We use cookies to enhance the usability of our website. If you continue, we'll assume that you are happy to receive all cookies. More information. Don't show this again.
RIOK3
HPA
RESOURCES
  • TISSUE
  • BRAIN
  • SINGLE CELL
  • SUBCELLULAR
  • CANCER
  • BLOOD
  • CELL LINE
  • STRUCTURE & INTERACTION
ABOUT
  • INTRODUCTION
  • HISTORY
  • ORGANIZATION
  • PUBLICATIONS
  • ANTIBODY SUBMISSION
  • ANTIBODY AVAILABILITY
  • ACKNOWLEDGMENTS
  • CONTACT
NEWS
  • NEWS ARTICLES
  • PRESS ROOM
LEARN
  • DICTIONARY
  • PROTEIN CLASSES
  • PROTEIN EVIDENCE
  • METHODS
  • EDUCATIONAL VIDEOS
DATA
  • DOWNLOADABLE DATA
  • PUBLICATION DATA
  • RELEASE HISTORY
HELP
  • ANTIBODY VALIDATION
  • ASSAYS & ANNOTATION
  • DISCLAIMER
  • HELP & FAQ
  • PRIVACY STATEMENT
  • LICENCE & CITATION
Fields »
Search result

Field
Term
Gene name
Class
Subclass
Class
Keyword
Chromosome
External id
Tissue
Cell type
Expression
Antibody panel
Tissue
Main location
Patient ID
Annotation
Tissue
Category
Tau score
Cluster
Reliability
Brain region
Category
Tau score
Brain region
Category
Tau score
Brain region
Category
Tau score
Cluster
Reliability
Tissue
Cell type
Enrichment
Cell type
Category
Tau score
Cell type
Category
Tau score
Cell type
Category
Tau score
Cell lineage
Category
Tau score
Cluster
Cluster
Location
Searches
Location
Cell line
Class
Type
Phase
Reliability
Cancer
Prognosis
Cancer
Category
Cancer
Category
Tau score
Cluster
Variants
Interacting gene (ensg_id)
Type
Number of interactions
Pathway
Category
Score
Score
Score
Validation
Validation
Validation
Validation
Antibodies
Data type
Column


  • SUMMARY

  • TISSUE

  • BRAIN

  • SINGLE CELL

  • SUBCELL

  • CANCER

  • BLOOD

  • CELL LINE

  • STRUCT & INT

  • RIOK3
TISSUE PRIMARY DATA SKELETAL MUSCLE Show tissue menu
ADIPOSE TISSUE ADRENAL GLAND AMYGDALA APPENDIX BASAL GANGLIA BONE MARROW BREAST BRONCHUS CEREBELLUM CEREBRAL CORTEX CERVIX CHOROID PLEXUS COLON DUODENUM
ENDOMETRIUM EPIDIDYMIS ESOPHAGUS FALLOPIAN TUBE GALLBLADDER HEART MUSCLE HIPPOCAMPAL FORMATION HYPOTHALAMUS KIDNEY LIVER LUNG LYMPH NODE MIDBRAIN ORAL MUCOSA
OVARY PANCREAS PARATHYROID GLAND PITUITARY GLAND PLACENTA PROSTATE RECTUM RETINA SALIVARY GLAND SEMINAL VESICLE SKELETAL MUSCLE SKIN SMALL INTESTINE SMOOTH MUSCLE
SOFT TISSUE SPINAL CORD SPLEEN STOMACH TESTIS THYMUS THYROID GLAND TONGUE TONSIL URINARY BLADDER VAGINA
ANTIBODIES
AND
VALIDATION
Dictionary
Skeletal muscle
Tissue proteome
Skeletal muscle
SKELETAL MUSCLE - Expression summary
Protein expression
Skeletal musclei

On the top, protein expression in current human tissue, based on all annotated cell types, is reported with the units not detected (n), low (l), medium (m) and high (h). Underneath, protein expression in each annotated cell type are reported using the same units.

Protein expression data is based on knowledge-based annotation. For genes where more than one antibody has been used, a collective score is set.

If knowledge-based annotation could not be performed for a gene, no data is displayed here. View antibody staining data further down this page.

h
m
l
n
Myocytes: Medium
RNA expressioni

A summary of mRNA expression data available for current tissue based on several datasets. The mRNA expression levels in human tissues are based on RNA-seq data generated by the Human Protein Atlas (HPA), Genotype-Tissue Expression (GTEx) portal and CAGE data generated by the FANTOM5 consortium. Consensus normalized expression levels for human tissues was created by combining the data from HPA and GTEx datasets.

The mRNA expression levels in pig are based on RNA-seq data generated by the Human Protein Atlas (HPA), and for mouse, HPA data and in situ hybridization generated by the Allen brain atlas are reported.

Scroll down to view mRNA expression data in more detail.
Consensus:51.0 nTPM
HPA:51.0 nTPM
GTEx:48.0 nTPM
FANTOM5:83.0 Scaled Tags Per Million

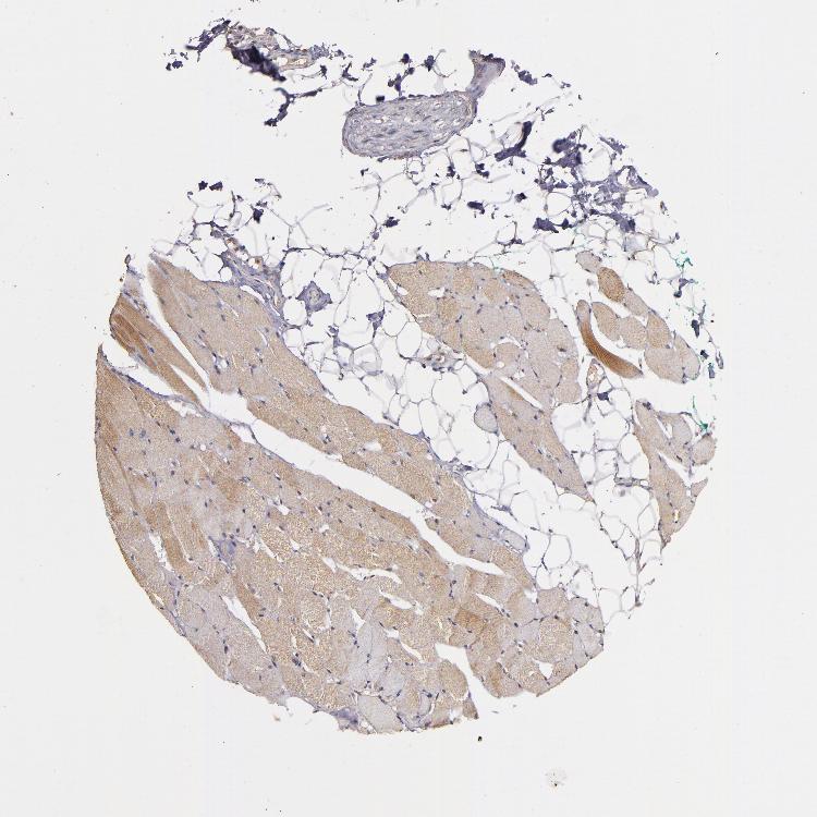
SKELETAL MUSCLE - Antibody stainingi

Antibody staining in the annotated cell types in the current human tissue is reported as not detected, low, medium, or high, based on conventional immunohistochemistry profiling in selected tissues. This score is based on the combination of the staining intensity and fraction of stained cells.

Each image is clickable and will lead to virtual microscopy that enables deeper exploration of all samples and also displays staining intensity scores, fraction scores and subcellular localization as well as patient and tissue information for each sample.

Antibody HPA001620Antibody HPA024184
Myocytes LowMedium





SKELETAL MUSCLE - HPA RNA-seqi

The RNA-seq details section shows detailed information about the individual samples used for the transcript profiling and results of the RNA-seq analysis.

Information about each individual sample is listed below, including gender, age, a tissue section image and estimated fractions of cell types. nTPM (normalized transcripts per million) values give a quantification of the gene abundance which is comparable between different genes and samples.
Average nTPMi

Max subtype nTPM is the value for the subtype with the largest average nTPM across the subtype samples.

51.0
N/A
Male, age 23
Skeletal muscle sample 339
nTPM: 46.6
N/A
Female, age 25
Skeletal muscle sample 340
nTPM: 55.6
N/A
Female, age -
Skeletal muscle sample 341
nTPM: 59.9
N/A
Female, age 22
Skeletal muscle sample 342
nTPM: 49.6
N/A
Male, age 29
Skeletal muscle sample 343
nTPM: 43.5

SKELETAL MUSCLE - GTEx RNA-seqi

RNA-Seq data generated by the Genotype-Tissue Expression (GTEx) project from human tissues is reported as mean nTPM. More information can be found on the GTEx portal.

Distribution across the dataset is visualized with box plots, shown as median and 25th and 75th percentiles. Points are displayed as outliers if they are above or below 1.5 times the interquartile range. nTPM values of the individual samples are presented next to the box plot.
Max subtype nTPMi

Max subtype nTPM is the value for the subtype with the largest average nTPM across the subtype samples.

48.0
GTEx sample id Sample description nTPM
Muscle - Skeletal
Average nTPM: 48.0
Samples: 803

Max nTPM: 207.1
Min nTPM: 6.7
Std nTPM: 18.3
Median nTPM: 46.3
GTEX-13OVI-1726-SM-5L3DW 60-69 years, female 207.1
GTEX-1LGRB-2626-SM-CNPPR 50-59 years, female 168.7
GTEX-13X6H-2326-SM-7EWEB 50-59 years, female 117.9
GTEX-17F96-2726-SM-7LT9F 70-79 years, male 117.9
GTEX-11TT1-2326-SM-5GU6N 20-29 years, male 116.7
GTEX-16NGA-1926-SM-7LTA6 40-49 years, female 107.3
GTEX-U3ZN-2226-SM-3DB88 30-39 years, female 102.5
GTEX-14C39-2426-SM-5S2U5 40-49 years, male 101.9
GTEX-131XE-2726-SM-5P9G7 50-59 years, male 101.6
GTEX-PX3G-1626-SM-2S1PT 20-29 years, female 99.6
GTEX-16XZZ-0526-SM-7KUF1 60-69 years, male 99.4
GTEX-1IE54-0326-SM-ARZMD 40-49 years, female 96.3
GTEX-16MT8-0326-SM-6PAM5 60-69 years, female 93.5
GTEX-1HCU7-0426-SM-D3L8Q 50-59 years, male 92.4
GTEX-14PJO-0526-SM-6EU2O 60-69 years, male 91.8
GTEX-1CB4J-1226-SM-7P8P3 60-69 years, male 89.4
GTEX-1JK1U-2226-SM-CNNPL 60-69 years, male 89.1
GTEX-1NUQO-0726-SM-E9J3K 20-29 years, female 89.0
GTEX-WFG8-2426-SM-3GILL 20-29 years, male 88.7
GTEX-13D11-2526-SM-5KM28 50-59 years, female 87.5
GTEX-P44H-0426-SM-2XCEZ 40-49 years, male 87.3
GTEX-1211K-2126-SM-59HJZ 60-69 years, female 87.2
GTEX-R55G-2326-SM-2TC61 40-49 years, female 85.6
GTEX-QV44-2026-SM-2S1RD 50-59 years, male 85.1
GTEX-1JMQK-0326-SM-ARZN5 60-69 years, male 84.9
GTEX-ZYY3-0526-SM-5E45G 60-69 years, female 84.7
GTEX-TML8-1826-SM-32QOR 40-49 years, female 84.4
GTEX-1PWST-0426-SM-E76QV 70-79 years, male 83.9
GTEX-Q2AI-1526-SM-3GIJ3 40-49 years, male 83.7
GTEX-1A3MX-0526-SM-718A9 60-69 years, male 83.2
GTEX-RM2N-1626-SM-2TF5N 50-59 years, male 83.1
GTEX-1JJ6O-0926-SM-CYPT1 60-69 years, male 82.5
GTEX-1H1ZS-0626-SM-CNPPU 70-79 years, male 82.4
GTEX-WOFM-1326-SM-3MJFR 20-29 years, male 81.9
GTEX-1CAMS-0126-SM-79396 40-49 years, female 81.5
GTEX-1FIGZ-1726-SM-9MQKS 40-49 years, male 81.0
GTEX-P4QT-1626-SM-DHXIR 50-59 years, female 80.3
GTEX-OOBJ-1626-SM-2I3F7 60-69 years, male 80.2
GTEX-1192X-0426-SM-5GIEE 50-59 years, male 79.8
GTEX-X8HC-0526-SM-4E3JA 50-59 years, female 79.5
GTEX-13O61-2326-SM-5J1NJ 60-69 years, male 79.4
GTEX-14XAO-2226-SM-6LLHU 60-69 years, female 79.3
GTEX-1JN76-0326-SM-ARZNJ 20-29 years, female 78.6
GTEX-1KANC-1626-SM-E6CIA 50-59 years, female 78.6
GTEX-13PVR-2526-SM-5RQIT 60-69 years, female 78.4
GTEX-1I6K7-0326-SM-B2LXO 40-49 years, male 78.4
GTEX-1R9JW-2426-SM-DTXFI 30-39 years, female 78.4
GTEX-15EO6-2826-SM-6PANB 50-59 years, male 76.8
GTEX-1H1DG-0326-SM-9QEHK 70-79 years, male 76.7
GTEX-1IDJU-2426-SM-ARZM9 60-69 years, female 76.2
GTEX-SN8G-0326-SM-32PLG 50-59 years, female 76.1
GTEX-1I1GS-0326-SM-ARL7X 60-69 years, male 75.6
GTEX-1JKYR-0326-SM-CNPOL 20-29 years, male 75.3
GTEX-13QBU-2426-SM-5LU4L 40-49 years, female 75.1
GTEX-11DXX-2726-SM-5PNXO 60-69 years, female 74.7
GTEX-ZC5H-0326-SM-5HL9F 40-49 years, female 74.6
GTEX-15UF7-2226-SM-6PAMQ 40-49 years, male 74.4
GTEX-15SHW-0726-SM-7KUEI 60-69 years, male 74.1
GTEX-14A5I-0326-SM-5NQ9J 50-59 years, female 73.8
GTEX-14PJ2-0326-SM-6EU2Q 50-59 years, male 73.8
GTEX-1117F-0426-SM-5EGHI 60-69 years, female 73.1
GTEX-TMMY-0426-SM-33HBB 40-49 years, female 73.0
GTEX-Y5V6-2626-SM-5IFIX 60-69 years, male 72.8
GTEX-Y5V5-2526-SM-4VBQ4 60-69 years, female 72.7
GTEX-1QCLY-0426-SM-E8VOH 30-39 years, male 72.6
GTEX-145LT-1626-SM-5O992 40-49 years, male 72.5
GTEX-183FY-0226-SM-7LG54 20-29 years, male 72.4
GTEX-13N11-2726-SM-5L3ER 50-59 years, female 72.1
GTEX-11EQ9-2126-SM-5PNVW 30-39 years, male 71.9
GTEX-ZPIC-2526-SM-57WDP 40-49 years, female 71.9
GTEX-Y8E4-1026-SM-4VBQ5 40-49 years, male 71.6
GTEX-Y3IK-2626-SM-4WWDK 50-59 years, female 71.5
GTEX-1GPI7-0426-SM-7RHHP 20-29 years, male 71.5
GTEX-1339X-2426-SM-5KLYU 40-49 years, male 71.4
GTEX-1KXAM-2426-SM-DIPFC 60-69 years, male 71.0
GTEX-ZA64-2026-SM-5PNXT 20-29 years, male 70.7
GTEX-12C56-1926-SM-5FQUG 20-29 years, male 70.3
GTEX-1J8Q3-1426-SM-CKZPU 60-69 years, male 70.3
GTEX-148VJ-0326-SM-5QGQE 70-79 years, male 69.9
GTEX-14H4A-0926-SM-5ZZUU 40-49 years, female 69.7
GTEX-1CAMR-1726-SM-793CU 20-29 years, male 69.7
GTEX-1PPH8-0326-SM-E76PR 20-29 years, male 69.5
GTEX-1LGOU-2126-SM-DIPFG 20-29 years, female 69.4
GTEX-1C4CL-0326-SM-7DHMH 30-39 years, male 69.1
GTEX-15F5U-1826-SM-6LLJF 40-49 years, male 69.0
GTEX-XPT6-2026-SM-4B64V 20-29 years, male 68.9
GTEX-17F98-1626-SM-7938R 40-49 years, female 68.5
GTEX-1JMPY-1226-SM-CJI3A 30-39 years, male 68.5
GTEX-1IDJD-1326-SM-CM2TQ 30-39 years, male 68.3
GTEX-1AX9J-0126-SM-73KY2 60-69 years, male 67.9
GTEX-1C6VQ-0326-SM-7DHMS 50-59 years, male 67.8
GTEX-18A66-0126-SM-731CQ 60-69 years, male 67.7
GTEX-1HKZK-0226-SM-9WYUG 40-49 years, male 67.7
GTEX-11NSD-2026-SM-5HL5U 20-29 years, male 67.6
GTEX-1HSMO-0526-SM-ACKXB 60-69 years, male 67.6
GTEX-16BQI-0326-SM-6PAM4 30-39 years, female 67.5
GTEX-ZF29-2426-SM-DO92G 60-69 years, female 67.3
GTEX-1QP66-1626-SM-E76PC 50-59 years, male 67.2
GTEX-12WSJ-1726-SM-5LZVV 40-49 years, female 67.0
GTEX-1C2JI-2126-SM-793CG 50-59 years, male 67.0
GTEX-11P81-2526-SM-5GU6H 30-39 years, female 66.8
GTEX-13OVG-2126-SM-5KM1K 60-69 years, male 66.7
GTEX-13O3P-0626-SM-5L3D5 50-59 years, male 66.6
GTEX-ZVE1-0526-SM-5NQ71 50-59 years, female 66.6
GTEX-REY6-0826-SM-2TF4S 60-69 years, male 66.4
GTEX-16AAH-1826-SM-7939D 50-59 years, male 66.2
GTEX-17GQL-1926-SM-718B9 60-69 years, male 66.2
GTEX-P78B-1626-SM-5SI85 40-49 years, female 65.7
GTEX-14BIL-0326-SM-5SI9Q 50-59 years, male 65.4
GTEX-1HGF4-2626-SM-CM2SJ 60-69 years, male 65.2
GTEX-14753-0526-SM-5QGPR 60-69 years, male 65.1
GTEX-111CU-2026-SM-5GZZC 50-59 years, male 64.9
GTEX-12WSL-2726-SM-5CVNL 50-59 years, male 64.8
GTEX-PWCY-2026-SM-5SI8R 20-29 years, female 64.8
GTEX-1HCUA-2326-SM-ACKVJ 50-59 years, female 64.8
GTEX-1C64O-0326-SM-73KVW 60-69 years, male 64.6
GTEX-1I1GU-2126-SM-CGQF9 40-49 years, male 64.6
GTEX-ZXG5-0326-SM-5GICH 60-69 years, male 64.5
GTEX-1GF9W-0526-SM-9MQJP 60-69 years, male 64.5
GTEX-YF7O-2526-SM-5IFJX 50-59 years, male 64.4
GTEX-POYW-0526-SM-2XCEY 60-69 years, male 64.3
GTEX-1H3VE-0126-SM-9WYTW 40-49 years, male 64.3
GTEX-1HBPM-0426-SM-CKZOO 60-69 years, female 64.3
GTEX-ZAJG-0526-SM-5S2MT 50-59 years, female 64.2
GTEX-17F9E-0226-SM-79OKK 50-59 years, male 64.1
GTEX-WFG7-2226-SM-3GIKP 20-29 years, male 64.1
GTEX-OIZF-1626-SM-2YUNE 60-69 years, male 63.9
GTEX-1J8Q2-0126-SM-E9J2G 60-69 years, male 63.8
GTEX-145MO-0726-SM-5NQB9 60-69 years, male 63.7
GTEX-1CB4F-0326-SM-9MQKD 60-69 years, male 63.7
GTEX-X5EB-2326-SM-46MW5 40-49 years, male 63.5
GTEX-14E6E-2026-SM-664N5 30-39 years, male 63.4
GTEX-18D9A-1826-SM-718BK 30-39 years, female 63.3
GTEX-TSE9-0526-SM-3DB7Z 60-69 years, female 63.1
GTEX-1AX9K-2726-SM-7DHMA 50-59 years, male 62.9
GTEX-1JN1M-0526-SM-CJI3D 60-69 years, female 62.9
GTEX-14C38-0426-SM-5TDDZ 50-59 years, male 62.7
GTEX-14C5O-0626-SM-664N2 60-69 years, male 62.5
GTEX-1C475-1726-SM-73KVX 40-49 years, female 62.5
GTEX-11P82-1826-SM-5PNYJ 20-29 years, male 62.3
GTEX-T8EM-1326-SM-3DB7G 40-49 years, male 62.3
GTEX-1I4MK-2326-SM-ADEHR 50-59 years, female 62.3
GTEX-1RB15-2226-SM-DTXFZ 60-69 years, male 62.3
GTEX-1B8KE-2226-SM-7939K 50-59 years, male 62.0
GTEX-1IKK5-0426-SM-CL53X 60-69 years, male 62.0
GTEX-11WQK-0726-SM-5GU71 50-59 years, male 61.9
GTEX-14ICL-1926-SM-5RQIZ 30-39 years, male 61.9
GTEX-WY7C-2526-SM-3NB2N 50-59 years, male 61.9
GTEX-ZTPG-0126-SM-5O9AL 20-29 years, female 61.5
GTEX-OXRK-1826-SM-2HMJE 50-59 years, female 61.2
GTEX-U3ZM-1226-SM-3DB9G 40-49 years, male 61.0
GTEX-1I19N-2026-SM-ACKXJ 70-79 years, male 61.0
GTEX-15DZA-2026-SM-6PANE 30-39 years, female 60.7
GTEX-13FHP-0526-SM-5K7UY 50-59 years, male 60.5
GTEX-15SHV-2526-SM-6PAMG 60-69 years, male 60.4
GTEX-1A3MW-0526-SM-731BY 60-69 years, female 60.4
GTEX-1HSGN-0326-SM-ACKXQ 40-49 years, female 60.4
GTEX-1AX8Z-5004-SM-ARZLD 60-69 years, male 60.3
GTEX-131XF-2326-SM-5BC6B 60-69 years, male 60.2
GTEX-ZLV1-2126-SM-4WWD2 60-69 years, female 60.2
GTEX-ZTX8-1626-SM-51MRY 20-29 years, male 60.2
GTEX-QCQG-2126-SM-DTXFV 50-59 years, female 60.1
GTEX-ZT9X-1826-SM-57WDU 40-49 years, male 60.0
GTEX-1S5VW-0526-SM-E6CHL 60-69 years, male 60.0
GTEX-11P7K-1926-SM-5GU6R 30-39 years, male 59.9
GTEX-1QAET-2026-SM-E9J3S 50-59 years, male 59.8
GTEX-S32W-2326-SM-2XCAW 50-59 years, female 59.7
GTEX-1H1E6-2126-SM-9KNVM 30-39 years, male 59.7
GTEX-P4QS-1626-SM-2S1NH 60-69 years, male 59.6
GTEX-WYJK-1726-SM-3NM9U 50-59 years, male 59.6
GTEX-ZV6S-2126-SM-4YCEM 40-49 years, female 59.6
GTEX-1EH9U-0326-SM-7P8S2 60-69 years, male 59.5
GTEX-1QP9N-1926-SM-E6CPY 30-39 years, male 59.5
GTEX-ZF28-0526-SM-4WKGW 60-69 years, male 59.4
GTEX-1LC47-0626-SM-DIPFE 60-69 years, male 59.4
GTEX-ZGAY-0726-SM-DO91O 40-49 years, female 59.4
GTEX-OXRP-2326-SM-2S1NL 60-69 years, female 59.2
GTEX-11VI4-1926-SM-5CVLI 40-49 years, female 59.1
GTEX-14PJ4-2426-SM-6EU1U 60-69 years, male 59.1
GTEX-132AR-1026-SM-5PNVL 50-59 years, female 59.0
GTEX-OIZI-0626-SM-2XCEH 40-49 years, male 59.0
GTEX-17HGU-0626-SM-7939Y 50-59 years, male 58.9
GTEX-13PL7-0626-SM-5IJCD 60-69 years, female 58.8
GTEX-1F75B-0526-SM-7P8T5 50-59 years, male 58.8
GTEX-1J8QM-2226-SM-CYPSK 60-69 years, female 58.8
GTEX-Y9LG-1926-SM-5IFHY 30-39 years, male 58.7
GTEX-1K2DU-2526-SM-D3L8V 20-29 years, male 58.7
GTEX-U3ZH-1926-SM-4DXTR 30-39 years, male 58.6
GTEX-1F5PL-0426-SM-7P8PR 40-49 years, female 58.6
GTEX-133LE-2026-SM-5K7WM 20-29 years, female 58.5
GTEX-1497J-2626-SM-5SI9K 60-69 years, male 58.5
GTEX-1PBJJ-0326-SM-E8VNT 30-39 years, male 58.5
GTEX-SNMC-1426-SM-2XCFM 20-29 years, male 58.4
GTEX-13OVJ-0226-SM-5L3GK 50-59 years, female 58.3
GTEX-1GN1W-0726-SM-9KNTV 50-59 years, female 58.1
GTEX-1MA7W-1826-SM-DIPFP 20-29 years, female 58.1
GTEX-XUZC-2126-SM-4BRW8 30-39 years, female 57.9
GTEX-13RTJ-2726-SM-73KVG 60-69 years, male 57.7
GTEX-1JMQI-2126-SM-CM2SC 50-59 years, male 57.7
GTEX-11EM3-2126-SM-5H11M 20-29 years, female 57.6
GTEX-1399R-2526-SM-5IFG2 30-39 years, male 57.6
GTEX-14BMU-2026-SM-5S2W6 20-29 years, female 57.6
GTEX-1B97J-1226-SM-7PBZR 50-59 years, female 57.6
GTEX-1MCYP-2026-SM-DTXE4 20-29 years, female 57.6
GTEX-11LCK-1226-SM-5Q5AM 30-39 years, male 57.5
GTEX-TKQ1-1426-SM-4GICK 30-39 years, male 57.4
GTEX-1K2DA-2226-SM-CGQGM 50-59 years, male 57.2
GTEX-1MCC2-2726-SM-EWRN3 30-39 years, female 57.1
GTEX-U4B1-1626-SM-3DB8N 40-49 years, male 57.0
GTEX-144GM-2026-SM-5LU3D 20-29 years, male 56.9
GTEX-146FR-1726-SM-5Q5DT 60-69 years, female 56.8
GTEX-1GN1U-2226-SM-9MQK1 50-59 years, female 56.8
GTEX-1MJK3-1426-SM-E9TK1 20-29 years, male 56.6
GTEX-15UKP-0326-SM-7KUFP 20-29 years, male 56.4
GTEX-ZF3C-0326-SM-4WWBF 50-59 years, female 56.3
GTEX-12BJ1-2526-SM-5FQUE 60-69 years, male 56.2
GTEX-V955-2426-SM-3GAEF 60-69 years, male 56.2
GTEX-X261-0326-SM-3NMD4 50-59 years, male 56.2
GTEX-15ETS-0326-SM-6PANH 40-49 years, female 56.1
GTEX-Q734-2026-SM-3GADA 40-49 years, female 56.1
GTEX-1GTWX-0326-SM-9WYTP 60-69 years, male 56.1
GTEX-13JUV-2326-SM-5IJCE 40-49 years, female 56.0
GTEX-13OVH-0626-SM-5L3EI 70-79 years, male 55.9
GTEX-14E6C-1526-SM-664ND 40-49 years, male 55.9
GTEX-1CB4I-0326-SM-7DHMM 50-59 years, male 55.9
GTEX-13FH7-2126-SM-5L3DJ 50-59 years, female 55.8
GTEX-1QCLZ-0326-SM-DTXG2 60-69 years, female 55.7
GTEX-11GSO-2526-SM-5PNVX 60-69 years, male 55.6
GTEX-139T6-2026-SM-5IFFL 50-59 years, male 55.6
GTEX-1JMQJ-0126-SM-E6CI2 50-59 years, male 55.6
GTEX-RTLS-0526-SM-2TF64 60-69 years, female 55.5
GTEX-O5YT-1626-SM-32PK6 20-29 years, male 55.4
GTEX-1HR9M-0326-SM-CL549 60-69 years, male 55.4
GTEX-13X6K-0326-SM-5Q5D6 60-69 years, female 55.3
GTEX-13N2G-2326-SM-5J1ON 60-69 years, male 55.2
GTEX-QEG5-0426-SM-2I5GJ 20-29 years, male 55.1
GTEX-ZLWG-2126-SM-DO91M 50-59 years, female 54.9
GTEX-ZPCL-2026-SM-57WFD 60-69 years, female 54.8
GTEX-1JKYN-1826-SM-ARZMZ 30-39 years, male 54.6
GTEX-1445S-0626-SM-5LU3C 60-69 years, male 54.5
GTEX-15G19-0526-SM-6PAMT 60-69 years, male 54.5
GTEX-13OVK-1926-SM-6M48G 40-49 years, male 54.4
GTEX-14PJ6-2326-SM-6ETZR 60-69 years, female 54.4
GTEX-ZV7C-2426-SM-5NQ7Q 50-59 years, male 54.4
GTEX-13VXT-0326-SM-5LU4U 20-29 years, female 54.3
GTEX-1B97I-2026-SM-7DHN2 40-49 years, male 54.3
GTEX-131XG-2326-SM-5HL8F 50-59 years, female 54.1
GTEX-1AMFI-2226-SM-731C6 50-59 years, female 54.0
GTEX-QV31-1426-SM-2S1QD 30-39 years, male 54.0
GTEX-W5WG-1926-SM-4KKZK 50-59 years, female 54.0
GTEX-144GN-2426-SM-5LU4R 50-59 years, male 53.8
GTEX-14DAR-1826-SM-664N1 50-59 years, male 53.8
GTEX-PWN1-1626-SM-2S1OL 40-49 years, female 53.8
GTEX-1N2DV-0526-SM-DTX8W 40-49 years, male 53.7
GTEX-1QP2A-0526-SM-E8VN5 50-59 years, male 53.7
GTEX-1GMR2-2126-SM-7P8TX 50-59 years, male 53.6
GTEX-WHPG-2226-SM-3NMBO 50-59 years, male 53.5
GTEX-ZZPU-2626-SM-5E45Y 50-59 years, female 53.4
GTEX-1MUQO-0226-SM-E9TJL 60-69 years, male 53.4
GTEX-14PK6-2126-SM-6ETZV 70-79 years, female 53.3
GTEX-13FTW-2326-SM-5K7YS 40-49 years, male 53.2
GTEX-UPJH-0526-SM-4IHK8 50-59 years, male 53.2
GTEX-13111-2226-SM-5LZUE 50-59 years, male 52.9
GTEX-XQ8I-0626-SM-4BOPT 50-59 years, male 52.9
GTEX-ZYFG-2426-SM-5GIE8 60-69 years, female 52.8
GTEX-1QP67-1826-SM-DTX8D 40-49 years, female 52.8
GTEX-WHSB-1826-SM-3TW8M 50-59 years, male 52.7
GTEX-WYVS-2326-SM-3NMAI 40-49 years, female 52.7
GTEX-17EVP-1326-SM-7DHMR 40-49 years, male 52.4
GTEX-OXRL-1626-SM-2YUMU 50-59 years, male 52.3
GTEX-1IDJF-0326-SM-ADEIG 20-29 years, male 52.3
GTEX-1M5QR-1326-SM-EWROC 40-49 years, male 52.3
GTEX-1S83E-2126-SM-EWRO6 40-49 years, male 52.3
GTEX-OXRN-1326-SM-3LK5V 50-59 years, male 52.1
GTEX-1HBPN-0526-SM-A9SM6 50-59 years, male 52.0
GTEX-139TU-0526-SM-5J2M8 60-69 years, male 51.8
GTEX-15RIG-0426-SM-7KUF4 40-49 years, male 51.7
GTEX-Y8LW-2026-SM-4V6G8 50-59 years, female 51.6
GTEX-Z9EW-1726-SM-5CVMO 40-49 years, male 51.6
GTEX-1H23P-0526-SM-9WG6S 60-69 years, male 51.6
GTEX-18D9U-0626-SM-7LTA4 40-49 years, male 51.5
GTEX-SNOS-1526-SM-32PLW 40-49 years, male 51.5
GTEX-ZVT2-2426-SM-57WCQ 50-59 years, female 51.5
GTEX-1N2EF-0526-SM-E76OK 60-69 years, male 51.4
GTEX-14JG6-2126-SM-6EU2F 30-39 years, female 51.3
GTEX-14PN4-0326-SM-6EU2N 50-59 years, male 51.3
GTEX-13JVG-0126-SM-5L3D3 60-69 years, male 51.2
GTEX-1O9I2-0526-SM-EYYXI 50-59 years, male 51.1
GTEX-15SB6-1826-SM-6PALN 50-59 years, female 51.0
GTEX-15UF6-1026-SM-7KUF7 70-79 years, female 51.0
GTEX-1B996-0326-SM-7DHMU 60-69 years, male 51.0
GTEX-QLQ7-1726-SM-2S1QQ 60-69 years, male 51.0
GTEX-R55D-0626-SM-3GAD5 50-59 years, male 51.0
GTEX-WEY5-2026-SM-CYPRC 40-49 years, female 51.0
GTEX-12KS4-0826-SM-5BC5R 30-39 years, male 50.9
GTEX-15RIF-2126-SM-7KUM8 20-29 years, male 50.9
GTEX-XGQ4-2326-SM-4AT53 50-59 years, male 50.9
GTEX-12WSN-2526-SM-5LZU8 40-49 years, male 50.7
GTEX-146FH-0526-SM-5QGQ3 50-59 years, female 50.7
GTEX-15ER7-0226-SM-7KUEU 20-29 years, female 50.7
GTEX-17HHE-2126-SM-7DHLO 50-59 years, male 50.6
GTEX-1A3MV-2026-SM-718BU 30-39 years, male 50.6
GTEX-ZVP2-2126-SM-5GU6E 50-59 years, male 50.6
GTEX-ZLFU-2526-SM-DO91K 40-49 years, male 50.6
GTEX-YB5K-2326-SM-5IFHD 40-49 years, female 50.5
GTEX-1HSMQ-1326-SM-ADEHS 50-59 years, male 50.5
GTEX-PLZ6-1526-SM-2S1OC 30-39 years, male 50.4
GTEX-QESD-1626-SM-2S1RB 20-29 years, male 50.4
GTEX-RU72-1326-SM-2TF6T 50-59 years, female 50.4
GTEX-169BO-1526-SM-9KNVR 50-59 years, male 50.4
GTEX-1L5NE-2226-SM-CXZKS 50-59 years, male 50.4
GTEX-1R46S-0326-SM-EWRNE 60-69 years, female 50.4
GTEX-UJMC-1826-SM-3GADT 50-59 years, male 50.3
GTEX-1HSMP-0326-SM-A9SMC 70-79 years, male 50.3
GTEX-16MTA-2026-SM-7KUL3 50-59 years, male 50.1
GTEX-1AYD5-2226-SM-73KX3 50-59 years, male 50.1
GTEX-13NYS-0326-SM-5MR4L 60-69 years, male 50.0
GTEX-14E6D-0326-SM-62LDX 50-59 years, male 50.0
GTEX-15RIE-2426-SM-7KUDS 60-69 years, male 50.0
GTEX-17MF6-2026-SM-7LG5I 40-49 years, male 50.0
GTEX-18QFQ-0326-SM-731C3 30-39 years, male 50.0
GTEX-11EI6-0326-SM-5EQ6G 60-69 years, male 49.9
GTEX-139YR-2526-SM-5IJC6 50-59 years, male 49.8
GTEX-1LG7Y-0126-SM-E6CJ8 50-59 years, male 49.7
GTEX-117YX-2526-SM-5EQ4Q 50-59 years, male 49.6
GTEX-11I78-2426-SM-5A5K9 50-59 years, female 49.6
GTEX-1H3NZ-0326-SM-9MQL6 60-69 years, male 49.6
GTEX-OIZH-1626-SM-2HMKI 50-59 years, male 49.5
GTEX-1HUB1-0526-SM-CL54N 60-69 years, male 49.5
GTEX-11OC5-0326-SM-5PNW5 60-69 years, male 49.4
GTEX-P4PQ-1626-SM-2HMKK 60-69 years, male 49.2
GTEX-12584-0526-SM-5FQTS 40-49 years, male 49.1
GTEX-1HCU9-1926-SM-9WYSE 20-29 years, male 49.0
GTEX-R53T-1826-SM-3GIJX 50-59 years, female 48.9
GTEX-WFON-2326-SM-3LK7M 40-49 years, male 48.9
GTEX-ZVT3-0526-SM-5GIE9 60-69 years, female 48.9
GTEX-1HB9E-0326-SM-D3LA5 50-59 years, male 48.9
GTEX-1HSEH-0326-SM-A9G26 60-69 years, male 48.9
GTEX-QDVJ-1926-SM-2S1PJ 50-59 years, male 48.8
GTEX-ZYW4-0526-SM-5GZZ5 60-69 years, male 48.7
GTEX-1EN7A-0326-SM-7P8T1 40-49 years, male 48.7
GTEX-18A67-0326-SM-7LG5X 50-59 years, male 48.6
GTEX-WRHK-1626-SM-3MJFH 20-29 years, female 48.6
GTEX-ZZ64-1526-SM-5E43K 20-29 years, male 48.6
GTEX-1H3VY-0326-SM-9WYU6 50-59 years, male 48.6
GTEX-1H1DE-1726-SM-A9G3G 20-29 years, male 48.5
GTEX-15RJ7-2426-SM-6M48L 40-49 years, male 48.4
GTEX-1F48J-0526-SM-9WYSX 50-59 years, female 48.4
GTEX-111VG-2626-SM-5GZY2 60-69 years, male 48.2
GTEX-1NHNU-1226-SM-DTX8I 50-59 years, male 48.2
GTEX-1RAZR-0326-SM-EWRNM 40-49 years, male 48.2
GTEX-ZYT6-1626-SM-5E45R 30-39 years, male 48.1
GTEX-145MN-2426-SM-5NQA5 30-39 years, male 48.0
GTEX-1CB4G-0426-SM-7MXUN 60-69 years, male 48.0
GTEX-14AS3-2126-SM-5S2MK 40-49 years, female 47.9
GTEX-WK11-2526-SM-3NM9Y 50-59 years, male 47.9
GTEX-ZVZO-0326-SM-5HL4N 40-49 years, male 47.9
GTEX-16XZY-2226-SM-7938N 70-79 years, male 47.7
GTEX-POMQ-1926-SM-3NB1Y 20-29 years, female 47.7
GTEX-1LH75-2626-SM-E9TKL 50-59 years, female 47.7
GTEX-15SHU-0626-SM-7KUFH 40-49 years, female 47.6
GTEX-X4XY-0626-SM-4E3IN 60-69 years, male 47.6
GTEX-ZF2S-2126-SM-4WWAY 50-59 years, female 47.6
GTEX-Z93S-1326-SM-5CVMR 50-59 years, male 47.5
GTEX-1F75I-0526-SM-7RHI3 40-49 years, male 47.5
GTEX-1R9PN-1826-SM-E8VO4 40-49 years, female 47.5
GTEX-1B8SG-0326-SM-73KXW 50-59 years, male 47.4
GTEX-OOBK-1626-SM-2HMKG 40-49 years, male 47.4
GTEX-1HCVE-0326-SM-CGQEW 50-59 years, male 47.3
GTEX-1R9PO-2426-SM-EVYBS 60-69 years, female 47.3
GTEX-1S82P-0326-SM-E9TIR 60-69 years, female 47.3
GTEX-RNOR-0526-SM-2TF4O 50-59 years, female 47.2
GTEX-U8XE-0726-SM-3DB8O 30-39 years, male 47.2
GTEX-1PIEJ-0326-SM-EVYB5 20-29 years, female 47.2
GTEX-14ABY-0126-SM-62LDI 50-59 years, male 47.1
GTEX-1E1VI-0426-SM-7DHN1 50-59 years, male 47.1
GTEX-SJXC-0526-SM-2XCFG 60-69 years, male 47.1
GTEX-XPVG-2526-SM-4B66D 50-59 years, male 47.1
GTEX-13FTX-2026-SM-5L3D6 20-29 years, female 47.0
GTEX-YEC4-2226-SM-5IFJT 40-49 years, male 47.0
GTEX-1JN6P-0526-SM-COH33 60-69 years, male 47.0
GTEX-QDVN-2426-SM-2S1Q4 50-59 years, male 46.9
GTEX-1PDJ9-0526-SM-DTXDL 20-29 years, male 46.9
GTEX-1PIIG-0126-SM-E9J46 30-39 years, male 46.9
GTEX-1RAZQ-0426-SM-DTXFQ 30-39 years, male 46.8
GTEX-1S82U-1426-SM-E6CJL 30-39 years, female 46.8
GTEX-117YW-2426-SM-5Q5AE 50-59 years, male 46.7
GTEX-11UD2-0326-SM-5EQLE 50-59 years, male 46.7
GTEX-12ZZY-0626-SM-5EQ5T 60-69 years, male 46.7
GTEX-13QJ3-0726-SM-5SI68 50-59 years, male 46.7
GTEX-YEC3-2126-SM-4YCDB 50-59 years, male 46.7
GTEX-111YS-2326-SM-5987L 60-69 years, male 46.6
GTEX-XUW1-0826-SM-4BOP6 50-59 years, female 46.6
GTEX-1H11D-0326-SM-9WG71 40-49 years, male 46.6
GTEX-18465-0326-SM-7LTAD 50-59 years, male 46.5
GTEX-1RQEC-0126-SM-E9J2H 60-69 years, male 46.5
GTEX-11ZUS-1426-SM-5FQSP 30-39 years, male 46.4
GTEX-1JMLX-0326-SM-CM2RP 50-59 years, male 46.4
GTEX-1PIGE-0226-SM-E76OT 20-29 years, male 46.4
GTEX-11EMC-2626-SM-59864 60-69 years, female 46.3
GTEX-11ZVC-2726-SM-5FQSZ 50-59 years, female 46.3
GTEX-13YAN-0526-SM-5O9BE 60-69 years, male 46.3
GTEX-Y8DK-0326-SM-4TT3P 60-69 years, male 46.3
GTEX-15G1A-2026-SM-7KUFG 30-39 years, male 46.2
GTEX-1BAJH-0126-SM-7DHMF 70-79 years, male 46.2
GTEX-1E2YA-0526-SM-7P8RY 50-59 years, male 46.2
GTEX-14PJM-0426-SM-5ZZVN 50-59 years, female 46.1
GTEX-1QP6S-0426-SM-DTXG4 40-49 years, male 46.1
GTEX-11H98-0326-SM-5HL4S 50-59 years, male 46.0
GTEX-1I1GQ-0326-SM-A9SKS 50-59 years, male 46.0
GTEX-11DXZ-2426-SM-5N9DT 50-59 years, male 45.9
GTEX-13O21-1726-SM-5MR5A 50-59 years, male 45.9
GTEX-1AX9I-0326-SM-73KXQ 60-69 years, male 45.9
GTEX-1GMR3-2126-SM-9WYTZ 40-49 years, male 45.9
GTEX-13FHO-0726-SM-5IJDG 60-69 years, male 45.7
GTEX-1CB4E-2126-SM-793AP 60-69 years, male 45.7
GTEX-NFK9-0626-SM-2HMIV 40-49 years, male 45.7
GTEX-RUSQ-1726-SM-2TF68 50-59 years, male 45.7
GTEX-1GF9V-0126-SM-9WYT2 60-69 years, male 45.5
GTEX-11ZTT-2626-SM-5EQKK 60-69 years, female 45.4
GTEX-12696-2826-SM-5FQTY 60-69 years, male 45.4
GTEX-1QP28-0526-SM-E8VNR 50-59 years, female 45.4
GTEX-11ZU8-2326-SM-5EQMJ 60-69 years, male 45.3
GTEX-ZEX8-2526-SM-DO92M 50-59 years, male 45.3
GTEX-1AMEY-1526-SM-73KYW 30-39 years, female 45.2
GTEX-S33H-2226-SM-DKPOP 30-39 years, male 45.2
GTEX-QEG4-0626-SM-2S1OY 30-39 years, male 45.1
GTEX-17HII-0426-SM-793A3 50-59 years, male 45.0
GTEX-1F6I4-0326-SM-7P8T8 60-69 years, male 45.0
GTEX-13W3W-2626-SM-5SIA2 60-69 years, female 44.9
GTEX-13W46-0726-SM-5LU3Z 50-59 years, male 44.9
GTEX-147F4-0326-SM-5TDCK 50-59 years, male 44.9
GTEX-RWSA-0726-SM-2XCBE 40-49 years, male 44.8
GTEX-13NZB-2626-SM-5J2M7 30-39 years, male 44.7
GTEX-14JG1-0126-SM-5ZZUP 40-49 years, male 44.7
GTEX-15SDE-2326-SM-6PAL4 50-59 years, female 44.7
GTEX-14PJ5-2026-SM-6LLIN 60-69 years, female 44.5
GTEX-16NPX-0626-SM-7KULB 50-59 years, male 44.5
GTEX-17HHY-0326-SM-7938H 50-59 years, male 44.5
GTEX-XBED-2626-SM-4E3J5 60-69 years, male 44.5
GTEX-ZVTK-0626-SM-5GU6Y 20-29 years, male 44.5
GTEX-1F52S-0826-SM-7P8TQ 60-69 years, female 44.5
GTEX-X88G-0326-SM-47JZ4 30-39 years, male 44.3
GTEX-1KANA-0926-SM-D3L9K 20-29 years, male 44.2
GTEX-OHPK-1626-SM-2YUN3 50-59 years, female 44.1
GTEX-1IDJH-0226-SM-CYPSB 70-79 years, male 44.1
GTEX-UJHI-1726-SM-3DB9B 50-59 years, female 44.0
GTEX-1S5ZA-0526-SM-EWRO1 20-29 years, male 44.0
GTEX-18A6Q-0326-SM-718AT 60-69 years, male 43.9
GTEX-QEL4-0626-SM-3GIJM 50-59 years, male 43.9
GTEX-1PPGY-0426-SM-DTXFE 60-69 years, male 43.9
GTEX-XBEW-1026-SM-4QARV 40-49 years, male 43.8
GTEX-1RAZA-0526-SM-E76R2 20-29 years, male 43.7
GTEX-1J1R8-2326-SM-CKZPS 40-49 years, male 43.6
GTEX-ZAB4-0426-SM-5HL7N 40-49 years, male 43.4
GTEX-1KD5A-0726-SM-DIPEO 50-59 years, male 43.4
GTEX-WWTW-0626-SM-4MVNS 50-59 years, male 43.3
GTEX-18A7A-0626-SM-718BJ 50-59 years, female 43.2
GTEX-ZAB5-2126-SM-5K7UN 50-59 years, male 43.2
GTEX-ZVE2-0626-SM-5GU7I 50-59 years, male 43.1
GTEX-11TUW-2526-SM-5EQKN 60-69 years, male 43.0
GTEX-1A8G7-0326-SM-72D5B 60-69 years, male 43.0
GTEX-1I6K6-0326-SM-CJI4A 30-39 years, male 43.0
GTEX-1212Z-2626-SM-5YY8P 60-69 years, male 42.9
GTEX-13RTK-1626-SM-5QGQS 20-29 years, male 42.9
GTEX-17MFQ-1926-SM-793A6 20-29 years, male 42.9
GTEX-1F5PK-2626-SM-7RHH6 50-59 years, male 42.8
GTEX-1H1CY-2726-SM-9MQLR 60-69 years, female 42.8
GTEX-1C64N-0326-SM-7P8QC 50-59 years, male 42.7
GTEX-1IDJC-2026-SM-ADEIK 50-59 years, male 42.7
GTEX-147F3-0226-SM-5NQBV 50-59 years, female 42.6
GTEX-14A6H-5019-SM-793DH 30-39 years, male 42.6
GTEX-XV7Q-2926-SM-4BRUL 40-49 years, female 42.5
GTEX-13O3O-0526-SM-5J1NL 60-69 years, female 42.4
GTEX-145MH-0326-SM-5LU8H 50-59 years, male 42.4
GTEX-1477Z-1626-SM-5SIA8 60-69 years, male 42.4
GTEX-14E1K-2326-SM-664MP 50-59 years, male 42.4
GTEX-RWS6-2126-SM-2XCAV 60-69 years, female 42.4
GTEX-1128S-2426-SM-5H11B 60-69 years, female 42.3
GTEX-13OW5-0326-SM-5L3HK 60-69 years, male 42.3
GTEX-1JMPZ-0126-SM-CNPOZ 30-39 years, male 42.2
GTEX-1LBAC-0326-SM-DIPF1 20-29 years, male 42.2
GTEX-RN64-0326-SM-2TC5J 50-59 years, male 42.1
GTEX-TKQ2-0826-SM-33HB6 50-59 years, male 42.1
GTEX-XYKS-2426-SM-4AT43 60-69 years, female 42.1
GTEX-ZY6K-2026-SM-5GZXQ 50-59 years, male 42.1
GTEX-1122O-2426-SM-5GIDN 60-69 years, female 42.0
GTEX-O5YV-2026-SM-2D7VS 60-69 years, female 42.0
GTEX-P44G-0526-SM-2XCD1 30-39 years, male 42.0
GTEX-Q2AH-1826-SM-2S1Q2 40-49 years, male 41.9
GTEX-QDT8-0526-SM-3NMD8 30-39 years, female 41.9
GTEX-1F75A-0626-SM-7PBYI 50-59 years, male 41.9
GTEX-1GMRU-0326-SM-9WYT6 50-59 years, male 41.9
GTEX-13O1R-0526-SM-5K7XU 60-69 years, male 41.8
GTEX-ZVT4-0326-SM-51MS5 50-59 years, female 41.8
GTEX-1HFI7-1926-SM-A96TQ 50-59 years, female 41.8
GTEX-12126-0526-SM-5PNW4 20-29 years, male 41.6
GTEX-145ME-2026-SM-5SIA5 40-49 years, female 41.4
GTEX-12ZZX-0326-SM-5DUVH 40-49 years, female 41.3
GTEX-1399U-2526-SM-5L3DL 50-59 years, female 41.3
GTEX-17KNJ-2426-SM-7DHLR 50-59 years, male 41.3
GTEX-18A7B-0326-SM-7LG65 70-79 years, male 41.3
GTEX-PW2O-1726-SM-2S1OO 20-29 years, male 41.3
GTEX-11DXW-0726-SM-5H12J 40-49 years, male 41.2
GTEX-139TT-0426-SM-5IJFA 60-69 years, male 41.2
GTEX-14PJN-2126-SM-6AJBM 30-39 years, male 41.2
GTEX-1LVAM-0326-SM-DIPFL 50-59 years, female 41.2
GTEX-145LS-0526-SM-5LU8Y 60-69 years, female 41.0
GTEX-1IY9M-0326-SM-ARZMN 60-69 years, male 41.0
GTEX-1PPH7-2526-SM-E76OJ 40-49 years, male 41.0
GTEX-15D79-0526-SM-6ETZP 50-59 years, male 40.9
GTEX-P4PP-1626-SM-2HMJF 30-39 years, female 40.8
GTEX-1GZ4H-1626-SM-7PC3F 50-59 years, female 40.8
GTEX-13U4I-1826-SM-5IJD2 40-49 years, female 40.6
GTEX-17EUY-0626-SM-793BE 20-29 years, male 40.6
GTEX-1B8L1-2726-SM-793AL 60-69 years, male 40.6
GTEX-SE5C-1826-SM-2XCE4 40-49 years, female 40.6
GTEX-XUYS-0326-SM-47JX2 50-59 years, male 40.6
GTEX-ZVZP-2526-SM-57WBR 50-59 years, male 40.6
GTEX-X638-0326-SM-47JY1 70-79 years, female 40.4
GTEX-1KAFJ-2326-SM-D3L8Z 50-59 years, male 40.4
GTEX-QVJO-0126-SM-3GIK4 60-69 years, female 40.2
GTEX-1KWVE-0926-SM-CXZKP 30-39 years, male 40.1
GTEX-1LSNM-2326-SM-EWRO8 50-59 years, male 40.1
GTEX-13S86-2326-SM-5RQK1 40-49 years, male 40.0
GTEX-Y114-2526-SM-4TT8M 50-59 years, female 40.0
GTEX-1ICLY-0326-SM-ARL7S 50-59 years, male 40.0
GTEX-12WSH-2526-SM-5CVNH 50-59 years, male 39.9
GTEX-13CF3-1826-SM-5J1NK 60-69 years, female 39.9
GTEX-14DAQ-0326-SM-664MR 60-69 years, female 39.9
GTEX-1A32A-0526-SM-731B9 50-59 years, female 39.9
GTEX-1I1GP-2126-SM-CKZPJ 50-59 years, male 39.9
GTEX-YB5E-2226-SM-5IFJ5 40-49 years, male 39.8
GTEX-1HT8W-0326-SM-CM2SG 30-39 years, male 39.8
GTEX-11OF3-2526-SM-5P9JL 60-69 years, male 39.7
GTEX-13N1W-0526-SM-5MR4I 70-79 years, male 39.5
GTEX-1LVAN-0526-SM-CNNQ1 50-59 years, female 39.3
GTEX-1399S-2726-SM-5KM22 30-39 years, female 39.2
GTEX-14LZ3-0626-SM-5ZZWP 60-69 years, female 39.2
GTEX-OHPL-1626-SM-2HMIR 60-69 years, female 39.2
GTEX-OIZG-1326-SM-2HMIQ 50-59 years, male 39.2
GTEX-ZV68-0526-SM-59HKI 50-59 years, female 39.2
GTEX-PSDG-0426-SM-5SI86 50-59 years, male 39.1
GTEX-T6MN-0526-SM-32PMS 50-59 years, male 39.1
GTEX-1HSKV-0126-SM-E6CI1 60-69 years, male 39.1
GTEX-13VXU-0326-SM-5LU36 50-59 years, male 39.0
GTEX-ZDTS-0526-SM-4WKH9 60-69 years, male 39.0
GTEX-1J8JJ-0126-SM-D3L93 60-69 years, female 39.0
GTEX-1LG7Z-2126-SM-CXKYU 30-39 years, male 39.0
GTEX-V1D1-2426-SM-3GAER 50-59 years, male 38.9
GTEX-1HCU6-0526-SM-A9SKU 60-69 years, female 38.9
GTEX-15SKB-2526-SM-6PALP 60-69 years, male 38.8
GTEX-145LV-2326-SM-5LU8Z 50-59 years, male 38.5
GTEX-117XS-2526-SM-5H11G 60-69 years, male 38.4
GTEX-ZAK1-0526-SM-5K7X4 50-59 years, female 38.4
GTEX-1GMR8-0326-SM-9KNUO 50-59 years, female 38.3
GTEX-11ONC-2426-SM-5GU7H 60-69 years, male 38.2
GTEX-139UW-2626-SM-5K7W1 60-69 years, male 38.2
GTEX-PLZ5-1726-SM-2I5F6 50-59 years, male 38.2
GTEX-14PJ3-2026-SM-5ZZVK 50-59 years, male 38.0
GTEX-1I1HK-0326-SM-ACKW5 60-69 years, male 38.0
GTEX-1LSNL-0126-SM-EWRNR 50-59 years, male 38.0
GTEX-15DCD-0626-SM-7KUG7 70-79 years, female 37.9
GTEX-1B932-0526-SM-73KU7 40-49 years, female 37.9
GTEX-XQ3S-0426-SM-4BOOA 20-29 years, male 37.9
GTEX-1OFPY-2526-SM-DTXEK 60-69 years, male 37.9
GTEX-R55E-0526-SM-2TC6B 20-29 years, male 37.8
GTEX-ZDYS-1726-SM-5HL4Y 50-59 years, male 37.8
GTEX-1C6VS-0126-SM-7PC2H 60-69 years, male 37.8
GTEX-131XW-0326-SM-5KM1J 50-59 years, female 37.7
GTEX-1B8KZ-2126-SM-73KYG 50-59 years, male 37.7
GTEX-VJWN-0426-SM-3GIJI 50-59 years, female 37.7
GTEX-1GN73-0126-SM-CNPPT 60-69 years, male 37.7
GTEX-1I1GT-0726-SM-B2LWN 60-69 years, female 37.7
GTEX-XBEC-0626-SM-4QARY 50-59 years, male 37.6
GTEX-ZYFD-0326-SM-5NQ8I 50-59 years, male 37.6
GTEX-1CB4H-0426-SM-7MXTL 60-69 years, female 37.6
GTEX-1LB8K-0126-SM-EVYCN 50-59 years, male 37.6
GTEX-13X6J-0326-SM-7EPGD 50-59 years, male 37.5
GTEX-SUCS-1626-SM-32PLS 70-79 years, male 37.5
GTEX-1GZHY-0126-SM-9WYUQ 50-59 years, female 37.5
GTEX-1314G-1726-SM-5LZUX 30-39 years, male 37.4
GTEX-13OW6-0626-SM-5L3IB 50-59 years, male 37.4
GTEX-16GPK-0526-SM-7KUER 60-69 years, male 37.4
GTEX-WRHU-0826-SM-3MJFN 50-59 years, female 37.4
GTEX-Y3I4-2326-SM-4TT81 50-59 years, male 37.4
GTEX-1EMGI-0326-SM-9MQM5 60-69 years, male 37.4
GTEX-1IDJV-0426-SM-COH3Z 60-69 years, male 37.3
GTEX-1IKJJ-0326-SM-CL55L 60-69 years, male 37.3
GTEX-146FQ-0326-SM-5NQAX 30-39 years, male 37.1
GTEX-1IOXB-0326-SM-CL55M 50-59 years, male 37.1
GTEX-1S82Y-2226-SM-EWRNV 40-49 years, male 37.1
GTEX-145LU-2026-SM-5Q5E8 50-59 years, male 37.0
GTEX-17HG3-2726-SM-7DHL5 30-39 years, female 37.0
GTEX-S7PM-0526-SM-3NM92 60-69 years, male 36.9
GTEX-1EX96-1526-SM-7PBXK 50-59 years, male 36.9
GTEX-11O72-0326-SM-5986D 40-49 years, male 36.8
GTEX-UTHO-0726-SM-3GAEN 60-69 years, male 36.8
GTEX-13SLX-0326-SM-5Q5E4 50-59 years, female 36.7
GTEX-1GZ4I-0526-SM-9YFLX 50-59 years, male 36.7
GTEX-11XUK-2226-SM-5CVLL 40-49 years, female 36.6
GTEX-131YS-0526-SM-5EGKJ 60-69 years, female 36.6
GTEX-14PII-0626-SM-69LPY 60-69 years, male 36.6
GTEX-11DXY-2726-SM-5GID2 60-69 years, male 36.5
GTEX-16YQH-0426-SM-7KUL7 30-39 years, male 36.5
GTEX-132NY-0726-SM-5KLZM 60-69 years, male 36.4
GTEX-13PVQ-0326-SM-5K7YF 50-59 years, male 36.3
GTEX-1I1GR-0326-SM-CKZPI 60-69 years, male 36.3
GTEX-12WSC-0326-SM-5EQ5E 50-59 years, male 36.2
GTEX-13FXS-0326-SM-5K7TV 50-59 years, male 36.2
GTEX-Q2AG-0426-SM-2S1PU 40-49 years, female 36.2
GTEX-1JMQL-0126-SM-CY8HN 50-59 years, female 36.2
GTEX-YFC4-1026-SM-5RQJM 40-49 years, female 36.1
GTEX-13112-2626-SM-5BC66 50-59 years, male 36.0
GTEX-1IL2U-0726-SM-EAZ2Y 60-69 years, male 36.0
GTEX-1313W-0526-SM-5P9FZ 50-59 years, female 35.7
GTEX-1KD4Q-0326-SM-E9TJA 40-49 years, male 35.7
GTEX-13PL6-0326-SM-5IJCP 40-49 years, female 35.6
GTEX-14BMV-0326-SM-5RQHW 50-59 years, male 35.5
GTEX-1JJEA-0126-SM-D3L8A 60-69 years, male 35.4
GTEX-1MCQQ-0626-SM-E9U5Q 60-69 years, male 35.4
GTEX-1QMI2-0526-SM-DTXFU 60-69 years, male 35.4
GTEX-144GL-0326-SM-5QGOY 50-59 years, male 35.3
GTEX-1A8G6-0126-SM-7DUFY 60-69 years, male 35.3
GTEX-1C6VR-2526-SM-7DHMT 60-69 years, male 35.3
GTEX-12WSM-0326-SM-5LZVI 60-69 years, male 35.2
GTEX-13NZ9-0626-SM-5IJCO 50-59 years, male 35.2
GTEX-ZQG8-1226-SM-51MRX 60-69 years, female 35.2
GTEX-139TS-2626-SM-5J1MT 60-69 years, male 35.1
GTEX-R55C-1726-SM-3GADJ 40-49 years, male 35.1
GTEX-Y111-0326-SM-4SOIX 50-59 years, male 35.0
GTEX-Y5LM-2126-SM-4VDSY 40-49 years, female 35.0
GTEX-11NV4-0326-SM-5HL58 60-69 years, male 34.9
GTEX-1B933-0426-SM-7DHMC 50-59 years, female 34.8
GTEX-12WSD-0526-SM-5EQ6F 60-69 years, female 34.7
GTEX-13113-5019-SM-7EPH2 60-69 years, female 34.7
GTEX-13NZA-0526-SM-5L3D7 60-69 years, male 34.7
GTEX-13OW7-0326-SM-5J1MP 50-59 years, male 34.7
GTEX-11NUK-0226-SM-5A5L4 50-59 years, male 34.6
GTEX-WHSE-0526-SM-5GZZD 20-29 years, male 34.5
GTEX-17F97-0526-SM-7DUF8 50-59 years, male 34.4
GTEX-QLQW-1326-SM-2S1QS 30-39 years, male 34.4
GTEX-T5JW-1826-SM-3GAE1 20-29 years, female 34.4
GTEX-13OVL-1426-SM-5IJC1 50-59 years, male 34.2
GTEX-144GO-1326-SM-5Q5EL 60-69 years, male 34.2
GTEX-147JS-0526-SM-5TDD3 60-69 years, male 34.2
GTEX-14LLW-0526-SM-62LFB 70-79 years, female 34.2
GTEX-SIU8-0526-SM-2XCDP 50-59 years, male 34.2
GTEX-1A8FM-0526-SM-7P8SF 50-59 years, female 34.2
GTEX-1IKOH-0126-SM-COH4D 60-69 years, female 34.2
GTEX-13CF2-2726-SM-5LZWW 60-69 years, male 33.9
GTEX-17JCI-0326-SM-7LG5H 60-69 years, female 33.9
GTEX-16Z82-0126-SM-7DHLF 60-69 years, male 33.8
GTEX-1GF9X-2126-SM-7PBXN 40-49 years, female 33.6
GTEX-18D9B-0426-SM-7LTAR 60-69 years, male 33.5
GTEX-13S7M-0326-SM-5S2PH 60-69 years, female 33.4
GTEX-144FL-0326-SM-5O99O 50-59 years, male 33.4
GTEX-1CAV2-2426-SM-7P8QF 40-49 years, female 33.4
GTEX-131XH-2726-SM-5GCO2 50-59 years, male 33.3
GTEX-YFCO-1926-SM-4W212 40-49 years, male 33.3
GTEX-11TTK-0326-SM-5BC5N 60-69 years, female 33.2
GTEX-13OW8-1426-SM-5IJDT 60-69 years, male 33.1
GTEX-14JIY-0426-SM-62LF7 60-69 years, male 33.0
GTEX-XOT4-0526-SM-4B66O 60-69 years, female 32.8
GTEX-ZDXO-0326-SM-4WKHJ 60-69 years, male 32.8
GTEX-ZYFC-0526-SM-5GIDF 50-59 years, male 32.8
GTEX-WWYW-0526-SM-3NB2W 50-59 years, female 32.5
GTEX-WL46-0626-SM-3LK7R 50-59 years, male 32.3
GTEX-X4EO-0526-SM-3P5Z3 60-69 years, female 32.3
GTEX-1H2FU-0526-SM-ACKXO 60-69 years, female 32.3
GTEX-12WSF-0926-SM-6PALU 70-79 years, male 32.2
GTEX-1EU9M-0126-SM-7P8P8 60-69 years, male 32.2
GTEX-1F6IF-0226-SM-7PBZ6 60-69 years, male 32.2
GTEX-14PQA-0526-SM-7KUFS 50-59 years, female 32.1
GTEX-WZTO-0826-SM-3NM8Q 40-49 years, male 32.1
GTEX-1CAMQ-0326-SM-7MXUI 40-49 years, male 32.0
GTEX-1ICG6-2726-SM-CKZPN 70-79 years, female 32.0
GTEX-1R9K5-0326-SM-EWRNG 50-59 years, male 31.7
GTEX-1MJIX-2126-SM-E9J3A 40-49 years, male 31.6
GTEX-13FTZ-2226-SM-5LZXI 60-69 years, male 31.5
GTEX-VJYA-1926-SM-3GIJJ 60-69 years, male 31.5
GTEX-1GPI6-0326-SM-9MQM6 60-69 years, male 31.5
GTEX-1HFI6-0426-SM-B2LXB 40-49 years, male 31.5
GTEX-1N2DW-0426-SM-E9TK4 50-59 years, male 31.5
GTEX-ZUA1-0326-SM-5NQA3 40-49 years, male 31.4
GTEX-1F75W-0326-SM-7PC2Q 60-69 years, male 31.3
GTEX-YJ8O-2826-SM-5CVM4 40-49 years, female 31.2
GTEX-1399T-2426-SM-5L3FJ 60-69 years, male 31.1
GTEX-1269C-2626-SM-5EQ5C 60-69 years, female 31.0
GTEX-1EWIQ-0626-SM-7PBYW 70-79 years, female 31.0
GTEX-1R7EU-0626-SM-DTX9N 60-69 years, male 30.8
GTEX-1HBPI-0226-SM-ADEJ7 50-59 years, male 30.7
GTEX-1I1GV-0126-SM-CL55G 60-69 years, male 30.7
GTEX-1R7EV-2026-SM-DTX83 40-49 years, male 30.7
GTEX-S95S-1426-SM-2XCDM 60-69 years, male 30.5
GTEX-T2IS-2626-SM-32QPP 20-29 years, female 30.5
GTEX-15CHQ-0726-SM-6EU18 60-69 years, male 30.4
GTEX-1RQED-0426-SM-E6CJP 60-69 years, male 30.4
GTEX-13O3Q-2726-SM-5KM51 50-59 years, male 30.2
GTEX-15CHC-2426-SM-6EU22 60-69 years, female 30.2
GTEX-1QW4Y-1726-SM-EWRN1 30-39 years, male 30.1
GTEX-1B8SF-0426-SM-79OL4 60-69 years, male 30.0
GTEX-1J8EW-0326-SM-CYPSX 60-69 years, female 30.0
GTEX-13NYB-2726-SM-5J2MT 40-49 years, male 29.9
GTEX-VUSG-2626-SM-4KKZI 50-59 years, male 29.9
GTEX-15DDE-0526-SM-6ETZQ 50-59 years, female 29.7
GTEX-XMD2-0526-SM-4YCDI 60-69 years, female 29.6
GTEX-ZAKK-0326-SM-5EGHA 70-79 years, male 29.6
GTEX-1LNCM-1226-SM-E9U5C 50-59 years, female 29.4
GTEX-111FC-0326-SM-5GZZ1 60-69 years, male 29.3
GTEX-1GN2E-0726-SM-9MQLU 60-69 years, male 29.3
GTEX-12WSA-0726-SM-5FQU2 60-69 years, male 29.0
GTEX-11PRG-0326-SM-5GU53 50-59 years, male 28.9
GTEX-SSA3-0326-SM-32QPS 60-69 years, male 28.8
GTEX-15CHR-2426-SM-7DUFX 50-59 years, male 28.6
GTEX-1C6WA-0326-SM-7DUGE 60-69 years, male 28.6
GTEX-ZP4G-2026-SM-57WEH 20-29 years, female 28.6
GTEX-WXYG-2526-SM-3NB3F 50-59 years, female 28.5
GTEX-X4XX-0626-SM-3NMC1 60-69 years, male 28.5
GTEX-1GF9U-2326-SM-7RHH9 40-49 years, female 28.4
GTEX-1QEPI-0526-SM-E76QF 60-69 years, female 28.4
GTEX-11GS4-2526-SM-5A5KT 60-69 years, male 28.3
GTEX-1IDJE-2426-SM-ACKWF 50-59 years, female 28.2
GTEX-1F88F-2526-SM-7PC2R 60-69 years, female 28.1
GTEX-1GZ2Q-0426-SM-9WPOU 40-49 years, male 28.1
GTEX-14A5H-0326-SM-5RQIB 60-69 years, male 27.7
GTEX-1P4AB-0326-SM-EXUT3 50-59 years, male 27.6
GTEX-1J1OQ-0426-SM-A9SLI 40-49 years, female 27.5
GTEX-U8T8-1426-SM-3DB9H 60-69 years, male 27.2
GTEX-XAJ8-1026-SM-47JY9 40-49 years, male 27.2
GTEX-11WQC-2626-SM-5CVLF 60-69 years, male 26.9
GTEX-TMZS-0326-SM-3DB9P 60-69 years, male 26.8
GTEX-113JC-2726-SM-5EGIS 50-59 years, female 26.5
GTEX-14BIM-0326-SM-5SI9B 60-69 years, female 26.5
GTEX-R3RS-0526-SM-3GADG 40-49 years, female 26.3
GTEX-1K9T9-0326-SM-EWRNQ 50-59 years, female 26.2
GTEX-145MG-0226-SM-5TDDB 50-59 years, male 25.9
GTEX-U412-0326-SM-3DB9L 60-69 years, male 25.9
GTEX-ZZPT-0626-SM-5GZXT 50-59 years, male 25.8
GTEX-1F7RK-0326-SM-7RHH7 20-29 years, female 25.8
GTEX-11ZTS-0526-SM-5CVL9 60-69 years, female 25.4
GTEX-17EVQ-1226-SM-7LG59 70-79 years, male 25.4
GTEX-QXCU-1726-SM-2TC6L 50-59 years, male 25.4
GTEX-12WSG-5016-SM-7SB84 50-59 years, female 25.4
GTEX-1H3O1-0626-SM-9MQM4 60-69 years, male 25.4
GTEX-1LVA9-0326-SM-DLHBU 50-59 years, male 25.3
GTEX-13G51-2726-SM-5LZZ9 60-69 years, male 25.1
GTEX-1KANB-0126-SM-E6CJT 50-59 years, male 24.9
GTEX-11EQ8-0526-SM-5N9BC 60-69 years, male 24.1
GTEX-1IDFM-1526-SM-ARL7U 60-69 years, male 24.1
GTEX-13X6I-0526-SM-5QGP8 60-69 years, male 24.0
GTEX-132Q8-0626-SM-5L3F3 60-69 years, male 23.9
GTEX-11DZ1-0926-SM-5EQ5R 50-59 years, male 23.8
GTEX-QVUS-0226-SM-3GIJY 60-69 years, female 23.7
GTEX-13RTL-0326-SM-7LT89 40-49 years, male 23.5
GTEX-OXRO-1726-SM-3LK6C 60-69 years, female 23.5
GTEX-1GN1V-0326-SM-9WYTO 60-69 years, male 23.5
GTEX-13FTY-0226-SM-5IJBW 40-49 years, female 23.2
GTEX-13SLW-0326-SM-5RQK5 70-79 years, male 23.1
GTEX-1IL2V-0526-SM-ARL8B 70-79 years, male 23.1
GTEX-11GSP-2726-SM-5A5LJ 60-69 years, female 22.8
GTEX-139T8-0526-SM-5KLZL 60-69 years, male 22.6
GTEX-1HBPH-0826-SM-ARZNB 40-49 years, female 22.6
GTEX-1R9PM-2226-SM-E8VOC 20-29 years, male 22.6
GTEX-145MI-0326-SM-5Q5EV 60-69 years, female 22.4
GTEX-1R9K4-0626-SM-E76OZ 60-69 years, male 22.4
GTEX-13IVO-0626-SM-5LZYJ 70-79 years, male 22.1
GTEX-XMD1-0626-SM-EZ6MC 60-69 years, male 22.1
GTEX-12ZZZ-0226-SM-59HKU 60-69 years, male 21.9
GTEX-T5JC-0626-SM-3NMA6 20-29 years, male 21.7
GTEX-N7MS-0426-SM-2YUN6 60-69 years, male 21.6
GTEX-YECK-0626-SM-4W1ZE 60-69 years, male 21.1
GTEX-YBZK-0326-SM-59HLN 50-59 years, female 20.9
GTEX-RU1J-1726-SM-2TF5S 20-29 years, female 20.6
GTEX-WOFL-0626-SM-3MJG3 60-69 years, male 20.5
GTEX-183WM-0426-SM-731B1 70-79 years, female 20.4
GTEX-PLZ4-0926-SM-2S1OI 50-59 years, female 20.3
GTEX-1IGQW-0526-SM-CKZO3 60-69 years, male 19.9
GTEX-ZE9C-2326-SM-5J1NT 60-69 years, male 19.8
GTEX-1F88E-1826-SM-9MQLV 60-69 years, female 19.2
GTEX-13QIC-1226-SM-5K7YR 60-69 years, female 18.7
GTEX-Y8E5-0326-SM-57WBM 60-69 years, male 18.7
GTEX-147GR-0126-SM-62LER 60-69 years, male 18.5
GTEX-11UD1-0326-SM-5EQKX 40-49 years, female 17.6
GTEX-1HC8U-2626-SM-CNPPH 40-49 years, female 17.6
GTEX-13PDP-0326-SM-5K7XP 60-69 years, male 17.1
GTEX-139D8-0726-SM-5P9GJ 30-39 years, female 16.9
GTEX-ZWKS-0326-SM-5NQ7G 30-39 years, male 16.6
GTEX-OHPN-2726-SM-2I5H4 60-69 years, female 16.3
GTEX-1ICLZ-0626-SM-ARL83 60-69 years, male 16.0
GTEX-1H4P4-0626-SM-9YFKZ 50-59 years, male 15.5
GTEX-U3ZG-0326-SM-47JXN 50-59 years, male 15.3
GTEX-1QPFJ-0326-SM-E8VO2 30-39 years, female 14.5
GTEX-14ASI-0526-SM-5QGQP 60-69 years, male 13.9
GTEX-13NYC-0726-SM-5J2NQ 60-69 years, male 13.6
GTEX-16NPV-2426-SM-6M482 50-59 years, female 13.1
GTEX-139T4-0326-SM-5K7XN 50-59 years, female 13.0
GTEX-1LVAO-0526-SM-EWRNS 60-69 years, male 11.7
GTEX-ZQUD-1726-SM-7P8ON 30-39 years, male 10.8
GTEX-13PLJ-0326-SM-5L3I7 60-69 years, female 10.6
GTEX-1M4P7-0126-SM-DKPQF 60-69 years, male 9.1
GTEX-ZE7O-0326-SM-51MTH 50-59 years, female 7.2
GTEX-1399Q-2426-SM-5J2MO 40-49 years, male 6.7
Show allShow less

SKELETAL MUSCLE - FANTOM5 CAGEi

RNA expression in human tissues obtained through Cap Analysis of Gene Expression (CAGE) generated by the FANTOM5 project are reported as Scaled Tags Per Million.

Max subtype Scaled Tags Per Millioni

Max subtype Scaled Tags Per Million is the value for the subtype with the largest average Scaled Tags Per Million across the subtype samples.

83.0
FANTOM5 sample id Sample description Scaled Tags Per Million
Skeletal muscle
Scaled Tags Per Million: 83.0
FF:10023-101D5 55,79,79 years, mixed 83.0
Skeletal muscle - soleus muscle
Scaled Tags Per Million: 46.7
FF:10282-104F3 male 46.7

Contact

  • NEWS ARTICLES
  • PRESS ROOM

The Project

  • INTRODUCTION
  • ORGANIZATION
  • PUBLICATIONS

The Human Protein Atlas

  • DOWNLOADABLE DATA
  • LICENCE & CITATION
  • HELP & FAQ
The Human Protein Atlas project is funded
by the Knut & Alice Wallenberg Foundation.


contact@proteinatlas.org