We use cookies to enhance the usability of our website. If you continue, we'll assume that you are happy to receive all cookies. More information. Don't show this again.
PNN
HPA
RESOURCES
  • TISSUE
  • BRAIN
  • SINGLE CELL
  • SUBCELLULAR
  • CANCER
  • BLOOD
  • CELL LINE
  • STRUCTURE & INTERACTION
ABOUT
  • INTRODUCTION
  • HISTORY
  • ORGANIZATION
  • PUBLICATIONS
  • ANTIBODY SUBMISSION
  • ANTIBODY AVAILABILITY
  • ACKNOWLEDGMENTS
  • CONTACT
NEWS
  • NEWS ARTICLES
  • PRESS ROOM
LEARN
  • DICTIONARY
  • PROTEIN CLASSES
  • PROTEIN EVIDENCE
  • METHODS
  • EDUCATIONAL VIDEOS
DATA
  • DOWNLOADABLE DATA
  • PUBLICATION DATA
  • RELEASE HISTORY
HELP
  • ANTIBODY VALIDATION
  • ASSAYS & ANNOTATION
  • DISCLAIMER
  • HELP & FAQ
  • PRIVACY STATEMENT
  • LICENCE & CITATION
Fields »
Search result

Field
Term
Gene name
Class
Subclass
Class
Keyword
Chromosome
External id
Tissue
Cell type
Expression
Antibody panel
Tissue
Main location
Patient ID
Annotation
Tissue
Category
Tau score
Cluster
Reliability
Brain region
Category
Tau score
Brain region
Category
Tau score
Brain region
Category
Tau score
Cluster
Reliability
Tissue
Cell type
Enrichment
Cell type
Category
Tau score
Cell type
Category
Tau score
Cell type
Category
Tau score
Cell lineage
Category
Tau score
Cluster
Cluster
Location
Searches
Location
Cell line
Class
Type
Phase
Reliability
Cancer
Prognosis
Cancer
Category
Cancer
Category
Tau score
Cluster
Variants
Interacting gene (ensg_id)
Type
Number of interactions
Pathway
Category
Score
Score
Score
Validation
Validation
Validation
Validation
Antibodies
Data type
Column


  • SUMMARY

  • TISSUE

  • BRAIN

  • SINGLE CELL

  • SUBCELL

  • CANCER

  • BLOOD

  • CELL LINE

  • STRUCT & INT

  • PNN
CANCER ENDOMETRIAL CANCER Show tissue menu
BREAST CANCER CARCINOID CERVICAL CANCER COLORECTAL CANCER ENDOMETRIAL CANCER GLIOMA HEAD AND NECK CANCER LIVER CANCER LUNG CANCER LYMPHOMA
MELANOMA OVARIAN CANCER PANCREATIC CANCER PROSTATE CANCER RENAL CANCER SKIN CANCER STOMACH CANCER TESTIS CANCER THYROID CANCER UROTHELIAL CANCER
UCEC TCGA PROTEIN EAC CPTAC PROTEIN UCEC CPTAC PROTEIN EXPRESSION
ANTIBODIES
AND
VALIDATION
Dictionary
Endometrial cancer
Human cancer
Uterine corpus endometrial carcinoma
UTERINE CORPUS ENDOMETRIAL CARCINOMA (TCGA) - Interactive survival scatter ploti

The Survival Scatter plot shows the clinical status (i.e. dead or alive) for all individuals in the patient cohort, based on the same data that underlies the corresponding Kaplan-Meier plots. Patients that are alive at last time for follow-up are shown in blue and patients who have died during the study are shown in red.

The x-axis shows the expression levels (FPKM) of the investigated gene in the tumor tissue at the time of diagnosis. The y-axis shows the follow-up time after diagnosis (years). Both axes are complimented with kernel density curves demonstrating the data density over the axes. The top density plot shows the expression levels (FPKM) distribution among dead (red) and alive patients (blue). The right density plot shows the data density of the survived years of dead patients with high and low expression levels respectively, stratified using the cutoff indicated by the vertical dashed line through the Survival Scatter plot. This cutoff is automatically defined based on the FPKM cutoff that minimizes the p-score. The cutoff can be changed by dragging the vertical line or by entering a cutoff value in the square labeled "Current cut-off".

Under the Survival Scatter plot the p-score landscape (black curve; left axis) is shown together with dead median separation (red curve; right axis). Dead median separation is the difference in median mRNA expression between patients who have died with high and low expression, respectively. It is calculated as follows: median FPKM expression of dead patients with high expression - median FPKM expression of dead patients with low expression. This is intended to aid the user in visually exploring custom cutoffs and the associated p-scores and dead median separation.

Individual patient data is displayed and can be filtered by clicking on one or more of the category buttons on the top of the page. Categories describing expression level and patient information include: high, low, alive, dead, female, male and tumor stages. The scale of the x-axis can be toggled between linear and log-scale by clicking on the "x log" button. Mouse-over function shows TCGA ID, patient information and mRNA expression (FPKM) for each patient.

& Survival analysisi

Kaplan-Meier plots summarize results from analysis of correlation between mRNA expression level and patient survival. Patients were divided based on level of expression into one of the two groups "low" (under cut off) or "high" (over cut off). X-axis shows time for survival (years) and y-axis shows the probability of survival, where 1.0 corresponds to 100 percent.

PNN is not prognostic in Uterine Corpus Endometrial Carcinoma (TCGA)


Stage:


Survival analysis
Current cut offi

Current cut-off shows the cut-off (FPKM) currently selected. It may be changed manually. When the current cut-off is changed, the vertical dashed line indicating cut-off, the interactive survival scatter plot and the Kaplan-Meier curve will be automatically adjusted to show results accordingly.

:
Best expression cut offi

Based on the FPKM value of each gene, patients were classified into two groups and association between prognosis (survival) and gene expression (FPKM) was examined. The best expression cut-off refers the FPKM value that yields maximal difference with regard to survival between the two groups at the lowest log-rank P-value. Best expression cut-off was selected based on survival analysis .

When clicking on this number, the vertical dashed line indicating cut-off, the interactive survival plot, and the Kaplan-Meier curve will be adjusted to show results based on the best expression cut-off.

: 74.23
Median expressioni

Median expression refers to the median FPKM value calculated based on the gene expression (FPKM) data from all patients in this dataset. When clicking on this number, the vertical dashed line indicating cut-off, the interactive survival plot, and the Kaplan-Meier curve will be adjusted to show results based on the median expression.

: N/A
Median follow up timei

Median follow up time refers to the median time (years) after diagnosis with this type of cancer, based on clinical data from all patients in this dataset.

: N/A
P scorei

Log-rank P value for Kaplan-Meier plot showing results from analysis of correlation between mRNA expression level and patient survival.

N/A
5-year survival highi

5-year survival for patients with higher expression than the expression cutoff.

For melanoma and glioma, 3-year survival is shown.

N/A
5-year survival lowi

5-year survival for patients with lower expression than the expression cutoff.

For melanoma and glioma, 3-year survival is shown.

N/A
TCGA RNA samplesi

RNA-seq data is reported as average FPKM (number Fragments Per Kilobase of exon per Million reads), generated by the The Cancer Genome Atlas (TCGA) .

Normal distribution across the dataset is visualized with box plots, shown as median and 25th and 75th percentiles. Points are displayed as outliers if they are above or below 1.5 times the interquartile range. FPKM values of the individual samples are presented next to the box plot.

Average pTPM 66.0
Number of samples 176
Samples
Sample Description pTPM
TCGA-EY-A549-01A 78 years, female, black or african american, stage:Stage IA, alive, 605 days 255.3
TCGA-AJ-A3I9-01A 52 years, female, white, stage:Stage II, dead, 519 days 198.8
TCGA-BG-A3EW-01A 62 years, female, white, stage:Stage III, alive, 344 days 196.1
TCGA-AX-A3G4-01A 60 years, female, native hawaiian or other pacific islander, stage:Stage IIIC, alive, 9 days 193.8
TCGA-AJ-A8CW-01A 64 years, female, black or african american, stage:Stage IA, alive, 4 days 193.5
TCGA-AJ-A3NG-01A 83 years, female, white, stage:Stage II, alive, 475 days 192.3
TCGA-SJ-A6ZI-01A 64 years, female, black or african american, stage:Stage IB, alive, 631 days 189.3
TCGA-AJ-A3OL-01A 55 years, female, white, stage:Stage IIIA, dead, 449 days 188.2
TCGA-EO-A3KU-01A 68 years, female, stage:Stage II, alive, 677 days 160.9
TCGA-EO-A3KW-01A 72 years, female, stage:Stage IA, alive, 497 days 159.0
TCGA-BK-A56F-01A 75 years, female, black or african american, stage:Stage IB, alive, 401 days 149.7
TCGA-AJ-A5DW-01A 56 years, female, black or african american, stage:Stage IA, alive, 390 days 147.9
TCGA-AX-A2HH-01A 60 years, female, white, stage:Stage IA, alive, 540 days 147.4
TCGA-E6-A2P9-01A 65 years, female, white, stage:Stage IA, alive, 1386 days 145.8
TCGA-QS-A744-01A 86 years, female, black or african american, stage:Stage IIIB, alive, 451 days 145.6
TCGA-AJ-A3NC-01A 63 years, female, white, stage:Stage IA, alive, 1125 days 144.9
TCGA-KP-A3W0-01A 72 years, female, stage:Stage IB, alive, 404 days 142.4
TCGA-AJ-A3IA-01A 77 years, female, white, stage:Stage IB, alive, 633 days 126.2
TCGA-BK-A4ZD-01A 42 years, female, black or african american, stage:Stage IA, alive, 506 days 122.2
TCGA-BK-A6W4-01A 62 years, female, black or african american, stage:Stage IA, alive, 300 days 121.4
TCGA-FI-A3PX-01A 57 years, female, white, stage:Stage IIIC, alive, 2384 days 120.4
TCGA-AJ-A3EM-01A 69 years, female, white, stage:Stage IB, alive, 677 days 115.4
TCGA-BK-A6W3-01A 34 years, female, black or african american, stage:Stage II, alive, 305 days 113.1
TCGA-EO-A22Y-01A 68 years, female, white, stage:Stage IA, alive, 1567 days 109.6
TCGA-A5-A2K2-01A 77 years, female, white, stage:Stage IA, alive, 3595 days 107.3
TCGA-AX-A3FX-01A 69 years, female, white, stage:Stage IIB, dead, 1333 days 106.9
TCGA-4E-A92E-01A 54 years, female, black or african american, stage:Stage I, alive, 13 days 104.2
TCGA-B5-A1MW-01A 55 years, female, white, stage:Stage IA, alive, 447 days 101.4
TCGA-EO-A3L0-01A 76 years, female, white, stage:Stage IA, alive, 1554 days 99.8
TCGA-BG-A3PP-01A 82 years, female, white, stage:Stage II, alive, 681 days 99.6
TCGA-PG-A914-01A 73 years, female, black or african american, stage:Stage IA, alive, 687 days 99.2
TCGA-EY-A3QX-01A 64 years, female, white, stage:Stage IVB, dead, 989 days 98.7
TCGA-A5-A1OH-01A 86 years, female, white, stage:Stage IIIA, alive, 1105 days 96.5
TCGA-PG-A5BC-01A 72 years, female, black or african american, stage:Stage II, alive, 707 days 96.2
TCGA-5S-A9Q8-01A 51 years, female, black or african american, stage:Stage IIIA, alive, 313 days 95.9
TCGA-EO-A3KX-01A 80 years, female, white, stage:Stage IA, alive, 1170 days 95.8
TCGA-EY-A3L3-01A 82 years, female, black or african american, stage:Stage IA, alive, 832 days 92.4
TCGA-AX-A3FS-01A 82 years, female, white, stage:Stage IA, alive, 7 days 90.3
TCGA-A5-AB3J-01A 52 years, female, black or african american, stage:Stage II, alive, 512 days 88.9
TCGA-AX-A3FZ-01A 33 years, female, white, stage:Stage IIIB, alive, 6 days 88.2
TCGA-KJ-A3U4-01A 55 years, female, white, stage:Stage IA, alive, 1095 days 88.0
TCGA-KP-A3W1-01A 76 years, female, stage:Stage IA, alive, 288 days 87.7
TCGA-B5-A3S1-01A 71 years, female, white, stage:Stage IIIC, alive, 902 days 86.5
TCGA-KP-A3W3-01A 72 years, female, white, stage:Stage IB, alive, 794 days 85.2
TCGA-EY-A72D-01A 87 years, female, black or african american, stage:Stage II, alive, 179 days 83.4
TCGA-KP-A3W4-01A 63 years, female, white, stage:Stage IIIA, dead, 554 days 82.2
TCGA-AJ-A23N-01A 70 years, female, white, stage:Stage IIIA, dead, 439 days 82.1
TCGA-BK-A0CA-01A 61 years, female, white, stage:Stage IIIC, alive, 1064 days 80.6
TCGA-EO-A1Y7-01A 65 years, female, stage:Stage IB, alive, 1495 days 80.0
TCGA-A5-A7WJ-01A 64 years, female, black or african american, stage:Stage IA, alive, 341 days 78.3
TCGA-SJ-A6ZJ-01A 61 years, female, black or african american, stage:Stage IB, alive, 556 days 77.8
TCGA-EY-A2OO-01A 56 years, female, white, stage:Stage IB, alive, 1392 days 77.3
TCGA-EO-A22X-01A 36 years, female, stage:Stage IIIA, alive, 1752 days 76.3
TCGA-EY-A1GP-01A 54 years, female, black or african american, stage:Stage IA, alive, 573 days 76.1
TCGA-AX-A3GI-01A 66 years, female, black or african american, stage:Stage IIIC, alive, 12 days 75.6
TCGA-B5-A3FC-01A 53 years, female, black or african american, stage:Stage II, alive, 2185 days 75.6
TCGA-A5-A3LO-01A 64 years, female, white, stage:Stage IB, alive, 776 days 75.2
TCGA-KP-A3VZ-01A 69 years, female, white, stage:Stage IV, alive, 722 days 74.2
TCGA-AJ-A2QO-01A 85 years, female, white, stage:Stage IB, dead, 1045 days 74.1
TCGA-EY-A2OP-01A 63 years, female, white, stage:Stage IA, alive, 944 days 73.9
TCGA-AX-A3GB-01A 73 years, female, white, stage:Stage IB, alive, 440 days 71.7
TCGA-EY-A1GX-01A 76 years, female, white, stage:Stage IIIA, dead, 1127 days 71.3
TCGA-A5-A2K4-01A 69 years, female, white, stage:Stage IIIA, dead, 871 days 70.4
TCGA-B5-A0JR-01A 73 years, female, white, stage:Stage IB, alive, 1731 days 70.4
TCGA-AJ-A3NE-01A 46 years, female, white, stage:Stage IA, alive, 628 days 69.9
TCGA-AJ-A3OJ-01A 54 years, female, white, stage:Stage II, alive, 467 days 69.8
TCGA-D1-A3DH-01A 71 years, female, white, stage:Stage IA, alive, 573 days 68.5
TCGA-EO-A3AU-01A 72 years, female, stage:Stage II, alive, 1543 days 67.3
TCGA-D1-A3JQ-01A 61 years, female, white, stage:Stage IIIC, alive, 526 days 67.0
TCGA-AP-A5FX-01A 68 years, female, black or african american, stage:Stage IIIC, dead, 1099 days 66.4
TCGA-FI-A3PV-01A 68 years, female, black or african american, stage:Stage IA, dead, 1249 days 65.6
TCGA-PG-A917-01A 74 years, female, black or african american, stage:Stage IA, alive, 212 days 65.0
TCGA-AJ-A8CV-01A 58 years, female, black or african american, stage:Stage IB, alive, 1068 days 63.8
TCGA-B5-A5OC-01A 71 years, female, black or african american, stage:Stage IIIB, alive, 1249 days 63.2
TCGA-K6-A3WQ-01A 60 years, female, white, stage:Stage IVB, dead, 427 days 61.8
TCGA-AJ-A3QS-01A 57 years, female, black or african american, stage:Stage IIIA, alive, 513 days 61.6
TCGA-AJ-A3EL-01A 47 years, female, native hawaiian or other pacific islander, stage:Stage IA, alive, 684 days 61.6
TCGA-AJ-A3BF-01A 65 years, female, white, stage:Stage IIIC, alive, 551 days 60.6
TCGA-EO-A22U-01A 83 years, female, white, stage:Stage IB, alive, 1407 days 60.3
TCGA-EO-A3B1-01A 63 years, female, stage:Stage IB, alive, 820 days 59.5
TCGA-B5-A0JN-01A 84 years, female, black or african american, stage:Stage IVB, alive, 1939 days 59.4
TCGA-AX-A3G3-01A 58 years, female, white, stage:Stage IIIA, alive, 42 days 59.0
TCGA-AX-A3G1-01A 84 years, female, white, stage:Stage IC, dead, 624 days 58.6
TCGA-AJ-A3EK-01A 53 years, female, white, stage:Stage IA, alive, 446 days 58.2
TCGA-EO-A3B0-01A 43 years, female, asian, stage:Stage IIIC, alive, 1412 days 57.8
TCGA-AX-A3G9-01A 63 years, female, white, stage:Stage IIIC, alive, 558 days 56.7
TCGA-A5-A3LP-01A 74 years, female, white, stage:Stage IB, alive, 455 days 56.6
TCGA-PG-A915-01A 60 years, female, black or african american, stage:Stage IA, alive, 249 days 56.1
TCGA-EY-A54A-01A 67 years, female, black or african american, stage:Stage IIIC, alive, 447 days 55.5
TCGA-EO-A3AV-01A 51 years, female, stage:Stage IIIC, alive, 1069 days 55.4
TCGA-DF-A2KN-01A female, stage:Stage IC, alive, 67 days 55.3
TCGA-5B-A90C-01A 69 years, female, black or african american, stage:Stage IA, alive, 1202 days 53.7
TCGA-B5-A3F9-01A 56 years, female, black or african american, stage:Stage IB, alive, 4155 days 52.8
TCGA-AJ-A3NH-01A 90 years, female, white, stage:Stage IB, dead, 1 days 52.6
TCGA-PG-A916-01A 70 years, female, black or african american, stage:Stage I, alive, 522 days 52.5
TCGA-AJ-A5DV-01A 65 years, female, black or african american, stage:Stage IA, alive, 679 days 51.5
TCGA-AJ-A3NF-01A 60 years, female, white, stage:Stage IIIC, alive, 645 days 50.9
TCGA-BG-A0MK-01A 52 years, female, black or african american, stage:Stage IIB, dead, 1317 days 50.4
TCGA-AP-A3K1-01A 56 years, female, white, stage:Stage IVB, dead, 666 days 50.1
TCGA-EY-A2OQ-01A 61 years, female, white, stage:Stage IA, alive, 885 days 49.6
TCGA-AX-A2IN-01A 63 years, female, white, stage:Stage IC, dead, 947 days 49.4
TCGA-AJ-A2QM-01A 67 years, female, white, stage:Stage II, alive, 894 days 49.2
TCGA-AX-A3FT-01A 64 years, female, white, stage:Stage IB, alive, 6 days 48.9
TCGA-E6-A2P8-01A 53 years, female, black or african american, stage:Stage IV, dead, 72 days 48.7
TCGA-EY-A4KR-01A 56 years, female, black or african american, stage:Stage IIIC, dead, 346 days 48.6
TCGA-AJ-A6NU-01A 64 years, female, black or african american, stage:Stage II, alive, 632 days 48.1
TCGA-EY-A548-01A 83 years, female, black or african american, stage:Stage IA, alive, 430 days 47.9
TCGA-B5-A0K9-01A 88 years, female, white, stage:Stage II, dead, 409 days 47.8
TCGA-D1-A2G0-01A 70 years, female, white, stage:Stage IB, alive, 1484 days 47.6
TCGA-EY-A547-01A 75 years, female, black or african american, stage:Stage IA, alive, 545 days 46.9
TCGA-D1-A3DG-01A 81 years, female, white, stage:Stage IVB, dead, 130 days 46.8
TCGA-A5-A2K7-01A 41 years, female, stage:Stage II, alive, 1063 days 46.3
TCGA-AX-A3FW-01A 66 years, female, white, stage:Stage IB, alive, 17 days 45.9
TCGA-B5-A5OE-01A 68 years, female, black or african american, stage:Stage IIIC, alive, 1063 days 44.8
TCGA-DI-A1BU-01A 55 years, female, white, stage:Stage IIB, alive, 1195 days 44.6
TCGA-AX-A3G6-01A 67 years, female, white, stage:Stage IA, alive, 8 days 44.6
TCGA-AJ-A8CT-01A 58 years, female, black or african american, stage:Stage IA, alive, 82 days 44.5
TCGA-D1-A3JP-01A 61 years, female, white, stage:Stage IA, alive, 515 days 44.0
TCGA-B5-A3FB-01A 73 years, female, black or african american, stage:Stage IB, alive, 2844 days 43.9
TCGA-AJ-A3TW-01A 78 years, female, white, stage:Stage IB, alive, 513 days 43.1
TCGA-SL-A6JA-01A 77 years, female, black or african american, stage:Stage IB, alive, 7 days 42.9
TCGA-B5-A3FD-01A 70 years, female, black or african american, stage:Stage IA, dead, 1197 days 42.4
TCGA-BK-A13B-01A 58 years, female, black or african american, stage:Stage IB, alive, 966 days 42.2
TCGA-QF-A5YS-01A 57 years, female, black or african american, stage:Stage II, alive, 689 days 41.9
TCGA-AX-A05W-01A 60 years, female, white, stage:Stage IIB, alive, 2450 days 41.0
TCGA-A5-A7WK-01A 71 years, female, black or african american, stage:Stage IA, alive, 560 days 38.9
TCGA-2E-A9G8-01A 59 years, female, black or african american, stage:Stage III, alive, 1249 days 38.7
TCGA-DI-A1C3-01A 38 years, female, white, stage:Stage IB, alive, 739 days 38.7
TCGA-EY-A210-01A 82 years, female, black or african american, stage:Stage IIIC, alive, 383 days 38.6
TCGA-PG-A7D5-01A 62 years, female, black or african american, stage:Stage IA, alive, 1177 days 37.7
TCGA-FI-A2EY-01A 63 years, female, white, stage:Stage IIIA, dead, 880 days 37.3
TCGA-B5-A3FH-01A 74 years, female, black or african american, stage:Stage IA, alive, 841 days 35.8
TCGA-DF-A2KR-01A 84 years, female, stage:Stage IIIC, alive, 1865 days 34.5
TCGA-DF-A2KV-01A 55 years, female, stage:Stage IB, alive, 2717 days 33.7
TCGA-DI-A2QY-01A 64 years, female, white, stage:Stage IIB, dead, 3349 days 33.6
TCGA-AX-A2H4-01A 66 years, female, white, stage:Stage IIIA, dead, 916 days 33.4
TCGA-E6-A8L9-01A 61 years, female, black or african american, stage:Stage IB, alive, 1013 days 32.8
TCGA-B5-A11R-01A 51 years, female, black or african american, stage:Stage II, alive, 2349 days 32.7
TCGA-D1-A3DA-01A 77 years, female, white, stage:Stage IIIC, alive, 483 days 31.7
TCGA-BK-A139-01A 74 years, female, white, stage:Stage IB, dead, 943 days 31.6
TCGA-DI-A2QT-01A 51 years, female, american indian or alaska native, stage:Stage IIIC, dead, 377 days 31.1
TCGA-EY-A2ON-01A 61 years, female, black or african american, stage:Stage IVB, dead, 610 days 29.5
TCGA-QS-A5YQ-01A 55 years, female, black or african american, stage:Stage IIIA, alive, 759 days 27.8
TCGA-EY-A1GL-01A 51 years, female, white, stage:Stage II, alive, 1014 days 26.5
TCGA-PG-A6IB-01A 68 years, female, black or african american, stage:Stage IA, alive, 648 days 26.3
TCGA-B5-A3FA-01A 73 years, female, white, stage:Stage IC, alive, 2929 days 25.1
TCGA-DF-A2KU-01A female, stage:Stage IB, alive, 3067 days 21.6
TCGA-AJ-A3BK-01A 68 years, female, white, stage:Stage IC, alive, 1031 days 21.4
TCGA-QS-A5YR-01A 61 years, female, black or african american, stage:Stage IIIB, alive, 719 days 21.3
TCGA-JU-AAVI-01A 61 years, female, black or african american, stage:Stage IIIC, dead, 540 days 21.3
TCGA-QF-A5YT-01A 57 years, female, black or african american, stage:Stage II, alive, 1215 days 20.6
TCGA-B5-A5OD-01A 67 years, female, black or african american, stage:Stage IIIC, alive, 1038 days 20.3
TCGA-DF-A2KY-01A 49 years, female, stage:Stage IVA, alive, 332 days 19.6
TCGA-SL-A6J9-01A 73 years, female, black or african american, stage:Stage IB, alive, 2 days 19.0
TCGA-AJ-A3BG-01A 65 years, female, white, stage:Stage IA, alive, 550 days 18.9
TCGA-EY-A5W2-01A 72 years, female, black or african american, stage:Stage IB, alive, 516 days 18.7
TCGA-EO-A3AS-01A 86 years, female, stage:Stage IA, alive, 1046 days 18.0
TCGA-A5-A2K5-01A 76 years, female, white, stage:Stage IA, alive, 752 days 17.9
TCGA-DF-A2KZ-01A 87 years, female, stage:Stage IB, alive, 826 days 17.6
TCGA-EY-A1GO-01A 65 years, female, white, stage:Stage IIIC, alive, 586 days 17.2
TCGA-AJ-A3OK-01A 73 years, female, white, stage:Stage IA, alive, 485 days 16.1
TCGA-BS-A0V7-01A 48 years, female, native hawaiian or other pacific islander, stage:Stage IB, alive, 1934 days 13.2
TCGA-QS-A8F1-01A 85 years, female, black or african american, stage:Stage IIIA, dead, 135 days 9.7
TCGA-AX-A3G8-01A 76 years, female, white, stage:Stage IA, alive, 36 days 9.2
TCGA-DF-A2L0-01A 60 years, female, stage:Stage IIIC, dead, 788 days 9.2
TCGA-A5-A2K3-01A 68 years, female, white, stage:Stage IA, alive, 2012 days 9.0
TCGA-AJ-A3BI-01A 67 years, female, white, stage:Stage IA, alive, 575 days 8.7
TCGA-H5-A2HR-01A 71 years, female, black or african american, stage:Stage IB, alive, 53 days 8.3
TCGA-AX-A1C7-01A 77 years, female, white, stage:Stage IB, alive, 1054 days 7.5
TCGA-EO-A3AZ-01A 80 years, female, stage:Stage IB, alive, 826 days 6.9
TCGA-BS-A0V4-01A 56 years, female, white, stage:Stage IB, alive, 1810 days 4.1
TCGA-EO-A3AY-01A 58 years, female, stage:Stage IB, alive, 1158 days 4.1
TCGA-AX-A3G7-01A 71 years, female, white, stage:Stage IVB, alive, 9 days 0.0
TCGA-AJ-A3EJ-01A 74 years, female, white, stage:Stage IIIC, dead, 50 days 0.0
TCGA-AJ-A3BD-01A 57 years, female, white, stage:Stage IIIC, alive, 1039 days 0.0
Show allShow less
ENDOMETRIOID ADENOCARCINOMA - Protein relative expression (CPTAC)
Number of samples 153
Samples
Sample ID Sample type nRPX
CPT0007600003 Tumor 0.5
CPT0002210011 Tumor 0.5
CPT0010260003 Tumor 0.4
CPT0027650003 Tumor 0.4
CPT0113690003 Tumor 0.4
CPT0020530003 Tumor 0.4
CPT0002130003 Tumor 0.4
CPT0116550004 Tumor 0.3
CPT0001850012 Tumor 0.3
NX7 Normal 0.3
CPT0075900003 Tumor 0.3
CPT0002010011 Tumor 0.3
CPT0093280003 Tumor 0.3
CPT0026430003 Tumor 0.3
CPT0063250003 Tumor 0.3
CPT0080980003 Tumor 0.2
CPT0016940003 Tumor 0.2
CPT0076160003 Tumor 0.2
CPT0022620003 Tumor 0.2
CPT0079650003 Tumor 0.2
CPT0018790003 Tumor 0.2
CPT0001460012 Tumor 0.2
CPT0007660001 Normal 0.2
CPT0018570003 Tumor 0.2
CPT0070260003 Tumor 0.2
CPT0015520003 Tumor 0.2
CPT0062940003 Tumor 0.2
CPT0010430003 Tumor 0.2
NX3 Normal 0.2
NX14 Normal 0.2
NX5 Normal 0.2
CPT0097010003 Tumor 0.1
CPT0002430011 Tumor 0.1
CPT0018960003 Tumor 0.1
CPT0023630003 Tumor 0.1
CPT0000980012 Tumor 0.1
CPT0077660001 Normal 0.1
CPT0002500011 Tumor 0.1
CPT0078610003 Tumor 0.1
CPT0116630003 Tumor 0.1
CPT0026270003 Tumor 0.1
CPT0077770003 Tumor 0.1
CPT0010610003 Tumor 0.1
CPT0001140003 Tumor 0.1
CPT0027120003 Tumor 0.1
CPT0080990001 Normal 0.1
CPT0026530003 Tumor 0.1
CPT0063380003 Tumor 0.1
NX11 Normal 0.1
NX18 Normal 0.1
CPT0077650003 Tumor 0.1
CPT0019840003 Tumor 0.1
CPT0063900001 Normal 0.1
CPT0073520003 Tumor 0.1
CPT0080400003 Tumor 0.1
CPT0027810003 Tumor 0.1
CPT0064930004 Tumor 0.1
CPT0063890003 Tumor 0.1
CPT0010820003 Tumor 0.1
CPT0063110001 Normal 0.1
CPT0001300009 Tumor 0.1
CPT0022530003 Tumor 0.1
CPT0066620003 Tumor 0.1
CPT0027130001 Normal 0.1
CPT0080890001 Normal 0.1
CPT0027420003 Tumor 0.1
CPT0076860003 Tumor 0.1
NX13 Normal 0.1
CPT0077780001 Normal 0.1
CPT0073530001 Normal 0.1
NX6 Normal 0.1
CPT0116570003 Normal 0.1
CPT0026540001 Normal 0.1
CPT0016370003 Tumor 0.1
CPT0016530001 Normal 0.0
CPT0016490003 Tumor 0.0
CPT0027430001 Normal 0.0
CPT0080610003 Tumor 0.0
CPT0016830003 Tumor 0.0
CPT0075380003 Tumor 0.0
NX4 Normal 0.0
CPT0024130003 Tumor 0.0
NX10 Normal 0.0
CPT0064290004 Tumor 0.0
CPT0076680003 Tumor 0.0
NX8 Normal 0.0
CPT0064320001 Normal 0.0
CPT0016220003 Tumor 0.0
CPT0063260001 Normal 0.0
CPT0002630003 Tumor 0.0
NX15 Normal 0.0
CPT0026770003 Tumor 0.0
CPT0063670003 Tumor 0.0
CPT0073450003 Tumor 0.0
NX2 Normal 0.0
CPT0011000003 Tumor 0.0
CPT0002450001 Normal 0.0
CPT0017870003 Tumor 0.0
CPT0064950001 Normal 0.0
CPT0026780001 Normal 0.0
CPT0070380004 Tumor 0.0
CPT0080700003 Tumor 0.0
CPT0064150004 Tumor 0.0
CPT0027320003 Tumor 0.0
CPT0073460001 Normal 0.0
CPT0027520003 Tumor 0.0
CPT0023810003 Tumor 0.0
CPT0063090003 Tumor 0.0
CPT0001910016 Tumor 0.0
CPT0000730011 Tumor -0.1
CPT0021650003 Tumor -0.1
CPT0073730003 Tumor -0.1
CPT0026030004 Tumor -0.1
CPT0064240001 Normal -0.1
NX12 Normal -0.1
CPT0076500003 Tumor -0.1
CPT0027970003 Tumor -0.1
CPT0023640001 Normal -0.1
CPT0009980003 Tumor -0.1
CPT0064210003 Tumor -0.1
CPT0097710003 Tumor -0.1
CPT0001470001 Normal -0.1
CPT0026650003 Tumor -0.1
CPT0002080011 Tumor -0.1
CPT0078360001 Normal -0.1
CPT0063790003 Tumor -0.1
NX1 Normal -0.1
CPT0026660001 Normal -0.1
CPT0007100003 Tumor -0.1
CPT0022830003 Tumor -0.1
CPT0001420009 Tumor -0.1
CPT0080030003 Tumor -0.2
CPT0093290000 Normal -0.2
CPT0080880003 Tumor -0.2
NX17 Normal -0.2
CPT0078710004 Tumor -0.2
NX16 Normal -0.2
CPT0022850001 Normal -0.2
CPT0075940001 Normal -0.2
CPT0011020003 Normal -0.2
CPT0070330004 Tumor -0.2
CPT0016260003 Tumor -0.2
CPT0080300003 Tumor -0.2
CPT0078320004 Tumor -0.2
CPT0002560003 Tumor -0.3
NX9 Normal -0.3
CPT0017930001 Normal -0.3
CPT0027020001 Normal -0.3
CPT0080620001 Normal -0.3
CPT0079570003 Tumor N/A
CPT0078880003 Tumor N/A
CPT0097730003 Tumor N/A
CPT0000820012 Tumor N/A
Show allShow less
UTERINE CORPUS ENDOMETRIAL CARCINOMA - Protein relative expression (CPTAC)
Number of samples 160
Samples
Sample ID Sample type nRPX
CPT0203150008 Tumor 0.5
CPT0188370003 Tumor 0.5
CPT0197250003 Tumor 0.5
CPT0128610003 Tumor 0.4
CPT0181750004 Tumor 0.4
CPT0186560008 Tumor 0.4
CPT0133400008 Tumor 0.4
CPT0182210004 Tumor 0.4
CPT0188030003 Tumor 0.3
CPT0095230003 Tumor 0.3
CPT0247880003 Tumor 0.3
CPT0188190004 Tumor 0.3
CPT0133770008 Tumor 0.3
CPT0188100004 Tumor 0.3
CPT0097440003 Tumor 0.3
CPT0116710003 Tumor 0.3
CPT0113430004 Tumor 0.3
CPT0186720008 Tumor 0.3
CPT0112910003 Tumor 0.3
CPT0182290003 Tumor 0.3
CPT0127980003 Tumor 0.3
CPT0134500003 Tumor 0.3
CPT0115470003 Tumor 0.3
CPT0117370004 Tumor 0.3
CPT0113060003 Tumor 0.2
CPT0171090008 Tumor 0.2
CPT0098270003 Tumor 0.2
CPT0265110003 Tumor 0.2
CPT0095100003 Tumor 0.2
CPT0186010004 Tumor 0.2
CPT0188610003 Tumor 0.2
CPT0182340004 Tumor 0.2
CPT0136280003 Tumor 0.2
CPT0159110003 Tumor 0.2
CPT0091720003 Tumor 0.2
CPT0117510003 Tumor 0.2
CPT0093170003 Tumor 0.2
CPT0181960004 Tumor 0.2
CPT0128770003 Tumor 0.2
CPT0203040008 Tumor 0.2
CPT0181320003 Tumor 0.2
CPT0095280003 Tumor 0.2
CPT0161590008 Tumor 0.2
CPT0100010003 Tumor 0.2
CPT0234080003 Tumor 0.2
CPT0095190003 Tumor 0.2
CPT0087260003 Tumor 0.1
NX019 Normal 0.1
CPT0113850003 Tumor 0.1
CPT0128960003 Tumor 0.1
CPT0127700003 Tumor 0.1
CPT0129640003 Tumor 0.1
CPT0114100003 Tumor 0.1
CPT0190700008 Tumor 0.1
CPT0181810004 Tumor 0.1
NX028 Normal 0.1
CPT0113910003 Tumor 0.1
CPT0117440003 Tumor 0.1
CPT0095880003 Tumor 0.1
CPT0116940003 Tumor 0.1
NX030 Normal 0.1
NX020 Normal 0.1
CPT0158520008 Tumor 0.1
NX029 Normal 0.1
NX031 Normal 0.1
CPT0182380004 Tumor 0.1
CPT0116140004 Tumor 0.1
CPT0188480004 Tumor 0.1
CPT0100100003 Tumor 0.1
CPT0096010003 Tumor 0.1
CPT0092690003 Tumor 0.1
CPT0181540008 Tumor 0.1
CPT0244510003 Tumor 0.1
NX034 Normal 0.1
CPT0117300003 Tumor 0.1
CPT0117010004 Tumor 0.1
NX038 Normal 0.1
CPT0097300003 Tumor 0.1
NX021 Normal 0.1
CPT0182150003 Tumor 0.1
NX024 Normal 0.1
CPT0092460003 Tumor 0.1
CPT0225010003 Tumor 0.1
CPT0247910003 Tumor 0.1
CPT0182070004 Tumor 0.1
NX035 Normal 0.0
NX032 Normal 0.0
CPT0128370003 Tumor 0.0
CPT0086490003 Tumor 0.0
CPT0111880003 Tumor 0.0
CPT0134310008 Tumor 0.0
CPT0265300003 Tumor 0.0
CPT0129080003 Tumor 0.0
CPT0108750003 Tumor 0.0
CPT0196790004 Tumor 0.0
CPT0111810003 Tumor 0.0
CPT0098920003 Tumor 0.0
CPT0116250004 Tumor 0.0
CPT0181610003 Tumor 0.0
CPT0182020004 Tumor 0.0
CPT0112780003 Tumor 0.0
CPT0187960004 Tumor 0.0
CPT0133600003 Tumor 0.0
CPT0288750003 Tumor 0.0
CPT0091990003 Tumor 0.0
CPT0099910003 Tumor 0.0
CPT0086090003 Tumor 0.0
CPT0188270004 Tumor 0.0
CPT0248000003 Tumor 0.0
CPT0174890008 Tumor 0.0
CPT0095130004 Tumor 0.0
CPT0104690003 Tumor 0.0
NX025 Normal 0.0
CPT0113330003 Tumor 0.0
CPT0226810003 Tumor 0.0
CPT0116340004 Tumor 0.0
CPT0111950003 Tumor 0.0
NX027 Normal 0.0
CPT0089600003 Tumor 0.0
CPT0114340003 Tumor 0.0
CPT0099050003 Tumor -0.1
CPT0288830003 Tumor -0.1
CPT0129520003 Tumor -0.1
NX023 Normal -0.1
CPT0088140003 Tumor -0.1
NX036 Normal -0.1
CPT0188710003 Tumor -0.1
CPT0181670008 Tumor -0.1
CPT0203250008 Tumor -0.1
CPT0275270003.1 Tumor -0.1
NX037 Normal -0.1
CPT0091910003 Tumor -0.1
CPT0111720003 Tumor -0.1
CPT0211120004 Tumor -0.1
CPT0127610003 Tumor -0.1
CPT0092860003 Tumor -0.1
CPT0115000004 Tumor -0.1
CPT0115530003 Tumor -0.1
CPT0172460008 Tumor -0.1
CPT0091780003 Tumor -0.1
CPT0083580003 Tumor -0.1
CPT0159220008 Tumor -0.1
CPT0117230003 Tumor -0.1
CPT0226860003 Tumor -0.2
CPT0247940003 Tumor -0.2
NX022 Normal -0.2
CPT0172200008 Tumor -0.2
NX033 Normal -0.2
CPT0244470003.1 Tumor -0.2
NX026 Normal -0.3
CPT0238260003 Tumor -0.3
CPT0116010004 Tumor -0.3
CPT0126000003 Tumor -0.3
CPT0117560003 Tumor -0.3
CPT0247970003 Tumor -0.3
CPT0104820003 Tumor -0.3
CPT0186900008 Tumor -0.3
CPT0137140008 Tumor -0.3
CPT0244470003 Tumor N/A
CPT0275270003 Tumor N/A
Show allShow less
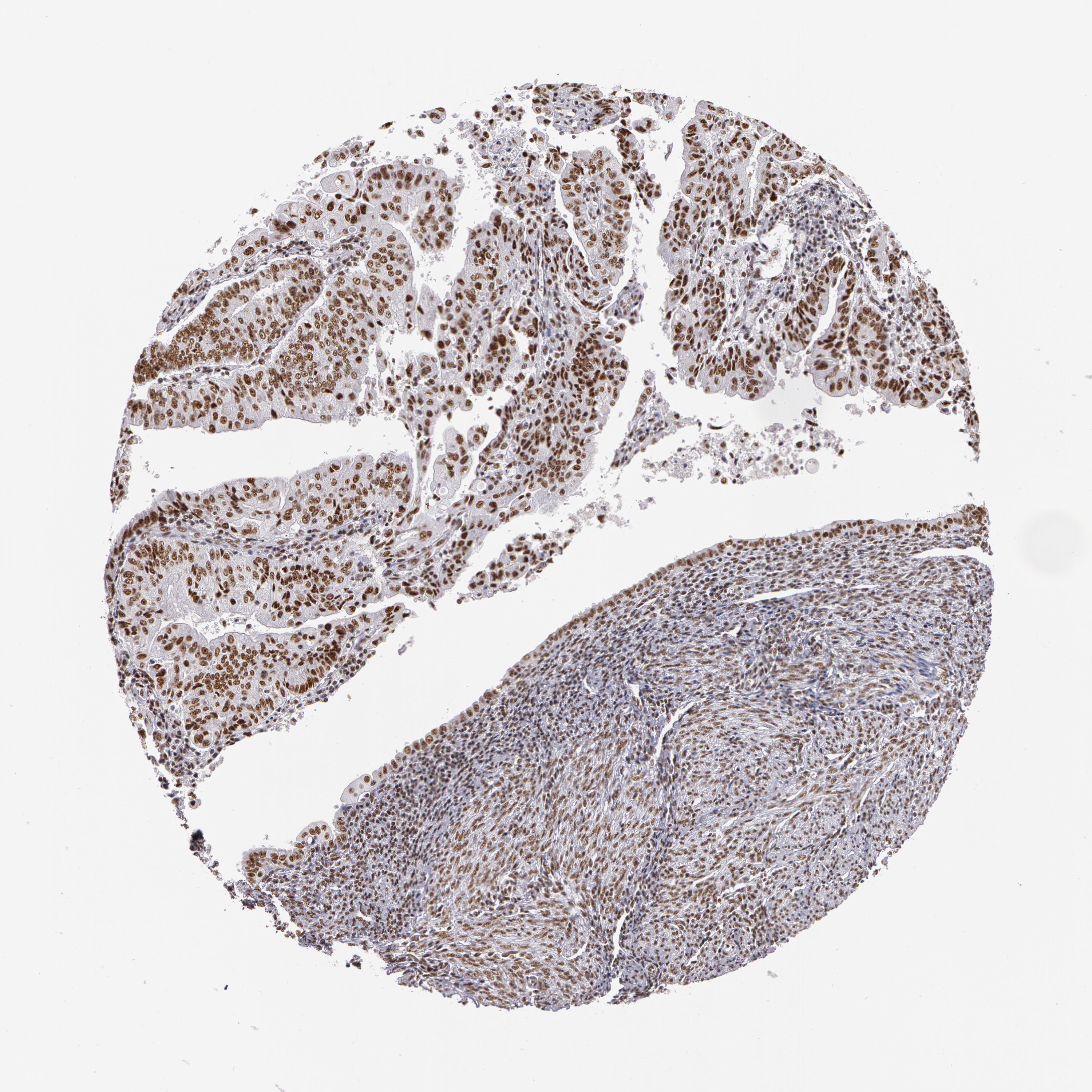
ENDOMETRIAL CANCER - Protein expressioni

A mouse-over function shows sample information and annotation data. Click on an image to view it in a full screen mode. Samples can be filtered based on level of antibody staining by selecting one or several of the following categories: high, medium, low and not detected. The assay and annotation is described here.

Note that samples used for immunohistochemistry by the Human Protein Atlas do not correspond to samples in the TCGA dataset.

 

Antibody stainingi

Antibody staining in the annotated cell types in the current human tissue is reported as not detected, low, medium, or high, based on conventional immunohistochemistry profiling in selected tissues. This score is based on the combination of the staining intensity and fraction of stained cells.

Each image is clickable and will lead to virtual microscopy that enables deeper exploration of all samples and also displays staining intensity scores, fraction scores and subcellular localization as well as patient and tissue information for each sample.


Antibody HPA001378
 Staining
  High
  Medium
  Low
  Not detected
 Intensity
  Strong
  Moderate
  Weak
  Negative
 Quantity
  >75%
  75%-25%
  <25%
  None
 Location
  Nuclear
  Cytoplasmic/membranous
  Cytoplasmic/membranous,nuclear
  None
Adenocarcinoma, NOS

Contact

  • NEWS ARTICLES
  • PRESS ROOM

The Project

  • INTRODUCTION
  • ORGANIZATION
  • PUBLICATIONS

The Human Protein Atlas

  • DOWNLOADABLE DATA
  • LICENCE & CITATION
  • HELP & FAQ
The Human Protein Atlas project is funded
by the Knut & Alice Wallenberg Foundation.


contact@proteinatlas.org