We use cookies to enhance the usability of our website. If you continue, we'll assume that you are happy to receive all cookies. More information. Don't show this again.
PLEK2
HPA
RESOURCES
  • TISSUE
  • BRAIN
  • SINGLE CELL
  • SUBCELLULAR
  • CANCER
  • BLOOD
  • CELL LINE
  • STRUCTURE & INTERACTION
ABOUT
  • INTRODUCTION
  • HISTORY
  • ORGANIZATION
  • PUBLICATIONS
  • ANTIBODY SUBMISSION
  • ANTIBODY AVAILABILITY
  • ACKNOWLEDGMENTS
  • CONTACT
NEWS
  • NEWS ARTICLES
  • PRESS ROOM
LEARN
  • DICTIONARY
  • PROTEIN CLASSES
  • PROTEIN EVIDENCE
  • METHODS
  • EDUCATIONAL VIDEOS
DATA
  • DOWNLOADABLE DATA
  • PUBLICATION DATA
  • RELEASE HISTORY
HELP
  • ANTIBODY VALIDATION
  • ASSAYS & ANNOTATION
  • DISCLAIMER
  • HELP & FAQ
  • PRIVACY STATEMENT
  • LICENCE & CITATION
Fields »
Search result

Field
Term
Gene name
Class
Subclass
Class
Keyword
Chromosome
External id
Tissue
Cell type
Expression
Antibody panel
Tissue
Main location
Patient ID
Annotation
Tissue
Category
Tau score
Cluster
Reliability
Brain region
Category
Tau score
Brain region
Category
Tau score
Brain region
Category
Tau score
Cluster
Reliability
Tissue
Cell type
Enrichment
Cell type
Category
Tau score
Cell type
Category
Tau score
Cell type
Category
Tau score
Cell lineage
Category
Tau score
Cluster
Cluster
Location
Searches
Location
Cell line
Class
Type
Phase
Reliability
Cancer
Prognosis
Cancer
Category
Cancer
Category
Tau score
Cluster
Variants
Interacting gene (ensg_id)
Type
Number of interactions
Pathway
Category
Score
Score
Score
Validation
Validation
Validation
Validation
Antibodies
Data type
Column


  • SUMMARY

  • TISSUE

  • BRAIN

  • SINGLE CELL

  • SUBCELL

  • CANCER

  • BLOOD

  • CELL LINE

  • STRUCT & INT

  • PLEK2
TISSUE PRIMARY DATA PANCREAS Show tissue menu
ADIPOSE TISSUE ADRENAL GLAND AMYGDALA APPENDIX BASAL GANGLIA BONE MARROW BREAST BRONCHUS CEREBELLUM CEREBRAL CORTEX CERVIX CHOROID PLEXUS COLON DUODENUM
ENDOMETRIUM EPIDIDYMIS ESOPHAGUS FALLOPIAN TUBE GALLBLADDER HEART MUSCLE HIPPOCAMPAL FORMATION HYPOTHALAMUS KIDNEY LIVER LUNG LYMPH NODE MIDBRAIN ORAL MUCOSA
OVARY PANCREAS PARATHYROID GLAND PITUITARY GLAND PLACENTA PROSTATE RECTUM RETINA SALIVARY GLAND SEMINAL VESICLE SKELETAL MUSCLE SKIN SMALL INTESTINE SMOOTH MUSCLE
SOFT TISSUE SPINAL CORD SPLEEN STOMACH TESTIS THYMUS THYROID GLAND TONGUE TONSIL URINARY BLADDER VAGINA
ANTIBODIES
AND
VALIDATION
Dictionary
Pancreas
Tissue proteome
Pancreas
PANCREAS - Expression summary
Protein expression
Pancreasi

On the top, protein expression in current human tissue, based on all annotated cell types, is reported with the units not detected (n), low (l), medium (m) and high (h). Underneath, protein expression in each annotated cell type are reported using the same units.

Protein expression data is based on knowledge-based annotation. For genes where more than one antibody has been used, a collective score is set.

If knowledge-based annotation could not be performed for a gene, no data is displayed here. View antibody staining data further down this page.

h
m
l
n
Exocrine glandular cells: Not detected
Pancreatic endocrine cells: High
RNA expressioni

A summary of mRNA expression data available for current tissue based on several datasets. The mRNA expression levels in human tissues are based on RNA-seq data generated by the Human Protein Atlas (HPA), Genotype-Tissue Expression (GTEx) portal and CAGE data generated by the FANTOM5 consortium. Consensus normalized expression levels for human tissues was created by combining the data from HPA and GTEx datasets.

The mRNA expression levels in pig are based on RNA-seq data generated by the Human Protein Atlas (HPA), and for mouse, HPA data and in situ hybridization generated by the Allen brain atlas are reported.

Scroll down to view mRNA expression data in more detail.
Consensus:7.7 nTPM
HPA:4.9 nTPM
GTEx:7.7 nTPM
FANTOM5:16.3 Scaled Tags Per Million

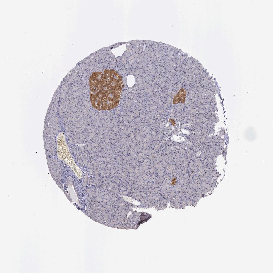
PANCREAS - Antibody stainingi

Antibody staining in the annotated cell types in the current human tissue is reported as not detected, low, medium, or high, based on conventional immunohistochemistry profiling in selected tissues. This score is based on the combination of the staining intensity and fraction of stained cells.

Each image is clickable and will lead to virtual microscopy that enables deeper exploration of all samples and also displays staining intensity scores, fraction scores and subcellular localization as well as patient and tissue information for each sample.

Antibody HPA001208
Exocrine glandular cells Not detected
Pancreatic endocrine cells High



PANCREAS - HPA RNA-seqi

The RNA-seq details section shows detailed information about the individual samples used for the transcript profiling and results of the RNA-seq analysis.

Information about each individual sample is listed below, including gender, age, a tissue section image and estimated fractions of cell types. nTPM (normalized transcripts per million) values give a quantification of the gene abundance which is comparable between different genes and samples.
Average nTPMi

Max subtype nTPM is the value for the subtype with the largest average nTPM across the subtype samples.

4.9
overview
Female, age 59
Pancreas sample 194
nTPM: 4.2
Cell types%
Exocrine glandular cells:
75

Pancreatic endocrine cells:
10

Ductal cells:
5

Other cell types:
10

overview
Male, age 60
Pancreas sample 195
nTPM: 5.6
Cell types%
Exocrine glandular cells:
90

Pancreatic endocrine cells:
5

Ductal cells:
5


PANCREAS - GTEx RNA-seqi

RNA-Seq data generated by the Genotype-Tissue Expression (GTEx) project from human tissues is reported as mean nTPM. More information can be found on the GTEx portal.

Distribution across the dataset is visualized with box plots, shown as median and 25th and 75th percentiles. Points are displayed as outliers if they are above or below 1.5 times the interquartile range. nTPM values of the individual samples are presented next to the box plot.
Max subtype nTPMi

Max subtype nTPM is the value for the subtype with the largest average nTPM across the subtype samples.

7.7
GTEx sample id Sample description nTPM
Pancreas
Average nTPM: 7.7
Samples: 328

Max nTPM: 21.1
Min nTPM: 2.3
Std nTPM: 2.8
Median nTPM: 7.2
GTEX-TML8-0526-SM-32QOQ 40-49 years, female 21.1
GTEX-ZV7C-0726-SM-59HKH 50-59 years, male 20.2
GTEX-P4PQ-1026-SM-3NMCN 60-69 years, male 20.0
GTEX-131XE-1926-SM-5IFER 50-59 years, male 17.5
GTEX-13U4I-1526-SM-5IFFF 40-49 years, female 16.6
GTEX-Q2AI-0426-SM-48U13 40-49 years, male 15.7
GTEX-1LGRB-0426-SM-CNNRD 50-59 years, female 15.5
GTEX-UJHI-0626-SM-3DB8T 50-59 years, female 14.5
GTEX-1399S-0326-SM-5IFFS 30-39 years, female 14.0
GTEX-XXEK-1726-SM-4BRVB 50-59 years, male 13.8
GTEX-Y114-0826-SM-4TT77 50-59 years, female 13.7
GTEX-Y8E4-1326-SM-5IFIY 40-49 years, male 13.7
GTEX-13N11-0226-SM-5KM3C 50-59 years, female 13.6
GTEX-1NUQO-0826-SM-DPS16 20-29 years, female 13.6
GTEX-145ME-0326-SM-5S2QO 40-49 years, female 13.3
GTEX-U8XE-2026-SM-3DB8S 30-39 years, male 13.3
GTEX-ZYW4-2126-SM-59HJ9 60-69 years, male 13.3
GTEX-14PKV-0926-SM-6AJB4 20-29 years, female 13.2
GTEX-1PBJI-2126-SM-DPRYG 20-29 years, female 13.1
GTEX-14PHY-1126-SM-664OR 60-69 years, female 12.9
GTEX-ZPIC-0926-SM-4WWFK 40-49 years, female 12.9
GTEX-Y3IK-0426-SM-4WWE2 50-59 years, female 12.6
GTEX-X15G-0726-SM-4PQZ5 50-59 years, female 12.5
GTEX-1F5PL-0726-SM-7MKH8 40-49 years, female 12.3
GTEX-Q734-0426-SM-48TZX 40-49 years, female 12.3
GTEX-VUSG-0326-SM-3GIJ7 50-59 years, male 11.8
GTEX-WRHK-0226-SM-4MVOH 20-29 years, female 11.6
GTEX-15UKP-1326-SM-6LPI8 20-29 years, male 11.5
GTEX-1HSMO-2026-SM-CNNQO 60-69 years, male 11.5
GTEX-SNOS-0926-SM-4DM7A 40-49 years, male 11.3
GTEX-13W3W-1026-SM-5IFG4 60-69 years, female 11.2
GTEX-1B932-1626-SM-731EA 40-49 years, female 11.2
GTEX-Y3I4-0826-SM-4TT2A 50-59 years, male 11.2
GTEX-1JMPZ-1026-SM-CXZJS 30-39 years, male 11.2
GTEX-14JG6-0426-SM-68715 30-39 years, female 11.1
GTEX-WY7C-1026-SM-4OND3 50-59 years, male 11.1
GTEX-144FL-1526-SM-5Q5CA 50-59 years, male 10.9
GTEX-YB5K-1826-SM-5IFJC 40-49 years, female 10.9
GTEX-ZG7Y-0326-SM-4WWEY 50-59 years, male 10.9
GTEX-ZLWG-0326-SM-4WWC7 50-59 years, female 10.9
GTEX-15CHR-2026-SM-7MXU2 50-59 years, male 10.9
GTEX-12WSN-0826-SM-5GCOF 40-49 years, male 10.8
GTEX-NPJ8-2126-SM-3MJGK 40-49 years, male 10.8
GTEX-1R46S-1426-SM-EXOJD 60-69 years, female 10.8
GTEX-13VXT-1226-SM-5LU3M 20-29 years, female 10.7
GTEX-1I4MK-1026-SM-AHZ2H 50-59 years, female 10.7
GTEX-1AX8Z-1726-SM-731DE 60-69 years, male 10.6
GTEX-14AS3-0326-SM-5Q5DB 40-49 years, female 10.5
GTEX-13X6H-0626-SM-5LU53 50-59 years, female 10.4
GTEX-18D9U-1626-SM-7KFTW 40-49 years, male 10.4
GTEX-1R7EV-1126-SM-DPRXU 40-49 years, male 10.3
GTEX-S32W-0826-SM-4AD5Z 50-59 years, female 10.2
GTEX-1122O-0726-SM-5GIEV 60-69 years, female 10.1
GTEX-1CAMS-1926-SM-7DUEU 40-49 years, female 10.1
GTEX-Q2AH-0926-SM-48TZK 40-49 years, male 10.1
GTEX-11TT1-0326-SM-5LUAY 20-29 years, male 10.0
GTEX-13OVI-0526-SM-5IFFQ 60-69 years, female 10.0
GTEX-16MT8-1726-SM-7EWE7 60-69 years, female 10.0
GTEX-XGQ4-0226-SM-4GIDS 50-59 years, male 10.0
GTEX-1497J-0426-SM-5Q5CO 60-69 years, male 9.9
GTEX-15UF6-1826-SM-6LLI9 70-79 years, female 9.8
GTEX-145MN-1426-SM-5SI9H 30-39 years, male 9.7
GTEX-TKQ2-0426-SM-4DXUO 50-59 years, male 9.7
GTEX-W5WG-0826-SM-4RGNE 50-59 years, female 9.7
GTEX-ZPU1-0226-SM-4WWC9 40-49 years, male 9.7
GTEX-1H23P-2026-SM-9OSXY 60-69 years, male 9.7
GTEX-11DXX-0926-SM-5H112 60-69 years, female 9.6
GTEX-11XUK-0626-SM-5N9ES 40-49 years, female 9.6
GTEX-14PJ6-0926-SM-686ZA 60-69 years, female 9.6
GTEX-XMK1-0326-SM-4B652 40-49 years, male 9.6
GTEX-14ICL-1126-SM-5S2RE 30-39 years, male 9.5
GTEX-1CB4F-1226-SM-7DHKU 60-69 years, male 9.5
GTEX-WFON-0626-SM-4LVLX 40-49 years, male 9.5
GTEX-13PL7-2226-SM-5L3IC 60-69 years, female 9.4
GTEX-S4P3-0626-SM-4AD59 50-59 years, female 9.4
GTEX-WHWD-0726-SM-4OORX 50-59 years, male 9.4
GTEX-X5EB-0526-SM-46MVP 40-49 years, male 9.4
GTEX-1QP29-1926-SM-DPRZO 50-59 years, male 9.4
GTEX-13YAN-2126-SM-5Q5C4 60-69 years, male 9.3
GTEX-N7MT-1626-SM-3LK71 60-69 years, female 9.3
GTEX-1S831-0626-SM-EV79N 20-29 years, male 9.3
GTEX-1C4CL-0926-SM-79OL2 30-39 years, male 9.2
GTEX-12WSL-0426-SM-5GCNX 50-59 years, male 9.1
GTEX-V1D1-0726-SM-4JBH7 50-59 years, male 9.1
GTEX-146FQ-1526-SM-5Q5CX 30-39 years, male 9.0
GTEX-15FZZ-0626-SM-7KFTO 30-39 years, female 9.0
GTEX-15SDE-0826-SM-6M463 50-59 years, female 9.0
GTEX-UJMC-1126-SM-3GADP 50-59 years, male 9.0
GTEX-Y8LW-1026-SM-5IFJY 50-59 years, female 8.9
GTEX-11I78-0626-SM-5A5LZ 50-59 years, female 8.8
GTEX-1C2JI-0926-SM-731F1 50-59 years, male 8.8
GTEX-WHSB-0726-SM-4M1XQ 50-59 years, male 8.8
GTEX-1PFEY-1126-SM-DPRZ3 30-39 years, male 8.8
GTEX-ZC5H-0826-SM-5N9FH 40-49 years, female 8.7
GTEX-ZDYS-2526-SM-4WKGU 50-59 years, male 8.7
GTEX-11LCK-0226-SM-5A5M6 30-39 years, male 8.6
GTEX-14E6E-1426-SM-5RQI2 30-39 years, male 8.6
GTEX-O5YT-1026-SM-3MJGF 20-29 years, male 8.6
GTEX-XUW1-1726-SM-4BOOZ 50-59 years, female 8.6
GTEX-1GMR3-1226-SM-7MGY1 40-49 years, male 8.6
GTEX-13SLX-1326-SM-5S2QS 50-59 years, female 8.5
GTEX-1GF9X-1126-SM-7MKHC 40-49 years, female 8.5
GTEX-1GZ4H-0626-SM-9OSXJ 50-59 years, female 8.5
GTEX-1QW4Y-0926-SM-DPRY2 30-39 years, male 8.5
GTEX-15RIF-0626-SM-6LLI3 20-29 years, male 8.4
GTEX-1C6VQ-1726-SM-7IGLQ 50-59 years, male 8.4
GTEX-1L5NE-0826-SM-DHXKU 50-59 years, male 8.4
GTEX-S95S-0726-SM-4B64H 60-69 years, male 8.3
GTEX-T5JW-0226-SM-4DM7I 20-29 years, female 8.3
GTEX-1PPH8-2326-SM-EAZ48 20-29 years, male 8.3
GTEX-WYJK-2426-SM-4ONDQ 50-59 years, male 8.2
GTEX-1J8EW-1926-SM-CGQGR 60-69 years, female 8.2
GTEX-1QP28-1026-SM-EAZ4K 50-59 years, female 8.2
GTEX-17HHE-0526-SM-7DUGR 50-59 years, male 8.1
GTEX-1A3MW-1926-SM-7IGM8 60-69 years, female 8.1
GTEX-R55G-0326-SM-48FDM 40-49 years, female 8.1
GTEX-RWS6-1126-SM-47JXC 60-69 years, female 8.1
GTEX-1CAMQ-1626-SM-7MGXG 40-49 years, male 8.1
GTEX-1H1E6-0826-SM-9WG83 30-39 years, male 8.1
GTEX-1I1GU-0326-SM-AHZ2K 40-49 years, male 8.1
GTEX-1K9T9-1726-SM-CXZK1 50-59 years, female 8.1
GTEX-117YX-0226-SM-5EGH6 50-59 years, male 8.0
GTEX-1C64O-1426-SM-7EWER 60-69 years, male 8.0
GTEX-ZYT6-1326-SM-5E453 30-39 years, male 8.0
GTEX-1GN1W-1126-SM-9OSW3 50-59 years, female 8.0
GTEX-1PWST-1526-SM-EXOIT 70-79 years, male 8.0
GTEX-144GM-0726-SM-79OJQ 20-29 years, male 7.9
GTEX-15RJ7-0826-SM-6LLI8 40-49 years, male 7.9
GTEX-17F98-0426-SM-79ONZ 40-49 years, female 7.8
GTEX-17KNJ-1926-SM-7KFRV 50-59 years, male 7.8
GTEX-OOBK-1026-SM-48TC2 40-49 years, male 7.8
GTEX-QEL4-1326-SM-447AD 50-59 years, male 7.8
GTEX-ZAK1-2326-SM-5CVMY 50-59 years, female 7.8
GTEX-1S82P-1026-SM-EAZ4W 60-69 years, female 7.8
GTEX-13D11-2226-SM-5IFEO 50-59 years, female 7.7
GTEX-R53T-0426-SM-48FEM 50-59 years, female 7.7
GTEX-11P7K-0526-SM-5BC5I 30-39 years, male 7.6
GTEX-12WSD-1626-SM-5GCNR 60-69 years, female 7.6
GTEX-13FH7-1426-SM-5IFIC 50-59 years, female 7.6
GTEX-14C39-1026-SM-73KWG 40-49 years, male 7.6
GTEX-14PK6-1026-SM-664NZ 70-79 years, female 7.6
GTEX-QCQG-0426-SM-48U29 50-59 years, female 7.6
GTEX-WYVS-0926-SM-4SOJV 40-49 years, female 7.6
GTEX-1IDJU-0326-SM-CGQEE 60-69 years, female 7.6
GTEX-1QAET-1326-SM-E9U64 50-59 years, male 7.6
GTEX-13FTW-0526-SM-5IFIP 40-49 years, male 7.5
GTEX-14PJ2-1526-SM-686Z4 50-59 years, male 7.5
GTEX-17HGU-2026-SM-79OKS 50-59 years, male 7.5
GTEX-P4PP-1026-SM-3NM9O 30-39 years, female 7.5
GTEX-WFG8-0326-SM-4LVN4 20-29 years, male 7.5
GTEX-1MGNQ-1226-SM-EV7BM 40-49 years, male 7.5
GTEX-OIZI-1526-SM-E6CHI 40-49 years, male 7.5
GTEX-OXRK-1526-SM-E6CHJ 50-59 years, female 7.5
GTEX-13PVR-0726-SM-5S2PX 60-69 years, female 7.4
GTEX-1OKEX-1726-SM-E9U4F 60-69 years, male 7.4
GTEX-OIZF-1026-SM-2HML5 60-69 years, male 7.4
GTEX-QLQ7-0626-SM-CE6QX 60-69 years, male 7.4
GTEX-WXYG-0826-SM-4ONC7 50-59 years, female 7.3
GTEX-Y9LG-0726-SM-4VDS3 30-39 years, male 7.3
GTEX-ZLFU-0726-SM-57WF6 40-49 years, male 7.3
GTEX-1HSGN-1426-SM-A8NAA 40-49 years, female 7.3
GTEX-1K2DU-1026-SM-DHXKC 20-29 years, male 7.3
GTEX-11EQ9-1026-SM-5H134 30-39 years, male 7.2
GTEX-11ONC-0526-SM-5BC57 60-69 years, male 7.2
GTEX-1AYD5-0326-SM-7EWEO 50-59 years, male 7.2
GTEX-QV31-0226-SM-447BO 30-39 years, male 7.2
GTEX-WFG7-0426-SM-4LMK5 20-29 years, male 7.2
GTEX-ZAB4-1726-SM-5HL8C 40-49 years, male 7.2
GTEX-ZTPG-1026-SM-5DUWP 20-29 years, female 7.2
GTEX-1LVAN-1226-SM-CNNQY 50-59 years, female 7.2
GTEX-1N2DV-1726-SM-DPRYR 40-49 years, male 7.2
GTEX-132AR-1826-SM-5EGHR 50-59 years, female 7.1
GTEX-178AV-0226-SM-793B7 40-49 years, male 7.1
GTEX-18A67-1726-SM-7KFT9 50-59 years, male 7.1
GTEX-1AYCT-1226-SM-7EPGH 50-59 years, male 7.1
GTEX-1JKYN-0426-SM-CGQG2 30-39 years, male 7.1
GTEX-132QS-0926-SM-5P9GB 60-69 years, male 7.0
GTEX-P4QS-1026-SM-3NMCW 60-69 years, male 7.0
GTEX-WI4N-1826-SM-4OOSF 40-49 years, female 7.0
GTEX-ZEX8-1026-SM-4WKHE 50-59 years, male 7.0
GTEX-1IL2U-2326-SM-CNNQV 60-69 years, male 7.0
GTEX-1J8Q3-0626-SM-AHZ3V 60-69 years, male 7.0
GTEX-11VI4-0426-SM-5EGHZ 40-49 years, female 6.9
GTEX-13O61-2126-SM-5IJEO 60-69 years, male 6.9
GTEX-YB5E-0526-SM-4VDSD 40-49 years, male 6.9
GTEX-11NSD-0526-SM-5A5LT 20-29 years, male 6.8
GTEX-OHPL-1026-SM-3MJGI 60-69 years, female 6.8
GTEX-1JKYR-1026-SM-CGQGI 20-29 years, male 6.8
GTEX-QMRM-0326-SM-CKZNB 50-59 years, male 6.8
GTEX-QDVJ-1226-SM-48U1V 50-59 years, male 6.7
GTEX-SUCS-1426-SM-4DM5W 70-79 years, male 6.7
GTEX-ZP4G-0426-SM-4YCER 20-29 years, female 6.7
GTEX-1H11D-0926-SM-9OSXO 40-49 years, male 6.7
GTEX-PW2O-0826-SM-48TC5 20-29 years, male 6.6
GTEX-PX3G-1026-SM-48TZW 20-29 years, female 6.6
GTEX-QDVN-0926-SM-2I5GL 50-59 years, male 6.6
GTEX-1RAZA-1626-SM-EV79I 20-29 years, male 6.6
GTEX-139YR-1526-SM-5IFJ1 50-59 years, male 6.5
GTEX-14PJ3-0426-SM-6LLHF 50-59 years, male 6.5
GTEX-OOBJ-1026-SM-3NB2L 60-69 years, male 6.5
GTEX-1M5QR-0926-SM-DHXK8 40-49 years, male 6.5
GTEX-1N2EF-2126-SM-DPRYL 60-69 years, male 6.5
GTEX-111CU-0526-SM-5EGHK 50-59 years, male 6.4
GTEX-14PN3-0126-SM-6AJAU 60-69 years, female 6.4
GTEX-15SHV-1526-SM-6LLIB 60-69 years, male 6.4
GTEX-QESD-0226-SM-447BH 20-29 years, male 6.4
GTEX-1CAMR-1126-SM-7MGXF 20-29 years, male 6.4
GTEX-1LSNM-0726-SM-DHXL1 50-59 years, male 6.4
GTEX-S3XE-0526-SM-4AD4G 50-59 years, male 6.3
GTEX-1KANA-1526-SM-CXZKG 20-29 years, male 6.3
GTEX-1S83E-1426-SM-EV7B8 40-49 years, male 6.3
GTEX-12WSG-1026-SM-5EGII 50-59 years, female 6.2
GTEX-146FR-0126-SM-5Q5F3 60-69 years, female 6.2
GTEX-1AX9K-2026-SM-731D1 50-59 years, male 6.2
GTEX-S33H-1226-SM-4AD69 30-39 years, male 6.2
GTEX-U4B1-0726-SM-4DXUA 40-49 years, male 6.2
GTEX-WHPG-0326-SM-4M1XV 50-59 years, male 6.2
GTEX-1MUQO-1426-SM-DPRYJ 60-69 years, male 6.2
GTEX-1QEPI-1626-SM-EAZ3I 60-69 years, female 6.2
GTEX-11GSP-0426-SM-5A5KX 60-69 years, female 6.1
GTEX-15UF7-0826-SM-6M46E 40-49 years, male 6.1
GTEX-1RAZQ-1426-SM-EV7B2 30-39 years, male 6.1
GTEX-1211K-1126-SM-5EGGB 60-69 years, female 6.0
GTEX-1399U-0926-SM-5IFHA 50-59 years, female 6.0
GTEX-14PN4-1626-SM-6AJB5 50-59 years, male 6.0
GTEX-15EU6-1126-SM-68721 50-59 years, male 6.0
GTEX-T8EM-0826-SM-4DM76 40-49 years, male 6.0
GTEX-ZVP2-0726-SM-59HKY 50-59 years, male 6.0
GTEX-1R7EU-0726-SM-DPRZM 60-69 years, male 6.0
GTEX-1399R-0426-SM-5IJE3 30-39 years, male 5.9
GTEX-15ER7-1326-SM-6LPK9 20-29 years, female 5.9
GTEX-PLZ6-0726-SM-3P619 30-39 years, male 5.9
GTEX-TMMY-1326-SM-4DXU9 40-49 years, female 5.9
GTEX-WH7G-0826-SM-4LVMR 40-49 years, male 5.9
GTEX-WQUQ-2126-SM-4OOSO 60-69 years, male 5.9
GTEX-XYKS-1226-SM-4BRVI 60-69 years, female 5.9
GTEX-16Z82-1726-SM-7MGX3 60-69 years, male 5.9
GTEX-14DAR-0526-SM-664MX 50-59 years, male 5.8
GTEX-1B8KZ-0926-SM-731D7 50-59 years, male 5.8
GTEX-1B97J-1526-SM-79ONI 50-59 years, female 5.8
GTEX-VJYA-0826-SM-4KL1M 60-69 years, male 5.8
GTEX-1IDJC-0526-SM-AHZ2Q 50-59 years, male 5.8
GTEX-131XF-1426-SM-5BC68 60-69 years, male 5.7
GTEX-18A6Q-1726-SM-7LT9A 60-69 years, male 5.7
GTEX-1AX9J-1726-SM-731FF 60-69 years, male 5.7
GTEX-1B996-1326-SM-731EO 60-69 years, male 5.7
GTEX-X3Y1-0726-SM-3P5YU 40-49 years, male 5.7
GTEX-ZF3C-2026-SM-4WWB5 50-59 years, female 5.7
GTEX-1GL5R-0926-SM-9JGFO 50-59 years, male 5.7
GTEX-1GN1U-1126-SM-9WPPZ 50-59 years, female 5.7
GTEX-144GN-0826-SM-5LU5G 50-59 years, male 5.6
GTEX-14PHX-2026-SM-6872C 50-59 years, male 5.6
GTEX-14PJ4-0726-SM-6872E 60-69 years, male 5.6
GTEX-14PJM-2126-SM-6AJAS 50-59 years, female 5.6
GTEX-18A66-2126-SM-7189D 60-69 years, male 5.6
GTEX-148VI-0826-SM-5TDDI 60-69 years, female 5.5
GTEX-15SB6-0226-SM-6LLIA 50-59 years, female 5.5
GTEX-NFK9-1626-SM-3LK5J 40-49 years, male 5.5
GTEX-RM2N-0326-SM-48FD8 50-59 years, male 5.5
GTEX-XBED-0226-SM-47JY8 60-69 years, male 5.5
GTEX-1LG7Z-0326-SM-DHXK3 30-39 years, male 5.5
GTEX-1CB4I-1326-SM-79OLY 50-59 years, male 5.4
GTEX-ZVT2-2026-SM-5NQ8Q 50-59 years, female 5.4
GTEX-1AMFI-0726-SM-731D9 50-59 years, female 5.3
GTEX-PSDG-1526-SM-48TCY 50-59 years, male 5.3
GTEX-QLQW-0326-SM-447A8 30-39 years, male 5.3
GTEX-SE5C-0326-SM-4BRWX 40-49 years, female 5.3
GTEX-YEC4-1326-SM-5IFHG 40-49 years, male 5.3
GTEX-YF7O-1326-SM-4W1ZR 50-59 years, male 5.3
GTEX-ZAB5-0826-SM-5P9FU 50-59 years, male 5.3
GTEX-ZF29-1126-SM-4WKGO 60-69 years, female 5.3
GTEX-ZDTT-1126-SM-4WKFW 60-69 years, male 5.2
GTEX-ZZPU-0726-SM-5N9C8 50-59 years, female 5.2
GTEX-1128S-0826-SM-5GZZI 60-69 years, female 5.1
GTEX-13CF3-1026-SM-5LZWY 60-69 years, female 5.1
GTEX-1B933-1726-SM-731FC 50-59 years, female 5.1
GTEX-OHPM-1026-SM-3LK74 50-59 years, male 5.1
GTEX-WFJO-0626-SM-4LVMC 30-39 years, male 5.1
GTEX-Y5LM-0526-SM-4V6G3 40-49 years, female 5.1
GTEX-YFCO-1026-SM-5LU9S 40-49 years, male 5.1
GTEX-1I1GQ-2226-SM-B2LX1 50-59 years, male 5.1
GTEX-ZVZP-0626-SM-59HL5 50-59 years, male 5.0
GTEX-14PKU-0626-SM-6EU1Q 40-49 years, female 4.9
GTEX-17MF6-1426-SM-7IGOX 40-49 years, male 4.9
GTEX-R55D-1426-SM-48FEN 50-59 years, male 4.9
GTEX-1A8FM-1826-SM-7MGXO 50-59 years, female 4.9
GTEX-1IDJD-0126-SM-C1YQZ 30-39 years, male 4.9
GTEX-1KXAM-0226-SM-EV7AP 60-69 years, male 4.9
GTEX-YEC3-0626-SM-CMKFG 50-59 years, male 4.9
GTEX-ZPCL-0726-SM-DO91S 60-69 years, female 4.9
GTEX-XBEW-1626-SM-4SOJP 40-49 years, male 4.8
GTEX-1H1DG-1426-SM-9OSXP 70-79 years, male 4.8
GTEX-1JK1U-1026-SM-AHZ44 60-69 years, male 4.8
GTEX-13FTX-1226-SM-5IFGN 20-29 years, female 4.7
GTEX-XQ8I-1926-SM-4BOOK 50-59 years, male 4.7
GTEX-145MO-2126-SM-5Q5CZ 60-69 years, male 4.6
GTEX-14BMU-0726-SM-73KXS 20-29 years, female 4.6
GTEX-17F9E-1426-SM-793BG 50-59 years, male 4.6
GTEX-1NSGN-1726-SM-EXOJG 50-59 years, male 4.6
GTEX-131XG-1426-SM-5GCMO 50-59 years, female 4.5
GTEX-1339X-1026-SM-5IFH5 40-49 years, male 4.5
GTEX-V955-0326-SM-4JBGV 60-69 years, male 4.5
GTEX-1QPFJ-2226-SM-EXOJW 30-39 years, female 4.5
GTEX-12WSK-0226-SM-5BC62 40-49 years, female 4.4
GTEX-14PJN-1526-SM-6AJBP 30-39 years, male 4.4
GTEX-1CB4G-1826-SM-7MKGO 60-69 years, male 4.4
GTEX-1K2DA-0326-SM-CGQGX 50-59 years, male 4.4
GTEX-1QP2A-1326-SM-EAZ3K 50-59 years, male 4.4
GTEX-14PJO-1826-SM-69LPR 60-69 years, male 4.3
GTEX-15DYW-1626-SM-6LLI1 60-69 years, female 4.3
GTEX-ZYY3-0826-SM-5E44R 60-69 years, female 4.3
GTEX-1OFPY-0626-SM-EXOJ4 60-69 years, male 4.3
GTEX-111YS-1226-SM-5EGGJ 60-69 years, male 4.2
GTEX-18A7A-1726-SM-7LT93 50-59 years, female 4.2
GTEX-ZYFG-0826-SM-5BC5T 60-69 years, female 4.0
GTEX-ZT9W-0926-SM-57WFS 50-59 years, male 3.9
GTEX-1I1GT-0926-SM-AHZ2G 60-69 years, female 3.9
GTEX-1O97I-1726-SM-EXOIP 60-69 years, male 3.9
GTEX-1R9K5-1226-SM-E6CPQ 50-59 years, male 3.9
GTEX-XV7Q-0926-SM-4BRVQ 40-49 years, female 3.8
GTEX-XPVG-0326-SM-4B653 50-59 years, male 3.7
GTEX-1HKZK-1126-SM-9WG82 40-49 years, male 3.6
GTEX-QV44-0426-SM-4R1KF 50-59 years, male 3.5
GTEX-1B8KE-0726-SM-72D7G 50-59 years, male 3.4
GTEX-12BJ1-1126-SM-5EGGG 60-69 years, male 3.3
GTEX-13FLV-0626-SM-5IFEY 50-59 years, male 2.7
GTEX-13O1R-1826-SM-5KM3B 60-69 years, male 2.7
GTEX-X4LF-0326-SM-4QAS9 50-59 years, male 2.3
Show allShow less

PANCREAS - FANTOM5 CAGEi

RNA expression in human tissues obtained through Cap Analysis of Gene Expression (CAGE) generated by the FANTOM5 project are reported as Scaled Tags Per Million.

Max subtype Scaled Tags Per Millioni

Max subtype Scaled Tags Per Million is the value for the subtype with the largest average Scaled Tags Per Million across the subtype samples.

16.3
FANTOM5 sample id Sample description Scaled Tags Per Million
Pancreas
Scaled Tags Per Million: 16.3
FF:10049-101G4 52 years, male 16.3

Contact

  • NEWS ARTICLES
  • PRESS ROOM

The Project

  • INTRODUCTION
  • ORGANIZATION
  • PUBLICATIONS

The Human Protein Atlas

  • DOWNLOADABLE DATA
  • LICENCE & CITATION
  • HELP & FAQ
The Human Protein Atlas project is funded
by the Knut & Alice Wallenberg Foundation.


contact@proteinatlas.org