We use cookies to enhance the usability of our website. If you continue, we'll assume that you are happy to receive all cookies. More information. Don't show this again.
WDR13
HPA
RESOURCES
  • TISSUE
  • BRAIN
  • SINGLE CELL
  • SUBCELLULAR
  • CANCER
  • BLOOD
  • CELL LINE
  • STRUCTURE & INTERACTION
ABOUT
  • INTRODUCTION
  • HISTORY
  • ORGANIZATION
  • PUBLICATIONS
  • ANTIBODY SUBMISSION
  • ANTIBODY AVAILABILITY
  • ACKNOWLEDGMENTS
  • CONTACT
NEWS
  • NEWS ARTICLES
  • PRESS ROOM
LEARN
  • DICTIONARY
  • PROTEIN CLASSES
  • PROTEIN EVIDENCE
  • METHODS
  • EDUCATIONAL VIDEOS
DATA
  • DOWNLOADABLE DATA
  • PUBLICATION DATA
  • RELEASE HISTORY
HELP
  • ANTIBODY VALIDATION
  • ASSAYS & ANNOTATION
  • DISCLAIMER
  • HELP & FAQ
  • PRIVACY STATEMENT
  • LICENCE & CITATION
Fields »
Search result

Field
Term
Gene name
Class
Subclass
Class
Keyword
Chromosome
External id
Tissue
Cell type
Expression
Antibody panel
Tissue
Main location
Patient ID
Annotation
Tissue
Category
Tau score
Cluster
Reliability
Brain region
Category
Tau score
Brain region
Category
Tau score
Brain region
Category
Tau score
Cluster
Reliability
Tissue
Cell type
Enrichment
Cell type
Category
Tau score
Cell type
Category
Tau score
Cell type
Category
Tau score
Cell lineage
Category
Tau score
Cluster
Cluster
Location
Searches
Location
Cell line
Class
Type
Phase
Reliability
Cancer
Prognosis
Cancer
Category
Cancer
Category
Tau score
Cluster
Variants
Interacting gene (ensg_id)
Type
Number of interactions
Pathway
Category
Score
Score
Score
Validation
Validation
Validation
Validation
Antibodies
Data type
Column


  • SUMMARY

  • TISSUE

  • BRAIN

  • SINGLE CELL

  • SUBCELL

  • CANCER

  • BLOOD

  • CELL LINE

  • STRUCT & INT

  • WDR13
TISSUE PRIMARY DATA SKIN Show tissue menu
ADIPOSE TISSUE ADRENAL GLAND AMYGDALA APPENDIX BASAL GANGLIA BONE MARROW BREAST BRONCHUS CEREBELLUM CEREBRAL CORTEX CERVIX CHOROID PLEXUS COLON DUODENUM
ENDOMETRIUM EPIDIDYMIS ESOPHAGUS FALLOPIAN TUBE GALLBLADDER HEART MUSCLE HIPPOCAMPAL FORMATION HYPOTHALAMUS KIDNEY LIVER LUNG LYMPH NODE MIDBRAIN NASOPHARYNX
ORAL MUCOSA OVARY PANCREAS PARATHYROID GLAND PITUITARY GLAND PLACENTA PROSTATE RECTUM RETINA SALIVARY GLAND SEMINAL VESICLE SKELETAL MUSCLE SKIN SMALL INTESTINE
SMOOTH MUSCLE SOFT TISSUE SPINAL CORD SPLEEN STOMACH TESTIS THYMUS THYROID GLAND TONGUE TONSIL URINARY BLADDER VAGINA
ANTIBODIES
AND
VALIDATION
Dictionary
Skin
Tissue proteome
Skin
SKIN - Expression summary
Protein expression
Skini

On the top, protein expression in current human tissue, based on all annotated cell types, is reported with the units not detected (n), low (l), medium (m) and high (h). Underneath, protein expression in each annotated cell type are reported using the same units.

Protein expression data is based on knowledge-based annotation. For genes where more than one antibody has been used, a collective score is set.

If knowledge-based annotation could not be performed for a gene, no data is displayed here. View antibody staining data further down this page.

h
m
l
n
Cells in basal layer: Low
Cells in corneal layer: Not detected
Cells in granular layer: Low
Cells in spinous layer: Low
Endothelial cells: Medium
Extracellular matrix: Not detected
Fibrohistiocytic cells: Medium
Langerhans cells: Low
Lymphocytes: Medium
Melanocytes: Medium
Vascular mural cells: Not detected
RNA expressioni

A summary of mRNA expression data available for current tissue based on several datasets. The mRNA expression levels in human tissues are based on RNA-seq data generated by the Human Protein Atlas (HPA), Genotype-Tissue Expression (GTEx) portal and CAGE data generated by the FANTOM5 consortium. Consensus normalized expression levels for human tissues was created by combining the data from HPA and GTEx datasets.

The mRNA expression levels in pig are based on RNA-seq data generated by the Human Protein Atlas (HPA), and for mouse, HPA data and in situ hybridization generated by the Allen brain atlas are reported.

Scroll down to view mRNA expression data in more detail.
Consensus:55.1 nTPM
HPA:40.6 nTPM
GTEx:55.1 nTPM

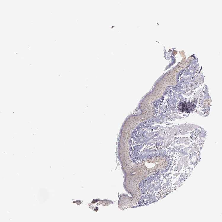
SKIN 1 - Antibody stainingi

Antibody staining in the annotated cell types in the current human tissue is reported as not detected, low, medium, or high, based on conventional immunohistochemistry profiling in selected tissues. This score is based on the combination of the staining intensity and fraction of stained cells.

Each image is clickable and will lead to virtual microscopy that enables deeper exploration of all samples and also displays staining intensity scores, fraction scores and subcellular localization as well as patient and tissue information for each sample.

Antibody HPA000913
Cells in basal layer Low
Cells in corneal layer Not detected
Cells in granular layer Low
Cells in spinous layer Low
Endothelial cells Medium
Extracellular matrix Not detected
Fibrohistiocytic cells Medium
Langerhans cells Low
Lymphocytes Medium
Melanocytes Medium
Vascular mural cells Not detected


SKIN 2 - Antibody stainingi

Antibody staining in the annotated cell types in the current human tissue is reported as not detected, low, medium, or high, based on conventional immunohistochemistry profiling in selected tissues. This score is based on the combination of the staining intensity and fraction of stained cells.

Each image is clickable and will lead to virtual microscopy that enables deeper exploration of all samples and also displays staining intensity scores, fraction scores and subcellular localization as well as patient and tissue information for each sample.

Antibody HPA000913
Cells in basal layer Low
Cells in corneal layer Not detected
Cells in granular layer Low
Cells in spinous layer Low
Endothelial cells Low
Extracellular matrix Not detected
Fibrohistiocytic cells Low
Langerhans cells Low
Lymphocytes Not detected
Melanocytes Low
Vascular mural cells Not detected

SKIN - HPA RNA-seqi

The RNA-seq details section shows detailed information about the individual samples used for the transcript profiling and results of the RNA-seq analysis.

Information about each individual sample is listed below, including gender, age, a tissue section image and estimated fractions of cell types. nTPM (normalized transcripts per million) values give a quantification of the gene abundance which is comparable between different genes and samples.
Average nTPMi

Max subtype nTPM is the value for the subtype with the largest average nTPM across the subtype samples.

40.6
overview
Female, age 34
Skin sample 225
nTPM: 49
Cell types%
Keratinocytes:
60

Other cell types:
40

overview
Female, age 30
Skin sample 226
nTPM: 31.5
Cell types%
Keratinocytes:
55

Other cell types:
45

N/A
Male, age 57
Skin sample 227
nTPM: 41.2

SKIN - GTEx RNA-seqi

RNA-Seq data generated by the Genotype-Tissue Expression (GTEx) project from human tissues is reported as mean nTPM. More information can be found on the GTEx portal.

Distribution across the dataset is visualized with box plots, shown as median and 25th and 75th percentiles. Points are displayed as outliers if they are above or below 1.5 times the interquartile range. nTPM values of the individual samples are presented next to the box plot.
Max subtype nTPMi

Max subtype nTPM is the value for the subtype with the largest average nTPM across the subtype samples.

55.1
GTEx sample id Sample description nTPM
Skin - Not Sun Exposed (Suprapubic)
Average nTPM: 55.1
Samples: 604

Max nTPM: 127.4
Min nTPM: 25.1
Std nTPM: 16.3
Median nTPM: 52.3
GTEX-Y114-2126-SM-4TT8B 50-59 years, female 127.4
GTEX-15RIG-0726-SM-7KUM7 40-49 years, male 117.1
GTEX-1N2DV-1526-SM-DTXEP 40-49 years, male 116.7
GTEX-1OJC3-1226-SM-DTXER 20-29 years, male 112.1
GTEX-XBEW-1126-SM-4QARW 40-49 years, male 109.5
GTEX-1PIGE-1826-SM-E8VOU 20-29 years, male 105.3
GTEX-ZTX8-1326-SM-4YCEL 20-29 years, male 102.3
GTEX-12WSJ-1126-SM-5LZVJ 40-49 years, female 101.4
GTEX-14PJ3-1126-SM-5ZZVX 50-59 years, male 98.0
GTEX-13O61-1426-SM-5KM3D 60-69 years, male 97.0
GTEX-WFG7-2026-SM-5SI7P 20-29 years, male 95.6
GTEX-X585-2426-SM-46MW2 50-59 years, male 95.4
GTEX-WH7G-2026-SM-3NMBL 40-49 years, male 93.6
GTEX-1QP9N-1226-SM-E76QN 30-39 years, male 93.3
GTEX-1HBPN-0126-SM-CGQEF 50-59 years, male 93.1
GTEX-1RMOY-1326-SM-E9TIH 50-59 years, male 92.7
GTEX-1IKOE-1426-SM-CE6T7 30-39 years, female 92.3
GTEX-1LSNM-0826-SM-DIPG8 50-59 years, male 90.9
GTEX-1GPI7-1826-SM-9KNU1 20-29 years, male 90.2
GTEX-1S82P-2126-SM-E6CI5 60-69 years, female 90.2
GTEX-Y5V6-2326-SM-4VDSA 60-69 years, male 90.0
GTEX-1E2YA-2126-SM-7MXUO 50-59 years, male 89.6
GTEX-15RIE-1926-SM-7KUKJ 60-69 years, male 89.2
GTEX-YFCO-1226-SM-5LUAT 40-49 years, male 89.2
GTEX-1JMPY-0226-SM-CKZOK 30-39 years, male 88.2
GTEX-1MJK3-0726-SM-E6CJC 20-29 years, male 88.2
GTEX-WHSB-1326-SM-3LK6W 50-59 years, male 88.1
GTEX-ZDYS-2426-SM-4WKGI 50-59 years, male 88.1
GTEX-1MCYP-0526-SM-E9U6Q 20-29 years, female 86.6
GTEX-111CU-1126-SM-5EGIM 50-59 years, male 86.0
GTEX-ZLFU-1826-SM-4WWBV 40-49 years, male 85.8
GTEX-X3Y1-2026-SM-3P5YM 40-49 years, male 85.0
GTEX-1R9PN-0426-SM-DTXDT 40-49 years, female 84.9
GTEX-18QFQ-1826-SM-72D52 30-39 years, male 84.8
GTEX-1LVAN-0626-SM-CNPOQ 50-59 years, female 84.5
GTEX-11P7K-1126-SM-5HL4L 30-39 years, male 83.8
GTEX-1CAMR-1326-SM-7PC1F 20-29 years, male 83.6
GTEX-17F9E-2326-SM-79OKD 50-59 years, male 83.3
GTEX-18D9A-1426-SM-7LT8M 30-39 years, female 83.1
GTEX-1GZ4H-0526-SM-9KNU9 50-59 years, female 82.7
GTEX-18D9U-0126-SM-731BM 40-49 years, male 82.6
GTEX-1S3DN-2126-SM-E9TIN 50-59 years, male 82.5
GTEX-1I1GU-0926-SM-ACKVS 40-49 years, male 82.3
GTEX-1CAMS-2226-SM-7PBXQ 40-49 years, female 81.9
GTEX-145MN-1526-SM-5SI9T 30-39 years, male 81.8
GTEX-ZVP2-0326-SM-57WBP 50-59 years, male 81.7
GTEX-ZP4G-1426-SM-4WWCL 20-29 years, female 81.1
GTEX-WXYG-2026-SM-4E3IY 50-59 years, female 81.0
GTEX-1I4MK-0126-SM-CY8G6 50-59 years, female 81.0
GTEX-1HSMP-0926-SM-A9SKX 70-79 years, male 80.8
GTEX-ZPCL-1126-SM-4WWFE 60-69 years, female 80.7
GTEX-14ICL-1626-SM-5YYAO 30-39 years, male 80.3
GTEX-Y3I4-1726-SM-4TT89 50-59 years, male 79.7
GTEX-1S82U-1026-SM-E6CJK 30-39 years, female 79.7
GTEX-ZA64-1026-SM-5HL8R 20-29 years, male 79.6
GTEX-1HCUA-0826-SM-ADEHM 50-59 years, female 79.6
GTEX-ZYW4-0626-SM-59HJR 60-69 years, male 79.5
GTEX-ZDTT-0426-SM-4WKFL 60-69 years, male 79.2
GTEX-1GMR2-0826-SM-7PC3V 50-59 years, male 79.0
GTEX-1PPH8-0126-SM-EWRN8 20-29 years, male 78.5
GTEX-1H1ZS-2726-SM-9WG75 70-79 years, male 78.4
GTEX-1QCLY-0226-SM-EWRNH 30-39 years, male 78.3
GTEX-14XAO-1226-SM-6EU1C 60-69 years, female 78.0
GTEX-11DXX-2126-SM-5PNYR 60-69 years, female 77.7
GTEX-YEC4-1826-SM-4W1YP 40-49 years, male 77.2
GTEX-1K2DA-1026-SM-CGQGF 50-59 years, male 77.2
GTEX-15CHR-1126-SM-7EWF4 50-59 years, male 77.0
GTEX-13FTX-1526-SM-5K7VJ 20-29 years, female 76.9
GTEX-15G19-2426-SM-7KUMR 60-69 years, male 76.7
GTEX-16AAH-0626-SM-793C9 50-59 years, male 76.5
GTEX-1ICLZ-0326-SM-ARL82 60-69 years, male 76.3
GTEX-17F96-0126-SM-7EWDU 70-79 years, male 76.1
GTEX-XUW1-0926-SM-4BONX 50-59 years, female 76.1
GTEX-Y3IK-1626-SM-4YCF5 50-59 years, female 76.0
GTEX-ZVZP-1226-SM-5GID7 50-59 years, male 75.6
GTEX-117YX-1926-SM-5GIEC 50-59 years, male 75.3
GTEX-XYKS-1426-SM-4BRUO 60-69 years, female 74.5
GTEX-17F97-2626-SM-7IGM5 50-59 years, male 74.4
GTEX-13FTW-0326-SM-5K7UW 40-49 years, male 74.2
GTEX-1399R-1326-SM-5PNYS 30-39 years, male 74.1
GTEX-1HSMQ-2626-SM-A9SML 50-59 years, male 73.5
GTEX-14E1K-2026-SM-7DUEI 50-59 years, male 73.3
GTEX-1A3MV-1826-SM-731CD 30-39 years, male 73.3
GTEX-145ME-1726-SM-5Q5EU 40-49 years, female 73.0
GTEX-11TT1-1826-SM-5EQLV 20-29 years, male 72.5
GTEX-1399S-0126-SM-5IJCF 30-39 years, female 72.5
GTEX-12WSK-2126-SM-5CVNC 40-49 years, female 72.4
GTEX-14PHX-2226-SM-6EU2P 50-59 years, male 72.2
GTEX-1CB4E-0926-SM-7EPHT 60-69 years, male 72.1
GTEX-1H2FU-0926-SM-9WPPT 60-69 years, female 72.1
GTEX-13IVO-0726-SM-5LZYV 70-79 years, male 72.0
GTEX-131XF-2626-SM-5EQ6K 60-69 years, male 71.9
GTEX-14PJN-1826-SM-6AJ98 30-39 years, male 71.9
GTEX-1B97I-0626-SM-73KUZ 40-49 years, male 71.9
GTEX-14DAR-1226-SM-73KYV 50-59 years, male 71.6
GTEX-U8XE-0226-SM-4E3J3 30-39 years, male 71.4
GTEX-1RAZQ-1326-SM-E9TK6 30-39 years, male 71.4
GTEX-12BJ1-0926-SM-5EQ62 60-69 years, male 71.2
GTEX-WHWD-1826-SM-3LK6I 50-59 years, male 70.5
GTEX-11P81-2226-SM-5PNYI 30-39 years, female 70.2
GTEX-YB5K-2026-SM-4VDT3 40-49 years, female 69.7
GTEX-1F75I-2226-SM-7SB8U 40-49 years, male 69.7
GTEX-1AX8Z-0726-SM-73KTS 60-69 years, male 69.6
GTEX-ZTTD-2826-SM-4YCFA 50-59 years, male 69.6
GTEX-11DXZ-2026-SM-5987S 50-59 years, male 69.4
GTEX-1I1GT-1026-SM-ARZLV 60-69 years, female 69.4
GTEX-1LG7Z-1626-SM-CXKYR 30-39 years, male 69.3
GTEX-ZZ64-1026-SM-5GZXG 20-29 years, male 69.1
GTEX-ZF3C-0626-SM-DO92O 50-59 years, female 69.1
GTEX-14E6E-0526-SM-793DN 30-39 years, male 68.8
GTEX-XQ8I-0926-SM-4BOOF 50-59 years, male 68.8
GTEX-11OF3-0126-SM-5PNYF 60-69 years, male 68.7
GTEX-131XG-0326-SM-5L3DX 50-59 years, female 68.5
GTEX-1JKYN-0826-SM-ARU8S 30-39 years, male 68.5
GTEX-1MCC2-1826-SM-DIPEX 30-39 years, female 68.5
GTEX-13OVG-1626-SM-5J1NF 60-69 years, male 68.1
GTEX-Y5LM-0926-SM-6LLJG 40-49 years, female 68.1
GTEX-1QP28-1126-SM-EVYC4 50-59 years, female 68.0
GTEX-16MTA-0926-SM-6M47Z 50-59 years, male 67.9
GTEX-14PHY-1226-SM-5ZZWK 60-69 years, female 67.8
GTEX-1R9PM-1926-SM-EVR3O 20-29 years, male 67.8
GTEX-11LCK-2226-SM-5HL4Q 30-39 years, male 67.7
GTEX-1PDJ9-1226-SM-EXUSX 20-29 years, male 67.5
GTEX-1J1R8-2026-SM-CL53Y 40-49 years, male 67.3
GTEX-ZLV1-1526-SM-DO91J 60-69 years, female 67.3
GTEX-1192X-2726-SM-5N9DN 50-59 years, male 67.2
GTEX-14BMU-1226-SM-5S2OR 20-29 years, female 67.1
GTEX-WY7C-2126-SM-3NB2R 50-59 years, male 67.1
GTEX-1LVAM-0726-SM-E6CIL 50-59 years, female 66.9
GTEX-XPVG-2126-SM-4B667 50-59 years, male 66.6
GTEX-12C56-1526-SM-5FQUQ 20-29 years, male 66.5
GTEX-1B8KE-1126-SM-7EPHI 50-59 years, male 66.4
GTEX-111YS-1526-SM-5GZYW 60-69 years, male 66.3
GTEX-Y8LW-1526-SM-5IFHL 50-59 years, female 66.3
GTEX-16YQH-2226-SM-7IGM2 30-39 years, male 66.2
GTEX-YEC3-1326-SM-DO92X 50-59 years, male 66.1
GTEX-131XH-0126-SM-5LZUY 50-59 years, male 65.9
GTEX-11P82-1426-SM-DTXFY 20-29 years, male 65.8
GTEX-1CB4I-0126-SM-7RHGG 50-59 years, male 65.7
GTEX-1KAFJ-0126-SM-DIPEK 50-59 years, male 65.7
GTEX-XBED-1926-SM-47JYP 60-69 years, male 65.6
GTEX-1S831-1826-SM-EWROF 20-29 years, male 65.5
GTEX-11DYG-1526-SM-5A5JS 60-69 years, male 65.4
GTEX-1LBAC-0826-SM-CY8IJ 20-29 years, male 65.3
GTEX-13W3W-0726-SM-5IJDQ 60-69 years, female 65.1
GTEX-WHPG-2626-SM-3NMBR 50-59 years, male 65.1
GTEX-WI4N-2726-SM-3LK7Y 40-49 years, female 65.1
GTEX-XAJ8-1426-SM-47JYM 40-49 years, male 65.1
GTEX-1H1E6-0426-SM-9WYUS 30-39 years, male 65.0
GTEX-1LKK1-2626-SM-DKPQE 50-59 years, female 64.9
GTEX-132AR-0326-SM-5KM2C 50-59 years, female 64.6
GTEX-11VI4-1126-SM-5EQMD 40-49 years, female 64.5
GTEX-ZY6K-1426-SM-5GZX2 50-59 years, male 64.4
GTEX-1QP2A-1726-SM-E76QC 50-59 years, male 64.1
GTEX-1HB9E-0126-SM-CM2S5 50-59 years, male 64.0
GTEX-12WSL-2026-SM-5GCML 50-59 years, male 63.9
GTEX-15EU6-2226-SM-6EU2L 50-59 years, male 63.9
GTEX-Y9LG-1126-SM-4VBQ7 30-39 years, male 63.9
GTEX-1JMLX-0626-SM-ARL8T 50-59 years, male 63.9
GTEX-15UF6-1926-SM-7KUDV 70-79 years, female 63.8
GTEX-1F5PK-2226-SM-7SB6N 50-59 years, male 63.6
GTEX-ZZPU-0826-SM-5GZX5 50-59 years, female 63.4
GTEX-139TU-0726-SM-5L3EK 60-69 years, male 63.3
GTEX-1GF9X-1326-SM-7PC2Y 40-49 years, female 63.3
GTEX-15G1A-1626-SM-7KUKN 30-39 years, male 63.0
GTEX-ZLWG-0826-SM-59888 50-59 years, female 63.0
GTEX-1399U-1126-SM-5L3DB 50-59 years, female 62.8
GTEX-13VXT-1926-SM-5K7UO 20-29 years, female 62.7
GTEX-ZPIC-0526-SM-DO91W 40-49 years, female 62.7
GTEX-1QP29-1826-SM-DTX9S 50-59 years, male 62.5
GTEX-14PKV-1126-SM-6LLJ1 20-29 years, female 62.3
GTEX-18D9B-0926-SM-7LG4U 60-69 years, male 62.3
GTEX-ZDTS-0826-SM-4WKHL 60-69 years, male 62.2
GTEX-1RAZA-2226-SM-E9U4X 20-29 years, male 62.2
GTEX-1KANA-1326-SM-DIPFA 20-29 years, male 62.1
GTEX-14PJ5-1526-SM-6LLIL 60-69 years, female 62.0
GTEX-15RJ7-2126-SM-6PAMD 40-49 years, male 62.0
GTEX-1HGF4-0126-SM-CNPPX 60-69 years, male 61.9
GTEX-17MFQ-1526-SM-7KFRR 20-29 years, male 61.8
GTEX-XBEC-0726-SM-4QARZ 50-59 years, male 61.7
GTEX-11DZ1-2426-SM-5GZZX 50-59 years, male 61.6
GTEX-1JK1U-0226-SM-ARZMX 60-69 years, male 61.5
GTEX-145LT-0526-SM-5LUB2 40-49 years, male 61.4
GTEX-12WSH-1526-SM-5BC5W 50-59 years, male 61.2
GTEX-ZPU1-1126-SM-4YCF3 40-49 years, male 61.2
GTEX-13RTJ-0126-SM-5S2NN 60-69 years, male 61.0
GTEX-YECK-0326-SM-4W1YS 60-69 years, male 60.9
GTEX-13FH7-1126-SM-5K7UG 50-59 years, female 60.8
GTEX-1K2DU-1226-SM-CYPT4 20-29 years, male 60.8
GTEX-WFG8-2126-SM-3GIKQ 20-29 years, male 60.7
GTEX-1IDJI-0126-SM-CMKHS 50-59 years, female 60.6
GTEX-1NSGN-0726-SM-DTXEF 50-59 years, male 60.6
GTEX-1I6K6-1726-SM-CGQFD 30-39 years, male 60.5
GTEX-ZYFG-1526-SM-5GZYM 60-69 years, female 60.4
GTEX-1J1OQ-0126-SM-D4P2N 40-49 years, female 60.4
GTEX-11ZTT-2126-SM-5CVLO 60-69 years, female 60.3
GTEX-12696-0126-SM-5EQ4L 60-69 years, male 60.3
GTEX-14C39-1726-SM-5RQIL 40-49 years, male 60.1
GTEX-1EH9U-2826-SM-7DUGT 60-69 years, male 60.0
GTEX-147F3-1726-SM-5SIAW 50-59 years, female 59.9
GTEX-ZT9X-1526-SM-5DUXD 40-49 years, male 59.9
GTEX-1C64O-1326-SM-7MGWR 60-69 years, male 59.9
GTEX-14B4R-1326-SM-5Q5EZ 30-39 years, male 59.8
GTEX-14PJO-2526-SM-6AJBQ 60-69 years, male 59.8
GTEX-1HFI7-2326-SM-CGQFS 50-59 years, female 59.7
GTEX-1PPH7-1126-SM-DTX9A 40-49 years, male 59.7
GTEX-13OVK-1426-SM-6PAN7 40-49 years, male 59.4
GTEX-1ICG6-1226-SM-A9SLN 70-79 years, female 59.4
GTEX-Y8E4-2026-SM-5IFJB 40-49 years, male 59.3
GTEX-1R9K4-2826-SM-DTX8F 60-69 years, male 59.3
GTEX-17F98-1326-SM-7DUEP 40-49 years, female 59.2
GTEX-1QPFJ-1926-SM-EVYBD 30-39 years, female 59.2
GTEX-17HII-1426-SM-7EPGG 50-59 years, male 58.9
GTEX-1122O-1026-SM-9WYSF 60-69 years, female 58.9
GTEX-1HSGN-0826-SM-ACKW3 40-49 years, female 58.9
GTEX-13X6H-0926-SM-5SIB2 50-59 years, female 58.7
GTEX-15DYW-2726-SM-6EU2I 60-69 years, female 58.7
GTEX-Y111-0626-SM-4SOIT 50-59 years, male 58.7
GTEX-1J8Q2-2626-SM-ACKWQ 60-69 years, male 58.3
GTEX-1IDJD-2326-SM-ACKWX 30-39 years, male 58.2
GTEX-18A67-1626-SM-7LT9T 50-59 years, male 58.0
GTEX-1IY9M-2826-SM-ARU8H 60-69 years, male 58.0
GTEX-13NYS-0626-SM-5L3F1 60-69 years, male 57.7
GTEX-1C2JI-1026-SM-73KY1 50-59 years, male 57.6
GTEX-13OVJ-0826-SM-5J1OK 50-59 years, female 57.5
GTEX-1HCU7-0726-SM-A9SL1 50-59 years, male 57.5
GTEX-1GN1W-2426-SM-9KNUU 50-59 years, female 57.4
GTEX-17KNJ-2126-SM-718AM 50-59 years, male 57.3
GTEX-144GO-2026-SM-5O99P 60-69 years, male 57.2
GTEX-146FQ-2126-SM-5RQHU 30-39 years, male 57.2
GTEX-1HFI6-0126-SM-CNPPI 40-49 years, male 57.2
GTEX-1J8EW-2726-SM-CY8HR 60-69 years, female 57.2
GTEX-1B996-0426-SM-7EWF8 60-69 years, male 57.1
GTEX-11NSD-0626-SM-5A5LU 20-29 years, male 57.0
GTEX-145LU-1926-SM-79OJN 50-59 years, male 57.0
GTEX-147F4-0726-SM-5TDDD 50-59 years, male 56.8
GTEX-15SHW-0226-SM-7LTAT 60-69 years, male 56.8
GTEX-17HHE-1326-SM-7EWDZ 50-59 years, male 56.6
GTEX-18A66-0626-SM-7LT8Z 60-69 years, male 56.6
GTEX-1JKYR-0626-SM-ARL8R 20-29 years, male 56.4
GTEX-14PJ6-2626-SM-6EU2T 60-69 years, female 56.3
GTEX-1JMOU-1026-SM-CYPSS 60-69 years, female 56.3
GTEX-11EQ9-1626-SM-5PNY8 30-39 years, male 56.0
GTEX-ZWKS-0626-SM-5GIDV 30-39 years, male 55.9
GTEX-11EM3-1226-SM-5N9DD 20-29 years, female 55.8
GTEX-ZVTK-0226-SM-51MRG 20-29 years, male 55.8
GTEX-13U4I-2226-SM-5LU5H 40-49 years, female 55.7
GTEX-14PK6-0226-SM-62LF5 70-79 years, female 55.7
GTEX-1RLM8-2926-SM-E8VON 50-59 years, male 55.6
GTEX-1211K-1526-SM-5FQU4 60-69 years, female 55.5
GTEX-1IDJE-1426-SM-ADEIW 50-59 years, female 55.5
GTEX-13NYC-0126-SM-5L3F4 60-69 years, male 55.4
GTEX-14PII-0726-SM-6EU2B 60-69 years, male 55.2
GTEX-ZT9W-1126-SM-57WDR 50-59 years, male 55.2
GTEX-1IDJC-1526-SM-B2LW4 50-59 years, male 55.2
GTEX-WFON-1926-SM-3LK7L 40-49 years, male 55.1
GTEX-1JN76-0626-SM-CKZOQ 20-29 years, female 55.1
GTEX-1497J-0226-SM-5QGPU 60-69 years, male 55.0
GTEX-1J8Q3-0526-SM-ARL8U 60-69 years, male 55.0
GTEX-13QJC-0126-SM-5ZZWJ 60-69 years, female 54.9
GTEX-1F75B-0726-SM-7PC3R 50-59 years, male 54.9
GTEX-1JMQJ-0826-SM-CNPP7 50-59 years, male 54.9
GTEX-14C38-0726-SM-5SI6M 50-59 years, male 54.8
GTEX-178AV-1726-SM-7KUL8 40-49 years, male 54.7
GTEX-1AYD5-2626-SM-7PBXY 50-59 years, male 54.7
GTEX-13PVR-0426-SM-5RQK2 60-69 years, female 54.6
GTEX-15RJE-2826-SM-7KUM9 40-49 years, male 54.6
GTEX-ZF29-0926-SM-4WKFZ 60-69 years, female 54.6
GTEX-1F6I4-2326-SM-7RHGL 60-69 years, male 54.6
GTEX-13FHO-0426-SM-5L3F5 60-69 years, male 54.5
GTEX-11ZU8-0126-SM-5EQ58 60-69 years, male 54.4
GTEX-13X6I-1826-SM-5SIAO 60-69 years, male 54.4
GTEX-12126-0826-SM-5FQTZ 20-29 years, male 54.3
GTEX-13QBU-1226-SM-5LU4G 40-49 years, female 54.2
GTEX-X5EB-1926-SM-4E3IW 40-49 years, male 54.2
GTEX-1H1DF-1126-SM-9WG7G 40-49 years, female 54.1
GTEX-11O72-0626-SM-5PNYE 40-49 years, male 54.0
GTEX-ZF2S-1626-SM-57WES 50-59 years, female 54.0
GTEX-1H1DE-1326-SM-9KNUG 20-29 years, male 54.0
GTEX-1POEN-2326-SM-E9J2L 30-39 years, female 54.0
GTEX-139TT-2126-SM-5LZWC 60-69 years, male 53.9
GTEX-1AX9J-1326-SM-731BJ 60-69 years, male 53.9
GTEX-1IDJF-2026-SM-CL53V 20-29 years, male 53.8
GTEX-13JVG-0726-SM-5KM16 60-69 years, male 53.7
GTEX-1KANC-1226-SM-CYPT7 50-59 years, female 53.7
GTEX-1R7EU-1626-SM-DTXG3 60-69 years, male 53.7
GTEX-145MG-1526-SM-5Q5EM 50-59 years, male 53.6
GTEX-ZTSS-1426-SM-5985P 40-49 years, male 53.5
GTEX-1H3O1-1326-SM-9MQLD 60-69 years, male 53.4
GTEX-1GL5R-1326-SM-7RHHF 50-59 years, male 53.3
GTEX-133LE-2326-SM-5K7W3 20-29 years, female 53.2
GTEX-16BQI-1326-SM-6M486 30-39 years, female 53.2
GTEX-WEY5-2326-SM-3GIKK 40-49 years, female 53.1
GTEX-1C475-1326-SM-7SB73 40-49 years, female 53.1
GTEX-12584-0726-SM-5FQTK 40-49 years, male 53.0
GTEX-1EMGI-2326-SM-7PBYA 60-69 years, male 52.8
GTEX-16MT9-0126-SM-7EPI8 60-69 years, female 52.7
GTEX-ZDXO-3126-SM-5IJDF 60-69 years, male 52.7
GTEX-ZU9S-1826-SM-5NQ9E 30-39 years, male 52.7
GTEX-13SLX-2226-SM-62LEP 50-59 years, female 52.6
GTEX-1RB15-1326-SM-E76Q9 60-69 years, male 52.6
GTEX-1QAET-0326-SM-EVR3U 50-59 years, male 52.3
GTEX-139T8-0626-SM-5KLZX 60-69 years, male 52.2
GTEX-1I6K7-1926-SM-B2LXR 40-49 years, male 52.1
GTEX-13113-1626-SM-5EQ4I 60-69 years, female 52.0
GTEX-14AS3-1526-SM-5Q5ED 40-49 years, female 52.0
GTEX-XQ3S-1426-SM-4BOPR 20-29 years, male 52.0
GTEX-1GMRU-2126-SM-7P8RA 50-59 years, male 52.0
GTEX-1O9I2-0226-SM-EYYXD 50-59 years, male 52.0
GTEX-1IDJU-1726-SM-CMKHU 60-69 years, female 51.9
GTEX-ZGAY-1826-SM-DO91Q 40-49 years, female 51.9
GTEX-XV7Q-1826-SM-4BRUV 40-49 years, female 51.8
GTEX-1CAMQ-1326-SM-7P8RV 40-49 years, male 51.8
GTEX-1F75A-0726-SM-7RHHD 50-59 years, male 51.8
GTEX-16NGA-0726-SM-731AO 40-49 years, female 51.7
GTEX-1QW4Y-1126-SM-DTXE3 30-39 years, male 51.7
GTEX-ZAK1-0626-SM-5HL8E 50-59 years, female 51.6
GTEX-12WSF-1626-SM-7KUG5 70-79 years, male 51.5
GTEX-1JJEA-1826-SM-ARU8P 60-69 years, male 51.5
GTEX-12WSA-0426-SM-5EQ5X 60-69 years, male 51.4
GTEX-13O3Q-0126-SM-5KM34 50-59 years, male 51.4
GTEX-14PJ4-0226-SM-5YY92 60-69 years, male 51.3
GTEX-15FZZ-0526-SM-7KUGD 30-39 years, female 51.2
GTEX-WYJK-0526-SM-3NM8Z 50-59 years, male 51.2
GTEX-1HBPM-0726-SM-9YFL7 60-69 years, female 51.1
GTEX-ZYT6-2326-SM-5GZY3 30-39 years, male 50.9
GTEX-14JG6-1426-SM-9WG7C 30-39 years, female 50.9
GTEX-13OW6-2726-SM-5J2OE 50-59 years, male 50.8
GTEX-YF7O-1526-SM-5IFI6 50-59 years, male 50.8
GTEX-16XZZ-0726-SM-7KUF2 60-69 years, male 50.7
GTEX-ZAB4-2126-SM-5HL8U 40-49 years, male 50.5
GTEX-1IKJJ-2226-SM-CJI4C 60-69 years, male 50.5
GTEX-13PDP-0726-SM-5L3HP 60-69 years, male 50.4
GTEX-14PKU-0126-SM-6LLHV 40-49 years, female 50.4
GTEX-15CHC-1126-SM-6LLHQ 60-69 years, female 50.3
GTEX-17EVQ-0126-SM-7IGLR 70-79 years, male 50.3
GTEX-17HGU-2326-SM-7DUFE 50-59 years, male 50.3
GTEX-1J8QM-2426-SM-A9SLS 60-69 years, female 50.3
GTEX-1399Q-2326-SM-5KM2X 40-49 years, male 50.2
GTEX-1L5NE-1126-SM-D3L9P 50-59 years, male 50.2
GTEX-X4EP-0626-SM-3P621 60-69 years, female 50.1
GTEX-1H11D-1826-SM-9QEHM 40-49 years, male 50.1
GTEX-1I1GP-1326-SM-A9G28 50-59 years, male 50.0
GTEX-13OW5-2326-SM-5L3HO 60-69 years, male 49.9
GTEX-183FY-1026-SM-7939A 20-29 years, male 49.9
GTEX-14LZ3-0126-SM-69LPM 60-69 years, female 49.8
GTEX-1H3VE-0726-SM-9YFL5 40-49 years, male 49.8
GTEX-1NV5F-0626-SM-DTXEG 60-69 years, female 49.8
GTEX-14BIN-1126-SM-5RQJZ 50-59 years, female 49.7
GTEX-1JMQK-1226-SM-D4P2S 60-69 years, male 49.7
GTEX-1AX9I-2226-SM-73KUO 60-69 years, male 49.6
GTEX-1LG7Y-2526-SM-EWRO7 50-59 years, male 49.6
GTEX-16GPK-0626-SM-7KFSF 60-69 years, male 49.5
GTEX-1H1DG-2426-SM-9QEHJ 70-79 years, male 49.5
GTEX-12WSD-0626-SM-5GCMW 60-69 years, female 49.4
GTEX-13NYB-0126-SM-5J1MD 40-49 years, male 49.4
GTEX-16MT8-2926-SM-7DUFO 60-69 years, female 49.4
GTEX-13FTY-2126-SM-5IFFB 40-49 years, female 49.3
GTEX-WHSE-0126-SM-3NMBT 20-29 years, male 49.3
GTEX-1A3MW-0626-SM-731CB 60-69 years, female 49.2
GTEX-1CB4H-1126-SM-7MKGL 60-69 years, female 49.2
GTEX-1LGOU-1326-SM-D3L8M 20-29 years, female 49.2
GTEX-13PVQ-0626-SM-5LU47 50-59 years, male 48.9
GTEX-17EVP-2626-SM-7IGMA 40-49 years, male 48.9
GTEX-1LVA9-2626-SM-EVYD4 50-59 years, male 48.9
GTEX-1PBJJ-1026-SM-E76OS 30-39 years, male 48.6
GTEX-139TS-2126-SM-5K7XC 60-69 years, male 48.5
GTEX-14A5H-0826-SM-5QGPJ 60-69 years, male 48.5
GTEX-1HC8U-1326-SM-9YFMJ 40-49 years, female 48.4
GTEX-1EN7A-2426-SM-793DB 40-49 years, male 48.3
GTEX-13N2G-0226-SM-5K7VF 60-69 years, male 48.1
GTEX-17F9Y-0126-SM-79OKX 70-79 years, female 48.1
GTEX-1KXAM-1626-SM-D3LAD 60-69 years, male 48.1
GTEX-1I1GS-2626-SM-B2LY3 60-69 years, male 48.0
GTEX-1S83E-1326-SM-E6CJM 40-49 years, male 47.9
GTEX-13OVH-0526-SM-5L3E6 70-79 years, male 47.7
GTEX-15ER7-0626-SM-6PANF 20-29 years, female 47.7
GTEX-1JJ6O-2726-SM-CNPOG 60-69 years, male 47.7
GTEX-1KD5A-0126-SM-E9U54 50-59 years, male 47.7
GTEX-1EKGG-0626-SM-7DUGJ 60-69 years, male 47.6
GTEX-13112-0126-SM-5P9IU 50-59 years, male 47.3
GTEX-145MH-2826-SM-5RQJF 50-59 years, male 47.2
GTEX-XOT4-0626-SM-4B66L 60-69 years, female 47.2
GTEX-XXEK-1626-SM-4BRUZ 50-59 years, male 47.1
GTEX-ZC5H-1526-SM-5HL9Y 40-49 years, female 47.1
GTEX-1QCLZ-2426-SM-EVYBW 60-69 years, female 47.1
GTEX-UPJH-0226-SM-3GADV 50-59 years, male 47.0
GTEX-1HKZK-0726-SM-ACKW2 40-49 years, male 47.0
GTEX-14753-0726-SM-5QGQO 60-69 years, male 46.9
GTEX-18A7B-2726-SM-7LG56 70-79 years, male 46.8
GTEX-1GTWX-2026-SM-9YFLM 60-69 years, male 46.8
GTEX-144GM-0526-SM-79OJO 20-29 years, male 46.7
GTEX-1C6WA-2626-SM-7MKGM 60-69 years, male 46.7
GTEX-18A6Q-0626-SM-7KFRP 60-69 years, male 46.5
GTEX-139YR-1026-SM-5LZYN 50-59 years, male 46.4
GTEX-144FL-0626-SM-5LU43 50-59 years, male 46.4
GTEX-1K9T9-1526-SM-DIPFR 50-59 years, female 46.4
GTEX-ZE7O-2726-SM-51MT5 50-59 years, female 46.3
GTEX-13X6K-0626-SM-5LU5D 60-69 years, female 46.2
GTEX-13OW8-1026-SM-5J1NQ 60-69 years, male 46.1
GTEX-WRHU-2826-SM-3MJG8 50-59 years, female 46.1
GTEX-1F48J-0726-SM-7RHGS 50-59 years, female 46.1
GTEX-11ZUS-2626-SM-5FQUR 30-39 years, male 46.0
GTEX-1A3MX-2626-SM-7PC24 60-69 years, male 46.0
GTEX-1H1CY-0126-SM-9YFLY 60-69 years, female 46.0
GTEX-11WQC-1826-SM-5GU59 60-69 years, male 45.9
GTEX-ZVT2-0126-SM-5GIDQ 50-59 years, female 45.8
GTEX-1PIIG-2326-SM-DTXFR 30-39 years, male 45.6
GTEX-11PRG-0726-SM-5EGL1 50-59 years, male 45.5
GTEX-13D11-0926-SM-5J2NC 50-59 years, female 45.5
GTEX-1F6IF-0926-SM-7SB7M 60-69 years, male 45.5
GTEX-1HCU6-2526-SM-ADEHL 60-69 years, female 45.5
GTEX-1RAZS-2526-SM-E6CHT 50-59 years, male 45.5
GTEX-1HCU9-0426-SM-9WYSD 20-29 years, male 45.3
GTEX-1N2EE-0626-SM-E76PW 60-69 years, male 45.3
GTEX-12ZZZ-0726-SM-5GCNZ 60-69 years, male 45.2
GTEX-16Z82-2626-SM-7KULU 60-69 years, male 45.2
GTEX-1BAJH-2426-SM-7IGP8 70-79 years, male 45.2
GTEX-14C5O-0326-SM-5ZZUX 60-69 years, male 45.0
GTEX-1AMFI-1326-SM-7939R 50-59 years, female 45.0
GTEX-X4EO-2926-SM-4E3JH 60-69 years, female 45.0
GTEX-1HBPI-2126-SM-ARL9K 50-59 years, male 45.0
GTEX-111FC-2526-SM-5GZXU 60-69 years, male 44.9
GTEX-13PL6-1126-SM-5L3IE 40-49 years, female 44.8
GTEX-1IOXB-2726-SM-CM2RI 50-59 years, male 44.7
GTEX-16NPX-0726-SM-7KULC 50-59 years, male 44.6
GTEX-1CB4J-1326-SM-7P8RX 60-69 years, male 44.4
GTEX-1I1GV-0626-SM-ARL7M 60-69 years, male 44.4
GTEX-13N11-2326-SM-5IJBF 50-59 years, female 44.3
GTEX-XK95-0226-SM-4AT58 40-49 years, male 44.2
GTEX-13YAN-0226-SM-5TDC6 60-69 years, male 44.1
GTEX-18A7A-0126-SM-731AH 50-59 years, female 44.1
GTEX-UPK5-0426-SM-3GAEK 40-49 years, male 44.1
GTEX-1313W-0626-SM-5EQ4H 50-59 years, female 44.0
GTEX-15DDE-2926-SM-6LLJ3 50-59 years, female 43.9
GTEX-1HCVE-2726-SM-CL54F 50-59 years, male 43.9
GTEX-147GR-2426-SM-5ZZWQ 60-69 years, male 43.8
GTEX-14JG1-1526-SM-5YY9X 40-49 years, male 43.8
GTEX-1A32A-0626-SM-731AQ 50-59 years, female 43.8
GTEX-1EWIQ-0326-SM-7DHMQ 70-79 years, female 43.8
GTEX-1C64N-2626-SM-7PC2N 50-59 years, male 43.8
GTEX-1F75W-2726-SM-7SB8H 60-69 years, male 43.8
GTEX-1F52S-2926-SM-7MKGA 60-69 years, female 43.5
GTEX-ZVT4-2426-SM-5GIEI 50-59 years, female 43.5
GTEX-11DXY-0126-SM-5H11Q 60-69 years, male 43.3
GTEX-1E1VI-0326-SM-793D1 50-59 years, male 43.2
GTEX-ZAJG-1526-SM-5CVML 50-59 years, female 43.2
GTEX-15SKB-2826-SM-6PAMH 60-69 years, male 43.1
GTEX-VUSG-2326-SM-4KL1U 50-59 years, male 43.0
GTEX-1PPGY-1626-SM-EVYBL 60-69 years, male 43.0
GTEX-1CB4F-1026-SM-7DUH1 60-69 years, male 42.9
GTEX-1IDJV-0126-SM-COH3Y 60-69 years, male 42.8
GTEX-14JFF-0626-SM-5ZZVT 60-69 years, male 42.7
GTEX-13O3O-2326-SM-5IJD6 60-69 years, female 42.6
GTEX-15CHQ-0326-SM-69LQD 60-69 years, male 42.5
GTEX-183WM-0326-SM-72D5V 70-79 years, female 42.5
GTEX-1OJC4-2726-SM-E76PJ 50-59 years, female 42.5
GTEX-1A8G6-2726-SM-731AR 60-69 years, male 42.4
GTEX-WK11-2726-SM-3NMAQ 50-59 years, male 42.4
GTEX-ZXG5-2126-SM-59HKD 60-69 years, male 42.4
GTEX-1QP66-1226-SM-DTX7U 50-59 years, male 42.4
GTEX-1I1HK-2326-SM-CKZOH 60-69 years, male 42.3
GTEX-1AMEY-0826-SM-72D65 30-39 years, female 42.2
GTEX-ZYFD-0626-SM-5E44E 50-59 years, male 42.2
GTEX-1F5PL-0926-SM-7PC2W 40-49 years, female 42.1
GTEX-1GZHY-0626-SM-9KNVC 50-59 years, female 42.1
GTEX-13JUV-2026-SM-5K7UA 40-49 years, female 41.9
GTEX-12ZZY-0726-SM-5EQ66 60-69 years, male 41.8
GTEX-1JMQI-1726-SM-ARL93 50-59 years, male 41.8
GTEX-13G51-1826-SM-5KLZH 60-69 years, male 41.5
GTEX-1B8L1-2226-SM-7P8PT 60-69 years, male 41.5
GTEX-1GMR8-0626-SM-7RHI7 50-59 years, female 41.5
GTEX-1117F-2926-SM-5GZYI 60-69 years, female 41.4
GTEX-1C6VQ-1226-SM-73KYD 50-59 years, male 41.4
GTEX-ZYVF-0926-SM-5E44J 50-59 years, female 41.4
GTEX-1LGRB-0926-SM-COH3K 50-59 years, female 41.4
GTEX-13VXU-0626-SM-5L3F9 50-59 years, male 41.3
GTEX-1C6VR-0126-SM-7RHGB 60-69 years, male 41.3
GTEX-111VG-1626-SM-5EGIO 60-69 years, male 41.2
GTEX-1CAV2-0126-SM-7IGN7 40-49 years, female 41.2
GTEX-1J8JJ-0626-SM-ARZMQ 60-69 years, female 41.2
GTEX-14ABY-2026-SM-62LDL 50-59 years, male 41.1
GTEX-XMD2-2126-SM-4YCF8 60-69 years, female 40.8
GTEX-12WSM-1926-SM-5BC65 60-69 years, male 40.6
GTEX-17JCI-2926-SM-7DUFF 60-69 years, female 40.6
GTEX-1GZ2Q-0126-SM-9WG6M 40-49 years, male 40.6
GTEX-1KANB-2826-SM-CY8I6 50-59 years, male 40.6
GTEX-ZE9C-2526-SM-5IJDR 60-69 years, male 40.5
GTEX-ZUA1-2626-SM-5NQ92 40-49 years, male 40.5
GTEX-1LVAO-2726-SM-E9TJ8 60-69 years, male 40.5
GTEX-12KS4-2126-SM-5FQUT 30-39 years, male 40.4
GTEX-131XW-0626-SM-5PNVD 50-59 years, female 40.4
GTEX-11EI6-2826-SM-5H11D 60-69 years, male 40.3
GTEX-145MF-0926-SM-5Q5EA 50-59 years, male 40.3
GTEX-YJ8O-2526-SM-5HL85 40-49 years, female 40.3
GTEX-1I19N-0126-SM-CYPSF 70-79 years, male 40.3
GTEX-1GF9V-0826-SM-9KNUV 60-69 years, male 40.2
GTEX-1269C-0126-SM-5EQ5L 60-69 years, female 40.1
GTEX-11GS4-0226-SM-5HL77 60-69 years, male 40.0
GTEX-12WSC-2826-SM-5BC5Y 50-59 years, male 40.0
GTEX-1314G-1326-SM-5BC6E 30-39 years, male 40.0
GTEX-1S5ZU-2526-SM-E6CIF 20-29 years, female 40.0
GTEX-1B8KZ-0326-SM-73KY4 50-59 years, male 39.8
GTEX-1LSNL-2726-SM-E9TKJ 50-59 years, male 39.8
GTEX-18465-2826-SM-7LT9J 50-59 years, male 39.7
GTEX-1H4P4-2126-SM-9WYSL 50-59 years, male 39.7
GTEX-1IE54-1126-SM-A9G2Z 40-49 years, female 39.7
GTEX-13NZ9-2626-SM-5L3FK 50-59 years, male 39.6
GTEX-1IDFM-0326-SM-ARL7V 60-69 years, male 39.6
GTEX-14LLW-2626-SM-62LDZ 70-79 years, female 39.5
GTEX-Z93S-1626-SM-5CVMB 50-59 years, male 39.5
GTEX-1GMR3-0126-SM-A9SLW 40-49 years, male 39.5
GTEX-17MF6-2626-SM-79OKQ 40-49 years, male 39.3
GTEX-1A8G7-1326-SM-73KVM 60-69 years, male 39.3
GTEX-1JJE9-2626-SM-ARZMT 70-79 years, male 39.3
GTEX-15EO6-2426-SM-6PALZ 50-59 years, male 39.2
GTEX-1GZ4I-2626-SM-9KNU3 50-59 years, male 39.2
GTEX-ZYY3-2926-SM-5GIEB 60-69 years, female 39.1
GTEX-VJYA-1526-SM-3GIJV 60-69 years, male 38.9
GTEX-1F6RS-2026-SM-7RHHC 60-69 years, female 38.9
GTEX-1H3NZ-2726-SM-9WYTQ 60-69 years, male 38.7
GTEX-1RAZR-2126-SM-E9U6T 40-49 years, male 38.7
GTEX-1GN73-0726-SM-7P8TJ 60-69 years, male 38.5
GTEX-1LB8K-0726-SM-D5OV2 50-59 years, male 38.5
GTEX-11NUK-2726-SM-5A5MC 50-59 years, male 38.4
GTEX-1GN1V-2826-SM-9JGIA 60-69 years, male 38.4
GTEX-1HCU8-2526-SM-CE6RX 60-69 years, female 38.4
GTEX-1IDJH-0126-SM-D3L92 70-79 years, male 38.4
GTEX-1477Z-0326-SM-7IGLA 60-69 years, male 38.2
GTEX-1LSVX-2526-SM-DIPEU 60-69 years, male 38.2
GTEX-1B932-2326-SM-79OL5 40-49 years, female 37.8
GTEX-1JN1M-2726-SM-CY8I4 60-69 years, female 37.7
GTEX-13FLV-0126-SM-5K7WT 50-59 years, male 37.6
GTEX-145MO-2826-SM-5LU96 60-69 years, male 37.6
GTEX-1N5O9-0926-SM-E9J3C 60-69 years, male 37.6
GTEX-W5X1-2526-SM-3GILC 40-49 years, female 37.4
GTEX-WYVS-1626-SM-3NM9R 40-49 years, female 37.3
GTEX-12ZZX-2426-SM-5GCOE 40-49 years, female 37.2
GTEX-14BMV-2826-SM-5TDED 50-59 years, male 37.2
GTEX-1R46S-2426-SM-E76QA 60-69 years, female 37.2
GTEX-139D8-1126-SM-5LU8W 30-39 years, female 37.1
GTEX-14PJ2-0626-SM-6LLII 50-59 years, male 37.1
GTEX-17HG3-2626-SM-7DUF2 30-39 years, female 37.0
GTEX-17HHY-0426-SM-7DHLC 50-59 years, male 37.0
GTEX-1GF9U-2026-SM-7SB92 40-49 years, female 36.9
GTEX-1EU9M-1426-SM-793AI 60-69 years, male 36.8
GTEX-ZVE2-2826-SM-5GU51 50-59 years, male 36.8
GTEX-144GL-0626-SM-5LU4D 50-59 years, male 36.6
GTEX-11DXW-0826-SM-5H118 40-49 years, male 36.5
GTEX-14E6C-2426-SM-5S2NF 40-49 years, male 36.4
GTEX-145LS-0626-SM-7EPG7 60-69 years, female 36.2
GTEX-V1D1-2026-SM-3GAF4 50-59 years, male 36.2
GTEX-139UW-0326-SM-5J1ML 60-69 years, male 35.9
GTEX-1B933-2426-SM-7DHMD 50-59 years, female 35.9
GTEX-1HSKV-1226-SM-ADEI4 60-69 years, male 35.9
GTEX-1212Z-0126-SM-59HK4 60-69 years, male 35.6
GTEX-131YS-2826-SM-5EQ47 60-69 years, female 35.6
GTEX-WYBS-0626-SM-3NMAS 60-69 years, female 35.5
GTEX-X8HC-0626-SM-4E3HQ 50-59 years, female 35.5
GTEX-14A6H-2026-SM-5Q5DD 30-39 years, male 35.3
GTEX-13SLW-0626-SM-5Q5ER 70-79 years, male 35.1
GTEX-1GN1U-0626-SM-9MQL9 50-59 years, female 35.0
GTEX-1HT8W-0626-SM-A9G2H 30-39 years, male 34.8
GTEX-1JMQL-2226-SM-CNPP4 50-59 years, female 34.8
GTEX-1JN6P-2926-SM-CL54D 60-69 years, male 34.7
GTEX-1GF9W-1426-SM-7PBYM 60-69 years, male 34.6
GTEX-1IL2V-1926-SM-B2LW8 70-79 years, male 34.6
GTEX-1B8SF-0126-SM-7DUG3 60-69 years, male 34.4
GTEX-1HR9M-2226-SM-CNPPY 60-69 years, male 34.3
GTEX-1I1CD-0626-SM-CE6SW 60-69 years, female 34.1
GTEX-1QMI2-2526-SM-E8VNZ 60-69 years, male 34.1
GTEX-15D1Q-2826-SM-6LLH7 40-49 years, male 33.6
GTEX-13X6J-0626-SM-5LU5F 50-59 years, male 33.3
GTEX-1F88F-0126-SM-9WYSZ 60-69 years, female 33.3
GTEX-ZVE1-0726-SM-51MRN 50-59 years, female 33.1
GTEX-11UD2-2526-SM-5CVNU 50-59 years, male 33.0
GTEX-1M4P7-0726-SM-E6CJ3 60-69 years, male 33.0
GTEX-1HR98-2226-SM-ADEI2 60-69 years, male 32.9
GTEX-13OVL-0126-SM-5L3GJ 50-59 years, male 32.7
GTEX-14DAQ-0626-SM-793DS 60-69 years, female 32.6
GTEX-11EQ8-0926-SM-5H12V 60-69 years, male 32.3
GTEX-1GN2E-0226-SM-9WG6K 60-69 years, male 32.3
GTEX-11TUW-0626-SM-5LU9M 60-69 years, male 31.9
GTEX-13OW7-0426-SM-5K7VK 50-59 years, male 31.6
GTEX-1JMPZ-0726-SM-CY8HZ 30-39 years, male 31.5
GTEX-148VJ-0626-SM-5LUAW 70-79 years, male 31.4
GTEX-1EX96-1026-SM-7MKG2 50-59 years, male 31.2
GTEX-1H23P-0626-SM-9WG6T 60-69 years, male 31.0
GTEX-Y5V5-0126-SM-5S2NW 60-69 years, female 30.9
GTEX-1GPI6-1926-SM-9KNV7 60-69 years, male 30.8
GTEX-1A8FM-0626-SM-7PC25 50-59 years, female 30.6
GTEX-1KWVE-1026-SM-D3L9O 30-39 years, male 30.6
GTEX-11GSP-2326-SM-5HL63 60-69 years, female 30.5
GTEX-1QEPI-2626-SM-DTXF4 60-69 years, female 30.4
GTEX-1F88E-1626-SM-7SB8Z 60-69 years, female 30.2
GTEX-ZYFC-0426-SM-5GICQ 50-59 years, male 29.9
GTEX-13NZ8-1226-SM-5KM4A 60-69 years, female 29.6
GTEX-13N1W-2426-SM-5IJD1 70-79 years, male 29.0
GTEX-1HSMO-0626-SM-ACKXC 60-69 years, male 28.8
GTEX-147JS-0226-SM-5S2U9 60-69 years, male 28.5
GTEX-145MI-0626-SM-5SI8S 60-69 years, female 28.2
GTEX-1ICLY-0826-SM-CMKG1 50-59 years, male 28.2
GTEX-1HUB1-1426-SM-CGQF5 60-69 years, male 26.9
GTEX-11WQK-1026-SM-5EQLX 50-59 years, male 25.1
Show allShow less
Skin - Sun Exposed (Lower leg)
Average nTPM: 53.5
Samples: 701

Max nTPM: 124.0
Min nTPM: 17.9
Std nTPM: 15.9
Median nTPM: 50.3
GTEX-1399U-2326-SM-5K7WY 50-59 years, female 124.0
GTEX-P4QT-0126-SM-2I3FL 50-59 years, female 118.7
GTEX-1497J-2426-SM-7IGNX 60-69 years, male 118.5
GTEX-NPJ8-0126-SM-2YUNR 40-49 years, male 114.5
GTEX-P4PP-0126-SM-3LK69 30-39 years, female 111.3
GTEX-ZTX8-1426-SM-5DUVO 20-29 years, male 106.4
GTEX-O5YW-0126-SM-3LK6D 50-59 years, male 101.8
GTEX-1L5NE-2526-SM-E6CIE 50-59 years, male 100.4
GTEX-15ETS-0126-SM-7KUMW 40-49 years, female 98.6
GTEX-15UF6-0826-SM-6PALJ 70-79 years, female 98.2
GTEX-Y114-2426-SM-4TT8A 50-59 years, female 98.0
GTEX-1122O-2126-SM-5EGIR 60-69 years, female 97.4
GTEX-SE5C-1626-SM-2XCE3 40-49 years, female 96.5
GTEX-1K2DU-2326-SM-E9TIV 20-29 years, male 96.4
GTEX-13FTW-2626-SM-5K7WL 40-49 years, male 96.3
GTEX-XUZC-1726-SM-4BRWS 30-39 years, female 95.1
GTEX-P4PQ-0126-SM-2S1NM 60-69 years, male 91.2
GTEX-1PFEY-1526-SM-E76PP 30-39 years, male 89.7
GTEX-NFK9-0226-SM-2HMKQ 40-49 years, male 89.6
GTEX-1K2DA-1826-SM-CGQGT 50-59 years, male 89.5
GTEX-POMQ-2226-SM-2I5FK 20-29 years, female 89.2
GTEX-145MN-2226-SM-5SIAU 30-39 years, male 88.6
GTEX-X4XY-0226-SM-4E3IZ 60-69 years, male 88.2
GTEX-S33H-1026-SM-EZ6L6 30-39 years, male 87.6
GTEX-OIZH-0126-SM-2HMIS 50-59 years, male 86.5
GTEX-14E6E-1826-SM-5S2R7 30-39 years, male 86.0
GTEX-PSDG-0226-SM-DKPOZ 50-59 years, male 85.9
GTEX-11TT1-2526-SM-5EGIB 20-29 years, male 85.2
GTEX-SUCS-1926-SM-32PM3 70-79 years, male 84.9
GTEX-XYKS-2126-SM-4E3IB 60-69 years, female 84.7
GTEX-OOBJ-0126-SM-E6CJW 60-69 years, male 84.5
GTEX-1OJC3-0126-SM-E76QX 20-29 years, male 84.4
GTEX-14BMU-2226-SM-5TDE9 20-29 years, female 84.2
GTEX-O5YT-0126-SM-48TBW 20-29 years, male 83.8
GTEX-WH7G-2326-SM-3NMBC 40-49 years, male 83.8
GTEX-ZDYS-2026-SM-5HL5L 50-59 years, male 83.1
GTEX-11DXZ-2326-SM-5EGGV 50-59 years, male 82.7
GTEX-1HBPN-0226-SM-9YFM1 50-59 years, male 82.7
GTEX-WYJK-0126-SM-3NMAB 50-59 years, male 81.8
GTEX-W5X1-3026-SM-EAZAX 40-49 years, female 81.4
GTEX-1CB4I-0226-SM-79OLH 50-59 years, male 81.1
GTEX-1S3DN-2226-SM-EVYCD 50-59 years, male 81.1
GTEX-1LSNM-1926-SM-E6CII 50-59 years, male 80.8
GTEX-14ICK-0226-SM-6EU25 40-49 years, male 80.6
GTEX-T2YK-0526-SM-32QPJ 50-59 years, male 80.5
GTEX-1OFPY-2426-SM-DTXEJ 60-69 years, male 80.1
GTEX-1HSMP-0126-SM-E6CJS 70-79 years, male 79.1
GTEX-RVPV-0126-SM-EAZAW 60-69 years, male 78.9
GTEX-Q2AI-1326-SM-2S1PL 40-49 years, male 78.7
GTEX-OHPL-0126-SM-2HMJ7 60-69 years, female 78.6
GTEX-Y5V6-2426-SM-4VDSB 60-69 years, male 78.5
GTEX-PWCY-1826-SM-DHXIZ 20-29 years, female 78.4
GTEX-1QP9N-1426-SM-DTXFL 30-39 years, male 78.2
GTEX-11P7K-2126-SM-5GU7G 30-39 years, male 78.1
GTEX-18QFQ-0126-SM-731BE 30-39 years, male 77.9
GTEX-TMZS-0126-SM-3DB9Q 60-69 years, male 77.4
GTEX-1I4MK-2226-SM-ACKWD 50-59 years, female 77.2
GTEX-U8XE-0326-SM-3DB8P 30-39 years, male 77.0
GTEX-ZXES-1826-SM-5E43S 30-39 years, female 76.8
GTEX-OXRL-0126-SM-2YUMP 50-59 years, male 76.7
GTEX-ZVTK-0426-SM-51MRS 20-29 years, male 76.6
GTEX-17F98-0626-SM-79OMX 40-49 years, female 76.5
GTEX-18D9A-1926-SM-7LG6P 30-39 years, female 76.5
GTEX-1JMPY-1326-SM-ARL8Y 30-39 years, male 76.5
GTEX-TKQ1-1026-SM-4GICL 30-39 years, male 76.3
GTEX-15SB6-1726-SM-6PAME 50-59 years, female 76.1
GTEX-1JJ6O-0126-SM-E6CI8 60-69 years, male 75.8
GTEX-Y5LM-1926-SM-5RQJH 40-49 years, female 75.6
GTEX-1J1R8-1726-SM-ARL8M 40-49 years, male 75.4
GTEX-145LV-2126-SM-5LU8N 50-59 years, male 75.2
GTEX-1HBPM-0226-SM-ARL9F 60-69 years, female 75.1
GTEX-1N2DV-0226-SM-E6CJ6 40-49 years, male 75.1
GTEX-14XAO-2326-SM-6EU1B 60-69 years, female 75.0
GTEX-X88G-0126-SM-47JZ3 30-39 years, male 75.0
GTEX-1A3MX-0126-SM-731BR 60-69 years, male 74.9
GTEX-12WSK-2326-SM-5GCOH 40-49 years, female 74.7
GTEX-17GQL-2026-SM-718BA 60-69 years, male 74.6
GTEX-QV44-1926-SM-2S1RF 50-59 years, male 74.4
GTEX-14753-0426-SM-5NQAM 60-69 years, male 74.2
GTEX-YB5E-2026-SM-5IFIS 40-49 years, male 74.0
GTEX-12WSJ-1826-SM-5GCNY 40-49 years, female 73.8
GTEX-ZVT2-2526-SM-51MT1 50-59 years, female 73.7
GTEX-14PK6-1926-SM-6ETZU 70-79 years, female 73.5
GTEX-15RIG-0226-SM-7KFTL 40-49 years, male 73.5
GTEX-XAJ8-0826-SM-47JY6 40-49 years, male 73.2
GTEX-13O21-1426-SM-5K7XI 50-59 years, male 73.1
GTEX-1R7EU-0226-SM-EVR4G 60-69 years, male 72.9
GTEX-1RAZA-0126-SM-E6CI3 20-29 years, male 72.9
GTEX-RTLS-0126-SM-447CA 60-69 years, female 72.3
GTEX-UJHI-1526-SM-3DB99 50-59 years, female 71.9
GTEX-13CF2-2526-SM-5LZYX 60-69 years, male 71.8
GTEX-1PPH8-0226-SM-E8VND 20-29 years, male 71.3
GTEX-1KAFJ-2026-SM-CY8ID 50-59 years, male 71.0
GTEX-T8EM-1026-SM-3DB7M 40-49 years, male 70.9
GTEX-1MA7W-2026-SM-E9TJ6 20-29 years, female 70.8
GTEX-13YAN-0326-SM-5O9DF 60-69 years, male 70.7
GTEX-RUSQ-1526-SM-2TF62 50-59 years, male 70.6
GTEX-1J8QM-2126-SM-CYPSJ 60-69 years, female 70.6
GTEX-Y3IK-2426-SM-4WWDU 50-59 years, female 70.4
GTEX-14PHX-2326-SM-62LEM 50-59 years, male 70.3
GTEX-117YX-2326-SM-5H12W 50-59 years, male 70.2
GTEX-1LC47-0326-SM-E9TJP 60-69 years, male 69.5
GTEX-146FQ-0126-SM-5NQA9 30-39 years, male 69.4
GTEX-11DZ1-0126-SM-5985Q 50-59 years, male 69.3
GTEX-11UD1-0126-SM-5PNYG 40-49 years, female 69.0
GTEX-PLZ6-1426-SM-DKPOT 30-39 years, male 69.0
GTEX-XBEW-0626-SM-4QASP 40-49 years, male 68.9
GTEX-1GZ4H-1726-SM-7PBZJ 50-59 years, female 68.7
GTEX-ZV6S-2326-SM-4YCEY 40-49 years, female 68.6
GTEX-131XF-5016-SM-7MGWE 60-69 years, male 68.6
GTEX-1S5ZA-0126-SM-EVYCV 20-29 years, male 68.6
GTEX-QLQ7-1626-SM-2S1R8 60-69 years, male 68.5
GTEX-1LG7Z-1726-SM-D3LA4 30-39 years, male 68.4
GTEX-1LVAN-0226-SM-COH3S 50-59 years, female 68.4
GTEX-XQ8I-0426-SM-4BOPO 50-59 years, male 68.0
GTEX-ZDTT-2726-SM-4WKF8 60-69 years, male 68.0
GTEX-ZVZO-0126-SM-5A5L9 40-49 years, male 67.9
GTEX-13NZ8-0826-SM-5MR3I 60-69 years, female 67.6
GTEX-13X6H-2126-SM-7EWD5 50-59 years, female 67.6
GTEX-1A3MW-0126-SM-73KXX 60-69 years, female 67.4
GTEX-1CAV2-2226-SM-7P8P2 40-49 years, female 67.4
GTEX-13RTK-1426-SM-5QGQJ 20-29 years, male 67.3
GTEX-1H2FU-0126-SM-9WYSI 60-69 years, female 67.3
GTEX-WRHK-1426-SM-3MJF9 20-29 years, female 67.2
GTEX-X585-0226-SM-4QAS2 50-59 years, male 67.2
GTEX-1CAMS-0426-SM-7P8T2 40-49 years, female 67.2
GTEX-11XUK-2026-SM-5EQLF 40-49 years, female 67.1
GTEX-ZVZP-2426-SM-59HKJ 50-59 years, male 66.9
GTEX-1ICLZ-0126-SM-CKZPO 60-69 years, male 66.9
GTEX-13IVO-0126-SM-5J1NG 70-79 years, male 66.8
GTEX-15UKP-0426-SM-7KUFQ 20-29 years, male 66.7
GTEX-1QCLY-0326-SM-E8VOG 30-39 years, male 66.7
GTEX-13OVH-0126-SM-5MR4B 70-79 years, male 66.6
GTEX-1CB4H-0226-SM-7PBXM 60-69 years, female 66.5
GTEX-13PDP-0126-SM-5L3HD 60-69 years, male 66.1
GTEX-1HSEH-0126-SM-ACKXN 60-69 years, male 66.1
GTEX-1192X-0226-SM-5H12D 50-59 years, male 65.9
GTEX-12126-0326-SM-5PNW3 20-29 years, male 65.9
GTEX-WY7C-2326-SM-3NB2U 50-59 years, male 65.9
GTEX-1S82Y-2026-SM-EVYCM 40-49 years, male 65.9
GTEX-1H3VE-0326-SM-9YFLH 40-49 years, male 65.8
GTEX-16MT8-0426-SM-7KUEY 60-69 years, female 65.7
GTEX-PLZ4-0126-SM-5SI8O 50-59 years, female 65.7
GTEX-S7PM-0126-SM-4AD6S 60-69 years, male 65.6
GTEX-1NV5F-0226-SM-E8VNY 60-69 years, female 65.6
GTEX-1211K-2026-SM-5EQ4Z 60-69 years, female 65.5
GTEX-17EUY-0426-SM-793BD 20-29 years, male 65.5
GTEX-1HCUA-2426-SM-ADEIS 50-59 years, female 65.5
GTEX-ZYFG-2326-SM-5E44B 60-69 years, female 65.4
GTEX-117XS-2726-SM-5N9BL 60-69 years, male 65.3
GTEX-13111-1626-SM-5EGJY 50-59 years, male 65.3
GTEX-ZV68-0126-SM-59HKS 50-59 years, female 65.2
GTEX-1AX8Z-0126-SM-7DHM6 60-69 years, male 65.1
GTEX-18D9U-0226-SM-718BP 40-49 years, male 64.9
GTEX-144GN-2326-SM-5LU4F 50-59 years, male 64.8
GTEX-14PJ3-1826-SM-62LEX 50-59 years, male 64.8
GTEX-1GF9X-2026-SM-7PC3A 40-49 years, female 64.7
GTEX-1ICG6-2526-SM-CGQFZ 70-79 years, female 64.7
GTEX-11DXX-2426-SM-5GZZW 60-69 years, female 64.6
GTEX-1CB4E-2226-SM-793DC 60-69 years, male 64.6
GTEX-T5JW-1626-SM-3GADZ 20-29 years, female 64.5
GTEX-13FH7-2026-SM-E9J4I 50-59 years, female 64.5
GTEX-1PDJ9-0326-SM-DTX95 20-29 years, male 64.5
GTEX-1B97I-1626-SM-73KYO 40-49 years, male 64.4
GTEX-1GPI7-0126-SM-9MQL8 20-29 years, male 64.4
GTEX-Y3I4-2126-SM-4TT7C 50-59 years, male 64.3
GTEX-1MGNQ-0126-SM-EVYCJ 40-49 years, male 64.2
GTEX-13113-5016-SM-7EPIP 60-69 years, female 63.7
GTEX-1B8KE-2126-SM-73KYX 50-59 years, male 63.7
GTEX-ZF29-2326-SM-DO92K 60-69 years, female 63.7
GTEX-14PJ6-2126-SM-6EU1V 60-69 years, female 63.6
GTEX-RM2N-1426-SM-2TF4H 50-59 years, male 63.6
GTEX-WI4N-1026-SM-3LK7N 40-49 years, female 63.6
GTEX-PLZ5-2026-SM-2S1O4 50-59 years, male 63.5
GTEX-169BO-1326-SM-9MQK2 50-59 years, male 63.5
GTEX-1S82Z-0826-SM-E6CHY 30-39 years, female 63.5
GTEX-1F6RS-0126-SM-9MQKZ 60-69 years, female 63.4
GTEX-1MCYP-1926-SM-E9J2R 20-29 years, female 63.4
GTEX-1JKYR-0126-SM-CNPOJ 20-29 years, male 63.3
GTEX-XUW1-0426-SM-4BOOT 50-59 years, female 63.1
GTEX-1KANC-1526-SM-D3LAB 50-59 years, female 63.0
GTEX-14PII-0226-SM-6EU1T 60-69 years, male 62.9
GTEX-TML8-1926-SM-32QOS 40-49 years, female 62.9
GTEX-ZTPG-0326-SM-5O9AX 20-29 years, female 62.9
GTEX-ZZ64-1726-SM-5GZYB 20-29 years, male 62.9
GTEX-11EM3-2426-SM-59861 20-29 years, female 62.8
GTEX-XPVG-2626-SM-4B669 50-59 years, male 62.5
GTEX-S95S-1226-SM-4GICG 60-69 years, male 62.4
GTEX-13QJ3-0326-SM-5S2RA 50-59 years, male 62.3
GTEX-1AX9J-0226-SM-73KXM 60-69 years, male 62.3
GTEX-U3ZM-1526-SM-3DB9D 40-49 years, male 62.3
GTEX-1I1GV-0526-SM-A9G29 60-69 years, male 62.2
GTEX-1A3MV-1926-SM-718BT 30-39 years, male 61.9
GTEX-Q734-1926-SM-2I5EV 40-49 years, female 61.9
GTEX-WXYG-2326-SM-4E3I6 50-59 years, female 61.8
GTEX-12696-2426-SM-5EQ6H 60-69 years, male 61.7
GTEX-YEC4-2126-SM-5IFJH 40-49 years, male 61.5
GTEX-145MO-0326-SM-5Q5B3 60-69 years, male 61.4
GTEX-1MUQO-0126-SM-EAZ58 60-69 years, male 61.2
GTEX-15SHU-0126-SM-7KUEH 40-49 years, female 60.9
GTEX-1I1GT-0626-SM-CGQER 60-69 years, female 60.9
GTEX-ZQG8-1626-SM-DHXIT 60-69 years, female 60.9
GTEX-13N2G-2626-SM-5J1OT 60-69 years, male 60.8
GTEX-1J1OQ-0226-SM-CYPSH 40-49 years, female 60.6
GTEX-1HGF4-2426-SM-ACKXM 60-69 years, male 60.5
GTEX-139TS-2826-SM-5J1OO 60-69 years, male 60.1
GTEX-1I6K6-0126-SM-A9SLE 30-39 years, male 60.1
GTEX-1KXAM-2226-SM-CYPTC 60-69 years, male 60.0
GTEX-X4XX-0126-SM-3NMC2 60-69 years, male 59.8
GTEX-139D8-0226-SM-5KLZO 30-39 years, female 59.6
GTEX-ZAB4-0226-SM-5N9F5 40-49 years, male 59.6
GTEX-18A67-0126-SM-7LG5P 50-59 years, male 59.4
GTEX-17F96-1626-SM-7DUFL 70-79 years, male 59.3
GTEX-OHPM-0126-SM-2YUN9 50-59 years, male 59.2
GTEX-1M5QR-1226-SM-EWROB 40-49 years, male 59.2
GTEX-W5WG-1826-SM-4KL2Y 50-59 years, female 59.1
GTEX-1IDJH-0326-SM-A9SLQ 70-79 years, male 59.1
GTEX-139T8-0126-SM-5K7XZ 60-69 years, male 59.0
GTEX-17EVQ-0226-SM-7LG4P 70-79 years, male 59.0
GTEX-1CAMR-1926-SM-7EPI2 20-29 years, male 58.9
GTEX-1HSGN-0226-SM-CGQFV 40-49 years, female 58.9
GTEX-R45C-0126-SM-EAZ2R 60-69 years, female 58.9
GTEX-131XE-2326-SM-5PNZ2 50-59 years, male 58.8
GTEX-13X6I-0626-SM-5QGP9 60-69 years, male 58.8
GTEX-1GF9U-2126-SM-7SB7L 40-49 years, female 58.6
GTEX-12C56-1726-SM-5EQ61 20-29 years, male 58.5
GTEX-T6MN-0126-SM-32PLP 50-59 years, male 58.5
GTEX-X4EP-0126-SM-3P5YV 60-69 years, female 58.5
GTEX-13PVR-2326-SM-5QGR1 60-69 years, female 58.4
GTEX-ZF28-0126-SM-4WKGK 60-69 years, male 58.4
GTEX-PX3G-0126-SM-2I3EN 20-29 years, female 58.3
GTEX-YB5K-2126-SM-4WWDJ 40-49 years, female 58.3
GTEX-RWS6-2026-SM-2XCB5 60-69 years, female 58.2
GTEX-11LCK-1026-SM-5A5KB 30-39 years, male 58.1
GTEX-144FL-0126-SM-5TDC8 50-59 years, male 58.1
GTEX-1RAZQ-0726-SM-EAZ43 30-39 years, male 58.0
GTEX-1RLM8-2326-SM-EWRN4 50-59 years, male 57.6
GTEX-1JMQI-2226-SM-CM2SD 50-59 years, male 57.5
GTEX-1QP66-1726-SM-E8VO1 50-59 years, male 57.5
GTEX-ZGAY-0526-SM-4WWBB 40-49 years, female 57.4
GTEX-1QPFJ-0226-SM-E76PB 30-39 years, female 57.4
GTEX-13SLW-0126-SM-5SI6C 70-79 years, male 57.2
GTEX-1H1CY-2826-SM-9MQM3 60-69 years, female 57.2
GTEX-1R46S-0626-SM-E9J41 60-69 years, female 57.2
GTEX-X261-0126-SM-3NMD6 50-59 years, male 57.1
GTEX-13NZB-2526-SM-5J1OM 30-39 years, male 57.0
GTEX-13CF3-2426-SM-5IFGX 60-69 years, female 56.9
GTEX-183FY-0126-SM-7LT9P 20-29 years, male 56.8
GTEX-11P82-1626-SM-59879 20-29 years, male 56.7
GTEX-1NHNU-1026-SM-E9J2A 50-59 years, male 56.7
GTEX-14JG6-2226-SM-6EU2G 30-39 years, female 56.6
GTEX-U412-0426-SM-3DB9O 60-69 years, male 56.6
GTEX-Z93T-0126-SM-5HL5N 50-59 years, male 56.4
GTEX-15EU6-0426-SM-6PAN5 50-59 years, male 56.3
GTEX-Y8E4-0626-SM-4WWDL 40-49 years, male 56.3
GTEX-1I1GU-2226-SM-CGQFA 40-49 years, male 56.3
GTEX-11OC5-0126-SM-5HL6A 60-69 years, male 56.2
GTEX-131XG-2626-SM-5KM17 50-59 years, female 56.1
GTEX-OOBK-0126-SM-2YUND 40-49 years, male 56.0
GTEX-QVJO-1626-SM-2S1QW 60-69 years, female 56.0
GTEX-1R7EV-2426-SM-EVYBG 40-49 years, male 55.9
GTEX-XBED-2226-SM-47JYQ 60-69 years, male 55.8
GTEX-15G19-0126-SM-6PANQ 60-69 years, male 55.7
GTEX-U8T8-0126-SM-3DB94 60-69 years, male 55.6
GTEX-ZQUD-1426-SM-57WER 30-39 years, male 55.6
GTEX-1C64O-0126-SM-7SB8P 60-69 years, male 55.6
GTEX-1R9PM-2026-SM-E76OY 20-29 years, male 55.6
GTEX-QDVJ-1726-SM-2I5FX 50-59 years, male 55.5
GTEX-ZF3C-0126-SM-DO92D 50-59 years, female 55.5
GTEX-1IDJF-0126-SM-CM2RS 20-29 years, male 55.4
GTEX-1IKK5-0626-SM-ARL8A 60-69 years, male 55.3
GTEX-ZWKS-0126-SM-5SIAA 30-39 years, male 55.2
GTEX-1HSMQ-1226-SM-CGQFX 50-59 years, male 55.2
GTEX-13D11-2426-SM-5KM1V 50-59 years, female 55.0
GTEX-X5EB-2226-SM-46MW4 40-49 years, male 55.0
GTEX-1PIGE-0126-SM-EVYBJ 20-29 years, male 54.9
GTEX-14PN3-2426-SM-6LLHS 60-69 years, female 54.8
GTEX-1H1DG-0126-SM-9WYU2 70-79 years, male 54.8
GTEX-13RTJ-2426-SM-5S2Q2 60-69 years, male 54.7
GTEX-1314G-1526-SM-5EGK2 30-39 years, male 54.6
GTEX-14C5O-0126-SM-5SI6N 60-69 years, male 54.6
GTEX-14PN4-0126-SM-6EU2V 50-59 years, male 54.6
GTEX-1PPH7-2326-SM-EVYB8 40-49 years, male 54.6
GTEX-11EQ9-2426-SM-5HL5T 30-39 years, male 54.3
GTEX-131YS-0126-SM-5KM1M 60-69 years, female 54.3
GTEX-1QP29-0626-SM-EWRMX 50-59 years, male 54.3
GTEX-1S83E-0126-SM-EWRO4 40-49 years, male 54.3
GTEX-1399R-2726-SM-5IJBA 30-39 years, male 54.1
GTEX-15F5U-1526-SM-6PANO 40-49 years, male 54.1
GTEX-1HCU8-0626-SM-A9SM9 60-69 years, female 54.1
GTEX-16BQI-0226-SM-7KUEX 30-39 years, female 53.9
GTEX-1AYCT-2426-SM-7IGQ3 50-59 years, male 53.9
GTEX-1KANA-0726-SM-D3L9I 20-29 years, male 53.8
GTEX-13FXS-0226-SM-5IJCK 50-59 years, male 53.5
GTEX-OXRN-0126-SM-48TDM 50-59 years, male 53.5
GTEX-17MFQ-1726-SM-793C7 20-29 years, male 53.2
GTEX-WFON-2126-SM-3LK7O 40-49 years, male 53.2
GTEX-1F75B-0126-SM-9KNVL 50-59 years, male 53.0
GTEX-14JG1-0426-SM-6ETZZ 40-49 years, male 52.9
GTEX-OIZG-0726-SM-33HBL 50-59 years, male 52.9
GTEX-ZVT3-0126-SM-5GU6I 60-69 years, female 52.8
GTEX-11GS4-2726-SM-5A5LE 60-69 years, male 52.6
GTEX-15CHC-2126-SM-6EU21 60-69 years, female 52.6
GTEX-Y8DK-0126-SM-4TT3L 60-69 years, male 52.6
GTEX-13OVI-1426-SM-5L3EY 60-69 years, female 52.5
GTEX-13VXT-0126-SM-5LU4I 20-29 years, female 52.5
GTEX-15SDE-2226-SM-7IGLO 50-59 years, female 52.4
GTEX-1J8Q3-1626-SM-CMKGC 60-69 years, male 52.4
GTEX-13OVJ-0126-SM-5KM36 50-59 years, female 52.3
GTEX-18A66-0226-SM-718BD 60-69 years, male 52.2
GTEX-1GL5R-1826-SM-9KNUY 50-59 years, male 52.2
GTEX-1JKYN-1326-SM-CGQG9 30-39 years, male 52.2
GTEX-12WSN-5019-SM-79OM6 40-49 years, male 52.0
GTEX-ZYY3-0126-SM-5GZY5 60-69 years, female 52.0
GTEX-1EMGI-0126-SM-9KNUE 60-69 years, male 52.0
GTEX-13OW7-0126-SM-5MR3B 50-59 years, male 51.9
GTEX-13W3W-2426-SM-5LU5B 60-69 years, female 51.9
GTEX-S7SE-0126-SM-2XCD5 50-59 years, male 51.9
GTEX-QLQW-1126-SM-2S1Q8 30-39 years, male 51.8
GTEX-ZDTS-0126-SM-4WAY5 60-69 years, male 51.8
GTEX-14DAR-2026-SM-5S2O3 50-59 years, male 51.6
GTEX-OXRK-0226-SM-3NB2G 50-59 years, female 51.6
GTEX-Y8LW-1826-SM-5S2MV 50-59 years, female 51.6
GTEX-1EWIQ-0126-SM-7RHH2 70-79 years, female 51.6
GTEX-14LZ3-0226-SM-62LET 60-69 years, female 51.5
GTEX-18A6Q-0126-SM-731BZ 60-69 years, male 51.4
GTEX-1LB8K-0226-SM-EWRNW 50-59 years, male 51.4
GTEX-13OVK-2026-SM-7KUEO 40-49 years, male 51.3
GTEX-1H1ZS-0426-SM-9WG6G 70-79 years, male 51.2
GTEX-1IDJU-2626-SM-CM2RT 60-69 years, female 51.2
GTEX-111FC-0126-SM-5N9DL 60-69 years, male 51.1
GTEX-1GN1U-0126-SM-7PBZK 50-59 years, female 51.1
GTEX-WQUQ-0426-SM-3MJFU 60-69 years, male 51.0
GTEX-1H3VY-0126-SM-ACKXD 50-59 years, male 51.0
GTEX-1IL2U-0226-SM-CE6T8 60-69 years, male 51.0
GTEX-1PIIG-0226-SM-EWRN6 30-39 years, male 51.0
GTEX-11DYG-0126-SM-59883 60-69 years, male 50.9
GTEX-1313W-0126-SM-5LZUN 50-59 years, female 50.8
GTEX-T6MO-1626-SM-32QOM 40-49 years, female 50.8
GTEX-1AMFI-2026-SM-731BH 50-59 years, female 50.7
GTEX-WFG8-2226-SM-3GIL9 20-29 years, male 50.7
GTEX-132NY-0326-SM-5IJBL 60-69 years, male 50.6
GTEX-145MF-0626-SM-5LUAI 50-59 years, male 50.5
GTEX-117YW-2626-SM-5GZZH 50-59 years, male 50.4
GTEX-139T4-0226-SM-5HL5S 50-59 years, female 50.3
GTEX-13FHO-0226-SM-5IFGY 60-69 years, male 50.3
GTEX-13NYB-2526-SM-5K7Z6 40-49 years, male 50.3
GTEX-13W46-0226-SM-5SIAG 50-59 years, male 50.3
GTEX-17HHY-0126-SM-7LG5D 50-59 years, male 50.3
GTEX-QEG4-0226-SM-2S1PY 30-39 years, male 50.3
GTEX-SIU8-0126-SM-2XCDT 50-59 years, male 50.3
GTEX-PW2O-1526-SM-7RHHB 20-29 years, male 50.3
GTEX-QDT8-0126-SM-48TZ1 30-39 years, female 50.2
GTEX-16GPK-0126-SM-7DHLE 60-69 years, male 50.1
GTEX-14E6D-0126-SM-62LDV 50-59 years, male 50.0
GTEX-17F97-0326-SM-7LG5B 50-59 years, male 50.0
GTEX-WVJS-0126-SM-4MVOT 50-59 years, male 49.9
GTEX-ZF2S-2326-SM-4WWCE 50-59 years, female 49.9
GTEX-13N11-2526-SM-5K7UE 50-59 years, female 49.8
GTEX-11DXW-0226-SM-5H122 40-49 years, male 49.6
GTEX-147F3-0526-SM-5SI98 50-59 years, female 49.6
GTEX-Z93S-0126-SM-5HL7M 50-59 years, male 49.6
GTEX-SN8G-0126-SM-32PLI 50-59 years, female 49.5
GTEX-1J8EW-0126-SM-CJI4F 60-69 years, female 49.5
GTEX-17JCI-0126-SM-7LG5G 60-69 years, female 49.4
GTEX-1F75I-0326-SM-9YFLU 40-49 years, male 49.4
GTEX-1GZ2Q-0226-SM-7P8TL 40-49 years, male 49.4
GTEX-1HCU6-0126-SM-CL54K 60-69 years, female 49.4
GTEX-1KD4Q-0226-SM-E9TJ9 40-49 years, male 49.4
GTEX-XXEK-2226-SM-4BRUM 50-59 years, male 49.1
GTEX-1KD5A-0226-SM-D5OV3 50-59 years, male 49.1
GTEX-1LGRB-2526-SM-CNPPQ 50-59 years, female 49.1
GTEX-145LT-1726-SM-5QGP3 40-49 years, male 49.0
GTEX-13O3Q-2426-SM-5IJBR 50-59 years, male 48.9
GTEX-13NYS-0126-SM-5MR3W 60-69 years, male 48.8
GTEX-1JMPZ-0226-SM-CNPP1 30-39 years, male 48.8
GTEX-1AMEY-1326-SM-73KYK 30-39 years, female 48.7
GTEX-133LE-1826-SM-5J1MV 20-29 years, female 48.6
GTEX-R55G-2526-SM-2TC6D 40-49 years, female 48.6
GTEX-XQ3S-1526-SM-4BOOC 20-29 years, male 48.6
GTEX-1JK1U-2026-SM-CM2RZ 60-69 years, male 48.6
GTEX-1JMQK-0226-SM-CL543 60-69 years, male 48.6
GTEX-139UW-2826-SM-5L3E7 60-69 years, male 48.4
GTEX-113IC-0126-SM-5HL6T 60-69 years, male 48.3
GTEX-ZAK1-0126-SM-5IJD3 50-59 years, female 48.3
GTEX-1HCVE-0126-SM-CGQEU 50-59 years, male 48.3
GTEX-1QP2A-0126-SM-E9J43 50-59 years, male 48.3
GTEX-11TUW-2726-SM-E9J4M 60-69 years, male 48.1
GTEX-1IOXB-0126-SM-ARL8G 50-59 years, male 48.1
GTEX-12WSA-0226-SM-5BC5V 60-69 years, male 47.8
GTEX-16NGA-1726-SM-731B4 40-49 years, female 47.8
GTEX-1B8L1-2526-SM-9WYTF 60-69 years, male 47.8
GTEX-1HCU7-0226-SM-CL545 50-59 years, male 47.8
GTEX-1IDFM-0126-SM-COH2V 60-69 years, male 47.8
GTEX-12WSD-0126-SM-59HKN 60-69 years, female 47.7
GTEX-18A7A-0226-SM-718BH 50-59 years, female 47.7
GTEX-1JMLX-0226-SM-CM2RO 50-59 years, male 47.7
GTEX-14PJM-0226-SM-62LF1 50-59 years, female 47.6
GTEX-ZDXO-3026-SM-5J1N5 60-69 years, male 47.6
GTEX-1HKZK-0326-SM-9WYUH 40-49 years, male 47.6
GTEX-1OJC4-0126-SM-E9J2E 50-59 years, female 47.6
GTEX-13OW5-0126-SM-DTXFS 60-69 years, male 47.5
GTEX-11H98-0126-SM-5EGHG 50-59 years, male 47.4
GTEX-16AAH-1726-SM-7939C 50-59 years, male 47.4
GTEX-1PWST-0226-SM-E76QJ 70-79 years, male 47.4
GTEX-1269C-2526-SM-5EGJ3 60-69 years, female 47.3
GTEX-13FTX-1826-SM-5J1NX 20-29 years, female 47.3
GTEX-131XH-2226-SM-5DUXJ 50-59 years, male 47.2
GTEX-1K9T9-0126-SM-EVYCF 50-59 years, female 47.2
GTEX-12ZZZ-0626-SM-5DUXI 60-69 years, male 47.1
GTEX-14BIM-0226-SM-7IGLD 60-69 years, female 47.1
GTEX-1RB15-2126-SM-E9TIM 60-69 years, male 47.1
GTEX-16XZZ-0126-SM-793DV 60-69 years, male 47.0
GTEX-VUSG-2526-SM-4KL1V 50-59 years, male 47.0
GTEX-1GZHY-0326-SM-9QEHI 50-59 years, female 47.0
GTEX-1GMR8-0126-SM-9WYTM 50-59 years, female 46.9
GTEX-1C4CL-0526-SM-73KVK 30-39 years, male 46.8
GTEX-YFC4-0126-SM-5CVLY 40-49 years, female 46.8
GTEX-PWO3-1526-SM-48TCM 60-69 years, female 46.7
GTEX-ZPIC-1726-SM-DHXIU 40-49 years, female 46.7
GTEX-145ME-1826-SM-5SI9G 40-49 years, female 46.6
GTEX-1QP67-1626-SM-EAZ3X 40-49 years, female 46.6
GTEX-1F5PK-2426-SM-7RHHY 50-59 years, male 46.5
GTEX-14BIN-0626-SM-793DP 50-59 years, female 46.3
GTEX-1I1HK-0126-SM-COH49 60-69 years, male 46.3
GTEX-U4B1-1826-SM-4DXSU 40-49 years, male 46.2
GTEX-ZTSS-1926-SM-57WEW 40-49 years, male 46.2
GTEX-1H1DE-2126-SM-9WG6R 20-29 years, male 46.2
GTEX-ZYFD-0126-SM-5GIDL 50-59 years, male 46.1
GTEX-1CAMQ-0226-SM-7IGPK 40-49 years, male 46.0
GTEX-1C475-1826-SM-73KWA 40-49 years, female 45.9
GTEX-Y111-0126-SM-4SOIV 50-59 years, male 45.9
GTEX-1C2JI-1826-SM-73KXC 50-59 years, male 45.8
GTEX-1CB4F-0426-SM-9KNV4 60-69 years, male 45.8
GTEX-14JIY-0126-SM-6LLH6 60-69 years, male 45.7
GTEX-1A32A-0126-SM-718B1 50-59 years, female 45.7
GTEX-ZE9C-2726-SM-57WB5 60-69 years, male 45.7
GTEX-ZY6K-1826-SM-5GZXK 50-59 years, male 45.7
GTEX-1RQEC-0426-SM-E6CHU 60-69 years, male 45.7
GTEX-X638-0126-SM-47JZ8 70-79 years, female 45.6
GTEX-1GN1W-0526-SM-9MQJQ 50-59 years, female 45.6
GTEX-1H3NZ-0126-SM-ACKX7 60-69 years, male 45.6
GTEX-1F48J-0126-SM-7P8TT 50-59 years, female 45.5
GTEX-1QAET-0926-SM-E76QM 50-59 years, male 45.5
GTEX-QDVN-2026-SM-3GAEP 50-59 years, male 45.4
GTEX-ZYT6-0226-SM-5NQ6T 30-39 years, male 45.4
GTEX-1HCU9-1526-SM-A9SL7 20-29 years, male 45.4
GTEX-1N2DW-0226-SM-E9TK2 50-59 years, male 45.4
GTEX-11ZTT-2426-SM-5EQLS 60-69 years, female 45.3
GTEX-14LLW-0126-SM-6LLIO 70-79 years, female 45.3
GTEX-15ER7-0326-SM-7KUEV 20-29 years, female 45.3
GTEX-1F75A-0126-SM-7RHGM 50-59 years, male 45.3
GTEX-1HFI6-0226-SM-ADEHZ 40-49 years, male 45.2
GTEX-1128S-2326-SM-5GZZY 60-69 years, female 45.1
GTEX-11GSP-2526-SM-5N9BP 60-69 years, female 45.0
GTEX-13VXU-0126-SM-5SI9F 50-59 years, male 45.0
GTEX-1F5PL-0326-SM-7P8PQ 40-49 years, female 45.0
GTEX-ZVT4-0126-SM-DTXFN 50-59 years, female 44.9
GTEX-11GSO-2426-SM-5A5LY 60-69 years, male 44.8
GTEX-1AX9K-2326-SM-73KWU 50-59 years, male 44.8
GTEX-TMMY-0226-SM-33HBA 40-49 years, female 44.8
GTEX-X8HC-0126-SM-4E3JW 50-59 years, female 44.8
GTEX-1B8SF-1426-SM-7DUGL 60-69 years, male 44.7
GTEX-11VI4-1726-SM-5CVLH 40-49 years, female 44.6
GTEX-11ZTS-0126-SM-5EQ6M 60-69 years, female 44.6
GTEX-1JJEA-0326-SM-CNPOT 60-69 years, male 44.6
GTEX-18465-0126-SM-731BN 50-59 years, male 44.5
GTEX-QESD-1426-SM-2S1R9 20-29 years, male 44.4
GTEX-XV7Q-2526-SM-4BRV9 40-49 years, female 44.3
GTEX-1JN76-0126-SM-CNPPE 20-29 years, female 44.3
GTEX-11NUK-0126-SM-5A5L3 50-59 years, male 44.2
GTEX-X4EO-0326-SM-3P5YO 60-69 years, female 44.2
GTEX-14A6H-0126-SM-5QGPK 30-39 years, male 44.1
GTEX-1H4P4-0726-SM-9YFLR 50-59 years, male 44.1
GTEX-18D9B-0526-SM-7LTAS 60-69 years, male 44.0
GTEX-ZAB5-1826-SM-5HL7C 50-59 years, male 43.9
GTEX-16YQH-0126-SM-7DUFJ 30-39 years, male 43.8
GTEX-ZE7O-0126-SM-57WC1 50-59 years, female 43.8
GTEX-146FR-1326-SM-E9J48 60-69 years, female 43.8
GTEX-1H3O1-0426-SM-9YFKY 60-69 years, male 43.8
GTEX-1MJK2-0426-SM-DTXE5 50-59 years, male 43.7
GTEX-146FH-0126-SM-5QGPP 50-59 years, female 43.6
GTEX-ZAJG-0126-SM-5HL94 50-59 years, female 43.6
GTEX-1R9PO-2126-SM-E9J4O 60-69 years, female 43.6
GTEX-13FHP-0126-SM-5IJBG 50-59 years, male 43.5
GTEX-148VI-1626-SM-5SI6E 60-69 years, female 43.5
GTEX-1B996-0226-SM-7RHGO 60-69 years, male 43.5
GTEX-1H11D-0226-SM-9WG6Z 40-49 years, male 43.5
GTEX-ZEX8-2426-SM-4WKG4 50-59 years, male 43.4
GTEX-18A7B-0126-SM-7LG64 70-79 years, male 43.3
GTEX-WOFL-0126-SM-3MJG2 60-69 years, male 43.3
GTEX-1LGOU-2026-SM-DIPFF 20-29 years, female 43.3
GTEX-13RTL-0126-SM-7LG5S 40-49 years, male 43.2
GTEX-1H1E6-1726-SM-ACKVK 30-39 years, male 43.2
GTEX-13NZA-0226-SM-5K7Z7 60-69 years, male 43.0
GTEX-13OVL-0226-SM-5L3E9 50-59 years, male 43.0
GTEX-1HR98-0126-SM-B2LWI 60-69 years, male 43.0
GTEX-145LU-0126-SM-5TDCB 50-59 years, male 42.9
GTEX-T5JC-0426-SM-32PLO 20-29 years, male 42.9
GTEX-UPJH-0326-SM-3GADU 50-59 years, male 42.9
GTEX-1GMR3-1926-SM-9KNUZ 40-49 years, male 42.9
GTEX-1I1CD-0126-SM-CM2TK 60-69 years, female 42.9
GTEX-1J8Q2-0526-SM-CM2RW 60-69 years, male 42.9
GTEX-13S7M-0126-SM-5SI6A 60-69 years, female 42.7
GTEX-14A5I-0126-SM-5TDEA 50-59 years, female 42.7
GTEX-ZVE2-0226-SM-59HJB 50-59 years, male 42.7
GTEX-1HFI7-1826-SM-ACKXH 50-59 years, female 42.7
GTEX-1LNCM-1126-SM-E9U5E 50-59 years, female 42.7
GTEX-131XW-0426-SM-5LZWP 50-59 years, female 42.6
GTEX-1B8KZ-2026-SM-7DHMB 50-59 years, male 42.6
GTEX-1399T-2826-SM-5KLYZ 60-69 years, male 42.5
GTEX-183WM-0126-SM-7LTAB 70-79 years, female 42.5
GTEX-Q2AH-1626-SM-3GAF8 40-49 years, male 42.5
GTEX-1GTWX-0126-SM-9YFLK 60-69 years, male 42.5
GTEX-1IGQW-0126-SM-COH42 60-69 years, male 42.5
GTEX-139TU-0126-SM-5K7WH 60-69 years, male 42.4
GTEX-17KNJ-2326-SM-7DHLQ 50-59 years, male 42.4
GTEX-RU72-0926-SM-2TF6B 50-59 years, female 42.4
GTEX-WYVS-2126-SM-3NMA3 40-49 years, female 42.4
GTEX-1F6I4-0126-SM-9MQL2 60-69 years, male 42.4
GTEX-1I1GS-0126-SM-B2LVW 60-69 years, male 42.4
GTEX-T2IS-0126-SM-4DM6O 20-29 years, female 42.3
GTEX-1GN73-0226-SM-9WG67 60-69 years, male 42.3
GTEX-13OW6-0426-SM-5L3HM 50-59 years, male 42.2
GTEX-1HBPI-1526-SM-C1YQ1 50-59 years, male 42.2
GTEX-1RDX4-0126-SM-E9J4P 50-59 years, female 42.2
GTEX-13O3P-0126-SM-5KM4S 50-59 years, male 42.1
GTEX-X62O-0126-SM-4E3JN 50-59 years, male 42.1
GTEX-RNOR-0126-SM-E9J4R 50-59 years, female 42.1
GTEX-ZXG5-0126-SM-5GIEU 60-69 years, male 42.0
GTEX-1B933-0126-SM-7PC29 50-59 years, female 42.0
GTEX-1JMQJ-0526-SM-CYPSU 50-59 years, male 42.0
GTEX-11P81-2326-SM-59875 30-39 years, female 41.9
GTEX-1IKOH-0226-SM-COH4E 60-69 years, female 41.9
GTEX-13OVG-1926-SM-5L3DK 60-69 years, male 41.8
GTEX-1EX96-1626-SM-7PBXR 50-59 years, male 41.8
GTEX-1F6IF-0726-SM-7P8TW 60-69 years, male 41.8
GTEX-13G51-2526-SM-5LZYK 60-69 years, male 41.7
GTEX-12WSL-2526-SM-5GCNJ 50-59 years, male 41.6
GTEX-13NYC-0326-SM-E9J4S 60-69 years, male 41.6
GTEX-145LS-0126-SM-5QGP1 60-69 years, female 41.5
GTEX-1E2YA-0126-SM-9KNUC 50-59 years, male 41.5
GTEX-1LG7Y-0526-SM-DKPQC 50-59 years, male 41.5
GTEX-1MA7X-2226-SM-E6CIY 60-69 years, male 41.5
GTEX-13O3O-0126-SM-E9J49 60-69 years, female 41.4
GTEX-11O72-0126-SM-59887 40-49 years, male 41.3
GTEX-OXRP-0126-SM-3NB32 60-69 years, female 41.3
GTEX-R55E-0126-SM-2TC5Y 20-29 years, male 41.3
GTEX-YJ89-0126-SM-4TT3X 60-69 years, male 41.3
GTEX-1HB9E-0226-SM-E9U4R 50-59 years, male 41.3
GTEX-111VG-2426-SM-5GZXD 60-69 years, male 41.2
GTEX-1AYD5-2426-SM-73KXR 50-59 years, male 41.2
GTEX-XMD2-0126-SM-4YCDU 60-69 years, female 41.2
GTEX-1GMRU-0126-SM-9YFLV 50-59 years, male 41.2
GTEX-13U4I-0126-SM-5LU38 40-49 years, female 41.1
GTEX-147F4-0226-SM-5QGPW 50-59 years, male 41.1
GTEX-1LH75-2426-SM-E9TJE 50-59 years, female 41.0
GTEX-11EMC-2926-SM-5EQ4F 60-69 years, female 40.9
GTEX-1GN2E-0426-SM-9MQKX 60-69 years, male 40.8
GTEX-OXRO-0126-SM-2YUN4 60-69 years, female 40.7
GTEX-WZTO-0126-SM-3NM95 40-49 years, male 40.7
GTEX-1JN6P-0126-SM-D3L98 60-69 years, male 40.7
GTEX-Q2AG-0126-SM-33HBV 40-49 years, female 40.6
GTEX-ZZPT-0226-SM-5E43X 50-59 years, male 40.4
GTEX-1AX9I-0126-SM-7SB74 60-69 years, male 40.4
GTEX-1PBJI-0526-SM-E8VNK 20-29 years, female 40.4
GTEX-15DDE-0126-SM-6LPKH 50-59 years, female 40.3
GTEX-V1D1-2226-SM-3NMAX 50-59 years, male 40.2
GTEX-1HSMO-0126-SM-CL547 60-69 years, male 40.2
GTEX-17EVP-0326-SM-7DHLG 40-49 years, male 40.1
GTEX-1C6WA-0126-SM-7PC2B 60-69 years, male 40.1
GTEX-11TTK-0126-SM-5987B 60-69 years, female 40.0
GTEX-XUYS-0126-SM-47JWZ 50-59 years, male 40.0
GTEX-16NPX-0226-SM-79OMT 50-59 years, male 39.9
GTEX-S32W-2126-SM-2XCB1 50-59 years, female 39.9
GTEX-1O97I-0326-SM-EYYX7 60-69 years, male 39.8
GTEX-12WSG-2826-SM-E9J4H 50-59 years, female 39.7
GTEX-16XZY-2126-SM-79OK1 70-79 years, male 39.6
GTEX-SSA3-0126-SM-32QPU 60-69 years, male 39.6
GTEX-ZYFC-0226-SM-5NQ75 50-59 years, male 39.6
GTEX-13X6J-0126-SM-5QGOU 50-59 years, male 39.5
GTEX-1KWVE-1426-SM-E9TJO 30-39 years, male 39.5
GTEX-13FTY-0526-SM-5L3EV 40-49 years, female 39.4
GTEX-1GF9V-0326-SM-7RHI5 60-69 years, male 39.4
GTEX-1I1GP-2226-SM-CGQFK 50-59 years, male 39.4
GTEX-1MCQQ-0826-SM-DLHC2 60-69 years, male 39.3
GTEX-13N1W-0126-SM-5K7VT 70-79 years, male 39.2
GTEX-1N2EF-0226-SM-EYYXB 60-69 years, male 39.1
GTEX-1GF9W-0326-SM-9KNUN 60-69 years, male 38.9
GTEX-12KS4-0326-SM-5EQ41 30-39 years, male 38.8
GTEX-1JMQL-0226-SM-CNPP5 50-59 years, female 38.8
GTEX-1C64N-0126-SM-793D7 50-59 years, male 38.7
GTEX-1C6VS-0526-SM-7DUEN 60-69 years, male 38.7
GTEX-ZC5H-0226-SM-4WAY9 40-49 years, female 38.6
GTEX-1EKGG-0226-SM-9WYTH 60-69 years, male 38.6
GTEX-1CB4J-0626-SM-7DHMP 60-69 years, male 38.5
GTEX-15DCD-0126-SM-7KUEK 70-79 years, female 38.4
GTEX-11ZUS-0626-SM-59885 30-39 years, male 38.3
GTEX-15SHW-0326-SM-6PAML 60-69 years, male 38.3
GTEX-13JUV-2726-SM-5LZZ8 40-49 years, female 38.2
GTEX-Y5V5-2326-SM-4V6GA 60-69 years, female 38.1
GTEX-147GR-0526-SM-5S2MY 60-69 years, male 38.0
GTEX-15EOM-0126-SM-7KUGG 20-29 years, female 38.0
GTEX-1IY9M-0126-SM-D3L8S 60-69 years, male 38.0
GTEX-1192W-2626-SM-5Q5AF 60-69 years, male 37.9
GTEX-U3ZH-2026-SM-3DB78 30-39 years, male 37.9
GTEX-15DYW-0126-SM-7KULE 60-69 years, female 37.8
GTEX-17HHE-2026-SM-79OKF 50-59 years, male 37.8
GTEX-139TT-0126-SM-5K7Y5 60-69 years, male 37.7
GTEX-U3ZN-2326-SM-3DB7W 30-39 years, female 37.7
GTEX-17MF6-0126-SM-7LG4F 40-49 years, male 37.5
GTEX-12ZZX-0126-SM-5EGK9 40-49 years, female 37.4
GTEX-13O1R-0126-SM-5L3EH 60-69 years, male 37.3
GTEX-1F52S-0126-SM-9MQJU 60-69 years, female 37.3
GTEX-1JN1M-0326-SM-CYPT3 60-69 years, female 37.2
GTEX-14E6C-0126-SM-5RQIP 40-49 years, male 37.1
GTEX-17HGU-0226-SM-7DHKV 50-59 years, male 37.1
GTEX-1HSKV-0226-SM-A9SKJ 60-69 years, male 37.1
GTEX-1IL2V-0126-SM-CM2TX 70-79 years, male 37.1
GTEX-ZUA1-0126-SM-5GU76 40-49 years, male 37.0
GTEX-1ICLY-0126-SM-D4P36 50-59 years, male 37.0
GTEX-12ZZY-0226-SM-5LZVE 60-69 years, male 36.9
GTEX-QCQG-1726-SM-3GIJ9 50-59 years, female 36.9
GTEX-1H23P-0126-SM-ADEJ3 60-69 years, male 36.9
GTEX-1J8JJ-0226-SM-CL53I 60-69 years, female 36.8
GTEX-12584-0126-SM-5EGKQ 40-49 years, male 36.5
GTEX-11WQC-2526-SM-5CVLE 60-69 years, male 36.4
GTEX-1HUB1-0426-SM-E9U4U 60-69 years, male 36.4
GTEX-1C6VR-2426-SM-79OLD 60-69 years, male 36.3
GTEX-1I19N-0326-SM-ACKVX 70-79 years, male 36.3
GTEX-13OW8-1326-SM-5J1OW 60-69 years, male 36.2
GTEX-14A5H-0426-SM-5QGQF 60-69 years, male 36.1
GTEX-14BMV-0126-SM-5S2PO 50-59 years, male 36.1
GTEX-RWSA-0126-SM-2XCBB 40-49 years, male 36.1
GTEX-11ZVC-2526-SM-5FQTE 50-59 years, female 36.0
GTEX-12WSE-0526-SM-793B2 20-29 years, male 35.9
GTEX-1EU9M-0226-SM-7P8SP 60-69 years, male 35.9
GTEX-1I1GR-0126-SM-CL55F 60-69 years, male 35.9
GTEX-1QEPI-0126-SM-EWRMQ 60-69 years, female 35.9
GTEX-1QW4Y-1526-SM-EAZ3Z 30-39 years, male 35.8
GTEX-1BAJH-0526-SM-793CQ 70-79 years, male 35.7
GTEX-17HG3-2226-SM-7938L 30-39 years, female 35.6
GTEX-1E1VI-0126-SM-7DHMZ 50-59 years, male 35.6
GTEX-1JJE9-0326-SM-CL53Z 70-79 years, male 35.6
GTEX-SJXC-0126-SM-2XCFF 60-69 years, male 35.5
GTEX-1R9K4-0126-SM-DTX9X 60-69 years, male 35.5
GTEX-11EI6-0126-SM-5985R 60-69 years, male 35.2
GTEX-1KANB-0526-SM-E6CJH 50-59 years, male 35.2
GTEX-Z9EW-1626-SM-5CVMN 40-49 years, male 34.9
GTEX-145MI-0526-SM-5O9A8 60-69 years, female 34.8
GTEX-1CB4G-0226-SM-7PC3O 60-69 years, male 34.8
GTEX-1F7RK-0126-SM-7PC2S 20-29 years, female 34.6
GTEX-1JMOU-1526-SM-CL54I 60-69 years, female 34.6
GTEX-R3RS-0126-SM-3GIJL 40-49 years, female 34.2
GTEX-1LBAC-0126-SM-DIPEZ 20-29 years, male 34.2
GTEX-11OF3-2626-SM-5GU7F 60-69 years, male 33.9
GTEX-RN64-0126-SM-2TC68 50-59 years, male 33.9
GTEX-11ZU8-2526-SM-5EQKI 60-69 years, male 33.8
GTEX-11DXY-2626-SM-5GIE7 60-69 years, male 33.7
GTEX-14E7W-0126-SM-6LLJ9 70-79 years, male 33.5
GTEX-1A8FM-0226-SM-7SB7Q 50-59 years, female 33.5
GTEX-ZU9S-0226-SM-5E441 30-39 years, male 33.4
GTEX-17HII-0226-SM-7LG4E 50-59 years, male 33.3
GTEX-14BIL-0126-SM-5SI92 50-59 years, male 33.2
GTEX-15D1Q-0126-SM-7KUG6 40-49 years, male 33.0
GTEX-1C6VQ-0126-SM-7P8RI 50-59 years, male 33.0
GTEX-14ABY-0226-SM-5TDCQ 50-59 years, male 32.9
GTEX-ZYW4-0126-SM-5E44A 60-69 years, male 32.8
GTEX-1HT8W-0126-SM-CNPPP 30-39 years, male 32.8
GTEX-13112-2826-SM-5DUWH 50-59 years, male 32.7
GTEX-144GL-0126-SM-5TDE2 50-59 years, male 32.7
GTEX-1I1GQ-0126-SM-COH3H 50-59 years, male 32.7
GTEX-148VJ-0126-SM-5TDDN 70-79 years, male 32.5
GTEX-YJ8A-0426-SM-5IFID 20-29 years, male 32.2
GTEX-1B8SG-0126-SM-73KZ3 50-59 years, male 32.0
GTEX-1POEN-0126-SM-EYYXJ 30-39 years, female 32.0
GTEX-11UD2-0226-SM-5EQKY 50-59 years, male 31.9
GTEX-1212Z-2526-SM-5EGKP 60-69 years, male 31.8
GTEX-1HBPH-0426-SM-B2LW5 40-49 years, female 31.7
GTEX-13SLX-0526-SM-5S2ON 50-59 years, female 31.2
GTEX-1GPI6-0126-SM-9WG69 60-69 years, male 31.2
GTEX-1IKJJ-0126-SM-CNPQB 60-69 years, male 31.1
GTEX-1GN1V-0126-SM-9WPOS 60-69 years, male 31.0
GTEX-VJYA-1126-SM-3GIJU 60-69 years, male 30.9
GTEX-1M4P7-0226-SM-DIPEV 60-69 years, male 30.8
GTEX-113JC-2326-SM-5EQ4E 50-59 years, female 30.6
GTEX-11NSD-2226-SM-5986V 20-29 years, male 30.6
GTEX-12WSC-0126-SM-5EQ4P 50-59 years, male 30.4
GTEX-1IE54-0126-SM-CMKHW 40-49 years, female 30.0
GTEX-TSE9-0126-SM-3DB83 60-69 years, female 29.9
GTEX-1F88F-2726-SM-7PBZZ 60-69 years, female 29.1
GTEX-14PHW-0126-SM-6LLJI 60-69 years, female 29.0
GTEX-OIZF-0126-SM-7SB8I 60-69 years, male 28.6
GTEX-VJWN-0126-SM-3GIK7 50-59 years, female 28.4
GTEX-P44H-0226-SM-2XCEU 40-49 years, male 27.3
GTEX-SNMC-1226-SM-2XCFP 20-29 years, male 27.0
GTEX-14DAQ-0126-SM-5S2MQ 60-69 years, female 26.7
GTEX-1EN7A-0126-SM-7SB81 40-49 years, male 26.3
GTEX-1QMI2-0226-SM-EVYBX 60-69 years, male 26.3
GTEX-PVOW-0126-SM-2XCFA 40-49 years, male 21.6
GTEX-11WQK-0526-SM-5EQLD 50-59 years, male 17.9
Show allShow less

Contact

  • NEWS ARTICLES
  • PRESS ROOM

The Project

  • INTRODUCTION
  • ORGANIZATION
  • PUBLICATIONS

The Human Protein Atlas

  • DOWNLOADABLE DATA
  • LICENCE & CITATION
  • HELP & FAQ
The Human Protein Atlas project is funded
by the Knut & Alice Wallenberg Foundation.


contact@proteinatlas.org