We use cookies to enhance the usability of our website. If you continue, we'll assume that you are happy to receive all cookies. More information. Don't show this again.
SAMHD1
HPA
RESOURCES
  • TISSUE
  • BRAIN
  • SINGLE CELL
  • SUBCELLULAR
  • CANCER
  • BLOOD
  • CELL LINE
  • STRUCTURE & INTERACTION
ABOUT
  • INTRODUCTION
  • HISTORY
  • ORGANIZATION
  • PUBLICATIONS
  • ANTIBODY SUBMISSION
  • ANTIBODY AVAILABILITY
  • ACKNOWLEDGMENTS
  • CONTACT
NEWS
  • NEWS ARTICLES
  • PRESS ROOM
LEARN
  • DICTIONARY
  • PROTEIN CLASSES
  • PROTEIN EVIDENCE
  • METHODS
  • EDUCATIONAL VIDEOS
DATA
  • DOWNLOADABLE DATA
  • PUBLICATION DATA
  • RELEASE HISTORY
HELP
  • ANTIBODY VALIDATION
  • ASSAYS & ANNOTATION
  • DISCLAIMER
  • HELP & FAQ
  • PRIVACY STATEMENT
  • LICENCE & CITATION
Fields »
Search result

Field
Term
Gene name
Class
Subclass
Class
Keyword
Chromosome
External id
Tissue
Cell type
Expression
Antibody panel
Tissue
Main location
Patient ID
Annotation
Tissue
Category
Tau score
Cluster
Reliability
Brain region
Category
Tau score
Brain region
Category
Tau score
Brain region
Category
Tau score
Cluster
Reliability
Tissue
Cell type
Enrichment
Cell type
Category
Tau score
Cell type
Category
Tau score
Cell type
Category
Tau score
Cell lineage
Category
Tau score
Cluster
Cluster
Location
Searches
Location
Cell line
Class
Type
Phase
Reliability
Cancer
Prognosis
Cancer
Category
Cancer
Category
Tau score
Cluster
Variants
Interacting gene (ensg_id)
Type
Number of interactions
Pathway
Category
Score
Score
Score
Validation
Validation
Validation
Validation
Antibodies
Data type
Column


  • SUMMARY

  • TISSUE

  • BRAIN

  • SINGLE CELL

  • SUBCELL

  • CANCER

  • BLOOD

  • CELL LINE

  • STRUCT & INT

  • SAMHD1
TISSUE PRIMARY DATA SKIN Show tissue menu
ADIPOSE TISSUE ADRENAL GLAND AMYGDALA APPENDIX BASAL GANGLIA BONE MARROW BREAST BRONCHUS CEREBELLUM CEREBRAL CORTEX CERVIX CHOROID PLEXUS COLON DUODENUM
ENDOMETRIUM EPIDIDYMIS ESOPHAGUS FALLOPIAN TUBE GALLBLADDER HEART MUSCLE HIPPOCAMPAL FORMATION HYPOTHALAMUS KIDNEY LIVER LUNG LYMPH NODE MIDBRAIN NASOPHARYNX
ORAL MUCOSA OVARY PANCREAS PARATHYROID GLAND PITUITARY GLAND PLACENTA PROSTATE RECTUM RETINA SALIVARY GLAND SEMINAL VESICLE SKELETAL MUSCLE SKIN SMALL INTESTINE
SMOOTH MUSCLE SOFT TISSUE SPINAL CORD SPLEEN STOMACH TESTIS THYMUS THYROID GLAND TONGUE TONSIL URINARY BLADDER VAGINA
ANTIBODIES
AND
VALIDATION
Dictionary
Skin
Tissue proteome
Skin
SKIN - Expression summary
Protein expression
Skini

On the top, protein expression in current human tissue, based on all annotated cell types, is reported with the units not detected (n), low (l), medium (m) and high (h). Underneath, protein expression in each annotated cell type are reported using the same units.

Protein expression data is based on knowledge-based annotation. For genes where more than one antibody has been used, a collective score is set.

If knowledge-based annotation could not be performed for a gene, no data is displayed here. View antibody staining data further down this page.

h
m
l
n
Cells in basal layer: Medium
Cells in corneal layer: Not detected
Cells in granular layer: Medium
Cells in spinous layer: Medium
Endothelial cells: High
Extracellular matrix: Not detected
Fibrohistiocytic cells: High
Hair follicles: Not detected
Langerhans cells: Medium
Lymphocytes: High
Melanocytes: Not detected
Vascular mural cells: Not detected
RNA expressioni

A summary of mRNA expression data available for current tissue based on several datasets. The mRNA expression levels in human tissues are based on RNA-seq data generated by the Human Protein Atlas (HPA), Genotype-Tissue Expression (GTEx) portal and CAGE data generated by the FANTOM5 consortium. Consensus normalized expression levels for human tissues was created by combining the data from HPA and GTEx datasets.

The mRNA expression levels in pig are based on RNA-seq data generated by the Human Protein Atlas (HPA), and for mouse, HPA data and in situ hybridization generated by the Allen brain atlas are reported.

Scroll down to view mRNA expression data in more detail.
Consensus:26.9 nTPM
HPA:10.5 nTPM
GTEx:26.9 nTPM

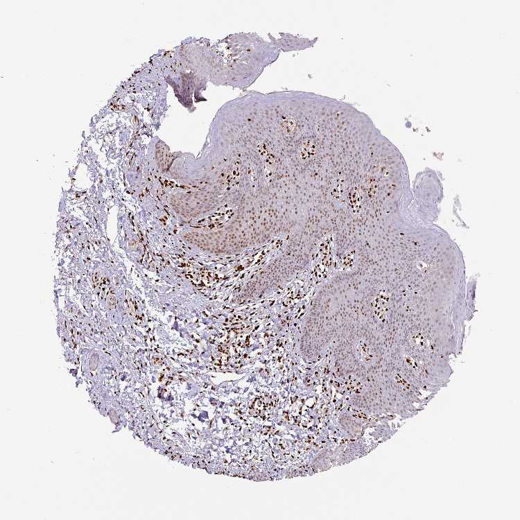
SKIN 1 - Antibody stainingi

Antibody staining in the annotated cell types in the current human tissue is reported as not detected, low, medium, or high, based on conventional immunohistochemistry profiling in selected tissues. This score is based on the combination of the staining intensity and fraction of stained cells.

Each image is clickable and will lead to virtual microscopy that enables deeper exploration of all samples and also displays staining intensity scores, fraction scores and subcellular localization as well as patient and tissue information for each sample.

Antibody HPA047072
Cells in basal layer Medium
Cells in corneal layer Not detected
Cells in granular layer Not detected
Cells in spinous layer Low
Endothelial cells High
Extracellular matrix Not detected
Fibrohistiocytic cells High
Hair follicles Not detected
Langerhans cells Low
Lymphocytes High
Melanocytes Not detected
Vascular mural cells Not detected


SKIN 2 - Antibody stainingi

Antibody staining in the annotated cell types in the current human tissue is reported as not detected, low, medium, or high, based on conventional immunohistochemistry profiling in selected tissues. This score is based on the combination of the staining intensity and fraction of stained cells.

Each image is clickable and will lead to virtual microscopy that enables deeper exploration of all samples and also displays staining intensity scores, fraction scores and subcellular localization as well as patient and tissue information for each sample.

Antibody HPA047072
Cells in basal layer Low
Cells in corneal layer Not detected
Cells in granular layer Medium
Cells in spinous layer Medium
Endothelial cells High
Extracellular matrix Not detected
Fibrohistiocytic cells High
Langerhans cells Medium
Lymphocytes High
Melanocytes Not detected
Vascular mural cells Not detected
 



SKIN - HPA RNA-seqi

The RNA-seq details section shows detailed information about the individual samples used for the transcript profiling and results of the RNA-seq analysis.

Information about each individual sample is listed below, including gender, age, a tissue section image and estimated fractions of cell types. nTPM (normalized transcripts per million) values give a quantification of the gene abundance which is comparable between different genes and samples.
Average nTPMi

Max subtype nTPM is the value for the subtype with the largest average nTPM across the subtype samples.

10.5
overview
Female, age 34
Skin sample 225
nTPM: 12
Cell types%
Keratinocytes:
60

Other cell types:
40

overview
Female, age 30
Skin sample 226
nTPM: 9.7
Cell types%
Keratinocytes:
55

Other cell types:
45

N/A
Male, age 57
Skin sample 227
nTPM: 9.8

SKIN - GTEx RNA-seqi

RNA-Seq data generated by the Genotype-Tissue Expression (GTEx) project from human tissues is reported as mean nTPM. More information can be found on the GTEx portal.

Distribution across the dataset is visualized with box plots, shown as median and 25th and 75th percentiles. Points are displayed as outliers if they are above or below 1.5 times the interquartile range. nTPM values of the individual samples are presented next to the box plot.
Max subtype nTPMi

Max subtype nTPM is the value for the subtype with the largest average nTPM across the subtype samples.

26.9
GTEx sample id Sample description nTPM
Skin - Not Sun Exposed (Suprapubic)
Average nTPM: 24.6
Samples: 604

Max nTPM: 145.2
Min nTPM: 2.4
Std nTPM: 20.1
Median nTPM: 17.3
GTEX-12WSL-2026-SM-5GCML 50-59 years, male 145.2
GTEX-1L5NE-1126-SM-D3L9P 50-59 years, male 117.4
GTEX-18D9B-0926-SM-7LG4U 60-69 years, male 113.4
GTEX-ZGAY-1826-SM-DO91Q 40-49 years, female 111.3
GTEX-14BMU-1226-SM-5S2OR 20-29 years, female 107.1
GTEX-13FH7-1126-SM-5K7UG 50-59 years, female 105.8
GTEX-X3Y1-2026-SM-3P5YM 40-49 years, male 105.3
GTEX-YB5K-2026-SM-4VDT3 40-49 years, female 99.7
GTEX-ZLFU-1826-SM-4WWBV 40-49 years, male 96.8
GTEX-1QP29-1826-SM-DTX9S 50-59 years, male 95.4
GTEX-11EM3-1226-SM-5N9DD 20-29 years, female 84.7
GTEX-ZT9W-1126-SM-57WDR 50-59 years, male 84.3
GTEX-13113-1626-SM-5EQ4I 60-69 years, female 83.6
GTEX-ZLWG-0826-SM-59888 50-59 years, female 83.3
GTEX-145ME-1726-SM-5Q5EU 40-49 years, female 82.4
GTEX-Y8LW-1526-SM-5IFHL 50-59 years, female 75.1
GTEX-1I4MK-0126-SM-CY8G6 50-59 years, female 74.9
GTEX-WFG8-2126-SM-3GIKQ 20-29 years, male 74.7
GTEX-145MN-1526-SM-5SI9T 30-39 years, male 73.7
GTEX-117YX-1926-SM-5GIEC 50-59 years, male 72.6
GTEX-14E6E-0526-SM-793DN 30-39 years, male 72.6
GTEX-YF7O-1526-SM-5IFI6 50-59 years, male 72.4
GTEX-1AX9J-1326-SM-731BJ 60-69 years, male 70.9
GTEX-1GMR2-0826-SM-7PC3V 50-59 years, male 70.1
GTEX-1211K-1526-SM-5FQU4 60-69 years, female 70.0
GTEX-14DAR-1226-SM-73KYV 50-59 years, male 68.7
GTEX-ZVP2-0326-SM-57WBP 50-59 years, male 67.0
GTEX-13QBU-1226-SM-5LU4G 40-49 years, female 66.5
GTEX-ZYFG-1526-SM-5GZYM 60-69 years, female 66.5
GTEX-ZTSS-1426-SM-5985P 40-49 years, male 66.4
GTEX-14JG6-1426-SM-9WG7C 30-39 years, female 65.1
GTEX-1HCUA-0826-SM-ADEHM 50-59 years, female 64.8
GTEX-1QCLZ-2426-SM-EVYBW 60-69 years, female 64.1
GTEX-1JKYN-0826-SM-ARU8S 30-39 years, male 63.8
GTEX-11DZ1-2426-SM-5GZZX 50-59 years, male 63.3
GTEX-XUW1-0926-SM-4BONX 50-59 years, female 61.1
GTEX-1C475-1326-SM-7SB73 40-49 years, female 60.8
GTEX-ZA64-1026-SM-5HL8R 20-29 years, male 59.9
GTEX-WXYG-2026-SM-4E3IY 50-59 years, female 59.1
GTEX-13OVG-1626-SM-5J1NF 60-69 years, male 59.0
GTEX-1KANC-1226-SM-CYPT7 50-59 years, female 58.4
GTEX-16BQI-1326-SM-6M486 30-39 years, female 57.8
GTEX-ZZ64-1026-SM-5GZXG 20-29 years, male 57.2
GTEX-1IDJI-0126-SM-CMKHS 50-59 years, female 56.5
GTEX-1IDJF-2026-SM-CL53V 20-29 years, male 56.2
GTEX-18D9A-1426-SM-7LT8M 30-39 years, female 56.0
GTEX-17EVQ-0126-SM-7IGLR 70-79 years, male 55.6
GTEX-XBED-1926-SM-47JYP 60-69 years, male 55.5
GTEX-12BJ1-0926-SM-5EQ62 60-69 years, male 54.8
GTEX-1CAV2-0126-SM-7IGN7 40-49 years, female 54.8
GTEX-1IDJC-1526-SM-B2LW4 50-59 years, male 54.0
GTEX-1LG7Z-1626-SM-CXKYR 30-39 years, male 54.0
GTEX-14PKU-0126-SM-6LLHV 40-49 years, female 53.8
GTEX-1F75I-2226-SM-7SB8U 40-49 years, male 53.5
GTEX-1F75B-0726-SM-7PC3R 50-59 years, male 53.4
GTEX-18D9U-0126-SM-731BM 40-49 years, male 53.2
GTEX-X5EB-1926-SM-4E3IW 40-49 years, male 53.2
GTEX-1J8Q3-0526-SM-ARL8U 60-69 years, male 53.0
GTEX-12C56-1526-SM-5FQUQ 20-29 years, male 52.9
GTEX-13FTW-0326-SM-5K7UW 40-49 years, male 52.8
GTEX-14PK6-0226-SM-62LF5 70-79 years, female 52.5
GTEX-1JMOU-1026-SM-CYPSS 60-69 years, female 51.7
GTEX-1LSNM-0826-SM-DIPG8 50-59 years, male 49.3
GTEX-ZDYS-2426-SM-4WKGI 50-59 years, male 49.2
GTEX-1MCC2-1826-SM-DIPEX 30-39 years, female 49.0
GTEX-111CU-1126-SM-5EGIM 50-59 years, male 48.8
GTEX-147F3-1726-SM-5SIAW 50-59 years, female 48.7
GTEX-ZVT2-0126-SM-5GIDQ 50-59 years, female 48.7
GTEX-14PKV-1126-SM-6LLJ1 20-29 years, female 48.4
GTEX-1LVAN-0626-SM-CNPOQ 50-59 years, female 48.0
GTEX-11ZTT-2126-SM-5CVLO 60-69 years, female 47.6
GTEX-13O61-1426-SM-5KM3D 60-69 years, male 47.6
GTEX-1497J-0226-SM-5QGPU 60-69 years, male 47.5
GTEX-1HKZK-0726-SM-ACKW2 40-49 years, male 47.3
GTEX-13VXT-1926-SM-5K7UO 20-29 years, female 47.1
GTEX-WEY5-2326-SM-3GIKK 40-49 years, female 46.7
GTEX-WYJK-0526-SM-3NM8Z 50-59 years, male 46.1
GTEX-1S831-1826-SM-EWROF 20-29 years, male 46.1
GTEX-1GF9U-2026-SM-7SB92 40-49 years, female 45.6
GTEX-YEC4-1826-SM-4W1YP 40-49 years, male 45.4
GTEX-145LT-0526-SM-5LUB2 40-49 years, male 45.3
GTEX-Y5V6-2326-SM-4VDSA 60-69 years, male 45.1
GTEX-1JJ6O-2726-SM-CNPOG 60-69 years, male 44.8
GTEX-1CB4H-1126-SM-7MKGL 60-69 years, female 44.1
GTEX-13FTX-1526-SM-5K7VJ 20-29 years, female 43.9
GTEX-16AAH-0626-SM-793C9 50-59 years, male 43.8
GTEX-17F98-1326-SM-7DUEP 40-49 years, female 43.1
GTEX-11VI4-1126-SM-5EQMD 40-49 years, female 42.7
GTEX-16MTA-0926-SM-6M47Z 50-59 years, male 42.6
GTEX-13OVJ-0826-SM-5J1OK 50-59 years, female 42.2
GTEX-1HFI7-2326-SM-CGQFS 50-59 years, female 42.2
GTEX-ZP4G-1426-SM-4WWCL 20-29 years, female 42.0
GTEX-1KANA-1326-SM-DIPFA 20-29 years, male 42.0
GTEX-1LGOU-1326-SM-D3L8M 20-29 years, female 42.0
GTEX-Y5LM-0926-SM-6LLJG 40-49 years, female 41.3
GTEX-Y3I4-1726-SM-4TT89 50-59 years, male 41.2
GTEX-YFCO-1226-SM-5LUAT 40-49 years, male 41.0
GTEX-1IDJU-1726-SM-CMKHU 60-69 years, female 41.0
GTEX-17F9E-2326-SM-79OKD 50-59 years, male 40.9
GTEX-1I6K6-1726-SM-CGQFD 30-39 years, male 40.7
GTEX-1IDJD-2326-SM-ACKWX 30-39 years, male 40.6
GTEX-1MJK3-0726-SM-E6CJC 20-29 years, male 40.3
GTEX-1CAMR-1326-SM-7PC1F 20-29 years, male 40.2
GTEX-13X6H-0926-SM-5SIB2 50-59 years, female 40.1
GTEX-1H1DF-1126-SM-9WG7G 40-49 years, female 40.1
GTEX-1CB4I-0126-SM-7RHGG 50-59 years, male 39.5
GTEX-11LCK-2226-SM-5HL4Q 30-39 years, male 39.4
GTEX-1IKOE-1426-SM-CE6T7 30-39 years, female 39.1
GTEX-13N2G-0226-SM-5K7VF 60-69 years, male 38.7
GTEX-1GZ4H-0526-SM-9KNU9 50-59 years, female 38.7
GTEX-1JN1M-2726-SM-CY8I4 60-69 years, female 38.1
GTEX-18A7B-2726-SM-7LG56 70-79 years, male 38.0
GTEX-15EU6-2226-SM-6EU2L 50-59 years, male 37.4
GTEX-132AR-0326-SM-5KM2C 50-59 years, female 37.3
GTEX-11P7K-1126-SM-5HL4L 30-39 years, male 37.2
GTEX-13PVR-0426-SM-5RQK2 60-69 years, female 36.9
GTEX-XPVG-2126-SM-4B667 50-59 years, male 36.9
GTEX-13N11-2326-SM-5IJBF 50-59 years, female 36.8
GTEX-1A3MX-2626-SM-7PC24 60-69 years, male 36.8
GTEX-11EQ9-1626-SM-5PNY8 30-39 years, male 36.5
GTEX-1K2DA-1026-SM-CGQGF 50-59 years, male 36.3
GTEX-1S82P-2126-SM-E6CI5 60-69 years, female 36.1
GTEX-WH7G-2026-SM-3NMBL 40-49 years, male 35.8
GTEX-131XF-2626-SM-5EQ6K 60-69 years, male 35.6
GTEX-17F96-0126-SM-7EWDU 70-79 years, male 35.6
GTEX-ZLV1-1526-SM-DO91J 60-69 years, female 35.6
GTEX-14B4R-1326-SM-5Q5EZ 30-39 years, male 34.9
GTEX-1H1E6-0426-SM-9WYUS 30-39 years, male 34.9
GTEX-17MF6-2626-SM-79OKQ 40-49 years, male 34.6
GTEX-1QP66-1226-SM-DTX7U 50-59 years, male 34.4
GTEX-15RIG-0726-SM-7KUM7 40-49 years, male 34.3
GTEX-1J1R8-2026-SM-CL53Y 40-49 years, male 34.3
GTEX-ZPIC-0526-SM-DO91W 40-49 years, female 34.3
GTEX-1F5PL-0926-SM-7PC2W 40-49 years, female 34.2
GTEX-1IDJE-1426-SM-ADEIW 50-59 years, female 34.0
GTEX-1R7EU-1626-SM-DTXG3 60-69 years, male 34.0
GTEX-1H3NZ-2726-SM-9WYTQ 60-69 years, male 33.9
GTEX-12WSJ-1126-SM-5LZVJ 40-49 years, female 33.8
GTEX-15G1A-1626-SM-7KUKN 30-39 years, male 33.7
GTEX-ZU9S-1826-SM-5NQ9E 30-39 years, male 33.7
GTEX-1J8QM-2426-SM-A9SLS 60-69 years, female 33.6
GTEX-13W3W-0726-SM-5IJDQ 60-69 years, female 33.4
GTEX-14PJN-1826-SM-6AJ98 30-39 years, male 33.4
GTEX-1GL5R-1326-SM-7RHHF 50-59 years, male 33.4
GTEX-ZYW4-0626-SM-59HJR 60-69 years, male 33.1
GTEX-15G19-2426-SM-7KUMR 60-69 years, male 33.0
GTEX-ZZPU-0826-SM-5GZX5 50-59 years, female 32.8
GTEX-12WSK-2126-SM-5CVNC 40-49 years, female 32.7
GTEX-1A32A-0626-SM-731AQ 50-59 years, female 32.7
GTEX-11P82-1426-SM-DTXFY 20-29 years, male 32.7
GTEX-1KXAM-1626-SM-D3LAD 60-69 years, male 32.7
GTEX-18A66-0626-SM-7LT8Z 60-69 years, male 32.6
GTEX-1H1ZS-2726-SM-9WG75 70-79 years, male 32.6
GTEX-1QP28-1126-SM-EVYC4 50-59 years, female 32.6
GTEX-14PJ5-1526-SM-6LLIL 60-69 years, female 32.5
GTEX-1LGRB-0926-SM-COH3K 50-59 years, female 32.4
GTEX-1117F-2926-SM-5GZYI 60-69 years, female 32.2
GTEX-111YS-1526-SM-5GZYW 60-69 years, male 32.2
GTEX-1B996-0426-SM-7EWF8 60-69 years, male 32.1
GTEX-1RLM8-2926-SM-E8VON 50-59 years, male 32.1
GTEX-1HCU8-2526-SM-CE6RX 60-69 years, female 31.9
GTEX-WYVS-1626-SM-3NM9R 40-49 years, female 31.7
GTEX-1399R-1326-SM-5PNYS 30-39 years, male 31.5
GTEX-XQ8I-0926-SM-4BOOF 50-59 years, male 31.5
GTEX-YEC3-1326-SM-DO92X 50-59 years, male 31.1
GTEX-14PJ6-2626-SM-6EU2T 60-69 years, female 30.9
GTEX-ZTX8-1326-SM-4YCEL 20-29 years, male 30.6
GTEX-1AMFI-1326-SM-7939R 50-59 years, female 30.5
GTEX-1QP9N-1226-SM-E76QN 30-39 years, male 30.5
GTEX-1ICG6-1226-SM-A9SLN 70-79 years, female 29.9
GTEX-1HSMQ-2626-SM-A9SML 50-59 years, male 29.8
GTEX-145MO-2826-SM-5LU96 60-69 years, male 29.6
GTEX-1B8KE-1126-SM-7EPHI 50-59 years, male 29.5
GTEX-1QPFJ-1926-SM-EVYBD 30-39 years, female 29.5
GTEX-WFON-1926-SM-3LK7L 40-49 years, male 29.4
GTEX-1HCU9-0426-SM-9WYSD 20-29 years, male 29.4
GTEX-139YR-1026-SM-5LZYN 50-59 years, male 29.3
GTEX-133LE-2326-SM-5K7W3 20-29 years, female 29.2
GTEX-13RTJ-0126-SM-5S2NN 60-69 years, male 29.2
GTEX-1S5ZU-2526-SM-E6CIF 20-29 years, female 29.2
GTEX-WY7C-2126-SM-3NB2R 50-59 years, male 29.1
GTEX-14PHX-2226-SM-6EU2P 50-59 years, male 29.0
GTEX-XBEW-1126-SM-4QARW 40-49 years, male 28.9
GTEX-1F48J-0726-SM-7RHGS 50-59 years, female 28.7
GTEX-1C64O-1326-SM-7MGWR 60-69 years, male 28.5
GTEX-1K2DU-1226-SM-CYPT4 20-29 years, male 28.4
GTEX-16NGA-0726-SM-731AO 40-49 years, female 28.3
GTEX-1F52S-2926-SM-7MKGA 60-69 years, female 27.9
GTEX-16XZZ-0726-SM-7KUF2 60-69 years, male 27.8
GTEX-183FY-1026-SM-7939A 20-29 years, male 27.8
GTEX-14PJO-2526-SM-6AJBQ 60-69 years, male 27.5
GTEX-1CAMS-2226-SM-7PBXQ 40-49 years, female 27.4
GTEX-1AMEY-0826-SM-72D65 30-39 years, female 27.2
GTEX-1F75W-2726-SM-7SB8H 60-69 years, male 27.1
GTEX-1R9PN-0426-SM-DTXDT 40-49 years, female 27.1
GTEX-Y3IK-1626-SM-4YCF5 50-59 years, female 27.0
GTEX-1GN1W-2426-SM-9KNUU 50-59 years, female 26.8
GTEX-15CHC-1126-SM-6LLHQ 60-69 years, female 26.7
GTEX-17F97-2626-SM-7IGM5 50-59 years, male 26.7
GTEX-WYBS-0626-SM-3NMAS 60-69 years, female 26.7
GTEX-11DXX-2126-SM-5PNYR 60-69 years, female 26.6
GTEX-XV7Q-1826-SM-4BRUV 40-49 years, female 26.6
GTEX-1H1DG-2426-SM-9QEHJ 70-79 years, male 26.6
GTEX-1HSGN-0826-SM-ACKW3 40-49 years, female 26.4
GTEX-13NYS-0626-SM-5L3F1 60-69 years, male 26.3
GTEX-1A3MV-1826-SM-731CD 30-39 years, male 26.1
GTEX-11TT1-1826-SM-5EQLV 20-29 years, male 25.9
GTEX-12WSA-0426-SM-5EQ5X 60-69 years, male 25.9
GTEX-13OVK-1426-SM-6PAN7 40-49 years, male 25.8
GTEX-12WSM-1926-SM-5BC65 60-69 years, male 25.7
GTEX-XYKS-1426-SM-4BRUO 60-69 years, female 25.7
GTEX-1H23P-0626-SM-9WG6T 60-69 years, male 25.6
GTEX-1JMQK-1226-SM-D4P2S 60-69 years, male 25.5
GTEX-1I1CD-0626-SM-CE6SW 60-69 years, female 25.2
GTEX-1N2DV-1526-SM-DTXEP 40-49 years, male 25.2
GTEX-1A3MW-0626-SM-731CB 60-69 years, female 25.1
GTEX-1GPI7-1826-SM-9KNU1 20-29 years, male 25.1
GTEX-1HSMO-0626-SM-ACKXC 60-69 years, male 25.1
GTEX-1122O-1026-SM-9WYSF 60-69 years, female 25.0
GTEX-1192X-2726-SM-5N9DN 50-59 years, male 24.7
GTEX-1HCVE-2726-SM-CL54F 50-59 years, male 24.4
GTEX-18QFQ-1826-SM-72D52 30-39 years, male 24.0
GTEX-1C2JI-1026-SM-73KY1 50-59 years, male 24.0
GTEX-ZF29-0926-SM-4WKFZ 60-69 years, female 24.0
GTEX-13X6I-1826-SM-5SIAO 60-69 years, male 23.9
GTEX-ZDTT-0426-SM-4WKFL 60-69 years, male 23.8
GTEX-12WSH-1526-SM-5BC5W 50-59 years, male 23.7
GTEX-1H3VE-0726-SM-9YFL5 40-49 years, male 23.6
GTEX-131XG-0326-SM-5L3DX 50-59 years, female 23.2
GTEX-1B97I-0626-SM-73KUZ 40-49 years, male 23.1
GTEX-ZPCL-1126-SM-4WWFE 60-69 years, female 23.1
GTEX-15FZZ-0526-SM-7KUGD 30-39 years, female 23.0
GTEX-XBEC-0726-SM-4QARZ 50-59 years, male 23.0
GTEX-14XAO-1226-SM-6EU1C 60-69 years, female 22.9
GTEX-1I1GU-0926-SM-ACKVS 40-49 years, male 22.8
GTEX-13O3O-2326-SM-5IJD6 60-69 years, female 22.7
GTEX-ZAJG-1526-SM-5CVML 50-59 years, female 22.7
GTEX-1JMQL-2226-SM-CNPP4 50-59 years, female 22.6
GTEX-1EWIQ-0326-SM-7DHMQ 70-79 years, female 22.5
GTEX-Y5V5-0126-SM-5S2NW 60-69 years, female 22.5
GTEX-1HUB1-1426-SM-CGQF5 60-69 years, male 22.5
GTEX-1RMOY-1326-SM-E9TIH 50-59 years, male 22.5
GTEX-12696-0126-SM-5EQ4L 60-69 years, male 22.4
GTEX-ZVE2-2826-SM-5GU51 50-59 years, male 22.4
GTEX-14PHY-1226-SM-5ZZWK 60-69 years, female 22.3
GTEX-15UF6-1926-SM-7KUDV 70-79 years, female 22.3
GTEX-14PJ3-1126-SM-5ZZVX 50-59 years, male 22.2
GTEX-1F88E-1626-SM-7SB8Z 60-69 years, female 22.2
GTEX-1HBPN-0126-SM-CGQEF 50-59 years, male 22.2
GTEX-1HC8U-1326-SM-9YFMJ 40-49 years, female 22.1
GTEX-14E1K-2026-SM-7DUEI 50-59 years, male 22.0
GTEX-1JKYR-0626-SM-ARL8R 20-29 years, male 21.9
GTEX-1AX8Z-0726-SM-73KTS 60-69 years, male 21.8
GTEX-1I19N-0126-SM-CYPSF 70-79 years, male 21.8
GTEX-15CHR-1126-SM-7EWF4 50-59 years, male 21.7
GTEX-1HSMP-0926-SM-A9SKX 70-79 years, male 21.7
GTEX-1JK1U-0226-SM-ARZMX 60-69 years, male 21.6
GTEX-14PJ4-0226-SM-5YY92 60-69 years, male 21.5
GTEX-1GMR8-0626-SM-7RHI7 50-59 years, female 21.5
GTEX-XAJ8-1426-SM-47JYM 40-49 years, male 21.4
GTEX-1S3DN-2126-SM-E9TIN 50-59 years, male 21.3
GTEX-13D11-0926-SM-5J2NC 50-59 years, female 21.1
GTEX-14AS3-1526-SM-5Q5ED 40-49 years, female 20.9
GTEX-1F5PK-2226-SM-7SB6N 50-59 years, male 20.9
GTEX-1PDJ9-1226-SM-EXUSX 20-29 years, male 20.8
GTEX-11NSD-0626-SM-5A5LU 20-29 years, male 20.7
GTEX-1RAZA-2226-SM-E9U4X 20-29 years, male 20.6
GTEX-1KAFJ-0126-SM-DIPEK 50-59 years, male 20.5
GTEX-1399U-1126-SM-5L3DB 50-59 years, female 20.2
GTEX-VJYA-1526-SM-3GIJV 60-69 years, male 20.2
GTEX-XK95-0226-SM-4AT58 40-49 years, male 20.1
GTEX-1I6K7-1926-SM-B2LXR 40-49 years, male 20.1
GTEX-1LBAC-0826-SM-CY8IJ 20-29 years, male 20.1
GTEX-1F6IF-0926-SM-7SB7M 60-69 years, male 20.0
GTEX-1H2FU-0926-SM-9WPPT 60-69 years, female 19.6
GTEX-16MT8-2926-SM-7DUFO 60-69 years, female 19.5
GTEX-XXEK-1626-SM-4BRUZ 50-59 years, male 19.5
GTEX-12ZZZ-0726-SM-5GCNZ 60-69 years, male 19.4
GTEX-139TU-0726-SM-5L3EK 60-69 years, male 19.3
GTEX-1IDJH-0126-SM-D3L92 70-79 years, male 19.3
GTEX-11P81-2226-SM-5PNYI 30-39 years, female 19.2
GTEX-131XH-0126-SM-5LZUY 50-59 years, male 19.1
GTEX-13OW6-2726-SM-5J2OE 50-59 years, male 19.1
GTEX-1HCU6-2526-SM-ADEHL 60-69 years, female 19.1
GTEX-15D1Q-2826-SM-6LLH7 40-49 years, male 19.0
GTEX-U8XE-0226-SM-4E3J3 30-39 years, male 18.7
GTEX-1477Z-0326-SM-7IGLA 60-69 years, male 18.6
GTEX-1IDJV-0126-SM-COH3Y 60-69 years, male 18.4
GTEX-1RAZR-2126-SM-E9U6T 40-49 years, male 18.4
GTEX-13OW5-2326-SM-5L3HO 60-69 years, male 18.2
GTEX-1F6RS-2026-SM-7RHHC 60-69 years, female 18.2
GTEX-1HB9E-0126-SM-CM2S5 50-59 years, male 18.2
GTEX-WFG7-2026-SM-5SI7P 20-29 years, male 18.1
GTEX-1PIGE-1826-SM-E8VOU 20-29 years, male 18.1
GTEX-1O9I2-0226-SM-EYYXD 50-59 years, male 18.0
GTEX-13OVH-0526-SM-5L3E6 70-79 years, male 17.9
GTEX-Y8E4-2026-SM-5IFJB 40-49 years, male 17.7
GTEX-1QCLY-0226-SM-EWRNH 30-39 years, male 17.6
GTEX-12584-0726-SM-5FQTK 40-49 years, male 17.5
GTEX-15RJ7-2126-SM-6PAMD 40-49 years, male 17.5
GTEX-1GZHY-0626-SM-9KNVC 50-59 years, female 17.5
GTEX-1J8Q2-2626-SM-ACKWQ 60-69 years, male 17.3
GTEX-1JMQI-1726-SM-ARL93 50-59 years, male 17.3
GTEX-1PPH7-1126-SM-DTX9A 40-49 years, male 17.2
GTEX-148VJ-0626-SM-5LUAW 70-79 years, male 16.9
GTEX-14ICL-1626-SM-5YYAO 30-39 years, male 16.9
GTEX-15CHQ-0326-SM-69LQD 60-69 years, male 16.9
GTEX-1I1GT-1026-SM-ARZLV 60-69 years, female 16.9
GTEX-13IVO-0726-SM-5LZYV 70-79 years, male 16.8
GTEX-145MH-2826-SM-5RQJF 50-59 years, male 16.8
GTEX-14C5O-0326-SM-5ZZUX 60-69 years, male 16.7
GTEX-1EH9U-2826-SM-7DUGT 60-69 years, male 16.7
GTEX-Y114-2126-SM-4TT8B 50-59 years, female 16.7
GTEX-1314G-1326-SM-5BC6E 30-39 years, male 16.6
GTEX-14753-0726-SM-5QGQO 60-69 years, male 16.6
GTEX-UPK5-0426-SM-3GAEK 40-49 years, male 16.6
GTEX-145MI-0626-SM-5SI8S 60-69 years, female 16.5
GTEX-178AV-1726-SM-7KUL8 40-49 years, male 16.5
GTEX-17JCI-2926-SM-7DUFF 60-69 years, female 16.4
GTEX-1KD5A-0126-SM-E9U54 50-59 years, male 16.4
GTEX-1GTWX-2026-SM-9YFLM 60-69 years, male 16.3
GTEX-1JMLX-0626-SM-ARL8T 50-59 years, male 16.3
GTEX-146FQ-2126-SM-5RQHU 30-39 years, male 16.2
GTEX-14C39-1726-SM-5RQIL 40-49 years, male 16.2
GTEX-X585-2426-SM-46MW2 50-59 years, male 16.1
GTEX-ZTTD-2826-SM-4YCFA 50-59 years, male 16.0
GTEX-1GF9W-1426-SM-7PBYM 60-69 years, male 16.0
GTEX-17HII-1426-SM-7EPGG 50-59 years, male 15.9
GTEX-15EO6-2426-SM-6PALZ 50-59 years, male 15.8
GTEX-1JMPY-0226-SM-CKZOK 30-39 years, male 15.8
GTEX-13X6K-0626-SM-5LU5D 60-69 years, female 15.7
GTEX-1JN76-0626-SM-CKZOQ 20-29 years, female 15.7
GTEX-1LVAO-2726-SM-E9TJ8 60-69 years, male 15.7
GTEX-11DYG-1526-SM-5A5JS 60-69 years, male 15.6
GTEX-X4EO-2926-SM-4E3JH 60-69 years, female 15.6
GTEX-ZF2S-1626-SM-57WES 50-59 years, female 15.6
GTEX-ZPU1-1126-SM-4YCF3 40-49 years, male 15.6
GTEX-1S82U-1026-SM-E6CJK 30-39 years, female 15.6
GTEX-13JUV-2026-SM-5K7UA 40-49 years, female 15.5
GTEX-12WSD-0626-SM-5GCMW 60-69 years, female 15.4
GTEX-1JJE9-2626-SM-ARZMT 70-79 years, male 15.4
GTEX-13PVQ-0626-SM-5LU47 50-59 years, male 15.3
GTEX-1LG7Y-2526-SM-EWRO7 50-59 years, male 15.3
GTEX-13QJC-0126-SM-5ZZWJ 60-69 years, female 15.2
GTEX-Y9LG-1126-SM-4VBQ7 30-39 years, male 15.2
GTEX-144GO-2026-SM-5O99P 60-69 years, male 15.1
GTEX-1CB4E-0926-SM-7EPHT 60-69 years, male 15.1
GTEX-XOT4-0626-SM-4B66L 60-69 years, female 15.1
GTEX-1OJC3-1226-SM-DTXER 20-29 years, male 15.1
GTEX-1RB15-1326-SM-E76Q9 60-69 years, male 15.1
GTEX-14C38-0726-SM-5SI6M 50-59 years, male 14.9
GTEX-183WM-0326-SM-72D5V 70-79 years, female 14.9
GTEX-13NZ8-1226-SM-5KM4A 60-69 years, female 14.8
GTEX-17MFQ-1526-SM-7KFRR 20-29 years, male 14.8
GTEX-15RJE-2826-SM-7KUM9 40-49 years, male 14.7
GTEX-1BAJH-2426-SM-7IGP8 70-79 years, male 14.7
GTEX-1R9K4-2826-SM-DTX8F 60-69 years, male 14.6
GTEX-1399S-0126-SM-5IJCF 30-39 years, female 14.5
GTEX-YJ8O-2526-SM-5HL85 40-49 years, female 14.4
GTEX-1HBPM-0726-SM-9YFL7 60-69 years, female 14.4
GTEX-13OW8-1026-SM-5J1NQ 60-69 years, male 14.3
GTEX-1LSVX-2526-SM-DIPEU 60-69 years, male 14.3
GTEX-11DXY-0126-SM-5H11Q 60-69 years, male 14.2
GTEX-139T8-0626-SM-5KLZX 60-69 years, male 14.1
GTEX-X8HC-0626-SM-4E3HQ 50-59 years, female 14.1
GTEX-11EI6-2826-SM-5H11D 60-69 years, male 14.0
GTEX-13YAN-0226-SM-5TDC6 60-69 years, male 14.0
GTEX-16YQH-2226-SM-7IGM2 30-39 years, male 14.0
GTEX-1B932-2326-SM-79OL5 40-49 years, female 14.0
GTEX-1EU9M-1426-SM-793AI 60-69 years, male 14.0
GTEX-139D8-1126-SM-5LU8W 30-39 years, female 13.9
GTEX-13NYC-0126-SM-5L3F4 60-69 years, male 13.9
GTEX-14E6C-2426-SM-5S2NF 40-49 years, male 13.9
GTEX-17HG3-2626-SM-7DUF2 30-39 years, female 13.9
GTEX-WHPG-2626-SM-3NMBR 50-59 years, male 13.9
GTEX-ZAB4-2126-SM-5HL8U 40-49 years, male 13.9
GTEX-ZVZP-1226-SM-5GID7 50-59 years, male 13.9
GTEX-17HHY-0426-SM-7DHLC 50-59 years, male 13.7
GTEX-1GZ4I-2626-SM-9KNU3 50-59 years, male 13.7
GTEX-13X6J-0626-SM-5LU5F 50-59 years, male 13.6
GTEX-14LLW-2626-SM-62LDZ 70-79 years, female 13.6
GTEX-V1D1-2026-SM-3GAF4 50-59 years, male 13.6
GTEX-12WSF-1626-SM-7KUG5 70-79 years, male 13.5
GTEX-1GMRU-2126-SM-7P8RA 50-59 years, male 13.5
GTEX-ZF3C-0626-SM-DO92O 50-59 years, female 13.5
GTEX-15RIE-1926-SM-7KUKJ 60-69 years, male 13.4
GTEX-WHWD-1826-SM-3LK6I 50-59 years, male 13.4
GTEX-1H1CY-0126-SM-9YFLY 60-69 years, female 13.4
GTEX-11EQ8-0926-SM-5H12V 60-69 years, male 13.3
GTEX-17F9Y-0126-SM-79OKX 70-79 years, female 13.3
GTEX-1AX9I-2226-SM-73KUO 60-69 years, male 13.3
GTEX-Y111-0626-SM-4SOIT 50-59 years, male 13.3
GTEX-1GN73-0726-SM-7P8TJ 60-69 years, male 13.3
GTEX-UPJH-0226-SM-3GADV 50-59 years, male 13.2
GTEX-ZDXO-3126-SM-5IJDF 60-69 years, male 13.2
GTEX-1F75A-0726-SM-7RHHD 50-59 years, male 13.2
GTEX-14LZ3-0126-SM-69LPM 60-69 years, female 13.1
GTEX-147JS-0226-SM-5S2U9 60-69 years, male 12.9
GTEX-ZYFD-0626-SM-5E44E 50-59 years, male 12.9
GTEX-13N1W-2426-SM-5IJD1 70-79 years, male 12.8
GTEX-131XW-0626-SM-5PNVD 50-59 years, female 12.7
GTEX-1I1GS-2626-SM-B2LY3 60-69 years, male 12.7
GTEX-1QP2A-1726-SM-E76QC 50-59 years, male 12.7
GTEX-1B8SF-0126-SM-7DUG3 60-69 years, male 12.6
GTEX-13O3Q-0126-SM-5KM34 50-59 years, male 12.5
GTEX-1H1DE-1326-SM-9KNUG 20-29 years, male 12.5
GTEX-W5X1-2526-SM-3GILC 40-49 years, female 12.4
GTEX-ZVE1-0726-SM-51MRN 50-59 years, female 12.4
GTEX-ZYVF-0926-SM-5E44J 50-59 years, female 12.4
GTEX-1IDFM-0326-SM-ARL7V 60-69 years, male 12.4
GTEX-X4EP-0626-SM-3P621 60-69 years, female 12.3
GTEX-1PPH8-0126-SM-EWRN8 20-29 years, male 12.2
GTEX-12ZZX-2426-SM-5GCOE 40-49 years, female 12.1
GTEX-1EN7A-2426-SM-793DB 40-49 years, male 12.1
GTEX-1CB4J-1326-SM-7P8RX 60-69 years, male 11.9
GTEX-11NUK-2726-SM-5A5MC 50-59 years, male 11.8
GTEX-139TS-2126-SM-5K7XC 60-69 years, male 11.8
GTEX-18465-2826-SM-7LT9J 50-59 years, male 11.8
GTEX-1GZ2Q-0126-SM-9WG6M 40-49 years, male 11.8
GTEX-17HGU-2326-SM-7DUFE 50-59 years, male 11.7
GTEX-1B8KZ-0326-SM-73KY4 50-59 years, male 11.7
GTEX-ZT9X-1526-SM-5DUXD 40-49 years, male 11.7
GTEX-1JJEA-1826-SM-ARU8P 60-69 years, male 11.7
GTEX-1R46S-2426-SM-E76QA 60-69 years, female 11.7
GTEX-14PII-0726-SM-6EU2B 60-69 years, male 11.5
GTEX-WRHU-2826-SM-3MJG8 50-59 years, female 11.5
GTEX-12KS4-2126-SM-5FQUT 30-39 years, male 11.4
GTEX-14A5H-0826-SM-5QGPJ 60-69 years, male 11.4
GTEX-ZVT4-2426-SM-5GIEI 50-59 years, female 11.4
GTEX-1E2YA-2126-SM-7MXUO 50-59 years, male 11.4
GTEX-1HSKV-1226-SM-ADEI4 60-69 years, male 11.4
GTEX-1IY9M-2826-SM-ARU8H 60-69 years, male 11.4
GTEX-111FC-2526-SM-5GZXU 60-69 years, male 11.3
GTEX-1LKK1-2626-SM-DKPQE 50-59 years, female 11.3
GTEX-16Z82-2626-SM-7KULU 60-69 years, male 11.1
GTEX-WI4N-2726-SM-3LK7Y 40-49 years, female 11.1
GTEX-11UD2-2526-SM-5CVNU 50-59 years, male 11.0
GTEX-1PPGY-1626-SM-EVYBL 60-69 years, male 10.9
GTEX-ZXG5-2126-SM-59HKD 60-69 years, male 10.8
GTEX-139TT-2126-SM-5LZWC 60-69 years, male 10.7
GTEX-13U4I-2226-SM-5LU5H 40-49 years, female 10.7
GTEX-18A7A-0126-SM-731AH 50-59 years, female 10.7
GTEX-ZAK1-0626-SM-5HL8E 50-59 years, female 10.7
GTEX-ZWKS-0626-SM-5GIDV 30-39 years, male 10.7
GTEX-1POEN-2326-SM-E9J2L 30-39 years, female 10.7
GTEX-13OW7-0426-SM-5K7VK 50-59 years, male 10.6
GTEX-16NPX-0726-SM-7KULC 50-59 years, male 10.6
GTEX-Z93S-1626-SM-5CVMB 50-59 years, male 10.6
GTEX-1B8L1-2226-SM-7P8PT 60-69 years, male 10.6
GTEX-1IE54-1126-SM-A9G2Z 40-49 years, female 10.6
GTEX-12126-0826-SM-5FQTZ 20-29 years, male 10.5
GTEX-145LS-0626-SM-7EPG7 60-69 years, female 10.5
GTEX-VUSG-2326-SM-4KL1U 50-59 years, male 10.5
GTEX-XMD2-2126-SM-4YCF8 60-69 years, female 10.5
GTEX-1ICLY-0826-SM-CMKG1 50-59 years, male 10.5
GTEX-13JVG-0726-SM-5KM16 60-69 years, male 10.3
GTEX-ZVTK-0226-SM-51MRG 20-29 years, male 10.3
GTEX-1GF9X-1326-SM-7PC2Y 40-49 years, female 10.1
GTEX-1HGF4-0126-SM-CNPPX 60-69 years, male 10.1
GTEX-13FLV-0126-SM-5K7WT 50-59 years, male 9.9
GTEX-WHSE-0126-SM-3NMBT 20-29 years, male 9.9
GTEX-11GS4-0226-SM-5HL77 60-69 years, male 9.8
GTEX-14JG1-1526-SM-5YY9X 40-49 years, male 9.8
GTEX-14PJ2-0626-SM-6LLII 50-59 years, male 9.8
GTEX-16MT9-0126-SM-7EPI8 60-69 years, female 9.8
GTEX-ZE7O-2726-SM-51MT5 50-59 years, female 9.8
GTEX-1I1GV-0626-SM-ARL7M 60-69 years, male 9.8
GTEX-1ICLZ-0326-SM-ARL82 60-69 years, male 9.8
GTEX-1QMI2-2526-SM-E8VNZ 60-69 years, male 9.8
GTEX-1E1VI-0326-SM-793D1 50-59 years, male 9.7
GTEX-1JMPZ-0726-SM-CY8HZ 30-39 years, male 9.7
GTEX-1LVA9-2626-SM-EVYD4 50-59 years, male 9.7
GTEX-1CAMQ-1326-SM-7P8RV 40-49 years, male 9.6
GTEX-1KWVE-1026-SM-D3L9O 30-39 years, male 9.6
GTEX-13FTY-2126-SM-5IFFB 40-49 years, female 9.5
GTEX-15SKB-2826-SM-6PAMH 60-69 years, male 9.5
GTEX-17EVP-2626-SM-7IGMA 40-49 years, male 9.5
GTEX-131YS-2826-SM-5EQ47 60-69 years, female 9.4
GTEX-15SHW-0226-SM-7LTAT 60-69 years, male 9.4
GTEX-1C6VQ-1226-SM-73KYD 50-59 years, male 9.4
GTEX-1C6WA-2626-SM-7MKGM 60-69 years, male 9.4
GTEX-ZYY3-2926-SM-5GIEB 60-69 years, female 9.4
GTEX-1I1HK-2326-SM-CKZOH 60-69 years, male 9.4
GTEX-1K9T9-1526-SM-DIPFR 50-59 years, female 9.4
GTEX-13VXU-0626-SM-5L3F9 50-59 years, male 9.3
GTEX-16GPK-0626-SM-7KFSF 60-69 years, male 9.3
GTEX-17KNJ-2126-SM-718AM 50-59 years, male 9.3
GTEX-1LVAM-0726-SM-E6CIL 50-59 years, female 9.3
GTEX-11WQC-1826-SM-5GU59 60-69 years, male 9.2
GTEX-13OVL-0126-SM-5L3GJ 50-59 years, male 9.2
GTEX-1A8G7-1326-SM-73KVM 60-69 years, male 9.2
GTEX-1LB8K-0726-SM-D5OV2 50-59 years, male 9.2
GTEX-11O72-0626-SM-5PNYE 40-49 years, male 9.1
GTEX-13FHO-0426-SM-5L3F5 60-69 years, male 9.1
GTEX-WHSB-1326-SM-3LK6W 50-59 years, male 9.1
GTEX-1C64N-2626-SM-7PC2N 50-59 years, male 9.1
GTEX-1EMGI-2326-SM-7PBYA 60-69 years, male 9.1
GTEX-1JMQJ-0826-SM-CNPP7 50-59 years, male 9.1
GTEX-1MCYP-0526-SM-E9U6Q 20-29 years, female 9.1
GTEX-12WSC-2826-SM-5BC5Y 50-59 years, male 9.0
GTEX-145MG-1526-SM-5Q5EM 50-59 years, male 9.0
GTEX-1M4P7-0726-SM-E6CJ3 60-69 years, male 9.0
GTEX-139UW-0326-SM-5J1ML 60-69 years, male 8.9
GTEX-147GR-2426-SM-5ZZWQ 60-69 years, male 8.9
GTEX-14BMV-2826-SM-5TDED 50-59 years, male 8.9
GTEX-1F6I4-2326-SM-7RHGL 60-69 years, male 8.9
GTEX-1RAZQ-1326-SM-E9TK6 30-39 years, male 8.9
GTEX-11GSP-2326-SM-5HL63 60-69 years, female 8.8
GTEX-1269C-0126-SM-5EQ5L 60-69 years, female 8.8
GTEX-1H11D-1826-SM-9QEHM 40-49 years, male 8.8
GTEX-1N5O9-0926-SM-E9J3C 60-69 years, male 8.8
GTEX-17HHE-1326-SM-7EWDZ 50-59 years, male 8.7
GTEX-ZE9C-2526-SM-5IJDR 60-69 years, male 8.7
GTEX-1HFI6-0126-SM-CNPPI 40-49 years, male 8.7
GTEX-13NZ9-2626-SM-5L3FK 50-59 years, male 8.6
GTEX-15DDE-2926-SM-6LLJ3 50-59 years, female 8.6
GTEX-ZC5H-1526-SM-5HL9Y 40-49 years, female 8.5
GTEX-ZDTS-0826-SM-4WKHL 60-69 years, male 8.5
GTEX-1GF9V-0826-SM-9KNUV 60-69 years, male 8.5
GTEX-1GN1U-0626-SM-9MQL9 50-59 years, female 8.5
GTEX-11DXW-0826-SM-5H118 40-49 years, male 8.4
GTEX-11ZU8-0126-SM-5EQ58 60-69 years, male 8.4
GTEX-15ER7-0626-SM-6PANF 20-29 years, female 8.4
GTEX-1HCU7-0726-SM-A9SL1 50-59 years, male 8.4
GTEX-144FL-0626-SM-5LU43 50-59 years, male 8.3
GTEX-ZUA1-2626-SM-5NQ92 40-49 years, male 8.3
GTEX-1JN6P-2926-SM-CL54D 60-69 years, male 8.3
GTEX-13PDP-0726-SM-5L3HP 60-69 years, male 8.2
GTEX-15DYW-2726-SM-6EU2I 60-69 years, female 8.2
GTEX-12ZZY-0726-SM-5EQ66 60-69 years, male 8.1
GTEX-13112-0126-SM-5P9IU 50-59 years, male 8.1
GTEX-144GM-0526-SM-79OJO 20-29 years, male 8.1
GTEX-14DAQ-0626-SM-793DS 60-69 years, female 8.1
GTEX-1PBJJ-1026-SM-E76OS 30-39 years, male 8.1
GTEX-ZY6K-1426-SM-5GZX2 50-59 years, male 8.0
GTEX-1GMR3-0126-SM-A9SLW 40-49 years, male 8.0
GTEX-1IKJJ-2226-SM-CJI4C 60-69 years, male 8.0
GTEX-13NYB-0126-SM-5J1MD 40-49 years, male 7.9
GTEX-13SLX-2226-SM-62LEP 50-59 years, female 7.9
GTEX-145LU-1926-SM-79OJN 50-59 years, male 7.9
GTEX-18A67-1626-SM-7LT9T 50-59 years, male 7.9
GTEX-1B933-2426-SM-7DHMD 50-59 years, female 7.9
GTEX-1NSGN-0726-SM-DTXEF 50-59 years, male 7.9
GTEX-XQ3S-1426-SM-4BOPR 20-29 years, male 7.7
GTEX-1A8FM-0626-SM-7PC25 50-59 years, female 7.7
GTEX-1QEPI-2626-SM-DTXF4 60-69 years, female 7.7
GTEX-11WQK-1026-SM-5EQLX 50-59 years, male 7.6
GTEX-1212Z-0126-SM-59HK4 60-69 years, male 7.6
GTEX-1J8JJ-0626-SM-ARZMQ 60-69 years, female 7.6
GTEX-18A6Q-0626-SM-7KFRP 60-69 years, male 7.5
GTEX-1EKGG-0626-SM-7DUGJ 60-69 years, male 7.5
GTEX-1HBPI-2126-SM-ARL9K 50-59 years, male 7.5
GTEX-11DXZ-2026-SM-5987S 50-59 years, male 7.4
GTEX-1313W-0626-SM-5EQ4H 50-59 years, female 7.4
GTEX-1EX96-1026-SM-7MKG2 50-59 years, male 7.4
GTEX-WK11-2726-SM-3NMAQ 50-59 years, male 7.4
GTEX-1GPI6-1926-SM-9KNV7 60-69 years, male 7.4
GTEX-1LSNL-2726-SM-E9TKJ 50-59 years, male 7.4
GTEX-13G51-1826-SM-5KLZH 60-69 years, male 7.3
GTEX-1CB4F-1026-SM-7DUH1 60-69 years, male 7.3
GTEX-14ABY-2026-SM-62LDL 50-59 years, male 7.2
GTEX-1H4P4-2126-SM-9WYSL 50-59 years, male 7.2
GTEX-1GN2E-0226-SM-9WG6K 60-69 years, male 7.1
GTEX-1QW4Y-1126-SM-DTXE3 30-39 years, male 7.1
GTEX-14JFF-0626-SM-5ZZVT 60-69 years, male 7.0
GTEX-1F88F-0126-SM-9WYSZ 60-69 years, female 7.0
GTEX-1J8EW-2726-SM-CY8HR 60-69 years, female 7.0
GTEX-1AYD5-2626-SM-7PBXY 50-59 years, male 6.8
GTEX-1I1GP-1326-SM-A9G28 50-59 years, male 6.8
GTEX-ZYFC-0426-SM-5GICQ 50-59 years, male 6.7
GTEX-ZYT6-2326-SM-5GZY3 30-39 years, male 6.6
GTEX-1HR98-2226-SM-ADEI2 60-69 years, male 6.6
GTEX-1IL2V-1926-SM-B2LW8 70-79 years, male 6.6
GTEX-1399Q-2326-SM-5KM2X 40-49 years, male 6.5
GTEX-1N2EE-0626-SM-E76PW 60-69 years, male 6.5
GTEX-147F4-0726-SM-5TDDD 50-59 years, male 6.4
GTEX-11OF3-0126-SM-5PNYF 60-69 years, male 6.2
GTEX-1NV5F-0626-SM-DTXEG 60-69 years, female 6.2
GTEX-11ZUS-2626-SM-5FQUR 30-39 years, male 6.1
GTEX-13PL6-1126-SM-5L3IE 40-49 years, female 6.1
GTEX-1R9PM-1926-SM-EVR3O 20-29 years, male 6.1
GTEX-11PRG-0726-SM-5EGL1 50-59 years, male 6.0
GTEX-13SLW-0626-SM-5Q5ER 70-79 years, male 5.9
GTEX-1KANB-2826-SM-CY8I6 50-59 years, male 5.9
GTEX-1J1OQ-0126-SM-D4P2N 40-49 years, female 5.8
GTEX-145MF-0926-SM-5Q5EA 50-59 years, male 5.7
GTEX-YECK-0326-SM-4W1YS 60-69 years, male 5.7
GTEX-1IOXB-2726-SM-CM2RI 50-59 years, male 5.7
GTEX-1H3O1-1326-SM-9MQLD 60-69 years, male 5.6
GTEX-1S83E-1326-SM-E6CJM 40-49 years, male 5.6
GTEX-1A8G6-2726-SM-731AR 60-69 years, male 5.5
GTEX-14A6H-2026-SM-5Q5DD 30-39 years, male 5.4
GTEX-1RAZS-2526-SM-E6CHT 50-59 years, male 5.4
GTEX-144GL-0626-SM-5LU4D 50-59 years, male 5.1
GTEX-1HR9M-2226-SM-CNPPY 60-69 years, male 5.0
GTEX-1HT8W-0626-SM-A9G2H 30-39 years, male 4.9
GTEX-14BIN-1126-SM-5RQJZ 50-59 years, female 4.8
GTEX-1OJC4-2726-SM-E76PJ 50-59 years, female 4.5
GTEX-11TUW-0626-SM-5LU9M 60-69 years, male 4.4
GTEX-1PIIG-2326-SM-DTXFR 30-39 years, male 4.3
GTEX-111VG-1626-SM-5EGIO 60-69 years, male 4.1
GTEX-1QAET-0326-SM-EVR3U 50-59 years, male 3.5
GTEX-1C6VR-0126-SM-7RHGB 60-69 years, male 3.4
GTEX-1GN1V-2826-SM-9JGIA 60-69 years, male 2.4
Show allShow less
Skin - Sun Exposed (Lower leg)
Average nTPM: 26.9
Samples: 701

Max nTPM: 176.1
Min nTPM: 2.4
Std nTPM: 21.0
Median nTPM: 20.7
GTEX-146FR-1326-SM-E9J48 60-69 years, female 176.1
GTEX-12WSN-5019-SM-79OM6 40-49 years, male 139.3
GTEX-U4B1-1826-SM-4DXSU 40-49 years, male 129.7
GTEX-144GN-2326-SM-5LU4F 50-59 years, male 110.2
GTEX-ZF28-0126-SM-4WKGK 60-69 years, male 108.8
GTEX-1QP67-1626-SM-EAZ3X 40-49 years, female 107.1
GTEX-OXRL-0126-SM-2YUMP 50-59 years, male 105.7
GTEX-Y3I4-2126-SM-4TT7C 50-59 years, male 97.9
GTEX-PLZ4-0126-SM-5SI8O 50-59 years, female 93.4
GTEX-RUSQ-1526-SM-2TF62 50-59 years, male 90.7
GTEX-11DXX-2426-SM-5GZZW 60-69 years, female 87.7
GTEX-1GN1W-0526-SM-9MQJQ 50-59 years, female 87.0
GTEX-1I1GU-2226-SM-CGQFA 40-49 years, male 86.4
GTEX-11ZTT-2426-SM-5EQLS 60-69 years, female 84.8
GTEX-XUW1-0426-SM-4BOOT 50-59 years, female 83.0
GTEX-P4PQ-0126-SM-2S1NM 60-69 years, male 82.9
GTEX-13OVJ-0126-SM-5KM36 50-59 years, female 81.4
GTEX-13OVG-1926-SM-5L3DK 60-69 years, male 77.8
GTEX-Y8LW-1826-SM-5S2MV 50-59 years, female 77.5
GTEX-WH7G-2326-SM-3NMBC 40-49 years, male 76.5
GTEX-1C64O-0126-SM-7SB8P 60-69 years, male 75.5
GTEX-NPJ8-0126-SM-2YUNR 40-49 years, male 75.2
GTEX-RWS6-2026-SM-2XCB5 60-69 years, female 74.2
GTEX-PLZ5-2026-SM-2S1O4 50-59 years, male 73.9
GTEX-YEC4-2126-SM-5IFJH 40-49 years, male 73.9
GTEX-117YX-2326-SM-5H12W 50-59 years, male 72.2
GTEX-13VXT-0126-SM-5LU4I 20-29 years, female 72.2
GTEX-RM2N-1426-SM-2TF4H 50-59 years, male 71.3
GTEX-ZDTT-2726-SM-4WKF8 60-69 years, male 71.3
GTEX-ZQG8-1626-SM-DHXIT 60-69 years, female 71.0
GTEX-14BIL-0126-SM-5SI92 50-59 years, male 69.8
GTEX-ZVT2-2526-SM-51MT1 50-59 years, female 69.7
GTEX-Q2AI-1326-SM-2S1PL 40-49 years, male 69.2
GTEX-14PK6-1926-SM-6ETZU 70-79 years, female 68.7
GTEX-11VI4-1726-SM-5CVLH 40-49 years, female 68.2
GTEX-1N2DV-0226-SM-E6CJ6 40-49 years, male 67.3
GTEX-U3ZM-1526-SM-3DB9D 40-49 years, male 67.0
GTEX-18D9B-0526-SM-7LTAS 60-69 years, male 65.5
GTEX-145LV-2126-SM-5LU8N 50-59 years, male 65.0
GTEX-S95S-1226-SM-4GICG 60-69 years, male 64.8
GTEX-Z9EW-1626-SM-5CVMN 40-49 years, male 64.5
GTEX-1H2FU-0126-SM-9WYSI 60-69 years, female 64.4
GTEX-R45C-0126-SM-EAZ2R 60-69 years, female 64.0
GTEX-1HCUA-2426-SM-ADEIS 50-59 years, female 63.8
GTEX-12C56-1726-SM-5EQ61 20-29 years, male 63.5
GTEX-OXRK-0226-SM-3NB2G 50-59 years, female 63.2
GTEX-1MUQO-0126-SM-EAZ58 60-69 years, male 63.0
GTEX-145MN-2226-SM-5SIAU 30-39 years, male 62.3
GTEX-1J8Q3-1626-SM-CMKGC 60-69 years, male 62.2
GTEX-XBED-2226-SM-47JYQ 60-69 years, male 61.8
GTEX-R55G-2526-SM-2TC6D 40-49 years, female 61.7
GTEX-14PN3-2426-SM-6LLHS 60-69 years, female 61.4
GTEX-14PJ3-1826-SM-62LEX 50-59 years, male 60.9
GTEX-QDVN-2026-SM-3GAEP 50-59 years, male 60.8
GTEX-1JKYN-1326-SM-CGQG9 30-39 years, male 60.7
GTEX-14BMU-2226-SM-5TDE9 20-29 years, female 59.9
GTEX-1RAZQ-0726-SM-EAZ43 30-39 years, male 59.9
GTEX-1211K-2026-SM-5EQ4Z 60-69 years, female 59.7
GTEX-1AX9K-2326-SM-73KWU 50-59 years, male 59.6
GTEX-13OVI-1426-SM-5L3EY 60-69 years, female 59.5
GTEX-13FH7-2026-SM-E9J4I 50-59 years, female 59.3
GTEX-1H1E6-1726-SM-ACKVK 30-39 years, male 58.8
GTEX-QCQG-1726-SM-3GIJ9 50-59 years, female 58.5
GTEX-17F98-0626-SM-79OMX 40-49 years, female 58.3
GTEX-1HSEH-0126-SM-ACKXN 60-69 years, male 57.7
GTEX-ZDYS-2026-SM-5HL5L 50-59 years, male 56.8
GTEX-11P82-1626-SM-59879 20-29 years, male 56.0
GTEX-131XG-2626-SM-5KM17 50-59 years, female 55.7
GTEX-13W3W-2426-SM-5LU5B 60-69 years, female 55.7
GTEX-ZF29-2326-SM-DO92K 60-69 years, female 55.4
GTEX-RTLS-0126-SM-447CA 60-69 years, female 55.3
GTEX-SUCS-1926-SM-32PM3 70-79 years, male 54.8
GTEX-11LCK-1026-SM-5A5KB 30-39 years, male 54.7
GTEX-1MGNQ-0126-SM-EVYCJ 40-49 years, male 54.7
GTEX-ZZPT-0226-SM-5E43X 50-59 years, male 54.4
GTEX-14DAR-2026-SM-5S2O3 50-59 years, male 53.0
GTEX-1C2JI-1826-SM-73KXC 50-59 years, male 52.8
GTEX-11XUK-2026-SM-5EQLF 40-49 years, female 52.6
GTEX-1HKZK-0326-SM-9WYUH 40-49 years, male 52.4
GTEX-13D11-2426-SM-5KM1V 50-59 years, female 52.1
GTEX-Q2AH-1626-SM-3GAF8 40-49 years, male 52.1
GTEX-QDVJ-1726-SM-2I5FX 50-59 years, male 51.8
GTEX-14LLW-0126-SM-6LLIO 70-79 years, female 51.7
GTEX-XV7Q-2526-SM-4BRV9 40-49 years, female 51.7
GTEX-139T4-0226-SM-5HL5S 50-59 years, female 51.5
GTEX-1JK1U-2026-SM-CM2RZ 60-69 years, male 50.8
GTEX-18A67-0126-SM-7LG5P 50-59 years, male 50.7
GTEX-1AMEY-1326-SM-73KYK 30-39 years, female 50.3
GTEX-1S82Z-0826-SM-E6CHY 30-39 years, female 50.1
GTEX-14JG6-2226-SM-6EU2G 30-39 years, female 50.0
GTEX-1NHNU-1026-SM-E9J2A 50-59 years, male 49.9
GTEX-15EOM-0126-SM-7KUGG 20-29 years, female 49.5
GTEX-Y5LM-1926-SM-5RQJH 40-49 years, female 49.5
GTEX-WRHK-1426-SM-3MJF9 20-29 years, female 49.4
GTEX-1LC47-0326-SM-E9TJP 60-69 years, male 48.9
GTEX-ZVE2-0226-SM-59HJB 50-59 years, male 48.1
GTEX-1A3MW-0126-SM-73KXX 60-69 years, female 48.0
GTEX-1F5PK-2426-SM-7RHHY 50-59 years, male 47.9
GTEX-1GZ4H-1726-SM-7PBZJ 50-59 years, female 47.9
GTEX-12WSJ-1826-SM-5GCNY 40-49 years, female 47.2
GTEX-11P7K-2126-SM-5GU7G 30-39 years, male 47.0
GTEX-17EVQ-0226-SM-7LG4P 70-79 years, male 47.0
GTEX-1S5ZA-0126-SM-EVYCV 20-29 years, male 47.0
GTEX-1ICG6-2526-SM-CGQFZ 70-79 years, female 46.9
GTEX-13O21-1426-SM-5K7XI 50-59 years, male 46.8
GTEX-1HSMQ-1226-SM-CGQFX 50-59 years, male 46.4
GTEX-O5YW-0126-SM-3LK6D 50-59 years, male 46.2
GTEX-WY7C-2326-SM-3NB2U 50-59 years, male 46.1
GTEX-15G19-0126-SM-6PANQ 60-69 years, male 45.8
GTEX-TMMY-0226-SM-33HBA 40-49 years, female 45.6
GTEX-1PFEY-1526-SM-E76PP 30-39 years, male 45.6
GTEX-WXYG-2326-SM-4E3I6 50-59 years, female 45.5
GTEX-ZQUD-1426-SM-57WER 30-39 years, male 45.2
GTEX-QLQ7-1626-SM-2S1R8 60-69 years, male 45.0
GTEX-145LT-1726-SM-5QGP3 40-49 years, male 44.7
GTEX-1JMOU-1526-SM-CL54I 60-69 years, female 44.6
GTEX-1A3MV-1926-SM-718BT 30-39 years, male 44.3
GTEX-1C6VS-0526-SM-7DUEN 60-69 years, male 44.3
GTEX-1H1DG-0126-SM-9WYU2 70-79 years, male 44.3
GTEX-X5EB-2226-SM-46MW4 40-49 years, male 43.6
GTEX-OHPM-0126-SM-2YUN9 50-59 years, male 43.2
GTEX-11DZ1-0126-SM-5985Q 50-59 years, male 43.1
GTEX-13X6I-0626-SM-5QGP9 60-69 years, male 42.7
GTEX-XAJ8-0826-SM-47JY6 40-49 years, male 42.4
GTEX-18D9U-0226-SM-718BP 40-49 years, male 42.3
GTEX-1IE54-0126-SM-CMKHW 40-49 years, female 42.3
GTEX-QLQW-1126-SM-2S1Q8 30-39 years, male 42.1
GTEX-W5WG-1826-SM-4KL2Y 50-59 years, female 41.8
GTEX-18QFQ-0126-SM-731BE 30-39 years, male 41.7
GTEX-1MCYP-1926-SM-E9J2R 20-29 years, female 41.6
GTEX-NFK9-0226-SM-2HMKQ 40-49 years, male 41.5
GTEX-183FY-0126-SM-7LT9P 20-29 years, male 41.4
GTEX-1CAMS-0426-SM-7P8T2 40-49 years, female 41.2
GTEX-17F97-0326-SM-7LG5B 50-59 years, male 41.1
GTEX-WYJK-0126-SM-3NMAB 50-59 years, male 40.9
GTEX-1F75I-0326-SM-9YFLU 40-49 years, male 40.8
GTEX-1R46S-0626-SM-E9J41 60-69 years, female 40.8
GTEX-1192W-2626-SM-5Q5AF 60-69 years, male 40.7
GTEX-16BQI-0226-SM-7KUEX 30-39 years, female 40.7
GTEX-1HBPN-0226-SM-9YFM1 50-59 years, male 40.6
GTEX-1HSMP-0126-SM-E6CJS 70-79 years, male 40.5
GTEX-1AX8Z-0126-SM-7DHM6 60-69 years, male 40.4
GTEX-13FTX-1826-SM-5J1NX 20-29 years, female 40.3
GTEX-147F3-0526-SM-5SI98 50-59 years, female 40.2
GTEX-14PHW-0126-SM-6LLJI 60-69 years, female 40.2
GTEX-11EM3-2426-SM-59861 20-29 years, female 40.0
GTEX-1B8KE-2126-SM-73KYX 50-59 years, male 40.0
GTEX-1H23P-0126-SM-ADEJ3 60-69 years, male 39.9
GTEX-1J1R8-1726-SM-ARL8M 40-49 years, male 39.9
GTEX-1QP29-0626-SM-EWRMX 50-59 years, male 39.9
GTEX-13RTK-1426-SM-5QGQJ 20-29 years, male 39.5
GTEX-1GMR8-0126-SM-9WYTM 50-59 years, female 39.5
GTEX-ZXES-1826-SM-5E43S 30-39 years, female 39.3
GTEX-PWCY-1826-SM-DHXIZ 20-29 years, female 39.3
GTEX-1QP2A-0126-SM-E9J43 50-59 years, male 39.2
GTEX-1PPH7-2326-SM-EVYB8 40-49 years, male 39.0
GTEX-12WSL-2526-SM-5GCNJ 50-59 years, male 38.8
GTEX-1R7EV-2426-SM-EVYBG 40-49 years, male 38.7
GTEX-1CAMR-1926-SM-7EPI2 20-29 years, male 38.5
GTEX-1IDJF-0126-SM-CM2RS 20-29 years, male 38.4
GTEX-1192X-0226-SM-5H12D 50-59 years, male 38.2
GTEX-17EUY-0426-SM-793BD 20-29 years, male 38.1
GTEX-1GF9U-2126-SM-7SB7L 40-49 years, female 38.1
GTEX-ZYFG-2326-SM-5E44B 60-69 years, female 38.0
GTEX-OHPL-0126-SM-2HMJ7 60-69 years, female 37.9
GTEX-13RTJ-2426-SM-5S2Q2 60-69 years, male 37.6
GTEX-1RLM8-2326-SM-EWRN4 50-59 years, male 37.6
GTEX-13NZ8-0826-SM-5MR3I 60-69 years, female 37.5
GTEX-13CF3-2426-SM-5IFGX 60-69 years, female 37.0
GTEX-146FH-0126-SM-5QGPP 50-59 years, female 37.0
GTEX-PLZ6-1426-SM-DKPOT 30-39 years, male 37.0
GTEX-13N11-2526-SM-5K7UE 50-59 years, female 36.7
GTEX-1I4MK-2226-SM-ACKWD 50-59 years, female 36.7
GTEX-17MF6-0126-SM-7LG4F 40-49 years, male 36.4
GTEX-ZTSS-1926-SM-57WEW 40-49 years, male 36.3
GTEX-15ETS-0126-SM-7KUMW 40-49 years, female 36.2
GTEX-X62O-0126-SM-4E3JN 50-59 years, male 36.2
GTEX-14753-0426-SM-5NQAM 60-69 years, male 35.7
GTEX-18A66-0226-SM-718BD 60-69 years, male 35.4
GTEX-13NYS-0126-SM-5MR3W 60-69 years, male 35.2
GTEX-OOBK-0126-SM-2YUND 40-49 years, male 35.2
GTEX-YB5K-2126-SM-4WWDJ 40-49 years, female 35.2
GTEX-1497J-2426-SM-7IGNX 60-69 years, male 35.1
GTEX-14ICK-0226-SM-6EU25 40-49 years, male 35.1
GTEX-16NGA-1726-SM-731B4 40-49 years, female 35.0
GTEX-1CB4J-0626-SM-7DHMP 60-69 years, male 35.0
GTEX-1IDJU-2626-SM-CM2RT 60-69 years, female 35.0
GTEX-OXRO-0126-SM-2YUN4 60-69 years, female 34.9
GTEX-Q2AG-0126-SM-33HBV 40-49 years, female 34.6
GTEX-1399U-2326-SM-5K7WY 50-59 years, female 34.5
GTEX-14PN4-0126-SM-6EU2V 50-59 years, male 34.5
GTEX-Y114-2426-SM-4TT8A 50-59 years, female 34.3
GTEX-1AX9J-0226-SM-73KXM 60-69 years, male 34.2
GTEX-1HBPM-0226-SM-ARL9F 60-69 years, female 34.1
GTEX-1AMFI-2026-SM-731BH 50-59 years, female 33.9
GTEX-145MO-0326-SM-5Q5B3 60-69 years, male 33.8
GTEX-1C6VQ-0126-SM-7P8RI 50-59 years, male 33.8
GTEX-13X6H-2126-SM-7EWD5 50-59 years, female 33.7
GTEX-T8EM-1026-SM-3DB7M 40-49 years, male 33.7
GTEX-1F48J-0126-SM-7P8TT 50-59 years, female 33.7
GTEX-1OJC4-0126-SM-E9J2E 50-59 years, female 33.7
GTEX-U8T8-0126-SM-3DB94 60-69 years, male 33.6
GTEX-1JMPY-1326-SM-ARL8Y 30-39 years, male 33.6
GTEX-13O3O-0126-SM-E9J49 60-69 years, female 33.5
GTEX-1GF9X-2026-SM-7PC3A 40-49 years, female 33.5
GTEX-113IC-0126-SM-5HL6T 60-69 years, male 33.2
GTEX-QDT8-0126-SM-48TZ1 30-39 years, female 33.2
GTEX-1K2DA-1826-SM-CGQGT 50-59 years, male 33.1
GTEX-11EMC-2926-SM-5EQ4F 60-69 years, female 33.0
GTEX-T6MO-1626-SM-32QOM 40-49 years, female 32.8
GTEX-13PVR-2326-SM-5QGR1 60-69 years, female 32.3
GTEX-12WSK-2326-SM-5GCOH 40-49 years, female 32.2
GTEX-ZV6S-2326-SM-4YCEY 40-49 years, female 32.1
GTEX-1HFI7-1826-SM-ACKXH 50-59 years, female 31.7
GTEX-1R9PO-2126-SM-E9J4O 60-69 years, female 31.7
GTEX-XQ8I-0426-SM-4BOPO 50-59 years, male 31.4
GTEX-YB5E-2026-SM-5IFIS 40-49 years, male 31.4
GTEX-1F6RS-0126-SM-9MQKZ 60-69 years, female 31.3
GTEX-1JKYR-0126-SM-CNPOJ 20-29 years, male 31.3
GTEX-14PHX-2326-SM-62LEM 50-59 years, male 31.2
GTEX-11TTK-0126-SM-5987B 60-69 years, female 31.0
GTEX-1CB4H-0226-SM-7PBXM 60-69 years, female 31.0
GTEX-1QCLY-0326-SM-E8VOG 30-39 years, male 30.8
GTEX-1QPFJ-0226-SM-E76PB 30-39 years, female 30.8
GTEX-15UKP-0426-SM-7KUFQ 20-29 years, male 30.6
GTEX-WFG8-2226-SM-3GIL9 20-29 years, male 30.5
GTEX-1HCVE-0126-SM-CGQEU 50-59 years, male 30.5
GTEX-1GPI7-0126-SM-9MQL8 20-29 years, male 30.4
GTEX-1LVAN-0226-SM-COH3S 50-59 years, female 30.4
GTEX-ZZ64-1726-SM-5GZYB 20-29 years, male 30.2
GTEX-1HBPH-0426-SM-B2LW5 40-49 years, female 30.2
GTEX-14BIM-0226-SM-7IGLD 60-69 years, female 30.1
GTEX-16XZZ-0126-SM-793DV 60-69 years, male 30.1
GTEX-OIZF-0126-SM-7SB8I 60-69 years, male 30.1
GTEX-169BO-1326-SM-9MQK2 50-59 years, male 30.0
GTEX-U3ZN-2326-SM-3DB7W 30-39 years, female 29.9
GTEX-15SHU-0126-SM-7KUEH 40-49 years, female 29.8
GTEX-O5YT-0126-SM-48TBW 20-29 years, male 29.8
GTEX-1RAZA-0126-SM-E6CI3 20-29 years, male 29.8
GTEX-1A3MX-0126-SM-731BR 60-69 years, male 29.6
GTEX-18A7B-0126-SM-7LG64 70-79 years, male 29.5
GTEX-1J8QM-2126-SM-CYPSJ 60-69 years, female 29.4
GTEX-16XZY-2126-SM-79OK1 70-79 years, male 29.3
GTEX-ZYW4-0126-SM-5E44A 60-69 years, male 29.2
GTEX-WQUQ-0426-SM-3MJFU 60-69 years, male 29.1
GTEX-1F52S-0126-SM-9MQJU 60-69 years, female 29.0
GTEX-1LGRB-2526-SM-CNPPQ 50-59 years, female 29.0
GTEX-1128S-2326-SM-5GZZY 60-69 years, female 28.5
GTEX-ZDXO-3026-SM-5J1N5 60-69 years, male 28.5
GTEX-16AAH-1726-SM-7939C 50-59 years, male 28.4
GTEX-11EQ9-2426-SM-5HL5T 30-39 years, male 28.3
GTEX-X585-0226-SM-4QAS2 50-59 years, male 28.3
GTEX-1IDFM-0126-SM-COH2V 60-69 years, male 28.2
GTEX-XYKS-2126-SM-4E3IB 60-69 years, female 28.1
GTEX-145MI-0526-SM-5O9A8 60-69 years, female 28.0
GTEX-1K2DU-2326-SM-E9TIV 20-29 years, male 27.9
GTEX-Y5V6-2426-SM-4VDSB 60-69 years, male 27.8
GTEX-SE5C-1626-SM-2XCE3 40-49 years, female 27.8
GTEX-13O1R-0126-SM-5L3EH 60-69 years, male 27.7
GTEX-Q734-1926-SM-2I5EV 40-49 years, female 27.3
GTEX-X4XX-0126-SM-3NMC2 60-69 years, male 27.2
GTEX-1H3NZ-0126-SM-ACKX7 60-69 years, male 27.2
GTEX-14PJ6-2126-SM-6EU1V 60-69 years, female 27.1
GTEX-TKQ1-1026-SM-4GICL 30-39 years, male 27.1
GTEX-ZTPG-0326-SM-5O9AX 20-29 years, female 27.1
GTEX-PSDG-0226-SM-DKPOZ 50-59 years, male 27.0
GTEX-1JMQK-0226-SM-CL543 60-69 years, male 26.9
GTEX-1S3DN-2226-SM-EVYCD 50-59 years, male 26.9
GTEX-1QP66-1726-SM-E8VO1 50-59 years, male 26.8
GTEX-OXRP-0126-SM-3NB32 60-69 years, female 26.7
GTEX-12584-0126-SM-5EGKQ 40-49 years, male 26.6
GTEX-13YAN-0326-SM-5O9DF 60-69 years, male 26.6
GTEX-P4PP-0126-SM-3LK69 30-39 years, female 26.6
GTEX-ZGAY-0526-SM-4WWBB 40-49 years, female 26.5
GTEX-ZVZP-2426-SM-59HKJ 50-59 years, male 26.5
GTEX-OOBJ-0126-SM-E6CJW 60-69 years, male 26.5
GTEX-XXEK-2226-SM-4BRUM 50-59 years, male 26.4
GTEX-TSE9-0126-SM-3DB83 60-69 years, female 26.3
GTEX-XMD2-0126-SM-4YCDU 60-69 years, female 26.3
GTEX-1H1ZS-0426-SM-9WG6G 70-79 years, male 26.3
GTEX-139D8-0226-SM-5KLZO 30-39 years, female 26.2
GTEX-V1D1-2226-SM-3NMAX 50-59 years, male 26.2
GTEX-1I1GT-0626-SM-CGQER 60-69 years, female 26.1
GTEX-12KS4-0326-SM-5EQ41 30-39 years, male 26.0
GTEX-13FTW-2626-SM-5K7WL 40-49 years, male 25.9
GTEX-13O3P-0126-SM-5KM4S 50-59 years, male 25.9
GTEX-13W46-0226-SM-5SIAG 50-59 years, male 25.9
GTEX-SN8G-0126-SM-32PLI 50-59 years, female 25.9
GTEX-X261-0126-SM-3NMD6 50-59 years, male 25.8
GTEX-1HCU8-0626-SM-A9SM9 60-69 years, female 25.8
GTEX-14XAO-2326-SM-6EU1B 60-69 years, female 25.7
GTEX-1NV5F-0226-SM-E8VNY 60-69 years, female 25.7
GTEX-1S82Y-2026-SM-EVYCM 40-49 years, male 25.7
GTEX-15SDE-2226-SM-7IGLO 50-59 years, female 25.6
GTEX-14C5O-0126-SM-5SI6N 60-69 years, male 25.5
GTEX-15CHC-2126-SM-6EU21 60-69 years, female 25.5
GTEX-1JN76-0126-SM-CNPPE 20-29 years, female 25.4
GTEX-ZEX8-2426-SM-4WKG4 50-59 years, male 25.2
GTEX-1GTWX-0126-SM-9YFLK 60-69 years, male 25.2
GTEX-PWO3-1526-SM-48TCM 60-69 years, female 24.9
GTEX-ZAJG-0126-SM-5HL94 50-59 years, female 24.9
GTEX-12696-2426-SM-5EQ6H 60-69 years, male 24.8
GTEX-15UF6-0826-SM-6PALJ 70-79 years, female 24.8
GTEX-1122O-2126-SM-5EGIR 60-69 years, female 24.6
GTEX-1J8Q2-0526-SM-CM2RW 60-69 years, male 24.4
GTEX-1JJE9-0326-SM-CL53Z 70-79 years, male 24.3
GTEX-1OFPY-2426-SM-DTXEJ 60-69 years, male 24.3
GTEX-133LE-1826-SM-5J1MV 20-29 years, female 24.1
GTEX-15RIG-0226-SM-7KFTL 40-49 years, male 24.1
GTEX-X88G-0126-SM-47JZ3 30-39 years, male 24.0
GTEX-1QW4Y-1526-SM-EAZ3Z 30-39 years, male 23.9
GTEX-13N1W-0126-SM-5K7VT 70-79 years, male 23.7
GTEX-131XF-5016-SM-7MGWE 60-69 years, male 23.7
GTEX-1LNCM-1126-SM-E9U5E 50-59 years, female 23.5
GTEX-ZPIC-1726-SM-DHXIU 40-49 years, female 23.5
GTEX-ZYY3-0126-SM-5GZY5 60-69 years, female 23.4
GTEX-1I6K6-0126-SM-A9SLE 30-39 years, male 23.3
GTEX-14JIY-0126-SM-6LLH6 60-69 years, male 23.2
GTEX-XBEW-0626-SM-4QASP 40-49 years, male 23.2
GTEX-ZAB5-1826-SM-5HL7C 50-59 years, male 23.2
GTEX-TML8-1926-SM-32QOS 40-49 years, female 23.1
GTEX-OIZH-0126-SM-2HMIS 50-59 years, male 22.8
GTEX-1B996-0226-SM-7RHGO 60-69 years, male 22.7
GTEX-1GN1U-0126-SM-7PBZK 50-59 years, female 22.6
GTEX-X638-0126-SM-47JZ8 70-79 years, female 22.5
GTEX-1QP9N-1426-SM-DTXFL 30-39 years, male 22.5
GTEX-1CB4I-0226-SM-79OLH 50-59 years, male 22.3
GTEX-XPVG-2626-SM-4B669 50-59 years, male 22.3
GTEX-1PWST-0226-SM-E76QJ 70-79 years, male 22.2
GTEX-144FL-0126-SM-5TDC8 50-59 years, male 22.1
GTEX-13IVO-0126-SM-5J1NG 70-79 years, male 21.8
GTEX-1PPH8-0226-SM-E8VND 20-29 years, male 21.8
GTEX-1GF9W-0326-SM-9KNUN 60-69 years, male 21.6
GTEX-1I1GS-0126-SM-B2LVW 60-69 years, male 21.6
GTEX-1R7EU-0226-SM-EVR4G 60-69 years, male 21.5
GTEX-13QJ3-0326-SM-5S2RA 50-59 years, male 21.4
GTEX-OXRN-0126-SM-48TDM 50-59 years, male 21.3
GTEX-1HUB1-0426-SM-E9U4U 60-69 years, male 21.3
GTEX-11ZVC-2526-SM-5FQTE 50-59 years, female 21.2
GTEX-ZXG5-0126-SM-5GIEU 60-69 years, male 21.2
GTEX-17F96-1626-SM-7DUFL 70-79 years, male 21.1
GTEX-1H3VE-0326-SM-9YFLH 40-49 years, male 21.1
GTEX-11H98-0126-SM-5EGHG 50-59 years, male 21.0
GTEX-RN64-0126-SM-2TC68 50-59 years, male 21.0
GTEX-1HSGN-0226-SM-CGQFV 40-49 years, female 21.0
GTEX-QVJO-1626-SM-2S1QW 60-69 years, female 20.9
GTEX-ZAB4-0226-SM-5N9F5 40-49 years, male 20.9
GTEX-ZYFD-0126-SM-5GIDL 50-59 years, male 20.8
GTEX-13NZA-0226-SM-5K7Z7 60-69 years, male 20.7
GTEX-P4QT-0126-SM-2I3FL 50-59 years, female 20.7
GTEX-X4XY-0226-SM-4E3IZ 60-69 years, male 20.7
GTEX-1RB15-2126-SM-E9TIM 60-69 years, male 20.6
GTEX-1KD5A-0226-SM-D5OV3 50-59 years, male 20.3
GTEX-1K9T9-0126-SM-EVYCF 50-59 years, female 20.2
GTEX-14A5I-0126-SM-5TDEA 50-59 years, female 20.1
GTEX-RU72-0926-SM-2TF6B 50-59 years, female 20.1
GTEX-WI4N-1026-SM-3LK7N 40-49 years, female 20.1
GTEX-1KXAM-2226-SM-CYPTC 60-69 years, male 20.1
GTEX-1LG7Y-0526-SM-DKPQC 50-59 years, male 20.1
GTEX-13S7M-0126-SM-5SI6A 60-69 years, female 20.0
GTEX-15SHW-0326-SM-6PAML 60-69 years, male 20.0
GTEX-1HGF4-2426-SM-ACKXM 60-69 years, male 20.0
GTEX-13113-5016-SM-7EPIP 60-69 years, female 19.9
GTEX-1AX9I-0126-SM-7SB74 60-69 years, male 19.8
GTEX-148VJ-0126-SM-5TDDN 70-79 years, male 19.7
GTEX-1LGOU-2026-SM-DIPFF 20-29 years, female 19.6
GTEX-1PIGE-0126-SM-EVYBJ 20-29 years, male 19.5
GTEX-17HGU-0226-SM-7DHKV 50-59 years, male 19.4
GTEX-17MFQ-1726-SM-793C7 20-29 years, male 19.3
GTEX-U3ZH-2026-SM-3DB78 30-39 years, male 19.3
GTEX-1CAV2-2226-SM-7P8P2 40-49 years, female 19.3
GTEX-1ICLZ-0126-SM-CKZPO 60-69 years, male 19.2
GTEX-UPJH-0326-SM-3GADU 50-59 years, male 19.1
GTEX-1269C-2526-SM-5EGJ3 60-69 years, female 19.0
GTEX-14PII-0226-SM-6EU1T 60-69 years, male 19.0
GTEX-1ICLY-0126-SM-D4P36 50-59 years, male 19.0
GTEX-1PBJI-0526-SM-E8VNK 20-29 years, female 19.0
GTEX-ZUA1-0126-SM-5GU76 40-49 years, male 18.9
GTEX-13RTL-0126-SM-7LG5S 40-49 years, male 18.6
GTEX-146FQ-0126-SM-5NQA9 30-39 years, male 18.6
GTEX-17GQL-2026-SM-718BA 60-69 years, male 18.6
GTEX-T5JW-1626-SM-3GADZ 20-29 years, female 18.5
GTEX-11ZUS-0626-SM-59885 30-39 years, male 18.4
GTEX-13FHO-0226-SM-5IFGY 60-69 years, male 18.4
GTEX-ZY6K-1826-SM-5GZXK 50-59 years, male 18.4
GTEX-145ME-1826-SM-5SI9G 40-49 years, female 18.3
GTEX-1F6I4-0126-SM-9MQL2 60-69 years, male 18.3
GTEX-1I1HK-0126-SM-COH49 60-69 years, male 18.3
GTEX-139TU-0126-SM-5K7WH 60-69 years, male 18.2
GTEX-1KAFJ-2026-SM-CY8ID 50-59 years, male 18.2
GTEX-16MT8-0426-SM-7KUEY 60-69 years, female 18.1
GTEX-X8HC-0126-SM-4E3JW 50-59 years, female 18.1
GTEX-139T8-0126-SM-5K7XZ 60-69 years, male 18.0
GTEX-13OW5-0126-SM-DTXFS 60-69 years, male 18.0
GTEX-1H1DE-2126-SM-9WG6R 20-29 years, male 18.0
GTEX-1IY9M-0126-SM-D3L8S 60-69 years, male 18.0
GTEX-1LH75-2426-SM-E9TJE 50-59 years, female 18.0
GTEX-11NSD-2226-SM-5986V 20-29 years, male 17.9
GTEX-S7PM-0126-SM-4AD6S 60-69 years, male 17.8
GTEX-11TT1-2526-SM-5EGIB 20-29 years, male 17.7
GTEX-148VI-1626-SM-5SI6E 60-69 years, female 17.7
GTEX-1AYCT-2426-SM-7IGQ3 50-59 years, male 17.7
GTEX-1B8L1-2526-SM-9WYTF 60-69 years, male 17.7
GTEX-14E6E-1826-SM-5S2R7 30-39 years, male 17.6
GTEX-TMZS-0126-SM-3DB9Q 60-69 years, male 17.6
GTEX-1HCU6-0126-SM-CL54K 60-69 years, female 17.6
GTEX-1J1OQ-0226-SM-CYPSH 40-49 years, female 17.5
GTEX-1LSNM-1926-SM-E6CII 50-59 years, male 17.4
GTEX-139TT-0126-SM-5K7Y5 60-69 years, male 17.3
GTEX-WOFL-0126-SM-3MJG2 60-69 years, male 17.3
GTEX-13N2G-2626-SM-5J1OT 60-69 years, male 17.2
GTEX-13SLW-0126-SM-5SI6C 70-79 years, male 17.2
GTEX-147GR-0526-SM-5S2MY 60-69 years, male 17.2
GTEX-15D1Q-0126-SM-7KUG6 40-49 years, male 17.2
GTEX-Z93S-0126-SM-5HL7M 50-59 years, male 17.2
GTEX-11O72-0126-SM-59887 40-49 years, male 17.1
GTEX-11P81-2326-SM-59875 30-39 years, female 17.1
GTEX-1LG7Z-1726-SM-D3LA4 30-39 years, male 17.1
GTEX-1AYD5-2426-SM-73KXR 50-59 years, male 17.0
GTEX-SNMC-1226-SM-2XCFP 20-29 years, male 17.0
GTEX-11GS4-2726-SM-5A5LE 60-69 years, male 16.9
GTEX-1CB4E-2226-SM-793DC 60-69 years, male 16.9
GTEX-ZC5H-0226-SM-4WAY9 40-49 years, female 16.9
GTEX-17HHY-0126-SM-7LG5D 50-59 years, male 16.8
GTEX-SSA3-0126-SM-32QPU 60-69 years, male 16.8
GTEX-X4EO-0326-SM-3P5YO 60-69 years, female 16.7
GTEX-VUSG-2526-SM-4KL1V 50-59 years, male 16.6
GTEX-T2YK-0526-SM-32QPJ 50-59 years, male 16.5
GTEX-1H3VY-0126-SM-ACKXD 50-59 years, male 16.5
GTEX-1MA7W-2026-SM-E9TJ6 20-29 years, female 16.4
GTEX-13OW7-0126-SM-5MR3B 50-59 years, male 16.3
GTEX-14PJM-0226-SM-62LF1 50-59 years, female 16.3
GTEX-1B97I-1626-SM-73KYO 40-49 years, male 16.3
GTEX-VJWN-0126-SM-3GIK7 50-59 years, female 16.3
GTEX-12WSD-0126-SM-59HKN 60-69 years, female 16.2
GTEX-13NZB-2526-SM-5J1OM 30-39 years, male 16.1
GTEX-13OVH-0126-SM-5MR4B 70-79 years, male 16.1
GTEX-RNOR-0126-SM-E9J4R 50-59 years, female 16.1
GTEX-1F5PL-0326-SM-7P8PQ 40-49 years, female 16.0
GTEX-15DDE-0126-SM-6LPKH 50-59 years, female 15.9
GTEX-PW2O-1526-SM-7RHHB 20-29 years, male 15.9
GTEX-17HII-0226-SM-7LG4E 50-59 years, male 15.7
GTEX-1I1CD-0126-SM-CM2TK 60-69 years, female 15.7
GTEX-13PDP-0126-SM-5L3HD 60-69 years, male 15.5
GTEX-1HSMO-0126-SM-CL547 60-69 years, male 15.5
GTEX-1KANA-0726-SM-D3L9I 20-29 years, male 15.5
GTEX-15DCD-0126-SM-7KUEK 70-79 years, female 15.4
GTEX-15F5U-1526-SM-6PANO 40-49 years, male 15.4
GTEX-1A32A-0126-SM-718B1 50-59 years, female 15.3
GTEX-QV44-1926-SM-2S1RF 50-59 years, male 15.1
GTEX-ZVT3-0126-SM-5GU6I 60-69 years, female 15.1
GTEX-1JMQI-2226-SM-CM2SD 50-59 years, male 15.1
GTEX-14LZ3-0226-SM-62LET 60-69 years, female 15.0
GTEX-ZU9S-0226-SM-5E441 30-39 years, male 15.0
GTEX-ZVZO-0126-SM-5A5L9 40-49 years, male 15.0
GTEX-1A8FM-0226-SM-7SB7Q 50-59 years, female 15.0
GTEX-1KANC-1526-SM-D3LAB 50-59 years, female 14.9
GTEX-14A6H-0126-SM-5QGPK 30-39 years, male 14.7
GTEX-P44H-0226-SM-2XCEU 40-49 years, male 14.7
GTEX-XUYS-0126-SM-47JWZ 50-59 years, male 14.7
GTEX-1I19N-0326-SM-ACKVX 70-79 years, male 14.7
GTEX-1JN1M-0326-SM-CYPT3 60-69 years, female 14.7
GTEX-11OC5-0126-SM-5HL6A 60-69 years, male 14.6
GTEX-XUZC-1726-SM-4BRWS 30-39 years, female 14.6
GTEX-111VG-2426-SM-5GZXD 60-69 years, male 14.4
GTEX-11GSO-2426-SM-5A5LY 60-69 years, male 14.4
GTEX-17HHE-2026-SM-79OKF 50-59 years, male 14.4
GTEX-R55E-0126-SM-2TC5Y 20-29 years, male 14.4
GTEX-U412-0426-SM-3DB9O 60-69 years, male 14.4
GTEX-1MCQQ-0826-SM-DLHC2 60-69 years, male 14.4
GTEX-13VXU-0126-SM-5SI9F 50-59 years, male 14.3
GTEX-14ABY-0226-SM-5TDCQ 50-59 years, male 14.3
GTEX-Y8E4-0626-SM-4WWDL 40-49 years, male 14.3
GTEX-1N2EF-0226-SM-EYYXB 60-69 years, male 14.3
GTEX-183WM-0126-SM-7LTAB 70-79 years, female 14.2
GTEX-X4EP-0126-SM-3P5YV 60-69 years, female 14.2
GTEX-1C6WA-0126-SM-7PC2B 60-69 years, male 14.2
GTEX-132NY-0326-SM-5IJBL 60-69 years, male 14.1
GTEX-12ZZZ-0626-SM-5DUXI 60-69 years, male 14.0
GTEX-UJHI-1526-SM-3DB99 50-59 years, female 13.9
GTEX-1F75B-0126-SM-9KNVL 50-59 years, male 13.9
GTEX-1PDJ9-0326-SM-DTX95 20-29 years, male 13.9
GTEX-WYVS-2126-SM-3NMA3 40-49 years, female 13.8
GTEX-1HB9E-0226-SM-E9U4R 50-59 years, male 13.8
GTEX-18D9A-1926-SM-7LG6P 30-39 years, female 13.7
GTEX-1GL5R-1826-SM-9KNUY 50-59 years, male 13.7
GTEX-1HCU9-1526-SM-A9SL7 20-29 years, male 13.7
GTEX-Z93T-0126-SM-5HL5N 50-59 years, male 13.6
GTEX-1GN73-0226-SM-9WG67 60-69 years, male 13.6
GTEX-13OW6-0426-SM-5L3HM 50-59 years, male 13.4
GTEX-S32W-2126-SM-2XCB1 50-59 years, female 13.4
GTEX-1JJ6O-0126-SM-E6CI8 60-69 years, male 13.4
GTEX-1RQEC-0426-SM-E6CHU 60-69 years, male 13.4
GTEX-11GSP-2526-SM-5N9BP 60-69 years, female 13.3
GTEX-18465-0126-SM-731BN 50-59 years, male 13.2
GTEX-VJYA-1126-SM-3GIJU 60-69 years, male 13.1
GTEX-1MA7X-2226-SM-E6CIY 60-69 years, male 13.1
GTEX-11ZU8-2526-SM-5EQKI 60-69 years, male 13.0
GTEX-1314G-1526-SM-5EGK2 30-39 years, male 13.0
GTEX-13U4I-0126-SM-5LU38 40-49 years, female 13.0
GTEX-113JC-2326-SM-5EQ4E 50-59 years, female 12.9
GTEX-PVOW-0126-SM-2XCFA 40-49 years, male 12.9
GTEX-1HCU7-0226-SM-CL545 50-59 years, male 12.9
GTEX-11WQC-2526-SM-5CVLE 60-69 years, male 12.8
GTEX-131XW-0426-SM-5LZWP 50-59 years, female 12.8
GTEX-SJXC-0126-SM-2XCFF 60-69 years, male 12.8
GTEX-Y5V5-2326-SM-4V6GA 60-69 years, female 12.7
GTEX-1F75A-0126-SM-7RHGM 50-59 years, male 12.7
GTEX-15EU6-0426-SM-6PAN5 50-59 years, male 12.6
GTEX-12ZZX-0126-SM-5EGK9 40-49 years, female 12.5
GTEX-ZTX8-1426-SM-5DUVO 20-29 years, male 12.5
GTEX-18A7A-0226-SM-718BH 50-59 years, female 12.4
GTEX-1B8KZ-2026-SM-7DHMB 50-59 years, male 12.3
GTEX-ZE7O-0126-SM-57WC1 50-59 years, female 12.1
GTEX-1B933-0126-SM-7PC29 50-59 years, female 12.1
GTEX-1IKOH-0226-SM-COH4E 60-69 years, female 12.1
GTEX-11DXY-2626-SM-5GIE7 60-69 years, male 12.0
GTEX-13OVL-0226-SM-5L3E9 50-59 years, male 12.0
GTEX-Y111-0126-SM-4SOIV 50-59 years, male 12.0
GTEX-1M5QR-1226-SM-EWROB 40-49 years, male 12.0
GTEX-13O3Q-2426-SM-5IJBR 50-59 years, male 11.8
GTEX-14E6D-0126-SM-62LDV 50-59 years, male 11.8
GTEX-1GPI6-0126-SM-9WG69 60-69 years, male 11.8
GTEX-S33H-1026-SM-EZ6L6 30-39 years, male 11.8
GTEX-WFON-2126-SM-3LK7O 40-49 years, male 11.6
GTEX-1HFI6-0226-SM-ADEHZ 40-49 years, male 11.6
GTEX-11ZTS-0126-SM-5EQ6M 60-69 years, female 11.5
GTEX-1F88F-2726-SM-7PBZZ 60-69 years, female 11.5
GTEX-1R9K4-0126-SM-DTX9X 60-69 years, male 11.5
GTEX-1F6IF-0726-SM-7P8TW 60-69 years, male 11.4
GTEX-1EX96-1626-SM-7PBXR 50-59 years, male 11.3
GTEX-1JMPZ-0226-SM-CNPP1 30-39 years, male 11.3
GTEX-ZE9C-2726-SM-57WB5 60-69 years, male 11.2
GTEX-1H11D-0226-SM-9WG6Z 40-49 years, male 11.2
GTEX-11NUK-0126-SM-5A5L3 50-59 years, male 11.0
GTEX-R3RS-0126-SM-3GIJL 40-49 years, female 11.0
GTEX-1J8EW-0126-SM-CJI4F 60-69 years, female 11.0
GTEX-16YQH-0126-SM-7DUFJ 30-39 years, male 10.9
GTEX-1GN1V-0126-SM-9WPOS 60-69 years, male 10.9
GTEX-11DXW-0226-SM-5H122 40-49 years, male 10.8
GTEX-15SB6-1726-SM-6PAME 50-59 years, female 10.8
GTEX-1I1GV-0526-SM-A9G29 60-69 years, male 10.8
GTEX-1JMQJ-0526-SM-CYPSU 50-59 years, male 10.8
GTEX-13CF2-2526-SM-5LZYX 60-69 years, male 10.7
GTEX-13SLX-0526-SM-5S2ON 50-59 years, female 10.7
GTEX-147F4-0226-SM-5QGPW 50-59 years, male 10.7
GTEX-14E7W-0126-SM-6LLJ9 70-79 years, male 10.7
GTEX-15DYW-0126-SM-7KULE 60-69 years, female 10.6
GTEX-YJ8A-0426-SM-5IFID 20-29 years, male 10.6
GTEX-1E2YA-0126-SM-9KNUC 50-59 years, male 10.6
GTEX-1GN2E-0426-SM-9MQKX 60-69 years, male 10.6
GTEX-117YW-2626-SM-5GZZH 50-59 years, male 10.5
GTEX-131YS-0126-SM-5KM1M 60-69 years, female 10.5
GTEX-ZVT4-0126-SM-DTXFN 50-59 years, female 10.5
GTEX-YFC4-0126-SM-5CVLY 40-49 years, female 10.4
GTEX-1GMRU-0126-SM-9YFLV 50-59 years, male 10.3
GTEX-1M4P7-0226-SM-DIPEV 60-69 years, male 10.3
GTEX-ZF3C-0126-SM-DO92D 50-59 years, female 10.3
GTEX-14BIN-0626-SM-793DP 50-59 years, female 10.2
GTEX-1HR98-0126-SM-B2LWI 60-69 years, male 10.1
GTEX-1I1GP-2226-SM-CGQFK 50-59 years, male 10.1
GTEX-14DAQ-0126-SM-5S2MQ 60-69 years, female 10.0
GTEX-14E6C-0126-SM-5RQIP 40-49 years, male 10.0
GTEX-OIZG-0726-SM-33HBL 50-59 years, male 10.0
GTEX-SIU8-0126-SM-2XCDT 50-59 years, male 10.0
GTEX-16NPX-0226-SM-79OMT 50-59 years, male 9.9
GTEX-WVJS-0126-SM-4MVOT 50-59 years, male 9.8
GTEX-1CB4G-0226-SM-7PC3O 60-69 years, male 9.8
GTEX-18A6Q-0126-SM-731BZ 60-69 years, male 9.7
GTEX-16GPK-0126-SM-7DHLE 60-69 years, male 9.6
GTEX-T5JC-0426-SM-32PLO 20-29 years, male 9.6
GTEX-1I1GR-0126-SM-CL55F 60-69 years, male 9.6
GTEX-W5X1-3026-SM-EAZAX 40-49 years, female 9.6
GTEX-17HG3-2226-SM-7938L 30-39 years, female 9.5
GTEX-1QEPI-0126-SM-EWRMQ 60-69 years, female 9.5
GTEX-RVPV-0126-SM-EAZAW 60-69 years, male 9.5
GTEX-145LU-0126-SM-5TDCB 50-59 years, male 9.4
GTEX-17EVP-0326-SM-7DHLG 40-49 years, male 9.4
GTEX-11UD2-0226-SM-5EQKY 50-59 years, male 9.3
GTEX-13FTY-0526-SM-5L3EV 40-49 years, female 9.3
GTEX-1C4CL-0526-SM-73KVK 30-39 years, male 9.3
GTEX-131XH-2226-SM-5DUXJ 50-59 years, male 9.2
GTEX-1OJC3-0126-SM-E76QX 20-29 years, male 9.2
GTEX-11UD1-0126-SM-5PNYG 40-49 years, female 9.1
GTEX-13112-2826-SM-5DUWH 50-59 years, male 9.1
GTEX-13G51-2526-SM-5LZYK 60-69 years, male 9.1
GTEX-ZV68-0126-SM-59HKS 50-59 years, female 9.1
GTEX-1O97I-0326-SM-EYYX7 60-69 years, male 9.1
GTEX-1N2DW-0226-SM-E9TK2 50-59 years, male 9.0
GTEX-139TS-2826-SM-5J1OO 60-69 years, male 8.9
GTEX-1E1VI-0126-SM-7DHMZ 50-59 years, male 8.9
GTEX-12WSG-2826-SM-E9J4H 50-59 years, female 8.9
GTEX-1EKGG-0226-SM-9WYTH 60-69 years, male 8.9
GTEX-1EWIQ-0126-SM-7RHH2 70-79 years, female 8.9
GTEX-1H3O1-0426-SM-9YFKY 60-69 years, male 8.8
GTEX-1EU9M-0226-SM-7P8SP 60-69 years, male 8.7
GTEX-11EI6-0126-SM-5985R 60-69 years, male 8.6
GTEX-15ER7-0326-SM-7KUEV 20-29 years, female 8.6
GTEX-1CAMQ-0226-SM-7IGPK 40-49 years, male 8.6
GTEX-QEG4-0226-SM-2S1PY 30-39 years, male 8.6
GTEX-T2IS-0126-SM-4DM6O 20-29 years, female 8.6
GTEX-WZTO-0126-SM-3NM95 40-49 years, male 8.6
GTEX-11TUW-2726-SM-E9J4M 60-69 years, male 8.6
GTEX-1IKK5-0626-SM-ARL8A 60-69 years, male 8.6
GTEX-11WQK-0526-SM-5EQLD 50-59 years, male 8.5
GTEX-1313W-0126-SM-5LZUN 50-59 years, female 8.5
GTEX-Y3IK-2426-SM-4WWDU 50-59 years, female 8.5
GTEX-ZVTK-0426-SM-51MRS 20-29 years, male 8.4
GTEX-1KD4Q-0226-SM-E9TJ9 40-49 years, male 8.4
GTEX-1L5NE-2526-SM-E6CIE 50-59 years, male 8.3
GTEX-11DXZ-2326-SM-5EGGV 50-59 years, male 8.2
GTEX-13OVK-2026-SM-7KUEO 40-49 years, male 8.2
GTEX-Y8DK-0126-SM-4TT3L 60-69 years, male 8.2
GTEX-1GZ2Q-0226-SM-7P8TL 40-49 years, male 8.2
GTEX-17KNJ-2326-SM-7DHLQ 50-59 years, male 8.1
GTEX-U8XE-0326-SM-3DB8P 30-39 years, male 8.1
GTEX-1LB8K-0226-SM-EWRNW 50-59 years, male 8.1
GTEX-13NYC-0326-SM-E9J4S 60-69 years, male 8.0
GTEX-ZDTS-0126-SM-4WAY5 60-69 years, male 7.9
GTEX-1LBAC-0126-SM-DIPEZ 20-29 years, male 7.9
GTEX-1IGQW-0126-SM-COH42 60-69 years, male 7.8
GTEX-117XS-2726-SM-5N9BL 60-69 years, male 7.6
GTEX-1B8SG-0126-SM-73KZ3 50-59 years, male 7.6
GTEX-11OF3-2626-SM-5GU7F 60-69 years, male 7.5
GTEX-1C475-1826-SM-73KWA 40-49 years, female 7.5
GTEX-RWSA-0126-SM-2XCBB 40-49 years, male 7.4
GTEX-1F7RK-0126-SM-7PC2S 20-29 years, female 7.4
GTEX-14JG1-0426-SM-6ETZZ 40-49 years, male 7.3
GTEX-12WSC-0126-SM-5EQ4P 50-59 years, male 7.2
GTEX-ZAK1-0126-SM-5IJD3 50-59 years, female 7.2
GTEX-1POEN-0126-SM-EYYXJ 30-39 years, female 7.2
GTEX-13111-1626-SM-5EGJY 50-59 years, male 7.1
GTEX-ZF2S-2326-SM-4WWCE 50-59 years, female 7.1
GTEX-1IOXB-0126-SM-ARL8G 50-59 years, male 7.1
GTEX-14BMV-0126-SM-5S2PO 50-59 years, male 7.0
GTEX-ZYT6-0226-SM-5NQ6T 30-39 years, male 7.0
GTEX-1EN7A-0126-SM-7SB81 40-49 years, male 7.0
GTEX-1IDJH-0326-SM-A9SLQ 70-79 years, male 7.0
GTEX-1JMLX-0226-SM-CM2RO 50-59 years, male 6.9
GTEX-1EMGI-0126-SM-9KNUE 60-69 years, male 6.8
GTEX-1RDX4-0126-SM-E9J4P 50-59 years, female 6.8
GTEX-1S83E-0126-SM-EWRO4 40-49 years, male 6.8
GTEX-1C64N-0126-SM-793D7 50-59 years, male 6.7
GTEX-POMQ-2226-SM-2I5FK 20-29 years, female 6.7
GTEX-1H1CY-2826-SM-9MQM3 60-69 years, female 6.7
GTEX-1IL2V-0126-SM-CM2TX 70-79 years, male 6.7
GTEX-1J8JJ-0226-SM-CL53I 60-69 years, female 6.7
GTEX-13OW8-1326-SM-5J1OW 60-69 years, male 6.6
GTEX-QESD-1426-SM-2S1R9 20-29 years, male 6.6
GTEX-12126-0326-SM-5PNW3 20-29 years, male 6.5
GTEX-XQ3S-1526-SM-4BOOC 20-29 years, male 6.5
GTEX-ZYFC-0226-SM-5NQ75 50-59 years, male 6.4
GTEX-1GZHY-0326-SM-9QEHI 50-59 years, female 6.4
GTEX-1HSKV-0226-SM-A9SKJ 60-69 years, male 6.4
GTEX-1IL2U-0226-SM-CE6T8 60-69 years, male 6.4
GTEX-11DYG-0126-SM-59883 60-69 years, male 6.3
GTEX-ZWKS-0126-SM-5SIAA 30-39 years, male 6.3
GTEX-12WSA-0226-SM-5BC5V 60-69 years, male 6.2
GTEX-1H4P4-0726-SM-9YFLR 50-59 years, male 6.2
GTEX-1HBPI-1526-SM-C1YQ1 50-59 years, male 6.2
GTEX-13X6J-0126-SM-5QGOU 50-59 years, male 6.1
GTEX-1212Z-2526-SM-5EGKP 60-69 years, male 6.0
GTEX-1C6VR-2426-SM-79OLD 60-69 years, male 6.0
GTEX-1399R-2726-SM-5IJBA 30-39 years, male 5.9
GTEX-131XE-2326-SM-5PNZ2 50-59 years, male 5.8
GTEX-S7SE-0126-SM-2XCD5 50-59 years, male 5.8
GTEX-1IKJJ-0126-SM-CNPQB 60-69 years, male 5.8
GTEX-1JMQL-0226-SM-CNPP5 50-59 years, female 5.8
GTEX-12ZZY-0226-SM-5LZVE 60-69 years, male 5.7
GTEX-111FC-0126-SM-5N9DL 60-69 years, male 5.6
GTEX-1KANB-0526-SM-E6CJH 50-59 years, male 5.6
GTEX-139UW-2826-SM-5L3E7 60-69 years, male 5.5
GTEX-145MF-0626-SM-5LUAI 50-59 years, male 5.5
GTEX-1CB4F-0426-SM-9KNV4 60-69 years, male 5.5
GTEX-13FXS-0226-SM-5IJCK 50-59 years, male 5.4
GTEX-1JJEA-0326-SM-CNPOT 60-69 years, male 5.4
GTEX-1JN6P-0126-SM-D3L98 60-69 years, male 5.4
GTEX-13NYB-2526-SM-5K7Z6 40-49 years, male 5.2
GTEX-145LS-0126-SM-5QGP1 60-69 years, female 5.2
GTEX-1BAJH-0526-SM-793CQ 70-79 years, male 5.0
GTEX-13JUV-2726-SM-5LZZ8 40-49 years, female 4.9
GTEX-1QMI2-0226-SM-EVYBX 60-69 years, male 4.9
GTEX-14A5H-0426-SM-5QGQF 60-69 years, male 4.8
GTEX-T6MN-0126-SM-32PLP 50-59 years, male 4.8
GTEX-1GF9V-0326-SM-7RHI5 60-69 years, male 4.8
GTEX-PX3G-0126-SM-2I3EN 20-29 years, female 4.6
GTEX-YJ89-0126-SM-4TT3X 60-69 years, male 4.5
GTEX-1GMR3-1926-SM-9KNUZ 40-49 years, male 4.4
GTEX-1I1GQ-0126-SM-COH3H 50-59 years, male 4.4
GTEX-1MJK2-0426-SM-DTXE5 50-59 years, male 4.1
GTEX-1R9PM-2026-SM-E76OY 20-29 years, male 4.1
GTEX-1399T-2826-SM-5KLYZ 60-69 years, male 4.0
GTEX-1B8SF-1426-SM-7DUGL 60-69 years, male 4.0
GTEX-1HT8W-0126-SM-CNPPP 30-39 years, male 4.0
GTEX-1KWVE-1426-SM-E9TJO 30-39 years, male 4.0
GTEX-17JCI-0126-SM-7LG5G 60-69 years, female 3.5
GTEX-13FHP-0126-SM-5IJBG 50-59 years, male 3.3
GTEX-144GL-0126-SM-5TDE2 50-59 years, male 3.2
GTEX-1QAET-0926-SM-E76QM 50-59 years, male 3.1
GTEX-12WSE-0526-SM-793B2 20-29 years, male 2.9
GTEX-1PIIG-0226-SM-EWRN6 30-39 years, male 2.4
Show allShow less

Contact

  • NEWS ARTICLES
  • PRESS ROOM

The Project

  • INTRODUCTION
  • ORGANIZATION
  • PUBLICATIONS

The Human Protein Atlas

  • DOWNLOADABLE DATA
  • LICENCE & CITATION
  • HELP & FAQ
The Human Protein Atlas project is funded
by the Knut & Alice Wallenberg Foundation.


contact@proteinatlas.org