We use cookies to enhance the usability of our website. If you continue, we'll assume that you are happy to receive all cookies. More information. Don't show this again.
NAA10
HPA
RESOURCES
  • TISSUE
  • BRAIN
  • SINGLE CELL
  • SUBCELLULAR
  • CANCER
  • BLOOD
  • CELL LINE
  • STRUCTURE & INTERACTION
ABOUT
  • INTRODUCTION
  • HISTORY
  • ORGANIZATION
  • PUBLICATIONS
  • ANTIBODY SUBMISSION
  • ANTIBODY AVAILABILITY
  • ACKNOWLEDGMENTS
  • CONTACT
NEWS
  • NEWS ARTICLES
  • PRESS ROOM
LEARN
  • DICTIONARY
  • PROTEIN CLASSES
  • PROTEIN EVIDENCE
  • METHODS
  • EDUCATIONAL VIDEOS
DATA
  • DOWNLOADABLE DATA
  • PUBLICATION DATA
  • RELEASE HISTORY
HELP
  • ANTIBODY VALIDATION
  • ASSAYS & ANNOTATION
  • DISCLAIMER
  • HELP & FAQ
  • PRIVACY STATEMENT
  • LICENCE & CITATION
Fields »
Search result

Field
Term
Gene name
Class
Subclass
Class
Keyword
Chromosome
External id
Tissue
Cell type
Expression
Antibody panel
Tissue
Main location
Patient ID
Annotation
Tissue
Category
Tau score
Cluster
Reliability
Brain region
Category
Tau score
Brain region
Category
Tau score
Brain region
Category
Tau score
Cluster
Reliability
Tissue
Cell type
Enrichment
Cell type
Category
Tau score
Cell type
Category
Tau score
Cell type
Category
Tau score
Cell lineage
Category
Tau score
Cluster
Cluster
Location
Searches
Location
Cell line
Class
Type
Phase
Reliability
Cancer
Prognosis
Cancer
Category
Cancer
Category
Tau score
Cluster
Variants
Interacting gene (ensg_id)
Type
Number of interactions
Pathway
Category
Score
Score
Score
Validation
Validation
Validation
Validation
Antibodies
Data type
Column


  • SUMMARY

  • TISSUE

  • BRAIN

  • SINGLE CELL

  • SUBCELL

  • CANCER

  • BLOOD

  • CELL LINE

  • STRUCT & INT

  • NAA10
BRAIN CEREBELLUM Show tissue menu
AMYGDALA BASAL GANGLIA CEREBELLUM CEREBRAL CORTEX CHOROID PLEXUS HIPPOCAMPAL FORMATION HYPOTHALAMUS MEDULLA OBLONGATA
MIDBRAIN OLFACTORY BULB PITUITARY GLAND PONS RETINA SPINAL CORD THALAMUS WHITE MATTER
ANTIBODIES
AND
VALIDATION
Brain proteome
Cerebellum
CEREBELLUM - Expression summary
Protein expression
Cerebellumi

On the top, protein expression in current human tissue, based on all annotated cell types, is reported with the units not detected (n), low (l), medium (m) and high (h). Underneath, protein expression in each annotated cell type are reported using the same units.

Protein expression data is based on knowledge-based annotation. For genes where more than one antibody has been used, a collective score is set.

If knowledge-based annotation could not be performed for a gene, no data is displayed here. View antibody staining data further down this page.

h
m
l
n
Cells in granular layer: Not detected
Cells in molecular layer: Not detected
Purkinje cells: High
RNA expressioni

A summary of mRNA expression data available for current tissue based on several datasets. The mRNA expression levels in human tissues are based on RNA-seq data generated by the Human Protein Atlas (HPA), Genotype-Tissue Expression (GTEx) portal and CAGE data generated by the FANTOM5 consortium. Consensus normalized expression levels for human tissues was created by combining the data from HPA and GTEx datasets.

The mRNA expression levels in pig are based on RNA-seq data generated by the Human Protein Atlas (HPA), and for mouse, HPA data and in situ hybridization generated by the Allen brain atlas are reported.

Scroll down to view mRNA expression data in more detail.
Consensus:21.2 nTPM
HPA Brain:13.9 nTPM
GTEx:21.2 nTPM
FANTOM5:65.2 Scaled Tags Per Million
Pig:40.4 nTPM
Mouse:78.2 nTPM
Allen mouse:1.9 Expression energy

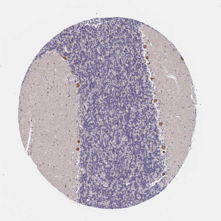
CEREBELLUM - Antibody stainingi

Antibody staining in the annotated cell types in the current human tissue is reported as not detected, low, medium, or high, based on conventional immunohistochemistry profiling in selected tissues. This score is based on the combination of the staining intensity and fraction of stained cells.

Each image is clickable and will lead to virtual microscopy that enables deeper exploration of all samples and also displays staining intensity scores, fraction scores and subcellular localization as well as patient and tissue information for each sample.

Antibody HPA030711Antibody CAB006269
Purkinje cells HighHigh
Cells in granular layer Not detectedMedium
Cells in molecular layer Not detectedHigh




CEREBELLUM - HPA Brain RNA-seq
Max subtype nTPMi

Max subtype nTPM is the value for the subtype with the largest average nTPM across the subtype samples.

13.9
Sample id Sample description nTPM
Cerebellar cortex
nTPM: 8.5
1768 Female, age 72, unknown 11.9
2101 Male, age 74, right hemisphere 10.5
1788 Male, age 55, unknown 9.3
2006 Male, age 61, right hemisphere 9.1
2003 Female, age 85, right hemisphere 8.4
1769 Male, age 76, right hemisphere 6.6
2055 Female, age 91, right hemisphere 6.6
1774 Male, age 80, left hemisphere 5.4
Cerebellar nuclei
nTPM: 13.9
2783 Female, age 72, unknown 25.4
2318 Male, age 74, left hemisphere 15.0
1966 Female, age 91, left hemisphere 14.4
2177 Female, age 85, both hemispheres 13.3
2882 Male, age 76, left hemisphere 13.1
1879 Male, age 55, unknown 11.8
2005 Male, age 80, left hemisphere 11.2
2175 Male, age 61, right hemisphere 10.7
1871 Male, age 74, unknown 10.3
Flocculonodular lobe
nTPM: 6.2
1792 Male, age 74, unknown 9.4
2004 Male, age 61, right hemisphere 6.9
1771 Male, age 80, left hemisphere 6.6
1835 Female, age 85, right hemisphere 6.0
1765 Male, age 55, unknown 5.8
2176 Female, age 91, right hemisphere 4.8
1767 Male, age 76, left hemisphere 3.9
Vermis
nTPM: 7.5
1928 Female, age 72, unknown 11.9
2460 Male, age 61, both hemispheres 9.2
1751 Male, age 74, right hemisphere 7.4
2834 Male, age 80, left hemisphere 7.0
1778 Female, age 91, left hemisphere 6.8
1766 Male, age 55, unknown 6.6
1770 Male, age 76, left hemisphere 6.6
1825 Male, age 74, unknown 6.0
1988 Female, age 85, left hemisphere 5.7

CEREBELLUM - GTEx RNA-seqi

RNA-Seq data generated by the Genotype-Tissue Expression (GTEx) project from human tissues is reported as mean nTPM. More information can be found on the GTEx portal.

Distribution across the dataset is visualized with box plots, shown as median and 25th and 75th percentiles. Points are displayed as outliers if they are above or below 1.5 times the interquartile range. nTPM values of the individual samples are presented next to the box plot.
Max subtype nTPMi

Max subtype nTPM is the value for the subtype with the largest average nTPM across the subtype samples.

21.2
GTEx sample id Sample description nTPM
Brain - Cerebellar Hemisphere
Average nTPM: 21.2
Samples: 215

Max nTPM: 41.4
Min nTPM: 5.6
Std nTPM: 5.8
Median nTPM: 21.1
GTEX-16Z82-0011-R11a-SM-79OKJ 60-69 years, male 41.4
GTEX-13FLV-0011-R11a-SM-5LZZ7 50-59 years, male 41.0
GTEX-11EMC-0011-R11b-SM-DNZZK 60-69 years, female 37.2
GTEX-11ZUS-0011-R11b-SM-5BC7B 30-39 years, male 36.4
GTEX-17EVQ-0011-R11a-SM-7LT9C 70-79 years, male 35.4
GTEX-14C39-0011-R11b-SM-5YYAF 40-49 years, male 33.6
GTEX-1F75W-0011-R11b-SM-AHZ34 60-69 years, male 33.2
GTEX-1B8SG-0011-R11a-SM-7P8PF 50-59 years, male 32.8
GTEX-14ASI-0011-R11b-SM-6AJBJ 60-69 years, male 32.7
GTEX-1313W-0011-R11a-SM-5DUXN 50-59 years, female 31.8
GTEX-13X6J-0011-R11a-SM-5P9HE 50-59 years, male 31.5
GTEX-1CAV2-0011-R11a-SM-ARU8D 40-49 years, female 30.6
GTEX-ZVZQ-0011-R11a-SM-51MS6 60-69 years, female 30.4
GTEX-12WSC-0011-R11a-SM-5GU5J 50-59 years, male 29.9
GTEX-17EVP-0011-R11a-SM-7EWDL 40-49 years, male 29.7
GTEX-139UW-0011-R11a-SM-5IJGN 60-69 years, male 29.6
GTEX-11DYG-0011-R11a-SM-DNZZP 60-69 years, male 29.5
GTEX-11ZTS-0011-R11a-SM-DO113 60-69 years, female 29.0
GTEX-1IOXB-0011-R11a-SM-A9G1X 50-59 years, male 28.8
GTEX-1HUB1-0011-R11b-SM-CE6SC 60-69 years, male 28.7
GTEX-12ZZZ-0011-R11a-SM-5EGLC 60-69 years, male 28.3
GTEX-1B933-0011-R11a-SM-7P8PM 50-59 years, female 28.3
GTEX-1HBPI-0011-R11b-SM-CE6SH 50-59 years, male 28.3
GTEX-13OVL-0011-R11b-SM-5L3G7 50-59 years, male 28.2
GTEX-X261-0011-R11A-SM-4E3JY 50-59 years, male 28.0
GTEX-17JCI-0011-R11a-SM-7189Y 60-69 years, female 27.9
GTEX-1GZHY-0011-R11a-SM-C1YRQ 50-59 years, female 27.6
GTEX-1H4P4-0011-R11b-SM-CE6S8 50-59 years, male 27.3
GTEX-ZE9C-0011-R11a-SM-4WKGG 60-69 years, male 27.2
GTEX-12WSI-0011-R11b-SM-5P9EZ 50-59 years, male 26.8
GTEX-NL4W-0011-R11A-SM-2I3DW 50-59 years, male 26.7
GTEX-1F6I4-0011-R11b-SM-9OSWS 60-69 years, male 26.6
GTEX-1IL2V-0011-R11a-SM-ARU6T 70-79 years, male 26.5
GTEX-144GL-0011-R11b-SM-5P9F6 50-59 years, male 26.4
GTEX-16XZZ-0011-R11a-SM-7EPI3 60-69 years, male 26.3
GTEX-13SLX-0011-R11b-SM-5O9C8 50-59 years, female 26.0
GTEX-1H1CY-0011-R11a-SM-C1YQR 60-69 years, female 26.0
GTEX-1IGQW-0011-R11a-SM-C1YRV 60-69 years, male 25.9
GTEX-1LG7Y-0011-R11a-SM-EXOIH 50-59 years, male 25.9
GTEX-12WSH-0011-R11a-SM-5LZVM 50-59 years, male 25.8
GTEX-1LKK1-0011-R11a-SM-EXOIG 50-59 years, female 25.8
GTEX-11EI6-0011-R11a-SM-DO11V 60-69 years, male 25.6
GTEX-14E7W-0011-R11a-SM-5ZZVA 70-79 years, male 25.5
GTEX-13PVQ-0011-R11a-SM-5O9DU 50-59 years, male 25.4
GTEX-11WQC-0011-R11b-SM-57WD6 60-69 years, male 25.3
GTEX-139TT-0011-R11b-SM-5LZV1 60-69 years, male 25.2
GTEX-15CHQ-0011-R11b-SM-686ZZ 60-69 years, male 25.1
GTEX-1E1VI-0011-R11a-SM-9OSWI 50-59 years, male 25.1
GTEX-1HFI6-0011-R11b-SM-A96RU 40-49 years, male 25.1
GTEX-1N2DW-0011-R11b-SM-EXOIL 50-59 years, male 25.1
GTEX-WWYW-0011-R11A-SM-3NB38 50-59 years, female 24.8
GTEX-13NZA-0011-R11b-SM-5KM4W 60-69 years, male 24.5
GTEX-13VXU-0011-R11b-SM-5O9DJ 50-59 years, male 24.5
GTEX-1BAJH-0011-R11b-SM-7IGLM 70-79 years, male 24.5
GTEX-N7MS-0011-R11A-SM-2HMJS 60-69 years, male 24.5
GTEX-1M4P7-0011-R11b-SM-EXOIK 60-69 years, male 24.3
GTEX-1I1HK-0011-R11a-SM-B2LVN 60-69 years, male 24.2
GTEX-12126-0011-R11a-SM-5BC6X 20-29 years, male 24.1
GTEX-WHSE-0011-R11A-SM-3P5YY 20-29 years, male 24.1
GTEX-ZF28-0011-R11a-SM-4WWEI 60-69 years, male 24.1
GTEX-1F75A-0011-R11a-SM-AHZ35 50-59 years, male 24.1
GTEX-1HGF4-0011-R11a-SM-C1YRR 60-69 years, male 24.1
GTEX-1I1GV-0011-R11a-SM-CJI3Z 60-69 years, male 24.0
GTEX-ZVT3-0011-R11b-SM-57WBI 60-69 years, female 23.9
GTEX-12WSD-0011-R11a-SM-9OSVC 60-69 years, female 23.8
GTEX-ZDXO-0011-R11a-SM-4WWD9 60-69 years, male 23.5
GTEX-13CZV-0011-R11b-SM-5N9FN 60-69 years, male 23.4
GTEX-14E6D-0011-R11b-SM-664NP 50-59 years, male 23.3
GTEX-1F7RK-0011-R11b-SM-9QEI2 20-29 years, female 23.3
GTEX-12WSF-0011-R11a-SM-5LZVT 70-79 years, male 23.2
GTEX-13OVH-0011-R11b-SM-5KM4X 70-79 years, male 23.2
GTEX-13OW7-0011-R11a-SM-5O9DY 50-59 years, male 23.1
GTEX-ZUA1-0011-R11b-SM-51MTI 40-49 years, male 23.1
GTEX-1HCU6-0011-R11b-SM-AHZ2F 60-69 years, female 23.1
GTEX-1J8Q2-0011-R11a-SM-A9SKI 60-69 years, male 23.1
GTEX-1IL2U-0011-R11a-SM-CE6SO 60-69 years, male 23.0
GTEX-13FTY-0011-R11a-SM-5IJEA 40-49 years, female 22.9
GTEX-13OW8-0011-R11a-SM-5L3GT 60-69 years, male 22.9
GTEX-ZE7O-0011-R11a-SM-57WBC 50-59 years, female 22.9
GTEX-1EKGG-0011-R11a-SM-9QEHZ 60-69 years, male 22.9
GTEX-1H1DG-0011-R11a-SM-C1YQK 70-79 years, male 22.9
GTEX-1JJ6O-0011-R11b-SM-EXUS2 60-69 years, male 22.9
GTEX-1JJEA-0011-R11a-SM-EXUTE 60-69 years, male 22.8
GTEX-13JVG-0011-R11a-SM-5KM53 60-69 years, male 22.7
GTEX-13PLJ-0011-R11b-SM-5O9BS 60-69 years, female 22.7
GTEX-13O3O-0011-R11b-SM-5KM4G 60-69 years, female 22.6
GTEX-13G51-0011-R11b-SM-5J2NE 60-69 years, male 22.5
GTEX-13FXS-0011-R11a-SM-5L3DM 50-59 years, male 22.4
GTEX-1HB9E-0011-R11b-SM-ARU79 50-59 years, male 22.4
GTEX-1JMOU-0011-R11b-SM-EXUTA 60-69 years, female 22.3
GTEX-YFC4-0011-R11a-SM-4SOK6 40-49 years, female 22.1
GTEX-1B8L1-0011-R11b-SM-793DJ 60-69 years, male 22.0
GTEX-YJ89-0011-R11a-SM-4SOKA 60-69 years, male 22.0
GTEX-1CB4G-0011-R11a-SM-9OSWG 60-69 years, male 22.0
GTEX-1R9K4-0011-R11a-SM-EZ6N9 60-69 years, male 22.0
GTEX-11PRG-0011-R11b-SM-DNZZY 50-59 years, male 21.9
GTEX-16NPV-0011-R11a-SM-7IGMK 50-59 years, female 21.9
GTEX-13X6K-0011-R11a-SM-5P9F5 60-69 years, female 21.7
GTEX-1GZ4I-0011-R11b-SM-9OSWR 50-59 years, male 21.7
GTEX-1LSVX-0011-R11b-SM-EXOIA 60-69 years, male 21.6
GTEX-11OF3-0011-R11a-SM-57WCR 60-69 years, male 21.5
GTEX-183WM-0011-R11a-SM-718A5 70-79 years, female 21.5
GTEX-WZTO-0011-R11A-SM-4E3K9 40-49 years, male 21.4
GTEX-1JMQJ-0011-R11a-SM-EXOJY 50-59 years, male 21.4
GTEX-17HG3-0011-R11b-SM-7KFT4 30-39 years, female 21.2
GTEX-18A6Q-0011-R11a-SM-72D6H 60-69 years, male 21.2
GTEX-11DXY-0011-R11a-SM-DNZZN 60-69 years, male 21.1
GTEX-1GMRU-0011-R11b-SM-C1YQ4 50-59 years, male 21.1
GTEX-1H3NZ-0011-R11b-SM-CE6SF 60-69 years, male 21.1
GTEX-WL46-0011-R11A-SM-3MJFT 50-59 years, male 21.0
GTEX-1J8EW-0011-R11a-SM-AHZ37 60-69 years, female 21.0
GTEX-131XH-0011-R11a-SM-5EGLN 50-59 years, male 20.9
GTEX-13NYB-0011-R11a-SM-5KM3Q 40-49 years, male 20.9
GTEX-1HSKV-0011-R11b-SM-AHZ2E 60-69 years, male 20.9
GTEX-1KD4Q-0011-R11b-SM-EXOIE 40-49 years, male 20.8
GTEX-1GMR8-0011-R11b-SM-9OSX2 50-59 years, female 20.7
GTEX-1I1GQ-0011-R11b-SM-CKZPA 50-59 years, male 20.5
GTEX-1GF9W-0011-R11b-SM-9OSXG 60-69 years, male 20.3
GTEX-132Q8-0011-R11b-SM-5DUW9 60-69 years, male 20.2
GTEX-131XW-0011-R11a-SM-5DUV9 50-59 years, female 20.1
GTEX-131YS-0011-R11b-SM-5EGLM 60-69 years, female 20.1
GTEX-13OW6-0011-R11a-SM-5L3H2 50-59 years, male 20.1
GTEX-15ER7-0011-R11a-SM-6LPIL 20-29 years, female 20.1
GTEX-16GPK-0011-R11b-SM-7MKFF 60-69 years, male 20.1
GTEX-11DZ1-0011-R11b-SM-DO11W 50-59 years, male 20.0
GTEX-1H3O1-0011-R11a-SM-A96RV 60-69 years, male 20.0
GTEX-1ICLZ-0011-R11a-SM-CJI3N 60-69 years, male 20.0
GTEX-1C64N-0011-R11b-SM-7P8Q6 50-59 years, male 19.9
GTEX-1IY9M-0011-R11b-SM-A96TI 60-69 years, male 19.9
GTEX-16YQH-0011-R11b-SM-7LT98 30-39 years, male 19.8
GTEX-13JUV-0011-R11a-SM-5LZYH 40-49 years, female 19.6
GTEX-145MH-0011-R11a-SM-5P9HQ 50-59 years, male 19.6
GTEX-14PN4-0011-R11a-SM-686ZW 50-59 years, male 19.5
GTEX-145LU-0011-R11b-SM-5P9JX 50-59 years, male 19.4
GTEX-13X6I-0011-R11a-SM-5P9HN 60-69 years, male 19.3
GTEX-15DYW-0011-R11a-SM-6LPIT 60-69 years, female 19.3
GTEX-1I19N-0011-R11b-SM-ARU6Y 70-79 years, male 19.2
GTEX-13CF2-0011-R11b-SM-5LZXO 60-69 years, male 18.8
GTEX-1IKOH-0011-R11a-SM-AHZ38 60-69 years, female 18.8
GTEX-13OVJ-0011-R11a-SM-5P9H8 50-59 years, female 18.7
GTEX-145MI-0011-R11a-SM-5P9JZ 60-69 years, female 18.7
GTEX-14BIN-0011-R11a-SM-5SI79 50-59 years, female 18.7
GTEX-17F97-0011-R11b-SM-7KFRQ 50-59 years, male 18.6
GTEX-13N2G-0011-R11a-SM-5MR3F 60-69 years, male 18.5
GTEX-N7MT-0011-R11A-SM-2I3DZ 60-69 years, female 18.4
GTEX-1N2EE-0011-R11b-SM-EXOIJ 60-69 years, male 18.4
GTEX-13QIC-0011-R11b-SM-5O9BU 60-69 years, female 18.3
GTEX-Z93S-0011-R11a-SM-4RGNN 50-59 years, male 18.3
GTEX-1I1GR-0011-R11a-SM-CM2T5 60-69 years, male 18.3
GTEX-13S7M-0011-R11b-SM-5P9HU 60-69 years, female 18.0
GTEX-14DAQ-0011-R11a-SM-664NO 60-69 years, female 18.0
GTEX-RU72-0011-R11A-SM-CM2U1 50-59 years, female 17.9
GTEX-14ABY-0011-R11a-SM-5SI7C 50-59 years, male 17.8
GTEX-1A3MX-0011-R11b-SM-7DUGP 60-69 years, male 17.7
GTEX-1AX9I-0011-R11b-SM-7DHN4 60-69 years, male 17.7
GTEX-1IKK5-0011-R11a-SM-C1YRX 60-69 years, male 17.7
GTEX-OHPN-0011-R11A-SM-2I5FM 60-69 years, female 17.6
GTEX-1H3VE-0011-R11b-SM-C1YRP 40-49 years, male 17.6
GTEX-1IDJH-0011-R11b-SM-C1YRT 70-79 years, male 17.6
GTEX-13SLW-0011-R11a-SM-5SI8Q 70-79 years, male 17.5
GTEX-12WSE-0011-R11b-SM-5P9JW 20-29 years, male 17.4
GTEX-13FHP-0011-R11b-SM-5LZXP 50-59 years, male 17.3
GTEX-13RTJ-0011-R11a-SM-5O9CK 60-69 years, male 17.3
GTEX-UTHO-0011-R11A-SM-3GIJE 60-69 years, male 17.3
GTEX-1F52S-0011-R11a-SM-CJI23 60-69 years, female 17.2
GTEX-11GSP-0011-R11b-SM-5NQ7V 60-69 years, female 17.0
GTEX-17HII-0011-R11b-SM-7KFSX 50-59 years, male 17.0
GTEX-1B8SF-0011-R11a-SM-79OOP 60-69 years, male 16.9
GTEX-1399T-0011-R11a-SM-5J2O1 60-69 years, male 16.8
GTEX-15G19-0011-R11b-SM-6LPIH 60-69 years, male 16.8
GTEX-Y8DK-0011-R11A-SM-4SOK2 60-69 years, male 16.8
GTEX-1GN73-0011-R11b-SM-9OSX4 60-69 years, male 16.8
GTEX-1I1GS-0011-R11a-SM-C1YRU 60-69 years, male 16.7
GTEX-13FHO-0011-R11b-SM-5LZYQ 60-69 years, male 16.6
GTEX-18465-0011-R11a-SM-72D78 50-59 years, male 16.5
GTEX-1R9PO-0011-R11b-SM-EZ6NB 60-69 years, female 16.3
GTEX-12WSM-0011-R11a-SM-5DUX8 60-69 years, male 16.2
GTEX-NL3H-0011-R11A-SM-2I3E6 60-69 years, male 16.1
GTEX-T2IS-0011-R11A-SM-32QPC 20-29 years, female 15.9
GTEX-NPJ7-0011-R11A-SM-2I3E8 60-69 years, female 15.8
GTEX-13O3Q-0011-R11b-SM-5KM2W 50-59 years, male 15.7
GTEX-15DCD-0011-R11a-SM-D4P1R 70-79 years, female 15.7
GTEX-ZAB4-0011-R11a-SM-4SOKI 40-49 years, male 15.6
GTEX-NPJ8-0011-R11A-SM-2YUMS 40-49 years, male 15.5
GTEX-1F48J-0011-R11b-SM-9OSWV 50-59 years, female 15.5
GTEX-1EMGI-0011-R11b-SM-9OSWX 60-69 years, male 15.4
GTEX-RVPV-0011-R11A-SM-2TF6F 60-69 years, male 15.3
GTEX-1GTWX-0011-R11b-SM-C1YQJ 60-69 years, male 15.3
GTEX-12ZZX-0011-R11a-SM-5DUVJ 40-49 years, female 15.2
GTEX-18464-0011-R11a-SM-72D76 50-59 years, male 15.0
GTEX-11H98-0011-R11b-SM-5NQ6U 50-59 years, male 14.8
GTEX-15EO6-0011-R11b-SM-6M47M 50-59 years, male 14.7
GTEX-R55E-0011-R11A-SM-2TC6I 20-29 years, male 14.2
GTEX-1H1ZS-0011-R11a-SM-C1YQM 70-79 years, male 13.8
GTEX-S7SE-0011-R11A-SM-2XCDD 50-59 years, male 13.7
GTEX-11TTK-0011-R11b-SM-DO112 60-69 years, female 13.5
GTEX-WVLH-0011-R11A-SM-3MJFO 50-59 years, male 13.3
GTEX-QMR6-0011-R11A-SM-32PKK 50-59 years, male 13.2
GTEX-X4EP-0011-R11B-SM-4QASK 60-69 years, female 13.1
GTEX-13OW5-0011-R11b-SM-5L3GG 60-69 years, male 12.4
GTEX-TSE9-0011-R11A-SM-3DB7N 60-69 years, female 12.4
GTEX-1LVAO-0011-R11b-SM-EXOI8 60-69 years, male 12.4
GTEX-Q2AG-0011-R11A-SM-2HMKZ 40-49 years, female 12.3
GTEX-T6MN-0011-R11A-SM-32QOX 50-59 years, male 12.1
GTEX-P44H-0011-R11A-SM-2XCER 40-49 years, male 11.9
GTEX-T5JC-0011-R11A-SM-32PMB 20-29 years, male 11.8
GTEX-1J1OQ-0011-R11a-SM-A96S3 40-49 years, female 11.4
GTEX-13NYS-0011-R11b-SM-5MR4P 60-69 years, male 11.2
GTEX-X4XX-0011-R11A-SM-46MWQ 60-69 years, male 11.0
GTEX-14BIM-0011-R11b-SM-5S2RN 60-69 years, female 10.9
GTEX-14C5O-0011-R11b-SM-6872H 60-69 years, male 10.8
GTEX-X585-0011-R11B-SM-46MUZ 50-59 years, male 10.5
GTEX-QDT8-0011-R11A-SM-32PKD 30-39 years, female 9.3
GTEX-P44G-0011-R11A-SM-2I3FD 30-39 years, male 7.5
GTEX-XMD1-0011-R11A-SM-4AT5J 60-69 years, male 5.6
Show allShow less
Brain - Cerebellum
Average nTPM: 18.7
Samples: 241

Max nTPM: 34.3
Min nTPM: 7.8
Std nTPM: 4.7
Median nTPM: 18.9
GTEX-1RNSC-3126-SM-EVR4V 60-69 years, male 34.3
GTEX-Y111-2826-SM-4TT3O 50-59 years, male 33.6
GTEX-1C6WA-3326-SM-7MKGN 60-69 years, male 32.2
GTEX-1EH9U-3126-SM-7MXU5 60-69 years, male 30.7
GTEX-1QEPI-3026-SM-EXOIW 60-69 years, female 29.2
GTEX-1E1VI-2926-SM-7IGLT 50-59 years, male 27.7
GTEX-1PIIG-2826-SM-DTX7O 30-39 years, male 27.5
GTEX-1GZHY-3026-SM-7MXVA 50-59 years, female 27.3
GTEX-1F75W-3126-SM-7P8SJ 60-69 years, male 27.1
GTEX-13NYB-3226-SM-5J2ND 40-49 years, male 26.8
GTEX-1POEN-2726-SM-E9U6B 30-39 years, female 26.8
GTEX-1KANB-3226-SM-D4P3G 50-59 years, male 26.5
GTEX-13JVG-3226-SM-5IJGJ 60-69 years, male 26.3
GTEX-1RQEC-3026-SM-DPRXM 60-69 years, male 26.3
GTEX-12ZZY-2926-SM-5DUXO 60-69 years, male 25.8
GTEX-14E6D-2926-SM-664OP 50-59 years, male 25.8
GTEX-1JN1M-3126-SM-AHZ4E 60-69 years, female 25.3
GTEX-1B8SG-1926-SM-73KUB 50-59 years, male 25.2
GTEX-1HB9E-3126-SM-AHZ4M 50-59 years, male 25.1
GTEX-1MJK2-3026-SM-EV7A5 50-59 years, male 25.1
GTEX-16Z82-2926-SM-6LPJJ 60-69 years, male 25.0
GTEX-12WSH-3126-SM-5LZW8 50-59 years, male 24.9
GTEX-14JIY-2326-SM-6AJAJ 60-69 years, male 24.9
GTEX-13OW7-2926-SM-5MR3Z 50-59 years, male 24.8
GTEX-1192X-3226-SM-5987D 50-59 years, male 24.7
GTEX-11EI6-2926-SM-5985U 60-69 years, male 24.7
GTEX-15ER7-3026-SM-6M47W 20-29 years, female 24.7
GTEX-1GTWX-2926-SM-7MXV4 60-69 years, male 24.6
GTEX-11EMC-3326-SM-5P9JH 60-69 years, female 24.2
GTEX-13SLX-3226-SM-5YYA6 50-59 years, female 24.1
GTEX-17HG3-2826-SM-7EPGO 30-39 years, female 24.0
GTEX-1R9PO-2826-SM-E6CPV 60-69 years, female 24.0
GTEX-1GF9W-2726-SM-9JGGW 60-69 years, male 23.9
GTEX-1NV8Z-3026-SM-DTX8Z 60-69 years, male 23.9
GTEX-11GSP-3126-SM-5A5LL 60-69 years, female 23.8
GTEX-1RDX4-3226-SM-DPS14 50-59 years, female 23.7
GTEX-14PN4-3026-SM-664O4 50-59 years, male 23.6
GTEX-1H4P4-2726-SM-9JGGB 50-59 years, male 23.5
GTEX-1269C-3126-SM-5EGI6 60-69 years, female 23.3
GTEX-139TS-3126-SM-5LZWX 60-69 years, male 23.1
GTEX-13PVQ-2926-SM-5L3HJ 50-59 years, male 23.0
GTEX-147GR-3126-SM-5S2PM 60-69 years, male 22.8
GTEX-17EVQ-2726-SM-7EWDT 70-79 years, male 22.8
GTEX-1F6I4-3026-SM-7P8SI 60-69 years, male 22.8
GTEX-11ZUS-2826-SM-5EQKW 30-39 years, male 22.7
GTEX-14PJO-2926-SM-686ZI 60-69 years, male 22.7
GTEX-1C6VR-3026-SM-7IGLW 60-69 years, male 22.7
GTEX-1HBPI-2726-SM-9WPPF 50-59 years, male 22.7
GTEX-11ZTS-3226-SM-5EGID 60-69 years, female 22.6
GTEX-1399T-3126-SM-5IJFS 60-69 years, male 22.6
GTEX-ZAK1-2926-SM-5HL9S 50-59 years, female 22.5
GTEX-139TT-2626-SM-5LZUB 60-69 years, male 22.4
GTEX-R55E-2526-SM-2TC6H 20-29 years, male 22.3
GTEX-1KD4Q-3026-SM-EV7A7 40-49 years, male 22.3
GTEX-13CF2-3026-SM-5IFFX 60-69 years, male 22.2
GTEX-13OVJ-2726-SM-5IJG6 50-59 years, female 22.2
GTEX-ZDXO-2926-SM-4WKFM 60-69 years, male 21.9
GTEX-1F75A-2926-SM-7MXVN 50-59 years, male 21.9
GTEX-1R46S-3126-SM-DPRZ9 60-69 years, female 21.9
GTEX-X261-3126-SM-4PQZC 50-59 years, male 21.8
GTEX-1H1CY-3026-SM-9OSW7 60-69 years, female 21.8
GTEX-WWYW-3026-SM-3NB36 50-59 years, female 21.7
GTEX-YFC4-3026-SM-5IFJK 40-49 years, female 21.7
GTEX-11GSO-3026-SM-5Q5AL 60-69 years, male 21.5
GTEX-1313W-3026-SM-5LZUZ 50-59 years, female 21.5
GTEX-1EU9M-2926-SM-793DF 60-69 years, male 21.5
GTEX-1128S-2826-SM-5N9DI 60-69 years, female 21.4
GTEX-1I1CD-2926-SM-A96SJ 60-69 years, female 21.3
GTEX-13O3O-3026-SM-5KM42 60-69 years, female 21.2
GTEX-13QIC-3026-SM-5LU58 60-69 years, female 21.0
GTEX-13FHP-2926-SM-5IJG9 50-59 years, male 20.8
GTEX-147F4-3026-SM-5Q5BJ 50-59 years, male 20.8
GTEX-1B933-3026-SM-731DB 50-59 years, female 20.8
GTEX-1CB4G-2926-SM-7MKFQ 60-69 years, male 20.8
GTEX-Y8DK-0726-SM-4TT3S 60-69 years, male 20.8
GTEX-1JMLX-3026-SM-EV79Q 50-59 years, male 20.7
GTEX-17JCI-3026-SM-7EWDR 60-69 years, female 20.6
GTEX-1B8L1-3226-SM-7P8OX 60-69 years, male 20.6
GTEX-15DYW-3026-SM-7KFRM 60-69 years, female 20.5
GTEX-Z93S-2826-SM-57WBL 50-59 years, male 20.5
GTEX-1GF9V-3026-SM-7P8R8 60-69 years, male 20.5
GTEX-1EMGI-3126-SM-7MXUR 60-69 years, male 20.4
GTEX-1C64N-3126-SM-79OO3 50-59 years, male 20.2
GTEX-1JMQJ-3126-SM-EV79G 50-59 years, male 20.2
GTEX-12126-0926-SM-5FQTW 20-29 years, male 20.1
GTEX-12WSC-2926-SM-5BC5Z 50-59 years, male 20.1
GTEX-131YS-3026-SM-5EGHY 60-69 years, female 20.1
GTEX-14BIN-3326-SM-5Q5E6 50-59 years, female 20.1
GTEX-1A8G7-3026-SM-73KTT 60-69 years, male 20.1
GTEX-YJ89-2926-SM-5P9IT 60-69 years, male 20.1
GTEX-1HSKV-2926-SM-B2LWJ 60-69 years, male 20.1
GTEX-1I1GV-3026-SM-CNNR9 60-69 years, male 20.1
GTEX-14ABY-3026-SM-664NE 50-59 years, male 20.0
GTEX-1EWIQ-3026-SM-7IGOJ 70-79 years, female 20.0
GTEX-1IL2V-3026-SM-CYPSA 70-79 years, male 20.0
GTEX-111FC-3326-SM-5GZYV 60-69 years, male 19.8
GTEX-12WSM-2126-SM-5GCOC 60-69 years, male 19.8
GTEX-ZF28-2926-SM-4WKG1 60-69 years, male 19.8
GTEX-14C39-3026-SM-5S2QE 40-49 years, male 19.7
GTEX-1LSVX-2826-SM-EVR58 60-69 years, male 19.7
GTEX-1B996-2926-SM-7MXUH 60-69 years, male 19.6
GTEX-1HSMO-2926-SM-C1YR5 60-69 years, male 19.6
GTEX-144GL-2926-SM-5O99F 50-59 years, male 19.5
GTEX-1B8SF-3026-SM-731DX 60-69 years, male 19.5
GTEX-T6MN-2526-SM-32PMN 50-59 years, male 19.5
GTEX-12WSD-3026-SM-5LZU7 60-69 years, female 19.4
GTEX-14PJM-3026-SM-6LLHM 50-59 years, female 19.4
GTEX-1I1HK-2726-SM-AHZ2M 60-69 years, male 19.4
GTEX-1H3O1-1826-SM-A96TO 60-69 years, male 19.3
GTEX-13FXS-3026-SM-5LZYO 50-59 years, male 19.2
GTEX-18A6Q-2826-SM-7LTAO 60-69 years, male 19.2
GTEX-1E2YA-2926-SM-7MGWX 50-59 years, male 19.2
GTEX-1GN73-3026-SM-7MXV8 60-69 years, male 19.2
GTEX-S7SE-2526-SM-2XCDL 50-59 years, male 19.1
GTEX-1EKGG-3126-SM-9WPO5 60-69 years, male 19.1
GTEX-1H3VE-2826-SM-9WPOL 40-49 years, male 19.1
GTEX-1KWVE-2226-SM-CXZKN 30-39 years, male 19.1
GTEX-WZTO-2826-SM-3NM8P 40-49 years, male 19.0
GTEX-1BAJH-3126-SM-7MGXY 70-79 years, male 19.0
GTEX-13OW5-3126-SM-5MR3Y 60-69 years, male 18.9
GTEX-14JFF-2826-SM-6871Q 60-69 years, male 18.9
GTEX-11NUK-3026-SM-5986K 50-59 years, male 18.8
GTEX-117XS-3126-SM-5GIDP 60-69 years, male 18.7
GTEX-12WSE-2926-SM-5RQJ9 20-29 years, male 18.7
GTEX-15EO6-2926-SM-6M48D 50-59 years, male 18.7
GTEX-1H1ZS-2926-SM-9WPP2 70-79 years, male 18.5
GTEX-13OVH-2926-SM-5IJFH 70-79 years, male 18.4
GTEX-PVOW-2626-SM-32PL8 40-49 years, male 18.3
GTEX-1QP6S-3026-SM-EAZ4N 40-49 years, male 18.3
GTEX-11TTK-2826-SM-5GU5K 60-69 years, female 18.2
GTEX-13OVL-3026-SM-5IJF1 50-59 years, male 18.1
GTEX-145MH-2926-SM-5Q5D2 50-59 years, male 18.1
GTEX-1EX96-3126-SM-9JGGC 50-59 years, male 18.1
GTEX-1F48J-2726-SM-7P8PW 50-59 years, female 18.1
GTEX-1F6IF-3026-SM-7P8QN 60-69 years, male 18.1
GTEX-18465-2926-SM-7KFSE 50-59 years, male 17.9
GTEX-ZUA1-2926-SM-59HL3 40-49 years, male 17.9
GTEX-1JJ6O-3026-SM-C1YQH 60-69 years, male 17.9
GTEX-13X6K-2826-SM-5O9DS 60-69 years, female 17.6
GTEX-1LG7Y-3126-SM-EV7AS 50-59 years, male 17.6
GTEX-131XH-2926-SM-5LZU4 50-59 years, male 17.4
GTEX-17EVP-2926-SM-793BU 40-49 years, male 17.4
GTEX-13RTJ-3126-SM-5S2Q4 60-69 years, male 17.3
GTEX-WVLH-2926-SM-3MJG5 50-59 years, male 17.3
GTEX-11OC5-0626-SM-5HL6M 60-69 years, male 17.2
GTEX-12ZZZ-3126-SM-5LZU6 60-69 years, male 17.2
GTEX-14E7W-2926-SM-5S2R8 70-79 years, male 17.1
GTEX-WHSE-2926-SM-3NMBG 20-29 years, male 17.1
GTEX-13O3Q-3026-SM-5IJGD 50-59 years, male 17.0
GTEX-ZAJG-3026-SM-5HL92 50-59 years, female 17.0
GTEX-145MF-2826-SM-7EPGU 50-59 years, male 16.9
GTEX-1HBPH-3026-SM-9WPNY 40-49 years, female 16.9
GTEX-1JJE9-3026-SM-CNNPA 70-79 years, male 16.9
GTEX-11PRG-2826-SM-5BC54 50-59 years, male 16.8
GTEX-17HHY-2926-SM-79OJW 50-59 years, male 16.8
GTEX-11DXW-1026-SM-5H11K 40-49 years, male 16.7
GTEX-14JG1-2926-SM-686ZK 40-49 years, male 16.7
GTEX-WL46-2826-SM-3LK81 50-59 years, male 16.7
GTEX-1IDJH-3126-SM-C1YQS 70-79 years, male 16.7
GTEX-1IKOH-2826-SM-CNNRC 60-69 years, female 16.7
GTEX-1J1OQ-3126-SM-D4P2O 40-49 years, female 16.6
GTEX-11ONC-3026-SM-5985W 60-69 years, male 16.4
GTEX-16YQH-2926-SM-6LPJE 30-39 years, male 16.4
GTEX-1H1DG-2826-SM-9JGHB 70-79 years, male 16.4
GTEX-1IY9M-3126-SM-AHZ3A 60-69 years, male 16.4
GTEX-Q2AG-2826-SM-2HMJQ 40-49 years, female 16.3
GTEX-ZYY3-3026-SM-5GIEJ 60-69 years, female 16.3
GTEX-ZVT3-2926-SM-5GU6M 60-69 years, female 16.2
GTEX-13FHO-2926-SM-5L3ES 60-69 years, male 16.0
GTEX-14ASI-2926-SM-5Q5DG 60-69 years, male 15.9
GTEX-11NV4-2226-SM-5BC4T 60-69 years, male 15.8
GTEX-ZYFD-2926-SM-5GID9 50-59 years, male 15.7
GTEX-13112-2926-SM-5DUWT 50-59 years, male 15.6
GTEX-183WM-2726-SM-7KFRF 70-79 years, female 15.6
GTEX-13N2G-3126-SM-5IJGL 60-69 years, male 15.5
GTEX-1A8G6-3126-SM-731D8 60-69 years, male 15.5
GTEX-UTHO-2926-SM-3P5Z9 60-69 years, male 15.5
GTEX-14DAQ-3026-SM-5S2QZ 60-69 years, female 15.4
GTEX-17HII-2926-SM-79OMK 50-59 years, male 15.3
GTEX-PWO3-1026-SM-2I5F2 60-69 years, female 15.3
GTEX-1GZ4I-2926-SM-9JGGO 50-59 years, male 15.3
GTEX-RU72-2926-SM-2TF66 50-59 years, female 15.2
GTEX-TSE9-2926-SM-3DB77 60-69 years, female 15.2
GTEX-13G51-3126-SM-5IJG7 60-69 years, male 15.0
GTEX-11O72-2826-SM-5HL6W 40-49 years, male 14.9
GTEX-1JMPZ-2826-SM-C1YRA 30-39 years, male 14.9
GTEX-1F52S-3026-SM-7P8PV 60-69 years, female 14.8
GTEX-1JMOU-2826-SM-EV79R 60-69 years, female 14.8
GTEX-1JMQK-2926-SM-D4P2T 60-69 years, male 14.8
GTEX-11DXY-3126-SM-5N9BT 60-69 years, male 14.7
GTEX-145LU-2626-SM-5LU9Z 50-59 years, male 14.6
GTEX-1HCVE-2926-SM-9WPPJ 50-59 years, male 14.6
GTEX-145LS-3026-SM-5O99S 60-69 years, female 14.5
GTEX-1PWST-3026-SM-EAZ3H 70-79 years, male 14.4
GTEX-N7MT-1226-SM-DKPOK 60-69 years, female 14.4
GTEX-1A3MX-2926-SM-718B7 60-69 years, male 14.3
GTEX-RNOR-2226-SM-2TF5O 50-59 years, female 14.3
GTEX-14BIM-3126-SM-5Q5C7 60-69 years, female 14.2
GTEX-T5JC-2326-SM-32PMR 20-29 years, male 14.1
GTEX-1H3NZ-2926-SM-9WPQ8 60-69 years, male 14.1
GTEX-1JJEA-2926-SM-C1YSK 60-69 years, male 14.1
GTEX-145MG-3126-SM-5Q5D3 50-59 years, male 14.0
GTEX-QVUS-2926-SM-3GIJB 60-69 years, female 14.0
GTEX-13OW6-2926-SM-5KM29 50-59 years, male 13.9
GTEX-15G19-2826-SM-6M48K 60-69 years, male 13.9
GTEX-16XZZ-2926-SM-6LPK4 60-69 years, male 13.9
GTEX-X4XX-2926-SM-3NMB1 60-69 years, male 13.9
GTEX-14A5I-2826-SM-5SIBF 50-59 years, female 13.8
GTEX-14BMV-2926-SM-5TDEE 50-59 years, male 13.8
GTEX-15SHU-3026-SM-6LPIB 40-49 years, female 13.8
GTEX-T2IS-2926-SM-32QPO 20-29 years, female 13.8
GTEX-13OW8-2926-SM-5L3FV 60-69 years, male 13.7
GTEX-11ZVC-3026-SM-59HJM 50-59 years, female 13.6
GTEX-QMR6-1326-SM-32PLB 50-59 years, male 13.4
GTEX-12ZZX-2826-SM-5BC6K 40-49 years, female 13.3
GTEX-NPJ8-2626-SM-2D7W2 40-49 years, male 13.1
GTEX-1P4AB-3026-SM-EXOJS 50-59 years, male 12.9
GTEX-11DYG-2926-SM-5H132 60-69 years, male 12.8
GTEX-13X6I-2926-SM-5Q5C3 60-69 years, male 12.7
GTEX-13X6J-2926-SM-7EPGP 50-59 years, male 12.7
GTEX-13S7M-3026-SM-5S2QQ 60-69 years, female 12.1
GTEX-OHPN-2626-SM-2I5H1 60-69 years, female 11.8
GTEX-X4EP-3026-SM-3P5YP 60-69 years, female 11.8
GTEX-14C5O-2926-SM-5RQI1 60-69 years, male 11.7
GTEX-QVJO-1325-SM-2S1QX 60-69 years, female 11.6
GTEX-ZAB4-2926-SM-57WCV 40-49 years, male 11.6
GTEX-13VXU-3026-SM-5LU3K 50-59 years, male 11.2
GTEX-N7MS-2526-SM-2D7W3 60-69 years, male 11.2
GTEX-XLM4-2926-SM-4AT59 60-69 years, male 11.2
GTEX-17F97-2926-SM-7DUEQ 50-59 years, male 10.9
GTEX-P44G-2526-SM-2I5EK 30-39 years, male 10.9
GTEX-1CB4H-3026-SM-79OLX 60-69 years, female 10.6
GTEX-1GZ2Q-3026-SM-9JGG3 40-49 years, male 10.4
GTEX-132Q8-2926-SM-5IFFP 60-69 years, male 10.3
GTEX-ZZPT-2926-SM-5EQ5S 50-59 years, male 10.0
GTEX-QDT8-3026-SM-32PKB 30-39 years, female 9.7
GTEX-11DZ1-2926-SM-5A5KI 50-59 years, male 9.3
GTEX-NPJ7-2826-SM-2I3FU 60-69 years, female 9.0
GTEX-13JUV-3026-SM-5K7WX 40-49 years, female 8.8
GTEX-XMD1-2826-SM-4AT5F 60-69 years, male 8.0
GTEX-P44H-2426-SM-2XCEJ 40-49 years, male 7.8
Show allShow less

CEREBELLUM - FANTOM5 CAGEi

RNA expression in human tissues obtained through Cap Analysis of Gene Expression (CAGE) generated by the FANTOM5 project are reported as Scaled Tags Per Million.

Max subtype Scaled Tags Per Millioni

Max subtype Scaled Tags Per Million is the value for the subtype with the largest average Scaled Tags Per Million across the subtype samples.

65.2
FANTOM5 sample id Sample description Scaled Tags Per Million
Cerebellum
Scaled Tags Per Million: 65.2
FF:10083-102B2 22-68 years, mixed 80.4
FF:10166-103B4 76 years, female 50.0

CEREBELLUM - Pig RNA-seqi

RNA-seq data obtained from pig brain is reported as nTPM .

Normal distribution across the dataset is visualized with box plots, shown as median and 25th and 75th percentiles. Points are displayed as outliers if they are above or below 1.5 times the interquartile range. nTPM values of the individual samples are presented next to the box plot.
Max subtype nTPMi

Max subtype nTPM is the value for the subtype with the largest average nTPM across the subtype samples.

40.4
Pig sample Sample description nTPM
Cerebellum
nTPM: 40.4
Samples: 4

Max nTPM: 60.5
Min nTPM: 30.6
Sample A Female 60.5
Sample B Female 35.8
Sample C Male 30.6
Sample D Male 34.6

CEREBELLUM - Mouse RNA-seqi

RNA-seq data obtained from mouse brain is reported as nTPM .

Normal distribution across the dataset is visualized with box plots, shown as median and 25th and 75th percentiles. Points are displayed as outliers if they are above or below 1.5 times the interquartile range. nTPM values of the individual samples are presented next to the box plot.
Max subtype nTPMi

Max subtype nTPM is the value for the subtype with the largest average nTPM across the subtype samples.

78.2
Mouse sample Sample description nTPM
Cerebellum
nTPM: 78.3
Samples: 4

Max nTPM: 85.4
Min nTPM: 71.9
Sample A Male 71.9
Sample B Male 78.1
Sample C Female 77.6
Sample D Female 85.4

CEREBELLUM - Allen Mouse ISHi

In situ hybridization (ISH) data generated by the Allen brain atlas from mouse brain is reported as expression energy. For more details about a particular experiment, click on the corresponding Allen experiment ID.

Max subtype Expression energyi

Max subtype Expression energy is the value for the subtype with the largest average Expression energy across the subtype samples.

1.9
Allen experiment id Experiment description Expression energy
Cerebellum
Expression energy: 1.9
68633345 Antisense, RP_050125_02_F12, Mouse strain C57BL/6J (56 days, male) 1.9

Contact

  • NEWS ARTICLES
  • PRESS ROOM

The Project

  • INTRODUCTION
  • ORGANIZATION
  • PUBLICATIONS

The Human Protein Atlas

  • DOWNLOADABLE DATA
  • LICENCE & CITATION
  • HELP & FAQ
The Human Protein Atlas project is funded
by the Knut & Alice Wallenberg Foundation.


contact@proteinatlas.org