We use cookies to enhance the usability of our website. If you continue, we'll assume that you are happy to receive all cookies. More information. Don't show this again.
MXRA5
HPA
RESOURCES
  • TISSUE
  • BRAIN
  • SINGLE CELL
  • SUBCELLULAR
  • CANCER
  • BLOOD
  • CELL LINE
  • STRUCTURE & INTERACTION
ABOUT
  • INTRODUCTION
  • HISTORY
  • ORGANIZATION
  • PUBLICATIONS
  • ANTIBODY SUBMISSION
  • ANTIBODY AVAILABILITY
  • ACKNOWLEDGMENTS
  • CONTACT
NEWS
  • NEWS ARTICLES
  • PRESS ROOM
LEARN
  • DICTIONARY
  • PROTEIN CLASSES
  • PROTEIN EVIDENCE
  • METHODS
  • EDUCATIONAL VIDEOS
DATA
  • DOWNLOADABLE DATA
  • PUBLICATION DATA
  • RELEASE HISTORY
HELP
  • ANTIBODY VALIDATION
  • ASSAYS & ANNOTATION
  • DISCLAIMER
  • HELP & FAQ
  • PRIVACY STATEMENT
  • LICENCE & CITATION
Fields »
Search result

Field
Term
Gene name
Class
Subclass
Class
Keyword
Chromosome
External id
Tissue
Cell type
Expression
Antibody panel
Tissue
Main location
Patient ID
Annotation
Tissue
Category
Tau score
Cluster
Reliability
Brain region
Category
Tau score
Brain region
Category
Tau score
Brain region
Category
Tau score
Cluster
Reliability
Tissue
Cell type
Enrichment
Cell type
Category
Tau score
Cell type
Category
Tau score
Cell type
Category
Tau score
Cell lineage
Category
Tau score
Cluster
Cluster
Location
Searches
Location
Cell line
Class
Type
Phase
Reliability
Cancer
Prognosis
Cancer
Category
Cancer
Category
Tau score
Cluster
Variants
Interacting gene (ensg_id)
Type
Number of interactions
Pathway
Category
Score
Score
Score
Validation
Validation
Validation
Validation
Antibodies
Data type
Column


  • SUMMARY

  • TISSUE

  • BRAIN

  • SINGLE CELL

  • SUBCELL

  • CANCER

  • BLOOD

  • CELL LINE

  • STRUCT & INT

  • MXRA5
TISSUE PRIMARY DATA SKIN Show tissue menu
ADIPOSE TISSUE ADRENAL GLAND AMYGDALA APPENDIX BASAL GANGLIA BONE MARROW BREAST BRONCHUS CEREBELLUM CEREBRAL CORTEX CERVIX CHOROID PLEXUS COLON DUODENUM
ENDOMETRIUM EPIDIDYMIS ESOPHAGUS FALLOPIAN TUBE GALLBLADDER HEART MUSCLE HIPPOCAMPAL FORMATION HYPOTHALAMUS KIDNEY LIVER LUNG LYMPH NODE MIDBRAIN NASOPHARYNX
ORAL MUCOSA OVARY PANCREAS PARATHYROID GLAND PITUITARY GLAND PLACENTA PROSTATE RECTUM RETINA SALIVARY GLAND SEMINAL VESICLE SKELETAL MUSCLE SKIN SMALL INTESTINE
SMOOTH MUSCLE SOFT TISSUE SPINAL CORD SPLEEN STOMACH TESTIS THYMUS THYROID GLAND TONGUE TONSIL URINARY BLADDER VAGINA
ANTIBODIES
AND
VALIDATION
Dictionary
Skin
Tissue proteome
Skin
SKIN - Expression summary
Protein expression
Skini

On the top, protein expression in current human tissue, based on all annotated cell types, is reported with the units not detected (n), low (l), medium (m) and high (h). Underneath, protein expression in each annotated cell type are reported using the same units.

Protein expression data is based on knowledge-based annotation. For genes where more than one antibody has been used, a collective score is set.

If knowledge-based annotation could not be performed for a gene, no data is displayed here. View antibody staining data further down this page.

h
m
l
n
Epidermal cells: Not detected
Fibroblasts: Not detected
Keratinocytes: Not detected
Langerhans: Not detected
Melanocytes: Not detected
RNA expressioni

A summary of mRNA expression data available for current tissue based on several datasets. The mRNA expression levels in human tissues are based on RNA-seq data generated by the Human Protein Atlas (HPA), Genotype-Tissue Expression (GTEx) portal and CAGE data generated by the FANTOM5 consortium. Consensus normalized expression levels for human tissues was created by combining the data from HPA and GTEx datasets.

The mRNA expression levels in pig are based on RNA-seq data generated by the Human Protein Atlas (HPA), and for mouse, HPA data and in situ hybridization generated by the Allen brain atlas are reported.

Scroll down to view mRNA expression data in more detail.
Consensus:28.8 nTPM
HPA:28.8 nTPM
GTEx:8.7 nTPM

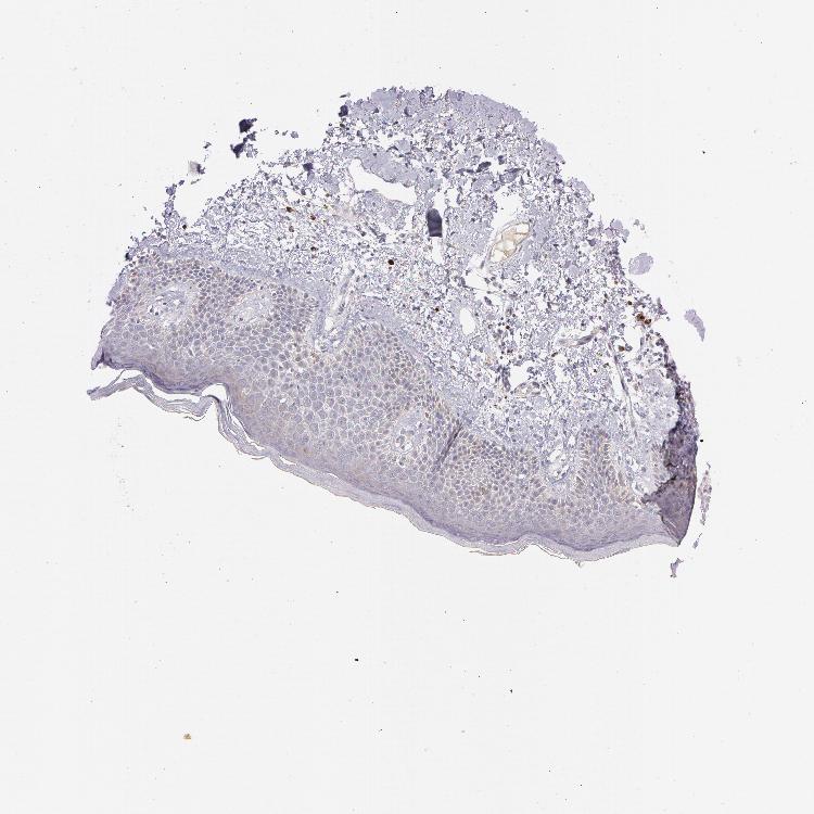
SKIN 1 - Antibody stainingi

Antibody staining in the annotated cell types in the current human tissue is reported as not detected, low, medium, or high, based on conventional immunohistochemistry profiling in selected tissues. This score is based on the combination of the staining intensity and fraction of stained cells.

Each image is clickable and will lead to virtual microscopy that enables deeper exploration of all samples and also displays staining intensity scores, fraction scores and subcellular localization as well as patient and tissue information for each sample.

Antibody HPA000508
Langerhans Not detected
Fibroblasts Not detected
Keratinocytes Not detected
Melanocytes Not detected

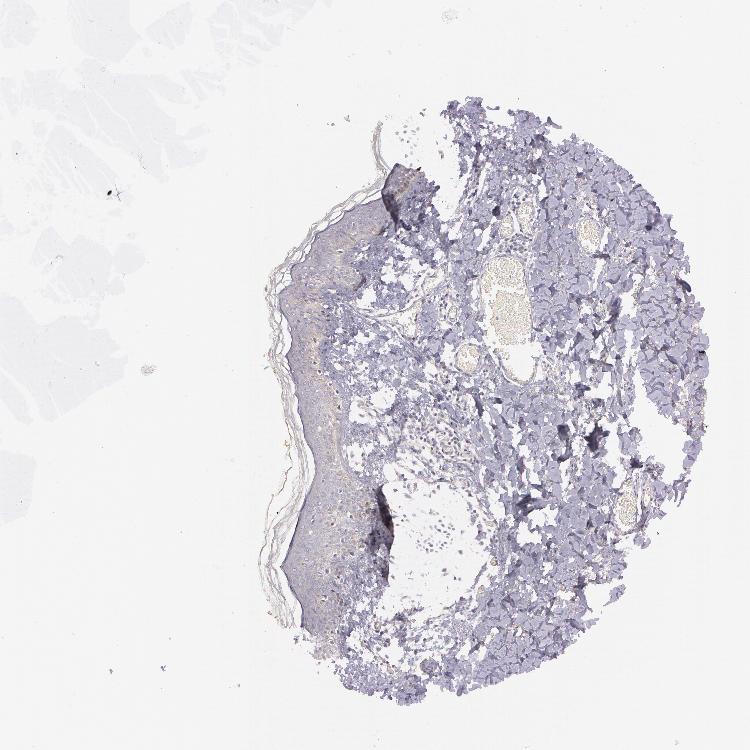
SKIN 2 - Antibody stainingi

Antibody staining in the annotated cell types in the current human tissue is reported as not detected, low, medium, or high, based on conventional immunohistochemistry profiling in selected tissues. This score is based on the combination of the staining intensity and fraction of stained cells.

Each image is clickable and will lead to virtual microscopy that enables deeper exploration of all samples and also displays staining intensity scores, fraction scores and subcellular localization as well as patient and tissue information for each sample.

Antibody HPA000508
Epidermal cells Medium
 
 
 



SKIN - HPA RNA-seqi

The RNA-seq details section shows detailed information about the individual samples used for the transcript profiling and results of the RNA-seq analysis.

Information about each individual sample is listed below, including gender, age, a tissue section image and estimated fractions of cell types. nTPM (normalized transcripts per million) values give a quantification of the gene abundance which is comparable between different genes and samples.
Average nTPMi

Max subtype nTPM is the value for the subtype with the largest average nTPM across the subtype samples.

28.8
overview
Female, age 34
Skin sample 225
nTPM: 34
Cell types%
Keratinocytes:
60

Other cell types:
40

overview
Female, age 30
Skin sample 226
nTPM: 32.4
Cell types%
Keratinocytes:
55

Other cell types:
45

N/A
Male, age 57
Skin sample 227
nTPM: 20

SKIN - GTEx RNA-seqi

RNA-Seq data generated by the Genotype-Tissue Expression (GTEx) project from human tissues is reported as mean nTPM. More information can be found on the GTEx portal.

Distribution across the dataset is visualized with box plots, shown as median and 25th and 75th percentiles. Points are displayed as outliers if they are above or below 1.5 times the interquartile range. nTPM values of the individual samples are presented next to the box plot.
Max subtype nTPMi

Max subtype nTPM is the value for the subtype with the largest average nTPM across the subtype samples.

8.7
GTEx sample id Sample description nTPM
Skin - Not Sun Exposed (Suprapubic)
Average nTPM: 8.7
Samples: 604

Max nTPM: 65.8
Min nTPM: 0.5
Std nTPM: 7.5
Median nTPM: 6.2
GTEX-15RJ7-2126-SM-6PAMD 40-49 years, male 65.8
GTEX-11DYG-1526-SM-5A5JS 60-69 years, male 43.1
GTEX-1B933-2426-SM-7DHMD 50-59 years, female 41.8
GTEX-1HBPI-2126-SM-ARL9K 50-59 years, male 36.9
GTEX-1F6I4-2326-SM-7RHGL 60-69 years, male 36.7
GTEX-1F75A-0726-SM-7RHHD 50-59 years, male 35.7
GTEX-17HHY-0426-SM-7DHLC 50-59 years, male 35.5
GTEX-YJ8O-2526-SM-5HL85 40-49 years, female 35.3
GTEX-1GZHY-0626-SM-9KNVC 50-59 years, female 32.0
GTEX-WRHU-2826-SM-3MJG8 50-59 years, female 31.2
GTEX-ZYFC-0426-SM-5GICQ 50-59 years, male 30.6
GTEX-1HCU6-2526-SM-ADEHL 60-69 years, female 30.2
GTEX-1J8JJ-0626-SM-ARZMQ 60-69 years, female 30.2
GTEX-1A8FM-0626-SM-7PC25 50-59 years, female 30.0
GTEX-W5X1-2526-SM-3GILC 40-49 years, female 29.6
GTEX-VJYA-1526-SM-3GIJV 60-69 years, male 27.6
GTEX-1H1CY-0126-SM-9YFLY 60-69 years, female 27.2
GTEX-12126-0826-SM-5FQTZ 20-29 years, male 26.8
GTEX-1IY9M-2826-SM-ARU8H 60-69 years, male 26.6
GTEX-1PIIG-2326-SM-DTXFR 30-39 years, male 26.6
GTEX-1B932-2326-SM-79OL5 40-49 years, female 26.4
GTEX-11DXW-0826-SM-5H118 40-49 years, male 24.1
GTEX-1EU9M-1426-SM-793AI 60-69 years, male 23.8
GTEX-1IE54-1126-SM-A9G2Z 40-49 years, female 23.8
GTEX-18A6Q-0626-SM-7KFRP 60-69 years, male 23.6
GTEX-ZVTK-0226-SM-51MRG 20-29 years, male 23.4
GTEX-13X6J-0626-SM-5LU5F 50-59 years, male 23.3
GTEX-12ZZY-0726-SM-5EQ66 60-69 years, male 23.0
GTEX-17HG3-2626-SM-7DUF2 30-39 years, female 22.6
GTEX-ZDTS-0826-SM-4WKHL 60-69 years, male 22.6
GTEX-1EX96-1026-SM-7MKG2 50-59 years, male 22.1
GTEX-1IDJH-0126-SM-D3L92 70-79 years, male 22.1
GTEX-WHSE-0126-SM-3NMBT 20-29 years, male 22.0
GTEX-1GMRU-2126-SM-7P8RA 50-59 years, male 21.9
GTEX-1AX9I-2226-SM-73KUO 60-69 years, male 21.5
GTEX-1A32A-0626-SM-731AQ 50-59 years, female 21.3
GTEX-15DDE-2926-SM-6LLJ3 50-59 years, female 21.0
GTEX-ZYVF-0926-SM-5E44J 50-59 years, female 20.8
GTEX-WYBS-0626-SM-3NMAS 60-69 years, female 20.7
GTEX-1H4P4-2126-SM-9WYSL 50-59 years, male 20.6
GTEX-11O72-0626-SM-5PNYE 40-49 years, male 20.5
GTEX-13G51-1826-SM-5KLZH 60-69 years, male 20.5
GTEX-1EWIQ-0326-SM-7DHMQ 70-79 years, female 20.4
GTEX-1LVA9-2626-SM-EVYD4 50-59 years, male 20.4
GTEX-ZUA1-2626-SM-5NQ92 40-49 years, male 20.3
GTEX-1F6IF-0926-SM-7SB7M 60-69 years, male 20.2
GTEX-1GPI6-1926-SM-9KNV7 60-69 years, male 20.2
GTEX-147JS-0226-SM-5S2U9 60-69 years, male 20.1
GTEX-1BAJH-2426-SM-7IGP8 70-79 years, male 19.8
GTEX-1B8SF-0126-SM-7DUG3 60-69 years, male 19.6
GTEX-13OW7-0426-SM-5K7VK 50-59 years, male 19.4
GTEX-ZAK1-0626-SM-5HL8E 50-59 years, female 19.4
GTEX-11WQC-1826-SM-5GU59 60-69 years, male 19.3
GTEX-111FC-2526-SM-5GZXU 60-69 years, male 19.2
GTEX-Y111-0626-SM-4SOIT 50-59 years, male 19.1
GTEX-131XW-0626-SM-5PNVD 50-59 years, female 19.0
GTEX-11NUK-2726-SM-5A5MC 50-59 years, male 18.9
GTEX-15DYW-2726-SM-6EU2I 60-69 years, female 18.9
GTEX-145LU-1926-SM-79OJN 50-59 years, male 18.7
GTEX-WYVS-1626-SM-3NM9R 40-49 years, female 18.7
GTEX-1AYD5-2626-SM-7PBXY 50-59 years, male 18.7
GTEX-13NYB-0126-SM-5J1MD 40-49 years, male 18.4
GTEX-1CB4F-1026-SM-7DUH1 60-69 years, male 18.4
GTEX-13VXU-0626-SM-5L3F9 50-59 years, male 18.2
GTEX-WHPG-2626-SM-3NMBR 50-59 years, male 18.2
GTEX-15SHW-0226-SM-7LTAT 60-69 years, male 18.1
GTEX-13112-0126-SM-5P9IU 50-59 years, male 18.0
GTEX-1HFI6-0126-SM-CNPPI 40-49 years, male 18.0
GTEX-1GN73-0726-SM-7P8TJ 60-69 years, male 17.9
GTEX-1JJEA-1826-SM-ARU8P 60-69 years, male 17.8
GTEX-13X6K-0626-SM-5LU5D 60-69 years, female 17.7
GTEX-145MG-1526-SM-5Q5EM 50-59 years, male 17.6
GTEX-15SKB-2826-SM-6PAMH 60-69 years, male 17.6
GTEX-1H1DE-1326-SM-9KNUG 20-29 years, male 17.6
GTEX-145MH-2826-SM-5RQJF 50-59 years, male 17.5
GTEX-1B8KZ-0326-SM-73KY4 50-59 years, male 17.4
GTEX-1GN1U-0626-SM-9MQL9 50-59 years, female 17.4
GTEX-1IOXB-2726-SM-CM2RI 50-59 years, male 17.3
GTEX-131YS-2826-SM-5EQ47 60-69 years, female 17.2
GTEX-11GS4-0226-SM-5HL77 60-69 years, male 17.0
GTEX-1LSVX-2526-SM-DIPEU 60-69 years, male 17.0
GTEX-139TT-2126-SM-5LZWC 60-69 years, male 16.9
GTEX-18A7A-0126-SM-731AH 50-59 years, female 16.8
GTEX-1HR9M-2226-SM-CNPPY 60-69 years, male 16.7
GTEX-16GPK-0626-SM-7KFSF 60-69 years, male 16.6
GTEX-14JG1-1526-SM-5YY9X 40-49 years, male 16.5
GTEX-11OF3-0126-SM-5PNYF 60-69 years, male 16.4
GTEX-1A8G6-2726-SM-731AR 60-69 years, male 16.3
GTEX-1N5O9-0926-SM-E9J3C 60-69 years, male 16.3
GTEX-12WSD-0626-SM-5GCMW 60-69 years, female 16.1
GTEX-1KWVE-1026-SM-D3L9O 30-39 years, male 16.1
GTEX-13FTY-2126-SM-5IFFB 40-49 years, female 16.0
GTEX-1J8EW-2726-SM-CY8HR 60-69 years, female 16.0
GTEX-131XH-0126-SM-5LZUY 50-59 years, male 15.9
GTEX-1GN1V-2826-SM-9JGIA 60-69 years, male 15.8
GTEX-1IKJJ-2226-SM-CJI4C 60-69 years, male 15.8
GTEX-11DXZ-2026-SM-5987S 50-59 years, male 15.7
GTEX-ZDXO-3126-SM-5IJDF 60-69 years, male 15.7
GTEX-1C64N-2626-SM-7PC2N 50-59 years, male 15.6
GTEX-1HSKV-1226-SM-ADEI4 60-69 years, male 15.6
GTEX-1I1GP-1326-SM-A9G28 50-59 years, male 15.6
GTEX-11DXY-0126-SM-5H11Q 60-69 years, male 15.5
GTEX-16YQH-2226-SM-7IGM2 30-39 years, male 15.2
GTEX-XXEK-1626-SM-4BRUZ 50-59 years, male 14.9
GTEX-14ABY-2026-SM-62LDL 50-59 years, male 14.8
GTEX-1EMGI-2326-SM-7PBYA 60-69 years, male 14.8
GTEX-11PRG-0726-SM-5EGL1 50-59 years, male 14.5
GTEX-14BIN-1126-SM-5RQJZ 50-59 years, female 14.5
GTEX-12KS4-2126-SM-5FQUT 30-39 years, male 14.4
GTEX-13SLX-2226-SM-62LEP 50-59 years, female 14.4
GTEX-ZE9C-2526-SM-5IJDR 60-69 years, male 14.4
GTEX-1H3O1-1326-SM-9MQLD 60-69 years, male 14.4
GTEX-1I1CD-0626-SM-CE6SW 60-69 years, female 14.3
GTEX-17JCI-2926-SM-7DUFF 60-69 years, female 14.2
GTEX-XQ3S-1426-SM-4BOPR 20-29 years, male 14.2
GTEX-1LSNL-2726-SM-E9TKJ 50-59 years, male 14.2
GTEX-1QW4Y-1126-SM-DTXE3 30-39 years, male 14.2
GTEX-1E1VI-0326-SM-793D1 50-59 years, male 14.1
GTEX-WK11-2726-SM-3NMAQ 50-59 years, male 14.0
GTEX-13PL6-1126-SM-5L3IE 40-49 years, female 13.9
GTEX-1IL2V-1926-SM-B2LW8 70-79 years, male 13.9
GTEX-12WSC-2826-SM-5BC5Y 50-59 years, male 13.8
GTEX-YECK-0326-SM-4W1YS 60-69 years, male 13.8
GTEX-YF7O-1526-SM-5IFI6 50-59 years, male 13.8
GTEX-13OVL-0126-SM-5L3GJ 50-59 years, male 13.7
GTEX-X4EO-2926-SM-4E3JH 60-69 years, female 13.7
GTEX-1QMI2-2526-SM-E8VNZ 60-69 years, male 13.7
GTEX-1EN7A-2426-SM-793DB 40-49 years, male 13.6
GTEX-1GF9V-0826-SM-9KNUV 60-69 years, male 13.5
GTEX-1POEN-2326-SM-E9J2L 30-39 years, female 13.5
GTEX-139TS-2126-SM-5K7XC 60-69 years, male 13.4
GTEX-145MF-0926-SM-5Q5EA 50-59 years, male 13.4
GTEX-1A8G7-1326-SM-73KVM 60-69 years, male 13.4
GTEX-1C6VR-0126-SM-7RHGB 60-69 years, male 13.3
GTEX-WHWD-1826-SM-3LK6I 50-59 years, male 13.2
GTEX-1QAET-0326-SM-EVR3U 50-59 years, male 13.0
GTEX-13FLV-0126-SM-5K7WT 50-59 years, male 12.8
GTEX-15ER7-0626-SM-6PANF 20-29 years, female 12.8
GTEX-17HGU-2326-SM-7DUFE 50-59 years, male 12.8
GTEX-13JUV-2026-SM-5K7UA 40-49 years, female 12.7
GTEX-1F75W-2726-SM-7SB8H 60-69 years, male 12.7
GTEX-1GN2E-0226-SM-9WG6K 60-69 years, male 12.7
GTEX-16NPX-0726-SM-7KULC 50-59 years, male 12.6
GTEX-139UW-0326-SM-5J1ML 60-69 years, male 12.5
GTEX-1HT8W-0626-SM-A9G2H 30-39 years, male 12.4
GTEX-13N1W-2426-SM-5IJD1 70-79 years, male 12.3
GTEX-1C6WA-2626-SM-7MKGM 60-69 years, male 12.3
GTEX-144GL-0626-SM-5LU4D 50-59 years, male 12.2
GTEX-1GMR3-0126-SM-A9SLW 40-49 years, male 12.2
GTEX-1M4P7-0726-SM-E6CJ3 60-69 years, male 12.2
GTEX-13U4I-2226-SM-5LU5H 40-49 years, female 12.0
GTEX-183FY-1026-SM-7939A 20-29 years, male 12.0
GTEX-1HR98-2226-SM-ADEI2 60-69 years, male 12.0
GTEX-ZVT4-2426-SM-5GIEI 50-59 years, female 11.9
GTEX-1HC8U-1326-SM-9YFMJ 40-49 years, female 11.8
GTEX-1JMQJ-0826-SM-CNPP7 50-59 years, male 11.8
GTEX-139YR-1026-SM-5LZYN 50-59 years, male 11.7
GTEX-U8XE-0226-SM-4E3J3 30-39 years, male 11.6
GTEX-1QEPI-2626-SM-DTXF4 60-69 years, female 11.6
GTEX-XBED-1926-SM-47JYP 60-69 years, male 11.5
GTEX-1ICLZ-0326-SM-ARL82 60-69 years, male 11.5
GTEX-11ZUS-2626-SM-5FQUR 30-39 years, male 11.4
GTEX-1I1HK-2326-SM-CKZOH 60-69 years, male 11.4
GTEX-1JMLX-0626-SM-ARL8T 50-59 years, male 11.4
GTEX-13OW5-2326-SM-5L3HO 60-69 years, male 11.3
GTEX-144GM-0526-SM-79OJO 20-29 years, male 11.3
GTEX-147F4-0726-SM-5TDDD 50-59 years, male 11.3
GTEX-14A5H-0826-SM-5QGPJ 60-69 years, male 11.3
GTEX-1JMQI-1726-SM-ARL93 50-59 years, male 11.3
GTEX-ZC5H-1526-SM-5HL9Y 40-49 years, female 11.2
GTEX-1EKGG-0626-SM-7DUGJ 60-69 years, male 11.1
GTEX-1F88F-0126-SM-9WYSZ 60-69 years, female 11.1
GTEX-1R9K4-2826-SM-DTX8F 60-69 years, male 11.1
GTEX-18A66-0626-SM-7LT8Z 60-69 years, male 11.0
GTEX-18A7B-2726-SM-7LG56 70-79 years, male 11.0
GTEX-1RB15-1326-SM-E76Q9 60-69 years, male 11.0
GTEX-13O3Q-0126-SM-5KM34 50-59 years, male 10.9
GTEX-ZE7O-2726-SM-51MT5 50-59 years, female 10.9
GTEX-1I6K7-1926-SM-B2LXR 40-49 years, male 10.9
GTEX-1IDJE-1426-SM-ADEIW 50-59 years, female 10.8
GTEX-1PBJJ-1026-SM-E76OS 30-39 years, male 10.8
GTEX-1S82U-1026-SM-E6CJK 30-39 years, female 10.8
GTEX-11EI6-2826-SM-5H11D 60-69 years, male 10.7
GTEX-13OW6-2726-SM-5J2OE 50-59 years, male 10.7
GTEX-ZYFD-0626-SM-5E44E 50-59 years, male 10.7
GTEX-1GZ2Q-0126-SM-9WG6M 40-49 years, male 10.7
GTEX-1H1DG-2426-SM-9QEHJ 70-79 years, male 10.7
GTEX-13O3O-2326-SM-5IJD6 60-69 years, female 10.5
GTEX-1HGF4-0126-SM-CNPPX 60-69 years, male 10.4
GTEX-1OJC3-1226-SM-DTXER 20-29 years, male 10.4
GTEX-1N2EE-0626-SM-E76PW 60-69 years, male 10.3
GTEX-1RAZR-2126-SM-E9U6T 40-49 years, male 10.3
GTEX-145MI-0626-SM-5SI8S 60-69 years, female 10.2
GTEX-14BMV-2826-SM-5TDED 50-59 years, male 10.1
GTEX-18465-2826-SM-7LT9J 50-59 years, male 10.0
GTEX-XOT4-0626-SM-4B66L 60-69 years, female 10.0
GTEX-1JN76-0626-SM-CKZOQ 20-29 years, female 10.0
GTEX-1RAZS-2526-SM-E6CHT 50-59 years, male 10.0
GTEX-13SLW-0626-SM-5Q5ER 70-79 years, male 9.9
GTEX-ZYT6-2326-SM-5GZY3 30-39 years, male 9.9
GTEX-1H1DF-1126-SM-9WG7G 40-49 years, female 9.8
GTEX-11ZU8-0126-SM-5EQ58 60-69 years, male 9.7
GTEX-12ZZX-2426-SM-5GCOE 40-49 years, female 9.7
GTEX-1KANA-1326-SM-DIPFA 20-29 years, male 9.7
GTEX-1LG7Y-2526-SM-EWRO7 50-59 years, male 9.6
GTEX-1313W-0626-SM-5EQ4H 50-59 years, female 9.5
GTEX-1NSGN-0726-SM-DTXEF 50-59 years, male 9.5
GTEX-17MFQ-1526-SM-7KFRR 20-29 years, male 9.4
GTEX-Y114-2126-SM-4TT8B 50-59 years, female 9.4
GTEX-1GZ4I-2626-SM-9KNU3 50-59 years, male 9.3
GTEX-13OW8-1026-SM-5J1NQ 60-69 years, male 9.2
GTEX-1I1GV-0626-SM-ARL7M 60-69 years, male 9.2
GTEX-1314G-1326-SM-5BC6E 30-39 years, male 9.1
GTEX-1A3MW-0626-SM-731CB 60-69 years, female 9.1
GTEX-13PVQ-0626-SM-5LU47 50-59 years, male 8.9
GTEX-146FQ-2126-SM-5RQHU 30-39 years, male 8.9
GTEX-14DAQ-0626-SM-793DS 60-69 years, female 8.9
GTEX-1HUB1-1426-SM-CGQF5 60-69 years, male 8.9
GTEX-11TUW-0626-SM-5LU9M 60-69 years, male 8.8
GTEX-VUSG-2326-SM-4KL1U 50-59 years, male 8.8
GTEX-Z93S-1626-SM-5CVMB 50-59 years, male 8.8
GTEX-12WSH-1526-SM-5BC5W 50-59 years, male 8.7
GTEX-Y8E4-2026-SM-5IFJB 40-49 years, male 8.7
GTEX-1H11D-1826-SM-9QEHM 40-49 years, male 8.6
GTEX-13NZ9-2626-SM-5L3FK 50-59 years, male 8.5
GTEX-1GN1W-2426-SM-9KNUU 50-59 years, female 8.5
GTEX-1S83E-1326-SM-E6CJM 40-49 years, male 8.5
GTEX-Y3IK-1626-SM-4YCF5 50-59 years, female 8.4
GTEX-1E2YA-2126-SM-7MXUO 50-59 years, male 8.4
GTEX-V1D1-2026-SM-3GAF4 50-59 years, male 8.3
GTEX-ZF2S-1626-SM-57WES 50-59 years, female 8.3
GTEX-1JMQL-2226-SM-CNPP4 50-59 years, female 8.3
GTEX-1KANB-2826-SM-CY8I6 50-59 years, male 8.3
GTEX-1PPGY-1626-SM-EVYBL 60-69 years, male 8.3
GTEX-1AX9J-1326-SM-731BJ 60-69 years, male 8.2
GTEX-ZAJG-1526-SM-5CVML 50-59 years, female 8.2
GTEX-1KD5A-0126-SM-E9U54 50-59 years, male 8.2
GTEX-131XG-0326-SM-5L3DX 50-59 years, female 8.1
GTEX-13OVK-1426-SM-6PAN7 40-49 years, male 8.1
GTEX-14C38-0726-SM-5SI6M 50-59 years, male 8.1
GTEX-14PHX-2226-SM-6EU2P 50-59 years, male 8.1
GTEX-178AV-1726-SM-7KUL8 40-49 years, male 8.1
GTEX-1I1GU-0926-SM-ACKVS 40-49 years, male 8.0
GTEX-1OJC4-2726-SM-E76PJ 50-59 years, female 8.0
GTEX-1B8L1-2226-SM-7P8PT 60-69 years, male 7.9
GTEX-1R46S-2426-SM-E76QA 60-69 years, female 7.9
GTEX-111VG-1626-SM-5EGIO 60-69 years, male 7.7
GTEX-16Z82-2626-SM-7KULU 60-69 years, male 7.7
GTEX-17KNJ-2126-SM-718AM 50-59 years, male 7.7
GTEX-12ZZZ-0726-SM-5GCNZ 60-69 years, male 7.5
GTEX-1EH9U-2826-SM-7DUGT 60-69 years, male 7.5
GTEX-1F88E-1626-SM-7SB8Z 60-69 years, female 7.5
GTEX-14PJ2-0626-SM-6LLII 50-59 years, male 7.4
GTEX-16NGA-0726-SM-731AO 40-49 years, female 7.4
GTEX-XYKS-1426-SM-4BRUO 60-69 years, female 7.4
GTEX-ZPU1-1126-SM-4YCF3 40-49 years, male 7.4
GTEX-1GF9U-2026-SM-7SB92 40-49 years, female 7.4
GTEX-1HSMO-0626-SM-ACKXC 60-69 years, male 7.4
GTEX-1212Z-0126-SM-59HK4 60-69 years, male 7.3
GTEX-14PJO-2526-SM-6AJBQ 60-69 years, male 7.3
GTEX-WY7C-2126-SM-3NB2R 50-59 years, male 7.3
GTEX-XMD2-2126-SM-4YCF8 60-69 years, female 7.3
GTEX-145MO-2826-SM-5LU96 60-69 years, male 7.2
GTEX-14LZ3-0126-SM-69LPM 60-69 years, female 7.1
GTEX-15UF6-1926-SM-7KUDV 70-79 years, female 7.1
GTEX-1AX8Z-0726-SM-73KTS 60-69 years, male 7.1
GTEX-1IDFM-0326-SM-ARL7V 60-69 years, male 7.1
GTEX-1RAZA-2226-SM-E9U4X 20-29 years, male 7.1
GTEX-13N11-2326-SM-5IJBF 50-59 years, female 7.0
GTEX-16MT9-0126-SM-7EPI8 60-69 years, female 7.0
GTEX-183WM-0326-SM-72D5V 70-79 years, female 7.0
GTEX-ZDYS-2426-SM-4WKGI 50-59 years, male 7.0
GTEX-139TU-0726-SM-5L3EK 60-69 years, male 6.9
GTEX-X8HC-0626-SM-4E3HQ 50-59 years, female 6.9
GTEX-1HCU9-0426-SM-9WYSD 20-29 years, male 6.9
GTEX-11ZTT-2126-SM-5CVLO 60-69 years, female 6.8
GTEX-145LS-0626-SM-7EPG7 60-69 years, female 6.8
GTEX-YEC4-1826-SM-4W1YP 40-49 years, male 6.8
GTEX-1H3NZ-2726-SM-9WYTQ 60-69 years, male 6.8
GTEX-15FZZ-0526-SM-7KUGD 30-39 years, female 6.7
GTEX-WI4N-2726-SM-3LK7Y 40-49 years, female 6.7
GTEX-1J8QM-2426-SM-A9SLS 60-69 years, female 6.7
GTEX-1LVAM-0726-SM-E6CIL 50-59 years, female 6.7
GTEX-1PDJ9-1226-SM-EXUSX 20-29 years, male 6.7
GTEX-11GSP-2326-SM-5HL63 60-69 years, female 6.6
GTEX-13FHO-0426-SM-5L3F5 60-69 years, male 6.6
GTEX-145ME-1726-SM-5Q5EU 40-49 years, female 6.6
GTEX-1B996-0426-SM-7EWF8 60-69 years, male 6.6
GTEX-1C6VQ-1226-SM-73KYD 50-59 years, male 6.6
GTEX-ZT9W-1126-SM-57WDR 50-59 years, male 6.6
GTEX-1KANC-1226-SM-CYPT7 50-59 years, female 6.6
GTEX-1399Q-2326-SM-5KM2X 40-49 years, male 6.5
GTEX-ZY6K-1426-SM-5GZX2 50-59 years, male 6.5
GTEX-1CB4J-1326-SM-7P8RX 60-69 years, male 6.5
GTEX-1ICLY-0826-SM-CMKG1 50-59 years, male 6.5
GTEX-12WSM-1926-SM-5BC65 60-69 years, male 6.4
GTEX-13OVJ-0826-SM-5J1OK 50-59 years, female 6.4
GTEX-144FL-0626-SM-5LU43 50-59 years, male 6.4
GTEX-14JG6-1426-SM-9WG7C 30-39 years, female 6.4
GTEX-1F5PL-0926-SM-7PC2W 40-49 years, female 6.4
GTEX-1JN6P-2926-SM-CL54D 60-69 years, male 6.4
GTEX-1269C-0126-SM-5EQ5L 60-69 years, female 6.3
GTEX-WFON-1926-SM-3LK7L 40-49 years, male 6.2
GTEX-ZPIC-0526-SM-DO91W 40-49 years, female 6.2
GTEX-17F9E-2326-SM-79OKD 50-59 years, male 6.1
GTEX-ZT9X-1526-SM-5DUXD 40-49 years, male 6.1
GTEX-1ICG6-1226-SM-A9SLN 70-79 years, female 6.1
GTEX-1J8Q3-0526-SM-ARL8U 60-69 years, male 6.1
GTEX-1JMPZ-0726-SM-CY8HZ 30-39 years, male 6.1
GTEX-1JN1M-2726-SM-CY8I4 60-69 years, female 6.1
GTEX-1LB8K-0726-SM-D5OV2 50-59 years, male 6.1
GTEX-ZU9S-1826-SM-5NQ9E 30-39 years, male 6.0
GTEX-ZVE2-2826-SM-5GU51 50-59 years, male 6.0
GTEX-1HCU7-0726-SM-A9SL1 50-59 years, male 6.0
GTEX-16MT8-2926-SM-7DUFO 60-69 years, female 5.9
GTEX-X3Y1-2026-SM-3P5YM 40-49 years, male 5.9
GTEX-1HCU8-2526-SM-CE6RX 60-69 years, female 5.9
GTEX-1JK1U-0226-SM-ARZMX 60-69 years, male 5.9
GTEX-1S5ZU-2526-SM-E6CIF 20-29 years, female 5.9
GTEX-12696-0126-SM-5EQ4L 60-69 years, male 5.8
GTEX-ZTX8-1326-SM-4YCEL 20-29 years, male 5.8
GTEX-1IDJD-2326-SM-ACKWX 30-39 years, male 5.8
GTEX-1J8Q2-2626-SM-ACKWQ 60-69 years, male 5.8
GTEX-12584-0726-SM-5FQTK 40-49 years, male 5.7
GTEX-148VJ-0626-SM-5LUAW 70-79 years, male 5.7
GTEX-15CHQ-0326-SM-69LQD 60-69 years, male 5.7
GTEX-17EVP-2626-SM-7IGMA 40-49 years, male 5.7
GTEX-18D9B-0926-SM-7LG4U 60-69 years, male 5.7
GTEX-XBEC-0726-SM-4QARZ 50-59 years, male 5.7
GTEX-14JFF-0626-SM-5ZZVT 60-69 years, male 5.7
GTEX-1GF9W-1426-SM-7PBYM 60-69 years, male 5.7
GTEX-1I19N-0126-SM-CYPSF 70-79 years, male 5.7
GTEX-11EQ8-0926-SM-5H12V 60-69 years, male 5.5
GTEX-13OVH-0526-SM-5L3E6 70-79 years, male 5.5
GTEX-1R9PM-1926-SM-EVR3O 20-29 years, male 5.5
GTEX-1CB4E-0926-SM-7EPHT 60-69 years, male 5.4
GTEX-UPK5-0426-SM-3GAEK 40-49 years, male 5.4
GTEX-1F48J-0726-SM-7RHGS 50-59 years, female 5.4
GTEX-1HSMP-0926-SM-A9SKX 70-79 years, male 5.4
GTEX-1I1GS-2626-SM-B2LY3 60-69 years, male 5.4
GTEX-1R9PN-0426-SM-DTXDT 40-49 years, female 5.4
GTEX-Y5V5-0126-SM-5S2NW 60-69 years, female 5.3
GTEX-11P82-1426-SM-DTXFY 20-29 years, male 5.3
GTEX-1KAFJ-0126-SM-DIPEK 50-59 years, male 5.3
GTEX-13113-1626-SM-5EQ4I 60-69 years, female 5.2
GTEX-15CHR-1126-SM-7EWF4 50-59 years, male 5.2
GTEX-1IDJI-0126-SM-CMKHS 50-59 years, female 5.2
GTEX-1QP66-1226-SM-DTX7U 50-59 years, male 5.2
GTEX-14A6H-2026-SM-5Q5DD 30-39 years, male 5.1
GTEX-15RJE-2826-SM-7KUM9 40-49 years, male 5.1
GTEX-X585-2426-SM-46MW2 50-59 years, male 5.1
GTEX-1GMR8-0626-SM-7RHI7 50-59 years, female 5.1
GTEX-ZF3C-0626-SM-DO92O 50-59 years, female 5.1
GTEX-147GR-2426-SM-5ZZWQ 60-69 years, male 5.0
GTEX-XAJ8-1426-SM-47JYM 40-49 years, male 5.0
GTEX-1HSMQ-2626-SM-A9SML 50-59 years, male 5.0
GTEX-1JKYR-0626-SM-ARL8R 20-29 years, male 5.0
GTEX-1JMQK-1226-SM-D4P2S 60-69 years, male 5.0
GTEX-13JVG-0726-SM-5KM16 60-69 years, male 4.9
GTEX-ZYW4-0626-SM-59HJR 60-69 years, male 4.8
GTEX-1CAMR-1326-SM-7PC1F 20-29 years, male 4.8
GTEX-1MCC2-1826-SM-DIPEX 30-39 years, female 4.8
GTEX-1QP29-1826-SM-DTX9S 50-59 years, male 4.8
GTEX-12WSJ-1126-SM-5LZVJ 40-49 years, female 4.7
GTEX-WH7G-2026-SM-3NMBL 40-49 years, male 4.7
GTEX-1C64O-1326-SM-7MGWR 60-69 years, male 4.7
GTEX-1IDJC-1526-SM-B2LW4 50-59 years, male 4.7
GTEX-1R7EU-1626-SM-DTXG3 60-69 years, male 4.7
GTEX-UPJH-0226-SM-3GADV 50-59 years, male 4.6
GTEX-WXYG-2026-SM-4E3IY 50-59 years, female 4.6
GTEX-ZZ64-1026-SM-5GZXG 20-29 years, male 4.6
GTEX-1J1OQ-0126-SM-D4P2N 40-49 years, female 4.6
GTEX-11UD2-2526-SM-5CVNU 50-59 years, male 4.5
GTEX-12WSF-1626-SM-7KUG5 70-79 years, male 4.5
GTEX-132AR-0326-SM-5KM2C 50-59 years, female 4.5
GTEX-1399R-1326-SM-5PNYS 30-39 years, male 4.5
GTEX-13W3W-0726-SM-5IJDQ 60-69 years, female 4.5
GTEX-1GL5R-1326-SM-7RHHF 50-59 years, male 4.5
GTEX-1CAV2-0126-SM-7IGN7 40-49 years, female 4.4
GTEX-XV7Q-1826-SM-4BRUV 40-49 years, female 4.4
GTEX-Y3I4-1726-SM-4TT89 50-59 years, male 4.4
GTEX-Y8LW-1526-SM-5IFHL 50-59 years, female 4.4
GTEX-1IDJV-0126-SM-COH3Y 60-69 years, male 4.4
GTEX-13YAN-0226-SM-5TDC6 60-69 years, male 4.3
GTEX-1A3MX-2626-SM-7PC24 60-69 years, male 4.3
GTEX-1IDJF-2026-SM-CL53V 20-29 years, male 4.3
GTEX-13D11-0926-SM-5J2NC 50-59 years, female 4.2
GTEX-1497J-0226-SM-5QGPU 60-69 years, male 4.2
GTEX-17F97-2626-SM-7IGM5 50-59 years, male 4.2
GTEX-X5EB-1926-SM-4E3IW 40-49 years, male 4.2
GTEX-1IKOE-1426-SM-CE6T7 30-39 years, female 4.2
GTEX-11EQ9-1626-SM-5PNY8 30-39 years, male 4.1
GTEX-12WSL-2026-SM-5GCML 50-59 years, male 4.1
GTEX-139D8-1126-SM-5LU8W 30-39 years, female 4.1
GTEX-14E6C-2426-SM-5S2NF 40-49 years, male 4.1
GTEX-1B97I-0626-SM-73KUZ 40-49 years, male 4.1
GTEX-1K9T9-1526-SM-DIPFR 50-59 years, female 4.1
GTEX-1KXAM-1626-SM-D3LAD 60-69 years, male 4.1
GTEX-1O9I2-0226-SM-EYYXD 50-59 years, male 4.1
GTEX-YEC3-1326-SM-DO92X 50-59 years, male 4.1
GTEX-12WSK-2126-SM-5CVNC 40-49 years, female 4.0
GTEX-14C39-1726-SM-5RQIL 40-49 years, male 4.0
GTEX-14PJ6-2626-SM-6EU2T 60-69 years, female 4.0
GTEX-14PKV-1126-SM-6LLJ1 20-29 years, female 4.0
GTEX-WEY5-2326-SM-3GIKK 40-49 years, female 4.0
GTEX-XK95-0226-SM-4AT58 40-49 years, male 4.0
GTEX-1F75I-2226-SM-7SB8U 40-49 years, male 4.0
GTEX-1GF9X-1326-SM-7PC2Y 40-49 years, female 4.0
GTEX-1I6K6-1726-SM-CGQFD 30-39 years, male 4.0
GTEX-1LGOU-1326-SM-D3L8M 20-29 years, female 4.0
GTEX-11VI4-1126-SM-5EQMD 40-49 years, female 3.9
GTEX-13OVG-1626-SM-5J1NF 60-69 years, male 3.9
GTEX-14PHY-1226-SM-5ZZWK 60-69 years, female 3.9
GTEX-14XAO-1226-SM-6EU1C 60-69 years, female 3.9
GTEX-15G19-2426-SM-7KUMR 60-69 years, male 3.9
GTEX-17MF6-2626-SM-79OKQ 40-49 years, male 3.9
GTEX-1F5PK-2226-SM-7SB6N 50-59 years, male 3.9
GTEX-13PVR-0426-SM-5RQK2 60-69 years, female 3.8
GTEX-13RTJ-0126-SM-5S2NN 60-69 years, male 3.8
GTEX-17F98-1326-SM-7DUEP 40-49 years, female 3.8
GTEX-ZYY3-2926-SM-5GIEB 60-69 years, female 3.8
GTEX-1122O-1026-SM-9WYSF 60-69 years, female 3.8
GTEX-1HBPN-0126-SM-CGQEF 50-59 years, male 3.8
GTEX-13IVO-0726-SM-5LZYV 70-79 years, male 3.7
GTEX-14ICL-1626-SM-5YYAO 30-39 years, male 3.7
GTEX-17F9Y-0126-SM-79OKX 70-79 years, female 3.7
GTEX-ZAB4-2126-SM-5HL8U 40-49 years, male 3.7
GTEX-1GPI7-1826-SM-9KNU1 20-29 years, male 3.7
GTEX-1GTWX-2026-SM-9YFLM 60-69 years, male 3.7
GTEX-1N2DV-1526-SM-DTXEP 40-49 years, male 3.7
GTEX-1RLM8-2926-SM-E8VON 50-59 years, male 3.7
GTEX-12C56-1526-SM-5FQUQ 20-29 years, male 3.6
GTEX-13PDP-0726-SM-5L3HP 60-69 years, male 3.6
GTEX-15D1Q-2826-SM-6LLH7 40-49 years, male 3.6
GTEX-17EVQ-0126-SM-7IGLR 70-79 years, male 3.6
GTEX-ZTTD-2826-SM-4YCFA 50-59 years, male 3.6
GTEX-1H1ZS-2726-SM-9WG75 70-79 years, male 3.6
GTEX-1HBPM-0726-SM-9YFL7 60-69 years, female 3.6
GTEX-1RAZQ-1326-SM-E9TK6 30-39 years, male 3.6
GTEX-1399S-0126-SM-5IJCF 30-39 years, female 3.5
GTEX-145MN-1526-SM-5SI9T 30-39 years, male 3.5
GTEX-14LLW-2626-SM-62LDZ 70-79 years, female 3.5
GTEX-ZXG5-2126-SM-59HKD 60-69 years, male 3.5
GTEX-1HSGN-0826-SM-ACKW3 40-49 years, female 3.5
GTEX-1LG7Z-1626-SM-CXKYR 30-39 years, male 3.5
GTEX-13FH7-1126-SM-5K7UG 50-59 years, female 3.4
GTEX-144GO-2026-SM-5O99P 60-69 years, male 3.4
GTEX-16BQI-1326-SM-6M486 30-39 years, female 3.4
GTEX-1C2JI-1026-SM-73KY1 50-59 years, male 3.4
GTEX-1C475-1326-SM-7SB73 40-49 years, female 3.4
GTEX-1MJK3-0726-SM-E6CJC 20-29 years, male 3.4
GTEX-1QP9N-1226-SM-E76QN 30-39 years, male 3.4
GTEX-11NSD-0626-SM-5A5LU 20-29 years, male 3.3
GTEX-11P81-2226-SM-5PNYI 30-39 years, female 3.3
GTEX-14PK6-0226-SM-62LF5 70-79 years, female 3.3
GTEX-14PKU-0126-SM-6LLHV 40-49 years, female 3.3
GTEX-15CHC-1126-SM-6LLHQ 60-69 years, female 3.3
GTEX-1GMR2-0826-SM-7PC3V 50-59 years, male 3.3
GTEX-1H1E6-0426-SM-9WYUS 30-39 years, male 3.3
GTEX-1S3DN-2126-SM-E9TIN 50-59 years, male 3.3
GTEX-13NYC-0126-SM-5L3F4 60-69 years, male 3.2
GTEX-13X6I-1826-SM-5SIAO 60-69 years, male 3.2
GTEX-14PII-0726-SM-6EU2B 60-69 years, male 3.2
GTEX-17HHE-1326-SM-7EWDZ 50-59 years, male 3.2
GTEX-1B8KE-1126-SM-7EPHI 50-59 years, male 3.2
GTEX-WYJK-0526-SM-3NM8Z 50-59 years, male 3.2
GTEX-1CB4I-0126-SM-7RHGG 50-59 years, male 3.2
GTEX-1HCVE-2726-SM-CL54F 50-59 years, male 3.2
GTEX-1QPFJ-1926-SM-EVYBD 30-39 years, female 3.2
GTEX-11LCK-2226-SM-5HL4Q 30-39 years, male 3.1
GTEX-11P7K-1126-SM-5HL4L 30-39 years, male 3.1
GTEX-131XF-2626-SM-5EQ6K 60-69 years, male 3.1
GTEX-1399U-1126-SM-5L3DB 50-59 years, female 3.1
GTEX-14E1K-2026-SM-7DUEI 50-59 years, male 3.1
GTEX-18QFQ-1826-SM-72D52 30-39 years, male 3.1
GTEX-1A3MV-1826-SM-731CD 30-39 years, male 3.1
GTEX-WFG8-2126-SM-3GIKQ 20-29 years, male 3.1
GTEX-1I1GT-1026-SM-ARZLV 60-69 years, female 3.1
GTEX-1PIGE-1826-SM-E8VOU 20-29 years, male 3.1
GTEX-11DXX-2126-SM-5PNYR 60-69 years, female 3.0
GTEX-12WSA-0426-SM-5EQ5X 60-69 years, male 3.0
GTEX-13O61-1426-SM-5KM3D 60-69 years, male 3.0
GTEX-14AS3-1526-SM-5Q5ED 40-49 years, female 3.0
GTEX-Y5V6-2326-SM-4VDSA 60-69 years, male 3.0
GTEX-1H23P-0626-SM-9WG6T 60-69 years, male 3.0
GTEX-1211K-1526-SM-5FQU4 60-69 years, female 2.9
GTEX-145LT-0526-SM-5LUB2 40-49 years, male 2.9
GTEX-1477Z-0326-SM-7IGLA 60-69 years, male 2.9
GTEX-11TT1-1826-SM-5EQLV 20-29 years, male 2.8
GTEX-13QBU-1226-SM-5LU4G 40-49 years, female 2.8
GTEX-14BMU-1226-SM-5S2OR 20-29 years, female 2.8
GTEX-15EU6-2226-SM-6EU2L 50-59 years, male 2.8
GTEX-17HII-1426-SM-7EPGG 50-59 years, male 2.8
GTEX-18D9U-0126-SM-731BM 40-49 years, male 2.8
GTEX-1AMEY-0826-SM-72D65 30-39 years, female 2.8
GTEX-Y9LG-1126-SM-4VBQ7 30-39 years, male 2.8
GTEX-1MCYP-0526-SM-E9U6Q 20-29 years, female 2.8
GTEX-11EM3-1226-SM-5N9DD 20-29 years, female 2.7
GTEX-15RIE-1926-SM-7KUKJ 60-69 years, male 2.7
GTEX-1S831-1826-SM-EWROF 20-29 years, male 2.7
GTEX-ZZPU-0826-SM-5GZX5 50-59 years, female 2.6
GTEX-1H3VE-0726-SM-9YFL5 40-49 years, male 2.6
GTEX-1117F-2926-SM-5GZYI 60-69 years, female 2.5
GTEX-13VXT-1926-SM-5K7UO 20-29 years, female 2.5
GTEX-14B4R-1326-SM-5Q5EZ 30-39 years, male 2.5
GTEX-WHSB-1326-SM-3LK6W 50-59 years, male 2.5
GTEX-ZWKS-0626-SM-5GIDV 30-39 years, male 2.5
GTEX-1LKK1-2626-SM-DKPQE 50-59 years, female 2.5
GTEX-1NV5F-0626-SM-DTXEG 60-69 years, female 2.5
GTEX-1QCLZ-2426-SM-EVYBW 60-69 years, female 2.5
GTEX-133LE-2326-SM-5K7W3 20-29 years, female 2.4
GTEX-14C5O-0326-SM-5ZZUX 60-69 years, male 2.4
GTEX-WFG7-2026-SM-5SI7P 20-29 years, male 2.4
GTEX-X4EP-0626-SM-3P621 60-69 years, female 2.4
GTEX-ZP4G-1426-SM-4WWCL 20-29 years, female 2.4
GTEX-18D9A-1426-SM-7LT8M 30-39 years, female 2.4
GTEX-1JKYN-0826-SM-ARU8S 30-39 years, male 2.4
GTEX-1L5NE-1126-SM-D3L9P 50-59 years, male 2.4
GTEX-13FTX-1526-SM-5K7VJ 20-29 years, female 2.3
GTEX-147F3-1726-SM-5SIAW 50-59 years, female 2.3
GTEX-14PJ3-1126-SM-5ZZVX 50-59 years, male 2.3
GTEX-16XZZ-0726-SM-7KUF2 60-69 years, male 2.3
GTEX-XPVG-2126-SM-4B667 50-59 years, male 2.3
GTEX-1CAMQ-1326-SM-7P8RV 40-49 years, male 2.3
GTEX-1J1R8-2026-SM-CL53Y 40-49 years, male 2.3
GTEX-1K2DA-1026-SM-CGQGF 50-59 years, male 2.3
GTEX-1LBAC-0826-SM-CY8IJ 20-29 years, male 2.3
GTEX-1AMFI-1326-SM-7939R 50-59 years, female 2.2
GTEX-XBEW-1126-SM-4QARW 40-49 years, male 2.2
GTEX-ZVP2-0326-SM-57WBP 50-59 years, male 2.2
GTEX-1JMPY-0226-SM-CKZOK 30-39 years, male 2.2
GTEX-1PPH7-1126-SM-DTX9A 40-49 years, male 2.2
GTEX-13QJC-0126-SM-5ZZWJ 60-69 years, female 2.1
GTEX-14E6E-0526-SM-793DN 30-39 years, male 2.1
GTEX-15EO6-2426-SM-6PALZ 50-59 years, male 2.1
GTEX-1CAMS-2226-SM-7PBXQ 40-49 years, female 2.1
GTEX-1HB9E-0126-SM-CM2S5 50-59 years, male 2.1
GTEX-1QP28-1126-SM-EVYC4 50-59 years, female 2.1
GTEX-1F52S-2926-SM-7MKGA 60-69 years, female 2.0
GTEX-ZDTT-0426-SM-4WKFL 60-69 years, male 2.0
GTEX-ZYFG-1526-SM-5GZYM 60-69 years, female 2.0
GTEX-1HCUA-0826-SM-ADEHM 50-59 years, female 2.0
GTEX-1K2DU-1226-SM-CYPT4 20-29 years, male 2.0
GTEX-1PPH8-0126-SM-EWRN8 20-29 years, male 2.0
GTEX-14DAR-1226-SM-73KYV 50-59 years, male 1.9
GTEX-18A67-1626-SM-7LT9T 50-59 years, male 1.9
GTEX-1H2FU-0926-SM-9WPPT 60-69 years, female 1.9
GTEX-1QP2A-1726-SM-E76QC 50-59 years, male 1.9
GTEX-1192X-2726-SM-5N9DN 50-59 years, male 1.8
GTEX-11DZ1-2426-SM-5GZZX 50-59 years, male 1.8
GTEX-12BJ1-0926-SM-5EQ62 60-69 years, male 1.8
GTEX-17F96-0126-SM-7EWDU 70-79 years, male 1.8
GTEX-XQ8I-0926-SM-4BOOF 50-59 years, male 1.8
GTEX-1JJE9-2626-SM-ARZMT 70-79 years, male 1.8
GTEX-1JMOU-1026-SM-CYPSS 60-69 years, female 1.8
GTEX-139T8-0626-SM-5KLZX 60-69 years, male 1.7
GTEX-13NYS-0626-SM-5L3F1 60-69 years, male 1.7
GTEX-1LVAO-2726-SM-E9TJ8 60-69 years, male 1.7
GTEX-1QCLY-0226-SM-EWRNH 30-39 years, male 1.7
GTEX-117YX-1926-SM-5GIEC 50-59 years, male 1.6
GTEX-1CB4H-1126-SM-7MKGL 60-69 years, female 1.6
GTEX-ZA64-1026-SM-5HL8R 20-29 years, male 1.6
GTEX-ZLFU-1826-SM-4WWBV 40-49 years, male 1.6
GTEX-ZLWG-0826-SM-59888 50-59 years, female 1.6
GTEX-1HKZK-0726-SM-ACKW2 40-49 years, male 1.6
GTEX-13N2G-0226-SM-5K7VF 60-69 years, male 1.5
GTEX-ZVE1-0726-SM-51MRN 50-59 years, female 1.5
GTEX-ZVZP-1226-SM-5GID7 50-59 years, male 1.5
GTEX-1F75B-0726-SM-7PC3R 50-59 years, male 1.5
GTEX-1HFI7-2326-SM-CGQFS 50-59 years, female 1.5
GTEX-ZLV1-1526-SM-DO91J 60-69 years, female 1.5
GTEX-16MTA-0926-SM-6M47Z 50-59 years, male 1.4
GTEX-YB5K-2026-SM-4VDT3 40-49 years, female 1.4
GTEX-1IDJU-1726-SM-CMKHU 60-69 years, female 1.4
GTEX-11WQK-1026-SM-5EQLX 50-59 years, male 1.3
GTEX-14PJN-1826-SM-6AJ98 30-39 years, male 1.3
GTEX-Y5LM-0926-SM-6LLJG 40-49 years, female 1.3
GTEX-ZF29-0926-SM-4WKFZ 60-69 years, female 1.3
GTEX-1F6RS-2026-SM-7RHHC 60-69 years, female 1.3
GTEX-14PJ5-1526-SM-6LLIL 60-69 years, female 1.2
GTEX-XUW1-0926-SM-4BONX 50-59 years, female 1.2
GTEX-1LVAN-0626-SM-CNPOQ 50-59 years, female 1.2
GTEX-111CU-1126-SM-5EGIM 50-59 years, male 1.1
GTEX-111YS-1526-SM-5GZYW 60-69 years, male 1.1
GTEX-13NZ8-1226-SM-5KM4A 60-69 years, female 1.1
GTEX-14753-0726-SM-5QGQO 60-69 years, male 1.1
GTEX-15G1A-1626-SM-7KUKN 30-39 years, male 1.1
GTEX-16AAH-0626-SM-793C9 50-59 years, male 1.1
GTEX-ZVT2-0126-SM-5GIDQ 50-59 years, female 1.1
GTEX-1I4MK-0126-SM-CY8G6 50-59 years, female 1.1
GTEX-1JJ6O-2726-SM-CNPOG 60-69 years, male 1.1
GTEX-1S82P-2126-SM-E6CI5 60-69 years, female 1.1
GTEX-14PJ4-0226-SM-5YY92 60-69 years, male 1.0
GTEX-15RIG-0726-SM-7KUM7 40-49 years, male 1.0
GTEX-1GZ4H-0526-SM-9KNU9 50-59 years, female 1.0
GTEX-1LSNM-0826-SM-DIPG8 50-59 years, male 1.0
GTEX-13X6H-0926-SM-5SIB2 50-59 years, female 0.9
GTEX-ZGAY-1826-SM-DO91Q 40-49 years, female 0.9
GTEX-13FTW-0326-SM-5K7UW 40-49 years, male 0.8
GTEX-ZPCL-1126-SM-4WWFE 60-69 years, female 0.8
GTEX-ZTSS-1426-SM-5985P 40-49 years, male 0.8
GTEX-1LGRB-0926-SM-COH3K 50-59 years, female 0.8
GTEX-YFCO-1226-SM-5LUAT 40-49 years, male 0.5
GTEX-1RMOY-1326-SM-E9TIH 50-59 years, male 0.5
Show allShow less
Skin - Sun Exposed (Lower leg)
Average nTPM: 7.2
Samples: 701

Max nTPM: 37.0
Min nTPM: 0.3
Std nTPM: 6.1
Median nTPM: 5.1
GTEX-1EMGI-0126-SM-9KNUE 60-69 years, male 37.0
GTEX-1HCU6-0126-SM-CL54K 60-69 years, female 34.9
GTEX-13CF2-2526-SM-5LZYX 60-69 years, male 32.5
GTEX-1F6IF-0726-SM-7P8TW 60-69 years, male 29.8
GTEX-1MA7X-2226-SM-E6CIY 60-69 years, male 28.3
GTEX-1POEN-0126-SM-EYYXJ 30-39 years, female 26.8
GTEX-1QAET-0926-SM-E76QM 50-59 years, male 26.2
GTEX-17HG3-2226-SM-7938L 30-39 years, female 25.8
GTEX-OXRP-0126-SM-3NB32 60-69 years, female 25.6
GTEX-1HBPI-1526-SM-C1YQ1 50-59 years, male 25.3
GTEX-XUYS-0126-SM-47JWZ 50-59 years, male 25.2
GTEX-1N2DW-0226-SM-E9TK2 50-59 years, male 24.7
GTEX-Y111-0126-SM-4SOIV 50-59 years, male 24.6
GTEX-1HFI6-0226-SM-ADEHZ 40-49 years, male 23.8
GTEX-11DXZ-2326-SM-5EGGV 50-59 years, male 23.5
GTEX-17HHY-0126-SM-7LG5D 50-59 years, male 23.5
GTEX-15DYW-0126-SM-7KULE 60-69 years, female 23.3
GTEX-1F88F-2726-SM-7PBZZ 60-69 years, female 23.3
GTEX-18A6Q-0126-SM-731BZ 60-69 years, male 22.8
GTEX-1C6WA-0126-SM-7PC2B 60-69 years, male 22.4
GTEX-13112-2826-SM-5DUWH 50-59 years, male 22.3
GTEX-13FXS-0226-SM-5IJCK 50-59 years, male 22.3
GTEX-11NUK-0126-SM-5A5L3 50-59 years, male 22.2
GTEX-VJYA-1126-SM-3GIJU 60-69 years, male 22.1
GTEX-ZDXO-3026-SM-5J1N5 60-69 years, male 22.1
GTEX-1I1GR-0126-SM-CL55F 60-69 years, male 22.0
GTEX-ZYFD-0126-SM-5GIDL 50-59 years, male 21.9
GTEX-1C64N-0126-SM-793D7 50-59 years, male 21.8
GTEX-11DXW-0226-SM-5H122 40-49 years, male 21.6
GTEX-13SLX-0526-SM-5S2ON 50-59 years, female 21.4
GTEX-13G51-2526-SM-5LZYK 60-69 years, male 21.3
GTEX-131XW-0426-SM-5LZWP 50-59 years, female 20.9
GTEX-1CB4G-0226-SM-7PC3O 60-69 years, male 20.3
GTEX-X4EO-0326-SM-3P5YO 60-69 years, female 20.2
GTEX-1CB4F-0426-SM-9KNV4 60-69 years, male 20.0
GTEX-1B8SF-1426-SM-7DUGL 60-69 years, male 19.9
GTEX-1J8JJ-0226-SM-CL53I 60-69 years, female 19.8
GTEX-Y8DK-0126-SM-4TT3L 60-69 years, male 19.3
GTEX-RWSA-0126-SM-2XCBB 40-49 years, male 19.0
GTEX-1KD4Q-0226-SM-E9TJ9 40-49 years, male 18.9
GTEX-15DDE-0126-SM-6LPKH 50-59 years, female 18.6
GTEX-15SHW-0326-SM-6PAML 60-69 years, male 18.6
GTEX-1IL2U-0226-SM-CE6T8 60-69 years, male 18.6
GTEX-1JN6P-0126-SM-D3L98 60-69 years, male 18.6
GTEX-14PJM-0226-SM-62LF1 50-59 years, female 18.5
GTEX-1JMQJ-0526-SM-CYPSU 50-59 years, male 18.5
GTEX-1GN73-0226-SM-9WG67 60-69 years, male 18.3
GTEX-WYVS-2126-SM-3NMA3 40-49 years, female 18.2
GTEX-YJ89-0126-SM-4TT3X 60-69 years, male 17.9
GTEX-1QMI2-0226-SM-EVYBX 60-69 years, male 17.9
GTEX-13U4I-0126-SM-5LU38 40-49 years, female 17.8
GTEX-R55E-0126-SM-2TC5Y 20-29 years, male 17.5
GTEX-1IY9M-0126-SM-D3L8S 60-69 years, male 17.5
GTEX-RN64-0126-SM-2TC68 50-59 years, male 17.4
GTEX-1MJK2-0426-SM-DTXE5 50-59 years, male 17.2
GTEX-139TS-2826-SM-5J1OO 60-69 years, male 17.1
GTEX-ZYFC-0226-SM-5NQ75 50-59 years, male 17.0
GTEX-1IDJH-0326-SM-A9SLQ 70-79 years, male 17.0
GTEX-1PIIG-0226-SM-EWRN6 30-39 years, male 17.0
GTEX-PVOW-0126-SM-2XCFA 40-49 years, male 16.9
GTEX-13FHP-0126-SM-5IJBG 50-59 years, male 16.8
GTEX-11DYG-0126-SM-59883 60-69 years, male 16.7
GTEX-1F6I4-0126-SM-9MQL2 60-69 years, male 16.7
GTEX-1BAJH-0526-SM-793CQ 70-79 years, male 16.5
GTEX-13X6J-0126-SM-5QGOU 50-59 years, male 16.4
GTEX-1H1CY-2826-SM-9MQM3 60-69 years, female 16.3
GTEX-ZV68-0126-SM-59HKS 50-59 years, female 16.2
GTEX-1H3O1-0426-SM-9YFKY 60-69 years, male 16.2
GTEX-1JJEA-0326-SM-CNPOT 60-69 years, male 16.2
GTEX-13OW7-0126-SM-5MR3B 50-59 years, male 16.0
GTEX-ZYT6-0226-SM-5NQ6T 30-39 years, male 16.0
GTEX-1F7RK-0126-SM-7PC2S 20-29 years, female 16.0
GTEX-14JIY-0126-SM-6LLH6 60-69 years, male 15.9
GTEX-ZVT3-0126-SM-5GU6I 60-69 years, female 15.9
GTEX-1B8L1-2526-SM-9WYTF 60-69 years, male 15.9
GTEX-YJ8A-0426-SM-5IFID 20-29 years, male 15.8
GTEX-16GPK-0126-SM-7DHLE 60-69 years, male 15.7
GTEX-117YW-2626-SM-5GZZH 50-59 years, male 15.6
GTEX-12ZZY-0226-SM-5LZVE 60-69 years, male 15.5
GTEX-113JC-2326-SM-5EQ4E 50-59 years, female 15.4
GTEX-139TT-0126-SM-5K7Y5 60-69 years, male 15.3
GTEX-145MI-0526-SM-5O9A8 60-69 years, female 15.3
GTEX-ZDTS-0126-SM-4WAY5 60-69 years, male 15.2
GTEX-1M4P7-0226-SM-DIPEV 60-69 years, male 15.2
GTEX-11WQC-2526-SM-5CVLE 60-69 years, male 15.1
GTEX-13S7M-0126-SM-5SI6A 60-69 years, female 15.1
GTEX-12584-0126-SM-5EGKQ 40-49 years, male 15.0
GTEX-13OVL-0226-SM-5L3E9 50-59 years, male 15.0
GTEX-12126-0326-SM-5PNW3 20-29 years, male 14.9
GTEX-12WSL-2526-SM-5GCNJ 50-59 years, male 14.9
GTEX-14ABY-0226-SM-5TDCQ 50-59 years, male 14.9
GTEX-1GZHY-0326-SM-9QEHI 50-59 years, female 14.8
GTEX-1EU9M-0226-SM-7P8SP 60-69 years, male 14.6
GTEX-1I1CD-0126-SM-CM2TK 60-69 years, female 14.6
GTEX-ZVT4-0126-SM-DTXFN 50-59 years, female 14.5
GTEX-1313W-0126-SM-5LZUN 50-59 years, female 14.4
GTEX-1J8EW-0126-SM-CJI4F 60-69 years, female 14.4
GTEX-11OF3-2626-SM-5GU7F 60-69 years, male 14.3
GTEX-1IGQW-0126-SM-COH42 60-69 years, male 14.2
GTEX-11GSP-2526-SM-5N9BP 60-69 years, female 14.1
GTEX-YFC4-0126-SM-5CVLY 40-49 years, female 14.1
GTEX-ZYW4-0126-SM-5E44A 60-69 years, male 14.1
GTEX-1RDX4-0126-SM-E9J4P 50-59 years, female 13.9
GTEX-1B8KZ-2026-SM-7DHMB 50-59 years, male 13.8
GTEX-ZVTK-0426-SM-51MRS 20-29 years, male 13.8
GTEX-1B933-0126-SM-7PC29 50-59 years, female 13.8
GTEX-1HT8W-0126-SM-CNPPP 30-39 years, male 13.8
GTEX-1QEPI-0126-SM-EWRMQ 60-69 years, female 13.7
GTEX-131XH-2226-SM-5DUXJ 50-59 years, male 13.6
GTEX-1EKGG-0226-SM-9WYTH 60-69 years, male 13.5
GTEX-1AX9I-0126-SM-7SB74 60-69 years, male 13.4
GTEX-11ZVC-2526-SM-5FQTE 50-59 years, female 13.3
GTEX-12KS4-0326-SM-5EQ41 30-39 years, male 13.3
GTEX-12WSE-0526-SM-793B2 20-29 years, male 13.3
GTEX-1EWIQ-0126-SM-7RHH2 70-79 years, female 13.2
GTEX-13N1W-0126-SM-5K7VT 70-79 years, male 13.1
GTEX-ZAK1-0126-SM-5IJD3 50-59 years, female 13.1
GTEX-1IOXB-0126-SM-ARL8G 50-59 years, male 12.9
GTEX-132NY-0326-SM-5IJBL 60-69 years, male 12.8
GTEX-14BIN-0626-SM-793DP 50-59 years, female 12.8
GTEX-SIU8-0126-SM-2XCDT 50-59 years, male 12.8
GTEX-11GS4-2726-SM-5A5LE 60-69 years, male 12.7
GTEX-13NYC-0326-SM-E9J4S 60-69 years, male 12.7
GTEX-11O72-0126-SM-59887 40-49 years, male 12.6
GTEX-Q734-1926-SM-2I5EV 40-49 years, female 12.6
GTEX-1I1GQ-0126-SM-COH3H 50-59 years, male 12.5
GTEX-14PN4-0126-SM-6EU2V 50-59 years, male 12.4
GTEX-14DAQ-0126-SM-5S2MQ 60-69 years, female 12.3
GTEX-145MF-0626-SM-5LUAI 50-59 years, male 12.2
GTEX-18A7A-0226-SM-718BH 50-59 years, female 12.2
GTEX-1B8SG-0126-SM-73KZ3 50-59 years, male 12.2
GTEX-1HR98-0126-SM-B2LWI 60-69 years, male 12.2
GTEX-1LG7Y-0526-SM-DKPQC 50-59 years, male 12.2
GTEX-145LU-0126-SM-5TDCB 50-59 years, male 12.1
GTEX-1EX96-1626-SM-7PBXR 50-59 years, male 12.1
GTEX-1IKK5-0626-SM-ARL8A 60-69 years, male 12.1
GTEX-148VI-1626-SM-5SI6E 60-69 years, female 11.9
GTEX-ZE9C-2726-SM-57WB5 60-69 years, male 11.9
GTEX-11TUW-2726-SM-E9J4M 60-69 years, male 11.9
GTEX-11ZTS-0126-SM-5EQ6M 60-69 years, female 11.8
GTEX-OXRO-0126-SM-2YUN4 60-69 years, female 11.8
GTEX-1IKJJ-0126-SM-CNPQB 60-69 years, male 11.6
GTEX-17JCI-0126-SM-7LG5G 60-69 years, female 11.5
GTEX-1GMRU-0126-SM-9YFLV 50-59 years, male 11.5
GTEX-13OW6-0426-SM-5L3HM 50-59 years, male 11.4
GTEX-14E7W-0126-SM-6LLJ9 70-79 years, male 11.4
GTEX-PX3G-0126-SM-2I3EN 20-29 years, female 11.4
GTEX-SJXC-0126-SM-2XCFF 60-69 years, male 11.4
GTEX-XQ3S-1526-SM-4BOOC 20-29 years, male 11.4
GTEX-1HBPH-0426-SM-B2LW5 40-49 years, female 11.4
GTEX-1OJC3-0126-SM-E76QX 20-29 years, male 11.2
GTEX-11EI6-0126-SM-5985R 60-69 years, male 11.1
GTEX-S7PM-0126-SM-4AD6S 60-69 years, male 11.1
GTEX-T2IS-0126-SM-4DM6O 20-29 years, female 11.1
GTEX-XYKS-2126-SM-4E3IB 60-69 years, female 11.1
GTEX-1HSKV-0226-SM-A9SKJ 60-69 years, male 11.1
GTEX-S33H-1026-SM-EZ6L6 30-39 years, male 11.1
GTEX-16YQH-0126-SM-7DUFJ 30-39 years, male 11.0
GTEX-ZY6K-1826-SM-5GZXK 50-59 years, male 11.0
GTEX-1EN7A-0126-SM-7SB81 40-49 years, male 11.0
GTEX-14BMV-0126-SM-5S2PO 50-59 years, male 10.9
GTEX-ZUA1-0126-SM-5GU76 40-49 years, male 10.9
GTEX-13VXU-0126-SM-5SI9F 50-59 years, male 10.8
GTEX-14JG1-0426-SM-6ETZZ 40-49 years, male 10.8
GTEX-Y3IK-2426-SM-4WWDU 50-59 years, female 10.8
GTEX-1GN1U-0126-SM-7PBZK 50-59 years, female 10.8
GTEX-1AYD5-2426-SM-73KXR 50-59 years, male 10.7
GTEX-1JMQI-2226-SM-CM2SD 50-59 years, male 10.7
GTEX-1E1VI-0126-SM-7DHMZ 50-59 years, male 10.6
GTEX-1GPI6-0126-SM-9WG69 60-69 years, male 10.6
GTEX-131XE-2326-SM-5PNZ2 50-59 years, male 10.5
GTEX-SSA3-0126-SM-32QPU 60-69 years, male 10.5
GTEX-13OW5-0126-SM-DTXFS 60-69 years, male 10.5
GTEX-1GF9V-0326-SM-7RHI5 60-69 years, male 10.5
GTEX-144GL-0126-SM-5TDE2 50-59 years, male 10.4
GTEX-12ZZX-0126-SM-5EGK9 40-49 years, female 10.3
GTEX-1C6VR-2426-SM-79OLD 60-69 years, male 10.3
GTEX-1H3VY-0126-SM-ACKXD 50-59 years, male 10.3
GTEX-1KANB-0526-SM-E6CJH 50-59 years, male 10.3
GTEX-13111-1626-SM-5EGJY 50-59 years, male 10.2
GTEX-1A8FM-0226-SM-7SB7Q 50-59 years, female 10.2
GTEX-1CB4E-2226-SM-793DC 60-69 years, male 10.1
GTEX-17EVP-0326-SM-7DHLG 40-49 years, male 10.0
GTEX-1CAV2-2226-SM-7P8P2 40-49 years, female 10.0
GTEX-131YS-0126-SM-5KM1M 60-69 years, female 9.9
GTEX-15ER7-0326-SM-7KUEV 20-29 years, female 9.9
GTEX-1H3VE-0326-SM-9YFLH 40-49 years, male 9.9
GTEX-1H4P4-0726-SM-9YFLR 50-59 years, male 9.9
GTEX-1KD5A-0226-SM-D5OV3 50-59 years, male 9.9
GTEX-1R9K4-0126-SM-DTX9X 60-69 years, male 9.9
GTEX-12WSD-0126-SM-59HKN 60-69 years, female 9.8
GTEX-1KWVE-1426-SM-E9TJO 30-39 years, male 9.8
GTEX-T5JC-0426-SM-32PLO 20-29 years, male 9.7
GTEX-1GN2E-0426-SM-9MQKX 60-69 years, male 9.7
GTEX-V1D1-2226-SM-3NMAX 50-59 years, male 9.6
GTEX-15DCD-0126-SM-7KUEK 70-79 years, female 9.5
GTEX-R3RS-0126-SM-3GIJL 40-49 years, female 9.5
GTEX-11ZU8-2526-SM-5EQKI 60-69 years, male 9.4
GTEX-13NZA-0226-SM-5K7Z7 60-69 years, male 9.4
GTEX-146FH-0126-SM-5QGPP 50-59 years, female 9.4
GTEX-Q2AG-0126-SM-33HBV 40-49 years, female 9.4
GTEX-1GMR3-1926-SM-9KNUZ 40-49 years, male 9.4
GTEX-U3ZH-2026-SM-3DB78 30-39 years, male 9.3
GTEX-13NYB-2526-SM-5K7Z6 40-49 years, male 9.2
GTEX-14A5I-0126-SM-5TDEA 50-59 years, female 9.2
GTEX-14E6D-0126-SM-62LDV 50-59 years, male 9.2
GTEX-1PBJI-0526-SM-E8VNK 20-29 years, female 9.2
GTEX-1212Z-2526-SM-5EGKP 60-69 years, male 9.1
GTEX-1F75A-0126-SM-7RHGM 50-59 years, male 9.1
GTEX-17MFQ-1726-SM-793C7 20-29 years, male 8.9
GTEX-139UW-2826-SM-5L3E7 60-69 years, male 8.8
GTEX-QEG4-0226-SM-2S1PY 30-39 years, male 8.8
GTEX-WZTO-0126-SM-3NM95 40-49 years, male 8.8
GTEX-1JMPZ-0226-SM-CNPP1 30-39 years, male 8.8
GTEX-1A32A-0126-SM-718B1 50-59 years, female 8.7
GTEX-1JMLX-0226-SM-CM2RO 50-59 years, male 8.7
GTEX-113IC-0126-SM-5HL6T 60-69 years, male 8.6
GTEX-11DXY-2626-SM-5GIE7 60-69 years, male 8.6
GTEX-12WSN-5019-SM-79OM6 40-49 years, male 8.6
GTEX-1314G-1526-SM-5EGK2 30-39 years, male 8.6
GTEX-1399R-2726-SM-5IJBA 30-39 years, male 8.5
GTEX-18465-0126-SM-731BN 50-59 years, male 8.5
GTEX-1GZ2Q-0226-SM-7P8TL 40-49 years, male 8.5
GTEX-T6MN-0126-SM-32PLP 50-59 years, male 8.4
GTEX-RNOR-0126-SM-E9J4R 50-59 years, female 8.4
GTEX-1O97I-0326-SM-EYYX7 60-69 years, male 8.3
GTEX-13O1R-0126-SM-5L3EH 60-69 years, male 8.2
GTEX-13YAN-0326-SM-5O9DF 60-69 years, male 8.2
GTEX-ZU9S-0226-SM-5E441 30-39 years, male 8.2
GTEX-ZF3C-0126-SM-DO92D 50-59 years, female 8.2
GTEX-17HII-0226-SM-7LG4E 50-59 years, male 8.1
GTEX-S7SE-0126-SM-2XCD5 50-59 years, male 8.1
GTEX-1N2EF-0226-SM-EYYXB 60-69 years, male 8.1
GTEX-1192W-2626-SM-5Q5AF 60-69 years, male 8.0
GTEX-145ME-1826-SM-5SI9G 40-49 years, female 8.0
GTEX-U412-0426-SM-3DB9O 60-69 years, male 8.0
GTEX-1H1DE-2126-SM-9WG6R 20-29 years, male 8.0
GTEX-117XS-2726-SM-5N9BL 60-69 years, male 7.9
GTEX-12696-2426-SM-5EQ6H 60-69 years, male 7.9
GTEX-1F48J-0126-SM-7P8TT 50-59 years, female 7.9
GTEX-1399T-2826-SM-5KLYZ 60-69 years, male 7.8
GTEX-P44H-0226-SM-2XCEU 40-49 years, male 7.7
GTEX-QESD-1426-SM-2S1R9 20-29 years, male 7.7
GTEX-XBED-2226-SM-47JYQ 60-69 years, male 7.7
GTEX-1HUB1-0426-SM-E9U4U 60-69 years, male 7.7
GTEX-12WSC-0126-SM-5EQ4P 50-59 years, male 7.6
GTEX-147GR-0526-SM-5S2MY 60-69 years, male 7.6
GTEX-VUSG-2526-SM-4KL1V 50-59 years, male 7.6
GTEX-1HCU7-0226-SM-CL545 50-59 years, male 7.6
GTEX-1IE54-0126-SM-CMKHW 40-49 years, female 7.6
GTEX-OIZF-0126-SM-7SB8I 60-69 years, male 7.6
GTEX-OIZG-0726-SM-33HBL 50-59 years, male 7.5
GTEX-RVPV-0126-SM-EAZAW 60-69 years, male 7.5
GTEX-11P81-2326-SM-59875 30-39 years, female 7.4
GTEX-13JUV-2726-SM-5LZZ8 40-49 years, female 7.4
GTEX-13OW8-1326-SM-5J1OW 60-69 years, male 7.4
GTEX-14PII-0226-SM-6EU1T 60-69 years, male 7.4
GTEX-1C6VS-0526-SM-7DUEN 60-69 years, male 7.4
GTEX-RU72-0926-SM-2TF6B 50-59 years, female 7.4
GTEX-X638-0126-SM-47JZ8 70-79 years, female 7.4
GTEX-X88G-0126-SM-47JZ3 30-39 years, male 7.4
GTEX-ZC5H-0226-SM-4WAY9 40-49 years, female 7.4
GTEX-1H1DG-0126-SM-9WYU2 70-79 years, male 7.4
GTEX-1RB15-2126-SM-E9TIM 60-69 years, male 7.4
GTEX-13SLW-0126-SM-5SI6C 70-79 years, male 7.2
GTEX-15SDE-2226-SM-7IGLO 50-59 years, female 7.2
GTEX-WVJS-0126-SM-4MVOT 50-59 years, male 7.2
GTEX-1I1HK-0126-SM-COH49 60-69 years, male 7.2
GTEX-111FC-0126-SM-5N9DL 60-69 years, male 7.1
GTEX-1269C-2526-SM-5EGJ3 60-69 years, female 7.1
GTEX-148VJ-0126-SM-5TDDN 70-79 years, male 7.1
GTEX-1AX8Z-0126-SM-7DHM6 60-69 years, male 7.1
GTEX-1I1GV-0526-SM-A9G29 60-69 years, male 7.1
GTEX-1IL2V-0126-SM-CM2TX 70-79 years, male 7.1
GTEX-11UD1-0126-SM-5PNYG 40-49 years, female 7.0
GTEX-ZVZO-0126-SM-5A5L9 40-49 years, male 7.0
GTEX-11OC5-0126-SM-5HL6A 60-69 years, male 6.9
GTEX-13FTY-0526-SM-5L3EV 40-49 years, female 6.9
GTEX-15D1Q-0126-SM-7KUG6 40-49 years, male 6.9
GTEX-1C4CL-0526-SM-73KVK 30-39 years, male 6.9
GTEX-12WSG-2826-SM-E9J4H 50-59 years, female 6.9
GTEX-1JMQK-0226-SM-CL543 60-69 years, male 6.9
GTEX-1K9T9-0126-SM-EVYCF 50-59 years, female 6.9
GTEX-W5X1-3026-SM-EAZAX 40-49 years, female 6.9
GTEX-17KNJ-2326-SM-7DHLQ 50-59 years, male 6.8
GTEX-1HB9E-0226-SM-E9U4R 50-59 years, male 6.8
GTEX-12ZZZ-0626-SM-5DUXI 60-69 years, male 6.7
GTEX-OXRN-0126-SM-48TDM 50-59 years, male 6.7
GTEX-1HCU8-0626-SM-A9SM9 60-69 years, female 6.7
GTEX-13W46-0226-SM-5SIAG 50-59 years, male 6.6
GTEX-1I6K6-0126-SM-A9SLE 30-39 years, male 6.5
GTEX-1R46S-0626-SM-E9J41 60-69 years, female 6.5
GTEX-11ZUS-0626-SM-59885 30-39 years, male 6.4
GTEX-139TU-0126-SM-5K7WH 60-69 years, male 6.4
GTEX-183WM-0126-SM-7LTAB 70-79 years, female 6.4
GTEX-13OVK-2026-SM-7KUEO 40-49 years, male 6.3
GTEX-S32W-2126-SM-2XCB1 50-59 years, female 6.3
GTEX-15UF6-0826-SM-6PALJ 70-79 years, female 6.2
GTEX-Y5V5-2326-SM-4V6GA 60-69 years, female 6.2
GTEX-Z93S-0126-SM-5HL7M 50-59 years, male 6.2
GTEX-1C6VQ-0126-SM-7P8RI 50-59 years, male 6.2
GTEX-1KANC-1526-SM-D3LAB 50-59 years, female 6.2
GTEX-1LB8K-0226-SM-EWRNW 50-59 years, male 6.2
GTEX-13RTL-0126-SM-7LG5S 40-49 years, male 6.1
GTEX-16XZY-2126-SM-79OK1 70-79 years, male 6.1
GTEX-TKQ1-1026-SM-4GICL 30-39 years, male 6.1
GTEX-16NPX-0226-SM-79OMT 50-59 years, male 6.0
GTEX-ZDYS-2026-SM-5HL5L 50-59 years, male 6.0
GTEX-145LS-0126-SM-5QGP1 60-69 years, female 5.9
GTEX-14A5H-0426-SM-5QGQF 60-69 years, male 5.9
GTEX-17HGU-0226-SM-7DHKV 50-59 years, male 5.9
GTEX-X4XY-0226-SM-4E3IZ 60-69 years, male 5.9
GTEX-1H11D-0226-SM-9WG6Z 40-49 years, male 5.9
GTEX-1HGF4-2426-SM-ACKXM 60-69 years, male 5.9
GTEX-1IDJF-0126-SM-CM2RS 20-29 years, male 5.9
GTEX-183FY-0126-SM-7LT9P 20-29 years, male 5.8
GTEX-1A3MX-0126-SM-731BR 60-69 years, male 5.8
GTEX-QLQW-1126-SM-2S1Q8 30-39 years, male 5.8
GTEX-1E2YA-0126-SM-9KNUC 50-59 years, male 5.8
GTEX-1KAFJ-2026-SM-CY8ID 50-59 years, male 5.8
GTEX-1QW4Y-1526-SM-EAZ3Z 30-39 years, male 5.8
GTEX-OHPL-0126-SM-2HMJ7 60-69 years, female 5.7
GTEX-17EVQ-0226-SM-7LG4P 70-79 years, male 5.6
GTEX-TML8-1926-SM-32QOS 40-49 years, female 5.6
GTEX-XXEK-2226-SM-4BRUM 50-59 years, male 5.6
GTEX-13OVH-0126-SM-5MR4B 70-79 years, male 5.5
GTEX-1A3MW-0126-SM-73KXX 60-69 years, female 5.5
GTEX-1I1GP-2226-SM-CGQFK 50-59 years, male 5.5
GTEX-1JN76-0126-SM-CNPPE 20-29 years, female 5.5
GTEX-1PDJ9-0326-SM-DTX95 20-29 years, male 5.5
GTEX-1RQEC-0426-SM-E6CHU 60-69 years, male 5.5
GTEX-U8XE-0326-SM-3DB8P 30-39 years, male 5.4
GTEX-X4XX-0126-SM-3NMC2 60-69 years, male 5.4
GTEX-1B996-0226-SM-7RHGO 60-69 years, male 5.4
GTEX-1JMQL-0226-SM-CNPP5 50-59 years, female 5.4
GTEX-11XUK-2026-SM-5EQLF 40-49 years, female 5.3
GTEX-13CF3-2426-SM-5IFGX 60-69 years, female 5.3
GTEX-13QJ3-0326-SM-5S2RA 50-59 years, male 5.3
GTEX-17MF6-0126-SM-7LG4F 40-49 years, male 5.3
GTEX-18A66-0226-SM-718BD 60-69 years, male 5.3
GTEX-OOBK-0126-SM-2YUND 40-49 years, male 5.3
GTEX-Q2AH-1626-SM-3GAF8 40-49 years, male 5.3
GTEX-1I19N-0326-SM-ACKVX 70-79 years, male 5.3
GTEX-QDVJ-1726-SM-2I5FX 50-59 years, male 5.2
GTEX-XMD2-0126-SM-4YCDU 60-69 years, female 5.2
GTEX-Y114-2426-SM-4TT8A 50-59 years, female 5.2
GTEX-1HSMO-0126-SM-CL547 60-69 years, male 5.2
GTEX-11DZ1-0126-SM-5985Q 50-59 years, male 5.1
GTEX-147F4-0226-SM-5QGPW 50-59 years, male 5.1
GTEX-14E6C-0126-SM-5RQIP 40-49 years, male 5.1
GTEX-ZE7O-0126-SM-57WC1 50-59 years, female 5.1
GTEX-1LNCM-1126-SM-E9U5E 50-59 years, female 5.1
GTEX-1S82Y-2026-SM-EVYCM 40-49 years, male 5.1
GTEX-WFG8-2226-SM-3GIL9 20-29 years, male 5.0
GTEX-X62O-0126-SM-4E3JN 50-59 years, male 5.0
GTEX-Y8LW-1826-SM-5S2MV 50-59 years, female 5.0
GTEX-11TT1-2526-SM-5EGIB 20-29 years, male 4.9
GTEX-14LLW-0126-SM-6LLIO 70-79 years, female 4.9
GTEX-15SB6-1726-SM-6PAME 50-59 years, female 4.9
GTEX-16MT8-0426-SM-7KUEY 60-69 years, female 4.9
GTEX-1AX9J-0226-SM-73KXM 60-69 years, male 4.9
GTEX-QCQG-1726-SM-3GIJ9 50-59 years, female 4.9
GTEX-SN8G-0126-SM-32PLI 50-59 years, female 4.9
GTEX-UPJH-0326-SM-3GADU 50-59 years, male 4.9
GTEX-1IKOH-0226-SM-COH4E 60-69 years, female 4.9
GTEX-ZQG8-1626-SM-DHXIT 60-69 years, female 4.9
GTEX-13OVJ-0126-SM-5KM36 50-59 years, female 4.8
GTEX-X8HC-0126-SM-4E3JW 50-59 years, female 4.8
GTEX-1GMR8-0126-SM-9WYTM 50-59 years, female 4.8
GTEX-1ICLZ-0126-SM-CKZPO 60-69 years, male 4.8
GTEX-1PPH7-2326-SM-EVYB8 40-49 years, male 4.8
GTEX-1R7EU-0226-SM-EVR4G 60-69 years, male 4.8
GTEX-1C475-1826-SM-73KWA 40-49 years, female 4.7
GTEX-U8T8-0126-SM-3DB94 60-69 years, male 4.7
GTEX-13O3O-0126-SM-E9J49 60-69 years, female 4.7
GTEX-1GN1V-0126-SM-9WPOS 60-69 years, male 4.7
GTEX-1NHNU-1026-SM-E9J2A 50-59 years, male 4.7
GTEX-11UD2-0226-SM-5EQKY 50-59 years, male 4.6
GTEX-1399U-2326-SM-5K7WY 50-59 years, female 4.6
GTEX-13X6H-2126-SM-7EWD5 50-59 years, female 4.6
GTEX-1F75B-0126-SM-9KNVL 50-59 years, male 4.6
GTEX-1GF9W-0326-SM-9KNUN 60-69 years, male 4.6
GTEX-1HBPM-0226-SM-ARL9F 60-69 years, female 4.6
GTEX-1HCU9-1526-SM-A9SL7 20-29 years, male 4.6
GTEX-1S83E-0126-SM-EWRO4 40-49 years, male 4.6
GTEX-OOBJ-0126-SM-E6CJW 60-69 years, male 4.6
GTEX-13O3Q-2426-SM-5IJBR 50-59 years, male 4.5
GTEX-144FL-0126-SM-5TDC8 50-59 years, male 4.5
GTEX-14BIL-0126-SM-5SI92 50-59 years, male 4.5
GTEX-QV44-1926-SM-2S1RF 50-59 years, male 4.5
GTEX-X585-0226-SM-4QAS2 50-59 years, male 4.5
GTEX-ZTX8-1426-SM-5DUVO 20-29 years, male 4.5
GTEX-139T4-0226-SM-5HL5S 50-59 years, female 4.4
GTEX-1LH75-2426-SM-E9TJE 50-59 years, female 4.4
GTEX-1R9PO-2126-SM-E9J4O 60-69 years, female 4.4
GTEX-11ZTT-2426-SM-5EQLS 60-69 years, female 4.3
GTEX-T2YK-0526-SM-32QPJ 50-59 years, male 4.3
GTEX-1H3NZ-0126-SM-ACKX7 60-69 years, male 4.3
GTEX-145MO-0326-SM-5Q5B3 60-69 years, male 4.2
GTEX-WQUQ-0426-SM-3MJFU 60-69 years, male 4.2
GTEX-X261-0126-SM-3NMD6 50-59 years, male 4.2
GTEX-ZWKS-0126-SM-5SIAA 30-39 years, male 4.2
GTEX-1HFI7-1826-SM-ACKXH 50-59 years, female 4.2
GTEX-11H98-0126-SM-5EGHG 50-59 years, male 4.1
GTEX-15G19-0126-SM-6PANQ 60-69 years, male 4.1
GTEX-ZF2S-2326-SM-4WWCE 50-59 years, female 4.1
GTEX-ZTPG-0326-SM-5O9AX 20-29 years, female 4.1
GTEX-ZPIC-1726-SM-DHXIU 40-49 years, female 4.1
GTEX-RTLS-0126-SM-447CA 60-69 years, female 4.0
GTEX-1ICLY-0126-SM-D4P36 50-59 years, male 4.0
GTEX-1JK1U-2026-SM-CM2RZ 60-69 years, male 4.0
GTEX-13O3P-0126-SM-5KM4S 50-59 years, male 3.9
GTEX-14PHX-2326-SM-62LEM 50-59 years, male 3.9
GTEX-TMZS-0126-SM-3DB9Q 60-69 years, male 3.9
GTEX-ZAB4-0226-SM-5N9F5 40-49 years, male 3.9
GTEX-1R9PM-2026-SM-E76OY 20-29 years, male 3.9
GTEX-111VG-2426-SM-5GZXD 60-69 years, male 3.8
GTEX-13FHO-0226-SM-5IFGY 60-69 years, male 3.8
GTEX-147F3-0526-SM-5SI98 50-59 years, female 3.8
GTEX-15F5U-1526-SM-6PANO 40-49 years, male 3.8
GTEX-18A7B-0126-SM-7LG64 70-79 years, male 3.8
GTEX-QLQ7-1626-SM-2S1R8 60-69 years, male 3.8
GTEX-QVJO-1626-SM-2S1QW 60-69 years, female 3.8
GTEX-1KXAM-2226-SM-CYPTC 60-69 years, male 3.8
GTEX-1QP66-1726-SM-E8VO1 50-59 years, male 3.8
GTEX-12WSA-0226-SM-5BC5V 60-69 years, male 3.7
GTEX-14LZ3-0226-SM-62LET 60-69 years, female 3.7
GTEX-1B97I-1626-SM-73KYO 40-49 years, male 3.7
GTEX-1LC47-0326-SM-E9TJP 60-69 years, male 3.7
GTEX-1LG7Z-1726-SM-D3LA4 30-39 years, male 3.7
GTEX-11EMC-2926-SM-5EQ4F 60-69 years, female 3.6
GTEX-13O21-1426-SM-5K7XI 50-59 years, male 3.6
GTEX-1AYCT-2426-SM-7IGQ3 50-59 years, male 3.6
GTEX-1CAMR-1926-SM-7EPI2 20-29 years, male 3.6
GTEX-P4QT-0126-SM-2I3FL 50-59 years, female 3.6
GTEX-PWO3-1526-SM-48TCM 60-69 years, female 3.6
GTEX-Y8E4-0626-SM-4WWDL 40-49 years, male 3.6
GTEX-YB5E-2026-SM-5IFIS 40-49 years, male 3.6
GTEX-Z93T-0126-SM-5HL5N 50-59 years, male 3.6
GTEX-1I1GU-2226-SM-CGQFA 40-49 years, male 3.6
GTEX-1M5QR-1226-SM-EWROB 40-49 years, male 3.6
GTEX-PW2O-1526-SM-7RHHB 20-29 years, male 3.6
GTEX-146FQ-0126-SM-5NQA9 30-39 years, male 3.5
GTEX-14A6H-0126-SM-5QGPK 30-39 years, male 3.5
GTEX-15SHU-0126-SM-7KUEH 40-49 years, female 3.5
GTEX-1F6RS-0126-SM-9MQKZ 60-69 years, female 3.5
GTEX-1PIGE-0126-SM-EVYBJ 20-29 years, male 3.5
GTEX-1F5PL-0326-SM-7P8PQ 40-49 years, female 3.4
GTEX-1I1GS-0126-SM-B2LVW 60-69 years, male 3.4
GTEX-1ICG6-2526-SM-CGQFZ 70-79 years, female 3.4
GTEX-1IDFM-0126-SM-COH2V 60-69 years, male 3.4
GTEX-1MCQQ-0826-SM-DLHC2 60-69 years, male 3.4
GTEX-11LCK-1026-SM-5A5KB 30-39 years, male 3.3
GTEX-1C2JI-1826-SM-73KXC 50-59 years, male 3.3
GTEX-R55G-2526-SM-2TC6D 40-49 years, female 3.3
GTEX-ZEX8-2426-SM-4WKG4 50-59 years, male 3.3
GTEX-ZQUD-1426-SM-57WER 30-39 years, male 3.3
GTEX-1JMPY-1326-SM-ARL8Y 30-39 years, male 3.3
GTEX-1K2DA-1826-SM-CGQGT 50-59 years, male 3.3
GTEX-1OJC4-0126-SM-E9J2E 50-59 years, female 3.3
GTEX-1RLM8-2326-SM-EWRN4 50-59 years, male 3.3
GTEX-15EU6-0426-SM-6PAN5 50-59 years, male 3.2
GTEX-1B8KE-2126-SM-73KYX 50-59 years, male 3.2
GTEX-VJWN-0126-SM-3GIK7 50-59 years, female 3.2
GTEX-XAJ8-0826-SM-47JY6 40-49 years, male 3.2
GTEX-1JJE9-0326-SM-CL53Z 70-79 years, male 3.2
GTEX-1OFPY-2426-SM-DTXEJ 60-69 years, male 3.2
GTEX-1R7EV-2426-SM-EVYBG 40-49 years, male 3.2
GTEX-11TTK-0126-SM-5987B 60-69 years, female 3.1
GTEX-13X6I-0626-SM-5QGP9 60-69 years, male 3.1
GTEX-POMQ-2226-SM-2I5FK 20-29 years, female 3.1
GTEX-WI4N-1026-SM-3LK7N 40-49 years, female 3.1
GTEX-WY7C-2326-SM-3NB2U 50-59 years, male 3.1
GTEX-Z9EW-1626-SM-5CVMN 40-49 years, male 3.1
GTEX-1F5PK-2426-SM-7RHHY 50-59 years, male 3.1
GTEX-1GN1W-0526-SM-9MQJQ 50-59 years, female 3.1
GTEX-1HCUA-2426-SM-ADEIS 50-59 years, female 3.1
GTEX-1HSMQ-1226-SM-CGQFX 50-59 years, male 3.1
GTEX-1LGOU-2026-SM-DIPFF 20-29 years, female 3.1
GTEX-12WSK-2326-SM-5GCOH 40-49 years, female 3.0
GTEX-13IVO-0126-SM-5J1NG 70-79 years, male 3.0
GTEX-144GN-2326-SM-5LU4F 50-59 years, male 3.0
GTEX-1CB4I-0226-SM-79OLH 50-59 years, male 3.0
GTEX-1CB4J-0626-SM-7DHMP 60-69 years, male 3.0
GTEX-ZVE2-0226-SM-59HJB 50-59 years, male 3.0
GTEX-1I4MK-2226-SM-ACKWD 50-59 years, female 3.0
GTEX-1JMOU-1526-SM-CL54I 60-69 years, female 3.0
GTEX-1128S-2326-SM-5GZZY 60-69 years, female 2.9
GTEX-11EM3-2426-SM-59861 20-29 years, female 2.9
GTEX-11GSO-2426-SM-5A5LY 60-69 years, male 2.9
GTEX-12C56-1726-SM-5EQ61 20-29 years, male 2.9
GTEX-QDT8-0126-SM-48TZ1 30-39 years, female 2.9
GTEX-Y3I4-2126-SM-4TT7C 50-59 years, male 2.9
GTEX-ZYY3-0126-SM-5GZY5 60-69 years, female 2.9
GTEX-1JKYR-0126-SM-CNPOJ 20-29 years, male 2.9
GTEX-13NZB-2526-SM-5J1OM 30-39 years, male 2.8
GTEX-14DAR-2026-SM-5S2O3 50-59 years, male 2.8
GTEX-14PHW-0126-SM-6LLJI 60-69 years, female 2.8
GTEX-1H23P-0126-SM-ADEJ3 60-69 years, male 2.8
GTEX-1HCVE-0126-SM-CGQEU 50-59 years, male 2.8
GTEX-1HSGN-0226-SM-CGQFV 40-49 years, female 2.8
GTEX-1LBAC-0126-SM-DIPEZ 20-29 years, male 2.8
GTEX-1MA7W-2026-SM-E9TJ6 20-29 years, female 2.8
GTEX-1S3DN-2226-SM-EVYCD 50-59 years, male 2.8
GTEX-13PDP-0126-SM-5L3HD 60-69 years, male 2.7
GTEX-OXRL-0126-SM-2YUMP 50-59 years, male 2.7
GTEX-Q2AI-1326-SM-2S1PL 40-49 years, male 2.7
GTEX-169BO-1326-SM-9MQK2 50-59 years, male 2.7
GTEX-1GPI7-0126-SM-9MQL8 20-29 years, male 2.7
GTEX-1J1OQ-0226-SM-CYPSH 40-49 years, female 2.7
GTEX-1JJ6O-0126-SM-E6CI8 60-69 years, male 2.7
GTEX-1NV5F-0226-SM-E8VNY 60-69 years, female 2.7
GTEX-1211K-2026-SM-5EQ4Z 60-69 years, female 2.6
GTEX-13OVI-1426-SM-5L3EY 60-69 years, female 2.6
GTEX-13PVR-2326-SM-5QGR1 60-69 years, female 2.6
GTEX-16BQI-0226-SM-7KUEX 30-39 years, female 2.6
GTEX-17F96-1626-SM-7DUFL 70-79 years, male 2.6
GTEX-OXRK-0226-SM-3NB2G 50-59 years, female 2.6
GTEX-WFON-2126-SM-3LK7O 40-49 years, male 2.6
GTEX-WXYG-2326-SM-4E3I6 50-59 years, female 2.6
GTEX-YEC4-2126-SM-5IFJH 40-49 years, male 2.6
GTEX-1H2FU-0126-SM-9WYSI 60-69 years, female 2.6
GTEX-1J8Q2-0526-SM-CM2RW 60-69 years, male 2.6
GTEX-1QP9N-1426-SM-DTXFL 30-39 years, male 2.6
GTEX-1S82Z-0826-SM-E6CHY 30-39 years, female 2.6
GTEX-13N11-2526-SM-5K7UE 50-59 years, female 2.5
GTEX-13NYS-0126-SM-5MR3W 60-69 years, male 2.5
GTEX-13OVG-1926-SM-5L3DK 60-69 years, male 2.5
GTEX-X4EP-0126-SM-3P5YV 60-69 years, female 2.5
GTEX-X5EB-2226-SM-46MW4 40-49 years, male 2.5
GTEX-XV7Q-2526-SM-4BRV9 40-49 years, female 2.5
GTEX-ZXG5-0126-SM-5GIEU 60-69 years, male 2.5
GTEX-13FH7-2026-SM-E9J4I 50-59 years, female 2.5
GTEX-1JKYN-1326-SM-CGQG9 30-39 years, male 2.5
GTEX-1QPFJ-0226-SM-E76PB 30-39 years, female 2.5
GTEX-145LT-1726-SM-5QGP3 40-49 years, male 2.4
GTEX-14PJ3-1826-SM-62LEX 50-59 years, male 2.4
GTEX-18D9B-0526-SM-7LTAS 60-69 years, male 2.4
GTEX-W5WG-1826-SM-4KL2Y 50-59 years, female 2.4
GTEX-WRHK-1426-SM-3MJF9 20-29 years, female 2.4
GTEX-ZZ64-1726-SM-5GZYB 20-29 years, male 2.4
GTEX-1CB4H-0226-SM-7PBXM 60-69 years, female 2.4
GTEX-1GL5R-1826-SM-9KNUY 50-59 years, male 2.4
GTEX-1H1ZS-0426-SM-9WG6G 70-79 years, male 2.4
GTEX-1KANA-0726-SM-D3L9I 20-29 years, male 2.4
GTEX-14XAO-2326-SM-6EU1B 60-69 years, female 2.3
GTEX-17F98-0626-SM-79OMX 40-49 years, female 2.3
GTEX-1AX9K-2326-SM-73KWU 50-59 years, male 2.3
GTEX-1PPH8-0226-SM-E8VND 20-29 years, male 2.3
GTEX-1S5ZA-0126-SM-EVYCV 20-29 years, male 2.3
GTEX-R45C-0126-SM-EAZ2R 60-69 years, female 2.3
GTEX-131XG-2626-SM-5KM17 50-59 years, female 2.2
GTEX-13W3W-2426-SM-5LU5B 60-69 years, female 2.2
GTEX-1497J-2426-SM-7IGNX 60-69 years, male 2.2
GTEX-14PK6-1926-SM-6ETZU 70-79 years, female 2.2
GTEX-17GQL-2026-SM-718BA 60-69 years, male 2.2
GTEX-OIZH-0126-SM-2HMIS 50-59 years, male 2.2
GTEX-WH7G-2326-SM-3NMBC 40-49 years, male 2.2
GTEX-1MGNQ-0126-SM-EVYCJ 40-49 years, male 2.2
GTEX-13RTJ-2426-SM-5S2Q2 60-69 years, male 2.1
GTEX-15EOM-0126-SM-7KUGG 20-29 years, female 2.1
GTEX-T5JW-1626-SM-3GADZ 20-29 years, female 2.1
GTEX-1HSMP-0126-SM-E6CJS 70-79 years, male 2.1
GTEX-1JN1M-0326-SM-CYPT3 60-69 years, female 2.1
GTEX-13113-5016-SM-7EPIP 60-69 years, female 2.0
GTEX-15CHC-2126-SM-6EU21 60-69 years, female 2.0
GTEX-16XZZ-0126-SM-793DV 60-69 years, male 2.0
GTEX-18D9A-1926-SM-7LG6P 30-39 years, female 2.0
GTEX-1CAMQ-0226-SM-7IGPK 40-49 years, male 2.0
GTEX-U3ZN-2326-SM-3DB7W 30-39 years, female 2.0
GTEX-ZAJG-0126-SM-5HL94 50-59 years, female 2.0
GTEX-ZTSS-1926-SM-57WEW 40-49 years, male 2.0
GTEX-ZVZP-2426-SM-59HKJ 50-59 years, male 2.0
GTEX-1GF9U-2126-SM-7SB7L 40-49 years, female 2.0
GTEX-12WSJ-1826-SM-5GCNY 40-49 years, female 1.9
GTEX-14C5O-0126-SM-5SI6N 60-69 years, male 1.9
GTEX-NFK9-0226-SM-2HMKQ 40-49 years, male 1.9
GTEX-P4PP-0126-SM-3LK69 30-39 years, female 1.9
GTEX-PLZ4-0126-SM-5SI8O 50-59 years, female 1.9
GTEX-SNMC-1226-SM-2XCFP 20-29 years, male 1.9
GTEX-T6MO-1626-SM-32QOM 40-49 years, female 1.9
GTEX-Y5V6-2426-SM-4VDSB 60-69 years, male 1.9
GTEX-1PWST-0226-SM-E76QJ 70-79 years, male 1.9
GTEX-1192X-0226-SM-5H12D 50-59 years, male 1.8
GTEX-TSE9-0126-SM-3DB83 60-69 years, female 1.8
GTEX-ZVT2-2526-SM-51MT1 50-59 years, female 1.8
GTEX-1C64O-0126-SM-7SB8P 60-69 years, male 1.8
GTEX-1CAMS-0426-SM-7P8T2 40-49 years, female 1.8
GTEX-1GF9X-2026-SM-7PC3A 40-49 years, female 1.8
GTEX-1H1E6-1726-SM-ACKVK 30-39 years, male 1.8
GTEX-117YX-2326-SM-5H12W 50-59 years, male 1.7
GTEX-11P82-1626-SM-59879 20-29 years, male 1.7
GTEX-13NZ8-0826-SM-5MR3I 60-69 years, female 1.7
GTEX-17F97-0326-SM-7LG5B 50-59 years, male 1.7
GTEX-O5YT-0126-SM-48TBW 20-29 years, male 1.7
GTEX-RWS6-2026-SM-2XCB5 60-69 years, female 1.7
GTEX-T8EM-1026-SM-3DB7M 40-49 years, male 1.7
GTEX-Y5LM-1926-SM-5RQJH 40-49 years, female 1.7
GTEX-YB5K-2126-SM-4WWDJ 40-49 years, female 1.7
GTEX-1K2DU-2326-SM-E9TIV 20-29 years, male 1.7
GTEX-1RAZA-0126-SM-E6CI3 20-29 years, male 1.7
GTEX-PWCY-1826-SM-DHXIZ 20-29 years, female 1.7
GTEX-13N2G-2626-SM-5J1OT 60-69 years, male 1.6
GTEX-14PJ6-2126-SM-6EU1V 60-69 years, female 1.6
GTEX-15UKP-0426-SM-7KUFQ 20-29 years, male 1.6
GTEX-16AAH-1726-SM-7939C 50-59 years, male 1.6
GTEX-NPJ8-0126-SM-2YUNR 40-49 years, male 1.6
GTEX-P4PQ-0126-SM-2S1NM 60-69 years, male 1.6
GTEX-UJHI-1526-SM-3DB99 50-59 years, female 1.6
GTEX-XPVG-2626-SM-4B669 50-59 years, male 1.6
GTEX-1GTWX-0126-SM-9YFLK 60-69 years, male 1.6
GTEX-1J1R8-1726-SM-ARL8M 40-49 years, male 1.6
GTEX-ZF29-2326-SM-DO92K 60-69 years, female 1.6
GTEX-11P7K-2126-SM-5GU7G 30-39 years, male 1.5
GTEX-133LE-1826-SM-5J1MV 20-29 years, female 1.5
GTEX-13D11-2426-SM-5KM1V 50-59 years, female 1.5
GTEX-13FTX-1826-SM-5J1NX 20-29 years, female 1.5
GTEX-14E6E-1826-SM-5S2R7 30-39 years, male 1.5
GTEX-17HHE-2026-SM-79OKF 50-59 years, male 1.5
GTEX-1A3MV-1926-SM-718BT 30-39 years, male 1.5
GTEX-1AMEY-1326-SM-73KYK 30-39 years, female 1.5
GTEX-RUSQ-1526-SM-2TF62 50-59 years, male 1.5
GTEX-S95S-1226-SM-4GICG 60-69 years, male 1.5
GTEX-XUZC-1726-SM-4BRWS 30-39 years, female 1.5
GTEX-1F52S-0126-SM-9MQJU 60-69 years, female 1.5
GTEX-139D8-0226-SM-5KLZO 30-39 years, female 1.4
GTEX-13RTK-1426-SM-5QGQJ 20-29 years, male 1.4
GTEX-14753-0426-SM-5NQAM 60-69 years, male 1.4
GTEX-17EUY-0426-SM-793BD 20-29 years, male 1.4
GTEX-18QFQ-0126-SM-731BE 30-39 years, male 1.4
GTEX-QDVN-2026-SM-3GAEP 50-59 years, male 1.4
GTEX-ZDTT-2726-SM-4WKF8 60-69 years, male 1.4
GTEX-1MUQO-0126-SM-EAZ58 60-69 years, male 1.4
GTEX-1122O-2126-SM-5EGIR 60-69 years, female 1.3
GTEX-139T8-0126-SM-5K7XZ 60-69 years, male 1.3
GTEX-145LV-2126-SM-5LU8N 50-59 years, male 1.3
GTEX-14BMU-2226-SM-5TDE9 20-29 years, female 1.3
GTEX-14JG6-2226-SM-6EU2G 30-39 years, female 1.3
GTEX-WYJK-0126-SM-3NMAB 50-59 years, male 1.3
GTEX-1HKZK-0326-SM-9WYUH 40-49 years, male 1.3
GTEX-1J8Q3-1626-SM-CMKGC 60-69 years, male 1.3
GTEX-1J8QM-2126-SM-CYPSJ 60-69 years, female 1.3
GTEX-1LGRB-2526-SM-CNPPQ 50-59 years, female 1.3
GTEX-1MCYP-1926-SM-E9J2R 20-29 years, female 1.3
GTEX-1QP2A-0126-SM-E9J43 50-59 years, male 1.3
GTEX-PLZ6-1426-SM-DKPOT 30-39 years, male 1.3
GTEX-PSDG-0226-SM-DKPOZ 50-59 years, male 1.3
GTEX-11DXX-2426-SM-5GZZW 60-69 years, female 1.2
GTEX-145MN-2226-SM-5SIAU 30-39 years, male 1.2
GTEX-16NGA-1726-SM-731B4 40-49 years, female 1.2
GTEX-SUCS-1926-SM-32PM3 70-79 years, male 1.2
GTEX-WOFL-0126-SM-3MJG2 60-69 years, male 1.2
GTEX-131XF-5016-SM-7MGWE 60-69 years, male 1.2
GTEX-1I1GT-0626-SM-CGQER 60-69 years, female 1.2
GTEX-11VI4-1726-SM-5CVLH 40-49 years, female 1.1
GTEX-11WQK-0526-SM-5EQLD 50-59 years, male 1.1
GTEX-14BIM-0226-SM-7IGLD 60-69 years, female 1.1
GTEX-15ETS-0126-SM-7KUMW 40-49 years, female 1.1
GTEX-O5YW-0126-SM-3LK6D 50-59 years, male 1.1
GTEX-XBEW-0626-SM-4QASP 40-49 years, male 1.1
GTEX-XQ8I-0426-SM-4BOPO 50-59 years, male 1.1
GTEX-ZF28-0126-SM-4WKGK 60-69 years, male 1.1
GTEX-ZGAY-0526-SM-4WWBB 40-49 years, female 1.1
GTEX-ZV6S-2326-SM-4YCEY 40-49 years, female 1.1
GTEX-1HBPN-0226-SM-9YFM1 50-59 years, male 1.1
GTEX-11NSD-2226-SM-5986V 20-29 years, male 1.0
GTEX-14PN3-2426-SM-6LLHS 60-69 years, female 1.0
GTEX-OHPM-0126-SM-2YUN9 50-59 years, male 1.0
GTEX-RM2N-1426-SM-2TF4H 50-59 years, male 1.0
GTEX-ZYFG-2326-SM-5E44B 60-69 years, female 1.0
GTEX-1AMFI-2026-SM-731BH 50-59 years, female 0.9
GTEX-TMMY-0226-SM-33HBA 40-49 years, female 0.9
GTEX-ZZPT-0226-SM-5E43X 50-59 years, male 0.9
GTEX-1HSEH-0126-SM-ACKXN 60-69 years, male 0.9
GTEX-1QP29-0626-SM-EWRMX 50-59 years, male 0.9
GTEX-11EQ9-2426-SM-5HL5T 30-39 years, male 0.8
GTEX-13FTW-2626-SM-5K7WL 40-49 years, male 0.8
GTEX-U4B1-1826-SM-4DXSU 40-49 years, male 0.8
GTEX-146FR-1326-SM-E9J48 60-69 years, female 0.8
GTEX-1GZ4H-1726-SM-7PBZJ 50-59 years, female 0.8
GTEX-1L5NE-2526-SM-E6CIE 50-59 years, male 0.8
GTEX-1PFEY-1526-SM-E76PP 30-39 years, male 0.8
GTEX-13VXT-0126-SM-5LU4I 20-29 years, female 0.7
GTEX-15RIG-0226-SM-7KFTL 40-49 years, male 0.7
GTEX-18D9U-0226-SM-718BP 40-49 years, male 0.7
GTEX-U3ZM-1526-SM-3DB9D 40-49 years, male 0.7
GTEX-ZAB5-1826-SM-5HL7C 50-59 years, male 0.7
GTEX-ZXES-1826-SM-5E43S 30-39 years, female 0.7
GTEX-1F75I-0326-SM-9YFLU 40-49 years, male 0.7
GTEX-1LVAN-0226-SM-COH3S 50-59 years, female 0.7
GTEX-XUW1-0426-SM-4BOOT 50-59 years, female 0.6
GTEX-1IDJU-2626-SM-CM2RT 60-69 years, female 0.6
GTEX-1LSNM-1926-SM-E6CII 50-59 years, male 0.6
GTEX-1N2DV-0226-SM-E6CJ6 40-49 years, male 0.6
GTEX-1QCLY-0326-SM-E8VOG 30-39 years, male 0.6
GTEX-1QP67-1626-SM-EAZ3X 40-49 years, female 0.6
GTEX-14ICK-0226-SM-6EU25 40-49 years, male 0.5
GTEX-18A67-0126-SM-7LG5P 50-59 years, male 0.5
GTEX-PLZ5-2026-SM-2S1O4 50-59 years, male 0.4
GTEX-1RAZQ-0726-SM-EAZ43 30-39 years, male 0.4
GTEX-SE5C-1626-SM-2XCE3 40-49 years, female 0.3
Show allShow less

Contact

  • NEWS ARTICLES
  • PRESS ROOM

The Project

  • INTRODUCTION
  • ORGANIZATION
  • PUBLICATIONS

The Human Protein Atlas

  • DOWNLOADABLE DATA
  • LICENCE & CITATION
  • HELP & FAQ
The Human Protein Atlas project is funded
by the Knut & Alice Wallenberg Foundation.


contact@proteinatlas.org