We use cookies to enhance the usability of our website. If you continue, we'll assume that you are happy to receive all cookies. More information. Don't show this again.
PSMA7
HPA
RESOURCES
  • TISSUE
  • BRAIN
  • SINGLE CELL
  • SUBCELLULAR
  • CANCER
  • BLOOD
  • CELL LINE
  • STRUCTURE & INTERACTION
ABOUT
  • INTRODUCTION
  • HISTORY
  • ORGANIZATION
  • PUBLICATIONS
  • ANTIBODY SUBMISSION
  • ANTIBODY AVAILABILITY
  • ACKNOWLEDGMENTS
  • CONTACT
NEWS
  • NEWS ARTICLES
  • PRESS ROOM
LEARN
  • DICTIONARY
  • PROTEIN CLASSES
  • PROTEIN EVIDENCE
  • METHODS
  • EDUCATIONAL VIDEOS
DATA
  • DOWNLOADABLE DATA
  • PUBLICATION DATA
  • RELEASE HISTORY
HELP
  • ANTIBODY VALIDATION
  • ASSAYS & ANNOTATION
  • DISCLAIMER
  • HELP & FAQ
  • PRIVACY STATEMENT
  • LICENCE & CITATION
Fields »
Search result

Field
Term
Gene name
Class
Subclass
Class
Keyword
Chromosome
External id
Tissue
Cell type
Expression
Antibody panel
Tissue
Main location
Patient ID
Annotation
Tissue
Category
Tau score
Cluster
Reliability
Brain region
Category
Tau score
Brain region
Category
Tau score
Brain region
Category
Tau score
Cluster
Reliability
Tissue
Cell type
Enrichment
Cell type
Category
Tau score
Cell type
Category
Tau score
Cell type
Category
Tau score
Cell lineage
Category
Tau score
Cluster
Cluster
Location
Searches
Location
Cell line
Class
Type
Phase
Reliability
Cancer
Prognosis
Cancer
Category
Cancer
Category
Tau score
Cluster
Variants
Interacting gene (ensg_id)
Type
Number of interactions
Pathway
Category
Score
Score
Score
Validation
Validation
Validation
Validation
Antibodies
Data type
Column


  • SUMMARY

  • TISSUE

  • BRAIN

  • SINGLE CELL

  • SUBCELL

  • CANCER

  • BLOOD

  • CELL LINE

  • STRUCT & INT

  • PSMA7
TISSUE PRIMARY DATA SKIN Show tissue menu
ADIPOSE TISSUE ADRENAL GLAND AMYGDALA APPENDIX BASAL GANGLIA BONE MARROW BREAST BRONCHUS CEREBELLUM CEREBRAL CORTEX CERVIX CHOROID PLEXUS COLON DUODENUM
ENDOMETRIUM EPIDIDYMIS ESOPHAGUS FALLOPIAN TUBE GALLBLADDER HEART MUSCLE HIPPOCAMPAL FORMATION HYPOTHALAMUS KIDNEY LIVER LUNG LYMPH NODE MIDBRAIN NASOPHARYNX
ORAL MUCOSA OVARY PANCREAS PARATHYROID GLAND PITUITARY GLAND PLACENTA PROSTATE RECTUM RETINA SALIVARY GLAND SEMINAL VESICLE SKELETAL MUSCLE SKIN SMALL INTESTINE
SMOOTH MUSCLE SOFT TISSUE SPINAL CORD SPLEEN STOMACH TESTIS THYMUS THYROID GLAND TONGUE TONSIL URINARY BLADDER VAGINA
ANTIBODIES
AND
VALIDATION
Dictionary
Skin
Tissue proteome
Skin
SKIN - Expression summary
Protein expression
Skini

On the top, protein expression in current human tissue, based on all annotated cell types, is reported with the units not detected (n), low (l), medium (m) and high (h). Underneath, protein expression in each annotated cell type are reported using the same units.

Protein expression data is based on knowledge-based annotation. For genes where more than one antibody has been used, a collective score is set.

If knowledge-based annotation could not be performed for a gene, no data is displayed here. View antibody staining data further down this page.

h
m
l
n
Epidermal cells: High
Fibroblasts: Medium
Keratinocytes: Low
Langerhans: High
Melanocytes: Low
RNA expressioni

A summary of mRNA expression data available for current tissue based on several datasets. The mRNA expression levels in human tissues are based on RNA-seq data generated by the Human Protein Atlas (HPA), Genotype-Tissue Expression (GTEx) portal and CAGE data generated by the FANTOM5 consortium. Consensus normalized expression levels for human tissues was created by combining the data from HPA and GTEx datasets.

The mRNA expression levels in pig are based on RNA-seq data generated by the Human Protein Atlas (HPA), and for mouse, HPA data and in situ hybridization generated by the Allen brain atlas are reported.

Scroll down to view mRNA expression data in more detail.
Consensus:132.4 nTPM
HPA:105.6 nTPM
GTEx:132.4 nTPM

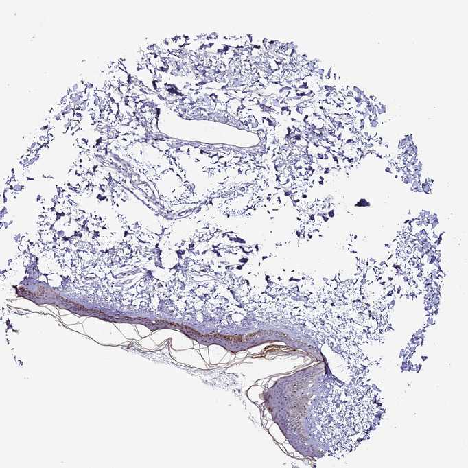
SKIN 1 - Antibody stainingi

Antibody staining in the annotated cell types in the current human tissue is reported as not detected, low, medium, or high, based on conventional immunohistochemistry profiling in selected tissues. This score is based on the combination of the staining intensity and fraction of stained cells.

Each image is clickable and will lead to virtual microscopy that enables deeper exploration of all samples and also displays staining intensity scores, fraction scores and subcellular localization as well as patient and tissue information for each sample.

Antibody HPA047266Antibody CAB046007Antibody CAB046008
Langerhans Not detectedLowHigh
Fibroblasts Not detectedNot detectedMedium
Keratinocytes LowLowLow
Melanocytes LowLowLow




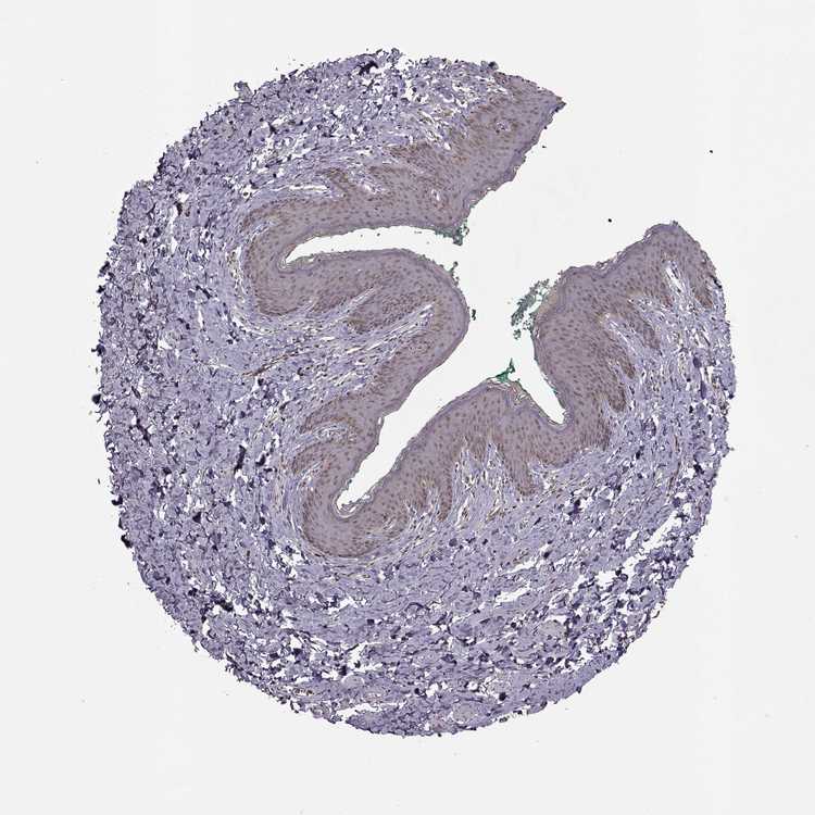
SKIN 2 - Antibody stainingi

Antibody staining in the annotated cell types in the current human tissue is reported as not detected, low, medium, or high, based on conventional immunohistochemistry profiling in selected tissues. This score is based on the combination of the staining intensity and fraction of stained cells.

Each image is clickable and will lead to virtual microscopy that enables deeper exploration of all samples and also displays staining intensity scores, fraction scores and subcellular localization as well as patient and tissue information for each sample.

Antibody HPA047266Antibody CAB046007Antibody CAB046008
Epidermal cells Not detectedMediumHigh
   
   
   





SKIN - HPA RNA-seqi

The RNA-seq details section shows detailed information about the individual samples used for the transcript profiling and results of the RNA-seq analysis.

Information about each individual sample is listed below, including gender, age, a tissue section image and estimated fractions of cell types. nTPM (normalized transcripts per million) values give a quantification of the gene abundance which is comparable between different genes and samples.
Average nTPMi

Max subtype nTPM is the value for the subtype with the largest average nTPM across the subtype samples.

105.6
overview
Female, age 34
Skin sample 225
nTPM: 105.5
Cell types%
Keratinocytes:
60

Other cell types:
40

overview
Female, age 30
Skin sample 226
nTPM: 86.2
Cell types%
Keratinocytes:
55

Other cell types:
45

N/A
Male, age 57
Skin sample 227
nTPM: 125.2

SKIN - GTEx RNA-seqi

RNA-Seq data generated by the Genotype-Tissue Expression (GTEx) project from human tissues is reported as mean nTPM. More information can be found on the GTEx portal.

Distribution across the dataset is visualized with box plots, shown as median and 25th and 75th percentiles. Points are displayed as outliers if they are above or below 1.5 times the interquartile range. nTPM values of the individual samples are presented next to the box plot.
Max subtype nTPMi

Max subtype nTPM is the value for the subtype with the largest average nTPM across the subtype samples.

132.4
GTEx sample id Sample description nTPM
Skin - Not Sun Exposed (Suprapubic)
Average nTPM: 132.4
Samples: 604

Max nTPM: 248.5
Min nTPM: 69.9
Std nTPM: 26.1
Median nTPM: 129.1
GTEX-WH7G-2026-SM-3NMBL 40-49 years, male 248.5
GTEX-1HSMP-0926-SM-A9SKX 70-79 years, male 239.8
GTEX-1PIGE-1826-SM-E8VOU 20-29 years, male 235.1
GTEX-1E2YA-2126-SM-7MXUO 50-59 years, male 230.4
GTEX-15RIE-1926-SM-7KUKJ 60-69 years, male 228.6
GTEX-1AX9J-1326-SM-731BJ 60-69 years, male 228.3
GTEX-14XAO-1226-SM-6EU1C 60-69 years, female 227.1
GTEX-14A5H-0826-SM-5QGPJ 60-69 years, male 222.9
GTEX-11DZ1-2426-SM-5GZZX 50-59 years, male 214.8
GTEX-11WQK-1026-SM-5EQLX 50-59 years, male 209.6
GTEX-16YQH-2226-SM-7IGM2 30-39 years, male 209.0
GTEX-15G19-2426-SM-7KUMR 60-69 years, male 207.7
GTEX-11DXX-2126-SM-5PNYR 60-69 years, female 207.5
GTEX-XK95-0226-SM-4AT58 40-49 years, male 207.5
GTEX-U8XE-0226-SM-4E3J3 30-39 years, male 205.3
GTEX-ZF3C-0626-SM-DO92O 50-59 years, female 196.3
GTEX-13NYC-0126-SM-5L3F4 60-69 years, male 195.4
GTEX-1117F-2926-SM-5GZYI 60-69 years, female 194.7
GTEX-XYKS-1426-SM-4BRUO 60-69 years, female 194.7
GTEX-144GL-0626-SM-5LU4D 50-59 years, male 194.4
GTEX-YB5K-2026-SM-4VDT3 40-49 years, female 194.3
GTEX-17EVQ-0126-SM-7IGLR 70-79 years, male 193.5
GTEX-1PPH8-0126-SM-EWRN8 20-29 years, male 192.3
GTEX-1R9PN-0426-SM-DTXDT 40-49 years, female 191.0
GTEX-ZY6K-1426-SM-5GZX2 50-59 years, male 188.3
GTEX-WFON-1926-SM-3LK7L 40-49 years, male 186.9
GTEX-14DAR-1226-SM-73KYV 50-59 years, male 179.9
GTEX-1LKK1-2626-SM-DKPQE 50-59 years, female 179.5
GTEX-YF7O-1526-SM-5IFI6 50-59 years, male 179.3
GTEX-1H1DG-2426-SM-9QEHJ 70-79 years, male 177.3
GTEX-1E1VI-0326-SM-793D1 50-59 years, male 177.2
GTEX-1399Q-2326-SM-5KM2X 40-49 years, male 176.7
GTEX-Y5V6-2326-SM-4VDSA 60-69 years, male 176.0
GTEX-14E6C-2426-SM-5S2NF 40-49 years, male 175.1
GTEX-Y5LM-0926-SM-6LLJG 40-49 years, female 175.0
GTEX-13IVO-0726-SM-5LZYV 70-79 years, male 174.4
GTEX-111VG-1626-SM-5EGIO 60-69 years, male 173.8
GTEX-145MG-1526-SM-5Q5EM 50-59 years, male 173.6
GTEX-17HHE-1326-SM-7EWDZ 50-59 years, male 173.4
GTEX-1A3MW-0626-SM-731CB 60-69 years, female 172.9
GTEX-YECK-0326-SM-4W1YS 60-69 years, male 172.2
GTEX-1C6WA-2626-SM-7MKGM 60-69 years, male 171.2
GTEX-15RIG-0726-SM-7KUM7 40-49 years, male 171.1
GTEX-14LZ3-0126-SM-69LPM 60-69 years, female 171.0
GTEX-11OF3-0126-SM-5PNYF 60-69 years, male 170.7
GTEX-14PJ3-1126-SM-5ZZVX 50-59 years, male 169.3
GTEX-YEC4-1826-SM-4W1YP 40-49 years, male 169.1
GTEX-1O9I2-0226-SM-EYYXD 50-59 years, male 168.5
GTEX-1RAZQ-1326-SM-E9TK6 30-39 years, male 167.0
GTEX-16GPK-0626-SM-7KFSF 60-69 years, male 166.4
GTEX-144GO-2026-SM-5O99P 60-69 years, male 166.2
GTEX-1JMQL-2226-SM-CNPP4 50-59 years, female 165.8
GTEX-1JN1M-2726-SM-CY8I4 60-69 years, female 164.8
GTEX-WI4N-2726-SM-3LK7Y 40-49 years, female 164.7
GTEX-1RB15-1326-SM-E76Q9 60-69 years, male 164.3
GTEX-13NYS-0626-SM-5L3F1 60-69 years, male 164.1
GTEX-ZTTD-2826-SM-4YCFA 50-59 years, male 163.9
GTEX-ZYW4-0626-SM-59HJR 60-69 years, male 163.8
GTEX-ZVZP-1226-SM-5GID7 50-59 years, male 163.7
GTEX-WYJK-0526-SM-3NM8Z 50-59 years, male 163.5
GTEX-1QPFJ-1926-SM-EVYBD 30-39 years, female 162.7
GTEX-13OVJ-0826-SM-5J1OK 50-59 years, female 162.5
GTEX-15SKB-2826-SM-6PAMH 60-69 years, male 162.0
GTEX-ZPCL-1126-SM-4WWFE 60-69 years, female 161.4
GTEX-13112-0126-SM-5P9IU 50-59 years, male 160.9
GTEX-13OVG-1626-SM-5J1NF 60-69 years, male 160.8
GTEX-15SHW-0226-SM-7LTAT 60-69 years, male 160.7
GTEX-ZE7O-2726-SM-51MT5 50-59 years, female 160.7
GTEX-14ICL-1626-SM-5YYAO 30-39 years, male 160.3
GTEX-1H23P-0626-SM-9WG6T 60-69 years, male 160.2
GTEX-148VJ-0626-SM-5LUAW 70-79 years, male 160.0
GTEX-ZYVF-0926-SM-5E44J 50-59 years, female 159.8
GTEX-1CB4J-1326-SM-7P8RX 60-69 years, male 159.8
GTEX-13G51-1826-SM-5KLZH 60-69 years, male 159.7
GTEX-15UF6-1926-SM-7KUDV 70-79 years, female 159.7
GTEX-16MT9-0126-SM-7EPI8 60-69 years, female 159.6
GTEX-13OVH-0526-SM-5L3E6 70-79 years, male 159.4
GTEX-1S3DN-2126-SM-E9TIN 50-59 years, male 159.2
GTEX-1R9PM-1926-SM-EVR3O 20-29 years, male 158.9
GTEX-ZYFD-0626-SM-5E44E 50-59 years, male 158.2
GTEX-1L5NE-1126-SM-D3L9P 50-59 years, male 157.9
GTEX-1I6K7-1926-SM-B2LXR 40-49 years, male 157.8
GTEX-1GF9U-2026-SM-7SB92 40-49 years, female 157.5
GTEX-1OJC4-2726-SM-E76PJ 50-59 years, female 157.4
GTEX-YEC3-1326-SM-DO92X 50-59 years, male 157.4
GTEX-145LT-0526-SM-5LUB2 40-49 years, male 156.8
GTEX-1GF9V-0826-SM-9KNUV 60-69 years, male 156.7
GTEX-1F48J-0726-SM-7RHGS 50-59 years, female 156.3
GTEX-13O3O-2326-SM-5IJD6 60-69 years, female 155.7
GTEX-18D9B-0926-SM-7LG4U 60-69 years, male 155.7
GTEX-ZYT6-2326-SM-5GZY3 30-39 years, male 155.6
GTEX-1IKJJ-2226-SM-CJI4C 60-69 years, male 154.8
GTEX-1GN73-0726-SM-7P8TJ 60-69 years, male 154.7
GTEX-1GMR3-0126-SM-A9SLW 40-49 years, male 154.3
GTEX-1JMQK-1226-SM-D4P2S 60-69 years, male 154.0
GTEX-1CB4I-0126-SM-7RHGG 50-59 years, male 153.9
GTEX-1H1ZS-2726-SM-9WG75 70-79 years, male 153.7
GTEX-17KNJ-2126-SM-718AM 50-59 years, male 153.6
GTEX-13RTJ-0126-SM-5S2NN 60-69 years, male 153.2
GTEX-14E1K-2026-SM-7DUEI 50-59 years, male 153.2
GTEX-1QP2A-1726-SM-E76QC 50-59 years, male 153.2
GTEX-15DYW-2726-SM-6EU2I 60-69 years, female 152.8
GTEX-1H1CY-0126-SM-9YFLY 60-69 years, female 152.7
GTEX-11O72-0626-SM-5PNYE 40-49 years, male 152.6
GTEX-13NZ9-2626-SM-5L3FK 50-59 years, male 152.5
GTEX-14C39-1726-SM-5RQIL 40-49 years, male 152.5
GTEX-14C38-0726-SM-5SI6M 50-59 years, male 152.0
GTEX-ZVE1-0726-SM-51MRN 50-59 years, female 152.0
GTEX-1QP9N-1226-SM-E76QN 30-39 years, male 152.0
GTEX-1JMOU-1026-SM-CYPSS 60-69 years, female 151.2
GTEX-139TT-2126-SM-5LZWC 60-69 years, male 151.0
GTEX-12ZZX-2426-SM-5GCOE 40-49 years, female 150.6
GTEX-13FTY-2126-SM-5IFFB 40-49 years, female 150.6
GTEX-1F5PK-2226-SM-7SB6N 50-59 years, male 150.3
GTEX-111YS-1526-SM-5GZYW 60-69 years, male 150.2
GTEX-14ABY-2026-SM-62LDL 50-59 years, male 149.9
GTEX-15CHQ-0326-SM-69LQD 60-69 years, male 149.9
GTEX-13X6K-0626-SM-5LU5D 60-69 years, female 149.8
GTEX-11TT1-1826-SM-5EQLV 20-29 years, male 149.5
GTEX-1ICG6-1226-SM-A9SLN 70-79 years, female 149.3
GTEX-18D9A-1426-SM-7LT8M 30-39 years, female 149.2
GTEX-139D8-1126-SM-5LU8W 30-39 years, female 149.0
GTEX-147GR-2426-SM-5ZZWQ 60-69 years, male 148.9
GTEX-XQ8I-0926-SM-4BOOF 50-59 years, male 148.8
GTEX-1QCLY-0226-SM-EWRNH 30-39 years, male 148.8
GTEX-ZLFU-1826-SM-4WWBV 40-49 years, male 148.6
GTEX-11DXW-0826-SM-5H118 40-49 years, male 148.5
GTEX-13OW6-2726-SM-5J2OE 50-59 years, male 148.4
GTEX-X8HC-0626-SM-4E3HQ 50-59 years, female 148.3
GTEX-1PBJJ-1026-SM-E76OS 30-39 years, male 148.3
GTEX-VUSG-2326-SM-4KL1U 50-59 years, male 148.0
GTEX-11EQ9-1626-SM-5PNY8 30-39 years, male 147.8
GTEX-X4EP-0626-SM-3P621 60-69 years, female 147.8
GTEX-1IKOE-1426-SM-CE6T7 30-39 years, female 147.6
GTEX-ZVT4-2426-SM-5GIEI 50-59 years, female 147.4
GTEX-1I1CD-0626-SM-CE6SW 60-69 years, female 147.1
GTEX-1LVAO-2726-SM-E9TJ8 60-69 years, male 147.1
GTEX-14JFF-0626-SM-5ZZVT 60-69 years, male 146.9
GTEX-1LVA9-2626-SM-EVYD4 50-59 years, male 146.7
GTEX-1MCC2-1826-SM-DIPEX 30-39 years, female 146.7
GTEX-144GM-0526-SM-79OJO 20-29 years, male 146.6
GTEX-1F6IF-0926-SM-7SB7M 60-69 years, male 146.5
GTEX-13113-1626-SM-5EQ4I 60-69 years, female 146.4
GTEX-WK11-2726-SM-3NMAQ 50-59 years, male 146.3
GTEX-1PPH7-1126-SM-DTX9A 40-49 years, male 146.3
GTEX-1RAZA-2226-SM-E9U4X 20-29 years, male 146.3
GTEX-133LE-2326-SM-5K7W3 20-29 years, female 146.2
GTEX-1RLM8-2926-SM-E8VON 50-59 years, male 146.2
GTEX-14C5O-0326-SM-5ZZUX 60-69 years, male 145.9
GTEX-1H11D-1826-SM-9QEHM 40-49 years, male 145.9
GTEX-13NZ8-1226-SM-5KM4A 60-69 years, female 145.8
GTEX-1HC8U-1326-SM-9YFMJ 40-49 years, female 145.7
GTEX-ZE9C-2526-SM-5IJDR 60-69 years, male 145.6
GTEX-1H3VE-0726-SM-9YFL5 40-49 years, male 145.4
GTEX-ZZ64-1026-SM-5GZXG 20-29 years, male 145.1
GTEX-1QP66-1226-SM-DTX7U 50-59 years, male 145.0
GTEX-1JN76-0626-SM-CKZOQ 20-29 years, female 144.9
GTEX-1B97I-0626-SM-73KUZ 40-49 years, male 144.8
GTEX-111FC-2526-SM-5GZXU 60-69 years, male 144.7
GTEX-11DXY-0126-SM-5H11Q 60-69 years, male 144.2
GTEX-18A7B-2726-SM-7LG56 70-79 years, male 144.1
GTEX-1J8Q2-2626-SM-ACKWQ 60-69 years, male 144.1
GTEX-12WSF-1626-SM-7KUG5 70-79 years, male 143.5
GTEX-1B8SF-0126-SM-7DUG3 60-69 years, male 143.5
GTEX-16BQI-1326-SM-6M486 30-39 years, female 143.4
GTEX-145MI-0626-SM-5SI8S 60-69 years, female 143.3
GTEX-1HCU6-2526-SM-ADEHL 60-69 years, female 143.1
GTEX-15CHC-1126-SM-6LLHQ 60-69 years, female 142.9
GTEX-1313W-0626-SM-5EQ4H 50-59 years, female 142.8
GTEX-145MO-2826-SM-5LU96 60-69 years, male 142.8
GTEX-1EN7A-2426-SM-793DB 40-49 years, male 142.4
GTEX-1QAET-0326-SM-EVR3U 50-59 years, male 142.4
GTEX-1HBPM-0726-SM-9YFL7 60-69 years, female 142.3
GTEX-13OW7-0426-SM-5K7VK 50-59 years, male 142.2
GTEX-17HII-1426-SM-7EPGG 50-59 years, male 142.2
GTEX-132AR-0326-SM-5KM2C 50-59 years, female 142.0
GTEX-178AV-1726-SM-7KUL8 40-49 years, male 141.9
GTEX-12BJ1-0926-SM-5EQ62 60-69 years, male 141.7
GTEX-ZT9X-1526-SM-5DUXD 40-49 years, male 141.7
GTEX-1GN1U-0626-SM-9MQL9 50-59 years, female 141.3
GTEX-14PHY-1226-SM-5ZZWK 60-69 years, female 141.0
GTEX-YJ8O-2526-SM-5HL85 40-49 years, female 141.0
GTEX-13FHO-0426-SM-5L3F5 60-69 years, male 140.9
GTEX-XAJ8-1426-SM-47JYM 40-49 years, male 140.9
GTEX-14E6E-0526-SM-793DN 30-39 years, male 140.8
GTEX-1N2EE-0626-SM-E76PW 60-69 years, male 140.7
GTEX-13FTX-1526-SM-5K7VJ 20-29 years, female 140.5
GTEX-1QP29-1826-SM-DTX9S 50-59 years, male 140.5
GTEX-1A8G6-2726-SM-731AR 60-69 years, male 140.1
GTEX-11VI4-1126-SM-5EQMD 40-49 years, female 139.8
GTEX-145MH-2826-SM-5RQJF 50-59 years, male 139.8
GTEX-117YX-1926-SM-5GIEC 50-59 years, male 139.7
GTEX-13PDP-0726-SM-5L3HP 60-69 years, male 139.7
GTEX-1GZ4I-2626-SM-9KNU3 50-59 years, male 139.6
GTEX-139TU-0726-SM-5L3EK 60-69 years, male 139.4
GTEX-16NPX-0726-SM-7KULC 50-59 years, male 139.4
GTEX-1K2DU-1226-SM-CYPT4 20-29 years, male 139.4
GTEX-ZYFG-1526-SM-5GZYM 60-69 years, female 139.3
GTEX-17HG3-2626-SM-7DUF2 30-39 years, female 139.1
GTEX-UPK5-0426-SM-3GAEK 40-49 years, male 138.9
GTEX-15EO6-2426-SM-6PALZ 50-59 years, male 138.7
GTEX-17HHY-0426-SM-7DHLC 50-59 years, male 138.6
GTEX-14BMV-2826-SM-5TDED 50-59 years, male 138.4
GTEX-139T8-0626-SM-5KLZX 60-69 years, male 138.2
GTEX-145LS-0626-SM-7EPG7 60-69 years, female 138.2
GTEX-17MFQ-1526-SM-7KFRR 20-29 years, male 138.1
GTEX-ZPU1-1126-SM-4YCF3 40-49 years, male 138.1
GTEX-16XZZ-0726-SM-7KUF2 60-69 years, male 137.8
GTEX-1CB4H-1126-SM-7MKGL 60-69 years, female 137.8
GTEX-1KD5A-0126-SM-E9U54 50-59 years, male 137.7
GTEX-1399S-0126-SM-5IJCF 30-39 years, female 137.6
GTEX-1LG7Y-2526-SM-EWRO7 50-59 years, male 137.5
GTEX-139UW-0326-SM-5J1ML 60-69 years, male 137.4
GTEX-14BIN-1126-SM-5RQJZ 50-59 years, female 137.4
GTEX-18A67-1626-SM-7LT9T 50-59 years, male 137.4
GTEX-13PVR-0426-SM-5RQK2 60-69 years, female 137.3
GTEX-18A6Q-0626-SM-7KFRP 60-69 years, male 137.3
GTEX-1EKGG-0626-SM-7DUGJ 60-69 years, male 137.2
GTEX-1HFI6-0126-SM-CNPPI 40-49 years, male 137.2
GTEX-17F98-1326-SM-7DUEP 40-49 years, female 137.0
GTEX-15RJE-2826-SM-7KUM9 40-49 years, male 136.7
GTEX-13SLX-2226-SM-62LEP 50-59 years, female 136.5
GTEX-14PII-0726-SM-6EU2B 60-69 years, male 136.5
GTEX-1B933-2426-SM-7DHMD 50-59 years, female 136.1
GTEX-13N1W-2426-SM-5IJD1 70-79 years, male 136.0
GTEX-144FL-0626-SM-5LU43 50-59 years, male 135.8
GTEX-1H4P4-2126-SM-9WYSL 50-59 years, male 135.8
GTEX-12584-0726-SM-5FQTK 40-49 years, male 135.7
GTEX-1IL2V-1926-SM-B2LW8 70-79 years, male 135.6
GTEX-1KANA-1326-SM-DIPFA 20-29 years, male 135.4
GTEX-1POEN-2326-SM-E9J2L 30-39 years, female 135.4
GTEX-1B8L1-2226-SM-7P8PT 60-69 years, male 135.3
GTEX-1GN1V-2826-SM-9JGIA 60-69 years, male 135.3
GTEX-1I1GP-1326-SM-A9G28 50-59 years, male 135.2
GTEX-12696-0126-SM-5EQ4L 60-69 years, male 134.9
GTEX-12WSL-2026-SM-5GCML 50-59 years, male 134.9
GTEX-1F5PL-0926-SM-7PC2W 40-49 years, female 134.9
GTEX-1R46S-2426-SM-E76QA 60-69 years, female 134.8
GTEX-14A6H-2026-SM-5Q5DD 30-39 years, male 134.7
GTEX-14PJ6-2626-SM-6EU2T 60-69 years, female 134.7
GTEX-ZUA1-2626-SM-5NQ92 40-49 years, male 134.7
GTEX-1R7EU-1626-SM-DTXG3 60-69 years, male 134.7
GTEX-13PVQ-0626-SM-5LU47 50-59 years, male 134.6
GTEX-Z93S-1626-SM-5CVMB 50-59 years, male 134.6
GTEX-1AX8Z-0726-SM-73KTS 60-69 years, male 134.4
GTEX-WRHU-2826-SM-3MJG8 50-59 years, female 134.4
GTEX-1IDJC-1526-SM-B2LW4 50-59 years, male 134.2
GTEX-13FTW-0326-SM-5K7UW 40-49 years, male 134.1
GTEX-XXEK-1626-SM-4BRUZ 50-59 years, male 134.1
GTEX-1H1DF-1126-SM-9WG7G 40-49 years, female 134.0
GTEX-1IOXB-2726-SM-CM2RI 50-59 years, male 134.0
GTEX-1399U-1126-SM-5L3DB 50-59 years, female 133.9
GTEX-13PL6-1126-SM-5L3IE 40-49 years, female 133.9
GTEX-ZAJG-1526-SM-5CVML 50-59 years, female 133.5
GTEX-1LG7Z-1626-SM-CXKYR 30-39 years, male 133.5
GTEX-11EM3-1226-SM-5N9DD 20-29 years, female 133.4
GTEX-1GMRU-2126-SM-7P8RA 50-59 years, male 133.3
GTEX-12WSK-2126-SM-5CVNC 40-49 years, female 133.2
GTEX-ZF29-0926-SM-4WKFZ 60-69 years, female 133.2
GTEX-1H3O1-1326-SM-9MQLD 60-69 years, male 133.2
GTEX-1N5O9-0926-SM-E9J3C 60-69 years, male 133.1
GTEX-131XG-0326-SM-5L3DX 50-59 years, female 133.0
GTEX-1J8JJ-0626-SM-ARZMQ 60-69 years, female 133.0
GTEX-13X6J-0626-SM-5LU5F 50-59 years, male 132.9
GTEX-12126-0826-SM-5FQTZ 20-29 years, male 132.8
GTEX-11ZUS-2626-SM-5FQUR 30-39 years, male 132.6
GTEX-131XH-0126-SM-5LZUY 50-59 years, male 132.6
GTEX-13O3Q-0126-SM-5KM34 50-59 years, male 132.5
GTEX-1BAJH-2426-SM-7IGP8 70-79 years, male 132.2
GTEX-ZWKS-0626-SM-5GIDV 30-39 years, male 132.2
GTEX-1LB8K-0726-SM-D5OV2 50-59 years, male 132.2
GTEX-11WQC-1826-SM-5GU59 60-69 years, male 132.1
GTEX-ZZPU-0826-SM-5GZX5 50-59 years, female 132.1
GTEX-15ER7-0626-SM-6PANF 20-29 years, female 132.0
GTEX-1NSGN-0726-SM-DTXEF 50-59 years, male 132.0
GTEX-12ZZZ-0726-SM-5GCNZ 60-69 years, male 131.9
GTEX-13NYB-0126-SM-5J1MD 40-49 years, male 131.9
GTEX-1B996-0426-SM-7EWF8 60-69 years, male 131.8
GTEX-1A8G7-1326-SM-73KVM 60-69 years, male 131.7
GTEX-1C6VR-0126-SM-7RHGB 60-69 years, male 131.7
GTEX-ZP4G-1426-SM-4WWCL 20-29 years, female 131.6
GTEX-1GZHY-0626-SM-9KNVC 50-59 years, female 131.6
GTEX-1KANB-2826-SM-CY8I6 50-59 years, male 131.6
GTEX-1F88E-1626-SM-7SB8Z 60-69 years, female 131.5
GTEX-1IDJE-1426-SM-ADEIW 50-59 years, female 131.3
GTEX-1IDJH-0126-SM-D3L92 70-79 years, male 131.3
GTEX-ZXG5-2126-SM-59HKD 60-69 years, male 131.1
GTEX-ZLV1-1526-SM-DO91J 60-69 years, female 131.1
GTEX-13FH7-1126-SM-5K7UG 50-59 years, female 130.7
GTEX-15EU6-2226-SM-6EU2L 50-59 years, male 130.7
GTEX-15DDE-2926-SM-6LLJ3 50-59 years, female 130.6
GTEX-1PPGY-1626-SM-EVYBL 60-69 years, male 130.5
GTEX-131YS-2826-SM-5EQ47 60-69 years, female 130.4
GTEX-14B4R-1326-SM-5Q5EZ 30-39 years, male 130.3
GTEX-WXYG-2026-SM-4E3IY 50-59 years, female 130.3
GTEX-1I1GU-0926-SM-ACKVS 40-49 years, male 130.3
GTEX-1JJEA-1826-SM-ARU8P 60-69 years, male 130.3
GTEX-1B8KZ-0326-SM-73KY4 50-59 years, male 129.8
GTEX-13FLV-0126-SM-5K7WT 50-59 years, male 129.5
GTEX-13X6I-1826-SM-5SIAO 60-69 years, male 129.4
GTEX-ZPIC-0526-SM-DO91W 40-49 years, female 129.3
GTEX-14JG1-1526-SM-5YY9X 40-49 years, male 129.1
GTEX-ZDXO-3126-SM-5IJDF 60-69 years, male 129.1
GTEX-1I1GV-0626-SM-ARL7M 60-69 years, male 129.1
GTEX-11DYG-1526-SM-5A5JS 60-69 years, male 129.0
GTEX-1GPI7-1826-SM-9KNU1 20-29 years, male 128.9
GTEX-1PIIG-2326-SM-DTXFR 30-39 years, male 128.9
GTEX-17F96-0126-SM-7EWDU 70-79 years, male 128.8
GTEX-1CAV2-0126-SM-7IGN7 40-49 years, female 128.8
GTEX-1HT8W-0626-SM-A9G2H 30-39 years, male 128.8
GTEX-145MF-0926-SM-5Q5EA 50-59 years, male 128.6
GTEX-WHSE-0126-SM-3NMBT 20-29 years, male 128.4
GTEX-1I1HK-2326-SM-CKZOH 60-69 years, male 128.4
GTEX-X3Y1-2026-SM-3P5YM 40-49 years, male 128.3
GTEX-ZF2S-1626-SM-57WES 50-59 years, female 128.2
GTEX-145MN-1526-SM-5SI9T 30-39 years, male 128.1
GTEX-13SLW-0626-SM-5Q5ER 70-79 years, male 127.8
GTEX-ZVTK-0226-SM-51MRG 20-29 years, male 127.8
GTEX-11PRG-0726-SM-5EGL1 50-59 years, male 127.7
GTEX-1399R-1326-SM-5PNYS 30-39 years, male 127.7
GTEX-1IDFM-0326-SM-ARL7V 60-69 years, male 127.7
GTEX-13D11-0926-SM-5J2NC 50-59 years, female 127.5
GTEX-1JMPZ-0726-SM-CY8HZ 30-39 years, male 127.5
GTEX-1QEPI-2626-SM-DTXF4 60-69 years, female 127.5
GTEX-XMD2-2126-SM-4YCF8 60-69 years, female 127.4
GTEX-XPVG-2126-SM-4B667 50-59 years, male 127.4
GTEX-139TS-2126-SM-5K7XC 60-69 years, male 127.3
GTEX-146FQ-2126-SM-5RQHU 30-39 years, male 127.3
GTEX-14PHX-2226-SM-6EU2P 50-59 years, male 127.3
GTEX-1KANC-1226-SM-CYPT7 50-59 years, female 127.3
GTEX-13O61-1426-SM-5KM3D 60-69 years, male 127.2
GTEX-1GF9X-1326-SM-7PC2Y 40-49 years, female 127.1
GTEX-YFCO-1226-SM-5LUAT 40-49 years, male 126.9
GTEX-1QW4Y-1126-SM-DTXE3 30-39 years, male 126.9
GTEX-1GN2E-0226-SM-9WG6K 60-69 years, male 126.8
GTEX-17EVP-2626-SM-7IGMA 40-49 years, male 126.7
GTEX-1I6K6-1726-SM-CGQFD 30-39 years, male 126.7
GTEX-11ZTT-2126-SM-5CVLO 60-69 years, female 126.6
GTEX-14PK6-0226-SM-62LF5 70-79 years, female 126.6
GTEX-1F88F-0126-SM-9WYSZ 60-69 years, female 126.6
GTEX-1A3MX-2626-SM-7PC24 60-69 years, male 126.5
GTEX-11EQ8-0926-SM-5H12V 60-69 years, male 126.0
GTEX-1IDJU-1726-SM-CMKHU 60-69 years, female 125.6
GTEX-14PJ4-0226-SM-5YY92 60-69 years, male 125.5
GTEX-1C6VQ-1226-SM-73KYD 50-59 years, male 125.5
GTEX-1I4MK-0126-SM-CY8G6 50-59 years, female 125.5
GTEX-1LSVX-2526-SM-DIPEU 60-69 years, male 125.5
GTEX-1HR98-2226-SM-ADEI2 60-69 years, male 125.4
GTEX-13VXU-0626-SM-5L3F9 50-59 years, male 125.3
GTEX-XQ3S-1426-SM-4BOPR 20-29 years, male 125.2
GTEX-1I19N-0126-SM-CYPSF 70-79 years, male 125.2
GTEX-15G1A-1626-SM-7KUKN 30-39 years, male 124.8
GTEX-15D1Q-2826-SM-6LLH7 40-49 years, male 124.7
GTEX-1HB9E-0126-SM-CM2S5 50-59 years, male 124.7
GTEX-1HCVE-2726-SM-CL54F 50-59 years, male 124.7
GTEX-1J8QM-2426-SM-A9SLS 60-69 years, female 124.6
GTEX-1192X-2726-SM-5N9DN 50-59 years, male 124.5
GTEX-11UD2-2526-SM-5CVNU 50-59 years, male 124.5
GTEX-1HSMO-0626-SM-ACKXC 60-69 years, male 124.5
GTEX-14PJN-1826-SM-6AJ98 30-39 years, male 124.4
GTEX-ZYY3-2926-SM-5GIEB 60-69 years, female 124.3
GTEX-131XW-0626-SM-5PNVD 50-59 years, female 124.2
GTEX-ZLWG-0826-SM-59888 50-59 years, female 124.2
GTEX-ZDYS-2426-SM-4WKGI 50-59 years, male 123.7
GTEX-1JN6P-2926-SM-CL54D 60-69 years, male 123.5
GTEX-XV7Q-1826-SM-4BRUV 40-49 years, female 123.3
GTEX-1LSNL-2726-SM-E9TKJ 50-59 years, male 123.2
GTEX-X4EO-2926-SM-4E3JH 60-69 years, female 123.1
GTEX-1JJ6O-2726-SM-CNPOG 60-69 years, male 123.1
GTEX-13VXT-1926-SM-5K7UO 20-29 years, female 123.0
GTEX-13OVL-0126-SM-5L3GJ 50-59 years, male 122.9
GTEX-1ICLZ-0326-SM-ARL82 60-69 years, male 122.8
GTEX-1LSNM-0826-SM-DIPG8 50-59 years, male 122.8
GTEX-183FY-1026-SM-7939A 20-29 years, male 122.7
GTEX-1HCU7-0726-SM-A9SL1 50-59 years, male 122.7
GTEX-13W3W-0726-SM-5IJDQ 60-69 years, female 122.6
GTEX-1C2JI-1026-SM-73KY1 50-59 years, male 122.6
GTEX-1HSKV-1226-SM-ADEI4 60-69 years, male 122.4
GTEX-1J1OQ-0126-SM-D4P2N 40-49 years, female 122.2
GTEX-13OVK-1426-SM-6PAN7 40-49 years, male 122.0
GTEX-1GN1W-2426-SM-9KNUU 50-59 years, female 121.9
GTEX-ZTSS-1426-SM-5985P 40-49 years, male 121.8
GTEX-ZGAY-1826-SM-DO91Q 40-49 years, female 121.7
GTEX-18A66-0626-SM-7LT8Z 60-69 years, male 121.6
GTEX-13X6H-0926-SM-5SIB2 50-59 years, female 121.5
GTEX-UPJH-0226-SM-3GADV 50-59 years, male 121.5
GTEX-12WSD-0626-SM-5GCMW 60-69 years, female 121.4
GTEX-13QJC-0126-SM-5ZZWJ 60-69 years, female 121.3
GTEX-WHSB-1326-SM-3LK6W 50-59 years, male 121.3
GTEX-1LGRB-0926-SM-COH3K 50-59 years, female 121.3
GTEX-1GF9W-1426-SM-7PBYM 60-69 years, male 121.2
GTEX-16Z82-2626-SM-7KULU 60-69 years, male 121.0
GTEX-ZAK1-0626-SM-5HL8E 50-59 years, female 121.0
GTEX-14JG6-1426-SM-9WG7C 30-39 years, female 120.9
GTEX-1IDJI-0126-SM-CMKHS 50-59 years, female 120.9
GTEX-11LCK-2226-SM-5HL4Q 30-39 years, male 120.8
GTEX-1A8FM-0626-SM-7PC25 50-59 years, female 120.7
GTEX-1I1GT-1026-SM-ARZLV 60-69 years, female 120.7
GTEX-18465-2826-SM-7LT9J 50-59 years, male 120.5
GTEX-1EMGI-2326-SM-7PBYA 60-69 years, male 120.5
GTEX-1EH9U-2826-SM-7DUGT 60-69 years, male 120.4
GTEX-1F75W-2726-SM-7SB8H 60-69 years, male 120.1
GTEX-1HKZK-0726-SM-ACKW2 40-49 years, male 120.1
GTEX-1JMQJ-0826-SM-CNPP7 50-59 years, male 119.8
GTEX-1B8KE-1126-SM-7EPHI 50-59 years, male 119.7
GTEX-ZT9W-1126-SM-57WDR 50-59 years, male 119.6
GTEX-13YAN-0226-SM-5TDC6 60-69 years, male 119.4
GTEX-1AX9I-2226-SM-73KUO 60-69 years, male 119.3
GTEX-1C64N-2626-SM-7PC2N 50-59 years, male 119.3
GTEX-1IDJF-2026-SM-CL53V 20-29 years, male 119.2
GTEX-1JK1U-0226-SM-ARZMX 60-69 years, male 119.2
GTEX-1H2FU-0926-SM-9WPPT 60-69 years, female 119.1
GTEX-13OW8-1026-SM-5J1NQ 60-69 years, male 119.0
GTEX-12KS4-2126-SM-5FQUT 30-39 years, male 118.9
GTEX-1GMR8-0626-SM-7RHI7 50-59 years, female 118.9
GTEX-17HGU-2326-SM-7DUFE 50-59 years, male 118.8
GTEX-1AYD5-2626-SM-7PBXY 50-59 years, male 118.8
GTEX-1KXAM-1626-SM-D3LAD 60-69 years, male 118.7
GTEX-14PJ5-1526-SM-6LLIL 60-69 years, female 118.6
GTEX-1A32A-0626-SM-731AQ 50-59 years, female 118.6
GTEX-ZU9S-1826-SM-5NQ9E 30-39 years, male 118.4
GTEX-14753-0726-SM-5QGQO 60-69 years, male 118.3
GTEX-147F3-1726-SM-5SIAW 50-59 years, female 118.3
GTEX-ZAB4-2126-SM-5HL8U 40-49 years, male 118.2
GTEX-WFG8-2126-SM-3GIKQ 20-29 years, male 118.0
GTEX-ZVE2-2826-SM-5GU51 50-59 years, male 118.0
GTEX-13QBU-1226-SM-5LU4G 40-49 years, female 117.9
GTEX-ZVT2-0126-SM-5GIDQ 50-59 years, female 117.9
GTEX-11P81-2226-SM-5PNYI 30-39 years, female 117.8
GTEX-1H3NZ-2726-SM-9WYTQ 60-69 years, male 117.8
GTEX-1HR9M-2226-SM-CNPPY 60-69 years, male 117.8
GTEX-1I1GS-2626-SM-B2LY3 60-69 years, male 117.8
GTEX-13OW5-2326-SM-5L3HO 60-69 years, male 117.3
GTEX-ZYFC-0426-SM-5GICQ 50-59 years, male 117.1
GTEX-XBEC-0726-SM-4QARZ 50-59 years, male 116.9
GTEX-Y3I4-1726-SM-4TT89 50-59 years, male 116.9
GTEX-1ICLY-0826-SM-CMKG1 50-59 years, male 116.9
GTEX-1IE54-1126-SM-A9G2Z 40-49 years, female 116.9
GTEX-1QCLZ-2426-SM-EVYBW 60-69 years, female 116.9
GTEX-1S82U-1026-SM-E6CJK 30-39 years, female 116.9
GTEX-14PKV-1126-SM-6LLJ1 20-29 years, female 116.8
GTEX-1F6RS-2026-SM-7RHHC 60-69 years, female 116.8
GTEX-111CU-1126-SM-5EGIM 50-59 years, male 116.7
GTEX-1GTWX-2026-SM-9YFLM 60-69 years, male 116.7
GTEX-1HCU9-0426-SM-9WYSD 20-29 years, male 116.7
GTEX-12WSC-2826-SM-5BC5Y 50-59 years, male 116.6
GTEX-11GSP-2326-SM-5HL63 60-69 years, female 116.5
GTEX-Y9LG-1126-SM-4VBQ7 30-39 years, male 116.5
GTEX-13JVG-0726-SM-5KM16 60-69 years, male 116.2
GTEX-11NUK-2726-SM-5A5MC 50-59 years, male 116.1
GTEX-1212Z-0126-SM-59HK4 60-69 years, male 116.1
GTEX-ZDTT-0426-SM-4WKFL 60-69 years, male 116.1
GTEX-1S831-1826-SM-EWROF 20-29 years, male 116.1
GTEX-XOT4-0626-SM-4B66L 60-69 years, female 116.0
GTEX-16MTA-0926-SM-6M47Z 50-59 years, male 115.9
GTEX-1CB4E-0926-SM-7EPHT 60-69 years, male 115.8
GTEX-17F97-2626-SM-7IGM5 50-59 years, male 115.7
GTEX-1A3MV-1826-SM-731CD 30-39 years, male 115.7
GTEX-11TUW-0626-SM-5LU9M 60-69 years, male 115.4
GTEX-1J8EW-2726-SM-CY8HR 60-69 years, female 115.4
GTEX-14BMU-1226-SM-5S2OR 20-29 years, female 115.3
GTEX-1CAMS-2226-SM-7PBXQ 40-49 years, female 115.3
GTEX-14LLW-2626-SM-62LDZ 70-79 years, female 115.2
GTEX-13N2G-0226-SM-5K7VF 60-69 years, male 114.8
GTEX-1HBPI-2126-SM-ARL9K 50-59 years, male 114.8
GTEX-1JKYR-0626-SM-ARL8R 20-29 years, male 114.7
GTEX-1269C-0126-SM-5EQ5L 60-69 years, female 114.6
GTEX-1HBPN-0126-SM-CGQEF 50-59 years, male 114.6
GTEX-1QMI2-2526-SM-E8VNZ 60-69 years, male 114.6
GTEX-1IDJD-2326-SM-ACKWX 30-39 years, male 114.5
GTEX-1RMOY-1326-SM-E9TIH 50-59 years, male 114.3
GTEX-12WSJ-1126-SM-5LZVJ 40-49 years, female 114.2
GTEX-1RAZR-2126-SM-E9U6T 40-49 years, male 114.2
GTEX-13N11-2326-SM-5IJBF 50-59 years, female 114.1
GTEX-12WSA-0426-SM-5EQ5X 60-69 years, male 114.0
GTEX-14PKU-0126-SM-6LLHV 40-49 years, female 113.7
GTEX-13U4I-2226-SM-5LU5H 40-49 years, female 113.6
GTEX-1IDJV-0126-SM-COH3Y 60-69 years, male 113.4
GTEX-1477Z-0326-SM-7IGLA 60-69 years, male 113.3
GTEX-1F75A-0726-SM-7RHHD 50-59 years, male 113.0
GTEX-1HCUA-0826-SM-ADEHM 50-59 years, female 112.8
GTEX-15CHR-1126-SM-7EWF4 50-59 years, male 112.7
GTEX-1GMR2-0826-SM-7PC3V 50-59 years, male 112.7
GTEX-XUW1-0926-SM-4BONX 50-59 years, female 112.6
GTEX-17JCI-2926-SM-7DUFF 60-69 years, female 112.4
GTEX-1EWIQ-0326-SM-7DHMQ 70-79 years, female 112.4
GTEX-145LU-1926-SM-79OJN 50-59 years, male 112.3
GTEX-1KWVE-1026-SM-D3L9O 30-39 years, male 112.3
GTEX-1QP28-1126-SM-EVYC4 50-59 years, female 112.1
GTEX-11GS4-0226-SM-5HL77 60-69 years, male 111.8
GTEX-1C64O-1326-SM-7MGWR 60-69 years, male 111.8
GTEX-16MT8-2926-SM-7DUFO 60-69 years, female 111.7
GTEX-ZDTS-0826-SM-4WKHL 60-69 years, male 111.5
GTEX-WYBS-0626-SM-3NMAS 60-69 years, female 111.3
GTEX-1HFI7-2326-SM-CGQFS 50-59 years, female 111.3
GTEX-1JJE9-2626-SM-ARZMT 70-79 years, male 111.2
GTEX-11EI6-2826-SM-5H11D 60-69 years, male 110.8
GTEX-WY7C-2126-SM-3NB2R 50-59 years, male 110.8
GTEX-1HUB1-1426-SM-CGQF5 60-69 years, male 110.8
GTEX-1CB4F-1026-SM-7DUH1 60-69 years, male 110.4
GTEX-1GZ2Q-0126-SM-9WG6M 40-49 years, male 110.4
GTEX-ZC5H-1526-SM-5HL9Y 40-49 years, female 110.1
GTEX-13JUV-2026-SM-5K7UA 40-49 years, female 109.5
GTEX-1CAMR-1326-SM-7PC1F 20-29 years, male 109.3
GTEX-1JKYN-0826-SM-ARU8S 30-39 years, male 109.2
GTEX-145ME-1726-SM-5Q5EU 40-49 years, female 109.1
GTEX-12WSH-1526-SM-5BC5W 50-59 years, male 108.8
GTEX-1AMFI-1326-SM-7939R 50-59 years, female 108.6
GTEX-14AS3-1526-SM-5Q5ED 40-49 years, female 108.5
GTEX-1122O-1026-SM-9WYSF 60-69 years, female 108.4
GTEX-1NV5F-0626-SM-DTXEG 60-69 years, female 108.4
GTEX-1LVAM-0726-SM-E6CIL 50-59 years, female 108.3
GTEX-1J8Q3-0526-SM-ARL8U 60-69 years, male 108.1
GTEX-17MF6-2626-SM-79OKQ 40-49 years, male 108.0
GTEX-1GZ4H-0526-SM-9KNU9 50-59 years, female 108.0
GTEX-1H1E6-0426-SM-9WYUS 30-39 years, male 107.9
GTEX-Y8LW-1526-SM-5IFHL 50-59 years, female 107.8
GTEX-12ZZY-0726-SM-5EQ66 60-69 years, male 107.6
GTEX-183WM-0326-SM-72D5V 70-79 years, female 107.3
GTEX-W5X1-2526-SM-3GILC 40-49 years, female 107.3
GTEX-15FZZ-0526-SM-7KUGD 30-39 years, female 107.1
GTEX-17F9E-2326-SM-79OKD 50-59 years, male 107.1
GTEX-1F52S-2926-SM-7MKGA 60-69 years, female 107.0
GTEX-XBEW-1126-SM-4QARW 40-49 years, male 106.9
GTEX-14PJO-2526-SM-6AJBQ 60-69 years, male 106.7
GTEX-1K2DA-1026-SM-CGQGF 50-59 years, male 106.7
GTEX-18A7A-0126-SM-731AH 50-59 years, female 106.6
GTEX-18D9U-0126-SM-731BM 40-49 years, male 106.5
GTEX-1EU9M-1426-SM-793AI 60-69 years, male 106.5
GTEX-1CAMQ-1326-SM-7P8RV 40-49 years, male 106.4
GTEX-1K9T9-1526-SM-DIPFR 50-59 years, female 106.3
GTEX-V1D1-2026-SM-3GAF4 50-59 years, male 106.1
GTEX-147F4-0726-SM-5TDDD 50-59 years, male 105.8
GTEX-14DAQ-0626-SM-793DS 60-69 years, female 105.8
GTEX-XBED-1926-SM-47JYP 60-69 years, male 105.8
GTEX-1IY9M-2826-SM-ARU8H 60-69 years, male 105.7
GTEX-1211K-1526-SM-5FQU4 60-69 years, female 105.5
GTEX-X5EB-1926-SM-4E3IW 40-49 years, male 105.5
GTEX-139YR-1026-SM-5LZYN 50-59 years, male 105.4
GTEX-1J1R8-2026-SM-CL53Y 40-49 years, male 104.6
GTEX-1LBAC-0826-SM-CY8IJ 20-29 years, male 104.6
GTEX-12WSM-1926-SM-5BC65 60-69 years, male 104.3
GTEX-11NSD-0626-SM-5A5LU 20-29 years, male 104.1
GTEX-1497J-0226-SM-5QGPU 60-69 years, male 103.9
GTEX-1S83E-1326-SM-E6CJM 40-49 years, male 103.9
GTEX-1GL5R-1326-SM-7RHHF 50-59 years, male 103.1
GTEX-1R9K4-2826-SM-DTX8F 60-69 years, male 103.1
GTEX-1HSGN-0826-SM-ACKW3 40-49 years, female 102.8
GTEX-1KAFJ-0126-SM-DIPEK 50-59 years, male 102.4
GTEX-1JMLX-0626-SM-ARL8T 50-59 years, male 101.9
GTEX-14PJ2-0626-SM-6LLII 50-59 years, male 101.7
GTEX-Y111-0626-SM-4SOIT 50-59 years, male 101.5
GTEX-1RAZS-2526-SM-E6CHT 50-59 years, male 101.3
GTEX-1EX96-1026-SM-7MKG2 50-59 years, male 101.0
GTEX-1S5ZU-2526-SM-E6CIF 20-29 years, female 100.3
GTEX-147JS-0226-SM-5S2U9 60-69 years, male 100.2
GTEX-1LVAN-0626-SM-CNPOQ 50-59 years, female 100.2
GTEX-Y3IK-1626-SM-4YCF5 50-59 years, female 99.9
GTEX-ZA64-1026-SM-5HL8R 20-29 years, male 99.7
GTEX-1C475-1326-SM-7SB73 40-49 years, female 99.4
GTEX-1F75B-0726-SM-7PC3R 50-59 years, male 99.3
GTEX-1JMQI-1726-SM-ARL93 50-59 years, male 99.2
GTEX-1AMEY-0826-SM-72D65 30-39 years, female 98.7
GTEX-11ZU8-0126-SM-5EQ58 60-69 years, male 98.5
GTEX-1314G-1326-SM-5BC6E 30-39 years, male 98.4
GTEX-16AAH-0626-SM-793C9 50-59 years, male 98.4
GTEX-15RJ7-2126-SM-6PAMD 40-49 years, male 98.0
GTEX-17F9Y-0126-SM-79OKX 70-79 years, female 97.8
GTEX-Y114-2126-SM-4TT8B 50-59 years, female 97.7
GTEX-WHWD-1826-SM-3LK6I 50-59 years, male 97.5
GTEX-1PDJ9-1226-SM-EXUSX 20-29 years, male 97.5
GTEX-WEY5-2326-SM-3GIKK 40-49 years, female 97.4
GTEX-Y5V5-0126-SM-5S2NW 60-69 years, female 97.3
GTEX-WYVS-1626-SM-3NM9R 40-49 years, female 97.0
GTEX-1B932-2326-SM-79OL5 40-49 years, female 96.9
GTEX-X585-2426-SM-46MW2 50-59 years, male 96.9
GTEX-16NGA-0726-SM-731AO 40-49 years, female 96.8
GTEX-1LGOU-1326-SM-D3L8M 20-29 years, female 96.4
GTEX-Y8E4-2026-SM-5IFJB 40-49 years, male 96.0
GTEX-1GPI6-1926-SM-9KNV7 60-69 years, male 95.8
GTEX-18QFQ-1826-SM-72D52 30-39 years, male 95.7
GTEX-1M4P7-0726-SM-E6CJ3 60-69 years, male 94.9
GTEX-1HGF4-0126-SM-CNPPX 60-69 years, male 94.2
GTEX-1F6I4-2326-SM-7RHGL 60-69 years, male 94.1
GTEX-1HCU8-2526-SM-CE6RX 60-69 years, female 94.1
GTEX-1N2DV-1526-SM-DTXEP 40-49 years, male 93.8
GTEX-1S82P-2126-SM-E6CI5 60-69 years, female 93.6
GTEX-1MJK3-0726-SM-E6CJC 20-29 years, male 93.4
GTEX-11P82-1426-SM-DTXFY 20-29 years, male 93.0
GTEX-ZVP2-0326-SM-57WBP 50-59 years, male 90.7
GTEX-131XF-2626-SM-5EQ6K 60-69 years, male 89.4
GTEX-1OJC3-1226-SM-DTXER 20-29 years, male 89.0
GTEX-12C56-1526-SM-5FQUQ 20-29 years, male 88.4
GTEX-1H1DE-1326-SM-9KNUG 20-29 years, male 88.0
GTEX-11DXZ-2026-SM-5987S 50-59 years, male 87.6
GTEX-VJYA-1526-SM-3GIJV 60-69 years, male 86.1
GTEX-WHPG-2626-SM-3NMBR 50-59 years, male 84.7
GTEX-ZTX8-1326-SM-4YCEL 20-29 years, male 81.8
GTEX-1MCYP-0526-SM-E9U6Q 20-29 years, female 80.4
GTEX-1JMPY-0226-SM-CKZOK 30-39 years, male 79.5
GTEX-1F75I-2226-SM-7SB8U 40-49 years, male 77.4
GTEX-11P7K-1126-SM-5HL4L 30-39 years, male 77.3
GTEX-1HSMQ-2626-SM-A9SML 50-59 years, male 71.7
GTEX-WFG7-2026-SM-5SI7P 20-29 years, male 69.9
Show allShow less
Skin - Sun Exposed (Lower leg)
Average nTPM: 128.6
Samples: 701

Max nTPM: 836.9
Min nTPM: 62.5
Std nTPM: 36.5
Median nTPM: 125.4
GTEX-SE5C-1626-SM-2XCE3 40-49 years, female 836.9
GTEX-POMQ-2226-SM-2I5FK 20-29 years, female 315.9
GTEX-14E6C-0126-SM-5RQIP 40-49 years, male 232.0
GTEX-15EOM-0126-SM-7KUGG 20-29 years, female 229.5
GTEX-1122O-2126-SM-5EGIR 60-69 years, female 218.5
GTEX-X4XY-0226-SM-4E3IZ 60-69 years, male 217.8
GTEX-15SB6-1726-SM-6PAME 50-59 years, female 205.9
GTEX-1C6VQ-0126-SM-7P8RI 50-59 years, male 205.5
GTEX-145LT-1726-SM-5QGP3 40-49 years, male 204.0
GTEX-13NYS-0126-SM-5MR3W 60-69 years, male 201.0
GTEX-11WQK-0526-SM-5EQLD 50-59 years, male 191.9
GTEX-17JCI-0126-SM-7LG5G 60-69 years, female 191.8
GTEX-15UF6-0826-SM-6PALJ 70-79 years, female 190.7
GTEX-O5YT-0126-SM-48TBW 20-29 years, male 190.7
GTEX-131XF-5016-SM-7MGWE 60-69 years, male 188.0
GTEX-14PK6-1926-SM-6ETZU 70-79 years, female 187.1
GTEX-1A3MX-0126-SM-731BR 60-69 years, male 187.0
GTEX-131XE-2326-SM-5PNZ2 50-59 years, male 185.0
GTEX-1N2EF-0226-SM-EYYXB 60-69 years, male 184.3
GTEX-1HSMO-0126-SM-CL547 60-69 years, male 183.9
GTEX-14PN4-0126-SM-6EU2V 50-59 years, male 183.8
GTEX-RVPV-0126-SM-EAZAW 60-69 years, male 182.7
GTEX-13113-5016-SM-7EPIP 60-69 years, female 182.4
GTEX-U8XE-0326-SM-3DB8P 30-39 years, male 181.9
GTEX-145LS-0126-SM-5QGP1 60-69 years, female 178.5
GTEX-139D8-0226-SM-5KLZO 30-39 years, female 178.0
GTEX-14XAO-2326-SM-6EU1B 60-69 years, female 177.7
GTEX-183WM-0126-SM-7LTAB 70-79 years, female 177.4
GTEX-11H98-0126-SM-5EGHG 50-59 years, male 177.2
GTEX-Y5V6-2426-SM-4VDSB 60-69 years, male 176.9
GTEX-ZPIC-1726-SM-DHXIU 40-49 years, female 176.2
GTEX-1399U-2326-SM-5K7WY 50-59 years, female 176.0
GTEX-13IVO-0126-SM-5J1NG 70-79 years, male 175.6
GTEX-1R9K4-0126-SM-DTX9X 60-69 years, male 174.9
GTEX-OOBK-0126-SM-2YUND 40-49 years, male 174.5
GTEX-NPJ8-0126-SM-2YUNR 40-49 years, male 174.2
GTEX-1192W-2626-SM-5Q5AF 60-69 years, male 173.7
GTEX-13OW6-0426-SM-5L3HM 50-59 years, male 172.9
GTEX-SN8G-0126-SM-32PLI 50-59 years, female 172.4
GTEX-11TT1-2526-SM-5EGIB 20-29 years, male 171.2
GTEX-1GMR3-1926-SM-9KNUZ 40-49 years, male 170.7
GTEX-P4PQ-0126-SM-2S1NM 60-69 years, male 170.4
GTEX-1QP67-1626-SM-EAZ3X 40-49 years, female 170.4
GTEX-1B8SF-1426-SM-7DUGL 60-69 years, male 167.9
GTEX-OIZH-0126-SM-2HMIS 50-59 years, male 167.8
GTEX-ZVZO-0126-SM-5A5L9 40-49 years, male 165.3
GTEX-1LC47-0326-SM-E9TJP 60-69 years, male 164.3
GTEX-15UKP-0426-SM-7KUFQ 20-29 years, male 164.2
GTEX-QESD-1426-SM-2S1R9 20-29 years, male 164.2
GTEX-13OVH-0126-SM-5MR4B 70-79 years, male 164.0
GTEX-1A3MW-0126-SM-73KXX 60-69 years, female 163.9
GTEX-1H1DG-0126-SM-9WYU2 70-79 years, male 163.1
GTEX-ZU9S-0226-SM-5E441 30-39 years, male 162.3
GTEX-X4EP-0126-SM-3P5YV 60-69 years, female 162.2
GTEX-13N11-2526-SM-5K7UE 50-59 years, female 161.2
GTEX-16MT8-0426-SM-7KUEY 60-69 years, female 161.0
GTEX-17EVQ-0226-SM-7LG4P 70-79 years, male 161.0
GTEX-PWCY-1826-SM-DHXIZ 20-29 years, female 160.7
GTEX-ZXES-1826-SM-5E43S 30-39 years, female 160.4
GTEX-11EMC-2926-SM-5EQ4F 60-69 years, female 160.0
GTEX-1RLM8-2326-SM-EWRN4 50-59 years, male 160.0
GTEX-1ICG6-2526-SM-CGQFZ 70-79 years, female 159.7
GTEX-RTLS-0126-SM-447CA 60-69 years, female 159.6
GTEX-P4PP-0126-SM-3LK69 30-39 years, female 159.0
GTEX-111FC-0126-SM-5N9DL 60-69 years, male 158.4
GTEX-139UW-2826-SM-5L3E7 60-69 years, male 158.2
GTEX-11O72-0126-SM-59887 40-49 years, male 157.7
GTEX-13O1R-0126-SM-5L3EH 60-69 years, male 157.5
GTEX-1IKJJ-0126-SM-CNPQB 60-69 years, male 157.0
GTEX-1B8SG-0126-SM-73KZ3 50-59 years, male 156.9
GTEX-11DZ1-0126-SM-5985Q 50-59 years, male 156.8
GTEX-145MO-0326-SM-5Q5B3 60-69 years, male 156.7
GTEX-1RAZQ-0726-SM-EAZ43 30-39 years, male 156.7
GTEX-Z93S-0126-SM-5HL7M 50-59 years, male 156.0
GTEX-XAJ8-0826-SM-47JY6 40-49 years, male 155.9
GTEX-OIZG-0726-SM-33HBL 50-59 years, male 155.8
GTEX-1F5PL-0326-SM-7P8PQ 40-49 years, female 155.7
GTEX-1R9PM-2026-SM-E76OY 20-29 years, male 155.3
GTEX-S7SE-0126-SM-2XCD5 50-59 years, male 155.1
GTEX-131XH-2226-SM-5DUXJ 50-59 years, male 154.5
GTEX-1KD4Q-0226-SM-E9TJ9 40-49 years, male 154.5
GTEX-1QEPI-0126-SM-EWRMQ 60-69 years, female 154.5
GTEX-RUSQ-1526-SM-2TF62 50-59 years, male 153.9
GTEX-1KD5A-0226-SM-D5OV3 50-59 years, male 153.8
GTEX-ZYT6-0226-SM-5NQ6T 30-39 years, male 153.4
GTEX-14E6D-0126-SM-62LDV 50-59 years, male 153.1
GTEX-1R46S-0626-SM-E9J41 60-69 years, female 153.0
GTEX-1GF9V-0326-SM-7RHI5 60-69 years, male 152.7
GTEX-1A32A-0126-SM-718B1 50-59 years, female 152.5
GTEX-YJ8A-0426-SM-5IFID 20-29 years, male 152.5
GTEX-1H4P4-0726-SM-9YFLR 50-59 years, male 152.0
GTEX-15RIG-0226-SM-7KFTL 40-49 years, male 151.8
GTEX-W5X1-3026-SM-EAZAX 40-49 years, female 151.8
GTEX-1MCQQ-0826-SM-DLHC2 60-69 years, male 151.6
GTEX-18A67-0126-SM-7LG5P 50-59 years, male 151.2
GTEX-146FH-0126-SM-5QGPP 50-59 years, female 150.6
GTEX-14E6E-1826-SM-5S2R7 30-39 years, male 150.5
GTEX-Q734-1926-SM-2I5EV 40-49 years, female 150.5
GTEX-13PDP-0126-SM-5L3HD 60-69 years, male 150.4
GTEX-15D1Q-0126-SM-7KUG6 40-49 years, male 150.4
GTEX-14C5O-0126-SM-5SI6N 60-69 years, male 150.3
GTEX-UJHI-1526-SM-3DB99 50-59 years, female 150.3
GTEX-13RTJ-2426-SM-5S2Q2 60-69 years, male 150.0
GTEX-14A5I-0126-SM-5TDEA 50-59 years, female 149.7
GTEX-1QPFJ-0226-SM-E76PB 30-39 years, female 149.7
GTEX-ZF29-2326-SM-DO92K 60-69 years, female 149.6
GTEX-13N1W-0126-SM-5K7VT 70-79 years, male 149.4
GTEX-1HR98-0126-SM-B2LWI 60-69 years, male 149.3
GTEX-117YW-2626-SM-5GZZH 50-59 years, male 149.0
GTEX-13G51-2526-SM-5LZYK 60-69 years, male 148.9
GTEX-1MJK2-0426-SM-DTXE5 50-59 years, male 148.7
GTEX-ZAJG-0126-SM-5HL94 50-59 years, female 148.6
GTEX-11TTK-0126-SM-5987B 60-69 years, female 148.4
GTEX-14BIN-0626-SM-793DP 50-59 years, female 148.3
GTEX-15ER7-0326-SM-7KUEV 20-29 years, female 148.1
GTEX-111VG-2426-SM-5GZXD 60-69 years, male 148.0
GTEX-11DXX-2426-SM-5GZZW 60-69 years, female 148.0
GTEX-1LB8K-0226-SM-EWRNW 50-59 years, male 148.0
GTEX-13OVK-2026-SM-7KUEO 40-49 years, male 147.9
GTEX-1GN2E-0426-SM-9MQKX 60-69 years, male 147.9
GTEX-ZQG8-1626-SM-DHXIT 60-69 years, female 147.8
GTEX-1O97I-0326-SM-EYYX7 60-69 years, male 147.5
GTEX-1399T-2826-SM-5KLYZ 60-69 years, male 147.2
GTEX-1CB4H-0226-SM-7PBXM 60-69 years, female 147.2
GTEX-1GZ2Q-0226-SM-7P8TL 40-49 years, male 147.2
GTEX-12696-2426-SM-5EQ6H 60-69 years, male 147.1
GTEX-12WSE-0526-SM-793B2 20-29 years, male 146.8
GTEX-OXRO-0126-SM-2YUN4 60-69 years, female 146.6
GTEX-14PJ3-1826-SM-62LEX 50-59 years, male 146.5
GTEX-139TS-2826-SM-5J1OO 60-69 years, male 146.4
GTEX-14BIM-0226-SM-7IGLD 60-69 years, female 146.3
GTEX-146FQ-0126-SM-5NQA9 30-39 years, male 146.1
GTEX-WH7G-2326-SM-3NMBC 40-49 years, male 146.0
GTEX-1JN1M-0326-SM-CYPT3 60-69 years, female 145.8
GTEX-1PPH7-2326-SM-EVYB8 40-49 years, male 145.5
GTEX-14LZ3-0226-SM-62LET 60-69 years, female 145.2
GTEX-15G19-0126-SM-6PANQ 60-69 years, male 145.2
GTEX-18A7B-0126-SM-7LG64 70-79 years, male 145.0
GTEX-Y5LM-1926-SM-5RQJH 40-49 years, female 145.0
GTEX-1K2DU-2326-SM-E9TIV 20-29 years, male 145.0
GTEX-1C64N-0126-SM-793D7 50-59 years, male 144.8
GTEX-14A5H-0426-SM-5QGQF 60-69 years, male 144.4
GTEX-17HII-0226-SM-7LG4E 50-59 years, male 144.3
GTEX-U412-0426-SM-3DB9O 60-69 years, male 144.3
GTEX-ZVT4-0126-SM-DTXFN 50-59 years, female 144.2
GTEX-144GN-2326-SM-5LU4F 50-59 years, male 144.1
GTEX-1H1CY-2826-SM-9MQM3 60-69 years, female 144.1
GTEX-1B8L1-2526-SM-9WYTF 60-69 years, male 143.3
GTEX-1CAMR-1926-SM-7EPI2 20-29 years, male 143.0
GTEX-1IDFM-0126-SM-COH2V 60-69 years, male 143.0
GTEX-T2IS-0126-SM-4DM6O 20-29 years, female 142.8
GTEX-1LBAC-0126-SM-DIPEZ 20-29 years, male 142.8
GTEX-X8HC-0126-SM-4E3JW 50-59 years, female 142.7
GTEX-ZVZP-2426-SM-59HKJ 50-59 years, male 142.5
GTEX-XXEK-2226-SM-4BRUM 50-59 years, male 142.1
GTEX-WVJS-0126-SM-4MVOT 50-59 years, male 142.0
GTEX-1PIIG-0226-SM-EWRN6 30-39 years, male 141.9
GTEX-1S3DN-2226-SM-EVYCD 50-59 years, male 141.9
GTEX-13FTX-1826-SM-5J1NX 20-29 years, female 141.8
GTEX-13NZB-2526-SM-5J1OM 30-39 years, male 141.8
GTEX-1QMI2-0226-SM-EVYBX 60-69 years, male 141.7
GTEX-13NZ8-0826-SM-5MR3I 60-69 years, female 141.6
GTEX-U8T8-0126-SM-3DB94 60-69 years, male 141.6
GTEX-13OVI-1426-SM-5L3EY 60-69 years, female 141.4
GTEX-16BQI-0226-SM-7KUEX 30-39 years, female 141.4
GTEX-1J8EW-0126-SM-CJI4F 60-69 years, female 141.3
GTEX-ZE9C-2726-SM-57WB5 60-69 years, male 141.1
GTEX-17HHY-0126-SM-7LG5D 50-59 years, male 140.9
GTEX-1JMQL-0226-SM-CNPP5 50-59 years, female 140.8
GTEX-13PVR-2326-SM-5QGR1 60-69 years, female 140.7
GTEX-15CHC-2126-SM-6EU21 60-69 years, female 140.7
GTEX-13O3P-0126-SM-5KM4S 50-59 years, male 140.5
GTEX-13OVJ-0126-SM-5KM36 50-59 years, female 140.5
GTEX-18465-0126-SM-731BN 50-59 years, male 140.5
GTEX-Y3I4-2126-SM-4TT7C 50-59 years, male 140.5
GTEX-1E2YA-0126-SM-9KNUC 50-59 years, male 140.5
GTEX-13JUV-2726-SM-5LZZ8 40-49 years, female 140.3
GTEX-17KNJ-2326-SM-7DHLQ 50-59 years, male 140.3
GTEX-11EM3-2426-SM-59861 20-29 years, female 140.0
GTEX-ZDYS-2026-SM-5HL5L 50-59 years, male 140.0
GTEX-1LH75-2426-SM-E9TJE 50-59 years, female 139.8
GTEX-QDT8-0126-SM-48TZ1 30-39 years, female 139.7
GTEX-14BMV-0126-SM-5S2PO 50-59 years, male 139.6
GTEX-WI4N-1026-SM-3LK7N 40-49 years, female 139.6
GTEX-133LE-1826-SM-5J1MV 20-29 years, female 139.5
GTEX-17F98-0626-SM-79OMX 40-49 years, female 139.5
GTEX-1HBPN-0226-SM-9YFM1 50-59 years, male 139.5
GTEX-12ZZY-0226-SM-5LZVE 60-69 years, male 139.3
GTEX-13W46-0226-SM-5SIAG 50-59 years, male 139.1
GTEX-14PJM-0226-SM-62LF1 50-59 years, female 139.1
GTEX-144FL-0126-SM-5TDC8 50-59 years, male 139.0
GTEX-13CF3-2426-SM-5IFGX 60-69 years, female 138.7
GTEX-13OVL-0226-SM-5L3E9 50-59 years, male 138.7
GTEX-145LV-2126-SM-5LU8N 50-59 years, male 138.7
GTEX-1EKGG-0226-SM-9WYTH 60-69 years, male 138.7
GTEX-1HB9E-0226-SM-E9U4R 50-59 years, male 138.7
GTEX-PLZ4-0126-SM-5SI8O 50-59 years, female 138.6
GTEX-1497J-2426-SM-7IGNX 60-69 years, male 138.5
GTEX-12WSL-2526-SM-5GCNJ 50-59 years, male 138.3
GTEX-11DXW-0226-SM-5H122 40-49 years, male 138.2
GTEX-11TUW-2726-SM-E9J4M 60-69 years, male 138.0
GTEX-TMMY-0226-SM-33HBA 40-49 years, female 137.9
GTEX-14DAR-2026-SM-5S2O3 50-59 years, male 137.8
GTEX-1M4P7-0226-SM-DIPEV 60-69 years, male 137.7
GTEX-13NZA-0226-SM-5K7Z7 60-69 years, male 137.5
GTEX-14753-0426-SM-5NQAM 60-69 years, male 137.5
GTEX-12126-0326-SM-5PNW3 20-29 years, male 137.4
GTEX-X261-0126-SM-3NMD6 50-59 years, male 137.1
GTEX-1J8Q2-0526-SM-CM2RW 60-69 years, male 137.0
GTEX-ZVT2-2526-SM-51MT1 50-59 years, female 136.6
GTEX-11DXZ-2326-SM-5EGGV 50-59 years, male 136.5
GTEX-1269C-2526-SM-5EGJ3 60-69 years, female 136.5
GTEX-15DDE-0126-SM-6LPKH 50-59 years, female 136.5
GTEX-1JJEA-0326-SM-CNPOT 60-69 years, male 136.5
GTEX-1B996-0226-SM-7RHGO 60-69 years, male 136.2
GTEX-183FY-0126-SM-7LT9P 20-29 years, male 136.1
GTEX-X5EB-2226-SM-46MW4 40-49 years, male 136.1
GTEX-11XUK-2026-SM-5EQLF 40-49 years, female 136.0
GTEX-13N2G-2626-SM-5J1OT 60-69 years, male 136.0
GTEX-117XS-2726-SM-5N9BL 60-69 years, male 135.9
GTEX-13NYB-2526-SM-5K7Z6 40-49 years, male 135.9
GTEX-TMZS-0126-SM-3DB9Q 60-69 years, male 135.9
GTEX-QV44-1926-SM-2S1RF 50-59 years, male 135.8
GTEX-1F7RK-0126-SM-7PC2S 20-29 years, female 135.8
GTEX-12ZZZ-0626-SM-5DUXI 60-69 years, male 135.5
GTEX-1POEN-0126-SM-EYYXJ 30-39 years, female 135.3
GTEX-145MI-0526-SM-5O9A8 60-69 years, female 135.0
GTEX-1313W-0126-SM-5LZUN 50-59 years, female 134.9
GTEX-1CB4J-0626-SM-7DHMP 60-69 years, male 134.9
GTEX-XMD2-0126-SM-4YCDU 60-69 years, female 134.9
GTEX-X4XX-0126-SM-3NMC2 60-69 years, male 134.7
GTEX-1C6WA-0126-SM-7PC2B 60-69 years, male 134.6
GTEX-14JG1-0426-SM-6ETZZ 40-49 years, male 134.5
GTEX-1A3MV-1926-SM-718BT 30-39 years, male 134.4
GTEX-1M5QR-1226-SM-EWROB 40-49 years, male 134.4
GTEX-X88G-0126-SM-47JZ3 30-39 years, male 134.3
GTEX-169BO-1326-SM-9MQK2 50-59 years, male 134.3
GTEX-1OJC3-0126-SM-E76QX 20-29 years, male 134.3
GTEX-16YQH-0126-SM-7DUFJ 30-39 years, male 134.2
GTEX-11OF3-2626-SM-5GU7F 60-69 years, male 133.9
GTEX-1JMOU-1526-SM-CL54I 60-69 years, female 133.9
GTEX-1PWST-0226-SM-E76QJ 70-79 years, male 133.9
GTEX-ZYW4-0126-SM-5E44A 60-69 years, male 133.7
GTEX-145MN-2226-SM-5SIAU 30-39 years, male 133.5
GTEX-131XW-0426-SM-5LZWP 50-59 years, female 133.4
GTEX-18D9B-0526-SM-7LTAS 60-69 years, male 133.4
GTEX-12WSG-2826-SM-E9J4H 50-59 years, female 133.4
GTEX-131YS-0126-SM-5KM1M 60-69 years, female 133.2
GTEX-ZAK1-0126-SM-5IJD3 50-59 years, female 133.1
GTEX-14PJ6-2126-SM-6EU1V 60-69 years, female 133.0
GTEX-1RB15-2126-SM-E9TIM 60-69 years, male 132.9
GTEX-148VI-1626-SM-5SI6E 60-69 years, female 132.8
GTEX-17MF6-0126-SM-7LG4F 40-49 years, male 132.8
GTEX-11UD2-0226-SM-5EQKY 50-59 years, male 132.5
GTEX-14BMU-2226-SM-5TDE9 20-29 years, female 132.5
GTEX-1H23P-0126-SM-ADEJ3 60-69 years, male 132.4
GTEX-1HBPM-0226-SM-ARL9F 60-69 years, female 132.4
GTEX-1H1ZS-0426-SM-9WG6G 70-79 years, male 132.3
GTEX-15SHW-0326-SM-6PAML 60-69 years, male 132.2
GTEX-1B933-0126-SM-7PC29 50-59 years, female 132.2
GTEX-1EU9M-0226-SM-7P8SP 60-69 years, male 132.2
GTEX-WOFL-0126-SM-3MJG2 60-69 years, male 132.0
GTEX-1N2DW-0226-SM-E9TK2 50-59 years, male 132.0
GTEX-18A7A-0226-SM-718BH 50-59 years, female 131.9
GTEX-18D9A-1926-SM-7LG6P 30-39 years, female 131.9
GTEX-12WSA-0226-SM-5BC5V 60-69 years, male 131.8
GTEX-WZTO-0126-SM-3NM95 40-49 years, male 131.8
GTEX-X4EO-0326-SM-3P5YO 60-69 years, female 131.7
GTEX-1EWIQ-0126-SM-7RHH2 70-79 years, female 131.6
GTEX-1ICLZ-0126-SM-CKZPO 60-69 years, male 131.6
GTEX-13X6I-0626-SM-5QGP9 60-69 years, male 131.5
GTEX-ZVE2-0226-SM-59HJB 50-59 years, male 131.5
GTEX-139TU-0126-SM-5K7WH 60-69 years, male 131.4
GTEX-13U4I-0126-SM-5LU38 40-49 years, female 131.3
GTEX-147F4-0226-SM-5QGPW 50-59 years, male 131.3
GTEX-ZTPG-0326-SM-5O9AX 20-29 years, female 131.3
GTEX-ZYY3-0126-SM-5GZY5 60-69 years, female 131.3
GTEX-16GPK-0126-SM-7DHLE 60-69 years, male 131.2
GTEX-16XZY-2126-SM-79OK1 70-79 years, male 131.2
GTEX-1CAMS-0426-SM-7P8T2 40-49 years, female 131.2
GTEX-1K2DA-1826-SM-CGQGT 50-59 years, male 131.2
GTEX-131XG-2626-SM-5KM17 50-59 years, female 131.0
GTEX-18A6Q-0126-SM-731BZ 60-69 years, male 131.0
GTEX-1C475-1826-SM-73KWA 40-49 years, female 131.0
GTEX-ZV6S-2326-SM-4YCEY 40-49 years, female 130.9
GTEX-T2YK-0526-SM-32QPJ 50-59 years, male 130.3
GTEX-13SLX-0526-SM-5S2ON 50-59 years, female 130.2
GTEX-1HCUA-2426-SM-ADEIS 50-59 years, female 130.1
GTEX-13RTL-0126-SM-7LG5S 40-49 years, male 130.0
GTEX-XBEW-0626-SM-4QASP 40-49 years, male 130.0
GTEX-13QJ3-0326-SM-5S2RA 50-59 years, male 129.6
GTEX-1212Z-2526-SM-5EGKP 60-69 years, male 129.5
GTEX-XQ8I-0426-SM-4BOPO 50-59 years, male 129.5
GTEX-113JC-2326-SM-5EQ4E 50-59 years, female 129.4
GTEX-1H3VE-0326-SM-9YFLH 40-49 years, male 129.4
GTEX-147F3-0526-SM-5SI98 50-59 years, female 129.3
GTEX-Z93T-0126-SM-5HL5N 50-59 years, male 129.3
GTEX-1IDJH-0326-SM-A9SLQ 70-79 years, male 129.3
GTEX-1R7EU-0226-SM-EVR4G 60-69 years, male 129.3
GTEX-VUSG-2526-SM-4KL1V 50-59 years, male 129.0
GTEX-Y8DK-0126-SM-4TT3L 60-69 years, male 129.0
GTEX-13VXT-0126-SM-5LU4I 20-29 years, female 128.9
GTEX-1GTWX-0126-SM-9YFLK 60-69 years, male 128.8
GTEX-17F96-1626-SM-7DUFL 70-79 years, male 128.7
GTEX-139TT-0126-SM-5K7Y5 60-69 years, male 128.5
GTEX-1JMQI-2226-SM-CM2SD 50-59 years, male 128.5
GTEX-ZF28-0126-SM-4WKGK 60-69 years, male 128.4
GTEX-1ICLY-0126-SM-D4P36 50-59 years, male 128.3
GTEX-Y8LW-1826-SM-5S2MV 50-59 years, female 128.1
GTEX-1EN7A-0126-SM-7SB81 40-49 years, male 128.1
GTEX-OHPL-0126-SM-2HMJ7 60-69 years, female 128.0
GTEX-14ICK-0226-SM-6EU25 40-49 years, male 127.9
GTEX-12584-0126-SM-5EGKQ 40-49 years, male 127.8
GTEX-13O3Q-2426-SM-5IJBR 50-59 years, male 127.8
GTEX-13OW8-1326-SM-5J1OW 60-69 years, male 127.8
GTEX-ZZPT-0226-SM-5E43X 50-59 years, male 127.7
GTEX-S33H-1026-SM-EZ6L6 30-39 years, male 127.7
GTEX-PWO3-1526-SM-48TCM 60-69 years, female 127.6
GTEX-WY7C-2326-SM-3NB2U 50-59 years, male 127.6
GTEX-1KXAM-2226-SM-CYPTC 60-69 years, male 127.6
GTEX-11GSO-2426-SM-5A5LY 60-69 years, male 127.3
GTEX-1GZHY-0326-SM-9QEHI 50-59 years, female 127.3
GTEX-11P82-1626-SM-59879 20-29 years, male 127.1
GTEX-ZAB4-0226-SM-5N9F5 40-49 years, male 127.1
GTEX-X585-0226-SM-4QAS2 50-59 years, male 127.0
GTEX-1F48J-0126-SM-7P8TT 50-59 years, female 127.0
GTEX-1LG7Y-0526-SM-DKPQC 50-59 years, male 127.0
GTEX-14JG6-2226-SM-6EU2G 30-39 years, female 126.9
GTEX-15DYW-0126-SM-7KULE 60-69 years, female 126.9
GTEX-RWSA-0126-SM-2XCBB 40-49 years, male 126.9
GTEX-WYVS-2126-SM-3NMA3 40-49 years, female 126.9
GTEX-13FHO-0226-SM-5IFGY 60-69 years, male 126.8
GTEX-TSE9-0126-SM-3DB83 60-69 years, female 126.8
GTEX-WQUQ-0426-SM-3MJFU 60-69 years, male 126.7
GTEX-ZF2S-2326-SM-4WWCE 50-59 years, female 126.6
GTEX-11NSD-2226-SM-5986V 20-29 years, male 126.5
GTEX-XYKS-2126-SM-4E3IB 60-69 years, female 126.4
GTEX-1HCVE-0126-SM-CGQEU 50-59 years, male 126.4
GTEX-1KANA-0726-SM-D3L9I 20-29 years, male 126.2
GTEX-11ZVC-2526-SM-5FQTE 50-59 years, female 126.0
GTEX-XV7Q-2526-SM-4BRV9 40-49 years, female 126.0
GTEX-139T8-0126-SM-5K7XZ 60-69 years, male 125.9
GTEX-1A8FM-0226-SM-7SB7Q 50-59 years, female 125.9
GTEX-1MA7W-2026-SM-E9TJ6 20-29 years, female 125.9
GTEX-WYJK-0126-SM-3NMAB 50-59 years, male 125.6
GTEX-1MCYP-1926-SM-E9J2R 20-29 years, female 125.6
GTEX-1AX9J-0226-SM-73KXM 60-69 years, male 125.5
GTEX-P4QT-0126-SM-2I3FL 50-59 years, female 125.5
GTEX-1PDJ9-0326-SM-DTX95 20-29 years, male 125.5
GTEX-QDVN-2026-SM-3GAEP 50-59 years, male 125.4
GTEX-1IL2V-0126-SM-CM2TX 70-79 years, male 125.4
GTEX-11NUK-0126-SM-5A5L3 50-59 years, male 125.3
GTEX-XQ3S-1526-SM-4BOOC 20-29 years, male 125.3
GTEX-1JMQK-0226-SM-CL543 60-69 years, male 125.3
GTEX-1HUB1-0426-SM-E9U4U 60-69 years, male 125.2
GTEX-1HGF4-2426-SM-ACKXM 60-69 years, male 125.1
GTEX-13112-2826-SM-5DUWH 50-59 years, male 125.0
GTEX-13D11-2426-SM-5KM1V 50-59 years, female 125.0
GTEX-17MFQ-1726-SM-793C7 20-29 years, male 125.0
GTEX-1KWVE-1426-SM-E9TJO 30-39 years, male 124.9
GTEX-13FTY-0526-SM-5L3EV 40-49 years, female 124.8
GTEX-1J1OQ-0226-SM-CYPSH 40-49 years, female 124.7
GTEX-13X6J-0126-SM-5QGOU 50-59 years, male 124.6
GTEX-S7PM-0126-SM-4AD6S 60-69 years, male 124.6
GTEX-V1D1-2226-SM-3NMAX 50-59 years, male 124.6
GTEX-12ZZX-0126-SM-5EGK9 40-49 years, female 124.5
GTEX-1LGOU-2026-SM-DIPFF 20-29 years, female 124.5
GTEX-11VI4-1726-SM-5CVLH 40-49 years, female 124.4
GTEX-YEC4-2126-SM-5IFJH 40-49 years, male 124.4
GTEX-YJ89-0126-SM-4TT3X 60-69 years, male 124.4
GTEX-SIU8-0126-SM-2XCDT 50-59 years, male 124.3
GTEX-1RDX4-0126-SM-E9J4P 50-59 years, female 124.3
GTEX-145MF-0626-SM-5LUAI 50-59 years, male 123.9
GTEX-1AX8Z-0126-SM-7DHM6 60-69 years, male 123.7
GTEX-1JN76-0126-SM-CNPPE 20-29 years, female 123.5
GTEX-15DCD-0126-SM-7KUEK 70-79 years, female 123.4
GTEX-15EU6-0426-SM-6PAN5 50-59 years, male 123.3
GTEX-13RTK-1426-SM-5QGQJ 20-29 years, male 123.2
GTEX-OXRP-0126-SM-3NB32 60-69 years, female 123.2
GTEX-13OW7-0126-SM-5MR3B 50-59 years, male 123.1
GTEX-ZQUD-1426-SM-57WER 30-39 years, male 123.1
GTEX-Y3IK-2426-SM-4WWDU 50-59 years, female 123.0
GTEX-YFC4-0126-SM-5CVLY 40-49 years, female 123.0
GTEX-11LCK-1026-SM-5A5KB 30-39 years, male 122.9
GTEX-1F88F-2726-SM-7PBZZ 60-69 years, female 122.9
GTEX-1IDJU-2626-SM-CM2RT 60-69 years, female 122.9
GTEX-1JK1U-2026-SM-CM2RZ 60-69 years, male 122.9
GTEX-1314G-1526-SM-5EGK2 30-39 years, male 122.7
GTEX-ZE7O-0126-SM-57WC1 50-59 years, female 122.6
GTEX-1GF9W-0326-SM-9KNUN 60-69 years, male 122.6
GTEX-1C6VR-2426-SM-79OLD 60-69 years, male 122.4
GTEX-1HSKV-0226-SM-A9SKJ 60-69 years, male 122.3
GTEX-14PII-0226-SM-6EU1T 60-69 years, male 122.2
GTEX-S32W-2126-SM-2XCB1 50-59 years, female 122.1
GTEX-T5JW-1626-SM-3GADZ 20-29 years, female 122.0
GTEX-1I1GR-0126-SM-CL55F 60-69 years, male 122.0
GTEX-1LGRB-2526-SM-CNPPQ 50-59 years, female 121.7
GTEX-144GL-0126-SM-5TDE2 50-59 years, male 121.6
GTEX-SUCS-1926-SM-32PM3 70-79 years, male 121.6
GTEX-13OVG-1926-SM-5L3DK 60-69 years, male 121.5
GTEX-1AX9K-2326-SM-73KWU 50-59 years, male 121.4
GTEX-1I1GU-2226-SM-CGQFA 40-49 years, male 121.4
GTEX-1PIGE-0126-SM-EVYBJ 20-29 years, male 121.4
GTEX-15SHU-0126-SM-7KUEH 40-49 years, female 121.1
GTEX-T5JC-0426-SM-32PLO 20-29 years, male 121.1
GTEX-18A66-0226-SM-718BD 60-69 years, male 121.0
GTEX-NFK9-0226-SM-2HMKQ 40-49 years, male 121.0
GTEX-1E1VI-0126-SM-7DHMZ 50-59 years, male 120.8
GTEX-ZF3C-0126-SM-DO92D 50-59 years, female 120.8
GTEX-13O21-1426-SM-5K7XI 50-59 years, male 120.6
GTEX-ZAB5-1826-SM-5HL7C 50-59 years, male 120.6
GTEX-1F75A-0126-SM-7RHGM 50-59 years, male 120.6
GTEX-R3RS-0126-SM-3GIJL 40-49 years, female 120.5
GTEX-1K9T9-0126-SM-EVYCF 50-59 years, female 120.5
GTEX-QVJO-1626-SM-2S1QW 60-69 years, female 120.4
GTEX-17GQL-2026-SM-718BA 60-69 years, male 120.3
GTEX-T8EM-1026-SM-3DB7M 40-49 years, male 120.3
GTEX-1HCU6-0126-SM-CL54K 60-69 years, female 120.3
GTEX-11DYG-0126-SM-59883 60-69 years, male 120.1
GTEX-OXRN-0126-SM-48TDM 50-59 years, male 120.0
GTEX-1LG7Z-1726-SM-D3LA4 30-39 years, male 119.8
GTEX-R55G-2526-SM-2TC6D 40-49 years, female 119.6
GTEX-1IGQW-0126-SM-COH42 60-69 years, male 119.6
GTEX-1HT8W-0126-SM-CNPPP 30-39 years, male 119.5
GTEX-1S83E-0126-SM-EWRO4 40-49 years, male 119.5
GTEX-12WSC-0126-SM-5EQ4P 50-59 years, male 119.3
GTEX-17HGU-0226-SM-7DHKV 50-59 years, male 119.3
GTEX-1HFI6-0226-SM-ADEHZ 40-49 years, male 119.3
GTEX-14BIL-0126-SM-5SI92 50-59 years, male 119.2
GTEX-1IE54-0126-SM-CMKHW 40-49 years, female 119.1
GTEX-1QP29-0626-SM-EWRMX 50-59 years, male 119.1
GTEX-Q2AG-0126-SM-33HBV 40-49 years, female 119.0
GTEX-1OJC4-0126-SM-E9J2E 50-59 years, female 119.0
GTEX-Z9EW-1626-SM-5CVMN 40-49 years, male 118.9
GTEX-ZVT3-0126-SM-5GU6I 60-69 years, female 118.8
GTEX-1GMRU-0126-SM-9YFLV 50-59 years, male 118.7
GTEX-14LLW-0126-SM-6LLIO 70-79 years, female 118.4
GTEX-17EVP-0326-SM-7DHLG 40-49 years, male 118.4
GTEX-11GSP-2526-SM-5N9BP 60-69 years, female 118.3
GTEX-SJXC-0126-SM-2XCFF 60-69 years, male 118.3
GTEX-ZY6K-1826-SM-5GZXK 50-59 years, male 118.1
GTEX-QDVJ-1726-SM-2I5FX 50-59 years, male 118.0
GTEX-13VXU-0126-SM-5SI9F 50-59 years, male 117.8
GTEX-13S7M-0126-SM-5SI6A 60-69 years, female 117.6
GTEX-1QAET-0926-SM-E76QM 50-59 years, male 117.5
GTEX-1C6VS-0526-SM-7DUEN 60-69 years, male 117.3
GTEX-ZYFD-0126-SM-5GIDL 50-59 years, male 117.2
GTEX-1JKYR-0126-SM-CNPOJ 20-29 years, male 117.2
GTEX-1H1DE-2126-SM-9WG6R 20-29 years, male 117.1
GTEX-13X6H-2126-SM-7EWD5 50-59 years, female 117.0
GTEX-16XZZ-0126-SM-793DV 60-69 years, male 117.0
GTEX-1I1GQ-0126-SM-COH3H 50-59 years, male 117.0
GTEX-1JMPZ-0226-SM-CNPP1 30-39 years, male 117.0
GTEX-1GF9U-2126-SM-7SB7L 40-49 years, female 116.9
GTEX-14PHW-0126-SM-6LLJI 60-69 years, female 116.8
GTEX-1GMR8-0126-SM-9WYTM 50-59 years, female 116.8
GTEX-1I19N-0326-SM-ACKVX 70-79 years, male 116.8
GTEX-15ETS-0126-SM-7KUMW 40-49 years, female 116.7
GTEX-ZDXO-3026-SM-5J1N5 60-69 years, male 116.7
GTEX-XUW1-0426-SM-4BOOT 50-59 years, female 116.6
GTEX-WXYG-2326-SM-4E3I6 50-59 years, female 116.1
GTEX-1I1GT-0626-SM-CGQER 60-69 years, female 116.1
GTEX-PLZ6-1426-SM-DKPOT 30-39 years, male 116.1
GTEX-RN64-0126-SM-2TC68 50-59 years, male 116.0
GTEX-13OW5-0126-SM-DTXFS 60-69 years, male 116.0
GTEX-ZWKS-0126-SM-5SIAA 30-39 years, male 115.9
GTEX-1I1GP-2226-SM-CGQFK 50-59 years, male 115.9
GTEX-117YX-2326-SM-5H12W 50-59 years, male 115.8
GTEX-1C2JI-1826-SM-73KXC 50-59 years, male 115.6
GTEX-146FR-1326-SM-E9J48 60-69 years, female 115.5
GTEX-1LNCM-1126-SM-E9U5E 50-59 years, female 115.5
GTEX-11EQ9-2426-SM-5HL5T 30-39 years, male 115.4
GTEX-13W3W-2426-SM-5LU5B 60-69 years, female 115.4
GTEX-X638-0126-SM-47JZ8 70-79 years, female 115.3
GTEX-1IOXB-0126-SM-ARL8G 50-59 years, male 115.3
GTEX-1I1CD-0126-SM-CM2TK 60-69 years, female 115.2
GTEX-ZDTT-2726-SM-4WKF8 60-69 years, male 115.1
GTEX-Q2AI-1326-SM-2S1PL 40-49 years, male 115.0
GTEX-11ZTT-2426-SM-5EQLS 60-69 years, female 114.9
GTEX-18QFQ-0126-SM-731BE 30-39 years, male 114.9
GTEX-1GPI7-0126-SM-9MQL8 20-29 years, male 114.9
GTEX-11EI6-0126-SM-5985R 60-69 years, male 114.7
GTEX-Y8E4-0626-SM-4WWDL 40-49 years, male 114.7
GTEX-1EX96-1626-SM-7PBXR 50-59 years, male 114.7
GTEX-139T4-0226-SM-5HL5S 50-59 years, female 114.6
GTEX-148VJ-0126-SM-5TDDN 70-79 years, male 114.6
GTEX-11ZU8-2526-SM-5EQKI 60-69 years, male 114.5
GTEX-ZTSS-1926-SM-57WEW 40-49 years, male 114.5
GTEX-11ZTS-0126-SM-5EQ6M 60-69 years, female 114.4
GTEX-14ABY-0226-SM-5TDCQ 50-59 years, male 114.2
GTEX-1GN1U-0126-SM-7PBZK 50-59 years, female 114.2
GTEX-1IKOH-0226-SM-COH4E 60-69 years, female 114.2
GTEX-OXRK-0226-SM-3NB2G 50-59 years, female 114.1
GTEX-1HKZK-0326-SM-9WYUH 40-49 years, male 114.1
GTEX-13CF2-2526-SM-5LZYX 60-69 years, male 113.9
GTEX-1QP2A-0126-SM-E9J43 50-59 years, male 113.9
GTEX-16NPX-0226-SM-79OMT 50-59 years, male 113.7
GTEX-WFON-2126-SM-3LK7O 40-49 years, male 113.6
GTEX-XUYS-0126-SM-47JWZ 50-59 years, male 113.6
GTEX-11OC5-0126-SM-5HL6A 60-69 years, male 113.5
GTEX-1GF9X-2026-SM-7PC3A 40-49 years, female 113.5
GTEX-PLZ5-2026-SM-2S1O4 50-59 years, male 113.2
GTEX-X62O-0126-SM-4E3JN 50-59 years, male 113.2
GTEX-1QCLY-0326-SM-E8VOG 30-39 years, male 112.8
GTEX-1J8QM-2126-SM-CYPSJ 60-69 years, female 112.7
GTEX-YB5E-2026-SM-5IFIS 40-49 years, male 112.6
GTEX-1I1GV-0526-SM-A9G29 60-69 years, male 112.6
GTEX-16NGA-1726-SM-731B4 40-49 years, female 112.4
GTEX-W5WG-1826-SM-4KL2Y 50-59 years, female 112.4
GTEX-ZEX8-2426-SM-4WKG4 50-59 years, male 112.4
GTEX-14PN3-2426-SM-6LLHS 60-69 years, female 112.3
GTEX-1GN1W-0526-SM-9MQJQ 50-59 years, female 112.3
GTEX-11GS4-2726-SM-5A5LE 60-69 years, male 112.2
GTEX-T6MN-0126-SM-32PLP 50-59 years, male 112.2
GTEX-1HBPH-0426-SM-B2LW5 40-49 years, female 112.2
GTEX-1R7EV-2426-SM-EVYBG 40-49 years, male 112.2
GTEX-11ZUS-0626-SM-59885 30-39 years, male 112.0
GTEX-1QP66-1726-SM-E8VO1 50-59 years, male 112.0
GTEX-11DXY-2626-SM-5GIE7 60-69 years, male 111.8
GTEX-1F52S-0126-SM-9MQJU 60-69 years, female 111.8
GTEX-OXRL-0126-SM-2YUMP 50-59 years, male 111.7
GTEX-1HSMP-0126-SM-E6CJS 70-79 years, male 111.7
GTEX-1JMQJ-0526-SM-CYPSU 50-59 years, male 111.7
GTEX-1KANC-1526-SM-D3LAB 50-59 years, female 111.7
GTEX-1L5NE-2526-SM-E6CIE 50-59 years, male 111.5
GTEX-1128S-2326-SM-5GZZY 60-69 years, female 111.4
GTEX-132NY-0326-SM-5IJBL 60-69 years, male 111.2
GTEX-U3ZM-1526-SM-3DB9D 40-49 years, male 111.2
GTEX-12WSN-5019-SM-79OM6 40-49 years, male 111.1
GTEX-1PBJI-0526-SM-E8VNK 20-29 years, female 111.1
GTEX-S95S-1226-SM-4GICG 60-69 years, male 111.0
GTEX-17F97-0326-SM-7LG5B 50-59 years, male 110.7
GTEX-RWS6-2026-SM-2XCB5 60-69 years, female 110.5
GTEX-U4B1-1826-SM-4DXSU 40-49 years, male 110.4
GTEX-11WQC-2526-SM-5CVLE 60-69 years, male 110.2
GTEX-1399R-2726-SM-5IJBA 30-39 years, male 110.2
GTEX-R55E-0126-SM-2TC5Y 20-29 years, male 110.2
GTEX-1GN73-0226-SM-9WG67 60-69 years, male 110.2
GTEX-1HFI7-1826-SM-ACKXH 50-59 years, female 110.1
GTEX-14JIY-0126-SM-6LLH6 60-69 years, male 110.0
GTEX-1HBPI-1526-SM-C1YQ1 50-59 years, male 109.9
GTEX-1MUQO-0126-SM-EAZ58 60-69 years, male 109.9
GTEX-1CB4G-0226-SM-7PC3O 60-69 years, male 109.7
GTEX-1AMFI-2026-SM-731BH 50-59 years, female 109.6
GTEX-ZV68-0126-SM-59HKS 50-59 years, female 109.5
GTEX-1JKYN-1326-SM-CGQG9 30-39 years, male 109.5
GTEX-1MGNQ-0126-SM-EVYCJ 40-49 years, male 109.5
GTEX-11UD1-0126-SM-5PNYG 40-49 years, female 109.2
GTEX-15SDE-2226-SM-7IGLO 50-59 years, female 109.0
GTEX-1HCU7-0226-SM-CL545 50-59 years, male 109.0
GTEX-XPVG-2626-SM-4B669 50-59 years, male 108.8
GTEX-ZYFC-0226-SM-5NQ75 50-59 years, male 108.8
GTEX-1S82Y-2026-SM-EVYCM 40-49 years, male 108.7
GTEX-145ME-1826-SM-5SI9G 40-49 years, female 108.6
GTEX-PSDG-0226-SM-DKPOZ 50-59 years, male 108.6
GTEX-1AYCT-2426-SM-7IGQ3 50-59 years, male 108.5
GTEX-1BAJH-0526-SM-793CQ 70-79 years, male 108.5
GTEX-1GN1V-0126-SM-9WPOS 60-69 years, male 108.5
GTEX-1GZ4H-1726-SM-7PBZJ 50-59 years, female 108.5
GTEX-1RQEC-0426-SM-E6CHU 60-69 years, male 108.5
GTEX-1H3NZ-0126-SM-ACKX7 60-69 years, male 108.3
GTEX-1S5ZA-0126-SM-EVYCV 20-29 years, male 108.2
GTEX-14PHX-2326-SM-62LEM 50-59 years, male 107.8
GTEX-1HCU8-0626-SM-A9SM9 60-69 years, female 107.7
GTEX-O5YW-0126-SM-3LK6D 50-59 years, male 107.6
GTEX-1JN6P-0126-SM-D3L98 60-69 years, male 107.6
GTEX-1LVAN-0226-SM-COH3S 50-59 years, female 107.4
GTEX-VJWN-0126-SM-3GIK7 50-59 years, female 107.3
GTEX-14A6H-0126-SM-5QGPK 30-39 years, male 107.2
GTEX-ZUA1-0126-SM-5GU76 40-49 years, male 107.1
GTEX-ZXG5-0126-SM-5GIEU 60-69 years, male 107.1
GTEX-ZYFG-2326-SM-5E44B 60-69 years, female 107.1
GTEX-R45C-0126-SM-EAZ2R 60-69 years, female 107.0
GTEX-14DAQ-0126-SM-5S2MQ 60-69 years, female 106.9
GTEX-13NYC-0326-SM-E9J4S 60-69 years, male 106.9
GTEX-17HG3-2226-SM-7938L 30-39 years, female 106.8
GTEX-1B8KE-2126-SM-73KYX 50-59 years, male 106.7
GTEX-Y5V5-2326-SM-4V6GA 60-69 years, female 106.5
GTEX-YB5K-2126-SM-4WWDJ 40-49 years, female 106.5
GTEX-1JJE9-0326-SM-CL53Z 70-79 years, male 106.5
GTEX-1IY9M-0126-SM-D3L8S 60-69 years, male 106.4
GTEX-QLQW-1126-SM-2S1Q8 30-39 years, male 106.3
GTEX-1H3VY-0126-SM-ACKXD 50-59 years, male 106.1
GTEX-1F75I-0326-SM-9YFLU 40-49 years, male 106.0
GTEX-RM2N-1426-SM-2TF4H 50-59 years, male 105.7
GTEX-U3ZN-2326-SM-3DB7W 30-39 years, female 105.6
GTEX-1F6RS-0126-SM-9MQKZ 60-69 years, female 105.6
GTEX-1GL5R-1826-SM-9KNUY 50-59 years, male 105.6
GTEX-13FTW-2626-SM-5K7WL 40-49 years, male 105.3
GTEX-1AMEY-1326-SM-73KYK 30-39 years, female 105.3
GTEX-ZZ64-1726-SM-5GZYB 20-29 years, male 105.2
GTEX-1J1R8-1726-SM-ARL8M 40-49 years, male 105.0
GTEX-1OFPY-2426-SM-DTXEJ 60-69 years, male 104.9
GTEX-12WSJ-1826-SM-5GCNY 40-49 years, female 104.7
GTEX-ZDTS-0126-SM-4WAY5 60-69 years, male 104.7
GTEX-13O3O-0126-SM-E9J49 60-69 years, female 104.7
GTEX-ZGAY-0526-SM-4WWBB 40-49 years, female 104.5
GTEX-1H3O1-0426-SM-9YFKY 60-69 years, male 104.5
GTEX-1HSEH-0126-SM-ACKXN 60-69 years, male 104.4
GTEX-1JJ6O-0126-SM-E6CI8 60-69 years, male 104.4
GTEX-1211K-2026-SM-5EQ4Z 60-69 years, female 104.2
GTEX-17HHE-2026-SM-79OKF 50-59 years, male 104.2
GTEX-1J8Q3-1626-SM-CMKGC 60-69 years, male 104.1
GTEX-WRHK-1426-SM-3MJF9 20-29 years, female 103.9
GTEX-13FH7-2026-SM-E9J4I 50-59 years, female 103.9
GTEX-145LU-0126-SM-5TDCB 50-59 years, male 103.7
GTEX-1I6K6-0126-SM-A9SLE 30-39 years, male 103.7
GTEX-1EMGI-0126-SM-9KNUE 60-69 years, male 103.2
GTEX-1CB4I-0226-SM-79OLH 50-59 years, male 102.7
GTEX-16AAH-1726-SM-7939C 50-59 years, male 102.6
GTEX-1R9PO-2126-SM-E9J4O 60-69 years, female 102.5
GTEX-QEG4-0226-SM-2S1PY 30-39 years, male 102.4
GTEX-1QP9N-1426-SM-DTXFL 30-39 years, male 102.3
GTEX-1CAV2-2226-SM-7P8P2 40-49 years, female 102.0
GTEX-VJYA-1126-SM-3GIJU 60-69 years, male 101.9
GTEX-1I1HK-0126-SM-COH49 60-69 years, male 101.9
GTEX-1IDJF-0126-SM-CM2RS 20-29 years, male 101.9
GTEX-1NHNU-1026-SM-E9J2A 50-59 years, male 101.9
GTEX-13YAN-0326-SM-5O9DF 60-69 years, male 101.7
GTEX-1F6I4-0126-SM-9MQL2 60-69 years, male 101.2
GTEX-1HSMQ-1226-SM-CGQFX 50-59 years, male 101.1
GTEX-13SLW-0126-SM-5SI6C 70-79 years, male 101.0
GTEX-ZTX8-1426-SM-5DUVO 20-29 years, male 100.9
GTEX-1F6IF-0726-SM-7P8TW 60-69 years, male 100.9
GTEX-ZC5H-0226-SM-4WAY9 40-49 years, female 100.7
GTEX-1192X-0226-SM-5H12D 50-59 years, male 100.6
GTEX-U3ZH-2026-SM-3DB78 30-39 years, male 100.6
GTEX-17EUY-0426-SM-793BD 20-29 years, male 100.5
GTEX-1PPH8-0226-SM-E8VND 20-29 years, male 99.8
GTEX-1C64O-0126-SM-7SB8P 60-69 years, male 99.3
GTEX-147GR-0526-SM-5S2MY 60-69 years, male 99.0
GTEX-13FHP-0126-SM-5IJBG 50-59 years, male 98.9
GTEX-1H11D-0226-SM-9WG6Z 40-49 years, male 98.9
GTEX-1KANB-0526-SM-E6CJH 50-59 years, male 98.9
GTEX-RU72-0926-SM-2TF6B 50-59 years, female 98.5
GTEX-UPJH-0326-SM-3GADU 50-59 years, male 98.5
GTEX-Y114-2426-SM-4TT8A 50-59 years, female 98.4
GTEX-QCQG-1726-SM-3GIJ9 50-59 years, female 98.3
GTEX-18D9U-0226-SM-718BP 40-49 years, male 98.2
GTEX-1F75B-0126-SM-9KNVL 50-59 years, male 97.9
GTEX-1GPI6-0126-SM-9WG69 60-69 years, male 97.7
GTEX-TML8-1926-SM-32QOS 40-49 years, female 97.5
GTEX-1J8JJ-0226-SM-CL53I 60-69 years, female 97.3
GTEX-12KS4-0326-SM-5EQ41 30-39 years, male 97.1
GTEX-1AYD5-2426-SM-73KXR 50-59 years, male 97.1
GTEX-1I1GS-0126-SM-B2LVW 60-69 years, male 96.7
GTEX-XBED-2226-SM-47JYQ 60-69 years, male 96.6
GTEX-1HSGN-0226-SM-CGQFV 40-49 years, female 96.6
GTEX-1N2DV-0226-SM-E6CJ6 40-49 years, male 96.5
GTEX-11P81-2326-SM-59875 30-39 years, female 96.3
GTEX-Y111-0126-SM-4SOIV 50-59 years, male 95.9
GTEX-1CB4E-2226-SM-793DC 60-69 years, male 95.6
GTEX-12C56-1726-SM-5EQ61 20-29 years, male 95.4
GTEX-1S82Z-0826-SM-E6CHY 30-39 years, female 95.4
GTEX-OIZF-0126-SM-7SB8I 60-69 years, male 95.0
GTEX-1JMLX-0226-SM-CM2RO 50-59 years, male 94.3
GTEX-1PFEY-1526-SM-E76PP 30-39 years, male 94.2
GTEX-1HCU9-1526-SM-A9SL7 20-29 years, male 94.1
GTEX-SSA3-0126-SM-32QPU 60-69 years, male 93.9
GTEX-1CAMQ-0226-SM-7IGPK 40-49 years, male 93.8
GTEX-T6MO-1626-SM-32QOM 40-49 years, female 93.3
GTEX-XUZC-1726-SM-4BRWS 30-39 years, female 93.3
GTEX-WFG8-2226-SM-3GIL9 20-29 years, male 93.2
GTEX-1I4MK-2226-SM-ACKWD 50-59 years, female 92.7
GTEX-1IKK5-0626-SM-ARL8A 60-69 years, male 92.4
GTEX-1B8KZ-2026-SM-7DHMB 50-59 years, male 92.2
GTEX-13111-1626-SM-5EGJY 50-59 years, male 91.8
GTEX-1IL2U-0226-SM-CE6T8 60-69 years, male 91.7
GTEX-1H1E6-1726-SM-ACKVK 30-39 years, male 91.5
GTEX-TKQ1-1026-SM-4GICL 30-39 years, male 91.3
GTEX-1KAFJ-2026-SM-CY8ID 50-59 years, male 91.1
GTEX-113IC-0126-SM-5HL6T 60-69 years, male 90.9
GTEX-1F5PK-2426-SM-7RHHY 50-59 years, male 90.8
GTEX-1JMPY-1326-SM-ARL8Y 30-39 years, male 90.8
GTEX-1QW4Y-1526-SM-EAZ3Z 30-39 years, male 90.5
GTEX-12WSD-0126-SM-59HKN 60-69 years, female 90.4
GTEX-1B97I-1626-SM-73KYO 40-49 years, male 90.2
GTEX-1AX9I-0126-SM-7SB74 60-69 years, male 90.0
GTEX-OHPM-0126-SM-2YUN9 50-59 years, male 89.9
GTEX-1NV5F-0226-SM-E8VNY 60-69 years, female 89.2
GTEX-RNOR-0126-SM-E9J4R 50-59 years, female 88.9
GTEX-PX3G-0126-SM-2I3EN 20-29 years, female 88.8
GTEX-1RAZA-0126-SM-E6CI3 20-29 years, male 88.7
GTEX-14E7W-0126-SM-6LLJ9 70-79 years, male 88.5
GTEX-QLQ7-1626-SM-2S1R8 60-69 years, male 88.0
GTEX-PW2O-1526-SM-7RHHB 20-29 years, male 87.5
GTEX-ZVTK-0426-SM-51MRS 20-29 years, male 87.0
GTEX-1CB4F-0426-SM-9KNV4 60-69 years, male 86.8
GTEX-1C4CL-0526-SM-73KVK 30-39 years, male 86.6
GTEX-1MA7X-2226-SM-E6CIY 60-69 years, male 86.2
GTEX-1LSNM-1926-SM-E6CII 50-59 years, male 85.8
GTEX-13FXS-0226-SM-5IJCK 50-59 years, male 85.7
GTEX-P44H-0226-SM-2XCEU 40-49 years, male 84.5
GTEX-OOBJ-0126-SM-E6CJW 60-69 years, male 83.8
GTEX-1H2FU-0126-SM-9WYSI 60-69 years, female 83.5
GTEX-PVOW-0126-SM-2XCFA 40-49 years, male 82.8
GTEX-Q2AH-1626-SM-3GAF8 40-49 years, male 82.2
GTEX-SNMC-1226-SM-2XCFP 20-29 years, male 81.0
GTEX-15F5U-1526-SM-6PANO 40-49 years, male 73.5
GTEX-12WSK-2326-SM-5GCOH 40-49 years, female 73.3
GTEX-11P7K-2126-SM-5GU7G 30-39 years, male 62.5
Show allShow less

Contact

  • NEWS ARTICLES
  • PRESS ROOM

The Project

  • INTRODUCTION
  • ORGANIZATION
  • PUBLICATIONS

The Human Protein Atlas

  • DOWNLOADABLE DATA
  • LICENCE & CITATION
  • HELP & FAQ
The Human Protein Atlas project is funded
by the Knut & Alice Wallenberg Foundation.


contact@proteinatlas.org