We use cookies to enhance the usability of our website. If you continue, we'll assume that you are happy to receive all cookies. More information. Don't show this again.
ABHD4
HPA
RESOURCES
  • TISSUE
  • BRAIN
  • SINGLE CELL
  • SUBCELLULAR
  • CANCER
  • BLOOD
  • CELL LINE
  • STRUCTURE & INTERACTION
ABOUT
  • INTRODUCTION
  • HISTORY
  • ORGANIZATION
  • PUBLICATIONS
  • ANTIBODY SUBMISSION
  • ANTIBODY AVAILABILITY
  • ACKNOWLEDGMENTS
  • CONTACT
NEWS
  • NEWS ARTICLES
  • PRESS ROOM
LEARN
  • DICTIONARY
  • PROTEIN CLASSES
  • PROTEIN EVIDENCE
  • METHODS
  • EDUCATIONAL VIDEOS
DATA
  • DOWNLOADABLE DATA
  • PUBLICATION DATA
  • RELEASE HISTORY
HELP
  • ANTIBODY VALIDATION
  • ASSAYS & ANNOTATION
  • DISCLAIMER
  • HELP & FAQ
  • PRIVACY STATEMENT
  • LICENCE & CITATION
Fields »
Search result

Field
Term
Gene name
Class
Subclass
Class
Keyword
Chromosome
External id
Tissue
Cell type
Expression
Antibody panel
Tissue
Main location
Patient ID
Annotation
Tissue
Category
Tau score
Cluster
Reliability
Brain region
Category
Tau score
Brain region
Category
Tau score
Brain region
Category
Tau score
Cluster
Reliability
Tissue
Cell type
Enrichment
Cell type
Category
Tau score
Cell type
Category
Tau score
Cell type
Category
Tau score
Cell lineage
Category
Tau score
Cluster
Cluster
Location
Searches
Location
Cell line
Class
Type
Phase
Reliability
Cancer
Prognosis
Cancer
Category
Cancer
Category
Tau score
Cluster
Variants
Interacting gene (ensg_id)
Type
Number of interactions
Pathway
Category
Score
Score
Score
Validation
Validation
Validation
Validation
Antibodies
Data type
Column


  • SUMMARY

  • TISSUE

  • BRAIN

  • SINGLE CELL

  • SUBCELL

  • CANCER

  • BLOOD

  • CELL LINE

  • STRUCT & INT

  • ABHD4
TISSUE PRIMARY DATA COLON Show tissue menu
ADIPOSE TISSUE ADRENAL GLAND AMYGDALA APPENDIX BASAL GANGLIA BONE MARROW BREAST CEREBELLUM CEREBRAL CORTEX CERVIX CHOROID PLEXUS COLON DUODENUM ENDOMETRIUM
EPIDIDYMIS ESOPHAGUS FALLOPIAN TUBE GALLBLADDER HEART MUSCLE HIPPOCAMPAL FORMATION HYPOTHALAMUS KIDNEY LIVER LUNG LYMPH NODE MIDBRAIN NASOPHARYNX ORAL MUCOSA
OVARY PANCREAS PARATHYROID GLAND PITUITARY GLAND PLACENTA PROSTATE RECTUM RETINA SALIVARY GLAND SEMINAL VESICLE SKELETAL MUSCLE SKIN SMALL INTESTINE SMOOTH MUSCLE
SOFT TISSUE SPINAL CORD SPLEEN STOMACH TESTIS THYMUS THYROID GLAND TONGUE TONSIL URINARY BLADDER VAGINA
ANTIBODIES
AND
VALIDATION
Dictionary
Colon
Tissue proteome
Intestine
COLON - Expression summary
Protein expression
Coloni

On the top, protein expression in current human tissue, based on all annotated cell types, is reported with the units not detected (n), low (l), medium (m) and high (h). Underneath, protein expression in each annotated cell type are reported using the same units.

Protein expression data is based on knowledge-based annotation. For genes where more than one antibody has been used, a collective score is set.

If knowledge-based annotation could not be performed for a gene, no data is displayed here. View antibody staining data further down this page.

h
m
l
n
Endothelial cells: Not detected
Glandular cells: Not detected
Peripheral nerve/ganglion: Low
RNA expressioni

A summary of mRNA expression data available for current tissue based on several datasets. The mRNA expression levels in human tissues are based on RNA-seq data generated by the Human Protein Atlas (HPA), Genotype-Tissue Expression (GTEx) portal and CAGE data generated by the FANTOM5 consortium. Consensus normalized expression levels for human tissues was created by combining the data from HPA and GTEx datasets.

The mRNA expression levels in pig are based on RNA-seq data generated by the Human Protein Atlas (HPA), and for mouse, HPA data and in situ hybridization generated by the Allen brain atlas are reported.

Scroll down to view mRNA expression data in more detail.
Consensus:18.5 nTPM
HPA:12.6 nTPM
GTEx:18.5 nTPM
FANTOM5:31.3 Scaled Tags Per Million

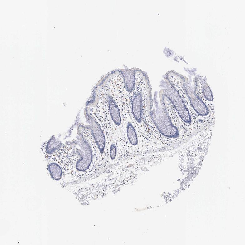
COLON - Antibody stainingi

Antibody staining in the annotated cell types in the current human tissue is reported as not detected, low, medium, or high, based on conventional immunohistochemistry profiling in selected tissues. This score is based on the combination of the staining intensity and fraction of stained cells.

Each image is clickable and will lead to virtual microscopy that enables deeper exploration of all samples and also displays staining intensity scores, fraction scores and subcellular localization as well as patient and tissue information for each sample.

Antibody HPA000600
Endothelial cells Not detected
Glandular cells Not detected
Peripheral nerve/ganglion Low



COLON - HPA RNA-seqi

The RNA-seq details section shows detailed information about the individual samples used for the transcript profiling and results of the RNA-seq analysis.

Information about each individual sample is listed below, including gender, age, a tissue section image and estimated fractions of cell types. nTPM (normalized transcripts per million) values give a quantification of the gene abundance which is comparable between different genes and samples.
Average nTPMi

Max subtype nTPM is the value for the subtype with the largest average nTPM across the subtype samples.

12.6
overview
Male, age 54
Colon sample 67
nTPM: 8.1
Cell types%
Glandular cells:
65

Smooth muscle cells:
10

Other cell types:
25

overview
Female, age 57
Colon sample 68
nTPM: 8.2
Cell types%
Glandular cells:
40

Smooth muscle cells:
5

Other cell types:
55

overview
Male, age 80
Colon sample 69
nTPM: 8
Cell types%
Glandular cells:
55

Smooth muscle cells:
5

Other cell types:
40

overview
Male, age 68
Colon sample 70
nTPM: 10.5
Cell types%
Glandular cells:
35

Smooth muscle cells:
10

Other cell types:
55

overview
Female, age 68
Colon sample 76
nTPM: 9.6
Cell types%
Glandular cells:
25

Smooth muscle cells:
5

Other cell types:
70

overview
Female, age 61
Colon sample 299
nTPM: 14.6
Cell types%
Glandular cells:
5

Smooth muscle cells:
65

Other cell types:
30

overview
Male, age 80
Colon sample 300
nTPM: 12
Cell types%
Glandular cells:
15

Smooth muscle cells:
20

Other cell types:
65

overview
Female, age 78
Colon sample 368
nTPM: 15.3
Cell types%
Glandular cells:
45

Smooth muscle cells:
5

Other cell types:
50

overview
Male, age 84
Colon sample 381
nTPM: 15.9
Cell types%
Glandular cells:
50

Smooth muscle cells:
15

Other cell types:
35

overview
Male, age 80
Colon sample 384
nTPM: 16.3
Cell types%
Glandular cells:
20

Smooth muscle cells:
35

Other cell types:
45

overview
Female, age 78
Colon sample 389
nTPM: 11.7
Cell types%
Glandular cells:
35

Smooth muscle cells:
10

Other cell types:
55

overview
Female, age 69
Colon sample 391
nTPM: 15.5
Cell types%
Glandular cells:
10

Smooth muscle cells:
45

Other cell types:
45

overview
Female, age 72
Colon sample 403
nTPM: 18.5
Cell types%
Glandular cells:
20

Smooth muscle cells:
15

Other cell types:
65


COLON - GTEx RNA-seqi

RNA-Seq data generated by the Genotype-Tissue Expression (GTEx) project from human tissues is reported as mean nTPM. More information can be found on the GTEx portal.

Distribution across the dataset is visualized with box plots, shown as median and 25th and 75th percentiles. Points are displayed as outliers if they are above or below 1.5 times the interquartile range. nTPM values of the individual samples are presented next to the box plot.
Max subtype nTPMi

Max subtype nTPM is the value for the subtype with the largest average nTPM across the subtype samples.

18.5
GTEx sample id Sample description nTPM
Colon - Sigmoid
Average nTPM: 18.5
Samples: 373

Max nTPM: 33.6
Min nTPM: 7.9
Std nTPM: 3.9
Median nTPM: 18.3
GTEX-132AR-2826-SM-5IJFV 50-59 years, female 33.6
GTEX-1PBJJ-2026-SM-DTX8U 30-39 years, male 30.2
GTEX-131XE-1026-SM-5EGKE 50-59 years, male 29.0
GTEX-1399R-2126-SM-5K7WZ 30-39 years, male 28.6
GTEX-1J1OQ-2826-SM-D3L88 40-49 years, female 28.2
GTEX-12ZZW-2426-SM-5DUWE 50-59 years, male 27.4
GTEX-1LB8K-2526-SM-DIPEQ 50-59 years, male 27.3
GTEX-ZF28-2526-SM-57WFH 60-69 years, male 27.2
GTEX-14C5O-2626-SM-5RQI5 60-69 years, male 27.0
GTEX-15RIE-2026-SM-7KFRW 60-69 years, male 26.7
GTEX-1L5NE-1926-SM-D3L9R 50-59 years, male 26.7
GTEX-15EO6-2326-SM-6LPKK 50-59 years, male 26.6
GTEX-13CF3-1326-SM-5LZXZ 60-69 years, female 26.0
GTEX-ZDTS-2726-SM-5L3E2 60-69 years, male 25.9
GTEX-1R9PO-2026-SM-E9J4N 60-69 years, female 25.9
GTEX-1GN73-2726-SM-9WYUB 60-69 years, male 25.7
GTEX-1RMOY-1726-SM-EVYC9 50-59 years, male 25.6
GTEX-XV7Q-2226-SM-4BRVY 40-49 years, female 25.4
GTEX-14E6C-2226-SM-5QGQG 40-49 years, male 25.2
GTEX-13X6J-2826-SM-7EPGA 50-59 years, male 25.1
GTEX-1B8KE-1526-SM-7DUG2 50-59 years, male 25.1
GTEX-15UF7-1326-SM-7KUKV 40-49 years, male 25.0
GTEX-145LT-0826-SM-5S2QL 40-49 years, male 24.7
GTEX-17F96-2126-SM-7KFSM 70-79 years, male 24.7
GTEX-1RDX4-1926-SM-E6CJJ 50-59 years, female 24.5
GTEX-12BJ1-2026-SM-5FQUH 60-69 years, male 24.4
GTEX-ZAB5-1426-SM-5HL9D 50-59 years, male 24.4
GTEX-1LKK1-2426-SM-DIPES 50-59 years, female 24.3
GTEX-ZPU1-1726-SM-4WWFV 40-49 years, male 24.1
GTEX-1RLM8-1726-SM-E9TKF 50-59 years, male 24.1
GTEX-11P81-1426-SM-5P9JN 30-39 years, female 24.0
GTEX-ZV6S-1126-SM-57WE9 40-49 years, female 24.0
GTEX-1QPFJ-2426-SM-EVR3L 30-39 years, female 24.0
GTEX-1339X-1726-SM-5P9J9 40-49 years, male 23.9
GTEX-1LVAO-2826-SM-E9TJH 60-69 years, male 23.9
GTEX-139TS-2226-SM-5J2N1 60-69 years, male 23.8
GTEX-14AS3-1026-SM-5TDD7 40-49 years, female 23.8
GTEX-13O61-1526-SM-5KM3P 60-69 years, male 23.7
GTEX-YFCO-1526-SM-5YYB8 40-49 years, male 23.7
GTEX-139UW-2326-SM-5KM1Y 60-69 years, male 23.6
GTEX-117XS-2226-SM-5GIE1 60-69 years, male 23.5
GTEX-131XG-1526-SM-5GCNQ 50-59 years, female 23.4
GTEX-13FTW-2126-SM-5K7YG 40-49 years, male 23.4
GTEX-16XZZ-2726-SM-7EWDO 60-69 years, male 23.4
GTEX-WY7C-1926-SM-4ONCI 50-59 years, male 23.4
GTEX-1CB4F-1926-SM-7MKFN 60-69 years, male 23.3
GTEX-1LSNL-1626-SM-E9TJY 50-59 years, male 23.3
GTEX-14E1K-1626-SM-664MO 50-59 years, male 23.2
GTEX-1R9JW-2126-SM-E76QT 30-39 years, female 23.2
GTEX-1RAZR-2026-SM-E9TKE 40-49 years, male 23.0
GTEX-1I1CD-2826-SM-A9SL4 60-69 years, female 22.9
GTEX-13G51-2126-SM-5IJD9 60-69 years, male 22.8
GTEX-13OVJ-1826-SM-5KM2D 50-59 years, female 22.7
GTEX-1LG7Z-1326-SM-DIPF3 30-39 years, male 22.7
GTEX-17F9Y-2626-SM-7IGN9 70-79 years, female 22.5
GTEX-XQ8I-2326-SM-4BOQC 50-59 years, male 22.5
GTEX-17HGU-2626-SM-79OKN 50-59 years, male 22.3
GTEX-ZAB4-2426-SM-5HL8A 40-49 years, male 22.3
GTEX-1N2DV-1826-SM-E6CJ5 40-49 years, male 22.3
GTEX-13PL7-2426-SM-5J2N3 60-69 years, female 22.2
GTEX-WI4N-2226-SM-4OOS9 40-49 years, female 22.2
GTEX-17GQL-1626-SM-7LG69 60-69 years, male 22.1
GTEX-183FY-1426-SM-7DHLM 20-29 years, male 22.1
GTEX-WFG8-1726-SM-4LVM6 20-29 years, male 22.1
GTEX-1CAMS-2626-SM-7PBY3 40-49 years, female 22.1
GTEX-11ZU8-1126-SM-5EQ5K 60-69 years, male 22.0
GTEX-13OW8-2726-SM-5L3FZ 60-69 years, male 22.0
GTEX-1JN76-1326-SM-ARU94 20-29 years, female 22.0
GTEX-13OW5-2826-SM-5KM1G 60-69 years, male 21.9
GTEX-146FH-2426-SM-5Q5EW 50-59 years, female 21.8
GTEX-1H3VE-2326-SM-9KNVU 40-49 years, male 21.8
GTEX-131YS-2926-SM-5EGKI 60-69 years, female 21.7
GTEX-Y5LM-1426-SM-5RQJL 40-49 years, female 21.7
GTEX-13PVQ-2726-SM-5L3H7 50-59 years, male 21.6
GTEX-1E2YA-2526-SM-7IGOU 50-59 years, male 21.6
GTEX-1F5PK-1726-SM-7RHHW 50-59 years, male 21.6
GTEX-1HKZK-2026-SM-9WYUF 40-49 years, male 21.6
GTEX-14PK6-1826-SM-69LOM 70-79 years, female 21.5
GTEX-17KNJ-1826-SM-7LT9N 50-59 years, male 21.5
GTEX-Y8LW-1126-SM-4VDS4 50-59 years, female 21.4
GTEX-1HSMO-2526-SM-A9SKP 60-69 years, male 21.4
GTEX-1LSNM-1426-SM-E6CIH 50-59 years, male 21.4
GTEX-14PN3-1926-SM-6EU1Y 60-69 years, female 21.3
GTEX-1IDJH-2826-SM-CJI49 70-79 years, male 21.3
GTEX-XXEK-1826-SM-4BRVC 50-59 years, male 21.2
GTEX-1GMR3-2526-SM-7P8QS 40-49 years, male 21.2
GTEX-ZPCL-1626-SM-57WGC 60-69 years, female 21.1
GTEX-1GZ4H-1326-SM-7P8TE 50-59 years, female 21.1
GTEX-12WSL-1826-SM-5LZW9 50-59 years, male 21.0
GTEX-1HFI7-1626-SM-9WYTR 50-59 years, female 21.0
GTEX-1JJE9-2526-SM-ARU8K 70-79 years, male 21.0
GTEX-1R7EU-1826-SM-DTX9L 60-69 years, male 21.0
GTEX-1211K-1826-SM-5EGJ2 60-69 years, female 20.9
GTEX-13FHO-2726-SM-5K7VG 60-69 years, male 20.9
GTEX-1A32A-2626-SM-73KX9 50-59 years, female 20.9
GTEX-XUW1-1826-SM-4BOQD 50-59 years, female 20.9
GTEX-1HCU7-2726-SM-A9G3D 50-59 years, male 20.9
GTEX-18D9A-1326-SM-7LT8P 30-39 years, female 20.8
GTEX-WHPG-1626-SM-4M1ZL 50-59 years, male 20.8
GTEX-12WSM-1426-SM-5GCPA 60-69 years, male 20.7
GTEX-147JS-2626-SM-5S2UX 60-69 years, male 20.7
GTEX-15G19-2726-SM-6LPKG 60-69 years, male 20.7
GTEX-1HSEH-1926-SM-A96SB 60-69 years, male 20.7
GTEX-16MTA-1626-SM-6M47N 50-59 years, male 20.6
GTEX-1AMFI-1826-SM-73KWB 50-59 years, female 20.5
GTEX-11EQ8-2626-SM-5N9BO 60-69 years, male 20.4
GTEX-WHWD-1526-SM-4OORV 50-59 years, male 20.4
GTEX-X15G-1526-SM-4PQZM 50-59 years, female 20.4
GTEX-145MO-2626-SM-5QGPD 60-69 years, male 20.3
GTEX-15RJ7-1726-SM-6PAL3 40-49 years, male 20.3
GTEX-1H1E6-1826-SM-A9G21 30-39 years, male 20.3
GTEX-11EMC-1426-SM-5N9E4 60-69 years, female 20.2
GTEX-11I78-1326-SM-5PNY9 50-59 years, female 20.2
GTEX-14E6E-1726-SM-5S2R6 30-39 years, male 20.2
GTEX-14PJ4-1826-SM-5YY97 60-69 years, male 20.2
GTEX-15DYW-2426-SM-7KUG8 60-69 years, female 20.2
GTEX-ZP4G-1526-SM-57WE5 20-29 years, female 20.2
GTEX-1J8QM-1226-SM-CY8HI 60-69 years, female 20.2
GTEX-1QW4Y-1426-SM-E76P3 30-39 years, male 20.2
GTEX-132NY-2726-SM-5PNY2 60-69 years, male 20.1
GTEX-18A6Q-2226-SM-7LG61 60-69 years, male 20.1
GTEX-1CB4G-2726-SM-79OO4 60-69 years, male 20.1
GTEX-1H3VY-2526-SM-9KNW1 50-59 years, male 20.1
GTEX-1QP28-2226-SM-DTX8C 50-59 years, female 20.1
GTEX-13N2G-2226-SM-5IJCU 60-69 years, male 20.0
GTEX-15UF6-2726-SM-7KULY 70-79 years, female 20.0
GTEX-WYVS-1126-SM-4SOJX 40-49 years, female 20.0
GTEX-1C64N-2226-SM-7SB7C 50-59 years, male 20.0
GTEX-1H1ZS-2626-SM-9QEIX 70-79 years, male 20.0
GTEX-11DXX-1926-SM-5EGJK 60-69 years, female 19.9
GTEX-ZT9W-1726-SM-51MS3 50-59 years, male 19.9
GTEX-ZXES-1726-SM-5E43G 30-39 years, female 19.9
GTEX-18QFQ-1726-SM-731C9 30-39 years, male 19.8
GTEX-1EH9U-1926-SM-7P8QM 60-69 years, male 19.8
GTEX-1HBPM-2626-SM-9WYU5 60-69 years, female 19.8
GTEX-ZC5H-2426-SM-4WAZ6 40-49 years, female 19.7
GTEX-ZLFU-1426-SM-4WWEU 40-49 years, male 19.7
GTEX-11EI6-2626-SM-5PNVT 60-69 years, male 19.6
GTEX-18A66-2626-SM-72D67 60-69 years, male 19.6
GTEX-1B932-2126-SM-7IGMU 40-49 years, female 19.6
GTEX-1EU9M-2726-SM-7P8QD 60-69 years, male 19.6
GTEX-1MGNQ-2126-SM-EV7AC 40-49 years, male 19.6
GTEX-14JG6-1626-SM-5YYBC 30-39 years, female 19.5
GTEX-15ETS-2326-SM-7KUGC 40-49 years, female 19.5
GTEX-15RIF-1426-SM-7KUKQ 20-29 years, male 19.5
GTEX-1BAJH-2726-SM-7IGNJ 70-79 years, male 19.5
GTEX-1C2JI-1726-SM-73KUW 50-59 years, male 19.5
GTEX-1JMLX-2526-SM-CY8HX 50-59 years, male 19.5
GTEX-1JN6P-2126-SM-ARL98 60-69 years, male 19.5
GTEX-11ZTS-1526-SM-5N9G7 60-69 years, female 19.4
GTEX-V955-1726-SM-4JBHF 60-69 years, male 19.4
GTEX-1QP67-1426-SM-E8VOO 40-49 years, female 19.4
GTEX-14PJ3-1226-SM-5ZZVY 50-59 years, male 19.3
GTEX-X4EO-2726-SM-4E3HS 60-69 years, female 19.3
GTEX-Y114-1626-SM-4TT7I 50-59 years, female 19.3
GTEX-ZF2S-1826-SM-4WKFF 50-59 years, female 19.3
GTEX-ZQG8-2426-SM-57WEE 60-69 years, female 19.3
GTEX-15G1A-1926-SM-7KUFF 30-39 years, male 19.3
GTEX-1J8Q3-2426-SM-CL53S 60-69 years, male 19.3
GTEX-1JMQK-2326-SM-ARZN4 60-69 years, male 19.3
GTEX-13D11-0626-SM-5LZYY 50-59 years, female 19.2
GTEX-1R9K5-2226-SM-DTX9G 50-59 years, male 19.2
GTEX-145LS-2926-SM-5O99G 60-69 years, female 19.1
GTEX-1K2DA-1626-SM-CGQGB 50-59 years, male 19.1
GTEX-1LBAC-1726-SM-D3L9W 20-29 years, male 19.1
GTEX-13X6I-2726-SM-5Q5ET 60-69 years, male 19.0
GTEX-17JCI-2826-SM-7IGNA 60-69 years, female 19.0
GTEX-1A3MX-2326-SM-718B4 60-69 years, male 18.9
GTEX-1I1GT-2026-SM-CKZPK 60-69 years, female 18.9
GTEX-1122O-1426-SM-5H11R 60-69 years, female 18.8
GTEX-1C4CL-1626-SM-7DUF3 30-39 years, male 18.8
GTEX-1JJEA-2526-SM-CY8HJ 60-69 years, male 18.8
GTEX-ZLV1-1326-SM-DO11Q 60-69 years, female 18.8
GTEX-1J8JJ-2426-SM-D4P4A 60-69 years, female 18.7
GTEX-1LGRB-2026-SM-COH47 50-59 years, female 18.7
GTEX-1S831-1726-SM-EWROJ 20-29 years, male 18.7
GTEX-12KS4-2326-SM-5EGJB 30-39 years, male 18.6
GTEX-1AX9K-1626-SM-73KUS 50-59 years, male 18.6
GTEX-1F5PL-1926-SM-7MXTP 40-49 years, female 18.6
GTEX-13FH7-1626-SM-5J2O9 50-59 years, female 18.5
GTEX-15CHQ-2626-SM-686YZ 60-69 years, male 18.5
GTEX-ZE7O-2626-SM-51MSS 50-59 years, female 18.5
GTEX-17HHE-1626-SM-7DHLN 50-59 years, male 18.4
GTEX-ZTTD-2626-SM-57WEX 50-59 years, male 18.4
GTEX-1QP9N-0826-SM-DTX9O 30-39 years, male 18.4
GTEX-11DXZ-1626-SM-5GIDI 50-59 years, male 18.3
GTEX-11GS4-1826-SM-5HL4T 60-69 years, male 18.3
GTEX-ZE9C-2126-SM-4WKGY 60-69 years, male 18.3
GTEX-12WSG-2426-SM-5EQLZ 50-59 years, female 18.2
GTEX-11ONC-1926-SM-5GU75 60-69 years, male 18.1
GTEX-13CF2-1826-SM-5N9GK 60-69 years, male 18.1
GTEX-13O1R-2426-SM-5KLZZ 60-69 years, male 18.1
GTEX-16NGA-0926-SM-718AG 40-49 years, female 18.1
GTEX-1LVAM-1726-SM-DHXKQ 50-59 years, female 18.1
GTEX-1N2EF-1726-SM-EXUSI 60-69 years, male 18.1
GTEX-14BMU-1326-SM-5RQIH 20-29 years, female 18.0
GTEX-ZVT4-2626-SM-5N9GJ 50-59 years, female 18.0
GTEX-1H23P-2626-SM-9KNVN 60-69 years, male 18.0
GTEX-1HCVE-2326-SM-9WYUD 50-59 years, male 18.0
GTEX-1RQEC-2626-SM-EVR3Z 60-69 years, male 18.0
GTEX-111YS-1826-SM-5GIEP 60-69 years, male 17.9
GTEX-1F75W-2126-SM-7RHIA 60-69 years, male 17.9
GTEX-1OFPY-1226-SM-E76OM 60-69 years, male 17.9
GTEX-1PIEJ-1826-SM-EWRMN 20-29 years, female 17.9
GTEX-Y3I4-1126-SM-4TT7Y 50-59 years, male 17.7
GTEX-ZVT2-1726-SM-51MRO 50-59 years, female 17.7
GTEX-1GTWX-2626-SM-9WPOT 60-69 years, male 17.7
GTEX-1PBJI-2526-SM-E6CP4 20-29 years, female 17.7
GTEX-1S82P-2026-SM-E9TIQ 60-69 years, female 17.7
GTEX-17HG3-1126-SM-7DUFC 30-39 years, female 17.6
GTEX-1AYCT-1926-SM-793AE 50-59 years, male 17.6
GTEX-1B97I-1526-SM-73KUK 40-49 years, male 17.6
GTEX-Y9LG-1326-SM-4VBQB 30-39 years, male 17.6
GTEX-1HSKV-2326-SM-A9SL9 60-69 years, male 17.6
GTEX-1JMPZ-2626-SM-ARU8Z 30-39 years, male 17.6
GTEX-14A5H-1626-SM-5SIAN 60-69 years, male 17.5
GTEX-13PVR-1726-SM-5Q5EC 60-69 years, female 17.4
GTEX-14PHX-1126-SM-5YYA5 50-59 years, male 17.4
GTEX-1GMR2-1826-SM-9KNUP 50-59 years, male 17.4
GTEX-1IKOE-2126-SM-A96T5 30-39 years, female 17.4
GTEX-1IL2U-2526-SM-C1YQV 60-69 years, male 17.4
GTEX-1212Z-1826-SM-5FQSH 60-69 years, male 17.3
GTEX-147GR-2826-SM-5RQK8 60-69 years, male 17.3
GTEX-YF7O-1626-SM-5IFII 50-59 years, male 17.3
GTEX-1JK1U-1426-SM-CNPOW 60-69 years, male 17.3
GTEX-1LVAN-2626-SM-CNPQF 50-59 years, female 17.3
GTEX-1P4AB-2626-SM-DTXEU 50-59 years, male 17.3
GTEX-13OVI-2126-SM-5KM3U 60-69 years, female 17.2
GTEX-14A5I-2426-SM-5Q5CP 50-59 years, female 17.2
GTEX-1GF9X-1426-SM-7RHGX 40-49 years, female 17.2
GTEX-1LGOU-1726-SM-D3L8P 20-29 years, female 17.2
GTEX-1QP29-2526-SM-E6CQ3 50-59 years, male 17.2
GTEX-Z93S-2626-SM-57WBX 50-59 years, male 17.1
GTEX-14PKV-1926-SM-686YU 20-29 years, female 17.0
GTEX-1KANA-1726-SM-CY8IG 20-29 years, male 17.0
GTEX-1LG7Y-2226-SM-E9U5K 50-59 years, male 17.0
GTEX-12ZZX-2726-SM-5N9FT 40-49 years, female 16.9
GTEX-139T6-1426-SM-5P9J7 50-59 years, male 16.9
GTEX-18465-2726-SM-7LT9I 50-59 years, male 16.9
GTEX-12WSD-2626-SM-5EGJE 60-69 years, female 16.8
GTEX-13SLW-2826-SM-5Q5ES 70-79 years, male 16.8
GTEX-14BIN-2426-SM-5TDCF 50-59 years, female 16.8
GTEX-XBED-1726-SM-47JYO 60-69 years, male 16.8
GTEX-ZYFG-1826-SM-5GZWX 60-69 years, female 16.8
GTEX-1JMQJ-2626-SM-CY8HQ 50-59 years, male 16.8
GTEX-16BQI-2026-SM-7KULQ 30-39 years, female 16.7
GTEX-WRHK-1126-SM-4MVOJ 20-29 years, female 16.7
GTEX-YJ8O-1426-SM-5PNV9 40-49 years, female 16.7
GTEX-1GMRU-2626-SM-9WPPM 50-59 years, male 16.7
GTEX-1I1GR-2226-SM-ARL7F 60-69 years, male 16.7
GTEX-1QCLZ-2026-SM-EAZ4A 60-69 years, female 16.7
GTEX-1B8L1-1926-SM-7IGND 60-69 years, male 16.6
GTEX-WFON-1326-SM-4LVMN 40-49 years, male 16.6
GTEX-1GMR8-2926-SM-9KNW5 50-59 years, female 16.6
GTEX-11ZTT-1626-SM-5EQKR 60-69 years, female 16.5
GTEX-1399U-2226-SM-5KLZI 50-59 years, female 16.5
GTEX-13RTJ-1926-SM-5YYA2 60-69 years, male 16.5
GTEX-1C6VQ-2626-SM-7IGMQ 50-59 years, male 16.5
GTEX-1HSMQ-2526-SM-A9SMK 50-59 years, male 16.5
GTEX-1KXAM-1926-SM-D3LAG 60-69 years, male 16.5
GTEX-15RJE-2226-SM-6M46A 40-49 years, male 16.4
GTEX-1IDJU-1926-SM-CL53W 60-69 years, female 16.4
GTEX-1QP2A-2226-SM-DTXF6 50-59 years, male 16.4
GTEX-11EQ9-1526-SM-5PNY7 30-39 years, male 16.3
GTEX-ZAJG-2626-SM-5S2NU 50-59 years, female 16.3
GTEX-ZG7Y-1826-SM-4WWD3 50-59 years, male 16.3
GTEX-1J8EW-2426-SM-CE6T5 60-69 years, female 16.3
GTEX-1JKYN-2226-SM-ARZNE 30-39 years, male 16.3
GTEX-ZLWG-1826-SM-DO11I 50-59 years, female 16.3
GTEX-111CU-1226-SM-5EGIN 50-59 years, male 16.2
GTEX-11P7K-1826-SM-5HL5A 30-39 years, male 16.2
GTEX-1AX9J-2526-SM-73KUY 60-69 years, male 16.2
GTEX-1B996-2726-SM-7DUGG 60-69 years, male 16.2
GTEX-ZPIC-2626-SM-57WE2 40-49 years, female 16.2
GTEX-ZQUD-1026-SM-4YCEZ 30-39 years, male 16.2
GTEX-ZYY3-2226-SM-5E45A 60-69 years, female 16.2
GTEX-1H3NZ-2526-SM-9KNVO 60-69 years, male 16.2
GTEX-1HCUA-1926-SM-B2LWE 50-59 years, female 16.2
GTEX-11EM3-1626-SM-5N9CO 20-29 years, female 16.1
GTEX-12ZZY-2726-SM-5EQ45 60-69 years, male 16.1
GTEX-1I1GP-2826-SM-A9SKZ 50-59 years, male 16.1
GTEX-16Z82-2426-SM-7KUMS 60-69 years, male 16.0
GTEX-11TT1-0926-SM-5GU5M 20-29 years, male 15.9
GTEX-13X6K-2726-SM-5O9DG 60-69 years, female 15.9
GTEX-145MH-2726-SM-5QGQ6 50-59 years, male 15.9
GTEX-1GPI7-1926-SM-9KNUH 20-29 years, male 15.9
GTEX-11TUW-2326-SM-5EQMO 60-69 years, male 15.8
GTEX-13OVK-1026-SM-7KFTC 40-49 years, male 15.8
GTEX-13QBU-2026-SM-5KLZB 40-49 years, female 15.8
GTEX-XUZC-1526-SM-4BRV4 30-39 years, female 15.8
GTEX-1H1DE-1626-SM-9KNU5 20-29 years, male 15.8
GTEX-1HBPI-2226-SM-9WYTY 50-59 years, male 15.8
GTEX-1HBPN-2026-SM-B2LWA 50-59 years, male 15.8
GTEX-1HSGN-2226-SM-A9SL6 40-49 years, female 15.8
GTEX-17EUY-1726-SM-79OK4 20-29 years, male 15.7
GTEX-WQUQ-2626-SM-4MVNP 60-69 years, male 15.7
GTEX-XAJ8-0726-SM-47JY5 40-49 years, male 15.7
GTEX-1ICG6-2226-SM-B2LY7 70-79 years, female 15.7
GTEX-139D8-2926-SM-5IJBM 30-39 years, female 15.6
GTEX-14DAQ-2926-SM-664MV 60-69 years, female 15.6
GTEX-ZTSS-1226-SM-51MSZ 40-49 years, male 15.6
GTEX-1IDJI-2226-SM-CKZPM 50-59 years, female 15.6
GTEX-1HCU6-2926-SM-B2LWV 60-69 years, female 15.5
GTEX-1CAMR-1026-SM-7P8QI 20-29 years, male 15.4
GTEX-18A67-2226-SM-7LT9Z 50-59 years, male 15.3
GTEX-1477Z-2126-SM-5Q5CM 60-69 years, male 15.2
GTEX-1EMGI-2626-SM-7IGNR 60-69 years, male 15.2
GTEX-YECK-2826-SM-5IFHF 60-69 years, male 15.2
GTEX-ZVT3-2826-SM-5GU6A 60-69 years, female 15.2
GTEX-1C64O-2426-SM-7P8R3 60-69 years, male 15.2
GTEX-183WM-2526-SM-731BP 70-79 years, female 15.1
GTEX-ZF29-1826-SM-4WKG8 60-69 years, female 15.0
GTEX-1PIGE-1526-SM-DTXFC 20-29 years, male 15.0
GTEX-1PIIG-2126-SM-EXUSD 30-39 years, male 15.0
GTEX-145ME-1126-SM-5SIAT 40-49 years, female 14.9
GTEX-11PRG-2026-SM-5GU5F 50-59 years, male 14.8
GTEX-148VJ-2426-SM-5NQ9Y 70-79 years, male 14.7
GTEX-WFG7-1626-SM-4LVMF 20-29 years, male 14.7
GTEX-12WSJ-1426-SM-5GCON 40-49 years, female 14.6
GTEX-1I6K6-1926-SM-A96SN 30-39 years, male 14.6
GTEX-1JKYR-2026-SM-CNPON 20-29 years, male 14.6
GTEX-13111-1926-SM-5GCOL 50-59 years, male 14.5
GTEX-13U4I-2626-SM-5SI9C 40-49 years, female 14.4
GTEX-13VXT-2026-SM-5L3EW 20-29 years, female 14.4
GTEX-YJ8A-1726-SM-5P9IQ 20-29 years, male 14.3
GTEX-ZVZQ-2626-SM-59HLB 60-69 years, female 14.3
GTEX-ZYT6-2826-SM-5GICX 30-39 years, male 14.3
GTEX-1K9T9-2926-SM-E9TKD 50-59 years, female 14.3
GTEX-WOFM-1926-SM-4OOSP 20-29 years, male 14.2
GTEX-ZA64-1426-SM-5CVMC 20-29 years, male 14.2
GTEX-1LSVX-2026-SM-E9TJD 60-69 years, male 14.2
GTEX-1J1R8-1426-SM-CL55O 40-49 years, male 14.1
GTEX-17MFQ-1226-SM-7KFSA 20-29 years, male 14.0
GTEX-WXYG-1726-SM-4ONCU 50-59 years, female 14.0
GTEX-1PDJ9-2026-SM-E76PT 20-29 years, male 14.0
GTEX-117YX-0526-SM-5EGJH 50-59 years, male 13.9
GTEX-12696-1926-SM-5EGJT 60-69 years, male 13.8
GTEX-13113-1426-SM-5EGHU 60-69 years, female 13.8
GTEX-1S5ZA-1426-SM-E6CJQ 20-29 years, male 13.8
GTEX-YEC3-2026-SM-DKPOL 50-59 years, male 13.8
GTEX-1QCLY-2026-SM-EVR4C 30-39 years, male 13.7
GTEX-ZZ64-0826-SM-5E449 20-29 years, male 13.5
GTEX-13OW6-2226-SM-5N9FL 50-59 years, male 13.4
GTEX-1RAZQ-2026-SM-E76P7 30-39 years, male 13.3
GTEX-11DXY-2026-SM-5N9CZ 60-69 years, male 13.2
GTEX-1GL5R-1726-SM-9KNUX 50-59 years, male 13.2
GTEX-1HB9E-2526-SM-D4P35 50-59 years, male 12.9
GTEX-11VI4-1426-SM-5GU6O 40-49 years, female 12.8
GTEX-144GM-1126-SM-79OJK 20-29 years, male 12.8
GTEX-ZY6K-1326-SM-5GZWP 50-59 years, male 12.7
GTEX-WHSE-2726-SM-EZ6ML 20-29 years, male 12.6
GTEX-1A3MV-1026-SM-72D5U 30-39 years, male 12.5
GTEX-Y5V6-1626-SM-4VDT2 60-69 years, male 12.4
GTEX-1C475-1526-SM-7DHM3 40-49 years, female 12.3
GTEX-WH7G-1426-SM-4LVMU 40-49 years, male 12.1
GTEX-VJYA-2126-SM-4KL1O 60-69 years, male 12.0
GTEX-1PPH8-2226-SM-EWRN7 20-29 years, male 12.0
GTEX-1HBPH-2526-SM-ACKXK 40-49 years, female 11.6
GTEX-15DZA-1026-SM-6PAND 30-39 years, female 11.5
GTEX-WYJK-2326-SM-4ONDN 50-59 years, male 11.4
GTEX-1PFEY-1726-SM-DPRZ4 30-39 years, male 11.3
GTEX-14C39-1626-SM-5S2P4 40-49 years, male 10.6
GTEX-1JMPY-1026-SM-ARZN1 30-39 years, male 10.6
GTEX-13W3W-2226-SM-5LU4M 60-69 years, female 10.4
GTEX-1OJC3-1826-SM-DTX93 20-29 years, male 9.6
GTEX-W5WG-2026-SM-4LMIB 50-59 years, female 9.2
GTEX-Y8E4-2326-SM-EAZAZ 40-49 years, male 9.0
GTEX-15FZZ-1826-SM-6LLJP 30-39 years, female 8.9
GTEX-15F5U-1426-SM-7KUN2 40-49 years, male 8.7
GTEX-15ER7-2826-SM-6PAN2 20-29 years, female 8.5
GTEX-X5EB-1126-SM-46MVV 40-49 years, male 8.4
GTEX-ZYFD-2226-SM-5E43P 50-59 years, male 8.1
GTEX-1AMEY-1826-SM-72D5L 30-39 years, female 7.9
Show allShow less
Colon - Transverse
Average nTPM: 14.7
Samples: 406

Max nTPM: 31.4
Min nTPM: 6.4
Std nTPM: 3.9
Median nTPM: 14.2
GTEX-14AS3-1126-SM-5Q5CR 40-49 years, female 31.4
GTEX-11GSP-1626-SM-5986N 60-69 years, female 29.5
GTEX-OXRN-2026-SM-E6CHK 50-59 years, male 29.0
GTEX-14JIY-3326-SM-6871E 60-69 years, male 27.7
GTEX-1JN1M-2626-SM-CY8I3 60-69 years, female 26.6
GTEX-15G1A-1826-SM-7KUKO 30-39 years, male 25.9
GTEX-1GMR2-1726-SM-9JGI2 50-59 years, male 25.7
GTEX-14E1K-1826-SM-793DT 50-59 years, male 25.5
GTEX-1PWST-2426-SM-EWRMP 70-79 years, male 25.4
GTEX-1LBAC-1626-SM-CXZKV 20-29 years, male 24.3
GTEX-117YW-1826-SM-5PNY5 50-59 years, male 23.8
GTEX-1AYD5-1726-SM-7RHFW 50-59 years, male 23.5
GTEX-13O61-1626-SM-5KM3T 60-69 years, male 23.4
GTEX-14C5O-2526-SM-73KU2 60-69 years, male 23.3
GTEX-1AX8Z-2726-SM-73KUC 60-69 years, male 23.2
GTEX-1IDJD-2226-SM-A96TD 30-39 years, male 23.2
GTEX-WY7C-1626-SM-4ONC8 50-59 years, male 22.8
GTEX-1RMOY-1626-SM-EVYC8 50-59 years, male 22.7
GTEX-13O3P-2326-SM-5KM55 50-59 years, male 21.9
GTEX-1339X-1626-SM-5IJDN 40-49 years, male 21.8
GTEX-ZV6S-1226-SM-59HLH 40-49 years, female 21.7
GTEX-1QPFJ-2326-SM-E6CR7 30-39 years, female 21.5
GTEX-13FH7-1526-SM-5J2N6 50-59 years, female 21.3
GTEX-1NV5F-2226-SM-DTX8O 60-69 years, female 21.3
GTEX-14E6E-1526-SM-5RQIG 30-39 years, male 21.2
GTEX-1C2JI-1626-SM-7EPHC 50-59 years, male 20.9
GTEX-16XZZ-2626-SM-6M47S 60-69 years, male 20.7
GTEX-XXEK-1926-SM-4BRVD 50-59 years, male 20.7
GTEX-1EH9U-2026-SM-7PBYS 60-69 years, male 20.6
GTEX-18A7A-2226-SM-7LT8K 50-59 years, female 20.5
GTEX-18QFQ-1526-SM-72D57 30-39 years, male 20.5
GTEX-QLQ7-1126-SM-CYPRB 60-69 years, male 20.4
GTEX-U3ZH-1326-SM-4DXSF 30-39 years, male 20.3
GTEX-1HCU7-2626-SM-C1YQO 50-59 years, male 20.3
GTEX-145MO-2426-SM-5NQ9W 60-69 years, male 20.2
GTEX-14H4A-1926-SM-5ZZWN 40-49 years, female 20.0
GTEX-17F96-2026-SM-79ON4 70-79 years, male 20.0
GTEX-OXRO-0726-SM-E9U4C 60-69 years, female 19.8
GTEX-R45C-2126-SM-EZ6KZ 60-69 years, female 19.8
GTEX-13W3W-2126-SM-5K7UX 60-69 years, female 19.7
GTEX-15UF6-2626-SM-6M466 70-79 years, female 19.7
GTEX-1F75B-2726-SM-7P8QO 50-59 years, male 19.7
GTEX-1PPGY-2826-SM-DTX9H 60-69 years, male 19.7
GTEX-U412-1726-SM-EZ6KX 60-69 years, male 19.7
GTEX-1C64O-2326-SM-73KU8 60-69 years, male 19.5
GTEX-Y5LM-1526-SM-4VDTA 40-49 years, female 19.5
GTEX-18D9B-2526-SM-718BN 60-69 years, male 19.3
GTEX-P78B-1726-SM-3P5ZV 40-49 years, female 19.3
GTEX-18A7B-2026-SM-72D71 70-79 years, male 19.2
GTEX-17HII-2726-SM-7MGVM 50-59 years, male 19.2
GTEX-13OVI-2026-SM-5J1MU 60-69 years, female 18.9
GTEX-1GN73-2626-SM-9KNUQ 60-69 years, male 18.9
GTEX-Y8LW-1226-SM-4WWDP 50-59 years, female 18.8
GTEX-12WSL-1626-SM-5GCMU 50-59 years, male 18.6
GTEX-13CF3-1426-SM-5K7YY 60-69 years, female 18.6
GTEX-ZXES-1626-SM-5NQ7L 30-39 years, female 18.5
GTEX-1QW4Y-1326-SM-EWRMZ 30-39 years, male 18.5
GTEX-13OW5-2626-SM-5MR3M 60-69 years, male 18.4
GTEX-1JJ6O-2426-SM-ARU8J 60-69 years, male 18.4
GTEX-1POEN-2026-SM-E6CRL 30-39 years, female 18.4
GTEX-1R9K5-2126-SM-E8VN1 50-59 years, male 18.4
GTEX-1S5VW-2926-SM-E9U6H 60-69 years, male 18.4
GTEX-PSDG-1826-SM-EAZ2S 50-59 years, male 18.4
GTEX-OHPN-2026-SM-E9TIA 60-69 years, female 18.3
GTEX-17F9E-1826-SM-7IGMC 50-59 years, male 18.2
GTEX-1OKEX-1226-SM-DTXEC 60-69 years, male 18.2
GTEX-11TTK-2426-SM-5PNYO 60-69 years, female 18.1
GTEX-17KNJ-1726-SM-7LG6A 50-59 years, male 18.0
GTEX-WQUQ-2526-SM-4MVNO 60-69 years, male 18.0
GTEX-WVJS-2426-SM-EZ6LI 50-59 years, male 18.0
GTEX-11ONC-2026-SM-5HL61 60-69 years, male 17.9
GTEX-Y3I4-1426-SM-4TT9C 50-59 years, male 17.9
GTEX-12ZZZ-2426-SM-5GCNN 60-69 years, male 17.8
GTEX-148VJ-2626-SM-5QGPI 70-79 years, male 17.8
GTEX-Q734-1126-SM-48TZY 40-49 years, female 17.8
GTEX-S341-1426-SM-4AD6U 40-49 years, female 17.8
GTEX-ZT9W-1826-SM-51MQX 50-59 years, male 17.8
GTEX-1ICLZ-2426-SM-CKZOD 60-69 years, male 17.7
GTEX-15CHC-1626-SM-5ZZWS 60-69 years, female 17.6
GTEX-1J1OQ-2726-SM-AHZ3R 40-49 years, female 17.6
GTEX-117YX-0826-SM-5H11J 50-59 years, male 17.5
GTEX-145LS-2726-SM-5Q5D8 60-69 years, female 17.5
GTEX-WFON-1426-SM-4LVMT 40-49 years, male 17.5
GTEX-ZAB4-2226-SM-5HL97 40-49 years, male 17.5
GTEX-ZYVF-2826-SM-5GIDK 50-59 years, female 17.5
GTEX-1F5PK-1926-SM-7MXT7 50-59 years, male 17.5
GTEX-1JMLX-2726-SM-CM2SB 50-59 years, male 17.5
GTEX-15DZA-0926-SM-69LQ3 30-39 years, female 17.3
GTEX-ZYFC-2626-SM-5NQ6S 50-59 years, male 17.3
GTEX-1LG7Y-2126-SM-DIPER 50-59 years, male 17.3
GTEX-1122O-1526-SM-5N9CL 60-69 years, female 17.2
GTEX-OHPM-1426-SM-3TW8Y 50-59 years, male 17.2
GTEX-R55C-1126-SM-48FCJ 40-49 years, male 17.2
GTEX-RWS6-1826-SM-47JXX 60-69 years, female 17.2
GTEX-XAJ8-0426-SM-47JYJ 40-49 years, male 17.2
GTEX-12WSJ-1526-SM-5GCNI 40-49 years, female 17.1
GTEX-15CHQ-2526-SM-6EU24 60-69 years, male 17.1
GTEX-NFK9-2026-SM-3LK5K 40-49 years, male 17.1
GTEX-15RIF-1326-SM-6LPKO 20-29 years, male 17.0
GTEX-OXRL-1426-SM-3NM9E 50-59 years, male 17.0
GTEX-111YS-1626-SM-5GZZ9 60-69 years, male 16.9
GTEX-XQ8I-2126-SM-4BOOM 50-59 years, male 16.9
GTEX-11O72-2226-SM-5PNW2 40-49 years, male 16.7
GTEX-11ZVC-2126-SM-5EGJ1 50-59 years, female 16.7
GTEX-1S3DN-1826-SM-EV79K 50-59 years, male 16.7
GTEX-14ICK-1026-SM-6AJA4 40-49 years, male 16.6
GTEX-1PPH8-2026-SM-DTX7P 20-29 years, male 16.6
GTEX-13U4I-2426-SM-5LU34 40-49 years, female 16.5
GTEX-1AMFI-1726-SM-7189L 50-59 years, female 16.5
GTEX-1CB4F-2026-SM-79OLU 60-69 years, male 16.5
GTEX-17GQL-1526-SM-7LTAC 60-69 years, male 16.4
GTEX-1IGQW-2326-SM-CE6RV 60-69 years, male 16.4
GTEX-PX3G-1426-SM-48U1J 20-29 years, female 16.3
GTEX-V955-1626-SM-4JBHJ 60-69 years, male 16.3
GTEX-Z93S-2426-SM-5HL8N 50-59 years, male 16.3
GTEX-1GZ4H-1226-SM-9KNUA 50-59 years, female 16.3
GTEX-132AR-2726-SM-5PNVN 50-59 years, female 16.2
GTEX-15SHU-2526-SM-6M47D 40-49 years, female 16.2
GTEX-1I1GT-1926-SM-ARU7D 60-69 years, female 16.2
GTEX-OIZF-1426-SM-2HML2 60-69 years, male 16.2
GTEX-14DAQ-2726-SM-5S2QY 60-69 years, female 16.1
GTEX-14PJ5-0926-SM-6LLIK 60-69 years, female 16.1
GTEX-16MT8-2726-SM-7IGLJ 60-69 years, female 16.1
GTEX-T6MO-0826-SM-4DM51 40-49 years, female 16.1
GTEX-1IDJF-1826-SM-CKZOE 20-29 years, male 16.1
GTEX-1JMPZ-2426-SM-C1YQP 30-39 years, male 16.1
GTEX-X4EO-2526-SM-EWRM8 60-69 years, female 16.1
GTEX-11P81-1126-SM-5GU5G 30-39 years, female 16.0
GTEX-13O21-2426-SM-5MR4A 50-59 years, male 16.0
GTEX-16Z82-2226-SM-6LPJ7 60-69 years, male 15.9
GTEX-178AV-1326-SM-6LPJX 40-49 years, male 15.9
GTEX-1H11D-2626-SM-9JGH4 40-49 years, male 15.9
GTEX-147GR-2726-SM-664OO 60-69 years, male 15.8
GTEX-17JCI-2626-SM-7EWE6 60-69 years, female 15.8
GTEX-1EMGI-2726-SM-7P8S4 60-69 years, male 15.8
GTEX-1MCC2-1626-SM-DIPEW 30-39 years, female 15.8
GTEX-1MUQO-2626-SM-EWRO3 60-69 years, male 15.8
GTEX-111VG-2226-SM-5N9DU 60-69 years, male 15.7
GTEX-1BAJH-2326-SM-7IGMO 70-79 years, male 15.7
GTEX-1LVAN-2526-SM-CNPPC 50-59 years, female 15.7
GTEX-1S82U-0726-SM-E9TKI 30-39 years, female 15.7
GTEX-14PJ3-0926-SM-69LQG 50-59 years, male 15.6
GTEX-16NGA-1026-SM-7KFS3 40-49 years, female 15.6
GTEX-WYVS-1826-SM-4OND6 40-49 years, female 15.6
GTEX-1LG7Z-1426-SM-CXKYV 30-39 years, male 15.6
GTEX-ZG7Y-2126-SM-DO117 50-59 years, male 15.6
GTEX-13PL7-2526-SM-5IFGR 60-69 years, female 15.5
GTEX-14BMV-2426-SM-5S2PP 50-59 years, male 15.5
GTEX-16NPV-2626-SM-6M484 50-59 years, female 15.5
GTEX-17MF6-2426-SM-7LTAM 40-49 years, male 15.5
GTEX-O5YW-1426-SM-3MJHF 50-59 years, male 15.5
GTEX-QDVJ-1326-SM-48U1X 50-59 years, male 15.5
GTEX-ZYFG-1926-SM-5GID5 60-69 years, female 15.5
GTEX-1JJE9-2426-SM-D3L8T 70-79 years, male 15.5
GTEX-1QMI2-2626-SM-E6CR4 60-69 years, male 15.5
GTEX-O5YT-1426-SM-3MJHC 20-29 years, male 15.4
GTEX-1HCU6-2726-SM-A9SKV 60-69 years, female 15.4
GTEX-P4QT-1426-SM-3NMCX 50-59 years, female 15.3
GTEX-ZV7C-1526-SM-5NQ72 50-59 years, male 15.3
GTEX-1H1DG-2226-SM-9WPPC 70-79 years, male 15.2
GTEX-1HKZK-2126-SM-A9SL3 40-49 years, male 15.2
GTEX-15DYW-2326-SM-6PAMU 60-69 years, female 15.1
GTEX-13QJ3-2626-SM-9OSXQ 50-59 years, male 15.1
GTEX-OOBJ-1426-SM-E6CHH 60-69 years, male 15.1
GTEX-WOFM-2026-SM-4OOSQ 20-29 years, male 15.0
GTEX-XBED-1526-SM-4AT5W 60-69 years, male 15.0
GTEX-ZLV1-1226-SM-4WWBX 60-69 years, female 15.0
GTEX-13OVK-0826-SM-7KULZ 40-49 years, male 14.9
GTEX-1HCVE-2526-SM-A9G2G 50-59 years, male 14.9
GTEX-145ME-0826-SM-5O9AF 40-49 years, female 14.8
GTEX-1B932-2826-SM-73KUD 40-49 years, female 14.8
GTEX-R55D-1826-SM-48FEF 50-59 years, male 14.8
GTEX-S4UY-0826-SM-4AD4Z 40-49 years, female 14.8
GTEX-TKQ2-1326-SM-4DXT9 50-59 years, male 14.8
GTEX-XV7Q-2126-SM-4BRVX 40-49 years, female 14.8
GTEX-1IKK5-2726-SM-CNPQ6 60-69 years, male 14.8
GTEX-1LGOU-1626-SM-D3LAK 20-29 years, female 14.8
GTEX-11EM3-1526-SM-5A5KN 20-29 years, female 14.7
GTEX-13X6H-1926-SM-7EWD3 50-59 years, female 14.7
GTEX-1I1GR-2526-SM-CNNQF 60-69 years, male 14.7
GTEX-1B996-2626-SM-73KZ1 60-69 years, male 14.6
GTEX-ZGAY-2126-SM-4YCFB 40-49 years, female 14.6
GTEX-1A3MV-1126-SM-718BS 30-39 years, male 14.5
GTEX-S4P3-1226-SM-4AD4Y 50-59 years, female 14.5
GTEX-S7SF-1926-SM-4AT5B 20-29 years, female 14.5
GTEX-1H1DE-1526-SM-ARL9B 20-29 years, male 14.5
GTEX-1LSVX-1726-SM-DHXJP 60-69 years, male 14.5
GTEX-1N2EF-1926-SM-DTX8M 60-69 years, male 14.5
GTEX-ZLWG-1726-SM-DNZZ2 50-59 years, female 14.5
GTEX-16AAH-1326-SM-7KFRG 50-59 years, male 14.4
GTEX-XUW1-1926-SM-4BOP1 50-59 years, female 14.4
GTEX-1KANB-1526-SM-CXZK4 50-59 years, male 14.4
GTEX-1R9JW-2026-SM-EAZ4O 30-39 years, female 14.4
GTEX-11EQ9-1426-SM-5987G 30-39 years, male 14.3
GTEX-147JS-2526-SM-5S2Q8 60-69 years, male 14.3
GTEX-ZDYS-2326-SM-4WKG6 50-59 years, male 14.3
GTEX-1GL5R-2426-SM-7MXV1 50-59 years, male 14.3
GTEX-1GMR3-2826-SM-9WPOG 40-49 years, male 14.3
GTEX-1LH75-2126-SM-EVR5F 50-59 years, female 14.3
GTEX-13OVG-1426-SM-5K7VP 60-69 years, male 14.2
GTEX-144GN-1126-SM-5LU33 50-59 years, male 14.2
GTEX-1C6VQ-2726-SM-73KUL 50-59 years, male 14.2
GTEX-Q2AI-0926-SM-48U1F 40-49 years, male 14.2
GTEX-131XE-0826-SM-5HL9W 50-59 years, male 14.1
GTEX-14ICL-1226-SM-5S2RD 30-39 years, male 14.1
GTEX-15ER7-2926-SM-7KUFK 20-29 years, female 14.1
GTEX-Q2AH-1226-SM-48TZL 40-49 years, male 14.1
GTEX-QLQW-0426-SM-447A7 30-39 years, male 14.1
GTEX-X5EB-0926-SM-46MVT 40-49 years, male 14.1
GTEX-ZF29-1726-SM-4WKFV 60-69 years, female 14.1
GTEX-11TUW-2026-SM-5EQL8 60-69 years, male 14.0
GTEX-17F98-1026-SM-7IGO8 40-49 years, female 14.0
GTEX-11TT1-1026-SM-5PNW7 20-29 years, male 13.9
GTEX-12KS4-2426-SM-5LU8P 30-39 years, male 13.9
GTEX-13111-0726-SM-5DUVE 50-59 years, male 13.9
GTEX-14BIN-3026-SM-5ZZUS 50-59 years, female 13.9
GTEX-OIZH-1426-SM-3NB1O 50-59 years, male 13.9
GTEX-Y114-1526-SM-4TT79 50-59 years, female 13.9
GTEX-Y8E4-2426-SM-4WWDN 40-49 years, male 13.9
GTEX-1E2YA-2626-SM-7MGWW 50-59 years, male 13.9
GTEX-1IOXB-2626-SM-CJI2N 50-59 years, male 13.9
GTEX-1QCLZ-1926-SM-E6CR3 60-69 years, female 13.9
GTEX-139YR-2126-SM-5KM11 50-59 years, male 13.8
GTEX-13OVJ-1726-SM-5IJDZ 50-59 years, female 13.8
GTEX-1KANC-0926-SM-D3LA9 50-59 years, female 13.8
GTEX-1N2DV-1426-SM-DPRYQ 40-49 years, male 13.8
GTEX-11DXZ-1726-SM-5H12M 50-59 years, male 13.7
GTEX-1399R-2226-SM-5P9JB 30-39 years, male 13.6
GTEX-139TS-1926-SM-5IJFO 60-69 years, male 13.6
GTEX-1AX9I-2626-SM-73KU5 60-69 years, male 13.6
GTEX-PLZ6-0926-SM-3P5ZQ 30-39 years, male 13.6
GTEX-S3XE-1126-SM-4AD4N 50-59 years, male 13.6
GTEX-UJHI-1126-SM-4IHLN 50-59 years, female 13.6
GTEX-11DXX-1826-SM-5H126 60-69 years, female 13.5
GTEX-17EVQ-1826-SM-7IGPH 70-79 years, male 13.5
GTEX-SE5C-1526-SM-4BRWU 40-49 years, female 13.5
GTEX-WYJK-2226-SM-4ONDJ 50-59 years, male 13.5
GTEX-13S86-1626-SM-5Q5C5 40-49 years, male 13.4
GTEX-14DAR-1526-SM-5RQIX 50-59 years, male 13.4
GTEX-1GF9U-1526-SM-7MXUW 40-49 years, female 13.4
GTEX-1H1E6-1926-SM-9OSWD 30-39 years, male 13.4
GTEX-1RDX4-1826-SM-EVR54 50-59 years, female 13.4
GTEX-11P7K-1526-SM-5EGI7 30-39 years, male 13.3
GTEX-14XAO-2026-SM-69LOI 60-69 years, female 13.3
GTEX-PLZ5-1126-SM-3P613 50-59 years, male 13.3
GTEX-SNMC-1126-SM-4DM5M 20-29 years, male 13.3
GTEX-SNOS-1226-SM-4DM5H 40-49 years, male 13.3
GTEX-U3ZM-1126-SM-4DXUB 40-49 years, male 13.3
GTEX-X3Y1-1726-SM-4PQZL 40-49 years, male 13.3
GTEX-ZPCL-1826-SM-57WF1 60-69 years, female 13.3
GTEX-ZVT2-1926-SM-5GU5T 50-59 years, female 13.3
GTEX-1N5O9-2726-SM-E76QH 60-69 years, male 13.2
GTEX-SJXC-2226-SM-EVYAK 60-69 years, male 13.2
GTEX-1399U-1926-SM-5IFH7 50-59 years, female 13.1
GTEX-13PVR-1626-SM-73KVF 60-69 years, female 13.1
GTEX-QDVN-1326-SM-48TZ3 50-59 years, male 13.1
GTEX-Y3IK-1826-SM-4WWDS 50-59 years, female 13.1
GTEX-1GZ4I-2426-SM-9WPPP 50-59 years, male 13.1
GTEX-TKQ1-0626-SM-4DXTS 30-39 years, male 13.0
GTEX-1IDJC-1326-SM-CL53H 50-59 years, male 13.0
GTEX-1K2DA-2026-SM-CGQGK 50-59 years, male 13.0
GTEX-11P82-1026-SM-5BC5J 20-29 years, male 12.9
GTEX-1AMEY-1926-SM-73KVT 30-39 years, female 12.9
GTEX-U3ZN-2126-SM-4DXU1 30-39 years, female 12.9
GTEX-1R9PM-1526-SM-DPRY8 20-29 years, male 12.9
GTEX-QEL4-1926-SM-D3L8D 50-59 years, male 12.9
GTEX-13FHP-2426-SM-5KLZ5 50-59 years, male 12.8
GTEX-13QBU-1826-SM-5IJG3 40-49 years, female 12.8
GTEX-14PHX-1526-SM-68717 50-59 years, male 12.8
GTEX-R55G-1226-SM-48FDC 40-49 years, female 12.8
GTEX-TML8-1326-SM-4DXTO 40-49 years, female 12.8
GTEX-XGQ4-1226-SM-4AT67 50-59 years, male 12.8
GTEX-1HCU9-1326-SM-B2LXT 20-29 years, male 12.8
GTEX-1JKYN-2326-SM-CGQG7 30-39 years, male 12.8
GTEX-1KANA-1926-SM-DHXKF 20-29 years, male 12.8
GTEX-13D11-0826-SM-5KLZJ 50-59 years, female 12.7
GTEX-X15G-1326-SM-4PQZJ 50-59 years, female 12.7
GTEX-11NSD-1626-SM-5986U 20-29 years, male 12.6
GTEX-17HGU-2426-SM-7EWDP 50-59 years, male 12.6
GTEX-1QP67-1326-SM-EAZ4D 40-49 years, female 12.6
GTEX-12BJ1-2126-SM-5BC5O 60-69 years, male 12.5
GTEX-14PJM-2626-SM-686ZD 50-59 years, female 12.5
GTEX-1LGRB-1426-SM-CNNPT 50-59 years, female 12.5
GTEX-13O3O-2526-SM-5L3DR 60-69 years, female 12.4
GTEX-WH7G-1326-SM-4LVMS 40-49 years, male 12.4
GTEX-WHWD-1226-SM-4OOS1 50-59 years, male 12.4
GTEX-ZY6K-1226-SM-5GZYL 50-59 years, male 12.4
GTEX-1CB4I-2226-SM-7P8SL 50-59 years, male 12.4
GTEX-1L5NE-2026-SM-CXZKR 50-59 years, male 12.4
GTEX-14PK6-1726-SM-6871J 70-79 years, female 12.3
GTEX-XYKS-2226-SM-4E3IU 60-69 years, female 12.3
GTEX-1IDJU-2026-SM-A9SLM 60-69 years, female 12.3
GTEX-14JG6-1726-SM-69LPL 30-39 years, female 12.2
GTEX-1LVAM-1626-SM-EV79Y 50-59 years, female 12.2
GTEX-1NHNU-2326-SM-E6CQE 50-59 years, male 12.2
GTEX-1211K-1726-SM-5FQUJ 60-69 years, female 12.1
GTEX-OXRK-1726-SM-3NB16 50-59 years, female 12.1
GTEX-XBEW-1926-SM-4SOJO 40-49 years, male 12.1
GTEX-1HSGN-2626-SM-CE6S1 40-49 years, female 12.1
GTEX-ZEX8-1926-SM-4WKFR 50-59 years, male 12.0
GTEX-13VXT-2426-SM-5LU46 20-29 years, female 11.9
GTEX-14C39-1926-SM-5ZZW5 40-49 years, male 11.8
GTEX-W5WG-2426-SM-4LMI6 50-59 years, female 11.8
GTEX-1HSMP-2326-SM-D3L8R 70-79 years, male 11.8
GTEX-1MA7W-0626-SM-EV79Z 20-29 years, female 11.8
GTEX-14PJ4-1926-SM-6LLHG 60-69 years, male 11.7
GTEX-18D9A-1126-SM-7KFRJ 30-39 years, female 11.7
GTEX-1CAMS-2526-SM-7EPH7 40-49 years, female 11.7
GTEX-P4PP-1426-SM-3NM9L 30-39 years, female 11.7
GTEX-XPVG-1826-SM-4B64X 50-59 years, male 11.7
GTEX-1R7EU-1926-SM-E9U62 60-69 years, male 11.7
GTEX-UJMC-1326-SM-4IHLS 50-59 years, male 11.6
GTEX-Y9LG-1526-SM-4WWDR 30-39 years, male 11.6
GTEX-ZTSS-1126-SM-5985O 40-49 years, male 11.6
GTEX-1CAMR-0926-SM-7MXTD 20-29 years, male 11.6
GTEX-11VI4-1526-SM-5EQKC 40-49 years, female 11.5
GTEX-144GL-2526-SM-5TDDL 50-59 years, male 11.5
GTEX-15RIE-1826-SM-6M48P 60-69 years, male 11.5
GTEX-RM2N-0926-SM-48FD1 50-59 years, male 11.5
GTEX-ZP4G-1726-SM-4WWCM 20-29 years, female 11.5
GTEX-1GF9X-1526-SM-7P8QP 40-49 years, female 11.5
GTEX-1KXAM-2126-SM-CY8I9 60-69 years, male 11.5
GTEX-11I78-1226-SM-5A5K6 50-59 years, female 11.4
GTEX-WEY5-1426-SM-4LMJ3 40-49 years, female 11.4
GTEX-ZZ64-0726-SM-5GZX4 20-29 years, male 11.3
GTEX-1I6K6-1826-SM-B2LX5 30-39 years, male 11.3
GTEX-1399S-1926-SM-5J2M5 30-39 years, female 11.2
GTEX-1AYCT-1826-SM-731EG 50-59 years, male 11.2
GTEX-RU1J-1326-SM-46MUL 20-29 years, female 11.2
GTEX-1F5PL-2126-SM-7PC2O 40-49 years, female 11.2
GTEX-1S83E-1626-SM-EV7B9 40-49 years, male 11.2
GTEX-1128S-1626-SM-5H12O 60-69 years, female 11.1
GTEX-13FTW-1826-SM-5IJEN 40-49 years, male 11.1
GTEX-145MN-1726-SM-5SIA6 30-39 years, male 11.1
GTEX-1RAZQ-2126-SM-DTX9V 30-39 years, male 11.1
GTEX-ZDTT-1926-SM-5HL5W 60-69 years, male 11.1
GTEX-146FQ-1926-SM-5NQBY 30-39 years, male 11.0
GTEX-PWCY-1026-SM-48TD4 20-29 years, female 11.0
GTEX-1MGNQ-2026-SM-EAZ51 40-49 years, male 11.0
GTEX-15DCE-2026-SM-7KUFE 20-29 years, male 10.9
GTEX-PWN1-1426-SM-48TDF 40-49 years, female 10.9
GTEX-VJYA-2026-SM-4KL1K 60-69 years, male 10.9
GTEX-ZPIC-2226-SM-57WDX 40-49 years, female 10.9
GTEX-ZF2S-1926-SM-4WWAN 50-59 years, female 10.8
GTEX-1F75I-2426-SM-9WPOY 40-49 years, male 10.8
GTEX-1QP9N-1026-SM-E6CPX 30-39 years, male 10.8
GTEX-QV31-0826-SM-CKZNC 30-39 years, male 10.8
GTEX-14PKV-2126-SM-664O3 20-29 years, female 10.7
GTEX-T5JW-1126-SM-4DM5V 20-29 years, female 10.7
GTEX-WFG7-1526-SM-4LVMG 20-29 years, male 10.7
GTEX-YB5E-1626-SM-5IFIQ 40-49 years, male 10.7
GTEX-1HSMQ-2726-SM-C1YRE 50-59 years, male 10.7
GTEX-1K9T9-2826-SM-D4P3F 50-59 years, female 10.7
GTEX-1RAZR-1926-SM-E6CRF 40-49 years, male 10.7
GTEX-147F3-1926-SM-5SIB9 50-59 years, female 10.6
GTEX-1H3VY-2426-SM-9WPPD 50-59 years, male 10.6
GTEX-17HHE-1826-SM-79OKE 50-59 years, male 10.5
GTEX-1C475-1626-SM-731FP 40-49 years, female 10.5
GTEX-12C56-0626-SM-5EGGC 20-29 years, male 10.4
GTEX-13OW6-2126-SM-5N9GL 50-59 years, male 10.4
GTEX-1C4CL-2126-SM-7IGQC 30-39 years, male 10.4
GTEX-QCQG-1626-SM-48U26 50-59 years, female 10.4
GTEX-YEC4-1926-SM-5IFHJ 40-49 years, male 10.4
GTEX-145LT-0926-SM-5LU9C 40-49 years, male 10.3
GTEX-14BMU-1526-SM-5TDE6 20-29 years, female 10.3
GTEX-1HFI7-1726-SM-A9G22 50-59 years, female 10.3
GTEX-1MJK3-0926-SM-EV7AY 20-29 years, male 10.3
GTEX-18A66-2426-SM-7KFSQ 60-69 years, male 10.2
GTEX-QMRM-1226-SM-447C6 50-59 years, male 10.2
GTEX-YF7O-1726-SM-5IFJ9 50-59 years, male 10.2
GTEX-1I4MK-1126-SM-B2LWS 50-59 years, female 10.2
GTEX-1JN76-1226-SM-C1YRM 20-29 years, female 10.2
GTEX-ZPU1-1926-SM-57WDT 40-49 years, male 10.1
GTEX-1J1R8-1126-SM-CNPQ3 40-49 years, male 10.1
GTEX-133LE-1526-SM-5IFEN 20-29 years, female 10.0
GTEX-1B8KZ-1326-SM-7DUG6 50-59 years, male 10.0
GTEX-XMK1-1726-SM-4B64Z 40-49 years, male 10.0
GTEX-15CHR-1426-SM-7DUGV 50-59 years, male 9.9
GTEX-1JK1U-1526-SM-AHZ46 60-69 years, male 9.9
GTEX-1JKYR-1926-SM-C1YR7 20-29 years, male 9.9
GTEX-XUZC-1326-SM-4BRV2 30-39 years, female 9.7
GTEX-YEC3-2426-SM-DO11A 50-59 years, male 9.7
GTEX-1HSEH-1726-SM-B2LXH 60-69 years, male 9.6
GTEX-1QCLY-1726-SM-DPRXY 30-39 years, male 9.6
GTEX-15SB6-1226-SM-7KUMP 50-59 years, female 9.5
GTEX-1PFEY-1426-SM-E9U6U 30-39 years, male 9.5
GTEX-131XG-1826-SM-5LZV4 50-59 years, female 9.4
GTEX-ZVP2-1526-SM-5NQ82 50-59 years, male 9.4
GTEX-1B8KE-1926-SM-731EE 50-59 years, male 9.3
GTEX-139T6-1326-SM-5IFFO 50-59 years, male 9.2
GTEX-17EUY-1826-SM-7DUEZ 20-29 years, male 9.2
GTEX-18D9U-1926-SM-7KFTM 40-49 years, male 9.2
GTEX-R53T-1326-SM-48FCQ 50-59 years, female 9.2
GTEX-144GM-1226-SM-5LU52 20-29 years, male 8.9
GTEX-1PIGE-1426-SM-E9U61 20-29 years, male 8.6
GTEX-11LCK-2026-SM-5A5MA 30-39 years, male 8.4
GTEX-1NSGN-2326-SM-E9U5X 50-59 years, male 8.4
GTEX-111CU-1426-SM-5GZYP 50-59 years, male 8.3
GTEX-S4Q7-0826-SM-4AD5E 20-29 years, male 8.1
GTEX-U4B1-1126-SM-4DXV3 40-49 years, male 8.1
GTEX-1GPI7-1726-SM-7P8R1 20-29 years, male 8.0
GTEX-1RAZA-1726-SM-DPS13 20-29 years, male 8.0
GTEX-1JMPY-0426-SM-C1YQ3 30-39 years, male 7.9
GTEX-1PIEJ-2026-SM-E6CPA 20-29 years, female 7.6
GTEX-1IKOE-2026-SM-AHZ31 30-39 years, female 6.7
GTEX-WHSB-0926-SM-4M1XJ 50-59 years, male 6.4
Show allShow less

COLON - FANTOM5 CAGEi

RNA expression in human tissues obtained through Cap Analysis of Gene Expression (CAGE) generated by the FANTOM5 project are reported as Scaled Tags Per Million.

Max subtype Scaled Tags Per Millioni

Max subtype Scaled Tags Per Million is the value for the subtype with the largest average Scaled Tags Per Million across the subtype samples.

31.3
FANTOM5 sample id Sample description Scaled Tags Per Million
Colon
Scaled Tags Per Million: 31.3
FF:10014-101C5 62,83,84 years, mixed 31.3

Contact

  • NEWS ARTICLES
  • PRESS ROOM

The Project

  • INTRODUCTION
  • ORGANIZATION
  • PUBLICATIONS

The Human Protein Atlas

  • DOWNLOADABLE DATA
  • LICENCE & CITATION
  • HELP & FAQ
The Human Protein Atlas project is funded
by the Knut & Alice Wallenberg Foundation.


contact@proteinatlas.org