We use cookies to enhance the usability of our website. If you continue, we'll assume that you are happy to receive all cookies. More information. Don't show this again.
SNTA1
HPA
RESOURCES
  • TISSUE
  • BRAIN
  • SINGLE CELL
  • SUBCELLULAR
  • CANCER
  • BLOOD
  • CELL LINE
  • STRUCTURE & INTERACTION
ABOUT
  • INTRODUCTION
  • HISTORY
  • ORGANIZATION
  • PUBLICATIONS
  • ANTIBODY SUBMISSION
  • ANTIBODY AVAILABILITY
  • ACKNOWLEDGMENTS
  • CONTACT
NEWS
  • NEWS ARTICLES
  • PRESS ROOM
LEARN
  • DICTIONARY
  • PROTEIN CLASSES
  • PROTEIN EVIDENCE
  • METHODS
  • EDUCATIONAL VIDEOS
DATA
  • DOWNLOADABLE DATA
  • PUBLICATION DATA
  • RELEASE HISTORY
HELP
  • ANTIBODY VALIDATION
  • ASSAYS & ANNOTATION
  • DISCLAIMER
  • HELP & FAQ
  • PRIVACY STATEMENT
  • LICENCE & CITATION
Fields »
Search result

Field
Term
Gene name
Class
Subclass
Class
Keyword
Chromosome
External id
Tissue
Cell type
Expression
Antibody panel
Tissue
Main location
Patient ID
Annotation
Tissue
Category
Tau score
Cluster
Reliability
Brain region
Category
Tau score
Brain region
Category
Tau score
Brain region
Category
Tau score
Cluster
Reliability
Tissue
Cell type
Enrichment
Cell type
Category
Tau score
Cell type
Category
Tau score
Cell type
Category
Tau score
Cell lineage
Category
Tau score
Cluster
Cluster
Location
Searches
Location
Cell line
Class
Type
Phase
Reliability
Cancer
Prognosis
Cancer
Category
Cancer
Category
Tau score
Cluster
Variants
Interacting gene (ensg_id)
Type
Number of interactions
Pathway
Category
Score
Score
Score
Validation
Validation
Validation
Validation
Antibodies
Data type
Column


  • SUMMARY

  • TISSUE

  • BRAIN

  • SINGLE CELL

  • SUBCELL

  • CANCER

  • BLOOD

  • CELL LINE

  • STRUCT & INT

  • SNTA1
TISSUE PRIMARY DATA SKIN Show tissue menu
ADIPOSE TISSUE ADRENAL GLAND AMYGDALA APPENDIX BASAL GANGLIA BONE MARROW BREAST BRONCHUS CEREBELLUM CEREBRAL CORTEX CERVIX CHOROID PLEXUS COLON DUODENUM
ENDOMETRIUM EPIDIDYMIS ESOPHAGUS FALLOPIAN TUBE GALLBLADDER HEART MUSCLE HIPPOCAMPAL FORMATION HYPOTHALAMUS KIDNEY LIVER LUNG LYMPH NODE MIDBRAIN NASOPHARYNX
ORAL MUCOSA OVARY PANCREAS PARATHYROID GLAND PITUITARY GLAND PLACENTA PROSTATE RECTUM RETINA SALIVARY GLAND SEMINAL VESICLE SKELETAL MUSCLE SKIN SMALL INTESTINE
SMOOTH MUSCLE SOFT TISSUE SPINAL CORD SPLEEN STOMACH TESTIS THYMUS THYROID GLAND TONGUE TONSIL URINARY BLADDER VAGINA
ANTIBODIES
AND
VALIDATION
Dictionary
Skin
Tissue proteome
Skin
SKIN - Expression summary
Protein expression
Skini

On the top, protein expression in current human tissue, based on all annotated cell types, is reported with the units not detected (n), low (l), medium (m) and high (h). Underneath, protein expression in each annotated cell type are reported using the same units.

Protein expression data is based on knowledge-based annotation. For genes where more than one antibody has been used, a collective score is set.

If knowledge-based annotation could not be performed for a gene, no data is displayed here. View antibody staining data further down this page.

h
m
l
n
Epidermal cells: Medium
Fibroblasts: Not detected
Keratinocytes: Medium
Langerhans: Medium
Melanocytes: Medium
RNA expressioni

A summary of mRNA expression data available for current tissue based on several datasets. The mRNA expression levels in human tissues are based on RNA-seq data generated by the Human Protein Atlas (HPA), Genotype-Tissue Expression (GTEx) portal and CAGE data generated by the FANTOM5 consortium. Consensus normalized expression levels for human tissues was created by combining the data from HPA and GTEx datasets.

The mRNA expression levels in pig are based on RNA-seq data generated by the Human Protein Atlas (HPA), and for mouse, HPA data and in situ hybridization generated by the Allen brain atlas are reported.

Scroll down to view mRNA expression data in more detail.
Consensus:14.5 nTPM
HPA:5.2 nTPM
GTEx:14.5 nTPM

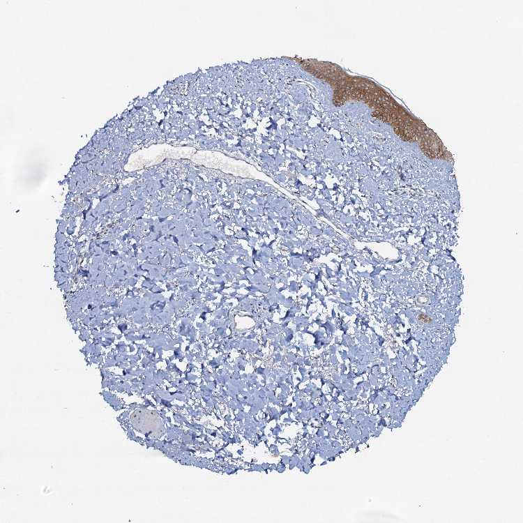
SKIN 1 - Antibody stainingi

Antibody staining in the annotated cell types in the current human tissue is reported as not detected, low, medium, or high, based on conventional immunohistochemistry profiling in selected tissues. This score is based on the combination of the staining intensity and fraction of stained cells.

Each image is clickable and will lead to virtual microscopy that enables deeper exploration of all samples and also displays staining intensity scores, fraction scores and subcellular localization as well as patient and tissue information for each sample.

Antibody HPA067154Antibody CAB037059
Langerhans Not detectedMedium
Fibroblasts Not detectedNot detected
Keratinocytes Not detectedMedium
Melanocytes Not detectedMedium


SKIN 2 - Antibody stainingi

Antibody staining in the annotated cell types in the current human tissue is reported as not detected, low, medium, or high, based on conventional immunohistochemistry profiling in selected tissues. This score is based on the combination of the staining intensity and fraction of stained cells.

Each image is clickable and will lead to virtual microscopy that enables deeper exploration of all samples and also displays staining intensity scores, fraction scores and subcellular localization as well as patient and tissue information for each sample.

Antibody HPA067154Antibody CAB037059
Epidermal cells Not detectedMedium
  
  
  


SKIN - HPA RNA-seqi

The RNA-seq details section shows detailed information about the individual samples used for the transcript profiling and results of the RNA-seq analysis.

Information about each individual sample is listed below, including gender, age, a tissue section image and estimated fractions of cell types. nTPM (normalized transcripts per million) values give a quantification of the gene abundance which is comparable between different genes and samples.
Average nTPMi

Max subtype nTPM is the value for the subtype with the largest average nTPM across the subtype samples.

5.2
overview
Female, age 34
Skin sample 225
nTPM: 5.1
Cell types%
Keratinocytes:
60

Other cell types:
40

overview
Female, age 30
Skin sample 226
nTPM: 3.9
Cell types%
Keratinocytes:
55

Other cell types:
45

N/A
Male, age 57
Skin sample 227
nTPM: 6.5

SKIN - GTEx RNA-seqi

RNA-Seq data generated by the Genotype-Tissue Expression (GTEx) project from human tissues is reported as mean nTPM. More information can be found on the GTEx portal.

Distribution across the dataset is visualized with box plots, shown as median and 25th and 75th percentiles. Points are displayed as outliers if they are above or below 1.5 times the interquartile range. nTPM values of the individual samples are presented next to the box plot.
Max subtype nTPMi

Max subtype nTPM is the value for the subtype with the largest average nTPM across the subtype samples.

14.5
GTEx sample id Sample description nTPM
Skin - Not Sun Exposed (Suprapubic)
Average nTPM: 9.9
Samples: 604

Max nTPM: 33.2
Min nTPM: 2.3
Std nTPM: 4.1
Median nTPM: 9.0
GTEX-YB5K-2026-SM-4VDT3 40-49 years, female 33.2
GTEX-1399R-1326-SM-5PNYS 30-39 years, male 33.1
GTEX-Y3IK-1626-SM-4YCF5 50-59 years, female 32.6
GTEX-14DAR-1226-SM-73KYV 50-59 years, male 32.5
GTEX-WXYG-2026-SM-4E3IY 50-59 years, female 25.8
GTEX-1LBAC-0826-SM-CY8IJ 20-29 years, male 25.3
GTEX-139YR-1026-SM-5LZYN 50-59 years, male 23.8
GTEX-17EVQ-0126-SM-7IGLR 70-79 years, male 23.7
GTEX-ZLFU-1826-SM-4WWBV 40-49 years, male 23.4
GTEX-1H1ZS-2726-SM-9WG75 70-79 years, male 22.6
GTEX-11NSD-0626-SM-5A5LU 20-29 years, male 21.0
GTEX-1AX9J-1326-SM-731BJ 60-69 years, male 20.4
GTEX-X3Y1-2026-SM-3P5YM 40-49 years, male 20.3
GTEX-18D9B-0926-SM-7LG4U 60-69 years, male 20.2
GTEX-ZYW4-0626-SM-59HJR 60-69 years, male 20.0
GTEX-X585-2426-SM-46MW2 50-59 years, male 19.5
GTEX-1LG7Z-1626-SM-CXKYR 30-39 years, male 19.5
GTEX-1GMR2-0826-SM-7PC3V 50-59 years, male 19.4
GTEX-16MTA-0926-SM-6M47Z 50-59 years, male 18.8
GTEX-17HHE-1326-SM-7EWDZ 50-59 years, male 18.8
GTEX-1JKYN-0826-SM-ARU8S 30-39 years, male 18.8
GTEX-ZYFG-1526-SM-5GZYM 60-69 years, female 18.7
GTEX-1IDJI-0126-SM-CMKHS 50-59 years, female 18.6
GTEX-117YX-1926-SM-5GIEC 50-59 years, male 18.3
GTEX-15CHQ-0326-SM-69LQD 60-69 years, male 18.1
GTEX-12WSJ-1126-SM-5LZVJ 40-49 years, female 18.0
GTEX-XYKS-1426-SM-4BRUO 60-69 years, female 17.9
GTEX-1LVAN-0626-SM-CNPOQ 50-59 years, female 17.9
GTEX-145ME-1726-SM-5Q5EU 40-49 years, female 17.5
GTEX-ZLWG-0826-SM-59888 50-59 years, female 17.2
GTEX-145MG-1526-SM-5Q5EM 50-59 years, male 17.0
GTEX-16BQI-1326-SM-6M486 30-39 years, female 17.0
GTEX-16MT8-2926-SM-7DUFO 60-69 years, female 17.0
GTEX-1PIGE-1826-SM-E8VOU 20-29 years, male 17.0
GTEX-1RB15-1326-SM-E76Q9 60-69 years, male 17.0
GTEX-Y5V6-2326-SM-4VDSA 60-69 years, male 16.8
GTEX-1IDJE-1426-SM-ADEIW 50-59 years, female 16.8
GTEX-X5EB-1926-SM-4E3IW 40-49 years, male 16.6
GTEX-1CAV2-0126-SM-7IGN7 40-49 years, female 16.4
GTEX-XV7Q-1826-SM-4BRUV 40-49 years, female 16.3
GTEX-1C475-1326-SM-7SB73 40-49 years, female 16.2
GTEX-1HUB1-1426-SM-CGQF5 60-69 years, male 16.2
GTEX-Y114-2126-SM-4TT8B 50-59 years, female 16.1
GTEX-14PHY-1226-SM-5ZZWK 60-69 years, female 15.9
GTEX-14PKV-1126-SM-6LLJ1 20-29 years, female 15.9
GTEX-17F97-2626-SM-7IGM5 50-59 years, male 15.8
GTEX-18D9U-0126-SM-731BM 40-49 years, male 15.8
GTEX-WFG7-2026-SM-5SI7P 20-29 years, male 15.8
GTEX-139T8-0626-SM-5KLZX 60-69 years, male 15.7
GTEX-1F75W-2726-SM-7SB8H 60-69 years, male 15.7
GTEX-12WSL-2026-SM-5GCML 50-59 years, male 15.6
GTEX-UPK5-0426-SM-3GAEK 40-49 years, male 15.4
GTEX-18A66-0626-SM-7LT8Z 60-69 years, male 15.3
GTEX-12BJ1-0926-SM-5EQ62 60-69 years, male 15.2
GTEX-1A32A-0626-SM-731AQ 50-59 years, female 15.2
GTEX-1I4MK-0126-SM-CY8G6 50-59 years, female 15.2
GTEX-146FQ-2126-SM-5RQHU 30-39 years, male 15.1
GTEX-WEY5-2326-SM-3GIKK 40-49 years, female 15.1
GTEX-ZT9W-1126-SM-57WDR 50-59 years, male 15.1
GTEX-1OJC3-1226-SM-DTXER 20-29 years, male 15.1
GTEX-145MN-1526-SM-5SI9T 30-39 years, male 15.0
GTEX-1JMOU-1026-SM-CYPSS 60-69 years, female 15.0
GTEX-1LSNM-0826-SM-DIPG8 50-59 years, male 15.0
GTEX-17F96-0126-SM-7EWDU 70-79 years, male 14.9
GTEX-1JMLX-0626-SM-ARL8T 50-59 years, male 14.9
GTEX-1497J-0226-SM-5QGPU 60-69 years, male 14.8
GTEX-XBEW-1126-SM-4QARW 40-49 years, male 14.8
GTEX-ZVTK-0226-SM-51MRG 20-29 years, male 14.8
GTEX-15RIG-0726-SM-7KUM7 40-49 years, male 14.7
GTEX-Y3I4-1726-SM-4TT89 50-59 years, male 14.7
GTEX-ZU9S-1826-SM-5NQ9E 30-39 years, male 14.7
GTEX-14E1K-2026-SM-7DUEI 50-59 years, male 14.6
GTEX-17F9E-2326-SM-79OKD 50-59 years, male 14.4
GTEX-1HCUA-0826-SM-ADEHM 50-59 years, female 14.4
GTEX-13N2G-0226-SM-5K7VF 60-69 years, male 14.3
GTEX-147F4-0726-SM-5TDDD 50-59 years, male 14.3
GTEX-15RJ7-2126-SM-6PAMD 40-49 years, male 14.2
GTEX-13SLX-2226-SM-62LEP 50-59 years, female 14.1
GTEX-1S831-1826-SM-EWROF 20-29 years, male 14.1
GTEX-13FH7-1126-SM-5K7UG 50-59 years, female 13.9
GTEX-13OVK-1426-SM-6PAN7 40-49 years, male 13.9
GTEX-18QFQ-1826-SM-72D52 30-39 years, male 13.9
GTEX-XPVG-2126-SM-4B667 50-59 years, male 13.9
GTEX-ZDTS-0826-SM-4WKHL 60-69 years, male 13.9
GTEX-1117F-2926-SM-5GZYI 60-69 years, female 13.8
GTEX-13JUV-2026-SM-5K7UA 40-49 years, female 13.8
GTEX-18A7B-2726-SM-7LG56 70-79 years, male 13.8
GTEX-ZPU1-1126-SM-4YCF3 40-49 years, male 13.5
GTEX-11DYG-1526-SM-5A5JS 60-69 years, male 13.4
GTEX-17JCI-2926-SM-7DUFF 60-69 years, female 13.4
GTEX-ZVP2-0326-SM-57WBP 50-59 years, male 13.4
GTEX-1CB4I-0126-SM-7RHGG 50-59 years, male 13.4
GTEX-1QP9N-1226-SM-E76QN 30-39 years, male 13.4
GTEX-ZF3C-0626-SM-DO92O 50-59 years, female 13.4
GTEX-1A3MV-1826-SM-731CD 30-39 years, male 13.3
GTEX-YEC4-1826-SM-4W1YP 40-49 years, male 13.3
GTEX-YF7O-1526-SM-5IFI6 50-59 years, male 13.3
GTEX-1RAZR-2126-SM-E9U6T 40-49 years, male 13.2
GTEX-111FC-2526-SM-5GZXU 60-69 years, male 13.1
GTEX-11OF3-0126-SM-5PNYF 60-69 years, male 13.1
GTEX-14PJO-2526-SM-6AJBQ 60-69 years, male 13.1
GTEX-1CB4F-1026-SM-7DUH1 60-69 years, male 13.1
GTEX-1F6I4-2326-SM-7RHGL 60-69 years, male 13.1
GTEX-1S82P-2126-SM-E6CI5 60-69 years, female 13.1
GTEX-12WSK-2126-SM-5CVNC 40-49 years, female 13.0
GTEX-15DYW-2726-SM-6EU2I 60-69 years, female 13.0
GTEX-17F98-1326-SM-7DUEP 40-49 years, female 13.0
GTEX-1B996-0426-SM-7EWF8 60-69 years, male 13.0
GTEX-1F6IF-0926-SM-7SB7M 60-69 years, male 13.0
GTEX-1HFI7-2326-SM-CGQFS 50-59 years, female 12.9
GTEX-11P7K-1126-SM-5HL4L 30-39 years, male 12.8
GTEX-1IY9M-2826-SM-ARU8H 60-69 years, male 12.8
GTEX-1GZ4H-0526-SM-9KNU9 50-59 years, female 12.7
GTEX-1KANC-1226-SM-CYPT7 50-59 years, female 12.7
GTEX-1LGOU-1326-SM-D3L8M 20-29 years, female 12.7
GTEX-13OVJ-0826-SM-5J1OK 50-59 years, female 12.6
GTEX-14PK6-0226-SM-62LF5 70-79 years, female 12.6
GTEX-Y8LW-1526-SM-5IFHL 50-59 years, female 12.6
GTEX-1CAMR-1326-SM-7PC1F 20-29 years, male 12.6
GTEX-1N5O9-0926-SM-E9J3C 60-69 years, male 12.6
GTEX-12WSF-1626-SM-7KUG5 70-79 years, male 12.5
GTEX-XOT4-0626-SM-4B66L 60-69 years, female 12.5
GTEX-18D9A-1426-SM-7LT8M 30-39 years, female 12.5
GTEX-1F75I-2226-SM-7SB8U 40-49 years, male 12.5
GTEX-1HCU8-2526-SM-CE6RX 60-69 years, female 12.5
GTEX-13X6H-0926-SM-5SIB2 50-59 years, female 12.4
GTEX-15FZZ-0526-SM-7KUGD 30-39 years, female 12.4
GTEX-15RIE-1926-SM-7KUKJ 60-69 years, male 12.4
GTEX-WHPG-2626-SM-3NMBR 50-59 years, male 12.4
GTEX-ZAK1-0626-SM-5HL8E 50-59 years, female 12.4
GTEX-1H1CY-0126-SM-9YFLY 60-69 years, female 12.4
GTEX-1K2DA-1026-SM-CGQGF 50-59 years, male 12.4
GTEX-1QCLZ-2426-SM-EVYBW 60-69 years, female 12.3
GTEX-13113-1626-SM-5EQ4I 60-69 years, female 12.2
GTEX-14E6E-0526-SM-793DN 30-39 years, male 12.2
GTEX-WI4N-2726-SM-3LK7Y 40-49 years, female 12.2
GTEX-Y8E4-2026-SM-5IFJB 40-49 years, male 12.2
GTEX-1HC8U-1326-SM-9YFMJ 40-49 years, female 12.2
GTEX-131XH-0126-SM-5LZUY 50-59 years, male 12.1
GTEX-13N11-2326-SM-5IJBF 50-59 years, female 12.1
GTEX-16YQH-2226-SM-7IGM2 30-39 years, male 12.1
GTEX-13OW5-2326-SM-5L3HO 60-69 years, male 12.0
GTEX-16AAH-0626-SM-793C9 50-59 years, male 12.0
GTEX-17MF6-2626-SM-79OKQ 40-49 years, male 12.0
GTEX-Z93S-1626-SM-5CVMB 50-59 years, male 12.0
GTEX-1IDJC-1526-SM-B2LW4 50-59 years, male 12.0
GTEX-1RLM8-2926-SM-E8VON 50-59 years, male 12.0
GTEX-11DZ1-2426-SM-5GZZX 50-59 years, male 11.9
GTEX-131XF-2626-SM-5EQ6K 60-69 years, male 11.9
GTEX-139D8-1126-SM-5LU8W 30-39 years, female 11.8
GTEX-18A7A-0126-SM-731AH 50-59 years, female 11.8
GTEX-XQ3S-1426-SM-4BOPR 20-29 years, male 11.8
GTEX-1192X-2726-SM-5N9DN 50-59 years, male 11.7
GTEX-13IVO-0726-SM-5LZYV 70-79 years, male 11.7
GTEX-WFG8-2126-SM-3GIKQ 20-29 years, male 11.7
GTEX-14JG6-1426-SM-9WG7C 30-39 years, female 11.7
GTEX-1I19N-0126-SM-CYPSF 70-79 years, male 11.7
GTEX-1L5NE-1126-SM-D3L9P 50-59 years, male 11.7
GTEX-ZGAY-1826-SM-DO91Q 40-49 years, female 11.6
GTEX-139TS-2126-SM-5K7XC 60-69 years, male 11.5
GTEX-WHWD-1826-SM-3LK6I 50-59 years, male 11.5
GTEX-WYVS-1626-SM-3NM9R 40-49 years, female 11.5
GTEX-1E2YA-2126-SM-7MXUO 50-59 years, male 11.5
GTEX-1GZ2Q-0126-SM-9WG6M 40-49 years, male 11.5
GTEX-1J1R8-2026-SM-CL53Y 40-49 years, male 11.5
GTEX-11O72-0626-SM-5PNYE 40-49 years, male 11.4
GTEX-14E6C-2426-SM-5S2NF 40-49 years, male 11.4
GTEX-1C6WA-2626-SM-7MKGM 60-69 years, male 11.4
GTEX-12126-0826-SM-5FQTZ 20-29 years, male 11.3
GTEX-14BMU-1226-SM-5S2OR 20-29 years, female 11.3
GTEX-16GPK-0626-SM-7KFSF 60-69 years, male 11.3
GTEX-X4EP-0626-SM-3P621 60-69 years, female 11.3
GTEX-XQ8I-0926-SM-4BOOF 50-59 years, male 11.3
GTEX-ZDYS-2426-SM-4WKGI 50-59 years, male 11.3
GTEX-1ICG6-1226-SM-A9SLN 70-79 years, female 11.3
GTEX-1IDJD-2326-SM-ACKWX 30-39 years, male 11.3
GTEX-YEC3-1326-SM-DO92X 50-59 years, male 11.3
GTEX-11EQ9-1626-SM-5PNY8 30-39 years, male 11.2
GTEX-1AX8Z-0726-SM-73KTS 60-69 years, male 11.2
GTEX-1GF9U-2026-SM-7SB92 40-49 years, female 11.2
GTEX-1HSMQ-2626-SM-A9SML 50-59 years, male 11.2
GTEX-1JJE9-2626-SM-ARZMT 70-79 years, male 11.2
GTEX-1LVA9-2626-SM-EVYD4 50-59 years, male 11.2
GTEX-1S3DN-2126-SM-E9TIN 50-59 years, male 11.2
GTEX-14ICL-1626-SM-5YYAO 30-39 years, male 11.1
GTEX-XBEC-0726-SM-4QARZ 50-59 years, male 11.1
GTEX-ZTSS-1426-SM-5985P 40-49 years, male 11.1
GTEX-12WSA-0426-SM-5EQ5X 60-69 years, male 11.0
GTEX-13X6I-1826-SM-5SIAO 60-69 years, male 11.0
GTEX-YFCO-1226-SM-5LUAT 40-49 years, male 11.0
GTEX-1ICLZ-0326-SM-ARL82 60-69 years, male 11.0
GTEX-1QP29-1826-SM-DTX9S 50-59 years, male 11.0
GTEX-1RAZA-2226-SM-E9U4X 20-29 years, male 11.0
GTEX-11ZTT-2126-SM-5CVLO 60-69 years, female 10.9
GTEX-13NZ9-2626-SM-5L3FK 50-59 years, male 10.9
GTEX-13U4I-2226-SM-5LU5H 40-49 years, female 10.9
GTEX-14ABY-2026-SM-62LDL 50-59 years, male 10.9
GTEX-WYJK-0526-SM-3NM8Z 50-59 years, male 10.9
GTEX-1GTWX-2026-SM-9YFLM 60-69 years, male 10.9
GTEX-1QW4Y-1126-SM-DTXE3 30-39 years, male 10.9
GTEX-1212Z-0126-SM-59HK4 60-69 years, male 10.8
GTEX-132AR-0326-SM-5KM2C 50-59 years, female 10.8
GTEX-14PJ2-0626-SM-6LLII 50-59 years, male 10.8
GTEX-1HKZK-0726-SM-ACKW2 40-49 years, male 10.8
GTEX-1LVAO-2726-SM-E9TJ8 60-69 years, male 10.8
GTEX-1EWIQ-0326-SM-7DHMQ 70-79 years, female 10.7
GTEX-XUW1-0926-SM-4BONX 50-59 years, female 10.7
GTEX-ZZPU-0826-SM-5GZX5 50-59 years, female 10.7
GTEX-11P82-1426-SM-DTXFY 20-29 years, male 10.7
GTEX-1C64O-1326-SM-7MGWR 60-69 years, male 10.7
GTEX-1RMOY-1326-SM-E9TIH 50-59 years, male 10.7
GTEX-12584-0726-SM-5FQTK 40-49 years, male 10.6
GTEX-13NYS-0626-SM-5L3F1 60-69 years, male 10.6
GTEX-147F3-1726-SM-5SIAW 50-59 years, female 10.6
GTEX-16Z82-2626-SM-7KULU 60-69 years, male 10.5
GTEX-WFON-1926-SM-3LK7L 40-49 years, male 10.5
GTEX-1H2FU-0926-SM-9WPPT 60-69 years, female 10.5
GTEX-11DXZ-2026-SM-5987S 50-59 years, male 10.4
GTEX-11WQC-1826-SM-5GU59 60-69 years, male 10.4
GTEX-1KANA-1326-SM-DIPFA 20-29 years, male 10.4
GTEX-1MJK3-0726-SM-E6CJC 20-29 years, male 10.4
GTEX-1RAZQ-1326-SM-E9TK6 30-39 years, male 10.4
GTEX-11EI6-2826-SM-5H11D 60-69 years, male 10.3
GTEX-11P81-2226-SM-5PNYI 30-39 years, female 10.3
GTEX-14PJ5-1526-SM-6LLIL 60-69 years, female 10.3
GTEX-1E1VI-0326-SM-793D1 50-59 years, male 10.3
GTEX-UPJH-0226-SM-3GADV 50-59 years, male 10.3
GTEX-WH7G-2026-SM-3NMBL 40-49 years, male 10.3
GTEX-ZDXO-3126-SM-5IJDF 60-69 years, male 10.3
GTEX-1F75A-0726-SM-7RHHD 50-59 years, male 10.3
GTEX-1PIIG-2326-SM-DTXFR 30-39 years, male 10.3
GTEX-131XW-0626-SM-5PNVD 50-59 years, female 10.2
GTEX-13FTW-0326-SM-5K7UW 40-49 years, male 10.2
GTEX-13O61-1426-SM-5KM3D 60-69 years, male 10.2
GTEX-17HGU-2326-SM-7DUFE 50-59 years, male 10.2
GTEX-1B97I-0626-SM-73KUZ 40-49 years, male 10.2
GTEX-1CB4H-1126-SM-7MKGL 60-69 years, female 10.2
GTEX-1F52S-2926-SM-7MKGA 60-69 years, female 10.2
GTEX-1I6K7-1926-SM-B2LXR 40-49 years, male 10.2
GTEX-1O9I2-0226-SM-EYYXD 50-59 years, male 10.2
GTEX-11VI4-1126-SM-5EQMD 40-49 years, female 10.1
GTEX-145LT-0526-SM-5LUB2 40-49 years, male 10.1
GTEX-1C64N-2626-SM-7PC2N 50-59 years, male 10.1
GTEX-1F75B-0726-SM-7PC3R 50-59 years, male 10.1
GTEX-1QP66-1226-SM-DTX7U 50-59 years, male 10.1
GTEX-ZUA1-2626-SM-5NQ92 40-49 years, male 10.0
GTEX-139TT-2126-SM-5LZWC 60-69 years, male 9.9
GTEX-18465-2826-SM-7LT9J 50-59 years, male 9.9
GTEX-YJ8O-2526-SM-5HL85 40-49 years, female 9.9
GTEX-1I1GS-2626-SM-B2LY3 60-69 years, male 9.9
GTEX-12WSH-1526-SM-5BC5W 50-59 years, male 9.8
GTEX-13W3W-0726-SM-5IJDQ 60-69 years, female 9.8
GTEX-15CHC-1126-SM-6LLHQ 60-69 years, female 9.8
GTEX-17MFQ-1526-SM-7KFRR 20-29 years, male 9.8
GTEX-ZA64-1026-SM-5HL8R 20-29 years, male 9.8
GTEX-1M4P7-0726-SM-E6CJ3 60-69 years, male 9.8
GTEX-11TT1-1826-SM-5EQLV 20-29 years, male 9.7
GTEX-12C56-1526-SM-5FQUQ 20-29 years, male 9.7
GTEX-13112-0126-SM-5P9IU 50-59 years, male 9.7
GTEX-144GO-2026-SM-5O99P 60-69 years, male 9.7
GTEX-1HR98-2226-SM-ADEI2 60-69 years, male 9.7
GTEX-1R9K4-2826-SM-DTX8F 60-69 years, male 9.7
GTEX-111CU-1126-SM-5EGIM 50-59 years, male 9.6
GTEX-11UD2-2526-SM-5CVNU 50-59 years, male 9.6
GTEX-139TU-0726-SM-5L3EK 60-69 years, male 9.6
GTEX-1CAMS-2226-SM-7PBXQ 40-49 years, female 9.6
GTEX-1HCU9-0426-SM-9WYSD 20-29 years, male 9.6
GTEX-14JG1-1526-SM-5YY9X 40-49 years, male 9.5
GTEX-15EU6-2226-SM-6EU2L 50-59 years, male 9.5
GTEX-16NPX-0726-SM-7KULC 50-59 years, male 9.5
GTEX-Y5LM-0926-SM-6LLJG 40-49 years, female 9.5
GTEX-1I1GP-1326-SM-A9G28 50-59 years, male 9.5
GTEX-1N2DV-1526-SM-DTXEP 40-49 years, male 9.5
GTEX-13OVG-1626-SM-5J1NF 60-69 years, male 9.4
GTEX-13PVR-0426-SM-5RQK2 60-69 years, female 9.4
GTEX-14PHX-2226-SM-6EU2P 50-59 years, male 9.4
GTEX-1MCC2-1826-SM-DIPEX 30-39 years, female 9.4
GTEX-13OVL-0126-SM-5L3GJ 50-59 years, male 9.3
GTEX-13QBU-1226-SM-5LU4G 40-49 years, female 9.3
GTEX-14AS3-1526-SM-5Q5ED 40-49 years, female 9.3
GTEX-1CB4E-0926-SM-7EPHT 60-69 years, male 9.3
GTEX-ZYVF-0926-SM-5E44J 50-59 years, female 9.3
GTEX-1EMGI-2326-SM-7PBYA 60-69 years, male 9.3
GTEX-1IDJF-2026-SM-CL53V 20-29 years, male 9.3
GTEX-1JN6P-2926-SM-CL54D 60-69 years, male 9.3
GTEX-1N2EE-0626-SM-E76PW 60-69 years, male 9.3
GTEX-1477Z-0326-SM-7IGLA 60-69 years, male 9.2
GTEX-Y5V5-0126-SM-5S2NW 60-69 years, female 9.2
GTEX-ZP4G-1426-SM-4WWCL 20-29 years, female 9.2
GTEX-1HFI6-0126-SM-CNPPI 40-49 years, male 9.2
GTEX-1JJ6O-2726-SM-CNPOG 60-69 years, male 9.2
GTEX-1QEPI-2626-SM-DTXF4 60-69 years, female 9.2
GTEX-11DXW-0826-SM-5H118 40-49 years, male 9.1
GTEX-1EH9U-2826-SM-7DUGT 60-69 years, male 9.1
GTEX-ZC5H-1526-SM-5HL9Y 40-49 years, female 9.1
GTEX-ZT9X-1526-SM-5DUXD 40-49 years, male 9.1
GTEX-1H3NZ-2726-SM-9WYTQ 60-69 years, male 9.1
GTEX-1HGF4-0126-SM-CNPPX 60-69 years, male 9.1
GTEX-1J8Q3-0526-SM-ARL8U 60-69 years, male 9.1
GTEX-1PPH8-0126-SM-EWRN8 20-29 years, male 9.1
GTEX-1RAZS-2526-SM-E6CHT 50-59 years, male 9.1
GTEX-111VG-1626-SM-5EGIO 60-69 years, male 9.0
GTEX-1211K-1526-SM-5FQU4 60-69 years, female 9.0
GTEX-131XG-0326-SM-5L3DX 50-59 years, female 9.0
GTEX-13NYB-0126-SM-5J1MD 40-49 years, male 9.0
GTEX-1GF9W-1426-SM-7PBYM 60-69 years, male 9.0
GTEX-1I6K6-1726-SM-CGQFD 30-39 years, male 9.0
GTEX-1QCLY-0226-SM-EWRNH 30-39 years, male 9.0
GTEX-11NUK-2726-SM-5A5MC 50-59 years, male 8.9
GTEX-13FHO-0426-SM-5L3F5 60-69 years, male 8.9
GTEX-X8HC-0626-SM-4E3HQ 50-59 years, female 8.9
GTEX-ZPCL-1126-SM-4WWFE 60-69 years, female 8.9
GTEX-ZZ64-1026-SM-5GZXG 20-29 years, male 8.9
GTEX-1GMR8-0626-SM-7RHI7 50-59 years, female 8.9
GTEX-1J8JJ-0626-SM-ARZMQ 60-69 years, female 8.9
GTEX-12ZZZ-0726-SM-5GCNZ 60-69 years, male 8.8
GTEX-145LS-0626-SM-7EPG7 60-69 years, female 8.8
GTEX-15UF6-1926-SM-7KUDV 70-79 years, female 8.8
GTEX-1C2JI-1026-SM-73KY1 50-59 years, male 8.8
GTEX-WRHU-2826-SM-3MJG8 50-59 years, female 8.8
GTEX-ZF2S-1626-SM-57WES 50-59 years, female 8.8
GTEX-1K9T9-1526-SM-DIPFR 50-59 years, female 8.8
GTEX-1LGRB-0926-SM-COH3K 50-59 years, female 8.8
GTEX-1QMI2-2526-SM-E8VNZ 60-69 years, male 8.8
GTEX-11DXY-0126-SM-5H11Q 60-69 years, male 8.7
GTEX-11ZU8-0126-SM-5EQ58 60-69 years, male 8.7
GTEX-17HII-1426-SM-7EPGG 50-59 years, male 8.7
GTEX-1B8KE-1126-SM-7EPHI 50-59 years, male 8.7
GTEX-1B933-2426-SM-7DHMD 50-59 years, female 8.7
GTEX-Y111-0626-SM-4SOIT 50-59 years, male 8.7
GTEX-ZDTT-0426-SM-4WKFL 60-69 years, male 8.7
GTEX-1AYD5-2626-SM-7PBXY 50-59 years, male 8.7
GTEX-1GPI7-1826-SM-9KNU1 20-29 years, male 8.7
GTEX-1HCU6-2526-SM-ADEHL 60-69 years, female 8.7
GTEX-1HSMP-0926-SM-A9SKX 70-79 years, male 8.7
GTEX-1KWVE-1026-SM-D3L9O 30-39 years, male 8.7
GTEX-1NSGN-0726-SM-DTXEF 50-59 years, male 8.7
GTEX-1S82U-1026-SM-E6CJK 30-39 years, female 8.7
GTEX-ZPIC-0526-SM-DO91W 40-49 years, female 8.7
GTEX-12ZZY-0726-SM-5EQ66 60-69 years, male 8.6
GTEX-15CHR-1126-SM-7EWF4 50-59 years, male 8.6
GTEX-15D1Q-2826-SM-6LLH7 40-49 years, male 8.6
GTEX-15SHW-0226-SM-7LTAT 60-69 years, male 8.6
GTEX-16XZZ-0726-SM-7KUF2 60-69 years, male 8.6
GTEX-17HG3-2626-SM-7DUF2 30-39 years, female 8.6
GTEX-1EN7A-2426-SM-793DB 40-49 years, male 8.6
GTEX-1F48J-0726-SM-7RHGS 50-59 years, female 8.6
GTEX-1HBPI-2126-SM-ARL9K 50-59 years, male 8.6
GTEX-13D11-0926-SM-5J2NC 50-59 years, female 8.5
GTEX-13FTX-1526-SM-5K7VJ 20-29 years, female 8.5
GTEX-13OW8-1026-SM-5J1NQ 60-69 years, male 8.5
GTEX-13PVQ-0626-SM-5LU47 50-59 years, male 8.5
GTEX-X4EO-2926-SM-4E3JH 60-69 years, female 8.5
GTEX-XXEK-1626-SM-4BRUZ 50-59 years, male 8.5
GTEX-1H1E6-0426-SM-9WYUS 30-39 years, male 8.5
GTEX-1JMQI-1726-SM-ARL93 50-59 years, male 8.5
GTEX-1LKK1-2626-SM-DKPQE 50-59 years, female 8.5
GTEX-11GSP-2326-SM-5HL63 60-69 years, female 8.4
GTEX-131YS-2826-SM-5EQ47 60-69 years, female 8.4
GTEX-14DAQ-0626-SM-793DS 60-69 years, female 8.4
GTEX-VUSG-2326-SM-4KL1U 50-59 years, male 8.4
GTEX-1H4P4-2126-SM-9WYSL 50-59 years, male 8.4
GTEX-1IDJU-1726-SM-CMKHU 60-69 years, female 8.4
GTEX-1PPGY-1626-SM-EVYBL 60-69 years, male 8.4
GTEX-11EQ8-0926-SM-5H12V 60-69 years, male 8.3
GTEX-11LCK-2226-SM-5HL4Q 30-39 years, male 8.3
GTEX-133LE-2326-SM-5K7W3 20-29 years, female 8.3
GTEX-14753-0726-SM-5QGQO 60-69 years, male 8.3
GTEX-14LLW-2626-SM-62LDZ 70-79 years, female 8.3
GTEX-1EKGG-0626-SM-7DUGJ 60-69 years, male 8.3
GTEX-W5X1-2526-SM-3GILC 40-49 years, female 8.3
GTEX-XK95-0226-SM-4AT58 40-49 years, male 8.3
GTEX-ZE7O-2726-SM-51MT5 50-59 years, female 8.3
GTEX-1GMRU-2126-SM-7P8RA 50-59 years, male 8.3
GTEX-1GN2E-0226-SM-9WG6K 60-69 years, male 8.3
GTEX-1I1GV-0626-SM-ARL7M 60-69 years, male 8.3
GTEX-1JMQJ-0826-SM-CNPP7 50-59 years, male 8.3
GTEX-1POEN-2326-SM-E9J2L 30-39 years, female 8.3
GTEX-111YS-1526-SM-5GZYW 60-69 years, male 8.2
GTEX-16NGA-0726-SM-731AO 40-49 years, female 8.2
GTEX-18A67-1626-SM-7LT9T 50-59 years, male 8.2
GTEX-ZTX8-1326-SM-4YCEL 20-29 years, male 8.2
GTEX-1H23P-0626-SM-9WG6T 60-69 years, male 8.2
GTEX-1I1HK-2326-SM-CKZOH 60-69 years, male 8.2
GTEX-1JMQK-1226-SM-D4P2S 60-69 years, male 8.2
GTEX-183FY-1026-SM-7939A 20-29 years, male 8.1
GTEX-WY7C-2126-SM-3NB2R 50-59 years, male 8.1
GTEX-ZF29-0926-SM-4WKFZ 60-69 years, female 8.1
GTEX-ZVT2-0126-SM-5GIDQ 50-59 years, female 8.1
GTEX-ZYFC-0426-SM-5GICQ 50-59 years, male 8.1
GTEX-1JK1U-0226-SM-ARZMX 60-69 years, male 8.1
GTEX-1KAFJ-0126-SM-DIPEK 50-59 years, male 8.1
GTEX-13X6K-0626-SM-5LU5D 60-69 years, female 8.0
GTEX-13YAN-0226-SM-5TDC6 60-69 years, male 8.0
GTEX-ZVE1-0726-SM-51MRN 50-59 years, female 8.0
GTEX-ZVZP-1226-SM-5GID7 50-59 years, male 8.0
GTEX-11EM3-1226-SM-5N9DD 20-29 years, female 7.9
GTEX-13JVG-0726-SM-5KM16 60-69 years, male 7.9
GTEX-13X6J-0626-SM-5LU5F 50-59 years, male 7.9
GTEX-17EVP-2626-SM-7IGMA 40-49 years, male 7.9
GTEX-WYBS-0626-SM-3NMAS 60-69 years, female 7.9
GTEX-ZAB4-2126-SM-5HL8U 40-49 years, male 7.9
GTEX-ZXG5-2126-SM-59HKD 60-69 years, male 7.9
GTEX-ZYT6-2326-SM-5GZY3 30-39 years, male 7.9
GTEX-1GL5R-1326-SM-7RHHF 50-59 years, male 7.9
GTEX-1I1CD-0626-SM-CE6SW 60-69 years, female 7.9
GTEX-1J8EW-2726-SM-CY8HR 60-69 years, female 7.9
GTEX-11PRG-0726-SM-5EGL1 50-59 years, male 7.8
GTEX-13G51-1826-SM-5KLZH 60-69 years, male 7.8
GTEX-ZWKS-0626-SM-5GIDV 30-39 years, male 7.8
GTEX-1IDJH-0126-SM-D3L92 70-79 years, male 7.8
GTEX-1KD5A-0126-SM-E9U54 50-59 years, male 7.8
GTEX-12696-0126-SM-5EQ4L 60-69 years, male 7.7
GTEX-13VXT-1926-SM-5K7UO 20-29 years, female 7.7
GTEX-145LU-1926-SM-79OJN 50-59 years, male 7.7
GTEX-14PJN-1826-SM-6AJ98 30-39 years, male 7.7
GTEX-18A6Q-0626-SM-7KFRP 60-69 years, male 7.7
GTEX-1B8SF-0126-SM-7DUG3 60-69 years, male 7.7
GTEX-XAJ8-1426-SM-47JYM 40-49 years, male 7.7
GTEX-1H3VE-0726-SM-9YFL5 40-49 years, male 7.7
GTEX-1I1GT-1026-SM-ARZLV 60-69 years, female 7.7
GTEX-1MCYP-0526-SM-E9U6Q 20-29 years, female 7.7
GTEX-147GR-2426-SM-5ZZWQ 60-69 years, male 7.6
GTEX-15EO6-2426-SM-6PALZ 50-59 years, male 7.6
GTEX-15RJE-2826-SM-7KUM9 40-49 years, male 7.6
GTEX-1IKOE-1426-SM-CE6T7 30-39 years, female 7.6
GTEX-1LB8K-0726-SM-D5OV2 50-59 years, male 7.6
GTEX-1QPFJ-1926-SM-EVYBD 30-39 years, female 7.6
GTEX-145MF-0926-SM-5Q5EA 50-59 years, male 7.5
GTEX-15DDE-2926-SM-6LLJ3 50-59 years, female 7.5
GTEX-1H11D-1826-SM-9QEHM 40-49 years, male 7.5
GTEX-1H1DE-1326-SM-9KNUG 20-29 years, male 7.5
GTEX-1JMPY-0226-SM-CKZOK 30-39 years, male 7.5
GTEX-1R7EU-1626-SM-DTXG3 60-69 years, male 7.5
GTEX-1R9PM-1926-SM-EVR3O 20-29 years, male 7.5
GTEX-1R9PN-0426-SM-DTXDT 40-49 years, female 7.5
GTEX-12WSD-0626-SM-5GCMW 60-69 years, female 7.4
GTEX-ZVE2-2826-SM-5GU51 50-59 years, male 7.4
GTEX-ZLV1-1526-SM-DO91J 60-69 years, female 7.4
GTEX-14A5H-0826-SM-5QGPJ 60-69 years, male 7.3
GTEX-14LZ3-0126-SM-69LPM 60-69 years, female 7.3
GTEX-183WM-0326-SM-72D5V 70-79 years, female 7.3
GTEX-1AMEY-0826-SM-72D65 30-39 years, female 7.3
GTEX-Y9LG-1126-SM-4VBQ7 30-39 years, male 7.3
GTEX-YECK-0326-SM-4W1YS 60-69 years, male 7.3
GTEX-1122O-1026-SM-9WYSF 60-69 years, female 7.3
GTEX-1H1DG-2426-SM-9QEHJ 70-79 years, male 7.3
GTEX-1LSVX-2526-SM-DIPEU 60-69 years, male 7.3
GTEX-11DXX-2126-SM-5PNYR 60-69 years, female 7.2
GTEX-13OW7-0426-SM-5K7VK 50-59 years, male 7.2
GTEX-1B932-2326-SM-79OL5 40-49 years, female 7.2
GTEX-1F88F-0126-SM-9WYSZ 60-69 years, female 7.2
GTEX-1HBPN-0126-SM-CGQEF 50-59 years, male 7.2
GTEX-1KANB-2826-SM-CY8I6 50-59 years, male 7.2
GTEX-1NV5F-0626-SM-DTXEG 60-69 years, female 7.2
GTEX-14PJ3-1126-SM-5ZZVX 50-59 years, male 7.1
GTEX-1CAMQ-1326-SM-7P8RV 40-49 years, male 7.1
GTEX-1GF9V-0826-SM-9KNUV 60-69 years, male 7.1
GTEX-1HSKV-1226-SM-ADEI4 60-69 years, male 7.1
GTEX-1JKYR-0626-SM-ARL8R 20-29 years, male 7.1
GTEX-1314G-1326-SM-5BC6E 30-39 years, male 7.0
GTEX-145MH-2826-SM-5RQJF 50-59 years, male 7.0
GTEX-17HHY-0426-SM-7DHLC 50-59 years, male 7.0
GTEX-WK11-2726-SM-3NMAQ 50-59 years, male 7.0
GTEX-ZAJG-1526-SM-5CVML 50-59 years, female 7.0
GTEX-1HSMO-0626-SM-ACKXC 60-69 years, male 7.0
GTEX-1K2DU-1226-SM-CYPT4 20-29 years, male 7.0
GTEX-13FTY-2126-SM-5IFFB 40-49 years, female 6.9
GTEX-145MO-2826-SM-5LU96 60-69 years, male 6.9
GTEX-14B4R-1326-SM-5Q5EZ 30-39 years, male 6.9
GTEX-XBED-1926-SM-47JYP 60-69 years, male 6.9
GTEX-1H3O1-1326-SM-9MQLD 60-69 years, male 6.9
GTEX-1QP28-1126-SM-EVYC4 50-59 years, female 6.9
GTEX-1399U-1126-SM-5L3DB 50-59 years, female 6.8
GTEX-13VXU-0626-SM-5L3F9 50-59 years, male 6.8
GTEX-1GN1U-0626-SM-9MQL9 50-59 years, female 6.8
GTEX-1JJEA-1826-SM-ARU8P 60-69 years, male 6.8
GTEX-147JS-0226-SM-5S2U9 60-69 years, male 6.7
GTEX-1AX9I-2226-SM-73KUO 60-69 years, male 6.7
GTEX-1BAJH-2426-SM-7IGP8 70-79 years, male 6.7
GTEX-WHSE-0126-SM-3NMBT 20-29 years, male 6.7
GTEX-1GN1W-2426-SM-9KNUU 50-59 years, female 6.7
GTEX-11TUW-0626-SM-5LU9M 60-69 years, male 6.6
GTEX-1B8KZ-0326-SM-73KY4 50-59 years, male 6.6
GTEX-14BIN-1126-SM-5RQJZ 50-59 years, female 6.5
GTEX-1HCVE-2726-SM-CL54F 50-59 years, male 6.5
GTEX-1JMPZ-0726-SM-CY8HZ 30-39 years, male 6.5
GTEX-1S5ZU-2526-SM-E6CIF 20-29 years, female 6.5
GTEX-13N1W-2426-SM-5IJD1 70-79 years, male 6.4
GTEX-178AV-1726-SM-7KUL8 40-49 years, male 6.4
GTEX-1HB9E-0126-SM-CM2S5 50-59 years, male 6.4
GTEX-1IDFM-0326-SM-ARL7V 60-69 years, male 6.4
GTEX-1IL2V-1926-SM-B2LW8 70-79 years, male 6.4
GTEX-1LSNL-2726-SM-E9TKJ 50-59 years, male 6.4
GTEX-12WSC-2826-SM-5BC5Y 50-59 years, male 6.3
GTEX-15G19-2426-SM-7KUMR 60-69 years, male 6.3
GTEX-16MT9-0126-SM-7EPI8 60-69 years, female 6.3
GTEX-1A3MW-0626-SM-731CB 60-69 years, female 6.3
GTEX-WHSB-1326-SM-3LK6W 50-59 years, male 6.3
GTEX-1A8FM-0626-SM-7PC25 50-59 years, female 6.3
GTEX-1IOXB-2726-SM-CM2RI 50-59 years, male 6.3
GTEX-1JN76-0626-SM-CKZOQ 20-29 years, female 6.3
GTEX-1KXAM-1626-SM-D3LAD 60-69 years, male 6.3
GTEX-12KS4-2126-SM-5FQUT 30-39 years, male 6.2
GTEX-1399S-0126-SM-5IJCF 30-39 years, female 6.2
GTEX-13O3Q-0126-SM-5KM34 50-59 years, male 6.2
GTEX-14C5O-0326-SM-5ZZUX 60-69 years, male 6.2
GTEX-14PJ6-2626-SM-6EU2T 60-69 years, female 6.2
GTEX-15ER7-0626-SM-6PANF 20-29 years, female 6.2
GTEX-1GZHY-0626-SM-9KNVC 50-59 years, female 6.2
GTEX-1JMQL-2226-SM-CNPP4 50-59 years, female 6.2
GTEX-1QP2A-1726-SM-E76QC 50-59 years, male 6.2
GTEX-11GS4-0226-SM-5HL77 60-69 years, male 6.1
GTEX-11ZUS-2626-SM-5FQUR 30-39 years, male 6.1
GTEX-13QJC-0126-SM-5ZZWJ 60-69 years, female 6.1
GTEX-1A8G6-2726-SM-731AR 60-69 years, male 6.1
GTEX-XMD2-2126-SM-4YCF8 60-69 years, female 6.1
GTEX-13FLV-0126-SM-5K7WT 50-59 years, male 6.0
GTEX-13OVH-0526-SM-5L3E6 70-79 years, male 6.0
GTEX-13OW6-2726-SM-5J2OE 50-59 years, male 6.0
GTEX-13RTJ-0126-SM-5S2NN 60-69 years, male 6.0
GTEX-14JFF-0626-SM-5ZZVT 60-69 years, male 6.0
GTEX-1GPI6-1926-SM-9KNV7 60-69 years, male 6.0
GTEX-1HSGN-0826-SM-ACKW3 40-49 years, female 6.0
GTEX-1399Q-2326-SM-5KM2X 40-49 years, male 5.9
GTEX-13PDP-0726-SM-5L3HP 60-69 years, male 5.9
GTEX-14PII-0726-SM-6EU2B 60-69 years, male 5.9
GTEX-14PKU-0126-SM-6LLHV 40-49 years, female 5.9
GTEX-ZYFD-0626-SM-5E44E 50-59 years, male 5.9
GTEX-1IKJJ-2226-SM-CJI4C 60-69 years, male 5.9
GTEX-1LVAM-0726-SM-E6CIL 50-59 years, female 5.9
GTEX-1PDJ9-1226-SM-EXUSX 20-29 years, male 5.9
GTEX-1PPH7-1126-SM-DTX9A 40-49 years, male 5.9
GTEX-14PJ4-0226-SM-5YY92 60-69 years, male 5.8
GTEX-V1D1-2026-SM-3GAF4 50-59 years, male 5.8
GTEX-1GZ4I-2626-SM-9KNU3 50-59 years, male 5.8
GTEX-1QAET-0326-SM-EVR3U 50-59 years, male 5.8
GTEX-12WSM-1926-SM-5BC65 60-69 years, male 5.7
GTEX-144FL-0626-SM-5LU43 50-59 years, male 5.7
GTEX-144GM-0526-SM-79OJO 20-29 years, male 5.7
GTEX-ZY6K-1426-SM-5GZX2 50-59 years, male 5.7
GTEX-1A3MX-2626-SM-7PC24 60-69 years, male 5.7
GTEX-1HBPM-0726-SM-9YFL7 60-69 years, female 5.7
GTEX-1IDJV-0126-SM-COH3Y 60-69 years, male 5.7
GTEX-1J8QM-2426-SM-A9SLS 60-69 years, female 5.7
GTEX-1JN1M-2726-SM-CY8I4 60-69 years, female 5.7
GTEX-1PBJJ-1026-SM-E76OS 30-39 years, male 5.7
GTEX-15G1A-1626-SM-7KUKN 30-39 years, male 5.6
GTEX-17F9Y-0126-SM-79OKX 70-79 years, female 5.6
GTEX-17KNJ-2126-SM-718AM 50-59 years, male 5.6
GTEX-1AMFI-1326-SM-7939R 50-59 years, female 5.6
GTEX-1GN1V-2826-SM-9JGIA 60-69 years, male 5.6
GTEX-12ZZX-2426-SM-5GCOE 40-49 years, female 5.5
GTEX-1F5PK-2226-SM-7SB6N 50-59 years, male 5.5
GTEX-1HCU7-0726-SM-A9SL1 50-59 years, male 5.5
GTEX-1S83E-1326-SM-E6CJM 40-49 years, male 5.5
GTEX-148VJ-0626-SM-5LUAW 70-79 years, male 5.4
GTEX-U8XE-0226-SM-4E3J3 30-39 years, male 5.4
GTEX-VJYA-1526-SM-3GIJV 60-69 years, male 5.4
GTEX-1GF9X-1326-SM-7PC2Y 40-49 years, female 5.4
GTEX-1IE54-1126-SM-A9G2Z 40-49 years, female 5.4
GTEX-1LG7Y-2526-SM-EWRO7 50-59 years, male 5.4
GTEX-1EX96-1026-SM-7MKG2 50-59 years, male 5.3
GTEX-ZE9C-2526-SM-5IJDR 60-69 years, male 5.3
GTEX-1F5PL-0926-SM-7PC2W 40-49 years, female 5.3
GTEX-13NZ8-1226-SM-5KM4A 60-69 years, female 5.2
GTEX-13PL6-1126-SM-5L3IE 40-49 years, female 5.2
GTEX-1HT8W-0626-SM-A9G2H 30-39 years, male 5.2
GTEX-1J8Q2-2626-SM-ACKWQ 60-69 years, male 5.2
GTEX-1OJC4-2726-SM-E76PJ 50-59 years, female 5.2
GTEX-1GN73-0726-SM-7P8TJ 60-69 years, male 5.1
GTEX-1313W-0626-SM-5EQ4H 50-59 years, female 5.0
GTEX-14C39-1726-SM-5RQIL 40-49 years, male 5.0
GTEX-139UW-0326-SM-5J1ML 60-69 years, male 4.9
GTEX-1C6VQ-1226-SM-73KYD 50-59 years, male 4.9
GTEX-1269C-0126-SM-5EQ5L 60-69 years, female 4.8
GTEX-14A6H-2026-SM-5Q5DD 30-39 years, male 4.8
GTEX-1C6VR-0126-SM-7RHGB 60-69 years, male 4.8
GTEX-1GMR3-0126-SM-A9SLW 40-49 years, male 4.8
GTEX-1EU9M-1426-SM-793AI 60-69 years, male 4.7
GTEX-ZTTD-2826-SM-4YCFA 50-59 years, male 4.7
GTEX-13O3O-2326-SM-5IJD6 60-69 years, female 4.6
GTEX-13SLW-0626-SM-5Q5ER 70-79 years, male 4.6
GTEX-14BMV-2826-SM-5TDED 50-59 years, male 4.6
GTEX-1ICLY-0826-SM-CMKG1 50-59 years, male 4.5
GTEX-1J1OQ-0126-SM-D4P2N 40-49 years, female 4.5
GTEX-ZVT4-2426-SM-5GIEI 50-59 years, female 4.4
GTEX-ZYY3-2926-SM-5GIEB 60-69 years, female 4.4
GTEX-1H1DF-1126-SM-9WG7G 40-49 years, female 4.4
GTEX-11WQK-1026-SM-5EQLX 50-59 years, male 4.3
GTEX-14XAO-1226-SM-6EU1C 60-69 years, female 4.3
GTEX-1A8G7-1326-SM-73KVM 60-69 years, male 4.2
GTEX-1CB4J-1326-SM-7P8RX 60-69 years, male 4.2
GTEX-1R46S-2426-SM-E76QA 60-69 years, female 4.1
GTEX-1B8L1-2226-SM-7P8PT 60-69 years, male 3.9
GTEX-15SKB-2826-SM-6PAMH 60-69 years, male 3.8
GTEX-1F88E-1626-SM-7SB8Z 60-69 years, female 3.8
GTEX-145MI-0626-SM-5SI8S 60-69 years, female 3.7
GTEX-1HR9M-2226-SM-CNPPY 60-69 years, male 3.7
GTEX-1I1GU-0926-SM-ACKVS 40-49 years, male 3.7
GTEX-13NYC-0126-SM-5L3F4 60-69 years, male 3.5
GTEX-1F6RS-2026-SM-7RHHC 60-69 years, female 3.4
GTEX-144GL-0626-SM-5LU4D 50-59 years, male 2.9
GTEX-14C38-0726-SM-5SI6M 50-59 years, male 2.3
Show allShow less
Skin - Sun Exposed (Lower leg)
Average nTPM: 14.5
Samples: 701

Max nTPM: 102.2
Min nTPM: 3.3
Std nTPM: 6.6
Median nTPM: 13.3
GTEX-SE5C-1626-SM-2XCE3 40-49 years, female 102.2
GTEX-ZF28-0126-SM-4WKGK 60-69 years, male 43.4
GTEX-15SB6-1726-SM-6PAME 50-59 years, female 43.2
GTEX-1RAZQ-0726-SM-EAZ43 30-39 years, male 39.5
GTEX-1AYCT-2426-SM-7IGQ3 50-59 years, male 39.0
GTEX-P4PQ-0126-SM-2S1NM 60-69 years, male 36.8
GTEX-1QP67-1626-SM-EAZ3X 40-49 years, female 36.2
GTEX-ZZPT-0226-SM-5E43X 50-59 years, male 35.2
GTEX-X5EB-2226-SM-46MW4 40-49 years, male 33.9
GTEX-11UD1-0126-SM-5PNYG 40-49 years, female 33.1
GTEX-PLZ4-0126-SM-5SI8O 50-59 years, female 33.0
GTEX-146FR-1326-SM-E9J48 60-69 years, female 32.9
GTEX-1H2FU-0126-SM-9WYSI 60-69 years, female 32.4
GTEX-1OJC4-0126-SM-E9J2E 50-59 years, female 32.0
GTEX-16MT8-0426-SM-7KUEY 60-69 years, female 31.1
GTEX-1I1GS-0126-SM-B2LVW 60-69 years, male 30.9
GTEX-O5YW-0126-SM-3LK6D 50-59 years, male 30.4
GTEX-ZAB4-0226-SM-5N9F5 40-49 years, male 29.5
GTEX-11GSP-2526-SM-5N9BP 60-69 years, female 29.0
GTEX-X585-0226-SM-4QAS2 50-59 years, male 28.9
GTEX-1HBPM-0226-SM-ARL9F 60-69 years, female 28.9
GTEX-RTLS-0126-SM-447CA 60-69 years, female 28.3
GTEX-OXRL-0126-SM-2YUMP 50-59 years, male 28.0
GTEX-P4PP-0126-SM-3LK69 30-39 years, female 27.7
GTEX-R45C-0126-SM-EAZ2R 60-69 years, female 27.7
GTEX-17EVQ-0226-SM-7LG4P 70-79 years, male 27.6
GTEX-QCQG-1726-SM-3GIJ9 50-59 years, female 26.9
GTEX-139T8-0126-SM-5K7XZ 60-69 years, male 26.7
GTEX-1AYD5-2426-SM-73KXR 50-59 years, male 26.5
GTEX-X4EP-0126-SM-3P5YV 60-69 years, female 26.4
GTEX-U8T8-0126-SM-3DB94 60-69 years, male 26.2
GTEX-Y3IK-2426-SM-4WWDU 50-59 years, female 26.1
GTEX-131XG-2626-SM-5KM17 50-59 years, female 26.0
GTEX-QDT8-0126-SM-48TZ1 30-39 years, female 25.9
GTEX-1A32A-0126-SM-718B1 50-59 years, female 25.8
GTEX-WH7G-2326-SM-3NMBC 40-49 years, male 25.7
GTEX-1RAZA-0126-SM-E6CI3 20-29 years, male 25.3
GTEX-Y3I4-2126-SM-4TT7C 50-59 years, male 25.2
GTEX-13O21-1426-SM-5K7XI 50-59 years, male 25.1
GTEX-12WSG-2826-SM-E9J4H 50-59 years, female 24.9
GTEX-145LV-2126-SM-5LU8N 50-59 years, male 24.6
GTEX-1399U-2326-SM-5K7WY 50-59 years, female 24.5
GTEX-13OW7-0126-SM-5MR3B 50-59 years, male 24.4
GTEX-14JIY-0126-SM-6LLH6 60-69 years, male 24.2
GTEX-1LNCM-1126-SM-E9U5E 50-59 years, female 24.2
GTEX-17HII-0226-SM-7LG4E 50-59 years, male 24.0
GTEX-1HSMP-0126-SM-E6CJS 70-79 years, male 24.0
GTEX-11P7K-2126-SM-5GU7G 30-39 years, male 23.7
GTEX-17F97-0326-SM-7LG5B 50-59 years, male 23.6
GTEX-113IC-0126-SM-5HL6T 60-69 years, male 23.2
GTEX-146FQ-0126-SM-5NQA9 30-39 years, male 23.1
GTEX-Y8LW-1826-SM-5S2MV 50-59 years, female 23.1
GTEX-1CAV2-2226-SM-7P8P2 40-49 years, female 23.0
GTEX-11TTK-0126-SM-5987B 60-69 years, female 22.9
GTEX-117YW-2626-SM-5GZZH 50-59 years, male 22.8
GTEX-1192X-0226-SM-5H12D 50-59 years, male 22.8
GTEX-1ICG6-2526-SM-CGQFZ 70-79 years, female 22.7
GTEX-1QW4Y-1526-SM-EAZ3Z 30-39 years, male 22.7
GTEX-13NZ8-0826-SM-5MR3I 60-69 years, female 22.6
GTEX-13OVG-1926-SM-5L3DK 60-69 years, male 22.6
GTEX-13OVI-1426-SM-5L3EY 60-69 years, female 22.6
GTEX-TMZS-0126-SM-3DB9Q 60-69 years, male 22.6
GTEX-1HUB1-0426-SM-E9U4U 60-69 years, male 22.5
GTEX-139T4-0226-SM-5HL5S 50-59 years, female 22.4
GTEX-147F4-0226-SM-5QGPW 50-59 years, male 22.4
GTEX-1GN1W-0526-SM-9MQJQ 50-59 years, female 22.3
GTEX-Q734-1926-SM-2I5EV 40-49 years, female 22.2
GTEX-1PWST-0226-SM-E76QJ 70-79 years, male 22.0
GTEX-1R9PO-2126-SM-E9J4O 60-69 years, female 21.9
GTEX-XYKS-2126-SM-4E3IB 60-69 years, female 21.7
GTEX-17MF6-0126-SM-7LG4F 40-49 years, male 21.4
GTEX-XV7Q-2526-SM-4BRV9 40-49 years, female 21.4
GTEX-1I1CD-0126-SM-CM2TK 60-69 years, female 21.4
GTEX-1MCQQ-0826-SM-DLHC2 60-69 years, male 21.3
GTEX-QVJO-1626-SM-2S1QW 60-69 years, female 21.2
GTEX-1JMLX-0226-SM-CM2RO 50-59 years, male 21.2
GTEX-139D8-0226-SM-5KLZO 30-39 years, female 21.1
GTEX-OHPM-0126-SM-2YUN9 50-59 years, male 21.1
GTEX-ZYY3-0126-SM-5GZY5 60-69 years, female 21.1
GTEX-1H1ZS-0426-SM-9WG6G 70-79 years, male 21.1
GTEX-12WSD-0126-SM-59HKN 60-69 years, female 21.0
GTEX-13IVO-0126-SM-5J1NG 70-79 years, male 21.0
GTEX-15SDE-2226-SM-7IGLO 50-59 years, female 21.0
GTEX-12WSJ-1826-SM-5GCNY 40-49 years, female 20.9
GTEX-X638-0126-SM-47JZ8 70-79 years, female 20.9
GTEX-X4XX-0126-SM-3NMC2 60-69 years, male 20.8
GTEX-1MCYP-1926-SM-E9J2R 20-29 years, female 20.7
GTEX-17F98-0626-SM-79OMX 40-49 years, female 20.6
GTEX-14A6H-0126-SM-5QGPK 30-39 years, male 20.5
GTEX-11ZUS-0626-SM-59885 30-39 years, male 20.4
GTEX-ZDTS-0126-SM-4WAY5 60-69 years, male 20.3
GTEX-1H3NZ-0126-SM-ACKX7 60-69 years, male 20.3
GTEX-SIU8-0126-SM-2XCDT 50-59 years, male 20.2
GTEX-1HGF4-2426-SM-ACKXM 60-69 years, male 20.2
GTEX-WXYG-2326-SM-4E3I6 50-59 years, female 20.1
GTEX-18QFQ-0126-SM-731BE 30-39 years, male 20.0
GTEX-OXRK-0226-SM-3NB2G 50-59 years, female 19.9
GTEX-Q2AI-1326-SM-2S1PL 40-49 years, male 19.9
GTEX-ZVT2-2526-SM-51MT1 50-59 years, female 19.9
GTEX-1GTWX-0126-SM-9YFLK 60-69 years, male 19.9
GTEX-144GN-2326-SM-5LU4F 50-59 years, male 19.8
GTEX-U3ZM-1526-SM-3DB9D 40-49 years, male 19.8
GTEX-Y114-2426-SM-4TT8A 50-59 years, female 19.8
GTEX-1QCLY-0326-SM-E8VOG 30-39 years, male 19.8
GTEX-1S82Y-2026-SM-EVYCM 40-49 years, male 19.8
GTEX-RNOR-0126-SM-E9J4R 50-59 years, female 19.8
GTEX-14E6C-0126-SM-5RQIP 40-49 years, male 19.6
GTEX-17HHE-2026-SM-79OKF 50-59 years, male 19.6
GTEX-S33H-1026-SM-EZ6L6 30-39 years, male 19.6
GTEX-1H3O1-0426-SM-9YFKY 60-69 years, male 19.5
GTEX-ZF29-2326-SM-DO92K 60-69 years, female 19.5
GTEX-NPJ8-0126-SM-2YUNR 40-49 years, male 19.4
GTEX-QV44-1926-SM-2S1RF 50-59 years, male 19.4
GTEX-169BO-1326-SM-9MQK2 50-59 years, male 19.4
GTEX-1MGNQ-0126-SM-EVYCJ 40-49 years, male 19.4
GTEX-18D9B-0526-SM-7LTAS 60-69 years, male 19.2
GTEX-QEG4-0226-SM-2S1PY 30-39 years, male 19.2
GTEX-WQUQ-0426-SM-3MJFU 60-69 years, male 19.2
GTEX-OOBJ-0126-SM-E6CJW 60-69 years, male 19.2
GTEX-15SHU-0126-SM-7KUEH 40-49 years, female 19.1
GTEX-12WSK-2326-SM-5GCOH 40-49 years, female 19.0
GTEX-1HSMO-0126-SM-CL547 60-69 years, male 19.0
GTEX-1HSEH-0126-SM-ACKXN 60-69 years, male 18.9
GTEX-RU72-0926-SM-2TF6B 50-59 years, female 18.8
GTEX-1F75A-0126-SM-7RHGM 50-59 years, male 18.8
GTEX-18A7B-0126-SM-7LG64 70-79 years, male 18.7
GTEX-1I1HK-0126-SM-COH49 60-69 years, male 18.7
GTEX-1ICLZ-0126-SM-CKZPO 60-69 years, male 18.7
GTEX-X62O-0126-SM-4E3JN 50-59 years, male 18.6
GTEX-S7PM-0126-SM-4AD6S 60-69 years, male 18.5
GTEX-YEC4-2126-SM-5IFJH 40-49 years, male 18.5
GTEX-PWCY-1826-SM-DHXIZ 20-29 years, female 18.5
GTEX-145MO-0326-SM-5Q5B3 60-69 years, male 18.4
GTEX-1AMEY-1326-SM-73KYK 30-39 years, female 18.4
GTEX-ZGAY-0526-SM-4WWBB 40-49 years, female 18.4
GTEX-Z93T-0126-SM-5HL5N 50-59 years, male 18.3
GTEX-1HBPH-0426-SM-B2LW5 40-49 years, female 18.3
GTEX-R55G-2526-SM-2TC6D 40-49 years, female 18.2
GTEX-1GPI6-0126-SM-9WG69 60-69 years, male 18.2
GTEX-111VG-2426-SM-5GZXD 60-69 years, male 18.1
GTEX-13QJ3-0326-SM-5S2RA 50-59 years, male 18.1
GTEX-145LT-1726-SM-5QGP3 40-49 years, male 18.1
GTEX-1N2DV-0226-SM-E6CJ6 40-49 years, male 18.1
GTEX-12126-0326-SM-5PNW3 20-29 years, male 18.0
GTEX-13PVR-2326-SM-5QGR1 60-69 years, female 18.0
GTEX-1LBAC-0126-SM-DIPEZ 20-29 years, male 17.9
GTEX-1NV5F-0226-SM-E8VNY 60-69 years, female 17.9
GTEX-11GSO-2426-SM-5A5LY 60-69 years, male 17.8
GTEX-13PDP-0126-SM-5L3HD 60-69 years, male 17.8
GTEX-1C4CL-0526-SM-73KVK 30-39 years, male 17.8
GTEX-ZE9C-2726-SM-57WB5 60-69 years, male 17.8
GTEX-1F6IF-0726-SM-7P8TW 60-69 years, male 17.8
GTEX-11OC5-0126-SM-5HL6A 60-69 years, male 17.7
GTEX-13N1W-0126-SM-5K7VT 70-79 years, male 17.7
GTEX-11EMC-2926-SM-5EQ4F 60-69 years, female 17.6
GTEX-X88G-0126-SM-47JZ3 30-39 years, male 17.6
GTEX-1MUQO-0126-SM-EAZ58 60-69 years, male 17.6
GTEX-15CHC-2126-SM-6EU21 60-69 years, female 17.5
GTEX-18A67-0126-SM-7LG5P 50-59 years, male 17.4
GTEX-NFK9-0226-SM-2HMKQ 40-49 years, male 17.4
GTEX-OIZG-0726-SM-33HBL 50-59 years, male 17.4
GTEX-R55E-0126-SM-2TC5Y 20-29 years, male 17.4
GTEX-X8HC-0126-SM-4E3JW 50-59 years, female 17.3
GTEX-13RTL-0126-SM-7LG5S 40-49 years, male 17.2
GTEX-XUZC-1726-SM-4BRWS 30-39 years, female 17.2
GTEX-1F75I-0326-SM-9YFLU 40-49 years, male 17.2
GTEX-1J8EW-0126-SM-CJI4F 60-69 years, female 17.2
GTEX-11GS4-2726-SM-5A5LE 60-69 years, male 17.1
GTEX-14PK6-1926-SM-6ETZU 70-79 years, female 17.1
GTEX-V1D1-2226-SM-3NMAX 50-59 years, male 17.1
GTEX-XQ8I-0426-SM-4BOPO 50-59 years, male 17.1
GTEX-ZEX8-2426-SM-4WKG4 50-59 years, male 17.1
GTEX-1IDFM-0126-SM-COH2V 60-69 years, male 17.1
GTEX-UPJH-0326-SM-3GADU 50-59 years, male 17.0
GTEX-ZTPG-0326-SM-5O9AX 20-29 years, female 17.0
GTEX-1H3VY-0126-SM-ACKXD 50-59 years, male 17.0
GTEX-1RLM8-2326-SM-EWRN4 50-59 years, male 17.0
GTEX-11DZ1-0126-SM-5985Q 50-59 years, male 16.9
GTEX-13FHO-0226-SM-5IFGY 60-69 years, male 16.9
GTEX-ZYW4-0126-SM-5E44A 60-69 years, male 16.9
GTEX-1GN1U-0126-SM-7PBZK 50-59 years, female 16.9
GTEX-1I19N-0326-SM-ACKVX 70-79 years, male 16.9
GTEX-1JMPY-1326-SM-ARL8Y 30-39 years, male 16.9
GTEX-11DXX-2426-SM-5GZZW 60-69 years, female 16.8
GTEX-11P82-1626-SM-59879 20-29 years, male 16.8
GTEX-13OVJ-0126-SM-5KM36 50-59 years, female 16.8
GTEX-13X6H-2126-SM-7EWD5 50-59 years, female 16.8
GTEX-145MN-2226-SM-5SIAU 30-39 years, male 16.8
GTEX-14753-0426-SM-5NQAM 60-69 years, male 16.8
GTEX-XUW1-0426-SM-4BOOT 50-59 years, female 16.8
GTEX-1F6I4-0126-SM-9MQL2 60-69 years, male 16.8
GTEX-1GN1V-0126-SM-9WPOS 60-69 years, male 16.8
GTEX-1HKZK-0326-SM-9WYUH 40-49 years, male 16.8
GTEX-1PBJI-0526-SM-E8VNK 20-29 years, female 16.8
GTEX-1RQEC-0426-SM-E6CHU 60-69 years, male 16.8
GTEX-S95S-1226-SM-4GICG 60-69 years, male 16.7
GTEX-1C6VQ-0126-SM-7P8RI 50-59 years, male 16.7
GTEX-11ZTS-0126-SM-5EQ6M 60-69 years, female 16.6
GTEX-U412-0426-SM-3DB9O 60-69 years, male 16.6
GTEX-XAJ8-0826-SM-47JY6 40-49 years, male 16.6
GTEX-ZE7O-0126-SM-57WC1 50-59 years, female 16.5
GTEX-13O3O-0126-SM-E9J49 60-69 years, female 16.5
GTEX-1IKK5-0626-SM-ARL8A 60-69 years, male 16.5
GTEX-1JN1M-0326-SM-CYPT3 60-69 years, female 16.5
GTEX-W5X1-3026-SM-EAZAX 40-49 years, female 16.5
GTEX-16YQH-0126-SM-7DUFJ 30-39 years, male 16.4
GTEX-RWS6-2026-SM-2XCB5 60-69 years, female 16.4
GTEX-WYVS-2126-SM-3NMA3 40-49 years, female 16.4
GTEX-1QP29-0626-SM-EWRMX 50-59 years, male 16.4
GTEX-13SLW-0126-SM-5SI6C 70-79 years, male 16.3
GTEX-U3ZN-2326-SM-3DB7W 30-39 years, female 16.3
GTEX-1IY9M-0126-SM-D3L8S 60-69 years, male 16.3
GTEX-1314G-1526-SM-5EGK2 30-39 years, male 16.2
GTEX-13W46-0226-SM-5SIAG 50-59 years, male 16.2
GTEX-14PHW-0126-SM-6LLJI 60-69 years, female 16.2
GTEX-QLQW-1126-SM-2S1Q8 30-39 years, male 16.2
GTEX-X4EO-0326-SM-3P5YO 60-69 years, female 16.2
GTEX-15DYW-0126-SM-7KULE 60-69 years, female 16.1
GTEX-ZDXO-3026-SM-5J1N5 60-69 years, male 16.1
GTEX-ZUA1-0126-SM-5GU76 40-49 years, male 16.1
GTEX-1HFI6-0226-SM-ADEHZ 40-49 years, male 16.1
GTEX-13VXT-0126-SM-5LU4I 20-29 years, female 16.0
GTEX-13VXU-0126-SM-5SI9F 50-59 years, male 16.0
GTEX-YB5K-2126-SM-4WWDJ 40-49 years, female 16.0
GTEX-ZVE2-0226-SM-59HJB 50-59 years, male 16.0
GTEX-1KD5A-0226-SM-D5OV3 50-59 years, male 16.0
GTEX-ZPIC-1726-SM-DHXIU 40-49 years, female 16.0
GTEX-14BIM-0226-SM-7IGLD 60-69 years, female 15.9
GTEX-15UF6-0826-SM-6PALJ 70-79 years, female 15.9
GTEX-1H3VE-0326-SM-9YFLH 40-49 years, male 15.9
GTEX-13N11-2526-SM-5K7UE 50-59 years, female 15.8
GTEX-17HGU-0226-SM-7DHKV 50-59 years, male 15.8
GTEX-18A7A-0226-SM-718BH 50-59 years, female 15.8
GTEX-WZTO-0126-SM-3NM95 40-49 years, male 15.8
GTEX-1GPI7-0126-SM-9MQL8 20-29 years, male 15.8
GTEX-PW2O-1526-SM-7RHHB 20-29 years, male 15.8
GTEX-PLZ5-2026-SM-2S1O4 50-59 years, male 15.7
GTEX-1F48J-0126-SM-7P8TT 50-59 years, female 15.7
GTEX-ZC5H-0226-SM-4WAY9 40-49 years, female 15.6
GTEX-131XF-5016-SM-7MGWE 60-69 years, male 15.6
GTEX-1B933-0126-SM-7PC29 50-59 years, female 15.6
GTEX-SN8G-0126-SM-32PLI 50-59 years, female 15.5
GTEX-1J1R8-1726-SM-ARL8M 40-49 years, male 15.5
GTEX-1PIGE-0126-SM-EVYBJ 20-29 years, male 15.5
GTEX-139TU-0126-SM-5K7WH 60-69 years, male 15.4
GTEX-13OVL-0226-SM-5L3E9 50-59 years, male 15.4
GTEX-18A6Q-0126-SM-731BZ 60-69 years, male 15.4
GTEX-W5WG-1826-SM-4KL2Y 50-59 years, female 15.4
GTEX-14ICK-0226-SM-6EU25 40-49 years, male 15.3
GTEX-ZQUD-1426-SM-57WER 30-39 years, male 15.3
GTEX-1B8L1-2526-SM-9WYTF 60-69 years, male 15.3
GTEX-1269C-2526-SM-5EGJ3 60-69 years, female 15.2
GTEX-13FTX-1826-SM-5J1NX 20-29 years, female 15.2
GTEX-18D9U-0226-SM-718BP 40-49 years, male 15.2
GTEX-U4B1-1826-SM-4DXSU 40-49 years, male 15.2
GTEX-1F75B-0126-SM-9KNVL 50-59 years, male 15.2
GTEX-1PPH7-2326-SM-EVYB8 40-49 years, male 15.2
GTEX-T6MO-1626-SM-32QOM 40-49 years, female 15.1
GTEX-ZYFG-2326-SM-5E44B 60-69 years, female 15.1
GTEX-1QP2A-0126-SM-E9J43 50-59 years, male 15.1
GTEX-132NY-0326-SM-5IJBL 60-69 years, male 15.0
GTEX-13CF2-2526-SM-5LZYX 60-69 years, male 15.0
GTEX-13O1R-0126-SM-5L3EH 60-69 years, male 15.0
GTEX-14BMU-2226-SM-5TDE9 20-29 years, female 15.0
GTEX-SUCS-1926-SM-32PM3 70-79 years, male 15.0
GTEX-1HCU6-0126-SM-CL54K 60-69 years, female 15.0
GTEX-1211K-2026-SM-5EQ4Z 60-69 years, female 14.9
GTEX-13NZA-0226-SM-5K7Z7 60-69 years, male 14.9
GTEX-RN64-0126-SM-2TC68 50-59 years, male 14.9
GTEX-WOFL-0126-SM-3MJG2 60-69 years, male 14.9
GTEX-1C6WA-0126-SM-7PC2B 60-69 years, male 14.9
GTEX-11ZVC-2526-SM-5FQTE 50-59 years, female 14.8
GTEX-13G51-2526-SM-5LZYK 60-69 years, male 14.8
GTEX-14PHX-2326-SM-62LEM 50-59 years, male 14.8
GTEX-1GN73-0226-SM-9WG67 60-69 years, male 14.8
GTEX-1NHNU-1026-SM-E9J2A 50-59 years, male 14.8
GTEX-11VI4-1726-SM-5CVLH 40-49 years, female 14.7
GTEX-XQ3S-1526-SM-4BOOC 20-29 years, male 14.7
GTEX-1GMRU-0126-SM-9YFLV 50-59 years, male 14.7
GTEX-1I1GP-2226-SM-CGQFK 50-59 years, male 14.7
GTEX-1497J-2426-SM-7IGNX 60-69 years, male 14.6
GTEX-14DAR-2026-SM-5S2O3 50-59 years, male 14.6
GTEX-15DDE-0126-SM-6LPKH 50-59 years, female 14.6
GTEX-RVPV-0126-SM-EAZAW 60-69 years, male 14.6
GTEX-11DXW-0226-SM-5H122 40-49 years, male 14.5
GTEX-T2IS-0126-SM-4DM6O 20-29 years, female 14.5
GTEX-11ZTT-2426-SM-5EQLS 60-69 years, female 14.4
GTEX-13X6J-0126-SM-5QGOU 50-59 years, male 14.4
GTEX-1EKGG-0226-SM-9WYTH 60-69 years, male 14.4
GTEX-1F52S-0126-SM-9MQJU 60-69 years, female 14.4
GTEX-1RB15-2126-SM-E9TIM 60-69 years, male 14.4
GTEX-13X6I-0626-SM-5QGP9 60-69 years, male 14.3
GTEX-WYJK-0126-SM-3NMAB 50-59 years, male 14.3
GTEX-1GMR8-0126-SM-9WYTM 50-59 years, female 14.3
GTEX-1QP9N-1426-SM-DTXFL 30-39 years, male 14.3
GTEX-13NZB-2526-SM-5J1OM 30-39 years, male 14.2
GTEX-1AX8Z-0126-SM-7DHM6 60-69 years, male 14.2
GTEX-Y111-0126-SM-4SOIV 50-59 years, male 14.2
GTEX-148VI-1626-SM-5SI6E 60-69 years, female 14.1
GTEX-16NGA-1726-SM-731B4 40-49 years, female 14.1
GTEX-RWSA-0126-SM-2XCBB 40-49 years, male 14.1
GTEX-TML8-1926-SM-32QOS 40-49 years, female 14.1
GTEX-ZAK1-0126-SM-5IJD3 50-59 years, female 14.1
GTEX-1C64O-0126-SM-7SB8P 60-69 years, male 14.1
GTEX-1I1GV-0526-SM-A9G29 60-69 years, male 14.1
GTEX-1KAFJ-2026-SM-CY8ID 50-59 years, male 14.1
GTEX-14PII-0226-SM-6EU1T 60-69 years, male 14.0
GTEX-T6MN-0126-SM-32PLP 50-59 years, male 14.0
GTEX-Y5V6-2426-SM-4VDSB 60-69 years, male 14.0
GTEX-117YX-2326-SM-5H12W 50-59 years, male 13.9
GTEX-139TT-0126-SM-5K7Y5 60-69 years, male 13.9
GTEX-14PJ3-1826-SM-62LEX 50-59 years, male 13.9
GTEX-1C2JI-1826-SM-73KXC 50-59 years, male 13.9
GTEX-RM2N-1426-SM-2TF4H 50-59 years, male 13.9
GTEX-RUSQ-1526-SM-2TF62 50-59 years, male 13.9
GTEX-1EWIQ-0126-SM-7RHH2 70-79 years, female 13.8
GTEX-1JMOU-1526-SM-CL54I 60-69 years, female 13.8
GTEX-1LSNM-1926-SM-E6CII 50-59 years, male 13.8
GTEX-1PFEY-1526-SM-E76PP 30-39 years, male 13.8
GTEX-13RTK-1426-SM-5QGQJ 20-29 years, male 13.7
GTEX-14LLW-0126-SM-6LLIO 70-79 years, female 13.7
GTEX-1B8KE-2126-SM-73KYX 50-59 years, male 13.7
GTEX-P4QT-0126-SM-2I3FL 50-59 years, female 13.7
GTEX-QLQ7-1626-SM-2S1R8 60-69 years, male 13.7
GTEX-YFC4-0126-SM-5CVLY 40-49 years, female 13.7
GTEX-ZAB5-1826-SM-5HL7C 50-59 years, male 13.7
GTEX-1S82Z-0826-SM-E6CHY 30-39 years, female 13.7
GTEX-12C56-1726-SM-5EQ61 20-29 years, male 13.6
GTEX-13W3W-2426-SM-5LU5B 60-69 years, female 13.6
GTEX-1GZ4H-1726-SM-7PBZJ 50-59 years, female 13.6
GTEX-1IKOH-0226-SM-COH4E 60-69 years, female 13.6
GTEX-1LC47-0326-SM-E9TJP 60-69 years, male 13.6
GTEX-1R7EV-2426-SM-EVYBG 40-49 years, male 13.6
GTEX-131YS-0126-SM-5KM1M 60-69 years, female 13.5
GTEX-13NYS-0126-SM-5MR3W 60-69 years, male 13.5
GTEX-147F3-0526-SM-5SI98 50-59 years, female 13.5
GTEX-PWO3-1526-SM-48TCM 60-69 years, female 13.5
GTEX-Q2AG-0126-SM-33HBV 40-49 years, female 13.5
GTEX-T2YK-0526-SM-32QPJ 50-59 years, male 13.5
GTEX-T5JC-0426-SM-32PLO 20-29 years, male 13.5
GTEX-ZVT3-0126-SM-5GU6I 60-69 years, female 13.5
GTEX-ZQG8-1626-SM-DHXIT 60-69 years, female 13.5
GTEX-13113-5016-SM-7EPIP 60-69 years, female 13.4
GTEX-13FXS-0226-SM-5IJCK 50-59 years, male 13.4
GTEX-13O3Q-2426-SM-5IJBR 50-59 years, male 13.4
GTEX-14PN3-2426-SM-6LLHS 60-69 years, female 13.4
GTEX-ZYFC-0226-SM-5NQ75 50-59 years, male 13.4
GTEX-1HSMQ-1226-SM-CGQFX 50-59 years, male 13.4
GTEX-1OFPY-2426-SM-DTXEJ 60-69 years, male 13.4
GTEX-11UD2-0226-SM-5EQKY 50-59 years, male 13.3
GTEX-15EOM-0126-SM-7KUGG 20-29 years, female 13.3
GTEX-1N2EF-0226-SM-EYYXB 60-69 years, male 13.3
GTEX-11DYG-0126-SM-59883 60-69 years, male 13.2
GTEX-1AX9K-2326-SM-73KWU 50-59 years, male 13.2
GTEX-OXRP-0126-SM-3NB32 60-69 years, female 13.2
GTEX-UJHI-1526-SM-3DB99 50-59 years, female 13.2
GTEX-1GF9W-0326-SM-9KNUN 60-69 years, male 13.2
GTEX-1JN6P-0126-SM-D3L98 60-69 years, male 13.2
GTEX-11OF3-2626-SM-5GU7F 60-69 years, male 13.1
GTEX-1313W-0126-SM-5LZUN 50-59 years, female 13.1
GTEX-147GR-0526-SM-5S2MY 60-69 years, male 13.1
GTEX-15RIG-0226-SM-7KFTL 40-49 years, male 13.1
GTEX-18A66-0226-SM-718BD 60-69 years, male 13.1
GTEX-1J1OQ-0226-SM-CYPSH 40-49 years, female 13.1
GTEX-1JMQK-0226-SM-CL543 60-69 years, male 13.1
GTEX-13OVK-2026-SM-7KUEO 40-49 years, male 13.0
GTEX-14E7W-0126-SM-6LLJ9 70-79 years, male 13.0
GTEX-OHPL-0126-SM-2HMJ7 60-69 years, female 13.0
GTEX-OXRO-0126-SM-2YUN4 60-69 years, female 13.0
GTEX-TKQ1-1026-SM-4GICL 30-39 years, male 13.0
GTEX-WI4N-1026-SM-3LK7N 40-49 years, female 13.0
GTEX-1KANB-0526-SM-E6CJH 50-59 years, male 13.0
GTEX-1S5ZA-0126-SM-EVYCV 20-29 years, male 13.0
GTEX-14E6D-0126-SM-62LDV 50-59 years, male 12.9
GTEX-1A8FM-0226-SM-7SB7Q 50-59 years, female 12.9
GTEX-1H1CY-2826-SM-9MQM3 60-69 years, female 12.9
GTEX-117XS-2726-SM-5N9BL 60-69 years, male 12.8
GTEX-Y5LM-1926-SM-5RQJH 40-49 years, female 12.8
GTEX-13OW8-1326-SM-5J1OW 60-69 years, male 12.7
GTEX-17HHY-0126-SM-7LG5D 50-59 years, male 12.7
GTEX-1B8KZ-2026-SM-7DHMB 50-59 years, male 12.7
GTEX-WY7C-2326-SM-3NB2U 50-59 years, male 12.7
GTEX-1CB4F-0426-SM-9KNV4 60-69 years, male 12.7
GTEX-1F7RK-0126-SM-7PC2S 20-29 years, female 12.7
GTEX-1JMQJ-0526-SM-CYPSU 50-59 years, male 12.7
GTEX-1QEPI-0126-SM-EWRMQ 60-69 years, female 12.7
GTEX-16BQI-0226-SM-7KUEX 30-39 years, female 12.6
GTEX-XBEW-0626-SM-4QASP 40-49 years, male 12.6
GTEX-Y8DK-0126-SM-4TT3L 60-69 years, male 12.6
GTEX-1HR98-0126-SM-B2LWI 60-69 years, male 12.6
GTEX-1JKYN-1326-SM-CGQG9 30-39 years, male 12.6
GTEX-12584-0126-SM-5EGKQ 40-49 years, male 12.5
GTEX-13FTW-2626-SM-5K7WL 40-49 years, male 12.5
GTEX-13U4I-0126-SM-5LU38 40-49 years, female 12.5
GTEX-15SHW-0326-SM-6PAML 60-69 years, male 12.5
GTEX-WVJS-0126-SM-4MVOT 50-59 years, male 12.5
GTEX-Z9EW-1626-SM-5CVMN 40-49 years, male 12.5
GTEX-1AX9I-0126-SM-7SB74 60-69 years, male 12.5
GTEX-1J8JJ-0226-SM-CL53I 60-69 years, female 12.5
GTEX-1LG7Y-0526-SM-DKPQC 50-59 years, male 12.5
GTEX-13RTJ-2426-SM-5S2Q2 60-69 years, male 12.4
GTEX-13S7M-0126-SM-5SI6A 60-69 years, female 12.4
GTEX-TMMY-0226-SM-33HBA 40-49 years, female 12.4
GTEX-WRHK-1426-SM-3MJF9 20-29 years, female 12.4
GTEX-XBED-2226-SM-47JYQ 60-69 years, male 12.4
GTEX-1KWVE-1426-SM-E9TJO 30-39 years, male 12.4
GTEX-14BIL-0126-SM-5SI92 50-59 years, male 12.3
GTEX-1CB4E-2226-SM-793DC 60-69 years, male 12.3
GTEX-Q2AH-1626-SM-3GAF8 40-49 years, male 12.3
GTEX-1GZHY-0326-SM-9QEHI 50-59 years, female 12.3
GTEX-1H1DE-2126-SM-9WG6R 20-29 years, male 12.3
GTEX-13O3P-0126-SM-5KM4S 50-59 years, male 12.2
GTEX-14ABY-0226-SM-5TDCQ 50-59 years, male 12.2
GTEX-1CB4J-0626-SM-7DHMP 60-69 years, male 12.2
GTEX-ZVZP-2426-SM-59HKJ 50-59 years, male 12.2
GTEX-1H11D-0226-SM-9WG6Z 40-49 years, male 12.2
GTEX-1JKYR-0126-SM-CNPOJ 20-29 years, male 12.2
GTEX-131XE-2326-SM-5PNZ2 50-59 years, male 12.1
GTEX-S7SE-0126-SM-2XCD5 50-59 years, male 12.1
GTEX-XMD2-0126-SM-4YCDU 60-69 years, female 12.1
GTEX-1IOXB-0126-SM-ARL8G 50-59 years, male 12.1
GTEX-1JJE9-0326-SM-CL53Z 70-79 years, male 12.1
GTEX-13FTY-0526-SM-5L3EV 40-49 years, female 12.0
GTEX-13YAN-0326-SM-5O9DF 60-69 years, male 12.0
GTEX-14JG6-2226-SM-6EU2G 30-39 years, female 12.0
GTEX-15ETS-0126-SM-7KUMW 40-49 years, female 12.0
GTEX-1AMFI-2026-SM-731BH 50-59 years, female 12.0
GTEX-113JC-2326-SM-5EQ4E 50-59 years, female 11.9
GTEX-11WQC-2526-SM-5CVLE 60-69 years, male 11.9
GTEX-1MA7X-2226-SM-E6CIY 60-69 years, male 11.9
GTEX-1192W-2626-SM-5Q5AF 60-69 years, male 11.8
GTEX-15D1Q-0126-SM-7KUG6 40-49 years, male 11.8
GTEX-16GPK-0126-SM-7DHLE 60-69 years, male 11.8
GTEX-Z93S-0126-SM-5HL7M 50-59 years, male 11.8
GTEX-1CAMS-0426-SM-7P8T2 40-49 years, female 11.8
GTEX-1EN7A-0126-SM-7SB81 40-49 years, male 11.8
GTEX-1F88F-2726-SM-7PBZZ 60-69 years, female 11.8
GTEX-1HCVE-0126-SM-CGQEU 50-59 years, male 11.8
GTEX-1HFI7-1826-SM-ACKXH 50-59 years, female 11.8
GTEX-1QP66-1726-SM-E8VO1 50-59 years, male 11.8
GTEX-1RDX4-0126-SM-E9J4P 50-59 years, female 11.8
GTEX-1S3DN-2226-SM-EVYCD 50-59 years, male 11.8
GTEX-VUSG-2526-SM-4KL1V 50-59 years, male 11.7
GTEX-YB5E-2026-SM-5IFIS 40-49 years, male 11.7
GTEX-1GF9U-2126-SM-7SB7L 40-49 years, female 11.7
GTEX-1PPH8-0226-SM-E8VND 20-29 years, male 11.7
GTEX-131XW-0426-SM-5LZWP 50-59 years, female 11.6
GTEX-146FH-0126-SM-5QGPP 50-59 years, female 11.6
GTEX-15DCD-0126-SM-7KUEK 70-79 years, female 11.6
GTEX-PX3G-0126-SM-2I3EN 20-29 years, female 11.6
GTEX-XXEK-2226-SM-4BRUM 50-59 years, male 11.6
GTEX-ZDTT-2726-SM-4WKF8 60-69 years, male 11.6
GTEX-1CB4G-0226-SM-7PC3O 60-69 years, male 11.6
GTEX-1H23P-0126-SM-ADEJ3 60-69 years, male 11.6
GTEX-1IL2U-0226-SM-CE6T8 60-69 years, male 11.6
GTEX-PLZ6-1426-SM-DKPOT 30-39 years, male 11.6
GTEX-1CB4I-0226-SM-79OLH 50-59 years, male 11.5
GTEX-1GZ2Q-0226-SM-7P8TL 40-49 years, male 11.5
GTEX-1J8Q3-1626-SM-CMKGC 60-69 years, male 11.5
GTEX-11NUK-0126-SM-5A5L3 50-59 years, male 11.4
GTEX-16NPX-0226-SM-79OMT 50-59 years, male 11.4
GTEX-ZVTK-0426-SM-51MRS 20-29 years, male 11.4
GTEX-1EMGI-0126-SM-9KNUE 60-69 years, male 11.4
GTEX-1HSKV-0226-SM-A9SKJ 60-69 years, male 11.4
GTEX-11EM3-2426-SM-59861 20-29 years, female 11.3
GTEX-16XZY-2126-SM-79OK1 70-79 years, male 11.3
GTEX-11ZU8-2526-SM-5EQKI 60-69 years, male 11.2
GTEX-12ZZX-0126-SM-5EGK9 40-49 years, female 11.2
GTEX-13D11-2426-SM-5KM1V 50-59 years, female 11.2
GTEX-14C5O-0126-SM-5SI6N 60-69 years, male 11.2
GTEX-SSA3-0126-SM-32QPU 60-69 years, male 11.2
GTEX-1ICLY-0126-SM-D4P36 50-59 years, male 11.2
GTEX-1LGRB-2526-SM-CNPPQ 50-59 years, female 11.2
GTEX-14JG1-0426-SM-6ETZZ 40-49 years, male 11.1
GTEX-1A3MV-1926-SM-718BT 30-39 years, male 11.1
GTEX-T8EM-1026-SM-3DB7M 40-49 years, male 11.1
GTEX-1IL2V-0126-SM-CM2TX 70-79 years, male 11.1
GTEX-1LB8K-0226-SM-EWRNW 50-59 years, male 11.1
GTEX-1M4P7-0226-SM-DIPEV 60-69 years, male 11.1
GTEX-1POEN-0126-SM-EYYXJ 30-39 years, female 11.1
GTEX-1R46S-0626-SM-E9J41 60-69 years, female 11.1
GTEX-ZXES-1826-SM-5E43S 30-39 years, female 11.0
GTEX-1I4MK-2226-SM-ACKWD 50-59 years, female 11.0
GTEX-13111-1626-SM-5EGJY 50-59 years, male 10.9
GTEX-13NYB-2526-SM-5K7Z6 40-49 years, male 10.9
GTEX-16XZZ-0126-SM-793DV 60-69 years, male 10.9
GTEX-17GQL-2026-SM-718BA 60-69 years, male 10.9
GTEX-1GF9X-2026-SM-7PC3A 40-49 years, female 10.9
GTEX-11DXY-2626-SM-5GIE7 60-69 years, male 10.8
GTEX-1AX9J-0226-SM-73KXM 60-69 years, male 10.8
GTEX-1BAJH-0526-SM-793CQ 70-79 years, male 10.8
GTEX-1C6VS-0526-SM-7DUEN 60-69 years, male 10.8
GTEX-ZU9S-0226-SM-5E441 30-39 years, male 10.8
GTEX-1HBPI-1526-SM-C1YQ1 50-59 years, male 10.8
GTEX-1HCU8-0626-SM-A9SM9 60-69 years, female 10.8
GTEX-11LCK-1026-SM-5A5KB 30-39 years, male 10.7
GTEX-145ME-1826-SM-5SI9G 40-49 years, female 10.7
GTEX-17JCI-0126-SM-7LG5G 60-69 years, female 10.7
GTEX-1F6RS-0126-SM-9MQKZ 60-69 years, female 10.7
GTEX-1HCUA-2426-SM-ADEIS 50-59 years, female 10.7
GTEX-1J8QM-2126-SM-CYPSJ 60-69 years, female 10.7
GTEX-1LVAN-0226-SM-COH3S 50-59 years, female 10.7
GTEX-PSDG-0226-SM-DKPOZ 50-59 years, male 10.7
GTEX-SJXC-0126-SM-2XCFF 60-69 years, male 10.6
GTEX-1HCU9-1526-SM-A9SL7 20-29 years, male 10.6
GTEX-1I6K6-0126-SM-A9SLE 30-39 years, male 10.6
GTEX-11NSD-2226-SM-5986V 20-29 years, male 10.5
GTEX-11P81-2326-SM-59875 30-39 years, female 10.5
GTEX-13FHP-0126-SM-5IJBG 50-59 years, male 10.5
GTEX-13OW6-0426-SM-5L3HM 50-59 years, male 10.5
GTEX-T5JW-1626-SM-3GADZ 20-29 years, female 10.5
GTEX-U3ZH-2026-SM-3DB78 30-39 years, male 10.5
GTEX-ZYFD-0126-SM-5GIDL 50-59 years, male 10.5
GTEX-1H1DG-0126-SM-9WYU2 70-79 years, male 10.5
GTEX-ZF3C-0126-SM-DO92D 50-59 years, female 10.5
GTEX-ZVT4-0126-SM-DTXFN 50-59 years, female 10.5
GTEX-1128S-2326-SM-5GZZY 60-69 years, female 10.4
GTEX-139TS-2826-SM-5J1OO 60-69 years, male 10.4
GTEX-148VJ-0126-SM-5TDDN 70-79 years, male 10.4
GTEX-17HG3-2226-SM-7938L 30-39 years, female 10.4
GTEX-13FH7-2026-SM-E9J4I 50-59 years, female 10.4
GTEX-13OW5-0126-SM-DTXFS 60-69 years, male 10.4
GTEX-1LGOU-2026-SM-DIPFF 20-29 years, female 10.4
GTEX-131XH-2226-SM-5DUXJ 50-59 years, male 10.3
GTEX-144GL-0126-SM-5TDE2 50-59 years, male 10.3
GTEX-17MFQ-1726-SM-793C7 20-29 years, male 10.3
GTEX-WFON-2126-SM-3LK7O 40-49 years, male 10.3
GTEX-1GN2E-0426-SM-9MQKX 60-69 years, male 10.3
GTEX-1H1E6-1726-SM-ACKVK 30-39 years, male 10.3
GTEX-1J8Q2-0526-SM-CM2RW 60-69 years, male 10.3
GTEX-1JN76-0126-SM-CNPPE 20-29 years, female 10.3
GTEX-13SLX-0526-SM-5S2ON 50-59 years, female 10.2
GTEX-14DAQ-0126-SM-5S2MQ 60-69 years, female 10.2
GTEX-14PJM-0226-SM-62LF1 50-59 years, female 10.2
GTEX-14XAO-2326-SM-6EU1B 60-69 years, female 10.2
GTEX-ZDYS-2026-SM-5HL5L 50-59 years, male 10.2
GTEX-1B996-0226-SM-7RHGO 60-69 years, male 10.2
GTEX-1GF9V-0326-SM-7RHI5 60-69 years, male 10.2
GTEX-1JK1U-2026-SM-CM2RZ 60-69 years, male 10.2
GTEX-12ZZZ-0626-SM-5DUXI 60-69 years, male 10.1
GTEX-14PN4-0126-SM-6EU2V 50-59 years, male 10.1
GTEX-QDVJ-1726-SM-2I5FX 50-59 years, male 10.1
GTEX-1F5PK-2426-SM-7RHHY 50-59 years, male 10.1
GTEX-1IE54-0126-SM-CMKHW 40-49 years, female 10.1
GTEX-1IGQW-0126-SM-COH42 60-69 years, male 10.1
GTEX-OIZF-0126-SM-7SB8I 60-69 years, male 10.1
GTEX-12WSA-0226-SM-5BC5V 60-69 years, male 10.0
GTEX-14BMV-0126-SM-5S2PO 50-59 years, male 10.0
GTEX-15F5U-1526-SM-6PANO 40-49 years, male 10.0
GTEX-18465-0126-SM-731BN 50-59 years, male 10.0
GTEX-1B8SG-0126-SM-73KZ3 50-59 years, male 10.0
GTEX-1JMPZ-0226-SM-CNPP1 30-39 years, male 10.0
GTEX-1K2DU-2326-SM-E9TIV 20-29 years, male 10.0
GTEX-1212Z-2526-SM-5EGKP 60-69 years, male 9.9
GTEX-1399R-2726-SM-5IJBA 30-39 years, male 9.9
GTEX-VJWN-0126-SM-3GIK7 50-59 years, female 9.9
GTEX-1KD4Q-0226-SM-E9TJ9 40-49 years, male 9.9
GTEX-1R9K4-0126-SM-DTX9X 60-69 years, male 9.9
GTEX-11EQ9-2426-SM-5HL5T 30-39 years, male 9.8
GTEX-11H98-0126-SM-5EGHG 50-59 years, male 9.8
GTEX-145MF-0626-SM-5LUAI 50-59 years, male 9.8
GTEX-183FY-0126-SM-7LT9P 20-29 years, male 9.8
GTEX-XPVG-2626-SM-4B669 50-59 years, male 9.8
GTEX-1I1GR-0126-SM-CL55F 60-69 years, male 9.8
GTEX-11XUK-2026-SM-5EQLF 40-49 years, female 9.7
GTEX-OIZH-0126-SM-2HMIS 50-59 years, male 9.7
GTEX-12KS4-0326-SM-5EQ41 30-39 years, male 9.6
GTEX-12WSN-5019-SM-79OM6 40-49 years, male 9.6
GTEX-13112-2826-SM-5DUWH 50-59 years, male 9.6
GTEX-139UW-2826-SM-5L3E7 60-69 years, male 9.6
GTEX-OXRN-0126-SM-48TDM 50-59 years, male 9.6
GTEX-11TUW-2726-SM-E9J4M 60-69 years, male 9.6
GTEX-1HBPN-0226-SM-9YFM1 50-59 years, male 9.6
GTEX-12WSL-2526-SM-5GCNJ 50-59 years, male 9.5
GTEX-1CAMQ-0226-SM-7IGPK 40-49 years, male 9.5
GTEX-POMQ-2226-SM-2I5FK 20-29 years, female 9.5
GTEX-QESD-1426-SM-2S1R9 20-29 years, male 9.5
GTEX-U8XE-0326-SM-3DB8P 30-39 years, male 9.5
GTEX-1O97I-0326-SM-EYYX7 60-69 years, male 9.5
GTEX-1R7EU-0226-SM-EVR4G 60-69 years, male 9.5
GTEX-12ZZY-0226-SM-5LZVE 60-69 years, male 9.4
GTEX-144FL-0126-SM-5TDC8 50-59 years, male 9.4
GTEX-14BIN-0626-SM-793DP 50-59 years, female 9.4
GTEX-X4XY-0226-SM-4E3IZ 60-69 years, male 9.4
GTEX-YJ89-0126-SM-4TT3X 60-69 years, male 9.4
GTEX-1CB4H-0226-SM-7PBXM 60-69 years, female 9.4
GTEX-1CAMR-1926-SM-7EPI2 20-29 years, male 9.3
GTEX-VJYA-1126-SM-3GIJU 60-69 years, male 9.3
GTEX-X261-0126-SM-3NMD6 50-59 years, male 9.3
GTEX-1IDJF-0126-SM-CM2RS 20-29 years, male 9.3
GTEX-1K9T9-0126-SM-EVYCF 50-59 years, female 9.3
GTEX-1OJC3-0126-SM-E76QX 20-29 years, male 9.3
GTEX-1122O-2126-SM-5EGIR 60-69 years, female 9.2
GTEX-11TT1-2526-SM-5EGIB 20-29 years, male 9.2
GTEX-15ER7-0326-SM-7KUEV 20-29 years, female 9.2
GTEX-17F96-1626-SM-7DUFL 70-79 years, male 9.2
GTEX-QDVN-2026-SM-3GAEP 50-59 years, male 9.2
GTEX-1IDJH-0326-SM-A9SLQ 70-79 years, male 9.2
GTEX-14LZ3-0226-SM-62LET 60-69 years, female 9.1
GTEX-Y5V5-2326-SM-4V6GA 60-69 years, female 9.1
GTEX-ZZ64-1726-SM-5GZYB 20-29 years, male 9.1
GTEX-1MJK2-0426-SM-DTXE5 50-59 years, male 9.1
GTEX-1QAET-0926-SM-E76QM 50-59 years, male 9.1
GTEX-14A5H-0426-SM-5QGQF 60-69 years, male 9.0
GTEX-O5YT-0126-SM-48TBW 20-29 years, male 9.0
GTEX-ZXG5-0126-SM-5GIEU 60-69 years, male 9.0
GTEX-1IDJU-2626-SM-CM2RT 60-69 years, female 9.0
GTEX-1K2DA-1826-SM-CGQGT 50-59 years, male 9.0
GTEX-111FC-0126-SM-5N9DL 60-69 years, male 8.9
GTEX-1A3MX-0126-SM-731BR 60-69 years, male 8.9
GTEX-YJ8A-0426-SM-5IFID 20-29 years, male 8.9
GTEX-1H4P4-0726-SM-9YFLR 50-59 years, male 8.9
GTEX-1LH75-2426-SM-E9TJE 50-59 years, female 8.9
GTEX-1PIIG-0226-SM-EWRN6 30-39 years, male 8.9
GTEX-133LE-1826-SM-5J1MV 20-29 years, female 8.8
GTEX-13JUV-2726-SM-5LZZ8 40-49 years, female 8.8
GTEX-145LS-0126-SM-5QGP1 60-69 years, female 8.8
GTEX-16AAH-1726-SM-7939C 50-59 years, male 8.8
GTEX-OOBK-0126-SM-2YUND 40-49 years, male 8.8
GTEX-ZY6K-1826-SM-5GZXK 50-59 years, male 8.8
GTEX-1KANC-1526-SM-D3LAB 50-59 years, female 8.8
GTEX-1KXAM-2226-SM-CYPTC 60-69 years, male 8.8
GTEX-1MA7W-2026-SM-E9TJ6 20-29 years, female 8.8
GTEX-1N2DW-0226-SM-E9TK2 50-59 years, male 8.8
GTEX-1QMI2-0226-SM-EVYBX 60-69 years, male 8.8
GTEX-11EI6-0126-SM-5985R 60-69 years, male 8.7
GTEX-13CF3-2426-SM-5IFGX 60-69 years, female 8.7
GTEX-1B8SF-1426-SM-7DUGL 60-69 years, male 8.7
GTEX-TSE9-0126-SM-3DB83 60-69 years, female 8.7
GTEX-11DXZ-2326-SM-5EGGV 50-59 years, male 8.6
GTEX-Y8E4-0626-SM-4WWDL 40-49 years, male 8.6
GTEX-1EU9M-0226-SM-7P8SP 60-69 years, male 8.6
GTEX-1HSGN-0226-SM-CGQFV 40-49 years, female 8.6
GTEX-17EUY-0426-SM-793BD 20-29 years, male 8.5
GTEX-1JJ6O-0126-SM-E6CI8 60-69 years, male 8.5
GTEX-12696-2426-SM-5EQ6H 60-69 years, male 8.4
GTEX-12WSC-0126-SM-5EQ4P 50-59 years, male 8.4
GTEX-17KNJ-2326-SM-7DHLQ 50-59 years, male 8.4
GTEX-1B97I-1626-SM-73KYO 40-49 years, male 8.4
GTEX-P44H-0226-SM-2XCEU 40-49 years, male 8.4
GTEX-R3RS-0126-SM-3GIJL 40-49 years, female 8.4
GTEX-XUYS-0126-SM-47JWZ 50-59 years, male 8.4
GTEX-ZTSS-1926-SM-57WEW 40-49 years, male 8.4
GTEX-1I1GU-2226-SM-CGQFA 40-49 years, male 8.4
GTEX-1JMQI-2226-SM-CM2SD 50-59 years, male 8.4
GTEX-1PDJ9-0326-SM-DTX95 20-29 years, male 8.3
GTEX-1EX96-1626-SM-7PBXR 50-59 years, male 8.2
GTEX-12WSE-0526-SM-793B2 20-29 years, male 8.1
GTEX-1399T-2826-SM-5KLYZ 60-69 years, male 8.1
GTEX-1E1VI-0126-SM-7DHMZ 50-59 years, male 8.1
GTEX-17EVP-0326-SM-7DHLG 40-49 years, male 8.0
GTEX-1C64N-0126-SM-793D7 50-59 years, male 8.0
GTEX-ZVZO-0126-SM-5A5L9 40-49 years, male 8.0
GTEX-1HT8W-0126-SM-CNPPP 30-39 years, male 8.0
GTEX-ZAJG-0126-SM-5HL94 50-59 years, female 7.8
GTEX-1I1GQ-0126-SM-COH3H 50-59 years, male 7.8
GTEX-1KANA-0726-SM-D3L9I 20-29 years, male 7.8
GTEX-ZV68-0126-SM-59HKS 50-59 years, female 7.7
GTEX-1F5PL-0326-SM-7P8PQ 40-49 years, female 7.6
GTEX-1S83E-0126-SM-EWRO4 40-49 years, male 7.6
GTEX-PVOW-0126-SM-2XCFA 40-49 years, male 7.4
GTEX-1LG7Z-1726-SM-D3LA4 30-39 years, male 7.4
GTEX-14PJ6-2126-SM-6EU1V 60-69 years, female 7.2
GTEX-15G19-0126-SM-6PANQ 60-69 years, male 7.2
GTEX-18D9A-1926-SM-7LG6P 30-39 years, female 7.2
GTEX-1QPFJ-0226-SM-E76PB 30-39 years, female 7.2
GTEX-15EU6-0426-SM-6PAN5 50-59 years, male 7.1
GTEX-ZYT6-0226-SM-5NQ6T 30-39 years, male 7.0
GTEX-1E2YA-0126-SM-9KNUC 50-59 years, male 7.0
GTEX-1GMR3-1926-SM-9KNUZ 40-49 years, male 7.0
GTEX-1R9PM-2026-SM-E76OY 20-29 years, male 7.0
GTEX-145MI-0526-SM-5O9A8 60-69 years, female 6.9
GTEX-WFG8-2226-SM-3GIL9 20-29 years, male 6.9
GTEX-1M5QR-1226-SM-EWROB 40-49 years, male 6.9
GTEX-145LU-0126-SM-5TDCB 50-59 years, male 6.8
GTEX-1C6VR-2426-SM-79OLD 60-69 years, male 6.8
GTEX-14A5I-0126-SM-5TDEA 50-59 years, female 6.7
GTEX-1A3MW-0126-SM-73KXX 60-69 years, female 6.6
GTEX-SNMC-1226-SM-2XCFP 20-29 years, male 6.5
GTEX-ZV6S-2326-SM-4YCEY 40-49 years, female 6.4
GTEX-11O72-0126-SM-59887 40-49 years, male 6.3
GTEX-11WQK-0526-SM-5EQLD 50-59 years, male 6.3
GTEX-1I1GT-0626-SM-CGQER 60-69 years, female 6.2
GTEX-ZF2S-2326-SM-4WWCE 50-59 years, female 6.1
GTEX-13N2G-2626-SM-5J1OT 60-69 years, male 5.9
GTEX-1HB9E-0226-SM-E9U4R 50-59 years, male 5.9
GTEX-13OVH-0126-SM-5MR4B 70-79 years, male 5.7
GTEX-15UKP-0426-SM-7KUFQ 20-29 years, male 5.7
GTEX-ZTX8-1426-SM-5DUVO 20-29 years, male 5.7
GTEX-ZWKS-0126-SM-5SIAA 30-39 years, male 5.5
GTEX-S32W-2126-SM-2XCB1 50-59 years, female 5.4
GTEX-1IKJJ-0126-SM-CNPQB 60-69 years, male 5.4
GTEX-1GL5R-1826-SM-9KNUY 50-59 years, male 5.3
GTEX-1JJEA-0326-SM-CNPOT 60-69 years, male 5.3
GTEX-1HCU7-0226-SM-CL545 50-59 years, male 5.2
GTEX-1C475-1826-SM-73KWA 40-49 years, female 5.1
GTEX-183WM-0126-SM-7LTAB 70-79 years, female 4.7
GTEX-14E6E-1826-SM-5S2R7 30-39 years, male 4.1
GTEX-13NYC-0326-SM-E9J4S 60-69 years, male 3.8
GTEX-1L5NE-2526-SM-E6CIE 50-59 years, male 3.8
GTEX-1JMQL-0226-SM-CNPP5 50-59 years, female 3.3
Show allShow less

Contact

  • NEWS ARTICLES
  • PRESS ROOM

The Project

  • INTRODUCTION
  • ORGANIZATION
  • PUBLICATIONS

The Human Protein Atlas

  • DOWNLOADABLE DATA
  • LICENCE & CITATION
  • HELP & FAQ
The Human Protein Atlas project is funded
by the Knut & Alice Wallenberg Foundation.


contact@proteinatlas.org