We use cookies to enhance the usability of our website. If you continue, we'll assume that you are happy to receive all cookies. More information. Don't show this again.
LMF2
HPA
RESOURCES
  • TISSUE
  • BRAIN
  • SINGLE CELL
  • SUBCELLULAR
  • CANCER
  • BLOOD
  • CELL LINE
  • STRUCTURE & INTERACTION
ABOUT
  • INTRODUCTION
  • HISTORY
  • ORGANIZATION
  • PUBLICATIONS
  • ANTIBODY SUBMISSION
  • ANTIBODY AVAILABILITY
  • ACKNOWLEDGMENTS
  • CONTACT
NEWS
  • NEWS ARTICLES
  • PRESS ROOM
LEARN
  • DICTIONARY
  • PROTEIN CLASSES
  • PROTEIN EVIDENCE
  • METHODS
  • EDUCATIONAL VIDEOS
DATA
  • DOWNLOADABLE DATA
  • PUBLICATION DATA
  • RELEASE HISTORY
HELP
  • ANTIBODY VALIDATION
  • ASSAYS & ANNOTATION
  • DISCLAIMER
  • HELP & FAQ
  • PRIVACY STATEMENT
  • LICENCE & CITATION
Fields »
Search result

Field
Term
Gene name
Class
Subclass
Class
Keyword
Chromosome
External id
Tissue
Cell type
Expression
Antibody panel
Tissue
Main location
Patient ID
Annotation
Tissue
Category
Tau score
Cluster
Reliability
Brain region
Category
Tau score
Brain region
Category
Tau score
Brain region
Category
Tau score
Cluster
Reliability
Tissue
Cell type
Enrichment
Cell type
Category
Tau score
Cell type
Category
Tau score
Cell type
Category
Tau score
Cell lineage
Category
Tau score
Cluster
Cluster
Location
Searches
Location
Cell line
Class
Type
Phase
Reliability
Cancer
Prognosis
Cancer
Category
Cancer
Category
Tau score
Cluster
Variants
Interacting gene (ensg_id)
Type
Number of interactions
Pathway
Category
Score
Score
Score
Validation
Validation
Validation
Validation
Antibodies
Data type
Column


  • SUMMARY

  • TISSUE

  • BRAIN

  • SINGLE CELL

  • SUBCELL

  • CANCER

  • BLOOD

  • CELL LINE

  • STRUCT & INT

  • LMF2
TISSUE PRIMARY DATA SKELETAL MUSCLE Show tissue menu
ADIPOSE TISSUE ADRENAL GLAND AMYGDALA APPENDIX BASAL GANGLIA BONE MARROW BREAST BRONCHUS CEREBELLUM CEREBRAL CORTEX CERVIX CHOROID PLEXUS COLON DUODENUM
ENDOMETRIUM EPIDIDYMIS ESOPHAGUS FALLOPIAN TUBE GALLBLADDER HEART MUSCLE HIPPOCAMPAL FORMATION HYPOTHALAMUS KIDNEY LIVER LUNG LYMPH NODE MIDBRAIN NASOPHARYNX
ORAL MUCOSA OVARY PANCREAS PARATHYROID GLAND PITUITARY GLAND PLACENTA PROSTATE RECTUM RETINA SALIVARY GLAND SEMINAL VESICLE SKELETAL MUSCLE SKIN SMALL INTESTINE
SMOOTH MUSCLE SOFT TISSUE SPINAL CORD SPLEEN STOMACH TESTIS THYMUS THYROID GLAND TONGUE TONSIL URINARY BLADDER VAGINA
ANTIBODIES
AND
VALIDATION
Dictionary
Skeletal muscle
Tissue proteome
Skeletal muscle
SKELETAL MUSCLE - Expression summary
Protein expression
Skeletal musclei

On the top, protein expression in current human tissue, based on all annotated cell types, is reported with the units not detected (n), low (l), medium (m) and high (h). Underneath, protein expression in each annotated cell type are reported using the same units.

Protein expression data is based on knowledge-based annotation. For genes where more than one antibody has been used, a collective score is set.

If knowledge-based annotation could not be performed for a gene, no data is displayed here. View antibody staining data further down this page.

h
m
l
n
Myocytes: Medium
RNA expressioni

A summary of mRNA expression data available for current tissue based on several datasets. The mRNA expression levels in human tissues are based on RNA-seq data generated by the Human Protein Atlas (HPA), Genotype-Tissue Expression (GTEx) portal and CAGE data generated by the FANTOM5 consortium. Consensus normalized expression levels for human tissues was created by combining the data from HPA and GTEx datasets.

The mRNA expression levels in pig are based on RNA-seq data generated by the Human Protein Atlas (HPA), and for mouse, HPA data and in situ hybridization generated by the Allen brain atlas are reported.

Scroll down to view mRNA expression data in more detail.
Consensus:22.9 nTPM
HPA:13.8 nTPM
GTEx:22.9 nTPM
FANTOM5:65.8 Scaled Tags Per Million

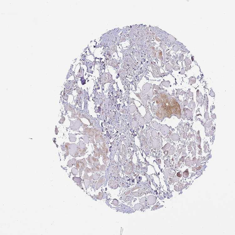
SKELETAL MUSCLE - Antibody stainingi

Antibody staining in the annotated cell types in the current human tissue is reported as not detected, low, medium, or high, based on conventional immunohistochemistry profiling in selected tissues. This score is based on the combination of the staining intensity and fraction of stained cells.

Each image is clickable and will lead to virtual microscopy that enables deeper exploration of all samples and also displays staining intensity scores, fraction scores and subcellular localization as well as patient and tissue information for each sample.

Antibody HPA062626
Myocytes Medium



SKELETAL MUSCLE - HPA RNA-seqi

The RNA-seq details section shows detailed information about the individual samples used for the transcript profiling and results of the RNA-seq analysis.

Information about each individual sample is listed below, including gender, age, a tissue section image and estimated fractions of cell types. nTPM (normalized transcripts per million) values give a quantification of the gene abundance which is comparable between different genes and samples.
Average nTPMi

Max subtype nTPM is the value for the subtype with the largest average nTPM across the subtype samples.

13.8
N/A
Male, age 23
Skeletal muscle sample 339
nTPM: 11.8
N/A
Female, age 25
Skeletal muscle sample 340
nTPM: 12.4
N/A
Female, age -
Skeletal muscle sample 341
nTPM: 13.9
N/A
Female, age 22
Skeletal muscle sample 342
nTPM: 14.7
N/A
Male, age 29
Skeletal muscle sample 343
nTPM: 16

SKELETAL MUSCLE - GTEx RNA-seqi

RNA-Seq data generated by the Genotype-Tissue Expression (GTEx) project from human tissues is reported as mean nTPM. More information can be found on the GTEx portal.

Distribution across the dataset is visualized with box plots, shown as median and 25th and 75th percentiles. Points are displayed as outliers if they are above or below 1.5 times the interquartile range. nTPM values of the individual samples are presented next to the box plot.
Max subtype nTPMi

Max subtype nTPM is the value for the subtype with the largest average nTPM across the subtype samples.

22.9
GTEx sample id Sample description nTPM
Muscle - Skeletal
Average nTPM: 22.9
Samples: 803

Max nTPM: 46.5
Min nTPM: 10.9
Std nTPM: 5.3
Median nTPM: 21.9
GTEX-1ICLZ-0626-SM-ARL83 60-69 years, male 46.5
GTEX-WWTW-0626-SM-4MVNS 50-59 years, male 44.2
GTEX-U3ZG-0326-SM-47JXN 50-59 years, male 43.9
GTEX-132Q8-0626-SM-5L3F3 60-69 years, male 43.4
GTEX-Y8E5-0326-SM-57WBM 60-69 years, male 42.8
GTEX-13X6H-2326-SM-7EWEB 50-59 years, female 42.4
GTEX-139T8-0526-SM-5KLZL 60-69 years, male 40.5
GTEX-OXRN-1326-SM-3LK5V 50-59 years, male 40.2
GTEX-1LVAO-0526-SM-EWRNS 60-69 years, male 39.3
GTEX-1F48J-0526-SM-9WYSX 50-59 years, female 39.2
GTEX-14XAO-2226-SM-6LLHU 60-69 years, female 38.6
GTEX-OXRO-1726-SM-3LK6C 60-69 years, female 38.4
GTEX-1QP67-1826-SM-DTX8D 40-49 years, female 37.4
GTEX-ZVE2-0626-SM-5GU7I 50-59 years, male 37.3
GTEX-17MF6-2026-SM-7LG5I 40-49 years, male 37.2
GTEX-ZAB4-0426-SM-5HL7N 40-49 years, male 37.2
GTEX-1H1ZS-0626-SM-CNPPU 70-79 years, male 37.2
GTEX-ZZPT-0626-SM-5GZXT 50-59 years, male 36.7
GTEX-1LH75-2626-SM-E9TKL 50-59 years, female 36.6
GTEX-1HC8U-2626-SM-CNPPH 40-49 years, female 36.5
GTEX-139T4-0326-SM-5K7XN 50-59 years, female 36.3
GTEX-15UF6-1026-SM-7KUF7 70-79 years, female 36.2
GTEX-WOFL-0626-SM-3MJG3 60-69 years, male 35.8
GTEX-12WSA-0726-SM-5FQU2 60-69 years, male 35.5
GTEX-1HR9M-0326-SM-CL549 60-69 years, male 35.5
GTEX-13PLJ-0326-SM-5L3I7 60-69 years, female 35.3
GTEX-17EVQ-1226-SM-7LG59 70-79 years, male 35.1
GTEX-183WM-0426-SM-731B1 70-79 years, female 35.1
GTEX-11UD1-0326-SM-5EQKX 40-49 years, female 35.0
GTEX-139D8-0726-SM-5P9GJ 30-39 years, female 34.6
GTEX-1CAMQ-0326-SM-7MXUI 40-49 years, male 34.6
GTEX-14ASI-0526-SM-5QGQP 60-69 years, male 34.5
GTEX-1F52S-0826-SM-7P8TQ 60-69 years, female 34.4
GTEX-1H3NZ-0326-SM-9MQL6 60-69 years, male 33.9
GTEX-1MA7W-1826-SM-DIPFP 20-29 years, female 33.9
GTEX-14PQA-0526-SM-7KUFS 50-59 years, female 33.8
GTEX-1R7EV-2026-SM-DTX83 40-49 years, male 33.8
GTEX-1AYD5-2226-SM-73KX3 50-59 years, male 33.7
GTEX-PLZ4-0926-SM-2S1OI 50-59 years, female 33.7
GTEX-1477Z-1626-SM-5SIA8 60-69 years, male 33.5
GTEX-QVUS-0226-SM-3GIJY 60-69 years, female 33.5
GTEX-1AX8Z-5004-SM-ARZLD 60-69 years, male 33.4
GTEX-XMD1-0626-SM-EZ6MC 60-69 years, male 33.2
GTEX-16MT8-0326-SM-6PAM5 60-69 years, female 33.1
GTEX-17F96-2726-SM-7LT9F 70-79 years, male 33.0
GTEX-13X6I-0526-SM-5QGP8 60-69 years, male 32.9
GTEX-13NYC-0726-SM-5J2NQ 60-69 years, male 32.8
GTEX-1S82P-0326-SM-E9TIR 60-69 years, female 32.7
GTEX-1117F-0426-SM-5EGHI 60-69 years, female 32.5
GTEX-144FL-0326-SM-5O99O 50-59 years, male 32.5
GTEX-ZYY3-0526-SM-5E45G 60-69 years, female 32.4
GTEX-1LC47-0626-SM-DIPFE 60-69 years, male 32.4
GTEX-QDT8-0526-SM-3NMD8 30-39 years, female 32.3
GTEX-1F88E-1826-SM-9MQLV 60-69 years, female 32.3
GTEX-1I1GT-0726-SM-B2LWN 60-69 years, female 32.3
GTEX-17KNJ-2426-SM-7DHLR 50-59 years, male 32.2
GTEX-13YAN-0526-SM-5O9BE 60-69 years, male 32.1
GTEX-145LV-2326-SM-5LU8Z 50-59 years, male 32.1
GTEX-1JMQK-0326-SM-ARZN5 60-69 years, male 31.4
GTEX-ZVZO-0326-SM-5HL4N 40-49 years, male 31.3
GTEX-1QPFJ-0326-SM-E8VO2 30-39 years, female 31.3
GTEX-16NPV-2426-SM-6M482 50-59 years, female 31.1
GTEX-1CB4I-0326-SM-7DHMM 50-59 years, male 31.1
GTEX-ZE7O-0326-SM-51MTH 50-59 years, female 30.9
GTEX-1JN1M-0526-SM-CJI3D 60-69 years, female 30.8
GTEX-13PDP-0326-SM-5K7XP 60-69 years, male 30.6
GTEX-1C6VQ-0326-SM-7DHMS 50-59 years, male 30.6
GTEX-ZTPG-0126-SM-5O9AL 20-29 years, female 30.6
GTEX-1O9I2-0526-SM-EYYXI 50-59 years, male 30.6
GTEX-14LLW-0526-SM-62LFB 70-79 years, female 30.5
GTEX-1ICLY-0326-SM-ARL7S 50-59 years, male 30.5
GTEX-1J8EW-0326-SM-CYPSX 60-69 years, female 30.4
GTEX-14BIM-0326-SM-5SI9B 60-69 years, female 30.3
GTEX-1QP66-1626-SM-E76PC 50-59 years, male 30.3
GTEX-1128S-2426-SM-5H11B 60-69 years, female 30.2
GTEX-1314G-1726-SM-5LZUX 30-39 years, male 30.1
GTEX-1445S-0626-SM-5LU3C 60-69 years, male 30.1
GTEX-146FQ-0326-SM-5NQAX 30-39 years, male 30.1
GTEX-ZE9C-2326-SM-5J1NT 60-69 years, male 30.1
GTEX-1M4P7-0126-SM-DKPQF 60-69 years, male 30.1
GTEX-1H3VE-0126-SM-9WYTW 40-49 years, male 30.0
GTEX-1PBJJ-0326-SM-E8VNT 30-39 years, male 30.0
GTEX-13PL7-0626-SM-5IJCD 60-69 years, female 29.9
GTEX-QDVN-2426-SM-2S1Q4 50-59 years, male 29.9
GTEX-1F88F-2526-SM-7PC2R 60-69 years, female 29.9
GTEX-1IGQW-0526-SM-CKZO3 60-69 years, male 29.9
GTEX-1HBPN-0526-SM-A9SM6 50-59 years, male 29.8
GTEX-11H98-0326-SM-5HL4S 50-59 years, male 29.6
GTEX-13IVO-0626-SM-5LZYJ 70-79 years, male 29.6
GTEX-13N11-2726-SM-5L3ER 50-59 years, female 29.6
GTEX-1EH9U-0326-SM-7P8S2 60-69 years, male 29.6
GTEX-1HBPM-0426-SM-CKZOO 60-69 years, female 29.6
GTEX-1LNCM-1226-SM-E9U5C 50-59 years, female 29.6
GTEX-RTLS-0526-SM-2TF64 60-69 years, female 29.3
GTEX-ZVE1-0526-SM-5NQ71 50-59 years, female 29.3
GTEX-1QP28-0526-SM-E8VNR 50-59 years, female 29.2
GTEX-UJHI-1726-SM-3DB9B 50-59 years, female 29.1
GTEX-Y9LG-1926-SM-5IFHY 30-39 years, male 29.1
GTEX-1HGF4-2626-SM-CM2SJ 60-69 years, male 29.1
GTEX-11TTK-0326-SM-5BC5N 60-69 years, female 28.7
GTEX-14E6C-1526-SM-664ND 40-49 years, male 28.7
GTEX-1R9K5-0326-SM-EWRNG 50-59 years, male 28.7
GTEX-14753-0526-SM-5QGPR 60-69 years, male 28.6
GTEX-SUCS-1626-SM-32PLS 70-79 years, male 28.6
GTEX-N7MS-0426-SM-2YUN6 60-69 years, male 28.5
GTEX-R3RS-0526-SM-3GADG 40-49 years, female 28.5
GTEX-Y3I4-2326-SM-4TT81 50-59 years, male 28.5
GTEX-1CB4H-0426-SM-7MXTL 60-69 years, female 28.5
GTEX-1R9JW-2426-SM-DTXFI 30-39 years, female 28.5
GTEX-1RAZA-0526-SM-E76R2 20-29 years, male 28.5
GTEX-14DAR-1826-SM-664N1 50-59 years, male 28.4
GTEX-TMZS-0326-SM-3DB9P 60-69 years, male 28.4
GTEX-XV7Q-2926-SM-4BRUL 40-49 years, female 28.4
GTEX-1J1R8-2326-SM-CKZPS 40-49 years, male 28.4
GTEX-U412-0326-SM-3DB9L 60-69 years, male 28.3
GTEX-WFON-2326-SM-3LK7M 40-49 years, male 28.3
GTEX-13FHO-0726-SM-5IJDG 60-69 years, male 28.2
GTEX-13OVI-1726-SM-5L3DW 60-69 years, female 28.2
GTEX-1J1OQ-0426-SM-A9SLI 40-49 years, female 28.2
GTEX-1PWST-0426-SM-E76QV 70-79 years, male 28.2
GTEX-13NYS-0326-SM-5MR4L 60-69 years, male 28.1
GTEX-1A3MW-0526-SM-731BY 60-69 years, female 28.1
GTEX-P4PP-1626-SM-2HMJF 30-39 years, female 28.1
GTEX-VUSG-2626-SM-4KKZI 50-59 years, male 28.1
GTEX-Y8LW-2026-SM-4V6G8 50-59 years, female 28.1
GTEX-145LS-0526-SM-5LU8Y 60-69 years, female 28.0
GTEX-13QIC-1226-SM-5K7YR 60-69 years, female 27.9
GTEX-13RTJ-2726-SM-73KVG 60-69 years, male 27.9
GTEX-WL46-0626-SM-3LK7R 50-59 years, male 27.9
GTEX-YBZK-0326-SM-59HLN 50-59 years, female 27.9
GTEX-15EO6-2826-SM-6PANB 50-59 years, male 27.8
GTEX-OHPN-2726-SM-2I5H4 60-69 years, female 27.8
GTEX-13113-5019-SM-7EPH2 60-69 years, female 27.7
GTEX-13PL6-0326-SM-5IJCP 40-49 years, female 27.7
GTEX-13PVR-2526-SM-5RQIT 60-69 years, female 27.7
GTEX-13SLW-0326-SM-5RQK5 70-79 years, male 27.7
GTEX-1R9K4-0626-SM-E76OZ 60-69 years, male 27.7
GTEX-11ONC-2426-SM-5GU7H 60-69 years, male 27.6
GTEX-11ZU8-2326-SM-5EQMJ 60-69 years, male 27.6
GTEX-144GO-1326-SM-5Q5EL 60-69 years, male 27.6
GTEX-145MO-0726-SM-5NQB9 60-69 years, male 27.6
GTEX-1I1GS-0326-SM-ARL7X 60-69 years, male 27.6
GTEX-1KD5A-0726-SM-DIPEO 50-59 years, male 27.6
GTEX-1RB15-2226-SM-DTXFZ 60-69 years, male 27.6
GTEX-11O72-0326-SM-5986D 40-49 years, male 27.5
GTEX-15CHC-2426-SM-6EU22 60-69 years, female 27.5
GTEX-15CHQ-0726-SM-6EU18 60-69 years, male 27.5
GTEX-XYKS-2426-SM-4AT43 60-69 years, female 27.5
GTEX-1LG7Y-0126-SM-E6CJ8 50-59 years, male 27.5
GTEX-1QAET-2026-SM-E9J3S 50-59 years, male 27.5
GTEX-1QCLY-0426-SM-E8VOH 30-39 years, male 27.4
GTEX-13JVG-0126-SM-5L3D3 60-69 years, male 27.3
GTEX-X4EO-0526-SM-3P5Z3 60-69 years, female 27.3
GTEX-12WSF-0926-SM-6PALU 70-79 years, male 27.2
GTEX-ZYW4-0526-SM-5GZZ5 60-69 years, male 27.0
GTEX-139YR-2526-SM-5IJC6 50-59 years, male 26.9
GTEX-13OVG-2126-SM-5KM1K 60-69 years, male 26.9
GTEX-1HUB1-0526-SM-CL54N 60-69 years, male 26.9
GTEX-1KANB-0126-SM-E6CJT 50-59 years, male 26.8
GTEX-13QJ3-0726-SM-5SI68 50-59 years, male 26.7
GTEX-15SHV-2526-SM-6PAMG 60-69 years, male 26.7
GTEX-1IDJC-2026-SM-ADEIK 50-59 years, male 26.7
GTEX-1JMQL-0126-SM-CY8HN 50-59 years, female 26.7
GTEX-1LVAM-0326-SM-DIPFL 50-59 years, female 26.7
GTEX-QDVJ-1926-SM-2S1PJ 50-59 years, male 26.6
GTEX-WYJK-1726-SM-3NM9U 50-59 years, male 26.6
GTEX-13U4I-1826-SM-5IJD2 40-49 years, female 26.5
GTEX-14PJ2-0326-SM-6EU2Q 50-59 years, male 26.5
GTEX-1HCVE-0326-SM-CGQEW 50-59 years, male 26.5
GTEX-1MCQQ-0626-SM-E9U5Q 60-69 years, male 26.5
GTEX-12584-0526-SM-5FQTS 40-49 years, male 26.4
GTEX-14A6H-5019-SM-793DH 30-39 years, male 26.4
GTEX-1H4P4-0626-SM-9YFKZ 50-59 years, male 26.4
GTEX-1HKZK-0226-SM-9WYUG 40-49 years, male 26.4
GTEX-1N2DW-0426-SM-E9TK4 50-59 years, male 26.4
GTEX-1F5PK-2626-SM-7RHH6 50-59 years, male 26.3
GTEX-O5YV-2026-SM-2D7VS 60-69 years, female 26.2
GTEX-X5EB-2326-SM-46MW5 40-49 years, male 26.2
GTEX-1H3O1-0626-SM-9MQM4 60-69 years, male 26.2
GTEX-P4QT-1626-SM-DHXIR 50-59 years, female 26.2
GTEX-147GR-0126-SM-62LER 60-69 years, male 26.1
GTEX-ZQG8-1226-SM-51MRX 60-69 years, female 26.1
GTEX-YECK-0626-SM-4W1ZE 60-69 years, male 26.0
GTEX-1ICG6-2726-SM-CKZPN 70-79 years, female 26.0
GTEX-13OVJ-0226-SM-5L3GK 50-59 years, female 25.9
GTEX-UPJH-0526-SM-4IHK8 50-59 years, male 25.9
GTEX-169BO-1526-SM-9KNVR 50-59 years, male 25.9
GTEX-1PPH7-2526-SM-E76OJ 40-49 years, male 25.9
GTEX-1S82Y-2226-SM-EWRNV 40-49 years, male 25.9
GTEX-XQ8I-0626-SM-4BOPT 50-59 years, male 25.8
GTEX-ZAJG-0526-SM-5S2MT 50-59 years, female 25.8
GTEX-11DXY-2726-SM-5GID2 60-69 years, male 25.7
GTEX-14PII-0626-SM-69LPY 60-69 years, male 25.7
GTEX-1A3MX-0526-SM-718A9 60-69 years, male 25.7
GTEX-12WSJ-1726-SM-5LZVV 40-49 years, female 25.6
GTEX-17F97-0526-SM-7DUF8 50-59 years, male 25.6
GTEX-VJWN-0426-SM-3GIJI 50-59 years, female 25.6
GTEX-WXYG-2526-SM-3NB3F 50-59 years, female 25.6
GTEX-1GTWX-0326-SM-9WYTP 60-69 years, male 25.6
GTEX-1HFI7-1926-SM-A96TQ 50-59 years, female 25.6
GTEX-11PRG-0326-SM-5GU53 50-59 years, male 25.5
GTEX-13O3O-0526-SM-5J1NL 60-69 years, female 25.5
GTEX-13S7M-0326-SM-5S2PH 60-69 years, female 25.5
GTEX-1AMEY-1526-SM-73KYW 30-39 years, female 25.5
GTEX-WY7C-2526-SM-3NB2N 50-59 years, male 25.5
GTEX-XUW1-0826-SM-4BOP6 50-59 years, female 25.5
GTEX-1R7EU-0626-SM-DTX9N 60-69 years, male 25.5
GTEX-11EQ9-2126-SM-5PNVW 30-39 years, male 25.4
GTEX-13OW8-1426-SM-5IJDT 60-69 years, male 25.4
GTEX-WYVS-2326-SM-3NMAI 40-49 years, female 25.4
GTEX-1JMPZ-0126-SM-CNPOZ 30-39 years, male 25.4
GTEX-13O3Q-2726-SM-5KM51 50-59 years, male 25.3
GTEX-14PJO-0526-SM-6EU2O 60-69 years, male 25.3
GTEX-ZF28-0526-SM-4WKGW 60-69 years, male 25.3
GTEX-1QMI2-0526-SM-DTXFU 60-69 years, male 25.3
GTEX-18A7B-0326-SM-7LG65 70-79 years, male 25.2
GTEX-ZVZP-2526-SM-57WBR 50-59 years, male 25.2
GTEX-1GPI6-0326-SM-9MQM6 60-69 years, male 25.2
GTEX-1HSMO-0526-SM-ACKXB 60-69 years, male 25.2
GTEX-11DXZ-2426-SM-5N9DT 50-59 years, male 25.1
GTEX-11EI6-0326-SM-5EQ6G 60-69 years, male 25.1
GTEX-1399Q-2426-SM-5J2MO 40-49 years, male 25.1
GTEX-139TU-0526-SM-5J2M8 60-69 years, male 25.1
GTEX-13VXT-0326-SM-5LU4U 20-29 years, female 25.0
GTEX-147F3-0226-SM-5NQBV 50-59 years, female 25.0
GTEX-Q734-2026-SM-3GADA 40-49 years, female 25.0
GTEX-OOBK-1626-SM-2HMKG 40-49 years, male 24.9
GTEX-1OFPY-2526-SM-DTXEK 60-69 years, male 24.9
GTEX-1R46S-0326-SM-EWRNE 60-69 years, female 24.9
GTEX-1IDFM-1526-SM-ARL7U 60-69 years, male 24.8
GTEX-15SHU-0626-SM-7KUFH 40-49 years, female 24.7
GTEX-P44G-0526-SM-2XCD1 30-39 years, male 24.7
GTEX-15SDE-2326-SM-6PAL4 50-59 years, female 24.6
GTEX-1I6K7-0326-SM-B2LXO 40-49 years, male 24.6
GTEX-11NV4-0326-SM-5HL58 60-69 years, male 24.5
GTEX-11P82-1826-SM-5PNYJ 20-29 years, male 24.5
GTEX-11ZVC-2726-SM-5FQSZ 50-59 years, female 24.5
GTEX-X88G-0326-SM-47JZ4 30-39 years, male 24.5
GTEX-XBEW-1026-SM-4QARV 40-49 years, male 24.5
GTEX-1MJIX-2126-SM-E9J3A 40-49 years, male 24.5
GTEX-1192X-0426-SM-5GIEE 50-59 years, male 24.4
GTEX-132NY-0726-SM-5KLZM 60-69 years, male 24.4
GTEX-14ICL-1926-SM-5RQIZ 30-39 years, male 24.4
GTEX-14PJ6-2326-SM-6ETZR 60-69 years, female 24.4
GTEX-P4PQ-1626-SM-2HMKK 60-69 years, male 24.4
GTEX-1QW4Y-1726-SM-EWRN1 30-39 years, male 24.4
GTEX-WEY5-2026-SM-CYPRC 40-49 years, female 24.4
GTEX-11EMC-2626-SM-59864 60-69 years, female 24.3
GTEX-1399U-2526-SM-5L3DL 50-59 years, female 24.3
GTEX-13RTL-0326-SM-7LT89 40-49 years, male 24.3
GTEX-16Z82-0126-SM-7DHLF 60-69 years, male 24.3
GTEX-PW2O-1726-SM-2S1OO 20-29 years, male 24.3
GTEX-U3ZN-2226-SM-3DB88 30-39 years, female 24.3
GTEX-X8HC-0526-SM-4E3JA 50-59 years, female 24.3
GTEX-S33H-2226-SM-DKPOP 30-39 years, male 24.3
GTEX-13FTW-2326-SM-5K7YS 40-49 years, male 24.2
GTEX-13FTY-0226-SM-5IJBW 40-49 years, female 24.2
GTEX-144GL-0326-SM-5QGOY 50-59 years, male 24.2
GTEX-14E6E-2026-SM-664N5 30-39 years, male 24.2
GTEX-11GSP-2726-SM-5A5LJ 60-69 years, female 24.1
GTEX-RU72-1326-SM-2TF6T 50-59 years, female 24.1
GTEX-S95S-1426-SM-2XCDM 60-69 years, male 24.1
GTEX-YFC4-1026-SM-5RQJM 40-49 years, female 24.1
GTEX-12WSN-2526-SM-5LZU8 40-49 years, male 24.0
GTEX-13SLX-0326-SM-5Q5E4 50-59 years, female 24.0
GTEX-1A32A-0526-SM-731B9 50-59 years, female 24.0
GTEX-U3ZH-1926-SM-4DXTR 30-39 years, male 24.0
GTEX-WOFM-1326-SM-3MJFR 20-29 years, male 24.0
GTEX-Y111-0326-SM-4SOIX 50-59 years, male 24.0
GTEX-1C64N-0326-SM-7P8QC 50-59 years, male 24.0
GTEX-139TS-2626-SM-5J1MT 60-69 years, male 23.9
GTEX-15SB6-1826-SM-6PALN 50-59 years, female 23.9
GTEX-15SKB-2526-SM-6PALP 60-69 years, male 23.9
GTEX-OHPK-1626-SM-2YUN3 50-59 years, female 23.9
GTEX-W5WG-1926-SM-4KKZK 50-59 years, female 23.9
GTEX-ZLV1-2126-SM-4WWD2 60-69 years, female 23.9
GTEX-1GMR8-0326-SM-9KNUO 50-59 years, female 23.9
GTEX-1HFI6-0426-SM-B2LXB 40-49 years, male 23.9
GTEX-1P4AB-0326-SM-EXUT3 50-59 years, male 23.9
GTEX-PSDG-0426-SM-5SI86 50-59 years, male 23.8
GTEX-XBED-2626-SM-4E3J5 60-69 years, male 23.8
GTEX-11GSO-2526-SM-5PNVX 60-69 years, male 23.7
GTEX-15DZA-2026-SM-6PANE 30-39 years, female 23.7
GTEX-XMD2-0526-SM-4YCDI 60-69 years, female 23.7
GTEX-ZY6K-2026-SM-5GZXQ 50-59 years, male 23.7
GTEX-131YS-0526-SM-5EGKJ 60-69 years, female 23.6
GTEX-13NZB-2626-SM-5J2M7 30-39 years, male 23.6
GTEX-145MN-2426-SM-5NQA5 30-39 years, male 23.6
GTEX-PWCY-2026-SM-5SI8R 20-29 years, female 23.6
GTEX-13FXS-0326-SM-5K7TV 50-59 years, male 23.5
GTEX-18D9B-0426-SM-7LTAR 60-69 years, male 23.5
GTEX-1B8KZ-2126-SM-73KYG 50-59 years, male 23.5
GTEX-1C6WA-0326-SM-7DUGE 60-69 years, male 23.5
GTEX-S7PM-0526-SM-3NM92 60-69 years, male 23.5
GTEX-ZWKS-0326-SM-5NQ7G 30-39 years, male 23.5
GTEX-1IL2V-0526-SM-ARL8B 70-79 years, male 23.5
GTEX-1LG7Z-2126-SM-CXKYU 30-39 years, male 23.5
GTEX-1NUQO-0726-SM-E9J3K 20-29 years, female 23.5
GTEX-13JUV-2326-SM-5IJCE 40-49 years, female 23.4
GTEX-15CHR-2426-SM-7DUFX 50-59 years, male 23.4
GTEX-113JC-2726-SM-5EGIS 50-59 years, female 23.3
GTEX-12WSM-0326-SM-5LZVI 60-69 years, male 23.3
GTEX-148VJ-0326-SM-5QGQE 70-79 years, male 23.3
GTEX-1A3MV-2026-SM-718BU 30-39 years, male 23.3
GTEX-ZF3C-0326-SM-4WWBF 50-59 years, female 23.3
GTEX-111FC-0326-SM-5GZZ1 60-69 years, male 23.2
GTEX-139UW-2626-SM-5K7W1 60-69 years, male 23.2
GTEX-12WSG-5016-SM-7SB84 50-59 years, female 23.2
GTEX-1JMQI-2126-SM-CM2SC 50-59 years, male 23.2
GTEX-1K9T9-0326-SM-EWRNQ 50-59 years, female 23.2
GTEX-1KD4Q-0326-SM-E9TJA 40-49 years, male 23.2
GTEX-11DXX-2726-SM-5PNXO 60-69 years, female 23.1
GTEX-1399S-2726-SM-5KM22 30-39 years, female 23.1
GTEX-13O21-1726-SM-5MR5A 50-59 years, male 23.1
GTEX-183FY-0226-SM-7LG54 20-29 years, male 23.1
GTEX-NFK9-0626-SM-2HMIV 40-49 years, male 23.1
GTEX-X638-0326-SM-47JY1 70-79 years, female 23.1
GTEX-1EU9M-0126-SM-7P8P8 60-69 years, male 23.1
GTEX-1EX96-1526-SM-7PBXK 50-59 years, male 23.1
GTEX-1I4MK-2326-SM-ADEHR 50-59 years, female 23.1
GTEX-1RQEC-0126-SM-E9J2H 60-69 years, male 23.1
GTEX-11OC5-0326-SM-5PNW5 60-69 years, male 23.0
GTEX-13G51-2726-SM-5LZZ9 60-69 years, male 23.0
GTEX-U4B1-1626-SM-3DB8N 40-49 years, male 23.0
GTEX-1GZ4H-1626-SM-7PC3F 50-59 years, female 23.0
GTEX-117YX-2526-SM-5EQ4Q 50-59 years, male 22.9
GTEX-11DZ1-0926-SM-5EQ5R 50-59 years, male 22.9
GTEX-11LCK-1226-SM-5Q5AM 30-39 years, male 22.9
GTEX-13W46-0726-SM-5LU3Z 50-59 years, male 22.9
GTEX-OIZG-1326-SM-2HMIQ 50-59 years, male 22.9
GTEX-YF7O-2526-SM-5IFJX 50-59 years, male 22.9
GTEX-ZTX8-1626-SM-51MRY 20-29 years, male 22.9
GTEX-1EMGI-0326-SM-9MQM5 60-69 years, male 22.9
GTEX-14BMV-0326-SM-5RQHW 50-59 years, male 22.8
GTEX-14DAQ-0326-SM-664MR 60-69 years, female 22.8
GTEX-1A8G6-0126-SM-7DUFY 60-69 years, male 22.8
GTEX-SNOS-1526-SM-32PLW 40-49 years, male 22.8
GTEX-TMMY-0426-SM-33HBB 40-49 years, female 22.8
GTEX-XGQ4-2326-SM-4AT53 50-59 years, male 22.8
GTEX-1F75W-0326-SM-7PC2Q 60-69 years, male 22.8
GTEX-1LGRB-2626-SM-CNPPR 50-59 years, female 22.8
GTEX-1MUQO-0226-SM-E9TJL 60-69 years, male 22.8
GTEX-14PJ4-2426-SM-6EU1U 60-69 years, male 22.7
GTEX-15RIG-0426-SM-7KUF4 40-49 years, male 22.7
GTEX-U3ZM-1226-SM-3DB9G 40-49 years, male 22.7
GTEX-1CB4F-0326-SM-9MQKD 60-69 years, male 22.7
GTEX-1F75B-0526-SM-7P8T5 50-59 years, male 22.7
GTEX-1N2EF-0526-SM-E76OK 60-69 years, male 22.7
GTEX-1S82U-1426-SM-E6CJL 30-39 years, female 22.7
GTEX-T2IS-2626-SM-32QPP 20-29 years, female 22.6
GTEX-TSE9-0526-SM-3DB7Z 60-69 years, female 22.6
GTEX-1HBPI-0226-SM-ADEJ7 50-59 years, male 22.6
GTEX-13CF2-2726-SM-5LZWW 60-69 years, male 22.5
GTEX-T5JC-0626-SM-3NMA6 20-29 years, male 22.5
GTEX-1GF9W-0526-SM-9MQJP 60-69 years, male 22.5
GTEX-1JKYR-0326-SM-CNPOL 20-29 years, male 22.5
GTEX-1KXAM-2426-SM-DIPFC 60-69 years, male 22.5
GTEX-1QEPI-0526-SM-E76QF 60-69 years, female 22.5
GTEX-13NYB-2726-SM-5J2MT 40-49 years, male 22.4
GTEX-15F5U-1826-SM-6LLJF 40-49 years, male 22.4
GTEX-SIU8-0526-SM-2XCDP 50-59 years, male 22.4
GTEX-XOT4-0526-SM-4B66O 60-69 years, female 22.4
GTEX-1GN1U-2226-SM-9MQK1 50-59 years, female 22.4
GTEX-1I1GQ-0326-SM-A9SKS 50-59 years, male 22.4
GTEX-1JMLX-0326-SM-CM2RP 50-59 years, male 22.4
GTEX-1122O-2426-SM-5GIDN 60-69 years, female 22.3
GTEX-12WSD-0526-SM-5EQ6F 60-69 years, female 22.3
GTEX-13N2G-2326-SM-5J1ON 60-69 years, male 22.3
GTEX-14JG6-2126-SM-6EU2F 30-39 years, female 22.3
GTEX-1AMFI-2226-SM-731C6 50-59 years, female 22.3
GTEX-1JJEA-0126-SM-D3L8A 60-69 years, male 22.3
GTEX-1JN6P-0526-SM-COH33 60-69 years, male 22.3
GTEX-13OVH-0626-SM-5L3EI 70-79 years, male 22.2
GTEX-13OW7-0326-SM-5J1MP 50-59 years, male 22.2
GTEX-14PJ5-2026-SM-6LLIN 60-69 years, female 22.2
GTEX-XPVG-2526-SM-4B66D 50-59 years, male 22.2
GTEX-1IKOH-0126-SM-COH4D 60-69 years, female 22.2
GTEX-1PPH8-0326-SM-E76PR 20-29 years, male 22.2
GTEX-ZLWG-2126-SM-DO91M 50-59 years, female 22.2
GTEX-144GN-2426-SM-5LU4R 50-59 years, male 22.1
GTEX-14PJ3-2026-SM-5ZZVK 50-59 years, male 22.1
GTEX-18A66-0126-SM-731CQ 60-69 years, male 22.1
GTEX-ZAB5-2126-SM-5K7UN 50-59 years, male 22.1
GTEX-1A8FM-0526-SM-7P8SF 50-59 years, female 22.1
GTEX-1IDJF-0326-SM-ADEIG 20-29 years, male 22.1
GTEX-1R9PN-1826-SM-E8VO4 40-49 years, female 22.1
GTEX-12C56-1926-SM-5FQUG 20-29 years, male 22.0
GTEX-POYW-0526-SM-2XCEY 60-69 years, male 22.0
GTEX-PX3G-1626-SM-2S1PT 20-29 years, female 22.0
GTEX-XUZC-2126-SM-4BRW8 30-39 years, female 22.0
GTEX-1GZ2Q-0426-SM-9WPOU 40-49 years, male 22.0
GTEX-1JMPY-1226-SM-CJI3A 30-39 years, male 22.0
GTEX-1LVAN-0526-SM-CNNQ1 50-59 years, female 22.0
GTEX-1NHNU-1226-SM-DTX8I 50-59 years, male 22.0
GTEX-1PDJ9-0526-SM-DTXDL 20-29 years, male 22.0
GTEX-ZEX8-2526-SM-DO92M 50-59 years, male 22.0
GTEX-ZQUD-1726-SM-7P8ON 30-39 years, male 22.0
GTEX-13O61-2326-SM-5J1NJ 60-69 years, male 21.9
GTEX-15SHW-0726-SM-7KUEI 60-69 years, male 21.9
GTEX-PLZ6-1526-SM-2S1OC 30-39 years, male 21.9
GTEX-ZXG5-0326-SM-5GICH 60-69 years, male 21.9
GTEX-1E2YA-0526-SM-7P8RY 50-59 years, male 21.9
GTEX-1GZ4I-0526-SM-9YFLX 50-59 years, male 21.9
GTEX-1HCU7-0426-SM-D3L8Q 50-59 years, male 21.9
GTEX-132AR-1026-SM-5PNVL 50-59 years, female 21.8
GTEX-14PN4-0326-SM-6EU2N 50-59 years, male 21.8
GTEX-16XZZ-0526-SM-7KUF1 60-69 years, male 21.8
GTEX-1CAMR-1726-SM-793CU 20-29 years, male 21.8
GTEX-P4QS-1626-SM-2S1NH 60-69 years, male 21.8
GTEX-WHSB-1826-SM-3TW8M 50-59 years, male 21.8
GTEX-WWYW-0526-SM-3NB2W 50-59 years, female 21.8
GTEX-XPT6-2026-SM-4B64V 20-29 years, male 21.8
GTEX-1IL2U-0726-SM-EAZ2Y 60-69 years, male 21.8
GTEX-111CU-2026-SM-5GZZC 50-59 years, male 21.7
GTEX-11I78-2426-SM-5A5K9 50-59 years, female 21.7
GTEX-14E1K-2326-SM-664MP 50-59 years, male 21.7
GTEX-1EN7A-0326-SM-7P8T1 40-49 years, male 21.7
GTEX-1H23P-0526-SM-9WG6S 60-69 years, male 21.7
GTEX-1I6K6-0326-SM-CJI4A 30-39 years, male 21.7
GTEX-11DXW-0726-SM-5H12J 40-49 years, male 21.6
GTEX-12BJ1-2526-SM-5FQUE 60-69 years, male 21.6
GTEX-OXRK-1826-SM-2HMJE 50-59 years, female 21.6
GTEX-ZVTK-0626-SM-5GU6Y 20-29 years, male 21.6
GTEX-1H2FU-0526-SM-ACKXO 60-69 years, female 21.6
GTEX-1RQED-0426-SM-E6CJP 60-69 years, male 21.6
GTEX-OIZF-1626-SM-2YUNE 60-69 years, male 21.6
GTEX-11NSD-2026-SM-5HL5U 20-29 years, male 21.5
GTEX-13FTZ-2226-SM-5LZXI 60-69 years, male 21.5
GTEX-14AS3-2126-SM-5S2MK 40-49 years, female 21.5
GTEX-15UF7-2226-SM-6PAMQ 40-49 years, male 21.5
GTEX-PLZ5-1726-SM-2I5F6 50-59 years, male 21.5
GTEX-T5JW-1826-SM-3GAE1 20-29 years, female 21.5
GTEX-WRHK-1626-SM-3MJFH 20-29 years, female 21.5
GTEX-ZF2S-2126-SM-4WWAY 50-59 years, female 21.5
GTEX-1GN2E-0726-SM-9MQLU 60-69 years, male 21.5
GTEX-1HT8W-0326-SM-CM2SG 30-39 years, male 21.5
GTEX-1J8QM-2226-SM-CYPSK 60-69 years, female 21.5
GTEX-ZF29-2426-SM-DO92G 60-69 years, female 21.5
GTEX-1313W-0526-SM-5P9FZ 50-59 years, female 21.4
GTEX-13NZA-0526-SM-5L3D7 60-69 years, male 21.4
GTEX-145MI-0326-SM-5Q5EV 60-69 years, female 21.4
GTEX-15RIF-2126-SM-7KUM8 20-29 years, male 21.4
GTEX-UTHO-0726-SM-3GAEN 60-69 years, male 21.4
GTEX-ZZ64-1526-SM-5E43K 20-29 years, male 21.4
GTEX-1GMR3-2126-SM-9WYTZ 40-49 years, male 21.4
GTEX-1GN1V-0326-SM-9WYTO 60-69 years, male 21.4
GTEX-1J8Q2-0126-SM-E9J2G 60-69 years, male 21.4
GTEX-1N2DV-0526-SM-DTX8W 40-49 years, male 21.4
GTEX-12ZZX-0326-SM-5DUVH 40-49 years, female 21.3
GTEX-13111-2226-SM-5LZUE 50-59 years, male 21.3
GTEX-13OW5-0326-SM-5L3HK 60-69 years, male 21.3
GTEX-QXCU-1726-SM-2TC6L 50-59 years, male 21.3
GTEX-XAJ8-1026-SM-47JY9 40-49 years, male 21.3
GTEX-YB5E-2226-SM-5IFJ5 40-49 years, male 21.3
GTEX-1JJ6O-0926-SM-CYPT1 60-69 years, male 21.3
GTEX-1LVA9-0326-SM-DLHBU 50-59 years, male 21.3
GTEX-1PIEJ-0326-SM-EVYB5 20-29 years, female 21.3
GTEX-11P81-2526-SM-5GU6H 30-39 years, female 21.2
GTEX-1211K-2126-SM-59HJZ 60-69 years, female 21.2
GTEX-R55C-1726-SM-3GADJ 40-49 years, male 21.2
GTEX-Z93S-1326-SM-5CVMR 50-59 years, male 21.2
GTEX-1LGOU-2126-SM-DIPFG 20-29 years, female 21.2
GTEX-1RAZR-0326-SM-EWRNM 40-49 years, male 21.2
GTEX-16MTA-2026-SM-7KUL3 50-59 years, male 21.1
GTEX-Q2AH-1826-SM-2S1Q2 40-49 years, male 21.1
GTEX-1HCU9-1926-SM-9WYSE 20-29 years, male 21.1
GTEX-1I19N-2026-SM-ACKXJ 70-79 years, male 21.1
GTEX-14BIL-0326-SM-5SI9Q 50-59 years, male 21.0
GTEX-14C39-2426-SM-5S2U5 40-49 years, male 21.0
GTEX-14H4A-0926-SM-5ZZUU 40-49 years, female 21.0
GTEX-14PJM-0426-SM-5ZZVN 50-59 years, female 21.0
GTEX-Y5V6-2626-SM-5IFIX 60-69 years, male 21.0
GTEX-ZVT4-0326-SM-51MS5 50-59 years, female 21.0
GTEX-1HBPH-0826-SM-ARZNB 40-49 years, female 21.0
GTEX-1HCU6-0526-SM-A9SKU 60-69 years, female 21.0
GTEX-ZGAY-0726-SM-DO91O 40-49 years, female 21.0
GTEX-14PJN-2126-SM-6AJBM 30-39 years, male 20.9
GTEX-16XZY-2226-SM-7938N 70-79 years, male 20.9
GTEX-17F98-1626-SM-7938R 40-49 years, female 20.9
GTEX-OXRL-1626-SM-2YUMU 50-59 years, male 20.9
GTEX-1I1GP-2126-SM-CKZPJ 50-59 years, male 20.9
GTEX-1R9PO-2426-SM-EVYBS 60-69 years, female 20.9
GTEX-11UD2-0326-SM-5EQLE 50-59 years, male 20.8
GTEX-1497J-2626-SM-5SI9K 60-69 years, male 20.8
GTEX-14PK6-2126-SM-6ETZV 70-79 years, female 20.8
GTEX-1F7RK-0326-SM-7RHH7 20-29 years, female 20.8
GTEX-ZAKK-0326-SM-5EGHA 70-79 years, male 20.7
GTEX-ZUA1-0326-SM-5NQA3 40-49 years, male 20.7
GTEX-ZV6S-2126-SM-4YCEM 40-49 years, female 20.7
GTEX-1GMR2-2126-SM-7P8TX 50-59 years, male 20.7
GTEX-1H1E6-2126-SM-9KNVM 30-39 years, male 20.7
GTEX-1J8JJ-0126-SM-D3L93 60-69 years, female 20.7
GTEX-1QCLZ-0326-SM-DTXG2 60-69 years, female 20.7
GTEX-QCQG-2126-SM-DTXFV 50-59 years, female 20.7
GTEX-117YW-2426-SM-5Q5AE 50-59 years, male 20.6
GTEX-13X6K-0326-SM-5Q5D6 60-69 years, female 20.6
GTEX-15D79-0526-SM-6ETZP 50-59 years, male 20.6
GTEX-17F9E-0226-SM-79OKK 50-59 years, male 20.6
GTEX-17JCI-0326-SM-7LG5H 60-69 years, female 20.6
GTEX-1B933-0426-SM-7DHMC 50-59 years, female 20.6
GTEX-POMQ-1926-SM-3NB1Y 20-29 years, female 20.6
GTEX-WHPG-2226-SM-3NMBO 50-59 years, male 20.6
GTEX-ZDXO-0326-SM-4WKHJ 60-69 years, male 20.6
GTEX-ZYFG-2426-SM-5GIE8 60-69 years, female 20.6
GTEX-1GF9U-2326-SM-7RHH9 40-49 years, female 20.6
GTEX-1HSEH-0326-SM-A9G26 60-69 years, male 20.6
GTEX-1PPGY-0426-SM-DTXFE 60-69 years, male 20.6
GTEX-1QP9N-1926-SM-E6CPY 30-39 years, male 20.6
GTEX-131XW-0326-SM-5KM1J 50-59 years, female 20.5
GTEX-13OVK-1926-SM-6M48G 40-49 years, male 20.5
GTEX-13W3W-2626-SM-5SIA2 60-69 years, female 20.5
GTEX-14JIY-0426-SM-62LF7 60-69 years, male 20.5
GTEX-WRHU-0826-SM-3MJFN 50-59 years, female 20.5
GTEX-ZPCL-2026-SM-57WFD 60-69 years, female 20.5
GTEX-ZVP2-2126-SM-5GU6E 50-59 years, male 20.5
GTEX-12ZZY-0626-SM-5EQ5T 60-69 years, male 20.4
GTEX-133LE-2026-SM-5K7WM 20-29 years, female 20.4
GTEX-13FHP-0526-SM-5K7UY 50-59 years, male 20.4
GTEX-144GM-2026-SM-5LU3D 20-29 years, male 20.4
GTEX-1BAJH-0126-SM-7DHMF 70-79 years, male 20.4
GTEX-1C2JI-2126-SM-793CG 50-59 years, male 20.4
GTEX-QVJO-0126-SM-3GIK4 60-69 years, female 20.4
GTEX-XUYS-0326-SM-47JX2 50-59 years, male 20.4
GTEX-1H1CY-2726-SM-9MQLR 60-69 years, female 20.4
GTEX-1K2DU-2526-SM-D3L8V 20-29 years, male 20.4
GTEX-13FTX-2026-SM-5L3D6 20-29 years, female 20.3
GTEX-1A8G7-0326-SM-72D5B 60-69 years, male 20.3
GTEX-QV44-2026-SM-2S1RD 50-59 years, male 20.3
GTEX-TKQ1-1426-SM-4GICK 30-39 years, male 20.3
GTEX-X261-0326-SM-3NMD4 50-59 years, male 20.3
GTEX-1IDJV-0426-SM-COH3Z 60-69 years, male 20.3
GTEX-1LSNL-0126-SM-EWRNR 50-59 years, male 20.3
GTEX-1PIGE-0226-SM-E76OT 20-29 years, male 20.3
GTEX-1QP2A-0526-SM-E8VN5 50-59 years, male 20.3
GTEX-1S83E-2126-SM-EWRO6 40-49 years, male 20.3
GTEX-ZDYS-1726-SM-5HL4Y 50-59 years, male 20.2
GTEX-1CB4J-1226-SM-7P8P3 60-69 years, male 20.2
GTEX-1IE54-0326-SM-ARZMD 40-49 years, female 20.2
GTEX-1JK1U-2226-SM-CNNPL 60-69 years, male 20.2
GTEX-1L5NE-2226-SM-CXZKS 50-59 years, male 20.2
GTEX-111YS-2326-SM-5987L 60-69 years, male 20.1
GTEX-13OW6-0626-SM-5L3IB 50-59 years, male 20.1
GTEX-15ER7-0226-SM-7KUEU 20-29 years, female 20.1
GTEX-17HGU-0626-SM-7939Y 50-59 years, male 20.1
GTEX-OOBJ-1626-SM-2I3F7 60-69 years, male 20.1
GTEX-QEL4-0626-SM-3GIJM 50-59 years, male 20.1
GTEX-RNOR-0526-SM-2TF4O 50-59 years, female 20.1
GTEX-RU1J-1726-SM-2TF5S 20-29 years, female 20.1
GTEX-XBEC-0626-SM-4QARY 50-59 years, male 20.1
GTEX-YEC4-2226-SM-5IFJT 40-49 years, male 20.1
GTEX-12ZZZ-0226-SM-59HKU 60-69 years, male 20.0
GTEX-14LZ3-0626-SM-5ZZWP 60-69 years, female 20.0
GTEX-TML8-1826-SM-32QOR 40-49 years, female 20.0
GTEX-Y8DK-0326-SM-4TT3P 60-69 years, male 20.0
GTEX-YFCO-1926-SM-4W212 40-49 years, male 20.0
GTEX-ZYFD-0326-SM-5NQ8I 50-59 years, male 20.0
GTEX-1F5PL-0426-SM-7P8PR 40-49 years, female 20.0
GTEX-1GMRU-0326-SM-9WYT6 50-59 years, male 20.0
GTEX-12696-2826-SM-5FQTY 60-69 years, male 19.9
GTEX-1269C-2626-SM-5EQ5C 60-69 years, female 19.9
GTEX-131XH-2726-SM-5GCO2 50-59 years, male 19.9
GTEX-1399T-2426-SM-5L3FJ 60-69 years, male 19.9
GTEX-R55D-0626-SM-3GAD5 50-59 years, male 19.9
GTEX-1MJK3-1426-SM-E9TK1 20-29 years, male 19.9
GTEX-11ZTT-2626-SM-5EQKK 60-69 years, female 19.8
GTEX-17HHE-2126-SM-7DHLO 50-59 years, male 19.8
GTEX-17HHY-0326-SM-7938H 50-59 years, male 19.8
GTEX-1B932-0526-SM-73KU7 40-49 years, female 19.8
GTEX-SN8G-0326-SM-32PLG 50-59 years, female 19.8
GTEX-Y5V5-2526-SM-4VBQ4 60-69 years, female 19.8
GTEX-ZDTS-0526-SM-4WKH9 60-69 years, male 19.8
GTEX-ZPIC-2526-SM-57WDP 40-49 years, female 19.8
GTEX-1HSMP-0326-SM-A9SMC 70-79 years, male 19.8
GTEX-139TT-0426-SM-5IJFA 60-69 years, male 19.7
GTEX-14A5H-0326-SM-5RQIB 60-69 years, male 19.7
GTEX-17MFQ-1926-SM-793A6 20-29 years, male 19.7
GTEX-WK11-2526-SM-3NM9Y 50-59 years, male 19.7
GTEX-1CAV2-2426-SM-7P8QF 40-49 years, female 19.7
GTEX-1212Z-2626-SM-5YY8P 60-69 years, male 19.6
GTEX-147JS-0526-SM-5TDD3 60-69 years, male 19.6
GTEX-14E6D-0326-SM-62LDX 50-59 years, male 19.6
GTEX-18D9A-1826-SM-718BK 30-39 years, female 19.6
GTEX-RN64-0326-SM-2TC5J 50-59 years, male 19.6
GTEX-XQ3S-0426-SM-4BOOA 20-29 years, male 19.6
GTEX-1IDJH-0226-SM-CYPSB 70-79 years, male 19.6
GTEX-14C5O-0626-SM-664N2 60-69 years, male 19.5
GTEX-Y5LM-2126-SM-4VDSY 40-49 years, female 19.5
GTEX-1I1GR-0326-SM-CKZPI 60-69 years, male 19.5
GTEX-1K2DA-2226-SM-CGQGM 50-59 years, male 19.5
GTEX-12WSC-0326-SM-5EQ5E 50-59 years, male 19.4
GTEX-12WSL-2726-SM-5CVNL 50-59 years, male 19.4
GTEX-13N1W-0526-SM-5MR4I 70-79 years, male 19.4
GTEX-18A7A-0626-SM-718BJ 50-59 years, female 19.4
GTEX-1B8SF-0426-SM-79OL4 60-69 years, male 19.4
GTEX-1CB4E-2126-SM-793AP 60-69 years, male 19.4
GTEX-P78B-1626-SM-5SI85 40-49 years, female 19.4
GTEX-R55G-2326-SM-2TC61 40-49 years, female 19.4
GTEX-11EM3-2126-SM-5H11M 20-29 years, female 19.3
GTEX-18A6Q-0326-SM-718AT 60-69 years, male 19.3
GTEX-Q2AG-0426-SM-2S1PU 40-49 years, female 19.3
GTEX-REY6-0826-SM-2TF4S 60-69 years, male 19.3
GTEX-Y3IK-2626-SM-4WWDK 50-59 years, female 19.3
GTEX-YB5K-2326-SM-5IFHD 40-49 years, female 19.3
GTEX-ZT9X-1826-SM-57WDU 40-49 years, male 19.3
GTEX-ZV68-0526-SM-59HKI 50-59 years, female 19.3
GTEX-11OF3-2526-SM-5P9JL 60-69 years, male 19.2
GTEX-13D11-2526-SM-5KM28 50-59 years, female 19.2
GTEX-13QBU-2426-SM-5LU4L 40-49 years, female 19.2
GTEX-146FR-1726-SM-5Q5DT 60-69 years, female 19.2
GTEX-17EUY-0626-SM-793BE 20-29 years, male 19.2
GTEX-1AX9K-2726-SM-7DHMA 50-59 years, male 19.2
GTEX-QEG4-0626-SM-2S1OY 30-39 years, male 19.2
GTEX-T8EM-1326-SM-3DB7G 40-49 years, male 19.2
GTEX-1H11D-0326-SM-9WG71 40-49 years, male 19.2
GTEX-1IDJU-2426-SM-ARZM9 60-69 years, female 19.2
GTEX-1IKK5-0426-SM-CL53X 60-69 years, male 19.2
GTEX-117XS-2526-SM-5H11G 60-69 years, male 19.1
GTEX-16NPX-0626-SM-7KULB 50-59 years, male 19.1
GTEX-1B97I-2026-SM-7DHN2 40-49 years, male 19.1
GTEX-1CAMS-0126-SM-79396 40-49 years, female 19.1
GTEX-SE5C-1826-SM-2XCE4 40-49 years, female 19.1
GTEX-SSA3-0326-SM-32QPS 60-69 years, male 19.1
GTEX-Y114-2526-SM-4TT8M 50-59 years, female 19.1
GTEX-ZYFC-0526-SM-5GIDF 50-59 years, male 19.1
GTEX-1LSNM-2326-SM-EWRO8 50-59 years, male 19.1
GTEX-1MCYP-2026-SM-DTXE4 20-29 years, female 19.1
GTEX-15ETS-0326-SM-6PANH 40-49 years, female 19.0
GTEX-16GPK-0526-SM-7KUER 60-69 years, male 19.0
GTEX-ZV7C-2426-SM-5NQ7Q 50-59 years, male 19.0
GTEX-1GPI7-0426-SM-7RHHP 20-29 years, male 19.0
GTEX-1HB9E-0326-SM-D3LA5 50-59 years, male 19.0
GTEX-11VI4-1926-SM-5CVLI 40-49 years, female 18.9
GTEX-14JG1-0126-SM-5ZZUP 40-49 years, male 18.9
GTEX-15UKP-0326-SM-7KUFP 20-29 years, male 18.9
GTEX-17HII-0426-SM-793A3 50-59 years, male 18.9
GTEX-YJ8O-2826-SM-5CVM4 40-49 years, female 18.9
GTEX-1C6VS-0126-SM-7PC2H 60-69 years, male 18.9
GTEX-13OVL-1426-SM-5IJC1 50-59 years, male 18.8
GTEX-14BMU-2026-SM-5S2W6 20-29 years, female 18.8
GTEX-15DCD-0626-SM-7KUG7 70-79 years, female 18.8
GTEX-1AX9J-0126-SM-73KY2 60-69 years, male 18.8
GTEX-ZC5H-0326-SM-5HL9F 40-49 years, female 18.8
GTEX-1H1DG-0326-SM-9QEHK 70-79 years, male 18.8
GTEX-ZLFU-2526-SM-DO91K 40-49 years, male 18.8
GTEX-111VG-2626-SM-5GZY2 60-69 years, male 18.7
GTEX-T6MN-0526-SM-32PMS 50-59 years, male 18.7
GTEX-ZA64-2026-SM-5PNXT 20-29 years, male 18.7
GTEX-ZYT6-1626-SM-5E45R 30-39 years, male 18.7
GTEX-1B97J-1226-SM-7PBZR 50-59 years, female 18.7
GTEX-1HSKV-0126-SM-E6CI1 60-69 years, male 18.7
GTEX-1I1GV-0126-SM-CL55G 60-69 years, male 18.7
GTEX-1S5ZA-0526-SM-EWRO1 20-29 years, male 18.7
GTEX-1339X-2426-SM-5KLYU 40-49 years, male 18.6
GTEX-QLQ7-1726-SM-2S1QQ 60-69 years, male 18.6
GTEX-ZZPU-2626-SM-5E45Y 50-59 years, female 18.6
GTEX-131XF-2326-SM-5BC6B 60-69 years, male 18.5
GTEX-145ME-2026-SM-5SIA5 40-49 years, female 18.5
GTEX-15G1A-2026-SM-7KUFG 30-39 years, male 18.5
GTEX-17HG3-2726-SM-7DHL5 30-39 years, female 18.5
GTEX-1B8KE-2226-SM-7939K 50-59 years, male 18.5
GTEX-1FIGZ-1726-SM-9MQKS 40-49 years, male 18.5
GTEX-1MCC2-2726-SM-EWRN3 30-39 years, female 18.5
GTEX-11GS4-2526-SM-5A5KT 60-69 years, male 18.4
GTEX-1C6VR-2526-SM-7DHMT 60-69 years, male 18.4
GTEX-PWN1-1626-SM-2S1OL 40-49 years, female 18.4
GTEX-11NUK-0226-SM-5A5L4 50-59 years, male 18.3
GTEX-13RTK-1626-SM-5QGQS 20-29 years, male 18.3
GTEX-15RIE-2426-SM-7KUDS 60-69 years, male 18.3
GTEX-1B8SG-0326-SM-73KXW 50-59 years, male 18.3
GTEX-1GF9X-2126-SM-7PBXN 40-49 years, female 18.3
GTEX-1JKYN-1826-SM-ARZMZ 30-39 years, male 18.3
GTEX-11WQK-0726-SM-5GU71 50-59 years, male 18.2
GTEX-11ZTS-0526-SM-5CVL9 60-69 years, female 18.2
GTEX-15DDE-0526-SM-6ETZQ 50-59 years, female 18.2
GTEX-16AAH-1826-SM-7939D 50-59 years, male 18.2
GTEX-RM2N-1626-SM-2TF5N 50-59 years, male 18.2
GTEX-X4XX-0626-SM-3NMC1 60-69 years, male 18.2
GTEX-13CF3-1826-SM-5J1NK 60-69 years, female 18.1
GTEX-13VXU-0326-SM-5LU36 50-59 years, male 18.1
GTEX-145MH-0326-SM-5LU8H 50-59 years, male 18.1
GTEX-16NGA-1926-SM-7LTA6 40-49 years, female 18.1
GTEX-18D9U-0626-SM-7LTA4 40-49 years, male 18.1
GTEX-1B8L1-2726-SM-793AL 60-69 years, male 18.1
GTEX-1E1VI-0426-SM-7DHN1 50-59 years, male 18.1
GTEX-UJMC-1826-SM-3GADT 50-59 years, male 18.1
GTEX-1HSMQ-1326-SM-ADEHS 50-59 years, male 18.1
GTEX-1J8Q3-1426-SM-CKZPU 60-69 years, male 18.1
GTEX-17GQL-1926-SM-718B9 60-69 years, male 18.0
GTEX-1AX9I-0326-SM-73KXQ 60-69 years, male 18.0
GTEX-WZTO-0826-SM-3NM8Q 40-49 years, male 18.0
GTEX-12KS4-0826-SM-5BC5R 30-39 years, male 17.9
GTEX-OHPL-1626-SM-2HMIR 60-69 years, female 17.9
GTEX-ZAK1-0526-SM-5K7X4 50-59 years, female 17.9
GTEX-ZVT3-0526-SM-5GIE9 60-69 years, female 17.9
GTEX-13X6J-0326-SM-7EPGD 50-59 years, male 17.8
GTEX-145MG-0226-SM-5TDDB 50-59 years, male 17.8
GTEX-1EWIQ-0626-SM-7PBYW 70-79 years, female 17.8
GTEX-139T6-2026-SM-5IFFL 50-59 years, male 17.7
GTEX-16BQI-0326-SM-6PAM4 30-39 years, female 17.7
GTEX-P44H-0426-SM-2XCEZ 40-49 years, male 17.7
GTEX-1GN1W-0726-SM-9KNTV 50-59 years, female 17.7
GTEX-1KANA-0926-SM-D3L9K 20-29 years, male 17.7
GTEX-11XUK-2226-SM-5CVLL 40-49 years, female 17.6
GTEX-13O3P-0626-SM-5L3D5 50-59 years, male 17.6
GTEX-OXRP-2326-SM-2S1NL 60-69 years, female 17.6
GTEX-1M5QR-1326-SM-EWROC 40-49 years, male 17.6
GTEX-1S5VW-0526-SM-E6CHL 60-69 years, male 17.6
GTEX-1399R-2526-SM-5IFG2 30-39 years, male 17.5
GTEX-15RJ7-2426-SM-6M48L 40-49 years, male 17.5
GTEX-QV31-1426-SM-2S1QD 30-39 years, male 17.5
GTEX-1C4CL-0326-SM-7DHMH 30-39 years, male 17.4
GTEX-Y8E4-1026-SM-4VBQ5 40-49 years, male 17.4
GTEX-11WQC-2626-SM-5CVLF 60-69 years, male 17.3
GTEX-14A5I-0326-SM-5NQ9J 50-59 years, female 17.3
GTEX-16YQH-0426-SM-7KUL7 30-39 years, male 17.3
GTEX-17EVP-1326-SM-7DHMR 40-49 years, male 17.3
GTEX-18A67-0326-SM-7LG5X 50-59 years, male 17.3
GTEX-U8T8-1426-SM-3DB9H 60-69 years, male 17.3
GTEX-ZVT2-2426-SM-57WCQ 50-59 years, female 17.3
GTEX-1F75I-0526-SM-7RHI3 40-49 years, male 17.3
GTEX-1RAZQ-0426-SM-DTXFQ 30-39 years, male 17.3
GTEX-147F4-0326-SM-5TDCK 50-59 years, male 17.2
GTEX-1B996-0326-SM-7DHMU 60-69 years, male 17.2
GTEX-1PIIG-0126-SM-E9J46 30-39 years, male 17.2
GTEX-13FH7-2126-SM-5L3DJ 50-59 years, female 17.1
GTEX-145LT-1626-SM-5O992 40-49 years, male 17.1
GTEX-14ABY-0126-SM-62LDI 50-59 years, male 17.1
GTEX-12126-0526-SM-5PNW4 20-29 years, male 17.0
GTEX-YEC3-2126-SM-4YCDB 50-59 years, male 17.0
GTEX-1IKJJ-0326-SM-CL55L 60-69 years, male 17.0
GTEX-1KWVE-0926-SM-CXZKP 30-39 years, male 17.0
GTEX-1GZHY-0126-SM-9WYUQ 50-59 years, female 16.9
GTEX-11EQ8-0526-SM-5N9BC 60-69 years, male 16.8
GTEX-131XG-2326-SM-5HL8F 50-59 years, female 16.8
GTEX-O5YT-1626-SM-32PK6 20-29 years, male 16.8
GTEX-RWSA-0726-SM-2XCBE 40-49 years, male 16.8
GTEX-1IY9M-0326-SM-ARZMN 60-69 years, male 16.8
GTEX-V955-2426-SM-3GAEF 60-69 years, male 16.7
GTEX-1H1DE-1726-SM-A9G3G 20-29 years, male 16.7
GTEX-1C475-1726-SM-73KVX 40-49 years, female 16.6
GTEX-RWS6-2126-SM-2XCAV 60-69 years, female 16.6
GTEX-TKQ2-0826-SM-33HB6 50-59 years, male 16.6
GTEX-11ZUS-1426-SM-5FQSP 30-39 years, male 16.5
GTEX-VJYA-1926-SM-3GIJJ 60-69 years, male 16.5
GTEX-1IOXB-0326-SM-CL55M 50-59 years, male 16.5
GTEX-1QP6S-0426-SM-DTXG4 40-49 years, male 16.5
GTEX-1JMQJ-0126-SM-E6CI2 50-59 years, male 16.4
GTEX-S32W-2326-SM-2XCAW 50-59 years, female 16.3
GTEX-1HSGN-0326-SM-ACKXQ 40-49 years, female 16.3
GTEX-1R9PM-2226-SM-E8VOC 20-29 years, male 16.3
GTEX-V1D1-2426-SM-3GAER 50-59 years, male 16.2
GTEX-1F75A-0626-SM-7PBYI 50-59 years, male 16.2
GTEX-1KAFJ-2326-SM-D3L8Z 50-59 years, male 16.2
GTEX-13PVQ-0326-SM-5K7YF 50-59 years, male 16.1
GTEX-X4XY-0626-SM-4E3IN 60-69 years, male 16.1
GTEX-ZP4G-2026-SM-57WEH 20-29 years, female 16.1
GTEX-1F6IF-0226-SM-7PBZ6 60-69 years, male 16.1
GTEX-1H3VY-0326-SM-9WYU6 50-59 years, male 16.0
GTEX-1HCUA-2326-SM-ACKVJ 50-59 years, female 16.0
GTEX-145LU-2026-SM-5Q5E8 50-59 years, male 15.8
GTEX-15G19-0526-SM-6PAMT 60-69 years, male 15.8
GTEX-1GN73-0126-SM-CNPPT 60-69 years, male 15.8
GTEX-1I1HK-0326-SM-ACKW5 60-69 years, male 15.8
GTEX-13S86-2326-SM-5RQK1 40-49 years, male 15.7
GTEX-1F6I4-0326-SM-7P8T8 60-69 years, male 15.7
GTEX-18QFQ-0326-SM-731C3 30-39 years, male 15.6
GTEX-WHSE-0526-SM-5GZZD 20-29 years, male 15.6
GTEX-12WSH-2526-SM-5CVNH 50-59 years, male 15.5
GTEX-18465-0326-SM-7LTAD 50-59 years, male 15.5
GTEX-R55E-0526-SM-2TC6B 20-29 years, male 15.5
GTEX-11TUW-2526-SM-5EQKN 60-69 years, male 15.4
GTEX-131XE-2726-SM-5P9G7 50-59 years, male 15.4
GTEX-1IDJD-1326-SM-CM2TQ 30-39 years, male 15.4
GTEX-1LB8K-0126-SM-EVYCN 50-59 years, male 15.4
GTEX-OIZH-1626-SM-2HMKI 50-59 years, male 15.3
GTEX-QESD-1626-SM-2S1RB 20-29 years, male 15.3
GTEX-1I1GU-2126-SM-CGQF9 40-49 years, male 15.1
GTEX-1JN76-0326-SM-ARZNJ 20-29 years, female 15.1
GTEX-1LBAC-0326-SM-DIPF1 20-29 years, male 15.1
GTEX-1C64O-0326-SM-73KVW 60-69 years, male 15.0
GTEX-QLQW-1326-SM-2S1QS 30-39 years, male 15.0
GTEX-R53T-1826-SM-3GIJX 50-59 years, female 15.0
GTEX-RUSQ-1726-SM-2TF68 50-59 years, male 15.0
GTEX-13NZ9-0626-SM-5IJCO 50-59 years, male 14.7
GTEX-Z9EW-1726-SM-5CVMO 40-49 years, male 14.6
GTEX-1IDJE-2426-SM-ACKWF 50-59 years, female 14.6
GTEX-1KANC-1626-SM-E6CIA 50-59 years, female 14.6
GTEX-1GF9V-0126-SM-9WYT2 60-69 years, male 14.5
GTEX-13112-2626-SM-5BC66 50-59 years, male 14.3
GTEX-OIZI-0626-SM-2XCEH 40-49 years, male 14.3
GTEX-1CB4G-0426-SM-7MXUN 60-69 years, male 14.3
GTEX-U8XE-0726-SM-3DB8O 30-39 years, male 14.0
GTEX-11P7K-1926-SM-5GU6R 30-39 years, male 13.7
GTEX-SJXC-0526-SM-2XCFG 60-69 years, male 13.4
GTEX-14C38-0426-SM-5TDDZ 50-59 years, male 12.5
GTEX-146FH-0526-SM-5QGQ3 50-59 years, female 12.4
GTEX-SNMC-1426-SM-2XCFM 20-29 years, male 12.1
GTEX-WFG7-2226-SM-3GIKP 20-29 years, male 12.1
GTEX-13O1R-0526-SM-5K7XU 60-69 years, male 12.0
GTEX-QEG5-0426-SM-2I5GJ 20-29 years, male 12.0
GTEX-WFG8-2426-SM-3GILL 20-29 years, male 11.8
GTEX-11TT1-2326-SM-5GU6N 20-29 years, male 11.2
GTEX-Q2AI-1526-SM-3GIJ3 40-49 years, male 10.9
Show allShow less

SKELETAL MUSCLE - FANTOM5 CAGEi

RNA expression in human tissues obtained through Cap Analysis of Gene Expression (CAGE) generated by the FANTOM5 project are reported as Scaled Tags Per Million.

Max subtype Scaled Tags Per Millioni

Max subtype Scaled Tags Per Million is the value for the subtype with the largest average Scaled Tags Per Million across the subtype samples.

65.8
FANTOM5 sample id Sample description Scaled Tags Per Million
Skeletal muscle
Scaled Tags Per Million: 65.8
FF:10023-101D5 55,79,79 years, mixed 65.8
Skeletal muscle - soleus muscle
Scaled Tags Per Million: 22.7
FF:10282-104F3 male 22.7

Contact

  • NEWS ARTICLES
  • PRESS ROOM

The Project

  • INTRODUCTION
  • ORGANIZATION
  • PUBLICATIONS

The Human Protein Atlas

  • DOWNLOADABLE DATA
  • LICENCE & CITATION
  • HELP & FAQ
The Human Protein Atlas project is funded
by the Knut & Alice Wallenberg Foundation.


contact@proteinatlas.org