-2826-SM-5RQJF 50-59 years, male 9.7
GTEX-14ICL-1626-SM-5YYAO 30-39 years, male 9.6
GTEX-1JN76-0626-SM-CKZOQ 20-29 years, female 9.6
GTEX-1LB8K-0726-SM-D5OV2 50-59 years, male 9.6
GTEX-14PHX-2226-SM-6EU2P 50-59 years, male 9.5
GTEX-17HGU-2326-SM-7DUFE 50-59 years, male 9.5
GTEX-13FHO-0426-SM-5L3F5 60-69 years, male 9.4
GTEX-146FQ-2126-SM-5RQHU 30-39 years, male 9.4
GTEX-WHSB-1326-SM-3LK6W 50-59 years, male 9.4
GTEX-17EVP-2626-SM-7IGMA 40-49 years, male 9.3
GTEX-YJ8O-2526-SM-5HL85 40-49 years, female 9.3
GTEX-1JMPZ-0726-SM-CY8HZ 30-39 years, male 9.3
GTEX-1QCLY-0226-SM-EWRNH 30-39 years, male 9.3
GTEX-14PJN-1826-SM-6AJ98 30-39 years, male 9.2
GTEX-15FZZ-0526-SM-7KUGD 30-39 years, female 9.2
GTEX-1HB9E-0126-SM-CM2S5 50-59 years, male 9.2
GTEX-111YS-1526-SM-5GZYW 60-69 years, male 9.1
GTEX-16AAH-0626-SM-793C9 50-59 years, male 9.1
GTEX-1QAET-0326-SM-EVR3U 50-59 years, male 9.1
GTEX-11DZ1-2426-SM-5GZZX 50-59 years, male 9.0
GTEX-12WSC-2826-SM-5BC5Y 50-59 years, male 9.0
GTEX-13X6I-1826-SM-5SIAO 60-69 years, male 9.0
GTEX-145MN-1526-SM-5SI9T 30-39 years, male 9.0
GTEX-18A7A-0126-SM-731AH 50-59 years, female 9.0
GTEX-1HC8U-1326-SM-9YFMJ 40-49 years, female 9.0
GTEX-1HSMQ-2626-SM-A9SML 50-59 years, male 9.0
GTEX-1LVAO-2726-SM-E9TJ8 60-69 years, male 9.0
GTEX-145LS-0626-SM-7EPG7 60-69 years, female 8.9
GTEX-1IY9M-2826-SM-ARU8H 60-69 years, male 8.9
GTEX-13OVK-1426-SM-6PAN7 40-49 years, male 8.8
GTEX-13OW6-2726-SM-5J2OE 50-59 years, male 8.8
GTEX-X4EP-0626-SM-3P621 60-69 years, female 8.8
GTEX-XAJ8-1426-SM-47JYM 40-49 years, male 8.8
GTEX-XQ3S-1426-SM-4BOPR 20-29 years, male 8.8
GTEX-1CAMR-1326-SM-7PC1F 20-29 years, male 8.8
GTEX-1O9I2-0226-SM-EYYXD 50-59 years, male 8.8
GTEX-1POEN-2326-SM-E9J2L 30-39 years, female 8.8
GTEX-16BQI-1326-SM-6M486 30-39 years, female 8.7
GTEX-17HHE-1326-SM-7EWDZ 50-59 years, male 8.7
GTEX-1C6WA-2626-SM-7MKGM 60-69 years, male 8.7
GTEX-1B8L1-2226-SM-7P8PT 60-69 years, male 8.7
GTEX-1S5ZU-2526-SM-E6CIF 20-29 years, female 8.7
GTEX-14LZ3-0126-SM-69LPM 60-69 years, female 8.6
GTEX-15ER7-0626-SM-6PANF 20-29 years, female 8.6
GTEX-1AX8Z-0726-SM-73KTS 60-69 years, male 8.6
GTEX-1B97I-0626-SM-73KUZ 40-49 years, male 8.6
GTEX-1I1GV-0626-SM-ARL7M 60-69 years, male 8.6
GTEX-1J1R8-2026-SM-CL53Y 40-49 years, male 8.6
GTEX-1314G-1326-SM-5BC6E 30-39 years, male 8.5
GTEX-144FL-0626-SM-5LU43 50-59 years, male 8.5
GTEX-145MG-1526-SM-5Q5EM 50-59 years, male 8.5
GTEX-18A6Q-0626-SM-7KFRP 60-69 years, male 8.5
GTEX-1GZ4H-0526-SM-9KNU9 50-59 years, female 8.5
GTEX-1LSNL-2726-SM-E9TKJ 50-59 years, male 8.5
GTEX-1MCC2-1826-SM-DIPEX 30-39 years, female 8.5
GTEX-1RAZS-2526-SM-E6CHT 50-59 years, male 8.5
GTEX-UPJH-0226-SM-3GADV 50-59 years, male 8.4
GTEX-1F6I4-2326-SM-7RHGL 60-69 years, male 8.4
GTEX-13W3W-0726-SM-5IJDQ 60-69 years, female 8.3
GTEX-15EO6-2426-SM-6PALZ 50-59 years, male 8.3
GTEX-15G19-2426-SM-7KUMR 60-69 years, male 8.3
GTEX-15UF6-1926-SM-7KUDV 70-79 years, female 8.3
GTEX-1A3MV-1826-SM-731CD 30-39 years, male 8.3
GTEX-1B8KE-1126-SM-7EPHI 50-59 years, male 8.3
GTEX-Y111-0626-SM-4SOIT 50-59 years, male 8.3
GTEX-ZAB4-2126-SM-5HL8U 40-49 years, male 8.3
GTEX-1GMRU-2126-SM-7P8RA 50-59 years, male 8.3
GTEX-11DYG-1526-SM-5A5JS 60-69 years, male 8.2
GTEX-13G51-1826-SM-5KLZH 60-69 years, male 8.2
GTEX-13O3O-2326-SM-5IJD6 60-69 years, female 8.2
GTEX-1CB4E-0926-SM-7EPHT 60-69 years, male 8.2
GTEX-WHPG-2626-SM-3NMBR 50-59 years, male 8.2
GTEX-ZC5H-1526-SM-5HL9Y 40-49 years, female 8.2
GTEX-ZZPU-0826-SM-5GZX5 50-59 years, female 8.2
GTEX-1QMI2-2526-SM-E8VNZ 60-69 years, male 8.2
GTEX-ZF3C-0626-SM-DO92O 50-59 years, female 8.2
GTEX-11O72-0626-SM-5PNYE 40-49 years, male 8.1
GTEX-12C56-1526-SM-5FQUQ 20-29 years, male 8.1
GTEX-1A8G7-1326-SM-73KVM 60-69 years, male 8.1
GTEX-1MCYP-0526-SM-E9U6Q 20-29 years, female 8.1
GTEX-14PJ5-1526-SM-6LLIL 60-69 years, female 8.0
GTEX-14PJO-2526-SM-6AJBQ 60-69 years, male 8.0
GTEX-183FY-1026-SM-7939A 20-29 years, male 8.0
GTEX-1B8KZ-0326-SM-73KY4 50-59 years, male 8.0
GTEX-1EU9M-1426-SM-793AI 60-69 years, male 8.0
GTEX-1F75B-0726-SM-7PC3R 50-59 years, male 8.0
GTEX-1JJ6O-2726-SM-CNPOG 60-69 years, male 8.0
GTEX-1KAFJ-0126-SM-DIPEK 50-59 years, male 8.0
GTEX-1LBAC-0826-SM-CY8IJ 20-29 years, male 8.0
GTEX-11TT1-1826-SM-5EQLV 20-29 years, male 7.9
GTEX-13FTX-1526-SM-5K7VJ 20-29 years, female 7.9
GTEX-13OW5-2326-SM-5L3HO 60-69 years, male 7.9
GTEX-13OW7-0426-SM-5K7VK 50-59 years, male 7.9
GTEX-15RJE-2826-SM-7KUM9 40-49 years, male 7.9
GTEX-X4EO-2926-SM-4E3JH 60-69 years, female 7.9
GTEX-ZVP2-0326-SM-57WBP 50-59 years, male 7.9
GTEX-1HCUA-0826-SM-ADEHM 50-59 years, female 7.9
GTEX-1IL2V-1926-SM-B2LW8 70-79 years, male 7.9
GTEX-1JJEA-1826-SM-ARU8P 60-69 years, male 7.9
GTEX-1PIIG-2326-SM-DTXFR 30-39 years, male 7.9
GTEX-1QP2A-1726-SM-E76QC 50-59 years, male 7.9
GTEX-11EQ8-0926-SM-5H12V 60-69 years, male 7.8
GTEX-11ZU8-0126-SM-5EQ58 60-69 years, male 7.8
GTEX-13OVJ-0826-SM-5J1OK 50-59 years, female 7.8
GTEX-1BAJH-2426-SM-7IGP8 70-79 years, male 7.8
GTEX-ZAK1-0626-SM-5HL8E 50-59 years, female 7.8
GTEX-1H4P4-2126-SM-9WYSL 50-59 years, male 7.8
GTEX-1EN7A-2426-SM-793DB 40-49 years, male 7.7
GTEX-139UW-0326-SM-5J1ML 60-69 years, male 7.6
GTEX-1HBPI-2126-SM-ARL9K 50-59 years, male 7.6
GTEX-1212Z-0126-SM-59HK4 60-69 years, male 7.5
GTEX-147GR-2426-SM-5ZZWQ 60-69 years, male 7.5
GTEX-XOT4-0626-SM-4B66L 60-69 years, female 7.5
GTEX-11GS4-0226-SM-5HL77 60-69 years, male 7.4
GTEX-1CB4H-1126-SM-7MKGL 60-69 years, female 7.4
GTEX-X3Y1-2026-SM-3P5YM 40-49 years, male 7.4
GTEX-1CB4I-0126-SM-7RHGG 50-59 years, male 7.4
GTEX-1GN1V-2826-SM-9JGIA 60-69 years, male 7.4
GTEX-1IDJH-0126-SM-D3L92 70-79 years, male 7.4
GTEX-11GSP-2326-SM-5HL63 60-69 years, female 7.3
GTEX-12WSJ-1126-SM-5LZVJ 40-49 years, female 7.3
GTEX-145LT-0526-SM-5LUB2 40-49 years, male 7.3
GTEX-18465-2826-SM-7LT9J 50-59 years, male 7.3
GTEX-1EKGG-0626-SM-7DUGJ 60-69 years, male 7.3
GTEX-Z93S-1626-SM-5CVMB 50-59 years, male 7.3
GTEX-ZYFC-0426-SM-5GICQ 50-59 years, male 7.3
GTEX-11P82-1426-SM-DTXFY 20-29 years, male 7.3
GTEX-1C64O-1326-SM-7MGWR 60-69 years, male 7.3
GTEX-1GPI7-1826-SM-9KNU1 20-29 years, male 7.3
GTEX-1K9T9-1526-SM-DIPFR 50-59 years, female 7.3
GTEX-YEC3-1326-SM-DO92X 50-59 years, male 7.3
GTEX-ZXG5-2126-SM-59HKD 60-69 years, male 7.2
GTEX-1C6VR-0126-SM-7RHGB 60-69 years, male 7.2
GTEX-1A8G6-2726-SM-731AR 60-69 years, male 7.1
GTEX-ZVTK-0226-SM-51MRG 20-29 years, male 7.1
GTEX-1GN1U-0626-SM-9MQL9 50-59 years, female 7.1
GTEX-1H1DG-2426-SM-9QEHJ 70-79 years, male 7.1
GTEX-1HCU6-2526-SM-ADEHL 60-69 years, female 7.1
GTEX-1IE54-1126-SM-A9G2Z 40-49 years, female 7.1
GTEX-1JK1U-0226-SM-ARZMX 60-69 years, male 7.1
GTEX-1R7EU-1626-SM-DTXG3 60-69 years, male 7.1
GTEX-W5X1-2526-SM-3GILC 40-49 years, female 7.0
GTEX-WRHU-2826-SM-3MJG8 50-59 years, female 7.0
GTEX-XK95-0226-SM-4AT58 40-49 years, male 7.0
GTEX-1QEPI-2626-SM-DTXF4 60-69 years, female 7.0
GTEX-1QW4Y-1126-SM-DTXE3 30-39 years, male 7.0
GTEX-1R46S-2426-SM-E76QA 60-69 years, female 7.0
GTEX-11PRG-0726-SM-5EGL1 50-59 years, male 6.9
GTEX-144GM-0526-SM-79OJO 20-29 years, male 6.9
GTEX-Y9LG-1126-SM-4VBQ7 30-39 years, male 6.9
GTEX-1CAMQ-1326-SM-7P8RV 40-49 years, male 6.9
GTEX-1GL5R-1326-SM-7RHHF 50-59 years, male 6.9
GTEX-1GN73-0726-SM-7P8TJ 60-69 years, male 6.9
GTEX-1JMOU-1026-SM-CYPSS 60-69 years, female 6.9
GTEX-1PPGY-1626-SM-EVYBL 60-69 years, male 6.9
GTEX-1117F-2926-SM-5GZYI 60-69 years, female 6.8
GTEX-13QJC-0126-SM-5ZZWJ 60-69 years, female 6.8
GTEX-15DYW-2726-SM-6EU2I 60-69 years, female 6.8
GTEX-139D8-1126-SM-5LU8W 30-39 years, female 6.7
GTEX-139TS-2126-SM-5K7XC 60-69 years, male 6.7
GTEX-14AS3-1526-SM-5Q5ED 40-49 years, female 6.7
GTEX-WHWD-1826-SM-3LK6I 50-59 years, male 6.7
GTEX-X5EB-1926-SM-4E3IW 40-49 years, male 6.7
GTEX-12WSK-2126-SM-5CVNC 40-49 years, female 6.6
GTEX-12ZZX-2426-SM-5GCOE 40-49 years, female 6.6
GTEX-13112-0126-SM-5P9IU 50-59 years, male 6.6
GTEX-14753-0726-SM-5QGQO 60-69 years, male 6.6
GTEX-14BMV-2826-SM-5TDED 50-59 years, male 6.6
GTEX-14PK6-0226-SM-62LF5 70-79 years, female 6.6
GTEX-17F98-1326-SM-7DUEP 40-49 years, female 6.6
GTEX-U8XE-0226-SM-4E3J3 30-39 years, male 6.6
GTEX-1F88F-0126-SM-9WYSZ 60-69 years, female 6.6
GTEX-1IDJF-2026-SM-CL53V 20-29 years, male 6.6
GTEX-ZPIC-0526-SM-DO91W 40-49 years, female 6.6
GTEX-11NUK-2726-SM-5A5MC 50-59 years, male 6.5
GTEX-12584-0726-SM-5FQTK 40-49 years, male 6.5
GTEX-1399U-1126-SM-5L3DB 50-59 years, female 6.5
GTEX-15CHC-1126-SM-6LLHQ 60-69 years, female 6.5
GTEX-16MTA-0926-SM-6M47Z 50-59 years, male 6.5
GTEX-16NPX-0726-SM-7KULC 50-59 years, male 6.5
GTEX-17F9Y-0126-SM-79OKX 70-79 years, female 6.5
GTEX-XBED-1926-SM-47JYP 60-69 years, male 6.5
GTEX-14JFF-0626-SM-5ZZVT 60-69 years, male 6.5
GTEX-1HFI6-0126-SM-CNPPI 40-49 years, male 6.5
GTEX-1I1GP-1326-SM-A9G28 50-59 years, male 6.5
GTEX-1LSNM-0826-SM-DIPG8 50-59 years, male 6.5
GTEX-13JVG-0726-SM-5KM16 60-69 years, male 6.4
GTEX-18A66-0626-SM-7LT8Z 60-69 years, male 6.4
GTEX-1C6VQ-1226-SM-73KYD 50-59 years, male 6.4
GTEX-1CB4F-1026-SM-7DUH1 60-69 years, male 6.4
GTEX-ZYVF-0926-SM-5E44J 50-59 years, female 6.4
GTEX-1GF9V-0826-SM-9KNUV 60-69 years, male 6.4
GTEX-1GMR3-0126-SM-A9SLW 40-49 years, male 6.4
GTEX-1H11D-1826-SM-9QEHM 40-49 years, male 6.4
GTEX-1HGF4-0126-SM-CNPPX 60-69 years, male 6.4
GTEX-12KS4-2126-SM-5FQUT 30-39 years, male 6.3
GTEX-14BIN-1126-SM-5RQJZ 50-59 years, female 6.3
GTEX-14JG1-1526-SM-5YY9X 40-49 years, male 6.3
GTEX-ZF29-0926-SM-4WKFZ 60-69 years, female 6.3
GTEX-ZF2S-1626-SM-57WES 50-59 years, female 6.3
GTEX-1JMLX-0626-SM-ARL8T 50-59 years, male 6.3
GTEX-139TT-2126-SM-5LZWC 60-69 years, male 6.2
GTEX-1A3MW-0626-SM-731CB 60-69 years, female 6.2
GTEX-WYBS-0626-SM-3NMAS 60-69 years, female 6.2
GTEX-XMD2-2126-SM-4YCF8 60-69 years, female 6.2
GTEX-1F88E-1626-SM-7SB8Z 60-69 years, female 6.2
GTEX-1IDJD-2326-SM-ACKWX 30-39 years, male 6.2
GTEX-14A6H-2026-SM-5Q5DD 30-39 years, male 6.1
GTEX-16GPK-0626-SM-7KFSF 60-69 years, male 6.1
GTEX-Y5V6-2326-SM-4VDSA 60-69 years, male 6.1
GTEX-ZYY3-2926-SM-5GIEB 60-69 years, female 6.1
GTEX-1F75A-0726-SM-7RHHD 50-59 years, male 6.1
GTEX-1GZ4I-2626-SM-9KNU3 50-59 years, male 6.1
GTEX-1J8QM-2426-SM-A9SLS 60-69 years, female 6.1
GTEX-1NV5F-0626-SM-DTXEG 60-69 years, female 6.1
GTEX-1RAZA-2226-SM-E9U4X 20-29 years, male 6.1
GTEX-131XG-0326-SM-5L3DX 50-59 years, female 6.0
GTEX-14E6E-0526-SM-793DN 30-39 years, male 6.0
GTEX-15CHQ-0326-SM-69LQD 60-69 years, male 6.0
GTEX-1B933-2426-SM-7DHMD 50-59 years, female 6.0
GTEX-WI4N-2726-SM-3LK7Y 40-49 years, female 6.0
GTEX-WK11-2726-SM-3NMAQ 50-59 years, male 6.0
GTEX-ZPU1-1126-SM-4YCF3 40-49 years, male 6.0
GTEX-1H1CY-0126-SM-9YFLY 60-69 years, female 6.0
GTEX-1JMQL-2226-SM-CNPP4 50-59 years, female 6.0
GTEX-1PDJ9-1226-SM-EXUSX 20-29 years, male 6.0
GTEX-12ZZY-0726-SM-5EQ66 60-69 years, male 5.9
GTEX-13113-1626-SM-5EQ4I 60-69 years, female 5.9
GTEX-132AR-0326-SM-5KM2C 50-59 years, female 5.9
GTEX-139YR-1026-SM-5LZYN 50-59 years, male 5.9
GTEX-15EU6-2226-SM-6EU2L 50-59 years, male 5.9
GTEX-11UD2-2526-SM-5CVNU 50-59 years, male 5.8
GTEX-13N2G-0226-SM-5K7VF 60-69 years, male 5.8
GTEX-13VXT-1926-SM-5K7UO 20-29 years, female 5.8
GTEX-18D9U-0126-SM-731BM 40-49 years, male 5.8
GTEX-VUSG-2326-SM-4KL1U 50-59 years, male 5.8
GTEX-WYVS-1626-SM-3NM9R 40-49 years, female 5.8
GTEX-ZDXO-3126-SM-5IJDF 60-69 years, male 5.8
GTEX-1C64N-2626-SM-7PC2N 50-59 years, male 5.8
GTEX-1H1E6-0426-SM-9WYUS 30-39 years, male 5.8
GTEX-1HT8W-0626-SM-A9G2H 30-39 years, male 5.8
GTEX-1JJE9-2626-SM-ARZMT 70-79 years, male 5.8
GTEX-1JMQK-1226-SM-D4P2S 60-69 years, male 5.8
GTEX-1R9K4-2826-SM-DTX8F 60-69 years, male 5.8
GTEX-13FLV-0126-SM-5K7WT 50-59 years, male 5.7
GTEX-145MF-0926-SM-5Q5EA 50-59 years, male 5.7
GTEX-1EWIQ-0326-SM-7DHMQ 70-79 years, female 5.7
GTEX-1N5O9-0926-SM-E9J3C 60-69 years, male 5.7
GTEX-11DXW-0826-SM-5H118 40-49 years, male 5.6
GTEX-12WSM-1926-SM-5BC65 60-69 years, male 5.6
GTEX-147F3-1726-SM-5SIAW 50-59 years, female 5.6
GTEX-XXEK-1626-SM-4BRUZ 50-59 years, male 5.6
GTEX-ZZ64-1026-SM-5GZXG 20-29 years, male 5.6
GTEX-1HBPM-0726-SM-9YFL7 60-69 years, female 5.6
GTEX-1I19N-0126-SM-CYPSF 70-79 years, male 5.6
GTEX-ZGAY-1826-SM-DO91Q 40-49 years, female 5.6
GTEX-13N1W-2426-SM-5IJD1 70-79 years, male 5.5
GTEX-13NZ9-2626-SM-5L3FK 50-59 years, male 5.5
GTEX-13YAN-0226-SM-5TDC6 60-69 years, male 5.5
GTEX-14ABY-2026-SM-62LDL 50-59 years, male 5.5
GTEX-14PJ4-0226-SM-5YY92 60-69 years, male 5.5
GTEX-16MT8-2926-SM-7DUFO 60-69 years, female 5.5
GTEX-Y3IK-1626-SM-4YCF5 50-59 years, female 5.5
GTEX-Y8LW-1526-SM-5IFHL 50-59 years, female 5.5
GTEX-13NYC-0126-SM-5L3F4 60-69 years, male 5.4
GTEX-145ME-1726-SM-5Q5EU 40-49 years, female 5.4
GTEX-1EH9U-2826-SM-7DUGT 60-69 years, male 5.4
GTEX-XUW1-0926-SM-4BONX 50-59 years, female 5.4
GTEX-1H1DE-1326-SM-9KNUG 20-29 years, male 5.4
GTEX-1HFI7-2326-SM-CGQFS 50-59 years, female 5.4
GTEX-1JMQI-1726-SM-ARL93 50-59 years, male 5.4
GTEX-1LSVX-2526-SM-DIPEU 60-69 years, male 5.4
GTEX-1LVAN-0626-SM-CNPOQ 50-59 years, female 5.4
GTEX-1M4P7-0726-SM-E6CJ3 60-69 years, male 5.4
GTEX-13VXU-0626-SM-5L3F9 50-59 years, male 5.3
GTEX-17HHY-0426-SM-7DHLC 50-59 years, male 5.3
GTEX-1AMFI-1326-SM-7939R 50-59 years, female 5.3
GTEX-1GN2E-0226-SM-9WG6K 60-69 years, male 5.3
GTEX-1S831-1826-SM-EWROF 20-29 years, male 5.3
GTEX-131YS-2826-SM-5EQ47 60-69 years, female 5.2
GTEX-14C38-0726-SM-5SI6M 50-59 years, male 5.2
GTEX-11ZUS-2626-SM-5FQUR 30-39 years, male 5.1
GTEX-131XW-0626-SM-5PNVD 50-59 years, female 5.1
GTEX-13OW8-1026-SM-5J1NQ 60-69 years, male 5.1
GTEX-178AV-1726-SM-7KUL8 40-49 years, male 5.1
GTEX-1B8SF-0126-SM-7DUG3 60-69 years, male 5.1
GTEX-1F5PL-0926-SM-7PC2W 40-49 years, female 5.1
GTEX-1HCU9-0426-SM-9WYSD 20-29 years, male 5.1
GTEX-1LGRB-0926-SM-COH3K 50-59 years, female 5.1
GTEX-11EM3-1226-SM-5N9DD 20-29 years, female 5.0
GTEX-131XH-0126-SM-5LZUY 50-59 years, male 5.0
GTEX-133LE-2326-SM-5K7W3 20-29 years, female 5.0
GTEX-Y8E4-2026-SM-5IFJB 40-49 years, male 5.0
GTEX-1GN1W-2426-SM-9KNUU 50-59 years, female 5.0
GTEX-1GPI6-1926-SM-9KNV7 60-69 years, male 5.0
GTEX-1I4MK-0126-SM-CY8G6 50-59 years, female 5.0
GTEX-1LG7Y-2526-SM-EWRO7 50-59 years, male 5.0
GTEX-13D11-0926-SM-5J2NC 50-59 years, female 4.9
GTEX-14DAQ-0626-SM-793DS 60-69 years, female 4.9
GTEX-14PKU-0126-SM-6LLHV 40-49 years, female 4.9
GTEX-1C475-1326-SM-7SB73 40-49 years, female 4.9
GTEX-1HCU8-2526-SM-CE6RX 60-69 years, female 4.9
GTEX-1I1CD-0626-SM-CE6SW 60-69 years, female 4.9
GTEX-1IDJC-1526-SM-B2LW4 50-59 years, male 4.9
GTEX-1J8JJ-0626-SM-ARZMQ 60-69 years, female 4.9
GTEX-139T8-0626-SM-5KLZX 60-69 years, male 4.8
GTEX-13O3Q-0126-SM-5KM34 50-59 years, male 4.8
GTEX-14B4R-1326-SM-5Q5EZ 30-39 years, male 4.8
GTEX-1EX96-1026-SM-7MKG2 50-59 years, male 4.8
GTEX-ZVT2-0126-SM-5GIDQ 50-59 years, female 4.8
GTEX-1JKYN-0826-SM-ARU8S 30-39 years, male 4.8
GTEX-1KANA-1326-SM-DIPFA 20-29 years, male 4.8
GTEX-1KWVE-1026-SM-D3L9O 30-39 years, male 4.8
GTEX-13RTJ-0126-SM-5S2NN 60-69 years, male 4.7
GTEX-13X6K-0626-SM-5LU5D 60-69 years, female 4.7
GTEX-14PJ2-0626-SM-6LLII 50-59 years, male 4.7
GTEX-ZTSS-1426-SM-5985P 40-49 years, male 4.7
GTEX-ZY6K-1426-SM-5GZX2 50-59 years, male 4.7
GTEX-1A8FM-0626-SM-7PC25 50-59 years, female 4.7
GTEX-1F75W-2726-SM-7SB8H 60-69 years, male 4.7
GTEX-1QP29-1826-SM-DTX9S 50-59 years, male 4.7
GTEX-12ZZZ-0726-SM-5GCNZ 60-69 years, male 4.6
GTEX-14LLW-2626-SM-62LDZ 70-79 years, female 4.6
GTEX-15DDE-2926-SM-6LLJ3 50-59 years, female 4.6
GTEX-VJYA-1526-SM-3GIJV 60-69 years, male 4.6
GTEX-1F5PK-2226-SM-7SB6N 50-59 years, male 4.6
GTEX-1H3NZ-2726-SM-9WYTQ 60-69 years, male 4.6
GTEX-144GO-2026-SM-5O99P 60-69 years, male 4.5
GTEX-15D1Q-2826-SM-6LLH7 40-49 years, male 4.5
GTEX-1F6IF-0926-SM-7SB7M 60-69 years, male 4.5
GTEX-1IDJV-0126-SM-COH3Y 60-69 years, male 4.5
GTEX-11TUW-0626-SM-5LU9M 60-69 years, male 4.4
GTEX-14BMU-1226-SM-5S2OR 20-29 years, female 4.4
GTEX-14DAR-1226-SM-73KYV 50-59 years, male 4.4
GTEX-ZYFG-1526-SM-5GZYM 60-69 years, female 4.4
GTEX-1F48J-0726-SM-7RHGS 50-59 years, female 4.4
GTEX-1I1GU-0926-SM-ACKVS 40-49 years, male 4.4
GTEX-1QCLZ-2426-SM-EVYBW 60-69 years, female 4.4
GTEX-1RAZR-2126-SM-E9U6T 40-49 years, male 4.4
GTEX-13PVQ-0626-SM-5LU47 50-59 years, male 4.3
GTEX-14PKV-1126-SM-6LLJ1 20-29 years, female 4.3
GTEX-1E1VI-0326-SM-793D1 50-59 years, male 4.3
GTEX-1F75I-2226-SM-7SB8U 40-49 years, male 4.3
GTEX-1HR98-2226-SM-ADEI2 60-69 years, male 4.3
GTEX-1HSKV-1226-SM-ADEI4 60-69 years, male 4.3
GTEX-1I6K7-1926-SM-B2LXR 40-49 years, male 4.3
GTEX-1KANC-1226-SM-CYPT7 50-59 years, female 4.3
GTEX-1QP66-1226-SM-DTX7U 50-59 years, male 4.3
GTEX-1S82U-1026-SM-E6CJK 30-39 years, female 4.3
GTEX-11WQK-1026-SM-5EQLX 50-59 years, male 4.2
GTEX-13OVH-0526-SM-5L3E6 70-79 years, male 4.2
GTEX-1A32A-0626-SM-731AQ 50-59 years, female 4.2
GTEX-1B932-2326-SM-79OL5 40-49 years, female 4.2
GTEX-145MI-0626-SM-5SI8S 60-69 years, female 4.1
GTEX-16NGA-0726-SM-731AO 40-49 years, female 4.1
GTEX-WFON-1926-SM-3LK7L 40-49 years, male 4.1
GTEX-Y5V5-0126-SM-5S2NW 60-69 years, female 4.1
GTEX-YB5K-2026-SM-4VDT3 40-49 years, female 4.1
GTEX-1GZHY-0626-SM-9KNVC 50-59 years, female 4.1
GTEX-1J8Q3-0526-SM-ARL8U 60-69 years, male 4.1
GTEX-16XZZ-0726-SM-7KUF2 60-69 years, male 4.0
GTEX-17F9E-2326-SM-79OKD 50-59 years, male 4.0
GTEX-WEY5-2326-SM-3GIKK 40-49 years, female 4.0
GTEX-ZVE2-2826-SM-5GU51 50-59 years, male 4.0
GTEX-1KXAM-1626-SM-D3LAD 60-69 years, male 4.0
GTEX-1I1GS-2626-SM-B2LY3 60-69 years, male 3.9
GTEX-1PPH7-1126-SM-DTX9A 40-49 years, male 3.9
GTEX-11ZTT-2126-SM-5CVLO 60-69 years, female 3.8
GTEX-13X6H-0926-SM-5SIB2 50-59 years, female 3.8
GTEX-17JCI-2926-SM-7DUFF 60-69 years, female 3.8
GTEX-1GMR8-0626-SM-7RHI7 50-59 years, female 3.8
GTEX-1RB15-1326-SM-E76Q9 60-69 years, male 3.8
GTEX-131XF-2626-SM-5EQ6K 60-69 years, male 3.7
GTEX-14C5O-0326-SM-5ZZUX 60-69 years, male 3.7
GTEX-Y5LM-0926-SM-6LLJG 40-49 years, female 3.7
GTEX-ZU9S-1826-SM-5NQ9E 30-39 years, male 3.7
GTEX-1IDJI-0126-SM-CMKHS 50-59 years, female 3.7
GTEX-1J8Q2-2626-SM-ACKWQ 60-69 years, male 3.7
GTEX-1JN1M-2726-SM-CY8I4 60-69 years, female 3.7
GTEX-1LVA9-2626-SM-EVYD4 50-59 years, male 3.7
GTEX-12WSF-1626-SM-7KUG5 70-79 years, male 3.6
GTEX-16Z82-2626-SM-7KULU 60-69 years, male 3.6
GTEX-WHSE-0126-SM-3NMBT 20-29 years, male 3.6
GTEX-14JG6-1426-SM-9WG7C 30-39 years, female 3.6
GTEX-ZUA1-2626-SM-5NQ92 40-49 years, male 3.5
GTEX-ZVE1-0726-SM-51MRN 50-59 years, female 3.5
GTEX-1HKZK-0726-SM-ACKW2 40-49 years, male 3.5
GTEX-13X6J-0626-SM-5LU5F 50-59 years, male 3.4
GTEX-WYJK-0526-SM-3NM8Z 50-59 years, male 3.4
GTEX-X8HC-0626-SM-4E3HQ 50-59 years, female 3.4
GTEX-1I6K6-1726-SM-CGQFD 30-39 years, male 3.4
GTEX-1IDJE-1426-SM-ADEIW 50-59 years, female 3.4
GTEX-117YX-1926-SM-5GIEC 50-59 years, male 3.3
GTEX-11EQ9-1626-SM-5PNY8 30-39 years, male 3.3
GTEX-12696-0126-SM-5EQ4L 60-69 years, male 3.3
GTEX-13JUV-2026-SM-5K7UA 40-49 years, female 3.3
GTEX-13OVG-1626-SM-5J1NF 60-69 years, male 3.3
GTEX-18A7B-2726-SM-7LG56 70-79 years, male 3.3
GTEX-WFG8-2126-SM-3GIKQ 20-29 years, male 3.3
GTEX-ZLWG-0826-SM-59888 50-59 years, female 3.3
GTEX-1ICLY-0826-SM-CMKG1 50-59 years, male 3.3
GTEX-1211K-1526-SM-5FQU4 60-69 years, female 3.2
GTEX-13FH7-1126-SM-5K7UG 50-59 years, female 3.2
GTEX-1477Z-0326-SM-7IGLA 60-69 years, male 3.2
GTEX-1AX9J-1326-SM-731BJ 60-69 years, male 3.2
GTEX-12BJ1-0926-SM-5EQ62 60-69 years, male 3.1
GTEX-13OVL-0126-SM-5L3GJ 50-59 years, male 3.0
GTEX-13PVR-0426-SM-5RQK2 60-69 years, female 3.0
GTEX-13QBU-1226-SM-5LU4G 40-49 years, female 3.0
GTEX-148VJ-0626-SM-5LUAW 70-79 years, male 3.0
GTEX-183WM-0326-SM-72D5V 70-79 years, female 3.0
GTEX-ZAJG-1526-SM-5CVML 50-59 years, female 3.0
GTEX-1A3MX-2626-SM-7PC24 60-69 years, male 3.0
GTEX-13U4I-2226-SM-5LU5H 40-49 years, female 2.9
GTEX-1HR9M-2226-SM-CNPPY 60-69 years, male 2.9
GTEX-1LG7Z-1626-SM-CXKYR 30-39 years, male 2.9
GTEX-12WSL-2026-SM-5GCML 50-59 years, male 2.8
GTEX-147JS-0226-SM-5S2U9 60-69 years, male 2.8
GTEX-ZYW4-0626-SM-59HJR 60-69 years, male 2.8
GTEX-1ICLZ-0326-SM-ARL82 60-69 years, male 2.8
GTEX-1B996-0426-SM-7EWF8 60-69 years, male 2.7
GTEX-V1D1-2026-SM-3GAF4 50-59 years, male 2.7
GTEX-11EI6-2826-SM-5H11D 60-69 years, male 2.6
GTEX-17MF6-2626-SM-79OKQ 40-49 years, male 2.6
GTEX-UPK5-0426-SM-3GAEK 40-49 years, male 2.6
GTEX-1GMR2-0826-SM-7PC3V 50-59 years, male 2.6
GTEX-1LGOU-1326-SM-D3L8M 20-29 years, female 2.6
GTEX-12WSA-0426-SM-5EQ5X 60-69 years, male 2.5
GTEX-14A5H-0826-SM-5QGPJ 60-69 years, male 2.5
GTEX-1GTWX-2026-SM-9YFLM 60-69 years, male 2.5
GTEX-111FC-2526-SM-5GZXU 60-69 years, male 2.4
GTEX-1399R-1326-SM-5PNYS 30-39 years, male 2.4
GTEX-1497J-0226-SM-5QGPU 60-69 years, male 2.4
GTEX-15G1A-1626-SM-7KUKN 30-39 years, male 2.4
GTEX-18D9B-0926-SM-7LG4U 60-69 years, male 2.4
GTEX-1JKYR-0626-SM-ARL8R 20-29 years, male 2.4
GTEX-17EVQ-0126-SM-7IGLR 70-79 years, male 2.3
GTEX-ZYFD-0626-SM-5E44E 50-59 years, male 2.3
GTEX-1CB4J-1326-SM-7P8RX 60-69 years, male 2.3
GTEX-ZT9W-1126-SM-57WDR 50-59 years, male 2.2
GTEX-1GF9U-2026-SM-7SB92 40-49 years, female 2.2
GTEX-1GF9W-1426-SM-7PBYM 60-69 years, male 2.2
GTEX-1JN6P-2926-SM-CL54D 60-69 years, male 2.2
GTEX-1H1DF-1126-SM-9WG7G 40-49 years, female 2.1
GTEX-1H3VE-0726-SM-9YFL5 40-49 years, male 2.1
GTEX-1HSMO-0626-SM-ACKXC 60-69 years, male 2.1
GTEX-145MO-2826-SM-5LU96 60-69 years, male 2.0
GTEX-14E6C-2426-SM-5S2NF 40-49 years, male 2.0
GTEX-14XAO-1226-SM-6EU1C 60-69 years, female 2.0
GTEX-ZLFU-1826-SM-4WWBV 40-49 years, male 2.0
GTEX-1CAV2-0126-SM-7IGN7 40-49 years, female 1.7
GTEX-ZA64-1026-SM-5HL8R 20-29 years, male 1.6
GTEX-1GZ2Q-0126-SM-9WG6M 40-49 years, male 1.6
GTEX-YF7O-1526-SM-5IFI6 50-59 years, male 1.4
GTEX-1HUB1-1426-SM-CGQF5 60-69 years, male 1.2
GTEX-1L5NE-1126-SM-D3L9P 50-59 years, male 1.2
Show allShow less
Skin - Sun Exposed (Lower leg)
Average nTPM: 6.8
Samples: 701

Max nTPM: 37.2
Min nTPM: 0.1
Std nTPM: 4.2
Median nTPM: 6.0
GTEX-1R9PM-2026-SM-E76OY 20-29 years, male 37.2
GTEX-1122O-2126-SM-5EGIR 60-69 years, female 36.8
GTEX-POMQ-2226-SM-2I5FK 20-29 years, female 35.2
GTEX-ZXES-1826-SM-5E43S 30-39 years, female 32.3
GTEX-OIZG-0726-SM-33HBL 50-59 years, male 27.8
GTEX-146FQ-0126-SM-5NQA9 30-39 years, male 24.1
GTEX-1QCLY-0326-SM-E8VOG 30-39 years, male 22.3
GTEX-13FTW-2626-SM-5K7WL 40-49 years, male 21.5
GTEX-X88G-0126-SM-47JZ3 30-39 years, male 20.1
GTEX-P4PP-0126-SM-3LK69 30-39 years, female 19.2
GTEX-1J1OQ-0226-SM-CYPSH 40-49 years, female 18.7
GTEX-ZVT2-2526-SM-51MT1 50-59 years, female 18.0
GTEX-ZF2S-2326-SM-4WWCE 50-59 years, female 17.9
GTEX-XUZC-1726-SM-4BRWS 30-39 years, female 17.6
GTEX-T2YK-0526-SM-32QPJ 50-59 years, male 17.4
GTEX-17JCI-0126-SM-7LG5G 60-69 years, female 16.5
GTEX-YB5E-2026-SM-5IFIS 40-49 years, male 16.3
GTEX-ZWKS-0126-SM-5SIAA 30-39 years, male 16.0
GTEX-PSDG-0226-SM-DKPOZ 50-59 years, male 16.0
GTEX-15SB6-1726-SM-6PAME 50-59 years, female 15.7
GTEX-1K2DA-1826-SM-CGQGT 50-59 years, male 15.2
GTEX-ZYFG-2326-SM-5E44B 60-69 years, female 15.1
GTEX-144FL-0126-SM-5TDC8 50-59 years, male 14.8
GTEX-139D8-0226-SM-5KLZO 30-39 years, female 14.7
GTEX-1LBAC-0126-SM-DIPEZ 20-29 years, male 14.6
GTEX-1CB4I-0226-SM-79OLH 50-59 years, male 14.5
GTEX-1PFEY-1526-SM-E76PP 30-39 years, male 14.5
GTEX-18QFQ-0126-SM-731BE 30-39 years, male 14.4
GTEX-1399U-2326-SM-5K7WY 50-59 years, female 14.3
GTEX-ZVZO-0126-SM-5A5L9 40-49 years, male 14.2
GTEX-Y3IK-2426-SM-4WWDU 50-59 years, female 14.1
GTEX-1MA7W-2026-SM-E9TJ6 20-29 years, female 14.1
GTEX-18D9A-1926-SM-7LG6P 30-39 years, female 14.0
GTEX-1OJC3-0126-SM-E76QX 20-29 years, male 14.0
GTEX-ZGAY-0526-SM-4WWBB 40-49 years, female 13.8
GTEX-1QPFJ-0226-SM-E76PB 30-39 years, female 13.6
GTEX-14PJ6-2126-SM-6EU1V 60-69 years, female 13.5
GTEX-1I1GV-0526-SM-A9G29 60-69 years, male 13.5
GTEX-OOBJ-0126-SM-E6CJW 60-69 years, male 13.5
GTEX-1S3DN-2226-SM-EVYCD 50-59 years, male 13.4
GTEX-145LS-0126-SM-5QGP1 60-69 years, female 13.3
GTEX-X4EP-0126-SM-3P5YV 60-69 years, female 13.2
GTEX-ZVTK-0426-SM-51MRS 20-29 years, male 13.2
GTEX-1KANC-1526-SM-D3LAB 50-59 years, female 13.2
GTEX-1LVAN-0226-SM-COH3S 50-59 years, female 13.2
GTEX-111FC-0126-SM-5N9DL 60-69 years, male 13.1
GTEX-14BMU-2226-SM-5TDE9 20-29 years, female 13.1
GTEX-1HSGN-0226-SM-CGQFV 40-49 years, female 13.1
GTEX-1PDJ9-0326-SM-DTX95 20-29 years, male 13.0
GTEX-14LZ3-0226-SM-62LET 60-69 years, female 12.8
GTEX-1H1CY-2826-SM-9MQM3 60-69 years, female 12.8
GTEX-1497J-2426-SM-7IGNX 60-69 years, male 12.7
GTEX-T6MN-0126-SM-32PLP 50-59 years, male 12.6
GTEX-1EX96-1626-SM-7PBXR 50-59 years, male 12.6
GTEX-17F96-1626-SM-7DUFL 70-79 years, male 12.5
GTEX-S33H-1026-SM-EZ6L6 30-39 years, male 12.3
GTEX-13111-1626-SM-5EGJY 50-59 years, male 12.2
GTEX-15ETS-0126-SM-7KUMW 40-49 years, female 12.2
GTEX-OIZH-0126-SM-2HMIS 50-59 years, male 12.2
GTEX-RVPV-0126-SM-EAZAW 60-69 years, male 12.2
GTEX-WI4N-1026-SM-3LK7N 40-49 years, female 12.1
GTEX-UJHI-1526-SM-3DB99 50-59 years, female 12.0
GTEX-XV7Q-2526-SM-4BRV9 40-49 years, female 12.0
GTEX-1HR98-0126-SM-B2LWI 60-69 years, male 11.9
GTEX-1IDJH-0326-SM-A9SLQ 70-79 years, male 11.9
GTEX-13FXS-0226-SM-5IJCK 50-59 years, male 11.8
GTEX-14ICK-0226-SM-6EU25 40-49 years, male 11.8
GTEX-1RAZA-0126-SM-E6CI3 20-29 years, male 11.7
GTEX-11DXZ-2326-SM-5EGGV 50-59 years, male 11.5
GTEX-139TS-2826-SM-5J1OO 60-69 years, male 11.5
GTEX-13FHP-0126-SM-5IJBG 50-59 years, male 11.5
GTEX-17GQL-2026-SM-718BA 60-69 years, male 11.5
GTEX-13OVK-2026-SM-7KUEO 40-49 years, male 11.4
GTEX-SUCS-1926-SM-32PM3 70-79 years, male 11.4
GTEX-1S83E-0126-SM-EWRO4 40-49 years, male 11.4
GTEX-ZYT6-0226-SM-5NQ6T 30-39 years, male 11.3
GTEX-13NYB-2526-SM-5K7Z6 40-49 years, male 11.2
GTEX-117XS-2726-SM-5N9BL 60-69 years, male 11.1
GTEX-17F98-0626-SM-79OMX 40-49 years, female 11.1
GTEX-131YS-0126-SM-5KM1M 60-69 years, female 11.0
GTEX-U8XE-0326-SM-3DB8P 30-39 years, male 11.0
GTEX-1ICG6-2526-SM-CGQFZ 70-79 years, female 11.0
GTEX-17MFQ-1726-SM-793C7 20-29 years, male 10.9
GTEX-O5YT-0126-SM-48TBW 20-29 years, male 10.9
GTEX-ZAB5-1826-SM-5HL7C 50-59 years, male 10.9
GTEX-ZE9C-2726-SM-57WB5 60-69 years, male 10.8
GTEX-ZV6S-2326-SM-4YCEY 40-49 years, female 10.8
GTEX-ZVZP-2426-SM-59HKJ 50-59 years, male 10.8
GTEX-11XUK-2026-SM-5EQLF 40-49 years, female 10.7
GTEX-1F5PL-0326-SM-7P8PQ 40-49 years, female 10.7
GTEX-1F6RS-0126-SM-9MQKZ 60-69 years, female 10.7
GTEX-1399R-2726-SM-5IJBA 30-39 years, male 10.6
GTEX-X585-0226-SM-4QAS2 50-59 years, male 10.6
GTEX-1OFPY-2426-SM-DTXEJ 60-69 years, male 10.6
GTEX-13113-5016-SM-7EPIP 60-69 years, female 10.5
GTEX-13NZB-2526-SM-5J1OM 30-39 years, male 10.5
GTEX-16GPK-0126-SM-7DHLE 60-69 years, male 10.5
GTEX-XBEW-0626-SM-4QASP 40-49 years, male 10.5
GTEX-11UD1-0126-SM-5PNYG 40-49 years, female 10.4
GTEX-12126-0326-SM-5PNW3 20-29 years, male 10.4
GTEX-15SHU-0126-SM-7KUEH 40-49 years, female 10.4
GTEX-Y8DK-0126-SM-4TT3L 60-69 years, male 10.4
GTEX-Z93S-0126-SM-5HL7M 50-59 years, male 10.4
GTEX-1EWIQ-0126-SM-7RHH2 70-79 years, female 10.4
GTEX-1H4P4-0726-SM-9YFLR 50-59 years, male 10.4
GTEX-1MUQO-0126-SM-EAZ58 60-69 years, male 10.4
GTEX-13CF3-2426-SM-5IFGX 60-69 years, female 10.3
GTEX-13IVO-0126-SM-5J1NG 70-79 years, male 10.3
GTEX-ZEX8-2426-SM-4WKG4 50-59 years, male 10.3
GTEX-1CAV2-2226-SM-7P8P2 40-49 years, female 10.3
GTEX-WXYG-2326-SM-4E3I6 50-59 years, female 10.2
GTEX-13OW5-0126-SM-DTXFS 60-69 years, male 10.2
GTEX-1IOXB-0126-SM-ARL8G 50-59 years, male 10.2
GTEX-1EN7A-0126-SM-7SB81 40-49 years, male 10.1
GTEX-1H3VE-0326-SM-9YFLH 40-49 years, male 10.1
GTEX-1J8EW-0126-SM-CJI4F 60-69 years, female 10.1
GTEX-1PIGE-0126-SM-EVYBJ 20-29 years, male 10.1
GTEX-1PIIG-0226-SM-EWRN6 30-39 years, male 10.1
GTEX-1PPH8-0226-SM-E8VND 20-29 years, male 10.1
GTEX-1CB4E-2226-SM-793DC 60-69 years, male 10.0
GTEX-T5JW-1626-SM-3GADZ 20-29 years, female 10.0
GTEX-1EMGI-0126-SM-9KNUE 60-69 years, male 10.0
GTEX-1JJ6O-0126-SM-E6CI8 60-69 years, male 10.0
GTEX-1KAFJ-2026-SM-CY8ID 50-59 years, male 10.0
GTEX-1KXAM-2226-SM-CYPTC 60-69 years, male 9.9
GTEX-14BIN-0626-SM-793DP 50-59 years, female 9.8
GTEX-14JG1-0426-SM-6ETZZ 40-49 years, male 9.8
GTEX-ZV68-0126-SM-59HKS 50-59 years, female 9.8
GTEX-11P7K-2126-SM-5GU7G 30-39 years, male 9.7
GTEX-15RIG-0226-SM-7KFTL 40-49 years, male 9.7
GTEX-1E2YA-0126-SM-9KNUC 50-59 years, male 9.7
GTEX-1J8QM-2126-SM-CYPSJ 60-69 years, female 9.7
GTEX-1192X-0226-SM-5H12D 50-59 years, male 9.6
GTEX-13SLW-0126-SM-5SI6C 70-79 years, male 9.6
GTEX-14753-0426-SM-5NQAM 60-69 years, male 9.6
GTEX-14PII-0226-SM-6EU1T 60-69 years, male 9.6
GTEX-18A7A-0226-SM-718BH 50-59 years, female 9.6
GTEX-1C2JI-1826-SM-73KXC 50-59 years, male 9.6
GTEX-XYKS-2126-SM-4E3IB 60-69 years, female 9.6
GTEX-Y5V6-2426-SM-4VDSB 60-69 years, male 9.6
GTEX-Y8E4-0626-SM-4WWDL 40-49 years, male 9.6
GTEX-11DXX-2426-SM-5GZZW 60-69 years, female 9.5
GTEX-145MN-2226-SM-5SIAU 30-39 years, male 9.5
GTEX-1GZHY-0326-SM-9QEHI 50-59 years, female 9.5
GTEX-1IL2U-0226-SM-CE6T8 60-69 years, male 9.5
GTEX-1QP66-1726-SM-E8VO1 50-59 years, male 9.5
GTEX-ZF3C-0126-SM-DO92D 50-59 years, female 9.5
GTEX-11UD2-0226-SM-5EQKY 50-59 years, male 9.4
GTEX-145LU-0126-SM-5TDCB 50-59 years, male 9.4
GTEX-ZAK1-0126-SM-5IJD3 50-59 years, female 9.4
GTEX-13NZ8-0826-SM-5MR3I 60-69 years, female 9.3
GTEX-15ER7-0326-SM-7KUEV 20-29 years, female 9.3
GTEX-TML8-1926-SM-32QOS 40-49 years, female 9.3
GTEX-ZDTT-2726-SM-4WKF8 60-69 years, male 9.3
GTEX-ZVT4-0126-SM-DTXFN 50-59 years, female 9.3
GTEX-TKQ1-1026-SM-4GICL 30-39 years, male 9.2
GTEX-1HCU8-0626-SM-A9SM9 60-69 years, female 9.2
GTEX-1JMPZ-0226-SM-CNPP1 30-39 years, male 9.2
GTEX-1MJK2-0426-SM-DTXE5 50-59 years, male 9.2
GTEX-ZVT3-0126-SM-5GU6I 60-69 years, female 9.1
GTEX-1F52S-0126-SM-9MQJU 60-69 years, female 9.1
GTEX-1399T-2826-SM-5KLYZ 60-69 years, male 9.0
GTEX-Z93T-0126-SM-5HL5N 50-59 years, male 9.0
GTEX-1H11D-0226-SM-9WG6Z 40-49 years, male 9.0
GTEX-1M5QR-1226-SM-EWROB 40-49 years, male 9.0
GTEX-1314G-1526-SM-5EGK2 30-39 years, male 8.9
GTEX-14E6D-0126-SM-62LDV 50-59 years, male 8.8
GTEX-17EUY-0426-SM-793BD 20-29 years, male 8.8
GTEX-WVJS-0126-SM-4MVOT 50-59 years, male 8.8
GTEX-ZTX8-1426-SM-5DUVO 20-29 years, male 8.8
GTEX-14PK6-1926-SM-6ETZU 70-79 years, female 8.7
GTEX-Y114-2426-SM-4TT8A 50-59 years, female 8.7
GTEX-1K9T9-0126-SM-EVYCF 50-59 years, female 8.7
GTEX-1LSNM-1926-SM-E6CII 50-59 years, male 8.7
GTEX-1S82Z-0826-SM-E6CHY 30-39 years, female 8.7
GTEX-1313W-0126-SM-5LZUN 50-59 years, female 8.6
GTEX-13X6I-0626-SM-5QGP9 60-69 years, male 8.6
GTEX-14PHX-2326-SM-62LEM 50-59 years, male 8.6
GTEX-XQ8I-0426-SM-4BOPO 50-59 years, male 8.6
GTEX-13FH7-2026-SM-E9J4I 50-59 years, female 8.6
GTEX-13NYC-0326-SM-E9J4S 60-69 years, male 8.6
GTEX-1H2FU-0126-SM-9WYSI 60-69 years, female 8.6
GTEX-1JMLX-0226-SM-CM2RO 50-59 years, male 8.6
GTEX-1LG7Z-1726-SM-D3LA4 30-39 years, male 8.6
GTEX-11OF3-2626-SM-5GU7F 60-69 years, male 8.5
GTEX-U3ZN-2326-SM-3DB7W 30-39 years, female 8.5
GTEX-WYJK-0126-SM-3NMAB 50-59 years, male 8.5
GTEX-Y5LM-1926-SM-5RQJH 40-49 years, female 8.5
GTEX-1GMR3-1926-SM-9KNUZ 40-49 years, male 8.5
GTEX-11EM3-2426-SM-59861 20-29 years, female 8.4
GTEX-13N2G-2626-SM-5J1OT 60-69 years, male 8.4
GTEX-1KWVE-1426-SM-E9TJO 30-39 years, male 8.4
GTEX-12WSE-0526-SM-793B2 20-29 years, male 8.3
GTEX-13N11-2526-SM-5K7UE 50-59 years, female 8.3
GTEX-WYVS-2126-SM-3NMA3 40-49 years, female 8.3
GTEX-ZZ64-1726-SM-5GZYB 20-29 years, male 8.3
GTEX-1GF9U-2126-SM-7SB7L 40-49 years, female 8.3
GTEX-1HSEH-0126-SM-ACKXN 60-69 years, male 8.3
GTEX-1KANA-0726-SM-D3L9I 20-29 years, male 8.3
GTEX-1KD4Q-0226-SM-E9TJ9 40-49 years, male 8.3
GTEX-15G19-0126-SM-6PANQ 60-69 years, male 8.2
GTEX-Y5V5-2326-SM-4V6GA 60-69 years, female 8.2
GTEX-1LB8K-0226-SM-EWRNW 50-59 years, male 8.2
GTEX-1RQEC-0426-SM-E6CHU 60-69 years, male 8.2
GTEX-11EI6-0126-SM-5985R 60-69 years, male 8.1
GTEX-T6MO-1626-SM-32QOM 40-49 years, female 8.1
GTEX-O5YW-0126-SM-3LK6D 50-59 years, male 8.0
GTEX-WY7C-2326-SM-3NB2U 50-59 years, male 8.0
GTEX-1GPI7-0126-SM-9MQL8 20-29 years, male 8.0
GTEX-1JMQI-2226-SM-CM2SD 50-59 years, male 8.0
GTEX-145ME-1826-SM-5SI9G 40-49 years, female 7.9
GTEX-S95S-1226-SM-4GICG 60-69 years, male 7.9
GTEX-ZC5H-0226-SM-4WAY9 40-49 years, female 7.9
GTEX-ZDXO-3026-SM-5J1N5 60-69 years, male 7.9
GTEX-13JUV-2726-SM-5LZZ8 40-49 years, female 7.8
GTEX-TMZS-0126-SM-3DB9Q 60-69 years, male 7.8
GTEX-1GMRU-0126-SM-9YFLV 50-59 years, male 7.8
GTEX-1GZ2Q-0226-SM-7P8TL 40-49 years, male 7.8
GTEX-1HCVE-0126-SM-CGQEU 50-59 years, male 7.8
GTEX-117YX-2326-SM-5H12W 50-59 years, male 7.7
GTEX-132NY-0326-SM-5IJBL 60-69 years, male 7.7
GTEX-13QJ3-0326-SM-5S2RA 50-59 years, male 7.7
GTEX-15F5U-1526-SM-6PANO 40-49 years, male 7.7
GTEX-1KANB-0526-SM-E6CJH 50-59 years, male 7.7
GTEX-13O3P-0126-SM-5KM4S 50-59 years, male 7.6
GTEX-17HG3-2226-SM-7938L 30-39 years, female 7.6
GTEX-PX3G-0126-SM-2I3EN 20-29 years, female 7.6
GTEX-1GN2E-0426-SM-9MQKX 60-69 years, male 7.6
GTEX-1I1GT-0626-SM-CGQER 60-69 years, female 7.6
GTEX-13FTY-0526-SM-5L3EV 40-49 years, female 7.5
GTEX-14BMV-0126-SM-5S2PO 50-59 years, male 7.5
GTEX-VJYA-1126-SM-3GIJU 60-69 years, male 7.5
GTEX-XAJ8-0826-SM-47JY6 40-49 years, male 7.5
GTEX-ZDYS-2026-SM-5HL5L 50-59 years, male 7.5
GTEX-ZY6K-1826-SM-5GZXK 50-59 years, male 7.5
GTEX-1HSMQ-1226-SM-CGQFX 50-59 years, male 7.5
GTEX-1ICLZ-0126-SM-CKZPO 60-69 years, male 7.5
GTEX-1MCYP-1926-SM-E9J2R 20-29 years, female 7.5
GTEX-12ZZZ-0626-SM-5DUXI 60-69 years, male 7.4
GTEX-15DCD-0126-SM-7KUEK 70-79 years, female 7.4
GTEX-1KD5A-0226-SM-D5OV3 50-59 years, male 7.4
GTEX-1LH75-2426-SM-E9TJE 50-59 years, female 7.4
GTEX-145MF-0626-SM-5LUAI 50-59 years, male 7.3
GTEX-1EKGG-0226-SM-9WYTH 60-69 years, male 7.3
GTEX-1HSMP-0126-SM-E6CJS 70-79 years, male 7.3
GTEX-1L5NE-2526-SM-E6CIE 50-59 years, male 7.3
GTEX-1QMI2-0226-SM-EVYBX 60-69 years, male 7.3
GTEX-131XE-2326-SM-5PNZ2 50-59 years, male 7.2
GTEX-18A67-0126-SM-7LG5P 50-59 years, male 7.2
GTEX-Q2AI-1326-SM-2S1PL 40-49 years, male 7.2
GTEX-1CB4H-0226-SM-7PBXM 60-69 years, female 7.2
GTEX-1QAET-0926-SM-E76QM 50-59 years, male 7.2
GTEX-11DXY-2626-SM-5GIE7 60-69 years, male 7.1
GTEX-13CF2-2526-SM-5LZYX 60-69 years, male 7.1
GTEX-16NPX-0226-SM-79OMT 50-59 years, male 7.1
GTEX-1QP9N-1426-SM-DTXFL 30-39 years, male 7.1
GTEX-13OVH-0126-SM-5MR4B 70-79 years, male 7.0
GTEX-17KNJ-2326-SM-7DHLQ 50-59 years, male 7.0
GTEX-1A32A-0126-SM-718B1 50-59 years, female 7.0
GTEX-P4QT-0126-SM-2I3FL 50-59 years, female 7.0
GTEX-YB5K-2126-SM-4WWDJ 40-49 years, female 7.0
GTEX-1269C-2526-SM-5EGJ3 60-69 years, female 6.9
GTEX-12C56-1726-SM-5EQ61 20-29 years, male 6.9
GTEX-133LE-1826-SM-5J1MV 20-29 years, female 6.9
GTEX-Q734-1926-SM-2I5EV 40-49 years, female 6.9
GTEX-TSE9-0126-SM-3DB83 60-69 years, female 6.9
GTEX-1IDFM-0126-SM-COH2V 60-69 years, male 6.9
GTEX-RNOR-0126-SM-E9J4R 50-59 years, female 6.9
GTEX-1CAMR-1926-SM-7EPI2 20-29 years, male 6.8
GTEX-S7SE-0126-SM-2XCD5 50-59 years, male 6.8
GTEX-WFON-2126-SM-3LK7O 40-49 years, male 6.8
GTEX-WQUQ-0426-SM-3MJFU 60-69 years, male 6.8
GTEX-YJ89-0126-SM-4TT3X 60-69 years, male 6.8
GTEX-ZQG8-1626-SM-DHXIT 60-69 years, female 6.8
GTEX-144GL-0126-SM-5TDE2 50-59 years, male 6.7
GTEX-15SDE-2226-SM-7IGLO 50-59 years, female 6.7
GTEX-16NGA-1726-SM-731B4 40-49 years, female 6.7
GTEX-13O3O-0126-SM-E9J49 60-69 years, female 6.7
GTEX-169BO-1326-SM-9MQK2 50-59 years, male 6.7
GTEX-1HCU6-0126-SM-CL54K 60-69 years, female 6.7
GTEX-1LGOU-2026-SM-DIPFF 20-29 years, female 6.7
GTEX-13FTX-1826-SM-5J1NX 20-29 years, female 6.6
GTEX-13OW6-0426-SM-5L3HM 50-59 years, male 6.6
GTEX-OXRK-0226-SM-3NB2G 50-59 years, female 6.6
GTEX-T2IS-0126-SM-4DM6O 20-29 years, female 6.6
GTEX-X4XX-0126-SM-3NMC2 60-69 years, male 6.6
GTEX-1H3VY-0126-SM-ACKXD 50-59 years, male 6.6
GTEX-1HCU9-1526-SM-A9SL7 20-29 years, male 6.6
GTEX-11DYG-0126-SM-59883 60-69 years, male 6.5
GTEX-11DZ1-0126-SM-5985Q 50-59 years, male 6.5
GTEX-11NSD-2226-SM-5986V 20-29 years, male 6.5
GTEX-11VI4-1726-SM-5CVLH 40-49 years, female 6.5
GTEX-13D11-2426-SM-5KM1V 50-59 years, female 6.5
GTEX-WZTO-0126-SM-3NM95 40-49 years, male 6.5
GTEX-ZDTS-0126-SM-4WAY5 60-69 years, male 6.5
GTEX-1GF9V-0326-SM-7RHI5 60-69 years, male 6.5
GTEX-1IL2V-0126-SM-CM2TX 70-79 years, male 6.5
GTEX-1JJEA-0326-SM-CNPOT 60-69 years, male 6.5
GTEX-1JMQJ-0526-SM-CYPSU 50-59 years, male 6.5
GTEX-1K2DU-2326-SM-E9TIV 20-29 years, male 6.5
GTEX-111VG-2426-SM-5GZXD 60-69 years, male 6.4
GTEX-139UW-2826-SM-5L3E7 60-69 years, male 6.4
GTEX-1A3MV-1926-SM-718BT 30-39 years, male 6.4
GTEX-1B8SF-1426-SM-7DUGL 60-69 years, male 6.4
GTEX-RWS6-2026-SM-2XCB5 60-69 years, female 6.4
GTEX-ZAJG-0126-SM-5HL94 50-59 years, female 6.4
GTEX-11TUW-2726-SM-E9J4M 60-69 years, male 6.4
GTEX-1HBPN-0226-SM-9YFM1 50-59 years, male 6.4
GTEX-1J8JJ-0226-SM-CL53I 60-69 years, female 6.4
GTEX-12696-2426-SM-5EQ6H 60-69 years, male 6.3
GTEX-13G51-2526-SM-5LZYK 60-69 years, male 6.3
GTEX-13OW8-1326-SM-5J1OW 60-69 years, male 6.3
GTEX-13W46-0226-SM-5SIAG 50-59 years, male 6.3
GTEX-145MI-0526-SM-5O9A8 60-69 years, female 6.3
GTEX-14LLW-0126-SM-6LLIO 70-79 years, female 6.3
GTEX-183FY-0126-SM-7LT9P 20-29 years, male 6.3
GTEX-Y3I4-2126-SM-4TT7C 50-59 years, male 6.3
GTEX-1GF9X-2026-SM-7PC3A 40-49 years, female 6.3
GTEX-1GMR8-0126-SM-9WYTM 50-59 years, female 6.3
GTEX-1H1DG-0126-SM-9WYU2 70-79 years, male 6.3
GTEX-1HFI6-0226-SM-ADEHZ 40-49 years, male 6.3
GTEX-1IKK5-0626-SM-ARL8A 60-69 years, male 6.3
GTEX-1PWST-0226-SM-E76QJ 70-79 years, male 6.3
GTEX-12ZZY-0226-SM-5LZVE 60-69 years, male 6.2
GTEX-13O3Q-2426-SM-5IJBR 50-59 years, male 6.2
GTEX-13RTK-1426-SM-5QGQJ 20-29 years, male 6.2
GTEX-15EU6-0426-SM-6PAN5 50-59 years, male 6.2
GTEX-QEG4-0226-SM-2S1PY 30-39 years, male 6.2
GTEX-R3RS-0126-SM-3GIJL 40-49 years, female 6.2
GTEX-VJWN-0126-SM-3GIK7 50-59 years, female 6.2
GTEX-XUYS-0126-SM-47JWZ 50-59 years, male 6.2
GTEX-1B8L1-2526-SM-9WYTF 60-69 years, male 6.2
GTEX-1GN1U-0126-SM-7PBZK 50-59 years, female 6.2
GTEX-11EQ9-2426-SM-5HL5T 30-39 years, male 6.1
GTEX-13O21-1426-SM-5K7XI 50-59 years, male 6.1
GTEX-14PJM-0226-SM-62LF1 50-59 years, female 6.1
GTEX-183WM-0126-SM-7LTAB 70-79 years, female 6.1
GTEX-PVOW-0126-SM-2XCFA 40-49 years, male 6.1
GTEX-QDVJ-1726-SM-2I5FX 50-59 years, male 6.1
GTEX-U412-0426-SM-3DB9O 60-69 years, male 6.1
GTEX-XQ3S-1526-SM-4BOOC 20-29 years, male 6.1
GTEX-1CAMS-0426-SM-7P8T2 40-49 years, female 6.1
GTEX-1I6K6-0126-SM-A9SLE 30-39 years, male 6.1
GTEX-1J1R8-1726-SM-ARL8M 40-49 years, male 6.1
GTEX-1QEPI-0126-SM-EWRMQ 60-69 years, female 6.1
GTEX-1R46S-0626-SM-E9J41 60-69 years, female 6.1
GTEX-145MO-0326-SM-5Q5B3 60-69 years, male 6.0
GTEX-17F97-0326-SM-7LG5B 50-59 years, male 6.0
GTEX-1B97I-1626-SM-73KYO 40-49 years, male 6.0
GTEX-1CAMQ-0226-SM-7IGPK 40-49 years, male 6.0
GTEX-WRHK-1426-SM-3MJF9 20-29 years, female 6.0
GTEX-ZYFC-0226-SM-5NQ75 50-59 years, male 6.0
GTEX-1F75A-0126-SM-7RHGM 50-59 years, male 6.0
GTEX-1HBPI-1526-SM-C1YQ1 50-59 years, male 6.0
GTEX-139T8-0126-SM-5K7XZ 60-69 years, male 5.9
GTEX-13PDP-0126-SM-5L3HD 60-69 years, male 5.9
GTEX-145LT-1726-SM-5QGP3 40-49 years, male 5.9
GTEX-145LV-2126-SM-5LU8N 50-59 years, male 5.9
GTEX-16AAH-1726-SM-7939C 50-59 years, male 5.9
GTEX-18A66-0226-SM-718BD 60-69 years, male 5.9
GTEX-NFK9-0226-SM-2HMKQ 40-49 years, male 5.9
GTEX-XBED-2226-SM-47JYQ 60-69 years, male 5.9
GTEX-1HCUA-2426-SM-ADEIS 50-59 years, female 5.9
GTEX-1ICLY-0126-SM-D4P36 50-59 years, male 5.9
GTEX-1IDJU-2626-SM-CM2RT 60-69 years, female 5.9
GTEX-1MGNQ-0126-SM-EVYCJ 40-49 years, male 5.9
GTEX-1R7EU-0226-SM-EVR4G 60-69 years, male 5.9
GTEX-11O72-0126-SM-59887 40-49 years, male 5.8
GTEX-1212Z-2526-SM-5EGKP 60-69 years, male 5.8
GTEX-ZTSS-1926-SM-57WEW 40-49 years, male 5.8
GTEX-1RDX4-0126-SM-E9J4P 50-59 years, female 5.8
GTEX-117YW-2626-SM-5GZZH 50-59 years, male 5.7
GTEX-13SLX-0526-SM-5S2ON 50-59 years, female 5.7
GTEX-15CHC-2126-SM-6EU21 60-69 years, female 5.7
GTEX-1C64O-0126-SM-7SB8P 60-69 years, male 5.7
GTEX-1F7RK-0126-SM-7PC2S 20-29 years, female 5.7
GTEX-1HT8W-0126-SM-CNPPP 30-39 years, male 5.7
GTEX-1I1GR-0126-SM-CL55F 60-69 years, male 5.7
GTEX-1S5ZA-0126-SM-EVYCV 20-29 years, male 5.7
GTEX-11DXW-0226-SM-5H122 40-49 years, male 5.6
GTEX-131XH-2226-SM-5DUXJ 50-59 years, male 5.6
GTEX-13VXU-0126-SM-5SI9F 50-59 years, male 5.6
GTEX-18465-0126-SM-731BN 50-59 years, male 5.6
GTEX-18D9U-0226-SM-718BP 40-49 years, male 5.6
GTEX-1C6VR-2426-SM-79OLD 60-69 years, male 5.6
GTEX-Q2AH-1626-SM-3GAF8 40-49 years, male 5.6
GTEX-T8EM-1026-SM-3DB7M 40-49 years, male 5.6
GTEX-1CB4F-0426-SM-9KNV4 60-69 years, male 5.6
GTEX-1GZ4H-1726-SM-7PBZJ 50-59 years, female 5.6
GTEX-1IKJJ-0126-SM-CNPQB 60-69 years, male 5.6
GTEX-1IKOH-0226-SM-COH4E 60-69 years, female 5.6
GTEX-12WSC-0126-SM-5EQ4P 50-59 years, male 5.5
GTEX-1A3MX-0126-SM-731BR 60-69 years, male 5.5
GTEX-RM2N-1426-SM-2TF4H 50-59 years, male 5.5
GTEX-ZE7O-0126-SM-57WC1 50-59 years, female 5.5
GTEX-ZYY3-0126-SM-5GZY5 60-69 years, female 5.5
GTEX-1AX9I-0126-SM-7SB74 60-69 years, male 5.5
GTEX-1I4MK-2226-SM-ACKWD 50-59 years, female 5.5
GTEX-1MCQQ-0826-SM-DLHC2 60-69 years, male 5.5
GTEX-1O97I-0326-SM-EYYX7 60-69 years, male 5.5
GTEX-W5X1-3026-SM-EAZAX 40-49 years, female 5.5
GTEX-11NUK-0126-SM-5A5L3 50-59 years, male 5.4
GTEX-11ZTS-0126-SM-5EQ6M 60-69 years, female 5.4
GTEX-TMMY-0226-SM-33HBA 40-49 years, female 5.4
GTEX-1H3O1-0426-SM-9YFKY 60-69 years, male 5.4
GTEX-14A5H-0426-SM-5QGQF 60-69 years, male 5.3
GTEX-14E6C-0126-SM-5RQIP 40-49 years, male 5.3
GTEX-16YQH-0126-SM-7DUFJ 30-39 years, male 5.3
GTEX-18A6Q-0126-SM-731BZ 60-69 years, male 5.3
GTEX-1AX9J-0226-SM-73KXM 60-69 years, male 5.3
GTEX-QCQG-1726-SM-3GIJ9 50-59 years, female 5.3
GTEX-VUSG-2526-SM-4KL1V 50-59 years, male 5.3
GTEX-Z9EW-1626-SM-5CVMN 40-49 years, male 5.3
GTEX-1JKYR-0126-SM-CNPOJ 20-29 years, male 5.3
GTEX-1NV5F-0226-SM-E8VNY 60-69 years, female 5.3
GTEX-15DDE-0126-SM-6LPKH 50-59 years, female 5.2
GTEX-16BQI-0226-SM-7KUEX 30-39 years, female 5.2
GTEX-1BAJH-0526-SM-793CQ 70-79 years, male 5.2
GTEX-OHPL-0126-SM-2HMJ7 60-69 years, female 5.2
GTEX-UPJH-0326-SM-3GADU 50-59 years, male 5.2
GTEX-YFC4-0126-SM-5CVLY 40-49 years, female 5.2
GTEX-1F6IF-0726-SM-7P8TW 60-69 years, male 5.2
GTEX-1HSKV-0226-SM-A9SKJ 60-69 years, male 5.2
GTEX-R45C-0126-SM-EAZ2R 60-69 years, female 5.2
GTEX-11TT1-2526-SM-5EGIB 20-29 years, male 5.1
GTEX-12WSD-0126-SM-59HKN 60-69 years, female 5.1
GTEX-13112-2826-SM-5DUWH 50-59 years, male 5.1
GTEX-13YAN-0326-SM-5O9DF 60-69 years, male 5.1
GTEX-14JG6-2226-SM-6EU2G 30-39 years, female 5.1
GTEX-1C64N-0126-SM-793D7 50-59 years, male 5.1
GTEX-RTLS-0126-SM-447CA 60-69 years, female 5.1
GTEX-T5JC-0426-SM-32PLO 20-29 years, male 5.1
GTEX-1I1GQ-0126-SM-COH3H 50-59 years, male 5.1
GTEX-1JMQL-0226-SM-CNPP5 50-59 years, female 5.1
GTEX-1POEN-0126-SM-EYYXJ 30-39 years, female 5.1
GTEX-113JC-2326-SM-5EQ4E 50-59 years, female 5.0
GTEX-12WSJ-1826-SM-5GCNY 40-49 years, female 5.0
GTEX-13OVL-0226-SM-5L3E9 50-59 years, male 5.0
GTEX-17EVP-0326-SM-7DHLG 40-49 years, male 5.0
GTEX-W5WG-1826-SM-4KL2Y 50-59 years, female 5.0
GTEX-XXEK-2226-SM-4BRUM 50-59 years, male 5.0
GTEX-Y111-0126-SM-4SOIV 50-59 years, male 5.0
GTEX-1HB9E-0226-SM-E9U4R 50-59 years, male 5.0
GTEX-1IDJF-0126-SM-CM2RS 20-29 years, male 5.0
GTEX-13FHO-0226-SM-5IFGY 60-69 years, male 4.9
GTEX-144GN-2326-SM-5LU4F 50-59 years, male 4.9
GTEX-147F3-0526-SM-5SI98 50-59 years, female 4.9
GTEX-QLQW-1126-SM-2S1Q8 30-39 years, male 4.9
GTEX-WH7G-2326-SM-3NMBC 40-49 years, male 4.9
GTEX-WOFL-0126-SM-3MJG2 60-69 years, male 4.9
GTEX-X638-0126-SM-47JZ8 70-79 years, female 4.9
GTEX-XPVG-2626-SM-4B669 50-59 years, male 4.9
GTEX-XUW1-0426-SM-4BOOT 50-59 years, female 4.9
GTEX-YEC4-2126-SM-5IFJH 40-49 years, male 4.9
GTEX-YJ8A-0426-SM-5IFID 20-29 years, male 4.9
GTEX-139TU-0126-SM-5K7WH 60-69 years, male 4.8
GTEX-1C475-1826-SM-73KWA 40-49 years, female 4.8
GTEX-1E1VI-0126-SM-7DHMZ 50-59 years, male 4.8
GTEX-1JN6P-0126-SM-D3L98 60-69 years, male 4.8
GTEX-11GSO-2426-SM-5A5LY 60-69 years, male 4.7
GTEX-11P81-2326-SM-59875 30-39 years, female 4.7
GTEX-131XW-0426-SM-5LZWP 50-59 years, female 4.7
GTEX-OOBK-0126-SM-2YUND 40-49 years, male 4.7
GTEX-1GL5R-1826-SM-9KNUY 50-59 years, male 4.7
GTEX-1I1CD-0126-SM-CM2TK 60-69 years, female 4.7
GTEX-1S82Y-2026-SM-EVYCM 40-49 years, male 4.7
GTEX-13X6J-0126-SM-5QGOU 50-59 years, male 4.6
GTEX-18A7B-0126-SM-7LG64 70-79 years, male 4.6
GTEX-OXRN-0126-SM-48TDM 50-59 years, male 4.6
GTEX-SJXC-0126-SM-2XCFF 60-69 years, male 4.6
GTEX-X8HC-0126-SM-4E3JW 50-59 years, female 4.6
GTEX-XMD2-0126-SM-4YCDU 60-69 years, female 4.6
GTEX-12WSG-2826-SM-E9J4H 50-59 years, female 4.6
GTEX-1EU9M-0226-SM-7P8SP 60-69 years, male 4.6
GTEX-1HBPM-0226-SM-ARL9F 60-69 years, female 4.6
GTEX-1JJE9-0326-SM-CL53Z 70-79 years, male 4.6
GTEX-1JKYN-1326-SM-CGQG9 30-39 years, male 4.6
GTEX-1M4P7-0226-SM-DIPEV 60-69 years, male 4.6
GTEX-1N2DV-0226-SM-E6CJ6 40-49 years, male 4.6
GTEX-13N1W-0126-SM-5K7VT 70-79 years, male 4.5
GTEX-147GR-0526-SM-5S2MY 60-69 years, male 4.5
GTEX-14C5O-0126-SM-5SI6N 60-69 years, male 4.5
GTEX-14PJ3-1826-SM-62LEX 50-59 years, male 4.5
GTEX-17HII-0226-SM-7LG4E 50-59 years, male 4.5
GTEX-1GN73-0226-SM-9WG67 60-69 years, male 4.5
GTEX-1H3NZ-0126-SM-ACKX7 60-69 years, male 4.5
GTEX-1JN1M-0326-SM-CYPT3 60-69 years, female 4.5
GTEX-PLZ6-1426-SM-DKPOT 30-39 years, male 4.5
GTEX-13NZA-0226-SM-5K7Z7 60-69 years, male 4.4
GTEX-QVJO-1626-SM-2S1QW 60-69 years, female 4.4
GTEX-SIU8-0126-SM-2XCDT 50-59 years, male 4.4
GTEX-WFG8-2226-SM-3GIL9 20-29 years, male 4.4
GTEX-1F6I4-0126-SM-9MQL2 60-69 years, male 4.4
GTEX-1JK1U-2026-SM-CM2RZ 60-69 years, male 4.4
GTEX-1MA7X-2226-SM-E6CIY 60-69 years, male 4.4
GTEX-1QP29-0626-SM-EWRMX 50-59 years, male 4.4
GTEX-OIZF-0126-SM-7SB8I 60-69 years, male 4.4
GTEX-PWCY-1826-SM-DHXIZ 20-29 years, female 4.4
GTEX-12584-0126-SM-5EGKQ 40-49 years, male 4.3
GTEX-12KS4-0326-SM-5EQ41 30-39 years, male 4.3
GTEX-12WSK-2326-SM-5GCOH 40-49 years, female 4.3
GTEX-17HGU-0226-SM-7DHKV 50-59 years, male 4.3
GTEX-1B8KE-2126-SM-73KYX 50-59 years, male 4.3
GTEX-PLZ4-0126-SM-5SI8O 50-59 years, female 4.3
GTEX-ZU9S-0226-SM-5E441 30-39 years, male 4.3
GTEX-1GF9W-0326-SM-9KNUN 60-69 years, male 4.3
GTEX-1JMPY-1326-SM-ARL8Y 30-39 years, male 4.3
GTEX-13S7M-0126-SM-5SI6A 60-69 years, female 4.2
GTEX-15SHW-0326-SM-6PAML 60-69 years, male 4.2
GTEX-15UKP-0426-SM-7KUFQ 20-29 years, male 4.2
GTEX-1AMEY-1326-SM-73KYK 30-39 years, female 4.2
GTEX-1B8KZ-2026-SM-7DHMB 50-59 years, male 4.2
GTEX-QV44-1926-SM-2S1RF 50-59 years, male 4.2
GTEX-Y8LW-1826-SM-5S2MV 50-59 years, female 4.2
GTEX-ZVE2-0226-SM-59HJB 50-59 years, male 4.2
GTEX-1IY9M-0126-SM-D3L8S 60-69 years, male 4.2
GTEX-1LNCM-1126-SM-E9U5E 50-59 years, female 4.2
GTEX-1211K-2026-SM-5EQ4Z 60-69 years, female 4.1
GTEX-1AX8Z-0126-SM-7DHM6 60-69 years, male 4.1
GTEX-X4EO-0326-SM-3P5YO 60-69 years, female 4.1
GTEX-1J8Q3-1626-SM-CMKGC 60-69 years, male 4.1
GTEX-1LGRB-2526-SM-CNPPQ 50-59 years, female 4.1
GTEX-1RB15-2126-SM-E9TIM 60-69 years, male 4.1
GTEX-1128S-2326-SM-5GZZY 60-69 years, female 4.0
GTEX-11WQC-2526-SM-5CVLE 60-69 years, male 4.0
GTEX-13OVJ-0126-SM-5KM36 50-59 years, female 4.0
GTEX-14BIM-0226-SM-7IGLD 60-69 years, female 4.0
GTEX-14E6E-1826-SM-5S2R7 30-39 years, male 4.0
GTEX-17HHE-2026-SM-79OKF 50-59 years, male 4.0
GTEX-RWSA-0126-SM-2XCBB 40-49 years, male 4.0
GTEX-SN8G-0126-SM-32PLI 50-59 years, female 4.0
GTEX-ZQUD-1426-SM-57WER 30-39 years, male 4.0
GTEX-ZXG5-0126-SM-5GIEU 60-69 years, male 4.0
GTEX-1B933-0126-SM-7PC29 50-59 years, female 4.0
GTEX-1QP2A-0126-SM-E9J43 50-59 years, male 4.0
GTEX-12ZZX-0126-SM-5EGK9 40-49 years, female 3.9
GTEX-13NYS-0126-SM-5MR3W 60-69 years, male 3.9
GTEX-13PVR-2326-SM-5QGR1 60-69 years, female 3.9
GTEX-147F4-0226-SM-5QGPW 50-59 years, male 3.9
GTEX-15D1Q-0126-SM-7KUG6 40-49 years, male 3.9
GTEX-17HHY-0126-SM-7LG5D 50-59 years, male 3.9
GTEX-ZF28-0126-SM-4WKGK 60-69 years, male 3.9
GTEX-1H1ZS-0426-SM-9WG6G 70-79 years, male 3.9
GTEX-1HGF4-2426-SM-ACKXM 60-69 years, male 3.9
GTEX-PLZ5-2026-SM-2S1O4 50-59 years, male 3.8
GTEX-U3ZH-2026-SM-3DB78 30-39 years, male 3.8
GTEX-U8T8-0126-SM-3DB94 60-69 years, male 3.8
GTEX-1I19N-0326-SM-ACKVX 70-79 years, male 3.8
GTEX-1I1HK-0126-SM-COH49 60-69 years, male 3.8
GTEX-1LG7Y-0526-SM-DKPQC 50-59 years, male 3.8
GTEX-ZF29-2326-SM-DO92K 60-69 years, female 3.8
GTEX-11GSP-2526-SM-5N9BP 60-69 years, female 3.7
GTEX-148VJ-0126-SM-5TDDN 70-79 years, male 3.7
GTEX-15DYW-0126-SM-7KULE 60-69 years, female 3.7
GTEX-RN64-0126-SM-2TC68 50-59 years, male 3.7
GTEX-ZYFD-0126-SM-5GIDL 50-59 years, male 3.7
GTEX-11OC5-0126-SM-5HL6A 60-69 years, male 3.6
GTEX-12WSA-0226-SM-5BC5V 60-69 years, male 3.6
GTEX-13RTJ-2426-SM-5S2Q2 60-69 years, male 3.6
GTEX-14DAR-2026-SM-5S2O3 50-59 years, male 3.6
GTEX-14PN4-0126-SM-6EU2V 50-59 years, male 3.6
GTEX-OXRP-0126-SM-3NB32 60-69 years, female 3.6
GTEX-R55G-2526-SM-2TC6D 40-49 years, female 3.6
GTEX-131XF-5016-SM-7MGWE 60-69 years, male 3.6
GTEX-1F5PK-2426-SM-7RHHY 50-59 years, male 3.6
GTEX-1LC47-0326-SM-E9TJP 60-69 years, male 3.6
GTEX-139T4-0226-SM-5HL5S 50-59 years, female 3.5
GTEX-148VI-1626-SM-5SI6E 60-69 years, female 3.5
GTEX-1AMFI-2026-SM-731BH 50-59 years, female 3.5
GTEX-OHPM-0126-SM-2YUN9 50-59 years, male 3.5
GTEX-X261-0126-SM-3NMD6 50-59 years, male 3.5
GTEX-1A8FM-0226-SM-7SB7Q 50-59 years, female 3.5
GTEX-1F75B-0126-SM-9KNVL 50-59 years, male 3.5
GTEX-1N2DW-0226-SM-E9TK2 50-59 years, male 3.5
GTEX-11LCK-1026-SM-5A5KB 30-39 years, male 3.4
GTEX-14ABY-0226-SM-5TDCQ 50-59 years, male 3.4
GTEX-17EVQ-0226-SM-7LG4P 70-79 years, male 3.4
GTEX-1C4CL-0526-SM-73KVK 30-39 years, male 3.4
GTEX-1H23P-0126-SM-ADEJ3 60-69 years, male 3.4
GTEX-1HCU7-0226-SM-CL545 50-59 years, male 3.4
GTEX-1I1GP-2226-SM-CGQFK 50-59 years, male 3.4
GTEX-1192W-2626-SM-5Q5AF 60-69 years, male 3.3
GTEX-13OVG-1926-SM-5L3DK 60-69 years, male 3.3
GTEX-13W3W-2426-SM-5LU5B 60-69 years, female 3.3
GTEX-14A6H-0126-SM-5QGPK 30-39 years, male 3.3
GTEX-1AX9K-2326-SM-73KWU 50-59 years, male 3.3
GTEX-Q2AG-0126-SM-33HBV 40-49 years, female 3.3
GTEX-S32W-2126-SM-2XCB1 50-59 years, female 3.3
GTEX-1IGQW-0126-SM-COH42 60-69 years, male 3.3
GTEX-12WSL-2526-SM-5GCNJ 50-59 years, male 3.2
GTEX-13RTL-0126-SM-7LG5S 40-49 years, male 3.2
GTEX-16MT8-0426-SM-7KUEY 60-69 years, female 3.2
GTEX-1C6VS-0526-SM-7DUEN 60-69 years, male 3.2
GTEX-1C6WA-0126-SM-7PC2B 60-69 years, male 3.2
GTEX-1CB4G-0226-SM-7PC3O 60-69 years, male 3.2
GTEX-1HFI7-1826-SM-ACKXH 50-59 years, female 3.2
GTEX-1R7EV-2426-SM-EVYBG 40-49 years, male 3.2
GTEX-1R9K4-0126-SM-DTX9X 60-69 years, male 3.2
GTEX-ZPIC-1726-SM-DHXIU 40-49 years, female 3.2
GTEX-11WQK-0526-SM-5EQLD 50-59 years, male 3.1
GTEX-139TT-0126-SM-5K7Y5 60-69 years, male 3.1
GTEX-14E7W-0126-SM-6LLJ9 70-79 years, male 3.1
GTEX-QDVN-2026-SM-3GAEP 50-59 years, male 3.1
GTEX-ZUA1-0126-SM-5GU76 40-49 years, male 3.1
GTEX-1F88F-2726-SM-7PBZZ 60-69 years, female 3.1
GTEX-113IC-0126-SM-5HL6T 60-69 years, male 3.0
GTEX-11P82-1626-SM-59879 20-29 years, male 3.0
GTEX-13O1R-0126-SM-5L3EH 60-69 years, male 3.0
GTEX-14PN3-2426-SM-6LLHS 60-69 years, female 3.0
GTEX-1B8SG-0126-SM-73KZ3 50-59 years, male 3.0
GTEX-RUSQ-1526-SM-2TF62 50-59 years, male 3.0
GTEX-S7PM-0126-SM-4AD6S 60-69 years, male 3.0
GTEX-V1D1-2226-SM-3NMAX 50-59 years, male 3.0
GTEX-ZYW4-0126-SM-5E44A 60-69 years, male 3.0
GTEX-1GTWX-0126-SM-9YFLK 60-69 years, male 3.0
GTEX-1J8Q2-0526-SM-CM2RW 60-69 years, male 3.0
GTEX-1AYD5-2426-SM-73KXR 50-59 years, male 2.9
GTEX-1B996-0226-SM-7RHGO 60-69 years, male 2.9
GTEX-11EMC-2926-SM-5EQ4F 60-69 years, female 2.8
GTEX-14A5I-0126-SM-5TDEA 50-59 years, female 2.8
GTEX-14XAO-2326-SM-6EU1B 60-69 years, female 2.8
GTEX-NPJ8-0126-SM-2YUNR 40-49 years, male 2.8
GTEX-QESD-1426-SM-2S1R9 20-29 years, male 2.8
GTEX-U3ZM-1526-SM-3DB9D 40-49 years, male 2.8
GTEX-ZTPG-0326-SM-5O9AX 20-29 years, female 2.8
GTEX-1GN1V-0126-SM-9WPOS 60-69 years, male 2.8
GTEX-PW2O-1526-SM-7RHHB 20-29 years, male 2.8
GTEX-11GS4-2726-SM-5A5LE 60-69 years, male 2.7
GTEX-11ZU8-2526-SM-5EQKI 60-69 years, male 2.7
GTEX-11ZVC-2526-SM-5FQTE 50-59 years, female 2.7
GTEX-P4PQ-0126-SM-2S1NM 60-69 years, male 2.7
GTEX-SNMC-1226-SM-2XCFP 20-29 years, male 2.7
GTEX-1NHNU-1026-SM-E9J2A 50-59 years, male 2.7
GTEX-12WSN-5019-SM-79OM6 40-49 years, male 2.6
GTEX-13U4I-0126-SM-5LU38 40-49 years, female 2.6
GTEX-PWO3-1526-SM-48TCM 60-69 years, female 2.6
GTEX-1F48J-0126-SM-7P8TT 50-59 years, female 2.6
GTEX-1GPI6-0126-SM-9WG69 60-69 years, male 2.6
GTEX-1HKZK-0326-SM-9WYUH 40-49 years, male 2.6
GTEX-1N2EF-0226-SM-EYYXB 60-69 years, male 2.6
GTEX-SE5C-1626-SM-2XCE3 40-49 years, female 2.6
GTEX-11TTK-0126-SM-5987B 60-69 years, female 2.5
GTEX-13VXT-0126-SM-5LU4I 20-29 years, female 2.5
GTEX-15EOM-0126-SM-7KUGG 20-29 years, female 2.5
GTEX-1CB4J-0626-SM-7DHMP 60-69 years, male 2.5
GTEX-1H1E6-1726-SM-ACKVK 30-39 years, male 2.5
GTEX-13OW7-0126-SM-5MR3B 50-59 years, male 2.4
GTEX-146FH-0126-SM-5QGPP 50-59 years, female 2.4
GTEX-16XZY-2126-SM-79OK1 70-79 years, male 2.4
GTEX-1A3MW-0126-SM-73KXX 60-69 years, female 2.4
GTEX-14DAQ-0126-SM-5S2MQ 60-69 years, female 2.3
GTEX-17MF6-0126-SM-7LG4F 40-49 years, male 2.3
GTEX-X4XY-0226-SM-4E3IZ 60-69 years, male 2.3
GTEX-ZZPT-0226-SM-5E43X 50-59 years, male 2.3
GTEX-1IE54-0126-SM-CMKHW 40-49 years, female 2.3
GTEX-1RAZQ-0726-SM-EAZ43 30-39 years, male 2.3
GTEX-11H98-0126-SM-5EGHG 50-59 years, male 2.2
GTEX-13X6H-2126-SM-7EWD5 50-59 years, female 2.2
GTEX-P44H-0226-SM-2XCEU 40-49 years, male 2.2
GTEX-SSA3-0126-SM-32QPU 60-69 years, male 2.2
GTEX-ZAB4-0226-SM-5N9F5 40-49 years, male 2.2
GTEX-1C6VQ-0126-SM-7P8RI 50-59 years, male 2.2
GTEX-14PHW-0126-SM-6LLJI 60-69 years, female 2.1
GTEX-18D9B-0526-SM-7LTAS 60-69 years, male 2.1
GTEX-R55E-0126-SM-2TC5Y 20-29 years, male 2.1
GTEX-1OJC4-0126-SM-E9J2E 50-59 years, female 2.1
GTEX-131XG-2626-SM-5KM17 50-59 years, female 2.0
GTEX-15UF6-0826-SM-6PALJ 70-79 years, female 2.0
GTEX-1JMQK-0226-SM-CL543 60-69 years, male 2.0
GTEX-1JN76-0126-SM-CNPPE 20-29 years, female 2.0
GTEX-1PBJI-0526-SM-E8VNK 20-29 years, female 2.0
GTEX-16XZZ-0126-SM-793DV 60-69 years, male 1.9
GTEX-QLQ7-1626-SM-2S1R8 60-69 years, male 1.9
GTEX-1AYCT-2426-SM-7IGQ3 50-59 years, male 1.8
GTEX-X5EB-2226-SM-46MW4 40-49 years, male 1.8
GTEX-1HUB1-0426-SM-E9U4U 60-69 years, male 1.8
GTEX-1PPH7-2326-SM-EVYB8 40-49 years, male 1.8
GTEX-1I1GS-0126-SM-B2LVW 60-69 years, male 1.7
GTEX-1I1GU-2226-SM-CGQFA 40-49 years, male 1.7
GTEX-1RLM8-2326-SM-EWRN4 50-59 years, male 1.7
GTEX-13OVI-1426-SM-5L3EY 60-69 years, female 1.6
GTEX-1GN1W-0526-SM-9MQJQ 50-59 years, female 1.6
GTEX-14BIL-0126-SM-5SI92 50-59 years, male 1.5
GTEX-1H1DE-2126-SM-9WG6R 20-29 years, male 1.5
GTEX-OXRL-0126-SM-2YUMP 50-59 years, male 1.4
GTEX-OXRO-0126-SM-2YUN4 60-69 years, female 1.4
GTEX-QDT8-0126-SM-48TZ1 30-39 years, female 1.3
GTEX-1HBPH-0426-SM-B2LW5 40-49 years, female 1.2
GTEX-1JMOU-1526-SM-CL54I 60-69 years, female 1.2
GTEX-11ZTT-2426-SM-5EQLS 60-69 years, female 1.1
GTEX-RU72-0926-SM-2TF6B 50-59 years, female 1.1
GTEX-X62O-0126-SM-4E3JN 50-59 years, male 1.1
GTEX-1QP67-1626-SM-EAZ3X 40-49 years, female 1.0
GTEX-1R9PO-2126-SM-E9J4O 60-69 years, female 1.0
GTEX-14JIY-0126-SM-6LLH6 60-69 years, male 0.8
GTEX-1HSMO-0126-SM-CL547 60-69 years, male 0.8
GTEX-1QW4Y-1526-SM-EAZ3Z 30-39 years, male 0.8
GTEX-U4B1-1826-SM-4DXSU 40-49 years, male 0.5
GTEX-1F75I-0326-SM-9YFLU 40-49 years, male 0.3
GTEX-11ZUS-0626-SM-59885 30-39 years, male 0.2
GTEX-146FR-1326-SM-E9J48 60-69 years, female 0.1
Show allShow less

Contact

  • NEWS ARTICLES
  • PRESS ROOM

The Project

  • INTRODUCTION
  • ORGANIZATION
  • PUBLICATIONS

The Human Protein Atlas

  • DOWNLOADABLE DATA
  • LICENCE & CITATION
  • HELP & FAQ
The Human Protein Atlas project is funded
by the Knut & Alice Wallenberg Foundation.


contact@proteinatlas.org