We use cookies to enhance the usability of our website. If you continue, we'll assume that you are happy to receive all cookies. More information. Don't show this again.
ATP6V1D
HPA
RESOURCES
  • TISSUE
  • BRAIN
  • SINGLE CELL
  • SUBCELLULAR
  • CANCER
  • BLOOD
  • CELL LINE
  • STRUCTURE & INTERACTION
ABOUT
  • INTRODUCTION
  • HISTORY
  • ORGANIZATION
  • PUBLICATIONS
  • ANTIBODY SUBMISSION
  • ANTIBODY AVAILABILITY
  • ACKNOWLEDGMENTS
  • CONTACT
NEWS
  • NEWS ARTICLES
  • PRESS ROOM
LEARN
  • DICTIONARY
  • PROTEIN CLASSES
  • PROTEIN EVIDENCE
  • METHODS
  • EDUCATIONAL VIDEOS
DATA
  • DOWNLOADABLE DATA
  • PUBLICATION DATA
  • RELEASE HISTORY
HELP
  • ANTIBODY VALIDATION
  • ASSAYS & ANNOTATION
  • DISCLAIMER
  • HELP & FAQ
  • PRIVACY STATEMENT
  • LICENCE & CITATION
Fields »
Search result

Field
Term
Gene name
Class
Subclass
Class
Keyword
Chromosome
External id
Tissue
Cell type
Expression
Antibody panel
Tissue
Main location
Patient ID
Annotation
Tissue
Category
Tau score
Cluster
Reliability
Brain region
Category
Tau score
Brain region
Category
Tau score
Brain region
Category
Tau score
Cluster
Reliability
Tissue
Cell type
Enrichment
Cell type
Category
Tau score
Cell type
Category
Tau score
Cell type
Category
Tau score
Cell lineage
Category
Tau score
Cluster
Cluster
Location
Searches
Location
Cell line
Class
Type
Phase
Reliability
Cancer
Prognosis
Cancer
Category
Cancer
Category
Tau score
Cluster
Variants
Interacting gene (ensg_id)
Type
Number of interactions
Pathway
Category
Score
Score
Score
Validation
Validation
Validation
Validation
Antibodies
Data type
Column


  • SUMMARY

  • TISSUE

  • BRAIN

  • SINGLE CELL

  • SUBCELL

  • CANCER

  • BLOOD

  • CELL LINE

  • STRUCT & INT

  • ATP6V1D
TISSUE PRIMARY DATA ADRENAL GLAND Show tissue menu
ADIPOSE TISSUE ADRENAL GLAND AMYGDALA APPENDIX BASAL GANGLIA BONE MARROW BREAST BRONCHUS CEREBELLUM CEREBRAL CORTEX CERVIX CHOROID PLEXUS COLON DUODENUM
ENDOMETRIUM EPIDIDYMIS ESOPHAGUS FALLOPIAN TUBE GALLBLADDER HEART MUSCLE HIPPOCAMPAL FORMATION HYPOTHALAMUS KIDNEY LIVER LUNG LYMPH NODE MIDBRAIN ORAL MUCOSA
OVARY PANCREAS PARATHYROID GLAND PITUITARY GLAND PLACENTA PROSTATE RECTUM RETINA SALIVARY GLAND SEMINAL VESICLE SKELETAL MUSCLE SKIN SMALL INTESTINE SMOOTH MUSCLE
SOFT TISSUE SPINAL CORD SPLEEN STOMACH TESTIS THYMUS THYROID GLAND TONGUE TONSIL URINARY BLADDER VAGINA
ANTIBODIES
AND
VALIDATION
Dictionary
Adrenal gland
Tissue proteome
Adrenal gland
ADRENAL GLAND - Expression summary
Protein expression
Adrenal glandi

On the top, protein expression in current human tissue, based on all annotated cell types, is reported with the units not detected (n), low (l), medium (m) and high (h). Underneath, protein expression in each annotated cell type are reported using the same units.

Protein expression data is based on knowledge-based annotation. For genes where more than one antibody has been used, a collective score is set.

If knowledge-based annotation could not be performed for a gene, no data is displayed here. View antibody staining data further down this page.

h
m
l
n
Glandular cells: Not detected
RNA expressioni

A summary of mRNA expression data available for current tissue based on several datasets. The mRNA expression levels in human tissues are based on RNA-seq data generated by the Human Protein Atlas (HPA), Genotype-Tissue Expression (GTEx) portal and CAGE data generated by the FANTOM5 consortium. Consensus normalized expression levels for human tissues was created by combining the data from HPA and GTEx datasets.

The mRNA expression levels in pig are based on RNA-seq data generated by the Human Protein Atlas (HPA), and for mouse, HPA data and in situ hybridization generated by the Allen brain atlas are reported.

Scroll down to view mRNA expression data in more detail.
Consensus:112.6 nTPM
HPA:102.6 nTPM
GTEx:112.6 nTPM

ADRENAL GLAND - Antibody stainingi

Antibody staining in the annotated cell types in the current human tissue is reported as not detected, low, medium, or high, based on conventional immunohistochemistry profiling in selected tissues. This score is based on the combination of the staining intensity and fraction of stained cells.

Each image is clickable and will lead to virtual microscopy that enables deeper exploration of all samples and also displays staining intensity scores, fraction scores and subcellular localization as well as patient and tissue information for each sample.

Antibody HPA031515Antibody HPA057316
Glandular cells Not detectedLow




ADRENAL GLAND - HPA RNA-seqi

The RNA-seq details section shows detailed information about the individual samples used for the transcript profiling and results of the RNA-seq analysis.

Information about each individual sample is listed below, including gender, age, a tissue section image and estimated fractions of cell types. nTPM (normalized transcripts per million) values give a quantification of the gene abundance which is comparable between different genes and samples.
Average nTPMi

Max subtype nTPM is the value for the subtype with the largest average nTPM across the subtype samples.

102.6
overview
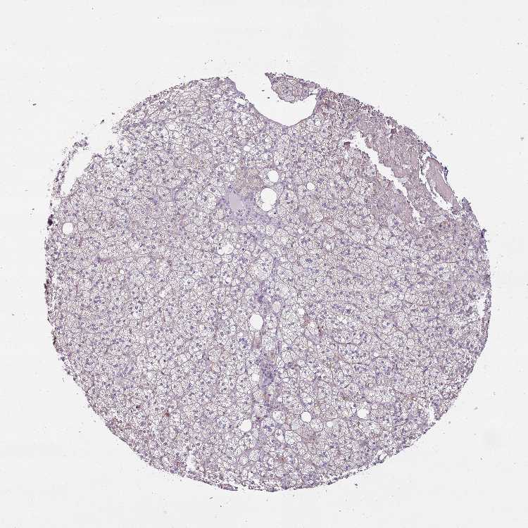
Female, age 62
Adrenal gland sample 87
nTPM: 118.3
Cell types%
Cortical cells:
50

Medullary cells:
40

Other cell types:
10

overview
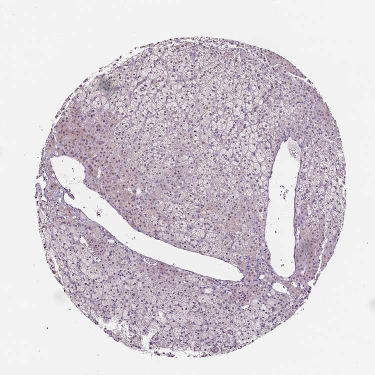
Female, age 36
Adrenal gland sample 88
nTPM: 96.5
Cell types%
Cortical cells:
50

Medullary cells:
40

Other cell types:
10

overview
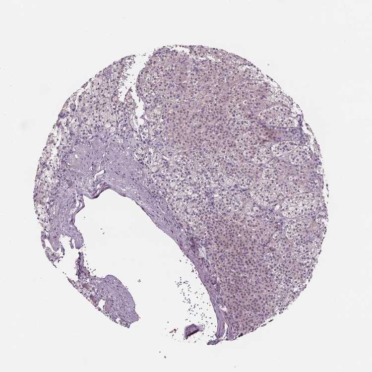
Female, age 63
Adrenal gland sample 89
nTPM: 93.1
Cell types%
Cortical cells:
50

Medullary cells:
40

Other cell types:
10


ADRENAL GLAND - GTEx RNA-seqi

RNA-Seq data generated by the Genotype-Tissue Expression (GTEx) project from human tissues is reported as mean nTPM. More information can be found on the GTEx portal.

Distribution across the dataset is visualized with box plots, shown as median and 25th and 75th percentiles. Points are displayed as outliers if they are above or below 1.5 times the interquartile range. nTPM values of the individual samples are presented next to the box plot.
Max subtype nTPMi

Max subtype nTPM is the value for the subtype with the largest average nTPM across the subtype samples.

112.6
GTEx sample id Sample description nTPM
Adrenal Gland
Average nTPM: 112.6
Samples: 258

Max nTPM: 220.2
Min nTPM: 45.7
Std nTPM: 31.0
Median nTPM: 108.2
GTEX-Y3IK-0226-SM-51MRJ 50-59 years, female 220.2
GTEX-17HHE-0226-SM-79399 50-59 years, male 205.7
GTEX-14A5I-2126-SM-5NQA8 50-59 years, female 203.7
GTEX-1B996-2026-SM-7MKG7 60-69 years, male 201.6
GTEX-PLZ5-0326-SM-3P614 50-59 years, male 193.5
GTEX-OXRK-0126-SM-3NB1E 50-59 years, female 191.2
GTEX-W5WG-1126-SM-4LMK4 50-59 years, female 191.1
GTEX-14E1K-0626-SM-5S2PG 50-59 years, male 187.4
GTEX-P4QS-1326-SM-3NMCD 60-69 years, male 185.4
GTEX-OIZF-1326-SM-3MJGU 60-69 years, male 184.1
GTEX-ZYVF-1626-SM-5N9EH 50-59 years, female 181.5
GTEX-1AX9J-0626-SM-72D7L 60-69 years, male 175.5
GTEX-ZLWG-0126-SM-4WWC5 50-59 years, female 171.8
GTEX-13FH7-0226-SM-5IFGG 50-59 years, female 170.9
GTEX-1H1E6-1026-SM-9JGFZ 30-39 years, male 170.2
GTEX-1A32A-2126-SM-718AZ 50-59 years, female 163.9
GTEX-REY6-1726-SM-48FDL 60-69 years, male 162.9
GTEX-U3ZN-0826-SM-4DXSZ 30-39 years, female 162.5
GTEX-ZT9X-0126-SM-4YCFC 40-49 years, male 162.4
GTEX-WQUQ-0126-SM-4OOSS 60-69 years, male 161.1
GTEX-1H11D-2426-SM-9JGGN 40-49 years, male 159.4
GTEX-WY7C-0326-SM-4OND5 50-59 years, male 159.1
GTEX-14PJM-2226-SM-6AJAT 50-59 years, female 159.0
GTEX-14JG6-0126-SM-68726 30-39 years, female 158.9
GTEX-ZVT2-0826-SM-5GIEO 50-59 years, female 158.8
GTEX-11NSD-0226-SM-5A5LR 20-29 years, male 155.2
GTEX-1LVAN-0826-SM-CNNPG 50-59 years, female 154.7
GTEX-1PWST-2126-SM-DPRZ5 70-79 years, male 153.0
GTEX-1NUQO-0626-SM-E6CQT 20-29 years, female 152.2
GTEX-1CAMS-0226-SM-79397 40-49 years, female 151.6
GTEX-14E6E-0126-SM-73KXH 30-39 years, male 150.9
GTEX-XV7Q-0226-SM-4BRVL 40-49 years, female 147.6
GTEX-1QP2A-2626-SM-EAZ3L 50-59 years, male 147.0
GTEX-1A8FM-1926-SM-7MXTX 50-59 years, female 145.3
GTEX-O5YV-1126-SM-3LK73 60-69 years, female 145.0
GTEX-ZF2S-0126-SM-4WKFO 50-59 years, female 144.1
GTEX-1HCU6-1826-SM-C1YRN 60-69 years, female 143.5
GTEX-ZPCL-0826-SM-DNZZ7 60-69 years, female 143.5
GTEX-131XF-0126-SM-5DUVF 60-69 years, male 143.4
GTEX-RWSA-1726-SM-47JX7 40-49 years, male 141.3
GTEX-SUCS-0526-SM-4DM56 70-79 years, male 140.0
GTEX-1211K-0126-SM-59HJE 60-69 years, female 139.9
GTEX-1F88F-1526-SM-9JGG1 60-69 years, female 138.8
GTEX-XYKS-0926-SM-4BRVG 60-69 years, female 138.7
GTEX-132AR-1726-SM-5EGHQ 50-59 years, female 138.5
GTEX-Y5V5-1326-SM-4V6G9 60-69 years, female 138.4
GTEX-13PL7-1026-SM-5MR5C 60-69 years, female 136.7
GTEX-TMMY-0126-SM-4DXTP 40-49 years, female 136.2
GTEX-ZEX8-0626-SM-DO118 50-59 years, male 135.2
GTEX-12WSD-2126-SM-5LZWK 60-69 years, female 135.1
GTEX-1QMI2-1926-SM-EAZ4B 60-69 years, male 135.0
GTEX-1GN73-1526-SM-9WPP1 60-69 years, male 134.6
GTEX-11XUK-0126-SM-5CVLK 40-49 years, female 134.3
GTEX-11DXZ-0226-SM-5EGGZ 50-59 years, male 132.0
GTEX-11P7K-0126-SM-5986E 30-39 years, male 131.8
GTEX-OIZH-1326-SM-3NB1H 50-59 years, male 131.4
GTEX-1GMR3-0926-SM-9WPP9 40-49 years, male 130.9
GTEX-PW2O-0226-SM-48TC7 20-29 years, male 130.8
GTEX-ZDTT-0126-SM-4WKHA 60-69 years, male 129.9
GTEX-11EQ9-0126-SM-5986I 30-39 years, male 129.7
GTEX-1IDJU-0126-SM-CNNR2 60-69 years, female 129.6
GTEX-16AAH-0226-SM-793A8 50-59 years, male 129.5
GTEX-XUZC-0226-SM-4BOO7 30-39 years, female 129.5
GTEX-QLQ7-0126-SM-CL55R 60-69 years, male 129.3
GTEX-15CHR-0626-SM-7938V 50-59 years, male 129.1
GTEX-R55G-0126-SM-48FDS 40-49 years, female 129.0
GTEX-R55E-1826-SM-EXOHD 20-29 years, male 128.9
GTEX-139YR-0126-SM-5IJEY 50-59 years, male 128.6
GTEX-1JMLX-1126-SM-CXZJN 50-59 years, male 127.8
GTEX-S32W-0126-SM-4AD61 50-59 years, female 127.6
GTEX-131XG-1326-SM-5DUX4 50-59 years, female 126.6
GTEX-14BMU-0126-SM-5S2Q9 20-29 years, female 126.5
GTEX-Q2AH-0126-SM-48U2B 40-49 years, male 126.2
GTEX-132QS-0126-SM-5IFH9 60-69 years, male 126.1
GTEX-11EM3-0326-SM-5A5KJ 20-29 years, female 125.7
GTEX-14PJ4-0426-SM-6871F 60-69 years, male 125.6
GTEX-13O61-0126-SM-5KM4P 60-69 years, male 125.4
GTEX-13D11-0426-SM-5LZYA 50-59 years, female 124.7
GTEX-13O3O-1626-SM-5KM1O 60-69 years, female 124.7
GTEX-Y5LM-0126-SM-4VBRL 40-49 years, female 124.6
GTEX-1JKYN-0126-SM-AHZ4C 30-39 years, male 124.5
GTEX-ZY6K-0126-SM-5SIAM 50-59 years, male 123.7
GTEX-1S82P-1126-SM-EV79M 60-69 years, female 123.7
GTEX-OHPK-1326-SM-3MJGN 50-59 years, female 122.9
GTEX-V955-0126-SM-4JBH5 60-69 years, male 122.7
GTEX-18A7A-1826-SM-7KFTU 50-59 years, female 122.4
GTEX-1399S-0426-SM-5IFG5 30-39 years, female 122.2
GTEX-ZLFU-0826-SM-4WWBP 40-49 years, male 121.8
GTEX-R53T-0226-SM-48FEH 50-59 years, female 121.5
GTEX-13QBU-0526-SM-5IJFE 40-49 years, female 120.9
GTEX-QCQG-0126-SM-48U27 50-59 years, female 120.9
GTEX-ZT9W-0126-SM-4YCFD 50-59 years, male 120.1
GTEX-1B8KE-0926-SM-7189I 50-59 years, male 119.9
GTEX-Y114-0526-SM-4TT8V 50-59 years, female 119.5
GTEX-117YX-0126-SM-5EGH5 50-59 years, male 119.4
GTEX-1I1GT-0126-SM-B2LWM 60-69 years, female 119.0
GTEX-14PK6-0126-SM-664O1 70-79 years, female 118.7
GTEX-1399R-0326-SM-5KM1X 30-39 years, male 118.6
GTEX-RM2N-0126-SM-48FDD 50-59 years, male 118.4
GTEX-QMRM-0126-SM-CJI1R 50-59 years, male 118.2
GTEX-1122O-0326-SM-5H124 60-69 years, female 117.9
GTEX-14H4A-0226-SM-5SI6Q 40-49 years, female 117.6
GTEX-TKQ2-0226-SM-4DM6V 50-59 years, male 117.6
GTEX-147F4-2526-SM-5NQBB 50-59 years, male 115.9
GTEX-QXCU-1326-SM-48FE2 50-59 years, male 115.7
GTEX-145LT-0126-SM-5S2QJ 40-49 years, male 115.0
GTEX-RUSQ-0226-SM-47JWT 50-59 years, male 114.6
GTEX-Y5V6-1926-SM-5IFIL 60-69 years, male 114.3
GTEX-13PVR-0226-SM-5RQJI 60-69 years, female 114.2
GTEX-1B8KZ-0126-SM-7DHM5 50-59 years, male 113.8
GTEX-WYVS-0226-SM-4ONDK 40-49 years, female 113.6
GTEX-VJYA-0526-SM-4KL1R 60-69 years, male 113.3
GTEX-1PIIG-1426-SM-EXOIS 30-39 years, male 113.3
GTEX-14PKV-0726-SM-686ZF 20-29 years, female 113.1
GTEX-ZTSS-0326-SM-5987M 40-49 years, male 111.9
GTEX-14753-1726-SM-5NQ9X 60-69 years, male 111.6
GTEX-U3ZM-0226-SM-4DXTA 40-49 years, male 111.5
GTEX-1AMFI-0626-SM-731DR 50-59 years, female 110.9
GTEX-1GN1V-1626-SM-7PBZF 60-69 years, male 110.9
GTEX-12WSJ-0126-SM-5GCOM 40-49 years, female 110.7
GTEX-13O21-0126-SM-5IJE8 50-59 years, male 110.4
GTEX-1F5PL-2326-SM-7MKFC 40-49 years, female 110.3
GTEX-11I78-1826-SM-5A5M4 50-59 years, female 109.4
GTEX-15EU6-0326-SM-6M48I 50-59 years, male 109.3
GTEX-ZP4G-0126-SM-4YCE3 20-29 years, female 109.3
GTEX-O5YT-1326-SM-3MJGR 20-29 years, male 108.5
GTEX-S4Z8-0126-SM-4GICC 60-69 years, male 108.4
GTEX-132NY-2226-SM-5J2LZ 60-69 years, male 108.2
GTEX-QDVN-0426-SM-48TZ6 50-59 years, male 108.2
GTEX-11EMC-0526-SM-5EGJN 60-69 years, female 108.1
GTEX-11GSP-0326-SM-5A5KW 60-69 years, female 107.7
GTEX-1GF9V-2026-SM-9JGHS 60-69 years, male 107.7
GTEX-1399U-0226-SM-5P9J2 50-59 years, female 107.6
GTEX-1F75I-0126-SM-9WPPW 40-49 years, male 107.6
GTEX-14DAR-1726-SM-664MZ 50-59 years, male 107.3
GTEX-146FR-1526-SM-5SIB8 60-69 years, female 107.2
GTEX-ZZPU-1226-SM-5N9CK 50-59 years, female 107.2
GTEX-XMK1-0226-SM-4B65D 40-49 years, male 107.0
GTEX-YF7O-0126-SM-5IFIR 50-59 years, male 107.0
GTEX-17KNJ-0326-SM-7KFS5 50-59 years, male 106.9
GTEX-WHPG-1526-SM-4M1ZK 50-59 years, male 106.9
GTEX-17HGU-0126-SM-7DHLV 50-59 years, male 106.8
GTEX-11TT1-0126-SM-5LUAA 20-29 years, male 106.6
GTEX-Q2AI-0226-SM-48U1D 40-49 years, male 106.5
GTEX-Q734-0126-SM-48U1E 40-49 years, female 106.4
GTEX-13W3W-1326-SM-5LU4T 60-69 years, female 106.2
GTEX-ZYFG-0926-SM-5BC5U 60-69 years, female 106.1
GTEX-1I1GU-0226-SM-AHZ2J 40-49 years, male 105.9
GTEX-S341-0126-SM-4AD64 40-49 years, female 105.2
GTEX-1RAZQ-0226-SM-EV7BK 30-39 years, male 104.0
GTEX-1LG7Z-0426-SM-D4P47 30-39 years, male 103.9
GTEX-12WSL-0326-SM-5CVMK 50-59 years, male 103.6
GTEX-111CU-0126-SM-5GZWZ 50-59 years, male 103.4
GTEX-14XAO-0326-SM-6ETZN 60-69 years, female 103.2
GTEX-1KD4Q-1826-SM-DIPFV 40-49 years, male 103.1
GTEX-13FTW-0126-SM-5IJED 40-49 years, male 102.3
GTEX-1BAJH-2626-SM-7EPG6 70-79 years, male 102.3
GTEX-1ICG6-0226-SM-AHZ2P 70-79 years, female 102.2
GTEX-16NGA-0126-SM-72D6U 40-49 years, female 101.8
GTEX-ZVP2-0126-SM-5NQ7D 50-59 years, male 101.6
GTEX-1CB4F-0126-SM-9JGGZ 60-69 years, male 101.4
GTEX-111YS-0126-SM-5987T 60-69 years, male 100.7
GTEX-UJMC-0226-SM-4IHLH 50-59 years, male 100.5
GTEX-PWCY-0226-SM-48TD8 20-29 years, female 100.4
GTEX-S3XE-0126-SM-4AD4R 50-59 years, male 99.9
GTEX-OHPL-1326-SM-3MJGG 60-69 years, female 99.0
GTEX-Y9LG-0126-SM-5Q59W 30-39 years, male 99.0
GTEX-1AX9K-0126-SM-7PC1B 50-59 years, male 99.0
GTEX-1J8Q3-0326-SM-CE6TD 60-69 years, male 98.6
GTEX-1B8L1-1326-SM-7MKG6 60-69 years, male 98.5
GTEX-T6MO-0126-SM-4DM6X 40-49 years, female 98.2
GTEX-ZLV1-0226-SM-4WWC1 60-69 years, female 97.8
GTEX-1LGRB-0326-SM-CNPQC 50-59 years, female 97.6
GTEX-13OW6-1726-SM-5IJGI 50-59 years, male 97.2
GTEX-NFK9-1726-SM-3TW8P 40-49 years, male 97.2
GTEX-YB5E-0226-SM-5IFHI 40-49 years, male 97.2
GTEX-1KXAM-0326-SM-EV7AQ 60-69 years, male 96.8
GTEX-S4Q7-0226-SM-4AD5O 20-29 years, male 96.2
GTEX-1C475-0126-SM-731DC 40-49 years, female 96.1
GTEX-12696-0626-SM-5EGGD 60-69 years, male 95.7
GTEX-145MN-0226-SM-5QGPY 30-39 years, male 95.7
GTEX-14PJ6-0126-SM-686Z5 60-69 years, female 95.7
GTEX-OOBK-3125-SM-3LK5R 40-49 years, male 95.2
GTEX-1HC8U-0226-SM-9WG7Q 40-49 years, female 95.1
GTEX-VUSG-1526-SM-4KKZH 50-59 years, male 94.8
GTEX-V1D1-0226-SM-4JBHG 50-59 years, male 94.4
GTEX-YFCO-0126-SM-4W1YT 40-49 years, male 94.0
GTEX-16MT8-1626-SM-7EWDW 60-69 years, female 93.3
GTEX-QLQW-0226-SM-447BJ 30-39 years, male 92.8
GTEX-ZA64-0226-SM-5HL9C 20-29 years, male 92.8
GTEX-11DXX-0126-SM-5EGH7 60-69 years, female 91.9
GTEX-1A3MV-0226-SM-731FS 30-39 years, male 91.9
GTEX-15DYW-2126-SM-6M47B 60-69 years, female 91.4
GTEX-P4QT-1326-SM-3NMD3 50-59 years, female 91.4
GTEX-1KWVE-0726-SM-D4P3O 30-39 years, male 91.1
GTEX-PLZ6-0226-SM-3P61I 30-39 years, male 90.8
GTEX-13OW7-2726-SM-5L3HN 50-59 years, male 90.5
GTEX-13CF3-0126-SM-5IFFM 60-69 years, female 90.3
GTEX-U4B1-0126-SM-4DXSN 40-49 years, male 89.6
GTEX-1F5PK-0826-SM-7MXVI 50-59 years, male 89.6
GTEX-12BJ1-0526-SM-5FQUD 60-69 years, male 89.3
GTEX-1M5QR-1726-SM-EV7AU 40-49 years, male 89.0
GTEX-144GL-1826-SM-79OMB 50-59 years, male 88.4
GTEX-WFG8-0126-SM-4LVMH 20-29 years, male 88.2
GTEX-1RQEC-1926-SM-DTX7M 60-69 years, male 87.7
GTEX-1I1GP-1826-SM-C1YS1 50-59 years, male 87.4
GTEX-1R7EV-1726-SM-E6CR8 40-49 years, male 87.4
GTEX-1QPFJ-2526-SM-EXOJX 30-39 years, female 87.1
GTEX-12WSK-0326-SM-5GCOJ 40-49 years, female 87.0
GTEX-1J8EW-1826-SM-C1YQW 60-69 years, female 86.7
GTEX-13111-0326-SM-5DUXF 50-59 years, male 85.6
GTEX-17HHY-2226-SM-7KFS4 50-59 years, male 85.5
GTEX-1HBPI-1926-SM-CE6RT 50-59 years, male 83.5
GTEX-1EH9U-1726-SM-7P8QK 60-69 years, male 83.1
GTEX-1PPH8-0826-SM-DTX9T 20-29 years, male 83.0
GTEX-14PN3-1426-SM-686Z8 60-69 years, female 81.6
GTEX-1I1GQ-2026-SM-ARU7F 50-59 years, male 81.6
GTEX-QDVJ-1126-SM-48U1U 50-59 years, male 81.3
GTEX-XQ3S-1726-SM-4BOOD 20-29 years, male 81.3
GTEX-1HKZK-0126-SM-B2LWF 40-49 years, male 81.1
GTEX-1CAMR-0126-SM-79391 20-29 years, male 80.3
GTEX-1EKGG-2126-SM-7MKFT 60-69 years, male 80.1
GTEX-1K2DU-0826-SM-DHXKA 20-29 years, male 80.1
GTEX-18D9B-1926-SM-7KFSV 60-69 years, male 77.7
GTEX-1IDJH-1726-SM-A96T3 70-79 years, male 77.7
GTEX-1I1GV-1826-SM-CNNR8 60-69 years, male 77.0
GTEX-1K2DA-0226-SM-CGQGW 50-59 years, male 76.6
GTEX-12WSG-0726-SM-5EGIG 50-59 years, female 76.2
GTEX-S33H-1326-SM-4AD6A 30-39 years, male 75.5
GTEX-13N11-0826-SM-5IJFP 50-59 years, female 75.0
GTEX-X4EO-1726-SM-4QARN 60-69 years, female 74.5
GTEX-1AX8Z-2426-SM-72D7D 60-69 years, male 73.7
GTEX-1QP29-0326-SM-E6CQ4 50-59 years, male 73.6
GTEX-14A5H-2126-SM-7IGNV 60-69 years, male 73.1
GTEX-ZUA1-1926-SM-5E45E 40-49 years, male 73.0
GTEX-1339X-0826-SM-5J2O6 40-49 years, male 72.6
GTEX-14DAQ-1826-SM-5S2VV 60-69 years, female 72.4
GTEX-R55C-0226-SM-48FEO 40-49 years, male 72.2
GTEX-15SHU-1926-SM-7KUMO 40-49 years, female 71.3
GTEX-1LNCM-0826-SM-DHXL6 50-59 years, female 70.7
GTEX-12WSN-0926-SM-5GCN1 40-49 years, male 69.5
GTEX-1A3MW-2126-SM-731DO 60-69 years, female 69.0
GTEX-X4LF-0126-SM-4QAS7 50-59 years, male 69.0
GTEX-14C38-1726-SM-5RQJC 50-59 years, male 68.7
GTEX-RNOR-1626-SM-EZ6MM 50-59 years, female 68.6
GTEX-PX3G-1326-SM-48U18 20-29 years, female 68.4
GTEX-1KANB-2626-SM-EV7BF 50-59 years, male 68.4
GTEX-15ER7-1126-SM-6M47F 20-29 years, female 67.3
GTEX-1F75A-2026-SM-9KNTR 50-59 years, male 66.5
GTEX-1GL5R-1026-SM-7P8U1 50-59 years, male 66.0
GTEX-QEG5-1826-SM-CE6QW 20-29 years, male 64.4
GTEX-13OVI-1226-SM-5J2ME 60-69 years, female 62.8
GTEX-1H3VY-1826-SM-9JGI4 50-59 years, male 62.5
GTEX-18A6Q-1826-SM-72D6I 60-69 years, male 62.3
GTEX-11DXY-1626-SM-5H12L 60-69 years, male 61.4
GTEX-12ZZZ-0926-SM-5N9EQ 60-69 years, male 60.6
GTEX-131YS-2026-SM-5P9J8 60-69 years, female 60.0
GTEX-13O1R-2326-SM-5IJF9 60-69 years, male 45.7
Show allShow less

Contact

  • NEWS ARTICLES
  • PRESS ROOM

The Project

  • INTRODUCTION
  • ORGANIZATION
  • PUBLICATIONS

The Human Protein Atlas

  • DOWNLOADABLE DATA
  • LICENCE & CITATION
  • HELP & FAQ
The Human Protein Atlas project is funded
by the Knut & Alice Wallenberg Foundation.


contact@proteinatlas.org