We use cookies to enhance the usability of our website. If you continue, we'll assume that you are happy to receive all cookies. More information. Don't show this again.
UPK3A
HPA
RESOURCES
  • TISSUE
  • BRAIN
  • SINGLE CELL
  • SUBCELLULAR
  • CANCER
  • BLOOD
  • CELL LINE
  • STRUCTURE & INTERACTION
ABOUT
  • INTRODUCTION
  • HISTORY
  • ORGANIZATION
  • PUBLICATIONS
  • ANTIBODY SUBMISSION
  • ANTIBODY AVAILABILITY
  • ACKNOWLEDGMENTS
  • CONTACT
NEWS
  • NEWS ARTICLES
  • PRESS ROOM
LEARN
  • DICTIONARY
  • PROTEIN CLASSES
  • PROTEIN EVIDENCE
  • METHODS
  • EDUCATIONAL VIDEOS
DATA
  • DOWNLOADABLE DATA
  • PUBLICATION DATA
  • RELEASE HISTORY
HELP
  • ANTIBODY VALIDATION
  • ASSAYS & ANNOTATION
  • DISCLAIMER
  • HELP & FAQ
  • PRIVACY STATEMENT
  • LICENCE & CITATION
Fields »
Search result

Field
Term
Gene name
Class
Subclass
Class
Keyword
Chromosome
External id
Tissue
Cell type
Expression
Antibody panel
Tissue
Main location
Patient ID
Annotation
Tissue
Category
Tau score
Cluster
Reliability
Brain region
Category
Tau score
Brain region
Category
Tau score
Brain region
Category
Tau score
Cluster
Reliability
Tissue
Cell type
Enrichment
Cell type
Category
Tau score
Cell type
Category
Tau score
Cell type
Category
Tau score
Cell lineage
Category
Tau score
Cluster
Cluster
Location
Searches
Location
Cell line
Class
Type
Phase
Reliability
Cancer
Prognosis
Cancer
Category
Cancer
Category
Tau score
Cluster
Variants
Interacting gene (ensg_id)
Type
Number of interactions
Pathway
Category
Score
Score
Score
Validation
Validation
Validation
Validation
Antibodies
Data type
Column


  • SUMMARY

  • TISSUE

  • BRAIN

  • SINGLE CELL

  • SUBCELL

  • CANCER

  • BLOOD

  • CELL LINE

  • STRUCT & INT

  • UPK3A
TISSUE PRIMARY DATA SKELETAL MUSCLE Show tissue menu
ADIPOSE TISSUE ADRENAL GLAND AMYGDALA APPENDIX BASAL GANGLIA BONE MARROW BREAST BRONCHUS CEREBELLUM CEREBRAL CORTEX CERVIX CHOROID PLEXUS COLON DUODENUM
ENDOMETRIUM EPIDIDYMIS ESOPHAGUS FALLOPIAN TUBE GALLBLADDER HEART MUSCLE HIPPOCAMPAL FORMATION HYPOTHALAMUS KIDNEY LIVER LUNG LYMPH NODE MIDBRAIN NASOPHARYNX
ORAL MUCOSA OVARY PANCREAS PARATHYROID GLAND PITUITARY GLAND PLACENTA PROSTATE RECTUM RETINA SALIVARY GLAND SEMINAL VESICLE SKELETAL MUSCLE SKIN SMALL INTESTINE
SMOOTH MUSCLE SOFT TISSUE SPINAL CORD SPLEEN STOMACH TESTIS THYMUS THYROID GLAND TONGUE TONSIL URINARY BLADDER VAGINA
ANTIBODIES
AND
VALIDATION
Dictionary
Skeletal muscle
Tissue proteome
Skeletal muscle
SKELETAL MUSCLE - Expression summary
Protein expression
Skeletal musclei

On the top, protein expression in current human tissue, based on all annotated cell types, is reported with the units not detected (n), low (l), medium (m) and high (h). Underneath, protein expression in each annotated cell type are reported using the same units.

Protein expression data is based on knowledge-based annotation. For genes where more than one antibody has been used, a collective score is set.

If knowledge-based annotation could not be performed for a gene, no data is displayed here. View antibody staining data further down this page.

h
m
l
n
Myocytes: Not detected
RNA expressioni

A summary of mRNA expression data available for current tissue based on several datasets. The mRNA expression levels in human tissues are based on RNA-seq data generated by the Human Protein Atlas (HPA), Genotype-Tissue Expression (GTEx) portal and CAGE data generated by the FANTOM5 consortium. Consensus normalized expression levels for human tissues was created by combining the data from HPA and GTEx datasets.

The mRNA expression levels in pig are based on RNA-seq data generated by the Human Protein Atlas (HPA), and for mouse, HPA data and in situ hybridization generated by the Allen brain atlas are reported.

Scroll down to view mRNA expression data in more detail.
Consensus:33.8 nTPM
HPA:33.8 nTPM
GTEx:18.1 nTPM
FANTOM5:23.9 Scaled Tags Per Million

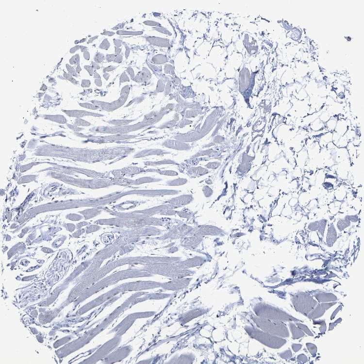
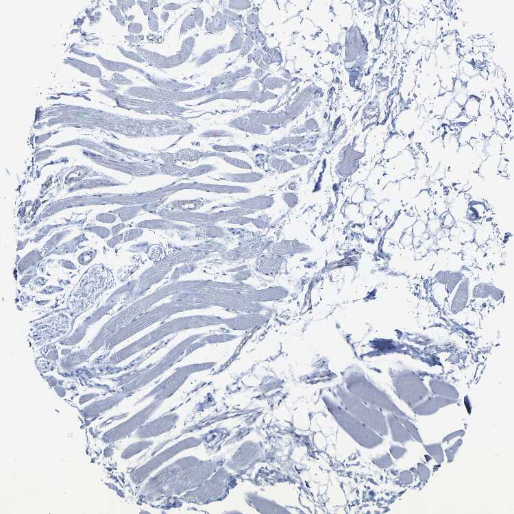
SKELETAL MUSCLE - Antibody stainingi

Antibody staining in the annotated cell types in the current human tissue is reported as not detected, low, medium, or high, based on conventional immunohistochemistry profiling in selected tissues. This score is based on the combination of the staining intensity and fraction of stained cells.

Each image is clickable and will lead to virtual microscopy that enables deeper exploration of all samples and also displays staining intensity scores, fraction scores and subcellular localization as well as patient and tissue information for each sample.

Antibody HPA018407Antibody HPA018415
Myocytes Not detectedNot detected





SKELETAL MUSCLE - HPA RNA-seqi

The RNA-seq details section shows detailed information about the individual samples used for the transcript profiling and results of the RNA-seq analysis.

Information about each individual sample is listed below, including gender, age, a tissue section image and estimated fractions of cell types. nTPM (normalized transcripts per million) values give a quantification of the gene abundance which is comparable between different genes and samples.
Average nTPMi

Max subtype nTPM is the value for the subtype with the largest average nTPM across the subtype samples.

33.8
N/A
Male, age 23
Skeletal muscle sample 339
nTPM: 13.9
N/A
Female, age 25
Skeletal muscle sample 340
nTPM: 66.5
N/A
Female, age -
Skeletal muscle sample 341
nTPM: 13.6
N/A
Female, age 22
Skeletal muscle sample 342
nTPM: 57.1
N/A
Male, age 29
Skeletal muscle sample 343
nTPM: 18

SKELETAL MUSCLE - GTEx RNA-seqi

RNA-Seq data generated by the Genotype-Tissue Expression (GTEx) project from human tissues is reported as mean nTPM. More information can be found on the GTEx portal.

Distribution across the dataset is visualized with box plots, shown as median and 25th and 75th percentiles. Points are displayed as outliers if they are above or below 1.5 times the interquartile range. nTPM values of the individual samples are presented next to the box plot.
Max subtype nTPMi

Max subtype nTPM is the value for the subtype with the largest average nTPM across the subtype samples.

18.1
GTEx sample id Sample description nTPM
Muscle - Skeletal
Average nTPM: 18.1
Samples: 803

Max nTPM: 93.0
Min nTPM: 0.0
Std nTPM: 15.7
Median nTPM: 13.5
GTEX-12ZZX-0326-SM-5DUVH 40-49 years, female 93.0
GTEX-1JMLX-0326-SM-CM2RP 50-59 years, male 90.8
GTEX-1GZHY-0126-SM-9WYUQ 50-59 years, female 88.7
GTEX-14JG1-0126-SM-5ZZUP 40-49 years, male 83.3
GTEX-1GN73-0126-SM-CNPPT 60-69 years, male 76.6
GTEX-13OW6-0626-SM-5L3IB 50-59 years, male 75.5
GTEX-13NYB-2726-SM-5J2MT 40-49 years, male 73.6
GTEX-WL46-0626-SM-3LK7R 50-59 years, male 73.4
GTEX-1KWVE-0926-SM-CXZKP 30-39 years, male 69.8
GTEX-1IL2V-0526-SM-ARL8B 70-79 years, male 68.2
GTEX-11GS4-2526-SM-5A5KT 60-69 years, male 66.4
GTEX-13PVQ-0326-SM-5K7YF 50-59 years, male 64.1
GTEX-1GMR3-2126-SM-9WYTZ 40-49 years, male 63.4
GTEX-U412-0326-SM-3DB9L 60-69 years, male 63.3
GTEX-11NUK-0226-SM-5A5L4 50-59 years, male 62.5
GTEX-1GTWX-0326-SM-9WYTP 60-69 years, male 62.4
GTEX-1H1CY-2726-SM-9MQLR 60-69 years, female 62.4
GTEX-1C6WA-0326-SM-7DUGE 60-69 years, male 61.9
GTEX-12WSD-0526-SM-5EQ6F 60-69 years, female 61.4
GTEX-ZDTS-0526-SM-4WKH9 60-69 years, male 60.1
GTEX-14C39-2426-SM-5S2U5 40-49 years, male 59.9
GTEX-147GR-0126-SM-62LER 60-69 years, male 59.3
GTEX-ZYFC-0526-SM-5GIDF 50-59 years, male 59.2
GTEX-14BMV-0326-SM-5RQHW 50-59 years, male 58.6
GTEX-131XW-0326-SM-5KM1J 50-59 years, female 58.5
GTEX-1AX9I-0326-SM-73KXQ 60-69 years, male 58.4
GTEX-ZYFD-0326-SM-5NQ8I 50-59 years, male 58.4
GTEX-1F88F-2526-SM-7PC2R 60-69 years, female 58.0
GTEX-1MCQQ-0626-SM-E9U5Q 60-69 years, male 57.8
GTEX-117YW-2426-SM-5Q5AE 50-59 years, male 56.7
GTEX-1212Z-2626-SM-5YY8P 60-69 years, male 56.5
GTEX-1LB8K-0126-SM-EVYCN 50-59 years, male 55.9
GTEX-YJ8O-2826-SM-5CVM4 40-49 years, female 55.5
GTEX-145MI-0326-SM-5Q5EV 60-69 years, female 55.3
GTEX-13112-2626-SM-5BC66 50-59 years, male 53.7
GTEX-1IDJH-0226-SM-CYPSB 70-79 years, male 53.5
GTEX-1IY9M-0326-SM-ARZMN 60-69 years, male 53.1
GTEX-X5EB-2326-SM-46MW5 40-49 years, male 52.6
GTEX-1J8JJ-0126-SM-D3L93 60-69 years, female 52.6
GTEX-131XE-2726-SM-5P9G7 50-59 years, male 52.1
GTEX-15SHV-2526-SM-6PAMG 60-69 years, male 50.4
GTEX-1JN6P-0526-SM-COH33 60-69 years, male 50.4
GTEX-N7MS-0426-SM-2YUN6 60-69 years, male 49.7
GTEX-1HBPH-0826-SM-ARZNB 40-49 years, female 49.7
GTEX-12WSF-0926-SM-6PALU 70-79 years, male 48.9
GTEX-1117F-0426-SM-5EGHI 60-69 years, female 48.6
GTEX-11PRG-0326-SM-5GU53 50-59 years, male 48.1
GTEX-1B8SG-0326-SM-73KXW 50-59 years, male 48.0
GTEX-T5JC-0626-SM-3NMA6 20-29 years, male 47.4
GTEX-Y8DK-0326-SM-4TT3P 60-69 years, male 47.3
GTEX-1RQEC-0126-SM-E9J2H 60-69 years, male 46.6
GTEX-111VG-2626-SM-5GZY2 60-69 years, male 46.5
GTEX-139TU-0526-SM-5J2M8 60-69 years, male 46.3
GTEX-1PPGY-0426-SM-DTXFE 60-69 years, male 46.3
GTEX-1I1GR-0326-SM-CKZPI 60-69 years, male 46.0
GTEX-1QMI2-0526-SM-DTXFU 60-69 years, male 45.8
GTEX-15UF6-1026-SM-7KUF7 70-79 years, female 45.3
GTEX-148VJ-0326-SM-5QGQE 70-79 years, male 44.9
GTEX-17EVP-1326-SM-7DHMR 40-49 years, male 44.9
GTEX-1I1GQ-0326-SM-A9SKS 50-59 years, male 44.9
GTEX-1BAJH-0126-SM-7DHMF 70-79 years, male 44.5
GTEX-1JJEA-0126-SM-D3L8A 60-69 years, male 44.4
GTEX-1I6K7-0326-SM-B2LXO 40-49 years, male 44.2
GTEX-13FTZ-2226-SM-5LZXI 60-69 years, male 43.8
GTEX-13FHO-0726-SM-5IJDG 60-69 years, male 43.7
GTEX-UPJH-0526-SM-4IHK8 50-59 years, male 43.3
GTEX-11ZVC-2726-SM-5FQSZ 50-59 years, female 42.9
GTEX-11GSP-2726-SM-5A5LJ 60-69 years, female 42.7
GTEX-1IOXB-0326-SM-CL55M 50-59 years, male 42.7
GTEX-139UW-2626-SM-5K7W1 60-69 years, male 42.4
GTEX-X4XY-0626-SM-4E3IN 60-69 years, male 42.4
GTEX-XQ3S-0426-SM-4BOOA 20-29 years, male 42.3
GTEX-1H4P4-0626-SM-9YFKZ 50-59 years, male 42.2
GTEX-1LG7Y-0126-SM-E6CJ8 50-59 years, male 42.0
GTEX-11UD2-0326-SM-5EQLE 50-59 years, male 41.9
GTEX-1LNCM-1226-SM-E9U5C 50-59 years, female 41.8
GTEX-1RQED-0426-SM-E6CJP 60-69 years, male 41.7
GTEX-145MO-0726-SM-5NQB9 60-69 years, male 41.4
GTEX-WZTO-0826-SM-3NM8Q 40-49 years, male 40.7
GTEX-1KD5A-0726-SM-DIPEO 50-59 years, male 40.5
GTEX-131XH-2726-SM-5GCO2 50-59 years, male 40.4
GTEX-14ABY-0126-SM-62LDI 50-59 years, male 40.2
GTEX-1GN2E-0726-SM-9MQLU 60-69 years, male 39.8
GTEX-1I1GV-0126-SM-CL55G 60-69 years, male 39.8
GTEX-13SLX-0326-SM-5Q5E4 50-59 years, female 39.6
GTEX-1M4P7-0126-SM-DKPQF 60-69 years, male 39.4
GTEX-1GF9X-2126-SM-7PBXN 40-49 years, female 39.2
GTEX-1HT8W-0326-SM-CM2SG 30-39 years, male 39.2
GTEX-1B8SF-0426-SM-79OL4 60-69 years, male 39.1
GTEX-1B8L1-2726-SM-793AL 60-69 years, male 39.0
GTEX-1B933-0426-SM-7DHMC 50-59 years, female 39.0
GTEX-1EMGI-0326-SM-9MQM5 60-69 years, male 39.0
GTEX-1F7RK-0326-SM-7RHH7 20-29 years, female 38.8
GTEX-QEG4-0626-SM-2S1OY 30-39 years, male 38.6
GTEX-13N1W-0526-SM-5MR4I 70-79 years, male 38.2
GTEX-ZVTK-0626-SM-5GU6Y 20-29 years, male 38.0
GTEX-14BIL-0326-SM-5SI9Q 50-59 years, male 37.8
GTEX-1HCU6-0526-SM-A9SKU 60-69 years, female 37.8
GTEX-147JS-0526-SM-5TDD3 60-69 years, male 37.6
GTEX-1EH9U-0326-SM-7P8S2 60-69 years, male 37.2
GTEX-1O9I2-0526-SM-EYYXI 50-59 years, male 37.2
GTEX-1L5NE-2226-SM-CXZKS 50-59 years, male 37.1
GTEX-13G51-2726-SM-5LZZ9 60-69 years, male 37.0
GTEX-OHPK-1626-SM-2YUN3 50-59 years, female 37.0
GTEX-12WSC-0326-SM-5EQ5E 50-59 years, male 36.8
GTEX-11NV4-0326-SM-5HL58 60-69 years, male 36.7
GTEX-131YS-0526-SM-5EGKJ 60-69 years, female 36.1
GTEX-144GL-0326-SM-5QGOY 50-59 years, male 35.8
GTEX-146FH-0526-SM-5QGQ3 50-59 years, female 35.8
GTEX-1PIGE-0226-SM-E76OT 20-29 years, male 35.4
GTEX-YFC4-1026-SM-5RQJM 40-49 years, female 35.1
GTEX-145LS-0526-SM-5LU8Y 60-69 years, female 34.9
GTEX-11TUW-2526-SM-5EQKN 60-69 years, male 34.6
GTEX-13N11-2726-SM-5L3ER 50-59 years, female 34.6
GTEX-14PJM-0426-SM-5ZZVN 50-59 years, female 34.6
GTEX-YECK-0626-SM-4W1ZE 60-69 years, male 34.5
GTEX-1GPI6-0326-SM-9MQM6 60-69 years, male 34.5
GTEX-1EX96-1526-SM-7PBXK 50-59 years, male 34.4
GTEX-1F75W-0326-SM-7PC2Q 60-69 years, male 34.3
GTEX-1QP6S-0426-SM-DTXG4 40-49 years, male 34.3
GTEX-1R9PM-2226-SM-E8VOC 20-29 years, male 34.2
GTEX-11ZUS-1426-SM-5FQSP 30-39 years, male 34.0
GTEX-14E1K-2326-SM-664MP 50-59 years, male 33.9
GTEX-14E6D-0326-SM-62LDX 50-59 years, male 33.4
GTEX-13JVG-0126-SM-5L3D3 60-69 years, male 33.2
GTEX-16MT8-0326-SM-6PAM5 60-69 years, female 33.2
GTEX-T2IS-2626-SM-32QPP 20-29 years, female 33.1
GTEX-ZE9C-2326-SM-5J1NT 60-69 years, male 32.9
GTEX-17HGU-0626-SM-7939Y 50-59 years, male 32.8
GTEX-OOBK-1626-SM-2HMKG 40-49 years, male 32.8
GTEX-11DXY-2726-SM-5GID2 60-69 years, male 32.2
GTEX-1GPI7-0426-SM-7RHHP 20-29 years, male 32.2
GTEX-145MH-0326-SM-5LU8H 50-59 years, male 31.7
GTEX-1A3MX-0526-SM-718A9 60-69 years, male 31.7
GTEX-117XS-2526-SM-5H11G 60-69 years, male 31.4
GTEX-1GN1V-0326-SM-9WYTO 60-69 years, male 31.4
GTEX-1C6VR-2526-SM-7DHMT 60-69 years, male 31.3
GTEX-ZVE1-0526-SM-5NQ71 50-59 years, female 31.2
GTEX-RNOR-0526-SM-2TF4O 50-59 years, female 31.0
GTEX-1EN7A-0326-SM-7P8T1 40-49 years, male 31.0
GTEX-1313W-0526-SM-5P9FZ 50-59 years, female 30.9
GTEX-13OW7-0326-SM-5J1MP 50-59 years, male 30.9
GTEX-X4EO-0526-SM-3P5Z3 60-69 years, female 30.9
GTEX-1I6K6-0326-SM-CJI4A 30-39 years, male 30.9
GTEX-1JKYR-0326-SM-CNPOL 20-29 years, male 30.8
GTEX-1EWIQ-0626-SM-7PBYW 70-79 years, female 30.5
GTEX-1I1GP-2126-SM-CKZPJ 50-59 years, male 30.5
GTEX-13OVL-1426-SM-5IJC1 50-59 years, male 30.2
GTEX-17F97-0526-SM-7DUF8 50-59 years, male 30.0
GTEX-17MF6-2026-SM-7LG5I 40-49 years, male 30.0
GTEX-Y111-0326-SM-4SOIX 50-59 years, male 29.7
GTEX-11EMC-2626-SM-59864 60-69 years, female 29.3
GTEX-QXCU-1726-SM-2TC6L 50-59 years, male 29.3
GTEX-S7PM-0526-SM-3NM92 60-69 years, male 29.1
GTEX-11GSO-2526-SM-5PNVX 60-69 years, male 29.0
GTEX-1QEPI-0526-SM-E76QF 60-69 years, female 29.0
GTEX-TSE9-0526-SM-3DB7Z 60-69 years, female 28.9
GTEX-139TS-2626-SM-5J1MT 60-69 years, male 28.8
GTEX-ZPIC-2526-SM-57WDP 40-49 years, female 28.8
GTEX-1N2DW-0426-SM-E9TK4 50-59 years, male 28.8
GTEX-132NY-0726-SM-5KLZM 60-69 years, male 28.7
GTEX-1C6VQ-0326-SM-7DHMS 50-59 years, male 28.5
GTEX-ZVT4-0326-SM-51MS5 50-59 years, female 28.4
GTEX-12ZZY-0626-SM-5EQ5T 60-69 years, male 28.2
GTEX-17JCI-0326-SM-7LG5H 60-69 years, female 28.2
GTEX-1GF9W-0526-SM-9MQJP 60-69 years, male 28.2
GTEX-11NSD-2026-SM-5HL5U 20-29 years, male 28.1
GTEX-1AX9J-0126-SM-73KY2 60-69 years, male 27.8
GTEX-1F6I4-0326-SM-7P8T8 60-69 years, male 27.6
GTEX-ZYT6-1626-SM-5E45R 30-39 years, male 27.4
GTEX-1KD4Q-0326-SM-E9TJA 40-49 years, male 27.3
GTEX-1HBPI-0226-SM-ADEJ7 50-59 years, male 27.1
GTEX-1HGF4-2626-SM-CM2SJ 60-69 years, male 27.1
GTEX-1LSNL-0126-SM-EWRNR 50-59 years, male 27.1
GTEX-Y8E4-1026-SM-4VBQ5 40-49 years, male 26.9
GTEX-145ME-2026-SM-5SIA5 40-49 years, female 26.8
GTEX-15SHU-0626-SM-7KUFH 40-49 years, female 26.8
GTEX-QESD-1626-SM-2S1RB 20-29 years, male 26.8
GTEX-1H1DG-0326-SM-9QEHK 70-79 years, male 26.6
GTEX-14LLW-0526-SM-62LFB 70-79 years, female 26.5
GTEX-17HHY-0326-SM-7938H 50-59 years, male 26.5
GTEX-XUYS-0326-SM-47JX2 50-59 years, male 26.5
GTEX-SJXC-0526-SM-2XCFG 60-69 years, male 26.4
GTEX-11TT1-2326-SM-5GU6N 20-29 years, male 26.3
GTEX-12WSM-0326-SM-5LZVI 60-69 years, male 26.1
GTEX-13111-2226-SM-5LZUE 50-59 years, male 26.1
GTEX-ZDYS-1726-SM-5HL4Y 50-59 years, male 26.1
GTEX-XOT4-0526-SM-4B66O 60-69 years, female 25.7
GTEX-1S5VW-0526-SM-E6CHL 60-69 years, male 25.7
GTEX-111FC-0326-SM-5GZZ1 60-69 years, male 25.6
GTEX-1399T-2426-SM-5L3FJ 60-69 years, male 25.6
GTEX-11WQC-2626-SM-5CVLF 60-69 years, male 25.5
GTEX-WRHU-0826-SM-3MJFN 50-59 years, female 25.4
GTEX-1F75A-0626-SM-7PBYI 50-59 years, male 25.4
GTEX-1I1GU-2126-SM-CGQF9 40-49 years, male 25.4
GTEX-1ICLZ-0626-SM-ARL83 60-69 years, male 25.4
GTEX-145LU-2026-SM-5Q5E8 50-59 years, male 25.2
GTEX-15DDE-0526-SM-6ETZQ 50-59 years, female 25.1
GTEX-RU1J-1726-SM-2TF5S 20-29 years, female 25.0
GTEX-14PJO-0526-SM-6EU2O 60-69 years, male 24.9
GTEX-ZUA1-0326-SM-5NQA3 40-49 years, male 24.9
GTEX-13PL6-0326-SM-5IJCP 40-49 years, female 24.8
GTEX-12KS4-0826-SM-5BC5R 30-39 years, male 24.3
GTEX-1PIIG-0126-SM-E9J46 30-39 years, male 24.3
GTEX-18A6Q-0326-SM-718AT 60-69 years, male 24.2
GTEX-SIU8-0526-SM-2XCDP 50-59 years, male 24.0
GTEX-1445S-0626-SM-5LU3C 60-69 years, male 23.9
GTEX-16BQI-0326-SM-6PAM4 30-39 years, female 23.7
GTEX-1CB4G-0426-SM-7MXUN 60-69 years, male 23.7
GTEX-111CU-2026-SM-5GZZC 50-59 years, male 23.4
GTEX-11EM3-2126-SM-5H11M 20-29 years, female 23.3
GTEX-1IL2U-0726-SM-EAZ2Y 60-69 years, male 23.3
GTEX-ZQUD-1726-SM-7P8ON 30-39 years, male 23.2
GTEX-13O3O-0526-SM-5J1NL 60-69 years, female 23.1
GTEX-14E6E-2026-SM-664N5 30-39 years, male 23.1
GTEX-18A7A-0626-SM-718BJ 50-59 years, female 23.1
GTEX-1IKJJ-0326-SM-CL55L 60-69 years, male 23.1
GTEX-15EO6-2826-SM-6PANB 50-59 years, male 22.7
GTEX-WXYG-2526-SM-3NB3F 50-59 years, female 22.7
GTEX-14PJ5-2026-SM-6LLIN 60-69 years, female 22.6
GTEX-1KANB-0126-SM-E6CJT 50-59 years, male 22.5
GTEX-Y5V6-2626-SM-5IFIX 60-69 years, male 22.4
GTEX-16YQH-0426-SM-7KUL7 30-39 years, male 22.3
GTEX-ZYW4-0526-SM-5GZZ5 60-69 years, male 22.2
GTEX-14C5O-0626-SM-664N2 60-69 years, male 22.1
GTEX-1HSKV-0126-SM-E6CI1 60-69 years, male 22.1
GTEX-14AS3-2126-SM-5S2MK 40-49 years, female 22.0
GTEX-1EU9M-0126-SM-7P8P8 60-69 years, male 21.8
GTEX-14PJ2-0326-SM-6EU2Q 50-59 years, male 21.7
GTEX-14PJ3-2026-SM-5ZZVK 50-59 years, male 21.7
GTEX-U8XE-0726-SM-3DB8O 30-39 years, male 21.6
GTEX-1R46S-0326-SM-EWRNE 60-69 years, female 21.6
GTEX-1HFI6-0426-SM-B2LXB 40-49 years, male 21.5
GTEX-1KAFJ-2326-SM-D3L8Z 50-59 years, male 21.5
GTEX-XBEC-0626-SM-4QARY 50-59 years, male 21.3
GTEX-1269C-2626-SM-5EQ5C 60-69 years, female 21.2
GTEX-13OVJ-0226-SM-5L3GK 50-59 years, female 21.2
GTEX-13OW8-1426-SM-5IJDT 60-69 years, male 21.2
GTEX-Z9EW-1726-SM-5CVMO 40-49 years, male 21.1
GTEX-13FTY-0226-SM-5IJBW 40-49 years, female 21.0
GTEX-13OW5-0326-SM-5L3HK 60-69 years, male 21.0
GTEX-W5WG-1926-SM-4KKZK 50-59 years, female 21.0
GTEX-144GM-2026-SM-5LU3D 20-29 years, male 20.9
GTEX-WK11-2526-SM-3NM9Y 50-59 years, male 20.9
GTEX-1F75I-0526-SM-7RHI3 40-49 years, male 20.9
GTEX-1HSEH-0326-SM-A9G26 60-69 years, male 20.9
GTEX-14DAR-1826-SM-664N1 50-59 years, male 20.7
GTEX-RWSA-0726-SM-2XCBE 40-49 years, male 20.7
GTEX-SUCS-1626-SM-32PLS 70-79 years, male 20.7
GTEX-1CB4E-2126-SM-793AP 60-69 years, male 20.6
GTEX-ZAJG-0526-SM-5S2MT 50-59 years, female 20.6
GTEX-13JUV-2326-SM-5IJCE 40-49 years, female 20.5
GTEX-13O3P-0626-SM-5L3D5 50-59 years, male 20.5
GTEX-1399U-2526-SM-5L3DL 50-59 years, female 20.4
GTEX-11ZU8-2326-SM-5EQMJ 60-69 years, male 20.3
GTEX-12WSL-2726-SM-5CVNL 50-59 years, male 20.3
GTEX-XPVG-2526-SM-4B66D 50-59 years, male 20.3
GTEX-ZTX8-1626-SM-51MRY 20-29 years, male 20.3
GTEX-15RIE-2426-SM-7KUDS 60-69 years, male 20.2
GTEX-11P81-2526-SM-5GU6H 30-39 years, female 20.1
GTEX-OXRP-2326-SM-2S1NL 60-69 years, female 20.1
GTEX-18A67-0326-SM-7LG5X 50-59 years, male 20.0
GTEX-ZPCL-2026-SM-57WFD 60-69 years, female 20.0
GTEX-Z93S-1326-SM-5CVMR 50-59 years, male 19.9
GTEX-QEG5-0426-SM-2I5GJ 20-29 years, male 19.8
GTEX-T6MN-0526-SM-32PMS 50-59 years, male 19.8
GTEX-ZAK1-0526-SM-5K7X4 50-59 years, female 19.8
GTEX-1CAMQ-0326-SM-7MXUI 40-49 years, male 19.8
GTEX-1H1DE-1726-SM-A9G3G 20-29 years, male 19.8
GTEX-TMZS-0326-SM-3DB9P 60-69 years, male 19.7
GTEX-1HSMO-0526-SM-ACKXB 60-69 years, male 19.7
GTEX-TKQ2-0826-SM-33HB6 50-59 years, male 19.6
GTEX-11H98-0326-SM-5HL4S 50-59 years, male 19.5
GTEX-13N2G-2326-SM-5J1ON 60-69 years, male 19.5
GTEX-VUSG-2626-SM-4KKZI 50-59 years, male 19.5
GTEX-11LCK-1226-SM-5Q5AM 30-39 years, male 19.4
GTEX-1QP2A-0526-SM-E8VN5 50-59 years, male 19.4
GTEX-145MG-0226-SM-5TDDB 50-59 years, male 19.3
GTEX-11DXW-0726-SM-5H12J 40-49 years, male 19.1
GTEX-17HII-0426-SM-793A3 50-59 years, male 19.0
GTEX-1B8KE-2226-SM-7939K 50-59 years, male 19.0
GTEX-XAJ8-1026-SM-47JY9 40-49 years, male 19.0
GTEX-ZTPG-0126-SM-5O9AL 20-29 years, female 19.0
GTEX-XBED-2626-SM-4E3J5 60-69 years, male 18.8
GTEX-13FHP-0526-SM-5K7UY 50-59 years, male 18.4
GTEX-OXRN-1326-SM-3LK5V 50-59 years, male 18.3
GTEX-YEC4-2226-SM-5IFJT 40-49 years, male 18.1
GTEX-13NZA-0526-SM-5L3D7 60-69 years, male 18.0
GTEX-16XZZ-0526-SM-7KUF1 60-69 years, male 18.0
GTEX-Y114-2526-SM-4TT8M 50-59 years, female 18.0
GTEX-ZV68-0526-SM-59HKI 50-59 years, female 18.0
GTEX-1LVA9-0326-SM-DLHBU 50-59 years, male 18.0
GTEX-1QAET-2026-SM-E9J3S 50-59 years, male 18.0
GTEX-111YS-2326-SM-5987L 60-69 years, male 17.9
GTEX-OHPL-1626-SM-2HMIR 60-69 years, female 17.9
GTEX-ZXG5-0326-SM-5GICH 60-69 years, male 17.8
GTEX-ZYY3-0526-SM-5E45G 60-69 years, female 17.8
GTEX-13PVR-2526-SM-5RQIT 60-69 years, female 17.7
GTEX-RWS6-2126-SM-2XCAV 60-69 years, female 17.7
GTEX-1S82P-0326-SM-E9TIR 60-69 years, female 17.7
GTEX-Y3IK-2626-SM-4WWDK 50-59 years, female 17.6
GTEX-1F5PL-0426-SM-7P8PR 40-49 years, female 17.6
GTEX-131XG-2326-SM-5HL8F 50-59 years, female 17.5
GTEX-13RTK-1626-SM-5QGQS 20-29 years, male 17.5
GTEX-1JN1M-0526-SM-CJI3D 60-69 years, female 17.5
GTEX-139TT-0426-SM-5IJFA 60-69 years, male 17.4
GTEX-Y3I4-2326-SM-4TT81 50-59 years, male 17.3
GTEX-11EQ8-0526-SM-5N9BC 60-69 years, male 17.2
GTEX-15SKB-2526-SM-6PALP 60-69 years, male 17.2
GTEX-16Z82-0126-SM-7DHLF 60-69 years, male 17.2
GTEX-1JMQK-0326-SM-ARZN5 60-69 years, male 17.2
GTEX-13PLJ-0326-SM-5L3I7 60-69 years, female 17.1
GTEX-WHSB-1826-SM-3TW8M 50-59 years, male 17.1
GTEX-WYVS-2326-SM-3NMAI 40-49 years, female 17.1
GTEX-1HCU9-1926-SM-9WYSE 20-29 years, male 17.1
GTEX-1OFPY-2526-SM-DTXEK 60-69 years, male 17.1
GTEX-18QFQ-0326-SM-731C3 30-39 years, male 16.9
GTEX-Y5LM-2126-SM-4VDSY 40-49 years, female 16.9
GTEX-13O1R-0526-SM-5K7XU 60-69 years, male 16.8
GTEX-145MN-2426-SM-5NQA5 30-39 years, male 16.8
GTEX-QVUS-0226-SM-3GIJY 60-69 years, female 16.8
GTEX-1J8Q2-0126-SM-E9J2G 60-69 years, male 16.8
GTEX-1MUQO-0226-SM-E9TJL 60-69 years, male 16.8
GTEX-1H3O1-0626-SM-9MQM4 60-69 years, male 16.6
GTEX-1RB15-2226-SM-DTXFZ 60-69 years, male 16.6
GTEX-12696-2826-SM-5FQTY 60-69 years, male 16.5
GTEX-14JIY-0426-SM-62LF7 60-69 years, male 16.5
GTEX-WHSE-0526-SM-5GZZD 20-29 years, male 16.5
GTEX-S33H-2226-SM-DKPOP 30-39 years, male 16.4
GTEX-11UD1-0326-SM-5EQKX 40-49 years, female 16.3
GTEX-15SB6-1826-SM-6PALN 50-59 years, female 16.3
GTEX-X8HC-0526-SM-4E3JA 50-59 years, female 16.3
GTEX-13VXU-0326-SM-5LU36 50-59 years, male 16.2
GTEX-1I1GS-0326-SM-ARL7X 60-69 years, male 16.2
GTEX-13NZB-2626-SM-5J2M7 30-39 years, male 16.1
GTEX-1B996-0326-SM-7DHMU 60-69 years, male 16.1
GTEX-ZAB4-0426-SM-5HL7N 40-49 years, male 16.1
GTEX-OIZF-1626-SM-2YUNE 60-69 years, male 16.1
GTEX-ZLWG-2126-SM-DO91M 50-59 years, female 16.1
GTEX-13O3Q-2726-SM-5KM51 50-59 years, male 16.0
GTEX-13QIC-1226-SM-5K7YR 60-69 years, female 16.0
GTEX-16GPK-0526-SM-7KUER 60-69 years, male 16.0
GTEX-ZAB5-2126-SM-5K7UN 50-59 years, male 16.0
GTEX-12WSH-2526-SM-5CVNH 50-59 years, male 15.9
GTEX-14C38-0426-SM-5TDDZ 50-59 years, male 15.9
GTEX-17EVQ-1226-SM-7LG59 70-79 years, male 15.8
GTEX-1AMEY-1526-SM-73KYW 30-39 years, female 15.8
GTEX-1H11D-0326-SM-9WG71 40-49 years, male 15.8
GTEX-1HSMQ-1326-SM-ADEHS 50-59 years, male 15.8
GTEX-18465-0326-SM-7LTAD 50-59 years, male 15.7
GTEX-ZF29-2426-SM-DO92G 60-69 years, female 15.7
GTEX-1IDJD-1326-SM-CM2TQ 30-39 years, male 15.5
GTEX-1LVAM-0326-SM-DIPFL 50-59 years, female 15.5
GTEX-12WSN-2526-SM-5LZU8 40-49 years, male 15.4
GTEX-1E1VI-0426-SM-7DHN1 50-59 years, male 15.4
GTEX-1LH75-2626-SM-E9TKL 50-59 years, female 15.4
GTEX-1GF9U-2326-SM-7RHH9 40-49 years, female 15.3
GTEX-1192X-0426-SM-5GIEE 50-59 years, male 15.2
GTEX-18D9U-0626-SM-7LTA4 40-49 years, male 15.2
GTEX-U8T8-1426-SM-3DB9H 60-69 years, male 15.2
GTEX-PWCY-2026-SM-5SI8R 20-29 years, female 15.0
GTEX-U4B1-1626-SM-3DB8N 40-49 years, male 15.0
GTEX-13CF2-2726-SM-5LZWW 60-69 years, male 14.9
GTEX-Y8LW-2026-SM-4V6G8 50-59 years, female 14.9
GTEX-1GMRU-0326-SM-9WYT6 50-59 years, male 14.9
GTEX-13FH7-2126-SM-5L3DJ 50-59 years, female 14.8
GTEX-14PK6-2126-SM-6ETZV 70-79 years, female 14.8
GTEX-PX3G-1626-SM-2S1PT 20-29 years, female 14.7
GTEX-1CAV2-2426-SM-7P8QF 40-49 years, female 14.7
GTEX-1QW4Y-1726-SM-EWRN1 30-39 years, male 14.7
GTEX-11ONC-2426-SM-5GU7H 60-69 years, male 14.6
GTEX-1I19N-2026-SM-ACKXJ 70-79 years, male 14.6
GTEX-1PPH7-2526-SM-E76OJ 40-49 years, male 14.6
GTEX-11DXZ-2426-SM-5N9DT 50-59 years, male 14.5
GTEX-14PJN-2126-SM-6AJBM 30-39 years, male 14.5
GTEX-1IDJU-2426-SM-ARZM9 60-69 years, female 14.5
GTEX-1S82U-1426-SM-E6CJL 30-39 years, female 14.5
GTEX-ZA64-2026-SM-5PNXT 20-29 years, male 14.4
GTEX-1E2YA-0526-SM-7P8RY 50-59 years, male 14.4
GTEX-OIZI-0626-SM-2XCEH 40-49 years, male 14.2
GTEX-RN64-0326-SM-2TC5J 50-59 years, male 14.2
GTEX-RU72-1326-SM-2TF6T 50-59 years, female 14.2
GTEX-WWYW-0526-SM-3NB2W 50-59 years, female 14.2
GTEX-13FTW-2326-SM-5K7YS 40-49 years, male 14.1
GTEX-13X6J-0326-SM-7EPGD 50-59 years, male 14.1
GTEX-1AX8Z-5004-SM-ARZLD 60-69 years, male 14.1
GTEX-1LGOU-2126-SM-DIPFG 20-29 years, female 14.1
GTEX-R53T-1826-SM-3GIJX 50-59 years, female 14.0
GTEX-SNOS-1526-SM-32PLW 40-49 years, male 14.0
GTEX-ZVP2-2126-SM-5GU6E 50-59 years, male 14.0
GTEX-12126-0526-SM-5PNW4 20-29 years, male 13.9
GTEX-139YR-2526-SM-5IJC6 50-59 years, male 13.9
GTEX-O5YT-1626-SM-32PK6 20-29 years, male 13.9
GTEX-15ER7-0226-SM-7KUEU 20-29 years, female 13.8
GTEX-15RJ7-2426-SM-6M48L 40-49 years, male 13.8
GTEX-11I78-2426-SM-5A5K9 50-59 years, female 13.7
GTEX-1K9T9-0326-SM-EWRNQ 50-59 years, female 13.7
GTEX-15D79-0526-SM-6ETZP 50-59 years, male 13.5
GTEX-17EUY-0626-SM-793BE 20-29 years, male 13.5
GTEX-REY6-0826-SM-2TF4S 60-69 years, male 13.5
GTEX-S95S-1426-SM-2XCDM 60-69 years, male 13.5
GTEX-VJWN-0426-SM-3GIJI 50-59 years, female 13.5
GTEX-X261-0326-SM-3NMD4 50-59 years, male 13.5
GTEX-1PDJ9-0526-SM-DTXDL 20-29 years, male 13.5
GTEX-1QP9N-1926-SM-E6CPY 30-39 years, male 13.5
GTEX-14H4A-0926-SM-5ZZUU 40-49 years, female 13.4
GTEX-OXRK-1826-SM-2HMJE 50-59 years, female 13.4
GTEX-1H23P-0526-SM-9WG6S 60-69 years, male 13.4
GTEX-1IKK5-0426-SM-CL53X 60-69 years, male 13.4
GTEX-13FXS-0326-SM-5K7TV 50-59 years, male 13.3
GTEX-1HFI7-1926-SM-A96TQ 50-59 years, female 13.3
GTEX-Y9LG-1926-SM-5IFHY 30-39 years, male 13.2
GTEX-13RTL-0326-SM-7LT89 40-49 years, male 13.1
GTEX-U3ZM-1226-SM-3DB9G 40-49 years, male 13.1
GTEX-ZQG8-1226-SM-51MRX 60-69 years, female 13.1
GTEX-XGQ4-2326-SM-4AT53 50-59 years, male 13.0
GTEX-13CF3-1826-SM-5J1NK 60-69 years, female 12.9
GTEX-OXRL-1626-SM-2YUMU 50-59 years, male 12.9
GTEX-13OVH-0626-SM-5L3EI 70-79 years, male 12.8
GTEX-R55C-1726-SM-3GADJ 40-49 years, male 12.8
GTEX-ZZPU-2626-SM-5E45Y 50-59 years, female 12.8
GTEX-1GF9V-0126-SM-9WYT2 60-69 years, male 12.8
GTEX-1HUB1-0526-SM-CL54N 60-69 years, male 12.8
GTEX-R3RS-0526-SM-3GADG 40-49 years, female 12.7
GTEX-13PDP-0326-SM-5K7XP 60-69 years, male 12.6
GTEX-147F4-0326-SM-5TDCK 50-59 years, male 12.6
GTEX-15RIF-2126-SM-7KUM8 20-29 years, male 12.6
GTEX-NFK9-0626-SM-2HMIV 40-49 years, male 12.6
GTEX-TKQ1-1426-SM-4GICK 30-39 years, male 12.6
GTEX-1HR9M-0326-SM-CL549 60-69 years, male 12.6
GTEX-14PII-0626-SM-69LPY 60-69 years, male 12.5
GTEX-1A32A-0526-SM-731B9 50-59 years, female 12.5
GTEX-QEL4-0626-SM-3GIJM 50-59 years, male 12.5
GTEX-WFON-2326-SM-3LK7M 40-49 years, male 12.5
GTEX-1JKYN-1826-SM-ARZMZ 30-39 years, male 12.5
GTEX-1JMQJ-0126-SM-E6CI2 50-59 years, male 12.5
GTEX-1JN76-0326-SM-ARZNJ 20-29 years, female 12.5
GTEX-WRHK-1626-SM-3MJFH 20-29 years, female 12.4
GTEX-1HCUA-2326-SM-ACKVJ 50-59 years, female 12.4
GTEX-1339X-2426-SM-5KLYU 40-49 years, male 12.3
GTEX-YB5E-2226-SM-5IFJ5 40-49 years, male 12.3
GTEX-1JMPY-1226-SM-CJI3A 30-39 years, male 12.3
GTEX-RUSQ-1726-SM-2TF68 50-59 years, male 12.2
GTEX-UJMC-1826-SM-3GADT 50-59 years, male 12.2
GTEX-11XUK-2226-SM-5CVLL 40-49 years, female 12.1
GTEX-14E6C-1526-SM-664ND 40-49 years, male 12.1
GTEX-POMQ-1926-SM-3NB1Y 20-29 years, female 12.1
GTEX-12WSG-5016-SM-7SB84 50-59 years, female 12.1
GTEX-1H1E6-2126-SM-9KNVM 30-39 years, male 12.1
GTEX-1MJK3-1426-SM-E9TK1 20-29 years, male 12.1
GTEX-YB5K-2326-SM-5IFHD 40-49 years, female 12.0
GTEX-YF7O-2526-SM-5IFJX 50-59 years, male 12.0
GTEX-169BO-1526-SM-9KNVR 50-59 years, male 12.0
GTEX-ZE7O-0326-SM-51MTH 50-59 years, female 11.9
GTEX-ZF3C-0326-SM-4WWBF 50-59 years, female 11.9
GTEX-1IKOH-0126-SM-COH4D 60-69 years, female 11.9
GTEX-1PIEJ-0326-SM-EVYB5 20-29 years, female 11.9
GTEX-15DCD-0626-SM-7KUG7 70-79 years, female 11.8
GTEX-1S83E-2126-SM-EWRO6 40-49 years, male 11.8
GTEX-RTLS-0526-SM-2TF64 60-69 years, female 11.7
GTEX-113JC-2726-SM-5EGIS 50-59 years, female 11.6
GTEX-S32W-2326-SM-2XCAW 50-59 years, female 11.6
GTEX-14A5H-0326-SM-5RQIB 60-69 years, male 11.5
GTEX-16NPX-0626-SM-7KULB 50-59 years, male 11.4
GTEX-ZF2S-2126-SM-4WWAY 50-59 years, female 11.3
GTEX-1PPH8-0326-SM-E76PR 20-29 years, male 11.3
GTEX-1R9PN-1826-SM-E8VO4 40-49 years, female 11.3
GTEX-ZP4G-2026-SM-57WEH 20-29 years, female 11.2
GTEX-13X6H-2326-SM-7EWEB 50-59 years, female 11.1
GTEX-147F3-0226-SM-5NQBV 50-59 years, female 11.0
GTEX-1K2DU-2526-SM-D3L8V 20-29 years, male 11.0
GTEX-1NUQO-0726-SM-E9J3K 20-29 years, female 11.0
GTEX-14BIM-0326-SM-5SI9B 60-69 years, female 10.9
GTEX-1LBAC-0326-SM-DIPF1 20-29 years, male 10.9
GTEX-WEY5-2026-SM-CYPRC 40-49 years, female 10.9
GTEX-1F6IF-0226-SM-7PBZ6 60-69 years, male 10.8
GTEX-1QCLY-0426-SM-E8VOH 30-39 years, male 10.8
GTEX-13O61-2326-SM-5J1NJ 60-69 years, male 10.7
GTEX-13QJ3-0726-SM-5SI68 50-59 years, male 10.7
GTEX-1A8FM-0526-SM-7P8SF 50-59 years, female 10.7
GTEX-1GMR2-2126-SM-7P8TX 50-59 years, male 10.7
GTEX-1R9K4-0626-SM-E76OZ 60-69 years, male 10.7
GTEX-1RAZQ-0426-SM-DTXFQ 30-39 years, male 10.7
GTEX-11OC5-0326-SM-5PNW5 60-69 years, male 10.6
GTEX-13W46-0726-SM-5LU3Z 50-59 years, male 10.6
GTEX-14DAQ-0326-SM-664MR 60-69 years, female 10.6
GTEX-ZDXO-0326-SM-4WKHJ 60-69 years, male 10.5
GTEX-1GN1W-0726-SM-9KNTV 50-59 years, female 10.5
GTEX-15CHC-2426-SM-6EU22 60-69 years, female 10.4
GTEX-UTHO-0726-SM-3GAEN 60-69 years, male 10.3
GTEX-1FIGZ-1726-SM-9MQKS 40-49 years, male 10.3
GTEX-15G19-0526-SM-6PAMT 60-69 years, male 10.2
GTEX-OIZH-1626-SM-2HMKI 50-59 years, male 10.2
GTEX-U3ZG-0326-SM-47JXN 50-59 years, male 10.2
GTEX-WYJK-1726-SM-3NM9U 50-59 years, male 10.2
GTEX-QV31-1426-SM-2S1QD 30-39 years, male 10.0
GTEX-1JMQL-0126-SM-CY8HN 50-59 years, female 10.0
GTEX-1128S-2426-SM-5H11B 60-69 years, female 9.9
GTEX-13W3W-2626-SM-5SIA2 60-69 years, female 9.9
GTEX-144GO-1326-SM-5Q5EL 60-69 years, male 9.9
GTEX-146FR-1726-SM-5Q5DT 60-69 years, female 9.9
GTEX-1CAMS-0126-SM-79396 40-49 years, female 9.9
GTEX-Q2AI-1526-SM-3GIJ3 40-49 years, male 9.9
GTEX-1H3NZ-0326-SM-9MQL6 60-69 years, male 9.9
GTEX-17F9E-0226-SM-79OKK 50-59 years, male 9.8
GTEX-ZV6S-2126-SM-4YCEM 40-49 years, female 9.8
GTEX-1HSGN-0326-SM-ACKXQ 40-49 years, female 9.8
GTEX-1CB4I-0326-SM-7DHMM 50-59 years, male 9.7
GTEX-1LG7Z-2126-SM-CXKYU 30-39 years, male 9.7
GTEX-YEC3-2126-SM-4YCDB 50-59 years, male 9.6
GTEX-1CB4F-0326-SM-9MQKD 60-69 years, male 9.6
GTEX-11ZTS-0526-SM-5CVL9 60-69 years, female 9.4
GTEX-ZVZO-0326-SM-5HL4N 40-49 years, male 9.4
GTEX-1I1HK-0326-SM-ACKW5 60-69 years, male 9.4
GTEX-1J1R8-2326-SM-CKZPS 40-49 years, male 9.4
GTEX-144GN-2426-SM-5LU4R 50-59 years, male 9.3
GTEX-QLQ7-1726-SM-2S1QQ 60-69 years, male 9.3
GTEX-WHPG-2226-SM-3NMBO 50-59 years, male 9.3
GTEX-P44G-0526-SM-2XCD1 30-39 years, male 9.1
GTEX-1IDJC-2026-SM-ADEIK 50-59 years, male 9.1
GTEX-1QCLZ-0326-SM-DTXG2 60-69 years, female 9.1
GTEX-1314G-1726-SM-5LZUX 30-39 years, male 9.0
GTEX-1RAZA-0526-SM-E76R2 20-29 years, male 9.0
GTEX-RM2N-1626-SM-2TF5N 50-59 years, male 8.9
GTEX-TMMY-0426-SM-33HBB 40-49 years, female 8.9
GTEX-XUW1-0826-SM-4BOP6 50-59 years, female 8.9
GTEX-1QP28-0526-SM-E8VNR 50-59 years, female 8.9
GTEX-12WSJ-1726-SM-5LZVV 40-49 years, female 8.7
GTEX-13OVG-2126-SM-5KM1K 60-69 years, male 8.7
GTEX-13S7M-0326-SM-5S2PH 60-69 years, female 8.7
GTEX-P4QT-1626-SM-DHXIR 50-59 years, female 8.7
GTEX-PLZ4-0926-SM-2S1OI 50-59 years, female 8.6
GTEX-YFCO-1926-SM-4W212 40-49 years, male 8.6
GTEX-1RAZR-0326-SM-EWRNM 40-49 years, male 8.5
GTEX-11DXX-2726-SM-5PNXO 60-69 years, female 8.4
GTEX-1A8G6-0126-SM-7DUFY 60-69 years, male 8.4
GTEX-13OVI-1726-SM-5L3DW 60-69 years, female 8.3
GTEX-TML8-1826-SM-32QOR 40-49 years, female 8.3
GTEX-UJHI-1726-SM-3DB9B 50-59 years, female 8.3
GTEX-WWTW-0626-SM-4MVNS 50-59 years, male 8.3
GTEX-1HCU7-0426-SM-D3L8Q 50-59 years, male 8.3
GTEX-13D11-2526-SM-5KM28 50-59 years, female 8.2
GTEX-ZZ64-1526-SM-5E43K 20-29 years, male 8.2
GTEX-1GN1U-2226-SM-9MQK1 50-59 years, female 8.2
GTEX-14PJ4-2426-SM-6EU1U 60-69 years, male 8.1
GTEX-XPT6-2026-SM-4B64V 20-29 years, male 8.1
GTEX-XQ8I-0626-SM-4BOPT 50-59 years, male 8.1
GTEX-1MCC2-2726-SM-EWRN3 30-39 years, female 8.1
GTEX-1B97I-2026-SM-7DHN2 40-49 years, male 8.0
GTEX-1I4MK-2326-SM-ADEHR 50-59 years, female 8.0
GTEX-1MA7W-1826-SM-DIPFP 20-29 years, female 8.0
GTEX-11OF3-2526-SM-5P9JL 60-69 years, male 7.9
GTEX-16MTA-2026-SM-7KUL3 50-59 years, male 7.9
GTEX-R55E-0526-SM-2TC6B 20-29 years, male 7.9
GTEX-Y5V5-2526-SM-4VBQ4 60-69 years, female 7.9
GTEX-1C6VS-0126-SM-7PC2H 60-69 years, male 7.9
GTEX-1HCVE-0326-SM-CGQEW 50-59 years, male 7.9
GTEX-1LC47-0626-SM-DIPFE 60-69 years, male 7.9
GTEX-QCQG-2126-SM-DTXFV 50-59 years, female 7.9
GTEX-ZGAY-0726-SM-DO91O 40-49 years, female 7.9
GTEX-1477Z-1626-SM-5SIA8 60-69 years, male 7.8
GTEX-16AAH-1826-SM-7939D 50-59 years, male 7.8
GTEX-17HG3-2726-SM-7DHL5 30-39 years, female 7.8
GTEX-1B8KZ-2126-SM-73KYG 50-59 years, male 7.8
GTEX-1ICLY-0326-SM-ARL7S 50-59 years, male 7.8
GTEX-133LE-2026-SM-5K7WM 20-29 years, female 7.7
GTEX-1IDFM-1526-SM-ARL7U 60-69 years, male 7.7
GTEX-PLZ6-1526-SM-2S1OC 30-39 years, male 7.6
GTEX-XBEW-1026-SM-4QARV 40-49 years, male 7.6
GTEX-XYKS-2426-SM-4AT43 60-69 years, female 7.6
GTEX-1HB9E-0326-SM-D3LA5 50-59 years, male 7.6
GTEX-18A7B-0326-SM-7LG65 70-79 years, male 7.5
GTEX-O5YV-2026-SM-2D7VS 60-69 years, female 7.5
GTEX-OOBJ-1626-SM-2I3F7 60-69 years, male 7.5
GTEX-1F75B-0526-SM-7P8T5 50-59 years, male 7.5
GTEX-Q2AH-1826-SM-2S1Q2 40-49 years, male 7.4
GTEX-1GMR8-0326-SM-9KNUO 50-59 years, female 7.4
GTEX-1GZ4H-1626-SM-7PC3F 50-59 years, female 7.4
GTEX-1JMPZ-0126-SM-CNPOZ 30-39 years, male 7.4
GTEX-14PQA-0526-SM-7KUFS 50-59 years, female 7.3
GTEX-17HHE-2126-SM-7DHLO 50-59 years, male 7.3
GTEX-ZVT3-0526-SM-5GIE9 60-69 years, female 7.3
GTEX-1HC8U-2626-SM-CNPPH 40-49 years, female 7.1
GTEX-13O21-1726-SM-5MR5A 50-59 years, male 7.0
GTEX-1A3MW-0526-SM-731BY 60-69 years, female 7.0
GTEX-139T8-0526-SM-5KLZL 60-69 years, male 6.9
GTEX-13X6K-0326-SM-5Q5D6 60-69 years, female 6.9
GTEX-14PN4-0326-SM-6EU2N 50-59 years, male 6.8
GTEX-1F52S-0826-SM-7P8TQ 60-69 years, female 6.8
GTEX-1JK1U-2226-SM-CNNPL 60-69 years, male 6.8
GTEX-14ASI-0526-SM-5QGQP 60-69 years, male 6.6
GTEX-18D9A-1826-SM-718BK 30-39 years, female 6.6
GTEX-1C2JI-2126-SM-793CG 50-59 years, male 6.5
GTEX-P4QS-1626-SM-2S1NH 60-69 years, male 6.5
GTEX-1C64N-0326-SM-7P8QC 50-59 years, male 6.5
GTEX-1HBPN-0526-SM-A9SM6 50-59 years, male 6.5
GTEX-1J8Q3-1426-SM-CKZPU 60-69 years, male 6.5
GTEX-13VXT-0326-SM-5LU4U 20-29 years, female 6.4
GTEX-XUZC-2126-SM-4BRW8 30-39 years, female 6.4
GTEX-1211K-2126-SM-59HJZ 60-69 years, female 6.3
GTEX-13RTJ-2726-SM-73KVG 60-69 years, male 6.3
GTEX-16XZY-2226-SM-7938N 70-79 years, male 6.3
GTEX-13PL7-0626-SM-5IJCD 60-69 years, female 6.2
GTEX-OIZG-1326-SM-2HMIQ 50-59 years, male 6.2
GTEX-P44H-0426-SM-2XCEZ 40-49 years, male 6.2
GTEX-PSDG-0426-SM-5SI86 50-59 years, male 6.2
GTEX-Q2AG-0426-SM-2S1PU 40-49 years, female 6.2
GTEX-1IE54-0326-SM-ARZMD 40-49 years, female 6.2
GTEX-1R7EU-0626-SM-DTX9N 60-69 years, male 6.2
GTEX-14PJ6-2326-SM-6ETZR 60-69 years, female 6.1
GTEX-18A66-0126-SM-731CQ 60-69 years, male 6.0
GTEX-ZV7C-2426-SM-5NQ7Q 50-59 years, male 6.0
GTEX-ZVT2-2426-SM-57WCQ 50-59 years, female 6.0
GTEX-1QP67-1826-SM-DTX8D 40-49 years, female 6.0
GTEX-11EQ9-2126-SM-5PNVW 30-39 years, male 5.9
GTEX-1A3MV-2026-SM-718BU 30-39 years, male 5.9
GTEX-QDT8-0526-SM-3NMD8 30-39 years, female 5.9
GTEX-T8EM-1326-SM-3DB7G 40-49 years, male 5.9
GTEX-11ZTT-2626-SM-5EQKK 60-69 years, female 5.8
GTEX-131XF-2326-SM-5BC6B 60-69 years, male 5.8
GTEX-132AR-1026-SM-5PNVL 50-59 years, female 5.8
GTEX-14BMU-2026-SM-5S2W6 20-29 years, female 5.8
GTEX-15F5U-1826-SM-6LLJF 40-49 years, male 5.8
GTEX-1I1GT-0726-SM-B2LWN 60-69 years, female 5.8
GTEX-11P7K-1926-SM-5GU6R 30-39 years, male 5.7
GTEX-17F98-1626-SM-7938R 40-49 years, female 5.7
GTEX-WFG8-2426-SM-3GILL 20-29 years, male 5.7
GTEX-1CB4H-0426-SM-7MXTL 60-69 years, female 5.7
GTEX-1KXAM-2426-SM-DIPFC 60-69 years, male 5.7
GTEX-1PBJJ-0326-SM-E8VNT 30-39 years, male 5.7
GTEX-1S82Y-2226-SM-EWRNV 40-49 years, male 5.7
GTEX-ZLFU-2526-SM-DO91K 40-49 years, male 5.7
GTEX-15ETS-0326-SM-6PANH 40-49 years, female 5.6
GTEX-ZC5H-0326-SM-5HL9F 40-49 years, female 5.6
GTEX-12C56-1926-SM-5FQUG 20-29 years, male 5.5
GTEX-139D8-0726-SM-5P9GJ 30-39 years, female 5.5
GTEX-1AX9K-2726-SM-7DHMA 50-59 years, male 5.5
GTEX-1K2DA-2226-SM-CGQGM 50-59 years, male 5.5
GTEX-1KANC-1626-SM-E6CIA 50-59 years, female 5.5
GTEX-ZEX8-2526-SM-DO92M 50-59 years, male 5.5
GTEX-12584-0526-SM-5FQTS 40-49 years, male 5.4
GTEX-17KNJ-2426-SM-7DHLR 50-59 years, male 5.4
GTEX-QDVJ-1926-SM-2S1PJ 50-59 years, male 5.4
GTEX-SN8G-0326-SM-32PLG 50-59 years, female 5.4
GTEX-1HSMP-0326-SM-A9SMC 70-79 years, male 5.4
GTEX-1ICG6-2726-SM-CKZPN 70-79 years, female 5.4
GTEX-13113-5019-SM-7EPH2 60-69 years, female 5.3
GTEX-14LZ3-0626-SM-5ZZWP 60-69 years, female 5.3
GTEX-183FY-0226-SM-7LG54 20-29 years, male 5.3
GTEX-P78B-1626-SM-5SI85 40-49 years, female 5.3
GTEX-1NHNU-1226-SM-DTX8I 50-59 years, male 5.3
GTEX-1R9PO-2426-SM-EVYBS 60-69 years, female 5.3
GTEX-17F96-2726-SM-7LT9F 70-79 years, male 5.2
GTEX-18D9B-0426-SM-7LTAR 60-69 years, male 5.2
GTEX-1C4CL-0326-SM-7DHMH 30-39 years, male 5.2
GTEX-PWN1-1626-SM-2S1OL 40-49 years, female 5.2
GTEX-WOFM-1326-SM-3MJFR 20-29 years, male 5.2
GTEX-WY7C-2526-SM-3NB2N 50-59 years, male 5.2
GTEX-1LSNM-2326-SM-EWRO8 50-59 years, male 5.2
GTEX-1LVAN-0526-SM-CNNQ1 50-59 years, female 5.2
GTEX-14753-0526-SM-5QGPR 60-69 years, male 5.1
GTEX-Y8E5-0326-SM-57WBM 60-69 years, male 5.1
GTEX-11P82-1826-SM-5PNYJ 20-29 years, male 5.0
GTEX-12ZZZ-0226-SM-59HKU 60-69 years, male 5.0
GTEX-SNMC-1426-SM-2XCFM 20-29 years, male 5.0
GTEX-ZLV1-2126-SM-4WWD2 60-69 years, female 5.0
GTEX-11TTK-0326-SM-5BC5N 60-69 years, female 4.9
GTEX-145LT-1626-SM-5O992 40-49 years, male 4.9
GTEX-146FQ-0326-SM-5NQAX 30-39 years, male 4.9
GTEX-1497J-2626-SM-5SI9K 60-69 years, male 4.9
GTEX-15CHQ-0726-SM-6EU18 60-69 years, male 4.9
GTEX-SE5C-1826-SM-2XCE4 40-49 years, female 4.9
GTEX-1JJ6O-0926-SM-CYPT1 60-69 years, male 4.9
GTEX-1S5ZA-0526-SM-EWRO1 20-29 years, male 4.9
GTEX-14JG6-2126-SM-6EU2F 30-39 years, female 4.8
GTEX-P4PQ-1626-SM-2HMKK 60-69 years, male 4.8
GTEX-1GZ4I-0526-SM-9YFLX 50-59 years, male 4.8
GTEX-1IDJF-0326-SM-ADEIG 20-29 years, male 4.8
GTEX-1M5QR-1326-SM-EWROC 40-49 years, male 4.8
GTEX-1MCYP-2026-SM-DTXE4 20-29 years, female 4.8
GTEX-1MJIX-2126-SM-E9J3A 40-49 years, male 4.8
GTEX-12BJ1-2526-SM-5FQUE 60-69 years, male 4.7
GTEX-13OVK-1926-SM-6M48G 40-49 years, male 4.7
GTEX-14XAO-2226-SM-6LLHU 60-69 years, female 4.7
GTEX-QDVN-2426-SM-2S1Q4 50-59 years, male 4.7
GTEX-ZT9X-1826-SM-57WDU 40-49 years, male 4.6
GTEX-1F48J-0526-SM-9WYSX 50-59 years, female 4.6
GTEX-1HBPM-0426-SM-CKZOO 60-69 years, female 4.6
GTEX-1399R-2526-SM-5IFG2 30-39 years, male 4.5
GTEX-13QBU-2426-SM-5LU4L 40-49 years, female 4.5
GTEX-1GZ2Q-0426-SM-9WPOU 40-49 years, male 4.5
GTEX-1R7EV-2026-SM-DTX83 40-49 years, male 4.5
GTEX-11DZ1-0926-SM-5EQ5R 50-59 years, male 4.3
GTEX-145LV-2326-SM-5LU8Z 50-59 years, male 4.3
GTEX-1B932-0526-SM-73KU7 40-49 years, female 4.3
GTEX-1C475-1726-SM-73KVX 40-49 years, female 4.3
GTEX-1CB4J-1226-SM-7P8P3 60-69 years, male 4.3
GTEX-1H3VY-0326-SM-9WYU6 50-59 years, male 4.3
GTEX-12WSA-0726-SM-5FQU2 60-69 years, male 4.2
GTEX-1399S-2726-SM-5KM22 30-39 years, female 4.2
GTEX-14A5I-0326-SM-5NQ9J 50-59 years, female 4.1
GTEX-15UKP-0326-SM-7KUFP 20-29 years, male 4.1
GTEX-SSA3-0326-SM-32QPS 60-69 years, male 4.1
GTEX-1KANA-0926-SM-D3L9K 20-29 years, male 4.1
GTEX-1R9K5-0326-SM-EWRNG 50-59 years, male 4.1
GTEX-15SHW-0726-SM-7KUEI 60-69 years, male 4.0
GTEX-1C64O-0326-SM-73KVW 60-69 years, male 4.0
GTEX-POYW-0526-SM-2XCEY 60-69 years, male 4.0
GTEX-R55G-2326-SM-2TC61 40-49 years, female 4.0
GTEX-1LGRB-2626-SM-CNPPR 50-59 years, female 4.0
GTEX-15UF7-2226-SM-6PAMQ 40-49 years, male 3.9
GTEX-13NYS-0326-SM-5MR4L 60-69 years, male 3.8
GTEX-13NZ9-0626-SM-5IJCO 50-59 years, male 3.8
GTEX-17MFQ-1926-SM-793A6 20-29 years, male 3.8
GTEX-PLZ5-1726-SM-2I5F6 50-59 years, male 3.8
GTEX-1N2EF-0526-SM-E76OK 60-69 years, male 3.8
GTEX-VJYA-1926-SM-3GIJJ 60-69 years, male 3.7
GTEX-1J8EW-0326-SM-CYPSX 60-69 years, female 3.7
GTEX-132Q8-0626-SM-5L3F3 60-69 years, male 3.6
GTEX-17GQL-1926-SM-718B9 60-69 years, male 3.6
GTEX-V955-2426-SM-3GAEF 60-69 years, male 3.6
GTEX-ZF28-0526-SM-4WKGW 60-69 years, male 3.6
GTEX-ZVE2-0626-SM-5GU7I 50-59 years, male 3.6
GTEX-ZYFG-2426-SM-5GIE8 60-69 years, female 3.6
GTEX-1B97J-1226-SM-7PBZR 50-59 years, female 3.6
GTEX-1HKZK-0226-SM-9WYUG 40-49 years, male 3.6
GTEX-11WQK-0726-SM-5GU71 50-59 years, male 3.5
GTEX-QLQW-1326-SM-2S1QS 30-39 years, male 3.5
GTEX-ZVZP-2526-SM-57WBR 50-59 years, male 3.5
GTEX-13S86-2326-SM-5RQK1 40-49 years, male 3.4
GTEX-15SDE-2326-SM-6PAL4 50-59 years, female 3.4
GTEX-1A8G7-0326-SM-72D5B 60-69 years, male 3.4
GTEX-15CHR-2426-SM-7DUFX 50-59 years, male 3.2
GTEX-1J8QM-2226-SM-CYPSK 60-69 years, female 3.2
GTEX-13IVO-0626-SM-5LZYJ 70-79 years, male 3.1
GTEX-Q734-2026-SM-3GADA 40-49 years, female 3.1
GTEX-1AYD5-2226-SM-73KX3 50-59 years, male 2.9
GTEX-PW2O-1726-SM-2S1OO 20-29 years, male 2.9
GTEX-V1D1-2426-SM-3GAER 50-59 years, male 2.8
GTEX-11EI6-0326-SM-5EQ6G 60-69 years, male 2.7
GTEX-11O72-0326-SM-5986D 40-49 years, male 2.7
GTEX-13FTX-2026-SM-5L3D6 20-29 years, female 2.7
GTEX-U3ZN-2226-SM-3DB88 30-39 years, female 2.7
GTEX-WOFL-0626-SM-3MJG3 60-69 years, male 2.7
GTEX-1J1OQ-0426-SM-A9SLI 40-49 years, female 2.7
GTEX-1N2DV-0526-SM-DTX8W 40-49 years, male 2.7
GTEX-1R9JW-2426-SM-DTXFI 30-39 years, female 2.7
GTEX-13U4I-1826-SM-5IJD2 40-49 years, female 2.6
GTEX-139T6-2026-SM-5IFFL 50-59 years, male 2.5
GTEX-1PWST-0426-SM-E76QV 70-79 years, male 2.5
GTEX-14A6H-5019-SM-793DH 30-39 years, male 2.4
GTEX-ZY6K-2026-SM-5GZXQ 50-59 years, male 2.4
GTEX-13SLW-0326-SM-5RQK5 70-79 years, male 2.3
GTEX-15RIG-0426-SM-7KUF4 40-49 years, male 2.3
GTEX-1H3VE-0126-SM-9WYTW 40-49 years, male 2.3
GTEX-16NGA-1926-SM-7LTA6 40-49 years, female 2.2
GTEX-OXRO-1726-SM-3LK6C 60-69 years, female 2.2
GTEX-T5JW-1826-SM-3GAE1 20-29 years, female 2.2
GTEX-WFG7-2226-SM-3GIKP 20-29 years, male 2.2
GTEX-1P4AB-0326-SM-EXUT3 50-59 years, male 2.2
GTEX-1CAMR-1726-SM-793CU 20-29 years, male 2.1
GTEX-1IGQW-0526-SM-CKZO3 60-69 years, male 2.1
GTEX-1F88E-1826-SM-9MQLV 60-69 years, female 2.0
GTEX-1122O-2426-SM-5GIDN 60-69 years, female 1.9
GTEX-1H1ZS-0626-SM-CNPPU 70-79 years, male 1.9
GTEX-11VI4-1926-SM-5CVLI 40-49 years, female 1.8
GTEX-1AMFI-2226-SM-731C6 50-59 years, female 1.8
GTEX-X638-0326-SM-47JY1 70-79 years, female 1.8
GTEX-ZWKS-0326-SM-5NQ7G 30-39 years, male 1.8
GTEX-14ICL-1926-SM-5RQIZ 30-39 years, male 1.7
GTEX-15DZA-2026-SM-6PANE 30-39 years, female 1.7
GTEX-1399Q-2426-SM-5J2MO 40-49 years, male 1.6
GTEX-ZAKK-0326-SM-5EGHA 70-79 years, male 1.6
GTEX-16NPV-2426-SM-6M482 50-59 years, female 1.5
GTEX-R55D-0626-SM-3GAD5 50-59 years, male 1.5
GTEX-1QPFJ-0326-SM-E8VO2 30-39 years, female 1.5
GTEX-1JMQI-2126-SM-CM2SC 50-59 years, male 1.3
GTEX-183WM-0426-SM-731B1 70-79 years, female 1.2
GTEX-QV44-2026-SM-2S1RD 50-59 years, male 1.2
GTEX-XV7Q-2926-SM-4BRUL 40-49 years, female 1.2
GTEX-1IDJE-2426-SM-ACKWF 50-59 years, female 1.2
GTEX-1QP66-1626-SM-E76PC 50-59 years, male 1.2
GTEX-QVJO-0126-SM-3GIK4 60-69 years, female 1.1
GTEX-XMD2-0526-SM-4YCDI 60-69 years, female 1.1
GTEX-139T4-0326-SM-5K7XN 50-59 years, female 1.0
GTEX-ZZPT-0626-SM-5GZXT 50-59 years, male 1.0
GTEX-1LVAO-0526-SM-EWRNS 60-69 years, male 1.0
GTEX-XMD1-0626-SM-EZ6MC 60-69 years, male 1.0
GTEX-13NYC-0726-SM-5J2NQ 60-69 years, male 0.9
GTEX-YBZK-0326-SM-59HLN 50-59 years, female 0.9
GTEX-P4PP-1626-SM-2HMJF 30-39 years, female 0.8
GTEX-U3ZH-1926-SM-4DXTR 30-39 years, male 0.8
GTEX-13X6I-0526-SM-5QGP8 60-69 years, male 0.7
GTEX-144FL-0326-SM-5O99O 50-59 years, male 0.7
GTEX-117YX-2526-SM-5EQ4Q 50-59 years, male 0.6
GTEX-13YAN-0526-SM-5O9BE 60-69 years, male 0.6
GTEX-15G1A-2026-SM-7KUFG 30-39 years, male 0.6
GTEX-OHPN-2726-SM-2I5H4 60-69 years, female 0.6
GTEX-X88G-0326-SM-47JZ4 30-39 years, male 0.6
GTEX-1F5PK-2626-SM-7RHH6 50-59 years, male 0.6
GTEX-1H2FU-0526-SM-ACKXO 60-69 years, female 0.6
GTEX-1IDJV-0426-SM-COH3Z 60-69 years, male 0.4
GTEX-X4XX-0626-SM-3NMC1 60-69 years, male 0.0
Show allShow less

SKELETAL MUSCLE - FANTOM5 CAGEi

RNA expression in human tissues obtained through Cap Analysis of Gene Expression (CAGE) generated by the FANTOM5 project are reported as Scaled Tags Per Million.

Max subtype Scaled Tags Per Millioni

Max subtype Scaled Tags Per Million is the value for the subtype with the largest average Scaled Tags Per Million across the subtype samples.

23.9
FANTOM5 sample id Sample description Scaled Tags Per Million
Skeletal muscle
Scaled Tags Per Million: 9.9
FF:10023-101D5 55,79,79 years, mixed 9.9
Skeletal muscle - soleus muscle
Scaled Tags Per Million: 23.9
FF:10282-104F3 male 23.9

Contact

  • NEWS ARTICLES
  • PRESS ROOM

The Project

  • INTRODUCTION
  • ORGANIZATION
  • PUBLICATIONS

The Human Protein Atlas

  • DOWNLOADABLE DATA
  • LICENCE & CITATION
  • HELP & FAQ
The Human Protein Atlas project is funded
by the Knut & Alice Wallenberg Foundation.


contact@proteinatlas.org