We use cookies to enhance the usability of our website. If you continue, we'll assume that you are happy to receive all cookies. More information. Don't show this again.
CD40
HPA
RESOURCES
  • TISSUE
  • BRAIN
  • SINGLE CELL
  • SUBCELLULAR
  • CANCER
  • BLOOD
  • CELL LINE
  • STRUCTURE & INTERACTION
ABOUT
  • INTRODUCTION
  • HISTORY
  • ORGANIZATION
  • PUBLICATIONS
  • ANTIBODY SUBMISSION
  • ANTIBODY AVAILABILITY
  • ACKNOWLEDGMENTS
  • CONTACT
NEWS
  • NEWS ARTICLES
  • PRESS ROOM
LEARN
  • DICTIONARY
  • PROTEIN CLASSES
  • PROTEIN EVIDENCE
  • METHODS
  • EDUCATIONAL VIDEOS
DATA
  • DOWNLOADABLE DATA
  • PUBLICATION DATA
  • RELEASE HISTORY
HELP
  • ANTIBODY VALIDATION
  • ASSAYS & ANNOTATION
  • DISCLAIMER
  • HELP & FAQ
  • PRIVACY STATEMENT
  • LICENCE & CITATION
Fields »
Search result

Field
Term
Gene name
Class
Subclass
Class
Keyword
Chromosome
External id
Tissue
Cell type
Expression
Antibody panel
Tissue
Main location
Patient ID
Annotation
Tissue
Category
Tau score
Cluster
Reliability
Brain region
Category
Tau score
Brain region
Category
Tau score
Brain region
Category
Tau score
Cluster
Reliability
Tissue
Cell type
Enrichment
Cell type
Category
Tau score
Cell type
Category
Tau score
Cell type
Category
Tau score
Cell lineage
Category
Tau score
Cluster
Cluster
Location
Searches
Location
Cell line
Class
Type
Phase
Reliability
Cancer
Prognosis
Cancer
Category
Cancer
Category
Tau score
Cluster
Variants
Interacting gene (ensg_id)
Type
Number of interactions
Pathway
Category
Score
Score
Score
Validation
Validation
Validation
Validation
Antibodies
Data type
Column


  • SUMMARY

  • TISSUE

  • BRAIN

  • SINGLE CELL

  • SUBCELL

  • CANCER

  • BLOOD

  • CELL LINE

  • STRUCT & INT

  • CD40
TISSUE PRIMARY DATA STOMACH Show tissue menu
ADIPOSE TISSUE ADRENAL GLAND AMYGDALA APPENDIX BASAL GANGLIA BONE MARROW BREAST CEREBELLUM CEREBRAL CORTEX CERVIX CHOROID PLEXUS COLON DUODENUM ENDOMETRIUM
EPIDIDYMIS ESOPHAGUS FALLOPIAN TUBE GALLBLADDER HEART MUSCLE HIPPOCAMPAL FORMATION HYPOTHALAMUS KIDNEY LIVER LUNG LYMPH NODE MIDBRAIN NASOPHARYNX ORAL MUCOSA
OVARY PANCREAS PARATHYROID GLAND PITUITARY GLAND PLACENTA PROSTATE RECTUM RETINA SALIVARY GLAND SEMINAL VESICLE SKELETAL MUSCLE SKIN SMALL INTESTINE SMOOTH MUSCLE
SOFT TISSUE SPINAL CORD SPLEEN STOMACH TESTIS THYMUS THYROID GLAND TONGUE TONSIL URINARY BLADDER VAGINA
ANTIBODIES
AND
VALIDATION
Dictionary
Tissue proteome
Stomach
STOMACH - Expression summary
Protein expression
Stomachi

On the top, protein expression in current human tissue, based on all annotated cell types, is reported with the units not detected (n), low (l), medium (m) and high (h). Underneath, protein expression in each annotated cell type are reported using the same units.

Protein expression data is based on knowledge-based annotation. For genes where more than one antibody has been used, a collective score is set.

If knowledge-based annotation could not be performed for a gene, no data is displayed here. View antibody staining data further down this page.

h
m
l
n
Glandular cells: Not detected
RNA expressioni

A summary of mRNA expression data available for current tissue based on several datasets. The mRNA expression levels in human tissues are based on RNA-seq data generated by the Human Protein Atlas (HPA), Genotype-Tissue Expression (GTEx) portal and CAGE data generated by the FANTOM5 consortium. Consensus normalized expression levels for human tissues was created by combining the data from HPA and GTEx datasets.

The mRNA expression levels in pig are based on RNA-seq data generated by the Human Protein Atlas (HPA), and for mouse, HPA data and in situ hybridization generated by the Allen brain atlas are reported.

Scroll down to view mRNA expression data in more detail.
Consensus:11.3 nTPM
HPA:10.3 nTPM
GTEx:11.3 nTPM

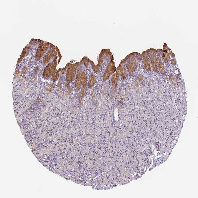
STOMACH 1 - Antibody stainingi

Antibody staining in the annotated cell types in the current human tissue is reported as not detected, low, medium, or high, based on conventional immunohistochemistry profiling in selected tissues. This score is based on the combination of the staining intensity and fraction of stained cells.

Each image is clickable and will lead to virtual microscopy that enables deeper exploration of all samples and also displays staining intensity scores, fraction scores and subcellular localization as well as patient and tissue information for each sample.

Antibody HPA031567Antibody HPA031568Antibody CAB002495Antibody CAB072868
Glandular cells MediumMediumNot detectedNot detected







STOMACH 2 - Antibody stainingi

Antibody staining in the annotated cell types in the current human tissue is reported as not detected, low, medium, or high, based on conventional immunohistochemistry profiling in selected tissues. This score is based on the combination of the staining intensity and fraction of stained cells.

Each image is clickable and will lead to virtual microscopy that enables deeper exploration of all samples and also displays staining intensity scores, fraction scores and subcellular localization as well as patient and tissue information for each sample.

Antibody HPA031567Antibody HPA031568Antibody CAB002495Antibody CAB072868
Glandular cells MediumMediumNot detectedNot detected









STOMACH - HPA RNA-seqi

The RNA-seq details section shows detailed information about the individual samples used for the transcript profiling and results of the RNA-seq analysis.

Information about each individual sample is listed below, including gender, age, a tissue section image and estimated fractions of cell types. nTPM (normalized transcripts per million) values give a quantification of the gene abundance which is comparable between different genes and samples.
Average nTPMi

Max subtype nTPM is the value for the subtype with the largest average nTPM across the subtype samples.

10.3
overview
Female, age 33
Stomach sample 61
nTPM: 14.1
Cell types%
Glandular cells:
60

Smooth muscle cells:
5

Other cell types:
35

N/A
Male, age 82
Stomach sample 240
nTPM: 7.8
Cell types%
Glandular cells:
65

Smooth muscle cells:
5

Other cell types:
30

overview
Male, age 71
Stomach sample 241
nTPM: 11.8
Cell types%
Glandular cells:
50

Smooth muscle cells:
5

Other cell types:
45

overview
Female, age 66
Stomach sample 369
nTPM: 7.5
Cell types%
Glandular cells:
50

Smooth muscle cells:
10

Other cell types:
40


STOMACH - GTEx RNA-seqi

RNA-Seq data generated by the Genotype-Tissue Expression (GTEx) project from human tissues is reported as mean nTPM. More information can be found on the GTEx portal.

Distribution across the dataset is visualized with box plots, shown as median and 25th and 75th percentiles. Points are displayed as outliers if they are above or below 1.5 times the interquartile range. nTPM values of the individual samples are presented next to the box plot.
Max subtype nTPMi

Max subtype nTPM is the value for the subtype with the largest average nTPM across the subtype samples.

11.3
GTEx sample id Sample description nTPM
Stomach
Average nTPM: 11.3
Samples: 359

Max nTPM: 49.8
Min nTPM: 2.9
Std nTPM: 5.0
Median nTPM: 10.7
GTEX-1L5NE-1526-SM-DIPFW 50-59 years, male 49.8
GTEX-1JMPY-0926-SM-ARL92 30-39 years, male 37.7
GTEX-WHPG-0426-SM-4M1XW 50-59 years, male 35.3
GTEX-17EUY-1526-SM-793CA 20-29 years, male 30.5
GTEX-11WQK-2626-SM-5EQ4K 50-59 years, male 29.6
GTEX-15RIF-1126-SM-7KUG2 20-29 years, male 24.3
GTEX-P4QT-1526-SM-3NMCT 50-59 years, female 23.9
GTEX-WFJO-1126-SM-4LVLZ 30-39 years, male 23.5
GTEX-13O61-1126-SM-5L3FI 60-69 years, male 23.3
GTEX-QDVN-1226-SM-48TZ5 50-59 years, male 21.6
GTEX-13PVQ-2126-SM-5L3FW 50-59 years, male 21.0
GTEX-1QP67-1026-SM-EVR47 40-49 years, female 20.5
GTEX-1N2DV-0926-SM-E9TJT 40-49 years, male 20.4
GTEX-1S3DN-1526-SM-EVYCB 50-59 years, male 20.3
GTEX-15G1A-1226-SM-7KUF3 30-39 years, male 19.9
GTEX-16AAH-1226-SM-79OO9 50-59 years, male 19.0
GTEX-1QW4Y-0726-SM-DTX8E 30-39 years, male 18.9
GTEX-1CB4E-1326-SM-7DUGD 60-69 years, male 18.7
GTEX-117YW-2226-SM-5N9DB 50-59 years, male 18.4
GTEX-1211K-1426-SM-5FQTF 60-69 years, female 18.4
GTEX-1PPH8-1326-SM-DTXFO 20-29 years, male 18.3
GTEX-15EU6-2526-SM-7KUGB 50-59 years, male 18.1
GTEX-14PJ4-1626-SM-664OB 60-69 years, male 18.0
GTEX-UPK5-2126-SM-4JBJK 40-49 years, male 17.7
GTEX-14E1K-1526-SM-664MN 50-59 years, male 17.5
GTEX-1S82Z-1726-SM-E6CHZ 30-39 years, female 17.5
GTEX-1MCYP-1126-SM-E9J2P 20-29 years, female 17.3
GTEX-146FR-2026-SM-5NQAI 60-69 years, female 17.1
GTEX-13PVR-2126-SM-73KVR 60-69 years, female 17.0
GTEX-14PJ5-0826-SM-6AJAR 60-69 years, female 16.9
GTEX-17KNJ-1526-SM-7LTA9 50-59 years, male 16.9
GTEX-QMRM-1126-SM-447BN 50-59 years, male 16.5
GTEX-ZPIC-2026-SM-57WG3 40-49 years, female 16.5
GTEX-13OVI-2426-SM-5KM4J 60-69 years, female 16.4
GTEX-11P7K-1726-SM-5GU6F 30-39 years, male 16.2
GTEX-13X6H-1626-SM-5Q5CT 50-59 years, female 16.1
GTEX-11P82-0726-SM-5PNYL 20-29 years, male 16.0
GTEX-14BMU-1126-SM-5RQJ8 20-29 years, female 16.0
GTEX-14PKU-1126-SM-69LOU 40-49 years, female 16.0
GTEX-1GF9U-1126-SM-AHZ4H 40-49 years, female 16.0
GTEX-15SHW-2126-SM-6M46Y 60-69 years, male 15.9
GTEX-18D9B-2226-SM-718BM 60-69 years, male 15.9
GTEX-U4B1-1026-SM-4DXT1 40-49 years, male 15.9
GTEX-1CB4H-2426-SM-7PBYR 60-69 years, female 15.9
GTEX-1HT8W-2326-SM-A9SLA 30-39 years, male 15.9
GTEX-11VI4-0326-SM-5EQ6L 40-49 years, female 15.8
GTEX-P78B-1826-SM-3P5YX 40-49 years, female 15.8
GTEX-POMQ-0826-SM-3P61H 20-29 years, female 15.8
GTEX-YEC3-1426-SM-D4P1S 50-59 years, male 15.8
GTEX-OHPK-1526-SM-3MJGM 50-59 years, female 15.7
GTEX-1H23P-2726-SM-9JGHN 60-69 years, male 15.6
GTEX-13FH7-1026-SM-5IJGF 50-59 years, female 15.4
GTEX-ZTX8-0426-SM-59HLG 20-29 years, male 15.3
GTEX-ZV6S-0926-SM-57WGB 40-49 years, female 15.1
GTEX-1S831-1126-SM-EWROI 20-29 years, male 15.1
GTEX-14PN3-1326-SM-6AJ9U 60-69 years, female 15.0
GTEX-1HCU8-1326-SM-C1YQQ 60-69 years, female 14.9
GTEX-1H3NZ-2226-SM-9WYUT 60-69 years, male 14.8
GTEX-13D11-2126-SM-5IFH2 50-59 years, female 14.7
GTEX-1IDJF-1426-SM-ACKWK 20-29 years, male 14.7
GTEX-13RTK-0226-SM-5RQHR 20-29 years, male 14.6
GTEX-R55C-1026-SM-48FCM 40-49 years, male 14.6
GTEX-TKQ1-0526-SM-4DXTG 30-39 years, male 14.6
GTEX-13S7M-1826-SM-5RQK6 60-69 years, female 14.5
GTEX-1JN76-0926-SM-ARZNH 20-29 years, female 14.5
GTEX-1QP28-2126-SM-DTX8B 50-59 years, female 14.5
GTEX-1LVAM-1426-SM-E9TJ4 50-59 years, female 14.4
GTEX-1PIGE-1126-SM-EWRMV 20-29 years, male 14.4
GTEX-PLZ5-1226-SM-EXOHA 50-59 years, male 14.3
GTEX-14PHY-0926-SM-5ZZWL 60-69 years, female 14.2
GTEX-OOBJ-1526-SM-3NB1Q 60-69 years, male 14.2
GTEX-1NSGN-1926-SM-E9J36 50-59 years, male 14.2
GTEX-12C56-0526-SM-5FQST 20-29 years, male 14.1
GTEX-17MF6-2126-SM-7KFS7 40-49 years, male 14.1
GTEX-1H1DG-2126-SM-9WPPB 70-79 years, male 14.1
GTEX-18D9A-0626-SM-7KFTY 30-39 years, female 14.0
GTEX-OXRK-1626-SM-3NB17 50-59 years, female 14.0
GTEX-P4PQ-1526-SM-3NMCK 60-69 years, male 14.0
GTEX-ZYVF-2726-SM-5GID4 50-59 years, female 14.0
GTEX-1F5PK-1826-SM-7RHHX 50-59 years, male 14.0
GTEX-1GPI7-1326-SM-9KNVA 20-29 years, male 14.0
GTEX-1H1DE-1226-SM-9JGHH 20-29 years, male 14.0
GTEX-XAJ8-0326-SM-47JYI 40-49 years, male 13.9
GTEX-1A3MX-1926-SM-72D7F 60-69 years, male 13.8
GTEX-1JN1M-2926-SM-CNNPJ 60-69 years, female 13.8
GTEX-1QP29-2326-SM-EXOJO 50-59 years, male 13.8
GTEX-PLZ6-0826-SM-3P61K 30-39 years, male 13.7
GTEX-TKQ2-0926-SM-4DXU5 50-59 years, male 13.7
GTEX-Y5V6-1326-SM-4VDTF 60-69 years, male 13.7
GTEX-ZF29-1526-SM-4WKF7 60-69 years, female 13.7
GTEX-1I1GT-1726-SM-C1YS3 60-69 years, female 13.7
GTEX-139D8-2326-SM-5IFGE 30-39 years, female 13.6
GTEX-146FH-2126-SM-5SI9U 50-59 years, female 13.6
GTEX-Q2AI-0826-SM-48TZO 40-49 years, male 13.6
GTEX-S3XE-1026-SM-4AD4O 50-59 years, male 13.6
GTEX-NFK9-1526-SM-3LK7B 40-49 years, male 13.5
GTEX-OIZH-1526-SM-3NB1J 50-59 years, male 13.5
GTEX-1I4MK-0926-SM-A9SLD 50-59 years, female 13.5
GTEX-R55G-1126-SM-48FDG 40-49 years, female 13.4
GTEX-S4P3-0726-SM-4AD57 50-59 years, female 13.4
GTEX-12BJ1-1726-SM-5HL9B 60-69 years, male 13.3
GTEX-13N1W-2026-SM-5K7YU 70-79 years, male 13.3
GTEX-1LSNM-1026-SM-DHXL2 50-59 years, male 13.2
GTEX-WFG8-1326-SM-4LVN3 20-29 years, male 13.1
GTEX-1B97I-1226-SM-7MGWQ 40-49 years, male 13.1
GTEX-1C64O-2226-SM-73KTV 60-69 years, male 13.0
GTEX-XPVG-1526-SM-4B66C 50-59 years, male 13.0
GTEX-1K2DA-0826-SM-CGQGD 50-59 years, male 13.0
GTEX-1LGRB-1726-SM-CNNRA 50-59 years, female 13.0
GTEX-16NGA-1526-SM-72D56 40-49 years, female 12.9
GTEX-QLQ7-0826-SM-447B3 60-69 years, male 12.9
GTEX-WRHK-0626-SM-4MVOE 20-29 years, female 12.9
GTEX-O5YV-1926-SM-EV797 60-69 years, female 12.9
GTEX-QDT8-2026-SM-EZ6LS 30-39 years, female 12.9
GTEX-RUSQ-1126-SM-EAZAU 50-59 years, male 12.9
GTEX-131XE-2226-SM-5PNYX 50-59 years, male 12.8
GTEX-W5WG-1726-SM-4LMI5 50-59 years, female 12.8
GTEX-WHWD-1426-SM-4OORU 50-59 years, male 12.8
GTEX-1HCUA-1626-SM-A9SMG 50-59 years, female 12.8
GTEX-1QMI2-2126-SM-DPRXQ 60-69 years, male 12.8
GTEX-12WSG-2026-SM-5FQUU 50-59 years, female 12.7
GTEX-1AMEY-1226-SM-731DU 30-39 years, female 12.7
GTEX-144GM-1726-SM-5O9AS 20-29 years, male 12.5
GTEX-ZT9W-1526-SM-4YCDE 50-59 years, male 12.5
GTEX-12WSJ-0926-SM-5P9JD 40-49 years, female 12.4
GTEX-ZLWG-1526-SM-DO12F 50-59 years, female 12.4
GTEX-1399U-1626-SM-5P9J3 50-59 years, female 12.3
GTEX-1AX9J-2626-SM-731EK 60-69 years, male 12.3
GTEX-Y3I4-1626-SM-4TT7W 50-59 years, male 12.3
GTEX-1HSEH-1526-SM-B2LXG 60-69 years, male 12.3
GTEX-145LT-1426-SM-5O9B3 40-49 years, male 12.2
GTEX-11EI6-2426-SM-5PNVS 60-69 years, male 12.1
GTEX-11EQ9-1226-SM-5987E 30-39 years, male 12.1
GTEX-1399S-1626-SM-5P9GI 30-39 years, female 12.0
GTEX-13U4I-2526-SM-5SI8Z 40-49 years, female 12.0
GTEX-QV31-0626-SM-447C5 30-39 years, male 12.0
GTEX-ZAB4-1526-SM-5CVN7 40-49 years, male 12.0
GTEX-13CF3-1926-SM-5K7WF 60-69 years, female 11.9
GTEX-1HBPN-1626-SM-9WPNP 50-59 years, male 11.9
GTEX-1339X-1426-SM-5K7YO 40-49 years, male 11.8
GTEX-17F9E-2226-SM-7IGNC 50-59 years, male 11.8
GTEX-T5JC-1926-SM-4DM6Q 20-29 years, male 11.8
GTEX-UJHI-1026-SM-4IHJP 50-59 years, female 11.8
GTEX-132AR-2426-SM-5IFFD 50-59 years, female 11.7
GTEX-13O3Q-2126-SM-5KM4C 50-59 years, male 11.7
GTEX-1HSMQ-2426-SM-CE6RY 50-59 years, male 11.7
GTEX-1J8QM-1126-SM-C1YQB 60-69 years, female 11.7
GTEX-13QJ3-2726-SM-5SI6L 50-59 years, male 11.6
GTEX-T6MO-0726-SM-4DM58 40-49 years, female 11.6
GTEX-1QCLZ-1826-SM-DPRXP 60-69 years, female 11.6
GTEX-13111-1226-SM-5GCNC 50-59 years, male 11.5
GTEX-1GZ4H-1026-SM-9OSXL 50-59 years, female 11.5
GTEX-1JKYN-1726-SM-AHZ48 30-39 years, male 11.5
GTEX-14PKV-1826-SM-69LO9 20-29 years, female 11.4
GTEX-17F98-1526-SM-7EWD8 40-49 years, female 11.4
GTEX-TMMY-1626-SM-4DXTY 40-49 years, female 11.4
GTEX-1JMQJ-1326-SM-D4P3B 50-59 years, male 11.4
GTEX-11NSD-1426-SM-5HL67 20-29 years, male 11.3
GTEX-ZF2S-1426-SM-57WET 50-59 years, female 11.3
GTEX-WEY5-1226-SM-4LMIQ 40-49 years, female 11.2
GTEX-X15G-1126-SM-4PQZG 50-59 years, female 11.2
GTEX-YFCO-0826-SM-5LUAG 40-49 years, male 11.2
GTEX-ZVP2-1626-SM-5GU5D 50-59 years, male 11.2
GTEX-1J8JJ-1726-SM-C1YQG 60-69 years, female 11.2
GTEX-S7SF-0626-SM-4AD4V 20-29 years, female 11.1
GTEX-T8EM-1226-SM-4DM5J 40-49 years, male 11.1
GTEX-Y114-1226-SM-4TT88 50-59 years, female 11.1
GTEX-YEC4-1426-SM-5IFHS 40-49 years, male 11.1
GTEX-YJ8A-1526-SM-5P9FT 20-29 years, male 11.1
GTEX-13X6J-2126-SM-5TDCV 50-59 years, male 11.0
GTEX-SNMC-0626-SM-4DM6H 20-29 years, male 11.0
GTEX-WYVS-1326-SM-4ONCQ 40-49 years, female 11.0
GTEX-11TT1-0726-SM-5GU5A 20-29 years, male 10.9
GTEX-13QBU-1126-SM-5LU44 40-49 years, female 10.9
GTEX-S4Q7-0726-SM-4AD5F 20-29 years, male 10.9
GTEX-O5YW-1526-SM-3MJGL 50-59 years, male 10.8
GTEX-WY7C-1726-SM-4ONCC 50-59 years, male 10.8
GTEX-ZE7O-3026-SM-51MS4 50-59 years, female 10.8
GTEX-1IDJD-2426-SM-C1YS6 30-39 years, male 10.8
GTEX-1H1E6-1626-SM-9OSWC 30-39 years, male 10.7
GTEX-WH7G-1526-SM-4LVMX 40-49 years, male 10.6
GTEX-1JMLX-2426-SM-CXZJQ 50-59 years, male 10.6
GTEX-ZGAY-1626-SM-DNZZ3 40-49 years, female 10.6
GTEX-1GN1W-2126-SM-9JGI7 50-59 years, female 10.5
GTEX-RU1J-0526-SM-46MUT 20-29 years, female 10.4
GTEX-S4UY-1626-SM-4AD55 40-49 years, female 10.4
GTEX-XV7Q-1326-SM-4BRWM 40-49 years, female 10.4
GTEX-ZZPU-1426-SM-5GZZ6 50-59 years, female 10.4
GTEX-OHPM-1526-SM-EV796 50-59 years, male 10.4
GTEX-145MO-2226-SM-5Q5BN 60-69 years, male 10.3
GTEX-ZDYS-1926-SM-5HL59 50-59 years, male 10.3
GTEX-14E6E-0926-SM-664N8 30-39 years, male 10.2
GTEX-13OW6-2526-SM-5IJEC 50-59 years, male 10.1
GTEX-Y8E4-1526-SM-4WWDI 40-49 years, male 10.1
GTEX-R55D-1526-SM-48FEJ 50-59 years, male 10.0
GTEX-1RMOY-1126-SM-EV79E 50-59 years, male 10.0
GTEX-14JG6-1226-SM-664O6 30-39 years, female 9.9
GTEX-1AYCT-1326-SM-7MKHB 50-59 years, male 9.9
GTEX-Y3IK-1426-SM-4YCES 50-59 years, female 9.9
GTEX-ZZ64-0426-SM-5E43F 20-29 years, male 9.9
GTEX-1JMPZ-1826-SM-CXZJT 30-39 years, male 9.9
GTEX-13FTX-0726-SM-5N9BI 20-29 years, female 9.8
GTEX-SNOS-0826-SM-4DM5N 40-49 years, male 9.8
GTEX-1E1VI-2826-SM-7MGWU 50-59 years, male 9.8
GTEX-1MGNQ-1826-SM-DPRYI 40-49 years, male 9.8
GTEX-1RQEC-2126-SM-DPS15 60-69 years, male 9.8
GTEX-139YR-1926-SM-5LZXM 50-59 years, male 9.7
GTEX-1HFI7-1526-SM-9WG7W 50-59 years, female 9.7
GTEX-OXRL-1526-SM-E6CHQ 50-59 years, male 9.7
GTEX-14DAQ-2826-SM-664MU 60-69 years, female 9.6
GTEX-11DXX-1326-SM-5GIDZ 60-69 years, female 9.5
GTEX-15G19-1526-SM-6LPKP 60-69 years, male 9.5
GTEX-14PJ3-1426-SM-664O8 50-59 years, male 9.4
GTEX-1B8L1-1526-SM-79OLK 60-69 years, male 9.4
GTEX-WFG7-1326-SM-4LMK1 20-29 years, male 9.4
GTEX-1H3VY-2326-SM-9WG81 50-59 years, male 9.4
GTEX-1MJIX-1126-SM-EV7AO 40-49 years, male 9.4
GTEX-Q2AH-1126-SM-48TZM 40-49 years, male 9.3
GTEX-Q734-1026-SM-48U16 40-49 years, female 9.3
GTEX-ZEX8-1626-SM-4WKG7 50-59 years, male 9.3
GTEX-131XG-1226-SM-5EGH9 50-59 years, female 9.2
GTEX-R53T-1226-SM-48FCT 50-59 years, female 9.2
GTEX-WYJK-2526-SM-4ONDF 50-59 years, male 9.1
GTEX-XBEW-1826-SM-4RTWX 40-49 years, male 9.1
GTEX-13O21-0926-SM-5IFGT 50-59 years, male 9.0
GTEX-PWCY-0926-SM-48TD7 20-29 years, female 9.0
GTEX-111CU-0926-SM-5EGIK 50-59 years, male 8.9
GTEX-S4Z8-1226-SM-4AD6W 60-69 years, male 8.9
GTEX-SUCS-0926-SM-4DM4Z 70-79 years, male 8.9
GTEX-1LBAC-1426-SM-CXZKT 20-29 years, male 8.9
GTEX-1LVAN-2426-SM-CNNPZ 50-59 years, female 8.9
GTEX-13113-0726-SM-5LZUF 60-69 years, female 8.8
GTEX-S95S-0826-SM-4B64N 60-69 years, male 8.8
GTEX-Y5LM-1326-SM-5RQIS 40-49 years, female 8.8
GTEX-1IDJU-1526-SM-CNNR3 60-69 years, female 8.8
GTEX-1QCLY-1126-SM-EAZ4J 30-39 years, male 8.8
GTEX-1C475-1026-SM-7MKFJ 40-49 years, female 8.7
GTEX-RTLS-2626-SM-46MUJ 60-69 years, female 8.7
GTEX-WXYG-1626-SM-4ONCR 50-59 years, female 8.7
GTEX-12WSD-2326-SM-59HKQ 60-69 years, female 8.6
GTEX-1F5PL-1426-SM-7MKFH 40-49 years, female 8.6
GTEX-V1D1-1726-SM-4JBHB 50-59 years, male 8.6
GTEX-1IL2V-2026-SM-ARZMA 70-79 years, male 8.6
GTEX-1JK1U-1326-SM-AHZ45 60-69 years, male 8.6
GTEX-1R7EU-1126-SM-EAZ4M 60-69 years, male 8.5
GTEX-145ME-1026-SM-5O9B4 40-49 years, female 8.4
GTEX-1J8Q3-1926-SM-C1YSJ 60-69 years, male 8.4
GTEX-1QPFJ-1526-SM-DPRXT 30-39 years, female 8.4
GTEX-111YS-1126-SM-5GZYQ 60-69 years, male 8.3
GTEX-14DAR-0926-SM-73KUQ 50-59 years, male 8.3
GTEX-15CHR-1326-SM-79OLT 50-59 years, male 8.3
GTEX-18A66-2226-SM-7189E 60-69 years, male 8.3
GTEX-V955-1326-SM-4JBHR 60-69 years, male 8.3
GTEX-XMK1-1526-SM-EYYVO 40-49 years, male 8.3
GTEX-QLQW-0726-SM-447AA 30-39 years, male 8.2
GTEX-QV44-1226-SM-CJI1S 50-59 years, male 8.2
GTEX-1AMFI-1226-SM-731CZ 50-59 years, female 8.1
GTEX-QDVJ-1426-SM-48U1Y 50-59 years, male 8.1
GTEX-UJMC-1226-SM-4IHLI 50-59 years, male 8.1
GTEX-ZPU1-1626-SM-4WWB2 40-49 years, male 8.1
GTEX-ZYFG-1326-SM-5GICJ 60-69 years, female 8.1
GTEX-1ICG6-1826-SM-AHZ2O 70-79 years, female 8.1
GTEX-ZLV1-0826-SM-DO11P 60-69 years, female 8.1
GTEX-12WSK-1426-SM-5CVNN 40-49 years, female 8.0
GTEX-132QS-1826-SM-5IFFN 60-69 years, male 8.0
GTEX-VJYA-1026-SM-4KL21 60-69 years, male 8.0
GTEX-1KD5A-1426-SM-D4P3V 50-59 years, male 8.0
GTEX-13FTW-1726-SM-5KM2B 40-49 years, male 7.9
GTEX-XQ8I-2026-SM-4BOOL 50-59 years, male 7.9
GTEX-ZA64-0826-SM-5HL9U 20-29 years, male 7.9
GTEX-1HR9M-2326-SM-CNPPZ 60-69 years, male 7.9
GTEX-17HHE-1026-SM-79ON6 50-59 years, male 7.8
GTEX-ZVT3-2126-SM-59HL2 60-69 years, female 7.8
GTEX-1KXAM-0926-SM-CXZKA 60-69 years, male 7.8
GTEX-1RB15-1026-SM-E9U6V 60-69 years, male 7.8
GTEX-PW2O-1226-SM-48TCH 20-29 years, male 7.7
GTEX-PX3G-1526-SM-48U11 20-29 years, female 7.7
GTEX-WZTO-2126-SM-4PQYW 40-49 years, male 7.7
GTEX-ZQUD-0826-SM-57WDQ 30-39 years, male 7.7
GTEX-1I6K7-1726-SM-B2LXQ 40-49 years, male 7.7
GTEX-131XF-1226-SM-5HL8V 60-69 years, male 7.6
GTEX-17HII-2426-SM-7KFTT 50-59 years, male 7.6
GTEX-1A8G6-1426-SM-731EZ 60-69 years, male 7.6
GTEX-PWN1-1526-SM-48TDA 40-49 years, female 7.6
GTEX-WFON-1126-SM-4LVMA 40-49 years, male 7.6
GTEX-XBED-1226-SM-4AT5V 60-69 years, male 7.6
GTEX-1EH9U-2226-SM-7PBXX 60-69 years, male 7.6
GTEX-18QFQ-1226-SM-718AE 30-39 years, male 7.5
GTEX-1HKZK-1526-SM-B2LWG 40-49 years, male 7.5
GTEX-11NUK-2426-SM-5BC4U 50-59 years, male 7.4
GTEX-17HGU-2126-SM-7IGOV 50-59 years, male 7.4
GTEX-ZVT2-1626-SM-51MRC 50-59 years, female 7.4
GTEX-14BIL-1926-SM-73KYI 50-59 years, male 7.3
GTEX-15UF7-1226-SM-6M46G 40-49 years, male 7.3
GTEX-XUZC-0726-SM-4BOPH 30-39 years, female 7.3
GTEX-18A67-2626-SM-718AD 50-59 years, male 7.2
GTEX-1E2YA-2426-SM-7EPIG 50-59 years, male 7.2
GTEX-1LG7Z-1226-SM-DHXK4 30-39 years, male 7.2
GTEX-ZVZP-1726-SM-5GZWY 50-59 years, male 7.1
GTEX-1H11D-2226-SM-9OSXN 40-49 years, male 7.1
GTEX-1F75I-1826-SM-7MKGX 40-49 years, male 7.0
GTEX-133LE-1326-SM-5IFGO 20-29 years, female 6.9
GTEX-QCQG-0526-SM-48U2A 50-59 years, female 6.9
GTEX-1HBPI-0726-SM-9WG7Z 50-59 years, male 6.9
GTEX-14ICL-0826-SM-5YY9W 30-39 years, male 6.8
GTEX-1B8KE-1326-SM-73KVI 50-59 years, male 6.8
GTEX-ZYY3-1726-SM-5EGH3 60-69 years, female 6.8
GTEX-1GL5R-1926-SM-9WG7U 50-59 years, male 6.8
GTEX-1I1HK-2026-SM-CNNRB 60-69 years, male 6.8
GTEX-11GSP-2126-SM-5HL5E 60-69 years, female 6.7
GTEX-13OVK-0926-SM-7KUFX 40-49 years, male 6.7
GTEX-18A7A-2726-SM-7LG6U 50-59 years, female 6.7
GTEX-QXCU-1926-SM-48FE4 50-59 years, male 6.6
GTEX-U3ZN-2026-SM-4DXUC 30-39 years, female 6.6
GTEX-XXEK-0826-SM-4BRWG 50-59 years, male 6.6
GTEX-YB5E-1126-SM-664NU 40-49 years, male 6.6
GTEX-1LGOU-1526-SM-D3LAJ 20-29 years, female 6.6
GTEX-145MN-1326-SM-5NQ9S 30-39 years, male 6.5
GTEX-RM2N-0826-SM-48FD3 50-59 years, male 6.5
GTEX-1A3MV-1226-SM-718BW 30-39 years, male 6.4
GTEX-14PHX-1026-SM-664OL 50-59 years, male 6.3
GTEX-P4PP-1526-SM-3P61M 30-39 years, female 6.3
GTEX-ZY6K-0726-SM-5A5L8 50-59 years, male 6.3
GTEX-1MUQO-1926-SM-EAZ59 60-69 years, male 6.3
GTEX-14B4R-0726-SM-5TDDR 30-39 years, male 6.2
GTEX-15DZA-1126-SM-6LPK8 30-39 years, female 6.2
GTEX-1QP2A-2126-SM-DPRZ7 50-59 years, male 6.2
GTEX-14PJ6-0826-SM-686Z9 60-69 years, female 6.1
GTEX-14BMV-2226-SM-5RQHX 50-59 years, male 6.0
GTEX-RWS6-0926-SM-47JXE 60-69 years, female 6.0
GTEX-Y9LG-1026-SM-5IFJN 30-39 years, male 6.0
GTEX-WHSB-1226-SM-4M1XR 50-59 years, male 5.9
GTEX-1GMRU-2526-SM-9WG7T 50-59 years, male 5.9
GTEX-1J8EW-2226-SM-AHZ3T 60-69 years, female 5.9
GTEX-ZP4G-1226-SM-4WWCJ 20-29 years, female 5.8
GTEX-1R9K5-1026-SM-EAZ4F 50-59 years, male 5.8
GTEX-15DCE-1626-SM-6LPJM 20-29 years, male 5.7
GTEX-ZLFU-1326-SM-DO11R 40-49 years, male 5.7
GTEX-11I78-1726-SM-5A5M3 50-59 years, female 5.6
GTEX-1KANA-1126-SM-D3L9M 20-29 years, male 5.6
GTEX-144GN-1226-SM-5O991 50-59 years, male 5.5
GTEX-15RIE-1026-SM-6LPJQ 60-69 years, male 5.5
GTEX-1122O-1926-SM-5EGIQ 60-69 years, female 5.3
GTEX-17JCI-2226-SM-7LTA1 60-69 years, female 5.3
GTEX-1CAMR-0726-SM-7EPIE 20-29 years, male 5.3
GTEX-Y8LW-0826-SM-4WWDO 50-59 years, female 5.3
GTEX-OIZF-1526-SM-2I5GR 60-69 years, male 5.3
GTEX-117YX-1026-SM-5H11V 50-59 years, male 5.2
GTEX-12696-1726-SM-5EQLH 60-69 years, male 5.1
GTEX-ZV7C-1626-SM-5NQ7E 50-59 years, male 5.1
GTEX-T5JW-0926-SM-4DM5K 20-29 years, female 5.0
GTEX-11EM3-1026-SM-5A5KL 20-29 years, female 4.7
GTEX-17GQL-1226-SM-7KFTS 60-69 years, male 4.5
GTEX-1B97J-1826-SM-7IGPP 50-59 years, female 4.3
GTEX-1RAZR-1526-SM-EAZ4U 40-49 years, male 4.1
GTEX-1B8KZ-1226-SM-793CP 50-59 years, male 3.6
GTEX-ZXES-1426-SM-5NQ8S 30-39 years, female 3.3
GTEX-1399R-1126-SM-5IFIO 30-39 years, male 3.2
GTEX-S341-0626-SM-4AD5T 40-49 years, female 2.9
Show allShow less

Contact

  • NEWS ARTICLES
  • PRESS ROOM

The Project

  • INTRODUCTION
  • ORGANIZATION
  • PUBLICATIONS

The Human Protein Atlas

  • DOWNLOADABLE DATA
  • LICENCE & CITATION
  • HELP & FAQ
The Human Protein Atlas project is funded
by the Knut & Alice Wallenberg Foundation.


contact@proteinatlas.org