We use cookies to enhance the usability of our website. If you continue, we'll assume that you are happy to receive all cookies. More information. Don't show this again.
PGRMC1
HPA
RESOURCES
  • TISSUE
  • BRAIN
  • SINGLE CELL
  • SUBCELLULAR
  • CANCER
  • BLOOD
  • CELL LINE
  • STRUCTURE & INTERACTION
ABOUT
  • INTRODUCTION
  • HISTORY
  • ORGANIZATION
  • PUBLICATIONS
  • ANTIBODY SUBMISSION
  • ANTIBODY AVAILABILITY
  • ACKNOWLEDGMENTS
  • CONTACT
NEWS
  • NEWS ARTICLES
  • PRESS ROOM
LEARN
  • DICTIONARY
  • PROTEIN CLASSES
  • PROTEIN EVIDENCE
  • METHODS
  • EDUCATIONAL VIDEOS
DATA
  • DOWNLOADABLE DATA
  • PUBLICATION DATA
  • RELEASE HISTORY
HELP
  • ANTIBODY VALIDATION
  • ASSAYS & ANNOTATION
  • DISCLAIMER
  • HELP & FAQ
  • PRIVACY STATEMENT
  • LICENCE & CITATION
Fields »
Search result

Field
Term
Gene name
Class
Subclass
Class
Keyword
Chromosome
External id
Tissue
Cell type
Expression
Antibody panel
Tissue
Main location
Patient ID
Annotation
Tissue
Category
Tau score
Cluster
Reliability
Brain region
Category
Tau score
Brain region
Category
Tau score
Brain region
Category
Tau score
Cluster
Reliability
Tissue
Cell type
Enrichment
Cell type
Category
Tau score
Cell type
Category
Tau score
Cell type
Category
Tau score
Cell lineage
Category
Tau score
Cluster
Cluster
Location
Searches
Location
Cell line
Class
Type
Phase
Reliability
Cancer
Prognosis
Cancer
Category
Cancer
Category
Tau score
Cluster
Variants
Interacting gene (ensg_id)
Type
Number of interactions
Pathway
Category
Score
Score
Score
Validation
Validation
Validation
Validation
Antibodies
Data type
Column


  • SUMMARY

  • TISSUE

  • BRAIN

  • SINGLE CELL

  • SUBCELL

  • CANCER

  • BLOOD

  • CELL LINE

  • STRUCT & INT

  • PGRMC1
TISSUE PRIMARY DATA BREAST Show tissue menu
ADIPOSE TISSUE ADRENAL GLAND AMYGDALA APPENDIX BASAL GANGLIA BONE MARROW BREAST BRONCHUS CEREBELLUM CEREBRAL CORTEX CERVIX CHOROID PLEXUS COLON DUODENUM
ENDOMETRIUM EPIDIDYMIS ESOPHAGUS FALLOPIAN TUBE GALLBLADDER HEART MUSCLE HIPPOCAMPAL FORMATION HYPOTHALAMUS KIDNEY LIVER LUNG LYMPH NODE MIDBRAIN NASOPHARYNX
ORAL MUCOSA OVARY PANCREAS PARATHYROID GLAND PITUITARY GLAND PLACENTA PROSTATE RECTUM RETINA SALIVARY GLAND SEMINAL VESICLE SKELETAL MUSCLE SKIN SMALL INTESTINE
SMOOTH MUSCLE SOFT TISSUE SPINAL CORD SPLEEN STOMACH TESTIS THYMUS THYROID GLAND TONGUE TONSIL URINARY BLADDER VAGINA
ANTIBODIES
AND
VALIDATION
Dictionary
Breast
Tissue proteome
Breast
BREAST - Expression summary
Protein expression
Breasti

On the top, protein expression in current human tissue, based on all annotated cell types, is reported with the units not detected (n), low (l), medium (m) and high (h). Underneath, protein expression in each annotated cell type are reported using the same units.

Protein expression data is based on knowledge-based annotation. For genes where more than one antibody has been used, a collective score is set.

If knowledge-based annotation could not be performed for a gene, no data is displayed here. View antibody staining data further down this page.

h
m
l
n
Adipocytes: Medium
Glandular cells: Medium
Myoepithelial cells: Medium
RNA expressioni

A summary of mRNA expression data available for current tissue based on several datasets. The mRNA expression levels in human tissues are based on RNA-seq data generated by the Human Protein Atlas (HPA), Genotype-Tissue Expression (GTEx) portal and CAGE data generated by the FANTOM5 consortium. Consensus normalized expression levels for human tissues was created by combining the data from HPA and GTEx datasets.

The mRNA expression levels in pig are based on RNA-seq data generated by the Human Protein Atlas (HPA), and for mouse, HPA data and in situ hybridization generated by the Allen brain atlas are reported.

Scroll down to view mRNA expression data in more detail.
Consensus:102.8 nTPM
HPA:102.8 nTPM
GTEx:94.8 nTPM
FANTOM5:426.0 Scaled Tags Per Million

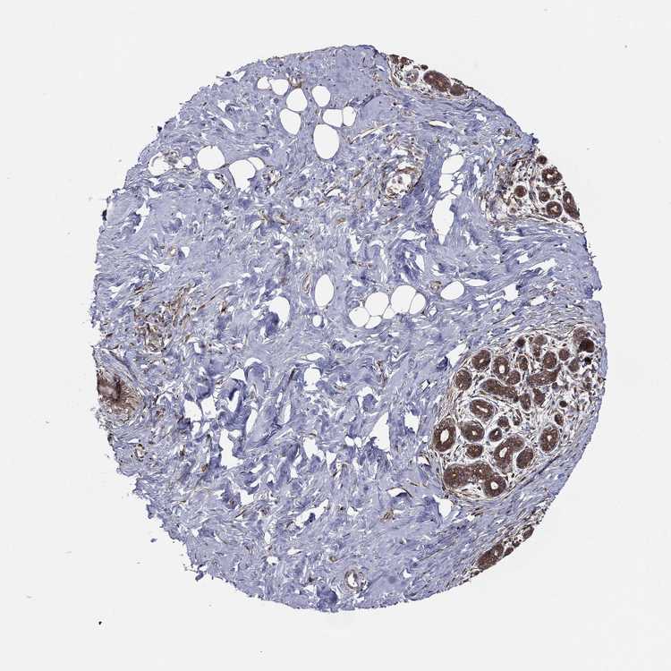
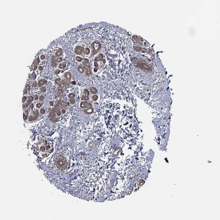
BREAST - Antibody stainingi

Antibody staining in the annotated cell types in the current human tissue is reported as not detected, low, medium, or high, based on conventional immunohistochemistry profiling in selected tissues. This score is based on the combination of the staining intensity and fraction of stained cells.

Each image is clickable and will lead to virtual microscopy that enables deeper exploration of all samples and also displays staining intensity scores, fraction scores and subcellular localization as well as patient and tissue information for each sample.

Antibody HPA002877Antibody HPA064724
Adipocytes MediumNot detected
Glandular cells MediumHigh
Myoepithelial cells MediumNot detected




BREAST - HPA RNA-seqi

The RNA-seq details section shows detailed information about the individual samples used for the transcript profiling and results of the RNA-seq analysis.

Information about each individual sample is listed below, including gender, age, a tissue section image and estimated fractions of cell types. nTPM (normalized transcripts per million) values give a quantification of the gene abundance which is comparable between different genes and samples.
Average nTPMi

Max subtype nTPM is the value for the subtype with the largest average nTPM across the subtype samples.

102.8
overview
Female, age 52
Breast sample 373
nTPM: 82.1
Cell types%
Glandular cells:
15

Adipocytes:
5

Other cell types:
80

overview
Female, age 80
Breast sample 390
nTPM: 88.2
Cell types%
Glandular cells:
5

Adipocytes:
15

Other cell types:
80

overview
Female, age 47
Breast sample 405
nTPM: 161.8
Cell types%
Glandular cells:
5

Adipocytes:
5

Other cell types:
90

overview
Female, age 38
Breast sample 410
nTPM: 79
Cell types%
Glandular cells:
40

Adipocytes:
5

Other cell types:
55


BREAST - GTEx RNA-seqi

RNA-Seq data generated by the Genotype-Tissue Expression (GTEx) project from human tissues is reported as mean nTPM. More information can be found on the GTEx portal.

Distribution across the dataset is visualized with box plots, shown as median and 25th and 75th percentiles. Points are displayed as outliers if they are above or below 1.5 times the interquartile range. nTPM values of the individual samples are presented next to the box plot.
Max subtype nTPMi

Max subtype nTPM is the value for the subtype with the largest average nTPM across the subtype samples.

94.8
GTEx sample id Sample description nTPM
Breast - Mammary Tissue
Average nTPM: 94.8
Samples: 459

Max nTPM: 454.4
Min nTPM: 41.1
Std nTPM: 50.1
Median nTPM: 78.9
GTEX-1F5PK-2126-SM-7PC28 50-59 years, male 454.4
GTEX-ZQG8-0726-SM-5P9H9 60-69 years, female 342.5
GTEX-PSDG-1626-SM-48TCQ 50-59 years, male 339.6
GTEX-1L5NE-2126-SM-CY8IH 50-59 years, male 332.8
GTEX-11P82-1326-SM-5HL62 20-29 years, male 310.6
GTEX-1R7EV-1526-SM-E8VOD 40-49 years, male 293.2
GTEX-ZLWG-1926-SM-DO92J 50-59 years, female 292.0
GTEX-YB5E-1726-SM-5IFJ3 40-49 years, male 290.7
GTEX-YB5K-1626-SM-5IFIN 40-49 years, female 282.1
GTEX-ZT9W-2026-SM-51MRA 50-59 years, male 256.7
GTEX-1ICG6-1326-SM-ACKWR 70-79 years, female 248.7
GTEX-1HSEH-2026-SM-ADEHN 60-69 years, male 235.6
GTEX-1MJK3-1126-SM-E9J3F 20-29 years, male 230.5
GTEX-117YX-1426-SM-5H12H 50-59 years, male 229.8
GTEX-XGQ4-0926-SM-4AT4U 50-59 years, male 226.4
GTEX-1CAMR-1426-SM-793BO 20-29 years, male 221.4
GTEX-1QP28-1226-SM-E9J2M 50-59 years, female 221.1
GTEX-1NHNU-0926-SM-E9J2T 50-59 years, male 218.7
GTEX-ZLFU-2126-SM-DO931 40-49 years, male 217.6
GTEX-YEC3-1026-SM-5IFI5 50-59 years, male 216.6
GTEX-13FTW-1426-SM-5LZWZ 40-49 years, male 200.7
GTEX-1LG7Z-0726-SM-CXKYD 30-39 years, male 193.5
GTEX-145ME-1526-SM-5Q5F2 40-49 years, female 192.2
GTEX-13FTX-1126-SM-5N9EN 20-29 years, female 188.5
GTEX-11I78-2226-SM-5PNYA 50-59 years, female 186.5
GTEX-SE5C-2126-SM-4BRUJ 40-49 years, female 182.6
GTEX-1QP9N-1826-SM-E8VMP 30-39 years, male 180.2
GTEX-1AMEY-1026-SM-718AA 30-39 years, female 179.7
GTEX-1N2EF-2226-SM-E9J33 60-69 years, male 176.9
GTEX-ZZ64-1226-SM-5E43R 20-29 years, male 176.3
GTEX-11ZTT-2326-SM-5EQLG 60-69 years, female 175.9
GTEX-XYKS-1326-SM-4BRUN 60-69 years, female 173.7
GTEX-1LBAC-0926-SM-CXKY9 20-29 years, male 173.5
GTEX-ZDYS-1126-SM-5K7UB 50-59 years, male 167.8
GTEX-1OKEX-0826-SM-E9J2B 60-69 years, male 166.9
GTEX-1S82U-1126-SM-E9U6I 30-39 years, female 165.4
GTEX-1HFI7-0126-SM-CGQFQ 50-59 years, female 164.5
GTEX-14E6E-1326-SM-5S2NR 30-39 years, male 164.2
GTEX-1KANC-1426-SM-CYPT9 50-59 years, female 163.0
GTEX-T6MO-0326-SM-32QOK 40-49 years, female 161.9
GTEX-1QCLZ-2326-SM-DTXDO 60-69 years, female 160.9
GTEX-UTHO-1026-SM-3GAF7 60-69 years, male 157.7
GTEX-ZAB4-2526-SM-5HL8M 40-49 years, male 154.9
GTEX-13CF3-2126-SM-5IFJP 60-69 years, female 154.5
GTEX-R55D-0826-SM-48FEA 50-59 years, male 151.2
GTEX-1IDJU-1826-SM-CMKHV 60-69 years, female 151.1
GTEX-WY7C-2726-SM-3NB3P 50-59 years, male 150.3
GTEX-ZDTT-2126-SM-DKPOM 60-69 years, male 150.1
GTEX-1H1ZS-0126-SM-9YFKQ 70-79 years, male 147.7
GTEX-S4Q7-1126-SM-4AD6R 20-29 years, male 146.8
GTEX-1B97J-0426-SM-79OLQ 50-59 years, female 145.3
GTEX-ZPIC-1126-SM-5BC7F 40-49 years, female 145.3
GTEX-Y114-2026-SM-4TT7L 50-59 years, female 138.4
GTEX-144GM-0926-SM-5O994 20-29 years, male 136.3
GTEX-Y8E4-1626-SM-5S2MW 40-49 years, male 134.3
GTEX-17F98-0526-SM-79OK5 40-49 years, female 132.9
GTEX-14PJ4-2126-SM-6ETZJ 60-69 years, male 132.0
GTEX-TKQ1-0226-SM-33HB5 30-39 years, male 132.0
GTEX-14B4R-1226-SM-5TDDT 30-39 years, male 131.9
GTEX-1H11D-1526-SM-9MQJY 40-49 years, male 130.8
GTEX-15EOM-5019-SM-793DK 20-29 years, female 129.9
GTEX-18A66-1726-SM-7LG5N 60-69 years, male 129.9
GTEX-17MFQ-0926-SM-7LG4S 20-29 years, male 128.9
GTEX-13113-5013-SM-7SB7G 60-69 years, female 128.7
GTEX-139T6-1626-SM-5PNYZ 50-59 years, male 128.4
GTEX-1S82Z-0726-SM-E6CHX 30-39 years, female 128.3
GTEX-R53T-1526-SM-48FEK 50-59 years, female 126.8
GTEX-1QP29-1726-SM-E8VMQ 50-59 years, male 126.1
GTEX-XMK1-1126-SM-4IHJ8 40-49 years, male 124.0
GTEX-14ICK-2426-SM-6EU27 40-49 years, male 123.9
GTEX-11ONC-2126-SM-5HL6E 60-69 years, male 123.8
GTEX-17GQL-0326-SM-7LG5U 60-69 years, male 123.0
GTEX-1IKOE-1326-SM-CE6T6 30-39 years, female 122.2
GTEX-1QPFJ-2026-SM-EVYBE 30-39 years, female 122.2
GTEX-11P7K-0726-SM-5EGKX 30-39 years, male 122.0
GTEX-QMRM-1626-SM-D4P1U 50-59 years, male 121.7
GTEX-ZVT2-1826-SM-5NQ8W 50-59 years, female 121.3
GTEX-REY6-2426-SM-48FF5 60-69 years, male 121.2
GTEX-12BJ1-1826-SM-5HL9N 60-69 years, male 121.1
GTEX-1399U-1826-SM-5PNZ1 50-59 years, female 121.0
GTEX-11TUW-1826-SM-5BC5D 60-69 years, male 120.8
GTEX-XV7Q-2326-SM-4BRVZ 40-49 years, female 120.8
GTEX-S33H-0326-SM-4AD6N 30-39 years, male 120.4
GTEX-183FY-1126-SM-7DHLJ 20-29 years, male 119.6
GTEX-U8XE-0826-SM-4E3J1 30-39 years, male 119.6
GTEX-13S86-1226-SM-5S2OA 40-49 years, male 118.3
GTEX-1B8SG-1226-SM-7IGPF 50-59 years, male 118.3
GTEX-Y9LG-1426-SM-5IFJZ 30-39 years, male 118.1
GTEX-14ABY-2126-SM-5QGQZ 50-59 years, male 117.9
GTEX-145LT-0726-SM-5S2VM 40-49 years, male 117.2
GTEX-11EQ9-1826-SM-5Q5AJ 30-39 years, male 115.8
GTEX-13SLW-2526-SM-62LDQ 70-79 years, male 114.6
GTEX-18D9A-1526-SM-7LG4J 30-39 years, female 114.6
GTEX-1GPI7-0926-SM-7PC3J 20-29 years, male 114.4
GTEX-WFON-1826-SM-3GILG 40-49 years, male 114.3
GTEX-1R9JW-0326-SM-EAZ45 30-39 years, female 113.9
GTEX-1F75I-2026-SM-7SB7N 40-49 years, male 112.9
GTEX-S4UY-0726-SM-4AD6X 40-49 years, female 112.2
GTEX-17EUY-1926-SM-7DUF6 20-29 years, male 111.3
GTEX-1HCU9-0326-SM-9WYSC 20-29 years, male 111.1
GTEX-1PDJ9-1126-SM-EXUSW 20-29 years, male 110.6
GTEX-15UF7-0726-SM-6M46D 40-49 years, male 110.3
GTEX-16BQI-1026-SM-7KUEA 30-39 years, female 110.0
GTEX-11DXZ-1926-SM-5GZZL 50-59 years, male 109.9
GTEX-1H23P-0726-SM-9WG7K 60-69 years, male 109.7
GTEX-14PN4-0626-SM-62LFP 50-59 years, male 109.6
GTEX-T5JW-2026-SM-4DM63 20-29 years, female 108.9
GTEX-1B8KE-1226-SM-73KWK 50-59 years, male 108.6
GTEX-1I4MK-1626-SM-CM2TJ 50-59 years, female 108.0
GTEX-1C475-1226-SM-7SB72 40-49 years, female 107.6
GTEX-1H3VY-0926-SM-ACKXE 50-59 years, male 106.7
GTEX-Z9EW-1526-SM-EZ6LU 40-49 years, male 106.4
GTEX-14E6C-1326-SM-62LEQ 40-49 years, male 105.4
GTEX-1NUQO-2226-SM-E9U68 20-29 years, female 104.6
GTEX-1H1DG-0526-SM-9YFLN 70-79 years, male 104.4
GTEX-12KS4-0126-SM-5Q5A5 30-39 years, male 104.3
GTEX-ZV6S-1826-SM-5NQ8D 40-49 years, female 104.3
GTEX-1H1E6-0926-SM-9YFLT 30-39 years, male 104.1
GTEX-11TT1-2126-SM-5GU5Y 20-29 years, male 104.0
GTEX-VJWN-0726-SM-3GIJ8 50-59 years, female 103.8
GTEX-1314G-1226-SM-5BC6D 30-39 years, male 103.4
GTEX-YECK-0726-SM-EZ6LV 60-69 years, male 103.2
GTEX-ZA64-1526-SM-5CVMD 20-29 years, male 103.0
GTEX-13PVQ-1026-SM-5KM3M 50-59 years, male 102.9
GTEX-1GPI6-0626-SM-7RHHJ 60-69 years, male 102.8
GTEX-1GN2E-2226-SM-9WG6J 60-69 years, male 102.3
GTEX-1PPH7-0826-SM-E8VNX 40-49 years, male 102.0
GTEX-1I1GU-1026-SM-ADEHJ 40-49 years, male 101.9
GTEX-YFCO-1826-SM-4W1YH 40-49 years, male 101.1
GTEX-1MJK2-2226-SM-EVYCR 50-59 years, male 100.8
GTEX-1I1GP-0426-SM-COH3N 50-59 years, male 100.5
GTEX-11DXY-2326-SM-5GICW 60-69 years, male 99.6
GTEX-14DAR-1326-SM-7DUEG 50-59 years, male 99.6
GTEX-1F5PL-1026-SM-7RHI1 40-49 years, female 98.5
GTEX-11DZ1-0326-SM-5N9BN 50-59 years, male 98.2
GTEX-TKQ2-1826-SM-33HB2 50-59 years, male 97.9
GTEX-13O61-1826-SM-5KM4I 60-69 years, male 97.6
GTEX-18QFQ-0826-SM-718AX 30-39 years, male 97.6
GTEX-14AS3-1626-SM-5S2OY 40-49 years, female 97.4
GTEX-1LGRB-1826-SM-CNPQL 50-59 years, female 97.4
GTEX-12WSK-2226-SM-5GCO5 40-49 years, female 97.3
GTEX-U412-1826-SM-4DXTJ 60-69 years, male 97.2
GTEX-11NSD-0926-SM-5N9DR 20-29 years, male 96.0
GTEX-WXYG-2226-SM-4E3IM 50-59 years, female 95.9
GTEX-Y5V6-2126-SM-4WWFX 60-69 years, male 95.2
GTEX-Y5LM-1726-SM-4VDSX 40-49 years, female 95.1
GTEX-1N5O9-1126-SM-DTXEQ 60-69 years, male 95.1
GTEX-132AR-0826-SM-5EGK6 50-59 years, female 94.5
GTEX-1CB4E-0226-SM-79OLW 60-69 years, male 94.5
GTEX-V955-2026-SM-3GAFA 60-69 years, male 94.4
GTEX-ZGAY-1726-SM-DO91P 40-49 years, female 94.4
GTEX-13N1W-0626-SM-5MR4U 70-79 years, male 93.8
GTEX-1A3MX-2726-SM-718B6 60-69 years, male 93.6
GTEX-ZDXO-0126-SM-5S2ND 60-69 years, male 93.1
GTEX-ZQUD-1926-SM-51MSA 30-39 years, male 92.7
GTEX-ZV7C-1826-SM-5NQ83 50-59 years, male 91.9
GTEX-1A3MV-1626-SM-731C1 30-39 years, male 91.6
GTEX-1JMPY-0526-SM-CL54O 30-39 years, male 91.4
GTEX-1LVAM-0926-SM-E9TJ2 50-59 years, female 91.3
GTEX-11GSP-0926-SM-9WYSG 60-69 years, female 90.7
GTEX-1MCC2-2126-SM-EWRON 30-39 years, female 90.6
GTEX-1QW4Y-1026-SM-DTXE2 30-39 years, male 90.1
GTEX-1KANA-2026-SM-DIPFB 20-29 years, male 90.0
GTEX-1KXAM-1026-SM-CY8IA 60-69 years, male 89.8
GTEX-ZTTD-1026-SM-51MRD 50-59 years, male 89.4
GTEX-14LLW-0626-SM-62LFC 70-79 years, female 88.8
GTEX-1R9PN-0326-SM-DTX85 40-49 years, female 88.7
GTEX-14PJO-0726-SM-69LO8 60-69 years, male 88.3
GTEX-WYJK-1326-SM-3NB2T 50-59 years, male 88.1
GTEX-1BAJH-0826-SM-7EWEF 70-79 years, male 88.0
GTEX-13NZB-2126-SM-5MR4Y 30-39 years, male 87.9
GTEX-VUSG-2226-SM-4KKZO 50-59 years, male 87.0
GTEX-13FHO-0826-SM-5L3E8 60-69 years, male 86.7
GTEX-1JKYN-0726-SM-ARZMY 30-39 years, male 86.7
GTEX-1ICLY-1726-SM-B2LVT 50-59 years, male 86.6
GTEX-XOT4-0726-SM-4GIAW 60-69 years, female 86.2
GTEX-1LSNM-1326-SM-E9TJ1 50-59 years, male 85.5
GTEX-1211K-1926-SM-5EQLB 60-69 years, female 85.2
GTEX-RUSQ-2026-SM-4GIAK 50-59 years, male 85.1
GTEX-1ICLZ-0426-SM-B2LW2 60-69 years, male 85.1
GTEX-1HSKV-2026-SM-CMKGX 60-69 years, male 84.9
GTEX-ZLV1-1426-SM-DO92Z 60-69 years, female 84.9
GTEX-ZVT4-1026-SM-57WC4 50-59 years, female 84.5
GTEX-1QMI2-0726-SM-E9J4F 60-69 years, male 84.5
GTEX-QEL4-2126-SM-447AE 50-59 years, male 84.3
GTEX-1JMOU-2026-SM-CMKGU 60-69 years, female 84.1
GTEX-1122O-1226-SM-5H113 60-69 years, female 84.0
GTEX-UJHI-1426-SM-3DB9C 50-59 years, female 84.0
GTEX-169BO-1126-SM-7MGWN 50-59 years, male 83.8
GTEX-ZF3C-2326-SM-5S2NC 50-59 years, female 83.8
GTEX-1MCYP-0126-SM-E6CIS 20-29 years, female 83.7
GTEX-1HKZK-1826-SM-ADEJ2 40-49 years, male 83.6
GTEX-15G19-2126-SM-6M48J 60-69 years, male 83.3
GTEX-17F96-2426-SM-7IGLN 70-79 years, male 83.2
GTEX-14BMU-1626-SM-5TDE7 20-29 years, female 83.1
GTEX-WYBS-0926-SM-3NM94 60-69 years, female 83.0
GTEX-1JN1M-3026-SM-CMKGK 60-69 years, female 83.0
GTEX-X4XY-0926-SM-4E3JD 60-69 years, male 82.9
GTEX-1R7EU-1226-SM-E8VMR 60-69 years, male 82.9
GTEX-11WQC-1726-SM-5GU4W 60-69 years, male 82.8
GTEX-1N2EE-2126-SM-E8VNN 60-69 years, male 82.8
GTEX-WI4N-1426-SM-3LK7H 40-49 years, female 82.6
GTEX-1I6K6-0826-SM-ARL7Z 30-39 years, male 82.6
GTEX-13VXU-2826-SM-664MA 50-59 years, male 82.4
GTEX-145MF-2226-SM-7EPIR 50-59 years, male 82.3
GTEX-1IDJE-0826-SM-CKZNZ 50-59 years, female 82.3
GTEX-1IDJF-2326-SM-ARL86 20-29 years, male 82.2
GTEX-145MO-0826-SM-5NQBL 60-69 years, male 82.0
GTEX-1117F-2826-SM-5GZXL 60-69 years, female 81.8
GTEX-ZTX8-1226-SM-4YCE9 20-29 years, male 81.5
GTEX-1MA7W-1026-SM-DKPQK 20-29 years, female 81.4
GTEX-1RAZQ-1226-SM-EWRNL 30-39 years, male 81.2
GTEX-1AX8Z-0926-SM-731AW 60-69 years, male 80.9
GTEX-T2IS-1526-SM-32QPR 20-29 years, female 80.9
GTEX-1JMPZ-1626-SM-COH31 30-39 years, male 80.9
GTEX-17F9E-2526-SM-7MGW2 50-59 years, male 80.7
GTEX-1GMR3-2626-SM-7RHHG 40-49 years, male 80.7
GTEX-1K2DA-1726-SM-CGQGS 50-59 years, male 80.2
GTEX-ZVTK-0326-SM-51MRR 20-29 years, male 80.1
GTEX-ZXES-0826-SM-5E43C 30-39 years, female 80.0
GTEX-13O3O-0826-SM-5K7WE 60-69 years, female 79.7
GTEX-1RLM8-2226-SM-EVYD1 50-59 years, male 79.7
GTEX-14PKU-0426-SM-6EU1P 40-49 years, female 79.6
GTEX-XUW1-2326-SM-4BOO5 50-59 years, female 79.5
GTEX-1LSNL-2826-SM-E9U5L 50-59 years, male 79.5
GTEX-1EU9M-2826-SM-7EWFH 60-69 years, male 79.3
GTEX-1J8QM-2026-SM-ARZMW 60-69 years, female 79.2
GTEX-1I6K7-1026-SM-A9SLK 40-49 years, male 79.1
GTEX-147F4-2826-SM-5NQBN 50-59 years, male 79.0
GTEX-1JJE9-2326-SM-ARL8Q 70-79 years, male 78.9
GTEX-111YS-1926-SM-5GICC 60-69 years, male 78.8
GTEX-14753-2426-SM-5LU8U 60-69 years, male 78.8
GTEX-1CB4J-1826-SM-7EWF9 60-69 years, male 78.8
GTEX-1B97I-0426-SM-79OL7 40-49 years, male 78.7
GTEX-1IY9M-2726-SM-CMKG5 60-69 years, male 78.6
GTEX-1HC8U-0826-SM-ADEIL 40-49 years, female 78.3
GTEX-Y3IK-2326-SM-4WWDT 50-59 years, female 78.2
GTEX-ZY6K-1626-SM-5GZWV 50-59 years, male 78.1
GTEX-X4EP-2926-SM-3P5YQ 60-69 years, female 78.0
GTEX-1IE54-0626-SM-ARL8D 40-49 years, female 78.0
GTEX-1313W-0826-SM-5EQ4T 50-59 years, female 77.9
GTEX-1C6VS-0726-SM-7EPHF 60-69 years, male 77.6
GTEX-1GF9U-1726-SM-7MGY5 40-49 years, female 77.6
GTEX-1HCUA-0726-SM-ACKVU 50-59 years, female 77.6
GTEX-1R46S-2526-SM-E8VN2 60-69 years, female 77.4
GTEX-15RJE-2626-SM-7KFT1 40-49 years, male 77.3
GTEX-16YQH-2826-SM-6PAMY 30-39 years, male 77.2
GTEX-133LE-1726-SM-5K7VQ 20-29 years, female 77.1
GTEX-XQ3S-1326-SM-4BOPQ 20-29 years, male 77.1
GTEX-1C6VQ-0426-SM-79OOX 50-59 years, male 77.0
GTEX-1F75B-0626-SM-7SB8A 50-59 years, male 77.0
GTEX-1J8Q3-1326-SM-CMKI1 60-69 years, male 76.8
GTEX-X261-0626-SM-3NMD9 50-59 years, male 76.7
GTEX-Y5V5-2126-SM-4WWFO 60-69 years, female 76.7
GTEX-1HUB1-1626-SM-CM2SL 60-69 years, male 76.7
GTEX-13W46-0826-SM-5LU3H 50-59 years, male 76.6
GTEX-ZF29-1926-SM-5S2P1 60-69 years, female 76.6
GTEX-11PRG-0826-SM-5EQ6A 50-59 years, male 76.3
GTEX-1QEPI-0926-SM-DTXF3 60-69 years, female 76.1
GTEX-132NY-0826-SM-5K7Y7 60-69 years, male 76.0
GTEX-1HT8W-2226-SM-CGQEC 30-39 years, male 75.9
GTEX-1JJEA-2726-SM-ARL8V 60-69 years, male 75.9
GTEX-Y8LW-1626-SM-5IFHX 50-59 years, female 75.5
GTEX-TMMY-0726-SM-33HBE 40-49 years, female 75.4
GTEX-17F97-2526-SM-7EWDV 50-59 years, male 75.3
GTEX-14PHY-1926-SM-5YY95 60-69 years, female 75.2
GTEX-13NZ8-0126-SM-5IJCT 60-69 years, female 75.0
GTEX-18465-2026-SM-718AP 50-59 years, male 74.7
GTEX-S4P3-1326-SM-4AD6V 50-59 years, female 74.7
GTEX-13OW8-0226-SM-5K7UP 60-69 years, male 74.4
GTEX-15FZZ-0726-SM-7KUFZ 30-39 years, female 74.4
GTEX-ZYT6-0126-SM-5E45J 30-39 years, male 74.4
GTEX-1HR9M-2426-SM-ACKXI 60-69 years, male 74.3
GTEX-X15G-1626-SM-3NMB3 50-59 years, female 74.2
GTEX-1IGQW-0926-SM-ADEH6 60-69 years, male 74.2
GTEX-1J8Q2-2726-SM-A9G2X 60-69 years, male 74.2
GTEX-1192X-2326-SM-5987X 50-59 years, male 74.0
GTEX-WHSB-1926-SM-EXOHH 50-59 years, male 74.0
GTEX-11O72-2126-SM-5N9FO 40-49 years, male 73.9
GTEX-17KNJ-2026-SM-7LG53 50-59 years, male 73.8
GTEX-XBED-1626-SM-47JYN 60-69 years, male 73.8
GTEX-1I1GT-1126-SM-ARL7J 60-69 years, female 73.8
GTEX-X62O-0526-SM-EWRMA 50-59 years, male 73.8
GTEX-15SHW-1326-SM-6PAL8 60-69 years, male 73.7
GTEX-W5X1-2326-SM-3GIL6 40-49 years, female 73.5
GTEX-1HCVE-2626-SM-ADEJ8 50-59 years, male 73.5
GTEX-11WQK-2426-SM-5GU5C 50-59 years, male 73.2
GTEX-17HHY-0926-SM-793C1 50-59 years, male 72.9
GTEX-1GMR2-1926-SM-9MQLZ 50-59 years, male 72.9
GTEX-17EVP-0226-SM-79OND 40-49 years, male 72.8
GTEX-1I19N-2826-SM-CL55D 70-79 years, male 72.8
GTEX-S32W-2026-SM-4AD6E 50-59 years, female 72.6
GTEX-1HCU7-1026-SM-ADEIP 50-59 years, male 72.6
GTEX-1C64O-0726-SM-7DUFU 60-69 years, male 72.2
GTEX-1QCLY-1626-SM-DTXDW 30-39 years, male 72.2
GTEX-17HHE-1426-SM-7EPH4 50-59 years, male 72.1
GTEX-ZYW4-0826-SM-5GIDG 60-69 years, male 72.1
GTEX-ZC5H-2626-SM-5J2MG 40-49 years, female 72.0
GTEX-1B8KZ-1526-SM-7DUG7 50-59 years, male 71.9
GTEX-YJ8O-2226-SM-5IFHW 40-49 years, female 71.6
GTEX-ZZPU-0626-SM-5E43T 50-59 years, female 71.3
GTEX-RWS6-1926-SM-47JXY 60-69 years, female 71.2
GTEX-1JKYR-0926-SM-CMKGJ 20-29 years, male 71.0
GTEX-1E2YA-2726-SM-7IGPW 50-59 years, male 70.7
GTEX-TML8-1226-SM-32QON 40-49 years, female 70.7
GTEX-UPK5-2326-SM-3P5Z8 40-49 years, male 70.7
GTEX-16NGA-0826-SM-718AF 40-49 years, female 70.6
GTEX-15UF6-0126-SM-6PAMB 70-79 years, female 70.5
GTEX-1A8G7-2426-SM-731AK 60-69 years, male 70.4
GTEX-1B933-2526-SM-7IGO5 50-59 years, female 69.9
GTEX-XMD2-0926-SM-4WWEF 60-69 years, female 69.7
GTEX-T5JC-2126-SM-32PMO 20-29 years, male 69.5
GTEX-XQ8I-2426-SM-4WAXY 50-59 years, male 69.4
GTEX-ZWKS-2826-SM-5NQ74 30-39 years, male 69.4
GTEX-1NV8Z-2826-SM-E8VME 60-69 years, male 69.3
GTEX-14E7W-0826-SM-62LEJ 70-79 years, male 69.2
GTEX-15ETS-0626-SM-7KUMX 40-49 years, female 68.7
GTEX-1GF9V-2526-SM-7SB8K 60-69 years, male 68.6
GTEX-WOFL-0826-SM-3MJG1 60-69 years, male 68.3
GTEX-13SLX-2326-SM-5ZZWE 50-59 years, female 68.2
GTEX-1B8L1-2426-SM-9WYTE 60-69 years, male 68.2
GTEX-1JMLX-2026-SM-CMKGN 50-59 years, male 68.0
GTEX-13NZ9-1026-SM-5MR5K 50-59 years, male 67.9
GTEX-144GL-2026-SM-5LU3O 50-59 years, male 67.9
GTEX-146FH-0826-SM-5SI8T 50-59 years, female 67.8
GTEX-1B932-0826-SM-73KXG 40-49 years, female 67.8
GTEX-1GZHY-0726-SM-9WG6B 50-59 years, female 67.7
GTEX-1GMRU-0826-SM-9WYT7 50-59 years, male 67.6
GTEX-ZU9S-1926-SM-5NQBP 30-39 years, male 67.5
GTEX-13D11-1026-SM-5IJFB 50-59 years, female 67.4
GTEX-1JMQK-2626-SM-COH2W 60-69 years, male 67.4
GTEX-QEG5-0726-SM-D4P1T 20-29 years, male 67.4
GTEX-18A6Q-0926-SM-7LG4N 60-69 years, male 67.2
GTEX-ZF2S-2026-SM-5E461 50-59 years, female 67.2
GTEX-1GZ4H-0326-SM-7P8QX 50-59 years, female 67.2
GTEX-13OW5-2226-SM-5L3HC 60-69 years, male 67.1
GTEX-1CB4G-2326-SM-79OOI 60-69 years, male 67.1
GTEX-13PVR-2226-SM-7DHKP 60-69 years, female 66.9
GTEX-1KD5A-1926-SM-DKPQA 50-59 years, male 66.8
GTEX-1HSMO-0826-SM-ADEIV 60-69 years, male 66.6
GTEX-13W3W-1226-SM-5LU4H 60-69 years, female 66.3
GTEX-1GZ4I-2826-SM-9MQK5 50-59 years, male 66.2
GTEX-17HGU-1326-SM-79OKB 50-59 years, male 66.0
GTEX-1EN7A-1426-SM-7PBY4 40-49 years, male 65.9
GTEX-WFG8-2026-SM-EXOHO 20-29 years, male 65.9
GTEX-11EM3-1326-SM-5N9C6 20-29 years, female 65.8
GTEX-12WSM-1726-SM-5BC6J 60-69 years, male 65.8
GTEX-14BMV-0626-SM-793AU 50-59 years, male 65.7
GTEX-1R9PM-1826-SM-EVYBH 20-29 years, male 65.7
GTEX-1EWIQ-1726-SM-7SB7T 70-79 years, female 65.5
GTEX-T2YK-2226-SM-32QPT 50-59 years, male 65.4
GTEX-1GN1W-1926-SM-7P8TH 50-59 years, female 65.2
GTEX-T6MN-0726-SM-32PML 50-59 years, male 65.1
GTEX-1H1CY-2226-SM-9WG7E 60-69 years, female 65.1
GTEX-17EVQ-0426-SM-7LG57 70-79 years, male 64.6
GTEX-17JCI-0726-SM-7EPH1 60-69 years, female 64.6
GTEX-ZVZQ-0826-SM-51MRF 60-69 years, female 64.6
GTEX-1F75A-1826-SM-7SB8G 50-59 years, male 64.3
GTEX-R3RS-0626-SM-48FE1 40-49 years, female 64.2
GTEX-ZEX8-2226-SM-57WC6 50-59 years, male 64.2
GTEX-13CF2-2026-SM-5K7VI 60-69 years, male 63.9
GTEX-Y3I4-1526-SM-4TT7K 50-59 years, male 63.9
GTEX-13N11-1726-SM-5J1OJ 50-59 years, female 63.7
GTEX-1GF9X-1026-SM-ACKX2 40-49 years, female 63.7
GTEX-1GMR8-0726-SM-9KNVI 50-59 years, female 63.7
GTEX-14A5I-0726-SM-5TDEB 50-59 years, female 63.6
GTEX-1JK1U-1826-SM-ARL8W 60-69 years, male 63.3
GTEX-11ZUS-0826-SM-5FQUY 30-39 years, male 63.2
GTEX-183WM-0726-SM-7LTAA 70-79 years, female 62.9
GTEX-U3ZH-1426-SM-4DXSR 30-39 years, male 62.8
GTEX-18A7A-0726-SM-7LTAI 50-59 years, female 62.6
GTEX-1F6I4-2526-SM-7SB8F 60-69 years, male 62.5
GTEX-1LVAN-1326-SM-CNPQE 50-59 years, female 62.5
GTEX-WRHU-0326-SM-3MJFY 50-59 years, female 62.4
GTEX-ZVE2-1226-SM-5NQ8R 50-59 years, male 62.4
GTEX-1IKJJ-2326-SM-COH3U 60-69 years, male 62.4
GTEX-13PL6-2926-SM-5L3I2 40-49 years, female 62.2
GTEX-Y111-2026-SM-4SOJA 50-59 years, male 62.2
GTEX-12ZZX-1126-SM-5EGKB 40-49 years, female 61.8
GTEX-QVJO-1826-SM-447C9 60-69 years, female 61.8
GTEX-S341-1526-SM-4AD6K 40-49 years, female 61.8
GTEX-QDT8-0626-SM-48TYW 30-39 years, female 61.7
GTEX-131XW-0726-SM-5EGK3 50-59 years, female 61.6
GTEX-1K9T9-1426-SM-DIPFQ 50-59 years, female 61.5
GTEX-WYVS-1726-SM-3NMAY 40-49 years, female 61.4
GTEX-1HR98-0426-SM-COH36 60-69 years, male 61.4
GTEX-1RQEC-2026-SM-DTXDM 60-69 years, male 61.2
GTEX-17HG3-0126-SM-7IGNH 30-39 years, female 61.1
GTEX-1CAMS-1426-SM-7IGPM 40-49 years, female 60.9
GTEX-18A7B-2626-SM-7LG55 70-79 years, male 60.8
GTEX-RU1J-0626-SM-4WAWY 20-29 years, female 60.4
GTEX-131YS-0626-SM-5EGKL 60-69 years, female 60.3
GTEX-ZTPG-2826-SM-57WGA 20-29 years, female 60.3
GTEX-139TU-0626-SM-5KM3X 60-69 years, male 60.2
GTEX-1HSGN-1526-SM-A9SMO 40-49 years, female 60.1
GTEX-11DXW-0626-SM-5N9ER 40-49 years, male 59.9
GTEX-1C6WA-2426-SM-7SB86 60-69 years, male 59.9
GTEX-13QJ3-0826-SM-7DHKK 50-59 years, male 59.6
GTEX-1PPGY-1526-SM-EVYBK 60-69 years, male 59.6
GTEX-11OF3-1926-SM-59889 60-69 years, male 59.5
GTEX-117XS-1926-SM-5GICO 60-69 years, male 59.4
GTEX-11EMC-2026-SM-5A5JV 60-69 years, female 59.4
GTEX-1KAFJ-0226-SM-DIPEL 50-59 years, male 59.3
GTEX-1HCU8-0126-SM-ADEHH 60-69 years, female 59.2
GTEX-RU72-0626-SM-46MUI 50-59 years, female 59.1
GTEX-1HBPM-0126-SM-ARL9E 60-69 years, female 59.0
GTEX-S7SE-0826-SM-4AT4D 50-59 years, male 58.7
GTEX-145MN-1926-SM-5SIAI 30-39 years, male 58.6
GTEX-14H4A-2526-SM-5YYAY 40-49 years, female 58.6
GTEX-1IDFM-0426-SM-B2LVV 60-69 years, male 58.6
GTEX-1AX9I-0726-SM-73KWV 60-69 years, male 58.3
GTEX-1J8EW-2626-SM-CL53E 60-69 years, female 57.7
GTEX-15ER7-1626-SM-6PAMZ 20-29 years, female 57.5
GTEX-17MF6-0326-SM-7EPH5 40-49 years, male 56.9
GTEX-1LC47-1226-SM-D4P44 60-69 years, male 56.9
GTEX-XUZC-1626-SM-4BRVP 30-39 years, female 56.7
GTEX-11P81-1926-SM-5BC53 30-39 years, female 56.6
GTEX-1I1GV-2426-SM-CGQFM 60-69 years, male 56.5
GTEX-11LCK-2426-SM-5HL5F 30-39 years, male 56.2
GTEX-1IDJH-2226-SM-E6CJV 70-79 years, male 55.7
GTEX-ZUA1-1526-SM-59HLS 40-49 years, male 55.5
GTEX-1H4P4-2226-SM-9MQKQ 50-59 years, male 55.5
GTEX-1GN1U-0526-SM-9KNTT 50-59 years, female 55.3
GTEX-1RAZS-1226-SM-E8VMT 50-59 years, male 54.8
GTEX-11GS4-2126-SM-5A5KR 60-69 years, male 54.7
GTEX-ZYFC-0826-SM-5E44K 50-59 years, male 54.5
GTEX-1M5QR-2526-SM-E9U5P 40-49 years, male 54.4
GTEX-1M4P7-2626-SM-E9U5F 60-69 years, male 53.4
GTEX-11NV4-2026-SM-5N9DG 60-69 years, male 53.3
GTEX-13O3Q-2226-SM-5KM4O 50-59 years, male 53.3
GTEX-U3ZN-1926-SM-4DXSG 30-39 years, female 53.3
GTEX-1POEN-0926-SM-DTX88 30-39 years, female 53.2
GTEX-XMD1-0826-SM-4AT52 60-69 years, male 52.5
GTEX-1LNCM-0226-SM-DIPF4 50-59 years, female 52.4
GTEX-ZAJG-0626-SM-5HL8X 50-59 years, female 51.9
GTEX-1AX9J-1126-SM-731B7 60-69 years, male 51.4
GTEX-1269C-2426-SM-5FQSN 60-69 years, female 51.3
GTEX-1IOXB-1926-SM-ARL8E 50-59 years, male 51.0
GTEX-11EI6-0626-SM-5985T 60-69 years, male 50.8
GTEX-13QIC-2326-SM-5LU5N 60-69 years, female 50.8
GTEX-1EKGG-2626-SM-7IGPY 60-69 years, male 50.4
GTEX-12WSN-1326-SM-5GCNT 40-49 years, male 50.3
GTEX-1LSVX-2426-SM-E6CJX 60-69 years, male 50.1
GTEX-1I1HK-2426-SM-ADEHX 60-69 years, male 49.9
GTEX-13O3P-0826-SM-5L3DH 50-59 years, male 48.5
GTEX-13FTY-2226-SM-5J1ND 40-49 years, female 47.9
GTEX-YFC4-1426-SM-5IFJG 40-49 years, female 47.9
GTEX-1JN6P-2426-SM-ARL99 60-69 years, male 47.8
GTEX-Q2AG-0326-SM-48U1O 40-49 years, female 47.7
GTEX-11GSO-1926-SM-5A5K3 60-69 years, male 46.9
GTEX-1P4AB-1826-SM-E76PU 50-59 years, male 46.9
GTEX-1KD4Q-2326-SM-D4P3M 40-49 years, male 46.5
GTEX-ZAK1-1326-SM-EVYAS 50-59 years, female 46.4
GTEX-1MA7X-1626-SM-E9U5B 60-69 years, male 46.3
GTEX-1IKOH-2326-SM-CM2TW 60-69 years, female 46.2
GTEX-1GZ2Q-2626-SM-7MXV9 40-49 years, male 45.2
GTEX-1HBPN-2326-SM-9WPPU 50-59 years, male 44.5
GTEX-139T8-0826-SM-5L3DE 60-69 years, male 42.2
GTEX-132Q8-1426-SM-5EGK7 60-69 years, male 41.1
Show allShow less

BREAST - FANTOM5 CAGEi

RNA expression in human tissues obtained through Cap Analysis of Gene Expression (CAGE) generated by the FANTOM5 project are reported as Scaled Tags Per Million.

Max subtype Scaled Tags Per Millioni

Max subtype Scaled Tags Per Million is the value for the subtype with the largest average Scaled Tags Per Million across the subtype samples.

426.0
FANTOM5 sample id Sample description Scaled Tags Per Million
Breast
Scaled Tags Per Million: 426.0
FF:10080-102A8 77 years, female 426.0

Contact

  • NEWS ARTICLES
  • PRESS ROOM

The Project

  • INTRODUCTION
  • ORGANIZATION
  • PUBLICATIONS

The Human Protein Atlas

  • DOWNLOADABLE DATA
  • LICENCE & CITATION
  • HELP & FAQ
The Human Protein Atlas project is funded
by the Knut & Alice Wallenberg Foundation.


contact@proteinatlas.org