We use cookies to enhance the usability of our website. If you continue, we'll assume that you are happy to receive all cookies. More information. Don't show this again.
RHBDD3
HPA
RESOURCES
  • TISSUE
  • BRAIN
  • SINGLE CELL
  • SUBCELLULAR
  • CANCER
  • BLOOD
  • CELL LINE
  • STRUCTURE & INTERACTION
ABOUT
  • INTRODUCTION
  • HISTORY
  • ORGANIZATION
  • PUBLICATIONS
  • ANTIBODY SUBMISSION
  • ANTIBODY AVAILABILITY
  • ACKNOWLEDGMENTS
  • CONTACT
NEWS
  • NEWS ARTICLES
  • PRESS ROOM
LEARN
  • DICTIONARY
  • PROTEIN CLASSES
  • PROTEIN EVIDENCE
  • METHODS
  • EDUCATIONAL VIDEOS
DATA
  • DOWNLOADABLE DATA
  • PUBLICATION DATA
  • RELEASE HISTORY
HELP
  • ANTIBODY VALIDATION
  • ASSAYS & ANNOTATION
  • DISCLAIMER
  • HELP & FAQ
  • PRIVACY STATEMENT
  • LICENCE & CITATION
Fields »
Search result

Field
Term
Gene name
Class
Subclass
Class
Keyword
Chromosome
External id
Tissue
Cell type
Expression
Antibody panel
Tissue
Main location
Patient ID
Annotation
Tissue
Category
Tau score
Cluster
Reliability
Brain region
Category
Tau score
Brain region
Category
Tau score
Brain region
Category
Tau score
Cluster
Reliability
Tissue
Cell type
Enrichment
Cell type
Category
Tau score
Cell type
Category
Tau score
Cell type
Category
Tau score
Cell lineage
Category
Tau score
Cluster
Cluster
Location
Searches
Location
Cell line
Class
Type
Phase
Reliability
Cancer
Prognosis
Cancer
Category
Cancer
Category
Tau score
Cluster
Variants
Interacting gene (ensg_id)
Type
Number of interactions
Pathway
Category
Score
Score
Score
Validation
Validation
Validation
Validation
Antibodies
Data type
Column


  • SUMMARY

  • TISSUE

  • BRAIN

  • SINGLE CELL

  • SUBCELL

  • CANCER

  • BLOOD

  • CELL LINE

  • STRUCT & INT

  • RHBDD3
TISSUE PRIMARY DATA PANCREAS Show tissue menu
ADIPOSE TISSUE ADRENAL GLAND AMYGDALA APPENDIX BASAL GANGLIA BONE MARROW BREAST BRONCHUS CEREBELLUM CEREBRAL CORTEX CERVIX CHOROID PLEXUS COLON DUODENUM
ENDOMETRIUM EPIDIDYMIS ESOPHAGUS FALLOPIAN TUBE GALLBLADDER HEART MUSCLE HIPPOCAMPAL FORMATION HYPOTHALAMUS KIDNEY LIVER LUNG LYMPH NODE MIDBRAIN NASOPHARYNX
ORAL MUCOSA OVARY PANCREAS PARATHYROID GLAND PITUITARY GLAND PLACENTA PROSTATE RECTUM RETINA SALIVARY GLAND SEMINAL VESICLE SKELETAL MUSCLE SKIN SMALL INTESTINE
SMOOTH MUSCLE SOFT TISSUE SPINAL CORD SPLEEN STOMACH TESTIS THYMUS THYROID GLAND TONGUE TONSIL URINARY BLADDER VAGINA
ANTIBODIES
AND
VALIDATION
Dictionary
Pancreas
Tissue proteome
Pancreas
PANCREAS - Expression summary
Protein expression
Pancreasi

On the top, protein expression in current human tissue, based on all annotated cell types, is reported with the units not detected (n), low (l), medium (m) and high (h). Underneath, protein expression in each annotated cell type are reported using the same units.

Protein expression data is based on knowledge-based annotation. For genes where more than one antibody has been used, a collective score is set.

If knowledge-based annotation could not be performed for a gene, no data is displayed here. View antibody staining data further down this page.

h
m
l
n
Exocrine glandular cells: High
Pancreatic endocrine cells: Medium
RNA expressioni

A summary of mRNA expression data available for current tissue based on several datasets. The mRNA expression levels in human tissues are based on RNA-seq data generated by the Human Protein Atlas (HPA), Genotype-Tissue Expression (GTEx) portal and CAGE data generated by the FANTOM5 consortium. Consensus normalized expression levels for human tissues was created by combining the data from HPA and GTEx datasets.

The mRNA expression levels in pig are based on RNA-seq data generated by the Human Protein Atlas (HPA), and for mouse, HPA data and in situ hybridization generated by the Allen brain atlas are reported.

Scroll down to view mRNA expression data in more detail.
Consensus:11.5 nTPM
HPA:5.4 nTPM
GTEx:11.5 nTPM
FANTOM5:16.3 Scaled Tags Per Million

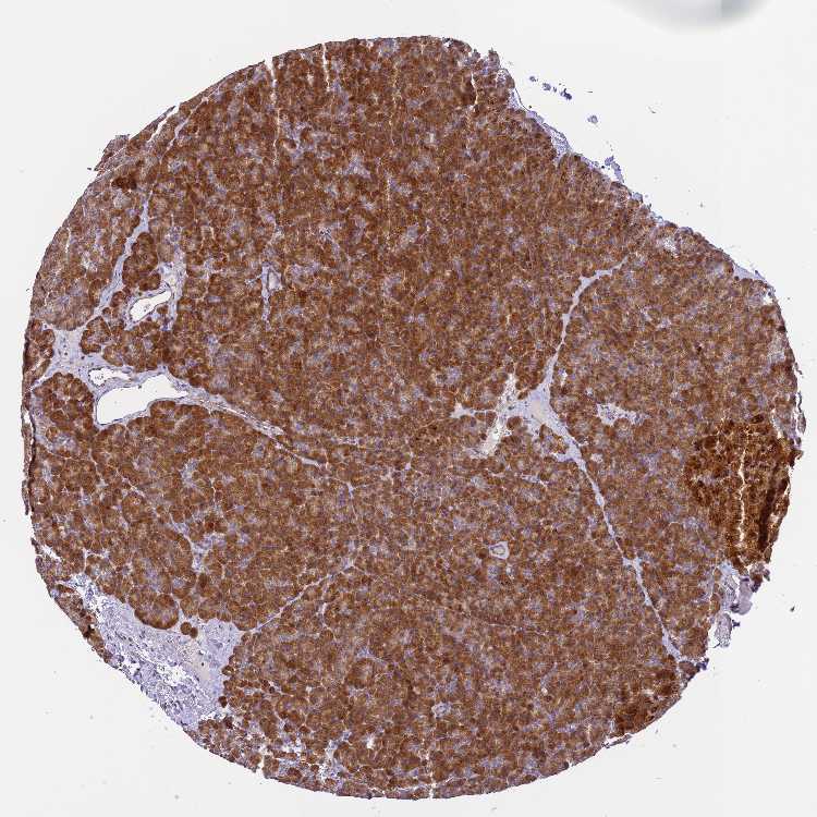
PANCREAS - Antibody stainingi

Antibody staining in the annotated cell types in the current human tissue is reported as not detected, low, medium, or high, based on conventional immunohistochemistry profiling in selected tissues. This score is based on the combination of the staining intensity and fraction of stained cells.

Each image is clickable and will lead to virtual microscopy that enables deeper exploration of all samples and also displays staining intensity scores, fraction scores and subcellular localization as well as patient and tissue information for each sample.

Antibody HPA043979
Exocrine glandular cells High
Pancreatic endocrine cells Medium


PANCREAS - HPA RNA-seqi

The RNA-seq details section shows detailed information about the individual samples used for the transcript profiling and results of the RNA-seq analysis.

Information about each individual sample is listed below, including gender, age, a tissue section image and estimated fractions of cell types. nTPM (normalized transcripts per million) values give a quantification of the gene abundance which is comparable between different genes and samples.
Average nTPMi

Max subtype nTPM is the value for the subtype with the largest average nTPM across the subtype samples.

5.4
overview
Female, age 59
Pancreas sample 194
nTPM: 7.3
Cell types%
Exocrine glandular cells:
75

Pancreatic endocrine cells:
10

Ductal cells:
5

Other cell types:
10

overview
Male, age 60
Pancreas sample 195
nTPM: 3.5
Cell types%
Exocrine glandular cells:
90

Pancreatic endocrine cells:
5

Ductal cells:
5


PANCREAS - GTEx RNA-seqi

RNA-Seq data generated by the Genotype-Tissue Expression (GTEx) project from human tissues is reported as mean nTPM. More information can be found on the GTEx portal.

Distribution across the dataset is visualized with box plots, shown as median and 25th and 75th percentiles. Points are displayed as outliers if they are above or below 1.5 times the interquartile range. nTPM values of the individual samples are presented next to the box plot.
Max subtype nTPMi

Max subtype nTPM is the value for the subtype with the largest average nTPM across the subtype samples.

11.5
GTEx sample id Sample description nTPM
Pancreas
Average nTPM: 11.5
Samples: 328

Max nTPM: 27.3
Min nTPM: 4.1
Std nTPM: 3.8
Median nTPM: 10.7
GTEX-17MF6-1426-SM-7IGOX 40-49 years, male 27.3
GTEX-1H1DG-1426-SM-9OSXP 70-79 years, male 26.3
GTEX-16Z82-1726-SM-7MGX3 60-69 years, male 24.8
GTEX-ZAB4-1726-SM-5HL8C 40-49 years, male 24.1
GTEX-P4PP-1026-SM-3NM9O 30-39 years, female 23.3
GTEX-1H23P-2026-SM-9OSXY 60-69 years, male 22.9
GTEX-1I1GQ-2226-SM-B2LX1 50-59 years, male 22.7
GTEX-1O97I-1726-SM-EXOIP 60-69 years, male 22.3
GTEX-ZYY3-0826-SM-5E44R 60-69 years, female 21.0
GTEX-1PBJI-2126-SM-DPRYG 20-29 years, female 21.0
GTEX-QESD-0226-SM-447BH 20-29 years, male 20.8
GTEX-13O1R-1826-SM-5KM3B 60-69 years, male 19.6
GTEX-1OKEX-1726-SM-E9U4F 60-69 years, male 19.4
GTEX-1K2DU-1026-SM-DHXKC 20-29 years, male 19.3
GTEX-18A6Q-1726-SM-7LT9A 60-69 years, male 19.1
GTEX-ZYT6-1326-SM-5E453 30-39 years, male 19.1
GTEX-15ER7-1326-SM-6LPK9 20-29 years, female 18.8
GTEX-TML8-0526-SM-32QOQ 40-49 years, female 18.7
GTEX-14PJN-1526-SM-6AJBP 30-39 years, male 18.6
GTEX-1CAMS-1926-SM-7DUEU 40-49 years, female 18.3
GTEX-1CAMR-1126-SM-7MGXF 20-29 years, male 18.3
GTEX-WFG8-0326-SM-4LVN4 20-29 years, male 17.7
GTEX-14PJM-2126-SM-6AJAS 50-59 years, female 17.5
GTEX-YEC4-1326-SM-5IFHG 40-49 years, male 17.4
GTEX-WYJK-2426-SM-4ONDQ 50-59 years, male 17.3
GTEX-14PJ4-0726-SM-6872E 60-69 years, male 17.1
GTEX-13U4I-1526-SM-5IFFF 40-49 years, female 17.0
GTEX-11EQ9-1026-SM-5H134 30-39 years, male 16.8
GTEX-14PJO-1826-SM-69LPR 60-69 years, male 16.7
GTEX-Q2AI-0426-SM-48U13 40-49 years, male 16.7
GTEX-1R46S-1426-SM-EXOJD 60-69 years, female 16.6
GTEX-131XG-1426-SM-5GCMO 50-59 years, female 16.4
GTEX-14PKV-0926-SM-6AJB4 20-29 years, female 16.4
GTEX-S3XE-0526-SM-4AD4G 50-59 years, male 16.3
GTEX-RWS6-1126-SM-47JXC 60-69 years, female 16.1
GTEX-X4LF-0326-SM-4QAS9 50-59 years, male 16.1
GTEX-14PN4-1626-SM-6AJB5 50-59 years, male 16.0
GTEX-YF7O-1326-SM-4W1ZR 50-59 years, male 15.9
GTEX-1C6VQ-1726-SM-7IGLQ 50-59 years, male 15.8
GTEX-T8EM-0826-SM-4DM76 40-49 years, male 15.8
GTEX-WFG7-0426-SM-4LMK5 20-29 years, male 15.8
GTEX-WI4N-1826-SM-4OOSF 40-49 years, female 15.7
GTEX-13CF3-1026-SM-5LZWY 60-69 years, female 15.5
GTEX-13O61-2126-SM-5IJEO 60-69 years, male 15.4
GTEX-PLZ6-0726-SM-3P619 30-39 years, male 15.1
GTEX-ZLWG-0326-SM-4WWC7 50-59 years, female 15.1
GTEX-1MUQO-1426-SM-DPRYJ 60-69 years, male 15.1
GTEX-1QP28-1026-SM-EAZ4K 50-59 years, female 15.1
GTEX-144FL-1526-SM-5Q5CA 50-59 years, male 15.0
GTEX-1A3MW-1926-SM-7IGM8 60-69 years, female 15.0
GTEX-1PPH8-2326-SM-EAZ48 20-29 years, male 15.0
GTEX-15UKP-1326-SM-6LPI8 20-29 years, male 14.9
GTEX-13OVI-0526-SM-5IFFQ 60-69 years, female 14.8
GTEX-RM2N-0326-SM-48FD8 50-59 years, male 14.7
GTEX-12WSG-1026-SM-5EGII 50-59 years, female 14.6
GTEX-QEL4-1326-SM-447AD 50-59 years, male 14.6
GTEX-1M5QR-0926-SM-DHXK8 40-49 years, male 14.5
GTEX-11TT1-0326-SM-5LUAY 20-29 years, male 14.4
GTEX-XBEW-1626-SM-4SOJP 40-49 years, male 14.4
GTEX-148VI-0826-SM-5TDDI 60-69 years, female 14.3
GTEX-14C39-1026-SM-73KWG 40-49 years, male 14.3
GTEX-1PWST-1526-SM-EXOIT 70-79 years, male 14.3
GTEX-15SHV-1526-SM-6LLIB 60-69 years, male 14.2
GTEX-QDVJ-1226-SM-48U1V 50-59 years, male 14.2
GTEX-WH7G-0826-SM-4LVMR 40-49 years, male 14.2
GTEX-XQ8I-1926-SM-4BOOK 50-59 years, male 14.2
GTEX-13SLX-1326-SM-5S2QS 50-59 years, female 14.0
GTEX-14JG6-0426-SM-68715 30-39 years, female 14.0
GTEX-15DYW-1626-SM-6LLI1 60-69 years, female 14.0
GTEX-NFK9-1626-SM-3LK5J 40-49 years, male 14.0
GTEX-14ICL-1126-SM-5S2RE 30-39 years, male 13.9
GTEX-1CB4G-1826-SM-7MKGO 60-69 years, male 13.9
GTEX-XUW1-1726-SM-4BOOZ 50-59 years, female 13.8
GTEX-Y5LM-0526-SM-4V6G3 40-49 years, female 13.8
GTEX-13FTW-0526-SM-5IFIP 40-49 years, male 13.7
GTEX-1IDJU-0326-SM-CGQEE 60-69 years, female 13.7
GTEX-12WSN-0826-SM-5GCOF 40-49 years, male 13.6
GTEX-14PKU-0626-SM-6EU1Q 40-49 years, female 13.6
GTEX-1B933-1726-SM-731FC 50-59 years, female 13.6
GTEX-1QEPI-1626-SM-EAZ3I 60-69 years, female 13.5
GTEX-1QW4Y-0926-SM-DPRY2 30-39 years, male 13.5
GTEX-11VI4-0426-SM-5EGHZ 40-49 years, female 13.4
GTEX-WRHK-0226-SM-4MVOH 20-29 years, female 13.4
GTEX-XBED-0226-SM-47JY8 60-69 years, male 13.4
GTEX-1I4MK-1026-SM-AHZ2H 50-59 years, female 13.4
GTEX-1L5NE-0826-SM-DHXKU 50-59 years, male 13.3
GTEX-S32W-0826-SM-4AD5Z 50-59 years, female 13.2
GTEX-1LGRB-0426-SM-CNNRD 50-59 years, female 13.2
GTEX-1CAMQ-1626-SM-7MGXG 40-49 years, male 13.1
GTEX-QLQ7-0626-SM-CE6QX 60-69 years, male 13.1
GTEX-11NSD-0526-SM-5A5LT 20-29 years, male 13.0
GTEX-1211K-1126-SM-5EGGB 60-69 years, female 13.0
GTEX-146FQ-1526-SM-5Q5CX 30-39 years, male 13.0
GTEX-R55D-1426-SM-48FEN 50-59 years, male 13.0
GTEX-1IDJC-0526-SM-AHZ2Q 50-59 years, male 13.0
GTEX-1QAET-1326-SM-E9U64 50-59 years, male 13.0
GTEX-XXEK-1726-SM-4BRVB 50-59 years, male 12.9
GTEX-11XUK-0626-SM-5N9ES 40-49 years, female 12.7
GTEX-SNOS-0926-SM-4DM7A 40-49 years, male 12.7
GTEX-17F98-0426-SM-79ONZ 40-49 years, female 12.6
GTEX-OOBJ-1026-SM-3NB2L 60-69 years, male 12.6
GTEX-V955-0326-SM-4JBGV 60-69 years, male 12.6
GTEX-XV7Q-0926-SM-4BRVQ 40-49 years, female 12.6
GTEX-1KANA-1526-SM-CXZKG 20-29 years, male 12.6
GTEX-13D11-2226-SM-5IFEO 50-59 years, female 12.5
GTEX-1F5PL-0726-SM-7MKH8 40-49 years, female 12.5
GTEX-ZDYS-2526-SM-4WKGU 50-59 years, male 12.5
GTEX-ZF3C-2026-SM-4WWB5 50-59 years, female 12.5
GTEX-1GMR3-1226-SM-7MGY1 40-49 years, male 12.5
GTEX-1PFEY-1126-SM-DPRZ3 30-39 years, male 12.5
GTEX-OXRK-1526-SM-E6CHJ 50-59 years, female 12.5
GTEX-132QS-0926-SM-5P9GB 60-69 years, male 12.4
GTEX-1J8Q3-0626-SM-AHZ3V 60-69 years, male 12.4
GTEX-13FTX-1226-SM-5IFGN 20-29 years, female 12.3
GTEX-WFON-0626-SM-4LVLX 40-49 years, male 12.3
GTEX-ZDTT-1126-SM-4WKFW 60-69 years, male 12.3
GTEX-15CHR-2026-SM-7MXU2 50-59 years, male 12.3
GTEX-ZAK1-2326-SM-5CVMY 50-59 years, female 12.2
GTEX-ZPIC-0926-SM-4WWFK 40-49 years, female 12.2
GTEX-ZT9W-0926-SM-57WFS 50-59 years, male 12.2
GTEX-14PJ2-1526-SM-686Z4 50-59 years, male 12.1
GTEX-1AYD5-0326-SM-7EWEO 50-59 years, male 12.1
GTEX-OOBK-1026-SM-48TC2 40-49 years, male 12.1
GTEX-QV31-0226-SM-447BO 30-39 years, male 12.1
GTEX-11GSP-0426-SM-5A5KX 60-69 years, female 12.0
GTEX-YB5K-1826-SM-5IFJC 40-49 years, female 12.0
GTEX-YB5E-0526-SM-4VDSD 40-49 years, male 11.9
GTEX-1N2EF-2126-SM-DPRYL 60-69 years, male 11.9
GTEX-15RIF-0626-SM-6LLI3 20-29 years, male 11.8
GTEX-1J8EW-1926-SM-CGQGR 60-69 years, female 11.8
GTEX-14PHY-1126-SM-664OR 60-69 years, female 11.7
GTEX-1QPFJ-2226-SM-EXOJW 30-39 years, female 11.7
GTEX-1122O-0726-SM-5GIEV 60-69 years, female 11.6
GTEX-PSDG-1526-SM-48TCY 50-59 years, male 11.5
GTEX-S4P3-0626-SM-4AD59 50-59 years, female 11.5
GTEX-XGQ4-0226-SM-4GIDS 50-59 years, male 11.5
GTEX-1NUQO-0826-SM-DPS16 20-29 years, female 11.5
GTEX-OIZI-1526-SM-E6CHI 40-49 years, male 11.5
GTEX-1N2DV-1726-SM-DPRYR 40-49 years, male 11.4
GTEX-1339X-1026-SM-5IFH5 40-49 years, male 11.3
GTEX-SE5C-0326-SM-4BRWX 40-49 years, female 11.3
GTEX-1QP2A-1326-SM-EAZ3K 50-59 years, male 11.3
GTEX-1497J-0426-SM-5Q5CO 60-69 years, male 11.2
GTEX-OHPM-1026-SM-3LK74 50-59 years, male 11.2
GTEX-ZEX8-1026-SM-4WKHE 50-59 years, male 11.2
GTEX-1A8FM-1826-SM-7MGXO 50-59 years, female 11.2
GTEX-1LSNM-0726-SM-DHXL1 50-59 years, male 11.2
GTEX-ZVT2-2026-SM-5NQ8Q 50-59 years, female 11.1
GTEX-YEC3-0626-SM-CMKFG 50-59 years, male 11.1
GTEX-1S83E-1426-SM-EV7B8 40-49 years, male 11.0
GTEX-14PJ3-0426-SM-6LLHF 50-59 years, male 10.9
GTEX-1AYCT-1226-SM-7EPGH 50-59 years, male 10.9
GTEX-UJMC-1126-SM-3GADP 50-59 years, male 10.9
GTEX-ZV7C-0726-SM-59HKH 50-59 years, male 10.9
GTEX-ZVZP-0626-SM-59HL5 50-59 years, male 10.9
GTEX-ZPCL-0726-SM-DO91S 60-69 years, female 10.9
GTEX-XYKS-1226-SM-4BRVI 60-69 years, female 10.8
GTEX-1K2DA-0326-SM-CGQGX 50-59 years, male 10.8
GTEX-1LVAN-1226-SM-CNNQY 50-59 years, female 10.8
GTEX-13N11-0226-SM-5KM3C 50-59 years, female 10.7
GTEX-145MO-2126-SM-5Q5CZ 60-69 years, male 10.7
GTEX-X3Y1-0726-SM-3P5YU 40-49 years, male 10.7
GTEX-ZF29-1126-SM-4WKGO 60-69 years, female 10.7
GTEX-ZTPG-1026-SM-5DUWP 20-29 years, female 10.7
GTEX-1GL5R-0926-SM-9JGFO 50-59 years, male 10.7
GTEX-1I1GT-0926-SM-AHZ2G 60-69 years, female 10.7
GTEX-11I78-0626-SM-5A5LZ 50-59 years, female 10.6
GTEX-13FH7-1426-SM-5IFIC 50-59 years, female 10.6
GTEX-13W3W-1026-SM-5IFG4 60-69 years, female 10.6
GTEX-14PN3-0126-SM-6AJAU 60-69 years, female 10.6
GTEX-UJHI-0626-SM-3DB8T 50-59 years, female 10.6
GTEX-Y9LG-0726-SM-4VDS3 30-39 years, male 10.6
GTEX-11ONC-0526-SM-5BC57 60-69 years, male 10.5
GTEX-14E6E-1426-SM-5RQI2 30-39 years, male 10.5
GTEX-15EU6-1126-SM-68721 50-59 years, male 10.5
GTEX-11LCK-0226-SM-5A5M6 30-39 years, male 10.4
GTEX-N7MT-1626-SM-3LK71 60-69 years, female 10.4
GTEX-ZAB5-0826-SM-5P9FU 50-59 years, male 10.4
GTEX-1IL2U-2326-SM-CNNQV 60-69 years, male 10.4
GTEX-1KXAM-0226-SM-EV7AP 60-69 years, male 10.4
GTEX-13PVR-0726-SM-5S2PX 60-69 years, female 10.3
GTEX-18A66-2126-SM-7189D 60-69 years, male 10.3
GTEX-TKQ2-0426-SM-4DXUO 50-59 years, male 10.3
GTEX-TMMY-1326-SM-4DXU9 40-49 years, female 10.3
GTEX-W5WG-0826-SM-4RGNE 50-59 years, female 10.3
GTEX-XPVG-0326-SM-4B653 50-59 years, male 10.3
GTEX-144GN-0826-SM-5LU5G 50-59 years, male 10.2
GTEX-14PHX-2026-SM-6872C 50-59 years, male 10.2
GTEX-1LG7Z-0326-SM-DHXK3 30-39 years, male 10.2
GTEX-1S82P-1026-SM-EAZ4W 60-69 years, female 10.2
GTEX-12BJ1-1126-SM-5EGGG 60-69 years, male 10.1
GTEX-132AR-1826-SM-5EGHR 50-59 years, female 10.1
GTEX-13FLV-0626-SM-5IFEY 50-59 years, male 10.1
GTEX-1B8KE-0726-SM-72D7G 50-59 years, male 10.1
GTEX-1CB4F-1226-SM-7DHKU 60-69 years, male 10.1
GTEX-1JMPZ-1026-SM-CXZJS 30-39 years, male 10.1
GTEX-1QP29-1926-SM-DPRZO 50-59 years, male 10.1
GTEX-1R7EU-0726-SM-DPRZM 60-69 years, male 10.1
GTEX-OIZF-1026-SM-2HML5 60-69 years, male 10.1
GTEX-111YS-1226-SM-5EGGJ 60-69 years, male 10.0
GTEX-PW2O-0826-SM-48TC5 20-29 years, male 10.0
GTEX-R53T-0426-SM-48FEM 50-59 years, female 10.0
GTEX-ZYFG-0826-SM-5BC5T 60-69 years, female 10.0
GTEX-1GN1W-1126-SM-9OSW3 50-59 years, female 10.0
GTEX-1H1E6-0826-SM-9WG83 30-39 years, male 10.0
GTEX-1OFPY-0626-SM-EXOJ4 60-69 years, male 10.0
GTEX-14DAR-0526-SM-664MX 50-59 years, male 9.9
GTEX-15UF7-0826-SM-6M46E 40-49 years, male 9.9
GTEX-1AX9K-2026-SM-731D1 50-59 years, male 9.9
GTEX-1C64O-1426-SM-7EWER 60-69 years, male 9.9
GTEX-P4QS-1026-SM-3NMCW 60-69 years, male 9.9
GTEX-WHPG-0326-SM-4M1XV 50-59 years, male 9.9
GTEX-WHSB-0726-SM-4M1XQ 50-59 years, male 9.9
GTEX-ZC5H-0826-SM-5N9FH 40-49 years, female 9.9
GTEX-S33H-1226-SM-4AD69 30-39 years, male 9.8
GTEX-S95S-0726-SM-4B64H 60-69 years, male 9.8
GTEX-V1D1-0726-SM-4JBH7 50-59 years, male 9.8
GTEX-ZG7Y-0326-SM-4WWEY 50-59 years, male 9.8
GTEX-ZZPU-0726-SM-5N9C8 50-59 years, female 9.8
GTEX-1AMFI-0726-SM-731D9 50-59 years, female 9.7
GTEX-QDVN-0926-SM-2I5GL 50-59 years, male 9.7
GTEX-XMK1-0326-SM-4B652 40-49 years, male 9.7
GTEX-131XF-1426-SM-5BC68 60-69 years, male 9.6
GTEX-17F9E-1426-SM-793BG 50-59 years, male 9.6
GTEX-O5YT-1026-SM-3MJGF 20-29 years, male 9.6
GTEX-Q2AH-0926-SM-48TZK 40-49 years, male 9.6
GTEX-Y3IK-0426-SM-4WWE2 50-59 years, female 9.6
GTEX-1RAZA-1626-SM-EV79I 20-29 years, male 9.6
GTEX-17HHE-0526-SM-7DUGR 50-59 years, male 9.5
GTEX-18D9U-1626-SM-7KFTW 40-49 years, male 9.5
GTEX-PX3G-1026-SM-48TZW 20-29 years, female 9.5
GTEX-14PK6-1026-SM-664NZ 70-79 years, female 9.3
GTEX-1HKZK-1126-SM-9WG82 40-49 years, male 9.3
GTEX-1RAZQ-1426-SM-EV7B2 30-39 years, male 9.3
GTEX-111CU-0526-SM-5EGHK 50-59 years, male 9.2
GTEX-13VXT-1226-SM-5LU3M 20-29 years, female 9.2
GTEX-17HGU-2026-SM-79OKS 50-59 years, male 9.2
GTEX-R55G-0326-SM-48FDM 40-49 years, female 9.2
GTEX-1R7EV-1126-SM-DPRXU 40-49 years, male 9.2
GTEX-12WSD-1626-SM-5GCNR 60-69 years, female 9.1
GTEX-14BMU-0726-SM-73KXS 20-29 years, female 9.1
GTEX-OHPL-1026-SM-3MJGI 60-69 years, female 9.1
GTEX-WFJO-0626-SM-4LVMC 30-39 years, male 9.1
GTEX-YFCO-1026-SM-5LU9S 40-49 years, male 9.1
GTEX-18A7A-1726-SM-7LT93 50-59 years, female 9.0
GTEX-Q734-0426-SM-48TZX 40-49 years, female 9.0
GTEX-VUSG-0326-SM-3GIJ7 50-59 years, male 9.0
GTEX-1NSGN-1726-SM-EXOJG 50-59 years, male 9.0
GTEX-WHWD-0726-SM-4OORX 50-59 years, male 8.9
GTEX-145MN-1426-SM-5SI9H 30-39 years, male 8.8
GTEX-Y3I4-0826-SM-4TT2A 50-59 years, male 8.8
GTEX-ZLFU-0726-SM-57WF6 40-49 years, male 8.8
GTEX-144GM-0726-SM-79OJQ 20-29 years, male 8.7
GTEX-178AV-0226-SM-793B7 40-49 years, male 8.7
GTEX-1HSMO-2026-SM-CNNQO 60-69 years, male 8.7
GTEX-1399S-0326-SM-5IFFS 30-39 years, female 8.6
GTEX-1B8KZ-0926-SM-731D7 50-59 years, male 8.6
GTEX-1B97J-1526-SM-79ONI 50-59 years, female 8.6
GTEX-1B996-1326-SM-731EO 60-69 years, male 8.6
GTEX-QLQW-0326-SM-447A8 30-39 years, male 8.6
GTEX-1I1GU-0326-SM-AHZ2K 40-49 years, male 8.6
GTEX-15FZZ-0626-SM-7KFTO 30-39 years, female 8.5
GTEX-15UF6-1826-SM-6LLI9 70-79 years, female 8.5
GTEX-NPJ8-2126-SM-3MJGK 40-49 years, male 8.5
GTEX-QV44-0426-SM-4R1KF 50-59 years, male 8.5
GTEX-ZPU1-0226-SM-4WWC9 40-49 years, male 8.5
GTEX-145ME-0326-SM-5S2QO 40-49 years, female 8.3
GTEX-146FR-0126-SM-5Q5F3 60-69 years, female 8.3
GTEX-15SDE-0826-SM-6M463 50-59 years, female 8.3
GTEX-17KNJ-1926-SM-7KFRV 50-59 years, male 8.3
GTEX-Y8E4-1326-SM-5IFIY 40-49 years, male 8.3
GTEX-12WSK-0226-SM-5BC62 40-49 years, female 8.2
GTEX-WXYG-0826-SM-4ONC7 50-59 years, female 8.2
GTEX-ZYW4-2126-SM-59HJ9 60-69 years, male 8.2
GTEX-1JK1U-1026-SM-AHZ44 60-69 years, male 8.1
GTEX-11P7K-0526-SM-5BC5I 30-39 years, male 8.0
GTEX-13YAN-2126-SM-5Q5C4 60-69 years, male 8.0
GTEX-1C2JI-0926-SM-731F1 50-59 years, male 8.0
GTEX-1C4CL-0926-SM-79OL2 30-39 years, male 8.0
GTEX-SUCS-1426-SM-4DM5W 70-79 years, male 8.0
GTEX-Y114-0826-SM-4TT77 50-59 years, female 8.0
GTEX-11DXX-0926-SM-5H112 60-69 years, female 7.9
GTEX-14PJ6-0926-SM-686ZA 60-69 years, female 7.9
GTEX-WQUQ-2126-SM-4OOSO 60-69 years, male 7.9
GTEX-1H11D-0926-SM-9OSXO 40-49 years, male 7.9
GTEX-18A67-1726-SM-7KFT9 50-59 years, male 7.8
GTEX-X5EB-0526-SM-46MVP 40-49 years, male 7.8
GTEX-1399U-0926-SM-5IFHA 50-59 years, female 7.6
GTEX-15RJ7-0826-SM-6LLI8 40-49 years, male 7.6
GTEX-13PL7-2226-SM-5L3IC 60-69 years, female 7.5
GTEX-1AX8Z-1726-SM-731DE 60-69 years, male 7.5
GTEX-ZVP2-0726-SM-59HKY 50-59 years, male 7.5
GTEX-1S831-0626-SM-EV79N 20-29 years, male 7.5
GTEX-VJYA-0826-SM-4KL1M 60-69 years, male 7.4
GTEX-1CB4I-1326-SM-79OLY 50-59 years, male 7.3
GTEX-1HSGN-1426-SM-A8NAA 40-49 years, female 7.3
GTEX-1399R-0426-SM-5IJE3 30-39 years, male 7.2
GTEX-1AX9J-1726-SM-731FF 60-69 years, male 7.2
GTEX-Y8LW-1026-SM-5IFJY 50-59 years, female 7.2
GTEX-1MGNQ-1226-SM-EV7BM 40-49 years, male 7.2
GTEX-1GF9X-1126-SM-7MKHC 40-49 years, female 7.1
GTEX-U4B1-0726-SM-4DXUA 40-49 years, male 7.0
GTEX-14AS3-0326-SM-5Q5DB 40-49 years, female 6.9
GTEX-1GZ4H-0626-SM-9OSXJ 50-59 years, female 6.9
GTEX-139YR-1526-SM-5IFJ1 50-59 years, male 6.8
GTEX-1IDJD-0126-SM-C1YQZ 30-39 years, male 6.8
GTEX-X15G-0726-SM-4PQZ5 50-59 years, female 6.7
GTEX-QMRM-0326-SM-CKZNB 50-59 years, male 6.7
GTEX-12WSL-0426-SM-5GCNX 50-59 years, male 6.6
GTEX-ZP4G-0426-SM-4YCER 20-29 years, female 6.6
GTEX-1GN1U-1126-SM-9WPPZ 50-59 years, female 6.6
GTEX-P4PQ-1026-SM-3NMCN 60-69 years, male 6.5
GTEX-T5JW-0226-SM-4DM7I 20-29 years, female 6.5
GTEX-15SB6-0226-SM-6LLIA 50-59 years, female 6.4
GTEX-1JKYR-1026-SM-CGQGI 20-29 years, male 6.4
GTEX-QCQG-0426-SM-48U29 50-59 years, female 6.3
GTEX-1JKYN-0426-SM-CGQG2 30-39 years, male 6.3
GTEX-117YX-0226-SM-5EGH6 50-59 years, male 6.2
GTEX-1K9T9-1726-SM-CXZK1 50-59 years, female 6.1
GTEX-16MT8-1726-SM-7EWE7 60-69 years, female 6.0
GTEX-WYVS-0926-SM-4SOJV 40-49 years, female 5.9
GTEX-1R9K5-1226-SM-E6CPQ 50-59 years, male 5.9
GTEX-1128S-0826-SM-5GZZI 60-69 years, female 5.7
GTEX-13X6H-0626-SM-5LU53 50-59 years, female 5.0
GTEX-1B932-1626-SM-731EA 40-49 years, female 5.0
GTEX-U8XE-2026-SM-3DB8S 30-39 years, male 4.9
GTEX-WY7C-1026-SM-4OND3 50-59 years, male 4.2
GTEX-131XE-1926-SM-5IFER 50-59 years, male 4.1
Show allShow less

PANCREAS - FANTOM5 CAGEi

RNA expression in human tissues obtained through Cap Analysis of Gene Expression (CAGE) generated by the FANTOM5 project are reported as Scaled Tags Per Million.

Max subtype Scaled Tags Per Millioni

Max subtype Scaled Tags Per Million is the value for the subtype with the largest average Scaled Tags Per Million across the subtype samples.

16.3
FANTOM5 sample id Sample description Scaled Tags Per Million
Pancreas
Scaled Tags Per Million: 16.3
FF:10049-101G4 52 years, male 16.3

Contact

  • NEWS ARTICLES
  • PRESS ROOM

The Project

  • INTRODUCTION
  • ORGANIZATION
  • PUBLICATIONS

The Human Protein Atlas

  • DOWNLOADABLE DATA
  • LICENCE & CITATION
  • HELP & FAQ
The Human Protein Atlas project is funded
by the Knut & Alice Wallenberg Foundation.


contact@proteinatlas.org