We use cookies to enhance the usability of our website. If you continue, we'll assume that you are happy to receive all cookies. More information. Don't show this again.
MMP9
HPA
RESOURCES
  • TISSUE
  • BRAIN
  • SINGLE CELL
  • SUBCELLULAR
  • CANCER
  • BLOOD
  • CELL LINE
  • STRUCTURE & INTERACTION
ABOUT
  • INTRODUCTION
  • HISTORY
  • ORGANIZATION
  • PUBLICATIONS
  • ANTIBODY SUBMISSION
  • ANTIBODY AVAILABILITY
  • ACKNOWLEDGMENTS
  • CONTACT
NEWS
  • NEWS ARTICLES
  • PRESS ROOM
LEARN
  • DICTIONARY
  • PROTEIN CLASSES
  • PROTEIN EVIDENCE
  • METHODS
  • EDUCATIONAL VIDEOS
DATA
  • DOWNLOADABLE DATA
  • PUBLICATION DATA
  • RELEASE HISTORY
HELP
  • ANTIBODY VALIDATION
  • ASSAYS & ANNOTATION
  • DISCLAIMER
  • HELP & FAQ
  • PRIVACY STATEMENT
  • LICENCE & CITATION
Fields »
Search result

Field
Term
Gene name
Class
Subclass
Class
Keyword
Chromosome
External id
Tissue
Cell type
Expression
Antibody panel
Tissue
Main location
Patient ID
Annotation
Tissue
Category
Tau score
Cluster
Reliability
Brain region
Category
Tau score
Brain region
Category
Tau score
Brain region
Category
Tau score
Cluster
Reliability
Tissue
Cell type
Enrichment
Cell type
Category
Tau score
Cell type
Category
Tau score
Cell type
Category
Tau score
Cell lineage
Category
Tau score
Cluster
Cluster
Location
Searches
Location
Cell line
Class
Type
Phase
Reliability
Cancer
Prognosis
Cancer
Category
Cancer
Category
Tau score
Cluster
Variants
Interacting gene (ensg_id)
Type
Number of interactions
Pathway
Category
Score
Score
Score
Validation
Validation
Validation
Validation
Antibodies
Data type
Column


  • SUMMARY

  • TISSUE

  • BRAIN

  • SINGLE CELL

  • SUBCELL

  • CANCER

  • BLOOD

  • CELL LINE

  • STRUCT & INT

  • MMP9
TISSUE PRIMARY DATA LUNG Show tissue menu
ADIPOSE TISSUE ADRENAL GLAND AMYGDALA APPENDIX BASAL GANGLIA BONE MARROW BREAST BRONCHUS CEREBELLUM CEREBRAL CORTEX CERVIX CHOROID PLEXUS COLON DUODENUM
ENDOMETRIUM EPIDIDYMIS ESOPHAGUS FALLOPIAN TUBE GALLBLADDER HEART MUSCLE HIPPOCAMPAL FORMATION HYPOTHALAMUS KIDNEY LIVER LUNG LYMPH NODE MIDBRAIN NASOPHARYNX
ORAL MUCOSA OVARY PANCREAS PARATHYROID GLAND PITUITARY GLAND PLACENTA PROSTATE RECTUM RETINA SALIVARY GLAND SEMINAL VESICLE SKELETAL MUSCLE SKIN SMALL INTESTINE
SMOOTH MUSCLE SOFT TISSUE SPINAL CORD SPLEEN STOMACH TESTIS THYMUS THYROID GLAND TONGUE TONSIL URINARY BLADDER VAGINA
ANTIBODIES
AND
VALIDATION
Dictionary
Lung
Tissue proteome
Lung
LUNG - Expression summary
Protein expression
Lungi

On the top, protein expression in current human tissue, based on all annotated cell types, is reported with the units not detected (n), low (l), medium (m) and high (h). Underneath, protein expression in each annotated cell type are reported using the same units.

Protein expression data is based on knowledge-based annotation. For genes where more than one antibody has been used, a collective score is set.

If knowledge-based annotation could not be performed for a gene, no data is displayed here. View antibody staining data further down this page.

h
m
l
n
Alveolar cells: Not detected
Macrophages: Not detected
RNA expressioni

A summary of mRNA expression data available for current tissue based on several datasets. The mRNA expression levels in human tissues are based on RNA-seq data generated by the Human Protein Atlas (HPA), Genotype-Tissue Expression (GTEx) portal and CAGE data generated by the FANTOM5 consortium. Consensus normalized expression levels for human tissues was created by combining the data from HPA and GTEx datasets.

The mRNA expression levels in pig are based on RNA-seq data generated by the Human Protein Atlas (HPA), and for mouse, HPA data and in situ hybridization generated by the Allen brain atlas are reported.

Scroll down to view mRNA expression data in more detail.
Consensus:20.5 nTPM
HPA:4.3 nTPM
GTEx:20.5 nTPM
FANTOM5:82.5 Scaled Tags Per Million

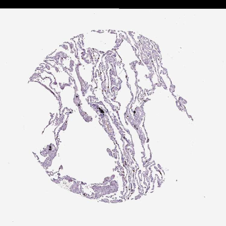
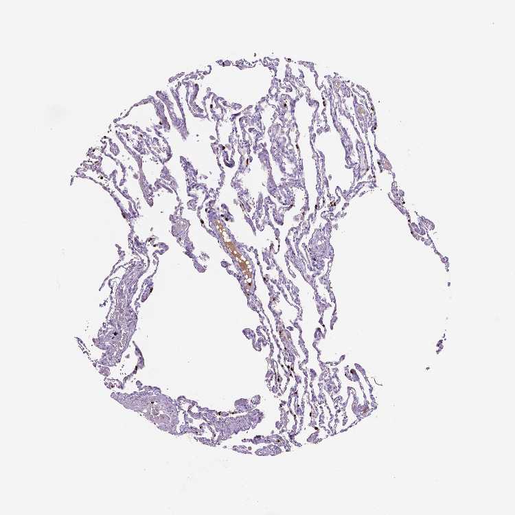
LUNG - Antibody stainingi

Antibody staining in the annotated cell types in the current human tissue is reported as not detected, low, medium, or high, based on conventional immunohistochemistry profiling in selected tissues. This score is based on the combination of the staining intensity and fraction of stained cells.

Each image is clickable and will lead to virtual microscopy that enables deeper exploration of all samples and also displays staining intensity scores, fraction scores and subcellular localization as well as patient and tissue information for each sample.

Antibody HPA001238Antibody HPA063909Antibody CAB000348Antibody CAB068199Antibody CAB068200Antibody CAB068201
Alveolar cells Not detectedNot detectedNot detectedNot detectedNot detectedNot detected
Macrophages Not detectedNot detectedNot detectedNot detectedNot detectedNot detected













LUNG - HPA RNA-seqi

The RNA-seq details section shows detailed information about the individual samples used for the transcript profiling and results of the RNA-seq analysis.

Information about each individual sample is listed below, including gender, age, a tissue section image and estimated fractions of cell types. nTPM (normalized transcripts per million) values give a quantification of the gene abundance which is comparable between different genes and samples.
Average nTPMi

Max subtype nTPM is the value for the subtype with the largest average nTPM across the subtype samples.

4.3
overview
Female, age 71
Lung sample 164
nTPM: 13.2
Cell types%
Alveolar cells:
40

Bronchial epithelium:
5

Endothelial cells:
25

Macrophages:
10

Other cell types:
20

overview
Male, age 57
Lung sample 165
nTPM: 1.5
Cell types%
Alveolar cells:
35

Bronchial epithelium:
5

Endothelial cells:
30

Macrophages:
10

Other cell types:
20

overview
Female, age 71
Lung sample 166
nTPM: 5.6
Cell types%
Alveolar cells:
35

Bronchial epithelium:
10

Endothelial cells:
25

Macrophages:
10

Other cell types:
20

overview
Female, age 74
Lung sample 167
nTPM: 2.3
Cell types%
Alveolar cells:
40

Bronchial epithelium:
0

Endothelial cells:
30

Macrophages:
15

Other cell types:
15

overview
Female, age 73
Lung sample 168
nTPM: 1.6
Cell types%
Alveolar cells:
30

Bronchial epithelium:
5

Endothelial cells:
30

Macrophages:
10

Other cell types:
25

overview
Male, age 74
Lung sample 376
nTPM: 1.3
Cell types%
Alveolar cells:
25

Bronchial epithelium:
0

Endothelial cells:
35

Macrophages:
5

Other cell types:
35

overview
Female, age 70
Lung sample 379
nTPM: 1.1
Cell types%
Alveolar cells:
35

Bronchial epithelium:
5

Endothelial cells:
35

Macrophages:
5

Other cell types:
20

overview
Female, age 75
Lung sample 387
nTPM: 2.8
Cell types%
Alveolar cells:
20

Bronchial epithelium:
10

Endothelial cells:
20

Macrophages:
10

Other cell types:
40

overview
Male, age 63
Lung sample 406
nTPM: 9.5
Cell types%
Alveolar cells:
25

Bronchial epithelium:
5

Endothelial cells:
25

Macrophages:
15

Other cell types:
30


LUNG - GTEx RNA-seqi

RNA-Seq data generated by the Genotype-Tissue Expression (GTEx) project from human tissues is reported as mean nTPM. More information can be found on the GTEx portal.

Distribution across the dataset is visualized with box plots, shown as median and 25th and 75th percentiles. Points are displayed as outliers if they are above or below 1.5 times the interquartile range. nTPM values of the individual samples are presented next to the box plot.
Max subtype nTPMi

Max subtype nTPM is the value for the subtype with the largest average nTPM across the subtype samples.

20.5
GTEx sample id Sample description nTPM
Lung
Average nTPM: 20.5
Samples: 578

Max nTPM: 388.0
Min nTPM: 0.3
Std nTPM: 33.4
Median nTPM: 10.9
GTEX-12584-1426-SM-5EGJ9 40-49 years, male 388.0
GTEX-P44H-1126-SM-48TBU 40-49 years, male 341.1
GTEX-17MF6-0826-SM-7LT8F 40-49 years, male 284.5
GTEX-1E2YA-0926-SM-7MXUK 50-59 years, male 213.8
GTEX-1LC47-1126-SM-D4P43 60-69 years, male 180.2
GTEX-144GM-0126-SM-5Q5AX 20-29 years, male 166.2
GTEX-1PWST-0826-SM-DTXF1 70-79 years, male 153.3
GTEX-17HII-0926-SM-79ON7 50-59 years, male 138.3
GTEX-16Z82-1026-SM-6M48A 60-69 years, male 121.9
GTEX-QDVN-0726-SM-4B64L 50-59 years, male 121.9
GTEX-15ER7-0926-SM-7KUMG 20-29 years, female 118.7
GTEX-15G1A-0426-SM-6M468 30-39 years, male 110.6
GTEX-1I1GU-0526-SM-B2LX2 40-49 years, male 109.4
GTEX-1CAMQ-1026-SM-7EPIC 40-49 years, male 108.6
GTEX-14XAO-0526-SM-6AJB7 60-69 years, female 96.9
GTEX-13O3O-0726-SM-5J1N7 60-69 years, female 95.2
GTEX-12BJ1-1026-SM-5EGJA 60-69 years, male 93.1
GTEX-WHPG-1426-SM-3NMBB 50-59 years, male 90.8
GTEX-ZTPG-0926-SM-5O99H 20-29 years, female 83.1
GTEX-XV7Q-0426-SM-4BRVN 40-49 years, female 79.0
GTEX-XXEK-0626-SM-4BRWE 50-59 years, male 73.0
GTEX-13FLV-0426-SM-5KLZA 50-59 years, male 72.4
GTEX-ZTTD-1126-SM-51MRP 50-59 years, male 71.4
GTEX-1NV5F-0926-SM-DTX8N 60-69 years, female 64.5
GTEX-ZZPU-0526-SM-5E44U 50-59 years, female 64.4
GTEX-1HBPM-0826-SM-9WYSP 60-69 years, female 64.2
GTEX-17F98-0226-SM-793BV 40-49 years, female 63.6
GTEX-11TUW-0526-SM-5LU9A 60-69 years, male 62.9
GTEX-13RTJ-1126-SM-5S2UJ 60-69 years, male 61.1
GTEX-11UD2-0726-SM-5EQ69 50-59 years, male 59.0
GTEX-1ICLY-0926-SM-CM2RJ 50-59 years, male 57.5
GTEX-1I1GS-1426-SM-COH3W 60-69 years, male 56.9
GTEX-13NZA-1426-SM-5KM4Y 60-69 years, male 56.3
GTEX-132QS-0726-SM-5IJE9 60-69 years, male 56.0
GTEX-1339X-0626-SM-5IJER 40-49 years, male 56.0
GTEX-X4EO-0926-SM-3P5Z2 60-69 years, female 55.8
GTEX-1KD4Q-0926-SM-CXZKI 40-49 years, male 55.1
GTEX-12WSJ-0226-SM-5GCP7 40-49 years, female 54.5
GTEX-15RJE-1026-SM-6M46X 40-49 years, male 54.2
GTEX-OIZH-0526-SM-2HMKV 50-59 years, male 53.8
GTEX-1GN73-1026-SM-9KNV9 60-69 years, male 53.8
GTEX-1I1GP-0526-SM-ARL7G 50-59 years, male 53.6
GTEX-U8T8-2226-SM-3DB95 60-69 years, male 53.1
GTEX-1IDJI-0626-SM-C1YQD 50-59 years, female 51.8
GTEX-XBED-0826-SM-47JYC 60-69 years, male 51.7
GTEX-13OVL-0626-SM-5KM13 50-59 years, male 51.4
GTEX-11TT1-1626-SM-5EQL7 20-29 years, male 51.0
GTEX-133LE-0526-SM-5N9EJ 20-29 years, female 51.0
GTEX-SN8G-0926-SM-4DM5I 50-59 years, female 50.9
GTEX-139YR-0926-SM-5LZYB 50-59 years, male 50.3
GTEX-1211K-0826-SM-5FQUP 60-69 years, female 50.0
GTEX-REY6-0426-SM-2TF5G 60-69 years, male 49.5
GTEX-132NY-1226-SM-5PNVF 60-69 years, male 49.0
GTEX-SNOS-0426-SM-32PMH 40-49 years, male 46.1
GTEX-1H23P-1026-SM-9QEHQ 60-69 years, male 46.0
GTEX-15EU6-1226-SM-6AJBE 50-59 years, male 45.9
GTEX-RVPV-1726-SM-2NKAQ 60-69 years, male 44.7
GTEX-14E6C-1426-SM-5ZZWH 40-49 years, male 44.6
GTEX-ZF2S-0626-SM-4WKH2 50-59 years, female 44.6
GTEX-17JCI-1526-SM-7IGOQ 60-69 years, female 44.4
GTEX-145MO-1326-SM-5Q5EF 60-69 years, male 43.7
GTEX-P4QS-0526-SM-2I3ET 60-69 years, male 43.5
GTEX-POYW-1226-SM-2XCEP 60-69 years, male 43.0
GTEX-1F75W-0626-SM-7PC13 60-69 years, male 42.9
GTEX-1128S-0726-SM-5N9D6 60-69 years, female 42.8
GTEX-RWSA-1126-SM-2XCAZ 40-49 years, male 42.8
GTEX-13OVJ-0726-SM-5KM1W 50-59 years, female 42.4
GTEX-14PJ4-0626-SM-6AJBS 60-69 years, male 40.5
GTEX-139T6-0426-SM-5IJEM 50-59 years, male 40.3
GTEX-RUSQ-0626-SM-2TF5V 50-59 years, male 40.1
GTEX-1I1GR-0726-SM-B2LWL 60-69 years, male 39.8
GTEX-OOBK-0526-SM-2HMJJ 40-49 years, male 39.3
GTEX-1LVAN-1126-SM-CNNRE 50-59 years, female 39.1
GTEX-1OJC3-0726-SM-DTX92 20-29 years, male 39.0
GTEX-13X6K-1626-SM-7EWCX 60-69 years, female 38.9
GTEX-13O3P-1026-SM-5N9E7 50-59 years, male 38.5
GTEX-VJWN-1326-SM-EVR2Z 50-59 years, female 37.9
GTEX-1HCU7-0926-SM-A96TK 50-59 years, male 37.3
GTEX-12WSN-5004-SM-793CE 40-49 years, male 37.2
GTEX-13FH7-1726-SM-5IJE7 50-59 years, female 37.2
GTEX-147GR-1226-SM-5TDCL 60-69 years, male 36.8
GTEX-15UKP-1926-SM-6LPI9 20-29 years, male 36.6
GTEX-OXRN-0526-SM-2I5EN 50-59 years, male 36.6
GTEX-11EQ9-0226-SM-5A5JX 30-39 years, male 36.3
GTEX-12WSG-5004-SM-7EPG9 50-59 years, female 36.3
GTEX-S32W-0326-SM-2XCBI 50-59 years, female 36.3
GTEX-X3Y1-0626-SM-3P5YS 40-49 years, male 36.2
GTEX-1PIIG-1826-SM-DTX7N 30-39 years, male 36.1
GTEX-111YS-0626-SM-5GZXV 60-69 years, male 35.4
GTEX-P4PP-0526-SM-2HMKE 30-39 years, female 35.4
GTEX-1GPI7-1526-SM-9JGG8 20-29 years, male 35.4
GTEX-1122O-0126-SM-5GICA 60-69 years, female 34.6
GTEX-1C6VR-0626-SM-79OOY 60-69 years, male 34.2
GTEX-13PVQ-0926-SM-5IJFD 50-59 years, male 33.8
GTEX-Q2AH-0426-SM-2I3EP 40-49 years, male 33.1
GTEX-ZLWG-0626-SM-4WWFR 50-59 years, female 32.9
GTEX-1QAET-0426-SM-EXUSM 50-59 years, male 32.9
GTEX-1JMQL-1126-SM-CKZOP 50-59 years, female 32.8
GTEX-13JVG-1426-SM-5MR4W 60-69 years, male 32.7
GTEX-QESD-0626-SM-2I5G4 20-29 years, male 32.5
GTEX-U3ZM-0426-SM-3DB73 40-49 years, male 32.3
GTEX-1A8G6-0726-SM-73KV5 60-69 years, male 32.1
GTEX-ZPCL-0926-SM-DNZZ8 60-69 years, female 31.5
GTEX-1EKGG-1326-SM-7MXUM 60-69 years, male 31.4
GTEX-Y3I4-0426-SM-4TT29 50-59 years, male 31.3
GTEX-1B996-0726-SM-7IGPI 60-69 years, male 31.1
GTEX-1GN2E-1526-SM-7P8TD 60-69 years, male 31.0
GTEX-146FH-1226-SM-5NQB6 50-59 years, female 30.8
GTEX-14DAR-0226-SM-5S2PR 50-59 years, male 30.5
GTEX-OHPL-0526-SM-3NM8U 60-69 years, female 30.5
GTEX-WFG8-0926-SM-3GIKJ 20-29 years, male 30.5
GTEX-1J8JJ-1126-SM-CL55P 60-69 years, female 30.5
GTEX-O5YT-0526-SM-32PK8 20-29 years, male 30.4
GTEX-RU1J-0126-SM-2TF6Y 20-29 years, female 30.1
GTEX-1IKJJ-0926-SM-A9G2L 60-69 years, male 29.6
GTEX-ZLV1-0426-SM-4WWC2 60-69 years, female 29.4
GTEX-1F48J-0826-SM-9WPOD 50-59 years, female 29.4
GTEX-1F75B-1026-SM-9JGFS 50-59 years, male 29.4
GTEX-1M4P7-0826-SM-E9TJR 60-69 years, male 29.4
GTEX-139UW-0226-SM-5K7WU 60-69 years, male 29.3
GTEX-ZF29-1026-SM-4WKGC 60-69 years, female 29.1
GTEX-1497J-0326-SM-5Q5CN 60-69 years, male 29.0
GTEX-1KXAM-0426-SM-DHXKG 60-69 years, male 28.8
GTEX-1399S-1726-SM-5L3DI 30-39 years, female 28.7
GTEX-145ME-0226-SM-5S2QN 40-49 years, female 28.6
GTEX-1A3MV-0526-SM-72D5A 30-39 years, male 28.3
GTEX-15SB6-0426-SM-6LPJ5 50-59 years, female 28.1
GTEX-1LGRB-0226-SM-CNPQK 50-59 years, female 28.1
GTEX-1RAZQ-1026-SM-EAZ4R 30-39 years, male 26.8
GTEX-13CF3-0426-SM-5IJEU 60-69 years, female 26.5
GTEX-13OW8-1726-SM-5L3GO 60-69 years, male 26.1
GTEX-14PK6-0326-SM-6AJ9S 70-79 years, female 26.1
GTEX-18D9A-0226-SM-7KFSJ 30-39 years, female 26.1
GTEX-ZPIC-0626-SM-57WDY 40-49 years, female 25.5
GTEX-1B97I-0226-SM-73KVO 40-49 years, male 25.4
GTEX-16NGA-0226-SM-718AI 40-49 years, female 25.2
GTEX-OHPM-0526-SM-2YUMJ 50-59 years, male 25.2
GTEX-P4PQ-0526-SM-2HMKR 60-69 years, male 25.1
GTEX-YFC4-1126-SM-5RQJN 40-49 years, female 25.1
GTEX-1C64O-1226-SM-79OOC 60-69 years, male 25.0
GTEX-XPVG-1026-SM-4B64Y 50-59 years, male 24.9
GTEX-QXCU-0626-SM-2TC69 50-59 years, male 24.6
GTEX-11LCK-0426-SM-5A5M8 30-39 years, male 24.4
GTEX-1RLM8-0626-SM-E76OW 50-59 years, male 24.3
GTEX-1I1GQ-1126-SM-CNNQT 50-59 years, male 24.2
GTEX-YB5E-0726-SM-4VDSH 40-49 years, male 24.0
GTEX-ZPU1-0926-SM-57WDO 40-49 years, male 24.0
GTEX-XBEW-0226-SM-4AT6A 40-49 years, male 23.8
GTEX-ZY6K-0326-SM-5SIBB 50-59 years, male 23.8
GTEX-11WQK-1226-SM-5GU5Z 50-59 years, male 23.5
GTEX-1QEPI-0826-SM-DTX9B 60-69 years, female 23.4
GTEX-1JK1U-1126-SM-CY8HK 60-69 years, male 23.3
GTEX-Y3IK-0626-SM-4WWE4 50-59 years, female 22.9
GTEX-ZT9X-0326-SM-51MTE 40-49 years, male 22.9
GTEX-13YAN-1026-SM-5O9CF 60-69 years, male 22.4
GTEX-QEL4-0826-SM-3GAF2 50-59 years, male 22.0
GTEX-ZC5H-0926-SM-5CVMZ 40-49 years, female 21.8
GTEX-1IKK5-1926-SM-A9G2V 60-69 years, male 21.6
GTEX-1QP2A-1226-SM-EVR3I 50-59 years, male 21.5
GTEX-11DXX-0626-SM-5Q5AG 60-69 years, female 21.4
GTEX-13VXT-1426-SM-5LU4B 20-29 years, female 21.4
GTEX-111CU-0326-SM-5GZXO 50-59 years, male 21.3
GTEX-1AX9J-1626-SM-73KUI 60-69 years, male 21.2
GTEX-14LZ3-0726-SM-5YYAB 60-69 years, female 20.9
GTEX-1A32A-0726-SM-731D4 50-59 years, female 20.4
GTEX-1BAJH-1326-SM-7RHFS 70-79 years, male 20.4
GTEX-14JG6-0326-SM-6AJBT 30-39 years, female 20.3
GTEX-1JMQI-1126-SM-ARZN2 50-59 years, male 20.3
GTEX-P4QT-0526-SM-2I3EX 50-59 years, female 20.1
GTEX-15EOM-5010-SM-7P8PA 20-29 years, female 19.7
GTEX-1N2DW-1126-SM-EVR59 50-59 years, male 19.7
GTEX-ZG7Y-1026-SM-4WWDG 50-59 years, male 19.5
GTEX-14E6E-0426-SM-73KUE 30-39 years, male 19.4
GTEX-VUSG-0926-SM-3GIK6 50-59 years, male 19.4
GTEX-145LT-0326-SM-5LUAD 40-49 years, male 19.3
GTEX-RM2N-0426-SM-2TF4T 50-59 years, male 19.3
GTEX-X4XY-1026-SM-46MVX 60-69 years, male 19.2
GTEX-PW2O-0526-SM-2I3DX 20-29 years, male 18.9
GTEX-XGQ4-0826-SM-4AT4T 50-59 years, male 18.4
GTEX-1C4CL-0826-SM-7EWEZ 30-39 years, male 18.3
GTEX-QMR6-1926-SM-32PL9 50-59 years, male 18.3
GTEX-13FTX-0326-SM-5J2NG 20-29 years, female 18.2
GTEX-18A6Q-0826-SM-7KFRD 60-69 years, male 18.2
GTEX-13D11-0326-SM-5LZXX 50-59 years, female 17.9
GTEX-1I4MK-0326-SM-B2LWP 50-59 years, female 17.7
GTEX-15D1Q-0526-SM-6AJAY 40-49 years, male 17.6
GTEX-17GQL-0726-SM-731BL 60-69 years, male 17.6
GTEX-144GO-0226-SM-5LUB1 60-69 years, male 17.5
GTEX-14BMV-0826-SM-73KXU 50-59 years, male 17.5
GTEX-14PQA-1126-SM-7KUM4 50-59 years, female 17.4
GTEX-1EX96-0226-SM-7RHHR 50-59 years, male 17.4
GTEX-1KANB-1026-SM-D3L9F 50-59 years, male 17.2
GTEX-14A6H-0526-SM-5NQAZ 30-39 years, male 17.1
GTEX-14PJM-0926-SM-6AJ9Y 50-59 years, female 17.0
GTEX-NPJ8-0326-SM-2D7VV 40-49 years, male 16.9
GTEX-1B8KZ-0526-SM-73KW2 50-59 years, male 16.6
GTEX-U8XE-1426-SM-3DB8Q 30-39 years, male 16.6
GTEX-Q734-0626-SM-2I3EF 40-49 years, female 16.5
GTEX-145LU-0526-SM-5O9AT 50-59 years, male 16.4
GTEX-13S7M-2126-SM-5S2QR 60-69 years, female 16.3
GTEX-1F88F-0926-SM-7RHH8 60-69 years, female 16.3
GTEX-1CB4F-0926-SM-7DHMJ 60-69 years, male 16.2
GTEX-QMRM-0826-SM-3NB33 50-59 years, male 16.1
GTEX-WY7C-0426-SM-3NB3C 50-59 years, male 16.1
GTEX-11ZVC-0226-SM-731E8 50-59 years, female 16.0
GTEX-13JUV-0526-SM-5K7XE 40-49 years, female 16.0
GTEX-1R9PM-0426-SM-EVR3P 20-29 years, male 16.0
GTEX-16XZZ-0926-SM-7DHLI 60-69 years, male 15.9
GTEX-R55G-0826-SM-2TC5U 40-49 years, female 15.9
GTEX-1GF9V-1026-SM-9KNW3 60-69 years, male 15.7
GTEX-13113-5004-SM-79ONL 60-69 years, female 15.6
GTEX-Y5LM-0726-SM-4VBRP 40-49 years, female 15.5
GTEX-WWYW-0926-SM-3NB2Z 50-59 years, female 15.4
GTEX-1HCUA-0226-SM-A8N88 50-59 years, female 15.4
GTEX-1LB8K-0826-SM-D4P41 50-59 years, male 15.4
GTEX-1I6K6-0926-SM-AHZ2N 30-39 years, male 15.3
GTEX-13FTZ-0526-SM-5IJCW 60-69 years, male 15.2
GTEX-13U4I-1426-SM-5J2M3 40-49 years, female 15.0
GTEX-17KNJ-0926-SM-7IGP2 50-59 years, male 15.0
GTEX-1CB4J-1726-SM-79OOL 60-69 years, male 15.0
GTEX-WYVS-0526-SM-3NM9W 40-49 years, female 14.9
GTEX-13S86-0626-SM-5Q5E7 40-49 years, male 14.8
GTEX-1B8L1-0626-SM-7EPHL 60-69 years, male 14.7
GTEX-ZYVF-1726-SM-5E443 50-59 years, female 14.6
GTEX-1H3O1-0326-SM-9WPO8 60-69 years, male 14.6
GTEX-1HSMP-1326-SM-A96TR 70-79 years, male 14.6
GTEX-1RQED-1026-SM-EVYCT 60-69 years, male 14.6
GTEX-YEC4-0526-SM-4W21U 40-49 years, male 14.5
GTEX-1JKYN-2126-SM-ARU8W 30-39 years, male 14.5
GTEX-1CB4I-2126-SM-793AG 50-59 years, male 14.3
GTEX-12KS4-0726-SM-5FQSX 30-39 years, male 14.2
GTEX-1OJC4-0626-SM-DTXEY 50-59 years, female 14.2
GTEX-QDVJ-0926-SM-2I5FU 50-59 years, male 14.0
GTEX-11ZTT-0626-SM-5EQLM 60-69 years, female 13.9
GTEX-WFON-0426-SM-3GIL4 40-49 years, male 13.8
GTEX-14E6D-1026-SM-5S2RS 50-59 years, male 13.7
GTEX-POMQ-0526-SM-3GADD 20-29 years, female 13.6
GTEX-X261-1026-SM-3NMDL 50-59 years, male 13.6
GTEX-ZDTT-0926-SM-5J2MS 60-69 years, male 13.6
GTEX-13VXU-2726-SM-5LU4N 50-59 years, male 13.4
GTEX-16AAH-0426-SM-7DUFM 50-59 years, male 13.4
GTEX-TML8-0326-SM-4GICN 40-49 years, female 13.3
GTEX-11GSP-0726-SM-5986L 60-69 years, female 13.2
GTEX-13OW7-0926-SM-5L3EX 50-59 years, male 13.2
GTEX-17HG3-0326-SM-7IGP4 30-39 years, female 13.2
GTEX-WYBS-1126-SM-3NMAM 60-69 years, female 13.2
GTEX-14PHY-0526-SM-664NM 60-69 years, female 13.1
GTEX-1S5VW-0926-SM-EWRNU 60-69 years, male 13.1
GTEX-18A7A-1026-SM-7LT8B 50-59 years, female 13.0
GTEX-XQ8I-1126-SM-4BOO2 50-59 years, male 13.0
GTEX-ZYFG-0226-SM-5GIDT 60-69 years, female 12.9
GTEX-12696-1026-SM-5FQUV 60-69 years, male 12.8
GTEX-139TT-0726-SM-5K7XW 60-69 years, male 12.8
GTEX-13OVH-1026-SM-5J2NP 70-79 years, male 12.8
GTEX-PLZ4-0726-SM-2TC6Q 50-59 years, female 12.7
GTEX-1AYCT-0726-SM-7IGNG 50-59 years, male 12.6
GTEX-U3ZN-0626-SM-3DB7U 30-39 years, female 12.5
GTEX-1H1E6-0726-SM-9WPQ4 30-39 years, male 12.3
GTEX-11O72-1326-SM-5BC5A 40-49 years, male 12.2
GTEX-16MT8-1026-SM-6LPK1 60-69 years, female 12.2
GTEX-1A8FM-0826-SM-793D5 50-59 years, female 12.1
GTEX-1QP29-1226-SM-E6CQ1 50-59 years, male 12.1
GTEX-1EWIQ-0926-SM-7RHG7 70-79 years, female 12.0
GTEX-13NZ8-0326-SM-5L3DF 60-69 years, female 11.9
GTEX-1HB9E-0726-SM-AHZ4L 50-59 years, male 11.9
GTEX-T6MN-0826-SM-32PM4 50-59 years, male 11.8
GTEX-XMD2-1026-SM-4WWE8 60-69 years, female 11.8
GTEX-11NV4-1126-SM-5HL6J 60-69 years, male 11.6
GTEX-1IDJU-0226-SM-CKZOF 60-69 years, female 11.6
GTEX-1JMOU-0526-SM-CNNPE 60-69 years, female 11.6
GTEX-13N1W-0726-SM-5MR57 70-79 years, male 11.5
GTEX-13O61-0726-SM-5J2MD 60-69 years, male 11.5
GTEX-PSDG-1126-SM-2S1ON 50-59 years, male 11.5
GTEX-13QBU-0726-SM-5J2OA 40-49 years, female 11.4
GTEX-N7MT-0126-SM-2D7VT 60-69 years, female 11.4
GTEX-1JN6P-0726-SM-ARZN7 60-69 years, male 11.4
GTEX-146FQ-0926-SM-5LUAV 30-39 years, male 11.3
GTEX-QDT8-0926-SM-32PL2 30-39 years, female 11.3
GTEX-13111-0426-SM-5DUXR 50-59 years, male 11.2
GTEX-T6MO-0426-SM-32QOI 40-49 years, female 11.1
GTEX-U412-0826-SM-3DB9K 60-69 years, male 11.1
GTEX-1GMR2-0126-SM-9JGHC 50-59 years, male 11.1
GTEX-148VI-0226-SM-5RQKA 60-69 years, female 11.0
GTEX-QV44-0926-SM-2S1RH 50-59 years, male 11.0
GTEX-RU72-0526-SM-2TF5Z 50-59 years, female 11.0
GTEX-SE5C-0526-SM-2XCE1 40-49 years, female 11.0
GTEX-12WSK-0826-SM-5CVNP 40-49 years, female 10.9
GTEX-14BIL-1226-SM-79OME 50-59 years, male 10.9
GTEX-14LLW-0726-SM-5ZZVV 70-79 years, female 10.9
GTEX-X5EB-0426-SM-46MVY 40-49 years, male 10.9
GTEX-1GTWX-0626-SM-9WYU1 60-69 years, male 10.9
GTEX-1S82P-0826-SM-EVR4P 60-69 years, female 10.9
GTEX-SIU8-0926-SM-COH1X 50-59 years, male 10.6
GTEX-1B932-0726-SM-731EY 40-49 years, female 10.4
GTEX-1F6RS-0826-SM-7P8T9 60-69 years, female 10.4
GTEX-1CAV2-0626-SM-7P8QE 40-49 years, female 10.3
GTEX-14BMU-0526-SM-73KW4 20-29 years, female 10.2
GTEX-ZA64-0326-SM-5HL8T 20-29 years, male 10.2
GTEX-18A66-0926-SM-718BG 60-69 years, male 10.1
GTEX-1AYD5-1226-SM-7EWEP 50-59 years, male 10.1
GTEX-XYKS-0526-SM-4BRW2 60-69 years, female 10.1
GTEX-YF7O-0626-SM-4W21R 50-59 years, male 10.1
GTEX-YEC3-0226-SM-DO11B 50-59 years, male 10.1
GTEX-VJYA-0326-SM-3GAEX 60-69 years, male 10.0
GTEX-1MCC2-0726-SM-EV7AL 30-39 years, female 10.0
GTEX-117YX-1326-SM-5H125 50-59 years, male 9.8
GTEX-145MN-0926-SM-5NQBT 30-39 years, male 9.8
GTEX-V1D1-0826-SM-3P5ZA 50-59 years, male 9.8
GTEX-S3LF-1126-SM-EVR33 70-79 years, male 9.7
GTEX-14E7W-1326-SM-5RQIV 70-79 years, male 9.6
GTEX-144GN-0426-SM-5O9AP 50-59 years, male 9.5
GTEX-15FZZ-0326-SM-6M48O 30-39 years, female 9.5
GTEX-1H11D-0726-SM-9OSWA 40-49 years, male 9.5
GTEX-1C6VS-1226-SM-79OO2 60-69 years, male 9.3
GTEX-WFJO-0326-SM-3GIL3 30-39 years, male 9.3
GTEX-14PJ5-0226-SM-5YY99 60-69 years, female 9.2
GTEX-RNOR-0726-SM-2TF5I 50-59 years, female 9.2
GTEX-WHSB-0326-SM-5FQSD 50-59 years, male 9.2
GTEX-14JIY-1326-SM-6AJB3 60-69 years, male 9.1
GTEX-ZT9W-0726-SM-9JGG2 50-59 years, male 9.1
GTEX-183FY-0726-SM-793C3 20-29 years, male 9.0
GTEX-1L5NE-0726-SM-CXZKQ 50-59 years, male 9.0
GTEX-11OF3-1126-SM-5986C 60-69 years, male 8.9
GTEX-13G51-0426-SM-5K7Z5 60-69 years, male 8.9
GTEX-R55D-0926-SM-3GAEU 50-59 years, male 8.9
GTEX-WOFM-0126-SM-3MJFE 20-29 years, male 8.9
GTEX-15SHV-0326-SM-6M475 60-69 years, male 8.8
GTEX-1QMI2-0926-SM-DTX7S 60-69 years, male 8.8
GTEX-1I19N-0526-SM-A9G27 70-79 years, male 8.7
GTEX-17HHE-0626-SM-7DHL6 50-59 years, male 8.6
GTEX-OOBJ-0526-SM-48TDK 60-69 years, male 8.6
GTEX-YFCO-0426-SM-4W1Z7 40-49 years, male 8.6
GTEX-11EI6-0826-SM-5985V 60-69 years, male 8.5
GTEX-T8EM-0326-SM-3DB7F 40-49 years, male 8.5
GTEX-Y8LW-0326-SM-4VBQ9 50-59 years, female 8.5
GTEX-147F4-0926-SM-5Q5EO 50-59 years, male 8.4
GTEX-178AV-0326-SM-6LPJF 40-49 years, male 8.4
GTEX-WFG7-0526-SM-3GIKI 20-29 years, male 8.3
GTEX-1H1CY-0626-SM-9KNVE 60-69 years, female 8.3
GTEX-131XH-0426-SM-5DUWU 50-59 years, male 8.1
GTEX-ZYY3-0926-SM-5E454 60-69 years, female 8.1
GTEX-1212Z-1026-SM-5EGJ8 60-69 years, male 8.0
GTEX-17HGU-0926-SM-79OKO 50-59 years, male 8.0
GTEX-WH7G-0726-SM-3NMBM 40-49 years, male 8.0
GTEX-ZDXO-1326-SM-57WBS 60-69 years, male 8.0
GTEX-ZQG8-0326-SM-51MSE 60-69 years, female 8.0
GTEX-145MF-0726-SM-5Q5BT 50-59 years, male 7.9
GTEX-Y5V6-0226-SM-4V6G7 60-69 years, male 7.9
GTEX-SJXC-1026-SM-EYYVA 60-69 years, male 7.8
GTEX-117YW-0526-SM-5H11C 50-59 years, male 7.7
GTEX-XOT4-1426-SM-4B65T 60-69 years, female 7.7
GTEX-13FHO-1026-SM-5KM1Q 60-69 years, male 7.6
GTEX-111VG-0726-SM-5GIDC 60-69 years, male 7.5
GTEX-TSE9-0726-SM-3DB8C 60-69 years, female 7.5
GTEX-1GMR3-0226-SM-7RHIB 40-49 years, male 7.5
GTEX-1HBPH-1326-SM-9WYSN 40-49 years, female 7.5
GTEX-1J1OQ-0926-SM-CJI34 40-49 years, female 7.5
GTEX-11I78-0126-SM-5HL6F 50-59 years, female 7.4
GTEX-12ZZW-0926-SM-5LZUD 50-59 years, male 7.4
GTEX-1I6K7-1226-SM-B2LVS 40-49 years, male 7.4
GTEX-1J1R8-0226-SM-AHZ3C 40-49 years, male 7.4
GTEX-OXRO-0326-SM-33HBM 60-69 years, female 7.3
GTEX-S7SE-0926-SM-2XCD6 50-59 years, male 7.3
GTEX-1GZHY-0826-SM-9OSXT 50-59 years, female 7.3
GTEX-1J8EW-1026-SM-A96T7 60-69 years, female 7.3
GTEX-ZF3C-0926-SM-DO92P 50-59 years, female 7.3
GTEX-18A67-1126-SM-7KFSB 50-59 years, male 7.2
GTEX-Y5V5-0826-SM-4VBQD 60-69 years, female 7.2
GTEX-WYJK-0826-SM-3NM8Y 50-59 years, male 7.1
GTEX-1GMR8-1426-SM-7RHHL 50-59 years, female 7.1
GTEX-11NSD-0326-SM-5A5LS 20-29 years, male 7.0
GTEX-ZDTS-1026-SM-4WAXS 60-69 years, male 7.0
GTEX-17F96-0626-SM-793CC 70-79 years, male 6.9
GTEX-1C6WA-0726-SM-7IGQ5 60-69 years, male 6.9
GTEX-X15G-0626-SM-EVR32 50-59 years, female 6.9
GTEX-11EMC-0126-SM-5EGKV 60-69 years, female 6.8
GTEX-15RJ7-0626-SM-6M47V 40-49 years, male 6.8
GTEX-PLZ6-0426-SM-5IJDW 30-39 years, male 6.7
GTEX-1K2DU-0526-SM-D4P2Y 20-29 years, male 6.7
GTEX-1I1CD-0926-SM-CL55I 60-69 years, female 6.6
GTEX-1IL2V-0726-SM-ARZMB 70-79 years, male 6.6
GTEX-1E1VI-0926-SM-7P8T3 50-59 years, male 6.5
GTEX-1GN1U-1026-SM-9WYUP 50-59 years, female 6.5
GTEX-1JMQJ-2126-SM-CNPPA 50-59 years, male 6.5
GTEX-1477Z-0626-SM-5NQB7 60-69 years, male 6.4
GTEX-U3ZH-0526-SM-3DB75 30-39 years, male 6.4
GTEX-13OW5-0726-SM-5KLZK 60-69 years, male 6.3
GTEX-OXRL-0526-SM-2I3EZ 50-59 years, male 6.3
GTEX-TMMY-0926-SM-4TT1Z 40-49 years, female 6.3
GTEX-147F3-0726-SM-5NQ9U 50-59 years, female 6.2
GTEX-16MTA-1226-SM-7KULL 50-59 years, male 6.2
GTEX-X4EP-0526-SM-3P5YW 60-69 years, female 6.2
GTEX-11ZTS-1226-SM-5EQMQ 60-69 years, female 6.1
GTEX-15CHC-0226-SM-5YYBB 60-69 years, female 6.1
GTEX-1IY9M-1126-SM-A9SLV 60-69 years, male 6.1
GTEX-1EMGI-1426-SM-7IGNQ 60-69 years, male 6.0
GTEX-P78B-0926-SM-2I5FA 40-49 years, female 6.0
GTEX-ZVT3-0926-SM-5GICK 60-69 years, female 6.0
GTEX-1RNSC-1226-SM-E9U52 60-69 years, male 6.0
GTEX-11P7K-0326-SM-59871 30-39 years, male 5.9
GTEX-1F6I4-1026-SM-7P8PS 60-69 years, male 5.9
GTEX-1MJK2-1126-SM-E9TJ7 50-59 years, male 5.9
GTEX-SUCS-0626-SM-32PM5 70-79 years, male 5.8
GTEX-Y9LG-0526-SM-4VBRY 30-39 years, male 5.8
GTEX-1H3VY-1426-SM-9WPOB 50-59 years, male 5.8
GTEX-12WSL-1026-SM-5CVNJ 50-59 years, male 5.6
GTEX-1399U-0826-SM-5KM1P 50-59 years, female 5.6
GTEX-ZDYS-0426-SM-5IJEQ 50-59 years, male 5.6
GTEX-1KWVE-0426-SM-DHXJX 30-39 years, male 5.6
GTEX-14PJO-0926-SM-686YT 60-69 years, male 5.5
GTEX-QEG5-1126-SM-33HC2 20-29 years, male 5.5
GTEX-1IOXB-1126-SM-CNNQ5 50-59 years, male 5.5
GTEX-1KAFJ-0326-SM-DHXJG 50-59 years, male 5.5
GTEX-1PPGY-1826-SM-EXOJ8 60-69 years, male 5.5
GTEX-OIZF-0526-SM-7MXVM 60-69 years, male 5.5
GTEX-147JS-1226-SM-5RQK4 60-69 years, male 5.4
GTEX-148VJ-0826-SM-5LU8V 70-79 years, male 5.4
GTEX-15CHR-0726-SM-7EPHG 50-59 years, male 5.4
GTEX-1JJEA-1126-SM-CKZOC 60-69 years, male 5.4
GTEX-1QCLY-1026-SM-EWRNI 30-39 years, male 5.4
GTEX-11DXZ-0726-SM-5N9C4 50-59 years, male 5.3
GTEX-13OVG-0326-SM-5KM57 60-69 years, male 5.3
GTEX-OIZG-0526-SM-2HMLF 50-59 years, male 5.3
GTEX-OXRK-0926-SM-2HMKP 50-59 years, female 5.3
GTEX-PLZ5-0726-SM-2I5F9 50-59 years, male 5.2
GTEX-12WSD-0826-SM-5GCNE 60-69 years, female 5.1
GTEX-12WSE-0826-SM-5S2VL 20-29 years, male 5.1
GTEX-131XE-0726-SM-5HL9K 50-59 years, male 5.1
GTEX-1EN7A-0826-SM-7MKFV 40-49 years, male 5.1
GTEX-T5JC-0826-SM-32PMC 20-29 years, male 5.1
GTEX-1IDJH-0726-SM-ARU7U 70-79 years, male 5.1
GTEX-18QFQ-0926-SM-7LG4V 30-39 years, male 5.0
GTEX-W5X1-0526-SM-3GILH 40-49 years, female 5.0
GTEX-1I1GV-0926-SM-B2LXM 60-69 years, male 5.0
GTEX-1IL2U-0926-SM-CKZOB 60-69 years, male 5.0
GTEX-X585-1026-SM-46MW6 50-59 years, male 4.9
GTEX-11PRG-0926-SM-5EGI8 50-59 years, male 4.8
GTEX-1AX9K-0826-SM-731F9 50-59 years, male 4.7
GTEX-O5YV-0526-SM-2I5GE 60-69 years, female 4.7
GTEX-OIZI-1026-SM-3NB1K 40-49 years, male 4.7
GTEX-1GN1W-1026-SM-9OSW2 50-59 years, female 4.7
GTEX-1JMLX-0926-SM-CNNPQ 50-59 years, male 4.7
GTEX-1LG7Y-0826-SM-E9TJX 50-59 years, male 4.7
GTEX-1RAZS-2226-SM-E8VMU 50-59 years, male 4.7
GTEX-11P81-0226-SM-5HL5M 30-39 years, female 4.6
GTEX-12WSA-1026-SM-5EGHN 60-69 years, male 4.6
GTEX-13SLW-1226-SM-5S2Q7 70-79 years, male 4.6
GTEX-12ZZY-0926-SM-5EQ6I 60-69 years, male 4.5
GTEX-14AS3-0926-SM-5TDD6 40-49 years, female 4.5
GTEX-UJMC-0726-SM-3GADX 50-59 years, male 4.5
GTEX-11DZ1-0426-SM-5H11A 50-59 years, male 4.4
GTEX-N7MS-0926-SM-2HMIZ 60-69 years, male 4.4
GTEX-ZEX8-0526-SM-DO115 50-59 years, male 4.4
GTEX-1269C-0926-SM-5FQSR 60-69 years, female 4.3
GTEX-145LS-1226-SM-5Q5D9 60-69 years, female 4.3
GTEX-Y8E4-0526-SM-4V6GC 40-49 years, male 4.3
GTEX-13N11-0326-SM-5LUA3 50-59 years, female 4.2
GTEX-1B933-0926-SM-9OSVH 50-59 years, female 4.2
GTEX-1HSKV-1126-SM-ADEIA 60-69 years, male 4.2
GTEX-1J8QM-0526-SM-AHZ3Y 60-69 years, female 4.2
GTEX-1RAZR-0726-SM-EV7BA 40-49 years, male 4.2
GTEX-OXRP-0526-SM-2I3EW 60-69 years, female 4.1
GTEX-QEG4-0526-SM-48TZD 30-39 years, male 4.1
GTEX-RTLS-0926-SM-2TF5X 60-69 years, female 4.1
GTEX-1HCVE-0626-SM-A9SL2 50-59 years, male 4.1
GTEX-1JN76-0826-SM-C1YRK 20-29 years, female 4.1
GTEX-ZVZQ-1526-SM-5N9G6 60-69 years, female 4.0
GTEX-18D9B-1026-SM-CNPO5 60-69 years, male 4.0
GTEX-1HSMQ-0726-SM-B2LXY 50-59 years, male 4.0
GTEX-131XW-1126-SM-5EGK4 50-59 years, female 3.9
GTEX-1AX9I-0826-SM-73KUT 60-69 years, male 3.9
GTEX-QCQG-0326-SM-2I3ES 50-59 years, female 3.9
GTEX-UJHI-0726-SM-3DB92 50-59 years, female 3.9
GTEX-1F5PK-0526-SM-7MXUA 50-59 years, male 3.9
GTEX-1GL5R-0526-SM-9WPOQ 50-59 years, male 3.9
GTEX-1H1DG-1026-SM-9MQJS 70-79 years, male 3.9
GTEX-1MJIX-0626-SM-DTX8V 40-49 years, male 3.9
GTEX-1NSGN-1626-SM-EXOJF 50-59 years, male 3.9
GTEX-QVUS-2026-SM-EYYW9 60-69 years, female 3.9
GTEX-13NYS-1626-SM-5J2MU 60-69 years, male 3.8
GTEX-13O21-3026-SM-5J2NI 50-59 years, male 3.7
GTEX-17EVQ-1526-SM-79ONG 70-79 years, male 3.7
GTEX-17EVP-0726-SM-7EWDX 40-49 years, male 3.6
GTEX-18465-0626-SM-7LT8X 50-59 years, male 3.6
GTEX-ZAB5-0626-SM-5PNVB 50-59 years, male 3.6
GTEX-1PPH7-0226-SM-E76Q1 40-49 years, male 3.6
GTEX-1313W-0926-SM-5EQ56 50-59 years, female 3.5
GTEX-131XF-1026-SM-5BC6A 60-69 years, male 3.5
GTEX-14JG1-0926-SM-5YY8W 40-49 years, male 3.5
GTEX-UPJH-0826-SM-4WKFD 50-59 years, male 3.5
GTEX-R55C-0526-SM-3GIKA 40-49 years, male 3.4
GTEX-X4XX-1026-SM-4QARO 60-69 years, male 3.4
GTEX-1MGNQ-0826-SM-EVR41 40-49 years, male 3.4
GTEX-ZF28-0726-SM-4WKFU 60-69 years, male 3.3
GTEX-ZUA1-1026-SM-4YCEA 40-49 years, male 3.3
GTEX-13OW6-0826-SM-5L3GA 50-59 years, male 3.2
GTEX-14C39-0326-SM-5TDDX 40-49 years, male 3.2
GTEX-15SHW-0926-SM-6LPIO 60-69 years, male 3.2
GTEX-RN64-1226-SM-2TC6E 50-59 years, male 3.2
GTEX-1AX8Z-5010-SM-AHZ33 60-69 years, male 3.2
GTEX-1K9T9-0926-SM-D3L9C 50-59 years, female 3.2
GTEX-11WQC-0626-SM-5EQMF 60-69 years, male 3.1
GTEX-1B8SF-0826-SM-73KW8 60-69 years, male 3.1
GTEX-RWS6-0226-SM-2XCA9 60-69 years, female 3.1
GTEX-X4LF-0526-SM-3NMB6 50-59 years, male 3.1
GTEX-11NUK-0826-SM-5HL4U 50-59 years, male 3.0
GTEX-13FTY-0126-SM-5J2NZ 40-49 years, female 3.0
GTEX-14ABY-1126-SM-5Q5F8 50-59 years, male 3.0
GTEX-R3RS-1026-SM-3GADF 40-49 years, female 3.0
GTEX-WVJS-0826-SM-4MVNR 50-59 years, male 3.0
GTEX-13PL7-1726-SM-5J2NX 60-69 years, female 2.9
GTEX-WK11-0526-SM-3NB3O 50-59 years, male 2.9
GTEX-S33H-0626-SM-2XCBJ 30-39 years, male 2.8
GTEX-UPK5-1126-SM-3GAEJ 40-49 years, male 2.8
GTEX-15RIE-0326-SM-6PAMC 60-69 years, male 2.7
GTEX-O5YW-0526-SM-2YUMX 50-59 years, male 2.7
GTEX-PX3G-0526-SM-2I3EM 20-29 years, female 2.7
GTEX-1H1ZS-0826-SM-A9SMD 70-79 years, male 2.7
GTEX-13O3Q-0526-SM-5KM18 50-59 years, male 2.6
GTEX-13QJ3-1026-SM-5QGQU 50-59 years, male 2.6
GTEX-18D9U-0526-SM-72D7C 40-49 years, male 2.6
GTEX-1H2FU-1226-SM-9KNVY 60-69 years, female 2.6
GTEX-1HT8W-1426-SM-CE6S2 30-39 years, male 2.6
GTEX-XBEC-1026-SM-4QASM 50-59 years, male 2.5
GTEX-ZAB4-0626-SM-5CVN3 40-49 years, male 2.5
GTEX-1LVAO-1226-SM-DIPGB 60-69 years, male 2.5
GTEX-13W3W-0326-SM-731DS 60-69 years, female 2.4
GTEX-PVOW-1026-SM-2XCF9 40-49 years, male 2.4
GTEX-WZTO-0426-SM-3NM99 40-49 years, male 2.4
GTEX-ZZPT-1326-SM-5E43H 50-59 years, male 2.4
GTEX-12WSH-0126-SM-5GCO3 50-59 years, male 2.3
GTEX-14E1K-0226-SM-62LDT 50-59 years, male 2.3
GTEX-YECK-0926-SM-4W214 60-69 years, male 2.3
GTEX-1HFI6-0926-SM-9WPPV 40-49 years, male 2.3
GTEX-13NZ9-0926-SM-5KM12 50-59 years, male 2.1
GTEX-17F9Y-1026-SM-7IGO4 70-79 years, female 2.1
GTEX-T2IS-0526-SM-32QP9 20-29 years, female 2.1
GTEX-1FIGZ-0326-SM-7RHGT 40-49 years, male 2.1
GTEX-1GZ2Q-0726-SM-9KNVV 40-49 years, male 2.1
GTEX-1RDX4-1626-SM-EVR53 50-59 years, female 2.1
GTEX-13QJC-0526-SM-5RQKB 60-69 years, female 2.0
GTEX-1GZ4H-0426-SM-7MXV5 50-59 years, female 2.0
GTEX-13FHP-0726-SM-5K7YI 50-59 years, male 1.9
GTEX-1GZ4I-0726-SM-9QEHL 50-59 years, male 1.9
GTEX-WRHU-0226-SM-3MJFV 50-59 years, female 1.8
GTEX-1GMRU-1426-SM-9WPPL 50-59 years, male 1.8
GTEX-ZYT6-0526-SM-5GIEA 30-39 years, male 1.7
GTEX-111FC-1126-SM-5GZWU 60-69 years, male 1.6
GTEX-131YS-0926-SM-5IJB9 60-69 years, female 1.6
GTEX-1HSMO-0926-SM-A96S7 60-69 years, male 1.6
GTEX-Q2AG-1026-SM-33HBW 40-49 years, female 1.4
GTEX-XQ3S-0926-SM-4BOPI 20-29 years, male 1.4
GTEX-1GF9X-0326-SM-7P8R9 40-49 years, female 1.4
GTEX-1JJE9-0926-SM-CNNP9 70-79 years, male 1.4
GTEX-13N2G-0826-SM-5IJE6 60-69 years, male 1.2
GTEX-NFK9-1026-SM-2HMK1 40-49 years, male 1.2
GTEX-Y111-1026-SM-4TT22 50-59 years, male 1.2
GTEX-ZYW4-1526-SM-5SIBA 60-69 years, male 1.2
GTEX-1KD5A-1126-SM-CXZK6 50-59 years, male 1.2
GTEX-1MA7X-0626-SM-E9TJI 60-69 years, male 1.2
GTEX-1P4AB-1026-SM-DTXES 50-59 years, male 1.2
GTEX-12WSI-0826-SM-5EGKD 50-59 years, male 1.1
GTEX-14DAQ-0926-SM-793AZ 60-69 years, female 1.1
GTEX-169BO-0226-SM-79OL1 50-59 years, male 1.0
GTEX-16GPK-1826-SM-7MGW5 60-69 years, male 0.9
GTEX-1ICLZ-0926-SM-CKZPQ 60-69 years, male 0.9
GTEX-13NYB-0626-SM-5MR47 40-49 years, male 0.8
GTEX-S341-0326-SM-2XCAU 40-49 years, female 0.8
GTEX-ZE7O-0826-SM-57WCP 50-59 years, female 0.7
GTEX-1LSVX-0626-SM-E9U59 60-69 years, male 0.7
GTEX-11ZUS-0126-SM-5EQM5 30-39 years, male 0.6
GTEX-145MH-0626-SM-5NQAK 50-59 years, male 0.6
GTEX-14C5O-1126-SM-5TDEH 60-69 years, male 0.6
GTEX-1F7RK-0826-SM-7SB8V 20-29 years, female 0.6
GTEX-15SKB-0826-SM-7KUFB 60-69 years, male 0.5
GTEX-YJ8O-1826-SM-5HL82 40-49 years, female 0.4
GTEX-ZXG5-0826-SM-5GID6 60-69 years, male 0.4
GTEX-1JMPZ-1126-SM-ARU8X 30-39 years, male 0.3
Show allShow less

LUNG - FANTOM5 CAGEi

RNA expression in human tissues obtained through Cap Analysis of Gene Expression (CAGE) generated by the FANTOM5 project are reported as Scaled Tags Per Million.

Max subtype Scaled Tags Per Millioni

Max subtype Scaled Tags Per Million is the value for the subtype with the largest average Scaled Tags Per Million across the subtype samples.

82.5
FANTOM5 sample id Sample description Scaled Tags Per Million
Lung
Scaled Tags Per Million: 82.5
FF:10019-101D1 46,65,94 years, mixed 82.5
Lung - right lower lobe
Scaled Tags Per Million: 26.4
FF:10075-102A3 29 years, male 26.4

Contact

  • NEWS ARTICLES
  • PRESS ROOM

The Project

  • INTRODUCTION
  • ORGANIZATION
  • PUBLICATIONS

The Human Protein Atlas

  • DOWNLOADABLE DATA
  • LICENCE & CITATION
  • HELP & FAQ
The Human Protein Atlas project is funded
by the Knut & Alice Wallenberg Foundation.


contact@proteinatlas.org