We use cookies to enhance the usability of our website. If you continue, we'll assume that you are happy to receive all cookies. More information. Don't show this again.
ZC3H7B
HPA
RESOURCES
  • TISSUE
  • BRAIN
  • SINGLE CELL
  • SUBCELLULAR
  • CANCER
  • BLOOD
  • CELL LINE
  • STRUCTURE & INTERACTION
ABOUT
  • INTRODUCTION
  • HISTORY
  • ORGANIZATION
  • PUBLICATIONS
  • ANTIBODY SUBMISSION
  • ANTIBODY AVAILABILITY
  • ACKNOWLEDGMENTS
  • CONTACT
NEWS
  • NEWS ARTICLES
  • PRESS ROOM
LEARN
  • DICTIONARY
  • PROTEIN CLASSES
  • PROTEIN EVIDENCE
  • METHODS
  • EDUCATIONAL VIDEOS
DATA
  • DOWNLOADABLE DATA
  • PUBLICATION DATA
  • RELEASE HISTORY
HELP
  • ANTIBODY VALIDATION
  • ASSAYS & ANNOTATION
  • DISCLAIMER
  • HELP & FAQ
  • PRIVACY STATEMENT
  • LICENCE & CITATION
Fields »
Search result

Field
Term
Gene name
Class
Subclass
Class
Keyword
Chromosome
External id
Tissue
Cell type
Expression
Antibody panel
Tissue
Main location
Patient ID
Annotation
Tissue
Category
Tau score
Cluster
Reliability
Brain region
Category
Tau score
Brain region
Category
Tau score
Brain region
Category
Tau score
Cluster
Reliability
Tissue
Cell type
Enrichment
Cell type
Category
Tau score
Cell type
Category
Tau score
Cell type
Category
Tau score
Cell lineage
Category
Tau score
Cluster
Cluster
Location
Searches
Location
Cell line
Class
Type
Phase
Reliability
Cancer
Prognosis
Cancer
Category
Cancer
Category
Tau score
Cluster
Variants
Interacting gene (ensg_id)
Type
Number of interactions
Pathway
Category
Score
Score
Score
Validation
Validation
Validation
Validation
Antibodies
Data type
Column


  • SUMMARY

  • TISSUE

  • BRAIN

  • SINGLE CELL

  • SUBCELL

  • CANCER

  • BLOOD

  • CELL LINE

  • STRUCT & INT

  • ZC3H7B
TISSUE PRIMARY DATA VAGINA Show tissue menu
ADIPOSE TISSUE ADRENAL GLAND AMYGDALA APPENDIX BASAL GANGLIA BONE MARROW BREAST CEREBELLUM CEREBRAL CORTEX CERVIX CHOROID PLEXUS COLON DUODENUM
ENDOMETRIUM EPIDIDYMIS ESOPHAGUS FALLOPIAN TUBE GALLBLADDER HEART MUSCLE HIPPOCAMPAL FORMATION HYPOTHALAMUS KIDNEY LIVER LUNG LYMPH NODE MIDBRAIN
OVARY PANCREAS PARATHYROID GLAND PITUITARY GLAND PLACENTA PROSTATE RECTUM RETINA SALIVARY GLAND SEMINAL VESICLE SKELETAL MUSCLE SKIN SMALL INTESTINE
SMOOTH MUSCLE SPINAL CORD SPLEEN STOMACH TESTIS THYMUS THYROID GLAND TONGUE TONSIL URINARY BLADDER VAGINA
ANTIBODIES
AND
VALIDATION
Dictionary
Vagina
Tissue proteome
Vagina
VAGINA - Expression summary
Protein expressioni

On the top, protein expression in current human tissue, based on all annotated cell types, is reported with the units not detected (n), low (l), medium (m) and high (h). Underneath, protein expression in each annotated cell type are reported using the same units.

Protein expression data is based on knowledge-based annotation. For genes where more than one antibody has been used, a collective score is set.

If knowledge-based annotation could not be performed for a gene, no data is displayed here. View antibody staining data further down this page.

No data
RNA expressioni

A summary of mRNA expression data available for current tissue based on several datasets. The mRNA expression levels in human tissues are based on RNA-seq data generated by the Human Protein Atlas (HPA), Genotype-Tissue Expression (GTEx) portal and CAGE data generated by the FANTOM5 consortium. Consensus normalized expression levels for human tissues was created by combining the data from HPA and GTEx datasets.

The mRNA expression levels in pig are based on RNA-seq data generated by the Human Protein Atlas (HPA), and for mouse, HPA data and in situ hybridization generated by the Allen brain atlas are reported.

Scroll down to view mRNA expression data in more detail.
Consensus:19.0 nTPM
GTEx:19.0 nTPM
FANTOM5:77.5 Scaled Tags Per Million

VAGINA - Annotated protein expression
Pending normal tissue analysis

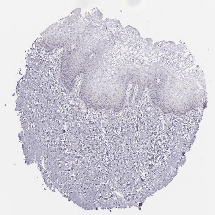
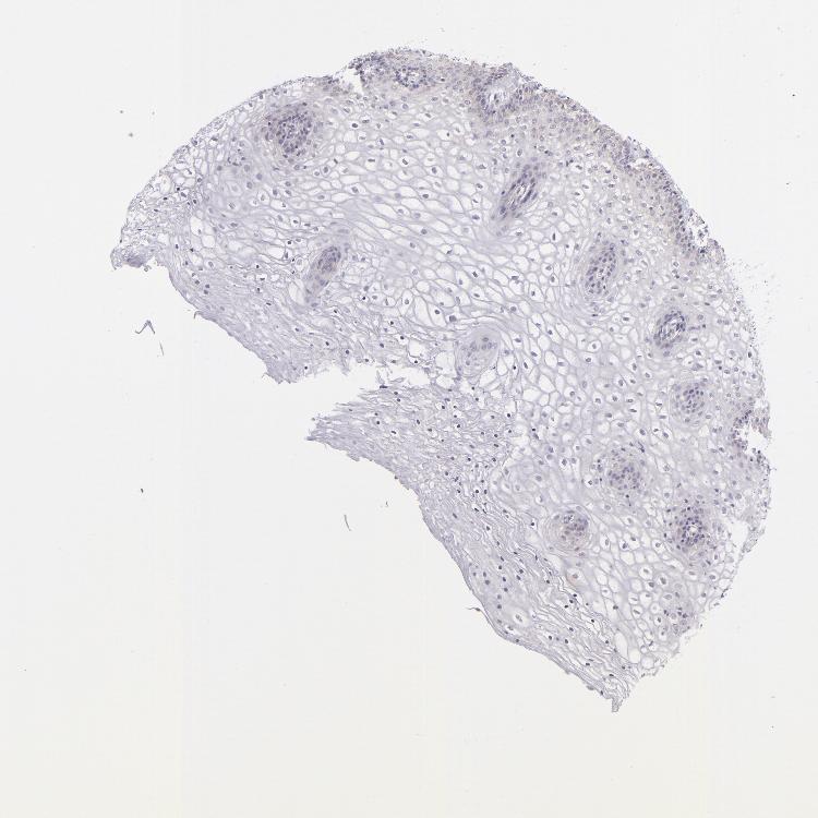
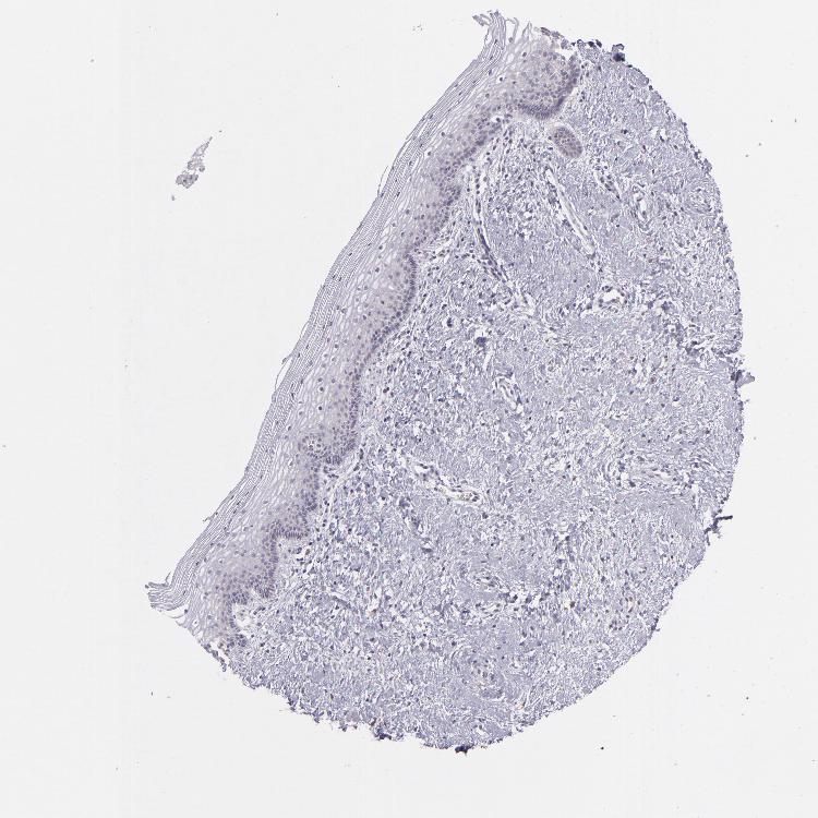
VAGINA - Antibody stainingi

Antibody staining in the annotated cell types in the current human tissue is reported as not detected, low, medium, or high, based on conventional immunohistochemistry profiling in selected tissues. This score is based on the combination of the staining intensity and fraction of stained cells.

Each image is clickable and will lead to virtual microscopy that enables deeper exploration of all samples and also displays staining intensity scores, fraction scores and subcellular localization as well as patient and tissue information for each sample.

Antibody HPA001784
Squamous epithelial cells Not detected



VAGINA - GTEx RNA-seqi

RNA-Seq data generated by the Genotype-Tissue Expression (GTEx) project from human tissues is reported as mean nTPM. More information can be found on the GTEx portal.

Distribution across the dataset is visualized with box plots, shown as median and 25th and 75th percentiles. Points are displayed as outliers if they are above or below 1.5 times the interquartile range. nTPM values of the individual samples are presented next to the box plot.
Max subtype nTPMi

Max subtype nTPM is the value for the subtype with the largest average nTPM across the subtype samples.

19.0
GTEx sample id Sample description nTPM
Vagina
Average nTPM: 19.0
Samples: 156

Max nTPM: 30.6
Min nTPM: 10.2
Std nTPM: 3.5
Median nTPM: 18.5
GTEX-S4UY-1326-SM-4AD4X 40-49 years, female 30.6
GTEX-1S5ZU-2626-SM-E9TII 20-29 years, female 28.5
GTEX-P4PP-2526-SM-3P61P 30-39 years, female 27.5
GTEX-WEY5-0826-SM-4LMIH 40-49 years, female 26.6
GTEX-OHPL-2526-SM-3MJGT 60-69 years, female 25.9
GTEX-1HCU8-2026-SM-9YFLE 60-69 years, female 25.3
GTEX-12WSJ-1326-SM-5GCOB 40-49 years, female 25.0
GTEX-13PVR-1426-SM-5S2PW 60-69 years, female 25.0
GTEX-1I4MK-1726-SM-ARL7O 50-59 years, female 25.0
GTEX-ZVT2-0626-SM-5GICR 50-59 years, female 24.6
GTEX-1JN1M-2326-SM-ARZNG 60-69 years, female 24.4
GTEX-11EM3-1826-SM-5A5KO 20-29 years, female 24.3
GTEX-1LGRB-2126-SM-COH48 50-59 years, female 24.3
GTEX-ZVT3-2726-SM-5GU5X 60-69 years, female 24.2
GTEX-UJHI-1326-SM-4IHJO 50-59 years, female 24.1
GTEX-TSE9-2526-SM-4DXUS 60-69 years, female 23.9
GTEX-XV7Q-1626-SM-4BRWC 40-49 years, female 23.8
GTEX-XUW1-0326-SM-4BOOR 50-59 years, female 23.7
GTEX-ZGAY-2226-SM-4YCCX 40-49 years, female 23.6
GTEX-1QPFJ-1626-SM-DTX7X 30-39 years, female 23.4
GTEX-15UF6-2126-SM-6M46Z 70-79 years, female 23.1
GTEX-W5WG-1026-SM-4LMIF 50-59 years, female 23.1
GTEX-13W3W-2326-SM-5LU4Y 60-69 years, female 23.0
GTEX-183WM-2126-SM-7LG4I 70-79 years, female 23.0
GTEX-17JCI-2526-SM-7DHLB 60-69 years, female 22.7
GTEX-RU1J-1426-SM-46MUV 20-29 years, female 22.7
GTEX-ZYVF-0326-SM-5GIES 50-59 years, female 22.6
GTEX-NPJ7-2526-SM-EV79A 60-69 years, female 22.6
GTEX-WRHU-2926-SM-4MVNQ 50-59 years, female 22.4
GTEX-1HFI7-1126-SM-A96S5 50-59 years, female 22.3
GTEX-1399U-1526-SM-5J2N7 50-59 years, female 22.2
GTEX-ZV6S-1326-SM-59HJA 40-49 years, female 22.1
GTEX-1MCC2-1126-SM-EVYD6 30-39 years, female 22.1
GTEX-11EMC-1926-SM-5A5JU 60-69 years, female 21.8
GTEX-13OVI-0926-SM-5J1MI 60-69 years, female 21.7
GTEX-1EWIQ-2326-SM-7IGNF 70-79 years, female 21.6
GTEX-PLZ4-2726-SM-3P61A 50-59 years, female 21.5
GTEX-Q734-1426-SM-DTXFX 40-49 years, female 21.5
GTEX-14PN3-1626-SM-6AJAV 60-69 years, female 21.4
GTEX-1C475-0526-SM-793AC 40-49 years, female 21.4
GTEX-SE5C-1126-SM-4BRWZ 40-49 years, female 21.4
GTEX-11VI4-0726-SM-5GU5B 40-49 years, female 21.3
GTEX-1I1GT-1226-SM-B2LVK 60-69 years, female 21.0
GTEX-13D11-1326-SM-5IJFY 50-59 years, female 20.9
GTEX-RWS6-1726-SM-47JXP 60-69 years, female 20.9
GTEX-14PKU-1326-SM-6871B 40-49 years, female 20.7
GTEX-1A8FM-2426-SM-7IGPE 50-59 years, female 20.7
GTEX-1IE54-2626-SM-CMKFY 40-49 years, female 20.7
GTEX-1LGOU-1126-SM-D3LAI 20-29 years, female 20.7
GTEX-1LNCM-1026-SM-E9U5D 50-59 years, female 20.6
GTEX-PX3G-2526-SM-48TZV 20-29 years, female 20.4
GTEX-13N11-1526-SM-5L3FL 50-59 years, female 20.3
GTEX-Y114-1926-SM-4TT8J 50-59 years, female 20.3
GTEX-ZC5H-2226-SM-4WAWS 40-49 years, female 20.3
GTEX-14A5I-2726-SM-5SIB3 50-59 years, female 20.2
GTEX-14DAQ-2326-SM-5S2QX 60-69 years, female 20.0
GTEX-14JG6-0726-SM-69LQH 30-39 years, female 20.0
GTEX-145LS-2526-SM-5TDC9 60-69 years, female 19.9
GTEX-TML8-1126-SM-4DXSS 40-49 years, female 19.8
GTEX-1399S-2326-SM-5K7YV 30-39 years, female 19.7
GTEX-14PJ6-1626-SM-6872D 60-69 years, female 19.7
GTEX-146FR-2426-SM-5NQAU 60-69 years, female 19.6
GTEX-131XG-2126-SM-5DUXG 50-59 years, female 19.5
GTEX-1QP28-1426-SM-EVR4E 50-59 years, female 19.5
GTEX-16NPV-2526-SM-6M483 50-59 years, female 19.3
GTEX-12ZZX-1926-SM-5EGKC 40-49 years, female 19.2
GTEX-14BMU-1926-SM-5S2QC 20-29 years, female 19.2
GTEX-13QBU-1726-SM-5IJFQ 40-49 years, female 19.1
GTEX-131YS-2426-SM-5J2OD 60-69 years, female 18.8
GTEX-145ME-1426-SM-5RQJS 40-49 years, female 18.8
GTEX-QCQG-1226-SM-48U23 50-59 years, female 18.8
GTEX-T2IS-1926-SM-4DM74 20-29 years, female 18.8
GTEX-11GSP-2226-SM-5HL5Q 60-69 years, female 18.7
GTEX-XUZC-1226-SM-4BRVJ 30-39 years, female 18.7
GTEX-PWN1-2526-SM-48TDS 40-49 years, female 18.6
GTEX-113JC-1926-SM-5N9GE 50-59 years, female 18.5
GTEX-11TTK-2726-SM-5GU58 60-69 years, female 18.5
GTEX-WYVS-1426-SM-4ONCV 40-49 years, female 18.5
GTEX-ZLWG-1126-SM-4WWFQ 50-59 years, female 18.5
GTEX-1J8EW-2526-SM-CKZO2 60-69 years, female 18.5
GTEX-QDT8-2526-SM-48TYX 30-39 years, female 18.3
GTEX-X8HC-2826-SM-46MWJ 50-59 years, female 18.2
GTEX-ZQG8-1126-SM-51MRL 60-69 years, female 18.2
GTEX-ZXES-0626-SM-5E45P 30-39 years, female 18.2
GTEX-11P81-2126-SM-5HL6N 30-39 years, female 18.1
GTEX-11XUK-1326-SM-5EQM4 40-49 years, female 18.1
GTEX-13PL7-2726-SM-5L3GB 60-69 years, female 18.1
GTEX-1F48J-2526-SM-7P8TU 50-59 years, female 18.1
GTEX-1MCYP-1326-SM-EV7AD 20-29 years, female 18.1
GTEX-T6MO-1226-SM-4DM5S 40-49 years, female 18.0
GTEX-1IDJU-1026-SM-AHZ2U 60-69 years, female 18.0
GTEX-1JMQL-2326-SM-CNNPV 50-59 years, female 18.0
GTEX-11I78-2026-SM-5987C 50-59 years, female 17.9
GTEX-1HCUA-1026-SM-A9SMI 50-59 years, female 17.8
GTEX-ZZPU-2226-SM-5EGIV 50-59 years, female 17.7
GTEX-1GN1W-1526-SM-7P8TG 50-59 years, female 17.7
GTEX-1NUQO-1826-SM-E6CQU 20-29 years, female 17.7
GTEX-S341-1226-SM-4AD5S 40-49 years, female 17.6
GTEX-15DYW-2926-SM-6PANA 60-69 years, female 17.5
GTEX-15SHU-2926-SM-7KUKT 40-49 years, female 17.5
GTEX-YFC4-2926-SM-5IFJ8 40-49 years, female 17.5
GTEX-ZP4G-0826-SM-4WWF3 20-29 years, female 17.5
GTEX-12WSD-2926-SM-5LZUH 60-69 years, female 17.4
GTEX-1ICG6-1626-SM-ARL81 70-79 years, female 17.4
GTEX-1CAMS-2326-SM-793CR 40-49 years, female 17.3
GTEX-YJ8O-1226-SM-5P9JE 40-49 years, female 17.3
GTEX-11DXX-1726-SM-5H11T 60-69 years, female 17.2
GTEX-17F9Y-2326-SM-7DUFP 70-79 years, female 17.2
GTEX-1LH75-1726-SM-DHXKZ 50-59 years, female 17.2
GTEX-PWCY-1726-SM-48TD3 20-29 years, female 17.1
GTEX-1J1OQ-1826-SM-CL53R 40-49 years, female 17.1
GTEX-1HBPM-2726-SM-9WYUA 60-69 years, female 17.0
GTEX-1R9JW-1426-SM-DTX9K 30-39 years, female 17.0
GTEX-1GMR8-2526-SM-7RHI9 50-59 years, female 16.8
GTEX-13QIC-1826-SM-5J1MY 60-69 years, female 16.7
GTEX-14PJM-2926-SM-69LOE 50-59 years, female 16.7
GTEX-S4P3-1126-SM-4AD52 50-59 years, female 16.7
GTEX-1F5PL-1826-SM-7P8PP 40-49 years, female 16.7
GTEX-ZAK1-2426-SM-EXOHM 50-59 years, female 16.7
GTEX-TMMY-1926-SM-4DXUU 40-49 years, female 16.6
GTEX-X15G-1926-SM-4PQZQ 50-59 years, female 16.6
GTEX-Y8LW-1426-SM-5RQJJ 50-59 years, female 16.6
GTEX-1HBPH-2926-SM-9WPNX 40-49 years, female 16.5
GTEX-OHPK-2526-SM-3MJH9 50-59 years, female 16.4
GTEX-13U4I-2026-SM-5LU3L 40-49 years, female 16.3
GTEX-1QCLZ-2226-SM-DTX7R 60-69 years, female 16.3
GTEX-14H4A-2426-SM-664OQ 40-49 years, female 16.0
GTEX-1GF9U-1926-SM-7P8TZ 40-49 years, female 16.0
GTEX-1GN1U-2426-SM-9KNTU 50-59 years, female 16.0
GTEX-1LVAN-1626-SM-CNPQ7 50-59 years, female 16.0
GTEX-OHPN-2426-SM-E9TI5 60-69 years, female 16.0
GTEX-1PIEJ-1926-SM-EVYB7 20-29 years, female 15.9
GTEX-SN8G-2626-SM-EXUQT 50-59 years, female 15.9
GTEX-147F3-1526-SM-5SIAK 50-59 years, female 15.8
GTEX-U3ZN-0926-SM-4DXTU 30-39 years, female 15.8
GTEX-Y3IK-2226-SM-4YCD4 50-59 years, female 15.8
GTEX-ZTPG-2226-SM-57WF9 20-29 years, female 15.8
GTEX-ZYY3-2626-SM-5N9DH 60-69 years, female 15.8
GTEX-16NGA-1626-SM-72D6M 40-49 years, female 15.4
GTEX-N7MT-1926-SM-3LK5N 60-69 years, female 15.3
GTEX-1HCU6-2326-SM-ACKXP 60-69 years, female 15.2
GTEX-1117F-2526-SM-5GZY6 60-69 years, female 15.1
GTEX-18D9A-1026-SM-7KFRU 30-39 years, female 15.0
GTEX-P78B-2226-SM-3P5ZZ 40-49 years, female 14.8
GTEX-1AMFI-1526-SM-73KVY 50-59 years, female 14.3
GTEX-15ER7-2526-SM-7KUFW 20-29 years, female 13.9
GTEX-1JN76-1526-SM-CNPPF 20-29 years, female 13.9
GTEX-18A7A-2826-SM-7LT8J 50-59 years, female 13.8
GTEX-146FH-2626-SM-5Q5E1 50-59 years, female 13.4
GTEX-1LVAM-1926-SM-E6CIM 50-59 years, female 12.7
GTEX-ZE7O-2426-SM-57WD7 50-59 years, female 12.4
GTEX-15SB6-1426-SM-7KUEM 50-59 years, female 11.7
GTEX-S7SF-1426-SM-4AT5A 20-29 years, female 11.7
GTEX-14AS3-1726-SM-5RQJV 40-49 years, female 11.4
GTEX-15SDE-1726-SM-6LPJS 50-59 years, female 11.0
GTEX-QVJO-2526-SM-CYPRA 60-69 years, female 10.2
Show allShow less

VAGINA - FANTOM5 CAGEi

RNA expression in human tissues obtained through Cap Analysis of Gene Expression (CAGE) generated by the FANTOM5 project are reported as Scaled Tags Per Million.

Max subtype Scaled Tags Per Millioni

Max subtype Scaled Tags Per Million is the value for the subtype with the largest average Scaled Tags Per Million across the subtype samples.

77.5
FANTOM5 sample id Sample description Scaled Tags Per Million
Vagina
Scaled Tags Per Million: 77.5
FF:10204-103F6 68 years, female 77.5

Contact

  • NEWS ARTICLES
  • PRESS ROOM

The Project

  • INTRODUCTION
  • ORGANIZATION
  • PUBLICATIONS

The Human Protein Atlas

  • DOWNLOADABLE DATA
  • LICENCE & CITATION
  • HELP & FAQ
The Human Protein Atlas project is funded
by the Knut & Alice Wallenberg Foundation.


contact@proteinatlas.org