We use cookies to enhance the usability of our website. If you continue, we'll assume that you are happy to receive all cookies. More information. Don't show this again.
GALNT16
HPA
RESOURCES
  • TISSUE
  • BRAIN
  • SINGLE CELL
  • SUBCELLULAR
  • CANCER
  • BLOOD
  • CELL LINE
  • STRUCTURE & INTERACTION
ABOUT
  • INTRODUCTION
  • HISTORY
  • ORGANIZATION
  • PUBLICATIONS
  • ANTIBODY SUBMISSION
  • ANTIBODY AVAILABILITY
  • ACKNOWLEDGMENTS
  • CONTACT
NEWS
  • NEWS ARTICLES
  • PRESS ROOM
LEARN
  • DICTIONARY
  • PROTEIN CLASSES
  • PROTEIN EVIDENCE
  • METHODS
  • EDUCATIONAL VIDEOS
DATA
  • DOWNLOADABLE DATA
  • PUBLICATION DATA
  • RELEASE HISTORY
HELP
  • ANTIBODY VALIDATION
  • ASSAYS & ANNOTATION
  • DISCLAIMER
  • HELP & FAQ
  • PRIVACY STATEMENT
  • LICENCE & CITATION
Fields »
Search result

Field
Term
Gene name
Class
Subclass
Class
Keyword
Chromosome
External id
Tissue
Cell type
Expression
Antibody panel
Tissue
Main location
Patient ID
Annotation
Tissue
Category
Tau score
Cluster
Reliability
Brain region
Category
Tau score
Brain region
Category
Tau score
Brain region
Category
Tau score
Cluster
Reliability
Tissue
Cell type
Enrichment
Cell type
Category
Tau score
Cell type
Category
Tau score
Cell type
Category
Tau score
Cell lineage
Category
Tau score
Cluster
Cluster
Location
Searches
Location
Cell line
Class
Type
Phase
Reliability
Cancer
Prognosis
Cancer
Category
Cancer
Category
Tau score
Cluster
Variants
Interacting gene (ensg_id)
Type
Number of interactions
Pathway
Category
Score
Score
Score
Validation
Validation
Validation
Validation
Antibodies
Data type
Column


  • SUMMARY

  • TISSUE

  • BRAIN

  • SINGLE CELL

  • SUBCELL

  • CANCER

  • BLOOD

  • CELL LINE

  • STRUCT & INT

  • GALNT16
TISSUE PRIMARY DATA SKIN Show tissue menu
ADIPOSE TISSUE ADRENAL GLAND AMYGDALA APPENDIX BASAL GANGLIA BONE MARROW BREAST BRONCHUS CEREBELLUM CEREBRAL CORTEX CERVIX CHOROID PLEXUS COLON DUODENUM
ENDOMETRIUM EPIDIDYMIS ESOPHAGUS FALLOPIAN TUBE GALLBLADDER HEART MUSCLE HIPPOCAMPAL FORMATION HYPOTHALAMUS KIDNEY LIVER LUNG LYMPH NODE MIDBRAIN NASOPHARYNX
ORAL MUCOSA OVARY PANCREAS PARATHYROID GLAND PITUITARY GLAND PLACENTA PROSTATE RECTUM RETINA SALIVARY GLAND SEMINAL VESICLE SKELETAL MUSCLE SKIN SMALL INTESTINE
SMOOTH MUSCLE SOFT TISSUE SPINAL CORD SPLEEN STOMACH TESTIS THYMUS THYROID GLAND TONGUE TONSIL URINARY BLADDER VAGINA
ANTIBODIES
AND
VALIDATION
Dictionary
Skin
Tissue proteome
Skin
SKIN - Expression summary
Protein expression
Skini

On the top, protein expression in current human tissue, based on all annotated cell types, is reported with the units not detected (n), low (l), medium (m) and high (h). Underneath, protein expression in each annotated cell type are reported using the same units.

Protein expression data is based on knowledge-based annotation. For genes where more than one antibody has been used, a collective score is set.

If knowledge-based annotation could not be performed for a gene, no data is displayed here. View antibody staining data further down this page.

h
m
l
n
Epidermal cells: High
Fibroblasts: Not detected
Keratinocytes: High
Langerhans: Not detected
Melanocytes: Low
RNA expressioni

A summary of mRNA expression data available for current tissue based on several datasets. The mRNA expression levels in human tissues are based on RNA-seq data generated by the Human Protein Atlas (HPA), Genotype-Tissue Expression (GTEx) portal and CAGE data generated by the FANTOM5 consortium. Consensus normalized expression levels for human tissues was created by combining the data from HPA and GTEx datasets.

The mRNA expression levels in pig are based on RNA-seq data generated by the Human Protein Atlas (HPA), and for mouse, HPA data and in situ hybridization generated by the Allen brain atlas are reported.

Scroll down to view mRNA expression data in more detail.
Consensus:7.2 nTPM
HPA:5.3 nTPM
GTEx:7.2 nTPM

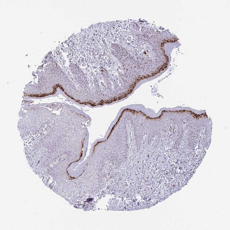
SKIN 1 - Antibody stainingi

Antibody staining in the annotated cell types in the current human tissue is reported as not detected, low, medium, or high, based on conventional immunohistochemistry profiling in selected tissues. This score is based on the combination of the staining intensity and fraction of stained cells.

Each image is clickable and will lead to virtual microscopy that enables deeper exploration of all samples and also displays staining intensity scores, fraction scores and subcellular localization as well as patient and tissue information for each sample.

Antibody HPA059136
Langerhans Not detected
Fibroblasts Not detected
Keratinocytes High
Melanocytes Low


SKIN 2 - Antibody stainingi

Antibody staining in the annotated cell types in the current human tissue is reported as not detected, low, medium, or high, based on conventional immunohistochemistry profiling in selected tissues. This score is based on the combination of the staining intensity and fraction of stained cells.

Each image is clickable and will lead to virtual microscopy that enables deeper exploration of all samples and also displays staining intensity scores, fraction scores and subcellular localization as well as patient and tissue information for each sample.

Antibody HPA059136
Epidermal cells High
 
 
 


SKIN - HPA RNA-seqi

The RNA-seq details section shows detailed information about the individual samples used for the transcript profiling and results of the RNA-seq analysis.

Information about each individual sample is listed below, including gender, age, a tissue section image and estimated fractions of cell types. nTPM (normalized transcripts per million) values give a quantification of the gene abundance which is comparable between different genes and samples.
Average nTPMi

Max subtype nTPM is the value for the subtype with the largest average nTPM across the subtype samples.

5.3
overview
Female, age 34
Skin sample 225
nTPM: 6.9
Cell types%
Keratinocytes:
60

Other cell types:
40

overview
Female, age 30
Skin sample 226
nTPM: 3.3
Cell types%
Keratinocytes:
55

Other cell types:
45

N/A
Male, age 57
Skin sample 227
nTPM: 5.8

SKIN - GTEx RNA-seqi

RNA-Seq data generated by the Genotype-Tissue Expression (GTEx) project from human tissues is reported as mean nTPM. More information can be found on the GTEx portal.

Distribution across the dataset is visualized with box plots, shown as median and 25th and 75th percentiles. Points are displayed as outliers if they are above or below 1.5 times the interquartile range. nTPM values of the individual samples are presented next to the box plot.
Max subtype nTPMi

Max subtype nTPM is the value for the subtype with the largest average nTPM across the subtype samples.

7.2
GTEx sample id Sample description nTPM
Skin - Not Sun Exposed (Suprapubic)
Average nTPM: 5.4
Samples: 604

Max nTPM: 25.0
Min nTPM: 0.4
Std nTPM: 3.3
Median nTPM: 4.7
GTEX-1EWIQ-0326-SM-7DHMQ 70-79 years, female 25.0
GTEX-WYVS-1626-SM-3NM9R 40-49 years, female 18.0
GTEX-11DYG-1526-SM-5A5JS 60-69 years, male 17.7
GTEX-1399R-1326-SM-5PNYS 30-39 years, male 17.7
GTEX-1A32A-0626-SM-731AQ 50-59 years, female 17.7
GTEX-13OVJ-0826-SM-5J1OK 50-59 years, female 16.9
GTEX-1GZHY-0626-SM-9KNVC 50-59 years, female 16.6
GTEX-ZAK1-0626-SM-5HL8E 50-59 years, female 15.6
GTEX-13113-1626-SM-5EQ4I 60-69 years, female 15.5
GTEX-1F75A-0726-SM-7RHHD 50-59 years, male 15.1
GTEX-12584-0726-SM-5FQTK 40-49 years, male 14.9
GTEX-1CAV2-0126-SM-7IGN7 40-49 years, female 14.9
GTEX-1GMRU-2126-SM-7P8RA 50-59 years, male 14.8
GTEX-1F48J-0726-SM-7RHGS 50-59 years, female 14.7
GTEX-WHSE-0126-SM-3NMBT 20-29 years, male 14.4
GTEX-1IDJE-1426-SM-ADEIW 50-59 years, female 14.2
GTEX-145MG-1526-SM-5Q5EM 50-59 years, male 14.0
GTEX-YJ8O-2526-SM-5HL85 40-49 years, female 13.8
GTEX-ZDXO-3126-SM-5IJDF 60-69 years, male 13.7
GTEX-1F75W-2726-SM-7SB8H 60-69 years, male 13.4
GTEX-X4EP-0626-SM-3P621 60-69 years, female 13.2
GTEX-17JCI-2926-SM-7DUFF 60-69 years, female 13.1
GTEX-1A8FM-0626-SM-7PC25 50-59 years, female 13.0
GTEX-15RJ7-2126-SM-6PAMD 40-49 years, male 12.9
GTEX-14PK6-0226-SM-62LF5 70-79 years, female 12.5
GTEX-ZDTS-0826-SM-4WKHL 60-69 years, male 12.4
GTEX-13OVK-1426-SM-6PAN7 40-49 years, male 12.3
GTEX-18D9B-0926-SM-7LG4U 60-69 years, male 12.3
GTEX-1JMOU-1026-SM-CYPSS 60-69 years, female 12.3
GTEX-12WSD-0626-SM-5GCMW 60-69 years, female 12.2
GTEX-1F6I4-2326-SM-7RHGL 60-69 years, male 12.0
GTEX-146FQ-2126-SM-5RQHU 30-39 years, male 11.7
GTEX-15DYW-2726-SM-6EU2I 60-69 years, female 11.7
GTEX-ZU9S-1826-SM-5NQ9E 30-39 years, male 11.7
GTEX-131YS-2826-SM-5EQ47 60-69 years, female 11.4
GTEX-147F4-0726-SM-5TDDD 50-59 years, male 11.2
GTEX-X3Y1-2026-SM-3P5YM 40-49 years, male 11.2
GTEX-XOT4-0626-SM-4B66L 60-69 years, female 11.2
GTEX-Y3IK-1626-SM-4YCF5 50-59 years, female 11.1
GTEX-ZE7O-2726-SM-51MT5 50-59 years, female 11.1
GTEX-1GZ2Q-0126-SM-9WG6M 40-49 years, male 11.1
GTEX-1H3NZ-2726-SM-9WYTQ 60-69 years, male 11.1
GTEX-1HCU6-2526-SM-ADEHL 60-69 years, female 11.0
GTEX-111FC-2526-SM-5GZXU 60-69 years, male 10.9
GTEX-W5X1-2526-SM-3GILC 40-49 years, female 10.9
GTEX-15D1Q-2826-SM-6LLH7 40-49 years, male 10.8
GTEX-18A7A-0126-SM-731AH 50-59 years, female 10.8
GTEX-1F6IF-0926-SM-7SB7M 60-69 years, male 10.8
GTEX-12WSH-1526-SM-5BC5W 50-59 years, male 10.7
GTEX-131XH-0126-SM-5LZUY 50-59 years, male 10.4
GTEX-145ME-1726-SM-5Q5EU 40-49 years, female 10.4
GTEX-Y8LW-1526-SM-5IFHL 50-59 years, female 10.4
GTEX-1H1CY-0126-SM-9YFLY 60-69 years, female 10.4
GTEX-12WSL-2026-SM-5GCML 50-59 years, male 10.2
GTEX-1QP29-1826-SM-DTX9S 50-59 years, male 10.1
GTEX-12126-0826-SM-5FQTZ 20-29 years, male 10.0
GTEX-16YQH-2226-SM-7IGM2 30-39 years, male 10.0
GTEX-17HHY-0426-SM-7DHLC 50-59 years, male 10.0
GTEX-1314G-1326-SM-5BC6E 30-39 years, male 9.9
GTEX-11EI6-2826-SM-5H11D 60-69 years, male 9.8
GTEX-13PVQ-0626-SM-5LU47 50-59 years, male 9.8
GTEX-ZYW4-0626-SM-59HJR 60-69 years, male 9.8
GTEX-WYBS-0626-SM-3NMAS 60-69 years, female 9.7
GTEX-1117F-2926-SM-5GZYI 60-69 years, female 9.6
GTEX-11DXW-0826-SM-5H118 40-49 years, male 9.6
GTEX-11EM3-1226-SM-5N9DD 20-29 years, female 9.6
GTEX-15CHQ-0326-SM-69LQD 60-69 years, male 9.6
GTEX-ZYFC-0426-SM-5GICQ 50-59 years, male 9.6
GTEX-1IY9M-2826-SM-ARU8H 60-69 years, male 9.6
GTEX-13JUV-2026-SM-5K7UA 40-49 years, female 9.5
GTEX-17HG3-2626-SM-7DUF2 30-39 years, female 9.5
GTEX-1J8JJ-0626-SM-ARZMQ 60-69 years, female 9.5
GTEX-ZVTK-0226-SM-51MRG 20-29 years, male 9.4
GTEX-13N1W-2426-SM-5IJD1 70-79 years, male 9.2
GTEX-131XW-0626-SM-5PNVD 50-59 years, female 9.1
GTEX-WRHU-2826-SM-3MJG8 50-59 years, female 9.1
GTEX-1HCUA-0826-SM-ADEHM 50-59 years, female 9.1
GTEX-11ZTT-2126-SM-5CVLO 60-69 years, female 9.0
GTEX-X8HC-0626-SM-4E3HQ 50-59 years, female 9.0
GTEX-ZYFG-1526-SM-5GZYM 60-69 years, female 9.0
GTEX-1POEN-2326-SM-E9J2L 30-39 years, female 9.0
GTEX-1H1ZS-2726-SM-9WG75 70-79 years, male 8.9
GTEX-1HUB1-1426-SM-CGQF5 60-69 years, male 8.8
GTEX-1EKGG-0626-SM-7DUGJ 60-69 years, male 8.7
GTEX-18A6Q-0626-SM-7KFRP 60-69 years, male 8.6
GTEX-1H1DF-1126-SM-9WG7G 40-49 years, female 8.6
GTEX-1JMLX-0626-SM-ARL8T 50-59 years, male 8.6
GTEX-1EU9M-1426-SM-793AI 60-69 years, male 8.5
GTEX-X4EO-2926-SM-4E3JH 60-69 years, female 8.5
GTEX-X5EB-1926-SM-4E3IW 40-49 years, male 8.5
GTEX-1HSKV-1226-SM-ADEI4 60-69 years, male 8.5
GTEX-VJYA-1526-SM-3GIJV 60-69 years, male 8.4
GTEX-1GTWX-2026-SM-9YFLM 60-69 years, male 8.4
GTEX-11GS4-0226-SM-5HL77 60-69 years, male 8.3
GTEX-11P7K-1126-SM-5HL4L 30-39 years, male 8.3
GTEX-13X6J-0626-SM-5LU5F 50-59 years, male 8.3
GTEX-1B996-0426-SM-7EWF8 60-69 years, male 8.3
GTEX-11OF3-0126-SM-5PNYF 60-69 years, male 8.2
GTEX-13OW7-0426-SM-5K7VK 50-59 years, male 8.2
GTEX-1LVAO-2726-SM-E9TJ8 60-69 years, male 8.2
GTEX-1RAZR-2126-SM-E9U6T 40-49 years, male 8.2
GTEX-14A5H-0826-SM-5QGPJ 60-69 years, male 8.1
GTEX-17EVQ-0126-SM-7IGLR 70-79 years, male 8.1
GTEX-1AX9I-2226-SM-73KUO 60-69 years, male 8.1
GTEX-WHPG-2626-SM-3NMBR 50-59 years, male 8.1
GTEX-1HBPI-2126-SM-ARL9K 50-59 years, male 8.1
GTEX-1IDJD-2326-SM-ACKWX 30-39 years, male 8.1
GTEX-11GSP-2326-SM-5HL63 60-69 years, female 8.0
GTEX-13U4I-2226-SM-5LU5H 40-49 years, female 8.0
GTEX-147JS-0226-SM-5S2U9 60-69 years, male 8.0
GTEX-1I1CD-0626-SM-CE6SW 60-69 years, female 8.0
GTEX-1IDJH-0126-SM-D3L92 70-79 years, male 8.0
GTEX-11NUK-2726-SM-5A5MC 50-59 years, male 7.9
GTEX-1AX8Z-0726-SM-73KTS 60-69 years, male 7.9
GTEX-13FH7-1126-SM-5K7UG 50-59 years, female 7.8
GTEX-U8XE-0226-SM-4E3J3 30-39 years, male 7.8
GTEX-WY7C-2126-SM-3NB2R 50-59 years, male 7.8
GTEX-ZDYS-2426-SM-4WKGI 50-59 years, male 7.8
GTEX-1GF9V-0826-SM-9KNUV 60-69 years, male 7.8
GTEX-1JKYN-0826-SM-ARU8S 30-39 years, male 7.8
GTEX-16Z82-2626-SM-7KULU 60-69 years, male 7.7
GTEX-183FY-1026-SM-7939A 20-29 years, male 7.7
GTEX-Z93S-1626-SM-5CVMB 50-59 years, male 7.7
GTEX-1KWVE-1026-SM-D3L9O 30-39 years, male 7.7
GTEX-11O72-0626-SM-5PNYE 40-49 years, male 7.6
GTEX-11VI4-1126-SM-5EQMD 40-49 years, female 7.6
GTEX-16GPK-0626-SM-7KFSF 60-69 years, male 7.6
GTEX-1HFI6-0126-SM-CNPPI 40-49 years, male 7.6
GTEX-12ZZZ-0726-SM-5GCNZ 60-69 years, male 7.5
GTEX-145LS-0626-SM-7EPG7 60-69 years, female 7.5
GTEX-Y8E4-2026-SM-5IFJB 40-49 years, male 7.5
GTEX-1QEPI-2626-SM-DTXF4 60-69 years, female 7.5
GTEX-132AR-0326-SM-5KM2C 50-59 years, female 7.4
GTEX-13O3O-2326-SM-5IJD6 60-69 years, female 7.4
GTEX-1C6WA-2626-SM-7MKGM 60-69 years, male 7.4
GTEX-XBED-1926-SM-47JYP 60-69 years, male 7.4
GTEX-12WSF-1626-SM-7KUG5 70-79 years, male 7.3
GTEX-14ABY-2026-SM-62LDL 50-59 years, male 7.3
GTEX-15SHW-0226-SM-7LTAT 60-69 years, male 7.3
GTEX-13OVG-1626-SM-5J1NF 60-69 years, male 7.2
GTEX-1B933-2426-SM-7DHMD 50-59 years, female 7.2
GTEX-XBEC-0726-SM-4QARZ 50-59 years, male 7.2
GTEX-1CAMR-1326-SM-7PC1F 20-29 years, male 7.2
GTEX-1I1GP-1326-SM-A9G28 50-59 years, male 7.2
GTEX-139TS-2126-SM-5K7XC 60-69 years, male 7.1
GTEX-1497J-0226-SM-5QGPU 60-69 years, male 7.1
GTEX-ZF2S-1626-SM-57WES 50-59 years, female 7.1
GTEX-1GF9W-1426-SM-7PBYM 60-69 years, male 7.1
GTEX-16NPX-0726-SM-7KULC 50-59 years, male 7.0
GTEX-1E1VI-0326-SM-793D1 50-59 years, male 7.0
GTEX-UPK5-0426-SM-3GAEK 40-49 years, male 7.0
GTEX-ZAB4-2126-SM-5HL8U 40-49 years, male 7.0
GTEX-1EMGI-2326-SM-7PBYA 60-69 years, male 7.0
GTEX-1QMI2-2526-SM-E8VNZ 60-69 years, male 6.9
GTEX-18A66-0626-SM-7LT8Z 60-69 years, male 6.8
GTEX-1H4P4-2126-SM-9WYSL 50-59 years, male 6.8
GTEX-1HCU8-2526-SM-CE6RX 60-69 years, female 6.8
GTEX-1MCC2-1826-SM-DIPEX 30-39 years, female 6.8
GTEX-11DXY-0126-SM-5H11Q 60-69 years, male 6.7
GTEX-13OW6-2726-SM-5J2OE 50-59 years, male 6.7
GTEX-1IDJF-2026-SM-CL53V 20-29 years, male 6.7
GTEX-13N2G-0226-SM-5K7VF 60-69 years, male 6.6
GTEX-14E6C-2426-SM-5S2NF 40-49 years, male 6.6
GTEX-Y5V5-0126-SM-5S2NW 60-69 years, female 6.6
GTEX-YB5K-2026-SM-4VDT3 40-49 years, female 6.6
GTEX-ZYFD-0626-SM-5E44E 50-59 years, male 6.6
GTEX-11DXZ-2026-SM-5987S 50-59 years, male 6.5
GTEX-139YR-1026-SM-5LZYN 50-59 years, male 6.5
GTEX-14DAQ-0626-SM-793DS 60-69 years, female 6.5
GTEX-WI4N-2726-SM-3LK7Y 40-49 years, female 6.5
GTEX-ZP4G-1426-SM-4WWCL 20-29 years, female 6.5
GTEX-1HSMO-0626-SM-ACKXC 60-69 years, male 6.5
GTEX-ZPIC-0526-SM-DO91W 40-49 years, female 6.5
GTEX-145MN-1526-SM-5SI9T 30-39 years, male 6.4
GTEX-14BMU-1226-SM-5S2OR 20-29 years, female 6.4
GTEX-15FZZ-0526-SM-7KUGD 30-39 years, female 6.4
GTEX-1B8SF-0126-SM-7DUG3 60-69 years, male 6.4
GTEX-ZC5H-1526-SM-5HL9Y 40-49 years, female 6.4
GTEX-1LB8K-0726-SM-D5OV2 50-59 years, male 6.4
GTEX-11NSD-0626-SM-5A5LU 20-29 years, male 6.3
GTEX-13OVL-0126-SM-5L3GJ 50-59 years, male 6.3
GTEX-14DAR-1226-SM-73KYV 50-59 years, male 6.3
GTEX-1EX96-1026-SM-7MKG2 50-59 years, male 6.3
GTEX-XQ3S-1426-SM-4BOPR 20-29 years, male 6.3
GTEX-YEC4-1826-SM-4W1YP 40-49 years, male 6.3
GTEX-ZPU1-1126-SM-4YCF3 40-49 years, male 6.3
GTEX-1I19N-0126-SM-CYPSF 70-79 years, male 6.3
GTEX-1M4P7-0726-SM-E6CJ3 60-69 years, male 6.3
GTEX-1QCLZ-2426-SM-EVYBW 60-69 years, female 6.3
GTEX-1RLM8-2926-SM-E8VON 50-59 years, male 6.3
GTEX-139TU-0726-SM-5L3EK 60-69 years, male 6.2
GTEX-17MF6-2626-SM-79OKQ 40-49 years, male 6.2
GTEX-1EN7A-2426-SM-793DB 40-49 years, male 6.2
GTEX-XXEK-1626-SM-4BRUZ 50-59 years, male 6.2
GTEX-Y111-0626-SM-4SOIT 50-59 years, male 6.2
GTEX-ZVT4-2426-SM-5GIEI 50-59 years, female 6.2
GTEX-ZZPU-0826-SM-5GZX5 50-59 years, female 6.2
GTEX-1QP66-1226-SM-DTX7U 50-59 years, male 6.2
GTEX-1211K-1526-SM-5FQU4 60-69 years, female 6.1
GTEX-14PKU-0126-SM-6LLHV 40-49 years, female 6.0
GTEX-178AV-1726-SM-7KUL8 40-49 years, male 6.0
GTEX-17HGU-2326-SM-7DUFE 50-59 years, male 6.0
GTEX-ZUA1-2626-SM-5NQ92 40-49 years, male 6.0
GTEX-1LSVX-2526-SM-DIPEU 60-69 years, male 6.0
GTEX-1N2EE-0626-SM-E76PW 60-69 years, male 6.0
GTEX-13OW8-1026-SM-5J1NQ 60-69 years, male 5.9
GTEX-145LT-0526-SM-5LUB2 40-49 years, male 5.9
GTEX-14JG1-1526-SM-5YY9X 40-49 years, male 5.9
GTEX-17EVP-2626-SM-7IGMA 40-49 years, male 5.9
GTEX-17F97-2626-SM-7IGM5 50-59 years, male 5.9
GTEX-18A7B-2726-SM-7LG56 70-79 years, male 5.9
GTEX-1B8KZ-0326-SM-73KY4 50-59 years, male 5.9
GTEX-1CB4F-1026-SM-7DUH1 60-69 years, male 5.9
GTEX-WXYG-2026-SM-4E3IY 50-59 years, female 5.9
GTEX-XV7Q-1826-SM-4BRUV 40-49 years, female 5.9
GTEX-1GN2E-0226-SM-9WG6K 60-69 years, male 5.9
GTEX-1O9I2-0226-SM-EYYXD 50-59 years, male 5.9
GTEX-1R9PN-0426-SM-DTXDT 40-49 years, female 5.9
GTEX-1192X-2726-SM-5N9DN 50-59 years, male 5.8
GTEX-139D8-1126-SM-5LU8W 30-39 years, female 5.8
GTEX-15ER7-0626-SM-6PANF 20-29 years, female 5.8
GTEX-16BQI-1326-SM-6M486 30-39 years, female 5.8
GTEX-16MT8-2926-SM-7DUFO 60-69 years, female 5.8
GTEX-16NGA-0726-SM-731AO 40-49 years, female 5.8
GTEX-XK95-0226-SM-4AT58 40-49 years, male 5.8
GTEX-XYKS-1426-SM-4BRUO 60-69 years, female 5.8
GTEX-ZLWG-0826-SM-59888 50-59 years, female 5.8
GTEX-1C64N-2626-SM-7PC2N 50-59 years, male 5.8
GTEX-1F88E-1626-SM-7SB8Z 60-69 years, female 5.8
GTEX-1K2DA-1026-SM-CGQGF 50-59 years, male 5.8
GTEX-1LBAC-0826-SM-CY8IJ 20-29 years, male 5.8
GTEX-1LG7Z-1626-SM-CXKYR 30-39 years, male 5.8
GTEX-145MH-2826-SM-5RQJF 50-59 years, male 5.7
GTEX-14PJO-2526-SM-6AJBQ 60-69 years, male 5.7
GTEX-18465-2826-SM-7LT9J 50-59 years, male 5.7
GTEX-ZLFU-1826-SM-4WWBV 40-49 years, male 5.7
GTEX-1C475-1326-SM-7SB73 40-49 years, female 5.7
GTEX-139T8-0626-SM-5KLZX 60-69 years, male 5.6
GTEX-139UW-0326-SM-5J1ML 60-69 years, male 5.6
GTEX-13FHO-0426-SM-5L3F5 60-69 years, male 5.6
GTEX-1I1HK-2326-SM-CKZOH 60-69 years, male 5.6
GTEX-1LVA9-2626-SM-EVYD4 50-59 years, male 5.6
GTEX-11UD2-2526-SM-5CVNU 50-59 years, male 5.5
GTEX-12ZZY-0726-SM-5EQ66 60-69 years, male 5.5
GTEX-13PVR-0426-SM-5RQK2 60-69 years, female 5.5
GTEX-ZVE2-2826-SM-5GU51 50-59 years, male 5.5
GTEX-14JG6-1426-SM-9WG7C 30-39 years, female 5.5
GTEX-1HC8U-1326-SM-9YFMJ 40-49 years, female 5.5
GTEX-1IKJJ-2226-SM-CJI4C 60-69 years, male 5.5
GTEX-13SLX-2226-SM-62LEP 50-59 years, female 5.4
GTEX-1H23P-0626-SM-9WG6T 60-69 years, male 5.4
GTEX-1R9K4-2826-SM-DTX8F 60-69 years, male 5.4
GTEX-12C56-1526-SM-5FQUQ 20-29 years, male 5.3
GTEX-12ZZX-2426-SM-5GCOE 40-49 years, female 5.3
GTEX-WEY5-2326-SM-3GIKK 40-49 years, female 5.3
GTEX-WK11-2726-SM-3NMAQ 50-59 years, male 5.3
GTEX-ZTSS-1426-SM-5985P 40-49 years, male 5.3
GTEX-1JMQL-2226-SM-CNPP4 50-59 years, female 5.3
GTEX-11TT1-1826-SM-5EQLV 20-29 years, male 5.2
GTEX-13112-0126-SM-5P9IU 50-59 years, male 5.2
GTEX-1F75B-0726-SM-7PC3R 50-59 years, male 5.2
GTEX-1IL2V-1926-SM-B2LW8 70-79 years, male 5.2
GTEX-1JN6P-2926-SM-CL54D 60-69 years, male 5.2
GTEX-1LSNL-2726-SM-E9TKJ 50-59 years, male 5.2
GTEX-12WSC-2826-SM-5BC5Y 50-59 years, male 5.1
GTEX-139TT-2126-SM-5LZWC 60-69 years, male 5.1
GTEX-145LU-1926-SM-79OJN 50-59 years, male 5.1
GTEX-17HII-1426-SM-7EPGG 50-59 years, male 5.1
GTEX-1CB4E-0926-SM-7EPHT 60-69 years, male 5.1
GTEX-XBEW-1126-SM-4QARW 40-49 years, male 5.1
GTEX-1JMPZ-0726-SM-CY8HZ 30-39 years, male 5.1
GTEX-1JMQI-1726-SM-ARL93 50-59 years, male 5.1
GTEX-ZGAY-1826-SM-DO91Q 40-49 years, female 5.1
GTEX-13NYB-0126-SM-5J1MD 40-49 years, male 5.0
GTEX-13X6K-0626-SM-5LU5D 60-69 years, female 5.0
GTEX-16MTA-0926-SM-6M47Z 50-59 years, male 5.0
GTEX-WFG8-2126-SM-3GIKQ 20-29 years, male 5.0
GTEX-1CB4I-0126-SM-7RHGG 50-59 years, male 5.0
GTEX-1GN73-0726-SM-7P8TJ 60-69 years, male 5.0
GTEX-1IDJI-0126-SM-CMKHS 50-59 years, female 5.0
GTEX-1PPGY-1626-SM-EVYBL 60-69 years, male 5.0
GTEX-17F96-0126-SM-7EWDU 70-79 years, male 4.9
GTEX-1AX9J-1326-SM-731BJ 60-69 years, male 4.9
GTEX-XUW1-0926-SM-4BONX 50-59 years, female 4.9
GTEX-ZT9W-1126-SM-57WDR 50-59 years, male 4.9
GTEX-1GMR3-0126-SM-A9SLW 40-49 years, male 4.9
GTEX-1H3O1-1326-SM-9MQLD 60-69 years, male 4.9
GTEX-1S82U-1026-SM-E6CJK 30-39 years, female 4.9
GTEX-117YX-1926-SM-5GIEC 50-59 years, male 4.8
GTEX-13RTJ-0126-SM-5S2NN 60-69 years, male 4.8
GTEX-15EO6-2426-SM-6PALZ 50-59 years, male 4.8
GTEX-1C6VQ-1226-SM-73KYD 50-59 years, male 4.8
GTEX-ZT9X-1526-SM-5DUXD 40-49 years, male 4.8
GTEX-ZVP2-0326-SM-57WBP 50-59 years, male 4.8
GTEX-1IDJC-1526-SM-B2LW4 50-59 years, male 4.8
GTEX-1KD5A-0126-SM-E9U54 50-59 years, male 4.8
GTEX-11EQ9-1626-SM-5PNY8 30-39 years, male 4.7
GTEX-1313W-0626-SM-5EQ4H 50-59 years, female 4.7
GTEX-13O3Q-0126-SM-5KM34 50-59 years, male 4.7
GTEX-14E6E-0526-SM-793DN 30-39 years, male 4.7
GTEX-WH7G-2026-SM-3NMBL 40-49 years, male 4.7
GTEX-1JMQK-1226-SM-D4P2S 60-69 years, male 4.7
GTEX-1KANC-1226-SM-CYPT7 50-59 years, female 4.7
GTEX-1MJK3-0726-SM-E6CJC 20-29 years, male 4.7
GTEX-1PBJJ-1026-SM-E76OS 30-39 years, male 4.7
GTEX-ZLV1-1526-SM-DO91J 60-69 years, female 4.7
GTEX-13FLV-0126-SM-5K7WT 50-59 years, male 4.6
GTEX-13G51-1826-SM-5KLZH 60-69 years, male 4.6
GTEX-ZAJG-1526-SM-5CVML 50-59 years, female 4.6
GTEX-1J8Q3-0526-SM-ARL8U 60-69 years, male 4.6
GTEX-1N5O9-0926-SM-E9J3C 60-69 years, male 4.6
GTEX-1S5ZU-2526-SM-E6CIF 20-29 years, female 4.6
GTEX-1S82P-2126-SM-E6CI5 60-69 years, female 4.6
GTEX-1S831-1826-SM-EWROF 20-29 years, male 4.6
GTEX-14PJ2-0626-SM-6LLII 50-59 years, male 4.5
GTEX-1BAJH-2426-SM-7IGP8 70-79 years, male 4.5
GTEX-18D9A-1426-SM-7LT8M 30-39 years, female 4.5
GTEX-1I1GV-0626-SM-ARL7M 60-69 years, male 4.5
GTEX-1ICG6-1226-SM-A9SLN 70-79 years, female 4.5
GTEX-1J8QM-2426-SM-A9SLS 60-69 years, female 4.5
GTEX-1LGOU-1326-SM-D3L8M 20-29 years, female 4.5
GTEX-12KS4-2126-SM-5FQUT 30-39 years, male 4.4
GTEX-13OW5-2326-SM-5L3HO 60-69 years, male 4.4
GTEX-15CHR-1126-SM-7EWF4 50-59 years, male 4.4
GTEX-1A3MX-2626-SM-7PC24 60-69 years, male 4.4
GTEX-1F88F-0126-SM-9WYSZ 60-69 years, female 4.4
GTEX-1JN1M-2726-SM-CY8I4 60-69 years, female 4.4
GTEX-1PPH8-0126-SM-EWRN8 20-29 years, male 4.4
GTEX-ZF3C-0626-SM-DO92O 50-59 years, female 4.4
GTEX-11WQC-1826-SM-5GU59 60-69 years, male 4.3
GTEX-12BJ1-0926-SM-5EQ62 60-69 years, male 4.3
GTEX-13N11-2326-SM-5IJBF 50-59 years, female 4.3
GTEX-13QBU-1226-SM-5LU4G 40-49 years, female 4.3
GTEX-14AS3-1526-SM-5Q5ED 40-49 years, female 4.3
GTEX-14PJ6-2626-SM-6EU2T 60-69 years, female 4.3
GTEX-1A8G6-2726-SM-731AR 60-69 years, male 4.3
GTEX-1B932-2326-SM-79OL5 40-49 years, female 4.3
GTEX-1CB4H-1126-SM-7MKGL 60-69 years, female 4.3
GTEX-Y3I4-1726-SM-4TT89 50-59 years, male 4.3
GTEX-Y5V6-2326-SM-4VDSA 60-69 years, male 4.3
GTEX-14JFF-0626-SM-5ZZVT 60-69 years, male 4.3
GTEX-1GPI7-1826-SM-9KNU1 20-29 years, male 4.3
GTEX-1RAZS-2526-SM-E6CHT 50-59 years, male 4.3
GTEX-11P81-2226-SM-5PNYI 30-39 years, female 4.2
GTEX-1212Z-0126-SM-59HK4 60-69 years, male 4.2
GTEX-145MO-2826-SM-5LU96 60-69 years, male 4.2
GTEX-14LZ3-0126-SM-69LPM 60-69 years, female 4.2
GTEX-1B97I-0626-SM-73KUZ 40-49 years, male 4.2
GTEX-1HB9E-0126-SM-CM2S5 50-59 years, male 4.2
GTEX-1I1GS-2626-SM-B2LY3 60-69 years, male 4.2
GTEX-1ICLZ-0326-SM-ARL82 60-69 years, male 4.2
GTEX-1J8EW-2726-SM-CY8HR 60-69 years, female 4.2
GTEX-1RAZA-2226-SM-E9U4X 20-29 years, male 4.2
GTEX-12WSJ-1126-SM-5LZVJ 40-49 years, female 4.1
GTEX-147F3-1726-SM-5SIAW 50-59 years, female 4.1
GTEX-18D9U-0126-SM-731BM 40-49 years, male 4.1
GTEX-1A8G7-1326-SM-73KVM 60-69 years, male 4.1
GTEX-X585-2426-SM-46MW2 50-59 years, male 4.1
GTEX-ZZ64-1026-SM-5GZXG 20-29 years, male 4.1
GTEX-1QW4Y-1126-SM-DTXE3 30-39 years, male 4.1
GTEX-14PKV-1126-SM-6LLJ1 20-29 years, female 4.0
GTEX-15CHC-1126-SM-6LLHQ 60-69 years, female 4.0
GTEX-17F9E-2326-SM-79OKD 50-59 years, male 4.0
GTEX-17KNJ-2126-SM-718AM 50-59 years, male 4.0
GTEX-1GMR2-0826-SM-7PC3V 50-59 years, male 4.0
GTEX-1HCU9-0426-SM-9WYSD 20-29 years, male 4.0
GTEX-1I4MK-0126-SM-CY8G6 50-59 years, female 4.0
GTEX-1IKOE-1426-SM-CE6T7 30-39 years, female 4.0
GTEX-1IOXB-2726-SM-CM2RI 50-59 years, male 4.0
GTEX-1PIGE-1826-SM-E8VOU 20-29 years, male 4.0
GTEX-15UF6-1926-SM-7KUDV 70-79 years, female 3.9
GTEX-17F9Y-0126-SM-79OKX 70-79 years, female 3.9
GTEX-18QFQ-1826-SM-72D52 30-39 years, male 3.9
GTEX-XPVG-2126-SM-4B667 50-59 years, male 3.9
GTEX-ZA64-1026-SM-5HL8R 20-29 years, male 3.9
GTEX-1F75I-2226-SM-7SB8U 40-49 years, male 3.9
GTEX-1GN1U-0626-SM-9MQL9 50-59 years, female 3.9
GTEX-1HFI7-2326-SM-CGQFS 50-59 years, female 3.9
GTEX-1JJEA-1826-SM-ARU8P 60-69 years, male 3.9
GTEX-13YAN-0226-SM-5TDC6 60-69 years, male 3.8
GTEX-1CAMQ-1326-SM-7P8RV 40-49 years, male 3.8
GTEX-1GPI6-1926-SM-9KNV7 60-69 years, male 3.8
GTEX-1KAFJ-0126-SM-DIPEK 50-59 years, male 3.8
GTEX-16XZZ-0726-SM-7KUF2 60-69 years, male 3.7
GTEX-WFON-1926-SM-3LK7L 40-49 years, male 3.7
GTEX-1CB4J-1326-SM-7P8RX 60-69 years, male 3.7
GTEX-1HSGN-0826-SM-ACKW3 40-49 years, female 3.7
GTEX-1KXAM-1626-SM-D3LAD 60-69 years, male 3.7
GTEX-1LG7Y-2526-SM-EWRO7 50-59 years, male 3.7
GTEX-1S3DN-2126-SM-E9TIN 50-59 years, male 3.7
GTEX-1477Z-0326-SM-7IGLA 60-69 years, male 3.6
GTEX-14E1K-2026-SM-7DUEI 50-59 years, male 3.6
GTEX-ZXG5-2126-SM-59HKD 60-69 years, male 3.6
GTEX-11DXX-2126-SM-5PNYR 60-69 years, female 3.5
GTEX-12WSM-1926-SM-5BC65 60-69 years, male 3.5
GTEX-131XG-0326-SM-5L3DX 50-59 years, female 3.5
GTEX-13VXU-0626-SM-5L3F9 50-59 years, male 3.5
GTEX-144FL-0626-SM-5LU43 50-59 years, male 3.5
GTEX-14BIN-1126-SM-5RQJZ 50-59 years, female 3.5
GTEX-14PJ3-1126-SM-5ZZVX 50-59 years, male 3.5
GTEX-ZYVF-0926-SM-5E44J 50-59 years, female 3.5
GTEX-1C64O-1326-SM-7MGWR 60-69 years, male 3.5
GTEX-1HR98-2226-SM-ADEI2 60-69 years, male 3.5
GTEX-1I6K7-1926-SM-B2LXR 40-49 years, male 3.5
GTEX-1LVAN-0626-SM-CNPOQ 50-59 years, female 3.5
GTEX-111VG-1626-SM-5EGIO 60-69 years, male 3.4
GTEX-11ZUS-2626-SM-5FQUR 30-39 years, male 3.4
GTEX-17F98-1326-SM-7DUEP 40-49 years, female 3.4
GTEX-1GN1W-2426-SM-9KNUU 50-59 years, female 3.4
GTEX-1GZ4I-2626-SM-9KNU3 50-59 years, male 3.4
GTEX-1H1DG-2426-SM-9QEHJ 70-79 years, male 3.4
GTEX-1KANB-2826-SM-CY8I6 50-59 years, male 3.4
GTEX-133LE-2326-SM-5K7W3 20-29 years, female 3.3
GTEX-13FTX-1526-SM-5K7VJ 20-29 years, female 3.3
GTEX-13NZ9-2626-SM-5L3FK 50-59 years, male 3.3
GTEX-145MI-0626-SM-5SI8S 60-69 years, female 3.3
GTEX-15SKB-2826-SM-6PAMH 60-69 years, male 3.3
GTEX-XQ8I-0926-SM-4BOOF 50-59 years, male 3.3
GTEX-YF7O-1526-SM-5IFI6 50-59 years, male 3.3
GTEX-ZVE1-0726-SM-51MRN 50-59 years, female 3.3
GTEX-1HKZK-0726-SM-ACKW2 40-49 years, male 3.3
GTEX-1HSMP-0926-SM-A9SKX 70-79 years, male 3.3
GTEX-1JKYR-0626-SM-ARL8R 20-29 years, male 3.3
GTEX-1KANA-1326-SM-DIPFA 20-29 years, male 3.3
GTEX-1R7EU-1626-SM-DTXG3 60-69 years, male 3.3
GTEX-12696-0126-SM-5EQ4L 60-69 years, male 3.2
GTEX-14BMV-2826-SM-5TDED 50-59 years, male 3.2
GTEX-14PHX-2226-SM-6EU2P 50-59 years, male 3.2
GTEX-1A3MW-0626-SM-731CB 60-69 years, female 3.2
GTEX-XMD2-2126-SM-4YCF8 60-69 years, female 3.2
GTEX-Y114-2126-SM-4TT8B 50-59 years, female 3.2
GTEX-11P82-1426-SM-DTXFY 20-29 years, male 3.2
GTEX-1H3VE-0726-SM-9YFL5 40-49 years, male 3.2
GTEX-1HT8W-0626-SM-A9G2H 30-39 years, male 3.2
GTEX-1QAET-0326-SM-EVR3U 50-59 years, male 3.2
GTEX-11WQK-1026-SM-5EQLX 50-59 years, male 3.1
GTEX-13FTW-0326-SM-5K7UW 40-49 years, male 3.1
GTEX-13JVG-0726-SM-5KM16 60-69 years, male 3.1
GTEX-144GL-0626-SM-5LU4D 50-59 years, male 3.1
GTEX-14LLW-2626-SM-62LDZ 70-79 years, female 3.1
GTEX-15DDE-2926-SM-6LLJ3 50-59 years, female 3.1
GTEX-17MFQ-1526-SM-7KFRR 20-29 years, male 3.1
GTEX-183WM-0326-SM-72D5V 70-79 years, female 3.1
GTEX-UPJH-0226-SM-3GADV 50-59 years, male 3.1
GTEX-VUSG-2326-SM-4KL1U 50-59 years, male 3.1
GTEX-WFG7-2026-SM-5SI7P 20-29 years, male 3.1
GTEX-1B8L1-2226-SM-7P8PT 60-69 years, male 3.1
GTEX-1E2YA-2126-SM-7MXUO 50-59 years, male 3.1
GTEX-1PDJ9-1226-SM-EXUSX 20-29 years, male 3.1
GTEX-11DZ1-2426-SM-5GZZX 50-59 years, male 3.0
GTEX-131XF-2626-SM-5EQ6K 60-69 years, male 3.0
GTEX-13FTY-2126-SM-5IFFB 40-49 years, female 3.0
GTEX-13X6I-1826-SM-5SIAO 60-69 years, male 3.0
GTEX-15EU6-2226-SM-6EU2L 50-59 years, male 3.0
GTEX-1A3MV-1826-SM-731CD 30-39 years, male 3.0
GTEX-1GF9U-2026-SM-7SB92 40-49 years, female 3.0
GTEX-1JJE9-2626-SM-ARZMT 70-79 years, male 3.0
GTEX-1N2DV-1526-SM-DTXEP 40-49 years, male 3.0
GTEX-1OJC4-2726-SM-E76PJ 50-59 years, female 3.0
GTEX-1RB15-1326-SM-E76Q9 60-69 years, male 3.0
GTEX-111CU-1126-SM-5EGIM 50-59 years, male 2.9
GTEX-111YS-1526-SM-5GZYW 60-69 years, male 2.9
GTEX-144GM-0526-SM-79OJO 20-29 years, male 2.9
GTEX-14C39-1726-SM-5RQIL 40-49 years, male 2.9
GTEX-1AMFI-1326-SM-7939R 50-59 years, female 2.9
GTEX-WYJK-0526-SM-3NM8Z 50-59 years, male 2.9
GTEX-ZTTD-2826-SM-4YCFA 50-59 years, male 2.9
GTEX-1C6VR-0126-SM-7RHGB 60-69 years, male 2.9
GTEX-1K9T9-1526-SM-DIPFR 50-59 years, female 2.9
GTEX-11EQ8-0926-SM-5H12V 60-69 years, male 2.8
GTEX-13PL6-1126-SM-5L3IE 40-49 years, female 2.8
GTEX-13W3W-0726-SM-5IJDQ 60-69 years, female 2.8
GTEX-13X6H-0926-SM-5SIB2 50-59 years, female 2.8
GTEX-14753-0726-SM-5QGQO 60-69 years, male 2.8
GTEX-1EH9U-2826-SM-7DUGT 60-69 years, male 2.8
GTEX-V1D1-2026-SM-3GAF4 50-59 years, male 2.8
GTEX-ZE9C-2526-SM-5IJDR 60-69 years, male 2.8
GTEX-1F5PL-0926-SM-7PC2W 40-49 years, female 2.8
GTEX-1HCVE-2726-SM-CL54F 50-59 years, male 2.8
GTEX-1I6K6-1726-SM-CGQFD 30-39 years, male 2.8
GTEX-1IDJU-1726-SM-CMKHU 60-69 years, female 2.8
GTEX-1L5NE-1126-SM-D3L9P 50-59 years, male 2.8
GTEX-14PHY-1226-SM-5ZZWK 60-69 years, female 2.7
GTEX-15RJE-2826-SM-7KUM9 40-49 years, male 2.7
GTEX-1F52S-2926-SM-7MKGA 60-69 years, female 2.7
GTEX-Y5LM-0926-SM-6LLJG 40-49 years, female 2.7
GTEX-YFCO-1226-SM-5LUAT 40-49 years, male 2.7
GTEX-ZYY3-2926-SM-5GIEB 60-69 years, female 2.7
GTEX-1AYD5-2626-SM-7PBXY 50-59 years, male 2.7
GTEX-1CAMS-2226-SM-7PBXQ 40-49 years, female 2.7
GTEX-1GMR8-0626-SM-7RHI7 50-59 years, female 2.7
GTEX-1H11D-1826-SM-9QEHM 40-49 years, male 2.7
GTEX-1IE54-1126-SM-A9G2Z 40-49 years, female 2.7
GTEX-1PIIG-2326-SM-DTXFR 30-39 years, male 2.7
GTEX-ZVT2-0126-SM-5GIDQ 50-59 years, female 2.6
GTEX-1JMQJ-0826-SM-CNPP7 50-59 years, male 2.6
GTEX-1QP28-1126-SM-EVYC4 50-59 years, female 2.6
GTEX-13NYS-0626-SM-5L3F1 60-69 years, male 2.5
GTEX-13O61-1426-SM-5KM3D 60-69 years, male 2.5
GTEX-15RIG-0726-SM-7KUM7 40-49 years, male 2.5
GTEX-1GL5R-1326-SM-7RHHF 50-59 years, male 2.5
GTEX-1H1DE-1326-SM-9KNUG 20-29 years, male 2.5
GTEX-1J1R8-2026-SM-CL53Y 40-49 years, male 2.5
GTEX-1JJ6O-2726-SM-CNPOG 60-69 years, male 2.5
GTEX-13VXT-1926-SM-5K7UO 20-29 years, female 2.4
GTEX-144GO-2026-SM-5O99P 60-69 years, male 2.4
GTEX-WHWD-1826-SM-3LK6I 50-59 years, male 2.4
GTEX-YECK-0326-SM-4W1YS 60-69 years, male 2.4
GTEX-ZPCL-1126-SM-4WWFE 60-69 years, female 2.4
GTEX-ZTX8-1326-SM-4YCEL 20-29 years, male 2.4
GTEX-ZYT6-2326-SM-5GZY3 30-39 years, male 2.4
GTEX-1HSMQ-2626-SM-A9SML 50-59 years, male 2.4
GTEX-1J8Q2-2626-SM-ACKWQ 60-69 years, male 2.4
GTEX-11TUW-0626-SM-5LU9M 60-69 years, male 2.3
GTEX-12WSA-0426-SM-5EQ5X 60-69 years, male 2.3
GTEX-13NYC-0126-SM-5L3F4 60-69 years, male 2.3
GTEX-14A6H-2026-SM-5Q5DD 30-39 years, male 2.3
GTEX-14C38-0726-SM-5SI6M 50-59 years, male 2.3
GTEX-14PJN-1826-SM-6AJ98 30-39 years, male 2.3
GTEX-16AAH-0626-SM-793C9 50-59 years, male 2.3
GTEX-16MT9-0126-SM-7EPI8 60-69 years, female 2.3
GTEX-ZF29-0926-SM-4WKFZ 60-69 years, female 2.3
GTEX-1PPH7-1126-SM-DTX9A 40-49 years, male 2.3
GTEX-1QCLY-0226-SM-EWRNH 30-39 years, male 2.3
GTEX-1QP9N-1226-SM-E76QN 30-39 years, male 2.3
GTEX-1QPFJ-1926-SM-EVYBD 30-39 years, female 2.3
GTEX-YEC3-1326-SM-DO92X 50-59 years, male 2.3
GTEX-145MF-0926-SM-5Q5EA 50-59 years, male 2.2
GTEX-14B4R-1326-SM-5Q5EZ 30-39 years, male 2.2
GTEX-14PII-0726-SM-6EU2B 60-69 years, male 2.2
GTEX-14PJ5-1526-SM-6LLIL 60-69 years, female 2.2
GTEX-15RIE-1926-SM-7KUKJ 60-69 years, male 2.2
GTEX-ZY6K-1426-SM-5GZX2 50-59 years, male 2.2
GTEX-1HBPN-0126-SM-CGQEF 50-59 years, male 2.2
GTEX-1I1GU-0926-SM-ACKVS 40-49 years, male 2.2
GTEX-1NSGN-0726-SM-DTXEF 50-59 years, male 2.2
GTEX-12WSK-2126-SM-5CVNC 40-49 years, female 2.1
GTEX-148VJ-0626-SM-5LUAW 70-79 years, male 2.1
GTEX-14C5O-0326-SM-5ZZUX 60-69 years, male 2.1
GTEX-17HHE-1326-SM-7EWDZ 50-59 years, male 2.1
GTEX-1K2DU-1226-SM-CYPT4 20-29 years, male 2.1
GTEX-11LCK-2226-SM-5HL4Q 30-39 years, male 2.0
GTEX-11ZU8-0126-SM-5EQ58 60-69 years, male 2.0
GTEX-1269C-0126-SM-5EQ5L 60-69 years, female 2.0
GTEX-15G1A-1626-SM-7KUKN 30-39 years, male 2.0
GTEX-1GZ4H-0526-SM-9KNU9 50-59 years, female 2.0
GTEX-1IDFM-0326-SM-ARL7V 60-69 years, male 2.0
GTEX-1RAZQ-1326-SM-E9TK6 30-39 years, male 2.0
GTEX-11PRG-0726-SM-5EGL1 50-59 years, male 1.9
GTEX-147GR-2426-SM-5ZZWQ 60-69 years, male 1.9
GTEX-14XAO-1226-SM-6EU1C 60-69 years, female 1.9
GTEX-1LKK1-2626-SM-DKPQE 50-59 years, female 1.9
GTEX-1LSNM-0826-SM-DIPG8 50-59 years, male 1.9
GTEX-1B8KE-1126-SM-7EPHI 50-59 years, male 1.8
GTEX-ZDTT-0426-SM-4WKFL 60-69 years, male 1.8
GTEX-ZWKS-0626-SM-5GIDV 30-39 years, male 1.8
GTEX-1ICLY-0826-SM-CMKG1 50-59 years, male 1.8
GTEX-1399U-1126-SM-5L3DB 50-59 years, female 1.7
GTEX-1H1E6-0426-SM-9WYUS 30-39 years, male 1.7
GTEX-1HGF4-0126-SM-CNPPX 60-69 years, male 1.7
GTEX-1OJC3-1226-SM-DTXER 20-29 years, male 1.7
GTEX-13OVH-0526-SM-5L3E6 70-79 years, male 1.6
GTEX-15G19-2426-SM-7KUMR 60-69 years, male 1.6
GTEX-1F5PK-2226-SM-7SB6N 50-59 years, male 1.6
GTEX-1RMOY-1326-SM-E9TIH 50-59 years, male 1.6
GTEX-13D11-0926-SM-5J2NC 50-59 years, female 1.5
GTEX-14ICL-1626-SM-5YYAO 30-39 years, male 1.5
GTEX-1AMEY-0826-SM-72D65 30-39 years, female 1.5
GTEX-1122O-1026-SM-9WYSF 60-69 years, female 1.5
GTEX-1GF9X-1326-SM-7PC2Y 40-49 years, female 1.5
GTEX-1GN1V-2826-SM-9JGIA 60-69 years, male 1.5
GTEX-1JK1U-0226-SM-ARZMX 60-69 years, male 1.5
GTEX-1R9PM-1926-SM-EVR3O 20-29 years, male 1.5
GTEX-13PDP-0726-SM-5L3HP 60-69 years, male 1.3
GTEX-1C2JI-1026-SM-73KY1 50-59 years, male 1.3
GTEX-Y9LG-1126-SM-4VBQ7 30-39 years, male 1.3
GTEX-1HCU7-0726-SM-A9SL1 50-59 years, male 1.3
GTEX-1HR9M-2226-SM-CNPPY 60-69 years, male 1.3
GTEX-1JMPY-0226-SM-CKZOK 30-39 years, male 1.3
GTEX-1S83E-1326-SM-E6CJM 40-49 years, male 1.3
GTEX-13IVO-0726-SM-5LZYV 70-79 years, male 1.2
GTEX-13NZ8-1226-SM-5KM4A 60-69 years, female 1.2
GTEX-13QJC-0126-SM-5ZZWJ 60-69 years, female 1.2
GTEX-1H2FU-0926-SM-9WPPT 60-69 years, female 1.2
GTEX-1HBPM-0726-SM-9YFL7 60-69 years, female 1.2
GTEX-1LGRB-0926-SM-COH3K 50-59 years, female 1.2
GTEX-1QP2A-1726-SM-E76QC 50-59 years, male 1.2
GTEX-13SLW-0626-SM-5Q5ER 70-79 years, male 1.1
GTEX-XAJ8-1426-SM-47JYM 40-49 years, male 1.1
GTEX-1R46S-2426-SM-E76QA 60-69 years, female 1.1
GTEX-18A67-1626-SM-7LT9T 50-59 years, male 1.0
GTEX-1J1OQ-0126-SM-D4P2N 40-49 years, female 1.0
GTEX-1LVAM-0726-SM-E6CIL 50-59 years, female 1.0
GTEX-1F6RS-2026-SM-7RHHC 60-69 years, female 0.9
GTEX-1IDJV-0126-SM-COH3Y 60-69 years, male 0.9
GTEX-1JN76-0626-SM-CKZOQ 20-29 years, female 0.9
GTEX-1399Q-2326-SM-5KM2X 40-49 years, male 0.8
GTEX-14PJ4-0226-SM-5YY92 60-69 years, male 0.8
GTEX-WHSB-1326-SM-3LK6W 50-59 years, male 0.8
GTEX-1I1GT-1026-SM-ARZLV 60-69 years, female 0.8
GTEX-1MCYP-0526-SM-E9U6Q 20-29 years, female 0.8
GTEX-1399S-0126-SM-5IJCF 30-39 years, female 0.6
GTEX-ZVZP-1226-SM-5GID7 50-59 years, male 0.5
GTEX-1NV5F-0626-SM-DTXEG 60-69 years, female 0.4
Show allShow less
Skin - Sun Exposed (Lower leg)
Average nTPM: 7.2
Samples: 701

Max nTPM: 41.4
Min nTPM: 0.2
Std nTPM: 5.3
Median nTPM: 5.6
GTEX-ZDXO-3026-SM-5J1N5 60-69 years, male 41.4
GTEX-1HBPH-0426-SM-B2LW5 40-49 years, female 32.0
GTEX-14JIY-0126-SM-6LLH6 60-69 years, male 29.6
GTEX-1J8EW-0126-SM-CJI4F 60-69 years, female 28.9
GTEX-ZYW4-0126-SM-5E44A 60-69 years, male 28.6
GTEX-17HHY-0126-SM-7LG5D 50-59 years, male 27.0
GTEX-13OW7-0126-SM-5MR3B 50-59 years, male 26.3
GTEX-1A32A-0126-SM-718B1 50-59 years, female 25.4
GTEX-13CF2-2526-SM-5LZYX 60-69 years, male 25.1
GTEX-1MA7X-2226-SM-E6CIY 60-69 years, male 24.2
GTEX-1HCU6-0126-SM-CL54K 60-69 years, female 23.1
GTEX-X4EO-0326-SM-3P5YO 60-69 years, female 22.9
GTEX-1F48J-0126-SM-7P8TT 50-59 years, female 22.8
GTEX-17HII-0226-SM-7LG4E 50-59 years, male 22.6
GTEX-1F6I4-0126-SM-9MQL2 60-69 years, male 22.2
GTEX-ZVT3-0126-SM-5GU6I 60-69 years, female 22.1
GTEX-15DYW-0126-SM-7KULE 60-69 years, female 21.9
GTEX-12WSD-0126-SM-59HKN 60-69 years, female 21.6
GTEX-1C6WA-0126-SM-7PC2B 60-69 years, male 21.6
GTEX-OXRP-0126-SM-3NB32 60-69 years, female 21.4
GTEX-14PJM-0226-SM-62LF1 50-59 years, female 21.2
GTEX-1OJC4-0126-SM-E9J2E 50-59 years, female 21.1
GTEX-11GSP-2526-SM-5N9BP 60-69 years, female 20.1
GTEX-13VXU-0126-SM-5SI9F 50-59 years, male 20.1
GTEX-ZUA1-0126-SM-5GU76 40-49 years, male 20.0
GTEX-13NZA-0226-SM-5K7Z7 60-69 years, male 19.8
GTEX-13N1W-0126-SM-5K7VT 70-79 years, male 19.6
GTEX-1313W-0126-SM-5LZUN 50-59 years, female 19.2
GTEX-113IC-0126-SM-5HL6T 60-69 years, male 19.1
GTEX-X638-0126-SM-47JZ8 70-79 years, female 18.9
GTEX-R55E-0126-SM-2TC5Y 20-29 years, male 18.8
GTEX-1IY9M-0126-SM-D3L8S 60-69 years, male 18.8
GTEX-1C6VS-0526-SM-7DUEN 60-69 years, male 18.7
GTEX-1CAV2-2226-SM-7P8P2 40-49 years, female 18.2
GTEX-15EOM-0126-SM-7KUGG 20-29 years, female 18.0
GTEX-11TTK-0126-SM-5987B 60-69 years, female 17.6
GTEX-12584-0126-SM-5EGKQ 40-49 years, male 17.6
GTEX-1EKGG-0226-SM-9WYTH 60-69 years, male 17.4
GTEX-132NY-0326-SM-5IJBL 60-69 years, male 17.3
GTEX-13O1R-0126-SM-5L3EH 60-69 years, male 17.3
GTEX-WY7C-2326-SM-3NB2U 50-59 years, male 17.3
GTEX-11ZVC-2526-SM-5FQTE 50-59 years, female 16.9
GTEX-1LNCM-1126-SM-E9U5E 50-59 years, female 16.7
GTEX-12KS4-0326-SM-5EQ41 30-39 years, male 16.6
GTEX-12WSL-2526-SM-5GCNJ 50-59 years, male 16.6
GTEX-S7PM-0126-SM-4AD6S 60-69 years, male 16.5
GTEX-1CB4G-0226-SM-7PC3O 60-69 years, male 16.5
GTEX-YFC4-0126-SM-5CVLY 40-49 years, female 16.4
GTEX-YJ8A-0426-SM-5IFID 20-29 years, male 16.3
GTEX-11H98-0126-SM-5EGHG 50-59 years, male 16.2
GTEX-16YQH-0126-SM-7DUFJ 30-39 years, male 16.0
GTEX-RN64-0126-SM-2TC68 50-59 years, male 16.0
GTEX-Y111-0126-SM-4SOIV 50-59 years, male 16.0
GTEX-QLQW-1126-SM-2S1Q8 30-39 years, male 15.6
GTEX-ZTPG-0326-SM-5O9AX 20-29 years, female 15.5
GTEX-1GN73-0226-SM-9WG67 60-69 years, male 15.5
GTEX-11GS4-2726-SM-5A5LE 60-69 years, male 15.4
GTEX-18A6Q-0126-SM-731BZ 60-69 years, male 15.4
GTEX-13G51-2526-SM-5LZYK 60-69 years, male 15.3
GTEX-18A7A-0226-SM-718BH 50-59 years, female 15.3
GTEX-14BIL-0126-SM-5SI92 50-59 years, male 15.1
GTEX-QDT8-0126-SM-48TZ1 30-39 years, female 15.0
GTEX-ZE7O-0126-SM-57WC1 50-59 years, female 15.0
GTEX-Q2AG-0126-SM-33HBV 40-49 years, female 14.8
GTEX-17EVQ-0226-SM-7LG4P 70-79 years, male 14.7
GTEX-1EX96-1626-SM-7PBXR 50-59 years, male 14.7
GTEX-147F4-0226-SM-5QGPW 50-59 years, male 14.6
GTEX-117YW-2626-SM-5GZZH 50-59 years, male 14.3
GTEX-11ZUS-0626-SM-59885 30-39 years, male 14.3
GTEX-ZYFC-0226-SM-5NQ75 50-59 years, male 14.3
GTEX-1I1HK-0126-SM-COH49 60-69 years, male 14.2
GTEX-113JC-2326-SM-5EQ4E 50-59 years, female 14.1
GTEX-139TT-0126-SM-5K7Y5 60-69 years, male 14.0
GTEX-QEG4-0226-SM-2S1PY 30-39 years, male 14.0
GTEX-1AX9I-0126-SM-7SB74 60-69 years, male 14.0
GTEX-1B933-0126-SM-7PC29 50-59 years, female 13.9
GTEX-13QJ3-0326-SM-5S2RA 50-59 years, male 13.8
GTEX-1A8FM-0226-SM-7SB7Q 50-59 years, female 13.8
GTEX-1PBJI-0526-SM-E8VNK 20-29 years, female 13.8
GTEX-U8T8-0126-SM-3DB94 60-69 years, male 13.4
GTEX-1F88F-2726-SM-7PBZZ 60-69 years, female 13.4
GTEX-Q734-1926-SM-2I5EV 40-49 years, female 13.3
GTEX-T2IS-0126-SM-4DM6O 20-29 years, female 13.3
GTEX-13OVL-0226-SM-5L3E9 50-59 years, male 13.2
GTEX-11WQC-2526-SM-5CVLE 60-69 years, male 13.1
GTEX-RUSQ-1526-SM-2TF62 50-59 years, male 13.1
GTEX-XXEK-2226-SM-4BRUM 50-59 years, male 13.1
GTEX-1F75A-0126-SM-7RHGM 50-59 years, male 13.1
GTEX-1HFI6-0226-SM-ADEHZ 40-49 years, male 13.1
GTEX-146FH-0126-SM-5QGPP 50-59 years, female 13.0
GTEX-ZEX8-2426-SM-4WKG4 50-59 years, male 13.0
GTEX-13O3O-0126-SM-E9J49 60-69 years, female 13.0
GTEX-11ZTS-0126-SM-5EQ6M 60-69 years, female 12.9
GTEX-139T4-0226-SM-5HL5S 50-59 years, female 12.9
GTEX-1QEPI-0126-SM-EWRMQ 60-69 years, female 12.8
GTEX-11DXW-0226-SM-5H122 40-49 years, male 12.7
GTEX-1HUB1-0426-SM-E9U4U 60-69 years, male 12.7
GTEX-14E6C-0126-SM-5RQIP 40-49 years, male 12.6
GTEX-15SHW-0326-SM-6PAML 60-69 years, male 12.6
GTEX-1AYCT-2426-SM-7IGQ3 50-59 years, male 12.6
GTEX-SSA3-0126-SM-32QPU 60-69 years, male 12.6
GTEX-1GN1V-0126-SM-9WPOS 60-69 years, male 12.6
GTEX-14ABY-0226-SM-5TDCQ 50-59 years, male 12.5
GTEX-11NUK-0126-SM-5A5L3 50-59 years, male 12.4
GTEX-1QW4Y-1526-SM-EAZ3Z 30-39 years, male 12.4
GTEX-11EMC-2926-SM-5EQ4F 60-69 years, female 12.3
GTEX-13OVJ-0126-SM-5KM36 50-59 years, female 12.3
GTEX-1B8L1-2526-SM-9WYTF 60-69 years, male 12.3
GTEX-1RQEC-0426-SM-E6CHU 60-69 years, male 12.1
GTEX-S33H-1026-SM-EZ6L6 30-39 years, male 12.1
GTEX-148VI-1626-SM-5SI6E 60-69 years, female 12.0
GTEX-146FR-1326-SM-E9J48 60-69 years, female 12.0
GTEX-13SLX-0526-SM-5S2ON 50-59 years, female 11.9
GTEX-146FQ-0126-SM-5NQA9 30-39 years, male 11.9
GTEX-PLZ4-0126-SM-5SI8O 50-59 years, female 11.9
GTEX-1POEN-0126-SM-EYYXJ 30-39 years, female 11.9
GTEX-13U4I-0126-SM-5LU38 40-49 years, female 11.8
GTEX-1GZHY-0326-SM-9QEHI 50-59 years, female 11.8
GTEX-1M4P7-0226-SM-DIPEV 60-69 years, male 11.8
GTEX-14PK6-1926-SM-6ETZU 70-79 years, female 11.7
GTEX-1IKOH-0226-SM-COH4E 60-69 years, female 11.6
GTEX-11ZTT-2426-SM-5EQLS 60-69 years, female 11.5
GTEX-1B8KZ-2026-SM-7DHMB 50-59 years, male 11.5
GTEX-XUYS-0126-SM-47JWZ 50-59 years, male 11.5
GTEX-1EWIQ-0126-SM-7RHH2 70-79 years, female 11.5
GTEX-13112-2826-SM-5DUWH 50-59 years, male 11.4
GTEX-XV7Q-2526-SM-4BRV9 40-49 years, female 11.4
GTEX-131XG-2626-SM-5KM17 50-59 years, female 11.3
GTEX-17F97-0326-SM-7LG5B 50-59 years, male 11.3
GTEX-111VG-2426-SM-5GZXD 60-69 years, male 11.2
GTEX-ZAK1-0126-SM-5IJD3 50-59 years, female 11.2
GTEX-ZYFD-0126-SM-5GIDL 50-59 years, male 11.2
GTEX-13X6J-0126-SM-5QGOU 50-59 years, male 11.1
GTEX-139TU-0126-SM-5K7WH 60-69 years, male 11.0
GTEX-WZTO-0126-SM-3NM95 40-49 years, male 11.0
GTEX-1KD5A-0226-SM-D5OV3 50-59 years, male 11.0
GTEX-ZVT4-0126-SM-DTXFN 50-59 years, female 11.0
GTEX-1192X-0226-SM-5H12D 50-59 years, male 10.9
GTEX-1269C-2526-SM-5EGJ3 60-69 years, female 10.9
GTEX-14LLW-0126-SM-6LLIO 70-79 years, female 10.9
GTEX-147GR-0526-SM-5S2MY 60-69 years, male 10.8
GTEX-1EU9M-0226-SM-7P8SP 60-69 years, male 10.8
GTEX-1I1GR-0126-SM-CL55F 60-69 years, male 10.8
GTEX-139TS-2826-SM-5J1OO 60-69 years, male 10.7
GTEX-1AYD5-2426-SM-73KXR 50-59 years, male 10.7
GTEX-X5EB-2226-SM-46MW4 40-49 years, male 10.7
GTEX-1H3NZ-0126-SM-ACKX7 60-69 years, male 10.7
GTEX-14E7W-0126-SM-6LLJ9 70-79 years, male 10.6
GTEX-15DCD-0126-SM-7KUEK 70-79 years, female 10.5
GTEX-15DDE-0126-SM-6LPKH 50-59 years, female 10.5
GTEX-RWSA-0126-SM-2XCBB 40-49 years, male 10.5
GTEX-SIU8-0126-SM-2XCDT 50-59 years, male 10.5
GTEX-1IE54-0126-SM-CMKHW 40-49 years, female 10.5
GTEX-1R9PO-2126-SM-E9J4O 60-69 years, female 10.5
GTEX-131XW-0426-SM-5LZWP 50-59 years, female 10.4
GTEX-YEC4-2126-SM-5IFJH 40-49 years, male 10.4
GTEX-1J8JJ-0226-SM-CL53I 60-69 years, female 10.4
GTEX-RTLS-0126-SM-447CA 60-69 years, female 10.3
GTEX-TMZS-0126-SM-3DB9Q 60-69 years, male 10.3
GTEX-ZDTS-0126-SM-4WAY5 60-69 years, male 10.3
GTEX-1GZ2Q-0226-SM-7P8TL 40-49 years, male 10.3
GTEX-11OF3-2626-SM-5GU7F 60-69 years, male 10.2
GTEX-12WSN-5019-SM-79OM6 40-49 years, male 10.2
GTEX-131YS-0126-SM-5KM1M 60-69 years, female 10.2
GTEX-X8HC-0126-SM-4E3JW 50-59 years, female 10.2
GTEX-1H3VE-0326-SM-9YFLH 40-49 years, male 10.2
GTEX-1HBPI-1526-SM-C1YQ1 50-59 years, male 10.2
GTEX-1PWST-0226-SM-E76QJ 70-79 years, male 10.2
GTEX-ZVTK-0426-SM-51MRS 20-29 years, male 10.1
GTEX-1GPI6-0126-SM-9WG69 60-69 years, male 10.1
GTEX-13FXS-0226-SM-5IJCK 50-59 years, male 10.0
GTEX-U412-0426-SM-3DB9O 60-69 years, male 10.0
GTEX-13RTL-0126-SM-7LG5S 40-49 years, male 9.9
GTEX-X4XY-0226-SM-4E3IZ 60-69 years, male 9.9
GTEX-1H1ZS-0426-SM-9WG6G 70-79 years, male 9.9
GTEX-1I1CD-0126-SM-CM2TK 60-69 years, female 9.9
GTEX-12ZZX-0126-SM-5EGK9 40-49 years, female 9.8
GTEX-1314G-1526-SM-5EGK2 30-39 years, male 9.8
GTEX-16GPK-0126-SM-7DHLE 60-69 years, male 9.8
GTEX-117XS-2726-SM-5N9BL 60-69 years, male 9.7
GTEX-T5JC-0426-SM-32PLO 20-29 years, male 9.7
GTEX-RU72-0926-SM-2TF6B 50-59 years, female 9.6
GTEX-1EMGI-0126-SM-9KNUE 60-69 years, male 9.6
GTEX-14E6D-0126-SM-62LDV 50-59 years, male 9.5
GTEX-1E1VI-0126-SM-7DHMZ 50-59 years, male 9.5
GTEX-QVJO-1626-SM-2S1QW 60-69 years, female 9.5
GTEX-1ICG6-2526-SM-CGQFZ 70-79 years, female 9.5
GTEX-13FHO-0226-SM-5IFGY 60-69 years, male 9.4
GTEX-15SDE-2226-SM-7IGLO 50-59 years, female 9.4
GTEX-1F6IF-0726-SM-7P8TW 60-69 years, male 9.4
GTEX-13OW6-0426-SM-5L3HM 50-59 years, male 9.3
GTEX-14DAQ-0126-SM-5S2MQ 60-69 years, female 9.3
GTEX-U4B1-1826-SM-4DXSU 40-49 years, male 9.3
GTEX-ZC5H-0226-SM-4WAY9 40-49 years, female 9.3
GTEX-1HSMO-0126-SM-CL547 60-69 years, male 9.3
GTEX-VJYA-1126-SM-3GIJU 60-69 years, male 9.2
GTEX-183FY-0126-SM-7LT9P 20-29 years, male 9.1
GTEX-1GMRU-0126-SM-9YFLV 50-59 years, male 9.1
GTEX-1KD4Q-0226-SM-E9TJ9 40-49 years, male 9.1
GTEX-12C56-1726-SM-5EQ61 20-29 years, male 9.0
GTEX-OXRO-0126-SM-2YUN4 60-69 years, female 9.0
GTEX-18465-0126-SM-731BN 50-59 years, male 8.9
GTEX-WYVS-2126-SM-3NMA3 40-49 years, female 8.9
GTEX-R45C-0126-SM-EAZ2R 60-69 years, female 8.9
GTEX-RNOR-0126-SM-E9J4R 50-59 years, female 8.9
GTEX-16XZY-2126-SM-79OK1 70-79 years, male 8.8
GTEX-OXRL-0126-SM-2YUMP 50-59 years, male 8.8
GTEX-1GN2E-0426-SM-9MQKX 60-69 years, male 8.8
GTEX-13S7M-0126-SM-5SI6A 60-69 years, female 8.6
GTEX-13FTY-0526-SM-5L3EV 40-49 years, female 8.5
GTEX-XUW1-0426-SM-4BOOT 50-59 years, female 8.5
GTEX-1192W-2626-SM-5Q5AF 60-69 years, male 8.4
GTEX-XBED-2226-SM-47JYQ 60-69 years, male 8.4
GTEX-1H1DG-0126-SM-9WYU2 70-79 years, male 8.4
GTEX-1IOXB-0126-SM-ARL8G 50-59 years, male 8.4
GTEX-XQ3S-1526-SM-4BOOC 20-29 years, male 8.3
GTEX-Y3IK-2426-SM-4WWDU 50-59 years, female 8.3
GTEX-ZF28-0126-SM-4WKGK 60-69 years, male 8.3
GTEX-1KANB-0526-SM-E6CJH 50-59 years, male 8.3
GTEX-1N2DW-0226-SM-E9TK2 50-59 years, male 8.3
GTEX-13RTJ-2426-SM-5S2Q2 60-69 years, male 8.2
GTEX-1HSKV-0226-SM-A9SKJ 60-69 years, male 8.2
GTEX-14A6H-0126-SM-5QGPK 30-39 years, male 8.1
GTEX-1F7RK-0126-SM-7PC2S 20-29 years, female 8.1
GTEX-12ZZZ-0626-SM-5DUXI 60-69 years, male 8.0
GTEX-Y8DK-0126-SM-4TT3L 60-69 years, male 8.0
GTEX-1GF9W-0326-SM-9KNUN 60-69 years, male 8.0
GTEX-11P7K-2126-SM-5GU7G 30-39 years, male 7.9
GTEX-12WSC-0126-SM-5EQ4P 50-59 years, male 7.9
GTEX-148VJ-0126-SM-5TDDN 70-79 years, male 7.9
GTEX-16NPX-0226-SM-79OMT 50-59 years, male 7.9
GTEX-VUSG-2526-SM-4KL1V 50-59 years, male 7.9
GTEX-1GTWX-0126-SM-9YFLK 60-69 years, male 7.9
GTEX-X62O-0126-SM-4E3JN 50-59 years, male 7.8
GTEX-Y8LW-1826-SM-5S2MV 50-59 years, female 7.8
GTEX-1QP67-1626-SM-EAZ3X 40-49 years, female 7.8
GTEX-OIZF-0126-SM-7SB8I 60-69 years, male 7.8
GTEX-1C6VR-2426-SM-79OLD 60-69 years, male 7.7
GTEX-ZAJG-0126-SM-5HL94 50-59 years, female 7.7
GTEX-11DYG-0126-SM-59883 60-69 years, male 7.6
GTEX-11XUK-2026-SM-5EQLF 40-49 years, female 7.6
GTEX-13OVG-1926-SM-5L3DK 60-69 years, male 7.6
GTEX-1AX9J-0226-SM-73KXM 60-69 years, male 7.6
GTEX-RWS6-2026-SM-2XCB5 60-69 years, female 7.6
GTEX-WH7G-2326-SM-3NMBC 40-49 years, male 7.6
GTEX-X4EP-0126-SM-3P5YV 60-69 years, female 7.6
GTEX-131XH-2226-SM-5DUXJ 50-59 years, male 7.5
GTEX-14BIN-0626-SM-793DP 50-59 years, female 7.5
GTEX-15ER7-0326-SM-7KUEV 20-29 years, female 7.5
GTEX-SJXC-0126-SM-2XCFF 60-69 years, male 7.5
GTEX-U3ZH-2026-SM-3DB78 30-39 years, male 7.5
GTEX-1I1GP-2226-SM-CGQFK 50-59 years, male 7.5
GTEX-11DXX-2426-SM-5GZZW 60-69 years, female 7.4
GTEX-17MF6-0126-SM-7LG4F 40-49 years, male 7.4
GTEX-UPJH-0326-SM-3GADU 50-59 years, male 7.4
GTEX-1IL2U-0226-SM-CE6T8 60-69 years, male 7.4
GTEX-11DXZ-2326-SM-5EGGV 50-59 years, male 7.3
GTEX-ZDYS-2026-SM-5HL5L 50-59 years, male 7.3
GTEX-1H3O1-0426-SM-9YFKY 60-69 years, male 7.3
GTEX-1JMOU-1526-SM-CL54I 60-69 years, female 7.3
GTEX-1LG7Y-0526-SM-DKPQC 50-59 years, male 7.3
GTEX-W5X1-3026-SM-EAZAX 40-49 years, female 7.3
GTEX-11GSO-2426-SM-5A5LY 60-69 years, male 7.2
GTEX-15SHU-0126-SM-7KUEH 40-49 years, female 7.2
GTEX-17HGU-0226-SM-7DHKV 50-59 years, male 7.2
GTEX-1CB4J-0626-SM-7DHMP 60-69 years, male 7.2
GTEX-1B996-0226-SM-7RHGO 60-69 years, male 7.2
GTEX-12ZZY-0226-SM-5LZVE 60-69 years, male 7.1
GTEX-145MO-0326-SM-5Q5B3 60-69 years, male 7.1
GTEX-1AX9K-2326-SM-73KWU 50-59 years, male 7.1
GTEX-YB5K-2126-SM-4WWDJ 40-49 years, female 7.1
GTEX-Z93S-0126-SM-5HL7M 50-59 years, male 7.1
GTEX-ZAB4-0226-SM-5N9F5 40-49 years, male 7.1
GTEX-ZU9S-0226-SM-5E441 30-39 years, male 7.1
GTEX-1I1GS-0126-SM-B2LVW 60-69 years, male 7.1
GTEX-1IL2V-0126-SM-CM2TX 70-79 years, male 7.1
GTEX-R55G-2526-SM-2TC6D 40-49 years, female 7.0
GTEX-1GF9V-0326-SM-7RHI5 60-69 years, male 7.0
GTEX-1RAZQ-0726-SM-EAZ43 30-39 years, male 7.0
GTEX-11DXY-2626-SM-5GIE7 60-69 years, male 6.9
GTEX-17HG3-2226-SM-7938L 30-39 years, female 6.9
GTEX-QESD-1426-SM-2S1R9 20-29 years, male 6.9
GTEX-T6MN-0126-SM-32PLP 50-59 years, male 6.9
GTEX-PW2O-1526-SM-7RHHB 20-29 years, male 6.9
GTEX-117YX-2326-SM-5H12W 50-59 years, male 6.8
GTEX-11OC5-0126-SM-5HL6A 60-69 years, male 6.8
GTEX-13OW8-1326-SM-5J1OW 60-69 years, male 6.8
GTEX-R3RS-0126-SM-3GIJL 40-49 years, female 6.8
GTEX-1GN1U-0126-SM-7PBZK 50-59 years, female 6.8
GTEX-17EVP-0326-SM-7DHLG 40-49 years, male 6.7
GTEX-WI4N-1026-SM-3LK7N 40-49 years, female 6.7
GTEX-RVPV-0126-SM-EAZAW 60-69 years, male 6.7
GTEX-Q2AH-1626-SM-3GAF8 40-49 years, male 6.6
GTEX-QV44-1926-SM-2S1RF 50-59 years, male 6.6
GTEX-S95S-1226-SM-4GICG 60-69 years, male 6.6
GTEX-1I1GV-0526-SM-A9G29 60-69 years, male 6.6
GTEX-1JJE9-0326-SM-CL53Z 70-79 years, male 6.6
GTEX-1GMR8-0126-SM-9WYTM 50-59 years, female 6.5
GTEX-1H2FU-0126-SM-9WYSI 60-69 years, female 6.5
GTEX-1LB8K-0226-SM-EWRNW 50-59 years, male 6.5
GTEX-13N11-2526-SM-5K7UE 50-59 years, female 6.4
GTEX-15D1Q-0126-SM-7KUG6 40-49 years, male 6.4
GTEX-1JN6P-0126-SM-D3L98 60-69 years, male 6.4
GTEX-1MCQQ-0826-SM-DLHC2 60-69 years, male 6.4
GTEX-11UD1-0126-SM-5PNYG 40-49 years, female 6.3
GTEX-PVOW-0126-SM-2XCFA 40-49 years, male 6.3
GTEX-X88G-0126-SM-47JZ3 30-39 years, male 6.3
GTEX-1HT8W-0126-SM-CNPPP 30-39 years, male 6.3
GTEX-P4PP-0126-SM-3LK69 30-39 years, female 6.2
GTEX-V1D1-2226-SM-3NMAX 50-59 years, male 6.2
GTEX-WOFL-0126-SM-3MJG2 60-69 years, male 6.2
GTEX-1O97I-0326-SM-EYYX7 60-69 years, male 6.2
GTEX-11EI6-0126-SM-5985R 60-69 years, male 6.1
GTEX-11UD2-0226-SM-5EQKY 50-59 years, male 6.1
GTEX-12696-2426-SM-5EQ6H 60-69 years, male 6.1
GTEX-139T8-0126-SM-5K7XZ 60-69 years, male 6.1
GTEX-145MI-0526-SM-5O9A8 60-69 years, female 6.1
GTEX-1H11D-0226-SM-9WG6Z 40-49 years, male 6.1
GTEX-1KAFJ-2026-SM-CY8ID 50-59 years, male 6.1
GTEX-1RAZA-0126-SM-E6CI3 20-29 years, male 6.1
GTEX-1RLM8-2326-SM-EWRN4 50-59 years, male 6.1
GTEX-13O3P-0126-SM-5KM4S 50-59 years, male 6.0
GTEX-XMD2-0126-SM-4YCDU 60-69 years, female 6.0
GTEX-12126-0326-SM-5PNW3 20-29 years, male 5.9
GTEX-145LV-2126-SM-5LU8N 50-59 years, male 5.9
GTEX-Q2AI-1326-SM-2S1PL 40-49 years, male 5.9
GTEX-1QP66-1726-SM-E8VO1 50-59 years, male 5.9
GTEX-ZPIC-1726-SM-DHXIU 40-49 years, female 5.9
GTEX-11VI4-1726-SM-5CVLH 40-49 years, female 5.8
GTEX-14PN4-0126-SM-6EU2V 50-59 years, male 5.8
GTEX-15SB6-1726-SM-6PAME 50-59 years, female 5.8
GTEX-16MT8-0426-SM-7KUEY 60-69 years, female 5.8
GTEX-1CB4E-2226-SM-793DC 60-69 years, male 5.8
GTEX-RM2N-1426-SM-2TF4H 50-59 years, male 5.8
GTEX-S7SE-0126-SM-2XCD5 50-59 years, male 5.8
GTEX-U3ZN-2326-SM-3DB7W 30-39 years, female 5.8
GTEX-1GF9U-2126-SM-7SB7L 40-49 years, female 5.8
GTEX-1IDJF-0126-SM-CM2RS 20-29 years, male 5.8
GTEX-1JMLX-0226-SM-CM2RO 50-59 years, male 5.8
GTEX-1BAJH-0526-SM-793CQ 70-79 years, male 5.7
GTEX-PLZ5-2026-SM-2S1O4 50-59 years, male 5.7
GTEX-QCQG-1726-SM-3GIJ9 50-59 years, female 5.7
GTEX-WVJS-0126-SM-4MVOT 50-59 years, male 5.7
GTEX-1HR98-0126-SM-B2LWI 60-69 years, male 5.7
GTEX-1IGQW-0126-SM-COH42 60-69 years, male 5.7
GTEX-11O72-0126-SM-59887 40-49 years, male 5.6
GTEX-11P82-1626-SM-59879 20-29 years, male 5.6
GTEX-144FL-0126-SM-5TDC8 50-59 years, male 5.6
GTEX-14BMV-0126-SM-5S2PO 50-59 years, male 5.6
GTEX-U8XE-0326-SM-3DB8P 30-39 years, male 5.6
GTEX-1C64O-0126-SM-7SB8P 60-69 years, male 5.6
GTEX-1H23P-0126-SM-ADEJ3 60-69 years, male 5.6
GTEX-1RB15-2126-SM-E9TIM 60-69 years, male 5.6
GTEX-1S82Y-2026-SM-EVYCM 40-49 years, male 5.6
GTEX-1211K-2026-SM-5EQ4Z 60-69 years, female 5.5
GTEX-13W46-0226-SM-5SIAG 50-59 years, male 5.5
GTEX-16BQI-0226-SM-7KUEX 30-39 years, female 5.5
GTEX-1B8SG-0126-SM-73KZ3 50-59 years, male 5.5
GTEX-OXRN-0126-SM-48TDM 50-59 years, male 5.5
GTEX-Y3I4-2126-SM-4TT7C 50-59 years, male 5.5
GTEX-12WSG-2826-SM-E9J4H 50-59 years, female 5.5
GTEX-1C6VQ-0126-SM-7P8RI 50-59 years, male 5.5
GTEX-1GF9X-2026-SM-7PC3A 40-49 years, female 5.5
GTEX-1RDX4-0126-SM-E9J4P 50-59 years, female 5.5
GTEX-1H3VY-0126-SM-ACKXD 50-59 years, male 5.4
GTEX-1HGF4-2426-SM-ACKXM 60-69 years, male 5.4
GTEX-1QMI2-0226-SM-EVYBX 60-69 years, male 5.4
GTEX-144GN-2326-SM-5LU4F 50-59 years, male 5.3
GTEX-147F3-0526-SM-5SI98 50-59 years, female 5.3
GTEX-ZAB5-1826-SM-5HL7C 50-59 years, male 5.3
GTEX-1K9T9-0126-SM-EVYCF 50-59 years, female 5.3
GTEX-13O3Q-2426-SM-5IJBR 50-59 years, male 5.2
GTEX-13X6H-2126-SM-7EWD5 50-59 years, female 5.2
GTEX-14JG1-0426-SM-6ETZZ 40-49 years, male 5.2
GTEX-14LZ3-0226-SM-62LET 60-69 years, female 5.2
GTEX-14PJ3-1826-SM-62LEX 50-59 years, male 5.2
GTEX-P4PQ-0126-SM-2S1NM 60-69 years, male 5.2
GTEX-QLQ7-1626-SM-2S1R8 60-69 years, male 5.2
GTEX-ZV68-0126-SM-59HKS 50-59 years, female 5.2
GTEX-1IKK5-0626-SM-ARL8A 60-69 years, male 5.2
GTEX-1128S-2326-SM-5GZZY 60-69 years, female 5.1
GTEX-13CF3-2426-SM-5IFGX 60-69 years, female 5.1
GTEX-145LT-1726-SM-5QGP3 40-49 years, male 5.1
GTEX-14JG6-2226-SM-6EU2G 30-39 years, female 5.1
GTEX-QDVJ-1726-SM-2I5FX 50-59 years, male 5.1
GTEX-TML8-1926-SM-32QOS 40-49 years, female 5.1
GTEX-Z93T-0126-SM-5HL5N 50-59 years, male 5.1
GTEX-1HCUA-2426-SM-ADEIS 50-59 years, female 5.1
GTEX-1IDFM-0126-SM-COH2V 60-69 years, male 5.1
GTEX-1IDJH-0326-SM-A9SLQ 70-79 years, male 5.1
GTEX-14PII-0226-SM-6EU1T 60-69 years, male 5.0
GTEX-O5YW-0126-SM-3LK6D 50-59 years, male 5.0
GTEX-Z9EW-1626-SM-5CVMN 40-49 years, male 5.0
GTEX-ZYT6-0226-SM-5NQ6T 30-39 years, male 5.0
GTEX-ZYY3-0126-SM-5GZY5 60-69 years, female 5.0
GTEX-1H4P4-0726-SM-9YFLR 50-59 years, male 5.0
GTEX-1HFI7-1826-SM-ACKXH 50-59 years, female 5.0
GTEX-1JMQI-2226-SM-CM2SD 50-59 years, male 5.0
GTEX-ZF3C-0126-SM-DO92D 50-59 years, female 5.0
GTEX-111FC-0126-SM-5N9DL 60-69 years, male 4.9
GTEX-13NYS-0126-SM-5MR3W 60-69 years, male 4.9
GTEX-13O21-1426-SM-5K7XI 50-59 years, male 4.9
GTEX-18D9B-0526-SM-7LTAS 60-69 years, male 4.9
GTEX-OXRK-0226-SM-3NB2G 50-59 years, female 4.9
GTEX-XYKS-2126-SM-4E3IB 60-69 years, female 4.9
GTEX-Y114-2426-SM-4TT8A 50-59 years, female 4.9
GTEX-1GN1W-0526-SM-9MQJQ 50-59 years, female 4.9
GTEX-1JKYN-1326-SM-CGQG9 30-39 years, male 4.9
GTEX-11P81-2326-SM-59875 30-39 years, female 4.8
GTEX-12WSJ-1826-SM-5GCNY 40-49 years, female 4.8
GTEX-QDVN-2026-SM-3GAEP 50-59 years, male 4.8
GTEX-ZE9C-2726-SM-57WB5 60-69 years, male 4.8
GTEX-1N2DV-0226-SM-E6CJ6 40-49 years, male 4.8
GTEX-1N2EF-0226-SM-EYYXB 60-69 years, male 4.8
GTEX-11ZU8-2526-SM-5EQKI 60-69 years, male 4.7
GTEX-13PVR-2326-SM-5QGR1 60-69 years, female 4.7
GTEX-W5WG-1826-SM-4KL2Y 50-59 years, female 4.7
GTEX-ZDTT-2726-SM-4WKF8 60-69 years, male 4.7
GTEX-1I1GU-2226-SM-CGQFA 40-49 years, male 4.7
GTEX-1212Z-2526-SM-5EGKP 60-69 years, male 4.6
GTEX-OHPL-0126-SM-2HMJ7 60-69 years, female 4.6
GTEX-1H1CY-2826-SM-9MQM3 60-69 years, female 4.6
GTEX-1HCU8-0626-SM-A9SM9 60-69 years, female 4.6
GTEX-1KWVE-1426-SM-E9TJO 30-39 years, male 4.6
GTEX-13FHP-0126-SM-5IJBG 50-59 years, male 4.5
GTEX-WQUQ-0426-SM-3MJFU 60-69 years, male 4.5
GTEX-ZVE2-0226-SM-59HJB 50-59 years, male 4.5
GTEX-ZZPT-0226-SM-5E43X 50-59 years, male 4.5
GTEX-1CB4H-0226-SM-7PBXM 60-69 years, female 4.5
GTEX-1H1DE-2126-SM-9WG6R 20-29 years, male 4.5
GTEX-1HBPM-0226-SM-ARL9F 60-69 years, female 4.5
GTEX-1PIGE-0126-SM-EVYBJ 20-29 years, male 4.5
GTEX-11WQK-0526-SM-5EQLD 50-59 years, male 4.4
GTEX-13N2G-2626-SM-5J1OT 60-69 years, male 4.4
GTEX-145LU-0126-SM-5TDCB 50-59 years, male 4.4
GTEX-14ICK-0226-SM-6EU25 40-49 years, male 4.4
GTEX-14XAO-2326-SM-6EU1B 60-69 years, female 4.4
GTEX-NPJ8-0126-SM-2YUNR 40-49 years, male 4.4
GTEX-SN8G-0126-SM-32PLI 50-59 years, female 4.4
GTEX-WYJK-0126-SM-3NMAB 50-59 years, male 4.4
GTEX-ZVZO-0126-SM-5A5L9 40-49 years, male 4.4
GTEX-ZXG5-0126-SM-5GIEU 60-69 years, male 4.4
GTEX-1ICLY-0126-SM-D4P36 50-59 years, male 4.4
GTEX-1J1OQ-0226-SM-CYPSH 40-49 years, female 4.4
GTEX-15UKP-0426-SM-7KUFQ 20-29 years, male 4.3
GTEX-17HHE-2026-SM-79OKF 50-59 years, male 4.3
GTEX-17JCI-0126-SM-7LG5G 60-69 years, female 4.3
GTEX-T6MO-1626-SM-32QOM 40-49 years, female 4.3
GTEX-XQ8I-0426-SM-4BOPO 50-59 years, male 4.3
GTEX-ZY6K-1826-SM-5GZXK 50-59 years, male 4.3
GTEX-1HB9E-0226-SM-E9U4R 50-59 years, male 4.3
GTEX-1I19N-0326-SM-ACKVX 70-79 years, male 4.3
GTEX-1QP29-0626-SM-EWRMX 50-59 years, male 4.3
GTEX-OOBJ-0126-SM-E6CJW 60-69 years, male 4.3
GTEX-11TT1-2526-SM-5EGIB 20-29 years, male 4.2
GTEX-131XE-2326-SM-5PNZ2 50-59 years, male 4.2
GTEX-13OVI-1426-SM-5L3EY 60-69 years, female 4.2
GTEX-13VXT-0126-SM-5LU4I 20-29 years, female 4.2
GTEX-15G19-0126-SM-6PANQ 60-69 years, male 4.2
GTEX-1AX8Z-0126-SM-7DHM6 60-69 years, male 4.2
GTEX-1B8SF-1426-SM-7DUGL 60-69 years, male 4.2
GTEX-1C2JI-1826-SM-73KXC 50-59 years, male 4.2
GTEX-PWO3-1526-SM-48TCM 60-69 years, female 4.2
GTEX-SUCS-1926-SM-32PM3 70-79 years, male 4.2
GTEX-13FH7-2026-SM-E9J4I 50-59 years, female 4.2
GTEX-1F75I-0326-SM-9YFLU 40-49 years, male 4.2
GTEX-1JMQJ-0526-SM-CYPSU 50-59 years, male 4.2
GTEX-11EM3-2426-SM-59861 20-29 years, female 4.1
GTEX-14BIM-0226-SM-7IGLD 60-69 years, female 4.1
GTEX-OOBK-0126-SM-2YUND 40-49 years, male 4.1
GTEX-Y5V5-2326-SM-4V6GA 60-69 years, female 4.1
GTEX-ZQUD-1426-SM-57WER 30-39 years, male 4.1
GTEX-1CB4F-0426-SM-9KNV4 60-69 years, male 4.1
GTEX-1EN7A-0126-SM-7SB81 40-49 years, male 4.1
GTEX-1JKYR-0126-SM-CNPOJ 20-29 years, male 4.1
GTEX-1S82Z-0826-SM-E6CHY 30-39 years, female 4.1
GTEX-11DZ1-0126-SM-5985Q 50-59 years, male 4.0
GTEX-11LCK-1026-SM-5A5KB 30-39 years, male 4.0
GTEX-139D8-0226-SM-5KLZO 30-39 years, female 4.0
GTEX-13YAN-0326-SM-5O9DF 60-69 years, male 4.0
GTEX-145MN-2226-SM-5SIAU 30-39 years, male 4.0
GTEX-18A7B-0126-SM-7LG64 70-79 years, male 4.0
GTEX-11TUW-2726-SM-E9J4M 60-69 years, male 4.0
GTEX-1LGOU-2026-SM-DIPFF 20-29 years, female 4.0
GTEX-1NHNU-1026-SM-E9J2A 50-59 years, male 4.0
GTEX-13X6I-0626-SM-5QGP9 60-69 years, male 3.9
GTEX-15CHC-2126-SM-6EU21 60-69 years, female 3.9
GTEX-18A66-0226-SM-718BD 60-69 years, male 3.9
GTEX-1C64N-0126-SM-793D7 50-59 years, male 3.9
GTEX-X585-0226-SM-4QAS2 50-59 years, male 3.9
GTEX-1HBPN-0226-SM-9YFM1 50-59 years, male 3.9
GTEX-1J8Q2-0526-SM-CM2RW 60-69 years, male 3.9
GTEX-1LC47-0326-SM-E9TJP 60-69 years, male 3.9
GTEX-1R46S-0626-SM-E9J41 60-69 years, female 3.9
GTEX-11NSD-2226-SM-5986V 20-29 years, male 3.8
GTEX-1399U-2326-SM-5K7WY 50-59 years, female 3.8
GTEX-139UW-2826-SM-5L3E7 60-69 years, male 3.8
GTEX-13NZB-2526-SM-5J1OM 30-39 years, male 3.8
GTEX-13W3W-2426-SM-5LU5B 60-69 years, female 3.8
GTEX-14A5I-0126-SM-5TDEA 50-59 years, female 3.8
GTEX-14PN3-2426-SM-6LLHS 60-69 years, female 3.8
GTEX-17F98-0626-SM-79OMX 40-49 years, female 3.8
GTEX-18A67-0126-SM-7LG5P 50-59 years, male 3.8
GTEX-NFK9-0226-SM-2HMKQ 40-49 years, male 3.8
GTEX-13OW5-0126-SM-DTXFS 60-69 years, male 3.8
GTEX-1HKZK-0326-SM-9WYUH 40-49 years, male 3.8
GTEX-1HSEH-0126-SM-ACKXN 60-69 years, male 3.8
GTEX-1HSMP-0126-SM-E6CJS 70-79 years, male 3.8
GTEX-13NZ8-0826-SM-5MR3I 60-69 years, female 3.7
GTEX-145ME-1826-SM-5SI9G 40-49 years, female 3.7
GTEX-1F75B-0126-SM-9KNVL 50-59 years, male 3.7
GTEX-1JMPY-1326-SM-ARL8Y 30-39 years, male 3.7
GTEX-1399T-2826-SM-5KLYZ 60-69 years, male 3.6
GTEX-13FTX-1826-SM-5J1NX 20-29 years, female 3.6
GTEX-14C5O-0126-SM-5SI6N 60-69 years, male 3.6
GTEX-16XZZ-0126-SM-793DV 60-69 years, male 3.6
GTEX-1A3MX-0126-SM-731BR 60-69 years, male 3.6
GTEX-1CAMQ-0226-SM-7IGPK 40-49 years, male 3.6
GTEX-WXYG-2326-SM-4E3I6 50-59 years, female 3.6
GTEX-1IKJJ-0126-SM-CNPQB 60-69 years, male 3.6
GTEX-1J1R8-1726-SM-ARL8M 40-49 years, male 3.6
GTEX-1PPH7-2326-SM-EVYB8 40-49 years, male 3.6
GTEX-PWCY-1826-SM-DHXIZ 20-29 years, female 3.6
GTEX-ZF29-2326-SM-DO92K 60-69 years, female 3.6
GTEX-1399R-2726-SM-5IJBA 30-39 years, male 3.5
GTEX-13SLW-0126-SM-5SI6C 70-79 years, male 3.5
GTEX-14BMU-2226-SM-5TDE9 20-29 years, female 3.5
GTEX-14DAR-2026-SM-5S2O3 50-59 years, male 3.5
GTEX-14PJ6-2126-SM-6EU1V 60-69 years, female 3.5
GTEX-183WM-0126-SM-7LTAB 70-79 years, female 3.5
GTEX-18QFQ-0126-SM-731BE 30-39 years, male 3.5
GTEX-WRHK-1426-SM-3MJF9 20-29 years, female 3.5
GTEX-YB5E-2026-SM-5IFIS 40-49 years, male 3.5
GTEX-ZYFG-2326-SM-5E44B 60-69 years, female 3.5
GTEX-1E2YA-0126-SM-9KNUC 50-59 years, male 3.5
GTEX-1HSMQ-1226-SM-CGQFX 50-59 years, male 3.5
GTEX-1QP2A-0126-SM-E9J43 50-59 years, male 3.5
GTEX-15UF6-0826-SM-6PALJ 70-79 years, female 3.4
GTEX-17MFQ-1726-SM-793C7 20-29 years, male 3.4
GTEX-1C4CL-0526-SM-73KVK 30-39 years, male 3.4
GTEX-1CAMR-1926-SM-7EPI2 20-29 years, male 3.4
GTEX-PX3G-0126-SM-2I3EN 20-29 years, female 3.4
GTEX-U3ZM-1526-SM-3DB9D 40-49 years, male 3.4
GTEX-1JN1M-0326-SM-CYPT3 60-69 years, female 3.4
GTEX-1JN76-0126-SM-CNPPE 20-29 years, female 3.4
GTEX-1QAET-0926-SM-E76QM 50-59 years, male 3.4
GTEX-1QCLY-0326-SM-E8VOG 30-39 years, male 3.4
GTEX-1R7EV-2426-SM-EVYBG 40-49 years, male 3.4
GTEX-13OVK-2026-SM-7KUEO 40-49 years, male 3.3
GTEX-14753-0426-SM-5NQAM 60-69 years, male 3.3
GTEX-O5YT-0126-SM-48TBW 20-29 years, male 3.3
GTEX-OIZG-0726-SM-33HBL 50-59 years, male 3.3
GTEX-S32W-2126-SM-2XCB1 50-59 years, female 3.3
GTEX-T2YK-0526-SM-32QPJ 50-59 years, male 3.3
GTEX-Y8E4-0626-SM-4WWDL 40-49 years, male 3.3
GTEX-1HCVE-0126-SM-CGQEU 50-59 years, male 3.3
GTEX-1MCYP-1926-SM-E9J2R 20-29 years, female 3.3
GTEX-1MJK2-0426-SM-DTXE5 50-59 years, male 3.3
GTEX-14A5H-0426-SM-5QGQF 60-69 years, male 3.2
GTEX-17KNJ-2326-SM-7DHLQ 50-59 years, male 3.2
GTEX-OHPM-0126-SM-2YUN9 50-59 years, male 3.2
GTEX-P4QT-0126-SM-2I3FL 50-59 years, female 3.2
GTEX-TSE9-0126-SM-3DB83 60-69 years, female 3.2
GTEX-X4XX-0126-SM-3NMC2 60-69 years, male 3.2
GTEX-1ICLZ-0126-SM-CKZPO 60-69 years, male 3.2
GTEX-1JMQK-0226-SM-CL543 60-69 years, male 3.2
GTEX-1MGNQ-0126-SM-EVYCJ 40-49 years, male 3.2
GTEX-1A3MV-1926-SM-718BT 30-39 years, male 3.1
GTEX-1I6K6-0126-SM-A9SLE 30-39 years, male 3.1
GTEX-1QP9N-1426-SM-DTXFL 30-39 years, male 3.1
GTEX-ZTSS-1926-SM-57WEW 40-49 years, male 3.0
GTEX-ZVT2-2526-SM-51MT1 50-59 years, female 3.0
GTEX-1CAMS-0426-SM-7P8T2 40-49 years, female 3.0
GTEX-1JK1U-2026-SM-CM2RZ 60-69 years, male 3.0
GTEX-1S3DN-2226-SM-EVYCD 50-59 years, male 3.0
GTEX-ZQG8-1626-SM-DHXIT 60-69 years, female 3.0
GTEX-ZXES-1826-SM-5E43S 30-39 years, female 2.9
GTEX-1GPI7-0126-SM-9MQL8 20-29 years, male 2.9
GTEX-1H1E6-1726-SM-ACKVK 30-39 years, male 2.9
GTEX-1MUQO-0126-SM-EAZ58 60-69 years, male 2.9
GTEX-1497J-2426-SM-7IGNX 60-69 years, male 2.8
GTEX-14PHX-2326-SM-62LEM 50-59 years, male 2.8
GTEX-1A3MW-0126-SM-73KXX 60-69 years, female 2.8
GTEX-Y5LM-1926-SM-5RQJH 40-49 years, female 2.8
GTEX-1GMR3-1926-SM-9KNUZ 40-49 years, male 2.8
GTEX-1J8Q3-1626-SM-CMKGC 60-69 years, male 2.8
GTEX-1JMPZ-0226-SM-CNPP1 30-39 years, male 2.8
GTEX-13IVO-0126-SM-5J1NG 70-79 years, male 2.7
GTEX-14PHW-0126-SM-6LLJI 60-69 years, female 2.7
GTEX-16NGA-1726-SM-731B4 40-49 years, female 2.7
GTEX-TKQ1-1026-SM-4GICL 30-39 years, male 2.7
GTEX-13NYC-0326-SM-E9J4S 60-69 years, male 2.7
GTEX-1I1GQ-0126-SM-COH3H 50-59 years, male 2.7
GTEX-1I4MK-2226-SM-ACKWD 50-59 years, female 2.7
GTEX-1K2DA-1826-SM-CGQGT 50-59 years, male 2.7
GTEX-12WSK-2326-SM-5GCOH 40-49 years, female 2.6
GTEX-13D11-2426-SM-5KM1V 50-59 years, female 2.6
GTEX-145MF-0626-SM-5LUAI 50-59 years, male 2.6
GTEX-P44H-0226-SM-2XCEU 40-49 years, male 2.6
GTEX-VJWN-0126-SM-3GIK7 50-59 years, female 2.6
GTEX-ZF2S-2326-SM-4WWCE 50-59 years, female 2.6
GTEX-1IDJU-2626-SM-CM2RT 60-69 years, female 2.6
GTEX-13NYB-2526-SM-5K7Z6 40-49 years, male 2.5
GTEX-144GL-0126-SM-5TDE2 50-59 years, male 2.5
GTEX-1AMFI-2026-SM-731BH 50-59 years, female 2.5
GTEX-1LBAC-0126-SM-DIPEZ 20-29 years, male 2.5
GTEX-1LH75-2426-SM-E9TJE 50-59 years, female 2.5
GTEX-1PIIG-0226-SM-EWRN6 30-39 years, male 2.5
GTEX-133LE-1826-SM-5J1MV 20-29 years, female 2.4
GTEX-145LS-0126-SM-5QGP1 60-69 years, female 2.4
GTEX-1AMEY-1326-SM-73KYK 30-39 years, female 2.4
GTEX-1B8KE-2126-SM-73KYX 50-59 years, male 2.4
GTEX-1PPH8-0226-SM-E8VND 20-29 years, male 2.4
GTEX-17F96-1626-SM-7DUFL 70-79 years, male 2.3
GTEX-1F52S-0126-SM-9MQJU 60-69 years, female 2.3
GTEX-1F6RS-0126-SM-9MQKZ 60-69 years, female 2.3
GTEX-PSDG-0226-SM-DKPOZ 50-59 years, male 2.3
GTEX-13FTW-2626-SM-5K7WL 40-49 years, male 2.2
GTEX-18D9U-0226-SM-718BP 40-49 years, male 2.2
GTEX-X261-0126-SM-3NMD6 50-59 years, male 2.2
GTEX-1J8QM-2126-SM-CYPSJ 60-69 years, female 2.2
GTEX-1JJEA-0326-SM-CNPOT 60-69 years, male 2.2
GTEX-1R7EU-0226-SM-EVR4G 60-69 years, male 2.2
GTEX-1S5ZA-0126-SM-EVYCV 20-29 years, male 2.2
GTEX-PLZ6-1426-SM-DKPOT 30-39 years, male 2.2
GTEX-13113-5016-SM-7EPIP 60-69 years, female 2.1
GTEX-13RTK-1426-SM-5QGQJ 20-29 years, male 2.1
GTEX-WFG8-2226-SM-3GIL9 20-29 years, male 2.1
GTEX-WFON-2126-SM-3LK7O 40-49 years, male 2.1
GTEX-YJ89-0126-SM-4TT3X 60-69 years, male 2.1
GTEX-ZGAY-0526-SM-4WWBB 40-49 years, female 2.1
GTEX-1F5PK-2426-SM-7RHHY 50-59 years, male 2.1
GTEX-1GZ4H-1726-SM-7PBZJ 50-59 years, female 2.1
GTEX-13JUV-2726-SM-5LZZ8 40-49 years, female 2.0
GTEX-XAJ8-0826-SM-47JY6 40-49 years, male 2.0
GTEX-13PDP-0126-SM-5L3HD 60-69 years, male 1.9
GTEX-15RIG-0226-SM-7KFTL 40-49 years, male 1.9
GTEX-Y5V6-2426-SM-4VDSB 60-69 years, male 1.9
GTEX-ZZ64-1726-SM-5GZYB 20-29 years, male 1.9
GTEX-169BO-1326-SM-9MQK2 50-59 years, male 1.9
GTEX-1HSGN-0226-SM-CGQFV 40-49 years, female 1.9
GTEX-1KXAM-2226-SM-CYPTC 60-69 years, male 1.9
GTEX-12WSE-0526-SM-793B2 20-29 years, male 1.8
GTEX-15ETS-0126-SM-7KUMW 40-49 years, female 1.8
GTEX-1CB4I-0226-SM-79OLH 50-59 years, male 1.8
GTEX-XBEW-0626-SM-4QASP 40-49 years, male 1.8
GTEX-1LSNM-1926-SM-E6CII 50-59 years, male 1.8
GTEX-1NV5F-0226-SM-E8VNY 60-69 years, female 1.8
GTEX-SNMC-1226-SM-2XCFP 20-29 years, male 1.7
GTEX-TMMY-0226-SM-33HBA 40-49 years, female 1.7
GTEX-XUZC-1726-SM-4BRWS 30-39 years, female 1.7
GTEX-1HCU9-1526-SM-A9SL7 20-29 years, male 1.7
GTEX-1OFPY-2426-SM-DTXEJ 60-69 years, male 1.7
GTEX-1PFEY-1526-SM-E76PP 30-39 years, male 1.7
GTEX-1R9K4-0126-SM-DTX9X 60-69 years, male 1.7
GTEX-16AAH-1726-SM-7939C 50-59 years, male 1.6
GTEX-17EUY-0426-SM-793BD 20-29 years, male 1.6
GTEX-OIZH-0126-SM-2HMIS 50-59 years, male 1.6
GTEX-T8EM-1026-SM-3DB7M 40-49 years, male 1.6
GTEX-131XF-5016-SM-7MGWE 60-69 years, male 1.6
GTEX-1F5PL-0326-SM-7P8PQ 40-49 years, female 1.6
GTEX-1LG7Z-1726-SM-D3LA4 30-39 years, male 1.6
GTEX-1M5QR-1226-SM-EWROB 40-49 years, male 1.6
GTEX-1122O-2126-SM-5EGIR 60-69 years, female 1.5
GTEX-11EQ9-2426-SM-5HL5T 30-39 years, male 1.5
GTEX-15F5U-1526-SM-6PANO 40-49 years, male 1.5
GTEX-1LVAN-0226-SM-COH3S 50-59 years, female 1.5
GTEX-1QPFJ-0226-SM-E76PB 30-39 years, female 1.5
GTEX-1S83E-0126-SM-EWRO4 40-49 years, male 1.5
GTEX-13OVH-0126-SM-5MR4B 70-79 years, male 1.4
GTEX-POMQ-2226-SM-2I5FK 20-29 years, female 1.4
GTEX-XPVG-2626-SM-4B669 50-59 years, male 1.4
GTEX-1HCU7-0226-SM-CL545 50-59 years, male 1.4
GTEX-1PDJ9-0326-SM-DTX95 20-29 years, male 1.4
GTEX-SE5C-1626-SM-2XCE3 40-49 years, female 1.4
GTEX-14E6E-1826-SM-5S2R7 30-39 years, male 1.3
GTEX-1B97I-1626-SM-73KYO 40-49 years, male 1.3
GTEX-UJHI-1526-SM-3DB99 50-59 years, female 1.3
GTEX-1JJ6O-0126-SM-E6CI8 60-69 years, male 1.3
GTEX-13111-1626-SM-5EGJY 50-59 years, male 1.2
GTEX-17GQL-2026-SM-718BA 60-69 years, male 1.2
GTEX-ZV6S-2326-SM-4YCEY 40-49 years, female 1.2
GTEX-ZVZP-2426-SM-59HKJ 50-59 years, male 1.2
GTEX-1OJC3-0126-SM-E76QX 20-29 years, male 1.2
GTEX-T5JW-1626-SM-3GADZ 20-29 years, female 1.1
GTEX-1K2DU-2326-SM-E9TIV 20-29 years, male 1.1
GTEX-1MA7W-2026-SM-E9TJ6 20-29 years, female 1.1
GTEX-12WSA-0226-SM-5BC5V 60-69 years, male 1.0
GTEX-15EU6-0426-SM-6PAN5 50-59 years, male 1.0
GTEX-ZWKS-0126-SM-5SIAA 30-39 years, male 1.0
GTEX-1GL5R-1826-SM-9KNUY 50-59 years, male 1.0
GTEX-1I1GT-0626-SM-CGQER 60-69 years, female 1.0
GTEX-1LGRB-2526-SM-CNPPQ 50-59 years, female 1.0
GTEX-1R9PM-2026-SM-E76OY 20-29 years, male 0.9
GTEX-18D9A-1926-SM-7LG6P 30-39 years, female 0.8
GTEX-1C475-1826-SM-73KWA 40-49 years, female 0.8
GTEX-1JMQL-0226-SM-CNPP5 50-59 years, female 0.8
GTEX-1KANC-1526-SM-D3LAB 50-59 years, female 0.8
GTEX-ZTX8-1426-SM-5DUVO 20-29 years, male 0.7
GTEX-1KANA-0726-SM-D3L9I 20-29 years, male 0.5
GTEX-1L5NE-2526-SM-E6CIE 50-59 years, male 0.2
Show allShow less

Contact

  • NEWS ARTICLES
  • PRESS ROOM

The Project

  • INTRODUCTION
  • ORGANIZATION
  • PUBLICATIONS

The Human Protein Atlas

  • DOWNLOADABLE DATA
  • LICENCE & CITATION
  • HELP & FAQ
The Human Protein Atlas project is funded
by the Knut & Alice Wallenberg Foundation.


contact@proteinatlas.org